We use cookies to enhance the usability of our website. If you continue, we'll assume that you are happy to receive all cookies. More information. Don't show this again.
VAMP1
HPA
RESOURCES
  • TISSUE
  • BRAIN
  • SINGLE CELL
  • SUBCELLULAR
  • CANCER
  • BLOOD
  • CELL LINE
  • STRUCTURE & INTERACTION
ABOUT
  • INTRODUCTION
  • HISTORY
  • ORGANIZATION
  • PUBLICATIONS
  • ANTIBODY SUBMISSION
  • ANTIBODY AVAILABILITY
  • ACKNOWLEDGMENTS
  • CONTACT
NEWS
  • NEWS ARTICLES
  • PRESS ROOM
LEARN
  • DICTIONARY
  • PROTEIN CLASSES
  • PROTEIN EVIDENCE
  • METHODS
  • EDUCATIONAL VIDEOS
DATA
  • DOWNLOADABLE DATA
  • PUBLICATION DATA
  • RELEASE HISTORY
HELP
  • ANTIBODY VALIDATION
  • ASSAYS & ANNOTATION
  • DISCLAIMER
  • HELP & FAQ
  • PRIVACY STATEMENT
  • LICENCE & CITATION
Fields »
Search result

Field
Term
Gene name
Class
Subclass
Class
Keyword
Chromosome
External id
Tissue
Cell type
Expression
Antibody panel
Tissue
Main location
Patient ID
Annotation
Tissue
Category
Tau score
Cluster
Reliability
Brain region
Category
Tau score
Brain region
Category
Tau score
Brain region
Category
Tau score
Cluster
Reliability
Tissue
Cell type
Enrichment
Cell type
Category
Tau score
Cell type
Category
Tau score
Cell type
Category
Tau score
Cell lineage
Category
Tau score
Cluster
Cluster
Location
Searches
Location
Cell line
Class
Type
Phase
Reliability
Cancer
Prognosis
Cancer
Category
Cancer
Category
Tau score
Cluster
Variants
Interacting gene (ensg_id)
Type
Number of interactions
Pathway
Category
Score
Score
Score
Validation
Validation
Validation
Validation
Antibodies
Data type
Column


  • SUMMARY

  • TISSUE

  • BRAIN

  • SINGLE CELL

  • SUBCELL

  • CANCER

  • BLOOD

  • CELL LINE

  • STRUCT & INT

  • VAMP1
TISSUE PRIMARY DATA SKIN Show tissue menu
ADIPOSE TISSUE ADRENAL GLAND AMYGDALA APPENDIX BASAL GANGLIA BONE MARROW BREAST BRONCHUS CEREBELLUM CEREBRAL CORTEX CERVIX CHOROID PLEXUS COLON DUODENUM
ENDOMETRIUM EPIDIDYMIS ESOPHAGUS FALLOPIAN TUBE GALLBLADDER HEART MUSCLE HIPPOCAMPAL FORMATION HYPOTHALAMUS KIDNEY LIVER LUNG LYMPH NODE MIDBRAIN NASOPHARYNX
ORAL MUCOSA OVARY PANCREAS PARATHYROID GLAND PITUITARY GLAND PLACENTA PROSTATE RECTUM RETINA SALIVARY GLAND SEMINAL VESICLE SKELETAL MUSCLE SKIN SMALL INTESTINE
SMOOTH MUSCLE SOFT TISSUE SPINAL CORD SPLEEN STOMACH TESTIS THYMUS THYROID GLAND TONGUE TONSIL URINARY BLADDER VAGINA
ANTIBODIES
AND
VALIDATION
Dictionary
Skin
Tissue proteome
Skin
SKIN - Expression summary
Protein expression
Skini

On the top, protein expression in current human tissue, based on all annotated cell types, is reported with the units not detected (n), low (l), medium (m) and high (h). Underneath, protein expression in each annotated cell type are reported using the same units.

Protein expression data is based on knowledge-based annotation. For genes where more than one antibody has been used, a collective score is set.

If knowledge-based annotation could not be performed for a gene, no data is displayed here. View antibody staining data further down this page.

h
m
l
n
Epidermal cells: Not detected
Fibroblasts: Not detected
Keratinocytes: Low
Langerhans: Not detected
Melanocytes: Not detected
RNA expressioni

A summary of mRNA expression data available for current tissue based on several datasets. The mRNA expression levels in human tissues are based on RNA-seq data generated by the Human Protein Atlas (HPA), Genotype-Tissue Expression (GTEx) portal and CAGE data generated by the FANTOM5 consortium. Consensus normalized expression levels for human tissues was created by combining the data from HPA and GTEx datasets.

The mRNA expression levels in pig are based on RNA-seq data generated by the Human Protein Atlas (HPA), and for mouse, HPA data and in situ hybridization generated by the Allen brain atlas are reported.

Scroll down to view mRNA expression data in more detail.
Consensus:8.6 nTPM
HPA:5.9 nTPM
GTEx:8.6 nTPM

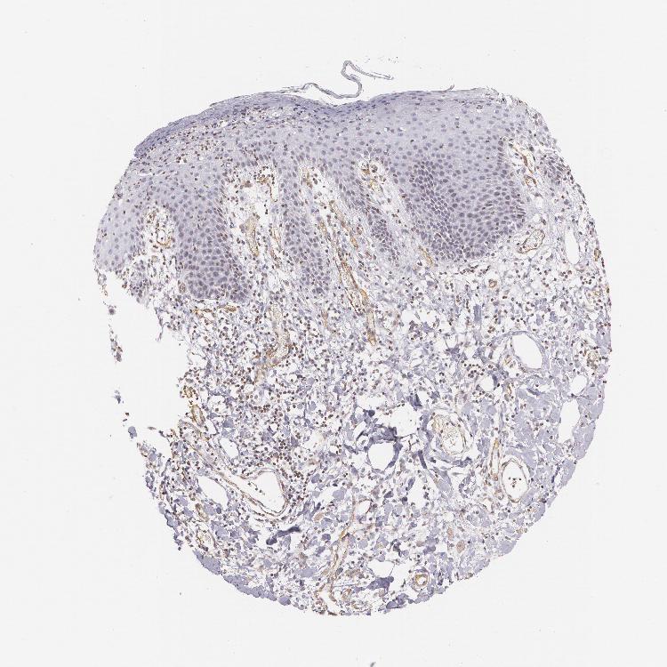
SKIN 1 - Antibody stainingi

Antibody staining in the annotated cell types in the current human tissue is reported as not detected, low, medium, or high, based on conventional immunohistochemistry profiling in selected tissues. This score is based on the combination of the staining intensity and fraction of stained cells.

Each image is clickable and will lead to virtual microscopy that enables deeper exploration of all samples and also displays staining intensity scores, fraction scores and subcellular localization as well as patient and tissue information for each sample.

Antibody CAB002779Antibody CAB016119
Langerhans LowNot detected
Fibroblasts Not detectedNot detected
Keratinocytes LowLow
Melanocytes LowNot detected


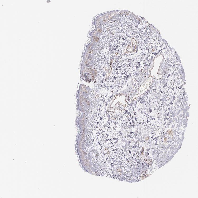
SKIN 2 - Antibody stainingi

Antibody staining in the annotated cell types in the current human tissue is reported as not detected, low, medium, or high, based on conventional immunohistochemistry profiling in selected tissues. This score is based on the combination of the staining intensity and fraction of stained cells.

Each image is clickable and will lead to virtual microscopy that enables deeper exploration of all samples and also displays staining intensity scores, fraction scores and subcellular localization as well as patient and tissue information for each sample.

Antibody CAB002779Antibody CAB016119
Epidermal cells Not detectedNot detected
  
  
  





SKIN - HPA RNA-seqi

The RNA-seq details section shows detailed information about the individual samples used for the transcript profiling and results of the RNA-seq analysis.

Information about each individual sample is listed below, including gender, age, a tissue section image and estimated fractions of cell types. nTPM (normalized transcripts per million) values give a quantification of the gene abundance which is comparable between different genes and samples.
Average nTPMi

Max subtype nTPM is the value for the subtype with the largest average nTPM across the subtype samples.

5.9
overview
Female, age 34
Skin sample 225
nTPM: 4.7
Cell types%
Keratinocytes:
60

Other cell types:
40

overview
Female, age 30
Skin sample 226
nTPM: 6.5
Cell types%
Keratinocytes:
55

Other cell types:
45

N/A
Male, age 57
Skin sample 227
nTPM: 6.5

SKIN - GTEx RNA-seqi

RNA-Seq data generated by the Genotype-Tissue Expression (GTEx) project from human tissues is reported as mean nTPM. More information can be found on the GTEx portal.

Distribution across the dataset is visualized with box plots, shown as median and 25th and 75th percentiles. Points are displayed as outliers if they are above or below 1.5 times the interquartile range. nTPM values of the individual samples are presented next to the box plot.
Max subtype nTPMi

Max subtype nTPM is the value for the subtype with the largest average nTPM across the subtype samples.

