We use cookies to enhance the usability of our website. If you continue, we'll assume that you are happy to receive all cookies. More information. Don't show this again.
LMO7
HPA
RESOURCES
  • TISSUE
  • BRAIN
  • SINGLE CELL
  • SUBCELLULAR
  • CANCER
  • BLOOD
  • CELL LINE
  • STRUCTURE & INTERACTION
ABOUT
  • INTRODUCTION
  • HISTORY
  • ORGANIZATION
  • PUBLICATIONS
  • ANTIBODY SUBMISSION
  • ANTIBODY AVAILABILITY
  • ACKNOWLEDGMENTS
  • CONTACT
NEWS
  • NEWS ARTICLES
  • PRESS ROOM
LEARN
  • DICTIONARY
  • PROTEIN CLASSES
  • PROTEIN EVIDENCE
  • METHODS
  • EDUCATIONAL VIDEOS
DATA
  • DOWNLOADABLE DATA
  • PUBLICATION DATA
  • RELEASE HISTORY
HELP
  • ANTIBODY VALIDATION
  • ASSAYS & ANNOTATION
  • DISCLAIMER
  • HELP & FAQ
  • PRIVACY STATEMENT
  • LICENCE & CITATION
Fields »
Search result

Field
Term
Gene name
Class
Subclass
Class
Keyword
Chromosome
External id
Tissue
Cell type
Expression
Antibody panel
Tissue
Main location
Patient ID
Annotation
Tissue
Category
Tau score
Cluster
Reliability
Brain region
Category
Tau score
Brain region
Category
Tau score
Brain region
Category
Tau score
Cluster
Reliability
Tissue
Cell type
Enrichment
Cell type
Category
Tau score
Cell type
Category
Tau score
Cell type
Category
Tau score
Cell lineage
Category
Tau score
Cluster
Cluster
Location
Searches
Location
Cell line
Class
Type
Phase
Reliability
Cancer
Prognosis
Cancer
Category
Cancer
Category
Tau score
Cluster
Variants
Interacting gene (ensg_id)
Type
Number of interactions
Pathway
Category
Score
Score
Score
Validation
Validation
Validation
Validation
Antibodies
Data type
Column


  • SUMMARY

  • TISSUE

  • BRAIN

  • SINGLE CELL

  • SUBCELL

  • CANCER

  • BLOOD

  • CELL LINE

  • STRUCT & INT

  • LMO7
TISSUE PRIMARY DATA STOMACH Show tissue menu
ADIPOSE TISSUE ADRENAL GLAND AMYGDALA APPENDIX BASAL GANGLIA BONE MARROW BREAST BRONCHUS CEREBELLUM CEREBRAL CORTEX CERVIX CHOROID PLEXUS COLON DUODENUM
ENDOMETRIUM EPIDIDYMIS ESOPHAGUS FALLOPIAN TUBE GALLBLADDER HEART MUSCLE HIPPOCAMPAL FORMATION HYPOTHALAMUS KIDNEY LIVER LUNG LYMPH NODE MIDBRAIN NASOPHARYNX
ORAL MUCOSA OVARY PANCREAS PARATHYROID GLAND PITUITARY GLAND PLACENTA PROSTATE RECTUM RETINA SALIVARY GLAND SEMINAL VESICLE SKELETAL MUSCLE SKIN SMALL INTESTINE
SMOOTH MUSCLE SOFT TISSUE SPINAL CORD SPLEEN STOMACH TESTIS THYMUS THYROID GLAND TONGUE TONSIL URINARY BLADDER VAGINA
ANTIBODIES
AND
VALIDATION
Dictionary
Tissue proteome
Stomach
STOMACH - Expression summary
Protein expression
Stomachi

On the top, protein expression in current human tissue, based on all annotated cell types, is reported with the units not detected (n), low (l), medium (m) and high (h). Underneath, protein expression in each annotated cell type are reported using the same units.

Protein expression data is based on knowledge-based annotation. For genes where more than one antibody has been used, a collective score is set.

If knowledge-based annotation could not be performed for a gene, no data is displayed here. View antibody staining data further down this page.

h
m
l
n
Glandular cells: High
RNA expressioni

A summary of mRNA expression data available for current tissue based on several datasets. The mRNA expression levels in human tissues are based on RNA-seq data generated by the Human Protein Atlas (HPA), Genotype-Tissue Expression (GTEx) portal and CAGE data generated by the FANTOM5 consortium. Consensus normalized expression levels for human tissues was created by combining the data from HPA and GTEx datasets.

The mRNA expression levels in pig are based on RNA-seq data generated by the Human Protein Atlas (HPA), and for mouse, HPA data and in situ hybridization generated by the Allen brain atlas are reported.

