We use cookies to enhance the usability of our website. If you continue, we'll assume that you are happy to receive all cookies. More information. Don't show this again.
FURIN
HPA
RESOURCES
  • TISSUE
  • BRAIN
  • SINGLE CELL
  • SUBCELLULAR
  • CANCER
  • BLOOD
  • CELL LINE
  • STRUCTURE & INTERACTION
ABOUT
  • INTRODUCTION
  • HISTORY
  • ORGANIZATION
  • PUBLICATIONS
  • ANTIBODY SUBMISSION
  • ANTIBODY AVAILABILITY
  • ACKNOWLEDGMENTS
  • CONTACT
NEWS
  • NEWS ARTICLES
  • PRESS ROOM
LEARN
  • DICTIONARY
  • PROTEIN CLASSES
  • PROTEIN EVIDENCE
  • METHODS
  • EDUCATIONAL VIDEOS
DATA
  • DOWNLOADABLE DATA
  • PUBLICATION DATA
  • RELEASE HISTORY
HELP
  • ANTIBODY VALIDATION
  • ASSAYS & ANNOTATION
  • DISCLAIMER
  • HELP & FAQ
  • PRIVACY STATEMENT
  • LICENCE & CITATION
Fields »
Search result

Field
Term
Gene name
Class
Subclass
Class
Keyword
Chromosome
External id
Tissue
Cell type
Expression
Antibody panel
Tissue
Main location
Patient ID
Annotation
Tissue
Category
Tau score
Cluster
Reliability
Brain region
Category
Tau score
Brain region
Category
Tau score
Brain region
Category
Tau score
Cluster
Reliability
Tissue
Cell type
Enrichment
Cell type
Category
Tau score
Cell type
Category
Tau score
Cell type
Category
Tau score
Cell lineage
Category
Tau score
Cluster
Cluster
Location
Searches
Location
Cell line
Class
Type
Phase
Reliability
Cancer
Prognosis
Cancer
Category
Cancer
Category
Tau score
Cluster
Variants
Interacting gene (ensg_id)
Type
Number of interactions
Pathway
Category
Score
Score
Score
Validation
Validation
Validation
Validation
Antibodies
Data type
Column


  • SUMMARY

  • TISSUE

  • BRAIN

  • SINGLE CELL

  • SUBCELL

  • CANCER

  • BLOOD

  • CELL LINE

  • STRUCT & INT

  • FURIN
TISSUE PRIMARY DATA SKIN Show tissue menu
ADIPOSE TISSUE ADRENAL GLAND AMYGDALA APPENDIX BASAL GANGLIA BONE MARROW BREAST BRONCHUS CEREBELLUM CEREBRAL CORTEX CERVIX CHOROID PLEXUS COLON DUODENUM
ENDOMETRIUM EPIDIDYMIS ESOPHAGUS FALLOPIAN TUBE GALLBLADDER HEART MUSCLE HIPPOCAMPAL FORMATION HYPOTHALAMUS KIDNEY LIVER LUNG LYMPH NODE MIDBRAIN NASOPHARYNX
ORAL MUCOSA OVARY PANCREAS PARATHYROID GLAND PITUITARY GLAND PLACENTA PROSTATE RECTUM RETINA SALIVARY GLAND SEMINAL VESICLE SKELETAL MUSCLE SKIN SMALL INTESTINE
SMOOTH MUSCLE SOFT TISSUE SPINAL CORD SPLEEN STOMACH TESTIS THYMUS THYROID GLAND TONGUE TONSIL URINARY BLADDER VAGINA
ANTIBODIES
AND
VALIDATION
Dictionary
Skin
Tissue proteome
Skin
SKIN - Expression summary
Protein expression
Skini

On the top, protein expression in current human tissue, based on all annotated cell types, is reported with the units not detected (n), low (l), medium (m) and high (h). Underneath, protein expression in each annotated cell type are reported using the same units.

Protein expression data is based on knowledge-based annotation. For genes where more than one antibody has been used, a collective score is set.

If knowledge-based annotation could not be performed for a gene, no data is displayed here. View antibody staining data further down this page.

h
m
l
n
Epidermal cells: Not detected
Fibroblasts: Not detected
Keratinocytes: Not detected
Langerhans: Not detected
Melanocytes: Not detected
RNA expressioni

A summary of mRNA expression data available for current tissue based on several datasets. The mRNA expression levels in human tissues are based on RNA-seq data generated by the Human Protein Atlas (HPA), Genotype-Tissue Expression (GTEx) portal and CAGE data generated by the FANTOM5 consortium. Consensus normalized expression levels for human tissues was created by combining the data from HPA and GTEx datasets.

The mRNA expression levels in pig are based on RNA-seq data generated by the Human Protein Atlas (HPA), and for mouse, HPA data and in situ hybridization generated by the Allen brain atlas are reported.

Scroll down to view mRNA expression data in more detail.
Consensus:60.7 nTPM
HPA:21.0 nTPM
GTEx:60.7 nTPM

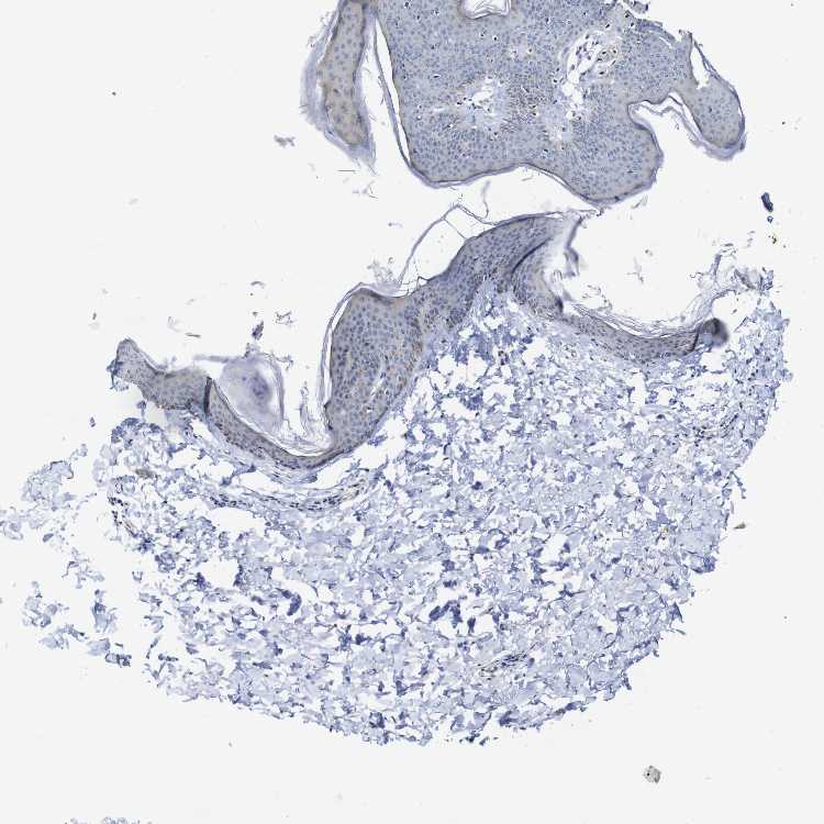
SKIN 1 - Antibody stainingi

Antibody staining in the annotated cell types in the current human tissue is reported as not detected, low, medium, or high, based on conventional immunohistochemistry profiling in selected tissues. This score is based on the combination of the staining intensity and fraction of stained cells.

Each image is clickable and will lead to virtual microscopy that enables deeper exploration of all samples and also displays staining intensity scores, fraction scores and subcellular localization as well as patient and tissue information for each sample.

Antibody HPA067869Antibody CAB009499
Langerhans Not detectedNot detected
Fibroblasts Not detectedNot detected
Keratinocytes Not detectedNot detected
Melanocytes LowNot detected



SKIN 2 - Antibody stainingi

Antibody staining in the annotated cell types in the current human tissue is reported as not detected, low, medium, or high, based on conventional immunohistochemistry profiling in selected tissues. This score is based on the combination of the staining intensity and fraction of stained cells.

Each image is clickable and will lead to virtual microscopy that enables deeper exploration of all samples and also displays staining intensity scores, fraction scores and subcellular localization as well as patient and tissue information for each sample.

Antibody HPA067869Antibody CAB009499
Epidermal cells Not detectedNot detected
  
  
  




SKIN - HPA RNA-seqi

The RNA-seq details section shows detailed information about the individual samples used for the transcript profiling and results of the RNA-seq analysis.

Information about each individual sample is listed below, including gender, age, a tissue section image and estimated fractions of cell types. nTPM (normalized transcripts per million) values give a quantification of the gene abundance which is comparable between different genes and samples.
Average nTPMi

Max subtype nTPM is the value for the subtype with the largest average nTPM across the subtype samples.

21.0
overview
Female, age 34
Skin sample 225
nTPM: 19.7
Cell types%
Keratinocytes:
60

Other cell types:
40

overview
Female, age 30
Skin sample 226
nTPM: 11.5
Cell types%
Keratinocytes:
55

Other cell types:
45

N/A
Male, age 57
Skin sample 227
nTPM: 31.8

SKIN - GTEx RNA-seqi

RNA-Seq data generated by the Genotype-Tissue Expression (GTEx) project from human tissues is reported as mean nTPM. More information can be found on the GTEx portal.

Distribution across the dataset is visualized with box plots, shown as median and 25th and 75th percentiles. Points are displayed as outliers if they are above or below 1.5 times the interquartile range. nTPM values of the individual samples are presented next to the box plot.
Max subtype nTPMi

Max subtype nTPM is the value for the subtype with the largest average nTPM across the subtype samples.

