We use cookies to enhance the usability of our website. If you continue, we'll assume that you are happy to receive all cookies. More information. Don't show this again.
CCN3
HPA
RESOURCES
  • TISSUE
  • BRAIN
  • SINGLE CELL
  • SUBCELLULAR
  • CANCER
  • BLOOD
  • CELL LINE
  • STRUCTURE & INTERACTION
ABOUT
  • INTRODUCTION
  • HISTORY
  • ORGANIZATION
  • PUBLICATIONS
  • ANTIBODY SUBMISSION
  • ANTIBODY AVAILABILITY
  • ACKNOWLEDGMENTS
  • CONTACT
NEWS
  • NEWS ARTICLES
  • PRESS ROOM
LEARN
  • DICTIONARY
  • PROTEIN CLASSES
  • PROTEIN EVIDENCE
  • METHODS
  • EDUCATIONAL VIDEOS
DATA
  • DOWNLOADABLE DATA
  • PUBLICATION DATA
  • RELEASE HISTORY
HELP
  • ANTIBODY VALIDATION
  • ASSAYS & ANNOTATION
  • DISCLAIMER
  • HELP & FAQ
  • PRIVACY STATEMENT
  • LICENCE & CITATION
Fields »
Search result

Field
Term
Gene name
Class
Subclass
Class
Keyword
Chromosome
External id
Tissue
Cell type
Expression
Antibody panel
Tissue
Main location
Patient ID
Annotation
Tissue
Category
Tau score
Cluster
Reliability
Brain region
Category
Tau score
Brain region
Category
Tau score
Brain region
Category
Tau score
Cluster
Reliability
Tissue
Cell type
Enrichment
Cell type
Category
Tau score
Cell type
Category
Tau score
Cell type
Category
Tau score
Cell lineage
Category
Tau score
Cluster
Cluster
Location
Searches
Location
Cell line
Class
Type
Phase
Reliability
Cancer
Prognosis
Cancer
Category
Cancer
Category
Tau score
Cluster
Variants
Interacting gene (ensg_id)
Type
Number of interactions
Pathway
Category
Score
Score
Score
Validation
Validation
Validation
Validation
Antibodies
Data type
Column


  • SUMMARY

  • TISSUE

  • BRAIN

  • SINGLE CELL

  • SUBCELL

  • CANCER

  • BLOOD

  • CELL LINE

  • STRUCT & INT

  • CCN3
TISSUE PRIMARY DATA SKIN Show tissue menu
ADIPOSE TISSUE ADRENAL GLAND AMYGDALA APPENDIX BASAL GANGLIA BONE MARROW BREAST BRONCHUS CEREBELLUM CEREBRAL CORTEX CERVIX CHOROID PLEXUS COLON DUODENUM
ENDOMETRIUM EPIDIDYMIS ESOPHAGUS FALLOPIAN TUBE GALLBLADDER HEART MUSCLE HIPPOCAMPAL FORMATION HYPOTHALAMUS KIDNEY LIVER LUNG LYMPH NODE MIDBRAIN NASOPHARYNX
ORAL MUCOSA OVARY PANCREAS PARATHYROID GLAND PITUITARY GLAND PLACENTA PROSTATE RECTUM RETINA SALIVARY GLAND SEMINAL VESICLE SKELETAL MUSCLE SKIN SMALL INTESTINE
SMOOTH MUSCLE SOFT TISSUE SPINAL CORD SPLEEN STOMACH TESTIS THYMUS THYROID GLAND TONGUE TONSIL URINARY BLADDER VAGINA
ANTIBODIES
AND
VALIDATION
Dictionary
Skin
Tissue proteome
Skin
SKIN - Expression summary
Protein expression
Skini

On the top, protein expression in current human tissue, based on all annotated cell types, is reported with the units not detected (n), low (l), medium (m) and high (h). Underneath, protein expression in each annotated cell type are reported using the same units.

Protein expression data is based on knowledge-based annotation. For genes where more than one antibody has been used, a collective score is set.

If knowledge-based annotation could not be performed for a gene, no data is displayed here. View antibody staining data further down this page.

h
m
l
n
Epidermal cells: Not detected
Fibroblasts: Not detected
Keratinocytes: Not detected
Langerhans: Not detected
Melanocytes: Not detected
RNA expressioni

A summary of mRNA expression data available for current tissue based on several datasets. The mRNA expression levels in human tissues are based on RNA-seq data generated by the Human Protein Atlas (HPA), Genotype-Tissue Expression (GTEx) portal and CAGE data generated by the FANTOM5 consortium. Consensus normalized expression levels for human tissues was created by combining the data from HPA and GTEx datasets.

The mRNA expression levels in pig are based on RNA-seq data generated by the Human Protein Atlas (HPA), and for mouse, HPA data and in situ hybridization generated by the Allen brain atlas are reported.

Scroll down to view mRNA expression data in more detail.
Consensus:13.4 nTPM
HPA:4.8 nTPM
GTEx:13.4 nTPM

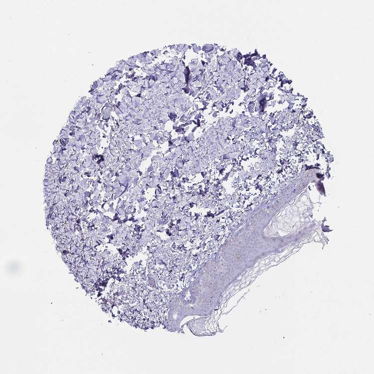
SKIN 1 - Antibody stainingi

Antibody staining in the annotated cell types in the current human tissue is reported as not detected, low, medium, or high, based on conventional immunohistochemistry profiling in selected tissues. This score is based on the combination of the staining intensity and fraction of stained cells.

Each image is clickable and will lead to virtual microscopy that enables deeper exploration of all samples and also displays staining intensity scores, fraction scores and subcellular localization as well as patient and tissue information for each sample.

Antibody HPA019684Antibody CAB034423
Langerhans Not detectedNot detected
Fibroblasts Not detectedNot detected
Keratinocytes Not detectedNot detected
Melanocytes Not detectedNot detected



SKIN 2 - Antibody stainingi

Antibody staining in the annotated cell types in the current human tissue is reported as not detected, low, medium, or high, based on conventional immunohistochemistry profiling in selected tissues. This score is based on the combination of the staining intensity and fraction of stained cells.

Each image is clickable and will lead to virtual microscopy that enables deeper exploration of all samples and also displays staining intensity scores, fraction scores and subcellular localization as well as patient and tissue information for each sample.

Antibody HPA019684Antibody CAB034423
Epidermal cells Not detectedNot detected
  
  
  




SKIN - HPA RNA-seqi

The RNA-seq details section shows detailed information about the individual samples used for the transcript profiling and results of the RNA-seq analysis.

Information about each individual sample is listed below, including gender, age, a tissue section image and estimated fractions of cell types. nTPM (normalized transcripts per million) values give a quantification of the gene abundance which is comparable between different genes and samples.
Average nTPMi

Max subtype nTPM is the value for the subtype with the largest average nTPM across the subtype samples.

4.8
overview
Female, age 34
Skin sample 225
nTPM: 4.8
Cell types%
Keratinocytes:
60

Other cell types:
40

overview
Female, age 30
Skin sample 226
nTPM: 3.3
Cell types%
Keratinocytes:
55

Other cell types:
45

N/A
Male, age 57
Skin sample 227
nTPM: 6.5

SKIN - GTEx RNA-seqi

RNA-Seq data generated by the Genotype-Tissue Expression (GTEx) project from human tissues is reported as mean nTPM. More information can be found on the GTEx portal.

Distribution across the dataset is visualized with box plots, shown as median and 25th and 75th percentiles. Points are displayed as outliers if they are above or below 1.5 times the interquartile range. nTPM values of the individual samples are presented next to the box plot.
Max subtype nTPMi

Max subtype nTPM is the value for the subtype with the largest average nTPM across the subtype samples.

