We use cookies to enhance the usability of our website. If you continue, we'll assume that you are happy to receive all cookies. More information. Don't show this again.
KLF4
HPA
RESOURCES
  • TISSUE
  • BRAIN
  • SINGLE CELL
  • SUBCELLULAR
  • CANCER
  • BLOOD
  • CELL LINE
  • STRUCTURE & INTERACTION
ABOUT
  • INTRODUCTION
  • HISTORY
  • ORGANIZATION
  • PUBLICATIONS
  • ANTIBODY SUBMISSION
  • ANTIBODY AVAILABILITY
  • ACKNOWLEDGMENTS
  • CONTACT
NEWS
  • NEWS ARTICLES
  • PRESS ROOM
LEARN
  • DICTIONARY
  • PROTEIN CLASSES
  • PROTEIN EVIDENCE
  • METHODS
  • EDUCATIONAL VIDEOS
DATA
  • DOWNLOADABLE DATA
  • PUBLICATION DATA
  • RELEASE HISTORY
HELP
  • ANTIBODY VALIDATION
  • ASSAYS & ANNOTATION
  • DISCLAIMER
  • HELP & FAQ
  • PRIVACY STATEMENT
  • LICENCE & CITATION
Fields »
Search result

Field
Term
Gene name
Class
Subclass
Class
Keyword
Chromosome
External id
Tissue
Cell type
Expression
Antibody panel
Tissue
Main location
Patient ID
Annotation
Tissue
Category
Tau score
Cluster
Reliability
Brain region
Category
Tau score
Brain region
Category
Tau score
Brain region
Category
Tau score
Cluster
Reliability
Tissue
Cell type
Enrichment
Cell type
Category
Tau score
Cell type
Category
Tau score
Cell type
Category
Tau score
Cell lineage
Category
Tau score
Cluster
Cluster
Location
Searches
Location
Cell line
Class
Type
Phase
Reliability
Cancer
Prognosis
Cancer
Category
Cancer
Category
Tau score
Cluster
Variants
Interacting gene (ensg_id)
Type
Number of interactions
Pathway
Category
Score
Score
Score
Validation
Validation
Validation
Validation
Antibodies
Data type
Column


  • SUMMARY

  • TISSUE

  • BRAIN

  • SINGLE CELL

  • SUBCELL

  • CANCER

  • BLOOD

  • CELL LINE

  • STRUCT & INT

  • KLF4
TISSUE PRIMARY DATA SKIN Show tissue menu
ADIPOSE TISSUE ADRENAL GLAND AMYGDALA APPENDIX BASAL GANGLIA BONE MARROW BREAST BRONCHUS CEREBELLUM CEREBRAL CORTEX CERVIX CHOROID PLEXUS COLON DUODENUM
ENDOMETRIUM EPIDIDYMIS ESOPHAGUS FALLOPIAN TUBE GALLBLADDER HEART MUSCLE HIPPOCAMPAL FORMATION HYPOTHALAMUS KIDNEY LIVER LUNG LYMPH NODE MIDBRAIN NASOPHARYNX
ORAL MUCOSA OVARY PANCREAS PARATHYROID GLAND PITUITARY GLAND PLACENTA PROSTATE RECTUM RETINA SALIVARY GLAND SEMINAL VESICLE SKELETAL MUSCLE SKIN SMALL INTESTINE
SMOOTH MUSCLE SOFT TISSUE SPINAL CORD SPLEEN STOMACH TESTIS THYMUS THYROID GLAND TONGUE TONSIL URINARY BLADDER VAGINA
ANTIBODIES
AND
VALIDATION
Dictionary
Skin
Tissue proteome
Skin
SKIN - Expression summary
Protein expression
Skini

On the top, protein expression in current human tissue, based on all annotated cell types, is reported with the units not detected (n), low (l), medium (m) and high (h). Underneath, protein expression in each annotated cell type are reported using the same units.

Protein expression data is based on knowledge-based annotation. For genes where more than one antibody has been used, a collective score is set.

If knowledge-based annotation could not be performed for a gene, no data is displayed here. View antibody staining data further down this page.

h
m
l
n
Cells in basal layer: Medium
Cells in corneal layer: Not detected
Cells in granular layer: High
Cells in spinous layer: High
Eccrine glands: High
Endothelial cells: Medium
Extracellular matrix: Not detected
Fibrohistiocytic cells: High
Hair follicles: Medium
Langerhans cells: High
Lymphocytes: High
Melanocytes: Medium
Sebaceous glands: Not detected
Vascular mural cells: Not detected
RNA expressioni

A summary of mRNA expression data available for current tissue based on several datasets. The mRNA expression levels in human tissues are based on RNA-seq data generated by the Human Protein Atlas (HPA), Genotype-Tissue Expression (GTEx) portal and CAGE data generated by the FANTOM5 consortium. Consensus normalized expression levels for human tissues was created by combining the data from HPA and GTEx datasets.

The mRNA expression levels in pig are based on RNA-seq data generated by the Human Protein Atlas (HPA), and for mouse, HPA data and in situ hybridization generated by the Allen brain atlas are reported.

Scroll down to view mRNA expression data in more detail.
Consensus:246.9 nTPM
HPA:68.0 nTPM
GTEx:246.9 nTPM

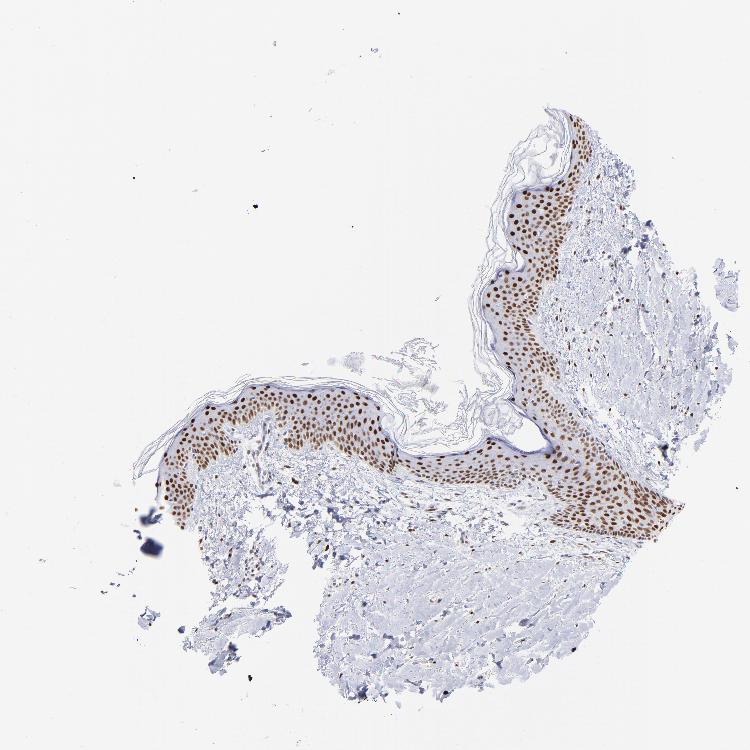
SKIN 1 - Antibody stainingi

Antibody staining in the annotated cell types in the current human tissue is reported as not detected, low, medium, or high, based on conventional immunohistochemistry profiling in selected tissues. This score is based on the combination of the staining intensity and fraction of stained cells.

Each image is clickable and will lead to virtual microscopy that enables deeper exploration of all samples and also displays staining intensity scores, fraction scores and subcellular localization as well as patient and tissue information for each sample.

Antibody HPA002926
Cells in basal layer Medium
Cells in corneal layer Not detected
Cells in granular layer High
Cells in spinous layer High
Eccrine glands High
Endothelial cells Low
Extracellular matrix Not detected
Fibrohistiocytic cells High
Hair follicles Medium
Langerhans cells High
Lymphocytes High
Melanocytes Not detected
Sebaceous glands Not detected
Vascular mural cells Not detected


SKIN 2 - Antibody stainingi

Antibody staining in the annotated cell types in the current human tissue is reported as not detected, low, medium, or high, based on conventional immunohistochemistry profiling in selected tissues. This score is based on the combination of the staining intensity and fraction of stained cells.

Each image is clickable and will lead to virtual microscopy that enables deeper exploration of all samples and also displays staining intensity scores, fraction scores and subcellular localization as well as patient and tissue information for each sample.

Antibody HPA002926
Cells in basal layer Medium
Cells in corneal layer Not detected
Cells in granular layer High
Cells in spinous layer High
Endothelial cells Medium
Extracellular matrix Not detected
Fibrohistiocytic cells Medium
Langerhans cells High
Lymphocytes Low
Melanocytes Medium
Vascular mural cells Not detected
 
 
 


SKIN - HPA RNA-seqi

The RNA-seq details section shows detailed information about the individual samples used for the transcript profiling and results of the RNA-seq analysis.

Information about each individual sample is listed below, including gender, age, a tissue section image and estimated fractions of cell types. nTPM (normalized transcripts per million) values give a quantification of the gene abundance which is comparable between different genes and samples.
Average nTPMi

Max subtype nTPM is the value for the subtype with the largest average nTPM across the subtype samples.

68.0
overview
Female, age 34
Skin sample 225
nTPM: 79.2
Cell types%
Keratinocytes:
60

Other cell types:
40

overview
Female, age 30
Skin sample 226
nTPM: 87.3
Cell types%
Keratinocytes:
55

Other cell types:
45

N/A
Male, age 57
Skin sample 227
nTPM: 37.6

SKIN - GTEx RNA-seqi

RNA-Seq data generated by the Genotype-Tissue Expression (GTEx) project from human tissues is reported as mean nTPM. More information can be found on the GTEx portal.

Distribution across the dataset is visualized with box plots, shown as median and 25th and 75th percentiles. Points are displayed as outliers if they are above or below 1.5 times the interquartile range. nTPM values of the individual samples are presented next to the box plot.
Max subtype nTPMi

Max subtype nTPM is the value for the subtype with the largest average nTPM across the subtype samples.

