We use cookies to enhance the usability of our website. If you continue, we'll assume that you are happy to receive all cookies. More information. Don't show this again.
CDK9
HPA
RESOURCES
  • TISSUE
  • BRAIN
  • SINGLE CELL
  • SUBCELLULAR
  • CANCER
  • BLOOD
  • CELL LINE
  • STRUCTURE & INTERACTION
ABOUT
  • INTRODUCTION
  • HISTORY
  • ORGANIZATION
  • PUBLICATIONS
  • ANTIBODY SUBMISSION
  • ANTIBODY AVAILABILITY
  • ACKNOWLEDGMENTS
  • CONTACT
NEWS
  • NEWS ARTICLES
  • PRESS ROOM
LEARN
  • DICTIONARY
  • PROTEIN CLASSES
  • PROTEIN EVIDENCE
  • METHODS
  • EDUCATIONAL VIDEOS
DATA
  • DOWNLOADABLE DATA
  • PUBLICATION DATA
  • RELEASE HISTORY
HELP
  • ANTIBODY VALIDATION
  • ASSAYS & ANNOTATION
  • DISCLAIMER
  • HELP & FAQ
  • PRIVACY STATEMENT
  • LICENCE & CITATION
Fields »
Search result

Field
Term
Gene name
Class
Subclass
Class
Keyword
Chromosome
External id
Tissue
Cell type
Expression
Antibody panel
Tissue
Main location
Patient ID
Annotation
Tissue
Category
Tau score
Cluster
Reliability
Brain region
Category
Tau score
Brain region
Category
Tau score
Brain region
Category
Tau score
Cluster
Reliability
Tissue
Cell type
Enrichment
Cell type
Category
Tau score
Cell type
Category
Tau score
Cell type
Category
Tau score
Cell lineage
Category
Tau score
Cluster
Cluster
Location
Searches
Location
Cell line
Class
Type
Phase
Reliability
Cancer
Prognosis
Cancer
Category
Cancer
Category
Tau score
Cluster
Variants
Interacting gene (ensg_id)
Type
Number of interactions
Pathway
Category
Score
Score
Score
Validation
Validation
Validation
Validation
Antibodies
Data type
Column


  • SUMMARY

  • TISSUE

  • BRAIN

  • SINGLE CELL

  • SUBCELL

  • CANCER

  • BLOOD

  • CELL LINE

  • STRUCT & INT

  • CDK9
TISSUE PRIMARY DATA STOMACH Show tissue menu
ADIPOSE TISSUE ADRENAL GLAND AMYGDALA APPENDIX BASAL GANGLIA BONE MARROW BREAST BRONCHUS CEREBELLUM CEREBRAL CORTEX CERVIX CHOROID PLEXUS COLON DUODENUM
ENDOMETRIUM EPIDIDYMIS ESOPHAGUS FALLOPIAN TUBE GALLBLADDER HEART MUSCLE HIPPOCAMPAL FORMATION HYPOTHALAMUS KIDNEY LIVER LUNG LYMPH NODE MIDBRAIN NASOPHARYNX
ORAL MUCOSA OVARY PANCREAS PARATHYROID GLAND PITUITARY GLAND PLACENTA PROSTATE RECTUM RETINA SALIVARY GLAND SEMINAL VESICLE SKELETAL MUSCLE SKIN SMALL INTESTINE
SMOOTH MUSCLE SOFT TISSUE SPINAL CORD SPLEEN STOMACH TESTIS THYMUS THYROID GLAND TONGUE TONSIL URINARY BLADDER VAGINA
ANTIBODIES
AND
VALIDATION
Dictionary
Tissue proteome
Stomach
STOMACH - Expression summary
Protein expression
Stomachi

On the top, protein expression in current human tissue, based on all annotated cell types, is reported with the units not detected (n), low (l), medium (m) and high (h). Underneath, protein expression in each annotated cell type are reported using the same units.

Protein expression data is based on knowledge-based annotation. For genes where more than one antibody has been used, a collective score is set.

If knowledge-based annotation could not be performed for a gene, no data is displayed here. View antibody staining data further down this page.

h
m
l
n
Glandular cells: High
RNA expressioni

A summary of mRNA expression data available for current tissue based on several datasets. The mRNA expression levels in human tissues are based on RNA-seq data generated by the Human Protein Atlas (HPA), Genotype-Tissue Expression (GTEx) portal and CAGE data generated by the FANTOM5 consortium. Consensus normalized expression levels for human tissues was created by combining the data from HPA and GTEx datasets.

The mRNA expression levels in pig are based on RNA-seq data generated by the Human Protein Atlas (HPA), and for mouse, HPA data and in situ hybridization generated by the Allen brain atlas are reported.