8.6
GTEx sample id Sample description nTPM
Skin - Not Sun Exposed (Suprapubic)
Average nTPM: 8.6
Samples: 604

Max nTPM: 22.8
Min nTPM: 1.9
Std nTPM: 3.4
Median nTPM: 8.1
GTEX-1399R-1326-SM-5PNYS 30-39 years, male 22.8
GTEX-111FC-2526-SM-5GZXU 60-69 years, male 21.3
GTEX-13U4I-2226-SM-5LU5H 40-49 years, female 20.7
GTEX-WI4N-2726-SM-3LK7Y 40-49 years, female 20.0
GTEX-15FZZ-0526-SM-7KUGD 30-39 years, female 19.8
GTEX-1QCLZ-2426-SM-EVYBW 60-69 years, female 19.8
GTEX-1GZHY-0626-SM-9KNVC 50-59 years, female 19.3
GTEX-UPK5-0426-SM-3GAEK 40-49 years, male 19.2
GTEX-1HSGN-0826-SM-ACKW3 40-49 years, female 18.8
GTEX-XOT4-0626-SM-4B66L 60-69 years, female 18.1
GTEX-1H23P-0626-SM-9WG6T 60-69 years, male 17.7
GTEX-132AR-0326-SM-5KM2C 50-59 years, female 17.5
GTEX-17HGU-2326-SM-7DUFE 50-59 years, male 17.4
GTEX-17JCI-2926-SM-7DUFF 60-69 years, female 16.8
GTEX-146FQ-2126-SM-5RQHU 30-39 years, male 16.7
GTEX-1HFI6-0126-SM-CNPPI 40-49 years, male 16.3
GTEX-ZDXO-3126-SM-5IJDF 60-69 years, male 16.0
GTEX-11GSP-2326-SM-5HL63 60-69 years, female 15.9
GTEX-11EI6-2826-SM-5H11D 60-69 years, male 15.7
GTEX-1C6WA-2626-SM-7MKGM 60-69 years, male 15.6
GTEX-1RAZQ-1326-SM-E9TK6 30-39 years, male 15.3
GTEX-1B996-0426-SM-7EWF8 60-69 years, male 15.2
GTEX-12WSA-0426-SM-5EQ5X 60-69 years, male 15.1
GTEX-1QAET-0326-SM-EVR3U 50-59 years, male 15.1
GTEX-16GPK-0626-SM-7KFSF 60-69 years, male 15.0
GTEX-1JN6P-2926-SM-CL54D 60-69 years, male 15.0
GTEX-11ZUS-2626-SM-5FQUR 30-39 years, male 14.9
GTEX-13W3W-0726-SM-5IJDQ 60-69 years, female 14.9
GTEX-ZVTK-0226-SM-51MRG 20-29 years, male 14.9
GTEX-1LB8K-0726-SM-D5OV2 50-59 years, male 14.7
GTEX-ZZPU-0826-SM-5GZX5 50-59 years, female 14.5
GTEX-1CAMQ-1326-SM-7P8RV 40-49 years, male 14.5
GTEX-1HFI7-2326-SM-CGQFS 50-59 years, female 14.5
GTEX-1I6K7-1926-SM-B2LXR 40-49 years, male 14.5
GTEX-1S3DN-2126-SM-E9TIN 50-59 years, male 14.5
GTEX-145MN-1526-SM-5SI9T 30-39 years, male 14.4
GTEX-111CU-1126-SM-5EGIM 50-59 years, male 14.3
GTEX-1AX8Z-0726-SM-73KTS 60-69 years, male 14.3
GTEX-1HCU8-2526-SM-CE6RX 60-69 years, female 14.3
GTEX-1K2DA-1026-SM-CGQGF 50-59 years, male 14.3
GTEX-11LCK-2226-SM-5HL4Q 30-39 years, male 14.2
GTEX-16Z82-2626-SM-7KULU 60-69 years, male 14.2
GTEX-15D1Q-2826-SM-6LLH7 40-49 years, male 14.1
GTEX-1K9T9-1526-SM-DIPFR 50-59 years, female 14.1
GTEX-1LGOU-1326-SM-D3L8M 20-29 years, female 14.1
GTEX-1QP66-1226-SM-DTX7U 50-59 years, male 14.1
GTEX-11DXW-0826-SM-5H118 40-49 years, male 13.9
GTEX-VJYA-1526-SM-3GIJV 60-69 years, male 13.8
GTEX-1ICG6-1226-SM-A9SLN 70-79 years, female 13.8
GTEX-1QEPI-2626-SM-DTXF4 60-69 years, female 13.8
GTEX-V1D1-2026-SM-3GAF4 50-59 years, male 13.7
GTEX-WYVS-1626-SM-3NM9R 40-49 years, female 13.7
GTEX-11NSD-0626-SM-5A5LU 20-29 years, male 13.6
GTEX-ZYVF-0926-SM-5E44J 50-59 years, female 13.6
GTEX-1I19N-0126-SM-CYPSF 70-79 years, male 13.5
GTEX-1313W-0626-SM-5EQ4H 50-59 years, female 13.3
GTEX-ZTSS-1426-SM-5985P 40-49 years, male 13.3
GTEX-ZVE1-0726-SM-51MRN 50-59 years, female 13.2
GTEX-1F75W-2726-SM-7SB8H 60-69 years, male 13.2
GTEX-1KANC-1226-SM-CYPT7 50-59 years, female 13.2
GTEX-11UD2-2526-SM-5CVNU 50-59 years, male 13.1
GTEX-1B932-2326-SM-79OL5 40-49 years, female 13.1
GTEX-1EN7A-2426-SM-793DB 40-49 years, male 13.1
GTEX-WFG8-2126-SM-3GIKQ 20-29 years, male 13.1
GTEX-1F88F-0126-SM-9WYSZ 60-69 years, female 13.1
GTEX-1C64O-1326-SM-7MGWR 60-69 years, male 12.9
GTEX-1O9I2-0226-SM-EYYXD 50-59 years, male 12.9
GTEX-13FH7-1126-SM-5K7UG 50-59 years, female 12.8
GTEX-145LT-0526-SM-5LUB2 40-49 years, male 12.8
GTEX-1212Z-0126-SM-59HK4 60-69 years, male 12.7
GTEX-147F3-1726-SM-5SIAW 50-59 years, female 12.7
GTEX-ZUA1-2626-SM-5NQ92 40-49 years, male 12.7
GTEX-14A5H-0826-SM-5QGPJ 60-69 years, male 12.6
GTEX-1IDJE-1426-SM-ADEIW 50-59 years, female 12.6
GTEX-1LSNM-0826-SM-DIPG8 50-59 years, male 12.6
GTEX-13NZ9-2626-SM-5L3FK 50-59 years, male 12.5
GTEX-13OW7-0426-SM-5K7VK 50-59 years, male 12.5
GTEX-1J8QM-2426-SM-A9SLS 60-69 years, female 12.5
GTEX-1LG7Z-1626-SM-CXKYR 30-39 years, male 12.5
GTEX-14BIN-1126-SM-5RQJZ 50-59 years, female 12.4
GTEX-X4EP-0626-SM-3P621 60-69 years, female 12.4
GTEX-ZLWG-0826-SM-59888 50-59 years, female 12.4
GTEX-11VI4-1126-SM-5EQMD 40-49 years, female 12.3
GTEX-13JUV-2026-SM-5K7UA 40-49 years, female 12.3
GTEX-1JKYN-0826-SM-ARU8S 30-39 years, male 12.3
GTEX-12584-0726-SM-5FQTK 40-49 years, male 12.2
GTEX-139T8-0626-SM-5KLZX 60-69 years, male 12.2
GTEX-14ABY-2026-SM-62LDL 50-59 years, male 12.2
GTEX-WHPG-2626-SM-3NMBR 50-59 years, male 12.2
GTEX-1GMR2-0826-SM-7PC3V 50-59 years, male 12.2
GTEX-1H1DE-1326-SM-9KNUG 20-29 years, male 12.1
GTEX-1IDJD-2326-SM-ACKWX 30-39 years, male 12.1
GTEX-ZPIC-0526-SM-DO91W 40-49 years, female 12.1
GTEX-12WSH-1526-SM-5BC5W 50-59 years, male 12.0
GTEX-14E6E-0526-SM-793DN 30-39 years, male 12.0
GTEX-14PJ2-0626-SM-6LLII 50-59 years, male 12.0
GTEX-17HG3-2626-SM-7DUF2 30-39 years, female 12.0
GTEX-XBEC-0726-SM-4QARZ 50-59 years, male 12.0
GTEX-XUW1-0926-SM-4BONX 50-59 years, female 12.0
GTEX-ZAK1-0626-SM-5HL8E 50-59 years, female 12.0
GTEX-1C475-1326-SM-7SB73 40-49 years, female 12.0
GTEX-1IDJV-0126-SM-COH3Y 60-69 years, male 12.0
GTEX-15CHC-1126-SM-6LLHQ 60-69 years, female 11.9
GTEX-16NPX-0726-SM-7KULC 50-59 years, male 11.9
GTEX-Y8LW-1526-SM-5IFHL 50-59 years, female 11.9
GTEX-1GTWX-2026-SM-9YFLM 60-69 years, male 11.9
GTEX-1KANA-1326-SM-DIPFA 20-29 years, male 11.9
GTEX-17MF6-2626-SM-79OKQ 40-49 years, male 11.7
GTEX-XYKS-1426-SM-4BRUO 60-69 years, female 11.7
GTEX-YB5K-2026-SM-4VDT3 40-49 years, female 11.7
GTEX-13PVR-0426-SM-5RQK2 60-69 years, female 11.6
GTEX-14AS3-1526-SM-5Q5ED 40-49 years, female 11.6
GTEX-1GZ4I-2626-SM-9KNU3 50-59 years, male 11.6
GTEX-1KWVE-1026-SM-D3L9O 30-39 years, male 11.6
GTEX-139TU-0726-SM-5L3EK 60-69 years, male 11.5
GTEX-YJ8O-2526-SM-5HL85 40-49 years, female 11.5
GTEX-1RMOY-1326-SM-E9TIH 50-59 years, male 11.5
GTEX-14PKV-1126-SM-6LLJ1 20-29 years, female 11.4
GTEX-15DYW-2726-SM-6EU2I 60-69 years, female 11.3
GTEX-Y5V5-0126-SM-5S2NW 60-69 years, female 11.3
GTEX-1RAZR-2126-SM-E9U6T 40-49 years, male 11.3
GTEX-1HUB1-1426-SM-CGQF5 60-69 years, male 11.2
GTEX-1JMQI-1726-SM-ARL93 50-59 years, male 11.2
GTEX-16MT9-0126-SM-7EPI8 60-69 years, female 11.1
GTEX-WEY5-2326-SM-3GIKK 40-49 years, female 11.1
GTEX-ZVZP-1226-SM-5GID7 50-59 years, male 11.1
GTEX-1H1ZS-2726-SM-9WG75 70-79 years, male 11.1
GTEX-11TT1-1826-SM-5EQLV 20-29 years, male 11.0
GTEX-13OVG-1626-SM-5J1NF 60-69 years, male 11.0
GTEX-14B4R-1326-SM-5Q5EZ 30-39 years, male 11.0
GTEX-1J8JJ-0626-SM-ARZMQ 60-69 years, female 11.0
GTEX-13PVQ-0626-SM-5LU47 50-59 years, male 10.9
GTEX-1H1E6-0426-SM-9WYUS 30-39 years, male 10.9
GTEX-1IDJI-0126-SM-CMKHS 50-59 years, female 10.9
GTEX-1J8Q2-2626-SM-ACKWQ 60-69 years, male 10.9
GTEX-13N1W-2426-SM-5IJD1 70-79 years, male 10.8
GTEX-16NGA-0726-SM-731AO 40-49 years, female 10.8
GTEX-1A3MW-0626-SM-731CB 60-69 years, female 10.8
GTEX-1B97I-0626-SM-73KUZ 40-49 years, male 10.8
GTEX-XBEW-1126-SM-4QARW 40-49 years, male 10.8
GTEX-1HSKV-1226-SM-ADEI4 60-69 years, male 10.8
GTEX-13OW8-1026-SM-5J1NQ 60-69 years, male 10.7
GTEX-1477Z-0326-SM-7IGLA 60-69 years, male 10.7
GTEX-15CHQ-0326-SM-69LQD 60-69 years, male 10.7
GTEX-1EKGG-0626-SM-7DUGJ 60-69 years, male 10.7
GTEX-18D9A-1426-SM-7LT8M 30-39 years, female 10.7
GTEX-1A3MX-2626-SM-7PC24 60-69 years, male 10.7
GTEX-1AYD5-2626-SM-7PBXY 50-59 years, male 10.7
GTEX-1211K-1526-SM-5FQU4 60-69 years, female 10.6
GTEX-16YQH-2226-SM-7IGM2 30-39 years, male 10.6
GTEX-1B8SF-0126-SM-7DUG3 60-69 years, male 10.6
GTEX-1I1GT-1026-SM-ARZLV 60-69 years, female 10.6
GTEX-1J1R8-2026-SM-CL53Y 40-49 years, male 10.6
GTEX-1EWIQ-0326-SM-7DHMQ 70-79 years, female 10.5
GTEX-ZF2S-1626-SM-57WES 50-59 years, female 10.5
GTEX-1CB4I-0126-SM-7RHGG 50-59 years, male 10.5
GTEX-1GF9W-1426-SM-7PBYM 60-69 years, male 10.5
GTEX-11EM3-1226-SM-5N9DD 20-29 years, female 10.4
GTEX-11ZTT-2126-SM-5CVLO 60-69 years, female 10.4
GTEX-145MF-0926-SM-5Q5EA 50-59 years, male 10.4
GTEX-Y114-2126-SM-4TT8B 50-59 years, female 10.4
GTEX-1I4MK-0126-SM-CY8G6 50-59 years, female 10.4
GTEX-1LG7Y-2526-SM-EWRO7 50-59 years, male 10.4
GTEX-1RB15-1326-SM-E76Q9 60-69 years, male 10.4
GTEX-12C56-1526-SM-5FQUQ 20-29 years, male 10.3
GTEX-12WSF-1626-SM-7KUG5 70-79 years, male 10.3
GTEX-131XW-0626-SM-5PNVD 50-59 years, female 10.3
GTEX-14BMV-2826-SM-5TDED 50-59 years, male 10.3
GTEX-178AV-1726-SM-7KUL8 40-49 years, male 10.3
GTEX-1CB4E-0926-SM-7EPHT 60-69 years, male 10.3
GTEX-Y5V6-2326-SM-4VDSA 60-69 years, male 10.3
GTEX-1IDJF-2026-SM-CL53V 20-29 years, male 10.3
GTEX-11DZ1-2426-SM-5GZZX 50-59 years, male 10.2
GTEX-16XZZ-0726-SM-7KUF2 60-69 years, male 10.2
GTEX-WRHU-2826-SM-3MJG8 50-59 years, female 10.2
GTEX-XV7Q-1826-SM-4BRUV 40-49 years, female 10.2
GTEX-1L5NE-1126-SM-D3L9P 50-59 years, male 10.2
GTEX-11GS4-0226-SM-5HL77 60-69 years, male 10.1
GTEX-144FL-0626-SM-5LU43 50-59 years, male 10.1
GTEX-14PJ4-0226-SM-5YY92 60-69 years, male 10.1
GTEX-183WM-0326-SM-72D5V 70-79 years, female 10.1
GTEX-1HC8U-1326-SM-9YFMJ 40-49 years, female 10.1
GTEX-15ER7-0626-SM-6PANF 20-29 years, female 10.0
GTEX-1QP29-1826-SM-DTX9S 50-59 years, male 10.0
GTEX-145ME-1726-SM-5Q5EU 40-49 years, female 9.9
GTEX-18A7A-0126-SM-731AH 50-59 years, female 9.9
GTEX-1I1GP-1326-SM-A9G28 50-59 years, male 9.9
GTEX-12BJ1-0926-SM-5EQ62 60-69 years, male 9.8
GTEX-131YS-2826-SM-5EQ47 60-69 years, female 9.8
GTEX-13JVG-0726-SM-5KM16 60-69 years, male 9.8
GTEX-1MCC2-1826-SM-DIPEX 30-39 years, female 9.8
GTEX-1RAZS-2526-SM-E6CHT 50-59 years, male 9.8
GTEX-1RLM8-2926-SM-E8VON 50-59 years, male 9.8
GTEX-144GO-2026-SM-5O99P 60-69 years, male 9.7
GTEX-14LLW-2626-SM-62LDZ 70-79 years, female 9.7
GTEX-X3Y1-2026-SM-3P5YM 40-49 years, male 9.7
