We use cookies to enhance the usability of our website. If you continue, we'll assume that you are happy to receive all cookies. More information. Don't show this again.
ARPC5L
HPA
RESOURCES
  • TISSUE
  • BRAIN
  • SINGLE CELL
  • SUBCELLULAR
  • CANCER
  • BLOOD
  • CELL LINE
  • STRUCTURE & INTERACTION
ABOUT
  • INTRODUCTION
  • HISTORY
  • ORGANIZATION
  • PUBLICATIONS
  • ANTIBODY SUBMISSION
  • ANTIBODY AVAILABILITY
  • ACKNOWLEDGMENTS
  • CONTACT
NEWS
  • NEWS ARTICLES
  • PRESS ROOM
LEARN
  • DICTIONARY
  • PROTEIN CLASSES
  • PROTEIN EVIDENCE
  • METHODS
  • EDUCATIONAL VIDEOS
DATA
  • DOWNLOADABLE DATA
  • PUBLICATION DATA
  • RELEASE HISTORY
HELP
  • ANTIBODY VALIDATION
  • ASSAYS & ANNOTATION
  • DISCLAIMER
  • HELP & FAQ
  • PRIVACY STATEMENT
  • LICENCE & CITATION
Fields »
Search result

Field
Term
Gene name
Class
Subclass
Class
Keyword
Chromosome
External id
Tissue
Cell type
Expression
Antibody panel
Tissue
Main location
Patient ID
Annotation
Tissue
Category
Tau score
Cluster
Reliability
Brain region
Category
Tau score
Brain region
Category
Tau score
Brain region
Category
Tau score
Cluster
Reliability
Tissue
Cell type
Enrichment
Cell type
Category
Tau score
Cell type
Category
Tau score
Cell type
Category
Tau score
Cell lineage
Category
Tau score
Cluster
Cluster
Location
Searches
Location
Cell line
Class
Type
Phase
Reliability
Cancer
Prognosis
Cancer
Category
Cancer
Category
Tau score
Cluster
Variants
Interacting gene (ensg_id)
Type
Number of interactions
Pathway
Category
Score
Score
Score
Validation
Validation
Validation
Validation
Antibodies
Data type
Column


  • SUMMARY

  • TISSUE

  • BRAIN

  • SINGLE CELL

  • SUBCELL

  • CANCER

  • BLOOD

  • CELL LINE

  • STRUCT & INT

  • ARPC5L
TISSUE PRIMARY DATA COLON Show tissue menu
ADIPOSE TISSUE ADRENAL GLAND AMYGDALA APPENDIX BASAL GANGLIA BONE MARROW BREAST BRONCHUS CEREBELLUM CEREBRAL CORTEX CERVIX CHOROID PLEXUS COLON DUODENUM
ENDOMETRIUM EPIDIDYMIS ESOPHAGUS FALLOPIAN TUBE GALLBLADDER HEART MUSCLE HIPPOCAMPAL FORMATION HYPOTHALAMUS KIDNEY LIVER LUNG LYMPH NODE MIDBRAIN NASOPHARYNX
ORAL MUCOSA OVARY PANCREAS PARATHYROID GLAND PITUITARY GLAND PLACENTA PROSTATE RECTUM RETINA SALIVARY GLAND SEMINAL VESICLE SKELETAL MUSCLE SKIN SMALL INTESTINE
SMOOTH MUSCLE SOFT TISSUE SPINAL CORD SPLEEN STOMACH TESTIS THYMUS THYROID GLAND TONGUE TONSIL URINARY BLADDER VAGINA
ANTIBODIES
AND
VALIDATION
Dictionary
Colon
Tissue proteome
Intestine
COLON - Expression summary
Protein expression
Coloni

On the top, protein expression in current human tissue, based on all annotated cell types, is reported with the units not detected (n), low (l), medium (m) and high (h). Underneath, protein expression in each annotated cell type are reported using the same units.

Protein expression data is based on knowledge-based annotation. For genes where more than one antibody has been used, a collective score is set.

If knowledge-based annotation could not be performed for a gene, no data is displayed here. View antibody staining data further down this page.

h
m
l
n
Endothelial cells: Not detected
Glandular cells: Medium
Peripheral nerve/ganglion: Medium
RNA expressioni

A summary of mRNA expression data available for current tissue based on several datasets. The mRNA expression levels in human tissues are based on RNA-seq data generated by the Human Protein Atlas (HPA), Genotype-Tissue Expression (GTEx) portal and CAGE data generated by the FANTOM5 consortium. Consensus normalized expression levels for human tissues was created by combining the data from HPA and GTEx datasets.

The mRNA expression levels in pig are based on RNA-seq data generated by the Human Protein Atlas (HPA), and for mouse, HPA data and in situ hybridization generated by the Allen brain atlas are reported.

Scroll down to view mRNA expression data in more detail.
Consensus:37.4 nTPM
HPA:26.9 nTPM
GTEx:37.4 nTPM
FANTOM5:36.6 Scaled Tags Per Million

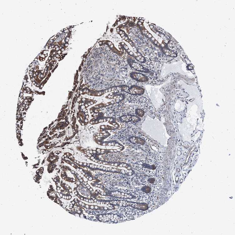
COLON - Antibody stainingi

Antibody staining in the annotated cell types in the current human tissue is reported as not detected, low, medium, or high, based on conventional immunohistochemistry profiling in selected tissues. This score is based on the combination of the staining intensity and fraction of stained cells.

Each image is clickable and will lead to virtual microscopy that enables deeper exploration of all samples and also displays staining intensity scores, fraction scores and subcellular localization as well as patient and tissue information for each sample.

Antibody HPA022013
Endothelial cells Not detected
Glandular cells Medium
Peripheral nerve/ganglion Medium


COLON - HPA RNA-seqi

The RNA-seq details section shows detailed information about the individual samples used for the transcript profiling and results of the RNA-seq analysis.

Information about each individual sample is listed below, including gender, age, a tissue section image and estimated fractions of cell types. nTPM (normalized transcripts per million) values give a quantification of the gene abundance which is comparable between different genes and samples.
Average nTPMi

Max subtype nTPM is the value for the subtype with the largest average nTPM across the subtype samples.

26.9
overview
Male, age 54
Colon sample 67
nTPM: 29.8
Cell types%
Glandular cells:
65

Smooth muscle cells:
10

Other cell types:
25

overview
Female, age 57
Colon sample 68
nTPM: 23.2
Cell types%
Glandular cells:
40

Smooth muscle cells:
5

Other cell types:
55

overview
Male, age 80
Colon sample 69
nTPM: 34.1
Cell types%
Glandular cells:
55

Smooth muscle cells:
5

Other cell types:
40

overview
Male, age 68
Colon sample 70
nTPM: 29.5
Cell types%
Glandular cells:
35

Smooth muscle cells:
10

Other cell types:
55

overview
Female, age 68
Colon sample 76
nTPM: 26.7
Cell types%
Glandular cells:
25

Smooth muscle cells:
5

Other cell types:
70

overview
Female, age 61
Colon sample 299
nTPM: 28
Cell types%
Glandular cells:
5

Smooth muscle cells:
65

Other cell types:
30

overview
Male, age 80
Colon sample 300
nTPM: 27.5
Cell types%
Glandular cells:
15

Smooth muscle cells:
20

Other cell types:
65

overview
Female, age 78
Colon sample 368
nTPM: 29.7
Cell types%
Glandular cells:
45

Smooth muscle cells:
5

Other cell types:
50

overview
Male, age 84
Colon sample 381
nTPM: 21.5
Cell types%
Glandular cells:
50

Smooth muscle cells:
15

Other cell types:
35

overview
Male, age 80
Colon sample 384
nTPM: 34
Cell types%
Glandular cells:
20

Smooth muscle cells:
35

Other cell types:
45

overview
Female, age 78
Colon sample 389
nTPM: 20.4
Cell types%
Glandular cells:
35

Smooth muscle cells:
10

Other cell types:
55

overview
Female, age 69
Colon sample 391
nTPM: 20.1
Cell types%
Glandular cells:
10

Smooth muscle cells:
45

Other cell types:
45

overview
Female, age 72
Colon sample 403
nTPM: 25.3
Cell types%
Glandular cells:
20

Smooth muscle cells:
15

Other cell types:
65


COLON - GTEx RNA-seqi

RNA-Seq data generated by the Genotype-Tissue Expression (GTEx) project from human tissues is reported as mean nTPM. More information can be found on the GTEx portal.

Distribution across the dataset is visualized with box plots, shown as median and 25th and 75th percentiles. Points are displayed as outliers if they are above or below 1.5 times the interquartile range. nTPM values of the individual samples are presented next to the box plot.
Max subtype nTPMi

Max subtype nTPM is the value for the subtype with the largest average nTPM across the subtype samples.