60.7
GTEx sample id Sample description nTPM
Skin - Not Sun Exposed (Suprapubic)
Average nTPM: 53.0
Samples: 604

Max nTPM: 123.6
Min nTPM: 18.6
Std nTPM: 17.3
Median nTPM: 50.5
GTEX-1N2DV-1526-SM-DTXEP 40-49 years, male 123.6
GTEX-ZY6K-1426-SM-5GZX2 50-59 years, male 117.5
GTEX-ZTX8-1326-SM-4YCEL 20-29 years, male 115.8
GTEX-Y114-2126-SM-4TT8B 50-59 years, female 112.7
GTEX-WFG7-2026-SM-5SI7P 20-29 years, male 111.5
GTEX-1OJC3-1226-SM-DTXER 20-29 years, male 108.5
GTEX-1PPH8-0126-SM-EWRN8 20-29 years, male 108.2
GTEX-1QP9N-1226-SM-E76QN 30-39 years, male 108.0
GTEX-11P7K-1126-SM-5HL4L 30-39 years, male 107.5
GTEX-WHSE-0126-SM-3NMBT 20-29 years, male 106.6
GTEX-1IKOE-1426-SM-CE6T7 30-39 years, female 104.7
GTEX-1RMOY-1326-SM-E9TIH 50-59 years, male 104.7
GTEX-14PJ3-1126-SM-5ZZVX 50-59 years, male 98.5
GTEX-1CAMS-2226-SM-7PBXQ 40-49 years, female 97.3
GTEX-131XF-2626-SM-5EQ6K 60-69 years, male 95.6
GTEX-111CU-1126-SM-5EGIM 50-59 years, male 94.5
GTEX-1JMPY-0226-SM-CKZOK 30-39 years, male 92.5
GTEX-1MJK3-0726-SM-E6CJC 20-29 years, male 92.4
GTEX-13O61-1426-SM-5KM3D 60-69 years, male 92.2
GTEX-14ICL-1626-SM-5YYAO 30-39 years, male 91.4
GTEX-ZT9W-1126-SM-57WDR 50-59 years, male 91.2
GTEX-1QPFJ-1926-SM-EVYBD 30-39 years, female 90.9
GTEX-1F75I-2226-SM-7SB8U 40-49 years, male 90.5
GTEX-ZP4G-1426-SM-4WWCL 20-29 years, female 89.7
GTEX-12BJ1-0926-SM-5EQ62 60-69 years, male 89.5
GTEX-18QFQ-1826-SM-72D52 30-39 years, male 89.3
GTEX-XBEW-1126-SM-4QARW 40-49 years, male 87.8
GTEX-YFCO-1226-SM-5LUAT 40-49 years, male 86.5
GTEX-131XG-0326-SM-5L3DX 50-59 years, female 85.3
GTEX-14PHX-2226-SM-6EU2P 50-59 years, male 85.3
GTEX-18D9A-1426-SM-7LT8M 30-39 years, female 85.3
GTEX-1B8KE-1126-SM-7EPHI 50-59 years, male 85.2
GTEX-1192X-2726-SM-5N9DN 50-59 years, male 84.9
GTEX-17F9E-2326-SM-79OKD 50-59 years, male 83.8
GTEX-16AAH-0626-SM-793C9 50-59 years, male 83.7
GTEX-YEC3-1326-SM-DO92X 50-59 years, male 83.7
GTEX-14E6C-2426-SM-5S2NF 40-49 years, male 83.5
GTEX-1H2FU-0926-SM-9WPPT 60-69 years, female 82.9
GTEX-1HSMP-0926-SM-A9SKX 70-79 years, male 82.1
GTEX-ZVP2-0326-SM-57WBP 50-59 years, male 81.7
GTEX-WI4N-2726-SM-3LK7Y 40-49 years, female 81.6
GTEX-1HSMQ-2626-SM-A9SML 50-59 years, male 81.6
GTEX-14PKV-1126-SM-6LLJ1 20-29 years, female 81.4
GTEX-ZWKS-0626-SM-5GIDV 30-39 years, male 81.3
GTEX-WH7G-2026-SM-3NMBL 40-49 years, male 81.0
GTEX-1LSNM-0826-SM-DIPG8 50-59 years, male 80.8
GTEX-1399S-0126-SM-5IJCF 30-39 years, female 80.7
GTEX-1PIGE-1826-SM-E8VOU 20-29 years, male 80.6
GTEX-1GZ4H-0526-SM-9KNU9 50-59 years, female 79.9
GTEX-13RTJ-0126-SM-5S2NN 60-69 years, male 79.8
GTEX-1QP2A-1726-SM-E76QC 50-59 years, male 79.7
GTEX-111YS-1526-SM-5GZYW 60-69 years, male 79.3
GTEX-17F98-1326-SM-7DUEP 40-49 years, female 78.7
GTEX-WHWD-1826-SM-3LK6I 50-59 years, male 78.5
GTEX-ZVZP-1226-SM-5GID7 50-59 years, male 78.5
GTEX-1497J-0226-SM-5QGPU 60-69 years, male 77.9
GTEX-ZDTT-0426-SM-4WKFL 60-69 years, male 77.9
GTEX-X585-2426-SM-46MW2 50-59 years, male 77.7
GTEX-1S3DN-2126-SM-E9TIN 50-59 years, male 77.7
GTEX-14PJ4-0226-SM-5YY92 60-69 years, male 77.3
GTEX-1H1E6-0426-SM-9WYUS 30-39 years, male 77.0
GTEX-1HBPN-0126-SM-CGQEF 50-59 years, male 77.0
GTEX-ZLFU-1826-SM-4WWBV 40-49 years, male 76.8
GTEX-17HII-1426-SM-7EPGG 50-59 years, male 75.8
GTEX-1QCLY-0226-SM-EWRNH 30-39 years, male 75.7
GTEX-ZZ64-1026-SM-5GZXG 20-29 years, male 75.3
GTEX-14DAR-1226-SM-73KYV 50-59 years, male 74.9
GTEX-ZPCL-1126-SM-4WWFE 60-69 years, female 74.5
GTEX-11DXZ-2026-SM-5987S 50-59 years, male 73.9
GTEX-17F96-0126-SM-7EWDU 70-79 years, male 73.9
GTEX-1R9PM-1926-SM-EVR3O 20-29 years, male 73.9
GTEX-16MTA-0926-SM-6M47Z 50-59 years, male 73.8
GTEX-17HHE-1326-SM-7EWDZ 50-59 years, male 73.6
GTEX-1B996-0426-SM-7EWF8 60-69 years, male 73.5
GTEX-WHSB-1326-SM-3LK6W 50-59 years, male 73.5
GTEX-14E1K-2026-SM-7DUEI 50-59 years, male 73.3
GTEX-1C64O-1326-SM-7MGWR 60-69 years, male 73.2
GTEX-15RIG-0726-SM-7KUM7 40-49 years, male 72.7
GTEX-11DZ1-2426-SM-5GZZX 50-59 years, male 72.4
GTEX-1LBAC-0826-SM-CY8IJ 20-29 years, male 71.1
GTEX-1NSGN-0726-SM-DTXEF 50-59 years, male 71.1
GTEX-12WSJ-1126-SM-5LZVJ 40-49 years, female 71.0
GTEX-1F52S-2926-SM-7MKGA 60-69 years, female 71.0
GTEX-1A3MV-1826-SM-731CD 30-39 years, male 70.9
GTEX-14JG6-1426-SM-9WG7C 30-39 years, female 70.5
GTEX-1CAMR-1326-SM-7PC1F 20-29 years, male 70.2
GTEX-11DXX-2126-SM-5PNYR 60-69 years, female 70.1
GTEX-1211K-1526-SM-5FQU4 60-69 years, female 69.6
GTEX-13FTX-1526-SM-5K7VJ 20-29 years, female 69.6
GTEX-1ICLZ-0326-SM-ARL82 60-69 years, male 69.0
GTEX-XPVG-2126-SM-4B667 50-59 years, male 68.8
GTEX-WXYG-2026-SM-4E3IY 50-59 years, female 68.6
GTEX-13JUV-2026-SM-5K7UA 40-49 years, female 68.4
GTEX-WFON-1926-SM-3LK7L 40-49 years, male 68.4
GTEX-1C6WA-2626-SM-7MKGM 60-69 years, male 68.3
GTEX-13PVR-0426-SM-5RQK2 60-69 years, female 68.1
GTEX-ZAJG-1526-SM-5CVML 50-59 years, female 68.0
GTEX-1QP28-1126-SM-EVYC4 50-59 years, female 67.8
GTEX-11TT1-1826-SM-5EQLV 20-29 years, male 67.7
GTEX-145LT-0526-SM-5LUB2 40-49 years, male 67.7
GTEX-11EQ9-1626-SM-5PNY8 30-39 years, male 67.6
GTEX-ZLV1-1526-SM-DO91J 60-69 years, female 67.6
GTEX-11DYG-1526-SM-5A5JS 60-69 years, male 67.5
GTEX-145MN-1526-SM-5SI9T 30-39 years, male 67.5
GTEX-WY7C-2126-SM-3NB2R 50-59 years, male 67.4
GTEX-145MO-2826-SM-5LU96 60-69 years, male 67.3
GTEX-14PJN-1826-SM-6AJ98 30-39 years, male 67.2
GTEX-ZT9X-1526-SM-5DUXD 40-49 years, male 67.1
GTEX-1JKYN-0826-SM-ARU8S 30-39 years, male 67.1
GTEX-16NGA-0726-SM-731AO 40-49 years, female 67.0
GTEX-1LVAN-0626-SM-CNPOQ 50-59 years, female 67.0
GTEX-1E2YA-2126-SM-7MXUO 50-59 years, male 66.8
GTEX-12WSF-1626-SM-7KUG5 70-79 years, male 66.7
GTEX-139TU-0726-SM-5L3EK 60-69 years, male 66.7
GTEX-ZDTS-0826-SM-4WKHL 60-69 years, male 66.7
GTEX-14PJO-2526-SM-6AJBQ 60-69 years, male 66.4
GTEX-1GPI7-1826-SM-9KNU1 20-29 years, male 66.2
GTEX-1KANA-1326-SM-DIPFA 20-29 years, male 66.2
GTEX-1S831-1826-SM-EWROF 20-29 years, male 66.2
GTEX-Y5LM-0926-SM-6LLJG 40-49 years, female 66.1
GTEX-1HCUA-0826-SM-ADEHM 50-59 years, female 66.1
GTEX-12C56-1526-SM-5FQUQ 20-29 years, male 65.8
GTEX-15RIE-1926-SM-7KUKJ 60-69 years, male 65.7
GTEX-Z93S-1626-SM-5CVMB 50-59 years, male 65.7
GTEX-1CB4F-1026-SM-7DUH1 60-69 years, male 65.6
GTEX-18A7B-2726-SM-7LG56 70-79 years, male 65.5
GTEX-12WSK-2126-SM-5CVNC 40-49 years, female 65.2
GTEX-1NV5F-0626-SM-DTXEG 60-69 years, female 65.1
GTEX-144GM-0526-SM-79OJO 20-29 years, male 65.0
GTEX-14A5H-0826-SM-5QGPJ 60-69 years, male 64.9
GTEX-1J1R8-2026-SM-CL53Y 40-49 years, male 64.9
GTEX-18A66-0626-SM-7LT8Z 60-69 years, male 64.7
GTEX-147F3-1726-SM-5SIAW 50-59 years, female 64.2
GTEX-1GTWX-2026-SM-9YFLM 60-69 years, male 64.1
GTEX-1R7EU-1626-SM-DTXG3 60-69 years, male 63.6
GTEX-117YX-1926-SM-5GIEC 50-59 years, male 63.5
GTEX-1IY9M-2826-SM-ARU8H 60-69 years, male 63.5
GTEX-15RJ7-2126-SM-6PAMD 40-49 years, male 63.4
GTEX-13OVK-1426-SM-6PAN7 40-49 years, male 63.3
GTEX-Y8E4-2026-SM-5IFJB 40-49 years, male 63.2
GTEX-1JMLX-0626-SM-ARL8T 50-59 years, male 63.1
GTEX-1QP29-1826-SM-DTX9S 50-59 years, male 63.1
GTEX-1RLM8-2926-SM-E8VON 50-59 years, male 63.0
GTEX-1LGOU-1326-SM-D3L8M 20-29 years, female 62.9
GTEX-1HCU7-0726-SM-A9SL1 50-59 years, male 62.8
GTEX-1MCYP-0526-SM-E9U6Q 20-29 years, female 62.8
GTEX-13FTW-0326-SM-5K7UW 40-49 years, male 62.3
GTEX-WHPG-2626-SM-3NMBR 50-59 years, male 62.3
GTEX-ZTSS-1426-SM-5985P 40-49 years, male 62.2
GTEX-183FY-1026-SM-7939A 20-29 years, male 62.1
GTEX-1I1GT-1026-SM-ARZLV 60-69 years, female 62.0
GTEX-18A67-1626-SM-7LT9T 50-59 years, male 61.9
GTEX-18D9U-0126-SM-731BM 40-49 years, male 61.9
GTEX-1I6K6-1726-SM-CGQFD 30-39 years, male 61.7
GTEX-11NSD-0626-SM-5A5LU 20-29 years, male 61.6
GTEX-YEC4-1826-SM-4W1YP 40-49 years, male 61.6
GTEX-131YS-2826-SM-5EQ47 60-69 years, female 61.4
GTEX-14C5O-0326-SM-5ZZUX 60-69 years, male 61.4
GTEX-ZF29-0926-SM-4WKFZ 60-69 years, female 61.3
GTEX-1399U-1126-SM-5L3DB 50-59 years, female 61.2
GTEX-1C2JI-1026-SM-73KY1 50-59 years, male 61.2
GTEX-1K2DA-1026-SM-CGQGF 50-59 years, male 61.1
GTEX-1HC8U-1326-SM-9YFMJ 40-49 years, female 61.0
GTEX-Y3I4-1726-SM-4TT89 50-59 years, male 60.7
GTEX-1GZHY-0626-SM-9KNVC 50-59 years, female 60.7
GTEX-1S82P-2126-SM-E6CI5 60-69 years, female 60.6
GTEX-1EH9U-2826-SM-7DUGT 60-69 years, male 60.5
GTEX-1KANC-1226-SM-CYPT7 50-59 years, female 60.5
GTEX-11O72-0626-SM-5PNYE 40-49 years, male 60.3
GTEX-13PVQ-0626-SM-5LU47 50-59 years, male 60.3
GTEX-1LGRB-0926-SM-COH3K 50-59 years, female 60.2
GTEX-14PHY-1226-SM-5ZZWK 60-69 years, female 59.7
GTEX-ZA64-1026-SM-5HL8R 20-29 years, male 59.7
GTEX-11TUW-0626-SM-5LU9M 60-69 years, male 59.6
GTEX-Y8LW-1526-SM-5IFHL 50-59 years, female 59.5
GTEX-1HGF4-0126-SM-CNPPX 60-69 years, male 59.5
GTEX-1GMR2-0826-SM-7PC3V 50-59 years, male 59.4
GTEX-1PIIG-2326-SM-DTXFR 30-39 years, male 59.4
GTEX-12WSH-1526-SM-5BC5W 50-59 years, male 59.3
GTEX-ZYFG-1526-SM-5GZYM 60-69 years, female 59.2
GTEX-13NYS-0626-SM-5L3F1 60-69 years, male 59.1
GTEX-17F97-2626-SM-7IGM5 50-59 years, male 58.8
GTEX-1PBJJ-1026-SM-E76OS 30-39 years, male 58.8
GTEX-133LE-2326-SM-5K7W3 20-29 years, female 58.6
GTEX-1AX9I-2226-SM-73KUO 60-69 years, male 58.4
GTEX-ZPU1-1126-SM-4YCF3 40-49 years, male 58.4
GTEX-147F4-0726-SM-5TDDD 50-59 years, male 58.3
GTEX-Y9LG-1126-SM-4VBQ7 30-39 years, male 58.2
GTEX-1JK1U-0226-SM-ARZMX 60-69 years, male 58.2
GTEX-1AMEY-0826-SM-72D65 30-39 years, female 58.1
GTEX-1B97I-0626-SM-73KUZ 40-49 years, male 58.0
GTEX-1F5PK-2226-SM-7SB6N 50-59 years, male 58.0
GTEX-1GF9X-1326-SM-7PC2Y 40-49 years, female 58.0
GTEX-14PJ5-1526-SM-6LLIL 60-69 years, female 57.9
GTEX-1E1VI-0326-SM-793D1 50-59 years, male 57.9
GTEX-1CAMQ-1326-SM-7P8RV 40-49 years, male 57.9
GTEX-1KXAM-1626-SM-D3LAD 60-69 years, male 57.9
GTEX-13OVG-1626-SM-5J1NF 60-69 years, male 57.8
GTEX-ZDYS-2426-SM-4WKGI 50-59 years, male 57.8
GTEX-1H23P-0626-SM-9WG6T 60-69 years, male 57.8
