We use cookies to enhance the usability of our website. If you continue, we'll assume that you are happy to receive all cookies. More information. Don't show this again.
NPEPPS
HPA
RESOURCES
  • TISSUE
  • BRAIN
  • SINGLE CELL
  • SUBCELLULAR
  • CANCER
  • BLOOD
  • CELL LINE
  • STRUCTURE & INTERACTION
ABOUT
  • INTRODUCTION
  • HISTORY
  • ORGANIZATION
  • PUBLICATIONS
  • ANTIBODY SUBMISSION
  • ANTIBODY AVAILABILITY
  • ACKNOWLEDGMENTS
  • CONTACT
NEWS
  • NEWS ARTICLES
  • PRESS ROOM
LEARN
  • DICTIONARY
  • PROTEIN CLASSES
  • PROTEIN EVIDENCE
  • METHODS
  • EDUCATIONAL VIDEOS
DATA
  • DOWNLOADABLE DATA
  • PUBLICATION DATA
  • RELEASE HISTORY
HELP
  • ANTIBODY VALIDATION
  • ASSAYS & ANNOTATION
  • DISCLAIMER
  • HELP & FAQ
  • PRIVACY STATEMENT
  • LICENCE & CITATION
Fields »
Search result

Field
Term
Gene name
Class
Subclass
Class
Keyword
Chromosome
External id
Tissue
Cell type
Expression
Antibody panel
Tissue
Main location
Patient ID
Annotation
Tissue
Category
Tau score
Cluster
Reliability
Brain region
Category
Tau score
Brain region
Category
Tau score
Brain region
Category
Tau score
Cluster
Reliability
Tissue
Cell type
Enrichment
Cell type
Category
Tau score
Cell type
Category
Tau score
Cell type
Category
Tau score
Cell lineage
Category
Tau score
Cluster
Cluster
Location
Searches
Location
Cell line
Class
Type
Phase
Reliability
Cancer
Prognosis
Cancer
Category
Cancer
Category
Tau score
Cluster
Variants
Interacting gene (ensg_id)
Type
Number of interactions
Pathway
Category
Score
Score
Score
Validation
Validation
Validation
Validation
Antibodies
Data type
Column


  • SUMMARY

  • TISSUE

  • BRAIN

  • SINGLE CELL

  • SUBCELL

  • CANCER

  • BLOOD

  • CELL LINE

  • STRUCT & INT

  • NPEPPS
TISSUE PRIMARY DATA ESOPHAGUS Show tissue menu
ADIPOSE TISSUE ADRENAL GLAND AMYGDALA APPENDIX BASAL GANGLIA BONE MARROW BREAST BRONCHUS CEREBELLUM CEREBRAL CORTEX CERVIX CHOROID PLEXUS COLON DUODENUM
ENDOMETRIUM EPIDIDYMIS ESOPHAGUS FALLOPIAN TUBE GALLBLADDER HEART MUSCLE HIPPOCAMPAL FORMATION HYPOTHALAMUS KIDNEY LIVER LUNG LYMPH NODE MIDBRAIN NASOPHARYNX
ORAL MUCOSA OVARY PANCREAS PARATHYROID GLAND PITUITARY GLAND PLACENTA PROSTATE RECTUM RETINA SALIVARY GLAND SEMINAL VESICLE SKELETAL MUSCLE SKIN SMALL INTESTINE
SMOOTH MUSCLE SOFT TISSUE SPINAL CORD SPLEEN STOMACH TESTIS THYMUS THYROID GLAND TONGUE TONSIL URINARY BLADDER VAGINA
ANTIBODIES
AND
VALIDATION
Dictionary
Esophagus
Tissue proteome
Esophagus
ESOPHAGUS - Expression summary
Protein expression
Esophagusi

On the top, protein expression in current human tissue, based on all annotated cell types, is reported with the units not detected (n), low (l), medium (m) and high (h). Underneath, protein expression in each annotated cell type are reported using the same units.

Protein expression data is based on knowledge-based annotation. For genes where more than one antibody has been used, a collective score is set.

If knowledge-based annotation could not be performed for a gene, no data is displayed here. View antibody staining data further down this page.

h
m
l
n
Squamous epithelial cells: Medium
RNA expressioni

A summary of mRNA expression data available for current tissue based on several datasets. The mRNA expression levels in human tissues are based on RNA-seq data generated by the Human Protein Atlas (HPA), Genotype-Tissue Expression (GTEx) portal and CAGE data generated by the FANTOM5 consortium. Consensus normalized expression levels for human tissues was created by combining the data from HPA and GTEx datasets.

The mRNA expression levels in pig are based on RNA-seq data generated by the Human Protein Atlas (HPA), and for mouse, HPA data and in situ hybridization generated by the Allen brain atlas are reported.

Scroll down to view mRNA expression data in more detail.
Consensus:86.4 nTPM
HPA:57.3 nTPM
GTEx:86.4 nTPM
FANTOM5:36.5 Scaled Tags Per Million

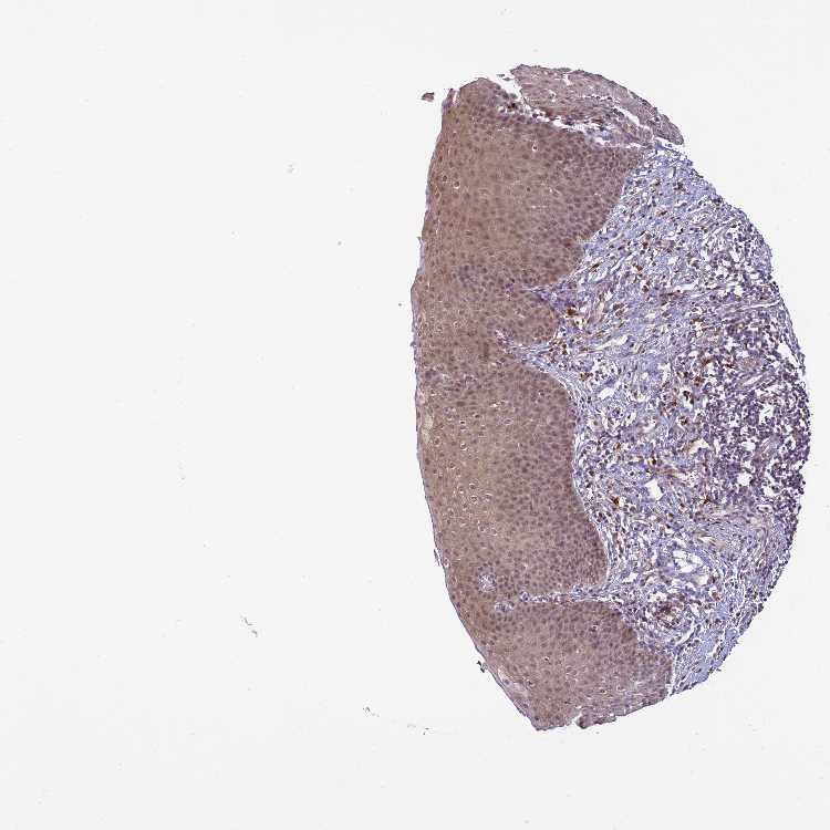
ESOPHAGUS - Antibody stainingi

Antibody staining in the annotated cell types in the current human tissue is reported as not detected, low, medium, or high, based on conventional immunohistochemistry profiling in selected tissues. This score is based on the combination of the staining intensity and fraction of stained cells.

