We use cookies to enhance the usability of our website. If you continue, we'll assume that you are happy to receive all cookies. More information. Don't show this again.
UACA
HPA
RESOURCES
  • TISSUE
  • BRAIN
  • SINGLE CELL
  • SUBCELLULAR
  • CANCER
  • BLOOD
  • CELL LINE
  • STRUCTURE & INTERACTION
ABOUT
  • INTRODUCTION
  • HISTORY
  • ORGANIZATION
  • PUBLICATIONS
  • ANTIBODY SUBMISSION
  • ANTIBODY AVAILABILITY
  • ACKNOWLEDGMENTS
  • CONTACT
NEWS
  • NEWS ARTICLES
  • PRESS ROOM
LEARN
  • DICTIONARY
  • PROTEIN CLASSES
  • PROTEIN EVIDENCE
  • METHODS
  • EDUCATIONAL VIDEOS
DATA
  • DOWNLOADABLE DATA
  • PUBLICATION DATA
  • RELEASE HISTORY
HELP
  • ANTIBODY VALIDATION
  • ASSAYS & ANNOTATION
  • DISCLAIMER
  • HELP & FAQ
  • PRIVACY STATEMENT
  • LICENCE & CITATION
Fields »
Search result

Field
Term
Gene name
Class
Subclass
Class
Keyword
Chromosome
External id
Tissue
Cell type
Expression
Antibody panel
Tissue
Main location
Patient ID
Annotation
Tissue
Category
Tau score
Cluster
Reliability
Brain region
Category
Tau score
Brain region
Category
Tau score
Brain region
Category
Tau score
Cluster
Reliability
Tissue
Cell type
Enrichment
Cell type
Category
Tau score
Cell type
Category
Tau score
Cell type
Category
Tau score
Cell lineage
Category
Tau score
Cluster
Cluster
Location
Searches
Location
Cell line
Class
Type
Phase
Reliability
Cancer
Prognosis
Cancer
Category
Cancer
Category
Tau score
Cluster
Variants
Interacting gene (ensg_id)
Type
Number of interactions
Pathway
Category
Score
Score
Score
Validation
Validation
Validation
Validation
Antibodies
Data type
Column


  • SUMMARY

  • TISSUE

  • BRAIN

  • SINGLE CELL

  • SUBCELL

  • CANCER

  • BLOOD

  • CELL LINE

  • STRUCT & INT

  • UACA
CANCER MELANOMA Show tissue menu
BREAST CANCER CARCINOID CERVICAL CANCER COLORECTAL CANCER ENDOMETRIAL CANCER GLIOMA HEAD AND NECK CANCER LIVER CANCER LUNG CANCER LYMPHOMA
MELANOMA OVARIAN CANCER PANCREATIC CANCER PROSTATE CANCER RENAL CANCER SKIN CANCER STOMACH CANCER TESTIS CANCER THYROID CANCER UROTHELIAL CANCER
SKCM TCGA PROTEIN EXPRESSION
ANTIBODIES
AND
VALIDATION
Dictionary
Melanoma
Human cancer
Skin cuteneous melanoma
SKIN CUTENEOUS MELANOMA (TCGA) - Interactive survival scatter ploti

The Survival Scatter plot shows the clinical status (i.e. dead or alive) for all individuals in the patient cohort, based on the same data that underlies the corresponding Kaplan-Meier plots. Patients that are alive at last time for follow-up are shown in blue and patients who have died during the study are shown in red.

The x-axis shows the expression levels (FPKM) of the investigated gene in the tumor tissue at the time of diagnosis. The y-axis shows the follow-up time after diagnosis (years). Both axes are complimented with kernel density curves demonstrating the data density over the axes. The top density plot shows the expression levels (FPKM) distribution among dead (red) and alive patients (blue). The right density plot shows the data density of the survived years of dead patients with high and low expression levels respectively, stratified using the cutoff indicated by the vertical dashed line through the Survival Scatter plot. This cutoff is automatically defined based on the FPKM cutoff that minimizes the p-score. The cutoff can be changed by dragging the vertical line or by entering a cutoff value in the square labeled "Current cut-off".