GTEX-13113-1626-SM-5EQ4I 60-69 years, female 57.7
GTEX-14AS3-1526-SM-5Q5ED 40-49 years, female 57.7
GTEX-1HCU9-0426-SM-9WYSD 20-29 years, male 57.7
GTEX-15G1A-1626-SM-7KUKN 30-39 years, male 57.6
GTEX-UPJH-0226-SM-3GADV 50-59 years, male 57.6
GTEX-1IDJU-1726-SM-CMKHU 60-69 years, female 57.6
GTEX-X5EB-1926-SM-4E3IW 40-49 years, male 57.4
GTEX-ZYW4-0626-SM-59HJR 60-69 years, male 57.4
GTEX-11P82-1426-SM-DTXFY 20-29 years, male 57.3
GTEX-1I1GP-1326-SM-A9G28 50-59 years, male 57.3
GTEX-1RAZQ-1326-SM-E9TK6 30-39 years, male 57.3
GTEX-14B4R-1326-SM-5Q5EZ 30-39 years, male 57.1
GTEX-15CHR-1126-SM-7EWF4 50-59 years, male 56.9
GTEX-1IDJF-2026-SM-CL53V 20-29 years, male 56.9
GTEX-1JN1M-2726-SM-CY8I4 60-69 years, female 56.8
GTEX-1122O-1026-SM-9WYSF 60-69 years, female 56.7
GTEX-1C475-1326-SM-7SB73 40-49 years, female 56.7
GTEX-1RB15-1326-SM-E76Q9 60-69 years, male 56.7
GTEX-WYJK-0526-SM-3NM8Z 50-59 years, male 56.2
GTEX-YF7O-1526-SM-5IFI6 50-59 years, male 56.2
GTEX-ZVT2-0126-SM-5GIDQ 50-59 years, female 56.2
GTEX-XQ3S-1426-SM-4BOPR 20-29 years, male 56.1
GTEX-YECK-0326-SM-4W1YS 60-69 years, male 55.9
GTEX-1HFI7-2326-SM-CGQFS 50-59 years, female 55.8
GTEX-11LCK-2226-SM-5HL4Q 30-39 years, male 55.6
GTEX-ZGAY-1826-SM-DO91Q 40-49 years, female 55.6
GTEX-139TT-2126-SM-5LZWC 60-69 years, male 55.5
GTEX-18D9B-0926-SM-7LG4U 60-69 years, male 55.5
GTEX-X3Y1-2026-SM-3P5YM 40-49 years, male 55.3
GTEX-1GMR3-0126-SM-A9SLW 40-49 years, male 55.2
GTEX-15RJE-2826-SM-7KUM9 40-49 years, male 55.1
GTEX-1QW4Y-1126-SM-DTXE3 30-39 years, male 55.1
GTEX-12696-0126-SM-5EQ4L 60-69 years, male 55.0
GTEX-14E6E-0526-SM-793DN 30-39 years, male 55.0
GTEX-14PK6-0226-SM-62LF5 70-79 years, female 54.8
GTEX-1GN1W-2426-SM-9KNUU 50-59 years, female 54.8
GTEX-1I6K7-1926-SM-B2LXR 40-49 years, male 54.8
GTEX-139YR-1026-SM-5LZYN 50-59 years, male 54.7
GTEX-XUW1-0926-SM-4BONX 50-59 years, female 54.7
GTEX-1A32A-0626-SM-731AQ 50-59 years, female 54.5
GTEX-15D1Q-2826-SM-6LLH7 40-49 years, male 54.4
GTEX-11VI4-1126-SM-5EQMD 40-49 years, female 54.3
GTEX-ZTTD-2826-SM-4YCFA 50-59 years, male 54.3
GTEX-111VG-1626-SM-5EGIO 60-69 years, male 54.2
GTEX-U8XE-0226-SM-4E3J3 30-39 years, male 54.2
GTEX-ZAB4-2126-SM-5HL8U 40-49 years, male 54.1
GTEX-1HCVE-2726-SM-CL54F 50-59 years, male 54.1
GTEX-13PDP-0726-SM-5L3HP 60-69 years, male 54.0
GTEX-16BQI-1326-SM-6M486 30-39 years, female 54.0
GTEX-1AX8Z-0726-SM-73KTS 60-69 years, male 54.0
GTEX-11WQC-1826-SM-5GU59 60-69 years, male 53.9
GTEX-12WSD-0626-SM-5GCMW 60-69 years, female 53.9
GTEX-12ZZX-2426-SM-5GCOE 40-49 years, female 53.9
GTEX-17MFQ-1526-SM-7KFRR 20-29 years, male 53.9
GTEX-17F9Y-0126-SM-79OKX 70-79 years, female 53.8
GTEX-1GF9V-0826-SM-9KNUV 60-69 years, male 53.7
GTEX-1I1GS-2626-SM-B2LY3 60-69 years, male 53.6
GTEX-17HGU-2326-SM-7DUFE 50-59 years, male 53.5
GTEX-1I4MK-0126-SM-CY8G6 50-59 years, female 53.5
GTEX-12ZZZ-0726-SM-5GCNZ 60-69 years, male 53.4
GTEX-1JN76-0626-SM-CKZOQ 20-29 years, female 53.4
GTEX-12ZZY-0726-SM-5EQ66 60-69 years, male 53.2
GTEX-14753-0726-SM-5QGQO 60-69 years, male 53.2
GTEX-14PII-0726-SM-6EU2B 60-69 years, male 53.2
GTEX-139T8-0626-SM-5KLZX 60-69 years, male 53.0
GTEX-WFG8-2126-SM-3GIKQ 20-29 years, male 53.0
GTEX-13X6H-0926-SM-5SIB2 50-59 years, female 52.9
GTEX-14PJ6-2626-SM-6EU2T 60-69 years, female 52.8
GTEX-XQ8I-0926-SM-4BOOF 50-59 years, male 52.8
GTEX-1MCC2-1826-SM-DIPEX 30-39 years, female 52.8
GTEX-ZYFD-0626-SM-5E44E 50-59 years, male 52.7
GTEX-Y111-0626-SM-4SOIT 50-59 years, male 52.5
GTEX-ZLWG-0826-SM-59888 50-59 years, female 52.5
GTEX-1R9K4-2826-SM-DTX8F 60-69 years, male 52.3
GTEX-13VXT-1926-SM-5K7UO 20-29 years, female 52.2
GTEX-1B933-2426-SM-7DHMD 50-59 years, female 52.1
GTEX-1IDJC-1526-SM-B2LW4 50-59 years, male 52.1
GTEX-XXEK-1626-SM-4BRUZ 50-59 years, male 52.0
GTEX-1F6I4-2326-SM-7RHGL 60-69 years, male 52.0
GTEX-1GL5R-1326-SM-7RHHF 50-59 years, male 52.0
GTEX-11EM3-1226-SM-5N9DD 20-29 years, female 51.9
GTEX-13D11-0926-SM-5J2NC 50-59 years, female 51.8
GTEX-13W3W-0726-SM-5IJDQ 60-69 years, female 51.8
GTEX-XK95-0226-SM-4AT58 40-49 years, male 51.7
GTEX-1HCU6-2526-SM-ADEHL 60-69 years, female 51.7
GTEX-1RAZA-2226-SM-E9U4X 20-29 years, male 51.7
GTEX-1JMOU-1026-SM-CYPSS 60-69 years, female 51.6
GTEX-1RAZS-2526-SM-E6CHT 50-59 years, male 51.6
GTEX-XAJ8-1426-SM-47JYM 40-49 years, male 51.5
GTEX-16MT8-2926-SM-7DUFO 60-69 years, female 51.4
GTEX-1AYD5-2626-SM-7PBXY 50-59 years, male 51.4
GTEX-139D8-1126-SM-5LU8W 30-39 years, female 51.3
GTEX-15EU6-2226-SM-6EU2L 50-59 years, male 51.3
GTEX-1F6RS-2026-SM-7RHHC 60-69 years, female 51.2
GTEX-ZVT4-2426-SM-5GIEI 50-59 years, female 51.1
GTEX-12WSL-2026-SM-5GCML 50-59 years, male 51.0
GTEX-1HKZK-0726-SM-ACKW2 40-49 years, male 51.0
GTEX-15FZZ-0526-SM-7KUGD 30-39 years, female 50.9
GTEX-13OVJ-0826-SM-5J1OK 50-59 years, female 50.8
GTEX-15UF6-1926-SM-7KUDV 70-79 years, female 50.6
GTEX-1KAFJ-0126-SM-DIPEK 50-59 years, male 50.6
GTEX-1LKK1-2626-SM-DKPQE 50-59 years, female 50.6
GTEX-X8HC-0626-SM-4E3HQ 50-59 years, female 50.5
GTEX-1H1CY-0126-SM-9YFLY 60-69 years, female 50.5
GTEX-13G51-1826-SM-5KLZH 60-69 years, male 50.4
GTEX-ZZPU-0826-SM-5GZX5 50-59 years, female 50.4
GTEX-13NZ9-2626-SM-5L3FK 50-59 years, male 50.2
GTEX-13X6I-1826-SM-5SIAO 60-69 years, male 50.2
GTEX-1J8Q2-2626-SM-ACKWQ 60-69 years, male 50.2
GTEX-139TS-2126-SM-5K7XC 60-69 years, male 50.1
GTEX-15ER7-0626-SM-6PANF 20-29 years, female 50.0
GTEX-1LVAM-0726-SM-E6CIL 50-59 years, female 49.9
GTEX-1PDJ9-1226-SM-EXUSX 20-29 years, male 49.9
GTEX-WYBS-0626-SM-3NMAS 60-69 years, female 49.8
GTEX-1HSGN-0826-SM-ACKW3 40-49 years, female 49.8
GTEX-132AR-0326-SM-5KM2C 50-59 years, female 49.6
GTEX-1CB4E-0926-SM-7EPHT 60-69 years, male 49.6
GTEX-1F48J-0726-SM-7RHGS 50-59 years, female 49.5
GTEX-1R9PN-0426-SM-DTXDT 40-49 years, female 49.5
GTEX-11EI6-2826-SM-5H11D 60-69 years, male 49.4
GTEX-144GO-2026-SM-5O99P 60-69 years, male 49.4
GTEX-17KNJ-2126-SM-718AM 50-59 years, male 49.4
GTEX-1JMQK-1226-SM-D4P2S 60-69 years, male 49.3
GTEX-11P81-2226-SM-5PNYI 30-39 years, female 49.2
GTEX-111FC-2526-SM-5GZXU 60-69 years, male 49.1
GTEX-12WSA-0426-SM-5EQ5X 60-69 years, male 49.0
GTEX-13112-0126-SM-5P9IU 50-59 years, male 49.0
GTEX-ZXG5-2126-SM-59HKD 60-69 years, male 49.0
GTEX-11UD2-2526-SM-5CVNU 50-59 years, male 48.9
GTEX-14PKU-0126-SM-6LLHV 40-49 years, female 48.8
GTEX-15CHQ-0326-SM-69LQD 60-69 years, male 48.8
GTEX-1R46S-2426-SM-E76QA 60-69 years, female 48.7
GTEX-ZC5H-1526-SM-5HL9Y 40-49 years, female 48.6
GTEX-13SLX-2226-SM-62LEP 50-59 years, female 48.5
GTEX-1S5ZU-2526-SM-E6CIF 20-29 years, female 48.4
GTEX-1AX9J-1326-SM-731BJ 60-69 years, male 48.3
GTEX-1N2EE-0626-SM-E76PW 60-69 years, male 48.3
GTEX-11EQ8-0926-SM-5H12V 60-69 years, male 48.1
GTEX-ZDXO-3126-SM-5IJDF 60-69 years, male 48.0
GTEX-1S83E-1326-SM-E6CJM 40-49 years, male 48.0
GTEX-13IVO-0726-SM-5LZYV 70-79 years, male 47.9
GTEX-1IKJJ-2226-SM-CJI4C 60-69 years, male 47.9
GTEX-1GF9W-1426-SM-7PBYM 60-69 years, male 47.8
GTEX-1I1GV-0626-SM-ARL7M 60-69 years, male 47.7
GTEX-14BIN-1126-SM-5RQJZ 50-59 years, female 47.6
GTEX-1JKYR-0626-SM-ARL8R 20-29 years, male 47.6
GTEX-17HHY-0426-SM-7DHLC 50-59 years, male 47.5
GTEX-1A8G6-2726-SM-731AR 60-69 years, male 47.5
GTEX-ZUA1-2626-SM-5NQ92 40-49 years, male 47.5
GTEX-1QP66-1226-SM-DTX7U 50-59 years, male 47.5
GTEX-1IE54-1126-SM-A9G2Z 40-49 years, female 47.4
GTEX-13N11-2326-SM-5IJBF 50-59 years, female 47.2
GTEX-13OW5-2326-SM-5L3HO 60-69 years, male 47.2
GTEX-1N5O9-0926-SM-E9J3C 60-69 years, male 47.2
GTEX-1PPH7-1126-SM-DTX9A 40-49 years, male 47.2
GTEX-1L5NE-1126-SM-D3L9P 50-59 years, male 47.1
GTEX-15SHW-0226-SM-7LTAT 60-69 years, male 47.0
GTEX-1K2DU-1226-SM-CYPT4 20-29 years, male 47.0
GTEX-13U4I-2226-SM-5LU5H 40-49 years, female 46.7
GTEX-WEY5-2326-SM-3GIKK 40-49 years, female 46.7
GTEX-11WQK-1026-SM-5EQLX 50-59 years, male 46.6
GTEX-12KS4-2126-SM-5FQUT 30-39 years, male 46.6
GTEX-1A3MW-0626-SM-731CB 60-69 years, female 46.3
GTEX-131XH-0126-SM-5LZUY 50-59 years, male 46.2
GTEX-1QAET-0326-SM-EVR3U 50-59 years, male 46.2
GTEX-1B8SF-0126-SM-7DUG3 60-69 years, male 46.1
GTEX-12WSM-1926-SM-5BC65 60-69 years, male 46.0
GTEX-13QJC-0126-SM-5ZZWJ 60-69 years, female 45.9
GTEX-ZF2S-1626-SM-57WES 50-59 years, female 45.9
GTEX-12126-0826-SM-5FQTZ 20-29 years, male 45.8
GTEX-14C39-1726-SM-5RQIL 40-49 years, male 45.8
GTEX-1JJ6O-2726-SM-CNPOG 60-69 years, male 45.8
GTEX-13NYB-0126-SM-5J1MD 40-49 years, male 45.6
GTEX-13O3O-2326-SM-5IJD6 60-69 years, female 45.5
GTEX-ZVTK-0226-SM-51MRG 20-29 years, male 45.5
GTEX-1CB4I-0126-SM-7RHGG 50-59 years, male 45.5
GTEX-1GN1U-0626-SM-9MQL9 50-59 years, female 45.5
GTEX-13OW6-2726-SM-5J2OE 50-59 years, male 45.4
GTEX-ZYT6-2326-SM-5GZY3 30-39 years, male 45.3
GTEX-1HBPI-2126-SM-ARL9K 50-59 years, male 45.2
GTEX-146FQ-2126-SM-5RQHU 30-39 years, male 45.1
GTEX-1LG7Z-1626-SM-CXKYR 30-39 years, male 45.0
GTEX-1399Q-2326-SM-5KM2X 40-49 years, male 44.9
GTEX-1JMQJ-0826-SM-CNPP7 50-59 years, male 44.9
GTEX-16XZZ-0726-SM-7KUF2 60-69 years, male 44.8
GTEX-XBED-1926-SM-47JYP 60-69 years, male 44.8
GTEX-11ZU8-0126-SM-5EQ58 60-69 years, male 44.7
GTEX-145LU-1926-SM-79OJN 50-59 years, male 44.7
GTEX-11OF3-0126-SM-5PNYF 60-69 years, male 44.6
GTEX-1GZ2Q-0126-SM-9WG6M 40-49 years, male 44.6
GTEX-16NPX-0726-SM-7KULC 50-59 years, male 44.5
GTEX-1IDJE-1426-SM-ADEIW 50-59 years, female 44.4
GTEX-14BMU-1226-SM-5S2OR 20-29 years, female 44.2
GTEX-1PPGY-1626-SM-EVYBL 60-69 years, male 44.2
GTEX-13OVL-0126-SM-5L3GJ 50-59 years, male 44.1
GTEX-178AV-1726-SM-7KUL8 40-49 years, male 44.1
GTEX-1O9I2-0226-SM-EYYXD 50-59 years, male 44.0
GTEX-1212Z-0126-SM-59HK4 60-69 years, male 43.9
GTEX-13FH7-1126-SM-5K7UG 50-59 years, female 43.9
GTEX-WRHU-2826-SM-3MJG8 50-59 years, female 43.6
GTEX-11ZTT-2126-SM-5CVLO 60-69 years, female 43.4
GTEX-13X6J-0626-SM-5LU5F 50-59 years, male 43.4
GTEX-1KD5A-0126-SM-E9U54 50-59 years, male 43.4
