We use cookies to enhance the usability of our website. If you continue, we'll assume that you are happy to receive all cookies. More information. Don't show this again.
IREB2
HPA
RESOURCES
  • TISSUE
  • BRAIN
  • SINGLE CELL
  • SUBCELLULAR
  • CANCER
  • BLOOD
  • CELL LINE
  • STRUCTURE & INTERACTION
ABOUT
  • INTRODUCTION
  • HISTORY
  • ORGANIZATION
  • PUBLICATIONS
  • ANTIBODY SUBMISSION
  • ANTIBODY AVAILABILITY
  • ACKNOWLEDGMENTS
  • CONTACT
NEWS
  • NEWS ARTICLES
  • PRESS ROOM
LEARN
  • DICTIONARY
  • PROTEIN CLASSES
  • PROTEIN EVIDENCE
  • METHODS
  • EDUCATIONAL VIDEOS
DATA
  • DOWNLOADABLE DATA
  • PUBLICATION DATA
  • RELEASE HISTORY
HELP
  • ANTIBODY VALIDATION
  • ASSAYS & ANNOTATION
  • DISCLAIMER
  • HELP & FAQ
  • PRIVACY STATEMENT
  • LICENCE & CITATION
Fields »
Search result

Field
Term
Gene name
Class
Subclass
Class
Keyword
Chromosome
External id
Tissue
Cell type
Expression
Antibody panel
Tissue
Main location
Patient ID
Annotation
Tissue
Category
Tau score
Cluster
Reliability
Brain region
Category
Tau score
Brain region
Category
Tau score
Brain region
Category
Tau score
Cluster
Reliability
Tissue
Cell type
Enrichment
Cell type
Category
Tau score
Cell type
Category
Tau score
Cell type
Category
Tau score
Cell lineage
Category
Tau score
Cluster
Cluster
Location
Searches
Location
Cell line
Class
Type
Phase
Reliability
Cancer
Prognosis
Cancer
Category
Cancer
Category
Tau score
Cluster
Variants
Interacting gene (ensg_id)
Type
Number of interactions
Pathway
Category
Score
Score
Score
Validation
Validation
Validation
Validation
Antibodies
Data type
Column


  • SUMMARY

  • TISSUE

  • BRAIN

  • SINGLE CELL

  • SUBCELL

  • CANCER

  • BLOOD

  • CELL LINE

  • STRUCT & INT

  • IREB2
TISSUE PRIMARY DATA ADIPOSE TISSUE Show tissue menu
ADIPOSE TISSUE ADRENAL GLAND AMYGDALA APPENDIX BASAL GANGLIA BONE MARROW BREAST CEREBELLUM CEREBRAL CORTEX CERVIX CHOROID PLEXUS COLON DUODENUM ENDOMETRIUM
EPIDIDYMIS ESOPHAGUS FALLOPIAN TUBE GALLBLADDER HEART MUSCLE HIPPOCAMPAL FORMATION HYPOTHALAMUS KIDNEY LIVER LUNG LYMPH NODE MIDBRAIN NASOPHARYNX ORAL MUCOSA
OVARY PANCREAS PARATHYROID GLAND PITUITARY GLAND PLACENTA PROSTATE RECTUM RETINA SALIVARY GLAND SEMINAL VESICLE SKELETAL MUSCLE SKIN SMALL INTESTINE SMOOTH MUSCLE
SOFT TISSUE SPINAL CORD SPLEEN STOMACH TESTIS THYMUS THYROID GLAND TONGUE TONSIL URINARY BLADDER VAGINA
ANTIBODIES
AND
VALIDATION
Dictionary
Tissue proteome
Adipose tissue
ADIPOSE TISSUE - Expression summary
Protein expression
Adipose tissuei

On the top, protein expression in current human tissue, based on all annotated cell types, is reported with the units not detected (n), low (l), medium (m) and high (h). Underneath, protein expression in each annotated cell type are reported using the same units.

Protein expression data is based on knowledge-based annotation. For genes where more than one antibody has been used, a collective score is set.

If knowledge-based annotation could not be performed for a gene, no data is displayed here. View antibody staining data further down this page.

h
m
l
n
Adipocytes: Medium
RNA expressioni

A summary of mRNA expression data available for current tissue based on several datasets. The mRNA expression levels in human tissues are based on RNA-seq data generated by the Human Protein Atlas (HPA), Genotype-Tissue Expression (GTEx) portal and CAGE data generated by the FANTOM5 consortium. Consensus normalized expression levels for human tissues was created by combining the data from HPA and GTEx datasets.

The mRNA expression levels in pig are based on RNA-seq data generated by the Human Protein Atlas (HPA), and for mouse, HPA data and in situ hybridization generated by the Allen brain atlas are reported.

Scroll down to view mRNA expression data in more detail.
Consensus:16.5 nTPM
HPA:16.5 nTPM
GTEx:11.9 nTPM
FANTOM5:63.6 Scaled Tags Per Million

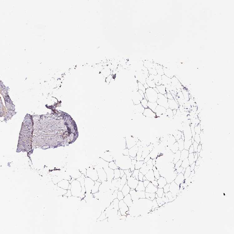
ADIPOSE TISSUE - Antibody stainingi

Antibody staining in the annotated cell types in the current human tissue is reported as not detected, low, medium, or high, based on conventional immunohistochemistry profiling in selected tissues. This score is based on the combination of the staining intensity and fraction of stained cells.

Each image is clickable and will lead to virtual microscopy that enables deeper exploration of all samples and also displays staining intensity scores, fraction scores and subcellular localization as well as patient and tissue information for each sample.

Antibody HPA068982Antibody CAB032885
Adipocytes Not detectedMedium







ADIPOSE TISSUE - HPA RNA-seqi

The RNA-seq details section shows detailed information about the individual samples used for the transcript profiling and results of the RNA-seq analysis.

Information about each individual sample is listed below, including gender, age, a tissue section image and estimated fractions of cell types. nTPM (normalized transcripts per million) values give a quantification of the gene abundance which is comparable between different genes and samples.
Average nTPMi

Max subtype nTPM is the value for the subtype with the largest average nTPM across the subtype samples.

16.5
N/A
Female, age 80
Adipose tissue sample 86
nTPM: 13.4
Cell types%
Adipocytes:
95

Other cell types:
5

N/A
Female, age 45
Adipose tissue sample 115
nTPM: 21.3
N/A
Female, age 57
Adipose tissue sample 137
nTPM: 14
Cell types%
Adipocytes:
60

Fibroblasts:
20

Smooth muscle cells:
15

Other cell types:
5

overview
Female, age 74
Adipose tissue sample 329
nTPM: 16.3
Cell types%
Adipocytes:
50

Fibroblasts:
30

Smooth muscle cells:
15

Other cell types:
5

overview
Female, age 59
Adipose tissue sample 331
nTPM: 17.6
Cell types%
Adipocytes:
40

Fibroblasts:
40

Smooth muscle cells:
15

Other cell types:
5


ADIPOSE TISSUE - GTEx RNA-seqi

RNA-Seq data generated by the Genotype-Tissue Expression (GTEx) project from human tissues is reported as mean nTPM. More information can be found on the GTEx portal.

Distribution across the dataset is visualized with box plots, shown as median and 25th and 75th percentiles. Points are displayed as outliers if they are above or below 1.5 times the interquartile range. nTPM values of the individual samples are presented next to the box plot.
Max subtype nTPMi

Max subtype nTPM is the value for the subtype with the largest average nTPM across the subtype samples.