Scroll down to view mRNA expression data in more detail.
Consensus:59.1 nTPM
HPA:59.1 nTPM
GTEx:19.6 nTPM

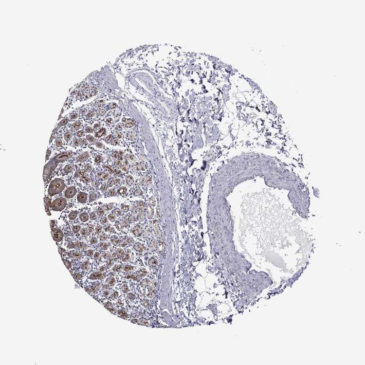
STOMACH 1 - Antibody stainingi

Antibody staining in the annotated cell types in the current human tissue is reported as not detected, low, medium, or high, based on conventional immunohistochemistry profiling in selected tissues. This score is based on the combination of the staining intensity and fraction of stained cells.

Each image is clickable and will lead to virtual microscopy that enables deeper exploration of all samples and also displays staining intensity scores, fraction scores and subcellular localization as well as patient and tissue information for each sample.

Antibody HPA020923Antibody HPA050184
Glandular cells HighHigh




STOMACH 2 - Antibody stainingi

Antibody staining in the annotated cell types in the current human tissue is reported as not detected, low, medium, or high, based on conventional immunohistochemistry profiling in selected tissues. This score is based on the combination of the staining intensity and fraction of stained cells.

Each image is clickable and will lead to virtual microscopy that enables deeper exploration of all samples and also displays staining intensity scores, fraction scores and subcellular localization as well as patient and tissue information for each sample.

Antibody HPA020923Antibody HPA050184
Glandular cells HighHigh





STOMACH - HPA RNA-seqi

The RNA-seq details section shows detailed information about the individual samples used for the transcript profiling and results of the RNA-seq analysis.

Information about each individual sample is listed below, including gender, age, a tissue section image and estimated fractions of cell types. nTPM (normalized transcripts per million) values give a quantification of the gene abundance which is comparable between different genes and samples.
Average nTPMi

Max subtype nTPM is the value for the subtype with the largest average nTPM across the subtype samples.

59.1
overview
Female, age 33
Stomach sample 61
nTPM: 19.4
Cell types%
Glandular cells:
60

Smooth muscle cells:
5

Other cell types:
35

N/A
Male, age 82
Stomach sample 240
nTPM: 52.1
Cell types%
Glandular cells:
65

Smooth muscle cells:
5

Other cell types:
30

overview
Male, age 71
Stomach sample 241
nTPM: 109.2
Cell types%
Glandular cells:
50

Smooth muscle cells:
5

Other cell types:
45

overview
Female, age 66
Stomach sample 369
nTPM: 55.5
Cell types%
Glandular cells:
50

Smooth muscle cells:
10

Other cell types:
40


STOMACH - GTEx RNA-seqi

RNA-Seq data generated by the Genotype-Tissue Expression (GTEx) project from human tissues is reported as mean nTPM. More information can be found on the GTEx portal.

Distribution across the dataset is visualized with box plots, shown as median and 25th and 75th percentiles. Points are displayed as outliers if they are above or below 1.5 times the interquartile range. nTPM values of the individual samples are presented next to the box plot.
Max subtype nTPMi

Max subtype nTPM is the value for the subtype with the largest average nTPM across the subtype samples.

