We use cookies to enhance the usability of our website. If you continue, we'll assume that you are happy to receive all cookies. More information. Don't show this again.
CKAP4
HPA
RESOURCES
  • TISSUE
  • BRAIN
  • SINGLE CELL
  • SUBCELLULAR
  • CANCER
  • BLOOD
  • CELL LINE
  • STRUCTURE & INTERACTION
ABOUT
  • INTRODUCTION
  • HISTORY
  • ORGANIZATION
  • PUBLICATIONS
  • ANTIBODY SUBMISSION
  • ANTIBODY AVAILABILITY
  • ACKNOWLEDGMENTS
  • CONTACT
NEWS
  • NEWS ARTICLES
  • PRESS ROOM
LEARN
  • DICTIONARY
  • PROTEIN CLASSES
  • PROTEIN EVIDENCE
  • METHODS
  • EDUCATIONAL VIDEOS
DATA
  • DOWNLOADABLE DATA
  • PUBLICATION DATA
  • RELEASE HISTORY
HELP
  • ANTIBODY VALIDATION
  • ASSAYS & ANNOTATION
  • DISCLAIMER
  • HELP & FAQ
  • PRIVACY STATEMENT
  • LICENCE & CITATION
Fields »
Search result

Field
Term
Gene name
Class
Subclass
Class
Keyword
Chromosome
External id
Tissue
Cell type
Expression
Antibody panel
Tissue
Main location
Patient ID
Annotation
Tissue
Category
Tau score
Cluster
Reliability
Brain region
Category
Tau score
Brain region
Category
Tau score
Brain region
Category
Tau score
Cluster
Reliability
Tissue
Cell type
Enrichment
Cell type
Category
Tau score
Cell type
Category
Tau score
Cell type
Category
Tau score
Cell lineage
Category
Tau score
Cluster
Cluster
Location
Searches
Location
Cell line
Class
Type
Phase
Reliability
Cancer
Prognosis
Cancer
Category
Cancer
Category
Tau score
Cluster
Variants
Interacting gene (ensg_id)
Type
Number of interactions
Pathway
Category
Score
Score
Score
Validation
Validation
Validation
Validation
Antibodies
Data type
Column


  • SUMMARY

  • TISSUE

  • BRAIN

  • SINGLE CELL

  • SUBCELL

  • CANCER

  • BLOOD

  • CELL LINE

  • STRUCT & INT

  • CKAP4
TISSUE PRIMARY DATA ESOPHAGUS Show tissue menu
ADIPOSE TISSUE ADRENAL GLAND AMYGDALA APPENDIX BASAL GANGLIA BONE MARROW BREAST CEREBELLUM CEREBRAL CORTEX CERVIX CHOROID PLEXUS COLON DUODENUM ENDOMETRIUM
EPIDIDYMIS ESOPHAGUS FALLOPIAN TUBE GALLBLADDER HEART MUSCLE HIPPOCAMPAL FORMATION HYPOTHALAMUS KIDNEY LIVER LUNG LYMPH NODE MIDBRAIN NASOPHARYNX ORAL MUCOSA
OVARY PANCREAS PARATHYROID GLAND PITUITARY GLAND PLACENTA PROSTATE RECTUM RETINA SALIVARY GLAND SEMINAL VESICLE SKELETAL MUSCLE SKIN SMALL INTESTINE SMOOTH MUSCLE
SOFT TISSUE SPINAL CORD SPLEEN STOMACH TESTIS THYMUS THYROID GLAND TONGUE TONSIL URINARY BLADDER VAGINA
ANTIBODIES
AND
VALIDATION
Dictionary
Esophagus
Tissue proteome
Esophagus
ESOPHAGUS - Expression summary
Protein expression
Esophagusi

On the top, protein expression in current human tissue, based on all annotated cell types, is reported with the units not detected (n), low (l), medium (m) and high (h). Underneath, protein expression in each annotated cell type are reported using the same units.

Protein expression data is based on knowledge-based annotation. For genes where more than one antibody has been used, a collective score is set.

If knowledge-based annotation could not be performed for a gene, no data is displayed here. View antibody staining data further down this page.

h
m
l
n
Squamous epithelial cells: Medium
RNA expressioni

A summary of mRNA expression data available for current tissue based on several datasets. The mRNA expression levels in human tissues are based on RNA-seq data generated by the Human Protein Atlas (HPA), Genotype-Tissue Expression (GTEx) portal and CAGE data generated by the FANTOM5 consortium. Consensus normalized expression levels for human tissues was created by combining the data from HPA and GTEx datasets.

The mRNA expression levels in pig are based on RNA-seq data generated by the Human Protein Atlas (HPA), and for mouse, HPA data and in situ hybridization generated by the Allen brain atlas are reported.

Scroll down to view mRNA expression data in more detail.
Consensus:69.3 nTPM
HPA:43.5 nTPM
GTEx:69.3 nTPM
FANTOM5:154.1 Scaled Tags Per Million

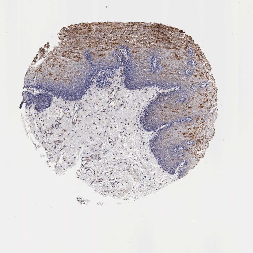
ESOPHAGUS - Antibody stainingi

Antibody staining in the annotated cell types in the current human tissue is reported as not detected, low, medium, or high, based on conventional immunohistochemistry profiling in selected tissues. This score is based on the combination of the staining intensity and fraction of stained cells.

Each image is clickable and will lead to virtual microscopy that enables deeper exploration of all samples and also displays staining intensity scores, fraction scores and subcellular localization as well as patient and tissue information for each sample.

Antibody HPA000278Antibody HPA000792
Squamous epithelial cells HighMedium



ESOPHAGUS - HPA RNA-seqi

The RNA-seq details section shows detailed information about the individual samples used for the transcript profiling and results of the RNA-seq analysis.

Information about each individual sample is listed below, including gender, age, a tissue section image and estimated fractions of cell types. nTPM (normalized transcripts per million) values give a quantification of the gene abundance which is comparable between different genes and samples.
Average nTPMi

Max subtype nTPM is the value for the subtype with the largest average nTPM across the subtype samples.

43.5
overview
Female, age 70
Esophagus sample 130
nTPM: 41
Cell types%
Squamous epithelial cells:
35

Smooth muscle cells:
15

Skeletal muscle cells:
5

Other cell types:
45

overview
Male, age 38
Esophagus sample 131
nTPM: 44
Cell types%
Squamous epithelial cells:
60

Smooth muscle cells:
20

Other cell types:
20

overview
Male, age 76
Esophagus sample 132
nTPM: 45.4
Cell types%
Squamous epithelial cells:
45

Smooth muscle cells:
15

Other cell types:
40


ESOPHAGUS - GTEx RNA-seqi

RNA-Seq data generated by the Genotype-Tissue Expression (GTEx) project from human tissues is reported as mean nTPM. More information can be found on the GTEx portal.