246.9
GTEx sample id Sample description nTPM
Skin - Not Sun Exposed (Suprapubic)
Average nTPM: 246.9
Samples: 604

Max nTPM: 1023.6
Min nTPM: 37.9
Std nTPM: 129.2
Median nTPM: 222.1
GTEX-1C64N-2626-SM-7PC2N 50-59 years, male 1023.6
GTEX-1ICLZ-0326-SM-ARL82 60-69 years, male 920.4
GTEX-12WSK-2126-SM-5CVNC 40-49 years, female 786.1
GTEX-1QP2A-1726-SM-E76QC 50-59 years, male 743.6
GTEX-1F6RS-2026-SM-7RHHC 60-69 years, female 740.4
GTEX-1313W-0626-SM-5EQ4H 50-59 years, female 707.5
GTEX-13VXT-1926-SM-5K7UO 20-29 years, female 638.9
GTEX-1I1GT-1026-SM-ARZLV 60-69 years, female 624.6
GTEX-15UF6-1926-SM-7KUDV 70-79 years, female 622.8
GTEX-13PL6-1126-SM-5L3IE 40-49 years, female 611.6
GTEX-1QPFJ-1926-SM-EVYBD 30-39 years, female 610.0
GTEX-1269C-0126-SM-5EQ5L 60-69 years, female 597.3
GTEX-XQ8I-0926-SM-4BOOF 50-59 years, male 596.7
GTEX-13O61-1426-SM-5KM3D 60-69 years, male 588.0
GTEX-11DZ1-2426-SM-5GZZX 50-59 years, male 582.4
GTEX-1M4P7-0726-SM-E6CJ3 60-69 years, male 574.8
GTEX-1S82U-1026-SM-E6CJK 30-39 years, female 572.8
GTEX-1EMGI-2326-SM-7PBYA 60-69 years, male 569.9
GTEX-13IVO-0726-SM-5LZYV 70-79 years, male 565.7
GTEX-1NV5F-0626-SM-DTXEG 60-69 years, female 559.4
GTEX-1OJC3-1226-SM-DTXER 20-29 years, male 557.8
GTEX-WHSB-1326-SM-3LK6W 50-59 years, male 527.1
GTEX-11EQ8-0926-SM-5H12V 60-69 years, male 524.5
GTEX-13FTW-0326-SM-5K7UW 40-49 years, male 519.2
GTEX-1PBJJ-1026-SM-E76OS 30-39 years, male 509.2
GTEX-14ICL-1626-SM-5YYAO 30-39 years, male 503.9
GTEX-15ER7-0626-SM-6PANF 20-29 years, female 499.6
GTEX-13FTX-1526-SM-5K7VJ 20-29 years, female 496.8
GTEX-ZYY3-2926-SM-5GIEB 60-69 years, female 495.7
GTEX-1C2JI-1026-SM-73KY1 50-59 years, male 492.6
GTEX-1GF9X-1326-SM-7PC2Y 40-49 years, female 492.1
GTEX-1QP28-1126-SM-EVYC4 50-59 years, female 491.8
GTEX-13PDP-0726-SM-5L3HP 60-69 years, male 488.8
GTEX-1HSKV-1226-SM-ADEI4 60-69 years, male 479.8
GTEX-14PKU-0126-SM-6LLHV 40-49 years, female 477.4
GTEX-1NSGN-0726-SM-DTXEF 50-59 years, male 476.1
GTEX-15EO6-2426-SM-6PALZ 50-59 years, male 473.7
GTEX-XBED-1926-SM-47JYP 60-69 years, male 472.0
GTEX-1F48J-0726-SM-7RHGS 50-59 years, female 470.8
GTEX-1HSMQ-2626-SM-A9SML 50-59 years, male 465.0
GTEX-13X6H-0926-SM-5SIB2 50-59 years, female 464.2
GTEX-ZA64-1026-SM-5HL8R 20-29 years, male 462.8
GTEX-1I1GS-2626-SM-B2LY3 60-69 years, male 461.0
GTEX-1CB4F-1026-SM-7DUH1 60-69 years, male 459.6
GTEX-Y9LG-1126-SM-4VBQ7 30-39 years, male 457.0
GTEX-ZVZP-1226-SM-5GID7 50-59 years, male 454.1
GTEX-17F9E-2326-SM-79OKD 50-59 years, male 452.4
GTEX-1RAZQ-1326-SM-E9TK6 30-39 years, male 449.2
GTEX-12ZZZ-0726-SM-5GCNZ 60-69 years, male 449.0
GTEX-1KXAM-1626-SM-D3LAD 60-69 years, male 445.1
GTEX-1IKJJ-2226-SM-CJI4C 60-69 years, male 442.6
GTEX-1HCUA-0826-SM-ADEHM 50-59 years, female 435.7
GTEX-17F97-2626-SM-7IGM5 50-59 years, male 426.1
GTEX-1I1GV-0626-SM-ARL7M 60-69 years, male 423.3
GTEX-1IKOE-1426-SM-CE6T7 30-39 years, female 421.0
GTEX-1HCU7-0726-SM-A9SL1 50-59 years, male 419.1
GTEX-X5EB-1926-SM-4E3IW 40-49 years, male 419.0
GTEX-13QJC-0126-SM-5ZZWJ 60-69 years, female 416.4
GTEX-1GZ4H-0526-SM-9KNU9 50-59 years, female 415.4
GTEX-144GL-0626-SM-5LU4D 50-59 years, male 413.2
GTEX-139UW-0326-SM-5J1ML 60-69 years, male 412.7
GTEX-1JKYR-0626-SM-ARL8R 20-29 years, male 412.1
GTEX-1N2DV-1526-SM-DTXEP 40-49 years, male 410.3
GTEX-1AMFI-1326-SM-7939R 50-59 years, female 409.3
GTEX-13FTY-2126-SM-5IFFB 40-49 years, female 405.6
GTEX-1QW4Y-1126-SM-DTXE3 30-39 years, male 405.2
GTEX-1HKZK-0726-SM-ACKW2 40-49 years, male 402.7
GTEX-146FQ-2126-SM-5RQHU 30-39 years, male 402.2
GTEX-13YAN-0226-SM-5TDC6 60-69 years, male 401.0
GTEX-1S82P-2126-SM-E6CI5 60-69 years, female 399.5
GTEX-1JMPY-0226-SM-CKZOK 30-39 years, male 398.8
GTEX-1GN2E-0226-SM-9WG6K 60-69 years, male 397.0
GTEX-1JK1U-0226-SM-ARZMX 60-69 years, male 391.5
GTEX-11P81-2226-SM-5PNYI 30-39 years, female 387.1
GTEX-1KAFJ-0126-SM-DIPEK 50-59 years, male 386.2
GTEX-11LCK-2226-SM-5HL4Q 30-39 years, male 385.8
GTEX-13QBU-1226-SM-5LU4G 40-49 years, female 385.3
GTEX-1LVAM-0726-SM-E6CIL 50-59 years, female 383.3
GTEX-1R7EU-1626-SM-DTXG3 60-69 years, male 382.2
GTEX-1HCU6-2526-SM-ADEHL 60-69 years, female 381.7
GTEX-13FHO-0426-SM-5L3F5 60-69 years, male 379.5
GTEX-1LGRB-0926-SM-COH3K 50-59 years, female 376.7
GTEX-17F9Y-0126-SM-79OKX 70-79 years, female 376.2
GTEX-1PPH8-0126-SM-EWRN8 20-29 years, male 376.0
GTEX-13OW5-2326-SM-5L3HO 60-69 years, male 372.0
GTEX-18QFQ-1826-SM-72D52 30-39 years, male 370.4
GTEX-14PJ6-2626-SM-6EU2T 60-69 years, female 368.2
GTEX-17HHE-1326-SM-7EWDZ 50-59 years, male 366.8
GTEX-1IE54-1126-SM-A9G2Z 40-49 years, female 366.4
GTEX-1399U-1126-SM-5L3DB 50-59 years, female 366.0
GTEX-11EQ9-1626-SM-5PNY8 30-39 years, male 364.7
GTEX-1PDJ9-1226-SM-EXUSX 20-29 years, male 363.6
GTEX-12ZZY-0726-SM-5EQ66 60-69 years, male 360.8
GTEX-1F75I-2226-SM-7SB8U 40-49 years, male 360.4
GTEX-ZDTT-0426-SM-4WKFL 60-69 years, male 360.0
GTEX-148VJ-0626-SM-5LUAW 70-79 years, male 359.1
GTEX-11DXY-0126-SM-5H11Q 60-69 years, male 358.8
GTEX-14PJ4-0226-SM-5YY92 60-69 years, male 358.7
GTEX-1CB4J-1326-SM-7P8RX 60-69 years, male 357.4
GTEX-15SKB-2826-SM-6PAMH 60-69 years, male 356.0
GTEX-1GF9V-0826-SM-9KNUV 60-69 years, male 355.2
GTEX-147JS-0226-SM-5S2U9 60-69 years, male 354.9
GTEX-ZDYS-2426-SM-4WKGI 50-59 years, male 354.9
GTEX-1H2FU-0926-SM-9WPPT 60-69 years, female 353.9
GTEX-11WQC-1826-SM-5GU59 60-69 years, male 353.7
GTEX-1A32A-0626-SM-731AQ 50-59 years, female 350.8
GTEX-1R46S-2426-SM-E76QA 60-69 years, female 350.3
GTEX-1J8Q2-2626-SM-ACKWQ 60-69 years, male 347.5
GTEX-1GN73-0726-SM-7P8TJ 60-69 years, male 347.0
GTEX-1B97I-0626-SM-73KUZ 40-49 years, male 346.4
GTEX-ZGAY-1826-SM-DO91Q 40-49 years, female 342.9
GTEX-ZLFU-1826-SM-4WWBV 40-49 years, male 341.7
GTEX-1399S-0126-SM-5IJCF 30-39 years, female 341.4
GTEX-1B8KZ-0326-SM-73KY4 50-59 years, male 340.2
GTEX-1J8EW-2726-SM-CY8HR 60-69 years, female 340.2
GTEX-145LU-1926-SM-79OJN 50-59 years, male 340.0
GTEX-13O3O-2326-SM-5IJD6 60-69 years, female 339.0
GTEX-1A8G7-1326-SM-73KVM 60-69 years, male 338.6
GTEX-14JG6-1426-SM-9WG7C 30-39 years, female 338.0
GTEX-1H4P4-2126-SM-9WYSL 50-59 years, male 337.5
GTEX-YFCO-1226-SM-5LUAT 40-49 years, male 336.7
GTEX-13NZ8-1226-SM-5KM4A 60-69 years, female 336.6
GTEX-111CU-1126-SM-5EGIM 50-59 years, male 336.1
GTEX-1B8SF-0126-SM-7DUG3 60-69 years, male 335.3
GTEX-1J8QM-2426-SM-A9SLS 60-69 years, female 334.6
GTEX-ZAJG-1526-SM-5CVML 50-59 years, female 329.5
GTEX-ZT9X-1526-SM-5DUXD 40-49 years, male 320.2
GTEX-1N2EE-0626-SM-E76PW 60-69 years, male 319.9
GTEX-1F5PL-0926-SM-7PC2W 40-49 years, female 316.4
GTEX-13N1W-2426-SM-5IJD1 70-79 years, male 314.3
GTEX-11ZU8-0126-SM-5EQ58 60-69 years, male 314.1
GTEX-147F3-1726-SM-5SIAW 50-59 years, female 314.0
GTEX-1H11D-1826-SM-9QEHM 40-49 years, male 314.0
GTEX-1AX9I-2226-SM-73KUO 60-69 years, male 313.8
GTEX-1HBPM-0726-SM-9YFL7 60-69 years, female 313.7
GTEX-17F98-1326-SM-7DUEP 40-49 years, female 313.3
GTEX-1MCYP-0526-SM-E9U6Q 20-29 years, female 312.6
GTEX-139D8-1126-SM-5LU8W 30-39 years, female 311.6
GTEX-1LG7Y-2526-SM-EWRO7 50-59 years, male 311.1
GTEX-1GN1W-2426-SM-9KNUU 50-59 years, female 310.7
GTEX-XAJ8-1426-SM-47JYM 40-49 years, male 308.6
GTEX-18D9A-1426-SM-7LT8M 30-39 years, female 306.8
GTEX-1JMQJ-0826-SM-CNPP7 50-59 years, male 306.8
GTEX-1QMI2-2526-SM-E8VNZ 60-69 years, male 305.7
GTEX-1GPI7-1826-SM-9KNU1 20-29 years, male 305.1
GTEX-12WSM-1926-SM-5BC65 60-69 years, male 305.0
GTEX-1LB8K-0726-SM-D5OV2 50-59 years, male 304.2
GTEX-1F52S-2926-SM-7MKGA 60-69 years, female 304.0
GTEX-ZXG5-2126-SM-59HKD 60-69 years, male 303.9
GTEX-17EVP-2626-SM-7IGMA 40-49 years, male 303.8
GTEX-15FZZ-0526-SM-7KUGD 30-39 years, female 303.6
GTEX-14PJN-1826-SM-6AJ98 30-39 years, male 303.0
GTEX-1R9K4-2826-SM-DTX8F 60-69 years, male 302.0
GTEX-1MJK3-0726-SM-E6CJC 20-29 years, male 301.8
GTEX-ZY6K-1426-SM-5GZX2 50-59 years, male 301.1
GTEX-1IDJH-0126-SM-D3L92 70-79 years, male 298.9
GTEX-YJ8O-2526-SM-5HL85 40-49 years, female 298.2
GTEX-1CB4E-0926-SM-7EPHT 60-69 years, male 297.1
GTEX-18D9B-0926-SM-7LG4U 60-69 years, male 296.9
GTEX-14PII-0726-SM-6EU2B 60-69 years, male 294.8
GTEX-11TUW-0626-SM-5LU9M 60-69 years, male 294.2
GTEX-1JMLX-0626-SM-ARL8T 50-59 years, male 293.6
GTEX-16XZZ-0726-SM-7KUF2 60-69 years, male 291.5
GTEX-13OVG-1626-SM-5J1NF 60-69 years, male 290.8
GTEX-13W3W-0726-SM-5IJDQ 60-69 years, female 289.0
GTEX-YEC3-1326-SM-DO92X 50-59 years, male 289.0
GTEX-18A67-1626-SM-7LT9T 50-59 years, male 288.4
GTEX-13NYS-0626-SM-5L3F1 60-69 years, male 286.4
GTEX-13OW8-1026-SM-5J1NQ 60-69 years, male 286.3
GTEX-1QP29-1826-SM-DTX9S 50-59 years, male 285.2
GTEX-12ZZX-2426-SM-5GCOE 40-49 years, female 283.5
GTEX-1HGF4-0126-SM-CNPPX 60-69 years, male 283.1
GTEX-1MCC2-1826-SM-DIPEX 30-39 years, female 283.1
GTEX-1S83E-1326-SM-E6CJM 40-49 years, male 282.0
GTEX-1F88F-0126-SM-9WYSZ 60-69 years, female 281.8
GTEX-1EN7A-2426-SM-793DB 40-49 years, male 280.8
GTEX-ZF29-0926-SM-4WKFZ 60-69 years, female 280.2
GTEX-1PPGY-1626-SM-EVYBL 60-69 years, male 279.8
GTEX-131XW-0626-SM-5PNVD 50-59 years, female 279.4
GTEX-13SLW-0626-SM-5Q5ER 70-79 years, male 278.8
GTEX-ZE7O-2726-SM-51MT5 50-59 years, female 277.9
GTEX-1C6VQ-1226-SM-73KYD 50-59 years, male 277.2
GTEX-139YR-1026-SM-5LZYN 50-59 years, male 276.3
GTEX-Y8LW-1526-SM-5IFHL 50-59 years, female 275.4
GTEX-1GN1U-0626-SM-9MQL9 50-59 years, female 275.3
GTEX-1IDJI-0126-SM-CMKHS 50-59 years, female 275.2
GTEX-1CB4H-1126-SM-7MKGL 60-69 years, female 274.8
GTEX-1H1DE-1326-SM-9KNUG 20-29 years, male 274.5
GTEX-1122O-1026-SM-9WYSF 60-69 years, female 273.6
GTEX-11ZTT-2126-SM-5CVLO 60-69 years, female 272.1
GTEX-ZVT4-2426-SM-5GIEI 50-59 years, female 271.6
GTEX-14PK6-0226-SM-62LF5 70-79 years, female 270.7
GTEX-16MT8-2926-SM-7DUFO 60-69 years, female 270.7
GTEX-1LVAN-0626-SM-CNPOQ 50-59 years, female 270.3
GTEX-1PIIG-2326-SM-DTXFR 30-39 years, male 269.2
GTEX-Y114-2126-SM-4TT8B 50-59 years, female 268.4
GTEX-12WSH-1526-SM-5BC5W 50-59 years, male 267.3
GTEX-ZLWG-0826-SM-59888 50-59 years, female 266.6