13.4
GTEx sample id Sample description nTPM
Skin - Not Sun Exposed (Suprapubic)
Average nTPM: 10.5
Samples: 604

Max nTPM: 46.0
Min nTPM: 0.5
Std nTPM: 6.4
Median nTPM: 9.4
GTEX-1S82U-1026-SM-E6CJK 30-39 years, female 46.0
GTEX-12WSK-2126-SM-5CVNC 40-49 years, female 45.0
GTEX-1LGOU-1326-SM-D3L8M 20-29 years, female 43.1
GTEX-1KANC-1226-SM-CYPT7 50-59 years, female 38.6
GTEX-12WSM-1926-SM-5BC65 60-69 years, male 34.2
GTEX-1QP66-1226-SM-DTX7U 50-59 years, male 33.7
GTEX-117YX-1926-SM-5GIEC 50-59 years, male 33.4
GTEX-1IDJH-0126-SM-D3L92 70-79 years, male 32.0
GTEX-1IKOE-1426-SM-CE6T7 30-39 years, female 29.7
GTEX-17F9E-2326-SM-79OKD 50-59 years, male 29.5
GTEX-1LVAM-0726-SM-E6CIL 50-59 years, female 28.6
GTEX-1C64O-1326-SM-7MGWR 60-69 years, male 28.4
GTEX-1HSGN-0826-SM-ACKW3 40-49 years, female 27.4
GTEX-12WSL-2026-SM-5GCML 50-59 years, male 27.3
GTEX-12126-0826-SM-5FQTZ 20-29 years, male 26.7
GTEX-ZY6K-1426-SM-5GZX2 50-59 years, male 25.7
GTEX-1S831-1826-SM-EWROF 20-29 years, male 25.6
GTEX-18D9B-0926-SM-7LG4U 60-69 years, male 24.9
GTEX-18QFQ-1826-SM-72D52 30-39 years, male 24.0
GTEX-1F75W-2726-SM-7SB8H 60-69 years, male 24.0
GTEX-12C56-1526-SM-5FQUQ 20-29 years, male 23.9
GTEX-1I1GT-1026-SM-ARZLV 60-69 years, female 23.7
GTEX-11WQC-1826-SM-5GU59 60-69 years, male 23.6
GTEX-14E6C-2426-SM-5S2NF 40-49 years, male 23.2
GTEX-11P7K-1126-SM-5HL4L 30-39 years, male 23.0
GTEX-1QP29-1826-SM-DTX9S 50-59 years, male 22.7
GTEX-14ICL-1626-SM-5YYAO 30-39 years, male 22.5
GTEX-1KANA-1326-SM-DIPFA 20-29 years, male 22.5
GTEX-1C64N-2626-SM-7PC2N 50-59 years, male 22.3
GTEX-14E1K-2026-SM-7DUEI 50-59 years, male 22.1
GTEX-ZVTK-0226-SM-51MRG 20-29 years, male 22.0
GTEX-1RAZS-2526-SM-E6CHT 50-59 years, male 22.0
GTEX-11ZUS-2626-SM-5FQUR 30-39 years, male 21.9
GTEX-YFCO-1226-SM-5LUAT 40-49 years, male 21.7
GTEX-1C475-1326-SM-7SB73 40-49 years, female 21.7
GTEX-WFG8-2126-SM-3GIKQ 20-29 years, male 21.6
GTEX-1QP2A-1726-SM-E76QC 50-59 years, male 21.6
GTEX-111FC-2526-SM-5GZXU 60-69 years, male 21.5
GTEX-1L5NE-1126-SM-D3L9P 50-59 years, male 21.3
GTEX-1H11D-1826-SM-9QEHM 40-49 years, male 21.2
GTEX-1KANB-2826-SM-CY8I6 50-59 years, male 20.9
GTEX-14DAQ-0626-SM-793DS 60-69 years, female 20.8
GTEX-139TS-2126-SM-5K7XC 60-69 years, male 20.5
GTEX-1S82P-2126-SM-E6CI5 60-69 years, female 20.5
GTEX-12696-0126-SM-5EQ4L 60-69 years, male 20.4
GTEX-17MFQ-1526-SM-7KFRR 20-29 years, male 20.4
GTEX-1C2JI-1026-SM-73KY1 50-59 years, male 20.4
GTEX-ZZ64-1026-SM-5GZXG 20-29 years, male 20.4
GTEX-14PHY-1226-SM-5ZZWK 60-69 years, female 20.1
GTEX-18A7B-2726-SM-7LG56 70-79 years, male 19.9
GTEX-1HCUA-0826-SM-ADEHM 50-59 years, female 19.9
GTEX-ZVZP-1226-SM-5GID7 50-59 years, male 19.8
GTEX-183FY-1026-SM-7939A 20-29 years, male 19.7
GTEX-1KXAM-1626-SM-D3LAD 60-69 years, male 19.7
GTEX-1NSGN-0726-SM-DTXEF 50-59 years, male 19.7
GTEX-1O9I2-0226-SM-EYYXD 50-59 years, male 19.7
GTEX-1HUB1-1426-SM-CGQF5 60-69 years, male 19.6
GTEX-1RB15-1326-SM-E76Q9 60-69 years, male 19.6
GTEX-131XH-0126-SM-5LZUY 50-59 years, male 19.5
GTEX-11DXZ-2026-SM-5987S 50-59 years, male 19.4
GTEX-12ZZX-2426-SM-5GCOE 40-49 years, female 19.2
GTEX-13N1W-2426-SM-5IJD1 70-79 years, male 19.2
GTEX-11EQ9-1626-SM-5PNY8 30-39 years, male 19.0
GTEX-12BJ1-0926-SM-5EQ62 60-69 years, male 18.8
GTEX-148VJ-0626-SM-5LUAW 70-79 years, male 18.6
GTEX-YF7O-1526-SM-5IFI6 50-59 years, male 18.6
GTEX-ZLFU-1826-SM-4WWBV 40-49 years, male 18.4
GTEX-11EM3-1226-SM-5N9DD 20-29 years, female 18.3
GTEX-13OVJ-0826-SM-5J1OK 50-59 years, female 18.3
GTEX-13O61-1426-SM-5KM3D 60-69 years, male 18.2
GTEX-ZLWG-0826-SM-59888 50-59 years, female 18.1
GTEX-13O3O-2326-SM-5IJD6 60-69 years, female 17.9
GTEX-16NGA-0726-SM-731AO 40-49 years, female 17.9
GTEX-1GTWX-2026-SM-9YFLM 60-69 years, male 17.9
GTEX-1H1CY-0126-SM-9YFLY 60-69 years, female 17.8
GTEX-1PIGE-1826-SM-E8VOU 20-29 years, male 17.8
GTEX-1M4P7-0726-SM-E6CJ3 60-69 years, male 17.6
GTEX-1HCU9-0426-SM-9WYSD 20-29 years, male 17.5
GTEX-1399S-0126-SM-5IJCF 30-39 years, female 17.3
GTEX-13W3W-0726-SM-5IJDQ 60-69 years, female 17.1
GTEX-18A6Q-0626-SM-7KFRP 60-69 years, male 17.1
GTEX-XBED-1926-SM-47JYP 60-69 years, male 17.1
GTEX-1K2DA-1026-SM-CGQGF 50-59 years, male 17.1
GTEX-13JUV-2026-SM-5K7UA 40-49 years, female 17.0
GTEX-14PKU-0126-SM-6LLHV 40-49 years, female 17.0
GTEX-1LSNL-2726-SM-E9TKJ 50-59 years, male 17.0
GTEX-1LG7Y-2526-SM-EWRO7 50-59 years, male 16.8
GTEX-1RAZA-2226-SM-E9U4X 20-29 years, male 16.8
GTEX-1S83E-1326-SM-E6CJM 40-49 years, male 16.8
GTEX-1JMLX-0626-SM-ARL8T 50-59 years, male 16.5
GTEX-145MG-1526-SM-5Q5EM 50-59 years, male 16.4
GTEX-1A3MV-1826-SM-731CD 30-39 years, male 16.4
GTEX-VJYA-1526-SM-3GIJV 60-69 years, male 16.4
GTEX-1HSMQ-2626-SM-A9SML 50-59 years, male 16.4
GTEX-1IDJE-1426-SM-ADEIW 50-59 years, female 16.4
GTEX-14PJ2-0626-SM-6LLII 50-59 years, male 16.3
GTEX-1HB9E-0126-SM-CM2S5 50-59 years, male 16.3
GTEX-1JMPZ-0726-SM-CY8HZ 30-39 years, male 16.2
GTEX-1QP9N-1226-SM-E76QN 30-39 years, male 16.2
GTEX-1PBJJ-1026-SM-E76OS 30-39 years, male 16.1
GTEX-13X6J-0626-SM-5LU5F 50-59 years, male 16.0
GTEX-1PPGY-1626-SM-EVYBL 60-69 years, male 16.0
GTEX-13OVG-1626-SM-5J1NF 60-69 years, male 15.9
GTEX-1JMQK-1226-SM-D4P2S 60-69 years, male 15.9
GTEX-ZVP2-0326-SM-57WBP 50-59 years, male 15.8
GTEX-1RLM8-2926-SM-E8VON 50-59 years, male 15.8
GTEX-1I19N-0126-SM-CYPSF 70-79 years, male 15.7
GTEX-YEC3-1326-SM-DO92X 50-59 years, male 15.7
GTEX-1CAMR-1326-SM-7PC1F 20-29 years, male 15.6
GTEX-1HBPN-0126-SM-CGQEF 50-59 years, male 15.5
GTEX-1R7EU-1626-SM-DTXG3 60-69 years, male 15.4
GTEX-WXYG-2026-SM-4E3IY 50-59 years, female 15.3
GTEX-1I6K6-1726-SM-CGQFD 30-39 years, male 15.2
GTEX-ZAJG-1526-SM-5CVML 50-59 years, female 15.1
GTEX-1LVA9-2626-SM-EVYD4 50-59 years, male 15.1
GTEX-ZLV1-1526-SM-DO91J 60-69 years, female 15.1
GTEX-131XW-0626-SM-5PNVD 50-59 years, female 15.0
GTEX-1N2DV-1526-SM-DTXEP 40-49 years, male 14.8
GTEX-13YAN-0226-SM-5TDC6 60-69 years, male 14.7
GTEX-Y3IK-1626-SM-4YCF5 50-59 years, female 14.6
GTEX-1CAMQ-1326-SM-7P8RV 40-49 years, male 14.6
GTEX-1H1E6-0426-SM-9WYUS 30-39 years, male 14.6
GTEX-1H3NZ-2726-SM-9WYTQ 60-69 years, male 14.6
GTEX-14PJ6-2626-SM-6EU2T 60-69 years, female 14.4
GTEX-1B8KE-1126-SM-7EPHI 50-59 years, male 14.4
GTEX-ZYFG-1526-SM-5GZYM 60-69 years, female 14.4
GTEX-1399U-1126-SM-5L3DB 50-59 years, female 14.3
GTEX-1B996-0426-SM-7EWF8 60-69 years, male 14.3
GTEX-1F75I-2226-SM-7SB8U 40-49 years, male 14.3
GTEX-YB5K-2026-SM-4VDT3 40-49 years, female 14.2
GTEX-ZDTT-0426-SM-4WKFL 60-69 years, male 14.2
GTEX-1J8QM-2426-SM-A9SLS 60-69 years, female 14.2
GTEX-1JKYR-0626-SM-ARL8R 20-29 years, male 14.2
GTEX-1MCYP-0526-SM-E9U6Q 20-29 years, female 14.2
GTEX-XQ8I-0926-SM-4BOOF 50-59 years, male 14.1
GTEX-ZYFC-0426-SM-5GICQ 50-59 years, male 14.1
GTEX-1GF9X-1326-SM-7PC2Y 40-49 years, female 14.1
GTEX-1R9K4-2826-SM-DTX8F 60-69 years, male 14.1
GTEX-1211K-1526-SM-5FQU4 60-69 years, female 14.0
GTEX-1313W-0626-SM-5EQ4H 50-59 years, female 14.0
GTEX-13SLX-2226-SM-62LEP 50-59 years, female 14.0
GTEX-12584-0726-SM-5FQTK 40-49 years, male 13.9
GTEX-14B4R-1326-SM-5Q5EZ 30-39 years, male 13.9
GTEX-15ER7-0626-SM-6PANF 20-29 years, female 13.9
GTEX-17HHE-1326-SM-7EWDZ 50-59 years, male 13.9
GTEX-11DYG-1526-SM-5A5JS 60-69 years, male 13.6
GTEX-13112-0126-SM-5P9IU 50-59 years, male 13.6
GTEX-13FTY-2126-SM-5IFFB 40-49 years, female 13.6
GTEX-XMD2-2126-SM-4YCF8 60-69 years, female 13.6
GTEX-ZA64-1026-SM-5HL8R 20-29 years, male 13.6
GTEX-1QW4Y-1126-SM-DTXE3 30-39 years, male 13.6
GTEX-1EH9U-2826-SM-7DUGT 60-69 years, male 13.5
GTEX-ZDYS-2426-SM-4WKGI 50-59 years, male 13.5
GTEX-1F48J-0726-SM-7RHGS 50-59 years, female 13.5
GTEX-1HCU6-2526-SM-ADEHL 60-69 years, female 13.5
GTEX-1IDJC-1526-SM-B2LW4 50-59 years, male 13.5
GTEX-12WSD-0626-SM-5GCMW 60-69 years, female 13.4
GTEX-16MT8-2926-SM-7DUFO 60-69 years, female 13.4
GTEX-ZU9S-1826-SM-5NQ9E 30-39 years, male 13.4
GTEX-13OVH-0526-SM-5L3E6 70-79 years, male 13.3
GTEX-131XF-2626-SM-5EQ6K 60-69 years, male 13.2
GTEX-147JS-0226-SM-5S2U9 60-69 years, male 13.2
GTEX-14BMU-1226-SM-5S2OR 20-29 years, female 13.2
GTEX-1EWIQ-0326-SM-7DHMQ 70-79 years, female 13.2
GTEX-UPK5-0426-SM-3GAEK 40-49 years, male 13.2
GTEX-1N5O9-0926-SM-E9J3C 60-69 years, male 13.2
GTEX-14PJN-1826-SM-6AJ98 30-39 years, male 13.1
GTEX-1GN2E-0226-SM-9WG6K 60-69 years, male 13.1
GTEX-VUSG-2326-SM-4KL1U 50-59 years, male 13.0
GTEX-1I1GV-0626-SM-ARL7M 60-69 years, male 13.0
GTEX-12ZZY-0726-SM-5EQ66 60-69 years, male 12.9
GTEX-1E1VI-0326-SM-793D1 50-59 years, male 12.9
GTEX-WK11-2726-SM-3NMAQ 50-59 years, male 12.9
GTEX-1HR98-2226-SM-ADEI2 60-69 years, male 12.9
GTEX-1LSVX-2526-SM-DIPEU 60-69 years, male 12.8
GTEX-1LVAN-0626-SM-CNPOQ 50-59 years, female 12.8
GTEX-1B8SF-0126-SM-7DUG3 60-69 years, male 12.6
GTEX-1GMR2-0826-SM-7PC3V 50-59 years, male 12.5
GTEX-1LG7Z-1626-SM-CXKYR 30-39 years, male 12.5
GTEX-1POEN-2326-SM-E9J2L 30-39 years, female 12.5
GTEX-ZTX8-1326-SM-4YCEL 20-29 years, male 12.4
GTEX-14JFF-0626-SM-5ZZVT 60-69 years, male 12.4
GTEX-1HSKV-1226-SM-ADEI4 60-69 years, male 12.4
GTEX-1MCC2-1826-SM-DIPEX 30-39 years, female 12.4
GTEX-13VXT-1926-SM-5K7UO 20-29 years, female 12.3
GTEX-145MO-2826-SM-5LU96 60-69 years, male 12.3
GTEX-WHSB-1326-SM-3LK6W 50-59 years, male 12.3
GTEX-139TU-0726-SM-5L3EK 60-69 years, male 12.2
GTEX-13OVL-0126-SM-5L3GJ 50-59 years, male 12.2
GTEX-18A66-0626-SM-7LT8Z 60-69 years, male 12.2
GTEX-WRHU-2826-SM-3MJG8 50-59 years, female 12.2
GTEX-ZDXO-3126-SM-5IJDF 60-69 years, male 12.2
GTEX-11ZTT-2126-SM-5CVLO 60-69 years, female 12.1
GTEX-13QBU-1226-SM-5LU4G 40-49 years, female 12.1
GTEX-WYBS-0626-SM-3NMAS 60-69 years, female 12.1
GTEX-1GZ4I-2626-SM-9KNU3 50-59 years, male 12.1
GTEX-1OJC3-1226-SM-DTXER 20-29 years, male 12.1