19.6
GTEx sample id Sample description nTPM
Stomach
Average nTPM: 19.6
Samples: 359

Max nTPM: 164.3
Min nTPM: 2.0
Std nTPM: 19.1
Median nTPM: 16.7
GTEX-ZYY3-1726-SM-5EGH3 60-69 years, female 164.3
GTEX-11NUK-2426-SM-5BC4U 50-59 years, male 161.3
GTEX-13OW6-2526-SM-5IJEC 50-59 years, male 106.9
GTEX-15G19-1526-SM-6LPKP 60-69 years, male 106.8
GTEX-ZVT3-2126-SM-59HL2 60-69 years, female 106.3
GTEX-13S7M-1826-SM-5RQK6 60-69 years, female 86.1
GTEX-1JMPZ-1826-SM-CXZJT 30-39 years, male 82.5
GTEX-12WSD-2326-SM-59HKQ 60-69 years, female 81.9
GTEX-RTLS-2626-SM-46MUJ 60-69 years, female 79.7
GTEX-1GMRU-2526-SM-9WG7T 50-59 years, male 78.5
GTEX-117YW-2226-SM-5N9DB 50-59 years, male 60.5
GTEX-11GSP-2126-SM-5HL5E 60-69 years, female 58.2
GTEX-YJ8A-1526-SM-5P9FT 20-29 years, male 57.6
GTEX-1JMLX-2426-SM-CXZJQ 50-59 years, male 54.1
GTEX-18A7A-2726-SM-7LG6U 50-59 years, female 51.9
GTEX-1C475-1026-SM-7MKFJ 40-49 years, female 51.5
GTEX-13FTW-1726-SM-5KM2B 40-49 years, male 49.6
GTEX-U4B1-1026-SM-4DXT1 40-49 years, male 48.9
GTEX-1A3MV-1226-SM-718BW 30-39 years, male 45.8
GTEX-ZVP2-1626-SM-5GU5D 50-59 years, male 44.7
GTEX-1GL5R-1926-SM-9WG7U 50-59 years, male 44.3
GTEX-YEC4-1426-SM-5IFHS 40-49 years, male 44.0
GTEX-11DXX-1326-SM-5GIDZ 60-69 years, female 43.6
GTEX-Q2AH-1126-SM-48TZM 40-49 years, male 41.0
GTEX-SNOS-0826-SM-4DM5N 40-49 years, male 40.8
GTEX-131XG-1226-SM-5EGH9 50-59 years, female 39.6
GTEX-1LGOU-1526-SM-D3LAJ 20-29 years, female 39.5
GTEX-1QMI2-2126-SM-DPRXQ 60-69 years, male 39.5
GTEX-ZQUD-0826-SM-57WDQ 30-39 years, male 38.5
GTEX-11TT1-0726-SM-5GU5A 20-29 years, male 37.9
GTEX-13PVQ-2126-SM-5L3FW 50-59 years, male 37.7
GTEX-12BJ1-1726-SM-5HL9B 60-69 years, male 37.1
GTEX-117YX-1026-SM-5H11V 50-59 years, male 36.7
GTEX-131XF-1226-SM-5HL8V 60-69 years, male 36.6
GTEX-18A67-2626-SM-718AD 50-59 years, male 36.3
GTEX-12WSK-1426-SM-5CVNN 40-49 years, female 36.1
GTEX-1HBPI-0726-SM-9WG7Z 50-59 years, male 36.1
GTEX-1A8G6-1426-SM-731EZ 60-69 years, male 35.6
GTEX-14PHX-1026-SM-664OL 50-59 years, male 34.6
GTEX-S341-0626-SM-4AD5T 40-49 years, female 34.0
GTEX-1JKYN-1726-SM-AHZ48 30-39 years, male 33.0
GTEX-Y9LG-1026-SM-5IFJN 30-39 years, male 32.8
GTEX-1KANA-1126-SM-D3L9M 20-29 years, male 32.6
GTEX-14B4R-0726-SM-5TDDR 30-39 years, male 32.4
GTEX-Y5LM-1326-SM-5RQIS 40-49 years, female 31.9
GTEX-1QPFJ-1526-SM-DPRXT 30-39 years, female 31.7
GTEX-S95S-0826-SM-4B64N 60-69 years, male 31.5
GTEX-WHPG-0426-SM-4M1XW 50-59 years, male 31.3
GTEX-OHPK-1526-SM-3MJGM 50-59 years, female 31.1
GTEX-QLQ7-0826-SM-447B3 60-69 years, male 30.6
GTEX-ZZ64-0426-SM-5E43F 20-29 years, male 30.6
GTEX-11EM3-1026-SM-5A5KL 20-29 years, female 30.4
GTEX-RM2N-0826-SM-48FD3 50-59 years, male 30.2
GTEX-ZLWG-1526-SM-DO12F 50-59 years, female 30.1
GTEX-13CF3-1926-SM-5K7WF 60-69 years, female 30.0
GTEX-1B97J-1826-SM-7IGPP 50-59 years, female 30.0
GTEX-VJYA-1026-SM-4KL21 60-69 years, male 29.9
GTEX-Y3IK-1426-SM-4YCES 50-59 years, female 29.5