Scroll down to view mRNA expression data in more detail.
Consensus:36.2 nTPM
HPA:20.0 nTPM
GTEx:36.2 nTPM

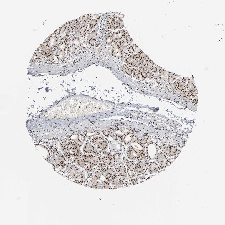
STOMACH 1 - Antibody stainingi

Antibody staining in the annotated cell types in the current human tissue is reported as not detected, low, medium, or high, based on conventional immunohistochemistry profiling in selected tissues. This score is based on the combination of the staining intensity and fraction of stained cells.

Each image is clickable and will lead to virtual microscopy that enables deeper exploration of all samples and also displays staining intensity scores, fraction scores and subcellular localization as well as patient and tissue information for each sample.

Antibody HPA006738Antibody CAB004216
Glandular cells HighHigh



STOMACH 2 - Antibody stainingi

Antibody staining in the annotated cell types in the current human tissue is reported as not detected, low, medium, or high, based on conventional immunohistochemistry profiling in selected tissues. This score is based on the combination of the staining intensity and fraction of stained cells.

Each image is clickable and will lead to virtual microscopy that enables deeper exploration of all samples and also displays staining intensity scores, fraction scores and subcellular localization as well as patient and tissue information for each sample.

Antibody HPA006738Antibody CAB004216
Glandular cells HighHigh





STOMACH - HPA RNA-seqi

The RNA-seq details section shows detailed information about the individual samples used for the transcript profiling and results of the RNA-seq analysis.

Information about each individual sample is listed below, including gender, age, a tissue section image and estimated fractions of cell types. nTPM (normalized transcripts per million) values give a quantification of the gene abundance which is comparable between different genes and samples.
Average nTPMi

Max subtype nTPM is the value for the subtype with the largest average nTPM across the subtype samples.

20.0
overview
Female, age 33
Stomach sample 61
nTPM: 18.7
Cell types%
Glandular cells:
60

Smooth muscle cells:
5

Other cell types:
35

N/A
Male, age 82
Stomach sample 240
nTPM: 22.5
Cell types%
Glandular cells:
65

Smooth muscle cells:
5

Other cell types:
30

overview
Male, age 71
Stomach sample 241
nTPM: 26.2
Cell types%
Glandular cells:
50

Smooth muscle cells:
5

Other cell types:
45

overview
Female, age 66
Stomach sample 369
nTPM: 12.6
Cell types%
Glandular cells:
50

Smooth muscle cells:
10

Other cell types:
40


STOMACH - GTEx RNA-seqi

RNA-Seq data generated by the Genotype-Tissue Expression (GTEx) project from human tissues is reported as mean nTPM. More information can be found on the GTEx portal.

Distribution across the dataset is visualized with box plots, shown as median and 25th and 75th percentiles. Points are displayed as outliers if they are above or below 1.5 times the interquartile range. nTPM values of the individual samples are presented next to the box plot.
Max subtype nTPMi

Max subtype nTPM is the value for the subtype with the largest average nTPM across the subtype samples.

