We use cookies to enhance the usability of our website. If you continue, we'll assume that you are happy to receive all cookies. More information. Don't show this again.
NUMA1
HPA
RESOURCES
  • TISSUE
  • BRAIN
  • SINGLE CELL
  • SUBCELLULAR
  • CANCER
  • BLOOD
  • CELL LINE
  • STRUCTURE & INTERACTION
ABOUT
  • INTRODUCTION
  • HISTORY
  • ORGANIZATION
  • PUBLICATIONS
  • ANTIBODY SUBMISSION
  • ANTIBODY AVAILABILITY
  • ACKNOWLEDGMENTS
  • CONTACT
NEWS
  • NEWS ARTICLES
  • PRESS ROOM
LEARN
  • DICTIONARY
  • PROTEIN CLASSES
  • PROTEIN EVIDENCE
  • METHODS
  • EDUCATIONAL VIDEOS
DATA
  • DOWNLOADABLE DATA
  • PUBLICATION DATA
  • RELEASE HISTORY
HELP
  • ANTIBODY VALIDATION
  • ASSAYS & ANNOTATION
  • DISCLAIMER
  • HELP & FAQ
  • PRIVACY STATEMENT
  • LICENCE & CITATION
Fields »
Search result

Field
Term
Gene name
Class
Subclass
Class
Keyword
Chromosome
External id
Tissue
Cell type
Expression
Antibody panel
Tissue
Main location
Patient ID
Annotation
Tissue
Category
Tau score
Cluster
Reliability
Brain region
Category
Tau score
Brain region
Category
Tau score
Brain region
Category
Tau score
Cluster
Reliability
Tissue
Cell type
Enrichment
Cell type
Category
Tau score
Cell type
Category
Tau score
Cell type
Category
Tau score
Cell lineage
Category
Tau score
Cluster
Cluster
Location
Searches
Location
Cell line
Class
Type
Phase
Reliability
Cancer
Prognosis
Cancer
Category
Cancer
Category
Tau score
Cluster
Variants
Interacting gene (ensg_id)
Type
Number of interactions
Pathway
Category
Score
Score
Score
Validation
Validation
Validation
Validation
Antibodies
Data type
Column


  • SUMMARY

  • TISSUE

  • BRAIN

  • SINGLE CELL

  • SUBCELL

  • CANCER

  • BLOOD

  • CELL LINE

  • STRUCT & INT

  • NUMA1
TISSUE PRIMARY DATA STOMACH Show tissue menu
ADIPOSE TISSUE ADRENAL GLAND AMYGDALA APPENDIX BASAL GANGLIA BONE MARROW BREAST BRONCHUS CEREBELLUM CEREBRAL CORTEX CERVIX CHOROID PLEXUS COLON DUODENUM
ENDOMETRIUM EPIDIDYMIS ESOPHAGUS FALLOPIAN TUBE GALLBLADDER HEART MUSCLE HIPPOCAMPAL FORMATION HYPOTHALAMUS KIDNEY LIVER LUNG LYMPH NODE MIDBRAIN NASOPHARYNX
ORAL MUCOSA OVARY PANCREAS PARATHYROID GLAND PITUITARY GLAND PLACENTA PROSTATE RECTUM RETINA SALIVARY GLAND SEMINAL VESICLE SKELETAL MUSCLE SKIN SMALL INTESTINE
SMOOTH MUSCLE SOFT TISSUE SPINAL CORD SPLEEN STOMACH TESTIS THYMUS THYROID GLAND TONGUE TONSIL URINARY BLADDER VAGINA
ANTIBODIES
AND
VALIDATION
Dictionary
Tissue proteome
Stomach
STOMACH - Expression summary
Protein expression
Stomachi

On the top, protein expression in current human tissue, based on all annotated cell types, is reported with the units not detected (n), low (l), medium (m) and high (h). Underneath, protein expression in each annotated cell type are reported using the same units.

Protein expression data is based on knowledge-based annotation. For genes where more than one antibody has been used, a collective score is set.

If knowledge-based annotation could not be performed for a gene, no data is displayed here. View antibody staining data further down this page.

h
m
l
n
Glandular cells: High
RNA expressioni

A summary of mRNA expression data available for current tissue based on several datasets. The mRNA expression levels in human tissues are based on RNA-seq data generated by the Human Protein Atlas (HPA), Genotype-Tissue Expression (GTEx) portal and CAGE data generated by the FANTOM5 consortium. Consensus normalized expression levels for human tissues was created by combining the data from HPA and GTEx datasets.

The mRNA expression levels in pig are based on RNA-seq data generated by the Human Protein Atlas (HPA), and for mouse, HPA data and in situ hybridization generated by the Allen brain atlas are reported.