Under the Survival Scatter plot the p-score landscape (black curve; left axis) is shown together with dead median separation (red curve; right axis). Dead median separation is the difference in median mRNA expression between patients who have died with high and low expression, respectively. It is calculated as follows: median FPKM expression of dead patients with high expression - median FPKM expression of dead patients with low expression. This is intended to aid the user in visually exploring custom cutoffs and the associated p-scores and dead median separation.

Individual patient data is displayed and can be filtered by clicking on one or more of the category buttons on the top of the page. Categories describing expression level and patient information include: high, low, alive, dead, female, male and tumor stages. The scale of the x-axis can be toggled between linear and log-scale by clicking on the "x log" button. Mouse-over function shows TCGA ID, patient information and mRNA expression (FPKM) for each patient.

& Survival analysisi

Kaplan-Meier plots summarize results from analysis of correlation between mRNA expression level and patient survival. Patients were divided based on level of expression into one of the two groups "low" (under cut off) or "high" (over cut off). X-axis shows time for survival (years) and y-axis shows the probability of survival, where 1.0 corresponds to 100 percent.

UACA is not prognostic in Skin Cuteneous Melanoma (TCGA)


Stage:


Survival analysis
Current cut offi

Current cut-off shows the cut-off (FPKM) currently selected. It may be changed manually. When the current cut-off is changed, the vertical dashed line indicating cut-off, the interactive survival scatter plot and the Kaplan-Meier curve will be automatically adjusted to show results accordingly.

:
Best expression cut offi

Based on the FPKM value of each gene, patients were classified into two groups and association between prognosis (survival) and gene expression (FPKM) was examined. The best expression cut-off refers the FPKM value that yields maximal difference with regard to survival between the two groups at the lowest log-rank P-value. Best expression cut-off was selected based on survival analysis .

When clicking on this number, the vertical dashed line indicating cut-off, the interactive survival plot, and the Kaplan-Meier curve will be adjusted to show results based on the best expression cut-off.

: 11.67
Median expressioni

Median expression refers to the median FPKM value calculated based on the gene expression (FPKM) data from all patients in this dataset. When clicking on this number, the vertical dashed line indicating cut-off, the interactive survival plot, and the Kaplan-Meier curve will be adjusted to show results based on the median expression.

: N/A
Median follow up timei

Median follow up time refers to the median time (years) after diagnosis with this type of cancer, based on clinical data from all patients in this dataset.

: N/A
P scorei

Log-rank P value for Kaplan-Meier plot showing results from analysis of correlation between mRNA expression level and patient survival.

N/A
3-year survival highi

5-year survival for patients with higher expression than the expression cutoff.

For melanoma and glioma, 3-year survival is shown.

N/A
3-year survival lowi

5-year survival for patients with lower expression than the expression cutoff.

For melanoma and glioma, 3-year survival is shown.

N/A
TCGA RNA samplesi

RNA-seq data is reported as average FPKM (number Fragments Per Kilobase of exon per Million reads), generated by the The Cancer Genome Atlas (TCGA) .

Normal distribution across the dataset is visualized with box plots, shown as median and 25th and 75th percentiles. Points are displayed as outliers if they are above or below 1.5 times the interquartile range. FPKM values of the individual samples are presented next to the box plot.

