We use cookies to enhance the usability of our website. If you continue, we'll assume that you are happy to receive all cookies. More information. Don't show this again.
CALCOCO2
HPA
RESOURCES
  • TISSUE
  • BRAIN
  • SINGLE CELL
  • SUBCELLULAR
  • CANCER
  • BLOOD
  • CELL LINE
  • STRUCTURE & INTERACTION
ABOUT
  • INTRODUCTION
  • HISTORY
  • ORGANIZATION
  • PUBLICATIONS
  • ANTIBODY SUBMISSION
  • ANTIBODY AVAILABILITY
  • ACKNOWLEDGMENTS
  • CONTACT
NEWS
  • NEWS ARTICLES
  • PRESS ROOM
LEARN
  • DICTIONARY
  • PROTEIN CLASSES
  • PROTEIN EVIDENCE
  • METHODS
  • EDUCATIONAL VIDEOS
DATA
  • DOWNLOADABLE DATA
  • PUBLICATION DATA
  • RELEASE HISTORY
HELP
  • ANTIBODY VALIDATION
  • ASSAYS & ANNOTATION
  • DISCLAIMER
  • HELP & FAQ
  • PRIVACY STATEMENT
  • LICENCE & CITATION
Fields »
Search result

Field
Term
Gene name
Class
Subclass
Class
Keyword
Chromosome
External id
Tissue
Cell type
Expression
Antibody panel
Tissue
Main location
Patient ID
Annotation
Tissue
Category
Tau score
Cluster
Reliability
Brain region
Category
Tau score
Brain region
Category
Tau score
Brain region
Category
Tau score
Cluster
Reliability
Tissue
Cell type
Enrichment
Cell type
Category
Tau score
Cell type
Category
Tau score
Cell type
Category
Tau score
Cell lineage
Category
Tau score
Cluster
Cluster
Location
Searches
Location
Cell line
Class
Type
Phase
Reliability
Cancer
Prognosis
Cancer
Category
Cancer
Category
Tau score
Cluster
Variants
Interacting gene (ensg_id)
Type
Number of interactions
Pathway
Category
Score
Score
Score
Validation
Validation
Validation
Validation
Antibodies
Data type
Column


  • SUMMARY

  • TISSUE

  • BRAIN

  • SINGLE CELL

  • SUBCELL

  • CANCER

  • BLOOD

  • CELL LINE

  • STRUCT & INT

  • CALCOCO2
TISSUE PRIMARY DATA HEART MUSCLE Show tissue menu
ADIPOSE TISSUE ADRENAL GLAND AMYGDALA APPENDIX BASAL GANGLIA BONE MARROW BREAST BRONCHUS CEREBELLUM CEREBRAL CORTEX CERVIX CHOROID PLEXUS COLON DUODENUM
ENDOMETRIUM EPIDIDYMIS ESOPHAGUS FALLOPIAN TUBE GALLBLADDER HEART MUSCLE HIPPOCAMPAL FORMATION HYPOTHALAMUS KIDNEY LIVER LUNG LYMPH NODE MIDBRAIN NASOPHARYNX
ORAL MUCOSA OVARY PANCREAS PARATHYROID GLAND PITUITARY GLAND PLACENTA PROSTATE RECTUM RETINA SALIVARY GLAND SEMINAL VESICLE SKELETAL MUSCLE SKIN SMALL INTESTINE
SMOOTH MUSCLE SOFT TISSUE SPINAL CORD SPLEEN STOMACH TESTIS THYMUS THYROID GLAND TONGUE TONSIL URINARY BLADDER VAGINA
ANTIBODIES
AND
VALIDATION
Dictionary
Heart muscle
Tissue proteome
Heart
HEART MUSCLE - Expression summary
Protein expression
Heart musclei

On the top, protein expression in current human tissue, based on all annotated cell types, is reported with the units not detected (n), low (l), medium (m) and high (h). Underneath, protein expression in each annotated cell type are reported using the same units.

Protein expression data is based on knowledge-based annotation. For genes where more than one antibody has been used, a collective score is set.

If knowledge-based annotation could not be performed for a gene, no data is displayed here. View antibody staining data further down this page.

h
m
l
n
Cardiomyocytes: Low
RNA expressioni

A summary of mRNA expression data available for current tissue based on several datasets. The mRNA expression levels in human tissues are based on RNA-seq data generated by the Human Protein Atlas (HPA), Genotype-Tissue Expression (GTEx) portal and CAGE data generated by the FANTOM5 consortium. Consensus normalized expression levels for human tissues was created by combining the data from HPA and GTEx datasets.

The mRNA expression levels in pig are based on RNA-seq data generated by the Human Protein Atlas (HPA), and for mouse, HPA data and in situ hybridization generated by the Allen brain atlas are reported.

Scroll down to view mRNA expression data in more detail.
Consensus:134.6 nTPM
HPA:105.3 nTPM
GTEx:134.6 nTPM
FANTOM5:399.8 Scaled Tags Per Million

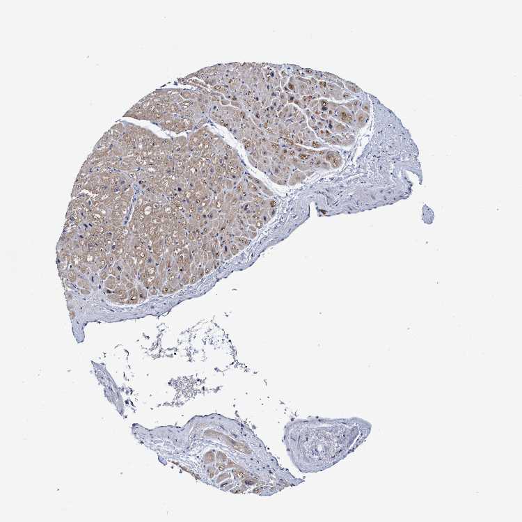
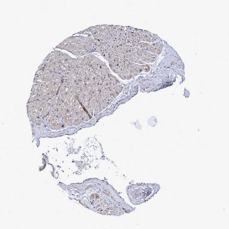
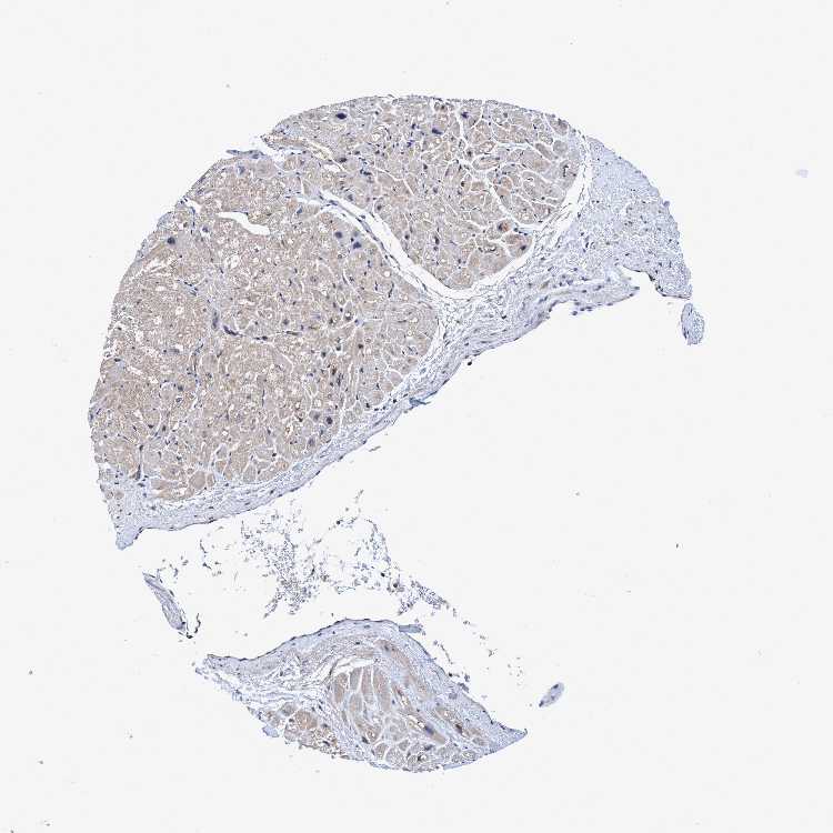
HEART MUSCLE - Antibody stainingi

Antibody staining in the annotated cell types in the current human tissue is reported as not detected, low, medium, or high, based on conventional immunohistochemistry profiling in selected tissues. This score is based on the combination of the staining intensity and fraction of stained cells.

Each image is clickable and will lead to virtual microscopy that enables deeper exploration of all samples and also displays staining intensity scores, fraction scores and subcellular localization as well as patient and tissue information for each sample.

Antibody HPA022989Antibody HPA023019Antibody HPA023195
Cardiomyocytes LowLowLow







HEART MUSCLE - HPA RNA-seqi

The RNA-seq details section shows detailed information about the individual samples used for the transcript profiling and results of the RNA-seq analysis.

Information about each individual sample is listed below, including gender, age, a tissue section image and estimated fractions of cell types. nTPM (normalized transcripts per million) values give a quantification of the gene abundance which is comparable between different genes and samples.
Average nTPMi

Max subtype nTPM is the value for the subtype with the largest average nTPM across the subtype samples.

105.3
overview
Female, age 48
Heart muscle sample 149
nTPM: 67.8
Cell types%
Myocytes:
15

Fibroblasts:
55

Endothelial cells:
25

Other cell types:
5

overview
Female, age 42
Heart muscle sample 150
nTPM: 130.5
Cell types%
Myocytes:
20

Fibroblasts:
45

Endothelial cells:
30

Other cell types:
5

overview
Male, age 53
Heart muscle sample 151
nTPM: 119.1
Cell types%
Myocytes:
20

Fibroblasts:
45

Endothelial cells:
30

Other cell types:
5

overview
Female, age 69
Heart muscle sample 152
nTPM: 103.8
Cell types%
Myocytes:
20

Fibroblasts:
45

Endothelial cells:
30

Other cell types:
5


HEART MUSCLE - GTEx RNA-seqi

RNA-Seq data generated by the Genotype-Tissue Expression (GTEx) project from human tissues is reported as mean nTPM. More information can be found on the GTEx portal.

Distribution across the dataset is visualized with box plots, shown as median and 25th and 75th percentiles. Points are displayed as outliers if they are above or below 1.5 times the interquartile range. nTPM values of the individual samples are presented next to the box plot.
Max subtype nTPMi

Max subtype nTPM is the value for the subtype with the largest average nTPM across the subtype samples.

