We use cookies to enhance the usability of our website. If you continue, we'll assume that you are happy to receive all cookies. More information. Don't show this again.
TMC6
HPA
RESOURCES
  • TISSUE
  • BRAIN
  • SINGLE CELL
  • SUBCELLULAR
  • CANCER
  • BLOOD
  • CELL LINE
  • STRUCTURE & INTERACTION
ABOUT
  • INTRODUCTION
  • HISTORY
  • ORGANIZATION
  • PUBLICATIONS
  • ANTIBODY SUBMISSION
  • ANTIBODY AVAILABILITY
  • ACKNOWLEDGMENTS
  • CONTACT
NEWS
  • NEWS ARTICLES
  • PRESS ROOM
LEARN
  • DICTIONARY
  • PROTEIN CLASSES
  • PROTEIN EVIDENCE
  • METHODS
  • EDUCATIONAL VIDEOS
DATA
  • DOWNLOADABLE DATA
  • PUBLICATION DATA
  • RELEASE HISTORY
HELP
  • ANTIBODY VALIDATION
  • ASSAYS & ANNOTATION
  • DISCLAIMER
  • HELP & FAQ
  • PRIVACY STATEMENT
  • LICENCE & CITATION
Fields »
Search result

Field
Term
Gene name
Class
Subclass
Class
Keyword
Chromosome
External id
Tissue
Cell type
Expression
Antibody panel
Tissue
Main location
Patient ID
Annotation
Tissue
Category
Tau score
Cluster
Reliability
Brain region
Category
Tau score
Brain region
Category
Tau score
Brain region
Category
Tau score
Cluster
Reliability
Tissue
Cell type
Enrichment
Cell type
Category
Tau score
Cell type
Category
Tau score
Cell type
Category
Tau score
Cell lineage
Category
Tau score
Cluster
Cluster
Location
Searches
Location
Cell line
Class
Type
Phase
Reliability
Cancer
Prognosis
Cancer
Category
Cancer
Category
Tau score
Cluster
Variants
Interacting gene (ensg_id)
Type
Number of interactions
Pathway
Category
Score
Score
Score
Validation
Validation
Validation
Validation
Antibodies
Data type
Column


  • SUMMARY

  • TISSUE

  • BRAIN

  • SINGLE CELL

  • SUBCELL

  • CANCER

  • BLOOD

  • CELL LINE

  • STRUCT & INT

  • TMC6
TISSUE PRIMARY DATA SKIN Show tissue menu
ADIPOSE TISSUE ADRENAL GLAND AMYGDALA APPENDIX BASAL GANGLIA BONE MARROW BREAST BRONCHUS CEREBELLUM CEREBRAL CORTEX CERVIX CHOROID PLEXUS COLON DUODENUM
ENDOMETRIUM EPIDIDYMIS ESOPHAGUS FALLOPIAN TUBE GALLBLADDER HEART MUSCLE HIPPOCAMPAL FORMATION HYPOTHALAMUS KIDNEY LIVER LUNG LYMPH NODE MIDBRAIN NASOPHARYNX
ORAL MUCOSA OVARY PANCREAS PARATHYROID GLAND PITUITARY GLAND PLACENTA PROSTATE RECTUM RETINA SALIVARY GLAND SEMINAL VESICLE SKELETAL MUSCLE SKIN SMALL INTESTINE
SMOOTH MUSCLE SOFT TISSUE SPINAL CORD SPLEEN STOMACH TESTIS THYMUS THYROID GLAND TONGUE TONSIL URINARY BLADDER VAGINA
ANTIBODIES
AND
VALIDATION
Dictionary
Skin
Tissue proteome
Skin
SKIN - Expression summary
Protein expression
Skini

On the top, protein expression in current human tissue, based on all annotated cell types, is reported with the units not detected (n), low (l), medium (m) and high (h). Underneath, protein expression in each annotated cell type are reported using the same units.

Protein expression data is based on knowledge-based annotation. For genes where more than one antibody has been used, a collective score is set.

If knowledge-based annotation could not be performed for a gene, no data is displayed here. View antibody staining data further down this page.

h
m
l
n
Epidermal cells: Medium
Fibroblasts: Medium
Keratinocytes: Medium
Langerhans: Medium
Melanocytes: Medium
RNA expressioni

A summary of mRNA expression data available for current tissue based on several datasets. The mRNA expression levels in human tissues are based on RNA-seq data generated by the Human Protein Atlas (HPA), Genotype-Tissue Expression (GTEx) portal and CAGE data generated by the FANTOM5 consortium. Consensus normalized expression levels for human tissues was created by combining the data from HPA and GTEx datasets.

The mRNA expression levels in pig are based on RNA-seq data generated by the Human Protein Atlas (HPA), and for mouse, HPA data and in situ hybridization generated by the Allen brain atlas are reported.

Scroll down to view mRNA expression data in more detail.
Consensus:10.7 nTPM
HPA:6.4 nTPM
GTEx:10.7 nTPM

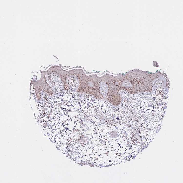
SKIN 1 - Antibody stainingi

Antibody staining in the annotated cell types in the current human tissue is reported as not detected, low, medium, or high, based on conventional immunohistochemistry profiling in selected tissues. This score is based on the combination of the staining intensity and fraction of stained cells.

Each image is clickable and will lead to virtual microscopy that enables deeper exploration of all samples and also displays staining intensity scores, fraction scores and subcellular localization as well as patient and tissue information for each sample.

Antibody HPA051430
Langerhans Medium
Fibroblasts Medium
Keratinocytes Medium
Melanocytes Medium


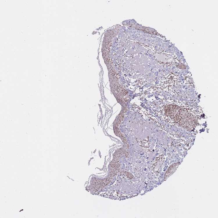
SKIN 2 - Antibody stainingi

Antibody staining in the annotated cell types in the current human tissue is reported as not detected, low, medium, or high, based on conventional immunohistochemistry profiling in selected tissues. This score is based on the combination of the staining intensity and fraction of stained cells.

Each image is clickable and will lead to virtual microscopy that enables deeper exploration of all samples and also displays staining intensity scores, fraction scores and subcellular localization as well as patient and tissue information for each sample.

Antibody HPA051430
Epidermal cells Medium
 
 
 



SKIN - HPA RNA-seqi

The RNA-seq details section shows detailed information about the individual samples used for the transcript profiling and results of the RNA-seq analysis.

Information about each individual sample is listed below, including gender, age, a tissue section image and estimated fractions of cell types. nTPM (normalized transcripts per million) values give a quantification of the gene abundance which is comparable between different genes and samples.
Average nTPMi

Max subtype nTPM is the value for the subtype with the largest average nTPM across the subtype samples.

6.4
overview
Female, age 34
Skin sample 225
nTPM: 2.2
Cell types%
Keratinocytes:
60

Other cell types:
40

overview
Female, age 30
Skin sample 226
nTPM: 1.7
Cell types%
Keratinocytes:
55

Other cell types:
45

N/A
Male, age 57
Skin sample 227
nTPM: 15.2

SKIN - GTEx RNA-seqi

RNA-Seq data generated by the Genotype-Tissue Expression (GTEx) project from human tissues is reported as mean nTPM. More information can be found on the GTEx portal.

Distribution across the dataset is visualized with box plots, shown as median and 25th and 75th percentiles. Points are displayed as outliers if they are above or below 1.5 times the interquartile range. nTPM values of the individual samples are presented next to the box plot.
Max subtype nTPMi

Max subtype nTPM is the value for the subtype with the largest average nTPM across the subtype samples.

