We use cookies to enhance the usability of our website. If you continue, we'll assume that you are happy to receive all cookies. More information. Don't show this again.
CYP1B1
HPA
RESOURCES
  • TISSUE
  • BRAIN
  • SINGLE CELL
  • SUBCELLULAR
  • CANCER
  • BLOOD
  • CELL LINE
  • STRUCTURE & INTERACTION
ABOUT
  • INTRODUCTION
  • HISTORY
  • ORGANIZATION
  • PUBLICATIONS
  • ANTIBODY SUBMISSION
  • ANTIBODY AVAILABILITY
  • ACKNOWLEDGMENTS
  • CONTACT
NEWS
  • NEWS ARTICLES
  • PRESS ROOM
LEARN
  • DICTIONARY
  • PROTEIN CLASSES
  • PROTEIN EVIDENCE
  • METHODS
  • EDUCATIONAL VIDEOS
DATA
  • DOWNLOADABLE DATA
  • PUBLICATION DATA
  • RELEASE HISTORY
HELP
  • ANTIBODY VALIDATION
  • ASSAYS & ANNOTATION
  • DISCLAIMER
  • HELP & FAQ
  • PRIVACY STATEMENT
  • LICENCE & CITATION
Fields »
Search result

Field
Term
Gene name
Class
Subclass
Class
Keyword
Chromosome
External id
Tissue
Cell type
Expression
Antibody panel
Tissue
Main location
Patient ID
Annotation
Tissue
Category
Tau score
Cluster
Reliability
Brain region
Category
Tau score
Brain region
Category
Tau score
Brain region
Category
Tau score
Cluster
Reliability
Tissue
Cell type
Enrichment
Cell type
Category
Tau score
Cell type
Category
Tau score
Cell type
Category
Tau score
Cell lineage
Category
Tau score
Cluster
Cluster
Location
Searches
Location
Cell line
Class
Type
Phase
Reliability
Cancer
Prognosis
Cancer
Category
Cancer
Category
Tau score
Cluster
Variants
Interacting gene (ensg_id)
Type
Number of interactions
Pathway
Category
Score
Score
Score
Validation
Validation
Validation
Validation
Antibodies
Data type
Column


  • SUMMARY

  • TISSUE

  • BRAIN

  • SINGLE CELL

  • SUBCELL

  • CANCER

  • BLOOD

  • CELL LINE

  • STRUCT & INT

  • CYP1B1
TISSUE PRIMARY DATA STOMACH Show tissue menu
ADIPOSE TISSUE ADRENAL GLAND AMYGDALA APPENDIX BASAL GANGLIA BONE MARROW BREAST BRONCHUS CEREBELLUM CEREBRAL CORTEX CERVIX CHOROID PLEXUS COLON DUODENUM
ENDOMETRIUM EPIDIDYMIS ESOPHAGUS FALLOPIAN TUBE GALLBLADDER HEART MUSCLE HIPPOCAMPAL FORMATION HYPOTHALAMUS KIDNEY LIVER LUNG LYMPH NODE MIDBRAIN NASOPHARYNX
ORAL MUCOSA OVARY PANCREAS PARATHYROID GLAND PITUITARY GLAND PLACENTA PROSTATE RECTUM RETINA SALIVARY GLAND SEMINAL VESICLE SKELETAL MUSCLE SKIN SMALL INTESTINE
SMOOTH MUSCLE SOFT TISSUE SPINAL CORD SPLEEN STOMACH TESTIS THYMUS THYROID GLAND TONGUE TONSIL URINARY BLADDER VAGINA
ANTIBODIES
AND
VALIDATION
Dictionary
Tissue proteome
Stomach
STOMACH - Expression summary
Protein expression
Stomachi

On the top, protein expression in current human tissue, based on all annotated cell types, is reported with the units not detected (n), low (l), medium (m) and high (h). Underneath, protein expression in each annotated cell type are reported using the same units.

Protein expression data is based on knowledge-based annotation. For genes where more than one antibody has been used, a collective score is set.

If knowledge-based annotation could not be performed for a gene, no data is displayed here. View antibody staining data further down this page.

h
m
l
n
Glandular cells: Medium
RNA expressioni

A summary of mRNA expression data available for current tissue based on several datasets. The mRNA expression levels in human tissues are based on RNA-seq data generated by the Human Protein Atlas (HPA), Genotype-Tissue Expression (GTEx) portal and CAGE data generated by the FANTOM5 consortium. Consensus normalized expression levels for human tissues was created by combining the data from HPA and GTEx datasets.

The mRNA expression levels in pig are based on RNA-seq data generated by the Human Protein Atlas (HPA), and for mouse, HPA data and in situ hybridization generated by the Allen brain atlas are reported.

