We use cookies to enhance the usability of our website. If you continue, we'll assume that you are happy to receive all cookies. More information. Don't show this again.
FAM13A
HPA
RESOURCES
  • TISSUE
  • BRAIN
  • SINGLE CELL
  • SUBCELLULAR
  • CANCER
  • BLOOD
  • CELL LINE
  • STRUCTURE & INTERACTION
ABOUT
  • INTRODUCTION
  • HISTORY
  • ORGANIZATION
  • PUBLICATIONS
  • ANTIBODY SUBMISSION
  • ANTIBODY AVAILABILITY
  • ACKNOWLEDGMENTS
  • CONTACT
NEWS
  • NEWS ARTICLES
  • PRESS ROOM
LEARN
  • DICTIONARY
  • PROTEIN CLASSES
  • PROTEIN EVIDENCE
  • METHODS
  • EDUCATIONAL VIDEOS
DATA
  • DOWNLOADABLE DATA
  • PUBLICATION DATA
  • RELEASE HISTORY
HELP
  • ANTIBODY VALIDATION
  • ASSAYS & ANNOTATION
  • DISCLAIMER
  • HELP & FAQ
  • PRIVACY STATEMENT
  • LICENCE & CITATION
Fields »
Search result

Field
Term
Gene name
Class
Subclass
Class
Keyword
Chromosome
External id
Tissue
Cell type
Expression
Antibody panel
Tissue
Main location
Patient ID
Annotation
Tissue
Category
Tau score
Cluster
Reliability
Brain region
Category
Tau score
Brain region
Category
Tau score
Brain region
Category
Tau score
Cluster
Reliability
Tissue
Cell type
Enrichment
Cell type
Category
Tau score
Cell type
Category
Tau score
Cell type
Category
Tau score
Cell lineage
Category
Tau score
Cluster
Cluster
Location
Searches
Location
Cell line
Class
Type
Phase
Reliability
Cancer
Prognosis
Cancer
Category
Cancer
Category
Tau score
Cluster
Variants
Interacting gene (ensg_id)
Type
Number of interactions
Pathway
Category
Score
Score
Score
Validation
Validation
Validation
Validation
Antibodies
Data type
Column


  • SUMMARY

  • TISSUE

  • BRAIN

  • SINGLE CELL

  • SUBCELL

  • CANCER

  • BLOOD

  • CELL LINE

  • STRUCT & INT

  • FAM13A
TISSUE PRIMARY DATA SKIN Show tissue menu
ADIPOSE TISSUE ADRENAL GLAND AMYGDALA APPENDIX BASAL GANGLIA BONE MARROW BREAST BRONCHUS CEREBELLUM CEREBRAL CORTEX CERVIX CHOROID PLEXUS COLON DUODENUM
ENDOMETRIUM EPIDIDYMIS ESOPHAGUS FALLOPIAN TUBE GALLBLADDER HEART MUSCLE HIPPOCAMPAL FORMATION HYPOTHALAMUS KIDNEY LIVER LUNG LYMPH NODE MIDBRAIN ORAL MUCOSA
OVARY PANCREAS PARATHYROID GLAND PITUITARY GLAND PLACENTA PROSTATE RECTUM RETINA SALIVARY GLAND SEMINAL VESICLE SKELETAL MUSCLE SKIN SMALL INTESTINE SMOOTH MUSCLE
SOFT TISSUE SPINAL CORD SPLEEN STOMACH TESTIS THYMUS THYROID GLAND TONGUE TONSIL URINARY BLADDER VAGINA
ANTIBODIES
AND
VALIDATION
Dictionary
Skin
Tissue proteome
Skin
SKIN - Expression summary
Protein expression
Skini

On the top, protein expression in current human tissue, based on all annotated cell types, is reported with the units not detected (n), low (l), medium (m) and high (h). Underneath, protein expression in each annotated cell type are reported using the same units.

Protein expression data is based on knowledge-based annotation. For genes where more than one antibody has been used, a collective score is set.

If knowledge-based annotation could not be performed for a gene, no data is displayed here. View antibody staining data further down this page.

h
m
l
n
Epidermal cells: Low
Fibroblasts: Medium
Keratinocytes: Low
Langerhans: Medium
Melanocytes: Medium
RNA expressioni

A summary of mRNA expression data available for current tissue based on several datasets. The mRNA expression levels in human tissues are based on RNA-seq data generated by the Human Protein Atlas (HPA), Genotype-Tissue Expression (GTEx) portal and CAGE data generated by the FANTOM5 consortium. Consensus normalized expression levels for human tissues was created by combining the data from HPA and GTEx datasets.

The mRNA expression levels in pig are based on RNA-seq data generated by the Human Protein Atlas (HPA), and for mouse, HPA data and in situ hybridization generated by the Allen brain atlas are reported.

Scroll down to view mRNA expression data in more detail.
Consensus:19.8 nTPM
HPA:6.9 nTPM
GTEx:19.8 nTPM

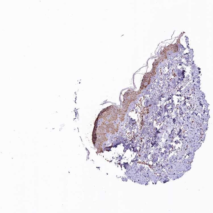
SKIN 1 - Antibody stainingi

Antibody staining in the annotated cell types in the current human tissue is reported as not detected, low, medium, or high, based on conventional immunohistochemistry profiling in selected tissues. This score is based on the combination of the staining intensity and fraction of stained cells.

Each image is clickable and will lead to virtual microscopy that enables deeper exploration of all samples and also displays staining intensity scores, fraction scores and subcellular localization as well as patient and tissue information for each sample.

Antibody HPA038108Antibody HPA038109
Langerhans MediumHigh
Fibroblasts MediumMedium
Keratinocytes MediumLow
Melanocytes HighHigh




SKIN 2 - Antibody stainingi

Antibody staining in the annotated cell types in the current human tissue is reported as not detected, low, medium, or high, based on conventional immunohistochemistry profiling in selected tissues. This score is based on the combination of the staining intensity and fraction of stained cells.

Each image is clickable and will lead to virtual microscopy that enables deeper exploration of all samples and also displays staining intensity scores, fraction scores and subcellular localization as well as patient and tissue information for each sample.

Antibody HPA038108Antibody HPA038109
Epidermal cells MediumLow
  
  
  





SKIN - HPA RNA-seqi

The RNA-seq details section shows detailed information about the individual samples used for the transcript profiling and results of the RNA-seq analysis.

Information about each individual sample is listed below, including gender, age, a tissue section image and estimated fractions of cell types. nTPM (normalized transcripts per million) values give a quantification of the gene abundance which is comparable between different genes and samples.
Average nTPMi

Max subtype nTPM is the value for the subtype with the largest average nTPM across the subtype samples.

6.9
overview
Female, age 34
Skin sample 225
nTPM: 7.2
Cell types%
Keratinocytes:
60

Other cell types:
40

overview
Female, age 30
Skin sample 226
nTPM: 7
Cell types%
Keratinocytes:
55

Other cell types:
45

N/A
Male, age 57
Skin sample 227
nTPM: 6.4

SKIN - GTEx RNA-seqi

RNA-Seq data generated by the Genotype-Tissue Expression (GTEx) project from human tissues is reported as mean nTPM. More information can be found on the GTEx portal.

Distribution across the dataset is visualized with box plots, shown as median and 25th and 75th percentiles. Points are displayed as outliers if they are above or below 1.5 times the interquartile range. nTPM values of the individual samples are presented next to the box plot.
Max subtype nTPMi

Max subtype nTPM is the value for the subtype with the largest average nTPM across the subtype samples.

