We use cookies to enhance the usability of our website. If you continue, we'll assume that you are happy to receive all cookies. More information. Don't show this again.
THBS1
HPA
RESOURCES
  • TISSUE
  • BRAIN
  • SINGLE CELL
  • SUBCELLULAR
  • CANCER
  • BLOOD
  • CELL LINE
  • STRUCTURE & INTERACTION
ABOUT
  • INTRODUCTION
  • HISTORY
  • ORGANIZATION
  • PUBLICATIONS
  • ANTIBODY SUBMISSION
  • ANTIBODY AVAILABILITY
  • ACKNOWLEDGMENTS
  • CONTACT
NEWS
  • NEWS ARTICLES
  • PRESS ROOM
LEARN
  • DICTIONARY
  • PROTEIN CLASSES
  • PROTEIN EVIDENCE
  • METHODS
  • EDUCATIONAL VIDEOS
DATA
  • DOWNLOADABLE DATA
  • PUBLICATION DATA
  • RELEASE HISTORY
HELP
  • ANTIBODY VALIDATION
  • ASSAYS & ANNOTATION
  • DISCLAIMER
  • HELP & FAQ
  • PRIVACY STATEMENT
  • LICENCE & CITATION
Fields »
Search result

Field
Term
Gene name
Class
Subclass
Class
Keyword
Chromosome
External id
Tissue
Cell type
Expression
Antibody panel
Tissue
Main location
Patient ID
Annotation
Tissue
Category
Tau score
Cluster
Reliability
Brain region
Category
Tau score
Brain region
Category
Tau score
Brain region
Category
Tau score
Cluster
Reliability
Tissue
Cell type
Enrichment
Cell type
Category
Tau score
Cell type
Category
Tau score
Cell type
Category
Tau score
Cell lineage
Category
Tau score
Cluster
Cluster
Location
Searches
Location
Cell line
Class
Type
Phase
Reliability
Cancer
Prognosis
Cancer
Category
Cancer
Category
Tau score
Cluster
Variants
Interacting gene (ensg_id)
Type
Number of interactions
Pathway
Category
Score
Score
Score
Validation
Validation
Validation
Validation
Antibodies
Data type
Column


  • SUMMARY

  • TISSUE

  • BRAIN

  • SINGLE CELL

  • SUBCELL

  • CANCER

  • BLOOD

  • CELL LINE

  • STRUCT & INT

  • THBS1
TISSUE PRIMARY DATA ESOPHAGUS Show tissue menu
ADIPOSE TISSUE ADRENAL GLAND AMYGDALA APPENDIX BASAL GANGLIA BONE MARROW BREAST BRONCHUS CEREBELLUM CEREBRAL CORTEX CERVIX CHOROID PLEXUS COLON DUODENUM
ENDOMETRIUM EPIDIDYMIS ESOPHAGUS FALLOPIAN TUBE GALLBLADDER HEART MUSCLE HIPPOCAMPAL FORMATION HYPOTHALAMUS KIDNEY LIVER LUNG LYMPH NODE MIDBRAIN ORAL MUCOSA
OVARY PANCREAS PARATHYROID GLAND PITUITARY GLAND PLACENTA PROSTATE RECTUM RETINA SALIVARY GLAND SEMINAL VESICLE SKELETAL MUSCLE SKIN SMALL INTESTINE SMOOTH MUSCLE
SOFT TISSUE SPINAL CORD SPLEEN STOMACH TESTIS THYMUS THYROID GLAND TONGUE TONSIL URINARY BLADDER VAGINA
ANTIBODIES
AND
VALIDATION
Dictionary
Esophagus
Tissue proteome
Esophagus
ESOPHAGUS - Expression summary
Protein expression
Esophagusi

On the top, protein expression in current human tissue, based on all annotated cell types, is reported with the units not detected (n), low (l), medium (m) and high (h). Underneath, protein expression in each annotated cell type are reported using the same units.

Protein expression data is based on knowledge-based annotation. For genes where more than one antibody has been used, a collective score is set.

If knowledge-based annotation could not be performed for a gene, no data is displayed here. View antibody staining data further down this page.

h
m
l
n
Squamous epithelial cells: Low
RNA expressioni

A summary of mRNA expression data available for current tissue based on several datasets. The mRNA expression levels in human tissues are based on RNA-seq data generated by the Human Protein Atlas (HPA), Genotype-Tissue Expression (GTEx) portal and CAGE data generated by the FANTOM5 consortium. Consensus normalized expression levels for human tissues was created by combining the data from HPA and GTEx datasets.

The mRNA expression levels in pig are based on RNA-seq data generated by the Human Protein Atlas (HPA), and for mouse, HPA data and in situ hybridization generated by the Allen brain atlas are reported.

Scroll down to view mRNA expression data in more detail.
Consensus:47.5 nTPM
HPA:47.5 nTPM
GTEx:26.2 nTPM
FANTOM5:245.7 Scaled Tags Per Million

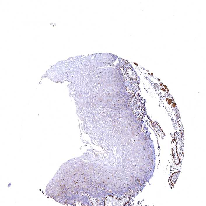
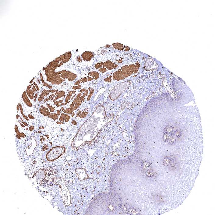
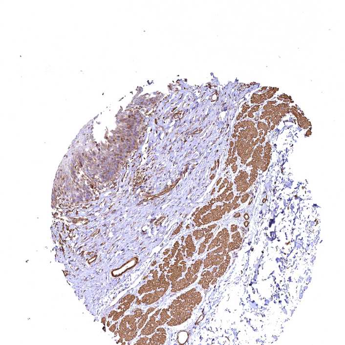
ESOPHAGUS - Antibody stainingi

Antibody staining in the annotated cell types in the current human tissue is reported as not detected, low, medium, or high, based on conventional immunohistochemistry profiling in selected tissues. This score is based on the combination of the staining intensity and fraction of stained cells.

Each image is clickable and will lead to virtual microscopy that enables deeper exploration of all samples and also displays staining intensity scores, fraction scores and subcellular localization as well as patient and tissue information for each sample.

Antibody CAB033678
Squamous epithelial cells Low



ESOPHAGUS - HPA RNA-seqi

The RNA-seq details section shows detailed information about the individual samples used for the transcript profiling and results of the RNA-seq analysis.

Information about each individual sample is listed below, including gender, age, a tissue section image and estimated fractions of cell types. nTPM (normalized transcripts per million) values give a quantification of the gene abundance which is comparable between different genes and samples.
Average nTPMi

Max subtype nTPM is the value for the subtype with the largest average nTPM across the subtype samples.