GTEX-133LE-2326-SM-5K7W3 20-29 years, female 266.4
GTEX-1C64O-1326-SM-7MGWR 60-69 years, male 265.7
GTEX-14DAR-1226-SM-73KYV 50-59 years, male 265.3
GTEX-139T8-0626-SM-5KLZX 60-69 years, male 265.1
GTEX-XBEW-1126-SM-4QARW 40-49 years, male 265.0
GTEX-WXYG-2026-SM-4E3IY 50-59 years, female 264.6
GTEX-1H3O1-1326-SM-9MQLD 60-69 years, male 264.5
GTEX-1HFI7-2326-SM-CGQFS 50-59 years, female 263.7
GTEX-ZLV1-1526-SM-DO91J 60-69 years, female 263.5
GTEX-14C39-1726-SM-5RQIL 40-49 years, male 262.1
GTEX-1RAZR-2126-SM-E9U6T 40-49 years, male 261.7
GTEX-15G1A-1626-SM-7KUKN 30-39 years, male 261.5
GTEX-17MFQ-1526-SM-7KFRR 20-29 years, male 261.3
GTEX-131XF-2626-SM-5EQ6K 60-69 years, male 261.0
GTEX-1GPI6-1926-SM-9KNV7 60-69 years, male 260.4
GTEX-WYBS-0626-SM-3NMAS 60-69 years, female 260.3
GTEX-1HUB1-1426-SM-CGQF5 60-69 years, male 259.6
GTEX-1C6WA-2626-SM-7MKGM 60-69 years, male 258.6
GTEX-1HB9E-0126-SM-CM2S5 50-59 years, male 258.4
GTEX-13O3Q-0126-SM-5KM34 50-59 years, male 257.7
GTEX-1497J-0226-SM-5QGPU 60-69 years, male 257.6
GTEX-117YX-1926-SM-5GIEC 50-59 years, male 256.3
GTEX-13SLX-2226-SM-62LEP 50-59 years, female 255.2
GTEX-1JKYN-0826-SM-ARU8S 30-39 years, male 254.7
GTEX-12584-0726-SM-5FQTK 40-49 years, male 254.6
GTEX-1R9PN-0426-SM-DTXDT 40-49 years, female 254.6
GTEX-1C475-1326-SM-7SB73 40-49 years, female 254.5
GTEX-WFG7-2026-SM-5SI7P 20-29 years, male 254.4
GTEX-ZZPU-0826-SM-5GZX5 50-59 years, female 254.3
GTEX-1117F-2926-SM-5GZYI 60-69 years, female 253.3
GTEX-13X6J-0626-SM-5LU5F 50-59 years, male 252.9
GTEX-1B8KE-1126-SM-7EPHI 50-59 years, male 252.7
GTEX-ZZ64-1026-SM-5GZXG 20-29 years, male 252.7
GTEX-12WSD-0626-SM-5GCMW 60-69 years, female 252.2
GTEX-13FLV-0126-SM-5K7WT 50-59 years, male 251.8
GTEX-12C56-1526-SM-5FQUQ 20-29 years, male 251.7
GTEX-1HSMO-0626-SM-ACKXC 60-69 years, male 250.8
GTEX-12KS4-2126-SM-5FQUT 30-39 years, male 250.4
GTEX-1HSGN-0826-SM-ACKW3 40-49 years, female 250.0
GTEX-14PJ5-1526-SM-6LLIL 60-69 years, female 249.9
GTEX-145LS-0626-SM-7EPG7 60-69 years, female 249.8
GTEX-14E1K-2026-SM-7DUEI 50-59 years, male 248.8
GTEX-1S3DN-2126-SM-E9TIN 50-59 years, male 248.1
GTEX-15CHR-1126-SM-7EWF4 50-59 years, male 248.0
GTEX-12126-0826-SM-5FQTZ 20-29 years, male 247.1
GTEX-1EKGG-0626-SM-7DUGJ 60-69 years, male 247.1
GTEX-13OVK-1426-SM-6PAN7 40-49 years, male 247.0
GTEX-16NGA-0726-SM-731AO 40-49 years, female 246.0
GTEX-1CAMS-2226-SM-7PBXQ 40-49 years, female 246.0
GTEX-14753-0726-SM-5QGQO 60-69 years, male 245.4
GTEX-1JMPZ-0726-SM-CY8HZ 30-39 years, male 245.3
GTEX-1I6K6-1726-SM-CGQFD 30-39 years, male 244.3
GTEX-1KANA-1326-SM-DIPFA 20-29 years, male 244.1
GTEX-14BIN-1126-SM-5RQJZ 50-59 years, female 243.8
GTEX-14PHX-2226-SM-6EU2P 50-59 years, male 243.3
GTEX-16NPX-0726-SM-7KULC 50-59 years, male 242.5
GTEX-14LZ3-0126-SM-69LPM 60-69 years, female 241.7
GTEX-14PHY-1226-SM-5ZZWK 60-69 years, female 241.6
GTEX-ZPCL-1126-SM-4WWFE 60-69 years, female 240.9
GTEX-11EM3-1226-SM-5N9DD 20-29 years, female 240.4
GTEX-ZTX8-1326-SM-4YCEL 20-29 years, male 240.1
GTEX-1I1CD-0626-SM-CE6SW 60-69 years, female 240.0
GTEX-1N5O9-0926-SM-E9J3C 60-69 years, male 239.2
GTEX-16BQI-1326-SM-6M486 30-39 years, female 238.8
GTEX-1JMQK-1226-SM-D4P2S 60-69 years, male 238.2
GTEX-16AAH-0626-SM-793C9 50-59 years, male 238.0
GTEX-145MI-0626-SM-5SI8S 60-69 years, female 237.5
GTEX-1GTWX-2026-SM-9YFLM 60-69 years, male 237.2
GTEX-1CAMR-1326-SM-7PC1F 20-29 years, male 237.0
GTEX-1RB15-1326-SM-E76Q9 60-69 years, male 236.8
GTEX-1JN76-0626-SM-CKZOQ 20-29 years, female 236.7
GTEX-ZAB4-2126-SM-5HL8U 40-49 years, male 236.4
GTEX-Y8E4-2026-SM-5IFJB 40-49 years, male 235.7
GTEX-1JJEA-1826-SM-ARU8P 60-69 years, male 235.4
GTEX-1B932-2326-SM-79OL5 40-49 years, female 234.6
GTEX-X585-2426-SM-46MW2 50-59 years, male 234.1
GTEX-1PIGE-1826-SM-E8VOU 20-29 years, male 233.5
GTEX-147GR-2426-SM-5ZZWQ 60-69 years, male 233.4
GTEX-17HII-1426-SM-7EPGG 50-59 years, male 233.3
GTEX-17HHY-0426-SM-7DHLC 50-59 years, male 233.1
GTEX-13113-1626-SM-5EQ4I 60-69 years, female 232.6
GTEX-1EU9M-1426-SM-793AI 60-69 years, male 231.3
GTEX-X8HC-0626-SM-4E3HQ 50-59 years, female 231.2
GTEX-1RMOY-1326-SM-E9TIH 50-59 years, male 230.9
GTEX-131XG-0326-SM-5L3DX 50-59 years, female 230.8
GTEX-14BMU-1226-SM-5S2OR 20-29 years, female 230.6
GTEX-1GF9W-1426-SM-7PBYM 60-69 years, male 228.7
GTEX-1K2DU-1226-SM-CYPT4 20-29 years, male 228.2
GTEX-14B4R-1326-SM-5Q5EZ 30-39 years, male 227.2
GTEX-12BJ1-0926-SM-5EQ62 60-69 years, male 227.1
GTEX-16YQH-2226-SM-7IGM2 30-39 years, male 226.9
GTEX-1A3MV-1826-SM-731CD 30-39 years, male 226.5
GTEX-YECK-0326-SM-4W1YS 60-69 years, male 226.2
GTEX-17MF6-2626-SM-79OKQ 40-49 years, male 226.0
GTEX-13D11-0926-SM-5J2NC 50-59 years, female 225.9
GTEX-Y3I4-1726-SM-4TT89 50-59 years, male 225.7
GTEX-1192X-2726-SM-5N9DN 50-59 years, male 225.5
GTEX-1RAZS-2526-SM-E6CHT 50-59 years, male 225.0
GTEX-11DXW-0826-SM-5H118 40-49 years, male 224.8
GTEX-14LLW-2626-SM-62LDZ 70-79 years, female 224.3
GTEX-1AMEY-0826-SM-72D65 30-39 years, female 224.2
GTEX-1GMRU-2126-SM-7P8RA 50-59 years, male 224.2
GTEX-1A8G6-2726-SM-731AR 60-69 years, male 222.8
GTEX-1JJ6O-2726-SM-CNPOG 60-69 years, male 222.5
GTEX-13OW7-0426-SM-5K7VK 50-59 years, male 221.7
GTEX-11GSP-2326-SM-5HL63 60-69 years, female 221.6
GTEX-1I1HK-2326-SM-CKZOH 60-69 years, male 221.1
GTEX-1OJC4-2726-SM-E76PJ 50-59 years, female 220.5
GTEX-14C5O-0326-SM-5ZZUX 60-69 years, male 219.8
GTEX-15CHQ-0326-SM-69LQD 60-69 years, male 219.8
GTEX-11O72-0626-SM-5PNYE 40-49 years, male 219.6
GTEX-XUW1-0926-SM-4BONX 50-59 years, female 219.3
GTEX-1HBPI-2126-SM-ARL9K 50-59 years, male 217.8
GTEX-1RLM8-2926-SM-E8VON 50-59 years, male 217.8
GTEX-1F88E-1626-SM-7SB8Z 60-69 years, female 217.4
GTEX-1LSVX-2526-SM-DIPEU 60-69 years, male 216.9
GTEX-1HCU9-0426-SM-9WYSD 20-29 years, male 216.2
GTEX-15DYW-2726-SM-6EU2I 60-69 years, female 215.2
GTEX-X4EO-2926-SM-4E3JH 60-69 years, female 215.2
GTEX-13NYB-0126-SM-5J1MD 40-49 years, male 214.9
GTEX-1IDJU-1726-SM-CMKHU 60-69 years, female 214.8
GTEX-1A8FM-0626-SM-7PC25 50-59 years, female 214.6
GTEX-1B8L1-2226-SM-7P8PT 60-69 years, male 214.6
GTEX-11P82-1426-SM-DTXFY 20-29 years, male 214.2
GTEX-144GM-0526-SM-79OJO 20-29 years, male 213.9
GTEX-ZVE2-2826-SM-5GU51 50-59 years, male 213.4
GTEX-1JN1M-2726-SM-CY8I4 60-69 years, female 212.3
GTEX-15RJE-2826-SM-7KUM9 40-49 years, male 211.8
GTEX-1HCVE-2726-SM-CL54F 50-59 years, male 211.7
GTEX-1S831-1826-SM-EWROF 20-29 years, male 211.2
GTEX-1QP9N-1226-SM-E76QN 30-39 years, male 210.8
GTEX-ZC5H-1526-SM-5HL9Y 40-49 years, female 210.6
GTEX-1GN1V-2826-SM-9JGIA 60-69 years, male 210.6
GTEX-1J1R8-2026-SM-CL53Y 40-49 years, male 209.1
GTEX-1IDFM-0326-SM-ARL7V 60-69 years, male 209.0
GTEX-13NYC-0126-SM-5L3F4 60-69 years, male 208.9
GTEX-13OVJ-0826-SM-5J1OK 50-59 years, female 208.9
GTEX-1EWIQ-0326-SM-7DHMQ 70-79 years, female 208.6
GTEX-111VG-1626-SM-5EGIO 60-69 years, male 208.3
GTEX-1GZHY-0626-SM-9KNVC 50-59 years, female 208.2
GTEX-183FY-1026-SM-7939A 20-29 years, male 207.7
GTEX-18A7A-0126-SM-731AH 50-59 years, female 206.7
GTEX-ZYVF-0926-SM-5E44J 50-59 years, female 206.5
GTEX-1GZ4I-2626-SM-9KNU3 50-59 years, male 206.5
GTEX-WHPG-2626-SM-3NMBR 50-59 years, male 206.2
GTEX-11P7K-1126-SM-5HL4L 30-39 years, male 206.1
GTEX-WRHU-2826-SM-3MJG8 50-59 years, female 205.3
GTEX-16MTA-0926-SM-6M47Z 50-59 years, male 205.2
GTEX-WEY5-2326-SM-3GIKK 40-49 years, female 205.1
GTEX-WH7G-2026-SM-3NMBL 40-49 years, male 204.8
GTEX-144GO-2026-SM-5O99P 60-69 years, male 204.5
GTEX-WK11-2726-SM-3NMAQ 50-59 years, male 204.3
GTEX-XMD2-2126-SM-4YCF8 60-69 years, female 204.1
GTEX-ZF3C-0626-SM-DO92O 50-59 years, female 204.0
GTEX-12WSF-1626-SM-7KUG5 70-79 years, male 203.8
GTEX-14JFF-0626-SM-5ZZVT 60-69 years, male 203.5
GTEX-1KD5A-0126-SM-E9U54 50-59 years, male 203.3
GTEX-11EI6-2826-SM-5H11D 60-69 years, male 203.1
GTEX-1ICLY-0826-SM-CMKG1 50-59 years, male 202.4
GTEX-13JVG-0726-SM-5KM16 60-69 years, male 200.8
GTEX-ZVT2-0126-SM-5GIDQ 50-59 years, female 200.6
GTEX-13RTJ-0126-SM-5S2NN 60-69 years, male 200.5
GTEX-1GMR8-0626-SM-7RHI7 50-59 years, female 200.1
GTEX-13PVQ-0626-SM-5LU47 50-59 years, male 199.4
GTEX-ZP4G-1426-SM-4WWCL 20-29 years, female 199.4
GTEX-1211K-1526-SM-5FQU4 60-69 years, female 199.2
GTEX-178AV-1726-SM-7KUL8 40-49 years, male 199.0
GTEX-1EH9U-2826-SM-7DUGT 60-69 years, male 198.5
GTEX-11DXZ-2026-SM-5987S 50-59 years, male 198.4
GTEX-1O9I2-0226-SM-EYYXD 50-59 years, male 198.4
GTEX-1JJE9-2626-SM-ARZMT 70-79 years, male 197.9
GTEX-1HR98-2226-SM-ADEI2 60-69 years, male 196.8
GTEX-1QCLY-0226-SM-EWRNH 30-39 years, male 196.7
GTEX-ZYFG-1526-SM-5GZYM 60-69 years, female 196.5
GTEX-1F5PK-2226-SM-7SB6N 50-59 years, male 196.2
GTEX-15RJ7-2126-SM-6PAMD 40-49 years, male 196.0
GTEX-14PJ3-1126-SM-5ZZVX 50-59 years, male 195.9
GTEX-1BAJH-2426-SM-7IGP8 70-79 years, male 195.3
GTEX-14A6H-2026-SM-5Q5DD 30-39 years, male 194.0
GTEX-15RIG-0726-SM-7KUM7 40-49 years, male 193.7
GTEX-VUSG-2326-SM-4KL1U 50-59 years, male 193.2
GTEX-1LKK1-2626-SM-DKPQE 50-59 years, female 193.1
GTEX-WY7C-2126-SM-3NB2R 50-59 years, male 193.0
GTEX-13OW6-2726-SM-5J2OE 50-59 years, male 190.8
GTEX-1F75A-0726-SM-7RHHD 50-59 years, male 190.4
GTEX-1PPH7-1126-SM-DTX9A 40-49 years, male 190.3
GTEX-1IL2V-1926-SM-B2LW8 70-79 years, male 189.1
GTEX-1K9T9-1526-SM-DIPFR 50-59 years, female 189.0
GTEX-1QEPI-2626-SM-DTXF4 60-69 years, female 187.7
GTEX-14DAQ-0626-SM-793DS 60-69 years, female 187.5
GTEX-18D9U-0126-SM-731BM 40-49 years, male 187.5
GTEX-1B933-2426-SM-7DHMD 50-59 years, female 186.9
GTEX-147F4-0726-SM-5TDDD 50-59 years, male 186.8
GTEX-1477Z-0326-SM-7IGLA 60-69 years, male 186.5
GTEX-1HBPN-0126-SM-CGQEF 50-59 years, male 186.5
GTEX-ZVP2-0326-SM-57WBP 50-59 years, male 186.3
GTEX-1HR9M-2226-SM-CNPPY 60-69 years, male 185.4
GTEX-1LSNL-2726-SM-E9TKJ 50-59 years, male 184.0
GTEX-1R9PM-1926-SM-EVR3O 20-29 years, male 183.1
GTEX-14PKV-1126-SM-6LLJ1 20-29 years, female 181.6
GTEX-1JMQI-1726-SM-ARL93 50-59 years, male 180.9
GTEX-1HT8W-0626-SM-A9G2H 30-39 years, male 179.8
GTEX-1LBAC-0826-SM-CY8IJ 20-29 years, male 179.4