Average pTPM 13.8
Number of samples 99
Samples
Sample Description pTPM
TCGA-ER-A19T-01A 51 years, male, white, stage:Stage IV, dead, 270 days 49.2
TCGA-EB-A5FP-01A 65 years, female, white, stage:Stage IV, dead, 454 days 44.4
TCGA-FR-A3R1-01A 69 years, male, white, stage:Stage IIC, alive, 685 days 43.5
TCGA-EB-A3Y6-01A 56 years, female, white, stage:Stage IIC, alive, 126 days 34.6
TCGA-EB-A44O-01A 69 years, male, white, stage:Stage IIB, alive, 81 days 33.3
TCGA-EB-A6R0-01A 58 years, female, white, stage:Stage IIC, dead, 608 days 33.3
TCGA-D9-A4Z2-01A 50 years, male, white, stage:Stage IIIC, dead, 190 days 32.7
TCGA-D9-A3Z4-01A 54 years, male, white, stage:Stage IIIC, dead, 519 days 32.1
TCGA-BF-A1Q0-01A 80 years, male, white, stage:Stage IIC, alive, 831 days 30.3
TCGA-EB-A431-01A 34 years, male, white, stage:Stage IIC, alive, 568 days 30.3
TCGA-BF-AAP1-01A 86 years, male, white, stage:Stage IIC, alive, 409 days 27.1
TCGA-FW-A5DX-01A 71 years, male, white, stage:Stage IIIC, alive, 640 days 27.0
TCGA-EB-A51B-01A 53 years, male, white, stage:Stage IIC, alive, 931 days 26.9
TCGA-XV-A9W5-01A 51 years, male, white, stage:Not Reported, alive, 392 days 26.9
TCGA-GF-A2C7-01A 48 years, male, white, stage:Stage IIC, alive, 21 days 26.6
TCGA-EB-A24C-01A 56 years, male, white, stage:'--, alive, 632 days 26.5
TCGA-EB-A4XL-01A 56 years, female, white, stage:Stage IIC, alive, 777 days 26.4
TCGA-ER-A42H-01A 76 years, male, white, stage:'--, dead, 426 days 26.2
TCGA-EB-A24D-01A 72 years, male, white, stage:Stage IIIB, alive, 645 days 24.5
