We use cookies to enhance the usability of our website. If you continue, we'll assume that you are happy to receive all cookies. More information. Don't show this again.
PELP1
HPA
RESOURCES
  • TISSUE
  • BRAIN
  • SINGLE CELL
  • SUBCELLULAR
  • CANCER
  • BLOOD
  • CELL LINE
  • STRUCTURE & INTERACTION
ABOUT
  • INTRODUCTION
  • HISTORY
  • ORGANIZATION
  • PUBLICATIONS
  • ANTIBODY SUBMISSION
  • ANTIBODY AVAILABILITY
  • ACKNOWLEDGMENTS
  • CONTACT
NEWS
  • NEWS ARTICLES
  • PRESS ROOM
LEARN
  • DICTIONARY
  • PROTEIN CLASSES
  • PROTEIN EVIDENCE
  • METHODS
  • EDUCATIONAL VIDEOS
DATA
  • DOWNLOADABLE DATA
  • PUBLICATION DATA
  • RELEASE HISTORY
HELP
  • ANTIBODY VALIDATION
  • ASSAYS & ANNOTATION
  • DISCLAIMER
  • HELP & FAQ
  • PRIVACY STATEMENT
  • LICENCE & CITATION
Fields »
Search result

Field
Term
Gene name
Class
Subclass
Class
Keyword
Chromosome
External id
Tissue
Cell type
Expression
Antibody panel
Tissue
Main location
Patient ID
Annotation
Tissue
Category
Tau score
Cluster
Reliability
Brain region
Category
Tau score
Brain region
Category
Tau score
Brain region
Category
Tau score
Cluster
Reliability
Tissue
Cell type
Enrichment
Cell type
Category
Tau score
Cell type
Category
Tau score
Cell type
Category
Tau score
Cell lineage
Category
Tau score
Cluster
Cluster
Location
Searches
Location
Cell line
Class
Type
Phase
Reliability
Cancer
Prognosis
Cancer
Category
Cancer
Category
Tau score
Cluster
Variants
Interacting gene (ensg_id)
Type
Number of interactions
Pathway
Category
Score
Score
Score
Validation
Validation
Validation
Validation
Antibodies
Data type
Column


  • SUMMARY

  • TISSUE

  • BRAIN

  • SINGLE CELL

  • SUBCELL

  • CANCER

  • BLOOD

  • CELL LINE

  • STRUCT & INT

  • PELP1
BRAIN CEREBELLUM Show tissue menu
AMYGDALA BASAL GANGLIA CEREBELLUM CEREBRAL CORTEX CHOROID PLEXUS HIPPOCAMPAL FORMATION HYPOTHALAMUS MEDULLA OBLONGATA
MIDBRAIN OLFACTORY BULB PITUITARY GLAND PONS RETINA SPINAL CORD THALAMUS WHITE MATTER
ANTIBODIES
AND
VALIDATION
Brain proteome
Cerebellum
CEREBELLUM - Expression summary
Protein expression
Cerebellumi

On the top, protein expression in current human tissue, based on all annotated cell types, is reported with the units not detected (n), low (l), medium (m) and high (h). Underneath, protein expression in each annotated cell type are reported using the same units.

Protein expression data is based on knowledge-based annotation. For genes where more than one antibody has been used, a collective score is set.

If knowledge-based annotation could not be performed for a gene, no data is displayed here. View antibody staining data further down this page.

h
m
l
n
Cells in granular layer: Not detected
Cells in molecular layer: Medium
Purkinje cells: High
RNA expressioni

A summary of mRNA expression data available for current tissue based on several datasets. The mRNA expression levels in human tissues are based on RNA-seq data generated by the Human Protein Atlas (HPA), Genotype-Tissue Expression (GTEx) portal and CAGE data generated by the FANTOM5 consortium. Consensus normalized expression levels for human tissues was created by combining the data from HPA and GTEx datasets.

The mRNA expression levels in pig are based on RNA-seq data generated by the Human Protein Atlas (HPA), and for mouse, HPA data and in situ hybridization generated by the Allen brain atlas are reported.

Scroll down to view mRNA expression data in more detail.
Consensus:33.9 nTPM
HPA Brain:43.8 nTPM
GTEx:33.9 nTPM
FANTOM5:30.0 Scaled Tags Per Million
Pig:19.0 nTPM
Mouse:10.0 nTPM
Allen mouse:14.3 Expression energy

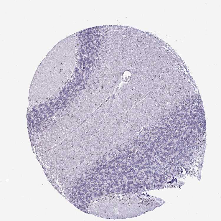
CEREBELLUM - Antibody stainingi

Antibody staining in the annotated cell types in the current human tissue is reported as not detected, low, medium, or high, based on conventional immunohistochemistry profiling in selected tissues. This score is based on the combination of the staining intensity and fraction of stained cells.

Each image is clickable and will lead to virtual microscopy that enables deeper exploration of all samples and also displays staining intensity scores, fraction scores and subcellular localization as well as patient and tissue information for each sample.

Antibody HPA060760
Purkinje cells High
Cells in granular layer Not detected
Cells in molecular layer Medium



CEREBELLUM - HPA Brain RNA-seq
Max subtype nTPMi

Max subtype nTPM is the value for the subtype with the largest average nTPM across the subtype samples.

43.8
Sample id Sample description nTPM
Cerebellar cortex
nTPM: 35.1
2003 Female, age 85, right hemisphere 37.8
1769 Male, age 76, right hemisphere 37.7
2006 Male, age 61, right hemisphere 36.1
2055 Female, age 91, right hemisphere 36.0
1788 Male, age 55, unknown 35.6
1768 Female, age 72, unknown 34.1
1774 Male, age 80, left hemisphere 33.8
2101 Male, age 74, right hemisphere 29.8
Cerebellar nuclei
nTPM: 43.8
2005 Male, age 80, left hemisphere 47.8
2882 Male, age 76, left hemisphere 47.8
2783 Female, age 72, unknown 47.1
2175 Male, age 61, right hemisphere 44.5
1871 Male, age 74, unknown 43.6
1966 Female, age 91, left hemisphere 43.5
1879 Male, age 55, unknown 42.7
2177 Female, age 85, both hemispheres 42.3
2318 Male, age 74, left hemisphere 35.0
Flocculonodular lobe
nTPM: 37.0
1792 Male, age 74, unknown 43.0
2176 Female, age 91, right hemisphere 38.4
1835 Female, age 85, right hemisphere 38.0
1765 Male, age 55, unknown 35.5
2004 Male, age 61, right hemisphere 35.5
1771 Male, age 80, left hemisphere 34.8
1767 Male, age 76, left hemisphere 33.8
Vermis
nTPM: 36.0
1778 Female, age 91, left hemisphere 38.5
1988 Female, age 85, left hemisphere 37.9
2460 Male, age 61, both hemispheres 37.6
1770 Male, age 76, left hemisphere 37.0
2834 Male, age 80, left hemisphere 36.6
1928 Female, age 72, unknown 35.9
1825 Male, age 74, unknown 35.7
1751 Male, age 74, right hemisphere 32.5
1766 Male, age 55, unknown 32.1

CEREBELLUM - GTEx RNA-seqi

RNA-Seq data generated by the Genotype-Tissue Expression (GTEx) project from human tissues is reported as mean nTPM. More information can be found on the GTEx portal.