GTEX-1I1GU-0926-SM-ACKVS 40-49 years, male 179.3
GTEX-145MH-2826-SM-5RQJF 50-59 years, male 178.3
GTEX-13JUV-2026-SM-5K7UA 40-49 years, female 177.8
GTEX-WHSE-0126-SM-3NMBT 20-29 years, male 177.7
GTEX-11WQK-1026-SM-5EQLX 50-59 years, male 177.3
GTEX-U8XE-0226-SM-4E3J3 30-39 years, male 177.3
GTEX-1GL5R-1326-SM-7RHHF 50-59 years, male 176.7
GTEX-17KNJ-2126-SM-718AM 50-59 years, male 176.2
GTEX-XYKS-1426-SM-4BRUO 60-69 years, female 175.8
GTEX-ZF2S-1626-SM-57WES 50-59 years, female 175.7
GTEX-11OF3-0126-SM-5PNYF 60-69 years, male 175.1
GTEX-1ICG6-1226-SM-A9SLN 70-79 years, female 175.1
GTEX-13OVH-0526-SM-5L3E6 70-79 years, male 174.5
GTEX-ZYT6-2326-SM-5GZY3 30-39 years, male 174.3
GTEX-1F6I4-2326-SM-7RHGL 60-69 years, male 174.1
GTEX-12WSJ-1126-SM-5LZVJ 40-49 years, female 173.5
GTEX-11NUK-2726-SM-5A5MC 50-59 years, male 173.4
GTEX-11VI4-1126-SM-5EQMD 40-49 years, female 173.1
GTEX-15DDE-2926-SM-6LLJ3 50-59 years, female 171.8
GTEX-131XH-0126-SM-5LZUY 50-59 years, male 171.3
GTEX-1KANB-2826-SM-CY8I6 50-59 years, male 168.6
GTEX-1H3VE-0726-SM-9YFL5 40-49 years, male 168.5
GTEX-1CAMQ-1326-SM-7P8RV 40-49 years, male 168.1
GTEX-13G51-1826-SM-5KLZH 60-69 years, male 167.8
GTEX-14E6E-0526-SM-793DN 30-39 years, male 167.7
GTEX-1H3NZ-2726-SM-9WYTQ 60-69 years, male 167.7
GTEX-1LVAO-2726-SM-E9TJ8 60-69 years, male 167.6
GTEX-UPJH-0226-SM-3GADV 50-59 years, male 167.4
GTEX-1KWVE-1026-SM-D3L9O 30-39 years, male 167.4
GTEX-1B996-0426-SM-7EWF8 60-69 years, male 167.1
GTEX-12WSC-2826-SM-5BC5Y 50-59 years, male 166.9
GTEX-ZDTS-0826-SM-4WKHL 60-69 years, male 166.6
GTEX-145MN-1526-SM-5SI9T 30-39 years, male 166.1
GTEX-1J8Q3-0526-SM-ARL8U 60-69 years, male 164.5
GTEX-139TU-0726-SM-5L3EK 60-69 years, male 164.2
GTEX-144FL-0626-SM-5LU43 50-59 years, male 164.2
GTEX-Y5V5-0126-SM-5S2NW 60-69 years, female 164.2
GTEX-15D1Q-2826-SM-6LLH7 40-49 years, male 163.6
GTEX-ZDXO-3126-SM-5IJDF 60-69 years, male 163.4
GTEX-17HGU-2326-SM-7DUFE 50-59 years, male 163.0
GTEX-11GS4-0226-SM-5HL77 60-69 years, male 162.6
GTEX-1IDJV-0126-SM-COH3Y 60-69 years, male 162.4
GTEX-1QCLZ-2426-SM-EVYBW 60-69 years, female 162.4
GTEX-12WSL-2026-SM-5GCML 50-59 years, male 162.3
GTEX-13X6K-0626-SM-5LU5D 60-69 years, female 162.3
GTEX-14AS3-1526-SM-5Q5ED 40-49 years, female 162.3
GTEX-15CHC-1126-SM-6LLHQ 60-69 years, female 162.1
GTEX-1GMR2-0826-SM-7PC3V 50-59 years, male 161.8
GTEX-11UD2-2526-SM-5CVNU 50-59 years, male 161.4
GTEX-13PVR-0426-SM-5RQK2 60-69 years, female 161.1
GTEX-13OVL-0126-SM-5L3GJ 50-59 years, male 160.6
GTEX-15G19-2426-SM-7KUMR 60-69 years, male 159.1
GTEX-XOT4-0626-SM-4B66L 60-69 years, female 159.0
GTEX-139TS-2126-SM-5K7XC 60-69 years, male 157.9
GTEX-1F75B-0726-SM-7PC3R 50-59 years, male 157.9
GTEX-1I1GP-1326-SM-A9G28 50-59 years, male 157.9
GTEX-1POEN-2326-SM-E9J2L 30-39 years, female 156.5
GTEX-15EU6-2226-SM-6EU2L 50-59 years, male 156.1
GTEX-11PRG-0726-SM-5EGL1 50-59 years, male 155.2
GTEX-1IDJC-1526-SM-B2LW4 50-59 years, male 155.2
GTEX-11DXX-2126-SM-5PNYR 60-69 years, female 154.7
GTEX-13112-0126-SM-5P9IU 50-59 years, male 154.7
GTEX-1H1DF-1126-SM-9WG7G 40-49 years, female 154.3
GTEX-ZAK1-0626-SM-5HL8E 50-59 years, female 154.0
GTEX-1314G-1326-SM-5BC6E 30-39 years, male 153.5
GTEX-139TT-2126-SM-5LZWC 60-69 years, male 153.2
GTEX-XXEK-1626-SM-4BRUZ 50-59 years, male 151.6
GTEX-12696-0126-SM-5EQ4L 60-69 years, male 151.0
GTEX-1QP66-1226-SM-DTX7U 50-59 years, male 150.2
GTEX-145ME-1726-SM-5Q5EU 40-49 years, female 150.0
GTEX-WYVS-1626-SM-3NM9R 40-49 years, female 150.0
GTEX-WHWD-1826-SM-3LK6I 50-59 years, male 149.6
GTEX-YEC4-1826-SM-4W1YP 40-49 years, male 148.7
GTEX-1IY9M-2826-SM-ARU8H 60-69 years, male 148.7
GTEX-1HC8U-1326-SM-9YFMJ 40-49 years, female 148.2
GTEX-ZPU1-1126-SM-4YCF3 40-49 years, male 147.4
GTEX-Z93S-1626-SM-5CVMB 50-59 years, male 146.0
GTEX-1LGOU-1326-SM-D3L8M 20-29 years, female 145.8
GTEX-1I4MK-0126-SM-CY8G6 50-59 years, female 145.2
GTEX-1LSNM-0826-SM-DIPG8 50-59 years, male 144.9
GTEX-1212Z-0126-SM-59HK4 60-69 years, male 143.7
GTEX-145LT-0526-SM-5LUB2 40-49 years, male 143.0
GTEX-Y3IK-1626-SM-4YCF5 50-59 years, female 142.9
GTEX-1A3MW-0626-SM-731CB 60-69 years, female 142.3
GTEX-XBEC-0726-SM-4QARZ 50-59 years, male 142.3
GTEX-13FH7-1126-SM-5K7UG 50-59 years, female 141.8
GTEX-1J1OQ-0126-SM-D4P2N 40-49 years, female 141.7
GTEX-ZE9C-2526-SM-5IJDR 60-69 years, male 140.9
GTEX-14E6C-2426-SM-5S2NF 40-49 years, male 140.3
GTEX-1HSMP-0926-SM-A9SKX 70-79 years, male 140.2
GTEX-13X6I-1826-SM-5SIAO 60-69 years, male 139.4
GTEX-1EX96-1026-SM-7MKG2 50-59 years, male 138.2
GTEX-ZTSS-1426-SM-5985P 40-49 years, male 138.0
GTEX-V1D1-2026-SM-3GAF4 50-59 years, male 137.4
GTEX-1C6VR-0126-SM-7RHGB 60-69 years, male 136.8
GTEX-1E2YA-2126-SM-7MXUO 50-59 years, male 136.8
GTEX-13N2G-0226-SM-5K7VF 60-69 years, male 136.3
GTEX-1GMR3-0126-SM-A9SLW 40-49 years, male 136.3
GTEX-ZU9S-1826-SM-5NQ9E 30-39 years, male 135.5
GTEX-13VXU-0626-SM-5L3F9 50-59 years, male 135.1
GTEX-145MO-2826-SM-5LU96 60-69 years, male 135.1
GTEX-13U4I-2226-SM-5LU5H 40-49 years, female 134.9
GTEX-11DYG-1526-SM-5A5JS 60-69 years, male 134.8
GTEX-17F96-0126-SM-7EWDU 70-79 years, male 133.8
GTEX-14ABY-2026-SM-62LDL 50-59 years, male 133.1
GTEX-11ZUS-2626-SM-5FQUR 30-39 years, male 131.8
GTEX-XV7Q-1826-SM-4BRUV 40-49 years, female 131.8
GTEX-1KANC-1226-SM-CYPT7 50-59 years, female 131.7
GTEX-183WM-0326-SM-72D5V 70-79 years, female 131.6
GTEX-1IDJF-2026-SM-CL53V 20-29 years, male 130.4
GTEX-ZYW4-0626-SM-59HJR 60-69 years, male 130.2
GTEX-15RIE-1926-SM-7KUKJ 60-69 years, male 129.9
GTEX-1IDJE-1426-SM-ADEIW 50-59 years, female 128.1
GTEX-ZTTD-2826-SM-4YCFA 50-59 years, male 127.8
GTEX-11NSD-0626-SM-5A5LU 20-29 years, male 127.0
GTEX-1IDJD-2326-SM-ACKWX 30-39 years, male 126.5
GTEX-1CAV2-0126-SM-7IGN7 40-49 years, female 125.5
GTEX-X4EP-0626-SM-3P621 60-69 years, female 124.7
GTEX-1H1DG-2426-SM-9QEHJ 70-79 years, male 124.6
GTEX-111YS-1526-SM-5GZYW 60-69 years, male 123.7
GTEX-1S5ZU-2526-SM-E6CIF 20-29 years, female 123.5
GTEX-18A7B-2726-SM-7LG56 70-79 years, male 123.4
GTEX-1K2DA-1026-SM-CGQGF 50-59 years, male 123.4
GTEX-1I19N-0126-SM-CYPSF 70-79 years, male 122.6
GTEX-18465-2826-SM-7LT9J 50-59 years, male 122.5
GTEX-1LVA9-2626-SM-EVYD4 50-59 years, male 122.2
GTEX-18A6Q-0626-SM-7KFRP 60-69 years, male 122.1
GTEX-ZVE1-0726-SM-51MRN 50-59 years, female 121.5
GTEX-1L5NE-1126-SM-D3L9P 50-59 years, male 121.3
GTEX-1I6K7-1926-SM-B2LXR 40-49 years, male 120.9
GTEX-1JN6P-2926-SM-CL54D 60-69 years, male 120.9
GTEX-ZYFC-0426-SM-5GICQ 50-59 years, male 120.8
GTEX-ZPIC-0526-SM-DO91W 40-49 years, female 120.3
GTEX-WFG8-2126-SM-3GIKQ 20-29 years, male 120.0
GTEX-1CB4I-0126-SM-7RHGG 50-59 years, male 119.8
GTEX-14A5H-0826-SM-5QGPJ 60-69 years, male 119.1
GTEX-1H1CY-0126-SM-9YFLY 60-69 years, female 119.1
GTEX-131YS-2826-SM-5EQ47 60-69 years, female 118.6
GTEX-X3Y1-2026-SM-3P5YM 40-49 years, male 117.8
GTEX-145MF-0926-SM-5Q5EA 50-59 years, male 116.6
GTEX-YF7O-1526-SM-5IFI6 50-59 years, male 115.6
GTEX-15SHW-0226-SM-7LTAT 60-69 years, male 115.2
GTEX-1F6IF-0926-SM-7SB7M 60-69 years, male 115.2
GTEX-18A66-0626-SM-7LT8Z 60-69 years, male 114.9
GTEX-XK95-0226-SM-4AT58 40-49 years, male 114.2
GTEX-Y111-0626-SM-4SOIT 50-59 years, male 112.1
GTEX-1JMOU-1026-SM-CYPSS 60-69 years, female 112.1
GTEX-WFON-1926-SM-3LK7L 40-49 years, male 111.6
GTEX-VJYA-1526-SM-3GIJV 60-69 years, male 111.2
GTEX-1RAZA-2226-SM-E9U4X 20-29 years, male 111.1
GTEX-ZWKS-0626-SM-5GIDV 30-39 years, male 111.0
GTEX-XPVG-2126-SM-4B667 50-59 years, male 110.8
GTEX-1E1VI-0326-SM-793D1 50-59 years, male 110.0
GTEX-1AYD5-2626-SM-7PBXY 50-59 years, male 109.6
GTEX-1F75W-2726-SM-7SB8H 60-69 years, male 108.9
GTEX-16Z82-2626-SM-7KULU 60-69 years, male 108.4
GTEX-1H1ZS-2726-SM-9WG75 70-79 years, male 106.6
GTEX-1J8JJ-0626-SM-ARZMQ 60-69 years, female 106.4
GTEX-UPK5-0426-SM-3GAEK 40-49 years, male 104.5
GTEX-YB5K-2026-SM-4VDT3 40-49 years, female 104.3
GTEX-17JCI-2926-SM-7DUFF 60-69 years, female 104.2
GTEX-XQ3S-1426-SM-4BOPR 20-29 years, male 102.7
GTEX-1LG7Z-1626-SM-CXKYR 30-39 years, male 102.5
GTEX-14JG1-1526-SM-5YY9X 40-49 years, male 102.3
GTEX-14PJO-2526-SM-6AJBQ 60-69 years, male 101.4
GTEX-14C38-0726-SM-5SI6M 50-59 years, male 101.0
GTEX-145MG-1526-SM-5Q5EM 50-59 years, male 100.2
GTEX-ZT9W-1126-SM-57WDR 50-59 years, male 97.6
GTEX-14PJ2-0626-SM-6LLII 50-59 years, male 96.7
GTEX-1399Q-2326-SM-5KM2X 40-49 years, male 96.5
GTEX-WYJK-0526-SM-3NM8Z 50-59 years, male 95.6
GTEX-1IOXB-2726-SM-CM2RI 50-59 years, male 95.3
GTEX-13N11-2326-SM-5IJBF 50-59 years, female 95.0
GTEX-Y5LM-0926-SM-6LLJG 40-49 years, female 92.9
GTEX-1H1E6-0426-SM-9WYUS 30-39 years, male 91.7
GTEX-1QAET-0326-SM-EVR3U 50-59 years, male 91.2
GTEX-14XAO-1226-SM-6EU1C 60-69 years, female 90.6
GTEX-1A3MX-2626-SM-7PC24 60-69 years, male 89.7
GTEX-1HFI6-0126-SM-CNPPI 40-49 years, male 88.5
GTEX-Y5V6-2326-SM-4VDSA 60-69 years, male 87.5
GTEX-1AX9J-1326-SM-731BJ 60-69 years, male 86.8
GTEX-12WSA-0426-SM-5EQ5X 60-69 years, male 85.8
GTEX-1AX8Z-0726-SM-73KTS 60-69 years, male 84.3
GTEX-WI4N-2726-SM-3LK7Y 40-49 years, female 84.1
GTEX-1JMQL-2226-SM-CNPP4 50-59 years, female 80.8
GTEX-16MT9-0126-SM-7EPI8 60-69 years, female 79.8
GTEX-14BMV-2826-SM-5TDED 50-59 years, male 77.5
GTEX-W5X1-2526-SM-3GILC 40-49 years, female 75.7
GTEX-17HG3-2626-SM-7DUF2 30-39 years, female 73.2
GTEX-1H23P-0626-SM-9WG6T 60-69 years, male 72.9
GTEX-17EVQ-0126-SM-7IGLR 70-79 years, male 71.9
GTEX-1399R-1326-SM-5PNYS 30-39 years, male 71.0
GTEX-1HCU8-2526-SM-CE6RX 60-69 years, female 67.1
GTEX-1GZ2Q-0126-SM-9WG6M 40-49 years, male 66.7
GTEX-13NZ9-2626-SM-5L3FK 50-59 years, male 60.6
GTEX-1GF9U-2026-SM-7SB92 40-49 years, female 55.0
GTEX-16GPK-0626-SM-7KFSF 60-69 years, male 49.6
GTEX-ZYFD-0626-SM-5E44E 50-59 years, male 49.6
GTEX-132AR-0326-SM-5KM2C 50-59 years, female 44.5
GTEX-11TT1-1826-SM-5EQLV 20-29 years, male 44.0
GTEX-ZVTK-0226-SM-51MRG 20-29 years, male 41.1
GTEX-ZUA1-2626-SM-5NQ92 40-49 years, male 40.2
GTEX-111FC-2526-SM-5GZXU 60-69 years, male 37.9
Show allShow less
Skin - Sun Exposed (Lower leg)
Average nTPM: 217.8
Samples: 701