Scroll down to view mRNA expression data in more detail.
Consensus:57.5 nTPM
HPA:57.5 nTPM
GTEx:54.0 nTPM

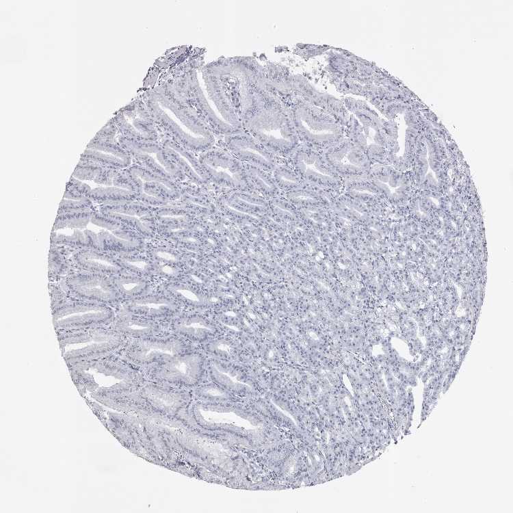
STOMACH 1 - Antibody stainingi

Antibody staining in the annotated cell types in the current human tissue is reported as not detected, low, medium, or high, based on conventional immunohistochemistry profiling in selected tissues. This score is based on the combination of the staining intensity and fraction of stained cells.

Each image is clickable and will lead to virtual microscopy that enables deeper exploration of all samples and also displays staining intensity scores, fraction scores and subcellular localization as well as patient and tissue information for each sample.

Antibody HPA019841Antibody HPA019859Antibody HPA029912
Glandular cells HighHighMedium






STOMACH 2 - Antibody stainingi

Antibody staining in the annotated cell types in the current human tissue is reported as not detected, low, medium, or high, based on conventional immunohistochemistry profiling in selected tissues. This score is based on the combination of the staining intensity and fraction of stained cells.

Each image is clickable and will lead to virtual microscopy that enables deeper exploration of all samples and also displays staining intensity scores, fraction scores and subcellular localization as well as patient and tissue information for each sample.

Antibody HPA019841Antibody HPA019859Antibody HPA029912
Glandular cells HighHighLow







STOMACH - HPA RNA-seqi

The RNA-seq details section shows detailed information about the individual samples used for the transcript profiling and results of the RNA-seq analysis.

Information about each individual sample is listed below, including gender, age, a tissue section image and estimated fractions of cell types. nTPM (normalized transcripts per million) values give a quantification of the gene abundance which is comparable between different genes and samples.
Average nTPMi

Max subtype nTPM is the value for the subtype with the largest average nTPM across the subtype samples.

57.5
overview
Female, age 33
Stomach sample 61
nTPM: 55.3
Cell types%
Glandular cells:
60

Smooth muscle cells:
5

Other cell types:
35

N/A
Male, age 82
Stomach sample 240
nTPM: 67.8
Cell types%
Glandular cells:
65

Smooth muscle cells:
5

Other cell types:
30

overview
Male, age 71
Stomach sample 241
nTPM: 40.5
Cell types%
Glandular cells:
50

Smooth muscle cells:
5

Other cell types:
45

overview
Female, age 66
Stomach sample 369
nTPM: 66.3
Cell types%
Glandular cells:
50

Smooth muscle cells:
10

Other cell types:
40


STOMACH - GTEx RNA-seqi

RNA-Seq data generated by the Genotype-Tissue Expression (GTEx) project from human tissues is reported as mean nTPM. More information can be found on the GTEx portal.

Distribution across the dataset is visualized with box plots, shown as median and 25th and 75th percentiles. Points are displayed as outliers if they are above or below 1.5 times the interquartile range. nTPM values of the individual samples are presented next to the box plot.
Max subtype nTPMi

Max subtype nTPM is the value for the subtype with the largest average nTPM across the subtype samples.