36.2
GTEx sample id Sample description nTPM
Stomach
Average nTPM: 36.2
Samples: 359

Max nTPM: 67.2
Min nTPM: 21.3
Std nTPM: 8.9
Median nTPM: 34.3
GTEX-1CB4H-2426-SM-7PBYR 60-69 years, female 67.2
GTEX-1QP28-2126-SM-DTX8B 50-59 years, female 67.2
GTEX-11EI6-2426-SM-5PNVS 60-69 years, male 66.6
GTEX-13N1W-2026-SM-5K7YU 70-79 years, male 64.6
GTEX-1KD5A-1426-SM-D4P3V 50-59 years, male 64.6
GTEX-1E1VI-2826-SM-7MGWU 50-59 years, male 64.1
GTEX-11EQ9-1226-SM-5987E 30-39 years, male 63.3
GTEX-1EH9U-2226-SM-7PBXX 60-69 years, male 61.9
GTEX-15G1A-1226-SM-7KUF3 30-39 years, male 58.9
GTEX-1HT8W-2326-SM-A9SLA 30-39 years, male 58.9
GTEX-17JCI-2226-SM-7LTA1 60-69 years, female 58.0
GTEX-1PPH8-1326-SM-DTXFO 20-29 years, male 57.9
GTEX-T5JC-1926-SM-4DM6Q 20-29 years, male 57.2
GTEX-1399U-1626-SM-5P9J3 50-59 years, female 56.9
GTEX-13OVI-2426-SM-5KM4J 60-69 years, female 56.2
GTEX-XPVG-1526-SM-4B66C 50-59 years, male 54.6
GTEX-13QJ3-2726-SM-5SI6L 50-59 years, male 54.2
GTEX-1N2DV-0926-SM-E9TJT 40-49 years, male 53.8
GTEX-146FR-2026-SM-5NQAI 60-69 years, female 53.1
GTEX-1LVAM-1426-SM-E9TJ4 50-59 years, female 53.1
GTEX-1H3NZ-2226-SM-9WYUT 60-69 years, male 52.8
GTEX-15SHW-2126-SM-6M46Y 60-69 years, male 52.7
GTEX-1E2YA-2426-SM-7EPIG 50-59 years, male 52.1
GTEX-WZTO-2126-SM-4PQYW 40-49 years, male 52.0
GTEX-13O3Q-2126-SM-5KM4C 50-59 years, male 51.4
GTEX-14PKU-1126-SM-69LOU 40-49 years, female 51.4
GTEX-1IDJF-1426-SM-ACKWK 20-29 years, male 51.4
GTEX-1L5NE-1526-SM-DIPFW 50-59 years, male 51.0
GTEX-1LSNM-1026-SM-DHXL2 50-59 years, male 51.0
GTEX-QDT8-2026-SM-EZ6LS 30-39 years, female 51.0
GTEX-13111-1226-SM-5GCNC 50-59 years, male 50.9
GTEX-R55C-1026-SM-48FCM 40-49 years, male 50.6
GTEX-18D9B-2226-SM-718BM 60-69 years, male 50.5
GTEX-14PN3-1326-SM-6AJ9U 60-69 years, female 50.4
GTEX-1S3DN-1526-SM-EVYCB 50-59 years, male 50.4
GTEX-PLZ6-0826-SM-3P61K 30-39 years, male 50.1
GTEX-14BMV-2226-SM-5RQHX 50-59 years, male 49.7
GTEX-P4QT-1526-SM-3NMCT 50-59 years, female 49.2
GTEX-TKQ1-0526-SM-4DXTG 30-39 years, male 49.1
GTEX-14DAQ-2826-SM-664MU 60-69 years, female 48.4
GTEX-Y114-1226-SM-4TT88 50-59 years, female 48.4
GTEX-1A3MX-1926-SM-72D7F 60-69 years, male 48.3
GTEX-1K2DA-0826-SM-CGQGD 50-59 years, male 48.2
GTEX-O5YV-1926-SM-EV797 60-69 years, female 48.2
GTEX-117YW-2226-SM-5N9DB 50-59 years, male 47.8
GTEX-YEC3-1426-SM-D4P1S 50-59 years, male 47.4
GTEX-R55D-1526-SM-48FEJ 50-59 years, male 47.3
GTEX-1JMPY-0926-SM-ARL92 30-39 years, male 47.1
GTEX-UPK5-2126-SM-4JBJK 40-49 years, male 46.4
GTEX-S4Z8-1226-SM-4AD6W 60-69 years, male 46.3
GTEX-12C56-0526-SM-5FQST 20-29 years, male 46.2
GTEX-XAJ8-0326-SM-47JYI 40-49 years, male 46.0
GTEX-TKQ2-0926-SM-4DXU5 50-59 years, male 45.9
GTEX-13O61-1126-SM-5L3FI 60-69 years, male 45.5
GTEX-11WQK-2626-SM-5EQ4K 50-59 years, male 45.4
GTEX-OIZH-1526-SM-3NB1J 50-59 years, male 45.3
GTEX-1211K-1426-SM-5FQTF 60-69 years, female 45.1
GTEX-1S831-1126-SM-EWROI 20-29 years, male 44.7
GTEX-13PVR-2126-SM-73KVR 60-69 years, female 44.5