Each image is clickable and will lead to virtual microscopy that enables deeper exploration of all samples and also displays staining intensity scores, fraction scores and subcellular localization as well as patient and tissue information for each sample.

Antibody HPA021453Antibody HPA045649
Squamous epithelial cells MediumMedium





ESOPHAGUS - HPA RNA-seqi

The RNA-seq details section shows detailed information about the individual samples used for the transcript profiling and results of the RNA-seq analysis.

Information about each individual sample is listed below, including gender, age, a tissue section image and estimated fractions of cell types. nTPM (normalized transcripts per million) values give a quantification of the gene abundance which is comparable between different genes and samples.
Average nTPMi

Max subtype nTPM is the value for the subtype with the largest average nTPM across the subtype samples.

57.3
overview
Female, age 70
Esophagus sample 130
nTPM: 48.7
Cell types%
Squamous epithelial cells:
35

Smooth muscle cells:
15

Skeletal muscle cells:
5

Other cell types:
45

overview
Male, age 38
Esophagus sample 131
nTPM: 60.4
Cell types%
Squamous epithelial cells:
60

Smooth muscle cells:
20

Other cell types:
20

overview
Male, age 76
Esophagus sample 132
nTPM: 62.9
Cell types%
Squamous epithelial cells:
45

Smooth muscle cells:
15

Other cell types:
40


ESOPHAGUS - GTEx RNA-seqi

RNA-Seq data generated by the Genotype-Tissue Expression (GTEx) project from human tissues is reported as mean nTPM. More information can be found on the GTEx portal.

Distribution across the dataset is visualized with box plots, shown as median and 25th and 75th percentiles. Points are displayed as outliers if they are above or below 1.5 times the interquartile range. nTPM values of the individual samples are presented next to the box plot.
Max subtype nTPMi

Max subtype nTPM is the value for the subtype with the largest average nTPM across the subtype samples.