GTEX-11DXY-0126-SM-5H11Q 60-69 years, male 11.9
GTEX-XPVG-2126-SM-4B667 50-59 years, male 11.9
GTEX-1IDJI-0126-SM-CMKHS 50-59 years, female 11.9
GTEX-1QEPI-2626-SM-DTXF4 60-69 years, female 11.9
GTEX-11LCK-2226-SM-5HL4Q 30-39 years, male 11.8
GTEX-14PK6-0226-SM-62LF5 70-79 years, female 11.8
GTEX-Y114-2126-SM-4TT8B 50-59 years, female 11.8
GTEX-1GPI7-1826-SM-9KNU1 20-29 years, male 11.8
GTEX-1JKYN-0826-SM-ARU8S 30-39 years, male 11.8
GTEX-1C6WA-2626-SM-7MKGM 60-69 years, male 11.7
GTEX-14PHX-2226-SM-6EU2P 50-59 years, male 11.6
GTEX-17MF6-2626-SM-79OKQ 40-49 years, male 11.6
GTEX-1AMFI-1326-SM-7939R 50-59 years, female 11.6
GTEX-1HKZK-0726-SM-ACKW2 40-49 years, male 11.6
GTEX-13FLV-0126-SM-5K7WT 50-59 years, male 11.5
GTEX-1EMGI-2326-SM-7PBYA 60-69 years, male 11.5
GTEX-1J1R8-2026-SM-CL53Y 40-49 years, male 11.5
GTEX-1B932-2326-SM-79OL5 40-49 years, female 11.4
GTEX-WH7G-2026-SM-3NMBL 40-49 years, male 11.4
GTEX-WHSE-0126-SM-3NMBT 20-29 years, male 11.4
GTEX-ZAK1-0626-SM-5HL8E 50-59 years, female 11.4
GTEX-1A8FM-0626-SM-7PC25 50-59 years, female 11.4
GTEX-1IDJU-1726-SM-CMKHU 60-69 years, female 11.4
GTEX-1JMPY-0226-SM-CKZOK 30-39 years, male 11.4
GTEX-1LSNM-0826-SM-DIPG8 50-59 years, male 11.4
GTEX-1QPFJ-1926-SM-EVYBD 30-39 years, female 11.4
GTEX-11NUK-2726-SM-5A5MC 50-59 years, male 11.3
GTEX-15D1Q-2826-SM-6LLH7 40-49 years, male 11.3
GTEX-17HHY-0426-SM-7DHLC 50-59 years, male 11.3
GTEX-1A32A-0626-SM-731AQ 50-59 years, female 11.3
GTEX-1CB4F-1026-SM-7DUH1 60-69 years, male 11.3
GTEX-Y5V6-2326-SM-4VDSA 60-69 years, male 11.3
GTEX-Y9LG-1126-SM-4VBQ7 30-39 years, male 11.3
GTEX-1GZ4H-0526-SM-9KNU9 50-59 years, female 11.3
GTEX-1HCU7-0726-SM-A9SL1 50-59 years, male 11.3
GTEX-1PIIG-2326-SM-DTXFR 30-39 years, male 11.3
GTEX-1IL2V-1926-SM-B2LW8 70-79 years, male 11.2
GTEX-1KWVE-1026-SM-D3L9O 30-39 years, male 11.2
GTEX-1RAZR-2126-SM-E9U6T 40-49 years, male 11.2
GTEX-146FQ-2126-SM-5RQHU 30-39 years, male 11.1
GTEX-1K9T9-1526-SM-DIPFR 50-59 years, female 11.1
GTEX-1212Z-0126-SM-59HK4 60-69 years, male 11.0
GTEX-12WSH-1526-SM-5BC5W 50-59 years, male 11.0
GTEX-15DYW-2726-SM-6EU2I 60-69 years, female 11.0
GTEX-1CB4I-0126-SM-7RHGG 50-59 years, male 11.0
GTEX-1399R-1326-SM-5PNYS 30-39 years, male 10.9
GTEX-WFON-1926-SM-3LK7L 40-49 years, male 10.9
GTEX-ZE7O-2726-SM-51MT5 50-59 years, female 10.9
GTEX-1GMRU-2126-SM-7P8RA 50-59 years, male 10.9
GTEX-1EN7A-2426-SM-793DB 40-49 years, male 10.8
GTEX-ZYW4-0626-SM-59HJR 60-69 years, male 10.8
GTEX-1EU9M-1426-SM-793AI 60-69 years, male 10.7
GTEX-WY7C-2126-SM-3NB2R 50-59 years, male 10.7
GTEX-1LBAC-0826-SM-CY8IJ 20-29 years, male 10.7
GTEX-1QCLY-0226-SM-EWRNH 30-39 years, male 10.7
GTEX-1KAFJ-0126-SM-DIPEK 50-59 years, male 10.6
GTEX-1PPH8-0126-SM-EWRN8 20-29 years, male 10.6
GTEX-13N2G-0226-SM-5K7VF 60-69 years, male 10.5
GTEX-13X6H-0926-SM-5SIB2 50-59 years, female 10.4
GTEX-17EVQ-0126-SM-7IGLR 70-79 years, male 10.4
GTEX-Y8E4-2026-SM-5IFJB 40-49 years, male 10.4
GTEX-1HCVE-2726-SM-CL54F 50-59 years, male 10.4
GTEX-1HSMO-0626-SM-ACKXC 60-69 years, male 10.4
GTEX-1QMI2-2526-SM-E8VNZ 60-69 years, male 10.4
GTEX-16GPK-0626-SM-7KFSF 60-69 years, male 10.3
GTEX-18A67-1626-SM-7LT9T 50-59 years, male 10.3
GTEX-18D9U-0126-SM-731BM 40-49 years, male 10.3
GTEX-1F52S-2926-SM-7MKGA 60-69 years, female 10.3
GTEX-1R9PN-0426-SM-DTXDT 40-49 years, female 10.3
GTEX-131YS-2826-SM-5EQ47 60-69 years, female 10.2
GTEX-13N11-2326-SM-5IJBF 50-59 years, female 10.2
GTEX-13OW5-2326-SM-5L3HO 60-69 years, male 10.2
GTEX-16MTA-0926-SM-6M47Z 50-59 years, male 10.2
GTEX-1JN1M-2726-SM-CY8I4 60-69 years, female 10.2
GTEX-144GL-0626-SM-5LU4D 50-59 years, male 10.1
GTEX-ZUA1-2626-SM-5NQ92 40-49 years, male 10.1
GTEX-1HSMP-0926-SM-A9SKX 70-79 years, male 10.1
GTEX-1497J-0226-SM-5QGPU 60-69 years, male 10.0
GTEX-16YQH-2226-SM-7IGM2 30-39 years, male 10.0
GTEX-1IDJF-2026-SM-CL53V 20-29 years, male 10.0
GTEX-1MJK3-0726-SM-E6CJC 20-29 years, male 10.0
GTEX-15RJ7-2126-SM-6PAMD 40-49 years, male 9.9
GTEX-1GZHY-0626-SM-9KNVC 50-59 years, female 9.9
GTEX-13NZ9-2626-SM-5L3FK 50-59 years, male 9.8
GTEX-16AAH-0626-SM-793C9 50-59 years, male 9.8
GTEX-XOT4-0626-SM-4B66L 60-69 years, female 9.8
GTEX-15UF6-1926-SM-7KUDV 70-79 years, female 9.7
GTEX-17JCI-2926-SM-7DUFF 60-69 years, female 9.7
GTEX-WYJK-0526-SM-3NM8Z 50-59 years, male 9.7
GTEX-Y111-0626-SM-4SOIT 50-59 years, male 9.7
GTEX-YJ8O-2526-SM-5HL85 40-49 years, female 9.7
GTEX-ZP4G-1426-SM-4WWCL 20-29 years, female 9.7
GTEX-1F6I4-2326-SM-7RHGL 60-69 years, male 9.7
GTEX-11EI6-2826-SM-5H11D 60-69 years, male 9.6
GTEX-145ME-1726-SM-5Q5EU 40-49 years, female 9.6
GTEX-147GR-2426-SM-5ZZWQ 60-69 years, male 9.6
GTEX-18A7A-0126-SM-731AH 50-59 years, female 9.6
GTEX-ZT9X-1526-SM-5DUXD 40-49 years, male 9.6
GTEX-1IKJJ-2226-SM-CJI4C 60-69 years, male 9.6
GTEX-W5X1-2526-SM-3GILC 40-49 years, female 9.5
GTEX-XK95-0226-SM-4AT58 40-49 years, male 9.5
GTEX-1HFI6-0126-SM-CNPPI 40-49 years, male 9.5
GTEX-1RMOY-1326-SM-E9TIH 50-59 years, male 9.5
GTEX-13X6K-0626-SM-5LU5D 60-69 years, female 9.4
GTEX-14JG6-1426-SM-9WG7C 30-39 years, female 9.4
GTEX-1KD5A-0126-SM-E9U54 50-59 years, male 9.4
GTEX-139YR-1026-SM-5LZYN 50-59 years, male 9.3
GTEX-145LT-0526-SM-5LUB2 40-49 years, male 9.2
GTEX-14PJ5-1526-SM-6LLIL 60-69 years, female 9.2
GTEX-1IDJD-2326-SM-ACKWX 30-39 years, male 9.2
GTEX-11P81-2226-SM-5PNYI 30-39 years, female 9.1
GTEX-147F4-0726-SM-5TDDD 50-59 years, male 9.1
GTEX-1BAJH-2426-SM-7IGP8 70-79 years, male 9.1
GTEX-WYVS-1626-SM-3NM9R 40-49 years, female 9.1
GTEX-ZT9W-1126-SM-57WDR 50-59 years, male 9.1
GTEX-1RAZQ-1326-SM-E9TK6 30-39 years, male 9.1
GTEX-1AX9J-1326-SM-731BJ 60-69 years, male 9.0
GTEX-14A5H-0826-SM-5QGPJ 60-69 years, male 8.9
GTEX-16NPX-0726-SM-7KULC 50-59 years, male 8.9
GTEX-16XZZ-0726-SM-7KUF2 60-69 years, male 8.9
GTEX-1IY9M-2826-SM-ARU8H 60-69 years, male 8.9
GTEX-131XG-0326-SM-5L3DX 50-59 years, female 8.8
GTEX-13OW7-0426-SM-5K7VK 50-59 years, male 8.8
GTEX-1F75A-0726-SM-7RHHD 50-59 years, male 8.8
GTEX-1PPH7-1126-SM-DTX9A 40-49 years, male 8.8
GTEX-12WSC-2826-SM-5BC5Y 50-59 years, male 8.7
GTEX-XYKS-1426-SM-4BRUO 60-69 years, female 8.7
GTEX-ZPU1-1126-SM-4YCF3 40-49 years, male 8.7
GTEX-13G51-1826-SM-5KLZH 60-69 years, male 8.6
GTEX-15CHQ-0326-SM-69LQD 60-69 years, male 8.6
GTEX-15RIG-0726-SM-7KUM7 40-49 years, male 8.6
GTEX-15SHW-0226-SM-7LTAT 60-69 years, male 8.5
GTEX-1B8KZ-0326-SM-73KY4 50-59 years, male 8.5
GTEX-YEC4-1826-SM-4W1YP 40-49 years, male 8.5
GTEX-1JK1U-0226-SM-ARZMX 60-69 years, male 8.5
GTEX-1JN76-0626-SM-CKZOQ 20-29 years, female 8.5
GTEX-13FH7-1126-SM-5K7UG 50-59 years, female 8.4
GTEX-15G1A-1626-SM-7KUKN 30-39 years, male 8.4
GTEX-1F6IF-0926-SM-7SB7M 60-69 years, male 8.4
GTEX-1H1DG-2426-SM-9QEHJ 70-79 years, male 8.4
GTEX-1HC8U-1326-SM-9YFMJ 40-49 years, female 8.4
GTEX-13FTW-0326-SM-5K7UW 40-49 years, male 8.3
GTEX-144GM-0526-SM-79OJO 20-29 years, male 8.3
GTEX-Y5LM-0926-SM-6LLJG 40-49 years, female 8.3
GTEX-1B8L1-2226-SM-7P8PT 60-69 years, male 8.3
GTEX-1GN1W-2426-SM-9KNUU 50-59 years, female 8.3
GTEX-1314G-1326-SM-5BC6E 30-39 years, male 8.2
GTEX-145MN-1526-SM-5SI9T 30-39 years, male 8.2
GTEX-1JJEA-1826-SM-ARU8P 60-69 years, male 8.2
GTEX-11EQ8-0926-SM-5H12V 60-69 years, male 8.1
GTEX-133LE-2326-SM-5K7W3 20-29 years, female 8.1
GTEX-WEY5-2326-SM-3GIKK 40-49 years, female 8.1
GTEX-X3Y1-2026-SM-3P5YM 40-49 years, male 8.1
GTEX-Z93S-1626-SM-5CVMB 50-59 years, male 8.1
GTEX-1GN73-0726-SM-7P8TJ 60-69 years, male 8.1
GTEX-139TT-2126-SM-5LZWC 60-69 years, male 8.0
GTEX-18465-2826-SM-7LT9J 50-59 years, male 8.0
GTEX-11DXW-0826-SM-5H118 40-49 years, male 7.9
GTEX-15EU6-2226-SM-6EU2L 50-59 years, male 7.9
GTEX-17F98-1326-SM-7DUEP 40-49 years, female 7.9
GTEX-ZVE1-0726-SM-51MRN 50-59 years, female 7.9
GTEX-1HBPM-0726-SM-9YFL7 60-69 years, female 7.9
GTEX-14DAR-1226-SM-73KYV 50-59 years, male 7.8
GTEX-1B933-2426-SM-7DHMD 50-59 years, female 7.8
GTEX-XAJ8-1426-SM-47JYM 40-49 years, male 7.8
GTEX-ZTSS-1426-SM-5985P 40-49 years, male 7.8
GTEX-ZXG5-2126-SM-59HKD 60-69 years, male 7.8
GTEX-1F5PL-0926-SM-7PC2W 40-49 years, female 7.8
GTEX-1GF9V-0826-SM-9KNUV 60-69 years, male 7.8
GTEX-1JMQL-2226-SM-CNPP4 50-59 years, female 7.8
GTEX-1117F-2926-SM-5GZYI 60-69 years, female 7.7
GTEX-13PL6-1126-SM-5L3IE 40-49 years, female 7.7
GTEX-14PKV-1126-SM-6LLJ1 20-29 years, female 7.7
GTEX-ZPCL-1126-SM-4WWFE 60-69 years, female 7.7
GTEX-1JMQJ-0826-SM-CNPP7 50-59 years, male 7.7
GTEX-X5EB-1926-SM-4E3IW 40-49 years, male 7.6
GTEX-ZVT4-2426-SM-5GIEI 50-59 years, female 7.6
GTEX-18D9A-1426-SM-7LT8M 30-39 years, female 7.6
GTEX-1I1CD-0626-SM-CE6SW 60-69 years, female 7.6
GTEX-1I6K7-1926-SM-B2LXR 40-49 years, male 7.6
GTEX-1QCLZ-2426-SM-EVYBW 60-69 years, female 7.6
GTEX-1QP28-1126-SM-EVYC4 50-59 years, female 7.5
GTEX-17HG3-2626-SM-7DUF2 30-39 years, female 7.4
GTEX-Y8LW-1526-SM-5IFHL 50-59 years, female 7.4
GTEX-11P82-1426-SM-DTXFY 20-29 years, male 7.4
GTEX-13OVK-1426-SM-6PAN7 40-49 years, male 7.3
GTEX-14753-0726-SM-5QGQO 60-69 years, male 7.3
GTEX-15CHR-1126-SM-7EWF4 50-59 years, male 7.3
GTEX-1CAV2-0126-SM-7IGN7 40-49 years, female 7.3
GTEX-1F5PK-2226-SM-7SB6N 50-59 years, male 7.3
GTEX-1HBPI-2126-SM-ARL9K 50-59 years, male 7.3
GTEX-145MH-2826-SM-5RQJF 50-59 years, male 7.2
GTEX-X4EP-0626-SM-3P621 60-69 years, female 7.2
GTEX-1ICG6-1226-SM-A9SLN 70-79 years, female 7.2
GTEX-ZGAY-1826-SM-DO91Q 40-49 years, female 7.2
GTEX-13PVQ-0626-SM-5LU47 50-59 years, male 7.1
GTEX-1H1DE-1326-SM-9KNUG 20-29 years, male 7.1
GTEX-1H1ZS-2726-SM-9WG75 70-79 years, male 7.1
GTEX-11NSD-0626-SM-5A5LU 20-29 years, male 7.0
GTEX-1AMEY-0826-SM-72D65 30-39 years, female 6.9
GTEX-Y3I4-1726-SM-4TT89 50-59 years, male 6.9
GTEX-ZF29-0926-SM-4WKFZ 60-69 years, female 6.9
GTEX-1H4P4-2126-SM-9WYSL 50-59 years, male 6.9
GTEX-15FZZ-0526-SM-7KUGD 30-39 years, female 6.8