37.4
GTEx sample id Sample description nTPM
Colon - Sigmoid
Average nTPM: 33.5
Samples: 373

Max nTPM: 109.5
Min nTPM: 19.7
Std nTPM: 9.5
Median nTPM: 31.3
GTEX-1N2EF-1726-SM-EXUSI 60-69 years, male 109.5
GTEX-13O1R-2426-SM-5KLZZ 60-69 years, male 85.1
GTEX-1A3MX-2326-SM-718B4 60-69 years, male 83.2
GTEX-15RJ7-1726-SM-6PAL3 40-49 years, male 76.7
GTEX-15ER7-2826-SM-6PAN2 20-29 years, female 73.9
GTEX-11TT1-0926-SM-5GU5M 20-29 years, male 65.6
GTEX-ZYFD-2226-SM-5E43P 50-59 years, male 64.7
GTEX-WHSE-2726-SM-EZ6ML 20-29 years, male 62.1
GTEX-11TUW-2326-SM-5EQMO 60-69 years, male 58.1
GTEX-11EQ8-2626-SM-5N9BO 60-69 years, male 57.3
GTEX-1K9T9-2926-SM-E9TKD 50-59 years, female 56.4
GTEX-14C5O-2626-SM-5RQI5 60-69 years, male 55.8
GTEX-1339X-1726-SM-5P9J9 40-49 years, male 54.6
GTEX-WI4N-2226-SM-4OOS9 40-49 years, female 51.6
GTEX-17EUY-1726-SM-79OK4 20-29 years, male 50.7
GTEX-14A5H-1626-SM-5SIAN 60-69 years, male 50.5
GTEX-ZDTS-2726-SM-5L3E2 60-69 years, male 50.3
GTEX-1I1CD-2826-SM-A9SL4 60-69 years, female 50.3
GTEX-11I78-1326-SM-5PNY9 50-59 years, female 48.3
GTEX-15G1A-1926-SM-7KUFF 30-39 years, male 47.4
GTEX-ZTSS-1226-SM-51MSZ 40-49 years, male 47.2
GTEX-1AMEY-1826-SM-72D5L 30-39 years, female 46.9
GTEX-XAJ8-0726-SM-47JY5 40-49 years, male 46.9
GTEX-ZT9W-1726-SM-51MS3 50-59 years, male 46.6
GTEX-1OFPY-1226-SM-E76OM 60-69 years, male 46.5
GTEX-ZV6S-1126-SM-57WE9 40-49 years, female 46.0
GTEX-ZF28-2526-SM-57WFH 60-69 years, male 45.9
GTEX-16MTA-1626-SM-6M47N 50-59 years, male 45.2
GTEX-1399U-2226-SM-5KLZI 50-59 years, female 44.8
GTEX-1I1GP-2826-SM-A9SKZ 50-59 years, male 44.4
GTEX-ZPCL-1626-SM-57WGC 60-69 years, female 44.3
GTEX-ZG7Y-1826-SM-4WWD3 50-59 years, male 44.1
GTEX-12WSL-1826-SM-5LZW9 50-59 years, male 43.9
GTEX-1L5NE-1926-SM-D3L9R 50-59 years, male 43.9
GTEX-WOFM-1926-SM-4OOSP 20-29 years, male 43.6
GTEX-1PIEJ-1826-SM-EWRMN 20-29 years, female 43.5
GTEX-WFG7-1626-SM-4LVMF 20-29 years, male 43.4
GTEX-1KANA-1726-SM-CY8IG 20-29 years, male 43.2
GTEX-ZLFU-1426-SM-4WWEU 40-49 years, male 43.1
GTEX-1RAZQ-2026-SM-E76P7 30-39 years, male 43.0
GTEX-ZE9C-2126-SM-4WKGY 60-69 years, male 42.9
GTEX-13W3W-2226-SM-5LU4M 60-69 years, female 42.8
GTEX-13PL7-2426-SM-5J2N3 60-69 years, female 42.7
GTEX-W5WG-2026-SM-4LMIB 50-59 years, female 42.3
GTEX-12WSJ-1426-SM-5GCON 40-49 years, female 42.0
GTEX-14C39-1626-SM-5S2P4 40-49 years, male 42.0
GTEX-1PBJJ-2026-SM-DTX8U 30-39 years, male 42.0
GTEX-WRHK-1126-SM-4MVOJ 20-29 years, female 41.7
GTEX-18A67-2226-SM-7LT9Z 50-59 years, male 41.5
GTEX-ZTTD-2626-SM-57WEX 50-59 years, male 41.5
GTEX-1LB8K-2526-SM-DIPEQ 50-59 years, male 41.3
GTEX-ZF2S-1826-SM-4WKFF 50-59 years, female 41.0
GTEX-ZQUD-1026-SM-4YCEZ 30-39 years, male 40.9
GTEX-1S831-1726-SM-EWROJ 20-29 years, male 40.9
GTEX-1A32A-2626-SM-73KX9 50-59 years, female 40.4
GTEX-VJYA-2126-SM-4KL1O 60-69 years, male 40.4
GTEX-ZY6K-1326-SM-5GZWP 50-59 years, male 40.4
GTEX-Z93S-2626-SM-57WBX 50-59 years, male 40.3
GTEX-14PJ4-1826-SM-5YY97 60-69 years, male 40.1
GTEX-14E6C-2226-SM-5QGQG 40-49 years, male 39.9
GTEX-15RIF-1426-SM-7KUKQ 20-29 years, male 39.7
GTEX-1HBPH-2526-SM-ACKXK 40-49 years, female 39.5
GTEX-1PPH8-2226-SM-EWRN7 20-29 years, male 39.3
GTEX-17MFQ-1226-SM-7KFSA 20-29 years, male 39.2
GTEX-X5EB-1126-SM-46MVV 40-49 years, male 39.2
GTEX-1CAMS-2626-SM-7PBY3 40-49 years, female 39.1
GTEX-13CF3-1326-SM-5LZXZ 60-69 years, female 38.8
GTEX-13X6J-2826-SM-7EPGA 50-59 years, male 38.7
GTEX-1LVAO-2826-SM-E9TJH 60-69 years, male 38.6
GTEX-1LKK1-2426-SM-DIPES 50-59 years, female 38.2
GTEX-1JK1U-1426-SM-CNPOW 60-69 years, male 37.8
GTEX-144GM-1126-SM-79OJK 20-29 years, male 37.7
GTEX-15RIE-2026-SM-7KFRW 60-69 years, male 37.6
GTEX-ZPU1-1726-SM-4WWFV 40-49 years, male 37.5
GTEX-ZLV1-1326-SM-DO11Q 60-69 years, female 37.5
GTEX-1F5PL-1926-SM-7MXTP 40-49 years, female 37.4
GTEX-17F96-2126-SM-7KFSM 70-79 years, male 37.3
GTEX-17JCI-2826-SM-7IGNA 60-69 years, female 37.3
GTEX-1CB4F-1926-SM-7MKFN 60-69 years, male 37.3
GTEX-Y9LG-1326-SM-4VBQB 30-39 years, male 37.3
GTEX-Y8E4-2326-SM-EAZAZ 40-49 years, male 37.2
GTEX-YFCO-1526-SM-5YYB8 40-49 years, male 37.1
GTEX-1GMR8-2926-SM-9KNW5 50-59 years, female 36.9
GTEX-1HSEH-1926-SM-A96SB 60-69 years, male 36.9
GTEX-1LBAC-1726-SM-D3L9W 20-29 years, male 36.6
GTEX-1RLM8-1726-SM-E9TKF 50-59 years, male 36.6
GTEX-1R9PO-2026-SM-E9J4N 60-69 years, female 36.5
GTEX-131XE-1026-SM-5EGKE 50-59 years, male 36.3
GTEX-18A6Q-2226-SM-7LG61 60-69 years, male 36.3
GTEX-18D9A-1326-SM-7LT8P 30-39 years, female 36.2
GTEX-Y3I4-1126-SM-4TT7Y 50-59 years, male 36.2
GTEX-1PIIG-2126-SM-EXUSD 30-39 years, male 36.2
GTEX-11EM3-1626-SM-5N9CO 20-29 years, female 36.1
GTEX-1GN73-2726-SM-9WYUB 60-69 years, male 36.1
GTEX-1B8KE-1526-SM-7DUG2 50-59 years, male 36.0
GTEX-17F9Y-2626-SM-7IGN9 70-79 years, female 35.9
GTEX-11ZU8-1126-SM-5EQ5K 60-69 years, male 35.8
GTEX-YF7O-1626-SM-5IFII 50-59 years, male 35.8
GTEX-1EMGI-2626-SM-7IGNR 60-69 years, male 35.7
GTEX-131XG-1526-SM-5GCNQ 50-59 years, female 35.6
GTEX-13OVJ-1826-SM-5KM2D 50-59 years, female 35.6
GTEX-1EU9M-2726-SM-7P8QD 60-69 years, male 35.5
GTEX-11DXX-1926-SM-5EGJK 60-69 years, female 35.4
GTEX-11P7K-1826-SM-5HL5A 30-39 years, male 35.4
GTEX-ZYT6-2826-SM-5GICX 30-39 years, male 35.4
GTEX-1PBJI-2526-SM-E6CP4 20-29 years, female 35.4
GTEX-139UW-2326-SM-5KM1Y 60-69 years, male 35.3
GTEX-1QP2A-2226-SM-DTXF6 50-59 years, male 35.2
GTEX-1LG7Y-2226-SM-E9U5K 50-59 years, male 35.1
GTEX-12WSM-1426-SM-5GCPA 60-69 years, male 35.0
GTEX-YJ8A-1726-SM-5P9IQ 20-29 years, male 35.0
GTEX-ZVT2-1726-SM-51MRO 50-59 years, female 34.9
GTEX-1GF9X-1426-SM-7RHGX 40-49 years, female 34.9
GTEX-1LVAM-1726-SM-DHXKQ 50-59 years, female 34.8
GTEX-1R7EU-1826-SM-DTX9L 60-69 years, male 34.8
GTEX-13FH7-1626-SM-5J2O9 50-59 years, female 34.7
GTEX-1CAMR-1026-SM-7P8QI 20-29 years, male 34.7
GTEX-1QPFJ-2426-SM-EVR3L 30-39 years, female 34.7
GTEX-Y5V6-1626-SM-4VDT2 60-69 years, male 34.6
GTEX-12WSG-2426-SM-5EQLZ 50-59 years, female 34.5
GTEX-14PKV-1926-SM-686YU 20-29 years, female 34.5
GTEX-1RDX4-1926-SM-E6CJJ 50-59 years, female 34.4
GTEX-13FTW-2126-SM-5K7YG 40-49 years, male 34.3