Distribution across the dataset is visualized with box plots, shown as median and 25th and 75th percentiles. Points are displayed as outliers if they are above or below 1.5 times the interquartile range. nTPM values of the individual samples are presented next to the box plot.
Max subtype nTPMi

Max subtype nTPM is the value for the subtype with the largest average nTPM across the subtype samples.

33.9
GTEx sample id Sample description nTPM
Brain - Cerebellar Hemisphere
Average nTPM: 33.9
Samples: 215

Max nTPM: 69.9
Min nTPM: 18.2
Std nTPM: 8.3
Median nTPM: 32.8
GTEX-132Q8-0011-R11b-SM-5DUW9 60-69 years, male 69.9
GTEX-13FLV-0011-R11a-SM-5LZZ7 50-59 years, male 67.7
GTEX-139UW-0011-R11a-SM-5IJGN 60-69 years, male 59.6
GTEX-1LKK1-0011-R11a-SM-EXOIG 50-59 years, female 57.6
GTEX-NL4W-0011-R11A-SM-2I3DW 50-59 years, male 56.2
GTEX-1IOXB-0011-R11a-SM-A9G1X 50-59 years, male 55.4
GTEX-12WSD-0011-R11a-SM-9OSVC 60-69 years, female 53.0
GTEX-131XW-0011-R11a-SM-5DUV9 50-59 years, female 51.8
GTEX-1GZHY-0011-R11a-SM-C1YRQ 50-59 years, female 51.3
GTEX-13CZV-0011-R11b-SM-5N9FN 60-69 years, male 49.8
GTEX-1F75W-0011-R11b-SM-AHZ34 60-69 years, male 49.5
GTEX-16XZZ-0011-R11a-SM-7EPI3 60-69 years, male 49.3
GTEX-17EVQ-0011-R11a-SM-7LT9C 70-79 years, male 48.6
GTEX-1CAV2-0011-R11a-SM-ARU8D 40-49 years, female 47.8
GTEX-13NYS-0011-R11b-SM-5MR4P 60-69 years, male 46.8
GTEX-1H3VE-0011-R11b-SM-C1YRP 40-49 years, male 45.7
GTEX-1GF9W-0011-R11b-SM-9OSXG 60-69 years, male 45.5
GTEX-13JUV-0011-R11a-SM-5LZYH 40-49 years, female 45.0
GTEX-1H4P4-0011-R11b-SM-CE6S8 50-59 years, male 45.0
GTEX-16NPV-0011-R11a-SM-7IGMK 50-59 years, female 44.8
GTEX-13SLW-0011-R11a-SM-5SI8Q 70-79 years, male 44.7
GTEX-1H1ZS-0011-R11a-SM-C1YQM 70-79 years, male 44.5
GTEX-1I19N-0011-R11b-SM-ARU6Y 70-79 years, male 44.4
GTEX-13FHO-0011-R11b-SM-5LZYQ 60-69 years, male 44.0
GTEX-139TT-0011-R11b-SM-5LZV1 60-69 years, male 43.9
GTEX-1J8Q2-0011-R11a-SM-A9SKI 60-69 years, male 43.6
GTEX-1GMRU-0011-R11b-SM-C1YQ4 50-59 years, male 43.2
GTEX-1H3O1-0011-R11a-SM-A96RV 60-69 years, male 42.0
GTEX-17JCI-0011-R11a-SM-7189Y 60-69 years, female 41.8
GTEX-17EVP-0011-R11a-SM-7EWDL 40-49 years, male 41.6
GTEX-1HUB1-0011-R11b-SM-CE6SC 60-69 years, male 41.6
GTEX-1JMOU-0011-R11b-SM-EXUTA 60-69 years, female 41.6
GTEX-13X6J-0011-R11a-SM-5P9HE 50-59 years, male 41.4
GTEX-1R9K4-0011-R11a-SM-EZ6N9 60-69 years, male 40.9
GTEX-N7MS-0011-R11A-SM-2HMJS 60-69 years, male 40.7
GTEX-1B933-0011-R11a-SM-7P8PM 50-59 years, female 40.7
GTEX-13X6I-0011-R11a-SM-5P9HN 60-69 years, male 40.6
GTEX-13QIC-0011-R11b-SM-5O9BU 60-69 years, female 40.4
GTEX-11EI6-0011-R11a-SM-DO11V 60-69 years, male 40.3
GTEX-1IGQW-0011-R11a-SM-C1YRV 60-69 years, male 40.3
GTEX-14E6D-0011-R11b-SM-664NP 50-59 years, male 40.2
GTEX-ZVT3-0011-R11b-SM-57WBI 60-69 years, female 40.0
GTEX-13PLJ-0011-R11b-SM-5O9BS 60-69 years, female 39.9
GTEX-13FHP-0011-R11b-SM-5LZXP 50-59 years, male 39.6
GTEX-ZE7O-0011-R11a-SM-57WBC 50-59 years, female 39.6
GTEX-ZF28-0011-R11a-SM-4WWEI 60-69 years, male 39.4
GTEX-12WSF-0011-R11a-SM-5LZVT 70-79 years, male 39.3
GTEX-14C39-0011-R11b-SM-5YYAF 40-49 years, male 39.2
GTEX-13G51-0011-R11b-SM-5J2NE 60-69 years, male 38.9
GTEX-1HBPI-0011-R11b-SM-CE6SH 50-59 years, male 38.9
GTEX-11WQC-0011-R11b-SM-57WD6 60-69 years, male 38.8
GTEX-13NZA-0011-R11b-SM-5KM4W 60-69 years, male 38.7
GTEX-X4EP-0011-R11B-SM-4QASK 60-69 years, female 38.6
GTEX-1GMR8-0011-R11b-SM-9OSX2 50-59 years, female 38.6
GTEX-13SLX-0011-R11b-SM-5O9C8 50-59 years, female 38.5
GTEX-WHSE-0011-R11A-SM-3P5YY 20-29 years, male 38.4
GTEX-18A6Q-0011-R11a-SM-72D6H 60-69 years, male 38.3
GTEX-13PVQ-0011-R11a-SM-5O9DU 50-59 years, male 38.2
GTEX-14ASI-0011-R11b-SM-6AJBJ 60-69 years, male 38.2
GTEX-1I1GS-0011-R11a-SM-C1YRU 60-69 years, male 38.2
GTEX-1C64N-0011-R11b-SM-7P8Q6 50-59 years, male 37.8
GTEX-18464-0011-R11a-SM-72D76 50-59 years, male 37.7
GTEX-1F52S-0011-R11a-SM-CJI23 60-69 years, female 37.4
GTEX-1IY9M-0011-R11b-SM-A96TI 60-69 years, male 37.3
GTEX-XMD1-0011-R11A-SM-4AT5J 60-69 years, male 37.2
