We use cookies to enhance the usability of our website. If you continue, we'll assume that you are happy to receive all cookies. More information. Don't show this again.
COX17
HPA
RESOURCES
  • TISSUE
  • BRAIN
  • SINGLE CELL
  • SUBCELLULAR
  • CANCER
  • BLOOD
  • CELL LINE
  • STRUCTURE & INTERACTION
ABOUT
  • INTRODUCTION
  • HISTORY
  • ORGANIZATION
  • PUBLICATIONS
  • ANTIBODY SUBMISSION
  • ANTIBODY AVAILABILITY
  • ACKNOWLEDGMENTS
  • CONTACT
NEWS
  • NEWS ARTICLES
  • PRESS ROOM
LEARN
  • DICTIONARY
  • PROTEIN CLASSES
  • PROTEIN EVIDENCE
  • METHODS
  • EDUCATIONAL VIDEOS
DATA
  • DOWNLOADABLE DATA
  • PUBLICATION DATA
  • RELEASE HISTORY
HELP
  • ANTIBODY VALIDATION
  • ASSAYS & ANNOTATION
  • DISCLAIMER
  • HELP & FAQ
  • PRIVACY STATEMENT
  • LICENCE & CITATION
Fields »
Search result

Field
Term
Gene name
Class
Subclass
Class
Keyword
Chromosome
External id
Tissue
Cell type
Expression
Antibody panel
Tissue
Main location
Patient ID
Annotation
Tissue
Category
Tau score
Cluster
Reliability
Brain region
Category
Tau score
Brain region
Category
Tau score
Brain region
Category
Tau score
Cluster
Reliability
Tissue
Cell type
Enrichment
Cell type
Category
Tau score
Cell type
Category
Tau score
Cell type
Category
Tau score
Cell lineage
Category
Tau score
Cluster
Cluster
Location
Searches
Location
Cell line
Class
Type
Phase
Reliability
Cancer
Prognosis
Cancer
Category
Cancer
Category
Tau score
Cluster
Variants
Interacting gene (ensg_id)
Type
Number of interactions
Pathway
Category
Score
Score
Score
Validation
Validation
Validation
Validation
Antibodies
Data type
Column


  • SUMMARY

  • TISSUE

  • BRAIN

  • SINGLE CELL

  • SUBCELL

  • CANCER

  • BLOOD

  • CELL LINE

  • STRUCT & INT

  • COX17
TISSUE PRIMARY DATA HEART MUSCLE Show tissue menu
ADIPOSE TISSUE ADRENAL GLAND AMYGDALA APPENDIX BASAL GANGLIA BONE MARROW BREAST BRONCHUS CEREBELLUM CEREBRAL CORTEX CERVIX CHOROID PLEXUS COLON DUODENUM
ENDOMETRIUM EPIDIDYMIS ESOPHAGUS FALLOPIAN TUBE GALLBLADDER HEART MUSCLE HIPPOCAMPAL FORMATION HYPOTHALAMUS KIDNEY LIVER LUNG LYMPH NODE MIDBRAIN NASOPHARYNX
ORAL MUCOSA OVARY PANCREAS PARATHYROID GLAND PITUITARY GLAND PLACENTA PROSTATE RECTUM RETINA SALIVARY GLAND SEMINAL VESICLE SKELETAL MUSCLE SKIN SMALL INTESTINE
SMOOTH MUSCLE SOFT TISSUE SPINAL CORD SPLEEN STOMACH TESTIS THYMUS THYROID GLAND TONGUE TONSIL URINARY BLADDER VAGINA
ANTIBODIES
AND
VALIDATION
Dictionary
Heart muscle
Tissue proteome
Heart
HEART MUSCLE - Expression summary
Protein expression
Heart musclei

On the top, protein expression in current human tissue, based on all annotated cell types, is reported with the units not detected (n), low (l), medium (m) and high (h). Underneath, protein expression in each annotated cell type are reported using the same units.

Protein expression data is based on knowledge-based annotation. For genes where more than one antibody has been used, a collective score is set.

If knowledge-based annotation could not be performed for a gene, no data is displayed here. View antibody staining data further down this page.

h
m
l
n
Cardiomyocytes: High
RNA expressioni

A summary of mRNA expression data available for current tissue based on several datasets. The mRNA expression levels in human tissues are based on RNA-seq data generated by the Human Protein Atlas (HPA), Genotype-Tissue Expression (GTEx) portal and CAGE data generated by the FANTOM5 consortium. Consensus normalized expression levels for human tissues was created by combining the data from HPA and GTEx datasets.

The mRNA expression levels in pig are based on RNA-seq data generated by the Human Protein Atlas (HPA), and for mouse, HPA data and in situ hybridization generated by the Allen brain atlas are reported.

Scroll down to view mRNA expression data in more detail.
Consensus:269.5 nTPM
HPA:269.5 nTPM
GTEx:196.0 nTPM
FANTOM5:411.4 Scaled Tags Per Million

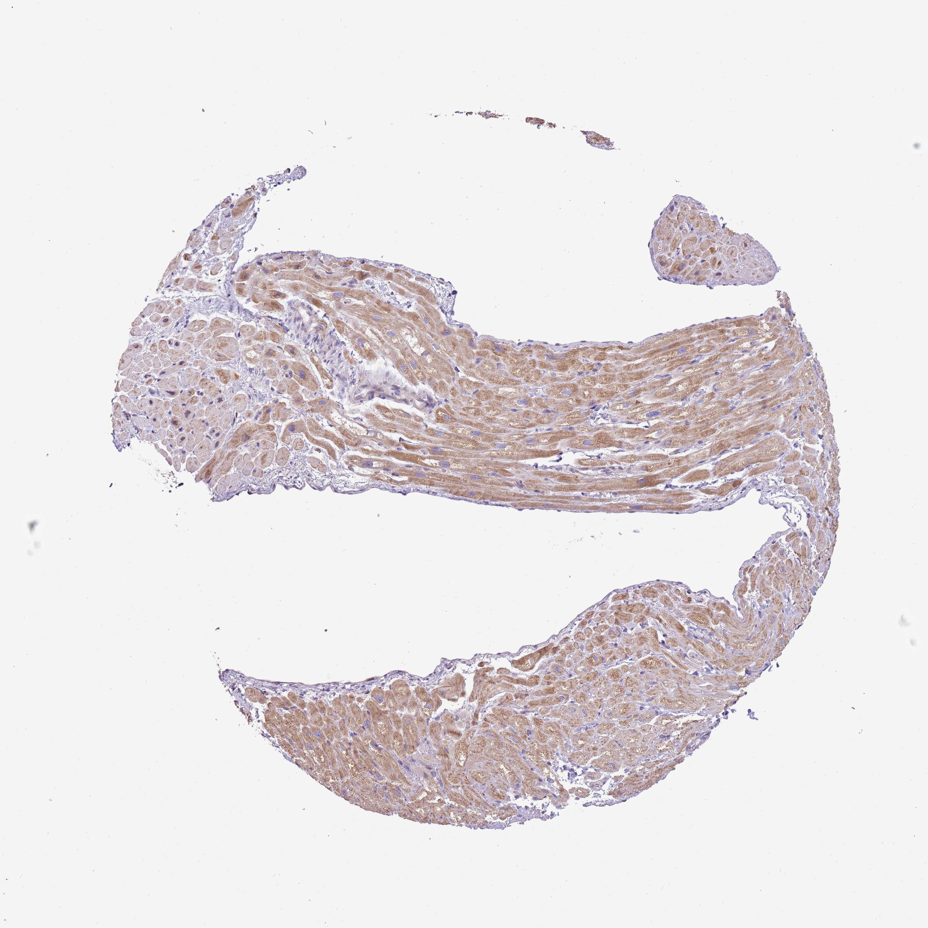
HEART MUSCLE - Antibody stainingi

Antibody staining in the annotated cell types in the current human tissue is reported as not detected, low, medium, or high, based on conventional immunohistochemistry profiling in selected tissues. This score is based on the combination of the staining intensity and fraction of stained cells.

Each image is clickable and will lead to virtual microscopy that enables deeper exploration of all samples and also displays staining intensity scores, fraction scores and subcellular localization as well as patient and tissue information for each sample.

Antibody HPA042226Antibody HPA048158
Cardiomyocytes HighMedium




HEART MUSCLE - HPA RNA-seqi

The RNA-seq details section shows detailed information about the individual samples used for the transcript profiling and results of the RNA-seq analysis.

Information about each individual sample is listed below, including gender, age, a tissue section image and estimated fractions of cell types. nTPM (normalized transcripts per million) values give a quantification of the gene abundance which is comparable between different genes and samples.
Average nTPMi

Max subtype nTPM is the value for the subtype with the largest average nTPM across the subtype samples.

269.5
overview
Female, age 48
Heart muscle sample 149
nTPM: 396.3
Cell types%
Myocytes:
15

Fibroblasts:
55

Endothelial cells:
25

Other cell types:
5

overview
Female, age 42
Heart muscle sample 150
nTPM: 216.7
Cell types%
Myocytes:
20

Fibroblasts:
45

Endothelial cells:
30

Other cell types:
5

overview
Male, age 53
Heart muscle sample 151
nTPM: 203
Cell types%
Myocytes:
20

Fibroblasts:
45

Endothelial cells:
30

Other cell types:
5

overview
Female, age 69
Heart muscle sample 152
nTPM: 262.1
Cell types%
Myocytes:
20

Fibroblasts:
45

Endothelial cells:
30

Other cell types:
5


HEART MUSCLE - GTEx RNA-seqi

RNA-Seq data generated by the Genotype-Tissue Expression (GTEx) project from human tissues is reported as mean nTPM. More information can be found on the GTEx portal.

Distribution across the dataset is visualized with box plots, shown as median and 25th and 75th percentiles. Points are displayed as outliers if they are above or below 1.5 times the interquartile range. nTPM values of the individual samples are presented next to the box plot.
Max subtype nTPMi

Max subtype nTPM is the value for the subtype with the largest average nTPM across the subtype samples.