TCGA-EB-A44P-01A 58 years, female, white, stage:Stage IIC, alive, 741 days 23.5
TCGA-FR-A2OS-01A 49 years, female, white, stage:Stage IIC, dead, 368 days 23.5
TCGA-BF-A1PV-01A 74 years, female, white, stage:Stage IIC, alive, 14 days 22.5
TCGA-EB-A6QY-01A 71 years, male, white, stage:Stage IIC, alive, 382 days 22.3
TCGA-BF-A3DN-01A 81 years, female, white, stage:Stage IIIC, alive, 717 days 21.9
TCGA-FS-A1ZN-01A 43 years, male, white, stage:Stage IIIA, dead, 730 days 19.0
TCGA-GN-A8LN-01A 68 years, male, white, stage:Stage IIC, alive, 772 days 19.0
TCGA-BF-A3DM-01A 63 years, male, white, stage:Stage IIA, alive, 601 days 18.6
TCGA-EB-A4P0-01A 82 years, male, white, stage:Stage IIC, dead, 326 days 18.1
TCGA-GN-A263-01A 24 years, male, white, stage:Stage IV, dead, 467 days 16.9
TCGA-EB-A3XF-01A 57 years, male, white, stage:Stage IIC, alive, 278 days 16.7
TCGA-EB-A551-01A 78 years, female, white, stage:Stage IIIC, alive, 590 days 16.6
TCGA-EB-A42Z-01A 49 years, male, asian, stage:Stage IIIC, alive, 441 days 16.5
TCGA-EB-A3XB-01A 63 years, male, white, stage:Stage II, alive, 796 days 16.1
TCGA-XV-AAZV-01A 56 years, female, white, stage:Stage II, alive, 412 days 16.1
TCGA-EB-A3XC-01A 74 years, male, white, stage:Stage IIC, alive, 650 days 15.9
TCGA-WE-A8K4-01A 85 years, male, white, stage:Stage IIB, alive, 614 days 14.3
TCGA-EB-A550-01A 75 years, female, white, stage:Stage IIC, dead, 264 days 13.5
TCGA-BF-AAOU-01A 73 years, female, white, stage:Stage IIC, alive, 476 days 13.1
TCGA-XV-AAZW-01A 62 years, female, white, stage:Stage II, dead, 393 days 13.1