GTEX-1HCUA-1626-SM-A9SMG 50-59 years, female 44.5
GTEX-ZE7O-3026-SM-51MS4 50-59 years, female 44.4
GTEX-15RIF-1126-SM-7KUG2 20-29 years, male 44.2
GTEX-1H23P-2726-SM-9JGHN 60-69 years, male 44.0
GTEX-1J8EW-2226-SM-AHZ3T 60-69 years, female 44.0
GTEX-SUCS-0926-SM-4DM4Z 70-79 years, male 43.9
GTEX-1IL2V-2026-SM-ARZMA 70-79 years, male 43.8
GTEX-1PIGE-1126-SM-EWRMV 20-29 years, male 43.7
GTEX-1QP2A-2126-SM-DPRZ7 50-59 years, male 43.7
GTEX-13X6H-1626-SM-5Q5CT 50-59 years, female 43.3
GTEX-17EUY-1526-SM-793CA 20-29 years, male 43.2
GTEX-ZV6S-0926-SM-57WGB 40-49 years, female 43.0
GTEX-11P82-0726-SM-5PNYL 20-29 years, male 42.5
GTEX-S4P3-0726-SM-4AD57 50-59 years, female 42.3
GTEX-1C64O-2226-SM-73KTV 60-69 years, male 42.1
GTEX-139D8-2326-SM-5IFGE 30-39 years, female 41.9
GTEX-RU1J-0526-SM-46MUT 20-29 years, female 41.8
GTEX-1QW4Y-0726-SM-DTX8E 30-39 years, male 41.7
GTEX-1LVAN-2426-SM-CNNPZ 50-59 years, female 41.6
GTEX-1JMQJ-1326-SM-D4P3B 50-59 years, male 41.5
GTEX-1QP67-1026-SM-EVR47 40-49 years, female 41.5
GTEX-12BJ1-1726-SM-5HL9B 60-69 years, male 41.4
GTEX-1GPI7-1326-SM-9KNVA 20-29 years, male 41.4
GTEX-17HII-2426-SM-7KFTT 50-59 years, male 41.3
GTEX-131XE-2226-SM-5PNYX 50-59 years, male 41.2
GTEX-SNOS-0826-SM-4DM5N 40-49 years, male 41.0
GTEX-12WSJ-0926-SM-5P9JD 40-49 years, female 40.8
GTEX-1CB4E-1326-SM-7DUGD 60-69 years, male 40.8
GTEX-QXCU-1926-SM-48FE4 50-59 years, male 40.8
GTEX-1HSMQ-2426-SM-CE6RY 50-59 years, male 40.8
GTEX-15UF7-1226-SM-6M46G 40-49 years, male 40.7
GTEX-YJ8A-1526-SM-5P9FT 20-29 years, male 40.6
GTEX-11P7K-1726-SM-5GU6F 30-39 years, male 40.4
GTEX-13CF3-1926-SM-5K7WF 60-69 years, female 40.4
GTEX-WFJO-1126-SM-4LVLZ 30-39 years, male 40.4
GTEX-Y9LG-1026-SM-5IFJN 30-39 years, male 40.3
GTEX-1GF9U-1126-SM-AHZ4H 40-49 years, female 40.3
GTEX-1MCYP-1126-SM-E9J2P 20-29 years, female 40.1
GTEX-1339X-1426-SM-5K7YO 40-49 years, male 39.9
GTEX-131XG-1226-SM-5EGH9 50-59 years, female 39.8
GTEX-13RTK-0226-SM-5RQHR 20-29 years, male 39.7
GTEX-145MO-2226-SM-5Q5BN 60-69 years, male 39.7
GTEX-1S82Z-1726-SM-E6CHZ 30-39 years, female 39.7
GTEX-144GM-1726-SM-5O9AS 20-29 years, male 39.5
GTEX-WH7G-1526-SM-4LVMX 40-49 years, male 39.4
GTEX-14PHY-0926-SM-5ZZWL 60-69 years, female 39.3
GTEX-1HSEH-1526-SM-B2LXG 60-69 years, male 39.3
GTEX-1B8L1-1526-SM-79OLK 60-69 years, male 39.2
GTEX-UJMC-1226-SM-4IHLI 50-59 years, male 39.1
GTEX-15EU6-2526-SM-7KUGB 50-59 years, male 39.0
GTEX-YB5E-1126-SM-664NU 40-49 years, male 39.0
GTEX-1HR9M-2326-SM-CNPPZ 60-69 years, male 39.0
GTEX-WYVS-1326-SM-4ONCQ 40-49 years, female 38.9
GTEX-XBED-1226-SM-4AT5V 60-69 years, male 38.7
GTEX-ZXES-1426-SM-5NQ8S 30-39 years, female 38.7
GTEX-1GZ4H-1026-SM-9OSXL 50-59 years, female 38.7
GTEX-1R7EU-1126-SM-EAZ4M 60-69 years, male 38.7
GTEX-QMRM-1126-SM-447BN 50-59 years, male 38.6
GTEX-14PJ5-0826-SM-6AJAR 60-69 years, female 38.5
GTEX-ZT9W-1526-SM-4YCDE 50-59 years, male 38.4
GTEX-11VI4-0326-SM-5EQ6L 40-49 years, female 38.3
