We use cookies to enhance the usability of our website. If you continue, we'll assume that you are happy to receive all cookies. More information. Don't show this again.
HMGA1
HPA
RESOURCES
  • TISSUE
  • BRAIN
  • SINGLE CELL
  • SUBCELLULAR
  • CANCER
  • BLOOD
  • CELL LINE
  • STRUCTURE & INTERACTION
ABOUT
  • INTRODUCTION
  • HISTORY
  • ORGANIZATION
  • PUBLICATIONS
  • ANTIBODY SUBMISSION
  • ANTIBODY AVAILABILITY
  • ACKNOWLEDGMENTS
  • CONTACT
NEWS
  • NEWS ARTICLES
  • PRESS ROOM
LEARN
  • DICTIONARY
  • PROTEIN CLASSES
  • PROTEIN EVIDENCE
  • METHODS
  • EDUCATIONAL VIDEOS
DATA
  • DOWNLOADABLE DATA
  • PUBLICATION DATA
  • RELEASE HISTORY
HELP
  • ANTIBODY VALIDATION
  • ASSAYS & ANNOTATION
  • DISCLAIMER
  • HELP & FAQ
  • PRIVACY STATEMENT
  • LICENCE & CITATION
Fields »
Search result

Field
Term
Gene name
Class
Subclass
Class
Keyword
Chromosome
External id
Tissue
Cell type
Expression
Antibody panel
Tissue
Main location
Patient ID
Annotation
Tissue
Category
Tau score
Cluster
Reliability
Brain region
Category
Tau score
Brain region
Category
Tau score
Brain region
Category
Tau score
Cluster
Reliability
Tissue
Cell type
Enrichment
Cell type
Category
Tau score
Cell type
Category
Tau score
Cell type
Category
Tau score
Cell lineage
Category
Tau score
Cluster
Cluster
Location
Searches
Location
Cell line
Class
Type
Phase
Reliability
Cancer
Prognosis
Cancer
Category
Cancer
Category
Tau score
Cluster
Variants
Interacting gene (ensg_id)
Type
Number of interactions
Pathway
Category
Score
Score
Score
Validation
Validation
Validation
Validation
Antibodies
Data type
Column


  • SUMMARY

  • TISSUE

  • BRAIN

  • SINGLE CELL

  • SUBCELL

  • CANCER

  • BLOOD

  • CELL LINE

  • STRUCT & INT

  • HMGA1
TISSUE PRIMARY DATA SKIN Show tissue menu
ADIPOSE TISSUE ADRENAL GLAND AMYGDALA APPENDIX BASAL GANGLIA BONE MARROW BREAST BRONCHUS CEREBELLUM CEREBRAL CORTEX CERVIX CHOROID PLEXUS COLON DUODENUM
ENDOMETRIUM EPIDIDYMIS ESOPHAGUS FALLOPIAN TUBE GALLBLADDER HEART MUSCLE HIPPOCAMPAL FORMATION HYPOTHALAMUS KIDNEY LIVER LUNG LYMPH NODE MIDBRAIN NASOPHARYNX
ORAL MUCOSA OVARY PANCREAS PARATHYROID GLAND PITUITARY GLAND PLACENTA PROSTATE RECTUM RETINA SALIVARY GLAND SEMINAL VESICLE SKELETAL MUSCLE SKIN SMALL INTESTINE
SMOOTH MUSCLE SOFT TISSUE SPINAL CORD SPLEEN STOMACH TESTIS THYMUS THYROID GLAND TONGUE TONSIL URINARY BLADDER VAGINA
ANTIBODIES
AND
VALIDATION
Dictionary
Skin
Tissue proteome
Skin
SKIN - Expression summary
Protein expression
Skini

On the top, protein expression in current human tissue, based on all annotated cell types, is reported with the units not detected (n), low (l), medium (m) and high (h). Underneath, protein expression in each annotated cell type are reported using the same units.

Protein expression data is based on knowledge-based annotation. For genes where more than one antibody has been used, a collective score is set.

If knowledge-based annotation could not be performed for a gene, no data is displayed here. View antibody staining data further down this page.

h
m
l
n
Arrector pili muscle cells: Not detected
Cells in basal layer: Medium
Cells in corneal layer: Not detected
Cells in granular layer: High
Cells in spinous layer: Medium
Endothelial cells: Low
Extracellular matrix: Not detected
Fibrohistiocytic cells: Not detected
Hair follicles: Medium
Langerhans cells: Medium
Lymphocytes: High
Melanocytes: High
Vascular mural cells: Not detected
RNA expressioni

A summary of mRNA expression data available for current tissue based on several datasets. The mRNA expression levels in human tissues are based on RNA-seq data generated by the Human Protein Atlas (HPA), Genotype-Tissue Expression (GTEx) portal and CAGE data generated by the FANTOM5 consortium. Consensus normalized expression levels for human tissues was created by combining the data from HPA and GTEx datasets.

The mRNA expression levels in pig are based on RNA-seq data generated by the Human Protein Atlas (HPA), and for mouse, HPA data and in situ hybridization generated by the Allen brain atlas are reported.

Scroll down to view mRNA expression data in more detail.
Consensus:137.3 nTPM
HPA:100.2 nTPM
GTEx:137.3 nTPM

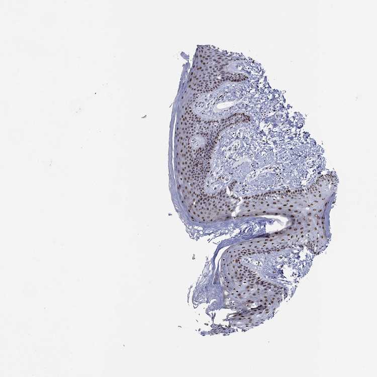
SKIN 1 - Antibody stainingi

Antibody staining in the annotated cell types in the current human tissue is reported as not detected, low, medium, or high, based on conventional immunohistochemistry profiling in selected tissues. This score is based on the combination of the staining intensity and fraction of stained cells.

Each image is clickable and will lead to virtual microscopy that enables deeper exploration of all samples and also displays staining intensity scores, fraction scores and subcellular localization as well as patient and tissue information for each sample.

Antibody HPA065612Antibody HPA068442
Langerhans Not detected-
Arrector pili muscle cells -Not detected
Cells in basal layer -Medium
Cells in corneal layer -Not detected
Cells in granular layer -High
Cells in spinous layer -Medium
Endothelial cells -Low
Extracellular matrix -Not detected
Fibroblasts Not detected-
Fibrohistiocytic cells -Not detected
Hair follicles -Medium
Keratinocytes High-
Langerhans cells -Medium
Lymphocytes -High
Melanocytes HighHigh
Vascular mural cells -Not detected




SKIN 2 - Antibody stainingi

Antibody staining in the annotated cell types in the current human tissue is reported as not detected, low, medium, or high, based on conventional immunohistochemistry profiling in selected tissues. This score is based on the combination of the staining intensity and fraction of stained cells.

Each image is clickable and will lead to virtual microscopy that enables deeper exploration of all samples and also displays staining intensity scores, fraction scores and subcellular localization as well as patient and tissue information for each sample.

Antibody HPA065612Antibody HPA068442
Arrector pili muscle cells -Not detected
Cells in basal layer -Medium
Cells in corneal layer -Not detected
Cells in granular layer -High
Cells in spinous layer -Medium
Endothelial cells -Low
Epidermal cells High-
Extracellular matrix -Not detected
Fibrohistiocytic cells -Not detected
Langerhans cells -Medium
Lymphocytes -High
Melanocytes -High
Vascular mural cells -Not detected
  
  
  





SKIN - HPA RNA-seqi

The RNA-seq details section shows detailed information about the individual samples used for the transcript profiling and results of the RNA-seq analysis.

Information about each individual sample is listed below, including gender, age, a tissue section image and estimated fractions of cell types. nTPM (normalized transcripts per million) values give a quantification of the gene abundance which is comparable between different genes and samples.
Average nTPMi

Max subtype nTPM is the value for the subtype with the largest average nTPM across the subtype samples.

100.2
overview
Female, age 34
Skin sample 225
nTPM: 104.3
Cell types%
Keratinocytes:
60

Other cell types:
40

overview
Female, age 30
Skin sample 226
nTPM: 93.3
Cell types%
Keratinocytes:
55

Other cell types:
45

N/A
Male, age 57
Skin sample 227
nTPM: 102.9

SKIN - GTEx RNA-seqi

RNA-Seq data generated by the Genotype-Tissue Expression (GTEx) project from human tissues is reported as mean nTPM. More information can be found on the GTEx portal.

Distribution across the dataset is visualized with box plots, shown as median and 25th and 75th percentiles. Points are displayed as outliers if they are above or below 1.5 times the interquartile range. nTPM values of the individual samples are presented next to the box plot.
Max subtype nTPMi

Max subtype nTPM is the value for the subtype with the largest average nTPM across the subtype samples.

