We use cookies to enhance the usability of our website. If you continue, we'll assume that you are happy to receive all cookies. More information. Don't show this again.
AOX1
HPA
RESOURCES
  • TISSUE
  • BRAIN
  • SINGLE CELL
  • SUBCELLULAR
  • CANCER
  • BLOOD
  • CELL LINE
  • STRUCTURE & INTERACTION
ABOUT
  • INTRODUCTION
  • HISTORY
  • ORGANIZATION
  • PUBLICATIONS
  • ANTIBODY SUBMISSION
  • ANTIBODY AVAILABILITY
  • ACKNOWLEDGMENTS
  • CONTACT
NEWS
  • NEWS ARTICLES
  • PRESS ROOM
LEARN
  • DICTIONARY
  • PROTEIN CLASSES
  • PROTEIN EVIDENCE
  • METHODS
  • EDUCATIONAL VIDEOS
DATA
  • DOWNLOADABLE DATA
  • PUBLICATION DATA
  • RELEASE HISTORY
HELP
  • ANTIBODY VALIDATION
  • ASSAYS & ANNOTATION
  • DISCLAIMER
  • HELP & FAQ
  • PRIVACY STATEMENT
  • LICENCE & CITATION
Fields »
Search result

Field
Term
Gene name
Class
Subclass
Class
Keyword
Chromosome
External id
Tissue
Cell type
Expression
Antibody panel
Tissue
Main location
Patient ID
Annotation
Tissue
Category
Tau score
Cluster
Reliability
Brain region
Category
Tau score
Brain region
Category
Tau score
Brain region
Category
Tau score
Cluster
Reliability
Tissue
Cell type
Enrichment
Cell type
Category
Tau score
Cell type
Category
Tau score
Cell type
Category
Tau score
Cell lineage
Category
Tau score
Cluster
Cluster
Location
Searches
Location
Cell line
Class
Type
Phase
Reliability
Cancer
Prognosis
Cancer
Category
Cancer
Category
Tau score
Cluster
Variants
Interacting gene (ensg_id)
Type
Number of interactions
Pathway
Category
Score
Score
Score
Validation
Validation
Validation
Validation
Antibodies
Data type
Column


  • SUMMARY

  • TISSUE

  • BRAIN

  • SINGLE CELL

  • SUBCELL

  • CANCER

  • BLOOD

  • CELL LINE

  • STRUCT & INT

  • AOX1
TISSUE PRIMARY DATA SKIN Show tissue menu
ADIPOSE TISSUE ADRENAL GLAND AMYGDALA APPENDIX BASAL GANGLIA BONE MARROW BREAST BRONCHUS CEREBELLUM CEREBRAL CORTEX CERVIX CHOROID PLEXUS COLON DUODENUM
ENDOMETRIUM EPIDIDYMIS ESOPHAGUS FALLOPIAN TUBE GALLBLADDER HEART MUSCLE HIPPOCAMPAL FORMATION HYPOTHALAMUS KIDNEY LIVER LUNG LYMPH NODE MIDBRAIN NASOPHARYNX
ORAL MUCOSA OVARY PANCREAS PARATHYROID GLAND PITUITARY GLAND PLACENTA PROSTATE RECTUM RETINA SALIVARY GLAND SEMINAL VESICLE SKELETAL MUSCLE SKIN SMALL INTESTINE
SMOOTH MUSCLE SOFT TISSUE SPINAL CORD SPLEEN STOMACH TESTIS THYMUS THYROID GLAND TONGUE TONSIL URINARY BLADDER VAGINA
ANTIBODIES
AND
VALIDATION
Dictionary
Skin
Tissue proteome
Skin
SKIN - Expression summary
Protein expression
Skini

On the top, protein expression in current human tissue, based on all annotated cell types, is reported with the units not detected (n), low (l), medium (m) and high (h). Underneath, protein expression in each annotated cell type are reported using the same units.

Protein expression data is based on knowledge-based annotation. For genes where more than one antibody has been used, a collective score is set.

If knowledge-based annotation could not be performed for a gene, no data is displayed here. View antibody staining data further down this page.

h
m
l
n
Epidermal cells: Not detected
Fibroblasts: Not detected
Keratinocytes: Not detected
Langerhans: Not detected
Melanocytes: Not detected
RNA expressioni

A summary of mRNA expression data available for current tissue based on several datasets. The mRNA expression levels in human tissues are based on RNA-seq data generated by the Human Protein Atlas (HPA), Genotype-Tissue Expression (GTEx) portal and CAGE data generated by the FANTOM5 consortium. Consensus normalized expression levels for human tissues was created by combining the data from HPA and GTEx datasets.

The mRNA expression levels in pig are based on RNA-seq data generated by the Human Protein Atlas (HPA), and for mouse, HPA data and in situ hybridization generated by the Allen brain atlas are reported.

Scroll down to view mRNA expression data in more detail.
Consensus:19.4 nTPM
HPA:4.2 nTPM
GTEx:19.4 nTPM

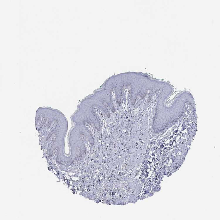
SKIN 1 - Antibody stainingi

Antibody staining in the annotated cell types in the current human tissue is reported as not detected, low, medium, or high, based on conventional immunohistochemistry profiling in selected tissues. This score is based on the combination of the staining intensity and fraction of stained cells.

Each image is clickable and will lead to virtual microscopy that enables deeper exploration of all samples and also displays staining intensity scores, fraction scores and subcellular localization as well as patient and tissue information for each sample.

Antibody HPA040199Antibody HPA040215
Langerhans Not detectedNot detected
Fibroblasts Not detectedNot detected
Keratinocytes Not detectedNot detected
Melanocytes Not detectedNot detected




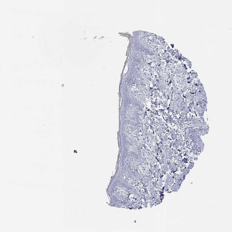
SKIN 2 - Antibody stainingi

Antibody staining in the annotated cell types in the current human tissue is reported as not detected, low, medium, or high, based on conventional immunohistochemistry profiling in selected tissues. This score is based on the combination of the staining intensity and fraction of stained cells.

Each image is clickable and will lead to virtual microscopy that enables deeper exploration of all samples and also displays staining intensity scores, fraction scores and subcellular localization as well as patient and tissue information for each sample.

Antibody HPA040199Antibody HPA040215
Epidermal cells Not detectedNot detected
  
  
  




SKIN - HPA RNA-seqi

The RNA-seq details section shows detailed information about the individual samples used for the transcript profiling and results of the RNA-seq analysis.

Information about each individual sample is listed below, including gender, age, a tissue section image and estimated fractions of cell types. nTPM (normalized transcripts per million) values give a quantification of the gene abundance which is comparable between different genes and samples.
Average nTPMi

Max subtype nTPM is the value for the subtype with the largest average nTPM across the subtype samples.

4.2
overview
Female, age 34
Skin sample 225
nTPM: 6
Cell types%
Keratinocytes:
60

Other cell types:
40

overview
Female, age 30
Skin sample 226
nTPM: 2.6
Cell types%
Keratinocytes:
55

Other cell types:
45

N/A
Male, age 57
Skin sample 227
nTPM: 4.1

SKIN - GTEx RNA-seqi

RNA-Seq data generated by the Genotype-Tissue Expression (GTEx) project from human tissues is reported as mean nTPM. More information can be found on the GTEx portal.

Distribution across the dataset is visualized with box plots, shown as median and 25th and 75th percentiles. Points are displayed as outliers if they are above or below 1.5 times the interquartile range. nTPM values of the individual samples are presented next to the box plot.
Max subtype nTPMi

Max subtype nTPM is the value for the subtype with the largest average nTPM across the subtype samples.