196.0
GTEx sample id Sample description nTPM
Heart - Atrial Appendage
Average nTPM: 143.6
Samples: 429

Max nTPM: 455.3
Min nTPM: 52.3
Std nTPM: 45.7
Median nTPM: 141.1
GTEX-14PJM-0826-SM-6LLIW 50-59 years, female 455.3
GTEX-14C5O-1226-SM-664N3 60-69 years, male 300.0
GTEX-ZZPT-0926-SM-5GICZ 50-59 years, male 297.4
GTEX-ZYFC-1026-SM-5GZX9 50-59 years, male 290.6
GTEX-1A32A-1326-SM-73KWW 50-59 years, female 289.8
GTEX-1QP29-1426-SM-DTX9Q 50-59 years, male 283.1
GTEX-1GN1U-1426-SM-7P8TF 50-59 years, female 277.0
GTEX-1MJIX-0426-SM-DTXEN 40-49 years, male 270.7
GTEX-14BIM-2726-SM-5Q5EG 60-69 years, female 267.5
GTEX-1GF9U-0526-SM-7P8SK 40-49 years, female 267.2
GTEX-1I1GP-0626-SM-ARL7H 50-59 years, male 257.5
GTEX-13NZB-0426-SM-5KM26 30-39 years, male 239.1
GTEX-1KANC-0226-SM-E9TIW 50-59 years, female 237.1
GTEX-1KANB-1126-SM-DHXJT 50-59 years, male 234.4
GTEX-13YAN-1426-SM-7EPG8 60-69 years, male 232.1
GTEX-14JG1-0826-SM-5ZZWR 40-49 years, male 228.7
GTEX-11UD2-0926-SM-5CVL6 50-59 years, male 225.9
GTEX-11DYG-1026-SM-5A5JQ 60-69 years, male 225.4
GTEX-Y114-0126-SM-4TT8K 50-59 years, female 225.1
GTEX-12WSE-0926-SM-5S2VX 20-29 years, male 220.3
GTEX-13VXT-0726-SM-5SIAD 20-29 years, female 219.3
GTEX-17JCI-0826-SM-7LT8W 60-69 years, female 214.5
GTEX-XOT4-1126-SM-4B66E 60-69 years, female 212.9
GTEX-11O72-1026-SM-5986B 40-49 years, male 207.7
GTEX-13OW5-0926-SM-5L3GZ 60-69 years, male 207.6
GTEX-13NYS-1926-SM-5IJCB 60-69 years, male 207.2
GTEX-1NHNU-0626-SM-E6CP1 50-59 years, male 206.7
GTEX-WHSE-0826-SM-4SOJU 20-29 years, male 206.4
GTEX-14ASI-0826-SM-5Q5EB 60-69 years, male 204.1
GTEX-12WSC-1026-SM-5EQ5Y 50-59 years, male 203.9
GTEX-1HFI7-0526-SM-A9SMA 50-59 years, female 203.4
GTEX-ZE7O-0626-SM-57WCD 50-59 years, female 203.2
GTEX-U8XE-0926-SM-3DB8V 30-39 years, male 202.7
GTEX-1GZ4I-0826-SM-9WG6O 50-59 years, male 202.2
GTEX-YEC4-0226-SM-4W1YG 40-49 years, male 201.5
GTEX-13QBU-0226-SM-5LU48 40-49 years, female 201.0
GTEX-Y3I4-0526-SM-4TT6X 50-59 years, male 200.4
GTEX-ZGAY-0226-SM-4WWAL 40-49 years, female 200.4
GTEX-1QPFJ-0926-SM-EVR3K 30-39 years, female 199.9
GTEX-ZLFU-0326-SM-4WWBK 40-49 years, male 198.8
GTEX-VJWN-1026-SM-4M1ZN 50-59 years, female 198.0
GTEX-131XG-0526-SM-5DUWF 50-59 years, female 197.2
GTEX-1H2FU-0826-SM-9WYSU 60-69 years, female 197.0
GTEX-17F96-0826-SM-7DHLU 70-79 years, male 196.9
GTEX-12WSG-1226-SM-5EQ4C 50-59 years, female 196.8
GTEX-1399S-0826-SM-5KM23 30-39 years, female 196.3
GTEX-139YR-0526-SM-5L3DG 50-59 years, male 195.5
GTEX-1212Z-0726-SM-5EGI5 60-69 years, male 194.6
GTEX-XBEC-1226-SM-4AT65 50-59 years, male 194.5
GTEX-15DCE-0826-SM-7KULW 20-29 years, male 194.1
GTEX-16YQH-0726-SM-7IGM1 30-39 years, male 193.0
GTEX-ZYVF-1826-SM-5E44F 50-59 years, female 192.3
GTEX-1HSGN-0926-SM-CNNQM 40-49 years, female 191.7
GTEX-1HT8W-1326-SM-CGQEN 30-39 years, male 191.4
GTEX-1J1OQ-2226-SM-A96SS 40-49 years, female 190.7
GTEX-11EQ8-1326-SM-5EGJQ 60-69 years, male 190.0
GTEX-1IY9M-0626-SM-D4P2L 60-69 years, male 189.8
GTEX-1B97J-0326-SM-7939H 50-59 years, female 189.2
GTEX-1KXAM-1426-SM-D3LAC 60-69 years, male 189.0
GTEX-148VJ-1426-SM-5TDE3 70-79 years, male 188.7
GTEX-18465-0726-SM-7LG4L 50-59 years, male 187.5
GTEX-1P4AB-0926-SM-E76PV 50-59 years, male 187.1
GTEX-18A7A-1226-SM-7LTAJ 50-59 years, female 187.0
GTEX-ZVT3-0826-SM-5GIC8 60-69 years, female 187.0
GTEX-18D9U-1426-SM-718BO 40-49 years, male 186.7
GTEX-1F75A-1026-SM-7PC3W 50-59 years, male 186.3
GTEX-132Q8-1126-SM-5K7XS 60-69 years, male 186.1
GTEX-17F9E-0726-SM-793A1 50-59 years, male 186.1
GTEX-1A8G6-1826-SM-73KY8 60-69 years, male 184.6
GTEX-144GL-1026-SM-5O99R 50-59 years, male 184.4
GTEX-13PDP-1326-SM-5K7U9 60-69 years, male 184.3
GTEX-XQ3S-0526-SM-4BOQA 20-29 years, male 183.4
GTEX-183WM-0926-SM-718AN 70-79 years, female 182.7
GTEX-13OW7-1626-SM-5IJDH 50-59 years, male 182.1
GTEX-14BMV-1026-SM-5SI6B 50-59 years, male 181.6
GTEX-1QCLZ-1126-SM-EWRNB 60-69 years, female 181.2
GTEX-12ZZX-0726-SM-5EGKA 40-49 years, female 179.8
GTEX-145LS-1326-SM-5Q5EP 60-69 years, female 179.1
GTEX-145MN-0726-SM-5NQBH 30-39 years, male 178.6
GTEX-13FTW-0826-SM-5K7XR 40-49 years, male 177.9
GTEX-ZYFD-2026-SM-5E459 50-59 years, male 177.8
GTEX-1HBPN-0926-SM-CGQEG 50-59 years, male 177.5
GTEX-1EH9U-0626-SM-7PC33 60-69 years, male 177.0
GTEX-1B933-0826-SM-79OMW 50-59 years, female 176.6
GTEX-XV7Q-0726-SM-4BRV6 40-49 years, female 176.5
GTEX-X4EP-0326-SM-3P5Z6 60-69 years, female 176.4
GTEX-YB5K-0226-SM-5IFJE 40-49 years, female 176.2
GTEX-17F9Y-1226-SM-7EPGE 70-79 years, female 175.3
GTEX-1GMR3-0426-SM-7PC17 40-49 years, male 174.8
GTEX-ZAK1-1126-SM-5PNXU 50-59 years, female 174.6
GTEX-ZYT6-0926-SM-5GIEM 30-39 years, male 174.2
GTEX-XGQ4-0526-SM-4AT6C 50-59 years, male 173.9
GTEX-13NYB-0326-SM-5IJDP 40-49 years, male 172.5
GTEX-1NSGN-1226-SM-E76OL 50-59 years, male 172.5
GTEX-1JMLX-1826-SM-CNPOX 50-59 years, male 172.2
GTEX-13JVG-1126-SM-5KM2M 60-69 years, male 171.5
GTEX-13PL7-0726-SM-5KM1S 60-69 years, female 168.9
GTEX-WK11-0626-SM-3NMAV 50-59 years, male 168.9
GTEX-12WSD-1226-SM-5HL9Q 60-69 years, female 168.2
GTEX-12WSI-0426-SM-5EQ5J 50-59 years, male 168.0
GTEX-1GF9V-1726-SM-9KNW4 60-69 years, male 167.7
GTEX-1IKK5-1726-SM-CM2RU 60-69 years, male 167.4
GTEX-1E1VI-1426-SM-793CY 50-59 years, male 167.1
GTEX-ZF3C-1126-SM-57WEG 50-59 years, female 166.9
GTEX-W5X1-0826-SM-3GILN 40-49 years, female 166.8
GTEX-1122O-0626-SM-5N9B9 60-69 years, female 166.7
GTEX-11WQK-0226-SM-5EQLI 50-59 years, male 166.7
GTEX-1B932-1326-SM-79OM4 40-49 years, female 166.6
GTEX-ZDTT-0326-SM-4WKF9 60-69 years, male 166.3
GTEX-111VG-0326-SM-5GZX7 60-69 years, male 165.9
GTEX-1LGOU-0326-SM-D3LAM 20-29 years, female 165.8
GTEX-1HR98-1026-SM-CKZOM 60-69 years, male 165.4
GTEX-1LVAO-0626-SM-EWRNT 60-69 years, male 165.1
GTEX-WI4N-0726-SM-3TW93 40-49 years, female 165.0
GTEX-ZDTS-1226-SM-4WKGL 60-69 years, male 165.0
GTEX-YJ8O-0826-SM-5CVM3 40-49 years, female 164.9
GTEX-1B8KE-0326-SM-73KTY 50-59 years, male 164.8
GTEX-13PVQ-1326-SM-5LU4J 50-59 years, male 164.7
GTEX-145LV-0226-SM-5S2QG 50-59 years, male 164.4
GTEX-1PPGY-0926-SM-DTXFF 60-69 years, male 164.4
GTEX-1H1DG-0826-SM-9QEIW 70-79 years, male 162.9
GTEX-14PN4-0826-SM-69LON 50-59 years, male 162.7
GTEX-1MCC2-0226-SM-EVYD5 30-39 years, female 162.7
GTEX-13CF2-0226-SM-5L3DV 60-69 years, male 162.6
GTEX-XLM4-2026-SM-4AT4X 60-69 years, male 162.0
GTEX-111FC-0626-SM-5N9CU 60-69 years, male 161.8
GTEX-Y3IK-1026-SM-51MR7 50-59 years, female 161.4
GTEX-1EU9M-1926-SM-7RHH4 60-69 years, male 161.4
GTEX-13O61-0426-SM-5L3ET 60-69 years, male 159.6
GTEX-1LH75-0526-SM-DIPG2 50-59 years, female 159.6
GTEX-1445S-1226-SM-5O9BF 60-69 years, male 159.5
GTEX-1LSNM-0426-SM-E9TIZ 50-59 years, male 159.3
GTEX-1399T-0726-SM-5J1MH 60-69 years, male 158.9
GTEX-1GN73-2326-SM-9MQKV 60-69 years, male 158.5
GTEX-1399U-0726-SM-5KM1D 50-59 years, female 158.3
GTEX-11DXY-1026-SM-5987V 60-69 years, male 158.1
GTEX-13S86-0326-SM-5SI6K 40-49 years, male 158.1
GTEX-13O3P-1426-SM-5L3DT 50-59 years, male 158.0
GTEX-14PK6-0726-SM-6LLIX 70-79 years, female 157.9
GTEX-ZVT2-0926-SM-5GICE 50-59 years, female 157.8
GTEX-17GQL-0626-SM-731CN 60-69 years, male 157.7