GTEX-RWS6-0926-SM-47JXE 60-69 years, female 38.3
GTEX-ZAB4-1526-SM-5CVN7 40-49 years, male 38.1
GTEX-1B97I-1226-SM-7MGWQ 40-49 years, male 38.1
GTEX-ZLV1-0826-SM-DO11P 60-69 years, female 37.7
GTEX-NFK9-1526-SM-3LK7B 40-49 years, male 37.6
GTEX-1JMPZ-1826-SM-CXZJT 30-39 years, male 37.5
GTEX-V1D1-1726-SM-4JBHB 50-59 years, male 37.4
GTEX-1I1GT-1726-SM-C1YS3 60-69 years, female 37.4
GTEX-139YR-1926-SM-5LZXM 50-59 years, male 37.3
GTEX-1LG7Z-1226-SM-DHXK4 30-39 years, male 37.2
GTEX-ZTX8-0426-SM-59HLG 20-29 years, male 37.0
GTEX-UJHI-1026-SM-4IHJP 50-59 years, female 36.9
GTEX-1CAMR-0726-SM-7EPIE 20-29 years, male 36.8
GTEX-XBEW-1826-SM-4RTWX 40-49 years, male 36.8
GTEX-WYJK-2526-SM-4ONDF 50-59 years, male 36.6
GTEX-1399S-1626-SM-5P9GI 30-39 years, female 36.4
GTEX-ZLFU-1326-SM-DO11R 40-49 years, male 36.4
GTEX-1AX9J-2626-SM-731EK 60-69 years, male 36.3
GTEX-XQ8I-2026-SM-4BOOL 50-59 years, male 36.3
GTEX-1H1DE-1226-SM-9JGHH 20-29 years, male 36.2
GTEX-1MGNQ-1826-SM-DPRYI 40-49 years, male 36.2
GTEX-1QP29-2326-SM-EXOJO 50-59 years, male 36.0
GTEX-13X6J-2126-SM-5TDCV 50-59 years, male 35.9
GTEX-145ME-1026-SM-5O9B4 40-49 years, female 35.9
GTEX-15DCE-1626-SM-6LPJM 20-29 years, male 35.9
GTEX-16NGA-1526-SM-72D56 40-49 years, female 35.9
GTEX-Y5V6-1326-SM-4VDTF 60-69 years, male 35.8
GTEX-14E1K-1526-SM-664MN 50-59 years, male 35.6
GTEX-15RIE-1026-SM-6LPJQ 60-69 years, male 35.6
GTEX-13QBU-1126-SM-5LU44 40-49 years, female 35.4
GTEX-13S7M-1826-SM-5RQK6 60-69 years, female 35.4
GTEX-14PKV-1826-SM-69LO9 20-29 years, female 35.4
GTEX-17HHE-1026-SM-79ON6 50-59 years, male 35.4
GTEX-17MF6-2126-SM-7KFS7 40-49 years, male 35.4
GTEX-1IDJD-2426-SM-C1YS6 30-39 years, male 35.4
GTEX-ZZPU-1426-SM-5GZZ6 50-59 years, female 35.3
GTEX-T6MO-0726-SM-4DM58 40-49 years, female 35.2
GTEX-RTLS-2626-SM-46MUJ 60-69 years, female 35.1
GTEX-1RQEC-2126-SM-DPS15 60-69 years, male 35.1
GTEX-13U4I-2526-SM-5SI8Z 40-49 years, female 35.0
GTEX-145LT-1426-SM-5O9B3 40-49 years, male 35.0
GTEX-XXEK-0826-SM-4BRWG 50-59 years, male 35.0
GTEX-ZV7C-1626-SM-5NQ7E 50-59 years, male 35.0
GTEX-ZA64-0826-SM-5HL9U 20-29 years, male 34.9
GTEX-18QFQ-1226-SM-718AE 30-39 years, male 34.8
GTEX-1AYCT-1326-SM-7MKHB 50-59 years, male 34.8
GTEX-S7SF-0626-SM-4AD4V 20-29 years, female 34.8
GTEX-ZEX8-1626-SM-4WKG7 50-59 years, male 34.8
GTEX-ZVP2-1626-SM-5GU5D 50-59 years, male 34.8
GTEX-1HKZK-1526-SM-B2LWG 40-49 years, male 34.8
GTEX-1B8KE-1326-SM-73KVI 50-59 years, male 34.7
GTEX-Y3I4-1626-SM-4TT7W 50-59 years, male 34.7
GTEX-S4Q7-0726-SM-4AD5F 20-29 years, male 34.6
GTEX-WFON-1126-SM-4LVMA 40-49 years, male 34.6
GTEX-S3XE-1026-SM-4AD4O 50-59 years, male 34.5
GTEX-1H11D-2226-SM-9OSXN 40-49 years, male 34.5
GTEX-RUSQ-1126-SM-EAZAU 50-59 years, male 34.5
GTEX-O5YW-1526-SM-3MJGL 50-59 years, male 34.4
GTEX-QLQ7-0826-SM-447B3 60-69 years, male 34.4
GTEX-14PJ6-0826-SM-686Z9 60-69 years, female 34.3
GTEX-ZY6K-0726-SM-5A5L8 50-59 years, male 34.1
GTEX-WHWD-1426-SM-4OORU 50-59 years, male 34.0