Distribution across the dataset is visualized with box plots, shown as median and 25th and 75th percentiles. Points are displayed as outliers if they are above or below 1.5 times the interquartile range. nTPM values of the individual samples are presented next to the box plot.
Max subtype nTPMi

Max subtype nTPM is the value for the subtype with the largest average nTPM across the subtype samples.

69.3
GTEx sample id Sample description nTPM
Esophagus - Mucosa
Average nTPM: 69.3
Samples: 555

Max nTPM: 148.1
Min nTPM: 22.6
Std nTPM: 17.7
Median nTPM: 66.4
GTEX-13FHP-1526-SM-5IJGE 50-59 years, male 148.1
GTEX-1NSGN-2026-SM-DPRYM 50-59 years, male 139.8
GTEX-14A6H-1326-SM-5NQBC 30-39 years, male 139.3
GTEX-1MCQQ-1026-SM-EV7AX 60-69 years, male 137.0
GTEX-X4XY-1726-SM-46MVO 60-69 years, male 134.7
GTEX-1KANB-1826-SM-DHXJU 50-59 years, male 131.2
GTEX-13NYB-0926-SM-5IFFA 40-49 years, male 126.7
GTEX-1C6VQ-1826-SM-7EWEH 50-59 years, male 124.9
GTEX-145LU-0926-SM-79OJL 50-59 years, male 119.3
GTEX-POYW-1326-SM-48TCG 60-69 years, male 115.3
GTEX-12ZZY-1426-SM-5N9EI 60-69 years, male 113.6
GTEX-1I6K7-1426-SM-B2LXP 40-49 years, male 113.0
GTEX-1LB8K-1326-SM-CXZKB 50-59 years, male 110.5
GTEX-1IDJH-2026-SM-CNNQX 70-79 years, male 108.8
GTEX-1CAMQ-2726-SM-7MKGD 40-49 years, male 108.7
GTEX-1EWIQ-1526-SM-79OO7 70-79 years, female 107.7
GTEX-18465-1126-SM-7LG6E 50-59 years, male 105.1
GTEX-1HBPI-0626-SM-9WPP4 50-59 years, male 104.9
GTEX-12ZZX-1326-SM-5DUWI 40-49 years, female 104.0
GTEX-1399Q-1126-SM-5P9JA 40-49 years, male 103.6
GTEX-148VJ-1026-SM-5LU98 70-79 years, male 102.2
GTEX-14ICK-2026-SM-6AJB2 40-49 years, male 101.8
GTEX-1HSKV-2426-SM-A8N8K 60-69 years, male 101.1
GTEX-117YW-1926-SM-5H121 50-59 years, male 99.8
GTEX-11LCK-1726-SM-5S2OQ 30-39 years, male 99.7
GTEX-1AYD5-0926-SM-793AF 50-59 years, male 99.6
GTEX-ZTX8-0226-SM-5E44D 20-29 years, male 99.5
GTEX-ZTPG-1626-SM-5DUX2 20-29 years, female 99.0
GTEX-1MA7X-0726-SM-EV7AB 60-69 years, male 98.6
GTEX-15RIE-0826-SM-6M47X 60-69 years, male 98.5
GTEX-16XZY-0926-SM-7938M 70-79 years, male 98.4
GTEX-S33H-0826-SM-4AD5Y 30-39 years, male 98.2
GTEX-1H1DG-1226-SM-9JGH3 70-79 years, male 98.2
GTEX-1K2DU-1726-SM-EV79S 20-29 years, male 98.2
GTEX-1AMEY-0226-SM-7189Q 30-39 years, female 98.1
GTEX-17JCI-1226-SM-793D9 60-69 years, female 97.5
GTEX-145ME-5004-SM-7MGXP 40-49 years, female 97.2
GTEX-YEC4-1026-SM-9WG7N 40-49 years, male 97.1
GTEX-13X6H-1326-SM-5LU42 50-59 years, female 97.0
GTEX-11ONC-1526-SM-5GU6S 60-69 years, male 96.6
GTEX-1269C-1026-SM-5N9EY 60-69 years, female 96.3
GTEX-14PK6-1326-SM-686ZE 70-79 years, female 96.0
GTEX-Y114-0926-SM-4TT7J 50-59 years, female 95.9
GTEX-1399S-1326-SM-5P9GH 30-39 years, female 94.8
GTEX-131XE-1426-SM-5HL7V 50-59 years, male 94.6
GTEX-OXRN-1726-SM-3NM9B 50-59 years, male 94.4
GTEX-1I1GV-2226-SM-ARU7E 60-69 years, male 94.3
GTEX-13S86-0826-SM-5SI6J 40-49 years, male 93.8
GTEX-132AR-2226-SM-5J2NT 50-59 years, female 92.9
GTEX-11NSD-1126-SM-5N9BQ 20-29 years, male 92.6
GTEX-1KANA-0626-SM-D4P3I 20-29 years, male 92.6
GTEX-1H3VY-2026-SM-9JGHK 50-59 years, male 92.4
GTEX-QEG4-0726-SM-CNNRF 30-39 years, male 92.3
GTEX-13O1R-1326-SM-5IJF5 60-69 years, male 91.9
GTEX-O5YV-1026-SM-3LK72 60-69 years, female 91.9
GTEX-15RIF-0826-SM-6M47C 20-29 years, male 91.5
GTEX-17EVQ-1926-SM-7IGOF 70-79 years, male 91.5
GTEX-1EH9U-2426-SM-7EWFG 60-69 years, male 91.5
GTEX-1QEPI-1826-SM-EAZ3J 60-69 years, female 91.4
GTEX-145MO-1426-SM-DTX9W 60-69 years, male 91.2
GTEX-1B933-2026-SM-7EWFC 50-59 years, female 91.0
GTEX-RUSQ-0826-SM-47JWW 50-59 years, male 91.0
GTEX-17HII-1526-SM-9OSVD 50-59 years, male 90.9
GTEX-WHWD-0926-SM-4OORY 50-59 years, male 90.5
GTEX-1QP2A-1926-SM-EXOJ9 50-59 years, male 90.1
GTEX-1OJC3-0826-SM-DPRYU 20-29 years, male 90.0
GTEX-T2YK-1326-SM-4DM6S 50-59 years, male 89.9
GTEX-14AS3-0626-SM-5QGQD 40-49 years, female 89.8
GTEX-16MTA-0826-SM-6LLIC 50-59 years, male 89.6
GTEX-1F52S-1426-SM-7P8PU 60-69 years, female 89.6
GTEX-1L5NE-1426-SM-DHXKV 50-59 years, male 89.6