TCGA-EB-A5VU-01A 56 years, male, asian, stage:Stage IIIB, dead, 321 days 12.9
TCGA-GN-A26C-01A 77 years, male, white, stage:Stage IIIC, dead, 821 days 12.6
TCGA-BF-A3DL-01A 84 years, female, white, stage:Stage IIIB, alive, 769 days 12.4
TCGA-EB-A299-01A 63 years, male, white, stage:Stage IIA, alive, 378 days 12.2
TCGA-BF-AAP6-01A 55 years, male, white, stage:Stage III, alive, 325 days 11.9
TCGA-ER-A19K-01A 79 years, female, white, stage:Stage IIC, dead, 469 days 11.7
TCGA-BF-A9VF-01A 77 years, male, white, stage:Stage IIC, alive, 440 days 11.2
TCGA-EB-A4IS-01A 77 years, male, white, stage:Stage IIB, alive, 774 days 11.2
TCGA-D9-A4Z3-01A 73 years, female, white, stage:Stage IIIC, alive, 505 days 10.7
TCGA-BF-AAP4-01A 61 years, male, white, stage:Stage IIC, alive, 335 days 10.5
TCGA-D9-A4Z5-01A 68 years, male, white, stage:Stage IIB, alive, 218 days 10.3
TCGA-BF-A5EQ-01A 63 years, male, white, stage:Stage IIC, alive, 323 days 10.2
TCGA-EB-A1NK-01A 48 years, male, white, stage:Stage IIC, alive, 1039 days 9.9
TCGA-EB-A44N-01A 59 years, male, white, stage:Stage IIC, dead, 205 days 9.8
TCGA-EB-A97M-01A 66 years, male, white, stage:Stage IIC, alive, 414 days 9.8
TCGA-BF-AAP8-01A 58 years, male, white, stage:Stage IIC, alive, 447 days 9.2
TCGA-BF-A3DJ-01A 36 years, female, white, stage:Stage IIIB, alive, 464 days 9.1
TCGA-BF-AAP7-01A 76 years, female, white, stage:Stage IIC, alive, 318 days 9.1
TCGA-ER-A196-01A 64 years, female, white, stage:Stage IIC, alive, 1785 days 8.9
TCGA-ER-A2NF-01A 53 years, male, white, stage:Stage IIIB, dead, 877 days 8.8
TCGA-GN-A4U5-01A 61 years, female, white, stage:Stage IB, alive, 1156 days 8.6