19.4
GTEx sample id Sample description nTPM
Skin - Not Sun Exposed (Suprapubic)
Average nTPM: 18.2
Samples: 604

Max nTPM: 135.5
Min nTPM: 0.8
Std nTPM: 18.5
Median nTPM: 11.5
GTEX-11EM3-1226-SM-5N9DD 20-29 years, female 135.5
GTEX-1QP29-1826-SM-DTX9S 50-59 years, male 132.6
GTEX-YB5K-2026-SM-4VDT3 40-49 years, female 120.6
GTEX-14BMU-1226-SM-5S2OR 20-29 years, female 116.2
GTEX-Y8LW-1526-SM-5IFHL 50-59 years, female 93.8
GTEX-12WSL-2026-SM-5GCML 50-59 years, male 91.9
GTEX-13113-1626-SM-5EQ4I 60-69 years, female 89.4
GTEX-13QBU-1226-SM-5LU4G 40-49 years, female 84.4
GTEX-X3Y1-2026-SM-3P5YM 40-49 years, male 80.1
GTEX-1JKYN-0826-SM-ARU8S 30-39 years, male 72.9
GTEX-ZLWG-0826-SM-59888 50-59 years, female 72.3
GTEX-1I4MK-0126-SM-CY8G6 50-59 years, female 72.0
GTEX-1IDJD-2326-SM-ACKWX 30-39 years, male 71.0
GTEX-ZGAY-1826-SM-DO91Q 40-49 years, female 69.1
GTEX-VJYA-1526-SM-3GIJV 60-69 years, male 68.6
GTEX-WEY5-2326-SM-3GIKK 40-49 years, female 68.4
GTEX-14JG6-1426-SM-9WG7C 30-39 years, female 67.3
GTEX-ZYFG-1526-SM-5GZYM 60-69 years, female 65.3
GTEX-14PK6-0226-SM-62LF5 70-79 years, female 65.0
GTEX-18D9B-0926-SM-7LG4U 60-69 years, male 63.1
GTEX-13FH7-1126-SM-5K7UG 50-59 years, female 62.3
GTEX-XUW1-0926-SM-4BONX 50-59 years, female 61.4
GTEX-ZTSS-1426-SM-5985P 40-49 years, male 60.0
GTEX-ZVP2-0326-SM-57WBP 50-59 years, male 59.8
GTEX-1497J-0226-SM-5QGPU 60-69 years, male 59.5
GTEX-ZT9W-1126-SM-57WDR 50-59 years, male 58.9
GTEX-1LGOU-1326-SM-D3L8M 20-29 years, female 57.5
GTEX-1KANC-1226-SM-CYPT7 50-59 years, female 54.9
GTEX-1HCUA-0826-SM-ADEHM 50-59 years, female 54.2
GTEX-14E6E-0526-SM-793DN 30-39 years, male 53.4
GTEX-1IDJU-1726-SM-CMKHU 60-69 years, female 53.0
GTEX-WFG8-2126-SM-3GIKQ 20-29 years, male 52.1
GTEX-1QCLZ-2426-SM-EVYBW 60-69 years, female 52.0
GTEX-1L5NE-1126-SM-D3L9P 50-59 years, male 51.6
GTEX-1GMR2-0826-SM-7PC3V 50-59 years, male 51.1
GTEX-ZP4G-1426-SM-4WWCL 20-29 years, female 51.0
GTEX-1211K-1526-SM-5FQU4 60-69 years, female 50.7
GTEX-YF7O-1526-SM-5IFI6 50-59 years, male 50.4
GTEX-1CAMR-1326-SM-7PC1F 20-29 years, male 50.4
GTEX-12BJ1-0926-SM-5EQ62 60-69 years, male 49.9
GTEX-1IDJC-1526-SM-B2LW4 50-59 years, male 49.7
GTEX-11ZTT-2126-SM-5CVLO 60-69 years, female 49.2
GTEX-145LT-0526-SM-5LUB2 40-49 years, male 48.8
GTEX-WYBS-0626-SM-3NMAS 60-69 years, female 48.0
GTEX-ZLV1-1526-SM-DO91J 60-69 years, female 46.8
GTEX-ZZPU-0826-SM-5GZX5 50-59 years, female 45.7
GTEX-14PKV-1126-SM-6LLJ1 20-29 years, female 45.4
GTEX-ZPIC-0526-SM-DO91W 40-49 years, female 45.0
GTEX-1KANA-1326-SM-DIPFA 20-29 years, male 44.8
GTEX-W5X1-2526-SM-3GILC 40-49 years, female 44.0
GTEX-14PKU-0126-SM-6LLHV 40-49 years, female 43.6
GTEX-145MN-1526-SM-5SI9T 30-39 years, male 43.4
GTEX-1IKOE-1426-SM-CE6T7 30-39 years, female 42.9
GTEX-13OVG-1626-SM-5J1NF 60-69 years, male 42.4
GTEX-1LG7Z-1626-SM-CXKYR 30-39 years, male 42.2
GTEX-1AMFI-1326-SM-7939R 50-59 years, female 42.0
GTEX-1IDJF-2026-SM-CL53V 20-29 years, male 41.9
GTEX-XBED-1926-SM-47JYP 60-69 years, male 41.3
GTEX-ZZ64-1026-SM-5GZXG 20-29 years, male 41.0
GTEX-14DAR-1226-SM-73KYV 50-59 years, male 40.9
GTEX-ZA64-1026-SM-5HL8R 20-29 years, male 40.9
GTEX-13X6H-0926-SM-5SIB2 50-59 years, female 40.6
GTEX-15FZZ-0526-SM-7KUGD 30-39 years, female 40.6
GTEX-13VXT-1926-SM-5K7UO 20-29 years, female 40.4
GTEX-111CU-1126-SM-5EGIM 50-59 years, male 40.3
GTEX-18D9A-1426-SM-7LT8M 30-39 years, female 40.2
GTEX-18D9U-0126-SM-731BM 40-49 years, male 39.8
GTEX-WXYG-2026-SM-4E3IY 50-59 years, female 39.8
GTEX-ZLFU-1826-SM-4WWBV 40-49 years, male 39.4
GTEX-1J8QM-2426-SM-A9SLS 60-69 years, female 39.0
GTEX-ZDYS-2426-SM-4WKGI 50-59 years, male 38.5
GTEX-1B97I-0626-SM-73KUZ 40-49 years, male 38.1
GTEX-WYVS-1626-SM-3NM9R 40-49 years, female 37.7
GTEX-1AX9J-1326-SM-731BJ 60-69 years, male 37.4
GTEX-13FTX-1526-SM-5K7VJ 20-29 years, female 37.3
GTEX-1J8Q3-0526-SM-ARL8U 60-69 years, male 37.0
GTEX-Y5V6-2326-SM-4VDSA 60-69 years, male 36.9
GTEX-15CHC-1126-SM-6LLHQ 60-69 years, female 36.7
GTEX-1IDJE-1426-SM-ADEIW 50-59 years, female 36.7
GTEX-1H3NZ-2726-SM-9WYTQ 60-69 years, male 36.5
GTEX-1JMOU-1026-SM-CYPSS 60-69 years, female 36.1
GTEX-1CB4I-0126-SM-7RHGG 50-59 years, male 35.8
GTEX-1EWIQ-0326-SM-7DHMQ 70-79 years, female 35.7
GTEX-1MJK3-0726-SM-E6CJC 20-29 years, male 35.7
GTEX-Y3IK-1626-SM-4YCF5 50-59 years, female 35.3
GTEX-1MCC2-1826-SM-DIPEX 30-39 years, female 35.3
GTEX-X5EB-1926-SM-4E3IW 40-49 years, male 35.1
GTEX-145ME-1726-SM-5Q5EU 40-49 years, female 34.8
GTEX-13W3W-0726-SM-5IJDQ 60-69 years, female 34.7
GTEX-X8HC-0626-SM-4E3HQ 50-59 years, female 34.0
GTEX-183FY-1026-SM-7939A 20-29 years, male 33.8
GTEX-1HFI7-2326-SM-CGQFS 50-59 years, female 33.7
GTEX-11NSD-0626-SM-5A5LU 20-29 years, male 33.5
GTEX-1QP28-1126-SM-EVYC4 50-59 years, female 33.4
GTEX-15EU6-2226-SM-6EU2L 50-59 years, male 33.3
GTEX-147F3-1726-SM-5SIAW 50-59 years, female 33.0
GTEX-14PJ5-1526-SM-6LLIL 60-69 years, female 32.9
GTEX-WY7C-2126-SM-3NB2R 50-59 years, male 32.9
GTEX-1I6K6-1726-SM-CGQFD 30-39 years, male 32.6
GTEX-Y5LM-0926-SM-6LLJG 40-49 years, female 32.4
GTEX-15RJ7-2126-SM-6PAMD 40-49 years, male 32.2
GTEX-1LVAN-0626-SM-CNPOQ 50-59 years, female 32.1
GTEX-Y5V5-0126-SM-5S2NW 60-69 years, female 31.9
GTEX-U8XE-0226-SM-4E3J3 30-39 years, male 31.8
GTEX-1C475-1326-SM-7SB73 40-49 years, female 31.5
GTEX-16BQI-1326-SM-6M486 30-39 years, female 31.2
GTEX-1K2DU-1226-SM-CYPT4 20-29 years, male 30.9
GTEX-15RIG-0726-SM-7KUM7 40-49 years, male 30.8
GTEX-1GF9U-2026-SM-7SB92 40-49 years, female 30.8
GTEX-1LSNM-0826-SM-DIPG8 50-59 years, male 30.7
GTEX-12C56-1526-SM-5FQUQ 20-29 years, male 30.4
GTEX-11EQ9-1626-SM-5PNY8 30-39 years, male 30.2
GTEX-11P7K-1126-SM-5HL4L 30-39 years, male 29.9
GTEX-ZVT2-0126-SM-5GIDQ 50-59 years, female 29.7
GTEX-WHPG-2626-SM-3NMBR 50-59 years, male 29.3
GTEX-1H1DF-1126-SM-9WG7G 40-49 years, female 29.2
GTEX-13OVJ-0826-SM-5J1OK 50-59 years, female 29.0
GTEX-13O61-1426-SM-5KM3D 60-69 years, male 28.9
GTEX-1AX8Z-0726-SM-73KTS 60-69 years, male 28.9
GTEX-13FTW-0326-SM-5K7UW 40-49 years, male 28.8
GTEX-1S831-1826-SM-EWROF 20-29 years, male 28.7
GTEX-1HUB1-1426-SM-CGQF5 60-69 years, male 28.4
GTEX-13N11-2326-SM-5IJBF 50-59 years, female 28.1
GTEX-1QP66-1226-SM-DTX7U 50-59 years, male 27.9
GTEX-YEC4-1826-SM-4W1YP 40-49 years, male 27.8
GTEX-11P82-1426-SM-DTXFY 20-29 years, male 27.7
GTEX-1JJ6O-2726-SM-CNPOG 60-69 years, male 27.6
GTEX-16MTA-0926-SM-6M47Z 50-59 years, male 26.7
GTEX-WYJK-0526-SM-3NM8Z 50-59 years, male 26.4
GTEX-11VI4-1126-SM-5EQMD 40-49 years, female 26.2
GTEX-14PJN-1826-SM-6AJ98 30-39 years, male 26.2
GTEX-17F9E-2326-SM-79OKD 50-59 years, male 26.1
GTEX-1HCU9-0426-SM-9WYSD 20-29 years, male 26.1
GTEX-1K2DA-1026-SM-CGQGF 50-59 years, male 25.9
GTEX-XK95-0226-SM-4AT58 40-49 years, male 25.8
GTEX-1HSMQ-2626-SM-A9SML 50-59 years, male 25.7
GTEX-1F5PL-0926-SM-7PC2W 40-49 years, female 25.5
GTEX-Y3I4-1726-SM-4TT89 50-59 years, male 25.4
GTEX-117YX-1926-SM-5GIEC 50-59 years, male 25.1
GTEX-1HC8U-1326-SM-9YFMJ 40-49 years, female 25.1
GTEX-13PVR-0426-SM-5RQK2 60-69 years, female 25.0
GTEX-14PHX-2226-SM-6EU2P 50-59 years, male 24.9
GTEX-XBEW-1126-SM-4QARW 40-49 years, male 24.8
GTEX-146FQ-2126-SM-5RQHU 30-39 years, male 24.7
GTEX-WH7G-2026-SM-3NMBL 40-49 years, male 24.6
GTEX-ZPU1-1126-SM-4YCF3 40-49 years, male 24.6
GTEX-1PDJ9-1226-SM-EXUSX 20-29 years, male 24.6
GTEX-1A3MX-2626-SM-7PC24 60-69 years, male 24.0
GTEX-1122O-1026-SM-9WYSF 60-69 years, female 23.3
GTEX-14XAO-1226-SM-6EU1C 60-69 years, female 23.2
GTEX-1I19N-0126-SM-CYPSF 70-79 years, male 23.1
GTEX-ZU9S-1826-SM-5NQ9E 30-39 years, male 23.0
GTEX-1QPFJ-1926-SM-EVYBD 30-39 years, female 23.0
GTEX-XXEK-1626-SM-4BRUZ 50-59 years, male 22.8
GTEX-1H1E6-0426-SM-9WYUS 30-39 years, male 22.8
GTEX-1F48J-0726-SM-7RHGS 50-59 years, female 22.6
GTEX-15SHW-0226-SM-7LTAT 60-69 years, male 22.4
GTEX-1HKZK-0726-SM-ACKW2 40-49 years, male 22.3
GTEX-12ZZZ-0726-SM-5GCNZ 60-69 years, male 22.1
GTEX-1477Z-0326-SM-7IGLA 60-69 years, male 22.1
GTEX-14B4R-1326-SM-5Q5EZ 30-39 years, male 22.1
GTEX-ZPCL-1126-SM-4WWFE 60-69 years, female 22.1
GTEX-1R9PN-0426-SM-DTXDT 40-49 years, female 22.0
GTEX-1A3MW-0626-SM-731CB 60-69 years, female 21.9
GTEX-ZDTT-0426-SM-4WKFL 60-69 years, male 21.9
GTEX-1GN1W-2426-SM-9KNUU 50-59 years, female 21.8
GTEX-111YS-1526-SM-5GZYW 60-69 years, male 21.7
GTEX-17F98-1326-SM-7DUEP 40-49 years, female 21.7
GTEX-12WSJ-1126-SM-5LZVJ 40-49 years, female 21.6
GTEX-15G1A-1626-SM-7KUKN 30-39 years, male 21.6
GTEX-1F75I-2226-SM-7SB8U 40-49 years, male 21.5
GTEX-Y8E4-2026-SM-5IFJB 40-49 years, male 21.4
GTEX-ZF29-0926-SM-4WKFZ 60-69 years, female 21.3
GTEX-11LCK-2226-SM-5HL4Q 30-39 years, male 21.2
GTEX-13N2G-0226-SM-5K7VF 60-69 years, male 21.2
GTEX-1CAV2-0126-SM-7IGN7 40-49 years, female 21.2
GTEX-1JMQK-1226-SM-D4P2S 60-69 years, male 21.2
GTEX-1QP9N-1226-SM-E76QN 30-39 years, male 21.2
GTEX-1B996-0426-SM-7EWF8 60-69 years, male 21.1
GTEX-1RAZR-2126-SM-E9U6T 40-49 years, male 21.1
GTEX-1399R-1326-SM-5PNYS 30-39 years, male 20.7
GTEX-WFON-1926-SM-3LK7L 40-49 years, male 20.7
GTEX-ZVE2-2826-SM-5GU51 50-59 years, male 20.7
GTEX-1S82P-2126-SM-E6CI5 60-69 years, female 20.7
GTEX-18A66-0626-SM-7LT8Z 60-69 years, male 20.6
GTEX-1IDJI-0126-SM-CMKHS 50-59 years, female 20.5
GTEX-14AS3-1526-SM-5Q5ED 40-49 years, female 20.4
GTEX-1ICG6-1226-SM-A9SLN 70-79 years, female 20.4
GTEX-1LBAC-0826-SM-CY8IJ 20-29 years, male 20.4
GTEX-15CHR-1126-SM-7EWF4 50-59 years, male 20.3
GTEX-13D11-0926-SM-5J2NC 50-59 years, female 20.1
GTEX-18QFQ-1826-SM-72D52 30-39 years, male 20.1
GTEX-11DZ1-2426-SM-5GZZX 50-59 years, male 19.9
GTEX-133LE-2326-SM-5K7W3 20-29 years, female 19.9
GTEX-XBEC-0726-SM-4QARZ 50-59 years, male 19.8
GTEX-131XF-2626-SM-5EQ6K 60-69 years, male 19.1
GTEX-1LGRB-0926-SM-COH3K 50-59 years, female 19.1