GTEX-14ABY-2026-SM-62LDL 50-59 years, male 43.2
GTEX-1CB4J-1326-SM-7P8RX 60-69 years, male 43.2
GTEX-145ME-1726-SM-5Q5EU 40-49 years, female 43.1
GTEX-14LLW-2626-SM-62LDZ 70-79 years, female 43.1
GTEX-18A7A-0126-SM-731AH 50-59 years, female 43.1
GTEX-1AMFI-1326-SM-7939R 50-59 years, female 43.1
GTEX-1J1OQ-0126-SM-D4P2N 40-49 years, female 43.0
GTEX-12584-0726-SM-5FQTK 40-49 years, male 42.9
GTEX-13FHO-0426-SM-5L3F5 60-69 years, male 42.8
GTEX-17EVQ-0126-SM-7IGLR 70-79 years, male 42.7
GTEX-1F75B-0726-SM-7PC3R 50-59 years, male 42.7
GTEX-ZYFC-0426-SM-5GICQ 50-59 years, male 42.5
GTEX-1477Z-0326-SM-7IGLA 60-69 years, male 42.4
GTEX-1GMRU-2126-SM-7P8RA 50-59 years, male 42.4
GTEX-11NUK-2726-SM-5A5MC 50-59 years, male 42.3
GTEX-13OVH-0526-SM-5L3E6 70-79 years, male 42.3
GTEX-Y5V6-2326-SM-4VDSA 60-69 years, male 42.3
GTEX-1HBPM-0726-SM-9YFL7 60-69 years, female 42.1
GTEX-13QBU-1226-SM-5LU4G 40-49 years, female 42.0
GTEX-YB5K-2026-SM-4VDT3 40-49 years, female 42.0
GTEX-1LVAO-2726-SM-E9TJ8 60-69 years, male 42.0
GTEX-1H4P4-2126-SM-9WYSL 50-59 years, male 41.9
GTEX-1IDJD-2326-SM-ACKWX 30-39 years, male 41.9
GTEX-1JN6P-2926-SM-CL54D 60-69 years, male 41.9
GTEX-1CB4H-1126-SM-7MKGL 60-69 years, female 41.8
GTEX-X4EP-0626-SM-3P621 60-69 years, female 41.7
GTEX-XV7Q-1826-SM-4BRUV 40-49 years, female 41.7
GTEX-Y3IK-1626-SM-4YCF5 50-59 years, female 41.7
GTEX-1H11D-1826-SM-9QEHM 40-49 years, male 41.6
GTEX-1IDJH-0126-SM-D3L92 70-79 years, male 41.5
GTEX-1QCLZ-2426-SM-EVYBW 60-69 years, female 41.3
GTEX-WYVS-1626-SM-3NM9R 40-49 years, female 41.1
GTEX-1GN73-0726-SM-7P8TJ 60-69 years, male 41.1
GTEX-X4EO-2926-SM-4E3JH 60-69 years, female 40.9
GTEX-1KANB-2826-SM-CY8I6 50-59 years, male 40.9
GTEX-1314G-1326-SM-5BC6E 30-39 years, male 40.8
GTEX-13FLV-0126-SM-5K7WT 50-59 years, male 40.7
GTEX-1F5PL-0926-SM-7PC2W 40-49 years, female 40.7
GTEX-13PL6-1126-SM-5L3IE 40-49 years, female 40.5
GTEX-1EU9M-1426-SM-793AI 60-69 years, male 40.5
GTEX-VUSG-2326-SM-4KL1U 50-59 years, male 40.5
GTEX-WK11-2726-SM-3NMAQ 50-59 years, male 40.5
GTEX-16GPK-0626-SM-7KFSF 60-69 years, male 40.4
GTEX-1HB9E-0126-SM-CM2S5 50-59 years, male 40.4
GTEX-145MG-1526-SM-5Q5EM 50-59 years, male 40.3
GTEX-148VJ-0626-SM-5LUAW 70-79 years, male 40.3
GTEX-1H3NZ-2726-SM-9WYTQ 60-69 years, male 40.3
GTEX-ZAK1-0626-SM-5HL8E 50-59 years, female 40.1
GTEX-YJ8O-2526-SM-5HL85 40-49 years, female 40.0
GTEX-14JFF-0626-SM-5ZZVT 60-69 years, male 40.0
GTEX-1J8EW-2726-SM-CY8HR 60-69 years, female 40.0
GTEX-1M4P7-0726-SM-E6CJ3 60-69 years, male 39.9
GTEX-145MH-2826-SM-5RQJF 50-59 years, male 39.8
GTEX-1RAZR-2126-SM-E9U6T 40-49 years, male 39.8
GTEX-W5X1-2526-SM-3GILC 40-49 years, female 39.6
GTEX-13NYC-0126-SM-5L3F4 60-69 years, male 39.5
GTEX-16MT9-0126-SM-7EPI8 60-69 years, female 39.5
GTEX-1K9T9-1526-SM-DIPFR 50-59 years, female 39.5
GTEX-15EO6-2426-SM-6PALZ 50-59 years, male 39.4
GTEX-17JCI-2926-SM-7DUFF 60-69 years, female 39.4
GTEX-11GS4-0226-SM-5HL77 60-69 years, male 39.3
GTEX-13X6K-0626-SM-5LU5D 60-69 years, female 39.2
GTEX-14BMV-2826-SM-5TDED 50-59 years, male 39.2
GTEX-14LZ3-0126-SM-69LPM 60-69 years, female 39.2
GTEX-1C64N-2626-SM-7PC2N 50-59 years, male 38.9
GTEX-1LB8K-0726-SM-D5OV2 50-59 years, male 38.9
GTEX-ZPIC-0526-SM-DO91W 40-49 years, female 38.9
GTEX-18A6Q-0626-SM-7KFRP 60-69 years, male 38.6
GTEX-1JJEA-1826-SM-ARU8P 60-69 years, male 38.6
GTEX-1GPI6-1926-SM-9KNV7 60-69 years, male 38.5
GTEX-1F75A-0726-SM-7RHHD 50-59 years, male 38.4
GTEX-ZE9C-2526-SM-5IJDR 60-69 years, male 38.2
GTEX-1F6IF-0926-SM-7SB7M 60-69 years, male 38.2
GTEX-1H1DF-1126-SM-9WG7G 40-49 years, female 38.2
GTEX-1I19N-0126-SM-CYPSF 70-79 years, male 38.2
GTEX-1399R-1326-SM-5PNYS 30-39 years, male 38.1
GTEX-1IOXB-2726-SM-CM2RI 50-59 years, male 38.1
GTEX-131XW-0626-SM-5PNVD 50-59 years, female 37.9
GTEX-ZU9S-1826-SM-5NQ9E 30-39 years, male 37.9
GTEX-1POEN-2326-SM-E9J2L 30-39 years, female 37.9
GTEX-13N2G-0226-SM-5K7VF 60-69 years, male 37.8
GTEX-147GR-2426-SM-5ZZWQ 60-69 years, male 37.8
GTEX-XYKS-1426-SM-4BRUO 60-69 years, female 37.6
GTEX-ZVE2-2826-SM-5GU51 50-59 years, male 37.6
GTEX-1GZ4I-2626-SM-9KNU3 50-59 years, male 37.6
GTEX-18465-2826-SM-7LT9J 50-59 years, male 37.5
GTEX-1HSKV-1226-SM-ADEI4 60-69 years, male 37.5
GTEX-139UW-0326-SM-5J1ML 60-69 years, male 37.4
GTEX-1S82U-1026-SM-E6CJK 30-39 years, female 37.4
GTEX-1GF9U-2026-SM-7SB92 40-49 years, female 37.3
GTEX-1HUB1-1426-SM-CGQF5 60-69 years, male 37.3
GTEX-13YAN-0226-SM-5TDC6 60-69 years, male 37.2
GTEX-1F75W-2726-SM-7SB8H 60-69 years, male 37.2
GTEX-15CHC-1126-SM-6LLHQ 60-69 years, female 37.1
GTEX-1IDFM-0326-SM-ARL7V 60-69 years, male 36.9
GTEX-14JG1-1526-SM-5YY9X 40-49 years, male 36.8
GTEX-145MF-0926-SM-5Q5EA 50-59 years, male 36.7
GTEX-1H1DG-2426-SM-9QEHJ 70-79 years, male 36.6
GTEX-1BAJH-2426-SM-7IGP8 70-79 years, male 36.5
GTEX-11DXY-0126-SM-5H11Q 60-69 years, male 36.4
GTEX-144FL-0626-SM-5LU43 50-59 years, male 36.4
GTEX-VJYA-1526-SM-3GIJV 60-69 years, male 36.3
GTEX-1A8G7-1326-SM-73KVM 60-69 years, male 36.2
GTEX-14XAO-1226-SM-6EU1C 60-69 years, female 36.1
GTEX-13VXU-0626-SM-5L3F9 50-59 years, male 36.0
GTEX-1H1DE-1326-SM-9KNUG 20-29 years, male 36.0
GTEX-17MF6-2626-SM-79OKQ 40-49 years, male 35.8
GTEX-1HFI6-0126-SM-CNPPI 40-49 years, male 35.8
GTEX-13N1W-2426-SM-5IJD1 70-79 years, male 35.5
GTEX-1GMR8-0626-SM-7RHI7 50-59 years, female 35.5
GTEX-1GN2E-0226-SM-9WG6K 60-69 years, male 35.5
GTEX-Y5V5-0126-SM-5S2NW 60-69 years, female 35.4
GTEX-1I1GU-0926-SM-ACKVS 40-49 years, male 35.4
GTEX-1LSVX-2526-SM-DIPEU 60-69 years, male 35.4
GTEX-1EWIQ-0326-SM-7DHMQ 70-79 years, female 35.2
GTEX-1JMQL-2226-SM-CNPP4 50-59 years, female 35.2
GTEX-1313W-0626-SM-5EQ4H 50-59 years, female 35.0
GTEX-1HT8W-0626-SM-A9G2H 30-39 years, male 35.0
GTEX-16YQH-2226-SM-7IGM2 30-39 years, male 34.8
GTEX-1KWVE-1026-SM-D3L9O 30-39 years, male 34.8
GTEX-UPK5-0426-SM-3GAEK 40-49 years, male 34.7
GTEX-1F88F-0126-SM-9WYSZ 60-69 years, female 34.7
GTEX-1IDJV-0126-SM-COH3Y 60-69 years, male 34.7
GTEX-1EN7A-2426-SM-793DB 40-49 years, male 34.5
GTEX-1I1CD-0626-SM-CE6SW 60-69 years, female 34.5
GTEX-15DDE-2926-SM-6LLJ3 50-59 years, female 34.4
GTEX-1ICLY-0826-SM-CMKG1 50-59 years, male 34.4
GTEX-11GSP-2326-SM-5HL63 60-69 years, female 34.3
GTEX-XBEC-0726-SM-4QARZ 50-59 years, male 34.3
GTEX-12WSC-2826-SM-5BC5Y 50-59 years, male 34.1
GTEX-14PJ2-0626-SM-6LLII 50-59 years, male 34.1
GTEX-1B8KZ-0326-SM-73KY4 50-59 years, male 34.1
GTEX-13JVG-0726-SM-5KM16 60-69 years, male 33.8
GTEX-1A3MX-2626-SM-7PC24 60-69 years, male 33.8
GTEX-1EX96-1026-SM-7MKG2 50-59 years, male 33.7
GTEX-1IDJI-0126-SM-CMKHS 50-59 years, female 33.7
GTEX-11DXW-0826-SM-5H118 40-49 years, male 33.6
GTEX-14DAQ-0626-SM-793DS 60-69 years, female 33.6
GTEX-XMD2-2126-SM-4YCF8 60-69 years, female 33.6
GTEX-13FTY-2126-SM-5IFFB 40-49 years, female 33.5
GTEX-1J8QM-2426-SM-A9SLS 60-69 years, female 33.4
GTEX-1117F-2926-SM-5GZYI 60-69 years, female 33.3
GTEX-13O3Q-0126-SM-5KM34 50-59 years, male 33.3
GTEX-1EKGG-0626-SM-7DUGJ 60-69 years, male 33.2
GTEX-ZF3C-0626-SM-DO92O 50-59 years, female 33.2
GTEX-1CAV2-0126-SM-7IGN7 40-49 years, female 33.1
GTEX-1H3O1-1326-SM-9MQLD 60-69 years, male 32.9
GTEX-1JJE9-2626-SM-ARZMT 70-79 years, male 32.9
GTEX-1JMPZ-0726-SM-CY8HZ 30-39 years, male 32.8
GTEX-11PRG-0726-SM-5EGL1 50-59 years, male 32.7
GTEX-145LS-0626-SM-7EPG7 60-69 years, female 32.4
GTEX-1HCU8-2526-SM-CE6RX 60-69 years, female 32.2
GTEX-1B8L1-2226-SM-7P8PT 60-69 years, male 32.0
GTEX-11ZUS-2626-SM-5FQUR 30-39 years, male 31.9
GTEX-16Z82-2626-SM-7KULU 60-69 years, male 31.9
GTEX-ZYVF-0926-SM-5E44J 50-59 years, female 31.9
GTEX-1EMGI-2326-SM-7PBYA 60-69 years, male 31.9
GTEX-13NZ8-1226-SM-5KM4A 60-69 years, female 31.8
GTEX-1IL2V-1926-SM-B2LW8 70-79 years, male 31.8
GTEX-1269C-0126-SM-5EQ5L 60-69 years, female 31.6
GTEX-1C6VQ-1226-SM-73KYD 50-59 years, male 31.5
GTEX-ZE7O-2726-SM-51MT5 50-59 years, female 31.5
GTEX-15DYW-2726-SM-6EU2I 60-69 years, female 31.4
GTEX-13OW8-1026-SM-5J1NQ 60-69 years, male 31.2
GTEX-1OJC4-2726-SM-E76PJ 50-59 years, female 31.1
GTEX-1QEPI-2626-SM-DTXF4 60-69 years, female 31.1
GTEX-15G19-2426-SM-7KUMR 60-69 years, male 31.0
GTEX-1QMI2-2526-SM-E8VNZ 60-69 years, male 31.0
GTEX-ZYY3-2926-SM-5GIEB 60-69 years, female 30.9
GTEX-1HR9M-2226-SM-CNPPY 60-69 years, male 30.9
GTEX-17EVP-2626-SM-7IGMA 40-49 years, male 30.7
GTEX-14A6H-2026-SM-5Q5DD 30-39 years, male 30.6
GTEX-1H1ZS-2726-SM-9WG75 70-79 years, male 30.5
GTEX-1I1HK-2326-SM-CKZOH 60-69 years, male 30.4
GTEX-1LSNL-2726-SM-E9TKJ 50-59 years, male 30.4
GTEX-ZVE1-0726-SM-51MRN 50-59 years, female 30.2
GTEX-14C38-0726-SM-5SI6M 50-59 years, male 30.0
GTEX-183WM-0326-SM-72D5V 70-79 years, female 29.9
GTEX-V1D1-2026-SM-3GAF4 50-59 years, male 29.9
GTEX-XOT4-0626-SM-4B66L 60-69 years, female 29.8
GTEX-1F88E-1626-SM-7SB8Z 60-69 years, female 29.7
GTEX-1HSMO-0626-SM-ACKXC 60-69 years, male 29.5
GTEX-1B932-2326-SM-79OL5 40-49 years, female 29.3
GTEX-1J8JJ-0626-SM-ARZMQ 60-69 years, female 29.2
GTEX-1J8Q3-0526-SM-ARL8U 60-69 years, male 29.2
GTEX-147JS-0226-SM-5S2U9 60-69 years, male 29.1
GTEX-17HG3-2626-SM-7DUF2 30-39 years, female 28.8
GTEX-1C6VR-0126-SM-7RHGB 60-69 years, male 28.8
GTEX-1ICG6-1226-SM-A9SLN 70-79 years, female 28.7
GTEX-13OW7-0426-SM-5K7VK 50-59 years, male 28.4
GTEX-1LVA9-2626-SM-EVYD4 50-59 years, male 28.4
GTEX-144GL-0626-SM-5LU4D 50-59 years, male 28.3
GTEX-1JMQI-1726-SM-ARL93 50-59 years, male 28.3
GTEX-13SLW-0626-SM-5Q5ER 70-79 years, male 27.3
GTEX-1LG7Y-2526-SM-EWRO7 50-59 years, male 27.1
GTEX-1HR98-2226-SM-ADEI2 60-69 years, male 26.8
GTEX-15SKB-2826-SM-6PAMH 60-69 years, male 26.3
GTEX-1A8FM-0626-SM-7PC25 50-59 years, female 26.0
GTEX-1GN1V-2826-SM-9JGIA 60-69 years, male 23.5
GTEX-145MI-0626-SM-5SI8S 60-69 years, female 20.5
GTEX-1H3VE-0726-SM-9YFL5 40-49 years, male 18.6
Show allShow less
Skin - Sun Exposed (Lower leg)
Average nTPM: 60.7
Samples: 701