TCGA-EB-A5UM-01A 48 years, female, white, stage:Stage IIC, alive, 779 days 8.5
TCGA-FR-A728-01A 54 years, female, white, stage:Stage IIIB, alive, 583 days 8.4
TCGA-EB-A82C-01A 70 years, female, asian, stage:Stage IIC, alive, 17 days 8.4
TCGA-EB-A42Y-01A 73 years, female, asian, stage:Stage IIC, dead, 721 days 8.2
TCGA-XV-A9W2-01A 81 years, male, white, stage:Stage I, alive, 417 days 8.2
TCGA-EB-A85I-01A 66 years, male, white, stage:Stage IIC, alive, 362 days 8.1
TCGA-BF-A5EP-01A 75 years, female, white, stage:Stage IIIC, alive, 335 days 7.9
TCGA-BF-AAP2-01A 62 years, male, white, stage:Stage IIB, alive, 405 days 7.9
TCGA-EB-A4IQ-01A 42 years, female, asian, stage:Stage IIIB, dead, 636 days 7.7
TCGA-BF-A1PU-01A 46 years, female, white, stage:Stage IIC, alive, 387 days 7.5
TCGA-EB-A85J-01A 66 years, female, white, stage:Stage IIB, alive, 360 days 7.4
TCGA-EB-A553-01A 62 years, male, white, stage:Stage IIC, alive, 226 days 6.7
TCGA-EB-A5SE-01A 73 years, male, white, stage:Stage IIB, dead, 401 days 6.2
TCGA-EB-A82B-01A 58 years, female, asian, stage:Stage III, alive, 390 days 6.0
TCGA-BF-AAOX-01A 83 years, male, white, stage:Stage IIC, alive, 444 days 5.9
TCGA-IH-A3EA-01A 61 years, male, white, stage:Stage IIC, alive, 524 days 5.8
TCGA-EB-A3HV-01A 37 years, male, white, stage:Stage IIC, alive, 39 days 5.5
TCGA-BF-A5EO-01A 65 years, male, white, stage:Stage IIC, alive, 703 days 4.8
TCGA-EB-A3Y7-01A 86 years, female, white, stage:Stage IIIB, dead, 326 days 4.8
TCGA-EB-A41B-01A 76 years, female, white, stage:Stage IIC, alive, 291 days 4.6
