We use cookies to enhance the usability of our website. If you continue, we'll assume that you are happy to receive all cookies. More information. Don't show this again.
CLPS
HPA
RESOURCES
  • TISSUE
  • BRAIN
  • SINGLE CELL
  • SUBCELLULAR
  • CANCER
  • BLOOD
  • CELL LINE
  • STRUCTURE & INTERACTION
ABOUT
  • INTRODUCTION
  • HISTORY
  • ORGANIZATION
  • PUBLICATIONS
  • ANTIBODY SUBMISSION
  • ANTIBODY AVAILABILITY
  • ACKNOWLEDGMENTS
  • CONTACT
NEWS
  • NEWS ARTICLES
  • PRESS ROOM
LEARN
  • DICTIONARY
  • PROTEIN CLASSES
  • PROTEIN EVIDENCE
  • METHODS
  • EDUCATIONAL VIDEOS
DATA
  • DOWNLOADABLE DATA
  • PUBLICATION DATA
  • RELEASE HISTORY
HELP
  • ANTIBODY VALIDATION
  • ASSAYS & ANNOTATION
  • DISCLAIMER
  • HELP & FAQ
  • PRIVACY STATEMENT
  • LICENCE & CITATION
Fields »
Search result

Field
Term
Gene name
Class
Subclass
Class
Keyword
Chromosome
External id
Tissue
Cell type
Expression
Antibody panel
Tissue
Main location
Patient ID
Annotation
Tissue
Category
Tau score
Cluster
Reliability
Brain region
Category
Tau score
Brain region
Category
Tau score
Brain region
Category
Tau score
Cluster
Reliability
Tissue
Cell type
Enrichment
Cell type
Category
Tau score
Cell type
Category
Tau score
Cell type
Category
Tau score
Cell lineage
Category
Tau score
Cluster
Cluster
Location
Searches
Location
Cell line
Class
Type
Phase
Reliability
Cancer
Prognosis
Cancer
Category
Cancer
Category
Tau score
Cluster
Variants
Interacting gene (ensg_id)
Type
Number of interactions
Pathway
Category
Score
Score
Score
Validation
Validation
Validation
Validation
Antibodies
Data type
Column


  • SUMMARY

  • TISSUE

  • BRAIN

  • SINGLE CELL

  • SUBCELL

  • CANCER

  • BLOOD

  • CELL LINE

  • STRUCT & INT

  • CLPS
TISSUE PRIMARY DATA PANCREAS Show tissue menu
ADIPOSE TISSUE ADRENAL GLAND AMYGDALA APPENDIX BASAL GANGLIA BONE MARROW BREAST BRONCHUS CEREBELLUM CEREBRAL CORTEX CERVIX CHOROID PLEXUS COLON DUODENUM
ENDOMETRIUM EPIDIDYMIS ESOPHAGUS FALLOPIAN TUBE GALLBLADDER HEART MUSCLE HIPPOCAMPAL FORMATION HYPOTHALAMUS KIDNEY LIVER LUNG LYMPH NODE MIDBRAIN NASOPHARYNX
ORAL MUCOSA OVARY PANCREAS PARATHYROID GLAND PITUITARY GLAND PLACENTA PROSTATE RECTUM RETINA SALIVARY GLAND SEMINAL VESICLE SKELETAL MUSCLE SKIN SMALL INTESTINE
SMOOTH MUSCLE SOFT TISSUE SPINAL CORD SPLEEN STOMACH TESTIS THYMUS THYROID GLAND TONGUE TONSIL URINARY BLADDER VAGINA
ANTIBODIES
AND
VALIDATION
Dictionary
Pancreas
Tissue proteome
Pancreas
PANCREAS - Expression summary
Protein expression
Pancreasi

On the top, protein expression in current human tissue, based on all annotated cell types, is reported with the units not detected (n), low (l), medium (m) and high (h). Underneath, protein expression in each annotated cell type are reported using the same units.

Protein expression data is based on knowledge-based annotation. For genes where more than one antibody has been used, a collective score is set.

If knowledge-based annotation could not be performed for a gene, no data is displayed here. View antibody staining data further down this page.

h
m
l
n
Exocrine glandular cells: Medium
Pancreatic endocrine cells: Low
RNA expressioni

A summary of mRNA expression data available for current tissue based on several datasets. The mRNA expression levels in human tissues are based on RNA-seq data generated by the Human Protein Atlas (HPA), Genotype-Tissue Expression (GTEx) portal and CAGE data generated by the FANTOM5 consortium. Consensus normalized expression levels for human tissues was created by combining the data from HPA and GTEx datasets.

The mRNA expression levels in pig are based on RNA-seq data generated by the Human Protein Atlas (HPA), and for mouse, HPA data and in situ hybridization generated by the Allen brain atlas are reported.