GTEX-WHWD-1826-SM-3LK6I 50-59 years, male 6.8
GTEX-1HT8W-0626-SM-A9G2H 30-39 years, male 6.8
GTEX-1LGRB-0926-SM-COH3K 50-59 years, female 6.8
GTEX-13OW8-1026-SM-5J1NQ 60-69 years, male 6.7
GTEX-1A8G6-2726-SM-731AR 60-69 years, male 6.7
GTEX-1I4MK-0126-SM-CY8G6 50-59 years, female 6.7
GTEX-1JMQI-1726-SM-ARL93 50-59 years, male 6.7
GTEX-1PDJ9-1226-SM-EXUSX 20-29 years, male 6.7
GTEX-147F3-1726-SM-5SIAW 50-59 years, female 6.6
GTEX-14BMV-2826-SM-5TDED 50-59 years, male 6.6
GTEX-1N2EE-0626-SM-E76PW 60-69 years, male 6.6
GTEX-11DZ1-2426-SM-5GZZX 50-59 years, male 6.5
GTEX-14ABY-2026-SM-62LDL 50-59 years, male 6.5
GTEX-14PJ4-0226-SM-5YY92 60-69 years, male 6.5
GTEX-16BQI-1326-SM-6M486 30-39 years, female 6.5
GTEX-178AV-1726-SM-7KUL8 40-49 years, male 6.5
GTEX-1AX9I-2226-SM-73KUO 60-69 years, male 6.5
GTEX-U8XE-0226-SM-4E3J3 30-39 years, male 6.5
GTEX-UPJH-0226-SM-3GADV 50-59 years, male 6.5
GTEX-WHPG-2626-SM-3NMBR 50-59 years, male 6.5
GTEX-1F88E-1626-SM-7SB8Z 60-69 years, female 6.5
GTEX-1GF9U-2026-SM-7SB92 40-49 years, female 6.5
GTEX-11GSP-2326-SM-5HL63 60-69 years, female 6.4
GTEX-13OW6-2726-SM-5J2OE 50-59 years, male 6.4
GTEX-13RTJ-0126-SM-5S2NN 60-69 years, male 6.4
GTEX-1CB4E-0926-SM-7EPHT 60-69 years, male 6.4
GTEX-V1D1-2026-SM-3GAF4 50-59 years, male 6.4
GTEX-XQ3S-1426-SM-4BOPR 20-29 years, male 6.4
GTEX-ZDTS-0826-SM-4WKHL 60-69 years, male 6.4
GTEX-ZE9C-2526-SM-5IJDR 60-69 years, male 6.4
GTEX-111CU-1126-SM-5EGIM 50-59 years, male 6.3
GTEX-145MF-0926-SM-5Q5EA 50-59 years, male 6.3
GTEX-15DDE-2926-SM-6LLJ3 50-59 years, female 6.3
GTEX-1IDFM-0326-SM-ARL7V 60-69 years, male 6.3
GTEX-1JMOU-1026-SM-CYPSS 60-69 years, female 6.3
GTEX-1LB8K-0726-SM-D5OV2 50-59 years, male 6.3
GTEX-13113-1626-SM-5EQ4I 60-69 years, female 6.2
GTEX-13FTX-1526-SM-5K7VJ 20-29 years, female 6.2
GTEX-13NYB-0126-SM-5J1MD 40-49 years, male 6.2
GTEX-13VXU-0626-SM-5L3F9 50-59 years, male 6.2
GTEX-14A6H-2026-SM-5Q5DD 30-39 years, male 6.2
GTEX-1GMR3-0126-SM-A9SLW 40-49 years, male 6.2
GTEX-1HFI7-2326-SM-CGQFS 50-59 years, female 6.2
GTEX-11VI4-1126-SM-5EQMD 40-49 years, female 6.1
GTEX-145LS-0626-SM-7EPG7 60-69 years, female 6.1
GTEX-15RIE-1926-SM-7KUKJ 60-69 years, male 6.1
GTEX-1AYD5-2626-SM-7PBXY 50-59 years, male 6.1
GTEX-1H2FU-0926-SM-9WPPT 60-69 years, female 6.1
GTEX-1HCU8-2526-SM-CE6RX 60-69 years, female 6.1
GTEX-17F97-2626-SM-7IGM5 50-59 years, male 6.0
GTEX-ZYY3-2926-SM-5GIEB 60-69 years, female 6.0
GTEX-12KS4-2126-SM-5FQUT 30-39 years, male 5.9
GTEX-13O3Q-0126-SM-5KM34 50-59 years, male 5.9
GTEX-145LU-1926-SM-79OJN 50-59 years, male 5.9
GTEX-14JG1-1526-SM-5YY9X 40-49 years, male 5.9
GTEX-15SKB-2826-SM-6PAMH 60-69 years, male 5.9
GTEX-XBEW-1126-SM-4QARW 40-49 years, male 5.9
GTEX-ZAB4-2126-SM-5HL8U 40-49 years, male 5.9
GTEX-1HGF4-0126-SM-CNPPX 60-69 years, male 5.9
GTEX-1JJE9-2626-SM-ARZMT 70-79 years, male 5.8
GTEX-16Z82-2626-SM-7KULU 60-69 years, male 5.7
GTEX-17F96-0126-SM-7EWDU 70-79 years, male 5.7
GTEX-XBEC-0726-SM-4QARZ 50-59 years, male 5.7
GTEX-1CAMS-2226-SM-7PBXQ 40-49 years, female 5.7
GTEX-1J8JJ-0626-SM-ARZMQ 60-69 years, female 5.7
GTEX-11TT1-1826-SM-5EQLV 20-29 years, male 5.5
GTEX-12ZZZ-0726-SM-5GCNZ 60-69 years, male 5.5
GTEX-14LZ3-0126-SM-69LPM 60-69 years, female 5.5
GTEX-WFG7-2026-SM-5SI7P 20-29 years, male 5.5
GTEX-ZVE2-2826-SM-5GU51 50-59 years, male 5.5
GTEX-1GMR8-0626-SM-7RHI7 50-59 years, female 5.5
GTEX-1J8EW-2726-SM-CY8HR 60-69 years, female 5.5
GTEX-1192X-2726-SM-5N9DN 50-59 years, male 5.4
GTEX-11TUW-0626-SM-5LU9M 60-69 years, male 5.4
GTEX-13PVR-0426-SM-5RQK2 60-69 years, female 5.4
GTEX-14PJ3-1126-SM-5ZZVX 50-59 years, male 5.4
GTEX-X4EO-2926-SM-4E3JH 60-69 years, female 5.4
GTEX-XXEK-1626-SM-4BRUZ 50-59 years, male 5.4
GTEX-ZYVF-0926-SM-5E44J 50-59 years, female 5.4
GTEX-1HR9M-2226-SM-CNPPY 60-69 years, male 5.4
GTEX-1I1GP-1326-SM-A9G28 50-59 years, male 5.4
GTEX-12WSF-1626-SM-7KUG5 70-79 years, male 5.3
GTEX-17KNJ-2126-SM-718AM 50-59 years, male 5.3
GTEX-183WM-0326-SM-72D5V 70-79 years, female 5.3
GTEX-1AX8Z-0726-SM-73KTS 60-69 years, male 5.3
GTEX-YECK-0326-SM-4W1YS 60-69 years, male 5.3
GTEX-1E2YA-2126-SM-7MXUO 50-59 years, male 5.3
GTEX-14LLW-2626-SM-62LDZ 70-79 years, female 5.2
GTEX-1I1HK-2326-SM-CKZOH 60-69 years, male 5.2
GTEX-1ICLY-0826-SM-CMKG1 50-59 years, male 5.2
GTEX-12WSJ-1126-SM-5LZVJ 40-49 years, female 5.1
GTEX-14AS3-1526-SM-5Q5ED 40-49 years, female 5.1
GTEX-17HGU-2326-SM-7DUFE 50-59 years, male 5.1
GTEX-1EKGG-0626-SM-7DUGJ 60-69 years, male 5.1
GTEX-ZYT6-2326-SM-5GZY3 30-39 years, male 5.1
GTEX-1ICLZ-0326-SM-ARL82 60-69 years, male 5.1
GTEX-1B97I-0626-SM-73KUZ 40-49 years, male 5.0
GTEX-1GF9W-1426-SM-7PBYM 60-69 years, male 5.0
GTEX-139T8-0626-SM-5KLZX 60-69 years, male 4.9
GTEX-13U4I-2226-SM-5LU5H 40-49 years, female 4.9
GTEX-1JN6P-2926-SM-CL54D 60-69 years, male 4.9
GTEX-144GO-2026-SM-5O99P 60-69 years, male 4.8
GTEX-145MI-0626-SM-5SI8S 60-69 years, female 4.8
GTEX-17F9Y-0126-SM-79OKX 70-79 years, female 4.8
GTEX-13FHO-0426-SM-5L3F5 60-69 years, male 4.7
GTEX-X8HC-0626-SM-4E3HQ 50-59 years, female 4.7
GTEX-XV7Q-1826-SM-4BRUV 40-49 years, female 4.7
GTEX-1CB4J-1326-SM-7P8RX 60-69 years, male 4.7
GTEX-1F88F-0126-SM-9WYSZ 60-69 years, female 4.7
GTEX-1GL5R-1326-SM-7RHHF 50-59 years, male 4.7
GTEX-1I1GS-2626-SM-B2LY3 60-69 years, male 4.7
GTEX-1R9PM-1926-SM-EVR3O 20-29 years, male 4.7
GTEX-111VG-1626-SM-5EGIO 60-69 years, male 4.6
GTEX-111YS-1526-SM-5GZYW 60-69 years, male 4.6
GTEX-11GS4-0226-SM-5HL77 60-69 years, male 4.6
GTEX-11PRG-0726-SM-5EGL1 50-59 years, male 4.6
GTEX-11ZU8-0126-SM-5EQ58 60-69 years, male 4.6
GTEX-139UW-0326-SM-5J1ML 60-69 years, male 4.6
GTEX-13X6I-1826-SM-5SIAO 60-69 years, male 4.5
GTEX-14E6E-0526-SM-793DN 30-39 years, male 4.5
GTEX-ZYFD-0626-SM-5E44E 50-59 years, male 4.5
GTEX-1LKK1-2626-SM-DKPQE 50-59 years, female 4.5
GTEX-11O72-0626-SM-5PNYE 40-49 years, male 4.4
GTEX-14PII-0726-SM-6EU2B 60-69 years, male 4.4
GTEX-1269C-0126-SM-5EQ5L 60-69 years, female 4.3
GTEX-1477Z-0326-SM-7IGLA 60-69 years, male 4.3
GTEX-ZF2S-1626-SM-57WES 50-59 years, female 4.3
GTEX-139D8-1126-SM-5LU8W 30-39 years, female 4.2
GTEX-1C6VQ-1226-SM-73KYD 50-59 years, male 4.2
GTEX-1EX96-1026-SM-7MKG2 50-59 years, male 4.1
GTEX-1JJ6O-2726-SM-CNPOG 60-69 years, male 4.1
GTEX-ZZPU-0826-SM-5GZX5 50-59 years, female 4.0
GTEX-1122O-1026-SM-9WYSF 60-69 years, female 4.0
GTEX-1J8Q3-0526-SM-ARL8U 60-69 years, male 4.0
GTEX-13NZ8-1226-SM-5KM4A 60-69 years, female 3.9
GTEX-13SLW-0626-SM-5Q5ER 70-79 years, male 3.9
GTEX-15CHC-1126-SM-6LLHQ 60-69 years, female 3.9
GTEX-15RJE-2826-SM-7KUM9 40-49 years, male 3.9
GTEX-17EVP-2626-SM-7IGMA 40-49 years, male 3.9
GTEX-ZWKS-0626-SM-5GIDV 30-39 years, male 3.9
GTEX-1H1DF-1126-SM-9WG7G 40-49 years, female 3.9
GTEX-11OF3-0126-SM-5PNYF 60-69 years, male 3.8
GTEX-1I1GU-0926-SM-ACKVS 40-49 years, male 3.8
GTEX-14C39-1726-SM-5RQIL 40-49 years, male 3.7
GTEX-17HII-1426-SM-7EPGG 50-59 years, male 3.7
GTEX-1A3MW-0626-SM-731CB 60-69 years, female 3.7
GTEX-1H3O1-1326-SM-9MQLD 60-69 years, male 3.7
GTEX-13D11-0926-SM-5J2NC 50-59 years, female 3.6
GTEX-1CB4H-1126-SM-7MKGL 60-69 years, female 3.6
GTEX-13NYC-0126-SM-5L3F4 60-69 years, male 3.5
GTEX-15EO6-2426-SM-6PALZ 50-59 years, male 3.5
GTEX-11DXX-2126-SM-5PNYR 60-69 years, female 3.4
GTEX-14BIN-1126-SM-5RQJZ 50-59 years, female 3.4
GTEX-1F6RS-2026-SM-7RHHC 60-69 years, female 3.4
GTEX-1F75B-0726-SM-7PC3R 50-59 years, male 3.4
GTEX-14PJO-2526-SM-6AJBQ 60-69 years, male 3.3
GTEX-15G19-2426-SM-7KUMR 60-69 years, male 3.3
GTEX-ZC5H-1526-SM-5HL9Y 40-49 years, female 3.3
GTEX-1GN1U-0626-SM-9MQL9 50-59 years, female 3.3
GTEX-1GN1V-2826-SM-9JGIA 60-69 years, male 3.3
GTEX-1GPI6-1926-SM-9KNV7 60-69 years, male 3.3
GTEX-ZF3C-0626-SM-DO92O 50-59 years, female 3.3
GTEX-11UD2-2526-SM-5CVNU 50-59 years, male 3.2
GTEX-144FL-0626-SM-5LU43 50-59 years, male 3.2
GTEX-ZVT2-0126-SM-5GIDQ 50-59 years, female 3.2
GTEX-1OJC4-2726-SM-E76PJ 50-59 years, female 3.2
GTEX-1J8Q2-2626-SM-ACKWQ 60-69 years, male 3.1
GTEX-132AR-0326-SM-5KM2C 50-59 years, female 3.0
GTEX-1399Q-2326-SM-5KM2X 40-49 years, male 3.0
GTEX-13NYS-0626-SM-5L3F1 60-69 years, male 3.0
GTEX-13PDP-0726-SM-5L3HP 60-69 years, male 3.0
GTEX-1A3MX-2626-SM-7PC24 60-69 years, male 3.0
GTEX-1IOXB-2726-SM-CM2RI 50-59 years, male 3.0
GTEX-13QJC-0126-SM-5ZZWJ 60-69 years, female 2.9
GTEX-14C38-0726-SM-5SI6M 50-59 years, male 2.9
GTEX-XUW1-0926-SM-4BONX 50-59 years, female 2.9
GTEX-1H3VE-0726-SM-9YFL5 40-49 years, male 2.9
GTEX-1A8G7-1326-SM-73KVM 60-69 years, male 2.8
GTEX-1IE54-1126-SM-A9G2Z 40-49 years, female 2.8
GTEX-1LVAO-2726-SM-E9TJ8 60-69 years, male 2.8
GTEX-1S5ZU-2526-SM-E6CIF 20-29 years, female 2.8
GTEX-14C5O-0326-SM-5ZZUX 60-69 years, male 2.7
GTEX-X585-2426-SM-46MW2 50-59 years, male 2.7
GTEX-1IDJV-0126-SM-COH3Y 60-69 years, male 2.7
GTEX-ZPIC-0526-SM-DO91W 40-49 years, female 2.6
GTEX-1J1OQ-0126-SM-D4P2N 40-49 years, female 2.5
GTEX-1K2DU-1226-SM-CYPT4 20-29 years, male 2.3
GTEX-1QAET-0326-SM-EVR3U 50-59 years, male 2.3
GTEX-1R46S-2426-SM-E76QA 60-69 years, female 2.3
GTEX-13IVO-0726-SM-5LZYV 70-79 years, male 2.2
GTEX-Y5V5-0126-SM-5S2NW 60-69 years, female 2.2
GTEX-1C6VR-0126-SM-7RHGB 60-69 years, male 2.2
GTEX-1GZ2Q-0126-SM-9WG6M 40-49 years, male 2.2
GTEX-ZTTD-2826-SM-4YCFA 50-59 years, male 2.1
GTEX-1H23P-0626-SM-9WG6T 60-69 years, male 2.1
GTEX-1S3DN-2126-SM-E9TIN 50-59 years, male 2.1
GTEX-1NV5F-0626-SM-DTXEG 60-69 years, female 1.8
GTEX-12WSA-0426-SM-5EQ5X 60-69 years, male 1.6
GTEX-13JVG-0726-SM-5KM16 60-69 years, male 1.6
GTEX-WI4N-2726-SM-3LK7Y 40-49 years, female 1.6
GTEX-14XAO-1226-SM-6EU1C 60-69 years, female 1.4
GTEX-11WQK-1026-SM-5EQLX 50-59 years, male 1.2
GTEX-16MT9-0126-SM-7EPI8 60-69 years, female 0.5
Show allShow less
Skin - Sun Exposed (Lower leg)
Average nTPM: 13.4
Samples: 701