134.6
GTEx sample id Sample description nTPM
Heart - Atrial Appendage
Average nTPM: 109.2
Samples: 429

Max nTPM: 266.7
Min nTPM: 39.0
Std nTPM: 44.1
Median nTPM: 97.6
GTEX-WFON-0226-SM-3GIKR 40-49 years, male 266.7
GTEX-WFG7-0826-SM-3GIKU 20-29 years, male 232.7
GTEX-1MJIX-0426-SM-DTXEN 40-49 years, male 231.6
GTEX-117YX-0626-SM-5EGJI 50-59 years, male 227.3
GTEX-1GMR2-1326-SM-9KNUT 50-59 years, male 222.2
GTEX-X3Y1-0226-SM-3P5Z5 40-49 years, male 220.8
GTEX-18D9U-1426-SM-718BO 40-49 years, male 217.8
GTEX-1NHNU-0626-SM-E6CP1 50-59 years, male 215.6
GTEX-1QCLZ-1126-SM-EWRNB 60-69 years, female 215.4
GTEX-WH7G-0326-SM-3NMBH 40-49 years, male 210.8
GTEX-WEY5-0226-SM-3GIKN 40-49 years, female 209.0
GTEX-ZF29-0426-SM-4WKFN 60-69 years, female 206.4
GTEX-YEC3-0426-SM-CYPS8 50-59 years, male 204.4
GTEX-XGQ4-0526-SM-4AT6C 50-59 years, male 201.7
GTEX-ZDYS-0326-SM-5HL4W 50-59 years, male 201.4
GTEX-1L5NE-0526-SM-DIPG5 50-59 years, male 199.1
GTEX-1IKOE-0626-SM-A9G31 30-39 years, female 199.0
GTEX-1LGOU-0326-SM-D3LAM 20-29 years, female 198.8
GTEX-1B97J-0326-SM-7939H 50-59 years, female 198.7
GTEX-1LSNM-0426-SM-E9TIZ 50-59 years, male 198.7
GTEX-13NZB-0426-SM-5KM26 30-39 years, male 198.0
GTEX-1MCC2-0226-SM-EVYD5 30-39 years, female 196.7
GTEX-131XG-0526-SM-5DUWF 50-59 years, female 195.6
GTEX-1R7EV-0426-SM-DTX7Z 40-49 years, male 191.6
GTEX-13O21-0326-SM-5J1N9 50-59 years, male 190.8
GTEX-1KXAM-1426-SM-D3LAC 60-69 years, male 189.4
GTEX-1JK1U-0626-SM-CKZOJ 60-69 years, male 188.4
GTEX-145MN-0726-SM-5NQBH 30-39 years, male 188.2
GTEX-1C2JI-0626-SM-7DHM1 50-59 years, male 188.2
GTEX-1AYCT-0526-SM-7RHHS 50-59 years, male 186.7
GTEX-14PJ4-0926-SM-5YY98 60-69 years, male 184.1
GTEX-111YS-0326-SM-5GZZ3 60-69 years, male 184.0
GTEX-15EU6-1326-SM-6PANG 50-59 years, male 183.7
GTEX-1OFPY-0926-SM-DTX8Q 60-69 years, male 182.9
GTEX-ZYFG-0526-SM-5GZXX 60-69 years, female 182.7
GTEX-YB5K-0226-SM-5IFJE 40-49 years, female 182.5
GTEX-YEC4-0226-SM-4W1YG 40-49 years, male 182.4
GTEX-V955-0826-SM-CYPR5 60-69 years, male 179.8
GTEX-17F96-0826-SM-7DHLU 70-79 years, male 179.3
GTEX-1B8KE-0326-SM-73KTY 50-59 years, male 179.2
GTEX-146FR-0926-SM-5QGPE 60-69 years, female 178.1
GTEX-WFG8-0726-SM-3GILP 20-29 years, male 177.8
GTEX-1399U-0726-SM-5KM1D 50-59 years, female 177.4
GTEX-14E1K-0826-SM-5ZZW9 50-59 years, male 177.3
GTEX-11LCK-0826-SM-5PNYD 30-39 years, male 176.7
GTEX-1LGRB-1026-SM-CNPQD 50-59 years, female 176.3
GTEX-1J8QM-0326-SM-CL53D 60-69 years, female 175.9
GTEX-13FTW-0826-SM-5K7XR 40-49 years, male 175.8
GTEX-XQ8I-0226-SM-4BOPM 50-59 years, male 175.5
GTEX-Y114-0126-SM-4TT8K 50-59 years, female 172.4
GTEX-ZT9W-0526-SM-57WFG 50-59 years, male 171.7
GTEX-12WSK-0526-SM-5CVNA 40-49 years, female 171.5
GTEX-ZG7Y-1426-SM-4WWBM 50-59 years, male 170.7
GTEX-ZV7C-0526-SM-9WPNK 50-59 years, male 169.1
GTEX-14PHY-0326-SM-62LE3 60-69 years, female 168.8
GTEX-1GL5R-0426-SM-9WPOP 50-59 years, male 168.3
GTEX-17F9E-0726-SM-793A1 50-59 years, male 165.9
GTEX-1HSGN-0926-SM-CNNQM 40-49 years, female 165.9
GTEX-13OVG-0426-SM-5KM2T 60-69 years, male 165.8
GTEX-1GMR3-0426-SM-7PC17 40-49 years, male 164.8
GTEX-1HCUA-0626-SM-ACKVT 50-59 years, female 164.6
GTEX-13PVR-0926-SM-5S2RB 60-69 years, female 162.9
GTEX-11DXX-0526-SM-5PNVR 60-69 years, female 162.6
GTEX-1HBPN-0926-SM-CGQEG 50-59 years, male 161.8
GTEX-1399S-0826-SM-5KM23 30-39 years, female 161.2
GTEX-XPT6-0226-SM-4B65L 20-29 years, male 161.2
GTEX-YF7O-0526-SM-5P9IO 50-59 years, male 161.2
GTEX-XPVG-0726-SM-4B658 50-59 years, male 161.0
GTEX-ZPCL-0526-SM-DO91R 60-69 years, female 161.0
GTEX-1GF9U-0526-SM-7P8SK 40-49 years, female 160.7
GTEX-ZGAY-0226-SM-4WWAL 40-49 years, female 160.4
GTEX-14PN3-0726-SM-6EU14 60-69 years, female 160.2
GTEX-13FH7-0826-SM-5J2NW 50-59 years, female 160.0
GTEX-1F75I-1326-SM-7PBZX 40-49 years, male 158.6
GTEX-1IDJU-0626-SM-CKZOG 60-69 years, female 158.6
GTEX-1AX9J-0926-SM-73KXA 60-69 years, male 157.6
GTEX-13YAN-1426-SM-7EPG8 60-69 years, male 156.2
GTEX-14BMV-1026-SM-5SI6B 50-59 years, male 154.9
GTEX-Y3I4-0526-SM-4TT6X 50-59 years, male 154.3
GTEX-ZVT2-0926-SM-5GICE 50-59 years, female 152.9
GTEX-12WSN-0226-SM-5DUXH 40-49 years, male 152.1
GTEX-13W3W-0526-SM-5LU3X 60-69 years, female 151.9
GTEX-11EM3-0426-SM-5N9BZ 20-29 years, female 151.7
GTEX-11ZTT-0526-SM-5EQLA 60-69 years, female 151.5
GTEX-X5EB-0626-SM-46MVQ 40-49 years, male 150.4
GTEX-14H4A-0426-SM-5ZZWO 40-49 years, female 150.3
GTEX-ZAB5-0126-SM-5CVMT 50-59 years, male 148.9
GTEX-1HSMQ-0426-SM-ADEIM 50-59 years, male 148.6
GTEX-15DCE-0826-SM-7KULW 20-29 years, male 148.5
GTEX-WY7C-1126-SM-3NB3A 50-59 years, male 148.0
GTEX-13N11-0726-SM-5L3DP 50-59 years, female 146.8
GTEX-1122O-0626-SM-5N9B9 60-69 years, female 146.5
GTEX-ZZPU-1126-SM-5N9CW 50-59 years, female 144.4
GTEX-1J8Q3-1126-SM-ARU8N 60-69 years, male 144.0
GTEX-1IDJD-0226-SM-CKZOA 30-39 years, male 143.9
GTEX-1GN1W-0226-SM-7P8QY 50-59 years, female 143.3
GTEX-14XAO-0926-SM-69LPZ 60-69 years, female 143.1
GTEX-13PL7-0726-SM-5KM1S 60-69 years, female 142.9
GTEX-13NYS-1926-SM-5IJCB 60-69 years, male 142.6
GTEX-ZDTT-0326-SM-4WKF9 60-69 years, male 142.0
GTEX-13D11-1526-SM-5J2NA 50-59 years, female 141.4
GTEX-1AX9K-0426-SM-73KUG 50-59 years, male 139.9
GTEX-139YR-0526-SM-5L3DG 50-59 years, male 139.3
GTEX-15RIE-1326-SM-6PAMM 60-69 years, male 139.1
GTEX-1211K-0226-SM-59HJY 60-69 years, female 139.0
GTEX-1R9JW-0426-SM-E76QL 30-39 years, female 139.0
GTEX-ZLFU-0326-SM-4WWBK 40-49 years, male 138.7
GTEX-1CB4I-1526-SM-7DHMY 50-59 years, male 137.4
GTEX-14PHX-0626-SM-5YY8Z 50-59 years, male 137.1
GTEX-1KANC-0226-SM-E9TIW 50-59 years, female 137.1
GTEX-15SHV-0526-SM-7KUEN 60-69 years, male 136.0
GTEX-131XF-0426-SM-5HL7U 60-69 years, male 135.6
GTEX-1ICG6-0726-SM-B2LY5 70-79 years, female 135.6
GTEX-132AR-1926-SM-5EGK5 50-59 years, female 134.7
GTEX-11EQ8-1326-SM-5EGJQ 60-69 years, male 134.5
GTEX-1R9K4-1026-SM-EXUT1 60-69 years, male 131.7
GTEX-1GZ4I-0826-SM-9WG6O 50-59 years, male 131.2
GTEX-1HCVE-0826-SM-CM2SF 50-59 years, male 131.2
GTEX-1IDJF-0826-SM-ARU7N 20-29 years, male 130.3
GTEX-1HFI7-0526-SM-A9SMA 50-59 years, female 129.6
GTEX-VUSG-0726-SM-3GIK1 50-59 years, male 129.2
GTEX-WWYW-1126-SM-3NB2Q 50-59 years, female 129.0
GTEX-1CB4E-0626-SM-7DHMW 60-69 years, male 128.9
GTEX-1192X-0726-SM-5987R 50-59 years, male 128.6
GTEX-11P81-0526-SM-59873 30-39 years, female 128.4
GTEX-15CHC-0326-SM-5ZZVP 60-69 years, female 128.2
GTEX-13O61-0426-SM-5L3ET 60-69 years, male 127.6
GTEX-13N1W-0926-SM-5MR36 70-79 years, male 127.2
GTEX-13OVI-0326-SM-5K7X1 60-69 years, female 127.1
GTEX-132QS-0526-SM-5IJC7 60-69 years, male 127.0
GTEX-ZPIC-0426-SM-DO91V 40-49 years, female 127.0
GTEX-WHWD-0326-SM-3LK6L 50-59 years, male 125.7
GTEX-1C64O-0926-SM-79OLN 60-69 years, male 125.2
GTEX-14PJ6-0626-SM-686Z6 60-69 years, female 124.6
GTEX-1LVAN-1526-SM-CNPQN 50-59 years, female 123.8
GTEX-18D9B-1126-SM-7KFSH 60-69 years, male 123.7
GTEX-1CAMS-1126-SM-7MXUQ 40-49 years, female 123.4
GTEX-132Q8-1126-SM-5K7XS 60-69 years, male 123.2
GTEX-13O1R-0926-SM-5L3DS 60-69 years, male 123.2
