We use cookies to enhance the usability of our website. If you continue, we'll assume that you are happy to receive all cookies. More information. Don't show this again.
IL18BP
HPA
RESOURCES
  • TISSUE
  • BRAIN
  • SINGLE CELL
  • SUBCELLULAR
  • CANCER
  • BLOOD
  • CELL LINE
  • STRUCTURE & INTERACTION
ABOUT
  • INTRODUCTION
  • HISTORY
  • ORGANIZATION
  • PUBLICATIONS
  • ANTIBODY SUBMISSION
  • ANTIBODY AVAILABILITY
  • ACKNOWLEDGMENTS
  • CONTACT
NEWS
  • NEWS ARTICLES
  • PRESS ROOM
LEARN
  • DICTIONARY
  • PROTEIN CLASSES
  • PROTEIN EVIDENCE
  • METHODS
  • EDUCATIONAL VIDEOS
DATA
  • DOWNLOADABLE DATA
  • PUBLICATION DATA
  • RELEASE HISTORY
HELP
  • ANTIBODY VALIDATION
  • ASSAYS & ANNOTATION
  • DISCLAIMER
  • HELP & FAQ
  • PRIVACY STATEMENT
  • LICENCE & CITATION
Fields »
Search result

Field
Term
Gene name
Class
Subclass
Class
Keyword
Chromosome
External id
Tissue
Cell type
Expression
Antibody panel
Tissue
Main location
Patient ID
Annotation
Tissue
Category
Tau score
Cluster
Reliability
Brain region
Category
Tau score
Brain region
Category
Tau score
Brain region
Category
Tau score
Cluster
Reliability
Tissue
Cell type
Enrichment
Cell type
Category
Tau score
Cell type
Category
Tau score
Cell type
Category
Tau score
Cell lineage
Category
Tau score
Cluster
Cluster
Location
Searches
Location
Cell line
Class
Type
Phase
Reliability
Cancer
Prognosis
Cancer
Category
Cancer
Category
Tau score
Cluster
Variants
Interacting gene (ensg_id)
Type
Number of interactions
Pathway
Category
Score
Score
Score
Validation
Validation
Validation
Validation
Antibodies
Data type
Column


  • SUMMARY

  • TISSUE

  • BRAIN

  • SINGLE CELL

  • SUBCELL

  • CANCER

  • BLOOD

  • CELL LINE

  • STRUCT & INT

  • IL18BP
TISSUE PRIMARY DATA BREAST Show tissue menu
ADIPOSE TISSUE ADRENAL GLAND AMYGDALA APPENDIX BASAL GANGLIA BONE MARROW BREAST BRONCHUS CEREBELLUM CEREBRAL CORTEX CERVIX CHOROID PLEXUS COLON DUODENUM
ENDOMETRIUM EPIDIDYMIS ESOPHAGUS FALLOPIAN TUBE GALLBLADDER HEART MUSCLE HIPPOCAMPAL FORMATION HYPOTHALAMUS KIDNEY LIVER LUNG LYMPH NODE MIDBRAIN NASOPHARYNX
ORAL MUCOSA OVARY PANCREAS PARATHYROID GLAND PITUITARY GLAND PLACENTA PROSTATE RECTUM RETINA SALIVARY GLAND SEMINAL VESICLE SKELETAL MUSCLE SKIN SMALL INTESTINE
SMOOTH MUSCLE SOFT TISSUE SPINAL CORD SPLEEN STOMACH TESTIS THYMUS THYROID GLAND TONGUE TONSIL URINARY BLADDER VAGINA
ANTIBODIES
AND
VALIDATION
Dictionary
Breast
Tissue proteome
Breast
BREAST - Expression summary
Protein expression
Breasti

On the top, protein expression in current human tissue, based on all annotated cell types, is reported with the units not detected (n), low (l), medium (m) and high (h). Underneath, protein expression in each annotated cell type are reported using the same units.

Protein expression data is based on knowledge-based annotation. For genes where more than one antibody has been used, a collective score is set.

If knowledge-based annotation could not be performed for a gene, no data is displayed here. View antibody staining data further down this page.

h
m
l
n
Adipocytes: Not detected
Glandular cells: Not detected
Myoepithelial cells: Not detected
RNA expressioni

A summary of mRNA expression data available for current tissue based on several datasets. The mRNA expression levels in human tissues are based on RNA-seq data generated by the Human Protein Atlas (HPA), Genotype-Tissue Expression (GTEx) portal and CAGE data generated by the FANTOM5 consortium. Consensus normalized expression levels for human tissues was created by combining the data from HPA and GTEx datasets.

The mRNA expression levels in pig are based on RNA-seq data generated by the Human Protein Atlas (HPA), and for mouse, HPA data and in situ hybridization generated by the Allen brain atlas are reported.

Scroll down to view mRNA expression data in more detail.
Consensus:12.2 nTPM
HPA:3.0 nTPM
GTEx:12.2 nTPM
FANTOM5:14.4 Scaled Tags Per Million

BREAST - Antibody stainingi

Antibody staining in the annotated cell types in the current human tissue is reported as not detected, low, medium, or high, based on conventional immunohistochemistry profiling in selected tissues. This score is based on the combination of the staining intensity and fraction of stained cells.

Each image is clickable and will lead to virtual microscopy that enables deeper exploration of all samples and also displays staining intensity scores, fraction scores and subcellular localization as well as patient and tissue information for each sample.