11.9
GTEx sample id Sample description nTPM
Adipose - Subcutaneous
Average nTPM: 11.9
Samples: 663

Max nTPM: 23.7
Min nTPM: 5.2
Std nTPM: 2.1
Median nTPM: 11.7
GTEX-REY6-0326-SM-2TF5A 60-69 years, male 23.7
GTEX-1F88E-0526-SM-7SB8J 60-69 years, female 19.9
GTEX-O5YT-0226-SM-32PK5 20-29 years, male 19.0
GTEX-OIZI-0226-SM-2XCEE 40-49 years, male 18.9
GTEX-13113-1826-SM-5LZW4 60-69 years, female 18.6
GTEX-13O1R-0226-SM-5K7U5 60-69 years, male 18.5
GTEX-1B8SG-0226-SM-7939Q 50-59 years, male 18.5
GTEX-111YS-2426-SM-5GZZQ 60-69 years, male 17.7
GTEX-P44H-0326-SM-2XCES 40-49 years, male 17.6
GTEX-WEY5-1926-SM-3GIL8 40-49 years, female 17.6
GTEX-VJYA-1326-SM-3GIJC 60-69 years, male 17.5
GTEX-QDT8-0226-SM-32PL4 30-39 years, female 17.2
GTEX-1CB4J-1126-SM-7PBY1 60-69 years, male 17.2
GTEX-1JN76-0226-SM-CMKGO 20-29 years, female 17.2
GTEX-17HII-0326-SM-7LG4X 50-59 years, male 17.1
GTEX-WFJO-1926-SM-3GILA 30-39 years, male 16.9
GTEX-QV31-1326-SM-2S1QE 30-39 years, male 16.7
GTEX-OHPK-0226-SM-3MJH6 50-59 years, female 16.5
GTEX-1B8KE-2526-SM-73KYQ 50-59 years, male 16.4
GTEX-ZVT4-0226-SM-51MSD 50-59 years, female 16.4
GTEX-X5EB-2426-SM-4E3HX 40-49 years, male 16.3
GTEX-ZEX8-2326-SM-5S2MN 50-59 years, male 16.3
GTEX-QCQG-1826-SM-2S1P2 50-59 years, female 16.2
GTEX-1A8FM-0126-SM-7SB7P 50-59 years, female 16.2
GTEX-13S7M-0226-SM-5S2UG 60-69 years, female 16.1
GTEX-Y3IK-2526-SM-4WWDM 50-59 years, female 16.1
GTEX-ZZPU-2726-SM-5NQ8O 50-59 years, female 16.1
GTEX-146FH-0226-SM-5QGPQ 50-59 years, female 16.0
GTEX-1AYCT-2226-SM-7SB98 50-59 years, male 16.0
GTEX-1JMQL-0326-SM-CNPP6 50-59 years, female 15.9
GTEX-ZDYS-2126-SM-5S2P2 50-59 years, male 15.9
GTEX-17EVP-0426-SM-79OKG 40-49 years, male 15.8
GTEX-S32W-2226-SM-2XCAY 50-59 years, female 15.8
GTEX-17HHE-1926-SM-7EPGW 50-59 years, male 15.7
GTEX-13X6K-0226-SM-5QGPB 60-69 years, female 15.6
GTEX-1PWST-0326-SM-EAZ42 70-79 years, male 15.6
GTEX-1A3MW-0226-SM-7939O 60-69 years, female 15.5
GTEX-RTLS-0226-SM-2TF5E 60-69 years, female 15.5
GTEX-SNMC-1326-SM-2XCFK 20-29 years, male 15.5
GTEX-1FIGZ-1626-SM-7SB8L 40-49 years, male 15.4
GTEX-1JMPY-1426-SM-ARL8Z 30-39 years, male 15.4
GTEX-11PRG-0626-SM-5BC56 50-59 years, male 15.3
GTEX-Y114-2326-SM-4TT7X 50-59 years, female 15.3
GTEX-1AX9I-0226-SM-7SB75 60-69 years, male 15.3
GTEX-16XZZ-0226-SM-7MGVJ 60-69 years, male 15.2
GTEX-POYW-0726-SM-2XCEO 60-69 years, male 15.1
GTEX-1I1GU-2326-SM-CGQFB 40-49 years, male 15.1
GTEX-13PVQ-0226-SM-5SIBG 50-59 years, male 15.0
GTEX-132AR-0226-SM-5IJBE 50-59 years, female 14.9
GTEX-1CAMQ-0126-SM-7SB7S 40-49 years, male 14.9
GTEX-1I1GT-0526-SM-CGQEQ 60-69 years, female 14.9
GTEX-12696-2526-SM-5EQLN 60-69 years, male 14.8
GTEX-139TU-0226-SM-5J1NM 60-69 years, male 14.8
GTEX-P44G-2326-SM-2XCCZ 30-39 years, male 14.8
GTEX-X4XY-0326-SM-46MVZ 60-69 years, male 14.8
GTEX-ZF28-0226-SM-5S2OE 60-69 years, male 14.8
GTEX-ZPIC-1826-SM-57WFE 40-49 years, female 14.8
GTEX-1B996-0126-SM-7PBYF 60-69 years, male 14.8
GTEX-1HCU6-0226-SM-CGQES 60-69 years, female 14.8
GTEX-1QCLY-0526-SM-EAZ47 30-39 years, male 14.8
GTEX-14PJM-0326-SM-62LF2 50-59 years, female 14.7
GTEX-1A3MV-2126-SM-718BV 30-39 years, male 14.7
GTEX-NFK9-0326-SM-3MJGV 40-49 years, male 14.7
GTEX-PLZ6-1326-SM-3NB24 30-39 years, male 14.7
GTEX-1GMRU-0226-SM-9YFLW 50-59 years, male 14.7
GTEX-1MCC2-2326-SM-E9U5G 30-39 years, female 14.7
GTEX-15DDE-0226-SM-6LLJ6 50-59 years, female 14.6
GTEX-1AX9J-0326-SM-73KXY 60-69 years, male 14.6
GTEX-TML8-2026-SM-32QOP 40-49 years, female 14.6
GTEX-XV7Q-2626-SM-4BRVA 40-49 years, female 14.6
GTEX-1JMLX-0126-SM-CMKG9 50-59 years, male 14.5
GTEX-1PPH8-0626-SM-EWRN9 20-29 years, male 14.5
GTEX-16XZY-2526-SM-7DHL2 70-79 years, male 14.4
GTEX-1A32A-0226-SM-718B2 50-59 years, female 14.4
GTEX-WY7C-2426-SM-3NB2V 50-59 years, male 14.4
GTEX-1I1GP-2326-SM-CGQFL 50-59 years, male 14.4
GTEX-17HG3-2326-SM-79OKH 30-39 years, female 14.3
GTEX-1F75A-0226-SM-7PC2K 50-59 years, male 14.3
GTEX-1K2DA-2126-SM-CGQGL 50-59 years, male 14.3
GTEX-OHPN-0226-SM-48TBV 60-69 years, female 14.2
GTEX-SSA3-0226-SM-32QPN 60-69 years, male 14.2
GTEX-T5JW-1726-SM-3GADN 20-29 years, female 14.2
GTEX-11GSO-2326-SM-5A5LX 60-69 years, male 14.1
GTEX-13N1W-0226-SM-5K7W6 70-79 years, male 14.1
GTEX-147F3-0626-SM-5NQ9I 50-59 years, female 14.1
GTEX-16MTA-2126-SM-6PALC 50-59 years, male 14.1
GTEX-RM2N-1726-SM-2TF55 50-59 years, male 14.1
GTEX-WH7G-2226-SM-3NMBN 40-49 years, male 14.1
GTEX-1HSMP-0226-SM-CGQFI 70-79 years, male 14.1
GTEX-1I1GR-0226-SM-CMKHQ 60-69 years, male 14.1
GTEX-1IKJJ-0226-SM-COH3T 60-69 years, male 14.1
GTEX-1MGNQ-0226-SM-EVYCK 40-49 years, male 14.1
GTEX-WYJK-0226-SM-EYYV8 50-59 years, male 14.1
GTEX-ZGAY-0626-SM-DO92E 40-49 years, female 14.1
GTEX-148VI-1726-SM-5S2W9 60-69 years, female 14.0
GTEX-14BIL-0226-SM-5SI9E 50-59 years, male 14.0
GTEX-14PN3-2526-SM-6EU15 60-69 years, female 14.0
GTEX-QDVN-2126-SM-33HBS 50-59 years, male 14.0
GTEX-XUYS-0226-SM-47JX1 50-59 years, male 14.0
GTEX-PLZ5-1826-SM-3NB22 50-59 years, male 13.9
GTEX-QESD-1526-SM-2S1QT 20-29 years, male 13.9
GTEX-Z93S-0226-SM-5HL7R 50-59 years, male 13.9
GTEX-1GPI7-0226-SM-9MQKB 20-29 years, male 13.9
GTEX-1IDJF-0226-SM-CMKGE 20-29 years, male 13.9
GTEX-1LG7Y-0426-SM-DKPQB 50-59 years, male 13.9
GTEX-12WSM-0226-SM-5LZV6 60-69 years, male 13.8
GTEX-13CF3-2326-SM-5IFGL 60-69 years, female 13.8
GTEX-15ER7-0426-SM-6PAM3 20-29 years, female 13.8
GTEX-1B97I-1726-SM-7939V 40-49 years, male 13.8
GTEX-1HCVE-0226-SM-CGQEV 50-59 years, male 13.8
GTEX-RNOR-0226-SM-EZ6MF 50-59 years, female 13.8
GTEX-18D9A-2026-SM-718BL 30-39 years, female 13.7
GTEX-T8EM-1126-SM-3DB7D 40-49 years, male 13.7
GTEX-1EMGI-0226-SM-9MQL1 60-69 years, male 13.7
GTEX-1R9K5-0226-SM-EWRNF 50-59 years, male 13.7
GTEX-13VXT-0226-SM-5LU9Q 20-29 years, female 13.6
GTEX-16BQI-0526-SM-6PAM8 30-39 years, female 13.6
GTEX-16MT8-0526-SM-6PAM6 60-69 years, female 13.6
GTEX-1C475-1926-SM-7DUFV 40-49 years, female 13.6
GTEX-XAJ8-0926-SM-47JXZ 40-49 years, male 13.6
GTEX-ZF29-2226-SM-4WWB9 60-69 years, female 13.6
GTEX-ZVTK-0526-SM-5GZWT 20-29 years, male 13.6
GTEX-1C6VQ-0226-SM-7P8S5 50-59 years, male 13.6
GTEX-1HSKV-0326-SM-ADEJC 60-69 years, male 13.6
GTEX-14JG6-2326-SM-6LLH3 30-39 years, female 13.5
GTEX-S33H-1126-SM-2XCB6 30-39 years, male 13.5
GTEX-18QFQ-0226-SM-731BQ 30-39 years, male 13.5
GTEX-1LG7Z-2026-SM-DLHBP 30-39 years, male 13.5
GTEX-1LVAN-0126-SM-COH4H 50-59 years, female 13.5
GTEX-11LCK-1126-SM-5A5KC 30-39 years, male 13.4
GTEX-13FTW-2526-SM-5IJC8 40-49 years, male 13.4
GTEX-QDVJ-1826-SM-2S1P3 50-59 years, male 13.4
GTEX-ZYW4-0226-SM-5E44M 60-69 years, male 13.4
GTEX-1GN1U-0226-SM-9YFLQ 50-59 years, female 13.4
GTEX-U3ZM-1026-SM-EZ6LD 40-49 years, male 13.4
GTEX-145MI-0426-SM-5O99V 60-69 years, female 13.3
GTEX-17F98-1126-SM-79OJS 40-49 years, female 13.3
GTEX-17MF6-0226-SM-7LG4G 40-49 years, male 13.3
GTEX-TSE9-0226-SM-3DB84 60-69 years, female 13.3
GTEX-1GF9V-0226-SM-9MQKA 60-69 years, male 13.3
GTEX-11XUK-2126-SM-5EQLR 40-49 years, female 13.2
GTEX-12WSL-2426-SM-5GCN7 50-59 years, male 13.2
GTEX-14PJ6-2226-SM-6LLIV 60-69 years, female 13.2
GTEX-P4QT-0226-SM-3LK68 50-59 years, female 13.2
GTEX-TKQ1-1126-SM-4GIAZ 30-39 years, male 13.2
GTEX-U3ZN-2626-SM-3DB7T 30-39 years, female 13.2
GTEX-YB5E-2126-SM-5IFI7 40-49 years, male 13.2
GTEX-1A8G6-0526-SM-7PC1E 60-69 years, male 13.2
GTEX-1CB4H-0326-SM-9WG5G 60-69 years, female 13.2
GTEX-1117F-0226-SM-5GZZ7 60-69 years, female 13.1
GTEX-11TT1-2426-SM-5EQMK 20-29 years, male 13.1
GTEX-13FH7-2226-SM-5IJD4 50-59 years, female 13.1
GTEX-17HHY-0226-SM-793BQ 50-59 years, male 13.1
GTEX-1C4CL-0426-SM-7939N 30-39 years, male 13.1
GTEX-1C6VS-0426-SM-79OJV 60-69 years, male 13.1
GTEX-1EWIQ-0226-SM-793D3 70-79 years, female 13.1
GTEX-P4QS-0226-SM-3NB1U 60-69 years, male 13.1
GTEX-XBEC-0326-SM-4AT4M 50-59 years, male 13.1
GTEX-XBED-2326-SM-47JYR 60-69 years, male 13.1
GTEX-YB5K-2226-SM-4WWG1 40-49 years, female 13.1
GTEX-1HSMO-0226-SM-CGQEZ 60-69 years, male 13.1
GTEX-1I4MK-2026-SM-B2LVR 50-59 years, female 13.1
GTEX-1KANA-0826-SM-D3L9J 20-29 years, male 13.1