10.7
GTEx sample id Sample description nTPM
Skin - Not Sun Exposed (Suprapubic)
Average nTPM: 10.7
Samples: 604

Max nTPM: 28.1
Min nTPM: 4.6
Std nTPM: 3.0
Median nTPM: 10.1
GTEX-11TT1-1826-SM-5EQLV 20-29 years, male 28.1
GTEX-WI4N-2726-SM-3LK7Y 40-49 years, female 23.7
GTEX-11PRG-0726-SM-5EGL1 50-59 years, male 22.8
GTEX-14XAO-1226-SM-6EU1C 60-69 years, female 22.7
GTEX-1QAET-0326-SM-EVR3U 50-59 years, male 21.9
GTEX-144FL-0626-SM-5LU43 50-59 years, male 20.4
GTEX-15G1A-1626-SM-7KUKN 30-39 years, male 20.0
GTEX-14C38-0726-SM-5SI6M 50-59 years, male 19.8
GTEX-111FC-2526-SM-5GZXU 60-69 years, male 18.9
GTEX-15G19-2426-SM-7KUMR 60-69 years, male 18.1
GTEX-132AR-0326-SM-5KM2C 50-59 years, female 18.0
GTEX-1E2YA-2126-SM-7MXUO 50-59 years, male 18.0
GTEX-1F6I4-2326-SM-7RHGL 60-69 years, male 17.6
GTEX-1GZ2Q-0126-SM-9WG6M 40-49 years, male 17.5
GTEX-13OVL-0126-SM-5L3GJ 50-59 years, male 17.2
GTEX-ZUA1-2626-SM-5NQ92 40-49 years, male 17.2
GTEX-11WQC-1826-SM-5GU59 60-69 years, male 17.0
GTEX-WFON-1926-SM-3LK7L 40-49 years, male 17.0
GTEX-WH7G-2026-SM-3NMBL 40-49 years, male 16.9
GTEX-WHSE-0126-SM-3NMBT 20-29 years, male 16.8
GTEX-1H1CY-0126-SM-9YFLY 60-69 years, female 16.8
GTEX-11OF3-0126-SM-5PNYF 60-69 years, male 16.7
GTEX-14PJ4-0226-SM-5YY92 60-69 years, male 16.6
GTEX-1A3MW-0626-SM-731CB 60-69 years, female 16.6
GTEX-ZT9W-1126-SM-57WDR 50-59 years, male 16.5
GTEX-1PIIG-2326-SM-DTXFR 30-39 years, male 16.4
GTEX-1A8G6-2726-SM-731AR 60-69 years, male 16.3
GTEX-ZYFD-0626-SM-5E44E 50-59 years, male 16.3
GTEX-YEC3-1326-SM-DO92X 50-59 years, male 16.1
GTEX-1IKOE-1426-SM-CE6T7 30-39 years, female 16.0
GTEX-11DXZ-2026-SM-5987S 50-59 years, male 15.9
GTEX-14A5H-0826-SM-5QGPJ 60-69 years, male 15.8
GTEX-1192X-2726-SM-5N9DN 50-59 years, male 15.7
GTEX-11DXW-0826-SM-5H118 40-49 years, male 15.7
GTEX-1EN7A-2426-SM-793DB 40-49 years, male 15.7
GTEX-12WSF-1626-SM-7KUG5 70-79 years, male 15.6
GTEX-16YQH-2226-SM-7IGM2 30-39 years, male 15.6
GTEX-1AX8Z-0726-SM-73KTS 60-69 years, male 15.6
GTEX-U8XE-0226-SM-4E3J3 30-39 years, male 15.6
GTEX-X585-2426-SM-46MW2 50-59 years, male 15.6
GTEX-1399Q-2326-SM-5KM2X 40-49 years, male 15.5
GTEX-145MO-2826-SM-5LU96 60-69 years, male 15.5
GTEX-1LVAO-2726-SM-E9TJ8 60-69 years, male 15.5
GTEX-1RMOY-1326-SM-E9TIH 50-59 years, male 15.5
GTEX-16AAH-0626-SM-793C9 50-59 years, male 15.4
GTEX-UPJH-0226-SM-3GADV 50-59 years, male 15.4
GTEX-1HFI6-0126-SM-CNPPI 40-49 years, male 15.3
GTEX-13JUV-2026-SM-5K7UA 40-49 years, female 15.1
GTEX-1F88F-0126-SM-9WYSZ 60-69 years, female 15.1
GTEX-11DYG-1526-SM-5A5JS 60-69 years, male 15.0
GTEX-145MF-0926-SM-5Q5EA 50-59 years, male 15.0
GTEX-1IL2V-1926-SM-B2LW8 70-79 years, male 15.0
GTEX-1RB15-1326-SM-E76Q9 60-69 years, male 15.0
GTEX-1I1GP-1326-SM-A9G28 50-59 years, male 14.9
GTEX-1I1GU-0926-SM-ACKVS 40-49 years, male 14.9
GTEX-ZTSS-1426-SM-5985P 40-49 years, male 14.8
GTEX-1HSMQ-2626-SM-A9SML 50-59 years, male 14.8
GTEX-1QP9N-1226-SM-E76QN 30-39 years, male 14.8
GTEX-139TT-2126-SM-5LZWC 60-69 years, male 14.7
GTEX-14PHY-1226-SM-5ZZWK 60-69 years, female 14.7
GTEX-17F96-0126-SM-7EWDU 70-79 years, male 14.6
GTEX-1AYD5-2626-SM-7PBXY 50-59 years, male 14.6
GTEX-1LSNM-0826-SM-DIPG8 50-59 years, male 14.6
GTEX-VJYA-1526-SM-3GIJV 60-69 years, male 14.5
GTEX-ZYVF-0926-SM-5E44J 50-59 years, female 14.5
GTEX-147GR-2426-SM-5ZZWQ 60-69 years, male 14.4
GTEX-XPVG-2126-SM-4B667 50-59 years, male 14.4
GTEX-ZDXO-3126-SM-5IJDF 60-69 years, male 14.4
GTEX-11WQK-1026-SM-5EQLX 50-59 years, male 14.3
GTEX-145LT-0526-SM-5LUB2 40-49 years, male 14.3
GTEX-1K2DU-1226-SM-CYPT4 20-29 years, male 14.3
GTEX-13NZ9-2626-SM-5L3FK 50-59 years, male 14.2
GTEX-WHPG-2626-SM-3NMBR 50-59 years, male 14.2
GTEX-1R9PN-0426-SM-DTXDT 40-49 years, female 14.2
GTEX-13G51-1826-SM-5KLZH 60-69 years, male 14.1
GTEX-16MT8-2926-SM-7DUFO 60-69 years, female 14.1
GTEX-1AX9J-1326-SM-731BJ 60-69 years, male 14.1
GTEX-1I6K7-1926-SM-B2LXR 40-49 years, male 14.1
GTEX-1JMOU-1026-SM-CYPSS 60-69 years, female 14.1
GTEX-1JN76-0626-SM-CKZOQ 20-29 years, female 14.1
GTEX-13U4I-2226-SM-5LU5H 40-49 years, female 14.0
GTEX-18A7B-2726-SM-7LG56 70-79 years, male 13.9
GTEX-X8HC-0626-SM-4E3HQ 50-59 years, female 13.9
GTEX-ZE9C-2526-SM-5IJDR 60-69 years, male 13.9
GTEX-1PIGE-1826-SM-E8VOU 20-29 years, male 13.9
GTEX-1RAZA-2226-SM-E9U4X 20-29 years, male 13.9
GTEX-1399R-1326-SM-5PNYS 30-39 years, male 13.8
GTEX-XQ3S-1426-SM-4BOPR 20-29 years, male 13.8
GTEX-1OJC3-1226-SM-DTXER 20-29 years, male 13.8
GTEX-13OVH-0526-SM-5L3E6 70-79 years, male 13.7
GTEX-14ABY-2026-SM-62LDL 50-59 years, male 13.7
GTEX-14JG1-1526-SM-5YY9X 40-49 years, male 13.7
GTEX-17JCI-2926-SM-7DUFF 60-69 years, female 13.7
GTEX-18A66-0626-SM-7LT8Z 60-69 years, male 13.7
GTEX-1H1E6-0426-SM-9WYUS 30-39 years, male 13.7
GTEX-13X6J-0626-SM-5LU5F 50-59 years, male 13.6
GTEX-15RJ7-2126-SM-6PAMD 40-49 years, male 13.6
GTEX-Y111-0626-SM-4SOIT 50-59 years, male 13.6
GTEX-ZDTS-0826-SM-4WKHL 60-69 years, male 13.5
GTEX-ZPU1-1126-SM-4YCF3 40-49 years, male 13.5
GTEX-1IOXB-2726-SM-CM2RI 50-59 years, male 13.5
GTEX-12WSJ-1126-SM-5LZVJ 40-49 years, female 13.4
GTEX-14PJO-2526-SM-6AJBQ 60-69 years, male 13.4
GTEX-1I19N-0126-SM-CYPSF 70-79 years, male 13.4
GTEX-1JJEA-1826-SM-ARU8P 60-69 years, male 13.4
GTEX-11P7K-1126-SM-5HL4L 30-39 years, male 13.3
GTEX-ZVTK-0226-SM-51MRG 20-29 years, male 13.3
GTEX-1H23P-0626-SM-9WG6T 60-69 years, male 13.3
GTEX-1I1HK-2326-SM-CKZOH 60-69 years, male 13.3
GTEX-1K2DA-1026-SM-CGQGF 50-59 years, male 13.3
GTEX-12126-0826-SM-5FQTZ 20-29 years, male 13.2
GTEX-13VXU-0626-SM-5L3F9 50-59 years, male 13.2
GTEX-14E6C-2426-SM-5S2NF 40-49 years, male 13.2
GTEX-17HG3-2626-SM-7DUF2 30-39 years, female 13.2
GTEX-183FY-1026-SM-7939A 20-29 years, male 13.2
GTEX-1IY9M-2826-SM-ARU8H 60-69 years, male 13.2
GTEX-1N2DV-1526-SM-DTXEP 40-49 years, male 13.2
GTEX-1QW4Y-1126-SM-DTXE3 30-39 years, male 13.2
GTEX-13FTY-2126-SM-5IFFB 40-49 years, female 13.1
GTEX-XXEK-1626-SM-4BRUZ 50-59 years, male 13.1
GTEX-ZYW4-0626-SM-59HJR 60-69 years, male 13.1
GTEX-1JMLX-0626-SM-ARL8T 50-59 years, male 13.1
GTEX-11EI6-2826-SM-5H11D 60-69 years, male 13.0
GTEX-11O72-0626-SM-5PNYE 40-49 years, male 13.0
GTEX-1B933-2426-SM-7DHMD 50-59 years, female 13.0
GTEX-1BAJH-2426-SM-7IGP8 70-79 years, male 13.0
GTEX-11DXX-2126-SM-5PNYR 60-69 years, female 12.9
GTEX-1212Z-0126-SM-59HK4 60-69 years, male 12.9
GTEX-13O61-1426-SM-5KM3D 60-69 years, male 12.9
GTEX-15RIE-1926-SM-7KUKJ 60-69 years, male 12.9
GTEX-16MT9-0126-SM-7EPI8 60-69 years, female 12.9
GTEX-17EVQ-0126-SM-7IGLR 70-79 years, male 12.9
GTEX-1H3O1-1326-SM-9MQLD 60-69 years, male 12.9
GTEX-1HSMP-0926-SM-A9SKX 70-79 years, male 12.9
GTEX-146FQ-2126-SM-5RQHU 30-39 years, male 12.8
GTEX-WHWD-1826-SM-3LK6I 50-59 years, male 12.8
GTEX-1JN1M-2726-SM-CY8I4 60-69 years, female 12.8
GTEX-11DZ1-2426-SM-5GZZX 50-59 years, male 12.7
GTEX-12BJ1-0926-SM-5EQ62 60-69 years, male 12.7
GTEX-139TS-2126-SM-5K7XC 60-69 years, male 12.7
GTEX-139TU-0726-SM-5L3EK 60-69 years, male 12.7
GTEX-14E6E-0526-SM-793DN 30-39 years, male 12.7
GTEX-X4EP-0626-SM-3P621 60-69 years, female 12.7
GTEX-ZU9S-1826-SM-5NQ9E 30-39 years, male 12.7
GTEX-1GL5R-1326-SM-7RHHF 50-59 years, male 12.7
GTEX-1HT8W-0626-SM-A9G2H 30-39 years, male 12.7
GTEX-Z93S-1626-SM-5CVMB 50-59 years, male 12.6
GTEX-ZYFC-0426-SM-5GICQ 50-59 years, male 12.6
GTEX-1C64N-2626-SM-7PC2N 50-59 years, male 12.6
GTEX-1I6K6-1726-SM-CGQFD 30-39 years, male 12.6
GTEX-1N5O9-0926-SM-E9J3C 60-69 years, male 12.6
GTEX-13FTX-1526-SM-5K7VJ 20-29 years, female 12.5
GTEX-14PKV-1126-SM-6LLJ1 20-29 years, female 12.5
GTEX-WRHU-2826-SM-3MJG8 50-59 years, female 12.5
GTEX-111YS-1526-SM-5GZYW 60-69 years, male 12.4
GTEX-XK95-0226-SM-4AT58 40-49 years, male 12.4
GTEX-1ICG6-1226-SM-A9SLN 70-79 years, female 12.4
GTEX-12ZZX-2426-SM-5GCOE 40-49 years, female 12.3
GTEX-13NYB-0126-SM-5J1MD 40-49 years, male 12.3
GTEX-13PVQ-0626-SM-5LU47 50-59 years, male 12.3
GTEX-15SHW-0226-SM-7LTAT 60-69 years, male 12.3
GTEX-W5X1-2526-SM-3GILC 40-49 years, female 12.3
GTEX-ZYT6-2326-SM-5GZY3 30-39 years, male 12.3
GTEX-1JMQK-1226-SM-D4P2S 60-69 years, male 12.3
GTEX-1EX96-1026-SM-7MKG2 50-59 years, male 12.2
GTEX-WYJK-0526-SM-3NM8Z 50-59 years, male 12.2
GTEX-XV7Q-1826-SM-4BRUV 40-49 years, female 12.2
GTEX-YF7O-1526-SM-5IFI6 50-59 years, male 12.2
GTEX-11NSD-0626-SM-5A5LU 20-29 years, male 12.1
GTEX-1399S-0126-SM-5IJCF 30-39 years, female 12.1
GTEX-13FHO-0426-SM-5L3F5 60-69 years, male 12.1
GTEX-1HCU8-2526-SM-CE6RX 60-69 years, female 12.1
GTEX-1J8EW-2726-SM-CY8HR 60-69 years, female 12.1
GTEX-1K9T9-1526-SM-DIPFR 50-59 years, female 12.1
GTEX-1O9I2-0226-SM-EYYXD 50-59 years, male 12.1
GTEX-16GPK-0626-SM-7KFSF 60-69 years, male 12.0
GTEX-XBEC-0726-SM-4QARZ 50-59 years, male 12.0
GTEX-Y5LM-0926-SM-6LLJG 40-49 years, female 12.0
GTEX-11P82-1426-SM-DTXFY 20-29 years, male 12.0
GTEX-1IDJD-2326-SM-ACKWX 30-39 years, male 12.0
GTEX-11VI4-1126-SM-5EQMD 40-49 years, female 11.9
GTEX-13OVJ-0826-SM-5J1OK 50-59 years, female 11.9
GTEX-13OW8-1026-SM-5J1NQ 60-69 years, male 11.9
GTEX-144GO-2026-SM-5O99P 60-69 years, male 11.9
GTEX-YEC4-1826-SM-4W1YP 40-49 years, male 11.9
GTEX-ZVP2-0326-SM-57WBP 50-59 years, male 11.9
GTEX-1GMR2-0826-SM-7PC3V 50-59 years, male 11.9
GTEX-1211K-1526-SM-5FQU4 60-69 years, female 11.8
GTEX-1B8KE-1126-SM-7EPHI 50-59 years, male 11.8
GTEX-WK11-2726-SM-3NMAQ 50-59 years, male 11.8
GTEX-1J8JJ-0626-SM-ARZMQ 60-69 years, female 11.8
GTEX-15CHR-1126-SM-7EWF4 50-59 years, male 11.7
GTEX-1CB4I-0126-SM-7RHGG 50-59 years, male 11.7
GTEX-1N2EE-0626-SM-E76PW 60-69 years, male 11.7
GTEX-1RAZS-2526-SM-E6CHT 50-59 years, male 11.7
GTEX-13FTW-0326-SM-5K7UW 40-49 years, male 11.6
GTEX-13NYS-0626-SM-5L3F1 60-69 years, male 11.6
GTEX-14E1K-2026-SM-7DUEI 50-59 years, male 11.6
GTEX-17HHY-0426-SM-7DHLC 50-59 years, male 11.6