47.5
overview
Female, age 70
Esophagus sample 130
nTPM: 31.9
Cell types%
Squamous epithelial cells:
35

Smooth muscle cells:
15

Skeletal muscle cells:
5

Other cell types:
45

overview
Male, age 38
Esophagus sample 131
nTPM: 62.2
Cell types%
Squamous epithelial cells:
60

Smooth muscle cells:
20

Other cell types:
20

overview
Male, age 76
Esophagus sample 132
nTPM: 48.2
Cell types%
Squamous epithelial cells:
45

Smooth muscle cells:
15

Other cell types:
40


ESOPHAGUS - GTEx RNA-seqi

RNA-Seq data generated by the Genotype-Tissue Expression (GTEx) project from human tissues is reported as mean nTPM. More information can be found on the GTEx portal.

Distribution across the dataset is visualized with box plots, shown as median and 25th and 75th percentiles. Points are displayed as outliers if they are above or below 1.5 times the interquartile range. nTPM values of the individual samples are presented next to the box plot.
Max subtype nTPMi

Max subtype nTPM is the value for the subtype with the largest average nTPM across the subtype samples.

26.2
GTEx sample id Sample description nTPM
Esophagus - Mucosa
Average nTPM: 26.2
Samples: 555

Max nTPM: 298.6
Min nTPM: 1.4
Std nTPM: 35.5
Median nTPM: 12.8
GTEX-1C6VQ-1826-SM-7EWEH 50-59 years, male 298.6
GTEX-1I1GP-1026-SM-C1YRZ 50-59 years, male 240.6
GTEX-13SLX-1726-SM-5Q5E5 50-59 years, female 226.0
GTEX-T5JW-1326-SM-4DM5G 20-29 years, female 200.0
GTEX-144GM-1426-SM-5LU31 20-29 years, male 185.0
GTEX-1H3VY-2026-SM-9JGHK 50-59 years, male 179.7
GTEX-ZY6K-0626-SM-59HJL 50-59 years, male 169.9
GTEX-1GN73-1926-SM-9JGGS 60-69 years, male 169.6
GTEX-13PVQ-1726-SM-5IFF3 50-59 years, male 151.9
GTEX-15RJ7-0926-SM-6LPJO 40-49 years, male 149.5
GTEX-17F9E-1926-SM-7IGQF 50-59 years, male 144.7
GTEX-16Z82-1926-SM-6M47U 60-69 years, male 143.6
GTEX-13JVG-2026-SM-5KM1N 60-69 years, male 142.5
GTEX-1JMLX-2326-SM-CXZJP 50-59 years, male 137.7
GTEX-OXRN-1726-SM-3NM9B 50-59 years, male 135.4
GTEX-1BAJH-2026-SM-7P8OZ 70-79 years, male 134.1
GTEX-PVOW-1626-SM-48TC9 40-49 years, male 133.7
GTEX-13FLV-1126-SM-5J2NO 50-59 years, male 132.6
GTEX-U8XE-1726-SM-4E3IF 30-39 years, male 132.3
GTEX-RUSQ-0826-SM-47JWW 50-59 years, male 126.7
GTEX-13O61-0926-SM-5IFFE 60-69 years, male 126.5
GTEX-1F88F-1126-SM-7MKHL 60-69 years, female 126.3
GTEX-17F97-1326-SM-7MGVO 50-59 years, male 113.0
GTEX-13X6I-1026-SM-5LU4C 60-69 years, male 112.2
GTEX-WVLH-1426-SM-4MVNX 50-59 years, male 108.9
GTEX-1A32A-1826-SM-72D5G 50-59 years, female 108.5
GTEX-ZAJG-1326-SM-5S2NV 50-59 years, female 102.7
GTEX-1EKGG-1726-SM-7MXUP 60-69 years, male 97.6
GTEX-WHWD-0926-SM-4OORY 50-59 years, male 97.3
GTEX-12ZZX-1326-SM-5DUWI 40-49 years, female 95.6
GTEX-1I1CD-1726-SM-A9G3P 60-69 years, female 93.9
GTEX-148VJ-1026-SM-5LU98 70-79 years, male 91.4
GTEX-11ZU8-1526-SM-5EGHX 60-69 years, male 89.5
GTEX-145MF-1426-SM-5O9B6 50-59 years, male 88.7
GTEX-1I6K7-1426-SM-B2LXP 40-49 years, male 86.9
GTEX-SJXC-1426-SM-EYYVB 60-69 years, male 86.8
GTEX-17HII-1526-SM-9OSVD 50-59 years, male 86.5
GTEX-15DYW-1826-SM-6LPIY 60-69 years, female 85.5
GTEX-QESD-0826-SM-47J4G 20-29 years, male 84.8
GTEX-11GSP-1826-SM-5N9DQ 60-69 years, female 84.6
GTEX-139UW-1126-SM-5IJEJ 60-69 years, male 82.5
GTEX-XLM4-2326-SM-4AT5E 60-69 years, male 80.4
GTEX-1AX8Z-5016-SM-AHZ2B 60-69 years, male 77.3
GTEX-ZYFC-1626-SM-5N9EU 50-59 years, male 75.9
GTEX-13OVJ-1226-SM-5L3HA 50-59 years, female 75.8
GTEX-145MO-1426-SM-DTX9W 60-69 years, male 75.1
GTEX-WHSE-1526-SM-4M1XH 20-29 years, male 74.9
GTEX-145LS-1826-SM-5LUAZ 60-69 years, female 74.5
GTEX-14BMU-0926-SM-5S2QB 20-29 years, female 73.3
GTEX-1R9K4-1926-SM-DPRZW 60-69 years, male 71.6
GTEX-11TUW-1326-SM-5EQKV 60-69 years, male 70.8
GTEX-S4Q7-0626-SM-4AD5M 20-29 years, male 68.5
GTEX-14PJ6-1026-SM-686ZB 60-69 years, female 68.1
GTEX-1KANB-1826-SM-DHXJU 50-59 years, male 67.7
GTEX-139TU-1226-SM-5J2NL 60-69 years, male 67.1
GTEX-S4P3-0426-SM-4AD56 50-59 years, female 64.8
GTEX-1GMR8-1826-SM-9WYUE 50-59 years, female 63.7
GTEX-11ONC-1526-SM-5GU6S 60-69 years, male 63.2
GTEX-12KS4-0926-SM-5BC5S 30-39 years, male 62.3