GTEX-ZTX8-1326-SM-4YCEL 20-29 years, male 18.8
GTEX-14PJ3-1126-SM-5ZZVX 50-59 years, male 18.7
GTEX-14PJO-2526-SM-6AJBQ 60-69 years, male 18.7
GTEX-WI4N-2726-SM-3LK7Y 40-49 years, female 18.7
GTEX-1KXAM-1626-SM-D3LAD 60-69 years, male 18.6
GTEX-16AAH-0626-SM-793C9 50-59 years, male 18.5
GTEX-1R7EU-1626-SM-DTXG3 60-69 years, male 18.5
GTEX-1A32A-0626-SM-731AQ 50-59 years, female 18.4
GTEX-178AV-1726-SM-7KUL8 40-49 years, male 18.2
GTEX-1CB4H-1126-SM-7MKGL 60-69 years, female 18.2
GTEX-1GL5R-1326-SM-7RHHF 50-59 years, male 18.2
GTEX-1PIGE-1826-SM-E8VOU 20-29 years, male 18.2
GTEX-1B8KE-1126-SM-7EPHI 50-59 years, male 18.1
GTEX-1I1CD-0626-SM-CE6SW 60-69 years, female 18.1
GTEX-V1D1-2026-SM-3GAF4 50-59 years, male 18.0
GTEX-13X6K-0626-SM-5LU5D 60-69 years, female 17.7
GTEX-1AMEY-0826-SM-72D65 30-39 years, female 17.7
GTEX-12WSH-1526-SM-5BC5W 50-59 years, male 17.6
GTEX-1CAMS-2226-SM-7PBXQ 40-49 years, female 17.6
GTEX-13OVK-1426-SM-6PAN7 40-49 years, male 17.4
GTEX-145MG-1526-SM-5Q5EM 50-59 years, male 17.4
GTEX-1J1R8-2026-SM-CL53Y 40-49 years, male 17.4
GTEX-13U4I-2226-SM-5LU5H 40-49 years, female 17.2
GTEX-1JMQL-2226-SM-CNPP4 50-59 years, female 17.2
GTEX-ZF2S-1626-SM-57WES 50-59 years, female 17.1
GTEX-1GPI7-1826-SM-9KNU1 20-29 years, male 17.1
GTEX-1C2JI-1026-SM-73KY1 50-59 years, male 16.9
GTEX-1CB4E-0926-SM-7EPHT 60-69 years, male 16.9
GTEX-1JKYR-0626-SM-ARL8R 20-29 years, male 16.9
GTEX-131XG-0326-SM-5L3DX 50-59 years, female 16.8
GTEX-1C64O-1326-SM-7MGWR 60-69 years, male 16.8
GTEX-1A3MV-1826-SM-731CD 30-39 years, male 16.7
GTEX-14PJ6-2626-SM-6EU2T 60-69 years, female 16.6
GTEX-1EX96-1026-SM-7MKG2 50-59 years, male 16.6
GTEX-YEC3-1326-SM-DO92X 50-59 years, male 16.6
GTEX-132AR-0326-SM-5KM2C 50-59 years, female 16.5
GTEX-1314G-1326-SM-5BC6E 30-39 years, male 16.4
GTEX-16XZZ-0726-SM-7KUF2 60-69 years, male 16.4
GTEX-XPVG-2126-SM-4B667 50-59 years, male 16.4
GTEX-1HSMO-0626-SM-ACKXC 60-69 years, male 16.4
GTEX-144GM-0526-SM-79OJO 20-29 years, male 16.3
GTEX-17MFQ-1526-SM-7KFRR 20-29 years, male 16.3
GTEX-17F96-0126-SM-7EWDU 70-79 years, male 16.1
GTEX-1I1GU-0926-SM-ACKVS 40-49 years, male 16.1
GTEX-12584-0726-SM-5FQTK 40-49 years, male 16.0
GTEX-XYKS-1426-SM-4BRUO 60-69 years, female 15.9
GTEX-1AYD5-2626-SM-7PBXY 50-59 years, male 15.7
GTEX-1HSGN-0826-SM-ACKW3 40-49 years, female 15.6
GTEX-11TT1-1826-SM-5EQLV 20-29 years, male 15.5
GTEX-1117F-2926-SM-5GZYI 60-69 years, female 15.4
GTEX-17EVQ-0126-SM-7IGLR 70-79 years, male 15.4
GTEX-1F75A-0726-SM-7RHHD 50-59 years, male 15.3
GTEX-1J8Q2-2626-SM-ACKWQ 60-69 years, male 15.2
GTEX-16NGA-0726-SM-731AO 40-49 years, female 15.1
GTEX-17MF6-2626-SM-79OKQ 40-49 years, male 15.1
GTEX-1GZ4H-0526-SM-9KNU9 50-59 years, female 14.8
GTEX-1I6K7-1926-SM-B2LXR 40-49 years, male 14.8
GTEX-1RMOY-1326-SM-E9TIH 50-59 years, male 14.6
GTEX-17HG3-2626-SM-7DUF2 30-39 years, female 14.5
GTEX-1B8KZ-0326-SM-73KY4 50-59 years, male 14.4
GTEX-YFCO-1226-SM-5LUAT 40-49 years, male 14.4
GTEX-14753-0726-SM-5QGQO 60-69 years, male 14.3
GTEX-145MO-2826-SM-5LU96 60-69 years, male 14.2
GTEX-14PJ4-0226-SM-5YY92 60-69 years, male 14.2
GTEX-1F75B-0726-SM-7PC3R 50-59 years, male 14.2
GTEX-11DXX-2126-SM-5PNYR 60-69 years, female 14.0
GTEX-1H23P-0626-SM-9WG6T 60-69 years, male 13.9
GTEX-1S3DN-2126-SM-E9TIN 50-59 years, male 13.7
GTEX-147JS-0226-SM-5S2U9 60-69 years, male 13.3
GTEX-17HGU-2326-SM-7DUFE 50-59 years, male 13.3
GTEX-139YR-1026-SM-5LZYN 50-59 years, male 13.2
GTEX-1H1ZS-2726-SM-9WG75 70-79 years, male 13.2
GTEX-1H1DG-2426-SM-9QEHJ 70-79 years, male 13.1
GTEX-1RLM8-2926-SM-E8VON 50-59 years, male 13.1
GTEX-1F6IF-0926-SM-7SB7M 60-69 years, male 13.0
GTEX-XAJ8-1426-SM-47JYM 40-49 years, male 12.9
GTEX-ZF3C-0626-SM-DO92O 50-59 years, female 12.8
GTEX-15D1Q-2826-SM-6LLH7 40-49 years, male 12.7
GTEX-13OW5-2326-SM-5L3HO 60-69 years, male 12.5
GTEX-XOT4-0626-SM-4B66L 60-69 years, female 12.5
GTEX-1GF9W-1426-SM-7PBYM 60-69 years, male 12.5
GTEX-1HSMP-0926-SM-A9SKX 70-79 years, male 12.5
GTEX-12696-0126-SM-5EQ4L 60-69 years, male 12.3
GTEX-12WSF-1626-SM-7KUG5 70-79 years, male 12.3
GTEX-X4EP-0626-SM-3P621 60-69 years, female 12.3
GTEX-1JMQI-1726-SM-ARL93 50-59 years, male 12.3
GTEX-UPJH-0226-SM-3GADV 50-59 years, male 12.2
GTEX-ZYW4-0626-SM-59HJR 60-69 years, male 12.2
GTEX-1F75W-2726-SM-7SB8H 60-69 years, male 12.2
GTEX-13PVQ-0626-SM-5LU47 50-59 years, male 12.1
GTEX-16MT9-0126-SM-7EPI8 60-69 years, female 12.1
GTEX-ZDXO-3126-SM-5IJDF 60-69 years, male 12.1
GTEX-1A8FM-0626-SM-7PC25 50-59 years, female 12.1
GTEX-1S82U-1026-SM-E6CJK 30-39 years, female 12.1
GTEX-17KNJ-2126-SM-718AM 50-59 years, male 12.0
GTEX-1JMLX-0626-SM-ARL8T 50-59 years, male 11.9
GTEX-UPK5-0426-SM-3GAEK 40-49 years, male 11.8
GTEX-1H1DE-1326-SM-9KNUG 20-29 years, male 11.8
GTEX-1OJC3-1226-SM-DTXER 20-29 years, male 11.8
GTEX-1QEPI-2626-SM-DTXF4 60-69 years, female 11.8
GTEX-XQ8I-0926-SM-4BOOF 50-59 years, male 11.7
GTEX-1GTWX-2026-SM-9YFLM 60-69 years, male 11.7
GTEX-1HCVE-2726-SM-CL54F 50-59 years, male 11.7
GTEX-1GZHY-0626-SM-9KNVC 50-59 years, female 11.6
GTEX-1RB15-1326-SM-E76Q9 60-69 years, male 11.6
GTEX-17JCI-2926-SM-7DUFF 60-69 years, female 11.5
GTEX-18A7B-2726-SM-7LG56 70-79 years, male 11.5
GTEX-1PPH7-1126-SM-DTX9A 40-49 years, male 11.5
GTEX-1QAET-0326-SM-EVR3U 50-59 years, male 11.5
GTEX-WHWD-1826-SM-3LK6I 50-59 years, male 11.4
GTEX-1JN1M-2726-SM-CY8I4 60-69 years, female 11.4
GTEX-12WSK-2126-SM-5CVNC 40-49 years, female 11.3
GTEX-139TU-0726-SM-5L3EK 60-69 years, male 11.3
GTEX-13RTJ-0126-SM-5S2NN 60-69 years, male 11.1
GTEX-1HCU6-2526-SM-ADEHL 60-69 years, female 11.1
GTEX-1KAFJ-0126-SM-DIPEK 50-59 years, male 11.1
GTEX-ZAK1-0626-SM-5HL8E 50-59 years, female 11.0
GTEX-15CHQ-0326-SM-69LQD 60-69 years, male 10.9
GTEX-1399U-1126-SM-5L3DB 50-59 years, female 10.8
GTEX-ZT9X-1526-SM-5DUXD 40-49 years, male 10.8
GTEX-11EI6-2826-SM-5H11D 60-69 years, male 10.7
GTEX-11O72-0626-SM-5PNYE 40-49 years, male 10.7
GTEX-14E1K-2026-SM-7DUEI 50-59 years, male 10.7
GTEX-WFG7-2026-SM-5SI7P 20-29 years, male 10.7
GTEX-X4EO-2926-SM-4E3JH 60-69 years, female 10.7
GTEX-1ICLZ-0326-SM-ARL82 60-69 years, male 10.6
GTEX-13N1W-2426-SM-5IJD1 70-79 years, male 10.5
GTEX-13O3Q-0126-SM-5KM34 50-59 years, male 10.5
GTEX-13YAN-0226-SM-5TDC6 60-69 years, male 10.5
GTEX-16NPX-0726-SM-7KULC 50-59 years, male 10.5
GTEX-1GMRU-2126-SM-7P8RA 50-59 years, male 10.5
GTEX-1K9T9-1526-SM-DIPFR 50-59 years, female 10.5
GTEX-1N2DV-1526-SM-DTXEP 40-49 years, male 10.5
GTEX-14A5H-0826-SM-5QGPJ 60-69 years, male 10.4
GTEX-14C38-0726-SM-5SI6M 50-59 years, male 10.4
GTEX-ZYVF-0926-SM-5E44J 50-59 years, female 10.4
GTEX-1HBPN-0126-SM-CGQEF 50-59 years, male 10.4
GTEX-139D8-1126-SM-5LU8W 30-39 years, female 10.3
GTEX-1R9K4-2826-SM-DTX8F 60-69 years, male 10.3
GTEX-16GPK-0626-SM-7KFSF 60-69 years, male 10.2
GTEX-Y114-2126-SM-4TT8B 50-59 years, female 10.2
GTEX-14PHY-1226-SM-5ZZWK 60-69 years, female 10.1
GTEX-15UF6-1926-SM-7KUDV 70-79 years, female 10.1
GTEX-17F9Y-0126-SM-79OKX 70-79 years, female 10.1
GTEX-1I1GT-1026-SM-ARZLV 60-69 years, female 10.1
GTEX-12WSD-0626-SM-5GCMW 60-69 years, female 10.0
GTEX-YJ8O-2526-SM-5HL85 40-49 years, female 10.0
GTEX-1JN76-0626-SM-CKZOQ 20-29 years, female 10.0
GTEX-15RIE-1926-SM-7KUKJ 60-69 years, male 9.9
GTEX-ZAJG-1526-SM-5CVML 50-59 years, female 9.8
GTEX-1LVA9-2626-SM-EVYD4 50-59 years, male 9.8
GTEX-1PPH8-0126-SM-EWRN8 20-29 years, male 9.8
GTEX-15SKB-2826-SM-6PAMH 60-69 years, male 9.7
GTEX-1F6I4-2326-SM-7RHGL 60-69 years, male 9.7
GTEX-1S5ZU-2526-SM-E6CIF 20-29 years, female 9.7
GTEX-13JUV-2026-SM-5K7UA 40-49 years, female 9.6
GTEX-13O3O-2326-SM-5IJD6 60-69 years, female 9.6
GTEX-ZAB4-2126-SM-5HL8U 40-49 years, male 9.6
GTEX-1192X-2726-SM-5N9DN 50-59 years, male 9.5
GTEX-1RAZQ-1326-SM-E9TK6 30-39 years, male 9.3
GTEX-ZDTS-0826-SM-4WKHL 60-69 years, male 9.2
GTEX-1QCLY-0226-SM-EWRNH 30-39 years, male 9.2
GTEX-1QW4Y-1126-SM-DTXE3 30-39 years, male 9.2
GTEX-1IY9M-2826-SM-ARU8H 60-69 years, male 9.1
GTEX-145LS-0626-SM-7EPG7 60-69 years, female 9.0
GTEX-1B932-2326-SM-79OL5 40-49 years, female 9.0
GTEX-131YS-2826-SM-5EQ47 60-69 years, female 8.9
GTEX-ZC5H-1526-SM-5HL9Y 40-49 years, female 8.9
GTEX-1H1CY-0126-SM-9YFLY 60-69 years, female 8.9
GTEX-1KD5A-0126-SM-E9U54 50-59 years, male 8.9
GTEX-12KS4-2126-SM-5FQUT 30-39 years, male 8.8
GTEX-131XH-0126-SM-5LZUY 50-59 years, male 8.8
GTEX-14E6C-2426-SM-5S2NF 40-49 years, male 8.8
GTEX-1GN1U-0626-SM-9MQL9 50-59 years, female 8.8
GTEX-17F97-2626-SM-7IGM5 50-59 years, male 8.7
GTEX-13NYC-0126-SM-5L3F4 60-69 years, male 8.6
GTEX-13OW8-1026-SM-5J1NQ 60-69 years, male 8.6
GTEX-11P81-2226-SM-5PNYI 30-39 years, female 8.5
GTEX-13OW7-0426-SM-5K7VK 50-59 years, male 8.5
GTEX-VUSG-2326-SM-4KL1U 50-59 years, male 8.5
GTEX-ZTTD-2826-SM-4YCFA 50-59 years, male 8.5
GTEX-1KWVE-1026-SM-D3L9O 30-39 years, male 8.5
GTEX-11DXZ-2026-SM-5987S 50-59 years, male 8.4
GTEX-15G19-2426-SM-7KUMR 60-69 years, male 8.4
GTEX-1N2EE-0626-SM-E76PW 60-69 years, male 8.4
GTEX-17HII-1426-SM-7EPGG 50-59 years, male 8.3
GTEX-1E1VI-0326-SM-793D1 50-59 years, male 8.3
GTEX-1GMR8-0626-SM-7RHI7 50-59 years, female 8.3
GTEX-1H3VE-0726-SM-9YFL5 40-49 years, male 8.3
GTEX-1JN6P-2926-SM-CL54D 60-69 years, male 8.3
GTEX-14PII-0726-SM-6EU2B 60-69 years, male 8.2
GTEX-13OW6-2726-SM-5J2OE 50-59 years, male 8.1
GTEX-144FL-0626-SM-5LU43 50-59 years, male 8.1
GTEX-1LVAO-2726-SM-E9TJ8 60-69 years, male 8.1
GTEX-1O9I2-0226-SM-EYYXD 50-59 years, male 8.1
GTEX-1RAZA-2226-SM-E9U4X 20-29 years, male 8.1
GTEX-145MI-0626-SM-5SI8S 60-69 years, female 8.0
GTEX-18465-2826-SM-7LT9J 50-59 years, male 8.0
GTEX-1HCU8-2526-SM-CE6RX 60-69 years, female 8.0
GTEX-12WSM-1926-SM-5BC65 60-69 years, male 7.9
GTEX-13QJC-0126-SM-5ZZWJ 60-69 years, female 7.9
GTEX-13X6I-1826-SM-5SIAO 60-69 years, male 7.9
GTEX-ZYFD-0626-SM-5E44E 50-59 years, male 7.9