54.0
GTEx sample id Sample description nTPM
Stomach
Average nTPM: 54.0
Samples: 359

Max nTPM: 116.4
Min nTPM: 17.1
Std nTPM: 16.2
Median nTPM: 51.7
GTEX-13111-1226-SM-5GCNC 50-59 years, male 116.4
GTEX-1GPI7-1326-SM-9KNVA 20-29 years, male 113.8
GTEX-TKQ1-0526-SM-4DXTG 30-39 years, male 106.6
GTEX-WFJO-1126-SM-4LVLZ 30-39 years, male 100.3
GTEX-TKQ2-0926-SM-4DXU5 50-59 years, male 99.0
GTEX-1JN76-0926-SM-ARZNH 20-29 years, female 99.0
GTEX-1LVAM-1426-SM-E9TJ4 50-59 years, female 98.9
GTEX-1IDJF-1426-SM-ACKWK 20-29 years, male 97.3
GTEX-1211K-1426-SM-5FQTF 60-69 years, female 93.1
GTEX-1C64O-2226-SM-73KTV 60-69 years, male 92.6
GTEX-1QP28-2126-SM-DTX8B 50-59 years, female 89.1
GTEX-1N2DV-0926-SM-E9TJT 40-49 years, male 89.0
GTEX-1PPH8-1326-SM-DTXFO 20-29 years, male 88.9
GTEX-11VI4-0326-SM-5EQ6L 40-49 years, female 88.1
GTEX-13OVI-2426-SM-5KM4J 60-69 years, female 87.7
GTEX-1HSMQ-2426-SM-CE6RY 50-59 years, male 86.1
GTEX-11P7K-1726-SM-5GU6F 30-39 years, male 85.9
GTEX-14PN3-1326-SM-6AJ9U 60-69 years, female 84.9
GTEX-146FR-2026-SM-5NQAI 60-69 years, female 84.8
GTEX-1K2DA-0826-SM-CGQGD 50-59 years, male 84.5
GTEX-1H1DE-1226-SM-9JGHH 20-29 years, male 84.2
GTEX-ZTX8-0426-SM-59HLG 20-29 years, male 84.1
GTEX-1J8Q3-1926-SM-C1YSJ 60-69 years, male 83.9
GTEX-PLZ6-0826-SM-3P61K 30-39 years, male 82.8
GTEX-1PIGE-1126-SM-EWRMV 20-29 years, male 82.6
GTEX-1399U-1626-SM-5P9J3 50-59 years, female 82.2
GTEX-1QW4Y-0726-SM-DTX8E 30-39 years, male 81.1
GTEX-X15G-1126-SM-4PQZG 50-59 years, female 79.4
GTEX-NFK9-1526-SM-3LK7B 40-49 years, male 78.9
GTEX-11P82-0726-SM-5PNYL 20-29 years, male 77.8
GTEX-15EU6-2526-SM-7KUGB 50-59 years, male 77.2
GTEX-13X6H-1626-SM-5Q5CT 50-59 years, female 75.9
GTEX-P4PQ-1526-SM-3NMCK 60-69 years, male 75.7
GTEX-YEC3-1426-SM-D4P1S 50-59 years, male 75.6
GTEX-1HKZK-1526-SM-B2LWG 40-49 years, male 75.3
GTEX-S4UY-1626-SM-4AD55 40-49 years, female 75.2
GTEX-RU1J-0526-SM-46MUT 20-29 years, female 74.6
GTEX-S7SF-0626-SM-4AD4V 20-29 years, female 74.6
GTEX-1B8KE-1326-SM-73KVI 50-59 years, male 74.5
GTEX-XPVG-1526-SM-4B66C 50-59 years, male 74.2
GTEX-13FH7-1026-SM-5IJGF 50-59 years, female 74.0
GTEX-R55C-1026-SM-48FCM 40-49 years, male 73.7
GTEX-1J8QM-1126-SM-C1YQB 60-69 years, female 73.1
GTEX-1QP67-1026-SM-EVR47 40-49 years, female 73.0
GTEX-1QCLZ-1826-SM-DPRXP 60-69 years, female 72.5
GTEX-1AX9J-2626-SM-731EK 60-69 years, male 72.0
GTEX-QV44-1226-SM-CJI1S 50-59 years, male 71.8
GTEX-1KD5A-1426-SM-D4P3V 50-59 years, male 71.7
GTEX-16NGA-1526-SM-72D56 40-49 years, female 71.2
GTEX-18QFQ-1226-SM-718AE 30-39 years, male 71.1
GTEX-WH7G-1526-SM-4LVMX 40-49 years, male 71.1
GTEX-ZXES-1426-SM-5NQ8S 30-39 years, female 71.0
GTEX-XBED-1226-SM-4AT5V 60-69 years, male 69.9
GTEX-13O61-1126-SM-5L3FI 60-69 years, male 69.7
GTEX-15DCE-1626-SM-6LPJM 20-29 years, male 69.5
GTEX-12C56-0526-SM-5FQST 20-29 years, male 68.8
GTEX-ZLFU-1326-SM-DO11R 40-49 years, male 68.7
GTEX-QXCU-1926-SM-48FE4 50-59 years, male 68.3