Max nTPM: 171.2
Min nTPM: 22.5
Std nTPM: 19.0
Median nTPM: 57.9
GTEX-ZXES-1826-SM-5E43S 30-39 years, female 171.2
GTEX-ZGAY-0526-SM-4WWBB 40-49 years, female 157.8
GTEX-14ICK-0226-SM-6EU25 40-49 years, male 156.4
GTEX-S7PM-0126-SM-4AD6S 60-69 years, male 136.7
GTEX-1QP9N-1426-SM-DTXFL 30-39 years, male 131.3
GTEX-1K2DA-1826-SM-CGQGT 50-59 years, male 128.3
GTEX-YB5E-2026-SM-5IFIS 40-49 years, male 126.1
GTEX-13O1R-0126-SM-5L3EH 60-69 years, male 118.9
GTEX-13FTW-2626-SM-5K7WL 40-49 years, male 115.3
GTEX-NFK9-0226-SM-2HMKQ 40-49 years, male 109.7
GTEX-O5YW-0126-SM-3LK6D 50-59 years, male 108.7
GTEX-1B8KE-2126-SM-73KYX 50-59 years, male 108.0
GTEX-13RTJ-2426-SM-5S2Q2 60-69 years, male 107.4
GTEX-1LSNM-1926-SM-E6CII 50-59 years, male 106.4
GTEX-WI4N-1026-SM-3LK7N 40-49 years, female 105.9
GTEX-Y114-2426-SM-4TT8A 50-59 years, female 105.6
GTEX-1399U-2326-SM-5K7WY 50-59 years, female 105.0
GTEX-UJHI-1526-SM-3DB99 50-59 years, female 103.4
GTEX-1QCLY-0326-SM-E8VOG 30-39 years, male 103.3
GTEX-XUZC-1726-SM-4BRWS 30-39 years, female 102.9
GTEX-WYJK-0126-SM-3NMAB 50-59 years, male 102.5
GTEX-17F98-0626-SM-79OMX 40-49 years, female 101.6
GTEX-YB5K-2126-SM-4WWDJ 40-49 years, female 101.2
GTEX-1PPH8-0226-SM-E8VND 20-29 years, male 101.1
GTEX-12WSK-2326-SM-5GCOH 40-49 years, female 100.4
GTEX-1R9PM-2026-SM-E76OY 20-29 years, male 99.4
GTEX-P4QT-0126-SM-2I3FL 50-59 years, female 99.2
GTEX-131XG-2626-SM-5KM17 50-59 years, female 98.8
GTEX-1KANC-1526-SM-D3LAB 50-59 years, female 98.6
GTEX-OHPM-0126-SM-2YUN9 50-59 years, male 97.9
GTEX-SE5C-1626-SM-2XCE3 40-49 years, female 97.9
GTEX-17EUY-0426-SM-793BD 20-29 years, male 96.9
GTEX-X88G-0126-SM-47JZ3 30-39 years, male 96.1
GTEX-1JMPY-1326-SM-ARL8Y 30-39 years, male 95.0
GTEX-ZVZP-2426-SM-59HKJ 50-59 years, male 94.8
GTEX-XBEW-0626-SM-4QASP 40-49 years, male 94.6
GTEX-1OJC3-0126-SM-E76QX 20-29 years, male 94.6
GTEX-1MA7W-2026-SM-E9TJ6 20-29 years, female 94.2
GTEX-Y3IK-2426-SM-4WWDU 50-59 years, female 94.1
GTEX-13O21-1426-SM-5K7XI 50-59 years, male 93.6
GTEX-OOBJ-0126-SM-E6CJW 60-69 years, male 93.0
GTEX-1J1R8-1726-SM-ARL8M 40-49 years, male 92.5
GTEX-1OFPY-2426-SM-DTXEJ 60-69 years, male 92.5
GTEX-ZWKS-0126-SM-5SIAA 30-39 years, male 92.2
GTEX-1211K-2026-SM-5EQ4Z 60-69 years, female 92.0
GTEX-1LVAN-0226-SM-COH3S 50-59 years, female 91.7
GTEX-145LV-2126-SM-5LU8N 50-59 years, male 91.6
GTEX-PSDG-0226-SM-DKPOZ 50-59 years, male 90.9
GTEX-14PHX-2326-SM-62LEM 50-59 years, male 90.8
GTEX-18D9A-1926-SM-7LG6P 30-39 years, female 90.1
GTEX-11TUW-2726-SM-E9J4M 60-69 years, male 89.8
GTEX-1122O-2126-SM-5EGIR 60-69 years, female 89.0
GTEX-11P7K-2126-SM-5GU7G 30-39 years, male 88.9
GTEX-145MN-2226-SM-5SIAU 30-39 years, male 88.6
GTEX-11TT1-2526-SM-5EGIB 20-29 years, male 88.4
GTEX-18D9U-0226-SM-718BP 40-49 years, male 88.3
GTEX-RM2N-1426-SM-2TF4H 50-59 years, male 88.1
GTEX-13YAN-0326-SM-5O9DF 60-69 years, male 87.6
GTEX-1AX9J-0226-SM-73KXM 60-69 years, male 87.5
GTEX-WXYG-2326-SM-4E3I6 50-59 years, female 87.5
GTEX-ZF3C-0126-SM-DO92D 50-59 years, female 87.3
GTEX-12WSJ-1826-SM-5GCNY 40-49 years, female 87.0
GTEX-15F5U-1526-SM-6PANO 40-49 years, male 87.0
GTEX-1I4MK-2226-SM-ACKWD 50-59 years, female 87.0
GTEX-U8T8-0126-SM-3DB94 60-69 years, male 86.9
GTEX-1KXAM-2226-SM-CYPTC 60-69 years, male 86.7
GTEX-1R7EU-0226-SM-EVR4G 60-69 years, male 86.2
GTEX-PWCY-1826-SM-DHXIZ 20-29 years, female 86.1
GTEX-X8HC-0126-SM-4E3JW 50-59 years, female 86.0
GTEX-1CAMR-1926-SM-7EPI2 20-29 years, male 85.8
GTEX-1IKK5-0626-SM-ARL8A 60-69 years, male 85.6
GTEX-1PIGE-0126-SM-EVYBJ 20-29 years, male 85.6
GTEX-13NZ8-0826-SM-5MR3I 60-69 years, female 85.4
GTEX-T2YK-0526-SM-32QPJ 50-59 years, male 85.4
GTEX-TKQ1-1026-SM-4GICL 30-39 years, male 85.0
GTEX-1S5ZA-0126-SM-EVYCV 20-29 years, male 84.9
GTEX-1QPFJ-0226-SM-E76PB 30-39 years, female 84.2
GTEX-1C4CL-0526-SM-73KVK 30-39 years, male 84.1
GTEX-T5JW-1626-SM-3GADZ 20-29 years, female 84.1
GTEX-T6MO-1626-SM-32QOM 40-49 years, female 84.0
GTEX-1J8QM-2126-SM-CYPSJ 60-69 years, female 84.0
GTEX-1I6K6-0126-SM-A9SLE 30-39 years, male 83.7
GTEX-139D8-0226-SM-5KLZO 30-39 years, female 83.4
GTEX-WH7G-2326-SM-3NMBC 40-49 years, male 83.2
GTEX-POMQ-2226-SM-2I5FK 20-29 years, female 83.0
GTEX-13O3P-0126-SM-5KM4S 50-59 years, male 82.9
GTEX-18QFQ-0126-SM-731BE 30-39 years, male 82.9
GTEX-13RTK-1426-SM-5QGQJ 20-29 years, male 82.6
GTEX-1C475-1826-SM-73KWA 40-49 years, female 82.3
GTEX-1PDJ9-0326-SM-DTX95 20-29 years, male 82.0
GTEX-1JMLX-0226-SM-CM2RO 50-59 years, male 81.9
GTEX-XQ8I-0426-SM-4BOPO 50-59 years, male 81.6
GTEX-1PFEY-1526-SM-E76PP 30-39 years, male 81.5
GTEX-1S3DN-2226-SM-EVYCD 50-59 years, male 81.1
GTEX-1H2FU-0126-SM-9WYSI 60-69 years, female 81.0
GTEX-1J8Q2-0526-SM-CM2RW 60-69 years, male 80.4
GTEX-1LBAC-0126-SM-DIPEZ 20-29 years, male 80.3
GTEX-OIZH-0126-SM-2HMIS 50-59 years, male 80.1
GTEX-145MO-0326-SM-5Q5B3 60-69 years, male 79.7
GTEX-1CAV2-2226-SM-7P8P2 40-49 years, female 79.7
GTEX-11DZ1-0126-SM-5985Q 50-59 years, male 79.6
GTEX-13NZB-2526-SM-5J1OM 30-39 years, male 79.3
GTEX-1NV5F-0226-SM-E8VNY 60-69 years, female 79.2
GTEX-15ETS-0126-SM-7KUMW 40-49 years, female 78.7
GTEX-1LGRB-2526-SM-CNPPQ 50-59 years, female 78.5
GTEX-ZF29-2326-SM-DO92K 60-69 years, female 78.5
GTEX-1I1GT-0626-SM-CGQER 60-69 years, female 78.3
GTEX-13FXS-0226-SM-5IJCK 50-59 years, male 78.2
GTEX-13111-1626-SM-5EGJY 50-59 years, male 78.1
GTEX-1KANA-0726-SM-D3L9I 20-29 years, male 78.0
GTEX-ZVT2-2526-SM-51MT1 50-59 years, female 77.7
GTEX-1HSGN-0226-SM-CGQFV 40-49 years, female 77.6
GTEX-1HBPM-0226-SM-ARL9F 60-69 years, female 77.5
GTEX-X4XX-0126-SM-3NMC2 60-69 years, male 77.4
GTEX-WQUQ-0426-SM-3MJFU 60-69 years, male 77.1
GTEX-11DYG-0126-SM-59883 60-69 years, male 77.0
GTEX-PX3G-0126-SM-2I3EN 20-29 years, female 76.9
GTEX-S95S-1226-SM-4GICG 60-69 years, male 76.9
GTEX-1MUQO-0126-SM-EAZ58 60-69 years, male 76.9
GTEX-1M5QR-1226-SM-EWROB 40-49 years, male 76.8
GTEX-13X6H-2126-SM-7EWD5 50-59 years, female 76.5
GTEX-ZU9S-0226-SM-5E441 30-39 years, male 76.5
GTEX-T8EM-1026-SM-3DB7M 40-49 years, male 76.4
GTEX-W5WG-1826-SM-4KL2Y 50-59 years, female 76.4
GTEX-ZDTT-2726-SM-4WKF8 60-69 years, male 76.1
GTEX-1F6RS-0126-SM-9MQKZ 60-69 years, female 76.1
GTEX-11EM3-2426-SM-59861 20-29 years, female 75.8
GTEX-13OVJ-0126-SM-5KM36 50-59 years, female 75.7
GTEX-14DAR-2026-SM-5S2O3 50-59 years, male 75.4
GTEX-XAJ8-0826-SM-47JY6 40-49 years, male 75.4
GTEX-ZZ64-1726-SM-5GZYB 20-29 years, male 75.4
GTEX-11UD1-0126-SM-5PNYG 40-49 years, female 75.0
GTEX-WRHK-1426-SM-3MJF9 20-29 years, female 75.0
GTEX-1LG7Z-1726-SM-D3LA4 30-39 years, male 74.8
GTEX-117YX-2326-SM-5H12W 50-59 years, male 74.6
GTEX-ZTX8-1426-SM-5DUVO 20-29 years, male 74.6
GTEX-16AAH-1726-SM-7939C 50-59 years, male 74.4
GTEX-13113-5016-SM-7EPIP 60-69 years, female 74.0
GTEX-1I1GV-0526-SM-A9G29 60-69 years, male 74.0
GTEX-1128S-2326-SM-5GZZY 60-69 years, female 73.9
GTEX-14E6C-0126-SM-5RQIP 40-49 years, male 73.8
GTEX-1JKYN-1326-SM-CGQG9 30-39 years, male 73.8
GTEX-14PJ3-1826-SM-62LEX 50-59 years, male 73.6
GTEX-OXRL-0126-SM-2YUMP 50-59 years, male 73.5
GTEX-1JN1M-0326-SM-CYPT3 60-69 years, female 73.4
GTEX-1HSEH-0126-SM-ACKXN 60-69 years, male 73.3
GTEX-SUCS-1926-SM-32PM3 70-79 years, male 73.1
GTEX-ZYFD-0126-SM-5GIDL 50-59 years, male 73.1
GTEX-133LE-1826-SM-5J1MV 20-29 years, female 73.0
GTEX-YJ8A-0426-SM-5IFID 20-29 years, male 73.0
GTEX-1A3MV-1926-SM-718BT 30-39 years, male 72.9
GTEX-T5JC-0426-SM-32PLO 20-29 years, male 72.9
GTEX-12WSA-0226-SM-5BC5V 60-69 years, male 72.8
GTEX-Q2AI-1326-SM-2S1PL 40-49 years, male 72.8
GTEX-YEC4-2126-SM-5IFJH 40-49 years, male 72.7
GTEX-13CF2-2526-SM-5LZYX 60-69 years, male 72.4
GTEX-1C2JI-1826-SM-73KXC 50-59 years, male 72.4
GTEX-1HCUA-2426-SM-ADEIS 50-59 years, female 72.4
GTEX-1GF9W-0326-SM-9KNUN 60-69 years, male 72.0
GTEX-ZYFG-2326-SM-5E44B 60-69 years, female 71.9
GTEX-1399R-2726-SM-5IJBA 30-39 years, male 71.6
GTEX-18A7B-0126-SM-7LG64 70-79 years, male 71.4
GTEX-T6MN-0126-SM-32PLP 50-59 years, male 71.1
GTEX-14C5O-0126-SM-5SI6N 60-69 years, male 71.0
GTEX-1MGNQ-0126-SM-EVYCJ 40-49 years, male 71.0
GTEX-1PWST-0226-SM-E76QJ 70-79 years, male 71.0
GTEX-117YW-2626-SM-5GZZH 50-59 years, male 70.7
GTEX-111FC-0126-SM-5N9DL 60-69 years, male 70.6
GTEX-1J1OQ-0226-SM-CYPSH 40-49 years, female 70.6
GTEX-1S83E-0126-SM-EWRO4 40-49 years, male 70.5
GTEX-17HII-0226-SM-7LG4E 50-59 years, male 70.4
GTEX-1N2DV-0226-SM-E6CJ6 40-49 years, male 70.4
GTEX-13PVR-2326-SM-5QGR1 60-69 years, female 70.3
GTEX-1F5PL-0326-SM-7P8PQ 40-49 years, female 70.1
GTEX-PLZ6-1426-SM-DKPOT 30-39 years, male 70.1
GTEX-13OVI-1426-SM-5L3EY 60-69 years, female 70.0