GTEX-13SLW-0826-SM-5QGP7 70-79 years, male 157.5
GTEX-1LVAN-1526-SM-CNPQN 50-59 years, female 156.9
GTEX-WZTO-1226-SM-3NMAZ 40-49 years, male 156.2
GTEX-V1D1-0626-SM-4JBHN 50-59 years, male 155.5
GTEX-XPT6-0226-SM-4B65L 20-29 years, male 155.5
GTEX-117YX-0626-SM-5EGJI 50-59 years, male 155.4
GTEX-1C2JI-0626-SM-7DHM1 50-59 years, male 155.4
GTEX-1I1GQ-1226-SM-CL55J 50-59 years, male 155.4
GTEX-146FH-1126-SM-5NQAT 50-59 years, female 155.2
GTEX-14PHX-0626-SM-5YY8Z 50-59 years, male 154.9
GTEX-1JJEA-0926-SM-CYPSO 60-69 years, male 154.9
GTEX-1F75I-1326-SM-7PBZX 40-49 years, male 154.7
GTEX-YF7O-0526-SM-5P9IO 50-59 years, male 154.6
GTEX-1IDJD-0226-SM-CKZOA 30-39 years, male 154.5
GTEX-ZDYS-0326-SM-5HL4W 50-59 years, male 154.1
GTEX-1JK1U-0626-SM-CKZOJ 60-69 years, male 154.0
GTEX-1H11D-1026-SM-9QEIU 40-49 years, male 153.6
GTEX-1BAJH-1026-SM-7EWEG 70-79 years, male 153.3
GTEX-13OW6-0926-SM-5L3GM 50-59 years, male 153.1
GTEX-13SLX-0926-SM-5S2NM 50-59 years, female 153.1
GTEX-X3Y1-0226-SM-3P5Z5 40-49 years, male 153.1
GTEX-13O3O-1426-SM-5KM2S 60-69 years, female 153.0
GTEX-YFC4-0426-SM-4TT3J 40-49 years, female 152.7
GTEX-117XS-0726-SM-5H131 60-69 years, male 152.5
GTEX-1CAMS-1126-SM-7MXUQ 40-49 years, female 152.5
GTEX-14PJ2-1126-SM-69LOD 50-59 years, male 152.2
GTEX-11ZUS-0326-SM-5EQ4W 30-39 years, male 152.1
GTEX-1J8Q2-1026-SM-ARU8I 60-69 years, male 152.1
GTEX-1AX9K-0426-SM-73KUG 50-59 years, male 151.8
GTEX-1J8EW-0626-SM-CM2TY 60-69 years, female 151.8
GTEX-13FHO-1226-SM-5L3EF 60-69 years, male 151.6
GTEX-1H3VY-1126-SM-A96TP 50-59 years, male 151.5
GTEX-139TU-1926-SM-5J2OC 60-69 years, male 151.4
GTEX-13FHP-0826-SM-5K7V5 50-59 years, male 151.3
GTEX-1CB4J-0226-SM-7P8T4 60-69 years, male 150.6
GTEX-14E1K-0826-SM-5ZZW9 50-59 years, male 150.1
GTEX-12WSA-1126-SM-5EGKU 60-69 years, male 149.5
GTEX-XQ8I-0226-SM-4BOPM 50-59 years, male 149.2
GTEX-1HBPH-0226-SM-9WYSM 40-49 years, female 149.0
GTEX-1IDJH-1126-SM-COH3R 70-79 years, male 148.8
GTEX-1OFPY-0926-SM-DTX8Q 60-69 years, male 148.6
GTEX-147F4-1126-SM-5TDDE 50-59 years, male 148.4
GTEX-1GMR8-1026-SM-9MQLA 50-59 years, female 148.4
GTEX-12696-1226-SM-5FQSM 60-69 years, male 148.3
GTEX-1LGRB-1026-SM-CNPQD 50-59 years, female 148.3
GTEX-WYBS-1226-SM-3NM9N 60-69 years, female 148.2
GTEX-ZDXO-0426-SM-4WKF6 60-69 years, male 148.0
GTEX-17KNJ-0626-SM-7LT9L 50-59 years, male 147.5
GTEX-1C64N-0826-SM-7RHGQ 50-59 years, male 146.7
GTEX-1C64O-0926-SM-79OLN 60-69 years, male 146.4
GTEX-1HC8U-0626-SM-B2LWB 40-49 years, female 146.4
GTEX-111YS-0326-SM-5GZZ3 60-69 years, male 146.1
GTEX-ZV7C-0526-SM-9WPNK 50-59 years, male 146.1
GTEX-13O1R-0926-SM-5L3DS 60-69 years, male 145.9
GTEX-1E2YA-0626-SM-7P8P4 50-59 years, male 145.7
GTEX-147JS-1326-SM-5SI6D 60-69 years, male 145.6
GTEX-1RLM8-0226-SM-E6CJY 50-59 years, male 145.4
GTEX-1399R-1726-SM-5K7YJ 30-39 years, male 145.1
GTEX-1QEPI-1126-SM-E8VN7 60-69 years, female 144.9
GTEX-1K2DU-0226-SM-DIPF6 20-29 years, male 144.8
GTEX-11EM3-0426-SM-5N9BZ 20-29 years, female 144.2
GTEX-1AX9J-0926-SM-73KXA 60-69 years, male 144.2
GTEX-1313W-1126-SM-5EQ5U 50-59 years, female 144.1
GTEX-16NPX-0826-SM-6M489 50-59 years, male 143.6
GTEX-1EMGI-1126-SM-9KNUF 60-69 years, male 143.3
GTEX-11LCK-0826-SM-5PNYD 30-39 years, male 143.2
GTEX-1GN2E-1426-SM-7RHHI 60-69 years, male 142.6
GTEX-1QMI2-1026-SM-DTX7T 60-69 years, male 142.6
GTEX-15RIE-1326-SM-6PAMM 60-69 years, male 142.4
GTEX-18D9B-1126-SM-7KFSH 60-69 years, male 142.0
GTEX-Z93S-0326-SM-5HL84 50-59 years, male 141.7
GTEX-131XF-0426-SM-5HL7U 60-69 years, male 141.3
GTEX-WEY5-0226-SM-3GIKN 40-49 years, female 141.3
GTEX-14PJO-0826-SM-6ETZK 60-69 years, male 141.1
GTEX-1CB4G-0726-SM-79OOJ 60-69 years, male 140.7
GTEX-1IKOE-0626-SM-A9G31 30-39 years, female 140.0
GTEX-1JN6P-0826-SM-ARL97 60-69 years, male 139.8
GTEX-11NV4-0826-SM-5BC4S 60-69 years, male 139.7
GTEX-13RTJ-0526-SM-62LDP 60-69 years, male 139.3
GTEX-1RB15-0426-SM-E9U4Y 60-69 years, male 139.2
GTEX-14A6H-0326-SM-5NQAN 30-39 years, male 138.9
GTEX-1ICG6-0726-SM-B2LY5 70-79 years, female 138.2
GTEX-132QS-0526-SM-5IJC7 60-69 years, male 137.8
GTEX-1B8L1-0426-SM-7SB76 60-69 years, male 137.7
GTEX-UPK5-0226-SM-3GAEV 40-49 years, male 137.2
GTEX-13O21-0326-SM-5J1N9 50-59 years, male 137.0
GTEX-WH7G-0326-SM-3NMBH 40-49 years, male 137.0
GTEX-ZYFG-0526-SM-5GZXX 60-69 years, female 137.0
GTEX-11DXX-0526-SM-5PNVR 60-69 years, female 136.9
GTEX-XPVG-0726-SM-4B658 50-59 years, male 136.8
GTEX-1J8QM-0326-SM-CL53D 60-69 years, female 136.7
GTEX-1LB8K-0926-SM-D4P42 50-59 years, male 136.6
GTEX-11P81-0526-SM-59873 30-39 years, female 136.5
GTEX-132NY-1426-SM-5J1MJ 60-69 years, male 136.5
GTEX-13N11-0726-SM-5L3DP 50-59 years, female 136.1
GTEX-1F75B-1126-SM-7RHGP 50-59 years, male 136.0
GTEX-1HBPM-1026-SM-ARL9D 60-69 years, female 135.6
GTEX-132AR-1926-SM-5EGK5 50-59 years, female 134.8
GTEX-14XAO-0926-SM-69LPZ 60-69 years, female 134.7
GTEX-15SKB-0926-SM-7KUFC 60-69 years, male 134.5
GTEX-1F88F-0326-SM-9KNV3 60-69 years, female 134.5
GTEX-ZAJG-0926-SM-5Q5AB 50-59 years, female 133.7
GTEX-Y5V5-0726-SM-4VBPY 60-69 years, female 133.4
GTEX-1477Z-1126-SM-5P9GK 60-69 years, male 133.2
GTEX-1H3NZ-1026-SM-A9SM5 60-69 years, male 133.2
GTEX-15CHQ-1326-SM-6871Z 60-69 years, male 132.8
GTEX-1L5NE-0526-SM-DIPG5 50-59 years, male 132.7
GTEX-1R9JW-0426-SM-E76QL 30-39 years, female 132.5
GTEX-12BJ1-0326-SM-5FQUB 60-69 years, male 131.3
GTEX-1CAMQ-0726-SM-7P8SG 40-49 years, male 131.2
GTEX-13JUV-0226-SM-5IJCC 40-49 years, female 131.0
GTEX-14H4A-0426-SM-5ZZWO 40-49 years, female 131.0
GTEX-15ER7-0826-SM-6PALW 20-29 years, female 131.0
GTEX-11EMC-0826-SM-59862 60-69 years, female 130.8
GTEX-V955-0826-SM-CYPR5 60-69 years, male 130.8
GTEX-YEC3-0426-SM-CYPS8 50-59 years, male 130.6
GTEX-1192X-0726-SM-5987R 50-59 years, male 130.5
GTEX-1339X-0326-SM-5K7Z8 40-49 years, male 130.5
GTEX-X4XX-1126-SM-3NMBY 60-69 years, male 130.5
GTEX-ZTTD-0626-SM-4YCCY 50-59 years, male 130.3
GTEX-XYKS-0226-SM-4BRW3 60-69 years, female 130.2
GTEX-13D11-1526-SM-5J2NA 50-59 years, female 129.9
GTEX-13W3W-0526-SM-5LU3X 60-69 years, female 129.9
GTEX-ZG7Y-1426-SM-4WWBM 50-59 years, male 129.5
GTEX-1EX96-2626-SM-9MQJV 50-59 years, male 128.7
GTEX-1F6I4-0826-SM-7RHGK 60-69 years, male 128.2
GTEX-1GZ2Q-0926-SM-7RHHN 40-49 years, male 128.2
GTEX-1HCVE-0826-SM-CM2SF 50-59 years, male 127.9
GTEX-1CB4H-0626-SM-7IGN3 60-69 years, female 127.7
GTEX-1AYCT-0526-SM-7RHHS 50-59 years, male 126.8
GTEX-11DXZ-0326-SM-5EGH1 50-59 years, male 126.7
GTEX-Y8E4-0426-SM-4V6GB 40-49 years, male 126.4
GTEX-18A6Q-1526-SM-731CO 60-69 years, male 126.3
GTEX-WRHU-1026-SM-4E3ID 50-59 years, female 125.6
GTEX-WYJK-1126-SM-3NM9Z 50-59 years, male 125.4
GTEX-131XE-0526-SM-5K7YT 50-59 years, male 125.3
GTEX-ZAB4-0926-SM-5CVN4 40-49 years, male 124.8
GTEX-ZF29-0426-SM-4WKFN 60-69 years, female 124.8
GTEX-WQUQ-1326-SM-3MJFF 60-69 years, male 124.7
GTEX-1JJ6O-2226-SM-AHZ3I 60-69 years, male 124.6
GTEX-1B8SG-0726-SM-79ONS 50-59 years, male 124.5
GTEX-13FXS-1026-SM-62LFQ 50-59 years, male 124.0
GTEX-1CB4I-1526-SM-7DHMY 50-59 years, male 123.8
GTEX-1GL5R-0426-SM-9WPOP 50-59 years, male 123.7