GTEX-OIZH-1526-SM-3NB1J 50-59 years, male 68.2
GTEX-1HBPN-1626-SM-9WPNP 50-59 years, male 68.2
GTEX-1AMFI-1226-SM-731CZ 50-59 years, female 67.6
GTEX-PX3G-1526-SM-48U11 20-29 years, female 67.4
GTEX-1B97I-1226-SM-7MGWQ 40-49 years, male 67.4
GTEX-14PKU-1126-SM-69LOU 40-49 years, female 67.2
GTEX-1R9K5-1026-SM-EAZ4F 50-59 years, male 67.2
GTEX-ZZPU-1426-SM-5GZZ6 50-59 years, female 67.1
GTEX-1I1GT-1726-SM-C1YS3 60-69 years, female 67.1
GTEX-1H3NZ-2226-SM-9WYUT 60-69 years, male 67.0
GTEX-18D9B-2226-SM-718BM 60-69 years, male 66.9
GTEX-1MGNQ-1826-SM-DPRYI 40-49 years, male 66.7
GTEX-1CB4E-1326-SM-7DUGD 60-69 years, male 66.6
GTEX-S4P3-0726-SM-4AD57 50-59 years, female 66.5
GTEX-S4Z8-1226-SM-4AD6W 60-69 years, male 66.4
GTEX-1RB15-1026-SM-E9U6V 60-69 years, male 66.4
GTEX-1LSNM-1026-SM-DHXL2 50-59 years, male 65.9
GTEX-1S82Z-1726-SM-E6CHZ 30-39 years, female 65.9
GTEX-145LT-1426-SM-5O9B3 40-49 years, male 65.8
GTEX-XAJ8-0326-SM-47JYI 40-49 years, male 65.1
GTEX-1LGOU-1526-SM-D3LAJ 20-29 years, female 64.9
GTEX-11EM3-1026-SM-5A5KL 20-29 years, female 64.8
GTEX-XQ8I-2026-SM-4BOOL 50-59 years, male 64.3
GTEX-WYVS-1326-SM-4ONCQ 40-49 years, female 64.2
GTEX-OXRL-1526-SM-E6CHQ 50-59 years, male 64.1
GTEX-1A3MV-1226-SM-718BW 30-39 years, male 63.7
GTEX-13PVR-2126-SM-73KVR 60-69 years, female 63.5
GTEX-1E2YA-2426-SM-7EPIG 50-59 years, male 63.4
GTEX-18A66-2226-SM-7189E 60-69 years, male 63.1
GTEX-Y114-1226-SM-4TT88 50-59 years, female 62.9
GTEX-WHWD-1426-SM-4OORU 50-59 years, male 62.8
GTEX-ZV6S-0926-SM-57WGB 40-49 years, female 62.6
GTEX-ZF29-1526-SM-4WKF7 60-69 years, female 62.5
GTEX-111YS-1126-SM-5GZYQ 60-69 years, male 62.4
GTEX-S95S-0826-SM-4B64N 60-69 years, male 62.4
GTEX-UJHI-1026-SM-4IHJP 50-59 years, female 62.3
GTEX-1H1E6-1626-SM-9OSWC 30-39 years, male 62.2
GTEX-S3XE-1026-SM-4AD4O 50-59 years, male 61.9
GTEX-1LG7Z-1226-SM-DHXK4 30-39 years, male 61.6
GTEX-P78B-1826-SM-3P5YX 40-49 years, female 61.5
GTEX-ZDYS-1926-SM-5HL59 50-59 years, male 61.3
GTEX-1KXAM-0926-SM-CXZKA 60-69 years, male 61.3
GTEX-14PJ5-0826-SM-6AJAR 60-69 years, female 60.8
GTEX-ZAB4-1526-SM-5CVN7 40-49 years, male 60.7
GTEX-1ICG6-1826-SM-AHZ2O 70-79 years, female 60.7
GTEX-1AYCT-1326-SM-7MKHB 50-59 years, male 60.5
GTEX-R55D-1526-SM-48FEJ 50-59 years, male 60.4
GTEX-17F98-1526-SM-7EWD8 40-49 years, female 59.9
GTEX-QDVJ-1426-SM-48U1Y 50-59 years, male 59.9
GTEX-1GL5R-1926-SM-9WG7U 50-59 years, male 59.7
GTEX-ZGAY-1626-SM-DNZZ3 40-49 years, female 59.6
GTEX-1I4MK-0926-SM-A9SLD 50-59 years, female 59.4
GTEX-1B8L1-1526-SM-79OLK 60-69 years, male 59.3
GTEX-11EQ9-1226-SM-5987E 30-39 years, male 59.1
GTEX-WY7C-1726-SM-4ONCC 50-59 years, male 59.1
GTEX-14DAR-0926-SM-73KUQ 50-59 years, male 59.0
GTEX-UJMC-1226-SM-4IHLI 50-59 years, male 59.0
GTEX-S4Q7-0726-SM-4AD5F 20-29 years, male 58.9
GTEX-ZZ64-0426-SM-5E43F 20-29 years, male 58.9
GTEX-16AAH-1226-SM-79OO9 50-59 years, male 58.8
GTEX-QLQW-0726-SM-447AA 30-39 years, male 58.7
GTEX-V1D1-1726-SM-4JBHB 50-59 years, male 58.7