137.3
GTEx sample id Sample description nTPM
Skin - Not Sun Exposed (Suprapubic)
Average nTPM: 137.3
Samples: 604

Max nTPM: 479.6
Min nTPM: 46.1
Std nTPM: 49.3
Median nTPM: 128.0
GTEX-1H2FU-0926-SM-9WPPT 60-69 years, female 479.6
GTEX-1PPH8-0126-SM-EWRN8 20-29 years, male 355.7
GTEX-1OJC3-1226-SM-DTXER 20-29 years, male 339.9
GTEX-WFG7-2026-SM-5SI7P 20-29 years, male 327.8
GTEX-ZY6K-1426-SM-5GZX2 50-59 years, male 310.7
GTEX-WHSE-0126-SM-3NMBT 20-29 years, male 303.4
GTEX-11DZ1-2426-SM-5GZZX 50-59 years, male 302.5
GTEX-ZTX8-1326-SM-4YCEL 20-29 years, male 299.8
GTEX-1N2DV-1526-SM-DTXEP 40-49 years, male 287.8
GTEX-14ICL-1626-SM-5YYAO 30-39 years, male 277.9
GTEX-1IKOE-1426-SM-CE6T7 30-39 years, female 270.7
GTEX-X585-2426-SM-46MW2 50-59 years, male 267.2
GTEX-Y114-2126-SM-4TT8B 50-59 years, female 265.8
GTEX-1ICLZ-0326-SM-ARL82 60-69 years, male 265.8
GTEX-17F97-2626-SM-7IGM5 50-59 years, male 261.9
GTEX-12WSJ-1126-SM-5LZVJ 40-49 years, female 261.0
GTEX-111VG-1626-SM-5EGIO 60-69 years, male 251.7
GTEX-11WQK-1026-SM-5EQLX 50-59 years, male 247.0
GTEX-1NV5F-0626-SM-DTXEG 60-69 years, female 243.9
GTEX-17F9Y-0126-SM-79OKX 70-79 years, female 242.9
GTEX-13JVG-0726-SM-5KM16 60-69 years, male 238.7
GTEX-15RIG-0726-SM-7KUM7 40-49 years, male 238.4
GTEX-ZPCL-1126-SM-4WWFE 60-69 years, female 233.2
GTEX-1399Q-2326-SM-5KM2X 40-49 years, male 230.7
GTEX-YECK-0326-SM-4W1YS 60-69 years, male 230.4
GTEX-1MJK3-0726-SM-E6CJC 20-29 years, male 229.9
GTEX-1F6RS-2026-SM-7RHHC 60-69 years, female 228.8
GTEX-1JMPY-0226-SM-CKZOK 30-39 years, male 227.9
GTEX-1E2YA-2126-SM-7MXUO 50-59 years, male 224.3
GTEX-15UF6-1926-SM-7KUDV 70-79 years, female 223.1
GTEX-13YAN-0226-SM-5TDC6 60-69 years, male 222.9
GTEX-XBEW-1126-SM-4QARW 40-49 years, male 221.7
GTEX-131XF-2626-SM-5EQ6K 60-69 years, male 221.6
GTEX-13FHO-0426-SM-5L3F5 60-69 years, male 220.0
GTEX-11WQC-1826-SM-5GU59 60-69 years, male 219.4
GTEX-1PIGE-1826-SM-E8VOU 20-29 years, male 217.1
GTEX-ZT9X-1526-SM-5DUXD 40-49 years, male 215.3
GTEX-1HCU7-0726-SM-A9SL1 50-59 years, male 215.2
GTEX-W5X1-2526-SM-3GILC 40-49 years, female 214.8
GTEX-13IVO-0726-SM-5LZYV 70-79 years, male 214.2
GTEX-WHWD-1826-SM-3LK6I 50-59 years, male 214.2
GTEX-ZYW4-0626-SM-59HJR 60-69 years, male 214.1
GTEX-1S5ZU-2526-SM-E6CIF 20-29 years, female 213.9
GTEX-1CAMS-2226-SM-7PBXQ 40-49 years, female 213.8
GTEX-1F6I4-2326-SM-7RHGL 60-69 years, male 213.5
GTEX-13G51-1826-SM-5KLZH 60-69 years, male 209.8
GTEX-ZYVF-0926-SM-5E44J 50-59 years, female 209.3
GTEX-WI4N-2726-SM-3LK7Y 40-49 years, female 208.8
GTEX-11DYG-1526-SM-5A5JS 60-69 years, male 206.9
GTEX-1399S-0126-SM-5IJCF 30-39 years, female 206.1
GTEX-14PJ3-1126-SM-5ZZVX 50-59 years, male 205.4
GTEX-17F9E-2326-SM-79OKD 50-59 years, male 204.5
GTEX-ZDTS-0826-SM-4WKHL 60-69 years, male 204.2
GTEX-13NYS-0626-SM-5L3F1 60-69 years, male 203.8
GTEX-Y8E4-2026-SM-5IFJB 40-49 years, male 201.3
GTEX-13O61-1426-SM-5KM3D 60-69 years, male 200.5
GTEX-18A67-1626-SM-7LT9T 50-59 years, male 199.2
GTEX-12ZZX-2426-SM-5GCOE 40-49 years, female 198.5
GTEX-1B8KE-1126-SM-7EPHI 50-59 years, male 197.0
GTEX-14C5O-0326-SM-5ZZUX 60-69 years, male 196.9
GTEX-ZTTD-2826-SM-4YCFA 50-59 years, male 196.8
GTEX-Y111-0626-SM-4SOIT 50-59 years, male 196.4
GTEX-1HT8W-0626-SM-A9G2H 30-39 years, male 196.0
GTEX-139UW-0326-SM-5J1ML 60-69 years, male 195.7
GTEX-1S82P-2126-SM-E6CI5 60-69 years, female 195.5
GTEX-14PHX-2226-SM-6EU2P 50-59 years, male 194.7
GTEX-ZE7O-2726-SM-51MT5 50-59 years, female 192.8
GTEX-14C39-1726-SM-5RQIL 40-49 years, male 191.8
GTEX-1J1OQ-0126-SM-D4P2N 40-49 years, female 191.4
GTEX-UPJH-0226-SM-3GADV 50-59 years, male 191.3
GTEX-1R9PM-1926-SM-EVR3O 20-29 years, male 191.1
GTEX-1BAJH-2426-SM-7IGP8 70-79 years, male 191.0
GTEX-Z93S-1626-SM-5CVMB 50-59 years, male 189.5
GTEX-1H11D-1826-SM-9QEHM 40-49 years, male 189.5
GTEX-WHSB-1326-SM-3LK6W 50-59 years, male 189.2
GTEX-1LKK1-2626-SM-DKPQE 50-59 years, female 189.0
GTEX-ZDTT-0426-SM-4WKFL 60-69 years, male 188.7
GTEX-17F98-1326-SM-7DUEP 40-49 years, female 188.6
GTEX-1F75I-2226-SM-7SB8U 40-49 years, male 188.2
GTEX-1IDFM-0326-SM-ARL7V 60-69 years, male 187.1
GTEX-1QP9N-1226-SM-E76QN 30-39 years, male 187.0
GTEX-1QCLY-0226-SM-EWRNH 30-39 years, male 186.7
GTEX-131XG-0326-SM-5L3DX 50-59 years, female 186.6
GTEX-1CB4F-1026-SM-7DUH1 60-69 years, male 186.4
GTEX-17HHE-1326-SM-7EWDZ 50-59 years, male 186.1
GTEX-13NYB-0126-SM-5J1MD 40-49 years, male 185.7
GTEX-1AYD5-2626-SM-7PBXY 50-59 years, male 185.6
GTEX-13PDP-0726-SM-5L3HP 60-69 years, male 185.5
GTEX-144FL-0626-SM-5LU43 50-59 years, male 184.9
GTEX-1PIIG-2326-SM-DTXFR 30-39 years, male 184.6
GTEX-1H3O1-1326-SM-9MQLD 60-69 years, male 183.6
GTEX-1NSGN-0726-SM-DTXEF 50-59 years, male 183.6
GTEX-14LZ3-0126-SM-69LPM 60-69 years, female 183.2
GTEX-1192X-2726-SM-5N9DN 50-59 years, male 183.1
GTEX-1GPI7-1826-SM-9KNU1 20-29 years, male 182.6
GTEX-11DXZ-2026-SM-5987S 50-59 years, male 181.9
GTEX-1PBJJ-1026-SM-E76OS 30-39 years, male 181.7
GTEX-1C6WA-2626-SM-7MKGM 60-69 years, male 181.4
GTEX-1C6VQ-1226-SM-73KYD 50-59 years, male 180.9
GTEX-1H23P-0626-SM-9WG6T 60-69 years, male 180.6
GTEX-1R9K4-2826-SM-DTX8F 60-69 years, male 180.1
GTEX-1EX96-1026-SM-7MKG2 50-59 years, male 180.0
GTEX-11DXX-2126-SM-5PNYR 60-69 years, female 179.3
GTEX-1QPFJ-1926-SM-EVYBD 30-39 years, female 178.2
GTEX-11P7K-1126-SM-5HL4L 30-39 years, male 178.0
GTEX-18QFQ-1826-SM-72D52 30-39 years, male 177.8
GTEX-14PJO-2526-SM-6AJBQ 60-69 years, male 176.6
GTEX-1RMOY-1326-SM-E9TIH 50-59 years, male 175.7
GTEX-147F4-0726-SM-5TDDD 50-59 years, male 175.4
GTEX-1GZ4H-0526-SM-9KNU9 50-59 years, female 175.2
GTEX-Y9LG-1126-SM-4VBQ7 30-39 years, male 174.8
GTEX-139T8-0626-SM-5KLZX 60-69 years, male 174.7
GTEX-YFCO-1226-SM-5LUAT 40-49 years, male 174.0
GTEX-WH7G-2026-SM-3NMBL 40-49 years, male 173.2
GTEX-ZP4G-1426-SM-4WWCL 20-29 years, female 172.9
GTEX-11O72-0626-SM-5PNYE 40-49 years, male 172.8
GTEX-1GF9W-1426-SM-7PBYM 60-69 years, male 172.8
GTEX-1RAZQ-1326-SM-E9TK6 30-39 years, male 172.8
GTEX-1JJEA-1826-SM-ARU8P 60-69 years, male 171.9
GTEX-144GO-2026-SM-5O99P 60-69 years, male 171.7
GTEX-14753-0726-SM-5QGQO 60-69 years, male 171.3
GTEX-ZAB4-2126-SM-5HL8U 40-49 years, male 171.2
GTEX-11LCK-2226-SM-5HL4Q 30-39 years, male 170.5
GTEX-1HBPN-0126-SM-CGQEF 50-59 years, male 170.5
GTEX-1QP28-1126-SM-EVYC4 50-59 years, female 170.2
GTEX-14PHY-1226-SM-5ZZWK 60-69 years, female 170.0
GTEX-17HII-1426-SM-7EPGG 50-59 years, male 169.8
GTEX-15RIE-1926-SM-7KUKJ 60-69 years, male 169.3
GTEX-1JMLX-0626-SM-ARL8T 50-59 years, male 168.4
GTEX-1QP2A-1726-SM-E76QC 50-59 years, male 168.2
GTEX-YEC4-1826-SM-4W1YP 40-49 years, male 167.9
GTEX-148VJ-0626-SM-5LUAW 70-79 years, male 167.4
GTEX-111YS-1526-SM-5GZYW 60-69 years, male 167.3
GTEX-ZF2S-1626-SM-57WES 50-59 years, female 167.3
GTEX-ZC5H-1526-SM-5HL9Y 40-49 years, female 166.8
GTEX-ZVE1-0726-SM-51MRN 50-59 years, female 166.8
GTEX-1HBPM-0726-SM-9YFL7 60-69 years, female 166.7
GTEX-ZXG5-2126-SM-59HKD 60-69 years, male 166.6
GTEX-12WSK-2126-SM-5CVNC 40-49 years, female 166.2
GTEX-11ZU8-0126-SM-5EQ58 60-69 years, male 166.0
GTEX-16YQH-2226-SM-7IGM2 30-39 years, male 165.8
GTEX-15SHW-0226-SM-7LTAT 60-69 years, male 165.5
GTEX-18A66-0626-SM-7LT8Z 60-69 years, male 165.5
GTEX-12WSH-1526-SM-5BC5W 50-59 years, male 163.9
GTEX-1HSMQ-2626-SM-A9SML 50-59 years, male 163.4
GTEX-11OF3-0126-SM-5PNYF 60-69 years, male 163.0
GTEX-1IKJJ-2226-SM-CJI4C 60-69 years, male 162.9
GTEX-1MCYP-0526-SM-E9U6Q 20-29 years, female 162.9
GTEX-13NZ8-1226-SM-5KM4A 60-69 years, female 162.6
GTEX-ZF29-0926-SM-4WKFZ 60-69 years, female 162.6
GTEX-15ER7-0626-SM-6PANF 20-29 years, female 162.2
GTEX-1E1VI-0326-SM-793D1 50-59 years, male 162.0
GTEX-1F75B-0726-SM-7PC3R 50-59 years, male 161.7
GTEX-1I1GS-2626-SM-B2LY3 60-69 years, male 161.6
GTEX-1IY9M-2826-SM-ARU8H 60-69 years, male 161.0
GTEX-11PRG-0726-SM-5EGL1 50-59 years, male 160.8
GTEX-1KAFJ-0126-SM-DIPEK 50-59 years, male 160.7
GTEX-1JMQJ-0826-SM-CNPP7 50-59 years, male 160.6
GTEX-13OW5-2326-SM-5L3HO 60-69 years, male 160.5
GTEX-XQ3S-1426-SM-4BOPR 20-29 years, male 160.5
GTEX-11P81-2226-SM-5PNYI 30-39 years, female 160.3
GTEX-1I1GT-1026-SM-ARZLV 60-69 years, female 159.9
GTEX-13112-0126-SM-5P9IU 50-59 years, male 159.3
GTEX-ZZ64-1026-SM-5GZXG 20-29 years, male 159.3
GTEX-111CU-1126-SM-5EGIM 50-59 years, male 159.1
GTEX-1313W-0626-SM-5EQ4H 50-59 years, female 159.1
GTEX-17F96-0126-SM-7EWDU 70-79 years, male 158.8
GTEX-1JK1U-0226-SM-ARZMX 60-69 years, male 158.6
GTEX-14PJN-1826-SM-6AJ98 30-39 years, male 157.8
GTEX-12KS4-2126-SM-5FQUT 30-39 years, male 157.5
GTEX-16AAH-0626-SM-793C9 50-59 years, male 157.1
GTEX-ZWKS-0626-SM-5GIDV 30-39 years, male 156.5
GTEX-12WSF-1626-SM-7KUG5 70-79 years, male 156.3
GTEX-15RJE-2826-SM-7KUM9 40-49 years, male 156.0
GTEX-1R46S-2426-SM-E76QA 60-69 years, female 155.5
GTEX-1GMRU-2126-SM-7P8RA 50-59 years, male 155.4
GTEX-139TU-0726-SM-5L3EK 60-69 years, male 155.1
GTEX-13D11-0926-SM-5J2NC 50-59 years, female 154.6
GTEX-15RJ7-2126-SM-6PAMD 40-49 years, male 154.6
GTEX-1EU9M-1426-SM-793AI 60-69 years, male 154.3
GTEX-1H3VE-0726-SM-9YFL5 40-49 years, male 154.2
GTEX-1JKYR-0626-SM-ARL8R 20-29 years, male 154.2
GTEX-18D9A-1426-SM-7LT8M 30-39 years, female 154.0
GTEX-144GL-0626-SM-5LU4D 50-59 years, male 153.6
GTEX-1I1GP-1326-SM-A9G28 50-59 years, male 153.2
GTEX-1IE54-1126-SM-A9G2Z 40-49 years, female 153.2
GTEX-14E1K-2026-SM-7DUEI 50-59 years, male 152.9
GTEX-1117F-2926-SM-5GZYI 60-69 years, female 152.3
GTEX-16MT8-2926-SM-7DUFO 60-69 years, female 152.1
GTEX-ZYT6-2326-SM-5GZY3 30-39 years, male 151.8
GTEX-ZVP2-0326-SM-57WBP 50-59 years, male 151.7
GTEX-14ABY-2026-SM-62LDL 50-59 years, male 151.4
GTEX-1C64N-2626-SM-7PC2N 50-59 years, male 151.1
GTEX-1HGF4-0126-SM-CNPPX 60-69 years, male 151.1
GTEX-13OVK-1426-SM-6PAN7 40-49 years, male 149.7
GTEX-1HSMP-0926-SM-A9SKX 70-79 years, male 149.5
GTEX-1RLM8-2926-SM-E8VON 50-59 years, male 149.1
GTEX-147F3-1726-SM-5SIAW 50-59 years, female 149.0
GTEX-1JN76-0626-SM-CKZOQ 20-29 years, female 148.7