GTEX-1HSKV-1226-SM-ADEI4 60-69 years, male 7.9
GTEX-1IDJV-0126-SM-COH3Y 60-69 years, male 7.9
GTEX-13NZ9-2626-SM-5L3FK 50-59 years, male 7.8
GTEX-16Z82-2626-SM-7KULU 60-69 years, male 7.8
GTEX-1C6VQ-1226-SM-73KYD 50-59 years, male 7.8
GTEX-1I1HK-2326-SM-CKZOH 60-69 years, male 7.8
GTEX-1QP2A-1726-SM-E76QC 50-59 years, male 7.8
GTEX-17HHY-0426-SM-7DHLC 50-59 years, male 7.7
GTEX-18A6Q-0626-SM-7KFRP 60-69 years, male 7.7
GTEX-WHSE-0126-SM-3NMBT 20-29 years, male 7.7
GTEX-ZVTK-0226-SM-51MRG 20-29 years, male 7.6
GTEX-1MCYP-0526-SM-E9U6Q 20-29 years, female 7.6
GTEX-1F5PK-2226-SM-7SB6N 50-59 years, male 7.5
GTEX-11GS4-0226-SM-5HL77 60-69 years, male 7.4
GTEX-12126-0826-SM-5FQTZ 20-29 years, male 7.4
GTEX-17EVP-2626-SM-7IGMA 40-49 years, male 7.4
GTEX-ZVE1-0726-SM-51MRN 50-59 years, female 7.4
GTEX-1JK1U-0226-SM-ARZMX 60-69 years, male 7.4
GTEX-11DYG-1526-SM-5A5JS 60-69 years, male 7.3
GTEX-1B8SF-0126-SM-7DUG3 60-69 years, male 7.3
GTEX-18A7A-0126-SM-731AH 50-59 years, female 7.2
GTEX-ZY6K-1426-SM-5GZX2 50-59 years, male 7.2
GTEX-1JMPZ-0726-SM-CY8HZ 30-39 years, male 7.2
GTEX-X585-2426-SM-46MW2 50-59 years, male 7.1
GTEX-16MT8-2926-SM-7DUFO 60-69 years, female 7.0
GTEX-Z93S-1626-SM-5CVMB 50-59 years, male 6.9
GTEX-11GSP-2326-SM-5HL63 60-69 years, female 6.8
GTEX-139TS-2126-SM-5K7XC 60-69 years, male 6.7
GTEX-147F4-0726-SM-5TDDD 50-59 years, male 6.7
GTEX-14C5O-0326-SM-5ZZUX 60-69 years, male 6.7
GTEX-14ICL-1626-SM-5YYAO 30-39 years, male 6.7
GTEX-ZVZP-1226-SM-5GID7 50-59 years, male 6.7
GTEX-ZXG5-2126-SM-59HKD 60-69 years, male 6.6
GTEX-131XW-0626-SM-5PNVD 50-59 years, female 6.5
GTEX-XMD2-2126-SM-4YCF8 60-69 years, female 6.5
GTEX-1PPGY-1626-SM-EVYBL 60-69 years, male 6.5
GTEX-111FC-2526-SM-5GZXU 60-69 years, male 6.4
GTEX-14LZ3-0126-SM-69LPM 60-69 years, female 6.4
GTEX-1LSVX-2526-SM-DIPEU 60-69 years, male 6.4
GTEX-16YQH-2226-SM-7IGM2 30-39 years, male 6.3
GTEX-1C6WA-2626-SM-7MKGM 60-69 years, male 6.2
GTEX-1HB9E-0126-SM-CM2S5 50-59 years, male 6.2
GTEX-1I1GS-2626-SM-B2LY3 60-69 years, male 6.2
GTEX-1JMPY-0226-SM-CKZOK 30-39 years, male 6.2
GTEX-14LLW-2626-SM-62LDZ 70-79 years, female 6.1
GTEX-ZVT4-2426-SM-5GIEI 50-59 years, female 6.0
GTEX-1RAZS-2526-SM-E6CHT 50-59 years, male 6.0
GTEX-11DXW-0826-SM-5H118 40-49 years, male 5.9
GTEX-13NYB-0126-SM-5J1MD 40-49 years, male 5.9
GTEX-183WM-0326-SM-72D5V 70-79 years, female 5.9
GTEX-1F52S-2926-SM-7MKGA 60-69 years, female 5.9
GTEX-1CB4J-1326-SM-7P8RX 60-69 years, male 5.9
GTEX-1GZ2Q-0126-SM-9WG6M 40-49 years, male 5.9
GTEX-1ICLY-0826-SM-CMKG1 50-59 years, male 5.9
GTEX-1H11D-1826-SM-9QEHM 40-49 years, male 5.8
GTEX-11EQ8-0926-SM-5H12V 60-69 years, male 5.7
GTEX-148VJ-0626-SM-5LUAW 70-79 years, male 5.7
GTEX-ZYFC-0426-SM-5GICQ 50-59 years, male 5.7
GTEX-14ABY-2026-SM-62LDL 50-59 years, male 5.6
GTEX-WK11-2726-SM-3NMAQ 50-59 years, male 5.6
GTEX-1N5O9-0926-SM-E9J3C 60-69 years, male 5.6
GTEX-13SLX-2226-SM-62LEP 50-59 years, female 5.5
GTEX-14BMV-2826-SM-5TDED 50-59 years, male 5.5
GTEX-11NUK-2726-SM-5A5MC 50-59 years, male 5.4
GTEX-11UD2-2526-SM-5CVNU 50-59 years, male 5.4
GTEX-144GO-2026-SM-5O99P 60-69 years, male 5.4
GTEX-15RJE-2826-SM-7KUM9 40-49 years, male 5.4
GTEX-XV7Q-1826-SM-4BRUV 40-49 years, female 5.4
GTEX-1M4P7-0726-SM-E6CJ3 60-69 years, male 5.4
GTEX-1EH9U-2826-SM-7DUGT 60-69 years, male 5.3
GTEX-1EKGG-0626-SM-7DUGJ 60-69 years, male 5.3
GTEX-1LG7Y-2526-SM-EWRO7 50-59 years, male 5.3
GTEX-1LSNL-2726-SM-E9TKJ 50-59 years, male 5.3
GTEX-13OVL-0126-SM-5L3GJ 50-59 years, male 5.2
GTEX-14C39-1726-SM-5RQIL 40-49 years, male 5.2
GTEX-14JFF-0626-SM-5ZZVT 60-69 years, male 5.2
GTEX-1LB8K-0726-SM-D5OV2 50-59 years, male 5.2
GTEX-1CAMQ-1326-SM-7P8RV 40-49 years, male 5.1
GTEX-12WSC-2826-SM-5BC5Y 50-59 years, male 5.0
GTEX-139UW-0326-SM-5J1ML 60-69 years, male 5.0
GTEX-1AX9I-2226-SM-73KUO 60-69 years, male 5.0
GTEX-1E2YA-2126-SM-7MXUO 50-59 years, male 5.0
GTEX-1F88E-1626-SM-7SB8Z 60-69 years, female 5.0
GTEX-1A8G7-1326-SM-73KVM 60-69 years, male 4.9
GTEX-1EN7A-2426-SM-793DB 40-49 years, male 4.9
GTEX-1HBPM-0726-SM-9YFL7 60-69 years, female 4.9
GTEX-1IDJH-0126-SM-D3L92 70-79 years, male 4.9
GTEX-12ZZX-2426-SM-5GCOE 40-49 years, female 4.8
GTEX-1EU9M-1426-SM-793AI 60-69 years, male 4.8
GTEX-1GN2E-0226-SM-9WG6K 60-69 years, male 4.8
GTEX-1J8JJ-0626-SM-ARZMQ 60-69 years, female 4.8
GTEX-13112-0126-SM-5P9IU 50-59 years, male 4.7
GTEX-13X6J-0626-SM-5LU5F 50-59 years, male 4.7
GTEX-WRHU-2826-SM-3MJG8 50-59 years, female 4.7
GTEX-1GPI6-1926-SM-9KNV7 60-69 years, male 4.7
GTEX-1399S-0126-SM-5IJCF 30-39 years, female 4.6
GTEX-13FHO-0426-SM-5L3F5 60-69 years, male 4.6
GTEX-13FLV-0126-SM-5K7WT 50-59 years, male 4.6
GTEX-14JG1-1526-SM-5YY9X 40-49 years, male 4.6
GTEX-1I1GP-1326-SM-A9G28 50-59 years, male 4.6
GTEX-12ZZY-0726-SM-5EQ66 60-69 years, male 4.5
GTEX-139T8-0626-SM-5KLZX 60-69 years, male 4.5
GTEX-14A6H-2026-SM-5Q5DD 30-39 years, male 4.5
GTEX-15ER7-0626-SM-6PANF 20-29 years, female 4.5
GTEX-1B933-2426-SM-7DHMD 50-59 years, female 4.5
GTEX-1GMR3-0126-SM-A9SLW 40-49 years, male 4.5
GTEX-1GZ4I-2626-SM-9KNU3 50-59 years, male 4.5
GTEX-1QMI2-2526-SM-E8VNZ 60-69 years, male 4.5
GTEX-13JVG-0726-SM-5KM16 60-69 years, male 4.4
GTEX-139TT-2126-SM-5LZWC 60-69 years, male 4.3
GTEX-13NYS-0626-SM-5L3F1 60-69 years, male 4.3
GTEX-ZUA1-2626-SM-5NQ92 40-49 years, male 4.3
GTEX-1EMGI-2326-SM-7PBYA 60-69 years, male 4.3
GTEX-1JJE9-2626-SM-ARZMT 70-79 years, male 4.3
GTEX-1LVAM-0726-SM-E6CIL 50-59 years, female 4.3
GTEX-1212Z-0126-SM-59HK4 60-69 years, male 4.2
GTEX-15DYW-2726-SM-6EU2I 60-69 years, female 4.2
GTEX-17HHE-1326-SM-7EWDZ 50-59 years, male 4.2
GTEX-1IKJJ-2226-SM-CJI4C 60-69 years, male 4.2
GTEX-1J1OQ-0126-SM-D4P2N 40-49 years, female 4.2
GTEX-1PBJJ-1026-SM-E76OS 30-39 years, male 4.2
GTEX-1POEN-2326-SM-E9J2L 30-39 years, female 4.2
GTEX-11WQC-1826-SM-5GU59 60-69 years, male 4.1
GTEX-1HCU7-0726-SM-A9SL1 50-59 years, male 4.1
GTEX-1HFI6-0126-SM-CNPPI 40-49 years, male 4.1
GTEX-1NSGN-0726-SM-DTXEF 50-59 years, male 4.1
GTEX-13OVH-0526-SM-5L3E6 70-79 years, male 4.0
GTEX-11DXY-0126-SM-5H11Q 60-69 years, male 3.9
GTEX-14PJ2-0626-SM-6LLII 50-59 years, male 3.9
GTEX-15EO6-2426-SM-6PALZ 50-59 years, male 3.9
GTEX-1R9PM-1926-SM-EVR3O 20-29 years, male 3.9
GTEX-1HGF4-0126-SM-CNPPX 60-69 years, male 3.8
GTEX-1JMQJ-0826-SM-CNPP7 50-59 years, male 3.8
GTEX-1S83E-1326-SM-E6CJM 40-49 years, male 3.8
GTEX-12WSA-0426-SM-5EQ5X 60-69 years, male 3.7
GTEX-13FTY-2126-SM-5IFFB 40-49 years, female 3.7
GTEX-XQ3S-1426-SM-4BOPR 20-29 years, male 3.7
GTEX-11OF3-0126-SM-5PNYF 60-69 years, male 3.6
GTEX-11TUW-0626-SM-5LU9M 60-69 years, male 3.6
GTEX-13IVO-0726-SM-5LZYV 70-79 years, male 3.6
GTEX-13PDP-0726-SM-5L3HP 60-69 years, male 3.6
GTEX-14BIN-1126-SM-5RQJZ 50-59 years, female 3.5
GTEX-18A67-1626-SM-7LT9T 50-59 years, male 3.5
GTEX-Y111-0626-SM-4SOIT 50-59 years, male 3.5
GTEX-1C64N-2626-SM-7PC2N 50-59 years, male 3.4
GTEX-1GN73-0726-SM-7P8TJ 60-69 years, male 3.4
GTEX-1HBPI-2126-SM-ARL9K 50-59 years, male 3.4
GTEX-13G51-1826-SM-5KLZH 60-69 years, male 3.3
GTEX-15DDE-2926-SM-6LLJ3 50-59 years, female 3.3
GTEX-1IL2V-1926-SM-B2LW8 70-79 years, male 3.3
GTEX-145LU-1926-SM-79OJN 50-59 years, male 3.2
GTEX-1F6RS-2026-SM-7RHHC 60-69 years, female 3.2
GTEX-1F88F-0126-SM-9WYSZ 60-69 years, female 3.2
GTEX-ZE7O-2726-SM-51MT5 50-59 years, female 3.1
GTEX-1HR98-2226-SM-ADEI2 60-69 years, male 3.1
GTEX-145MH-2826-SM-5RQJF 50-59 years, male 3.0
GTEX-1CB4F-1026-SM-7DUH1 60-69 years, male 3.0
GTEX-WHSB-1326-SM-3LK6W 50-59 years, male 3.0
GTEX-Y9LG-1126-SM-4VBQ7 30-39 years, male 3.0
GTEX-1H4P4-2126-SM-9WYSL 50-59 years, male 3.0
GTEX-1I1GV-0626-SM-ARL7M 60-69 years, male 3.0
GTEX-1IE54-1126-SM-A9G2Z 40-49 years, female 3.0
GTEX-1313W-0626-SM-5EQ4H 50-59 years, female 2.9
GTEX-13VXU-0626-SM-5L3F9 50-59 years, male 2.9
GTEX-1BAJH-2426-SM-7IGP8 70-79 years, male 2.9
GTEX-1GF9V-0826-SM-9KNUV 60-69 years, male 2.9
GTEX-1H2FU-0926-SM-9WPPT 60-69 years, female 2.9
GTEX-1LKK1-2626-SM-DKPQE 50-59 years, female 2.9
GTEX-11WQK-1026-SM-5EQLX 50-59 years, male 2.8
GTEX-ZWKS-0626-SM-5GIDV 30-39 years, male 2.8
GTEX-1IDFM-0326-SM-ARL7V 60-69 years, male 2.8
GTEX-1OJC4-2726-SM-E76PJ 50-59 years, female 2.8
GTEX-1269C-0126-SM-5EQ5L 60-69 years, female 2.7
GTEX-14DAQ-0626-SM-793DS 60-69 years, female 2.7
GTEX-1H3O1-1326-SM-9MQLD 60-69 years, male 2.7
GTEX-1IOXB-2726-SM-CM2RI 50-59 years, male 2.7
GTEX-1HR9M-2226-SM-CNPPY 60-69 years, male 2.6
GTEX-1KANB-2826-SM-CY8I6 50-59 years, male 2.6
GTEX-1R46S-2426-SM-E76QA 60-69 years, female 2.6
GTEX-11ZU8-0126-SM-5EQ58 60-69 years, male 2.5
GTEX-ZYY3-2926-SM-5GIEB 60-69 years, female 2.5
GTEX-YECK-0326-SM-4W1YS 60-69 years, male 2.4
GTEX-1NV5F-0626-SM-DTXEG 60-69 years, female 2.3
GTEX-1PIIG-2326-SM-DTXFR 30-39 years, male 2.3
GTEX-111VG-1626-SM-5EGIO 60-69 years, male 2.2
GTEX-144GL-0626-SM-5LU4D 50-59 years, male 2.2
GTEX-1A8G6-2726-SM-731AR 60-69 years, male 2.2
GTEX-1C6VR-0126-SM-7RHGB 60-69 years, male 2.2
GTEX-13PL6-1126-SM-5L3IE 40-49 years, female 2.1
GTEX-1B8L1-2226-SM-7P8PT 60-69 years, male 2.1
GTEX-1GF9X-1326-SM-7PC2Y 40-49 years, female 2.1
GTEX-11ZUS-2626-SM-5FQUR 30-39 years, male 2.0
GTEX-13NZ8-1226-SM-5KM4A 60-69 years, female 1.8
GTEX-145MF-0926-SM-5Q5EA 50-59 years, male 1.8
GTEX-ZYT6-2326-SM-5GZY3 30-39 years, male 1.7
GTEX-ZE9C-2526-SM-5IJDR 60-69 years, male 1.6
GTEX-1HT8W-0626-SM-A9G2H 30-39 years, male 1.6
GTEX-1JJEA-1826-SM-ARU8P 60-69 years, male 1.6
GTEX-1J8EW-2726-SM-CY8HR 60-69 years, female 1.5
GTEX-13SLW-0626-SM-5Q5ER 70-79 years, male 1.4
GTEX-147GR-2426-SM-5ZZWQ 60-69 years, male 1.4
GTEX-1GN1V-2826-SM-9JGIA 60-69 years, male 1.2
GTEX-1399Q-2326-SM-5KM2X 40-49 years, male 1.0
GTEX-11PRG-0726-SM-5EGL1 50-59 years, male 0.8
Show allShow less
Skin - Sun Exposed (Lower leg)
Average nTPM: 19.4
Samples: 701