Scroll down to view mRNA expression data in more detail.
Consensus:253763.2 nTPM
HPA:253763.2 nTPM
GTEx:122100.5 nTPM
FANTOM5:499367.5 Scaled Tags Per Million

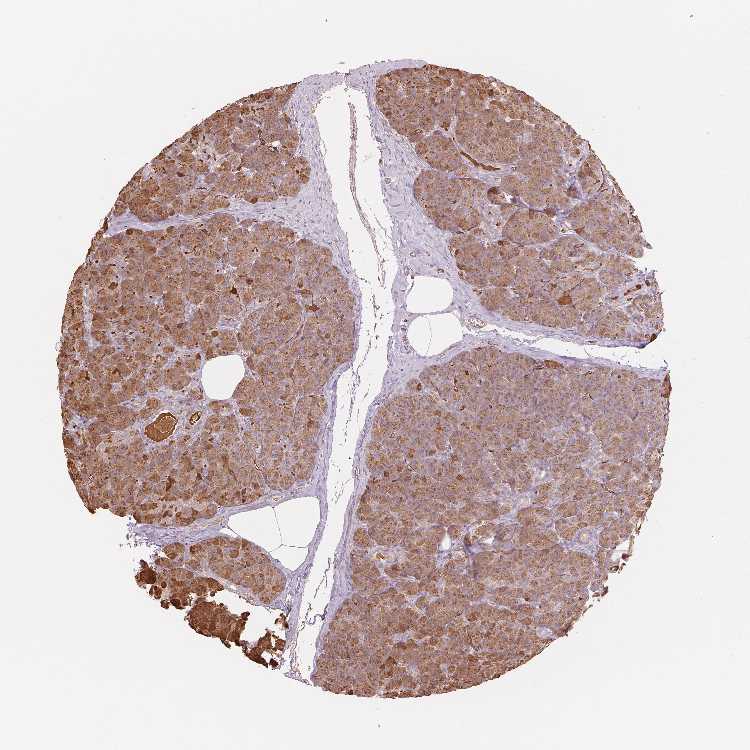
PANCREAS - Antibody stainingi

Antibody staining in the annotated cell types in the current human tissue is reported as not detected, low, medium, or high, based on conventional immunohistochemistry profiling in selected tissues. This score is based on the combination of the staining intensity and fraction of stained cells.

Each image is clickable and will lead to virtual microscopy that enables deeper exploration of all samples and also displays staining intensity scores, fraction scores and subcellular localization as well as patient and tissue information for each sample.

Antibody HPA010512
Exocrine glandular cells Medium
Pancreatic endocrine cells Low



PANCREAS - HPA RNA-seqi

The RNA-seq details section shows detailed information about the individual samples used for the transcript profiling and results of the RNA-seq analysis.

Information about each individual sample is listed below, including gender, age, a tissue section image and estimated fractions of cell types. nTPM (normalized transcripts per million) values give a quantification of the gene abundance which is comparable between different genes and samples.
Average nTPMi

Max subtype nTPM is the value for the subtype with the largest average nTPM across the subtype samples.

253763.2
overview
Female, age 59
Pancreas sample 194
nTPM: 155168.5
Cell types%
Exocrine glandular cells:
75

Pancreatic endocrine cells:
10

Ductal cells:
5

Other cell types:
10

overview
Male, age 60
Pancreas sample 195
nTPM: 352357.9
Cell types%
Exocrine glandular cells:
90

Pancreatic endocrine cells:
5

Ductal cells:
5


PANCREAS - GTEx RNA-seqi

RNA-Seq data generated by the Genotype-Tissue Expression (GTEx) project from human tissues is reported as mean nTPM. More information can be found on the GTEx portal.

Distribution across the dataset is visualized with box plots, shown as median and 25th and 75th percentiles. Points are displayed as outliers if they are above or below 1.5 times the interquartile range. nTPM values of the individual samples are presented next to the box plot.
Max subtype nTPMi

Max subtype nTPM is the value for the subtype with the largest average nTPM across the subtype samples.