GTEX-1S82Y-1226-SM-EV7BD 40-49 years, male 89.6
GTEX-S32W-0926-SM-4AD5X 50-59 years, female 89.0
GTEX-1CB4G-1326-SM-7MKFP 60-69 years, male 88.7
GTEX-ZGAY-1126-SM-4WWBS 40-49 years, female 88.6
GTEX-ZV68-0926-SM-59HK7 50-59 years, female 88.0
GTEX-OIZH-0626-SM-3NB1L 50-59 years, male 87.8
GTEX-ZE9C-1126-SM-4WWBD 60-69 years, male 87.8
GTEX-1HCU6-1326-SM-A96TZ 60-69 years, female 87.4
GTEX-1LVAM-1126-SM-DHXKP 50-59 years, female 87.4
GTEX-13NZB-1226-SM-5J2MW 30-39 years, male 86.9
GTEX-1RDX4-2126-SM-EV7B3 50-59 years, female 86.9
GTEX-OIZG-1026-SM-3LK5X 50-59 years, male 86.7
GTEX-1RAZA-1326-SM-DPS12 20-29 years, male 86.7
GTEX-S4P3-0426-SM-4AD56 50-59 years, female 86.5
GTEX-1CB4H-1526-SM-7MXU4 60-69 years, female 86.5
GTEX-QESD-0826-SM-47J4G 20-29 years, male 86.3
GTEX-1KD4Q-1126-SM-CXZKK 40-49 years, male 86.3
GTEX-1MGNQ-1626-SM-EAZ4Z 40-49 years, male 85.9
GTEX-16Z82-1926-SM-6M47U 60-69 years, male 85.0
GTEX-1HCUA-1426-SM-9WPP7 50-59 years, female 84.9
GTEX-PWN1-0626-SM-48TDT 40-49 years, female 84.5
GTEX-VUSG-1226-SM-4KKZF 50-59 years, male 84.5
GTEX-Y3I4-1226-SM-4TT8N 50-59 years, male 84.4
GTEX-1AX8Z-5016-SM-AHZ2B 60-69 years, male 84.3
GTEX-18D9U-2126-SM-7LG4Y 40-49 years, male 84.2
GTEX-11DXX-1126-SM-5GZZK 60-69 years, female 84.1
GTEX-XXEK-0326-SM-4BRVV 50-59 years, male 84.1
GTEX-11GSP-1826-SM-5N9DQ 60-69 years, female 84.0
GTEX-1EKGG-1726-SM-7MXUP 60-69 years, male 84.0
GTEX-1GPI7-1026-SM-7MGY2 20-29 years, male 83.8
GTEX-1S83E-0826-SM-EV7B7 40-49 years, male 83.8
GTEX-145MN-1026-SM-5NQ9G 30-39 years, male 83.3
GTEX-1PPH8-1626-SM-E6CQP 20-29 years, male 83.1
GTEX-1JMQJ-1226-SM-D3L97 50-59 years, male 83.0
GTEX-1RAZS-2626-SM-EV79C 50-59 years, male 83.0
GTEX-183FY-1526-SM-7IGOW 20-29 years, male 82.9
GTEX-ZVP2-1326-SM-57WCE 50-59 years, male 82.9
GTEX-14C38-2126-SM-5RQJO 50-59 years, male 82.8
GTEX-1JKYR-2126-SM-CNNPC 20-29 years, male 82.8
GTEX-13FLV-1126-SM-5J2NO 50-59 years, male 82.7
GTEX-1HCU8-2226-SM-9WPOV 60-69 years, female 82.3
GTEX-1H11D-2126-SM-9OSXM 40-49 years, male 82.2
GTEX-1IDJD-1626-SM-C1YRC 30-39 years, male 82.2
GTEX-11ZTS-2626-SM-5EGIC 60-69 years, female 82.0
GTEX-169BO-0526-SM-793AK 50-59 years, male 81.8
GTEX-1RAZQ-1726-SM-EAZ4T 30-39 years, male 81.7
GTEX-14PJ6-1026-SM-686ZB 60-69 years, female 81.6
GTEX-14DAR-0826-SM-73KYJ 50-59 years, male 81.3
GTEX-U8XE-1726-SM-4E3IF 30-39 years, male 81.2
GTEX-ZLWG-1326-SM-DNZYZ 50-59 years, female 81.2
GTEX-Q2AG-1326-SM-43V8K 40-49 years, female 81.1
GTEX-S341-0526-SM-4AD5U 40-49 years, female 80.9
GTEX-SUCS-0726-SM-4DM7J 70-79 years, male 80.9
GTEX-ZDTT-1326-SM-4WKFH 60-69 years, male 80.9
GTEX-15RJE-0926-SM-6LLHZ 40-49 years, male 80.8
GTEX-1LVAN-2326-SM-CNNPY 50-59 years, female 80.8
GTEX-QV44-1126-SM-CL55C 50-59 years, male 80.8
GTEX-RN64-1026-SM-48FDX 50-59 years, male 80.5
GTEX-WHSE-1526-SM-4M1XH 20-29 years, male 80.5
GTEX-WXYG-1226-SM-4ONCJ 50-59 years, female 80.4
GTEX-1H23P-1426-SM-9JGH5 60-69 years, male 80.2
GTEX-NPJ8-1926-SM-3MJGB 40-49 years, male 80.0
GTEX-146FR-0426-SM-5SI97 60-69 years, female 79.9
GTEX-14PKV-1726-SM-6871U 20-29 years, female 79.8
GTEX-1GF9U-0826-SM-7MXTZ 40-49 years, female 79.6
GTEX-1MCC2-1926-SM-DHXJR 30-39 years, female 79.6
GTEX-13YAN-1926-SM-7EPH9 60-69 years, male 79.3
GTEX-1EX96-2226-SM-7MKGT 50-59 years, male 79.3
GTEX-ZC5H-1326-SM-5HL7E 40-49 years, female 79.2
GTEX-1399R-0826-SM-5IJEL 30-39 years, male 79.1
GTEX-14PJN-0526-SM-68724 30-39 years, male 79.0
GTEX-14PJ5-0526-SM-664OE 60-69 years, female 78.9
GTEX-1A32A-1826-SM-72D5G 50-59 years, female 78.9
GTEX-1J8QM-1926-SM-AHZ3Z 60-69 years, female 78.5
GTEX-S3XE-0926-SM-4AD4S 50-59 years, male 78.4
GTEX-11P81-0826-SM-5P9GR 30-39 years, female 78.2
GTEX-17HHE-0926-SM-7938K 50-59 years, male 78.2
GTEX-ZY6K-0626-SM-59HJL 50-59 years, male 78.1
GTEX-11DXZ-1226-SM-5H11L 50-59 years, male 78.0
GTEX-1HB9E-1526-SM-D3LA6 50-59 years, male 78.0
GTEX-1F88F-1126-SM-7MKHL 60-69 years, female 77.7
GTEX-14E1K-1226-SM-5S2PD 50-59 years, male 77.6
GTEX-14JIY-0926-SM-6871D 60-69 years, male 77.3
GTEX-VJYA-0726-SM-4KL1T 60-69 years, male 77.2
