We use cookies to enhance the usability of our website. If you continue, we'll assume that you are happy to receive all cookies. More information. Don't show this again.
PIM1
HPA
RESOURCES
  • TISSUE
  • BRAIN
  • SINGLE CELL
  • SUBCELLULAR
  • CANCER
  • BLOOD
  • CELL LINE
  • STRUCTURE & INTERACTION
ABOUT
  • INTRODUCTION
  • HISTORY
  • ORGANIZATION
  • PUBLICATIONS
  • ANTIBODY SUBMISSION
  • ANTIBODY AVAILABILITY
  • ACKNOWLEDGMENTS
  • CONTACT
NEWS
  • NEWS ARTICLES
  • PRESS ROOM
LEARN
  • DICTIONARY
  • PROTEIN CLASSES
  • PROTEIN EVIDENCE
  • METHODS
  • EDUCATIONAL VIDEOS
DATA
  • DOWNLOADABLE DATA
  • PUBLICATION DATA
  • RELEASE HISTORY
HELP
  • ANTIBODY VALIDATION
  • ASSAYS & ANNOTATION
  • DISCLAIMER
  • HELP & FAQ
  • PRIVACY STATEMENT
  • LICENCE & CITATION
Fields »
Search result

Field
Term
Gene name
Class
Subclass
Class
Keyword
Chromosome
External id
Tissue
Cell type
Expression
Antibody panel
Tissue
Main location
Patient ID
Annotation
Tissue
Category
Tau score
Cluster
Reliability
Brain region
Category
Tau score
Brain region
Category
Tau score
Brain region
Category
Tau score
Cluster
Reliability
Tissue
Cell type
Enrichment
Cell type
Category
Tau score
Cell type
Category
Tau score
Cell type
Category
Tau score
Cell lineage
Category
Tau score
Cluster
Cluster
Location
Searches
Location
Cell line
Class
Type
Phase
Reliability
Cancer
Prognosis
Cancer
Category
Cancer
Category
Tau score
Cluster
Variants
Interacting gene (ensg_id)
Type
Number of interactions
Pathway
Category
Score
Score
Score
Validation
Validation
Validation
Validation
Antibodies
Data type
Column


  • SUMMARY

  • TISSUE

  • BRAIN

  • SINGLE CELL

  • SUBCELL

  • CANCER

  • BLOOD

  • CELL LINE

  • STRUCT & INT

  • PIM1
TISSUE PRIMARY DATA SKIN Show tissue menu
ADIPOSE TISSUE ADRENAL GLAND AMYGDALA APPENDIX BASAL GANGLIA BONE MARROW BREAST BRONCHUS CEREBELLUM CEREBRAL CORTEX CERVIX CHOROID PLEXUS COLON DUODENUM
ENDOMETRIUM EPIDIDYMIS ESOPHAGUS FALLOPIAN TUBE GALLBLADDER HEART MUSCLE HIPPOCAMPAL FORMATION HYPOTHALAMUS KIDNEY LIVER LUNG LYMPH NODE MIDBRAIN NASOPHARYNX
ORAL MUCOSA OVARY PANCREAS PARATHYROID GLAND PITUITARY GLAND PLACENTA PROSTATE RECTUM RETINA SALIVARY GLAND SEMINAL VESICLE SKELETAL MUSCLE SKIN SMALL INTESTINE
SMOOTH MUSCLE SOFT TISSUE SPINAL CORD SPLEEN STOMACH TESTIS THYMUS THYROID GLAND TONGUE TONSIL URINARY BLADDER VAGINA
ANTIBODIES
AND
VALIDATION
Dictionary
Skin
Tissue proteome
Skin
SKIN - Expression summary
Protein expression
Skini

On the top, protein expression in current human tissue, based on all annotated cell types, is reported with the units not detected (n), low (l), medium (m) and high (h). Underneath, protein expression in each annotated cell type are reported using the same units.

Protein expression data is based on knowledge-based annotation. For genes where more than one antibody has been used, a collective score is set.

If knowledge-based annotation could not be performed for a gene, no data is displayed here. View antibody staining data further down this page.

h
m
l
n
Epidermal cells: Not detected
RNA expressioni

A summary of mRNA expression data available for current tissue based on several datasets. The mRNA expression levels in human tissues are based on RNA-seq data generated by the Human Protein Atlas (HPA), Genotype-Tissue Expression (GTEx) portal and CAGE data generated by the FANTOM5 consortium. Consensus normalized expression levels for human tissues was created by combining the data from HPA and GTEx datasets.

The mRNA expression levels in pig are based on RNA-seq data generated by the Human Protein Atlas (HPA), and for mouse, HPA data and in situ hybridization generated by the Allen brain atlas are reported.

Scroll down to view mRNA expression data in more detail.
Consensus:106.3 nTPM
HPA:38.0 nTPM
GTEx:106.3 nTPM

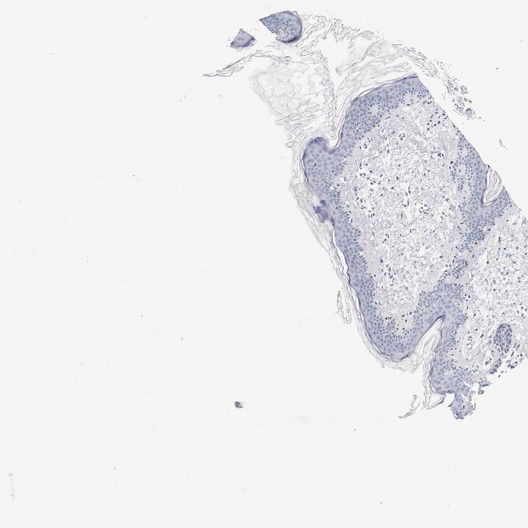
SKIN 1 - Antibody stainingi

Antibody staining in the annotated cell types in the current human tissue is reported as not detected, low, medium, or high, based on conventional immunohistochemistry profiling in selected tissues. This score is based on the combination of the staining intensity and fraction of stained cells.

Each image is clickable and will lead to virtual microscopy that enables deeper exploration of all samples and also displays staining intensity scores, fraction scores and subcellular localization as well as patient and tissue information for each sample.

Antibody HPA003941
Langerhans Not detected
Fibroblasts Not detected
Keratinocytes Not detected
Melanocytes Not detected


SKIN 2 - Antibody stainingi

Antibody staining in the annotated cell types in the current human tissue is reported as not detected, low, medium, or high, based on conventional immunohistochemistry profiling in selected tissues. This score is based on the combination of the staining intensity and fraction of stained cells.

Each image is clickable and will lead to virtual microscopy that enables deeper exploration of all samples and also displays staining intensity scores, fraction scores and subcellular localization as well as patient and tissue information for each sample.

Antibody HPA003941Antibody CAB017040
Epidermal cells Not detectedNot detected
  
  
  



SKIN - HPA RNA-seqi

The RNA-seq details section shows detailed information about the individual samples used for the transcript profiling and results of the RNA-seq analysis.

Information about each individual sample is listed below, including gender, age, a tissue section image and estimated fractions of cell types. nTPM (normalized transcripts per million) values give a quantification of the gene abundance which is comparable between different genes and samples.
Average nTPMi

Max subtype nTPM is the value for the subtype with the largest average nTPM across the subtype samples.

38.0
overview
Female, age 34
Skin sample 225
nTPM: 41.2
Cell types%
Keratinocytes:
60

Other cell types:
40

overview
Female, age 30
Skin sample 226
nTPM: 36.7
Cell types%
Keratinocytes:
55

Other cell types:
45

N/A
Male, age 57
Skin sample 227
nTPM: 36.2

SKIN - GTEx RNA-seqi

RNA-Seq data generated by the Genotype-Tissue Expression (GTEx) project from human tissues is reported as mean nTPM. More information can be found on the GTEx portal.

Distribution across the dataset is visualized with box plots, shown as median and 25th and 75th percentiles. Points are displayed as outliers if they are above or below 1.5 times the interquartile range. nTPM values of the individual samples are presented next to the box plot.
Max subtype nTPMi

Max subtype nTPM is the value for the subtype with the largest average nTPM across the subtype samples.