122100.5
GTEx sample id Sample description nTPM
Pancreas
Average nTPM: 122100.5
Samples: 328

Max nTPM: 665528.1
Min nTPM: 6682.7
Std nTPM: 102560.9
Median nTPM: 97593.9
GTEX-14PJM-2126-SM-6AJAS 50-59 years, female 665528.1
GTEX-15DYW-1626-SM-6LLI1 60-69 years, female 636114.2
GTEX-18A6Q-1726-SM-7LT9A 60-69 years, male 593836.3
GTEX-16Z82-1726-SM-7MGX3 60-69 years, male 556209.1
GTEX-11GSP-0426-SM-5A5KX 60-69 years, female 520419.7
GTEX-18A7A-1726-SM-7LT93 50-59 years, female 513098.4
GTEX-13SLX-1326-SM-5S2QS 50-59 years, female 470373.8
GTEX-12WSD-1626-SM-5GCNR 60-69 years, female 465516.1
GTEX-1I1GQ-2226-SM-B2LX1 50-59 years, male 384645.4
GTEX-WRHK-0226-SM-4MVOH 20-29 years, female 360514.0
GTEX-YB5K-1826-SM-5IFJC 40-49 years, female 353856.5
GTEX-1J8EW-1926-SM-CGQGR 60-69 years, female 345291.4
GTEX-12WSG-1026-SM-5EGII 50-59 years, female 343769.9
GTEX-1GMR3-1226-SM-7MGY1 40-49 years, male 335290.5
GTEX-ZAK1-2326-SM-5CVMY 50-59 years, female 333097.3
GTEX-148VI-0826-SM-5TDDI 60-69 years, female 328278.0
GTEX-1QW4Y-0926-SM-DPRY2 30-39 years, male 321852.6
GTEX-1QEPI-1626-SM-EAZ3I 60-69 years, female 319033.6
GTEX-QESD-0226-SM-447BH 20-29 years, male 317597.4
GTEX-XQ8I-1926-SM-4BOOK 50-59 years, male 315614.7
GTEX-11ONC-0526-SM-5BC57 60-69 years, male 311285.7
GTEX-11NSD-0526-SM-5A5LT 20-29 years, male 299670.6
GTEX-Q734-0426-SM-48TZX 40-49 years, female 285333.5
GTEX-11XUK-0626-SM-5N9ES 40-49 years, female 284205.9
GTEX-OOBJ-1026-SM-3NB2L 60-69 years, male 268940.3
GTEX-YF7O-1326-SM-4W1ZR 50-59 years, male 267973.8
GTEX-QLQW-0326-SM-447A8 30-39 years, male 266935.6
GTEX-PX3G-1026-SM-48TZW 20-29 years, female 258581.8
GTEX-13FLV-0626-SM-5IFEY 50-59 years, male 257339.6
GTEX-1IL2U-2326-SM-CNNQV 60-69 years, male 248571.4
GTEX-WYVS-0926-SM-4SOJV 40-49 years, female 247309.2
GTEX-1RAZA-1626-SM-EV79I 20-29 years, male 246479.4
GTEX-1PBJI-2126-SM-DPRYG 20-29 years, female 246339.9
GTEX-P4PP-1026-SM-3NM9O 30-39 years, female 243588.5
GTEX-1O97I-1726-SM-EXOIP 60-69 years, male 243000.8
GTEX-1LVAN-1226-SM-CNNQY 50-59 years, female 241100.2
GTEX-15CHR-2026-SM-7MXU2 50-59 years, male 237134.8
GTEX-15SHV-1526-SM-6LLIB 60-69 years, male 235914.2
GTEX-ZPU1-0226-SM-4WWC9 40-49 years, male 230965.4
GTEX-Y8E4-1326-SM-5IFIY 40-49 years, male 228822.0
GTEX-1B996-1326-SM-731EO 60-69 years, male 227935.2
GTEX-14PJN-1526-SM-6AJBP 30-39 years, male 226500.2
GTEX-111YS-1226-SM-5EGGJ 60-69 years, male 225988.5
GTEX-1CAMQ-1626-SM-7MGXG 40-49 years, male 218824.8
GTEX-12BJ1-1126-SM-5EGGG 60-69 years, male 213044.1
GTEX-1CB4F-1226-SM-7DHKU 60-69 years, male 207504.3
GTEX-1QP28-1026-SM-EAZ4K 50-59 years, female 206196.1
GTEX-11I78-0626-SM-5A5LZ 50-59 years, female 205519.1
GTEX-1C2JI-0926-SM-731F1 50-59 years, male 205221.2
GTEX-14ICL-1126-SM-5S2RE 30-39 years, male 203566.8
GTEX-1122O-0726-SM-5GIEV 60-69 years, female 195054.4
GTEX-13PVR-0726-SM-5S2PX 60-69 years, female 193358.9
GTEX-QV31-0226-SM-447BO 30-39 years, male 191088.8
GTEX-1R7EV-1126-SM-DPRXU 40-49 years, male 190110.2