Scroll down to view mRNA expression data in more detail.
Consensus:15.4 nTPM
HPA:3.7 nTPM
GTEx:15.4 nTPM

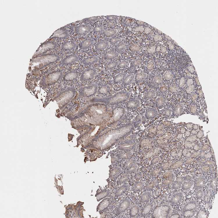
STOMACH 1 - Antibody stainingi

Antibody staining in the annotated cell types in the current human tissue is reported as not detected, low, medium, or high, based on conventional immunohistochemistry profiling in selected tissues. This score is based on the combination of the staining intensity and fraction of stained cells.

Each image is clickable and will lead to virtual microscopy that enables deeper exploration of all samples and also displays staining intensity scores, fraction scores and subcellular localization as well as patient and tissue information for each sample.

Antibody HPA026863Antibody CAB011705
Glandular cells MediumMedium




STOMACH 2 - Antibody stainingi

Antibody staining in the annotated cell types in the current human tissue is reported as not detected, low, medium, or high, based on conventional immunohistochemistry profiling in selected tissues. This score is based on the combination of the staining intensity and fraction of stained cells.

Each image is clickable and will lead to virtual microscopy that enables deeper exploration of all samples and also displays staining intensity scores, fraction scores and subcellular localization as well as patient and tissue information for each sample.

Antibody HPA026863Antibody CAB011705
Glandular cells MediumMedium





STOMACH - HPA RNA-seqi

The RNA-seq details section shows detailed information about the individual samples used for the transcript profiling and results of the RNA-seq analysis.

Information about each individual sample is listed below, including gender, age, a tissue section image and estimated fractions of cell types. nTPM (normalized transcripts per million) values give a quantification of the gene abundance which is comparable between different genes and samples.
Average nTPMi

Max subtype nTPM is the value for the subtype with the largest average nTPM across the subtype samples.

3.7
overview
Female, age 33
Stomach sample 61
nTPM: 7.8
Cell types%
Glandular cells:
60

Smooth muscle cells:
5

Other cell types:
35

N/A
Male, age 82
Stomach sample 240
nTPM: 2.1
Cell types%
Glandular cells:
65

Smooth muscle cells:
5

Other cell types:
30

overview
Male, age 71
Stomach sample 241
nTPM: 0.6
Cell types%
Glandular cells:
50

Smooth muscle cells:
5

Other cell types:
45

overview
Female, age 66
Stomach sample 369
nTPM: 4.3
Cell types%
Glandular cells:
50

Smooth muscle cells:
10

Other cell types:
40


STOMACH - GTEx RNA-seqi

RNA-Seq data generated by the Genotype-Tissue Expression (GTEx) project from human tissues is reported as mean nTPM. More information can be found on the GTEx portal.

Distribution across the dataset is visualized with box plots, shown as median and 25th and 75th percentiles. Points are displayed as outliers if they are above or below 1.5 times the interquartile range. nTPM values of the individual samples are presented next to the box plot.
Max subtype nTPMi

Max subtype nTPM is the value for the subtype with the largest average nTPM across the subtype samples.