86.4
GTEx sample id Sample description nTPM
Esophagus - Mucosa
Average nTPM: 86.4
Samples: 555

Max nTPM: 225.0
Min nTPM: 23.1
Std nTPM: 34.2
Median nTPM: 82.6
GTEX-1PIGE-0926-SM-E9U5Z 20-29 years, male 225.0
GTEX-11P7K-1326-SM-5BC5G 30-39 years, male 214.5
GTEX-14DAR-0826-SM-73KYJ 50-59 years, male 199.8
GTEX-1KANA-0626-SM-D4P3I 20-29 years, male 188.9
GTEX-1NSGN-2026-SM-DPRYM 50-59 years, male 185.8
GTEX-YEC4-1026-SM-9WG7N 40-49 years, male 184.1
GTEX-131XE-1426-SM-5HL7V 50-59 years, male 182.3
GTEX-ZLWG-1326-SM-DNZYZ 50-59 years, female 177.3
GTEX-1399S-1326-SM-5P9GH 30-39 years, female 175.6
GTEX-1RAZA-1326-SM-DPS12 20-29 years, male 172.6
GTEX-1J1R8-0326-SM-AHZ3D 40-49 years, male 171.4
GTEX-1K2DA-0626-SM-CGQGO 50-59 years, male 170.5
GTEX-18D9A-0526-SM-7KFSW 30-39 years, female 168.4
GTEX-NFK9-1126-SM-3LK78 40-49 years, male 168.2
GTEX-1GMR3-1526-SM-9JGGL 40-49 years, male 168.2
GTEX-YB5E-0926-SM-4WWDQ 40-49 years, male 166.8
GTEX-1S83E-0826-SM-EV7B7 40-49 years, male 162.9
GTEX-13OVI-2626-SM-5KM4T 60-69 years, female 161.6
GTEX-ZTSS-0626-SM-59867 40-49 years, male 160.9
GTEX-144GM-1426-SM-5LU31 20-29 years, male 160.6
GTEX-ZDTT-1326-SM-4WKFH 60-69 years, male 156.7
GTEX-1L5NE-1426-SM-DHXKV 50-59 years, male 156.7
GTEX-OIZH-0626-SM-3NB1L 50-59 years, male 155.7
GTEX-1LG7Z-0926-SM-CXKYK 30-39 years, male 154.0
GTEX-WHPG-1126-SM-4M1XT 50-59 years, male 151.4
GTEX-V1D1-1026-SM-4JBHE 50-59 years, male 151.1
GTEX-13PVR-1826-SM-5Q5CC 60-69 years, female 151.0
GTEX-WHSB-0426-SM-4M1XI 50-59 years, male 148.9
GTEX-U4B1-0826-SM-4DXTW 40-49 years, male 148.0
GTEX-1RDX4-2126-SM-EV7B3 50-59 years, female 147.6
GTEX-1MGNQ-1626-SM-EAZ4Z 40-49 years, male 145.8
GTEX-1MCYP-1026-SM-DPRYB 20-29 years, female 145.5
GTEX-18D9B-2026-SM-7LT96 60-69 years, male 145.0
GTEX-1122O-1726-SM-5GICM 60-69 years, female 144.9
GTEX-14H4A-1626-SM-5SI69 40-49 years, female 144.9
GTEX-ZLV1-0526-SM-4WWD4 60-69 years, female 144.9
GTEX-183FY-1526-SM-7IGOW 20-29 years, male 144.1
GTEX-SE5C-1226-SM-4BRWV 40-49 years, female 143.8
GTEX-131XG-1026-SM-5GCMX 50-59 years, female 143.2
GTEX-14A6H-1326-SM-5NQBC 30-39 years, male 143.2
GTEX-O5YV-1026-SM-3LK72 60-69 years, female 142.5
GTEX-12BJ1-1626-SM-5HL8Y 60-69 years, male 140.5
GTEX-13FHP-1526-SM-5IJGE 50-59 years, male 140.3
GTEX-14ICK-2026-SM-6AJB2 40-49 years, male 140.2
GTEX-PWCY-0726-SM-48TCS 20-29 years, female 140.2
GTEX-1K2DU-1726-SM-EV79S 20-29 years, male 139.4
GTEX-X4EP-1626-SM-4QAS6 60-69 years, female 139.0
GTEX-ZVT2-1326-SM-5E45H 50-59 years, female 138.7
GTEX-13PL7-0226-SM-731DT 60-69 years, female 136.4
GTEX-14PJ5-0526-SM-664OE 60-69 years, female 136.4
GTEX-U3ZM-0526-SM-4DXTB 40-49 years, male 136.1
GTEX-14E1K-1226-SM-5S2PD 50-59 years, male 135.6
GTEX-1AMFI-0226-SM-731D5 50-59 years, female 135.4
GTEX-1N2DV-2026-SM-EV7BL 40-49 years, male 135.2
GTEX-145LV-1326-SM-5S2QI 50-59 years, male 134.2
GTEX-15UF7-0926-SM-6M46F 40-49 years, male 133.6
GTEX-X4XY-1726-SM-46MVO 60-69 years, male 133.1
GTEX-13FTX-0526-SM-5IFGS 20-29 years, female 131.8
GTEX-1EWIQ-1526-SM-79OO7 70-79 years, female 131.5
GTEX-XXEK-0326-SM-4BRVV 50-59 years, male 130.5
GTEX-1EH9U-2426-SM-7EWFG 60-69 years, male 129.3
GTEX-17HII-1526-SM-9OSVD 50-59 years, male 129.3
GTEX-18A67-2426-SM-7LT95 50-59 years, male 128.7
GTEX-U8XE-1726-SM-4E3IF 30-39 years, male 128.6
GTEX-ZC5H-1326-SM-5HL7E 40-49 years, female 128.1
GTEX-S4Q7-0626-SM-4AD5M 20-29 years, male 127.9
GTEX-1AMEY-0226-SM-7189Q 30-39 years, female 127.7
GTEX-ZG7Y-1126-SM-4WWEZ 50-59 years, male 126.8
GTEX-1B8KZ-0726-SM-7938W 50-59 years, male 126.6
GTEX-ZPCL-1426-SM-57WEC 60-69 years, female 126.5
GTEX-ZVP2-1326-SM-57WCE 50-59 years, male 125.9
GTEX-PLZ6-0526-SM-3P61C 30-39 years, male 125.6
GTEX-13RTK-0526-SM-5S2QF 20-29 years, male 125.5
GTEX-POYW-1326-SM-48TCG 60-69 years, male 124.4
GTEX-1CAMQ-2726-SM-7MKGD 40-49 years, male 123.9
GTEX-RWS6-0826-SM-47JXF 60-69 years, female 123.4
GTEX-1399Q-1126-SM-5P9JA 40-49 years, male 122.6
GTEX-1A32A-1826-SM-72D5G 50-59 years, female 122.6
GTEX-11NSD-1126-SM-5N9BQ 20-29 years, male 122.5
GTEX-11P82-0526-SM-5986P 20-29 years, male 122.3
GTEX-17JCI-1226-SM-793D9 60-69 years, female 122.0
GTEX-14AS3-0626-SM-5QGQD 40-49 years, female 121.7
GTEX-TML8-1526-SM-4DXUX 40-49 years, female 121.2
GTEX-11P81-0826-SM-5P9GR 30-39 years, female 120.3
GTEX-OIZG-1026-SM-3LK5X 50-59 years, male 119.6
GTEX-ZT9W-1326-SM-51MTB 50-59 years, male 119.2
GTEX-1AYD5-0926-SM-793AF 50-59 years, male 118.7
GTEX-WXYG-1226-SM-4ONCJ 50-59 years, female 118.7
GTEX-132AR-2226-SM-5J2NT 50-59 years, female 117.7
GTEX-Y9LG-0626-SM-4WWDH 30-39 years, male 117.7
GTEX-ZGAY-1126-SM-4WWBS 40-49 years, female 117.5