19.8
GTEx sample id Sample description nTPM
Skin - Not Sun Exposed (Suprapubic)
Average nTPM: 19.8
Samples: 604

Max nTPM: 94.9
Min nTPM: 3.2
Std nTPM: 12.9
Median nTPM: 15.9
GTEX-1399U-1126-SM-5L3DB 50-59 years, female 94.9
GTEX-1NV5F-0626-SM-DTXEG 60-69 years, female 72.9
GTEX-1122O-1026-SM-9WYSF 60-69 years, female 70.3
GTEX-15UF6-1926-SM-7KUDV 70-79 years, female 67.6
GTEX-14PJ5-1526-SM-6LLIL 60-69 years, female 67.2
GTEX-1LGRB-0926-SM-COH3K 50-59 years, female 65.1
GTEX-1H3VE-0726-SM-9YFL5 40-49 years, male 64.3
GTEX-1S5ZU-2526-SM-E6CIF 20-29 years, female 64.1
GTEX-13O61-1426-SM-5KM3D 60-69 years, male 62.8
GTEX-14PJ4-0226-SM-5YY92 60-69 years, male 59.2
GTEX-1GZ4H-0526-SM-9KNU9 50-59 years, female 58.0
GTEX-16AAH-0626-SM-793C9 50-59 years, male 57.3
GTEX-ZVE1-0726-SM-51MRN 50-59 years, female 56.6
GTEX-1AMEY-0826-SM-72D65 30-39 years, female 54.2
GTEX-1HBPM-0726-SM-9YFL7 60-69 years, female 53.8
GTEX-13X6H-0926-SM-5SIB2 50-59 years, female 52.4
GTEX-13VXT-1926-SM-5K7UO 20-29 years, female 52.3
GTEX-1AMFI-1326-SM-7939R 50-59 years, female 51.4
GTEX-147F3-1726-SM-5SIAW 50-59 years, female 51.3
GTEX-1A3MV-1826-SM-731CD 30-39 years, male 51.0
GTEX-1F52S-2926-SM-7MKGA 60-69 years, female 50.4
GTEX-1J1R8-2026-SM-CL53Y 40-49 years, male 48.0
GTEX-Y9LG-1126-SM-4VBQ7 30-39 years, male 47.5
GTEX-1EH9U-2826-SM-7DUGT 60-69 years, male 47.3
GTEX-1GMR8-0626-SM-7RHI7 50-59 years, female 47.1
GTEX-1N2DV-1526-SM-DTXEP 40-49 years, male 46.9
GTEX-14C5O-0326-SM-5ZZUX 60-69 years, male 46.8
GTEX-117YX-1926-SM-5GIEC 50-59 years, male 46.3
GTEX-13IVO-0726-SM-5LZYV 70-79 years, male 46.3
GTEX-1JK1U-0226-SM-ARZMX 60-69 years, male 46.2
GTEX-13QBU-1226-SM-5LU4G 40-49 years, female 46.1
GTEX-XUW1-0926-SM-4BONX 50-59 years, female 45.6
GTEX-1CB4H-1126-SM-7MKGL 60-69 years, female 45.1
GTEX-13X6I-1826-SM-5SIAO 60-69 years, male 44.7
GTEX-ZAB4-2126-SM-5HL8U 40-49 years, male 43.9
GTEX-13D11-0926-SM-5J2NC 50-59 years, female 43.8
GTEX-WY7C-2126-SM-3NB2R 50-59 years, male 43.8
GTEX-14BMU-1226-SM-5S2OR 20-29 years, female 43.7
GTEX-1MCYP-0526-SM-E9U6Q 20-29 years, female 43.3
GTEX-ZA64-1026-SM-5HL8R 20-29 years, male 43.2
GTEX-13FTX-1526-SM-5K7VJ 20-29 years, female 43.1
GTEX-1LKK1-2626-SM-DKPQE 50-59 years, female 43.0
GTEX-1R46S-2426-SM-E76QA 60-69 years, female 42.7
GTEX-1F6RS-2026-SM-7RHHC 60-69 years, female 42.6
GTEX-WHSB-1326-SM-3LK6W 50-59 years, male 42.5
GTEX-1F5PL-0926-SM-7PC2W 40-49 years, female 42.4
GTEX-1F75B-0726-SM-7PC3R 50-59 years, male 42.4
GTEX-111YS-1526-SM-5GZYW 60-69 years, male 41.9
GTEX-ZLWG-0826-SM-59888 50-59 years, female 41.9
GTEX-16BQI-1326-SM-6M486 30-39 years, female 41.6
GTEX-1HGF4-0126-SM-CNPPX 60-69 years, male 41.4
GTEX-131XF-2626-SM-5EQ6K 60-69 years, male 40.9
GTEX-1PDJ9-1226-SM-EXUSX 20-29 years, male 40.9
GTEX-13RTJ-0126-SM-5S2NN 60-69 years, male 40.4
GTEX-1I1GT-1026-SM-ARZLV 60-69 years, female 40.1
GTEX-1S82P-2126-SM-E6CI5 60-69 years, female 39.9
GTEX-14C39-1726-SM-5RQIL 40-49 years, male 39.4
GTEX-12BJ1-0926-SM-5EQ62 60-69 years, male 38.5
GTEX-13YAN-0226-SM-5TDC6 60-69 years, male 38.5
GTEX-ZT9W-1126-SM-57WDR 50-59 years, male 38.5
GTEX-1J8Q2-2626-SM-ACKWQ 60-69 years, male 38.4
GTEX-ZVT2-0126-SM-5GIDQ 50-59 years, female 38.3
GTEX-12WSL-2026-SM-5GCML 50-59 years, male 38.0
GTEX-1K2DU-1226-SM-CYPT4 20-29 years, male 37.9
GTEX-14PJN-1826-SM-6AJ98 30-39 years, male 37.5
GTEX-1IE54-1126-SM-A9G2Z 40-49 years, female 37.5
GTEX-14JG6-1426-SM-9WG7C 30-39 years, female 37.4
GTEX-11TT1-1826-SM-5EQLV 20-29 years, male 36.3
GTEX-XBED-1926-SM-47JYP 60-69 years, male 36.3
GTEX-13QJC-0126-SM-5ZZWJ 60-69 years, female 36.2
GTEX-13NYS-0626-SM-5L3F1 60-69 years, male 36.0
GTEX-1HSGN-0826-SM-ACKW3 40-49 years, female 36.0
GTEX-14E6E-0526-SM-793DN 30-39 years, male 35.0
GTEX-13SLW-0626-SM-5Q5ER 70-79 years, male 34.9
GTEX-17HII-1426-SM-7EPGG 50-59 years, male 34.9
GTEX-XQ8I-0926-SM-4BOOF 50-59 years, male 34.7
GTEX-1I4MK-0126-SM-CY8G6 50-59 years, female 34.5
GTEX-17F98-1326-SM-7DUEP 40-49 years, female 34.2
GTEX-ZDTT-0426-SM-4WKFL 60-69 years, male 34.1
GTEX-ZF29-0926-SM-4WKFZ 60-69 years, female 33.9
GTEX-ZVZP-1226-SM-5GID7 50-59 years, male 33.9
GTEX-ZZ64-1026-SM-5GZXG 20-29 years, male 33.9
GTEX-1HSMQ-2626-SM-A9SML 50-59 years, male 33.9
GTEX-18D9A-1426-SM-7LT8M 30-39 years, female 33.6
GTEX-148VJ-0626-SM-5LUAW 70-79 years, male 33.1
GTEX-13JUV-2026-SM-5K7UA 40-49 years, female 33.0
GTEX-13JVG-0726-SM-5KM16 60-69 years, male 33.0
GTEX-ZYY3-2926-SM-5GIEB 60-69 years, female 32.9
GTEX-15EO6-2426-SM-6PALZ 50-59 years, male 32.7
GTEX-1I1GS-2626-SM-B2LY3 60-69 years, male 32.7
GTEX-1211K-1526-SM-5FQU4 60-69 years, female 32.5
GTEX-12C56-1526-SM-5FQUQ 20-29 years, male 32.4
GTEX-12WSA-0426-SM-5EQ5X 60-69 years, male 32.4
GTEX-13NZ8-1226-SM-5KM4A 60-69 years, female 32.3
GTEX-1HSMO-0626-SM-ACKXC 60-69 years, male 32.3
GTEX-1PPH7-1126-SM-DTX9A 40-49 years, male 32.3
GTEX-1CAMS-2226-SM-7PBXQ 40-49 years, female 32.2
GTEX-XMD2-2126-SM-4YCF8 60-69 years, female 32.1
GTEX-1QP28-1126-SM-EVYC4 50-59 years, female 31.9
GTEX-14LLW-2626-SM-62LDZ 70-79 years, female 31.5
GTEX-WYBS-0626-SM-3NMAS 60-69 years, female 31.1
GTEX-16XZZ-0726-SM-7KUF2 60-69 years, male 30.7
GTEX-1LSNM-0826-SM-DIPG8 50-59 years, male 30.7
GTEX-ZVE2-2826-SM-5GU51 50-59 years, male 30.6
GTEX-1HFI7-2326-SM-CGQFS 50-59 years, female 30.6
GTEX-1JJ6O-2726-SM-CNPOG 60-69 years, male 30.3
GTEX-1C475-1326-SM-7SB73 40-49 years, female 30.1
GTEX-13PDP-0726-SM-5L3HP 60-69 years, male 29.9
GTEX-11P82-1426-SM-DTXFY 20-29 years, male 29.9
GTEX-13PVR-0426-SM-5RQK2 60-69 years, female 29.8
GTEX-1GN1W-2426-SM-9KNUU 50-59 years, female 29.8
GTEX-1CAV2-0126-SM-7IGN7 40-49 years, female 29.7
GTEX-1F75I-2226-SM-7SB8U 40-49 years, male 29.7
GTEX-1L5NE-1126-SM-D3L9P 50-59 years, male 29.4
GTEX-1LGOU-1326-SM-D3L8M 20-29 years, female 29.4
GTEX-1GMR2-0826-SM-7PC3V 50-59 years, male 29.3
GTEX-ZGAY-1826-SM-DO91Q 40-49 years, female 29.3
GTEX-1192X-2726-SM-5N9DN 50-59 years, male 29.2
GTEX-1JMPY-0226-SM-CKZOK 30-39 years, male 29.2
GTEX-1IDJU-1726-SM-CMKHU 60-69 years, female 29.0
GTEX-11EM3-1226-SM-5N9DD 20-29 years, female 28.8
GTEX-1B8KE-1126-SM-7EPHI 50-59 years, male 28.7
GTEX-18D9U-0126-SM-731BM 40-49 years, male 28.3
GTEX-16NGA-0726-SM-731AO 40-49 years, female 28.2
GTEX-12WSM-1926-SM-5BC65 60-69 years, male 28.1
GTEX-145MO-2826-SM-5LU96 60-69 years, male 28.1
GTEX-1B97I-0626-SM-73KUZ 40-49 years, male 28.1
GTEX-16MT8-2926-SM-7DUFO 60-69 years, female 28.0
GTEX-1H1E6-0426-SM-9WYUS 30-39 years, male 27.6
GTEX-1B996-0426-SM-7EWF8 60-69 years, male 27.5
GTEX-17F9Y-0126-SM-79OKX 70-79 years, female 27.4
GTEX-139D8-1126-SM-5LU8W 30-39 years, female 27.3
GTEX-1QCLZ-2426-SM-EVYBW 60-69 years, female 27.2
GTEX-1KANC-1226-SM-CYPT7 50-59 years, female 27.1
GTEX-1M4P7-0726-SM-E6CJ3 60-69 years, male 27.1
GTEX-1GPI7-1826-SM-9KNU1 20-29 years, male 27.0
GTEX-1HCU9-0426-SM-9WYSD 20-29 years, male 27.0
GTEX-1497J-0226-SM-5QGPU 60-69 years, male 26.8
GTEX-1KANA-1326-SM-DIPFA 20-29 years, male 26.8
GTEX-15D1Q-2826-SM-6LLH7 40-49 years, male 26.6
GTEX-ZYFG-1526-SM-5GZYM 60-69 years, female 26.4
GTEX-18A7B-2726-SM-7LG56 70-79 years, male 26.3
GTEX-1I6K6-1726-SM-CGQFD 30-39 years, male 26.3
GTEX-XAJ8-1426-SM-47JYM 40-49 years, male 26.1
GTEX-13N1W-2426-SM-5IJD1 70-79 years, male 25.7
GTEX-WXYG-2026-SM-4E3IY 50-59 years, female 25.6
GTEX-139T8-0626-SM-5KLZX 60-69 years, male 25.4
GTEX-1A32A-0626-SM-731AQ 50-59 years, female 25.4
GTEX-145ME-1726-SM-5Q5EU 40-49 years, female 25.3
GTEX-1LVAN-0626-SM-CNPOQ 50-59 years, female 25.3
GTEX-ZF3C-0626-SM-DO92O 50-59 years, female 25.1
GTEX-14PKV-1126-SM-6LLJ1 20-29 years, female 24.9
GTEX-1J8Q3-0526-SM-ARL8U 60-69 years, male 24.9
GTEX-131XG-0326-SM-5L3DX 50-59 years, female 24.8
GTEX-13FH7-1126-SM-5K7UG 50-59 years, female 24.8
GTEX-1HCU7-0726-SM-A9SL1 50-59 years, male 24.7
GTEX-1JJE9-2626-SM-ARZMT 70-79 years, male 24.7
GTEX-1QP9N-1226-SM-E76QN 30-39 years, male 24.7
GTEX-1HR9M-2226-SM-CNPPY 60-69 years, male 24.6
GTEX-1LG7Y-2526-SM-EWRO7 50-59 years, male 24.6
GTEX-1HCVE-2726-SM-CL54F 50-59 years, male 24.5
GTEX-1QPFJ-1926-SM-EVYBD 30-39 years, female 24.5
GTEX-1GTWX-2026-SM-9YFLM 60-69 years, male 24.3
GTEX-1J1OQ-0126-SM-D4P2N 40-49 years, female 24.2
GTEX-12WSF-1626-SM-7KUG5 70-79 years, male 24.1
GTEX-X8HC-0626-SM-4E3HQ 50-59 years, female 24.1
GTEX-14E6C-2426-SM-5S2NF 40-49 years, male 23.8
GTEX-1F5PK-2226-SM-7SB6N 50-59 years, male 23.8
GTEX-145LS-0626-SM-7EPG7 60-69 years, female 23.5
GTEX-YEC3-1326-SM-DO92X 50-59 years, male 23.5
GTEX-133LE-2326-SM-5K7W3 20-29 years, female 23.3
GTEX-1477Z-0326-SM-7IGLA 60-69 years, male 23.2
GTEX-14753-0726-SM-5QGQO 60-69 years, male 23.1
GTEX-1GF9W-1426-SM-7PBYM 60-69 years, male 23.1
GTEX-145MI-0626-SM-5SI8S 60-69 years, female 23.0
GTEX-ZYW4-0626-SM-59HJR 60-69 years, male 23.0
GTEX-15EU6-2226-SM-6EU2L 50-59 years, male 22.7
GTEX-1HCUA-0826-SM-ADEHM 50-59 years, female 22.6
GTEX-17MF6-2626-SM-79OKQ 40-49 years, male 22.4
GTEX-13OW5-2326-SM-5L3HO 60-69 years, male 22.3
GTEX-ZTTD-2826-SM-4YCFA 50-59 years, male 22.3
GTEX-11EQ8-0926-SM-5H12V 60-69 years, male 22.2
GTEX-139UW-0326-SM-5J1ML 60-69 years, male 22.2
GTEX-13FTW-0326-SM-5K7UW 40-49 years, male 22.2
GTEX-1MJK3-0726-SM-E6CJC 20-29 years, male 22.2
GTEX-14PJO-2526-SM-6AJBQ 60-69 years, male 22.1
GTEX-ZWKS-0626-SM-5GIDV 30-39 years, male 22.0
GTEX-1GMR3-0126-SM-A9SLW 40-49 years, male 22.0
GTEX-1399S-0126-SM-5IJCF 30-39 years, female 21.8
GTEX-14JFF-0626-SM-5ZZVT 60-69 years, male 21.7
GTEX-XK95-0226-SM-4AT58 40-49 years, male 21.6
GTEX-ZVTK-0226-SM-51MRG 20-29 years, male 21.6
GTEX-1A8FM-0626-SM-7PC25 50-59 years, female 21.6
GTEX-14PJ6-2626-SM-6EU2T 60-69 years, female 21.5
GTEX-13W3W-0726-SM-5IJDQ 60-69 years, female 21.4
GTEX-Y114-2126-SM-4TT8B 50-59 years, female 21.4
GTEX-ZTX8-1326-SM-4YCEL 20-29 years, male 21.3
GTEX-1HKZK-0726-SM-ACKW2 40-49 years, male 21.2