15.4
GTEx sample id Sample description nTPM
Stomach
Average nTPM: 15.4
Samples: 359

Max nTPM: 172.9
Min nTPM: 0.6
Std nTPM: 19.8
Median nTPM: 7.1
GTEX-R55G-1126-SM-48FDG 40-49 years, female 172.9
GTEX-1339X-1426-SM-5K7YO 40-49 years, male 151.4
GTEX-1L5NE-1526-SM-DIPFW 50-59 years, male 102.6
GTEX-15EU6-2526-SM-7KUGB 50-59 years, male 83.4
GTEX-WFJO-1126-SM-4LVLZ 30-39 years, male 80.8
GTEX-146FH-2126-SM-5SI9U 50-59 years, female 80.3
GTEX-13X6H-1626-SM-5Q5CT 50-59 years, female 71.1
GTEX-1GPI7-1326-SM-9KNVA 20-29 years, male 66.1
GTEX-1K2DA-0826-SM-CGQGD 50-59 years, male 62.1
GTEX-1I4MK-0926-SM-A9SLD 50-59 years, female 61.3
GTEX-14PKU-1126-SM-69LOU 40-49 years, female 55.4
GTEX-146FR-2026-SM-5NQAI 60-69 years, female 55.3
GTEX-WH7G-1526-SM-4LVMX 40-49 years, male 55.3
GTEX-1N2DV-0926-SM-E9TJT 40-49 years, male 55.0
GTEX-1H1DE-1226-SM-9JGHH 20-29 years, male 53.6
GTEX-145MO-2226-SM-5Q5BN 60-69 years, male 53.3
GTEX-12C56-0526-SM-5FQST 20-29 years, male 53.2
GTEX-XAJ8-0326-SM-47JYI 40-49 years, male 51.5
GTEX-TKQ2-0926-SM-4DXU5 50-59 years, male 50.8
GTEX-TKQ1-0526-SM-4DXTG 30-39 years, male 50.7
GTEX-RUSQ-1126-SM-EAZAU 50-59 years, male 50.0
GTEX-P4PQ-1526-SM-3NMCK 60-69 years, male 48.2
GTEX-12WSJ-0926-SM-5P9JD 40-49 years, female 47.5
GTEX-ZV6S-0926-SM-57WGB 40-49 years, female 47.3
GTEX-1S3DN-1526-SM-EVYCB 50-59 years, male 47.3
GTEX-R55C-1026-SM-48FCM 40-49 years, male 47.1
GTEX-1LGRB-1726-SM-CNNRA 50-59 years, female 47.0
GTEX-S4P3-0726-SM-4AD57 50-59 years, female 46.4
GTEX-13O61-1126-SM-5L3FI 60-69 years, male 44.7
GTEX-Y114-1226-SM-4TT88 50-59 years, female 44.6
GTEX-UJHI-1026-SM-4IHJP 50-59 years, female 44.2
GTEX-17EUY-1526-SM-793CA 20-29 years, male 43.7
GTEX-1QW4Y-0726-SM-DTX8E 30-39 years, male 43.7
GTEX-1MCYP-1126-SM-E9J2P 20-29 years, female 43.1
GTEX-OIZH-1526-SM-3NB1J 50-59 years, male 41.4
GTEX-11P82-0726-SM-5PNYL 20-29 years, male 41.3
GTEX-15G1A-1226-SM-7KUF3 30-39 years, male 40.4
GTEX-QDT8-2026-SM-EZ6LS 30-39 years, female 40.0
GTEX-1399U-1626-SM-5P9J3 50-59 years, female 39.8
GTEX-1JN76-0926-SM-ARZNH 20-29 years, female 39.8
GTEX-14PHY-0926-SM-5ZZWL 60-69 years, female 39.2
GTEX-1IDJF-1426-SM-ACKWK 20-29 years, male 36.5
GTEX-13N1W-2026-SM-5K7YU 70-79 years, male 35.4
GTEX-1211K-1426-SM-5FQTF 60-69 years, female 35.2
GTEX-ZTX8-0426-SM-59HLG 20-29 years, male 34.9
GTEX-ZZPU-1426-SM-5GZZ6 50-59 years, female 34.6
GTEX-1S831-1126-SM-EWROI 20-29 years, male 33.8
GTEX-1CB4E-1326-SM-7DUGD 60-69 years, male 33.7
GTEX-1LVAM-1426-SM-E9TJ4 50-59 years, female 33.1
GTEX-P4QT-1526-SM-3NMCT 50-59 years, female 32.9
GTEX-1QP67-1026-SM-EVR47 40-49 years, female 32.8
GTEX-15RIF-1126-SM-7KUG2 20-29 years, male 32.2
GTEX-1QP29-2326-SM-EXOJO 50-59 years, male 31.6
GTEX-14PN3-1326-SM-6AJ9U 60-69 years, female 31.3
GTEX-1HCUA-1626-SM-A9SMG 50-59 years, female 31.0
GTEX-1NSGN-1926-SM-E9J36 50-59 years, male 30.3
GTEX-11WQK-2626-SM-5EQ4K 50-59 years, male 30.1