Max nTPM: 748.6
Min nTPM: 25.2
Std nTPM: 91.4
Median nTPM: 205.9
GTEX-1HSMO-0126-SM-CL547 60-69 years, male 748.6
GTEX-1QMI2-0226-SM-EVYBX 60-69 years, male 713.9
GTEX-1GZHY-0326-SM-9QEHI 50-59 years, female 575.3
GTEX-ZV68-0126-SM-59HKS 50-59 years, female 570.8
GTEX-1F6RS-0126-SM-9MQKZ 60-69 years, female 564.9
GTEX-1HCU6-0126-SM-CL54K 60-69 years, female 550.4
GTEX-U8T8-0126-SM-3DB94 60-69 years, male 519.8
GTEX-16XZZ-0126-SM-793DV 60-69 years, male 495.8
GTEX-1B8KE-2126-SM-73KYX 50-59 years, male 486.1
GTEX-14A5I-0126-SM-5TDEA 50-59 years, female 463.0
GTEX-14PII-0226-SM-6EU1T 60-69 years, male 459.9
GTEX-1PDJ9-0326-SM-DTX95 20-29 years, male 455.4
GTEX-148VJ-0126-SM-5TDDN 70-79 years, male 453.2
GTEX-1MJK2-0426-SM-DTXE5 50-59 years, male 444.8
GTEX-11H98-0126-SM-5EGHG 50-59 years, male 444.2
GTEX-T2YK-0526-SM-32QPJ 50-59 years, male 439.0
GTEX-11DZ1-0126-SM-5985Q 50-59 years, male 429.9
GTEX-1GN2E-0426-SM-9MQKX 60-69 years, male 428.9
GTEX-17HII-0226-SM-7LG4E 50-59 years, male 421.9
GTEX-139UW-2826-SM-5L3E7 60-69 years, male 415.7
GTEX-ZTX8-1426-SM-5DUVO 20-29 years, male 410.6
GTEX-1BAJH-0526-SM-793CQ 70-79 years, male 406.5
GTEX-Z93T-0126-SM-5HL5N 50-59 years, male 406.4
GTEX-1R46S-0626-SM-E9J41 60-69 years, female 405.4
GTEX-1E2YA-0126-SM-9KNUC 50-59 years, male 400.7
GTEX-14E6C-0126-SM-5RQIP 40-49 years, male 398.4
GTEX-1IL2U-0226-SM-CE6T8 60-69 years, male 397.6
GTEX-17GQL-2026-SM-718BA 60-69 years, male 393.9
GTEX-14BIN-0626-SM-793DP 50-59 years, female 389.3
GTEX-1JJEA-0326-SM-CNPOT 60-69 years, male 387.9
GTEX-13YAN-0326-SM-5O9DF 60-69 years, male 385.9
GTEX-1C6VS-0526-SM-7DUEN 60-69 years, male 382.0
GTEX-1399R-2726-SM-5IJBA 30-39 years, male 381.5
GTEX-14PJM-0226-SM-62LF1 50-59 years, female 381.1
GTEX-13111-1626-SM-5EGJY 50-59 years, male 379.7
GTEX-1IKJJ-0126-SM-CNPQB 60-69 years, male 377.3
GTEX-ZGAY-0526-SM-4WWBB 40-49 years, female 377.0
GTEX-ZWKS-0126-SM-5SIAA 30-39 years, male 375.6
GTEX-1HT8W-0126-SM-CNPPP 30-39 years, male 371.9
GTEX-1MA7W-2026-SM-E9TJ6 20-29 years, female 371.2
GTEX-1JN6P-0126-SM-D3L98 60-69 years, male 369.5
GTEX-1B97I-1626-SM-73KYO 40-49 years, male 367.6
GTEX-1GN1U-0126-SM-7PBZK 50-59 years, female 366.6
GTEX-1LBAC-0126-SM-DIPEZ 20-29 years, male 366.6
GTEX-SN8G-0126-SM-32PLI 50-59 years, female 364.3
GTEX-1CAV2-2226-SM-7P8P2 40-49 years, female 364.3
GTEX-S32W-2126-SM-2XCB1 50-59 years, female 363.6
GTEX-17JCI-0126-SM-7LG5G 60-69 years, female 360.6
GTEX-1LG7Z-1726-SM-D3LA4 30-39 years, male 355.8
GTEX-1HCU7-0226-SM-CL545 50-59 years, male 355.0
GTEX-12ZZZ-0626-SM-5DUXI 60-69 years, male 354.2
GTEX-1OJC3-0126-SM-E76QX 20-29 years, male 353.0
GTEX-1GN73-0226-SM-9WG67 60-69 years, male 351.2
GTEX-14PN4-0126-SM-6EU2V 50-59 years, male 349.9
GTEX-1HSGN-0226-SM-CGQFV 40-49 years, female 349.0
GTEX-U412-0426-SM-3DB9O 60-69 years, male 347.8
GTEX-SNMC-1226-SM-2XCFP 20-29 years, male 345.0
GTEX-1JJ6O-0126-SM-E6CI8 60-69 years, male 344.5
GTEX-13JUV-2726-SM-5LZZ8 40-49 years, female 344.4
GTEX-15ER7-0326-SM-7KUEV 20-29 years, female 344.3
GTEX-1RB15-2126-SM-E9TIM 60-69 years, male 344.0
GTEX-XBEW-0626-SM-4QASP 40-49 years, male 343.2
GTEX-1JMLX-0226-SM-CM2RO 50-59 years, male 342.1
GTEX-1B8SF-1426-SM-7DUGL 60-69 years, male 342.0
GTEX-1KANC-1526-SM-D3LAB 50-59 years, female 341.8
GTEX-13NYC-0326-SM-E9J4S 60-69 years, male 340.4
GTEX-15ETS-0126-SM-7KUMW 40-49 years, female 339.7
GTEX-131XH-2226-SM-5DUXJ 50-59 years, male 337.7
GTEX-18D9A-1926-SM-7LG6P 30-39 years, female 336.7
GTEX-1JMPZ-0226-SM-CNPP1 30-39 years, male 334.8
GTEX-16GPK-0126-SM-7DHLE 60-69 years, male 333.0
GTEX-13SLX-0526-SM-5S2ON 50-59 years, female 331.8
GTEX-1QP66-1726-SM-E8VO1 50-59 years, male 331.7
GTEX-X638-0126-SM-47JZ8 70-79 years, female 331.1
GTEX-13OW6-0426-SM-5L3HM 50-59 years, male 330.9
GTEX-1C475-1826-SM-73KWA 40-49 years, female 330.7
GTEX-T6MN-0126-SM-32PLP 50-59 years, male 330.1
GTEX-Y3IK-2426-SM-4WWDU 50-59 years, female 329.6
GTEX-16YQH-0126-SM-7DUFJ 30-39 years, male 328.2
GTEX-1PIIG-0226-SM-EWRN6 30-39 years, male 327.9
GTEX-1GMR8-0126-SM-9WYTM 50-59 years, female 327.8
GTEX-1KAFJ-2026-SM-CY8ID 50-59 years, male 327.4
GTEX-13OVK-2026-SM-7KUEO 40-49 years, male 326.9
GTEX-ZF2S-2326-SM-4WWCE 50-59 years, female 326.8
GTEX-145LS-0126-SM-5QGP1 60-69 years, female 326.7
GTEX-13D11-2426-SM-5KM1V 50-59 years, female 325.7
GTEX-1HSKV-0226-SM-A9SKJ 60-69 years, male 323.5
GTEX-XPVG-2626-SM-4B669 50-59 years, male 323.0
GTEX-111VG-2426-SM-5GZXD 60-69 years, male 321.5
GTEX-Y8DK-0126-SM-4TT3L 60-69 years, male 320.4
GTEX-17EVP-0326-SM-7DHLG 40-49 years, male 319.6
GTEX-RVPV-0126-SM-EAZAW 60-69 years, male 318.5
GTEX-1AX9J-0226-SM-73KXM 60-69 years, male 318.3
GTEX-1H4P4-0726-SM-9YFLR 50-59 years, male 317.2
GTEX-13CF2-2526-SM-5LZYX 60-69 years, male 314.1
GTEX-131YS-0126-SM-5KM1M 60-69 years, female 313.1
GTEX-1KD4Q-0226-SM-E9TJ9 40-49 years, male 313.0
GTEX-145MO-0326-SM-5Q5B3 60-69 years, male 312.4
GTEX-P4QT-0126-SM-2I3FL 50-59 years, female 312.4
GTEX-11TTK-0126-SM-5987B 60-69 years, female 310.9
GTEX-1O97I-0326-SM-EYYX7 60-69 years, male 310.9
GTEX-1I4MK-2226-SM-ACKWD 50-59 years, female 310.4
GTEX-1LVAN-0226-SM-COH3S 50-59 years, female 309.7
GTEX-1F75B-0126-SM-9KNVL 50-59 years, male 308.3
GTEX-ZAK1-0126-SM-5IJD3 50-59 years, female 307.2
GTEX-12696-2426-SM-5EQ6H 60-69 years, male 305.8
GTEX-1RDX4-0126-SM-E9J4P 50-59 years, female 304.7
GTEX-1JMOU-1526-SM-CL54I 60-69 years, female 303.1
GTEX-1JMQJ-0526-SM-CYPSU 50-59 years, male 302.4
GTEX-ZDTS-0126-SM-4WAY5 60-69 years, male 302.2
GTEX-1J8QM-2126-SM-CYPSJ 60-69 years, female 301.3
GTEX-1GMR3-1926-SM-9KNUZ 40-49 years, male 300.7
GTEX-1EMGI-0126-SM-9KNUE 60-69 years, male 300.6
GTEX-OXRP-0126-SM-3NB32 60-69 years, female 299.9
GTEX-1LSNM-1926-SM-E6CII 50-59 years, male 299.2
GTEX-12WSC-0126-SM-5EQ4P 50-59 years, male 298.8
GTEX-11DYG-0126-SM-59883 60-69 years, male 296.7
GTEX-1B8KZ-2026-SM-7DHMB 50-59 years, male 296.6
GTEX-1212Z-2526-SM-5EGKP 60-69 years, male 295.9
GTEX-ZVT4-0126-SM-DTXFN 50-59 years, female 295.1
GTEX-11DXZ-2326-SM-5EGGV 50-59 years, male 295.0
GTEX-18A6Q-0126-SM-731BZ 60-69 years, male 294.8
GTEX-X88G-0126-SM-47JZ3 30-39 years, male 294.7
GTEX-PSDG-0226-SM-DKPOZ 50-59 years, male 293.2
GTEX-1QP9N-1426-SM-DTXFL 30-39 years, male 293.1
GTEX-ZF29-2326-SM-DO92K 60-69 years, female 292.7
GTEX-1H2FU-0126-SM-9WYSI 60-69 years, female 292.6
GTEX-1LGOU-2026-SM-DIPFF 20-29 years, female 292.4
GTEX-1I1GR-0126-SM-CL55F 60-69 years, male 289.4
GTEX-1EWIQ-0126-SM-7RHH2 70-79 years, female 288.0
GTEX-131XW-0426-SM-5LZWP 50-59 years, female 287.9
GTEX-1CB4E-2226-SM-793DC 60-69 years, male 287.0
GTEX-13RTK-1426-SM-5QGQJ 20-29 years, male 286.4
GTEX-145ME-1826-SM-5SI9G 40-49 years, female 286.0
GTEX-17MFQ-1726-SM-793C7 20-29 years, male 285.5
GTEX-1LB8K-0226-SM-EWRNW 50-59 years, male 284.2
GTEX-T2IS-0126-SM-4DM6O 20-29 years, female 283.7
GTEX-ZYT6-0226-SM-5NQ6T 30-39 years, male 282.6
GTEX-1OFPY-2426-SM-DTXEJ 60-69 years, male 282.4
GTEX-17F96-1626-SM-7DUFL 70-79 years, male 281.2
GTEX-1HCU9-1526-SM-A9SL7 20-29 years, male 280.7
GTEX-117XS-2726-SM-5N9BL 60-69 years, male 280.5
GTEX-1JMQI-2226-SM-CM2SD 50-59 years, male 280.4
GTEX-1QPFJ-0226-SM-E76PB 30-39 years, female 280.0
GTEX-1IDJH-0326-SM-A9SLQ 70-79 years, male 279.7
GTEX-VJWN-0126-SM-3GIK7 50-59 years, female 278.8
GTEX-13N1W-0126-SM-5K7VT 70-79 years, male 278.7
GTEX-T5JC-0426-SM-32PLO 20-29 years, male 278.7
GTEX-1S3DN-2226-SM-EVYCD 50-59 years, male 277.8
GTEX-1GF9W-0326-SM-9KNUN 60-69 years, male 277.5
GTEX-1MCQQ-0826-SM-DLHC2 60-69 years, male 277.2
GTEX-1QCLY-0326-SM-E8VOG 30-39 years, male 276.8
GTEX-X4EO-0326-SM-3P5YO 60-69 years, female 276.2
GTEX-139TS-2826-SM-5J1OO 60-69 years, male 275.0
GTEX-1I1GV-0526-SM-A9G29 60-69 years, male 274.7
GTEX-T8EM-1026-SM-3DB7M 40-49 years, male 274.6
GTEX-11EQ9-2426-SM-5HL5T 30-39 years, male 274.3
GTEX-1122O-2126-SM-5EGIR 60-69 years, female 272.6
GTEX-14LLW-0126-SM-6LLIO 70-79 years, female 271.9
GTEX-X261-0126-SM-3NMD6 50-59 years, male 271.5
GTEX-1K2DA-1826-SM-CGQGT 50-59 years, male 270.3
GTEX-12ZZX-0126-SM-5EGK9 40-49 years, female 270.1
GTEX-NFK9-0226-SM-2HMKQ 40-49 years, male 268.9
GTEX-13O1R-0126-SM-5L3EH 60-69 years, male 268.7
GTEX-1C64N-0126-SM-793D7 50-59 years, male 267.8
GTEX-P44H-0226-SM-2XCEU 40-49 years, male 267.6
GTEX-1GMRU-0126-SM-9YFLV 50-59 years, male 267.0
GTEX-11OF3-2626-SM-5GU7F 60-69 years, male 265.8
GTEX-YB5K-2126-SM-4WWDJ 40-49 years, female 265.6
GTEX-145MN-2226-SM-5SIAU 30-39 years, male 264.9
GTEX-1CB4I-0226-SM-79OLH 50-59 years, male 263.5
GTEX-T5JW-1626-SM-3GADZ 20-29 years, female 263.2
GTEX-13OVH-0126-SM-5MR4B 70-79 years, male 262.5
GTEX-ZF3C-0126-SM-DO92D 50-59 years, female 262.1
GTEX-14LZ3-0226-SM-62LET 60-69 years, female 261.4
GTEX-XUYS-0126-SM-47JWZ 50-59 years, male 259.7