GTEX-117YW-1926-SM-5H121 50-59 years, male 60.2
GTEX-1211K-0926-SM-5FQTL 60-69 years, female 59.6
GTEX-1JMQK-2026-SM-C1YQN 60-69 years, male 59.6
GTEX-1212Z-2126-SM-5FQTM 60-69 years, male 59.4
GTEX-11DYG-1326-SM-5N9DO 60-69 years, male 54.9
GTEX-1JK1U-1726-SM-CNNPM 60-69 years, male 52.6
GTEX-1QEPI-1826-SM-EAZ3J 60-69 years, female 51.9
GTEX-1K9T9-2026-SM-CXZK3 50-59 years, female 51.5
GTEX-1LSNL-2226-SM-DHXKM 50-59 years, male 50.7
GTEX-WH7G-0926-SM-4LVMJ 40-49 years, male 50.2
GTEX-16AAH-0726-SM-793A9 50-59 years, male 49.9
GTEX-15DCE-1326-SM-6LPJL 20-29 years, male 49.0
GTEX-15EOM-5013-SM-7MKF9 20-29 years, female 47.7
GTEX-1F5PL-1726-SM-9QEGL 40-49 years, female 47.4
GTEX-1QP29-2126-SM-E6CPZ 50-59 years, male 46.7
GTEX-13YAN-1926-SM-7EPH9 60-69 years, male 46.6
GTEX-1IDFM-1126-SM-A96SY 60-69 years, male 45.4
GTEX-1HBPH-1126-SM-A96TU 40-49 years, female 45.0
GTEX-1PPGY-1726-SM-EVR3S 60-69 years, male 44.6
GTEX-1LSVX-1226-SM-DHXJN 60-69 years, male 43.7
GTEX-1A8FM-1526-SM-7MXTA 50-59 years, female 43.2
GTEX-1H1DG-1226-SM-9JGH3 70-79 years, male 42.4
GTEX-R55D-1126-SM-48FEB 50-59 years, male 42.1
GTEX-14C5O-1626-SM-73KYH 60-69 years, male 41.9
GTEX-15UF6-2326-SM-6M465 70-79 years, female 41.9
GTEX-131XG-1026-SM-5GCMX 50-59 years, female 41.8
GTEX-1HBPI-0626-SM-9WPP4 50-59 years, male 41.5
GTEX-SNOS-0626-SM-4DM5F 40-49 years, male 41.3
GTEX-1HCU8-2226-SM-9WPOV 60-69 years, female 41.1
GTEX-XV7Q-1126-SM-4BRVS 40-49 years, female 41.0
GTEX-14PK6-1326-SM-686ZE 70-79 years, female 40.8
GTEX-1AX9I-1426-SM-7DHM8 60-69 years, male 39.8
GTEX-132AR-2226-SM-5J2NT 50-59 years, female 39.5
GTEX-ZV68-0926-SM-59HK7 50-59 years, female 39.4
GTEX-1EMGI-1926-SM-7938Y 60-69 years, male 39.2
GTEX-TMMY-1126-SM-4DXSX 40-49 years, female 38.8
GTEX-ZZPT-1426-SM-5N9C5 50-59 years, male 38.3
GTEX-15EO6-1026-SM-7KUG9 50-59 years, male 37.4
GTEX-16XZY-0926-SM-7938M 70-79 years, male 36.9
GTEX-13O3Q-0826-SM-5IFGF 50-59 years, male 36.3
GTEX-147F3-0826-SM-5NQA7 50-59 years, female 36.0
GTEX-1GL5R-1526-SM-7MKHO 50-59 years, male 35.4
GTEX-RM2N-0726-SM-48FD5 50-59 years, male 35.2
GTEX-15EU6-1626-SM-6LPKF 50-59 years, male 35.1
GTEX-ZQUD-0426-SM-57WFR 30-39 years, male 34.9
GTEX-QLQ7-0926-SM-447BC 60-69 years, male 34.6
GTEX-1OJC3-0826-SM-DPRYU 20-29 years, male 34.4
GTEX-1QPFJ-1226-SM-EAZ3M 30-39 years, female 34.3
GTEX-ZAB5-0926-SM-5CVMV 50-59 years, male 33.8
GTEX-ZZ64-0226-SM-5E44X 20-29 years, male 33.8
GTEX-N7MS-1225-SM-3LK5G 60-69 years, male 33.5
GTEX-REY6-1326-SM-48FDO 60-69 years, male 33.1
GTEX-13NYB-0926-SM-5IFFA 40-49 years, male 33.0
GTEX-1C475-0926-SM-7MKFI 40-49 years, female 32.9
GTEX-OXRP-0926-SM-48TC1 60-69 years, female 32.3
GTEX-ZYW4-1326-SM-5E45N 60-69 years, male 32.3
GTEX-13CF3-1626-SM-5IFG9 60-69 years, female 31.8
GTEX-13G51-0926-SM-5IFFU 60-69 years, male 31.8
GTEX-17KNJ-1326-SM-7KFTG 50-59 years, male 31.6
GTEX-15ETS-1926-SM-7KUN5 40-49 years, female 31.4
GTEX-146FR-0426-SM-5SI97 60-69 years, female 31.3
GTEX-QLQW-0526-SM-4R1KS 30-39 years, male 31.3
GTEX-11TT1-0526-SM-5P9JO 20-29 years, male 31.0
GTEX-15UF7-0926-SM-6M46F 40-49 years, male 30.4
GTEX-11EI6-1526-SM-5P9GL 60-69 years, male 30.3
GTEX-14BIM-1326-SM-7EWD1 60-69 years, female 30.1
GTEX-1IKK5-1326-SM-AHZ2X 60-69 years, male 30.1
GTEX-1GMR3-1526-SM-9JGGL 40-49 years, male 29.8
GTEX-ZT9X-0526-SM-5GCOP 40-49 years, male 29.7
GTEX-1HGF4-0926-SM-9WPP8 60-69 years, male 29.7
GTEX-14E1K-1226-SM-5S2PD 50-59 years, male 29.6
GTEX-17HGU-1426-SM-7938G 50-59 years, male 29.6
GTEX-ZYVF-2226-SM-5GIDD 50-59 years, female 29.5
GTEX-14E6E-0726-SM-5S2R3 30-39 years, male 29.2
GTEX-P4QT-0626-SM-3NMCP 50-59 years, female 28.9
GTEX-18A6Q-1226-SM-7KFS9 60-69 years, male 28.4
GTEX-1HSKV-2426-SM-A8N8K 60-69 years, male 28.3
GTEX-P4PP-0626-SM-3NM9X 30-39 years, female 28.2
GTEX-TSE9-1226-SM-4DXTM 60-69 years, female 28.0
GTEX-1R7EU-0826-SM-DPRZL 60-69 years, male 27.8
GTEX-WFON-0826-SM-4LVMI 40-49 years, male 27.5
GTEX-1HCU7-2126-SM-A96SG 50-59 years, male 27.4
GTEX-1I1GU-1426-SM-B2LX3 40-49 years, male 27.3
GTEX-14PJN-0526-SM-68724 30-39 years, male 26.8
GTEX-P4QS-0626-SM-3NMD1 60-69 years, male 26.7