GTEX-111CU-1226-SM-5EGIN 50-59 years, male 34.2
GTEX-1122O-1426-SM-5H11R 60-69 years, female 34.2
GTEX-1GZ4H-1326-SM-7P8TE 50-59 years, female 34.2
GTEX-13OVK-1026-SM-7KFTC 40-49 years, male 34.1
GTEX-14A5I-2426-SM-5Q5CP 50-59 years, female 34.1
GTEX-1QP28-2226-SM-DTX8C 50-59 years, female 34.1
GTEX-145LT-0826-SM-5S2QL 40-49 years, male 34.0
GTEX-183WM-2526-SM-731BP 70-79 years, female 34.0
GTEX-WQUQ-2626-SM-4MVNP 60-69 years, male 34.0
GTEX-17GQL-1626-SM-7LG69 60-69 years, male 33.7
GTEX-13OW5-2826-SM-5KM1G 60-69 years, male 33.6
GTEX-ZF29-1826-SM-4WKG8 60-69 years, female 33.6
GTEX-1LG7Z-1326-SM-DIPF3 30-39 years, male 33.6
GTEX-ZA64-1426-SM-5CVMC 20-29 years, male 33.5
GTEX-ZAJG-2626-SM-5S2NU 50-59 years, female 33.5
GTEX-1LSNM-1426-SM-E6CIH 50-59 years, male 33.5
GTEX-1C64N-2226-SM-7SB7C 50-59 years, male 33.4
GTEX-WFG8-1726-SM-4LVM6 20-29 years, male 33.3
GTEX-WXYG-1726-SM-4ONCU 50-59 years, female 33.3
GTEX-146FH-2426-SM-5Q5EW 50-59 years, female 33.2
GTEX-1AX9K-1626-SM-73KUS 50-59 years, male 33.2
GTEX-1J1R8-1426-SM-CL55O 40-49 years, male 33.2
GTEX-12BJ1-2026-SM-5FQUH 60-69 years, male 33.1
GTEX-117YX-0526-SM-5EGJH 50-59 years, male 33.0
GTEX-13X6I-2726-SM-5Q5ET 60-69 years, male 33.0
GTEX-XV7Q-2226-SM-4BRVY 40-49 years, female 33.0
GTEX-1RQEC-2626-SM-EVR3Z 60-69 years, male 33.0
GTEX-1S5ZA-1426-SM-E6CJQ 20-29 years, male 33.0
GTEX-1B996-2726-SM-7DUGG 60-69 years, male 32.9
GTEX-1JJEA-2526-SM-CY8HJ 60-69 years, male 32.9
GTEX-ZZ64-0826-SM-5E449 20-29 years, male 32.8
GTEX-1K2DA-1626-SM-CGQGB 50-59 years, male 32.8
GTEX-1P4AB-2626-SM-DTXEU 50-59 years, male 32.8
GTEX-139D8-2926-SM-5IJBM 30-39 years, female 32.7
GTEX-148VJ-2426-SM-5NQ9Y 70-79 years, male 32.6
GTEX-ZP4G-1526-SM-57WE5 20-29 years, female 32.5
GTEX-14PK6-1826-SM-69LOM 70-79 years, female 32.4
GTEX-1AX9J-2526-SM-73KUY 60-69 years, male 32.4
GTEX-XBED-1726-SM-47JYO 60-69 years, male 32.4
GTEX-XXEK-1826-SM-4BRVC 50-59 years, male 32.4
GTEX-1LSVX-2026-SM-E9TJD 60-69 years, male 32.4
GTEX-11GS4-1826-SM-5HL4T 60-69 years, male 32.3
GTEX-12ZZW-2426-SM-5DUWE 50-59 years, male 32.3
GTEX-15DZA-1026-SM-6PAND 30-39 years, female 32.3
GTEX-1PFEY-1726-SM-DPRZ4 30-39 years, male 32.3
GTEX-132AR-2826-SM-5IJFV 50-59 years, female 32.2
GTEX-1J8Q3-2426-SM-CL53S 60-69 years, male 32.2
GTEX-15FZZ-1826-SM-6LLJP 30-39 years, female 32.1
GTEX-1IDJH-2826-SM-CJI49 70-79 years, male 32.1
GTEX-1PIGE-1526-SM-DTXFC 20-29 years, male 32.1
GTEX-YEC3-2026-SM-DKPOL 50-59 years, male 32.0
GTEX-117XS-2226-SM-5GIE1 60-69 years, male 31.8
GTEX-14E1K-1626-SM-664MO 50-59 years, male 31.7
GTEX-15UF7-1326-SM-7KUKV 40-49 years, male 31.7
GTEX-1LSNL-1626-SM-E9TJY 50-59 years, male 31.7
GTEX-1LVAN-2626-SM-CNPQF 50-59 years, female 31.7
GTEX-18A66-2626-SM-72D67 60-69 years, male 31.6
GTEX-11EQ9-1526-SM-5PNY7 30-39 years, male 31.5
GTEX-1H1ZS-2626-SM-9QEIX 70-79 years, male 31.5
GTEX-1OJC3-1826-SM-DTX93 20-29 years, male 31.5
GTEX-17HHE-1626-SM-7DHLN 50-59 years, male 31.4
GTEX-1GMRU-2626-SM-9WPPM 50-59 years, male 31.4
GTEX-11PRG-2026-SM-5GU5F 50-59 years, male 31.3
GTEX-145ME-1126-SM-5SIAT 40-49 years, female 31.3
GTEX-145MO-2626-SM-5QGPD 60-69 years, male 31.3
GTEX-WH7G-1426-SM-4LVMU 40-49 years, male 31.3
GTEX-1I6K6-1926-SM-A96SN 30-39 years, male 31.3
GTEX-1QCLY-2026-SM-EVR4C 30-39 years, male 31.3
GTEX-1477Z-2126-SM-5Q5CM 60-69 years, male 31.2
GTEX-1HCUA-1926-SM-B2LWE 50-59 years, female 31.1
GTEX-1R9K5-2226-SM-DTX9G 50-59 years, male 31.1
GTEX-1JJE9-2526-SM-ARU8K 70-79 years, male 31.0
GTEX-ZLWG-1826-SM-DO11I 50-59 years, female 31.0
GTEX-16BQI-2026-SM-7KULQ 30-39 years, female 30.9
GTEX-183FY-1426-SM-7DHLM 20-29 years, male 30.9
GTEX-ZXES-1726-SM-5E43G 30-39 years, female 30.9
GTEX-11EMC-1426-SM-5N9E4 60-69 years, female 30.8
GTEX-13D11-0626-SM-5LZYY 50-59 years, female 30.8
GTEX-1BAJH-2726-SM-7IGNJ 70-79 years, male 30.8
GTEX-12ZZX-2726-SM-5N9FT 40-49 years, female 30.7
GTEX-14E6E-1726-SM-5S2R6 30-39 years, male 30.7
GTEX-15F5U-1426-SM-7KUN2 40-49 years, male 30.7
GTEX-1B932-2126-SM-7IGMU 40-49 years, female 30.7
GTEX-WYJK-2326-SM-4ONDN 50-59 years, male 30.7
GTEX-13N2G-2226-SM-5IJCU 60-69 years, male 30.6
GTEX-14BIN-2426-SM-5TDCF 50-59 years, female 30.6
GTEX-Y5LM-1426-SM-5RQJL 40-49 years, female 30.6
GTEX-14PJ3-1226-SM-5ZZVY 50-59 years, male 30.5
GTEX-1IKOE-2126-SM-A96T5 30-39 years, female 30.5
GTEX-1QP29-2526-SM-E6CQ3 50-59 years, male 30.5
GTEX-1S82P-2026-SM-E9TIQ 60-69 years, female 30.5
GTEX-11DXY-2026-SM-5N9CZ 60-69 years, male 30.4
GTEX-15UF6-2726-SM-7KULY 70-79 years, female 30.4
GTEX-ZPIC-2626-SM-57WE2 40-49 years, female 30.4
GTEX-ZVT3-2826-SM-5GU6A 60-69 years, female 30.4
GTEX-1EH9U-1926-SM-7P8QM 60-69 years, male 30.4
GTEX-1HBPN-2026-SM-B2LWA 50-59 years, male 30.3
GTEX-13CF2-1826-SM-5N9GK 60-69 years, male 30.2
GTEX-14BMU-1326-SM-5RQIH 20-29 years, female 30.2
GTEX-XQ8I-2326-SM-4BOQC 50-59 years, male 30.2
GTEX-Y8LW-1126-SM-4VDS4 50-59 years, female 30.2
GTEX-1HSMO-2526-SM-A9SKP 60-69 years, male 30.2
GTEX-1IDJU-1926-SM-CL53W 60-69 years, female 30.2
GTEX-11EI6-2626-SM-5PNVT 60-69 years, male 30.1
GTEX-17KNJ-1826-SM-7LT9N 50-59 years, male 30.1
GTEX-ZVZQ-2626-SM-59HLB 60-69 years, female 30.1
GTEX-V955-1726-SM-4JBHF 60-69 years, male 30.0
GTEX-ZYY3-2226-SM-5E45A 60-69 years, female 30.0
GTEX-1JMPY-1026-SM-ARZN1 30-39 years, male 30.0
GTEX-14JG6-1626-SM-5YYBC 30-39 years, female 29.9
GTEX-1E2YA-2526-SM-7IGOU 50-59 years, male 29.9
GTEX-WHWD-1526-SM-4OORV 50-59 years, male 29.8
GTEX-1H23P-2626-SM-9KNVN 60-69 years, male 29.8
GTEX-12ZZY-2726-SM-5EQ45 60-69 years, male 29.7
GTEX-1399R-2126-SM-5K7WZ 30-39 years, male 29.7
GTEX-13O61-1526-SM-5KM3P 60-69 years, male 29.7
GTEX-14AS3-1026-SM-5TDD7 40-49 years, female 29.7
GTEX-1C64O-2426-SM-7P8R3 60-69 years, male 29.7
GTEX-YECK-2826-SM-5IFHF 60-69 years, male 29.6
GTEX-11P81-1426-SM-5P9JN 30-39 years, female 29.5
GTEX-13G51-2126-SM-5IJD9 60-69 years, male 29.5
GTEX-1B8L1-1926-SM-7IGND 60-69 years, male 29.5
GTEX-1211K-1826-SM-5EGJ2 60-69 years, female 29.4
GTEX-12696-1926-SM-5EGJT 60-69 years, male 29.4
GTEX-1C475-1526-SM-7DHM3 40-49 years, female 29.4
GTEX-1HFI7-1626-SM-9WYTR 50-59 years, female 29.4