GTEX-1B8L1-1526-SM-79OLK 60-69 years, male 30.1
GTEX-15SHW-2126-SM-6M46Y 60-69 years, male 30.0
GTEX-132AR-2426-SM-5IFFD 50-59 years, female 29.5
GTEX-1HT8W-2326-SM-A9SLA 30-39 years, male 29.4
GTEX-1PIGE-1126-SM-EWRMV 20-29 years, male 29.4
GTEX-11VI4-0326-SM-5EQ6L 40-49 years, female 29.3
GTEX-17KNJ-1526-SM-7LTA9 50-59 years, male 27.6
GTEX-1PPH8-1326-SM-DTXFO 20-29 years, male 27.1
GTEX-Y3I4-1626-SM-4TT7W 50-59 years, male 26.2
GTEX-PLZ5-1226-SM-EXOHA 50-59 years, male 26.1
GTEX-YEC4-1426-SM-5IFHS 40-49 years, male 25.9
GTEX-18D9B-2226-SM-718BM 60-69 years, male 25.8
GTEX-Y8E4-1526-SM-4WWDI 40-49 years, male 25.7
GTEX-1HSMQ-2426-SM-CE6RY 50-59 years, male 25.6
GTEX-YEC3-1426-SM-D4P1S 50-59 years, male 25.2
GTEX-13RTK-0226-SM-5RQHR 20-29 years, male 25.1
GTEX-1A3MX-1926-SM-72D7F 60-69 years, male 24.8
GTEX-16NGA-1526-SM-72D56 40-49 years, female 24.2
GTEX-1AX9J-2626-SM-731EK 60-69 years, male 23.9
GTEX-YJ8A-1526-SM-5P9FT 20-29 years, male 23.7
GTEX-1C64O-2226-SM-73KTV 60-69 years, male 23.4
GTEX-SNMC-0626-SM-4DM6H 20-29 years, male 22.4
GTEX-ZEX8-1626-SM-4WKG7 50-59 years, male 22.3
GTEX-131XE-2226-SM-5PNYX 50-59 years, male 22.1
GTEX-13FH7-1026-SM-5IJGF 50-59 years, female 22.1
GTEX-13111-1226-SM-5GCNC 50-59 years, male 21.8
GTEX-XPVG-1526-SM-4B66C 50-59 years, male 21.6
GTEX-SNOS-0826-SM-4DM5N 40-49 years, male 21.5
GTEX-1S82Z-1726-SM-E6CHZ 30-39 years, female 21.4
GTEX-1E2YA-2426-SM-7EPIG 50-59 years, male 20.9
GTEX-T5JC-1926-SM-4DM6Q 20-29 years, male 20.9
GTEX-1H11D-2226-SM-9OSXN 40-49 years, male 20.9
GTEX-1H1DG-2126-SM-9WPPB 70-79 years, male 20.6
GTEX-11EQ9-1226-SM-5987E 30-39 years, male 20.5
GTEX-13O3Q-2126-SM-5KM4C 50-59 years, male 20.5
GTEX-14B4R-0726-SM-5TDDR 30-39 years, male 20.4
GTEX-1HR9M-2326-SM-CNPPZ 60-69 years, male 20.3
GTEX-13OVI-2426-SM-5KM4J 60-69 years, female 19.5
GTEX-PLZ6-0826-SM-3P61K 30-39 years, male 19.3
GTEX-ZPIC-2026-SM-57WG3 40-49 years, female 19.2
GTEX-139YR-1926-SM-5LZXM 50-59 years, male 19.1
GTEX-1CB4H-2426-SM-7PBYR 60-69 years, female 18.7
GTEX-1KD5A-1426-SM-D4P3V 50-59 years, male 18.5
GTEX-1B8KE-1326-SM-73KVI 50-59 years, male 18.3
GTEX-1E1VI-2826-SM-7MGWU 50-59 years, male 18.1
GTEX-14E1K-1526-SM-664MN 50-59 years, male 17.9
GTEX-139D8-2326-SM-5IFGE 30-39 years, female 17.8
GTEX-13QJ3-2726-SM-5SI6L 50-59 years, male 17.2
GTEX-1EH9U-2226-SM-7PBXX 60-69 years, male 17.1
GTEX-RU1J-0526-SM-46MUT 20-29 years, female 17.0
GTEX-UPK5-2126-SM-4JBJK 40-49 years, male 17.0
GTEX-O5YV-1926-SM-EV797 60-69 years, female 16.8
GTEX-O5YW-1526-SM-3MJGL 50-59 years, male 16.7
GTEX-17MF6-2126-SM-7KFS7 40-49 years, male 16.3
GTEX-1HSEH-1526-SM-B2LXG 60-69 years, male 16.3
GTEX-1H23P-2726-SM-9JGHN 60-69 years, male 16.1
GTEX-1JMPY-0926-SM-ARL92 30-39 years, male 15.9
GTEX-ZYVF-2726-SM-5GID4 50-59 years, female 15.7
GTEX-1F5PK-1826-SM-7RHHX 50-59 years, male 15.6
GTEX-S4Z8-1226-SM-4AD6W 60-69 years, male 15.4
GTEX-QXCU-1926-SM-48FE4 50-59 years, male 14.9
GTEX-R55D-1526-SM-48FEJ 50-59 years, male 14.9