GTEX-Y3I4-1726-SM-4TT89 50-59 years, male 9.7
GTEX-ZYW4-0626-SM-59HJR 60-69 years, male 9.7
GTEX-1GMR3-0126-SM-A9SLW 40-49 years, male 9.7
GTEX-1GN2E-0226-SM-9WG6K 60-69 years, male 9.7
GTEX-1314G-1326-SM-5BC6E 30-39 years, male 9.6
GTEX-17EVP-2626-SM-7IGMA 40-49 years, male 9.6
GTEX-1CB4F-1026-SM-7DUH1 60-69 years, male 9.6
GTEX-1CAMR-1326-SM-7PC1F 20-29 years, male 9.6
GTEX-1LVAM-0726-SM-E6CIL 50-59 years, female 9.6
GTEX-Z93S-1626-SM-5CVMB 50-59 years, male 9.5
GTEX-ZYFG-1526-SM-5GZYM 60-69 years, female 9.5
GTEX-13N2G-0226-SM-5K7VF 60-69 years, male 9.4
GTEX-15RJ7-2126-SM-6PAMD 40-49 years, male 9.4
GTEX-Y8E4-2026-SM-5IFJB 40-49 years, male 9.4
GTEX-YEC4-1826-SM-4W1YP 40-49 years, male 9.4
GTEX-1GF9V-0826-SM-9KNUV 60-69 years, male 9.4
GTEX-1K2DU-1226-SM-CYPT4 20-29 years, male 9.4
GTEX-11DXZ-2026-SM-5987S 50-59 years, male 9.3
GTEX-13O3O-2326-SM-5IJD6 60-69 years, female 9.3
GTEX-16MT8-2926-SM-7DUFO 60-69 years, female 9.3
GTEX-ZT9X-1526-SM-5DUXD 40-49 years, male 9.3
GTEX-1C6VR-0126-SM-7RHGB 60-69 years, male 9.3
GTEX-1IDJC-1526-SM-B2LW4 50-59 years, male 9.3
GTEX-11PRG-0726-SM-5EGL1 50-59 years, male 9.2
GTEX-12126-0826-SM-5FQTZ 20-29 years, male 9.2
GTEX-1E1VI-0326-SM-793D1 50-59 years, male 9.2
GTEX-ZPU1-1126-SM-4YCF3 40-49 years, male 9.2
GTEX-ZYFC-0426-SM-5GICQ 50-59 years, male 9.2
GTEX-1HKZK-0726-SM-ACKW2 40-49 years, male 9.2
GTEX-1I1CD-0626-SM-CE6SW 60-69 years, female 9.2
GTEX-1R9PN-0426-SM-DTXDT 40-49 years, female 9.2
GTEX-1S82U-1026-SM-E6CJK 30-39 years, female 9.2
GTEX-1CAV2-0126-SM-7IGN7 40-49 years, female 9.1
GTEX-VUSG-2326-SM-4KL1U 50-59 years, male 9.1
GTEX-1H4P4-2126-SM-9WYSL 50-59 years, male 9.1
GTEX-12WSJ-1126-SM-5LZVJ 40-49 years, female 9.0
GTEX-14PHX-2226-SM-6EU2P 50-59 years, male 9.0
GTEX-17EVQ-0126-SM-7IGLR 70-79 years, male 9.0
GTEX-18A7B-2726-SM-7LG56 70-79 years, male 9.0
GTEX-1B933-2426-SM-7DHMD 50-59 years, female 9.0
GTEX-WYJK-0526-SM-3NM8Z 50-59 years, male 9.0
GTEX-ZVT2-0126-SM-5GIDQ 50-59 years, female 9.0
GTEX-1A8FM-0626-SM-7PC25 50-59 years, female 9.0
GTEX-ZF3C-0626-SM-DO92O 50-59 years, female 9.0
GTEX-1399U-1126-SM-5L3DB 50-59 years, female 8.9
GTEX-14LZ3-0126-SM-69LPM 60-69 years, female 8.9
GTEX-18D9U-0126-SM-731BM 40-49 years, male 8.9
GTEX-1GZ2Q-0126-SM-9WG6M 40-49 years, male 8.9
GTEX-1HCU9-0426-SM-9WYSD 20-29 years, male 8.9
GTEX-1MJK3-0726-SM-E6CJC 20-29 years, male 8.9
GTEX-13112-0126-SM-5P9IU 50-59 years, male 8.8
GTEX-13OVJ-0826-SM-5J1OK 50-59 years, female 8.8
GTEX-17F96-0126-SM-7EWDU 70-79 years, male 8.8
GTEX-1F6I4-2326-SM-7RHGL 60-69 years, male 8.8
GTEX-1H1DG-2426-SM-9QEHJ 70-79 years, male 8.8
GTEX-Y3IK-1626-SM-4YCF5 50-59 years, female 8.7
GTEX-1ICLZ-0326-SM-ARL82 60-69 years, male 8.7
GTEX-1IDJU-1726-SM-CMKHU 60-69 years, female 8.7
GTEX-11EQ9-1626-SM-5PNY8 30-39 years, male 8.6
GTEX-11O72-0626-SM-5PNYE 40-49 years, male 8.6
GTEX-13N11-2326-SM-5IJBF 50-59 years, female 8.6
GTEX-14BMU-1226-SM-5S2OR 20-29 years, female 8.6
GTEX-14DAR-1226-SM-73KYV 50-59 years, male 8.6
GTEX-ZA64-1026-SM-5HL8R 20-29 years, male 8.6
GTEX-1B8L1-2226-SM-7P8PT 60-69 years, male 8.6
GTEX-1KD5A-0126-SM-E9U54 50-59 years, male 8.6
GTEX-11P81-2226-SM-5PNYI 30-39 years, female 8.5
GTEX-147GR-2426-SM-5ZZWQ 60-69 years, male 8.5
GTEX-17HII-1426-SM-7EPGG 50-59 years, male 8.5
GTEX-18465-2826-SM-7LT9J 50-59 years, male 8.5
GTEX-ZT9W-1126-SM-57WDR 50-59 years, male 8.5
GTEX-ZWKS-0626-SM-5GIDV 30-39 years, male 8.5
GTEX-ZY6K-1426-SM-5GZX2 50-59 years, male 8.5
GTEX-1POEN-2326-SM-E9J2L 30-39 years, female 8.5
GTEX-13FLV-0126-SM-5K7WT 50-59 years, male 8.4
GTEX-13O3Q-0126-SM-5KM34 50-59 years, male 8.4
GTEX-13OVL-0126-SM-5L3GJ 50-59 years, male 8.4
GTEX-14XAO-1226-SM-6EU1C 60-69 years, female 8.4
GTEX-X8HC-0626-SM-4E3HQ 50-59 years, female 8.4
GTEX-XPVG-2126-SM-4B667 50-59 years, male 8.4
GTEX-1H3NZ-2726-SM-9WYTQ 60-69 years, male 8.4
GTEX-1JMPZ-0726-SM-CY8HZ 30-39 years, male 8.4
GTEX-15EU6-2226-SM-6EU2L 50-59 years, male 8.3
GTEX-17F98-1326-SM-7DUEP 40-49 years, female 8.3
GTEX-1HBPM-0726-SM-9YFL7 60-69 years, female 8.3
GTEX-1HR9M-2226-SM-CNPPY 60-69 years, male 8.3
GTEX-1M4P7-0726-SM-E6CJ3 60-69 years, male 8.3
GTEX-1NV5F-0626-SM-DTXEG 60-69 years, female 8.3
GTEX-1QPFJ-1926-SM-EVYBD 30-39 years, female 8.3
GTEX-11DYG-1526-SM-5A5JS 60-69 years, male 8.2
GTEX-11TUW-0626-SM-5LU9M 60-69 years, male 8.2
GTEX-13113-1626-SM-5EQ4I 60-69 years, female 8.2
GTEX-13VXU-0626-SM-5L3F9 50-59 years, male 8.2
GTEX-145MG-1526-SM-5Q5EM 50-59 years, male 8.2
GTEX-147F4-0726-SM-5TDDD 50-59 years, male 8.2
GTEX-U8XE-0226-SM-4E3J3 30-39 years, male 8.2
GTEX-XQ3S-1426-SM-4BOPR 20-29 years, male 8.2
GTEX-ZAB4-2126-SM-5HL8U 40-49 years, male 8.2
GTEX-1122O-1026-SM-9WYSF 60-69 years, female 8.2
GTEX-1CAMS-2226-SM-7PBXQ 40-49 years, female 8.2
GTEX-14E6C-2426-SM-5S2NF 40-49 years, male 8.1
GTEX-XAJ8-1426-SM-47JYM 40-49 years, male 8.1
GTEX-Y5LM-0926-SM-6LLJG 40-49 years, female 8.1
GTEX-ZYFD-0626-SM-5E44E 50-59 years, male 8.1
GTEX-1C64N-2626-SM-7PC2N 50-59 years, male 8.1
GTEX-1GMR8-0626-SM-7RHI7 50-59 years, female 8.1
GTEX-1IY9M-2826-SM-ARU8H 60-69 years, male 8.1
GTEX-14C38-0726-SM-5SI6M 50-59 years, male 8.0
GTEX-XQ8I-0926-SM-4BOOF 50-59 years, male 8.0
GTEX-1F6IF-0926-SM-7SB7M 60-69 years, male 8.0
GTEX-1H11D-1826-SM-9QEHM 40-49 years, male 8.0
GTEX-1JJE9-2626-SM-ARZMT 70-79 years, male 8.0
GTEX-1PPH8-0126-SM-EWRN8 20-29 years, male 8.0
GTEX-139TT-2126-SM-5LZWC 60-69 years, male 7.9
GTEX-13NYC-0126-SM-5L3F4 60-69 years, male 7.9
GTEX-14JG1-1526-SM-5YY9X 40-49 years, male 7.9
GTEX-17HHY-0426-SM-7DHLC 50-59 years, male 7.9
GTEX-18D9B-0926-SM-7LG4U 60-69 years, male 7.9
GTEX-1AMEY-0826-SM-72D65 30-39 years, female 7.9
GTEX-1B8KE-1126-SM-7EPHI 50-59 years, male 7.9
GTEX-1F75A-0726-SM-7RHHD 50-59 years, male 7.9
GTEX-1HB9E-0126-SM-CM2S5 50-59 years, male 7.9
GTEX-1HBPN-0126-SM-CGQEF 50-59 years, male 7.9
GTEX-1I6K6-1726-SM-CGQFD 30-39 years, male 7.9
GTEX-1JJ6O-2726-SM-CNPOG 60-69 years, male 7.9
GTEX-1JMOU-1026-SM-CYPSS 60-69 years, female 7.9
GTEX-1PIGE-1826-SM-E8VOU 20-29 years, male 7.9
GTEX-1S5ZU-2526-SM-E6CIF 20-29 years, female 7.9
GTEX-11EQ8-0926-SM-5H12V 60-69 years, male 7.8
GTEX-12WSC-2826-SM-5BC5Y 50-59 years, male 7.8
GTEX-1C2JI-1026-SM-73KY1 50-59 years, male 7.8
GTEX-WK11-2726-SM-3NMAQ 50-59 years, male 7.8
GTEX-WY7C-2126-SM-3NB2R 50-59 years, male 7.8
GTEX-XMD2-2126-SM-4YCF8 60-69 years, female 7.8
GTEX-ZTTD-2826-SM-4YCFA 50-59 years, male 7.8
GTEX-1QP9N-1226-SM-E76QN 30-39 years, male 7.8
GTEX-1QW4Y-1126-SM-DTXE3 30-39 years, male 7.8
GTEX-1RAZA-2226-SM-E9U4X 20-29 years, male 7.8
GTEX-13NZ8-1226-SM-5KM4A 60-69 years, female 7.7
GTEX-Y9LG-1126-SM-4VBQ7 30-39 years, male 7.7
GTEX-1IOXB-2726-SM-CM2RI 50-59 years, male 7.7
GTEX-1PDJ9-1226-SM-EXUSX 20-29 years, male 7.7
GTEX-147JS-0226-SM-5S2U9 60-69 years, male 7.6
GTEX-14DAQ-0626-SM-793DS 60-69 years, female 7.6
GTEX-16MTA-0926-SM-6M47Z 50-59 years, male 7.6
GTEX-1A3MV-1826-SM-731CD 30-39 years, male 7.6
GTEX-1PPH7-1126-SM-DTX9A 40-49 years, male 7.6
GTEX-1R46S-2426-SM-E76QA 60-69 years, female 7.6
GTEX-17KNJ-2126-SM-718AM 50-59 years, male 7.5
GTEX-18QFQ-1826-SM-72D52 30-39 years, male 7.5
GTEX-ZYY3-2926-SM-5GIEB 60-69 years, female 7.5
GTEX-1GMRU-2126-SM-7P8RA 50-59 years, male 7.5
GTEX-1GN1W-2426-SM-9KNUU 50-59 years, female 7.5
GTEX-1I1GS-2626-SM-B2LY3 60-69 years, male 7.5
GTEX-YEC3-1326-SM-DO92X 50-59 years, male 7.5
GTEX-145LS-0626-SM-7EPG7 60-69 years, female 7.4
GTEX-14PJO-2526-SM-6AJBQ 60-69 years, male 7.4
GTEX-15CHR-1126-SM-7EWF4 50-59 years, male 7.4
GTEX-WXYG-2026-SM-4E3IY 50-59 years, female 7.4
GTEX-YF7O-1526-SM-5IFI6 50-59 years, male 7.4
GTEX-1GF9U-2026-SM-7SB92 40-49 years, female 7.4
GTEX-1GN73-0726-SM-7P8TJ 60-69 years, male 7.4
GTEX-12ZZX-2426-SM-5GCOE 40-49 years, female 7.3
GTEX-13OW6-2726-SM-5J2OE 50-59 years, male 7.3
GTEX-13X6H-0926-SM-5SIB2 50-59 years, female 7.3
GTEX-18A6Q-0626-SM-7KFRP 60-69 years, male 7.3
GTEX-WFON-1926-SM-3LK7L 40-49 years, male 7.3
GTEX-1H1CY-0126-SM-9YFLY 60-69 years, female 7.3
GTEX-1JN76-0626-SM-CKZOQ 20-29 years, female 7.3
GTEX-1QCLY-0226-SM-EWRNH 30-39 years, male 7.3
GTEX-11ZU8-0126-SM-5EQ58 60-69 years, male 7.2
GTEX-12ZZZ-0726-SM-5GCNZ 60-69 years, male 7.2
GTEX-145LU-1926-SM-79OJN 50-59 years, male 7.2
GTEX-16BQI-1326-SM-6M486 30-39 years, female 7.2
GTEX-1EX96-1026-SM-7MKG2 50-59 years, male 7.2
GTEX-YFCO-1226-SM-5LUAT 40-49 years, male 7.2
GTEX-ZDTS-0826-SM-4WKHL 60-69 years, male 7.2
GTEX-ZP4G-1426-SM-4WWCL 20-29 years, female 7.2
GTEX-14JFF-0626-SM-5ZZVT 60-69 years, male 7.2
GTEX-1OJC4-2726-SM-E76PJ 50-59 years, female 7.2
GTEX-13FHO-0426-SM-5L3F5 60-69 years, male 7.1
GTEX-13SLX-2226-SM-62LEP 50-59 years, female 7.1
GTEX-ZLFU-1826-SM-4WWBV 40-49 years, male 7.1
GTEX-1F48J-0726-SM-7RHGS 50-59 years, female 7.1
GTEX-1F75I-2226-SM-7SB8U 40-49 years, male 7.1
GTEX-1H3VE-0726-SM-9YFL5 40-49 years, male 7.1
GTEX-111VG-1626-SM-5EGIO 60-69 years, male 7.0
GTEX-111YS-1526-SM-5GZYW 60-69 years, male 7.0
GTEX-11OF3-0126-SM-5PNYF 60-69 years, male 7.0
GTEX-12ZZY-0726-SM-5EQ66 60-69 years, male 7.0
GTEX-14PJ3-1126-SM-5ZZVX 50-59 years, male 7.0
GTEX-14PJN-1826-SM-6AJ98 30-39 years, male 7.0
GTEX-WFG7-2026-SM-5SI7P 20-29 years, male 7.0
GTEX-ZU9S-1826-SM-5NQ9E 30-39 years, male 7.0
GTEX-1GL5R-1326-SM-7RHHF 50-59 years, male 7.0
GTEX-1I1GV-0626-SM-ARL7M 60-69 years, male 7.0
GTEX-131XG-0326-SM-5L3DX 50-59 years, female 6.9
GTEX-18A66-0626-SM-7LT8Z 60-69 years, male 6.9
GTEX-WHWD-1826-SM-3LK6I 50-59 years, male 6.9
GTEX-ZF29-0926-SM-4WKFZ 60-69 years, female 6.9
GTEX-1LVAO-2726-SM-E9TJ8 60-69 years, male 6.9
GTEX-1N2EE-0626-SM-E76PW 60-69 years, male 6.9
GTEX-1497J-0226-SM-5QGPU 60-69 years, male 6.8
GTEX-WHSE-0126-SM-3NMBT 20-29 years, male 6.8
GTEX-X585-2426-SM-46MW2 50-59 years, male 6.8