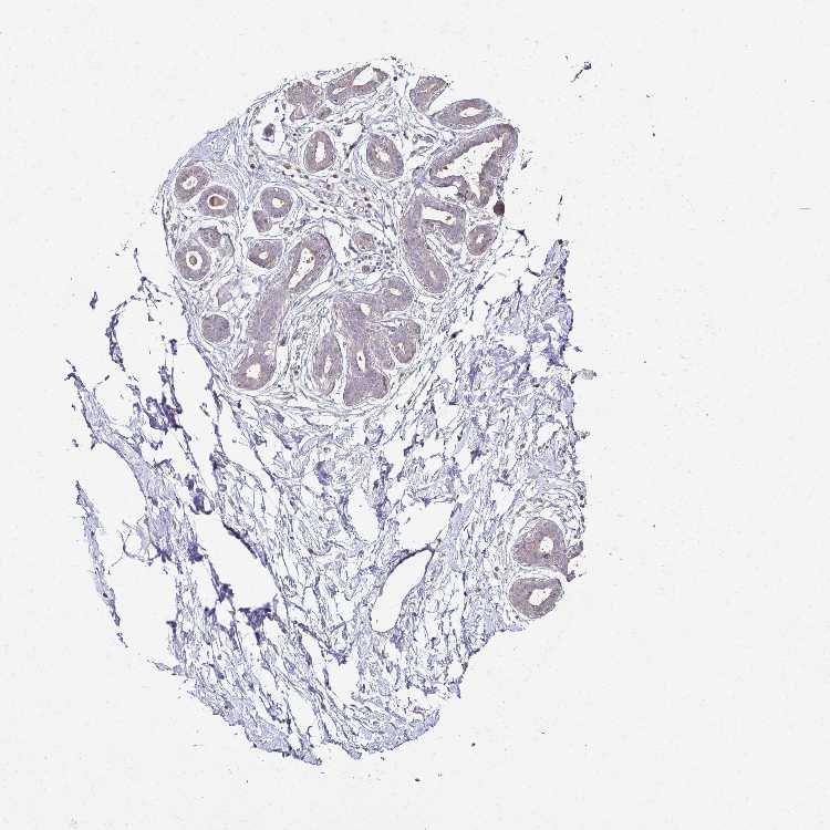
Antibody HPA041061
Adipocytes Not detected
Glandular cells Low
Myoepithelial cells Not detected

BREAST - HPA RNA-seqi

The RNA-seq details section shows detailed information about the individual samples used for the transcript profiling and results of the RNA-seq analysis.

Information about each individual sample is listed below, including gender, age, a tissue section image and estimated fractions of cell types. nTPM (normalized transcripts per million) values give a quantification of the gene abundance which is comparable between different genes and samples.
Average nTPMi

Max subtype nTPM is the value for the subtype with the largest average nTPM across the subtype samples.

3.0
overview
Female, age 52
Breast sample 373
nTPM: 3.8
Cell types%
Glandular cells:
15

Adipocytes:
5

Other cell types:
80

overview
Female, age 80
Breast sample 390
nTPM: 3.9
Cell types%
Glandular cells:
5

Adipocytes:
15

Other cell types:
80

overview
Female, age 47
Breast sample 405
nTPM: 1.9
Cell types%
Glandular cells:
5

Adipocytes:
5

Other cell types:
90

overview
Female, age 38
Breast sample 410
nTPM: 2.3
Cell types%
Glandular cells:
40

Adipocytes:
5

Other cell types:
55


BREAST - GTEx RNA-seqi

RNA-Seq data generated by the Genotype-Tissue Expression (GTEx) project from human tissues is reported as mean nTPM. More information can be found on the GTEx portal.

Distribution across the dataset is visualized with box plots, shown as median and 25th and 75th percentiles. Points are displayed as outliers if they are above or below 1.5 times the interquartile range. nTPM values of the individual samples are presented next to the box plot.
Max subtype nTPMi

Max subtype nTPM is the value for the subtype with the largest average nTPM across the subtype samples.