106.3
GTEx sample id Sample description nTPM
Skin - Not Sun Exposed (Suprapubic)
Average nTPM: 106.1
Samples: 604

Max nTPM: 325.8
Min nTPM: 17.9
Std nTPM: 45.9
Median nTPM: 97.2
GTEX-WI4N-2726-SM-3LK7Y 40-49 years, female 325.8
GTEX-144GM-0526-SM-79OJO 20-29 years, male 292.7
GTEX-13PDP-0726-SM-5L3HP 60-69 years, male 284.4
GTEX-1313W-0626-SM-5EQ4H 50-59 years, female 279.7
GTEX-X8HC-0626-SM-4E3HQ 50-59 years, female 266.5
GTEX-ZYFD-0626-SM-5E44E 50-59 years, male 259.4
GTEX-111VG-1626-SM-5EGIO 60-69 years, male 252.9
GTEX-1I1GT-1026-SM-ARZLV 60-69 years, female 252.1
GTEX-ZLV1-1526-SM-DO91J 60-69 years, female 245.9
GTEX-14A5H-0826-SM-5QGPJ 60-69 years, male 243.0
GTEX-13YAN-0226-SM-5TDC6 60-69 years, male 234.3
GTEX-1S82U-1026-SM-E6CJK 30-39 years, female 227.7
GTEX-1QP2A-1726-SM-E76QC 50-59 years, male 227.6
GTEX-11DZ1-2426-SM-5GZZX 50-59 years, male 227.1
GTEX-1PBJJ-1026-SM-E76OS 30-39 years, male 221.6
GTEX-1GZ4H-0526-SM-9KNU9 50-59 years, female 213.6
GTEX-1S82P-2126-SM-E6CI5 60-69 years, female 212.6
GTEX-YFCO-1226-SM-5LUAT 40-49 years, male 211.5
GTEX-148VJ-0626-SM-5LUAW 70-79 years, male 210.9
GTEX-1JMPY-0226-SM-CKZOK 30-39 years, male 209.1
GTEX-13O61-1426-SM-5KM3D 60-69 years, male 208.3
GTEX-12WSK-2126-SM-5CVNC 40-49 years, female 206.8
GTEX-1OJC3-1226-SM-DTXER 20-29 years, male 205.2
GTEX-1PPH8-0126-SM-EWRN8 20-29 years, male 203.1
GTEX-1POEN-2326-SM-E9J2L 30-39 years, female 202.7
GTEX-17F97-2626-SM-7IGM5 50-59 years, male 200.6
GTEX-WHSB-1326-SM-3LK6W 50-59 years, male 198.1
GTEX-1CAMS-2226-SM-7PBXQ 40-49 years, female 196.0
GTEX-1JMLX-0626-SM-ARL8T 50-59 years, male 195.7
GTEX-1CAMQ-1326-SM-7P8RV 40-49 years, male 194.9
GTEX-1F6RS-2026-SM-7RHHC 60-69 years, female 193.6
GTEX-1MJK3-0726-SM-E6CJC 20-29 years, male 192.8
GTEX-11TUW-0626-SM-5LU9M 60-69 years, male 192.1
GTEX-147F4-0726-SM-5TDDD 50-59 years, male 190.5
GTEX-14C38-0726-SM-5SI6M 50-59 years, male 189.7
GTEX-1HBPM-0726-SM-9YFL7 60-69 years, female 189.3
GTEX-15G1A-1626-SM-7KUKN 30-39 years, male 186.2
GTEX-ZY6K-1426-SM-5GZX2 50-59 years, male 185.7
GTEX-1JMQJ-0826-SM-CNPP7 50-59 years, male 185.5
GTEX-1H2FU-0926-SM-9WPPT 60-69 years, female 185.3
GTEX-18QFQ-1826-SM-72D52 30-39 years, male 184.2
GTEX-13OVK-1426-SM-6PAN7 40-49 years, male 183.8
GTEX-14E6C-2426-SM-5S2NF 40-49 years, male 180.0
GTEX-15UF6-1926-SM-7KUDV 70-79 years, female 179.9
GTEX-1EMGI-2326-SM-7PBYA 60-69 years, male 179.8
GTEX-1QP28-1126-SM-EVYC4 50-59 years, female 176.9
GTEX-14C5O-0326-SM-5ZZUX 60-69 years, male 175.1
GTEX-1LBAC-0826-SM-CY8IJ 20-29 years, male 174.6
GTEX-XQ8I-0926-SM-4BOOF 50-59 years, male 173.5
GTEX-ZAB4-2126-SM-5HL8U 40-49 years, male 173.1
GTEX-1J8EW-2726-SM-CY8HR 60-69 years, female 172.5
GTEX-1RAZQ-1326-SM-E9TK6 30-39 years, male 170.9
GTEX-1RMOY-1326-SM-E9TIH 50-59 years, male 170.9
GTEX-1JMQL-2226-SM-CNPP4 50-59 years, female 170.3
GTEX-1ICLZ-0326-SM-ARL82 60-69 years, male 169.7
GTEX-1399U-1126-SM-5L3DB 50-59 years, female 168.8
GTEX-1LKK1-2626-SM-DKPQE 50-59 years, female 167.6
GTEX-1NSGN-0726-SM-DTXEF 50-59 years, male 167.1
GTEX-ZVZP-1226-SM-5GID7 50-59 years, male 166.0
GTEX-WHSE-0126-SM-3NMBT 20-29 years, male 164.8
GTEX-ZTX8-1326-SM-4YCEL 20-29 years, male 164.3
GTEX-1QPFJ-1926-SM-EVYBD 30-39 years, female 163.8
GTEX-15D1Q-2826-SM-6LLH7 40-49 years, male 162.7
GTEX-13QJC-0126-SM-5ZZWJ 60-69 years, female 162.6
GTEX-11GSP-2326-SM-5HL63 60-69 years, female 161.2
GTEX-Y9LG-1126-SM-4VBQ7 30-39 years, male 161.2
GTEX-14XAO-1226-SM-6EU1C 60-69 years, female 161.0
GTEX-14ICL-1626-SM-5YYAO 30-39 years, male 160.7
GTEX-1PIIG-2326-SM-DTXFR 30-39 years, male 159.7
GTEX-U8XE-0226-SM-4E3J3 30-39 years, male 158.9
GTEX-XBEW-1126-SM-4QARW 40-49 years, male 158.4
GTEX-ZLFU-1826-SM-4WWBV 40-49 years, male 158.3
GTEX-11DXY-0126-SM-5H11Q 60-69 years, male 158.1
GTEX-ZYY3-2926-SM-5GIEB 60-69 years, female 158.0
GTEX-15FZZ-0526-SM-7KUGD 30-39 years, female 157.4
GTEX-1MCYP-0526-SM-E9U6Q 20-29 years, female 157.4
GTEX-1GN1V-2826-SM-9JGIA 60-69 years, male 156.5
GTEX-XK95-0226-SM-4AT58 40-49 years, male 156.1
GTEX-14C39-1726-SM-5RQIL 40-49 years, male 155.5
GTEX-1IDJI-0126-SM-CMKHS 50-59 years, female 155.3
GTEX-13W3W-0726-SM-5IJDQ 60-69 years, female 155.2
GTEX-1IKOE-1426-SM-CE6T7 30-39 years, female 155.1
GTEX-11EQ8-0926-SM-5H12V 60-69 years, male 155.0
GTEX-1LVAN-0626-SM-CNPOQ 50-59 years, female 154.1
GTEX-ZE9C-2526-SM-5IJDR 60-69 years, male 153.6
GTEX-1HCU7-0726-SM-A9SL1 50-59 years, male 153.3
GTEX-1H3O1-1326-SM-9MQLD 60-69 years, male 151.7
GTEX-1117F-2926-SM-5GZYI 60-69 years, female 151.2
GTEX-ZXG5-2126-SM-59HKD 60-69 years, male 150.4
GTEX-11WQC-1826-SM-5GU59 60-69 years, male 150.3
GTEX-13NYS-0626-SM-5L3F1 60-69 years, male 149.8
GTEX-1HCUA-0826-SM-ADEHM 50-59 years, female 149.0
GTEX-15EO6-2426-SM-6PALZ 50-59 years, male 148.6
GTEX-1R9K4-2826-SM-DTX8F 60-69 years, male 148.3
GTEX-1GMRU-2126-SM-7P8RA 50-59 years, male 148.0
GTEX-1R9PN-0426-SM-DTXDT 40-49 years, female 147.9
GTEX-13FTY-2126-SM-5IFFB 40-49 years, female 147.7
GTEX-15RIG-0726-SM-7KUM7 40-49 years, male 147.3
GTEX-15RJE-2826-SM-7KUM9 40-49 years, male 147.3
GTEX-ZC5H-1526-SM-5HL9Y 40-49 years, female 146.7
GTEX-1IDFM-0326-SM-ARL7V 60-69 years, male 146.7
GTEX-1RLM8-2926-SM-E8VON 50-59 years, male 146.5
GTEX-1HSMQ-2626-SM-A9SML 50-59 years, male 146.1
GTEX-17F9Y-0126-SM-79OKX 70-79 years, female 146.0
GTEX-144FL-0626-SM-5LU43 50-59 years, male 144.6
GTEX-1QP29-1826-SM-DTX9S 50-59 years, male 144.5
GTEX-1S83E-1326-SM-E6CJM 40-49 years, male 144.1
GTEX-17F9E-2326-SM-79OKD 50-59 years, male 142.5
GTEX-1C6VQ-1226-SM-73KYD 50-59 years, male 142.4
GTEX-14PJ4-0226-SM-5YY92 60-69 years, male 142.2
GTEX-11WQK-1026-SM-5EQLX 50-59 years, male 141.6
GTEX-14PJ5-1526-SM-6LLIL 60-69 years, female 141.5
GTEX-1PPH7-1126-SM-DTX9A 40-49 years, male 141.4
GTEX-ZA64-1026-SM-5HL8R 20-29 years, male 141.3
GTEX-1H23P-0626-SM-9WG6T 60-69 years, male 141.2
GTEX-12WSH-1526-SM-5BC5W 50-59 years, male 140.9
GTEX-13SLX-2226-SM-62LEP 50-59 years, female 140.7
GTEX-11ZU8-0126-SM-5EQ58 60-69 years, male 140.5
GTEX-12WSJ-1126-SM-5LZVJ 40-49 years, female 140.4
GTEX-14PJ6-2626-SM-6EU2T 60-69 years, female 140.1
GTEX-1399S-0126-SM-5IJCF 30-39 years, female 139.7
GTEX-1OJC4-2726-SM-E76PJ 50-59 years, female 139.3
GTEX-111CU-1126-SM-5EGIM 50-59 years, male 138.7
GTEX-13IVO-0726-SM-5LZYV 70-79 years, male 138.5
GTEX-1HSGN-0826-SM-ACKW3 40-49 years, female 138.2
GTEX-1C2JI-1026-SM-73KY1 50-59 years, male 137.9
GTEX-1HB9E-0126-SM-CM2S5 50-59 years, male 137.7
GTEX-11O72-0626-SM-5PNYE 40-49 years, male 137.1
GTEX-1AMEY-0826-SM-72D65 30-39 years, female 136.8
GTEX-12WSM-1926-SM-5BC65 60-69 years, male 136.7
GTEX-1EKGG-0626-SM-7DUGJ 60-69 years, male 136.0
GTEX-1JJEA-1826-SM-ARU8P 60-69 years, male 136.0
GTEX-1LVAO-2726-SM-E9TJ8 60-69 years, male 135.2
GTEX-1HCVE-2726-SM-CL54F 50-59 years, male 135.1
GTEX-1F52S-2926-SM-7MKGA 60-69 years, female 134.8
GTEX-WFG7-2026-SM-5SI7P 20-29 years, male 134.3
GTEX-139T8-0626-SM-5KLZX 60-69 years, male 134.1
GTEX-1IKJJ-2226-SM-CJI4C 60-69 years, male 133.9
GTEX-1JJ6O-2726-SM-CNPOG 60-69 years, male 133.3
GTEX-13FTX-1526-SM-5K7VJ 20-29 years, female 132.6
GTEX-YECK-0326-SM-4W1YS 60-69 years, male 132.2
GTEX-13SLW-0626-SM-5Q5ER 70-79 years, male 131.8
GTEX-17HII-1426-SM-7EPGG 50-59 years, male 131.8
GTEX-1HR9M-2226-SM-CNPPY 60-69 years, male 131.5
GTEX-12584-0726-SM-5FQTK 40-49 years, male 131.3
GTEX-1I1GU-0926-SM-ACKVS 40-49 years, male 131.3
GTEX-13RTJ-0126-SM-5S2NN 60-69 years, male 131.2
GTEX-13FHO-0426-SM-5L3F5 60-69 years, male 130.9
GTEX-14PJN-1826-SM-6AJ98 30-39 years, male 130.8
GTEX-1R9PM-1926-SM-EVR3O 20-29 years, male 130.0
GTEX-13NYC-0126-SM-5L3F4 60-69 years, male 129.9
GTEX-17HHE-1326-SM-7EWDZ 50-59 years, male 129.9
GTEX-1122O-1026-SM-9WYSF 60-69 years, female 129.2
GTEX-145LS-0626-SM-7EPG7 60-69 years, female 129.1
GTEX-1269C-0126-SM-5EQ5L 60-69 years, female 128.7
GTEX-15G19-2426-SM-7KUMR 60-69 years, male 128.5
GTEX-ZP4G-1426-SM-4WWCL 20-29 years, female 128.3
GTEX-XOT4-0626-SM-4B66L 60-69 years, female 128.1
GTEX-WH7G-2026-SM-3NMBL 40-49 years, male 127.8
GTEX-1HBPN-0126-SM-CGQEF 50-59 years, male 127.6
GTEX-13O3O-2326-SM-5IJD6 60-69 years, female 127.4
GTEX-1J1OQ-0126-SM-D4P2N 40-49 years, female 127.2
GTEX-X4EP-0626-SM-3P621 60-69 years, female 127.1
GTEX-ZPCL-1126-SM-4WWFE 60-69 years, female 126.7
GTEX-1IDJH-0126-SM-D3L92 70-79 years, male 126.7
GTEX-XV7Q-1826-SM-4BRUV 40-49 years, female 126.6
GTEX-ZVE1-0726-SM-51MRN 50-59 years, female 126.1
GTEX-1MCC2-1826-SM-DIPEX 30-39 years, female 126.0
GTEX-Y114-2126-SM-4TT8B 50-59 years, female 125.8
GTEX-1LVAM-0726-SM-E6CIL 50-59 years, female 125.7
GTEX-ZTSS-1426-SM-5985P 40-49 years, male 124.9
GTEX-1PPGY-1626-SM-EVYBL 60-69 years, male 124.8
GTEX-ZE7O-2726-SM-51MT5 50-59 years, female 124.7
GTEX-1NV5F-0626-SM-DTXEG 60-69 years, female 124.7
GTEX-1CB4F-1026-SM-7DUH1 60-69 years, male 124.6
GTEX-144GL-0626-SM-5LU4D 50-59 years, male 124.5
GTEX-131YS-2826-SM-5EQ47 60-69 years, female 124.2
GTEX-1LB8K-0726-SM-D5OV2 50-59 years, male 123.7
GTEX-ZVT4-2426-SM-5GIEI 50-59 years, female 123.1
GTEX-1KAFJ-0126-SM-DIPEK 50-59 years, male 122.9
GTEX-15SKB-2826-SM-6PAMH 60-69 years, male 122.0
GTEX-1R46S-2426-SM-E76QA 60-69 years, female 121.7
GTEX-1GN73-0726-SM-7P8TJ 60-69 years, male 121.1
GTEX-13VXT-1926-SM-5K7UO 20-29 years, female 121.0
GTEX-ZDTT-0426-SM-4WKFL 60-69 years, male 120.8
GTEX-1R7EU-1626-SM-DTXG3 60-69 years, male 120.6
GTEX-147F3-1726-SM-5SIAW 50-59 years, female 120.4
GTEX-XUW1-0926-SM-4BONX 50-59 years, female 120.2
GTEX-131XF-2626-SM-5EQ6K 60-69 years, male 119.6
GTEX-1I1GS-2626-SM-B2LY3 60-69 years, male 119.6
GTEX-1AYD5-2626-SM-7PBXY 50-59 years, male 119.5
GTEX-1HCU6-2526-SM-ADEHL 60-69 years, female 119.4
GTEX-18D9A-1426-SM-7LT8M 30-39 years, female 119.2
GTEX-1HGF4-0126-SM-CNPPX 60-69 years, male 119.2
GTEX-1HKZK-0726-SM-ACKW2 40-49 years, male 119.2
GTEX-1N2DV-1526-SM-DTXEP 40-49 years, male 119.2
GTEX-ZZPU-0826-SM-5GZX5 50-59 years, female 119.1