GTEX-144GL-0011-R11b-SM-5P9F6 50-59 years, male 36.9
GTEX-14ABY-0011-R11a-SM-5SI7C 50-59 years, male 36.7
GTEX-NPJ8-0011-R11A-SM-2YUMS 40-49 years, male 36.7
GTEX-13RTJ-0011-R11a-SM-5O9CK 60-69 years, male 36.4
GTEX-145LU-0011-R11b-SM-5P9JX 50-59 years, male 36.4
GTEX-1HCU6-0011-R11b-SM-AHZ2F 60-69 years, female 36.4
GTEX-NPJ7-0011-R11A-SM-2I3E8 60-69 years, female 36.2
GTEX-1GTWX-0011-R11b-SM-C1YQJ 60-69 years, male 36.1
GTEX-1I1GV-0011-R11a-SM-CJI3Z 60-69 years, male 36.0
GTEX-1BAJH-0011-R11b-SM-7IGLM 70-79 years, male 35.9
GTEX-1H1DG-0011-R11a-SM-C1YQK 70-79 years, male 35.8
GTEX-YJ89-0011-R11a-SM-4SOKA 60-69 years, male 35.5
GTEX-13OW6-0011-R11a-SM-5L3H2 50-59 years, male 35.4
GTEX-13OW8-0011-R11a-SM-5L3GT 60-69 years, male 35.4
GTEX-145MH-0011-R11a-SM-5P9HQ 50-59 years, male 35.3
GTEX-12WSH-0011-R11a-SM-5LZVM 50-59 years, male 35.2
GTEX-P44H-0011-R11A-SM-2XCER 40-49 years, male 34.9
GTEX-14C5O-0011-R11b-SM-6872H 60-69 years, male 34.8
GTEX-ZE9C-0011-R11a-SM-4WKGG 60-69 years, male 34.8
GTEX-1IL2U-0011-R11a-SM-CE6SO 60-69 years, male 34.8
GTEX-1313W-0011-R11a-SM-5DUXN 50-59 years, female 34.7
GTEX-1F6I4-0011-R11b-SM-9OSWS 60-69 years, male 34.7
GTEX-13JVG-0011-R11a-SM-5KM53 60-69 years, male 34.4
GTEX-13X6K-0011-R11a-SM-5P9F5 60-69 years, female 34.4
GTEX-X261-0011-R11A-SM-4E3JY 50-59 years, male 34.2
GTEX-11EMC-0011-R11b-SM-DNZZK 60-69 years, female 34.2
GTEX-15CHQ-0011-R11b-SM-686ZZ 60-69 years, male 34.1
GTEX-1I1HK-0011-R11a-SM-B2LVN 60-69 years, male 34.1
GTEX-145MI-0011-R11a-SM-5P9JZ 60-69 years, female 34.0
GTEX-1GZ4I-0011-R11b-SM-9OSWR 50-59 years, male 34.0
GTEX-1M4P7-0011-R11b-SM-EXOIK 60-69 years, male 34.0
GTEX-1H3NZ-0011-R11b-SM-CE6SF 60-69 years, male 33.7
GTEX-13OW7-0011-R11a-SM-5O9DY 50-59 years, male 33.6
GTEX-OHPN-0011-R11A-SM-2I5FM 60-69 years, female 33.6
GTEX-1HGF4-0011-R11a-SM-C1YRR 60-69 years, male 33.5
GTEX-11ZTS-0011-R11a-SM-DO113 60-69 years, female 33.4
GTEX-S7SE-0011-R11A-SM-2XCDD 50-59 years, male 33.3
GTEX-13OVL-0011-R11b-SM-5L3G7 50-59 years, male 33.2
GTEX-13S7M-0011-R11b-SM-5P9HU 60-69 years, female 33.2
GTEX-1ICLZ-0011-R11a-SM-CJI3N 60-69 years, male 33.0
GTEX-1EKGG-0011-R11a-SM-9QEHZ 60-69 years, male 32.9
GTEX-RVPV-0011-R11A-SM-2TF6F 60-69 years, male 32.8
GTEX-1KD4Q-0011-R11b-SM-EXOIE 40-49 years, male 32.8
GTEX-1A3MX-0011-R11b-SM-7DUGP 60-69 years, male 32.6
GTEX-1EMGI-0011-R11b-SM-9OSWX 60-69 years, male 32.5
GTEX-18465-0011-R11a-SM-72D78 50-59 years, male 32.4
GTEX-16GPK-0011-R11b-SM-7MKFF 60-69 years, male 32.3
GTEX-13O3O-0011-R11b-SM-5KM4G 60-69 years, female 32.2
GTEX-1B8L1-0011-R11b-SM-793DJ 60-69 years, male 32.2
GTEX-11H98-0011-R11b-SM-5NQ6U 50-59 years, male 32.0
GTEX-1H1CY-0011-R11a-SM-C1YQR 60-69 years, female 32.0
GTEX-N7MT-0011-R11A-SM-2I3DZ 60-69 years, female 31.9
GTEX-ZDXO-0011-R11a-SM-4WWD9 60-69 years, male 31.9
GTEX-13FXS-0011-R11a-SM-5L3DM 50-59 years, male 31.6
GTEX-1IKOH-0011-R11a-SM-AHZ38 60-69 years, female 31.6
GTEX-WL46-0011-R11A-SM-3MJFT 50-59 years, male 31.5
GTEX-11TTK-0011-R11b-SM-DO112 60-69 years, female 31.5
GTEX-13CF2-0011-R11b-SM-5LZXO 60-69 years, male 31.4
GTEX-1HSKV-0011-R11b-SM-AHZ2E 60-69 years, male 31.4
GTEX-11GSP-0011-R11b-SM-5NQ7V 60-69 years, female 31.1
GTEX-1399T-0011-R11a-SM-5J2O1 60-69 years, male 31.1
GTEX-13OVH-0011-R11b-SM-5KM4X 70-79 years, male 31.0
GTEX-1F75A-0011-R11a-SM-AHZ35 50-59 years, male 30.8
GTEX-13OVJ-0011-R11a-SM-5P9H8 50-59 years, female 30.6
GTEX-14BIN-0011-R11a-SM-5SI79 50-59 years, female 30.6
GTEX-1B8SF-0011-R11a-SM-79OOP 60-69 years, male 30.5
GTEX-1J1OQ-0011-R11a-SM-A96S3 40-49 years, female 30.5
GTEX-11DZ1-0011-R11b-SM-DO11W 50-59 years, male 30.4
GTEX-11DYG-0011-R11a-SM-DNZZP 60-69 years, male 30.3
GTEX-QMR6-0011-R11A-SM-32PKK 50-59 years, male 30.2
GTEX-NL3H-0011-R11A-SM-2I3E6 60-69 years, male 30.1
GTEX-ZAB4-0011-R11a-SM-4SOKI 40-49 years, male 30.0
GTEX-1J8EW-0011-R11a-SM-AHZ37 60-69 years, female 30.0
GTEX-1E1VI-0011-R11a-SM-9OSWI 50-59 years, male 29.9
GTEX-12WSE-0011-R11b-SM-5P9JW 20-29 years, male 29.8
GTEX-1F48J-0011-R11b-SM-9OSWV 50-59 years, female 29.8