GTEX-1OFPY-2326-SM-E8VNU 60-69 years, male 13.1
GTEX-1QP28-0226-SM-E9J2N 50-59 years, female 13.1
GTEX-117YX-2226-SM-5EGJJ 50-59 years, male 13.0
GTEX-18A66-0326-SM-718BE 60-69 years, male 13.0
GTEX-PWCY-1926-SM-3NB25 20-29 years, female 13.0
GTEX-QEL4-0326-SM-3GAE5 50-59 years, male 13.0
GTEX-S7SE-0226-SM-2XCD4 50-59 years, male 13.0
GTEX-ZVT2-2226-SM-5NQ6P 50-59 years, female 13.0
GTEX-ZYY3-0226-SM-5E45M 60-69 years, female 13.0
GTEX-1GMR2-2526-SM-9MQKW 50-59 years, male 13.0
GTEX-ZLFU-2626-SM-DO91L 40-49 years, male 13.0
GTEX-12WSA-0326-SM-5BC6I 60-69 years, male 12.9
GTEX-12ZZZ-0526-SM-5DUX6 60-69 years, male 12.9
GTEX-13OW8-1226-SM-5K7XD 60-69 years, male 12.9
GTEX-14PJ2-0226-SM-6LLH4 50-59 years, male 12.9
GTEX-15ETS-0426-SM-6PANI 40-49 years, female 12.9
GTEX-T6MO-1726-SM-33HB8 40-49 years, female 12.9
GTEX-Y3I4-2226-SM-4TT7O 50-59 years, male 12.9
GTEX-Y8LW-1926-SM-4WWFZ 50-59 years, female 12.9
GTEX-ZZ64-1626-SM-5E43W 20-29 years, male 12.9
GTEX-1JMQI-2026-SM-CMKGP 50-59 years, male 12.9
GTEX-1LGOU-2226-SM-E9U56 20-29 years, female 12.9
GTEX-1R9PM-2126-SM-E8VOB 20-29 years, male 12.9
GTEX-P4PP-0226-SM-D4P1Z 30-39 years, female 12.9
GTEX-R45C-0226-SM-EVYAJ 60-69 years, female 12.9
GTEX-17MFQ-1826-SM-7DHLS 20-29 years, male 12.8
GTEX-WVLH-0226-SM-3MJG6 50-59 years, male 12.8
GTEX-145ME-1926-SM-5MR6T 40-49 years, female 12.8
GTEX-1B8L1-2626-SM-7SB77 60-69 years, male 12.8
GTEX-1H1ZS-0526-SM-9WG5L 70-79 years, male 12.8
GTEX-1I6K6-0226-SM-ADEID 30-39 years, male 12.8
GTEX-1JN6P-0226-SM-COH34 60-69 years, male 12.8
GTEX-1KXAM-2326-SM-CYPTD 60-69 years, male 12.8
GTEX-PWN1-0226-SM-DKPO9 40-49 years, female 12.8
GTEX-11P7K-2026-SM-5GU74 30-39 years, male 12.7
GTEX-11TUW-2626-SM-5EQKZ 60-69 years, male 12.7
GTEX-13FHP-0226-SM-5K7WD 50-59 years, male 12.7
GTEX-145MO-0426-SM-5QGP6 60-69 years, male 12.7
GTEX-17HGU-0326-SM-7DUER 50-59 years, male 12.7
GTEX-183FY-0326-SM-793BY 20-29 years, male 12.7
GTEX-ZT9X-1926-SM-57WE7 40-49 years, male 12.7
GTEX-1F48J-0226-SM-7SB82 50-59 years, female 12.7
GTEX-1F52S-0226-SM-7SB7U 60-69 years, female 12.7
GTEX-1H3VY-0226-SM-9YFMF 50-59 years, male 12.7
GTEX-1HSGN-0126-SM-CGQFU 40-49 years, female 12.7
GTEX-1I1HK-0226-SM-COH4A 60-69 years, male 12.7
GTEX-1MCYP-1826-SM-E9J2Q 20-29 years, female 12.7
GTEX-1MUQO-0526-SM-E9J31 60-69 years, male 12.7
GTEX-1S831-0326-SM-EVYD3 20-29 years, male 12.7
GTEX-WFG7-2526-SM-EWRM5 20-29 years, male 12.7
GTEX-11H98-0226-SM-5NQ89 50-59 years, male 12.6
GTEX-12WSD-0226-SM-59HKO 60-69 years, female 12.6
GTEX-144FL-0226-SM-5Q5D4 50-59 years, male 12.6
GTEX-14ICK-0326-SM-6LLIZ 40-49 years, male 12.6
GTEX-17F9Y-0326-SM-7IGLS 70-79 years, female 12.6
GTEX-T2IS-0226-SM-32QPH 20-29 years, female 12.6
GTEX-ZYFC-0326-SM-5NQ7H 50-59 years, male 12.6
GTEX-1GZ4I-0226-SM-7RHHO 50-59 years, male 12.6
GTEX-1HSEH-0226-SM-ACKVV 60-69 years, male 12.6
GTEX-1I1CD-0226-SM-CM2TL 60-69 years, female 12.6
GTEX-1J1R8-2226-SM-ARZMP 40-49 years, male 12.6
GTEX-1J8EW-0226-SM-CYPSW 60-69 years, female 12.6
GTEX-1QPFJ-0126-SM-E9J4B 30-39 years, female 12.6
GTEX-13OVI-1326-SM-5IJBO 60-69 years, female 12.5
GTEX-13OVJ-0326-SM-5L3GL 50-59 years, female 12.5
GTEX-146FQ-0226-SM-5NQAL 30-39 years, male 12.5
GTEX-14E6D-0226-SM-62LDW 50-59 years, male 12.5
GTEX-14PII-0326-SM-6LLIQ 60-69 years, male 12.5
GTEX-15SDE-2426-SM-7KFRC 50-59 years, female 12.5
GTEX-1AX9K-2426-SM-73KZ4 50-59 years, male 12.5
GTEX-1B8SF-0526-SM-7939F 60-69 years, male 12.5
GTEX-OXRP-0226-SM-3NB14 60-69 years, female 12.5
GTEX-T6MN-0226-SM-32PMD 50-59 years, male 12.5
GTEX-XPVG-2726-SM-4B66W 50-59 years, male 12.5
GTEX-11NUK-0326-SM-5HL5K 50-59 years, male 12.5
GTEX-1CB4E-1826-SM-7RHG8 60-69 years, male 12.5
GTEX-1HFI7-2026-SM-CGQFR 50-59 years, female 12.5
GTEX-1R46S-0526-SM-EVYBZ 60-69 years, female 12.5
GTEX-RVPV-1526-SM-EXOHF 60-69 years, male 12.5
GTEX-13O21-1526-SM-5K7W4 50-59 years, male 12.4
GTEX-14PHX-2426-SM-62LEN 50-59 years, male 12.4
GTEX-1C2JI-2226-SM-7IGPJ 50-59 years, male 12.4
GTEX-P4PQ-0226-SM-2S1NK 60-69 years, male 12.4
GTEX-QEG5-0326-SM-2S1PB 20-29 years, male 12.4
GTEX-R55C-1626-SM-48FEG 40-49 years, male 12.4
GTEX-WFON-2226-SM-3TW8W 40-49 years, male 12.4
GTEX-1CB4F-0526-SM-9KNW2 60-69 years, male 12.4
GTEX-1EU9M-0326-SM-7RHGF 60-69 years, male 12.4
GTEX-1H2FU-0226-SM-9YFKO 60-69 years, female 12.4
GTEX-1H3O1-0526-SM-9MQLS 60-69 years, male 12.4
GTEX-1NHNU-1126-SM-E9J2C 50-59 years, male 12.4
GTEX-1POEN-0226-SM-EYYXE 30-39 years, female 12.4
GTEX-13IVO-0226-SM-5LZXU 70-79 years, male 12.3
GTEX-13NZA-0126-SM-5K7UH 60-69 years, male 12.3
GTEX-13QJ3-0426-SM-5RQHP 50-59 years, male 12.3
GTEX-13W3W-2526-SM-5SI9P 60-69 years, female 12.3
GTEX-144GO-1626-SM-7EPG5 60-69 years, male 12.3
GTEX-14E6C-0226-SM-5S2N3 40-49 years, male 12.3
GTEX-15G19-0226-SM-6PAL2 60-69 years, male 12.3
GTEX-X8HC-0226-SM-4E3K1 50-59 years, female 12.3
GTEX-1CAMS-0326-SM-7PC35 40-49 years, female 12.3
GTEX-1F5PK-2526-SM-9MQKN 50-59 years, male 12.3
GTEX-1F75W-0226-SM-9JGGP 60-69 years, male 12.3
GTEX-1J1OQ-0326-SM-CYPTJ 40-49 years, female 12.3
GTEX-1JKYR-0226-SM-CNPOK 20-29 years, male 12.3
GTEX-1JMQK-0126-SM-CM2S3 60-69 years, male 12.3
GTEX-14C5O-0226-SM-5SI6O 60-69 years, male 12.2
GTEX-14JG1-0526-SM-6LLHW 40-49 years, male 12.2
GTEX-14PJ3-1926-SM-62LEY 50-59 years, male 12.2
GTEX-14PJ4-2226-SM-6LLIS 60-69 years, male 12.2
GTEX-P78B-0226-SM-3NB1Z 40-49 years, female 12.2
GTEX-1F6I4-0226-SM-9MQMA 60-69 years, male 12.2
GTEX-1HBPI-1426-SM-B2LW7 50-59 years, male 12.2
GTEX-1IKK5-0526-SM-CMKGG 60-69 years, male 12.2
GTEX-1LH75-2526-SM-E9U5A 50-59 years, female 12.2
GTEX-1QP2A-0226-SM-EVYBC 50-59 years, male 12.2
GTEX-1RAZQ-0626-SM-E8VOR 30-39 years, male 12.2
GTEX-11GS4-2626-SM-5A5LD 60-69 years, male 12.1
GTEX-1313W-0226-SM-5LZV7 50-59 years, female 12.1
GTEX-16NPX-0326-SM-7EWDI 50-59 years, male 12.1
GTEX-PSDG-0326-SM-48TCP 50-59 years, male 12.1
GTEX-SN8G-0226-SM-4DM6B 50-59 years, female 12.1
GTEX-XLM4-0226-SM-4AT4N 60-69 years, male 12.1
GTEX-YEC3-1226-SM-5IFI8 50-59 years, male 12.1
GTEX-1122O-2026-SM-9YFMG 60-69 years, female 12.1
GTEX-1EX96-1426-SM-7PBZ5 50-59 years, male 12.1
GTEX-1H1E6-2026-SM-9KNVK 30-39 years, male 12.1
GTEX-1HCUA-2226-SM-ADEHF 50-59 years, female 12.1
GTEX-1I1GS-0226-SM-B2LVX 60-69 years, male 12.1
GTEX-1RAZA-0226-SM-E9U4W 20-29 years, male 12.1
GTEX-PX3G-0226-SM-DKPOF 20-29 years, female 12.1
GTEX-S4P3-1526-SM-E9J3W 50-59 years, female 12.1
GTEX-11UD2-0126-SM-5EQL2 50-59 years, male 12.0
GTEX-12C56-1626-SM-5FQUO 20-29 years, male 12.0
GTEX-139TT-0226-SM-5K7YH 60-69 years, male 12.0
GTEX-14A5H-0526-SM-5TDCN 60-69 years, male 12.0
GTEX-14H4A-1026-SM-62LDY 40-49 years, female 12.0
GTEX-14ICL-2026-SM-62LDN 30-39 years, male 12.0
GTEX-Q734-1826-SM-2I3EL 40-49 years, female 12.0
GTEX-RU72-1026-SM-46MUG 50-59 years, female 12.0
GTEX-ZVE2-0326-SM-57WFC 50-59 years, male 12.0
GTEX-169BO-1426-SM-9MQJT 50-59 years, male 12.0
GTEX-1EKGG-0126-SM-9YFLS 60-69 years, male 12.0
GTEX-1OJC4-1726-SM-EXUSV 50-59 years, female 12.0
GTEX-11EM3-2326-SM-5H12B 20-29 years, female 11.9
GTEX-VUSG-2426-SM-4KKZG 50-59 years, male 11.9
GTEX-ZTX8-1526-SM-5N9GI 20-29 years, male 11.9
GTEX-ZXES-2026-SM-5NQ6R 30-39 years, female 11.9
GTEX-1J8Q3-1526-SM-CMKGB 60-69 years, male 11.9
GTEX-1LGRB-2426-SM-CNPP3 50-59 years, female 11.9
GTEX-1N2EF-0626-SM-E9J32 60-69 years, male 11.9
GTEX-131XF-2226-SM-5EQKG 60-69 years, male 11.8
GTEX-14DAR-1926-SM-5S2NQ 50-59 years, male 11.8
GTEX-1AMEY-1426-SM-7939I 30-39 years, female 11.8
GTEX-Q2AI-1426-SM-2S1P5 40-49 years, male 11.8
GTEX-X4EO-0426-SM-4QASA 60-69 years, female 11.8
GTEX-ZLV1-1826-SM-5FQU5 60-69 years, female 11.8
GTEX-ZUA1-0226-SM-5NQ9Q 40-49 years, male 11.8
GTEX-1GN1W-0626-SM-9MQK3 50-59 years, female 11.8
GTEX-1IDJD-1226-SM-CM2TP 30-39 years, male 11.8
GTEX-1JKYN-1226-SM-CGQG8 30-39 years, male 11.8
GTEX-14C39-2526-SM-5S2UH 40-49 years, male 11.7
GTEX-OXRL-0226-SM-3NB18 50-59 years, male 11.7
GTEX-Q2AG-0226-SM-2S1P4 40-49 years, female 11.7
GTEX-QMRM-1726-SM-2S1QG 50-59 years, male 11.7
GTEX-WHPG-2126-SM-4M1ZM 50-59 years, male 11.7