GTEX-12ZZZ-0726-SM-5GCNZ 60-69 years, male 118.5
GTEX-15ER7-0626-SM-6PANF 20-29 years, female 118.5
GTEX-14PHY-1226-SM-5ZZWK 60-69 years, female 117.4
GTEX-1LGRB-0926-SM-COH3K 50-59 years, female 117.3
GTEX-147GR-2426-SM-5ZZWQ 60-69 years, male 117.2
GTEX-1JKYN-0826-SM-ARU8S 30-39 years, male 117.0
GTEX-1HFI7-2326-SM-CGQFS 50-59 years, female 116.7
GTEX-1F48J-0726-SM-7RHGS 50-59 years, female 116.5
GTEX-1CB4E-0926-SM-7EPHT 60-69 years, male 116.1
GTEX-14PII-0726-SM-6EU2B 60-69 years, male 115.8
GTEX-1CB4H-1126-SM-7MKGL 60-69 years, female 115.8
GTEX-11ZTT-2126-SM-5CVLO 60-69 years, female 115.6
GTEX-145MG-1526-SM-5Q5EM 50-59 years, male 115.6
GTEX-12ZZX-2426-SM-5GCOE 40-49 years, female 115.2
GTEX-1I4MK-0126-SM-CY8G6 50-59 years, female 114.9
GTEX-11OF3-0126-SM-5PNYF 60-69 years, male 114.8
GTEX-139YR-1026-SM-5LZYN 50-59 years, male 114.8
GTEX-14PJO-2526-SM-6AJBQ 60-69 years, male 114.7
GTEX-Z93S-1626-SM-5CVMB 50-59 years, male 113.9
GTEX-1B8KE-1126-SM-7EPHI 50-59 years, male 113.6
GTEX-1QP9N-1226-SM-E76QN 30-39 years, male 113.5
GTEX-145LU-1926-SM-79OJN 50-59 years, male 113.4
GTEX-11LCK-2226-SM-5HL4Q 30-39 years, male 113.3
GTEX-X4EO-2926-SM-4E3JH 60-69 years, female 113.3
GTEX-131XG-0326-SM-5L3DX 50-59 years, female 113.1
GTEX-UPJH-0226-SM-3GADV 50-59 years, male 113.1
GTEX-1GPI7-1826-SM-9KNU1 20-29 years, male 113.0
GTEX-139TU-0726-SM-5L3EK 60-69 years, male 112.8
GTEX-13OVJ-0826-SM-5J1OK 50-59 years, female 112.6
GTEX-1HC8U-1326-SM-9YFMJ 40-49 years, female 112.6
GTEX-15CHR-1126-SM-7EWF4 50-59 years, male 112.3
GTEX-1C64N-2626-SM-7PC2N 50-59 years, male 112.2
GTEX-WHPG-2626-SM-3NMBR 50-59 years, male 111.8
GTEX-1C6WA-2626-SM-7MKGM 60-69 years, male 111.5
GTEX-1H4P4-2126-SM-9WYSL 50-59 years, male 111.4
GTEX-13OVH-0526-SM-5L3E6 70-79 years, male 111.3
GTEX-ZAJG-1526-SM-5CVML 50-59 years, female 111.2
GTEX-1CAMR-1326-SM-7PC1F 20-29 years, male 110.9
GTEX-14753-0726-SM-5QGQO 60-69 years, male 110.8
GTEX-XBED-1926-SM-47JYP 60-69 years, male 110.7
GTEX-1QAET-0326-SM-EVR3U 50-59 years, male 110.6
GTEX-1AX9J-1326-SM-731BJ 60-69 years, male 110.5
GTEX-ZYFC-0426-SM-5GICQ 50-59 years, male 110.4
GTEX-16MTA-0926-SM-6M47Z 50-59 years, male 110.3
GTEX-16BQI-1326-SM-6M486 30-39 years, female 110.2
GTEX-14BIN-1126-SM-5RQJZ 50-59 years, female 110.1
GTEX-17MFQ-1526-SM-7KFRR 20-29 years, male 110.1
GTEX-1I1GP-1326-SM-A9G28 50-59 years, male 109.5
GTEX-139D8-1126-SM-5LU8W 30-39 years, female 109.4
GTEX-15RJ7-2126-SM-6PAMD 40-49 years, male 109.4
GTEX-1S5ZU-2526-SM-E6CIF 20-29 years, female 109.2
GTEX-13PL6-1126-SM-5L3IE 40-49 years, female 109.0
GTEX-1B8SF-0126-SM-7DUG3 60-69 years, male 108.9
GTEX-1BAJH-2426-SM-7IGP8 70-79 years, male 108.8
GTEX-1S3DN-2126-SM-E9TIN 50-59 years, male 108.7
GTEX-1GF9V-0826-SM-9KNUV 60-69 years, male 108.3
GTEX-ZYW4-0626-SM-59HJR 60-69 years, male 108.2
GTEX-16MT8-2926-SM-7DUFO 60-69 years, female 108.1
GTEX-139UW-0326-SM-5J1ML 60-69 years, male 108.0
GTEX-16YQH-2226-SM-7IGM2 30-39 years, male 107.4
GTEX-1EN7A-2426-SM-793DB 40-49 years, male 106.9
GTEX-1I1GV-0626-SM-ARL7M 60-69 years, male 106.9
GTEX-1JK1U-0226-SM-ARZMX 60-69 years, male 106.8
GTEX-1LSNM-0826-SM-DIPG8 50-59 years, male 106.8
GTEX-1JN1M-2726-SM-CY8I4 60-69 years, female 106.2
GTEX-13FLV-0126-SM-5K7WT 50-59 years, male 105.7
GTEX-XPVG-2126-SM-4B667 50-59 years, male 105.7
GTEX-11P81-2226-SM-5PNYI 30-39 years, female 105.4
GTEX-13FTW-0326-SM-5K7UW 40-49 years, male 105.3
GTEX-1M4P7-0726-SM-E6CJ3 60-69 years, male 105.3
GTEX-13QBU-1226-SM-5LU4G 40-49 years, female 105.0
GTEX-1N2EE-0626-SM-E76PW 60-69 years, male 104.8
GTEX-1F88E-1626-SM-7SB8Z 60-69 years, female 104.3
GTEX-18A67-1626-SM-7LT9T 50-59 years, male 103.8
GTEX-11UD2-2526-SM-5CVNU 50-59 years, male 103.7
GTEX-1ICLY-0826-SM-CMKG1 50-59 years, male 103.7
GTEX-ZTTD-2826-SM-4YCFA 50-59 years, male 103.6
GTEX-14PJ3-1126-SM-5ZZVX 50-59 years, male 103.3
GTEX-1A3MW-0626-SM-731CB 60-69 years, female 103.2
GTEX-14PKU-0126-SM-6LLHV 40-49 years, female 102.8
GTEX-11EM3-1226-SM-5N9DD 20-29 years, female 102.4
GTEX-11DXZ-2026-SM-5987S 50-59 years, male 102.3
GTEX-1J8Q2-2626-SM-ACKWQ 60-69 years, male 102.3
GTEX-1PIGE-1826-SM-E8VOU 20-29 years, male 101.8
GTEX-13X6I-1826-SM-5SIAO 60-69 years, male 101.6
GTEX-1192X-2726-SM-5N9DN 50-59 years, male 101.1
GTEX-1GN2E-0226-SM-9WG6K 60-69 years, male 100.7
GTEX-13JVG-0726-SM-5KM16 60-69 years, male 100.5
GTEX-XAJ8-1426-SM-47JYM 40-49 years, male 100.2
GTEX-ZT9X-1526-SM-5DUXD 40-49 years, male 99.8
GTEX-1KANB-2826-SM-CY8I6 50-59 years, male 99.8
GTEX-1QW4Y-1126-SM-DTXE3 30-39 years, male 99.8
GTEX-VUSG-2326-SM-4KL1U 50-59 years, male 99.5
GTEX-1K2DU-1226-SM-CYPT4 20-29 years, male 99.4
GTEX-1PDJ9-1226-SM-EXUSX 20-29 years, male 98.9
GTEX-14PK6-0226-SM-62LF5 70-79 years, female 98.8
GTEX-12KS4-2126-SM-5FQUT 30-39 years, male 98.6
GTEX-146FQ-2126-SM-5RQHU 30-39 years, male 98.5
GTEX-16AAH-0626-SM-793C9 50-59 years, male 98.5
GTEX-1H11D-1826-SM-9QEHM 40-49 years, male 98.4
GTEX-17F98-1326-SM-7DUEP 40-49 years, female 98.2
GTEX-1QMI2-2526-SM-E8VNZ 60-69 years, male 98.0
GTEX-X5EB-1926-SM-4E3IW 40-49 years, male 97.9
GTEX-1RAZS-2526-SM-E6CHT 50-59 years, male 97.8
GTEX-1HSKV-1226-SM-ADEI4 60-69 years, male 97.2
GTEX-17F96-0126-SM-7EWDU 70-79 years, male 97.1
GTEX-1GZHY-0626-SM-9KNVC 50-59 years, female 96.9
GTEX-1GF9X-1326-SM-7PC2Y 40-49 years, female 96.7
GTEX-1GPI6-1926-SM-9KNV7 60-69 years, male 96.7
GTEX-ZVE2-2826-SM-5GU51 50-59 years, male 96.6
GTEX-1JMQK-1226-SM-D4P2S 60-69 years, male 96.5
GTEX-1QCLY-0226-SM-EWRNH 30-39 years, male 96.5
GTEX-ZDTS-0826-SM-4WKHL 60-69 years, male 96.2
GTEX-12BJ1-0926-SM-5EQ62 60-69 years, male 96.1
GTEX-1A3MV-1826-SM-731CD 30-39 years, male 96.0
GTEX-14LLW-2626-SM-62LDZ 70-79 years, female 95.8
GTEX-13PVQ-0626-SM-5LU47 50-59 years, male 95.5
GTEX-1JMPZ-0726-SM-CY8HZ 30-39 years, male 95.5
GTEX-13X6H-0926-SM-5SIB2 50-59 years, female 95.4
GTEX-1QEPI-2626-SM-DTXF4 60-69 years, female 95.2
GTEX-1F75A-0726-SM-7RHHD 50-59 years, male 95.1
GTEX-1B97I-0626-SM-73KUZ 40-49 years, male 94.9
GTEX-11GS4-0226-SM-5HL77 60-69 years, male 94.8
GTEX-Y8LW-1526-SM-5IFHL 50-59 years, female 93.6
GTEX-17EVP-2626-SM-7IGMA 40-49 years, male 93.2
GTEX-18465-2826-SM-7LT9J 50-59 years, male 92.8
GTEX-14B4R-1326-SM-5Q5EZ 30-39 years, male 92.7
GTEX-12126-0826-SM-5FQTZ 20-29 years, male 92.6
GTEX-12ZZY-0726-SM-5EQ66 60-69 years, male 92.5
GTEX-18A6Q-0626-SM-7KFRP 60-69 years, male 92.3
GTEX-1B933-2426-SM-7DHMD 50-59 years, female 92.3
GTEX-1J1R8-2026-SM-CL53Y 40-49 years, male 92.2
GTEX-1H1DE-1326-SM-9KNUG 20-29 years, male 92.0
GTEX-1KD5A-0126-SM-E9U54 50-59 years, male 91.9
GTEX-13OW7-0426-SM-5K7VK 50-59 years, male 91.6
GTEX-ZZ64-1026-SM-5GZXG 20-29 years, male 91.4
GTEX-1HT8W-0626-SM-A9G2H 30-39 years, male 91.2
GTEX-17MF6-2626-SM-79OKQ 40-49 years, male 90.9
GTEX-1GMR8-0626-SM-7RHI7 50-59 years, female 90.7
GTEX-1H1DG-2426-SM-9QEHJ 70-79 years, male 90.6
GTEX-1477Z-0326-SM-7IGLA 60-69 years, male 90.4
GTEX-1IDJC-1526-SM-B2LW4 50-59 years, male 90.4
GTEX-11EQ9-1626-SM-5PNY8 30-39 years, male 90.3
GTEX-ZF29-0926-SM-4WKFZ 60-69 years, female 90.3
GTEX-ZF3C-0626-SM-DO92O 50-59 years, female 90.2
GTEX-14BMU-1226-SM-5S2OR 20-29 years, female 89.9
GTEX-Y8E4-2026-SM-5IFJB 40-49 years, male 89.9
GTEX-1AX9I-2226-SM-73KUO 60-69 years, male 89.7
GTEX-1F75I-2226-SM-7SB8U 40-49 years, male 89.7
GTEX-ZVP2-0326-SM-57WBP 50-59 years, male 89.6
GTEX-17HGU-2326-SM-7DUFE 50-59 years, male 89.5
GTEX-15DYW-2726-SM-6EU2I 60-69 years, female 89.2
GTEX-1F6I4-2326-SM-7RHGL 60-69 years, male 89.1
GTEX-1IDJU-1726-SM-CMKHU 60-69 years, female 89.1
GTEX-ZAK1-0626-SM-5HL8E 50-59 years, female 88.8
GTEX-ZLWG-0826-SM-59888 50-59 years, female 88.4
GTEX-145MH-2826-SM-5RQJF 50-59 years, male 88.2
GTEX-ZF2S-1626-SM-57WES 50-59 years, female 88.1
GTEX-1F5PK-2226-SM-7SB6N 50-59 years, male 88.1
GTEX-1EH9U-2826-SM-7DUGT 60-69 years, male 88.0
GTEX-Y3I4-1726-SM-4TT89 50-59 years, male 87.7
GTEX-1S831-1826-SM-EWROF 20-29 years, male 87.4
GTEX-1399Q-2326-SM-5KM2X 40-49 years, male 86.6
GTEX-1CB4J-1326-SM-7P8RX 60-69 years, male 86.5
GTEX-1JMOU-1026-SM-CYPSS 60-69 years, female 86.5
GTEX-1IE54-1126-SM-A9G2Z 40-49 years, female 86.4
GTEX-1C64O-1326-SM-7MGWR 60-69 years, male 86.3
GTEX-14DAR-1226-SM-73KYV 50-59 years, male 86.1
GTEX-14AS3-1526-SM-5Q5ED 40-49 years, female 85.9
GTEX-1C6VR-0126-SM-7RHGB 60-69 years, male 85.7
GTEX-13112-0126-SM-5P9IU 50-59 years, male 85.5
GTEX-1N5O9-0926-SM-E9J3C 60-69 years, male 85.4
GTEX-11DXW-0826-SM-5H118 40-49 years, male 85.3
GTEX-14DAQ-0626-SM-793DS 60-69 years, female 85.3
GTEX-11P7K-1126-SM-5HL4L 30-39 years, male 85.0
GTEX-XMD2-2126-SM-4YCF8 60-69 years, female 85.0
GTEX-ZU9S-1826-SM-5NQ9E 30-39 years, male 85.0
GTEX-WYBS-0626-SM-3NMAS 60-69 years, female 84.7
GTEX-11DYG-1526-SM-5A5JS 60-69 years, male 84.6
GTEX-14PHX-2226-SM-6EU2P 50-59 years, male 84.4
GTEX-1B932-2326-SM-79OL5 40-49 years, female 84.3
GTEX-18A7A-0126-SM-731AH 50-59 years, female 84.1
GTEX-13NYB-0126-SM-5J1MD 40-49 years, male 83.9
GTEX-13NZ8-1226-SM-5KM4A 60-69 years, female 83.8
GTEX-1AMFI-1326-SM-7939R 50-59 years, female 83.5
GTEX-1314G-1326-SM-5BC6E 30-39 years, male 83.4
GTEX-11NUK-2726-SM-5A5MC 50-59 years, male 83.3
GTEX-12WSF-1626-SM-7KUG5 70-79 years, male 83.3
GTEX-16XZZ-0726-SM-7KUF2 60-69 years, male 83.2
GTEX-18D9B-0926-SM-7LG4U 60-69 years, male 83.2
GTEX-14PKV-1126-SM-6LLJ1 20-29 years, female 83.1
GTEX-15SHW-0226-SM-7LTAT 60-69 years, male 82.9
GTEX-XBEC-0726-SM-4QARZ 50-59 years, male 82.9
GTEX-Y111-0626-SM-4SOIT 50-59 years, male 82.9
GTEX-1K9T9-1526-SM-DIPFR 50-59 years, female 82.9
GTEX-1I1HK-2326-SM-CKZOH 60-69 years, male 82.8
GTEX-1E2YA-2126-SM-7MXUO 50-59 years, male 82.3
GTEX-ZGAY-1826-SM-DO91Q 40-49 years, female 82.3
GTEX-13N1W-2426-SM-5IJD1 70-79 years, male 81.9
GTEX-ZYVF-0926-SM-5E44J 50-59 years, female 81.8
GTEX-13G51-1826-SM-5KLZH 60-69 years, male 81.7
GTEX-1KXAM-1626-SM-D3LAD 60-69 years, male 81.6
GTEX-1EWIQ-0326-SM-7DHMQ 70-79 years, female 81.0
