We use cookies to enhance the usability of our website. If you continue, we'll assume that you are happy to receive all cookies. More information. Don't show this again.
TP53
HPA
RESOURCES
  • TISSUE
  • BRAIN
  • SINGLE CELL
  • SUBCELLULAR
  • CANCER
  • BLOOD
  • CELL LINE
  • STRUCTURE & INTERACTION
ABOUT
  • INTRODUCTION
  • HISTORY
  • ORGANIZATION
  • PUBLICATIONS
  • ANTIBODY SUBMISSION
  • ANTIBODY AVAILABILITY
  • ACKNOWLEDGMENTS
  • CONTACT
NEWS
  • NEWS ARTICLES
  • PRESS ROOM
LEARN
  • DICTIONARY
  • PROTEIN CLASSES
  • PROTEIN EVIDENCE
  • METHODS
  • EDUCATIONAL VIDEOS
DATA
  • DOWNLOADABLE DATA
  • PUBLICATION DATA
  • RELEASE HISTORY
HELP
  • ANTIBODY VALIDATION
  • ASSAYS & ANNOTATION
  • DISCLAIMER
  • HELP & FAQ
  • PRIVACY STATEMENT
  • LICENCE & CITATION
Fields »
Search result

Field
Term
Gene name
Class
Subclass
Class
Keyword
Chromosome
External id
Tissue
Cell type
Expression
Antibody panel
Tissue
Main location
Patient ID
Annotation
Tissue
Category
Tau score
Cluster
Reliability
Brain region
Category
Tau score
Brain region
Category
Tau score
Brain region
Category
Tau score
Cluster
Reliability
Tissue
Cell type
Enrichment
Cell type
Category
Tau score
Cell type
Category
Tau score
Cell type
Category
Tau score
Cell lineage
Category
Tau score
Cluster
Cluster
Location
Searches
Location
Cell line
Class
Type
Phase
Reliability
Cancer
Prognosis
Cancer
Category
Cancer
Category
Tau score
Cluster
Variants
Interacting gene (ensg_id)
Type
Number of interactions
Pathway
Category
Score
Score
Score
Validation
Validation
Validation
Validation
Antibodies
Data type
Column


  • SUMMARY

  • TISSUE

  • BRAIN

  • SINGLE CELL

  • SUBCELL

  • CANCER

  • BLOOD

  • CELL LINE

  • STRUCT & INT

  • TP53
TISSUE PRIMARY DATA STOMACH Show tissue menu
ADIPOSE TISSUE ADRENAL GLAND AMYGDALA APPENDIX BASAL GANGLIA BONE MARROW BREAST BRONCHUS CEREBELLUM CEREBRAL CORTEX CERVIX CHOROID PLEXUS COLON DUODENUM
ENDOMETRIUM EPIDIDYMIS ESOPHAGUS FALLOPIAN TUBE GALLBLADDER HEART MUSCLE HIPPOCAMPAL FORMATION HYPOTHALAMUS KIDNEY LIVER LUNG LYMPH NODE MIDBRAIN NASOPHARYNX
ORAL MUCOSA OVARY PANCREAS PARATHYROID GLAND PITUITARY GLAND PLACENTA PROSTATE RECTUM RETINA SALIVARY GLAND SEMINAL VESICLE SKELETAL MUSCLE SKIN SMALL INTESTINE
SMOOTH MUSCLE SOFT TISSUE SPINAL CORD SPLEEN STOMACH TESTIS THYMUS THYROID GLAND TONGUE TONSIL URINARY BLADDER VAGINA
ANTIBODIES
AND
VALIDATION
Dictionary
Tissue proteome
Stomach
STOMACH - Expression summary
Protein expression
Stomachi

On the top, protein expression in current human tissue, based on all annotated cell types, is reported with the units not detected (n), low (l), medium (m) and high (h). Underneath, protein expression in each annotated cell type are reported using the same units.

Protein expression data is based on knowledge-based annotation. For genes where more than one antibody has been used, a collective score is set.

If knowledge-based annotation could not be performed for a gene, no data is displayed here. View antibody staining data further down this page.

h
m
l
n
Glandular cells: Not detected
RNA expressioni

A summary of mRNA expression data available for current tissue based on several datasets. The mRNA expression levels in human tissues are based on RNA-seq data generated by the Human Protein Atlas (HPA), Genotype-Tissue Expression (GTEx) portal and CAGE data generated by the FANTOM5 consortium. Consensus normalized expression levels for human tissues was created by combining the data from HPA and GTEx datasets.

The mRNA expression levels in pig are based on RNA-seq data generated by the Human Protein Atlas (HPA), and for mouse, HPA data and in situ hybridization generated by the Allen brain atlas are reported.