GTEX-1I1GV-1426-SM-B2LXN 60-69 years, male 123.6
GTEX-1HSKV-0726-SM-ACKWE 60-69 years, male 123.2
GTEX-1LG7Y-1426-SM-D4P31 50-59 years, male 123.0
GTEX-13X6K-1726-SM-7IGLG 60-69 years, female 122.9
GTEX-1POEN-0726-SM-DTXDU 30-39 years, female 122.9
GTEX-12WSK-0526-SM-5CVNA 40-49 years, female 122.6
GTEX-15EU6-1326-SM-6PANG 50-59 years, male 121.7
GTEX-ZAB5-0126-SM-5CVMT 50-59 years, male 121.5
GTEX-1B996-1026-SM-793CF 60-69 years, male 121.2
GTEX-ZPU1-0726-SM-5HL6O 40-49 years, male 121.2
GTEX-13NZ9-0126-SM-5K7XV 50-59 years, male 120.9
GTEX-13NZA-0826-SM-5K7WS 60-69 years, male 120.2
GTEX-ZT9W-0526-SM-57WFG 50-59 years, male 120.0
GTEX-WL46-0726-SM-3LK5Z 50-59 years, male 119.8
GTEX-13N1W-0926-SM-5MR36 70-79 years, male 119.2
GTEX-X62O-0826-SM-46MW8 50-59 years, male 118.5
GTEX-146FR-0926-SM-5QGPE 60-69 years, female 118.3
GTEX-11ONC-1026-SM-5GU64 60-69 years, male 118.1
GTEX-13FH7-0826-SM-5J2NW 50-59 years, female 118.0
GTEX-1GN1W-0226-SM-7P8QY 50-59 years, female 117.7
GTEX-15CHC-0326-SM-5ZZVP 60-69 years, female 117.4
GTEX-13112-0526-SM-5EQ4S 50-59 years, male 117.3
GTEX-15SDE-1826-SM-7KUFN 50-59 years, female 117.3
GTEX-14PN3-0726-SM-6EU14 60-69 years, female 117.2
GTEX-X5EB-0626-SM-46MVQ 40-49 years, male 116.9
GTEX-1HCU7-1226-SM-B2LX8 50-59 years, male 116.8
GTEX-1IDJU-0626-SM-CKZOG 60-69 years, female 116.7
GTEX-14PJ4-0926-SM-5YY98 60-69 years, male 116.5
GTEX-1AX8Z-1126-SM-731CS 60-69 years, male 116.4
GTEX-12ZZY-1226-SM-5GCNK 60-69 years, male 116.1
GTEX-WY7C-1126-SM-3NB3A 50-59 years, male 115.0
GTEX-WFG7-0826-SM-3GIKU 20-29 years, male 114.9
GTEX-15RJE-0726-SM-7KUEG 40-49 years, male 114.7
GTEX-14A5I-1026-SM-5Q5E3 50-59 years, female 114.3
GTEX-X8HC-1026-SM-46MWH 50-59 years, female 114.2
GTEX-ZPIC-0426-SM-DO91V 40-49 years, female 114.2
GTEX-1117F-0726-SM-5GIEN 60-69 years, female 113.7
GTEX-11NUK-0926-SM-5HL57 50-59 years, male 113.6
GTEX-ZZPU-1126-SM-5N9CW 50-59 years, female 112.8
GTEX-17MF6-0926-SM-7LTAL 40-49 years, male 112.6
GTEX-13PVR-0926-SM-5S2RB 60-69 years, female 111.9
GTEX-14PJ6-0626-SM-686Z6 60-69 years, female 111.8
GTEX-ZEX8-0326-SM-DO92C 50-59 years, male 111.3
GTEX-13PL6-0826-SM-5IJBI 40-49 years, female 111.1
GTEX-1IDJF-0826-SM-ARU7N 20-29 years, male 110.0
GTEX-14DAQ-1026-SM-793B1 60-69 years, female 109.9
GTEX-1I1HK-0626-SM-CNPQM 60-69 years, male 109.8
GTEX-ZF2S-0826-SM-4WWBI 50-59 years, female 109.1
GTEX-ZPCL-0526-SM-DO91R 60-69 years, female 108.9
GTEX-16XZZ-1026-SM-7DHKS 60-69 years, male 108.8
GTEX-1IKOH-0926-SM-A9SLU 60-69 years, female 108.8
GTEX-13OVG-0426-SM-5KM2T 60-69 years, male 108.5
GTEX-1I1GR-1026-SM-A9SLC 60-69 years, male 108.3
GTEX-YECK-1226-SM-4W21G 60-69 years, male 108.2
GTEX-15SHU-0926-SM-6PAMK 40-49 years, female 107.5
GTEX-14PII-1026-SM-5ZZVW 60-69 years, male 107.3
GTEX-1HCUA-0626-SM-ACKVT 50-59 years, female 107.2
GTEX-15CHR-0326-SM-7DHN3 50-59 years, male 106.9
GTEX-16MT8-0826-SM-7KULO 60-69 years, female 106.7
GTEX-16XZY-0526-SM-7DHKY 70-79 years, male 106.7
GTEX-1EWIQ-1126-SM-7EPIK 70-79 years, female 106.7
GTEX-ZTPG-1326-SM-51MSQ 20-29 years, female 106.2
GTEX-11GSP-1226-SM-5985M 60-69 years, female 105.7
GTEX-17EVP-0526-SM-7EPGY 40-49 years, male 105.5
GTEX-WHPG-1026-SM-3NMBA 50-59 years, male 105.1
GTEX-1IKJJ-0626-SM-CY8GF 60-69 years, male 104.6
GTEX-1CB4E-0626-SM-7DHMW 60-69 years, male 104.5
GTEX-WWYW-1126-SM-3NB2Q 50-59 years, female 104.2
GTEX-1MJK2-1626-SM-EVYCQ 50-59 years, male 104.0
GTEX-1HSMO-1126-SM-CGQF2 60-69 years, male 103.5
GTEX-11GS4-0426-SM-5N9CD 60-69 years, male 103.3
GTEX-14C38-1326-SM-62LDK 50-59 years, male 103.3
GTEX-131YS-0826-SM-5PNYV 60-69 years, female 101.6
GTEX-1211K-0226-SM-59HJY 60-69 years, female 101.3
GTEX-1J8Q3-1126-SM-ARU8N 60-69 years, male 101.0
GTEX-1R9K4-1026-SM-EXUT1 60-69 years, male 100.1
GTEX-11TT1-1426-SM-5EGIA 20-29 years, male 99.4
GTEX-1R7EV-0426-SM-DTX7Z 40-49 years, male 99.2
GTEX-11TUW-1126-SM-5EQKJ 60-69 years, male 99.0
GTEX-12WSN-0226-SM-5DUXH 40-49 years, male 98.9
GTEX-14C39-0726-SM-5RQIK 40-49 years, male 98.6
GTEX-WHWD-0326-SM-3LK6L 50-59 years, male 98.4
GTEX-ZVZQ-0726-SM-51MR3 60-69 years, female 98.4
GTEX-1GMR2-1326-SM-9KNUT 50-59 years, male 98.2
GTEX-1JMOU-0326-SM-ARL8X 60-69 years, female 98.2
GTEX-1IL2U-1226-SM-CL53P 60-69 years, male 97.2
GTEX-1QP6S-1026-SM-DTXFW 40-49 years, male 96.9
GTEX-1AX9I-1026-SM-73KYF 60-69 years, male 96.7
GTEX-VUSG-0726-SM-3GIK1 50-59 years, male 96.5
GTEX-1GMRU-1326-SM-9WYUI 50-59 years, male 96.4
GTEX-13X6J-1226-SM-79OMF 50-59 years, male 95.4
GTEX-117YW-0426-SM-5GZZZ 50-59 years, male 95.3
GTEX-14BIL-0926-SM-7DHKN 50-59 years, male 94.9
GTEX-18A67-1026-SM-731CE 50-59 years, male 94.9
GTEX-X261-0926-SM-3NMCY 50-59 years, male 94.5
GTEX-WFON-0226-SM-3GIKR 40-49 years, male 94.4
GTEX-11ZTT-0526-SM-5EQLA 60-69 years, female 94.1
GTEX-ZUA1-0726-SM-4YCD9 40-49 years, male 94.0
GTEX-1C6VQ-0826-SM-7PBZT 50-59 years, male 91.2
GTEX-13OVI-0326-SM-5K7X1 60-69 years, female 90.7
GTEX-1A8FM-1026-SM-7PC26 50-59 years, female 90.3
GTEX-1I1CD-1326-SM-A9SMM 60-69 years, female 90.1
GTEX-1C6WA-0826-SM-7PBXS 60-69 years, male 89.7
GTEX-1H1ZS-1026-SM-9WG6E 70-79 years, male 88.1
GTEX-1JMQL-1026-SM-CMKGV 50-59 years, female 87.5
GTEX-14E6C-0326-SM-5Q5EE 40-49 years, male 86.4
GTEX-13U4I-0626-SM-5LU5L 40-49 years, female 85.4
GTEX-1I19N-0626-SM-A9SKY 70-79 years, male 84.8
GTEX-WOFL-1226-SM-4OOST 60-69 years, male 84.7
GTEX-1GN1V-1026-SM-CNPPS 60-69 years, male 83.7
GTEX-14E7W-1126-SM-5ZZVS 70-79 years, male 83.4
GTEX-14PHY-0326-SM-62LE3 60-69 years, female 83.3
GTEX-13FTZ-0326-SM-5J1O1 60-69 years, male 82.9
GTEX-15UF7-1526-SM-6LPI7 40-49 years, male 82.8
GTEX-1HSMQ-0426-SM-ADEIM 50-59 years, male 82.6
GTEX-XXEK-2026-SM-4BRVE 50-59 years, male 82.3
GTEX-WFG8-0726-SM-3GILP 20-29 years, male 81.3
GTEX-1HFI6-0826-SM-9YFM2 40-49 years, male 81.3
GTEX-1KD5A-0926-SM-D4P3U 50-59 years, male 81.0
GTEX-17HGU-1126-SM-793BP 50-59 years, male 80.8
GTEX-1B8SF-1326-SM-7IGQJ 60-69 years, male 78.3
GTEX-18A66-1126-SM-731C5 60-69 years, male 77.4
GTEX-15SHV-0526-SM-7KUEN 60-69 years, male 77.1
GTEX-1JMQK-0926-SM-ARL96 60-69 years, male 76.3
GTEX-ZVT4-1326-SM-5NQ8E 50-59 years, female 74.0
GTEX-1HUB1-0726-SM-CGQF4 60-69 years, male 73.6
GTEX-ZXG5-0626-SM-5NQ85 60-69 years, male 71.4
GTEX-1H3O1-0226-SM-9WYSW 60-69 years, male 71.3
GTEX-1192W-0226-SM-5EGGT 60-69 years, male 70.9
GTEX-1A3MX-1226-SM-731B3 60-69 years, male 70.9
GTEX-12584-1026-SM-59HK3 40-49 years, male 70.4
GTEX-1H1CY-0426-SM-9KNVD 60-69 years, female 69.0
GTEX-14BIN-2126-SM-793AX 50-59 years, female 66.9
GTEX-16GPK-1226-SM-7LTAU 60-69 years, male 66.4
GTEX-1IOXB-0726-SM-A9G32 50-59 years, male 65.9
GTEX-1GTWX-0926-SM-9MQKM 60-69 years, male 65.6
GTEX-13O3Q-0326-SM-5L3FE 50-59 years, male 64.7
GTEX-1IL2V-1126-SM-CMKGH 70-79 years, male 64.2
GTEX-1F48J-1126-SM-9WYSY 50-59 years, female 62.0
GTEX-1M5QR-1626-SM-E9U5O 40-49 years, male 59.9
GTEX-UTHO-1226-SM-3GAEE 60-69 years, male 59.2
GTEX-1LSNL-0626-SM-DIPFJ 50-59 years, male 58.3
GTEX-15D1Q-0426-SM-6AJ9G 40-49 years, male 52.6
GTEX-11ZVC-0526-SM-5N9G1 50-59 years, female 52.3
Show allShow less
Heart - Left Ventricle
Average nTPM: 196.0
Samples: 432