GTEX-1LSNL-2726-SM-E9TKJ 50-59 years, male 80.7
GTEX-ZVT2-0126-SM-5GIDQ 50-59 years, female 80.6
GTEX-1LSVX-2526-SM-DIPEU 60-69 years, male 80.4
GTEX-17EVQ-0126-SM-7IGLR 70-79 years, male 80.2
GTEX-1EU9M-1426-SM-793AI 60-69 years, male 80.2
GTEX-1KANA-1326-SM-DIPFA 20-29 years, male 80.2
GTEX-12WSD-0626-SM-5GCMW 60-69 years, female 80.1
GTEX-WXYG-2026-SM-4E3IY 50-59 years, female 80.1
GTEX-1RB15-1326-SM-E76Q9 60-69 years, male 79.8
GTEX-11PRG-0726-SM-5EGL1 50-59 years, male 79.5
GTEX-Y3IK-1626-SM-4YCF5 50-59 years, female 79.5
GTEX-14JG6-1426-SM-9WG7C 30-39 years, female 79.4
GTEX-1K2DA-1026-SM-CGQGF 50-59 years, male 79.2
GTEX-145ME-1726-SM-5Q5EU 40-49 years, female 79.0
GTEX-1JN6P-2926-SM-CL54D 60-69 years, male 78.9
GTEX-133LE-2326-SM-5K7W3 20-29 years, female 78.8
GTEX-1CAV2-0126-SM-7IGN7 40-49 years, female 78.7
GTEX-11VI4-1126-SM-5EQMD 40-49 years, female 78.6
GTEX-16MT9-0126-SM-7EPI8 60-69 years, female 78.1
GTEX-183FY-1026-SM-7939A 20-29 years, male 77.9
GTEX-1A3MX-2626-SM-7PC24 60-69 years, male 77.9
GTEX-1C475-1326-SM-7SB73 40-49 years, female 77.9
GTEX-18D9U-0126-SM-731BM 40-49 years, male 77.8
GTEX-145MN-1526-SM-5SI9T 30-39 years, male 77.3
GTEX-13OW6-2726-SM-5J2OE 50-59 years, male 77.2
GTEX-WEY5-2326-SM-3GIKK 40-49 years, female 77.1
GTEX-1GF9W-1426-SM-7PBYM 60-69 years, male 77.1
GTEX-131XW-0626-SM-5PNVD 50-59 years, female 77.0
GTEX-1HCU8-2526-SM-CE6RX 60-69 years, female 77.0
GTEX-1IDJF-2026-SM-CL53V 20-29 years, male 77.0
GTEX-1211K-1526-SM-5FQU4 60-69 years, female 76.8
GTEX-11P82-1426-SM-DTXFY 20-29 years, male 76.8
GTEX-1F88F-0126-SM-9WYSZ 60-69 years, female 76.7
GTEX-1HBPI-2126-SM-ARL9K 50-59 years, male 76.3
GTEX-1LG7Z-1626-SM-CXKYR 30-39 years, male 76.3
GTEX-15CHQ-0326-SM-69LQD 60-69 years, male 76.1
GTEX-1F75B-0726-SM-7PC3R 50-59 years, male 76.1
GTEX-14LZ3-0126-SM-69LPM 60-69 years, female 76.0
GTEX-1A8G6-2726-SM-731AR 60-69 years, male 76.0
GTEX-1A8G7-1326-SM-73KVM 60-69 years, male 75.9
GTEX-ZDYS-2426-SM-4WKGI 50-59 years, male 75.8
GTEX-1212Z-0126-SM-59HK4 60-69 years, male 75.5
GTEX-12C56-1526-SM-5FQUQ 20-29 years, male 75.5
GTEX-17HHY-0426-SM-7DHLC 50-59 years, male 75.2
GTEX-1GTWX-2026-SM-9YFLM 60-69 years, male 75.2
GTEX-1J8QM-2426-SM-A9SLS 60-69 years, female 74.9
GTEX-15DDE-2926-SM-6LLJ3 50-59 years, female 74.8
GTEX-12696-0126-SM-5EQ4L 60-69 years, male 74.5
GTEX-145MI-0626-SM-5SI8S 60-69 years, female 74.5
GTEX-1LG7Y-2526-SM-EWRO7 50-59 years, male 73.9
GTEX-145MO-2826-SM-5LU96 60-69 years, male 73.8
GTEX-WFON-1926-SM-3LK7L 40-49 years, male 73.8
GTEX-14ABY-2026-SM-62LDL 50-59 years, male 73.7
GTEX-1IDJV-0126-SM-COH3Y 60-69 years, male 73.7
GTEX-13FH7-1126-SM-5K7UG 50-59 years, female 73.6
GTEX-17KNJ-2126-SM-718AM 50-59 years, male 73.4
GTEX-1497J-0226-SM-5QGPU 60-69 years, male 73.0
GTEX-1H1ZS-2726-SM-9WG75 70-79 years, male 72.9
GTEX-16NGA-0726-SM-731AO 40-49 years, female 72.6
GTEX-1AX8Z-0726-SM-73KTS 60-69 years, male 72.5
GTEX-1GN1W-2426-SM-9KNUU 50-59 years, female 72.1
GTEX-YJ8O-2526-SM-5HL85 40-49 years, female 72.0
GTEX-1GL5R-1326-SM-7RHHF 50-59 years, male 72.0
GTEX-ZYFG-1526-SM-5GZYM 60-69 years, female 71.9
GTEX-1JJE9-2626-SM-ARZMT 70-79 years, male 71.8
GTEX-13N2G-0226-SM-5K7VF 60-69 years, male 71.7
GTEX-1RAZR-2126-SM-E9U6T 40-49 years, male 71.5
GTEX-13O3Q-0126-SM-5KM34 50-59 years, male 70.9
GTEX-13JUV-2026-SM-5K7UA 40-49 years, female 70.8
GTEX-1GMR2-0826-SM-7PC3V 50-59 years, male 70.7
GTEX-145MF-0926-SM-5Q5EA 50-59 years, male 70.6
GTEX-WY7C-2126-SM-3NB2R 50-59 years, male 70.6
GTEX-W5X1-2526-SM-3GILC 40-49 years, female 70.3
GTEX-ZPU1-1126-SM-4YCF3 40-49 years, male 70.2
GTEX-1GZ4I-2626-SM-9KNU3 50-59 years, male 70.2
GTEX-1JN76-0626-SM-CKZOQ 20-29 years, female 70.1
GTEX-ZWKS-0626-SM-5GIDV 30-39 years, male 70.0
GTEX-1O9I2-0226-SM-EYYXD 50-59 years, male 69.9
GTEX-1B8L1-2226-SM-7P8PT 60-69 years, male 69.6
GTEX-14A6H-2026-SM-5Q5DD 30-39 years, male 69.5
GTEX-1JMQI-1726-SM-ARL93 50-59 years, male 69.5
GTEX-1IY9M-2826-SM-ARU8H 60-69 years, male 69.2
GTEX-WRHU-2826-SM-3MJG8 50-59 years, female 69.1
GTEX-131XH-0126-SM-5LZUY 50-59 years, male 69.0
GTEX-1IOXB-2726-SM-CM2RI 50-59 years, male 68.9
GTEX-V1D1-2026-SM-3GAF4 50-59 years, male 68.7
GTEX-YEC3-1326-SM-DO92X 50-59 years, male 68.7
GTEX-Y5LM-0926-SM-6LLJG 40-49 years, female 68.3
GTEX-WK11-2726-SM-3NMAQ 50-59 years, male 68.1
GTEX-1GN1U-0626-SM-9MQL9 50-59 years, female 68.0
GTEX-1H3VE-0726-SM-9YFL5 40-49 years, male 67.7
GTEX-ZYT6-2326-SM-5GZY3 30-39 years, male 67.6
GTEX-1QCLZ-2426-SM-EVYBW 60-69 years, female 67.5
GTEX-13OW5-2326-SM-5L3HO 60-69 years, male 67.4
GTEX-14JFF-0626-SM-5ZZVT 60-69 years, male 67.0
GTEX-147JS-0226-SM-5S2U9 60-69 years, male 66.7
GTEX-15CHC-1126-SM-6LLHQ 60-69 years, female 66.5
GTEX-1I6K6-1726-SM-CGQFD 30-39 years, male 66.5
GTEX-1IDJD-2326-SM-ACKWX 30-39 years, male 66.5
GTEX-WYJK-0526-SM-3NM8Z 50-59 years, male 66.2
GTEX-1HR98-2226-SM-ADEI2 60-69 years, male 65.9
GTEX-14E1K-2026-SM-7DUEI 50-59 years, male 65.8
GTEX-WHWD-1826-SM-3LK6I 50-59 years, male 65.7
GTEX-1H1CY-0126-SM-9YFLY 60-69 years, female 65.6
GTEX-117YX-1926-SM-5GIEC 50-59 years, male 65.5
GTEX-183WM-0326-SM-72D5V 70-79 years, female 65.3
GTEX-1QP66-1226-SM-DTX7U 50-59 years, male 65.1
GTEX-139TS-2126-SM-5K7XC 60-69 years, male 65.0
GTEX-13NZ9-2626-SM-5L3FK 50-59 years, male 64.7
GTEX-WYVS-1626-SM-3NM9R 40-49 years, female 64.5
GTEX-14JG1-1526-SM-5YY9X 40-49 years, male 64.4
GTEX-16NPX-0726-SM-7KULC 50-59 years, male 64.2
GTEX-111YS-1526-SM-5GZYW 60-69 years, male 64.1
GTEX-13D11-0926-SM-5J2NC 50-59 years, female 64.1
GTEX-YEC4-1826-SM-4W1YP 40-49 years, male 63.6
GTEX-1KWVE-1026-SM-D3L9O 30-39 years, male 63.5
GTEX-12WSC-2826-SM-5BC5Y 50-59 years, male 63.2
GTEX-XQ3S-1426-SM-4BOPR 20-29 years, male 63.1
GTEX-1ICG6-1226-SM-A9SLN 70-79 years, female 62.6
GTEX-1GF9U-2026-SM-7SB92 40-49 years, female 62.5
GTEX-1H3NZ-2726-SM-9WYTQ 60-69 years, male 62.5
GTEX-13OVL-0126-SM-5L3GJ 50-59 years, male 62.0
GTEX-1HSMP-0926-SM-A9SKX 70-79 years, male 61.7
GTEX-16Z82-2626-SM-7KULU 60-69 years, male 61.5
GTEX-139TT-2126-SM-5LZWC 60-69 years, male 61.4
GTEX-13113-1626-SM-5EQ4I 60-69 years, female 60.2
GTEX-14BMV-2826-SM-5TDED 50-59 years, male 59.9
GTEX-14PJ2-0626-SM-6LLII 50-59 years, male 59.9
GTEX-11EI6-2826-SM-5H11D 60-69 years, male 59.8
GTEX-13OW8-1026-SM-5J1NQ 60-69 years, male 59.7
GTEX-13X6K-0626-SM-5LU5D 60-69 years, female 59.7
GTEX-1A32A-0626-SM-731AQ 50-59 years, female 59.6
GTEX-18A7B-2726-SM-7LG56 70-79 years, male 59.4
GTEX-1IDJE-1426-SM-ADEIW 50-59 years, female 58.8
GTEX-13PVR-0426-SM-5RQK2 60-69 years, female 57.7
GTEX-1JKYR-0626-SM-ARL8R 20-29 years, male 57.5
GTEX-18A66-0626-SM-7LT8Z 60-69 years, male 57.4
GTEX-Y5V5-0126-SM-5S2NW 60-69 years, female 57.3
GTEX-144GO-2026-SM-5O99P 60-69 years, male 57.2
GTEX-1IL2V-1926-SM-B2LW8 70-79 years, male 57.1
GTEX-X585-2426-SM-46MW2 50-59 years, male 57.0
GTEX-11ZUS-2626-SM-5FQUR 30-39 years, male 56.8
GTEX-11DXX-2126-SM-5PNYR 60-69 years, female 56.7
GTEX-11NSD-0626-SM-5A5LU 20-29 years, male 56.6
GTEX-ZDXO-3126-SM-5IJDF 60-69 years, male 56.6
GTEX-VJYA-1526-SM-3GIJV 60-69 years, male 56.2
GTEX-13U4I-2226-SM-5LU5H 40-49 years, female 56.0
GTEX-1CB4I-0126-SM-7RHGG 50-59 years, male 56.0
GTEX-1HCU9-0426-SM-9WYSD 20-29 years, male 56.0
GTEX-1H1E6-0426-SM-9WYUS 30-39 years, male 55.4
GTEX-1HSMO-0626-SM-ACKXC 60-69 years, male 55.2
GTEX-1LVA9-2626-SM-EVYD4 50-59 years, male 55.2
GTEX-13OVG-1626-SM-5J1NF 60-69 years, male 55.0
GTEX-16GPK-0626-SM-7KFSF 60-69 years, male 54.7
GTEX-13VXU-0626-SM-5L3F9 50-59 years, male 54.1
GTEX-15RIE-1926-SM-7KUKJ 60-69 years, male 54.1
GTEX-YF7O-1526-SM-5IFI6 50-59 years, male 53.2
GTEX-1KANC-1226-SM-CYPT7 50-59 years, female 53.2
GTEX-1I1CD-0626-SM-CE6SW 60-69 years, female 53.1
GTEX-1L5NE-1126-SM-D3L9P 50-59 years, male 52.9
GTEX-1EX96-1026-SM-7MKG2 50-59 years, male 52.5
GTEX-XYKS-1426-SM-4BRUO 60-69 years, female 52.5
GTEX-1I6K7-1926-SM-B2LXR 40-49 years, male 52.1
GTEX-X3Y1-2026-SM-3P5YM 40-49 years, male 51.6
GTEX-XXEK-1626-SM-4BRUZ 50-59 years, male 51.0
GTEX-132AR-0326-SM-5KM2C 50-59 years, female 50.6
GTEX-ZPIC-0526-SM-DO91W 40-49 years, female 50.5
GTEX-11TT1-1826-SM-5EQLV 20-29 years, male 50.3
GTEX-1I19N-0126-SM-CYPSF 70-79 years, male 50.1
GTEX-1HUB1-1426-SM-CGQF5 60-69 years, male 49.2
GTEX-1GMR3-0126-SM-A9SLW 40-49 years, male 49.1
GTEX-UPK5-0426-SM-3GAEK 40-49 years, male 48.9
GTEX-1J8JJ-0626-SM-ARZMQ 60-69 years, female 48.3
GTEX-1F5PL-0926-SM-7PC2W 40-49 years, female 48.2
GTEX-178AV-1726-SM-7KUL8 40-49 years, male 47.5
GTEX-17HG3-2626-SM-7DUF2 30-39 years, female 47.5
GTEX-1HFI6-0126-SM-CNPPI 40-49 years, male 47.1
GTEX-1B996-0426-SM-7EWF8 60-69 years, male 46.6
GTEX-1B8KZ-0326-SM-73KY4 50-59 years, male 44.8
GTEX-111FC-2526-SM-5GZXU 60-69 years, male 44.6
GTEX-12WSA-0426-SM-5EQ5X 60-69 years, male 44.3
GTEX-13X6J-0626-SM-5LU5F 50-59 years, male 44.0
GTEX-15EU6-2226-SM-6EU2L 50-59 years, male 43.7
GTEX-1LGOU-1326-SM-D3L8M 20-29 years, female 43.4
GTEX-14E6E-0526-SM-793DN 30-39 years, male 43.3
GTEX-1A8FM-0626-SM-7PC25 50-59 years, female 42.7
GTEX-1H1DF-1126-SM-9WG7G 40-49 years, female 41.8
GTEX-WFG8-2126-SM-3GIKQ 20-29 years, male 41.4
GTEX-ZT9W-1126-SM-57WDR 50-59 years, male 41.1
GTEX-1J8Q3-0526-SM-ARL8U 60-69 years, male 40.8
GTEX-13N11-2326-SM-5IJBF 50-59 years, female 40.5
GTEX-12WSL-2026-SM-5GCML 50-59 years, male 39.9
GTEX-145LT-0526-SM-5LUB2 40-49 years, male 39.9
GTEX-Y5V6-2326-SM-4VDSA 60-69 years, male 38.3
GTEX-ZUA1-2626-SM-5NQ92 40-49 years, male 37.6
GTEX-17JCI-2926-SM-7DUFF 60-69 years, female 33.6
GTEX-YB5K-2026-SM-4VDT3 40-49 years, female 32.8
GTEX-1E1VI-0326-SM-793D1 50-59 years, male 32.5
GTEX-1F6IF-0926-SM-7SB7M 60-69 years, male 31.5
GTEX-1RAZA-2226-SM-E9U4X 20-29 years, male 30.5
GTEX-1F75W-2726-SM-7SB8H 60-69 years, male 28.1
GTEX-ZVTK-0226-SM-51MRG 20-29 years, male 27.7
GTEX-1GZ2Q-0126-SM-9WG6M 40-49 years, male 23.5
GTEX-1399R-1326-SM-5PNYS 30-39 years, male 17.9
Show allShow less
Skin - Sun Exposed (Lower leg)
Average nTPM: 106.3
Samples: 701