GTEX-ZLV1-0826-SM-DO11P 60-69 years, female 29.4
GTEX-QCQG-0526-SM-48U2A 50-59 years, female 29.0
GTEX-1LG7Z-1226-SM-DHXK4 30-39 years, male 28.2
GTEX-1CAMR-0726-SM-7EPIE 20-29 years, male 27.7
GTEX-QDVN-1226-SM-48TZ5 50-59 years, male 27.6
GTEX-QXCU-1926-SM-48FE4 50-59 years, male 27.3
GTEX-WY7C-1726-SM-4ONCC 50-59 years, male 27.3
GTEX-14PJ6-0826-SM-686Z9 60-69 years, female 27.0
GTEX-17GQL-1226-SM-7KFTS 60-69 years, male 26.9
GTEX-POMQ-0826-SM-3P61H 20-29 years, female 26.7
GTEX-132QS-1826-SM-5IFFN 60-69 years, male 26.4
GTEX-WHSB-1226-SM-4M1XR 50-59 years, male 26.3
GTEX-ZDYS-1926-SM-5HL59 50-59 years, male 26.3
GTEX-WFON-1126-SM-4LVMA 40-49 years, male 26.0
GTEX-ZF29-1526-SM-4WKF7 60-69 years, female 26.0
GTEX-1MUQO-1926-SM-EAZ59 60-69 years, male 26.0
GTEX-P4PP-1526-SM-3P61M 30-39 years, female 25.9
GTEX-1KXAM-0926-SM-CXZKA 60-69 years, male 25.8
GTEX-13FTX-0726-SM-5N9BI 20-29 years, female 25.6
GTEX-145ME-1026-SM-5O9B4 40-49 years, female 25.4
GTEX-OOBJ-1526-SM-3NB1Q 60-69 years, male 25.4
GTEX-1J8Q3-1926-SM-C1YSJ 60-69 years, male 25.3
GTEX-1LGRB-1726-SM-CNNRA 50-59 years, female 25.3
GTEX-1RB15-1026-SM-E9U6V 60-69 years, male 25.1
GTEX-14PKV-1826-SM-69LO9 20-29 years, female 24.9
GTEX-13X6J-2126-SM-5TDCV 50-59 years, male 24.8
GTEX-QLQW-0726-SM-447AA 30-39 years, male 24.8
GTEX-18D9B-2226-SM-718BM 60-69 years, male 24.6
GTEX-PWCY-0926-SM-48TD7 20-29 years, female 24.6
GTEX-QDVJ-1426-SM-48U1Y 50-59 years, male 24.3
GTEX-14E6E-0926-SM-664N8 30-39 years, male 24.2
GTEX-13113-0726-SM-5LZUF 60-69 years, female 24.0
GTEX-ZYFG-1326-SM-5GICJ 60-69 years, female 24.0
GTEX-1IDJU-1526-SM-CNNR3 60-69 years, female 23.9
GTEX-ZLFU-1326-SM-DO11R 40-49 years, male 23.6
GTEX-T6MO-0726-SM-4DM58 40-49 years, female 23.5
GTEX-1AYCT-1326-SM-7MKHB 50-59 years, male 23.4
GTEX-1R7EU-1126-SM-EAZ4M 60-69 years, male 23.3
GTEX-111YS-1126-SM-5GZYQ 60-69 years, male 22.9
GTEX-OHPM-1526-SM-EV796 50-59 years, male 22.9
GTEX-WXYG-1626-SM-4ONCR 50-59 years, female 22.6
GTEX-14PJ3-1426-SM-664O8 50-59 years, male 22.5
GTEX-S4Q7-0726-SM-4AD5F 20-29 years, male 22.5
GTEX-13O21-0926-SM-5IFGT 50-59 years, male 22.4
GTEX-17F98-1526-SM-7EWD8 40-49 years, female 22.4
GTEX-1H3VY-2326-SM-9WG81 50-59 years, male 22.4
GTEX-145MN-1326-SM-5NQ9S 30-39 years, male 22.3
GTEX-1JN1M-2926-SM-CNNPJ 60-69 years, female 22.3
GTEX-1B8KZ-1226-SM-793CP 50-59 years, male 22.2
GTEX-1MJIX-1126-SM-EV7AO 40-49 years, male 22.2
GTEX-TMMY-1626-SM-4DXTY 40-49 years, female 22.1
GTEX-XXEK-0826-SM-4BRWG 50-59 years, male 22.1
GTEX-1HBPN-1626-SM-9WPNP 50-59 years, male 22.1
GTEX-1B8KE-1326-SM-73KVI 50-59 years, male 21.9
GTEX-YB5E-1126-SM-664NU 40-49 years, male 21.9
GTEX-QV31-0626-SM-447C5 30-39 years, male 21.8
GTEX-133LE-1326-SM-5IFGO 20-29 years, female 21.7
GTEX-14BIL-1926-SM-73KYI 50-59 years, male 21.6
GTEX-QV44-1226-SM-CJI1S 50-59 years, male 21.6
GTEX-1MGNQ-1826-SM-DPRYI 40-49 years, male 21.4
GTEX-SNMC-0626-SM-4DM6H 20-29 years, male 21.3