Max nTPM: 492.9
Min nTPM: 40.0
Std nTPM: 75.2
Median nTPM: 193.7
GTEX-ZQUD-1526-SM-7IGO2 30-39 years, male 492.9
GTEX-17F9E-0926-SM-7IGMG 50-59 years, male 464.7
GTEX-14A6H-0226-SM-5Q5DX 30-39 years, male 443.6
GTEX-1POEN-0626-SM-EVR4B 30-39 years, female 428.8
GTEX-1R9PO-0326-SM-DTXA1 60-69 years, female 424.3
GTEX-1O9I2-1126-SM-DTXEA 50-59 years, male 401.6
GTEX-ZYFC-1126-SM-5E44W 50-59 years, male 396.9
GTEX-1RQEC-0926-SM-EWROG 60-69 years, male 390.4
GTEX-1QP29-1526-SM-EXUSY 50-59 years, male 387.4
GTEX-Y114-0226-SM-4TT8W 50-59 years, female 367.3
GTEX-15DDE-1126-SM-6LLHN 50-59 years, female 359.6
GTEX-1F6I4-0726-SM-7PC2P 60-69 years, male 355.1
GTEX-X15G-0426-SM-4PQZ6 50-59 years, female 348.2
GTEX-13O3O-1526-SM-5KM1C 60-69 years, female 347.6
GTEX-ZDXO-0726-SM-57WBT 60-69 years, male 336.8
GTEX-1KANC-0426-SM-CXZK5 50-59 years, female 335.6
GTEX-1IKK5-1526-SM-CKZPW 60-69 years, male 330.5
GTEX-11EMC-0726-SM-5EGJO 60-69 years, female 329.5
GTEX-XQ3S-0626-SM-4BOOB 20-29 years, male 328.9
GTEX-13SLX-1026-SM-5ZZUQ 50-59 years, female 325.0
GTEX-1313W-1426-SM-5KLZU 50-59 years, female 321.8
GTEX-13OVL-0526-SM-5KLZQ 50-59 years, male 318.3
GTEX-12ZZZ-1726-SM-59HK5 60-69 years, male 317.2
GTEX-1E1VI-1326-SM-7IGQD 50-59 years, male 316.2
GTEX-1OKEX-0726-SM-DPRYE 60-69 years, male 314.3
GTEX-UPK5-0326-SM-CYPR4 40-49 years, male 314.3
GTEX-1MUQO-1226-SM-E9TJK 60-69 years, male 311.9
GTEX-12696-1126-SM-5FQTI 60-69 years, male 311.3
GTEX-O5YW-0326-SM-2I5EI 50-59 years, male 306.2
GTEX-1314G-0126-SM-5LZUL 30-39 years, male 306.0
GTEX-1JJEA-0826-SM-CL53T 60-69 years, male 303.6
GTEX-ZDTT-0726-SM-4WKFK 60-69 years, male 303.2
GTEX-13S86-0226-SM-5S2PJ 40-49 years, male 300.2
GTEX-WHSE-0926-SM-3NMBS 20-29 years, male 300.1
GTEX-14JG1-1026-SM-6ETZY 40-49 years, male 299.8
GTEX-1ICG6-0626-SM-ACKWS 70-79 years, female 299.2
GTEX-14PJ6-0726-SM-69LOL 60-69 years, female 298.3
GTEX-1QPFJ-1026-SM-E6CR6 30-39 years, female 296.3
GTEX-11ZUS-0226-SM-5FQT8 30-39 years, male 294.9
GTEX-13O21-2326-SM-5MR3X 50-59 years, male 292.2
GTEX-13NZB-0226-SM-5KM1T 30-39 years, male 291.7
GTEX-1LGOU-0726-SM-E9TIY 20-29 years, female 291.4
GTEX-OOBJ-0326-SM-33HBO 60-69 years, male 291.3
GTEX-1HSGN-1126-SM-CJI4G 40-49 years, female 290.3
GTEX-1PPGY-1126-SM-E76OU 60-69 years, male 289.2
GTEX-1LH75-0426-SM-E9TJF 50-59 years, female 287.9
GTEX-WL46-0926-SM-3LK7T 50-59 years, male 287.7
GTEX-12WSC-1126-SM-5EQ4G 50-59 years, male 286.6
GTEX-1IDJE-0326-SM-CM2TD 50-59 years, female 284.7
GTEX-13VXT-1126-SM-5LU3A 20-29 years, female 283.4
GTEX-ZDTS-1326-SM-6LLHE 60-69 years, male 283.2
GTEX-R45C-0926-SM-3GAD4 60-69 years, female 282.0
GTEX-OIZH-0326-SM-2HMKC 50-59 years, male 281.5
GTEX-1399S-1026-SM-5KLZ9 30-39 years, female 279.7
GTEX-111YS-0426-SM-5987O 60-69 years, male 276.7
GTEX-WZTO-1326-SM-3NM8X 40-49 years, male 276.1
GTEX-16BQI-0926-SM-6M485 30-39 years, female 274.3
GTEX-145LV-0326-SM-5Q5BW 50-59 years, male 273.6
GTEX-1CB4I-1626-SM-7RHGV 50-59 years, male 273.6
GTEX-1R9JW-0526-SM-EWRNK 30-39 years, female 272.5
GTEX-1MJIX-0326-SM-EVR42 40-49 years, male 271.7
GTEX-1IKOE-1026-SM-ARZMF 30-39 years, female 271.3
GTEX-1LVAN-1726-SM-CNNR1 50-59 years, female 271.3
GTEX-1ICLY-1326-SM-CJI47 50-59 years, male 270.6
GTEX-117YX-1126-SM-5H128 50-59 years, male 270.4
GTEX-13RTJ-0726-SM-5QGQN 60-69 years, male 267.8
GTEX-1GMR3-0326-SM-7P8QT 40-49 years, male 267.6
GTEX-1497J-1226-SM-5Q5BL 60-69 years, male 267.0
GTEX-R55E-1026-SM-2TC5S 20-29 years, male 266.0
GTEX-111FC-0826-SM-5GZWO 60-69 years, male 265.8
GTEX-1R9K4-1326-SM-DTX8G 60-69 years, male 265.0
GTEX-12WSG-0526-SM-5FQTH 50-59 years, female 264.1
GTEX-YFC4-0526-SM-5ZZVI 40-49 years, female 263.7
GTEX-1R7EV-0326-SM-E76PA 40-49 years, male 263.3
GTEX-132NY-1726-SM-5EGKK 60-69 years, male 262.8
GTEX-WYJK-1026-SM-3NM8W 50-59 years, male 262.6
GTEX-14PHY-0226-SM-5ZZWM 60-69 years, female 262.2
GTEX-RWSA-0626-SM-2XCBD 40-49 years, male 260.8
GTEX-RNOR-0826-SM-2TF5C 50-59 years, female 260.0
GTEX-ZGAY-0326-SM-57WF5 40-49 years, female 259.7
GTEX-V1D1-0526-SM-4JBGW 50-59 years, male 259.2
GTEX-1A3MW-1326-SM-7189P 60-69 years, female 259.0
GTEX-1OFPY-1026-SM-EXUSO 60-69 years, male 258.1
GTEX-13FLV-0926-SM-5L3DZ 50-59 years, male 257.9
GTEX-13PVQ-1226-SM-5IJDC 50-59 years, male 257.7
GTEX-Y5V6-0826-SM-4VBRU 60-69 years, male 256.0
GTEX-1C64O-0826-SM-79OKZ 60-69 years, male 254.6
GTEX-1CB4E-0526-SM-7MXTK 60-69 years, male 254.5
GTEX-Y8E4-0326-SM-4VBRR 40-49 years, male 253.8
GTEX-1AX9J-1026-SM-72D6E 60-69 years, male 252.5
GTEX-16YQH-0926-SM-793BC 30-39 years, male 252.2
GTEX-Y3I4-0626-SM-4TT7A 50-59 years, male 251.7
GTEX-14PK6-0826-SM-5ZZVO 70-79 years, female 250.4
GTEX-13X6I-1426-SM-5SI9Z 60-69 years, male 248.8
GTEX-P78B-0426-SM-2I5F5 40-49 years, female 248.7
GTEX-1M5QR-1026-SM-DHXK9 40-49 years, male 248.6
GTEX-14C38-1426-SM-5RQHZ 50-59 years, male 248.4
GTEX-XPT6-0126-SM-4B65S 20-29 years, male 248.2
GTEX-1GMR2-1426-SM-7RHHK 50-59 years, male 247.4
GTEX-13FTZ-0226-SM-5K7X6 60-69 years, male 247.2
GTEX-Y3IK-0826-SM-51MT8 50-59 years, female 245.6
GTEX-1JMLX-1626-SM-ARZMV 50-59 years, male 244.5
GTEX-1HBPH-0126-SM-CNNQ7 40-49 years, female 243.6
GTEX-OXRL-0326-SM-2I3F2 50-59 years, male 243.3
GTEX-1HBPM-1226-SM-A9SM8 60-69 years, female 243.2
GTEX-1RMOY-0626-SM-E9TIE 50-59 years, male 243.1
GTEX-SE5C-0626-SM-2XCDV 40-49 years, female 242.0
GTEX-ZEX8-0426-SM-DO92Y 50-59 years, male 240.7
GTEX-ZAJG-0826-SM-5PNVA 50-59 years, female 240.2
GTEX-ZVZP-0226-SM-5NQ73 50-59 years, male 239.1
GTEX-1AX9I-1126-SM-7EPHH 60-69 years, male 238.8
GTEX-XQ8I-0126-SM-4BOPL 50-59 years, male 238.7