GTEX-17HHE-1026-SM-79ON6 50-59 years, male 58.6
GTEX-WFON-1126-SM-4LVMA 40-49 years, male 58.6
GTEX-WXYG-1626-SM-4ONCR 50-59 years, female 58.6
GTEX-WYJK-2526-SM-4ONDF 50-59 years, male 58.3
GTEX-1LGRB-1726-SM-CNNRA 50-59 years, female 58.3
GTEX-1QP2A-2126-SM-DPRZ7 50-59 years, male 58.3
GTEX-15RIE-1026-SM-6LPJQ 60-69 years, male 58.0
GTEX-1S831-1126-SM-EWROI 20-29 years, male 58.0
GTEX-QLQ7-0826-SM-447B3 60-69 years, male 57.7
GTEX-1JMPY-0926-SM-ARL92 30-39 years, male 57.7
GTEX-1B8KZ-1226-SM-793CP 50-59 years, male 57.3
GTEX-P4QT-1526-SM-3NMCT 50-59 years, female 57.2
GTEX-ZPIC-2026-SM-57WG3 40-49 years, female 57.2
GTEX-V955-1326-SM-4JBHR 60-69 years, male 57.0
GTEX-12WSG-2026-SM-5FQUU 50-59 years, female 56.9
GTEX-ZV7C-1626-SM-5NQ7E 50-59 years, male 56.9
GTEX-ZP4G-1226-SM-4WWCJ 20-29 years, female 56.8
GTEX-Y8LW-0826-SM-4WWDO 50-59 years, female 56.6
GTEX-12WSK-1426-SM-5CVNN 40-49 years, female 56.4
GTEX-14PJ6-0826-SM-686Z9 60-69 years, female 56.4
GTEX-1JK1U-1326-SM-AHZ45 60-69 years, male 56.4
GTEX-1C475-1026-SM-7MKFJ 40-49 years, female 56.3
GTEX-Y8E4-1526-SM-4WWDI 40-49 years, male 56.0
GTEX-YEC4-1426-SM-5IFHS 40-49 years, male 55.9
GTEX-15DZA-1126-SM-6LPK8 30-39 years, female 55.8
GTEX-13113-0726-SM-5LZUF 60-69 years, female 55.7
GTEX-13QBU-1126-SM-5LU44 40-49 years, female 55.1
GTEX-1IDJU-1526-SM-CNNR3 60-69 years, female 55.0
GTEX-132QS-1826-SM-5IFFN 60-69 years, male 54.8
GTEX-RWS6-0926-SM-47JXE 60-69 years, female 54.5
GTEX-1H3VY-2326-SM-9WG81 50-59 years, male 54.0
GTEX-1F5PK-1826-SM-7RHHX 50-59 years, male 53.9
GTEX-13D11-2126-SM-5IFH2 50-59 years, female 53.8
GTEX-144GN-1226-SM-5O991 50-59 years, male 53.8
GTEX-VJYA-1026-SM-4KL21 60-69 years, male 53.8
GTEX-1J8EW-2226-SM-AHZ3T 60-69 years, female 53.8
GTEX-O5YW-1526-SM-3MJGL 50-59 years, male 53.6
GTEX-131XE-2226-SM-5PNYX 50-59 years, male 53.5
GTEX-144GM-1726-SM-5O9AS 20-29 years, male 53.5
GTEX-14E6E-0926-SM-664N8 30-39 years, male 53.4
GTEX-14PJ3-1426-SM-664O8 50-59 years, male 53.4
GTEX-T6MO-0726-SM-4DM58 40-49 years, female 53.4
GTEX-1S3DN-1526-SM-EVYCB 50-59 years, male 53.3
GTEX-13FTX-0726-SM-5N9BI 20-29 years, female 53.2
GTEX-XXEK-0826-SM-4BRWG 50-59 years, male 53.2
GTEX-14JG6-1226-SM-664O6 30-39 years, female 53.1
GTEX-15CHR-1326-SM-79OLT 50-59 years, male 53.0
GTEX-YB5E-1126-SM-664NU 40-49 years, male 53.0
GTEX-O5YV-1926-SM-EV797 60-69 years, female 52.9
GTEX-W5WG-1726-SM-4LMI5 50-59 years, female 52.8
GTEX-1CAMR-0726-SM-7EPIE 20-29 years, male 52.7
GTEX-OXRK-1626-SM-3NB17 50-59 years, female 52.4
GTEX-P4PP-1526-SM-3P61M 30-39 years, female 52.4
GTEX-XUZC-0726-SM-4BOPH 30-39 years, female 52.3
GTEX-14BIL-1926-SM-73KYI 50-59 years, male 52.2
GTEX-17KNJ-1526-SM-7LTA9 50-59 years, male 52.2
GTEX-PW2O-1226-SM-48TCH 20-29 years, male 51.9
GTEX-ZEX8-1626-SM-4WKG7 50-59 years, male 51.9
GTEX-1HFI7-1526-SM-9WG7W 50-59 years, female 51.8
GTEX-13N1W-2026-SM-5K7YU 70-79 years, male 51.7
GTEX-ZA64-0826-SM-5HL9U 20-29 years, male 51.5