GTEX-1IKOE-1526-SM-C1YSD 30-39 years, female 116.7
GTEX-PWN1-0626-SM-48TDT 40-49 years, female 116.5
GTEX-XBEW-1326-SM-4AT63 40-49 years, male 116.5
GTEX-W5WG-1626-SM-4LMKG 50-59 years, female 116.0
GTEX-ZA64-0626-SM-5HL9O 20-29 years, male 115.8
GTEX-1399R-0826-SM-5IJEL 30-39 years, male 115.4
GTEX-1I1GU-1426-SM-B2LX3 40-49 years, male 115.3
GTEX-QV44-1126-SM-CL55C 50-59 years, male 115.3
GTEX-11EQ9-0726-SM-5A5K2 30-39 years, male 114.9
GTEX-15RIF-0826-SM-6M47C 20-29 years, male 114.4
GTEX-R55G-1026-SM-48FDI 40-49 years, female 114.3
GTEX-T8EM-0526-SM-4DM64 40-49 years, male 114.2
GTEX-14E6E-0726-SM-5S2R3 30-39 years, male 114.0
GTEX-13OVK-1126-SM-6PAMR 40-49 years, male 113.8
GTEX-WYVS-0726-SM-4ONDO 40-49 years, female 113.4
GTEX-18QFQ-1026-SM-7LG6B 30-39 years, male 113.0
GTEX-1KAFJ-0626-SM-D3L8X 50-59 years, male 112.9
GTEX-U3ZN-1726-SM-4DXUQ 30-39 years, female 112.8
GTEX-VUSG-1226-SM-4KKZF 50-59 years, male 112.4
GTEX-T2YK-1326-SM-4DM6S 50-59 years, male 112.3
GTEX-17HHE-0926-SM-7938K 50-59 years, male 112.1
GTEX-1JMPY-0826-SM-AHZ4A 30-39 years, male 111.8
GTEX-14PJN-0526-SM-68724 30-39 years, male 111.5
GTEX-Q2AG-1326-SM-43V8K 40-49 years, female 110.7
GTEX-S7SF-0926-SM-4AD4M 20-29 years, female 110.7
GTEX-1JKYR-2126-SM-CNNPC 20-29 years, male 110.4
GTEX-13NZB-1226-SM-5J2MW 30-39 years, male 110.2
GTEX-OXRK-1326-SM-3NB1A 50-59 years, female 110.2
GTEX-14PKV-1726-SM-6871U 20-29 years, female 109.8
GTEX-1CB4H-1526-SM-7MXU4 60-69 years, female 109.8
GTEX-1R9PM-0926-SM-DPRYA 20-29 years, male 109.7
GTEX-1AX9J-1826-SM-731FM 60-69 years, male 109.1
GTEX-SNMC-0526-SM-4DM69 20-29 years, male 109.0
GTEX-1RAZR-1226-SM-E6CRD 40-49 years, male 109.0
GTEX-1CB4E-1026-SM-793AB 60-69 years, male 108.9
GTEX-17EUY-1426-SM-7938X 20-29 years, male 108.3
GTEX-R53T-1126-SM-48FD4 50-59 years, female 108.3
GTEX-14JG6-0926-SM-6871Y 30-39 years, female 108.0
GTEX-1J1OQ-2526-SM-AHZ3Q 40-49 years, female 107.5
GTEX-YB5K-0826-SM-5YYB7 40-49 years, female 107.2
GTEX-11DXZ-1226-SM-5H11L 50-59 years, male 106.8
GTEX-XBED-1026-SM-48TCB 60-69 years, male 105.9
GTEX-Y5V5-1626-SM-4VDSG 60-69 years, female 105.9
GTEX-QESD-0826-SM-47J4G 20-29 years, male 105.6
GTEX-1IDJH-2026-SM-CNNQX 70-79 years, male 105.4
GTEX-1LVAN-2326-SM-CNNPY 50-59 years, female 105.4
GTEX-1LG7Y-1726-SM-EV7AR 50-59 years, male 104.9
GTEX-15RIE-0826-SM-6M47X 60-69 years, male 104.3
GTEX-ZYFG-1126-SM-5GICY 60-69 years, female 103.8
GTEX-1LBAC-1226-SM-DHXK1 20-29 years, male 103.8
GTEX-ZLFU-1126-SM-DO11K 40-49 years, male 103.6
GTEX-1J8QM-1926-SM-AHZ3Z 60-69 years, female 103.3
GTEX-SUCS-0726-SM-4DM7J 70-79 years, male 103.1
GTEX-1GMR2-1526-SM-7MXV6 50-59 years, male 103.1
GTEX-ZY6K-0626-SM-59HJL 50-59 years, male 102.7
GTEX-PLZ4-1626-SM-3P618 50-59 years, female 102.6
GTEX-X4LF-0626-SM-4QASB 50-59 years, male 102.2
GTEX-145LT-1126-SM-5LUA1 40-49 years, male 102.1
GTEX-R55C-0826-SM-48FCL 40-49 years, male 102.1
GTEX-12C56-1226-SM-5FQSU 20-29 years, male 101.9
GTEX-1LB8K-1326-SM-CXZKB 50-59 years, male 101.9
GTEX-14PJ3-0626-SM-6UGC5 50-59 years, male 101.8
GTEX-1HCUA-1426-SM-9WPP7 50-59 years, female 101.8
GTEX-13OVG-0626-SM-5IFEP 60-69 years, male 101.7
GTEX-1PPH8-1626-SM-E6CQP 20-29 years, male 101.7
GTEX-ZF2S-1226-SM-4WWAX 50-59 years, female 101.6
GTEX-1B8KE-1826-SM-731FD 50-59 years, male 101.4
GTEX-13YAN-1926-SM-7EPH9 60-69 years, male 101.1
GTEX-1KXAM-0826-SM-CXZK9 60-69 years, male 100.9
GTEX-OXRN-1726-SM-3NM9B 50-59 years, male 100.7
GTEX-OOBK-0625-SM-3LK5P 40-49 years, male 100.6
GTEX-13S86-0826-SM-5SI6J 40-49 years, male 100.5
GTEX-P4PP-0626-SM-3NM9X 30-39 years, female 100.5
GTEX-1EKGG-1726-SM-7MXUP 60-69 years, male 100.4
GTEX-1R9K5-1526-SM-DPRZA 50-59 years, male 100.4
GTEX-11LCK-1726-SM-5S2OQ 30-39 years, male 100.2
GTEX-ZF29-1326-SM-DNZYV 60-69 years, female 100.0
GTEX-13D11-1926-SM-5IFGB 50-59 years, female 99.7
GTEX-1S82Y-1226-SM-EV7BD 40-49 years, male 99.6
GTEX-1HKZK-1426-SM-A96U1 40-49 years, male 99.5
GTEX-QEL4-1426-SM-447AC 50-59 years, male 99.4
GTEX-N7MT-0326-SM-48TDP 60-69 years, female 99.1
GTEX-TKQ1-0326-SM-4DXSM 30-39 years, male 99.0
GTEX-18A66-1426-SM-7KFRT 60-69 years, male 98.9
GTEX-1C64O-1826-SM-7DHM4 60-69 years, male 98.9
GTEX-1MA7X-0726-SM-EV7AB 60-69 years, male 98.6
GTEX-14ICL-0526-SM-5RQJ6 30-39 years, male 98.3
GTEX-1B97J-1026-SM-7MXTE 50-59 years, female 98.3
GTEX-11DXY-1426-SM-5N9CN 60-69 years, male 98.2
GTEX-13FTW-1626-SM-5KM4N 40-49 years, male 98.1
GTEX-X3Y1-1326-SM-4PQZB 40-49 years, male 98.1
GTEX-1LGRB-1626-SM-CNNR7 50-59 years, female 98.1
GTEX-1QCLZ-1626-SM-E9U5R 60-69 years, female 97.9
GTEX-Y3IK-1126-SM-51MSV 50-59 years, female 97.7
GTEX-YF7O-0926-SM-5IFIF 50-59 years, male 97.7