GTEX-ZDTT-2626-SM-5S2OP 60-69 years, male 11.7
GTEX-ZVZO-0226-SM-5A5LA 40-49 years, male 11.7
GTEX-1I1GV-0426-SM-ARZLX 60-69 years, male 11.7
GTEX-1IOXB-0226-SM-CMKHY 50-59 years, male 11.7
GTEX-1IY9M-0226-SM-CMKHP 60-69 years, male 11.7
GTEX-WFG8-2326-SM-DIPDX 20-29 years, male 11.7
GTEX-11DXW-0326-SM-5H11W 40-49 years, male 11.6
GTEX-13QBU-2526-SM-5LU4X 40-49 years, female 11.6
GTEX-13U4I-0226-SM-5SIB1 40-49 years, female 11.6
GTEX-144GM-1926-SM-5LUAN 20-29 years, male 11.6
GTEX-14JIY-0526-SM-62LFH 60-69 years, male 11.6
GTEX-1C64O-0226-SM-73KXB 60-69 years, male 11.6
GTEX-RWSA-0226-SM-2XCBA 40-49 years, male 11.6
GTEX-WL46-0326-SM-3LK6Y 50-59 years, male 11.6
GTEX-YEC4-2426-SM-57WFO 40-49 years, male 11.6
GTEX-ZXG5-0226-SM-59HJI 60-69 years, male 11.6
GTEX-1H1DF-0226-SM-ARL9A 40-49 years, female 11.6
GTEX-OIZG-0826-SM-E9TI4 50-59 years, male 11.6
GTEX-PLZ4-0226-SM-CYPR1 50-59 years, female 11.6
GTEX-RUSQ-1626-SM-EZ6L4 50-59 years, male 11.6
GTEX-131XE-2426-SM-5EQ5V 50-59 years, male 11.5
GTEX-1399R-2626-SM-5KLZ7 30-39 years, male 11.5
GTEX-13FHO-0326-SM-5IJBH 60-69 years, male 11.5
GTEX-13O61-2426-SM-5J1NV 60-69 years, male 11.5
GTEX-QLQ7-1526-SM-2S1QA 60-69 years, male 11.5
GTEX-1128S-2126-SM-5H12U 60-69 years, female 11.4
GTEX-11DZ1-0226-SM-5A5KF 50-59 years, male 11.4
GTEX-139T6-2126-SM-5KM37 50-59 years, male 11.4
GTEX-13JUV-2826-SM-5LZWU 40-49 years, female 11.4
GTEX-145MF-0526-SM-5LUA6 50-59 years, male 11.4
GTEX-14ABY-0326-SM-5TDDK 50-59 years, male 11.4
GTEX-14BIN-0726-SM-793DQ 50-59 years, female 11.4
GTEX-14E6E-1926-SM-664N4 30-39 years, male 11.4
GTEX-1B8KZ-1926-SM-7DUG8 50-59 years, male 11.4
GTEX-XMK1-2226-SM-4B673 40-49 years, male 11.4
GTEX-Z93T-0226-SM-5HL5Z 50-59 years, male 11.4
GTEX-ZPCL-2126-SM-57WFZ 60-69 years, female 11.4
GTEX-ZQG8-1526-SM-5HL65 60-69 years, female 11.4
GTEX-1HT8W-0226-SM-CMKGT 30-39 years, male 11.4
GTEX-XOT4-0226-SM-4B66Z 60-69 years, female 11.4
GTEX-11TTK-0226-SM-5N9EC 60-69 years, female 11.3
GTEX-12KS4-0426-SM-5EQMC 30-39 years, male 11.3
GTEX-12WSC-0226-SM-5EQ52 50-59 years, male 11.3
GTEX-131YS-0226-SM-5IJEH 60-69 years, female 11.3
GTEX-1AMFI-2126-SM-731BT 50-59 years, female 11.3
GTEX-XGQ4-2226-SM-4AT4Y 50-59 years, male 11.3
GTEX-1B932-0226-SM-7PBYH 40-49 years, female 11.3
GTEX-1QW4Y-1626-SM-EAZ41 30-39 years, male 11.3
GTEX-131XW-0526-SM-5PNXZ 50-59 years, female 11.2
GTEX-SJXC-0226-SM-2XCDU 60-69 years, male 11.2
GTEX-U8XE-0426-SM-3DB91 30-39 years, male 11.2
GTEX-WVJS-0226-SM-4MVOU 50-59 years, male 11.2
GTEX-X4LF-1726-SM-3NMBZ 50-59 years, male 11.2
GTEX-ZYVF-0226-SM-5GIEG 50-59 years, female 11.2
GTEX-1HR9M-0226-SM-COH3E 60-69 years, male 11.2
GTEX-1JN1M-0126-SM-D4P23 60-69 years, female 11.2
GTEX-1KAFJ-2426-SM-D4P32 50-59 years, male 11.2
GTEX-1S83E-0226-SM-EVYCW 40-49 years, male 11.2
GTEX-Q2AH-1726-SM-DIPDV 40-49 years, male 11.2
GTEX-R3RS-0226-SM-EYYVE 40-49 years, female 11.2
GTEX-11ZTT-2526-SM-5EQM9 60-69 years, female 11.1
GTEX-139D8-0326-SM-5IJCJ 30-39 years, female 11.1
GTEX-13PLJ-0126-SM-5L3HU 60-69 years, female 11.1
GTEX-13SLW-0226-SM-5S2NA 70-79 years, male 11.1
GTEX-147JS-0426-SM-5TDD2 60-69 years, male 11.1
GTEX-14DAQ-0226-SM-664MQ 60-69 years, female 11.1
GTEX-18A7A-0326-SM-731AT 50-59 years, female 11.1
GTEX-1A3MX-0226-SM-731C4 60-69 years, male 11.1
GTEX-1AYD5-2326-SM-73KXF 50-59 years, male 11.1
GTEX-O5YV-0226-SM-48TBY 60-69 years, female 11.1
GTEX-UJHI-1626-SM-3DB9A 50-59 years, female 11.1
GTEX-W5WG-2526-SM-4SOJ2 50-59 years, female 11.1
GTEX-ZAJG-0226-SM-5HL81 50-59 years, female 11.1
GTEX-1CAMR-1826-SM-7MXUJ 20-29 years, male 11.1
GTEX-1F88F-2626-SM-9WG5K 60-69 years, female 11.1
GTEX-1H4P4-0226-SM-9YFKT 50-59 years, male 11.1
GTEX-1IGQW-0226-SM-COH43 60-69 years, male 11.1
GTEX-1LB8K-0326-SM-E9TJC 50-59 years, male 11.1
GTEX-1PFEY-1626-SM-E9J3M 30-39 years, male 11.1
GTEX-1PIIG-0326-SM-EVYBV 30-39 years, male 11.1
GTEX-1QP6S-0126-SM-E9J4K 40-49 years, male 11.1
GTEX-1R7EV-1926-SM-EVYBF 40-49 years, male 11.1
GTEX-VUSH-0226-SM-EXUQV 30-39 years, male 11.1
GTEX-1211K-2226-SM-5FQU6 60-69 years, female 11.0
GTEX-1269C-2726-SM-5EGJ4 60-69 years, female 11.0
GTEX-1314G-1626-SM-5EQ67 30-39 years, male 11.0
GTEX-13YAN-0426-SM-5O9DR 60-69 years, male 11.0
GTEX-14PK6-2026-SM-6LLHP 70-79 years, female 11.0
GTEX-15CHQ-0226-SM-6EU2S 60-69 years, male 11.0
GTEX-15RIE-2326-SM-7KFSC 60-69 years, male 11.0
GTEX-16YQH-0226-SM-6PALD 30-39 years, male 11.0
GTEX-1C6WA-0226-SM-7IGPO 60-69 years, male 11.0
GTEX-OIZH-0226-SM-2YUMH 50-59 years, male 11.0
GTEX-S95S-1326-SM-2XCDK 60-69 years, male 11.0
GTEX-U4B1-1726-SM-3DB9F 40-49 years, male 11.0
GTEX-X261-0226-SM-3NMD2 50-59 years, male 11.0
GTEX-XXEK-2426-SM-4BRUS 50-59 years, male 11.0
GTEX-Y111-0226-SM-4SOIW 50-59 years, male 11.0
GTEX-YJ8A-0526-SM-5IFHT 20-29 years, male 11.0
GTEX-1E2YA-0226-SM-9MQLY 50-59 years, male 11.0
GTEX-1GZ2Q-0326-SM-9WG6N 40-49 years, male 11.0
GTEX-1H1CY-2626-SM-9MQKJ 60-69 years, female 11.0
GTEX-1HCU8-0726-SM-ADEIR 60-69 years, female 11.0
GTEX-1HR98-0226-SM-CGQEK 60-69 years, male 11.0
GTEX-1LSVX-0126-SM-EVYCY 60-69 years, male 11.0
GTEX-111CU-1826-SM-5GZYN 50-59 years, male 10.9
GTEX-11EQ9-2526-SM-5HL66 30-39 years, male 10.9
GTEX-11O72-0226-SM-59869 40-49 years, male 10.9
GTEX-13JVG-0226-SM-5J1MW 60-69 years, male 10.9
GTEX-14BMU-2126-SM-5S2TS 20-29 years, female 10.9
GTEX-QLQW-1226-SM-2S1Q9 30-39 years, male 10.9
GTEX-SNOS-1426-SM-32PLY 40-49 years, male 10.9
GTEX-TMZS-0226-SM-3DB9N 60-69 years, male 10.9
GTEX-ZDXO-2426-SM-5S2NJ 60-69 years, male 10.9
GTEX-1H1DE-2026-SM-9WG6Q 20-29 years, male 10.9
GTEX-1H23P-0226-SM-9YFLO 60-69 years, male 10.9
GTEX-1ICG6-2626-SM-CGQG1 70-79 years, female 10.9
GTEX-1IDJU-2526-SM-CMKGF 60-69 years, female 10.9
GTEX-111VG-2326-SM-5N9BK 60-69 years, male 10.8
GTEX-11P81-2426-SM-5GU65 30-39 years, female 10.8
GTEX-12126-0426-SM-5Q5AP 20-29 years, male 10.8
GTEX-13NYS-0226-SM-5MR49 60-69 years, male 10.8
GTEX-13X6J-0226-SM-7EPGC 50-59 years, male 10.8
GTEX-145MN-2626-SM-5NQAH 30-39 years, male 10.8
GTEX-15DCD-0226-SM-6LPKC 70-79 years, female 10.8
GTEX-17F96-1726-SM-7IGMB 70-79 years, male 10.8
GTEX-18D9U-0726-SM-7LG5J 40-49 years, male 10.8
GTEX-1A8G7-0226-SM-731AS 60-69 years, male 10.8
GTEX-1CB4I-0426-SM-7IGPR 50-59 years, male 10.8
GTEX-OHPM-0226-SM-3LK61 50-59 years, male 10.8
GTEX-QV44-1825-SM-447CF 50-59 years, male 10.8
GTEX-XUZC-1826-SM-4BRVO 30-39 years, female 10.8
GTEX-Y9LG-2026-SM-62LFS 30-39 years, male 10.8
GTEX-1H3VE-0226-SM-9WYST 40-49 years, male 10.8
GTEX-1HGF4-2526-SM-ADEIZ 60-69 years, male 10.8
GTEX-1HSMQ-1426-SM-ADEHT 50-59 years, male 10.8
GTEX-1ICLZ-0226-SM-CKZPP 60-69 years, male 10.8
GTEX-1IL2U-0326-SM-CE6T9 60-69 years, male 10.8
GTEX-1LSNL-0526-SM-DIPFI 50-59 years, male 10.8
GTEX-111FC-0226-SM-5N9B8 60-69 years, male 10.7
GTEX-11ZUS-0726-SM-59886 30-39 years, male 10.7
GTEX-13N2G-2726-SM-5J1MG 60-69 years, male 10.7
GTEX-16GPK-0226-SM-7DUFI 60-69 years, male 10.7
GTEX-YJ89-0226-SM-4TT3Y 60-69 years, male 10.7
GTEX-ZTSS-2026-SM-5987K 40-49 years, male 10.7
GTEX-1CB4G-0326-SM-7SB8R 60-69 years, male 10.7
GTEX-1HCU7-0326-SM-CMKGI 50-59 years, male 10.7
GTEX-1RAZR-0226-SM-EVYC6 40-49 years, male 10.7
GTEX-OIZF-0226-SM-E9TI3 60-69 years, male 10.7
GTEX-11UD1-0226-SM-5EQKL 40-49 years, female 10.6
GTEX-13O3P-0226-SM-5KM3Z 50-59 years, male 10.6
GTEX-13RTJ-2526-SM-5S2Q3 60-69 years, male 10.6
GTEX-14LLW-0226-SM-62LEL 70-79 years, female 10.6
GTEX-R55D-0326-SM-48FES 50-59 years, male 10.6
GTEX-XUW1-0526-SM-4BOP3 50-59 years, female 10.6
GTEX-1HBPM-0326-SM-CMKGR 60-69 years, female 10.6
GTEX-1I19N-0426-SM-ACKVY 70-79 years, male 10.6
GTEX-1PDJ9-0426-SM-E9J3E 20-29 years, male 10.6
GTEX-11EQ8-0226-SM-5EQ5G 60-69 years, male 10.5
GTEX-12ZZY-0326-SM-5LZVQ 60-69 years, male 10.5
GTEX-133LE-1926-SM-5N9FV 20-29 years, female 10.5
GTEX-13PVR-2426-SM-5RQHN 60-69 years, female 10.5
GTEX-18A67-0226-SM-7LG67 50-59 years, male 10.5
GTEX-SUCS-1826-SM-32PM1 70-79 years, male 10.5
GTEX-X15G-2326-SM-4PQZS 50-59 years, female 10.5
GTEX-YJ8O-2426-SM-5HL7S 40-49 years, female 10.5
GTEX-ZTPG-0226-SM-5O99I 20-29 years, female 10.5