GTEX-15DCE-1626-SM-6LPJM 20-29 years, male 21.2
GTEX-ZXES-1426-SM-5NQ8S 30-39 years, female 21.2
GTEX-15DZA-1126-SM-6LPK8 30-39 years, female 21.0
GTEX-13PVR-2126-SM-73KVR 60-69 years, female 20.9
GTEX-144GM-1726-SM-5O9AS 20-29 years, male 20.9
GTEX-111CU-0926-SM-5EGIK 50-59 years, male 20.7
GTEX-14DAR-0926-SM-73KUQ 50-59 years, male 20.5
GTEX-1F5PL-1426-SM-7MKFH 40-49 years, female 20.3
GTEX-17HGU-2126-SM-7IGOV 50-59 years, male 20.2
GTEX-1F75I-1826-SM-7MKGX 40-49 years, male 20.1
GTEX-PX3G-1526-SM-48U11 20-29 years, female 20.1
GTEX-1HFI7-1526-SM-9WG7W 50-59 years, female 20.1
GTEX-1I6K7-1726-SM-B2LXQ 40-49 years, male 20.1
GTEX-14BMU-1126-SM-5RQJ8 20-29 years, female 19.9
GTEX-1ICG6-1826-SM-AHZ2O 70-79 years, female 19.9
GTEX-Y8LW-0826-SM-4WWDO 50-59 years, female 19.8
GTEX-14JG6-1226-SM-664O6 30-39 years, female 19.7
GTEX-ZY6K-0726-SM-5A5L8 50-59 years, male 19.7
GTEX-14PJ5-0826-SM-6AJAR 60-69 years, female 19.6
GTEX-13QBU-1126-SM-5LU44 40-49 years, female 19.5
GTEX-1RQEC-2126-SM-DPS15 60-69 years, male 19.4
GTEX-15CHR-1326-SM-79OLT 50-59 years, male 19.3
GTEX-18A66-2226-SM-7189E 60-69 years, male 19.3
GTEX-XV7Q-1326-SM-4BRWM 40-49 years, female 19.3
GTEX-ZVZP-1726-SM-5GZWY 50-59 years, male 19.3
GTEX-1I1HK-2026-SM-CNNRB 60-69 years, male 19.3
GTEX-13D11-2126-SM-5IFH2 50-59 years, female 19.2
GTEX-S3XE-1026-SM-4AD4O 50-59 years, male 19.2
GTEX-OIZF-1526-SM-2I5GR 60-69 years, male 19.2
GTEX-WEY5-1226-SM-4LMIQ 40-49 years, female 19.1
GTEX-18QFQ-1226-SM-718AE 30-39 years, male 19.0
GTEX-XBED-1226-SM-4AT5V 60-69 years, male 18.9
GTEX-OXRL-1526-SM-E6CHQ 50-59 years, male 18.9
GTEX-15UF7-1226-SM-6M46G 40-49 years, male 18.7
GTEX-1GN1W-2126-SM-9JGI7 50-59 years, female 18.7
GTEX-15RIE-1026-SM-6LPJQ 60-69 years, male 18.6
GTEX-1HKZK-1526-SM-B2LWG 40-49 years, male 18.6
GTEX-11I78-1726-SM-5A5M3 50-59 years, female 18.5
GTEX-W5WG-1726-SM-4LMI5 50-59 years, female 18.3
GTEX-1122O-1926-SM-5EGIQ 60-69 years, female 18.2
GTEX-ZVT2-1626-SM-51MRC 50-59 years, female 18.2
GTEX-PWN1-1526-SM-48TDA 40-49 years, female 18.1
GTEX-RWS6-0926-SM-47JXE 60-69 years, female 18.1
GTEX-18D9A-0626-SM-7KFTY 30-39 years, female 18.0
GTEX-YFCO-0826-SM-5LUAG 40-49 years, male 18.0
GTEX-UJMC-1226-SM-4IHLI 50-59 years, male 17.9
GTEX-1LBAC-1426-SM-CXZKT 20-29 years, male 17.7
GTEX-S4UY-1626-SM-4AD55 40-49 years, female 17.6
GTEX-13OVI-2426-SM-5KM4J 60-69 years, female 17.5
GTEX-1J8QM-1126-SM-C1YQB 60-69 years, female 17.4
GTEX-ZGAY-1626-SM-DNZZ3 40-49 years, female 17.4
GTEX-1399R-1126-SM-5IFIO 30-39 years, male 17.3
GTEX-WYJK-2526-SM-4ONDF 50-59 years, male 17.2
GTEX-17HHE-1026-SM-79ON6 50-59 years, male 17.0
GTEX-13OVK-0926-SM-7KUFX 40-49 years, male 16.9
GTEX-Q2AI-0826-SM-48TZO 40-49 years, male 16.8
GTEX-ZA64-0826-SM-5HL9U 20-29 years, male 16.8
GTEX-1QCLZ-1826-SM-DPRXP 60-69 years, female 16.8
GTEX-145LT-1426-SM-5O9B3 40-49 years, male 16.7
GTEX-1AMFI-1226-SM-731CZ 50-59 years, female 16.7
GTEX-ZP4G-1226-SM-4WWCJ 20-29 years, female 16.7