GTEX-13OVI-2126-SM-5KM3U 60-69 years, female 29.3
GTEX-13PVQ-2726-SM-5L3H7 50-59 years, male 29.3
GTEX-14PN3-1926-SM-6EU1Y 60-69 years, female 29.3
GTEX-XUW1-1826-SM-4BOQD 50-59 years, female 29.3
GTEX-XUZC-1526-SM-4BRV4 30-39 years, female 29.3
GTEX-1H1DE-1626-SM-9KNU5 20-29 years, male 29.3
GTEX-1HSKV-2326-SM-A9SL9 60-69 years, male 29.3
GTEX-1JMQJ-2626-SM-CY8HQ 50-59 years, male 29.3
GTEX-15EO6-2326-SM-6LPKK 50-59 years, male 29.2
GTEX-1J8EW-2426-SM-CE6T5 60-69 years, female 29.2
GTEX-1JN6P-2126-SM-ARL98 60-69 years, male 29.2
GTEX-1MGNQ-2126-SM-EV7AC 40-49 years, male 29.2
GTEX-1H3VY-2526-SM-9KNW1 50-59 years, male 29.1
GTEX-147JS-2626-SM-5S2UX 60-69 years, male 29.0
GTEX-1F75W-2126-SM-7RHIA 60-69 years, male 29.0
GTEX-1JKYR-2026-SM-CNPON 20-29 years, male 28.9
GTEX-111YS-1826-SM-5GIEP 60-69 years, male 28.7
GTEX-1QP9N-0826-SM-DTX9O 30-39 years, male 28.7
GTEX-15G19-2726-SM-6LPKG 60-69 years, male 28.6
GTEX-1F5PK-1726-SM-7RHHW 50-59 years, male 28.5
GTEX-1GMR2-1826-SM-9KNUP 50-59 years, male 28.5
GTEX-1HCU6-2926-SM-B2LWV 60-69 years, female 28.5
GTEX-1I1GT-2026-SM-CKZPK 60-69 years, female 28.5
GTEX-11ZTS-1526-SM-5N9G7 60-69 years, female 28.4
GTEX-13VXT-2026-SM-5L3EW 20-29 years, female 28.3
GTEX-18QFQ-1726-SM-731C9 30-39 years, male 28.2
GTEX-1C2JI-1726-SM-73KUW 50-59 years, male 28.2
GTEX-11VI4-1426-SM-5GU6O 40-49 years, female 28.1
GTEX-16XZZ-2726-SM-7EWDO 60-69 years, male 28.1
GTEX-ZC5H-2426-SM-4WAZ6 40-49 years, female 28.1
GTEX-1212Z-1826-SM-5FQSH 60-69 years, male 28.0
GTEX-1HCU7-2726-SM-A9G3D 50-59 years, male 28.0
GTEX-1RAZR-2026-SM-E9TKE 40-49 years, male 28.0
GTEX-15DYW-2426-SM-7KUG8 60-69 years, female 27.9
GTEX-1QW4Y-1426-SM-E76P3 30-39 years, male 27.9
GTEX-132NY-2726-SM-5PNY2 60-69 years, male 27.8
GTEX-1JMQK-2326-SM-ARZN4 60-69 years, male 27.8
GTEX-1AMFI-1826-SM-73KWB 50-59 years, female 27.7
GTEX-X4EO-2726-SM-4E3HS 60-69 years, female 27.6
GTEX-13U4I-2626-SM-5SI9C 40-49 years, female 27.5
GTEX-1C4CL-1626-SM-7DUF3 30-39 years, male 27.5
GTEX-1HKZK-2026-SM-9WYUF 40-49 years, male 27.5
GTEX-1J8QM-1226-SM-CY8HI 60-69 years, female 27.5
GTEX-1GL5R-1726-SM-9KNUX 50-59 years, male 27.4
GTEX-1RMOY-1726-SM-EVYC9 50-59 years, male 27.4
GTEX-11ZTT-1626-SM-5EQKR 60-69 years, female 27.3
GTEX-131YS-2926-SM-5EGKI 60-69 years, female 27.3
GTEX-139T6-1426-SM-5P9J7 50-59 years, male 27.3
GTEX-WY7C-1926-SM-4ONCI 50-59 years, male 27.3
GTEX-11DXZ-1626-SM-5GIDI 50-59 years, male 27.2
GTEX-13113-1426-SM-5EGHU 60-69 years, female 27.2
GTEX-1QP67-1426-SM-E8VOO 40-49 years, female 27.2
GTEX-X15G-1526-SM-4PQZM 50-59 years, female 27.1
GTEX-1H3VE-2326-SM-9KNVU 40-49 years, male 27.1
GTEX-1JN76-1326-SM-ARU94 20-29 years, female 27.1
GTEX-1KXAM-1926-SM-D3LAG 60-69 years, male 27.1
GTEX-1N2DV-1826-SM-E6CJ5 40-49 years, male 27.1
GTEX-1QCLZ-2026-SM-EAZ4A 60-69 years, female 27.1
GTEX-1J1OQ-2826-SM-D3L88 40-49 years, female 27.0
GTEX-16NGA-0926-SM-718AG 40-49 years, female 26.9
GTEX-13OW6-2226-SM-5N9FL 50-59 years, male 26.8
GTEX-1PDJ9-2026-SM-E76PT 20-29 years, male 26.8
GTEX-145MH-2726-SM-5QGQ6 50-59 years, male 26.7
GTEX-1C6VQ-2626-SM-7IGMQ 50-59 years, male 26.7
GTEX-ZYFG-1826-SM-5GZWX 60-69 years, female 26.7
GTEX-15ETS-2326-SM-7KUGC 40-49 years, female 26.6
GTEX-1H1E6-1826-SM-A9G21 30-39 years, male 26.6
GTEX-1HSGN-2226-SM-A9SL6 40-49 years, female 26.6
GTEX-12WSD-2626-SM-5EGJE 60-69 years, female 26.5
GTEX-13RTJ-1926-SM-5YYA2 60-69 years, male 26.4
GTEX-ZAB5-1426-SM-5HL9D 50-59 years, male 26.4
GTEX-15CHQ-2626-SM-686YZ 60-69 years, male 26.3
GTEX-1HBPI-2226-SM-9WYTY 50-59 years, male 26.3
GTEX-14PHX-1126-SM-5YYA5 50-59 years, male 26.1
GTEX-15RJE-2226-SM-6M46A 40-49 years, male 25.9
GTEX-1GTWX-2626-SM-9WPOT 60-69 years, male 25.9
GTEX-17HGU-2626-SM-79OKN 50-59 years, male 25.8
GTEX-1I1GR-2226-SM-ARL7F 60-69 years, male 25.8
GTEX-139TS-2226-SM-5J2N1 60-69 years, male 25.7
GTEX-13PVR-1726-SM-5Q5EC 60-69 years, female 25.7
GTEX-18465-2726-SM-7LT9I 50-59 years, male 25.7
GTEX-1LGRB-2026-SM-COH47 50-59 years, female 25.7
GTEX-11ONC-1926-SM-5GU75 60-69 years, male 25.6
GTEX-1ICG6-2226-SM-B2LY7 70-79 years, female 25.6
GTEX-1B97I-1526-SM-73KUK 40-49 years, male 25.5
GTEX-ZE7O-2626-SM-51MSS 50-59 years, female 25.5
GTEX-ZVT4-2626-SM-5N9GJ 50-59 years, female 25.4
GTEX-WYVS-1126-SM-4SOJX 40-49 years, female 25.2
GTEX-13QBU-2026-SM-5KLZB 40-49 years, female 25.1
GTEX-WHPG-1626-SM-4M1ZL 50-59 years, male 25.1
GTEX-1JMLX-2526-SM-CY8HX 50-59 years, male 25.1
GTEX-ZAB4-2426-SM-5HL8A 40-49 years, male 25.0
GTEX-1JKYN-2226-SM-ARZNE 30-39 years, male 25.0
GTEX-1GPI7-1926-SM-9KNUH 20-29 years, male 24.9
GTEX-14DAQ-2926-SM-664MV 60-69 years, female 24.8
GTEX-1HCVE-2326-SM-9WYUD 50-59 years, male 24.7
GTEX-1H3NZ-2526-SM-9KNVO 60-69 years, male 24.5
GTEX-1HBPM-2626-SM-9WYU5 60-69 years, female 24.5
GTEX-13X6K-2726-SM-5O9DG 60-69 years, female 24.3
GTEX-13OW8-2726-SM-5L3FZ 60-69 years, male 24.1
GTEX-145LS-2926-SM-5O99G 60-69 years, female 24.1
GTEX-Y114-1626-SM-4TT7I 50-59 years, female 24.1
GTEX-1AYCT-1926-SM-793AE 50-59 years, male 24.0
GTEX-1GMR3-2526-SM-7P8QS 40-49 years, male 23.9
GTEX-1LGOU-1726-SM-D3L8P 20-29 years, female 23.9
GTEX-ZQG8-2426-SM-57WEE 60-69 years, female 23.8
GTEX-1HSMQ-2526-SM-A9SMK 50-59 years, male 23.8
GTEX-13FHO-2726-SM-5K7VG 60-69 years, male 23.7
GTEX-1A3MV-1026-SM-72D5U 30-39 years, male 23.7
GTEX-147GR-2826-SM-5RQK8 60-69 years, male 23.5
GTEX-1CB4G-2726-SM-79OO4 60-69 years, male 23.5
GTEX-YJ8O-1426-SM-5PNV9 40-49 years, female 23.5
GTEX-12KS4-2326-SM-5EGJB 30-39 years, male 23.3
GTEX-1JMPZ-2626-SM-ARU8Z 30-39 years, male 23.1
GTEX-1J8JJ-2426-SM-D4P4A 60-69 years, female 23.0
GTEX-1R9JW-2126-SM-E76QT 30-39 years, female 23.0
GTEX-1IL2U-2526-SM-C1YQV 60-69 years, male 22.6
GTEX-1HB9E-2526-SM-D4P35 50-59 years, male 22.4
GTEX-13SLW-2826-SM-5Q5ES 70-79 years, male 22.2
GTEX-WFON-1326-SM-4LVMN 40-49 years, male 22.0
GTEX-1IDJI-2226-SM-CKZPM 50-59 years, female 21.1
GTEX-17HG3-1126-SM-7DUFC 30-39 years, female 20.8
GTEX-16Z82-2426-SM-7KUMS 60-69 years, male 19.9
GTEX-13111-1926-SM-5GCOL 50-59 years, male 19.7
Show allShow less
Colon - Transverse
Average nTPM: 37.4
Samples: 406