TCGA-D3-A5GT-01A 43 years, male, white, stage:Stage IIIC, alive, 487 days 4.5
TCGA-BF-A1PZ-01A 71 years, female, white, stage:Stage IIB, alive, 853 days 4.2
TCGA-EB-A6QZ-01A 76 years, female, white, stage:Stage IIA, dead, 352 days 4.1
TCGA-BF-A1PX-01A 56 years, male, white, stage:Stage IIIB, dead, 282 days 3.7
TCGA-EB-A3XD-01A 53 years, female, white, stage:Stage IIC, alive, 1160 days 3.1
TCGA-BF-A5ES-01A 76 years, female, white, stage:Stage IIC, alive, 490 days 2.8
TCGA-DA-A960-01A 73 years, male, white, stage:Stage IIB, alive, 804 days 2.7
TCGA-EB-A5SF-01A 78 years, female, white, stage:Stage IIC, dead, 369 days 2.6
TCGA-EB-A3XE-01A 77 years, female, white, stage:Stage IIA, alive, 180 days 2.4
TCGA-EB-A4OZ-01A 41 years, female, white, stage:Stage IIIC, alive, 620 days 2.2
TCGA-GF-A769-01A 39 years, male, white, stage:Stage IIC, dead, 1070 days 2.1
TCGA-YG-AA3N-01A 67 years, male, stage:Stage IIC, alive, 306 days 2.1
TCGA-EB-A4OY-01A 65 years, female, white, stage:Stage IIIB, alive, 977 days 1.8
TCGA-EB-A57M-01A 56 years, male, asian, stage:Stage IIIB, dead, 472 days 1.4
TCGA-BF-A5ER-01A 63 years, male, white, stage:Stage IIC, alive, 327 days 1.2
TCGA-XV-AAZY-01A 76 years, female, white, stage:Stage IIIC, alive, 405 days 1.0
TCGA-ER-A2NB-01A 57 years, male, white, stage:Stage IIIB, dead, 857 days 0.9
TCGA-ER-A194-01A 77 years, male, white, stage:'--, dead, 1354 days 0.0
Show allShow less
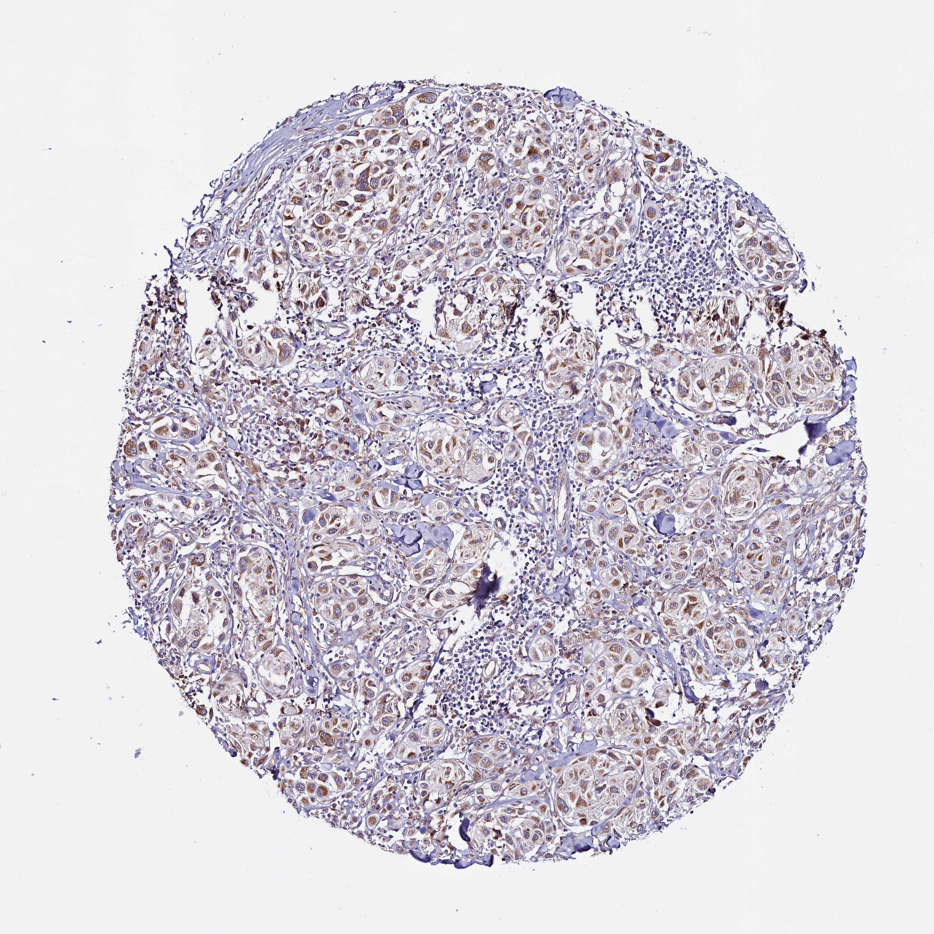
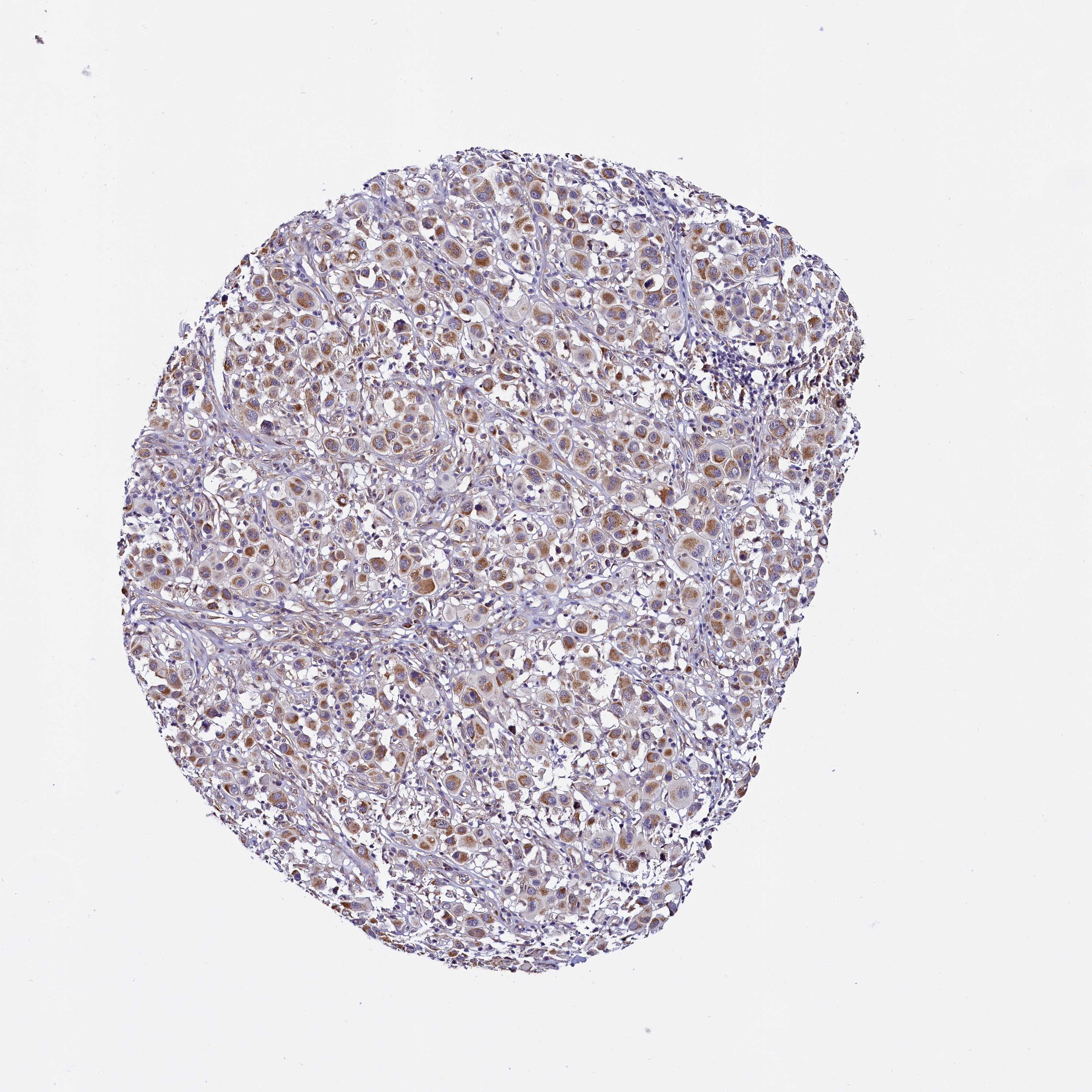
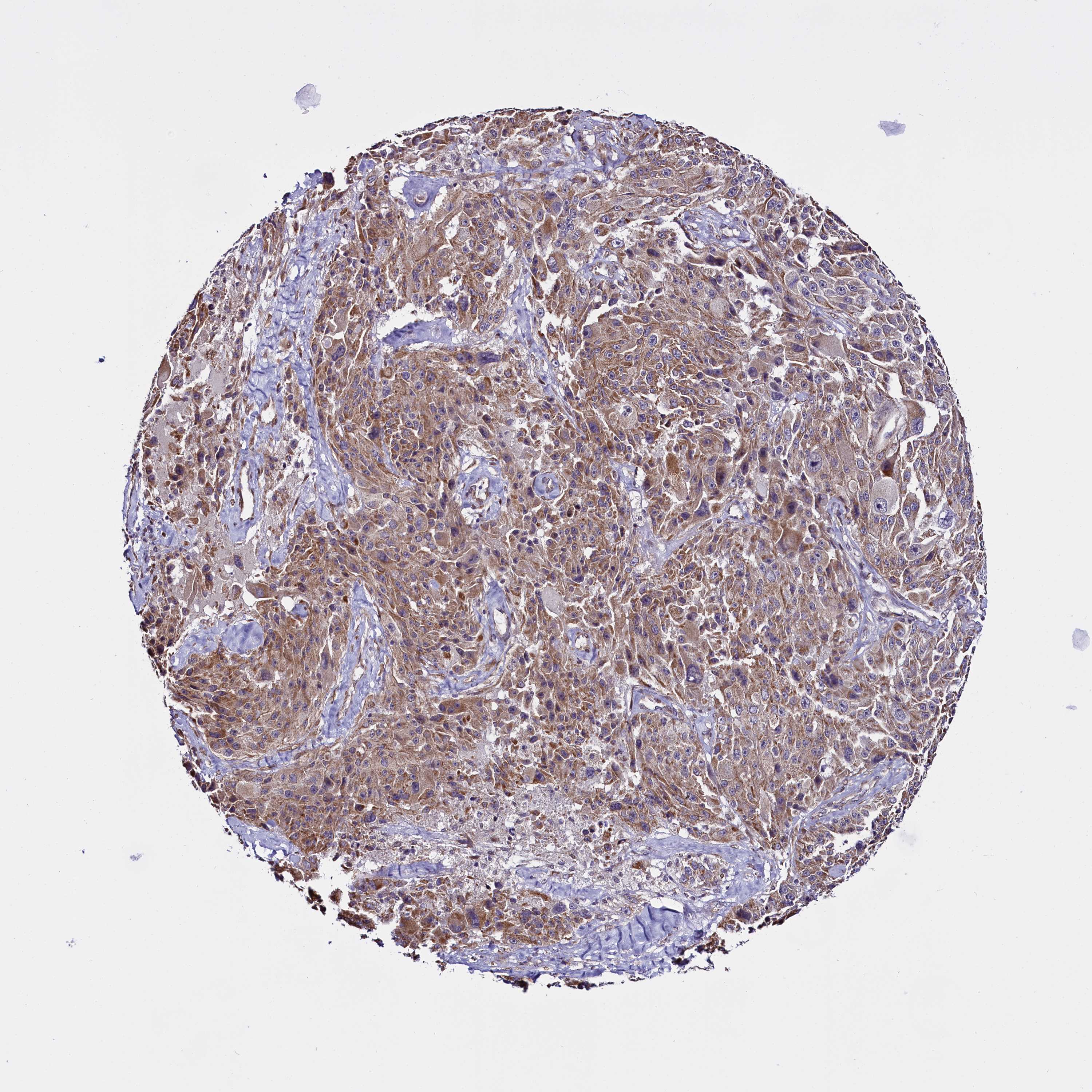
MELANOMA - Protein expressioni