12.2
GTEx sample id Sample description nTPM
Breast - Mammary Tissue
Average nTPM: 12.2
Samples: 459

Max nTPM: 92.2
Min nTPM: 4.5
Std nTPM: 7.6
Median nTPM: 10.5
GTEX-15G19-2126-SM-6M48J 60-69 years, male 92.2
GTEX-1JN1M-3026-SM-CMKGK 60-69 years, female 73.6
GTEX-1HCU8-0126-SM-ADEHH 60-69 years, female 60.9
GTEX-17F97-2526-SM-7EWDV 50-59 years, male 47.7
GTEX-1H1DG-0526-SM-9YFLN 70-79 years, male 38.6
GTEX-13NZ9-1026-SM-5MR5K 50-59 years, male 35.9
GTEX-1ICLY-1726-SM-B2LVT 50-59 years, male 33.7
GTEX-14E6C-1326-SM-62LEQ 40-49 years, male 30.5
GTEX-1M4P7-2626-SM-E9U5F 60-69 years, male 30.3
GTEX-TKQ2-1826-SM-33HB2 50-59 years, male 27.7
GTEX-144GM-0926-SM-5O994 20-29 years, male 27.6
GTEX-T2YK-2226-SM-32QPT 50-59 years, male 27.5
GTEX-11DZ1-0326-SM-5N9BN 50-59 years, male 27.1
GTEX-13S86-1226-SM-5S2OA 40-49 years, male 26.0
GTEX-183WM-0726-SM-7LTAA 70-79 years, female 26.0
GTEX-X4XY-0926-SM-4E3JD 60-69 years, male 26.0
GTEX-1IOXB-1926-SM-ARL8E 50-59 years, male 25.8
GTEX-1HCU7-1026-SM-ADEIP 50-59 years, male 25.3
GTEX-X4EP-2926-SM-3P5YQ 60-69 years, female 25.2
GTEX-13PVQ-1026-SM-5KM3M 50-59 years, male 24.8
GTEX-1GF9U-1726-SM-7MGY5 40-49 years, female 24.5
GTEX-11GSO-1926-SM-5A5K3 60-69 years, male 24.4
GTEX-U8XE-0826-SM-4E3J1 30-39 years, male 24.4
GTEX-15SHW-1326-SM-6PAL8 60-69 years, male 24.1
GTEX-ZAJG-0626-SM-5HL8X 50-59 years, female 24.1
GTEX-1IDJH-2226-SM-E6CJV 70-79 years, male 24.0
GTEX-1H1ZS-0126-SM-9YFKQ 70-79 years, male 23.9
GTEX-11O72-2126-SM-5N9FO 40-49 years, male 23.8
GTEX-13VXU-2826-SM-664MA 50-59 years, male 23.7
GTEX-117XS-1926-SM-5GICO 60-69 years, male 23.2
GTEX-145MF-2226-SM-7EPIR 50-59 years, male 22.8
GTEX-ZTTD-1026-SM-51MRD 50-59 years, male 22.8
GTEX-1ICLZ-0426-SM-B2LW2 60-69 years, male 22.3
GTEX-11NV4-2026-SM-5N9DG 60-69 years, male 22.1
GTEX-QEG5-0726-SM-D4P1T 20-29 years, male 22.1
GTEX-11ONC-2126-SM-5HL6E 60-69 years, male 22.0
GTEX-XV7Q-2326-SM-4BRVZ 40-49 years, female 21.6
GTEX-WI4N-1426-SM-3LK7H 40-49 years, female 21.5
GTEX-1RLM8-2226-SM-EVYD1 50-59 years, male 21.5
GTEX-14PN4-0626-SM-62LFP 50-59 years, male 21.2
GTEX-1IGQW-0926-SM-ADEH6 60-69 years, male 21.1
GTEX-1MJK3-1126-SM-E9J3F 20-29 years, male 21.0
GTEX-11WQK-2426-SM-5GU5C 50-59 years, male 20.9
GTEX-1PPGY-1526-SM-EVYBK 60-69 years, male 20.7
GTEX-1LC47-1226-SM-D4P44 60-69 years, male 20.5
GTEX-1LSVX-2426-SM-E6CJX 60-69 years, male 20.3
GTEX-1H4P4-2226-SM-9MQKQ 50-59 years, male 20.2
GTEX-1I1GP-0426-SM-COH3N 50-59 years, male 20.1
GTEX-1H23P-0726-SM-9WG7K 60-69 years, male 19.9
GTEX-1I1GV-2426-SM-CGQFM 60-69 years, male 19.9
GTEX-1JN6P-2426-SM-ARL99 60-69 years, male 19.7
GTEX-1HSMO-0826-SM-ADEIV 60-69 years, male 19.6
GTEX-1H3VY-0926-SM-ACKXE 50-59 years, male 19.3
GTEX-13O3Q-2226-SM-5KM4O 50-59 years, male 19.2
GTEX-S33H-0326-SM-4AD6N 30-39 years, male 19.2
GTEX-1IDJF-2326-SM-ARL86 20-29 years, male 19.2
GTEX-ZTX8-1226-SM-4YCE9 20-29 years, male 18.6
GTEX-15RJE-2626-SM-7KFT1 40-49 years, male 18.0
GTEX-13SLW-2526-SM-62LDQ 70-79 years, male 17.3
GTEX-1B8KE-1226-SM-73KWK 50-59 years, male 17.3
GTEX-1MA7X-1626-SM-E9U5B 60-69 years, male 17.3
GTEX-11DXY-2326-SM-5GICW 60-69 years, male 17.1
GTEX-S7SE-0826-SM-4AT4D 50-59 years, male 17.1
GTEX-13QIC-2326-SM-5LU5N 60-69 years, female 17.0
GTEX-1N2EE-2126-SM-E8VNN 60-69 years, male 17.0
GTEX-13N1W-0626-SM-5MR4U 70-79 years, male 16.9
GTEX-1K9T9-1426-SM-DIPFQ 50-59 years, female 16.8
GTEX-1N2EF-2226-SM-E9J33 60-69 years, male 16.7
GTEX-17MF6-0326-SM-7EPH5 40-49 years, male 16.5
GTEX-1EKGG-2626-SM-7IGPY 60-69 years, male 16.3
GTEX-13FHO-0826-SM-5L3E8 60-69 years, male 16.2
GTEX-ZT9W-2026-SM-51MRA 50-59 years, male 16.2
GTEX-S32W-2026-SM-4AD6E 50-59 years, female 16.1
GTEX-1HR9M-2426-SM-ACKXI 60-69 years, male 16.1
GTEX-17HGU-1326-SM-79OKB 50-59 years, male 16.0
GTEX-1AX8Z-0926-SM-731AW 60-69 years, male 16.0