GTEX-13OVI-0526-SM-5IFFQ 60-69 years, female 189631.0
GTEX-WH7G-0826-SM-4LVMR 40-49 years, male 188361.4
GTEX-11VI4-0426-SM-5EGHZ 40-49 years, female 180608.1
GTEX-1LG7Z-0326-SM-DHXK3 30-39 years, male 177018.9
GTEX-15ER7-1326-SM-6LPK9 20-29 years, female 174757.3
GTEX-ZDYS-2526-SM-4WKGU 50-59 years, male 171187.2
GTEX-146FR-0126-SM-5Q5F3 60-69 years, female 168759.9
GTEX-X15G-0726-SM-4PQZ5 50-59 years, female 166839.4
GTEX-ZEX8-1026-SM-4WKHE 50-59 years, male 166550.4
GTEX-1399R-0426-SM-5IJE3 30-39 years, male 164923.2
GTEX-14PHY-1126-SM-664OR 60-69 years, female 164143.4
GTEX-1PFEY-1126-SM-DPRZ3 30-39 years, male 163128.7
GTEX-XPVG-0326-SM-4B653 50-59 years, male 161673.1
GTEX-14PJ3-0426-SM-6LLHF 50-59 years, male 160147.9
GTEX-QV44-0426-SM-4R1KF 50-59 years, male 159934.8
GTEX-1N2DV-1726-SM-DPRYR 40-49 years, male 158405.0
GTEX-R53T-0426-SM-48FEM 50-59 years, female 158359.2
GTEX-UJHI-0626-SM-3DB8T 50-59 years, female 156998.7
GTEX-1CB4I-1326-SM-79OLY 50-59 years, male 156900.8
GTEX-XBEW-1626-SM-4SOJP 40-49 years, male 156362.9
GTEX-14PJ6-0926-SM-686ZA 60-69 years, female 153951.1
GTEX-17F98-0426-SM-79ONZ 40-49 years, female 153680.2
GTEX-ZT9W-0926-SM-57WFS 50-59 years, male 152770.6
GTEX-15SB6-0226-SM-6LLIA 50-59 years, female 152418.7
GTEX-1A8FM-1826-SM-7MGXO 50-59 years, female 151768.8
GTEX-14DAR-0526-SM-664MX 50-59 years, male 149936.1
GTEX-QMRM-0326-SM-CKZNB 50-59 years, male 147280.6
GTEX-145ME-0326-SM-5S2QO 40-49 years, female 146597.2
GTEX-ZPCL-0726-SM-DO91S 60-69 years, female 146190.9
GTEX-TMMY-1326-SM-4DXU9 40-49 years, female 145901.3
GTEX-TKQ2-0426-SM-4DXUO 50-59 years, male 145555.3
GTEX-XXEK-1726-SM-4BRVB 50-59 years, male 145145.2
GTEX-ZLWG-0326-SM-4WWC7 50-59 years, female 144304.0
GTEX-YFCO-1026-SM-5LU9S 40-49 years, male 144111.9
GTEX-131XF-1426-SM-5BC68 60-69 years, male 141888.5
GTEX-XUW1-1726-SM-4BOOZ 50-59 years, female 140515.0
GTEX-X3Y1-0726-SM-3P5YU 40-49 years, male 139908.7
GTEX-ZYY3-0826-SM-5E44R 60-69 years, female 139649.6
GTEX-17MF6-1426-SM-7IGOX 40-49 years, male 139525.4
GTEX-111CU-0526-SM-5EGHK 50-59 years, male 138753.3
GTEX-VJYA-0826-SM-4KL1M 60-69 years, male 136931.6
GTEX-1CAMR-1126-SM-7MGXF 20-29 years, male 136637.6
GTEX-1F5PL-0726-SM-7MKH8 40-49 years, female 134948.3
GTEX-17F9E-1426-SM-793BG 50-59 years, male 134193.2
GTEX-14PKU-0626-SM-6EU1Q 40-49 years, female 133452.9
GTEX-P4PQ-1026-SM-3NMCN 60-69 years, male 133036.4
GTEX-RWS6-1126-SM-47JXC 60-69 years, female 131661.1
GTEX-1K2DA-0326-SM-CGQGX 50-59 years, male 130531.2
GTEX-ZDTT-1126-SM-4WKFW 60-69 years, male 129406.7
GTEX-1211K-1126-SM-5EGGB 60-69 years, female 129357.5
GTEX-1CB4G-1826-SM-7MKGO 60-69 years, male 128711.5
GTEX-VUSG-0326-SM-3GIJ7 50-59 years, male 128111.3
GTEX-OXRK-1526-SM-E6CHJ 50-59 years, female 128054.5
GTEX-1H1DG-1426-SM-9OSXP 70-79 years, male 126308.8
GTEX-ZVT2-2026-SM-5NQ8Q 50-59 years, female 126264.7
GTEX-ZLFU-0726-SM-57WF6 40-49 years, male 125697.7
GTEX-ZV7C-0726-SM-59HKH 50-59 years, male 123496.5