A mouse-over function shows sample information and annotation data. Click on an image to view it in a full screen mode. Samples can be filtered based on level of antibody staining by selecting one or several of the following categories: high, medium, low and not detected. The assay and annotation is described here.

Note that samples used for immunohistochemistry by the Human Protein Atlas do not correspond to samples in the TCGA dataset.

 

Antibody stainingi

Antibody staining in the annotated cell types in the current human tissue is reported as not detected, low, medium, or high, based on conventional immunohistochemistry profiling in selected tissues. This score is based on the combination of the staining intensity and fraction of stained cells.

Each image is clickable and will lead to virtual microscopy that enables deeper exploration of all samples and also displays staining intensity scores, fraction scores and subcellular localization as well as patient and tissue information for each sample.


Antibody HPA041412

Antibody HPA056006
 Staining
  High
  Medium
  Low
  Not detected
 Intensity
  Strong
  Moderate
  Weak
  Negative
 Quantity
  >75%
  75%-25%
  <25%
  None
 Location
  Nuclear
  Cytoplasmic/membranous
  Cytoplasmic/membranous,nuclear
  None
Malignant melanoma, NOS
Malignant melanoma, Metastatic site

Contact

  • NEWS ARTICLES
  • PRESS ROOM

The Project

  • INTRODUCTION
  • ORGANIZATION
  • PUBLICATIONS

The Human Protein Atlas

  • DOWNLOADABLE DATA
  • LICENCE & CITATION
  • HELP & FAQ
The Human Protein Atlas project is funded
by the Knut & Alice Wallenberg Foundation.


contact@proteinatlas.org