GTEX-1GN1W-2226-SM-9JGI5 50-59 years, female 97.5
GTEX-WFON-0826-SM-4LVMI 40-49 years, male 97.1
GTEX-145MN-1026-SM-5NQ9G 30-39 years, male 96.8
GTEX-16NGA-1426-SM-718AC 40-49 years, female 96.8
GTEX-WFG8-1226-SM-4V6EI 20-29 years, male 96.8
GTEX-WYJK-1926-SM-4ONDP 50-59 years, male 96.8
GTEX-12WSK-1126-SM-5LZV8 40-49 years, female 96.7
GTEX-148VJ-1026-SM-5LU98 70-79 years, male 96.5
GTEX-1R9JW-1526-SM-DPRZK 30-39 years, female 96.4
GTEX-S33H-0826-SM-4AD5Y 30-39 years, male 96.3
GTEX-OIZF-0626-SM-7MKHG 60-69 years, male 96.3
GTEX-Q2AI-0626-SM-48TZU 40-49 years, male 96.2
GTEX-Y5LM-1026-SM-4VDSQ 40-49 years, female 96.1
GTEX-1HBPI-0626-SM-9WPP4 50-59 years, male 96.1
GTEX-UJHI-0826-SM-4IHLM 50-59 years, female 96.0
GTEX-1MCC2-1926-SM-DHXJR 30-39 years, female 95.8
GTEX-QDVJ-0726-SM-48U1W 50-59 years, male 95.5
GTEX-1GN1U-1826-SM-9JGH2 50-59 years, female 95.0
GTEX-1QCLY-1526-SM-DPRXX 30-39 years, male 95.0
GTEX-14C5O-1626-SM-73KYH 60-69 years, male 94.9
GTEX-1MA7W-0426-SM-E9TJ5 20-29 years, female 94.9
GTEX-1H11D-2126-SM-9OSXM 40-49 years, male 94.8
GTEX-146FR-0426-SM-5SI97 60-69 years, female 94.7
GTEX-P4QT-0626-SM-3NMCP 50-59 years, female 94.7
GTEX-13O21-0626-SM-5IJDI 50-59 years, male 94.5
GTEX-QCQG-0626-SM-48U21 50-59 years, female 94.5
GTEX-145LU-0926-SM-79OJL 50-59 years, male 93.8
GTEX-1R7EU-0826-SM-DPRZL 60-69 years, male 93.6
GTEX-XK95-1026-SM-4GIDV 40-49 years, male 93.4
GTEX-1LVAM-1126-SM-DHXKP 50-59 years, female 93.4
GTEX-17EVQ-1926-SM-7IGOF 70-79 years, male 93.1
GTEX-1RAZQ-1726-SM-EAZ4T 30-39 years, male 93.0
GTEX-P4PQ-0626-SM-3NMCU 60-69 years, male 92.6
GTEX-ZQUD-0426-SM-57WFR 30-39 years, male 92.4
GTEX-14JIY-0926-SM-6871D 60-69 years, male 92.1
GTEX-ZE9C-1126-SM-4WWBD 60-69 years, male 92.1
GTEX-RN64-1026-SM-48FDX 50-59 years, male 91.7
GTEX-X15G-0826-SM-4PQZD 50-59 years, female 91.7
GTEX-1AX9I-1426-SM-7DHM8 60-69 years, male 91.5
GTEX-1H23P-1426-SM-9JGH5 60-69 years, male 91.3
GTEX-1JK1U-1726-SM-CNNPM 60-69 years, male 91.1
GTEX-1QP2A-1926-SM-EXOJ9 50-59 years, male 91.1
GTEX-131XF-0826-SM-5GICG 60-69 years, male 90.9
GTEX-12WSD-1826-SM-5GCOA 60-69 years, female 90.7
GTEX-17MFQ-0526-SM-7KFTX 20-29 years, male 90.7
GTEX-SNOS-0626-SM-4DM5F 40-49 years, male 90.4
GTEX-S341-0526-SM-4AD5U 40-49 years, female 90.2
GTEX-1NUQO-1126-SM-DTX98 20-29 years, female 90.2
GTEX-1OKEX-1326-SM-E9J2U 60-69 years, male 90.1
GTEX-T6MO-0526-SM-4DM6R 40-49 years, female 89.8
GTEX-Y8E4-1726-SM-5LU9G 40-49 years, male 89.2
GTEX-12ZZY-1426-SM-5N9EI 60-69 years, male 88.9
GTEX-1EX96-2226-SM-7MKGT 50-59 years, male 88.8
GTEX-11TT1-0526-SM-5P9JO 20-29 years, male 88.7
GTEX-XQ8I-1526-SM-4BOOH 50-59 years, male 88.7
GTEX-14PJM-1526-SM-664NY 50-59 years, female 88.5
GTEX-WH7G-0926-SM-4LVMJ 40-49 years, male 88.5
GTEX-Z9EW-0526-SM-5HL8S 40-49 years, male 87.7
GTEX-16MTA-0826-SM-6LLIC 50-59 years, male 87.2
GTEX-1269C-1026-SM-5N9EY 60-69 years, female 87.0
GTEX-S4P3-0426-SM-4AD56 50-59 years, female 87.0
GTEX-1C2JI-1126-SM-731FH 50-59 years, male 86.9
GTEX-16XZY-0926-SM-7938M 70-79 years, male 86.8
GTEX-ZYT6-1126-SM-5GZYR 30-39 years, male 86.6
GTEX-11I78-1526-SM-5A5K7 50-59 years, female 86.3
GTEX-1HB9E-1526-SM-D3LA6 50-59 years, male 86.3
GTEX-18D9U-2126-SM-7LG4Y 40-49 years, male 86.2
GTEX-1IDJF-1226-SM-C1YPX 20-29 years, male 86.2
GTEX-15RJ7-0926-SM-6LPJO 40-49 years, male 85.6
GTEX-1I1GR-1326-SM-ARU7B 60-69 years, male 85.4
GTEX-1RLM8-0726-SM-E6CRH 50-59 years, male 85.4
GTEX-132QS-1426-SM-5P9GE 60-69 years, male 85.2
GTEX-1I4MK-0426-SM-B2LWQ 50-59 years, female 85.2
GTEX-1HCVE-1226-SM-9WPPH 50-59 years, male 84.9
GTEX-QDVN-1026-SM-48TZA 50-59 years, male 84.8
GTEX-13QBU-1026-SM-5LU3R 40-49 years, female 84.7
GTEX-13QJ3-1726-SM-5RQK9 50-59 years, male 84.6
GTEX-REY6-1326-SM-48FDO 60-69 years, male 84.6
GTEX-VJYA-0726-SM-4KL1T 60-69 years, male 84.6
GTEX-1H1ZS-1526-SM-9OSXR 70-79 years, male 84.5
GTEX-1HSKV-2426-SM-A8N8K 60-69 years, male 84.4
GTEX-S95S-0426-SM-4B64I 60-69 years, male 84.2
GTEX-Y5V6-1026-SM-4VBS2 60-69 years, male 83.9
GTEX-1QPFJ-1226-SM-EAZ3M 30-39 years, female 83.7
GTEX-13NYB-0926-SM-5IFFA 40-49 years, male 83.5
GTEX-1F5PK-1526-SM-7MKGV 50-59 years, male 83.4
GTEX-11TUW-1326-SM-5EQKV 60-69 years, male 83.3
GTEX-117YW-1926-SM-5H121 50-59 years, male 83.2
GTEX-XV7Q-1126-SM-4BRVS 40-49 years, female 83.0
GTEX-147F3-0826-SM-5NQA7 50-59 years, female 82.7
GTEX-169BO-0526-SM-793AK 50-59 years, male 82.7
GTEX-13FH7-0526-SM-5IJF8 50-59 years, female 82.6
GTEX-ZEX8-1426-SM-4WKHQ 50-59 years, male 82.5
GTEX-13W3W-1626-SM-5LU35 60-69 years, female 82.2
GTEX-1CB4G-1326-SM-7MKFP 60-69 years, male 82.2
GTEX-ZXES-1126-SM-5GZXN 30-39 years, female 82.2
GTEX-Y3I4-1226-SM-4TT8N 50-59 years, male 81.9