GTEX-11P7K-1726-SM-5GU6F 30-39 years, male 14.7
GTEX-ZE7O-3026-SM-51MS4 50-59 years, female 14.7
GTEX-1H3NZ-2226-SM-9WYUT 60-69 years, male 14.3
GTEX-1IL2V-2026-SM-ARZMA 70-79 years, male 13.8
GTEX-XBEW-1826-SM-4RTWX 40-49 years, male 13.7
GTEX-13X6J-2126-SM-5TDCV 50-59 years, male 13.6
GTEX-WYVS-1326-SM-4ONCQ 40-49 years, female 12.6
GTEX-NFK9-1526-SM-3LK7B 40-49 years, male 12.1
GTEX-S7SF-0626-SM-4AD4V 20-29 years, female 12.1
GTEX-1HBPI-0726-SM-9WG7Z 50-59 years, male 12.1
GTEX-11EI6-2426-SM-5PNVS 60-69 years, male 12.0
GTEX-1JN1M-2926-SM-CNNPJ 60-69 years, female 11.9
GTEX-S4UY-1626-SM-4AD55 40-49 years, female 11.8
GTEX-ZGAY-1626-SM-DNZZ3 40-49 years, female 11.7
GTEX-14BIL-1926-SM-73KYI 50-59 years, male 11.6
GTEX-14DAR-0926-SM-73KUQ 50-59 years, male 11.5
GTEX-1LSNM-1026-SM-DHXL2 50-59 years, male 11.5
GTEX-18D9A-0626-SM-7KFTY 30-39 years, female 11.3
GTEX-OHPM-1526-SM-EV796 50-59 years, male 11.2
GTEX-18QFQ-1226-SM-718AE 30-39 years, male 11.1
GTEX-1AMEY-1226-SM-731DU 30-39 years, female 11.0
GTEX-ZQUD-0826-SM-57WDQ 30-39 years, male 10.7
GTEX-17JCI-2226-SM-7LTA1 60-69 years, female 10.6
GTEX-1JMQJ-1326-SM-D4P3B 50-59 years, male 10.1
GTEX-1R7EU-1126-SM-EAZ4M 60-69 years, male 10.1
GTEX-WZTO-2126-SM-4PQYW 40-49 years, male 10.0
GTEX-1HCU8-1326-SM-C1YQQ 60-69 years, female 9.9
GTEX-1HKZK-1526-SM-B2LWG 40-49 years, male 9.7
GTEX-14JG6-1226-SM-664O6 30-39 years, female 9.6
GTEX-WEY5-1226-SM-4LMIQ 40-49 years, female 9.6
GTEX-15G19-1526-SM-6LPKP 60-69 years, male 9.5
GTEX-1HBPN-1626-SM-9WPNP 50-59 years, male 9.4
GTEX-18A7A-2726-SM-7LG6U 50-59 years, female 9.3
GTEX-1GF9U-1126-SM-AHZ4H 40-49 years, female 9.0
GTEX-131XF-1226-SM-5HL8V 60-69 years, male 8.9
GTEX-14BMV-2226-SM-5RQHX 50-59 years, male 8.9
GTEX-14DAQ-2826-SM-664MU 60-69 years, female 8.9
GTEX-V1D1-1726-SM-4JBHB 50-59 years, male 8.9
GTEX-1GMRU-2526-SM-9WG7T 50-59 years, male 8.7
GTEX-15UF7-1226-SM-6M46G 40-49 years, male 8.6
GTEX-1RAZR-1526-SM-EAZ4U 40-49 years, male 8.6
GTEX-13S7M-1826-SM-5RQK6 60-69 years, female 8.4
GTEX-1J8EW-2226-SM-AHZ3T 60-69 years, female 8.4
GTEX-1JK1U-1326-SM-AHZ45 60-69 years, male 8.4
GTEX-12WSD-2326-SM-59HKQ 60-69 years, female 8.2
GTEX-1JMPZ-1826-SM-CXZJT 30-39 years, male 8.2
GTEX-1QCLZ-1826-SM-DPRXP 60-69 years, female 8.2
GTEX-1H3VY-2326-SM-9WG81 50-59 years, male 8.1
GTEX-145LT-1426-SM-5O9B3 40-49 years, male 8.0
GTEX-1F5PL-1426-SM-7MKFH 40-49 years, female 8.0
GTEX-RTLS-2626-SM-46MUJ 60-69 years, female 8.0
GTEX-1I1GT-1726-SM-C1YS3 60-69 years, female 7.9
GTEX-OIZF-1526-SM-2I5GR 60-69 years, male 7.7
GTEX-WHWD-1426-SM-4OORU 50-59 years, male 7.6
GTEX-1QP28-2126-SM-DTX8B 50-59 years, female 7.4
GTEX-1GZ4H-1026-SM-9OSXL 50-59 years, female 7.3
GTEX-133LE-1326-SM-5IFGO 20-29 years, female 7.2
GTEX-OXRK-1626-SM-3NB17 50-59 years, female 7.2
GTEX-1J8QM-1126-SM-C1YQB 60-69 years, female 7.2
GTEX-1RQEC-2126-SM-DPS15 60-69 years, male 7.2
GTEX-11TT1-0726-SM-5GU5A 20-29 years, male 7.1