GTEX-Q2AI-0826-SM-48TZO 40-49 years, male 51.4
GTEX-TMMY-1626-SM-4DXTY 40-49 years, female 51.4
GTEX-OHPM-1526-SM-EV796 50-59 years, male 51.4
GTEX-OOBJ-1526-SM-3NB1Q 60-69 years, male 51.3
GTEX-1399S-1626-SM-5P9GI 30-39 years, female 51.2
GTEX-13O21-0926-SM-5IFGT 50-59 years, male 51.1
GTEX-PWCY-0926-SM-48TD7 20-29 years, female 51.1
GTEX-1JMLX-2426-SM-CXZJQ 50-59 years, male 51.0
GTEX-12696-1726-SM-5EQLH 60-69 years, male 50.9
GTEX-1399R-1126-SM-5IFIO 30-39 years, male 50.9
GTEX-13QJ3-2726-SM-5SI6L 50-59 years, male 50.9
GTEX-15UF7-1226-SM-6M46G 40-49 years, male 50.9
GTEX-1B97J-1826-SM-7IGPP 50-59 years, female 50.9
GTEX-18A7A-2726-SM-7LG6U 50-59 years, female 50.6
GTEX-U3ZN-2026-SM-4DXUC 30-39 years, female 50.6
GTEX-ZLV1-0826-SM-DO11P 60-69 years, female 50.6
GTEX-145MN-1326-SM-5NQ9S 30-39 years, male 50.5
GTEX-ZVZP-1726-SM-5GZWY 50-59 years, male 50.4
GTEX-QDVN-1226-SM-48TZ5 50-59 years, male 50.3
GTEX-111CU-0926-SM-5EGIK 50-59 years, male 50.2
GTEX-1MJIX-1126-SM-EV7AO 40-49 years, male 50.1
GTEX-14ICL-0826-SM-5YY9W 30-39 years, male 50.0
GTEX-QV31-0626-SM-447C5 30-39 years, male 49.9
GTEX-R55G-1126-SM-48FDG 40-49 years, female 49.9
GTEX-14PHX-1026-SM-664OL 50-59 years, male 49.7
GTEX-14PJ4-1626-SM-664OB 60-69 years, male 49.7
GTEX-14PKV-1826-SM-69LO9 20-29 years, female 49.7
GTEX-1I6K7-1726-SM-B2LXQ 40-49 years, male 49.6
GTEX-RM2N-0826-SM-48FD3 50-59 years, male 49.4
GTEX-14BMV-2226-SM-5RQHX 50-59 years, male 49.3
GTEX-18D9A-0626-SM-7KFTY 30-39 years, female 49.1
GTEX-1GZ4H-1026-SM-9OSXL 50-59 years, female 49.1
GTEX-ZT9W-1526-SM-4YCDE 50-59 years, male 49.0
GTEX-1122O-1926-SM-5EGIQ 60-69 years, female 48.9
GTEX-OHPK-1526-SM-3MJGM 50-59 years, female 48.8
GTEX-R53T-1226-SM-48FCT 50-59 years, female 48.8
GTEX-ZYFG-1326-SM-5GICJ 60-69 years, female 48.8
GTEX-WFG8-1326-SM-4LVN3 20-29 years, male 48.6
GTEX-14BMU-1126-SM-5RQJ8 20-29 years, female 48.3
GTEX-1I1HK-2026-SM-CNNRB 60-69 years, male 48.3
GTEX-1IDJD-2426-SM-C1YS6 30-39 years, male 48.2
GTEX-1GF9U-1126-SM-AHZ4H 40-49 years, female 48.0
GTEX-1GN1W-2126-SM-9JGI7 50-59 years, female 48.0
GTEX-OIZF-1526-SM-2I5GR 60-69 years, male 47.9
GTEX-146FH-2126-SM-5SI9U 50-59 years, female 47.8
GTEX-WZTO-2126-SM-4PQYW 40-49 years, male 47.7
GTEX-14PHY-0926-SM-5ZZWL 60-69 years, female 47.6
GTEX-1LBAC-1426-SM-CXZKT 20-29 years, male 47.6
GTEX-13CF3-1926-SM-5K7WF 60-69 years, female 47.1
GTEX-13O3Q-2126-SM-5KM4C 50-59 years, male 46.9
GTEX-1H11D-2226-SM-9OSXN 40-49 years, male 46.9
GTEX-1NSGN-1926-SM-E9J36 50-59 years, male 46.9
GTEX-13FTW-1726-SM-5KM2B 40-49 years, male 46.8
GTEX-1AMEY-1226-SM-731DU 30-39 years, female 46.6
GTEX-ZPU1-1626-SM-4WWB2 40-49 years, male 46.5
GTEX-1IL2V-2026-SM-ARZMA 70-79 years, male 46.5
GTEX-ZVP2-1626-SM-5GU5D 50-59 years, male 46.4
GTEX-1QPFJ-1526-SM-DPRXT 30-39 years, female 46.4
GTEX-1R7EU-1126-SM-EAZ4M 60-69 years, male 46.3
GTEX-1QMI2-2126-SM-DPRXQ 60-69 years, male 46.1
GTEX-POMQ-0826-SM-3P61H 20-29 years, female 45.8
GTEX-1KANA-1126-SM-D3L9M 20-29 years, male 45.7