GTEX-1CB4J-2426-SM-7MXVC 60-69 years, male 26.4
GTEX-13U4I-1126-SM-5LU3S 40-49 years, female 26.3
GTEX-12WSN-5013-SM-7P8P9 40-49 years, male 26.2
GTEX-ZF29-1326-SM-DNZYV 60-69 years, female 26.2
GTEX-11EM3-0826-SM-5N9CC 20-29 years, female 25.9
GTEX-17F96-2526-SM-7DHL3 70-79 years, male 25.8
GTEX-1HBPM-1426-SM-9WPPE 60-69 years, female 25.5
GTEX-1KD4Q-1126-SM-CXZKK 40-49 years, male 25.5
GTEX-12WSD-1826-SM-5GCOA 60-69 years, female 25.2
GTEX-ZPU1-1426-SM-4WWFU 40-49 years, male 25.0
GTEX-1LVAM-1126-SM-DHXKP 50-59 years, female 25.0
GTEX-X4EO-1226-SM-4QARR 60-69 years, female 24.6
GTEX-1QP9N-0926-SM-E9U5S 30-39 years, male 24.6
GTEX-ZTPG-1626-SM-5DUX2 20-29 years, female 24.5
GTEX-13S86-0826-SM-5SI6J 40-49 years, male 24.3
GTEX-15ER7-2126-SM-7939E 20-29 years, female 24.2
GTEX-1GPI7-1026-SM-7MGY2 20-29 years, male 24.2
GTEX-1269C-1026-SM-5N9EY 60-69 years, female 24.1
GTEX-16MTA-0826-SM-6LLIC 50-59 years, male 24.1
GTEX-1EU9M-2326-SM-7MKGS 60-69 years, male 24.1
GTEX-1GTWX-1326-SM-9JGHU 60-69 years, male 23.7
GTEX-14DAQ-1426-SM-5RQJD 60-69 years, female 23.6
GTEX-1J1OQ-2526-SM-AHZ3Q 40-49 years, female 23.6
GTEX-XMK1-1326-SM-4B65Q 40-49 years, male 23.1
GTEX-S3XE-0926-SM-4AD4S 50-59 years, male 23.0
GTEX-1HC8U-1526-SM-9WPO4 40-49 years, female 22.8
GTEX-1QP67-0726-SM-DPRY1 40-49 years, female 22.6
GTEX-1H23P-1426-SM-9JGH5 60-69 years, male 22.4
GTEX-1MCQQ-1026-SM-EV7AX 60-69 years, male 22.3
GTEX-144GO-2726-SM-5O9A2 60-69 years, male 22.2
GTEX-14PJM-1526-SM-664NY 50-59 years, female 22.1
GTEX-X4LF-0626-SM-4QASB 50-59 years, male 22.1
GTEX-145LU-0926-SM-79OJL 50-59 years, male 22.0
GTEX-16NGA-1426-SM-718AC 40-49 years, female 21.9
GTEX-R55C-0826-SM-48FCL 40-49 years, male 21.8
GTEX-1JMQJ-1226-SM-D3L97 50-59 years, male 21.6
GTEX-1JMPZ-2026-SM-C1YR8 30-39 years, male 21.5
GTEX-PSDG-1326-SM-48TD2 50-59 years, male 21.4
GTEX-1EN7A-1226-SM-7MGX9 40-49 years, male 21.4
GTEX-OOBK-0625-SM-3LK5P 40-49 years, male 21.1
GTEX-133LE-0626-SM-5IFFJ 20-29 years, female 21.0
GTEX-11DZ1-2026-SM-5A5KG 50-59 years, male 20.7
GTEX-132QS-1426-SM-5P9GE 60-69 years, male 20.6
GTEX-139T6-0626-SM-5IFF9 50-59 years, male 20.6
GTEX-RTLS-1126-SM-46MUQ 60-69 years, female 20.5
GTEX-18465-1126-SM-7LG6E 50-59 years, male 20.4
GTEX-13FTW-1626-SM-5KM4N 40-49 years, male 20.1
GTEX-1AMFI-0226-SM-731D5 50-59 years, female 20.1
GTEX-ZYFG-1126-SM-5GICY 60-69 years, female 20.1
GTEX-1LGOU-0526-SM-D3LAO 20-29 years, female 19.9
GTEX-14PJ4-1526-SM-664OA 60-69 years, male 19.7
GTEX-Q2AG-1326-SM-43V8K 40-49 years, female 19.6
GTEX-11XUK-0826-SM-5GU6P 40-49 years, female 19.3
GTEX-13FH7-0526-SM-5IJF8 50-59 years, female 19.2
GTEX-11NUK-1326-SM-5P9GN 50-59 years, male 19.0
GTEX-R45C-1226-SM-48FEE 60-69 years, female 19.0
GTEX-N7MT-0326-SM-48TDP 60-69 years, female 18.9
GTEX-1I1GV-2226-SM-ARU7E 60-69 years, male 18.9
GTEX-111CU-0726-SM-5GZYD 50-59 years, male 18.8
GTEX-XXEK-0326-SM-4BRVV 50-59 years, male 18.8
GTEX-ZVE2-1326-SM-5NQ94 50-59 years, male 18.8
GTEX-13X6H-1326-SM-5LU42 50-59 years, female 18.7
GTEX-OXRL-0626-SM-3NM9C 50-59 years, male 18.7
GTEX-111YS-0926-SM-5EGGI 60-69 years, male 18.6
GTEX-ZEX8-1426-SM-4WKHQ 50-59 years, male 18.6
GTEX-1M5QR-0726-SM-DHXK7 40-49 years, male 18.6
GTEX-QEG5-1426-SM-447AS 20-29 years, male 18.3
GTEX-11ZTS-2626-SM-5EGIC 60-69 years, female 18.1
GTEX-Y114-0926-SM-4TT7J 50-59 years, female 18.1
GTEX-R3RS-1326-SM-48FE7 40-49 years, female 18.0
GTEX-XQ3S-1126-SM-4BOPK 20-29 years, male 18.0
GTEX-16NPX-1626-SM-6LLI5 50-59 years, male 17.9
GTEX-1F52S-1426-SM-7P8PU 60-69 years, female 17.5
GTEX-17JCI-1226-SM-793D9 60-69 years, female 17.3
GTEX-R53T-1126-SM-48FD4 50-59 years, female 17.3
GTEX-12BJ1-1626-SM-5HL8Y 60-69 years, male 17.2
GTEX-1B8KE-1826-SM-731FD 50-59 years, male 17.2
GTEX-13NZB-1226-SM-5J2MW 30-39 years, male 17.1
GTEX-XBED-1026-SM-48TCB 60-69 years, male 17.1
GTEX-QDVN-1026-SM-48TZA 50-59 years, male 17.0
GTEX-X4XY-1726-SM-46MVO 60-69 years, male 16.9
GTEX-132Q8-1826-SM-5EGIY 60-69 years, male 16.8
GTEX-1F7RK-1526-SM-7P8T6 20-29 years, female 16.7
GTEX-1H3NZ-1326-SM-9JGHI 60-69 years, male 16.7
GTEX-UPJH-1026-SM-EAZB2 50-59 years, male 16.7