Max nTPM: 107.3
Min nTPM: 19.8
Std nTPM: 10.8
Median nTPM: 35.5
GTEX-1N2EF-1926-SM-DTX8M 60-69 years, male 107.3
GTEX-1399R-2226-SM-5P9JB 30-39 years, male 92.7
GTEX-14JIY-3326-SM-6871E 60-69 years, male 79.1
GTEX-XV7Q-2126-SM-4BRVX 40-49 years, female 77.6
GTEX-1IKOE-2026-SM-AHZ31 30-39 years, female 75.2
GTEX-11TT1-1026-SM-5PNW7 20-29 years, male 72.7
GTEX-111CU-1426-SM-5GZYP 50-59 years, male 68.5
GTEX-T5JW-1126-SM-4DM5V 20-29 years, female 68.0
GTEX-14PK6-1726-SM-6871J 70-79 years, female 66.2
GTEX-U4B1-1126-SM-4DXV3 40-49 years, male 65.8
GTEX-1JN1M-2626-SM-CY8I3 60-69 years, female 63.3
GTEX-144GM-1226-SM-5LU52 20-29 years, male 62.5
GTEX-XAJ8-0426-SM-47JYJ 40-49 years, male 62.0
GTEX-1CAMR-0926-SM-7MXTD 20-29 years, male 62.0
GTEX-ZYVF-2826-SM-5GIDK 50-59 years, female 61.5
GTEX-1IOXB-2626-SM-CJI2N 50-59 years, male 60.8
GTEX-ZT9W-1826-SM-51MQX 50-59 years, male 59.1
GTEX-13S86-1626-SM-5Q5C5 40-49 years, male 58.6
GTEX-146FQ-1926-SM-5NQBY 30-39 years, male 58.3
GTEX-OOBJ-1426-SM-E6CHH 60-69 years, male 55.9
GTEX-13X6H-1926-SM-7EWD3 50-59 years, female 55.7
GTEX-11TUW-2026-SM-5EQL8 60-69 years, male 55.6
GTEX-14XAO-2026-SM-69LOI 60-69 years, female 55.2
GTEX-PWCY-1026-SM-48TD4 20-29 years, female 55.0
GTEX-14E6E-1526-SM-5RQIG 30-39 years, male 54.8
GTEX-XUZC-1326-SM-4BRV2 30-39 years, female 54.8
GTEX-1H1DG-2226-SM-9WPPC 70-79 years, male 54.0
GTEX-131XG-1826-SM-5LZV4 50-59 years, female 53.5
GTEX-OHPN-2026-SM-E9TIA 60-69 years, female 53.1
GTEX-1K9T9-2826-SM-D4P3F 50-59 years, female 52.8
GTEX-QV31-0826-SM-CKZNC 30-39 years, male 52.1
GTEX-1OKEX-1226-SM-DTXEC 60-69 years, male 51.9
GTEX-QDVN-1326-SM-48TZ3 50-59 years, male 51.3
GTEX-1K2DA-2026-SM-CGQGK 50-59 years, male 51.1
GTEX-1LVAN-2526-SM-CNPPC 50-59 years, female 51.1
GTEX-ZEX8-1926-SM-4WKFR 50-59 years, male 51.0
GTEX-1J1R8-1126-SM-CNPQ3 40-49 years, male 50.6
GTEX-YEC3-2426-SM-DO11A 50-59 years, male 50.6
GTEX-SNOS-1226-SM-4DM5H 40-49 years, male 50.5
GTEX-S4Q7-0826-SM-4AD5E 20-29 years, male 50.3
GTEX-1GF9X-1526-SM-7P8QP 40-49 years, female 50.1
GTEX-1PIEJ-2026-SM-E6CPA 20-29 years, female 50.1
GTEX-YF7O-1726-SM-5IFJ9 50-59 years, male 49.7
GTEX-145LT-0926-SM-5LU9C 40-49 years, male 49.6
GTEX-Q2AI-0926-SM-48U1F 40-49 years, male 49.4
GTEX-TML8-1326-SM-4DXTO 40-49 years, female 49.4
GTEX-1H11D-2626-SM-9JGH4 40-49 years, male 48.7
GTEX-13OVJ-1726-SM-5IJDZ 50-59 years, female 48.6
GTEX-1H3VY-2426-SM-9WPPD 50-59 years, male 48.5
GTEX-QMRM-1226-SM-447C6 50-59 years, male 48.3
GTEX-1H1E6-1926-SM-9OSWD 30-39 years, male 48.3
GTEX-PLZ5-1126-SM-3P613 50-59 years, male 48.1
GTEX-132AR-2726-SM-5PNVN 50-59 years, female 47.8
GTEX-17HGU-2426-SM-7EWDP 50-59 years, male 47.6
GTEX-Y3IK-1826-SM-4WWDS 50-59 years, female 47.5
GTEX-15G1A-1826-SM-7KUKO 30-39 years, male 47.1
GTEX-P4QT-1426-SM-3NMCX 50-59 years, female 47.1
GTEX-O5YT-1426-SM-3MJHC 20-29 years, male 47.0
GTEX-1JMPY-0426-SM-C1YQ3 30-39 years, male 46.9
GTEX-14BMU-1526-SM-5TDE6 20-29 years, female 46.5
GTEX-ZF2S-1926-SM-4WWAN 50-59 years, female 46.5
GTEX-1ICLZ-2426-SM-CKZOD 60-69 years, male 46.4
GTEX-1AMFI-1726-SM-7189L 50-59 years, female 46.3
GTEX-S4P3-1226-SM-4AD4Y 50-59 years, female 46.3
GTEX-139TS-1926-SM-5IJFO 60-69 years, male 46.2
GTEX-ZDTT-1926-SM-5HL5W 60-69 years, male 46.2
GTEX-UJHI-1126-SM-4IHLN 50-59 years, female 46.1
GTEX-XMK1-1726-SM-4B64Z 40-49 years, male 46.1
GTEX-11P82-1026-SM-5BC5J 20-29 years, male 46.0
GTEX-13111-0726-SM-5DUVE 50-59 years, male 46.0
GTEX-18D9U-1926-SM-7KFTM 40-49 years, male 46.0
GTEX-XBED-1526-SM-4AT5W 60-69 years, male 45.9
GTEX-1JN76-1226-SM-C1YRM 20-29 years, female 45.9
GTEX-11I78-1226-SM-5A5K6 50-59 years, female 45.8
GTEX-12BJ1-2126-SM-5BC5O 60-69 years, male 45.7
GTEX-1399U-1926-SM-5IFH7 50-59 years, female 45.6
GTEX-15CHR-1426-SM-7DUGV 50-59 years, male 45.4
GTEX-15RIE-1826-SM-6M48P 60-69 years, male 45.4
GTEX-ZPU1-1926-SM-57WDT 40-49 years, male 45.4
GTEX-1PFEY-1426-SM-E9U6U 30-39 years, male 45.3
GTEX-1B8KZ-1326-SM-7DUG6 50-59 years, male 45.2
GTEX-WHSB-0926-SM-4M1XJ 50-59 years, male 45.0
GTEX-1JK1U-1526-SM-AHZ46 60-69 years, male 44.9
GTEX-OXRK-1726-SM-3NB16 50-59 years, female 44.6
GTEX-13W3W-2126-SM-5K7UX 60-69 years, female 44.4
GTEX-17EUY-1826-SM-7DUEZ 20-29 years, male 44.4
GTEX-18A66-2426-SM-7KFSQ 60-69 years, male 44.4
GTEX-Q2AH-1226-SM-48TZL 40-49 years, male 44.4
GTEX-1I4MK-1126-SM-B2LWS 50-59 years, female 44.4
GTEX-ZVP2-1526-SM-5NQ82 50-59 years, male 44.3
GTEX-1HFI7-1726-SM-A9G22 50-59 years, female 44.1
GTEX-14PJ4-1926-SM-6LLHG 60-69 years, male 43.7
GTEX-14PKV-2126-SM-664O3 20-29 years, female 43.5
GTEX-131XE-0826-SM-5HL9W 50-59 years, male 43.4
GTEX-14PHX-1526-SM-68717 50-59 years, male 43.4
GTEX-1C475-1626-SM-731FP 40-49 years, female 43.4
GTEX-XPVG-1826-SM-4B64X 50-59 years, male 43.3
GTEX-ZPIC-2226-SM-57WDX 40-49 years, female 43.2
GTEX-1QCLY-1726-SM-DPRXY 30-39 years, male 43.1
GTEX-11LCK-2026-SM-5A5MA 30-39 years, male 42.9
GTEX-133LE-1526-SM-5IFEN 20-29 years, female 42.8
GTEX-1MJK3-0926-SM-EV7AY 20-29 years, male 42.8
GTEX-W5WG-2426-SM-4LMI6 50-59 years, female 42.7
GTEX-ZY6K-1226-SM-5GZYL 50-59 years, male 42.7
GTEX-1JKYN-2326-SM-CGQG7 30-39 years, male 42.7