GTEX-14BIL-0126-SM-5SI92 50-59 years, male 259.6
GTEX-1B8SG-0126-SM-73KZ3 50-59 years, male 259.5
GTEX-1I1GT-0626-SM-CGQER 60-69 years, female 259.3
GTEX-ZVZP-2426-SM-59HKJ 50-59 years, male 259.1
GTEX-1R7EV-2426-SM-EVYBG 40-49 years, male 258.5
GTEX-139TT-0126-SM-5K7Y5 60-69 years, male 258.2
GTEX-ZTSS-1926-SM-57WEW 40-49 years, male 257.9
GTEX-1F5PK-2426-SM-7RHHY 50-59 years, male 257.4
GTEX-WYJK-0126-SM-3NMAB 50-59 years, male 257.2
GTEX-1K2DU-2326-SM-E9TIV 20-29 years, male 257.2
GTEX-13QJ3-0326-SM-5S2RA 50-59 years, male 256.5
GTEX-13VXU-0126-SM-5SI9F 50-59 years, male 256.3
GTEX-1ICLZ-0126-SM-CKZPO 60-69 years, male 256.3
GTEX-ZV6S-2326-SM-4YCEY 40-49 years, female 256.2
GTEX-1GF9V-0326-SM-7RHI5 60-69 years, male 255.7
GTEX-1HGF4-2426-SM-ACKXM 60-69 years, male 255.6
GTEX-1H1DG-0126-SM-9WYU2 70-79 years, male 255.4
GTEX-1H3O1-0426-SM-9YFKY 60-69 years, male 255.4
GTEX-1269C-2526-SM-5EGJ3 60-69 years, female 255.3
GTEX-13OW5-0126-SM-DTXFS 60-69 years, male 255.2
GTEX-12ZZY-0226-SM-5LZVE 60-69 years, male 254.4
GTEX-1E1VI-0126-SM-7DHMZ 50-59 years, male 253.2
GTEX-15SHU-0126-SM-7KUEH 40-49 years, female 252.9
GTEX-13N2G-2626-SM-5J1OT 60-69 years, male 252.4
GTEX-14E6D-0126-SM-62LDV 50-59 years, male 252.4
GTEX-1POEN-0126-SM-EYYXJ 30-39 years, female 252.4
GTEX-145MI-0526-SM-5O9A8 60-69 years, female 252.1
GTEX-RTLS-0126-SM-447CA 60-69 years, female 251.9
GTEX-1IOXB-0126-SM-ARL8G 50-59 years, male 251.5
GTEX-WFON-2126-SM-3LK7O 40-49 years, male 251.4
GTEX-17KNJ-2326-SM-7DHLQ 50-59 years, male 251.2
GTEX-1MUQO-0126-SM-EAZ58 60-69 years, male 251.1
GTEX-1H3NZ-0126-SM-ACKX7 60-69 years, male 250.8
GTEX-13PVR-2326-SM-5QGR1 60-69 years, female 250.6
GTEX-11ZTS-0126-SM-5EQ6M 60-69 years, female 250.3
GTEX-ZXG5-0126-SM-5GIEU 60-69 years, male 250.2
GTEX-1A3MV-1926-SM-718BT 30-39 years, male 249.2
GTEX-YB5E-2026-SM-5IFIS 40-49 years, male 248.8
GTEX-1HSMQ-1226-SM-CGQFX 50-59 years, male 248.7
GTEX-13FHP-0126-SM-5IJBG 50-59 years, male 248.5
GTEX-11LCK-1026-SM-5A5KB 30-39 years, male 248.4
GTEX-TKQ1-1026-SM-4GICL 30-39 years, male 248.2
GTEX-11GSO-2426-SM-5A5LY 60-69 years, male 247.7
GTEX-QESD-1426-SM-2S1R9 20-29 years, male 247.3
GTEX-1CAMQ-0226-SM-7IGPK 40-49 years, male 247.0
GTEX-Y8E4-0626-SM-4WWDL 40-49 years, male 246.8
GTEX-1KD5A-0226-SM-D5OV3 50-59 years, male 246.6
GTEX-14DAQ-0126-SM-5S2MQ 60-69 years, female 245.8
GTEX-X8HC-0126-SM-4E3JW 50-59 years, female 245.8
GTEX-1H3VE-0326-SM-9YFLH 40-49 years, male 245.4
GTEX-1AX9I-0126-SM-7SB74 60-69 years, male 245.2
GTEX-PLZ6-1426-SM-DKPOT 30-39 years, male 244.8
GTEX-1R7EU-0226-SM-EVR4G 60-69 years, male 244.2
GTEX-1A32A-0126-SM-718B1 50-59 years, female 243.6
GTEX-PLZ4-0126-SM-5SI8O 50-59 years, female 243.1
GTEX-1M5QR-1226-SM-EWROB 40-49 years, male 243.1
GTEX-1GPI7-0126-SM-9MQL8 20-29 years, male 243.0
GTEX-16BQI-0226-SM-7KUEX 30-39 years, female 242.9
GTEX-139TU-0126-SM-5K7WH 60-69 years, male 242.6
GTEX-1313W-0126-SM-5LZUN 50-59 years, female 241.9
GTEX-1S83E-0126-SM-EWRO4 40-49 years, male 241.3
GTEX-145MF-0626-SM-5LUAI 50-59 years, male 240.9
GTEX-11P81-2326-SM-59875 30-39 years, female 240.5
GTEX-1GZ4H-1726-SM-7PBZJ 50-59 years, female 240.2
GTEX-1JN1M-0326-SM-CYPT3 60-69 years, female 239.3
GTEX-11UD2-0226-SM-5EQKY 50-59 years, male 239.2
GTEX-1J1OQ-0226-SM-CYPSH 40-49 years, female 239.1
GTEX-1HBPI-1526-SM-C1YQ1 50-59 years, male 238.8
GTEX-WYVS-2126-SM-3NMA3 40-49 years, female 238.1
GTEX-1CB4J-0626-SM-7DHMP 60-69 years, male 237.5
GTEX-1A8FM-0226-SM-7SB7Q 50-59 years, female 237.3
GTEX-13OVL-0226-SM-5L3E9 50-59 years, male 236.4
GTEX-16MT8-0426-SM-7KUEY 60-69 years, female 236.2
GTEX-ZPIC-1726-SM-DHXIU 40-49 years, female 235.7
GTEX-1R9PM-2026-SM-E76OY 20-29 years, male 235.6
GTEX-OXRN-0126-SM-48TDM 50-59 years, male 235.5
GTEX-146FH-0126-SM-5QGPP 50-59 years, female 235.3
GTEX-1IKOH-0226-SM-COH4E 60-69 years, female 235.1
GTEX-ZVTK-0426-SM-51MRS 20-29 years, male 234.2
GTEX-1PIGE-0126-SM-EVYBJ 20-29 years, male 234.2
GTEX-ZDYS-2026-SM-5HL5L 50-59 years, male 234.1
GTEX-1L5NE-2526-SM-E6CIE 50-59 years, male 233.8
GTEX-X5EB-2226-SM-46MW4 40-49 years, male 233.7
GTEX-UJHI-1526-SM-3DB99 50-59 years, female 233.3
GTEX-WQUQ-0426-SM-3MJFU 60-69 years, male 233.2
GTEX-12KS4-0326-SM-5EQ41 30-39 years, male 233.1
GTEX-13FTX-1826-SM-5J1NX 20-29 years, female 232.5
GTEX-1C6VR-2426-SM-79OLD 60-69 years, male 232.4
GTEX-1H1CY-2826-SM-9MQM3 60-69 years, female 232.3
GTEX-11ZVC-2526-SM-5FQTE 50-59 years, female 232.2
GTEX-13OW8-1326-SM-5J1OW 60-69 years, male 232.2
GTEX-133LE-1826-SM-5J1MV 20-29 years, female 231.8
GTEX-13112-2826-SM-5DUWH 50-59 years, male 231.4
GTEX-1F5PL-0326-SM-7P8PQ 40-49 years, female 231.3
GTEX-1I1CD-0126-SM-CM2TK 60-69 years, female 231.3
GTEX-1HCU8-0626-SM-A9SM9 60-69 years, female 229.9
GTEX-1CB4H-0226-SM-7PBXM 60-69 years, female 229.7
GTEX-11EM3-2426-SM-59861 20-29 years, female 229.6
GTEX-13FXS-0226-SM-5IJCK 50-59 years, male 229.6
GTEX-R45C-0126-SM-EAZ2R 60-69 years, female 229.4
GTEX-OXRO-0126-SM-2YUN4 60-69 years, female 229.3
GTEX-15RIG-0226-SM-7KFTL 40-49 years, male 228.9
GTEX-1S5ZA-0126-SM-EVYCV 20-29 years, male 228.9
GTEX-1GF9X-2026-SM-7PC3A 40-49 years, female 228.7
GTEX-OOBJ-0126-SM-E6CJW 60-69 years, male 228.7
GTEX-Z93S-0126-SM-5HL7M 50-59 years, male 228.6
GTEX-WVJS-0126-SM-4MVOT 50-59 years, male 228.5
GTEX-ZU9S-0226-SM-5E441 30-39 years, male 227.3
GTEX-15F5U-1526-SM-6PANO 40-49 years, male 227.2
GTEX-13NZ8-0826-SM-5MR3I 60-69 years, female 226.7
GTEX-13NYB-2526-SM-5K7Z6 40-49 years, male 225.4
GTEX-16AAH-1726-SM-7939C 50-59 years, male 225.1
GTEX-1128S-2326-SM-5GZZY 60-69 years, female 224.9
GTEX-11EI6-0126-SM-5985R 60-69 years, male 224.9
GTEX-13U4I-0126-SM-5LU38 40-49 years, female 224.7
GTEX-13X6J-0126-SM-5QGOU 50-59 years, male 224.1
GTEX-1I1GQ-0126-SM-COH3H 50-59 years, male 223.6
GTEX-1IDJF-0126-SM-CM2RS 20-29 years, male 223.0
GTEX-17HHE-2026-SM-79OKF 50-59 years, male 222.7
GTEX-UPJH-0326-SM-3GADU 50-59 years, male 222.1
GTEX-1C2JI-1826-SM-73KXC 50-59 years, male 221.8
GTEX-XYKS-2126-SM-4E3IB 60-69 years, female 221.1
GTEX-12WSG-2826-SM-E9J4H 50-59 years, female 220.9
GTEX-1192W-2626-SM-5Q5AF 60-69 years, male 220.7
GTEX-WI4N-1026-SM-3LK7N 40-49 years, female 220.0
GTEX-TMMY-0226-SM-33HBA 40-49 years, female 219.6
GTEX-13SLW-0126-SM-5SI6C 70-79 years, male 219.4
GTEX-12WSD-0126-SM-59HKN 60-69 years, female 219.2
GTEX-14BMV-0126-SM-5S2PO 50-59 years, male 219.1
GTEX-17EUY-0426-SM-793BD 20-29 years, male 219.0
GTEX-1JN76-0126-SM-CNPPE 20-29 years, female 219.0
GTEX-1LH75-2426-SM-E9TJE 50-59 years, female 218.9
GTEX-12WSK-2326-SM-5GCOH 40-49 years, female 218.1
GTEX-14PHX-2326-SM-62LEM 50-59 years, male 217.7
GTEX-1B8L1-2526-SM-9WYTF 60-69 years, male 217.7
GTEX-SSA3-0126-SM-32QPU 60-69 years, male 217.4
GTEX-14DAR-2026-SM-5S2O3 50-59 years, male 217.1
GTEX-1EN7A-0126-SM-7SB81 40-49 years, male 216.3
GTEX-15G19-0126-SM-6PANQ 60-69 years, male 215.9
GTEX-1J1R8-1726-SM-ARL8M 40-49 years, male 215.9
GTEX-1IDJU-2626-SM-CM2RT 60-69 years, female 214.6
GTEX-ZAJG-0126-SM-5HL94 50-59 years, female 214.5
GTEX-1KANA-0726-SM-D3L9I 20-29 years, male 214.2
GTEX-15UKP-0426-SM-7KUFQ 20-29 years, male 213.3
GTEX-17HHY-0126-SM-7LG5D 50-59 years, male 212.9
GTEX-12584-0126-SM-5EGKQ 40-49 years, male 212.4
GTEX-1JK1U-2026-SM-CM2RZ 60-69 years, male 212.4
GTEX-1PFEY-1526-SM-E76PP 30-39 years, male 212.4
GTEX-1LGRB-2526-SM-CNPPQ 50-59 years, female 211.8
GTEX-PX3G-0126-SM-2I3EN 20-29 years, female 211.7
GTEX-132NY-0326-SM-5IJBL 60-69 years, male 211.6
GTEX-147GR-0526-SM-5S2MY 60-69 years, male 211.6
GTEX-1RAZA-0126-SM-E6CI3 20-29 years, male 211.6
GTEX-1KWVE-1426-SM-E9TJO 30-39 years, male 211.5
GTEX-1F52S-0126-SM-9MQJU 60-69 years, female 211.3
GTEX-131XG-2626-SM-5KM17 50-59 years, female 211.0
GTEX-13NYS-0126-SM-5MR3W 60-69 years, male 210.6
GTEX-16NGA-1726-SM-731B4 40-49 years, female 210.6
GTEX-13IVO-0126-SM-5J1NG 70-79 years, male 210.5
GTEX-113JC-2326-SM-5EQ4E 50-59 years, female 210.2
GTEX-13113-5016-SM-7EPIP 60-69 years, female 209.1
GTEX-13S7M-0126-SM-5SI6A 60-69 years, female 209.1
GTEX-Y5V5-2326-SM-4V6GA 60-69 years, female 209.1
GTEX-15UF6-0826-SM-6PALJ 70-79 years, female 208.8
GTEX-1GL5R-1826-SM-9KNUY 50-59 years, male 208.5
GTEX-1MA7X-2226-SM-E6CIY 60-69 years, male 208.3
GTEX-18A7A-0226-SM-718BH 50-59 years, female 207.7
GTEX-12WSJ-1826-SM-5GCNY 40-49 years, female 207.5
GTEX-XUW1-0426-SM-4BOOT 50-59 years, female 206.9
GTEX-1EU9M-0226-SM-7P8SP 60-69 years, male 206.7
GTEX-S7PM-0126-SM-4AD6S 60-69 years, male 206.6
GTEX-1399U-2326-SM-5K7WY 50-59 years, female 206.4
GTEX-13PDP-0126-SM-5L3HD 60-69 years, male 206.3
GTEX-18465-0126-SM-731BN 50-59 years, male 206.0
GTEX-11TUW-2726-SM-E9J4M 60-69 years, male 205.9
GTEX-11WQK-0526-SM-5EQLD 50-59 years, male 205.8