GTEX-1314G-1326-SM-5BC6E 30-39 years, male 21.1
GTEX-1IDFM-0326-SM-ARL7V 60-69 years, male 21.1
GTEX-14PKU-0126-SM-6LLHV 40-49 years, female 21.0
GTEX-1GL5R-1326-SM-7RHHF 50-59 years, male 21.0
GTEX-1RLM8-2926-SM-E8VON 50-59 years, male 21.0
GTEX-1LVAM-0726-SM-E6CIL 50-59 years, female 20.9
GTEX-Y8LW-1526-SM-5IFHL 50-59 years, female 20.8
GTEX-1B933-2426-SM-7DHMD 50-59 years, female 20.6
GTEX-YFCO-1226-SM-5LUAT 40-49 years, male 20.6
GTEX-1KXAM-1626-SM-D3LAD 60-69 years, male 20.6
GTEX-12696-0126-SM-5EQ4L 60-69 years, male 20.3
GTEX-12WSK-2126-SM-5CVNC 40-49 years, female 20.3
GTEX-14PJ2-0626-SM-6LLII 50-59 years, male 20.3
GTEX-1RAZA-2226-SM-E9U4X 20-29 years, male 20.3
GTEX-YF7O-1526-SM-5IFI6 50-59 years, male 20.2
GTEX-1S3DN-2126-SM-E9TIN 50-59 years, male 20.2
GTEX-13OVG-1626-SM-5J1NF 60-69 years, male 20.0
GTEX-14PHX-2226-SM-6EU2P 50-59 years, male 20.0
GTEX-15SKB-2826-SM-6PAMH 60-69 years, male 19.9
GTEX-WHWD-1826-SM-3LK6I 50-59 years, male 19.9
GTEX-1QP2A-1726-SM-E76QC 50-59 years, male 19.9
GTEX-1GZ2Q-0126-SM-9WG6M 40-49 years, male 19.8
GTEX-1HUB1-1426-SM-CGQF5 60-69 years, male 19.8
GTEX-1IDJF-2026-SM-CL53V 20-29 years, male 19.8
GTEX-13PL6-1126-SM-5L3IE 40-49 years, female 19.7
GTEX-ZC5H-1526-SM-5HL9Y 40-49 years, female 19.7
GTEX-1C64O-1326-SM-7MGWR 60-69 years, male 19.7
GTEX-1R7EU-1626-SM-DTXG3 60-69 years, male 19.6
GTEX-11LCK-2226-SM-5HL4Q 30-39 years, male 19.5
GTEX-11P81-2226-SM-5PNYI 30-39 years, female 19.5
GTEX-WFG7-2026-SM-5SI7P 20-29 years, male 19.5
GTEX-1HBPN-0126-SM-CGQEF 50-59 years, male 19.5
GTEX-1RMOY-1326-SM-E9TIH 50-59 years, male 19.5
GTEX-13PVQ-0626-SM-5LU47 50-59 years, male 19.4
GTEX-15DDE-2926-SM-6LLJ3 50-59 years, female 19.4
GTEX-ZAJG-1526-SM-5CVML 50-59 years, female 19.4
GTEX-ZZPU-0826-SM-5GZX5 50-59 years, female 19.4
GTEX-144GO-2026-SM-5O99P 60-69 years, male 19.3
GTEX-14ICL-1626-SM-5YYAO 30-39 years, male 19.3
GTEX-1K2DA-1026-SM-CGQGF 50-59 years, male 19.3
GTEX-15RJE-2826-SM-7KUM9 40-49 years, male 19.2
GTEX-1C6VQ-1226-SM-73KYD 50-59 years, male 19.2
GTEX-1QP66-1226-SM-DTX7U 50-59 years, male 19.2
GTEX-131XH-0126-SM-5LZUY 50-59 years, male 19.1
GTEX-14DAR-1226-SM-73KYV 50-59 years, male 19.1
GTEX-131XW-0626-SM-5PNVD 50-59 years, female 19.0
GTEX-1H23P-0626-SM-9WG6T 60-69 years, male 19.0
GTEX-17F96-0126-SM-7EWDU 70-79 years, male 18.9
GTEX-X4EO-2926-SM-4E3JH 60-69 years, female 18.9
GTEX-ZDYS-2426-SM-4WKGI 50-59 years, male 18.9
GTEX-ZUA1-2626-SM-5NQ92 40-49 years, male 18.9
GTEX-1S831-1826-SM-EWROF 20-29 years, male 18.9
GTEX-XBEW-1126-SM-4QARW 40-49 years, male 18.8
GTEX-1KAFJ-0126-SM-DIPEK 50-59 years, male 18.8
GTEX-1R9K4-2826-SM-DTX8F 60-69 years, male 18.8
GTEX-13OVH-0526-SM-5L3E6 70-79 years, male 18.7
GTEX-1H1DF-1126-SM-9WG7G 40-49 years, female 18.7
GTEX-ZU9S-1826-SM-5NQ9E 30-39 years, male 18.6
GTEX-ZVT4-2426-SM-5GIEI 50-59 years, female 18.6
GTEX-1O9I2-0226-SM-EYYXD 50-59 years, male 18.6
GTEX-14PJ3-1126-SM-5ZZVX 50-59 years, male 18.5
GTEX-Y5V6-2326-SM-4VDSA 60-69 years, male 18.5
GTEX-YB5K-2026-SM-4VDT3 40-49 years, female 18.5
GTEX-1JMQI-1726-SM-ARL93 50-59 years, male 18.5
GTEX-1JKYR-0626-SM-ARL8R 20-29 years, male 18.4
GTEX-17HHE-1326-SM-7EWDZ 50-59 years, male 18.1
GTEX-11P7K-1126-SM-5HL4L 30-39 years, male 18.0
GTEX-11EQ9-1626-SM-5PNY8 30-39 years, male 17.9
GTEX-145LT-0526-SM-5LUB2 40-49 years, male 17.9
GTEX-1HB9E-0126-SM-CM2S5 50-59 years, male 17.9
GTEX-WYJK-0526-SM-3NM8Z 50-59 years, male 17.8
GTEX-1AX9I-2226-SM-73KUO 60-69 years, male 17.6
GTEX-Y5LM-0926-SM-6LLJG 40-49 years, female 17.6
GTEX-ZPCL-1126-SM-4WWFE 60-69 years, female 17.6
GTEX-14BIN-1126-SM-5RQJZ 50-59 years, female 17.5
GTEX-1CAMR-1326-SM-7PC1F 20-29 years, male 17.5
GTEX-1F75W-2726-SM-7SB8H 60-69 years, male 17.4
GTEX-1I1CD-0626-SM-CE6SW 60-69 years, female 17.4
GTEX-UPK5-0426-SM-3GAEK 40-49 years, male 17.3
GTEX-13FHO-0426-SM-5L3F5 60-69 years, male 17.2
GTEX-XBEC-0726-SM-4QARZ 50-59 years, male 17.2
GTEX-ZXG5-2126-SM-59HKD 60-69 years, male 17.2
GTEX-1F48J-0726-SM-7RHGS 50-59 years, female 16.9
GTEX-1J8QM-2426-SM-A9SLS 60-69 years, female 16.9
GTEX-11UD2-2526-SM-5CVNU 50-59 years, male 16.8
GTEX-1IDJV-0126-SM-COH3Y 60-69 years, male 16.8
GTEX-ZLV1-1526-SM-DO91J 60-69 years, female 16.7
GTEX-13NYC-0126-SM-5L3F4 60-69 years, male 16.6
GTEX-14DAQ-0626-SM-793DS 60-69 years, female 16.6
GTEX-1A8G7-1326-SM-73KVM 60-69 years, male 16.5
GTEX-183WM-0326-SM-72D5V 70-79 years, female 16.4
GTEX-1I6K7-1926-SM-B2LXR 40-49 years, male 16.4
GTEX-1JN1M-2726-SM-CY8I4 60-69 years, female 16.4
GTEX-1N5O9-0926-SM-E9J3C 60-69 years, male 16.4
GTEX-13113-1626-SM-5EQ4I 60-69 years, female 16.3
GTEX-1OJC3-1226-SM-DTXER 20-29 years, male 16.3
GTEX-XV7Q-1826-SM-4BRUV 40-49 years, female 16.2
GTEX-1IDJI-0126-SM-CMKHS 50-59 years, female 16.2
GTEX-13X6K-0626-SM-5LU5D 60-69 years, female 16.1
GTEX-1IKOE-1426-SM-CE6T7 30-39 years, female 16.1
GTEX-1JMQL-2226-SM-CNPP4 50-59 years, female 16.1
GTEX-11ZU8-0126-SM-5EQ58 60-69 years, male 16.0
GTEX-1CB4J-1326-SM-7P8RX 60-69 years, male 16.0
GTEX-1JKYN-0826-SM-ARU8S 30-39 years, male 16.0
GTEX-1HCU6-2526-SM-ADEHL 60-69 years, female 15.9
GTEX-12KS4-2126-SM-5FQUT 30-39 years, male 15.8
GTEX-Y3I4-1726-SM-4TT89 50-59 years, male 15.8
GTEX-1MCC2-1826-SM-DIPEX 30-39 years, female 15.8
GTEX-1CAMQ-1326-SM-7P8RV 40-49 years, male 15.7
GTEX-1ICLY-0826-SM-CMKG1 50-59 years, male 15.7
GTEX-145MN-1526-SM-5SI9T 30-39 years, male 15.6
GTEX-ZDXO-3126-SM-5IJDF 60-69 years, male 15.6
GTEX-1LG7Z-1626-SM-CXKYR 30-39 years, male 15.6
GTEX-14PII-0726-SM-6EU2B 60-69 years, male 15.5
GTEX-15RIG-0726-SM-7KUM7 40-49 years, male 15.5
GTEX-16MTA-0926-SM-6M47Z 50-59 years, male 15.5
GTEX-YEC4-1826-SM-4W1YP 40-49 years, male 15.5
GTEX-1F88E-1626-SM-7SB8Z 60-69 years, female 15.5
GTEX-V1D1-2026-SM-3GAF4 50-59 years, male 15.4
GTEX-Y5V5-0126-SM-5S2NW 60-69 years, female 15.4
GTEX-1I1GU-0926-SM-ACKVS 40-49 years, male 15.3
GTEX-13N2G-0226-SM-5K7VF 60-69 years, male 15.2
GTEX-13N11-2326-SM-5IJBF 50-59 years, female 15.1
GTEX-15CHC-1126-SM-6LLHQ 60-69 years, female 15.1
GTEX-1QCLY-0226-SM-EWRNH 30-39 years, male 15.1
GTEX-ZLFU-1826-SM-4WWBV 40-49 years, male 15.0
GTEX-145MF-0926-SM-5Q5EA 50-59 years, male 14.9
GTEX-1S83E-1326-SM-E6CJM 40-49 years, male 14.9
GTEX-139TU-0726-SM-5L3EK 60-69 years, male 14.8
GTEX-1E1VI-0326-SM-793D1 50-59 years, male 14.8
GTEX-1H1ZS-2726-SM-9WG75 70-79 years, male 14.8
GTEX-1LSVX-2526-SM-DIPEU 60-69 years, male 14.7
GTEX-12ZZZ-0726-SM-5GCNZ 60-69 years, male 14.6
GTEX-13O3O-2326-SM-5IJD6 60-69 years, female 14.6
GTEX-14LZ3-0126-SM-69LPM 60-69 years, female 14.5
GTEX-111CU-1126-SM-5EGIM 50-59 years, male 14.4
GTEX-11O72-0626-SM-5PNYE 40-49 years, male 14.4
GTEX-XPVG-2126-SM-4B667 50-59 years, male 14.3
GTEX-12WSC-2826-SM-5BC5Y 50-59 years, male 14.2
GTEX-1117F-2926-SM-5GZYI 60-69 years, female 14.1
GTEX-1GZ4I-2626-SM-9KNU3 50-59 years, male 14.1
GTEX-11TUW-0626-SM-5LU9M 60-69 years, male 14.0
GTEX-11VI4-1126-SM-5EQMD 40-49 years, female 13.9
GTEX-XOT4-0626-SM-4B66L 60-69 years, female 13.9
GTEX-1HFI6-0126-SM-CNPPI 40-49 years, male 13.9
GTEX-1LVAO-2726-SM-E9TJ8 60-69 years, male 13.9
GTEX-11EI6-2826-SM-5H11D 60-69 years, male 13.8
GTEX-15G1A-1626-SM-7KUKN 30-39 years, male 13.8
GTEX-16GPK-0626-SM-7KFSF 60-69 years, male 13.8
GTEX-17EVQ-0126-SM-7IGLR 70-79 years, male 13.8
GTEX-111FC-2526-SM-5GZXU 60-69 years, male 13.7
GTEX-17F97-2626-SM-7IGM5 50-59 years, male 13.7
GTEX-1H3O1-1326-SM-9MQLD 60-69 years, male 13.7
GTEX-17JCI-2926-SM-7DUFF 60-69 years, female 13.6
GTEX-17MFQ-1526-SM-7KFRR 20-29 years, male 13.6
GTEX-WK11-2726-SM-3NMAQ 50-59 years, male 13.6
GTEX-WRHU-2826-SM-3MJG8 50-59 years, female 13.6
GTEX-1JN6P-2926-SM-CL54D 60-69 years, male 13.6
GTEX-1JN76-0626-SM-CKZOQ 20-29 years, female 13.6
GTEX-1KD5A-0126-SM-E9U54 50-59 years, male 13.6
GTEX-11NUK-2726-SM-5A5MC 50-59 years, male 13.5
GTEX-15CHR-1126-SM-7EWF4 50-59 years, male 13.5
GTEX-1B8KZ-0326-SM-73KY4 50-59 years, male 13.5
GTEX-WFON-1926-SM-3LK7L 40-49 years, male 13.5
GTEX-1GN1U-0626-SM-9MQL9 50-59 years, female 13.5
GTEX-1IDJC-1526-SM-B2LW4 50-59 years, male 13.5
GTEX-13OVL-0126-SM-5L3GJ 50-59 years, male 13.4
GTEX-18QFQ-1826-SM-72D52 30-39 years, male 13.4
GTEX-1JMPZ-0726-SM-CY8HZ 30-39 years, male 13.4
GTEX-13OVJ-0826-SM-5J1OK 50-59 years, female 13.3
GTEX-14B4R-1326-SM-5Q5EZ 30-39 years, male 13.3
GTEX-183FY-1026-SM-7939A 20-29 years, male 13.3
GTEX-1GF9U-2026-SM-7SB92 40-49 years, female 13.3
GTEX-1I19N-0126-SM-CYPSF 70-79 years, male 13.3
GTEX-1H3NZ-2726-SM-9WYTQ 60-69 years, male 13.2
GTEX-ZYFD-0626-SM-5E44E 50-59 years, male 13.1
GTEX-1A3MX-2626-SM-7PC24 60-69 years, male 13.1
GTEX-1IKJJ-2226-SM-CJI4C 60-69 years, male 13.1
GTEX-13OW6-2726-SM-5J2OE 50-59 years, male 12.9
GTEX-13U4I-2226-SM-5LU5H 40-49 years, female 12.9
GTEX-144FL-0626-SM-5LU43 50-59 years, male 12.9
GTEX-14BMV-2826-SM-5TDED 50-59 years, male 12.9
GTEX-15RIE-1926-SM-7KUKJ 60-69 years, male 12.9
GTEX-X3Y1-2026-SM-3P5YM 40-49 years, male 12.9
GTEX-X5EB-1926-SM-4E3IW 40-49 years, male 12.9
GTEX-XXEK-1626-SM-4BRUZ 50-59 years, male 12.9
GTEX-1PBJJ-1026-SM-E76OS 30-39 years, male 12.9
GTEX-1QMI2-2526-SM-E8VNZ 60-69 years, male 12.9
GTEX-11ZTT-2126-SM-5CVLO 60-69 years, female 12.8
GTEX-ZP4G-1426-SM-4WWCL 20-29 years, female 12.7
GTEX-1H2FU-0926-SM-9WPPT 60-69 years, female 12.7
GTEX-15G19-2426-SM-7KUMR 60-69 years, male 12.6
GTEX-18D9B-0926-SM-7LG4U 60-69 years, male 12.6
GTEX-1HCU8-2526-SM-CE6RX 60-69 years, female 12.6
GTEX-139TS-2126-SM-5K7XC 60-69 years, male 12.5
GTEX-ZT9X-1526-SM-5DUXD 40-49 years, male 12.5
GTEX-1GPI6-1926-SM-9KNV7 60-69 years, male 12.5
GTEX-1IL2V-1926-SM-B2LW8 70-79 years, male 12.5
GTEX-1JMOU-1026-SM-CYPSS 60-69 years, female 12.5
GTEX-17F9E-2326-SM-79OKD 50-59 years, male 12.4
GTEX-WEY5-2326-SM-3GIKK 40-49 years, female 12.4
GTEX-X585-2426-SM-46MW2 50-59 years, male 12.4