GTEX-144GN-1126-SM-5LU33 50-59 years, male 42.6
GTEX-WOFM-2026-SM-4OOSQ 20-29 years, male 42.6
GTEX-15SB6-1226-SM-7KUMP 50-59 years, female 42.4
GTEX-1C4CL-2126-SM-7IGQC 30-39 years, male 42.4
GTEX-11EM3-1526-SM-5A5KN 20-29 years, female 42.0
GTEX-ZDYS-2326-SM-4WKG6 50-59 years, male 42.0
GTEX-145MN-1726-SM-5SIA6 30-39 years, male 41.9
GTEX-1B8KE-1926-SM-731EE 50-59 years, male 41.9
GTEX-1AX8Z-2726-SM-73KUC 60-69 years, male 41.7
GTEX-1F75B-2726-SM-7P8QO 50-59 years, male 41.7
GTEX-1HSEH-1726-SM-B2LXH 60-69 years, male 41.6
GTEX-13FH7-1526-SM-5J2N6 50-59 years, female 41.4
GTEX-14E1K-1826-SM-793DT 50-59 years, male 41.4
GTEX-1339X-1626-SM-5IJDN 40-49 years, male 41.3
GTEX-1399S-1926-SM-5J2M5 30-39 years, female 41.3
GTEX-ZLWG-1726-SM-DNZZ2 50-59 years, female 41.2
GTEX-QDVJ-1326-SM-48U1X 50-59 years, male 41.1
GTEX-117YW-1826-SM-5PNY5 50-59 years, male 41.0
GTEX-1KANC-0926-SM-D3LA9 50-59 years, female 40.9
GTEX-11DXX-1826-SM-5H126 60-69 years, female 40.8
GTEX-1AYCT-1826-SM-731EG 50-59 years, male 40.4
GTEX-1HCU9-1326-SM-B2LXT 20-29 years, male 40.4
GTEX-PWN1-1426-SM-48TDF 40-49 years, female 40.3
GTEX-WFG7-1526-SM-4LVMG 20-29 years, male 40.3
GTEX-X15G-1326-SM-4PQZJ 50-59 years, female 40.2
GTEX-Y5LM-1526-SM-4VDTA 40-49 years, female 40.2
GTEX-1QP9N-1026-SM-E6CPX 30-39 years, male 40.2
GTEX-1RAZR-1926-SM-E6CRF 40-49 years, male 40.1
GTEX-WQUQ-2526-SM-4MVNO 60-69 years, male 39.9
GTEX-1LG7Z-1426-SM-CXKYV 30-39 years, male 39.9
GTEX-R55D-1826-SM-48FEF 50-59 years, male 39.6
GTEX-R53T-1326-SM-48FCQ 50-59 years, female 39.5
GTEX-1LVAM-1626-SM-EV79Y 50-59 years, female 39.4
GTEX-R55G-1226-SM-48FDC 40-49 years, female 39.3
GTEX-RM2N-0926-SM-48FD1 50-59 years, male 39.3
GTEX-1NSGN-2326-SM-E9U5X 50-59 years, male 39.2
GTEX-1128S-1626-SM-5H12O 60-69 years, female 39.0
GTEX-13CF3-1426-SM-5K7YY 60-69 years, female 39.0
GTEX-17GQL-1526-SM-7LTAC 60-69 years, male 39.0
GTEX-1B932-2826-SM-73KUD 40-49 years, female 39.0
GTEX-17HHE-1826-SM-79OKE 50-59 years, male 38.9
GTEX-WEY5-1426-SM-4LMJ3 40-49 years, female 38.9
GTEX-1N2DV-1426-SM-DPRYQ 40-49 years, male 38.9
GTEX-15DCE-2026-SM-7KUFE 20-29 years, male 38.8
GTEX-139YR-2126-SM-5KM11 50-59 years, male 38.7
GTEX-13PL7-2526-SM-5IFGR 60-69 years, female 38.7
GTEX-14ICL-1226-SM-5S2RD 30-39 years, male 38.7
GTEX-17EVQ-1826-SM-7IGPH 70-79 years, male 38.7
GTEX-OIZH-1426-SM-3NB1O 50-59 years, male 38.7
GTEX-U3ZN-2126-SM-4DXU1 30-39 years, female 38.6
GTEX-1GF9U-1526-SM-7MXUW 40-49 years, female 38.6
GTEX-18D9A-1126-SM-7KFRJ 30-39 years, female 38.5
GTEX-18D9B-2526-SM-718BN 60-69 years, male 38.3
GTEX-1PWST-2426-SM-EWRMP 70-79 years, male 38.3
GTEX-16AAH-1326-SM-7KFRG 50-59 years, male 38.2
GTEX-13QBU-1826-SM-5IJG3 40-49 years, female 38.0
GTEX-QLQW-0426-SM-447A7 30-39 years, male 38.0
GTEX-1S82U-0726-SM-E9TKI 30-39 years, female 38.0
GTEX-13OVG-1426-SM-5K7VP 60-69 years, male 37.9
GTEX-1S83E-1626-SM-EV7B9 40-49 years, male 37.8
GTEX-13FTW-1826-SM-5IJEN 40-49 years, male 37.7
GTEX-Q734-1126-SM-48TZY 40-49 years, female 37.7
GTEX-XYKS-2226-SM-4E3IU 60-69 years, female 37.7
GTEX-14JG6-1726-SM-69LPL 30-39 years, female 37.5
GTEX-ZVT2-1926-SM-5GU5T 50-59 years, female 37.5
GTEX-SNMC-1126-SM-4DM5M 20-29 years, male 37.4
GTEX-VJYA-2026-SM-4KL1K 60-69 years, male 37.4
GTEX-1RDX4-1826-SM-EVR54 50-59 years, female 37.4
GTEX-QLQ7-1126-SM-CYPRB 60-69 years, male 37.4
GTEX-15RIF-1326-SM-6LPKO 20-29 years, male 37.3
GTEX-13PVR-1626-SM-73KVF 60-69 years, female 37.2
GTEX-Y9LG-1526-SM-4WWDR 30-39 years, male 37.1
GTEX-YB5E-1626-SM-5IFIQ 40-49 years, male 37.1
GTEX-1F5PK-1926-SM-7MXT7 50-59 years, male 37.0
GTEX-15UF6-2626-SM-6M466 70-79 years, female 36.9
GTEX-18A7B-2026-SM-72D71 70-79 years, male 36.9
GTEX-148VJ-2626-SM-5QGPI 70-79 years, male 36.8
GTEX-1CB4I-2226-SM-7P8SL 50-59 years, male 36.8
GTEX-15CHC-1626-SM-5ZZWS 60-69 years, female 36.6
GTEX-15DYW-2326-SM-6PAMU 60-69 years, female 36.6
GTEX-13D11-0826-SM-5KLZJ 50-59 years, female 36.5
GTEX-178AV-1326-SM-6LPJX 40-49 years, male 36.5
GTEX-XGQ4-1226-SM-4AT67 50-59 years, male 36.5
GTEX-13O3P-2326-SM-5KM55 50-59 years, male 36.4
GTEX-14DAR-1526-SM-5RQIX 50-59 years, male 36.4
GTEX-1R7EU-1926-SM-E9U62 60-69 years, male 36.4
GTEX-13U4I-2426-SM-5LU34 40-49 years, female 36.0
GTEX-Y3I4-1426-SM-4TT9C 50-59 years, male 36.0
GTEX-1MA7W-0626-SM-EV79Z 20-29 years, female 36.0
GTEX-14C5O-2526-SM-73KU2 60-69 years, male 35.9
GTEX-ZPCL-1826-SM-57WF1 60-69 years, female 35.9
GTEX-1I1GT-1926-SM-ARU7D 60-69 years, female 35.9
GTEX-1LH75-2126-SM-EVR5F 50-59 years, female 35.9
GTEX-14PJM-2626-SM-686ZD 50-59 years, female 35.8
GTEX-1F75I-2426-SM-9WPOY 40-49 years, male 35.8
GTEX-1KANA-1926-SM-DHXKF 20-29 years, male 35.7
GTEX-ZV7C-1526-SM-5NQ72 50-59 years, male 35.6
GTEX-1LSVX-1726-SM-DHXJP 60-69 years, male 35.6
GTEX-X5EB-0926-SM-46MVT 40-49 years, male 35.5
GTEX-ZP4G-1726-SM-4WWCM 20-29 years, female 35.4
GTEX-S4UY-0826-SM-4AD4Z 40-49 years, female 35.3
GTEX-1NHNU-2326-SM-E6CQE 50-59 years, male 35.3
GTEX-1QP67-1326-SM-EAZ4D 40-49 years, female 35.3
GTEX-TKQ1-0626-SM-4DXTS 30-39 years, male 35.1
GTEX-12WSJ-1526-SM-5GCNI 40-49 years, female 35.0
GTEX-S7SF-1926-SM-4AT5B 20-29 years, female 34.9