Max nTPM: 123.1
Min nTPM: 1.2
Std nTPM: 10.7
Median nTPM: 10.8
GTEX-1R9PO-2126-SM-E9J4O 60-69 years, female 123.1
GTEX-RUSQ-1526-SM-2TF62 50-59 years, male 93.5
GTEX-11ZUS-0626-SM-59885 30-39 years, male 87.5
GTEX-14JIY-0126-SM-6LLH6 60-69 years, male 73.8
GTEX-147F4-0226-SM-5QGPW 50-59 years, male 70.6
GTEX-1QW4Y-1526-SM-EAZ3Z 30-39 years, male 68.1
GTEX-1I1HK-0126-SM-COH49 60-69 years, male 60.1
GTEX-1F6I4-0126-SM-9MQL2 60-69 years, male 49.5
GTEX-146FR-1326-SM-E9J48 60-69 years, female 48.5
GTEX-11GS4-2726-SM-5A5LE 60-69 years, male 44.8
GTEX-1MGNQ-0126-SM-EVYCJ 40-49 years, male 42.9
GTEX-146FH-0126-SM-5QGPP 50-59 years, female 40.5
GTEX-1LSNM-1926-SM-E6CII 50-59 years, male 40.2
GTEX-12WSD-0126-SM-59HKN 60-69 years, female 39.7
GTEX-V1D1-2226-SM-3NMAX 50-59 years, male 39.5
GTEX-1QCLY-0326-SM-E8VOG 30-39 years, male 39.3
GTEX-1RAZQ-0726-SM-EAZ43 30-39 years, male 37.0
GTEX-1AYD5-2426-SM-73KXR 50-59 years, male 36.8
GTEX-1IKK5-0626-SM-ARL8A 60-69 years, male 36.1
GTEX-12WSL-2526-SM-5GCNJ 50-59 years, male 34.5
GTEX-UPJH-0326-SM-3GADU 50-59 years, male 34.5
GTEX-13O1R-0126-SM-5L3EH 60-69 years, male 34.3
GTEX-SUCS-1926-SM-32PM3 70-79 years, male 34.0
GTEX-1AYCT-2426-SM-7IGQ3 50-59 years, male 33.3
GTEX-11GSP-2526-SM-5N9BP 60-69 years, female 32.7
GTEX-144GN-2326-SM-5LU4F 50-59 years, male 32.7
GTEX-U8T8-0126-SM-3DB94 60-69 years, male 32.2
GTEX-T2YK-0526-SM-32QPJ 50-59 years, male 32.0
GTEX-OHPL-0126-SM-2HMJ7 60-69 years, female 31.8
GTEX-1PBJI-0526-SM-E8VNK 20-29 years, female 31.8
GTEX-WH7G-2326-SM-3NMBC 40-49 years, male 31.6
GTEX-1AX9I-0126-SM-7SB74 60-69 years, male 31.4
GTEX-OXRP-0126-SM-3NB32 60-69 years, female 31.3
GTEX-U4B1-1826-SM-4DXSU 40-49 years, male 31.3
GTEX-ZZ64-1726-SM-5GZYB 20-29 years, male 31.0
GTEX-1H1CY-2826-SM-9MQM3 60-69 years, female 30.6
GTEX-1C64O-0126-SM-7SB8P 60-69 years, male 30.1
GTEX-1GPI6-0126-SM-9WG69 60-69 years, male 30.0
GTEX-13N1W-0126-SM-5K7VT 70-79 years, male 29.9
GTEX-1I1GV-0526-SM-A9G29 60-69 years, male 29.3
GTEX-OHPM-0126-SM-2YUN9 50-59 years, male 28.9
GTEX-1I1GU-2226-SM-CGQFA 40-49 years, male 28.9
GTEX-ZE7O-0126-SM-57WC1 50-59 years, female 28.7
GTEX-1B996-0226-SM-7RHGO 60-69 years, male 28.0
GTEX-13O3O-0126-SM-E9J49 60-69 years, female 27.7
GTEX-13O3Q-2426-SM-5IJBR 50-59 years, male 27.4
GTEX-12ZZX-0126-SM-5EGK9 40-49 years, female 27.2
GTEX-R55E-0126-SM-2TC5Y 20-29 years, male 27.2
GTEX-PVOW-0126-SM-2XCFA 40-49 years, male 27.0
GTEX-1CAMR-1926-SM-7EPI2 20-29 years, male 26.7
GTEX-OXRK-0226-SM-3NB2G 50-59 years, female 26.6
GTEX-139TT-0126-SM-5K7Y5 60-69 years, male 26.4
GTEX-1F7RK-0126-SM-7PC2S 20-29 years, female 26.3
GTEX-XQ8I-0426-SM-4BOPO 50-59 years, male 26.1
GTEX-ZEX8-2426-SM-4WKG4 50-59 years, male 26.1
GTEX-1ICLY-0126-SM-D4P36 50-59 years, male 25.9
GTEX-1JMQJ-0526-SM-CYPSU 50-59 years, male 25.7
GTEX-X4XY-0226-SM-4E3IZ 60-69 years, male 25.4
GTEX-XQ3S-1526-SM-4BOOC 20-29 years, male 25.2
GTEX-1LG7Y-0526-SM-DKPQC 50-59 years, male 24.9
GTEX-1R7EV-2426-SM-EVYBG 40-49 years, male 24.8
GTEX-1A8FM-0226-SM-7SB7Q 50-59 years, female 24.7
GTEX-ZE9C-2726-SM-57WB5 60-69 years, male 24.5
GTEX-1GPI7-0126-SM-9MQL8 20-29 years, male 24.5
GTEX-Q2AH-1626-SM-3GAF8 40-49 years, male 24.3
GTEX-1PIGE-0126-SM-EVYBJ 20-29 years, male 24.3
GTEX-1MA7X-2226-SM-E6CIY 60-69 years, male 24.2
GTEX-1OJC4-0126-SM-E9J2E 50-59 years, female 24.2
GTEX-14PJM-0226-SM-62LF1 50-59 years, female 24.0
GTEX-1F75I-0326-SM-9YFLU 40-49 years, male 23.8
GTEX-131XW-0426-SM-5LZWP 50-59 years, female 23.6
GTEX-1GTWX-0126-SM-9YFLK 60-69 years, male 23.6
GTEX-117YX-2326-SM-5H12W 50-59 years, male 23.5
GTEX-QEG4-0226-SM-2S1PY 30-39 years, male 23.5
GTEX-1MCQQ-0826-SM-DLHC2 60-69 years, male 23.5
GTEX-1A32A-0126-SM-718B1 50-59 years, female 23.3
GTEX-1C6WA-0126-SM-7PC2B 60-69 years, male 23.2
GTEX-17HHE-2026-SM-79OKF 50-59 years, male 23.1
GTEX-ZQUD-1426-SM-57WER 30-39 years, male 23.1
GTEX-15SB6-1726-SM-6PAME 50-59 years, female 22.9
GTEX-13G51-2526-SM-5LZYK 60-69 years, male 22.8
GTEX-ZU9S-0226-SM-5E441 30-39 years, male 22.8
GTEX-15DYW-0126-SM-7KULE 60-69 years, female 22.5
GTEX-ZYFD-0126-SM-5GIDL 50-59 years, male 22.5
GTEX-1QP2A-0126-SM-E9J43 50-59 years, male 22.5
GTEX-OIZF-0126-SM-7SB8I 60-69 years, male 22.5
GTEX-11P7K-2126-SM-5GU7G 30-39 years, male 22.4
GTEX-18A6Q-0126-SM-731BZ 60-69 years, male 22.4
GTEX-13W46-0226-SM-5SIAG 50-59 years, male 22.3
GTEX-12WSN-5019-SM-79OM6 40-49 years, male 22.2
GTEX-S7SE-0126-SM-2XCD5 50-59 years, male 22.2
GTEX-1B8L1-2526-SM-9WYTF 60-69 years, male 22.2
GTEX-1EWIQ-0126-SM-7RHH2 70-79 years, female 22.2
GTEX-12WSK-2326-SM-5GCOH 40-49 years, female 22.1
GTEX-131XH-2226-SM-5DUXJ 50-59 years, male 22.0
GTEX-13X6J-0126-SM-5QGOU 50-59 years, male 22.0
GTEX-1B8KE-2126-SM-73KYX 50-59 years, male 22.0
GTEX-ZYW4-0126-SM-5E44A 60-69 years, male 22.0
GTEX-14DAQ-0126-SM-5S2MQ 60-69 years, female 21.8
GTEX-1AX8Z-0126-SM-7DHM6 60-69 years, male 21.7
GTEX-11WQC-2526-SM-5CVLE 60-69 years, male 21.6
GTEX-1RLM8-2326-SM-EWRN4 50-59 years, male 21.6
GTEX-13OVI-1426-SM-5L3EY 60-69 years, female 21.5
GTEX-1GN2E-0426-SM-9MQKX 60-69 years, male 21.5
GTEX-13FXS-0226-SM-5IJCK 50-59 years, male 21.4
GTEX-1H3VY-0126-SM-ACKXD 50-59 years, male 21.4
GTEX-148VI-1626-SM-5SI6E 60-69 years, female 21.3
GTEX-14BIL-0126-SM-5SI92 50-59 years, male 21.2
GTEX-U412-0426-SM-3DB9O 60-69 years, male 21.2
GTEX-1IL2V-0126-SM-CM2TX 70-79 years, male 21.2
GTEX-17HHY-0126-SM-7LG5D 50-59 years, male 21.0
GTEX-1GN1W-0526-SM-9MQJQ 50-59 years, female 20.8
GTEX-13VXU-0126-SM-5SI9F 50-59 years, male 20.7
GTEX-1F88F-2726-SM-7PBZZ 60-69 years, female 20.7
GTEX-1H3O1-0426-SM-9YFKY 60-69 years, male 20.7
GTEX-1I1GP-2226-SM-CGQFK 50-59 years, male 20.4
GTEX-1C64N-0126-SM-793D7 50-59 years, male 20.3
GTEX-1F75A-0126-SM-7RHGM 50-59 years, male 20.3
GTEX-113IC-0126-SM-5HL6T 60-69 years, male 20.0
GTEX-WRHK-1426-SM-3MJF9 20-29 years, female 19.9
GTEX-XAJ8-0826-SM-47JY6 40-49 years, male 19.9
GTEX-131XF-5016-SM-7MGWE 60-69 years, male 19.9
GTEX-117YW-2626-SM-5GZZH 50-59 years, male 19.6
GTEX-1HUB1-0426-SM-E9U4U 60-69 years, male 19.6
GTEX-1J8JJ-0226-SM-CL53I 60-69 years, female 19.6
GTEX-11UD1-0126-SM-5PNYG 40-49 years, female 19.5
GTEX-1HCUA-2426-SM-ADEIS 50-59 years, female 19.5
GTEX-RU72-0926-SM-2TF6B 50-59 years, female 19.4
GTEX-S95S-1226-SM-4GICG 60-69 years, male 19.2
GTEX-1LNCM-1126-SM-E9U5E 50-59 years, female 19.1
GTEX-12126-0326-SM-5PNW3 20-29 years, male 19.0
GTEX-1IDJF-0126-SM-CM2RS 20-29 years, male 19.0
GTEX-1399R-2726-SM-5IJBA 30-39 years, male 18.9
GTEX-1C6VQ-0126-SM-7P8RI 50-59 years, male 18.9
GTEX-11P81-2326-SM-59875 30-39 years, female 18.8
GTEX-15D1Q-0126-SM-7KUG6 40-49 years, male 18.7
GTEX-1JKYN-1326-SM-CGQG9 30-39 years, male 18.7
GTEX-PWCY-1826-SM-DHXIZ 20-29 years, female 18.7
GTEX-11OC5-0126-SM-5HL6A 60-69 years, male 18.6
GTEX-13O21-1426-SM-5K7XI 50-59 years, male 18.6
GTEX-15ETS-0126-SM-7KUMW 40-49 years, female 18.6
GTEX-11ZTT-2426-SM-5EQLS 60-69 years, female 18.5
GTEX-Y8DK-0126-SM-4TT3L 60-69 years, male 18.5
GTEX-1HSMO-0126-SM-CL547 60-69 years, male 18.5
GTEX-18465-0126-SM-731BN 50-59 years, male 18.2
GTEX-13OVL-0226-SM-5L3E9 50-59 years, male 18.1
GTEX-1KD5A-0226-SM-D5OV3 50-59 years, male 18.1
GTEX-1MUQO-0126-SM-EAZ58 60-69 years, male 18.1
GTEX-13OVJ-0126-SM-5KM36 50-59 years, female 18.0
GTEX-VJYA-1126-SM-3GIJU 60-69 years, male 18.0
GTEX-1HFI6-0226-SM-ADEHZ 40-49 years, male 18.0
GTEX-1J1R8-1726-SM-ARL8M 40-49 years, male 17.9
GTEX-11ZTS-0126-SM-5EQ6M 60-69 years, female 17.8
GTEX-16GPK-0126-SM-7DHLE 60-69 years, male 17.8
GTEX-OXRL-0126-SM-2YUMP 50-59 years, male 17.8
GTEX-WVJS-0126-SM-4MVOT 50-59 years, male 17.8
GTEX-X638-0126-SM-47JZ8 70-79 years, female 17.8
GTEX-13U4I-0126-SM-5LU38 40-49 years, female 17.7
GTEX-WXYG-2326-SM-4E3I6 50-59 years, female 17.7
GTEX-145LT-1726-SM-5QGP3 40-49 years, male 17.6
GTEX-1269C-2526-SM-5EGJ3 60-69 years, female 17.5
GTEX-13113-5016-SM-7EPIP 60-69 years, female 17.5
GTEX-13OW6-0426-SM-5L3HM 50-59 years, male 17.5
GTEX-1B933-0126-SM-7PC29 50-59 years, female 17.5
GTEX-1QP66-1726-SM-E8VO1 50-59 years, male 17.5
GTEX-1497J-2426-SM-7IGNX 60-69 years, male 17.4
GTEX-14ABY-0226-SM-5TDCQ 50-59 years, male 17.4
GTEX-1POEN-0126-SM-EYYXJ 30-39 years, female 17.3
GTEX-13NZ8-0826-SM-5MR3I 60-69 years, female 17.2
GTEX-1N2DV-0226-SM-E6CJ6 40-49 years, male 17.2
GTEX-132NY-0326-SM-5IJBL 60-69 years, male 17.1
GTEX-RNOR-0126-SM-E9J4R 50-59 years, female 17.1
GTEX-1HBPH-0426-SM-B2LW5 40-49 years, female 17.0
GTEX-15SHW-0326-SM-6PAML 60-69 years, male 16.9
GTEX-139TU-0126-SM-5K7WH 60-69 years, male 16.8