GTEX-UJMC-0926-SM-4IHLK 50-59 years, male 16.6
GTEX-XK95-1026-SM-4GIDV 40-49 years, male 16.6
GTEX-11EQ9-0726-SM-5A5K2 30-39 years, male 16.4
GTEX-1B8KZ-0726-SM-7938W 50-59 years, male 16.4
GTEX-1LGRB-1626-SM-CNNR7 50-59 years, female 16.4
GTEX-12ZZW-1726-SM-5DUVD 50-59 years, male 16.3
GTEX-1MA7X-0726-SM-EV7AB 60-69 years, male 16.3
GTEX-1JMPY-0826-SM-AHZ4A 30-39 years, male 16.2
GTEX-146FQ-1026-SM-5LU8I 30-39 years, male 16.1
GTEX-145LT-1126-SM-5LUA1 40-49 years, male 16.0
GTEX-1AMEY-0226-SM-7189Q 30-39 years, female 16.0
GTEX-ZLFU-1126-SM-DO11K 40-49 years, male 16.0
GTEX-14ICK-2026-SM-6AJB2 40-49 years, male 15.9
GTEX-ZAK1-1526-SM-5S2OV 50-59 years, female 15.8
GTEX-13RTK-0526-SM-5S2QF 20-29 years, male 15.7
GTEX-X585-1226-SM-46MW7 50-59 years, male 15.7
GTEX-11EMC-2226-SM-5A5JW 60-69 years, female 15.5
GTEX-13OVI-2626-SM-5KM4T 60-69 years, female 15.5
GTEX-Q2AH-0826-SM-48TZN 40-49 years, male 15.5
GTEX-ZPCL-1426-SM-57WEC 60-69 years, female 14.9
GTEX-13PVR-1826-SM-5Q5CC 60-69 years, female 14.8
GTEX-11DXX-1126-SM-5GZZK 60-69 years, female 14.7
GTEX-13O21-0626-SM-5IJDI 50-59 years, male 14.6
GTEX-WK11-1026-SM-4OOS8 50-59 years, male 14.6
GTEX-13OW8-2326-SM-5L3I9 60-69 years, male 14.5
GTEX-14AS3-0626-SM-5QGQD 40-49 years, female 14.5
GTEX-12WSG-5007-SM-7DUGZ 50-59 years, female 14.3
GTEX-1HCU6-1326-SM-A96TZ 60-69 years, female 14.3
GTEX-1399U-1026-SM-5J1OC 50-59 years, female 14.1
GTEX-17EUY-1426-SM-7938X 20-29 years, male 14.1
GTEX-17HHE-0926-SM-7938K 50-59 years, male 14.1
GTEX-WEY5-0926-SM-4LMI4 40-49 years, female 14.0
GTEX-ZDYS-0826-SM-4WWCR 50-59 years, male 14.0
GTEX-SUCS-0726-SM-4DM7J 70-79 years, male 13.9
GTEX-VUSG-1226-SM-4KKZF 50-59 years, male 13.9
GTEX-13O1R-1326-SM-5IJF5 60-69 years, male 13.8
GTEX-11VI4-0526-SM-5EQ48 40-49 years, female 13.7
GTEX-S341-0526-SM-4AD5U 40-49 years, female 13.7
GTEX-11DXY-1426-SM-5N9CN 60-69 years, male 13.6
GTEX-1R9JW-1526-SM-DPRZK 30-39 years, female 13.5
GTEX-13PL7-0226-SM-731DT 60-69 years, female 13.3
GTEX-17MFQ-0526-SM-7KFTX 20-29 years, male 13.3
GTEX-YJ89-1526-SM-5P9IR 60-69 years, male 13.2
GTEX-OHPN-1026-SM-E9TI8 60-69 years, female 13.1
GTEX-QEG4-0726-SM-CNNRF 30-39 years, male 13.1
GTEX-1AX9K-1126-SM-731DQ 50-59 years, male 13.0
GTEX-UPK5-1226-SM-4IHL8 40-49 years, male 12.9
GTEX-1497J-2726-SM-5SI9W 60-69 years, male 12.8
GTEX-TML8-1526-SM-4DXUX 40-49 years, female 12.8
GTEX-Y3I4-1226-SM-4TT8N 50-59 years, male 12.8
GTEX-YECK-1626-SM-5IFHQ 60-69 years, male 12.8
GTEX-1HCVE-1226-SM-9WPPH 50-59 years, male 12.8
GTEX-1I1GS-2126-SM-ARU7G 60-69 years, male 12.8
GTEX-Y5V5-1626-SM-4VDSG 60-69 years, female 12.7
GTEX-ZTX8-0226-SM-5E44D 20-29 years, male 12.7
GTEX-SE5C-1226-SM-4BRWV 40-49 years, female 12.6
GTEX-TKQ1-0326-SM-4DXSM 30-39 years, male 12.6
GTEX-WHPG-1126-SM-4M1XT 50-59 years, male 12.6
GTEX-14H4A-1626-SM-5SI69 40-49 years, female 12.5
GTEX-WYVS-0726-SM-4ONDO 40-49 years, female 12.5
GTEX-1B97J-1026-SM-7MXTE 50-59 years, female 12.5
GTEX-O5YV-1026-SM-3LK72 60-69 years, female 12.2
GTEX-XUZC-0426-SM-4BOPE 30-39 years, female 12.2
GTEX-ZF3C-1626-SM-4WWB4 50-59 years, female 12.2
GTEX-1J8QM-1926-SM-AHZ3Z 60-69 years, female 12.2
GTEX-11LCK-1726-SM-5S2OQ 30-39 years, male 12.1
GTEX-1LG7Z-0926-SM-CXKYK 30-39 years, male 12.1
GTEX-13FHP-1526-SM-5IJGE 50-59 years, male 12.0
GTEX-ZF2S-1226-SM-4WWAX 50-59 years, female 12.0
GTEX-1JKYN-1526-SM-CGQGA 30-39 years, male 12.0
GTEX-183WM-1726-SM-7KFT5 70-79 years, female 11.9
GTEX-1QW4Y-0526-SM-EAZ3V 30-39 years, male 11.9
GTEX-QV44-1126-SM-CL55C 50-59 years, male 11.9
GTEX-1E1VI-1526-SM-7IGQ2 50-59 years, male 11.8
GTEX-U3ZM-0526-SM-4DXTB 40-49 years, male 11.8
GTEX-1B996-1826-SM-7MGY6 60-69 years, male 11.7
GTEX-1HB9E-1526-SM-D3LA6 50-59 years, male 11.7
GTEX-1R9K5-1526-SM-DPRZA 50-59 years, male 11.7
GTEX-OIZF-0626-SM-7MKHG 60-69 years, male 11.7
GTEX-R55G-1026-SM-48FDI 40-49 years, female 11.6
GTEX-XMD2-1326-SM-4YCET 60-69 years, female 11.6
GTEX-P78B-1026-SM-3NMC4 40-49 years, female 11.5
GTEX-NPJ8-1926-SM-3MJGB 40-49 years, male 11.4
GTEX-XGQ4-1526-SM-4AT6H 50-59 years, male 11.3