Scroll down to view mRNA expression data in more detail.
Consensus:21.9 nTPM
HPA:21.9 nTPM
GTEx:14.9 nTPM

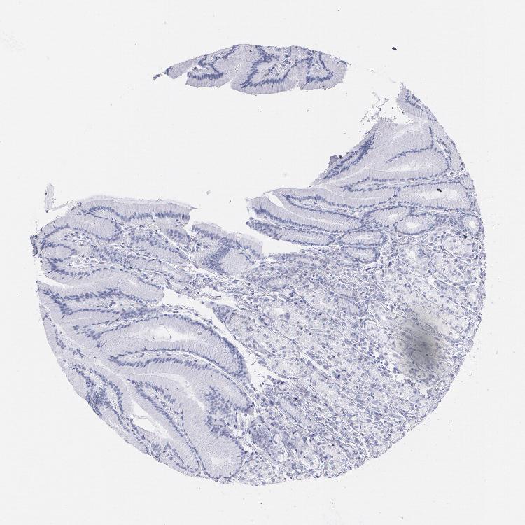
STOMACH 1 - Antibody stainingi

Antibody staining in the annotated cell types in the current human tissue is reported as not detected, low, medium, or high, based on conventional immunohistochemistry profiling in selected tissues. This score is based on the combination of the staining intensity and fraction of stained cells.

Each image is clickable and will lead to virtual microscopy that enables deeper exploration of all samples and also displays staining intensity scores, fraction scores and subcellular localization as well as patient and tissue information for each sample.

Antibody CAB002973Antibody CAB039238Antibody CAB039239Antibody CAB072876
Glandular cells Not detectedMediumNot detectedNot detected







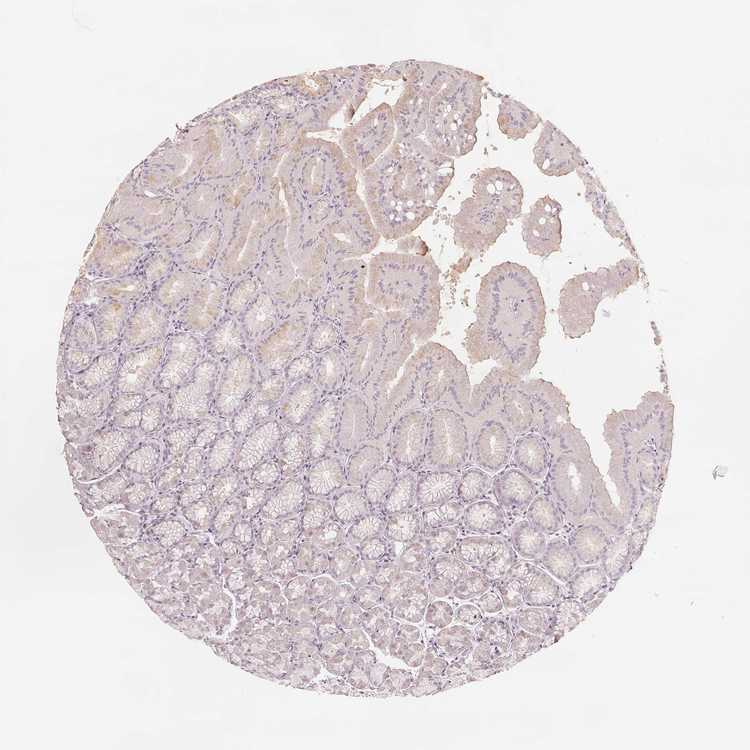
STOMACH 2 - Antibody stainingi

Antibody staining in the annotated cell types in the current human tissue is reported as not detected, low, medium, or high, based on conventional immunohistochemistry profiling in selected tissues. This score is based on the combination of the staining intensity and fraction of stained cells.

Each image is clickable and will lead to virtual microscopy that enables deeper exploration of all samples and also displays staining intensity scores, fraction scores and subcellular localization as well as patient and tissue information for each sample.

Antibody CAB002973Antibody CAB039238Antibody CAB039239Antibody CAB072876
Glandular cells Not detectedMediumNot detectedNot detected








STOMACH - HPA RNA-seqi

The RNA-seq details section shows detailed information about the individual samples used for the transcript profiling and results of the RNA-seq analysis.

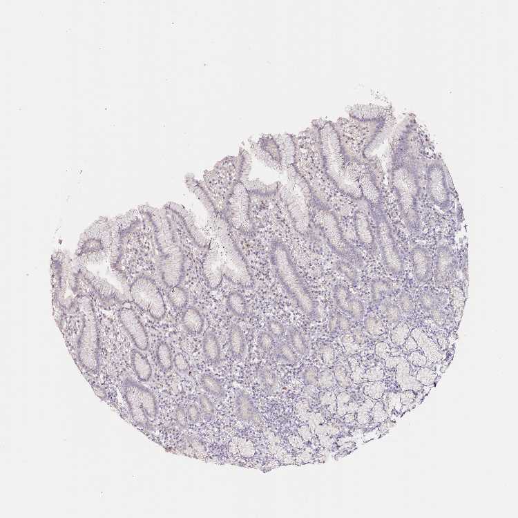
Information about each individual sample is listed below, including gender, age, a tissue section image and estimated fractions of cell types. nTPM (normalized transcripts per million) values give a quantification of the gene abundance which is comparable between different genes and samples.
Average nTPMi

Max subtype nTPM is the value for the subtype with the largest average nTPM across the subtype samples.

21.9
overview
Female, age 33
Stomach sample 61
nTPM: 17.6
Cell types%
Glandular cells:
60

Smooth muscle cells:
5

Other cell types:
35

N/A
Male, age 82
Stomach sample 240
nTPM: 32.3
Cell types%
Glandular cells:
65

Smooth muscle cells:
5

Other cell types:
30

overview
Male, age 71
Stomach sample 241
nTPM: 26.4
Cell types%
Glandular cells:
50

Smooth muscle cells:
5

Other cell types:
45

overview
Female, age 66
Stomach sample 369
nTPM: 11.4
Cell types%
Glandular cells:
50

Smooth muscle cells:
10

Other cell types:
40


STOMACH - GTEx RNA-seqi

RNA-Seq data generated by the Genotype-Tissue Expression (GTEx) project from human tissues is reported as mean nTPM. More information can be found on the GTEx portal.