GTEX-1LVAO-0011-R11b-SM-EXOI8 60-69 years, male 29.8
GTEX-1N2DW-0011-R11b-SM-EXOIL 50-59 years, male 29.7
GTEX-1I1GQ-0011-R11b-SM-CKZPA 50-59 years, male 29.6
GTEX-1IDJH-0011-R11b-SM-C1YRT 70-79 years, male 29.6
GTEX-14BIM-0011-R11b-SM-5S2RN 60-69 years, female 29.5
GTEX-P44G-0011-R11A-SM-2I3FD 30-39 years, male 29.4
GTEX-WWYW-0011-R11A-SM-3NB38 50-59 years, female 29.4
GTEX-T5JC-0011-R11A-SM-32PMB 20-29 years, male 29.2
GTEX-183WM-0011-R11a-SM-718A5 70-79 years, female 28.9
GTEX-1F7RK-0011-R11b-SM-9QEI2 20-29 years, female 28.9
GTEX-11PRG-0011-R11b-SM-DNZZY 50-59 years, male 28.7
GTEX-1IKK5-0011-R11a-SM-C1YRX 60-69 years, male 28.7
GTEX-1JJ6O-0011-R11b-SM-EXUS2 60-69 years, male 28.7
GTEX-Z93S-0011-R11a-SM-4RGNN 50-59 years, male 28.6
GTEX-14E7W-0011-R11a-SM-5ZZVA 70-79 years, male 28.5
GTEX-1LSVX-0011-R11b-SM-EXOIA 60-69 years, male 28.5
GTEX-11OF3-0011-R11a-SM-57WCR 60-69 years, male 28.4
GTEX-X4XX-0011-R11A-SM-46MWQ 60-69 years, male 28.4
GTEX-12WSI-0011-R11b-SM-5P9EZ 50-59 years, male 28.3
GTEX-1GN73-0011-R11b-SM-9OSX4 60-69 years, male 28.3
GTEX-1CB4G-0011-R11a-SM-9OSWG 60-69 years, male 28.2
GTEX-13VXU-0011-R11b-SM-5O9DJ 50-59 years, male 28.1
GTEX-14PN4-0011-R11a-SM-686ZW 50-59 years, male 28.1
GTEX-13N2G-0011-R11a-SM-5MR3F 60-69 years, male 28.0
GTEX-ZVZQ-0011-R11a-SM-51MS6 60-69 years, female 28.0
GTEX-ZUA1-0011-R11b-SM-51MTI 40-49 years, male 27.8
GTEX-15G19-0011-R11b-SM-6LPIH 60-69 years, male 27.5
GTEX-1IL2V-0011-R11a-SM-ARU6T 70-79 years, male 27.5
GTEX-13FTY-0011-R11a-SM-5IJEA 40-49 years, female 27.4
GTEX-RU72-0011-R11A-SM-CM2U1 50-59 years, female 27.3
GTEX-131XH-0011-R11a-SM-5EGLN 50-59 years, male 27.2
GTEX-13O3Q-0011-R11b-SM-5KM2W 50-59 years, male 27.1
GTEX-1I1GR-0011-R11a-SM-CM2T5 60-69 years, male 27.1
GTEX-1AX9I-0011-R11b-SM-7DHN4 60-69 years, male 26.9
GTEX-1JJEA-0011-R11a-SM-EXUTE 60-69 years, male 26.9
GTEX-131YS-0011-R11b-SM-5EGLM 60-69 years, female 26.8
GTEX-UTHO-0011-R11A-SM-3GIJE 60-69 years, male 26.8
GTEX-1HFI6-0011-R11b-SM-A96RU 40-49 years, male 26.8
GTEX-12ZZZ-0011-R11a-SM-5EGLC 60-69 years, male 26.7
GTEX-Q2AG-0011-R11A-SM-2HMKZ 40-49 years, female 26.7
GTEX-15DYW-0011-R11a-SM-6LPIT 60-69 years, female 26.6
GTEX-QDT8-0011-R11A-SM-32PKD 30-39 years, female 26.5
GTEX-WZTO-0011-R11A-SM-4E3K9 40-49 years, male 26.4
GTEX-TSE9-0011-R11A-SM-3DB7N 60-69 years, female 26.2
GTEX-1LG7Y-0011-R11a-SM-EXOIH 50-59 years, male 26.2
GTEX-13NYB-0011-R11a-SM-5KM3Q 40-49 years, male 25.9
GTEX-11DXY-0011-R11a-SM-DNZZN 60-69 years, male 25.9
GTEX-13OW5-0011-R11b-SM-5L3GG 60-69 years, male 25.4
GTEX-1JMQJ-0011-R11a-SM-EXOJY 50-59 years, male 25.0
GTEX-15ER7-0011-R11a-SM-6LPIL 20-29 years, female 24.9
GTEX-14DAQ-0011-R11a-SM-664NO 60-69 years, female 24.6
GTEX-Y8DK-0011-R11A-SM-4SOK2 60-69 years, male 24.6
GTEX-YFC4-0011-R11a-SM-4SOK6 40-49 years, female 24.5
GTEX-15DCD-0011-R11a-SM-D4P1R 70-79 years, female 24.3
GTEX-1N2EE-0011-R11b-SM-EXOIJ 60-69 years, male 24.3
GTEX-12WSM-0011-R11a-SM-5DUX8 60-69 years, male 24.2
GTEX-1B8SG-0011-R11a-SM-7P8PF 50-59 years, male 24.2
GTEX-1R9PO-0011-R11b-SM-EZ6NB 60-69 years, female 24.2
GTEX-16Z82-0011-R11a-SM-79OKJ 60-69 years, male 23.9
GTEX-X585-0011-R11B-SM-46MUZ 50-59 years, male 23.9
GTEX-17HII-0011-R11b-SM-7KFSX 50-59 years, male 23.8
GTEX-R55E-0011-R11A-SM-2TC6I 20-29 years, male 23.7
GTEX-15EO6-0011-R11b-SM-6M47M 50-59 years, male 23.5
GTEX-12126-0011-R11a-SM-5BC6X 20-29 years, male 23.1
GTEX-WVLH-0011-R11A-SM-3MJFO 50-59 years, male 22.9
GTEX-1HB9E-0011-R11b-SM-ARU79 50-59 years, male 22.9
GTEX-11ZUS-0011-R11b-SM-5BC7B 30-39 years, male 22.6
GTEX-17F97-0011-R11b-SM-7KFRQ 50-59 years, male 22.1
GTEX-16YQH-0011-R11b-SM-7LT98 30-39 years, male 21.9
GTEX-12ZZX-0011-R11a-SM-5DUVJ 40-49 years, female 21.7
GTEX-12WSC-0011-R11a-SM-5GU5J 50-59 years, male 18.8
GTEX-17HG3-0011-R11b-SM-7KFT4 30-39 years, female 18.6
GTEX-T2IS-0011-R11A-SM-32QPC 20-29 years, female 18.4
GTEX-T6MN-0011-R11A-SM-32QOX 50-59 years, male 18.2
Show allShow less
Brain - Cerebellum
Average nTPM: 33.3
Samples: 241