Max nTPM: 468.1
Min nTPM: 10.3
Std nTPM: 49.6
Median nTPM: 97.3
GTEX-ZYFD-0126-SM-5GIDL 50-59 years, male 468.1
GTEX-14E6C-0126-SM-5RQIP 40-49 years, male 433.5
GTEX-1QMI2-0226-SM-EVYBX 60-69 years, male 344.9
GTEX-WI4N-1026-SM-3LK7N 40-49 years, female 339.5
GTEX-P4QT-0126-SM-2I3FL 50-59 years, female 325.1
GTEX-1I1GT-0626-SM-CGQER 60-69 years, female 310.4
GTEX-ZF3C-0126-SM-DO92D 50-59 years, female 291.2
GTEX-15ETS-0126-SM-7KUMW 40-49 years, female 288.5
GTEX-18D9A-1926-SM-7LG6P 30-39 years, female 265.0
GTEX-13OVH-0126-SM-5MR4B 70-79 years, male 260.1
GTEX-ZGAY-0526-SM-4WWBB 40-49 years, female 254.0
GTEX-X8HC-0126-SM-4E3JW 50-59 years, female 242.6
GTEX-UJHI-1526-SM-3DB99 50-59 years, female 238.3
GTEX-1KANC-1526-SM-D3LAB 50-59 years, female 237.9
GTEX-ZAJG-0126-SM-5HL94 50-59 years, female 229.2
GTEX-ZXES-1826-SM-5E43S 30-39 years, female 224.9
GTEX-1J1OQ-0226-SM-CYPSH 40-49 years, female 221.5
GTEX-YB5E-2026-SM-5IFIS 40-49 years, male 221.0
GTEX-1JMLX-0226-SM-CM2RO 50-59 years, male 211.0
GTEX-1399U-2326-SM-5K7WY 50-59 years, female 210.5
GTEX-14XAO-2326-SM-6EU1B 60-69 years, female 209.7
GTEX-U8XE-0326-SM-3DB8P 30-39 years, male 209.5
GTEX-1I1GV-0526-SM-A9G29 60-69 years, male 208.4
GTEX-T2YK-0526-SM-32QPJ 50-59 years, male 208.0
GTEX-1JN1M-0326-SM-CYPT3 60-69 years, female 207.5
GTEX-1JMQL-0226-SM-CNPP5 50-59 years, female 204.8
GTEX-1HSGN-0226-SM-CGQFV 40-49 years, female 204.7
GTEX-15F5U-1526-SM-6PANO 40-49 years, male 203.9
GTEX-1PWST-0226-SM-E76QJ 70-79 years, male 203.5
GTEX-1MA7W-2026-SM-E9TJ6 20-29 years, female 203.1
GTEX-1S3DN-2226-SM-EVYCD 50-59 years, male 200.4
GTEX-1LG7Z-1726-SM-D3LA4 30-39 years, male 199.9
GTEX-RTLS-0126-SM-447CA 60-69 years, female 195.7
GTEX-1QCLY-0326-SM-E8VOG 30-39 years, male 191.6
GTEX-1E2YA-0126-SM-9KNUC 50-59 years, male 191.4
GTEX-1I4MK-2226-SM-ACKWD 50-59 years, female 190.2
GTEX-XBEW-0626-SM-4QASP 40-49 years, male 189.7
GTEX-ZWKS-0126-SM-5SIAA 30-39 years, male 189.1
GTEX-1JJ6O-0126-SM-E6CI8 60-69 years, male 185.9
GTEX-1H4P4-0726-SM-9YFLR 50-59 years, male 185.7
GTEX-11DYG-0126-SM-59883 60-69 years, male 185.5
GTEX-1K2DA-1826-SM-CGQGT 50-59 years, male 184.6
GTEX-T6MN-0126-SM-32PLP 50-59 years, male 182.5
GTEX-15SHU-0126-SM-7KUEH 40-49 years, female 181.7
GTEX-1LB8K-0226-SM-EWRNW 50-59 years, male 181.6
GTEX-15RIG-0226-SM-7KFTL 40-49 years, male 181.4
GTEX-14ICK-0226-SM-6EU25 40-49 years, male 180.1
GTEX-1J8QM-2126-SM-CYPSJ 60-69 years, female 179.6
GTEX-1GZ4H-1726-SM-7PBZJ 50-59 years, female 178.8
GTEX-11EQ9-2426-SM-5HL5T 30-39 years, male 177.8
GTEX-14PN4-0126-SM-6EU2V 50-59 years, male 176.3
GTEX-U412-0426-SM-3DB9O 60-69 years, male 176.0
GTEX-1N2EF-0226-SM-EYYXB 60-69 years, male 175.7
GTEX-1NV5F-0226-SM-E8VNY 60-69 years, female 174.2
GTEX-1122O-2126-SM-5EGIR 60-69 years, female 173.8
GTEX-11WQK-0526-SM-5EQLD 50-59 years, male 173.5
GTEX-16GPK-0126-SM-7DHLE 60-69 years, male 173.5
GTEX-13O1R-0126-SM-5L3EH 60-69 years, male 173.0
GTEX-131XE-2326-SM-5PNZ2 50-59 years, male 171.7
GTEX-X4EO-0326-SM-3P5YO 60-69 years, female 171.7
GTEX-145MN-2226-SM-5SIAU 30-39 years, male 171.6
GTEX-ZV68-0126-SM-59HKS 50-59 years, female 170.7
GTEX-17F96-1626-SM-7DUFL 70-79 years, male 167.6
GTEX-11TUW-2726-SM-E9J4M 60-69 years, male 166.1
GTEX-1HCU7-0226-SM-CL545 50-59 years, male 165.9
GTEX-1QPFJ-0226-SM-E76PB 30-39 years, female 165.9
GTEX-OOBJ-0126-SM-E6CJW 60-69 years, male 165.4
GTEX-SNMC-1226-SM-2XCFP 20-29 years, male 165.3
GTEX-1PIIG-0226-SM-EWRN6 30-39 years, male 164.3
GTEX-14A5I-0126-SM-5TDEA 50-59 years, female 163.8
GTEX-1PFEY-1526-SM-E76PP 30-39 years, male 163.3
GTEX-132NY-0326-SM-5IJBL 60-69 years, male 163.1
GTEX-148VJ-0126-SM-5TDDN 70-79 years, male 162.8
GTEX-1CB4H-0226-SM-7PBXM 60-69 years, female 161.2
GTEX-PSDG-0226-SM-DKPOZ 50-59 years, male 161.1
GTEX-15ER7-0326-SM-7KUEV 20-29 years, female 160.8
GTEX-1L5NE-2526-SM-E6CIE 50-59 years, male 160.4
GTEX-1B8SF-1426-SM-7DUGL 60-69 years, male 160.0
GTEX-18QFQ-0126-SM-731BE 30-39 years, male 159.9
GTEX-1LSNM-1926-SM-E6CII 50-59 years, male 159.6
GTEX-15G19-0126-SM-6PANQ 60-69 years, male 159.2
GTEX-1H1CY-2826-SM-9MQM3 60-69 years, female 159.2
GTEX-1GZHY-0326-SM-9QEHI 50-59 years, female 158.6
GTEX-13SLW-0126-SM-5SI6C 70-79 years, male 156.8
GTEX-13PDP-0126-SM-5L3HD 60-69 years, male 156.6
GTEX-13FXS-0226-SM-5IJCK 50-59 years, male 156.3
GTEX-ZV6S-2326-SM-4YCEY 40-49 years, female 156.0
GTEX-1JMPZ-0226-SM-CNPP1 30-39 years, male 155.8
GTEX-1GF9V-0326-SM-7RHI5 60-69 years, male 155.2
GTEX-111FC-0126-SM-5N9DL 60-69 years, male 154.8
GTEX-183WM-0126-SM-7LTAB 70-79 years, female 154.8
GTEX-1PDJ9-0326-SM-DTX95 20-29 years, male 154.8
GTEX-1EWIQ-0126-SM-7RHH2 70-79 years, female 154.0
GTEX-11DXZ-2326-SM-5EGGV 50-59 years, male 153.8
GTEX-1QP66-1726-SM-E8VO1 50-59 years, male 153.2
GTEX-1LGRB-2526-SM-CNPPQ 50-59 years, female 153.0
GTEX-1LVAN-0226-SM-COH3S 50-59 years, female 153.0
GTEX-1399R-2726-SM-5IJBA 30-39 years, male 152.6
GTEX-13111-1626-SM-5EGJY 50-59 years, male 151.9
GTEX-14C5O-0126-SM-5SI6N 60-69 years, male 151.8
GTEX-1IL2U-0226-SM-CE6T8 60-69 years, male 151.7
GTEX-14A5H-0426-SM-5QGQF 60-69 years, male 151.1
GTEX-14E6E-1826-SM-5S2R7 30-39 years, male 151.0
GTEX-1MJK2-0426-SM-DTXE5 50-59 years, male 150.0
GTEX-ZVTK-0426-SM-51MRS 20-29 years, male 149.6
GTEX-1AX9J-0226-SM-73KXM 60-69 years, male 149.3
GTEX-13JUV-2726-SM-5LZZ8 40-49 years, female 149.2
GTEX-1S83E-0126-SM-EWRO4 40-49 years, male 148.5
GTEX-17JCI-0126-SM-7LG5G 60-69 years, female 148.4
GTEX-X4EP-0126-SM-3P5YV 60-69 years, female 148.2
GTEX-13NZB-2526-SM-5J1OM 30-39 years, male 147.7
GTEX-12WSE-0526-SM-793B2 20-29 years, male 147.3
GTEX-1CAV2-2226-SM-7P8P2 40-49 years, female 146.9
GTEX-ZVZO-0126-SM-5A5L9 40-49 years, male 146.7
GTEX-1QP9N-1426-SM-DTXFL 30-39 years, male 145.9
GTEX-14PII-0226-SM-6EU1T 60-69 years, male 145.5
GTEX-1HSMO-0126-SM-CL547 60-69 years, male 145.5
GTEX-XV7Q-2526-SM-4BRV9 40-49 years, female 145.4
GTEX-145ME-1826-SM-5SI9G 40-49 years, female 145.3
GTEX-1GN2E-0426-SM-9MQKX 60-69 years, male 144.4
GTEX-1JMPY-1326-SM-ARL8Y 30-39 years, male 144.1
GTEX-ZDTT-2726-SM-4WKF8 60-69 years, male 143.7
GTEX-1CAMQ-0226-SM-7IGPK 40-49 years, male 143.5
GTEX-14PJ6-2126-SM-6EU1V 60-69 years, female 142.8
GTEX-17EVP-0326-SM-7DHLG 40-49 years, male 142.8
GTEX-ZYT6-0226-SM-5NQ6T 30-39 years, male 142.2
GTEX-XUZC-1726-SM-4BRWS 30-39 years, female 141.6
GTEX-13SLX-0526-SM-5S2ON 50-59 years, female 141.2
GTEX-1JN76-0126-SM-CNPPE 20-29 years, female 140.6
GTEX-1F6RS-0126-SM-9MQKZ 60-69 years, female 140.2
GTEX-15UF6-0826-SM-6PALJ 70-79 years, female 140.0
GTEX-1HCUA-2426-SM-ADEIS 50-59 years, female 139.4
GTEX-ZVZP-2426-SM-59HKJ 50-59 years, male 138.9
GTEX-14JG1-0426-SM-6ETZZ 40-49 years, male 138.6
GTEX-13FTW-2626-SM-5K7WL 40-49 years, male 138.0
GTEX-11DZ1-0126-SM-5985Q 50-59 years, male 137.7
GTEX-1IDJH-0326-SM-A9SLQ 70-79 years, male 137.7
GTEX-1KAFJ-2026-SM-CY8ID 50-59 years, male 137.6
GTEX-1192W-2626-SM-5Q5AF 60-69 years, male 137.5
GTEX-Y8E4-0626-SM-4WWDL 40-49 years, male 137.3
GTEX-1399T-2826-SM-5KLYZ 60-69 years, male 137.2
GTEX-13CF2-2526-SM-5LZYX 60-69 years, male 137.1
GTEX-1JMQK-0226-SM-CL543 60-69 years, male 137.1
GTEX-1JJEA-0326-SM-CNPOT 60-69 years, male 136.4
GTEX-1A3MX-0126-SM-731BR 60-69 years, male 136.2
GTEX-PX3G-0126-SM-2I3EN 20-29 years, female 136.1
GTEX-1HCU8-0626-SM-A9SM9 60-69 years, female 136.1
GTEX-1PIGE-0126-SM-EVYBJ 20-29 years, male 135.5
GTEX-1LH75-2426-SM-E9TJE 50-59 years, female 134.5
GTEX-1R9PM-2026-SM-E76OY 20-29 years, male 134.3
GTEX-OIZG-0726-SM-33HBL 50-59 years, male 133.6
GTEX-13NZ8-0826-SM-5MR3I 60-69 years, female 133.5
GTEX-Y3IK-2426-SM-4WWDU 50-59 years, female 133.3
GTEX-1R7EV-2426-SM-EVYBG 40-49 years, male 132.6
GTEX-XQ8I-0426-SM-4BOPO 50-59 years, male 132.5
GTEX-1LBAC-0126-SM-DIPEZ 20-29 years, male 132.2
GTEX-YJ8A-0426-SM-5IFID 20-29 years, male 131.8
GTEX-1HBPM-0226-SM-ARL9F 60-69 years, female 131.8
GTEX-Z93S-0126-SM-5HL7M 50-59 years, male 131.6
GTEX-14BIN-0626-SM-793DP 50-59 years, female 131.4
GTEX-11NSD-2226-SM-5986V 20-29 years, male 131.1
GTEX-13NYB-2526-SM-5K7Z6 40-49 years, male 131.0
GTEX-WYJK-0126-SM-3NMAB 50-59 years, male 130.9
GTEX-1BAJH-0526-SM-793CQ 70-79 years, male 130.8
GTEX-1CB4I-0226-SM-79OLH 50-59 years, male 130.7
GTEX-1C475-1826-SM-73KWA 40-49 years, female 130.5
GTEX-ZAK1-0126-SM-5IJD3 50-59 years, female 130.0
GTEX-X88G-0126-SM-47JZ3 30-39 years, male 129.3
GTEX-145LV-2126-SM-5LU8N 50-59 years, male 128.4
GTEX-1IL2V-0126-SM-CM2TX 70-79 years, male 128.1
GTEX-11UD2-0226-SM-5EQKY 50-59 years, male 127.8
GTEX-13VXU-0126-SM-5SI9F 50-59 years, male 127.1
GTEX-12696-2426-SM-5EQ6H 60-69 years, male 126.8
GTEX-131XH-2226-SM-5DUXJ 50-59 years, male 126.6