Max nTPM: 167.2
Min nTPM: 1.1
Std nTPM: 16.8
Median nTPM: 14.8
GTEX-146FR-1326-SM-E9J48 60-69 years, female 167.2
GTEX-U4B1-1826-SM-4DXSU 40-49 years, male 99.5
GTEX-12WSN-5019-SM-79OM6 40-49 years, male 89.4
GTEX-1QP67-1626-SM-EAZ3X 40-49 years, female 83.6
GTEX-ZDTT-2726-SM-4WKF8 60-69 years, male 82.8
GTEX-144GN-2326-SM-5LU4F 50-59 years, male 78.9
GTEX-Y8LW-1826-SM-5S2MV 50-59 years, female 78.3
GTEX-XUW1-0426-SM-4BOOT 50-59 years, female 76.8
GTEX-RM2N-1426-SM-2TF4H 50-59 years, male 73.5
GTEX-U3ZM-1526-SM-3DB9D 40-49 years, male 72.7
GTEX-1GN1W-0526-SM-9MQJQ 50-59 years, female 70.8
GTEX-Y3I4-2126-SM-4TT7C 50-59 years, male 70.7
GTEX-WY7C-2326-SM-3NB2U 50-59 years, male 70.3
GTEX-1I1GU-2226-SM-CGQFA 40-49 years, male 70.1
GTEX-14PJ3-1826-SM-62LEX 50-59 years, male 66.8
GTEX-WRHK-1426-SM-3MJF9 20-29 years, female 66.7
GTEX-1MGNQ-0126-SM-EVYCJ 40-49 years, male 66.4
GTEX-R55G-2526-SM-2TC6D 40-49 years, female 65.4
GTEX-Q734-1926-SM-2I5EV 40-49 years, female 64.1
GTEX-W5WG-1826-SM-4KL2Y 50-59 years, female 63.9
GTEX-14BIL-0126-SM-5SI92 50-59 years, male 63.8
GTEX-1AX9K-2326-SM-73KWU 50-59 years, male 62.5
GTEX-14BMU-2226-SM-5TDE9 20-29 years, female 60.7
GTEX-14LLW-0126-SM-6LLIO 70-79 years, female 60.7
GTEX-1H1E6-1726-SM-ACKVK 30-39 years, male 60.1
GTEX-YEC4-2126-SM-5IFJH 40-49 years, male 60.0
GTEX-13OVI-1426-SM-5L3EY 60-69 years, female 59.7
GTEX-RWS6-2026-SM-2XCB5 60-69 years, female 59.7
GTEX-1RAZQ-0726-SM-EAZ43 30-39 years, male 58.4
GTEX-Z9EW-1626-SM-5CVMN 40-49 years, male 56.6
GTEX-13OVG-1926-SM-5L3DK 60-69 years, male 55.9
GTEX-11ZTT-2426-SM-5EQLS 60-69 years, female 55.4
GTEX-ZDXO-3026-SM-5J1N5 60-69 years, male 54.8
GTEX-S95S-1226-SM-4GICG 60-69 years, male 54.5
GTEX-R45C-0126-SM-EAZ2R 60-69 years, female 54.2
GTEX-1N2DV-0226-SM-E6CJ6 40-49 years, male 54.1
GTEX-QDVN-2026-SM-3GAEP 50-59 years, male 53.4
GTEX-14PK6-1926-SM-6ETZU 70-79 years, female 53.3
GTEX-OXRL-0126-SM-2YUMP 50-59 years, male 52.5
GTEX-Y5LM-1926-SM-5RQJH 40-49 years, female 52.2
GTEX-15EOM-0126-SM-7KUGG 20-29 years, female 52.1
GTEX-1JKYN-1326-SM-CGQG9 30-39 years, male 52.0
GTEX-1HSEH-0126-SM-ACKXN 60-69 years, male 50.4
GTEX-14JG6-2226-SM-6EU2G 30-39 years, female 50.0
GTEX-1C2JI-1826-SM-73KXC 50-59 years, male 50.0
GTEX-1HSMQ-1226-SM-CGQFX 50-59 years, male 50.0
GTEX-11XUK-2026-SM-5EQLF 40-49 years, female 49.7
GTEX-13OVJ-0126-SM-5KM36 50-59 years, female 49.5
GTEX-13VXT-0126-SM-5LU4I 20-29 years, female 49.3
GTEX-11EM3-2426-SM-59861 20-29 years, female 49.1
GTEX-WH7G-2326-SM-3NMBC 40-49 years, male 48.3
GTEX-13W3W-2426-SM-5LU5B 60-69 years, female 48.0
GTEX-WXYG-2326-SM-4E3I6 50-59 years, female 48.0
GTEX-14JIY-0126-SM-6LLH6 60-69 years, male 47.9
GTEX-1211K-2026-SM-5EQ4Z 60-69 years, female 46.5
GTEX-1J8Q3-1626-SM-CMKGC 60-69 years, male 46.4
GTEX-1NHNU-1026-SM-E9J2A 50-59 years, male 46.3
GTEX-T6MO-1626-SM-32QOM 40-49 years, female 45.9
GTEX-OXRK-0226-SM-3NB2G 50-59 years, female 45.2
GTEX-1K9T9-0126-SM-EVYCF 50-59 years, female 45.2
GTEX-1S5ZA-0126-SM-EVYCV 20-29 years, male 44.9
GTEX-ZF28-0126-SM-4WKGK 60-69 years, male 44.3
GTEX-11LCK-1026-SM-5A5KB 30-39 years, male 43.9
GTEX-XBED-2226-SM-47JYQ 60-69 years, male 43.6
GTEX-1IDJU-2626-SM-CM2RT 60-69 years, female 43.6
GTEX-PWCY-1826-SM-DHXIZ 20-29 years, female 43.3
GTEX-15SHW-0326-SM-6PAML 60-69 years, male 43.2
GTEX-14PN3-2426-SM-6LLHS 60-69 years, female 43.1
GTEX-12C56-1726-SM-5EQ61 20-29 years, male 43.0
GTEX-12WSL-2526-SM-5GCNJ 50-59 years, male 42.3
GTEX-1ICG6-2526-SM-CGQFZ 70-79 years, female 42.1
GTEX-1C64O-0126-SM-7SB8P 60-69 years, male 41.9
GTEX-ZDYS-2026-SM-5HL5L 50-59 years, male 41.5
GTEX-13RTK-1426-SM-5QGQJ 20-29 years, male 41.3
GTEX-ZF29-2326-SM-DO92K 60-69 years, female 41.2
GTEX-RUSQ-1526-SM-2TF62 50-59 years, male 40.5
GTEX-QCQG-1726-SM-3GIJ9 50-59 years, female 40.3
GTEX-Q2AI-1326-SM-2S1PL 40-49 years, male 40.0
GTEX-ZTSS-1926-SM-57WEW 40-49 years, male 39.6
GTEX-14DAR-2026-SM-5S2O3 50-59 years, male 39.2
GTEX-YB5K-2126-SM-4WWDJ 40-49 years, female 39.2
GTEX-VJYA-1126-SM-3GIJU 60-69 years, male 38.4
GTEX-13FH7-2026-SM-E9J4I 50-59 years, female 38.0
GTEX-Q2AG-0126-SM-33HBV 40-49 years, female 37.9
GTEX-OXRP-0126-SM-3NB32 60-69 years, female 37.5
GTEX-1MCYP-1926-SM-E9J2R 20-29 years, female 37.3
GTEX-1MUQO-0126-SM-EAZ58 60-69 years, male 37.0
GTEX-14753-0426-SM-5NQAM 60-69 years, male 36.9
GTEX-147F3-0526-SM-5SI98 50-59 years, female 36.9
GTEX-183FY-0126-SM-7LT9P 20-29 years, male 36.6
GTEX-1LGOU-2026-SM-DIPFF 20-29 years, female 36.2
GTEX-13O21-1426-SM-5K7XI 50-59 years, male 35.7
GTEX-1PFEY-1526-SM-E76PP 30-39 years, male 35.6
GTEX-11DXX-2426-SM-5GZZW 60-69 years, female 35.3
GTEX-11P82-1626-SM-59879 20-29 years, male 35.3
GTEX-16BQI-0226-SM-7KUEX 30-39 years, female 35.3
GTEX-1PPH7-2326-SM-EVYB8 40-49 years, male 35.2
GTEX-O5YW-0126-SM-3LK6D 50-59 years, male 34.8
GTEX-145LT-1726-SM-5QGP3 40-49 years, male 34.5
GTEX-18D9B-0526-SM-7LTAS 60-69 years, male 34.5
GTEX-145MN-2226-SM-5SIAU 30-39 years, male 34.1
GTEX-ZVT2-2526-SM-51MT1 50-59 years, female 34.1
GTEX-146FH-0126-SM-5QGPP 50-59 years, female 33.7
GTEX-13D11-2426-SM-5KM1V 50-59 years, female 33.5
GTEX-1HKZK-0326-SM-9WYUH 40-49 years, male 33.5
GTEX-QLQW-1126-SM-2S1Q8 30-39 years, male 33.4
GTEX-1JMOU-1526-SM-CL54I 60-69 years, female 33.4
GTEX-1I4MK-2226-SM-ACKWD 50-59 years, female 33.3
GTEX-13O3O-0126-SM-E9J49 60-69 years, female 33.2
GTEX-X5EB-2226-SM-46MW4 40-49 years, male 33.0
GTEX-113IC-0126-SM-5HL6T 60-69 years, male 32.8
GTEX-1IY9M-0126-SM-D3L8S 60-69 years, male 32.8
GTEX-16XZY-2126-SM-79OK1 70-79 years, male 32.6
GTEX-13PVR-2326-SM-5QGR1 60-69 years, female 32.5
GTEX-QDVJ-1726-SM-2I5FX 50-59 years, male 31.8
GTEX-ZYW4-0126-SM-5E44A 60-69 years, male 31.8
GTEX-131XG-2626-SM-5KM17 50-59 years, female 31.2
GTEX-1CAMS-0426-SM-7P8T2 40-49 years, female 31.2
GTEX-1QP29-0626-SM-EWRMX 50-59 years, male 31.1
GTEX-XXEK-2226-SM-4BRUM 50-59 years, male 31.0
GTEX-1C6VS-0526-SM-7DUEN 60-69 years, male 30.9
GTEX-1HCUA-2426-SM-ADEIS 50-59 years, female 30.4
GTEX-12KS4-0326-SM-5EQ41 30-39 years, male 30.3
GTEX-NFK9-0226-SM-2HMKQ 40-49 years, male 30.2
GTEX-18QFQ-0126-SM-731BE 30-39 years, male 30.0
GTEX-1OJC4-0126-SM-E9J2E 50-59 years, female 30.0
GTEX-OOBK-0126-SM-2YUND 40-49 years, male 29.8
GTEX-ZQUD-1426-SM-57WER 30-39 years, male 29.5
GTEX-1HBPH-0426-SM-B2LW5 40-49 years, female 29.3
GTEX-13O1R-0126-SM-5L3EH 60-69 years, male 28.9
GTEX-1HSMP-0126-SM-E6CJS 70-79 years, male 28.9
GTEX-1399U-2326-SM-5K7WY 50-59 years, female 28.8
GTEX-Q2AH-1626-SM-3GAF8 40-49 years, male 28.7
GTEX-U3ZH-2026-SM-3DB78 30-39 years, male 28.7
GTEX-U3ZN-2326-SM-3DB7W 30-39 years, female 28.7
GTEX-18D9U-0226-SM-718BP 40-49 years, male 28.5
GTEX-1AX9J-0226-SM-73KXM 60-69 years, male 28.5
GTEX-1B8KE-2126-SM-73KYX 50-59 years, male 28.3
GTEX-1QP2A-0126-SM-E9J43 50-59 years, male 28.2
GTEX-17F98-0626-SM-79OMX 40-49 years, female 28.0
GTEX-11VI4-1726-SM-5CVLH 40-49 years, female 27.9
GTEX-1GZ4H-1726-SM-7PBZJ 50-59 years, female 27.7
GTEX-1AX8Z-0126-SM-7DHM6 60-69 years, male 27.6
GTEX-XAJ8-0826-SM-47JY6 40-49 years, male 27.6
GTEX-1HFI7-1826-SM-ACKXH 50-59 years, female 27.6
GTEX-1I1HK-0126-SM-COH49 60-69 years, male 27.5
GTEX-14ICK-0226-SM-6EU25 40-49 years, male 27.4
GTEX-15UKP-0426-SM-7KUFQ 20-29 years, male 27.4
GTEX-117YX-2326-SM-5H12W 50-59 years, male 27.3
GTEX-148VI-1626-SM-5SI6E 60-69 years, female 27.3
GTEX-VUSG-2526-SM-4KL1V 50-59 years, male 27.1
GTEX-13OW7-0126-SM-5MR3B 50-59 years, male 27.0
GTEX-T8EM-1026-SM-3DB7M 40-49 years, male 27.0
GTEX-1J1R8-1726-SM-ARL8M 40-49 years, male 26.9
GTEX-13FHO-0226-SM-5IFGY 60-69 years, male 26.8
GTEX-1IE54-0126-SM-CMKHW 40-49 years, female 26.8
GTEX-Y114-2426-SM-4TT8A 50-59 years, female 26.4
GTEX-12WSJ-1826-SM-5GCNY 40-49 years, female 26.3
GTEX-11P7K-2126-SM-5GU7G 30-39 years, male 26.2
GTEX-13X6H-2126-SM-7EWD5 50-59 years, female 26.2
GTEX-14BIM-0226-SM-7IGLD 60-69 years, female 26.2
GTEX-1F6I4-0126-SM-9MQL2 60-69 years, male 26.1
GTEX-RTLS-0126-SM-447CA 60-69 years, female 25.9
GTEX-X4EO-0326-SM-3P5YO 60-69 years, female 25.8
GTEX-18A66-0226-SM-718BD 60-69 years, male 25.7
GTEX-13N11-2526-SM-5K7UE 50-59 years, female 25.6
GTEX-1497J-2426-SM-7IGNX 60-69 years, male 25.6
GTEX-1LNCM-1126-SM-E9U5E 50-59 years, female 25.4
GTEX-1GF9W-0326-SM-9KNUN 60-69 years, male 25.0
GTEX-1K2DU-2326-SM-E9TIV 20-29 years, male 25.0
GTEX-1JKYR-0126-SM-CNPOJ 20-29 years, male 24.9
GTEX-13FTX-1826-SM-5J1NX 20-29 years, female 24.6
GTEX-1IDJF-0126-SM-CM2RS 20-29 years, male 24.6
GTEX-13N1W-0126-SM-5K7VT 70-79 years, male 24.4
