We use cookies to enhance the usability of our website. If you continue, we'll assume that you are happy to receive all cookies. More information. Don't show this again.
IRF8
HPA
RESOURCES
  • TISSUE
  • BRAIN
  • SINGLE CELL
  • SUBCELLULAR
  • CANCER
  • BLOOD
  • CELL LINE
  • STRUCTURE & INTERACTION
ABOUT
  • INTRODUCTION
  • HISTORY
  • ORGANIZATION
  • PUBLICATIONS
  • ANTIBODY SUBMISSION
  • ANTIBODY AVAILABILITY
  • ACKNOWLEDGMENTS
  • CONTACT
NEWS
  • NEWS ARTICLES
  • PRESS ROOM
LEARN
  • DICTIONARY
  • PROTEIN CLASSES
  • PROTEIN EVIDENCE
  • METHODS
  • EDUCATIONAL VIDEOS
DATA
  • DOWNLOADABLE DATA
  • PUBLICATION DATA
  • RELEASE HISTORY
HELP
  • ANTIBODY VALIDATION
  • ASSAYS & ANNOTATION
  • DISCLAIMER
  • HELP & FAQ
  • PRIVACY STATEMENT
  • LICENCE & CITATION
Fields »
Search result

Field
Term
Gene name
Class
Subclass
Class
Keyword
Chromosome
External id
Tissue
Cell type
Expression
Antibody panel
Tissue
Main location
Patient ID
Annotation
Tissue
Category
Tau score
Cluster
Reliability
Brain region
Category
Tau score
Brain region
Category
Tau score
Brain region
Category
Tau score
Cluster
Reliability
Tissue
Cell type
Enrichment
Cell type
Category
Tau score
Cell type
Category
Tau score
Cell type
Category
Tau score
Cell lineage
Category
Tau score
Cluster
Cluster
Location
Searches
Location
Cell line
Class
Type
Phase
Reliability
Cancer
Prognosis
Cancer
Category
Cancer
Category
Tau score
Cluster
Variants
Interacting gene (ensg_id)
Type
Number of interactions
Pathway
Category
Score
Score
Score
Validation
Validation
Validation
Validation
Antibodies
Data type
Column


  • SUMMARY

  • TISSUE

  • BRAIN

  • SINGLE CELL

  • SUBCELL

  • CANCER

  • BLOOD

  • CELL LINE

  • STRUCT & INT

  • IRF8
TISSUE PRIMARY DATA SPLEEN Show tissue menu
ADIPOSE TISSUE ADRENAL GLAND AMYGDALA APPENDIX BASAL GANGLIA BONE MARROW BREAST BRONCHUS CEREBELLUM CEREBRAL CORTEX CERVIX CHOROID PLEXUS COLON DUODENUM
ENDOMETRIUM EPIDIDYMIS ESOPHAGUS FALLOPIAN TUBE GALLBLADDER HEART MUSCLE HIPPOCAMPAL FORMATION HYPOTHALAMUS KIDNEY LIVER LUNG LYMPH NODE MIDBRAIN NASOPHARYNX
ORAL MUCOSA OVARY PANCREAS PARATHYROID GLAND PITUITARY GLAND PLACENTA PROSTATE RECTUM RETINA SALIVARY GLAND SEMINAL VESICLE SKELETAL MUSCLE SKIN SMALL INTESTINE
SMOOTH MUSCLE SOFT TISSUE SPINAL CORD SPLEEN STOMACH TESTIS THYMUS THYROID GLAND TONGUE TONSIL URINARY BLADDER VAGINA
ANTIBODIES
AND
VALIDATION
Dictionary
Spleen
Tissue proteome
Lymphoid tissue
SPLEEN - Expression summary
Protein expression
Spleeni

On the top, protein expression in current human tissue, based on all annotated cell types, is reported with the units not detected (n), low (l), medium (m) and high (h). Underneath, protein expression in each annotated cell type are reported using the same units.

Protein expression data is based on knowledge-based annotation. For genes where more than one antibody has been used, a collective score is set.