GTEX-1F75I-0426-SM-7PC3S 40-49 years, male 10.5
GTEX-1QAET-1126-SM-E8VML 50-59 years, male 10.5
GTEX-ZLWG-2226-SM-DO92V 50-59 years, female 10.5
GTEX-11WQC-2426-SM-5EQKQ 60-69 years, male 10.4
GTEX-13CF2-2626-SM-5LZZA 60-69 years, male 10.4
GTEX-13D11-2326-SM-5IJCY 50-59 years, female 10.4
GTEX-13FTY-0626-SM-5L3F8 40-49 years, female 10.4
GTEX-OXRN-0226-SM-2I5EJ 50-59 years, male 10.4
GTEX-R53T-1626-SM-3GAEW 50-59 years, female 10.4
GTEX-XQ3S-1626-SM-4WAYN 20-29 years, male 10.4
GTEX-ZAK1-0226-SM-5CVMX 50-59 years, female 10.4
GTEX-1GN73-0326-SM-9KNTW 60-69 years, male 10.4
GTEX-1HB9E-0426-SM-CNPPV 50-59 years, male 10.4
GTEX-11EI6-0226-SM-5EQ64 60-69 years, male 10.3
GTEX-13112-2726-SM-5DUW5 50-59 years, male 10.3
GTEX-13O3Q-2326-SM-5KM3G 50-59 years, male 10.3
GTEX-13OVK-2126-SM-6PAN1 40-49 years, male 10.3
GTEX-14BMV-0226-SM-5S2N2 50-59 years, male 10.3
GTEX-YFCO-2026-SM-4W21Q 40-49 years, male 10.3
GTEX-1EH9U-0226-SM-7PBY8 60-69 years, male 10.3
GTEX-1JJE9-1226-SM-CNPOI 70-79 years, male 10.3
GTEX-1PBJI-0426-SM-E8VNM 20-29 years, female 10.3
GTEX-VJWN-0226-SM-EZ6LF 50-59 years, female 10.3
GTEX-139T8-0226-SM-5L3EA 60-69 years, male 10.2
GTEX-18A6Q-0226-SM-718AS 60-69 years, male 10.2
GTEX-R55G-2426-SM-2TC5I 40-49 years, female 10.2
GTEX-SIU8-0226-SM-2XCDS 50-59 years, male 10.2
GTEX-W5X1-2626-SM-4LMI8 40-49 years, female 10.2
GTEX-ZVP2-1826-SM-5GU62 50-59 years, male 10.2
GTEX-ZVZP-2326-SM-59HL4 50-59 years, male 10.2
GTEX-ZYT6-0326-SM-7LG5R 30-39 years, male 10.2
GTEX-1HUB1-0326-SM-A9SKQ 60-69 years, male 10.2
GTEX-1S5ZU-0226-SM-E6CHW 20-29 years, female 10.2
GTEX-12ZZX-0226-SM-5DUXU 40-49 years, female 10.1
GTEX-13NZ8-0926-SM-5MR3U 60-69 years, female 10.1
GTEX-13NZB-2426-SM-5K7UF 30-39 years, male 10.1
GTEX-13OVL-0326-SM-5IJCS 50-59 years, male 10.1
GTEX-13OW7-0226-SM-5MR3N 50-59 years, male 10.1
GTEX-13VXU-0226-SM-5SI9R 50-59 years, male 10.1
GTEX-146FR-1826-SM-5QGPF 60-69 years, female 10.1
GTEX-14AS3-2026-SM-5TDD9 40-49 years, female 10.1
GTEX-OOBJ-0226-SM-2YUMM 60-69 years, male 10.1
GTEX-T5JC-0526-SM-32PM7 20-29 years, male 10.1
GTEX-X88G-0226-SM-4GIE4 30-39 years, male 10.1
GTEX-Y8E5-0226-SM-57WCM 60-69 years, male 10.1
GTEX-YFC4-0226-SM-57WD2 40-49 years, female 10.1
GTEX-ZP4G-2326-SM-57WEM 20-29 years, female 10.1
GTEX-11DXX-2326-SM-9YFKS 60-69 years, female 10.1
GTEX-1M5QR-2126-SM-DKPQM 40-49 years, male 10.1
GTEX-1RDX4-0226-SM-DTXG1 50-59 years, female 10.1
GTEX-11ZTS-0226-SM-5EQKD 60-69 years, female 10.0
GTEX-13N11-2626-SM-5K7UQ 50-59 years, female 10.0
GTEX-15UKP-0526-SM-7KFRO 20-29 years, male 10.0
GTEX-1B933-0526-SM-7EPHM 50-59 years, female 10.0
GTEX-1E1VI-0226-SM-793CZ 50-59 years, male 10.0
GTEX-U412-0526-SM-3DB9I 60-69 years, male 10.0
GTEX-Y8E4-0726-SM-4WWFN 40-49 years, male 10.0
GTEX-1I6K7-0226-SM-CJI46 40-49 years, male 10.0
GTEX-1PIGE-0526-SM-DTXFA 20-29 years, male 10.0
GTEX-11ZVC-2626-SM-5FQTA 50-59 years, female 9.9
GTEX-144GL-0226-SM-5QGOX 50-59 years, male 9.9
GTEX-1497J-2326-SM-5NQBK 60-69 years, male 9.9
GTEX-17F97-0426-SM-7LT9U 50-59 years, male 9.9
GTEX-1GF9X-1926-SM-ADEIC 40-49 years, female 9.9
GTEX-1J8QM-2326-SM-CYPSL 60-69 years, female 9.9
GTEX-1JK1U-2126-SM-CNPOU 60-69 years, male 9.9
GTEX-11I78-2626-SM-5Q5AI 50-59 years, female 9.8
GTEX-16NGA-1826-SM-7LG5L 40-49 years, female 9.8
GTEX-17EUY-0526-SM-7EWDE 20-29 years, male 9.8
GTEX-1BAJH-0426-SM-73KWY 70-79 years, male 9.8
GTEX-XBEW-0726-SM-4QARX 40-49 years, male 9.8
GTEX-1GMR8-0226-SM-9YFL3 50-59 years, female 9.8
GTEX-1MA7W-1926-SM-E6CIO 20-29 years, female 9.8
GTEX-1R7EU-0326-SM-EWRNJ 60-69 years, male 9.8
GTEX-113IC-0226-SM-5HL5C 60-69 years, male 9.7
GTEX-11OF3-2426-SM-5Q5AS 60-69 years, male 9.7
GTEX-1212Z-2426-SM-5EQ5D 60-69 years, male 9.7
GTEX-N7MS-0326-SM-4E3K2 60-69 years, male 9.7
GTEX-OXRO-0226-SM-3LK6F 60-69 years, female 9.7
GTEX-YECK-0226-SM-4W215 60-69 years, male 9.7
GTEX-1J8JJ-0326-SM-CMKG6 60-69 years, female 9.7
GTEX-1L5NE-2626-SM-E9U6P 50-59 years, male 9.7
GTEX-13PDP-0226-SM-5K7W9 60-69 years, male 9.6
GTEX-145MG-0126-SM-5TDDA 50-59 years, male 9.6
GTEX-YF7O-2426-SM-5IFJL 50-59 years, male 9.6
GTEX-ZV68-0226-SM-59HJF 50-59 years, female 9.6
GTEX-1GTWX-0226-SM-9YFLL 60-69 years, male 9.6
GTEX-1ICLY-0226-SM-ARL7R 50-59 years, male 9.6
GTEX-1QP67-1726-SM-E8VOP 40-49 years, female 9.6
GTEX-12584-0226-SM-5EQL5 40-49 years, male 9.5
GTEX-ZF3C-0226-SM-4WWB3 50-59 years, female 9.5
GTEX-1GZ4H-1826-SM-9MQLE 50-59 years, female 9.5
GTEX-1QEPI-0226-SM-EWRMR 60-69 years, female 9.5
GTEX-11EMC-2826-SM-5PNY6 60-69 years, female 9.4
GTEX-11ZU8-2426-SM-5EQMV 60-69 years, male 9.4
GTEX-13SLX-0426-SM-5QGRC 50-59 years, female 9.4
GTEX-ZDTS-0226-SM-5HL7Q 60-69 years, male 9.4
GTEX-ZPU1-2426-SM-4WWFM 40-49 years, male 9.4
GTEX-1K9T9-0226-SM-E9U6K 50-59 years, female 9.4
GTEX-QEG4-0326-SM-DIPE3 30-39 years, male 9.4
GTEX-18465-0226-SM-7LG5M 50-59 years, male 9.3
GTEX-OXRK-0326-SM-3NB3R 50-59 years, female 9.3
GTEX-1HFI6-0326-SM-ADEI5 40-49 years, male 9.3
GTEX-1JJ6O-0226-SM-E6CI9 60-69 years, male 9.3
GTEX-1LVAO-0226-SM-E9U6O 60-69 years, male 9.3
GTEX-1MA7X-2126-SM-E6CIX 60-69 years, male 9.3
GTEX-1N2DW-0326-SM-E9TK3 50-59 years, male 9.3
GTEX-11ONC-2526-SM-5986W 60-69 years, male 9.2
GTEX-11P82-1726-SM-5Q5AT 20-29 years, male 9.2
GTEX-13111-1726-SM-5EGJZ 50-59 years, male 9.2
GTEX-WI4N-1126-SM-3LK7Q 40-49 years, female 9.2
GTEX-X638-0226-SM-47JZ9 70-79 years, female 9.2
GTEX-XQ8I-0526-SM-4BOPS 50-59 years, male 9.2
GTEX-1F6RS-0226-SM-9MQKO 60-69 years, female 9.2
GTEX-1IE54-0226-SM-CMKHX 40-49 years, female 9.2
GTEX-1QP29-0726-SM-DTXFM 50-59 years, male 9.2
GTEX-14753-0326-SM-5QGQB 60-69 years, male 9.1
GTEX-OOBK-0226-SM-2YUMF 40-49 years, male 9.1
GTEX-Z9EW-1826-SM-5CVMA 40-49 years, male 9.1
GTEX-ZC5H-0126-SM-4WAYL 40-49 years, female 9.1
GTEX-1HBPH-0526-SM-9YFMN 40-49 years, female 9.1
GTEX-1JJEA-0226-SM-COH2X 60-69 years, male 9.1
GTEX-1KD5A-0326-SM-D5OVD 50-59 years, male 9.1
GTEX-1LVA9-0226-SM-E9U5N 50-59 years, male 9.1
GTEX-1IDFM-0226-SM-CMKFX 60-69 years, male 9.0
GTEX-1QP9N-1526-SM-DTXFK 30-39 years, male 9.0
GTEX-145LS-0226-SM-5O9A5 60-69 years, female 8.9
GTEX-XK95-0426-SM-4AT4R 40-49 years, male 8.9
GTEX-XMD2-0226-SM-4WWEE 60-69 years, female 8.9
GTEX-1S82P-0226-SM-E6CI6 60-69 years, female 8.9
GTEX-132QS-2526-SM-62LFJ 60-69 years, male 8.7
GTEX-ZYFD-0226-SM-5NQ86 50-59 years, male 8.7
GTEX-1QP66-1326-SM-DTXDQ 50-59 years, male 8.7
GTEX-145LT-1826-SM-5QGP4 40-49 years, male 8.6
GTEX-ZE7O-0226-SM-5S2N1 50-59 years, female 8.6
GTEX-13NZ9-0526-SM-5J1OX 50-59 years, male 8.5
GTEX-13NYB-2626-SM-9YFMI 40-49 years, male 8.5
GTEX-1GMR3-2026-SM-9MQLG 40-49 years, male 8.5
GTEX-1LBAC-0226-SM-DHXJZ 20-29 years, male 8.5
GTEX-1MJK2-0526-SM-DTXE6 50-59 years, male 8.5
GTEX-139YR-2426-SM-5J1OB 50-59 years, male 8.3
GTEX-183WM-0226-SM-7LT8T 70-79 years, female 8.3
GTEX-UTHO-0426-SM-CE6QU 60-69 years, male 8.2
GTEX-139T4-0126-SM-5HL5G 50-59 years, female 8.1
GTEX-16AAH-2026-SM-7LG5F 50-59 years, male 8.1
GTEX-NPJ8-0226-SM-48TBN 40-49 years, male 8.1
GTEX-1C6VR-2626-SM-7MGX2 60-69 years, male 8.1
GTEX-1I1GQ-0226-SM-COH3I 50-59 years, male 8.1
GTEX-1399T-2726-SM-5K7XK 60-69 years, male 8.0
GTEX-Y5V5-2426-SM-5IFJA 60-69 years, female 8.0
GTEX-ZE9C-2826-SM-5S2MO 60-69 years, male 8.0
GTEX-13OW6-0526-SM-5L3HY 50-59 years, male 7.9
GTEX-1KWVE-1326-SM-E6CJ1 30-39 years, male 7.9
GTEX-POMQ-2326-SM-DHXIS 20-29 years, female 7.9
GTEX-147GR-0426-SM-5S2OL 60-69 years, male 7.8
GTEX-Y5V6-2526-SM-5IFJV 60-69 years, male 7.7
GTEX-1GN2E-0326-SM-COH3C 60-69 years, male 7.6
GTEX-1LSNM-2026-SM-E6CIJ 50-59 years, male 7.6
GTEX-1399U-2426-SM-5K7XB 50-59 years, female 7.5
GTEX-XYKS-2726-SM-4E3IC 60-69 years, female 7.4
GTEX-1GN1V-0226-SM-9WYTN 60-69 years, male 7.4
GTEX-1RQEC-0526-SM-E6CHV 60-69 years, male 7.0
GTEX-17KNJ-2226-SM-DKPOU 50-59 years, male 6.9
GTEX-13G51-2626-SM-5LZYW 60-69 years, male 6.4
GTEX-1IL2V-0226-SM-CMKI2 70-79 years, male 6.4
GTEX-1PPGY-0326-SM-DTXFD 60-69 years, male 6.0
GTEX-14E1K-2126-SM-793DU 50-59 years, male 5.2
Show allShow less
Adipose - Visceral (Omentum)
Average nTPM: 10.3
Samples: 541