GTEX-ZTTD-0626-SM-4YCCY 50-59 years, male 122.1
GTEX-1GN1U-1426-SM-7P8TF 50-59 years, female 122.1
GTEX-14PK6-0726-SM-6LLIX 70-79 years, female 121.4
GTEX-131YS-0826-SM-5PNYV 60-69 years, female 121.0
GTEX-1P4AB-0926-SM-E76PV 50-59 years, male 120.9
GTEX-13OW6-0926-SM-5L3GM 50-59 years, male 120.2
GTEX-16XZZ-1026-SM-7DHKS 60-69 years, male 120.1
GTEX-18A67-1026-SM-731CE 50-59 years, male 119.0
GTEX-14PII-1026-SM-5ZZVW 60-69 years, male 118.7
GTEX-15SDE-1826-SM-7KUFN 50-59 years, female 118.3
GTEX-1399R-1726-SM-5K7YJ 30-39 years, male 117.8
GTEX-1QPFJ-0926-SM-EVR3K 30-39 years, female 117.1
GTEX-UTHO-1226-SM-3GAEE 60-69 years, male 117.0
GTEX-1QP29-1426-SM-DTX9Q 50-59 years, male 117.0
GTEX-18A7A-1226-SM-7LTAJ 50-59 years, female 116.5
GTEX-13X6K-1726-SM-7IGLG 60-69 years, female 116.2
GTEX-WYJK-1126-SM-3NM9Z 50-59 years, male 115.8
GTEX-16MT8-0826-SM-7KULO 60-69 years, female 115.6
GTEX-1GN73-2326-SM-9MQKV 60-69 years, male 115.6
GTEX-15SKB-0926-SM-7KUFC 60-69 years, male 115.3
GTEX-X4EP-0326-SM-3P5Z6 60-69 years, female 115.3
GTEX-11TT1-1426-SM-5EGIA 20-29 years, male 115.1
GTEX-15SHU-0926-SM-6PAMK 40-49 years, female 115.1
GTEX-11DXZ-0326-SM-5EGH1 50-59 years, male 114.0
GTEX-ZYFD-2026-SM-5E459 50-59 years, male 113.4
GTEX-17KNJ-0626-SM-7LT9L 50-59 years, male 113.2
GTEX-ZYT6-0926-SM-5GIEM 30-39 years, male 112.0
GTEX-1HBPH-0226-SM-9WYSM 40-49 years, female 111.9
GTEX-17GQL-0626-SM-731CN 60-69 years, male 111.7
GTEX-15CHR-0326-SM-7DHN3 50-59 years, male 111.4
GTEX-12WSD-1226-SM-5HL9Q 60-69 years, female 111.1
GTEX-13FHO-1226-SM-5L3EF 60-69 years, male 111.1
GTEX-1445S-1226-SM-5O9BF 60-69 years, male 110.9
GTEX-16XZY-0526-SM-7DHKY 70-79 years, male 110.7
GTEX-1CB4J-0226-SM-7P8T4 60-69 years, male 110.6
GTEX-1H2FU-0826-SM-9WYSU 60-69 years, female 110.5
GTEX-14C5O-1226-SM-664N3 60-69 years, male 110.0
GTEX-Y3IK-1026-SM-51MR7 50-59 years, female 110.0
GTEX-1B996-1026-SM-793CF 60-69 years, male 109.6
GTEX-XYKS-0226-SM-4BRW3 60-69 years, female 109.2
GTEX-145LV-0226-SM-5S2QG 50-59 years, male 109.1
GTEX-17JCI-0826-SM-7LT8W 60-69 years, female 109.1
GTEX-ZAB4-0926-SM-5CVN4 40-49 years, male 108.8
GTEX-12WSG-1226-SM-5EQ4C 50-59 years, female 108.7
GTEX-1A32A-1326-SM-73KWW 50-59 years, female 107.8
GTEX-WQUQ-1326-SM-3MJFF 60-69 years, male 107.8
GTEX-ZEX8-0326-SM-DO92C 50-59 years, male 107.8
GTEX-ZYFC-1026-SM-5GZX9 50-59 years, male 107.7
GTEX-ZPU1-0726-SM-5HL6O 40-49 years, male 107.3
GTEX-12696-1226-SM-5FQSM 60-69 years, male 107.2
GTEX-13QBU-0226-SM-5LU48 40-49 years, female 106.2
GTEX-1H11D-1026-SM-9QEIU 40-49 years, male 106.2
GTEX-18A66-1126-SM-731C5 60-69 years, male 104.9
GTEX-13NYB-0326-SM-5IJDP 40-49 years, male 104.7
GTEX-1I1GP-0626-SM-ARL7H 50-59 years, male 104.5
GTEX-13S86-0326-SM-5SI6K 40-49 years, male 103.5
GTEX-1J8Q2-1026-SM-ARU8I 60-69 years, male 103.5
GTEX-1GMR8-1026-SM-9MQLA 50-59 years, female 103.3
GTEX-1EH9U-0626-SM-7PC33 60-69 years, male 102.9
GTEX-1E2YA-0626-SM-7P8P4 50-59 years, male 102.6
GTEX-183WM-0926-SM-718AN 70-79 years, female 102.1
GTEX-17HGU-1126-SM-793BP 50-59 years, male 101.9
GTEX-13O3P-1426-SM-5L3DT 50-59 years, male 101.8
GTEX-1117F-0726-SM-5GIEN 60-69 years, female 101.4
GTEX-13RTJ-0526-SM-62LDP 60-69 years, male 100.5
GTEX-XBEC-1226-SM-4AT65 50-59 years, male 100.3
GTEX-ZTPG-1326-SM-51MSQ 20-29 years, female 100.3
GTEX-15ER7-0826-SM-6PALW 20-29 years, female 100.2
GTEX-1LG7Y-1426-SM-D4P31 50-59 years, male 100.2
GTEX-1RLM8-0226-SM-E6CJY 50-59 years, male 100.1
GTEX-15RJE-0726-SM-7KUEG 40-49 years, male 99.0
GTEX-17EVP-0526-SM-7EPGY 40-49 years, male 98.5
GTEX-Y8E4-0426-SM-4V6GB 40-49 years, male 98.3
GTEX-WYBS-1226-SM-3NM9N 60-69 years, female 98.2
GTEX-12BJ1-0326-SM-5FQUB 60-69 years, male 97.9
GTEX-XV7Q-0726-SM-4BRV6 40-49 years, female 97.6
GTEX-ZDTS-1226-SM-4WKGL 60-69 years, male 97.4
GTEX-13OW5-0926-SM-5L3GZ 60-69 years, male 97.1
GTEX-ZF2S-0826-SM-4WWBI 50-59 years, female 96.2
GTEX-13NZ9-0126-SM-5K7XV 50-59 years, male 96.1
GTEX-14PJM-0826-SM-6LLIW 50-59 years, female 96.0
GTEX-X261-0926-SM-3NMCY 50-59 years, male 95.9
GTEX-VJWN-1026-SM-4M1ZN 50-59 years, female 95.4
GTEX-1NSGN-1226-SM-E76OL 50-59 years, male 95.0
GTEX-ZZPT-0926-SM-5GICZ 50-59 years, male 94.8
GTEX-13PVQ-1326-SM-5LU4J 50-59 years, male 94.6
GTEX-14JG1-0826-SM-5ZZWR 40-49 years, male 94.3
GTEX-ZF3C-1126-SM-57WEG 50-59 years, female 94.3
GTEX-1IL2U-1226-SM-CL53P 60-69 years, male 94.2
GTEX-16NPX-0826-SM-6M489 50-59 years, male 93.8
GTEX-11DYG-1026-SM-5A5JQ 60-69 years, male 93.7
GTEX-14E6C-0326-SM-5Q5EE 40-49 years, male 93.2
GTEX-XXEK-2026-SM-4BRVE 50-59 years, male 93.0
GTEX-1JMOU-0326-SM-ARL8X 60-69 years, female 92.2
GTEX-1AX9I-1026-SM-73KYF 60-69 years, male 92.0
GTEX-14ASI-0826-SM-5Q5EB 60-69 years, male 91.9
GTEX-13SLX-0926-SM-5S2NM 50-59 years, female 91.6
GTEX-131XE-0526-SM-5K7YT 50-59 years, male 91.1
GTEX-13JVG-1126-SM-5KM2M 60-69 years, male 91.0
GTEX-14PJO-0826-SM-6ETZK 60-69 years, male 90.6
GTEX-UPK5-0226-SM-3GAEV 40-49 years, male 90.6
GTEX-WZTO-1226-SM-3NMAZ 40-49 years, male 90.4
GTEX-1QMI2-1026-SM-DTX7T 60-69 years, male 90.3
GTEX-14DAQ-1026-SM-793B1 60-69 years, female 90.2
GTEX-1GN2E-1426-SM-7RHHI 60-69 years, male 90.2
GTEX-1EMGI-1126-SM-9KNUF 60-69 years, male 89.8
GTEX-111FC-0626-SM-5N9CU 60-69 years, male 89.6
GTEX-W5X1-0826-SM-3GILN 40-49 years, female 89.2
GTEX-1J1OQ-2226-SM-A96SS 40-49 years, female 88.3
GTEX-ZYVF-1826-SM-5E44F 50-59 years, female 88.2
GTEX-15UF7-1526-SM-6LPI7 40-49 years, male 88.1
GTEX-16YQH-0726-SM-7IGM1 30-39 years, male 88.1
GTEX-17F9Y-1226-SM-7EPGE 70-79 years, female 88.1
GTEX-1AX8Z-1126-SM-731CS 60-69 years, male 88.1
GTEX-Z93S-0326-SM-5HL84 50-59 years, male 88.0
GTEX-1HBPM-1026-SM-ARL9D 60-69 years, female 88.0
GTEX-1JJ6O-2226-SM-AHZ3I 60-69 years, male 88.0
GTEX-1JMQL-1026-SM-CMKGV 50-59 years, female 88.0
GTEX-ZAK1-1126-SM-5PNXU 50-59 years, female 87.8
GTEX-139TU-1926-SM-5J2OC 60-69 years, male 86.9
GTEX-1JJEA-0926-SM-CYPSO 60-69 years, male 86.9
GTEX-1EU9M-1926-SM-7RHH4 60-69 years, male 86.5
GTEX-WHSE-0826-SM-4SOJU 20-29 years, male 86.2
GTEX-147JS-1326-SM-5SI6D 60-69 years, male 86.1
GTEX-1BAJH-1026-SM-7EWEG 70-79 years, male 86.1
GTEX-1A3MX-1226-SM-731B3 60-69 years, male 86.0
GTEX-1E1VI-1426-SM-793CY 50-59 years, male 85.8
GTEX-1LB8K-0926-SM-D4P42 50-59 years, male 85.8
GTEX-1H3NZ-1026-SM-A9SM5 60-69 years, male 85.3
GTEX-XLM4-2026-SM-4AT4X 60-69 years, male 85.1
GTEX-13U4I-0626-SM-5LU5L 40-49 years, female 85.0
GTEX-11EMC-0826-SM-59862 60-69 years, female 84.9
GTEX-148VJ-1426-SM-5TDE3 70-79 years, male 84.8
GTEX-17MF6-0926-SM-7LTAL 40-49 years, male 84.8
GTEX-1IKOH-0926-SM-A9SLU 60-69 years, female 84.7
GTEX-X4XX-1126-SM-3NMBY 60-69 years, male 84.6
GTEX-1IKJJ-0626-SM-CY8GF 60-69 years, male 84.3
GTEX-146FH-1126-SM-5NQAT 50-59 years, female 84.1
GTEX-Y5V5-0726-SM-4VBPY 60-69 years, female 84.1
GTEX-1CAMQ-0726-SM-7P8SG 40-49 years, male 83.8
GTEX-14A5I-1026-SM-5Q5E3 50-59 years, female 83.6
GTEX-ZAJG-0926-SM-5Q5AB 50-59 years, female 83.6
GTEX-U8XE-0926-SM-3DB8V 30-39 years, male 83.3
GTEX-1GZ2Q-0926-SM-7RHHN 40-49 years, male 83.3
GTEX-14BIM-2726-SM-5Q5EG 60-69 years, female 83.1
