We use cookies to enhance the usability of our website. If you continue, we'll assume that you are happy to receive all cookies. More information. Don't show this again.
KRT71
HPA
RESOURCES
  • TISSUE
  • BRAIN
  • SINGLE CELL
  • SUBCELLULAR
  • CANCER
  • BLOOD
  • CELL LINE
  • STRUCTURE & INTERACTION
ABOUT
  • INTRODUCTION
  • HISTORY
  • ORGANIZATION
  • PUBLICATIONS
  • ANTIBODY SUBMISSION
  • ANTIBODY AVAILABILITY
  • ACKNOWLEDGMENTS
  • CONTACT
NEWS
  • NEWS ARTICLES
  • PRESS ROOM
LEARN
  • DICTIONARY
  • PROTEIN CLASSES
  • PROTEIN EVIDENCE
  • METHODS
  • EDUCATIONAL VIDEOS
DATA
  • DOWNLOADABLE DATA
  • PUBLICATION DATA
  • RELEASE HISTORY
HELP
  • ANTIBODY VALIDATION
  • ASSAYS & ANNOTATION
  • DISCLAIMER
  • HELP & FAQ
  • PRIVACY STATEMENT
  • LICENCE & CITATION
Fields »
Search result

Field
Term
Gene name
Class
Subclass
Class
Keyword
Chromosome
External id
Tissue
Cell type
Expression
Antibody panel
Tissue
Main location
Patient ID
Annotation
Tissue
Category
Tau score
Cluster
Reliability
Brain region
Category
Tau score
Brain region
Category
Tau score
Brain region
Category
Tau score
Cluster
Reliability
Tissue
Cell type
Enrichment
Cell type
Category
Tau score
Cell type
Category
Tau score
Cell type
Category
Tau score
Cell lineage
Category
Tau score
Cluster
Cluster
Location
Searches
Location
Cell line
Class
Type
Phase
Reliability
Cancer
Prognosis
Cancer
Category
Cancer
Category
Tau score
Cluster
Variants
Interacting gene (ensg_id)
Type
Number of interactions
Pathway
Category
Score
Score
Score
Validation
Validation
Validation
Validation
Antibodies
Data type
Column


  • SUMMARY

  • TISSUE

  • BRAIN

  • SINGLE CELL

  • SUBCELL

  • CANCER

  • BLOOD

  • CELL LINE

  • STRUCT & INT

  • KRT71
TISSUE PRIMARY DATA SKIN Show tissue menu
ADIPOSE TISSUE ADRENAL GLAND AMYGDALA APPENDIX BASAL GANGLIA BONE MARROW BREAST BRONCHUS CEREBELLUM CEREBRAL CORTEX CERVIX CHOROID PLEXUS COLON DUODENUM
ENDOMETRIUM EPIDIDYMIS ESOPHAGUS FALLOPIAN TUBE GALLBLADDER HAIR HEART MUSCLE HIPPOCAMPAL FORMATION HYPOTHALAMUS KIDNEY LIVER LUNG LYMPH NODE MIDBRAIN
NASOPHARYNX ORAL MUCOSA OVARY PANCREAS PARATHYROID GLAND PITUITARY GLAND PLACENTA PROSTATE RECTUM RETINA SALIVARY GLAND SEMINAL VESICLE SKELETAL MUSCLE SKIN
SMALL INTESTINE SMOOTH MUSCLE SOFT TISSUE SPINAL CORD SPLEEN STOMACH TESTIS THYMUS THYROID GLAND TONGUE TONSIL URINARY BLADDER VAGINA
ANTIBODIES
AND
VALIDATION
Dictionary
Skin
Tissue proteome
Skin
SKIN - Expression summary
Protein expression
Hairi

On the top, protein expression in current human tissue, based on all annotated cell types, is reported with the units not detected (n), low (l), medium (m) and high (h). Underneath, protein expression in each annotated cell type are reported using the same units.

Protein expression data is based on knowledge-based annotation. For genes where more than one antibody has been used, a collective score is set.

If knowledge-based annotation could not be performed for a gene, no data is displayed here. View antibody staining data further down this page.

h
m
l
n
Cells in cortex/medulla: Not detected
Cells in cuticle: Not detected
Cells in external root sheath: Not detected
Cells in internal root sheath: High
Protein expression
Skini

On the top, protein expression in current human tissue, based on all annotated cell types, is reported with the units not detected (n), low (l), medium (m) and high (h). Underneath, protein expression in each annotated cell type are reported using the same units.

Protein expression data is based on knowledge-based annotation. For genes where more than one antibody has been used, a collective score is set.

If knowledge-based annotation could not be performed for a gene, no data is displayed here. View antibody staining data further down this page.

h
m
l
n
Arrector pili muscle cells: Not detected
Cells in basal layer: Not detected
Cells in corneal layer: Not detected
Cells in granular layer: Not detected
Cells in spinous layer: Not detected
Endothelial cells: Not detected
Extracellular matrix: Not detected
Fibrohistiocytic cells: Low
Langerhans cells: Not detected
Lymphocytes: Not detected
Melanocytes: Not detected
Sebaceous glands: Not detected
Vascular mural cells: Not detected
RNA expressioni

A summary of mRNA expression data available for current tissue based on several datasets. The mRNA expression levels in human tissues are based on RNA-seq data generated by the Human Protein Atlas (HPA), Genotype-Tissue Expression (GTEx) portal and CAGE data generated by the FANTOM5 consortium. Consensus normalized expression levels for human tissues was created by combining the data from HPA and GTEx datasets.

The mRNA expression levels in pig are based on RNA-seq data generated by the Human Protein Atlas (HPA), and for mouse, HPA data and in situ hybridization generated by the Allen brain atlas are reported.

Scroll down to view mRNA expression data in more detail.
Consensus:96.9 nTPM
HPA:0.0 nTPM
GTEx:96.9 nTPM

HAIR - Extended tissue profilei

For selected proteins extended tissue profiling is performed in addition to standard tissue microarrays. The section below contains results from the extended profiling.

, antibody HPA049404
Cells in cortex/medulla Not detected
Cells in cuticle Not detected
Cells in external root sheath Not detected
Cells in internal root sheath High

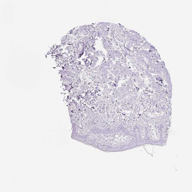
SKIN 1 - Antibody stainingi

Antibody staining in the annotated cell types in the current human tissue is reported as not detected, low, medium, or high, based on conventional immunohistochemistry profiling in selected tissues. This score is based on the combination of the staining intensity and fraction of stained cells.

Each image is clickable and will lead to virtual microscopy that enables deeper exploration of all samples and also displays staining intensity scores, fraction scores and subcellular localization as well as patient and tissue information for each sample.

Antibody HPA049404
Arrector pili muscle cells Not detected
Cells in basal layer Not detected
Cells in corneal layer Not detected
Cells in granular layer Not detected
Cells in spinous layer Not detected
Endothelial cells Not detected
Extracellular matrix Not detected
Fibrohistiocytic cells Not detected
Langerhans cells Not detected
Lymphocytes Not detected
Melanocytes Not detected
Sebaceous glands Not detected
Vascular mural cells Not detected


SKIN 2 - Antibody stainingi

Antibody staining in the annotated cell types in the current human tissue is reported as not detected, low, medium, or high, based on conventional immunohistochemistry profiling in selected tissues. This score is based on the combination of the staining intensity and fraction of stained cells.

Each image is clickable and will lead to virtual microscopy that enables deeper exploration of all samples and also displays staining intensity scores, fraction scores and subcellular localization as well as patient and tissue information for each sample.

Antibody HPA049404
Arrector pili muscle cells Not detected
Cells in basal layer Not detected
Cells in corneal layer Not detected
Cells in granular layer Not detected
Cells in spinous layer Not detected
Endothelial cells Not detected
Extracellular matrix Not detected
Fibrohistiocytic cells Low
Langerhans cells Not detected
Lymphocytes Not detected
Melanocytes Not detected
Vascular mural cells Not detected
 



SKIN - HPA RNA-seqi

The RNA-seq details section shows detailed information about the individual samples used for the transcript profiling and results of the RNA-seq analysis.

Information about each individual sample is listed below, including gender, age, a tissue section image and estimated fractions of cell types. nTPM (normalized transcripts per million) values give a quantification of the gene abundance which is comparable between different genes and samples.
Average nTPMi

Max subtype nTPM is the value for the subtype with the largest average nTPM across the subtype samples.

0.0
overview
Female, age 34
Skin sample 225
nTPM: 0
Cell types%
Keratinocytes:
60

Other cell types:
40

overview
Female, age 30
Skin sample 226
nTPM: 0
Cell types%
Keratinocytes:
55

Other cell types:
45

N/A
Male, age 57
Skin sample 227
nTPM: 0

SKIN - GTEx RNA-seqi

RNA-Seq data generated by the Genotype-Tissue Expression (GTEx) project from human tissues is reported as mean nTPM. More information can be found on the GTEx portal.

Distribution across the dataset is visualized with box plots, shown as median and 25th and 75th percentiles. Points are displayed as outliers if they are above or below 1.5 times the interquartile range. nTPM values of the individual samples are presented next to the box plot.
Max subtype nTPMi

Max subtype nTPM is the value for the subtype with the largest average nTPM across the subtype samples.