GTEX-ZG7Y-1126-SM-4WWEZ 50-59 years, male 77.2
GTEX-ZYY3-1526-SM-5SIA9 60-69 years, female 77.2
GTEX-13W46-1926-SM-5J2MF 50-59 years, male 77.1
GTEX-W5WG-1626-SM-4LMKG 50-59 years, female 77.1
GTEX-WYVS-0726-SM-4ONDO 40-49 years, female 77.1
GTEX-ZLV1-0526-SM-4WWD4 60-69 years, female 77.1
GTEX-18QFQ-1026-SM-7LG6B 30-39 years, male 77.1
GTEX-1LBAC-1226-SM-DHXK1 20-29 years, male 77.1
GTEX-PWCY-0726-SM-48TCS 20-29 years, female 77.0
GTEX-1HGF4-0926-SM-9WPP8 60-69 years, male 77.0
GTEX-1IKOE-1526-SM-C1YSD 30-39 years, female 76.8
GTEX-111YS-0926-SM-5EGGI 60-69 years, male 76.5
GTEX-145MF-1426-SM-5O9B6 50-59 years, male 76.5
GTEX-ZAB5-0926-SM-5CVMV 50-59 years, male 76.5
GTEX-ZYFG-1126-SM-5GICY 60-69 years, female 76.4
GTEX-11NUK-1326-SM-5P9GN 50-59 years, male 76.3
GTEX-R55D-1126-SM-48FEB 50-59 years, male 76.3
GTEX-146FH-1726-SM-5QGQ2 50-59 years, female 76.1
GTEX-1CB4E-1026-SM-793AB 60-69 years, male 76.0
GTEX-OOBK-0625-SM-3LK5P 40-49 years, male 75.8
GTEX-R55G-1026-SM-48FDI 40-49 years, female 75.6
GTEX-RU1J-0326-SM-46MUM 20-29 years, female 75.6
GTEX-144GN-0626-SM-5O9B2 50-59 years, male 75.5
GTEX-1122O-1726-SM-5GICM 60-69 years, female 75.4
GTEX-XGQ4-1526-SM-4AT6H 50-59 years, male 75.4
GTEX-13QBU-1026-SM-5LU3R 40-49 years, female 75.3
GTEX-11EM3-0826-SM-5N9CC 20-29 years, female 75.1
GTEX-13RTK-0526-SM-5S2QF 20-29 years, male 75.1
GTEX-18A6Q-1226-SM-7KFS9 60-69 years, male 75.0
GTEX-TMMY-1126-SM-4DXSX 40-49 years, female 75.0
GTEX-1R9PM-0926-SM-DPRYA 20-29 years, male 74.9
GTEX-14BIN-2726-SM-5RQIE 50-59 years, female 74.8
GTEX-14JG6-0926-SM-6871Y 30-39 years, female 74.7
GTEX-SNMC-0526-SM-4DM69 20-29 years, male 74.5
GTEX-1LNCM-0626-SM-EV7AI 50-59 years, female 74.5
GTEX-U3ZN-1726-SM-4DXUQ 30-39 years, female 74.2
GTEX-1I1GR-1326-SM-ARU7B 60-69 years, male 74.0
GTEX-15RJ7-0926-SM-6LPJO 40-49 years, male 73.8
GTEX-Y3IK-1126-SM-51MSV 50-59 years, female 73.8
GTEX-1HFI6-1226-SM-A96SK 40-49 years, male 73.7
GTEX-1PIGE-0926-SM-E9U5Z 20-29 years, male 73.6
GTEX-ZLFU-1126-SM-DO11K 40-49 years, male 73.6
GTEX-17EUY-1426-SM-7938X 20-29 years, male 73.5
GTEX-ZVT2-1326-SM-5E45H 50-59 years, female 73.4
GTEX-1PPGY-1726-SM-EVR3S 60-69 years, male 73.3
GTEX-QDVJ-0726-SM-48U1W 50-59 years, male 73.2
GTEX-Y5V5-1626-SM-4VDSG 60-69 years, female 73.1
GTEX-1CB4I-1026-SM-7MKFZ 50-59 years, male 73.0
GTEX-YB5E-0926-SM-4WWDQ 40-49 years, male 73.0
GTEX-WQUQ-1626-SM-4OOSH 60-69 years, male 72.9
GTEX-Y8E4-1726-SM-5LU9G 40-49 years, male 72.9
GTEX-14BMU-0926-SM-5S2QB 20-29 years, female 72.5
GTEX-WOFM-0626-SM-4OOS3 20-29 years, male 72.5
GTEX-1LG7Z-0926-SM-CXKYK 30-39 years, male 72.5
GTEX-11I78-1526-SM-5A5K7 50-59 years, female 72.4
GTEX-15DCE-1326-SM-6LPJL 20-29 years, male 72.4
GTEX-15DYW-1826-SM-6LPIY 60-69 years, female 72.4
GTEX-15UF7-0926-SM-6M46F 40-49 years, male 72.0
GTEX-1I4MK-0426-SM-B2LWQ 50-59 years, female 71.8
GTEX-1MCYP-1026-SM-DPRYB 20-29 years, female 71.8
GTEX-NFK9-1126-SM-3LK78 40-49 years, male 71.6
GTEX-1212Z-2126-SM-5FQTM 60-69 years, male 71.5
GTEX-1GMR2-1526-SM-7MXV6 50-59 years, male 71.5
GTEX-1I1CD-1726-SM-A9G3P 60-69 years, female 71.3
GTEX-1N2DV-2026-SM-EV7BL 40-49 years, male 71.3
GTEX-1OKEX-1326-SM-E9J2U 60-69 years, male 71.3
GTEX-11TUW-1326-SM-5EQKV 60-69 years, male 71.0
GTEX-13CF3-1626-SM-5IFG9 60-69 years, female 71.0
GTEX-139YR-1726-SM-5IFFK 50-59 years, male 70.9
GTEX-1HC8U-1526-SM-9WPO4 40-49 years, female 70.9
GTEX-14PJ4-1526-SM-664OA 60-69 years, male 70.6
GTEX-1JK1U-1726-SM-CNNPM 60-69 years, male 70.5
GTEX-13PVR-1826-SM-5Q5CC 60-69 years, female 70.4
GTEX-17HGU-1426-SM-7938G 50-59 years, male 70.4
GTEX-Y9LG-0626-SM-4WWDH 30-39 years, male 70.4
GTEX-1HBPH-1126-SM-A96TU 40-49 years, female 70.4
GTEX-Q2AI-0626-SM-48TZU 40-49 years, male 70.2
GTEX-YJ89-1526-SM-5P9IR 60-69 years, male 70.2
GTEX-1R7EU-0826-SM-DPRZL 60-69 years, male 70.2
GTEX-U4B1-0826-SM-4DXTW 40-49 years, male 70.1
GTEX-12ZZW-1726-SM-5DUVD 50-59 years, male 69.9
GTEX-1J8EW-1326-SM-AHZ3S 60-69 years, female 69.9
GTEX-16NPX-1626-SM-6LLI5 50-59 years, male 69.8