GTEX-145MO-2126-SM-5Q5CZ 60-69 years, male 122449.1
GTEX-12WSK-0226-SM-5BC62 40-49 years, female 122403.1
GTEX-QLQ7-0626-SM-CE6QX 60-69 years, male 121380.5
GTEX-11EQ9-1026-SM-5H134 30-39 years, male 121127.1
GTEX-W5WG-0826-SM-4RGNE 50-59 years, female 120619.8
GTEX-1B8KE-0726-SM-72D7G 50-59 years, male 120213.3
GTEX-117YX-0226-SM-5EGH6 50-59 years, male 119740.2
GTEX-1B97J-1526-SM-79ONI 50-59 years, female 119720.3
GTEX-14C39-1026-SM-73KWG 40-49 years, male 119299.4
GTEX-131XG-1426-SM-5GCMO 50-59 years, female 118571.5
GTEX-13O1R-1826-SM-5KM3B 60-69 years, male 116966.2
GTEX-QEL4-1326-SM-447AD 50-59 years, male 116765.1
GTEX-Y5LM-0526-SM-4V6G3 40-49 years, female 116741.2
GTEX-WXYG-0826-SM-4ONC7 50-59 years, female 116614.6
GTEX-OHPM-1026-SM-3LK74 50-59 years, male 116595.9
GTEX-14PJ4-0726-SM-6872E 60-69 years, male 116483.6
GTEX-R55D-1426-SM-48FEN 50-59 years, male 116167.5
GTEX-ZAB4-1726-SM-5HL8C 40-49 years, male 115360.2
GTEX-1LGRB-0426-SM-CNNRD 50-59 years, female 114662.9
GTEX-PW2O-0826-SM-48TC5 20-29 years, male 113714.7
GTEX-S4P3-0626-SM-4AD59 50-59 years, female 112401.1
GTEX-17KNJ-1926-SM-7KFRV 50-59 years, male 112393.1
GTEX-1S83E-1426-SM-EV7B8 40-49 years, male 111374.7
GTEX-WQUQ-2126-SM-4OOSO 60-69 years, male 111158.0
GTEX-PLZ6-0726-SM-3P619 30-39 years, male 110107.6
GTEX-13FTW-0526-SM-5IFIP 40-49 years, male 110067.1
GTEX-WHPG-0326-SM-4M1XV 50-59 years, male 109920.2
GTEX-1AMFI-0726-SM-731D9 50-59 years, female 109716.8
GTEX-1AX9K-2026-SM-731D1 50-59 years, male 109072.4
GTEX-1I4MK-1026-SM-AHZ2H 50-59 years, female 108614.2
GTEX-17HGU-2026-SM-79OKS 50-59 years, male 107908.2
GTEX-NFK9-1626-SM-3LK5J 40-49 years, male 107879.2
GTEX-RM2N-0326-SM-48FD8 50-59 years, male 107743.5
GTEX-1B933-1726-SM-731FC 50-59 years, female 107259.7
GTEX-X4LF-0326-SM-4QAS9 50-59 years, male 106084.4
GTEX-14PKV-0926-SM-6AJB4 20-29 years, female 105394.7
GTEX-Y3IK-0426-SM-4WWE2 50-59 years, female 104998.5
GTEX-SNOS-0926-SM-4DM7A 40-49 years, male 104847.1
GTEX-ZF29-1126-SM-4WKGO 60-69 years, female 104649.1
GTEX-S95S-0726-SM-4B64H 60-69 years, male 104523.9
GTEX-14JG6-0426-SM-68715 30-39 years, female 104488.2
GTEX-1HSGN-1426-SM-A8NAA 40-49 years, female 104100.9
GTEX-1IDJU-0326-SM-CGQEE 60-69 years, female 103653.8
GTEX-U4B1-0726-SM-4DXUA 40-49 years, male 103327.6
GTEX-17HHE-0526-SM-7DUGR 50-59 years, male 102240.7
GTEX-178AV-0226-SM-793B7 40-49 years, male 101998.0
GTEX-S3XE-0526-SM-4AD4G 50-59 years, male 101878.7
GTEX-UJMC-1126-SM-3GADP 50-59 years, male 99792.5
GTEX-13O61-2126-SM-5IJEO 60-69 years, male 99219.9
GTEX-1MGNQ-1226-SM-EV7BM 40-49 years, male 98279.6
GTEX-11DXX-0926-SM-5H112 60-69 years, female 98053.0
GTEX-SE5C-0326-SM-4BRWX 40-49 years, female 97805.8
GTEX-14AS3-0326-SM-5Q5DB 40-49 years, female 97677.5
GTEX-1C4CL-0926-SM-79OL2 30-39 years, male 97510.3
GTEX-T5JW-0226-SM-4DM7I 20-29 years, female 96967.4
GTEX-15RIF-0626-SM-6LLI3 20-29 years, male 96685.4
GTEX-ZPIC-0926-SM-4WWFK 40-49 years, female 96428.8
GTEX-1J8Q3-0626-SM-AHZ3V 60-69 years, male 95827.3