GTEX-1EH9U-2826-SM-7DUGT 60-69 years, male 11.6
GTEX-VUSG-2326-SM-4KL1U 50-59 years, male 11.6
GTEX-WFG8-2126-SM-3GIKQ 20-29 years, male 11.6
GTEX-YECK-0326-SM-4W1YS 60-69 years, male 11.6
GTEX-1GN1W-2426-SM-9KNUU 50-59 years, female 11.6
GTEX-1HC8U-1326-SM-9YFMJ 40-49 years, female 11.6
GTEX-1JN6P-2926-SM-CL54D 60-69 years, male 11.6
GTEX-1KANC-1226-SM-CYPT7 50-59 years, female 11.6
GTEX-1R9K4-2826-SM-DTX8F 60-69 years, male 11.6
GTEX-12WSA-0426-SM-5EQ5X 60-69 years, male 11.5
GTEX-13D11-0926-SM-5J2NC 50-59 years, female 11.5
GTEX-14BIN-1126-SM-5RQJZ 50-59 years, female 11.5
GTEX-178AV-1726-SM-7KUL8 40-49 years, male 11.5
GTEX-1KAFJ-0126-SM-DIPEK 50-59 years, male 11.5
GTEX-139YR-1026-SM-5LZYN 50-59 years, male 11.4
GTEX-17HGU-2326-SM-7DUFE 50-59 years, male 11.4
GTEX-18A6Q-0626-SM-7KFRP 60-69 years, male 11.4
GTEX-1H1DG-2426-SM-9QEHJ 70-79 years, male 11.4
GTEX-1PPH8-0126-SM-EWRN8 20-29 years, male 11.4
GTEX-13OVG-1626-SM-5J1NF 60-69 years, male 11.3
GTEX-147F4-0726-SM-5TDDD 50-59 years, male 11.3
GTEX-1CB4E-0926-SM-7EPHT 60-69 years, male 11.3
GTEX-ZDYS-2426-SM-4WKGI 50-59 years, male 11.3
GTEX-1H1ZS-2726-SM-9WG75 70-79 years, male 11.3
GTEX-1HBPI-2126-SM-ARL9K 50-59 years, male 11.3
GTEX-1JMPZ-0726-SM-CY8HZ 30-39 years, male 11.3
GTEX-1LKK1-2626-SM-DKPQE 50-59 years, female 11.3
GTEX-1LSNL-2726-SM-E9TKJ 50-59 years, male 11.3
GTEX-1QEPI-2626-SM-DTXF4 60-69 years, female 11.3
GTEX-1117F-2926-SM-5GZYI 60-69 years, female 11.2
GTEX-12WSC-2826-SM-5BC5Y 50-59 years, male 11.2
GTEX-12ZZY-0726-SM-5EQ66 60-69 years, male 11.2
GTEX-13OW7-0426-SM-5K7VK 50-59 years, male 11.2
GTEX-183WM-0326-SM-72D5V 70-79 years, female 11.2
GTEX-ZY6K-1426-SM-5GZX2 50-59 years, male 11.2
GTEX-1IDJC-1526-SM-B2LW4 50-59 years, male 11.2
GTEX-1LSVX-2526-SM-DIPEU 60-69 years, male 11.2
GTEX-1QP66-1226-SM-DTX7U 50-59 years, male 11.2
GTEX-1R9PM-1926-SM-EVR3O 20-29 years, male 11.2
GTEX-11UD2-2526-SM-5CVNU 50-59 years, male 11.1
GTEX-16NGA-0726-SM-731AO 40-49 years, female 11.1
GTEX-1AX9I-2226-SM-73KUO 60-69 years, male 11.1
GTEX-Y5V6-2326-SM-4VDSA 60-69 years, male 11.1
GTEX-ZC5H-1526-SM-5HL9Y 40-49 years, female 11.1
GTEX-1LVA9-2626-SM-EVYD4 50-59 years, male 11.1
GTEX-131XH-0126-SM-5LZUY 50-59 years, male 11.0
GTEX-14C5O-0326-SM-5ZZUX 60-69 years, male 11.0
GTEX-16NPX-0726-SM-7KULC 50-59 years, male 11.0
GTEX-XBED-1926-SM-47JYP 60-69 years, male 11.0
GTEX-ZAJG-1526-SM-5CVML 50-59 years, female 11.0
GTEX-1QP28-1126-SM-EVYC4 50-59 years, female 11.0
GTEX-11TUW-0626-SM-5LU9M 60-69 years, male 10.9
GTEX-13SLX-2226-SM-62LEP 50-59 years, female 10.9
GTEX-16Z82-2626-SM-7KULU 60-69 years, male 10.9
GTEX-1E1VI-0326-SM-793D1 50-59 years, male 10.9
GTEX-XYKS-1426-SM-4BRUO 60-69 years, female 10.9
GTEX-1J1R8-2026-SM-CL53Y 40-49 years, male 10.9
GTEX-13113-1626-SM-5EQ4I 60-69 years, female 10.8
GTEX-13FH7-1126-SM-5K7UG 50-59 years, female 10.8
GTEX-13RTJ-0126-SM-5S2NN 60-69 years, male 10.8
GTEX-145MG-1526-SM-5Q5EM 50-59 years, male 10.8
GTEX-15FZZ-0526-SM-7KUGD 30-39 years, female 10.8
GTEX-Y8E4-2026-SM-5IFJB 40-49 years, male 10.8
GTEX-1KANB-2826-SM-CY8I6 50-59 years, male 10.8
GTEX-13N11-2326-SM-5IJBF 50-59 years, female 10.7
GTEX-1B932-2326-SM-79OL5 40-49 years, female 10.7
GTEX-Y114-2126-SM-4TT8B 50-59 years, female 10.7
GTEX-ZZ64-1026-SM-5GZXG 20-29 years, male 10.7
GTEX-1EMGI-2326-SM-7PBYA 60-69 years, male 10.7
GTEX-1J1OQ-0126-SM-D4P2N 40-49 years, female 10.7
GTEX-1CAV2-0126-SM-7IGN7 40-49 years, female 10.6
GTEX-ZDTT-0426-SM-4WKFL 60-69 years, male 10.6
GTEX-1JMQL-2226-SM-CNPP4 50-59 years, female 10.6
GTEX-1PPGY-1626-SM-EVYBL 60-69 years, male 10.6
GTEX-144GL-0626-SM-5LU4D 50-59 years, male 10.5
GTEX-1A8FM-0626-SM-7PC25 50-59 years, female 10.5
GTEX-1GMR3-0126-SM-A9SLW 40-49 years, male 10.5
GTEX-1IE54-1126-SM-A9G2Z 40-49 years, female 10.5
GTEX-1J8Q3-0526-SM-ARL8U 60-69 years, male 10.5
GTEX-1JKYN-0826-SM-ARU8S 30-39 years, male 10.5
GTEX-1LBAC-0826-SM-CY8IJ 20-29 years, male 10.5
GTEX-1LVAN-0626-SM-CNPOQ 50-59 years, female 10.5
GTEX-12WSD-0626-SM-5GCMW 60-69 years, female 10.4
GTEX-13O3Q-0126-SM-5KM34 50-59 years, male 10.4
GTEX-13PVR-0426-SM-5RQK2 60-69 years, female 10.4
GTEX-15CHQ-0326-SM-69LQD 60-69 years, male 10.4
GTEX-17KNJ-2126-SM-718AM 50-59 years, male 10.4
GTEX-ZF2S-1626-SM-57WES 50-59 years, female 10.4
GTEX-1GZHY-0626-SM-9KNVC 50-59 years, female 10.4
GTEX-133LE-2326-SM-5K7W3 20-29 years, female 10.3
GTEX-WFG7-2026-SM-5SI7P 20-29 years, male 10.3
GTEX-1F75A-0726-SM-7RHHD 50-59 years, male 10.3
GTEX-1H1DE-1326-SM-9KNUG 20-29 years, male 10.3
GTEX-11ZU8-0126-SM-5EQ58 60-69 years, male 10.2
GTEX-12696-0126-SM-5EQ4L 60-69 years, male 10.2
GTEX-ZLWG-0826-SM-59888 50-59 years, female 10.2
GTEX-ZWKS-0626-SM-5GIDV 30-39 years, male 10.2
GTEX-1H3NZ-2726-SM-9WYTQ 60-69 years, male 10.2
GTEX-1HBPM-0726-SM-9YFL7 60-69 years, female 10.2
GTEX-1I1CD-0626-SM-CE6SW 60-69 years, female 10.2
GTEX-1JMPY-0226-SM-CKZOK 30-39 years, male 10.2
GTEX-1KD5A-0126-SM-E9U54 50-59 years, male 10.2
GTEX-11GS4-0226-SM-5HL77 60-69 years, male 10.1
GTEX-13N1W-2426-SM-5IJD1 70-79 years, male 10.1
GTEX-145MN-1526-SM-5SI9T 30-39 years, male 10.1
GTEX-14AS3-1526-SM-5Q5ED 40-49 years, female 10.1
GTEX-ZTTD-2826-SM-4YCFA 50-59 years, male 10.1
GTEX-1A3MX-2626-SM-7PC24 60-69 years, male 10.1
GTEX-1H1DF-1126-SM-9WG7G 40-49 years, female 10.1
GTEX-11DXY-0126-SM-5H11Q 60-69 years, male 10.0
GTEX-13X6I-1826-SM-5SIAO 60-69 years, male 10.0
GTEX-14LZ3-0126-SM-69LPM 60-69 years, female 10.0
GTEX-14PHX-2226-SM-6EU2P 50-59 years, male 10.0
GTEX-X3Y1-2026-SM-3P5YM 40-49 years, male 10.0
GTEX-ZVE1-0726-SM-51MRN 50-59 years, female 10.0
GTEX-14JG6-1426-SM-9WG7C 30-39 years, female 10.0
GTEX-1IDFM-0326-SM-ARL7V 60-69 years, male 10.0
GTEX-1IDJE-1426-SM-ADEIW 50-59 years, female 10.0
GTEX-1JJE9-2626-SM-ARZMT 70-79 years, male 10.0
GTEX-1KANA-1326-SM-DIPFA 20-29 years, male 10.0
GTEX-131XG-0326-SM-5L3DX 50-59 years, female 9.9
GTEX-145LU-1926-SM-79OJN 50-59 years, male 9.9
GTEX-X4EO-2926-SM-4E3JH 60-69 years, female 9.9
GTEX-XAJ8-1426-SM-47JYM 40-49 years, male 9.9
GTEX-1C64O-1326-SM-7MGWR 60-69 years, male 9.9
GTEX-1GF9U-2026-SM-7SB92 40-49 years, female 9.9
GTEX-1ICLY-0826-SM-CMKG1 50-59 years, male 9.9
GTEX-1LGRB-0926-SM-COH3K 50-59 years, female 9.9
GTEX-1QCLZ-2426-SM-EVYBW 60-69 years, female 9.9
GTEX-ZF3C-0626-SM-DO92O 50-59 years, female 9.9
GTEX-117YX-1926-SM-5GIEC 50-59 years, male 9.8
GTEX-11LCK-2226-SM-5HL4Q 30-39 years, male 9.8
GTEX-14BMV-2826-SM-5TDED 50-59 years, male 9.8
GTEX-15RJE-2826-SM-7KUM9 40-49 years, male 9.8
GTEX-16XZZ-0726-SM-7KUF2 60-69 years, male 9.8
GTEX-18465-2826-SM-7LT9J 50-59 years, male 9.8
GTEX-1F6IF-0926-SM-7SB7M 60-69 years, male 9.8
GTEX-1GN1V-2826-SM-9JGIA 60-69 years, male 9.8
GTEX-1I4MK-0126-SM-CY8G6 50-59 years, female 9.8
GTEX-1M4P7-0726-SM-E6CJ3 60-69 years, male 9.8
GTEX-13112-0126-SM-5P9IU 50-59 years, male 9.7
GTEX-13JVG-0726-SM-5KM16 60-69 years, male 9.7
GTEX-13OW6-2726-SM-5J2OE 50-59 years, male 9.7
GTEX-14LLW-2626-SM-62LDZ 70-79 years, female 9.7
GTEX-17F97-2626-SM-7IGM5 50-59 years, male 9.7
GTEX-17MFQ-1526-SM-7KFRR 20-29 years, male 9.7
GTEX-1GZ4I-2626-SM-9KNU3 50-59 years, male 9.7
GTEX-1H2FU-0926-SM-9WPPT 60-69 years, female 9.7
GTEX-1HCVE-2726-SM-CL54F 50-59 years, male 9.7
GTEX-1IDJI-0126-SM-CMKHS 50-59 years, female 9.7
GTEX-1L5NE-1126-SM-D3L9P 50-59 years, male 9.7
GTEX-1477Z-0326-SM-7IGLA 60-69 years, male 9.6
GTEX-17EVP-2626-SM-7IGMA 40-49 years, male 9.6
GTEX-17HII-1426-SM-7EPGG 50-59 years, male 9.6
GTEX-1EKGG-0626-SM-7DUGJ 60-69 years, male 9.6
GTEX-ZAK1-0626-SM-5HL8E 50-59 years, female 9.6
GTEX-1F48J-0726-SM-7RHGS 50-59 years, female 9.6
GTEX-1GN73-0726-SM-7P8TJ 60-69 years, male 9.6
GTEX-1HGF4-0126-SM-CNPPX 60-69 years, male 9.6
GTEX-11EQ9-1626-SM-5PNY8 30-39 years, male 9.5
GTEX-1EU9M-1426-SM-793AI 60-69 years, male 9.5
GTEX-1GPI6-1926-SM-9KNV7 60-69 years, male 9.5
GTEX-1NV5F-0626-SM-DTXEG 60-69 years, female 9.5
GTEX-1PPH7-1126-SM-DTX9A 40-49 years, male 9.5
GTEX-139T8-0626-SM-5KLZX 60-69 years, male 9.4
GTEX-14PJ5-1526-SM-6LLIL 60-69 years, female 9.4
GTEX-ZP4G-1426-SM-4WWCL 20-29 years, female 9.4
GTEX-ZT9X-1526-SM-5DUXD 40-49 years, male 9.4
GTEX-1C6VR-0126-SM-7RHGB 60-69 years, male 9.4
GTEX-1HB9E-0126-SM-CM2S5 50-59 years, male 9.4
GTEX-1HBPN-0126-SM-CGQEF 50-59 years, male 9.4
GTEX-1JMQI-1726-SM-ARL93 50-59 years, male 9.4
GTEX-1LG7Z-1626-SM-CXKYR 30-39 years, male 9.4
GTEX-11ZUS-2626-SM-5FQUR 30-39 years, male 9.3
GTEX-14BMU-1226-SM-5S2OR 20-29 years, female 9.3
GTEX-18QFQ-1826-SM-72D52 30-39 years, male 9.3
GTEX-1AMEY-0826-SM-72D65 30-39 years, female 9.3
GTEX-1EWIQ-0326-SM-7DHMQ 70-79 years, female 9.3
GTEX-ZTX8-1326-SM-4YCEL 20-29 years, male 9.3
GTEX-ZVZP-1226-SM-5GID7 50-59 years, male 9.3
GTEX-ZYFG-1526-SM-5GZYM 60-69 years, female 9.3
GTEX-18D9A-1426-SM-7LT8M 30-39 years, female 9.3
GTEX-1GF9V-0826-SM-9KNUV 60-69 years, male 9.3
GTEX-1IDJU-1726-SM-CMKHU 60-69 years, female 9.3
GTEX-12584-0726-SM-5FQTK 40-49 years, male 9.2
GTEX-17F9E-2326-SM-79OKD 50-59 years, male 9.2
GTEX-1C2JI-1026-SM-73KY1 50-59 years, male 9.2
GTEX-XMD2-2126-SM-4YCF8 60-69 years, female 9.2
GTEX-Y3I4-1726-SM-4TT89 50-59 years, male 9.2
GTEX-1HSMO-0626-SM-ACKXC 60-69 years, male 9.2
GTEX-1J8QM-2426-SM-A9SLS 60-69 years, female 9.2
GTEX-1POEN-2326-SM-E9J2L 30-39 years, female 9.2
GTEX-1RAZR-2126-SM-E9U6T 40-49 years, male 9.2
GTEX-ZPIC-0526-SM-DO91W 40-49 years, female 9.2
GTEX-14PJ3-1126-SM-5ZZVX 50-59 years, male 9.1
GTEX-WHSB-1326-SM-3LK6W 50-59 years, male 9.1
GTEX-XOT4-0626-SM-4B66L 60-69 years, female 9.1
GTEX-YJ8O-2526-SM-5HL85 40-49 years, female 9.1
GTEX-1F5PK-2226-SM-7SB6N 50-59 years, male 9.1
GTEX-1HUB1-1426-SM-CGQF5 60-69 years, male 9.1
GTEX-1JMQJ-0826-SM-CNPP7 50-59 years, male 9.1
GTEX-1NSGN-0726-SM-DTXEF 50-59 years, male 9.1