GTEX-1B8L1-0426-SM-7SB76 60-69 years, male 83.0
GTEX-13NZA-0826-SM-5K7WS 60-69 years, male 82.9
GTEX-1IDJH-1126-SM-COH3R 70-79 years, male 82.7
GTEX-1HT8W-1326-SM-CGQEN 30-39 years, male 82.6
GTEX-14A6H-0326-SM-5NQAN 30-39 years, male 82.5
GTEX-1IY9M-0626-SM-D4P2L 60-69 years, male 82.5
GTEX-13VXT-0726-SM-5SIAD 20-29 years, female 82.0
GTEX-1HCU7-1226-SM-B2LX8 50-59 years, male 81.8
GTEX-145LS-1326-SM-5Q5EP 60-69 years, female 81.6
GTEX-1GF9V-1726-SM-9KNW4 60-69 years, male 81.6
GTEX-1KANB-1126-SM-DHXJT 50-59 years, male 81.6
GTEX-X8HC-1026-SM-46MWH 50-59 years, female 81.5
GTEX-1M5QR-1626-SM-E9U5O 40-49 years, male 81.2
GTEX-1JN6P-0826-SM-ARL97 60-69 years, male 81.0
GTEX-1HUB1-0726-SM-CGQF4 60-69 years, male 80.9
GTEX-1C6VQ-0826-SM-7PBZT 50-59 years, male 79.8
GTEX-13OW7-1626-SM-5IJDH 50-59 years, male 79.7
GTEX-11UD2-0926-SM-5CVL6 50-59 years, male 79.6
GTEX-1H1DG-0826-SM-9QEIW 70-79 years, male 79.0
GTEX-YFC4-0426-SM-4TT3J 40-49 years, female 78.6
GTEX-12WSE-0926-SM-5S2VX 20-29 years, male 78.0
GTEX-12WSA-1126-SM-5EGKU 60-69 years, male 77.5
GTEX-1I1GQ-1226-SM-CL55J 50-59 years, male 77.5
GTEX-1F48J-1126-SM-9WYSY 50-59 years, female 77.4
GTEX-1HSKV-0726-SM-ACKWE 60-69 years, male 77.1
GTEX-12ZZY-1226-SM-5GCNK 60-69 years, male 77.0
GTEX-1313W-1126-SM-5EQ5U 50-59 years, female 76.9
GTEX-11GSP-1226-SM-5985M 60-69 years, female 76.8
GTEX-1CB4H-0626-SM-7IGN3 60-69 years, female 76.8
GTEX-1F6I4-0826-SM-7RHGK 60-69 years, male 76.8
GTEX-ZVT3-0826-SM-5GIC8 60-69 years, female 76.2
GTEX-1LH75-0526-SM-DIPG2 50-59 years, female 76.0
GTEX-WK11-0626-SM-3NMAV 50-59 years, male 75.4
GTEX-XOT4-1126-SM-4B66E 60-69 years, female 75.4
GTEX-1I1HK-0626-SM-CNPQM 60-69 years, male 75.2
GTEX-13O3O-1426-SM-5KM2S 60-69 years, female 75.1
GTEX-1H1ZS-1026-SM-9WG6E 70-79 years, male 74.9
GTEX-11NUK-0926-SM-5HL57 50-59 years, male 74.7
GTEX-14BIN-2126-SM-793AX 50-59 years, female 74.5
GTEX-WL46-0726-SM-3LK5Z 50-59 years, male 74.5
GTEX-YJ8O-0826-SM-5CVM3 40-49 years, female 74.2
GTEX-11O72-1026-SM-5986B 40-49 years, male 74.0
GTEX-12584-1026-SM-59HK3 40-49 years, male 73.7
GTEX-1I1CD-1326-SM-A9SMM 60-69 years, female 73.5
GTEX-1JMLX-1826-SM-CNPOX 50-59 years, male 72.8
GTEX-132NY-1426-SM-5J1MJ 60-69 years, male 72.3
GTEX-18465-0726-SM-7LG4L 50-59 years, male 72.1
GTEX-1IKK5-1726-SM-CM2RU 60-69 years, male 71.8
GTEX-1LVAO-0626-SM-EWRNT 60-69 years, male 71.4
GTEX-11WQK-0226-SM-5EQLI 50-59 years, male 71.3
GTEX-1K2DU-0226-SM-DIPF6 20-29 years, male 71.3
GTEX-1I19N-0626-SM-A9SKY 70-79 years, male 70.9
GTEX-1J8EW-0626-SM-CM2TY 60-69 years, female 70.7
GTEX-11NV4-0826-SM-5BC4S 60-69 years, male 70.6
GTEX-1399T-0726-SM-5J1MH 60-69 years, male 70.6
GTEX-14C39-0726-SM-5RQIK 40-49 years, male 70.4
GTEX-14BIL-0926-SM-7DHKN 50-59 years, male 70.3
GTEX-WHPG-1026-SM-3NMBA 50-59 years, male 70.0
GTEX-1JMQK-0926-SM-ARL96 60-69 years, male 70.0
GTEX-1HSMO-1126-SM-CGQF2 60-69 years, male 69.9
GTEX-1F75B-1126-SM-7RHGP 50-59 years, male 69.8
GTEX-ZXG5-0626-SM-5NQ85 60-69 years, male 69.7
GTEX-XQ3S-0526-SM-4BOQA 20-29 years, male 69.4
GTEX-13FHP-0826-SM-5K7V5 50-59 years, male 69.3
GTEX-13X6J-1226-SM-79OMF 50-59 years, male 69.3
GTEX-V1D1-0626-SM-4JBHN 50-59 years, male 69.0
GTEX-1RB15-0426-SM-E9U4Y 60-69 years, male 69.0
GTEX-11ZUS-0326-SM-5EQ4W 30-39 years, male 68.9
GTEX-144GL-1026-SM-5O99R 50-59 years, male 68.9
GTEX-14PJ2-1126-SM-69LOD 50-59 years, male 68.9
GTEX-1PPGY-0926-SM-DTXFF 60-69 years, male 67.9
GTEX-1B8SG-0726-SM-79ONS 50-59 years, male 67.7
GTEX-1A8FM-1026-SM-7PC26 50-59 years, female 67.5
GTEX-12WSC-1026-SM-5EQ5Y 50-59 years, male 67.3
GTEX-1A8G6-1826-SM-73KY8 60-69 years, male 67.3
GTEX-117XS-0726-SM-5H131 60-69 years, male 67.2
GTEX-15D1Q-0426-SM-6AJ9G 40-49 years, male 67.2
GTEX-1F88F-0326-SM-9KNV3 60-69 years, female 67.2
GTEX-14PN4-0826-SM-69LON 50-59 years, male 66.8
GTEX-12ZZX-0726-SM-5EGKA 40-49 years, female 66.7
GTEX-13SLW-0826-SM-5QGP7 70-79 years, male 66.6
GTEX-16GPK-1226-SM-7LTAU 60-69 years, male 66.6
GTEX-15CHQ-1326-SM-6871Z 60-69 years, male 66.0
GTEX-14C38-1326-SM-62LDK 50-59 years, male 65.9
GTEX-1B8SF-1326-SM-7IGQJ 60-69 years, male 65.8
GTEX-1C64N-0826-SM-7RHGQ 50-59 years, male 65.8
GTEX-1H3VY-1126-SM-A96TP 50-59 years, male 65.5
GTEX-1B932-1326-SM-79OM4 40-49 years, female 65.3
GTEX-ZE7O-0626-SM-57WCD 50-59 years, female 64.9
GTEX-1HFI6-0826-SM-9YFM2 40-49 years, male 64.9
GTEX-11DXY-1026-SM-5987V 60-69 years, male 64.8
GTEX-1GTWX-0926-SM-9MQKM 60-69 years, male 64.8
GTEX-13PL6-0826-SM-5IJBI 40-49 years, female 64.7
GTEX-1LSNL-0626-SM-DIPFJ 50-59 years, male 64.7
GTEX-12WSI-0426-SM-5EQ5J 50-59 years, male 64.4
GTEX-1C6WA-0826-SM-7PBXS 60-69 years, male 64.0
GTEX-ZVT4-1326-SM-5NQ8E 50-59 years, female 63.9
GTEX-WOFL-1226-SM-4OOST 60-69 years, male 63.8
GTEX-ZDXO-0426-SM-4WKF6 60-69 years, male 63.5
GTEX-1KD5A-0926-SM-D4P3U 50-59 years, male 63.5
GTEX-13JUV-0226-SM-5IJCC 40-49 years, female 62.5
GTEX-1I1GV-1426-SM-B2LXN 60-69 years, male 62.3
GTEX-13PDP-1326-SM-5K7U9 60-69 years, male 62.0
GTEX-11ZVC-0526-SM-5N9G1 50-59 years, female 61.9
GTEX-1477Z-1126-SM-5P9GK 60-69 years, male 61.5
GTEX-ZUA1-0726-SM-4YCD9 40-49 years, male 61.0
GTEX-1HC8U-0626-SM-B2LWB 40-49 years, female 59.9
GTEX-1GMRU-1326-SM-9WYUI 50-59 years, male 59.6
GTEX-1192W-0226-SM-5EGGT 60-69 years, male 59.5
GTEX-X62O-0826-SM-46MW8 50-59 years, male 59.5
GTEX-WI4N-0726-SM-3TW93 40-49 years, female 59.0
GTEX-1339X-0326-SM-5K7Z8 40-49 years, male 58.9
GTEX-ZVZQ-0726-SM-51MR3 60-69 years, female 58.6
GTEX-1QP6S-1026-SM-DTXFW 40-49 years, male 57.7
GTEX-WRHU-1026-SM-4E3ID 50-59 years, female 57.3
GTEX-1F75A-1026-SM-7PC3W 50-59 years, male 57.3
GTEX-13112-0526-SM-5EQ4S 50-59 years, male 57.2
GTEX-1HR98-1026-SM-CKZOM 60-69 years, male 56.8
GTEX-13FTZ-0326-SM-5J1O1 60-69 years, male 56.4
GTEX-1IL2V-1126-SM-CMKGH 70-79 years, male 56.0
GTEX-1EWIQ-1126-SM-7EPIK 70-79 years, female 55.7
GTEX-13CF2-0226-SM-5L3DV 60-69 years, male 55.4
GTEX-1EX96-2626-SM-9MQJV 50-59 years, male 55.4
GTEX-1212Z-0726-SM-5EGI5 60-69 years, male 54.8
GTEX-1QEPI-1126-SM-E8VN7 60-69 years, female 54.2
GTEX-111VG-0326-SM-5GZX7 60-69 years, male 53.0
GTEX-18A6Q-1526-SM-731CO 60-69 years, male 52.4
GTEX-13FXS-1026-SM-62LFQ 50-59 years, male 52.1
GTEX-1H3O1-0226-SM-9WYSW 60-69 years, male 51.5
GTEX-YECK-1226-SM-4W21G 60-69 years, male 51.2
GTEX-1B933-0826-SM-79OMW 50-59 years, female 51.0
GTEX-1H1CY-0426-SM-9KNVD 60-69 years, female 50.8
GTEX-117YW-0426-SM-5GZZZ 50-59 years, male 50.0
GTEX-1CB4G-0726-SM-79OOJ 60-69 years, male 49.1
GTEX-11GS4-0426-SM-5N9CD 60-69 years, male 48.3
GTEX-13O3Q-0326-SM-5L3FE 50-59 years, male 48.3
GTEX-14E7W-1126-SM-5ZZVS 70-79 years, male 48.2
GTEX-1I1GR-1026-SM-A9SLC 60-69 years, male 47.7
GTEX-1POEN-0726-SM-DTXDU 30-39 years, female 47.3
GTEX-11ONC-1026-SM-5GU64 60-69 years, male 46.1
GTEX-147F4-1126-SM-5TDDE 50-59 years, male 45.2
GTEX-1IOXB-0726-SM-A9G32 50-59 years, male 44.2
GTEX-1GN1V-1026-SM-CNPPS 60-69 years, male 42.6
GTEX-1MJK2-1626-SM-EVYCQ 50-59 years, male 41.2
GTEX-11TUW-1126-SM-5EQKJ 60-69 years, male 39.0
Show allShow less
Heart - Left Ventricle
Average nTPM: 134.6
Samples: 432