GTEX-14E6E-1426-SM-5RQI2 30-39 years, male 94687.9
GTEX-1OFPY-0626-SM-EXOJ4 60-69 years, male 94384.3
GTEX-1H11D-0926-SM-9OSXO 40-49 years, male 94287.5
GTEX-1LSNM-0726-SM-DHXL1 50-59 years, male 93557.3
GTEX-1QP2A-1326-SM-EAZ3K 50-59 years, male 93338.3
GTEX-13D11-2226-SM-5IFEO 50-59 years, female 93182.0
GTEX-WFG7-0426-SM-4LMK5 20-29 years, male 93038.1
GTEX-YEC3-0626-SM-CMKFG 50-59 years, male 91329.6
GTEX-OHPL-1026-SM-3MJGI 60-69 years, female 90903.2
GTEX-XGQ4-0226-SM-4GIDS 50-59 years, male 90852.3
GTEX-1B8KZ-0926-SM-731D7 50-59 years, male 90763.9
GTEX-ZVP2-0726-SM-59HKY 50-59 years, male 88859.2
GTEX-1KXAM-0226-SM-EV7AP 60-69 years, male 88736.7
GTEX-ZYFG-0826-SM-5BC5T 60-69 years, female 88340.3
GTEX-ZG7Y-0326-SM-4WWEY 50-59 years, male 86953.1
GTEX-13X6H-0626-SM-5LU53 50-59 years, female 86345.6
GTEX-YEC4-1326-SM-5IFHG 40-49 years, male 85786.9
GTEX-15FZZ-0626-SM-7KFTO 30-39 years, female 84891.3
GTEX-T8EM-0826-SM-4DM76 40-49 years, male 84524.3
GTEX-1PPH8-2326-SM-EAZ48 20-29 years, male 84202.8
GTEX-S33H-1226-SM-4AD69 30-39 years, male 83834.3
GTEX-12WSL-0426-SM-5GCNX 50-59 years, male 83478.6
GTEX-14PN3-0126-SM-6AJAU 60-69 years, female 82626.5
GTEX-146FQ-1526-SM-5Q5CX 30-39 years, male 82357.0
GTEX-WHWD-0726-SM-4OORX 50-59 years, male 82233.8
GTEX-13FH7-1426-SM-5IFIC 50-59 years, female 82001.5
GTEX-1M5QR-0926-SM-DHXK8 40-49 years, male 81939.8
GTEX-1R7EU-0726-SM-DPRZM 60-69 years, male 81885.9
GTEX-14PJ2-1526-SM-686Z4 50-59 years, male 81539.7
GTEX-15UF7-0826-SM-6M46E 40-49 years, male 81359.9
GTEX-1H23P-2026-SM-9OSXY 60-69 years, male 81257.2
GTEX-ZYW4-2126-SM-59HJ9 60-69 years, male 80786.1
GTEX-1KANA-1526-SM-CXZKG 20-29 years, male 79790.8
GTEX-1HSMO-2026-SM-CNNQO 60-69 years, male 78683.1
GTEX-1JKYR-1026-SM-CGQGI 20-29 years, male 78493.9
GTEX-1RAZQ-1426-SM-EV7B2 30-39 years, male 77910.6
GTEX-ZF3C-2026-SM-4WWB5 50-59 years, female 77480.0
GTEX-1GF9X-1126-SM-7MKHC 40-49 years, female 76565.7
GTEX-ZZPU-0726-SM-5N9C8 50-59 years, female 76365.8
GTEX-ZAB5-0826-SM-5P9FU 50-59 years, male 75578.1
GTEX-13U4I-1526-SM-5IFFF 40-49 years, female 73863.9
GTEX-R55G-0326-SM-48FDM 40-49 years, female 73065.0
GTEX-1OKEX-1726-SM-E9U4F 60-69 years, male 72669.6
GTEX-11TT1-0326-SM-5LUAY 20-29 years, male 72118.2
GTEX-XYKS-1226-SM-4BRVI 60-69 years, female 71625.4
GTEX-13FTX-1226-SM-5IFGN 20-29 years, female 70795.1
GTEX-XBED-0226-SM-47JY8 60-69 years, male 70664.3
GTEX-1H1E6-0826-SM-9WG83 30-39 years, male 69629.4
GTEX-131XE-1926-SM-5IFER 50-59 years, male 69550.3
GTEX-XV7Q-0926-SM-4BRVQ 40-49 years, female 69126.8
GTEX-1S831-0626-SM-EV79N 20-29 years, male 68562.0
GTEX-13VXT-1226-SM-5LU3M 20-29 years, female 68176.5
GTEX-TML8-0526-SM-32QOQ 40-49 years, female 67170.1
GTEX-XMK1-0326-SM-4B652 40-49 years, male 66918.7
GTEX-SUCS-1426-SM-4DM5W 70-79 years, male 66654.9
GTEX-V1D1-0726-SM-4JBH7 50-59 years, male 66418.1
GTEX-1GL5R-0926-SM-9JGFO 50-59 years, male 66274.6
GTEX-1I1GT-0926-SM-AHZ2G 60-69 years, female 65662.9