GTEX-1A3MV-1226-SM-718BW 30-39 years, male 7.1
GTEX-1IDJD-2426-SM-C1YS6 30-39 years, male 7.1
GTEX-1QPFJ-1526-SM-DPRXT 30-39 years, female 7.1
GTEX-1LVAN-2426-SM-CNNPZ 50-59 years, female 6.9
GTEX-Y5V6-1326-SM-4VDTF 60-69 years, male 6.8
GTEX-Y5LM-1326-SM-5RQIS 40-49 years, female 6.7
GTEX-YB5E-1126-SM-664NU 40-49 years, male 6.7
GTEX-17HII-2426-SM-7KFTT 50-59 years, male 6.5
GTEX-WHSB-1226-SM-4M1XR 50-59 years, male 6.5
GTEX-117YW-2226-SM-5N9DB 50-59 years, male 6.4
GTEX-1F75I-1826-SM-7MKGX 40-49 years, male 6.4
GTEX-P78B-1826-SM-3P5YX 40-49 years, female 6.4
GTEX-SUCS-0926-SM-4DM4Z 70-79 years, male 6.3
GTEX-1JMLX-2426-SM-CXZJQ 50-59 years, male 6.3
GTEX-13PVQ-2126-SM-5L3FW 50-59 years, male 6.2
GTEX-ZF2S-1426-SM-57WET 50-59 years, female 6.2
GTEX-13U4I-2526-SM-5SI8Z 40-49 years, female 6.1
GTEX-1C475-1026-SM-7MKFJ 40-49 years, female 6.1
GTEX-PWN1-1526-SM-48TDA 40-49 years, female 6.1
GTEX-1GN1W-2126-SM-9JGI7 50-59 years, female 6.1
GTEX-11I78-1726-SM-5A5M3 50-59 years, female 6.0
GTEX-111YS-1126-SM-5GZYQ 60-69 years, male 5.9
GTEX-144GM-1726-SM-5O9AS 20-29 years, male 5.9
GTEX-WRHK-0626-SM-4MVOE 20-29 years, female 5.9
GTEX-13QBU-1126-SM-5LU44 40-49 years, female 5.8
GTEX-R53T-1226-SM-48FCT 50-59 years, female 5.8
GTEX-T8EM-1226-SM-4DM5J 40-49 years, male 5.8
GTEX-1MGNQ-1826-SM-DPRYI 40-49 years, male 5.7
GTEX-1QCLY-1126-SM-EAZ4J 30-39 years, male 5.7
GTEX-XBED-1226-SM-4AT5V 60-69 years, male 5.6
GTEX-ZXES-1426-SM-5NQ8S 30-39 years, female 5.6
GTEX-1ICG6-1826-SM-AHZ2O 70-79 years, female 5.6
GTEX-ZLWG-1526-SM-DO12F 50-59 years, female 5.6
GTEX-11NUK-2426-SM-5BC4U 50-59 years, male 5.5
GTEX-T5JW-0926-SM-4DM5K 20-29 years, female 5.5
GTEX-13OW6-2526-SM-5IJEC 50-59 years, male 5.4
GTEX-14BMU-1126-SM-5RQJ8 20-29 years, female 5.4
GTEX-Q734-1026-SM-48U16 40-49 years, female 5.4
GTEX-W5WG-1726-SM-4LMI5 50-59 years, female 5.4
GTEX-ZT9W-1526-SM-4YCDE 50-59 years, male 5.4
GTEX-1HFI7-1526-SM-9WG7W 50-59 years, female 5.4
GTEX-18A66-2226-SM-7189E 60-69 years, male 5.3
GTEX-ZAB4-1526-SM-5CVN7 40-49 years, male 5.3
GTEX-ZV7C-1626-SM-5NQ7E 50-59 years, male 5.3
GTEX-XMK1-1526-SM-EYYVO 40-49 years, male 5.3
GTEX-1J8JJ-1726-SM-C1YQG 60-69 years, female 5.2
GTEX-1399R-1126-SM-5IFIO 30-39 years, male 5.1
GTEX-ZVZP-1726-SM-5GZWY 50-59 years, male 5.1
GTEX-1H1E6-1626-SM-9OSWC 30-39 years, male 5.1
GTEX-17HGU-2126-SM-7IGOV 50-59 years, male 5.0
GTEX-17F98-1526-SM-7EWD8 40-49 years, female 4.9
GTEX-WFG7-1326-SM-4LMK1 20-29 years, male 4.9
GTEX-XV7Q-1326-SM-4BRWM 40-49 years, female 4.9
GTEX-Y8LW-0826-SM-4WWDO 50-59 years, female 4.9
GTEX-12WSK-1426-SM-5CVNN 40-49 years, female 4.7
GTEX-PW2O-1226-SM-48TCH 20-29 years, male 4.7
GTEX-14E6E-0926-SM-664N8 30-39 years, male 4.6
GTEX-14ICL-0826-SM-5YY9W 30-39 years, male 4.6
GTEX-14PJ4-1626-SM-664OB 60-69 years, male 4.6
GTEX-QMRM-1126-SM-447BN 50-59 years, male 4.6
GTEX-1122O-1926-SM-5EGIQ 60-69 years, female 4.5
GTEX-13D11-2126-SM-5IFH2 50-59 years, female 4.5