GTEX-YEC3-2526-SM-CXZIH 50-59 years, male 81.9
GTEX-1HCU8-2226-SM-9WPOV 60-69 years, female 81.8
GTEX-12ZZX-1326-SM-5DUWI 40-49 years, female 81.7
GTEX-OIZI-1426-SM-3NB1T 40-49 years, male 81.5
GTEX-14C38-2126-SM-5RQJO 50-59 years, male 81.3
GTEX-1GPI7-1026-SM-7MGY2 20-29 years, male 81.3
GTEX-131YS-1426-SM-5IJF7 60-69 years, female 81.1
GTEX-15SB6-0726-SM-6M48F 50-59 years, female 81.1
GTEX-ZTPG-1626-SM-5DUX2 20-29 years, female 80.8
GTEX-17F98-1726-SM-7938O 40-49 years, female 80.7
GTEX-PLZ5-0926-SM-3TW8L 50-59 years, male 80.6
GTEX-1QP9N-0926-SM-E9U5S 30-39 years, male 80.6
GTEX-15ER7-2126-SM-7939E 20-29 years, female 80.5
GTEX-12696-1326-SM-5FQTJ 60-69 years, male 79.7
GTEX-WFJO-0826-SM-4LVM5 30-39 years, male 79.7
GTEX-XUZC-0426-SM-4BOPE 30-39 years, female 79.7
GTEX-1HFI6-1226-SM-A96SK 40-49 years, male 79.7
GTEX-14PHY-0626-SM-664NN 60-69 years, female 79.5
GTEX-1CB4I-1026-SM-7MKFZ 50-59 years, male 79.2
GTEX-16BQI-1526-SM-6LLIE 30-39 years, female 79.1
GTEX-14BMU-0926-SM-5S2QB 20-29 years, female 78.8
GTEX-1RAZS-2626-SM-EV79C 50-59 years, male 78.8
GTEX-15EOM-5013-SM-7MKF9 20-29 years, female 78.4
GTEX-WRHK-0526-SM-4MVOF 20-29 years, female 78.3
GTEX-X62O-2226-SM-46MW3 50-59 years, male 78.2
GTEX-139YR-1726-SM-5IFFK 50-59 years, male 77.9
GTEX-1H1DG-1226-SM-9JGH3 70-79 years, male 77.7
GTEX-1EMGI-1926-SM-7938Y 60-69 years, male 77.6
GTEX-11EM3-0826-SM-5N9CC 20-29 years, female 77.5
GTEX-111CU-0726-SM-5GZYD 50-59 years, male 77.4
GTEX-1JKYN-1526-SM-CGQGA 30-39 years, male 77.4
GTEX-12KS4-0926-SM-5BC5S 30-39 years, male 77.3
GTEX-139T6-0626-SM-5IFF9 50-59 years, male 77.0
GTEX-QLQ7-0926-SM-447BC 60-69 years, male 77.0
GTEX-111YS-0926-SM-5EGGI 60-69 years, male 76.9
GTEX-WFG7-1126-SM-4LMK3 20-29 years, male 76.9
GTEX-14PK6-1326-SM-686ZE 70-79 years, female 76.7
GTEX-16AAH-0726-SM-793A9 50-59 years, male 76.2
GTEX-12WSL-1526-SM-5GCP8 50-59 years, male 76.1
GTEX-11ONC-1526-SM-5GU6S 60-69 years, male 76.0
GTEX-145MO-1426-SM-DTX9W 60-69 years, male 76.0
GTEX-1QP67-0726-SM-DPRY1 40-49 years, female 75.9
GTEX-ZYVF-2226-SM-5GIDD 50-59 years, female 75.7
GTEX-QEG5-1426-SM-447AS 20-29 years, male 75.4
GTEX-1LNCM-0626-SM-EV7AI 50-59 years, female 75.3
GTEX-S32W-0926-SM-4AD5X 50-59 years, female 75.2
GTEX-11DXX-1126-SM-5GZZK 60-69 years, female 74.9
GTEX-1OJC3-0826-SM-DPRYU 20-29 years, male 74.8
GTEX-144GN-0626-SM-5O9B2 50-59 years, male 74.6
GTEX-1F75I-1726-SM-7MKGW 40-49 years, male 74.6
GTEX-11ZTS-2626-SM-5EGIC 60-69 years, female 74.1
GTEX-Y8LW-0726-SM-5IFI1 50-59 years, female 74.0
GTEX-ZUA1-1226-SM-5NQ6O 40-49 years, male 73.9
GTEX-QLQW-0526-SM-4R1KS 30-39 years, male 73.7
GTEX-17HGU-1426-SM-7938G 50-59 years, male 73.5
GTEX-OXRL-0626-SM-3NM9C 50-59 years, male 73.2
GTEX-WOFM-0626-SM-4OOS3 20-29 years, male 73.2
GTEX-11XUK-0826-SM-5GU6P 40-49 years, female 73.0
GTEX-ZYY3-1526-SM-5SIA9 60-69 years, female 72.7
GTEX-1I1CD-1726-SM-A9G3P 60-69 years, female 72.6
GTEX-14DAQ-1426-SM-5RQJD 60-69 years, female 72.5
GTEX-1HCU7-2126-SM-A96SG 50-59 years, male 72.1
GTEX-14B4R-0326-SM-5TDDP 30-39 years, male 72.0
GTEX-WQUQ-1626-SM-4OOSH 60-69 years, male 72.0
GTEX-15EU6-1626-SM-6LPKF 50-59 years, male 71.9
GTEX-YJ89-1526-SM-5P9IR 60-69 years, male 71.9
GTEX-13111-0826-SM-5LZV3 50-59 years, male 71.7
GTEX-15RJE-0926-SM-6LLHZ 40-49 years, male 71.5
GTEX-WHSE-1526-SM-4M1XH 20-29 years, male 71.4
GTEX-16MT8-1326-SM-6M47R 60-69 years, female 71.2
GTEX-1J8EW-1326-SM-AHZ3S 60-69 years, female 70.9
GTEX-1B996-1826-SM-7MGY6 60-69 years, male 70.8
GTEX-QVUS-0626-SM-447CC 60-69 years, female 70.6
GTEX-13FHO-1726-SM-DPRZX 60-69 years, male 70.6
GTEX-1PPGY-1726-SM-EVR3S 60-69 years, male 70.6
GTEX-1211K-0926-SM-5FQTL 60-69 years, female 70.4
GTEX-13FLV-1126-SM-5J2NO 50-59 years, male 70.3
GTEX-S3XE-0926-SM-4AD4S 50-59 years, male 70.2
GTEX-1ICG6-1926-SM-ARU7L 70-79 years, female 70.2
GTEX-1C475-0926-SM-7MKFI 40-49 years, female 70.1
GTEX-1QP28-1826-SM-EAZ4L 50-59 years, female 70.0
GTEX-18A6Q-1226-SM-7KFS9 60-69 years, male 69.9
GTEX-RU1J-0326-SM-46MUM 20-29 years, female 69.9
GTEX-T5JC-1726-SM-4DM6U 20-29 years, male 69.8
GTEX-15ETS-1926-SM-7KUN5 40-49 years, female 69.7
GTEX-17F96-2526-SM-7DHL3 70-79 years, male 69.5
GTEX-13G51-0926-SM-5IFFU 60-69 years, male 69.4
GTEX-1LGOU-0526-SM-D3LAO 20-29 years, female 69.3
GTEX-13W46-1926-SM-5J2MF 50-59 years, male 69.1
GTEX-V955-1126-SM-4JBH3 60-69 years, male 69.1
GTEX-13X6H-1326-SM-5LU42 50-59 years, female 69.0
GTEX-1A3MV-1326-SM-7LG6C 30-39 years, male 69.0
GTEX-UJMC-0926-SM-4IHLK 50-59 years, male 69.0
GTEX-1HSMQ-2026-SM-B2LY1 50-59 years, male 68.9
GTEX-1I1GV-2226-SM-ARU7E 60-69 years, male 68.8
GTEX-1F88F-1126-SM-7MKHL 60-69 years, female 68.6