96.9
GTEx sample id Sample description nTPM
Skin - Not Sun Exposed (Suprapubic)
Average nTPM: 96.9
Samples: 604

Max nTPM: 3789.9
Min nTPM: 0.0
Std nTPM: 326.3
Median nTPM: 0.2
GTEX-1AX9J-1326-SM-731BJ 60-69 years, male 3789.9
GTEX-17EVQ-0126-SM-7IGLR 70-79 years, male 3206.9
GTEX-YF7O-1526-SM-5IFI6 50-59 years, male 2910.9
GTEX-16GPK-0626-SM-7KFSF 60-69 years, male 2050.7
GTEX-1PIIG-2326-SM-DTXFR 30-39 years, male 1559.7
GTEX-WFON-1926-SM-3LK7L 40-49 years, male 1540.9
GTEX-1GF9U-2026-SM-7SB92 40-49 years, female 1477.9
GTEX-1N5O9-0926-SM-E9J3C 60-69 years, male 1339.8
GTEX-14JG6-1426-SM-9WG7C 30-39 years, female 1294.8
GTEX-1R9PM-1926-SM-EVR3O 20-29 years, male 1136.3
GTEX-WH7G-2026-SM-3NMBL 40-49 years, male 1127.4
GTEX-111FC-2526-SM-5GZXU 60-69 years, male 1049.1
GTEX-1H1CY-0126-SM-9YFLY 60-69 years, female 1048.3
GTEX-1F6I4-2326-SM-7RHGL 60-69 years, male 1034.1
GTEX-XK95-0226-SM-4AT58 40-49 years, male 981.5
GTEX-11O72-0626-SM-5PNYE 40-49 years, male 976.9
GTEX-ZYFD-0626-SM-5E44E 50-59 years, male 872.5
GTEX-WYJK-0526-SM-3NM8Z 50-59 years, male 866.4
GTEX-145MG-1526-SM-5Q5EM 50-59 years, male 837.9
GTEX-11DXW-0826-SM-5H118 40-49 years, male 804.9
GTEX-1IDJC-1526-SM-B2LW4 50-59 years, male 802.9
GTEX-13NZ9-2626-SM-5L3FK 50-59 years, male 794.7
GTEX-12KS4-2126-SM-5FQUT 30-39 years, male 702.7
GTEX-1KANA-1326-SM-DIPFA 20-29 years, male 702.2
GTEX-1L5NE-1126-SM-D3L9P 50-59 years, male 679.8
GTEX-145MO-2826-SM-5LU96 60-69 years, male 672.7
GTEX-1B933-2426-SM-7DHMD 50-59 years, female 670.8
GTEX-ZUA1-2626-SM-5NQ92 40-49 years, male 664.8
GTEX-1RB15-1326-SM-E76Q9 60-69 years, male 662.7
GTEX-1J8JJ-0626-SM-ARZMQ 60-69 years, female 642.0
GTEX-1PIGE-1826-SM-E8VOU 20-29 years, male 621.1
GTEX-12WSC-2826-SM-5BC5Y 50-59 years, male 620.3
GTEX-1I6K7-1926-SM-B2LXR 40-49 years, male 588.6
GTEX-145MF-0926-SM-5Q5EA 50-59 years, male 564.7
GTEX-1S831-1826-SM-EWROF 20-29 years, male 532.8
GTEX-11WQK-1026-SM-5EQLX 50-59 years, male 524.2
GTEX-1E2YA-2126-SM-7MXUO 50-59 years, male 495.3
GTEX-1KD5A-0126-SM-E9U54 50-59 years, male 470.4
GTEX-WK11-2726-SM-3NMAQ 50-59 years, male 457.8
GTEX-1A8G6-2726-SM-731AR 60-69 years, male 456.9
GTEX-ZVE1-0726-SM-51MRN 50-59 years, female 438.2
GTEX-ZZ64-1026-SM-5GZXG 20-29 years, male 431.1
GTEX-1JMQJ-0826-SM-CNPP7 50-59 years, male 424.3
GTEX-18A66-0626-SM-7LT8Z 60-69 years, male 418.8
GTEX-1H1E6-0426-SM-9WYUS 30-39 years, male 401.1
GTEX-18A6Q-0626-SM-7KFRP 60-69 years, male 392.4
GTEX-1I1GP-1326-SM-A9G28 50-59 years, male 390.7
GTEX-1I6K6-1726-SM-CGQFD 30-39 years, male 389.6
GTEX-ZT9W-1126-SM-57WDR 50-59 years, male 352.6
GTEX-14PJO-2526-SM-6AJBQ 60-69 years, male 350.7
GTEX-1LSNM-0826-SM-DIPG8 50-59 years, male 336.1
GTEX-1IDFM-0326-SM-ARL7V 60-69 years, male 336.0
GTEX-139TT-2126-SM-5LZWC 60-69 years, male 335.9
GTEX-13G51-1826-SM-5KLZH 60-69 years, male 330.2
GTEX-12WSF-1626-SM-7KUG5 70-79 years, male 326.4
GTEX-1QP66-1226-SM-DTX7U 50-59 years, male 324.4
GTEX-1LG7Z-1626-SM-CXKYR 30-39 years, male 308.4
GTEX-18465-2826-SM-7LT9J 50-59 years, male 292.9
GTEX-18A7B-2726-SM-7LG56 70-79 years, male 291.9
GTEX-14LZ3-0126-SM-69LPM 60-69 years, female 285.9
GTEX-1211K-1526-SM-5FQU4 60-69 years, female 283.9
GTEX-1HCU9-0426-SM-9WYSD 20-29 years, male 281.4
GTEX-14JG1-1526-SM-5YY9X 40-49 years, male 244.4
GTEX-1LGOU-1326-SM-D3L8M 20-29 years, female 242.2
GTEX-145LT-0526-SM-5LUB2 40-49 years, male 222.2
GTEX-1S5ZU-2526-SM-E6CIF 20-29 years, female 217.6
GTEX-1F5PL-0926-SM-7PC2W 40-49 years, female 204.8
GTEX-15SHW-0226-SM-7LTAT 60-69 years, male 195.1
GTEX-16NPX-0726-SM-7KULC 50-59 years, male 193.8
GTEX-UPJH-0226-SM-3GADV 50-59 years, male 193.4
GTEX-ZVTK-0226-SM-51MRG 20-29 years, male 185.6
GTEX-13N11-2326-SM-5IJBF 50-59 years, female 179.7
GTEX-1C6WA-2626-SM-7MKGM 60-69 years, male 179.2
GTEX-139TU-0726-SM-5L3EK 60-69 years, male 171.2
GTEX-13X6K-0626-SM-5LU5D 60-69 years, female 169.9
GTEX-YJ8O-2526-SM-5HL85 40-49 years, female 163.6
GTEX-13OVL-0126-SM-5L3GJ 50-59 years, male 160.6
GTEX-1JKYR-0626-SM-ARL8R 20-29 years, male 159.0
GTEX-Z93S-1626-SM-5CVMB 50-59 years, male 154.7
GTEX-15CHQ-0326-SM-69LQD 60-69 years, male 141.1
GTEX-ZAJG-1526-SM-5CVML 50-59 years, female 140.9
GTEX-14DAR-1226-SM-73KYV 50-59 years, male 136.4
GTEX-12C56-1526-SM-5FQUQ 20-29 years, male 135.0
GTEX-13D11-0926-SM-5J2NC 50-59 years, female 132.9
GTEX-XQ3S-1426-SM-4BOPR 20-29 years, male 132.6
GTEX-1HCU6-2526-SM-ADEHL 60-69 years, female 131.5
GTEX-1A32A-0626-SM-731AQ 50-59 years, female 123.9
GTEX-1MJK3-0726-SM-E6CJC 20-29 years, male 122.3
GTEX-1AX9I-2226-SM-73KUO 60-69 years, male 121.0
GTEX-17F98-1326-SM-7DUEP 40-49 years, female 116.8
GTEX-1QCLZ-2426-SM-EVYBW 60-69 years, female 114.3
GTEX-16MT8-2926-SM-7DUFO 60-69 years, female 112.3
GTEX-WRHU-2826-SM-3MJG8 50-59 years, female 105.3
GTEX-1A3MV-1826-SM-731CD 30-39 years, male 104.3
GTEX-183FY-1026-SM-7939A 20-29 years, male 99.2
GTEX-X3Y1-2026-SM-3P5YM 40-49 years, male 96.4
GTEX-1399R-1326-SM-5PNYS 30-39 years, male 94.9
GTEX-1IDJD-2326-SM-ACKWX 30-39 years, male 92.9
GTEX-ZYW4-0626-SM-59HJR 60-69 years, male 92.4
GTEX-12ZZX-2426-SM-5GCOE 40-49 years, female 82.7
GTEX-1I1GV-0626-SM-ARL7M 60-69 years, male 82.2
GTEX-17HHE-1326-SM-7EWDZ 50-59 years, male 75.6
GTEX-1H23P-0626-SM-9WG6T 60-69 years, male 74.5
GTEX-1HCU8-2526-SM-CE6RX 60-69 years, female 70.0
GTEX-YEC4-1826-SM-4W1YP 40-49 years, male 69.9
GTEX-1NSGN-0726-SM-DTXEF 50-59 years, male 69.2
GTEX-WFG8-2126-SM-3GIKQ 20-29 years, male 65.1
GTEX-1S3DN-2126-SM-E9TIN 50-59 years, male 63.7
GTEX-1EU9M-1426-SM-793AI 60-69 years, male 61.5
GTEX-12584-0726-SM-5FQTK 40-49 years, male 56.3
GTEX-Y5LM-0926-SM-6LLJG 40-49 years, female 55.6
GTEX-1LVAM-0726-SM-E6CIL 50-59 years, female 54.5
GTEX-1HBPI-2126-SM-ARL9K 50-59 years, male 52.7
GTEX-1IE54-1126-SM-A9G2Z 40-49 years, female 52.3
GTEX-1GPI7-1826-SM-9KNU1 20-29 years, male 52.0
GTEX-1QP29-1826-SM-DTX9S 50-59 years, male 51.7
GTEX-WYVS-1626-SM-3NM9R 40-49 years, female 50.9
GTEX-1LSNL-2726-SM-E9TKJ 50-59 years, male 50.8
GTEX-1CAMQ-1326-SM-7P8RV 40-49 years, male 46.6
GTEX-11NUK-2726-SM-5A5MC 50-59 years, male 46.5
GTEX-1HFI6-0126-SM-CNPPI 40-49 years, male 46.3
GTEX-17F9E-2326-SM-79OKD 50-59 years, male 45.7
GTEX-183WM-0326-SM-72D5V 70-79 years, female 45.6
GTEX-1AMEY-0826-SM-72D65 30-39 years, female 45.4
GTEX-1B996-0426-SM-7EWF8 60-69 years, male 44.8
GTEX-1JN76-0626-SM-CKZOQ 20-29 years, female 44.8
GTEX-15EU6-2226-SM-6EU2L 50-59 years, male 44.1
GTEX-11DXX-2126-SM-5PNYR 60-69 years, female 43.4
GTEX-1B8SF-0126-SM-7DUG3 60-69 years, male 42.7
GTEX-1ICLY-0826-SM-CMKG1 50-59 years, male 42.1
GTEX-16YQH-2226-SM-7IGM2 30-39 years, male 39.2
GTEX-11DYG-1526-SM-5A5JS 60-69 years, male 38.3
GTEX-1R46S-2426-SM-E76QA 60-69 years, female 36.1
GTEX-11EQ9-1626-SM-5PNY8 30-39 years, male 35.4
GTEX-ZPCL-1126-SM-4WWFE 60-69 years, female 32.6
GTEX-146FQ-2126-SM-5RQHU 30-39 years, male 32.4
GTEX-15CHR-1126-SM-7EWF4 50-59 years, male 32.3
GTEX-1LSVX-2526-SM-DIPEU 60-69 years, male 31.7
GTEX-1JN1M-2726-SM-CY8I4 60-69 years, female 31.4
GTEX-XPVG-2126-SM-4B667 50-59 years, male 31.0
GTEX-14JFF-0626-SM-5ZZVT 60-69 years, male 29.4
GTEX-13IVO-0726-SM-5LZYV 70-79 years, male 29.1
GTEX-14ABY-2026-SM-62LDL 50-59 years, male 28.7
GTEX-14BMU-1226-SM-5S2OR 20-29 years, female 27.1
GTEX-WHSE-0126-SM-3NMBT 20-29 years, male 27.0
GTEX-1E1VI-0326-SM-793D1 50-59 years, male 26.2
GTEX-1H2FU-0926-SM-9WPPT 60-69 years, female 25.7
GTEX-1KANC-1226-SM-CYPT7 50-59 years, female 24.8
GTEX-14PII-0726-SM-6EU2B 60-69 years, male 24.6
GTEX-1RAZA-2226-SM-E9U4X 20-29 years, male 24.6
GTEX-17JCI-2926-SM-7DUFF 60-69 years, female 24.3
GTEX-145LS-0626-SM-7EPG7 60-69 years, female 24.1
GTEX-11EI6-2826-SM-5H11D 60-69 years, male 21.1
GTEX-1HCVE-2726-SM-CL54F 50-59 years, male 19.4
GTEX-WEY5-2326-SM-3GIKK 40-49 years, female 18.7
GTEX-WHWD-1826-SM-3LK6I 50-59 years, male 18.2
GTEX-131XG-0326-SM-5L3DX 50-59 years, female 17.9
GTEX-15RIE-1926-SM-7KUKJ 60-69 years, male 17.0
GTEX-1CB4I-0126-SM-7RHGG 50-59 years, male 16.6
GTEX-XMD2-2126-SM-4YCF8 60-69 years, female 16.0
GTEX-13NZ8-1226-SM-5KM4A 60-69 years, female 15.8
GTEX-1HSGN-0826-SM-ACKW3 40-49 years, female 15.5
GTEX-XAJ8-1426-SM-47JYM 40-49 years, male 14.0
GTEX-11NSD-0626-SM-5A5LU 20-29 years, male 13.8
GTEX-1F52S-2926-SM-7MKGA 60-69 years, female 13.5
GTEX-1J8EW-2726-SM-CY8HR 60-69 years, female 13.4
GTEX-1N2EE-0626-SM-E76PW 60-69 years, male 13.2
GTEX-14BIN-1126-SM-5RQJZ 50-59 years, female 12.7
GTEX-17HHY-0426-SM-7DHLC 50-59 years, male 12.4
GTEX-WI4N-2726-SM-3LK7Y 40-49 years, female 12.0
GTEX-1JJEA-1826-SM-ARU8P 60-69 years, male 11.7
GTEX-18A7A-0126-SM-731AH 50-59 years, female 10.7
GTEX-147F3-1726-SM-5SIAW 50-59 years, female 10.2
GTEX-1CB4H-1126-SM-7MKGL 60-69 years, female 10.0
GTEX-147GR-2426-SM-5ZZWQ 60-69 years, male 9.9
GTEX-1AX8Z-0726-SM-73KTS 60-69 years, male 9.9
GTEX-1HGF4-0126-SM-CNPPX 60-69 years, male 9.7
GTEX-12WSM-1926-SM-5BC65 60-69 years, male 9.1
GTEX-15DDE-2926-SM-6LLJ3 50-59 years, female 8.9
GTEX-1A8FM-0626-SM-7PC25 50-59 years, female 8.6
GTEX-Y5V5-0126-SM-5S2NW 60-69 years, female 8.3
GTEX-ZYFG-1526-SM-5GZYM 60-69 years, female 8.3
GTEX-13X6J-0626-SM-5LU5F 50-59 years, male 8.1
GTEX-1H4P4-2126-SM-9WYSL 50-59 years, male 7.8
GTEX-13U4I-2226-SM-5LU5H 40-49 years, female 7.5
GTEX-1A3MW-0626-SM-731CB 60-69 years, female 7.3
GTEX-1J1R8-2026-SM-CL53Y 40-49 years, male 7.2
GTEX-14A5H-0826-SM-5QGPJ 60-69 years, male 7.1
GTEX-15ER7-0626-SM-6PANF 20-29 years, female 6.9
GTEX-WHPG-2626-SM-3NMBR 50-59 years, male 6.7
GTEX-1S83E-1326-SM-E6CJM 40-49 years, male 6.3
GTEX-13112-0126-SM-5P9IU 50-59 years, male 5.5
GTEX-14PKV-1126-SM-6LLJ1 20-29 years, female 5.2
GTEX-15UF6-1926-SM-7KUDV 70-79 years, female 5.2
GTEX-1RAZR-2126-SM-E9U6T 40-49 years, male 5.2
GTEX-13OW8-1026-SM-5J1NQ 60-69 years, male 4.8