GTEX-1IDFM-0426-SM-B2LVV 60-69 years, male 16.0
GTEX-12WSN-1326-SM-5GCNT 40-49 years, male 15.9
GTEX-13QJ3-0826-SM-7DHKK 50-59 years, male 15.8
GTEX-132AR-0826-SM-5EGK6 50-59 years, female 15.5
GTEX-17F9E-2526-SM-7MGW2 50-59 years, male 15.5
GTEX-14PJO-0726-SM-69LO8 60-69 years, male 15.3
GTEX-18A6Q-0926-SM-7LG4N 60-69 years, male 15.3
GTEX-RUSQ-2026-SM-4GIAK 50-59 years, male 15.3
GTEX-1C6WA-2426-SM-7SB86 60-69 years, male 15.3
GTEX-YECK-0726-SM-EZ6LV 60-69 years, male 15.3
GTEX-132NY-0826-SM-5K7Y7 60-69 years, male 15.2
GTEX-14PHY-1926-SM-5YY95 60-69 years, female 15.2
GTEX-1HBPM-0126-SM-ARL9E 60-69 years, female 15.2
GTEX-YB5E-1726-SM-5IFJ3 40-49 years, male 15.1
GTEX-ZVZQ-0826-SM-51MRF 60-69 years, female 15.1
GTEX-139T6-1626-SM-5PNYZ 50-59 years, male 15.0
GTEX-1E2YA-2726-SM-7IGPW 50-59 years, male 15.0
GTEX-ZY6K-1626-SM-5GZWV 50-59 years, male 15.0
GTEX-11OF3-1926-SM-59889 60-69 years, male 14.8
GTEX-12WSM-1726-SM-5BC6J 60-69 years, male 14.8
GTEX-12BJ1-1826-SM-5HL9N 60-69 years, male 14.7
GTEX-13OW8-0226-SM-5K7UP 60-69 years, male 14.6
GTEX-169BO-1126-SM-7MGWN 50-59 years, male 14.6
GTEX-1HC8U-0826-SM-ADEIL 40-49 years, female 14.5
GTEX-1KAFJ-0226-SM-DIPEL 50-59 years, male 14.4
GTEX-145ME-1526-SM-5Q5F2 40-49 years, female 14.2
GTEX-1A8G7-2426-SM-731AK 60-69 years, male 14.2
GTEX-1I6K6-0826-SM-ARL7Z 30-39 years, male 14.1
GTEX-132Q8-1426-SM-5EGK7 60-69 years, male 14.0
GTEX-ZYW4-0826-SM-5GIDG 60-69 years, male 14.0
GTEX-1KD4Q-2326-SM-D4P3M 40-49 years, male 14.0
GTEX-11TUW-1826-SM-5BC5D 60-69 years, male 13.9
GTEX-R3RS-0626-SM-48FE1 40-49 years, female 13.9
GTEX-14E7W-0826-SM-62LEJ 70-79 years, male 13.8
GTEX-1GF9V-2526-SM-7SB8K 60-69 years, male 13.8
GTEX-1LGRB-1826-SM-CNPQL 50-59 years, female 13.8
GTEX-14PKU-0426-SM-6EU1P 40-49 years, female 13.7
GTEX-1B933-2526-SM-7IGO5 50-59 years, female 13.7
GTEX-QVJO-1826-SM-447C9 60-69 years, female 13.7
GTEX-1NV8Z-2826-SM-E8VME 60-69 years, male 13.7
GTEX-QMRM-1626-SM-D4P1U 50-59 years, male 13.7
GTEX-1A3MX-2726-SM-718B6 60-69 years, male 13.6
GTEX-WFON-1826-SM-3GILG 40-49 years, male 13.5
GTEX-1QEPI-0926-SM-DTXF3 60-69 years, female 13.5
GTEX-16YQH-2826-SM-6PAMY 30-39 years, male 13.4
GTEX-1GZ4I-2826-SM-9MQK5 50-59 years, male 13.3
GTEX-1269C-2426-SM-5FQSN 60-69 years, female 13.2
GTEX-13CF3-2126-SM-5IFJP 60-69 years, female 13.2
GTEX-15ETS-0626-SM-7KUMX 40-49 years, female 13.2
GTEX-1I1HK-2426-SM-ADEHX 60-69 years, male 13.2
GTEX-1CB4J-1826-SM-7EWF9 60-69 years, male 13.1
GTEX-1GZHY-0726-SM-9WG6B 50-59 years, female 13.1
GTEX-13OW5-2226-SM-5L3HC 60-69 years, male 13.0
GTEX-145MO-0826-SM-5NQBL 60-69 years, male 13.0
GTEX-183FY-1126-SM-7DHLJ 20-29 years, male 13.0
GTEX-YJ8O-2226-SM-5IFHW 40-49 years, female 13.0
GTEX-1GZ2Q-2626-SM-7MXV9 40-49 years, male 13.0
GTEX-11EI6-0626-SM-5985T 60-69 years, male 12.9
GTEX-S4Q7-1126-SM-4AD6R 20-29 years, male 12.9
GTEX-146FH-0826-SM-5SI8T 50-59 years, female 12.8
GTEX-15FZZ-0726-SM-7KUFZ 30-39 years, female 12.7
GTEX-RU72-0626-SM-46MUI 50-59 years, female 12.7
GTEX-1HUB1-1626-SM-CM2SL 60-69 years, male 12.7
GTEX-13O3O-0826-SM-5K7WE 60-69 years, female 12.6
GTEX-13O61-1826-SM-5KM4I 60-69 years, male 12.6
GTEX-147F4-2826-SM-5NQBN 50-59 years, male 12.6
GTEX-17HG3-0126-SM-7IGNH 30-39 years, female 12.6
GTEX-1GF9X-1026-SM-ACKX2 40-49 years, female 12.6
GTEX-1I1GT-1126-SM-ARL7J 60-69 years, female 12.6
GTEX-13FTX-1126-SM-5N9EN 20-29 years, female 12.5
GTEX-17EUY-1926-SM-7DUF6 20-29 years, male 12.5
GTEX-18A7B-2626-SM-7LG55 70-79 years, male 12.5
GTEX-1GMRU-0826-SM-9WYT7 50-59 years, male 12.5
GTEX-1S82Z-0726-SM-E6CHX 30-39 years, female 12.5
GTEX-14BMV-0626-SM-793AU 50-59 years, male 12.4
GTEX-17GQL-0326-SM-7LG5U 60-69 years, male 12.4
GTEX-1QMI2-0726-SM-E9J4F 60-69 years, male 12.4
GTEX-1313W-0826-SM-5EQ4T 50-59 years, female 12.2
GTEX-ZWKS-2826-SM-5NQ74 30-39 years, male 12.2
GTEX-14PJ4-2126-SM-6ETZJ 60-69 years, male 12.1