GTEX-1LG7Y-1726-SM-EV7AR 50-59 years, male 69.7
GTEX-T5JW-1326-SM-4DM5G 20-29 years, female 69.6
GTEX-1J1R8-0326-SM-AHZ3D 40-49 years, male 69.6
GTEX-1M5QR-0726-SM-DHXK7 40-49 years, male 69.4
GTEX-12BJ1-1626-SM-5HL8Y 60-69 years, male 69.3
GTEX-13FTX-0526-SM-5IFGS 20-29 years, female 69.3
GTEX-X15G-0826-SM-4PQZD 50-59 years, female 69.2
GTEX-XYKS-1526-SM-4BRUP 60-69 years, female 68.9
GTEX-13O3Q-0826-SM-5IFGF 50-59 years, male 68.8
GTEX-1B8KE-1826-SM-731FD 50-59 years, male 68.8
GTEX-YFC4-1226-SM-5LU9R 40-49 years, female 68.8
GTEX-11EI6-1526-SM-5P9GL 60-69 years, male 68.7
GTEX-1AX9J-1826-SM-731FM 60-69 years, male 68.7
GTEX-R55C-0826-SM-48FCL 40-49 years, male 68.7
GTEX-14ICL-0526-SM-5RQJ6 30-39 years, male 68.4
GTEX-1GN1W-2226-SM-9JGI5 50-59 years, female 68.2
GTEX-1IDFM-1126-SM-A96SY 60-69 years, male 68.2
GTEX-PVOW-1626-SM-48TC9 40-49 years, male 68.1
GTEX-1QP9N-0926-SM-E9U5S 30-39 years, male 68.1
GTEX-S7SF-0926-SM-4AD4M 20-29 years, female 67.9
GTEX-15SB6-0726-SM-6M48F 50-59 years, female 67.8
GTEX-17MFQ-0526-SM-7KFTX 20-29 years, male 67.8
GTEX-WFG8-1226-SM-4V6EI 20-29 years, male 67.8
GTEX-WHSB-0426-SM-4M1XI 50-59 years, male 67.8
GTEX-1AX9I-1426-SM-7DHM8 60-69 years, male 67.6
GTEX-X3Y1-1326-SM-4PQZB 40-49 years, male 67.6
GTEX-11ZU8-1526-SM-5EGHX 60-69 years, male 67.5
GTEX-18A66-1426-SM-7KFRT 60-69 years, male 67.5
GTEX-12WSD-1826-SM-5GCOA 60-69 years, female 67.2
GTEX-N7MT-0326-SM-48TDP 60-69 years, female 67.2
GTEX-11TT1-0526-SM-5P9JO 20-29 years, male 67.1
GTEX-11DXY-1426-SM-5N9CN 60-69 years, male 66.9
GTEX-OXRP-0926-SM-48TC1 60-69 years, female 66.8
GTEX-T6MO-0526-SM-4DM6R 40-49 years, female 66.7
GTEX-UJHI-0826-SM-4IHLM 50-59 years, female 66.7
GTEX-13FHO-1726-SM-DPRZX 60-69 years, male 66.7
GTEX-132QS-1426-SM-5P9GE 60-69 years, male 66.6
GTEX-ZPU1-1426-SM-4WWFU 40-49 years, male 66.6
GTEX-1HSMQ-2026-SM-B2LY1 50-59 years, male 66.5
GTEX-WVLH-1426-SM-4MVNX 50-59 years, male 66.4
GTEX-Z9EW-0526-SM-5HL8S 40-49 years, male 66.4
GTEX-OIZF-0626-SM-7MKHG 60-69 years, male 66.2
GTEX-12WSK-1126-SM-5LZV8 40-49 years, female 66.1
GTEX-OXRL-0626-SM-3NM9C 50-59 years, male 65.9
GTEX-ZAJG-1326-SM-5S2NV 50-59 years, female 65.9
GTEX-XK95-1026-SM-4GIDV 40-49 years, male 65.8
GTEX-1F5PL-1726-SM-9QEGL 40-49 years, female 65.7
GTEX-T8EM-0526-SM-4DM64 40-49 years, male 65.6
GTEX-R3RS-1326-SM-48FE7 40-49 years, female 65.5
GTEX-WFJO-0826-SM-4LVM5 30-39 years, male 65.5
GTEX-18D9B-2026-SM-7LT96 60-69 years, male 65.0
GTEX-QLQ7-0926-SM-447BC 60-69 years, male 65.0
GTEX-1C2JI-1126-SM-731FH 50-59 years, male 64.9
GTEX-UPJH-1026-SM-EAZB2 50-59 years, male 64.9
GTEX-OXRK-1326-SM-3NB1A 50-59 years, female 64.8
GTEX-Y5V6-1026-SM-4VBS2 60-69 years, male 64.8
GTEX-1H1DE-1026-SM-9JGH6 20-29 years, male 64.8
GTEX-QEL4-1426-SM-447AC 50-59 years, male 64.7
GTEX-XV7Q-1126-SM-4BRVS 40-49 years, female 64.7
GTEX-1KAFJ-0626-SM-D3L8X 50-59 years, male 64.7
GTEX-18A67-2426-SM-7LT95 50-59 years, male 64.6
GTEX-XUZC-0426-SM-4BOPE 30-39 years, female 64.6
GTEX-14PJM-1526-SM-664NY 50-59 years, female 64.5
GTEX-11DZ1-2026-SM-5A5KG 50-59 years, male 64.4
GTEX-13FTW-1626-SM-5KM4N 40-49 years, male 64.4
GTEX-1A3MV-1326-SM-7LG6C 30-39 years, male 64.4
GTEX-S95S-0426-SM-4B64I 60-69 years, male 64.4
GTEX-1497J-2726-SM-5SI9W 60-69 years, male 64.3
GTEX-1F75I-1726-SM-7MKGW 40-49 years, male 64.3
GTEX-TML8-1526-SM-4DXUX 40-49 years, female 64.2
GTEX-U3ZM-0526-SM-4DXTB 40-49 years, male 64.2
GTEX-1K2DA-0626-SM-CGQGO 50-59 years, male 64.2
GTEX-1LSNL-2226-SM-DHXKM 50-59 years, male 64.2
GTEX-16BQI-1526-SM-6LLIE 30-39 years, female 64.1
GTEX-X62O-2226-SM-46MW3 50-59 years, male 64.0
GTEX-XMK1-1326-SM-4B65Q 40-49 years, male 64.0
GTEX-1QPFJ-1226-SM-EAZ3M 30-39 years, female 64.0
GTEX-13PVQ-1726-SM-5IFF3 50-59 years, male 63.9
GTEX-11P7K-1326-SM-5BC5G 30-39 years, male 63.8
GTEX-1I1GQ-1726-SM-B2LWZ 50-59 years, male 63.7
GTEX-XLM4-2326-SM-4AT5E 60-69 years, male 63.7
GTEX-V1D1-1026-SM-4JBHE 50-59 years, male 63.6
GTEX-1A8FM-1526-SM-7MXTA 50-59 years, female 63.6
GTEX-13W3W-1626-SM-5LU35 60-69 years, female 63.5