GTEX-17HHE-1026-SM-79ON6 50-59 years, male 4.5
GTEX-S3XE-1026-SM-4AD4O 50-59 years, male 4.5
GTEX-XXEK-0826-SM-4BRWG 50-59 years, male 4.5
GTEX-1QP2A-2126-SM-DPRZ7 50-59 years, male 4.5
GTEX-QDVN-1226-SM-48TZ5 50-59 years, male 4.4
GTEX-1IDJU-1526-SM-CNNR3 60-69 years, female 4.4
GTEX-S4Q7-0726-SM-4AD5F 20-29 years, male 4.3
GTEX-X15G-1126-SM-4PQZG 50-59 years, female 4.3
GTEX-132QS-1826-SM-5IFFN 60-69 years, male 4.2
GTEX-14PJ3-1426-SM-664O8 50-59 years, male 4.2
GTEX-RM2N-0826-SM-48FD3 50-59 years, male 4.2
GTEX-1JKYN-1726-SM-AHZ48 30-39 years, male 4.2
GTEX-U4B1-1026-SM-4DXT1 40-49 years, male 4.1
GTEX-111CU-0926-SM-5EGIK 50-59 years, male 4.0
GTEX-17GQL-1226-SM-7KFTS 60-69 years, male 4.0
GTEX-U3ZN-2026-SM-4DXUC 30-39 years, female 4.0
GTEX-XQ8I-2026-SM-4BOOL 50-59 years, male 4.0
GTEX-ZVT3-2126-SM-59HL2 60-69 years, female 4.0
GTEX-144GN-1226-SM-5O991 50-59 years, male 3.9
GTEX-UJMC-1226-SM-4IHLI 50-59 years, male 3.9
GTEX-XUZC-0726-SM-4BOPH 30-39 years, female 3.9
GTEX-ZF29-1526-SM-4WKF7 60-69 years, female 3.9
GTEX-1I1HK-2026-SM-CNNRB 60-69 years, male 3.9
GTEX-TMMY-1626-SM-4DXTY 40-49 years, female 3.8
GTEX-1KXAM-0926-SM-CXZKA 60-69 years, male 3.8
GTEX-1MUQO-1926-SM-EAZ59 60-69 years, male 3.8
GTEX-15DCE-1626-SM-6LPJM 20-29 years, male 3.7
GTEX-OXRL-1526-SM-E6CHQ 50-59 years, male 3.7
GTEX-QV44-1226-SM-CJI1S 50-59 years, male 3.7
GTEX-12WSG-2026-SM-5FQUU 50-59 years, female 3.6
GTEX-14PJ6-0826-SM-686Z9 60-69 years, female 3.6
GTEX-QDVJ-1426-SM-48U1Y 50-59 years, male 3.6
GTEX-1J8Q3-1926-SM-C1YSJ 60-69 years, male 3.6
GTEX-16AAH-1226-SM-79OO9 50-59 years, male 3.5
GTEX-PWCY-0926-SM-48TD7 20-29 years, female 3.5
GTEX-Y9LG-1026-SM-5IFJN 30-39 years, male 3.5
GTEX-1I6K7-1726-SM-B2LXQ 40-49 years, male 3.5
GTEX-1QMI2-2126-SM-DPRXQ 60-69 years, male 3.5
GTEX-12BJ1-1726-SM-5HL9B 60-69 years, male 3.4
GTEX-13PVR-2126-SM-73KVR 60-69 years, female 3.4
GTEX-POMQ-0826-SM-3P61H 20-29 years, female 3.4
GTEX-ZY6K-0726-SM-5A5L8 50-59 years, male 3.3
GTEX-1B97I-1226-SM-7MGWQ 40-49 years, male 3.3
GTEX-12696-1726-SM-5EQLH 60-69 years, male 3.2
GTEX-131XG-1226-SM-5EGH9 50-59 years, female 3.2
GTEX-S341-0626-SM-4AD5T 40-49 years, female 3.2
GTEX-WYJK-2526-SM-4ONDF 50-59 years, male 3.2
GTEX-YFCO-0826-SM-5LUAG 40-49 years, male 3.2
GTEX-15RIE-1026-SM-6LPJQ 60-69 years, male 3.1
GTEX-17F9E-2226-SM-7IGNC 50-59 years, male 3.1
GTEX-ZP4G-1226-SM-4WWCJ 20-29 years, female 3.1
GTEX-1R9K5-1026-SM-EAZ4F 50-59 years, male 3.1
GTEX-ZLFU-1326-SM-DO11R 40-49 years, male 3.1
GTEX-V955-1326-SM-4JBHR 60-69 years, male 3.0
GTEX-1RMOY-1126-SM-EV79E 50-59 years, male 3.0
GTEX-11EM3-1026-SM-5A5KL 20-29 years, female 2.9
GTEX-14PJ5-0826-SM-6AJAR 60-69 years, female 2.8
GTEX-Q2AI-0826-SM-48TZO 40-49 years, male 2.8
GTEX-QLQW-0726-SM-447AA 30-39 years, male 2.8
GTEX-S95S-0826-SM-4B64N 60-69 years, male 2.8
GTEX-ZYY3-1726-SM-5EGH3 60-69 years, female 2.8
GTEX-11DXX-1326-SM-5GIDZ 60-69 years, female 2.7