GTEX-1B8KE-2126-SM-73KYX 50-59 years, male 126.3
GTEX-NPJ8-0126-SM-2YUNR 40-49 years, male 126.3
GTEX-1JMQJ-0526-SM-CYPSU 50-59 years, male 126.2
GTEX-1I1GQ-0126-SM-COH3H 50-59 years, male 126.1
GTEX-1313W-0126-SM-5LZUN 50-59 years, female 125.9
GTEX-X261-0126-SM-3NMD6 50-59 years, male 125.8
GTEX-Z93T-0126-SM-5HL5N 50-59 years, male 125.8
GTEX-16NGA-1726-SM-731B4 40-49 years, female 125.2
GTEX-17GQL-2026-SM-718BA 60-69 years, male 125.0
GTEX-Y114-2426-SM-4TT8A 50-59 years, female 125.0
GTEX-13FHP-0126-SM-5IJBG 50-59 years, male 124.7
GTEX-18A66-0226-SM-718BD 60-69 years, male 124.6
GTEX-1PPH8-0226-SM-E8VND 20-29 years, male 124.5
GTEX-S7SE-0126-SM-2XCD5 50-59 years, male 124.2
GTEX-139D8-0226-SM-5KLZO 30-39 years, female 124.1
GTEX-SUCS-1926-SM-32PM3 70-79 years, male 123.5
GTEX-1HSEH-0126-SM-ACKXN 60-69 years, male 123.5
GTEX-1OFPY-2426-SM-DTXEJ 60-69 years, male 123.5
GTEX-1OJC3-0126-SM-E76QX 20-29 years, male 123.5
GTEX-1H1DG-0126-SM-9WYU2 70-79 years, male 123.1
GTEX-1H3VE-0326-SM-9YFLH 40-49 years, male 122.4
GTEX-1K9T9-0126-SM-EVYCF 50-59 years, female 122.4
GTEX-1RAZA-0126-SM-E6CI3 20-29 years, male 122.4
GTEX-TML8-1926-SM-32QOS 40-49 years, female 122.3
GTEX-ZU9S-0226-SM-5E441 30-39 years, male 122.3
GTEX-13NYC-0326-SM-E9J4S 60-69 years, male 122.2
GTEX-YJ89-0126-SM-4TT3X 60-69 years, male 121.7
GTEX-12WSJ-1826-SM-5GCNY 40-49 years, female 121.6
GTEX-Y8DK-0126-SM-4TT3L 60-69 years, male 121.6
GTEX-VJWN-0126-SM-3GIK7 50-59 years, female 121.2
GTEX-XUW1-0426-SM-4BOOT 50-59 years, female 121.0
GTEX-111VG-2426-SM-5GZXD 60-69 years, male 120.9
GTEX-P4PP-0126-SM-3LK69 30-39 years, female 120.5
GTEX-POMQ-2226-SM-2I5FK 20-29 years, female 120.3
GTEX-12WSK-2326-SM-5GCOH 40-49 years, female 120.0
GTEX-ZYFC-0226-SM-5NQ75 50-59 years, male 120.0
GTEX-13NYS-0126-SM-5MR3W 60-69 years, male 119.9
GTEX-14LZ3-0226-SM-62LET 60-69 years, female 119.9
GTEX-OIZH-0126-SM-2HMIS 50-59 years, male 119.9
GTEX-1HFI7-1826-SM-ACKXH 50-59 years, female 119.6
GTEX-13IVO-0126-SM-5J1NG 70-79 years, male 119.5
GTEX-1GF9X-2026-SM-7PC3A 40-49 years, female 119.2
GTEX-1IKJJ-0126-SM-CNPQB 60-69 years, male 119.2
GTEX-ZE7O-0126-SM-57WC1 50-59 years, female 118.7
GTEX-ZE9C-2726-SM-57WB5 60-69 years, male 118.7
GTEX-13FTY-0526-SM-5L3EV 40-49 years, female 118.1
GTEX-11H98-0126-SM-5EGHG 50-59 years, male 118.0
GTEX-14E6D-0126-SM-62LDV 50-59 years, male 117.8
GTEX-13YAN-0326-SM-5O9DF 60-69 years, male 117.1
GTEX-ZTX8-1426-SM-5DUVO 20-29 years, male 117.0
GTEX-1R46S-0626-SM-E9J41 60-69 years, female 117.0
GTEX-1EMGI-0126-SM-9KNUE 60-69 years, male 116.8
GTEX-13OVK-2026-SM-7KUEO 40-49 years, male 116.6
GTEX-PWO3-1526-SM-48TCM 60-69 years, female 116.3
GTEX-139TS-2826-SM-5J1OO 60-69 years, male 115.9
GTEX-NFK9-0226-SM-2HMKQ 40-49 years, male 115.9
GTEX-1J1R8-1726-SM-ARL8M 40-49 years, male 115.9
GTEX-15EOM-0126-SM-7KUGG 20-29 years, female 115.8
GTEX-1R7EU-0226-SM-EVR4G 60-69 years, male 115.4
GTEX-S32W-2126-SM-2XCB1 50-59 years, female 115.3
GTEX-QVJO-1626-SM-2S1QW 60-69 years, female 115.2
GTEX-13PVR-2326-SM-5QGR1 60-69 years, female 114.9
GTEX-1S5ZA-0126-SM-EVYCV 20-29 years, male 114.9
GTEX-SN8G-0126-SM-32PLI 50-59 years, female 114.3
GTEX-Y5LM-1926-SM-5RQJH 40-49 years, female 114.3
GTEX-1B8L1-2526-SM-9WYTF 60-69 years, male 114.3
GTEX-ZPIC-1726-SM-DHXIU 40-49 years, female 114.3
GTEX-15DYW-0126-SM-7KULE 60-69 years, female 114.0
GTEX-PVOW-0126-SM-2XCFA 40-49 years, male 113.9
GTEX-ZDTS-0126-SM-4WAY5 60-69 years, male 113.7
GTEX-12WSG-2826-SM-E9J4H 50-59 years, female 113.7
GTEX-12ZZX-0126-SM-5EGK9 40-49 years, female 113.6
GTEX-T5JW-1626-SM-3GADZ 20-29 years, female 113.4
GTEX-1KWVE-1426-SM-E9TJO 30-39 years, male 113.3
GTEX-13OVJ-0126-SM-5KM36 50-59 years, female 113.2
GTEX-1HCVE-0126-SM-CGQEU 50-59 years, male 113.1
GTEX-144FL-0126-SM-5TDC8 50-59 years, male 113.0
GTEX-WYVS-2126-SM-3NMA3 40-49 years, female 113.0
GTEX-X4XY-0226-SM-4E3IZ 60-69 years, male 113.0
GTEX-139UW-2826-SM-5L3E7 60-69 years, male 112.8
GTEX-15SB6-1726-SM-6PAME 50-59 years, female 112.8
GTEX-1HCU9-1526-SM-A9SL7 20-29 years, male 112.7
GTEX-1F5PL-0326-SM-7P8PQ 40-49 years, female 112.6
GTEX-12126-0326-SM-5PNW3 20-29 years, male 112.3
GTEX-11UD1-0126-SM-5PNYG 40-49 years, female 111.8
GTEX-13O3P-0126-SM-5KM4S 50-59 years, male 111.8
GTEX-1K2DU-2326-SM-E9TIV 20-29 years, male 111.2
GTEX-1MUQO-0126-SM-EAZ58 60-69 years, male 111.1
GTEX-16YQH-0126-SM-7DUFJ 30-39 years, male 111.0
GTEX-1CB4E-2226-SM-793DC 60-69 years, male 110.9
GTEX-13RTJ-2426-SM-5S2Q2 60-69 years, male 110.7
GTEX-1IOXB-0126-SM-ARL8G 50-59 years, male 110.4
GTEX-1KANA-0726-SM-D3L9I 20-29 years, male 110.4
GTEX-1GPI7-0126-SM-9MQL8 20-29 years, male 110.3
GTEX-14DAQ-0126-SM-5S2MQ 60-69 years, female 110.0
GTEX-17HG3-2226-SM-7938L 30-39 years, female 110.0
GTEX-13O21-1426-SM-5K7XI 50-59 years, male 109.8
GTEX-1B8SG-0126-SM-73KZ3 50-59 years, male 109.7
GTEX-12584-0126-SM-5EGKQ 40-49 years, male 109.6
GTEX-1GMR3-1926-SM-9KNUZ 40-49 years, male 109.4
GTEX-1JMQI-2226-SM-CM2SD 50-59 years, male 109.4
GTEX-145MO-0326-SM-5Q5B3 60-69 years, male 109.2
GTEX-1H3O1-0426-SM-9YFKY 60-69 years, male 108.9
GTEX-131YS-0126-SM-5KM1M 60-69 years, female 108.8
GTEX-139T8-0126-SM-5K7XZ 60-69 years, male 108.7
GTEX-13X6J-0126-SM-5QGOU 50-59 years, male 108.6
GTEX-1497J-2426-SM-7IGNX 60-69 years, male 108.6
GTEX-1GN1U-0126-SM-7PBZK 50-59 years, female 108.5
GTEX-13OW6-0426-SM-5L3HM 50-59 years, male 108.4
GTEX-1I1GR-0126-SM-CL55F 60-69 years, male 108.2
GTEX-1H11D-0226-SM-9WG6Z 40-49 years, male 108.1
GTEX-14PHX-2326-SM-62LEM 50-59 years, male 107.9
GTEX-S33H-1026-SM-EZ6L6 30-39 years, male 107.9
GTEX-1A3MW-0126-SM-73KXX 60-69 years, female 107.2
GTEX-11TT1-2526-SM-5EGIB 20-29 years, male 106.9
GTEX-VUSG-2526-SM-4KL1V 50-59 years, male 106.9
GTEX-1S82Z-0826-SM-E6CHY 30-39 years, female 106.7
GTEX-S95S-1226-SM-4GICG 60-69 years, male 106.5
GTEX-Q2AH-1626-SM-3GAF8 40-49 years, male 106.4
GTEX-117XS-2726-SM-5N9BL 60-69 years, male 106.3
GTEX-14PN3-2426-SM-6LLHS 60-69 years, female 106.2
GTEX-1HSKV-0226-SM-A9SKJ 60-69 years, male 106.2
GTEX-14DAR-2026-SM-5S2O3 50-59 years, male 105.9
GTEX-XXEK-2226-SM-4BRUM 50-59 years, male 105.9
GTEX-ZF2S-2326-SM-4WWCE 50-59 years, female 105.8
GTEX-1GMRU-0126-SM-9YFLV 50-59 years, male 105.5
GTEX-Y5V5-2326-SM-4V6GA 60-69 years, female 105.4
GTEX-1GF9W-0326-SM-9KNUN 60-69 years, male 105.4
GTEX-1GN1V-0126-SM-9WPOS 60-69 years, male 105.4
GTEX-1KANB-0526-SM-E6CJH 50-59 years, male 105.4
GTEX-1CAMR-1926-SM-7EPI2 20-29 years, male 105.0
GTEX-16XZZ-0126-SM-793DV 60-69 years, male 104.9
GTEX-17KNJ-2326-SM-7DHLQ 50-59 years, male 104.9
GTEX-1EN7A-0126-SM-7SB81 40-49 years, male 104.8
GTEX-1J8JJ-0226-SM-CL53I 60-69 years, female 104.5
GTEX-ZVE2-0226-SM-59HJB 50-59 years, male 104.2
GTEX-1269C-2526-SM-5EGJ3 60-69 years, female 103.4
GTEX-1EU9M-0226-SM-7P8SP 60-69 years, male 103.4
GTEX-133LE-1826-SM-5J1MV 20-29 years, female 103.3
GTEX-12ZZY-0226-SM-5LZVE 60-69 years, male 103.2
GTEX-T2IS-0126-SM-4DM6O 20-29 years, female 102.8
GTEX-UPJH-0326-SM-3GADU 50-59 years, male 102.8
GTEX-147GR-0526-SM-5S2MY 60-69 years, male 102.6
GTEX-1KXAM-2226-SM-CYPTC 60-69 years, male 102.6
GTEX-1212Z-2526-SM-5EGKP 60-69 years, male 102.3
GTEX-QESD-1426-SM-2S1R9 20-29 years, male 102.3
GTEX-ZTPG-0326-SM-5O9AX 20-29 years, female 101.7
GTEX-145LS-0126-SM-5QGP1 60-69 years, female 101.6
GTEX-1F75B-0126-SM-9KNVL 50-59 years, male 101.6
GTEX-PLZ6-1426-SM-DKPOT 30-39 years, male 101.6
GTEX-1KD4Q-0226-SM-E9TJ9 40-49 years, male 101.5
GTEX-1F48J-0126-SM-7P8TT 50-59 years, female 101.2
GTEX-1JN6P-0126-SM-D3L98 60-69 years, male 101.2
GTEX-1CB4G-0226-SM-7PC3O 60-69 years, male 101.1
GTEX-14PJM-0226-SM-62LF1 50-59 years, female 100.7
GTEX-1J8EW-0126-SM-CJI4F 60-69 years, female 100.6
GTEX-11GSO-2426-SM-5A5LY 60-69 years, male 100.5
GTEX-ZYY3-0126-SM-5GZY5 60-69 years, female 100.4
GTEX-WQUQ-0426-SM-3MJFU 60-69 years, male 100.3
GTEX-11GSP-2526-SM-5N9BP 60-69 years, female 100.2
GTEX-131XG-2626-SM-5KM17 50-59 years, female 100.2
GTEX-13FH7-2026-SM-E9J4I 50-59 years, female 100.2
GTEX-1S82Y-2026-SM-EVYCM 40-49 years, male 100.0
GTEX-ZYFG-2326-SM-5E44B 60-69 years, female 99.8
GTEX-18465-0126-SM-731BN 50-59 years, male 99.7
GTEX-1I6K6-0126-SM-A9SLE 30-39 years, male 99.7
GTEX-1HFI6-0226-SM-ADEHZ 40-49 years, male 99.6
GTEX-1O97I-0326-SM-EYYX7 60-69 years, male 99.5
GTEX-15UKP-0426-SM-7KUFQ 20-29 years, male 99.4
GTEX-RNOR-0126-SM-E9J4R 50-59 years, female 99.2
GTEX-131XW-0426-SM-5LZWP 50-59 years, female 99.1
GTEX-1HBPI-1526-SM-C1YQ1 50-59 years, male 99.1
GTEX-13CF3-2426-SM-5IFGX 60-69 years, female 98.1
GTEX-16NPX-0226-SM-79OMT 50-59 years, male 98.0
GTEX-1GZ2Q-0226-SM-7P8TL 40-49 years, male 97.4