If knowledge-based annotation could not be performed for a gene, no data is displayed here. View antibody staining data further down this page.

h
m
l
n
Cells in red pulp: Medium
Cells in white pulp: Medium
RNA expressioni

A summary of mRNA expression data available for current tissue based on several datasets. The mRNA expression levels in human tissues are based on RNA-seq data generated by the Human Protein Atlas (HPA), Genotype-Tissue Expression (GTEx) portal and CAGE data generated by the FANTOM5 consortium. Consensus normalized expression levels for human tissues was created by combining the data from HPA and GTEx datasets.

The mRNA expression levels in pig are based on RNA-seq data generated by the Human Protein Atlas (HPA), and for mouse, HPA data and in situ hybridization generated by the Allen brain atlas are reported.

Scroll down to view mRNA expression data in more detail.
Consensus:107.9 nTPM
HPA:107.9 nTPM
GTEx:88.0 nTPM
FANTOM5:249.0 Scaled Tags Per Million

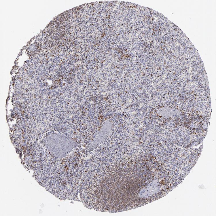
SPLEEN - Antibody stainingi

Antibody staining in the annotated cell types in the current human tissue is reported as not detected, low, medium, or high, based on conventional immunohistochemistry profiling in selected tissues. This score is based on the combination of the staining intensity and fraction of stained cells.

Each image is clickable and will lead to virtual microscopy that enables deeper exploration of all samples and also displays staining intensity scores, fraction scores and subcellular localization as well as patient and tissue information for each sample.

Antibody HPA002267Antibody HPA002531Antibody CAB013480
Cells in red pulp Not detectedMediumMedium
Cells in white pulp MediumMediumHigh







SPLEEN - HPA RNA-seqi

The RNA-seq details section shows detailed information about the individual samples used for the transcript profiling and results of the RNA-seq analysis.

Information about each individual sample is listed below, including gender, age, a tissue section image and estimated fractions of cell types. nTPM (normalized transcripts per million) values give a quantification of the gene abundance which is comparable between different genes and samples.
Average nTPMi

Max subtype nTPM is the value for the subtype with the largest average nTPM across the subtype samples.

107.9
overview
Female, age 60
Spleen sample 236
nTPM: 117.8
Cell types%
Lymphocytes:
40

Macrophages:
30

Endothelial cells:
15

Fibroblasts:
5

Other cell types:
10

overview
Male, age 17
Spleen sample 237
nTPM: 103.4
Cell types%
Lymphocytes:
40

Macrophages:
35

Endothelial cells:
15

Fibroblasts:
5

Other cell types:
5

overview
Male, age 20
Spleen sample 238
nTPM: 108.9
Cell types%
Lymphocytes:
40

Macrophages:
30

Endothelial cells:
15

Fibroblasts:
5

Other cell types:
10

overview
Female, age 19
Spleen sample 239
nTPM: 102.8
Cell types%
Lymphocytes:
40

Macrophages:
30

Endothelial cells:
15

Fibroblasts:
10

Other cell types:
5

overview
Female, age 65
Spleen sample 378
nTPM: 106.8
Cell types%
Lymphocytes:
35

Macrophages:
30

Endothelial cells:
20

Fibroblasts:
10

Other cell types:
5


SPLEEN - GTEx RNA-seqi

RNA-Seq data generated by the Genotype-Tissue Expression (GTEx) project from human tissues is reported as mean nTPM. More information can be found on the GTEx portal.

Distribution across the dataset is visualized with box plots, shown as median and 25th and 75th percentiles. Points are displayed as outliers if they are above or below 1.5 times the interquartile range. nTPM values of the individual samples are presented next to the box plot.
Max subtype nTPMi

Max subtype nTPM is the value for the subtype with the largest average nTPM across the subtype samples.