GTEX-Y3I4-1726-SM-4TT89 50-59 years, male 148.2
GTEX-13PL6-1126-SM-5L3IE 40-49 years, female 148.0
GTEX-12WSD-0626-SM-5GCMW 60-69 years, female 147.5
GTEX-1GPI6-1926-SM-9KNV7 60-69 years, male 147.2
GTEX-14PJ4-0226-SM-5YY92 60-69 years, male 146.4
GTEX-1B933-2426-SM-7DHMD 50-59 years, female 146.3
GTEX-ZLV1-1526-SM-DO91J 60-69 years, female 146.1
GTEX-12ZZY-0726-SM-5EQ66 60-69 years, male 146.0
GTEX-1PPH7-1126-SM-DTX9A 40-49 years, male 145.9
GTEX-145MH-2826-SM-5RQJF 50-59 years, male 145.7
GTEX-1CAMQ-1326-SM-7P8RV 40-49 years, male 145.7
GTEX-17KNJ-2126-SM-718AM 50-59 years, male 145.4
GTEX-18A6Q-0626-SM-7KFRP 60-69 years, male 145.1
GTEX-WHPG-2626-SM-3NMBR 50-59 years, male 144.7
GTEX-1H1DE-1326-SM-9KNUG 20-29 years, male 144.6
GTEX-13OW6-2726-SM-5J2OE 50-59 years, male 144.5
GTEX-X8HC-0626-SM-4E3HQ 50-59 years, female 144.4
GTEX-11TUW-0626-SM-5LU9M 60-69 years, male 144.0
GTEX-17MFQ-1526-SM-7KFRR 20-29 years, male 143.9
GTEX-1HBPI-2126-SM-ARL9K 50-59 years, male 143.6
GTEX-1F52S-2926-SM-7MKGA 60-69 years, female 143.2
GTEX-ZVZP-1226-SM-5GID7 50-59 years, male 142.6
GTEX-17HGU-2326-SM-7DUFE 50-59 years, male 142.4
GTEX-1GN1V-2826-SM-9JGIA 60-69 years, male 142.4
GTEX-1LSNM-0826-SM-DIPG8 50-59 years, male 142.3
GTEX-139D8-1126-SM-5LU8W 30-39 years, female 142.2
GTEX-11NSD-0626-SM-5A5LU 20-29 years, male 142.1
GTEX-147GR-2426-SM-5ZZWQ 60-69 years, male 142.0
GTEX-12126-0826-SM-5FQTZ 20-29 years, male 141.9
GTEX-15CHQ-0326-SM-69LQD 60-69 years, male 141.7
GTEX-1LGRB-0926-SM-COH3K 50-59 years, female 141.7
GTEX-1R9PN-0426-SM-DTXDT 40-49 years, female 141.6
GTEX-1GZHY-0626-SM-9KNVC 50-59 years, female 140.8
GTEX-15EO6-2426-SM-6PALZ 50-59 years, male 140.6
GTEX-1I6K7-1926-SM-B2LXR 40-49 years, male 140.3
GTEX-14AS3-1526-SM-5Q5ED 40-49 years, female 140.2
GTEX-144GM-0526-SM-79OJO 20-29 years, male 140.0
GTEX-1I1GV-0626-SM-ARL7M 60-69 years, male 140.0
GTEX-1F88F-0126-SM-9WYSZ 60-69 years, female 139.9
GTEX-WXYG-2026-SM-4E3IY 50-59 years, female 139.8
GTEX-Y5V6-2326-SM-4VDSA 60-69 years, male 139.8
GTEX-1LVAM-0726-SM-E6CIL 50-59 years, female 139.4
GTEX-13OVH-0526-SM-5L3E6 70-79 years, male 139.0
GTEX-1AX9I-2226-SM-73KUO 60-69 years, male 139.0
GTEX-13FTY-2126-SM-5IFFB 40-49 years, female 138.8
GTEX-1CB4E-0926-SM-7EPHT 60-69 years, male 138.7
GTEX-1S3DN-2126-SM-E9TIN 50-59 years, male 138.7
GTEX-13O3O-2326-SM-5IJD6 60-69 years, female 138.6
GTEX-1C2JI-1026-SM-73KY1 50-59 years, male 138.3
GTEX-XV7Q-1826-SM-4BRUV 40-49 years, female 138.2
GTEX-1269C-0126-SM-5EQ5L 60-69 years, female 137.1
GTEX-13N11-2326-SM-5IJBF 50-59 years, female 137.0
GTEX-ZE9C-2526-SM-5IJDR 60-69 years, male 136.9
GTEX-1HCVE-2726-SM-CL54F 50-59 years, male 136.9
GTEX-1QW4Y-1126-SM-DTXE3 30-39 years, male 136.5
GTEX-16MT9-0126-SM-7EPI8 60-69 years, female 135.7
GTEX-YJ8O-2526-SM-5HL85 40-49 years, female 135.6
GTEX-ZA64-1026-SM-5HL8R 20-29 years, male 135.1
GTEX-13FTW-0326-SM-5K7UW 40-49 years, male 134.9
GTEX-1GF9V-0826-SM-9KNUV 60-69 years, male 134.7
GTEX-X4EO-2926-SM-4E3JH 60-69 years, female 134.6
GTEX-1S83E-1326-SM-E6CJM 40-49 years, male 134.1
GTEX-11NUK-2726-SM-5A5MC 50-59 years, male 133.7
GTEX-14E6C-2426-SM-5S2NF 40-49 years, male 133.6
GTEX-ZYY3-2926-SM-5GIEB 60-69 years, female 133.4
GTEX-13RTJ-0126-SM-5S2NN 60-69 years, male 133.2
GTEX-ZYFC-0426-SM-5GICQ 50-59 years, male 133.2
GTEX-1LSNL-2726-SM-E9TKJ 50-59 years, male 133.2
GTEX-1N5O9-0926-SM-E9J3C 60-69 years, male 133.2
GTEX-13NZ9-2626-SM-5L3FK 50-59 years, male 132.8
GTEX-14DAR-1226-SM-73KYV 50-59 years, male 132.8
GTEX-11P82-1426-SM-DTXFY 20-29 years, male 132.8
GTEX-1EN7A-2426-SM-793DB 40-49 years, male 132.5
GTEX-1A8G6-2726-SM-731AR 60-69 years, male 132.2
GTEX-11EQ9-1626-SM-5PNY8 30-39 years, male 131.9
GTEX-13SLW-0626-SM-5Q5ER 70-79 years, male 131.9
GTEX-1HB9E-0126-SM-CM2S5 50-59 years, male 131.3
GTEX-1C64O-1326-SM-7MGWR 60-69 years, male 131.1
GTEX-1LBAC-0826-SM-CY8IJ 20-29 years, male 131.0
GTEX-139YR-1026-SM-5LZYN 50-59 years, male 130.9
GTEX-ZZPU-0826-SM-5GZX5 50-59 years, female 130.9
GTEX-1H4P4-2126-SM-9WYSL 50-59 years, male 130.9
GTEX-16MTA-0926-SM-6M47Z 50-59 years, male 130.7
GTEX-12ZZZ-0726-SM-5GCNZ 60-69 years, male 130.5
GTEX-131XH-0126-SM-5LZUY 50-59 years, male 130.5
GTEX-17HHY-0426-SM-7DHLC 50-59 years, male 129.9
GTEX-1GN73-0726-SM-7P8TJ 60-69 years, male 129.7
GTEX-XPVG-2126-SM-4B667 50-59 years, male 129.6
GTEX-1JMQK-1226-SM-D4P2S 60-69 years, male 129.6
GTEX-12584-0726-SM-5FQTK 40-49 years, male 129.5
GTEX-1JN1M-2726-SM-CY8I4 60-69 years, female 129.4
GTEX-14PII-0726-SM-6EU2B 60-69 years, male 129.3
GTEX-1B8SF-0126-SM-7DUG3 60-69 years, male 129.3
GTEX-133LE-2326-SM-5K7W3 20-29 years, female 129.1
GTEX-16BQI-1326-SM-6M486 30-39 years, female 128.7
GTEX-1HCUA-0826-SM-ADEHM 50-59 years, female 128.7
GTEX-1F48J-0726-SM-7RHGS 50-59 years, female 128.6
GTEX-13X6K-0626-SM-5LU5D 60-69 years, female 128.3
GTEX-1H1E6-0426-SM-9WYUS 30-39 years, male 128.3
GTEX-ZPIC-0526-SM-DO91W 40-49 years, female 128.3
GTEX-13FLV-0126-SM-5K7WT 50-59 years, male 128.2
GTEX-1CAMR-1326-SM-7PC1F 20-29 years, male 128.2
GTEX-XK95-0226-SM-4AT58 40-49 years, male 128.1
GTEX-13OVG-1626-SM-5J1NF 60-69 years, male 128.0
GTEX-1PPGY-1626-SM-EVYBL 60-69 years, male 127.7
GTEX-1GMR3-0126-SM-A9SLW 40-49 years, male 127.5
GTEX-ZVT4-2426-SM-5GIEI 50-59 years, female 127.4
GTEX-1C6VR-0126-SM-7RHGB 60-69 years, male 127.4
GTEX-13U4I-2226-SM-5LU5H 40-49 years, female 127.1
GTEX-14LLW-2626-SM-62LDZ 70-79 years, female 127.1
GTEX-15SKB-2826-SM-6PAMH 60-69 years, male 126.9
GTEX-11UD2-2526-SM-5CVNU 50-59 years, male 126.5
GTEX-14BIN-1126-SM-5RQJZ 50-59 years, female 126.5
GTEX-1HCU6-2526-SM-ADEHL 60-69 years, female 126.5
GTEX-14JFF-0626-SM-5ZZVT 60-69 years, male 126.4
GTEX-1LB8K-0726-SM-D5OV2 50-59 years, male 126.4
GTEX-14PJ6-2626-SM-6EU2T 60-69 years, female 126.1
GTEX-183FY-1026-SM-7939A 20-29 years, male 126.1
GTEX-Y5LM-0926-SM-6LLJG 40-49 years, female 125.9
GTEX-1GN1U-0626-SM-9MQL9 50-59 years, female 125.9
GTEX-11GS4-0226-SM-5HL77 60-69 years, male 125.8
GTEX-12C56-1526-SM-5FQUQ 20-29 years, male 125.3
GTEX-13FTX-1526-SM-5K7VJ 20-29 years, female 125.2
GTEX-1A3MV-1826-SM-731CD 30-39 years, male 125.0
GTEX-1A8FM-0626-SM-7PC25 50-59 years, female 125.0
GTEX-1F5PK-2226-SM-7SB6N 50-59 years, male 125.0
GTEX-1LSVX-2526-SM-DIPEU 60-69 years, male 124.7
GTEX-15DDE-2926-SM-6LLJ3 50-59 years, female 124.4
GTEX-1POEN-2326-SM-E9J2L 30-39 years, female 123.9
GTEX-XXEK-1626-SM-4BRUZ 50-59 years, male 123.5
GTEX-ZDYS-2426-SM-4WKGI 50-59 years, male 123.4
GTEX-1LVAO-2726-SM-E9TJ8 60-69 years, male 123.4
GTEX-1N2EE-0626-SM-E76PW 60-69 years, male 123.3
GTEX-X5EB-1926-SM-4E3IW 40-49 years, male 123.1
GTEX-145MN-1526-SM-5SI9T 30-39 years, male 123.0
GTEX-XAJ8-1426-SM-47JYM 40-49 years, male 122.6
GTEX-14C38-0726-SM-5SI6M 50-59 years, male 122.5
GTEX-15CHR-1126-SM-7EWF4 50-59 years, male 122.5
GTEX-1HFI7-2326-SM-CGQFS 50-59 years, female 122.5
GTEX-145LU-1926-SM-79OJN 50-59 years, male 122.4
GTEX-1R7EU-1626-SM-DTXG3 60-69 years, male 122.3
GTEX-14B4R-1326-SM-5Q5EZ 30-39 years, male 122.2
GTEX-11DXY-0126-SM-5H11Q 60-69 years, male 122.1
GTEX-15DYW-2726-SM-6EU2I 60-69 years, female 121.8
GTEX-ZPU1-1126-SM-4YCF3 40-49 years, male 121.6
GTEX-13PVR-0426-SM-5RQK2 60-69 years, female 121.5
GTEX-1AX9J-1326-SM-731BJ 60-69 years, male 121.3
GTEX-XBEC-0726-SM-4QARZ 50-59 years, male 121.3
GTEX-1K2DU-1226-SM-CYPT4 20-29 years, male 121.3
GTEX-16NPX-0726-SM-7KULC 50-59 years, male 121.2
GTEX-1JMOU-1026-SM-CYPSS 60-69 years, female 120.9
GTEX-18A7A-0126-SM-731AH 50-59 years, female 120.7
GTEX-1LVAN-0626-SM-CNPOQ 50-59 years, female 120.6
GTEX-13X6H-0926-SM-5SIB2 50-59 years, female 120.5
GTEX-X4EP-0626-SM-3P621 60-69 years, female 120.3
GTEX-1J8EW-2726-SM-CY8HR 60-69 years, female 120.1
GTEX-1KD5A-0126-SM-E9U54 50-59 years, male 120.1
GTEX-13O3Q-0126-SM-5KM34 50-59 years, male 120.0
GTEX-16XZZ-0726-SM-7KUF2 60-69 years, male 120.0
GTEX-1OJC4-2726-SM-E76PJ 50-59 years, female 119.8
GTEX-12696-0126-SM-5EQ4L 60-69 years, male 119.6
GTEX-145MF-0926-SM-5Q5EA 50-59 years, male 119.6
GTEX-18D9U-0126-SM-731BM 40-49 years, male 119.6
GTEX-1GN1W-2426-SM-9KNUU 50-59 years, female 119.6
GTEX-13QJC-0126-SM-5ZZWJ 60-69 years, female 119.5
GTEX-139TS-2126-SM-5K7XC 60-69 years, male 119.4
GTEX-1S82U-1026-SM-E6CJK 30-39 years, female 119.4
GTEX-14JG1-1526-SM-5YY9X 40-49 years, male 119.2
GTEX-1HC8U-1326-SM-9YFMJ 40-49 years, female 119.1
GTEX-1IOXB-2726-SM-CM2RI 50-59 years, male 119.1
GTEX-145MG-1526-SM-5Q5EM 50-59 years, male 118.9
GTEX-15FZZ-0526-SM-7KUGD 30-39 years, female 118.9
GTEX-WFON-1926-SM-3LK7L 40-49 years, male 118.9
GTEX-1M4P7-0726-SM-E6CJ3 60-69 years, male 118.9
GTEX-11EQ8-0926-SM-5H12V 60-69 years, male 118.6
GTEX-14PJ5-1526-SM-6LLIL 60-69 years, female 118.5
GTEX-1HR9M-2226-SM-CNPPY 60-69 years, male 118.4
GTEX-17MF6-2626-SM-79OKQ 40-49 years, male 118.3
GTEX-Y3IK-1626-SM-4YCF5 50-59 years, female 118.1
GTEX-XMD2-2126-SM-4YCF8 60-69 years, female 117.9
GTEX-12WSA-0426-SM-5EQ5X 60-69 years, male 117.5
GTEX-13SLX-2226-SM-62LEP 50-59 years, female 117.5
GTEX-14JG6-1426-SM-9WG7C 30-39 years, female 117.4
GTEX-13VXU-0626-SM-5L3F9 50-59 years, male 117.0
GTEX-1JMQI-1726-SM-ARL93 50-59 years, male 117.0
GTEX-1LVA9-2626-SM-EVYD4 50-59 years, male 116.9
GTEX-14A5H-0826-SM-5QGPJ 60-69 years, male 116.7
GTEX-139TT-2126-SM-5LZWC 60-69 years, male 116.6
GTEX-1J8Q2-2626-SM-ACKWQ 60-69 years, male 116.6
GTEX-1K2DA-1026-SM-CGQGF 50-59 years, male 116.3
GTEX-14BMV-2826-SM-5TDED 50-59 years, male 116.2
GTEX-1A3MW-0626-SM-731CB 60-69 years, female 116.2
GTEX-13OVJ-0826-SM-5J1OK 50-59 years, female 116.0
GTEX-18465-2826-SM-7LT9J 50-59 years, male 115.8
GTEX-1B97I-0626-SM-73KUZ 40-49 years, male 115.8
GTEX-1HSKV-1226-SM-ADEI4 60-69 years, male 115.8
GTEX-11DXW-0826-SM-5H118 40-49 years, male 115.5
GTEX-131YS-2826-SM-5EQ47 60-69 years, female 115.5
GTEX-1S831-1826-SM-EWROF 20-29 years, male 115.5
GTEX-1IL2V-1926-SM-B2LW8 70-79 years, male 115.4
GTEX-WEY5-2326-SM-3GIKK 40-49 years, female 115.2
GTEX-183WM-0326-SM-72D5V 70-79 years, female 115.1