GTEX-1KANB-1826-SM-DHXJU 50-59 years, male 68.5
GTEX-WEY5-0926-SM-4LMI4 40-49 years, female 68.4
GTEX-U3ZH-1026-SM-4DXUZ 30-39 years, male 68.3
GTEX-1399U-1026-SM-5J1OC 50-59 years, female 68.2
GTEX-1HSGN-1626-SM-A96U2 40-49 years, female 68.1
GTEX-14PJ4-1526-SM-664OA 60-69 years, male 67.9
GTEX-1B97I-0926-SM-731DZ 40-49 years, male 67.5
GTEX-XYKS-1526-SM-4BRUP 60-69 years, female 67.5
GTEX-RM2N-0726-SM-48FD5 50-59 years, male 67.4
GTEX-WVLH-1426-SM-4MVNX 50-59 years, male 67.3
GTEX-1HBPH-1126-SM-A96TU 40-49 years, female 67.3
GTEX-UPK5-1226-SM-4IHL8 40-49 years, male 67.2
GTEX-1GL5R-1526-SM-7MKHO 50-59 years, male 67.0
GTEX-ZAB5-0926-SM-5CVMV 50-59 years, male 67.0
GTEX-Y114-0926-SM-4TT7J 50-59 years, female 66.7
GTEX-11VI4-0526-SM-5EQ48 40-49 years, female 66.5
GTEX-T2IS-0826-SM-4DM6L 20-29 years, female 66.5
GTEX-133LE-0626-SM-5IFFJ 20-29 years, female 66.4
GTEX-ZPU1-1426-SM-4WWFU 40-49 years, male 66.4
GTEX-1IDJD-1626-SM-C1YRC 30-39 years, male 66.4
GTEX-OXRP-0926-SM-48TC1 60-69 years, female 66.3
GTEX-1MCQQ-1026-SM-EV7AX 60-69 years, male 66.3
GTEX-ZVE2-1326-SM-5NQ94 50-59 years, male 65.9
GTEX-15F5U-5010-SM-AHZ2D 40-49 years, male 65.2
GTEX-1I1GQ-1726-SM-B2LWZ 50-59 years, male 65.0
GTEX-1HBPM-1426-SM-9WPPE 60-69 years, female 64.7
GTEX-13U4I-1126-SM-5LU3S 40-49 years, female 64.2
GTEX-ZF3C-1626-SM-4WWB4 50-59 years, female 64.2
GTEX-RTLS-1126-SM-46MUQ 60-69 years, female 64.0
GTEX-1LSNL-2226-SM-DHXKM 50-59 years, male 63.9
GTEX-1AX9K-1126-SM-731DQ 50-59 years, male 63.4
GTEX-1IDFM-1126-SM-A96SY 60-69 years, male 63.3
GTEX-139TU-1226-SM-5J2NL 60-69 years, male 63.2
GTEX-18A7A-2326-SM-7KFRH 50-59 years, female 63.0
GTEX-ZDYS-0826-SM-4WWCR 50-59 years, male 62.9
GTEX-146FH-1726-SM-5QGQ2 50-59 years, female 62.7
GTEX-ZTX8-0226-SM-5E44D 20-29 years, male 62.7
GTEX-1GN73-1926-SM-9JGGS 60-69 years, male 62.5
GTEX-XGQ4-1526-SM-4AT6H 50-59 years, male 62.3
GTEX-1HGF4-0926-SM-9WPP8 60-69 years, male 62.3
GTEX-13SLX-1726-SM-5Q5E5 50-59 years, female 62.1
GTEX-1IKK5-1326-SM-AHZ2X 60-69 years, male 62.1
GTEX-11NUK-1326-SM-5P9GN 50-59 years, male 62.0
GTEX-1JMQJ-1226-SM-D3L97 50-59 years, male 61.7
GTEX-NPJ8-1926-SM-3MJGB 40-49 years, male 61.5
GTEX-145ME-5004-SM-7MGXP 40-49 years, female 61.5
GTEX-1I6K7-1426-SM-B2LXP 40-49 years, male 61.3
GTEX-1QEPI-1826-SM-EAZ3J 60-69 years, female 61.2
GTEX-13O1R-1326-SM-5IJF5 60-69 years, male 60.9
GTEX-178AV-0526-SM-6LPJH 40-49 years, male 60.6
GTEX-16NPX-1626-SM-6LLI5 50-59 years, male 60.5
GTEX-1HC8U-1526-SM-9WPO4 40-49 years, female 60.4
GTEX-13OW8-2326-SM-5L3I9 60-69 years, male 60.2
GTEX-1CB4F-1526-SM-7MKFM 60-69 years, male 60.2
GTEX-1N2EE-2426-SM-EXOIO 60-69 years, male 60.2
GTEX-15DYW-1826-SM-6LPIY 60-69 years, female 60.0
GTEX-YFC4-1226-SM-5LU9R 40-49 years, female 60.0
GTEX-ZT9X-0526-SM-5GCOP 40-49 years, male 59.4
GTEX-18465-1126-SM-7LG6E 50-59 years, male 58.7
GTEX-14PJ6-1026-SM-686ZB 60-69 years, female 58.6
GTEX-1R9K4-1926-SM-DPRZW 60-69 years, male 58.5
GTEX-14BIN-2726-SM-5RQIE 50-59 years, female 58.4
GTEX-XMK1-1326-SM-4B65Q 40-49 years, male 58.2
GTEX-11EMC-2226-SM-5A5JW 60-69 years, female 58.0
GTEX-15SHU-1426-SM-6LPIN 40-49 years, female 57.9
GTEX-13CF3-1626-SM-5IFG9 60-69 years, female 57.0
GTEX-1GF9U-0826-SM-7MXTZ 40-49 years, female 56.9
GTEX-1IY9M-1626-SM-AHZ39 60-69 years, male 56.9
GTEX-T5JW-1326-SM-4DM5G 20-29 years, female 56.8
GTEX-X585-1226-SM-46MW7 50-59 years, male 56.8
GTEX-1B933-2026-SM-7EWFC 50-59 years, female 56.5
GTEX-1JMLX-2326-SM-CXZJP 50-59 years, male 56.4
GTEX-ZAB4-1126-SM-5HL86 40-49 years, male 56.3
GTEX-16Z82-1926-SM-6M47U 60-69 years, male 55.9
GTEX-TSE9-1226-SM-4DXTM 60-69 years, female 55.9
GTEX-Q2AH-0826-SM-48TZN 40-49 years, male 55.5
GTEX-13O3Q-0826-SM-5IFGF 50-59 years, male 55.0
GTEX-PSDG-1326-SM-48TD2 50-59 years, male 54.8
GTEX-1H3VY-2026-SM-9JGHK 50-59 years, male 54.3
GTEX-1A8FM-1526-SM-7MXTA 50-59 years, female 53.9
GTEX-R55E-1326-SM-48FCR 20-29 years, male 53.7
GTEX-11GSP-1826-SM-5N9DQ 60-69 years, female 53.4
GTEX-12WSA-1426-SM-5EGJU 60-69 years, male 53.2
GTEX-1I1GS-2126-SM-ARU7G 60-69 years, male 53.1
GTEX-XQ3S-1126-SM-4BOPK 20-29 years, male 52.8
GTEX-1MJIX-0826-SM-DTXEO 40-49 years, male 52.6
GTEX-1497J-2726-SM-5SI9W 60-69 years, male 52.5
GTEX-X4EO-1226-SM-4QARR 60-69 years, female 52.5
GTEX-11ZU8-1526-SM-5EGHX 60-69 years, male 52.4
GTEX-RVPV-0526-SM-47JYL 60-69 years, male 52.3
GTEX-ZAK1-1526-SM-5S2OV 50-59 years, female 51.9
GTEX-QEG4-0726-SM-CNNRF 30-39 years, male 51.6
GTEX-148VI-1026-SM-5TDDJ 60-69 years, female 51.5
GTEX-UPJH-1026-SM-EAZB2 50-59 years, male 50.8
GTEX-ZYW4-1326-SM-5E45N 60-69 years, male 50.1
GTEX-1JMPZ-2026-SM-C1YR8 30-39 years, male 50.1
GTEX-1K9T9-2026-SM-CXZK3 50-59 years, female 49.6