Max nTPM: 19.1
Min nTPM: 1.7
Std nTPM: 1.9
Median nTPM: 10.2
GTEX-UPK5-1826-SM-3GAEB 40-49 years, male 19.1
GTEX-WFJO-1026-SM-3GIKL 30-39 years, male 16.6
GTEX-13FHO-2026-SM-5J1OA 60-69 years, male 16.3
GTEX-1A3MX-0826-SM-72D64 60-69 years, male 16.2
GTEX-1A3MV-0626-SM-731CH 30-39 years, male 16.0
GTEX-12WSF-1526-SM-6PAN6 70-79 years, male 15.8
GTEX-1B996-1226-SM-73KWZ 60-69 years, male 15.7
GTEX-Y5LM-0826-SM-4VDSW 40-49 years, female 15.5
GTEX-13PVQ-2226-SM-5L3G9 50-59 years, male 15.3
GTEX-13OVJ-0926-SM-5K7U1 50-59 years, female 15.2
GTEX-1N2EF-0926-SM-E8VNW 60-69 years, male 15.1
GTEX-1CB4F-1126-SM-79OLG 60-69 years, male 15.0
GTEX-1KXAM-0526-SM-DKPQN 60-69 years, male 14.8
GTEX-1B8KE-0826-SM-72D6S 50-59 years, male 14.6
GTEX-1C6VQ-1526-SM-73KU9 50-59 years, male 14.6
GTEX-XAJ8-0226-SM-4GIB2 40-49 years, male 14.6
GTEX-17HHE-1526-SM-793AS 50-59 years, male 14.5
GTEX-1HSGN-1926-SM-CMKGS 40-49 years, female 14.5
GTEX-1A32A-0926-SM-718AB 50-59 years, female 14.3
GTEX-1AX9K-0926-SM-7939G 50-59 years, male 14.2
GTEX-WY7C-0926-SM-3NB34 50-59 years, male 14.2
GTEX-11P7K-0826-SM-5BC5F 30-39 years, male 14.0
GTEX-1GTWX-1526-SM-9MQLF 60-69 years, male 14.0
GTEX-ZV7C-0826-SM-59HK8 50-59 years, male 13.6
GTEX-1I6K6-1526-SM-CGQFC 30-39 years, male 13.6
GTEX-1IDJD-0926-SM-ACKWW 30-39 years, male 13.6
GTEX-15EOM-2326-SM-7KUMV 20-29 years, female 13.5
GTEX-1CAMR-0326-SM-793AH 20-29 years, male 13.5
GTEX-12WSL-1126-SM-5CVNK 50-59 years, male 13.4
GTEX-131XG-0126-SM-5K7UJ 50-59 years, female 13.4
GTEX-13FH7-1926-SM-5J2OL 50-59 years, female 13.4
GTEX-WXYG-0926-SM-3NB2O 50-59 years, female 13.4
GTEX-17F98-0326-SM-7DHLH 40-49 years, female 13.3
GTEX-1AMFI-1026-SM-73KYM 50-59 years, female 13.3
GTEX-XBED-1326-SM-4AT4F 60-69 years, male 13.3
GTEX-1IDJF-1726-SM-A9SLL 20-29 years, male 13.3
GTEX-1JMPY-0326-SM-CM2S2 30-39 years, male 13.3
GTEX-145ME-0726-SM-5O9A3 40-49 years, female 13.2
GTEX-1EKGG-1426-SM-7PBY2 60-69 years, male 13.2
GTEX-1I1GP-1426-SM-ACKVZ 50-59 years, male 13.2
GTEX-1J8Q2-2226-SM-CM2TZ 60-69 years, male 13.2
GTEX-12WSG-0426-SM-5FQSE 50-59 years, female 13.1
GTEX-W5X1-1426-SM-3GIKH 40-49 years, female 13.1
GTEX-14ICK-1726-SM-6AJA5 40-49 years, male 13.0
GTEX-17MF6-1326-SM-79ONE 40-49 years, male 13.0
GTEX-1B8KZ-1026-SM-73KYN 50-59 years, male 13.0
GTEX-ZPU1-1226-SM-5HL71 40-49 years, male 13.0
GTEX-1CAMS-0926-SM-7SB7F 40-49 years, female 13.0
GTEX-18A66-1926-SM-7LTAG 60-69 years, male 12.9
GTEX-VUSG-1426-SM-3GIJN 50-59 years, male 12.9
GTEX-1GN1W-1226-SM-9MQLW 50-59 years, female 12.9
GTEX-1IDJC-0226-SM-CMKG2 50-59 years, male 12.9
GTEX-1IKK5-0826-SM-ACKWN 60-69 years, male 12.9
GTEX-1NV5F-2526-SM-EXUSK 60-69 years, female 12.9
GTEX-139YR-0326-SM-5J1MC 50-59 years, male 12.8
GTEX-144GM-0626-SM-79OKY 20-29 years, male 12.8
GTEX-14BMV-1626-SM-73KVQ 50-59 years, male 12.8
GTEX-1HCU6-1626-SM-CMKGW 60-69 years, female 12.8
GTEX-1K2DA-1126-SM-CGQGG 50-59 years, male 12.8
GTEX-1S3DN-1626-SM-EVYCC 50-59 years, male 12.8
GTEX-1EN7A-1626-SM-79OLV 40-49 years, male 12.7
GTEX-ZDYS-2226-SM-5S2MI 50-59 years, male 12.7
GTEX-1QPFJ-2126-SM-EXOJV 30-39 years, female 12.7
GTEX-ZF29-0826-SM-5S2O2 60-69 years, female 12.7
GTEX-117YX-0726-SM-5GIET 50-59 years, male 12.6
GTEX-18D9U-0426-SM-731AN 40-49 years, male 12.6
GTEX-ZT9X-0926-SM-5O9C4 40-49 years, male 12.6
GTEX-1GF9W-1026-SM-7SB8X 60-69 years, male 12.6
GTEX-1I1GU-0626-SM-CMKHR 40-49 years, male 12.6
GTEX-1MUQO-0826-SM-EVYCZ 60-69 years, male 12.6
GTEX-1CB4E-0826-SM-793CS 60-69 years, male 12.5
GTEX-WFON-1226-SM-3TW8F 40-49 years, male 12.5
GTEX-ZP4G-1326-SM-5EGIW 20-29 years, female 12.5
GTEX-12696-1826-SM-5EGJS 60-69 years, male 12.4
GTEX-13O21-3126-SM-5J1OI 50-59 years, male 12.4
GTEX-14E6C-1226-SM-5ZZUN 40-49 years, male 12.4
GTEX-1EU9M-1126-SM-793DE 60-69 years, male 12.4
GTEX-X3Y1-0926-SM-3P5YT 40-49 years, male 12.4
GTEX-1F75I-1026-SM-7SB8B 40-49 years, male 12.4
GTEX-13N11-1826-SM-5IJDS 50-59 years, female 12.3
GTEX-14PJ4-0126-SM-62LEZ 60-69 years, male 12.3
GTEX-16XZZ-1626-SM-7KUEC 60-69 years, male 12.3
GTEX-1AX9J-2226-SM-731CW 60-69 years, male 12.3
GTEX-Z9EW-0826-SM-5HL9T 40-49 years, male 12.3
GTEX-1C475-0326-SM-7SB8O 40-49 years, female 12.3
GTEX-1GZ4H-0926-SM-9WG6Y 50-59 years, female 12.3
GTEX-1H1DE-0826-SM-ARU8V 20-29 years, male 12.3
GTEX-1QMI2-1626-SM-EYYXK 60-69 years, male 12.3
GTEX-111YS-1326-SM-5EGGK 60-69 years, male 12.2
GTEX-14E6E-0226-SM-7DUEF 30-39 years, male 12.2
GTEX-16MTA-1326-SM-6PALX 50-59 years, male 12.2
GTEX-1GN73-0626-SM-7PC3I 60-69 years, male 12.2
GTEX-ZYW4-2226-SM-5GZYG 60-69 years, male 12.1
GTEX-11TT1-1926-SM-5PNYN 20-29 years, male 12.0
GTEX-13QBU-1326-SM-5LU4K 40-49 years, female 12.0
GTEX-14ICL-0926-SM-5S2TU 30-39 years, male 12.0
GTEX-ZYFG-1426-SM-5GICS 60-69 years, female 12.0
GTEX-1JKYN-0526-SM-CGQG3 30-39 years, male 12.0
GTEX-13CF3-1126-SM-5LZXB 60-69 years, female 11.9
GTEX-15DZA-0626-SM-6PANC 30-39 years, female 11.9
GTEX-183FY-1226-SM-7DHLK 20-29 years, male 11.9
GTEX-ZZPU-0326-SM-5N9BJ 50-59 years, female 11.9
GTEX-1B97J-1126-SM-7SB79 50-59 years, female 11.9
GTEX-1LGRB-0526-SM-COH3A 50-59 years, female 11.9
GTEX-12BJ1-0826-SM-5EQ5P 60-69 years, male 11.8
GTEX-ZT9W-1026-SM-57WG5 50-59 years, male 11.8
GTEX-1H1ZS-1326-SM-9WG74 70-79 years, male 11.8
GTEX-1211K-1226-SM-5EQ4N 60-69 years, female 11.7
GTEX-13111-0626-SM-5LZVR 50-59 years, male 11.7
GTEX-13O3P-0926-SM-5IFFI 50-59 years, male 11.7
GTEX-13X6I-1526-SM-5SIAC 60-69 years, male 11.7
GTEX-14E1K-0426-SM-5S2PF 50-59 years, male 11.7
GTEX-17HGU-1726-SM-79OKM 50-59 years, male 11.7
GTEX-1GL5R-0726-SM-9MQL5 50-59 years, male 11.7
GTEX-1H1DG-2026-SM-9QEIV 70-79 years, male 11.7
GTEX-1HCUA-0926-SM-ADEIX 50-59 years, female 11.7
GTEX-1PFEY-0726-SM-E76PO 30-39 years, male 11.7
GTEX-131XE-2026-SM-5LZW1 50-59 years, male 11.6
GTEX-13O61-1926-SM-5KM1R 60-69 years, male 11.6
GTEX-WHWD-0826-SM-3LK6R 50-59 years, male 11.6
GTEX-1JN76-1026-SM-ARZNI 20-29 years, female 11.6
GTEX-11DXZ-1426-SM-5H12A 50-59 years, male 11.5
GTEX-14PJ5-0426-SM-5ZZW2 60-69 years, female 11.5
GTEX-14PJM-1226-SM-686Z7 50-59 years, female 11.5
GTEX-15RIE-0126-SM-7KUF8 60-69 years, male 11.5
GTEX-WYJK-1426-SM-3NM8V 50-59 years, male 11.5
GTEX-XXEK-1426-SM-4BRW1 50-59 years, male 11.5
GTEX-ZDTT-0526-SM-5HL4M 60-69 years, male 11.5
GTEX-ZXES-0926-SM-5E43O 30-39 years, female 11.5
GTEX-14C5O-0926-SM-793DM 60-69 years, male 11.4
GTEX-14PHY-1026-SM-62LEV 60-69 years, female 11.4
GTEX-15EU6-1726-SM-6M48H 50-59 years, male 11.4
GTEX-18465-1826-SM-731BB 50-59 years, male 11.4
GTEX-WRHK-0826-SM-3MJFG 20-29 years, female 11.4
GTEX-1F48J-1826-SM-7SB8T 50-59 years, female 11.4
GTEX-1H23P-1726-SM-A9SMN 60-69 years, male 11.4
GTEX-1HC8U-0926-SM-A9G3L 40-49 years, female 11.4
GTEX-1HFI7-0726-SM-ACKVN 50-59 years, female 11.4
GTEX-1HSMQ-1026-SM-ADEHU 50-59 years, male 11.4
GTEX-1JMQK-1326-SM-CNPOR 60-69 years, male 11.4
GTEX-1OJC3-1326-SM-E9J3D 20-29 years, male 11.4
GTEX-131XF-0726-SM-5GIE5 60-69 years, male 11.3
GTEX-1339X-0726-SM-5L3FF 40-49 years, male 11.3
GTEX-17F96-0726-SM-793CB 70-79 years, male 11.3
GTEX-17GQL-0826-SM-731AM 60-69 years, male 11.3
GTEX-18A7B-1226-SM-718AU 70-79 years, male 11.3
GTEX-1HB9E-0526-SM-ARZNM 50-59 years, male 11.3
GTEX-1IKOE-1726-SM-CNNQ6 30-39 years, female 11.3
GTEX-11LCK-0326-SM-5A5M7 30-39 years, male 11.2
GTEX-13D11-0526-SM-5LZYM 50-59 years, female 11.2
GTEX-13N1W-1226-SM-5K7UM 70-79 years, male 11.2
GTEX-14BMU-0626-SM-73KZ6 20-29 years, female 11.2
GTEX-1AYCT-1126-SM-79OO8 50-59 years, male 11.2
GTEX-XYKS-1826-SM-4E3JV 60-69 years, female 11.2
GTEX-Y8LW-0926-SM-4VBQ8 50-59 years, female 11.2
GTEX-ZAB5-1126-SM-5Q5AD 50-59 years, male 11.2
GTEX-ZEX8-1226-SM-5S2OK 50-59 years, male 11.2
GTEX-1IDJU-0926-SM-ARL88 60-69 years, female 11.2
GTEX-1JKYR-1226-SM-CM2S7 20-29 years, male 11.2
GTEX-1KD5A-1326-SM-CYPTB 50-59 years, male 11.2
GTEX-YJ8A-1926-SM-EZ6LQ 20-29 years, male 11.2
GTEX-12ZZW-2326-SM-5DUW2 50-59 years, male 11.1
GTEX-14JG6-0526-SM-6LLIH 30-39 years, female 11.1
GTEX-14PKU-0226-SM-6EU16 40-49 years, female 11.1
GTEX-18A67-1326-SM-7LT8V 50-59 years, male 11.1
GTEX-1AMEY-0526-SM-72D62 30-39 years, female 11.1
GTEX-ZVT2-0226-SM-5GIE3 50-59 years, female 11.1
GTEX-1GF9X-0926-SM-7PC2X 40-49 years, female 11.1
GTEX-1KAFJ-0826-SM-CYPTF 50-59 years, male 11.1
GTEX-1QP9N-0426-SM-DTXFT 30-39 years, male 11.1
GTEX-132Q8-1726-SM-5EGK8 60-69 years, male 11.0
GTEX-14AS3-0426-SM-5QGQK 40-49 years, female 11.0
GTEX-16NPX-1026-SM-6PAM7 50-59 years, male 11.0
GTEX-UTHO-1826-SM-3GAFE 60-69 years, male 11.0
GTEX-WEY5-1326-SM-3GILS 40-49 years, female 11.0
GTEX-XUZC-1126-SM-4BOPZ 30-39 years, female 11.0
GTEX-ZPCL-1026-SM-5GCOX 60-69 years, female 11.0
GTEX-1EMGI-0726-SM-7PBZ4 60-69 years, male 11.0
GTEX-1GMR2-0226-SM-9JGHO 50-59 years, male 11.0
GTEX-1IDJI-0926-SM-ACKWZ 50-59 years, female 11.0
GTEX-1QP67-1126-SM-EAZ4C 40-49 years, female 11.0
GTEX-1RLM8-1026-SM-EWROE 50-59 years, male 11.0
GTEX-1RMOY-0826-SM-E9TIF 50-59 years, male 11.0
GTEX-11DYG-2026-SM-5EGGX 60-69 years, male 10.9