GTEX-139TT-2126-SM-5LZWC 60-69 years, male 12.3
GTEX-13VXU-0626-SM-5L3F9 50-59 years, male 12.3
GTEX-1K9T9-1526-SM-DIPFR 50-59 years, female 12.3
GTEX-1RB15-1326-SM-E76Q9 60-69 years, male 12.3
GTEX-139YR-1026-SM-5LZYN 50-59 years, male 12.2
GTEX-14JG1-1526-SM-5YY9X 40-49 years, male 12.2
GTEX-WFG8-2126-SM-3GIKQ 20-29 years, male 12.2
GTEX-1E2YA-2126-SM-7MXUO 50-59 years, male 12.1
GTEX-13OW8-1026-SM-5J1NQ 60-69 years, male 12.0
GTEX-1A8G6-2726-SM-731AR 60-69 years, male 12.0
GTEX-1269C-0126-SM-5EQ5L 60-69 years, female 11.9
GTEX-145LU-1926-SM-79OJN 50-59 years, male 11.9
GTEX-1JMLX-0626-SM-ARL8T 50-59 years, male 11.9
GTEX-1N2EE-0626-SM-E76PW 60-69 years, male 11.9
GTEX-1399R-1326-SM-5PNYS 30-39 years, male 11.8
GTEX-14A6H-2026-SM-5Q5DD 30-39 years, male 11.8
GTEX-15DYW-2726-SM-6EU2I 60-69 years, female 11.8
GTEX-1B8L1-2226-SM-7P8PT 60-69 years, male 11.8
GTEX-1RAZR-2126-SM-E9U6T 40-49 years, male 11.8
GTEX-17EVP-2626-SM-7IGMA 40-49 years, male 11.7
GTEX-18A7A-0126-SM-731AH 50-59 years, female 11.7
GTEX-1H1DG-2426-SM-9QEHJ 70-79 years, male 11.7
GTEX-1I1GV-0626-SM-ARL7M 60-69 years, male 11.7
GTEX-13NZ9-2626-SM-5L3FK 50-59 years, male 11.6
GTEX-16NPX-0726-SM-7KULC 50-59 years, male 11.6
GTEX-UPJH-0226-SM-3GADV 50-59 years, male 11.6
GTEX-WYVS-1626-SM-3NM9R 40-49 years, female 11.6
GTEX-14PHY-1226-SM-5ZZWK 60-69 years, female 11.5
GTEX-1CB4I-0126-SM-7RHGG 50-59 years, male 11.5
GTEX-11DXY-0126-SM-5H11Q 60-69 years, male 11.4
GTEX-1212Z-0126-SM-59HK4 60-69 years, male 11.4
GTEX-11DZ1-2426-SM-5GZZX 50-59 years, male 11.3
GTEX-14C38-0726-SM-5SI6M 50-59 years, male 11.3
GTEX-11DXX-2126-SM-5PNYR 60-69 years, female 11.2
GTEX-147GR-2426-SM-5ZZWQ 60-69 years, male 11.2
GTEX-YJ8O-2526-SM-5HL85 40-49 years, female 11.2
GTEX-1ICLZ-0326-SM-ARL82 60-69 years, male 11.2
GTEX-11GSP-2326-SM-5HL63 60-69 years, female 11.1
GTEX-13FLV-0126-SM-5K7WT 50-59 years, male 11.1
GTEX-18465-2826-SM-7LT9J 50-59 years, male 11.1
GTEX-11NSD-0626-SM-5A5LU 20-29 years, male 11.0
GTEX-Z93S-1626-SM-5CVMB 50-59 years, male 11.0
GTEX-1IDJE-1426-SM-ADEIW 50-59 years, female 11.0
GTEX-1KWVE-1026-SM-D3L9O 30-39 years, male 11.0
GTEX-14E1K-2026-SM-7DUEI 50-59 years, male 10.9
GTEX-ZDTS-0826-SM-4WKHL 60-69 years, male 10.8
GTEX-ZVP2-0326-SM-57WBP 50-59 years, male 10.8
GTEX-1IOXB-2726-SM-CM2RI 50-59 years, male 10.8
GTEX-144GM-0526-SM-79OJO 20-29 years, male 10.7
GTEX-18A66-0626-SM-7LT8Z 60-69 years, male 10.7
GTEX-1H1CY-0126-SM-9YFLY 60-69 years, female 10.7
GTEX-ZPIC-0526-SM-DO91W 40-49 years, female 10.7
GTEX-11ZUS-2626-SM-5FQUR 30-39 years, male 10.6
GTEX-132AR-0326-SM-5KM2C 50-59 years, female 10.6
GTEX-WH7G-2026-SM-3NMBL 40-49 years, male 10.6
GTEX-X4EP-0626-SM-3P621 60-69 years, female 10.5
GTEX-1EMGI-2326-SM-7PBYA 60-69 years, male 10.5
GTEX-1LVA9-2626-SM-EVYD4 50-59 years, male 10.5
GTEX-XQ3S-1426-SM-4BOPR 20-29 years, male 10.4
GTEX-1HR98-2226-SM-ADEI2 60-69 years, male 10.4
GTEX-WI4N-2726-SM-3LK7Y 40-49 years, female 10.3
GTEX-ZYVF-0926-SM-5E44J 50-59 years, female 10.3
GTEX-1IDJD-2326-SM-ACKWX 30-39 years, male 10.3
GTEX-1S82U-1026-SM-E6CJK 30-39 years, female 10.3
GTEX-13112-0126-SM-5P9IU 50-59 years, male 10.2
GTEX-146FQ-2126-SM-5RQHU 30-39 years, male 10.2
GTEX-14AS3-1526-SM-5Q5ED 40-49 years, female 10.2
GTEX-15CHQ-0326-SM-69LQD 60-69 years, male 10.2
GTEX-1ICG6-1226-SM-A9SLN 70-79 years, female 10.2
GTEX-11OF3-0126-SM-5PNYF 60-69 years, male 10.0
GTEX-12584-0726-SM-5FQTK 40-49 years, male 10.0
GTEX-17HHY-0426-SM-7DHLC 50-59 years, male 10.0
GTEX-1AX9J-1326-SM-731BJ 60-69 years, male 10.0
GTEX-1RAZS-2526-SM-E6CHT 50-59 years, male 10.0
GTEX-178AV-1726-SM-7KUL8 40-49 years, male 9.9
GTEX-Y3IK-1626-SM-4YCF5 50-59 years, female 9.9
GTEX-13SLX-2226-SM-62LEP 50-59 years, female 9.8
GTEX-1F6IF-0926-SM-7SB7M 60-69 years, male 9.8
GTEX-1GZHY-0626-SM-9KNVC 50-59 years, female 9.8
GTEX-12WSJ-1126-SM-5LZVJ 40-49 years, female 9.7
GTEX-1QEPI-2626-SM-DTXF4 60-69 years, female 9.7
GTEX-131YS-2826-SM-5EQ47 60-69 years, female 9.6
GTEX-1A3MW-0626-SM-731CB 60-69 years, female 9.6
GTEX-1QAET-0326-SM-EVR3U 50-59 years, male 9.6
GTEX-147F4-0726-SM-5TDDD 50-59 years, male 9.5
GTEX-1I1GP-1326-SM-A9G28 50-59 years, male 9.5
GTEX-12WSD-0626-SM-5GCMW 60-69 years, female 9.3
GTEX-1GF9X-1326-SM-7PC2Y 40-49 years, female 9.3
GTEX-WHSE-0126-SM-3NMBT 20-29 years, male 9.2
GTEX-11DXW-0826-SM-5H118 40-49 years, male 9.1
GTEX-1C2JI-1026-SM-73KY1 50-59 years, male 9.1
GTEX-1EKGG-0626-SM-7DUGJ 60-69 years, male 9.1
GTEX-1F88F-0126-SM-9WYSZ 60-69 years, female 9.1
GTEX-1J8JJ-0626-SM-ARZMQ 60-69 years, female 9.1
GTEX-1399Q-2326-SM-5KM2X 40-49 years, male 9.0
GTEX-1GN73-0726-SM-7P8TJ 60-69 years, male 9.0
GTEX-16Z82-2626-SM-7KULU 60-69 years, male 8.9
GTEX-Y8E4-2026-SM-5IFJB 40-49 years, male 8.9
GTEX-1GN1V-2826-SM-9JGIA 60-69 years, male 8.9
GTEX-1J8EW-2726-SM-CY8HR 60-69 years, female 8.9
GTEX-12ZZY-0726-SM-5EQ66 60-69 years, male 8.8
GTEX-13X6J-0626-SM-5LU5F 50-59 years, male 8.8
GTEX-147JS-0226-SM-5S2U9 60-69 years, male 8.8
GTEX-15ER7-0626-SM-6PANF 20-29 years, female 8.8
GTEX-1EWIQ-0326-SM-7DHMQ 70-79 years, female 8.8
GTEX-ZYT6-2326-SM-5GZY3 30-39 years, male 8.8
GTEX-1QW4Y-1126-SM-DTXE3 30-39 years, male 8.8
GTEX-11PRG-0726-SM-5EGL1 50-59 years, male 8.7
GTEX-145MG-1526-SM-5Q5EM 50-59 years, male 8.7
GTEX-15SHW-0226-SM-7LTAT 60-69 years, male 8.7
GTEX-1C6WA-2626-SM-7MKGM 60-69 years, male 8.7
GTEX-1CB4E-0926-SM-7EPHT 60-69 years, male 8.7
GTEX-ZTSS-1426-SM-5985P 40-49 years, male 8.7
GTEX-11DYG-1526-SM-5A5JS 60-69 years, male 8.6
GTEX-1AX8Z-0726-SM-73KTS 60-69 years, male 8.6
GTEX-VUSG-2326-SM-4KL1U 50-59 years, male 8.6
GTEX-WHPG-2626-SM-3NMBR 50-59 years, male 8.6
GTEX-1GF9V-0826-SM-9KNUV 60-69 years, male 8.6
GTEX-1PIIG-2326-SM-DTXFR 30-39 years, male 8.6
GTEX-VJYA-1526-SM-3GIJV 60-69 years, male 8.5
GTEX-1IDJH-0126-SM-D3L92 70-79 years, male 8.5
GTEX-14PK6-0226-SM-62LF5 70-79 years, female 8.4
GTEX-1EN7A-2426-SM-793DB 40-49 years, male 8.4
GTEX-1POEN-2326-SM-E9J2L 30-39 years, female 8.4
GTEX-13FTY-2126-SM-5IFFB 40-49 years, female 8.3
GTEX-1JMQK-1226-SM-D4P2S 60-69 years, male 8.3
GTEX-ZAK1-0626-SM-5HL8E 50-59 years, female 8.2
GTEX-1IY9M-2826-SM-ARU8H 60-69 years, male 8.2
GTEX-1JMQJ-0826-SM-CNPP7 50-59 years, male 8.1
GTEX-13O3Q-0126-SM-5KM34 50-59 years, male 8.0
GTEX-13OVK-1426-SM-6PAN7 40-49 years, male 8.0
GTEX-1EU9M-1426-SM-793AI 60-69 years, male 8.0
GTEX-1EX96-1026-SM-7MKG2 50-59 years, male 8.0
GTEX-1F6I4-2326-SM-7RHGL 60-69 years, male 8.0
GTEX-1HSMP-0926-SM-A9SKX 70-79 years, male 8.0
GTEX-ZF2S-1626-SM-57WES 50-59 years, female 7.9
GTEX-11DXZ-2026-SM-5987S 50-59 years, male 7.8
GTEX-1H4P4-2126-SM-9WYSL 50-59 years, male 7.8
GTEX-1HC8U-1326-SM-9YFMJ 40-49 years, female 7.8
GTEX-1KANB-2826-SM-CY8I6 50-59 years, male 7.8
GTEX-1PPH8-0126-SM-EWRN8 20-29 years, male 7.8
GTEX-12WSH-1526-SM-5BC5W 50-59 years, male 7.7
GTEX-13NYB-0126-SM-5J1MD 40-49 years, male 7.6
GTEX-14A5H-0826-SM-5QGPJ 60-69 years, male 7.6
GTEX-11GS4-0226-SM-5HL77 60-69 years, male 7.3
GTEX-1HBPI-2126-SM-ARL9K 50-59 years, male 7.3
GTEX-1HSKV-1226-SM-ADEI4 60-69 years, male 7.3
GTEX-14ABY-2026-SM-62LDL 50-59 years, male 7.2
GTEX-17HG3-2626-SM-7DUF2 30-39 years, female 7.2
GTEX-17KNJ-2126-SM-718AM 50-59 years, male 7.2
GTEX-1B8SF-0126-SM-7DUG3 60-69 years, male 7.2
GTEX-ZE7O-2726-SM-51MT5 50-59 years, female 7.2
GTEX-1LB8K-0726-SM-D5OV2 50-59 years, male 7.2
GTEX-15FZZ-0526-SM-7KUGD 30-39 years, female 7.1
GTEX-18A6Q-0626-SM-7KFRP 60-69 years, male 7.1
GTEX-ZYFC-0426-SM-5GICQ 50-59 years, male 7.1
GTEX-1H1DE-1326-SM-9KNUG 20-29 years, male 7.1
GTEX-11WQK-1026-SM-5EQLX 50-59 years, male 7.0
GTEX-18A67-1626-SM-7LT9T 50-59 years, male 7.0
GTEX-1BAJH-2426-SM-7IGP8 70-79 years, male 7.0
GTEX-Y111-0626-SM-4SOIT 50-59 years, male 7.0
GTEX-YECK-0326-SM-4W1YS 60-69 years, male 7.0
GTEX-1B932-2326-SM-79OL5 40-49 years, female 6.9
GTEX-U8XE-0226-SM-4E3J3 30-39 years, male 6.8
GTEX-1AYD5-2626-SM-7PBXY 50-59 years, male 6.8
GTEX-1GMRU-2126-SM-7P8RA 50-59 years, male 6.8
GTEX-1JJEA-1826-SM-ARU8P 60-69 years, male 6.8
GTEX-1LSNL-2726-SM-E9TKJ 50-59 years, male 6.8
GTEX-ZE9C-2526-SM-5IJDR 60-69 years, male 6.7
GTEX-W5X1-2526-SM-3GILC 40-49 years, female 6.5
GTEX-1F75A-0726-SM-7RHHD 50-59 years, male 6.5
GTEX-16YQH-2226-SM-7IGM2 30-39 years, male 6.3
GTEX-1PPGY-1626-SM-EVYBL 60-69 years, male 6.3
GTEX-1RAZQ-1326-SM-E9TK6 30-39 years, male 6.3
GTEX-12126-0826-SM-5FQTZ 20-29 years, male 6.2
GTEX-1QP29-1826-SM-DTX9S 50-59 years, male 6.1
GTEX-13OW7-0426-SM-5K7VK 50-59 years, male 6.0
GTEX-17HGU-2326-SM-7DUFE 50-59 years, male 5.9
GTEX-1GN2E-0226-SM-9WG6K 60-69 years, male 5.9
GTEX-1R9PM-1926-SM-EVR3O 20-29 years, male 5.9
GTEX-11WQC-1826-SM-5GU59 60-69 years, male 5.7
GTEX-144GL-0626-SM-5LU4D 50-59 years, male 5.7
GTEX-1CB4F-1026-SM-7DUH1 60-69 years, male 5.6
GTEX-1PIGE-1826-SM-E8VOU 20-29 years, male 5.6
GTEX-1313W-0626-SM-5EQ4H 50-59 years, female 5.5
GTEX-1C64N-2626-SM-7PC2N 50-59 years, male 5.5
GTEX-1I1HK-2326-SM-CKZOH 60-69 years, male 5.5
GTEX-16MT9-0126-SM-7EPI8 60-69 years, female 5.4
GTEX-ZPU1-1126-SM-4YCF3 40-49 years, male 5.3
GTEX-1NSGN-0726-SM-DTXEF 50-59 years, male 5.3
GTEX-1OJC4-2726-SM-E76PJ 50-59 years, female 5.2
GTEX-13G51-1826-SM-5KLZH 60-69 years, male 5.1
GTEX-15RJ7-2126-SM-6PAMD 40-49 years, male 5.1
GTEX-1C6VR-0126-SM-7RHGB 60-69 years, male 5.1
GTEX-1H11D-1826-SM-9QEHM 40-49 years, male 5.1
GTEX-12ZZX-2426-SM-5GCOE 40-49 years, female 4.9
GTEX-145MH-2826-SM-5RQJF 50-59 years, male 4.7
GTEX-1HT8W-0626-SM-A9G2H 30-39 years, male 4.6
GTEX-XYKS-1426-SM-4BRUO 60-69 years, female 4.5
GTEX-14XAO-1226-SM-6EU1C 60-69 years, female 4.3
GTEX-1LBAC-0826-SM-CY8IJ 20-29 years, male 4.3
GTEX-111VG-1626-SM-5EGIO 60-69 years, male 4.1
GTEX-ZY6K-1426-SM-5GZX2 50-59 years, male 3.9
GTEX-1R9PN-0426-SM-DTXDT 40-49 years, female 3.2
Show allShow less
Skin - Sun Exposed (Lower leg)
Average nTPM: 19.8
Samples: 701