GTEX-13NYS-0626-SM-5L3F1 60-69 years, male 4.6
GTEX-ZDTT-0426-SM-4WKFL 60-69 years, male 4.3
GTEX-13PL6-1126-SM-5L3IE 40-49 years, female 4.2
GTEX-1GN1U-0626-SM-9MQL9 50-59 years, female 4.0
GTEX-14PHY-1226-SM-5ZZWK 60-69 years, female 3.5
GTEX-ZAK1-0626-SM-5HL8E 50-59 years, female 3.3
GTEX-1GN1W-2426-SM-9KNUU 50-59 years, female 3.2
GTEX-ZT9X-1526-SM-5DUXD 40-49 years, male 3.1
GTEX-Y5V6-2326-SM-4VDSA 60-69 years, male 2.9
GTEX-17F96-0126-SM-7EWDU 70-79 years, male 2.6
GTEX-1IKJJ-2226-SM-CJI4C 60-69 years, male 2.6
GTEX-1LVA9-2626-SM-EVYD4 50-59 years, male 2.6
GTEX-17MF6-2626-SM-79OKQ 40-49 years, male 2.5
GTEX-14E1K-2026-SM-7DUEI 50-59 years, male 2.4
GTEX-Y8LW-1526-SM-5IFHL 50-59 years, female 2.3
GTEX-1M4P7-0726-SM-E6CJ3 60-69 years, male 2.0
GTEX-16Z82-2626-SM-7KULU 60-69 years, male 1.8
GTEX-1H1DE-1326-SM-9KNUG 20-29 years, male 1.8
GTEX-11TUW-0626-SM-5LU9M 60-69 years, male 1.4
GTEX-131XH-0126-SM-5LZUY 50-59 years, male 1.4
GTEX-1C64O-1326-SM-7MGWR 60-69 years, male 1.2
GTEX-139D8-1126-SM-5LU8W 30-39 years, female 0.9
GTEX-ZP4G-1426-SM-4WWCL 20-29 years, female 0.9
GTEX-1POEN-2326-SM-E9J2L 30-39 years, female 0.9
GTEX-X4EO-2926-SM-4E3JH 60-69 years, female 0.8
GTEX-13QJC-0126-SM-5ZZWJ 60-69 years, female 0.7
GTEX-1EX96-1026-SM-7MKG2 50-59 years, male 0.7
GTEX-XBEW-1126-SM-4QARW 40-49 years, male 0.7
GTEX-1GF9W-1426-SM-7PBYM 60-69 years, male 0.7
GTEX-1GMR3-0126-SM-A9SLW 40-49 years, male 0.7
GTEX-11TT1-1826-SM-5EQLV 20-29 years, male 0.6
GTEX-18D9U-0126-SM-731BM 40-49 years, male 0.6
GTEX-1EN7A-2426-SM-793DB 40-49 years, male 0.6
GTEX-V1D1-2026-SM-3GAF4 50-59 years, male 0.6
GTEX-1B8L1-2226-SM-7P8PT 60-69 years, male 0.6
GTEX-1C6VR-0126-SM-7RHGB 60-69 years, male 0.6
GTEX-1F5PK-2226-SM-7SB6N 50-59 years, male 0.6
GTEX-13N2G-0226-SM-5K7VF 60-69 years, male 0.5
GTEX-18A67-1626-SM-7LT9T 50-59 years, male 0.5
GTEX-18D9A-1426-SM-7LT8M 30-39 years, female 0.5
GTEX-1IDJE-1426-SM-ADEIW 50-59 years, female 0.5
GTEX-1J1OQ-0126-SM-D4P2N 40-49 years, female 0.5
GTEX-144GO-2026-SM-5O99P 60-69 years, male 0.4
GTEX-14PHX-2226-SM-6EU2P 50-59 years, male 0.4
GTEX-WHSB-1326-SM-3LK6W 50-59 years, male 0.4
GTEX-ZDYS-2426-SM-4WKGI 50-59 years, male 0.4
GTEX-ZVZP-1226-SM-5GID7 50-59 years, male 0.4
GTEX-1JN6P-2926-SM-CL54D 60-69 years, male 0.4
GTEX-1KXAM-1626-SM-D3LAD 60-69 years, male 0.4
GTEX-1O9I2-0226-SM-EYYXD 50-59 years, male 0.4
GTEX-1QP9N-1226-SM-E76QN 30-39 years, male 0.4
GTEX-1QPFJ-1926-SM-EVYBD 30-39 years, female 0.4
GTEX-111CU-1126-SM-5EGIM 50-59 years, male 0.3
GTEX-11GSP-2326-SM-5HL63 60-69 years, female 0.3
GTEX-131XF-2626-SM-5EQ6K 60-69 years, male 0.3
GTEX-144GM-0526-SM-79OJO 20-29 years, male 0.3
GTEX-1477Z-0326-SM-7IGLA 60-69 years, male 0.3
GTEX-14PJ3-1126-SM-5ZZVX 50-59 years, male 0.3
GTEX-15DYW-2726-SM-6EU2I 60-69 years, female 0.3
GTEX-17MFQ-1526-SM-7KFRR 20-29 years, male 0.3
GTEX-X4EP-0626-SM-3P621 60-69 years, female 0.3
GTEX-ZDTS-0826-SM-4WKHL 60-69 years, male 0.3
GTEX-ZWKS-0626-SM-5GIDV 30-39 years, male 0.3
GTEX-ZZPU-0826-SM-5GZX5 50-59 years, female 0.3
GTEX-1GF9V-0826-SM-9KNUV 60-69 years, male 0.3
GTEX-1I1GT-1026-SM-ARZLV 60-69 years, female 0.3
GTEX-1JK1U-0226-SM-ARZMX 60-69 years, male 0.3
GTEX-1K2DU-1226-SM-CYPT4 20-29 years, male 0.3
GTEX-1PPH7-1126-SM-DTX9A 40-49 years, male 0.3
GTEX-ZF3C-0626-SM-DO92O 50-59 years, female 0.3
GTEX-111YS-1526-SM-5GZYW 60-69 years, male 0.2
GTEX-11DXY-0126-SM-5H11Q 60-69 years, male 0.2
GTEX-12WSH-1526-SM-5BC5W 50-59 years, male 0.2
GTEX-12ZZZ-0726-SM-5GCNZ 60-69 years, male 0.2
GTEX-1399S-0126-SM-5IJCF 30-39 years, female 0.2
GTEX-13NYC-0126-SM-5L3F4 60-69 years, male 0.2
GTEX-13VXU-0626-SM-5L3F9 50-59 years, male 0.2
GTEX-145MI-0626-SM-5SI8S 60-69 years, female 0.2
GTEX-147F4-0726-SM-5TDDD 50-59 years, male 0.2
GTEX-14AS3-1526-SM-5Q5ED 40-49 years, female 0.2
GTEX-14BMV-2826-SM-5TDED 50-59 years, male 0.2
GTEX-14PKU-0126-SM-6LLHV 40-49 years, female 0.2
GTEX-15RIG-0726-SM-7KUM7 40-49 years, male 0.2
GTEX-16MTA-0926-SM-6M47Z 50-59 years, male 0.2
GTEX-178AV-1726-SM-7KUL8 40-49 years, male 0.2
GTEX-XQ8I-0926-SM-4BOOF 50-59 years, male 0.2
GTEX-XUW1-0926-SM-4BONX 50-59 years, female 0.2
GTEX-XYKS-1426-SM-4BRUO 60-69 years, female 0.2
GTEX-Y114-2126-SM-4TT8B 50-59 years, female 0.2
GTEX-Y3I4-1726-SM-4TT89 50-59 years, male 0.2
GTEX-ZDXO-3126-SM-5IJDF 60-69 years, male 0.2
GTEX-ZF29-0926-SM-4WKFZ 60-69 years, female 0.2
GTEX-ZU9S-1826-SM-5NQ9E 30-39 years, male 0.2
GTEX-ZYT6-2326-SM-5GZY3 30-39 years, male 0.2
GTEX-11P82-1426-SM-DTXFY 20-29 years, male 0.2
GTEX-1C64N-2626-SM-7PC2N 50-59 years, male 0.2
GTEX-1CAMR-1326-SM-7PC1F 20-29 years, male 0.2
GTEX-1CB4J-1326-SM-7P8RX 60-69 years, male 0.2
GTEX-1GN73-0726-SM-7P8TJ 60-69 years, male 0.2
GTEX-1HBPM-0726-SM-9YFL7 60-69 years, female 0.2
GTEX-1HSKV-1226-SM-ADEI4 60-69 years, male 0.2
GTEX-1I1GS-2626-SM-B2LY3 60-69 years, male 0.2
GTEX-1JMPY-0226-SM-CKZOK 30-39 years, male 0.2
GTEX-1K2DA-1026-SM-CGQGF 50-59 years, male 0.2
GTEX-1K9T9-1526-SM-DIPFR 50-59 years, female 0.2
GTEX-1KAFJ-0126-SM-DIPEK 50-59 years, male 0.2
GTEX-1LB8K-0726-SM-D5OV2 50-59 years, male 0.2
GTEX-1N2DV-1526-SM-DTXEP 40-49 years, male 0.2
GTEX-1QP28-1126-SM-EVYC4 50-59 years, female 0.2
GTEX-1QP2A-1726-SM-E76QC 50-59 years, male 0.2
GTEX-1R9K4-2826-SM-DTX8F 60-69 years, male 0.2
GTEX-1117F-2926-SM-5GZYI 60-69 years, female 0.1
GTEX-117YX-1926-SM-5GIEC 50-59 years, male 0.1
GTEX-1192X-2726-SM-5N9DN 50-59 years, male 0.1
GTEX-11DXZ-2026-SM-5987S 50-59 years, male 0.1
GTEX-11DZ1-2426-SM-5GZZX 50-59 years, male 0.1
GTEX-11GS4-0226-SM-5HL77 60-69 years, male 0.1
GTEX-11OF3-0126-SM-5PNYF 60-69 years, male 0.1
GTEX-11P7K-1126-SM-5HL4L 30-39 years, male 0.1
GTEX-11UD2-2526-SM-5CVNU 50-59 years, male 0.1
GTEX-12696-0126-SM-5EQ4L 60-69 years, male 0.1
GTEX-12WSL-2026-SM-5GCML 50-59 years, male 0.1
GTEX-13113-1626-SM-5EQ4I 60-69 years, female 0.1
GTEX-1314G-1326-SM-5BC6E 30-39 years, male 0.1
GTEX-131YS-2826-SM-5EQ47 60-69 years, female 0.1
GTEX-132AR-0326-SM-5KM2C 50-59 years, female 0.1
GTEX-1399Q-2326-SM-5KM2X 40-49 years, male 0.1
GTEX-1399U-1126-SM-5L3DB 50-59 years, female 0.1
GTEX-139YR-1026-SM-5LZYN 50-59 years, male 0.1
GTEX-13FH7-1126-SM-5K7UG 50-59 years, female 0.1
GTEX-13FTW-0326-SM-5K7UW 40-49 years, male 0.1
GTEX-13JUV-2026-SM-5K7UA 40-49 years, female 0.1
GTEX-13N1W-2426-SM-5IJD1 70-79 years, male 0.1
GTEX-13OVG-1626-SM-5J1NF 60-69 years, male 0.1
GTEX-13OW6-2726-SM-5J2OE 50-59 years, male 0.1
GTEX-13PVQ-0626-SM-5LU47 50-59 years, male 0.1
GTEX-13PVR-0426-SM-5RQK2 60-69 years, female 0.1
GTEX-13SLW-0626-SM-5Q5ER 70-79 years, male 0.1
GTEX-13X6H-0926-SM-5SIB2 50-59 years, female 0.1
GTEX-145LU-1926-SM-79OJN 50-59 years, male 0.1
GTEX-14B4R-1326-SM-5Q5EZ 30-39 years, male 0.1
GTEX-14C5O-0326-SM-5ZZUX 60-69 years, male 0.1
GTEX-14PJ5-1526-SM-6LLIL 60-69 years, female 0.1
GTEX-15D1Q-2826-SM-6LLH7 40-49 years, male 0.1
GTEX-15G19-2426-SM-7KUMR 60-69 years, male 0.1
GTEX-15RJE-2826-SM-7KUM9 40-49 years, male 0.1
GTEX-15SKB-2826-SM-6PAMH 60-69 years, male 0.1
GTEX-16NGA-0726-SM-731AO 40-49 years, female 0.1
GTEX-17F9Y-0126-SM-79OKX 70-79 years, female 0.1
GTEX-17HII-1426-SM-7EPGG 50-59 years, male 0.1
GTEX-18QFQ-1826-SM-72D52 30-39 years, male 0.1
GTEX-1B8KE-1126-SM-7EPHI 50-59 years, male 0.1
GTEX-1BAJH-2426-SM-7IGP8 70-79 years, male 0.1
GTEX-1C2JI-1026-SM-73KY1 50-59 years, male 0.1
GTEX-1CB4F-1026-SM-7DUH1 60-69 years, male 0.1
GTEX-VUSG-2326-SM-4KL1U 50-59 years, male 0.1
GTEX-W5X1-2526-SM-3GILC 40-49 years, female 0.1
GTEX-WY7C-2126-SM-3NB2R 50-59 years, male 0.1
GTEX-WYBS-0626-SM-3NMAS 60-69 years, female 0.1
GTEX-X585-2426-SM-46MW2 50-59 years, male 0.1
GTEX-X5EB-1926-SM-4E3IW 40-49 years, male 0.1
GTEX-XBEC-0726-SM-4QARZ 50-59 years, male 0.1
GTEX-Y111-0626-SM-4SOIT 50-59 years, male 0.1
GTEX-Y8E4-2026-SM-5IFJB 40-49 years, male 0.1
GTEX-Y9LG-1126-SM-4VBQ7 30-39 years, male 0.1
GTEX-YECK-0326-SM-4W1YS 60-69 years, male 0.1
GTEX-ZA64-1026-SM-5HL8R 20-29 years, male 0.1
GTEX-ZAB4-2126-SM-5HL8U 40-49 years, male 0.1
GTEX-ZC5H-1526-SM-5HL9Y 40-49 years, female 0.1
GTEX-ZE9C-2526-SM-5IJDR 60-69 years, male 0.1
GTEX-ZF2S-1626-SM-57WES 50-59 years, female 0.1
GTEX-ZLFU-1826-SM-4WWBV 40-49 years, male 0.1
GTEX-ZPU1-1126-SM-4YCF3 40-49 years, male 0.1
GTEX-ZXG5-2126-SM-59HKD 60-69 years, male 0.1
GTEX-ZY6K-1426-SM-5GZX2 50-59 years, male 0.1
GTEX-ZYFC-0426-SM-5GICQ 50-59 years, male 0.1
GTEX-1C475-1326-SM-7SB73 40-49 years, female 0.1
GTEX-1F48J-0726-SM-7RHGS 50-59 years, female 0.1
GTEX-1F6IF-0926-SM-7SB7M 60-69 years, male 0.1
GTEX-1F6RS-2026-SM-7RHHC 60-69 years, female 0.1
GTEX-1F75B-0726-SM-7PC3R 50-59 years, male 0.1
GTEX-1F75W-2726-SM-7SB8H 60-69 years, male 0.1
GTEX-1GTWX-2026-SM-9YFLM 60-69 years, male 0.1
GTEX-1GZ2Q-0126-SM-9WG6M 40-49 years, male 0.1
GTEX-1GZ4H-0526-SM-9KNU9 50-59 years, female 0.1
GTEX-1GZ4I-2626-SM-9KNU3 50-59 years, male 0.1
GTEX-1H1DG-2426-SM-9QEHJ 70-79 years, male 0.1
GTEX-1HB9E-0126-SM-CM2S5 50-59 years, male 0.1
GTEX-1HCU7-0726-SM-A9SL1 50-59 years, male 0.1
GTEX-1HFI7-2326-SM-CGQFS 50-59 years, female 0.1
GTEX-1HKZK-0726-SM-ACKW2 40-49 years, male 0.1
GTEX-1I19N-0126-SM-CYPSF 70-79 years, male 0.1
GTEX-1I4MK-0126-SM-CY8G6 50-59 years, female 0.1
GTEX-1ICLZ-0326-SM-ARL82 60-69 years, male 0.1
GTEX-1IDJF-2026-SM-CL53V 20-29 years, male 0.1
GTEX-1IDJI-0126-SM-CMKHS 50-59 years, female 0.1
GTEX-1IL2V-1926-SM-B2LW8 70-79 years, male 0.1
GTEX-1IOXB-2726-SM-CM2RI 50-59 years, male 0.1
GTEX-1J8Q2-2626-SM-ACKWQ 60-69 years, male 0.1
GTEX-1J8QM-2426-SM-A9SLS 60-69 years, female 0.1
GTEX-1KWVE-1026-SM-D3L9O 30-39 years, male 0.1
GTEX-1LGRB-0926-SM-COH3K 50-59 years, female 0.1
GTEX-1MCC2-1826-SM-DIPEX 30-39 years, female 0.1
GTEX-1NV5F-0626-SM-DTXEG 60-69 years, female 0.1
GTEX-1OJC3-1226-SM-DTXER 20-29 years, male 0.1