GTEX-12696-1726-SM-5EQLH 60-69 years, male 16.6
GTEX-1JK1U-1326-SM-AHZ45 60-69 years, male 16.5
GTEX-13RTK-0226-SM-5RQHR 20-29 years, male 16.4
GTEX-T8EM-1226-SM-4DM5J 40-49 years, male 16.4
GTEX-WFG8-1326-SM-4LVN3 20-29 years, male 16.4
GTEX-1QP2A-2126-SM-DPRZ7 50-59 years, male 16.4
GTEX-144GN-1226-SM-5O991 50-59 years, male 16.2
GTEX-Q734-1026-SM-48U16 40-49 years, female 16.2
GTEX-ZPU1-1626-SM-4WWB2 40-49 years, male 16.2
GTEX-P78B-1826-SM-3P5YX 40-49 years, female 16.0
GTEX-1R9K5-1026-SM-EAZ4F 50-59 years, male 15.9
GTEX-1J8EW-2226-SM-AHZ3T 60-69 years, female 15.8
GTEX-XUZC-0726-SM-4BOPH 30-39 years, female 15.6
GTEX-U3ZN-2026-SM-4DXUC 30-39 years, female 15.5
GTEX-XQ8I-2026-SM-4BOOL 50-59 years, male 15.5
GTEX-ZV7C-1626-SM-5NQ7E 50-59 years, male 15.5
GTEX-ZZPU-1426-SM-5GZZ6 50-59 years, female 15.3
GTEX-V955-1326-SM-4JBHR 60-69 years, male 14.7
GTEX-16AAH-1226-SM-79OO9 50-59 years, male 14.6
GTEX-ZT9W-1526-SM-4YCDE 50-59 years, male 14.6
GTEX-1QCLY-1126-SM-EAZ4J 30-39 years, male 14.6
GTEX-1IDJD-2426-SM-C1YS6 30-39 years, male 14.4
GTEX-V1D1-1726-SM-4JBHB 50-59 years, male 14.3
GTEX-11NSD-1426-SM-5HL67 20-29 years, male 14.2
GTEX-X15G-1126-SM-4PQZG 50-59 years, female 14.1
GTEX-1RAZR-1526-SM-EAZ4U 40-49 years, male 14.0
GTEX-WFG7-1326-SM-4LMK1 20-29 years, male 13.7
GTEX-XMK1-1526-SM-EYYVO 40-49 years, male 13.5
GTEX-13FH7-1026-SM-5IJGF 50-59 years, female 13.4
GTEX-17F9E-2226-SM-7IGNC 50-59 years, male 13.4
GTEX-1GZ4H-1026-SM-9OSXL 50-59 years, female 13.3
GTEX-132AR-2426-SM-5IFFD 50-59 years, female 13.2
GTEX-WRHK-0626-SM-4MVOE 20-29 years, female 13.2
GTEX-PW2O-1226-SM-48TCH 20-29 years, male 13.1
GTEX-1F5PK-1826-SM-7RHHX 50-59 years, male 12.9
GTEX-ZF2S-1426-SM-57WET 50-59 years, female 12.6
GTEX-12WSG-2026-SM-5FQUU 50-59 years, female 12.3
GTEX-1399S-1626-SM-5P9GI 30-39 years, female 12.3
GTEX-OXRK-1626-SM-3NB17 50-59 years, female 12.2
GTEX-1I4MK-0926-SM-A9SLD 50-59 years, female 12.2
GTEX-14PJ4-1626-SM-664OB 60-69 years, male 12.0
GTEX-QMRM-1126-SM-447BN 50-59 years, male 12.0
GTEX-1B97I-1226-SM-7MGWQ 40-49 years, male 12.0
GTEX-1QP28-2126-SM-DTX8B 50-59 years, female 11.9
GTEX-WHWD-1426-SM-4OORU 50-59 years, male 11.7
GTEX-ZAB4-1526-SM-5CVN7 40-49 years, male 11.7
GTEX-14ICL-0826-SM-5YY9W 30-39 years, male 11.5
GTEX-T5JW-0926-SM-4DM5K 20-29 years, female 11.3
GTEX-O5YW-1526-SM-3MJGL 50-59 years, male 11.2
GTEX-1J8JJ-1726-SM-C1YQG 60-69 years, female 11.2
GTEX-1RMOY-1126-SM-EV79E 50-59 years, male 11.1
GTEX-WYVS-1326-SM-4ONCQ 40-49 years, female 11.0
GTEX-1H1E6-1626-SM-9OSWC 30-39 years, male 11.0
GTEX-1H23P-2726-SM-9JGHN 60-69 years, male 10.9
GTEX-PLZ6-0826-SM-3P61K 30-39 years, male 10.8
GTEX-1HSMQ-2426-SM-CE6RY 50-59 years, male 10.7
GTEX-145MO-2226-SM-5Q5BN 60-69 years, male 10.4
GTEX-1B8L1-1526-SM-79OLK 60-69 years, male 10.4
GTEX-NFK9-1526-SM-3LK7B 40-49 years, male 10.4
GTEX-139YR-1926-SM-5LZXM 50-59 years, male 10.3
GTEX-17HII-2426-SM-7KFTT 50-59 years, male 10.3