GTEX-ZYFD-0626-SM-5E44E 50-59 years, male 114.9
GTEX-1RB15-1326-SM-E76Q9 60-69 years, male 114.9
GTEX-YEC3-1326-SM-DO92X 50-59 years, male 114.8
GTEX-11VI4-1126-SM-5EQMD 40-49 years, female 114.6
GTEX-13X6I-1826-SM-5SIAO 60-69 years, male 114.6
GTEX-1LG7Y-2526-SM-EWRO7 50-59 years, male 114.6
GTEX-1GZ4I-2626-SM-9KNU3 50-59 years, male 114.5
GTEX-16NGA-0726-SM-731AO 40-49 years, female 114.1
GTEX-1HFI6-0126-SM-CNPPI 40-49 years, male 114.1
GTEX-1QAET-0326-SM-EVR3U 50-59 years, male 114.0
GTEX-ZAK1-0626-SM-5HL8E 50-59 years, female 113.9
GTEX-15G1A-1626-SM-7KUKN 30-39 years, male 113.8
GTEX-1314G-1326-SM-5BC6E 30-39 years, male 113.7
GTEX-13W3W-0726-SM-5IJDQ 60-69 years, female 113.7
GTEX-13OW7-0426-SM-5K7VK 50-59 years, male 113.2
GTEX-1AX8Z-0726-SM-73KTS 60-69 years, male 112.8
GTEX-Y8LW-1526-SM-5IFHL 50-59 years, female 112.1
GTEX-1GMR8-0626-SM-7RHI7 50-59 years, female 111.8
GTEX-1CB4H-1126-SM-7MKGL 60-69 years, female 111.7
GTEX-YF7O-1526-SM-5IFI6 50-59 years, male 111.7
GTEX-1GF9X-1326-SM-7PC2Y 40-49 years, female 111.6
GTEX-1399U-1126-SM-5L3DB 50-59 years, female 111.0
GTEX-1JMQL-2226-SM-CNPP4 50-59 years, female 110.9
GTEX-1KXAM-1626-SM-D3LAD 60-69 years, male 110.8
GTEX-1JN6P-2926-SM-CL54D 60-69 years, male 110.5
GTEX-ZVE2-2826-SM-5GU51 50-59 years, male 110.4
GTEX-1CB4J-1326-SM-7P8RX 60-69 years, male 110.4
GTEX-1F88E-1626-SM-7SB8Z 60-69 years, female 110.3
GTEX-13X6J-0626-SM-5LU5F 50-59 years, male 110.2
GTEX-WK11-2726-SM-3NMAQ 50-59 years, male 110.2
GTEX-1RAZS-2526-SM-E6CHT 50-59 years, male 110.2
GTEX-1A8G7-1326-SM-73KVM 60-69 years, male 110.0
GTEX-17EVP-2626-SM-7IGMA 40-49 years, male 109.9
GTEX-1EKGG-0626-SM-7DUGJ 60-69 years, male 109.9
GTEX-1HR98-2226-SM-ADEI2 60-69 years, male 109.9
GTEX-1J8JJ-0626-SM-ARZMQ 60-69 years, female 109.8
GTEX-XOT4-0626-SM-4B66L 60-69 years, female 109.7
GTEX-1JJE9-2626-SM-ARZMT 70-79 years, male 109.6
GTEX-1IDJU-1726-SM-CMKHU 60-69 years, female 109.4
GTEX-13NYC-0126-SM-5L3F4 60-69 years, male 109.2
GTEX-1GN2E-0226-SM-9WG6K 60-69 years, male 109.0
GTEX-146FQ-2126-SM-5RQHU 30-39 years, male 108.5
GTEX-1211K-1526-SM-5FQU4 60-69 years, female 108.4
GTEX-WRHU-2826-SM-3MJG8 50-59 years, female 108.2
GTEX-1B8L1-2226-SM-7P8PT 60-69 years, male 108.0
GTEX-1H1CY-0126-SM-9YFLY 60-69 years, female 107.3
GTEX-15G19-2426-SM-7KUMR 60-69 years, male 107.1
GTEX-178AV-1726-SM-7KUL8 40-49 years, male 106.5
GTEX-ZF3C-0626-SM-DO92O 50-59 years, female 106.5
GTEX-VUSG-2326-SM-4KL1U 50-59 years, male 106.4
GTEX-XQ8I-0926-SM-4BOOF 50-59 years, male 106.3
GTEX-1HKZK-0726-SM-ACKW2 40-49 years, male 106.0
GTEX-11GSP-2326-SM-5HL63 60-69 years, female 105.9
GTEX-1H1DG-2426-SM-9QEHJ 70-79 years, male 105.3
GTEX-1122O-1026-SM-9WYSF 60-69 years, female 105.2
GTEX-1PDJ9-1226-SM-EXUSX 20-29 years, male 105.1
GTEX-X3Y1-2026-SM-3P5YM 40-49 years, male 105.0
GTEX-1EH9U-2826-SM-7DUGT 60-69 years, male 104.4
GTEX-13N1W-2426-SM-5IJD1 70-79 years, male 103.8
GTEX-16GPK-0626-SM-7KFSF 60-69 years, male 103.3
GTEX-1QMI2-2526-SM-E8VNZ 60-69 years, male 103.3
GTEX-14A6H-2026-SM-5Q5DD 30-39 years, male 102.9
GTEX-12BJ1-0926-SM-5EQ62 60-69 years, male 102.6
GTEX-17HG3-2626-SM-7DUF2 30-39 years, female 102.5
GTEX-1F75A-0726-SM-7RHHD 50-59 years, male 102.3
GTEX-1MCC2-1826-SM-DIPEX 30-39 years, female 102.1
GTEX-12WSM-1926-SM-5BC65 60-69 years, male 101.9
GTEX-1F6IF-0926-SM-7SB7M 60-69 years, male 101.7
GTEX-1KANA-1326-SM-DIPFA 20-29 years, male 101.7
GTEX-14PKV-1126-SM-6LLJ1 20-29 years, female 101.6
GTEX-131XW-0626-SM-5PNVD 50-59 years, female 101.2
GTEX-1JMPZ-0726-SM-CY8HZ 30-39 years, male 101.1
GTEX-1J1R8-2026-SM-CL53Y 40-49 years, male 101.0
GTEX-13OVL-0126-SM-5L3GJ 50-59 years, male 100.5
GTEX-ZAJG-1526-SM-5CVML 50-59 years, female 100.4
GTEX-1IDJC-1526-SM-B2LW4 50-59 years, male 100.4
GTEX-1KANB-2826-SM-CY8I6 50-59 years, male 100.0
GTEX-WYJK-0526-SM-3NM8Z 50-59 years, male 99.6
GTEX-ZVT2-0126-SM-5GIDQ 50-59 years, female 99.6
GTEX-15EU6-2226-SM-6EU2L 50-59 years, male 99.5
GTEX-1GTWX-2026-SM-9YFLM 60-69 years, male 99.5
GTEX-145LS-0626-SM-7EPG7 60-69 years, female 99.3
GTEX-18D9B-0926-SM-7LG4U 60-69 years, male 99.2
GTEX-1RAZA-2226-SM-E9U4X 20-29 years, male 98.8
GTEX-1H1ZS-2726-SM-9WG75 70-79 years, male 98.7
GTEX-1I1HK-2326-SM-CKZOH 60-69 years, male 98.5
GTEX-1O9I2-0226-SM-EYYXD 50-59 years, male 98.3
GTEX-1K9T9-1526-SM-DIPFR 50-59 years, female 98.1
GTEX-1JJ6O-2726-SM-CNPOG 60-69 years, male 97.9
GTEX-1F5PL-0926-SM-7PC2W 40-49 years, female 97.8
GTEX-1HCU8-2526-SM-CE6RX 60-69 years, female 97.7
GTEX-ZLFU-1826-SM-4WWBV 40-49 years, male 97.0
GTEX-11ZTT-2126-SM-5CVLO 60-69 years, female 96.9
GTEX-13VXT-1926-SM-5K7UO 20-29 years, female 96.9
GTEX-11ZUS-2626-SM-5FQUR 30-39 years, male 96.8
GTEX-12WSC-2826-SM-5BC5Y 50-59 years, male 96.7
GTEX-13OW8-1026-SM-5J1NQ 60-69 years, male 96.3
GTEX-145LT-0526-SM-5LUB2 40-49 years, male 96.3
GTEX-16Z82-2626-SM-7KULU 60-69 years, male 96.2
GTEX-XUW1-0926-SM-4BONX 50-59 years, female 95.8
GTEX-1EMGI-2326-SM-7PBYA 60-69 years, male 95.6
GTEX-1I6K6-1726-SM-CGQFD 30-39 years, male 95.4
GTEX-11TT1-1826-SM-5EQLV 20-29 years, male 95.2
GTEX-WYVS-1626-SM-3NM9R 40-49 years, female 95.1
GTEX-WY7C-2126-SM-3NB2R 50-59 years, male 94.5
GTEX-ZUA1-2626-SM-5NQ92 40-49 years, male 94.5
GTEX-ZDXO-3126-SM-5IJDF 60-69 years, male 94.4
GTEX-1IDJI-0126-SM-CMKHS 50-59 years, female 94.1
GTEX-1GZ2Q-0126-SM-9WG6M 40-49 years, male 93.8
GTEX-13PVQ-0626-SM-5LU47 50-59 years, male 93.7
GTEX-15D1Q-2826-SM-6LLH7 40-49 years, male 93.7
GTEX-1ICLY-0826-SM-CMKG1 50-59 years, male 92.7
GTEX-1GL5R-1326-SM-7RHHF 50-59 years, male 92.4
GTEX-1HSMO-0626-SM-ACKXC 60-69 years, male 92.0
GTEX-1212Z-0126-SM-59HK4 60-69 years, male 91.9
GTEX-1B996-0426-SM-7EWF8 60-69 years, male 91.5
GTEX-XYKS-1426-SM-4BRUO 60-69 years, female 91.1
GTEX-11EI6-2826-SM-5H11D 60-69 years, male 90.9
GTEX-17EVQ-0126-SM-7IGLR 70-79 years, male 90.8
GTEX-1GMR2-0826-SM-7PC3V 50-59 years, male 90.3
GTEX-1QP29-1826-SM-DTX9S 50-59 years, male 90.3
GTEX-1HSGN-0826-SM-ACKW3 40-49 years, female 89.9
GTEX-1IDJF-2026-SM-CL53V 20-29 years, male 89.9
GTEX-1A3MX-2626-SM-7PC24 60-69 years, male 89.8
GTEX-1B932-2326-SM-79OL5 40-49 years, female 89.4
GTEX-14PK6-0226-SM-62LF5 70-79 years, female 89.3
GTEX-132AR-0326-SM-5KM2C 50-59 years, female 87.2
GTEX-1RAZR-2126-SM-E9U6T 40-49 years, male 86.8
GTEX-145MO-2826-SM-5LU96 60-69 years, male 86.6
GTEX-1AMEY-0826-SM-72D65 30-39 years, female 86.5
GTEX-1EWIQ-0326-SM-7DHMQ 70-79 years, female 86.3
GTEX-1CB4I-0126-SM-7RHGG 50-59 years, male 86.3
GTEX-XBED-1926-SM-47JYP 60-69 years, male 85.9
GTEX-1H3NZ-2726-SM-9WYTQ 60-69 years, male 85.6
GTEX-14PKU-0126-SM-6LLHV 40-49 years, female 85.3
GTEX-1HCU9-0426-SM-9WYSD 20-29 years, male 85.1
GTEX-1JKYN-0826-SM-ARU8S 30-39 years, male 85.1
GTEX-1I1GU-0926-SM-ACKVS 40-49 years, male 85.0
GTEX-1IDJH-0126-SM-D3L92 70-79 years, male 84.9
GTEX-1J8QM-2426-SM-A9SLS 60-69 years, female 84.7
GTEX-ZT9W-1126-SM-57WDR 50-59 years, male 83.7
GTEX-1GF9U-2026-SM-7SB92 40-49 years, female 83.4
GTEX-WYBS-0626-SM-3NMAS 60-69 years, female 83.0
GTEX-1IDJD-2326-SM-ACKWX 30-39 years, male 83.0
GTEX-18A7B-2726-SM-7LG56 70-79 years, male 81.9
GTEX-1A32A-0626-SM-731AQ 50-59 years, female 81.8
GTEX-1IDJV-0126-SM-COH3Y 60-69 years, male 81.6
GTEX-14XAO-1226-SM-6EU1C 60-69 years, female 81.3
GTEX-ZVTK-0226-SM-51MRG 20-29 years, male 81.3
GTEX-147JS-0226-SM-5S2U9 60-69 years, male 80.9
GTEX-1B8KZ-0326-SM-73KY4 50-59 years, male 80.9
GTEX-1497J-0226-SM-5QGPU 60-69 years, male 80.8
GTEX-1477Z-0326-SM-7IGLA 60-69 years, male 80.4
GTEX-Y5V5-0126-SM-5S2NW 60-69 years, female 80.2
GTEX-1H1DF-1126-SM-9WG7G 40-49 years, female 80.0
GTEX-1I1CD-0626-SM-CE6SW 60-69 years, female 79.4
GTEX-13JUV-2026-SM-5K7UA 40-49 years, female 79.3
GTEX-UPK5-0426-SM-3GAEK 40-49 years, male 79.2
GTEX-14BMU-1226-SM-5S2OR 20-29 years, female 78.8
GTEX-WFG8-2126-SM-3GIKQ 20-29 years, male 78.3
GTEX-VJYA-1526-SM-3GIJV 60-69 years, male 78.2
GTEX-14E6E-0526-SM-793DN 30-39 years, male 77.3
GTEX-U8XE-0226-SM-4E3J3 30-39 years, male 76.9
GTEX-1QEPI-2626-SM-DTXF4 60-69 years, female 76.6
GTEX-1C475-1326-SM-7SB73 40-49 years, female 76.1
GTEX-1I4MK-0126-SM-CY8G6 50-59 years, female 76.0
GTEX-1KWVE-1026-SM-D3L9O 30-39 years, male 75.8
GTEX-ZTSS-1426-SM-5985P 40-49 years, male 75.6
GTEX-11EM3-1226-SM-5N9DD 20-29 years, female 74.1
GTEX-1LGOU-1326-SM-D3L8M 20-29 years, female 74.0
GTEX-ZLWG-0826-SM-59888 50-59 years, female 73.8
GTEX-1AMFI-1326-SM-7939R 50-59 years, female 73.3
GTEX-1I19N-0126-SM-CYPSF 70-79 years, male 73.1
GTEX-1QP66-1226-SM-DTX7U 50-59 years, male 72.4
GTEX-1IDJE-1426-SM-ADEIW 50-59 years, female 71.9
GTEX-17JCI-2926-SM-7DUFF 60-69 years, female 71.5
GTEX-V1D1-2026-SM-3GAF4 50-59 years, male 70.7
GTEX-1QCLZ-2426-SM-EVYBW 60-69 years, female 69.7
GTEX-13N2G-0226-SM-5K7VF 60-69 years, male 69.2
GTEX-YB5K-2026-SM-4VDT3 40-49 years, female 67.6
GTEX-1LG7Z-1626-SM-CXKYR 30-39 years, male 67.4
GTEX-14PJ2-0626-SM-6LLII 50-59 years, male 67.2
GTEX-13113-1626-SM-5EQ4I 60-69 years, female 65.5
GTEX-ZYFG-1526-SM-5GZYM 60-69 years, female 65.0
GTEX-117YX-1926-SM-5GIEC 50-59 years, male 64.2
GTEX-145MI-0626-SM-5SI8S 60-69 years, female 63.8
GTEX-1F75W-2726-SM-7SB8H 60-69 years, male 63.7
GTEX-15CHC-1126-SM-6LLHQ 60-69 years, female 62.9
GTEX-13QBU-1226-SM-5LU4G 40-49 years, female 62.2
GTEX-1L5NE-1126-SM-D3L9P 50-59 years, male 62.1
GTEX-ZGAY-1826-SM-DO91Q 40-49 years, female 61.5
GTEX-1J8Q3-0526-SM-ARL8U 60-69 years, male 61.3
GTEX-1KANC-1226-SM-CYPT7 50-59 years, female 60.8
GTEX-14DAQ-0626-SM-793DS 60-69 years, female 60.6
GTEX-111FC-2526-SM-5GZXU 60-69 years, male 60.2
GTEX-12WSL-2026-SM-5GCML 50-59 years, male 58.5
GTEX-145ME-1726-SM-5Q5EU 40-49 years, female 58.4
GTEX-1HUB1-1426-SM-CGQF5 60-69 years, male 54.7
GTEX-13FH7-1126-SM-5K7UG 50-59 years, female 54.4
GTEX-ZU9S-1826-SM-5NQ9E 30-39 years, male 54.4
GTEX-1ICG6-1226-SM-A9SLN 70-79 years, female 52.7
GTEX-1CAV2-0126-SM-7IGN7 40-49 years, female 50.0
GTEX-1399R-1326-SM-5PNYS 30-39 years, male 46.1
Show allShow less
Skin - Sun Exposed (Lower leg)
Average nTPM: 121.6
Samples: 701