GTEX-1QCLY-0226-SM-EWRNH 30-39 years, male 9.1
GTEX-131XW-0626-SM-5PNVD 50-59 years, female 9.0
GTEX-145MH-2826-SM-5RQJF 50-59 years, male 9.0
GTEX-16BQI-1326-SM-6M486 30-39 years, female 9.0
GTEX-16MTA-0926-SM-6M47Z 50-59 years, male 9.0
GTEX-1B8SF-0126-SM-7DUG3 60-69 years, male 9.0
GTEX-1B97I-0626-SM-73KUZ 40-49 years, male 9.0
GTEX-Y5V5-0126-SM-5S2NW 60-69 years, female 9.0
GTEX-1HCU7-0726-SM-A9SL1 50-59 years, male 9.0
GTEX-1IDJH-0126-SM-D3L92 70-79 years, male 9.0
GTEX-1MCC2-1826-SM-DIPEX 30-39 years, female 9.0
GTEX-12KS4-2126-SM-5FQUT 30-39 years, male 8.9
GTEX-14PK6-0226-SM-62LF5 70-79 years, female 8.9
GTEX-1B996-0426-SM-7EWF8 60-69 years, male 8.9
GTEX-111VG-1626-SM-5EGIO 60-69 years, male 8.8
GTEX-139D8-1126-SM-5LU8W 30-39 years, female 8.8
GTEX-13NYC-0126-SM-5L3F4 60-69 years, male 8.8
GTEX-13QBU-1226-SM-5LU4G 40-49 years, female 8.8
GTEX-144GM-0526-SM-79OJO 20-29 years, male 8.8
GTEX-1GTWX-2026-SM-9YFLM 60-69 years, male 8.8
GTEX-1HFI7-2326-SM-CGQFS 50-59 years, female 8.8
GTEX-1LG7Y-2526-SM-EWRO7 50-59 years, male 8.8
GTEX-1S83E-1326-SM-E6CJM 40-49 years, male 8.8
GTEX-15D1Q-2826-SM-6LLH7 40-49 years, male 8.7
GTEX-18D9B-0926-SM-7LG4U 60-69 years, male 8.7
GTEX-WY7C-2126-SM-3NB2R 50-59 years, male 8.7
GTEX-Y3IK-1626-SM-4YCF5 50-59 years, female 8.7
GTEX-1CAMS-2226-SM-7PBXQ 40-49 years, female 8.7
GTEX-1HSGN-0826-SM-ACKW3 40-49 years, female 8.7
GTEX-1ICLZ-0326-SM-ARL82 60-69 years, male 8.7
GTEX-1IDJV-0126-SM-COH3Y 60-69 years, male 8.7
GTEX-1OJC4-2726-SM-E76PJ 50-59 years, female 8.7
GTEX-1S3DN-2126-SM-E9TIN 50-59 years, male 8.7
GTEX-1399U-1126-SM-5L3DB 50-59 years, female 8.6
GTEX-13FLV-0126-SM-5K7WT 50-59 years, male 8.6
GTEX-13IVO-0726-SM-5LZYV 70-79 years, male 8.6
GTEX-13N2G-0226-SM-5K7VF 60-69 years, male 8.6
GTEX-13X6H-0926-SM-5SIB2 50-59 years, female 8.6
GTEX-17F98-1326-SM-7DUEP 40-49 years, female 8.6
GTEX-1CB4F-1026-SM-7DUH1 60-69 years, male 8.6
GTEX-WYVS-1626-SM-3NM9R 40-49 years, female 8.6
GTEX-XUW1-0926-SM-4BONX 50-59 years, female 8.6
GTEX-1CAMQ-1326-SM-7P8RV 40-49 years, male 8.6
GTEX-1GN1U-0626-SM-9MQL9 50-59 years, female 8.6
GTEX-1GN2E-0226-SM-9WG6K 60-69 years, male 8.6
GTEX-1H3VE-0726-SM-9YFL5 40-49 years, male 8.6
GTEX-1IDJF-2026-SM-CL53V 20-29 years, male 8.6
GTEX-1J8Q2-2626-SM-ACKWQ 60-69 years, male 8.6
GTEX-1LGOU-1326-SM-D3L8M 20-29 years, female 8.6
GTEX-1R46S-2426-SM-E76QA 60-69 years, female 8.6
GTEX-11GSP-2326-SM-5HL63 60-69 years, female 8.5
GTEX-1313W-0626-SM-5EQ4H 50-59 years, female 8.5
GTEX-131YS-2826-SM-5EQ47 60-69 years, female 8.5
GTEX-ZXG5-2126-SM-59HKD 60-69 years, male 8.5
GTEX-1I1GS-2626-SM-B2LY3 60-69 years, male 8.5
GTEX-11NUK-2726-SM-5A5MC 50-59 years, male 8.4
GTEX-147F3-1726-SM-5SIAW 50-59 years, female 8.4
GTEX-15RIG-0726-SM-7KUM7 40-49 years, male 8.4
GTEX-1F52S-2926-SM-7MKGA 60-69 years, female 8.4
GTEX-1HR98-2226-SM-ADEI2 60-69 years, male 8.4
GTEX-1A32A-0626-SM-731AQ 50-59 years, female 8.3
GTEX-WXYG-2026-SM-4E3IY 50-59 years, female 8.3
GTEX-X5EB-1926-SM-4E3IW 40-49 years, male 8.3
GTEX-YB5K-2026-SM-4VDT3 40-49 years, female 8.3
GTEX-12WSL-2026-SM-5GCML 50-59 years, male 8.2
GTEX-13OVK-1426-SM-6PAN7 40-49 years, male 8.2
GTEX-15DDE-2926-SM-6LLJ3 50-59 years, female 8.2
GTEX-1B8KZ-0326-SM-73KY4 50-59 years, male 8.2
GTEX-Y8LW-1526-SM-5IFHL 50-59 years, female 8.2
GTEX-ZAB4-2126-SM-5HL8U 40-49 years, male 8.2
GTEX-ZPCL-1126-SM-4WWFE 60-69 years, female 8.2
GTEX-ZVE2-2826-SM-5GU51 50-59 years, male 8.2
GTEX-1B8L1-2226-SM-7P8PT 60-69 years, male 8.2
GTEX-1HKZK-0726-SM-ACKW2 40-49 years, male 8.2
GTEX-1JKYR-0626-SM-ARL8R 20-29 years, male 8.2
GTEX-1QPFJ-1926-SM-EVYBD 30-39 years, female 8.2
GTEX-11EM3-1226-SM-5N9DD 20-29 years, female 8.1
GTEX-1314G-1326-SM-5BC6E 30-39 years, male 8.1
GTEX-14DAQ-0626-SM-793DS 60-69 years, female 8.1
GTEX-15DYW-2726-SM-6EU2I 60-69 years, female 8.1
GTEX-1C6VQ-1226-SM-73KYD 50-59 years, male 8.1
GTEX-14JFF-0626-SM-5ZZVT 60-69 years, male 8.1
GTEX-1GPI7-1826-SM-9KNU1 20-29 years, male 8.1
GTEX-1HCU6-2526-SM-ADEHL 60-69 years, female 8.1
GTEX-1HR9M-2226-SM-CNPPY 60-69 years, male 8.1
GTEX-1I1GT-1026-SM-ARZLV 60-69 years, female 8.1
GTEX-1269C-0126-SM-5EQ5L 60-69 years, female 8.0
GTEX-13VXT-1926-SM-5K7UO 20-29 years, female 8.0
GTEX-14PJ2-0626-SM-6LLII 50-59 years, male 8.0
GTEX-ZA64-1026-SM-5HL8R 20-29 years, male 8.0
GTEX-ZE7O-2726-SM-51MT5 50-59 years, female 8.0
GTEX-1CAMR-1326-SM-7PC1F 20-29 years, male 8.0
GTEX-1F75I-2226-SM-7SB8U 40-49 years, male 8.0
GTEX-1GZ4H-0526-SM-9KNU9 50-59 years, female 8.0
GTEX-1KXAM-1626-SM-D3LAD 60-69 years, male 8.0
GTEX-1LB8K-0726-SM-D5OV2 50-59 years, male 8.0
GTEX-1S831-1826-SM-EWROF 20-29 years, male 8.0
GTEX-14A6H-2026-SM-5Q5DD 30-39 years, male 7.9
GTEX-14B4R-1326-SM-5Q5EZ 30-39 years, male 7.9
GTEX-15EO6-2426-SM-6PALZ 50-59 years, male 7.9
GTEX-15EU6-2226-SM-6EU2L 50-59 years, male 7.9
GTEX-18A67-1626-SM-7LT9T 50-59 years, male 7.9
GTEX-YFCO-1226-SM-5LUAT 40-49 years, male 7.9
GTEX-1HCUA-0826-SM-ADEHM 50-59 years, female 7.9
GTEX-1LVAM-0726-SM-E6CIL 50-59 years, female 7.9
GTEX-1MCYP-0526-SM-E9U6Q 20-29 years, female 7.9
GTEX-14PJ6-2626-SM-6EU2T 60-69 years, female 7.8
GTEX-V1D1-2026-SM-3GAF4 50-59 years, male 7.8
GTEX-ZZPU-0826-SM-5GZX5 50-59 years, female 7.8
GTEX-1F75B-0726-SM-7PC3R 50-59 years, male 7.8
GTEX-1F75W-2726-SM-7SB8H 60-69 years, male 7.8
GTEX-1PDJ9-1226-SM-EXUSX 20-29 years, male 7.8
GTEX-1RAZQ-1326-SM-E9TK6 30-39 years, male 7.8
GTEX-1S5ZU-2526-SM-E6CIF 20-29 years, female 7.8
GTEX-1S82U-1026-SM-E6CJK 30-39 years, female 7.8
GTEX-111CU-1126-SM-5EGIM 50-59 years, male 7.7
GTEX-147JS-0226-SM-5S2U9 60-69 years, male 7.7
GTEX-1A8G7-1326-SM-73KVM 60-69 years, male 7.7
GTEX-Y9LG-1126-SM-4VBQ7 30-39 years, male 7.7
GTEX-1H4P4-2126-SM-9WYSL 50-59 years, male 7.7
GTEX-1QMI2-2526-SM-E8VNZ 60-69 years, male 7.7
GTEX-1RLM8-2926-SM-E8VON 50-59 years, male 7.7
GTEX-12WSM-1926-SM-5BC65 60-69 years, male 7.6
GTEX-148VJ-0626-SM-5LUAW 70-79 years, male 7.6
GTEX-17HHE-1326-SM-7EWDZ 50-59 years, male 7.6
GTEX-18A7A-0126-SM-731AH 50-59 years, female 7.6
GTEX-1F5PL-0926-SM-7PC2W 40-49 years, female 7.6
GTEX-1GMRU-2126-SM-7P8RA 50-59 years, male 7.6
GTEX-1KWVE-1026-SM-D3L9O 30-39 years, male 7.6
GTEX-13O3O-2326-SM-5IJD6 60-69 years, female 7.5
GTEX-145LS-0626-SM-7EPG7 60-69 years, female 7.5
GTEX-14PII-0726-SM-6EU2B 60-69 years, male 7.5
GTEX-WEY5-2326-SM-3GIKK 40-49 years, female 7.5
GTEX-ZF29-0926-SM-4WKFZ 60-69 years, female 7.5
GTEX-1MJK3-0726-SM-E6CJC 20-29 years, male 7.5
GTEX-1HCU9-0426-SM-9WYSD 20-29 years, male 7.4
GTEX-15SKB-2826-SM-6PAMH 60-69 years, male 7.3
GTEX-17MF6-2626-SM-79OKQ 40-49 years, male 7.3
GTEX-1HSKV-1226-SM-ADEI4 60-69 years, male 7.3
GTEX-1JK1U-0226-SM-ARZMX 60-69 years, male 7.3
GTEX-12C56-1526-SM-5FQUQ 20-29 years, male 7.2
GTEX-12ZZZ-0726-SM-5GCNZ 60-69 years, male 7.2
GTEX-13SLW-0626-SM-5Q5ER 70-79 years, male 7.2
GTEX-13W3W-0726-SM-5IJDQ 60-69 years, female 7.2
GTEX-14ICL-1626-SM-5YYAO 30-39 years, male 7.2
GTEX-15UF6-1926-SM-7KUDV 70-79 years, female 7.1
GTEX-18D9U-0126-SM-731BM 40-49 years, male 7.1
GTEX-ZLFU-1826-SM-4WWBV 40-49 years, male 7.1
GTEX-1S82P-2126-SM-E6CI5 60-69 years, female 7.1
GTEX-11P81-2226-SM-5PNYI 30-39 years, female 7.0
GTEX-15CHC-1126-SM-6LLHQ 60-69 years, female 7.0
GTEX-UPK5-0426-SM-3GAEK 40-49 years, male 7.0
GTEX-ZVT4-2426-SM-5GIEI 50-59 years, female 7.0
GTEX-ZGAY-1826-SM-DO91Q 40-49 years, female 7.0
GTEX-131XF-2626-SM-5EQ6K 60-69 years, male 6.9
GTEX-13OW5-2326-SM-5L3HO 60-69 years, male 6.9
GTEX-ZYY3-2926-SM-5GIEB 60-69 years, female 6.9
GTEX-1GMR8-0626-SM-7RHI7 50-59 years, female 6.9
GTEX-1H11D-1826-SM-9QEHM 40-49 years, male 6.9
GTEX-1R7EU-1626-SM-DTXG3 60-69 years, male 6.9
GTEX-145MI-0626-SM-5SI8S 60-69 years, female 6.8
GTEX-14753-0726-SM-5QGQO 60-69 years, male 6.8
GTEX-1A3MV-1826-SM-731CD 30-39 years, male 6.8
GTEX-XBEW-1126-SM-4QARW 40-49 years, male 6.8
GTEX-1GF9W-1426-SM-7PBYM 60-69 years, male 6.8
GTEX-1IKJJ-2226-SM-CJI4C 60-69 years, male 6.8
GTEX-14PJN-1826-SM-6AJ98 30-39 years, male 6.7
GTEX-1C6WA-2626-SM-7MKGM 60-69 years, male 6.7
GTEX-1I1GV-0626-SM-ARL7M 60-69 years, male 6.7
GTEX-1JJ6O-2726-SM-CNPOG 60-69 years, male 6.7
GTEX-14C39-1726-SM-5RQIL 40-49 years, male 6.6
GTEX-11EQ8-0926-SM-5H12V 60-69 years, male 6.5
GTEX-139UW-0326-SM-5J1ML 60-69 years, male 6.5
GTEX-WYBS-0626-SM-3NMAS 60-69 years, female 6.5
GTEX-1C475-1326-SM-7SB73 40-49 years, female 6.5
GTEX-1CB4H-1126-SM-7MKGL 60-69 years, female 6.4
GTEX-1GF9X-1326-SM-7PC2Y 40-49 years, female 6.4
GTEX-1122O-1026-SM-9WYSF 60-69 years, female 6.3
GTEX-13X6K-0626-SM-5LU5D 60-69 years, female 6.2
GTEX-1CB4J-1326-SM-7P8RX 60-69 years, male 6.2
GTEX-13YAN-0226-SM-5TDC6 60-69 years, male 6.1
GTEX-ZVT2-0126-SM-5GIDQ 50-59 years, female 6.1
GTEX-145ME-1726-SM-5Q5EU 40-49 years, female 6.0
GTEX-17F9Y-0126-SM-79OKX 70-79 years, female 6.0
GTEX-1PBJJ-1026-SM-E76OS 30-39 years, male 6.0
GTEX-12WSK-2126-SM-5CVNC 40-49 years, female 5.9
GTEX-13QJC-0126-SM-5ZZWJ 60-69 years, female 5.9
GTEX-14DAR-1226-SM-73KYV 50-59 years, male 5.9
GTEX-ZLV1-1526-SM-DO91J 60-69 years, female 5.9
GTEX-1F6RS-2026-SM-7RHHC 60-69 years, female 5.7
GTEX-12WSH-1526-SM-5BC5W 50-59 years, male 5.6
GTEX-1F88E-1626-SM-7SB8Z 60-69 years, female 5.6
GTEX-15ER7-0626-SM-6PANF 20-29 years, female 5.5
GTEX-1AMFI-1326-SM-7939R 50-59 years, female 5.5
GTEX-1QP2A-1726-SM-E76QC 50-59 years, male 5.5
GTEX-11ZTT-2126-SM-5CVLO 60-69 years, female 5.4
GTEX-13PL6-1126-SM-5L3IE 40-49 years, female 5.3
GTEX-XQ8I-0926-SM-4BOOF 50-59 years, male 5.3
GTEX-13NZ8-1226-SM-5KM4A 60-69 years, female 5.1
GTEX-14PKU-0126-SM-6LLHV 40-49 years, female 5.0
GTEX-1QP29-1826-SM-DTX9S 50-59 years, male 5.0
GTEX-1497J-0226-SM-5QGPU 60-69 years, male 4.7
GTEX-13PDP-0726-SM-5L3HP 60-69 years, male 4.6
Show allShow less
Skin - Sun Exposed (Lower leg)
Average nTPM: 9.5
Samples: 701