GTEX-1QW4Y-1026-SM-DTXE2 30-39 years, male 12.1
GTEX-11DXW-0626-SM-5N9ER 40-49 years, male 12.0
GTEX-13O3P-0826-SM-5L3DH 50-59 years, male 12.0
GTEX-14B4R-1226-SM-5TDDT 30-39 years, male 12.0
GTEX-W5X1-2326-SM-3GIL6 40-49 years, female 12.0
GTEX-Y9LG-1426-SM-5IFJZ 30-39 years, male 12.0
GTEX-YFCO-1826-SM-4W1YH 40-49 years, male 12.0
GTEX-1192X-2326-SM-5987X 50-59 years, male 11.9
GTEX-145MN-1926-SM-5SIAI 30-39 years, male 11.9
GTEX-1EU9M-2826-SM-7EWFH 60-69 years, male 11.9
GTEX-XMK1-1126-SM-4IHJ8 40-49 years, male 11.9
GTEX-1IDJE-0826-SM-CKZNZ 50-59 years, female 11.9
GTEX-ZUA1-1526-SM-59HLS 40-49 years, male 11.8
GTEX-WFG8-2026-SM-EXOHO 20-29 years, male 11.8
GTEX-17EVQ-0426-SM-7LG57 70-79 years, male 11.7
GTEX-1B8SG-1226-SM-7IGPF 50-59 years, male 11.7
GTEX-13FTY-2226-SM-5J1ND 40-49 years, female 11.6
GTEX-13W3W-1226-SM-5LU4H 60-69 years, female 11.6
GTEX-1AX9I-0726-SM-73KWV 60-69 years, male 11.6
GTEX-1HR98-0426-SM-COH36 60-69 years, male 11.6
GTEX-1JK1U-1826-SM-ARL8W 60-69 years, male 11.6
GTEX-139T8-0826-SM-5L3DE 60-69 years, male 11.5
GTEX-1C6VQ-0426-SM-79OOX 50-59 years, male 11.5
GTEX-Y8E4-1626-SM-5S2MW 40-49 years, male 11.5
GTEX-ZF3C-2326-SM-5S2NC 50-59 years, female 11.5
GTEX-ZVT4-1026-SM-57WC4 50-59 years, female 11.4
GTEX-1F75B-0626-SM-7SB8A 50-59 years, male 11.4
GTEX-1HT8W-2226-SM-CGQEC 30-39 years, male 11.4
GTEX-17MFQ-0926-SM-7LG4S 20-29 years, male 11.3
GTEX-Y111-2026-SM-4SOJA 50-59 years, male 11.3
GTEX-1F75A-1826-SM-7SB8G 50-59 years, male 11.3
GTEX-1H1CY-2226-SM-9WG7E 60-69 years, female 11.3
GTEX-ZTPG-2826-SM-57WGA 20-29 years, female 11.3
GTEX-1LNCM-0226-SM-DIPF4 50-59 years, female 11.2
GTEX-XQ3S-1326-SM-4BOPQ 20-29 years, male 11.1
GTEX-ZC5H-2626-SM-5J2MG 40-49 years, female 11.1
GTEX-ZYT6-0126-SM-5E45J 30-39 years, male 11.1
GTEX-1HKZK-1826-SM-ADEJ2 40-49 years, male 11.1
GTEX-1KANC-1426-SM-CYPT9 50-59 years, female 11.1
GTEX-11NSD-0926-SM-5N9DR 20-29 years, male 11.0
GTEX-11ZUS-0826-SM-5FQUY 30-39 years, male 11.0
GTEX-1B932-0826-SM-73KXG 40-49 years, female 11.0
GTEX-1HCU9-0326-SM-9WYSC 20-29 years, male 11.0
GTEX-1I1GU-1026-SM-ADEHJ 40-49 years, male 11.0
GTEX-1R46S-2526-SM-E8VN2 60-69 years, female 11.0
GTEX-ZAK1-1326-SM-EVYAS 50-59 years, female 11.0
GTEX-17EVP-0226-SM-79OND 40-49 years, male 10.9
GTEX-R55D-0826-SM-48FEA 50-59 years, male 10.9
GTEX-XUW1-2326-SM-4BOO5 50-59 years, female 10.9
GTEX-ZYFC-0826-SM-5E44K 50-59 years, male 10.9
GTEX-1314G-1226-SM-5BC6D 30-39 years, male 10.8
GTEX-139TU-0626-SM-5KM3X 60-69 years, male 10.8
GTEX-13W46-0826-SM-5LU3H 50-59 years, male 10.8
GTEX-18465-2026-SM-718AP 50-59 years, male 10.8
GTEX-Y8LW-1626-SM-5IFHX 50-59 years, female 10.8
GTEX-ZVE2-1226-SM-5NQ8R 50-59 years, male 10.8
GTEX-1H11D-1526-SM-9MQJY 40-49 years, male 10.8
GTEX-1HBPN-2326-SM-9WPPU 50-59 years, male 10.8
GTEX-1LBAC-0926-SM-CXKY9 20-29 years, male 10.8
GTEX-1RAZS-1226-SM-E8VMT 50-59 years, male 10.8
GTEX-1S82U-1126-SM-E9U6I 30-39 years, female 10.8
GTEX-1122O-1226-SM-5H113 60-69 years, female 10.7
GTEX-1211K-1926-SM-5EQLB 60-69 years, female 10.7
GTEX-XBED-1626-SM-47JYN 60-69 years, male 10.7
GTEX-1GN1U-0526-SM-9KNTT 50-59 years, female 10.7
GTEX-131YS-0626-SM-5EGKL 60-69 years, female 10.6
GTEX-WOFL-0826-SM-3MJG1 60-69 years, male 10.6
GTEX-Y5V6-2126-SM-4WWFX 60-69 years, male 10.6
GTEX-ZEX8-2226-SM-57WC6 50-59 years, male 10.6
GTEX-1MCYP-0126-SM-E6CIS 20-29 years, female 10.6
GTEX-1117F-2826-SM-5GZXL 60-69 years, female 10.5
GTEX-Y3IK-2326-SM-4WWDT 50-59 years, female 10.5
GTEX-1HSEH-2026-SM-ADEHN 60-69 years, male 10.5
GTEX-1R9PM-1826-SM-EVYBH 20-29 years, male 10.5
GTEX-14753-2426-SM-5LU8U 60-69 years, male 10.4
GTEX-14LLW-0626-SM-62LFC 70-79 years, female 10.4
GTEX-TML8-1226-SM-32QON 40-49 years, female 10.4
GTEX-U412-1826-SM-4DXTJ 60-69 years, male 10.4
GTEX-1GPI7-0926-SM-7PC3J 20-29 years, male 10.4