Max nTPM: 335.2
Min nTPM: 32.4
Std nTPM: 68.4
Median nTPM: 116.2
GTEX-1QCLZ-0926-SM-E6CQZ 60-69 years, female 335.2
GTEX-P4PP-0326-SM-33HC4 30-39 years, female 333.2
GTEX-1L5NE-0426-SM-E9TIX 50-59 years, male 326.4
GTEX-R55C-0326-SM-3GAF1 40-49 years, male 299.2
GTEX-WFON-0326-SM-3GIKX 40-49 years, male 297.9
GTEX-13O21-2326-SM-5MR3X 50-59 years, male 297.7
GTEX-OHPM-0326-SM-33HCA 50-59 years, male 290.2
GTEX-117YX-1126-SM-5H128 50-59 years, male 286.0
GTEX-YEC3-0726-SM-CMKFH 50-59 years, male 278.1
GTEX-OOBJ-0326-SM-33HBO 60-69 years, male 272.3
GTEX-ZF29-0226-SM-4WKHO 60-69 years, female 272.3
GTEX-11DXX-0326-SM-5PNWC 60-69 years, female 272.1
GTEX-1KXAM-1326-SM-E9TJW 60-69 years, male 268.1
GTEX-18D9U-1126-SM-72D5Y 40-49 years, male 267.1
GTEX-1JK1U-0526-SM-CYPSQ 60-69 years, male 266.6
GTEX-18A67-1226-SM-7KFRS 50-59 years, male 261.1
GTEX-1RMOY-0626-SM-E9TIE 50-59 years, male 260.4
GTEX-ZPCL-0426-SM-DNZZ4 60-69 years, female 257.2
GTEX-1KANC-0426-SM-CXZK5 50-59 years, female 254.9
GTEX-12WSN-5001-SM-7DHMK 40-49 years, male 254.8
GTEX-1J8Q3-1226-SM-CKZPT 60-69 years, male 254.4
GTEX-1MUQO-1226-SM-E9TJK 60-69 years, male 252.7
GTEX-131XF-5001-SM-7DHLY 60-69 years, male 250.4
GTEX-14PN3-0526-SM-69LQF 60-69 years, female 249.7
GTEX-WHWD-0426-SM-3LK83 50-59 years, male 249.4
GTEX-14PHY-0226-SM-5ZZWM 60-69 years, female 247.5
GTEX-1399S-1026-SM-5KLZ9 30-39 years, female 247.4
GTEX-14PJ4-1126-SM-5YY91 60-69 years, male 246.5
GTEX-15CHC-0426-SM-6LLHI 60-69 years, female 246.4
GTEX-WEY5-0426-SM-3GIKT 40-49 years, female 242.2
GTEX-X3Y1-0426-SM-3P5Z4 40-49 years, male 240.5
GTEX-ZVZP-0226-SM-5NQ73 50-59 years, male 240.5
GTEX-1AYCT-0426-SM-73KVZ 50-59 years, male 237.8
GTEX-1B97J-0726-SM-7RHG3 50-59 years, female 237.8
GTEX-ZQUD-1526-SM-7IGO2 30-39 years, male 236.1
GTEX-ZV7C-0326-SM-57WB1 50-59 years, male 235.1
GTEX-13FTW-1026-SM-5L3E3 40-49 years, male 234.4
GTEX-1MCC2-0326-SM-EV7AK 30-39 years, female 233.3
GTEX-1OKEX-0726-SM-DPRYE 60-69 years, male 232.1
GTEX-1OFPY-1026-SM-EXUSO 60-69 years, male 232.0
GTEX-SNMC-0126-SM-2XCFO 20-29 years, male 231.8
GTEX-1B8KE-0126-SM-793AM 50-59 years, male 231.1
GTEX-1GMR2-1426-SM-7RHHK 50-59 years, male 230.0
GTEX-UJMC-0526-SM-3GAE3 50-59 years, male 228.7
GTEX-ZDTT-0726-SM-4WKFK 60-69 years, male 228.6
GTEX-1CB4I-1626-SM-7RHGV 50-59 years, male 227.4
GTEX-SE5C-0626-SM-2XCDV 40-49 years, female 227.2
GTEX-WFG8-0626-SM-3GILJ 20-29 years, male 227.1
GTEX-13X6H-0426-SM-5LU4E 50-59 years, female 225.7
GTEX-13D11-1726-SM-5IFGQ 50-59 years, female 224.3
GTEX-Q2AH-0526-SM-2I3ED 40-49 years, male 224.1
GTEX-11LCK-0926-SM-5A5KA 30-39 years, male 223.1
GTEX-13OVG-0526-SM-5K7YD 60-69 years, male 222.8
GTEX-1S3DN-0726-SM-E9TIO 50-59 years, male 222.8
GTEX-1399R-1926-SM-5K7X8 30-39 years, male 221.8
GTEX-13PVR-1026-SM-5QGQW 60-69 years, female 221.6
GTEX-1GL5R-0326-SM-9WYTJ 50-59 years, male 221.2
GTEX-146FR-0626-SM-5RQJ1 60-69 years, female 220.4
GTEX-12BJ1-0226-SM-5LUA2 60-69 years, male 219.8
GTEX-Y5V6-0826-SM-4VBRU 60-69 years, male 219.4
GTEX-XBED-0526-SM-47JY3 60-69 years, male 219.2
GTEX-1R7EV-0326-SM-E76PA 40-49 years, male 219.1
GTEX-1F75I-1126-SM-9WYUO 40-49 years, male 219.0
GTEX-NFK9-0926-SM-2HMJU 40-49 years, male 218.6
GTEX-P4PQ-0326-SM-2HMJ8 60-69 years, male 218.6
GTEX-1HCUA-0526-SM-A9SMH 50-59 years, female 218.0
GTEX-1399U-0526-SM-5K7YM 50-59 years, female 217.0
GTEX-ZDYS-0226-SM-5HL4K 50-59 years, male 216.1
GTEX-OXRK-0826-SM-2HMK7 50-59 years, female 215.0
GTEX-YEC4-0326-SM-4W216 40-49 years, male 214.6
GTEX-145MN-0626-SM-5QGRH 30-39 years, male 214.0
GTEX-1LGRB-1126-SM-CNPP2 50-59 years, female 213.7
GTEX-12696-1126-SM-5FQTI 60-69 years, male 213.5
GTEX-1AX9J-1026-SM-72D6E 60-69 years, male 213.2
GTEX-1F5PK-0326-SM-9KNUD 50-59 years, male 213.1
GTEX-ZYFG-0426-SM-5E43M 60-69 years, female 212.4
GTEX-1IKOE-1026-SM-ARZMF 30-39 years, female 212.3
GTEX-Y114-0226-SM-4TT8W 50-59 years, female 211.5
GTEX-13QBU-0426-SM-5J2O4 40-49 years, female 210.3
GTEX-15RIE-1726-SM-7KUMU 60-69 years, male 209.8
GTEX-1C2JI-0526-SM-7EWEQ 50-59 years, male 209.5
GTEX-OHPK-0326-SM-2HMJO 50-59 years, female 209.5
GTEX-13S86-0226-SM-5S2PJ 40-49 years, male 208.9
GTEX-111YS-0426-SM-5987O 60-69 years, male 208.8
GTEX-OIZF-0326-SM-3MJGY 60-69 years, male 207.5
GTEX-UJHI-0426-SM-3DB8Y 50-59 years, female 207.4
GTEX-1AX8Z-5007-SM-AHZ36 60-69 years, male 207.2
GTEX-16BQI-0926-SM-6M485 30-39 years, female 205.6
GTEX-13O61-0526-SM-5J2M1 60-69 years, male 205.5
GTEX-1HFI7-0826-SM-A9G23 50-59 years, female 204.9
GTEX-ZZPU-0926-SM-5GZYT 50-59 years, female 204.7
GTEX-14E1K-1026-SM-73KUR 50-59 years, male 203.3
GTEX-17F9E-0926-SM-7IGMG 50-59 years, male 203.2
GTEX-17KNJ-0826-SM-793A4 50-59 years, male 203.2
GTEX-XGQ4-0326-SM-4GIEE 50-59 years, male 202.2
GTEX-OIZH-0326-SM-2HMKC 50-59 years, male 201.6
GTEX-ZVT2-1026-SM-5GU55 50-59 years, female 200.4
GTEX-ZPU1-0626-SM-4YCDM 40-49 years, male 200.2
GTEX-139YR-0826-SM-5LZXY 50-59 years, male 199.7
GTEX-ZLFU-0226-SM-4WWFH 40-49 years, male 197.1
GTEX-1IDJU-0726-SM-CNPQ9 60-69 years, female 195.0
GTEX-14PJ6-0726-SM-69LOL 60-69 years, female 194.5
GTEX-1R9JW-0526-SM-EWRNK 30-39 years, female 193.9
GTEX-XPVG-0826-SM-4B654 50-59 years, male 193.1
GTEX-1CB4J-0326-SM-7PBZO 60-69 years, male 192.9
GTEX-11TT1-1326-SM-5PNYM 20-29 years, male 192.8
GTEX-OHPL-0326-SM-33HC8 60-69 years, female 191.3
GTEX-15CHR-0226-SM-7PC2Z 50-59 years, male 190.4
GTEX-ZEX8-0426-SM-DO92Y 50-59 years, male 190.2
GTEX-1122O-0826-SM-5GICV 60-69 years, female 189.8
GTEX-1I6K7-0626-SM-ARL7Q 40-49 years, male 188.9