GTEX-1QMI2-2526-SM-E8VNZ 60-69 years, male 6.8
GTEX-1AX9J-1326-SM-731BJ 60-69 years, male 6.7
GTEX-Y111-0626-SM-4SOIT 50-59 years, male 6.7
GTEX-1JMQL-2226-SM-CNPP4 50-59 years, female 6.7
GTEX-1QP28-1126-SM-EVYC4 50-59 years, female 6.7
GTEX-11NUK-2726-SM-5A5MC 50-59 years, male 6.6
GTEX-12WSD-0626-SM-5GCMW 60-69 years, female 6.6
GTEX-1399Q-2326-SM-5KM2X 40-49 years, male 6.6
GTEX-139TS-2126-SM-5K7XC 60-69 years, male 6.6
GTEX-13OVH-0526-SM-5L3E6 70-79 years, male 6.6
GTEX-13OVK-1426-SM-6PAN7 40-49 years, male 6.6
GTEX-15SHW-0226-SM-7LTAT 60-69 years, male 6.6
GTEX-ZDYS-2426-SM-4WKGI 50-59 years, male 6.6
GTEX-14JG6-1426-SM-9WG7C 30-39 years, female 6.6
GTEX-1IL2V-1926-SM-B2LW8 70-79 years, male 6.6
GTEX-1J8EW-2726-SM-CY8HR 60-69 years, female 6.6
GTEX-ZLV1-1526-SM-DO91J 60-69 years, female 6.6
GTEX-117YX-1926-SM-5GIEC 50-59 years, male 6.5
GTEX-11DXY-0126-SM-5H11Q 60-69 years, male 6.5
GTEX-12696-0126-SM-5EQ4L 60-69 years, male 6.5
GTEX-13FTX-1526-SM-5K7VJ 20-29 years, female 6.5
GTEX-14PHY-1226-SM-5ZZWK 60-69 years, female 6.5
GTEX-1A32A-0626-SM-731AQ 50-59 years, female 6.5
GTEX-1C6VQ-1226-SM-73KYD 50-59 years, male 6.5
GTEX-XXEK-1626-SM-4BRUZ 50-59 years, male 6.5
GTEX-1H3O1-1326-SM-9MQLD 60-69 years, male 6.5
GTEX-1JMLX-0626-SM-ARL8T 50-59 years, male 6.5
GTEX-13D11-0926-SM-5J2NC 50-59 years, female 6.4
GTEX-15EO6-2426-SM-6PALZ 50-59 years, male 6.4
GTEX-W5X1-2526-SM-3GILC 40-49 years, female 6.4
GTEX-X4EO-2926-SM-4E3JH 60-69 years, female 6.4
GTEX-XBED-1926-SM-47JYP 60-69 years, male 6.4
GTEX-ZAJG-1526-SM-5CVML 50-59 years, female 6.4
GTEX-ZE9C-2526-SM-5IJDR 60-69 years, male 6.4
GTEX-ZXG5-2126-SM-59HKD 60-69 years, male 6.4
GTEX-11P82-1426-SM-DTXFY 20-29 years, male 6.4
GTEX-1HCVE-2726-SM-CL54F 50-59 years, male 6.4
GTEX-1I1HK-2326-SM-CKZOH 60-69 years, male 6.4
GTEX-12WSL-2026-SM-5GCML 50-59 years, male 6.3
GTEX-12WSM-1926-SM-5BC65 60-69 years, male 6.3
GTEX-13VXT-1926-SM-5K7UO 20-29 years, female 6.3
GTEX-14PK6-0226-SM-62LF5 70-79 years, female 6.3
GTEX-ZVE2-2826-SM-5GU51 50-59 years, male 6.3
GTEX-ZVT4-2426-SM-5GIEI 50-59 years, female 6.3
GTEX-1S831-1826-SM-EWROF 20-29 years, male 6.3
GTEX-ZGAY-1826-SM-DO91Q 40-49 years, female 6.3
GTEX-148VJ-0626-SM-5LUAW 70-79 years, male 6.2
GTEX-15UF6-1926-SM-7KUDV 70-79 years, female 6.2
GTEX-YECK-0326-SM-4W1YS 60-69 years, male 6.2
GTEX-1399S-0126-SM-5IJCF 30-39 years, female 6.1
GTEX-13QBU-1226-SM-5LU4G 40-49 years, female 6.1
GTEX-15DDE-2926-SM-6LLJ3 50-59 years, female 6.1
GTEX-1AMFI-1326-SM-7939R 50-59 years, female 6.1
GTEX-ZVP2-0326-SM-57WBP 50-59 years, male 6.1
GTEX-1GZ4H-0526-SM-9KNU9 50-59 years, female 6.1
GTEX-1IDJH-0126-SM-D3L92 70-79 years, male 6.1
GTEX-1IKOE-1426-SM-CE6T7 30-39 years, female 6.1
GTEX-1J8Q3-0526-SM-ARL8U 60-69 years, male 6.1
GTEX-13G51-1826-SM-5KLZH 60-69 years, male 6.0
GTEX-13O61-1426-SM-5KM3D 60-69 years, male 6.0
GTEX-145MH-2826-SM-5RQJF 50-59 years, male 6.0
GTEX-14A6H-2026-SM-5Q5DD 30-39 years, male 6.0
GTEX-14PKU-0126-SM-6LLHV 40-49 years, female 6.0
GTEX-15G1A-1626-SM-7KUKN 30-39 years, male 6.0
GTEX-15RIG-0726-SM-7KUM7 40-49 years, male 6.0
GTEX-1A8G7-1326-SM-73KVM 60-69 years, male 6.0
GTEX-UPJH-0226-SM-3GADV 50-59 years, male 6.0
GTEX-1GN1U-0626-SM-9MQL9 50-59 years, female 6.0
GTEX-1HSMQ-2626-SM-A9SML 50-59 years, male 6.0
GTEX-1N5O9-0926-SM-E9J3C 60-69 years, male 6.0
GTEX-1R9PM-1926-SM-EVR3O 20-29 years, male 6.0
GTEX-1269C-0126-SM-5EQ5L 60-69 years, female 5.9
GTEX-ZC5H-1526-SM-5HL9Y 40-49 years, female 5.9
GTEX-1H1DF-1126-SM-9WG7G 40-49 years, female 5.9
GTEX-1LVAN-0626-SM-CNPOQ 50-59 years, female 5.9
GTEX-1QP2A-1726-SM-E76QC 50-59 years, male 5.9
GTEX-13X6J-0626-SM-5LU5F 50-59 years, male 5.8
GTEX-144GL-0626-SM-5LU4D 50-59 years, male 5.8
GTEX-14PII-0726-SM-6EU2B 60-69 years, male 5.8
GTEX-1EU9M-1426-SM-793AI 60-69 years, male 5.8
GTEX-X5EB-1926-SM-4E3IW 40-49 years, male 5.8
GTEX-ZDTT-0426-SM-4WKFL 60-69 years, male 5.8
GTEX-1GF9X-1326-SM-7PC2Y 40-49 years, female 5.8
GTEX-1LBAC-0826-SM-CY8IJ 20-29 years, male 5.8
GTEX-1LSVX-2526-SM-DIPEU 60-69 years, male 5.8
GTEX-1LVA9-2626-SM-EVYD4 50-59 years, male 5.8
GTEX-1117F-2926-SM-5GZYI 60-69 years, female 5.7
GTEX-13NYS-0626-SM-5L3F1 60-69 years, male 5.7
GTEX-1F52S-2926-SM-7MKGA 60-69 years, female 5.7
GTEX-1KXAM-1626-SM-D3LAD 60-69 years, male 5.7
GTEX-1LKK1-2626-SM-DKPQE 50-59 years, female 5.7
GTEX-145MO-2826-SM-5LU96 60-69 years, male 5.6
GTEX-14C5O-0326-SM-5ZZUX 60-69 years, male 5.6
GTEX-14PJ6-2626-SM-6EU2T 60-69 years, female 5.6
GTEX-WHSB-1326-SM-3LK6W 50-59 years, male 5.6
GTEX-1HCUA-0826-SM-ADEHM 50-59 years, female 5.6
GTEX-1R9K4-2826-SM-DTX8F 60-69 years, male 5.6
GTEX-12KS4-2126-SM-5FQUT 30-39 years, male 5.5
GTEX-13SLW-0626-SM-5Q5ER 70-79 years, male 5.5
GTEX-15G19-2426-SM-7KUMR 60-69 years, male 5.5
GTEX-17HHE-1326-SM-7EWDZ 50-59 years, male 5.5
GTEX-ZTX8-1326-SM-4YCEL 20-29 years, male 5.5
GTEX-1JMPY-0226-SM-CKZOK 30-39 years, male 5.5
GTEX-1S83E-1326-SM-E6CJM 40-49 years, male 5.5
GTEX-131XF-2626-SM-5EQ6K 60-69 years, male 5.4
GTEX-183FY-1026-SM-7939A 20-29 years, male 5.4
GTEX-ZPCL-1126-SM-4WWFE 60-69 years, female 5.4
GTEX-145MI-0626-SM-5SI8S 60-69 years, female 5.3
GTEX-1GPI6-1926-SM-9KNV7 60-69 years, male 5.3
GTEX-1HCU6-2526-SM-ADEHL 60-69 years, female 5.3
GTEX-1HR98-2226-SM-ADEI2 60-69 years, male 5.3
GTEX-1HSMO-0626-SM-ACKXC 60-69 years, male 5.3
GTEX-1IE54-1126-SM-A9G2Z 40-49 years, female 5.3
GTEX-13FTW-0326-SM-5K7UW 40-49 years, male 5.2
GTEX-17F97-2626-SM-7IGM5 50-59 years, male 5.2
GTEX-17F9E-2326-SM-79OKD 50-59 years, male 5.2
GTEX-13QJC-0126-SM-5ZZWJ 60-69 years, female 5.1
GTEX-1BAJH-2426-SM-7IGP8 70-79 years, male 5.1
GTEX-1F75B-0726-SM-7PC3R 50-59 years, male 5.1
GTEX-1OJC3-1226-SM-DTXER 20-29 years, male 5.1
GTEX-13RTJ-0126-SM-5S2NN 60-69 years, male 5.0
GTEX-1CB4J-1326-SM-7P8RX 60-69 years, male 5.0
GTEX-11DXX-2126-SM-5PNYR 60-69 years, female 4.9
GTEX-11P7K-1126-SM-5HL4L 30-39 years, male 4.9
GTEX-1F5PL-0926-SM-7PC2W 40-49 years, female 4.9
GTEX-1GN1V-2826-SM-9JGIA 60-69 years, male 4.9
GTEX-1IKJJ-2226-SM-CJI4C 60-69 years, male 4.9
GTEX-1KANB-2826-SM-CY8I6 50-59 years, male 4.9
GTEX-13YAN-0226-SM-5TDC6 60-69 years, male 4.8
GTEX-1F88E-1626-SM-7SB8Z 60-69 years, female 4.8
GTEX-1JK1U-0226-SM-ARZMX 60-69 years, male 4.8
GTEX-1JMQK-1226-SM-D4P2S 60-69 years, male 4.8
GTEX-1PBJJ-1026-SM-E76OS 30-39 years, male 4.8
GTEX-1PIIG-2326-SM-DTXFR 30-39 years, male 4.8
GTEX-1PPGY-1626-SM-EVYBL 60-69 years, male 4.8
GTEX-1R7EU-1626-SM-DTXG3 60-69 years, male 4.8
GTEX-13X6K-0626-SM-5LU5D 60-69 years, female 4.7
GTEX-1CB4H-1126-SM-7MKGL 60-69 years, female 4.7
GTEX-1ICLY-0826-SM-CMKG1 50-59 years, male 4.7
GTEX-131XH-0126-SM-5LZUY 50-59 years, male 4.6
GTEX-139YR-1026-SM-5LZYN 50-59 years, male 4.6
GTEX-15RJE-2826-SM-7KUM9 40-49 years, male 4.6
GTEX-17MFQ-1526-SM-7KFRR 20-29 years, male 4.6
GTEX-ZZ64-1026-SM-5GZXG 20-29 years, male 4.6
GTEX-1HT8W-0626-SM-A9G2H 30-39 years, male 4.6
GTEX-1S82P-2126-SM-E6CI5 60-69 years, female 4.6
GTEX-11WQK-1026-SM-5EQLX 50-59 years, male 4.5
GTEX-1EH9U-2826-SM-7DUGT 60-69 years, male 4.5
GTEX-1E2YA-2126-SM-7MXUO 50-59 years, male 4.5
GTEX-1LSNL-2726-SM-E9TKJ 50-59 years, male 4.5
GTEX-13PL6-1126-SM-5L3IE 40-49 years, female 4.4
GTEX-16AAH-0626-SM-793C9 50-59 years, male 4.4
GTEX-1KAFJ-0126-SM-DIPEK 50-59 years, male 4.4
GTEX-133LE-2326-SM-5K7W3 20-29 years, female 4.3
GTEX-18A67-1626-SM-7LT9T 50-59 years, male 4.3
GTEX-1A8G6-2726-SM-731AR 60-69 years, male 4.3
GTEX-1B8KZ-0326-SM-73KY4 50-59 years, male 4.3
GTEX-1HBPI-2126-SM-ARL9K 50-59 years, male 4.3
GTEX-1HSMP-0926-SM-A9SKX 70-79 years, male 4.3
GTEX-1J1OQ-0126-SM-D4P2N 40-49 years, female 4.3
GTEX-1JMQJ-0826-SM-CNPP7 50-59 years, male 4.3
GTEX-11WQC-1826-SM-5GU59 60-69 years, male 4.2
GTEX-14753-0726-SM-5QGQO 60-69 years, male 4.2
GTEX-14C39-1726-SM-5RQIL 40-49 years, male 4.2
GTEX-WH7G-2026-SM-3NMBL 40-49 years, male 4.2
GTEX-1H2FU-0926-SM-9WPPT 60-69 years, female 4.2
GTEX-1HGF4-0126-SM-CNPPX 60-69 years, male 4.2
GTEX-1JJEA-1826-SM-ARU8P 60-69 years, male 4.2
GTEX-XK95-0226-SM-4AT58 40-49 years, male 4.1
GTEX-1GPI7-1826-SM-9KNU1 20-29 years, male 4.1
GTEX-1JKYR-0626-SM-ARL8R 20-29 years, male 4.1
GTEX-1192X-2726-SM-5N9DN 50-59 years, male 4.0
GTEX-13OW5-2326-SM-5L3HO 60-69 years, male 4.0
GTEX-13X6I-1826-SM-5SIAO 60-69 years, male 4.0
GTEX-144GM-0526-SM-79OJO 20-29 years, male 4.0
GTEX-ZYT6-2326-SM-5GZY3 30-39 years, male 4.0
GTEX-1F6RS-2026-SM-7RHHC 60-69 years, female 4.0
GTEX-1LGRB-0926-SM-COH3K 50-59 years, female 4.0
GTEX-1N2DV-1526-SM-DTXEP 40-49 years, male 4.0
GTEX-1AX9I-2226-SM-73KUO 60-69 years, male 3.9
GTEX-1EMGI-2326-SM-7PBYA 60-69 years, male 3.9
GTEX-1JN1M-2726-SM-CY8I4 60-69 years, female 3.9
GTEX-139D8-1126-SM-5LU8W 30-39 years, female 3.8
GTEX-13IVO-0726-SM-5LZYV 70-79 years, male 3.8
GTEX-14E1K-2026-SM-7DUEI 50-59 years, male 3.8
GTEX-15RIE-1926-SM-7KUKJ 60-69 years, male 3.8
GTEX-14PJ5-1526-SM-6LLIL 60-69 years, female 3.6
GTEX-15SKB-2826-SM-6PAMH 60-69 years, male 3.6
GTEX-1NSGN-0726-SM-DTXEF 50-59 years, male 3.5
GTEX-13FTY-2126-SM-5IFFB 40-49 years, female 3.4
GTEX-1HCU7-0726-SM-A9SL1 50-59 years, male 3.4
GTEX-1MCYP-0526-SM-E9U6Q 20-29 years, female 3.4
GTEX-12WSK-2126-SM-5CVNC 40-49 years, female 3.3
GTEX-1F5PK-2226-SM-7SB6N 50-59 years, male 3.3
GTEX-139UW-0326-SM-5J1ML 60-69 years, male 3.2
GTEX-13NYB-0126-SM-5J1MD 40-49 years, male 3.0
GTEX-17F9Y-0126-SM-79OKX 70-79 years, female 3.0
GTEX-1IDFM-0326-SM-ARL7V 60-69 years, male 2.9
GTEX-14ICL-1626-SM-5YYAO 30-39 years, male 2.8
GTEX-1I1GU-0926-SM-ACKVS 40-49 years, male 2.7
GTEX-WYBS-0626-SM-3NMAS 60-69 years, female 2.5
GTEX-ZE7O-2726-SM-51MT5 50-59 years, female 2.4
GTEX-13PDP-0726-SM-5L3HP 60-69 years, male 1.9
Show allShow less
Skin - Sun Exposed (Lower leg)
Average nTPM: 8.3
Samples: 701