Max nTPM: 432.9
Min nTPM: 10.0
Std nTPM: 50.0
Median nTPM: 114.4
GTEX-P4QT-0126-SM-2I3FL 50-59 years, female 432.9
GTEX-Y3IK-2426-SM-4WWDU 50-59 years, female 407.9
GTEX-1K2DA-1826-SM-CGQGT 50-59 years, male 313.9
GTEX-X88G-0126-SM-47JZ3 30-39 years, male 289.8
GTEX-XUZC-1726-SM-4BRWS 30-39 years, female 285.9
GTEX-T2YK-0526-SM-32QPJ 50-59 years, male 277.6
GTEX-14E6C-0126-SM-5RQIP 40-49 years, male 277.1
GTEX-POMQ-2226-SM-2I5FK 20-29 years, female 274.6
GTEX-1QP9N-1426-SM-DTXFL 30-39 years, male 272.9
GTEX-ZXES-1826-SM-5E43S 30-39 years, female 269.9
GTEX-OIZH-0126-SM-2HMIS 50-59 years, male 257.3
GTEX-PX3G-0126-SM-2I3EN 20-29 years, female 253.9
GTEX-YB5E-2026-SM-5IFIS 40-49 years, male 246.0
GTEX-W5X1-3026-SM-EAZAX 40-49 years, female 246.0
GTEX-PSDG-0226-SM-DKPOZ 50-59 years, male 245.3
GTEX-ZVTK-0426-SM-51MRS 20-29 years, male 242.1
GTEX-11DXZ-2326-SM-5EGGV 50-59 years, male 240.2
GTEX-WI4N-1026-SM-3LK7N 40-49 years, female 238.4
GTEX-ZV68-0126-SM-59HKS 50-59 years, female 235.7
GTEX-13FTW-2626-SM-5K7WL 40-49 years, male 235.6
GTEX-1JMLX-0226-SM-CM2RO 50-59 years, male 232.0
GTEX-T5JW-1626-SM-3GADZ 20-29 years, female 226.4
GTEX-13FXS-0226-SM-5IJCK 50-59 years, male 225.7
GTEX-13CF2-2526-SM-5LZYX 60-69 years, male 222.5
GTEX-1399U-2326-SM-5K7WY 50-59 years, female 222.1
GTEX-13NYB-2526-SM-5K7Z6 40-49 years, male 220.6
GTEX-139UW-2826-SM-5L3E7 60-69 years, male 220.1
GTEX-1B8KE-2126-SM-73KYX 50-59 years, male 219.5
GTEX-12WSJ-1826-SM-5GCNY 40-49 years, female 218.7
GTEX-T6MN-0126-SM-32PLP 50-59 years, male 218.1
GTEX-18D9A-1926-SM-7LG6P 30-39 years, female 217.5
GTEX-YJ89-0126-SM-4TT3X 60-69 years, male 217.1
GTEX-ZGAY-0526-SM-4WWBB 40-49 years, female 217.0
GTEX-ZF3C-0126-SM-DO92D 50-59 years, female 215.1
GTEX-117XS-2726-SM-5N9BL 60-69 years, male 213.1
GTEX-1H2FU-0126-SM-9WYSI 60-69 years, female 212.8
GTEX-P4PP-0126-SM-3LK69 30-39 years, female 212.6
GTEX-1MJK2-0426-SM-DTXE5 50-59 years, male 211.4
GTEX-NFK9-0226-SM-2HMKQ 40-49 years, male 210.4
GTEX-1R9PM-2026-SM-E76OY 20-29 years, male 210.3
GTEX-13111-1626-SM-5EGJY 50-59 years, male 209.9
GTEX-SE5C-1626-SM-2XCE3 40-49 years, female 207.3
GTEX-ZTX8-1426-SM-5DUVO 20-29 years, male 205.8
GTEX-ZWKS-0126-SM-5SIAA 30-39 years, male 203.9
GTEX-11DYG-0126-SM-59883 60-69 years, male 203.3
GTEX-1MA7W-2026-SM-E9TJ6 20-29 years, female 202.5
GTEX-ZYT6-0226-SM-5NQ6T 30-39 years, male 202.3
GTEX-13YAN-0326-SM-5O9DF 60-69 years, male 201.9
GTEX-O5YW-0126-SM-3LK6D 50-59 years, male 201.3
GTEX-11TT1-2526-SM-5EGIB 20-29 years, male 198.9
GTEX-13NZ8-0826-SM-5MR3I 60-69 years, female 198.9
GTEX-OOBJ-0126-SM-E6CJW 60-69 years, male 195.5
GTEX-1PDJ9-0326-SM-DTX95 20-29 years, male 195.1
GTEX-14PHX-2326-SM-62LEM 50-59 years, male 194.7
GTEX-QESD-1426-SM-2S1R9 20-29 years, male 193.7
GTEX-15F5U-1526-SM-6PANO 40-49 years, male 193.6
GTEX-131XE-2326-SM-5PNZ2 50-59 years, male 193.4
GTEX-Y114-2426-SM-4TT8A 50-59 years, female 192.2
GTEX-1JMPY-1326-SM-ARL8Y 30-39 years, male 192.1
GTEX-1LBAC-0126-SM-DIPEZ 20-29 years, male 191.2
GTEX-1NV5F-0226-SM-E8VNY 60-69 years, female 190.6
GTEX-13OVH-0126-SM-5MR4B 70-79 years, male 188.5
GTEX-17F96-1626-SM-7DUFL 70-79 years, male 185.6
GTEX-17JCI-0126-SM-7LG5G 60-69 years, female 185.1
GTEX-13O3P-0126-SM-5KM4S 50-59 years, male 184.5
GTEX-11WQK-0526-SM-5EQLD 50-59 years, male 184.4
GTEX-13NZB-2526-SM-5J1OM 30-39 years, male 183.8
GTEX-12ZZX-0126-SM-5EGK9 40-49 years, female 183.6
GTEX-UJHI-1526-SM-3DB99 50-59 years, female 182.9
GTEX-1OJC3-0126-SM-E76QX 20-29 years, male 182.6
GTEX-Z93S-0126-SM-5HL7M 50-59 years, male 182.2
GTEX-1CB4F-0426-SM-9KNV4 60-69 years, male 180.6
GTEX-1H11D-0226-SM-9WG6Z 40-49 years, male 180.4
GTEX-13NYS-0126-SM-5MR3W 60-69 years, male 179.9
GTEX-1122O-2126-SM-5EGIR 60-69 years, female 179.3
GTEX-1PIIG-0226-SM-EWRN6 30-39 years, male 179.3
GTEX-TKQ1-1026-SM-4GICL 30-39 years, male 179.2
GTEX-1F6RS-0126-SM-9MQKZ 60-69 years, female 178.2
GTEX-12696-2426-SM-5EQ6H 60-69 years, male 177.7
GTEX-1B8SF-1426-SM-7DUGL 60-69 years, male 177.4
GTEX-Y8DK-0126-SM-4TT3L 60-69 years, male 177.4
GTEX-1GMR3-1926-SM-9KNUZ 40-49 years, male 176.8
GTEX-14JG1-0426-SM-6ETZZ 40-49 years, male 176.3
GTEX-15ETS-0126-SM-7KUMW 40-49 years, female 175.3
GTEX-1LGRB-2526-SM-CNPPQ 50-59 years, female 175.2
GTEX-Y8E4-0626-SM-4WWDL 40-49 years, male 174.7
GTEX-1L5NE-2526-SM-E6CIE 50-59 years, male 174.7
GTEX-11H98-0126-SM-5EGHG 50-59 years, male 173.8
GTEX-1314G-1526-SM-5EGK2 30-39 years, male 173.3
GTEX-1R7EU-0226-SM-EVR4G 60-69 years, male 173.0
GTEX-YB5K-2126-SM-4WWDJ 40-49 years, female 172.9
GTEX-1F5PL-0326-SM-7P8PQ 40-49 years, female 172.8
GTEX-T8EM-1026-SM-3DB7M 40-49 years, male 172.4
GTEX-131XF-5016-SM-7MGWE 60-69 years, male 172.4
GTEX-OIZG-0726-SM-33HBL 50-59 years, male 171.7
GTEX-1I1GV-0526-SM-A9G29 60-69 years, male 170.7
GTEX-ZDTS-0126-SM-4WAY5 60-69 years, male 170.3
GTEX-Y111-0126-SM-4SOIV 50-59 years, male 170.1
GTEX-RTLS-0126-SM-447CA 60-69 years, female 169.9
GTEX-139D8-0226-SM-5KLZO 30-39 years, female 169.7
GTEX-XBEW-0626-SM-4QASP 40-49 years, male 169.6
GTEX-1IL2U-0226-SM-CE6T8 60-69 years, male 169.6
GTEX-TMZS-0126-SM-3DB9Q 60-69 years, male 168.9
GTEX-1HBPM-0226-SM-ARL9F 60-69 years, female 168.7
GTEX-14PII-0226-SM-6EU1T 60-69 years, male 168.0
GTEX-1BAJH-0526-SM-793CQ 70-79 years, male 167.8
GTEX-1QMI2-0226-SM-EVYBX 60-69 years, male 167.7
GTEX-12WSK-2326-SM-5GCOH 40-49 years, female 167.1
GTEX-11UD1-0126-SM-5PNYG 40-49 years, female 167.0
GTEX-1497J-2426-SM-7IGNX 60-69 years, male 166.9
GTEX-12WSE-0526-SM-793B2 20-29 years, male 166.7
GTEX-1GN2E-0426-SM-9MQKX 60-69 years, male 166.7
GTEX-ZF2S-2326-SM-4WWCE 50-59 years, female 166.3
GTEX-139TS-2826-SM-5J1OO 60-69 years, male 165.3
GTEX-1HGF4-2426-SM-ACKXM 60-69 years, male 164.4
GTEX-1CB4H-0226-SM-7PBXM 60-69 years, female 164.2
GTEX-144FL-0126-SM-5TDC8 50-59 years, male 163.7
GTEX-WYJK-0126-SM-3NMAB 50-59 years, male 163.1
GTEX-1KANC-1526-SM-D3LAB 50-59 years, female 162.7
GTEX-ZPIC-1726-SM-DHXIU 40-49 years, female 162.6
GTEX-1AX9J-0226-SM-73KXM 60-69 years, male 162.1
GTEX-ZAB4-0226-SM-5N9F5 40-49 years, male 161.9
GTEX-OXRN-0126-SM-48TDM 50-59 years, male 161.7
GTEX-13FHP-0126-SM-5IJBG 50-59 years, male 161.2
GTEX-18A6Q-0126-SM-731BZ 60-69 years, male 161.0
GTEX-1211K-2026-SM-5EQ4Z 60-69 years, female 160.3
GTEX-1H1CY-2826-SM-9MQM3 60-69 years, female 160.3
GTEX-14ICK-0226-SM-6EU25 40-49 years, male 160.2
GTEX-15SB6-1726-SM-6PAME 50-59 years, female 160.0
GTEX-ZV6S-2326-SM-4YCEY 40-49 years, female 159.4
GTEX-13D11-2426-SM-5KM1V 50-59 years, female 159.2
GTEX-T5JC-0426-SM-32PLO 20-29 years, male 158.9
GTEX-11EQ9-2426-SM-5HL5T 30-39 years, male 158.4
GTEX-S33H-1026-SM-EZ6L6 30-39 years, male 158.2
GTEX-1EWIQ-0126-SM-7RHH2 70-79 years, female 157.8
GTEX-17F98-0626-SM-79OMX 40-49 years, female 157.7
GTEX-1399R-2726-SM-5IJBA 30-39 years, male 157.6
GTEX-1399T-2826-SM-5KLYZ 60-69 years, male 157.0
GTEX-1JJ6O-0126-SM-E6CI8 60-69 years, male 157.0
GTEX-1JMQI-2226-SM-CM2SD 50-59 years, male 156.8
GTEX-O5YT-0126-SM-48TBW 20-29 years, male 156.6
GTEX-1192W-2626-SM-5Q5AF 60-69 years, male 156.5
GTEX-18QFQ-0126-SM-731BE 30-39 years, male 156.5
GTEX-1C475-1826-SM-73KWA 40-49 years, female 156.4
GTEX-SIU8-0126-SM-2XCDT 50-59 years, male 156.3
GTEX-1IOXB-0126-SM-ARL8G 50-59 years, male 156.3
GTEX-15RIG-0226-SM-7KFTL 40-49 years, male 155.9
GTEX-13X6H-2126-SM-7EWD5 50-59 years, female 155.7
GTEX-1HT8W-0126-SM-CNPPP 30-39 years, male 155.3
GTEX-11UD2-0226-SM-5EQKY 50-59 years, male 155.1
GTEX-13JUV-2726-SM-5LZZ8 40-49 years, female 154.2
GTEX-XAJ8-0826-SM-47JY6 40-49 years, male 153.7
GTEX-1JMPZ-0226-SM-CNPP1 30-39 years, male 153.4
GTEX-13OVK-2026-SM-7KUEO 40-49 years, male 153.2
GTEX-SUCS-1926-SM-32PM3 70-79 years, male 153.0
GTEX-1I4MK-2226-SM-ACKWD 50-59 years, female 152.7
GTEX-U8T8-0126-SM-3DB94 60-69 years, male 152.3
GTEX-1PPH8-0226-SM-E8VND 20-29 years, male 152.3
GTEX-1J1OQ-0226-SM-CYPSH 40-49 years, female 152.1
GTEX-17HG3-2226-SM-7938L 30-39 years, female 151.2
GTEX-1PIGE-0126-SM-EVYBJ 20-29 years, male 151.1
GTEX-15SHU-0126-SM-7KUEH 40-49 years, female 151.0
GTEX-X4EP-0126-SM-3P5YV 60-69 years, female 150.9
GTEX-ZDTT-2726-SM-4WKF8 60-69 years, male 150.8
GTEX-14753-0426-SM-5NQAM 60-69 years, male 150.7
GTEX-1HCUA-2426-SM-ADEIS 50-59 years, female 150.7
GTEX-RU72-0926-SM-2TF6B 50-59 years, female 150.4
GTEX-15ER7-0326-SM-7KUEV 20-29 years, female 150.0
GTEX-1S5ZA-0126-SM-EVYCV 20-29 years, male 150.0
GTEX-T2IS-0126-SM-4DM6O 20-29 years, female 149.9
GTEX-1KD4Q-0226-SM-E9TJ9 40-49 years, male 149.6
GTEX-Y5V5-2326-SM-4V6GA 60-69 years, female 149.3
GTEX-1CAV2-2226-SM-7P8P2 40-49 years, female 149.3
GTEX-1S3DN-2226-SM-EVYCD 50-59 years, male 149.2
GTEX-ZU9S-0226-SM-5E441 30-39 years, male 148.3