GTEX-1JKYN-1526-SM-CGQGA 30-39 years, male 63.5
GTEX-1QCLZ-1626-SM-E9U5R 60-69 years, female 63.5
GTEX-1C475-0926-SM-7MKFI 40-49 years, female 63.4
GTEX-1EN7A-1226-SM-7MGX9 40-49 years, male 63.4
GTEX-131XF-0826-SM-5GICG 60-69 years, male 63.3
GTEX-ZA64-0626-SM-5HL9O 20-29 years, male 63.3
GTEX-11EQ9-0726-SM-5A5K2 30-39 years, male 63.2
GTEX-14DAQ-1426-SM-5RQJD 60-69 years, female 63.2
GTEX-RVPV-0526-SM-47JYL 60-69 years, male 63.2
GTEX-WFG7-1126-SM-4LMK3 20-29 years, male 63.2
GTEX-15F5U-5010-SM-AHZ2D 40-49 years, male 63.2
GTEX-ZF29-1326-SM-DNZYV 60-69 years, female 63.1
GTEX-14E6E-0726-SM-5S2R3 30-39 years, male 62.9
GTEX-1GN1U-1826-SM-9JGH2 50-59 years, female 62.9
GTEX-1I1GP-1026-SM-C1YRZ 50-59 years, male 62.9
GTEX-PLZ4-1626-SM-3P618 50-59 years, female 62.8
GTEX-R55E-1326-SM-48FCR 20-29 years, male 62.8
GTEX-13D11-1926-SM-5IFGB 50-59 years, female 62.7
GTEX-1I1GU-1426-SM-B2LX3 40-49 years, male 62.7
GTEX-1AX9K-1126-SM-731DQ 50-59 years, male 62.6
GTEX-ZT9W-1326-SM-51MTB 50-59 years, male 62.6
GTEX-13OVI-2626-SM-5KM4T 60-69 years, female 62.5
GTEX-R53T-1126-SM-48FD4 50-59 years, female 62.4
GTEX-1K9T9-2026-SM-CXZK3 50-59 years, female 62.4
GTEX-12KS4-0926-SM-5BC5S 30-39 years, male 62.3
GTEX-131YS-1426-SM-5IJF7 60-69 years, female 62.3
GTEX-TSE9-1226-SM-4DXTM 60-69 years, female 62.3
GTEX-ZPCL-1426-SM-57WEC 60-69 years, female 62.3
GTEX-1HCU7-2126-SM-A96SG 50-59 years, male 62.3
GTEX-132Q8-1826-SM-5EGIY 60-69 years, male 62.2
GTEX-13O21-0626-SM-5IJDI 50-59 years, male 62.1
GTEX-13OVG-0626-SM-5IFEP 60-69 years, male 62.1
GTEX-13OVK-1126-SM-6PAMR 40-49 years, male 62.1
GTEX-ZTSS-0626-SM-59867 40-49 years, male 62.0
GTEX-ZEX8-1426-SM-4WKHQ 50-59 years, male 61.9
GTEX-1GMR3-1526-SM-9JGGL 40-49 years, male 61.9
GTEX-14H4A-1626-SM-5SI69 40-49 years, female 61.7
GTEX-ZUA1-1226-SM-5NQ6O 40-49 years, male 61.7
GTEX-ZZ64-0226-SM-5E44X 20-29 years, male 61.7
GTEX-11EMC-2226-SM-5A5JW 60-69 years, female 61.6
GTEX-SE5C-1226-SM-4BRWV 40-49 years, female 61.5
GTEX-YEC3-2526-SM-CXZIH 50-59 years, male 61.5
GTEX-1J1OQ-2526-SM-AHZ3Q 40-49 years, female 61.4
GTEX-ZYVF-2226-SM-5GIDD 50-59 years, female 61.2
GTEX-1HBPM-1426-SM-9WPPE 60-69 years, female 61.2
GTEX-XBEW-1326-SM-4AT63 40-49 years, male 61.1
GTEX-Y5LM-1026-SM-4VDSQ 40-49 years, female 61.1
GTEX-RWS6-0826-SM-47JXF 60-69 years, female 61.0
GTEX-OHPN-1026-SM-E9TI8 60-69 years, female 61.0
GTEX-18D9A-0526-SM-7KFSW 30-39 years, female 60.8
GTEX-1C64O-1826-SM-7DHM4 60-69 years, male 60.8
GTEX-WHPG-1126-SM-4M1XT 50-59 years, male 60.8
GTEX-13OW8-2326-SM-5L3I9 60-69 years, male 60.7
GTEX-13QJ3-1726-SM-5RQK9 50-59 years, male 60.6
GTEX-16NGA-1426-SM-718AC 40-49 years, female 60.6
GTEX-15SHU-1426-SM-6LPIN 40-49 years, female 60.5
GTEX-1B996-1826-SM-7MGY6 60-69 years, male 60.5
GTEX-XQ3S-1126-SM-4BOPK 20-29 years, male 60.4
GTEX-12696-1326-SM-5FQTJ 60-69 years, male 60.3
GTEX-13SLX-1726-SM-5Q5E5 50-59 years, female 60.3
GTEX-WRHK-0526-SM-4MVOF 20-29 years, female 60.3
GTEX-1AMFI-0226-SM-731D5 50-59 years, female 60.1
GTEX-X4EO-1226-SM-4QARR 60-69 years, female 59.9
GTEX-V955-1126-SM-4JBH3 60-69 years, male 59.7
GTEX-13PL7-0226-SM-731DT 60-69 years, female 59.6
GTEX-PSDG-1326-SM-48TD2 50-59 years, male 59.6
GTEX-1R9K5-1526-SM-DPRZA 50-59 years, male 59.5
GTEX-139TU-1226-SM-5J2NL 60-69 years, male 59.4
GTEX-YB5K-0826-SM-5YYB7 40-49 years, female 59.4
GTEX-ZAK1-1526-SM-5S2OV 50-59 years, female 59.4
GTEX-12WSL-1526-SM-5GCP8 50-59 years, male 59.3
GTEX-ZXES-1126-SM-5GZXN 30-39 years, female 59.3
GTEX-S4Q7-0626-SM-4AD5M 20-29 years, male 59.2
GTEX-17F9E-1926-SM-7IGQF 50-59 years, male 59.1
GTEX-U3ZH-1026-SM-4DXUZ 30-39 years, male 59.1
GTEX-1NUQO-1126-SM-DTX98 20-29 years, female 59.0
GTEX-1IKK5-1326-SM-AHZ2X 60-69 years, male 58.8
GTEX-1LGRB-1626-SM-CNNR7 50-59 years, female 58.8
GTEX-1R9JW-1526-SM-DPRZK 30-39 years, female 58.8
GTEX-T5JC-1726-SM-4DM6U 20-29 years, male 58.7
GTEX-WK11-1026-SM-4OOS8 50-59 years, male 58.7
GTEX-144GO-2726-SM-5O9A2 60-69 years, male 58.6
GTEX-148VI-1026-SM-5TDDJ 60-69 years, female 58.6