GTEX-1PBJJ-1026-SM-E76OS 30-39 years, male 0.1
GTEX-1PDJ9-1226-SM-EXUSX 20-29 years, male 0.1
GTEX-1PPGY-1626-SM-EVYBL 60-69 years, male 0.1
GTEX-1PPH8-0126-SM-EWRN8 20-29 years, male 0.1
GTEX-1QAET-0326-SM-EVR3U 50-59 years, male 0.1
GTEX-1R7EU-1626-SM-DTXG3 60-69 years, male 0.1
GTEX-1RLM8-2926-SM-E8VON 50-59 years, male 0.1
GTEX-1S82P-2126-SM-E6CI5 60-69 years, female 0.1
GTEX-YEC3-1326-SM-DO92X 50-59 years, male 0.1
GTEX-111VG-1626-SM-5EGIO 60-69 years, male 0.0
GTEX-11EM3-1226-SM-5N9DD 20-29 years, female 0.0
GTEX-11EQ8-0926-SM-5H12V 60-69 years, male 0.0
GTEX-11LCK-2226-SM-5HL4Q 30-39 years, male 0.0
GTEX-11P81-2226-SM-5PNYI 30-39 years, female 0.0
GTEX-11PRG-0726-SM-5EGL1 50-59 years, male 0.0
GTEX-11VI4-1126-SM-5EQMD 40-49 years, female 0.0
GTEX-11WQC-1826-SM-5GU59 60-69 years, male 0.0
GTEX-11ZTT-2126-SM-5CVLO 60-69 years, female 0.0
GTEX-11ZU8-0126-SM-5EQ58 60-69 years, male 0.0
GTEX-11ZUS-2626-SM-5FQUR 30-39 years, male 0.0
GTEX-12126-0826-SM-5FQTZ 20-29 years, male 0.0
GTEX-1212Z-0126-SM-59HK4 60-69 years, male 0.0
GTEX-1269C-0126-SM-5EQ5L 60-69 years, female 0.0
GTEX-12BJ1-0926-SM-5EQ62 60-69 years, male 0.0
GTEX-12WSA-0426-SM-5EQ5X 60-69 years, male 0.0
GTEX-12WSD-0626-SM-5GCMW 60-69 years, female 0.0
GTEX-12WSJ-1126-SM-5LZVJ 40-49 years, female 0.0
GTEX-12WSK-2126-SM-5CVNC 40-49 years, female 0.0
GTEX-12ZZY-0726-SM-5EQ66 60-69 years, male 0.0
GTEX-1313W-0626-SM-5EQ4H 50-59 years, female 0.0
GTEX-131XW-0626-SM-5PNVD 50-59 years, female 0.0
GTEX-133LE-2326-SM-5K7W3 20-29 years, female 0.0
GTEX-139T8-0626-SM-5KLZX 60-69 years, male 0.0
GTEX-139TS-2126-SM-5K7XC 60-69 years, male 0.0
GTEX-139UW-0326-SM-5J1ML 60-69 years, male 0.0
GTEX-13FHO-0426-SM-5L3F5 60-69 years, male 0.0
GTEX-13FLV-0126-SM-5K7WT 50-59 years, male 0.0
GTEX-13FTX-1526-SM-5K7VJ 20-29 years, female 0.0
GTEX-13FTY-2126-SM-5IFFB 40-49 years, female 0.0
GTEX-13JVG-0726-SM-5KM16 60-69 years, male 0.0
GTEX-13NYB-0126-SM-5J1MD 40-49 years, male 0.0
GTEX-13O3O-2326-SM-5IJD6 60-69 years, female 0.0
GTEX-13O3Q-0126-SM-5KM34 50-59 years, male 0.0
GTEX-13O61-1426-SM-5KM3D 60-69 years, male 0.0
GTEX-13OVH-0526-SM-5L3E6 70-79 years, male 0.0
GTEX-13OVJ-0826-SM-5J1OK 50-59 years, female 0.0
GTEX-13OVK-1426-SM-6PAN7 40-49 years, male 0.0
GTEX-13OW5-2326-SM-5L3HO 60-69 years, male 0.0
GTEX-13OW7-0426-SM-5K7VK 50-59 years, male 0.0
GTEX-13PDP-0726-SM-5L3HP 60-69 years, male 0.0
GTEX-13QBU-1226-SM-5LU4G 40-49 years, female 0.0
GTEX-13RTJ-0126-SM-5S2NN 60-69 years, male 0.0
GTEX-13SLX-2226-SM-62LEP 50-59 years, female 0.0
GTEX-13VXT-1926-SM-5K7UO 20-29 years, female 0.0
GTEX-13W3W-0726-SM-5IJDQ 60-69 years, female 0.0
GTEX-13X6I-1826-SM-5SIAO 60-69 years, male 0.0
GTEX-13YAN-0226-SM-5TDC6 60-69 years, male 0.0
GTEX-144FL-0626-SM-5LU43 50-59 years, male 0.0
GTEX-144GL-0626-SM-5LU4D 50-59 years, male 0.0
GTEX-145ME-1726-SM-5Q5EU 40-49 years, female 0.0
GTEX-145MH-2826-SM-5RQJF 50-59 years, male 0.0
GTEX-145MN-1526-SM-5SI9T 30-39 years, male 0.0
GTEX-14753-0726-SM-5QGQO 60-69 years, male 0.0
GTEX-147JS-0226-SM-5S2U9 60-69 years, male 0.0
GTEX-148VJ-0626-SM-5LUAW 70-79 years, male 0.0
GTEX-1497J-0226-SM-5QGPU 60-69 years, male 0.0
GTEX-14A6H-2026-SM-5Q5DD 30-39 years, male 0.0
GTEX-14C38-0726-SM-5SI6M 50-59 years, male 0.0
GTEX-14C39-1726-SM-5RQIL 40-49 years, male 0.0
GTEX-14DAQ-0626-SM-793DS 60-69 years, female 0.0
GTEX-14E6C-2426-SM-5S2NF 40-49 years, male 0.0
GTEX-14E6E-0526-SM-793DN 30-39 years, male 0.0
GTEX-14ICL-1626-SM-5YYAO 30-39 years, male 0.0
GTEX-14LLW-2626-SM-62LDZ 70-79 years, female 0.0
GTEX-14PJ2-0626-SM-6LLII 50-59 years, male 0.0
GTEX-14PJ4-0226-SM-5YY92 60-69 years, male 0.0
GTEX-14PJ6-2626-SM-6EU2T 60-69 years, female 0.0
GTEX-14PJN-1826-SM-6AJ98 30-39 years, male 0.0
GTEX-14PK6-0226-SM-62LF5 70-79 years, female 0.0
GTEX-14XAO-1226-SM-6EU1C 60-69 years, female 0.0
GTEX-15CHC-1126-SM-6LLHQ 60-69 years, female 0.0
GTEX-15EO6-2426-SM-6PALZ 50-59 years, male 0.0
GTEX-15FZZ-0526-SM-7KUGD 30-39 years, female 0.0
GTEX-15G1A-1626-SM-7KUKN 30-39 years, male 0.0
GTEX-15RJ7-2126-SM-6PAMD 40-49 years, male 0.0
GTEX-16AAH-0626-SM-793C9 50-59 years, male 0.0
GTEX-16BQI-1326-SM-6M486 30-39 years, female 0.0
GTEX-16MT9-0126-SM-7EPI8 60-69 years, female 0.0
GTEX-16XZZ-0726-SM-7KUF2 60-69 years, male 0.0
GTEX-17EVP-2626-SM-7IGMA 40-49 years, male 0.0
GTEX-17F97-2626-SM-7IGM5 50-59 years, male 0.0
GTEX-17HG3-2626-SM-7DUF2 30-39 years, female 0.0
GTEX-17HGU-2326-SM-7DUFE 50-59 years, male 0.0
GTEX-17KNJ-2126-SM-718AM 50-59 years, male 0.0
GTEX-18D9B-0926-SM-7LG4U 60-69 years, male 0.0
GTEX-1A8G7-1326-SM-73KVM 60-69 years, male 0.0
GTEX-1AMFI-1326-SM-7939R 50-59 years, female 0.0
GTEX-1B8KZ-0326-SM-73KY4 50-59 years, male 0.0
GTEX-1B932-2326-SM-79OL5 40-49 years, female 0.0
GTEX-1B97I-0626-SM-73KUZ 40-49 years, male 0.0
GTEX-1C6VQ-1226-SM-73KYD 50-59 years, male 0.0
GTEX-1CAV2-0126-SM-7IGN7 40-49 years, female 0.0
GTEX-1CB4E-0926-SM-7EPHT 60-69 years, male 0.0
GTEX-1EH9U-2826-SM-7DUGT 60-69 years, male 0.0
GTEX-1EKGG-0626-SM-7DUGJ 60-69 years, male 0.0
GTEX-1EWIQ-0326-SM-7DHMQ 70-79 years, female 0.0
GTEX-U8XE-0226-SM-4E3J3 30-39 years, male 0.0
GTEX-UPK5-0426-SM-3GAEK 40-49 years, male 0.0
GTEX-VJYA-1526-SM-3GIJV 60-69 years, male 0.0
GTEX-WFG7-2026-SM-5SI7P 20-29 years, male 0.0
GTEX-WXYG-2026-SM-4E3IY 50-59 years, female 0.0
GTEX-X8HC-0626-SM-4E3HQ 50-59 years, female 0.0
GTEX-XBED-1926-SM-47JYP 60-69 years, male 0.0
GTEX-XOT4-0626-SM-4B66L 60-69 years, female 0.0
GTEX-XV7Q-1826-SM-4BRUV 40-49 years, female 0.0
GTEX-XXEK-1626-SM-4BRUZ 50-59 years, male 0.0
GTEX-Y3IK-1626-SM-4YCF5 50-59 years, female 0.0
GTEX-YB5K-2026-SM-4VDT3 40-49 years, female 0.0
GTEX-YFCO-1226-SM-5LUAT 40-49 years, male 0.0
GTEX-ZE7O-2726-SM-51MT5 50-59 years, female 0.0
GTEX-ZLWG-0826-SM-59888 50-59 years, female 0.0
GTEX-ZTSS-1426-SM-5985P 40-49 years, male 0.0
GTEX-ZTTD-2826-SM-4YCFA 50-59 years, male 0.0
GTEX-ZTX8-1326-SM-4YCEL 20-29 years, male 0.0
GTEX-ZVE2-2826-SM-5GU51 50-59 years, male 0.0
GTEX-ZVP2-0326-SM-57WBP 50-59 years, male 0.0
GTEX-ZVT2-0126-SM-5GIDQ 50-59 years, female 0.0
GTEX-ZVT4-2426-SM-5GIEI 50-59 years, female 0.0
GTEX-ZYVF-0926-SM-5E44J 50-59 years, female 0.0
GTEX-ZYY3-2926-SM-5GIEB 60-69 years, female 0.0
GTEX-1122O-1026-SM-9WYSF 60-69 years, female 0.0
GTEX-1A3MX-2626-SM-7PC24 60-69 years, male 0.0
GTEX-1AYD5-2626-SM-7PBXY 50-59 years, male 0.0
GTEX-1CAMS-2226-SM-7PBXQ 40-49 years, female 0.0
GTEX-1EMGI-2326-SM-7PBYA 60-69 years, male 0.0
GTEX-1F75A-0726-SM-7RHHD 50-59 years, male 0.0
GTEX-1F75I-2226-SM-7SB8U 40-49 years, male 0.0
GTEX-1F88E-1626-SM-7SB8Z 60-69 years, female 0.0
GTEX-1F88F-0126-SM-9WYSZ 60-69 years, female 0.0
GTEX-1GF9X-1326-SM-7PC2Y 40-49 years, female 0.0
GTEX-1GL5R-1326-SM-7RHHF 50-59 years, male 0.0
GTEX-1GMR2-0826-SM-7PC3V 50-59 years, male 0.0
GTEX-1GMR8-0626-SM-7RHI7 50-59 years, female 0.0
GTEX-1GMRU-2126-SM-7P8RA 50-59 years, male 0.0
GTEX-1GN1V-2826-SM-9JGIA 60-69 years, male 0.0
GTEX-1GN2E-0226-SM-9WG6K 60-69 years, male 0.0
GTEX-1GPI6-1926-SM-9KNV7 60-69 years, male 0.0
GTEX-1GZHY-0626-SM-9KNVC 50-59 years, female 0.0
GTEX-1H11D-1826-SM-9QEHM 40-49 years, male 0.0
GTEX-1H1DF-1126-SM-9WG7G 40-49 years, female 0.0
GTEX-1H1ZS-2726-SM-9WG75 70-79 years, male 0.0
GTEX-1H3NZ-2726-SM-9WYTQ 60-69 years, male 0.0
GTEX-1H3O1-1326-SM-9MQLD 60-69 years, male 0.0
GTEX-1H3VE-0726-SM-9YFL5 40-49 years, male 0.0
GTEX-1HBPN-0126-SM-CGQEF 50-59 years, male 0.0
GTEX-1HC8U-1326-SM-9YFMJ 40-49 years, female 0.0
GTEX-1HCUA-0826-SM-ADEHM 50-59 years, female 0.0
GTEX-1HR98-2226-SM-ADEI2 60-69 years, male 0.0
GTEX-1HR9M-2226-SM-CNPPY 60-69 years, male 0.0
GTEX-1HSMO-0626-SM-ACKXC 60-69 years, male 0.0
GTEX-1HSMP-0926-SM-A9SKX 70-79 years, male 0.0
GTEX-1HSMQ-2626-SM-A9SML 50-59 years, male 0.0
GTEX-1HT8W-0626-SM-A9G2H 30-39 years, male 0.0
GTEX-1HUB1-1426-SM-CGQF5 60-69 years, male 0.0
GTEX-1I1CD-0626-SM-CE6SW 60-69 years, female 0.0
GTEX-1I1GU-0926-SM-ACKVS 40-49 years, male 0.0
GTEX-1I1HK-2326-SM-CKZOH 60-69 years, male 0.0
GTEX-1ICG6-1226-SM-A9SLN 70-79 years, female 0.0
GTEX-1IDJH-0126-SM-D3L92 70-79 years, male 0.0
GTEX-1IDJU-1726-SM-CMKHU 60-69 years, female 0.0
GTEX-1IDJV-0126-SM-COH3Y 60-69 years, male 0.0
GTEX-1IKOE-1426-SM-CE6T7 30-39 years, female 0.0
GTEX-1IY9M-2826-SM-ARU8H 60-69 years, male 0.0
GTEX-1J8Q3-0526-SM-ARL8U 60-69 years, male 0.0
GTEX-1JJ6O-2726-SM-CNPOG 60-69 years, male 0.0
GTEX-1JJE9-2626-SM-ARZMT 70-79 years, male 0.0
GTEX-1JKYN-0826-SM-ARU8S 30-39 years, male 0.0
GTEX-1JMLX-0626-SM-ARL8T 50-59 years, male 0.0
GTEX-1JMOU-1026-SM-CYPSS 60-69 years, female 0.0
GTEX-1JMPZ-0726-SM-CY8HZ 30-39 years, male 0.0
GTEX-1JMQI-1726-SM-ARL93 50-59 years, male 0.0
GTEX-1JMQK-1226-SM-D4P2S 60-69 years, male 0.0
GTEX-1JMQL-2226-SM-CNPP4 50-59 years, female 0.0
GTEX-1KANB-2826-SM-CY8I6 50-59 years, male 0.0
GTEX-1LBAC-0826-SM-CY8IJ 20-29 years, male 0.0
GTEX-1LG7Y-2526-SM-EWRO7 50-59 years, male 0.0
GTEX-1LKK1-2626-SM-DKPQE 50-59 years, female 0.0
GTEX-1LVAN-0626-SM-CNPOQ 50-59 years, female 0.0
GTEX-1LVAO-2726-SM-E9TJ8 60-69 years, male 0.0
GTEX-1MCYP-0526-SM-E9U6Q 20-29 years, female 0.0
GTEX-1OJC4-2726-SM-E76PJ 50-59 years, female 0.0
GTEX-1QCLY-0226-SM-EWRNH 30-39 years, male 0.0
GTEX-1QEPI-2626-SM-DTXF4 60-69 years, female 0.0
GTEX-1QMI2-2526-SM-E8VNZ 60-69 years, male 0.0
GTEX-1QW4Y-1126-SM-DTXE3 30-39 years, male 0.0
GTEX-1R9PN-0426-SM-DTXDT 40-49 years, female 0.0
GTEX-1RAZQ-1326-SM-E9TK6 30-39 years, male 0.0
GTEX-1RAZS-2526-SM-E6CHT 50-59 years, male 0.0
GTEX-1RMOY-1326-SM-E9TIH 50-59 years, male 0.0
GTEX-1S82U-1026-SM-E6CJK 30-39 years, female 0.0
GTEX-ZGAY-1826-SM-DO91Q 40-49 years, female 0.0
GTEX-ZLV1-1526-SM-DO91J 60-69 years, female 0.0
GTEX-ZPIC-0526-SM-DO91W 40-49 years, female 0.0
Show allShow less
Skin - Sun Exposed (Lower leg)
Average nTPM: 28.1
Samples: 701