88.0
GTEx sample id Sample description nTPM
Spleen
Average nTPM: 88.0
Samples: 241

Max nTPM: 190.4
Min nTPM: 15.2
Std nTPM: 27.4
Median nTPM: 87.0
GTEX-14ICL-0126-SM-664NG 30-39 years, male 190.4
GTEX-ZDYS-1026-SM-4WKHC 50-59 years, male 177.3
GTEX-146FR-1926-SM-5NQA6 60-69 years, female 151.8
GTEX-13FH7-1326-SM-5IFG8 50-59 years, female 145.9
GTEX-11VI4-0126-SM-5GU6Z 40-49 years, female 143.0
GTEX-11XUK-0426-SM-5EQML 40-49 years, female 141.3
GTEX-1R7EV-0126-SM-EAZ3O 40-49 years, male 140.6
GTEX-ZVZP-0726-SM-59HKA 50-59 years, male 140.1
GTEX-1GF9U-0126-SM-AHZ4G 40-49 years, female 137.2
GTEX-X3Y1-0126-SM-4PQZA 40-49 years, male 134.9
GTEX-11DXX-0726-SM-5H12X 60-69 years, female 133.8
GTEX-Q2AH-0226-SM-48U1I 40-49 years, male 133.4
GTEX-1399R-0226-SM-5IJGG 30-39 years, male 132.6
GTEX-X4LF-0226-SM-4QAS8 50-59 years, male 132.2
GTEX-14PJ6-0226-SM-6AJ9K 60-69 years, female 129.3
GTEX-1211K-0426-SM-5FQTP 60-69 years, female 129.0
GTEX-XXEK-0126-SM-4BRVU 50-59 years, male 129.0
GTEX-Y5LM-0326-SM-4VBRN 40-49 years, female 126.8
GTEX-1QW4Y-0126-SM-DPRZQ 30-39 years, male 126.6
GTEX-W5WG-0626-SM-4SOID 50-59 years, female 126.5
GTEX-14DAR-0326-SM-5S2PS 50-59 years, male 123.7
GTEX-ZLFU-0526-SM-4WWBN 40-49 years, male 123.5
GTEX-1QP2A-2526-SM-EXOJB 50-59 years, male 122.4
GTEX-1PDJ9-0226-SM-DPRYX 20-29 years, male 122.1
GTEX-1JMLX-1426-SM-CNNPO 50-59 years, male 121.9
GTEX-14E1K-0126-SM-664NL 50-59 years, male 121.8
GTEX-QV31-0126-SM-447BP 30-39 years, male 120.4
GTEX-XAJ8-0126-SM-47JYG 40-49 years, male 119.1
GTEX-11EQ9-0426-SM-5A5JY 30-39 years, male 118.1
GTEX-13PVR-0326-SM-5RQJY 60-69 years, female 117.7
GTEX-1CB4I-1426-SM-79OLZ 50-59 years, male 116.9
GTEX-1J8QM-0926-SM-C1YQ9 60-69 years, female 116.6
GTEX-1R7EU-2026-SM-E9U63 60-69 years, male 116.6
GTEX-11NSD-0426-SM-5N9CR 20-29 years, male 115.4
GTEX-147F3-0126-SM-5NQBJ 50-59 years, female 115.4
GTEX-144GN-2126-SM-5O99D 50-59 years, male 115.2
GTEX-XGQ4-0126-SM-4AT4H 50-59 years, male 115.1
GTEX-1C475-1126-SM-7MGY7 40-49 years, female 113.6
GTEX-14PKU-0526-SM-6871A 40-49 years, female 113.0
GTEX-QCQG-0226-SM-48U28 50-59 years, female 112.5
GTEX-14PN3-0226-SM-6871K 60-69 years, female 111.9
GTEX-VJYA-0126-SM-4KL1P 60-69 years, male 111.9
GTEX-1R9K5-1126-SM-EAZ4G 50-59 years, male 111.7
GTEX-Y3I4-0126-SM-4TT26 50-59 years, male 111.3
GTEX-1AMFI-0926-SM-731E4 50-59 years, female 111.2
GTEX-UJHI-0126-SM-4IHLP 50-59 years, female 111.1
GTEX-WYVS-0126-SM-4ONDH 40-49 years, female 111.1
GTEX-11P7K-0426-SM-5BC5H 30-39 years, male 110.6