GTEX-17HG3-2226-SM-7938L 30-39 years, female 205.6
GTEX-17MF6-0126-SM-7LG4F 40-49 years, male 205.6
GTEX-WRHK-1426-SM-3MJF9 20-29 years, female 205.6
GTEX-WXYG-2326-SM-4E3I6 50-59 years, female 205.5
GTEX-13CF3-2426-SM-5IFGX 60-69 years, female 205.3
GTEX-1HBPN-0226-SM-9YFM1 50-59 years, male 204.8
GTEX-18A7B-0126-SM-7LG64 70-79 years, male 204.7
GTEX-1KXAM-2226-SM-CYPTC 60-69 years, male 204.4
GTEX-15SB6-1726-SM-6PAME 50-59 years, female 204.3
GTEX-SJXC-0126-SM-2XCFF 60-69 years, male 203.4
GTEX-15DDE-0126-SM-6LPKH 50-59 years, female 203.2
GTEX-1HFI7-1826-SM-ACKXH 50-59 years, female 203.1
GTEX-1QP2A-0126-SM-E9J43 50-59 years, male 202.8
GTEX-12WSE-0526-SM-793B2 20-29 years, male 202.3
GTEX-YFC4-0126-SM-5CVLY 40-49 years, female 201.8
GTEX-1N2EF-0226-SM-EYYXB 60-69 years, male 201.4
GTEX-139D8-0226-SM-5KLZO 30-39 years, female 201.2
GTEX-ZXES-1826-SM-5E43S 30-39 years, female 200.7
GTEX-12WSL-2526-SM-5GCNJ 50-59 years, male 200.5
GTEX-18A66-0226-SM-718BD 60-69 years, male 200.0
GTEX-OIZH-0126-SM-2HMIS 50-59 years, male 200.0
GTEX-ZDTT-2726-SM-4WKF8 60-69 years, male 200.0
GTEX-1NV5F-0226-SM-E8VNY 60-69 years, female 200.0
GTEX-14PJ6-2126-SM-6EU1V 60-69 years, female 199.7
GTEX-ZYFD-0126-SM-5GIDL 50-59 years, male 199.6
GTEX-ZVT2-2526-SM-51MT1 50-59 years, female 199.4
GTEX-1IGQW-0126-SM-COH42 60-69 years, male 199.3
GTEX-XAJ8-0826-SM-47JY6 40-49 years, male 198.7
GTEX-X585-0226-SM-4QAS2 50-59 years, male 198.2
GTEX-TSE9-0126-SM-3DB83 60-69 years, female 198.1
GTEX-1I6K6-0126-SM-A9SLE 30-39 years, male 198.1
GTEX-1GPI6-0126-SM-9WG69 60-69 years, male 197.8
GTEX-RWSA-0126-SM-2XCBB 40-49 years, male 197.6
GTEX-145LV-2126-SM-5LU8N 50-59 years, male 197.4
GTEX-11WQC-2526-SM-5CVLE 60-69 years, male 197.1
GTEX-12WSA-0226-SM-5BC5V 60-69 years, male 197.1
GTEX-13X6H-2126-SM-7EWD5 50-59 years, female 196.9
GTEX-13OVI-1426-SM-5L3EY 60-69 years, female 196.8
GTEX-1F88F-2726-SM-7PBZZ 60-69 years, female 196.7
GTEX-14C5O-0126-SM-5SI6N 60-69 years, male 196.5
GTEX-W5WG-1826-SM-4KL2Y 50-59 years, female 195.9
GTEX-13VXT-0126-SM-5LU4I 20-29 years, female 195.7
GTEX-ZYY3-0126-SM-5GZY5 60-69 years, female 194.7
GTEX-1IL2V-0126-SM-CM2TX 70-79 years, male 194.5
GTEX-Y114-2426-SM-4TT8A 50-59 years, female 193.3
GTEX-1AMFI-2026-SM-731BH 50-59 years, female 192.8
GTEX-15DYW-0126-SM-7KULE 60-69 years, female 192.7
GTEX-1B996-0226-SM-7RHGO 60-69 years, male 192.7
GTEX-145LU-0126-SM-5TDCB 50-59 years, male 192.6
GTEX-1H11D-0226-SM-9WG6Z 40-49 years, male 192.2
GTEX-17F97-0326-SM-7LG5B 50-59 years, male 192.1
GTEX-1211K-2026-SM-5EQ4Z 60-69 years, female 191.8
GTEX-1AX9K-2326-SM-73KWU 50-59 years, male 191.8
GTEX-XBED-2226-SM-47JYQ 60-69 years, male 191.6
GTEX-ZVE2-0226-SM-59HJB 50-59 years, male 191.3
GTEX-YEC4-2126-SM-5IFJH 40-49 years, male 191.1
GTEX-13O21-1426-SM-5K7XI 50-59 years, male 190.7
GTEX-ZVZO-0126-SM-5A5L9 40-49 years, male 190.2
GTEX-1HFI6-0226-SM-ADEHZ 40-49 years, male 189.7
GTEX-12126-0326-SM-5PNW3 20-29 years, male 189.6
GTEX-ZE7O-0126-SM-57WC1 50-59 years, female 189.4
GTEX-P4PP-0126-SM-3LK69 30-39 years, female 189.1
GTEX-1399T-2826-SM-5KLYZ 60-69 years, male 188.9
GTEX-13FTY-0526-SM-5L3EV 40-49 years, female 188.9
GTEX-18A67-0126-SM-7LG5P 50-59 years, male 188.9
GTEX-ZAB4-0226-SM-5N9F5 40-49 years, male 188.8
GTEX-17EVQ-0226-SM-7LG4P 70-79 years, male 188.0
GTEX-1PPH8-0226-SM-E8VND 20-29 years, male 187.4
GTEX-131XE-2326-SM-5PNZ2 50-59 years, male 186.8
GTEX-111FC-0126-SM-5N9DL 60-69 years, male 186.7
GTEX-1HCUA-2426-SM-ADEIS 50-59 years, female 186.6
GTEX-1J8Q2-0526-SM-CM2RW 60-69 years, male 186.3
GTEX-TML8-1926-SM-32QOS 40-49 years, female 186.2
GTEX-12C56-1726-SM-5EQ61 20-29 years, male 186.1
GTEX-OXRK-0226-SM-3NB2G 50-59 years, female 185.9
GTEX-1GN1V-0126-SM-9WPOS 60-69 years, male 185.3
GTEX-14ABY-0226-SM-5TDCQ 50-59 years, male 185.1
GTEX-ZVT3-0126-SM-5GU6I 60-69 years, female 184.9
GTEX-144GL-0126-SM-5TDE2 50-59 years, male 184.8
GTEX-14JG1-0426-SM-6ETZZ 40-49 years, male 184.7
GTEX-1HBPM-0226-SM-ARL9F 60-69 years, female 184.7
GTEX-1JKYR-0126-SM-CNPOJ 20-29 years, male 184.7
GTEX-XQ8I-0426-SM-4BOPO 50-59 years, male 184.2
GTEX-1GTWX-0126-SM-9YFLK 60-69 years, male 184.2
GTEX-13FTW-2626-SM-5K7WL 40-49 years, male 183.8
GTEX-ZC5H-0226-SM-4WAY9 40-49 years, female 183.6
GTEX-YJ89-0126-SM-4TT3X 60-69 years, male 183.1
GTEX-1QP29-0626-SM-EWRMX 50-59 years, male 181.8
GTEX-15EU6-0426-SM-6PAN5 50-59 years, male 181.0
GTEX-1ICLY-0126-SM-D4P36 50-59 years, male 181.0
GTEX-1LG7Y-0526-SM-DKPQC 50-59 years, male 181.0
GTEX-SUCS-1926-SM-32PM3 70-79 years, male 180.0
GTEX-1S82Z-0826-SM-E6CHY 30-39 years, female 179.9
GTEX-1PWST-0226-SM-E76QJ 70-79 years, male 179.1
GTEX-14PN3-2426-SM-6LLHS 60-69 years, female 179.0
GTEX-1H1DE-2126-SM-9WG6R 20-29 years, male 179.0
GTEX-1QAET-0926-SM-E76QM 50-59 years, male 179.0
GTEX-VUSG-2526-SM-4KL1V 50-59 years, male 178.7
GTEX-ZZ64-1726-SM-5GZYB 20-29 years, male 178.6
GTEX-1314G-1526-SM-5EGK2 30-39 years, male 178.5
GTEX-Z9EW-1626-SM-5CVMN 40-49 years, male 178.2
GTEX-14753-0426-SM-5NQAM 60-69 years, male 177.3
GTEX-1K9T9-0126-SM-EVYCF 50-59 years, female 177.3
GTEX-13NZB-2526-SM-5J1OM 30-39 years, male 177.2
GTEX-1EX96-1626-SM-7PBXR 50-59 years, male 177.0
GTEX-S7SE-0126-SM-2XCD5 50-59 years, male 176.8
GTEX-11UD1-0126-SM-5PNYG 40-49 years, female 176.2
GTEX-1JMQK-0226-SM-CL543 60-69 years, male 175.8
GTEX-1CB4G-0226-SM-7PC3O 60-69 years, male 175.2
GTEX-14ICK-0226-SM-6EU25 40-49 years, male 174.9
GTEX-1PBJI-0526-SM-E8VNK 20-29 years, female 174.8
GTEX-11NSD-2226-SM-5986V 20-29 years, male 174.0
GTEX-1C4CL-0526-SM-73KVK 30-39 years, male 174.0
GTEX-OIZF-0126-SM-7SB8I 60-69 years, male 174.0
GTEX-144FL-0126-SM-5TDC8 50-59 years, male 173.6
GTEX-11GSP-2526-SM-5N9BP 60-69 years, female 173.5
GTEX-X4XY-0226-SM-4E3IZ 60-69 years, male 173.5
GTEX-S95S-1226-SM-4GICG 60-69 years, male 172.1
GTEX-1MGNQ-0126-SM-EVYCJ 40-49 years, male 171.9
GTEX-13NZA-0226-SM-5K7Z7 60-69 years, male 171.7
GTEX-ZYFC-0226-SM-5NQ75 50-59 years, male 171.5
GTEX-1JMPY-1326-SM-ARL8Y 30-39 years, male 171.4
GTEX-1J8Q3-1626-SM-CMKGC 60-69 years, male 171.1
GTEX-1S82Y-2026-SM-EVYCM 40-49 years, male 171.0
GTEX-17F98-0626-SM-79OMX 40-49 years, female 170.7
GTEX-X4XX-0126-SM-3NMC2 60-69 years, male 170.4
GTEX-1J8JJ-0226-SM-CL53I 60-69 years, female 170.3
GTEX-ZAB5-1826-SM-5HL7C 50-59 years, male 169.9
GTEX-11ZTT-2426-SM-5EQLS 60-69 years, female 169.6
GTEX-1J8EW-0126-SM-CJI4F 60-69 years, female 169.3
GTEX-14A5H-0426-SM-5QGQF 60-69 years, male 169.2
GTEX-148VI-1626-SM-5SI6E 60-69 years, female 168.5
GTEX-11GS4-2726-SM-5A5LE 60-69 years, male 168.4
GTEX-WFG8-2226-SM-3GIL9 20-29 years, male 168.2
GTEX-R3RS-0126-SM-3GIJL 40-49 years, female 168.1
GTEX-R55E-0126-SM-2TC5Y 20-29 years, male 168.1
GTEX-117YW-2626-SM-5GZZH 50-59 years, male 167.9
GTEX-1IDFM-0126-SM-COH2V 60-69 years, male 167.9
GTEX-13O3O-0126-SM-E9J49 60-69 years, female 167.0
GTEX-13OW7-0126-SM-5MR3B 50-59 years, male 166.9
GTEX-13O3P-0126-SM-5KM4S 50-59 years, male 166.3
GTEX-1I19N-0326-SM-ACKVX 70-79 years, male 165.8
GTEX-139T8-0126-SM-5K7XZ 60-69 years, male 165.7
GTEX-11DXW-0226-SM-5H122 40-49 years, male 165.6
GTEX-13RTJ-2426-SM-5S2Q2 60-69 years, male 165.4
GTEX-1H1E6-1726-SM-ACKVK 30-39 years, male 164.6
GTEX-U3ZH-2026-SM-3DB78 30-39 years, male 164.1
GTEX-OIZG-0726-SM-33HBL 50-59 years, male 163.8
GTEX-PVOW-0126-SM-2XCFA 40-49 years, male 163.6
GTEX-RU72-0926-SM-2TF6B 50-59 years, female 163.0
GTEX-XQ3S-1526-SM-4BOOC 20-29 years, male 162.9
GTEX-1I1GP-2226-SM-CGQFK 50-59 years, male 162.8
GTEX-1JMQL-0226-SM-CNPP5 50-59 years, female 161.6
GTEX-1I1GS-0126-SM-B2LVW 60-69 years, male 161.4
GTEX-1F48J-0126-SM-7P8TT 50-59 years, female 161.3
GTEX-XXEK-2226-SM-4BRUM 50-59 years, male 160.3
GTEX-1CB4F-0426-SM-9KNV4 60-69 years, male 159.9
GTEX-T6MO-1626-SM-32QOM 40-49 years, female 159.6
GTEX-146FQ-0126-SM-5NQA9 30-39 years, male 159.5
GTEX-Y5LM-1926-SM-5RQJH 40-49 years, female 158.7
GTEX-1RQEC-0426-SM-E6CHU 60-69 years, male 158.6
GTEX-13W46-0226-SM-5SIAG 50-59 years, male 157.7
GTEX-18QFQ-0126-SM-731BE 30-39 years, male 157.5
GTEX-1JKYN-1326-SM-CGQG9 30-39 years, male 157.4
GTEX-11P82-1626-SM-59879 20-29 years, male 156.9
GTEX-14JG6-2226-SM-6EU2G 30-39 years, female 156.7
GTEX-1PPH7-2326-SM-EVYB8 40-49 years, male 156.7
GTEX-RWS6-2026-SM-2XCB5 60-69 years, female 155.5
GTEX-1H3VY-0126-SM-ACKXD 50-59 years, male 155.4
GTEX-13OVG-1926-SM-5L3DK 60-69 years, male 155.0
GTEX-13G51-2526-SM-5LZYK 60-69 years, male 154.7
GTEX-1IKK5-0626-SM-ARL8A 60-69 years, male 154.5
GTEX-1F75A-0126-SM-7RHGM 50-59 years, male 154.1
GTEX-1N2DV-0226-SM-E6CJ6 40-49 years, male 154.0
GTEX-OHPL-0126-SM-2HMJ7 60-69 years, female 152.9
GTEX-U8XE-0326-SM-3DB8P 30-39 years, male 152.8
GTEX-131XF-5016-SM-7MGWE 60-69 years, male 152.3