Max nTPM: 23.0
Min nTPM: 3.0
Std nTPM: 2.7
Median nTPM: 9.2
GTEX-TKQ1-1026-SM-4GICL 30-39 years, male 23.0
GTEX-1K2DU-2326-SM-E9TIV 20-29 years, male 22.4
GTEX-W5X1-3026-SM-EAZAX 40-49 years, female 22.3
GTEX-14E6E-1826-SM-5S2R7 30-39 years, male 21.5
GTEX-ZVZO-0126-SM-5A5L9 40-49 years, male 21.5
GTEX-1HB9E-0226-SM-E9U4R 50-59 years, male 20.6
GTEX-1NV5F-0226-SM-E8VNY 60-69 years, female 19.8
GTEX-O5YT-0126-SM-48TBW 20-29 years, male 19.2
GTEX-11TT1-2526-SM-5EGIB 20-29 years, male 18.8
GTEX-POMQ-2226-SM-2I5FK 20-29 years, female 18.3
GTEX-Y3IK-2426-SM-4WWDU 50-59 years, female 18.3
GTEX-1QAET-0926-SM-E76QM 50-59 years, male 17.5
GTEX-1ICLZ-0126-SM-CKZPO 60-69 years, male 17.3
GTEX-144FL-0126-SM-5TDC8 50-59 years, male 17.2
GTEX-1192W-2626-SM-5Q5AF 60-69 years, male 16.9
GTEX-ZY6K-1826-SM-5GZXK 50-59 years, male 16.7
GTEX-WI4N-1026-SM-3LK7N 40-49 years, female 16.6
GTEX-1N2DW-0226-SM-E9TK2 50-59 years, male 16.5
GTEX-1C64N-0126-SM-793D7 50-59 years, male 16.4
GTEX-13FH7-2026-SM-E9J4I 50-59 years, female 16.4
GTEX-11DXZ-2326-SM-5EGGV 50-59 years, male 16.1
GTEX-1497J-2426-SM-7IGNX 60-69 years, male 16.0
GTEX-1QP9N-1426-SM-DTXFL 30-39 years, male 15.5
GTEX-1211K-2026-SM-5EQ4Z 60-69 years, female 15.3
GTEX-1I6K6-0126-SM-A9SLE 30-39 years, male 15.1
GTEX-RVPV-0126-SM-EAZAW 60-69 years, male 15.1
GTEX-183WM-0126-SM-7LTAB 70-79 years, female 15.0
GTEX-1CAMR-1926-SM-7EPI2 20-29 years, male 15.0
GTEX-Q734-1926-SM-2I5EV 40-49 years, female 14.9
GTEX-ZAJG-0126-SM-5HL94 50-59 years, female 14.8
GTEX-12584-0126-SM-5EGKQ 40-49 years, male 14.6
GTEX-145MF-0626-SM-5LUAI 50-59 years, male 14.5
GTEX-1IOXB-0126-SM-ARL8G 50-59 years, male 14.5
GTEX-1AYD5-2426-SM-73KXR 50-59 years, male 14.4
GTEX-X8HC-0126-SM-4E3JW 50-59 years, female 14.4
GTEX-14A5H-0426-SM-5QGQF 60-69 years, male 14.3
GTEX-P4PP-0126-SM-3LK69 30-39 years, female 14.3
GTEX-Y8DK-0126-SM-4TT3L 60-69 years, male 14.3
GTEX-1JMQL-0226-SM-CNPP5 50-59 years, female 14.3
GTEX-1EMGI-0126-SM-9KNUE 60-69 years, male 14.2
GTEX-1A3MW-0126-SM-73KXX 60-69 years, female 14.1
GTEX-VJYA-1126-SM-3GIJU 60-69 years, male 14.1
GTEX-13113-5016-SM-7EPIP 60-69 years, female 13.8
GTEX-13FTW-2626-SM-5K7WL 40-49 years, male 13.7
GTEX-144GN-2326-SM-5LU4F 50-59 years, male 13.7
GTEX-X4EP-0126-SM-3P5YV 60-69 years, female 13.7
GTEX-1HBPM-0226-SM-ARL9F 60-69 years, female 13.7
GTEX-11UD1-0126-SM-5PNYG 40-49 years, female 13.6
GTEX-14ICK-0226-SM-6EU25 40-49 years, male 13.5
GTEX-WVJS-0126-SM-4MVOT 50-59 years, male 13.5
GTEX-X88G-0126-SM-47JZ3 30-39 years, male 13.5
GTEX-ZC5H-0226-SM-4WAY9 40-49 years, female 13.5
GTEX-1HFI6-0226-SM-ADEHZ 40-49 years, male 13.3
GTEX-11P7K-2126-SM-5GU7G 30-39 years, male 13.2
GTEX-16AAH-1726-SM-7939C 50-59 years, male 13.2
GTEX-TMZS-0126-SM-3DB9Q 60-69 years, male 13.2
GTEX-1JMQI-2226-SM-CM2SD 50-59 years, male 13.2
GTEX-117YW-2626-SM-5GZZH 50-59 years, male 13.0
GTEX-X62O-0126-SM-4E3JN 50-59 years, male 13.0
GTEX-1CB4F-0426-SM-9KNV4 60-69 years, male 13.0
GTEX-1PPH7-2326-SM-EVYB8 40-49 years, male 13.0
GTEX-1RDX4-0126-SM-E9J4P 50-59 years, female 12.9
GTEX-ZE7O-0126-SM-57WC1 50-59 years, female 12.8
GTEX-11O72-0126-SM-59887 40-49 years, male 12.7
GTEX-QLQW-1126-SM-2S1Q8 30-39 years, male 12.7
GTEX-WH7G-2326-SM-3NMBC 40-49 years, male 12.7
GTEX-ZE9C-2726-SM-57WB5 60-69 years, male 12.7
GTEX-1GZ2Q-0226-SM-7P8TL 40-49 years, male 12.7
GTEX-1M5QR-1226-SM-EWROB 40-49 years, male 12.7
GTEX-PWCY-1826-SM-DHXIZ 20-29 years, female 12.7
GTEX-13CF2-2526-SM-5LZYX 60-69 years, male 12.6
GTEX-1K9T9-0126-SM-EVYCF 50-59 years, female 12.6
GTEX-1OFPY-2426-SM-DTXEJ 60-69 years, male 12.6
GTEX-14PN4-0126-SM-6EU2V 50-59 years, male 12.5
GTEX-1BAJH-0526-SM-793CQ 70-79 years, male 12.5
GTEX-S7PM-0126-SM-4AD6S 60-69 years, male 12.5
GTEX-UJHI-1526-SM-3DB99 50-59 years, female 12.5
GTEX-WYJK-0126-SM-3NMAB 50-59 years, male 12.5
GTEX-1H1CY-2826-SM-9MQM3 60-69 years, female 12.5
GTEX-1JMPZ-0226-SM-CNPP1 30-39 years, male 12.5
GTEX-1PFEY-1526-SM-E76PP 30-39 years, male 12.5
GTEX-SUCS-1926-SM-32PM3 70-79 years, male 12.4
GTEX-1R9K4-0126-SM-DTX9X 60-69 years, male 12.4
GTEX-139T8-0126-SM-5K7XZ 60-69 years, male 12.3
GTEX-13NYS-0126-SM-5MR3W 60-69 years, male 12.3
GTEX-XXEK-2226-SM-4BRUM 50-59 years, male 12.3
GTEX-Y5LM-1926-SM-5RQJH 40-49 years, female 12.3
GTEX-1KAFJ-2026-SM-CY8ID 50-59 years, male 12.3
GTEX-1KANC-1526-SM-D3LAB 50-59 years, female 12.3
GTEX-131XE-2326-SM-5PNZ2 50-59 years, male 12.2
GTEX-1399U-2326-SM-5K7WY 50-59 years, female 12.2
GTEX-13N2G-2626-SM-5J1OT 60-69 years, male 12.2
GTEX-13YAN-0326-SM-5O9DF 60-69 years, male 12.2
GTEX-ZDXO-3026-SM-5J1N5 60-69 years, male 12.2
GTEX-1HCVE-0126-SM-CGQEU 50-59 years, male 12.2
GTEX-1JMPY-1326-SM-ARL8Y 30-39 years, male 12.2
GTEX-ZF3C-0126-SM-DO92D 50-59 years, female 12.2
GTEX-12WSA-0226-SM-5BC5V 60-69 years, male 12.1
GTEX-14E6D-0126-SM-62LDV 50-59 years, male 12.1
GTEX-X4XX-0126-SM-3NMC2 60-69 years, male 12.1
GTEX-ZTX8-1426-SM-5DUVO 20-29 years, male 12.1
GTEX-1F6I4-0126-SM-9MQL2 60-69 years, male 12.1
GTEX-1399T-2826-SM-5KLYZ 60-69 years, male 12.0
GTEX-15F5U-1526-SM-6PANO 40-49 years, male 12.0
GTEX-17F98-0626-SM-79OMX 40-49 years, female 12.0
GTEX-1A3MX-0126-SM-731BR 60-69 years, male 12.0
GTEX-1AX8Z-0126-SM-7DHM6 60-69 years, male 12.0
GTEX-OOBK-0126-SM-2YUND 40-49 years, male 12.0
GTEX-1KD5A-0226-SM-D5OV3 50-59 years, male 12.0
GTEX-1PDJ9-0326-SM-DTX95 20-29 years, male 12.0
GTEX-11DXW-0226-SM-5H122 40-49 years, male 11.9
GTEX-Q2AI-1326-SM-2S1PL 40-49 years, male 11.9
GTEX-ZTPG-0326-SM-5O9AX 20-29 years, female 11.9
GTEX-1JKYN-1326-SM-CGQG9 30-39 years, male 11.9
GTEX-1MA7W-2026-SM-E9TJ6 20-29 years, female 11.9
GTEX-1RAZQ-0726-SM-EAZ43 30-39 years, male 11.9
GTEX-17KNJ-2326-SM-7DHLQ 50-59 years, male 11.8
GTEX-OIZH-0126-SM-2HMIS 50-59 years, male 11.8
GTEX-1C6WA-0126-SM-7PC2B 60-69 years, male 11.8
GTEX-1HR98-0126-SM-B2LWI 60-69 years, male 11.8
GTEX-13VXT-0126-SM-5LU4I 20-29 years, female 11.7
GTEX-145LT-1726-SM-5QGP3 40-49 years, male 11.7
GTEX-14XAO-2326-SM-6EU1B 60-69 years, female 11.7
GTEX-17GQL-2026-SM-718BA 60-69 years, male 11.7
GTEX-1C2JI-1826-SM-73KXC 50-59 years, male 11.7
GTEX-U8XE-0326-SM-3DB8P 30-39 years, male 11.7
GTEX-1IKK5-0626-SM-ARL8A 60-69 years, male 11.7
GTEX-S33H-1026-SM-EZ6L6 30-39 years, male 11.7
GTEX-12WSK-2326-SM-5GCOH 40-49 years, female 11.6
GTEX-13111-1626-SM-5EGJY 50-59 years, male 11.6
GTEX-NPJ8-0126-SM-2YUNR 40-49 years, male 11.6
GTEX-WZTO-0126-SM-3NM95 40-49 years, male 11.6
GTEX-XUZC-1726-SM-4BRWS 30-39 years, female 11.6
GTEX-1GL5R-1826-SM-9KNUY 50-59 years, male 11.6
GTEX-13O21-1426-SM-5K7XI 50-59 years, male 11.5
GTEX-OIZG-0726-SM-33HBL 50-59 years, male 11.5
GTEX-WFON-2126-SM-3LK7O 40-49 years, male 11.5
GTEX-XYKS-2126-SM-4E3IB 60-69 years, female 11.5
GTEX-131XF-5016-SM-7MGWE 60-69 years, male 11.5
GTEX-1GN2E-0426-SM-9MQKX 60-69 years, male 11.5
GTEX-13O3P-0126-SM-5KM4S 50-59 years, male 11.4
GTEX-1HSGN-0226-SM-CGQFV 40-49 years, female 11.4
GTEX-132NY-0326-SM-5IJBL 60-69 years, male 11.3
GTEX-1399R-2726-SM-5IJBA 30-39 years, male 11.3
GTEX-15UF6-0826-SM-6PALJ 70-79 years, female 11.3
GTEX-15UKP-0426-SM-7KUFQ 20-29 years, male 11.3
GTEX-16XZY-2126-SM-79OK1 70-79 years, male 11.3
GTEX-RN64-0126-SM-2TC68 50-59 years, male 11.3
GTEX-T6MN-0126-SM-32PLP 50-59 years, male 11.3
GTEX-1IL2U-0226-SM-CE6T8 60-69 years, male 11.3
GTEX-14PHX-2326-SM-62LEM 50-59 years, male 11.2
GTEX-15ETS-0126-SM-7KUMW 40-49 years, female 11.2
GTEX-WRHK-1426-SM-3MJF9 20-29 years, female 11.2
GTEX-1F75I-0326-SM-9YFLU 40-49 years, male 11.2
GTEX-11DXY-2626-SM-5GIE7 60-69 years, male 11.1
GTEX-139T4-0226-SM-5HL5S 50-59 years, female 11.1
GTEX-13OVL-0226-SM-5L3E9 50-59 years, male 11.1
GTEX-1AMEY-1326-SM-73KYK 30-39 years, female 11.1
GTEX-11TUW-2726-SM-E9J4M 60-69 years, male 11.1
GTEX-1H23P-0126-SM-ADEJ3 60-69 years, male 11.1
GTEX-1H3VY-0126-SM-ACKXD 50-59 years, male 11.1
GTEX-1NHNU-1026-SM-E9J2A 50-59 years, male 11.1
GTEX-11DXX-2426-SM-5GZZW 60-69 years, female 11.0
GTEX-11NUK-0126-SM-5A5L3 50-59 years, male 11.0
GTEX-147F4-0226-SM-5QGPW 50-59 years, male 11.0
GTEX-SIU8-0126-SM-2XCDT 50-59 years, male 11.0
GTEX-T8EM-1026-SM-3DB7M 40-49 years, male 11.0
GTEX-WFG8-2226-SM-3GIL9 20-29 years, male 11.0
GTEX-1IGQW-0126-SM-COH42 60-69 years, male 11.0
GTEX-1LC47-0326-SM-E9TJP 60-69 years, male 11.0
GTEX-1128S-2326-SM-5GZZY 60-69 years, female 10.9
GTEX-13OVH-0126-SM-5MR4B 70-79 years, male 10.9
GTEX-RUSQ-1526-SM-2TF62 50-59 years, male 10.9
GTEX-VUSG-2526-SM-4KL1V 50-59 years, male 10.9