Max nTPM: 96.2
Min nTPM: 3.3
Std nTPM: 13.2
Median nTPM: 16.1
GTEX-1LVAN-0226-SM-COH3S 50-59 years, female 96.2
GTEX-1B97I-1626-SM-73KYO 40-49 years, male 73.1
GTEX-1MA7W-2026-SM-E9TJ6 20-29 years, female 72.3
GTEX-17GQL-2026-SM-718BA 60-69 years, male 68.4
GTEX-13FTX-1826-SM-5J1NX 20-29 years, female 68.0
GTEX-16AAH-1726-SM-7939C 50-59 years, male 66.8
GTEX-1GZ4H-1726-SM-7PBZJ 50-59 years, female 65.2
GTEX-1A3MV-1926-SM-718BT 30-39 years, male 64.8
GTEX-12WSK-2326-SM-5GCOH 40-49 years, female 62.5
GTEX-14BMU-2226-SM-5TDE9 20-29 years, female 60.8
GTEX-1C475-1826-SM-73KWA 40-49 years, female 59.8
GTEX-1LSNM-1926-SM-E6CII 50-59 years, male 58.9
GTEX-WRHK-1426-SM-3MJF9 20-29 years, female 58.6
GTEX-T6MO-1626-SM-32QOM 40-49 years, female 57.4
GTEX-14PN3-2426-SM-6LLHS 60-69 years, female 57.2
GTEX-ZYFG-2326-SM-5E44B 60-69 years, female 56.9
GTEX-1F75I-0326-SM-9YFLU 40-49 years, male 56.1
GTEX-13YAN-0326-SM-5O9DF 60-69 years, male 55.7
GTEX-15ETS-0126-SM-7KUMW 40-49 years, female 55.7
GTEX-1J8QM-2126-SM-CYPSJ 60-69 years, female 54.6
GTEX-T8EM-1026-SM-3DB7M 40-49 years, male 54.1
GTEX-PLZ6-1426-SM-DKPOT 30-39 years, male 54.1
GTEX-13RTK-1426-SM-5QGQJ 20-29 years, male 53.5
GTEX-TSE9-0126-SM-3DB83 60-69 years, female 52.5
GTEX-1K2DU-2326-SM-E9TIV 20-29 years, male 52.3
GTEX-1AMEY-1326-SM-73KYK 30-39 years, female 51.7
GTEX-11EM3-2426-SM-59861 20-29 years, female 51.6
GTEX-1AMFI-2026-SM-731BH 50-59 years, female 51.6
GTEX-1F52S-0126-SM-9MQJU 60-69 years, female 50.9
GTEX-1MCYP-1926-SM-E9J2R 20-29 years, female 50.9
GTEX-1F5PK-2426-SM-7RHHY 50-59 years, male 49.7
GTEX-1N2DV-0226-SM-E6CJ6 40-49 years, male 49.5
GTEX-ZZ64-1726-SM-5GZYB 20-29 years, male 49.4
GTEX-1I4MK-2226-SM-ACKWD 50-59 years, female 49.3
GTEX-P4PP-0126-SM-3LK69 30-39 years, female 48.5
GTEX-13VXT-0126-SM-5LU4I 20-29 years, female 47.9
GTEX-PWCY-1826-SM-DHXIZ 20-29 years, female 47.7
GTEX-1GL5R-1826-SM-9KNUY 50-59 years, male 46.7
GTEX-1F6RS-0126-SM-9MQKZ 60-69 years, female 46.4
GTEX-PSDG-0226-SM-DKPOZ 50-59 years, male 45.2
GTEX-145LV-2126-SM-5LU8N 50-59 years, male 45.0
GTEX-1PDJ9-0326-SM-DTX95 20-29 years, male 44.2
GTEX-14PJ6-2126-SM-6EU1V 60-69 years, female 44.0
GTEX-15EU6-0426-SM-6PAN5 50-59 years, male 44.0
GTEX-1HBPM-0226-SM-ARL9F 60-69 years, female 43.8
GTEX-1LGRB-2526-SM-CNPPQ 50-59 years, female 43.5
GTEX-ZTX8-1426-SM-5DUVO 20-29 years, male 43.3
GTEX-XUW1-0426-SM-4BOOT 50-59 years, female 42.8
GTEX-1MUQO-0126-SM-EAZ58 60-69 years, male 42.7
GTEX-1PFEY-1526-SM-E76PP 30-39 years, male 42.7
GTEX-1IDJU-2626-SM-CM2RT 60-69 years, female 42.4
GTEX-1S82Z-0826-SM-E6CHY 30-39 years, female 42.4
GTEX-133LE-1826-SM-5J1MV 20-29 years, female 42.3
GTEX-14A5I-0126-SM-5TDEA 50-59 years, female 42.2
GTEX-1F75B-0126-SM-9KNVL 50-59 years, male 42.0
GTEX-117YX-2326-SM-5H12W 50-59 years, male 41.9
GTEX-12WSA-0226-SM-5BC5V 60-69 years, male 40.9
GTEX-1122O-2126-SM-5EGIR 60-69 years, female 40.6
GTEX-WXYG-2326-SM-4E3I6 50-59 years, female 40.6
GTEX-1J8Q3-1626-SM-CMKGC 60-69 years, male 40.3
GTEX-18D9A-1926-SM-7LG6P 30-39 years, female 40.1
GTEX-15F5U-1526-SM-6PANO 40-49 years, male 39.6
GTEX-13W3W-2426-SM-5LU5B 60-69 years, female 38.6
GTEX-1HSGN-0226-SM-CGQFV 40-49 years, female 38.3
GTEX-ZV6S-2326-SM-4YCEY 40-49 years, female 38.2
GTEX-X261-0126-SM-3NMD6 50-59 years, male 37.4
GTEX-1399U-2326-SM-5K7WY 50-59 years, female 36.9
GTEX-TMMY-0226-SM-33HBA 40-49 years, female 36.9
GTEX-14PHX-2326-SM-62LEM 50-59 years, male 36.8
GTEX-13D11-2426-SM-5KM1V 50-59 years, female 36.7
GTEX-1JJ6O-0126-SM-E6CI8 60-69 years, male 36.7
GTEX-UJHI-1526-SM-3DB99 50-59 years, female 36.3
GTEX-ZF29-2326-SM-DO92K 60-69 years, female 36.2
GTEX-14JG6-2226-SM-6EU2G 30-39 years, female 36.1
GTEX-1J1R8-1726-SM-ARL8M 40-49 years, male 36.0
GTEX-17F98-0626-SM-79OMX 40-49 years, female 35.9
GTEX-16XZZ-0126-SM-793DV 60-69 years, male 35.5
GTEX-13X6H-2126-SM-7EWD5 50-59 years, female 35.4
GTEX-1F5PL-0326-SM-7P8PQ 40-49 years, female 34.9
GTEX-1JK1U-2026-SM-CM2RZ 60-69 years, male 34.7
GTEX-1I1GT-0626-SM-CGQER 60-69 years, female 34.6
GTEX-17EUY-0426-SM-793BD 20-29 years, male 34.5
GTEX-1B8KE-2126-SM-73KYX 50-59 years, male 34.5
GTEX-14PHW-0126-SM-6LLJI 60-69 years, female 34.4
GTEX-YB5E-2026-SM-5IFIS 40-49 years, male 34.3
GTEX-XBEW-0626-SM-4QASP 40-49 years, male 34.2
GTEX-1OFPY-2426-SM-DTXEJ 60-69 years, male 34.2
GTEX-ZYY3-0126-SM-5GZY5 60-69 years, female 34.0
GTEX-P4QT-0126-SM-2I3FL 50-59 years, female 33.8
GTEX-11VI4-1726-SM-5CVLH 40-49 years, female 33.6
GTEX-Y114-2426-SM-4TT8A 50-59 years, female 33.6
GTEX-16NGA-1726-SM-731B4 40-49 years, female 33.5
GTEX-XBED-2226-SM-47JYQ 60-69 years, male 33.4
GTEX-13FH7-2026-SM-E9J4I 50-59 years, female 33.4
GTEX-1LGOU-2026-SM-DIPFF 20-29 years, female 33.2
GTEX-13IVO-0126-SM-5J1NG 70-79 years, male 33.1
GTEX-1KANA-0726-SM-D3L9I 20-29 years, male 33.1
GTEX-P44H-0226-SM-2XCEU 40-49 years, male 32.9
GTEX-1QPFJ-0226-SM-E76PB 30-39 years, female 32.9
GTEX-1R7EU-0226-SM-EVR4G 60-69 years, male 32.7
GTEX-14DAR-2026-SM-5S2O3 50-59 years, male 32.5
GTEX-U4B1-1826-SM-4DXSU 40-49 years, male 32.4
GTEX-Y5LM-1926-SM-5RQJH 40-49 years, female 32.4
GTEX-OHPM-0126-SM-2YUN9 50-59 years, male 32.1
GTEX-1HSEH-0126-SM-ACKXN 60-69 years, male 32.1
GTEX-1PPH7-2326-SM-EVYB8 40-49 years, male 32.1
GTEX-1R7EV-2426-SM-EVYBG 40-49 years, male 32.1
GTEX-11TTK-0126-SM-5987B 60-69 years, female 32.0
GTEX-14ICK-0226-SM-6EU25 40-49 years, male 32.0
GTEX-1HSMQ-1226-SM-CGQFX 50-59 years, male 32.0
GTEX-1KANC-1526-SM-D3LAB 50-59 years, female 32.0
GTEX-1L5NE-2526-SM-E6CIE 50-59 years, male 32.0
GTEX-15RIG-0226-SM-7KFTL 40-49 years, male 31.8
GTEX-1HBPH-0426-SM-B2LW5 40-49 years, female 31.8
GTEX-1H1E6-1726-SM-ACKVK 30-39 years, male 31.7
GTEX-1HCU9-1526-SM-A9SL7 20-29 years, male 31.7
GTEX-1HFI7-1826-SM-ACKXH 50-59 years, female 31.6
GTEX-1PPH8-0226-SM-E8VND 20-29 years, male 31.6
GTEX-ZGAY-0526-SM-4WWBB 40-49 years, female 31.5
GTEX-11DXX-2426-SM-5GZZW 60-69 years, female 31.4
GTEX-WH7G-2326-SM-3NMBC 40-49 years, male 31.1
GTEX-1GPI7-0126-SM-9MQL8 20-29 years, male 31.1
GTEX-11EQ9-2426-SM-5HL5T 30-39 years, male 31.0
GTEX-147F3-0526-SM-5SI98 50-59 years, female 31.0
GTEX-13113-5016-SM-7EPIP 60-69 years, female 30.8
GTEX-OXRL-0126-SM-2YUMP 50-59 years, male 30.8
GTEX-12WSJ-1826-SM-5GCNY 40-49 years, female 30.6
GTEX-15UF6-0826-SM-6PALJ 70-79 years, female 30.5
GTEX-SUCS-1926-SM-32PM3 70-79 years, male 30.5
GTEX-13X6I-0626-SM-5QGP9 60-69 years, male 30.4
GTEX-12WSN-5019-SM-79OM6 40-49 years, male 30.3
GTEX-1CB4H-0226-SM-7PBXM 60-69 years, female 30.3
GTEX-1H2FU-0126-SM-9WYSI 60-69 years, female 30.2
GTEX-1HGF4-2426-SM-ACKXM 60-69 years, male 30.2
GTEX-13PVR-2326-SM-5QGR1 60-69 years, female 30.0
GTEX-13PDP-0126-SM-5L3HD 60-69 years, male 29.8
GTEX-ZXG5-0126-SM-5GIEU 60-69 years, male 29.8
GTEX-11XUK-2026-SM-5EQLF 40-49 years, female 29.7
GTEX-1GN1W-0526-SM-9MQJQ 50-59 years, female 29.6
GTEX-16MT8-0426-SM-7KUEY 60-69 years, female 29.4
GTEX-1CAMR-1926-SM-7EPI2 20-29 years, male 29.4
GTEX-11P82-1626-SM-59879 20-29 years, male 29.3
GTEX-18D9U-0226-SM-718BP 40-49 years, male 29.3
GTEX-PLZ4-0126-SM-5SI8O 50-59 years, female 29.3
GTEX-1QP2A-0126-SM-E9J43 50-59 years, male 29.2
GTEX-XPVG-2626-SM-4B669 50-59 years, male 28.8
GTEX-1NHNU-1026-SM-E9J2A 50-59 years, male 28.8
GTEX-1211K-2026-SM-5EQ4Z 60-69 years, female 28.7
GTEX-1GF9U-2126-SM-7SB7L 40-49 years, female 28.4
GTEX-1J8Q2-0526-SM-CM2RW 60-69 years, male 28.4
GTEX-1M5QR-1226-SM-EWROB 40-49 years, male 28.4
GTEX-U3ZM-1526-SM-3DB9D 40-49 years, male 28.1
GTEX-13O21-1426-SM-5K7XI 50-59 years, male 28.0
GTEX-13O3P-0126-SM-5KM4S 50-59 years, male 28.0
GTEX-VJWN-0126-SM-3GIK7 50-59 years, female 28.0
GTEX-ZWKS-0126-SM-5SIAA 30-39 years, male 28.0
GTEX-1CAMS-0426-SM-7P8T2 40-49 years, female 28.0
GTEX-17HHE-2026-SM-79OKF 50-59 years, male 27.9
GTEX-1HKZK-0326-SM-9WYUH 40-49 years, male 27.9
GTEX-XMD2-0126-SM-4YCDU 60-69 years, female 27.7
GTEX-ZY6K-1826-SM-5GZXK 50-59 years, male 27.7
GTEX-1AX9J-0226-SM-73KXM 60-69 years, male 27.5
GTEX-X62O-0126-SM-4E3JN 50-59 years, male 27.3
GTEX-XQ8I-0426-SM-4BOPO 50-59 years, male 27.2
GTEX-1NV5F-0226-SM-E8VNY 60-69 years, female 27.1
GTEX-QCQG-1726-SM-3GIJ9 50-59 years, female 26.9
GTEX-11ZTT-2426-SM-5EQLS 60-69 years, female 26.8
GTEX-QLQ7-1626-SM-2S1R8 60-69 years, male 26.7
GTEX-ZDTT-2726-SM-4WKF8 60-69 years, male 26.4
GTEX-1JN1M-0326-SM-CYPT3 60-69 years, female 26.3
GTEX-OXRK-0226-SM-3NB2G 50-59 years, female 26.1
GTEX-1LH75-2426-SM-E9TJE 50-59 years, female 26.1
GTEX-14C5O-0126-SM-5SI6N 60-69 years, male 26.0
GTEX-1QP29-0626-SM-EWRMX 50-59 years, male 26.0