Max nTPM: 50.9
Min nTPM: 20.2
Std nTPM: 4.8
Median nTPM: 32.9
GTEX-1PWST-3026-SM-EAZ3H 70-79 years, male 50.9
GTEX-1H1ZS-2926-SM-9WPP2 70-79 years, male 49.2
GTEX-X4EP-3026-SM-3P5YP 60-69 years, female 47.8
GTEX-1EH9U-3126-SM-7MXU5 60-69 years, male 47.0
GTEX-14E6D-2926-SM-664OP 50-59 years, male 46.7
GTEX-1E2YA-2926-SM-7MGWX 50-59 years, male 46.3
GTEX-1RNSC-3126-SM-EVR4V 60-69 years, male 44.7
GTEX-1GTWX-2926-SM-7MXV4 60-69 years, male 44.3
GTEX-13FHO-2926-SM-5L3ES 60-69 years, male 44.2
GTEX-11EI6-2926-SM-5985U 60-69 years, male 42.8
GTEX-1GZHY-3026-SM-7MXVA 50-59 years, female 42.8
GTEX-16Z82-2926-SM-6LPJJ 60-69 years, male 42.6
GTEX-16XZZ-2926-SM-6LPK4 60-69 years, male 42.4
GTEX-1E1VI-2926-SM-7IGLT 50-59 years, male 42.4
GTEX-1KANB-3226-SM-D4P3G 50-59 years, male 42.3
GTEX-1H3O1-1826-SM-A96TO 60-69 years, male 42.2
GTEX-1A8G7-3026-SM-73KTT 60-69 years, male 42.0
GTEX-1H1DG-2826-SM-9JGHB 70-79 years, male 41.8
GTEX-ZVT3-2926-SM-5GU6M 60-69 years, female 41.3
GTEX-1H3VE-2826-SM-9WPOL 40-49 years, male 41.2
GTEX-13PVQ-2926-SM-5L3HJ 50-59 years, male 40.6
GTEX-14JFF-2826-SM-6871Q 60-69 years, male 40.4
GTEX-13OW7-2926-SM-5MR3Z 50-59 years, male 39.5
GTEX-147F4-3026-SM-5Q5BJ 50-59 years, male 39.5
GTEX-1C6VR-3026-SM-7IGLW 60-69 years, male 39.5
GTEX-1KD4Q-3026-SM-EV7A7 40-49 years, male 38.8
GTEX-WHSE-2926-SM-3NMBG 20-29 years, male 38.4
GTEX-ZAK1-2926-SM-5HL9S 50-59 years, female 37.7
GTEX-1BAJH-3126-SM-7MGXY 70-79 years, male 37.6
GTEX-1NV8Z-3026-SM-DTX8Z 60-69 years, male 37.6
GTEX-1RDX4-3226-SM-DPS14 50-59 years, female 37.6
GTEX-13FHP-2926-SM-5IJG9 50-59 years, male 37.4
GTEX-13OW8-2926-SM-5L3FV 60-69 years, male 37.4
GTEX-X261-3126-SM-4PQZC 50-59 years, male 37.4
GTEX-17HII-2926-SM-79OMK 50-59 years, male 37.3
GTEX-ZDXO-2926-SM-4WKFM 60-69 years, male 37.3
GTEX-1JMQK-2926-SM-D4P2T 60-69 years, male 37.3
GTEX-11TTK-2826-SM-5GU5K 60-69 years, female 37.2
GTEX-132Q8-2926-SM-5IFFP 60-69 years, male 37.2
GTEX-12WSD-3026-SM-5LZU7 60-69 years, female 37.0
GTEX-14ABY-3026-SM-664NE 50-59 years, male 36.9
GTEX-XLM4-2926-SM-4AT59 60-69 years, male 36.9
GTEX-1B996-2926-SM-7MXUH 60-69 years, male 36.9
GTEX-1C64N-3126-SM-79OO3 50-59 years, male 36.8
GTEX-QDT8-3026-SM-32PKB 30-39 years, female 36.8
GTEX-XMD1-2826-SM-4AT5F 60-69 years, male 36.8
GTEX-11ZTS-3226-SM-5EGID 60-69 years, female 36.7
GTEX-11EMC-3326-SM-5P9JH 60-69 years, female 36.6
GTEX-13O3O-3026-SM-5KM42 60-69 years, female 36.3
GTEX-WL46-2826-SM-3LK81 50-59 years, male 36.3
GTEX-17JCI-3026-SM-7EWDR 60-69 years, female 36.2
GTEX-1A3MX-2926-SM-718B7 60-69 years, male 36.2
GTEX-1F48J-2726-SM-7P8PW 50-59 years, female 36.1
GTEX-11DXW-1026-SM-5H11K 40-49 years, male 36.0
GTEX-12WSM-2126-SM-5GCOC 60-69 years, male 36.0
GTEX-139TS-3126-SM-5LZWX 60-69 years, male 36.0
GTEX-1JJ6O-3026-SM-C1YQH 60-69 years, male 35.9
GTEX-12ZZZ-3126-SM-5LZU6 60-69 years, male 35.8
GTEX-ZAB4-2926-SM-57WCV 40-49 years, male 35.8
GTEX-1GN73-3026-SM-7MXV8 60-69 years, male 35.8
GTEX-1IKOH-2826-SM-CNNRC 60-69 years, female 35.8
GTEX-1JMOU-2826-SM-EV79R 60-69 years, female 35.8
GTEX-ZF28-2926-SM-4WKG1 60-69 years, male 35.6
GTEX-14PN4-3026-SM-664O4 50-59 years, male 35.5
GTEX-1GF9W-2726-SM-9JGGW 60-69 years, male 35.5
GTEX-1IL2V-3026-SM-CYPSA 70-79 years, male 35.4
GTEX-14E7W-2926-SM-5S2R8 70-79 years, male 35.3
GTEX-13G51-3126-SM-5IJG7 60-69 years, male 35.2
GTEX-13X6K-2826-SM-5O9DS 60-69 years, female 35.2
GTEX-Y111-2826-SM-4TT3O 50-59 years, male 35.2
GTEX-13RTJ-3126-SM-5S2Q4 60-69 years, male 35.1
GTEX-14PJO-2926-SM-686ZI 60-69 years, male 35.0
GTEX-YJ89-2926-SM-5P9IT 60-69 years, male 35.0
GTEX-13SLX-3226-SM-5YYA6 50-59 years, female 34.9
GTEX-1I1CD-2926-SM-A96SJ 60-69 years, female 34.9
GTEX-131XH-2926-SM-5LZU4 50-59 years, male 34.8
GTEX-1128S-2826-SM-5N9DI 60-69 years, female 34.7
GTEX-WVLH-2926-SM-3MJG5 50-59 years, male 34.7
GTEX-14C5O-2926-SM-5RQI1 60-69 years, male 34.6
GTEX-Q2AG-2826-SM-2HMJQ 40-49 years, female 34.6