GTEX-ZVZP-0626-SM-59HL5 50-59 years, male 65575.0
GTEX-WFJO-0626-SM-4LVMC 30-39 years, male 64335.5
GTEX-Y114-0826-SM-4TT77 50-59 years, female 63965.6
GTEX-OIZI-1526-SM-E6CHI 40-49 years, male 63130.0
GTEX-1QP29-1926-SM-DPRZO 50-59 years, male 62823.5
GTEX-1NUQO-0826-SM-DPS16 20-29 years, female 62793.0
GTEX-1C6VQ-1726-SM-7IGLQ 50-59 years, male 62170.8
GTEX-1N2EF-2126-SM-DPRYL 60-69 years, male 61915.0
GTEX-11LCK-0226-SM-5A5M6 30-39 years, male 61844.3
GTEX-Y8LW-1026-SM-5IFJY 50-59 years, female 61673.8
GTEX-132AR-1826-SM-5EGHR 50-59 years, female 61639.6
GTEX-1IDJC-0526-SM-AHZ2Q 50-59 years, male 61569.4
GTEX-1GN1W-1126-SM-9OSW3 50-59 years, female 61419.2
GTEX-1AYD5-0326-SM-7EWEO 50-59 years, male 61163.7
GTEX-1399S-0326-SM-5IFFS 30-39 years, female 60563.8
GTEX-1L5NE-0826-SM-DHXKU 50-59 years, male 60013.1
GTEX-OOBK-1026-SM-48TC2 40-49 years, male 59687.5
GTEX-1MUQO-1426-SM-DPRYJ 60-69 years, male 59627.8
GTEX-12WSN-0826-SM-5GCOF 40-49 years, male 59584.8
GTEX-144GM-0726-SM-79OJQ 20-29 years, male 59098.1
GTEX-18D9U-1626-SM-7KFTW 40-49 years, male 58190.0
GTEX-1K9T9-1726-SM-CXZK1 50-59 years, female 57028.7
GTEX-11P7K-0526-SM-5BC5I 30-39 years, male 56483.7
GTEX-ZTPG-1026-SM-5DUWP 20-29 years, female 56200.6
GTEX-14PJO-1826-SM-69LPR 60-69 years, male 55767.4
GTEX-1S82P-1026-SM-EAZ4W 60-69 years, female 55182.8
GTEX-1GN1U-1126-SM-9WPPZ 50-59 years, female 54514.8
GTEX-1399U-0926-SM-5IFHA 50-59 years, female 54311.0
GTEX-15UKP-1326-SM-6LPI8 20-29 years, male 54136.0
GTEX-1R9K5-1226-SM-E6CPQ 50-59 years, male 54071.1
GTEX-13W3W-1026-SM-5IFG4 60-69 years, female 52644.5
GTEX-144GN-0826-SM-5LU5G 50-59 years, male 52586.4
GTEX-132QS-0926-SM-5P9GB 60-69 years, male 52055.9
GTEX-1AYCT-1226-SM-7EPGH 50-59 years, male 51554.1
GTEX-1339X-1026-SM-5IFH5 40-49 years, male 50008.1
GTEX-13PL7-2226-SM-5L3IC 60-69 years, female 48914.5
GTEX-V955-0326-SM-4JBGV 60-69 years, male 48751.6
GTEX-1GZ4H-0626-SM-9OSXJ 50-59 years, female 47552.6
GTEX-15EU6-1126-SM-68721 50-59 years, male 46988.7
GTEX-WYJK-2426-SM-4ONDQ 50-59 years, male 46781.0
GTEX-YB5E-0526-SM-4VDSD 40-49 years, male 44837.7
GTEX-145MN-1426-SM-5SI9H 30-39 years, male 44008.5
GTEX-1QAET-1326-SM-E9U64 50-59 years, male 43308.8
GTEX-ZP4G-0426-SM-4YCER 20-29 years, female 42004.1
GTEX-PSDG-1526-SM-48TCY 50-59 years, male 41011.3
GTEX-Y3I4-0826-SM-4TT2A 50-59 years, male 40984.1
GTEX-15RJ7-0826-SM-6LLI8 40-49 years, male 40756.8
GTEX-13CF3-1026-SM-5LZWY 60-69 years, female 40406.3
GTEX-1QPFJ-2226-SM-EXOJW 30-39 years, female 40297.3
GTEX-QDVJ-1226-SM-48U1V 50-59 years, male 40277.3
GTEX-Q2AI-0426-SM-48U13 40-49 years, male 39437.3
GTEX-18A66-2126-SM-7189D 60-69 years, male 39088.4
GTEX-1CAMS-1926-SM-7DUEU 40-49 years, female 38211.9
GTEX-QCQG-0426-SM-48U29 50-59 years, female 38016.3
GTEX-NPJ8-2126-SM-3MJGK 40-49 years, male 38008.8
GTEX-1AX9J-1726-SM-731FF 60-69 years, male 37810.1
GTEX-18A67-1726-SM-7KFT9 50-59 years, male 37055.6
GTEX-P4QS-1026-SM-3NMCW 60-69 years, male 36904.8
GTEX-15SDE-0826-SM-6M463 50-59 years, female 36826.9