GTEX-131YS-1426-SM-5IJF7 60-69 years, female 11.2
GTEX-VJYA-0726-SM-4KL1T 60-69 years, male 11.1
GTEX-WRHK-0526-SM-4MVOF 20-29 years, female 11.1
GTEX-1GN1U-1826-SM-9JGH2 50-59 years, female 11.0
GTEX-11NSD-1126-SM-5N9BQ 20-29 years, male 10.9
GTEX-13QBU-1026-SM-5LU3R 40-49 years, female 10.9
GTEX-14JIY-0926-SM-6871D 60-69 years, male 10.9
GTEX-WFG8-1226-SM-4V6EI 20-29 years, male 10.9
GTEX-1CAMQ-2726-SM-7MKGD 40-49 years, male 10.9
GTEX-1LBAC-1226-SM-DHXK1 20-29 years, male 10.9
GTEX-ZVT2-1326-SM-5E45H 50-59 years, female 10.8
GTEX-1LVA9-2126-SM-DLHBY 50-59 years, male 10.7
GTEX-P4PQ-0626-SM-3NMCU 60-69 years, male 10.5
GTEX-1I1GQ-1726-SM-B2LWZ 50-59 years, male 10.5
GTEX-1K2DU-1726-SM-EV79S 20-29 years, male 10.5
GTEX-13FHO-1726-SM-DPRZX 60-69 years, male 10.4
GTEX-13OVK-1126-SM-6PAMR 40-49 years, male 10.3
GTEX-1JKYR-2126-SM-CNNPC 20-29 years, male 10.3
GTEX-1PIGE-0926-SM-E9U5Z 20-29 years, male 10.3
GTEX-139YR-1726-SM-5IFFK 50-59 years, male 10.2
GTEX-14A6H-1326-SM-5NQBC 30-39 years, male 10.1
GTEX-17F98-1726-SM-7938O 40-49 years, female 10.1
GTEX-18A7A-2326-SM-7KFRH 50-59 years, female 10.1
GTEX-ZAB4-1126-SM-5HL86 40-49 years, male 10.1
GTEX-1QP2A-1926-SM-EXOJ9 50-59 years, male 10.1
GTEX-15SB6-0726-SM-6M48F 50-59 years, female 10.0
GTEX-1A3MV-1326-SM-7LG6C 30-39 years, male 10.0
GTEX-1F75I-1726-SM-7MKGW 40-49 years, male 10.0
GTEX-RU1J-0326-SM-46MUM 20-29 years, female 10.0
GTEX-1ICG6-1926-SM-ARU7L 70-79 years, female 10.0
GTEX-1QCLZ-1626-SM-E9U5R 60-69 years, female 10.0
GTEX-12ZZY-1426-SM-5N9EI 60-69 years, male 9.9
GTEX-13111-0826-SM-5LZV3 50-59 years, male 9.9
GTEX-PWN1-0626-SM-48TDT 40-49 years, female 9.9
GTEX-1N2EE-2426-SM-EXOIO 60-69 years, male 9.9
GTEX-WFG7-1126-SM-4LMK3 20-29 years, male 9.8
GTEX-1HFI6-1226-SM-A96SK 40-49 years, male 9.8
GTEX-14B4R-0326-SM-5TDDP 30-39 years, male 9.7
GTEX-14ICL-0526-SM-5RQJ6 30-39 years, male 9.7
GTEX-WHSB-0426-SM-4M1XI 50-59 years, male 9.6
GTEX-13QJ3-1726-SM-5RQK9 50-59 years, male 9.5
GTEX-OXRK-1326-SM-3NB1A 50-59 years, female 9.5
GTEX-YB5K-0826-SM-5YYB7 40-49 years, female 9.5
GTEX-14PKV-1726-SM-6871U 20-29 years, female 9.4
GTEX-1B933-2026-SM-7EWFC 50-59 years, female 9.4
GTEX-169BO-0526-SM-793AK 50-59 years, male 9.3
GTEX-1EX96-2226-SM-7MKGT 50-59 years, male 9.3
GTEX-T6MO-0526-SM-4DM6R 40-49 years, female 9.3
GTEX-1LG7Y-1726-SM-EV7AR 50-59 years, male 9.3
GTEX-13W3W-1626-SM-5LU35 60-69 years, female 9.2
GTEX-16MT8-1326-SM-6M47R 60-69 years, female 9.2
GTEX-Y5LM-1026-SM-4VDSQ 40-49 years, female 9.2
GTEX-ZG7Y-1126-SM-4WWEZ 50-59 years, male 9.2
GTEX-ZVP2-1326-SM-57WCE 50-59 years, male 9.2
GTEX-1MA7W-0426-SM-E9TJ5 20-29 years, female 9.2
GTEX-144FL-2726-SM-5O98Z 50-59 years, male 9.1
GTEX-16A39-1026-SM-6LPJU 30-39 years, female 9.1
GTEX-ZGAY-1126-SM-4WWBS 40-49 years, female 9.1
GTEX-14PHY-0626-SM-664NN 60-69 years, female 9.0
GTEX-S32W-0926-SM-4AD5X 50-59 years, female 9.0
GTEX-1H1ZS-1526-SM-9OSXR 70-79 years, male 9.0
GTEX-1MGNQ-1626-SM-EAZ4Z 40-49 years, male 9.0
GTEX-131XE-1426-SM-5HL7V 50-59 years, male 8.8
GTEX-17EVQ-1926-SM-7IGOF 70-79 years, male 8.8
GTEX-18A66-1426-SM-7KFRT 60-69 years, male 8.8
GTEX-1EWIQ-1526-SM-79OO7 70-79 years, female 8.8
GTEX-QEL4-1426-SM-447AC 50-59 years, male 8.8
GTEX-Y3IK-1126-SM-51MSV 50-59 years, female 8.8
GTEX-1RDX4-2126-SM-EV7B3 50-59 years, female 8.8
GTEX-QCQG-0626-SM-48U21 50-59 years, female 8.7
GTEX-Y9LG-0626-SM-4WWDH 30-39 years, male 8.7
GTEX-13D11-1926-SM-5IFGB 50-59 years, female 8.6
GTEX-WFJO-0826-SM-4LVM5 30-39 years, male 8.6
GTEX-Z9EW-0526-SM-5HL8S 40-49 years, male 8.6
GTEX-YFC4-1226-SM-5LU9R 40-49 years, female 8.5
GTEX-ZT9W-1326-SM-51MTB 50-59 years, male 8.5
GTEX-ZTSS-0626-SM-59867 40-49 years, male 8.5
GTEX-1CB4H-1526-SM-7MXU4 60-69 years, female 8.5
GTEX-1HSGN-1626-SM-A96U2 40-49 years, female 8.5
GTEX-12WSK-1126-SM-5LZV8 40-49 years, female 8.4
GTEX-146FH-1726-SM-5QGQ2 50-59 years, female 8.4
GTEX-18D9A-0526-SM-7KFSW 30-39 years, female 8.4
GTEX-QDVJ-0726-SM-48U1W 50-59 years, male 8.4
GTEX-S95S-0426-SM-4B64I 60-69 years, male 8.4
GTEX-T5JC-1726-SM-4DM6U 20-29 years, male 8.4
GTEX-1PFEY-0826-SM-E9U6A 30-39 years, male 8.4