GTEX-1QMI2-0226-SM-EVYBX 60-69 years, male 16.8
GTEX-TML8-1926-SM-32QOS 40-49 years, female 16.7
GTEX-1JMPZ-0226-SM-CNPP1 30-39 years, male 16.7
GTEX-12WSE-0526-SM-793B2 20-29 years, male 16.6
GTEX-XBED-2226-SM-47JYQ 60-69 years, male 16.6
GTEX-1RAZA-0126-SM-E6CI3 20-29 years, male 16.6
GTEX-1F48J-0126-SM-7P8TT 50-59 years, female 16.5
GTEX-13YAN-0326-SM-5O9DF 60-69 years, male 16.4
GTEX-113JC-2326-SM-5EQ4E 50-59 years, female 16.3
GTEX-13OVG-1926-SM-5L3DK 60-69 years, male 16.3
GTEX-145ME-1826-SM-5SI9G 40-49 years, female 16.3
GTEX-14E6D-0126-SM-62LDV 50-59 years, male 16.3
GTEX-15EOM-0126-SM-7KUGG 20-29 years, female 16.3
GTEX-1O97I-0326-SM-EYYX7 60-69 years, male 16.3
GTEX-13SLX-0526-SM-5S2ON 50-59 years, female 16.2
GTEX-1AMFI-2026-SM-731BH 50-59 years, female 16.2
GTEX-1CAV2-2226-SM-7P8P2 40-49 years, female 16.2
GTEX-1HSMQ-1226-SM-CGQFX 50-59 years, male 16.2
GTEX-139T4-0226-SM-5HL5S 50-59 years, female 16.1
GTEX-14E6C-0126-SM-5RQIP 40-49 years, male 16.1
GTEX-P4PQ-0126-SM-2S1NM 60-69 years, male 16.1
GTEX-OOBK-0126-SM-2YUND 40-49 years, male 16.0
GTEX-YJ8A-0426-SM-5IFID 20-29 years, male 16.0
GTEX-1IY9M-0126-SM-D3L8S 60-69 years, male 16.0
GTEX-SJXC-0126-SM-2XCFF 60-69 years, male 15.9
GTEX-1HCU6-0126-SM-CL54K 60-69 years, female 15.9
GTEX-1JMOU-1526-SM-CL54I 60-69 years, female 15.9
GTEX-1I1GR-0126-SM-CL55F 60-69 years, male 15.8
GTEX-13VXT-0126-SM-5LU4I 20-29 years, female 15.7
GTEX-14E7W-0126-SM-6LLJ9 70-79 years, male 15.7
GTEX-1AMEY-1326-SM-73KYK 30-39 years, female 15.7
GTEX-1H1DG-0126-SM-9WYU2 70-79 years, male 15.7
GTEX-1PPH7-2326-SM-EVYB8 40-49 years, male 15.6
GTEX-183FY-0126-SM-7LT9P 20-29 years, male 15.5
GTEX-ZVZO-0126-SM-5A5L9 40-49 years, male 15.5
GTEX-1GN1U-0126-SM-7PBZK 50-59 years, female 15.5
GTEX-1QP67-1626-SM-EAZ3X 40-49 years, female 15.3
GTEX-T2IS-0126-SM-4DM6O 20-29 years, female 15.2
GTEX-QCQG-1726-SM-3GIJ9 50-59 years, female 15.1
GTEX-11TUW-2726-SM-E9J4M 60-69 years, male 15.1
GTEX-12C56-1726-SM-5EQ61 20-29 years, male 15.0
GTEX-1GF9X-2026-SM-7PC3A 40-49 years, female 14.9
GTEX-1I1GS-0126-SM-B2LVW 60-69 years, male 14.9
GTEX-QLQ7-1626-SM-2S1R8 60-69 years, male 14.8
GTEX-RWSA-0126-SM-2XCBB 40-49 years, male 14.8
GTEX-YEC4-2126-SM-5IFJH 40-49 years, male 14.8
GTEX-1K2DA-1826-SM-CGQGT 50-59 years, male 14.8
GTEX-14PK6-1926-SM-6ETZU 70-79 years, female 14.7
GTEX-T6MN-0126-SM-32PLP 50-59 years, male 14.7
GTEX-13OVH-0126-SM-5MR4B 70-79 years, male 14.6
GTEX-1AX9K-2326-SM-73KWU 50-59 years, male 14.6
GTEX-1H1E6-1726-SM-ACKVK 30-39 years, male 14.6
GTEX-15SHU-0126-SM-7KUEH 40-49 years, female 14.5
GTEX-WQUQ-0426-SM-3MJFU 60-69 years, male 14.5
GTEX-1HSGN-0226-SM-CGQFV 40-49 years, female 14.5
GTEX-PLZ6-1426-SM-DKPOT 30-39 years, male 14.5
GTEX-12584-0126-SM-5EGKQ 40-49 years, male 14.4
GTEX-1CB4G-0226-SM-7PC3O 60-69 years, male 14.4
GTEX-1RQEC-0426-SM-E6CHU 60-69 years, male 14.4
GTEX-11NUK-0126-SM-5A5L3 50-59 years, male 14.3
GTEX-13FHP-0126-SM-5IJBG 50-59 years, male 14.3
GTEX-1H1DE-2126-SM-9WG6R 20-29 years, male 14.3
GTEX-13NZA-0226-SM-5K7Z7 60-69 years, male 14.2
GTEX-X62O-0126-SM-4E3JN 50-59 years, male 14.2
GTEX-1J8EW-0126-SM-CJI4F 60-69 years, female 14.2
GTEX-1LBAC-0126-SM-DIPEZ 20-29 years, male 14.2
GTEX-13112-2826-SM-5DUWH 50-59 years, male 14.1
GTEX-15SDE-2226-SM-7IGLO 50-59 years, female 14.1
GTEX-XUYS-0126-SM-47JWZ 50-59 years, male 14.1
GTEX-145LV-2126-SM-5LU8N 50-59 years, male 14.0
GTEX-148VJ-0126-SM-5TDDN 70-79 years, male 14.0
GTEX-1GZ4H-1726-SM-7PBZJ 50-59 years, female 14.0
GTEX-1GZHY-0326-SM-9QEHI 50-59 years, female 14.0
GTEX-16XZY-2126-SM-79OK1 70-79 years, male 13.9
GTEX-131XG-2626-SM-5KM17 50-59 years, female 13.6
GTEX-14A5I-0126-SM-5TDEA 50-59 years, female 13.5
GTEX-18A7A-0226-SM-718BH 50-59 years, female 13.5
GTEX-12WSG-2826-SM-E9J4H 50-59 years, female 13.5
GTEX-ZUA1-0126-SM-5GU76 40-49 years, male 13.4
GTEX-PW2O-1526-SM-7RHHB 20-29 years, male 13.4
GTEX-15EU6-0426-SM-6PAN5 50-59 years, male 13.3
GTEX-ZZPT-0226-SM-5E43X 50-59 years, male 13.3
GTEX-17HG3-2226-SM-7938L 30-39 years, female 13.2
GTEX-1GN73-0226-SM-9WG67 60-69 years, male 13.2
GTEX-1IKJJ-0126-SM-CNPQB 60-69 years, male 13.2
GTEX-1J8Q3-1626-SM-CMKGC 60-69 years, male 13.2
GTEX-1NHNU-1026-SM-E9J2A 50-59 years, male 13.2
GTEX-12KS4-0326-SM-5EQ41 30-39 years, male 13.1
GTEX-1C2JI-1826-SM-73KXC 50-59 years, male 13.1
GTEX-U8XE-0326-SM-3DB8P 30-39 years, male 13.1
GTEX-Y3I4-2126-SM-4TT7C 50-59 years, male 13.1
GTEX-Z93S-0126-SM-5HL7M 50-59 years, male 13.1
GTEX-1IGQW-0126-SM-COH42 60-69 years, male 13.1
GTEX-131YS-0126-SM-5KM1M 60-69 years, female 13.0
GTEX-17F96-1626-SM-7DUFL 70-79 years, male 13.0
GTEX-Q734-1926-SM-2I5EV 40-49 years, female 13.0
GTEX-ZAK1-0126-SM-5IJD3 50-59 years, female 13.0
GTEX-Q2AG-0126-SM-33HBV 40-49 years, female 12.8
GTEX-Y114-2426-SM-4TT8A 50-59 years, female 12.8
GTEX-ZDYS-2026-SM-5HL5L 50-59 years, male 12.8
GTEX-17HII-0226-SM-7LG4E 50-59 years, male 12.7
GTEX-RN64-0126-SM-2TC68 50-59 years, male 12.7
GTEX-WZTO-0126-SM-3NM95 40-49 years, male 12.7
GTEX-X8HC-0126-SM-4E3JW 50-59 years, female 12.7
GTEX-YFC4-0126-SM-5CVLY 40-49 years, female 12.7
GTEX-1I6K6-0126-SM-A9SLE 30-39 years, male 12.7
GTEX-139D8-0226-SM-5KLZO 30-39 years, female 12.6
GTEX-13JUV-2726-SM-5LZZ8 40-49 years, female 12.6
GTEX-13QJ3-0326-SM-5S2RA 50-59 years, male 12.6
GTEX-13W3W-2426-SM-5LU5B 60-69 years, female 12.6
GTEX-17MFQ-1726-SM-793C7 20-29 years, male 12.6
GTEX-1B8SG-0126-SM-73KZ3 50-59 years, male 12.6
GTEX-1CB4J-0626-SM-7DHMP 60-69 years, male 12.6
GTEX-RVPV-0126-SM-EAZAW 60-69 years, male 12.6
GTEX-15DDE-0126-SM-6LPKH 50-59 years, female 12.5
GTEX-XPVG-2626-SM-4B669 50-59 years, male 12.5
GTEX-1QP29-0626-SM-EWRMX 50-59 years, male 12.5
GTEX-1192W-2626-SM-5Q5AF 60-69 years, male 12.4
GTEX-139UW-2826-SM-5L3E7 60-69 years, male 12.4
GTEX-16NGA-1726-SM-731B4 40-49 years, female 12.4
GTEX-ZDTS-0126-SM-4WAY5 60-69 years, male 12.4
GTEX-1HGF4-2426-SM-ACKXM 60-69 years, male 12.4
GTEX-1I4MK-2226-SM-ACKWD 50-59 years, female 12.4
GTEX-1MCYP-1926-SM-E9J2R 20-29 years, female 12.4
GTEX-1PPH8-0226-SM-E8VND 20-29 years, male 12.4
GTEX-1128S-2326-SM-5GZZY 60-69 years, female 12.3
GTEX-SSA3-0126-SM-32QPU 60-69 years, male 12.3
GTEX-X4EO-0326-SM-3P5YO 60-69 years, female 12.3
GTEX-ZVT3-0126-SM-5GU6I 60-69 years, female 12.3
GTEX-1RB15-2126-SM-E9TIM 60-69 years, male 12.3
GTEX-1C6VS-0526-SM-7DUEN 60-69 years, male 12.2
GTEX-QLQW-1126-SM-2S1Q8 30-39 years, male 12.2
GTEX-111VG-2426-SM-5GZXD 60-69 years, male 12.1
GTEX-11TTK-0126-SM-5987B 60-69 years, female 12.1
GTEX-U3ZM-1526-SM-3DB9D 40-49 years, male 12.1
GTEX-Y3IK-2426-SM-4WWDU 50-59 years, female 12.1
GTEX-1H3NZ-0126-SM-ACKX7 60-69 years, male 12.1
GTEX-1S3DN-2226-SM-EVYCD 50-59 years, male 12.1
GTEX-12ZZY-0226-SM-5LZVE 60-69 years, male 12.0
GTEX-1JKYR-0126-SM-CNPOJ 20-29 years, male 12.0
GTEX-OOBJ-0126-SM-E6CJW 60-69 years, male 12.0
GTEX-14PN4-0126-SM-6EU2V 50-59 years, male 11.9
GTEX-1HBPI-1526-SM-C1YQ1 50-59 years, male 11.9
GTEX-1S5ZA-0126-SM-EVYCV 20-29 years, male 11.9
GTEX-15UF6-0826-SM-6PALJ 70-79 years, female 11.8
GTEX-18QFQ-0126-SM-731BE 30-39 years, male 11.8
GTEX-1GMRU-0126-SM-9YFLV 50-59 years, male 11.8
GTEX-1HSMP-0126-SM-E6CJS 70-79 years, male 11.8
GTEX-1IDJH-0326-SM-A9SLQ 70-79 years, male 11.8
GTEX-1IOXB-0126-SM-ARL8G 50-59 years, male 11.8
GTEX-11ZU8-2526-SM-5EQKI 60-69 years, male 11.7
GTEX-11ZVC-2526-SM-5FQTE 50-59 years, female 11.7
GTEX-13CF2-2526-SM-5LZYX 60-69 years, male 11.7
GTEX-18A7B-0126-SM-7LG64 70-79 years, male 11.7
GTEX-1HBPN-0226-SM-9YFM1 50-59 years, male 11.7
GTEX-11DXY-2626-SM-5GIE7 60-69 years, male 11.6
GTEX-1A3MV-1926-SM-718BT 30-39 years, male 11.6
GTEX-1LB8K-0226-SM-EWRNW 50-59 years, male 11.6
GTEX-16NPX-0226-SM-79OMT 50-59 years, male 11.5
GTEX-X88G-0126-SM-47JZ3 30-39 years, male 11.5
GTEX-Z93T-0126-SM-5HL5N 50-59 years, male 11.5
GTEX-145MO-0326-SM-5Q5B3 60-69 years, male 11.3
GTEX-17MF6-0126-SM-7LG4F 40-49 years, male 11.3
GTEX-1CAMS-0426-SM-7P8T2 40-49 years, female 11.3
GTEX-1IDFM-0126-SM-COH2V 60-69 years, male 11.3
GTEX-1K2DU-2326-SM-E9TIV 20-29 years, male 11.3
GTEX-1313W-0126-SM-5LZUN 50-59 years, female 11.2
GTEX-TMZS-0126-SM-3DB9Q 60-69 years, male 11.2
GTEX-1CB4F-0426-SM-9KNV4 60-69 years, male 11.2
GTEX-S7PM-0126-SM-4AD6S 60-69 years, male 11.1
GTEX-1GN1V-0126-SM-9WPOS 60-69 years, male 11.1
GTEX-15ER7-0326-SM-7KUEV 20-29 years, female 11.0
GTEX-11OF3-2626-SM-5GU7F 60-69 years, male 10.9
GTEX-1EU9M-0226-SM-7P8SP 60-69 years, male 10.9
GTEX-11DXW-0226-SM-5H122 40-49 years, male 10.8