GTEX-12ZZZ-0626-SM-5DUXI 60-69 years, male 97.3
GTEX-R3RS-0126-SM-3GIJL 40-49 years, female 97.3
GTEX-SJXC-0126-SM-2XCFF 60-69 years, male 97.3
GTEX-XAJ8-0826-SM-47JY6 40-49 years, male 97.3
GTEX-ZVT2-2526-SM-51MT1 50-59 years, female 97.2
GTEX-12WSD-0126-SM-59HKN 60-69 years, female 97.0
GTEX-1CB4F-0426-SM-9KNV4 60-69 years, male 96.8
GTEX-11EI6-0126-SM-5985R 60-69 years, male 96.5
GTEX-131XF-5016-SM-7MGWE 60-69 years, male 96.5
GTEX-OXRN-0126-SM-48TDM 50-59 years, male 96.3
GTEX-1KD5A-0226-SM-D5OV3 50-59 years, male 96.3
GTEX-1C6VR-2426-SM-79OLD 60-69 years, male 96.0
GTEX-146FH-0126-SM-5QGPP 50-59 years, female 95.8
GTEX-16BQI-0226-SM-7KUEX 30-39 years, female 95.8
GTEX-QV44-1926-SM-2S1RF 50-59 years, male 95.6
GTEX-ZZ64-1726-SM-5GZYB 20-29 years, male 95.5
GTEX-YFC4-0126-SM-5CVLY 40-49 years, female 95.2
GTEX-1F75A-0126-SM-7RHGM 50-59 years, male 94.7
GTEX-1JMOU-1526-SM-CL54I 60-69 years, female 94.6
GTEX-1POEN-0126-SM-EYYXJ 30-39 years, female 94.5
GTEX-14JG6-2226-SM-6EU2G 30-39 years, female 94.4
GTEX-18D9U-0226-SM-718BP 40-49 years, male 94.4
GTEX-1128S-2326-SM-5GZZY 60-69 years, female 94.3
GTEX-1QAET-0926-SM-E76QM 50-59 years, male 94.1
GTEX-14BMV-0126-SM-5S2PO 50-59 years, male 94.0
GTEX-11DXW-0226-SM-5H122 40-49 years, male 93.9
GTEX-17F97-0326-SM-7LG5B 50-59 years, male 93.9
GTEX-18A6Q-0126-SM-731BZ 60-69 years, male 93.7
GTEX-17EUY-0426-SM-793BD 20-29 years, male 93.6
GTEX-RWSA-0126-SM-2XCBB 40-49 years, male 93.6
GTEX-17MFQ-1726-SM-793C7 20-29 years, male 93.4
GTEX-T8EM-1026-SM-3DB7M 40-49 years, male 93.3
GTEX-ZVT4-0126-SM-DTXFN 50-59 years, female 93.3
GTEX-1MCQQ-0826-SM-DLHC2 60-69 years, male 93.2
GTEX-1RB15-2126-SM-E9TIM 60-69 years, male 92.9
GTEX-1314G-1526-SM-5EGK2 30-39 years, male 92.8
GTEX-OXRK-0226-SM-3NB2G 50-59 years, female 92.8
GTEX-X4XX-0126-SM-3NMC2 60-69 years, male 92.8
GTEX-ZAB5-1826-SM-5HL7C 50-59 years, male 92.8
GTEX-1B933-0126-SM-7PC29 50-59 years, female 92.8
GTEX-1B97I-1626-SM-73KYO 40-49 years, male 92.7
GTEX-1HT8W-0126-SM-CNPPP 30-39 years, male 92.7
GTEX-WOFL-0126-SM-3MJG2 60-69 years, male 92.6
GTEX-QEG4-0226-SM-2S1PY 30-39 years, male 92.2
GTEX-WRHK-1426-SM-3MJF9 20-29 years, female 91.6
GTEX-11P81-2326-SM-59875 30-39 years, female 91.4
GTEX-1A32A-0126-SM-718B1 50-59 years, female 91.1
GTEX-RUSQ-1526-SM-2TF62 50-59 years, male 91.1
GTEX-144GL-0126-SM-5TDE2 50-59 years, male 91.0
GTEX-13113-5016-SM-7EPIP 60-69 years, female 90.9
GTEX-ZAB4-0226-SM-5N9F5 40-49 years, male 90.7
GTEX-148VI-1626-SM-5SI6E 60-69 years, female 90.5
GTEX-OOBK-0126-SM-2YUND 40-49 years, male 90.5
GTEX-O5YT-0126-SM-48TBW 20-29 years, male 90.4
GTEX-117YX-2326-SM-5H12W 50-59 years, male 90.3
GTEX-12WSC-0126-SM-5EQ4P 50-59 years, male 90.3
GTEX-Q2AG-0126-SM-33HBV 40-49 years, female 89.7
GTEX-YB5K-2126-SM-4WWDJ 40-49 years, female 89.6
GTEX-14LLW-0126-SM-6LLIO 70-79 years, female 89.5
GTEX-14753-0426-SM-5NQAM 60-69 years, male 89.2
GTEX-1GN73-0226-SM-9WG67 60-69 years, male 89.2
GTEX-1RQEC-0426-SM-E6CHU 60-69 years, male 88.8
GTEX-145MI-0526-SM-5O9A8 60-69 years, female 88.6
GTEX-TSE9-0126-SM-3DB83 60-69 years, female 88.5
GTEX-1C64N-0126-SM-793D7 50-59 years, male 88.4
GTEX-13O3Q-2426-SM-5IJBR 50-59 years, male 88.0
GTEX-ZQUD-1426-SM-57WER 30-39 years, male 88.0
GTEX-1H23P-0126-SM-ADEJ3 60-69 years, male 87.9
GTEX-1MGNQ-0126-SM-EVYCJ 40-49 years, male 87.9
GTEX-11VI4-1726-SM-5CVLH 40-49 years, female 87.7
GTEX-13FTX-1826-SM-5J1NX 20-29 years, female 87.1
GTEX-147F3-0526-SM-5SI98 50-59 years, female 87.0
GTEX-11DXY-2626-SM-5GIE7 60-69 years, male 86.8
GTEX-13N2G-2626-SM-5J1OT 60-69 years, male 86.8
GTEX-1E1VI-0126-SM-7DHMZ 50-59 years, male 86.8
GTEX-1IKK5-0626-SM-ARL8A 60-69 years, male 86.8
GTEX-1ICLY-0126-SM-D4P36 50-59 years, male 86.7
GTEX-PWCY-1826-SM-DHXIZ 20-29 years, female 86.7
GTEX-1F6I4-0126-SM-9MQL2 60-69 years, male 86.4
GTEX-1H3NZ-0126-SM-ACKX7 60-69 years, male 86.3
GTEX-QDVN-2026-SM-3GAEP 50-59 years, male 85.9
GTEX-1IKOH-0226-SM-COH4E 60-69 years, female 85.8
GTEX-1HB9E-0226-SM-E9U4R 50-59 years, male 85.7
GTEX-15DCD-0126-SM-7KUEK 70-79 years, female 85.5
GTEX-15DDE-0126-SM-6LPKH 50-59 years, female 85.5
GTEX-1211K-2026-SM-5EQ4Z 60-69 years, female 85.4
GTEX-1GMR8-0126-SM-9WYTM 50-59 years, female 85.2
GTEX-13VXT-0126-SM-5LU4I 20-29 years, female 85.0
GTEX-18A67-0126-SM-7LG5P 50-59 years, male 84.9
GTEX-17F98-0626-SM-79OMX 40-49 years, female 84.8
GTEX-1JKYR-0126-SM-CNPOJ 20-29 years, male 84.8
GTEX-Y111-0126-SM-4SOIV 50-59 years, male 84.6
GTEX-17HHE-2026-SM-79OKF 50-59 years, male 84.4
GTEX-ZEX8-2426-SM-4WKG4 50-59 years, male 84.3
GTEX-TKQ1-1026-SM-4GICL 30-39 years, male 83.9
GTEX-17MF6-0126-SM-7LG4F 40-49 years, male 83.6
GTEX-ZXG5-0126-SM-5GIEU 60-69 years, male 83.5
GTEX-13X6I-0626-SM-5QGP9 60-69 years, male 83.4
GTEX-WVJS-0126-SM-4MVOT 50-59 years, male 83.4
GTEX-11P7K-2126-SM-5GU7G 30-39 years, male 82.9
GTEX-13W46-0226-SM-5SIAG 50-59 years, male 82.9
GTEX-13O3O-0126-SM-E9J49 60-69 years, female 82.7
GTEX-13OW8-1326-SM-5J1OW 60-69 years, male 82.6
GTEX-146FQ-0126-SM-5NQA9 30-39 years, male 82.4
GTEX-ZTSS-1926-SM-57WEW 40-49 years, male 82.2
GTEX-1A8FM-0226-SM-7SB7Q 50-59 years, female 82.2
GTEX-11OF3-2626-SM-5GU7F 60-69 years, male 82.1
GTEX-1IDJF-0126-SM-CM2RS 20-29 years, male 82.1
GTEX-13X6H-2126-SM-7EWD5 50-59 years, female 82.0
GTEX-1AX9I-0126-SM-7SB74 60-69 years, male 81.9
GTEX-13QJ3-0326-SM-5S2RA 50-59 years, male 81.8
GTEX-U8T8-0126-SM-3DB94 60-69 years, male 81.8
GTEX-1H2FU-0126-SM-9WYSI 60-69 years, female 81.7
GTEX-11EM3-2426-SM-59861 20-29 years, female 81.6
GTEX-11OC5-0126-SM-5HL6A 60-69 years, male 81.6
GTEX-13OVG-1926-SM-5L3DK 60-69 years, male 81.6
GTEX-11ZVC-2526-SM-5FQTE 50-59 years, female 81.5
GTEX-1LC47-0326-SM-E9TJP 60-69 years, male 81.5
GTEX-W5X1-3026-SM-EAZAX 40-49 years, female 81.4
GTEX-113JC-2326-SM-5EQ4E 50-59 years, female 81.2
GTEX-1I1GS-0126-SM-B2LVW 60-69 years, male 81.2
GTEX-R45C-0126-SM-EAZ2R 60-69 years, female 81.1
GTEX-117YW-2626-SM-5GZZH 50-59 years, male 80.9
GTEX-1HR98-0126-SM-B2LWI 60-69 years, male 80.9
GTEX-W5WG-1826-SM-4KL2Y 50-59 years, female 80.6
GTEX-1M5QR-1226-SM-EWROB 40-49 years, male 80.6
GTEX-O5YW-0126-SM-3LK6D 50-59 years, male 80.5
GTEX-13RTK-1426-SM-5QGQJ 20-29 years, male 80.4
GTEX-1JK1U-2026-SM-CM2RZ 60-69 years, male 80.4
GTEX-1EX96-1626-SM-7PBXR 50-59 years, male 80.3
GTEX-Q734-1926-SM-2I5EV 40-49 years, female 80.2
GTEX-1IDJU-2626-SM-CM2RT 60-69 years, female 80.1
GTEX-1ICLZ-0126-SM-CKZPO 60-69 years, male 79.9
GTEX-ZVT3-0126-SM-5GU6I 60-69 years, female 79.8
GTEX-13G51-2526-SM-5LZYK 60-69 years, male 79.7
GTEX-OHPM-0126-SM-2YUN9 50-59 years, male 79.5
GTEX-145LU-0126-SM-5TDCB 50-59 years, male 79.4
GTEX-11O72-0126-SM-59887 40-49 years, male 79.3
GTEX-16AAH-1726-SM-7939C 50-59 years, male 79.3
GTEX-TMMY-0226-SM-33HBA 40-49 years, female 79.3
GTEX-ZQG8-1626-SM-DHXIT 60-69 years, female 79.3
GTEX-RU72-0926-SM-2TF6B 50-59 years, female 79.1
GTEX-1F88F-2726-SM-7PBZZ 60-69 years, female 79.1
GTEX-1LGOU-2026-SM-DIPFF 20-29 years, female 79.1
GTEX-16XZY-2126-SM-79OK1 70-79 years, male 79.0
GTEX-18A7B-0126-SM-7LG64 70-79 years, male 78.8
GTEX-1I1GP-2226-SM-CGQFK 50-59 years, male 78.4
GTEX-12WSL-2526-SM-5GCNJ 50-59 years, male 78.3
GTEX-P44H-0226-SM-2XCEU 40-49 years, male 78.3
GTEX-XQ3S-1526-SM-4BOOC 20-29 years, male 78.3
GTEX-1QEPI-0126-SM-EWRMQ 60-69 years, female 78.2
GTEX-11WQC-2526-SM-5CVLE 60-69 years, male 78.0
GTEX-13U4I-0126-SM-5LU38 40-49 years, female 77.9
GTEX-P4PQ-0126-SM-2S1NM 60-69 years, male 77.7
GTEX-139TT-0126-SM-5K7Y5 60-69 years, male 77.6
GTEX-T6MO-1626-SM-32QOM 40-49 years, female 77.5
GTEX-1C64O-0126-SM-7SB8P 60-69 years, male 77.4
GTEX-13112-2826-SM-5DUWH 50-59 years, male 77.2
GTEX-13OVL-0226-SM-5L3E9 50-59 years, male 77.2
GTEX-16MT8-0426-SM-7KUEY 60-69 years, female 77.0
GTEX-1F52S-0126-SM-9MQJU 60-69 years, female 77.0
GTEX-18A7A-0226-SM-718BH 50-59 years, female 76.7
GTEX-TMZS-0126-SM-3DB9Q 60-69 years, male 76.7
GTEX-13OW5-0126-SM-DTXFS 60-69 years, male 76.6
GTEX-13FHO-0226-SM-5IFGY 60-69 years, male 76.5
GTEX-1AMFI-2026-SM-731BH 50-59 years, female 76.5
GTEX-1C2JI-1826-SM-73KXC 50-59 years, male 76.4
GTEX-QDVJ-1726-SM-2I5FX 50-59 years, male 76.2
GTEX-1QP29-0626-SM-EWRMX 50-59 years, male 76.2
GTEX-1C4CL-0526-SM-73KVK 30-39 years, male 76.1
GTEX-SIU8-0126-SM-2XCDT 50-59 years, male 75.8
GTEX-VJYA-1126-SM-3GIJU 60-69 years, male 75.7
GTEX-SSA3-0126-SM-32QPU 60-69 years, male 75.4
GTEX-1I1CD-0126-SM-CM2TK 60-69 years, female 75.4
GTEX-1JJE9-0326-SM-CL53Z 70-79 years, male 75.4
GTEX-OXRP-0126-SM-3NB32 60-69 years, female 75.0
GTEX-RM2N-1426-SM-2TF4H 50-59 years, male 74.9
GTEX-1N2DW-0226-SM-E9TK2 50-59 years, male 74.9
GTEX-11ZTS-0126-SM-5EQ6M 60-69 years, female 74.7