GTEX-REY6-1326-SM-48FDO 60-69 years, male 58.6
GTEX-13111-0826-SM-5LZV3 50-59 years, male 58.5
GTEX-144GM-1426-SM-5LU31 20-29 years, male 58.5
GTEX-TKQ1-0326-SM-4DXSM 30-39 years, male 58.5
GTEX-RM2N-0726-SM-48FD5 50-59 years, male 58.4
GTEX-ZDYS-0826-SM-4WWCR 50-59 years, male 58.4
GTEX-ZT9X-0526-SM-5GCOP 40-49 years, male 58.3
GTEX-1H1ZS-1526-SM-9OSXR 70-79 years, male 58.2
GTEX-1LSVX-1226-SM-DHXJN 60-69 years, male 58.2
GTEX-SNOS-0626-SM-4DM5F 40-49 years, male 58.1
GTEX-UPK5-1226-SM-4IHL8 40-49 years, male 58.1
GTEX-1IDJF-1226-SM-C1YPX 20-29 years, male 58.0
GTEX-131XG-1026-SM-5GCMX 50-59 years, female 57.9
GTEX-QDVN-1026-SM-48TZA 50-59 years, male 57.8
GTEX-15EOM-5013-SM-7MKF9 20-29 years, female 57.7
GTEX-1E1VI-1526-SM-7IGQ2 50-59 years, male 57.6
GTEX-Q2AH-0826-SM-48TZN 40-49 years, male 57.6
GTEX-139T6-0626-SM-5IFF9 50-59 years, male 57.5
GTEX-P4PQ-0626-SM-3NMCU 60-69 years, male 57.5
GTEX-1PFEY-0826-SM-E9U6A 30-39 years, male 57.5
GTEX-13U4I-1126-SM-5LU3S 40-49 years, female 57.2
GTEX-Y8LW-0726-SM-5IFI1 50-59 years, female 57.1
GTEX-144FL-2726-SM-5O98Z 50-59 years, male 57.0
GTEX-SJXC-1426-SM-EYYVB 60-69 years, male 57.0
GTEX-ZF2S-1226-SM-4WWAX 50-59 years, female 56.9
GTEX-12C56-1226-SM-5FQSU 20-29 years, male 56.8
GTEX-1EMGI-1926-SM-7938Y 60-69 years, male 56.8
GTEX-1JMQK-2026-SM-C1YQN 60-69 years, male 56.8
GTEX-WH7G-0926-SM-4LVMJ 40-49 years, male 56.7
GTEX-11XUK-0826-SM-5GU6P 40-49 years, female 56.6
GTEX-133LE-0626-SM-5IFFJ 20-29 years, female 56.6
GTEX-1EU9M-2326-SM-7MKGS 60-69 years, male 56.6
GTEX-QLQW-0526-SM-4R1KS 30-39 years, male 56.6
GTEX-1KXAM-0826-SM-CXZK9 60-69 years, male 56.4
GTEX-1B97J-1026-SM-7MXTE 50-59 years, female 56.3
GTEX-178AV-0526-SM-6LPJH 40-49 years, male 56.2
GTEX-1HKZK-1426-SM-A96U1 40-49 years, male 56.2
GTEX-1I1GS-2126-SM-ARU7G 60-69 years, male 56.2
GTEX-18A7A-2326-SM-7KFRH 50-59 years, female 56.0
GTEX-1QCLY-1526-SM-DPRXX 30-39 years, male 56.0
GTEX-1B8KZ-0726-SM-7938W 50-59 years, male 55.8
GTEX-1JMPY-0826-SM-AHZ4A 30-39 years, male 55.8
GTEX-RU72-0726-SM-46MUW 50-59 years, female 55.6
GTEX-13FH7-0526-SM-5IJF8 50-59 years, female 55.5
GTEX-146FQ-1026-SM-5LU8I 30-39 years, male 55.5
GTEX-1F5PK-1526-SM-7MKGV 50-59 years, male 55.5
GTEX-X4LF-0626-SM-4QASB 50-59 years, male 55.5
GTEX-XQ8I-1526-SM-4BOOH 50-59 years, male 55.4
GTEX-14B4R-0326-SM-5TDDP 30-39 years, male 55.2
GTEX-1MA7W-0426-SM-E9TJ5 20-29 years, female 55.2
GTEX-QCQG-0626-SM-48U21 50-59 years, female 55.0
GTEX-14BIM-1326-SM-7EWD1 60-69 years, female 54.9
GTEX-1QP67-0726-SM-DPRY1 40-49 years, female 54.9
GTEX-XBED-1026-SM-48TCB 60-69 years, male 54.6
GTEX-XMD2-1326-SM-4YCET 60-69 years, female 54.6
GTEX-139UW-1126-SM-5IJEJ 60-69 years, male 54.5
GTEX-17F96-2526-SM-7DHL3 70-79 years, male 54.5
GTEX-1LVA9-2126-SM-DLHBY 50-59 years, male 54.5
GTEX-13G51-0926-SM-5IFFU 60-69 years, male 54.4
GTEX-16AAH-0726-SM-793A9 50-59 years, male 54.4
GTEX-UJMC-0926-SM-4IHLK 50-59 years, male 54.2
GTEX-ZF3C-1626-SM-4WWB4 50-59 years, female 54.0
GTEX-145LT-1126-SM-5LUA1 40-49 years, male 53.7
GTEX-1GL5R-1526-SM-7MKHO 50-59 years, male 53.6
GTEX-1RAZR-1226-SM-E6CRD 40-49 years, male 53.5
GTEX-1399U-1026-SM-5J1OC 50-59 years, female 53.4
GTEX-YECK-1626-SM-5IFHQ 60-69 years, male 53.4
GTEX-145LS-1826-SM-5LUAZ 60-69 years, female 53.1
GTEX-1QP28-1826-SM-EAZ4L 50-59 years, female 53.1
GTEX-WFON-0826-SM-4LVMI 40-49 years, male 53.0
GTEX-YF7O-0926-SM-5IFIF 50-59 years, male 52.7
GTEX-11P82-0526-SM-5986P 20-29 years, male 52.3
GTEX-QEG5-1426-SM-447AS 20-29 years, male 52.3
GTEX-T2IS-0826-SM-4DM6L 20-29 years, female 52.3
GTEX-1B97I-0926-SM-731DZ 40-49 years, male 52.2
GTEX-PLZ6-0526-SM-3P61C 30-39 years, male 52.2
GTEX-1JMPZ-2026-SM-C1YR8 30-39 years, male 52.1
GTEX-P78B-1026-SM-3NMC4 40-49 years, female 51.9
GTEX-14C5O-1626-SM-73KYH 60-69 years, male 51.8
GTEX-15EU6-1626-SM-6LPKF 50-59 years, male 51.7
GTEX-1JMLX-2326-SM-CXZJP 50-59 years, male 51.7
GTEX-16MT8-1326-SM-6M47R 60-69 years, female 51.5
GTEX-145LV-1326-SM-5S2QI 50-59 years, male 51.4
GTEX-ZQUD-0426-SM-57WFR 30-39 years, male 51.4