GTEX-1IKOE-1326-SM-CE6T6 30-39 years, female 10.4
GTEX-1C6VS-0726-SM-7EPHF 60-69 years, male 10.3
GTEX-XMD2-0926-SM-4WWEF 60-69 years, female 10.3
GTEX-YEC3-1026-SM-5IFI5 50-59 years, male 10.3
GTEX-18A66-1726-SM-7LG5N 60-69 years, male 10.3
GTEX-1J8EW-2626-SM-CL53E 60-69 years, female 10.3
GTEX-11LCK-2426-SM-5HL5F 30-39 years, male 10.2
GTEX-1CB4G-2326-SM-79OOI 60-69 years, male 10.2
GTEX-QDT8-0626-SM-48TYW 30-39 years, female 10.2
GTEX-XMD1-0826-SM-4AT52 60-69 years, male 10.2
GTEX-ZV7C-1826-SM-5NQ83 50-59 years, male 10.2
GTEX-ZZ64-1226-SM-5E43R 20-29 years, male 10.2
GTEX-1P4AB-1826-SM-E76PU 50-59 years, male 10.2
GTEX-ZDTT-2126-SM-DKPOM 60-69 years, male 10.2
GTEX-REY6-2426-SM-48FF5 60-69 years, male 10.1
GTEX-VUSG-2226-SM-4KKZO 50-59 years, male 10.1
GTEX-1JMOU-2026-SM-CMKGU 60-69 years, female 10.1
GTEX-1JMQK-2626-SM-COH2W 60-69 years, male 10.1
GTEX-111YS-1926-SM-5GICC 60-69 years, male 10.0
GTEX-11DXZ-1926-SM-5GZZL 50-59 years, male 10.0
GTEX-13NZ8-0126-SM-5IJCT 60-69 years, female 10.0
GTEX-UPK5-2326-SM-3P5Z8 40-49 years, male 10.0
GTEX-11PRG-0826-SM-5EQ6A 50-59 years, male 9.9
GTEX-17JCI-0726-SM-7EPH1 60-69 years, female 9.9
GTEX-1AX9J-1126-SM-731B7 60-69 years, male 9.9
GTEX-Y3I4-1526-SM-4TT7K 50-59 years, male 9.9
GTEX-1K2DA-1726-SM-CGQGS 50-59 years, male 9.9
GTEX-11GS4-2126-SM-5A5KR 60-69 years, male 9.8
GTEX-17HHY-0926-SM-793C1 50-59 years, male 9.8
GTEX-13113-5013-SM-7SB7G 60-69 years, female 9.8
GTEX-1EN7A-1426-SM-7PBY4 40-49 years, male 9.8
GTEX-1JMPZ-1626-SM-COH31 30-39 years, male 9.8
GTEX-X62O-0526-SM-EWRMA 50-59 years, male 9.8
GTEX-12KS4-0126-SM-5Q5A5 30-39 years, male 9.7
GTEX-15UF7-0726-SM-6M46D 40-49 years, male 9.7
GTEX-Q2AG-0326-SM-48U1O 40-49 years, female 9.7
GTEX-YFC4-1426-SM-5IFJG 40-49 years, female 9.7
GTEX-1L5NE-2126-SM-CY8IH 50-59 years, male 9.7
GTEX-1NHNU-0926-SM-E9J2T 50-59 years, male 9.7
GTEX-Y5V5-2126-SM-4WWFO 60-69 years, female 9.6
GTEX-1JJE9-2326-SM-ARL8Q 70-79 years, male 9.6
GTEX-1KD5A-1926-SM-DKPQA 50-59 years, male 9.6
GTEX-XUZC-1626-SM-4BRVP 30-39 years, female 9.5
GTEX-1F5PL-1026-SM-7RHI1 40-49 years, female 9.5
GTEX-1GPI6-0626-SM-7RHHJ 60-69 years, male 9.5
GTEX-1JJEA-2726-SM-ARL8V 60-69 years, male 9.5
GTEX-1PPH7-0826-SM-E8VNX 40-49 years, male 9.5
GTEX-15UF6-0126-SM-6PAMB 70-79 years, female 9.4
GTEX-17F96-2426-SM-7IGLN 70-79 years, male 9.4
GTEX-RU1J-0626-SM-4WAWY 20-29 years, female 9.4
GTEX-X261-0626-SM-3NMD9 50-59 years, male 9.4
GTEX-1B8L1-2426-SM-9WYTE 60-69 years, male 9.4
GTEX-ZLFU-2126-SM-DO931 40-49 years, male 9.4
GTEX-145LT-0726-SM-5S2VM 40-49 years, male 9.3
GTEX-X15G-1626-SM-3NMB3 50-59 years, female 9.3
GTEX-Y114-2026-SM-4TT7L 50-59 years, female 9.3
GTEX-1C475-1226-SM-7SB72 40-49 years, female 9.3
GTEX-1J8Q2-2726-SM-A9G2X 60-69 years, male 9.3
GTEX-13CF2-2026-SM-5K7VI 60-69 years, male 9.2
GTEX-15EOM-5019-SM-793DK 20-29 years, female 9.2
GTEX-17HHE-1426-SM-7EPH4 50-59 years, male 9.2
GTEX-11P81-1926-SM-5BC53 30-39 years, female 9.1
GTEX-S4UY-0726-SM-4AD6X 40-49 years, female 9.1
GTEX-1F6I4-2526-SM-7SB8F 60-69 years, male 9.1
GTEX-1IKJJ-2326-SM-COH3U 60-69 years, male 9.1
GTEX-WHSB-1926-SM-EXOHH 50-59 years, male 9.1
GTEX-VJWN-0726-SM-3GIJ8 50-59 years, female 9.0
GTEX-1IE54-0626-SM-ARL8D 40-49 years, female 9.0
GTEX-14E6E-1326-SM-5S2NR 30-39 years, male 8.9
GTEX-WRHU-0326-SM-3MJFY 50-59 years, female 8.9
GTEX-1IKOH-2326-SM-CM2TW 60-69 years, female 8.9
GTEX-11ZTT-2326-SM-5EQLG 60-69 years, female 8.8
GTEX-144GL-2026-SM-5LU3O 50-59 years, male 8.8
GTEX-1GMR3-2626-SM-7RHHG 40-49 years, male 8.8
GTEX-1H1E6-0926-SM-9YFLT 30-39 years, male 8.8
GTEX-1IY9M-2726-SM-CMKG5 60-69 years, male 8.8
GTEX-Z9EW-1526-SM-EZ6LU 40-49 years, male 8.8
GTEX-XGQ4-0926-SM-4AT4U 50-59 years, male 8.7
GTEX-1EWIQ-1726-SM-7SB7T 70-79 years, female 8.7
GTEX-11EQ9-1826-SM-5Q5AJ 30-39 years, male 8.6
GTEX-11TT1-2126-SM-5GU5Y 20-29 years, male 8.6