Max nTPM: 26.7
Min nTPM: 1.3
Std nTPM: 3.6
Median nTPM: 7.8
GTEX-R45C-0126-SM-EAZ2R 60-69 years, female 26.7
GTEX-1I1GP-2226-SM-CGQFK 50-59 years, male 21.5
GTEX-R55E-0126-SM-2TC5Y 20-29 years, male 21.2
GTEX-139T4-0226-SM-5HL5S 50-59 years, female 21.1
GTEX-14JIY-0126-SM-6LLH6 60-69 years, male 20.8
GTEX-11ZUS-0626-SM-59885 30-39 years, male 20.5
GTEX-1PBJI-0526-SM-E8VNK 20-29 years, female 20.4
GTEX-1H1ZS-0426-SM-9WG6G 70-79 years, male 20.3
GTEX-17MF6-0126-SM-7LG4F 40-49 years, male 20.1
GTEX-1F75I-0326-SM-9YFLU 40-49 years, male 20.0
GTEX-QDT8-0126-SM-48TZ1 30-39 years, female 19.8
GTEX-SE5C-1626-SM-2XCE3 40-49 years, female 18.3
GTEX-1OJC4-0126-SM-E9J2E 50-59 years, female 18.2
GTEX-14LLW-0126-SM-6LLIO 70-79 years, female 18.1
GTEX-113IC-0126-SM-5HL6T 60-69 years, male 17.8
GTEX-147F4-0226-SM-5QGPW 50-59 years, male 17.2
GTEX-1I19N-0326-SM-ACKVX 70-79 years, male 17.2
GTEX-1MA7X-2226-SM-E6CIY 60-69 years, male 16.9
GTEX-16NPX-0226-SM-79OMT 50-59 years, male 16.8
GTEX-1I1HK-0126-SM-COH49 60-69 years, male 16.8
GTEX-1R9PO-2126-SM-E9J4O 60-69 years, female 16.8
GTEX-13N1W-0126-SM-5K7VT 70-79 years, male 16.7
GTEX-14E7W-0126-SM-6LLJ9 70-79 years, male 16.6
GTEX-ZZPT-0226-SM-5E43X 50-59 years, male 16.6
GTEX-1GN1V-0126-SM-9WPOS 60-69 years, male 16.6
GTEX-16YQH-0126-SM-7DUFJ 30-39 years, male 16.5
GTEX-Y8LW-1826-SM-5S2MV 50-59 years, female 16.3
GTEX-Q734-1926-SM-2I5EV 40-49 years, female 15.9
GTEX-11NUK-0126-SM-5A5L3 50-59 years, male 15.8
GTEX-13OW7-0126-SM-5MR3B 50-59 years, male 15.8
GTEX-ZDXO-3026-SM-5J1N5 60-69 years, male 15.8
GTEX-1CAMQ-0226-SM-7IGPK 40-49 years, male 15.5
GTEX-RN64-0126-SM-2TC68 50-59 years, male 15.5
GTEX-1RQEC-0426-SM-E6CHU 60-69 years, male 15.5
GTEX-11TTK-0126-SM-5987B 60-69 years, female 15.3
GTEX-1J8Q2-0526-SM-CM2RW 60-69 years, male 15.3
GTEX-OXRL-0126-SM-2YUMP 50-59 years, male 15.1
GTEX-1HBPH-0426-SM-B2LW5 40-49 years, female 15.0
GTEX-11ZU8-2526-SM-5EQKI 60-69 years, male 14.9
GTEX-ZUA1-0126-SM-5GU76 40-49 years, male 14.9
GTEX-PW2O-1526-SM-7RHHB 20-29 years, male 14.9
GTEX-V1D1-2226-SM-3NMAX 50-59 years, male 14.8
GTEX-11EMC-2926-SM-5EQ4F 60-69 years, female 14.7
GTEX-ZY6K-1826-SM-5GZXK 50-59 years, male 14.7
GTEX-1F88F-2726-SM-7PBZZ 60-69 years, female 14.7
GTEX-1AYD5-2426-SM-73KXR 50-59 years, male 14.5
GTEX-13QJ3-0326-SM-5S2RA 50-59 years, male 14.3
GTEX-14A6H-0126-SM-5QGPK 30-39 years, male 14.3
GTEX-17HGU-0226-SM-7DHKV 50-59 years, male 14.3
GTEX-13FTY-0526-SM-5L3EV 40-49 years, female 14.2
GTEX-15SDE-2226-SM-7IGLO 50-59 years, female 14.2
GTEX-11ZTT-2426-SM-5EQLS 60-69 years, female 14.1
GTEX-R3RS-0126-SM-3GIJL 40-49 years, female 14.1
GTEX-TMZS-0126-SM-3DB9Q 60-69 years, male 14.1
GTEX-1314G-1526-SM-5EGK2 30-39 years, male 14.0
GTEX-13NZA-0226-SM-5K7Z7 60-69 years, male 14.0
GTEX-144GL-0126-SM-5TDE2 50-59 years, male 14.0
GTEX-1C6VS-0526-SM-7DUEN 60-69 years, male 14.0
GTEX-WI4N-1026-SM-3LK7N 40-49 years, female 14.0
GTEX-144FL-0126-SM-5TDC8 50-59 years, male 13.9
GTEX-WYVS-2126-SM-3NMA3 40-49 years, female 13.9
GTEX-1GTWX-0126-SM-9YFLK 60-69 years, male 13.9
GTEX-ZAJG-0126-SM-5HL94 50-59 years, female 13.7
GTEX-16XZY-2126-SM-79OK1 70-79 years, male 13.6
GTEX-1B933-0126-SM-7PC29 50-59 years, female 13.6
GTEX-1C6VQ-0126-SM-7P8RI 50-59 years, male 13.4
GTEX-1QEPI-0126-SM-EWRMQ 60-69 years, female 13.4
GTEX-Z93S-0126-SM-5HL7M 50-59 years, male 13.2
GTEX-1IGQW-0126-SM-COH42 60-69 years, male 13.2
GTEX-1IL2V-0126-SM-CM2TX 70-79 years, male 13.2
GTEX-16NGA-1726-SM-731B4 40-49 years, female 13.0
GTEX-1192W-2626-SM-5Q5AF 60-69 years, male 12.9
GTEX-15SHW-0326-SM-6PAML 60-69 years, male 12.9
GTEX-X62O-0126-SM-4E3JN 50-59 years, male 12.7
GTEX-ZXG5-0126-SM-5GIEU 60-69 years, male 12.7
GTEX-1H1DE-2126-SM-9WG6R 20-29 years, male 12.7
GTEX-13FHO-0226-SM-5IFGY 60-69 years, male 12.6
GTEX-13W3W-2426-SM-5LU5B 60-69 years, female 12.6
GTEX-14BIL-0126-SM-5SI92 50-59 years, male 12.6
GTEX-X638-0126-SM-47JZ8 70-79 years, female 12.6
GTEX-18D9B-0526-SM-7LTAS 60-69 years, male 12.5
GTEX-ZAB5-1826-SM-5HL7C 50-59 years, male 12.5
GTEX-1EKGG-0226-SM-9WYTH 60-69 years, male 12.5
GTEX-1AYCT-2426-SM-7IGQ3 50-59 years, male 12.4
GTEX-X4XY-0226-SM-4E3IZ 60-69 years, male 12.4
GTEX-ZVT3-0126-SM-5GU6I 60-69 years, female 12.4
GTEX-1KWVE-1426-SM-E9TJO 30-39 years, male 12.4
GTEX-RNOR-0126-SM-E9J4R 50-59 years, female 12.4
GTEX-1128S-2326-SM-5GZZY 60-69 years, female 12.3
GTEX-1IKOH-0226-SM-COH4E 60-69 years, female 12.3
GTEX-13O3Q-2426-SM-5IJBR 50-59 years, male 12.2
GTEX-14E6C-0126-SM-5RQIP 40-49 years, male 12.2
GTEX-14PJ3-1826-SM-62LEX 50-59 years, male 12.2
GTEX-Y111-0126-SM-4SOIV 50-59 years, male 12.2
GTEX-ZYY3-0126-SM-5GZY5 60-69 years, female 12.2
GTEX-1GPI6-0126-SM-9WG69 60-69 years, male 12.2
GTEX-1HSMP-0126-SM-E6CJS 70-79 years, male 12.2
GTEX-1QAET-0926-SM-E76QM 50-59 years, male 12.2
GTEX-U3ZN-2326-SM-3DB7W 30-39 years, female 12.1
GTEX-1PWST-0226-SM-E76QJ 70-79 years, male 12.1
GTEX-VUSG-2526-SM-4KL1V 50-59 years, male 12.0
GTEX-WZTO-0126-SM-3NM95 40-49 years, male 12.0
GTEX-131YS-0126-SM-5KM1M 60-69 years, female 11.9
GTEX-VJWN-0126-SM-3GIK7 50-59 years, female 11.9
GTEX-1EU9M-0226-SM-7P8SP 60-69 years, male 11.9
GTEX-1QP66-1726-SM-E8VO1 50-59 years, male 11.9
GTEX-1RLM8-2326-SM-EWRN4 50-59 years, male 11.9
GTEX-15D1Q-0126-SM-7KUG6 40-49 years, male 11.8
GTEX-15DCD-0126-SM-7KUEK 70-79 years, female 11.8
GTEX-17HII-0226-SM-7LG4E 50-59 years, male 11.8
GTEX-ZYFC-0226-SM-5NQ75 50-59 years, male 11.8
GTEX-1HKZK-0326-SM-9WYUH 40-49 years, male 11.8
GTEX-11GSP-2526-SM-5N9BP 60-69 years, female 11.7
GTEX-13OVG-1926-SM-5L3DK 60-69 years, male 11.7
GTEX-14PHW-0126-SM-6LLJI 60-69 years, female 11.7
GTEX-16BQI-0226-SM-7KUEX 30-39 years, female 11.6
GTEX-ZAK1-0126-SM-5IJD3 50-59 years, female 11.6
GTEX-1F7RK-0126-SM-7PC2S 20-29 years, female 11.6
GTEX-1IE54-0126-SM-CMKHW 40-49 years, female 11.6
GTEX-144GN-2326-SM-5LU4F 50-59 years, male 11.5
GTEX-PLZ5-2026-SM-2S1O4 50-59 years, male 11.5
GTEX-ZEX8-2426-SM-4WKG4 50-59 years, male 11.5
GTEX-1F75A-0126-SM-7RHGM 50-59 years, male 11.5
GTEX-1HUB1-0426-SM-E9U4U 60-69 years, male 11.5
GTEX-13U4I-0126-SM-5LU38 40-49 years, female 11.4
GTEX-169BO-1326-SM-9MQK2 50-59 years, male 11.4
GTEX-1H3VY-0126-SM-ACKXD 50-59 years, male 11.4
GTEX-1ICLY-0126-SM-D4P36 50-59 years, male 11.4
GTEX-RTLS-0126-SM-447CA 60-69 years, female 11.3
GTEX-1QP29-0626-SM-EWRMX 50-59 years, male 11.3
GTEX-VJYA-1126-SM-3GIJU 60-69 years, male 11.2
GTEX-1C6WA-0126-SM-7PC2B 60-69 years, male 11.2
GTEX-11NSD-2226-SM-5986V 20-29 years, male 11.1
GTEX-WVJS-0126-SM-4MVOT 50-59 years, male 11.1
GTEX-Y3I4-2126-SM-4TT7C 50-59 years, male 11.1
GTEX-12C56-1726-SM-5EQ61 20-29 years, male 11.0
GTEX-147F3-0526-SM-5SI98 50-59 years, female 11.0
GTEX-17HHY-0126-SM-7LG5D 50-59 years, male 11.0
GTEX-PLZ4-0126-SM-5SI8O 50-59 years, female 11.0
GTEX-UPJH-0326-SM-3GADU 50-59 years, male 11.0
GTEX-1LG7Y-0526-SM-DKPQC 50-59 years, male 11.0
GTEX-1QP67-1626-SM-EAZ3X 40-49 years, female 11.0
GTEX-11GSO-2426-SM-5A5LY 60-69 years, male 10.9
GTEX-148VI-1626-SM-5SI6E 60-69 years, female 10.9
GTEX-Q2AG-0126-SM-33HBV 40-49 years, female 10.9
GTEX-RU72-0926-SM-2TF6B 50-59 years, female 10.9
GTEX-RWSA-0126-SM-2XCBB 40-49 years, male 10.9
GTEX-YJ89-0126-SM-4TT3X 60-69 years, male 10.9
GTEX-12WSG-2826-SM-E9J4H 50-59 years, female 10.9
GTEX-1ICG6-2526-SM-CGQFZ 70-79 years, female 10.9
GTEX-1K9T9-0126-SM-EVYCF 50-59 years, female 10.9
GTEX-12WSC-0126-SM-5EQ4P 50-59 years, male 10.8
GTEX-147GR-0526-SM-5S2MY 60-69 years, male 10.8
GTEX-14BMV-0126-SM-5S2PO 50-59 years, male 10.8
GTEX-15CHC-2126-SM-6EU21 60-69 years, female 10.8
GTEX-QEG4-0226-SM-2S1PY 30-39 years, male 10.8
GTEX-SIU8-0126-SM-2XCDT 50-59 years, male 10.8
GTEX-1QW4Y-1526-SM-EAZ3Z 30-39 years, male 10.8
GTEX-14A5H-0426-SM-5QGQF 60-69 years, male 10.7
GTEX-T2IS-0126-SM-4DM6O 20-29 years, female 10.7
GTEX-WY7C-2326-SM-3NB2U 50-59 years, male 10.7
GTEX-1F6IF-0726-SM-7P8TW 60-69 years, male 10.7
GTEX-1GN73-0226-SM-9WG67 60-69 years, male 10.7
GTEX-14JG6-2226-SM-6EU2G 30-39 years, female 10.6
GTEX-U4B1-1826-SM-4DXSU 40-49 years, male 10.6
GTEX-1H3O1-0426-SM-9YFKY 60-69 years, male 10.6
GTEX-1HCVE-0126-SM-CGQEU 50-59 years, male 10.6
GTEX-QV44-1926-SM-2S1RF 50-59 years, male 10.5
GTEX-1EN7A-0126-SM-7SB81 40-49 years, male 10.5
GTEX-11VI4-1726-SM-5CVLH 40-49 years, female 10.4
GTEX-13113-5016-SM-7EPIP 60-69 years, female 10.4
GTEX-15EOM-0126-SM-7KUGG 20-29 years, female 10.4
GTEX-WH7G-2326-SM-3NMBC 40-49 years, male 10.4