GTEX-147F3-0826-SM-5NQA7 50-59 years, female 51.1
GTEX-P4QS-0626-SM-3NMD1 60-69 years, male 51.0
GTEX-12WSG-5007-SM-7DUGZ 50-59 years, female 50.9
GTEX-QVUS-0626-SM-447CC 60-69 years, female 50.8
GTEX-Y111-1626-SM-57WCY 50-59 years, male 50.5
GTEX-1HCVE-1226-SM-9WPPH 50-59 years, male 50.4
GTEX-1N2EE-2426-SM-EXOIO 60-69 years, male 50.3
GTEX-1GTWX-1326-SM-9JGHU 60-69 years, male 50.1
GTEX-13X6I-1026-SM-5LU4C 60-69 years, male 50.0
GTEX-16A39-1026-SM-6LPJU 30-39 years, female 49.9
GTEX-OIZI-1426-SM-3NB1T 40-49 years, male 49.9
GTEX-1IY9M-1626-SM-AHZ39 60-69 years, male 49.8
GTEX-15DCD-1626-SM-6AJBH 70-79 years, female 49.5
GTEX-15UF6-2326-SM-6M465 70-79 years, female 49.5
GTEX-ZVE2-1326-SM-5NQ94 50-59 years, male 49.5
GTEX-PLZ5-0926-SM-3TW8L 50-59 years, male 49.3
GTEX-14PHY-0626-SM-664NN 60-69 years, female 49.2
GTEX-183WM-1726-SM-7KFT5 70-79 years, female 49.2
GTEX-15ER7-2126-SM-7939E 20-29 years, female 49.1
GTEX-P4QT-0626-SM-3NMCP 50-59 years, female 49.1
GTEX-ZAB4-1126-SM-5HL86 40-49 years, male 49.0
GTEX-1RLM8-0726-SM-E6CRH 50-59 years, male 48.7
GTEX-RTLS-1126-SM-46MUQ 60-69 years, female 48.5
GTEX-14PJ3-0626-SM-6UGC5 50-59 years, male 48.5
GTEX-X4EP-1626-SM-4QAS6 60-69 years, female 48.2
GTEX-1F7RK-1526-SM-7P8T6 20-29 years, female 48.1
GTEX-1CB4F-1526-SM-7MKFM 60-69 years, male 47.5
GTEX-WYJK-1926-SM-4ONDP 50-59 years, male 47.5
GTEX-1N2DW-1426-SM-EV7AZ 50-59 years, male 46.8
GTEX-13JVG-2026-SM-5KM1N 60-69 years, male 46.7
GTEX-RNOR-1226-SM-48FDQ 50-59 years, female 46.3
GTEX-13X6K-2126-SM-5O9D4 60-69 years, female 46.1
GTEX-17F98-1726-SM-7938O 40-49 years, female 46.1
GTEX-1CB4J-2426-SM-7MXVC 60-69 years, male 46.0
GTEX-15ETS-1926-SM-7KUN5 40-49 years, female 45.3
GTEX-12WSA-1426-SM-5EGJU 60-69 years, male 45.0
GTEX-1QW4Y-0526-SM-EAZ3V 30-39 years, male 45.0
GTEX-ZYW4-1326-SM-5E45N 60-69 years, male 44.7
GTEX-1R9K4-1926-SM-DPRZW 60-69 years, male 44.3
GTEX-1211K-0926-SM-5FQTL 60-69 years, female 44.2
GTEX-12WSN-5013-SM-7P8P9 40-49 years, male 44.2
GTEX-1MJIX-0826-SM-DTXEO 40-49 years, male 44.0
GTEX-111CU-0726-SM-5GZYD 50-59 years, male 43.5
GTEX-1BAJH-2026-SM-7P8OZ 70-79 years, male 42.1
GTEX-1HSGN-1626-SM-A96U2 40-49 years, female 42.0
GTEX-WEY5-0926-SM-4LMI4 40-49 years, female 41.8
GTEX-13OVJ-1226-SM-5L3HA 50-59 years, female 41.3
GTEX-ZYFC-1626-SM-5N9EU 50-59 years, male 40.8
GTEX-1GN73-1926-SM-9JGGS 60-69 years, male 40.1
GTEX-X585-1226-SM-46MW7 50-59 years, male 39.6
GTEX-11DYG-1326-SM-5N9DO 60-69 years, male 39.3
GTEX-11VI4-0526-SM-5EQ48 40-49 years, female 38.5
GTEX-P4PP-0626-SM-3NM9X 30-39 years, female 38.5
GTEX-R45C-1226-SM-48FEE 60-69 years, female 38.5
GTEX-1ICG6-1926-SM-ARU7L 70-79 years, female 38.3
GTEX-1LGOU-0526-SM-D3LAO 20-29 years, female 38.3
GTEX-ZYT6-1126-SM-5GZYR 30-39 years, male 37.7
GTEX-17KNJ-1326-SM-7KFTG 50-59 years, male 36.9
GTEX-ZZPT-1426-SM-5N9C5 50-59 years, male 35.9
GTEX-1GMR8-1826-SM-9WYUE 50-59 years, female 34.6
GTEX-1QP29-2126-SM-E6CPZ 50-59 years, male 32.4
GTEX-13O61-0926-SM-5IFFE 60-69 years, male 31.1
GTEX-15EO6-1026-SM-7KUG9 50-59 years, male 30.4
GTEX-17F97-1326-SM-7MGVO 50-59 years, male 30.0
GTEX-1H3NZ-1326-SM-9JGHI 60-69 years, male 29.1
GTEX-N7MS-1225-SM-3LK5G 60-69 years, male 22.6
Show allShow less

ESOPHAGUS - FANTOM5 CAGEi

RNA expression in human tissues obtained through Cap Analysis of Gene Expression (CAGE) generated by the FANTOM5 project are reported as Scaled Tags Per Million.

Max subtype Scaled Tags Per Millioni

Max subtype Scaled Tags Per Million is the value for the subtype with the largest average Scaled Tags Per Million across the subtype samples.

154.1
FANTOM5 sample id Sample description Scaled Tags Per Million
Esophagus
Scaled Tags Per Million: 154.1
FF:10015-101C6 68,74,75 years, mixed 154.1

Contact

  • NEWS ARTICLES
  • PRESS ROOM

The Project

  • INTRODUCTION
  • ORGANIZATION
  • PUBLICATIONS

The Human Protein Atlas

  • DOWNLOADABLE DATA
  • LICENCE & CITATION
  • HELP & FAQ
The Human Protein Atlas project is funded
by the Knut & Alice Wallenberg Foundation.


contact@proteinatlas.org