GTEX-SUCS-1926-SM-32PM3 70-79 years, male 24.3
GTEX-1J8QM-2126-SM-CYPSJ 60-69 years, female 24.3
GTEX-OIZF-0126-SM-7SB8I 60-69 years, male 24.3
GTEX-ZZ64-1726-SM-5GZYB 20-29 years, male 24.2
GTEX-ZV6S-2326-SM-4YCEY 40-49 years, female 24.1
GTEX-14PHX-2326-SM-62LEM 50-59 years, male 24.0
GTEX-OXRO-0126-SM-2YUN4 60-69 years, female 24.0
GTEX-ZVZP-2426-SM-59HKJ 50-59 years, male 23.8
GTEX-1S82Z-0826-SM-E6CHY 30-39 years, female 23.8
GTEX-1AMEY-1326-SM-73KYK 30-39 years, female 23.7
GTEX-15DCD-0126-SM-7KUEK 70-79 years, female 23.6
GTEX-PLZ4-0126-SM-5SI8O 50-59 years, female 23.6
GTEX-13NZA-0226-SM-5K7Z7 60-69 years, male 23.5
GTEX-1F75I-0326-SM-9YFLU 40-49 years, male 23.5
GTEX-14XAO-2326-SM-6EU1B 60-69 years, female 23.2
GTEX-1QPFJ-0226-SM-E76PB 30-39 years, female 23.2
GTEX-X8HC-0126-SM-4E3JW 50-59 years, female 23.1
GTEX-ZEX8-2426-SM-4WKG4 50-59 years, male 23.1
GTEX-1A3MV-1926-SM-718BT 30-39 years, male 22.8
GTEX-X4XY-0226-SM-4E3IZ 60-69 years, male 22.8
GTEX-ZGAY-0526-SM-4WWBB 40-49 years, female 22.8
GTEX-1A3MW-0126-SM-73KXX 60-69 years, female 22.6
GTEX-SNMC-1226-SM-2XCFP 20-29 years, male 22.6
GTEX-ZUA1-0126-SM-5GU76 40-49 years, male 22.5
GTEX-OHPM-0126-SM-2YUN9 50-59 years, male 22.3
GTEX-1C6WA-0126-SM-7PC2B 60-69 years, male 22.3
GTEX-X62O-0126-SM-4E3JN 50-59 years, male 22.2
GTEX-13YAN-0326-SM-5O9DF 60-69 years, male 21.9
GTEX-QLQ7-1626-SM-2S1R8 60-69 years, male 21.9
GTEX-TKQ1-1026-SM-4GICL 30-39 years, male 21.9
GTEX-1F5PK-2426-SM-7RHHY 50-59 years, male 21.8
GTEX-1R7EV-2426-SM-EVYBG 40-49 years, male 21.8
GTEX-PLZ6-1426-SM-DKPOT 30-39 years, male 21.8
GTEX-11GS4-2726-SM-5A5LE 60-69 years, male 21.6
GTEX-U8T8-0126-SM-3DB94 60-69 years, male 21.4
GTEX-ZQG8-1626-SM-DHXIT 60-69 years, female 21.4
GTEX-ZAB5-1826-SM-5HL7C 50-59 years, male 21.3
GTEX-1269C-2526-SM-5EGJ3 60-69 years, female 21.2
GTEX-13CF3-2426-SM-5IFGX 60-69 years, female 21.2
GTEX-13FTW-2626-SM-5K7WL 40-49 years, male 21.0
GTEX-WOFL-0126-SM-3MJG2 60-69 years, male 21.0
GTEX-1GPI7-0126-SM-9MQL8 20-29 years, male 21.0
GTEX-1128S-2326-SM-5GZZY 60-69 years, female 20.9
GTEX-1JK1U-2026-SM-CM2RZ 60-69 years, male 20.9
GTEX-1JN76-0126-SM-CNPPE 20-29 years, female 20.9
GTEX-1LC47-0326-SM-E9TJP 60-69 years, male 20.9
GTEX-11EMC-2926-SM-5EQ4F 60-69 years, female 20.7
GTEX-1AMFI-2026-SM-731BH 50-59 years, female 20.7
GTEX-1CAMR-1926-SM-7EPI2 20-29 years, male 20.7
GTEX-15G19-0126-SM-6PANQ 60-69 years, male 20.6
GTEX-X638-0126-SM-47JZ8 70-79 years, female 20.6
GTEX-XBEW-0626-SM-4QASP 40-49 years, male 20.6
GTEX-1QW4Y-1526-SM-EAZ3Z 30-39 years, male 20.6
GTEX-1CB4J-0626-SM-7DHMP 60-69 years, male 20.5
GTEX-TMMY-0226-SM-33HBA 40-49 years, female 20.5
GTEX-YB5E-2026-SM-5IFIS 40-49 years, male 20.4
GTEX-1JMPY-1326-SM-ARL8Y 30-39 years, male 20.3
GTEX-1KD5A-0226-SM-D5OV3 50-59 years, male 20.2
GTEX-11NSD-2226-SM-5986V 20-29 years, male 20.1
GTEX-17EUY-0426-SM-793BD 20-29 years, male 20.1
GTEX-145MO-0326-SM-5Q5B3 60-69 years, male 20.0
GTEX-1QP9N-1426-SM-DTXFL 30-39 years, male 20.0
GTEX-1S3DN-2226-SM-EVYCD 50-59 years, male 20.0
GTEX-ZVZO-0126-SM-5A5L9 40-49 years, male 19.9
GTEX-18A67-0126-SM-7LG5P 50-59 years, male 19.8
GTEX-11EQ9-2426-SM-5HL5T 30-39 years, male 19.7
GTEX-15SDE-2226-SM-7IGLO 50-59 years, female 19.7
GTEX-ZYFG-2326-SM-5E44B 60-69 years, female 19.7
GTEX-1I6K6-0126-SM-A9SLE 30-39 years, male 19.7
GTEX-17HGU-0226-SM-7DHKV 50-59 years, male 19.6
GTEX-NPJ8-0126-SM-2YUNR 40-49 years, male 19.6
GTEX-1F48J-0126-SM-7P8TT 50-59 years, female 19.6
GTEX-13VXU-0126-SM-5SI9F 50-59 years, male 19.5
GTEX-15CHC-2126-SM-6EU21 60-69 years, female 19.5
GTEX-1PIGE-0126-SM-EVYBJ 20-29 years, male 19.4
GTEX-133LE-1826-SM-5J1MV 20-29 years, female 19.3
GTEX-SE5C-1626-SM-2XCE3 40-49 years, female 19.2
GTEX-1F88F-2726-SM-7PBZZ 60-69 years, female 19.1
GTEX-11ZVC-2526-SM-5FQTE 50-59 years, female 19.0
GTEX-VJWN-0126-SM-3GIK7 50-59 years, female 19.0
GTEX-11ZUS-0626-SM-59885 30-39 years, male 18.9
GTEX-RU72-0926-SM-2TF6B 50-59 years, female 18.9
GTEX-1J8Q2-0526-SM-CM2RW 60-69 years, male 18.8
GTEX-1MA7X-2226-SM-E6CIY 60-69 years, male 18.8
GTEX-PLZ5-2026-SM-2S1O4 50-59 years, male 18.7
GTEX-1R9PO-2126-SM-E9J4O 60-69 years, female 18.7
GTEX-17F97-0326-SM-7LG5B 50-59 years, male 18.6
GTEX-R55E-0126-SM-2TC5Y 20-29 years, male 18.6
GTEX-1GF9U-2126-SM-7SB7L 40-49 years, female 18.6
GTEX-1KANC-1526-SM-D3LAB 50-59 years, female 18.5
GTEX-1QEPI-0126-SM-EWRMQ 60-69 years, female 18.5
GTEX-12584-0126-SM-5EGKQ 40-49 years, male 18.4
GTEX-1B97I-1626-SM-73KYO 40-49 years, male 18.4
GTEX-1LVAN-0226-SM-COH3S 50-59 years, female 18.4
GTEX-12WSD-0126-SM-59HKN 60-69 years, female 18.3
GTEX-16AAH-1726-SM-7939C 50-59 years, male 18.3
GTEX-17HHY-0126-SM-7LG5D 50-59 years, male 18.3
GTEX-WQUQ-0426-SM-3MJFU 60-69 years, male 18.3
GTEX-1HUB1-0426-SM-E9U4U 60-69 years, male 18.3
GTEX-1K2DA-1826-SM-CGQGT 50-59 years, male 18.3
GTEX-11WQC-2526-SM-5CVLE 60-69 years, male 18.2
GTEX-139T4-0226-SM-5HL5S 50-59 years, female 18.2
GTEX-17HII-0226-SM-7LG4E 50-59 years, male 18.2
GTEX-PSDG-0226-SM-DKPOZ 50-59 years, male 18.1
GTEX-1122O-2126-SM-5EGIR 60-69 years, female 18.0
GTEX-183WM-0126-SM-7LTAB 70-79 years, female 18.0
GTEX-14PN4-0126-SM-6EU2V 50-59 years, male 17.9
GTEX-13U4I-0126-SM-5LU38 40-49 years, female 17.8
GTEX-WFG8-2226-SM-3GIL9 20-29 years, male 17.7
GTEX-1HBPN-0226-SM-9YFM1 50-59 years, male 17.6
GTEX-OOBJ-0126-SM-E6CJW 60-69 years, male 17.6
GTEX-11GSP-2526-SM-5N9BP 60-69 years, female 17.5
GTEX-15ETS-0126-SM-7KUMW 40-49 years, female 17.5
GTEX-1A3MX-0126-SM-731BR 60-69 years, male 17.5
GTEX-17EVQ-0226-SM-7LG4P 70-79 years, male 17.4
GTEX-YJ8A-0426-SM-5IFID 20-29 years, male 17.4
GTEX-SSA3-0126-SM-32QPU 60-69 years, male 17.3
GTEX-16XZZ-0126-SM-793DV 60-69 years, male 17.2
GTEX-1QCLY-0326-SM-E8VOG 30-39 years, male 17.2
GTEX-11OC5-0126-SM-5HL6A 60-69 years, male 17.1
GTEX-14ABY-0226-SM-5TDCQ 50-59 years, male 17.1
GTEX-WYJK-0126-SM-3NMAB 50-59 years, male 17.0
GTEX-148VJ-0126-SM-5TDDN 70-79 years, male 16.9
GTEX-15DDE-0126-SM-6LPKH 50-59 years, female 16.9
GTEX-16NGA-1726-SM-731B4 40-49 years, female 16.9
GTEX-X585-0226-SM-4QAS2 50-59 years, male 16.8
GTEX-1H1DG-0126-SM-9WYU2 70-79 years, male 16.8
GTEX-1HB9E-0226-SM-E9U4R 50-59 years, male 16.7
GTEX-1HSGN-0226-SM-CGQFV 40-49 years, female 16.7
GTEX-139TT-0126-SM-5K7Y5 60-69 years, male 16.6
GTEX-139TU-0126-SM-5K7WH 60-69 years, male 16.5
GTEX-Y5V6-2426-SM-4VDSB 60-69 years, male 16.5
GTEX-1ICLZ-0126-SM-CKZPO 60-69 years, male 16.5
GTEX-12ZZZ-0626-SM-5DUXI 60-69 years, male 16.3
GTEX-T5JW-1626-SM-3GADZ 20-29 years, female 16.3
GTEX-XV7Q-2526-SM-4BRV9 40-49 years, female 16.3
GTEX-1H1DE-2126-SM-9WG6R 20-29 years, male 16.3
GTEX-11P81-2326-SM-59875 30-39 years, female 16.2
GTEX-ZXES-1826-SM-5E43S 30-39 years, female 16.2
GTEX-1GMR8-0126-SM-9WYTM 50-59 years, female 16.2
GTEX-1AYD5-2426-SM-73KXR 50-59 years, male 16.1
GTEX-P4PQ-0126-SM-2S1NM 60-69 years, male 16.1
GTEX-XMD2-0126-SM-4YCDU 60-69 years, female 16.1
GTEX-1HCU6-0126-SM-CL54K 60-69 years, female 16.1
GTEX-1192X-0226-SM-5H12D 50-59 years, male 16.0
GTEX-11DZ1-0126-SM-5985Q 50-59 years, male 16.0
GTEX-13W46-0226-SM-5SIAG 50-59 years, male 16.0
GTEX-TML8-1926-SM-32QOS 40-49 years, female 16.0
GTEX-1H3NZ-0126-SM-ACKX7 60-69 years, male 16.0
GTEX-13N2G-2626-SM-5J1OT 60-69 years, male 15.9
GTEX-ZY6K-1826-SM-5GZXK 50-59 years, male 15.9
GTEX-11TT1-2526-SM-5EGIB 20-29 years, male 15.8
GTEX-1EKGG-0226-SM-9WYTH 60-69 years, male 15.8
GTEX-14PII-0226-SM-6EU1T 60-69 years, male 15.7
GTEX-1C6VQ-0126-SM-7P8RI 50-59 years, male 15.7
GTEX-1HR98-0126-SM-B2LWI 60-69 years, male 15.7
GTEX-TSE9-0126-SM-3DB83 60-69 years, female 15.6
GTEX-1CAV2-2226-SM-7P8P2 40-49 years, female 15.5
GTEX-1H23P-0126-SM-ADEJ3 60-69 years, male 15.5
GTEX-15RIG-0226-SM-7KFTL 40-49 years, male 15.4
GTEX-1A32A-0126-SM-718B1 50-59 years, female 15.4
GTEX-1I1GT-0626-SM-CGQER 60-69 years, female 15.4
GTEX-132NY-0326-SM-5IJBL 60-69 years, male 15.3
GTEX-1PWST-0226-SM-E76QJ 70-79 years, male 15.3
GTEX-1R7EU-0226-SM-EVR4G 60-69 years, male 15.3
GTEX-13NZB-2526-SM-5J1OM 30-39 years, male 15.2
GTEX-17GQL-2026-SM-718BA 60-69 years, male 15.2
GTEX-15UF6-0826-SM-6PALJ 70-79 years, female 15.1
GTEX-X261-0126-SM-3NMD6 50-59 years, male 15.1
GTEX-S33H-1026-SM-EZ6L6 30-39 years, male 15.1
GTEX-1A8FM-0226-SM-7SB7Q 50-59 years, female 15.0
GTEX-17MFQ-1726-SM-793C7 20-29 years, male 14.9
GTEX-XYKS-2126-SM-4E3IB 60-69 years, female 14.9
GTEX-13OW5-0126-SM-DTXFS 60-69 years, male 14.9
GTEX-1KANA-0726-SM-D3L9I 20-29 years, male 14.9
GTEX-1QP66-1726-SM-E8VO1 50-59 years, male 14.9