Distribution across the dataset is visualized with box plots, shown as median and 25th and 75th percentiles. Points are displayed as outliers if they are above or below 1.5 times the interquartile range. nTPM values of the individual samples are presented next to the box plot.
Max subtype nTPMi

Max subtype nTPM is the value for the subtype with the largest average nTPM across the subtype samples.

14.9
GTEx sample id Sample description nTPM
Stomach
Average nTPM: 14.9
Samples: 359

Max nTPM: 28.4
Min nTPM: 5.7
Std nTPM: 3.8
Median nTPM: 15.1
GTEX-11TT1-0726-SM-5GU5A 20-29 years, male 28.4
GTEX-WHPG-0426-SM-4M1XW 50-59 years, male 27.0
GTEX-QLQW-0726-SM-447AA 30-39 years, male 26.8
GTEX-VJYA-1026-SM-4KL21 60-69 years, male 24.0
GTEX-1F5PL-1426-SM-7MKFH 40-49 years, female 23.7
GTEX-XXEK-0826-SM-4BRWG 50-59 years, male 23.5
GTEX-P4PP-1526-SM-3P61M 30-39 years, female 23.1
GTEX-1I6K7-1726-SM-B2LXQ 40-49 years, male 22.7
GTEX-13O21-0926-SM-5IFGT 50-59 years, male 22.2
GTEX-14PHX-1026-SM-664OL 50-59 years, male 22.2
GTEX-18A67-2626-SM-718AD 50-59 years, male 22.2
GTEX-WY7C-1726-SM-4ONCC 50-59 years, male 21.9
GTEX-15EU6-2526-SM-7KUGB 50-59 years, male 21.8
GTEX-Y3IK-1426-SM-4YCES 50-59 years, female 21.8
GTEX-XMK1-1526-SM-EYYVO 40-49 years, male 21.7
GTEX-144GM-1726-SM-5O9AS 20-29 years, male 21.5
GTEX-P4PQ-1526-SM-3NMCK 60-69 years, male 21.5
GTEX-ZPIC-2026-SM-57WG3 40-49 years, female 21.4
GTEX-12WSJ-0926-SM-5P9JD 40-49 years, female 21.2
GTEX-1339X-1426-SM-5K7YO 40-49 years, male 21.2
GTEX-145ME-1026-SM-5O9B4 40-49 years, female 21.2
GTEX-PWN1-1526-SM-48TDA 40-49 years, female 21.2
GTEX-14BMU-1126-SM-5RQJ8 20-29 years, female 20.9
GTEX-111CU-0926-SM-5EGIK 50-59 years, male 20.8
GTEX-14PJ3-1426-SM-664O8 50-59 years, male 20.8
GTEX-1IDJU-1526-SM-CNNR3 60-69 years, female 20.8
GTEX-Q2AH-1126-SM-48TZM 40-49 years, male 20.5
GTEX-1L5NE-1526-SM-DIPFW 50-59 years, male 20.5
GTEX-13X6H-1626-SM-5Q5CT 50-59 years, female 20.4
GTEX-18A66-2226-SM-7189E 60-69 years, male 20.4
GTEX-WFG7-1326-SM-4LMK1 20-29 years, male 20.3
GTEX-17HGU-2126-SM-7IGOV 50-59 years, male 20.2
GTEX-1F75I-1826-SM-7MKGX 40-49 years, male 20.1
GTEX-QDVN-1226-SM-48TZ5 50-59 years, male 20.0
GTEX-S3XE-1026-SM-4AD4O 50-59 years, male 20.0
GTEX-1B97I-1226-SM-7MGWQ 40-49 years, male 20.0
GTEX-QCQG-0526-SM-48U2A 50-59 years, female 19.9
GTEX-14PKV-1826-SM-69LO9 20-29 years, female 19.8
GTEX-ZAB4-1526-SM-5CVN7 40-49 years, male 19.8
GTEX-Q2AI-0826-SM-48TZO 40-49 years, male 19.7
GTEX-14JG6-1226-SM-664O6 30-39 years, female 19.6
GTEX-ZDYS-1926-SM-5HL59 50-59 years, male 19.6
GTEX-1399R-1126-SM-5IFIO 30-39 years, male 19.5
GTEX-13FTX-0726-SM-5N9BI 20-29 years, female 19.5
GTEX-1JKYN-1726-SM-AHZ48 30-39 years, male 19.5
GTEX-13U4I-2526-SM-5SI8Z 40-49 years, female 19.3
GTEX-POMQ-0826-SM-3P61H 20-29 years, female 19.2
GTEX-R55G-1126-SM-48FDG 40-49 years, female 19.2
GTEX-145MN-1326-SM-5NQ9S 30-39 years, male 19.1
GTEX-14DAR-0926-SM-73KUQ 50-59 years, male 19.0
GTEX-SNMC-0626-SM-4DM6H 20-29 years, male 19.0