GTEX-1QP28-1826-SM-EAZ4L 50-59 years, female 8.4
GTEX-S7SF-0926-SM-4AD4M 20-29 years, female 8.3
GTEX-12696-1326-SM-5FQTJ 60-69 years, male 8.2
GTEX-148VI-1026-SM-5TDDJ 60-69 years, female 8.2
GTEX-14C38-2126-SM-5RQJO 50-59 years, male 8.2
GTEX-18A67-2426-SM-7LT95 50-59 years, male 8.2
GTEX-QVUS-0626-SM-447CC 60-69 years, female 8.2
GTEX-Y8LW-0726-SM-5IFI1 50-59 years, female 8.2
GTEX-14BIN-2726-SM-5RQIE 50-59 years, female 8.1
GTEX-1AX9J-1826-SM-731FM 60-69 years, male 8.1
GTEX-15DCD-1626-SM-6AJBH 70-79 years, female 8.0
GTEX-18D9B-2026-SM-7LT96 60-69 years, male 8.0
GTEX-183FY-1526-SM-7IGOW 20-29 years, male 7.9
GTEX-1PPH8-1626-SM-E6CQP 20-29 years, male 7.9
GTEX-12WSL-1526-SM-5GCP8 50-59 years, male 7.8
GTEX-1MJIX-0826-SM-DTXEO 40-49 years, male 7.8
GTEX-14JG6-0926-SM-6871Y 30-39 years, female 7.7
GTEX-ZA64-0626-SM-5HL9O 20-29 years, male 7.7
GTEX-1IKOE-1526-SM-C1YSD 30-39 years, female 7.7
GTEX-1399R-0826-SM-5IJEL 30-39 years, male 7.6
GTEX-OIZH-0626-SM-3NB1L 50-59 years, male 7.6
GTEX-PWCY-0726-SM-48TCS 20-29 years, female 7.6
GTEX-1KAFJ-0626-SM-D3L8X 50-59 years, male 7.6
GTEX-T8EM-0526-SM-4DM64 40-49 years, male 7.5
GTEX-V955-1126-SM-4JBH3 60-69 years, male 7.5
GTEX-X62O-2226-SM-46MW3 50-59 years, male 7.5
GTEX-1J8EW-1326-SM-AHZ3S 60-69 years, female 7.5
GTEX-1CB4E-1026-SM-793AB 60-69 years, male 7.4
GTEX-1RLM8-0726-SM-E6CRH 50-59 years, male 7.4
GTEX-13FTX-0526-SM-5IFGS 20-29 years, female 7.3
GTEX-145MN-1026-SM-5NQ9G 30-39 years, male 7.3
GTEX-1HCUA-1426-SM-9WPP7 50-59 years, female 7.3
GTEX-1HKZK-1426-SM-A96U1 40-49 years, male 7.3
GTEX-1NUQO-1126-SM-DTX98 20-29 years, female 7.3
GTEX-131XF-0826-SM-5GICG 60-69 years, male 7.2
GTEX-13W46-1926-SM-5J2MF 50-59 years, male 7.2
GTEX-15RIE-0826-SM-6M47X 60-69 years, male 7.2
GTEX-1C64O-1826-SM-7DHM4 60-69 years, male 7.2
GTEX-PLZ4-1626-SM-3P618 50-59 years, female 7.2
GTEX-RNOR-1226-SM-48FDQ 50-59 years, female 7.2
GTEX-12WSA-1426-SM-5EGJU 60-69 years, male 7.1
GTEX-RVPV-0526-SM-47JYL 60-69 years, male 7.1
GTEX-1I1GR-1326-SM-ARU7B 60-69 years, male 7.1
GTEX-14DAR-0826-SM-73KYJ 50-59 years, male 7.0
GTEX-18D9U-2126-SM-7LG4Y 40-49 years, male 7.0
GTEX-WQUQ-1626-SM-4OOSH 60-69 years, male 7.0
GTEX-X15G-0826-SM-4PQZD 50-59 years, female 7.0
GTEX-145ME-5004-SM-7MGXP 40-49 years, female 7.0
GTEX-1399S-1326-SM-5P9GH 30-39 years, female 6.9
GTEX-13X6K-2126-SM-5O9D4 60-69 years, female 6.9
GTEX-178AV-0526-SM-6LPJH 40-49 years, male 6.9
GTEX-WYJK-1926-SM-4ONDP 50-59 years, male 6.9
GTEX-1S83E-0826-SM-EV7B7 40-49 years, male 6.9
GTEX-POYW-1326-SM-48TCG 60-69 years, male 6.8
GTEX-RU72-0726-SM-46MUW 50-59 years, female 6.8
GTEX-T2IS-0826-SM-4DM6L 20-29 years, female 6.8
GTEX-U3ZN-1726-SM-4DXUQ 30-39 years, female 6.8
GTEX-UJHI-0826-SM-4IHLM 50-59 years, female 6.8
GTEX-1GMR2-1526-SM-7MXV6 50-59 years, male 6.8
GTEX-1R9PM-0926-SM-DPRYA 20-29 years, male 6.8
GTEX-12C56-1226-SM-5FQSU 20-29 years, male 6.7
GTEX-1CB4F-1526-SM-7MKFM 60-69 years, male 6.7
GTEX-1HSMQ-2026-SM-B2LY1 50-59 years, male 6.7
GTEX-OIZI-1426-SM-3NB1T 40-49 years, male 6.6
GTEX-ZYT6-1126-SM-5GZYR 30-39 years, male 6.6
GTEX-1IY9M-1626-SM-AHZ39 60-69 years, male 6.6
GTEX-1AYD5-0926-SM-793AF 50-59 years, male 6.5
GTEX-OIZG-1026-SM-3LK5X 50-59 years, male 6.5
GTEX-1GN1W-2226-SM-9JGI5 50-59 years, female 6.5
GTEX-X4EP-1626-SM-4QAS6 60-69 years, female 6.4
GTEX-YB5E-0926-SM-4WWDQ 40-49 years, male 6.4
GTEX-YF7O-0926-SM-5IFIF 50-59 years, male 6.4
GTEX-1CB4G-1326-SM-7MKFP 60-69 years, male 6.3
GTEX-Q2AI-0626-SM-48TZU 40-49 years, male 6.3
GTEX-1N2DW-1426-SM-EV7AZ 50-59 years, male 6.3
GTEX-1S82Y-1226-SM-EV7BD 40-49 years, male 6.3
GTEX-11P81-0826-SM-5P9GR 30-39 years, female 6.2
GTEX-XYKS-1526-SM-4BRUP 60-69 years, female 6.2
GTEX-1IDJF-1226-SM-C1YPX 20-29 years, male 6.2
GTEX-1IDJH-2026-SM-CNNQX 70-79 years, male 6.2
GTEX-1J1R8-0326-SM-AHZ3D 40-49 years, male 6.2
GTEX-T2YK-1326-SM-4DM6S 50-59 years, male 6.1
GTEX-ZC5H-1326-SM-5HL7E 40-49 years, female 6.1
GTEX-ZLV1-0526-SM-4WWD4 60-69 years, female 6.1
GTEX-1QCLY-1526-SM-DPRXX 30-39 years, male 6.1
GTEX-ZLWG-1326-SM-DNZYZ 50-59 years, female 6.1
GTEX-144GN-0626-SM-5O9B2 50-59 years, male 6.0