GTEX-Q734-1026-SM-48U16 40-49 years, female 45.6
GTEX-1CB4H-2426-SM-7PBYR 60-69 years, female 45.6
GTEX-1MUQO-1926-SM-EAZ59 60-69 years, male 45.3
GTEX-WHSB-1226-SM-4M1XR 50-59 years, male 45.2
GTEX-1LVAN-2426-SM-CNNPZ 50-59 years, female 45.2
GTEX-Y5V6-1326-SM-4VDTF 60-69 years, male 45.1
GTEX-PLZ5-1226-SM-EXOHA 50-59 years, male 45.1
GTEX-145ME-1026-SM-5O9B4 40-49 years, female 44.7
GTEX-14DAQ-2826-SM-664MU 60-69 years, female 44.7
GTEX-Y3I4-1626-SM-4TT7W 50-59 years, male 44.6
GTEX-ZQUD-0826-SM-57WDQ 30-39 years, male 44.4
GTEX-1MCYP-1126-SM-E9J2P 20-29 years, female 44.3
GTEX-QDT8-2026-SM-EZ6LS 30-39 years, female 44.3
GTEX-U4B1-1026-SM-4DXT1 40-49 years, male 44.1
GTEX-1RMOY-1126-SM-EV79E 50-59 years, male 43.8
GTEX-UPK5-2126-SM-4JBJK 40-49 years, male 43.6
GTEX-ZVT2-1626-SM-51MRC 50-59 years, female 43.4
GTEX-131XF-1226-SM-5HL8V 60-69 years, male 43.3
GTEX-PWN1-1526-SM-48TDA 40-49 years, female 43.3
GTEX-QCQG-0526-SM-48U2A 50-59 years, female 43.3
GTEX-Y9LG-1026-SM-5IFJN 30-39 years, male 43.1
GTEX-13OVK-0926-SM-7KUFX 40-49 years, male 43.0
GTEX-117YX-1026-SM-5H11V 50-59 years, male 42.8
GTEX-SNOS-0826-SM-4DM5N 40-49 years, male 42.8
GTEX-1JKYN-1726-SM-AHZ48 30-39 years, male 42.8
GTEX-12WSJ-0926-SM-5P9JD 40-49 years, female 42.7
GTEX-ZLWG-1526-SM-DO12F 50-59 years, female 42.6
GTEX-S341-0626-SM-4AD5T 40-49 years, female 42.4
GTEX-ZF2S-1426-SM-57WET 50-59 years, female 42.4
GTEX-1HSEH-1526-SM-B2LXG 60-69 years, male 42.4
GTEX-1A8G6-1426-SM-731EZ 60-69 years, male 42.3
GTEX-Y3IK-1426-SM-4YCES 50-59 years, female 42.0
GTEX-17F9E-2226-SM-7IGNC 50-59 years, male 41.9
GTEX-17GQL-1226-SM-7KFTS 60-69 years, male 41.8
GTEX-1RQEC-2126-SM-DPS15 60-69 years, male 41.8
GTEX-14E1K-1526-SM-664MN 50-59 years, male 41.7
GTEX-WRHK-0626-SM-4MVOE 20-29 years, female 41.7
GTEX-1J8JJ-1726-SM-C1YQG 60-69 years, female 41.6
GTEX-139D8-2326-SM-5IFGE 30-39 years, female 41.4
GTEX-15G1A-1226-SM-7KUF3 30-39 years, male 41.4
GTEX-1JMPZ-1826-SM-CXZJT 30-39 years, male 40.7
GTEX-13RTK-0226-SM-5RQHR 20-29 years, male 40.5
GTEX-11NSD-1426-SM-5HL67 20-29 years, male 40.4
GTEX-QMRM-1126-SM-447BN 50-59 years, male 40.2
GTEX-13U4I-2526-SM-5SI8Z 40-49 years, female 40.1
GTEX-RUSQ-1126-SM-EAZAU 50-59 years, male 40.1
GTEX-17HGU-2126-SM-7IGOV 50-59 years, male 39.9
GTEX-XV7Q-1326-SM-4BRWM 40-49 years, female 39.6
GTEX-131XG-1226-SM-5EGH9 50-59 years, female 39.5
GTEX-XBEW-1826-SM-4RTWX 40-49 years, male 39.5
GTEX-1HR9M-2326-SM-CNPPZ 60-69 years, male 39.5
GTEX-11I78-1726-SM-5A5M3 50-59 years, female 39.3
GTEX-1EH9U-2226-SM-7PBXX 60-69 years, male 39.2
GTEX-117YW-2226-SM-5N9DB 50-59 years, male 39.1
GTEX-1JMQJ-1326-SM-D4P3B 50-59 years, male 39.1
GTEX-1A3MX-1926-SM-72D7F 60-69 years, male 38.9
GTEX-11DXX-1326-SM-5GIDZ 60-69 years, female 38.7
GTEX-139YR-1926-SM-5LZXM 50-59 years, male 38.7
GTEX-11NUK-2426-SM-5BC4U 50-59 years, male 38.5
GTEX-11TT1-0726-SM-5GU5A 20-29 years, male 38.5
GTEX-12BJ1-1726-SM-5HL9B 60-69 years, male 38.5