GTEX-ZVT2-2526-SM-51MT1 50-59 years, female 147.9
GTEX-QV44-1926-SM-2S1RF 50-59 years, male 147.7
GTEX-SNMC-1226-SM-2XCFP 20-29 years, male 147.6
GTEX-1JMQJ-0526-SM-CYPSU 50-59 years, male 147.2
GTEX-1LG7Z-1726-SM-D3LA4 30-39 years, male 147.2
GTEX-13X6J-0126-SM-5QGOU 50-59 years, male 147.0
GTEX-Z93T-0126-SM-5HL5N 50-59 years, male 146.8
GTEX-14XAO-2326-SM-6EU1B 60-69 years, female 146.5
GTEX-18D9U-0226-SM-718BP 40-49 years, male 146.5
GTEX-17GQL-2026-SM-718BA 60-69 years, male 146.1
GTEX-1PFEY-1526-SM-E76PP 30-39 years, male 145.9
GTEX-U412-0426-SM-3DB9O 60-69 years, male 145.6
GTEX-1LSNM-1926-SM-E6CII 50-59 years, male 145.6
GTEX-1HSGN-0226-SM-CGQFV 40-49 years, female 145.2
GTEX-ZE7O-0126-SM-57WC1 50-59 years, female 145.0
GTEX-1EMGI-0126-SM-9KNUE 60-69 years, male 145.0
GTEX-ZYFD-0126-SM-5GIDL 50-59 years, male 144.8
GTEX-131YS-0126-SM-5KM1M 60-69 years, female 144.6
GTEX-17KNJ-2326-SM-7DHLQ 50-59 years, male 144.5
GTEX-12126-0326-SM-5PNW3 20-29 years, male 144.1
GTEX-1F75B-0126-SM-9KNVL 50-59 years, male 144.1
GTEX-SN8G-0126-SM-32PLI 50-59 years, female 143.9
GTEX-12WSA-0226-SM-5BC5V 60-69 years, male 143.8
GTEX-16XZZ-0126-SM-793DV 60-69 years, male 143.4
GTEX-ZE9C-2726-SM-57WB5 60-69 years, male 143.4
GTEX-S7SE-0126-SM-2XCD5 50-59 years, male 143.3
GTEX-1JJEA-0326-SM-CNPOT 60-69 years, male 143.1
GTEX-1HSKV-0226-SM-A9SKJ 60-69 years, male 142.9
GTEX-1C4CL-0526-SM-73KVK 30-39 years, male 142.8
GTEX-17MF6-0126-SM-7LG4F 40-49 years, male 142.0
GTEX-1HSMO-0126-SM-CL547 60-69 years, male 142.0
GTEX-1JN1M-0326-SM-CYPT3 60-69 years, female 142.0
GTEX-1LVAN-0226-SM-COH3S 50-59 years, female 142.0
GTEX-YFC4-0126-SM-5CVLY 40-49 years, female 141.8
GTEX-1IDJH-0326-SM-A9SLQ 70-79 years, male 141.7
GTEX-Y5V6-2426-SM-4VDSB 60-69 years, male 141.6
GTEX-11P81-2326-SM-59875 30-39 years, female 141.5
GTEX-1S83E-0126-SM-EWRO4 40-49 years, male 141.4
GTEX-1JMQK-0226-SM-CL543 60-69 years, male 141.3
GTEX-1I1GT-0626-SM-CGQER 60-69 years, female 140.9
GTEX-139T8-0126-SM-5K7XZ 60-69 years, male 140.0
GTEX-1JN6P-0126-SM-D3L98 60-69 years, male 139.5
GTEX-X8HC-0126-SM-4E3JW 50-59 years, female 139.4
GTEX-RVPV-0126-SM-EAZAW 60-69 years, male 139.4
GTEX-145MN-2226-SM-5SIAU 30-39 years, male 139.2
GTEX-1JMQL-0226-SM-CNPP5 50-59 years, female 139.1
GTEX-XQ3S-1526-SM-4BOOC 20-29 years, male 138.8
GTEX-13G51-2526-SM-5LZYK 60-69 years, male 138.6
GTEX-132NY-0326-SM-5IJBL 60-69 years, male 138.1
GTEX-XYKS-2126-SM-4E3IB 60-69 years, female 137.9
GTEX-1B8L1-2526-SM-9WYTF 60-69 years, male 137.9
GTEX-14PJM-0226-SM-62LF1 50-59 years, female 137.5
GTEX-1CB4E-2226-SM-793DC 60-69 years, male 137.4
GTEX-1ICLZ-0126-SM-CKZPO 60-69 years, male 137.4
GTEX-15UF6-0826-SM-6PALJ 70-79 years, female 137.1
GTEX-PWCY-1826-SM-DHXIZ 20-29 years, female 136.9
GTEX-1192X-0226-SM-5H12D 50-59 years, male 136.4
GTEX-ZYFC-0226-SM-5NQ75 50-59 years, male 136.2
GTEX-1EX96-1626-SM-7PBXR 50-59 years, male 136.2
GTEX-WQUQ-0426-SM-3MJFU 60-69 years, male 136.1
GTEX-1QCLY-0326-SM-E8VOG 30-39 years, male 136.0
GTEX-14C5O-0126-SM-5SI6N 60-69 years, male 135.7
GTEX-1KAFJ-2026-SM-CY8ID 50-59 years, male 135.7
GTEX-1KANA-0726-SM-D3L9I 20-29 years, male 135.7
GTEX-12ZZY-0226-SM-5LZVE 60-69 years, male 135.2
GTEX-1H3VE-0326-SM-9YFLH 40-49 years, male 135.1
GTEX-1B8SG-0126-SM-73KZ3 50-59 years, male 134.6
GTEX-14BMV-0126-SM-5S2PO 50-59 years, male 133.6
GTEX-1OFPY-2426-SM-DTXEJ 60-69 years, male 133.6
GTEX-1HCU8-0626-SM-A9SM9 60-69 years, female 133.0
GTEX-X4XX-0126-SM-3NMC2 60-69 years, male 132.7
GTEX-1I6K6-0126-SM-A9SLE 30-39 years, male 132.6
GTEX-1JN76-0126-SM-CNPPE 20-29 years, female 132.4
GTEX-X585-0226-SM-4QAS2 50-59 years, male 132.1
GTEX-ZYFG-2326-SM-5E44B 60-69 years, female 132.1
GTEX-13112-2826-SM-5DUWH 50-59 years, male 131.7
GTEX-1GMRU-0126-SM-9YFLV 50-59 years, male 131.7
GTEX-1HBPI-1526-SM-C1YQ1 50-59 years, male 131.6
GTEX-131XH-2226-SM-5DUXJ 50-59 years, male 131.5
GTEX-145MF-0626-SM-5LUAI 50-59 years, male 131.4
GTEX-13SLW-0126-SM-5SI6C 70-79 years, male 131.3
GTEX-Y5LM-1926-SM-5RQJH 40-49 years, female 131.2
GTEX-1LB8K-0226-SM-EWRNW 50-59 years, male 131.2
GTEX-1C64N-0126-SM-793D7 50-59 years, male 131.0
GTEX-1GN73-0226-SM-9WG67 60-69 years, male 130.7
GTEX-U3ZH-2026-SM-3DB78 30-39 years, male 130.6
GTEX-11TUW-2726-SM-E9J4M 60-69 years, male 130.6
GTEX-U8XE-0326-SM-3DB8P 30-39 years, male 130.5
GTEX-1H1DG-0126-SM-9WYU2 70-79 years, male 130.5
GTEX-QEG4-0226-SM-2S1PY 30-39 years, male 130.1
GTEX-1E2YA-0126-SM-9KNUC 50-59 years, male 129.5
GTEX-1LGOU-2026-SM-DIPFF 20-29 years, female 129.5
GTEX-1CB4I-0226-SM-79OLH 50-59 years, male 129.3
GTEX-ZDYS-2026-SM-5HL5L 50-59 years, male 129.2
GTEX-ZZ64-1726-SM-5GZYB 20-29 years, male 129.0
GTEX-1IKK5-0626-SM-ARL8A 60-69 years, male 127.9
GTEX-1GMR8-0126-SM-9WYTM 50-59 years, female 127.6
GTEX-TML8-1926-SM-32QOS 40-49 years, female 127.5
GTEX-1K2DU-2326-SM-E9TIV 20-29 years, male 126.9
GTEX-148VI-1626-SM-5SI6E 60-69 years, female 126.5
GTEX-ZAK1-0126-SM-5IJD3 50-59 years, female 126.3
GTEX-1GZ4H-1726-SM-7PBZJ 50-59 years, female 126.3
GTEX-1J1R8-1726-SM-ARL8M 40-49 years, male 126.3
GTEX-1QP66-1726-SM-E8VO1 50-59 years, male 126.1
GTEX-OHPM-0126-SM-2YUN9 50-59 years, male 125.6
GTEX-14PN4-0126-SM-6EU2V 50-59 years, male 125.5
GTEX-11GSO-2426-SM-5A5LY 60-69 years, male 125.4
GTEX-1HFI7-1826-SM-ACKXH 50-59 years, female 125.4
GTEX-ZTPG-0326-SM-5O9AX 20-29 years, female 125.3
GTEX-ZQUD-1426-SM-57WER 30-39 years, male 125.1
GTEX-NPJ8-0126-SM-2YUNR 40-49 years, male 125.0
GTEX-S7PM-0126-SM-4AD6S 60-69 years, male 124.9
GTEX-13OVL-0226-SM-5L3E9 50-59 years, male 124.8
GTEX-17MFQ-1726-SM-793C7 20-29 years, male 124.6
GTEX-17EUY-0426-SM-793BD 20-29 years, male 124.3
GTEX-Q2AI-1326-SM-2S1PL 40-49 years, male 124.1
GTEX-1GZHY-0326-SM-9QEHI 50-59 years, female 124.0
GTEX-RM2N-1426-SM-2TF4H 50-59 years, male 123.9
GTEX-1HFI6-0226-SM-ADEHZ 40-49 years, male 123.9
GTEX-11EM3-2426-SM-59861 20-29 years, female 123.8
GTEX-16GPK-0126-SM-7DHLE 60-69 years, male 123.7
GTEX-1GF9W-0326-SM-9KNUN 60-69 years, male 123.5
GTEX-14A5H-0426-SM-5QGQF 60-69 years, male 123.4
GTEX-1HCU7-0226-SM-CL545 50-59 years, male 123.4
GTEX-18465-0126-SM-731BN 50-59 years, male 123.1
GTEX-RWSA-0126-SM-2XCBB 40-49 years, male 122.8
GTEX-13OVI-1426-SM-5L3EY 60-69 years, female 122.7
GTEX-17EVP-0326-SM-7DHLG 40-49 years, male 122.7
GTEX-UPJH-0326-SM-3GADU 50-59 years, male 122.7
GTEX-1PWST-0226-SM-E76QJ 70-79 years, male 122.6
GTEX-18A66-0226-SM-718BD 60-69 years, male 122.5
GTEX-WFG8-2226-SM-3GIL9 20-29 years, male 122.5
GTEX-1JKYR-0126-SM-CNPOJ 20-29 years, male 122.2
GTEX-12C56-1726-SM-5EQ61 20-29 years, male 121.7
GTEX-1CAMS-0426-SM-7P8T2 40-49 years, female 121.7
GTEX-XV7Q-2526-SM-4BRV9 40-49 years, female 121.5
GTEX-QVJO-1626-SM-2S1QW 60-69 years, female 121.3
GTEX-117YW-2626-SM-5GZZH 50-59 years, male 121.2
GTEX-18A7A-0226-SM-718BH 50-59 years, female 120.3
GTEX-X4EO-0326-SM-3P5YO 60-69 years, female 120.0
GTEX-1RAZA-0126-SM-E6CI3 20-29 years, male 120.0
GTEX-13VXU-0126-SM-5SI9F 50-59 years, male 119.8
GTEX-14E6D-0126-SM-62LDV 50-59 years, male 119.8
GTEX-11DXW-0226-SM-5H122 40-49 years, male 119.5
GTEX-1HR98-0126-SM-B2LWI 60-69 years, male 119.2
GTEX-WFON-2126-SM-3LK7O 40-49 years, male 119.1
GTEX-1QPFJ-0226-SM-E76PB 30-39 years, female 119.0
GTEX-X261-0126-SM-3NMD6 50-59 years, male 118.6
GTEX-WYVS-2126-SM-3NMA3 40-49 years, female 118.5
GTEX-1EN7A-0126-SM-7SB81 40-49 years, male 118.5
GTEX-131XG-2626-SM-5KM17 50-59 years, female 118.4
GTEX-14DAR-2026-SM-5S2O3 50-59 years, male 118.2
GTEX-1MUQO-0126-SM-EAZ58 60-69 years, male 118.2
GTEX-111FC-0126-SM-5N9DL 60-69 years, male 117.9
GTEX-PLZ5-2026-SM-2S1O4 50-59 years, male 117.8
GTEX-1GPI7-0126-SM-9MQL8 20-29 years, male 117.8
GTEX-1N2EF-0226-SM-EYYXB 60-69 years, male 117.7
GTEX-12WSC-0126-SM-5EQ4P 50-59 years, male 117.6
GTEX-13OW6-0426-SM-5L3HM 50-59 years, male 117.4
GTEX-WVJS-0126-SM-4MVOT 50-59 years, male 117.4
GTEX-T6MO-1626-SM-32QOM 40-49 years, female 117.3
GTEX-ZY6K-1826-SM-5GZXK 50-59 years, male 117.3
GTEX-1R46S-0626-SM-E9J41 60-69 years, female 117.2
GTEX-X5EB-2226-SM-46MW4 40-49 years, male 116.9
GTEX-PLZ6-1426-SM-DKPOT 30-39 years, male 116.7
GTEX-XUYS-0126-SM-47JWZ 50-59 years, male 116.6
GTEX-1GZ2Q-0226-SM-7P8TL 40-49 years, male 116.5
GTEX-1RB15-2126-SM-E9TIM 60-69 years, male 116.3
GTEX-WZTO-0126-SM-3NM95 40-49 years, male 116.2
GTEX-1GF9X-2026-SM-7PC3A 40-49 years, female 116.2
GTEX-1QAET-0926-SM-E76QM 50-59 years, male 115.9
GTEX-1GF9V-0326-SM-7RHI5 60-69 years, male 115.5
GTEX-12ZZZ-0626-SM-5DUXI 60-69 years, male 115.2
GTEX-13N11-2526-SM-5K7UE 50-59 years, female 114.9
GTEX-1M5QR-1226-SM-EWROB 40-49 years, male 114.9
GTEX-11DZ1-0126-SM-5985Q 50-59 years, male 114.4