GTEX-U8XE-2026-SM-3DB8S 30-39 years, male 36699.3
GTEX-13YAN-2126-SM-5Q5C4 60-69 years, male 35995.5
GTEX-14PK6-1026-SM-664NZ 70-79 years, female 34453.1
GTEX-1497J-0426-SM-5Q5CO 60-69 years, male 34357.8
GTEX-1C64O-1426-SM-7EWER 60-69 years, male 34325.8
GTEX-1128S-0826-SM-5GZZI 60-69 years, female 34261.4
GTEX-1HKZK-1126-SM-9WG82 40-49 years, male 34236.7
GTEX-X5EB-0526-SM-46MVP 40-49 years, male 33450.5
GTEX-WHSB-0726-SM-4M1XQ 50-59 years, male 32376.0
GTEX-14PN4-1626-SM-6AJB5 50-59 years, male 31793.5
GTEX-S32W-0826-SM-4AD5Z 50-59 years, female 31278.1
GTEX-14PHX-2026-SM-6872C 50-59 years, male 30412.2
GTEX-OIZF-1026-SM-2HML5 60-69 years, male 28012.2
GTEX-1IDJD-0126-SM-C1YQZ 30-39 years, male 27582.8
GTEX-ZC5H-0826-SM-5N9FH 40-49 years, female 27427.2
GTEX-1AX8Z-1726-SM-731DE 60-69 years, male 27385.1
GTEX-1NSGN-1726-SM-EXOJG 50-59 years, male 25039.7
GTEX-15UF6-1826-SM-6LLI9 70-79 years, female 24452.6
GTEX-WY7C-1026-SM-4OND3 50-59 years, male 23861.2
GTEX-Q2AH-0926-SM-48TZK 40-49 years, male 23446.7
GTEX-WI4N-1826-SM-4OOSF 40-49 years, female 23408.0
GTEX-1JKYN-0426-SM-CGQG2 30-39 years, male 22758.0
GTEX-1I1GU-0326-SM-AHZ2K 40-49 years, male 22655.6
GTEX-1JMPZ-1026-SM-CXZJS 30-39 years, male 22149.4
GTEX-ZYT6-1326-SM-5E453 30-39 years, male 21522.3
GTEX-13N11-0226-SM-5KM3C 50-59 years, female 21005.9
GTEX-WFG8-0326-SM-4LVN4 20-29 years, male 19724.5
GTEX-N7MT-1626-SM-3LK71 60-69 years, female 19428.4
GTEX-1A3MW-1926-SM-7IGM8 60-69 years, female 19146.3
GTEX-14BMU-0726-SM-73KXS 20-29 years, female 18706.0
GTEX-1JK1U-1026-SM-AHZ44 60-69 years, male 18409.6
GTEX-139YR-1526-SM-5IFJ1 50-59 years, male 18338.8
GTEX-1B932-1626-SM-731EA 40-49 years, female 18247.6
GTEX-WFON-0626-SM-4LVLX 40-49 years, male 18174.6
GTEX-1PWST-1526-SM-EXOIT 70-79 years, male 17959.9
GTEX-1R46S-1426-SM-EXOJD 60-69 years, female 17519.9
GTEX-QDVN-0926-SM-2I5GL 50-59 years, male 14313.7
GTEX-O5YT-1026-SM-3MJGF 20-29 years, male 13722.5
GTEX-16MT8-1726-SM-7EWE7 60-69 years, female 12378.7
GTEX-1K2DU-1026-SM-DHXKC 20-29 years, male 12288.3
GTEX-Y9LG-0726-SM-4VDS3 30-39 years, male 9593.5
GTEX-144FL-1526-SM-5Q5CA 50-59 years, male 6682.7
Show allShow less

PANCREAS - FANTOM5 CAGEi

RNA expression in human tissues obtained through Cap Analysis of Gene Expression (CAGE) generated by the FANTOM5 project are reported as Scaled Tags Per Million.

Max subtype Scaled Tags Per Millioni

Max subtype Scaled Tags Per Million is the value for the subtype with the largest average Scaled Tags Per Million across the subtype samples.

499367.5
FANTOM5 sample id Sample description Scaled Tags Per Million
Pancreas
Scaled Tags Per Million: 499367.5
FF:10049-101G4 52 years, male 499367.5

Contact

  • NEWS ARTICLES
  • PRESS ROOM

The Project

  • INTRODUCTION
  • ORGANIZATION
  • PUBLICATIONS

The Human Protein Atlas

  • DOWNLOADABLE DATA
  • LICENCE & CITATION
  • HELP & FAQ
The Human Protein Atlas project is funded
by the Knut & Alice Wallenberg Foundation.


contact@proteinatlas.org