GTEX-1CB4F-0426-SM-9KNV4 60-69 years, male 10.4
GTEX-1GN2E-0426-SM-9MQKX 60-69 years, male 10.4
GTEX-1LB8K-0226-SM-EWRNW 50-59 years, male 10.4
GTEX-113JC-2326-SM-5EQ4E 50-59 years, female 10.3
GTEX-11ZVC-2526-SM-5FQTE 50-59 years, female 10.3
GTEX-PWO3-1526-SM-48TCM 60-69 years, female 10.3
GTEX-YB5K-2126-SM-4WWDJ 40-49 years, female 10.3
GTEX-ZF28-0126-SM-4WKGK 60-69 years, male 10.3
GTEX-1H23P-0126-SM-ADEJ3 60-69 years, male 10.3
GTEX-111FC-0126-SM-5N9DL 60-69 years, male 10.2
GTEX-1I1GS-0126-SM-B2LVW 60-69 years, male 10.2
GTEX-1QCLY-0326-SM-E8VOG 30-39 years, male 10.2
GTEX-ZPIC-1726-SM-DHXIU 40-49 years, female 10.2
GTEX-13OW8-1326-SM-5J1OW 60-69 years, male 10.1
GTEX-14E6D-0126-SM-62LDV 50-59 years, male 10.1
GTEX-1A32A-0126-SM-718B1 50-59 years, female 10.1
GTEX-1JN6P-0126-SM-D3L98 60-69 years, male 10.1
GTEX-13N11-2526-SM-5K7UE 50-59 years, female 10.0
GTEX-13OVJ-0126-SM-5KM36 50-59 years, female 10.0
GTEX-18D9U-0226-SM-718BP 40-49 years, male 10.0
GTEX-RWS6-2026-SM-2XCB5 60-69 years, female 10.0
GTEX-13111-1626-SM-5EGJY 50-59 years, male 9.9
GTEX-ZAB4-0226-SM-5N9F5 40-49 years, male 9.9
GTEX-ZYFG-2326-SM-5E44B 60-69 years, female 9.9
GTEX-1I1GQ-0126-SM-COH3H 50-59 years, male 9.9
GTEX-11P7K-2126-SM-5GU7G 30-39 years, male 9.8
GTEX-12ZZX-0126-SM-5EGK9 40-49 years, female 9.8
GTEX-145MF-0626-SM-5LUAI 50-59 years, male 9.8
GTEX-148VJ-0126-SM-5TDDN 70-79 years, male 9.8
GTEX-QVJO-1626-SM-2S1QW 60-69 years, female 9.8
GTEX-U3ZH-2026-SM-3DB78 30-39 years, male 9.8
GTEX-ZYW4-0126-SM-5E44A 60-69 years, male 9.8
GTEX-1H11D-0226-SM-9WG6Z 40-49 years, male 9.8
GTEX-1J8EW-0126-SM-CJI4F 60-69 years, female 9.8
GTEX-16MT8-0426-SM-7KUEY 60-69 years, female 9.7
GTEX-R55G-2526-SM-2TC6D 40-49 years, female 9.7
GTEX-S7SE-0126-SM-2XCD5 50-59 years, male 9.7
GTEX-X585-0226-SM-4QAS2 50-59 years, male 9.7
GTEX-1JMQJ-0526-SM-CYPSU 50-59 years, male 9.7
GTEX-111VG-2426-SM-5GZXD 60-69 years, male 9.6
GTEX-13NZB-2526-SM-5J1OM 30-39 years, male 9.6
GTEX-XBED-2226-SM-47JYQ 60-69 years, male 9.6
GTEX-YEC4-2126-SM-5IFJH 40-49 years, male 9.6
GTEX-Z93T-0126-SM-5HL5N 50-59 years, male 9.6
GTEX-1KANB-0526-SM-E6CJH 50-59 years, male 9.6
GTEX-1269C-2526-SM-5EGJ3 60-69 years, female 9.5
GTEX-12WSA-0226-SM-5BC5V 60-69 years, male 9.5
GTEX-146FQ-0126-SM-5NQA9 30-39 years, male 9.5
GTEX-13FH7-2026-SM-E9J4I 50-59 years, female 9.5
GTEX-1JJE9-0326-SM-CL53Z 70-79 years, male 9.5
GTEX-12126-0326-SM-5PNW3 20-29 years, male 9.4
GTEX-146FH-0126-SM-5QGPP 50-59 years, female 9.4
GTEX-S7PM-0126-SM-4AD6S 60-69 years, male 9.4
GTEX-XXEK-2226-SM-4BRUM 50-59 years, male 9.4
GTEX-1IKK5-0626-SM-ARL8A 60-69 years, male 9.4
GTEX-1QP2A-0126-SM-E9J43 50-59 years, male 9.4
GTEX-139TT-0126-SM-5K7Y5 60-69 years, male 9.3
GTEX-U3ZM-1526-SM-3DB9D 40-49 years, male 9.3
GTEX-X4EP-0126-SM-3P5YV 60-69 years, female 9.3
GTEX-X4XX-0126-SM-3NMC2 60-69 years, male 9.3
GTEX-ZVZO-0126-SM-5A5L9 40-49 years, male 9.3
GTEX-1HSKV-0226-SM-A9SKJ 60-69 years, male 9.3
GTEX-ZQG8-1626-SM-DHXIT 60-69 years, female 9.3
GTEX-11DXY-2626-SM-5GIE7 60-69 years, male 9.2
GTEX-11EI6-0126-SM-5985R 60-69 years, male 9.2
GTEX-11EM3-2426-SM-59861 20-29 years, female 9.2
GTEX-12WSD-0126-SM-59HKN 60-69 years, female 9.2
GTEX-139T8-0126-SM-5K7XZ 60-69 years, male 9.2
GTEX-14DAQ-0126-SM-5S2MQ 60-69 years, female 9.2
GTEX-P4PQ-0126-SM-2S1NM 60-69 years, male 9.2
GTEX-1GF9W-0326-SM-9KNUN 60-69 years, male 9.2
GTEX-11P82-1626-SM-59879 20-29 years, male 9.1
GTEX-132NY-0326-SM-5IJBL 60-69 years, male 9.1
GTEX-1C6VR-2426-SM-79OLD 60-69 years, male 9.1
GTEX-XUZC-1726-SM-4BRWS 30-39 years, female 9.1
GTEX-1F6I4-0126-SM-9MQL2 60-69 years, male 9.1
GTEX-1I1GT-0626-SM-CGQER 60-69 years, female 9.1
GTEX-1RAZQ-0726-SM-EAZ43 30-39 years, male 9.1
GTEX-13CF2-2526-SM-5LZYX 60-69 years, male 9.0
GTEX-1497J-2426-SM-7IGNX 60-69 years, male 9.0
GTEX-QDVN-2026-SM-3GAEP 50-59 years, male 9.0
GTEX-1EX96-1626-SM-7PBXR 50-59 years, male 9.0
GTEX-117YW-2626-SM-5GZZH 50-59 years, male 8.9
GTEX-1HBPM-0226-SM-ARL9F 60-69 years, female 8.9
GTEX-1POEN-0126-SM-EYYXJ 30-39 years, female 8.9
GTEX-13NZ8-0826-SM-5MR3I 60-69 years, female 8.8
GTEX-17F97-0326-SM-7LG5B 50-59 years, male 8.8
GTEX-1AMEY-1326-SM-73KYK 30-39 years, female 8.8
GTEX-T2YK-0526-SM-32QPJ 50-59 years, male 8.8
GTEX-XQ3S-1526-SM-4BOOC 20-29 years, male 8.8
GTEX-ZV6S-2326-SM-4YCEY 40-49 years, female 8.8
GTEX-146FR-1326-SM-E9J48 60-69 years, female 8.8
GTEX-1I1GR-0126-SM-CL55F 60-69 years, male 8.8
GTEX-1KD5A-0226-SM-D5OV3 50-59 years, male 8.8
GTEX-11WQC-2526-SM-5CVLE 60-69 years, male 8.7
GTEX-15ER7-0326-SM-7KUEV 20-29 years, female 8.7
GTEX-OHPM-0126-SM-2YUN9 50-59 years, male 8.7
GTEX-WOFL-0126-SM-3MJG2 60-69 years, male 8.7
GTEX-ZVZP-2426-SM-59HKJ 50-59 years, male 8.7
GTEX-1HB9E-0226-SM-E9U4R 50-59 years, male 8.7
GTEX-1HR98-0126-SM-B2LWI 60-69 years, male 8.7
GTEX-XQ8I-0426-SM-4BOPO 50-59 years, male 8.6
GTEX-1IL2U-0226-SM-CE6T8 60-69 years, male 8.6
GTEX-1O97I-0326-SM-EYYX7 60-69 years, male 8.6
GTEX-ZF29-2326-SM-DO92K 60-69 years, female 8.6
GTEX-11ZTS-0126-SM-5EQ6M 60-69 years, female 8.5
GTEX-18A67-0126-SM-7LG5P 50-59 years, male 8.5
GTEX-WQUQ-0426-SM-3MJFU 60-69 years, male 8.5
GTEX-XV7Q-2526-SM-4BRV9 40-49 years, female 8.5
GTEX-11DYG-0126-SM-59883 60-69 years, male 8.4
GTEX-11OC5-0126-SM-5HL6A 60-69 years, male 8.4
GTEX-18465-0126-SM-731BN 50-59 years, male 8.4
GTEX-SSA3-0126-SM-32QPU 60-69 years, male 8.4
GTEX-X8HC-0126-SM-4E3JW 50-59 years, female 8.4
GTEX-ZWKS-0126-SM-5SIAA 30-39 years, male 8.4
GTEX-1GN1W-0526-SM-9MQJQ 50-59 years, female 8.4
GTEX-1MGNQ-0126-SM-EVYCJ 40-49 years, male 8.4
GTEX-11DZ1-0126-SM-5985Q 50-59 years, male 8.3
GTEX-11UD2-0226-SM-5EQKY 50-59 years, male 8.3
GTEX-13W46-0226-SM-5SIAG 50-59 years, male 8.3
GTEX-1E1VI-0126-SM-7DHMZ 50-59 years, male 8.3
GTEX-O5YW-0126-SM-3LK6D 50-59 years, male 8.3
GTEX-1CB4G-0226-SM-7PC3O 60-69 years, male 8.3
GTEX-1HFI6-0226-SM-ADEHZ 40-49 years, male 8.3
GTEX-1IDFM-0126-SM-COH2V 60-69 years, male 8.3
GTEX-1J8JJ-0226-SM-CL53I 60-69 years, female 8.3
GTEX-14LZ3-0226-SM-62LET 60-69 years, female 8.2
GTEX-18A7B-0126-SM-7LG64 70-79 years, male 8.2
GTEX-X4EO-0326-SM-3P5YO 60-69 years, female 8.2
GTEX-YFC4-0126-SM-5CVLY 40-49 years, female 8.2
GTEX-Z9EW-1626-SM-5CVMN 40-49 years, male 8.2
GTEX-13O3O-0126-SM-E9J49 60-69 years, female 8.2
GTEX-1A8FM-0226-SM-7SB7Q 50-59 years, female 8.2
GTEX-1H3NZ-0126-SM-ACKX7 60-69 years, male 8.2
GTEX-1HSGN-0226-SM-CGQFV 40-49 years, female 8.2
GTEX-1IY9M-0126-SM-D3L8S 60-69 years, male 8.2
GTEX-RVPV-0126-SM-EAZAW 60-69 years, male 8.2
GTEX-131XH-2226-SM-5DUXJ 50-59 years, male 8.1
GTEX-13OVI-1426-SM-5L3EY 60-69 years, female 8.1
GTEX-1A3MW-0126-SM-73KXX 60-69 years, female 8.1
GTEX-1AX8Z-0126-SM-7DHM6 60-69 years, male 8.1
GTEX-PX3G-0126-SM-2I3EN 20-29 years, female 8.1
GTEX-SN8G-0126-SM-32PLI 50-59 years, female 8.1
GTEX-139TU-0126-SM-5K7WH 60-69 years, male 8.0
GTEX-13G51-2526-SM-5LZYK 60-69 years, male 8.0
GTEX-14C5O-0126-SM-5SI6N 60-69 years, male 8.0
GTEX-15DYW-0126-SM-7KULE 60-69 years, female 8.0
GTEX-15RIG-0226-SM-7KFTL 40-49 years, male 8.0
GTEX-15UKP-0426-SM-7KUFQ 20-29 years, male 8.0
GTEX-XYKS-2126-SM-4E3IB 60-69 years, female 8.0
GTEX-Y5V5-2326-SM-4V6GA 60-69 years, female 8.0
GTEX-131XF-5016-SM-7MGWE 60-69 years, male 8.0
GTEX-1HFI7-1826-SM-ACKXH 50-59 years, female 8.0
GTEX-1JJ6O-0126-SM-E6CI8 60-69 years, male 8.0
GTEX-1LC47-0326-SM-E9TJP 60-69 years, male 8.0
GTEX-1LGOU-2026-SM-DIPFF 20-29 years, female 8.0
GTEX-1N2EF-0226-SM-EYYXB 60-69 years, male 8.0
GTEX-11DXW-0226-SM-5H122 40-49 years, male 7.9
GTEX-11LCK-1026-SM-5A5KB 30-39 years, male 7.9
GTEX-11O72-0126-SM-59887 40-49 years, male 7.9
GTEX-11TT1-2526-SM-5EGIB 20-29 years, male 7.9
GTEX-11WQK-0526-SM-5EQLD 50-59 years, male 7.9
GTEX-1211K-2026-SM-5EQ4Z 60-69 years, female 7.9
GTEX-13RTJ-2426-SM-5S2Q2 60-69 years, male 7.9
GTEX-W5WG-1826-SM-4KL2Y 50-59 years, female 7.9
GTEX-XUYS-0126-SM-47JWZ 50-59 years, male 7.9
GTEX-YJ8A-0426-SM-5IFID 20-29 years, male 7.9
GTEX-1H1CY-2826-SM-9MQM3 60-69 years, female 7.9
GTEX-1LSNM-1926-SM-E6CII 50-59 years, male 7.9
GTEX-PWCY-1826-SM-DHXIZ 20-29 years, female 7.9
GTEX-ZVT4-0126-SM-DTXFN 50-59 years, female 7.9
GTEX-13S7M-0126-SM-5SI6A 60-69 years, female 7.8
GTEX-17F98-0626-SM-79OMX 40-49 years, female 7.8
GTEX-17HG3-2226-SM-7938L 30-39 years, female 7.8
GTEX-1C2JI-1826-SM-73KXC 50-59 years, male 7.8
GTEX-P44H-0226-SM-2XCEU 40-49 years, male 7.8
GTEX-ZDYS-2026-SM-5HL5L 50-59 years, male 7.8
GTEX-1F52S-0126-SM-9MQJU 60-69 years, female 7.8