GTEX-13NZB-2126-SM-5MR4Y 30-39 years, male 8.6
GTEX-UJHI-1426-SM-3DB9C 50-59 years, female 8.6
GTEX-ZA64-1526-SM-5CVMD 20-29 years, male 8.6
GTEX-ZGAY-1726-SM-DO91P 40-49 years, female 8.6
GTEX-13FTW-1426-SM-5LZWZ 40-49 years, male 8.5
GTEX-16BQI-1026-SM-7KUEA 30-39 years, female 8.5
GTEX-QEL4-2126-SM-447AE 50-59 years, male 8.5
GTEX-U3ZN-1926-SM-4DXSG 30-39 years, female 8.5
GTEX-ZF29-1926-SM-5S2P1 60-69 years, female 8.5
GTEX-ZV6S-1826-SM-5NQ8D 40-49 years, female 8.5
GTEX-15ER7-1626-SM-6PAMZ 20-29 years, female 8.4
GTEX-ZDYS-1126-SM-5K7UB 50-59 years, male 8.4
GTEX-1I19N-2826-SM-CL55D 70-79 years, male 8.4
GTEX-11P82-1326-SM-5HL62 20-29 years, male 8.3
GTEX-133LE-1726-SM-5K7VQ 20-29 years, female 8.3
GTEX-1B8KZ-1526-SM-7DUG7 50-59 years, male 8.3
GTEX-ZXES-0826-SM-5E43C 30-39 years, female 8.3
GTEX-11GSP-0926-SM-9WYSG 60-69 years, female 8.3
GTEX-1GZ4H-0326-SM-7P8QX 50-59 years, female 8.3
GTEX-1I4MK-1626-SM-CM2TJ 50-59 years, female 8.3
GTEX-1I6K7-1026-SM-A9SLK 40-49 years, male 8.3
GTEX-1LSNM-1326-SM-E9TJ1 50-59 years, male 8.3
GTEX-14A5I-0726-SM-5TDEB 50-59 years, female 8.2
GTEX-1B97I-0426-SM-79OL7 40-49 years, male 8.2
GTEX-T5JC-2126-SM-32PMO 20-29 years, male 8.2
GTEX-1HFI7-0126-SM-CGQFQ 50-59 years, female 8.2
GTEX-11WQC-1726-SM-5GU4W 60-69 years, male 8.1
GTEX-13N11-1726-SM-5J1OJ 50-59 years, female 8.1
GTEX-XQ8I-2426-SM-4WAXY 50-59 years, male 8.1
GTEX-ZZPU-0626-SM-5E43T 50-59 years, female 8.1
GTEX-1GN2E-2226-SM-9WG6J 60-69 years, male 8.1
GTEX-1M5QR-2526-SM-E9U5P 40-49 years, male 8.1
GTEX-1QPFJ-2026-SM-EVYBE 30-39 years, female 8.1
GTEX-ZLV1-1426-SM-DO92Z 60-69 years, female 8.1
GTEX-131XW-0726-SM-5EGK3 50-59 years, female 8.0
GTEX-ZQG8-0726-SM-5P9H9 60-69 years, female 8.0
GTEX-1NUQO-2226-SM-E9U68 20-29 years, female 8.0
GTEX-11EMC-2026-SM-5A5JV 60-69 years, female 7.9
GTEX-1A3MV-1626-SM-731C1 30-39 years, male 7.9
GTEX-XOT4-0726-SM-4GIAW 60-69 years, female 7.9
GTEX-1R9PN-0326-SM-DTX85 40-49 years, female 7.9
GTEX-13SLX-2326-SM-5ZZWE 50-59 years, female 7.8
GTEX-1CB4E-0226-SM-79OLW 60-69 years, male 7.7
GTEX-R53T-1526-SM-48FEK 50-59 years, female 7.7
GTEX-1J8Q3-1326-SM-CMKI1 60-69 years, male 7.7
GTEX-1N5O9-1126-SM-DTXEQ 60-69 years, male 7.7
GTEX-1R9JW-0326-SM-EAZ45 30-39 years, female 7.7
GTEX-17F98-0526-SM-79OK5 40-49 years, female 7.6
GTEX-17KNJ-2026-SM-7LG53 50-59 years, male 7.6
GTEX-1C64O-0726-SM-7DUFU 60-69 years, male 7.6
GTEX-U3ZH-1426-SM-4DXSR 30-39 years, male 7.6
GTEX-WYJK-1326-SM-3NB2T 50-59 years, male 7.6
GTEX-1GN1W-1926-SM-7P8TH 50-59 years, female 7.6
GTEX-1HSGN-1526-SM-A9SMO 40-49 years, female 7.6
GTEX-1IDJU-1826-SM-CMKHV 60-69 years, female 7.6
GTEX-1LVAN-1326-SM-CNPQE 50-59 years, female 7.6
GTEX-1R7EV-1526-SM-E8VOD 40-49 years, male 7.6
GTEX-1399U-1826-SM-5PNZ1 50-59 years, female 7.5
GTEX-PSDG-1626-SM-48TCQ 50-59 years, male 7.5
GTEX-TMMY-0726-SM-33HBE 40-49 years, female 7.5
GTEX-1HCUA-0726-SM-ACKVU 50-59 years, female 7.5
GTEX-1HSKV-2026-SM-CMKGX 60-69 years, male 7.5
GTEX-1POEN-0926-SM-DTX88 30-39 years, female 7.5
GTEX-12ZZX-1126-SM-5EGKB 40-49 years, female 7.4
GTEX-13PVR-2226-SM-7DHKP 60-69 years, female 7.4
GTEX-18QFQ-0826-SM-718AX 30-39 years, male 7.4
GTEX-WYBS-0926-SM-3NM94 60-69 years, female 7.4
GTEX-1QP9N-1826-SM-E8VMP 30-39 years, male 7.4
GTEX-1RAZQ-1226-SM-EWRNL 30-39 years, male 7.4
GTEX-14DAR-1326-SM-7DUEG 50-59 years, male 7.3
GTEX-T6MN-0726-SM-32PML 50-59 years, male 7.3
GTEX-ZVT2-1826-SM-5NQ8W 50-59 years, female 7.3
GTEX-1OKEX-0826-SM-E9J2B 60-69 years, male 7.3
GTEX-13PL6-2926-SM-5L3I2 40-49 years, female 7.2
GTEX-14H4A-2526-SM-5YYAY 40-49 years, female 7.2
GTEX-1LG7Z-0726-SM-CXKYD 30-39 years, male 7.2
GTEX-1MA7W-1026-SM-DKPQK 20-29 years, female 7.2
GTEX-117YX-1426-SM-5H12H 50-59 years, male 7.1
GTEX-14BMU-1626-SM-5TDE7 20-29 years, female 7.1
GTEX-ZLWG-1926-SM-DO92J 50-59 years, female 7.1