GTEX-13FHO-0226-SM-5IFGY 60-69 years, male 10.8
GTEX-145LU-0126-SM-5TDCB 50-59 years, male 10.8
GTEX-14PN3-2426-SM-6LLHS 60-69 years, female 10.8
GTEX-1QP9N-1426-SM-DTXFL 30-39 years, male 10.8
GTEX-11TT1-2526-SM-5EGIB 20-29 years, male 10.7
GTEX-1211K-2026-SM-5EQ4Z 60-69 years, female 10.7
GTEX-1B8KZ-2026-SM-7DHMB 50-59 years, male 10.7
GTEX-RTLS-0126-SM-447CA 60-69 years, female 10.7
GTEX-W5WG-1826-SM-4KL2Y 50-59 years, female 10.7
GTEX-1KANC-1526-SM-D3LAB 50-59 years, female 10.7
GTEX-1C4CL-0526-SM-73KVK 30-39 years, male 10.6
GTEX-X261-0126-SM-3NMD6 50-59 years, male 10.6
GTEX-ZDXO-3026-SM-5J1N5 60-69 years, male 10.6
GTEX-1IKOH-0226-SM-COH4E 60-69 years, female 10.6
GTEX-T8EM-1026-SM-3DB7M 40-49 years, male 10.5
GTEX-1KAFJ-2026-SM-CY8ID 50-59 years, male 10.5
GTEX-1M4P7-0226-SM-DIPEV 60-69 years, male 10.5
GTEX-1MJK2-0426-SM-DTXE5 50-59 years, male 10.5
GTEX-1OFPY-2426-SM-DTXEJ 60-69 years, male 10.5
GTEX-ZVT4-0126-SM-DTXFN 50-59 years, female 10.5
GTEX-1KANA-0726-SM-D3L9I 20-29 years, male 10.4
GTEX-1N2DW-0226-SM-E9TK2 50-59 years, male 10.4
GTEX-16BQI-0226-SM-7KUEX 30-39 years, female 10.3
GTEX-QDVN-2026-SM-3GAEP 50-59 years, male 10.3
GTEX-T5JC-0426-SM-32PLO 20-29 years, male 10.3
GTEX-R45C-0126-SM-EAZ2R 60-69 years, female 10.3
GTEX-14A6H-0126-SM-5QGPK 30-39 years, male 10.2
GTEX-14BIN-0626-SM-793DP 50-59 years, female 10.2
GTEX-14XAO-2326-SM-6EU1B 60-69 years, female 10.2
GTEX-18A66-0226-SM-718BD 60-69 years, male 10.2
GTEX-1HCU8-0626-SM-A9SM9 60-69 years, female 10.2
GTEX-O5YT-0126-SM-48TBW 20-29 years, male 10.1
GTEX-1I1GT-0626-SM-CGQER 60-69 years, female 10.1
GTEX-1KANB-0526-SM-E6CJH 50-59 years, male 10.1
GTEX-1N2EF-0226-SM-EYYXB 60-69 years, male 10.1
GTEX-1OJC3-0126-SM-E76QX 20-29 years, male 10.1
GTEX-1QEPI-0126-SM-EWRMQ 60-69 years, female 10.1
GTEX-1212Z-2526-SM-5EGKP 60-69 years, male 10.0
GTEX-14A5H-0426-SM-5QGQF 60-69 years, male 10.0
GTEX-QDVJ-1726-SM-2I5FX 50-59 years, male 10.0
GTEX-1EN7A-0126-SM-7SB81 40-49 years, male 10.0
GTEX-16XZZ-0126-SM-793DV 60-69 years, male 9.9
GTEX-WYVS-2126-SM-3NMA3 40-49 years, female 9.8
GTEX-1I19N-0326-SM-ACKVX 70-79 years, male 9.8
GTEX-1NV5F-0226-SM-E8VNY 60-69 years, female 9.8
GTEX-17EVQ-0226-SM-7LG4P 70-79 years, male 9.7
GTEX-1KD4Q-0226-SM-E9TJ9 40-49 years, male 9.7
GTEX-11LCK-1026-SM-5A5KB 30-39 years, male 9.6
GTEX-WYJK-0126-SM-3NMAB 50-59 years, male 9.6
GTEX-1GF9V-0326-SM-7RHI5 60-69 years, male 9.6
GTEX-TMMY-0226-SM-33HBA 40-49 years, female 9.5
GTEX-VUSG-2526-SM-4KL1V 50-59 years, male 9.5
GTEX-1EX96-1626-SM-7PBXR 50-59 years, male 9.5
GTEX-1JMPY-1326-SM-ARL8Y 30-39 years, male 9.5
GTEX-12WSC-0126-SM-5EQ4P 50-59 years, male 9.4
GTEX-1E1VI-0126-SM-7DHMZ 50-59 years, male 9.4
GTEX-OIZG-0726-SM-33HBL 50-59 years, male 9.4
GTEX-Y111-0126-SM-4SOIV 50-59 years, male 9.4
GTEX-139T8-0126-SM-5K7XZ 60-69 years, male 9.3
GTEX-13OW7-0126-SM-5MR3B 50-59 years, male 9.3
GTEX-144GL-0126-SM-5TDE2 50-59 years, male 9.3
GTEX-VJWN-0126-SM-3GIK7 50-59 years, female 9.3
GTEX-YB5K-2126-SM-4WWDJ 40-49 years, female 9.3
GTEX-1IL2U-0226-SM-CE6T8 60-69 years, male 9.3
GTEX-1R9K4-0126-SM-DTX9X 60-69 years, male 9.3
GTEX-13FTX-1826-SM-5J1NX 20-29 years, female 9.2
GTEX-1AX9J-0226-SM-73KXM 60-69 years, male 9.2
GTEX-1CB4I-0226-SM-79OLH 50-59 years, male 9.2
GTEX-1ICG6-2526-SM-CGQFZ 70-79 years, female 9.2
GTEX-13S7M-0126-SM-5SI6A 60-69 years, female 9.1
GTEX-PWO3-1526-SM-48TCM 60-69 years, female 9.1
GTEX-1EKGG-0226-SM-9WYTH 60-69 years, male 9.1
GTEX-1H3VE-0326-SM-9YFLH 40-49 years, male 9.1
GTEX-1JN1M-0326-SM-CYPT3 60-69 years, female 9.1
GTEX-11GSO-2426-SM-5A5LY 60-69 years, male 9.0
GTEX-145MI-0526-SM-5O9A8 60-69 years, female 9.0
GTEX-OXRO-0126-SM-2YUN4 60-69 years, female 9.0
GTEX-145MF-0626-SM-5LUAI 50-59 years, male 8.9
GTEX-1GF9W-0326-SM-9KNUN 60-69 years, male 8.9
GTEX-11EM3-2426-SM-59861 20-29 years, female 8.8
GTEX-15UKP-0426-SM-7KUFQ 20-29 years, male 8.8
GTEX-16MT8-0426-SM-7KUEY 60-69 years, female 8.8
GTEX-17EVP-0326-SM-7DHLG 40-49 years, male 8.8
GTEX-WY7C-2326-SM-3NB2U 50-59 years, male 8.8
GTEX-ZGAY-0526-SM-4WWBB 40-49 years, female 8.8
GTEX-1PDJ9-0326-SM-DTX95 20-29 years, male 8.8
GTEX-11UD2-0226-SM-5EQKY 50-59 years, male 8.7
GTEX-15DCD-0126-SM-7KUEK 70-79 years, female 8.7
GTEX-15G19-0126-SM-6PANQ 60-69 years, male 8.7
GTEX-NFK9-0226-SM-2HMKQ 40-49 years, male 8.7
GTEX-T6MO-1626-SM-32QOM 40-49 years, female 8.7
GTEX-X5EB-2226-SM-46MW4 40-49 years, male 8.7
GTEX-Y5LM-1926-SM-5RQJH 40-49 years, female 8.7
GTEX-1KWVE-1426-SM-E9TJO 30-39 years, male 8.7
GTEX-144FL-0126-SM-5TDC8 50-59 years, male 8.6
GTEX-1F52S-0126-SM-9MQJU 60-69 years, female 8.6
GTEX-1JMLX-0226-SM-CM2RO 50-59 years, male 8.6
GTEX-13D11-2426-SM-5KM1V 50-59 years, female 8.5
GTEX-1C6VR-2426-SM-79OLD 60-69 years, male 8.5
GTEX-1EMGI-0126-SM-9KNUE 60-69 years, male 8.5
GTEX-1JN76-0126-SM-CNPPE 20-29 years, female 8.5
GTEX-1S82Y-2026-SM-EVYCM 40-49 years, male 8.5
GTEX-13OVK-2026-SM-7KUEO 40-49 years, male 8.4
GTEX-16AAH-1726-SM-7939C 50-59 years, male 8.4
GTEX-QV44-1926-SM-2S1RF 50-59 years, male 8.4
GTEX-11DYG-0126-SM-59883 60-69 years, male 8.3
GTEX-11XUK-2026-SM-5EQLF 40-49 years, female 8.3
GTEX-1LGOU-2026-SM-DIPFF 20-29 years, female 8.3
GTEX-PLZ4-0126-SM-5SI8O 50-59 years, female 8.2
GTEX-1H2FU-0126-SM-9WYSI 60-69 years, female 8.2
GTEX-1HSKV-0226-SM-A9SKJ 60-69 years, male 8.2
GTEX-1HT8W-0126-SM-CNPPP 30-39 years, male 8.2
GTEX-14DAR-2026-SM-5S2O3 50-59 years, male 8.1
GTEX-13N11-2526-SM-5K7UE 50-59 years, female 8.0
GTEX-XMD2-0126-SM-4YCDU 60-69 years, female 8.0
GTEX-1F6IF-0726-SM-7P8TW 60-69 years, male 8.0
GTEX-1IDJU-2626-SM-CM2RT 60-69 years, female 8.0
GTEX-11VI4-1726-SM-5CVLH 40-49 years, female 7.9
GTEX-12WSJ-1826-SM-5GCNY 40-49 years, female 7.9
GTEX-13PDP-0126-SM-5L3HD 60-69 years, male 7.9
GTEX-13RTK-1426-SM-5QGQJ 20-29 years, male 7.9
GTEX-15RIG-0226-SM-7KFTL 40-49 years, male 7.9
GTEX-R55G-2526-SM-2TC6D 40-49 years, female 7.9
GTEX-RM2N-1426-SM-2TF4H 50-59 years, male 7.9
GTEX-139TS-2826-SM-5J1OO 60-69 years, male 7.8
GTEX-14JG1-0426-SM-6ETZZ 40-49 years, male 7.8
GTEX-QVJO-1626-SM-2S1QW 60-69 years, female 7.8
GTEX-ZAB4-0226-SM-5N9F5 40-49 years, male 7.8
GTEX-ZDTT-2726-SM-4WKF8 60-69 years, male 7.8
GTEX-1F6RS-0126-SM-9MQKZ 60-69 years, female 7.8
GTEX-1JN6P-0126-SM-D3L98 60-69 years, male 7.8
GTEX-1K9T9-0126-SM-EVYCF 50-59 years, female 7.8
GTEX-1S82Z-0826-SM-E6CHY 30-39 years, female 7.8
GTEX-15F5U-1526-SM-6PANO 40-49 years, male 7.7
GTEX-ZF29-2326-SM-DO92K 60-69 years, female 7.7
GTEX-11EMC-2926-SM-5EQ4F 60-69 years, female 7.6
GTEX-18D9B-0526-SM-7LTAS 60-69 years, male 7.6
GTEX-WOFL-0126-SM-3MJG2 60-69 years, male 7.6
GTEX-XYKS-2126-SM-4E3IB 60-69 years, female 7.6
GTEX-1IE54-0126-SM-CMKHW 40-49 years, female 7.6
GTEX-QESD-1426-SM-2S1R9 20-29 years, male 7.5
GTEX-SN8G-0126-SM-32PLI 50-59 years, female 7.5
GTEX-1JJEA-0326-SM-CNPOT 60-69 years, male 7.5
GTEX-ZQG8-1626-SM-DHXIT 60-69 years, female 7.5
GTEX-13NYB-2526-SM-5K7Z6 40-49 years, male 7.4
GTEX-14PJ3-1826-SM-62LEX 50-59 years, male 7.4
GTEX-WFG8-2226-SM-3GIL9 20-29 years, male 7.4
GTEX-ZVT2-2526-SM-51MT1 50-59 years, female 7.4
GTEX-1HCU9-1526-SM-A9SL7 20-29 years, male 7.4
GTEX-1I1CD-0126-SM-CM2TK 60-69 years, female 7.4
GTEX-1PIIG-0226-SM-EWRN6 30-39 years, male 7.4
GTEX-14C5O-0126-SM-5SI6N 60-69 years, male 7.3
GTEX-RWS6-2026-SM-2XCB5 60-69 years, female 7.3
GTEX-SIU8-0126-SM-2XCDT 50-59 years, male 7.3
GTEX-X4XX-0126-SM-3NMC2 60-69 years, male 7.3
GTEX-1R46S-0626-SM-E9J41 60-69 years, female 7.3
GTEX-11DXZ-2326-SM-5EGGV 50-59 years, male 7.2
GTEX-11NSD-2226-SM-5986V 20-29 years, male 7.2
GTEX-1399T-2826-SM-5KLYZ 60-69 years, male 7.2
GTEX-1399U-2326-SM-5K7WY 50-59 years, female 7.2
GTEX-O5YW-0126-SM-3LK6D 50-59 years, male 7.2
GTEX-X4EP-0126-SM-3P5YV 60-69 years, female 7.2
GTEX-Y5V6-2426-SM-4VDSB 60-69 years, male 7.2
GTEX-169BO-1326-SM-9MQK2 50-59 years, male 7.2
GTEX-1GMR8-0126-SM-9WYTM 50-59 years, female 7.2
GTEX-ZPIC-1726-SM-DHXIU 40-49 years, female 7.2
GTEX-13RTL-0126-SM-7LG5S 40-49 years, male 7.1
GTEX-14E6E-1826-SM-5S2R7 30-39 years, male 7.1
GTEX-1A3MX-0126-SM-731BR 60-69 years, male 7.1
GTEX-TKQ1-1026-SM-4GICL 30-39 years, male 7.1
GTEX-13NYC-0326-SM-E9J4S 60-69 years, male 7.1
GTEX-1JMQK-0226-SM-CL543 60-69 years, male 7.1
GTEX-14ICK-0226-SM-6EU25 40-49 years, male 7.0
GTEX-16YQH-0126-SM-7DUFJ 30-39 years, male 7.0
GTEX-ZAB5-1826-SM-5HL7C 50-59 years, male 7.0
GTEX-ZF2S-2326-SM-4WWCE 50-59 years, female 7.0
GTEX-ZVTK-0426-SM-51MRS 20-29 years, male 7.0
GTEX-1MA7W-2026-SM-E9TJ6 20-29 years, female 7.0
GTEX-S33H-1026-SM-EZ6L6 30-39 years, male 7.0