Max nTPM: 1065.2
Min nTPM: 0.0
Std nTPM: 96.2
Median nTPM: 0.4
GTEX-ZQUD-1426-SM-57WER 30-39 years, male 1065.2
GTEX-1CAMR-1926-SM-7EPI2 20-29 years, male 891.5
GTEX-1F75A-0126-SM-7RHGM 50-59 years, male 867.5
GTEX-1PPH7-2326-SM-EVYB8 40-49 years, male 711.6
GTEX-1LBAC-0126-SM-DIPEZ 20-29 years, male 575.5
GTEX-1N2EF-0226-SM-EYYXB 60-69 years, male 563.9
GTEX-1LG7Y-0526-SM-DKPQC 50-59 years, male 460.4
GTEX-1POEN-0126-SM-EYYXJ 30-39 years, female 426.7
GTEX-12126-0326-SM-5PNW3 20-29 years, male 417.9
GTEX-13OVK-2026-SM-7KUEO 40-49 years, male 413.2
GTEX-1PPH8-0226-SM-E8VND 20-29 years, male 394.8
GTEX-147F3-0526-SM-5SI98 50-59 years, female 388.7
GTEX-18A66-0226-SM-718BD 60-69 years, male 368.9
GTEX-OIZG-0726-SM-33HBL 50-59 years, male 343.8
GTEX-Y5V6-2426-SM-4VDSB 60-69 years, male 336.4
GTEX-1B8SG-0126-SM-73KZ3 50-59 years, male 332.0
GTEX-12ZZZ-0626-SM-5DUXI 60-69 years, male 315.6
GTEX-16AAH-1726-SM-7939C 50-59 years, male 307.1
GTEX-1C6WA-0126-SM-7PC2B 60-69 years, male 298.2
GTEX-WZTO-0126-SM-3NM95 40-49 years, male 286.4
GTEX-17F98-0626-SM-79OMX 40-49 years, female 279.3
GTEX-Y111-0126-SM-4SOIV 50-59 years, male 279.3
GTEX-1K2DU-2326-SM-E9TIV 20-29 years, male 263.1
GTEX-U3ZH-2026-SM-3DB78 30-39 years, male 240.2
GTEX-QLQW-1126-SM-2S1Q8 30-39 years, male 236.5
GTEX-1HCVE-0126-SM-CGQEU 50-59 years, male 228.8
GTEX-131XF-5016-SM-7MGWE 60-69 years, male 227.0
GTEX-1HKZK-0326-SM-9WYUH 40-49 years, male 219.3
GTEX-13OVL-0226-SM-5L3E9 50-59 years, male 219.0
GTEX-QCQG-1726-SM-3GIJ9 50-59 years, female 209.9
GTEX-13O21-1426-SM-5K7XI 50-59 years, male 207.7
GTEX-1EKGG-0226-SM-9WYTH 60-69 years, male 204.3
GTEX-PWCY-1826-SM-DHXIZ 20-29 years, female 194.0
GTEX-1F7RK-0126-SM-7PC2S 20-29 years, female 191.5
GTEX-1F5PL-0326-SM-7P8PQ 40-49 years, female 185.2
GTEX-1LGOU-2026-SM-DIPFF 20-29 years, female 182.9
GTEX-1399T-2826-SM-5KLYZ 60-69 years, male 176.6
GTEX-11TT1-2526-SM-5EGIB 20-29 years, male 174.2
GTEX-1AMEY-1326-SM-73KYK 30-39 years, female 168.7
GTEX-T8EM-1026-SM-3DB7M 40-49 years, male 166.1
GTEX-13NYS-0126-SM-5MR3W 60-69 years, male 150.8
GTEX-146FH-0126-SM-5QGPP 50-59 years, female 144.5
GTEX-117YW-2626-SM-5GZZH 50-59 years, male 132.5
GTEX-1AYD5-2426-SM-73KXR 50-59 years, male 127.9
GTEX-11P81-2326-SM-59875 30-39 years, female 124.2
GTEX-1KWVE-1426-SM-E9TJO 30-39 years, male 123.2
GTEX-13O3Q-2426-SM-5IJBR 50-59 years, male 123.0
GTEX-11EMC-2926-SM-5EQ4F 60-69 years, female 119.9
GTEX-1A3MV-1926-SM-718BT 30-39 years, male 113.5
GTEX-T5JC-0426-SM-32PLO 20-29 years, male 109.6
GTEX-RVPV-0126-SM-EAZAW 60-69 years, male 104.2
GTEX-1IGQW-0126-SM-COH42 60-69 years, male 103.4
GTEX-1MUQO-0126-SM-EAZ58 60-69 years, male 103.2
GTEX-Y8DK-0126-SM-4TT3L 60-69 years, male 100.3
GTEX-1I1GR-0126-SM-CL55F 60-69 years, male 97.3
GTEX-X88G-0126-SM-47JZ3 30-39 years, male 91.4
GTEX-1KANA-0726-SM-D3L9I 20-29 years, male 87.2
GTEX-Q2AG-0126-SM-33HBV 40-49 years, female 86.5
GTEX-14E6D-0126-SM-62LDV 50-59 years, male 83.2
GTEX-1NV5F-0226-SM-E8VNY 60-69 years, female 82.4
GTEX-PW2O-1526-SM-7RHHB 20-29 years, male 81.4
GTEX-11NSD-2226-SM-5986V 20-29 years, male 79.7
GTEX-12WSA-0226-SM-5BC5V 60-69 years, male 78.9
GTEX-1AX9J-0226-SM-73KXM 60-69 years, male 78.4
GTEX-145ME-1826-SM-5SI9G 40-49 years, female 78.2
GTEX-NPJ8-0126-SM-2YUNR 40-49 years, male 77.0
GTEX-1H3O1-0426-SM-9YFKY 60-69 years, male 75.0
GTEX-183FY-0126-SM-7LT9P 20-29 years, male 72.3
GTEX-131XG-2626-SM-5KM17 50-59 years, female 72.1
GTEX-15CHC-2126-SM-6EU21 60-69 years, female 71.2
GTEX-ZQG8-1626-SM-DHXIT 60-69 years, female 69.6
GTEX-QEG4-0226-SM-2S1PY 30-39 years, male 67.6
GTEX-14JG6-2226-SM-6EU2G 30-39 years, female 62.3
GTEX-1B8L1-2526-SM-9WYTF 60-69 years, male 59.9
GTEX-XXEK-2226-SM-4BRUM 50-59 years, male 59.5
GTEX-1GZ2Q-0226-SM-7P8TL 40-49 years, male 54.1
GTEX-X4EO-0326-SM-3P5YO 60-69 years, female 53.8
GTEX-12C56-1726-SM-5EQ61 20-29 years, male 52.8
GTEX-17MFQ-1726-SM-793C7 20-29 years, male 52.0
GTEX-U3ZN-2326-SM-3DB7W 30-39 years, female 48.7
GTEX-1H3VY-0126-SM-ACKXD 50-59 years, male 46.0
GTEX-YB5K-2126-SM-4WWDJ 40-49 years, female 45.8
GTEX-1HGF4-2426-SM-ACKXM 60-69 years, male 45.5
GTEX-1EN7A-0126-SM-7SB81 40-49 years, male 45.1
GTEX-1MA7W-2026-SM-E9TJ6 20-29 years, female 45.1
GTEX-1HSKV-0226-SM-A9SKJ 60-69 years, male 44.4
GTEX-12ZZY-0226-SM-5LZVE 60-69 years, male 43.0
GTEX-TKQ1-1026-SM-4GICL 30-39 years, male 41.3
GTEX-1JK1U-2026-SM-CM2RZ 60-69 years, male 39.8
GTEX-1LH75-2426-SM-E9TJE 50-59 years, female 38.0
GTEX-1KANC-1526-SM-D3LAB 50-59 years, female 37.6
GTEX-11EI6-0126-SM-5985R 60-69 years, male 37.0
GTEX-11EM3-2426-SM-59861 20-29 years, female 34.8
GTEX-X4EP-0126-SM-3P5YV 60-69 years, female 34.2
GTEX-14XAO-2326-SM-6EU1B 60-69 years, female 33.8
GTEX-1KD4Q-0226-SM-E9TJ9 40-49 years, male 33.7
GTEX-18A7A-0226-SM-718BH 50-59 years, female 33.3
GTEX-XQ8I-0426-SM-4BOPO 50-59 years, male 33.0
GTEX-1HBPM-0226-SM-ARL9F 60-69 years, female 33.0
GTEX-13G51-2526-SM-5LZYK 60-69 years, male 32.3
GTEX-WI4N-1026-SM-3LK7N 40-49 years, female 32.0
GTEX-1I4MK-2226-SM-ACKWD 50-59 years, female 31.9
GTEX-1KD5A-0226-SM-D5OV3 50-59 years, male 31.2
GTEX-1GF9U-2126-SM-7SB7L 40-49 years, female 31.1
GTEX-1LG7Z-1726-SM-D3LA4 30-39 years, male 30.5
GTEX-139T4-0226-SM-5HL5S 50-59 years, female 29.6
GTEX-S32W-2126-SM-2XCB1 50-59 years, female 26.8
GTEX-ZPIC-1726-SM-DHXIU 40-49 years, female 26.4
GTEX-WYVS-2126-SM-3NMA3 40-49 years, female 25.1
GTEX-16YQH-0126-SM-7DUFJ 30-39 years, male 23.9
GTEX-1GN1U-0126-SM-7PBZK 50-59 years, female 23.6
GTEX-169BO-1326-SM-9MQK2 50-59 years, male 23.5
GTEX-1H2FU-0126-SM-9WYSI 60-69 years, female 23.2
GTEX-1F88F-2726-SM-7PBZZ 60-69 years, female 22.2
GTEX-139TT-0126-SM-5K7Y5 60-69 years, male 22.0
GTEX-ZV6S-2326-SM-4YCEY 40-49 years, female 19.9
GTEX-1B8SF-1426-SM-7DUGL 60-69 years, male 19.5
GTEX-1PDJ9-0326-SM-DTX95 20-29 years, male 19.3
GTEX-13SLX-0526-SM-5S2ON 50-59 years, female 18.8
GTEX-ZVT3-0126-SM-5GU6I 60-69 years, female 18.8
GTEX-VJYA-1126-SM-3GIJU 60-69 years, male 18.7
GTEX-RNOR-0126-SM-E9J4R 50-59 years, female 18.0
GTEX-OXRP-0126-SM-3NB32 60-69 years, female 17.8
GTEX-1C6VQ-0126-SM-7P8RI 50-59 years, male 17.7
GTEX-O5YT-0126-SM-48TBW 20-29 years, male 17.4
GTEX-1R7EV-2426-SM-EVYBG 40-49 years, male 17.2
GTEX-12WSG-2826-SM-E9J4H 50-59 years, female 17.1
GTEX-1BAJH-0526-SM-793CQ 70-79 years, male 16.9
GTEX-1GPI6-0126-SM-9WG69 60-69 years, male 16.1
GTEX-1QEPI-0126-SM-EWRMQ 60-69 years, female 15.6
GTEX-11NUK-0126-SM-5A5L3 50-59 years, male 15.4
GTEX-ZDYS-2026-SM-5HL5L 50-59 years, male 14.3
GTEX-17HG3-2226-SM-7938L 30-39 years, female 14.2
GTEX-1PBJI-0526-SM-E8VNK 20-29 years, female 14.0
GTEX-1QP9N-1426-SM-DTXFL 30-39 years, male 13.9
GTEX-13OW6-0426-SM-5L3HM 50-59 years, male 13.8
GTEX-1J1R8-1726-SM-ARL8M 40-49 years, male 13.2
GTEX-1EU9M-0226-SM-7P8SP 60-69 years, male 13.0
GTEX-Z93S-0126-SM-5HL7M 50-59 years, male 12.6
GTEX-13U4I-0126-SM-5LU38 40-49 years, female 12.3
GTEX-R55E-0126-SM-2TC5Y 20-29 years, male 12.3
GTEX-ZTPG-0326-SM-5O9AX 20-29 years, female 12.3
GTEX-1C2JI-1826-SM-73KXC 50-59 years, male 12.0
GTEX-14BMU-2226-SM-5TDE9 20-29 years, female 11.9
GTEX-13RTK-1426-SM-5QGQJ 20-29 years, male 11.8
GTEX-OIZH-0126-SM-2HMIS 50-59 years, male 11.2
GTEX-13IVO-0126-SM-5J1NG 70-79 years, male 10.7
GTEX-T6MO-1626-SM-32QOM 40-49 years, female 10.2
GTEX-ZU9S-0226-SM-5E441 30-39 years, male 10.2
GTEX-13W3W-2426-SM-5LU5B 60-69 years, female 10.0
GTEX-WY7C-2326-SM-3NB2U 50-59 years, male 9.7
GTEX-1S83E-0126-SM-EWRO4 40-49 years, male 9.7
GTEX-145LT-1726-SM-5QGP3 40-49 years, male 9.4
GTEX-TMMY-0226-SM-33HBA 40-49 years, female 9.1
GTEX-OXRK-0226-SM-3NB2G 50-59 years, female 8.9
GTEX-1B8KZ-2026-SM-7DHMB 50-59 years, male 8.7
GTEX-1C6VR-2426-SM-79OLD 60-69 years, male 8.4
GTEX-1CB4H-0226-SM-7PBXM 60-69 years, female 8.3
GTEX-12WSE-0526-SM-793B2 20-29 years, male 8.1
GTEX-15UKP-0426-SM-7KUFQ 20-29 years, male 8.1
GTEX-12ZZX-0126-SM-5EGK9 40-49 years, female 8.0
GTEX-X8HC-0126-SM-4E3JW 50-59 years, female 8.0
GTEX-16NPX-0226-SM-79OMT 50-59 years, male 7.5
GTEX-1GMR8-0126-SM-9WYTM 50-59 years, female 7.5
GTEX-13FTW-2626-SM-5K7WL 40-49 years, male 7.1
GTEX-13FTY-0526-SM-5L3EV 40-49 years, female 7.1
GTEX-WH7G-2326-SM-3NMBC 40-49 years, male 7.1
GTEX-X585-0226-SM-4QAS2 50-59 years, male 6.4
GTEX-WYJK-0126-SM-3NMAB 50-59 years, male 6.2
GTEX-14PII-0226-SM-6EU1T 60-69 years, male 6.1
GTEX-14PN3-2426-SM-6LLHS 60-69 years, female 6.1
GTEX-ZWKS-0126-SM-5SIAA 30-39 years, male 6.1
GTEX-1HFI7-1826-SM-ACKXH 50-59 years, female 6.1