GTEX-18D9B-1226-SM-72D6V 60-69 years, male 187.7
GTEX-WYJK-1026-SM-3NM8W 50-59 years, male 187.7
GTEX-O5YW-0326-SM-2I5EI 50-59 years, male 187.1
GTEX-132QS-0426-SM-5KLZ6 60-69 years, male 187.0
GTEX-QMRM-0526-SM-2I5GA 50-59 years, male 186.4
GTEX-YF7O-0426-SM-5P9FS 50-59 years, male 185.1
GTEX-14PHX-2126-SM-6EU2U 50-59 years, male 184.9
GTEX-QLQ7-0526-SM-2I5G3 60-69 years, male 182.9
GTEX-1CB4E-0526-SM-7MXTK 60-69 years, male 181.9
GTEX-ZG7Y-0926-SM-5EQ6O 50-59 years, male 181.6
GTEX-1RB15-0326-SM-E6CQB 60-69 years, male 181.6
GTEX-S32W-0626-SM-2XCBG 50-59 years, female 181.3
GTEX-ZGAY-0326-SM-57WF5 40-49 years, female 181.0
GTEX-O5YT-0326-SM-32PKA 20-29 years, male 180.6
GTEX-QESD-0526-SM-2I5G5 20-29 years, male 180.3
GTEX-1QPFJ-1026-SM-E6CR6 30-39 years, female 179.8
GTEX-13VXT-1126-SM-5LU3A 20-29 years, female 179.5
GTEX-OXRL-0326-SM-2I3F2 50-59 years, male 178.9
GTEX-XXEK-0926-SM-4BRWH 50-59 years, male 178.7
GTEX-13FH7-0926-SM-5J2MR 50-59 years, female 178.4
GTEX-13U4I-0826-SM-5SIBD 40-49 years, female 178.4
GTEX-1HSGN-1126-SM-CJI4G 40-49 years, female 177.8
GTEX-PWCY-0526-SM-5P9HG 20-29 years, female 176.5
GTEX-SUCS-0326-SM-32PLL 70-79 years, male 176.4
GTEX-14PK6-0826-SM-5ZZVO 70-79 years, female 173.2
GTEX-XPT6-0126-SM-4B65S 20-29 years, male 173.1
GTEX-12WSK-0626-SM-5LZUJ 40-49 years, female 172.2
GTEX-ZAB5-0226-SM-5CVMH 50-59 years, male 171.7
GTEX-V955-0726-SM-3GAFG 60-69 years, male 171.0
GTEX-WH7G-0426-SM-3NMBJ 40-49 years, male 170.7
GTEX-RWS6-0326-SM-2XCAP 60-69 years, female 170.1
GTEX-1LSNM-0526-SM-DIPG6 50-59 years, male 169.4
GTEX-1LVAN-1726-SM-CNNR1 50-59 years, female 168.8
GTEX-Y3I4-0626-SM-4TT7A 50-59 years, male 168.4
GTEX-WHPG-0826-SM-3NMBF 50-59 years, male 167.4
GTEX-1J8QM-0426-SM-AHZ3X 60-69 years, female 166.5
GTEX-1LGOU-0726-SM-E9TIY 20-29 years, female 163.3
GTEX-15EOM-5007-SM-793DG 20-29 years, female 163.1
GTEX-13W3W-0426-SM-5SI9D 60-69 years, female 162.0
GTEX-1CAMS-1326-SM-79OJR 40-49 years, female 161.5
GTEX-14H4A-0626-SM-5ZZUT 40-49 years, female 161.3
GTEX-11I78-0826-SM-5A5K4 50-59 years, female 161.2
GTEX-QV44-0526-SM-2S1RE 50-59 years, male 160.5
GTEX-XQ8I-0126-SM-4BOPL 50-59 years, male 160.1
GTEX-WFG7-0726-SM-3GIKO 20-29 years, male 159.3
GTEX-15RJ7-0226-SM-7KUMN 40-49 years, male 158.5
GTEX-1ICG6-0626-SM-ACKWS 70-79 years, female 158.3
GTEX-PSDG-0926-SM-2I5FP 50-59 years, male 157.5
GTEX-1QP29-1526-SM-EXUSY 50-59 years, male 157.0
GTEX-13N11-0426-SM-5KM3O 50-59 years, female 156.9
GTEX-131XG-0626-SM-5GCMP 50-59 years, female 156.8
GTEX-QDVN-0326-SM-2I3FS 50-59 years, male 156.8
GTEX-11DXZ-0626-SM-5GU77 50-59 years, male 156.6
GTEX-OIZI-0926-SM-E6CHF 40-49 years, male 155.5
GTEX-16XZY-0426-SM-793BI 70-79 years, male 154.1
GTEX-Y8E4-0326-SM-4VBRR 40-49 years, male 153.6
GTEX-RWSA-0626-SM-2XCBD 40-49 years, male 153.5
GTEX-U3ZH-0326-SM-3DB7A 30-39 years, male 153.2
GTEX-1QP2A-1126-SM-EVR3H 50-59 years, male 152.5
GTEX-R53T-0926-SM-3GADH 50-59 years, female 151.9
GTEX-RUSQ-0526-SM-2TF72 50-59 years, male 151.9
GTEX-1IDJI-1026-SM-A96TE 50-59 years, female 151.9
GTEX-1GF9U-0426-SM-7RHHA 40-49 years, female 150.3
GTEX-POMQ-0326-SM-2I5FO 20-29 years, female 149.2
GTEX-PX3G-0326-SM-2I3EO 20-29 years, female 148.4
GTEX-QDVJ-0426-SM-2I5FW 50-59 years, male 146.6
GTEX-1EU9M-1826-SM-7DUGU 60-69 years, male 145.6
GTEX-1HSMQ-0226-SM-C1YQL 50-59 years, male 145.2
GTEX-1PPH7-2026-SM-E9J3N 40-49 years, male 144.8
GTEX-1GN1W-0326-SM-9JGHF 50-59 years, female 144.5
GTEX-U4B1-0326-SM-3DB8K 40-49 years, male 144.4
GTEX-1MJIX-0326-SM-EVR42 40-49 years, male 144.4
GTEX-1211K-0626-SM-5FQUZ 60-69 years, female 144.2
GTEX-WHSE-0926-SM-3NMBS 20-29 years, male 143.7
GTEX-QEG4-0426-SM-33HC3 30-39 years, male 143.6
GTEX-1IDJF-0726-SM-CJI1U 20-29 years, male 141.3
GTEX-1AX9K-0526-SM-73KV1 50-59 years, male 141.1
GTEX-11ZUS-0226-SM-5FQT8 30-39 years, male 141.0
GTEX-13CF3-0726-SM-5J2MY 60-69 years, female 141.0
GTEX-1GMR3-0326-SM-7P8QT 40-49 years, male 140.6
GTEX-1RQEC-0926-SM-EWROG 60-69 years, male 139.0
GTEX-X15G-0426-SM-4PQZ6 50-59 years, female 138.2
GTEX-U3ZN-1426-SM-3DB87 30-39 years, female 135.1
GTEX-ZF2S-1026-SM-9QEGK 50-59 years, female 131.2
GTEX-132NY-1726-SM-5EGKK 60-69 years, male 130.7
GTEX-WZTO-1326-SM-3NM8X 40-49 years, male 128.7
GTEX-1KD5A-1026-SM-CY8I8 50-59 years, male 128.6
GTEX-QEL4-0926-SM-3GAD1 50-59 years, male 127.6
GTEX-17HGU-1026-SM-79OKL 50-59 years, male 127.0
GTEX-1R9K4-1326-SM-DTX8G 60-69 years, male 126.7
GTEX-WY7C-0526-SM-3NB3D 50-59 years, male 125.5
GTEX-13NZB-0226-SM-5KM1T 30-39 years, male 125.2
GTEX-R55G-0526-SM-2TC5O 40-49 years, female 124.6
GTEX-Y3IK-0826-SM-51MT8 50-59 years, female 122.1
GTEX-U8XE-1126-SM-3DB8W 30-39 years, male 121.9
GTEX-14XAO-1126-SM-6EU11 60-69 years, female 120.9
GTEX-WQUQ-1426-SM-3MJFD 60-69 years, male 120.3
GTEX-146FH-1026-SM-5RQIF 50-59 years, female 119.5
GTEX-R55E-1026-SM-2TC5S 20-29 years, male 119.3
GTEX-XQ3S-0626-SM-4BOOB 20-29 years, male 118.6
GTEX-1IDJE-0326-SM-CM2TD 50-59 years, female 118.3
GTEX-132AR-2026-SM-5IJG4 50-59 years, female 118.2
GTEX-RNOR-0826-SM-2TF5C 50-59 years, female 117.5
GTEX-13OVL-0526-SM-5KLZQ 50-59 years, male 116.3
GTEX-1H11D-1226-SM-9WPQ2 40-49 years, male 116.3
GTEX-1O9I2-1126-SM-DTXEA 50-59 years, male 116.2
GTEX-ZTPG-1226-SM-4YCDO 20-29 years, female 116.1
GTEX-16YQH-0926-SM-793BC 30-39 years, male 116.0
GTEX-V1D1-0526-SM-4JBGW 50-59 years, male 115.8
GTEX-1HCVE-1126-SM-9WPPG 50-59 years, male 115.6
GTEX-12ZZZ-1726-SM-59HK5 60-69 years, male 115.4
GTEX-REY6-1026-SM-2TF4Y 60-69 years, male 115.1
GTEX-14A6H-0226-SM-5Q5DX 30-39 years, male 114.6