GTEX-17MF6-2126-SM-7KFS7 40-49 years, male 10.3
GTEX-1LVAN-2426-SM-CNNPZ 50-59 years, female 10.3
GTEX-1C64O-2226-SM-73KTV 60-69 years, male 10.2
GTEX-1H11D-2226-SM-9OSXN 40-49 years, male 10.1
GTEX-1AX9J-2626-SM-731EK 60-69 years, male 9.8
GTEX-1I1GT-1726-SM-C1YS3 60-69 years, female 9.8
GTEX-1LSNM-1026-SM-DHXL2 50-59 years, male 9.7
GTEX-16NGA-1526-SM-72D56 40-49 years, female 9.5
GTEX-Y5V6-1326-SM-4VDTF 60-69 years, male 9.5
GTEX-1AMEY-1226-SM-731DU 30-39 years, female 9.3
GTEX-1HSEH-1526-SM-B2LXG 60-69 years, male 9.0
GTEX-WFJO-1126-SM-4LVLZ 30-39 years, male 8.9
GTEX-WH7G-1526-SM-4LVMX 40-49 years, male 8.9
GTEX-R53T-1226-SM-48FCT 50-59 years, female 8.8
GTEX-14PKU-1126-SM-69LOU 40-49 years, female 8.7
GTEX-17KNJ-1526-SM-7LTA9 50-59 years, male 8.6
GTEX-13U4I-2526-SM-5SI8Z 40-49 years, female 8.5
GTEX-Y8E4-1526-SM-4WWDI 40-49 years, male 8.5
GTEX-XBEW-1826-SM-4RTWX 40-49 years, male 8.3
GTEX-1H1DG-2126-SM-9WPPB 70-79 years, male 8.3
GTEX-11VI4-0326-SM-5EQ6L 40-49 years, female 8.2
GTEX-Y3I4-1626-SM-4TT7W 50-59 years, male 8.2
GTEX-1N2DV-0926-SM-E9TJT 40-49 years, male 8.0
GTEX-1S82Z-1726-SM-E6CHZ 30-39 years, female 7.8
GTEX-11P7K-1726-SM-5GU6F 30-39 years, male 7.7
GTEX-139D8-2326-SM-5IFGE 30-39 years, female 7.7
GTEX-14DAQ-2826-SM-664MU 60-69 years, female 7.7
GTEX-1HR9M-2326-SM-CNPPZ 60-69 years, male 7.7
GTEX-11P82-0726-SM-5PNYL 20-29 years, male 7.5
GTEX-146FR-2026-SM-5NQAI 60-69 years, female 7.4
GTEX-1QW4Y-0726-SM-DTX8E 30-39 years, male 7.4
GTEX-WZTO-2126-SM-4PQYW 40-49 years, male 7.2
GTEX-ZEX8-1626-SM-4WKG7 50-59 years, male 7.2
GTEX-1NSGN-1926-SM-E9J36 50-59 years, male 7.2
GTEX-1GF9U-1126-SM-AHZ4H 40-49 years, female 7.1
GTEX-13O3Q-2126-SM-5KM4C 50-59 years, male 6.9
GTEX-TKQ2-0926-SM-4DXU5 50-59 years, male 6.9
GTEX-1QP67-1026-SM-EVR47 40-49 years, female 6.9
GTEX-1A3MX-1926-SM-72D7F 60-69 years, male 6.8
GTEX-1IL2V-2026-SM-ARZMA 70-79 years, male 6.8
GTEX-S7SF-0626-SM-4AD4V 20-29 years, female 6.7
GTEX-1JN76-0926-SM-ARZNH 20-29 years, female 6.7
GTEX-1IDJF-1426-SM-ACKWK 20-29 years, male 6.6
GTEX-1KD5A-1426-SM-D4P3V 50-59 years, male 6.5
GTEX-1JMQJ-1326-SM-D4P3B 50-59 years, male 6.4
GTEX-1QP29-2326-SM-EXOJO 50-59 years, male 6.3
GTEX-O5YV-1926-SM-EV797 60-69 years, female 6.3
GTEX-1HCU8-1326-SM-C1YQQ 60-69 years, female 6.2
GTEX-PLZ5-1226-SM-EXOHA 50-59 years, male 6.2
GTEX-14E1K-1526-SM-664MN 50-59 years, male 6.1
GTEX-11EQ9-1226-SM-5987E 30-39 years, male 6.0
GTEX-14BMV-2226-SM-5RQHX 50-59 years, male 5.9
GTEX-17JCI-2226-SM-7LTA1 60-69 years, female 5.9
GTEX-1H3NZ-2226-SM-9WYUT 60-69 years, male 5.9
GTEX-QDT8-2026-SM-EZ6LS 30-39 years, female 5.8
GTEX-13QJ3-2726-SM-5SI6L 50-59 years, male 5.7
GTEX-XAJ8-0326-SM-47JYI 40-49 years, male 5.7
GTEX-SUCS-0926-SM-4DM4Z 70-79 years, male 5.6
GTEX-1LVAM-1426-SM-E9TJ4 50-59 years, female 5.6
GTEX-15G1A-1226-SM-7KUF3 30-39 years, male 5.5
GTEX-1PPH8-1326-SM-DTXFO 20-29 years, male 5.4
GTEX-14PHY-0926-SM-5ZZWL 60-69 years, female 5.3