GTEX-1F75I-1126-SM-9WYUO 40-49 years, male 238.4
GTEX-13112-0426-SM-5PNVC 50-59 years, male 238.2
GTEX-ZAB5-0226-SM-5CVMH 50-59 years, male 237.8
GTEX-QV44-0526-SM-2S1RE 50-59 years, male 237.6
GTEX-1AX9K-0526-SM-73KV1 50-59 years, male 237.3
GTEX-13N11-0426-SM-5KM3O 50-59 years, female 237.0
GTEX-YEC3-0726-SM-CMKFH 50-59 years, male 236.6
GTEX-139YR-0826-SM-5LZXY 50-59 years, male 236.5
GTEX-1GF9V-1626-SM-7PBXL 60-69 years, male 236.3
GTEX-1B932-1026-SM-793CL 40-49 years, female 235.8
GTEX-UJHI-0426-SM-3DB8Y 50-59 years, female 235.4
GTEX-15ER7-1726-SM-6PAMX 20-29 years, female 235.0
GTEX-1HC8U-0726-SM-ACKXL 40-49 years, female 234.1
GTEX-1GN1V-0826-SM-9KNU6 60-69 years, male 233.8
GTEX-18D9U-1126-SM-72D5Y 40-49 years, male 233.7
GTEX-YEC4-0326-SM-4W216 40-49 years, male 232.5
GTEX-1JMQK-0626-SM-D4P2R 60-69 years, male 232.5
GTEX-1QP2A-1126-SM-EVR3H 50-59 years, male 231.9
GTEX-13CF2-0426-SM-5KM1H 60-69 years, male 231.8
GTEX-1GZ4I-1026-SM-9KNV5 50-59 years, male 231.8
GTEX-1QCLZ-0926-SM-E6CQZ 60-69 years, female 229.5
GTEX-11DXZ-0626-SM-5GU77 50-59 years, male 229.3
GTEX-1LGRB-1126-SM-CNPP2 50-59 years, female 228.3
GTEX-OIZF-0326-SM-3MJGY 60-69 years, male 227.6
GTEX-U8XE-1126-SM-3DB8W 30-39 years, male 227.5
GTEX-1PWST-1026-SM-DTXF2 70-79 years, male 227.3
GTEX-ZG7Y-0926-SM-5EQ6O 50-59 years, male 226.8
GTEX-1B996-1126-SM-73KWN 60-69 years, male 226.6
GTEX-1JK1U-0526-SM-CYPSQ 60-69 years, male 226.2
GTEX-131XE-0626-SM-5HL98 50-59 years, male 226.1
GTEX-12ZZY-1126-SM-5DUWQ 60-69 years, male 225.7
GTEX-1R9K5-1326-SM-E6CPR 50-59 years, male 225.3
GTEX-13QBU-0426-SM-5J2O4 40-49 years, female 224.7
GTEX-146FR-0626-SM-5RQJ1 60-69 years, female 224.2
GTEX-145MO-1126-SM-5NQBX 60-69 years, male 223.6
GTEX-13FTW-1026-SM-5L3E3 40-49 years, male 223.5
GTEX-ZYFG-0426-SM-5E43M 60-69 years, female 223.4
GTEX-12WSD-1126-SM-5EGJD 60-69 years, female 223.2
GTEX-1N2EF-2826-SM-E6CQF 60-69 years, male 222.4
GTEX-14DAQ-1126-SM-664MT 60-69 years, female 222.2
GTEX-1EU9M-1826-SM-7DUGU 60-69 years, male 222.2
GTEX-1H1ZS-1126-SM-9MQLJ 70-79 years, male 221.4
GTEX-15CHC-0426-SM-6LLHI 60-69 years, female 221.1
GTEX-1CB4G-0826-SM-7DUGF 60-69 years, male 220.7
GTEX-X3Y1-0426-SM-3P5Z4 40-49 years, male 220.7
GTEX-WI4N-0626-SM-3TW8Z 40-49 years, female 220.4
GTEX-11LCK-0926-SM-5A5KA 30-39 years, male 220.2
GTEX-1F6IF-2526-SM-7P8TV 60-69 years, male 220.2
GTEX-15CHR-0226-SM-7PC2Z 50-59 years, male 219.8
GTEX-1J8EW-0926-SM-A9G33 60-69 years, female 219.5
GTEX-1MCC2-0326-SM-EV7AK 30-39 years, female 218.7
GTEX-1C2JI-0526-SM-7EWEQ 50-59 years, male 218.2
GTEX-13OVG-0526-SM-5K7YD 60-69 years, male 217.4
GTEX-1JJ6O-2126-SM-CNNP6 60-69 years, male 216.3
GTEX-13O61-0526-SM-5J2M1 60-69 years, male 215.0
GTEX-1JMPZ-1426-SM-CJI3C 30-39 years, male 212.3
GTEX-11ZVC-0426-SM-5CVLD 50-59 years, female 211.7
GTEX-13OW6-1126-SM-5L3HL 50-59 years, male 211.0
GTEX-14H4A-0626-SM-5ZZUT 40-49 years, female 210.2
GTEX-1HCUA-0526-SM-A9SMH 50-59 years, female 208.5
GTEX-1IDJI-1026-SM-A96TE 50-59 years, female 208.1
GTEX-S33H-0526-SM-COH1W 30-39 years, male 207.1
GTEX-17F9Y-1326-SM-7MGW9 70-79 years, female 207.0
GTEX-WHWD-0426-SM-3LK83 50-59 years, male 206.8
GTEX-17KNJ-0826-SM-793A4 50-59 years, male 205.9
GTEX-OHPM-0326-SM-33HCA 50-59 years, male 205.9
GTEX-1EMGI-1226-SM-793DD 60-69 years, male 205.6
GTEX-PSDG-0926-SM-2I5FP 50-59 years, male 205.5
GTEX-13PVR-1026-SM-5QGQW 60-69 years, female 205.3
GTEX-1LSNM-0526-SM-DIPG6 50-59 years, male 204.9
GTEX-1H23P-1226-SM-9QEJ2 60-69 years, male 204.2
GTEX-WQUQ-1426-SM-3MJFD 60-69 years, male 204.1
GTEX-13YAN-1326-SM-5Q5F1 60-69 years, male 204.0
GTEX-1B8KE-0126-SM-793AM 50-59 years, male 203.6
GTEX-146FH-1026-SM-5RQIF 50-59 years, female 203.5
GTEX-ZPU1-0626-SM-4YCDM 40-49 years, male 203.4
GTEX-RU72-0326-SM-2TF5T 50-59 years, female 203.2
GTEX-13O3P-1626-SM-5K7X3 50-59 years, male 203.0
GTEX-V955-0726-SM-3GAFG 60-69 years, male 203.0
GTEX-XXEK-0926-SM-4BRWH 50-59 years, male 202.9
GTEX-11DXX-0326-SM-5PNWC 60-69 years, female 202.8
GTEX-O5YV-0326-SM-2I5H2 60-69 years, female 202.4
GTEX-14PHX-2126-SM-6EU2U 50-59 years, male 201.9
GTEX-ZF29-0226-SM-4WKHO 60-69 years, female 201.9
GTEX-ZPCL-0426-SM-DNZZ4 60-69 years, female 201.7
GTEX-T6MN-0926-SM-32PLX 50-59 years, male 201.4
GTEX-1HFI7-0826-SM-A9G23 50-59 years, female 200.9
GTEX-XPVG-0826-SM-4B654 50-59 years, male 200.7
GTEX-18A6Q-1626-SM-7KFTA 60-69 years, male 199.9
GTEX-1BAJH-1626-SM-73KUV 70-79 years, male 199.9
GTEX-1B97J-0726-SM-7RHG3 50-59 years, female 199.9
GTEX-1HSMQ-0226-SM-C1YQL 50-59 years, male 199.8
GTEX-1122O-0826-SM-5GICV 60-69 years, female 199.2
GTEX-13D11-1726-SM-5IFGQ 50-59 years, female 199.0
GTEX-131XH-0226-SM-5LZVB 50-59 years, male 198.4
GTEX-1AYCT-0426-SM-73KVZ 50-59 years, male 197.9
GTEX-1S3DN-0726-SM-E9TIO 50-59 years, male 197.3
GTEX-P4PP-0326-SM-33HC4 30-39 years, female 197.2
GTEX-13FH7-0926-SM-5J2MR 50-59 years, female 195.4
GTEX-ZTPG-1226-SM-4YCDO 20-29 years, female 195.3
GTEX-1HCU7-1326-SM-CNPPW 50-59 years, male 195.3
GTEX-1L5NE-0426-SM-E9TIX 50-59 years, male 195.2
GTEX-12WSN-5001-SM-7DHMK 40-49 years, male 194.1
GTEX-ZF2S-1026-SM-9QEGK 50-59 years, female 194.0
GTEX-WEY5-0426-SM-3GIKT 40-49 years, female 193.4
GTEX-18A67-1226-SM-7KFRS 50-59 years, male 193.1
GTEX-RWS6-0326-SM-2XCAP 60-69 years, female 193.0
GTEX-14PN3-0526-SM-69LQF 60-69 years, female 192.9
GTEX-XBED-0526-SM-47JY3 60-69 years, male 192.7
GTEX-1I1GQ-1426-SM-B2LWY 50-59 years, male 192.4
GTEX-1KD5A-1026-SM-CY8I8 50-59 years, male 191.9
GTEX-QEG4-0426-SM-33HC3 30-39 years, male 191.3
GTEX-12BJ1-0226-SM-5LUA2 60-69 years, male 190.3