GTEX-X638-0126-SM-47JZ8 70-79 years, female 10.9
GTEX-XMD2-0126-SM-4YCDU 60-69 years, female 10.9
GTEX-ZV6S-2326-SM-4YCEY 40-49 years, female 10.9
GTEX-1LSNM-1926-SM-E6CII 50-59 years, male 10.9
GTEX-1OJC3-0126-SM-E76QX 20-29 years, male 10.9
GTEX-11DYG-0126-SM-59883 60-69 years, male 10.8
GTEX-11UD2-0226-SM-5EQKY 50-59 years, male 10.8
GTEX-11ZTS-0126-SM-5EQ6M 60-69 years, female 10.8
GTEX-13O3Q-2426-SM-5IJBR 50-59 years, male 10.8
GTEX-145MN-2226-SM-5SIAU 30-39 years, male 10.8
GTEX-XBED-2226-SM-47JYQ 60-69 years, male 10.8
GTEX-XV7Q-2526-SM-4BRV9 40-49 years, female 10.8
GTEX-ZDTS-0126-SM-4WAY5 60-69 years, male 10.8
GTEX-1HCUA-2426-SM-ADEIS 50-59 years, female 10.8
GTEX-14JG1-0426-SM-6ETZZ 40-49 years, male 10.7
GTEX-QEG4-0226-SM-2S1PY 30-39 years, male 10.7
GTEX-ZVT3-0126-SM-5GU6I 60-69 years, female 10.7
GTEX-ZVZP-2426-SM-59HKJ 50-59 years, male 10.7
GTEX-ZXG5-0126-SM-5GIEU 60-69 years, male 10.7
GTEX-1H1DG-0126-SM-9WYU2 70-79 years, male 10.7
GTEX-1HKZK-0326-SM-9WYUH 40-49 years, male 10.7
GTEX-11NSD-2226-SM-5986V 20-29 years, male 10.6
GTEX-146FQ-0126-SM-5NQA9 30-39 years, male 10.6
GTEX-15RIG-0226-SM-7KFTL 40-49 years, male 10.6
GTEX-RU72-0926-SM-2TF6B 50-59 years, female 10.6
GTEX-1J1R8-1726-SM-ARL8M 40-49 years, male 10.6
GTEX-1J8JJ-0226-SM-CL53I 60-69 years, female 10.6
GTEX-1QP2A-0126-SM-E9J43 50-59 years, male 10.6
GTEX-117XS-2726-SM-5N9BL 60-69 years, male 10.5
GTEX-13G51-2526-SM-5LZYK 60-69 years, male 10.5
GTEX-14A6H-0126-SM-5QGPK 30-39 years, male 10.5
GTEX-ZYFC-0226-SM-5NQ75 50-59 years, male 10.5
GTEX-113IC-0126-SM-5HL6T 60-69 years, male 10.4
GTEX-13OW7-0126-SM-5MR3B 50-59 years, male 10.4
GTEX-13U4I-0126-SM-5LU38 40-49 years, female 10.4
GTEX-1CB4E-2226-SM-793DC 60-69 years, male 10.4
GTEX-T5JC-0426-SM-32PLO 20-29 years, male 10.4
GTEX-U4B1-1826-SM-4DXSU 40-49 years, male 10.4
GTEX-ZV68-0126-SM-59HKS 50-59 years, female 10.4
GTEX-1MCYP-1926-SM-E9J2R 20-29 years, female 10.4
GTEX-1PIIG-0226-SM-EWRN6 30-39 years, male 10.4
GTEX-147GR-0526-SM-5S2MY 60-69 years, male 10.3
GTEX-17EUY-0426-SM-793BD 20-29 years, male 10.3
GTEX-YJ8A-0426-SM-5IFID 20-29 years, male 10.3
GTEX-1LH75-2426-SM-E9TJE 50-59 years, female 10.3
GTEX-1192X-0226-SM-5H12D 50-59 years, male 10.2
GTEX-11OF3-2626-SM-5GU7F 60-69 years, male 10.2
GTEX-14BIN-0626-SM-793DP 50-59 years, female 10.2
GTEX-OXRL-0126-SM-2YUMP 50-59 years, male 10.2
GTEX-X261-0126-SM-3NMD6 50-59 years, male 10.2
GTEX-X4XY-0226-SM-4E3IZ 60-69 years, male 10.2
GTEX-Y8E4-0626-SM-4WWDL 40-49 years, male 10.2
GTEX-1EX96-1626-SM-7PBXR 50-59 years, male 10.2
GTEX-1GN1V-0126-SM-9WPOS 60-69 years, male 10.2
GTEX-1GPI7-0126-SM-9MQL8 20-29 years, male 10.2
GTEX-1J8Q2-0526-SM-CM2RW 60-69 years, male 10.2
GTEX-1J8QM-2126-SM-CYPSJ 60-69 years, female 10.2
GTEX-PLZ6-1426-SM-DKPOT 30-39 years, male 10.2
GTEX-18A6Q-0126-SM-731BZ 60-69 years, male 10.1
GTEX-U412-0426-SM-3DB9O 60-69 years, male 10.1
GTEX-WOFL-0126-SM-3MJG2 60-69 years, male 10.1
GTEX-XQ3S-1526-SM-4BOOC 20-29 years, male 10.1
GTEX-YJ89-0126-SM-4TT3X 60-69 years, male 10.1
GTEX-1F88F-2726-SM-7PBZZ 60-69 years, female 10.1
GTEX-1HCU7-0226-SM-CL545 50-59 years, male 10.1
GTEX-1JMQK-0226-SM-CL543 60-69 years, male 10.1
GTEX-1LNCM-1126-SM-E9U5E 50-59 years, female 10.1
GTEX-1M4P7-0226-SM-DIPEV 60-69 years, male 10.1
GTEX-12126-0326-SM-5PNW3 20-29 years, male 10.0
GTEX-147F3-0526-SM-5SI98 50-59 years, female 10.0
GTEX-OHPL-0126-SM-2HMJ7 60-69 years, female 10.0
GTEX-PX3G-0126-SM-2I3EN 20-29 years, female 10.0
GTEX-ZDYS-2026-SM-5HL5L 50-59 years, male 10.0
GTEX-1ICG6-2526-SM-CGQFZ 70-79 years, female 10.0
GTEX-1122O-2126-SM-5EGIR 60-69 years, female 9.9
GTEX-11OC5-0126-SM-5HL6A 60-69 years, male 9.9
GTEX-13FTX-1826-SM-5J1NX 20-29 years, female 9.9
GTEX-13FTY-0526-SM-5L3EV 40-49 years, female 9.9
GTEX-13JUV-2726-SM-5LZZ8 40-49 years, female 9.9
GTEX-13X6I-0626-SM-5QGP9 60-69 years, male 9.9
GTEX-15CHC-2126-SM-6EU21 60-69 years, female 9.9
GTEX-15DCD-0126-SM-7KUEK 70-79 years, female 9.9
GTEX-15G19-0126-SM-6PANQ 60-69 years, male 9.9
GTEX-1C6VR-2426-SM-79OLD 60-69 years, male 9.9
GTEX-R3RS-0126-SM-3GIJL 40-49 years, female 9.9
GTEX-XQ8I-0426-SM-4BOPO 50-59 years, male 9.9
GTEX-ZWKS-0126-SM-5SIAA 30-39 years, male 9.9
GTEX-1H3O1-0426-SM-9YFKY 60-69 years, male 9.9
GTEX-1PPH8-0226-SM-E8VND 20-29 years, male 9.9
GTEX-1314G-1526-SM-5EGK2 30-39 years, male 9.8
GTEX-13CF3-2426-SM-5IFGX 60-69 years, female 9.8
GTEX-13OVK-2026-SM-7KUEO 40-49 years, male 9.8
GTEX-18D9U-0226-SM-718BP 40-49 years, male 9.8
GTEX-OXRN-0126-SM-48TDM 50-59 years, male 9.8
GTEX-ZVE2-0226-SM-59HJB 50-59 years, male 9.8
GTEX-1GZ4H-1726-SM-7PBZJ 50-59 years, female 9.8
GTEX-1HSMO-0126-SM-CL547 60-69 years, male 9.8
GTEX-1I19N-0326-SM-ACKVX 70-79 years, male 9.8
GTEX-1JMLX-0226-SM-CM2RO 50-59 years, male 9.8
GTEX-1LBAC-0126-SM-DIPEZ 20-29 years, male 9.8
GTEX-11H98-0126-SM-5EGHG 50-59 years, male 9.7
GTEX-11ZU8-2526-SM-5EQKI 60-69 years, male 9.7
GTEX-1212Z-2526-SM-5EGKP 60-69 years, male 9.7
GTEX-13SLW-0126-SM-5SI6C 70-79 years, male 9.7
GTEX-14ABY-0226-SM-5TDCQ 50-59 years, male 9.7
GTEX-14BIM-0226-SM-7IGLD 60-69 years, female 9.7
GTEX-QDT8-0126-SM-48TZ1 30-39 years, female 9.7
GTEX-U3ZM-1526-SM-3DB9D 40-49 years, male 9.7
GTEX-U3ZN-2326-SM-3DB7W 30-39 years, female 9.7
GTEX-ZZ64-1726-SM-5GZYB 20-29 years, male 9.7
GTEX-1H3VE-0326-SM-9YFLH 40-49 years, male 9.7
GTEX-1HBPH-0426-SM-B2LW5 40-49 years, female 9.7
GTEX-1J1OQ-0226-SM-CYPSH 40-49 years, female 9.7
GTEX-1LGOU-2026-SM-DIPFF 20-29 years, female 9.7
GTEX-1PWST-0226-SM-E76QJ 70-79 years, male 9.7
GTEX-133LE-1826-SM-5J1MV 20-29 years, female 9.6
GTEX-13IVO-0126-SM-5J1NG 70-79 years, male 9.6
GTEX-1B97I-1626-SM-73KYO 40-49 years, male 9.6
GTEX-RTLS-0126-SM-447CA 60-69 years, female 9.6
GTEX-T6MO-1626-SM-32QOM 40-49 years, female 9.6
GTEX-ZQUD-1426-SM-57WER 30-39 years, male 9.6
GTEX-1IDJF-0126-SM-CM2RS 20-29 years, male 9.6
GTEX-1K2DA-1826-SM-CGQGT 50-59 years, male 9.6
GTEX-1MJK2-0426-SM-DTXE5 50-59 years, male 9.6
GTEX-1QEPI-0126-SM-EWRMQ 60-69 years, female 9.6
GTEX-1QW4Y-1526-SM-EAZ3Z 30-39 years, male 9.6
GTEX-113JC-2326-SM-5EQ4E 50-59 years, female 9.5
GTEX-12WSD-0126-SM-59HKN 60-69 years, female 9.5
GTEX-139TS-2826-SM-5J1OO 60-69 years, male 9.5
GTEX-18A67-0126-SM-7LG5P 50-59 years, male 9.5
GTEX-OHPM-0126-SM-2YUN9 50-59 years, male 9.5
GTEX-PLZ5-2026-SM-2S1O4 50-59 years, male 9.5
GTEX-1HBPI-1526-SM-C1YQ1 50-59 years, male 9.5
GTEX-1R7EU-0226-SM-EVR4G 60-69 years, male 9.5
GTEX-11XUK-2026-SM-5EQLF 40-49 years, female 9.4
GTEX-131XW-0426-SM-5LZWP 50-59 years, female 9.4
GTEX-13FXS-0226-SM-5IJCK 50-59 years, male 9.4
GTEX-13OVI-1426-SM-5L3EY 60-69 years, female 9.4
GTEX-13SLX-0526-SM-5S2ON 50-59 years, female 9.4
GTEX-15D1Q-0126-SM-7KUG6 40-49 years, male 9.4
GTEX-SN8G-0126-SM-32PLI 50-59 years, female 9.4
GTEX-WXYG-2326-SM-4E3I6 50-59 years, female 9.4
GTEX-Y111-0126-SM-4SOIV 50-59 years, male 9.4
GTEX-YFC4-0126-SM-5CVLY 40-49 years, female 9.4
GTEX-1F7RK-0126-SM-7PC2S 20-29 years, female 9.4
GTEX-1HSMP-0126-SM-E6CJS 70-79 years, male 9.4
GTEX-1I1GU-2226-SM-CGQFA 40-49 years, male 9.4
GTEX-1MCQQ-0826-SM-DLHC2 60-69 years, male 9.4
GTEX-1N2DV-0226-SM-E6CJ6 40-49 years, male 9.4
GTEX-111FC-0126-SM-5N9DL 60-69 years, male 9.3
GTEX-11ZVC-2526-SM-5FQTE 50-59 years, female 9.3
GTEX-13PVR-2326-SM-5QGR1 60-69 years, female 9.3
GTEX-14753-0426-SM-5NQAM 60-69 years, male 9.3
GTEX-14PJ3-1826-SM-62LEX 50-59 years, male 9.3
GTEX-18A66-0226-SM-718BD 60-69 years, male 9.3
GTEX-QV44-1926-SM-2S1RF 50-59 years, male 9.3
GTEX-WY7C-2326-SM-3NB2U 50-59 years, male 9.3
GTEX-YB5E-2026-SM-5IFIS 40-49 years, male 9.3
GTEX-1H1E6-1726-SM-ACKVK 30-39 years, male 9.3
GTEX-1HCU8-0626-SM-A9SM9 60-69 years, female 9.3
GTEX-1J8EW-0126-SM-CJI4F 60-69 years, female 9.3
GTEX-1KANA-0726-SM-D3L9I 20-29 years, male 9.3
GTEX-1MA7X-2226-SM-E6CIY 60-69 years, male 9.3
GTEX-1QPFJ-0226-SM-E76PB 30-39 years, female 9.3
GTEX-117YX-2326-SM-5H12W 50-59 years, male 9.2
GTEX-11WQC-2526-SM-5CVLE 60-69 years, male 9.2
GTEX-13D11-2426-SM-5KM1V 50-59 years, female 9.2
GTEX-13NYB-2526-SM-5K7Z6 40-49 years, male 9.2
GTEX-13RTJ-2426-SM-5S2Q2 60-69 years, male 9.2
GTEX-13RTL-0126-SM-7LG5S 40-49 years, male 9.2
GTEX-145LV-2126-SM-5LU8N 50-59 years, male 9.2
GTEX-16NPX-0226-SM-79OMT 50-59 years, male 9.2
GTEX-1AYCT-2426-SM-7IGQ3 50-59 years, male 9.2
GTEX-QLQ7-1626-SM-2S1R8 60-69 years, male 9.2
GTEX-X585-0226-SM-4QAS2 50-59 years, male 9.2
GTEX-Y5V6-2426-SM-4VDSB 60-69 years, male 9.2
GTEX-ZAK1-0126-SM-5IJD3 50-59 years, female 9.2
GTEX-ZF28-0126-SM-4WKGK 60-69 years, male 9.2