GTEX-1IDJD-2226-SM-A96TD 30-39 years, male 34.9
GTEX-1PIGE-1426-SM-E9U61 20-29 years, male 34.9
GTEX-12C56-0626-SM-5EGGC 20-29 years, male 34.8
GTEX-1CAMS-2526-SM-7EPH7 40-49 years, female 34.8
GTEX-1F5PL-2126-SM-7PC2O 40-49 years, female 34.8
GTEX-11DXZ-1726-SM-5H12M 50-59 years, male 34.7
GTEX-14ICK-1026-SM-6AJA4 40-49 years, male 34.6
GTEX-1JKYR-1926-SM-C1YR7 20-29 years, male 34.6
GTEX-1LGRB-1426-SM-CNNPT 50-59 years, female 34.6
GTEX-1RAZA-1726-SM-DPS13 20-29 years, male 34.6
GTEX-ZTSS-1126-SM-5985O 40-49 years, male 34.5
GTEX-WH7G-1326-SM-4LVMS 40-49 years, male 34.1
GTEX-ZZ64-0726-SM-5GZX4 20-29 years, male 34.1
GTEX-11EQ9-1426-SM-5987G 30-39 years, male 34.0
GTEX-1L5NE-2026-SM-CXZKR 50-59 years, male 34.0
GTEX-1MUQO-2626-SM-EWRO3 60-69 years, male 34.0
GTEX-OHPM-1426-SM-3TW8Y 50-59 years, male 33.9
GTEX-SE5C-1526-SM-4BRWU 40-49 years, female 33.9
GTEX-XUW1-1926-SM-4BOP1 50-59 years, female 33.9
GTEX-WYJK-2226-SM-4ONDJ 50-59 years, male 33.8
GTEX-WHWD-1226-SM-4OOS1 50-59 years, male 33.7
GTEX-11P7K-1526-SM-5EGI7 30-39 years, male 33.6
GTEX-13OW5-2626-SM-5MR3M 60-69 years, male 33.6
GTEX-16MT8-2726-SM-7IGLJ 60-69 years, female 33.6
GTEX-QCQG-1626-SM-48U26 50-59 years, female 33.6
GTEX-17KNJ-1726-SM-7LG6A 50-59 years, male 33.5
GTEX-1E2YA-2626-SM-7MGWW 50-59 years, male 33.5
GTEX-UJMC-1326-SM-4IHLS 50-59 years, male 33.4
GTEX-1122O-1526-SM-5N9CL 60-69 years, female 33.3
GTEX-15DZA-0926-SM-69LQ3 30-39 years, female 33.3
GTEX-OXRO-0726-SM-E9U4C 60-69 years, female 33.3
GTEX-1HCVE-2526-SM-A9G2G 50-59 years, male 33.2
GTEX-Z93S-2426-SM-5HL8N 50-59 years, male 33.1
GTEX-1QPFJ-2326-SM-E6CR7 30-39 years, female 33.1
GTEX-RU1J-1326-SM-46MUL 20-29 years, female 33.0
GTEX-12WSL-1626-SM-5GCMU 50-59 years, male 32.8
GTEX-16NGA-1026-SM-7KFS3 40-49 years, female 32.8
GTEX-TKQ2-1326-SM-4DXT9 50-59 years, male 32.8
GTEX-WFON-1426-SM-4LVMT 40-49 years, male 32.8
GTEX-XBEW-1926-SM-4SOJO 40-49 years, male 32.7
GTEX-OXRN-2026-SM-E6CHK 50-59 years, male 32.7
GTEX-Y8LW-1226-SM-4WWDP 50-59 years, female 32.6
GTEX-14AS3-1126-SM-5Q5CR 40-49 years, female 32.5
GTEX-YEC4-1926-SM-5IFHJ 40-49 years, male 32.5
GTEX-1IKK5-2726-SM-CNPQ6 60-69 years, male 32.4
GTEX-13OW6-2126-SM-5N9GL 50-59 years, male 32.3
GTEX-Y8E4-2426-SM-4WWDN 40-49 years, male 32.3
GTEX-ZV6S-1226-SM-59HLH 40-49 years, female 32.2
GTEX-1J1OQ-2726-SM-AHZ3R 40-49 years, female 32.1
GTEX-P78B-1726-SM-3P5ZV 40-49 years, female 32.0
GTEX-ZF29-1726-SM-4WKFV 60-69 years, female 31.9
GTEX-QEL4-1926-SM-D3L8D 50-59 years, male 31.9
GTEX-13VXT-2426-SM-5LU46 20-29 years, female 31.8
GTEX-1R9PM-1526-SM-DPRY8 20-29 years, male 31.8
GTEX-18QFQ-1526-SM-72D57 30-39 years, male 31.7
GTEX-V955-1626-SM-4JBHJ 60-69 years, male 31.7
GTEX-1RAZQ-2126-SM-DTX9V 30-39 years, male 31.7
GTEX-1I1GR-2526-SM-CNNQF 60-69 years, male 31.6
GTEX-1KANB-1526-SM-CXZK4 50-59 years, male 31.6
GTEX-NFK9-2026-SM-3LK5K 40-49 years, male 31.5
GTEX-U412-1726-SM-EZ6KX 60-69 years, male 31.5
GTEX-11NSD-1626-SM-5986U 20-29 years, male 31.4
GTEX-13O21-2426-SM-5MR4A 50-59 years, male 31.3
GTEX-1EMGI-2726-SM-7P8S4 60-69 years, male 31.3
GTEX-1JJE9-2426-SM-D3L8T 70-79 years, male 31.3
GTEX-ZAB4-2226-SM-5HL97 40-49 years, male 31.2
GTEX-1EH9U-2026-SM-7PBYS 60-69 years, male 31.1
GTEX-1HCU7-2626-SM-C1YQO 50-59 years, male 31.1
GTEX-1NV5F-2226-SM-DTX8O 60-69 years, female 31.0
GTEX-1C64O-2326-SM-73KU8 60-69 years, male 30.8
GTEX-17F96-2026-SM-79ON4 70-79 years, male 30.6
GTEX-11ZVC-2126-SM-5EGJ1 50-59 years, female 30.5
GTEX-14PJ3-0926-SM-69LQG 50-59 years, male 30.5
GTEX-17F9E-1826-SM-7IGMC 50-59 years, male 30.5
GTEX-144GL-2526-SM-5TDDL 50-59 years, male 30.4
GTEX-ZG7Y-2126-SM-DO117 50-59 years, male 30.4
GTEX-13O61-1626-SM-5KM3T 60-69 years, male 30.3
GTEX-1S5VW-2926-SM-E9U6H 60-69 years, male 30.3
GTEX-R55C-1126-SM-48FCJ 40-49 years, male 30.2
GTEX-SJXC-2226-SM-EVYAK 60-69 years, male 30.2
GTEX-111VG-2226-SM-5N9DU 60-69 years, male 30.1
GTEX-1AMEY-1926-SM-73KVT 30-39 years, female 30.1
GTEX-RWS6-1826-SM-47JXX 60-69 years, female 30.0
GTEX-1HSMP-2326-SM-D3L8R 70-79 years, male 30.0
GTEX-PSDG-1826-SM-EAZ2S 50-59 years, male 29.9
GTEX-147GR-2726-SM-664OO 60-69 years, male 29.8
GTEX-145LS-2726-SM-5Q5D8 60-69 years, female 29.7
GTEX-T6MO-0826-SM-4DM51 40-49 years, female 29.7
GTEX-U3ZM-1126-SM-4DXUB 40-49 years, male 29.7
GTEX-XQ8I-2126-SM-4BOOM 50-59 years, male 29.7
GTEX-ZLV1-1226-SM-4WWBX 60-69 years, female 29.7
GTEX-17HII-2726-SM-7MGVM 50-59 years, male 29.7
GTEX-1GL5R-2426-SM-7MXV1 50-59 years, male 29.7
GTEX-14PJ5-0926-SM-6LLIK 60-69 years, female 29.6
GTEX-1BAJH-2326-SM-7IGMO 70-79 years, male 29.6
GTEX-1LG7Y-2126-SM-DIPER 50-59 years, male 29.6
GTEX-1N5O9-2726-SM-E76QH 60-69 years, male 29.6
GTEX-PX3G-1426-SM-48U1J 20-29 years, female 29.5
GTEX-1GPI7-1726-SM-7P8R1 20-29 years, male 29.5
GTEX-XXEK-1926-SM-4BRVD 50-59 years, male 29.4
GTEX-1I6K6-1826-SM-B2LX5 30-39 years, male 29.4
GTEX-1IGQW-2326-SM-CE6RV 60-69 years, male 29.4
GTEX-1211K-1726-SM-5FQUJ 60-69 years, female 29.3
GTEX-1GMR2-1726-SM-9JGI2 50-59 years, male 29.3
GTEX-1HSMQ-2726-SM-C1YRE 50-59 years, male 29.3
GTEX-17MF6-2426-SM-7LTAM 40-49 years, male 29.2