GTEX-1B97J-1926-SM-7IGQB 50-59 years, female 110.3
GTEX-OOBJ-0926-SM-48TDO 60-69 years, male 109.6
GTEX-NFK9-1426-SM-43ISG 40-49 years, male 109.5
GTEX-QDVN-0526-SM-48TZ4 50-59 years, male 109.0
GTEX-1F5PL-2226-SM-7MKHE 40-49 years, female 108.8
GTEX-ZPIC-0126-SM-DNZZ9 40-49 years, female 108.6
GTEX-13PL7-1126-SM-5MR5O 60-69 years, female 108.3
GTEX-1CB4E-0126-SM-7DHMX 60-69 years, male 107.6
GTEX-OIZF-0926-SM-7MKH7 60-69 years, male 106.9
GTEX-14PJ5-0326-SM-664OD 60-69 years, female 106.5
GTEX-Y8LW-0126-SM-4VBS1 50-59 years, female 106.5
GTEX-14BMU-0426-SM-73KYT 20-29 years, female 106.4
GTEX-ZPCL-0626-SM-DNZZ6 60-69 years, female 106.3
GTEX-12WSK-0126-SM-5GCO7 40-49 years, female 105.1
GTEX-15SHV-0126-SM-6LPIS 60-69 years, male 105.1
GTEX-XMK1-0126-SM-4B65F 40-49 years, male 105.0
GTEX-1QCLZ-1026-SM-E6CR1 60-69 years, female 104.6
GTEX-1122O-0526-SM-5N9DM 60-69 years, female 104.4
GTEX-S3XE-0626-SM-4AD6B 50-59 years, male 104.1
GTEX-11LCK-0126-SM-5A5M5 30-39 years, male 103.8
GTEX-12BJ1-0726-SM-5EGGF 60-69 years, male 103.3
GTEX-OIZH-0926-SM-48TBR 50-59 years, male 101.5
GTEX-1B97I-0126-SM-731DH 40-49 years, male 101.4
GTEX-13X6H-0726-SM-5Q5BX 50-59 years, female 101.1
GTEX-Z9EW-0726-SM-5HL9H 40-49 years, male 101.0
GTEX-1LSVX-1426-SM-DHXJO 60-69 years, male 100.9
GTEX-WXYG-0126-SM-4OND7 50-59 years, female 100.6
GTEX-16XZY-0126-SM-7IGQ9 70-79 years, male 100.4
GTEX-WFON-0126-SM-4LVM9 40-49 years, male 100.4
GTEX-1B8KZ-0226-SM-7EWF6 50-59 years, male 98.5
GTEX-1JKYN-0326-SM-AHZ4D 30-39 years, male 98.5
GTEX-QV44-0126-SM-CJI1X 50-59 years, male 98.2
GTEX-131XE-1126-SM-5EGHW 50-59 years, male 98.1
GTEX-U4B1-0526-SM-4DXTK 40-49 years, male 97.4
GTEX-15RJ7-0126-SM-6LPJN 40-49 years, male 97.3
GTEX-QMRM-0226-SM-CL55S 50-59 years, male 97.3
GTEX-XQ8I-1726-SM-4BOQB 50-59 years, male 96.7
GTEX-1MJK3-0126-SM-DPRYY 20-29 years, male 96.7
GTEX-1RMOY-0726-SM-EV79D 50-59 years, male 96.7
GTEX-1OFPY-0126-SM-EXOJ3 60-69 years, male 96.5
GTEX-R55G-0226-SM-48FEI 40-49 years, female 95.7
GTEX-YEC4-0126-SM-4W21T 40-49 years, male 95.3
GTEX-13U4I-1626-SM-5IFFR 40-49 years, female 95.2
GTEX-1H3VY-1526-SM-9WG7S 50-59 years, male 95.2
GTEX-14PK6-0526-SM-69LOF 70-79 years, female 95.0
GTEX-13N11-0126-SM-5KM2Z 50-59 years, female 94.9
GTEX-12WSD-1726-SM-5GCN4 60-69 years, female 94.6
GTEX-1LGRB-0126-SM-CNNR6 50-59 years, female 94.4
GTEX-17GQL-0126-SM-72D5Q 60-69 years, male 94.3
GTEX-139T6-0226-SM-5IFGZ 50-59 years, male 94.2
GTEX-15SB6-0126-SM-6LPJR 50-59 years, female 94.1
GTEX-ZLWG-0426-SM-4WWFA 50-59 years, female 94.0