GTEX-1122O-1926-SM-5EGIQ 60-69 years, female 33.9
GTEX-XUZC-0726-SM-4BOPH 30-39 years, female 33.9
GTEX-ZZ64-0426-SM-5E43F 20-29 years, male 33.9
GTEX-ZVT2-1626-SM-51MRC 50-59 years, female 33.8
GTEX-P4PQ-1526-SM-3NMCK 60-69 years, male 33.7
GTEX-1H1E6-1626-SM-9OSWC 30-39 years, male 33.7
GTEX-17KNJ-1526-SM-7LTA9 50-59 years, male 33.6
GTEX-T5JW-0926-SM-4DM5K 20-29 years, female 33.5
GTEX-1J8JJ-1726-SM-C1YQG 60-69 years, female 33.5
GTEX-14JG6-1226-SM-664O6 30-39 years, female 33.4
GTEX-P78B-1826-SM-3P5YX 40-49 years, female 33.4
GTEX-132QS-1826-SM-5IFFN 60-69 years, male 33.3
GTEX-1HBPN-1626-SM-9WPNP 50-59 years, male 33.2
GTEX-1KXAM-0926-SM-CXZKA 60-69 years, male 33.1
GTEX-13FH7-1026-SM-5IJGF 50-59 years, female 32.9
GTEX-17F9E-2226-SM-7IGNC 50-59 years, male 32.9
GTEX-1A8G6-1426-SM-731EZ 60-69 years, male 32.9
GTEX-WFG8-1326-SM-4LVN3 20-29 years, male 32.9
GTEX-1HCU8-1326-SM-C1YQQ 60-69 years, female 32.9
GTEX-11EM3-1026-SM-5A5KL 20-29 years, female 32.8
GTEX-P4PP-1526-SM-3P61M 30-39 years, female 32.7
GTEX-Y8LW-0826-SM-4WWDO 50-59 years, female 32.7
GTEX-WRHK-0626-SM-4MVOE 20-29 years, female 32.6
GTEX-13OW6-2526-SM-5IJEC 50-59 years, male 32.5
GTEX-1I4MK-0926-SM-A9SLD 50-59 years, female 32.5
GTEX-1LGRB-1726-SM-CNNRA 50-59 years, female 32.2
GTEX-1RB15-1026-SM-E9U6V 60-69 years, male 32.2
GTEX-Q2AI-0826-SM-48TZO 40-49 years, male 32.1
GTEX-1J8Q3-1926-SM-C1YSJ 60-69 years, male 32.1
GTEX-QDVN-1226-SM-48TZ5 50-59 years, male 32.0
GTEX-VJYA-1026-SM-4KL21 60-69 years, male 31.9
GTEX-111YS-1126-SM-5GZYQ 60-69 years, male 31.8
GTEX-15DZA-1126-SM-6LPK8 30-39 years, female 31.8
GTEX-17GQL-1226-SM-7KFTS 60-69 years, male 31.8
GTEX-W5WG-1726-SM-4LMI5 50-59 years, female 31.8
GTEX-ZVT3-2126-SM-59HL2 60-69 years, female 31.8
GTEX-13FTW-1726-SM-5KM2B 40-49 years, male 31.7
GTEX-145MN-1326-SM-5NQ9S 30-39 years, male 31.7
GTEX-14ICL-0826-SM-5YY9W 30-39 years, male 31.7
GTEX-PWN1-1526-SM-48TDA 40-49 years, female 31.7
GTEX-S341-0626-SM-4AD5T 40-49 years, female 31.7
GTEX-1GMRU-2526-SM-9WG7T 50-59 years, male 31.7
GTEX-13113-0726-SM-5LZUF 60-69 years, female 31.6
GTEX-ZDYS-1926-SM-5HL59 50-59 years, male 31.6
GTEX-PLZ5-1226-SM-EXOHA 50-59 years, male 31.6
GTEX-V955-1326-SM-4JBHR 60-69 years, male 31.5
GTEX-ZPU1-1626-SM-4WWB2 40-49 years, male 31.5
GTEX-13PVQ-2126-SM-5L3FW 50-59 years, male 31.4
GTEX-18A67-2626-SM-718AD 50-59 years, male 31.4
GTEX-PX3G-1526-SM-48U11 20-29 years, female 31.4
GTEX-QLQW-0726-SM-447AA 30-39 years, male 31.4
GTEX-11DXX-1326-SM-5GIDZ 60-69 years, female 31.3
GTEX-POMQ-0826-SM-3P61H 20-29 years, female 31.3
GTEX-1J8QM-1126-SM-C1YQB 60-69 years, female 31.3
GTEX-1JKYN-1726-SM-AHZ48 30-39 years, male 31.3
GTEX-14E6E-0926-SM-664N8 30-39 years, male 31.2
GTEX-1JN76-0926-SM-ARZNH 20-29 years, female 31.2
GTEX-117YX-1026-SM-5H11V 50-59 years, male 31.1
GTEX-12696-1726-SM-5EQLH 60-69 years, male 31.1
GTEX-133LE-1326-SM-5IFGO 20-29 years, female 31.1
GTEX-T8EM-1226-SM-4DM5J 40-49 years, male 31.1