GTEX-V1D1-1026-SM-4JBHE 50-59 years, male 6.0
GTEX-1RAZS-2626-SM-EV79C 50-59 years, male 6.0
GTEX-PLZ5-0926-SM-3TW8L 50-59 years, male 5.9
GTEX-PLZ6-0526-SM-3P61C 30-39 years, male 5.9
GTEX-Y5V6-1026-SM-4VBS2 60-69 years, male 5.9
GTEX-18QFQ-1026-SM-7LG6B 30-39 years, male 5.9
GTEX-1H11D-2126-SM-9OSXM 40-49 years, male 5.9
GTEX-1EH9U-2426-SM-7EWFG 60-69 years, male 5.8
GTEX-U4B1-0826-SM-4DXTW 40-49 years, male 5.8
GTEX-ZE9C-1126-SM-4WWBD 60-69 years, male 5.8
GTEX-Y111-1626-SM-57WCY 50-59 years, male 5.7
GTEX-1H1DE-1026-SM-9JGH6 20-29 years, male 5.7
GTEX-1LNCM-0626-SM-EV7AI 50-59 years, female 5.7
GTEX-ZXES-1126-SM-5GZXN 30-39 years, female 5.6
GTEX-SNMC-0526-SM-4DM69 20-29 years, male 5.5
GTEX-ZYY3-1526-SM-5SIA9 60-69 years, female 5.5
GTEX-WXYG-1226-SM-4ONCJ 50-59 years, female 5.4
GTEX-NFK9-1126-SM-3LK78 40-49 years, male 5.3
GTEX-15SHU-1426-SM-6LPIN 40-49 years, female 5.2
GTEX-1B97I-0926-SM-731DZ 40-49 years, male 5.2
GTEX-14PJ3-0626-SM-6UGC5 50-59 years, male 5.2
GTEX-1IDJD-1626-SM-C1YRC 30-39 years, male 5.2
GTEX-1LVAN-2326-SM-CNNPY 50-59 years, female 5.2
GTEX-1C2JI-1126-SM-731FH 50-59 years, male 5.1
GTEX-ZUA1-1226-SM-5NQ6O 40-49 years, male 5.1
GTEX-1I4MK-0426-SM-B2LWQ 50-59 years, female 5.1
GTEX-1OKEX-1326-SM-E9J2U 60-69 years, male 5.1
GTEX-11P82-0526-SM-5986P 20-29 years, male 5.0
GTEX-16BQI-1526-SM-6LLIE 30-39 years, female 5.0
GTEX-XBEW-1326-SM-4AT63 40-49 years, male 5.0
GTEX-1CB4I-1026-SM-7MKFZ 50-59 years, male 4.9
GTEX-S33H-0826-SM-4AD5Y 30-39 years, male 4.9
GTEX-ZDTT-1326-SM-4WKFH 60-69 years, male 4.9
GTEX-1RAZR-1226-SM-E6CRD 40-49 years, male 4.9
GTEX-R55E-1326-SM-48FCR 20-29 years, male 4.8
GTEX-1399Q-1126-SM-5P9JA 40-49 years, male 4.7
GTEX-WOFM-0626-SM-4OOS3 20-29 years, male 4.7
GTEX-XQ8I-1526-SM-4BOOH 50-59 years, male 4.7
GTEX-1122O-1726-SM-5GICM 60-69 years, female 4.6
GTEX-RWS6-0826-SM-47JXF 60-69 years, female 4.5
GTEX-U3ZH-1026-SM-4DXUZ 30-39 years, male 4.5
GTEX-YEC4-1026-SM-9WG7N 40-49 years, male 4.5
GTEX-13OVG-0626-SM-5IFEP 60-69 years, male 4.4
GTEX-1F5PK-1526-SM-7MKGV 50-59 years, male 4.3
GTEX-1MCC2-1926-SM-DHXJR 30-39 years, female 4.3
GTEX-15F5U-5010-SM-AHZ2D 40-49 years, male 4.1
GTEX-1RAZA-1326-SM-DPS12 20-29 years, male 4.1
GTEX-1KANA-0626-SM-D4P3I 20-29 years, male 3.9
GTEX-11DXZ-1226-SM-5H11L 50-59 years, male 3.7
GTEX-1N2DV-2026-SM-EV7BL 40-49 years, male 3.7
GTEX-RN64-1026-SM-48FDX 50-59 years, male 3.6
GTEX-11P7K-1326-SM-5BC5G 30-39 years, male 3.5
GTEX-1KXAM-0826-SM-CXZK9 60-69 years, male 3.5
GTEX-YEC3-2526-SM-CXZIH 50-59 years, male 3.4
GTEX-11I78-1526-SM-5A5K7 50-59 years, female 3.3
GTEX-145LV-1326-SM-5S2QI 50-59 years, male 3.3
GTEX-1GF9U-0826-SM-7MXTZ 40-49 years, female 3.3
GTEX-1K2DA-0626-SM-CGQGO 50-59 years, male 3.3
GTEX-1L5NE-1426-SM-DHXKV 50-59 years, male 3.2
GTEX-1MCYP-1026-SM-DPRYB 20-29 years, female 3.2
GTEX-1RAZQ-1726-SM-EAZ4T 30-39 years, male 3.2
GTEX-Y8E4-1726-SM-5LU9G 40-49 years, male 3.0
GTEX-1LB8K-1326-SM-CXZKB 50-59 years, male 2.9
GTEX-W5WG-1626-SM-4LMKG 50-59 years, female 2.8
GTEX-X3Y1-1326-SM-4PQZB 40-49 years, male 2.8
GTEX-14PJ5-0526-SM-664OE 60-69 years, female 2.7
GTEX-15RJE-0926-SM-6LLHZ 40-49 years, male 2.2
GTEX-15RIF-0826-SM-6M47C 20-29 years, male 2.1
GTEX-1NSGN-2026-SM-DPRYM 50-59 years, male 1.4
Show allShow less

ESOPHAGUS - FANTOM5 CAGEi

RNA expression in human tissues obtained through Cap Analysis of Gene Expression (CAGE) generated by the FANTOM5 project are reported as Scaled Tags Per Million.

Max subtype Scaled Tags Per Millioni

Max subtype Scaled Tags Per Million is the value for the subtype with the largest average Scaled Tags Per Million across the subtype samples.

245.7
FANTOM5 sample id Sample description Scaled Tags Per Million
Esophagus
Scaled Tags Per Million: 245.7
FF:10015-101C6 68,74,75 years, mixed 245.7

Contact

  • NEWS ARTICLES
  • PRESS ROOM

The Project

  • INTRODUCTION
  • ORGANIZATION
  • PUBLICATIONS

The Human Protein Atlas

  • DOWNLOADABLE DATA
  • LICENCE & CITATION
  • HELP & FAQ
The Human Protein Atlas project is funded
by the Knut & Alice Wallenberg Foundation.


contact@proteinatlas.org