GTEX-12WSG-2826-SM-E9J4H 50-59 years, female 114.4
GTEX-1B97I-1626-SM-73KYO 40-49 years, male 114.3
GTEX-12584-0126-SM-5EGKQ 40-49 years, male 114.2
GTEX-ZVZO-0126-SM-5A5L9 40-49 years, male 114.2
GTEX-13W46-0226-SM-5SIAG 50-59 years, male 113.9
GTEX-1H23P-0126-SM-ADEJ3 60-69 years, male 113.9
GTEX-OHPL-0126-SM-2HMJ7 60-69 years, female 113.8
GTEX-ZAJG-0126-SM-5HL94 50-59 years, female 113.7
GTEX-PVOW-0126-SM-2XCFA 40-49 years, male 113.6
GTEX-WRHK-1426-SM-3MJF9 20-29 years, female 113.4
GTEX-1HCU9-1526-SM-A9SL7 20-29 years, male 113.2
GTEX-1CB4G-0226-SM-7PC3O 60-69 years, male 113.0
GTEX-1H3O1-0426-SM-9YFKY 60-69 years, male 112.5
GTEX-1KWVE-1426-SM-E9TJO 30-39 years, male 112.3
GTEX-145MO-0326-SM-5Q5B3 60-69 years, male 112.0
GTEX-146FQ-0126-SM-5NQA9 30-39 years, male 112.0
GTEX-YJ8A-0426-SM-5IFID 20-29 years, male 112.0
GTEX-1F6IF-0726-SM-7P8TW 60-69 years, male 111.7
GTEX-13O21-1426-SM-5K7XI 50-59 years, male 111.5
GTEX-ZVZP-2426-SM-59HKJ 50-59 years, male 111.3
GTEX-13OW8-1326-SM-5J1OW 60-69 years, male 111.2
GTEX-14BIN-0626-SM-793DP 50-59 years, female 111.1
GTEX-17HHY-0126-SM-7LG5D 50-59 years, male 110.5
GTEX-145LU-0126-SM-5TDCB 50-59 years, male 110.3
GTEX-1H3VY-0126-SM-ACKXD 50-59 years, male 110.3
GTEX-1KXAM-2226-SM-CYPTC 60-69 years, male 110.0
GTEX-13PDP-0126-SM-5L3HD 60-69 years, male 109.6
GTEX-16BQI-0226-SM-7KUEX 30-39 years, female 109.6
GTEX-1CAMR-1926-SM-7EPI2 20-29 years, male 109.6
GTEX-1I1GR-0126-SM-CL55F 60-69 years, male 109.6
GTEX-1J8QM-2126-SM-CYPSJ 60-69 years, female 109.6
GTEX-1O97I-0326-SM-EYYX7 60-69 years, male 109.6
GTEX-111VG-2426-SM-5GZXD 60-69 years, male 109.5
GTEX-QDVN-2026-SM-3GAEP 50-59 years, male 109.4
GTEX-1F6I4-0126-SM-9MQL2 60-69 years, male 109.3
GTEX-1H4P4-0726-SM-9YFLR 50-59 years, male 109.2
GTEX-145LS-0126-SM-5QGP1 60-69 years, female 109.1
GTEX-1GN1U-0126-SM-7PBZK 50-59 years, female 108.6
GTEX-ZVE2-0226-SM-59HJB 50-59 years, male 108.3
GTEX-1C6VR-2426-SM-79OLD 60-69 years, male 108.1
GTEX-11ZTS-0126-SM-5EQ6M 60-69 years, female 107.9
GTEX-WXYG-2326-SM-4E3I6 50-59 years, female 107.9
GTEX-YEC4-2126-SM-5IFJH 40-49 years, male 107.3
GTEX-133LE-1826-SM-5J1MV 20-29 years, female 107.2
GTEX-145LV-2126-SM-5LU8N 50-59 years, male 107.2
GTEX-1I1CD-0126-SM-CM2TK 60-69 years, female 107.2
GTEX-16YQH-0126-SM-7DUFJ 30-39 years, male 107.0
GTEX-1H1DE-2126-SM-9WG6R 20-29 years, male 106.8
GTEX-1269C-2526-SM-5EGJ3 60-69 years, female 106.7
GTEX-13U4I-0126-SM-5LU38 40-49 years, female 106.7
GTEX-1IKJJ-0126-SM-CNPQB 60-69 years, male 106.6
GTEX-15EOM-0126-SM-7KUGG 20-29 years, female 106.4
GTEX-13X6I-0626-SM-5QGP9 60-69 years, male 106.3
GTEX-1212Z-2526-SM-5EGKP 60-69 years, male 105.9
GTEX-11WQC-2526-SM-5CVLE 60-69 years, male 105.8
GTEX-1128S-2326-SM-5GZZY 60-69 years, female 105.7
GTEX-13113-5016-SM-7EPIP 60-69 years, female 105.1
GTEX-1LH75-2426-SM-E9TJE 50-59 years, female 105.0
GTEX-1S82Y-2026-SM-EVYCM 40-49 years, male 105.0
GTEX-1313W-0126-SM-5LZUN 50-59 years, female 104.8
GTEX-XQ8I-0426-SM-4BOPO 50-59 years, male 104.6
GTEX-1H1ZS-0426-SM-9WG6G 70-79 years, male 104.6
GTEX-ZC5H-0226-SM-4WAY9 40-49 years, female 104.4
GTEX-13PVR-2326-SM-5QGR1 60-69 years, female 104.1
GTEX-S32W-2126-SM-2XCB1 50-59 years, female 104.1
GTEX-1C6VQ-0126-SM-7P8RI 50-59 years, male 104.1
GTEX-13QJ3-0326-SM-5S2RA 50-59 years, male 104.0
GTEX-1GL5R-1826-SM-9KNUY 50-59 years, male 104.0
GTEX-169BO-1326-SM-9MQK2 50-59 years, male 103.5
GTEX-1GPI6-0126-SM-9WG69 60-69 years, male 103.5
GTEX-1H3NZ-0126-SM-ACKX7 60-69 years, male 103.4
GTEX-1A3MX-0126-SM-731BR 60-69 years, male 103.3
GTEX-1J8JJ-0226-SM-CL53I 60-69 years, female 103.3
GTEX-183FY-0126-SM-7LT9P 20-29 years, male 103.2
GTEX-17HII-0226-SM-7LG4E 50-59 years, male 103.0
GTEX-S95S-1226-SM-4GICG 60-69 years, male 103.0
GTEX-1ICLY-0126-SM-D4P36 50-59 years, male 103.0
GTEX-ZTSS-1926-SM-57WEW 40-49 years, male 102.6
GTEX-1RDX4-0126-SM-E9J4P 50-59 years, female 102.2
GTEX-17HGU-0226-SM-7DHKV 50-59 years, male 102.1
GTEX-1EKGG-0226-SM-9WYTH 60-69 years, male 102.1
GTEX-W5WG-1826-SM-4KL2Y 50-59 years, female 101.9
GTEX-11NSD-2226-SM-5986V 20-29 years, male 101.5
GTEX-14PN3-2426-SM-6LLHS 60-69 years, female 101.5
GTEX-1I1GS-0126-SM-B2LVW 60-69 years, male 101.4
GTEX-ZF29-2326-SM-DO92K 60-69 years, female 101.4
GTEX-1C2JI-1826-SM-73KXC 50-59 years, male 101.2
GTEX-SJXC-0126-SM-2XCFF 60-69 years, male 101.1
GTEX-1S82Z-0826-SM-E6CHY 30-39 years, female 101.0
GTEX-13IVO-0126-SM-5J1NG 70-79 years, male 100.9
GTEX-14LZ3-0226-SM-62LET 60-69 years, female 100.8
GTEX-13N2G-2626-SM-5J1OT 60-69 years, male 100.2
GTEX-12WSD-0126-SM-59HKN 60-69 years, female 100.0
GTEX-18A67-0126-SM-7LG5P 50-59 years, male 100.0
GTEX-13OW5-0126-SM-DTXFS 60-69 years, male 100.0
GTEX-1LC47-0326-SM-E9TJP 60-69 years, male 100.0
GTEX-11NUK-0126-SM-5A5L3 50-59 years, male 99.8
GTEX-QLQW-1126-SM-2S1Q8 30-39 years, male 99.8
GTEX-1AX9I-0126-SM-7SB74 60-69 years, male 99.7
GTEX-11GS4-2726-SM-5A5LE 60-69 years, male 99.5
GTEX-11LCK-1026-SM-5A5KB 30-39 years, male 99.4
GTEX-13O3Q-2426-SM-5IJBR 50-59 years, male 99.1
GTEX-1F75A-0126-SM-7RHGM 50-59 years, male 99.1
GTEX-17HHE-2026-SM-79OKF 50-59 years, male 99.0
GTEX-RWS6-2026-SM-2XCB5 60-69 years, female 98.9
GTEX-13RTK-1426-SM-5QGQJ 20-29 years, male 98.8
GTEX-1POEN-0126-SM-EYYXJ 30-39 years, female 98.5
GTEX-11EI6-0126-SM-5985R 60-69 years, male 98.4
GTEX-15UKP-0426-SM-7KUFQ 20-29 years, male 98.2
GTEX-16MT8-0426-SM-7KUEY 60-69 years, female 98.1
GTEX-PWO3-1526-SM-48TCM 60-69 years, female 98.1
GTEX-QDVJ-1726-SM-2I5FX 50-59 years, male 97.8
GTEX-1A32A-0126-SM-718B1 50-59 years, female 97.7
GTEX-11XUK-2026-SM-5EQLF 40-49 years, female 97.5
GTEX-ZYY3-0126-SM-5GZY5 60-69 years, female 97.5
GTEX-1EU9M-0226-SM-7P8SP 60-69 years, male 97.5
GTEX-14BIM-0226-SM-7IGLD 60-69 years, female 97.4
GTEX-1HCU6-0126-SM-CL54K 60-69 years, female 97.0
GTEX-14PJ6-2126-SM-6EU1V 60-69 years, female 96.8
GTEX-XPVG-2626-SM-4B669 50-59 years, male 96.6
GTEX-16AAH-1726-SM-7939C 50-59 years, male 96.4
GTEX-16NGA-1726-SM-731B4 40-49 years, female 96.4
GTEX-1J8EW-0126-SM-CJI4F 60-69 years, female 96.1
GTEX-13RTL-0126-SM-7LG5S 40-49 years, male 95.8
GTEX-1IDJF-0126-SM-CM2RS 20-29 years, male 95.8
GTEX-1GF9U-2126-SM-7SB7L 40-49 years, female 95.7
GTEX-13FHO-0226-SM-5IFGY 60-69 years, male 95.4
GTEX-XXEK-2226-SM-4BRUM 50-59 years, male 94.9
GTEX-13RTJ-2426-SM-5S2Q2 60-69 years, male 94.7
GTEX-XUW1-0426-SM-4BOOT 50-59 years, female 94.7
GTEX-11OF3-2626-SM-5GU7F 60-69 years, male 94.6
GTEX-1JK1U-2026-SM-CM2RZ 60-69 years, male 94.5
GTEX-R3RS-0126-SM-3GIJL 40-49 years, female 94.4
GTEX-1HCVE-0126-SM-CGQEU 50-59 years, male 94.4
GTEX-1IL2V-0126-SM-CM2TX 70-79 years, male 94.4
GTEX-1MCQQ-0826-SM-DLHC2 60-69 years, male 94.2
GTEX-113JC-2326-SM-5EQ4E 50-59 years, female 94.0
GTEX-12KS4-0326-SM-5EQ41 30-39 years, male 93.7
GTEX-1HSMQ-1226-SM-CGQFX 50-59 years, male 93.7
GTEX-145ME-1826-SM-5SI9G 40-49 years, female 93.6
GTEX-144GL-0126-SM-5TDE2 50-59 years, male 93.5
GTEX-17F97-0326-SM-7LG5B 50-59 years, male 93.4
GTEX-ZQG8-1626-SM-DHXIT 60-69 years, female 93.4
GTEX-14JG6-2226-SM-6EU2G 30-39 years, female 93.3
GTEX-P44H-0226-SM-2XCEU 40-49 years, male 93.3
GTEX-15EU6-0426-SM-6PAN5 50-59 years, male 93.2
GTEX-11OC5-0126-SM-5HL6A 60-69 years, male 93.0
GTEX-1E1VI-0126-SM-7DHMZ 50-59 years, male 92.4
GTEX-147GR-0526-SM-5S2MY 60-69 years, male 91.6
GTEX-11ZU8-2526-SM-5EQKI 60-69 years, male 91.5
GTEX-139TT-0126-SM-5K7Y5 60-69 years, male 91.5
GTEX-TSE9-0126-SM-3DB83 60-69 years, female 90.8
GTEX-VUSG-2526-SM-4KL1V 50-59 years, male 90.6
GTEX-WH7G-2326-SM-3NMBC 40-49 years, male 90.6
GTEX-Q2AH-1626-SM-3GAF8 40-49 years, male 90.5
GTEX-11P7K-2126-SM-5GU7G 30-39 years, male 90.3
GTEX-VJYA-1126-SM-3GIJU 60-69 years, male 90.2
GTEX-R55E-0126-SM-2TC5Y 20-29 years, male 90.0
GTEX-Q2AG-0126-SM-33HBV 40-49 years, female 89.3
GTEX-1HSEH-0126-SM-ACKXN 60-69 years, male 89.3
GTEX-XBED-2226-SM-47JYQ 60-69 years, male 88.9
GTEX-183WM-0126-SM-7LTAB 70-79 years, female 88.8
GTEX-1I19N-0326-SM-ACKVX 70-79 years, male 88.6
GTEX-1F52S-0126-SM-9MQJU 60-69 years, female 88.4
GTEX-1LG7Y-0526-SM-DKPQC 50-59 years, male 88.1
GTEX-13OVJ-0126-SM-5KM36 50-59 years, female 87.9
GTEX-148VJ-0126-SM-5TDDN 70-79 years, male 87.9
GTEX-P4PQ-0126-SM-2S1NM 60-69 years, male 87.8
GTEX-14BMU-2226-SM-5TDE9 20-29 years, female 87.7
GTEX-147F3-0526-SM-5SI98 50-59 years, female 87.6
GTEX-145LT-1726-SM-5QGP3 40-49 years, male 87.5
GTEX-RNOR-0126-SM-E9J4R 50-59 years, female 87.5
GTEX-15D1Q-0126-SM-7KUG6 40-49 years, male 87.3
GTEX-15DCD-0126-SM-7KUEK 70-79 years, female 86.9
GTEX-139TU-0126-SM-5K7WH 60-69 years, male 86.8
GTEX-14A5I-0126-SM-5TDEA 50-59 years, female 86.6
GTEX-16NPX-0226-SM-79OMT 50-59 years, male 86.6
GTEX-1IGQW-0126-SM-COH42 60-69 years, male 86.6