GTEX-T6MN-2526-SM-32PMN 50-59 years, male 34.6
GTEX-WWYW-3026-SM-3NB36 50-59 years, female 34.6
GTEX-1HSKV-2926-SM-B2LWJ 60-69 years, male 34.6
GTEX-145MF-2826-SM-7EPGU 50-59 years, male 34.5
GTEX-1MJK2-3026-SM-EV7A5 50-59 years, male 34.5
GTEX-PWO3-1026-SM-2I5F2 60-69 years, female 34.4
GTEX-1EU9M-2926-SM-793DF 60-69 years, male 34.3
GTEX-15EO6-2926-SM-6M48D 50-59 years, male 34.2
GTEX-1HBPI-2726-SM-9WPPF 50-59 years, male 34.2
GTEX-1LSVX-2826-SM-EVR58 60-69 years, male 34.2
GTEX-1399T-3126-SM-5IJFS 60-69 years, male 34.1
GTEX-14A5I-2826-SM-5SIBF 50-59 years, female 34.1
GTEX-ZAJG-3026-SM-5HL92 50-59 years, female 34.1
GTEX-1HBPH-3026-SM-9WPNY 40-49 years, female 34.0
GTEX-1B8L1-3226-SM-7P8OX 60-69 years, male 33.8
GTEX-17EVQ-2726-SM-7EWDT 70-79 years, male 33.7
GTEX-1EMGI-3126-SM-7MXUR 60-69 years, male 33.6
GTEX-1GZ2Q-3026-SM-9JGG3 40-49 years, male 33.6
GTEX-11ZUS-2826-SM-5EQKW 30-39 years, male 33.5
GTEX-17F97-2926-SM-7DUEQ 50-59 years, male 33.5
GTEX-1B8SG-1926-SM-73KUB 50-59 years, male 33.5
GTEX-ZYFD-2926-SM-5GID9 50-59 years, male 33.5
GTEX-1JMPZ-2826-SM-C1YRA 30-39 years, male 33.5
GTEX-11GSO-3026-SM-5Q5AL 60-69 years, male 33.4
GTEX-13O3Q-3026-SM-5IJGD 50-59 years, male 33.4
GTEX-1QEPI-3026-SM-EXOIW 60-69 years, female 33.4
GTEX-1RQEC-3026-SM-DPRXM 60-69 years, male 33.4
GTEX-1EX96-3126-SM-9JGGC 50-59 years, male 33.3
GTEX-11DXY-3126-SM-5N9BT 60-69 years, male 33.2
GTEX-13QIC-3026-SM-5LU58 60-69 years, female 33.2
GTEX-145MG-3126-SM-5Q5D3 50-59 years, male 33.2
GTEX-1R46S-3126-SM-DPRZ9 60-69 years, female 33.2
GTEX-11DYG-2926-SM-5H132 60-69 years, male 33.1
GTEX-144GL-2926-SM-5O99F 50-59 years, male 33.1
GTEX-14BMV-2926-SM-5TDEE 50-59 years, male 33.1
GTEX-P44H-2426-SM-2XCEJ 40-49 years, male 33.1
GTEX-13CF2-3026-SM-5IFFX 60-69 years, male 33.0
GTEX-13FXS-3026-SM-5LZYO 50-59 years, male 33.0
GTEX-14C39-3026-SM-5S2QE 40-49 years, male 32.9
GTEX-15ER7-3026-SM-6M47W 20-29 years, female 32.9
GTEX-Z93S-2826-SM-57WBL 50-59 years, male 32.9
GTEX-ZUA1-2926-SM-59HL3 40-49 years, male 32.9
GTEX-1H4P4-2726-SM-9JGGB 50-59 years, male 32.9
GTEX-1I1GV-3026-SM-CNNR9 60-69 years, male 32.9
GTEX-1J1OQ-3126-SM-D4P2O 40-49 years, female 32.9
GTEX-1269C-3126-SM-5EGI6 60-69 years, female 32.8
GTEX-14JIY-2326-SM-6AJAJ 60-69 years, male 32.8
GTEX-17EVP-2926-SM-793BU 40-49 years, male 32.8
GTEX-11DZ1-2926-SM-5A5KI 50-59 years, male 32.7
GTEX-13S7M-3026-SM-5S2QQ 60-69 years, female 32.7
GTEX-13OW6-2926-SM-5KM29 50-59 years, male 32.6
GTEX-11GSP-3126-SM-5A5LL 60-69 years, female 32.5
GTEX-ZZPT-2926-SM-5EQ5S 50-59 years, male 32.5
GTEX-1192X-3226-SM-5987D 50-59 years, male 32.4
GTEX-14BIN-3326-SM-5Q5E6 50-59 years, female 32.4
GTEX-UTHO-2926-SM-3P5Z9 60-69 years, male 32.4
GTEX-11NUK-3026-SM-5986K 50-59 years, male 32.3
GTEX-139TT-2626-SM-5LZUB 60-69 years, male 32.3
GTEX-13N2G-3126-SM-5IJGL 60-69 years, male 32.3
GTEX-183WM-2726-SM-7KFRF 70-79 years, female 32.3
GTEX-ZYY3-3026-SM-5GIEJ 60-69 years, female 32.3
GTEX-1JJEA-2926-SM-C1YSK 60-69 years, male 32.3
GTEX-13OVL-3026-SM-5IJF1 50-59 years, male 32.2
GTEX-T5JC-2326-SM-32PMR 20-29 years, male 32.1
GTEX-11ZVC-3026-SM-59HJM 50-59 years, female 32.0
GTEX-1EWIQ-3026-SM-7IGOJ 70-79 years, female 32.0
GTEX-1GZ4I-2926-SM-9JGGO 50-59 years, male 32.0
GTEX-X4XX-2926-SM-3NMB1 60-69 years, male 31.9
GTEX-1F6IF-3026-SM-7P8QN 60-69 years, male 31.9
GTEX-1GF9V-3026-SM-7P8R8 60-69 years, male 31.9
GTEX-1JMQJ-3126-SM-EV79G 50-59 years, male 31.9
GTEX-1POEN-2726-SM-E9U6B 30-39 years, female 31.8
GTEX-12126-0926-SM-5FQTW 20-29 years, male 31.6
GTEX-1A8G6-3126-SM-731D8 60-69 years, male 31.6
GTEX-1JMLX-3026-SM-EV79Q 50-59 years, male 31.6
GTEX-11ONC-3026-SM-5985W 60-69 years, male 31.5
GTEX-13NYB-3226-SM-5J2ND 40-49 years, male 31.5
GTEX-1F75W-3126-SM-7P8SJ 60-69 years, male 31.5
GTEX-13112-2926-SM-5DUWT 50-59 years, male 31.4
GTEX-13JVG-3226-SM-5IJGJ 60-69 years, male 31.4
GTEX-1EKGG-3126-SM-9WPO5 60-69 years, male 31.4