GTEX-1RAZA-0126-SM-E6CI3 20-29 years, male 14.8
GTEX-145LV-2126-SM-5LU8N 50-59 years, male 14.7
GTEX-SN8G-0126-SM-32PLI 50-59 years, female 14.7
GTEX-1PDJ9-0326-SM-DTX95 20-29 years, male 14.7
GTEX-1CB4E-2226-SM-793DC 60-69 years, male 14.6
GTEX-ZTPG-0326-SM-5O9AX 20-29 years, female 14.6
GTEX-18465-0126-SM-731BN 50-59 years, male 14.5
GTEX-1B996-0226-SM-7RHGO 60-69 years, male 14.5
GTEX-1RLM8-2326-SM-EWRN4 50-59 years, male 14.5
GTEX-1M4P7-0226-SM-DIPEV 60-69 years, male 14.4
GTEX-ZPIC-1726-SM-DHXIU 40-49 years, female 14.4
GTEX-QDT8-0126-SM-48TZ1 30-39 years, female 14.3
GTEX-WI4N-1026-SM-3LK7N 40-49 years, female 14.3
GTEX-1313W-0126-SM-5LZUN 50-59 years, female 14.2
GTEX-ZVT3-0126-SM-5GU6I 60-69 years, female 14.2
GTEX-146FQ-0126-SM-5NQA9 30-39 years, male 14.1
GTEX-1CB4I-0226-SM-79OLH 50-59 years, male 14.1
GTEX-11O72-0126-SM-59887 40-49 years, male 14.0
GTEX-13QJ3-0326-SM-5S2RA 50-59 years, male 14.0
GTEX-18A7B-0126-SM-7LG64 70-79 years, male 14.0
GTEX-XUYS-0126-SM-47JWZ 50-59 years, male 14.0
GTEX-1H11D-0226-SM-9WG6Z 40-49 years, male 14.0
GTEX-O5YT-0126-SM-48TBW 20-29 years, male 13.9
GTEX-QVJO-1626-SM-2S1QW 60-69 years, female 13.9
GTEX-PW2O-1526-SM-7RHHB 20-29 years, male 13.9
GTEX-1HCVE-0126-SM-CGQEU 50-59 years, male 13.8
GTEX-13OVL-0226-SM-5L3E9 50-59 years, male 13.7
GTEX-ZVE2-0226-SM-59HJB 50-59 years, male 13.7
GTEX-1AYCT-2426-SM-7IGQ3 50-59 years, male 13.5
GTEX-S7PM-0126-SM-4AD6S 60-69 years, male 13.5
GTEX-145MI-0526-SM-5O9A8 60-69 years, female 13.4
GTEX-1GN1U-0126-SM-7PBZK 50-59 years, female 13.4
GTEX-1LGRB-2526-SM-CNPPQ 50-59 years, female 13.4
GTEX-13S7M-0126-SM-5SI6A 60-69 years, female 13.3
GTEX-OHPL-0126-SM-2HMJ7 60-69 years, female 13.3
GTEX-UPJH-0326-SM-3GADU 50-59 years, male 13.2
GTEX-15DYW-0126-SM-7KULE 60-69 years, female 13.1
GTEX-Y8E4-0626-SM-4WWDL 40-49 years, male 13.1
GTEX-1F75A-0126-SM-7RHGM 50-59 years, male 13.1
GTEX-R3RS-0126-SM-3GIJL 40-49 years, female 13.0
GTEX-1H3VE-0326-SM-9YFLH 40-49 years, male 13.0
GTEX-1LG7Y-0526-SM-DKPQC 50-59 years, male 13.0
GTEX-15SB6-1726-SM-6PAME 50-59 years, female 12.9
GTEX-ZAJG-0126-SM-5HL94 50-59 years, female 12.9
GTEX-1MCQQ-0826-SM-DLHC2 60-69 years, male 12.9
GTEX-1PPH8-0226-SM-E8VND 20-29 years, male 12.9
GTEX-1B933-0126-SM-7PC29 50-59 years, female 12.8
GTEX-18A7A-0226-SM-718BH 50-59 years, female 12.7
GTEX-131XF-5016-SM-7MGWE 60-69 years, male 12.7
GTEX-1GF9X-2026-SM-7PC3A 40-49 years, female 12.7
GTEX-1PBJI-0526-SM-E8VNK 20-29 years, female 12.7
GTEX-1RB15-2126-SM-E9TIM 60-69 years, male 12.7
GTEX-WYVS-2126-SM-3NMA3 40-49 years, female 12.6
GTEX-1IDFM-0126-SM-COH2V 60-69 years, male 12.6
GTEX-1IKOH-0226-SM-COH4E 60-69 years, female 12.6
GTEX-13SLX-0526-SM-5S2ON 50-59 years, female 12.5
GTEX-117YW-2626-SM-5GZZH 50-59 years, male 12.4
GTEX-Y111-0126-SM-4SOIV 50-59 years, male 12.4
GTEX-Y5V5-2326-SM-4V6GA 60-69 years, female 12.4
GTEX-1HCU9-1526-SM-A9SL7 20-29 years, male 12.4
GTEX-12WSG-2826-SM-E9J4H 50-59 years, female 12.3
GTEX-1H2FU-0126-SM-9WYSI 60-69 years, female 12.3
GTEX-1LG7Z-1726-SM-D3LA4 30-39 years, male 12.3
GTEX-U8XE-0326-SM-3DB8P 30-39 years, male 12.2
GTEX-1JMQK-0226-SM-CL543 60-69 years, male 12.2
GTEX-ZC5H-0226-SM-4WAY9 40-49 years, female 12.0
GTEX-1R46S-0626-SM-E9J41 60-69 years, female 12.0
GTEX-1EX96-1626-SM-7PBXR 50-59 years, male 11.9
GTEX-PVOW-0126-SM-2XCFA 40-49 years, male 11.8
GTEX-1CB4G-0226-SM-7PC3O 60-69 years, male 11.8
GTEX-131XE-2326-SM-5PNZ2 50-59 years, male 11.7
GTEX-14PJ6-2126-SM-6EU1V 60-69 years, female 11.7
GTEX-ZXG5-0126-SM-5GIEU 60-69 years, male 11.7
GTEX-1F6IF-0726-SM-7P8TW 60-69 years, male 11.6
GTEX-S32W-2126-SM-2XCB1 50-59 years, female 11.5
GTEX-XQ8I-0426-SM-4BOPO 50-59 years, male 11.5
GTEX-14C5O-0126-SM-5SI6N 60-69 years, male 11.4
GTEX-12696-2426-SM-5EQ6H 60-69 years, male 11.3
GTEX-144FL-0126-SM-5TDC8 50-59 years, male 11.3
GTEX-18D9A-1926-SM-7LG6P 30-39 years, female 11.3
GTEX-1GN73-0226-SM-9WG67 60-69 years, male 11.3
GTEX-1N2DW-0226-SM-E9TK2 50-59 years, male 11.3
GTEX-1E1VI-0126-SM-7DHMZ 50-59 years, male 11.2
GTEX-111VG-2426-SM-5GZXD 60-69 years, male 11.1
GTEX-13RTJ-2426-SM-5S2Q2 60-69 years, male 11.1
GTEX-P4PP-0126-SM-3LK69 30-39 years, female 11.0
GTEX-15SHU-0126-SM-7KUEH 40-49 years, female 10.9
GTEX-OXRN-0126-SM-48TDM 50-59 years, male 10.9
GTEX-13RTL-0126-SM-7LG5S 40-49 years, male 10.8
GTEX-11TUW-2726-SM-E9J4M 60-69 years, male 10.8
GTEX-13G51-2526-SM-5LZYK 60-69 years, male 10.7
GTEX-14PJM-0226-SM-62LF1 50-59 years, female 10.7
GTEX-1J8EW-0126-SM-CJI4F 60-69 years, female 10.7
GTEX-1JJE9-0326-SM-CL53Z 70-79 years, male 10.7
GTEX-1KXAM-2226-SM-CYPTC 60-69 years, male 10.7
GTEX-1R9K4-0126-SM-DTX9X 60-69 years, male 10.7
GTEX-11OF3-2626-SM-5GU7F 60-69 years, male 10.6
GTEX-13NYS-0126-SM-5MR3W 60-69 years, male 10.6
GTEX-17HHE-2026-SM-79OKF 50-59 years, male 10.6
GTEX-WFON-2126-SM-3LK7O 40-49 years, male 10.5
GTEX-P44H-0226-SM-2XCEU 40-49 years, male 10.4
GTEX-1MA7W-2026-SM-E9TJ6 20-29 years, female 10.4
GTEX-17EVP-0326-SM-7DHLG 40-49 years, male 10.3
GTEX-11TTK-0126-SM-5987B 60-69 years, female 10.2
GTEX-ZVTK-0426-SM-51MRS 20-29 years, male 10.2
GTEX-1N2EF-0226-SM-EYYXB 60-69 years, male 10.2
GTEX-14PHW-0126-SM-6LLJI 60-69 years, female 10.1
GTEX-1AX9I-0126-SM-7SB74 60-69 years, male 10.1
GTEX-1EWIQ-0126-SM-7RHH2 70-79 years, female 10.1
GTEX-1LBAC-0126-SM-DIPEZ 20-29 years, male 10.1
GTEX-1S82Y-2026-SM-EVYCM 40-49 years, male 10.1
GTEX-1192W-2626-SM-5Q5AF 60-69 years, male 10.0
GTEX-17MF6-0126-SM-7LG4F 40-49 years, male 10.0
GTEX-V1D1-2226-SM-3NMAX 50-59 years, male 10.0
GTEX-Z93T-0126-SM-5HL5N 50-59 years, male 10.0
GTEX-1EU9M-0226-SM-7P8SP 60-69 years, male 10.0
GTEX-1GPI6-0126-SM-9WG69 60-69 years, male 10.0
GTEX-1I1GR-0126-SM-CL55F 60-69 years, male 10.0
GTEX-1KANB-0526-SM-E6CJH 50-59 years, male 10.0
GTEX-1LH75-2426-SM-E9TJE 50-59 years, female 10.0
GTEX-W5X1-3026-SM-EAZAX 40-49 years, female 10.0
GTEX-11NUK-0126-SM-5A5L3 50-59 years, male 9.9
GTEX-1F5PL-0326-SM-7P8PQ 40-49 years, female 9.9
GTEX-13CF2-2526-SM-5LZYX 60-69 years, male 9.8
GTEX-147F4-0226-SM-5QGPW 50-59 years, male 9.8
GTEX-RN64-0126-SM-2TC68 50-59 years, male 9.8
GTEX-Z93S-0126-SM-5HL7M 50-59 years, male 9.8
GTEX-ZZPT-0226-SM-5E43X 50-59 years, male 9.7
GTEX-1HGF4-2426-SM-ACKXM 60-69 years, male 9.7
GTEX-1I19N-0326-SM-ACKVX 70-79 years, male 9.7
GTEX-ZF3C-0126-SM-DO92D 50-59 years, female 9.7
GTEX-ZAB4-0226-SM-5N9F5 40-49 years, male 9.6
GTEX-ZE7O-0126-SM-57WC1 50-59 years, female 9.6
GTEX-X4EP-0126-SM-3P5YV 60-69 years, female 9.5
GTEX-XUZC-1726-SM-4BRWS 30-39 years, female 9.5
GTEX-13OW8-1326-SM-5J1OW 60-69 years, male 9.4
GTEX-RWSA-0126-SM-2XCBB 40-49 years, male 9.4
GTEX-ZYFD-0126-SM-5GIDL 50-59 years, male 9.4
GTEX-14LZ3-0226-SM-62LET 60-69 years, female 9.3
GTEX-1HCU8-0626-SM-A9SM9 60-69 years, female 9.3
GTEX-1HFI6-0226-SM-ADEHZ 40-49 years, male 9.2
GTEX-14E6E-1826-SM-5S2R7 30-39 years, male 9.1
GTEX-1GN1V-0126-SM-9WPOS 60-69 years, male 9.1
GTEX-1IKK5-0626-SM-ARL8A 60-69 years, male 9.1
GTEX-1OJC3-0126-SM-E76QX 20-29 years, male 9.1
GTEX-15D1Q-0126-SM-7KUG6 40-49 years, male 9.0
GTEX-1B8KZ-2026-SM-7DHMB 50-59 years, male 9.0
GTEX-13112-2826-SM-5DUWH 50-59 years, male 8.9
GTEX-14E7W-0126-SM-6LLJ9 70-79 years, male 8.9
GTEX-RNOR-0126-SM-E9J4R 50-59 years, female 8.9
GTEX-OIZH-0126-SM-2HMIS 50-59 years, male 8.8
GTEX-U412-0426-SM-3DB9O 60-69 years, male 8.8
GTEX-X4XX-0126-SM-3NMC2 60-69 years, male 8.8
GTEX-1ICLY-0126-SM-D4P36 50-59 years, male 8.8
GTEX-169BO-1326-SM-9MQK2 50-59 years, male 8.7
GTEX-1B8L1-2526-SM-9WYTF 60-69 years, male 8.7
GTEX-1I1GS-0126-SM-B2LVW 60-69 years, male 8.7
GTEX-13O3P-0126-SM-5KM4S 50-59 years, male 8.6
GTEX-15F5U-1526-SM-6PANO 40-49 years, male 8.6
GTEX-1HSKV-0226-SM-A9SKJ 60-69 years, male 8.6
GTEX-1C6VR-2426-SM-79OLD 60-69 years, male 8.5
GTEX-ZU9S-0226-SM-5E441 30-39 years, male 8.5
GTEX-1CB4H-0226-SM-7PBXM 60-69 years, female 8.5
GTEX-1I1GP-2226-SM-CGQFK 50-59 years, male 8.5
GTEX-ZYFC-0226-SM-5NQ75 50-59 years, male 8.4
GTEX-13O3Q-2426-SM-5IJBR 50-59 years, male 8.3
GTEX-14E6D-0126-SM-62LDV 50-59 years, male 8.3
GTEX-T2IS-0126-SM-4DM6O 20-29 years, female 8.3
GTEX-1H1ZS-0426-SM-9WG6G 70-79 years, male 8.3
GTEX-WZTO-0126-SM-3NM95 40-49 years, male 8.2
GTEX-1H3VY-0126-SM-ACKXD 50-59 years, male 8.2
GTEX-1NV5F-0226-SM-E8VNY 60-69 years, female 8.2
GTEX-13FXS-0226-SM-5IJCK 50-59 years, male 8.1
GTEX-13JUV-2726-SM-5LZZ8 40-49 years, female 8.1
GTEX-13X6J-0126-SM-5QGOU 50-59 years, male 8.1
GTEX-147GR-0526-SM-5S2MY 60-69 years, male 8.1
GTEX-16NPX-0226-SM-79OMT 50-59 years, male 8.1
GTEX-Y3IK-2426-SM-4WWDU 50-59 years, female 8.1