GTEX-11DXW-0226-SM-5H122 40-49 years, male 6.0
GTEX-SE5C-1626-SM-2XCE3 40-49 years, female 6.0
GTEX-1A3MW-0126-SM-73KXX 60-69 years, female 5.9
GTEX-14LLW-0126-SM-6LLIO 70-79 years, female 5.6
GTEX-11GSP-2526-SM-5N9BP 60-69 years, female 5.5
GTEX-1MCYP-1926-SM-E9J2R 20-29 years, female 5.1
GTEX-1HCU6-0126-SM-CL54K 60-69 years, female 4.9
GTEX-1LC47-0326-SM-E9TJP 60-69 years, male 4.9
GTEX-1M5QR-1226-SM-EWROB 40-49 years, male 4.8
GTEX-14DAR-2026-SM-5S2O3 50-59 years, male 4.6
GTEX-13NZ8-0826-SM-5MR3I 60-69 years, female 4.5
GTEX-XPVG-2626-SM-4B669 50-59 years, male 4.3
GTEX-139UW-2826-SM-5L3E7 60-69 years, male 4.2
GTEX-14PK6-1926-SM-6ETZU 70-79 years, female 4.1
GTEX-117YX-2326-SM-5H12W 50-59 years, male 4.0
GTEX-WFG8-2226-SM-3GIL9 20-29 years, male 3.9
GTEX-11TUW-2726-SM-E9J4M 60-69 years, male 3.9
GTEX-1A32A-0126-SM-718B1 50-59 years, female 3.8
GTEX-1CB4J-0626-SM-7DHMP 60-69 years, male 3.8
GTEX-1C64O-0126-SM-7SB8P 60-69 years, male 3.6
GTEX-WVJS-0126-SM-4MVOT 50-59 years, male 3.5
GTEX-1F48J-0126-SM-7P8TT 50-59 years, female 3.5
GTEX-15DYW-0126-SM-7KULE 60-69 years, female 3.4
GTEX-ZVTK-0426-SM-51MRS 20-29 years, male 3.4
GTEX-147F4-0226-SM-5QGPW 50-59 years, male 3.3
GTEX-ZYY3-0126-SM-5GZY5 60-69 years, female 3.3
GTEX-1I1HK-0126-SM-COH49 60-69 years, male 3.3
GTEX-1HSEH-0126-SM-ACKXN 60-69 years, male 2.9
GTEX-1JKYR-0126-SM-CNPOJ 20-29 years, male 2.9
GTEX-1HR98-0126-SM-B2LWI 60-69 years, male 2.6
GTEX-1I6K6-0126-SM-A9SLE 30-39 years, male 2.6
GTEX-O5YW-0126-SM-3LK6D 50-59 years, male 2.4
GTEX-1122O-2126-SM-5EGIR 60-69 years, female 2.3
GTEX-ZXES-1826-SM-5E43S 30-39 years, female 2.3
GTEX-1I1GT-0626-SM-CGQER 60-69 years, female 2.3
GTEX-NFK9-0226-SM-2HMKQ 40-49 years, male 2.2
GTEX-X4XX-0126-SM-3NMC2 60-69 years, male 2.2
GTEX-1PIIG-0226-SM-EWRN6 30-39 years, male 1.9
GTEX-13S7M-0126-SM-5SI6A 60-69 years, female 1.8
GTEX-RTLS-0126-SM-447CA 60-69 years, female 1.8
GTEX-ZVZP-2426-SM-59HKJ 50-59 years, male 1.8
GTEX-13111-1626-SM-5EGJY 50-59 years, male 1.7
GTEX-1R7EU-0226-SM-EVR4G 60-69 years, male 1.7
GTEX-13QJ3-0326-SM-5S2RA 50-59 years, male 1.5
GTEX-ZDTS-0126-SM-4WAY5 60-69 years, male 1.5
GTEX-1HT8W-0126-SM-CNPPP 30-39 years, male 1.5
GTEX-1KXAM-2226-SM-CYPTC 60-69 years, male 1.5
GTEX-14E6E-1826-SM-5S2R7 30-39 years, male 1.4
GTEX-1B996-0226-SM-7RHGO 60-69 years, male 1.4
GTEX-1F52S-0126-SM-9MQJU 60-69 years, female 1.4
GTEX-1F6IF-0726-SM-7P8TW 60-69 years, male 1.4
GTEX-1ICLY-0126-SM-D4P36 50-59 years, male 1.4
GTEX-W5WG-1826-SM-4KL2Y 50-59 years, female 1.3
GTEX-1MGNQ-0126-SM-EVYCJ 40-49 years, male 1.3
GTEX-1314G-1526-SM-5EGK2 30-39 years, male 1.2
GTEX-13CF2-2526-SM-5LZYX 60-69 years, male 1.2
GTEX-147GR-0526-SM-5S2MY 60-69 years, male 1.2
GTEX-1J1OQ-0226-SM-CYPSH 40-49 years, female 1.2
GTEX-1JMPZ-0226-SM-CNPP1 30-39 years, male 1.2
GTEX-1LSNM-1926-SM-E6CII 50-59 years, male 1.2
GTEX-13OVH-0126-SM-5MR4B 70-79 years, male 1.1
GTEX-145LS-0126-SM-5QGP1 60-69 years, female 1.1
GTEX-14DAQ-0126-SM-5S2MQ 60-69 years, female 1.1
GTEX-ZAB5-1826-SM-5HL7C 50-59 years, male 1.1
GTEX-11XUK-2026-SM-5EQLF 40-49 years, female 1.0
GTEX-15RIG-0226-SM-7KFTL 40-49 years, male 1.0
GTEX-1E1VI-0126-SM-7DHMZ 50-59 years, male 1.0
GTEX-PLZ5-2026-SM-2S1O4 50-59 years, male 1.0
GTEX-XAJ8-0826-SM-47JY6 40-49 years, male 1.0
GTEX-XUW1-0426-SM-4BOOT 50-59 years, female 1.0
GTEX-XYKS-2126-SM-4E3IB 60-69 years, female 1.0
GTEX-1HBPI-1526-SM-C1YQ1 50-59 years, male 1.0
GTEX-1J8QM-2126-SM-CYPSJ 60-69 years, female 1.0
GTEX-132NY-0326-SM-5IJBL 60-69 years, male 0.9
GTEX-14BIN-0626-SM-793DP 50-59 years, female 0.9
GTEX-15EU6-0426-SM-6PAN5 50-59 years, male 0.9
GTEX-16XZZ-0126-SM-793DV 60-69 years, male 0.9
GTEX-1AX8Z-0126-SM-7DHM6 60-69 years, male 0.9
GTEX-1CAMQ-0226-SM-7IGPK 40-49 years, male 0.9
GTEX-YJ89-0126-SM-4TT3X 60-69 years, male 0.9
GTEX-1F5PK-2426-SM-7RHHY 50-59 years, male 0.9
GTEX-1I1GS-0126-SM-B2LVW 60-69 years, male 0.9
GTEX-1K2DA-1826-SM-CGQGT 50-59 years, male 0.9
GTEX-1S3DN-2226-SM-EVYCD 50-59 years, male 0.9
GTEX-145LV-2126-SM-5LU8N 50-59 years, male 0.8
GTEX-145MF-0626-SM-5LUAI 50-59 years, male 0.8
GTEX-145MI-0526-SM-5O9A8 60-69 years, female 0.8
GTEX-QV44-1926-SM-2S1RF 50-59 years, male 0.8
GTEX-TSE9-0126-SM-3DB83 60-69 years, female 0.8
GTEX-1H23P-0126-SM-ADEJ3 60-69 years, male 0.8
GTEX-1K9T9-0126-SM-EVYCF 50-59 years, female 0.8
GTEX-11DXY-2626-SM-5GIE7 60-69 years, male 0.7
GTEX-13O1R-0126-SM-5L3EH 60-69 years, male 0.7
GTEX-14PHX-2326-SM-62LEM 50-59 years, male 0.7
GTEX-Y8LW-1826-SM-5S2MV 50-59 years, female 0.7
GTEX-ZYT6-0226-SM-5NQ6T 30-39 years, male 0.7
GTEX-1IKK5-0626-SM-ARL8A 60-69 years, male 0.7
GTEX-1JN6P-0126-SM-D3L98 60-69 years, male 0.7
GTEX-1MCQQ-0826-SM-DLHC2 60-69 years, male 0.7
GTEX-W5X1-3026-SM-EAZAX 40-49 years, female 0.7
GTEX-11P82-1626-SM-59879 20-29 years, male 0.6
GTEX-11VI4-1726-SM-5CVLH 40-49 years, female 0.6
GTEX-13112-2826-SM-5DUWH 50-59 years, male 0.6
GTEX-13RTJ-2426-SM-5S2Q2 60-69 years, male 0.6
GTEX-14ABY-0226-SM-5TDCQ 50-59 years, male 0.6
GTEX-16GPK-0126-SM-7DHLE 60-69 years, male 0.6
GTEX-16NGA-1726-SM-731B4 40-49 years, female 0.6
GTEX-17EVQ-0226-SM-7LG4P 70-79 years, male 0.6
GTEX-17F96-1626-SM-7DUFL 70-79 years, male 0.6
GTEX-QESD-1426-SM-2S1R9 20-29 years, male 0.6
GTEX-SJXC-0126-SM-2XCFF 60-69 years, male 0.6
GTEX-U8T8-0126-SM-3DB94 60-69 years, male 0.6
GTEX-XBEW-0626-SM-4QASP 40-49 years, male 0.6
GTEX-YB5E-2026-SM-5IFIS 40-49 years, male 0.6
GTEX-ZF28-0126-SM-4WKGK 60-69 years, male 0.6
GTEX-ZF2S-2326-SM-4WWCE 50-59 years, female 0.6
GTEX-1H4P4-0726-SM-9YFLR 50-59 years, male 0.6
GTEX-1HCU7-0226-SM-CL545 50-59 years, male 0.6
GTEX-1HSMQ-1226-SM-CGQFX 50-59 years, male 0.6
GTEX-1JMPY-1326-SM-ARL8Y 30-39 years, male 0.6
GTEX-1JMQI-2226-SM-CM2SD 50-59 years, male 0.6
GTEX-1LB8K-0226-SM-EWRNW 50-59 years, male 0.6
GTEX-111FC-0126-SM-5N9DL 60-69 years, male 0.5
GTEX-11LCK-1026-SM-5A5KB 30-39 years, male 0.5
GTEX-11ZU8-2526-SM-5EQKI 60-69 years, male 0.5
GTEX-1399U-2326-SM-5K7WY 50-59 years, female 0.5
GTEX-13VXU-0126-SM-5SI9F 50-59 years, male 0.5
GTEX-145LU-0126-SM-5TDCB 50-59 years, male 0.5
GTEX-15SB6-1726-SM-6PAME 50-59 years, female 0.5
GTEX-17KNJ-2326-SM-7DHLQ 50-59 years, male 0.5
GTEX-183WM-0126-SM-7LTAB 70-79 years, female 0.5
GTEX-18A6Q-0126-SM-731BZ 60-69 years, male 0.5
GTEX-18D9U-0226-SM-718BP 40-49 years, male 0.5
GTEX-18QFQ-0126-SM-731BE 30-39 years, male 0.5
GTEX-1C6VS-0526-SM-7DUEN 60-69 years, male 0.5
GTEX-OHPL-0126-SM-2HMJ7 60-69 years, female 0.5
GTEX-OXRN-0126-SM-48TDM 50-59 years, male 0.5
GTEX-PX3G-0126-SM-2I3EN 20-29 years, female 0.5
GTEX-UJHI-1526-SM-3DB99 50-59 years, female 0.5
GTEX-1E2YA-0126-SM-9KNUC 50-59 years, male 0.5
GTEX-1F75B-0126-SM-9KNVL 50-59 years, male 0.5
GTEX-1HB9E-0226-SM-E9U4R 50-59 years, male 0.5
GTEX-1ICG6-2526-SM-CGQFZ 70-79 years, female 0.5
GTEX-1IOXB-0126-SM-ARL8G 50-59 years, male 0.5
GTEX-1J8JJ-0226-SM-CL53I 60-69 years, female 0.5
GTEX-1RDX4-0126-SM-E9J4P 50-59 years, female 0.5
GTEX-1S82Y-2026-SM-EVYCM 40-49 years, male 0.5
GTEX-1S82Z-0826-SM-E6CHY 30-39 years, female 0.5
GTEX-11ZVC-2526-SM-5FQTE 50-59 years, female 0.4
GTEX-139D8-0226-SM-5KLZO 30-39 years, female 0.4
GTEX-13N1W-0126-SM-5K7VT 70-79 years, male 0.4
GTEX-13NZB-2526-SM-5J1OM 30-39 years, male 0.4
GTEX-14BIM-0226-SM-7IGLD 60-69 years, female 0.4
GTEX-14LZ3-0226-SM-62LET 60-69 years, female 0.4
GTEX-14PJ3-1826-SM-62LEX 50-59 years, male 0.4
GTEX-16BQI-0226-SM-7KUEX 30-39 years, female 0.4
GTEX-18465-0126-SM-731BN 50-59 years, male 0.4
GTEX-18A67-0126-SM-7LG5P 50-59 years, male 0.4
GTEX-1CB4E-2226-SM-793DC 60-69 years, male 0.4
GTEX-P44H-0226-SM-2XCEU 40-49 years, male 0.4
GTEX-P4PP-0126-SM-3LK69 30-39 years, female 0.4
GTEX-S95S-1226-SM-4GICG 60-69 years, male 0.4
GTEX-SNMC-1226-SM-2XCFP 20-29 years, male 0.4
GTEX-XQ3S-1526-SM-4BOOC 20-29 years, male 0.4
GTEX-ZC5H-0226-SM-4WAY9 40-49 years, female 0.4
GTEX-ZDXO-3026-SM-5J1N5 60-69 years, male 0.4
GTEX-1GN1V-0126-SM-9WPOS 60-69 years, male 0.4
GTEX-1GN73-0226-SM-9WG67 60-69 years, male 0.4
GTEX-1GPI7-0126-SM-9MQL8 20-29 years, male 0.4
GTEX-1I1CD-0126-SM-CM2TK 60-69 years, female 0.4
GTEX-1IKJJ-0126-SM-CNPQB 60-69 years, male 0.4
GTEX-1JJ6O-0126-SM-E6CI8 60-69 years, male 0.4
GTEX-1JMQJ-0526-SM-CYPSU 50-59 years, male 0.4
GTEX-1MA7X-2226-SM-E6CIY 60-69 years, male 0.4
GTEX-1MJK2-0426-SM-DTXE5 50-59 years, male 0.4
GTEX-1OFPY-2426-SM-DTXEJ 60-69 years, male 0.4
GTEX-1QPFJ-0226-SM-E76PB 30-39 years, female 0.4
GTEX-1R9PM-2026-SM-E76OY 20-29 years, male 0.4