GTEX-12ZZZ-0626-SM-5DUXI 60-69 years, male 6.9
GTEX-1B8SF-1426-SM-7DUGL 60-69 years, male 6.9
GTEX-1JMQI-2226-SM-CM2SD 50-59 years, male 6.9
GTEX-13X6I-0626-SM-5QGP9 60-69 years, male 6.8
GTEX-17F98-0626-SM-79OMX 40-49 years, female 6.8
GTEX-OXRN-0126-SM-48TDM 50-59 years, male 6.8
GTEX-ZAJG-0126-SM-5HL94 50-59 years, female 6.8
GTEX-12696-2426-SM-5EQ6H 60-69 years, male 6.7
GTEX-1J8QM-2126-SM-CYPSJ 60-69 years, female 6.7
GTEX-13NZB-2526-SM-5J1OM 30-39 years, male 6.6
GTEX-13OW8-1326-SM-5J1OW 60-69 years, male 6.5
GTEX-17EUY-0426-SM-793BD 20-29 years, male 6.5
GTEX-1BAJH-0526-SM-793CQ 70-79 years, male 6.5
GTEX-P44H-0226-SM-2XCEU 40-49 years, male 6.5
GTEX-U3ZN-2326-SM-3DB7W 30-39 years, female 6.5
GTEX-ZVE2-0226-SM-59HJB 50-59 years, male 6.5
GTEX-ZYFC-0226-SM-5NQ75 50-59 years, male 6.5
GTEX-1H1ZS-0426-SM-9WG6G 70-79 years, male 6.5
GTEX-1HFI7-1826-SM-ACKXH 50-59 years, female 6.5
GTEX-1HKZK-0326-SM-9WYUH 40-49 years, male 6.5
GTEX-1JJE9-0326-SM-CL53Z 70-79 years, male 6.5
GTEX-13PVR-2326-SM-5QGR1 60-69 years, female 6.4
GTEX-14PII-0226-SM-6EU1T 60-69 years, male 6.4
GTEX-XXEK-2226-SM-4BRUM 50-59 years, male 6.4
GTEX-1KXAM-2226-SM-CYPTC 60-69 years, male 6.4
GTEX-PSDG-0226-SM-DKPOZ 50-59 years, male 6.4
GTEX-111FC-0126-SM-5N9DL 60-69 years, male 6.3
GTEX-13FTY-0526-SM-5L3EV 40-49 years, female 6.3
GTEX-146FQ-0126-SM-5NQA9 30-39 years, male 6.3
GTEX-14PJ6-2126-SM-6EU1V 60-69 years, female 6.3
GTEX-1C475-1826-SM-73KWA 40-49 years, female 6.3
GTEX-1RDX4-0126-SM-E9J4P 50-59 years, female 6.3
GTEX-147GR-0526-SM-5S2MY 60-69 years, male 6.2
GTEX-OIZH-0126-SM-2HMIS 50-59 years, male 6.2
GTEX-P4QT-0126-SM-2I3FL 50-59 years, female 6.2
GTEX-1F75B-0126-SM-9KNVL 50-59 years, male 6.2
GTEX-13RTJ-2426-SM-5S2Q2 60-69 years, male 6.1
GTEX-YB5E-2026-SM-5IFIS 40-49 years, male 6.1
GTEX-1H23P-0126-SM-ADEJ3 60-69 years, male 6.1
GTEX-117XS-2726-SM-5N9BL 60-69 years, male 6.0
GTEX-14BMV-0126-SM-5S2PO 50-59 years, male 6.0
GTEX-18A67-0126-SM-7LG5P 50-59 years, male 6.0
GTEX-TSE9-0126-SM-3DB83 60-69 years, female 6.0
GTEX-W5X1-3026-SM-EAZAX 40-49 years, female 6.0
GTEX-133LE-1826-SM-5J1MV 20-29 years, female 5.9
GTEX-13IVO-0126-SM-5J1NG 70-79 years, male 5.9
GTEX-18D9A-1926-SM-7LG6P 30-39 years, female 5.9
GTEX-ZXES-1826-SM-5E43S 30-39 years, female 5.9
GTEX-1314G-1526-SM-5EGK2 30-39 years, male 5.8
GTEX-R3RS-0126-SM-3GIJL 40-49 years, female 5.8
GTEX-S32W-2126-SM-2XCB1 50-59 years, female 5.8
GTEX-T5JW-1626-SM-3GADZ 20-29 years, female 5.8
GTEX-XV7Q-2526-SM-4BRV9 40-49 years, female 5.8
GTEX-Z9EW-1626-SM-5CVMN 40-49 years, male 5.8
GTEX-1192X-0226-SM-5H12D 50-59 years, male 5.7
GTEX-13N2G-2626-SM-5J1OT 60-69 years, male 5.7
GTEX-1HCU7-0226-SM-CL545 50-59 years, male 5.7
GTEX-1I1GQ-0126-SM-COH3H 50-59 years, male 5.7
GTEX-ZYT6-0226-SM-5NQ6T 30-39 years, male 5.6
GTEX-1122O-2126-SM-5EGIR 60-69 years, female 5.5
GTEX-14BIM-0226-SM-7IGLD 60-69 years, female 5.5
GTEX-17F97-0326-SM-7LG5B 50-59 years, male 5.5
GTEX-POMQ-2226-SM-2I5FK 20-29 years, female 5.5
GTEX-YJ89-0126-SM-4TT3X 60-69 years, male 5.5
GTEX-1E2YA-0126-SM-9KNUC 50-59 years, male 5.5
GTEX-13CF3-2426-SM-5IFGX 60-69 years, female 5.4
GTEX-14JG6-2226-SM-6EU2G 30-39 years, female 5.4
GTEX-XUW1-0426-SM-4BOOT 50-59 years, female 5.4
GTEX-ZTPG-0326-SM-5O9AX 20-29 years, female 5.4
GTEX-145MN-2226-SM-5SIAU 30-39 years, male 5.3
GTEX-14LLW-0126-SM-6LLIO 70-79 years, female 5.3
GTEX-15CHC-2126-SM-6EU21 60-69 years, female 5.3
GTEX-1A3MW-0126-SM-73KXX 60-69 years, female 5.3
GTEX-11DXX-2426-SM-5GZZW 60-69 years, female 5.2
GTEX-QDT8-0126-SM-48TZ1 30-39 years, female 5.2
GTEX-1F5PL-0326-SM-7P8PQ 40-49 years, female 5.2
GTEX-1HSEH-0126-SM-ACKXN 60-69 years, male 5.2
GTEX-11DZ1-0126-SM-5985Q 50-59 years, male 5.1
GTEX-13SLW-0126-SM-5SI6C 70-79 years, male 5.1
GTEX-18D9U-0226-SM-718BP 40-49 years, male 5.1
GTEX-Q2AI-1326-SM-2S1PL 40-49 years, male 5.1
GTEX-X585-0226-SM-4QAS2 50-59 years, male 5.1
GTEX-1R7EU-0226-SM-EVR4G 60-69 years, male 5.1
GTEX-14PHX-2326-SM-62LEM 50-59 years, male 5.0
GTEX-17GQL-2026-SM-718BA 60-69 years, male 5.0
GTEX-11EQ9-2426-SM-5HL5T 30-39 years, male 4.9
GTEX-14753-0426-SM-5NQAM 60-69 years, male 4.9
GTEX-ZYY3-0126-SM-5GZY5 60-69 years, female 4.9
GTEX-1PFEY-1526-SM-E76PP 30-39 years, male 4.9
GTEX-17HGU-0226-SM-7DHKV 50-59 years, male 4.8
GTEX-PX3G-0126-SM-2I3EN 20-29 years, female 4.8
GTEX-ZV68-0126-SM-59HKS 50-59 years, female 4.8
GTEX-1J1OQ-0226-SM-CYPSH 40-49 years, female 4.8
GTEX-11O72-0126-SM-59887 40-49 years, male 4.7
GTEX-131XE-2326-SM-5PNZ2 50-59 years, male 4.7
GTEX-1CB4E-2226-SM-793DC 60-69 years, male 4.7
GTEX-P4PP-0126-SM-3LK69 30-39 years, female 4.7
GTEX-1GF9U-2126-SM-7SB7L 40-49 years, female 4.7
GTEX-1JMQL-0226-SM-CNPP5 50-59 years, female 4.7
GTEX-13X6H-2126-SM-7EWD5 50-59 years, female 4.6
GTEX-145LS-0126-SM-5QGP1 60-69 years, female 4.6
GTEX-SNMC-1226-SM-2XCFP 20-29 years, male 4.6
GTEX-ZC5H-0226-SM-4WAY9 40-49 years, female 4.6
GTEX-1HBPM-0226-SM-ARL9F 60-69 years, female 4.6
GTEX-17JCI-0126-SM-7LG5G 60-69 years, female 4.5
GTEX-NPJ8-0126-SM-2YUNR 40-49 years, male 4.5
GTEX-WI4N-1026-SM-3LK7N 40-49 years, female 4.5
GTEX-Y8LW-1826-SM-5S2MV 50-59 years, female 4.5
GTEX-13OW5-0126-SM-DTXFS 60-69 years, male 4.5
GTEX-1JJ6O-0126-SM-E6CI8 60-69 years, male 4.5
GTEX-1JK1U-2026-SM-CM2RZ 60-69 years, male 4.5
GTEX-1LGRB-2526-SM-CNPPQ 50-59 years, female 4.5
GTEX-13FTW-2626-SM-5K7WL 40-49 years, male 4.4
GTEX-1J8Q2-0526-SM-CM2RW 60-69 years, male 4.4
GTEX-147F3-0526-SM-5SI98 50-59 years, female 4.2
GTEX-ZY6K-1826-SM-5GZXK 50-59 years, male 4.2
GTEX-1LC47-0326-SM-E9TJP 60-69 years, male 4.2
GTEX-11EI6-0126-SM-5985R 60-69 years, male 4.1
GTEX-12WSA-0226-SM-5BC5V 60-69 years, male 4.1
GTEX-14BMU-2226-SM-5TDE9 20-29 years, female 4.1
GTEX-14PHW-0126-SM-6LLJI 60-69 years, female 4.1
GTEX-ZXG5-0126-SM-5GIEU 60-69 years, male 4.1
GTEX-1GMR3-1926-SM-9KNUZ 40-49 years, male 4.1
GTEX-1HCVE-0126-SM-CGQEU 50-59 years, male 4.1
GTEX-13FH7-2026-SM-E9J4I 50-59 years, female 4.0
GTEX-14LZ3-0226-SM-62LET 60-69 years, female 3.9
GTEX-U3ZH-2026-SM-3DB78 30-39 years, male 3.9
GTEX-1LG7Z-1726-SM-D3LA4 30-39 years, male 3.9
GTEX-Y8E4-0626-SM-4WWDL 40-49 years, male 3.8
GTEX-ZF3C-0126-SM-DO92D 50-59 years, female 3.8
GTEX-ZVZP-2426-SM-59HKJ 50-59 years, male 3.7
GTEX-1R9PM-2026-SM-E76OY 20-29 years, male 3.7
GTEX-13NYS-0126-SM-5MR3W 60-69 years, male 3.6
GTEX-WFON-2126-SM-3LK7O 40-49 years, male 3.6
GTEX-1F5PK-2426-SM-7RHHY 50-59 years, male 3.6
GTEX-1H11D-0226-SM-9WG6Z 40-49 years, male 3.6
GTEX-11H98-0126-SM-5EGHG 50-59 years, male 3.5
GTEX-13O3P-0126-SM-5KM4S 50-59 years, male 3.5
GTEX-1CAMQ-0226-SM-7IGPK 40-49 years, male 3.5
GTEX-UJHI-1526-SM-3DB99 50-59 years, female 3.4
GTEX-1S83E-0126-SM-EWRO4 40-49 years, male 3.4
GTEX-17KNJ-2326-SM-7DHLQ 50-59 years, male 3.3
GTEX-1B97I-1626-SM-73KYO 40-49 years, male 3.3
GTEX-ZTSS-1926-SM-57WEW 40-49 years, male 3.3
GTEX-1ICLZ-0126-SM-CKZPO 60-69 years, male 3.2
GTEX-1LH75-2426-SM-E9TJE 50-59 years, female 3.2
GTEX-1QAET-0926-SM-E76QM 50-59 years, male 3.2
GTEX-ZWKS-0126-SM-5SIAA 30-39 years, male 3.1
GTEX-Y5V5-2326-SM-4V6GA 60-69 years, female 3.0
GTEX-1GZ2Q-0226-SM-7P8TL 40-49 years, male 3.0
GTEX-1H4P4-0726-SM-9YFLR 50-59 years, male 3.0
GTEX-1HB9E-0226-SM-E9U4R 50-59 years, male 3.0
GTEX-11P82-1626-SM-59879 20-29 years, male 2.9
GTEX-XBEW-0626-SM-4QASP 40-49 years, male 2.9
GTEX-1LVAN-0226-SM-COH3S 50-59 years, female 2.8
GTEX-1M5QR-1226-SM-EWROB 40-49 years, male 2.8
GTEX-1CB4H-0226-SM-7PBXM 60-69 years, female 2.7
GTEX-13111-1626-SM-5EGJY 50-59 years, male 2.6
GTEX-1HR98-0126-SM-B2LWI 60-69 years, male 2.6
GTEX-PLZ5-2026-SM-2S1O4 50-59 years, male 2.4
GTEX-ZTX8-1426-SM-5DUVO 20-29 years, male 2.4
GTEX-ZV6S-2326-SM-4YCEY 40-49 years, female 2.4
GTEX-1PWST-0226-SM-E76QJ 70-79 years, male 2.4
GTEX-ZF28-0126-SM-4WKGK 60-69 years, male 2.3
GTEX-1GL5R-1826-SM-9KNUY 50-59 years, male 2.3
GTEX-1QPFJ-0226-SM-E76PB 30-39 years, female 2.3
GTEX-ZYFG-2326-SM-5E44B 60-69 years, female 2.2
GTEX-183WM-0126-SM-7LTAB 70-79 years, female 2.0
GTEX-XUZC-1726-SM-4BRWS 30-39 years, female 1.7
GTEX-11WQK-0526-SM-5EQLD 50-59 years, male 1.5
GTEX-SE5C-1626-SM-2XCE3 40-49 years, female 1.3
GTEX-1L5NE-2526-SM-E6CIE 50-59 years, male 1.2
Show allShow less

Contact

  • NEWS ARTICLES
  • PRESS ROOM

The Project

  • INTRODUCTION
  • ORGANIZATION
  • PUBLICATIONS

The Human Protein Atlas

  • DOWNLOADABLE DATA
  • LICENCE & CITATION
  • HELP & FAQ
The Human Protein Atlas project is funded
by the Knut & Alice Wallenberg Foundation.


contact@proteinatlas.org