GTEX-17EUY-1526-SM-793CA 20-29 years, male 5.3
GTEX-T5JC-1926-SM-4DM6Q 20-29 years, male 5.2
GTEX-1JMPY-0926-SM-ARL92 30-39 years, male 5.1
GTEX-13O61-1126-SM-5L3FI 60-69 years, male 5.0
GTEX-XPVG-1526-SM-4B66C 50-59 years, male 5.0
GTEX-1MCYP-1126-SM-E9J2P 20-29 years, female 4.8
GTEX-Y114-1226-SM-4TT88 50-59 years, female 4.7
GTEX-14PN3-1326-SM-6AJ9U 60-69 years, female 4.6
GTEX-1HT8W-2326-SM-A9SLA 30-39 years, male 4.6
GTEX-1K2DA-0826-SM-CGQGD 50-59 years, male 4.6
GTEX-15EU6-2526-SM-7KUGB 50-59 years, male 4.5
GTEX-1EH9U-2226-SM-7PBXX 60-69 years, male 4.5
GTEX-ZPIC-2026-SM-57WG3 40-49 years, female 4.4
GTEX-1399U-1626-SM-5P9J3 50-59 years, female 4.3
GTEX-13X6H-1626-SM-5Q5CT 50-59 years, female 4.3
GTEX-1S831-1126-SM-EWROI 20-29 years, male 4.3
GTEX-13111-1226-SM-5GCNC 50-59 years, male 4.2
GTEX-1339X-1426-SM-5K7YO 40-49 years, male 4.2
GTEX-RU1J-0526-SM-46MUT 20-29 years, female 4.2
GTEX-1PIGE-1126-SM-EWRMV 20-29 years, male 4.2
GTEX-11EI6-2426-SM-5PNVS 60-69 years, male 4.1
GTEX-S4P3-0726-SM-4AD57 50-59 years, female 4.0
GTEX-1CB4E-1326-SM-7DUGD 60-69 years, male 3.9
GTEX-ZE7O-3026-SM-51MS4 50-59 years, female 3.9
GTEX-12WSJ-0926-SM-5P9JD 40-49 years, female 3.8
GTEX-1GPI7-1326-SM-9KNVA 20-29 years, male 3.8
GTEX-YEC3-1426-SM-D4P1S 50-59 years, male 3.8
GTEX-131XE-2226-SM-5PNYX 50-59 years, male 3.7
GTEX-UJHI-1026-SM-4IHJP 50-59 years, female 3.7
GTEX-1S3DN-1526-SM-EVYCB 50-59 years, male 3.7
GTEX-1211K-1426-SM-5FQTF 60-69 years, female 3.6
GTEX-OIZH-1526-SM-3NB1J 50-59 years, male 3.6
GTEX-UPK5-2126-SM-4JBJK 40-49 years, male 3.6
GTEX-146FH-2126-SM-5SI9U 50-59 years, female 3.5
GTEX-R55D-1526-SM-48FEJ 50-59 years, male 3.4
GTEX-1E1VI-2826-SM-7MGWU 50-59 years, male 3.4
GTEX-1H1DE-1226-SM-9JGHH 20-29 years, male 3.4
GTEX-13N1W-2026-SM-5K7YU 70-79 years, male 3.2
GTEX-P4PQ-1526-SM-3NMCK 60-69 years, male 3.2
GTEX-P4QT-1526-SM-3NMCT 50-59 years, female 3.2
GTEX-1HCUA-1626-SM-A9SMG 50-59 years, female 3.2
GTEX-R55G-1126-SM-48FDG 40-49 years, female 3.0
GTEX-S4Z8-1226-SM-4AD6W 60-69 years, male 3.0
GTEX-R55C-1026-SM-48FCM 40-49 years, male 2.9
GTEX-12C56-0526-SM-5FQST 20-29 years, male 2.8
GTEX-15SHW-2126-SM-6M46Y 60-69 years, male 2.7
GTEX-1CB4H-2426-SM-7PBYR 60-69 years, female 2.7
GTEX-15RIF-1126-SM-7KUG2 20-29 years, male 2.6
GTEX-1E2YA-2426-SM-7EPIG 50-59 years, male 2.6
GTEX-ZTX8-0426-SM-59HLG 20-29 years, male 2.6
GTEX-1L5NE-1526-SM-DIPFW 50-59 years, male 2.6
GTEX-ZYVF-2726-SM-5GID4 50-59 years, female 2.4
GTEX-TKQ1-0526-SM-4DXTG 30-39 years, male 2.3
GTEX-11WQK-2626-SM-5EQ4K 50-59 years, male 2.2
GTEX-ZV6S-0926-SM-57WGB 40-49 years, female 2.2
GTEX-RUSQ-1126-SM-EAZAU 50-59 years, male 2.0
Show allShow less

Contact

  • NEWS ARTICLES
  • PRESS ROOM

The Project

  • INTRODUCTION
  • ORGANIZATION
  • PUBLICATIONS

The Human Protein Atlas

  • DOWNLOADABLE DATA
  • LICENCE & CITATION
  • HELP & FAQ
The Human Protein Atlas project is funded
by the Knut & Alice Wallenberg Foundation.


contact@proteinatlas.org