GTEX-ZTSS-1926-SM-57WEW 40-49 years, male 9.2
GTEX-1GMR3-1926-SM-9KNUZ 40-49 years, male 9.2
GTEX-1PBJI-0526-SM-E8VNK 20-29 years, female 9.2
GTEX-11P82-1626-SM-59879 20-29 years, male 9.1
GTEX-131XH-2226-SM-5DUXJ 50-59 years, male 9.1
GTEX-139D8-0226-SM-5KLZO 30-39 years, female 9.1
GTEX-13NZA-0226-SM-5K7Z7 60-69 years, male 9.1
GTEX-W5WG-1826-SM-4KL2Y 50-59 years, female 9.1
GTEX-X4EO-0326-SM-3P5YO 60-69 years, female 9.1
GTEX-YEC4-2126-SM-5IFJH 40-49 years, male 9.1
GTEX-Z93T-0126-SM-5HL5N 50-59 years, male 9.1
GTEX-ZVTK-0426-SM-51MRS 20-29 years, male 9.1
GTEX-13NYC-0326-SM-E9J4S 60-69 years, male 9.1
GTEX-1GPI6-0126-SM-9WG69 60-69 years, male 9.1
GTEX-1H11D-0226-SM-9WG6Z 40-49 years, male 9.1
GTEX-1HSKV-0226-SM-A9SKJ 60-69 years, male 9.1
GTEX-1I4MK-2226-SM-ACKWD 50-59 years, female 9.1
GTEX-1IDJH-0326-SM-A9SLQ 70-79 years, male 9.1
GTEX-1LVAN-0226-SM-COH3S 50-59 years, female 9.1
GTEX-1QP29-0626-SM-EWRMX 50-59 years, male 9.1
GTEX-1S82Y-2026-SM-EVYCM 40-49 years, male 9.1
GTEX-ZQG8-1626-SM-DHXIT 60-69 years, female 9.1
GTEX-11WQK-0526-SM-5EQLD 50-59 years, male 9.0
GTEX-11ZUS-0626-SM-59885 30-39 years, male 9.0
GTEX-13N11-2526-SM-5K7UE 50-59 years, female 9.0
GTEX-183FY-0126-SM-7LT9P 20-29 years, male 9.0
GTEX-Y3I4-2126-SM-4TT7C 50-59 years, male 9.0
GTEX-1CB4H-0226-SM-7PBXM 60-69 years, female 9.0
GTEX-1I1GP-2226-SM-CGQFK 50-59 years, male 9.0
GTEX-1I1GS-0126-SM-B2LVW 60-69 years, male 9.0
GTEX-1KXAM-2226-SM-CYPTC 60-69 years, male 9.0
GTEX-1LG7Y-0526-SM-DKPQC 50-59 years, male 9.0
GTEX-1R46S-0626-SM-E9J41 60-69 years, female 9.0
GTEX-1R7EV-2426-SM-EVYBG 40-49 years, male 9.0
GTEX-ZPIC-1726-SM-DHXIU 40-49 years, female 9.0
GTEX-12WSJ-1826-SM-5GCNY 40-49 years, female 8.9
GTEX-139TU-0126-SM-5K7WH 60-69 years, male 8.9
GTEX-14C5O-0126-SM-5SI6N 60-69 years, male 8.9
GTEX-17HHY-0126-SM-7LG5D 50-59 years, male 8.9
GTEX-17MF6-0126-SM-7LG4F 40-49 years, male 8.9
GTEX-1B8SF-1426-SM-7DUGL 60-69 years, male 8.9
GTEX-PWO3-1526-SM-48TCM 60-69 years, female 8.9
GTEX-1B8L1-2526-SM-9WYTF 60-69 years, male 8.9
GTEX-1HFI7-1826-SM-ACKXH 50-59 years, female 8.9
GTEX-1S5ZA-0126-SM-EVYCV 20-29 years, male 8.9
GTEX-14BMU-2226-SM-5TDE9 20-29 years, female 8.8
GTEX-OXRK-0226-SM-3NB2G 50-59 years, female 8.8
GTEX-Y5V5-2326-SM-4V6GA 60-69 years, female 8.8
GTEX-169BO-1326-SM-9MQK2 50-59 years, male 8.8
GTEX-1B933-0126-SM-7PC29 50-59 years, female 8.8
GTEX-1CAMS-0426-SM-7P8T2 40-49 years, female 8.8
GTEX-1F75B-0126-SM-9KNVL 50-59 years, male 8.8
GTEX-1IL2V-0126-SM-CM2TX 70-79 years, male 8.8
GTEX-1KANB-0526-SM-E6CJH 50-59 years, male 8.8
GTEX-1L5NE-2526-SM-E6CIE 50-59 years, male 8.8
GTEX-1LGRB-2526-SM-CNPPQ 50-59 years, female 8.8
GTEX-11VI4-1726-SM-5CVLH 40-49 years, female 8.7
GTEX-13VXU-0126-SM-5SI9F 50-59 years, male 8.7
GTEX-14DAQ-0126-SM-5S2MQ 60-69 years, female 8.7
GTEX-14PK6-1926-SM-6ETZU 70-79 years, female 8.7
GTEX-18QFQ-0126-SM-731BE 30-39 years, male 8.7
GTEX-1B8KZ-2026-SM-7DHMB 50-59 years, male 8.7
GTEX-R55G-2526-SM-2TC6D 40-49 years, female 8.7
GTEX-ZDTT-2726-SM-4WKF8 60-69 years, male 8.7
GTEX-ZEX8-2426-SM-4WKG4 50-59 years, male 8.7
GTEX-1RLM8-2326-SM-EWRN4 50-59 years, male 8.7
GTEX-1S3DN-2226-SM-EVYCD 50-59 years, male 8.7
GTEX-12WSE-0526-SM-793B2 20-29 years, male 8.6
GTEX-13112-2826-SM-5DUWH 50-59 years, male 8.6
GTEX-13OW8-1326-SM-5J1OW 60-69 years, male 8.6
GTEX-145MI-0526-SM-5O9A8 60-69 years, female 8.6
GTEX-14E7W-0126-SM-6LLJ9 70-79 years, male 8.6
GTEX-15EOM-0126-SM-7KUGG 20-29 years, female 8.6
GTEX-16NGA-1726-SM-731B4 40-49 years, female 8.6
GTEX-17F96-1626-SM-7DUFL 70-79 years, male 8.6
GTEX-Y114-2426-SM-4TT8A 50-59 years, female 8.6
GTEX-1GMRU-0126-SM-9YFLV 50-59 years, male 8.6
GTEX-1J8Q3-1626-SM-CMKGC 60-69 years, male 8.6
GTEX-1QCLY-0326-SM-E8VOG 30-39 years, male 8.6
GTEX-PSDG-0226-SM-DKPOZ 50-59 years, male 8.6
GTEX-11LCK-1026-SM-5A5KB 30-39 years, male 8.5
GTEX-15EU6-0426-SM-6PAN5 50-59 years, male 8.5
GTEX-15SB6-1726-SM-6PAME 50-59 years, female 8.5
GTEX-16MT8-0426-SM-7KUEY 60-69 years, female 8.5
GTEX-P4PQ-0126-SM-2S1NM 60-69 years, male 8.5
GTEX-QDVN-2026-SM-3GAEP 50-59 years, male 8.5
GTEX-V1D1-2226-SM-3NMAX 50-59 years, male 8.5
GTEX-ZU9S-0226-SM-5E441 30-39 years, male 8.5
GTEX-1HSMQ-1226-SM-CGQFX 50-59 years, male 8.5
GTEX-1ICLY-0126-SM-D4P36 50-59 years, male 8.5
GTEX-1KD4Q-0226-SM-E9TJ9 40-49 years, male 8.5
GTEX-1MUQO-0126-SM-EAZ58 60-69 years, male 8.5
GTEX-145LS-0126-SM-5QGP1 60-69 years, female 8.4
GTEX-17EVP-0326-SM-7DHLG 40-49 years, male 8.4
GTEX-R55E-0126-SM-2TC5Y 20-29 years, male 8.4
GTEX-S7SE-0126-SM-2XCD5 50-59 years, male 8.4
GTEX-XUYS-0126-SM-47JWZ 50-59 years, male 8.4
GTEX-ZXES-1826-SM-5E43S 30-39 years, female 8.4
GTEX-1IDJU-2626-SM-CM2RT 60-69 years, female 8.4
GTEX-1QP67-1626-SM-EAZ3X 40-49 years, female 8.4
GTEX-OOBJ-0126-SM-E6CJW 60-69 years, male 8.4
GTEX-11GSO-2426-SM-5A5LY 60-69 years, male 8.3
GTEX-12696-2426-SM-5EQ6H 60-69 years, male 8.3
GTEX-12ZZY-0226-SM-5LZVE 60-69 years, male 8.3
GTEX-1CB4I-0226-SM-79OLH 50-59 years, male 8.3
GTEX-S95S-1226-SM-4GICG 60-69 years, male 8.3
GTEX-ZYFD-0126-SM-5GIDL 50-59 years, male 8.3
GTEX-1B996-0226-SM-7RHGO 60-69 years, male 8.3
GTEX-1CAV2-2226-SM-7P8P2 40-49 years, female 8.3
GTEX-1F6RS-0126-SM-9MQKZ 60-69 years, female 8.3
GTEX-1GN1W-0526-SM-9MQJQ 50-59 years, female 8.3
GTEX-1H1DE-2126-SM-9WG6R 20-29 years, male 8.3
GTEX-1IE54-0126-SM-CMKHW 40-49 years, female 8.3
GTEX-18465-0126-SM-731BN 50-59 years, male 8.2
GTEX-T2IS-0126-SM-4DM6O 20-29 years, female 8.2
GTEX-1H1ZS-0426-SM-9WG6G 70-79 years, male 8.2
GTEX-1JJ6O-0126-SM-E6CI8 60-69 years, male 8.2
GTEX-1JMQJ-0526-SM-CYPSU 50-59 years, male 8.2
GTEX-1JN6P-0126-SM-D3L98 60-69 years, male 8.2
GTEX-11P81-2326-SM-59875 30-39 years, female 8.1
GTEX-13FHP-0126-SM-5IJBG 50-59 years, male 8.1
GTEX-13O1R-0126-SM-5L3EH 60-69 years, male 8.1
GTEX-13X6J-0126-SM-5QGOU 50-59 years, male 8.1
GTEX-15SDE-2226-SM-7IGLO 50-59 years, female 8.1
GTEX-O5YW-0126-SM-3LK6D 50-59 years, male 8.1
GTEX-XUW1-0426-SM-4BOOT 50-59 years, female 8.1
GTEX-YB5K-2126-SM-4WWDJ 40-49 years, female 8.1
GTEX-ZAB4-0226-SM-5N9F5 40-49 years, male 8.1
GTEX-1F52S-0126-SM-9MQJU 60-69 years, female 8.1
GTEX-1F5PL-0326-SM-7P8PQ 40-49 years, female 8.1
GTEX-1JMOU-1526-SM-CL54I 60-69 years, female 8.1
GTEX-1R9PO-2126-SM-E9J4O 60-69 years, female 8.1
GTEX-145MO-0326-SM-5Q5B3 60-69 years, male 8.0
GTEX-14BMV-0126-SM-5S2PO 50-59 years, male 8.0
GTEX-14PJ6-2126-SM-6EU1V 60-69 years, female 8.0
GTEX-15SHW-0326-SM-6PAML 60-69 years, male 8.0
GTEX-16GPK-0126-SM-7DHLE 60-69 years, male 8.0
GTEX-1AX9K-2326-SM-73KWU 50-59 years, male 8.0
GTEX-OXRO-0126-SM-2YUN4 60-69 years, female 8.0
GTEX-PVOW-0126-SM-2XCFA 40-49 years, male 8.0
GTEX-QESD-1426-SM-2S1R9 20-29 years, male 8.0
GTEX-S32W-2126-SM-2XCB1 50-59 years, female 8.0
GTEX-1JJEA-0326-SM-CNPOT 60-69 years, male 8.0
GTEX-1JN1M-0326-SM-CYPT3 60-69 years, female 8.0
GTEX-1KWVE-1426-SM-E9TJO 30-39 years, male 8.0
GTEX-1QMI2-0226-SM-EVYBX 60-69 years, male 8.0
GTEX-1RB15-2126-SM-E9TIM 60-69 years, male 8.0
GTEX-RNOR-0126-SM-E9J4R 50-59 years, female 8.0
GTEX-11EI6-0126-SM-5985R 60-69 years, male 7.9
GTEX-12ZZZ-0626-SM-5DUXI 60-69 years, male 7.9
GTEX-146FH-0126-SM-5QGPP 50-59 years, female 7.9
GTEX-XAJ8-0826-SM-47JY6 40-49 years, male 7.9
GTEX-1F5PK-2426-SM-7RHHY 50-59 years, male 7.9
GTEX-1JJE9-0326-SM-CL53Z 70-79 years, male 7.9
GTEX-11GS4-2726-SM-5A5LE 60-69 years, male 7.8
GTEX-13FHO-0226-SM-5IFGY 60-69 years, male 7.8
GTEX-13N1W-0126-SM-5K7VT 70-79 years, male 7.8
GTEX-13NZ8-0826-SM-5MR3I 60-69 years, female 7.8
GTEX-13OVJ-0126-SM-5KM36 50-59 years, female 7.8
GTEX-16YQH-0126-SM-7DUFJ 30-39 years, male 7.8
GTEX-17MFQ-1726-SM-793C7 20-29 years, male 7.8
GTEX-18A7A-0226-SM-718BH 50-59 years, female 7.8
GTEX-T2YK-0526-SM-32QPJ 50-59 years, male 7.8
GTEX-TML8-1926-SM-32QOS 40-49 years, female 7.8
GTEX-WYVS-2126-SM-3NMA3 40-49 years, female 7.8
GTEX-XPVG-2626-SM-4B669 50-59 years, male 7.8
GTEX-ZGAY-0526-SM-4WWBB 40-49 years, female 7.8
GTEX-1C64O-0126-SM-7SB8P 60-69 years, male 7.8
GTEX-1H2FU-0126-SM-9WYSI 60-69 years, female 7.8
GTEX-14LLW-0126-SM-6LLIO 70-79 years, female 7.7
GTEX-1B8SG-0126-SM-73KZ3 50-59 years, male 7.7
GTEX-P4QT-0126-SM-2I3FL 50-59 years, female 7.7
GTEX-ZUA1-0126-SM-5GU76 40-49 years, male 7.7
GTEX-13O3O-0126-SM-E9J49 60-69 years, female 7.7
GTEX-1C6VQ-0126-SM-7P8RI 50-59 years, male 7.7
GTEX-1F75A-0126-SM-7RHGM 50-59 years, male 7.7
GTEX-1GMR8-0126-SM-9WYTM 50-59 years, female 7.7
GTEX-1HBPN-0226-SM-9YFM1 50-59 years, male 7.7