GTEX-12WSD-2326-SM-59HKQ 60-69 years, female 38.2
GTEX-RTLS-2626-SM-46MUJ 60-69 years, female 38.2
GTEX-T5JC-1926-SM-4DM6Q 20-29 years, male 38.2
GTEX-1HBPI-0726-SM-9WG7Z 50-59 years, male 37.9
GTEX-SNMC-0626-SM-4DM6H 20-29 years, male 37.8
GTEX-1H23P-2726-SM-9JGHN 60-69 years, male 37.6
GTEX-Q2AH-1126-SM-48TZM 40-49 years, male 37.3
GTEX-1HT8W-2326-SM-A9SLA 30-39 years, male 37.1
GTEX-1339X-1426-SM-5K7YO 40-49 years, male 37.0
GTEX-145MO-2226-SM-5Q5BN 60-69 years, male 36.8
GTEX-WEY5-1226-SM-4LMIQ 40-49 years, female 36.7
GTEX-1GMRU-2526-SM-9WG7T 50-59 years, male 36.4
GTEX-17EUY-1526-SM-793CA 20-29 years, male 36.2
GTEX-18A67-2626-SM-718AD 50-59 years, male 36.1
GTEX-133LE-1326-SM-5IFGO 20-29 years, female 35.7
GTEX-WFG7-1326-SM-4LMK1 20-29 years, male 35.6
GTEX-ZVT3-2126-SM-59HL2 60-69 years, female 35.5
GTEX-XMK1-1526-SM-EYYVO 40-49 years, male 35.2
GTEX-13PVQ-2126-SM-5L3FW 50-59 years, male 35.1
GTEX-132AR-2426-SM-5IFFD 50-59 years, female 34.9
GTEX-1F5PL-1426-SM-7MKFH 40-49 years, female 34.9
GTEX-13S7M-1826-SM-5RQK6 60-69 years, female 34.8
GTEX-1HCUA-1626-SM-A9SMG 50-59 years, female 34.8
GTEX-1QCLY-1126-SM-EAZ4J 30-39 years, male 34.6
GTEX-T8EM-1226-SM-4DM5J 40-49 years, male 34.5
GTEX-11GSP-2126-SM-5HL5E 60-69 years, female 34.4
GTEX-YFCO-0826-SM-5LUAG 40-49 years, male 33.9
GTEX-1F75I-1826-SM-7MKGX 40-49 years, male 33.6
GTEX-17MF6-2126-SM-7KFS7 40-49 years, male 33.2
GTEX-14B4R-0726-SM-5TDDR 30-39 years, male 33.1
GTEX-17HII-2426-SM-7KFTT 50-59 years, male 32.8
GTEX-15G19-1526-SM-6LPKP 60-69 years, male 32.7
GTEX-17JCI-2226-SM-7LTA1 60-69 years, female 32.0
GTEX-Y5LM-1326-SM-5RQIS 40-49 years, female 31.6
GTEX-T5JW-0926-SM-4DM5K 20-29 years, female 31.3
GTEX-15SHW-2126-SM-6M46Y 60-69 years, male 30.7
GTEX-1L5NE-1526-SM-DIPFW 50-59 years, male 30.3
GTEX-11EI6-2426-SM-5PNVS 60-69 years, male 30.0
GTEX-YJ8A-1526-SM-5P9FT 20-29 years, male 29.9
GTEX-13OW6-2526-SM-5IJEC 50-59 years, male 29.8
GTEX-ZY6K-0726-SM-5A5L8 50-59 years, male 29.7
GTEX-ZYY3-1726-SM-5EGH3 60-69 years, female 29.7
GTEX-WHPG-0426-SM-4M1XW 50-59 years, male 29.5
GTEX-1QP29-2326-SM-EXOJO 50-59 years, male 29.4
GTEX-13X6J-2126-SM-5TDCV 50-59 years, male 29.2
GTEX-1RAZR-1526-SM-EAZ4U 40-49 years, male 28.8
GTEX-15RIF-1126-SM-7KUG2 20-29 years, male 28.7
GTEX-SUCS-0926-SM-4DM4Z 70-79 years, male 28.1
GTEX-1E1VI-2826-SM-7MGWU 50-59 years, male 28.0
GTEX-ZYVF-2726-SM-5GID4 50-59 years, female 27.7
GTEX-1HCU8-1326-SM-C1YQQ 60-69 years, female 27.2
GTEX-1JN1M-2926-SM-CNNPJ 60-69 years, female 25.7
GTEX-1H1DG-2126-SM-9WPPB 70-79 years, male 24.4
GTEX-ZE7O-3026-SM-51MS4 50-59 years, female 21.7
GTEX-11WQK-2626-SM-5EQ4K 50-59 years, male 17.1
Show allShow less

Contact

  • NEWS ARTICLES
  • PRESS ROOM

The Project

  • INTRODUCTION
  • ORGANIZATION
  • PUBLICATIONS

The Human Protein Atlas

  • DOWNLOADABLE DATA
  • LICENCE & CITATION
  • HELP & FAQ
The Human Protein Atlas project is funded
by the Knut & Alice Wallenberg Foundation.


contact@proteinatlas.org