GTEX-OIZF-1426-SM-2HML2 60-69 years, male 29.2
GTEX-1AYD5-1726-SM-7RHFW 50-59 years, male 29.1
GTEX-117YX-0826-SM-5H11J 50-59 years, male 29.0
GTEX-145ME-0826-SM-5O9AF 40-49 years, female 29.0
GTEX-WYVS-1826-SM-4OND6 40-49 years, female 28.9
GTEX-1MCC2-1626-SM-DIPEW 30-39 years, female 28.9
GTEX-ZGAY-2126-SM-4YCFB 40-49 years, female 28.7
GTEX-1H1DE-1526-SM-ARL9B 20-29 years, male 28.7
GTEX-1HCU6-2726-SM-A9SKV 60-69 years, female 28.7
GTEX-111YS-1626-SM-5GZZ9 60-69 years, male 28.5
GTEX-13FHP-2426-SM-5KLZ5 50-59 years, male 28.5
GTEX-PLZ6-0926-SM-3P5ZQ 30-39 years, male 28.5
GTEX-1GN73-2626-SM-9KNUQ 60-69 years, male 28.5
GTEX-139T6-1326-SM-5IFFO 50-59 years, male 28.4
GTEX-16Z82-2226-SM-6LPJ7 60-69 years, male 28.4
GTEX-1C2JI-1626-SM-7EPHC 50-59 years, male 28.4
GTEX-1HSGN-2626-SM-CE6S1 40-49 years, female 28.4
GTEX-17JCI-2626-SM-7EWE6 60-69 years, female 28.3
GTEX-R45C-2126-SM-EZ6KZ 60-69 years, female 28.3
GTEX-X3Y1-1726-SM-4PQZL 40-49 years, male 28.2
GTEX-WVJS-2426-SM-EZ6LI 50-59 years, male 28.2
GTEX-16NPV-2626-SM-6M484 50-59 years, female 28.1
GTEX-11O72-2226-SM-5PNW2 40-49 years, male 28.0
GTEX-S3XE-1126-SM-4AD4N 50-59 years, male 28.0
GTEX-1PPGY-2826-SM-DTX9H 60-69 years, male 28.0
GTEX-1S3DN-1826-SM-EV79K 50-59 years, male 28.0
GTEX-147F3-1926-SM-5SIB9 50-59 years, female 27.9
GTEX-P4PP-1426-SM-3NM9L 30-39 years, female 27.8
GTEX-1LBAC-1626-SM-CXZKV 20-29 years, male 27.8
GTEX-1QMI2-2626-SM-E6CR4 60-69 years, male 27.5
GTEX-14BIN-3026-SM-5ZZUS 50-59 years, female 27.3
GTEX-1QCLZ-1926-SM-E6CR3 60-69 years, female 27.3
GTEX-1C6VQ-2726-SM-73KUL 50-59 years, male 27.2
GTEX-13OVI-2026-SM-5J1MU 60-69 years, female 27.1
GTEX-15ER7-2926-SM-7KUFK 20-29 years, female 27.1
GTEX-1QW4Y-1326-SM-EWRMZ 30-39 years, male 27.1
GTEX-147JS-2526-SM-5S2Q8 60-69 years, male 27.0
GTEX-1MGNQ-2026-SM-EAZ51 40-49 years, male 27.0
GTEX-X4EO-2526-SM-EWRM8 60-69 years, female 27.0
GTEX-11GSP-1626-SM-5986N 60-69 years, female 26.9
GTEX-11TTK-2426-SM-5PNYO 60-69 years, female 26.9
GTEX-15SHU-2526-SM-6M47D 40-49 years, female 26.9
GTEX-1POEN-2026-SM-E6CRL 30-39 years, female 26.9
GTEX-14C39-1926-SM-5ZZW5 40-49 years, male 26.6
GTEX-O5YW-1426-SM-3MJHF 50-59 years, male 26.6
GTEX-1AX9I-2626-SM-73KU5 60-69 years, male 26.5
GTEX-1B996-2626-SM-73KZ1 60-69 years, male 26.5
GTEX-ZYFG-1926-SM-5GID5 60-69 years, female 26.5
GTEX-1GMR3-2826-SM-9WPOG 40-49 years, male 26.5
GTEX-1PPH8-2026-SM-DTX7P 20-29 years, male 26.5
GTEX-11VI4-1526-SM-5EQKC 40-49 years, female 26.3
GTEX-12ZZZ-2426-SM-5GCNN 60-69 years, male 26.3
GTEX-1CB4F-2026-SM-79OLU 60-69 years, male 26.3
GTEX-ZYFC-2626-SM-5NQ6S 50-59 years, male 26.3
GTEX-11P81-1126-SM-5GU5G 30-39 years, female 26.2
GTEX-18A7A-2226-SM-7LT8K 50-59 years, female 26.2
GTEX-1IDJF-1826-SM-CKZOE 20-29 years, male 26.2
GTEX-145MO-2426-SM-5NQ9W 60-69 years, male 26.1
GTEX-15CHQ-2526-SM-6EU24 60-69 years, male 26.1
GTEX-Y114-1526-SM-4TT79 50-59 years, female 26.1
GTEX-1A3MV-1126-SM-718BS 30-39 years, male 26.0
GTEX-14H4A-1926-SM-5ZZWN 40-49 years, female 25.9
GTEX-1JMPZ-2426-SM-C1YQP 30-39 years, male 25.5
GTEX-1R9K5-2126-SM-E8VN1 50-59 years, male 25.5
GTEX-1JJ6O-2426-SM-ARU8J 60-69 years, male 25.2
GTEX-1KXAM-2126-SM-CY8I9 60-69 years, male 25.0
GTEX-11ONC-2026-SM-5HL61 60-69 years, male 24.8
GTEX-1IDJC-1326-SM-CL53H 50-59 years, male 24.7
GTEX-13OVK-0826-SM-7KULZ 40-49 years, male 24.6
GTEX-1JMLX-2726-SM-CM2SB 50-59 years, male 24.5
GTEX-WY7C-1626-SM-4ONC8 50-59 years, male 24.2
GTEX-13QJ3-2626-SM-9OSXQ 50-59 years, male 24.0
GTEX-13O3O-2526-SM-5L3DR 60-69 years, female 23.6
GTEX-1R9JW-2026-SM-EAZ4O 30-39 years, female 23.6
GTEX-12KS4-2426-SM-5LU8P 30-39 years, male 23.5
GTEX-17F98-1026-SM-7IGO8 40-49 years, female 23.5
GTEX-1HKZK-2126-SM-A9SL3 40-49 years, male 23.4
GTEX-1LGOU-1626-SM-D3LAK 20-29 years, female 23.3
GTEX-1GZ4H-1226-SM-9KNUA 50-59 years, female 23.2
GTEX-1RMOY-1626-SM-EVYC8 50-59 years, male 23.1
GTEX-OXRL-1426-SM-3NM9E 50-59 years, male 23.0
GTEX-1IDJU-2026-SM-A9SLM 60-69 years, female 22.9
GTEX-16XZZ-2626-SM-6M47S 60-69 years, male 22.6
GTEX-14BMV-2426-SM-5S2PP 50-59 years, male 22.5
GTEX-U3ZH-1326-SM-4DXSF 30-39 years, male 22.5
GTEX-S341-1426-SM-4AD6U 40-49 years, female 21.7
GTEX-14DAQ-2726-SM-5S2QY 60-69 years, female 21.3
GTEX-1GZ4I-2426-SM-9WPPP 50-59 years, male 21.3
GTEX-ZXES-1626-SM-5NQ7L 30-39 years, female 19.8
Show allShow less

COLON - FANTOM5 CAGEi

RNA expression in human tissues obtained through Cap Analysis of Gene Expression (CAGE) generated by the FANTOM5 project are reported as Scaled Tags Per Million.

Max subtype Scaled Tags Per Millioni

Max subtype Scaled Tags Per Million is the value for the subtype with the largest average Scaled Tags Per Million across the subtype samples.

36.6
FANTOM5 sample id Sample description Scaled Tags Per Million
Colon
Scaled Tags Per Million: 36.6
FF:10014-101C5 62,83,84 years, mixed 36.6

Contact

  • NEWS ARTICLES
  • PRESS ROOM

The Project

  • INTRODUCTION
  • ORGANIZATION
  • PUBLICATIONS

The Human Protein Atlas

  • DOWNLOADABLE DATA
  • LICENCE & CITATION
  • HELP & FAQ
The Human Protein Atlas project is funded
by the Knut & Alice Wallenberg Foundation.


contact@proteinatlas.org