GTEX-17F98-1526-SM-7EWD8 40-49 years, female 18.8
GTEX-1CAMR-0726-SM-7EPIE 20-29 years, male 18.8
GTEX-QLQ7-0826-SM-447B3 60-69 years, male 18.7
GTEX-RUSQ-1126-SM-EAZAU 50-59 years, male 18.7
GTEX-ZYFG-1326-SM-5GICJ 60-69 years, female 18.6
GTEX-133LE-1326-SM-5IFGO 20-29 years, female 18.5
GTEX-16NGA-1526-SM-72D56 40-49 years, female 18.5
GTEX-1B8KZ-1226-SM-793CP 50-59 years, male 18.5
GTEX-T5JW-0926-SM-4DM5K 20-29 years, female 18.5
GTEX-U4B1-1026-SM-4DXT1 40-49 years, male 18.5
GTEX-13FTW-1726-SM-5KM2B 40-49 years, male 18.4
GTEX-15G1A-1226-SM-7KUF3 30-39 years, male 18.4
GTEX-14PJ4-1626-SM-664OB 60-69 years, male 18.3
GTEX-ZV7C-1626-SM-5NQ7E 50-59 years, male 18.3
GTEX-117YX-1026-SM-5H11V 50-59 years, male 18.2
GTEX-UJMC-1226-SM-4IHLI 50-59 years, male 18.2
GTEX-WFG8-1326-SM-4LVN3 20-29 years, male 18.1
GTEX-OXRL-1526-SM-E6CHQ 50-59 years, male 18.1
GTEX-13113-0726-SM-5LZUF 60-69 years, female 18.0
GTEX-1GF9U-1126-SM-AHZ4H 40-49 years, female 18.0
GTEX-14B4R-0726-SM-5TDDR 30-39 years, male 17.9
GTEX-17EUY-1526-SM-793CA 20-29 years, male 17.7
GTEX-Y8LW-0826-SM-4WWDO 50-59 years, female 17.7
GTEX-1H1DG-2126-SM-9WPPB 70-79 years, male 17.6
GTEX-14PHY-0926-SM-5ZZWL 60-69 years, female 17.5
GTEX-1AMFI-1226-SM-731CZ 50-59 years, female 17.5
GTEX-1AYCT-1326-SM-7MKHB 50-59 years, male 17.5
GTEX-OHPK-1526-SM-3MJGM 50-59 years, female 17.5
GTEX-1KANA-1126-SM-D3L9M 20-29 years, male 17.5
GTEX-1J8Q3-1926-SM-C1YSJ 60-69 years, male 17.4
GTEX-1A3MV-1226-SM-718BW 30-39 years, male 17.3
GTEX-1C64O-2226-SM-73KTV 60-69 years, male 17.3
GTEX-TKQ1-0526-SM-4DXTG 30-39 years, male 17.3
GTEX-W5WG-1726-SM-4LMI5 50-59 years, female 17.3
GTEX-1MJIX-1126-SM-EV7AO 40-49 years, male 17.3
GTEX-OIZF-1526-SM-2I5GR 60-69 years, male 17.3
GTEX-15SHW-2126-SM-6M46Y 60-69 years, male 17.2
GTEX-T8EM-1226-SM-4DM5J 40-49 years, male 17.2
GTEX-TMMY-1626-SM-4DXTY 40-49 years, female 17.2
GTEX-12696-1726-SM-5EQLH 60-69 years, male 17.1
GTEX-131XF-1226-SM-5HL8V 60-69 years, male 17.1
GTEX-13RTK-0226-SM-5RQHR 20-29 years, male 17.1
GTEX-15DZA-1126-SM-6LPK8 30-39 years, female 17.1
GTEX-1122O-1926-SM-5EGIQ 60-69 years, female 17.0
GTEX-14E6E-0926-SM-664N8 30-39 years, male 17.0
GTEX-17KNJ-1526-SM-7LTA9 50-59 years, male 17.0
GTEX-13FH7-1026-SM-5IJGF 50-59 years, female 16.9
GTEX-13PVR-2126-SM-73KVR 60-69 years, female 16.9
GTEX-QMRM-1126-SM-447BN 50-59 years, male 16.9
GTEX-WHSB-1226-SM-4M1XR 50-59 years, male 16.9
GTEX-V1D1-1726-SM-4JBHB 50-59 years, male 16.8
GTEX-12WSG-2026-SM-5FQUU 50-59 years, female 16.7
GTEX-R55C-1026-SM-48FCM 40-49 years, male 16.7
GTEX-YJ8A-1526-SM-5P9FT 20-29 years, male 16.7
GTEX-1HFI7-1526-SM-9WG7W 50-59 years, female 16.7
GTEX-QDT8-2026-SM-EZ6LS 30-39 years, female 16.6
GTEX-16AAH-1226-SM-79OO9 50-59 years, male 16.5
GTEX-PX3G-1526-SM-48U11 20-29 years, female 16.5
GTEX-QDVJ-1426-SM-48U1Y 50-59 years, male 16.5
GTEX-1H23P-2726-SM-9JGHN 60-69 years, male 16.5
GTEX-13CF3-1926-SM-5K7WF 60-69 years, female 16.4
GTEX-PLZ6-0826-SM-3P61K 30-39 years, male 16.4
GTEX-XBED-1226-SM-4AT5V 60-69 years, male 16.4