GTEX-X585-0226-SM-4QAS2 50-59 years, male 74.4
GTEX-12C56-1726-SM-5EQ61 20-29 years, male 74.3
GTEX-13RTL-0126-SM-7LG5S 40-49 years, male 74.3
GTEX-X5EB-2226-SM-46MW4 40-49 years, male 74.2
GTEX-1IDFM-0126-SM-COH2V 60-69 years, male 73.9
GTEX-1LG7Y-0526-SM-DKPQC 50-59 years, male 73.8
GTEX-15EU6-0426-SM-6PAN5 50-59 years, male 73.3
GTEX-1F7RK-0126-SM-7PC2S 20-29 years, female 73.0
GTEX-1CAMS-0426-SM-7P8T2 40-49 years, female 72.4
GTEX-13N1W-0126-SM-5K7VT 70-79 years, male 72.3
GTEX-13S7M-0126-SM-5SI6A 60-69 years, female 72.1
GTEX-17EVQ-0226-SM-7LG4P 70-79 years, male 71.9
GTEX-PW2O-1526-SM-7RHHB 20-29 years, male 71.9
GTEX-1GL5R-1826-SM-9KNUY 50-59 years, male 71.8
GTEX-XBED-2226-SM-47JYQ 60-69 years, male 71.5
GTEX-XUYS-0126-SM-47JWZ 50-59 years, male 71.5
GTEX-13D11-2426-SM-5KM1V 50-59 years, female 71.0
GTEX-13NZA-0226-SM-5K7Z7 60-69 years, male 70.7
GTEX-17HGU-0226-SM-7DHKV 50-59 years, male 70.7
GTEX-RVPV-0126-SM-EAZAW 60-69 years, male 70.7
GTEX-13OVI-1426-SM-5L3EY 60-69 years, female 70.5
GTEX-T5JC-0426-SM-32PLO 20-29 years, male 70.3
GTEX-WZTO-0126-SM-3NM95 40-49 years, male 70.0
GTEX-1F5PK-2426-SM-7RHHY 50-59 years, male 70.0
GTEX-PLZ4-0126-SM-5SI8O 50-59 years, female 69.8
GTEX-RWS6-2026-SM-2XCB5 60-69 years, female 69.7
GTEX-145LT-1726-SM-5QGP3 40-49 years, male 69.6
GTEX-17HHY-0126-SM-7LG5D 50-59 years, male 69.6
GTEX-11GS4-2726-SM-5A5LE 60-69 years, male 69.5
GTEX-14BMU-2226-SM-5TDE9 20-29 years, female 69.5
GTEX-1JKYN-1326-SM-CGQG9 30-39 years, male 69.1
GTEX-15SDE-2226-SM-7IGLO 50-59 years, female 69.0
GTEX-1GF9U-2126-SM-7SB7L 40-49 years, female 68.9
GTEX-1H3VY-0126-SM-ACKXD 50-59 years, male 68.9
GTEX-1N2DV-0226-SM-E6CJ6 40-49 years, male 68.9
GTEX-169BO-1326-SM-9MQK2 50-59 years, male 68.6
GTEX-1HCU6-0126-SM-CL54K 60-69 years, female 68.6
GTEX-1RDX4-0126-SM-E9J4P 50-59 years, female 68.6
GTEX-147F4-0226-SM-5QGPW 50-59 years, male 68.4
GTEX-11EMC-2926-SM-5EQ4F 60-69 years, female 68.3
GTEX-14PK6-1926-SM-6ETZU 70-79 years, female 68.0
GTEX-1HSMQ-1226-SM-CGQFX 50-59 years, male 67.8
GTEX-1EKGG-0226-SM-9WYTH 60-69 years, male 67.3
GTEX-1MA7X-2226-SM-E6CIY 60-69 years, male 67.3
GTEX-1QP2A-0126-SM-E9J43 50-59 years, male 67.3
GTEX-1B996-0226-SM-7RHGO 60-69 years, male 66.9
GTEX-1C6VQ-0126-SM-7P8RI 50-59 years, male 66.8
GTEX-QCQG-1726-SM-3GIJ9 50-59 years, female 66.4
GTEX-XYKS-2126-SM-4E3IB 60-69 years, female 65.9
GTEX-1MCYP-1926-SM-E9J2R 20-29 years, female 65.9
GTEX-11XUK-2026-SM-5EQLF 40-49 years, female 65.7
GTEX-139TU-0126-SM-5K7WH 60-69 years, male 65.3
GTEX-1ICG6-2526-SM-CGQFZ 70-79 years, female 65.3
GTEX-ZF28-0126-SM-4WKGK 60-69 years, male 65.1
GTEX-1A3MV-1926-SM-718BT 30-39 years, male 65.0
GTEX-1AX8Z-0126-SM-7DHM6 60-69 years, male 65.0
GTEX-18D9B-0526-SM-7LTAS 60-69 years, male 63.8
GTEX-1C6WA-0126-SM-7PC2B 60-69 years, male 63.7
GTEX-13N11-2526-SM-5K7UE 50-59 years, female 63.4
GTEX-17HII-0226-SM-7LG4E 50-59 years, male 63.4
GTEX-XMD2-0126-SM-4YCDU 60-69 years, female 63.4
GTEX-1HGF4-2426-SM-ACKXM 60-69 years, male 63.4
GTEX-1192X-0226-SM-5H12D 50-59 years, male 63.3
GTEX-11DXX-2426-SM-5GZZW 60-69 years, female 63.2
GTEX-11LCK-1026-SM-5A5KB 30-39 years, male 63.2
GTEX-WFG8-2226-SM-3GIL9 20-29 years, male 63.2
GTEX-1IGQW-0126-SM-COH42 60-69 years, male 63.2
GTEX-WXYG-2326-SM-4E3I6 50-59 years, female 63.1
GTEX-14PHW-0126-SM-6LLJI 60-69 years, female 62.8
GTEX-QDT8-0126-SM-48TZ1 30-39 years, female 62.8
GTEX-OIZF-0126-SM-7SB8I 60-69 years, male 62.8
GTEX-145MF-0626-SM-5LUAI 50-59 years, male 62.6
GTEX-YEC4-2126-SM-5IFJH 40-49 years, male 62.6
GTEX-15CHC-2126-SM-6EU21 60-69 years, female 62.5
GTEX-1AYD5-2426-SM-73KXR 50-59 years, male 62.4
GTEX-Y3I4-2126-SM-4TT7C 50-59 years, male 62.3
GTEX-ZF29-2326-SM-DO92K 60-69 years, female 62.3
GTEX-Z9EW-1626-SM-5CVMN 40-49 years, male 62.2
GTEX-14E7W-0126-SM-6LLJ9 70-79 years, male 62.1
GTEX-1I19N-0326-SM-ACKVX 70-79 years, male 61.9
GTEX-1F6IF-0726-SM-7P8TW 60-69 years, male 61.8
GTEX-1HKZK-0326-SM-9WYUH 40-49 years, male 61.8
GTEX-1H1DE-2126-SM-9WG6R 20-29 years, male 61.6
GTEX-OXRO-0126-SM-2YUN4 60-69 years, female 61.4
GTEX-12KS4-0326-SM-5EQ41 30-39 years, male 61.3
GTEX-U3ZN-2326-SM-3DB7W 30-39 years, female 61.3
GTEX-WFON-2126-SM-3LK7O 40-49 years, male 61.1
GTEX-1HSMP-0126-SM-E6CJS 70-79 years, male 60.5
GTEX-1H1ZS-0426-SM-9WG6G 70-79 years, male 60.4
GTEX-1PPH7-2326-SM-EVYB8 40-49 years, male 60.4
GTEX-144GN-2326-SM-5LU4F 50-59 years, male 60.1
GTEX-WH7G-2326-SM-3NMBC 40-49 years, male 59.6
GTEX-XPVG-2626-SM-4B669 50-59 years, male 59.2
GTEX-11P82-1626-SM-59879 20-29 years, male 59.1
GTEX-12WSA-0226-SM-5BC5V 60-69 years, male 59.0
GTEX-ZC5H-0226-SM-4WAY9 40-49 years, female 58.9
GTEX-ZZPT-0226-SM-5E43X 50-59 years, male 58.8
GTEX-1PBJI-0526-SM-E8VNK 20-29 years, female 58.7
GTEX-R55E-0126-SM-2TC5Y 20-29 years, male 58.6
GTEX-1I1GU-2226-SM-CGQFA 40-49 years, male 58.3
GTEX-SE5C-1626-SM-2XCE3 40-49 years, female 58.2
GTEX-1RLM8-2326-SM-EWRN4 50-59 years, male 58.1
GTEX-1C6VS-0526-SM-7DUEN 60-69 years, male 57.9
GTEX-Y8LW-1826-SM-5S2MV 50-59 years, female 57.9
GTEX-14BIM-0226-SM-7IGLD 60-69 years, female 56.8
GTEX-1J8Q2-0526-SM-CM2RW 60-69 years, male 56.7
GTEX-11ZU8-2526-SM-5EQKI 60-69 years, male 56.6
GTEX-U3ZM-1526-SM-3DB9D 40-49 years, male 56.6
GTEX-ZDYS-2026-SM-5HL5L 50-59 years, male 56.6
GTEX-14A6H-0126-SM-5QGPK 30-39 years, male 56.5
GTEX-1GTWX-0126-SM-9YFLK 60-69 years, male 56.4
GTEX-1I1HK-0126-SM-COH49 60-69 years, male 56.4
GTEX-ZY6K-1826-SM-5GZXK 50-59 years, male 56.2
GTEX-11TTK-0126-SM-5987B 60-69 years, female 56.0
GTEX-13OW7-0126-SM-5MR3B 50-59 years, male 56.0
GTEX-1M4P7-0226-SM-DIPEV 60-69 years, male 56.0
GTEX-S7PM-0126-SM-4AD6S 60-69 years, male 55.3
GTEX-1IY9M-0126-SM-D3L8S 60-69 years, male 55.1
GTEX-183FY-0126-SM-7LT9P 20-29 years, male 55.0
GTEX-U3ZH-2026-SM-3DB78 30-39 years, male 54.9
GTEX-ZDXO-3026-SM-5J1N5 60-69 years, male 54.9
GTEX-1GPI6-0126-SM-9WG69 60-69 years, male 54.8
GTEX-PLZ5-2026-SM-2S1O4 50-59 years, male 54.6
GTEX-1H1E6-1726-SM-ACKVK 30-39 years, male 54.1
GTEX-11NUK-0126-SM-5A5L3 50-59 years, male 53.2
GTEX-RN64-0126-SM-2TC68 50-59 years, male 52.8
GTEX-1GN1W-0526-SM-9MQJQ 50-59 years, female 52.8
GTEX-13W3W-2426-SM-5LU5B 60-69 years, female 52.7
GTEX-OHPL-0126-SM-2HMJ7 60-69 years, female 52.7
GTEX-ZYW4-0126-SM-5E44A 60-69 years, male 52.7
GTEX-X638-0126-SM-47JZ8 70-79 years, female 52.3
GTEX-14ABY-0226-SM-5TDCQ 50-59 years, male 51.8
GTEX-1AYCT-2426-SM-7IGQ3 50-59 years, male 51.5
GTEX-15SHW-0326-SM-6PAML 60-69 years, male 51.3
GTEX-1NHNU-1026-SM-E9J2A 50-59 years, male 50.4
GTEX-1AMEY-1326-SM-73KYK 30-39 years, female 49.2
GTEX-15D1Q-0126-SM-7KUG6 40-49 years, male 48.8
GTEX-WY7C-2326-SM-3NB2U 50-59 years, male 48.7
GTEX-14BIL-0126-SM-5SI92 50-59 years, male 48.5
GTEX-1J8Q3-1626-SM-CMKGC 60-69 years, male 48.5
GTEX-14PJ3-1826-SM-62LEX 50-59 years, male 48.4
GTEX-1HBPN-0226-SM-9YFM1 50-59 years, male 48.0
GTEX-R55G-2526-SM-2TC6D 40-49 years, female 47.2
GTEX-V1D1-2226-SM-3NMAX 50-59 years, male 44.9
GTEX-1B8KZ-2026-SM-7DHMB 50-59 years, male 43.8
GTEX-1OJC4-0126-SM-E9J2E 50-59 years, female 43.6
GTEX-12WSN-5019-SM-79OM6 40-49 years, male 43.4
GTEX-1LNCM-1126-SM-E9U5E 50-59 years, female 43.0
GTEX-1IE54-0126-SM-CMKHW 40-49 years, female 42.7
GTEX-11ZTT-2426-SM-5EQLS 60-69 years, female 42.1
GTEX-Q2AI-1326-SM-2S1PL 40-49 years, male 42.1
GTEX-X62O-0126-SM-4E3JN 50-59 years, male 41.7
GTEX-1R9K4-0126-SM-DTX9X 60-69 years, male 39.0
GTEX-QLQW-1126-SM-2S1Q8 30-39 years, male 38.9
GTEX-1CB4J-0626-SM-7DHMP 60-69 years, male 38.6
GTEX-Y5V6-2426-SM-4VDSB 60-69 years, male 34.7
GTEX-OXRL-0126-SM-2YUMP 50-59 years, male 34.3
GTEX-1HUB1-0426-SM-E9U4U 60-69 years, male 32.8
GTEX-1AX9K-2326-SM-73KWU 50-59 years, male 32.4
GTEX-1R9PO-2126-SM-E9J4O 60-69 years, female 32.4
GTEX-14JIY-0126-SM-6LLH6 60-69 years, male 31.9
GTEX-1QP67-1626-SM-EAZ3X 40-49 years, female 31.4
GTEX-ZUA1-0126-SM-5GU76 40-49 years, male 31.1
GTEX-11ZUS-0626-SM-59885 30-39 years, male 30.9
GTEX-139T4-0226-SM-5HL5S 50-59 years, female 29.2
GTEX-113IC-0126-SM-5HL6T 60-69 years, male 28.6
GTEX-QLQ7-1626-SM-2S1R8 60-69 years, male 26.5
GTEX-1F75I-0326-SM-9YFLU 40-49 years, male 24.8
GTEX-1HBPH-0426-SM-B2LW5 40-49 years, female 19.3
GTEX-U4B1-1826-SM-4DXSU 40-49 years, male 17.1
GTEX-146FR-1326-SM-E9J48 60-69 years, female 15.8
GTEX-1RAZQ-0726-SM-EAZ43 30-39 years, male 13.1
GTEX-1QW4Y-1526-SM-EAZ3Z 30-39 years, male 10.3
Show allShow less

Contact

  • NEWS ARTICLES
  • PRESS ROOM

The Project

  • INTRODUCTION
  • ORGANIZATION
  • PUBLICATIONS

The Human Protein Atlas

  • DOWNLOADABLE DATA
  • LICENCE & CITATION
  • HELP & FAQ
The Human Protein Atlas project is funded
by the Knut & Alice Wallenberg Foundation.


contact@proteinatlas.org