GTEX-YFC4-0126-SM-5CVLY 40-49 years, female 8.1
GTEX-1GL5R-1826-SM-9KNUY 50-59 years, male 8.1
GTEX-1LSNM-1926-SM-E6CII 50-59 years, male 8.1
GTEX-1OFPY-2426-SM-DTXEJ 60-69 years, male 8.1
GTEX-113JC-2326-SM-5EQ4E 50-59 years, female 8.0
GTEX-1C4CL-0526-SM-73KVK 30-39 years, male 8.0
GTEX-OIZG-0726-SM-33HBL 50-59 years, male 8.0
GTEX-1GTWX-0126-SM-9YFLK 60-69 years, male 8.0
GTEX-1H3O1-0426-SM-9YFKY 60-69 years, male 8.0
GTEX-16GPK-0126-SM-7DHLE 60-69 years, male 7.9
GTEX-11GSO-2426-SM-5A5LY 60-69 years, male 7.8
GTEX-11WQK-0526-SM-5EQLD 50-59 years, male 7.8
GTEX-18A6Q-0126-SM-731BZ 60-69 years, male 7.7
GTEX-1I1CD-0126-SM-CM2TK 60-69 years, female 7.7
GTEX-11DXZ-2326-SM-5EGGV 50-59 years, male 7.6
GTEX-1KAFJ-2026-SM-CY8ID 50-59 years, male 7.6
GTEX-11EI6-0126-SM-5985R 60-69 years, male 7.5
GTEX-14BIN-0626-SM-793DP 50-59 years, female 7.5
GTEX-1J1OQ-0226-SM-CYPSH 40-49 years, female 7.5
GTEX-1RQEC-0426-SM-E6CHU 60-69 years, male 7.5
GTEX-11H98-0126-SM-5EGHG 50-59 years, male 7.4
GTEX-139TS-2826-SM-5J1OO 60-69 years, male 7.4
GTEX-13X6I-0626-SM-5QGP9 60-69 years, male 7.4
GTEX-PWO3-1526-SM-48TCM 60-69 years, female 7.4
GTEX-12WSK-2326-SM-5GCOH 40-49 years, female 7.3
GTEX-1JMPZ-0226-SM-CNPP1 30-39 years, male 7.3
GTEX-1JMQI-2226-SM-CM2SD 50-59 years, male 7.3
GTEX-1JMQJ-0526-SM-CYPSU 50-59 years, male 7.3
GTEX-13PDP-0126-SM-5L3HD 60-69 years, male 7.2
GTEX-14A5I-0126-SM-5TDEA 50-59 years, female 7.2
GTEX-14A6H-0126-SM-5QGPK 30-39 years, male 7.2
GTEX-13113-5016-SM-7EPIP 60-69 years, female 7.1
GTEX-13NZ8-0826-SM-5MR3I 60-69 years, female 7.1
GTEX-145ME-1826-SM-5SI9G 40-49 years, female 7.1
GTEX-15EU6-0426-SM-6PAN5 50-59 years, male 7.1
GTEX-RVPV-0126-SM-EAZAW 60-69 years, male 7.1
GTEX-12ZZY-0226-SM-5LZVE 60-69 years, male 7.0
GTEX-TMZS-0126-SM-3DB9Q 60-69 years, male 7.0
GTEX-ZDTS-0126-SM-4WAY5 60-69 years, male 7.0
GTEX-1HSMO-0126-SM-CL547 60-69 years, male 7.0
GTEX-1I1GV-0526-SM-A9G29 60-69 years, male 7.0
GTEX-1O97I-0326-SM-EYYX7 60-69 years, male 7.0
GTEX-11UD1-0126-SM-5PNYG 40-49 years, female 6.9
GTEX-13111-1626-SM-5EGJY 50-59 years, male 6.9
GTEX-1M5QR-1226-SM-EWROB 40-49 years, male 6.9
GTEX-SJXC-0126-SM-2XCFF 60-69 years, male 6.8
GTEX-XPVG-2626-SM-4B669 50-59 years, male 6.8
GTEX-1QAET-0926-SM-E76QM 50-59 years, male 6.8
GTEX-Y8DK-0126-SM-4TT3L 60-69 years, male 6.7
GTEX-1HBPM-0226-SM-ARL9F 60-69 years, female 6.7
GTEX-1S83E-0126-SM-EWRO4 40-49 years, male 6.7
GTEX-12WSC-0126-SM-5EQ4P 50-59 years, male 6.6
GTEX-UJHI-1526-SM-3DB99 50-59 years, female 6.6
GTEX-1EMGI-0126-SM-9KNUE 60-69 years, male 6.6
GTEX-1E2YA-0126-SM-9KNUC 50-59 years, male 6.5
GTEX-ZVT4-0126-SM-DTXFN 50-59 years, female 6.5
GTEX-ZYY3-0126-SM-5GZY5 60-69 years, female 6.4
GTEX-1F6RS-0126-SM-9MQKZ 60-69 years, female 6.4
GTEX-1JN1M-0326-SM-CYPT3 60-69 years, female 6.4
GTEX-1LB8K-0226-SM-EWRNW 50-59 years, male 6.3
GTEX-QEG4-0226-SM-2S1PY 30-39 years, male 6.2
GTEX-1F75B-0126-SM-9KNVL 50-59 years, male 6.2
GTEX-14E6C-0126-SM-5RQIP 40-49 years, male 6.1
GTEX-16YQH-0126-SM-7DUFJ 30-39 years, male 6.1
GTEX-X88G-0126-SM-47JZ3 30-39 years, male 6.1
GTEX-1F52S-0126-SM-9MQJU 60-69 years, female 6.1
GTEX-1GN2E-0426-SM-9MQKX 60-69 years, male 6.1
GTEX-1KD4Q-0226-SM-E9TJ9 40-49 years, male 6.1
GTEX-1JN6P-0126-SM-D3L98 60-69 years, male 6.0
GTEX-1314G-1526-SM-5EGK2 30-39 years, male 5.9
GTEX-1B8SG-0126-SM-73KZ3 50-59 years, male 5.9
GTEX-T6MN-0126-SM-32PLP 50-59 years, male 5.9
GTEX-1RDX4-0126-SM-E9J4P 50-59 years, female 5.9
GTEX-111FC-0126-SM-5N9DL 60-69 years, male 5.7
GTEX-T5JC-0426-SM-32PLO 20-29 years, male 5.7
GTEX-ZTX8-1426-SM-5DUVO 20-29 years, male 5.7
GTEX-1EN7A-0126-SM-7SB81 40-49 years, male 5.7
GTEX-QESD-1426-SM-2S1R9 20-29 years, male 5.6
GTEX-1IL2U-0226-SM-CE6T8 60-69 years, male 5.6
GTEX-16MT8-0426-SM-7KUEY 60-69 years, female 5.5
GTEX-XQ3S-1526-SM-4BOOC 20-29 years, male 5.5
GTEX-1F7RK-0126-SM-7PC2S 20-29 years, female 5.5
GTEX-1HCU7-0226-SM-CL545 50-59 years, male 5.5
GTEX-131XH-2226-SM-5DUXJ 50-59 years, male 5.4
GTEX-1GMRU-0126-SM-9YFLV 50-59 years, male 5.4
GTEX-12ZZX-0126-SM-5EGK9 40-49 years, female 5.3
GTEX-1GZHY-0326-SM-9QEHI 50-59 years, female 5.3
GTEX-1HBPI-1526-SM-C1YQ1 50-59 years, male 5.3
GTEX-1JJ6O-0126-SM-E6CI8 60-69 years, male 5.3
GTEX-QV44-1926-SM-2S1RF 50-59 years, male 5.2
GTEX-SIU8-0126-SM-2XCDT 50-59 years, male 5.2
GTEX-ZE9C-2726-SM-57WB5 60-69 years, male 5.2
GTEX-1CAMQ-0226-SM-7IGPK 40-49 years, male 5.1
GTEX-1GZ2Q-0226-SM-7P8TL 40-49 years, male 5.1
GTEX-11DXY-2626-SM-5GIE7 60-69 years, male 5.0
GTEX-131XW-0426-SM-5LZWP 50-59 years, female 5.0
GTEX-139D8-0226-SM-5KLZO 30-39 years, female 5.0
GTEX-11ZTS-0126-SM-5EQ6M 60-69 years, female 4.9
GTEX-17F96-1626-SM-7DUFL 70-79 years, male 4.8
GTEX-1B8SF-1426-SM-7DUGL 60-69 years, male 4.8
GTEX-1IGQW-0126-SM-COH42 60-69 years, male 4.8
GTEX-1IL2V-0126-SM-CM2TX 70-79 years, male 4.8
GTEX-1J8JJ-0226-SM-CL53I 60-69 years, female 4.8
GTEX-13IVO-0126-SM-5J1NG 70-79 years, male 4.7
GTEX-P4QT-0126-SM-2I3FL 50-59 years, female 4.7
GTEX-15ER7-0326-SM-7KUEV 20-29 years, female 4.6
GTEX-17KNJ-2326-SM-7DHLQ 50-59 years, male 4.6
GTEX-POMQ-2226-SM-2I5FK 20-29 years, female 4.6
GTEX-ZAK1-0126-SM-5IJD3 50-59 years, female 4.6
GTEX-12126-0326-SM-5PNW3 20-29 years, male 4.5
GTEX-13FHP-0126-SM-5IJBG 50-59 years, male 4.4
GTEX-13SLW-0126-SM-5SI6C 70-79 years, male 4.4
GTEX-13NYC-0326-SM-E9J4S 60-69 years, male 4.4
GTEX-131YS-0126-SM-5KM1M 60-69 years, female 4.3
GTEX-11DXW-0226-SM-5H122 40-49 years, male 4.2
GTEX-11ZU8-2526-SM-5EQKI 60-69 years, male 4.2
GTEX-11DYG-0126-SM-59883 60-69 years, male 4.1
GTEX-13OVH-0126-SM-5MR4B 70-79 years, male 4.1
GTEX-1BAJH-0526-SM-793CQ 70-79 years, male 4.1
GTEX-1IOXB-0126-SM-ARL8G 50-59 years, male 4.1
GTEX-1JMLX-0226-SM-CM2RO 50-59 years, male 4.1
GTEX-1L5NE-2526-SM-E6CIE 50-59 years, male 4.1
GTEX-13OW6-0426-SM-5L3HM 50-59 years, male 4.0
GTEX-S7SE-0126-SM-2XCD5 50-59 years, male 4.0
GTEX-1GF9V-0326-SM-7RHI5 60-69 years, male 4.0
GTEX-139T8-0126-SM-5K7XZ 60-69 years, male 3.9
GTEX-13OVK-2026-SM-7KUEO 40-49 years, male 3.9
GTEX-ZV68-0126-SM-59HKS 50-59 years, female 3.9
GTEX-1H4P4-0726-SM-9YFLR 50-59 years, male 3.9
GTEX-1I1GQ-0126-SM-COH3H 50-59 years, male 3.9
GTEX-14DAQ-0126-SM-5S2MQ 60-69 years, female 3.8
GTEX-T2YK-0526-SM-32QPJ 50-59 years, male 3.7
GTEX-145LU-0126-SM-5TDCB 50-59 years, male 3.6
GTEX-WVJS-0126-SM-4MVOT 50-59 years, male 3.6
GTEX-1POEN-0126-SM-EYYXJ 30-39 years, female 3.6
GTEX-13FTY-0526-SM-5L3EV 40-49 years, female 3.5
GTEX-1IKJJ-0126-SM-CNPQB 60-69 years, male 3.5
GTEX-1QMI2-0226-SM-EVYBX 60-69 years, male 3.5
GTEX-1212Z-2526-SM-5EGKP 60-69 years, male 3.3
GTEX-14BMV-0126-SM-5S2PO 50-59 years, male 3.3
GTEX-11UD2-0226-SM-5EQKY 50-59 years, male 3.2
GTEX-14JG1-0426-SM-6ETZZ 40-49 years, male 3.2
GTEX-ZF2S-2326-SM-4WWCE 50-59 years, female 3.0
GTEX-1H1CY-2826-SM-9MQM3 60-69 years, female 3.0
GTEX-1IDJH-0326-SM-A9SLQ 70-79 years, male 3.0
GTEX-17HG3-2226-SM-7938L 30-39 years, female 2.9
GTEX-1C475-1826-SM-73KWA 40-49 years, female 2.9
GTEX-1HT8W-0126-SM-CNPPP 30-39 years, male 2.9
GTEX-1399R-2726-SM-5IJBA 30-39 years, male 2.8
GTEX-139UW-2826-SM-5L3E7 60-69 years, male 2.8
GTEX-117XS-2726-SM-5N9BL 60-69 years, male 2.7
GTEX-14A5H-0426-SM-5QGQF 60-69 years, male 2.7
GTEX-17JCI-0126-SM-7LG5G 60-69 years, female 2.6
GTEX-1C64N-0126-SM-793D7 50-59 years, male 2.6
GTEX-ZYT6-0226-SM-5NQ6T 30-39 years, male 2.6
GTEX-1GMR3-1926-SM-9KNUZ 40-49 years, male 2.6
GTEX-145LS-0126-SM-5QGP1 60-69 years, female 2.5
GTEX-1R9PM-2026-SM-E76OY 20-29 years, male 2.3
GTEX-144GL-0126-SM-5TDE2 50-59 years, male 2.1
GTEX-1KWVE-1426-SM-E9TJO 30-39 years, male 2.1
GTEX-1CB4F-0426-SM-9KNV4 60-69 years, male 1.9
GTEX-1JMQL-0226-SM-CNPP5 50-59 years, female 1.8
GTEX-1399T-2826-SM-5KLYZ 60-69 years, male 1.7
GTEX-13NYB-2526-SM-5K7Z6 40-49 years, male 1.7
GTEX-YJ89-0126-SM-4TT3X 60-69 years, male 1.7
GTEX-1JJEA-0326-SM-CNPOT 60-69 years, male 1.7
GTEX-145MF-0626-SM-5LUAI 50-59 years, male 1.6
GTEX-ZWKS-0126-SM-5SIAA 30-39 years, male 1.6
GTEX-PX3G-0126-SM-2I3EN 20-29 years, female 1.5
GTEX-1MJK2-0426-SM-DTXE5 50-59 years, male 1.4
GTEX-12WSA-0226-SM-5BC5V 60-69 years, male 1.3
GTEX-1PIIG-0226-SM-EWRN6 30-39 years, male 1.2
GTEX-12WSE-0526-SM-793B2 20-29 years, male 1.1
Show allShow less

Contact

  • NEWS ARTICLES
  • PRESS ROOM

The Project

  • INTRODUCTION
  • ORGANIZATION
  • PUBLICATIONS

The Human Protein Atlas

  • DOWNLOADABLE DATA
  • LICENCE & CITATION
  • HELP & FAQ
The Human Protein Atlas project is funded
by the Knut & Alice Wallenberg Foundation.


contact@proteinatlas.org