GTEX-1H1DG-2126-SM-9WPPB 70-79 years, male 31.1
GTEX-OXRL-1526-SM-E6CHQ 50-59 years, male 31.0
GTEX-Y8E4-1526-SM-4WWDI 40-49 years, male 30.9
GTEX-14DAR-0926-SM-73KUQ 50-59 years, male 30.8
GTEX-U4B1-1026-SM-4DXT1 40-49 years, male 30.8
GTEX-1QPFJ-1526-SM-DPRXT 30-39 years, female 30.8
GTEX-PW2O-1226-SM-48TCH 20-29 years, male 30.7
GTEX-Y5LM-1326-SM-5RQIS 40-49 years, female 30.7
GTEX-1A3MV-1226-SM-718BW 30-39 years, male 30.6
GTEX-ZP4G-1226-SM-4WWCJ 20-29 years, female 30.6
GTEX-12WSK-1426-SM-5CVNN 40-49 years, female 30.5
GTEX-R55G-1126-SM-48FDG 40-49 years, female 30.5
GTEX-YFCO-0826-SM-5LUAG 40-49 years, male 30.5
GTEX-RM2N-0826-SM-48FD3 50-59 years, male 30.4
GTEX-U3ZN-2026-SM-4DXUC 30-39 years, female 30.4
GTEX-WXYG-1626-SM-4ONCR 50-59 years, female 30.4
GTEX-X15G-1126-SM-4PQZG 50-59 years, female 30.4
GTEX-ZF29-1526-SM-4WKF7 60-69 years, female 30.4
GTEX-12WSD-2326-SM-59HKQ 60-69 years, female 30.3
GTEX-14PJ3-1426-SM-664O8 50-59 years, male 30.3
GTEX-18D9A-0626-SM-7KFTY 30-39 years, female 30.3
GTEX-11NSD-1426-SM-5HL67 20-29 years, male 30.2
GTEX-15CHR-1326-SM-79OLT 50-59 years, male 30.2
GTEX-S95S-0826-SM-4B64N 60-69 years, male 30.2
GTEX-XV7Q-1326-SM-4BRWM 40-49 years, female 30.2
GTEX-ZF2S-1426-SM-57WET 50-59 years, female 30.2
GTEX-131XF-1226-SM-5HL8V 60-69 years, male 30.1
GTEX-PWCY-0926-SM-48TD7 20-29 years, female 30.1
GTEX-TMMY-1626-SM-4DXTY 40-49 years, female 30.1
GTEX-1GN1W-2126-SM-9JGI7 50-59 years, female 30.1
GTEX-1ICG6-1826-SM-AHZ2O 70-79 years, female 30.1
GTEX-1LBAC-1426-SM-CXZKT 20-29 years, male 30.1
GTEX-12WSG-2026-SM-5FQUU 50-59 years, female 29.9
GTEX-14PHX-1026-SM-664OL 50-59 years, male 29.9
GTEX-1B97J-1826-SM-7IGPP 50-59 years, female 29.9
GTEX-18A7A-2726-SM-7LG6U 50-59 years, female 29.7
GTEX-1F5PL-1426-SM-7MKFH 40-49 years, female 29.7
GTEX-1QCLZ-1826-SM-DPRXP 60-69 years, female 29.7
GTEX-1JMLX-2426-SM-CXZJQ 50-59 years, male 29.6
GTEX-14BMU-1126-SM-5RQJ8 20-29 years, female 29.5
GTEX-YEC4-1426-SM-5IFHS 40-49 years, male 29.5
GTEX-144GN-1226-SM-5O991 50-59 years, male 29.3
GTEX-1QMI2-2126-SM-DPRXQ 60-69 years, male 29.3
GTEX-18A66-2226-SM-7189E 60-69 years, male 29.2
GTEX-ZPIC-2026-SM-57WG3 40-49 years, female 29.2
GTEX-1I6K7-1726-SM-B2LXQ 40-49 years, male 29.2
GTEX-WHPG-0426-SM-4M1XW 50-59 years, male 29.1
GTEX-ZVZP-1726-SM-5GZWY 50-59 years, male 29.1
GTEX-1R9K5-1026-SM-EAZ4F 50-59 years, male 29.1
GTEX-ZGAY-1626-SM-DNZZ3 40-49 years, female 29.0
GTEX-14PJ4-1626-SM-664OB 60-69 years, male 28.8
GTEX-1H3VY-2326-SM-9WG81 50-59 years, male 28.7
GTEX-Q2AH-1126-SM-48TZM 40-49 years, male 28.6
GTEX-111CU-0926-SM-5EGIK 50-59 years, male 28.5
GTEX-QDVJ-1426-SM-48U1Y 50-59 years, male 28.5
GTEX-1KANA-1126-SM-D3L9M 20-29 years, male 28.5
GTEX-13FTX-0726-SM-5N9BI 20-29 years, female 28.4
GTEX-13O21-0926-SM-5IFGT 50-59 years, male 28.4
GTEX-1AMEY-1226-SM-731DU 30-39 years, female 28.4
GTEX-S4UY-1626-SM-4AD55 40-49 years, female 28.3
GTEX-1F75I-1826-SM-7MKGX 40-49 years, male 28.2