GTEX-1497J-2426-SM-7IGNX 60-69 years, male 69.8
GTEX-14PN4-0126-SM-6EU2V 50-59 years, male 69.8
GTEX-17GQL-2026-SM-718BA 60-69 years, male 69.6
GTEX-14PN3-2426-SM-6LLHS 60-69 years, female 69.4
GTEX-RUSQ-1526-SM-2TF62 50-59 years, male 69.4
GTEX-1JJ6O-0126-SM-E6CI8 60-69 years, male 69.3
GTEX-13D11-2426-SM-5KM1V 50-59 years, female 69.2
GTEX-14PII-0226-SM-6EU1T 60-69 years, male 69.2
GTEX-1HCU6-0126-SM-CL54K 60-69 years, female 69.2
GTEX-U3ZM-1526-SM-3DB9D 40-49 years, male 69.1
GTEX-Y3I4-2126-SM-4TT7C 50-59 years, male 69.1
GTEX-1R9PO-2126-SM-E9J4O 60-69 years, female 69.1
GTEX-16NGA-1726-SM-731B4 40-49 years, female 69.0
GTEX-U412-0426-SM-3DB9O 60-69 years, male 69.0
GTEX-OXRO-0126-SM-2YUN4 60-69 years, female 68.9
GTEX-1JN6P-0126-SM-D3L98 60-69 years, male 68.9
GTEX-17HHE-2026-SM-79OKF 50-59 years, male 68.8
GTEX-UPJH-0326-SM-3GADU 50-59 years, male 68.8
GTEX-X5EB-2226-SM-46MW4 40-49 years, male 68.8
GTEX-1N2EF-0226-SM-EYYXB 60-69 years, male 68.6
GTEX-1GN1U-0126-SM-7PBZK 50-59 years, female 68.4
GTEX-WFON-2126-SM-3LK7O 40-49 years, male 68.2
GTEX-1HGF4-2426-SM-ACKXM 60-69 years, male 68.2
GTEX-1H1DE-2126-SM-9WG6R 20-29 years, male 68.1
GTEX-1HSMQ-1226-SM-CGQFX 50-59 years, male 68.1
GTEX-13JUV-2726-SM-5LZZ8 40-49 years, female 68.0
GTEX-15EU6-0426-SM-6PAN5 50-59 years, male 68.0
GTEX-17F96-1626-SM-7DUFL 70-79 years, male 67.9
GTEX-1314G-1526-SM-5EGK2 30-39 years, male 67.8
GTEX-1CB4J-0626-SM-7DHMP 60-69 years, male 67.8
GTEX-X4EP-0126-SM-3P5YV 60-69 years, female 67.8
GTEX-Y5V5-2326-SM-4V6GA 60-69 years, female 67.8
GTEX-1GZ4H-1726-SM-7PBZJ 50-59 years, female 67.8
GTEX-11EQ9-2426-SM-5HL5T 30-39 years, male 67.6
GTEX-14753-0426-SM-5NQAM 60-69 years, male 67.4
GTEX-ZAB4-0226-SM-5N9F5 40-49 years, male 67.1
GTEX-1JMQK-0226-SM-CL543 60-69 years, male 67.1
GTEX-13NYS-0126-SM-5MR3W 60-69 years, male 67.0
GTEX-1CAMS-0426-SM-7P8T2 40-49 years, female 67.0
GTEX-1GPI7-0126-SM-9MQL8 20-29 years, male 67.0
GTEX-146FH-0126-SM-5QGPP 50-59 years, female 66.9
GTEX-ZV6S-2326-SM-4YCEY 40-49 years, female 66.9
GTEX-1AMEY-1326-SM-73KYK 30-39 years, female 66.8
GTEX-ZV68-0126-SM-59HKS 50-59 years, female 66.8
GTEX-1B996-0226-SM-7RHGO 60-69 years, male 66.8
GTEX-12WSD-0126-SM-59HKN 60-69 years, female 66.7
GTEX-13FH7-2026-SM-E9J4I 50-59 years, female 66.7
GTEX-P4PP-0126-SM-3LK69 30-39 years, female 66.6
GTEX-1C6WA-0126-SM-7PC2B 60-69 years, male 66.6
GTEX-ZDTS-0126-SM-4WAY5 60-69 years, male 66.4
GTEX-XUW1-0426-SM-4BOOT 50-59 years, female 66.3
GTEX-11DXZ-2326-SM-5EGGV 50-59 years, male 66.2
GTEX-1CB4I-0226-SM-79OLH 50-59 years, male 66.2
GTEX-XBED-2226-SM-47JYQ 60-69 years, male 66.1
GTEX-Y8DK-0126-SM-4TT3L 60-69 years, male 66.1
GTEX-139T8-0126-SM-5K7XZ 60-69 years, male 65.9
GTEX-169BO-1326-SM-9MQK2 50-59 years, male 65.8
GTEX-QESD-1426-SM-2S1R9 20-29 years, male 65.7
GTEX-1ICLY-0126-SM-D4P36 50-59 years, male 65.7
GTEX-17JCI-0126-SM-7LG5G 60-69 years, female 65.6
GTEX-13FTX-1826-SM-5J1NX 20-29 years, female 65.5
GTEX-13VXT-0126-SM-5LU4I 20-29 years, female 65.4
GTEX-X585-0226-SM-4QAS2 50-59 years, male 65.4
GTEX-Y5LM-1926-SM-5RQJH 40-49 years, female 65.4
GTEX-11VI4-1726-SM-5CVLH 40-49 years, female 65.3
GTEX-16XZZ-0126-SM-793DV 60-69 years, male 65.3
GTEX-1GF9X-2026-SM-7PC3A 40-49 years, female 65.3
GTEX-XXEK-2226-SM-4BRUM 50-59 years, male 64.9
GTEX-1LGOU-2026-SM-DIPFF 20-29 years, female 64.8
GTEX-131XF-5016-SM-7MGWE 60-69 years, male 64.7
GTEX-12C56-1726-SM-5EQ61 20-29 years, male 64.6
GTEX-SN8G-0126-SM-32PLI 50-59 years, female 64.6
GTEX-1MCYP-1926-SM-E9J2R 20-29 years, female 64.6
GTEX-1PIIG-0226-SM-EWRN6 30-39 years, male 64.5
GTEX-1CB4E-2226-SM-793DC 60-69 years, male 64.4
GTEX-12696-2426-SM-5EQ6H 60-69 years, male 64.2
GTEX-W5X1-3026-SM-EAZAX 40-49 years, female 64.1
GTEX-14A5H-0426-SM-5QGQF 60-69 years, male 64.0
GTEX-15RIG-0226-SM-7KFTL 40-49 years, male 64.0
GTEX-U4B1-1826-SM-4DXSU 40-49 years, male 64.0
GTEX-1QP2A-0126-SM-E9J43 50-59 years, male 64.0
GTEX-U8XE-0326-SM-3DB8P 30-39 years, male 63.9
GTEX-14LLW-0126-SM-6LLIO 70-79 years, female 63.8
GTEX-ZVTK-0426-SM-51MRS 20-29 years, male 63.8
GTEX-1GTWX-0126-SM-9YFLK 60-69 years, male 63.7
GTEX-ZQUD-1426-SM-57WER 30-39 years, male 63.4
GTEX-13OVH-0126-SM-5MR4B 70-79 years, male 63.3
GTEX-1R46S-0626-SM-E9J41 60-69 years, female 63.3
GTEX-1S82Z-0826-SM-E6CHY 30-39 years, female 63.3
GTEX-ZPIC-1726-SM-DHXIU 40-49 years, female 63.3
GTEX-132NY-0326-SM-5IJBL 60-69 years, male 63.2
GTEX-PLZ5-2026-SM-2S1O4 50-59 years, male 63.2
GTEX-ZYT6-0226-SM-5NQ6T 30-39 years, male 63.2
GTEX-ZAJG-0126-SM-5HL94 50-59 years, female 63.1
GTEX-1A3MX-0126-SM-731BR 60-69 years, male 63.0
GTEX-R55G-2526-SM-2TC6D 40-49 years, female 62.9
GTEX-1RB15-2126-SM-E9TIM 60-69 years, male 62.9
GTEX-17HG3-2226-SM-7938L 30-39 years, female 62.7
GTEX-OXRK-0226-SM-3NB2G 50-59 years, female 62.7
GTEX-1KAFJ-2026-SM-CY8ID 50-59 years, male 62.7
GTEX-15SHU-0126-SM-7KUEH 40-49 years, female 62.6
GTEX-1AX8Z-0126-SM-7DHM6 60-69 years, male 62.6
GTEX-O5YT-0126-SM-48TBW 20-29 years, male 62.5
GTEX-R55E-0126-SM-2TC5Y 20-29 years, male 62.5
GTEX-ZDYS-2026-SM-5HL5L 50-59 years, male 62.4
GTEX-ZTSS-1926-SM-57WEW 40-49 years, male 62.4
GTEX-1HBPN-0226-SM-9YFM1 50-59 years, male 62.4
GTEX-12ZZX-0126-SM-5EGK9 40-49 years, female 62.2
GTEX-1CB4F-0426-SM-9KNV4 60-69 years, male 62.1
GTEX-1HCVE-0126-SM-CGQEU 50-59 years, male 62.1
GTEX-145LT-1726-SM-5QGP3 40-49 years, male 61.9
GTEX-18A66-0226-SM-718BD 60-69 years, male 61.8
GTEX-QEG4-0226-SM-2S1PY 30-39 years, male 61.8
GTEX-1H1CY-2826-SM-9MQM3 60-69 years, female 61.8
GTEX-13CF3-2426-SM-5IFGX 60-69 years, female 61.6
GTEX-OXRP-0126-SM-3NB32 60-69 years, female 61.6
GTEX-XPVG-2626-SM-4B669 50-59 years, male 61.5
GTEX-13X6J-0126-SM-5QGOU 50-59 years, male 61.4
GTEX-WY7C-2326-SM-3NB2U 50-59 years, male 61.4
GTEX-ZTPG-0326-SM-5O9AX 20-29 years, female 61.4
GTEX-1CB4H-0226-SM-7PBXM 60-69 years, female 61.4
GTEX-12ZZZ-0626-SM-5DUXI 60-69 years, male 61.2
GTEX-ZQG8-1626-SM-DHXIT 60-69 years, female 61.2
GTEX-1B8SG-0126-SM-73KZ3 50-59 years, male 61.1
GTEX-1L5NE-2526-SM-E6CIE 50-59 years, male 61.1
GTEX-1QP66-1726-SM-E8VO1 50-59 years, male 61.1
GTEX-TMMY-0226-SM-33HBA 40-49 years, female 60.9
GTEX-12ZZY-0226-SM-5LZVE 60-69 years, male 60.8
GTEX-1H3VY-0126-SM-ACKXD 50-59 years, male 60.6
GTEX-145ME-1826-SM-5SI9G 40-49 years, female 60.5
GTEX-15ER7-0326-SM-7KUEV 20-29 years, female 60.5
GTEX-PLZ4-0126-SM-5SI8O 50-59 years, female 60.5
GTEX-1HSMP-0126-SM-E6CJS 70-79 years, male 60.5
GTEX-1IL2U-0226-SM-CE6T8 60-69 years, male 60.5
GTEX-ZF2S-2326-SM-4WWCE 50-59 years, female 60.4
GTEX-1192X-0226-SM-5H12D 50-59 years, male 60.3
GTEX-147F4-0226-SM-5QGPW 50-59 years, male 60.3
GTEX-1F52S-0126-SM-9MQJU 60-69 years, female 60.3
GTEX-QV44-1926-SM-2S1RF 50-59 years, male 60.2
GTEX-1NHNU-1026-SM-E9J2A 50-59 years, male 60.1
GTEX-117XS-2726-SM-5N9BL 60-69 years, male 60.0
GTEX-1I1GS-0126-SM-B2LVW 60-69 years, male 60.0
GTEX-16YQH-0126-SM-7DUFJ 30-39 years, male 59.9
GTEX-1B97I-1626-SM-73KYO 40-49 years, male 59.9
GTEX-1EMGI-0126-SM-9KNUE 60-69 years, male 59.8
GTEX-1IDJU-2626-SM-CM2RT 60-69 years, female 59.6
GTEX-11ZTS-0126-SM-5EQ6M 60-69 years, female 59.4
GTEX-18A67-0126-SM-7LG5P 50-59 years, male 59.4
GTEX-11GS4-2726-SM-5A5LE 60-69 years, male 59.3
GTEX-131XE-2326-SM-5PNZ2 50-59 years, male 59.3
GTEX-139TU-0126-SM-5K7WH 60-69 years, male 59.3
GTEX-144GN-2326-SM-5LU4F 50-59 years, male 59.3
GTEX-11DXX-2426-SM-5GZZW 60-69 years, female 59.2
GTEX-131YS-0126-SM-5KM1M 60-69 years, female 59.1
GTEX-1F5PK-2426-SM-7RHHY 50-59 years, male 59.1
GTEX-X4XY-0226-SM-4E3IZ 60-69 years, male 59.0
GTEX-1EWIQ-0126-SM-7RHH2 70-79 years, female 59.0
GTEX-RU72-0926-SM-2TF6B 50-59 years, female 58.9
GTEX-1F75I-0326-SM-9YFLU 40-49 years, male 58.9
GTEX-15UF6-0826-SM-6PALJ 70-79 years, female 58.8
GTEX-ZY6K-1826-SM-5GZXK 50-59 years, male 58.8
GTEX-1JKYR-0126-SM-CNPOJ 20-29 years, male 58.8
GTEX-14BMU-2226-SM-5TDE9 20-29 years, female 58.7
GTEX-1E2YA-0126-SM-9KNUC 50-59 years, male 58.7
GTEX-1HCU9-1526-SM-A9SL7 20-29 years, male 58.7
GTEX-1AX9I-0126-SM-7SB74 60-69 years, male 58.6
GTEX-1RAZA-0126-SM-E6CI3 20-29 years, male 58.6
GTEX-12WSG-2826-SM-E9J4H 50-59 years, female 58.4
GTEX-XQ3S-1526-SM-4BOOC 20-29 years, male 58.3
GTEX-14PJ6-2126-SM-6EU1V 60-69 years, female 58.1
GTEX-1H1E6-1726-SM-ACKVK 30-39 years, male 58.1
GTEX-13QJ3-0326-SM-5S2RA 50-59 years, male 58.0
GTEX-ZYFC-0226-SM-5NQ75 50-59 years, male 58.0
GTEX-1H23P-0126-SM-ADEJ3 60-69 years, male 58.0
GTEX-11NSD-2226-SM-5986V 20-29 years, male 57.9
GTEX-11UD2-0226-SM-5EQKY 50-59 years, male 57.9
GTEX-OHPL-0126-SM-2HMJ7 60-69 years, female 57.9