GTEX-11I78-2226-SM-5PNYA 50-59 years, female 7.0
GTEX-14ICK-2426-SM-6EU27 40-49 years, male 7.0
GTEX-1AMEY-1026-SM-718AA 30-39 years, female 7.0
GTEX-1BAJH-0826-SM-7EWEF 70-79 years, male 7.0
GTEX-S4P3-1326-SM-4AD6V 50-59 years, female 7.0
GTEX-1QP28-1226-SM-E9J2M 50-59 years, female 7.0
GTEX-1RQEC-2026-SM-DTXDM 60-69 years, male 7.0
GTEX-UTHO-1026-SM-3GAF7 60-69 years, male 6.9
GTEX-ZQUD-1926-SM-51MSA 30-39 years, male 6.9
GTEX-1JMPY-0526-SM-CL54O 30-39 years, male 6.9
GTEX-1KANA-2026-SM-DIPFB 20-29 years, male 6.9
GTEX-14AS3-1626-SM-5S2OY 40-49 years, female 6.8
GTEX-18D9A-1526-SM-7LG4J 30-39 years, female 6.8
GTEX-12WSK-2226-SM-5GCO5 40-49 years, female 6.7
GTEX-18A7A-0726-SM-7LTAI 50-59 years, female 6.7
GTEX-ZDXO-0126-SM-5S2ND 60-69 years, male 6.7
GTEX-1GMR2-1926-SM-9MQLZ 50-59 years, male 6.7
GTEX-V955-2026-SM-3GAFA 60-69 years, male 6.6
GTEX-ZAB4-2526-SM-5HL8M 40-49 years, male 6.6
GTEX-1JKYR-0926-SM-CMKGJ 20-29 years, male 6.6
GTEX-S341-1526-SM-4AD6K 40-49 years, female 6.5
GTEX-1GMR8-0726-SM-9KNVI 50-59 years, female 6.5
GTEX-1J8QM-2026-SM-ARZMW 60-69 years, female 6.5
GTEX-T6MO-0326-SM-32QOK 40-49 years, female 6.4
GTEX-1JKYN-0726-SM-ARZMY 30-39 years, male 6.4
GTEX-11EM3-1326-SM-5N9C6 20-29 years, female 6.3
GTEX-13D11-1026-SM-5IJFB 50-59 years, female 6.3
GTEX-WXYG-2226-SM-4E3IM 50-59 years, female 6.3
GTEX-Y5LM-1726-SM-4VDSX 40-49 years, female 6.3
GTEX-ZF2S-2026-SM-5E461 50-59 years, female 6.3
GTEX-RWS6-1926-SM-47JXY 60-69 years, female 6.2
GTEX-1KXAM-1026-SM-CY8IA 60-69 years, male 6.2
GTEX-1LVAM-0926-SM-E9TJ2 50-59 years, female 6.2
GTEX-1MJK2-2226-SM-EVYCR 50-59 years, male 6.2
GTEX-1PDJ9-1126-SM-EXUSW 20-29 years, male 6.2
GTEX-T5JW-2026-SM-4DM63 20-29 years, female 6.1
GTEX-1JMLX-2026-SM-CMKGN 50-59 years, male 6.1
GTEX-ZU9S-1926-SM-5NQBP 30-39 years, male 6.0
GTEX-1B97J-0426-SM-79OLQ 50-59 years, female 5.9
GTEX-11P7K-0726-SM-5EGKX 30-39 years, male 5.8
GTEX-WYVS-1726-SM-3NMAY 40-49 years, female 5.8
GTEX-1HCVE-2626-SM-ADEJ8 50-59 years, male 5.8
GTEX-1MCC2-2126-SM-EWRON 30-39 years, female 5.8
GTEX-1QCLY-1626-SM-DTXDW 30-39 years, male 5.8
GTEX-1CAMS-1426-SM-7IGPM 40-49 years, female 5.7
GTEX-1QCLZ-2326-SM-DTXDO 60-69 years, female 5.7
GTEX-1QP29-1726-SM-E8VMQ 50-59 years, male 5.7
GTEX-1R7EU-1226-SM-E8VMR 60-69 years, male 5.7
GTEX-14ABY-2126-SM-5QGQZ 50-59 years, male 5.6
GTEX-T2IS-1526-SM-32QPR 20-29 years, female 5.6
GTEX-XYKS-1326-SM-4BRUN 60-69 years, female 5.6
GTEX-YB5K-1626-SM-5IFIN 40-49 years, female 5.6
GTEX-ZVTK-0326-SM-51MRR 20-29 years, male 5.5
GTEX-WY7C-2726-SM-3NB3P 50-59 years, male 5.4
GTEX-16NGA-0826-SM-718AF 40-49 years, female 5.3
GTEX-1CAMR-1426-SM-793BO 20-29 years, male 5.3
GTEX-1F75I-2026-SM-7SB7N 40-49 years, male 5.2
GTEX-SE5C-2126-SM-4BRUJ 40-49 years, female 5.0
GTEX-TKQ1-0226-SM-33HB5 30-39 years, male 4.9
GTEX-1LSNL-2826-SM-E9U5L 50-59 years, male 4.8
GTEX-ZPIC-1126-SM-5BC7F 40-49 years, female 4.5
GTEX-1F5PK-2126-SM-7PC28 50-59 years, male 4.5
GTEX-1ICG6-1326-SM-ACKWR 70-79 years, female 4.5
Show allShow less

BREAST - FANTOM5 CAGEi

RNA expression in human tissues obtained through Cap Analysis of Gene Expression (CAGE) generated by the FANTOM5 project are reported as Scaled Tags Per Million.

Max subtype Scaled Tags Per Millioni

Max subtype Scaled Tags Per Million is the value for the subtype with the largest average Scaled Tags Per Million across the subtype samples.

14.4
FANTOM5 sample id Sample description Scaled Tags Per Million
Breast
Scaled Tags Per Million: 14.4
FF:10080-102A8 77 years, female 14.4

Contact

  • NEWS ARTICLES
  • PRESS ROOM

The Project

  • INTRODUCTION
  • ORGANIZATION
  • PUBLICATIONS

The Human Protein Atlas

  • DOWNLOADABLE DATA
  • LICENCE & CITATION
  • HELP & FAQ
The Human Protein Atlas project is funded
by the Knut & Alice Wallenberg Foundation.


contact@proteinatlas.org