GTEX-OOBJ-1526-SM-3NB1Q 60-69 years, male 28.2
GTEX-1GL5R-1926-SM-9WG7U 50-59 years, male 28.2
GTEX-11GSP-2126-SM-5HL5E 60-69 years, female 28.0
GTEX-OXRK-1626-SM-3NB17 50-59 years, female 28.0
GTEX-ZYFG-1326-SM-5GICJ 60-69 years, female 28.0
GTEX-1399R-1126-SM-5IFIO 30-39 years, male 27.9
GTEX-WY7C-1726-SM-4ONCC 50-59 years, male 27.9
GTEX-17HGU-2126-SM-7IGOV 50-59 years, male 27.8
GTEX-1C475-1026-SM-7MKFJ 40-49 years, female 27.8
GTEX-ZYY3-1726-SM-5EGH3 60-69 years, female 27.8
GTEX-1F5PK-1826-SM-7RHHX 50-59 years, male 27.7
GTEX-1AMFI-1226-SM-731CZ 50-59 years, female 27.6
GTEX-1MJIX-1126-SM-EV7AO 40-49 years, male 27.6
GTEX-1JK1U-1326-SM-AHZ45 60-69 years, male 27.5
GTEX-1QCLY-1126-SM-EAZ4J 30-39 years, male 27.5
GTEX-1RMOY-1126-SM-EV79E 50-59 years, male 27.4
GTEX-ZLWG-1526-SM-DO12F 50-59 years, female 27.4
GTEX-QV31-0626-SM-447C5 30-39 years, male 27.3
GTEX-14BIL-1926-SM-73KYI 50-59 years, male 27.1
GTEX-1MUQO-1926-SM-EAZ59 60-69 years, male 27.1
GTEX-13D11-2126-SM-5IFH2 50-59 years, female 27.0
GTEX-ZYVF-2726-SM-5GID4 50-59 years, female 26.9
GTEX-ZQUD-0826-SM-57WDQ 30-39 years, male 26.7
GTEX-XMK1-1526-SM-EYYVO 40-49 years, male 26.7
GTEX-OHPK-1526-SM-3MJGM 50-59 years, female 26.5
GTEX-WHSB-1226-SM-4M1XR 50-59 years, male 26.4
GTEX-WEY5-1226-SM-4LMIQ 40-49 years, female 26.2
GTEX-WFG7-1326-SM-4LMK1 20-29 years, male 26.2
GTEX-14B4R-0726-SM-5TDDR 30-39 years, male 26.1
GTEX-Q734-1026-SM-48U16 40-49 years, female 26.1
GTEX-OIZF-1526-SM-2I5GR 60-69 years, male 26.1
GTEX-1HBPI-0726-SM-9WG7Z 50-59 years, male 26.0
GTEX-QV44-1226-SM-CJI1S 50-59 years, male 26.0
GTEX-1LGOU-1526-SM-D3LAJ 20-29 years, female 25.9
GTEX-11TT1-0726-SM-5GU5A 20-29 years, male 25.6
GTEX-OHPM-1526-SM-EV796 50-59 years, male 25.6
GTEX-QCQG-0526-SM-48U2A 50-59 years, female 25.5
GTEX-1NSGN-1926-SM-E9J36 50-59 years, male 25.5
GTEX-SNMC-0626-SM-4DM6H 20-29 years, male 25.2
GTEX-1JN1M-2926-SM-CNNPJ 60-69 years, female 25.1
GTEX-1I1HK-2026-SM-CNNRB 60-69 years, male 25.0
GTEX-1B8KZ-1226-SM-793CP 50-59 years, male 24.9
GTEX-1IDJU-1526-SM-CNNR3 60-69 years, female 24.6
GTEX-13OVK-0926-SM-7KUFX 40-49 years, male 24.2
GTEX-1HFI7-1526-SM-9WG7W 50-59 years, female 23.8
GTEX-11I78-1726-SM-5A5M3 50-59 years, female 23.7
GTEX-16AAH-1226-SM-79OO9 50-59 years, male 23.5
GTEX-R53T-1226-SM-48FCT 50-59 years, female 23.5
GTEX-1RAZR-1526-SM-EAZ4U 40-49 years, male 23.5
GTEX-17F98-1526-SM-7EWD8 40-49 years, female 23.2
GTEX-11NUK-2426-SM-5BC4U 50-59 years, male 22.9
GTEX-132AR-2426-SM-5IFFD 50-59 years, female 21.9
GTEX-146FH-2126-SM-5SI9U 50-59 years, female 21.6
GTEX-Y3IK-1426-SM-4YCES 50-59 years, female 21.5
GTEX-15G19-1526-SM-6LPKP 60-69 years, male 21.3
Show allShow less

Contact

  • NEWS ARTICLES
  • PRESS ROOM

The Project

  • INTRODUCTION
  • ORGANIZATION
  • PUBLICATIONS

The Human Protein Atlas

  • DOWNLOADABLE DATA
  • LICENCE & CITATION
  • HELP & FAQ
The Human Protein Atlas project is funded
by the Knut & Alice Wallenberg Foundation.


contact@proteinatlas.org