GTEX-Y3I4-1626-SM-4TT7W 50-59 years, male 16.4
GTEX-ZT9W-1526-SM-4YCDE 50-59 years, male 16.4
GTEX-117YW-2226-SM-5N9DB 50-59 years, male 16.3
GTEX-144GN-1226-SM-5O991 50-59 years, male 16.3
GTEX-ZY6K-0726-SM-5A5L8 50-59 years, male 16.3
GTEX-1H1DE-1226-SM-9JGHH 20-29 years, male 16.3
GTEX-1H1E6-1626-SM-9OSWC 30-39 years, male 16.3
GTEX-1IDJD-2426-SM-C1YS6 30-39 years, male 16.3
GTEX-1RAZR-1526-SM-EAZ4U 40-49 years, male 16.3
GTEX-ZF2S-1426-SM-57WET 50-59 years, female 16.2
GTEX-S341-0626-SM-4AD5T 40-49 years, female 16.1
GTEX-ZP4G-1226-SM-4WWCJ 20-29 years, female 16.1
GTEX-1399S-1626-SM-5P9GI 30-39 years, female 16.0
GTEX-14PJ6-0826-SM-686Z9 60-69 years, female 16.0
GTEX-14PN3-1326-SM-6AJ9U 60-69 years, female 16.0
GTEX-18D9B-2226-SM-718BM 60-69 years, male 16.0
GTEX-1LGOU-1526-SM-D3LAJ 20-29 years, female 16.0
GTEX-1S3DN-1526-SM-EVYCB 50-59 years, male 16.0
GTEX-11P82-0726-SM-5PNYL 20-29 years, male 15.9
GTEX-S95S-0826-SM-4B64N 60-69 years, male 15.9
GTEX-XAJ8-0326-SM-47JYI 40-49 years, male 15.9
GTEX-Y5LM-1326-SM-5RQIS 40-49 years, female 15.9
GTEX-Y5V6-1326-SM-4VDTF 60-69 years, male 15.9
GTEX-15RIE-1026-SM-6LPJQ 60-69 years, male 15.8
GTEX-1CB4E-1326-SM-7DUGD 60-69 years, male 15.8
GTEX-WXYG-1626-SM-4ONCR 50-59 years, female 15.8
GTEX-1HBPN-1626-SM-9WPNP 50-59 years, male 15.8
GTEX-1R9K5-1026-SM-EAZ4F 50-59 years, male 15.8
GTEX-1399U-1626-SM-5P9J3 50-59 years, female 15.7
GTEX-RM2N-0826-SM-48FD3 50-59 years, male 15.7
GTEX-TKQ2-0926-SM-4DXU5 50-59 years, male 15.7
GTEX-13D11-2126-SM-5IFH2 50-59 years, female 15.6
GTEX-14PKU-1126-SM-69LOU 40-49 years, female 15.6
GTEX-P78B-1826-SM-3P5YX 40-49 years, female 15.6
GTEX-V955-1326-SM-4JBHR 60-69 years, male 15.6
GTEX-ZPU1-1626-SM-4WWB2 40-49 years, male 15.6
GTEX-1MGNQ-1826-SM-DPRYI 40-49 years, male 15.6
GTEX-11EM3-1026-SM-5A5KL 20-29 years, female 15.5
GTEX-11VI4-0326-SM-5EQ6L 40-49 years, female 15.5
GTEX-131XE-2226-SM-5PNYX 50-59 years, male 15.5
GTEX-X15G-1126-SM-4PQZG 50-59 years, female 15.5
GTEX-1ICG6-1826-SM-AHZ2O 70-79 years, female 15.5
GTEX-13111-1226-SM-5GCNC 50-59 years, male 15.4
GTEX-P4QT-1526-SM-3NMCT 50-59 years, female 15.4
GTEX-QV31-0626-SM-447C5 30-39 years, male 15.4
GTEX-ZXES-1426-SM-5NQ8S 30-39 years, female 15.4
GTEX-1I1GT-1726-SM-C1YS3 60-69 years, female 15.4
GTEX-1LGRB-1726-SM-CNNRA 50-59 years, female 15.4
GTEX-14ICL-0826-SM-5YY9W 30-39 years, male 15.3
GTEX-15UF7-1226-SM-6M46G 40-49 years, male 15.3
GTEX-S4Q7-0726-SM-4AD5F 20-29 years, male 15.3
GTEX-XPVG-1526-SM-4B66C 50-59 years, male 15.3
GTEX-ZLFU-1326-SM-DO11R 40-49 years, male 15.3
GTEX-15DCE-1626-SM-6LPJM 20-29 years, male 15.2
GTEX-1B97J-1826-SM-7IGPP 50-59 years, female 15.2
GTEX-ZQUD-0826-SM-57WDQ 30-39 years, male 15.2
GTEX-ZYVF-2726-SM-5GID4 50-59 years, female 15.2
GTEX-ZZPU-1426-SM-5GZZ6 50-59 years, female 15.2
GTEX-1GN1W-2126-SM-9JGI7 50-59 years, female 15.2
GTEX-139YR-1926-SM-5LZXM 50-59 years, male 15.1
GTEX-14PJ5-0826-SM-6AJAR 60-69 years, female 15.1
GTEX-1H3VY-2326-SM-9WG81 50-59 years, male 15.1
GTEX-1I4MK-0926-SM-A9SLD 50-59 years, female 15.1