GTEX-1JKYR-0126-SM-CNPOJ 20-29 years, male 7.8
GTEX-1L5NE-2526-SM-E6CIE 50-59 years, male 7.8
GTEX-1MCQQ-0826-SM-DLHC2 60-69 years, male 7.8
GTEX-TML8-1926-SM-32QOS 40-49 years, female 7.7
GTEX-ZXES-1826-SM-5E43S 30-39 years, female 7.7
GTEX-1N2DV-0226-SM-E6CJ6 40-49 years, male 7.7
GTEX-1NHNU-1026-SM-E9J2A 50-59 years, male 7.7
GTEX-1PIGE-0126-SM-EVYBJ 20-29 years, male 7.7
GTEX-11GS4-2726-SM-5A5LE 60-69 years, male 7.6
GTEX-1H1DG-0126-SM-9WYU2 70-79 years, male 7.6
GTEX-1HSMQ-1226-SM-CGQFX 50-59 years, male 7.6
GTEX-1M5QR-1226-SM-EWROB 40-49 years, male 7.6
GTEX-13OW6-0426-SM-5L3HM 50-59 years, male 7.5
GTEX-13YAN-0326-SM-5O9DF 60-69 years, male 7.5
GTEX-145ME-1826-SM-5SI9G 40-49 years, female 7.5
GTEX-14ABY-0226-SM-5TDCQ 50-59 years, male 7.5
GTEX-1AX9K-2326-SM-73KWU 50-59 years, male 7.5
GTEX-TSE9-0126-SM-3DB83 60-69 years, female 7.5
GTEX-YB5E-2026-SM-5IFIS 40-49 years, male 7.5
GTEX-1HSMO-0126-SM-CL547 60-69 years, male 7.5
GTEX-1S82Y-2026-SM-EVYCM 40-49 years, male 7.5
GTEX-1CB4J-0626-SM-7DHMP 60-69 years, male 7.4
GTEX-QLQ7-1626-SM-2S1R8 60-69 years, male 7.4
GTEX-ZVE2-0226-SM-59HJB 50-59 years, male 7.4
GTEX-1RAZA-0126-SM-E6CI3 20-29 years, male 7.4
GTEX-1212Z-2526-SM-5EGKP 60-69 years, male 7.3
GTEX-12ZZY-0226-SM-5LZVE 60-69 years, male 7.3
GTEX-1399T-2826-SM-5KLYZ 60-69 years, male 7.3
GTEX-13O1R-0126-SM-5L3EH 60-69 years, male 7.3
GTEX-13RTL-0126-SM-7LG5S 40-49 years, male 7.3
GTEX-16GPK-0126-SM-7DHLE 60-69 years, male 7.3
GTEX-17EVP-0326-SM-7DHLG 40-49 years, male 7.3
GTEX-18A7A-0226-SM-718BH 50-59 years, female 7.3
GTEX-1BAJH-0526-SM-793CQ 70-79 years, male 7.3
GTEX-1HBPI-1526-SM-C1YQ1 50-59 years, male 7.3
GTEX-1HCU9-1526-SM-A9SL7 20-29 years, male 7.3
GTEX-1JKYN-1326-SM-CGQG9 30-39 years, male 7.3
GTEX-13X6I-0626-SM-5QGP9 60-69 years, male 7.2
GTEX-18QFQ-0126-SM-731BE 30-39 years, male 7.2
GTEX-1AMFI-2026-SM-731BH 50-59 years, female 7.2
GTEX-OXRO-0126-SM-2YUN4 60-69 years, female 7.2
GTEX-WYJK-0126-SM-3NMAB 50-59 years, male 7.2
GTEX-XAJ8-0826-SM-47JY6 40-49 years, male 7.2
GTEX-Y5LM-1926-SM-5RQJH 40-49 years, female 7.2
GTEX-1IDJU-2626-SM-CM2RT 60-69 years, female 7.2
GTEX-11OF3-2626-SM-5GU7F 60-69 years, male 7.1
GTEX-13CF3-2426-SM-5IFGX 60-69 years, female 7.1
GTEX-P4PP-0126-SM-3LK69 30-39 years, female 7.1
GTEX-U8XE-0326-SM-3DB8P 30-39 years, male 7.1
GTEX-X261-0126-SM-3NMD6 50-59 years, male 7.1
GTEX-XMD2-0126-SM-4YCDU 60-69 years, female 7.1
GTEX-1HSEH-0126-SM-ACKXN 60-69 years, male 7.1
GTEX-1IOXB-0126-SM-ARL8G 50-59 years, male 7.1
GTEX-1JN76-0126-SM-CNPPE 20-29 years, female 7.1
GTEX-1S82Z-0826-SM-E6CHY 30-39 years, female 7.1
GTEX-OXRK-0226-SM-3NB2G 50-59 years, female 7.0
GTEX-Y5V6-2426-SM-4VDSB 60-69 years, male 7.0
GTEX-1R9K4-0126-SM-DTX9X 60-69 years, male 7.0
GTEX-12ZZZ-0626-SM-5DUXI 60-69 years, male 6.9
GTEX-13O3P-0126-SM-5KM4S 50-59 years, male 6.9
GTEX-13OVL-0226-SM-5L3E9 50-59 years, male 6.9
GTEX-15EU6-0426-SM-6PAN5 50-59 years, male 6.9
GTEX-1C64N-0126-SM-793D7 50-59 years, male 6.9
GTEX-T6MN-0126-SM-32PLP 50-59 years, male 6.9
GTEX-1PDJ9-0326-SM-DTX95 20-29 years, male 6.9
GTEX-12584-0126-SM-5EGKQ 40-49 years, male 6.8
GTEX-1313W-0126-SM-5LZUN 50-59 years, female 6.8
GTEX-183FY-0126-SM-7LT9P 20-29 years, male 6.8
GTEX-Q2AH-1626-SM-3GAF8 40-49 years, male 6.8
GTEX-QDVJ-1726-SM-2I5FX 50-59 years, male 6.8
GTEX-1B996-0226-SM-7RHGO 60-69 years, male 6.8
GTEX-1IDJF-0126-SM-CM2RS 20-29 years, male 6.8
GTEX-1MA7W-2026-SM-E9TJ6 20-29 years, female 6.8
GTEX-14BIM-0226-SM-7IGLD 60-69 years, female 6.7
GTEX-14BIN-0626-SM-793DP 50-59 years, female 6.7
GTEX-16XZZ-0126-SM-793DV 60-69 years, male 6.7
GTEX-17F96-1626-SM-7DUFL 70-79 years, male 6.7
GTEX-17HHE-2026-SM-79OKF 50-59 years, male 6.7
GTEX-1B8SG-0126-SM-73KZ3 50-59 years, male 6.7
GTEX-WFON-2126-SM-3LK7O 40-49 years, male 6.7
GTEX-1HCU8-0626-SM-A9SM9 60-69 years, female 6.7
GTEX-1JMOU-1526-SM-CL54I 60-69 years, female 6.7
GTEX-13FHP-0126-SM-5IJBG 50-59 years, male 6.6
GTEX-14PHX-2326-SM-62LEM 50-59 years, male 6.6
GTEX-1CB4E-2226-SM-793DC 60-69 years, male 6.6
GTEX-RM2N-1426-SM-2TF4H 50-59 years, male 6.6
GTEX-T5JC-0426-SM-32PLO 20-29 years, male 6.6
GTEX-T5JW-1626-SM-3GADZ 20-29 years, female 6.6
GTEX-ZC5H-0226-SM-4WAY9 40-49 years, female 6.6
GTEX-ZDTS-0126-SM-4WAY5 60-69 years, male 6.6
GTEX-1M4P7-0226-SM-DIPEV 60-69 years, male 6.6
GTEX-1PPH7-2326-SM-EVYB8 40-49 years, male 6.6
GTEX-145MN-2226-SM-5SIAU 30-39 years, male 6.5
GTEX-ZQUD-1426-SM-57WER 30-39 years, male 6.5
GTEX-1C64O-0126-SM-7SB8P 60-69 years, male 6.5
GTEX-1GMRU-0126-SM-9YFLV 50-59 years, male 6.5
GTEX-1MCYP-1926-SM-E9J2R 20-29 years, female 6.5
GTEX-1RB15-2126-SM-E9TIM 60-69 years, male 6.5
GTEX-1RDX4-0126-SM-E9J4P 50-59 years, female 6.5
GTEX-1S83E-0126-SM-EWRO4 40-49 years, male 6.5
GTEX-11P81-2326-SM-59875 30-39 years, female 6.4
GTEX-13FTX-1826-SM-5J1NX 20-29 years, female 6.4
GTEX-PVOW-0126-SM-2XCFA 40-49 years, male 6.4
GTEX-1GZ2Q-0226-SM-7P8TL 40-49 years, male 6.4
GTEX-1HBPN-0226-SM-9YFM1 50-59 years, male 6.4
GTEX-1HCU6-0126-SM-CL54K 60-69 years, female 6.4
GTEX-1JMLX-0226-SM-CM2RO 50-59 years, male 6.4
GTEX-131XE-2326-SM-5PNZ2 50-59 years, male 6.3
GTEX-13VXU-0126-SM-5SI9F 50-59 years, male 6.3
GTEX-1B8KZ-2026-SM-7DHMB 50-59 years, male 6.3
GTEX-1GMR8-0126-SM-9WYTM 50-59 years, female 6.3
GTEX-1JMPY-1326-SM-ARL8Y 30-39 years, male 6.3
GTEX-S33H-1026-SM-EZ6L6 30-39 years, male 6.3
GTEX-12696-2426-SM-5EQ6H 60-69 years, male 6.2
GTEX-13RTK-1426-SM-5QGQJ 20-29 years, male 6.2
GTEX-QLQW-1126-SM-2S1Q8 30-39 years, male 6.2
GTEX-WFG8-2226-SM-3GIL9 20-29 years, male 6.2
GTEX-11TUW-2726-SM-E9J4M 60-69 years, male 6.2
GTEX-1F75B-0126-SM-9KNVL 50-59 years, male 6.2
GTEX-1GF9U-2126-SM-7SB7L 40-49 years, female 6.2
GTEX-1I6K6-0126-SM-A9SLE 30-39 years, male 6.2
GTEX-1J1R8-1726-SM-ARL8M 40-49 years, male 6.2
GTEX-OOBJ-0126-SM-E6CJW 60-69 years, male 6.2
GTEX-131XW-0426-SM-5LZWP 50-59 years, female 6.1
GTEX-13X6H-2126-SM-7EWD5 50-59 years, female 6.1
GTEX-17EUY-0426-SM-793BD 20-29 years, male 6.1
GTEX-17MFQ-1726-SM-793C7 20-29 years, male 6.1
GTEX-18A6Q-0126-SM-731BZ 60-69 years, male 6.1
GTEX-1C4CL-0526-SM-73KVK 30-39 years, male 6.1
GTEX-1GF9V-0326-SM-7RHI5 60-69 years, male 6.1
GTEX-1I1GU-2226-SM-CGQFA 40-49 years, male 6.1
GTEX-1JK1U-2026-SM-CM2RZ 60-69 years, male 6.1
GTEX-1NV5F-0226-SM-E8VNY 60-69 years, female 6.1
GTEX-1OFPY-2426-SM-DTXEJ 60-69 years, male 6.1
GTEX-OIZF-0126-SM-7SB8I 60-69 years, male 6.1
GTEX-117XS-2726-SM-5N9BL 60-69 years, male 6.0
GTEX-131XG-2626-SM-5KM17 50-59 years, female 6.0
GTEX-1399R-2726-SM-5IJBA 30-39 years, male 6.0
GTEX-145LT-1726-SM-5QGP3 40-49 years, male 6.0
GTEX-183WM-0126-SM-7LTAB 70-79 years, female 6.0
GTEX-OXRN-0126-SM-48TDM 50-59 years, male 6.0
GTEX-Y8DK-0126-SM-4TT3L 60-69 years, male 6.0
GTEX-1B8L1-2526-SM-9WYTF 60-69 years, male 6.0
GTEX-1H1E6-1726-SM-ACKVK 30-39 years, male 6.0
GTEX-1HT8W-0126-SM-CNPPP 30-39 years, male 6.0
GTEX-1JN1M-0326-SM-CYPT3 60-69 years, female 6.0
GTEX-1KANA-0726-SM-D3L9I 20-29 years, male 6.0
GTEX-PLZ6-1426-SM-DKPOT 30-39 years, male 6.0
GTEX-13OVH-0126-SM-5MR4B 70-79 years, male 5.9
GTEX-17EVQ-0226-SM-7LG4P 70-79 years, male 5.9
GTEX-S95S-1226-SM-4GICG 60-69 years, male 5.9
GTEX-1AX9I-0126-SM-7SB74 60-69 years, male 5.9
GTEX-1CAV2-2226-SM-7P8P2 40-49 years, female 5.9
GTEX-1GL5R-1826-SM-9KNUY 50-59 years, male 5.9
GTEX-1I1CD-0126-SM-CM2TK 60-69 years, female 5.9
GTEX-1QP9N-1426-SM-DTXFL 30-39 years, male 5.9
GTEX-1QPFJ-0226-SM-E76PB 30-39 years, female 5.9
GTEX-11XUK-2026-SM-5EQLF 40-49 years, female 5.8
GTEX-145LV-2126-SM-5LU8N 50-59 years, male 5.8
GTEX-1A3MV-1926-SM-718BT 30-39 years, male 5.8
GTEX-Q2AI-1326-SM-2S1PL 40-49 years, male 5.8
GTEX-QCQG-1726-SM-3GIJ9 50-59 years, female 5.8
GTEX-SJXC-0126-SM-2XCFF 60-69 years, male 5.8
GTEX-TKQ1-1026-SM-4GICL 30-39 years, male 5.8
GTEX-1CAMS-0426-SM-7P8T2 40-49 years, female 5.8
GTEX-1F48J-0126-SM-7P8TT 50-59 years, female 5.8
GTEX-1K2DA-1826-SM-CGQGT 50-59 years, male 5.8
GTEX-1N2DW-0226-SM-E9TK2 50-59 years, male 5.8
GTEX-11H98-0126-SM-5EGHG 50-59 years, male 5.7
GTEX-12KS4-0326-SM-5EQ41 30-39 years, male 5.7
GTEX-13FXS-0226-SM-5IJCK 50-59 years, male 5.7
GTEX-13VXT-0126-SM-5LU4I 20-29 years, female 5.7
GTEX-14JG1-0426-SM-6ETZZ 40-49 years, male 5.7
GTEX-18A66-0226-SM-718BD 60-69 years, male 5.7
GTEX-OIZG-0726-SM-33HBL 50-59 years, male 5.7
GTEX-ZV68-0126-SM-59HKS 50-59 years, female 5.7
GTEX-1K2DU-2326-SM-E9TIV 20-29 years, male 5.7
GTEX-1S3DN-2226-SM-EVYCD 50-59 years, male 5.7
GTEX-139D8-0226-SM-5KLZO 30-39 years, female 5.6