GTEX-1I1GR-0126-SM-CL55F 60-69 years, male 7.7
GTEX-13NZB-2526-SM-5J1OM 30-39 years, male 7.6
GTEX-1A3MV-1926-SM-718BT 30-39 years, male 7.6
GTEX-1AMFI-2026-SM-731BH 50-59 years, female 7.6
GTEX-1C4CL-0526-SM-73KVK 30-39 years, male 7.6
GTEX-1EKGG-0226-SM-9WYTH 60-69 years, male 7.6
GTEX-1EN7A-0126-SM-7SB81 40-49 years, male 7.6
GTEX-1GF9X-2026-SM-7PC3A 40-49 years, female 7.6
GTEX-1HCU9-1526-SM-A9SL7 20-29 years, male 7.6
GTEX-1I1GQ-0126-SM-COH3H 50-59 years, male 7.6
GTEX-1I1HK-0126-SM-COH49 60-69 years, male 7.6
GTEX-11EMC-2926-SM-5EQ4F 60-69 years, female 7.5
GTEX-139UW-2826-SM-5L3E7 60-69 years, male 7.5
GTEX-QCQG-1726-SM-3GIJ9 50-59 years, female 7.5
GTEX-QDVJ-1726-SM-2I5FX 50-59 years, male 7.5
GTEX-TSE9-0126-SM-3DB83 60-69 years, female 7.5
GTEX-ZVT2-2526-SM-51MT1 50-59 years, female 7.5
GTEX-ZYY3-0126-SM-5GZY5 60-69 years, female 7.5
GTEX-1F6IF-0726-SM-7P8TW 60-69 years, male 7.5
GTEX-1HUB1-0426-SM-E9U4U 60-69 years, male 7.5
GTEX-PW2O-1526-SM-7RHHB 20-29 years, male 7.5
GTEX-111VG-2426-SM-5GZXD 60-69 years, male 7.4
GTEX-11DZ1-0126-SM-5985Q 50-59 years, male 7.4
GTEX-144GL-0126-SM-5TDE2 50-59 years, male 7.4
GTEX-14PN3-2426-SM-6LLHS 60-69 years, female 7.4
GTEX-1CB4J-0626-SM-7DHMP 60-69 years, male 7.4
GTEX-PLZ4-0126-SM-5SI8O 50-59 years, female 7.4
GTEX-1AX9I-0126-SM-7SB74 60-69 years, male 7.4
GTEX-1JKYR-0126-SM-CNPOJ 20-29 years, male 7.4
GTEX-1N2EF-0226-SM-EYYXB 60-69 years, male 7.4
GTEX-11TTK-0126-SM-5987B 60-69 years, female 7.3
GTEX-12C56-1726-SM-5EQ61 20-29 years, male 7.3
GTEX-17HG3-2226-SM-7938L 30-39 years, female 7.3
GTEX-OXRP-0126-SM-3NB32 60-69 years, female 7.3
GTEX-RM2N-1426-SM-2TF4H 50-59 years, male 7.3
GTEX-ZAB5-1826-SM-5HL7C 50-59 years, male 7.3
GTEX-1CB4G-0226-SM-7PC3O 60-69 years, male 7.3
GTEX-1HGF4-2426-SM-ACKXM 60-69 years, male 7.3
GTEX-1HSEH-0126-SM-ACKXN 60-69 years, male 7.3
GTEX-1POEN-0126-SM-EYYXJ 30-39 years, female 7.3
GTEX-12ZZX-0126-SM-5EGK9 40-49 years, female 7.2
GTEX-13W3W-2426-SM-5LU5B 60-69 years, female 7.2
GTEX-16XZZ-0126-SM-793DV 60-69 years, male 7.2
GTEX-1GTWX-0126-SM-9YFLK 60-69 years, male 7.2
GTEX-1HT8W-0126-SM-CNPPP 30-39 years, male 7.2
GTEX-1I1GV-0526-SM-A9G29 60-69 years, male 7.2
GTEX-1IKOH-0226-SM-COH4E 60-69 years, female 7.2
GTEX-1JN76-0126-SM-CNPPE 20-29 years, female 7.2
GTEX-1S83E-0126-SM-EWRO4 40-49 years, male 7.2
GTEX-11EM3-2426-SM-59861 20-29 years, female 7.1
GTEX-145LU-0126-SM-5TDCB 50-59 years, male 7.1
GTEX-14JG6-2226-SM-6EU2G 30-39 years, female 7.1
GTEX-17HGU-0226-SM-7DHKV 50-59 years, male 7.1
GTEX-1H3NZ-0126-SM-ACKX7 60-69 years, male 7.1
GTEX-1QP66-1726-SM-E8VO1 50-59 years, male 7.1
GTEX-12WSL-2526-SM-5GCNJ 50-59 years, male 7.0
GTEX-1313W-0126-SM-5LZUN 50-59 years, female 7.0
GTEX-17EVQ-0226-SM-7LG4P 70-79 years, male 7.0
GTEX-1E1VI-0126-SM-7DHMZ 50-59 years, male 7.0
GTEX-RWSA-0126-SM-2XCBB 40-49 years, male 7.0
GTEX-ZF2S-2326-SM-4WWCE 50-59 years, female 7.0
GTEX-1HCU6-0126-SM-CL54K 60-69 years, female 7.0
GTEX-1JK1U-2026-SM-CM2RZ 60-69 years, male 7.0
GTEX-1LB8K-0226-SM-EWRNW 50-59 years, male 7.0
GTEX-1S82Z-0826-SM-E6CHY 30-39 years, female 7.0
GTEX-14A5I-0126-SM-5TDEA 50-59 years, female 6.9
GTEX-13OW5-0126-SM-DTXFS 60-69 years, male 6.9
GTEX-1GN73-0226-SM-9WG67 60-69 years, male 6.9
GTEX-ZF29-2326-SM-DO92K 60-69 years, female 6.9
GTEX-14JIY-0126-SM-6LLH6 60-69 years, male 6.8
GTEX-1EU9M-0226-SM-7P8SP 60-69 years, male 6.8
GTEX-1IKJJ-0126-SM-CNPQB 60-69 years, male 6.8
GTEX-OIZF-0126-SM-7SB8I 60-69 years, male 6.8
GTEX-1AX9J-0226-SM-73KXM 60-69 years, male 6.7
GTEX-Q2AG-0126-SM-33HBV 40-49 years, female 6.7
GTEX-QVJO-1626-SM-2S1QW 60-69 years, female 6.7
GTEX-ZYT6-0226-SM-5NQ6T 30-39 years, male 6.7
GTEX-1A8FM-0226-SM-7SB7Q 50-59 years, female 6.7
GTEX-1GF9U-2126-SM-7SB7L 40-49 years, female 6.7
GTEX-1RQEC-0426-SM-E6CHU 60-69 years, male 6.7
GTEX-R45C-0126-SM-EAZ2R 60-69 years, female 6.7
GTEX-12WSC-0126-SM-5EQ4P 50-59 years, male 6.6
GTEX-13OVG-1926-SM-5L3DK 60-69 years, male 6.6
GTEX-13PDP-0126-SM-5L3HD 60-69 years, male 6.6
GTEX-17F97-0326-SM-7LG5B 50-59 years, male 6.6
GTEX-18A7B-0126-SM-7LG64 70-79 years, male 6.6
GTEX-X5EB-2226-SM-46MW4 40-49 years, male 6.6
GTEX-ZYW4-0126-SM-5E44A 60-69 years, male 6.6
GTEX-1F48J-0126-SM-7P8TT 50-59 years, female 6.6
GTEX-1GF9W-0326-SM-9KNUN 60-69 years, male 6.6
GTEX-1GZHY-0326-SM-9QEHI 50-59 years, female 6.6
GTEX-1269C-2526-SM-5EGJ3 60-69 years, female 6.5
GTEX-13OW6-0426-SM-5L3HM 50-59 years, male 6.5
GTEX-13X6H-2126-SM-7EWD5 50-59 years, female 6.5
GTEX-145ME-1826-SM-5SI9G 40-49 years, female 6.5
GTEX-14DAR-2026-SM-5S2O3 50-59 years, male 6.5
GTEX-14PJM-0226-SM-62LF1 50-59 years, female 6.5
GTEX-XBEW-0626-SM-4QASP 40-49 years, male 6.5
GTEX-1RAZA-0126-SM-E6CI3 20-29 years, male 6.5
GTEX-12KS4-0326-SM-5EQ41 30-39 years, male 6.4
GTEX-14PHW-0126-SM-6LLJI 60-69 years, female 6.4
GTEX-15DDE-0126-SM-6LPKH 50-59 years, female 6.4
GTEX-18D9A-1926-SM-7LG6P 30-39 years, female 6.4
GTEX-1CAMQ-0226-SM-7IGPK 40-49 years, male 6.4
GTEX-1H4P4-0726-SM-9YFLR 50-59 years, male 6.4
GTEX-1I1GT-0626-SM-CGQER 60-69 years, female 6.4
GTEX-13W46-0226-SM-5SIAG 50-59 years, male 6.3
GTEX-17JCI-0126-SM-7LG5G 60-69 years, female 6.3
GTEX-RWS6-2026-SM-2XCB5 60-69 years, female 6.3
GTEX-146FR-1326-SM-E9J48 60-69 years, female 6.3
GTEX-1I1CD-0126-SM-CM2TK 60-69 years, female 6.3
GTEX-1PIGE-0126-SM-EVYBJ 20-29 years, male 6.3
GTEX-ZVT4-0126-SM-DTXFN 50-59 years, female 6.3
GTEX-NFK9-0226-SM-2HMKQ 40-49 years, male 6.2
GTEX-U8T8-0126-SM-3DB94 60-69 years, male 6.2
GTEX-WQUQ-0426-SM-3MJFU 60-69 years, male 6.2
GTEX-Y8LW-1826-SM-5S2MV 50-59 years, female 6.2
GTEX-Z9EW-1626-SM-5CVMN 40-49 years, male 6.2
GTEX-1GF9V-0326-SM-7RHI5 60-69 years, male 6.2
GTEX-1O97I-0326-SM-EYYX7 60-69 years, male 6.2
GTEX-1R9PM-2026-SM-E76OY 20-29 years, male 6.2
GTEX-11ZTT-2426-SM-5EQLS 60-69 years, female 6.1
GTEX-131YS-0126-SM-5KM1M 60-69 years, female 6.1
GTEX-148VJ-0126-SM-5TDDN 70-79 years, male 6.1
GTEX-TMMY-0226-SM-33HBA 40-49 years, female 6.1
GTEX-U3ZH-2026-SM-3DB78 30-39 years, male 6.1
GTEX-ZYFG-2326-SM-5E44B 60-69 years, female 6.1
GTEX-11GSP-2526-SM-5N9BP 60-69 years, female 6.0
GTEX-14PII-0226-SM-6EU1T 60-69 years, male 6.0
GTEX-Q2AH-1626-SM-3GAF8 40-49 years, male 6.0
GTEX-Z93S-0126-SM-5HL7M 50-59 years, male 6.0
GTEX-1IY9M-0126-SM-D3L8S 60-69 years, male 6.0
GTEX-12WSN-5019-SM-79OM6 40-49 years, male 5.9
GTEX-18D9B-0526-SM-7LTAS 60-69 years, male 5.9
GTEX-UPJH-0326-SM-3GADU 50-59 years, male 5.9
GTEX-12WSG-2826-SM-E9J4H 50-59 years, female 5.9
GTEX-SSA3-0126-SM-32QPU 60-69 years, male 5.8
GTEX-T5JW-1626-SM-3GADZ 20-29 years, female 5.8
GTEX-VJWN-0126-SM-3GIK7 50-59 years, female 5.8
GTEX-1E2YA-0126-SM-9KNUC 50-59 years, male 5.8
GTEX-1IDFM-0126-SM-COH2V 60-69 years, male 5.8
GTEX-1GN1U-0126-SM-7PBZK 50-59 years, female 5.7
GTEX-1MGNQ-0126-SM-EVYCJ 40-49 years, male 5.7
GTEX-14E6C-0126-SM-5RQIP 40-49 years, male 5.6
GTEX-15DYW-0126-SM-7KULE 60-69 years, female 5.6
GTEX-131XG-2626-SM-5KM17 50-59 years, female 5.5
GTEX-14LZ3-0226-SM-62LET 60-69 years, female 5.5
GTEX-1A32A-0126-SM-718B1 50-59 years, female 5.5
GTEX-11EQ9-2426-SM-5HL5T 30-39 years, male 5.4
GTEX-13QJ3-0326-SM-5S2RA 50-59 years, male 5.4
GTEX-13RTK-1426-SM-5QGQJ 20-29 years, male 5.4
GTEX-1C475-1826-SM-73KWA 40-49 years, female 5.4
GTEX-SJXC-0126-SM-2XCFF 60-69 years, male 5.4
GTEX-1LG7Z-1726-SM-D3LA4 30-39 years, male 5.4
GTEX-15SHU-0126-SM-7KUEH 40-49 years, female 5.3
GTEX-16BQI-0226-SM-7KUEX 30-39 years, female 5.3
GTEX-17HHE-2026-SM-79OKF 50-59 years, male 5.2
GTEX-P44H-0226-SM-2XCEU 40-49 years, male 5.2
GTEX-1EWIQ-0126-SM-7RHH2 70-79 years, female 5.2
GTEX-13S7M-0126-SM-5SI6A 60-69 years, female 5.1
GTEX-15ER7-0326-SM-7KUEV 20-29 years, female 5.0
GTEX-139TT-0126-SM-5K7Y5 60-69 years, male 4.8
GTEX-14BIL-0126-SM-5SI92 50-59 years, male 4.8
GTEX-1C6VS-0526-SM-7DUEN 60-69 years, male 4.8
GTEX-ZZPT-0226-SM-5E43X 50-59 years, male 4.8
GTEX-SNMC-1226-SM-2XCFP 20-29 years, male 4.6
GTEX-1OJC4-0126-SM-E9J2E 50-59 years, female 4.4
GTEX-148VI-1626-SM-5SI6E 60-69 years, female 4.3
GTEX-1B8KE-2126-SM-73KYX 50-59 years, male 4.1
GTEX-SE5C-1626-SM-2XCE3 40-49 years, female 3.6
GTEX-17HII-0226-SM-7LG4E 50-59 years, male 3.0
Show allShow less

Contact

  • NEWS ARTICLES
  • PRESS ROOM

The Project

  • INTRODUCTION
  • ORGANIZATION
  • PUBLICATIONS

The Human Protein Atlas

  • DOWNLOADABLE DATA
  • LICENCE & CITATION
  • HELP & FAQ
The Human Protein Atlas project is funded
by the Knut & Alice Wallenberg Foundation.


contact@proteinatlas.org