GTEX-15EOM-0126-SM-7KUGG 20-29 years, female 25.9
GTEX-145ME-1826-SM-5SI9G 40-49 years, female 25.7
GTEX-1JKYN-1326-SM-CGQG9 30-39 years, male 25.7
GTEX-1MGNQ-0126-SM-EVYCJ 40-49 years, male 25.7
GTEX-12C56-1726-SM-5EQ61 20-29 years, male 25.6
GTEX-14BIM-0226-SM-7IGLD 60-69 years, female 25.5
GTEX-1C2JI-1826-SM-73KXC 50-59 years, male 25.5
GTEX-ZXES-1826-SM-5E43S 30-39 years, female 25.5
GTEX-1R46S-0626-SM-E9J41 60-69 years, female 25.5
GTEX-1S3DN-2226-SM-EVYCD 50-59 years, male 25.4
GTEX-145MO-0326-SM-5Q5B3 60-69 years, male 25.3
GTEX-11LCK-1026-SM-5A5KB 30-39 years, male 25.2
GTEX-WFG8-2226-SM-3GIL9 20-29 years, male 25.1
GTEX-1CAMQ-0226-SM-7IGPK 40-49 years, male 24.9
GTEX-1RAZQ-0726-SM-EAZ43 30-39 years, male 24.8
GTEX-P4PQ-0126-SM-2S1NM 60-69 years, male 24.7
GTEX-U3ZN-2326-SM-3DB7W 30-39 years, female 24.7
GTEX-O5YW-0126-SM-3LK6D 50-59 years, male 24.6
GTEX-1HCVE-0126-SM-CGQEU 50-59 years, male 24.6
GTEX-PWO3-1526-SM-48TCM 60-69 years, female 24.5
GTEX-1LC47-0326-SM-E9TJP 60-69 years, male 24.5
GTEX-RM2N-1426-SM-2TF4H 50-59 years, male 24.3
GTEX-WFON-2126-SM-3LK7O 40-49 years, male 24.3
GTEX-1HCU7-0226-SM-CL545 50-59 years, male 24.3
GTEX-13CF3-2426-SM-5IFGX 60-69 years, female 24.2
GTEX-1IDFM-0126-SM-COH2V 60-69 years, male 24.2
GTEX-1JMQL-0226-SM-CNPP5 50-59 years, female 24.2
GTEX-TKQ1-1026-SM-4GICL 30-39 years, male 24.1
GTEX-1R9PO-2126-SM-E9J4O 60-69 years, female 24.1
GTEX-13FTW-2626-SM-5K7WL 40-49 years, male 24.0
GTEX-1GMR8-0126-SM-9WYTM 50-59 years, female 24.0
GTEX-O5YT-0126-SM-48TBW 20-29 years, male 23.9
GTEX-14PJ3-1826-SM-62LEX 50-59 years, male 23.8
GTEX-1J1OQ-0226-SM-CYPSH 40-49 years, female 23.6
GTEX-13OVI-1426-SM-5L3EY 60-69 years, female 23.2
GTEX-13NZ8-0826-SM-5MR3I 60-69 years, female 23.1
GTEX-ZQG8-1626-SM-DHXIT 60-69 years, female 23.1
GTEX-11TT1-2526-SM-5EGIB 20-29 years, male 22.9
GTEX-18A7B-0126-SM-7LG64 70-79 years, male 22.9
GTEX-ZVZP-2426-SM-59HKJ 50-59 years, male 22.8
GTEX-1C64O-0126-SM-7SB8P 60-69 years, male 22.6
GTEX-1JKYR-0126-SM-CNPOJ 20-29 years, male 22.6
GTEX-ZVT2-2526-SM-51MT1 50-59 years, female 22.5
GTEX-148VJ-0126-SM-5TDDN 70-79 years, male 22.4
GTEX-WYJK-0126-SM-3NMAB 50-59 years, male 22.4
GTEX-1JMPY-1326-SM-ARL8Y 30-39 years, male 22.4
GTEX-139T4-0226-SM-5HL5S 50-59 years, female 22.3
GTEX-14E6E-1826-SM-5S2R7 30-39 years, male 22.3
GTEX-1N2EF-0226-SM-EYYXB 60-69 years, male 22.3
GTEX-13111-1626-SM-5EGJY 50-59 years, male 22.2
GTEX-145LT-1726-SM-5QGP3 40-49 years, male 22.2
GTEX-139D8-0226-SM-5KLZO 30-39 years, female 22.1
GTEX-131XF-5016-SM-7MGWE 60-69 years, male 22.0
GTEX-15CHC-2126-SM-6EU21 60-69 years, female 21.8
GTEX-SNMC-1226-SM-2XCFP 20-29 years, male 21.8
GTEX-1CB4J-0626-SM-7DHMP 60-69 years, male 21.7
GTEX-S32W-2126-SM-2XCB1 50-59 years, female 21.7
GTEX-X585-0226-SM-4QAS2 50-59 years, male 21.7
GTEX-1IE54-0126-SM-CMKHW 40-49 years, female 21.7
GTEX-Y5V6-2426-SM-4VDSB 60-69 years, male 21.6
GTEX-1QP67-1626-SM-EAZ3X 40-49 years, female 21.6
GTEX-1IDJF-0126-SM-CM2RS 20-29 years, male 21.5
GTEX-13NYS-0126-SM-5MR3W 60-69 years, male 21.4
GTEX-WOFL-0126-SM-3MJG2 60-69 years, male 21.4
GTEX-1H1DG-0126-SM-9WYU2 70-79 years, male 21.4
GTEX-ZF3C-0126-SM-DO92D 50-59 years, female 21.4
GTEX-1128S-2326-SM-5GZZY 60-69 years, female 21.3
GTEX-113IC-0126-SM-5HL6T 60-69 years, male 21.2
GTEX-Q2AH-1626-SM-3GAF8 40-49 years, male 21.2
GTEX-YEC4-2126-SM-5IFJH 40-49 years, male 21.2
GTEX-ZVE2-0226-SM-59HJB 50-59 years, male 21.2
GTEX-18A66-0226-SM-718BD 60-69 years, male 21.0
GTEX-1AX9K-2326-SM-73KWU 50-59 years, male 20.9
GTEX-RWS6-2026-SM-2XCB5 60-69 years, female 20.9
GTEX-14753-0426-SM-5NQAM 60-69 years, male 20.7
GTEX-17MFQ-1726-SM-793C7 20-29 years, male 20.7
GTEX-W5WG-1826-SM-4KL2Y 50-59 years, female 20.7
GTEX-ZF28-0126-SM-4WKGK 60-69 years, male 20.7
GTEX-1QP66-1726-SM-E8VO1 50-59 years, male 20.7
GTEX-T5JC-0426-SM-32PLO 20-29 years, male 20.6
GTEX-WY7C-2326-SM-3NB2U 50-59 years, male 20.5
GTEX-ZAB4-0226-SM-5N9F5 40-49 years, male 20.4
GTEX-1LG7Y-0526-SM-DKPQC 50-59 years, male 20.3
GTEX-1QP9N-1426-SM-DTXFL 30-39 years, male 20.3
GTEX-139T8-0126-SM-5K7XZ 60-69 years, male 20.2
GTEX-13N11-2526-SM-5K7UE 50-59 years, female 20.2
GTEX-14LLW-0126-SM-6LLIO 70-79 years, female 20.2
GTEX-1KXAM-2226-SM-CYPTC 60-69 years, male 20.2
GTEX-Y8LW-1826-SM-5S2MV 50-59 years, female 20.1
GTEX-1HBPN-0226-SM-9YFM1 50-59 years, male 20.1
GTEX-1QCLY-0326-SM-E8VOG 30-39 years, male 20.1
GTEX-1HCUA-2426-SM-ADEIS 50-59 years, female 20.0
GTEX-OXRN-0126-SM-48TDM 50-59 years, male 19.9
GTEX-QDVJ-1726-SM-2I5FX 50-59 years, male 19.8
GTEX-T5JW-1626-SM-3GADZ 20-29 years, female 19.8
GTEX-X4EP-0126-SM-3P5YV 60-69 years, female 19.8
GTEX-ZC5H-0226-SM-4WAY9 40-49 years, female 19.8
GTEX-ZQUD-1426-SM-57WER 30-39 years, male 19.8
GTEX-15SHU-0126-SM-7KUEH 40-49 years, female 19.6
GTEX-1S5ZA-0126-SM-EVYCV 20-29 years, male 19.6
GTEX-17F96-1626-SM-7DUFL 70-79 years, male 19.5
GTEX-QDVN-2026-SM-3GAEP 50-59 years, male 19.5
GTEX-ZZPT-0226-SM-5E43X 50-59 years, male 19.5
GTEX-R55G-2526-SM-2TC6D 40-49 years, female 19.4
GTEX-11P7K-2126-SM-5GU7G 30-39 years, male 19.3
GTEX-1PBJI-0526-SM-E8VNK 20-29 years, female 19.3
GTEX-113JC-2326-SM-5EQ4E 50-59 years, female 19.2
GTEX-1ICLY-0126-SM-D4P36 50-59 years, male 19.2
GTEX-145LS-0126-SM-5QGP1 60-69 years, female 19.1
GTEX-131XG-2626-SM-5KM17 50-59 years, female 19.0
GTEX-1QW4Y-1526-SM-EAZ3Z 30-39 years, male 19.0
GTEX-146FR-1326-SM-E9J48 60-69 years, female 18.8
GTEX-1I1GU-2226-SM-CGQFA 40-49 years, male 18.8
GTEX-OIZH-0126-SM-2HMIS 50-59 years, male 18.7
GTEX-1E2YA-0126-SM-9KNUC 50-59 years, male 18.6
GTEX-1H3VE-0326-SM-9YFLH 40-49 years, male 18.6
GTEX-NPJ8-0126-SM-2YUNR 40-49 years, male 18.5
GTEX-ZDYS-2026-SM-5HL5L 50-59 years, male 18.4
GTEX-1A3MW-0126-SM-73KXX 60-69 years, female 18.3
GTEX-ZYW4-0126-SM-5E44A 60-69 years, male 18.3
GTEX-1HSMP-0126-SM-E6CJS 70-79 years, male 18.3
GTEX-1RB15-2126-SM-E9TIM 60-69 years, male 18.3
GTEX-13SLW-0126-SM-5SI6C 70-79 years, male 18.2
GTEX-18D9B-0526-SM-7LTAS 60-69 years, male 18.2
GTEX-V1D1-2226-SM-3NMAX 50-59 years, male 18.2
GTEX-16BQI-0226-SM-7KUEX 30-39 years, female 18.1
GTEX-13OW5-0126-SM-DTXFS 60-69 years, male 18.1
GTEX-1JMOU-1526-SM-CL54I 60-69 years, female 18.1
GTEX-1KAFJ-2026-SM-CY8ID 50-59 years, male 18.1
GTEX-1192X-0226-SM-5H12D 50-59 years, male 17.9
GTEX-13NYC-0326-SM-E9J4S 60-69 years, male 17.8
GTEX-1RAZA-0126-SM-E6CI3 20-29 years, male 17.8
GTEX-11DZ1-0126-SM-5985Q 50-59 years, male 17.7
GTEX-11H98-0126-SM-5EGHG 50-59 years, male 17.7
GTEX-13QJ3-0326-SM-5S2RA 50-59 years, male 17.7
GTEX-13OVG-1926-SM-5L3DK 60-69 years, male 17.6
GTEX-X638-0126-SM-47JZ8 70-79 years, female 17.6
GTEX-ZTPG-0326-SM-5O9AX 20-29 years, female 17.6
GTEX-1H1DE-2126-SM-9WG6R 20-29 years, male 17.6
GTEX-1I6K6-0126-SM-A9SLE 30-39 years, male 17.6
GTEX-11ZU8-2526-SM-5EQKI 60-69 years, male 17.5
GTEX-13O3O-0126-SM-E9J49 60-69 years, female 17.5
GTEX-11NSD-2226-SM-5986V 20-29 years, male 17.4
GTEX-ZTSS-1926-SM-57WEW 40-49 years, male 17.4
GTEX-1314G-1526-SM-5EGK2 30-39 years, male 17.3
GTEX-17EVQ-0226-SM-7LG4P 70-79 years, male 17.3
GTEX-17HII-0226-SM-7LG4E 50-59 years, male 17.3
GTEX-1GPI6-0126-SM-9WG69 60-69 years, male 17.3
GTEX-PLZ5-2026-SM-2S1O4 50-59 years, male 17.2
GTEX-YB5K-2126-SM-4WWDJ 40-49 years, female 17.2
GTEX-145MF-0626-SM-5LUAI 50-59 years, male 16.9
GTEX-15UKP-0426-SM-7KUFQ 20-29 years, male 16.9
GTEX-1H23P-0126-SM-ADEJ3 60-69 years, male 16.9
GTEX-13W46-0226-SM-5SIAG 50-59 years, male 16.8
GTEX-17MF6-0126-SM-7LG4F 40-49 years, male 16.8
GTEX-18QFQ-0126-SM-731BE 30-39 years, male 16.8
GTEX-X8HC-0126-SM-4E3JW 50-59 years, female 16.8
GTEX-1HCU6-0126-SM-CL54K 60-69 years, female 16.7
GTEX-14BIL-0126-SM-5SI92 50-59 years, male 16.6
GTEX-S95S-1226-SM-4GICG 60-69 years, male 16.5
GTEX-1OJC3-0126-SM-E76QX 20-29 years, male 16.5
GTEX-ZVT4-0126-SM-DTXFN 50-59 years, female 16.5
GTEX-13S7M-0126-SM-5SI6A 60-69 years, female 16.3
GTEX-14A6H-0126-SM-5QGPK 30-39 years, male 16.3
GTEX-1C4CL-0526-SM-73KVK 30-39 years, male 16.3
GTEX-1JJE9-0326-SM-CL53Z 70-79 years, male 16.3
GTEX-1S82Y-2026-SM-EVYCM 40-49 years, male 16.3
GTEX-11ZUS-0626-SM-59885 30-39 years, male 16.2
GTEX-OXRP-0126-SM-3NB32 60-69 years, female 16.2
GTEX-WQUQ-0426-SM-3MJFU 60-69 years, male 16.2
GTEX-XV7Q-2526-SM-4BRV9 40-49 years, female 16.2
GTEX-1JN76-0126-SM-CNPPE 20-29 years, female 16.2
GTEX-R45C-0126-SM-EAZ2R 60-69 years, female 16.2
GTEX-1497J-2426-SM-7IGNX 60-69 years, male 16.1
GTEX-OXRO-0126-SM-2YUN4 60-69 years, female 16.1
GTEX-TML8-1926-SM-32QOS 40-49 years, female 16.1