GTEX-14JG6-2226-SM-6EU2G 30-39 years, female 57.8
GTEX-1H11D-0226-SM-9WG6Z 40-49 years, male 57.8
GTEX-1GL5R-1826-SM-9KNUY 50-59 years, male 57.6
GTEX-1R7EV-2426-SM-EVYBG 40-49 years, male 57.6
GTEX-17EVQ-0226-SM-7LG4P 70-79 years, male 57.4
GTEX-ZE7O-0126-SM-57WC1 50-59 years, female 57.4
GTEX-1H1DG-0126-SM-9WYU2 70-79 years, male 57.4
GTEX-1HFI6-0226-SM-ADEHZ 40-49 years, male 57.4
GTEX-RTLS-0126-SM-447CA 60-69 years, female 57.3
GTEX-Y111-0126-SM-4SOIV 50-59 years, male 57.2
GTEX-Z93T-0126-SM-5HL5N 50-59 years, male 57.1
GTEX-TML8-1926-SM-32QOS 40-49 years, female 57.0
GTEX-13G51-2526-SM-5LZYK 60-69 years, male 56.9
GTEX-17F97-0326-SM-7LG5B 50-59 years, male 56.9
GTEX-Z93S-0126-SM-5HL7M 50-59 years, male 56.9
GTEX-1KD4Q-0226-SM-E9TJ9 40-49 years, male 56.8
GTEX-WYVS-2126-SM-3NMA3 40-49 years, female 56.7
GTEX-131XH-2226-SM-5DUXJ 50-59 years, male 56.6
GTEX-1K2DU-2326-SM-E9TIV 20-29 years, male 56.6
GTEX-1LB8K-0226-SM-EWRNW 50-59 years, male 56.6
GTEX-13OVL-0226-SM-5L3E9 50-59 years, male 56.5
GTEX-1ICLZ-0126-SM-CKZPO 60-69 years, male 56.4
GTEX-17KNJ-2326-SM-7DHLQ 50-59 years, male 56.3
GTEX-16MT8-0426-SM-7KUEY 60-69 years, female 56.2
GTEX-12WSL-2526-SM-5GCNJ 50-59 years, male 56.1
GTEX-YJ89-0126-SM-4TT3X 60-69 years, male 56.1
GTEX-12126-0326-SM-5PNW3 20-29 years, male 55.8
GTEX-XUYS-0126-SM-47JWZ 50-59 years, male 55.8
GTEX-11GSO-2426-SM-5A5LY 60-69 years, male 55.7
GTEX-17MFQ-1726-SM-793C7 20-29 years, male 55.7
GTEX-1F75B-0126-SM-9KNVL 50-59 years, male 55.7
GTEX-1PPH7-2326-SM-EVYB8 40-49 years, male 55.7
GTEX-OIZG-0726-SM-33HBL 50-59 years, male 55.5
GTEX-1B8SF-1426-SM-7DUGL 60-69 years, male 55.4
GTEX-TMZS-0126-SM-3DB9Q 60-69 years, male 55.4
GTEX-1B8L1-2526-SM-9WYTF 60-69 years, male 55.4
GTEX-Y8E4-0626-SM-4WWDL 40-49 years, male 55.3
GTEX-RWSA-0126-SM-2XCBB 40-49 years, male 55.2
GTEX-1GN1W-0526-SM-9MQJQ 50-59 years, female 55.1
GTEX-11P82-1626-SM-59879 20-29 years, male 55.0
GTEX-1JK1U-2026-SM-CM2RZ 60-69 years, male 55.0
GTEX-OXRN-0126-SM-48TDM 50-59 years, male 54.8
GTEX-18465-0126-SM-731BN 50-59 years, male 54.7
GTEX-1F6IF-0726-SM-7P8TW 60-69 years, male 54.7
GTEX-1MJK2-0426-SM-DTXE5 50-59 years, male 54.4
GTEX-13FHP-0126-SM-5IJBG 50-59 years, male 54.3
GTEX-15UKP-0426-SM-7KUFQ 20-29 years, male 54.3
GTEX-144FL-0126-SM-5TDC8 50-59 years, male 54.2
GTEX-146FQ-0126-SM-5NQA9 30-39 years, male 54.2
GTEX-1BAJH-0526-SM-793CQ 70-79 years, male 54.2
GTEX-ZZPT-0226-SM-5E43X 50-59 years, male 54.2
GTEX-1GN73-0226-SM-9WG67 60-69 years, male 54.1
GTEX-1HSKV-0226-SM-A9SKJ 60-69 years, male 54.1
GTEX-1JMOU-1526-SM-CL54I 60-69 years, female 54.1
GTEX-18A6Q-0126-SM-731BZ 60-69 years, male 54.0
GTEX-17HGU-0226-SM-7DHKV 50-59 years, male 53.9
GTEX-13O3Q-2426-SM-5IJBR 50-59 years, male 53.8
GTEX-13PDP-0126-SM-5L3HD 60-69 years, male 53.8
GTEX-XYKS-2126-SM-4E3IB 60-69 years, female 53.8
GTEX-1GZ2Q-0226-SM-7P8TL 40-49 years, male 53.8
GTEX-13W3W-2426-SM-5LU5B 60-69 years, female 53.7
GTEX-13O3O-0126-SM-E9J49 60-69 years, female 53.6
GTEX-1GF9V-0326-SM-7RHI5 60-69 years, male 53.6
GTEX-14JG1-0426-SM-6ETZZ 40-49 years, male 53.5
GTEX-11XUK-2026-SM-5EQLF 40-49 years, female 53.4
GTEX-ZF28-0126-SM-4WKGK 60-69 years, male 53.4
GTEX-139TS-2826-SM-5J1OO 60-69 years, male 53.3
GTEX-QLQW-1126-SM-2S1Q8 30-39 years, male 53.3
GTEX-1C64O-0126-SM-7SB8P 60-69 years, male 53.3
GTEX-13X6I-0626-SM-5QGP9 60-69 years, male 53.2
GTEX-1AMFI-2026-SM-731BH 50-59 years, female 53.2
GTEX-139UW-2826-SM-5L3E7 60-69 years, male 53.0
GTEX-13W46-0226-SM-5SIAG 50-59 years, male 53.0
GTEX-SIU8-0126-SM-2XCDT 50-59 years, male 53.0
GTEX-NPJ8-0126-SM-2YUNR 40-49 years, male 52.9
GTEX-Y5V6-2426-SM-4VDSB 60-69 years, male 52.7
GTEX-1HFI7-1826-SM-ACKXH 50-59 years, female 52.7
GTEX-146FR-1326-SM-E9J48 60-69 years, female 52.6
GTEX-1LH75-2426-SM-E9TJE 50-59 years, female 52.6
GTEX-11WQK-0526-SM-5EQLD 50-59 years, male 52.4
GTEX-13SLW-0126-SM-5SI6C 70-79 years, male 52.2
GTEX-1MCQQ-0826-SM-DLHC2 60-69 years, male 52.2
GTEX-13IVO-0126-SM-5J1NG 70-79 years, male 52.1
GTEX-P4PQ-0126-SM-2S1NM 60-69 years, male 52.1
GTEX-1QW4Y-1526-SM-EAZ3Z 30-39 years, male 52.1
GTEX-11WQC-2526-SM-5CVLE 60-69 years, male 52.0
GTEX-1313W-0126-SM-5LZUN 50-59 years, female 51.9
GTEX-QLQ7-1626-SM-2S1R8 60-69 years, male 51.9
GTEX-QVJO-1626-SM-2S1QW 60-69 years, female 51.9
GTEX-1H3VE-0326-SM-9YFLH 40-49 years, male 51.9
GTEX-1PBJI-0526-SM-E8VNK 20-29 years, female 51.9
GTEX-12WSE-0526-SM-793B2 20-29 years, male 51.8
GTEX-SNMC-1226-SM-2XCFP 20-29 years, male 51.8
GTEX-S33H-1026-SM-EZ6L6 30-39 years, male 51.8
GTEX-14XAO-2326-SM-6EU1B 60-69 years, female 51.7
GTEX-1QP29-0626-SM-EWRMX 50-59 years, male 51.7
GTEX-13OVK-2026-SM-7KUEO 40-49 years, male 51.6
GTEX-16GPK-0126-SM-7DHLE 60-69 years, male 51.6
GTEX-183FY-0126-SM-7LT9P 20-29 years, male 51.6
GTEX-1GN2E-0426-SM-9MQKX 60-69 years, male 51.5
GTEX-11GSP-2526-SM-5N9BP 60-69 years, female 51.4
GTEX-1GMR3-1926-SM-9KNUZ 40-49 years, male 51.4
GTEX-1JMQJ-0526-SM-CYPSU 50-59 years, male 51.4
GTEX-17MF6-0126-SM-7LG4F 40-49 years, male 51.3
GTEX-XV7Q-2526-SM-4BRV9 40-49 years, female 51.2
GTEX-1F48J-0126-SM-7P8TT 50-59 years, female 51.1
GTEX-1IDJF-0126-SM-CM2RS 20-29 years, male 51.1
GTEX-1IDJH-0326-SM-A9SLQ 70-79 years, male 51.0
GTEX-RVPV-0126-SM-EAZAW 60-69 years, male 51.0
GTEX-14E6E-1826-SM-5S2R7 30-39 years, male 50.9
GTEX-ZAB5-1826-SM-5HL7C 50-59 years, male 50.9
GTEX-1JMPZ-0226-SM-CNPP1 30-39 years, male 50.9
GTEX-15SB6-1726-SM-6PAME 50-59 years, female 50.7
GTEX-1S82Y-2026-SM-EVYCM 40-49 years, male 50.7
GTEX-145MF-0626-SM-5LUAI 50-59 years, male 50.6
GTEX-WVJS-0126-SM-4MVOT 50-59 years, male 50.6
GTEX-1JN76-0126-SM-CNPPE 20-29 years, female 50.6
GTEX-111VG-2426-SM-5GZXD 60-69 years, male 50.3
GTEX-148VI-1626-SM-5SI6E 60-69 years, female 50.3
GTEX-ZXG5-0126-SM-5GIEU 60-69 years, male 50.3
GTEX-15SDE-2226-SM-7IGLO 50-59 years, female 50.1
GTEX-16BQI-0226-SM-7KUEX 30-39 years, female 50.1
GTEX-13NYB-2526-SM-5K7Z6 40-49 years, male 50.0
GTEX-14PHW-0126-SM-6LLJI 60-69 years, female 50.0
GTEX-1KWVE-1426-SM-E9TJO 30-39 years, male 50.0
GTEX-1R9K4-0126-SM-DTX9X 60-69 years, male 49.9
GTEX-ZYY3-0126-SM-5GZY5 60-69 years, female 49.8
GTEX-RNOR-0126-SM-E9J4R 50-59 years, female 49.8
GTEX-X261-0126-SM-3NMD6 50-59 years, male 49.7
GTEX-13112-2826-SM-5DUWH 50-59 years, male 49.6
GTEX-11NUK-0126-SM-5A5L3 50-59 years, male 49.5
GTEX-11P81-2326-SM-59875 30-39 years, female 49.5
GTEX-1E1VI-0126-SM-7DHMZ 50-59 years, male 49.5
GTEX-1399T-2826-SM-5KLYZ 60-69 years, male 49.4
GTEX-QDVJ-1726-SM-2I5FX 50-59 years, male 49.4
GTEX-1J8EW-0126-SM-CJI4F 60-69 years, female 49.3
GTEX-1HKZK-0326-SM-9WYUH 40-49 years, male 49.2
GTEX-1IOXB-0126-SM-ARL8G 50-59 years, male 49.2
GTEX-1C64N-0126-SM-793D7 50-59 years, male 49.1
GTEX-WZTO-0126-SM-3NM95 40-49 years, male 49.1
GTEX-1CB4G-0226-SM-7PC3O 60-69 years, male 49.1
GTEX-1GMR8-0126-SM-9WYTM 50-59 years, female 49.1
GTEX-WOFL-0126-SM-3MJG2 60-69 years, male 48.9
GTEX-R45C-0126-SM-EAZ2R 60-69 years, female 48.9
GTEX-WFG8-2226-SM-3GIL9 20-29 years, male 48.8
GTEX-1RAZQ-0726-SM-EAZ43 30-39 years, male 48.8
GTEX-1GMRU-0126-SM-9YFLV 50-59 years, male 48.7
GTEX-1I1GP-2226-SM-CGQFK 50-59 years, male 48.7
GTEX-11TTK-0126-SM-5987B 60-69 years, female 48.6
GTEX-S7SE-0126-SM-2XCD5 50-59 years, male 48.6
GTEX-ZVZO-0126-SM-5A5L9 40-49 years, male 48.6
GTEX-11OC5-0126-SM-5HL6A 60-69 years, male 48.5
GTEX-1I1GR-0126-SM-CL55F 60-69 years, male 48.5
GTEX-1I1GU-2226-SM-CGQFA 40-49 years, male 48.4
GTEX-12584-0126-SM-5EGKQ 40-49 years, male 48.3
GTEX-1F75A-0126-SM-7RHGM 50-59 years, male 48.3
GTEX-1LNCM-1126-SM-E9U5E 50-59 years, female 48.2
GTEX-18A7A-0226-SM-718BH 50-59 years, female 48.1
GTEX-13OW5-0126-SM-DTXFS 60-69 years, male 48.1
GTEX-Z9EW-1626-SM-5CVMN 40-49 years, male 48.0
GTEX-113JC-2326-SM-5EQ4E 50-59 years, female 47.9
GTEX-13S7M-0126-SM-5SI6A 60-69 years, female 47.8
GTEX-1H3O1-0426-SM-9YFKY 60-69 years, male 47.8
GTEX-1QAET-0926-SM-E76QM 50-59 years, male 47.8
GTEX-1HCU7-0226-SM-CL545 50-59 years, male 47.7
GTEX-1HCU8-0626-SM-A9SM9 60-69 years, female 47.6
GTEX-ZVE2-0226-SM-59HJB 50-59 years, male 47.4
GTEX-13N1W-0126-SM-5K7VT 70-79 years, male 47.3
GTEX-13VXU-0126-SM-5SI9F 50-59 years, male 47.2
GTEX-17EVP-0326-SM-7DHLG 40-49 years, male 47.2
GTEX-VUSG-2526-SM-4KL1V 50-59 years, male 47.2
GTEX-T2IS-0126-SM-4DM6O 20-29 years, female 47.1
GTEX-14E6D-0126-SM-62LDV 50-59 years, male 47.0
GTEX-U3ZH-2026-SM-3DB78 30-39 years, male 47.0
GTEX-ZYW4-0126-SM-5E44A 60-69 years, male 47.0
GTEX-11LCK-1026-SM-5A5KB 30-39 years, male 46.9
GTEX-17HHY-0126-SM-7LG5D 50-59 years, male 46.9
GTEX-14PJM-0226-SM-62LF1 50-59 years, female 46.8