GTEX-145MI-0826-SM-5SI95 60-69 years, female 10.9
GTEX-ZLV1-0926-SM-5S2MR 60-69 years, female 10.9
GTEX-ZTSS-1026-SM-5985N 40-49 years, male 10.9
GTEX-1122O-0926-SM-9YFLC 60-69 years, female 10.9
GTEX-1F5PL-1326-SM-7SB83 40-49 years, female 10.9
GTEX-1J8EW-1526-SM-CMKFZ 60-69 years, female 10.9
GTEX-1KANA-1426-SM-CY8IF 20-29 years, male 10.9
GTEX-1LH75-1026-SM-EWROK 50-59 years, female 10.9
GTEX-11DXY-0326-SM-5H12F 60-69 years, male 10.8
GTEX-11OF3-0826-SM-5BC51 60-69 years, male 10.8
GTEX-13S86-0926-SM-5SI6I 40-49 years, male 10.8
GTEX-146FH-2026-SM-5SI9I 50-59 years, female 10.8
GTEX-ZF2S-1526-SM-5S2OO 50-59 years, female 10.8
GTEX-ZTPG-2326-SM-57WFL 20-29 years, female 10.8
GTEX-ZV6S-1626-SM-5NQ81 40-49 years, female 10.8
GTEX-1CAMQ-1226-SM-7SB7E 40-49 years, male 10.8
GTEX-1F6I4-2126-SM-7PC2J 60-69 years, male 10.8
GTEX-1GZ4I-2326-SM-9YFMO 50-59 years, male 10.8
GTEX-1R7EV-1026-SM-DTX81 40-49 years, male 10.8
GTEX-11ZTS-1326-SM-5EQMA 60-69 years, female 10.7
GTEX-13W46-1226-SM-5SIAS 50-59 years, male 10.7
GTEX-144GN-0726-SM-5O98O 50-59 years, male 10.7
GTEX-1B8SG-1426-SM-7EWEM 50-59 years, male 10.7
GTEX-1C6VS-1826-SM-73KXN 60-69 years, male 10.7
GTEX-XMK1-0926-SM-4B66X 40-49 years, male 10.7
GTEX-ZA64-0926-SM-5HL7H 20-29 years, male 10.7
GTEX-1F52S-1326-SM-7SB6Q 60-69 years, female 10.7
GTEX-1HKZK-1726-SM-ADEJ9 40-49 years, male 10.7
GTEX-1OFPY-0826-SM-DTX8P 60-69 years, male 10.7
GTEX-111CU-1026-SM-5EGIL 50-59 years, male 10.6
GTEX-11P81-0726-SM-5PNYH 30-39 years, female 10.6
GTEX-12WSK-1026-SM-5CVNR 40-49 years, female 10.6
GTEX-12WSM-0626-SM-5GCOK 60-69 years, male 10.6
GTEX-13U4I-1726-SM-5J1MF 40-49 years, female 10.6
GTEX-1445S-2426-SM-79ON2 60-69 years, male 10.6
GTEX-14C39-0826-SM-5TDDU 40-49 years, male 10.6
GTEX-178AV-0626-SM-6PAM1 40-49 years, male 10.6
GTEX-WHPG-0626-SM-3NMBD 50-59 years, male 10.6
GTEX-Y8E4-1226-SM-5IFIM 40-49 years, male 10.6
GTEX-1H3VE-1926-SM-9YFL4 40-49 years, male 10.6
GTEX-1HSMP-1126-SM-B2LXJ 70-79 years, male 10.6
GTEX-1I1CD-1026-SM-COH3G 60-69 years, female 10.6
GTEX-12C56-0826-SM-5EGJ5 20-29 years, male 10.5
GTEX-14PHW-1626-SM-6EU2H 60-69 years, female 10.5
GTEX-1B8SF-1726-SM-73KZ5 60-69 years, male 10.5
GTEX-WOFM-0726-SM-3MJF8 20-29 years, male 10.5
GTEX-Y114-1326-SM-4TT9A 50-59 years, female 10.5
GTEX-ZG7Y-1626-SM-5S2NO 50-59 years, male 10.5
GTEX-ZVZP-1126-SM-5GICU 50-59 years, male 10.5
GTEX-1HGF4-0226-SM-CNNQL 60-69 years, male 10.5
GTEX-1I1GS-0926-SM-A9SL5 60-69 years, male 10.5
GTEX-1J1R8-0526-SM-ACKWO 40-49 years, male 10.5
GTEX-1LGOU-0826-SM-DHXKL 20-29 years, female 10.5
GTEX-1LKK1-1526-SM-EVYCO 50-59 years, female 10.5
GTEX-1RAZA-0926-SM-E6CQ8 20-29 years, male 10.5
GTEX-11EQ9-1126-SM-5987I 30-39 years, male 10.4
GTEX-13JUV-0626-SM-5J1MQ 40-49 years, female 10.4
GTEX-13OVK-0326-SM-7KUEJ 40-49 years, male 10.4
GTEX-16NGA-0526-SM-731AJ 40-49 years, female 10.4
GTEX-17EVP-1426-SM-79OMN 40-49 years, male 10.4
GTEX-18QFQ-1326-SM-731CF 30-39 years, male 10.4
GTEX-1B97I-0526-SM-73KXE 40-49 years, male 10.4
GTEX-U8XE-1926-SM-3DB98 30-39 years, male 10.4
GTEX-XGQ4-1026-SM-4AT4L 50-59 years, male 10.4
GTEX-YFCO-1126-SM-5S2N9 40-49 years, male 10.4
GTEX-ZGAY-1326-SM-5S2NS 40-49 years, female 10.4
GTEX-1GMRU-0726-SM-7PBZH 50-59 years, male 10.4
GTEX-1LSNM-0626-SM-DIPG7 50-59 years, male 10.4
GTEX-VJYA-1626-SM-EXOHL 60-69 years, male 10.4
GTEX-1128S-0926-SM-5GZZU 60-69 years, female 10.3
GTEX-113JC-0726-SM-5GZZR 50-59 years, female 10.3
GTEX-13OW6-2426-SM-5K7WO 50-59 years, male 10.3
GTEX-18D9B-1726-SM-7LTAP 60-69 years, male 10.3
GTEX-ZPIC-0726-SM-57WFM 40-49 years, female 10.3
GTEX-1399U-2026-SM-9WPNN 50-59 years, female 10.3
GTEX-1HSEH-1326-SM-ADEI1 60-69 years, male 10.3
GTEX-1I1GT-1326-SM-ACKWB 60-69 years, female 10.3
GTEX-1LSVX-1326-SM-DIPET 60-69 years, male 10.3
GTEX-XPVG-1626-SM-EYYVK 50-59 years, male 10.3
GTEX-Y3I4-0726-SM-E9J3Y 50-59 years, male 10.3
GTEX-13W3W-1126-SM-5L3DO 60-69 years, female 10.2
GTEX-14DAR-0426-SM-664MW 50-59 years, male 10.2
GTEX-ZDTS-1826-SM-5S2N6 60-69 years, male 10.2
GTEX-1H2FU-1426-SM-9WPO6 60-69 years, female 10.2
GTEX-1ICLY-1426-SM-CJI48 50-59 years, male 10.2
GTEX-1K9T9-1626-SM-DIPFS 50-59 years, female 10.2
GTEX-1LBAC-1026-SM-CXKYA 20-29 years, male 10.2
GTEX-1S82P-0926-SM-EWRNP 60-69 years, female 10.2
GTEX-145LV-1026-SM-5O9AE 50-59 years, male 10.1
GTEX-15SHU-2326-SM-7KUMC 40-49 years, female 10.1
GTEX-17MFQ-1126-SM-7LT9O 20-29 years, male 10.1
GTEX-1B932-1726-SM-793A5 40-49 years, female 10.1
GTEX-1EH9U-1326-SM-79OM3 60-69 years, male 10.1
GTEX-1JJ6O-2826-SM-CNNP7 60-69 years, male 10.1
GTEX-1MJK3-0626-SM-E6CJB 20-29 years, male 10.1
GTEX-11NV4-1426-SM-5BC4W 60-69 years, male 10.0
GTEX-145LU-1226-SM-5LU9B 50-59 years, male 10.0
GTEX-15D1Q-1326-SM-69LOA 40-49 years, male 10.0
GTEX-15ER7-1026-SM-7KUMD 20-29 years, female 10.0
GTEX-XV7Q-1726-SM-4BRUU 40-49 years, female 10.0
GTEX-ZXG5-1626-SM-59HJK 60-69 years, male 10.0
GTEX-1GPI7-0826-SM-9JGG7 20-29 years, male 10.0
GTEX-1KANB-2426-SM-EV7BE 50-59 years, male 10.0
GTEX-1O9I2-1326-SM-E6CQD 50-59 years, male 10.0
GTEX-139T6-0526-SM-5IJC9 50-59 years, male 9.9
GTEX-13N2G-1926-SM-5J1O3 60-69 years, male 9.9
GTEX-14PHX-1626-SM-69LQB 50-59 years, male 9.9
GTEX-15DYW-1526-SM-7KUEP 60-69 years, female 9.9
GTEX-17EVQ-0626-SM-7KFTB 70-79 years, male 9.9
GTEX-ZE9C-1326-SM-5S2OW 60-69 years, male 9.9
GTEX-ZVP2-0226-SM-57WBD 50-59 years, male 9.9
GTEX-ZYFC-1826-SM-5GZZA 50-59 years, male 9.9
GTEX-1A8FM-2126-SM-7PC27 50-59 years, female 9.9
GTEX-1B8L1-0126-SM-9KNVS 60-69 years, male 9.9
GTEX-1LG7Z-0226-SM-E6CIG 30-39 years, male 9.9
GTEX-1OKEX-0926-SM-E8VNJ 60-69 years, male 9.9
GTEX-1QP66-0626-SM-E76PD 50-59 years, male 9.9
GTEX-11GS4-1026-SM-5N9DE 60-69 years, male 9.8
GTEX-13PL7-1226-SM-5SIAR 60-69 years, female 9.8
GTEX-145LT-1526-SM-5O98P 40-49 years, male 9.8
GTEX-17KNJ-0426-SM-718AK 50-59 years, male 9.8
GTEX-18A6Q-1026-SM-7LT9S 60-69 years, male 9.8
GTEX-1AX8Z-1626-SM-73KWD 60-69 years, male 9.8
GTEX-WH7G-1126-SM-3NMBK 40-49 years, male 9.8
GTEX-WYVS-0626-SM-4SOJY 40-49 years, female 9.8
GTEX-1I6K7-1826-SM-CGQFO 40-49 years, male 9.8
GTEX-1IE54-1426-SM-CL53C 40-49 years, female 9.8
GTEX-1JMLX-1026-SM-D3L8U 50-59 years, male 9.8
GTEX-1KD4Q-1426-SM-D4P3K 40-49 years, male 9.8
GTEX-1LVAO-2126-SM-DIPGA 60-69 years, male 9.8
GTEX-1MCC2-0626-SM-DKPQI 30-39 years, female 9.8
GTEX-1PBJI-1326-SM-E9J2V 20-29 years, female 9.8
GTEX-1QP28-0926-SM-EVR4D 50-59 years, female 9.8
GTEX-1QW4Y-0826-SM-DTXE1 30-39 years, male 9.8
GTEX-1117F-1326-SM-5EGHH 60-69 years, female 9.7
GTEX-117YW-0826-SM-5H11O 50-59 years, male 9.7
GTEX-11XUK-1726-SM-5GU61 40-49 years, female 9.7
GTEX-131XH-0826-SM-5GCN8 50-59 years, male 9.7
GTEX-132NY-1126-SM-5PNVE 60-69 years, male 9.7
GTEX-1399T-1326-SM-5PNVH 60-69 years, male 9.7
GTEX-13FTX-0626-SM-5J2NS 20-29 years, female 9.7
GTEX-13G51-0526-SM-5IJCQ 60-69 years, male 9.7
GTEX-14E7W-2326-SM-69LQC 70-79 years, male 9.7
GTEX-WYBS-1026-SM-4ONCY 60-69 years, female 9.7
GTEX-YEC4-0926-SM-5PNXY 40-49 years, male 9.7
GTEX-YECK-1426-SM-5IFHE 60-69 years, male 9.7
GTEX-1I4MK-0726-SM-ACKWC 50-59 years, female 9.7
GTEX-1KANC-0526-SM-D4P3T 50-59 years, female 9.7
GTEX-13X6K-0726-SM-5LU2Z 60-69 years, female 9.6
GTEX-1C2JI-0826-SM-7EPHB 50-59 years, male 9.6
GTEX-ZC5H-1626-SM-5HL7L 40-49 years, female 9.6
GTEX-ZQUD-0526-SM-57WG4 30-39 years, male 9.6
GTEX-1HBPN-1526-SM-9WYSB 50-59 years, male 9.6
GTEX-1HR9M-1426-SM-A9SMB 60-69 years, male 9.6
GTEX-1HT8W-0726-SM-A9SLB 30-39 years, male 9.6
GTEX-1IY9M-1226-SM-ACKX1 60-69 years, male 9.6
GTEX-1K2DU-0726-SM-DIPF7 20-29 years, male 9.6
GTEX-1MA7X-1026-SM-DKPQ8 60-69 years, male 9.6
GTEX-1QCLY-1226-SM-EVYC3 30-39 years, male 9.6
GTEX-13PL6-0926-SM-5KLYY 40-49 years, female 9.5
GTEX-14PJN-0626-SM-6EU13 30-39 years, male 9.5
GTEX-XQ8I-1426-SM-4BOPW 50-59 years, male 9.5
GTEX-ZQG8-1026-SM-51MR9 60-69 years, female 9.5
GTEX-1CB4I-0826-SM-7MGX1 50-59 years, male 9.5
GTEX-1H1CY-0826-SM-9WYTU 60-69 years, female 9.5
GTEX-1HBPH-2226-SM-9WYSO 40-49 years, female 9.5
GTEX-1LVAM-1026-SM-DIPFK 50-59 years, female 9.5
GTEX-139D8-1626-SM-5IJFZ 30-39 years, female 9.4
GTEX-14753-2526-SM-5LU97 60-69 years, male 9.4
GTEX-14DAQ-2526-SM-5RQIO 60-69 years, female 9.4
GTEX-14PJ2-1426-SM-62LFF 50-59 years, male 9.4
GTEX-15CHQ-1126-SM-686YY 60-69 years, male 9.4
GTEX-16AAH-1526-SM-7LT9W 50-59 years, male 9.4
GTEX-1CAV2-0226-SM-7IGPQ 40-49 years, female 9.4
GTEX-XBEW-1726-SM-4RGMA 40-49 years, male 9.4
GTEX-YEC3-0926-SM-5Q5AC 50-59 years, male 9.4
GTEX-1H11D-1126-SM-9YFM5 40-49 years, male 9.4
GTEX-1JN6P-1626-SM-CYPSV 60-69 years, male 9.4
GTEX-1N2DV-0626-SM-E9U5H 40-49 years, male 9.4
GTEX-13OVH-1126-SM-5K7YP 70-79 years, male 9.3
GTEX-13YAN-1126-SM-5TDC7 60-69 years, male 9.3
GTEX-14PN4-1426-SM-6LLJ4 50-59 years, male 9.3
GTEX-17F9E-1326-SM-7DHL4 50-59 years, male 9.3
GTEX-18A7A-0926-SM-7LT8H 50-59 years, female 9.3
GTEX-1AX9I-1726-SM-731BX 60-69 years, male 9.3
GTEX-ZZ64-0626-SM-5GZWR 20-29 years, male 9.3