GTEX-1399R-1926-SM-5K7X8 30-39 years, male 190.2
GTEX-ZV7C-0326-SM-57WB1 50-59 years, male 189.8
GTEX-1F48J-1026-SM-7P8SO 50-59 years, female 187.8
GTEX-WFG8-0626-SM-3GILJ 20-29 years, male 187.3
GTEX-1I1HK-0726-SM-B2LY4 60-69 years, male 187.0
GTEX-1F5PK-0326-SM-9KNUD 50-59 years, male 186.9
GTEX-148VI-0326-SM-5RQK7 60-69 years, female 186.3
GTEX-QEL4-0926-SM-3GAD1 50-59 years, male 185.7
GTEX-1IL2U-1326-SM-A9G2O 60-69 years, male 185.2
GTEX-R53T-0926-SM-3GADH 50-59 years, female 184.9
GTEX-QESD-0526-SM-2I5G5 20-29 years, male 184.7
GTEX-ZVT2-1026-SM-5GU55 50-59 years, female 184.1
GTEX-OHPK-0326-SM-2HMJO 50-59 years, female 183.7
GTEX-ZZPU-0926-SM-5GZYT 50-59 years, female 183.4
GTEX-13CF3-0726-SM-5J2MY 60-69 years, female 183.3
GTEX-ZLFU-0226-SM-4WWFH 40-49 years, male 182.7
GTEX-1LC47-1026-SM-D3LAH 60-69 years, male 182.4
GTEX-11O72-1126-SM-5N9E2 40-49 years, male 182.3
GTEX-ZAB4-1026-SM-5HL7T 40-49 years, male 182.3
GTEX-Y5V5-0626-SM-4VBPX 60-69 years, female 180.8
GTEX-RUSQ-0526-SM-2TF72 50-59 years, male 180.5
GTEX-1GN73-2426-SM-7RHFQ 60-69 years, male 179.9
GTEX-1CAMS-1326-SM-79OJR 40-49 years, female 179.7
GTEX-1GL5R-0326-SM-9WYTJ 50-59 years, male 179.5
GTEX-14PJ4-1126-SM-5YY91 60-69 years, male 179.0
GTEX-1KXAM-1326-SM-E9TJW 60-69 years, male 178.3
GTEX-16NPX-0926-SM-7KUEZ 50-59 years, male 178.0
GTEX-NPJ8-0426-SM-2HMK6 40-49 years, male 177.5
GTEX-XGQ4-0326-SM-4GIEE 50-59 years, male 177.5
GTEX-14E1K-1026-SM-73KUR 50-59 years, male 177.3
GTEX-P4PQ-0326-SM-2HMJ8 60-69 years, male 177.2
GTEX-11ONC-0126-SM-5PNW6 60-69 years, male 176.8
GTEX-1J8Q2-1226-SM-A9G2W 60-69 years, male 176.7
GTEX-131XF-5001-SM-7DHLY 60-69 years, male 176.2
GTEX-N7MS-0826-SM-2HML4 60-69 years, male 175.8
GTEX-13X6H-0426-SM-5LU4E 50-59 years, female 175.1
GTEX-1IDJU-0726-SM-CNPQ9 60-69 years, female 175.1
GTEX-1RB15-0326-SM-E6CQB 60-69 years, male 175.1
GTEX-WY7C-0526-SM-3NB3D 50-59 years, male 174.8
GTEX-1J8Q3-1226-SM-CKZPT 60-69 years, male 173.5
GTEX-132AR-2026-SM-5IJG4 50-59 years, female 173.3
GTEX-1269C-0826-SM-5N9EM 60-69 years, female 172.7
GTEX-1399U-0526-SM-5K7YM 50-59 years, female 170.5
GTEX-1HCU6-1026-SM-A9G25 60-69 years, female 170.5
GTEX-OIZG-1126-SM-2HMIU 50-59 years, male 170.0
GTEX-1212Z-0626-SM-5FQTB 60-69 years, male 169.7
GTEX-PWCY-0526-SM-5P9HG 20-29 years, female 168.8
GTEX-11I78-0826-SM-5A5K4 50-59 years, female 167.5
GTEX-WH7G-0426-SM-3NMBJ 40-49 years, male 167.2
GTEX-14C5O-1326-SM-5S2UW 60-69 years, male 166.3
GTEX-OXRK-0826-SM-2HMK7 50-59 years, female 165.7
GTEX-Q2AH-0526-SM-2I3ED 40-49 years, male 164.9
GTEX-WHPG-0826-SM-3NMBF 50-59 years, male 164.9
GTEX-1H11D-1226-SM-9WPQ2 40-49 years, male 164.9
GTEX-QMRM-0526-SM-2I5GA 50-59 years, male 164.3
GTEX-132QS-0426-SM-5KLZ6 60-69 years, male 164.1
GTEX-SIU8-0826-SM-2XCDQ 50-59 years, male 163.9
GTEX-OXRO-2026-SM-2YUMZ 60-69 years, female 163.7
GTEX-U3ZH-0326-SM-3DB7A 30-39 years, male 163.7
GTEX-PVOW-0426-SM-5MR5R 40-49 years, male 163.4
GTEX-11GS4-0526-SM-5A5KQ 60-69 years, male 163.3
GTEX-NFK9-0926-SM-2HMJU 40-49 years, male 162.9
GTEX-16XZY-0426-SM-793BI 70-79 years, male 162.7
GTEX-15RJ7-0226-SM-7KUMN 40-49 years, male 162.5
GTEX-17JCI-1126-SM-7IGMM 60-69 years, female 161.1
GTEX-1GF9U-0426-SM-7RHHA 40-49 years, female 160.5
GTEX-15EOM-5007-SM-793DG 20-29 years, female 159.5
GTEX-1CB4J-0326-SM-7PBZO 60-69 years, male 159.0
GTEX-WFON-0326-SM-3GIKX 40-49 years, male 158.2
GTEX-POMQ-0326-SM-2I5FO 20-29 years, female 157.8
GTEX-18D9B-1226-SM-72D6V 60-69 years, male 157.6
GTEX-12584-0926-SM-5FQTN 40-49 years, male 156.6
GTEX-17GQL-0526-SM-72D5N 60-69 years, male 156.4
GTEX-1J8QM-0426-SM-AHZ3X 60-69 years, female 155.9
GTEX-13U4I-0826-SM-5SIBD 40-49 years, female 155.4
GTEX-YB5K-0126-SM-5IFJ2 40-49 years, female 155.1
GTEX-14E6C-0426-SM-5YYA8 40-49 years, male 154.9
GTEX-17HGU-1026-SM-79OKL 50-59 years, male 154.9
GTEX-147F4-1226-SM-5NQAY 50-59 years, male 154.3
GTEX-13OW8-2126-SM-5J1OS 60-69 years, male 153.5
GTEX-OHPL-0326-SM-33HC8 60-69 years, female 152.8
GTEX-1LVA9-0926-SM-EVR5G 50-59 years, male 152.8
GTEX-15RIE-1726-SM-7KUMU 60-69 years, male 152.7
GTEX-ZDYS-0226-SM-5HL4K 50-59 years, male 152.3
GTEX-PLZ5-0626-SM-2I5F8 50-59 years, male 151.8
GTEX-18465-0926-SM-731AY 50-59 years, male 151.4
GTEX-1I1GV-1326-SM-A96SE 60-69 years, male 151.0
GTEX-UJMC-0526-SM-3GAE3 50-59 years, male 150.1
GTEX-QLQ7-0526-SM-2I5G3 60-69 years, male 149.5
GTEX-13N1W-1026-SM-5IJC5 70-79 years, male 149.1
GTEX-13X6K-1826-SM-5O9CR 60-69 years, female 148.3
GTEX-X8HC-1626-SM-46MWE 50-59 years, female 148.1
GTEX-15DYW-1126-SM-6LPK5 60-69 years, female 147.8
GTEX-S32W-0626-SM-2XCBG 50-59 years, female 146.4
GTEX-QDVJ-0426-SM-2I5FW 50-59 years, male 146.1
GTEX-1211K-0626-SM-5FQUZ 60-69 years, female 145.3
GTEX-1B8SG-0826-SM-7EWF7 50-59 years, male 144.1
GTEX-15RJE-0626-SM-7KUKR 40-49 years, male 143.4
GTEX-15SHU-1126-SM-7KUMB 40-49 years, female 143.0
GTEX-1339X-0426-SM-5KLZY 40-49 years, male 142.8
GTEX-117YW-0326-SM-5N9CY 50-59 years, male 142.7
GTEX-P44G-0826-SM-2I5ES 30-39 years, male 142.3
GTEX-SUCS-0326-SM-32PLL 70-79 years, male 142.3
GTEX-WFG7-0726-SM-3GIKO 20-29 years, male 141.6
GTEX-17MF6-0726-SM-7LT8E 40-49 years, male 140.7
GTEX-1RAZS-0826-SM-E76QP 50-59 years, male 140.4
GTEX-1AX8Z-5007-SM-AHZ36 60-69 years, male 140.3
GTEX-T2IS-0426-SM-32QPE 20-29 years, female 139.2
GTEX-XBEC-1326-SM-4AT69 50-59 years, male 138.8
GTEX-QEG5-0926-SM-2TC64 20-29 years, male 138.0
GTEX-147JS-1526-SM-5ZZWF 60-69 years, male 137.5
GTEX-P44H-0726-SM-48TBT 40-49 years, male 136.5
GTEX-WWYW-1326-SM-3NB2S 50-59 years, female 135.1