GTEX-1HCU8-0626-SM-A9SM9 60-69 years, female 16.1
GTEX-1B8SG-0126-SM-73KZ3 50-59 years, male 16.0
GTEX-SN8G-0126-SM-32PLI 50-59 years, female 16.0
GTEX-15D1Q-0126-SM-7KUG6 40-49 years, male 15.9
GTEX-1I1GR-0126-SM-CL55F 60-69 years, male 15.8
GTEX-15SHW-0326-SM-6PAML 60-69 years, male 15.7
GTEX-XAJ8-0826-SM-47JY6 40-49 years, male 15.7
GTEX-1B8KZ-2026-SM-7DHMB 50-59 years, male 15.6
GTEX-131XW-0426-SM-5LZWP 50-59 years, female 15.5
GTEX-15DDE-0126-SM-6LPKH 50-59 years, female 15.4
GTEX-1C6VS-0526-SM-7DUEN 60-69 years, male 15.4
GTEX-NFK9-0226-SM-2HMKQ 40-49 years, male 15.3
GTEX-X4EO-0326-SM-3P5YO 60-69 years, female 15.3
GTEX-X5EB-2226-SM-46MW4 40-49 years, male 15.2
GTEX-1AX9I-0126-SM-7SB74 60-69 years, male 15.1
GTEX-Q2AI-1326-SM-2S1PL 40-49 years, male 15.0
GTEX-1K2DA-1826-SM-CGQGT 50-59 years, male 15.0
GTEX-U412-0426-SM-3DB9O 60-69 years, male 14.9
GTEX-1CAV2-2226-SM-7P8P2 40-49 years, female 14.9
GTEX-1H3VY-0126-SM-ACKXD 50-59 years, male 14.9
GTEX-1I1GS-0126-SM-B2LVW 60-69 years, male 14.9
GTEX-13FHO-0226-SM-5IFGY 60-69 years, male 14.8
GTEX-Q2AG-0126-SM-33HBV 40-49 years, female 14.8
GTEX-ZAB5-1826-SM-5HL7C 50-59 years, male 14.8
GTEX-1C6VQ-0126-SM-7P8RI 50-59 years, male 14.8
GTEX-12KS4-0326-SM-5EQ41 30-39 years, male 14.7
GTEX-QLQW-1126-SM-2S1Q8 30-39 years, male 14.7
GTEX-T2YK-0526-SM-32QPJ 50-59 years, male 14.7
GTEX-1GTWX-0126-SM-9YFLK 60-69 years, male 14.7
GTEX-1ICLZ-0126-SM-CKZPO 60-69 years, male 14.7
GTEX-1AYCT-2426-SM-7IGQ3 50-59 years, male 14.6
GTEX-1B996-0226-SM-7RHGO 60-69 years, male 14.6
GTEX-XUZC-1726-SM-4BRWS 30-39 years, female 14.5
GTEX-1I19N-0326-SM-ACKVX 70-79 years, male 14.5
GTEX-1LG7Z-1726-SM-D3LA4 30-39 years, male 14.5
GTEX-OIZG-0726-SM-33HBL 50-59 years, male 14.4
GTEX-QDT8-0126-SM-48TZ1 30-39 years, female 14.4
GTEX-1IKOH-0226-SM-COH4E 60-69 years, female 14.4
GTEX-OOBJ-0126-SM-E6CJW 60-69 years, male 14.4
GTEX-139TU-0126-SM-5K7WH 60-69 years, male 14.3
GTEX-13OVJ-0126-SM-5KM36 50-59 years, female 14.3
GTEX-1IKK5-0626-SM-ARL8A 60-69 years, male 14.2
GTEX-145MI-0526-SM-5O9A8 60-69 years, female 14.1
GTEX-146FQ-0126-SM-5NQA9 30-39 years, male 14.1
GTEX-RN64-0126-SM-2TC68 50-59 years, male 14.1
GTEX-1RLM8-2326-SM-EWRN4 50-59 years, male 14.1
GTEX-12696-2426-SM-5EQ6H 60-69 years, male 14.0
GTEX-1OJC4-0126-SM-E9J2E 50-59 years, female 14.0
GTEX-1GZ2Q-0226-SM-7P8TL 40-49 years, male 13.9
GTEX-1H1ZS-0426-SM-9WG6G 70-79 years, male 13.8
GTEX-1HSMO-0126-SM-CL547 60-69 years, male 13.8
GTEX-Y3I4-2126-SM-4TT7C 50-59 years, male 13.7
GTEX-11WQK-0526-SM-5EQLD 50-59 years, male 13.5
GTEX-UPJH-0326-SM-3GADU 50-59 years, male 13.5
GTEX-YJ8A-0426-SM-5IFID 20-29 years, male 13.5
GTEX-1F48J-0126-SM-7P8TT 50-59 years, female 13.5
GTEX-131XH-2226-SM-5DUXJ 50-59 years, male 13.4
GTEX-13N2G-2626-SM-5J1OT 60-69 years, male 13.4
GTEX-145MN-2226-SM-5SIAU 30-39 years, male 13.4
GTEX-14JIY-0126-SM-6LLH6 60-69 years, male 13.4
GTEX-17HGU-0226-SM-7DHKV 50-59 years, male 13.3
GTEX-1JMQI-2226-SM-CM2SD 50-59 years, male 13.3
GTEX-13NZB-2526-SM-5J1OM 30-39 years, male 13.2
GTEX-183FY-0126-SM-7LT9P 20-29 years, male 13.2
GTEX-1AX8Z-0126-SM-7DHM6 60-69 years, male 13.2
GTEX-1GF9W-0326-SM-9KNUN 60-69 years, male 13.2
GTEX-14LZ3-0226-SM-62LET 60-69 years, female 13.1
GTEX-1CB4I-0226-SM-79OLH 50-59 years, male 13.1
GTEX-Y5V5-2326-SM-4V6GA 60-69 years, female 13.1
GTEX-1GN1U-0126-SM-7PBZK 50-59 years, female 13.1
GTEX-11ZVC-2526-SM-5FQTE 50-59 years, female 13.0
GTEX-13U4I-0126-SM-5LU38 40-49 years, female 13.0
GTEX-14BMV-0126-SM-5S2PO 50-59 years, male 13.0
GTEX-ZE7O-0126-SM-57WC1 50-59 years, female 13.0
GTEX-1GN1V-0126-SM-9WPOS 60-69 years, male 13.0
GTEX-OIZF-0126-SM-7SB8I 60-69 years, male 13.0
GTEX-11P81-2326-SM-59875 30-39 years, female 12.9
GTEX-13NZA-0226-SM-5K7Z7 60-69 years, male 12.9
GTEX-13RTL-0126-SM-7LG5S 40-49 years, male 12.9
GTEX-1I1GP-2226-SM-CGQFK 50-59 years, male 12.9
GTEX-1S83E-0126-SM-EWRO4 40-49 years, male 12.9
GTEX-PW2O-1526-SM-7RHHB 20-29 years, male 12.9
GTEX-13RTJ-2426-SM-5S2Q2 60-69 years, male 12.8
GTEX-15SDE-2226-SM-7IGLO 50-59 years, female 12.8
GTEX-17EVP-0326-SM-7DHLG 40-49 years, male 12.8
GTEX-Z9EW-1626-SM-5CVMN 40-49 years, male 12.8
GTEX-12WSG-2826-SM-E9J4H 50-59 years, female 12.8
GTEX-1H11D-0226-SM-9WG6Z 40-49 years, male 12.8
GTEX-1IGQW-0126-SM-COH42 60-69 years, male 12.8
GTEX-11UD1-0126-SM-5PNYG 40-49 years, female 12.7
GTEX-13JUV-2726-SM-5LZZ8 40-49 years, female 12.7
GTEX-146FH-0126-SM-5QGPP 50-59 years, female 12.7
GTEX-1A3MX-0126-SM-731BR 60-69 years, male 12.7
GTEX-U8T8-0126-SM-3DB94 60-69 years, male 12.7
GTEX-1PWST-0226-SM-E76QJ 70-79 years, male 12.7
GTEX-13OVL-0226-SM-5L3E9 50-59 years, male 12.6
GTEX-1AYD5-2426-SM-73KXR 50-59 years, male 12.6
GTEX-147F4-0226-SM-5QGPW 50-59 years, male 12.5
GTEX-14E6C-0126-SM-5RQIP 40-49 years, male 12.5
GTEX-1H3NZ-0126-SM-ACKX7 60-69 years, male 12.5
GTEX-1H3O1-0426-SM-9YFKY 60-69 years, male 12.5
GTEX-1JMQK-0226-SM-CL543 60-69 years, male 12.5
GTEX-13FTY-0526-SM-5L3EV 40-49 years, female 12.4
GTEX-14PN4-0126-SM-6EU2V 50-59 years, male 12.4
GTEX-15G19-0126-SM-6PANQ 60-69 years, male 12.3
GTEX-1LNCM-1126-SM-E9U5E 50-59 years, female 12.3
GTEX-11NUK-0126-SM-5A5L3 50-59 years, male 12.2
GTEX-14PK6-1926-SM-6ETZU 70-79 years, female 12.2
GTEX-QV44-1926-SM-2S1RF 50-59 years, male 12.2
GTEX-X4XY-0226-SM-4E3IZ 60-69 years, male 12.2
GTEX-1B933-0126-SM-7PC29 50-59 years, female 12.2
GTEX-11GSO-2426-SM-5A5LY 60-69 years, male 12.1
GTEX-1269C-2526-SM-5EGJ3 60-69 years, female 12.1
GTEX-13N1W-0126-SM-5K7VT 70-79 years, male 12.1
GTEX-17F97-0326-SM-7LG5B 50-59 years, male 12.1
GTEX-RTLS-0126-SM-447CA 60-69 years, female 12.1
GTEX-1A8FM-0226-SM-7SB7Q 50-59 years, female 12.1
GTEX-1HUB1-0426-SM-E9U4U 60-69 years, male 12.1
GTEX-U8XE-0326-SM-3DB8P 30-39 years, male 12.0
GTEX-X4XX-0126-SM-3NMC2 60-69 years, male 12.0
GTEX-RNOR-0126-SM-E9J4R 50-59 years, female 12.0
GTEX-144FL-0126-SM-5TDC8 50-59 years, male 11.9
GTEX-ZPIC-1726-SM-DHXIU 40-49 years, female 11.9
GTEX-ZUA1-0126-SM-5GU76 40-49 years, male 11.7
GTEX-1ICG6-2526-SM-CGQFZ 70-79 years, female 11.7
GTEX-11EMC-2926-SM-5EQ4F 60-69 years, female 11.6
GTEX-16NPX-0226-SM-79OMT 50-59 years, male 11.6
GTEX-1A32A-0126-SM-718B1 50-59 years, female 11.6
GTEX-ZDTS-0126-SM-4WAY5 60-69 years, male 11.6
GTEX-11O72-0126-SM-59887 40-49 years, male 11.5
GTEX-15SB6-1726-SM-6PAME 50-59 years, female 11.5
GTEX-QEG4-0226-SM-2S1PY 30-39 years, male 11.4
GTEX-ZDXO-3026-SM-5J1N5 60-69 years, male 11.4
GTEX-14E7W-0126-SM-6LLJ9 70-79 years, male 11.3
GTEX-1GF9X-2026-SM-7PC3A 40-49 years, female 11.2
GTEX-12WSD-0126-SM-59HKN 60-69 years, female 11.0
GTEX-Z93T-0126-SM-5HL5N 50-59 years, male 11.0
GTEX-ZYFD-0126-SM-5GIDL 50-59 years, male 11.0
GTEX-1F75A-0126-SM-7RHGM 50-59 years, male 11.0
GTEX-12ZZZ-0626-SM-5DUXI 60-69 years, male 10.9
GTEX-13O3Q-2426-SM-5IJBR 50-59 years, male 10.9
GTEX-14DAQ-0126-SM-5S2MQ 60-69 years, female 10.9
GTEX-18465-0126-SM-731BN 50-59 years, male 10.9
GTEX-169BO-1326-SM-9MQK2 50-59 years, male 10.9
GTEX-1MA7X-2226-SM-E6CIY 60-69 years, male 10.9
GTEX-13OW8-1326-SM-5J1OW 60-69 years, male 10.8
GTEX-16XZY-2126-SM-79OK1 70-79 years, male 10.8
GTEX-ZV68-0126-SM-59HKS 50-59 years, female 10.8
GTEX-1GMR3-1926-SM-9KNUZ 40-49 years, male 10.8
GTEX-Q734-1926-SM-2I5EV 40-49 years, female 10.7
GTEX-147GR-0526-SM-5S2MY 60-69 years, male 10.6
GTEX-15DCD-0126-SM-7KUEK 70-79 years, female 10.6
GTEX-17KNJ-2326-SM-7DHLQ 50-59 years, male 10.6
GTEX-WVJS-0126-SM-4MVOT 50-59 years, male 10.6
GTEX-WYVS-2126-SM-3NMA3 40-49 years, female 10.5
GTEX-11EI6-0126-SM-5985R 60-69 years, male 10.4
GTEX-139UW-2826-SM-5L3E7 60-69 years, male 10.4
GTEX-183WM-0126-SM-7LTAB 70-79 years, female 10.4
GTEX-1I1CD-0126-SM-CM2TK 60-69 years, female 10.4
GTEX-117YW-2626-SM-5GZZH 50-59 years, male 10.3
GTEX-OOBK-0126-SM-2YUND 40-49 years, male 10.3
GTEX-ZEX8-2426-SM-4WKG4 50-59 years, male 10.3
GTEX-11TUW-2726-SM-E9J4M 60-69 years, male 10.3
GTEX-13OW7-0126-SM-5MR3B 50-59 years, male 10.2
GTEX-148VI-1626-SM-5SI6E 60-69 years, female 10.2
GTEX-1IKJJ-0126-SM-CNPQB 60-69 years, male 10.2
GTEX-144GN-2326-SM-5LU4F 50-59 years, male 10.1
GTEX-11GSP-2526-SM-5N9BP 60-69 years, female 10.0
GTEX-13OVK-2026-SM-7KUEO 40-49 years, male 10.0
GTEX-14BIN-0626-SM-793DP 50-59 years, female 10.0
GTEX-1EKGG-0226-SM-9WYTH 60-69 years, male 10.0
GTEX-1399R-2726-SM-5IJBA 30-39 years, male 9.9
GTEX-ZU9S-0226-SM-5E441 30-39 years, male 9.9
GTEX-12WSE-0526-SM-793B2 20-29 years, male 9.8
GTEX-12WSL-2526-SM-5GCNJ 50-59 years, male 9.8
GTEX-1399T-2826-SM-5KLYZ 60-69 years, male 9.8
GTEX-RU72-0926-SM-2TF6B 50-59 years, female 9.8