GTEX-13FTW-1726-SM-5KM2B 40-49 years, male 2.7
GTEX-15CHR-1326-SM-79OLT 50-59 years, male 2.6
GTEX-1AMFI-1226-SM-731CZ 50-59 years, female 2.6
GTEX-OHPK-1526-SM-3MJGM 50-59 years, female 2.6
GTEX-WY7C-1726-SM-4ONCC 50-59 years, male 2.6
GTEX-ZVT2-1626-SM-51MRC 50-59 years, female 2.6
GTEX-1LBAC-1426-SM-CXZKT 20-29 years, male 2.6
GTEX-11GSP-2126-SM-5HL5E 60-69 years, female 2.5
GTEX-13CF3-1926-SM-5K7WF 60-69 years, female 2.5
GTEX-QV31-0626-SM-447C5 30-39 years, male 2.5
GTEX-WHPG-0426-SM-4M1XW 50-59 years, male 2.5
GTEX-ZYFG-1326-SM-5GICJ 60-69 years, female 2.4
GTEX-ZZ64-0426-SM-5E43F 20-29 years, male 2.4
GTEX-ZLV1-0826-SM-DO11P 60-69 years, female 2.4
GTEX-18A67-2626-SM-718AD 50-59 years, male 2.3
GTEX-WFON-1126-SM-4LVMA 40-49 years, male 2.3
GTEX-1MJIX-1126-SM-EV7AO 40-49 years, male 2.2
GTEX-145ME-1026-SM-5O9B4 40-49 years, female 2.1
GTEX-QLQ7-0826-SM-447B3 60-69 years, male 2.1
GTEX-T6MO-0726-SM-4DM58 40-49 years, female 2.1
GTEX-WXYG-1626-SM-4ONCR 50-59 years, female 2.1
GTEX-ZDYS-1926-SM-5HL59 50-59 years, male 2.1
GTEX-1LG7Z-1226-SM-DHXK4 30-39 years, male 2.1
GTEX-13113-0726-SM-5LZUF 60-69 years, female 2.0
GTEX-P4PP-1526-SM-3P61M 30-39 years, female 2.0
GTEX-1399S-1626-SM-5P9GI 30-39 years, female 1.9
GTEX-13O21-0926-SM-5IFGT 50-59 years, male 1.9
GTEX-RWS6-0926-SM-47JXE 60-69 years, female 1.9
GTEX-11NSD-1426-SM-5HL67 20-29 years, male 1.8
GTEX-14PHX-1026-SM-664OL 50-59 years, male 1.8
GTEX-15DZA-1126-SM-6LPK8 30-39 years, female 1.7
GTEX-1AYCT-1326-SM-7MKHB 50-59 years, male 1.6
GTEX-1B8KZ-1226-SM-793CP 50-59 years, male 1.6
GTEX-1CAMR-0726-SM-7EPIE 20-29 years, male 1.6
GTEX-OOBJ-1526-SM-3NB1Q 60-69 years, male 1.6
GTEX-Y3IK-1426-SM-4YCES 50-59 years, female 1.6
GTEX-ZA64-0826-SM-5HL9U 20-29 years, male 1.6
GTEX-1GL5R-1926-SM-9WG7U 50-59 years, male 1.6
GTEX-1LGOU-1526-SM-D3LAJ 20-29 years, female 1.6
GTEX-117YX-1026-SM-5H11V 50-59 years, male 1.5
GTEX-1A8G6-1426-SM-731EZ 60-69 years, male 1.5
GTEX-ZVP2-1626-SM-5GU5D 50-59 years, male 1.5
GTEX-145MN-1326-SM-5NQ9S 30-39 years, male 1.3
GTEX-Q2AH-1126-SM-48TZM 40-49 years, male 1.3
GTEX-1KANA-1126-SM-D3L9M 20-29 years, male 1.3
GTEX-13OVK-0926-SM-7KUFX 40-49 years, male 1.2
GTEX-PX3G-1526-SM-48U11 20-29 years, female 1.2
GTEX-WFG8-1326-SM-4LVN3 20-29 years, male 1.2
GTEX-14PKV-1826-SM-69LO9 20-29 years, female 1.1
GTEX-1B97J-1826-SM-7IGPP 50-59 years, female 1.1
GTEX-QCQG-0526-SM-48U2A 50-59 years, female 1.1
GTEX-VJYA-1026-SM-4KL21 60-69 years, male 1.0
GTEX-13FTX-0726-SM-5N9BI 20-29 years, female 0.8
GTEX-ZPU1-1626-SM-4WWB2 40-49 years, male 0.8
GTEX-1RB15-1026-SM-E9U6V 60-69 years, male 0.6
Show allShow less

Contact

  • NEWS ARTICLES
  • PRESS ROOM

The Project

  • INTRODUCTION
  • ORGANIZATION
  • PUBLICATIONS

The Human Protein Atlas

  • DOWNLOADABLE DATA
  • LICENCE & CITATION
  • HELP & FAQ
The Human Protein Atlas project is funded
by the Knut & Alice Wallenberg Foundation.


contact@proteinatlas.org