GTEX-1N2DW-1426-SM-EV7AZ 50-59 years, male 49.6
GTEX-P4QS-0626-SM-3NMD1 60-69 years, male 49.3
GTEX-ZZ64-0226-SM-5E44X 20-29 years, male 49.0
GTEX-1H3NZ-1326-SM-9JGHI 60-69 years, male 49.0
GTEX-1212Z-2126-SM-5FQTM 60-69 years, male 48.6
GTEX-1C6VQ-1826-SM-7EWEH 50-59 years, male 48.6
GTEX-1HCU6-1326-SM-A96TZ 60-69 years, female 48.1
GTEX-1EU9M-2326-SM-7MKGS 60-69 years, male 48.0
GTEX-1F5PL-1726-SM-9QEGL 40-49 years, female 47.9
GTEX-1H1DE-1026-SM-9JGH6 20-29 years, male 47.8
GTEX-1LSVX-1226-SM-DHXJN 60-69 years, male 47.5
GTEX-145LS-1826-SM-5LUAZ 60-69 years, female 47.2
GTEX-139UW-1126-SM-5IJEJ 60-69 years, male 46.8
GTEX-146FQ-1026-SM-5LU8I 30-39 years, male 46.7
GTEX-13OVJ-1226-SM-5L3HA 50-59 years, female 45.8
GTEX-15DCE-1326-SM-6LPJL 20-29 years, male 45.8
GTEX-PVOW-1626-SM-48TC9 40-49 years, male 45.7
GTEX-YECK-1626-SM-5IFHQ 60-69 years, male 45.7
GTEX-17KNJ-1326-SM-7KFTG 50-59 years, male 45.4
GTEX-TMMY-1126-SM-4DXSX 40-49 years, female 45.4
GTEX-R3RS-1326-SM-48FE7 40-49 years, female 45.1
GTEX-R55D-1126-SM-48FEB 50-59 years, male 44.7
GTEX-1EN7A-1226-SM-7MGX9 40-49 years, male 44.3
GTEX-OHPN-1026-SM-E9TI8 60-69 years, female 44.3
GTEX-1QP29-2126-SM-E6CPZ 50-59 years, male 43.9
GTEX-13X6K-2126-SM-5O9D4 60-69 years, female 43.8
GTEX-1CB4J-2426-SM-7MXVC 60-69 years, male 43.4
GTEX-RU72-0726-SM-46MUW 50-59 years, female 43.3
GTEX-144FL-2726-SM-5O98Z 50-59 years, male 42.9
GTEX-XLM4-2326-SM-4AT5E 60-69 years, male 42.9
GTEX-ZZPT-1426-SM-5N9C5 50-59 years, male 42.8
GTEX-RUSQ-0826-SM-47JWW 50-59 years, male 42.5
GTEX-XMD2-1326-SM-4YCET 60-69 years, female 42.5
GTEX-RNOR-1226-SM-48FDQ 50-59 years, female 42.2
GTEX-1M5QR-0726-SM-DHXK7 40-49 years, male 42.2
GTEX-17F9E-1926-SM-7IGQF 50-59 years, male 41.9
GTEX-1JMQK-2026-SM-C1YQN 60-69 years, male 41.6
GTEX-1GTWX-1326-SM-9JGHU 60-69 years, male 41.5
GTEX-132Q8-1826-SM-5EGIY 60-69 years, male 41.2
GTEX-11EI6-1526-SM-5P9GL 60-69 years, male 41.0
GTEX-12WSN-5013-SM-7P8P9 40-49 years, male 40.9
GTEX-1GMR8-1826-SM-9WYUE 50-59 years, female 40.8
GTEX-ZAJG-1326-SM-5S2NV 50-59 years, female 40.1
GTEX-P78B-1026-SM-3NMC4 40-49 years, female 38.5
GTEX-1PFEY-0826-SM-E9U6A 30-39 years, male 38.5
GTEX-SJXC-1426-SM-EYYVB 60-69 years, male 38.5
GTEX-WHWD-0926-SM-4OORY 50-59 years, male 38.2
GTEX-15UF6-2326-SM-6M465 70-79 years, female 37.4
GTEX-12WSG-5007-SM-7DUGZ 50-59 years, female 36.8
GTEX-16A39-1026-SM-6LPJU 30-39 years, female 36.8
GTEX-17F97-1326-SM-7MGVO 50-59 years, male 36.7
GTEX-13JVG-2026-SM-5KM1N 60-69 years, male 36.6
GTEX-1QW4Y-0526-SM-EAZ3V 30-39 years, male 36.5
GTEX-1AX8Z-5016-SM-AHZ2B 60-69 years, male 36.0
GTEX-13O61-0926-SM-5IFFE 60-69 years, male 35.6
GTEX-145MF-1426-SM-5O9B6 50-59 years, male 35.2
GTEX-R45C-1226-SM-48FEE 60-69 years, female 35.0
GTEX-13PVQ-1726-SM-5IFF3 50-59 years, male 34.9
GTEX-WK11-1026-SM-4OOS8 50-59 years, male 34.8
GTEX-14BIM-1326-SM-7EWD1 60-69 years, female 34.3
GTEX-183WM-1726-SM-7KFT5 70-79 years, female 34.3
GTEX-1KD4Q-1126-SM-CXZKK 40-49 years, male 34.2
GTEX-15EO6-1026-SM-7KUG9 50-59 years, male 34.1
GTEX-1I1GP-1026-SM-C1YRZ 50-59 years, male 33.4
GTEX-15DCD-1626-SM-6AJBH 70-79 years, female 32.6
GTEX-13X6I-1026-SM-5LU4C 60-69 years, male 31.8
GTEX-1F7RK-1526-SM-7P8T6 20-29 years, female 31.4
GTEX-Y111-1626-SM-57WCY 50-59 years, male 30.3
GTEX-11DYG-1326-SM-5N9DO 60-69 years, male 29.2
GTEX-1E1VI-1526-SM-7IGQ2 50-59 years, male 28.6
GTEX-1LVA9-2126-SM-DLHBY 50-59 years, male 28.1
GTEX-1F52S-1426-SM-7P8PU 60-69 years, female 27.8
GTEX-12ZZW-1726-SM-5DUVD 50-59 years, male 27.7
GTEX-1BAJH-2026-SM-7P8OZ 70-79 years, male 27.0
GTEX-11DZ1-2026-SM-5A5KG 50-59 years, male 26.8
GTEX-ZV68-0926-SM-59HK7 50-59 years, female 26.3
GTEX-144GO-2726-SM-5O9A2 60-69 years, male 25.0
GTEX-N7MS-1225-SM-3LK5G 60-69 years, male 23.8
GTEX-ZYFC-1626-SM-5N9EU 50-59 years, male 23.1
Show allShow less

ESOPHAGUS - FANTOM5 CAGEi

RNA expression in human tissues obtained through Cap Analysis of Gene Expression (CAGE) generated by the FANTOM5 project are reported as Scaled Tags Per Million.

Max subtype Scaled Tags Per Millioni

Max subtype Scaled Tags Per Million is the value for the subtype with the largest average Scaled Tags Per Million across the subtype samples.

36.5
FANTOM5 sample id Sample description Scaled Tags Per Million
Esophagus
Scaled Tags Per Million: 36.5
FF:10015-101C6 68,74,75 years, mixed 36.5

Contact

  • NEWS ARTICLES
  • PRESS ROOM

The Project

  • INTRODUCTION
  • ORGANIZATION
  • PUBLICATIONS

The Human Protein Atlas

  • DOWNLOADABLE DATA
  • LICENCE & CITATION
  • HELP & FAQ
The Human Protein Atlas project is funded
by the Knut & Alice Wallenberg Foundation.


contact@proteinatlas.org