GTEX-117YX-2326-SM-5H12W 50-59 years, male 152.2
GTEX-18D9U-0226-SM-718BP 40-49 years, male 151.7
GTEX-11EMC-2926-SM-5EQ4F 60-69 years, female 151.5
GTEX-11XUK-2026-SM-5EQLF 40-49 years, female 151.4
GTEX-14E6E-1826-SM-5S2R7 30-39 years, male 151.3
GTEX-11ZU8-2526-SM-5EQKI 60-69 years, male 150.5
GTEX-1JJE9-0326-SM-CL53Z 70-79 years, male 150.3
GTEX-Q2AH-1626-SM-3GAF8 40-49 years, male 149.5
GTEX-OOBK-0126-SM-2YUND 40-49 years, male 149.3
GTEX-11VI4-1726-SM-5CVLH 40-49 years, female 148.7
GTEX-14E7W-0126-SM-6LLJ9 70-79 years, male 148.3
GTEX-183WM-0126-SM-7LTAB 70-79 years, female 147.7
GTEX-1F6I4-0126-SM-9MQL2 60-69 years, male 147.7
GTEX-11DXX-2426-SM-5GZZW 60-69 years, female 147.5
GTEX-WH7G-2326-SM-3NMBC 40-49 years, male 147.4
GTEX-1C64O-0126-SM-7SB8P 60-69 years, male 147.2
GTEX-14BMU-2226-SM-5TDE9 20-29 years, female 146.3
GTEX-13FH7-2026-SM-E9J4I 50-59 years, female 145.9
GTEX-PWCY-1826-SM-DHXIZ 20-29 years, female 145.6
GTEX-1C6WA-0126-SM-7PC2B 60-69 years, male 145.3
GTEX-1M4P7-0226-SM-DIPEV 60-69 years, male 145.3
GTEX-NPJ8-0126-SM-2YUNR 40-49 years, male 144.1
GTEX-1B933-0126-SM-7PC29 50-59 years, female 143.8
GTEX-1HR98-0126-SM-B2LWI 60-69 years, male 143.8
GTEX-13N11-2526-SM-5K7UE 50-59 years, female 143.2
GTEX-1C6VQ-0126-SM-7P8RI 50-59 years, male 143.0
GTEX-1F7RK-0126-SM-7PC2S 20-29 years, female 142.8
GTEX-RNOR-0126-SM-E9J4R 50-59 years, female 140.7
GTEX-11DXY-2626-SM-5GIE7 60-69 years, male 140.1
GTEX-17HGU-0226-SM-7DHKV 50-59 years, male 140.1
GTEX-XV7Q-2526-SM-4BRV9 40-49 years, female 139.9
GTEX-15DCD-0126-SM-7KUEK 70-79 years, female 139.6
GTEX-QDVJ-1726-SM-2I5FX 50-59 years, male 139.2
GTEX-XUZC-1726-SM-4BRWS 30-39 years, female 138.7
GTEX-1A3MX-0126-SM-731BR 60-69 years, male 138.5
GTEX-1IY9M-0126-SM-D3L8S 60-69 years, male 138.3
GTEX-14A6H-0126-SM-5QGPK 30-39 years, male 138.1
GTEX-PW2O-1526-SM-7RHHB 20-29 years, male 137.1
GTEX-13OVJ-0126-SM-5KM36 50-59 years, female 136.9
GTEX-ZYFG-2326-SM-5E44B 60-69 years, female 136.7
GTEX-13FHO-0226-SM-5IFGY 60-69 years, male 136.4
GTEX-1CAMS-0426-SM-7P8T2 40-49 years, female 136.2
GTEX-1LC47-0326-SM-E9TJP 60-69 years, male 136.2
GTEX-ZEX8-2426-SM-4WKG4 50-59 years, male 136.1
GTEX-ZQG8-1626-SM-DHXIT 60-69 years, female 135.9
GTEX-P4PQ-0126-SM-2S1NM 60-69 years, male 135.3
GTEX-113IC-0126-SM-5HL6T 60-69 years, male 135.1
GTEX-1GN1W-0526-SM-9MQJQ 50-59 years, female 135.1
GTEX-183FY-0126-SM-7LT9P 20-29 years, male 134.7
GTEX-1EKGG-0226-SM-9WYTH 60-69 years, male 134.7
GTEX-1GZ2Q-0226-SM-7P8TL 40-49 years, male 133.2
GTEX-1HSEH-0126-SM-ACKXN 60-69 years, male 132.9
GTEX-1HCVE-0126-SM-CGQEU 50-59 years, male 132.5
GTEX-Y111-0126-SM-4SOIV 50-59 years, male 131.9
GTEX-1192X-0226-SM-5H12D 50-59 years, male 131.5
GTEX-ZYW4-0126-SM-5E44A 60-69 years, male 131.5
GTEX-147F3-0526-SM-5SI98 50-59 years, female 130.9
GTEX-1NHNU-1026-SM-E9J2A 50-59 years, male 130.7
GTEX-13O3Q-2426-SM-5IJBR 50-59 years, male 130.4
GTEX-ZE9C-2726-SM-57WB5 60-69 years, male 129.9
GTEX-15D1Q-0126-SM-7KUG6 40-49 years, male 129.7
GTEX-18D9B-0526-SM-7LTAS 60-69 years, male 129.5
GTEX-X4EP-0126-SM-3P5YV 60-69 years, female 128.9
GTEX-1N2DW-0226-SM-E9TK2 50-59 years, male 128.7
GTEX-12WSN-5019-SM-79OM6 40-49 years, male 128.5
GTEX-15CHC-2126-SM-6EU21 60-69 years, female 128.4
GTEX-1KANB-0526-SM-E6CJH 50-59 years, male 128.4
GTEX-WZTO-0126-SM-3NM95 40-49 years, male 127.9
GTEX-QV44-1926-SM-2S1RF 50-59 years, male 127.5
GTEX-1IE54-0126-SM-CMKHW 40-49 years, female 127.5
GTEX-14XAO-2326-SM-6EU1B 60-69 years, female 127.4
GTEX-QVJO-1626-SM-2S1QW 60-69 years, female 127.4
GTEX-14PJ3-1826-SM-62LEX 50-59 years, male 127.0
GTEX-SIU8-0126-SM-2XCDT 50-59 years, male 126.3
GTEX-ZDXO-3026-SM-5J1N5 60-69 years, male 126.3
GTEX-Q2AG-0126-SM-33HBV 40-49 years, female 126.0
GTEX-WY7C-2326-SM-3NB2U 50-59 years, male 125.7
GTEX-QLQ7-1626-SM-2S1R8 60-69 years, male 125.3
GTEX-15SHW-0326-SM-6PAML 60-69 years, male 124.9
GTEX-V1D1-2226-SM-3NMAX 50-59 years, male 124.8
GTEX-RM2N-1426-SM-2TF4H 50-59 years, male 124.6
GTEX-QEG4-0226-SM-2S1PY 30-39 years, male 124.3
GTEX-VJYA-1126-SM-3GIJU 60-69 years, male 123.4
GTEX-1QEPI-0126-SM-EWRMQ 60-69 years, female 122.9
GTEX-13W3W-2426-SM-5LU5B 60-69 years, female 122.5
GTEX-Y8LW-1826-SM-5S2MV 50-59 years, female 122.5
GTEX-YJ8A-0426-SM-5IFID 20-29 years, male 122.5
GTEX-169BO-1326-SM-9MQK2 50-59 years, male 121.9
GTEX-XMD2-0126-SM-4YCDU 60-69 years, female 120.9
GTEX-QCQG-1726-SM-3GIJ9 50-59 years, female 120.8
GTEX-13X6I-0626-SM-5QGP9 60-69 years, male 120.7
GTEX-145LT-1726-SM-5QGP3 40-49 years, male 120.7
GTEX-PWO3-1526-SM-48TCM 60-69 years, female 120.5
GTEX-1ICG6-2526-SM-CGQFZ 70-79 years, female 120.2
GTEX-1I1GU-2226-SM-CGQFA 40-49 years, male 120.1
GTEX-Y3I4-2126-SM-4TT7C 50-59 years, male 120.0
GTEX-15EOM-0126-SM-7KUGG 20-29 years, female 119.3
GTEX-ZTPG-0326-SM-5O9AX 20-29 years, female 119.2
GTEX-O5YW-0126-SM-3LK6D 50-59 years, male 118.3
GTEX-ZQUD-1426-SM-57WER 30-39 years, male 118.2
GTEX-1F6IF-0726-SM-7P8TW 60-69 years, male 117.9
GTEX-11OC5-0126-SM-5HL6A 60-69 years, male 117.5
GTEX-16NPX-0226-SM-79OMT 50-59 years, male 116.6
GTEX-1CAMR-1926-SM-7EPI2 20-29 years, male 116.5
GTEX-11O72-0126-SM-59887 40-49 years, male 116.4
GTEX-16XZY-2126-SM-79OK1 70-79 years, male 115.9
GTEX-U3ZM-1526-SM-3DB9D 40-49 years, male 115.2
GTEX-14BIM-0226-SM-7IGLD 60-69 years, female 114.5
GTEX-147F4-0226-SM-5QGPW 50-59 years, male 114.0
GTEX-1HUB1-0426-SM-E9U4U 60-69 years, male 114.0
GTEX-OHPM-0126-SM-2YUN9 50-59 years, male 112.3
GTEX-PLZ5-2026-SM-2S1O4 50-59 years, male 110.6
GTEX-1497J-2426-SM-7IGNX 60-69 years, male 109.5
GTEX-11P7K-2126-SM-5GU7G 30-39 years, male 109.4
GTEX-15SDE-2226-SM-7IGLO 50-59 years, female 109.4
GTEX-1LNCM-1126-SM-E9U5E 50-59 years, female 109.3
GTEX-RN64-0126-SM-2TC68 50-59 years, male 109.2
GTEX-W5X1-3026-SM-EAZAX 40-49 years, female 108.5
GTEX-1R9PO-2126-SM-E9J4O 60-69 years, female 107.8
GTEX-1MCYP-1926-SM-E9J2R 20-29 years, female 107.7
GTEX-1HB9E-0226-SM-E9U4R 50-59 years, male 107.5
GTEX-O5YT-0126-SM-48TBW 20-29 years, male 107.0
GTEX-1H23P-0126-SM-ADEJ3 60-69 years, male 107.0
GTEX-ZF28-0126-SM-4WKGK 60-69 years, male 105.9
GTEX-1AYD5-2426-SM-73KXR 50-59 years, male 105.6
GTEX-S33H-1026-SM-EZ6L6 30-39 years, male 105.5
GTEX-TMZS-0126-SM-3DB9Q 60-69 years, male 105.1
GTEX-1A3MW-0126-SM-73KXX 60-69 years, female 104.4
GTEX-1HSMP-0126-SM-E6CJS 70-79 years, male 103.6
GTEX-1OJC4-0126-SM-E9J2E 50-59 years, female 102.4
GTEX-1AX8Z-0126-SM-7DHM6 60-69 years, male 100.6
GTEX-ZY6K-1826-SM-5GZXK 50-59 years, male 99.7
GTEX-144GN-2326-SM-5LU4F 50-59 years, male 98.8
GTEX-QDT8-0126-SM-48TZ1 30-39 years, female 98.7
GTEX-1I1HK-0126-SM-COH49 60-69 years, male 98.5
GTEX-1AMEY-1326-SM-73KYK 30-39 years, female 98.1
GTEX-1HKZK-0326-SM-9WYUH 40-49 years, male 98.0
GTEX-1H1ZS-0426-SM-9WG6G 70-79 years, male 97.9
GTEX-U3ZN-2326-SM-3DB7W 30-39 years, female 96.9
GTEX-1F75I-0326-SM-9YFLU 40-49 years, male 95.8
GTEX-11NUK-0126-SM-5A5L3 50-59 years, male 95.5
GTEX-QDVN-2026-SM-3GAEP 50-59 years, male 94.6
GTEX-Q2AI-1326-SM-2S1PL 40-49 years, male 93.7
GTEX-ZUA1-0126-SM-5GU76 40-49 years, male 92.7
GTEX-R55G-2526-SM-2TC6D 40-49 years, female 92.0
GTEX-14PK6-1926-SM-6ETZU 70-79 years, female 91.7
GTEX-1HBPH-0426-SM-B2LW5 40-49 years, female 91.4
GTEX-QLQW-1126-SM-2S1Q8 30-39 years, male 88.3
GTEX-14PHW-0126-SM-6LLJI 60-69 years, female 87.2
GTEX-POMQ-2226-SM-2I5FK 20-29 years, female 87.2
GTEX-13RTL-0126-SM-7LG5S 40-49 years, male 86.0
GTEX-1GF9U-2126-SM-7SB7L 40-49 years, female 84.6
GTEX-11TT1-2526-SM-5EGIB 20-29 years, male 83.3
GTEX-139T4-0226-SM-5HL5S 50-59 years, female 82.7
GTEX-U4B1-1826-SM-4DXSU 40-49 years, male 80.8
GTEX-Y5V6-2426-SM-4VDSB 60-69 years, male 80.3
GTEX-1AYCT-2426-SM-7IGQ3 50-59 years, male 77.2
GTEX-WOFL-0126-SM-3MJG2 60-69 years, male 76.2
GTEX-14JIY-0126-SM-6LLH6 60-69 years, male 72.5
GTEX-146FR-1326-SM-E9J48 60-69 years, female 70.2
GTEX-ZZPT-0226-SM-5E43X 50-59 years, male 69.0
GTEX-1QW4Y-1526-SM-EAZ3Z 30-39 years, male 67.8
GTEX-X62O-0126-SM-4E3JN 50-59 years, male 66.0
GTEX-1RLM8-2326-SM-EWRN4 50-59 years, male 62.0
GTEX-1QP67-1626-SM-EAZ3X 40-49 years, female 57.9
GTEX-RUSQ-1526-SM-2TF62 50-59 years, male 51.8
GTEX-11ZUS-0626-SM-59885 30-39 years, male 47.9
GTEX-OXRL-0126-SM-2YUMP 50-59 years, male 45.9
GTEX-Q734-1926-SM-2I5EV 40-49 years, female 45.2
GTEX-1RAZQ-0726-SM-EAZ43 30-39 years, male 41.1
GTEX-1R9K4-0126-SM-DTX9X 60-69 years, male 30.5
GTEX-SE5C-1626-SM-2XCE3 40-49 years, female 25.2
Show allShow less

Contact

  • NEWS ARTICLES
  • PRESS ROOM

The Project

  • INTRODUCTION
  • ORGANIZATION
  • PUBLICATIONS

The Human Protein Atlas

  • DOWNLOADABLE DATA
  • LICENCE & CITATION
  • HELP & FAQ
The Human Protein Atlas project is funded
by the Knut & Alice Wallenberg Foundation.


contact@proteinatlas.org