GTEX-145LV-0326-SM-5Q5BW 50-59 years, male 113.5
GTEX-YB5K-0126-SM-5IFJ2 40-49 years, female 112.3
GTEX-UPK5-0326-SM-CYPR4 40-49 years, male 112.3
GTEX-P4QS-0326-SM-2I3EU 60-69 years, male 111.6
GTEX-1J8EW-0926-SM-A9G33 60-69 years, female 111.1
GTEX-1HBPH-0126-SM-CNNQ7 40-49 years, female 110.8
GTEX-1GZ4I-1026-SM-9KNV5 50-59 years, male 110.5
GTEX-ZDXO-0726-SM-57WBT 60-69 years, male 108.2
GTEX-ZAB4-1026-SM-5HL7T 40-49 years, male 107.4
GTEX-PLZ5-0626-SM-2I5F8 50-59 years, male 105.9
GTEX-15SHU-1126-SM-7KUMB 40-49 years, female 105.7
GTEX-1AX9I-1126-SM-7EPHH 60-69 years, male 105.4
GTEX-1HC8U-0726-SM-ACKXL 40-49 years, female 105.3
GTEX-1R9PO-0326-SM-DTXA1 60-69 years, female 104.9
GTEX-P78B-0426-SM-2I5F5 40-49 years, female 104.6
GTEX-1C6VQ-1126-SM-7EWET 50-59 years, male 103.8
GTEX-111FC-0826-SM-5GZWO 60-69 years, male 103.5
GTEX-1GN73-2426-SM-7RHFQ 60-69 years, male 103.5
GTEX-OIZG-1126-SM-2HMIU 50-59 years, male 102.9
GTEX-1R9K5-1326-SM-E6CPR 50-59 years, male 102.8
GTEX-13SLX-1026-SM-5ZZUQ 50-59 years, female 101.9
GTEX-1B996-1126-SM-73KWN 60-69 years, male 100.9
GTEX-RU72-0326-SM-2TF5T 50-59 years, female 100.7
GTEX-13YAN-1326-SM-5Q5F1 60-69 years, male 100.0
GTEX-13FLV-0926-SM-5L3DZ 50-59 years, male 99.1
GTEX-14JG1-1026-SM-6ETZY 40-49 years, male 97.8
GTEX-1EMGI-1226-SM-793DD 60-69 years, male 97.3
GTEX-148VI-0326-SM-5RQK7 60-69 years, female 97.2
GTEX-131XH-0226-SM-5LZVB 50-59 years, male 96.8
GTEX-14E6C-0426-SM-5YYA8 40-49 years, male 95.9
GTEX-18A66-1226-SM-7LT8G 60-69 years, male 95.8
GTEX-13O3O-1526-SM-5KM1C 60-69 years, female 95.7
GTEX-12WSC-1126-SM-5EQ4G 50-59 years, male 94.7
GTEX-ZPIC-0826-SM-4WWFJ 40-49 years, female 94.7
GTEX-1M5QR-1026-SM-DHXK9 40-49 years, male 94.7
GTEX-145MO-1126-SM-5NQBX 60-69 years, male 94.3
GTEX-11EM3-0626-SM-5H12Z 20-29 years, female 93.0
GTEX-12WSG-0526-SM-5FQTH 50-59 years, female 92.6
GTEX-ZAJG-0826-SM-5PNVA 50-59 years, female 92.4
GTEX-1C64O-0826-SM-79OKZ 60-69 years, male 92.3
GTEX-1F6I4-0726-SM-7PC2P 60-69 years, male 91.9
GTEX-1339X-0426-SM-5KLZY 40-49 years, male 91.8
GTEX-YJ8O-0926-SM-EAZ2Z 40-49 years, female 91.3
GTEX-15RJE-0626-SM-7KUKR 40-49 years, male 90.9
GTEX-16NPX-0926-SM-7KUEZ 50-59 years, male 90.0
GTEX-OXRO-2026-SM-2YUMZ 60-69 years, female 89.7
GTEX-1GF9V-1626-SM-7PBXL 60-69 years, male 89.6
GTEX-1JJEA-0826-SM-CL53T 60-69 years, male 89.6
GTEX-15DDE-1126-SM-6LLHN 50-59 years, female 89.5
GTEX-1LH75-0426-SM-E9TJF 50-59 years, female 89.1
GTEX-NPJ8-0426-SM-2HMK6 40-49 years, male 88.6
GTEX-13RTJ-0726-SM-5QGQN 60-69 years, male 88.1
GTEX-1JJE9-1426-SM-ARL8P 70-79 years, male 87.4
GTEX-ZYW4-0926-SM-59HJS 60-69 years, male 87.0
GTEX-Y5V5-0626-SM-4VBPX 60-69 years, female 86.8
GTEX-N7MT-1326-SM-2I3FV 60-69 years, female 86.7
GTEX-1POEN-0626-SM-EVR4B 30-39 years, female 86.3
GTEX-YFC4-0526-SM-5ZZVI 40-49 years, female 86.1
GTEX-1497J-1226-SM-5Q5BL 60-69 years, male 85.5
GTEX-1B8L1-0526-SM-79ONX 60-69 years, male 85.3
GTEX-1F48J-1026-SM-7P8SO 50-59 years, female 84.8
GTEX-1H1ZS-1126-SM-9MQLJ 70-79 years, male 84.2
GTEX-1JJ6O-2126-SM-CNNP6 60-69 years, male 83.8
GTEX-1JMPZ-1426-SM-CJI3C 30-39 years, male 83.7
GTEX-131XE-0626-SM-5HL98 50-59 years, male 83.6
GTEX-1JMLX-1626-SM-ARZMV 50-59 years, male 83.5
GTEX-1B932-1026-SM-793CL 40-49 years, female 83.4
GTEX-QEG5-0926-SM-2TC64 20-29 years, male 83.0
GTEX-11EMC-0726-SM-5EGJO 60-69 years, female 82.9
GTEX-1JMQK-0626-SM-D4P2R 60-69 years, male 82.1
GTEX-XBEC-1326-SM-4AT69 50-59 years, male 81.5
GTEX-1GMRU-1526-SM-9WYT5 50-59 years, male 81.3
GTEX-15SHW-1226-SM-6M46C 60-69 years, male 81.0
GTEX-ZYFC-1126-SM-5E44W 50-59 years, male 81.0
GTEX-12WSD-1126-SM-5EGJD 60-69 years, female 80.8
GTEX-1PWST-1026-SM-DTXF2 70-79 years, male 80.7
GTEX-1CB4G-0826-SM-7DUGF 60-69 years, male 80.6
GTEX-1314G-0126-SM-5LZUL 30-39 years, male 80.5
GTEX-ZDTS-1326-SM-6LLHE 60-69 years, male 80.5
GTEX-13N1W-1026-SM-5IJC5 70-79 years, male 80.4
GTEX-WL46-0926-SM-3LK7T 50-59 years, male 79.8
GTEX-T6MN-0926-SM-32PLX 50-59 years, male 79.6
GTEX-16MT8-0926-SM-6M487 60-69 years, female 79.5
GTEX-1H3NZ-1126-SM-9WYT9 60-69 years, male 79.3
GTEX-1RAZS-0826-SM-E76QP 50-59 years, male 79.1
GTEX-1A3MX-1326-SM-72D58 60-69 years, male 78.6
GTEX-15ER7-1726-SM-6PAMX 20-29 years, female 78.1
GTEX-17GQL-0526-SM-72D5N 60-69 years, male 77.6
GTEX-WWYW-1326-SM-3NB2S 50-59 years, female 77.6
GTEX-RTLS-0826-SM-2TF5Q 60-69 years, female 77.4
GTEX-P44H-0726-SM-48TBT 40-49 years, male 77.1
GTEX-17JCI-1126-SM-7IGMM 60-69 years, female 76.8
GTEX-14C38-1426-SM-5RQHZ 50-59 years, male 76.5
GTEX-13X6I-1426-SM-5SI9Z 60-69 years, male 76.4
GTEX-12ZZW-1026-SM-5GCMM 50-59 years, male 76.1
GTEX-17MF6-0726-SM-7LT8E 40-49 years, male 76.1
GTEX-13OW8-2126-SM-5J1OS 60-69 years, male 75.7
GTEX-X261-1426-SM-4PQZ1 50-59 years, male 75.2
GTEX-14C5O-1326-SM-5S2UW 60-69 years, male 75.0
GTEX-1IKJJ-0826-SM-A96SP 60-69 years, male 74.5
GTEX-13PVQ-1226-SM-5IJDC 50-59 years, male 74.3
GTEX-R45C-0926-SM-3GAD4 60-69 years, female 74.3
GTEX-WK11-0826-SM-EZ6LH 50-59 years, male 74.0
GTEX-ZYT6-1726-SM-5E44P 30-39 years, male 73.9
GTEX-1EN7A-0726-SM-7PBXT 40-49 years, male 73.5
GTEX-1N2EF-2826-SM-E6CQF 60-69 years, male 73.5
GTEX-14BIN-2226-SM-5YYA1 50-59 years, female 73.2
GTEX-11O72-1126-SM-5N9E2 40-49 years, male 72.7
GTEX-12584-0926-SM-5FQTN 40-49 years, male 72.7
GTEX-11ZVC-0426-SM-5CVLD 50-59 years, female 72.6
GTEX-1E1VI-1326-SM-7IGQD 50-59 years, male 71.1
GTEX-X8HC-1626-SM-46MWE 50-59 years, female 70.8
GTEX-1GTWX-1026-SM-7P8QW 60-69 years, male 70.8
GTEX-1HBPM-1226-SM-A9SM8 60-69 years, female 70.6