GTEX-14XAO-2326-SM-6EU1B 60-69 years, female 5.6
GTEX-15DDE-0126-SM-6LPKH 50-59 years, female 5.6
GTEX-1AX9J-0226-SM-73KXM 60-69 years, male 5.6
GTEX-T8EM-1026-SM-3DB7M 40-49 years, male 5.6
GTEX-WXYG-2326-SM-4E3I6 50-59 years, female 5.6
GTEX-Y8E4-0626-SM-4WWDL 40-49 years, male 5.6
GTEX-1I1GV-0526-SM-A9G29 60-69 years, male 5.6
GTEX-1S5ZA-0126-SM-EVYCV 20-29 years, male 5.6
GTEX-11DXX-2426-SM-5GZZW 60-69 years, female 5.5
GTEX-12WSJ-1826-SM-5GCNY 40-49 years, female 5.5
GTEX-12WSL-2526-SM-5GCNJ 50-59 years, male 5.5
GTEX-13JUV-2726-SM-5LZZ8 40-49 years, female 5.5
GTEX-14BMU-2226-SM-5TDE9 20-29 years, female 5.5
GTEX-14E6E-1826-SM-5S2R7 30-39 years, male 5.5
GTEX-1B97I-1626-SM-73KYO 40-49 years, male 5.5
GTEX-OHPL-0126-SM-2HMJ7 60-69 years, female 5.5
GTEX-TMMY-0226-SM-33HBA 40-49 years, female 5.5
GTEX-1J8Q3-1626-SM-CMKGC 60-69 years, male 5.5
GTEX-1JMPZ-0226-SM-CNPP1 30-39 years, male 5.5
GTEX-1JMQK-0226-SM-CL543 60-69 years, male 5.5
GTEX-1LNCM-1126-SM-E9U5E 50-59 years, female 5.5
GTEX-11DXZ-2326-SM-5EGGV 50-59 years, male 5.4
GTEX-13N2G-2626-SM-5J1OT 60-69 years, male 5.4
GTEX-14PJM-0226-SM-62LF1 50-59 years, female 5.4
GTEX-14PK6-1926-SM-6ETZU 70-79 years, female 5.4
GTEX-U8T8-0126-SM-3DB94 60-69 years, male 5.4
GTEX-WRHK-1426-SM-3MJF9 20-29 years, female 5.4
GTEX-X5EB-2226-SM-46MW4 40-49 years, male 5.4
GTEX-1JMQI-2226-SM-CM2SD 50-59 years, male 5.4
GTEX-13112-2826-SM-5DUWH 50-59 years, male 5.3
GTEX-139TS-2826-SM-5J1OO 60-69 years, male 5.3
GTEX-1B8SF-1426-SM-7DUGL 60-69 years, male 5.3
GTEX-NPJ8-0126-SM-2YUNR 40-49 years, male 5.3
GTEX-O5YT-0126-SM-48TBW 20-29 years, male 5.3
GTEX-QESD-1426-SM-2S1R9 20-29 years, male 5.3
GTEX-S32W-2126-SM-2XCB1 50-59 years, female 5.3
GTEX-Y114-2426-SM-4TT8A 50-59 years, female 5.3
GTEX-1EMGI-0126-SM-9KNUE 60-69 years, male 5.3
GTEX-1GZ4H-1726-SM-7PBZJ 50-59 years, female 5.3
GTEX-1HGF4-2426-SM-ACKXM 60-69 years, male 5.3
GTEX-1JJEA-0326-SM-CNPOT 60-69 years, male 5.3
GTEX-1KD4Q-0226-SM-E9TJ9 40-49 years, male 5.3
GTEX-11UD1-0126-SM-5PNYG 40-49 years, female 5.2
GTEX-13PVR-2326-SM-5QGR1 60-69 years, female 5.2
GTEX-13SLW-0126-SM-5SI6C 70-79 years, male 5.2
GTEX-1A3MX-0126-SM-731BR 60-69 years, male 5.2
GTEX-X88G-0126-SM-47JZ3 30-39 years, male 5.2
GTEX-ZDTT-2726-SM-4WKF8 60-69 years, male 5.2
GTEX-1E2YA-0126-SM-9KNUC 50-59 years, male 5.2
GTEX-1GN1U-0126-SM-7PBZK 50-59 years, female 5.2
GTEX-1LH75-2426-SM-E9TJE 50-59 years, female 5.2
GTEX-13PDP-0126-SM-5L3HD 60-69 years, male 5.1
GTEX-14DAR-2026-SM-5S2O3 50-59 years, male 5.1
GTEX-17JCI-0126-SM-7LG5G 60-69 years, female 5.1
GTEX-U412-0426-SM-3DB9O 60-69 years, male 5.1
GTEX-1EWIQ-0126-SM-7RHH2 70-79 years, female 5.1
GTEX-1GZHY-0326-SM-9QEHI 50-59 years, female 5.1
GTEX-1H3VE-0326-SM-9YFLH 40-49 years, male 5.1
GTEX-13X6J-0126-SM-5QGOU 50-59 years, male 5.0
GTEX-145MO-0326-SM-5Q5B3 60-69 years, male 5.0
GTEX-17KNJ-2326-SM-7DHLQ 50-59 years, male 5.0
GTEX-OXRP-0126-SM-3NB32 60-69 years, female 5.0
GTEX-1OJC3-0126-SM-E76QX 20-29 years, male 5.0
GTEX-12WSK-2326-SM-5GCOH 40-49 years, female 4.9
GTEX-1399U-2326-SM-5K7WY 50-59 years, female 4.9
GTEX-13IVO-0126-SM-5J1NG 70-79 years, male 4.9
GTEX-13O21-1426-SM-5K7XI 50-59 years, male 4.9
GTEX-Y3IK-2426-SM-4WWDU 50-59 years, female 4.9
GTEX-ZZ64-1726-SM-5GZYB 20-29 years, male 4.9
GTEX-1PPH8-0226-SM-E8VND 20-29 years, male 4.9
GTEX-117YX-2326-SM-5H12W 50-59 years, male 4.8
GTEX-12WSN-5019-SM-79OM6 40-49 years, male 4.8
GTEX-13SLX-0526-SM-5S2ON 50-59 years, female 4.8
GTEX-14PN3-2426-SM-6LLHS 60-69 years, female 4.8
GTEX-1C475-1826-SM-73KWA 40-49 years, female 4.8
GTEX-1CAMR-1926-SM-7EPI2 20-29 years, male 4.8
GTEX-XUW1-0426-SM-4BOOT 50-59 years, female 4.8
GTEX-ZTSS-1926-SM-57WEW 40-49 years, male 4.8
GTEX-ZVTK-0426-SM-51MRS 20-29 years, male 4.8
GTEX-1F5PK-2426-SM-7RHHY 50-59 years, male 4.8
GTEX-1HCUA-2426-SM-ADEIS 50-59 years, female 4.8
GTEX-1PFEY-1526-SM-E76PP 30-39 years, male 4.8
GTEX-11EQ9-2426-SM-5HL5T 30-39 years, male 4.7
GTEX-13FTW-2626-SM-5K7WL 40-49 years, male 4.7
GTEX-1CB4I-0226-SM-79OLH 50-59 years, male 4.7
GTEX-NFK9-0226-SM-2HMKQ 40-49 years, male 4.7
GTEX-UJHI-1526-SM-3DB99 50-59 years, female 4.7
GTEX-ZE7O-0126-SM-57WC1 50-59 years, female 4.7
GTEX-145LS-0126-SM-5QGP1 60-69 years, female 4.6
GTEX-145MI-0526-SM-5O9A8 60-69 years, female 4.6
GTEX-14PII-0226-SM-6EU1T 60-69 years, male 4.6
GTEX-14PJ6-2126-SM-6EU1V 60-69 years, female 4.6
GTEX-XPVG-2626-SM-4B669 50-59 years, male 4.6
GTEX-1CB4H-0226-SM-7PBXM 60-69 years, female 4.6
GTEX-1J1OQ-0226-SM-CYPSH 40-49 years, female 4.6
GTEX-1LG7Z-1726-SM-D3LA4 30-39 years, male 4.6
GTEX-14A5I-0126-SM-5TDEA 50-59 years, female 4.5
GTEX-15SB6-1726-SM-6PAME 50-59 years, female 4.5
GTEX-15SHU-0126-SM-7KUEH 40-49 years, female 4.5
GTEX-SUCS-1926-SM-32PM3 70-79 years, male 4.5
GTEX-ZE9C-2726-SM-57WB5 60-69 years, male 4.5
GTEX-1GF9X-2026-SM-7PC3A 40-49 years, female 4.5
GTEX-145LU-0126-SM-5TDCB 50-59 years, male 4.4
GTEX-14PN4-0126-SM-6EU2V 50-59 years, male 4.4
GTEX-OOBK-0126-SM-2YUND 40-49 years, male 4.4
GTEX-RUSQ-1526-SM-2TF62 50-59 years, male 4.4
GTEX-ZF2S-2326-SM-4WWCE 50-59 years, female 4.4
GTEX-ZVT2-2526-SM-51MT1 50-59 years, female 4.4
GTEX-1KAFJ-2026-SM-CY8ID 50-59 years, male 4.4
GTEX-1KANC-1526-SM-D3LAB 50-59 years, female 4.4
GTEX-PSDG-0226-SM-DKPOZ 50-59 years, male 4.4
GTEX-133LE-1826-SM-5J1MV 20-29 years, female 4.3
GTEX-14753-0426-SM-5NQAM 60-69 years, male 4.3
GTEX-15F5U-1526-SM-6PANO 40-49 years, male 4.3
GTEX-15G19-0126-SM-6PANQ 60-69 years, male 4.3
GTEX-1LGRB-2526-SM-CNPPQ 50-59 years, female 4.3
GTEX-15ETS-0126-SM-7KUMW 40-49 years, female 4.2
GTEX-ZYFD-0126-SM-5GIDL 50-59 years, male 4.2
GTEX-1MJK2-0426-SM-DTXE5 50-59 years, male 4.2
GTEX-139UW-2826-SM-5L3E7 60-69 years, male 4.1
GTEX-ZGAY-0526-SM-4WWBB 40-49 years, female 4.1
GTEX-1HCU7-0226-SM-CL545 50-59 years, male 4.1
GTEX-1IDJH-0326-SM-A9SLQ 70-79 years, male 4.1
GTEX-1J8QM-2126-SM-CYPSJ 60-69 years, female 4.1
GTEX-1JMQL-0226-SM-CNPP5 50-59 years, female 4.1
GTEX-1KXAM-2226-SM-CYPTC 60-69 years, male 4.1
GTEX-12WSE-0526-SM-793B2 20-29 years, male 4.0
GTEX-ZYT6-0226-SM-5NQ6T 30-39 years, male 4.0
GTEX-13NYC-0326-SM-E9J4S 60-69 years, male 4.0
GTEX-13OW5-0126-SM-DTXFS 60-69 years, male 4.0
GTEX-1H2FU-0126-SM-9WYSI 60-69 years, female 4.0
GTEX-1R7EV-2426-SM-EVYBG 40-49 years, male 4.0
GTEX-ZTPG-0326-SM-5O9AX 20-29 years, female 3.9
GTEX-1F5PL-0326-SM-7P8PQ 40-49 years, female 3.9
GTEX-1R46S-0626-SM-E9J41 60-69 years, female 3.9
GTEX-1192X-0226-SM-5H12D 50-59 years, male 3.8
GTEX-17GQL-2026-SM-718BA 60-69 years, male 3.8
GTEX-POMQ-2226-SM-2I5FK 20-29 years, female 3.8
GTEX-1IKJJ-0126-SM-CNPQB 60-69 years, male 3.8
GTEX-1R7EU-0226-SM-EVR4G 60-69 years, male 3.8
GTEX-13D11-2426-SM-5KM1V 50-59 years, female 3.7
GTEX-1GPI7-0126-SM-9MQL8 20-29 years, male 3.7
GTEX-1ICLZ-0126-SM-CKZPO 60-69 years, male 3.7
GTEX-1QMI2-0226-SM-EVYBX 60-69 years, male 3.7
GTEX-ZF3C-0126-SM-DO92D 50-59 years, female 3.7
GTEX-14ICK-0226-SM-6EU25 40-49 years, male 3.6
GTEX-1B8KE-2126-SM-73KYX 50-59 years, male 3.6
GTEX-1H4P4-0726-SM-9YFLR 50-59 years, male 3.6
GTEX-1MUQO-0126-SM-EAZ58 60-69 years, male 3.6
GTEX-1122O-2126-SM-5EGIR 60-69 years, female 3.5
GTEX-15UF6-0826-SM-6PALJ 70-79 years, female 3.5
GTEX-18D9A-1926-SM-7LG6P 30-39 years, female 3.5
GTEX-1GMR3-1926-SM-9KNUZ 40-49 years, male 3.5
GTEX-13NYB-2526-SM-5K7Z6 40-49 years, male 3.4
GTEX-1F6RS-0126-SM-9MQKZ 60-69 years, female 3.4
GTEX-16AAH-1726-SM-7939C 50-59 years, male 3.2
GTEX-1LVAN-0226-SM-COH3S 50-59 years, female 3.2
GTEX-1PIIG-0226-SM-EWRN6 30-39 years, male 3.2
GTEX-OIZH-0126-SM-2HMIS 50-59 years, male 3.1
GTEX-W5X1-3026-SM-EAZAX 40-49 years, female 3.0
GTEX-13OVK-2026-SM-7KUEO 40-49 years, male 2.9
GTEX-13NYS-0126-SM-5MR3W 60-69 years, male 2.8
GTEX-T6MO-1626-SM-32QOM 40-49 years, female 2.8
GTEX-XBEW-0626-SM-4QASP 40-49 years, male 2.8
GTEX-SNMC-1226-SM-2XCFP 20-29 years, male 2.7
GTEX-ZU9S-0226-SM-5E441 30-39 years, male 2.5
GTEX-1LBAC-0126-SM-DIPEZ 20-29 years, male 2.5
GTEX-1I4MK-2226-SM-ACKWD 50-59 years, female 2.4
GTEX-1R9PM-2026-SM-E76OY 20-29 years, male 2.1
GTEX-P4QT-0126-SM-2I3FL 50-59 years, female 1.7
GTEX-ZTX8-1426-SM-5DUVO 20-29 years, male 1.3
Show allShow less

Contact

  • NEWS ARTICLES
  • PRESS ROOM

The Project

  • INTRODUCTION
  • ORGANIZATION
  • PUBLICATIONS

The Human Protein Atlas

  • DOWNLOADABLE DATA
  • LICENCE & CITATION
  • HELP & FAQ
The Human Protein Atlas project is funded
by the Knut & Alice Wallenberg Foundation.


contact@proteinatlas.org