GTEX-14PJ2-1026-SM-6EU1M 50-59 years, male 134.7
GTEX-1LB8K-1026-SM-DHXJJ 50-59 years, male 134.7
GTEX-12WSK-0626-SM-5LZUJ 40-49 years, female 134.5
GTEX-RTLS-0826-SM-2TF5Q 60-69 years, female 134.3
GTEX-U4B1-0326-SM-3DB8K 40-49 years, male 134.2
GTEX-ZYW4-0926-SM-59HJS 60-69 years, male 133.3
GTEX-1I6K7-0626-SM-ARL7Q 40-49 years, male 133.0
GTEX-17HHY-1426-SM-7EWDQ 50-59 years, male 132.7
GTEX-QDVN-0326-SM-2I3FS 50-59 years, male 132.0
GTEX-U3ZN-1426-SM-3DB87 30-39 years, female 131.5
GTEX-11DXY-0826-SM-5EGGR 60-69 years, male 131.2
GTEX-R55C-0326-SM-3GAF1 40-49 years, male 131.1
GTEX-11TT1-1326-SM-5PNYM 20-29 years, male 130.9
GTEX-1ICLZ-1026-SM-A9SLF 60-69 years, male 129.9
GTEX-SNMC-0126-SM-2XCFO 20-29 years, male 129.5
GTEX-145MN-0626-SM-5QGRH 30-39 years, male 128.4
GTEX-1JN6P-1126-SM-CKZON 60-69 years, male 128.2
GTEX-1EH9U-0826-SM-7IGPT 60-69 years, male 127.3
GTEX-YF7O-0426-SM-5P9FS 50-59 years, male 125.7
GTEX-1I1GP-0826-SM-A96SD 50-59 years, male 123.4
GTEX-1IDJF-0726-SM-CJI1U 20-29 years, male 122.6
GTEX-1A8G6-1626-SM-7MGWO 60-69 years, male 122.3
GTEX-ZPIC-0826-SM-4WWFJ 40-49 years, female 121.7
GTEX-PX3G-0326-SM-2I3EO 20-29 years, female 121.5
GTEX-QVJO-1926-SM-2S1QZ 60-69 years, female 121.4
GTEX-WRHU-1226-SM-4E3IJ 50-59 years, female 119.8
GTEX-1B8L1-0526-SM-79ONX 60-69 years, male 119.0
GTEX-11GSP-1326-SM-5A5KY 60-69 years, female 118.8
GTEX-13W3W-0426-SM-5SI9D 60-69 years, female 118.2
GTEX-1HT8W-1726-SM-CNNQB 30-39 years, male 117.5
GTEX-15SHW-1226-SM-6M46C 60-69 years, male 117.1
GTEX-148VJ-1526-SM-5Q5DU 70-79 years, male 116.6
GTEX-11TUW-1026-SM-5GU7D 60-69 years, male 116.3
GTEX-O5YT-0326-SM-32PKA 20-29 years, male 114.8
GTEX-15CHQ-1526-SM-69LPW 60-69 years, male 112.4
GTEX-REY6-1026-SM-2TF4Y 60-69 years, male 112.1
GTEX-1K9T9-1126-SM-D3L9E 50-59 years, female 111.2
GTEX-1A3MX-1326-SM-72D58 60-69 years, male 108.7
GTEX-1O97I-0826-SM-E8VNE 60-69 years, male 108.6
GTEX-13OW5-1126-SM-5J1NR 60-69 years, male 107.8
GTEX-OIZI-0926-SM-E6CHF 40-49 years, male 106.2
GTEX-131XG-0626-SM-5GCMP 50-59 years, female 106.0
GTEX-16MT8-0926-SM-6M487 60-69 years, female 106.0
GTEX-ZF3C-1226-SM-4WWCB 50-59 years, female 105.7
GTEX-1JN1M-1026-SM-CNPOS 60-69 years, female 103.4
GTEX-14XAO-1126-SM-6EU11 60-69 years, female 101.5
GTEX-1GMRU-1526-SM-9WYT5 50-59 years, male 101.2
GTEX-1GN1W-0326-SM-9JGHF 50-59 years, female 101.2
GTEX-XV7Q-0826-SM-4BRV7 40-49 years, female 101.1
GTEX-14A5I-1226-SM-5NQBW 50-59 years, female 99.8
GTEX-YJ8O-0926-SM-EAZ2Z 40-49 years, female 99.6
GTEX-13JVG-1326-SM-5N9F8 60-69 years, male 98.0
GTEX-1KD4Q-0726-SM-DIPGE 40-49 years, male 97.0
GTEX-14JIY-1126-SM-6EU28 60-69 years, male 96.1
GTEX-1EN7A-0726-SM-7PBXT 40-49 years, male 96.0
GTEX-11EM3-0626-SM-5H12Z 20-29 years, female 94.7
GTEX-1H1CY-0326-SM-9QEIZ 60-69 years, female 94.5
GTEX-13O1R-1226-SM-5J1NU 60-69 years, male 94.3
GTEX-X261-1426-SM-4PQZ1 50-59 years, male 91.4
GTEX-14E6D-0926-SM-5S2QV 50-59 years, male 89.9
GTEX-1IDJH-1026-SM-E9TKH 70-79 years, male 89.9
GTEX-14C39-0926-SM-5TDDV 40-49 years, male 89.6
GTEX-14E7W-1226-SM-5RQIU 70-79 years, male 89.0
GTEX-WK11-0826-SM-EZ6LH 50-59 years, male 88.6
GTEX-14BIL-1126-SM-79OMC 50-59 years, male 88.5
GTEX-1EX96-2526-SM-7RHGW 50-59 years, male 87.1
GTEX-1HCVE-1126-SM-9WPPG 50-59 years, male 86.0
GTEX-1H3NZ-1126-SM-9WYT9 60-69 years, male 84.5
GTEX-1HSMO-1226-SM-CL548 60-69 years, male 83.8
GTEX-18A66-1226-SM-7LT8G 60-69 years, male 83.0
GTEX-1LG7Y-1226-SM-CXZKD 50-59 years, male 81.2
GTEX-13NYB-0226-SM-5N9G4 40-49 years, male 81.0
GTEX-R55G-0526-SM-2TC5O 40-49 years, female 81.0
GTEX-13FHP-1026-SM-5K7Y2 50-59 years, male 80.9
GTEX-ZYT6-1726-SM-5E44P 30-39 years, male 79.6
GTEX-1IKJJ-0826-SM-A96SP 60-69 years, male 76.7
GTEX-RN64-0826-SM-2TC62 50-59 years, male 75.6
GTEX-N7MT-1326-SM-2I3FV 60-69 years, female 70.4
GTEX-1EWIQ-1426-SM-7IGOS 70-79 years, female 68.4
GTEX-1GN2E-1326-SM-9KNVG 60-69 years, male 67.7
GTEX-14BIN-2226-SM-5YYA1 50-59 years, female 67.0
GTEX-1JMOU-0226-SM-CNNPD 60-69 years, female 65.5
GTEX-1JJE9-1426-SM-ARL8P 70-79 years, male 64.2
GTEX-1C6VQ-1126-SM-7EWET 50-59 years, male 64.1
GTEX-1NV8Z-1526-SM-DTX8X 60-69 years, male 61.6
GTEX-ZUA1-0826-SM-4YCDL 40-49 years, male 59.6
GTEX-1EKGG-1126-SM-7MGXB 60-69 years, male 56.9
GTEX-1PPH7-2026-SM-E9J3N 40-49 years, male 55.5
GTEX-17HII-1326-SM-7IGOB 50-59 years, male 54.8
GTEX-14PJM-1126-SM-6LLHK 50-59 years, female 52.8
GTEX-P4QS-0326-SM-2I3EU 60-69 years, male 47.8
GTEX-1399T-0426-SM-5PNVJ 60-69 years, male 47.6
GTEX-1GTWX-1026-SM-7P8QW 60-69 years, male 44.5
GTEX-12ZZW-1026-SM-5GCMM 50-59 years, male 40.0
Show allShow less

HEART MUSCLE - FANTOM5 CAGEi

RNA expression in human tissues obtained through Cap Analysis of Gene Expression (CAGE) generated by the FANTOM5 project are reported as Scaled Tags Per Million.

Max subtype Scaled Tags Per Millioni

Max subtype Scaled Tags Per Million is the value for the subtype with the largest average Scaled Tags Per Million across the subtype samples.

411.4
FANTOM5 sample id Sample description Scaled Tags Per Million
Heart
Scaled Tags Per Million: 202.5
FF:10016-101C7 70,73,74 years, mixed 202.5
Left atrium
Scaled Tags Per Million: 338.5
FF:10079-102A7 40 years, male 338.5
Left ventricle
Scaled Tags Per Million: 411.4
FF:10078-102A6 73 years, female 411.4

Contact

  • NEWS ARTICLES
  • PRESS ROOM

The Project

  • INTRODUCTION
  • ORGANIZATION
  • PUBLICATIONS

The Human Protein Atlas

  • DOWNLOADABLE DATA
  • LICENCE & CITATION
  • HELP & FAQ
The Human Protein Atlas project is funded
by the Knut & Alice Wallenberg Foundation.


contact@proteinatlas.org