GTEX-1LVAN-0926-SM-CNNQ2 50-59 years, female 9.3
GTEX-1S5ZA-1026-SM-EWRO2 20-29 years, male 9.3
GTEX-13113-1126-SM-5LZU9 60-69 years, female 9.2
GTEX-132AR-0526-SM-5J2MJ 50-59 years, female 9.2
GTEX-13NYS-0726-SM-5J1OR 60-69 years, male 9.2
GTEX-13OVG-1326-SM-5K7Y3 60-69 years, male 9.2
GTEX-146FR-0226-SM-5Q5F6 60-69 years, female 9.2
GTEX-17HII-0826-SM-7DUFH 50-59 years, male 9.2
GTEX-18D9A-0726-SM-7LTA7 30-39 years, female 9.2
GTEX-Y5V6-0626-SM-4WWFY 60-69 years, male 9.2
GTEX-ZDXO-2326-SM-5LU9W 60-69 years, male 9.2
GTEX-ZVE2-1826-SM-51MRZ 50-59 years, male 9.2
GTEX-1ICLZ-1626-SM-CE6SS 60-69 years, male 9.2
GTEX-1PIGE-1226-SM-EVR3Q 20-29 years, male 9.2
GTEX-1QP6S-1626-SM-EVYC5 40-49 years, male 9.2
GTEX-1192X-1526-SM-5H11I 50-59 years, male 9.1
GTEX-13S7M-0826-SM-5QGQX 60-69 years, female 9.1
GTEX-14B4R-0526-SM-5QGQT 30-39 years, male 9.1
GTEX-14PJ3-0726-SM-69LQE 50-59 years, male 9.1
GTEX-16BQI-1126-SM-7KULF 30-39 years, female 9.1
GTEX-Y5V5-0226-SM-5S2N8 60-69 years, female 9.1
GTEX-ZF3C-1026-SM-5S2OC 50-59 years, female 9.1
GTEX-1H1DF-1426-SM-9YFMC 40-49 years, female 9.1
GTEX-1H1E6-1126-SM-9JGGV 30-39 years, male 9.1
GTEX-1JMQJ-1926-SM-D4P3A 50-59 years, male 9.1
GTEX-1KWVE-0226-SM-E9TKK 30-39 years, male 9.1
GTEX-1QP29-1626-SM-EXUSZ 50-59 years, male 9.1
GTEX-11EM3-1126-SM-5A5KM 20-29 years, female 9.0
GTEX-11PRG-1526-SM-5HL6Z 50-59 years, male 9.0
GTEX-133LE-0926-SM-5P9J1 20-29 years, female 9.0
GTEX-13NZ9-2026-SM-5KM1U 50-59 years, male 9.0
GTEX-13OVL-0826-SM-5L3GV 50-59 years, male 9.0
GTEX-15CHC-0826-SM-686YW 60-69 years, female 9.0
GTEX-1A8G7-1226-SM-73KYP 60-69 years, male 9.0
GTEX-1BAJH-2126-SM-7EWFB 70-79 years, male 9.0
GTEX-1HFI6-1726-SM-CGQFH 40-49 years, male 9.0
GTEX-1RNTQ-0826-SM-E9TK8 20-29 years, female 9.0
GTEX-11I78-0226-SM-5HL6R 50-59 years, female 8.9
GTEX-11VI4-1226-SM-5EQMP 40-49 years, female 8.9
GTEX-15G19-1126-SM-7KUEL 60-69 years, male 8.9
GTEX-15SKB-1626-SM-6PAL6 60-69 years, male 8.9
GTEX-ZAB4-1426-SM-5CVN6 40-49 years, male 8.9
GTEX-ZTX8-0726-SM-59HL9 20-29 years, male 8.9
GTEX-ZUA1-2126-SM-57YRB 40-49 years, male 8.9
GTEX-1HBPI-1826-SM-ADEHE 50-59 years, male 8.9
GTEX-1HSMO-1426-SM-CNNQN 60-69 years, male 8.9
GTEX-1L5NE-1726-SM-DHXKX 50-59 years, male 8.9
GTEX-1MA7W-0526-SM-E6CIN 20-29 years, female 8.9
GTEX-1S831-1926-SM-EV79P 20-29 years, male 8.9
GTEX-WI4N-1526-SM-EZ6LG 40-49 years, female 8.9
GTEX-11DXX-2026-SM-5EGJL 60-69 years, female 8.8
GTEX-11WQK-1526-SM-5EGKN 50-59 years, male 8.8
GTEX-12WSC-1726-SM-5GCN3 50-59 years, male 8.8
GTEX-132QS-0826-SM-5K7WV 60-69 years, male 8.8
GTEX-13NZB-0826-SM-5K7X5 30-39 years, male 8.8
GTEX-13PVR-0526-SM-5S2OB 60-69 years, female 8.8
GTEX-13X6J-1926-SM-5TDCU 50-59 years, male 8.8
GTEX-1C6VR-1126-SM-7EPHD 60-69 years, male 8.8
GTEX-XBEC-1826-SM-4QASN 50-59 years, male 8.8
GTEX-ZAJG-1626-SM-5HL7I 50-59 years, female 8.8
GTEX-ZF28-1426-SM-5S2OG 60-69 years, male 8.8
GTEX-1JJE9-1526-SM-CM2RR 70-79 years, male 8.8
GTEX-1QEPI-2226-SM-E8VN6 60-69 years, female 8.8
GTEX-1S5VW-2426-SM-EAZ52 60-69 years, male 8.8
GTEX-131YS-1726-SM-5HL7G 60-69 years, female 8.7
GTEX-13PDP-1226-SM-5K7TW 60-69 years, male 8.7
GTEX-15UKP-1426-SM-7KUDX 20-29 years, male 8.7
GTEX-XLM4-1026-SM-4AT51 60-69 years, male 8.7
GTEX-11NUK-2026-SM-5PNVZ 50-59 years, male 8.6
GTEX-12WSA-1626-SM-5EGJV 60-69 years, male 8.6
GTEX-13112-1126-SM-5GCMY 50-59 years, male 8.6
GTEX-14JIY-1426-SM-6EU29 60-69 years, male 8.6
GTEX-169BO-0426-SM-7EPI1 50-59 years, male 8.6
GTEX-16NPV-0626-SM-7IGOR 50-59 years, female 8.6
GTEX-17JCI-1626-SM-7EPGZ 60-69 years, female 8.6
GTEX-1A8G6-2026-SM-73KYC 60-69 years, male 8.6
GTEX-1GZ2Q-1226-SM-9MQM8 40-49 years, male 8.6
GTEX-1R9PO-0926-SM-E9U4Q 60-69 years, female 8.6
GTEX-ZLWG-0726-SM-5S2N4 50-59 years, female 8.6
GTEX-13O3Q-1126-SM-5K7YK 50-59 years, male 8.5
GTEX-1AYD5-0126-SM-7DUG5 50-59 years, male 8.5
GTEX-1C64N-1326-SM-7SB7D 50-59 years, male 8.5
GTEX-1HSKV-1926-SM-CNPPN 60-69 years, male 8.5
GTEX-1ICG6-1726-SM-ARU7K 70-79 years, female 8.5
GTEX-11P82-0326-SM-5HL51 20-29 years, male 8.4
GTEX-13VXT-0926-SM-5LU5K 20-29 years, female 8.4
GTEX-14BIN-1226-SM-5S2OM 50-59 years, female 8.4
GTEX-ZYT6-2126-SM-5GZZ4 30-39 years, male 8.4
GTEX-1I1GR-1726-SM-COH39 60-69 years, male 8.4
GTEX-13RTK-0726-SM-5Q5EN 20-29 years, male 8.3
GTEX-14BIL-2426-SM-5QGQR 50-59 years, male 8.3
GTEX-14PK6-0926-SM-62LF4 70-79 years, female 8.3
GTEX-WL46-2026-SM-3LK7U 50-59 years, male 8.3
GTEX-Y111-0926-SM-4SOIU 50-59 years, male 8.3
GTEX-1IDJH-1626-SM-A9SLP 70-79 years, male 8.3
GTEX-1N2DW-0726-SM-DTX97 50-59 years, male 8.3
GTEX-1N2EE-1526-SM-DTXE9 60-69 years, male 8.3
GTEX-1313W-1626-SM-5J1OE 50-59 years, female 8.2
GTEX-Y9LG-1226-SM-4VBQA 30-39 years, male 8.2
GTEX-1F6IF-2026-SM-7P8SE 60-69 years, male 8.2
GTEX-1GF9U-1226-SM-ARL9I 40-49 years, female 8.2
GTEX-1HCU8-1126-SM-CM2SA 60-69 years, female 8.2
GTEX-1P4AB-1226-SM-DTXET 50-59 years, male 8.2
GTEX-WVLH-1626-SM-EXURN 50-59 years, male 8.2
GTEX-14E6D-1326-SM-62LES 50-59 years, male 8.1
GTEX-WWTW-1326-SM-4MVNT 50-59 years, male 8.1
GTEX-ZYVF-1026-SM-5E44V 50-59 years, female 8.1
GTEX-1GF9V-1126-SM-9MQM7 60-69 years, male 8.1
GTEX-1JMQI-1026-SM-COH2U 50-59 years, male 8.1
GTEX-1RQEC-2526-SM-EVYD2 60-69 years, male 8.1
GTEX-16GPK-1326-SM-7KUE4 60-69 years, male 8.0
GTEX-11GSP-1026-SM-9WYSH 60-69 years, female 8.0
GTEX-1E1VI-1826-SM-9WG5J 50-59 years, male 8.0
GTEX-1HCU7-2026-SM-A9G2B 50-59 years, male 8.0
GTEX-1QAET-1226-SM-DTX9I 50-59 years, male 8.0
GTEX-1R9K4-1426-SM-DPRY4 60-69 years, male 8.0
GTEX-12KS4-1526-SM-5EQ6E 30-39 years, male 7.9
GTEX-12ZZX-1726-SM-5BC63 40-49 years, female 7.9
GTEX-13FTW-0426-SM-5K7X2 40-49 years, male 7.9
GTEX-1LG7Y-1126-SM-CYPTE 50-59 years, male 7.9
GTEX-11GSO-0226-SM-5A5LV 60-69 years, male 7.8
GTEX-12584-2126-SM-5FQUM 40-49 years, male 7.8
GTEX-1EWIQ-2526-SM-7EPIJ 70-79 years, female 7.8
GTEX-WK11-2426-SM-3NMAA 50-59 years, male 7.8
GTEX-X8HC-2326-SM-4QAS4 50-59 years, female 7.8
GTEX-1I1GQ-1026-SM-CNNQS 50-59 years, male 7.8
GTEX-1J1OQ-1526-SM-CJI4E 40-49 years, female 7.8
GTEX-VJWN-2326-SM-EVYAP 50-59 years, female 7.8
GTEX-13FXS-1326-SM-62LFR 50-59 years, male 7.7
GTEX-147JS-1026-SM-5S2MP 60-69 years, male 7.7
GTEX-14C38-1026-SM-73KY7 50-59 years, male 7.7
GTEX-XOT4-0826-SM-4B66Y 60-69 years, female 7.7
GTEX-1IL2U-2726-SM-C1YSG 60-69 years, male 7.7
GTEX-1PPH8-1026-SM-DPRXN 20-29 years, male 7.6
GTEX-145MF-1026-SM-5Q5EQ 50-59 years, male 7.5
GTEX-14ABY-1926-SM-62LDJ 50-59 years, male 7.5
GTEX-1CB4G-2126-SM-7IGQ8 60-69 years, male 7.5
GTEX-X585-2526-SM-4QAS1 50-59 years, male 7.5
GTEX-1F75B-1226-SM-7MXTW 50-59 years, male 7.5
GTEX-1HUB1-1526-SM-CGQF6 60-69 years, male 7.5
GTEX-1RAZQ-1526-SM-E6CJI 30-39 years, male 7.5
GTEX-14PJO-1626-SM-69LPQ 60-69 years, male 7.4
GTEX-17F97-1226-SM-79OJT 50-59 years, male 7.4
GTEX-17HHY-1026-SM-7LG5E 50-59 years, male 7.4
GTEX-XQ3S-2426-SM-4WAYB 20-29 years, male 7.4
GTEX-1GMR3-0826-SM-9WYT4 40-49 years, male 7.4
GTEX-1HCU9-0626-SM-ACKW6 20-29 years, male 7.4
GTEX-139TU-1426-SM-5LZY9 60-69 years, male 7.3
GTEX-17F9Y-0726-SM-7LT9G 70-79 years, female 7.3
GTEX-1H4P4-0326-SM-9WYTD 50-59 years, male 7.3
GTEX-1399S-1426-SM-5PNYQ 30-39 years, female 7.2
GTEX-ZE7O-1526-SM-5J1NH 50-59 years, female 7.2
GTEX-13OW7-1126-SM-5K7V6 50-59 years, male 7.1
GTEX-13OW8-0326-SM-5L3FB 60-69 years, male 7.1
GTEX-1GN1U-0726-SM-9MQKL 50-59 years, female 7.1
GTEX-13IVO-2426-SM-5K7V9 70-79 years, male 7.0
GTEX-1B933-1326-SM-7939U 50-59 years, female 7.0
GTEX-11ZUS-1826-SM-5FQTR 30-39 years, male 6.9
GTEX-1POEN-1626-SM-EVYC2 30-39 years, female 6.6
GTEX-12WSI-1526-SM-5GCNM 50-59 years, male 6.5
GTEX-14PN3-0326-SM-6EU1X 60-69 years, female 6.4
GTEX-14BIM-1626-SM-7EWD2 60-69 years, female 6.3
GTEX-1I19N-1026-SM-A96TT 70-79 years, male 6.3
GTEX-13VXU-1026-SM-5KLZE 50-59 years, male 6.2
GTEX-1LSNL-1426-SM-E6CJ9 50-59 years, male 6.1
GTEX-YJ89-1926-SM-5IFJ6 60-69 years, male 5.8
GTEX-1MCQQ-1426-SM-E6CJA 60-69 years, male 5.7
GTEX-1RAZR-1026-SM-E8VOJ 40-49 years, male 5.4
GTEX-13X6H-1726-SM-5Q5EH 50-59 years, female 4.6
GTEX-1212Z-0526-SM-5FQSQ 60-69 years, male 4.0
GTEX-1RB15-1126-SM-E8VMX 60-69 years, male 1.7
Show allShow less

ADIPOSE TISSUE - FANTOM5 CAGEi

RNA expression in human tissues obtained through Cap Analysis of Gene Expression (CAGE) generated by the FANTOM5 project are reported as Scaled Tags Per Million.

Max subtype Scaled Tags Per Millioni

Max subtype Scaled Tags Per Million is the value for the subtype with the largest average Scaled Tags Per Million across the subtype samples.

63.6
FANTOM5 sample id Sample description Scaled Tags Per Million
Adipose tissue
Scaled Tags Per Million: 63.6
FF:10010-101C1 65,65,76 years, mixed 63.6

Contact

  • NEWS ARTICLES
  • PRESS ROOM

The Project

  • INTRODUCTION
  • ORGANIZATION
  • PUBLICATIONS

The Human Protein Atlas

  • DOWNLOADABLE DATA
  • LICENCE & CITATION
  • HELP & FAQ
The Human Protein Atlas project is funded
by the Knut & Alice Wallenberg Foundation.


contact@proteinatlas.org