GTEX-ZAJG-0126-SM-5HL94 50-59 years, female 9.8
GTEX-1HB9E-0226-SM-E9U4R 50-59 years, male 9.8
GTEX-14E6D-0126-SM-62LDV 50-59 years, male 9.7
GTEX-16YQH-0126-SM-7DUFJ 30-39 years, male 9.7
GTEX-R55E-0126-SM-2TC5Y 20-29 years, male 9.7
GTEX-RVPV-0126-SM-EAZAW 60-69 years, male 9.7
GTEX-139TS-2826-SM-5J1OO 60-69 years, male 9.6
GTEX-14PJM-0226-SM-62LF1 50-59 years, female 9.6
GTEX-15DYW-0126-SM-7KULE 60-69 years, female 9.6
GTEX-1IL2V-0126-SM-CM2TX 70-79 years, male 9.6
GTEX-1R9K4-0126-SM-DTX9X 60-69 years, male 9.6
GTEX-11UD2-0226-SM-5EQKY 50-59 years, male 9.5
GTEX-145LU-0126-SM-5TDCB 50-59 years, male 9.5
GTEX-PVOW-0126-SM-2XCFA 40-49 years, male 9.5
GTEX-SJXC-0126-SM-2XCFF 60-69 years, male 9.5
GTEX-1GMRU-0126-SM-9YFLV 50-59 years, male 9.5
GTEX-11OF3-2626-SM-5GU7F 60-69 years, male 9.4
GTEX-13O1R-0126-SM-5L3EH 60-69 years, male 9.4
GTEX-1CB4F-0426-SM-9KNV4 60-69 years, male 9.4
GTEX-1JMQJ-0526-SM-CYPSU 50-59 years, male 9.4
GTEX-11DXY-2626-SM-5GIE7 60-69 years, male 9.3
GTEX-14PII-0226-SM-6EU1T 60-69 years, male 9.3
GTEX-1CB4E-2226-SM-793DC 60-69 years, male 9.3
GTEX-1E1VI-0126-SM-7DHMZ 50-59 years, male 9.3
GTEX-S7PM-0126-SM-4AD6S 60-69 years, male 9.3
GTEX-YFC4-0126-SM-5CVLY 40-49 years, female 9.3
GTEX-1EN7A-0126-SM-7SB81 40-49 years, male 9.3
GTEX-1QAET-0926-SM-E76QM 50-59 years, male 9.3
GTEX-11OC5-0126-SM-5HL6A 60-69 years, male 9.2
GTEX-R3RS-0126-SM-3GIJL 40-49 years, female 9.2
GTEX-VUSG-2526-SM-4KL1V 50-59 years, male 9.2
GTEX-1GF9V-0326-SM-7RHI5 60-69 years, male 9.2
GTEX-1C6WA-0126-SM-7PC2B 60-69 years, male 9.1
GTEX-1EX96-1626-SM-7PBXR 50-59 years, male 9.1
GTEX-XXEK-2226-SM-4BRUM 50-59 years, male 9.0
GTEX-ZF2S-2326-SM-4WWCE 50-59 years, female 9.0
GTEX-1IY9M-0126-SM-D3L8S 60-69 years, male 9.0
GTEX-13OVH-0126-SM-5MR4B 70-79 years, male 8.9
GTEX-13OW6-0426-SM-5L3HM 50-59 years, male 8.9
GTEX-13VXU-0126-SM-5SI9F 50-59 years, male 8.9
GTEX-RUSQ-1526-SM-2TF62 50-59 years, male 8.8
GTEX-ZVT3-0126-SM-5GU6I 60-69 years, female 8.8
GTEX-1IDJH-0326-SM-A9SLQ 70-79 years, male 8.8
GTEX-1RQEC-0426-SM-E6CHU 60-69 years, male 8.8
GTEX-11WQC-2526-SM-5CVLE 60-69 years, male 8.7
GTEX-139TT-0126-SM-5K7Y5 60-69 years, male 8.7
GTEX-1JN6P-0126-SM-D3L98 60-69 years, male 8.7
GTEX-1PIGE-0126-SM-EVYBJ 20-29 years, male 8.7
GTEX-14JG1-0426-SM-6ETZZ 40-49 years, male 8.6
GTEX-SIU8-0126-SM-2XCDT 50-59 years, male 8.6
GTEX-Y8E4-0626-SM-4WWDL 40-49 years, male 8.6
GTEX-ZE9C-2726-SM-57WB5 60-69 years, male 8.6
GTEX-1EU9M-0226-SM-7P8SP 60-69 years, male 8.6
GTEX-1F6IF-0726-SM-7P8TW 60-69 years, male 8.6
GTEX-1JMLX-0226-SM-CM2RO 50-59 years, male 8.6
GTEX-1JMPZ-0226-SM-CNPP1 30-39 years, male 8.6
GTEX-1KD5A-0226-SM-D5OV3 50-59 years, male 8.6
GTEX-1313W-0126-SM-5LZUN 50-59 years, female 8.5
GTEX-Z93S-0126-SM-5HL7M 50-59 years, male 8.5
GTEX-1F6I4-0126-SM-9MQL2 60-69 years, male 8.5
GTEX-WZTO-0126-SM-3NM95 40-49 years, male 8.4
GTEX-1I1GV-0526-SM-A9G29 60-69 years, male 8.4
GTEX-1KWVE-1426-SM-E9TJO 30-39 years, male 8.4
GTEX-1MCQQ-0826-SM-DLHC2 60-69 years, male 8.4
GTEX-1F88F-2726-SM-7PBZZ 60-69 years, female 8.3
GTEX-1GN73-0226-SM-9WG67 60-69 years, male 8.3
GTEX-1RDX4-0126-SM-E9J4P 50-59 years, female 8.3
GTEX-11ZTS-0126-SM-5EQ6M 60-69 years, female 8.2
GTEX-T2IS-0126-SM-4DM6O 20-29 years, female 8.2
GTEX-1KANB-0526-SM-E6CJH 50-59 years, male 8.2
GTEX-13112-2826-SM-5DUWH 50-59 years, male 8.1
GTEX-1M4P7-0226-SM-DIPEV 60-69 years, male 8.1
GTEX-13SLX-0526-SM-5S2ON 50-59 years, female 8.0
GTEX-144GL-0126-SM-5TDE2 50-59 years, male 8.0
GTEX-U3ZH-2026-SM-3DB78 30-39 years, male 8.0
GTEX-WI4N-1026-SM-3LK7N 40-49 years, female 8.0
GTEX-11GS4-2726-SM-5A5LE 60-69 years, male 7.9
GTEX-131YS-0126-SM-5KM1M 60-69 years, female 7.9
GTEX-OHPL-0126-SM-2HMJ7 60-69 years, female 7.9
GTEX-XQ3S-1526-SM-4BOOC 20-29 years, male 7.9
GTEX-1F7RK-0126-SM-7PC2S 20-29 years, female 7.9
GTEX-1HBPI-1526-SM-C1YQ1 50-59 years, male 7.9
GTEX-1I1HK-0126-SM-COH49 60-69 years, male 7.9
GTEX-13FHP-0126-SM-5IJBG 50-59 years, male 7.8
GTEX-15ER7-0326-SM-7KUEV 20-29 years, female 7.8
GTEX-17HHY-0126-SM-7LG5D 50-59 years, male 7.8
GTEX-RWSA-0126-SM-2XCBB 40-49 years, male 7.8
GTEX-1B8L1-2526-SM-9WYTF 60-69 years, male 7.8
GTEX-1HSKV-0226-SM-A9SKJ 60-69 years, male 7.8
GTEX-1QMI2-0226-SM-EVYBX 60-69 years, male 7.8
GTEX-18A67-0126-SM-7LG5P 50-59 years, male 7.7
GTEX-1H1CY-2826-SM-9MQM3 60-69 years, female 7.7
GTEX-12ZZY-0226-SM-5LZVE 60-69 years, male 7.6
GTEX-14ABY-0226-SM-5TDCQ 50-59 years, male 7.6
GTEX-18A7A-0226-SM-718BH 50-59 years, female 7.6
GTEX-1POEN-0126-SM-EYYXJ 30-39 years, female 7.6
GTEX-13NYB-2526-SM-5K7Z6 40-49 years, male 7.5
GTEX-1BAJH-0526-SM-793CQ 70-79 years, male 7.5
GTEX-QVJO-1626-SM-2S1QW 60-69 years, female 7.5
GTEX-1LB8K-0226-SM-EWRNW 50-59 years, male 7.5
GTEX-1KD4Q-0226-SM-E9TJ9 40-49 years, male 7.4
GTEX-W5X1-3026-SM-EAZAX 40-49 years, female 7.4
GTEX-VJYA-1126-SM-3GIJU 60-69 years, male 7.3
GTEX-1GN2E-0426-SM-9MQKX 60-69 years, male 7.3
GTEX-14XAO-2326-SM-6EU1B 60-69 years, female 7.2
GTEX-YJ89-0126-SM-4TT3X 60-69 years, male 7.2
GTEX-1R9PM-2026-SM-E76OY 20-29 years, male 7.2
GTEX-11DYG-0126-SM-59883 60-69 years, male 7.1
GTEX-13G51-2526-SM-5LZYK 60-69 years, male 7.1
GTEX-SSA3-0126-SM-32QPU 60-69 years, male 7.1
GTEX-TMZS-0126-SM-3DB9Q 60-69 years, male 7.1
GTEX-ZVTK-0426-SM-51MRS 20-29 years, male 7.0
GTEX-11DXW-0226-SM-5H122 40-49 years, male 6.9
GTEX-13X6J-0126-SM-5QGOU 50-59 years, male 6.9
GTEX-17HG3-2226-SM-7938L 30-39 years, female 6.9
GTEX-111VG-2426-SM-5GZXD 60-69 years, male 6.8
GTEX-1192W-2626-SM-5Q5AF 60-69 years, male 6.8
GTEX-1212Z-2526-SM-5EGKP 60-69 years, male 6.8
GTEX-13FXS-0226-SM-5IJCK 50-59 years, male 6.8
GTEX-XUYS-0126-SM-47JWZ 50-59 years, male 6.8
GTEX-1GZHY-0326-SM-9QEHI 50-59 years, female 6.8
GTEX-1K9T9-0126-SM-EVYCF 50-59 years, female 6.8
GTEX-1QEPI-0126-SM-EWRMQ 60-69 years, female 6.8
GTEX-SE5C-1626-SM-2XCE3 40-49 years, female 6.8
GTEX-Y111-0126-SM-4SOIV 50-59 years, male 6.7
GTEX-1I1GQ-0126-SM-COH3H 50-59 years, male 6.7
GTEX-111FC-0126-SM-5N9DL 60-69 years, male 6.6
GTEX-12WSC-0126-SM-5EQ4P 50-59 years, male 6.5
GTEX-ZAK1-0126-SM-5IJD3 50-59 years, female 6.5
GTEX-ZYFC-0226-SM-5NQ75 50-59 years, male 6.5
GTEX-1J8JJ-0226-SM-CL53I 60-69 years, female 6.5
GTEX-S33H-1026-SM-EZ6L6 30-39 years, male 6.5
GTEX-12126-0326-SM-5PNW3 20-29 years, male 6.4
GTEX-14A5H-0426-SM-5QGQF 60-69 years, male 6.4
GTEX-1C6VR-2426-SM-79OLD 60-69 years, male 6.4
GTEX-1CB4G-0226-SM-7PC3O 60-69 years, male 6.4
GTEX-1N2DW-0226-SM-E9TK2 50-59 years, male 6.4
GTEX-117XS-2726-SM-5N9BL 60-69 years, male 6.3
GTEX-QESD-1426-SM-2S1R9 20-29 years, male 6.3
GTEX-S7SE-0126-SM-2XCD5 50-59 years, male 6.3
GTEX-1HR98-0126-SM-B2LWI 60-69 years, male 6.3
GTEX-1HT8W-0126-SM-CNPPP 30-39 years, male 6.3
GTEX-12584-0126-SM-5EGKQ 40-49 years, male 6.2
GTEX-1EMGI-0126-SM-9KNUE 60-69 years, male 6.2
GTEX-132NY-0326-SM-5IJBL 60-69 years, male 6.1
GTEX-ZVZO-0126-SM-5A5L9 40-49 years, male 6.1
GTEX-1EWIQ-0126-SM-7RHH2 70-79 years, female 6.0
GTEX-1HFI6-0226-SM-ADEHZ 40-49 years, male 6.0
GTEX-1O97I-0326-SM-EYYX7 60-69 years, male 6.0
GTEX-18A6Q-0126-SM-731BZ 60-69 years, male 5.9
GTEX-1B8SF-1426-SM-7DUGL 60-69 years, male 5.9
GTEX-1IL2U-0226-SM-CE6T8 60-69 years, male 5.9
GTEX-16GPK-0126-SM-7DHLE 60-69 years, male 5.8
GTEX-1H4P4-0726-SM-9YFLR 50-59 years, male 5.8
GTEX-12ZZX-0126-SM-5EGK9 40-49 years, female 5.7
GTEX-1J8EW-0126-SM-CJI4F 60-69 years, female 5.7
GTEX-1PIIG-0226-SM-EWRN6 30-39 years, male 5.7
GTEX-XYKS-2126-SM-4E3IB 60-69 years, female 5.6
GTEX-1JJEA-0326-SM-CNPOT 60-69 years, male 5.6
GTEX-Y8DK-0126-SM-4TT3L 60-69 years, male 5.5
GTEX-T6MN-0126-SM-32PLP 50-59 years, male 5.1
GTEX-X88G-0126-SM-47JZ3 30-39 years, male 5.0
GTEX-1C64N-0126-SM-793D7 50-59 years, male 4.8
GTEX-1IOXB-0126-SM-ARL8G 50-59 years, male 4.8
GTEX-131XE-2326-SM-5PNZ2 50-59 years, male 4.6
GTEX-1LBAC-0126-SM-DIPEZ 20-29 years, male 4.6
GTEX-13CF2-2526-SM-5LZYX 60-69 years, male 4.5
GTEX-PX3G-0126-SM-2I3EN 20-29 years, female 4.5
GTEX-11DXZ-2326-SM-5EGGV 50-59 years, male 4.4
GTEX-1MJK2-0426-SM-DTXE5 50-59 years, male 4.3
GTEX-17JCI-0126-SM-7LG5G 60-69 years, female 4.2
GTEX-POMQ-2226-SM-2I5FK 20-29 years, female 4.2
GTEX-ZYT6-0226-SM-5NQ6T 30-39 years, male 4.0
GTEX-Y3IK-2426-SM-4WWDU 50-59 years, female 3.3
Show allShow less

Contact

  • NEWS ARTICLES
  • PRESS ROOM

The Project

  • INTRODUCTION
  • ORGANIZATION
  • PUBLICATIONS

The Human Protein Atlas

  • DOWNLOADABLE DATA
  • LICENCE & CITATION
  • HELP & FAQ
The Human Protein Atlas project is funded
by the Knut & Alice Wallenberg Foundation.


contact@proteinatlas.org