GTEX-11GS4-0526-SM-5A5KQ 60-69 years, male 69.3
GTEX-17HII-1326-SM-7IGOB 50-59 years, male 69.2
GTEX-1BAJH-1626-SM-73KUV 70-79 years, male 69.2
GTEX-1H23P-1226-SM-9QEJ2 60-69 years, male 69.2
GTEX-1KD4Q-0726-SM-DIPGE 40-49 years, male 69.1
GTEX-1LB8K-1026-SM-DHXJJ 50-59 years, male 69.1
GTEX-1I1GQ-1426-SM-B2LWY 50-59 years, male 68.9
GTEX-1EH9U-0826-SM-7IGPT 60-69 years, male 68.6
GTEX-17F9Y-1326-SM-7MGW9 70-79 years, female 68.4
GTEX-1269C-0826-SM-5N9EM 60-69 years, female 68.3
GTEX-13FHP-1026-SM-5K7Y2 50-59 years, male 68.3
GTEX-13OW6-1126-SM-5L3HL 50-59 years, male 67.7
GTEX-XV7Q-0826-SM-4BRV7 40-49 years, female 67.2
GTEX-1PPGY-1126-SM-E76OU 60-69 years, male 67.2
GTEX-1HCU7-1326-SM-CNPPW 50-59 years, male 67.0
GTEX-1313W-1426-SM-5KLZU 50-59 years, female 66.9
GTEX-13X6K-1826-SM-5O9CR 60-69 years, female 66.3
GTEX-1J8Q2-1226-SM-A9G2W 60-69 years, male 66.1
GTEX-14DAQ-1126-SM-664MT 60-69 years, female 66.0
GTEX-WRHU-1226-SM-4E3IJ 50-59 years, female 66.0
GTEX-S33H-0526-SM-COH1W 30-39 years, male 65.9
GTEX-1LC47-1026-SM-D3LAH 60-69 years, male 65.8
GTEX-1IDJH-1026-SM-E9TKH 70-79 years, male 65.7
GTEX-148VJ-1526-SM-5Q5DU 70-79 years, male 65.6
GTEX-14BIL-1126-SM-79OMC 50-59 years, male 65.0
GTEX-1HCU6-1026-SM-A9G25 60-69 years, female 64.9
GTEX-1ICLY-1326-SM-CJI47 50-59 years, male 64.9
GTEX-1JN1M-1026-SM-CNPOS 60-69 years, female 64.7
GTEX-1212Z-0626-SM-5FQTB 60-69 years, male 64.5
GTEX-14E6D-0926-SM-5S2QV 50-59 years, male 64.5
GTEX-1IKK5-1526-SM-CKZPW 60-69 years, male 64.1
GTEX-13112-0426-SM-5PNVC 50-59 years, male 63.3
GTEX-1EX96-2526-SM-7RHGW 50-59 years, male 63.1
GTEX-1I1HK-0726-SM-B2LY4 60-69 years, male 63.0
GTEX-11DXY-0826-SM-5EGGR 60-69 years, male 62.0
GTEX-13JVG-1326-SM-5N9F8 60-69 years, male 61.8
GTEX-T2IS-0426-SM-32QPE 20-29 years, female 61.7
GTEX-13O3P-1626-SM-5K7X3 50-59 years, male 61.5
GTEX-1F6IF-2526-SM-7P8TV 60-69 years, male 61.3
GTEX-PVOW-0426-SM-5MR5R 40-49 years, male 61.0
GTEX-RN64-0826-SM-2TC62 50-59 years, male 61.0
GTEX-1A3MW-1326-SM-7189P 60-69 years, female 60.9
GTEX-N7MS-0826-SM-2HML4 60-69 years, male 60.7
GTEX-1EKGG-1126-SM-7MGXB 60-69 years, male 60.6
GTEX-1I1GV-1326-SM-A96SE 60-69 years, male 60.5
GTEX-1EWIQ-1426-SM-7IGOS 70-79 years, female 60.3
GTEX-WI4N-0626-SM-3TW8Z 40-49 years, female 59.3
GTEX-1HSMO-1226-SM-CL548 60-69 years, male 59.2
GTEX-1GN2E-1326-SM-9KNVG 60-69 years, male 59.0
GTEX-14A5I-1226-SM-5NQBW 50-59 years, female 57.9
GTEX-1JN6P-1126-SM-CKZON 60-69 years, male 57.6
GTEX-12ZZY-1126-SM-5DUWQ 60-69 years, male 57.5
GTEX-1A8G6-1626-SM-7MGWO 60-69 years, male 57.1
GTEX-P44G-0826-SM-2I5ES 30-39 years, male 56.7
GTEX-1LG7Y-1226-SM-CXZKD 50-59 years, male 56.3
GTEX-1ICLZ-1026-SM-A9SLF 60-69 years, male 56.1
GTEX-117YW-0326-SM-5N9CY 50-59 years, male 56.0
GTEX-14C39-0926-SM-5TDDV 40-49 years, male 56.0
GTEX-13NYB-0226-SM-5N9G4 40-49 years, male 55.8
GTEX-18465-0926-SM-731AY 50-59 years, male 55.6
GTEX-1NV8Z-1526-SM-DTX8X 60-69 years, male 55.5
GTEX-14PJ2-1026-SM-6EU1M 50-59 years, male 54.8
GTEX-1O97I-0826-SM-E8VNE 60-69 years, male 54.4
GTEX-1LVA9-0926-SM-EVR5G 50-59 years, male 53.9
GTEX-1B8SG-0826-SM-7EWF7 50-59 years, male 53.7
GTEX-18A6Q-1626-SM-7KFTA 60-69 years, male 53.3
GTEX-14JIY-1126-SM-6EU28 60-69 years, male 53.2
GTEX-11ONC-0126-SM-5PNW6 60-69 years, male 52.8
GTEX-1GN1V-0826-SM-9KNU6 60-69 years, male 52.6
GTEX-17HHY-1426-SM-7EWDQ 50-59 years, male 52.2
GTEX-13CF2-0426-SM-5KM1H 60-69 years, male 51.8
GTEX-QVJO-1926-SM-2S1QZ 60-69 years, female 51.8
GTEX-13FTZ-0226-SM-5K7X6 60-69 years, male 51.6
GTEX-1IL2U-1326-SM-A9G2O 60-69 years, male 51.3
GTEX-11GSP-1326-SM-5A5KY 60-69 years, female 50.9
GTEX-ZF3C-1226-SM-4WWCB 50-59 years, female 50.1
GTEX-1399T-0426-SM-5PNVJ 60-69 years, male 49.3
GTEX-13O1R-1226-SM-5J1NU 60-69 years, male 48.7
GTEX-13OW5-1126-SM-5J1NR 60-69 years, male 48.7
GTEX-14E7W-1226-SM-5RQIU 70-79 years, male 48.3
GTEX-1H1CY-0326-SM-9QEIZ 60-69 years, female 48.3
GTEX-ZUA1-0826-SM-4YCDL 40-49 years, male 48.0
GTEX-11TUW-1026-SM-5GU7D 60-69 years, male 47.3
GTEX-147F4-1226-SM-5NQAY 50-59 years, male 47.2
GTEX-15DYW-1126-SM-6LPK5 60-69 years, female 47.2
GTEX-1HT8W-1726-SM-CNNQB 30-39 years, male 44.9
GTEX-O5YV-0326-SM-2I5H2 60-69 years, female 44.5
GTEX-1I1GP-0826-SM-A96SD 50-59 years, male 44.3
GTEX-15CHQ-1526-SM-69LPW 60-69 years, male 43.7
GTEX-SIU8-0826-SM-2XCDQ 50-59 years, male 42.0
GTEX-14PJM-1126-SM-6LLHK 50-59 years, female 41.8
GTEX-147JS-1526-SM-5ZZWF 60-69 years, male 40.1
GTEX-1JMOU-0226-SM-CNNPD 60-69 years, female 37.2
GTEX-1K9T9-1126-SM-D3L9E 50-59 years, female 32.4
Show allShow less

HEART MUSCLE - FANTOM5 CAGEi

RNA expression in human tissues obtained through Cap Analysis of Gene Expression (CAGE) generated by the FANTOM5 project are reported as Scaled Tags Per Million.

Max subtype Scaled Tags Per Millioni

Max subtype Scaled Tags Per Million is the value for the subtype with the largest average Scaled Tags Per Million across the subtype samples.

399.8
FANTOM5 sample id Sample description Scaled Tags Per Million
Heart
Scaled Tags Per Million: 322.7
FF:10016-101C7 70,73,74 years, mixed 322.7
Left atrium
Scaled Tags Per Million: 319.3
FF:10079-102A7 40 years, male 319.3
Left ventricle
Scaled Tags Per Million: 399.8
FF:10078-102A6 73 years, female 399.8

Contact

  • NEWS ARTICLES
  • PRESS ROOM

The Project

  • INTRODUCTION
  • ORGANIZATION
  • PUBLICATIONS

The Human Protein Atlas

  • DOWNLOADABLE DATA
  • LICENCE & CITATION
  • HELP & FAQ
The Human Protein Atlas project is funded
by the Knut & Alice Wallenberg Foundation.


contact@proteinatlas.org