GTEX-ZVP2-0526-SM-51MSC 50-59 years, male 93.8
GTEX-ZP4G-0326-SM-4YCEF 20-29 years, female 93.7
GTEX-WHWD-0126-SM-4OORS 50-59 years, male 93.6
GTEX-13111-0126-SM-5EGHO 50-59 years, male 93.4
GTEX-QLQW-0126-SM-447BK 30-39 years, male 93.1
GTEX-18A66-1826-SM-7KFSU 60-69 years, male 92.5
GTEX-1J8Q3-0126-SM-C1YSI 60-69 years, male 91.9
GTEX-1GZ4H-0126-SM-9JGGI 50-59 years, female 91.7
GTEX-1399S-0226-SM-5IFFG 30-39 years, female 91.4
GTEX-ZPU1-1026-SM-4YCEQ 40-49 years, male 90.4
GTEX-15UF7-1926-SM-6LPJT 40-49 years, male 90.1
GTEX-16MT8-1826-SM-7EWE8 60-69 years, female 89.5
GTEX-1LG7Z-0126-SM-EV79V 30-39 years, male 89.5
GTEX-1S831-0726-SM-EV79O 20-29 years, male 89.4
GTEX-15ETS-3126-SM-6LPKN 40-49 years, female 88.7
GTEX-1KAFJ-1026-SM-D4P2Z 50-59 years, male 88.6
GTEX-Y114-0726-SM-4TT6U 50-59 years, female 87.8
GTEX-1F75I-0226-SM-7MKHQ 40-49 years, male 87.8
GTEX-ZAB5-0526-SM-5CVMU 50-59 years, male 87.2
GTEX-RUSQ-0126-SM-47JWV 50-59 years, male 87.1
GTEX-ZV6S-0826-SM-5NQ6Z 40-49 years, female 87.0
GTEX-14PJ4-0526-SM-6871G 60-69 years, male 86.6
GTEX-1JKYR-1126-SM-CGQGJ 20-29 years, male 86.6
GTEX-R55C-0126-SM-48FEQ 40-49 years, male 86.4
GTEX-132QS-0226-SM-5IFFZ 60-69 years, male 86.0
GTEX-Y5V5-1126-SM-EVYAR 60-69 years, female 85.9
GTEX-PW2O-0126-SM-48TC8 20-29 years, male 85.8
GTEX-WY7C-0126-SM-4ONCO 50-59 years, male 85.8
GTEX-1CB4F-0226-SM-7EPHS 60-69 years, male 85.7
GTEX-ZF2S-0326-SM-4WKGD 50-59 years, female 85.6
GTEX-1IDJE-0126-SM-C1YQ6 50-59 years, female 85.6
GTEX-1F5PK-0726-SM-7MGXN 50-59 years, male 85.4
GTEX-14JG6-0226-SM-6872A 30-39 years, female 85.3
GTEX-YFCO-0926-SM-5LUA5 40-49 years, male 85.2
GTEX-ZEX8-0726-SM-4WKH8 50-59 years, male 85.2
GTEX-15F5U-0126-SM-6LPKA 40-49 years, male 84.7
GTEX-1HSMQ-0126-SM-D4P2I 50-59 years, male 83.2
GTEX-1A3MV-0126-SM-731FQ 30-39 years, male 82.7
GTEX-17HHE-0326-SM-793BH 50-59 years, male 82.3
GTEX-ZDTT-1026-SM-5KM19 60-69 years, male 81.8
GTEX-YB5K-1926-SM-4VDT4 40-49 years, female 81.7
GTEX-15DYW-1426-SM-6LPIW 60-69 years, female 81.6
GTEX-T5JW-0126-SM-4DM6K 20-29 years, female 81.6
GTEX-15DZA-0126-SM-6PAMV 30-39 years, female 81.5
GTEX-14E6E-1226-SM-5S2R5 30-39 years, male 80.4
GTEX-11P81-1326-SM-5GU5S 30-39 years, female 79.8
GTEX-117YX-2126-SM-5GIEL 50-59 years, male 79.4
GTEX-1R9PM-0126-SM-DPRY6 20-29 years, male 79.4
GTEX-P4QT-0926-SM-EZ6KQ 50-59 years, female 79.4
GTEX-13CF3-0226-SM-5J1NW 60-69 years, female 79.3
GTEX-169BO-0126-SM-79OLS 50-59 years, male 78.8
GTEX-18A67-1526-SM-7LG6F 50-59 years, male 78.8
GTEX-17F98-0126-SM-7MGW3 40-49 years, female 78.8