GTEX-11O72-0126-SM-59887 40-49 years, male 86.5
GTEX-1B8KZ-2026-SM-7DHMB 50-59 years, male 86.1
GTEX-1HBPN-0226-SM-9YFM1 50-59 years, male 86.0
GTEX-11DXY-2626-SM-5GIE7 60-69 years, male 85.8
GTEX-1F88F-2726-SM-7PBZZ 60-69 years, female 85.4
GTEX-1AX8Z-0126-SM-7DHM6 60-69 years, male 84.8
GTEX-XMD2-0126-SM-4YCDU 60-69 years, female 84.8
GTEX-15DYW-0126-SM-7KULE 60-69 years, female 84.7
GTEX-13FTX-1826-SM-5J1NX 20-29 years, female 84.5
GTEX-X4XY-0226-SM-4E3IZ 60-69 years, male 84.2
GTEX-146FH-0126-SM-5QGPP 50-59 years, female 84.1
GTEX-OXRO-0126-SM-2YUN4 60-69 years, female 84.1
GTEX-ZAB5-1826-SM-5HL7C 50-59 years, male 84.1
GTEX-1B933-0126-SM-7PC29 50-59 years, female 84.1
GTEX-13FTY-0526-SM-5L3EV 40-49 years, female 84.0
GTEX-11EMC-2926-SM-5EQ4F 60-69 years, female 83.8
GTEX-PW2O-1526-SM-7RHHB 20-29 years, male 83.7
GTEX-1A3MW-0126-SM-73KXX 60-69 years, female 83.5
GTEX-1I1GP-2226-SM-CGQFK 50-59 years, male 83.5
GTEX-1KANB-0526-SM-E6CJH 50-59 years, male 83.4
GTEX-TMMY-0226-SM-33HBA 40-49 years, female 83.3
GTEX-1B996-0226-SM-7RHGO 60-69 years, male 83.3
GTEX-1R7EV-2426-SM-EVYBG 40-49 years, male 83.3
GTEX-11GSP-2526-SM-5N9BP 60-69 years, female 83.2
GTEX-U3ZN-2326-SM-3DB7W 30-39 years, female 83.2
GTEX-13S7M-0126-SM-5SI6A 60-69 years, female 83.0
GTEX-OXRK-0226-SM-3NB2G 50-59 years, female 83.0
GTEX-131XW-0426-SM-5LZWP 50-59 years, female 82.9
GTEX-14DAQ-0126-SM-5S2MQ 60-69 years, female 82.9
GTEX-14LLW-0126-SM-6LLIO 70-79 years, female 82.4
GTEX-1I1GQ-0126-SM-COH3H 50-59 years, male 82.4
GTEX-1N2DW-0226-SM-E9TK2 50-59 years, male 82.2
GTEX-1C6WA-0126-SM-7PC2B 60-69 years, male 81.7
GTEX-1F7RK-0126-SM-7PC2S 20-29 years, female 81.7
GTEX-11DXX-2426-SM-5GZZW 60-69 years, female 81.4
GTEX-1HB9E-0226-SM-E9U4R 50-59 years, male 81.1
GTEX-ZVT4-0126-SM-DTXFN 50-59 years, female 81.1
GTEX-1AMFI-2026-SM-731BH 50-59 years, female 81.0
GTEX-1AYD5-2426-SM-73KXR 50-59 years, male 80.9
GTEX-117YX-2326-SM-5H12W 50-59 years, male 80.8
GTEX-QCQG-1726-SM-3GIJ9 50-59 years, female 80.8
GTEX-14PJ3-1826-SM-62LEX 50-59 years, male 80.5
GTEX-13CF3-2426-SM-5IFGX 60-69 years, female 80.0
GTEX-1IDJU-2626-SM-CM2RT 60-69 years, female 80.0
GTEX-13OW7-0126-SM-5MR3B 50-59 years, male 79.9
GTEX-1PPH7-2326-SM-EVYB8 40-49 years, male 79.9
GTEX-1A3MV-1926-SM-718BT 30-39 years, male 79.6
GTEX-11P82-1626-SM-59879 20-29 years, male 79.5
GTEX-1JKYN-1326-SM-CGQG9 30-39 years, male 79.5
GTEX-13N1W-0126-SM-5K7VT 70-79 years, male 79.2
GTEX-1JMOU-1526-SM-CL54I 60-69 years, female 79.0
GTEX-15DDE-0126-SM-6LPKH 50-59 years, female 78.9
GTEX-R55G-2526-SM-2TC6D 40-49 years, female 78.9
GTEX-17EVQ-0226-SM-7LG4P 70-79 years, male 78.8
GTEX-ZXG5-0126-SM-5GIEU 60-69 years, male 78.8
GTEX-1CB4J-0626-SM-7DHMP 60-69 years, male 78.4
GTEX-OIZF-0126-SM-7SB8I 60-69 years, male 78.2
GTEX-13SLX-0526-SM-5S2ON 50-59 years, female 77.4
GTEX-14PHW-0126-SM-6LLJI 60-69 years, female 77.4
GTEX-13O1R-0126-SM-5L3EH 60-69 years, male 77.2
GTEX-18A7B-0126-SM-7LG64 70-79 years, male 77.2
GTEX-1H1E6-1726-SM-ACKVK 30-39 years, male 77.0
GTEX-1HSMP-0126-SM-E6CJS 70-79 years, male 76.7
GTEX-1MGNQ-0126-SM-EVYCJ 40-49 years, male 76.7
GTEX-11ZVC-2526-SM-5FQTE 50-59 years, female 76.6
GTEX-WY7C-2326-SM-3NB2U 50-59 years, male 76.6
GTEX-1QP2A-0126-SM-E9J43 50-59 years, male 76.6
GTEX-QLQ7-1626-SM-2S1R8 60-69 years, male 76.4
GTEX-VJWN-0126-SM-3GIK7 50-59 years, female 76.2
GTEX-15SDE-2226-SM-7IGLO 50-59 years, female 75.9
GTEX-ZVT3-0126-SM-5GU6I 60-69 years, female 75.8
GTEX-15G19-0126-SM-6PANQ 60-69 years, male 75.7
GTEX-1IDFM-0126-SM-COH2V 60-69 years, male 75.7
GTEX-1KD5A-0226-SM-D5OV3 50-59 years, male 75.4
GTEX-147F4-0226-SM-5QGPW 50-59 years, male 75.1
GTEX-PLZ4-0126-SM-5SI8O 50-59 years, female 74.0
GTEX-WOFL-0126-SM-3MJG2 60-69 years, male 73.8
GTEX-1QP29-0626-SM-EWRMX 50-59 years, male 73.8
GTEX-1HKZK-0326-SM-9WYUH 40-49 years, male 73.7
GTEX-OXRP-0126-SM-3NB32 60-69 years, female 73.5
GTEX-14A6H-0126-SM-5QGPK 30-39 years, male 73.3
GTEX-RN64-0126-SM-2TC68 50-59 years, male 73.3
GTEX-Y3I4-2126-SM-4TT7C 50-59 years, male 73.1
GTEX-1RQEC-0426-SM-E6CHU 60-69 years, male 73.1
GTEX-18D9B-0526-SM-7LTAS 60-69 years, male 73.0
GTEX-ZZPT-0226-SM-5E43X 50-59 years, male 72.9
GTEX-1J8Q2-0526-SM-CM2RW 60-69 years, male 72.9
GTEX-1A8FM-0226-SM-7SB7Q 50-59 years, female 72.3
GTEX-1K9T9-0126-SM-EVYCF 50-59 years, female 71.5
GTEX-14ABY-0226-SM-5TDCQ 50-59 years, male 71.1
GTEX-145MI-0526-SM-5O9A8 60-69 years, female 70.5
GTEX-14E6E-1826-SM-5S2R7 30-39 years, male 70.2
GTEX-R45C-0126-SM-EAZ2R 60-69 years, female 69.9
GTEX-11TTK-0126-SM-5987B 60-69 years, female 69.8
GTEX-144GN-2326-SM-5LU4F 50-59 years, male 69.8
GTEX-1C64O-0126-SM-7SB8P 60-69 years, male 69.8
GTEX-ZEX8-2426-SM-4WKG4 50-59 years, male 69.6
GTEX-13NYC-0326-SM-E9J4S 60-69 years, male 69.3
GTEX-1N2DV-0226-SM-E6CJ6 40-49 years, male 69.2
GTEX-13NZA-0226-SM-5K7Z7 60-69 years, male 69.1
GTEX-1IKOH-0226-SM-COH4E 60-69 years, female 69.0
GTEX-SSA3-0126-SM-32QPU 60-69 years, male 68.6
GTEX-OOBK-0126-SM-2YUND 40-49 years, male 68.5
GTEX-12WSL-2526-SM-5GCNJ 50-59 years, male 68.2
GTEX-1GTWX-0126-SM-9YFLK 60-69 years, male 68.0
GTEX-1M4P7-0226-SM-DIPEV 60-69 years, male 67.9
GTEX-1CAMQ-0226-SM-7IGPK 40-49 years, male 67.8
GTEX-11VI4-1726-SM-5CVLH 40-49 years, female 67.6
GTEX-1F5PK-2426-SM-7RHHY 50-59 years, male 66.6
GTEX-1QEPI-0126-SM-EWRMQ 60-69 years, female 66.0
GTEX-1GN1V-0126-SM-9WPOS 60-69 years, male 65.7
GTEX-1J8Q3-1626-SM-CMKGC 60-69 years, male 65.7
GTEX-1IY9M-0126-SM-D3L8S 60-69 years, male 64.5
GTEX-13OVG-1926-SM-5L3DK 60-69 years, male 64.0
GTEX-13W3W-2426-SM-5LU5B 60-69 years, female 64.0
GTEX-1MA7X-2226-SM-E6CIY 60-69 years, male 63.4
GTEX-1F48J-0126-SM-7P8TT 50-59 years, female 62.9
GTEX-1ICG6-2526-SM-CGQFZ 70-79 years, female 62.1
GTEX-1R9K4-0126-SM-DTX9X 60-69 years, male 61.9
GTEX-1AMEY-1326-SM-73KYK 30-39 years, female 61.2
GTEX-U3ZM-1526-SM-3DB9D 40-49 years, male 60.7
GTEX-13FH7-2026-SM-E9J4I 50-59 years, female 60.0
GTEX-15CHC-2126-SM-6EU21 60-69 years, female 59.6
GTEX-Z9EW-1626-SM-5CVMN 40-49 years, male 59.0
GTEX-15SHW-0326-SM-6PAML 60-69 years, male 58.3
GTEX-1MCYP-1926-SM-E9J2R 20-29 years, female 56.4
GTEX-1AYCT-2426-SM-7IGQ3 50-59 years, male 56.0
GTEX-14PK6-1926-SM-6ETZU 70-79 years, female 55.6
GTEX-13O3O-0126-SM-E9J49 60-69 years, female 55.0
GTEX-13VXT-0126-SM-5LU4I 20-29 years, female 54.7
GTEX-1RLM8-2326-SM-EWRN4 50-59 years, male 54.5
GTEX-QDT8-0126-SM-48TZ1 30-39 years, female 54.1
GTEX-1JJE9-0326-SM-CL53Z 70-79 years, male 53.7
GTEX-1C6VS-0526-SM-7DUEN 60-69 years, male 52.5
GTEX-1LNCM-1126-SM-E9U5E 50-59 years, female 52.0
GTEX-12WSN-5019-SM-79OM6 40-49 years, male 51.9
GTEX-Y8LW-1826-SM-5S2MV 50-59 years, female 51.9
GTEX-1NHNU-1026-SM-E9J2A 50-59 years, male 51.8
GTEX-ZYW4-0126-SM-5E44A 60-69 years, male 51.5
GTEX-V1D1-2226-SM-3NMAX 50-59 years, male 51.4
GTEX-ZDXO-3026-SM-5J1N5 60-69 years, male 50.8
GTEX-X638-0126-SM-47JZ8 70-79 years, female 49.4
GTEX-14E7W-0126-SM-6LLJ9 70-79 years, male 49.2
GTEX-X62O-0126-SM-4E3JN 50-59 years, male 48.5
GTEX-1PBJI-0526-SM-E8VNK 20-29 years, female 48.3
GTEX-1AX9K-2326-SM-73KWU 50-59 years, male 47.5
GTEX-14BIL-0126-SM-5SI92 50-59 years, male 47.4
GTEX-Q734-1926-SM-2I5EV 40-49 years, female 47.4
GTEX-ZUA1-0126-SM-5GU76 40-49 years, male 47.3
GTEX-1GN1W-0526-SM-9MQJQ 50-59 years, female 46.9
GTEX-ZF28-0126-SM-4WKGK 60-69 years, male 46.4
GTEX-139T4-0226-SM-5HL5S 50-59 years, female 46.3
GTEX-RUSQ-1526-SM-2TF62 50-59 years, male 45.8
GTEX-OXRL-0126-SM-2YUMP 50-59 years, male 45.0
GTEX-1I1HK-0126-SM-COH49 60-69 years, male 43.6
GTEX-1F75I-0326-SM-9YFLU 40-49 years, male 43.2
GTEX-1IE54-0126-SM-CMKHW 40-49 years, female 42.6
GTEX-16XZY-2126-SM-79OK1 70-79 years, male 42.5
GTEX-11ZTT-2426-SM-5EQLS 60-69 years, female 42.1
GTEX-1HUB1-0426-SM-E9U4U 60-69 years, male 40.7
GTEX-11ZUS-0626-SM-59885 30-39 years, male 38.4
GTEX-1I1GU-2226-SM-CGQFA 40-49 years, male 38.4
GTEX-1R9PO-2126-SM-E9J4O 60-69 years, female 33.8
GTEX-1QW4Y-1526-SM-EAZ3Z 30-39 years, male 32.5
GTEX-1OJC4-0126-SM-E9J2E 50-59 years, female 29.8
GTEX-113IC-0126-SM-5HL6T 60-69 years, male 28.2
GTEX-U4B1-1826-SM-4DXSU 40-49 years, male 26.6
GTEX-1HBPH-0426-SM-B2LW5 40-49 years, female 23.1
GTEX-1QP67-1626-SM-EAZ3X 40-49 years, female 20.8
GTEX-1RAZQ-0726-SM-EAZ43 30-39 years, male 19.0
GTEX-14JIY-0126-SM-6LLH6 60-69 years, male 16.4
GTEX-146FR-1326-SM-E9J48 60-69 years, female 10.0
Show allShow less

Contact

  • NEWS ARTICLES
  • PRESS ROOM

The Project

  • INTRODUCTION
  • ORGANIZATION
  • PUBLICATIONS

The Human Protein Atlas

  • DOWNLOADABLE DATA
  • LICENCE & CITATION
  • HELP & FAQ
The Human Protein Atlas project is funded
by the Knut & Alice Wallenberg Foundation.


contact@proteinatlas.org