GTEX-1LG7Z-1226-SM-DHXK4 30-39 years, male 15.1
GTEX-1RB15-1026-SM-E9U6V 60-69 years, male 15.1
GTEX-1RMOY-1126-SM-EV79E 50-59 years, male 15.1
GTEX-12BJ1-1726-SM-5HL9B 60-69 years, male 15.0
GTEX-RWS6-0926-SM-47JXE 60-69 years, female 15.0
GTEX-1IDJF-1426-SM-ACKWK 20-29 years, male 14.9
GTEX-17HII-2426-SM-7KFTT 50-59 years, male 14.8
GTEX-O5YW-1526-SM-3MJGL 50-59 years, male 14.8
GTEX-UJHI-1026-SM-4IHJP 50-59 years, female 14.8
GTEX-ZTX8-0426-SM-59HLG 20-29 years, male 14.8
GTEX-1N2DV-0926-SM-E9TJT 40-49 years, male 14.8
GTEX-OHPM-1526-SM-EV796 50-59 years, male 14.8
GTEX-146FH-2126-SM-5SI9U 50-59 years, female 14.7
GTEX-S4UY-1626-SM-4AD55 40-49 years, female 14.7
GTEX-Y9LG-1026-SM-5IFJN 30-39 years, male 14.7
GTEX-1MUQO-1926-SM-EAZ59 60-69 years, male 14.7
GTEX-XBEW-1826-SM-4RTWX 40-49 years, male 14.6
GTEX-1LBAC-1426-SM-CXZKT 20-29 years, male 14.6
GTEX-11I78-1726-SM-5A5M3 50-59 years, female 14.5
GTEX-131XG-1226-SM-5EGH9 50-59 years, female 14.5
GTEX-XQ8I-2026-SM-4BOOL 50-59 years, male 14.5
GTEX-ZA64-0826-SM-5HL9U 20-29 years, male 14.5
GTEX-1S82Z-1726-SM-E6CHZ 30-39 years, female 14.5
GTEX-13QBU-1126-SM-5LU44 40-49 years, female 14.4
GTEX-PW2O-1226-SM-48TCH 20-29 years, male 14.4
GTEX-ZF29-1526-SM-4WKF7 60-69 years, female 14.4
GTEX-1J8JJ-1726-SM-C1YQG 60-69 years, female 14.4
GTEX-111YS-1126-SM-5GZYQ 60-69 years, male 14.3
GTEX-PWCY-0926-SM-48TD7 20-29 years, female 14.3
GTEX-1I1HK-2026-SM-CNNRB 60-69 years, male 14.3
GTEX-1MCYP-1126-SM-E9J2P 20-29 years, female 14.3
GTEX-17F9E-2226-SM-7IGNC 50-59 years, male 14.2
GTEX-1LVAM-1426-SM-E9TJ4 50-59 years, female 14.2
GTEX-T6MO-0726-SM-4DM58 40-49 years, female 14.1
GTEX-YEC4-1426-SM-5IFHS 40-49 years, male 14.1
GTEX-YFCO-0826-SM-5LUAG 40-49 years, male 14.1
GTEX-1GL5R-1926-SM-9WG7U 50-59 years, male 14.1
GTEX-1J8QM-1126-SM-C1YQB 60-69 years, female 14.1
GTEX-1KXAM-0926-SM-CXZKA 60-69 years, male 14.1
GTEX-12C56-0526-SM-5FQST 20-29 years, male 14.0
GTEX-WRHK-0626-SM-4MVOE 20-29 years, female 14.0
GTEX-ZGAY-1626-SM-DNZZ3 40-49 years, female 14.0
GTEX-ZLWG-1526-SM-DO12F 50-59 years, female 14.0
GTEX-11DXX-1326-SM-5GIDZ 60-69 years, female 13.9
GTEX-14BMV-2226-SM-5RQHX 50-59 years, male 13.9
GTEX-18QFQ-1226-SM-718AE 30-39 years, male 13.9
GTEX-SUCS-0926-SM-4DM4Z 70-79 years, male 13.9
GTEX-1NSGN-1926-SM-E9J36 50-59 years, male 13.8
GTEX-S7SF-0626-SM-4AD4V 20-29 years, female 13.7
GTEX-XUZC-0726-SM-4BOPH 30-39 years, female 13.7
GTEX-ZLV1-0826-SM-DO11P 60-69 years, female 13.7
GTEX-1211K-1426-SM-5FQTF 60-69 years, female 13.6
GTEX-1HSMQ-2426-SM-CE6RY 50-59 years, male 13.6
GTEX-1QCLY-1126-SM-EAZ4J 30-39 years, male 13.6
GTEX-1QP2A-2126-SM-DPRZ7 50-59 years, male 13.6
GTEX-1QCLZ-1826-SM-DPRXP 60-69 years, female 13.5
GTEX-18D9A-0626-SM-7KFTY 30-39 years, female 13.4
GTEX-13O61-1126-SM-5L3FI 60-69 years, male 13.3
GTEX-OOBJ-1526-SM-3NB1Q 60-69 years, male 13.3
GTEX-ZV6S-0926-SM-57WGB 40-49 years, female 13.3
GTEX-ZVT2-1626-SM-51MRC 50-59 years, female 13.3
GTEX-1LSNM-1026-SM-DHXL2 50-59 years, male 13.3