GTEX-1IDJC-0126-SM-C1YQC 50-59 years, male 78.8
GTEX-WYJK-0726-SM-4ONC9 50-59 years, male 78.4
GTEX-13S86-0126-SM-5S2PI 40-49 years, male 78.3
GTEX-1HCU9-0126-SM-9WG7M 20-29 years, male 77.6
GTEX-1KANA-1226-SM-DHXKE 20-29 years, male 77.5
GTEX-PX3G-0926-SM-48U12 20-29 years, female 77.0
GTEX-1MGNQ-1126-SM-EAZ4Y 40-49 years, male 77.0
GTEX-ZF29-0626-SM-4WKHD 60-69 years, female 76.7
GTEX-1QCLY-0126-SM-DPRZV 30-39 years, male 76.6
GTEX-YB5E-0426-SM-5IFHR 40-49 years, male 76.5
GTEX-12WSN-0126-SM-5DUX5 40-49 years, male 76.2
GTEX-13VXT-1326-SM-5LU3Y 20-29 years, female 76.1
GTEX-111CU-0426-SM-5GZY1 50-59 years, male 75.9
GTEX-1LSNM-0126-SM-EAZ57 50-59 years, male 75.8
GTEX-1RAZQ-0126-SM-EV7B1 30-39 years, male 75.8
GTEX-PLZ6-0126-SM-48TC6 30-39 years, male 74.8
GTEX-1MCYP-0226-SM-EV7A3 20-29 years, female 74.5
GTEX-15RIG-0126-SM-6PAN4 40-49 years, male 74.4
GTEX-QESD-0126-SM-EXOHG 20-29 years, male 74.3
GTEX-S4Z8-0226-SM-4AD5K 60-69 years, male 73.5
GTEX-ZZPU-0126-SM-5E446 50-59 years, female 72.2
GTEX-XPVG-0626-SM-4B65B 50-59 years, male 72.1
GTEX-1JK1U-0126-SM-C1YQY 60-69 years, male 71.9
GTEX-U3ZH-0126-SM-4DXUK 30-39 years, male 71.3
GTEX-1LNCM-0426-SM-DHXK6 50-59 years, female 71.2
GTEX-1PWST-1626-SM-EXOIU 70-79 years, male 71.2
GTEX-1QP66-0126-SM-EAZ3N 50-59 years, male 71.2
GTEX-139YR-0426-SM-5IFFV 50-59 years, male 71.1
GTEX-1L5NE-0926-SM-D4P3P 50-59 years, male 71.0
GTEX-1RNTQ-1026-SM-EV7B4 20-29 years, female 71.0
GTEX-1C4CL-0626-SM-731DM 30-39 years, male 70.7
GTEX-146FQ-0626-SM-5LU9U 30-39 years, male 70.3
GTEX-1AX9K-0226-SM-793CM 50-59 years, male 69.9
GTEX-12WSJ-0526-SM-5GCOZ 40-49 years, female 69.3
GTEX-1MUQO-1326-SM-EV7AE 60-69 years, male 69.1
GTEX-P4PQ-0926-SM-E9U4D 60-69 years, male 69.1
GTEX-1QAET-2326-SM-EXOJ1 50-59 years, male 69.0
GTEX-P4QS-0926-SM-48TBS 60-69 years, male 68.6
GTEX-P4PP-0926-SM-48TBZ 30-39 years, female 68.2
GTEX-1RAZR-1626-SM-EAZ4V 40-49 years, male 68.1
GTEX-ZG7Y-2026-SM-DO91N 50-59 years, male 67.4
GTEX-POMQ-0126-SM-48TD6 20-29 years, female 66.9
GTEX-15RIF-0526-SM-6LLI2 20-29 years, male 66.8
GTEX-1LVAN-1026-SM-CNNQZ 50-59 years, female 66.3
GTEX-U3ZN-0126-SM-4DXUM 30-39 years, female 65.9
GTEX-1K9T9-0626-SM-CXZKY 50-59 years, female 65.7
GTEX-O5YT-0926-SM-48TDG 20-29 years, male 65.3
GTEX-1K2DA-0126-SM-CGQGV 50-59 years, male 65.0
GTEX-1C6VQ-2126-SM-7IGNL 50-59 years, male 64.3
GTEX-1QP29-0126-SM-EAZ3S 50-59 years, male 64.3
GTEX-17F9E-1126-SM-79OMO 50-59 years, male 63.9
GTEX-ZYFG-0726-SM-5GIDX 60-69 years, female 63.9
GTEX-Y3IK-0126-SM-4WWE9 50-59 years, female 63.1