GTEX-1313W-3026-SM-5LZUZ 50-59 years, female 31.3
GTEX-1B8SF-3026-SM-731DX 60-69 years, male 31.3
GTEX-1F52S-3026-SM-7P8PV 60-69 years, female 31.3
GTEX-12ZZY-2926-SM-5DUXO 60-69 years, male 31.2
GTEX-N7MS-2526-SM-2D7W3 60-69 years, male 31.2
GTEX-1F75A-2926-SM-7MXVN 50-59 years, male 31.2
GTEX-1HSMO-2926-SM-C1YR5 60-69 years, male 31.2
GTEX-12WSH-3126-SM-5LZW8 50-59 years, male 31.1
GTEX-17HHY-2926-SM-79OJW 50-59 years, male 31.0
GTEX-1CB4H-3026-SM-79OLX 60-69 years, female 31.0
GTEX-1HCVE-2926-SM-9WPPJ 50-59 years, male 31.0
GTEX-Y8DK-0726-SM-4TT3S 60-69 years, male 30.9
GTEX-QMR6-1326-SM-32PLB 50-59 years, male 30.8
GTEX-14JG1-2926-SM-686ZK 40-49 years, male 30.6
GTEX-16YQH-2926-SM-6LPJE 30-39 years, male 30.6
GTEX-NPJ8-2626-SM-2D7W2 40-49 years, male 30.6
GTEX-1H1CY-3026-SM-9OSW7 60-69 years, female 30.6
GTEX-13VXU-3026-SM-5LU3K 50-59 years, male 30.5
GTEX-147GR-3126-SM-5S2PM 60-69 years, male 30.4
GTEX-1B933-3026-SM-731DB 50-59 years, female 30.4
GTEX-12WSC-2926-SM-5BC5Z 50-59 years, male 30.3
GTEX-1IY9M-3126-SM-AHZ3A 60-69 years, male 30.2
GTEX-11PRG-2826-SM-5BC54 50-59 years, male 30.1
GTEX-11OC5-0626-SM-5HL6M 60-69 years, male 30.0
GTEX-131YS-3026-SM-5EGHY 60-69 years, female 30.0
GTEX-13JUV-3026-SM-5K7WX 40-49 years, female 30.0
GTEX-11O72-2826-SM-5HL6W 40-49 years, male 29.9
GTEX-145LU-2626-SM-5LU9Z 50-59 years, male 29.9
GTEX-1CB4G-2926-SM-7MKFQ 60-69 years, male 29.9
GTEX-1F6I4-3026-SM-7P8SI 60-69 years, male 29.6
GTEX-14PJM-3026-SM-6LLHM 50-59 years, female 29.5
GTEX-111FC-3326-SM-5GZYV 60-69 years, male 29.4
GTEX-13OVH-2926-SM-5IJFH 70-79 years, male 29.4
GTEX-1JJE9-3026-SM-CNNPA 70-79 years, male 29.4
GTEX-1LG7Y-3126-SM-EV7AS 50-59 years, male 29.4
GTEX-13X6I-2926-SM-5Q5C3 60-69 years, male 29.3
GTEX-1R9PO-2826-SM-E6CPV 60-69 years, female 29.3
GTEX-RU72-2926-SM-2TF66 50-59 years, female 29.2
GTEX-14BIM-3126-SM-5Q5C7 60-69 years, female 29.1
GTEX-17HG3-2826-SM-7EPGO 30-39 years, female 29.1
GTEX-13OW5-3126-SM-5MR3Y 60-69 years, male 28.9
GTEX-15G19-2826-SM-6M48K 60-69 years, male 28.9
GTEX-1HB9E-3126-SM-AHZ4M 50-59 years, male 28.9
GTEX-TSE9-2926-SM-3DB77 60-69 years, female 28.7
GTEX-YFC4-3026-SM-5IFJK 40-49 years, female 28.7
GTEX-1PIIG-2826-SM-DTX7O 30-39 years, male 28.7
GTEX-S7SE-2526-SM-2XCDL 50-59 years, male 28.6
GTEX-15SHU-3026-SM-6LPIB 40-49 years, female 28.4
GTEX-1KWVE-2226-SM-CXZKN 30-39 years, male 28.4
GTEX-11NV4-2226-SM-5BC4T 60-69 years, male 28.3
GTEX-145MH-2926-SM-5Q5D2 50-59 years, male 28.3
GTEX-13OVJ-2726-SM-5IJG6 50-59 years, female 28.2
GTEX-1P4AB-3026-SM-EXOJS 50-59 years, male 28.2
GTEX-1QP6S-3026-SM-EAZ4N 40-49 years, male 28.2
GTEX-1IDJH-3126-SM-C1YQS 70-79 years, male 28.1
GTEX-12WSE-2926-SM-5RQJ9 20-29 years, male 28.0
GTEX-14DAQ-3026-SM-5S2QZ 60-69 years, female 27.9
GTEX-18A6Q-2826-SM-7LTAO 60-69 years, male 27.9
GTEX-QVJO-1325-SM-2S1QX 60-69 years, female 27.9
GTEX-N7MT-1226-SM-DKPOK 60-69 years, female 27.8
GTEX-14ASI-2926-SM-5Q5DG 60-69 years, male 27.4
GTEX-15DYW-3026-SM-7KFRM 60-69 years, female 27.1
GTEX-OHPN-2626-SM-2I5H1 60-69 years, female 27.1
GTEX-QVUS-2926-SM-3GIJB 60-69 years, female 27.1
GTEX-R55E-2526-SM-2TC6H 20-29 years, male 26.7
GTEX-117XS-3126-SM-5GIDP 60-69 years, male 26.4
GTEX-145LS-3026-SM-5O99S 60-69 years, female 26.4
GTEX-RNOR-2226-SM-2TF5O 50-59 years, female 26.4
GTEX-12ZZX-2826-SM-5BC6K 40-49 years, female 25.9
GTEX-1JN1M-3126-SM-AHZ4E 60-69 years, female 25.6
GTEX-13X6J-2926-SM-7EPGP 50-59 years, male 25.5
GTEX-1C6WA-3326-SM-7MKGN 60-69 years, male 25.4
GTEX-1I1HK-2726-SM-AHZ2M 60-69 years, male 25.3
GTEX-T2IS-2926-SM-32QPO 20-29 years, female 25.0
GTEX-18465-2926-SM-7KFSE 50-59 years, male 24.9
GTEX-NPJ7-2826-SM-2I3FU 60-69 years, female 22.8
GTEX-WZTO-2826-SM-3NM8P 40-49 years, male 22.1
GTEX-P44G-2526-SM-2I5EK 30-39 years, male 21.8
GTEX-1H3NZ-2926-SM-9WPQ8 60-69 years, male 21.3
GTEX-PVOW-2626-SM-32PL8 40-49 years, male 20.2
Show allShow less