GTEX-1HBPI-1526-SM-C1YQ1 50-59 years, male 46.8
GTEX-1J8Q3-1626-SM-CMKGC 60-69 years, male 46.8
GTEX-1QMI2-0226-SM-EVYBX 60-69 years, male 46.8
GTEX-11ZU8-2526-SM-5EQKI 60-69 years, male 46.7
GTEX-13OW6-0426-SM-5L3HM 50-59 years, male 46.7
GTEX-14BMV-0126-SM-5S2PO 50-59 years, male 46.6
GTEX-14LZ3-0226-SM-62LET 60-69 years, female 46.6
GTEX-13SLX-0526-SM-5S2ON 50-59 years, female 46.5
GTEX-PW2O-1526-SM-7RHHB 20-29 years, male 46.5
GTEX-1F6I4-0126-SM-9MQL2 60-69 years, male 46.1
GTEX-1JMQI-2226-SM-CM2SD 50-59 years, male 46.0
GTEX-1JJEA-0326-SM-CNPOT 60-69 years, male 45.6
GTEX-1RDX4-0126-SM-E9J4P 50-59 years, female 45.6
GTEX-139TT-0126-SM-5K7Y5 60-69 years, male 45.5
GTEX-1GF9U-2126-SM-7SB7L 40-49 years, female 45.5
GTEX-RWS6-2026-SM-2XCB5 60-69 years, female 45.4
GTEX-ZC5H-0226-SM-4WAY9 40-49 years, female 45.4
GTEX-QCQG-1726-SM-3GIJ9 50-59 years, female 45.2
GTEX-1HR98-0126-SM-B2LWI 60-69 years, male 45.2
GTEX-13OW8-1326-SM-5J1OW 60-69 years, male 45.1
GTEX-TSE9-0126-SM-3DB83 60-69 years, female 45.0
GTEX-X62O-0126-SM-4E3JN 50-59 years, male 45.0
GTEX-ZAK1-0126-SM-5IJD3 50-59 years, female 45.0
GTEX-14A6H-0126-SM-5QGPK 30-39 years, male 44.9
GTEX-1A3MW-0126-SM-73KXX 60-69 years, female 44.9
GTEX-11DXW-0226-SM-5H122 40-49 years, male 44.8
GTEX-RN64-0126-SM-2TC68 50-59 years, male 44.8
GTEX-12KS4-0326-SM-5EQ41 30-39 years, male 44.7
GTEX-S32W-2126-SM-2XCB1 50-59 years, female 44.7
GTEX-1I19N-0326-SM-ACKVX 70-79 years, male 44.7
GTEX-1RLM8-2326-SM-EWRN4 50-59 years, male 44.6
GTEX-14PK6-1926-SM-6ETZU 70-79 years, female 44.5
GTEX-VJYA-1126-SM-3GIJU 60-69 years, male 44.5
GTEX-1GZHY-0326-SM-9QEHI 50-59 years, female 44.5
GTEX-1IL2V-0126-SM-CM2TX 70-79 years, male 44.5
GTEX-1GN1V-0126-SM-9WPOS 60-69 years, male 44.3
GTEX-1AYCT-2426-SM-7IGQ3 50-59 years, male 44.2
GTEX-11ZUS-0626-SM-59885 30-39 years, male 44.0
GTEX-X4EO-0326-SM-3P5YO 60-69 years, female 44.0
GTEX-ZE9C-2726-SM-57WB5 60-69 years, male 44.0
GTEX-1EKGG-0226-SM-9WYTH 60-69 years, male 44.0
GTEX-Y8LW-1826-SM-5S2MV 50-59 years, female 43.9
GTEX-1K9T9-0126-SM-EVYCF 50-59 years, female 43.9
GTEX-13OVG-1926-SM-5L3DK 60-69 years, male 43.6
GTEX-13N11-2526-SM-5K7UE 50-59 years, female 43.5
GTEX-147F3-0526-SM-5SI98 50-59 years, female 43.5
GTEX-1GPI6-0126-SM-9WG69 60-69 years, male 43.4
GTEX-1IKJJ-0126-SM-CNPQB 60-69 years, male 43.3
GTEX-11O72-0126-SM-59887 40-49 years, male 43.2
GTEX-1269C-2526-SM-5EGJ3 60-69 years, female 43.2
GTEX-11H98-0126-SM-5EGHG 50-59 years, male 43.1
GTEX-12WSC-0126-SM-5EQ4P 50-59 years, male 43.1
GTEX-14A5I-0126-SM-5TDEA 50-59 years, female 43.1
GTEX-1A32A-0126-SM-718B1 50-59 years, female 43.1
GTEX-YFC4-0126-SM-5CVLY 40-49 years, female 43.1
GTEX-11EI6-0126-SM-5985R 60-69 years, male 43.0
GTEX-12WSN-5019-SM-79OM6 40-49 years, male 43.0
GTEX-1H4P4-0726-SM-9YFLR 50-59 years, male 43.0
GTEX-1EN7A-0126-SM-7SB81 40-49 years, male 42.9
GTEX-1HT8W-0126-SM-CNPPP 30-39 years, male 42.9
GTEX-15CHC-2126-SM-6EU21 60-69 years, female 42.8
GTEX-1C6VR-2426-SM-79OLD 60-69 years, male 42.8
GTEX-1ICG6-2526-SM-CGQFZ 70-79 years, female 42.8
GTEX-15EOM-0126-SM-7KUGG 20-29 years, female 42.7
GTEX-11ZTT-2426-SM-5EQLS 60-69 years, female 42.6
GTEX-13FTY-0526-SM-5L3EV 40-49 years, female 42.6
GTEX-145MI-0526-SM-5O9A8 60-69 years, female 42.6
GTEX-11EMC-2926-SM-5EQ4F 60-69 years, female 42.5
GTEX-145LU-0126-SM-5TDCB 50-59 years, male 42.5
GTEX-15SHW-0326-SM-6PAML 60-69 years, male 42.5
GTEX-13NYC-0326-SM-E9J4S 60-69 years, male 42.5
GTEX-13FHO-0226-SM-5IFGY 60-69 years, male 42.4
GTEX-Q734-1926-SM-2I5EV 40-49 years, female 42.4
GTEX-ZDXO-3026-SM-5J1N5 60-69 years, male 42.4
GTEX-1B8KZ-2026-SM-7DHMB 50-59 years, male 42.3
GTEX-1KANB-0526-SM-E6CJH 50-59 years, male 42.3
GTEX-ZVT4-0126-SM-DTXFN 50-59 years, female 42.3
GTEX-1IKOH-0226-SM-COH4E 60-69 years, female 42.2
GTEX-1CAMQ-0226-SM-7IGPK 40-49 years, male 42.1
GTEX-13U4I-0126-SM-5LU38 40-49 years, female 42.0
GTEX-1H3NZ-0126-SM-ACKX7 60-69 years, male 42.0
GTEX-14BIN-0626-SM-793DP 50-59 years, female 41.9
GTEX-13NZA-0226-SM-5K7Z7 60-69 years, male 41.8
GTEX-1B933-0126-SM-7PC29 50-59 years, female 41.8
GTEX-131XW-0426-SM-5LZWP 50-59 years, female 41.7
GTEX-144GL-0126-SM-5TDE2 50-59 years, male 41.7
GTEX-OOBK-0126-SM-2YUND 40-49 years, male 41.7
GTEX-14BIL-0126-SM-5SI92 50-59 years, male 41.6
GTEX-U3ZN-2326-SM-3DB7W 30-39 years, female 41.6
GTEX-Q2AG-0126-SM-33HBV 40-49 years, female 41.4
GTEX-11OF3-2626-SM-5GU7F 60-69 years, male 41.2
GTEX-18D9B-0526-SM-7LTAS 60-69 years, male 41.2
GTEX-15DYW-0126-SM-7KULE 60-69 years, female 41.1
GTEX-15DDE-0126-SM-6LPKH 50-59 years, female 41.0
GTEX-13OW7-0126-SM-5MR3B 50-59 years, male 40.8
GTEX-1I1CD-0126-SM-CM2TK 60-69 years, female 40.8
GTEX-1AX9K-2326-SM-73KWU 50-59 years, male 40.6
GTEX-X638-0126-SM-47JZ8 70-79 years, female 40.6
GTEX-1RQEC-0426-SM-E6CHU 60-69 years, male 40.6
GTEX-14BIM-0226-SM-7IGLD 60-69 years, female 40.5
GTEX-ZEX8-2426-SM-4WKG4 50-59 years, male 40.5
GTEX-1192W-2626-SM-5Q5AF 60-69 years, male 40.2
GTEX-1I1GQ-0126-SM-COH3H 50-59 years, male 40.2
GTEX-13N2G-2626-SM-5J1OT 60-69 years, male 40.0
GTEX-1AYD5-2426-SM-73KXR 50-59 years, male 40.0
GTEX-Q2AH-1626-SM-3GAF8 40-49 years, male 40.0
GTEX-16NPX-0226-SM-79OMT 50-59 years, male 39.8
GTEX-1HUB1-0426-SM-E9U4U 60-69 years, male 39.8
GTEX-145LS-0126-SM-5QGP1 60-69 years, female 39.5
GTEX-1EX96-1626-SM-7PBXR 50-59 years, male 39.3
GTEX-1F88F-2726-SM-7PBZZ 60-69 years, female 39.3
GTEX-11ZVC-2526-SM-5FQTE 50-59 years, female 39.2
GTEX-1O97I-0326-SM-EYYX7 60-69 years, male 39.1
GTEX-QDVN-2026-SM-3GAEP 50-59 years, male 39.0
GTEX-1IY9M-0126-SM-D3L8S 60-69 years, male 39.0
GTEX-1QP67-1626-SM-EAZ3X 40-49 years, female 38.9
GTEX-SJXC-0126-SM-2XCFF 60-69 years, male 38.8
GTEX-1POEN-0126-SM-EYYXJ 30-39 years, female 38.7
GTEX-1LC47-0326-SM-E9TJP 60-69 years, male 38.5
GTEX-1J8JJ-0226-SM-CL53I 60-69 years, female 38.4
GTEX-P44H-0226-SM-2XCEU 40-49 years, male 38.2
GTEX-13RTL-0126-SM-7LG5S 40-49 years, male 38.0
GTEX-OIZF-0126-SM-7SB8I 60-69 years, male 38.0
GTEX-15D1Q-0126-SM-7KUG6 40-49 years, male 37.9
GTEX-ZVT3-0126-SM-5GU6I 60-69 years, female 37.9
GTEX-15DCD-0126-SM-7KUEK 70-79 years, female 37.8
GTEX-1HSMO-0126-SM-CL547 60-69 years, male 37.7
GTEX-1IE54-0126-SM-CMKHW 40-49 years, female 37.6
GTEX-1LG7Y-0526-SM-DKPQC 50-59 years, male 37.3
GTEX-14E7W-0126-SM-6LLJ9 70-79 years, male 37.2
GTEX-1N2DW-0226-SM-E9TK2 50-59 years, male 36.8
GTEX-1A8FM-0226-SM-7SB7Q 50-59 years, female 36.6
GTEX-1KD5A-0226-SM-D5OV3 50-59 years, male 36.6
GTEX-1HB9E-0226-SM-E9U4R 50-59 years, male 36.4
GTEX-1EU9M-0226-SM-7P8SP 60-69 years, male 36.2
GTEX-11DXY-2626-SM-5GIE7 60-69 years, male 36.1
GTEX-1MA7X-2226-SM-E6CIY 60-69 years, male 36.0
GTEX-139T4-0226-SM-5HL5S 50-59 years, female 35.9
GTEX-1H1ZS-0426-SM-9WG6G 70-79 years, male 35.9
GTEX-15G19-0126-SM-6PANQ 60-69 years, male 35.6
GTEX-XMD2-0126-SM-4YCDU 60-69 years, female 35.6
GTEX-14ABY-0226-SM-5TDCQ 50-59 years, male 35.4
GTEX-16XZY-2126-SM-79OK1 70-79 years, male 35.2
GTEX-1212Z-2526-SM-5EGKP 60-69 years, male 34.6
GTEX-1IGQW-0126-SM-COH42 60-69 years, male 34.6
GTEX-PWO3-1526-SM-48TCM 60-69 years, female 34.4
GTEX-R3RS-0126-SM-3GIJL 40-49 years, female 34.4
GTEX-SSA3-0126-SM-32QPU 60-69 years, male 34.3
GTEX-1JMQL-0226-SM-CNPP5 50-59 years, female 34.3
GTEX-1C6VQ-0126-SM-7P8RI 50-59 years, male 33.7
GTEX-113IC-0126-SM-5HL6T 60-69 years, male 33.6
GTEX-VJWN-0126-SM-3GIK7 50-59 years, female 33.3
GTEX-1IDFM-0126-SM-COH2V 60-69 years, male 33.3
GTEX-147GR-0526-SM-5S2MY 60-69 years, male 33.2
GTEX-14DAQ-0126-SM-5S2MQ 60-69 years, female 33.2
GTEX-V1D1-2226-SM-3NMAX 50-59 years, male 33.2
GTEX-148VJ-0126-SM-5TDDN 70-79 years, male 33.1
GTEX-1F7RK-0126-SM-7PC2S 20-29 years, female 33.0
GTEX-14JIY-0126-SM-6LLH6 60-69 years, male 32.7
GTEX-PVOW-0126-SM-2XCFA 40-49 years, male 32.3
GTEX-QDT8-0126-SM-48TZ1 30-39 years, female 32.0
GTEX-1QEPI-0126-SM-EWRMQ 60-69 years, female 30.5
GTEX-1JJE9-0326-SM-CL53Z 70-79 years, male 30.3
GTEX-1OJC4-0126-SM-E9J2E 50-59 years, female 29.5
GTEX-1C6VS-0526-SM-7DUEN 60-69 years, male 29.3
GTEX-1I1HK-0126-SM-COH49 60-69 years, male 28.8
GTEX-ZUA1-0126-SM-5GU76 40-49 years, male 28.1
GTEX-183WM-0126-SM-7LTAB 70-79 years, female 27.9
GTEX-1HBPH-0426-SM-B2LW5 40-49 years, female 27.5
GTEX-1M4P7-0226-SM-DIPEV 60-69 years, male 22.5
Show allShow less

Contact

  • NEWS ARTICLES
  • PRESS ROOM

The Project

  • INTRODUCTION
  • ORGANIZATION
  • PUBLICATIONS

The Human Protein Atlas

  • DOWNLOADABLE DATA
  • LICENCE & CITATION
  • HELP & FAQ
The Human Protein Atlas project is funded
by the Knut & Alice Wallenberg Foundation.


contact@proteinatlas.org