GTEX-UPK5-1626-SM-4JBHI 40-49 years, male 63.0
GTEX-XV7Q-0126-SM-4BRVK 40-49 years, female 62.7
GTEX-1H3O1-1126-SM-9WPO9 60-69 years, male 61.9
GTEX-13OVK-0426-SM-7KFT8 40-49 years, male 61.5
GTEX-P78B-1226-SM-EZ6KP 40-49 years, female 61.4
GTEX-15CHC-0726-SM-6AJ9D 60-69 years, female 59.8
GTEX-145MN-0126-SM-5RQHY 30-39 years, male 57.6
GTEX-1MCC2-0826-SM-EV7AM 30-39 years, female 56.6
GTEX-131XG-0426-SM-5IFGD 50-59 years, female 56.4
GTEX-1RAZA-1026-SM-E6CQ9 20-29 years, male 56.3
GTEX-Q734-0226-SM-48U1A 40-49 years, female 56.2
GTEX-1PPH7-0126-SM-E6CPB 40-49 years, male 55.5
GTEX-1R9JW-0126-SM-EAZ4P 30-39 years, female 52.2
GTEX-1AYD5-0226-SM-79ONV 50-59 years, male 51.8
GTEX-1R9K4-1526-SM-DPRY5 60-69 years, male 50.7
GTEX-1PIIG-1226-SM-EXOIQ 30-39 years, male 49.5
GTEX-15SDE-0126-SM-793BA 50-59 years, female 48.9
GTEX-1C64O-1626-SM-731EN 60-69 years, male 46.1
GTEX-1FIGZ-0126-SM-7MKGZ 40-49 years, male 45.6
GTEX-ZTTD-1726-SM-57WEL 50-59 years, male 41.9
GTEX-17F96-1426-SM-7IGQA 70-79 years, male 41.1
GTEX-15ER7-1526-SM-6LLHO 20-29 years, female 40.9
GTEX-QDT8-1526-SM-EXOHP 30-39 years, female 39.7
GTEX-1HCU7-1426-SM-CNNQK 50-59 years, male 37.6
GTEX-1JMQK-1126-SM-CXZJW 60-69 years, male 35.9
GTEX-X585-1826-SM-4QAS3 50-59 years, male 32.0
GTEX-17F97-1626-SM-72D6W 50-59 years, male 31.6
GTEX-1QMI2-1526-SM-EXOJT 60-69 years, male 30.9
GTEX-12WSG-0926-SM-5EGIH 50-59 years, female 30.5
GTEX-111FC-1326-SM-5N9D9 60-69 years, male 28.4
GTEX-1N2EF-1526-SM-EXOIY 60-69 years, male 27.9
GTEX-1KD5A-1526-SM-D4P3W 50-59 years, male 27.8
GTEX-16MT9-1726-SM-6M47P 60-69 years, female 22.6
GTEX-1JMPZ-0926-SM-CXZJR 30-39 years, male 22.5
GTEX-15CHQ-1226-SM-6ETZL 60-69 years, male 15.2
Show allShow less

SPLEEN - FANTOM5 CAGEi

RNA expression in human tissues obtained through Cap Analysis of Gene Expression (CAGE) generated by the FANTOM5 project are reported as Scaled Tags Per Million.

Max subtype Scaled Tags Per Millioni

Max subtype Scaled Tags Per Million is the value for the subtype with the largest average Scaled Tags Per Million across the subtype samples.

249.0
FANTOM5 sample id Sample description Scaled Tags Per Million
Spleen
Scaled Tags Per Million: 249.0
FF:10025-101D7 39,50,70 years, male 249.0

Contact

  • NEWS ARTICLES
  • PRESS ROOM

The Project

  • INTRODUCTION
  • ORGANIZATION
  • PUBLICATIONS

The Human Protein Atlas

  • DOWNLOADABLE DATA
  • LICENCE & CITATION
  • HELP & FAQ
The Human Protein Atlas project is funded
by the Knut & Alice Wallenberg Foundation.


contact@proteinatlas.org