CEREBELLUM - FANTOM5 CAGEi

RNA expression in human tissues obtained through Cap Analysis of Gene Expression (CAGE) generated by the FANTOM5 project are reported as Scaled Tags Per Million.

Max subtype Scaled Tags Per Millioni

Max subtype Scaled Tags Per Million is the value for the subtype with the largest average Scaled Tags Per Million across the subtype samples.

30.0
FANTOM5 sample id Sample description Scaled Tags Per Million
Cerebellum
Scaled Tags Per Million: 30.0
FF:10083-102B2 22-68 years, mixed 35.6
FF:10166-103B4 76 years, female 24.5

CEREBELLUM - Pig RNA-seqi

RNA-seq data obtained from pig brain is reported as nTPM .

Normal distribution across the dataset is visualized with box plots, shown as median and 25th and 75th percentiles. Points are displayed as outliers if they are above or below 1.5 times the interquartile range. nTPM values of the individual samples are presented next to the box plot.
Max subtype nTPMi

Max subtype nTPM is the value for the subtype with the largest average nTPM across the subtype samples.

19.0
Pig sample Sample description nTPM
Cerebellum
nTPM: 19.0
Samples: 4

Max nTPM: 31.3
Min nTPM: 12.4
Sample A Female 31.3
Sample B Female 16.7
Sample C Male 12.4
Sample D Male 15.7

CEREBELLUM - Mouse RNA-seqi

RNA-seq data obtained from mouse brain is reported as nTPM .

Normal distribution across the dataset is visualized with box plots, shown as median and 25th and 75th percentiles. Points are displayed as outliers if they are above or below 1.5 times the interquartile range. nTPM values of the individual samples are presented next to the box plot.
Max subtype nTPMi

Max subtype nTPM is the value for the subtype with the largest average nTPM across the subtype samples.

10.0
Mouse sample Sample description nTPM
Cerebellum
nTPM: 10.1
Samples: 4

Max nTPM: 10.8
Min nTPM: 9.4
Sample A Male 10.3
Sample B Male 9.4
Sample C Female 9.7
Sample D Female 10.8

CEREBELLUM - Allen Mouse ISHi

In situ hybridization (ISH) data generated by the Allen brain atlas from mouse brain is reported as expression energy. For more details about a particular experiment, click on the corresponding Allen experiment ID.

Max subtype Expression energyi

Max subtype Expression energy is the value for the subtype with the largest average Expression energy across the subtype samples.

14.3
Allen experiment id Experiment description Expression energy
Cerebellum
Expression energy: 14.3
69015518 Antisense, RP_050315_01_B06, Mouse strain C57BL/6J (56 days, male) 14.3

Contact

  • NEWS ARTICLES
  • PRESS ROOM

The Project

  • INTRODUCTION
  • ORGANIZATION
  • PUBLICATIONS

The Human Protein Atlas

  • DOWNLOADABLE DATA
  • LICENCE & CITATION
  • HELP & FAQ
The Human Protein Atlas project is funded
by the Knut & Alice Wallenberg Foundation.


contact@proteinatlas.org