GTEX-1RB15-2126-SM-E9TIM 60-69 years, male 0.4
GTEX-OIZF-0126-SM-7SB8I 60-69 years, male 0.4
GTEX-PLZ6-1426-SM-DKPOT 30-39 years, male 0.4
GTEX-111VG-2426-SM-5GZXD 60-69 years, male 0.3
GTEX-11DXX-2426-SM-5GZZW 60-69 years, female 0.3
GTEX-11TTK-0126-SM-5987B 60-69 years, female 0.3
GTEX-11UD1-0126-SM-5PNYG 40-49 years, female 0.3
GTEX-13113-5016-SM-7EPIP 60-69 years, female 0.3
GTEX-131XH-2226-SM-5DUXJ 50-59 years, male 0.3
GTEX-139TS-2826-SM-5J1OO 60-69 years, male 0.3
GTEX-139TU-0126-SM-5K7WH 60-69 years, male 0.3
GTEX-13FHP-0126-SM-5IJBG 50-59 years, male 0.3
GTEX-13FXS-0226-SM-5IJCK 50-59 years, male 0.3
GTEX-13N2G-2626-SM-5J1OT 60-69 years, male 0.3
GTEX-13NZA-0226-SM-5K7Z7 60-69 years, male 0.3
GTEX-13OVI-1426-SM-5L3EY 60-69 years, female 0.3
GTEX-13RTL-0126-SM-7LG5S 40-49 years, male 0.3
GTEX-146FQ-0126-SM-5NQA9 30-39 years, male 0.3
GTEX-148VI-1626-SM-5SI6E 60-69 years, female 0.3
GTEX-14ICK-0226-SM-6EU25 40-49 years, male 0.3
GTEX-15DCD-0126-SM-7KUEK 70-79 years, female 0.3
GTEX-1CB4I-0226-SM-79OLH 50-59 years, male 0.3
GTEX-P4PQ-0126-SM-2S1NM 60-69 years, male 0.3
GTEX-P4QT-0126-SM-2I3FL 50-59 years, female 0.3
GTEX-PLZ4-0126-SM-5SI8O 50-59 years, female 0.3
GTEX-RM2N-1426-SM-2TF4H 50-59 years, male 0.3
GTEX-SUCS-1926-SM-32PM3 70-79 years, male 0.3
GTEX-T2YK-0526-SM-32QPJ 50-59 years, male 0.3
GTEX-TML8-1926-SM-32QOS 40-49 years, female 0.3
GTEX-U3ZM-1526-SM-3DB9D 40-49 years, male 0.3
GTEX-XMD2-0126-SM-4YCDU 60-69 years, female 0.3
GTEX-YEC4-2126-SM-5IFJH 40-49 years, male 0.3
GTEX-ZAK1-0126-SM-5IJD3 50-59 years, female 0.3
GTEX-ZDTT-2726-SM-4WKF8 60-69 years, male 0.3
GTEX-ZV68-0126-SM-59HKS 50-59 years, female 0.3
GTEX-ZXG5-0126-SM-5GIEU 60-69 years, male 0.3
GTEX-13FH7-2026-SM-E9J4I 50-59 years, female 0.3
GTEX-1A8FM-0226-SM-7SB7Q 50-59 years, female 0.3
GTEX-1GTWX-0126-SM-9YFLK 60-69 years, male 0.3
GTEX-1H3NZ-0126-SM-ACKX7 60-69 years, male 0.3
GTEX-1H3VE-0326-SM-9YFLH 40-49 years, male 0.3
GTEX-1I1GP-2226-SM-CGQFK 50-59 years, male 0.3
GTEX-1I1GQ-0126-SM-COH3H 50-59 years, male 0.3
GTEX-1IDJF-0126-SM-CM2RS 20-29 years, male 0.3
GTEX-1IL2U-0226-SM-CE6T8 60-69 years, male 0.3
GTEX-1IY9M-0126-SM-D3L8S 60-69 years, male 0.3
GTEX-1NHNU-1026-SM-E9J2A 50-59 years, male 0.3
GTEX-1OJC3-0126-SM-E76QX 20-29 years, male 0.3
GTEX-ZF29-2326-SM-DO92K 60-69 years, female 0.3
GTEX-ZF3C-0126-SM-DO92D 50-59 years, female 0.3
GTEX-11DZ1-0126-SM-5985Q 50-59 years, male 0.2
GTEX-11GS4-2726-SM-5A5LE 60-69 years, male 0.2
GTEX-11H98-0126-SM-5EGHG 50-59 years, male 0.2
GTEX-11WQC-2526-SM-5CVLE 60-69 years, male 0.2
GTEX-11ZTS-0126-SM-5EQ6M 60-69 years, female 0.2
GTEX-12WSL-2526-SM-5GCNJ 50-59 years, male 0.2
GTEX-1399R-2726-SM-5IJBA 30-39 years, male 0.2
GTEX-139T8-0126-SM-5K7XZ 60-69 years, male 0.2
GTEX-13CF3-2426-SM-5IFGX 60-69 years, female 0.2
GTEX-13X6J-0126-SM-5QGOU 50-59 years, male 0.2
GTEX-13YAN-0326-SM-5O9DF 60-69 years, male 0.2
GTEX-145MO-0326-SM-5Q5B3 60-69 years, male 0.2
GTEX-14A5I-0126-SM-5TDEA 50-59 years, female 0.2
GTEX-14E6C-0126-SM-5RQIP 40-49 years, male 0.2
GTEX-14PJ6-2126-SM-6EU1V 60-69 years, female 0.2
GTEX-15ER7-0326-SM-7KUEV 20-29 years, female 0.2
GTEX-15F5U-1526-SM-6PANO 40-49 years, male 0.2
GTEX-16MT8-0426-SM-7KUEY 60-69 years, female 0.2
GTEX-17EUY-0426-SM-793BD 20-29 years, male 0.2
GTEX-18D9A-1926-SM-7LG6P 30-39 years, female 0.2
GTEX-18D9B-0526-SM-7LTAS 60-69 years, male 0.2
GTEX-1AMFI-2026-SM-731BH 50-59 years, female 0.2
GTEX-1B97I-1626-SM-73KYO 40-49 years, male 0.2
GTEX-1C475-1826-SM-73KWA 40-49 years, female 0.2
GTEX-OHPM-0126-SM-2YUN9 50-59 years, male 0.2
GTEX-OXRL-0126-SM-2YUMP 50-59 years, male 0.2
GTEX-Q2AI-1326-SM-2S1PL 40-49 years, male 0.2
GTEX-QVJO-1626-SM-2S1QW 60-69 years, female 0.2
GTEX-SIU8-0126-SM-2XCDT 50-59 years, male 0.2
GTEX-TMZS-0126-SM-3DB9Q 60-69 years, male 0.2
GTEX-UPJH-0326-SM-3GADU 50-59 years, male 0.2
GTEX-WFON-2126-SM-3LK7O 40-49 years, male 0.2
GTEX-WXYG-2326-SM-4E3I6 50-59 years, female 0.2
GTEX-X5EB-2226-SM-46MW4 40-49 years, male 0.2
GTEX-Y3I4-2126-SM-4TT7C 50-59 years, male 0.2
GTEX-Y5V5-2326-SM-4V6GA 60-69 years, female 0.2
GTEX-YJ8A-0426-SM-5IFID 20-29 years, male 0.2
GTEX-ZE9C-2726-SM-57WB5 60-69 years, male 0.2
GTEX-ZVE2-0226-SM-59HJB 50-59 years, male 0.2
GTEX-ZYFD-0126-SM-5GIDL 50-59 years, male 0.2
GTEX-ZZPT-0226-SM-5E43X 50-59 years, male 0.2
GTEX-1B933-0126-SM-7PC29 50-59 years, female 0.2
GTEX-1GF9V-0326-SM-7RHI5 60-69 years, male 0.2
GTEX-1GF9X-2026-SM-7PC3A 40-49 years, female 0.2
GTEX-1GMR3-1926-SM-9KNUZ 40-49 years, male 0.2
GTEX-1GZ4H-1726-SM-7PBZJ 50-59 years, female 0.2
GTEX-1H1CY-2826-SM-9MQM3 60-69 years, female 0.2
GTEX-1H1E6-1726-SM-ACKVK 30-39 years, male 0.2
GTEX-1HCU8-0626-SM-A9SM9 60-69 years, female 0.2
GTEX-1HCU9-1526-SM-A9SL7 20-29 years, male 0.2
GTEX-1HSMO-0126-SM-CL547 60-69 years, male 0.2
GTEX-1I19N-0326-SM-ACKVX 70-79 years, male 0.2
GTEX-1I1GV-0526-SM-A9G29 60-69 years, male 0.2
GTEX-1IDJU-2626-SM-CM2RT 60-69 years, female 0.2
GTEX-1JJE9-0326-SM-CL53Z 70-79 years, male 0.2
GTEX-1LVAN-0226-SM-COH3S 50-59 years, female 0.2
GTEX-1N2DV-0226-SM-E6CJ6 40-49 years, male 0.2
GTEX-113JC-2326-SM-5EQ4E 50-59 years, female 0.1
GTEX-11DXZ-2326-SM-5EGGV 50-59 years, male 0.1
GTEX-11O72-0126-SM-59887 40-49 years, male 0.1
GTEX-11OC5-0126-SM-5HL6A 60-69 years, male 0.1
GTEX-11ZTT-2426-SM-5EQLS 60-69 years, female 0.1
GTEX-1211K-2026-SM-5EQ4Z 60-69 years, female 0.1
GTEX-12KS4-0326-SM-5EQ41 30-39 years, male 0.1
GTEX-12WSN-5019-SM-79OM6 40-49 years, male 0.1
GTEX-131XW-0426-SM-5LZWP 50-59 years, female 0.1
GTEX-131YS-0126-SM-5KM1M 60-69 years, female 0.1
GTEX-13D11-2426-SM-5KM1V 50-59 years, female 0.1
GTEX-13O3P-0126-SM-5KM4S 50-59 years, male 0.1
GTEX-13OVG-1926-SM-5L3DK 60-69 years, male 0.1
GTEX-13OVJ-0126-SM-5KM36 50-59 years, female 0.1
GTEX-13PVR-2326-SM-5QGR1 60-69 years, female 0.1
GTEX-13SLW-0126-SM-5SI6C 70-79 years, male 0.1
GTEX-13VXT-0126-SM-5LU4I 20-29 years, female 0.1
GTEX-13W46-0226-SM-5SIAG 50-59 years, male 0.1
GTEX-13X6H-2126-SM-7EWD5 50-59 years, female 0.1
GTEX-144FL-0126-SM-5TDC8 50-59 years, male 0.1
GTEX-145MN-2226-SM-5SIAU 30-39 years, male 0.1
GTEX-14753-0426-SM-5NQAM 60-69 years, male 0.1
GTEX-148VJ-0126-SM-5TDDN 70-79 years, male 0.1
GTEX-1497J-2426-SM-7IGNX 60-69 years, male 0.1
GTEX-14A5H-0426-SM-5QGQF 60-69 years, male 0.1
GTEX-14BIL-0126-SM-5SI92 50-59 years, male 0.1
GTEX-14E7W-0126-SM-6LLJ9 70-79 years, male 0.1
GTEX-14PHW-0126-SM-6LLJI 60-69 years, female 0.1
GTEX-14PN4-0126-SM-6EU2V 50-59 years, male 0.1
GTEX-15D1Q-0126-SM-7KUG6 40-49 years, male 0.1
GTEX-15ETS-0126-SM-7KUMW 40-49 years, female 0.1
GTEX-15G19-0126-SM-6PANQ 60-69 years, male 0.1
GTEX-15SHU-0126-SM-7KUEH 40-49 years, female 0.1
GTEX-15UF6-0826-SM-6PALJ 70-79 years, female 0.1
GTEX-17EVP-0326-SM-7DHLG 40-49 years, male 0.1
GTEX-17F97-0326-SM-7LG5B 50-59 years, male 0.1
GTEX-17GQL-2026-SM-718BA 60-69 years, male 0.1
GTEX-17JCI-0126-SM-7LG5G 60-69 years, female 0.1
GTEX-17MF6-0126-SM-7LG4F 40-49 years, male 0.1
GTEX-1A3MX-0126-SM-731BR 60-69 years, male 0.1
GTEX-1AX9K-2326-SM-73KWU 50-59 years, male 0.1
GTEX-1AYCT-2426-SM-7IGQ3 50-59 years, male 0.1
GTEX-1C4CL-0526-SM-73KVK 30-39 years, male 0.1
GTEX-1C64N-0126-SM-793D7 50-59 years, male 0.1
GTEX-RN64-0126-SM-2TC68 50-59 years, male 0.1
GTEX-RU72-0926-SM-2TF6B 50-59 years, female 0.1
GTEX-RWS6-2026-SM-2XCB5 60-69 years, female 0.1
GTEX-RWSA-0126-SM-2XCBB 40-49 years, male 0.1
GTEX-S7SE-0126-SM-2XCD5 50-59 years, male 0.1
GTEX-T2IS-0126-SM-4DM6O 20-29 years, female 0.1
GTEX-T5JW-1626-SM-3GADZ 20-29 years, female 0.1
GTEX-T6MN-0126-SM-32PLP 50-59 years, male 0.1
GTEX-U412-0426-SM-3DB9O 60-69 years, male 0.1
GTEX-V1D1-2226-SM-3NMAX 50-59 years, male 0.1
GTEX-VJWN-0126-SM-3GIK7 50-59 years, female 0.1
GTEX-X261-0126-SM-3NMD6 50-59 years, male 0.1
GTEX-XUZC-1726-SM-4BRWS 30-39 years, female 0.1
GTEX-Y3IK-2426-SM-4WWDU 50-59 years, female 0.1
GTEX-Z93T-0126-SM-5HL5N 50-59 years, male 0.1
GTEX-Z9EW-1626-SM-5CVMN 40-49 years, male 0.1
GTEX-ZAJG-0126-SM-5HL94 50-59 years, female 0.1
GTEX-ZE7O-0126-SM-57WC1 50-59 years, female 0.1
GTEX-ZEX8-2426-SM-4WKG4 50-59 years, male 0.1
GTEX-ZGAY-0526-SM-4WWBB 40-49 years, female 0.1
GTEX-ZTX8-1426-SM-5DUVO 20-29 years, male 0.1
GTEX-ZVT2-2526-SM-51MT1 50-59 years, female 0.1
GTEX-ZY6K-1826-SM-5GZXK 50-59 years, male 0.1
GTEX-ZYFG-2326-SM-5E44B 60-69 years, female 0.1
GTEX-ZYW4-0126-SM-5E44A 60-69 years, male 0.1
GTEX-13NYC-0326-SM-E9J4S 60-69 years, male 0.1
GTEX-13OW5-0126-SM-DTXFS 60-69 years, male 0.1