GTEX-11NSD-1426-SM-5HL67 20-29 years, male 13.2
GTEX-S4Z8-1226-SM-4AD6W 60-69 years, male 13.2
GTEX-YB5E-1126-SM-664NU 40-49 years, male 13.2
GTEX-1F5PK-1826-SM-7RHHX 50-59 years, male 13.2
GTEX-QV44-1226-SM-CJI1S 50-59 years, male 13.2
GTEX-17HHE-1026-SM-79ON6 50-59 years, male 13.1
GTEX-R53T-1226-SM-48FCT 50-59 years, female 13.1
GTEX-ZEX8-1626-SM-4WKG7 50-59 years, male 13.1
GTEX-146FR-2026-SM-5NQAI 60-69 years, female 13.0
GTEX-1HCUA-1626-SM-A9SMG 50-59 years, female 13.0
GTEX-1HKZK-1526-SM-B2LWG 40-49 years, male 13.0
GTEX-13PVQ-2126-SM-5L3FW 50-59 years, male 12.9
GTEX-WHWD-1426-SM-4OORU 50-59 years, male 12.9
GTEX-ZVZP-1726-SM-5GZWY 50-59 years, male 12.9
GTEX-ZZ64-0426-SM-5E43F 20-29 years, male 12.9
GTEX-1PPH8-1326-SM-DTXFO 20-29 years, male 12.9
GTEX-11P7K-1726-SM-5GU6F 30-39 years, male 12.8
GTEX-1C475-1026-SM-7MKFJ 40-49 years, female 12.8
GTEX-U3ZN-2026-SM-4DXUC 30-39 years, female 12.8
GTEX-1GPI7-1326-SM-9KNVA 20-29 years, male 12.8
GTEX-1QPFJ-1526-SM-DPRXT 30-39 years, female 12.8
GTEX-1QW4Y-0726-SM-DTX8E 30-39 years, male 12.8
GTEX-OXRK-1626-SM-3NB17 50-59 years, female 12.7
GTEX-1JK1U-1326-SM-AHZ45 60-69 years, male 12.7
GTEX-13OVK-0926-SM-7KUFX 40-49 years, male 12.6
GTEX-17GQL-1226-SM-7KFTS 60-69 years, male 12.6
GTEX-OIZH-1526-SM-3NB1J 50-59 years, male 12.6
GTEX-UPK5-2126-SM-4JBJK 40-49 years, male 12.6
GTEX-1JN76-0926-SM-ARZNH 20-29 years, female 12.5
GTEX-Q734-1026-SM-48U16 40-49 years, female 12.4
GTEX-WFON-1126-SM-4LVMA 40-49 years, male 12.4
GTEX-1H11D-2226-SM-9OSXN 40-49 years, male 12.4
GTEX-WYJK-2526-SM-4ONDF 50-59 years, male 12.3
GTEX-1QP28-2126-SM-DTX8B 50-59 years, female 12.3
GTEX-YEC3-1426-SM-D4P1S 50-59 years, male 12.3
GTEX-15G19-1526-SM-6LPKP 60-69 years, male 12.2
GTEX-1A8G6-1426-SM-731EZ 60-69 years, male 12.2
GTEX-ZVP2-1626-SM-5GU5D 50-59 years, male 12.1
GTEX-15CHR-1326-SM-79OLT 50-59 years, male 12.0
GTEX-132QS-1826-SM-5IFFN 60-69 years, male 11.9
GTEX-1A3MX-1926-SM-72D7F 60-69 years, male 11.9
GTEX-Y114-1226-SM-4TT88 50-59 years, female 11.9
GTEX-1GZ4H-1026-SM-9OSXL 50-59 years, female 11.9
GTEX-1HCU8-1326-SM-C1YQQ 60-69 years, female 11.9
GTEX-R55D-1526-SM-48FEJ 50-59 years, male 11.8
GTEX-1K2DA-0826-SM-CGQGD 50-59 years, male 11.8
GTEX-1AMEY-1226-SM-731DU 30-39 years, female 11.7
GTEX-WYVS-1326-SM-4ONCQ 40-49 years, female 11.7
GTEX-145LT-1426-SM-5O9B3 40-49 years, male 11.6
GTEX-1B8KE-1326-SM-73KVI 50-59 years, male 11.6
GTEX-WZTO-2126-SM-4PQYW 40-49 years, male 11.6
GTEX-Y8E4-1526-SM-4WWDI 40-49 years, male 11.6
GTEX-1HSEH-1526-SM-B2LXG 60-69 years, male 11.6
GTEX-1QP29-2326-SM-EXOJO 50-59 years, male 11.6
GTEX-XV7Q-1326-SM-4BRWM 40-49 years, female 11.5
GTEX-PLZ5-1226-SM-EXOHA 50-59 years, male 11.5
GTEX-15RIF-1126-SM-7KUG2 20-29 years, male 11.3
GTEX-11EQ9-1226-SM-5987E 30-39 years, male 11.2
GTEX-13OW6-2526-SM-5IJEC 50-59 years, male 11.2
GTEX-14BIL-1926-SM-73KYI 50-59 years, male 11.2
GTEX-RU1J-0526-SM-46MUT 20-29 years, female 11.2
GTEX-1PIGE-1126-SM-EWRMV 20-29 years, male 11.2
GTEX-1QP67-1026-SM-EVR47 40-49 years, female 11.2