GTEX-1AX9I-0126-SM-7SB74 60-69 years, male 0.1
GTEX-1CB4F-0426-SM-9KNV4 60-69 years, male 0.1
GTEX-1CB4G-0226-SM-7PC3O 60-69 years, male 0.1
GTEX-1EMGI-0126-SM-9KNUE 60-69 years, male 0.1
GTEX-1EWIQ-0126-SM-7RHH2 70-79 years, female 0.1
GTEX-1F6I4-0126-SM-9MQL2 60-69 years, male 0.1
GTEX-1GN1W-0526-SM-9MQJQ 50-59 years, female 0.1
GTEX-1GN2E-0426-SM-9MQKX 60-69 years, male 0.1
GTEX-1H1DE-2126-SM-9WG6R 20-29 years, male 0.1
GTEX-1H1ZS-0426-SM-9WG6G 70-79 years, male 0.1
GTEX-1HBPH-0426-SM-B2LW5 40-49 years, female 0.1
GTEX-1HBPN-0226-SM-9YFM1 50-59 years, male 0.1
GTEX-1HFI6-0226-SM-ADEHZ 40-49 years, male 0.1
GTEX-1ICLZ-0126-SM-CKZPO 60-69 years, male 0.1
GTEX-1IDFM-0126-SM-COH2V 60-69 years, male 0.1
GTEX-1IDJH-0326-SM-A9SLQ 70-79 years, male 0.1
GTEX-1IE54-0126-SM-CMKHW 40-49 years, female 0.1
GTEX-1IKOH-0226-SM-COH4E 60-69 years, female 0.1
GTEX-1IL2V-0126-SM-CM2TX 70-79 years, male 0.1
GTEX-1J8Q3-1626-SM-CMKGC 60-69 years, male 0.1
GTEX-1JKYN-1326-SM-CGQG9 30-39 years, male 0.1
GTEX-1JMOU-1526-SM-CL54I 60-69 years, female 0.1
GTEX-1JMQK-0226-SM-CL543 60-69 years, male 0.1
GTEX-1JN1M-0326-SM-CYPT3 60-69 years, female 0.1
GTEX-1JN76-0126-SM-CNPPE 20-29 years, female 0.1
GTEX-1L5NE-2526-SM-E6CIE 50-59 years, male 0.1
GTEX-1LGRB-2526-SM-CNPPQ 50-59 years, female 0.1
GTEX-1LNCM-1126-SM-E9U5E 50-59 years, female 0.1
GTEX-1PIGE-0126-SM-EVYBJ 20-29 years, male 0.1
GTEX-1QAET-0926-SM-E76QM 50-59 years, male 0.1
GTEX-1QCLY-0326-SM-E8VOG 30-39 years, male 0.1
GTEX-1QP29-0626-SM-EWRMX 50-59 years, male 0.1
GTEX-1QP66-1726-SM-E8VO1 50-59 years, male 0.1
GTEX-1R46S-0626-SM-E9J41 60-69 years, female 0.1
GTEX-1RLM8-2326-SM-EWRN4 50-59 years, male 0.1
GTEX-OOBJ-0126-SM-E6CJW 60-69 years, male 0.1
GTEX-R45C-0126-SM-EAZ2R 60-69 years, female 0.1
GTEX-S33H-1026-SM-EZ6L6 30-39 years, male 0.1
GTEX-1128S-2326-SM-5GZZY 60-69 years, female 0.0
GTEX-113IC-0126-SM-5HL6T 60-69 years, male 0.0
GTEX-117XS-2726-SM-5N9BL 60-69 years, male 0.0
GTEX-1192W-2626-SM-5Q5AF 60-69 years, male 0.0
GTEX-1192X-0226-SM-5H12D 50-59 years, male 0.0
GTEX-11DYG-0126-SM-59883 60-69 years, male 0.0
GTEX-11EQ9-2426-SM-5HL5T 30-39 years, male 0.0
GTEX-11GSO-2426-SM-5A5LY 60-69 years, male 0.0
GTEX-11OF3-2626-SM-5GU7F 60-69 years, male 0.0
GTEX-11P7K-2126-SM-5GU7G 30-39 years, male 0.0
GTEX-11UD2-0226-SM-5EQKY 50-59 years, male 0.0
GTEX-11WQK-0526-SM-5EQLD 50-59 years, male 0.0
GTEX-11ZUS-0626-SM-59885 30-39 years, male 0.0
GTEX-1212Z-2526-SM-5EGKP 60-69 years, male 0.0
GTEX-12584-0126-SM-5EGKQ 40-49 years, male 0.0
GTEX-12696-2426-SM-5EQ6H 60-69 years, male 0.0
GTEX-1269C-2526-SM-5EGJ3 60-69 years, female 0.0
GTEX-12WSC-0126-SM-5EQ4P 50-59 years, male 0.0
GTEX-12WSD-0126-SM-59HKN 60-69 years, female 0.0
GTEX-12WSJ-1826-SM-5GCNY 40-49 years, female 0.0
GTEX-12WSK-2326-SM-5GCOH 40-49 years, female 0.0
GTEX-1313W-0126-SM-5LZUN 50-59 years, female 0.0
GTEX-131XE-2326-SM-5PNZ2 50-59 years, male 0.0
GTEX-133LE-1826-SM-5J1MV 20-29 years, female 0.0
GTEX-13FHO-0226-SM-5IFGY 60-69 years, male 0.0
GTEX-13FTX-1826-SM-5J1NX 20-29 years, female 0.0
GTEX-13JUV-2726-SM-5LZZ8 40-49 years, female 0.0
GTEX-13N11-2526-SM-5K7UE 50-59 years, female 0.0
GTEX-13NYB-2526-SM-5K7Z6 40-49 years, male 0.0
GTEX-13OW7-0126-SM-5MR3B 50-59 years, male 0.0
GTEX-13OW8-1326-SM-5J1OW 60-69 years, male 0.0
GTEX-13PDP-0126-SM-5L3HD 60-69 years, male 0.0
GTEX-13X6I-0626-SM-5QGP9 60-69 years, male 0.0
GTEX-144GL-0126-SM-5TDE2 50-59 years, male 0.0
GTEX-144GN-2326-SM-5LU4F 50-59 years, male 0.0
GTEX-14A6H-0126-SM-5QGPK 30-39 years, male 0.0
GTEX-14BMV-0126-SM-5S2PO 50-59 years, male 0.0
GTEX-14C5O-0126-SM-5SI6N 60-69 years, male 0.0
GTEX-14JG1-0426-SM-6ETZZ 40-49 years, male 0.0
GTEX-14JIY-0126-SM-6LLH6 60-69 years, male 0.0
GTEX-14PJM-0226-SM-62LF1 50-59 years, female 0.0
GTEX-15DDE-0126-SM-6LPKH 50-59 years, female 0.0
GTEX-15EOM-0126-SM-7KUGG 20-29 years, female 0.0
GTEX-15SDE-2226-SM-7IGLO 50-59 years, female 0.0
GTEX-15SHW-0326-SM-6PAML 60-69 years, male 0.0
GTEX-16XZY-2126-SM-79OK1 70-79 years, male 0.0
GTEX-17HGU-0226-SM-7DHKV 50-59 years, male 0.0
GTEX-17HHE-2026-SM-79OKF 50-59 years, male 0.0
GTEX-17HHY-0126-SM-7LG5D 50-59 years, male 0.0
GTEX-17HII-0226-SM-7LG4E 50-59 years, male 0.0
GTEX-18A7B-0126-SM-7LG64 70-79 years, male 0.0
GTEX-1B8KE-2126-SM-73KYX 50-59 years, male 0.0
GTEX-OOBK-0126-SM-2YUND 40-49 years, male 0.0
GTEX-OXRO-0126-SM-2YUN4 60-69 years, female 0.0
GTEX-POMQ-2226-SM-2I5FK 20-29 years, female 0.0
GTEX-PVOW-0126-SM-2XCFA 40-49 years, male 0.0
GTEX-PWO3-1526-SM-48TCM 60-69 years, female 0.0
GTEX-Q2AH-1626-SM-3GAF8 40-49 years, male 0.0
GTEX-Q734-1926-SM-2I5EV 40-49 years, female 0.0
GTEX-QDT8-0126-SM-48TZ1 30-39 years, female 0.0
GTEX-QDVJ-1726-SM-2I5FX 50-59 years, male 0.0
GTEX-QDVN-2026-SM-3GAEP 50-59 years, male 0.0
GTEX-QLQ7-1626-SM-2S1R8 60-69 years, male 0.0
GTEX-R3RS-0126-SM-3GIJL 40-49 years, female 0.0
GTEX-R55G-2526-SM-2TC6D 40-49 years, female 0.0
GTEX-RUSQ-1526-SM-2TF62 50-59 years, male 0.0
GTEX-S7PM-0126-SM-4AD6S 60-69 years, male 0.0
GTEX-SN8G-0126-SM-32PLI 50-59 years, female 0.0
GTEX-SSA3-0126-SM-32QPU 60-69 years, male 0.0
GTEX-U4B1-1826-SM-4DXSU 40-49 years, male 0.0
GTEX-U8XE-0326-SM-3DB8P 30-39 years, male 0.0
GTEX-VUSG-2526-SM-4KL1V 50-59 years, male 0.0
GTEX-WOFL-0126-SM-3MJG2 60-69 years, male 0.0
GTEX-WQUQ-0426-SM-3MJFU 60-69 years, male 0.0
GTEX-WRHK-1426-SM-3MJF9 20-29 years, female 0.0
GTEX-X4XY-0226-SM-4E3IZ 60-69 years, male 0.0
GTEX-X62O-0126-SM-4E3JN 50-59 years, male 0.0
GTEX-X638-0126-SM-47JZ8 70-79 years, female 0.0
GTEX-XBED-2226-SM-47JYQ 60-69 years, male 0.0
GTEX-XUYS-0126-SM-47JWZ 50-59 years, male 0.0
GTEX-XV7Q-2526-SM-4BRV9 40-49 years, female 0.0
GTEX-Y114-2426-SM-4TT8A 50-59 years, female 0.0
GTEX-Y5LM-1926-SM-5RQJH 40-49 years, female 0.0
GTEX-Y8E4-0626-SM-4WWDL 40-49 years, male 0.0
GTEX-YFC4-0126-SM-5CVLY 40-49 years, female 0.0
GTEX-ZAB4-0226-SM-5N9F5 40-49 years, male 0.0
GTEX-ZTSS-1926-SM-57WEW 40-49 years, male 0.0
GTEX-ZUA1-0126-SM-5GU76 40-49 years, male 0.0
GTEX-ZVZO-0126-SM-5A5L9 40-49 years, male 0.0
GTEX-ZYFC-0226-SM-5NQ75 50-59 years, male 0.0
GTEX-ZZ64-1726-SM-5GZYB 20-29 years, male 0.0
GTEX-13O3O-0126-SM-E9J49 60-69 years, female 0.0
GTEX-146FR-1326-SM-E9J48 60-69 years, female 0.0
GTEX-1CAMS-0426-SM-7P8T2 40-49 years, female 0.0
GTEX-1CAV2-2226-SM-7P8P2 40-49 years, female 0.0
GTEX-1EX96-1626-SM-7PBXR 50-59 years, male 0.0
GTEX-1F6RS-0126-SM-9MQKZ 60-69 years, female 0.0
GTEX-1F75I-0326-SM-9YFLU 40-49 years, male 0.0
GTEX-1GF9W-0326-SM-9KNUN 60-69 years, male 0.0
GTEX-1GL5R-1826-SM-9KNUY 50-59 years, male 0.0
GTEX-1GMRU-0126-SM-9YFLV 50-59 years, male 0.0
GTEX-1GZHY-0326-SM-9QEHI 50-59 years, female 0.0
GTEX-1H11D-0226-SM-9WG6Z 40-49 years, male 0.0
GTEX-1H1DG-0126-SM-9WYU2 70-79 years, male 0.0
GTEX-1HCUA-2426-SM-ADEIS 50-59 years, female 0.0
GTEX-1HSGN-0226-SM-CGQFV 40-49 years, female 0.0
GTEX-1HSMP-0126-SM-E6CJS 70-79 years, male 0.0
GTEX-1HUB1-0426-SM-E9U4U 60-69 years, male 0.0
GTEX-1I1GU-2226-SM-CGQFA 40-49 years, male 0.0
GTEX-1J8EW-0126-SM-CJI4F 60-69 years, female 0.0
GTEX-1J8Q2-0526-SM-CM2RW 60-69 years, male 0.0
GTEX-1JJEA-0326-SM-CNPOT 60-69 years, male 0.0
GTEX-1JMLX-0226-SM-CM2RO 50-59 years, male 0.0
GTEX-1JMQL-0226-SM-CNPP5 50-59 years, female 0.0
GTEX-1KAFJ-2026-SM-CY8ID 50-59 years, male 0.0
GTEX-1KANB-0526-SM-E6CJH 50-59 years, male 0.0
GTEX-1M4P7-0226-SM-DIPEV 60-69 years, male 0.0
GTEX-1N2DW-0226-SM-E9TK2 50-59 years, male 0.0
GTEX-1O97I-0326-SM-EYYX7 60-69 years, male 0.0
GTEX-1OJC4-0126-SM-E9J2E 50-59 years, female 0.0
GTEX-1PFEY-1526-SM-E76PP 30-39 years, male 0.0
GTEX-1PWST-0226-SM-E76QJ 70-79 years, male 0.0
GTEX-1QMI2-0226-SM-EVYBX 60-69 years, male 0.0
GTEX-1QP2A-0126-SM-E9J43 50-59 years, male 0.0
GTEX-1QP67-1626-SM-EAZ3X 40-49 years, female 0.0
GTEX-1QW4Y-1526-SM-EAZ3Z 30-39 years, male 0.0
GTEX-1R9K4-0126-SM-DTX9X 60-69 years, male 0.0
GTEX-1R9PO-2126-SM-E9J4O 60-69 years, female 0.0
GTEX-1RAZA-0126-SM-E6CI3 20-29 years, male 0.0
GTEX-1RAZQ-0726-SM-EAZ43 30-39 years, male 0.0
GTEX-1RQEC-0426-SM-E6CHU 60-69 years, male 0.0
GTEX-1S5ZA-0126-SM-EVYCV 20-29 years, male 0.0
GTEX-PSDG-0226-SM-DKPOZ 50-59 years, male 0.0
GTEX-ZVT4-0126-SM-DTXFN 50-59 years, female 0.0
Show allShow less

Contact

  • NEWS ARTICLES
  • PRESS ROOM

The Project

  • INTRODUCTION
  • ORGANIZATION
  • PUBLICATIONS

The Human Protein Atlas

  • DOWNLOADABLE DATA
  • LICENCE & CITATION
  • HELP & FAQ
The Human Protein Atlas project is funded
by the Knut & Alice Wallenberg Foundation.


contact@proteinatlas.org