GTEX-S4P3-0726-SM-4AD57 50-59 years, female 11.1
GTEX-13OVI-2426-SM-5KM4J 60-69 years, female 11.0
GTEX-1AX9J-2626-SM-731EK 60-69 years, male 11.0
GTEX-1S831-1126-SM-EWROI 20-29 years, male 11.0
GTEX-WEY5-1226-SM-4LMIQ 40-49 years, female 10.9
GTEX-WH7G-1526-SM-4LVMX 40-49 years, male 10.9
GTEX-17JCI-2226-SM-7LTA1 60-69 years, female 10.8
GTEX-1R7EU-1126-SM-EAZ4M 60-69 years, male 10.7
GTEX-11NUK-2426-SM-5BC4U 50-59 years, male 10.6
GTEX-SNOS-0826-SM-4DM5N 40-49 years, male 10.5
GTEX-T5JC-1926-SM-4DM6Q 20-29 years, male 10.5
GTEX-1IL2V-2026-SM-ARZMA 70-79 years, male 10.4
GTEX-14E1K-1526-SM-664MN 50-59 years, male 10.3
GTEX-QXCU-1926-SM-48FE4 50-59 years, male 10.3
GTEX-1H3NZ-2226-SM-9WYUT 60-69 years, male 10.3
GTEX-1LVAN-2426-SM-CNNPZ 50-59 years, female 10.3
GTEX-132AR-2426-SM-5IFFD 50-59 years, female 10.2
GTEX-11WQK-2626-SM-5EQ4K 50-59 years, male 10.1
GTEX-14DAQ-2826-SM-664MU 60-69 years, female 10.1
GTEX-17MF6-2126-SM-7KFS7 40-49 years, male 10.1
GTEX-O5YV-1926-SM-EV797 60-69 years, female 10.1
GTEX-NFK9-1526-SM-3LK7B 40-49 years, male 10.0
GTEX-12WSK-1426-SM-5CVNN 40-49 years, female 9.8
GTEX-13O3Q-2126-SM-5KM4C 50-59 years, male 9.8
GTEX-1B8L1-1526-SM-79OLK 60-69 years, male 9.8
GTEX-1JMQJ-1326-SM-D4P3B 50-59 years, male 9.8
GTEX-ZE7O-3026-SM-51MS4 50-59 years, female 9.6
GTEX-12WSD-2326-SM-59HKQ 60-69 years, female 9.5
GTEX-145MO-2226-SM-5Q5BN 60-69 years, male 9.5
GTEX-18A7A-2726-SM-7LG6U 50-59 years, female 9.2
GTEX-WFJO-1126-SM-4LVLZ 30-39 years, male 9.1
GTEX-11GSP-2126-SM-5HL5E 60-69 years, female 9.0
GTEX-ZYY3-1726-SM-5EGH3 60-69 years, female 8.9
GTEX-1JMPZ-1826-SM-CXZJT 30-39 years, male 8.8
GTEX-13QJ3-2726-SM-5SI6L 50-59 years, male 8.7
GTEX-1E2YA-2426-SM-7EPIG 50-59 years, male 8.6
GTEX-1E1VI-2826-SM-7MGWU 50-59 years, male 8.3
GTEX-1QMI2-2126-SM-DPRXQ 60-69 years, male 8.3
GTEX-1KD5A-1426-SM-D4P3V 50-59 years, male 8.2
GTEX-11EI6-2426-SM-5PNVS 60-69 years, male 8.1
GTEX-1GMRU-2526-SM-9WG7T 50-59 years, male 8.1
GTEX-1EH9U-2226-SM-7PBXX 60-69 years, male 8.0
GTEX-13S7M-1826-SM-5RQK6 60-69 years, female 7.9
GTEX-13X6J-2126-SM-5TDCV 50-59 years, male 7.9
GTEX-RTLS-2626-SM-46MUJ 60-69 years, female 7.9
GTEX-ZVT3-2126-SM-59HL2 60-69 years, female 7.7
GTEX-1HT8W-2326-SM-A9SLA 30-39 years, male 7.7
GTEX-1RQEC-2126-SM-DPS15 60-69 years, male 7.5
GTEX-1JMLX-2426-SM-CXZJQ 50-59 years, male 7.4
GTEX-1HR9M-2326-SM-CNPPZ 60-69 years, male 7.3
GTEX-1HBPI-0726-SM-9WG7Z 50-59 years, male 7.1
GTEX-13N1W-2026-SM-5K7YU 70-79 years, male 6.9
GTEX-1CB4H-2426-SM-7PBYR 60-69 years, female 6.9
GTEX-1J8EW-2226-SM-AHZ3T 60-69 years, female 6.7
GTEX-139D8-2326-SM-5IFGE 30-39 years, female 6.6
GTEX-1JN1M-2926-SM-CNNPJ 60-69 years, female 6.1
GTEX-1JMPY-0926-SM-ARL92 30-39 years, male 5.7
Show allShow less

Contact

  • NEWS ARTICLES
  • PRESS ROOM

The Project

  • INTRODUCTION
  • ORGANIZATION
  • PUBLICATIONS

The Human Protein Atlas

  • DOWNLOADABLE DATA
  • LICENCE & CITATION
  • HELP & FAQ
The Human Protein Atlas project is funded
by the Knut & Alice Wallenberg Foundation.


contact@proteinatlas.org