We use cookies to enhance the usability of our website. If you continue, we'll assume that you are happy to receive all cookies. More information. Don't show this again.
ERBB2
HPA
RESOURCES
  • TISSUE
  • BRAIN
  • SINGLE CELL
  • SUBCELLULAR
  • CANCER
  • BLOOD
  • CELL LINE
  • STRUCTURE & INTERACTION
ABOUT
  • INTRODUCTION
  • HISTORY
  • ORGANIZATION
  • PUBLICATIONS
  • ANTIBODY SUBMISSION
  • ANTIBODY AVAILABILITY
  • ACKNOWLEDGMENTS
  • CONTACT
NEWS
  • NEWS ARTICLES
  • PRESS ROOM
LEARN
  • DICTIONARY
  • PROTEIN CLASSES
  • PROTEIN EVIDENCE
  • METHODS
  • EDUCATIONAL VIDEOS
DATA
  • DOWNLOADABLE DATA
  • PUBLICATION DATA
  • RELEASE HISTORY
HELP
  • ANTIBODY VALIDATION
  • ASSAYS & ANNOTATION
  • DISCLAIMER
  • HELP & FAQ
  • PRIVACY STATEMENT
  • LICENCE & CITATION
Fields »
Search result

Field
Term
Gene name
Class
Subclass
Class
Keyword
Chromosome
External id
Tissue
Cell type
Expression
Antibody panel
Tissue
Main location
Patient ID
Annotation
Tissue
Category
Tau score
Cluster
Reliability
Brain region
Category
Tau score
Brain region
Category
Tau score
Brain region
Category
Tau score
Cluster
Reliability
Tissue
Cell type
Enrichment
Cell type
Category
Tau score
Cell type
Category
Tau score
Cell type
Category
Tau score
Cell lineage
Category
Tau score
Cluster
Cluster
Location
Searches
Location
Cell line
Class
Type
Phase
Reliability
Cancer
Prognosis
Cancer
Category
Cancer
Category
Tau score
Cluster
Variants
Interacting gene (ensg_id)
Type
Number of interactions
Pathway
Category
Score
Score
Score
Validation
Validation
Validation
Validation
Antibodies
Data type
Column


  • SUMMARY

  • TISSUE

  • BRAIN

  • SINGLE CELL

  • SUBCELL

  • CANCER

  • BLOOD

  • CELL LINE

  • STRUCT & INT

  • ERBB2
TISSUE PRIMARY DATA THYROID GLAND Show tissue menu
ADIPOSE TISSUE ADRENAL GLAND AMYGDALA APPENDIX BASAL GANGLIA BONE MARROW BREAST BRONCHUS CEREBELLUM CEREBRAL CORTEX CERVIX CHOROID PLEXUS COLON DUODENUM
ENDOMETRIUM EPIDIDYMIS ESOPHAGUS FALLOPIAN TUBE GALLBLADDER HEART MUSCLE HIPPOCAMPAL FORMATION HYPOTHALAMUS KIDNEY LIVER LUNG LYMPH NODE MIDBRAIN NASOPHARYNX
ORAL MUCOSA OVARY PANCREAS PARATHYROID GLAND PITUITARY GLAND PLACENTA PROSTATE RECTUM RETINA SALIVARY GLAND SEMINAL VESICLE SKELETAL MUSCLE SKIN SMALL INTESTINE
SMOOTH MUSCLE SOFT TISSUE SPINAL CORD SPLEEN STOMACH TESTIS THYMUS THYROID GLAND TONGUE TONSIL URINARY BLADDER VAGINA
ANTIBODIES
AND
VALIDATION
Dictionary
Thyroid gland
Tissue proteome
Thyroid gland
THYROID GLAND - Expression summary
Protein expression
Thyroid glandi

On the top, protein expression in current human tissue, based on all annotated cell types, is reported with the units not detected (n), low (l), medium (m) and high (h). Underneath, protein expression in each annotated cell type are reported using the same units.

Protein expression data is based on knowledge-based annotation. For genes where more than one antibody has been used, a collective score is set.

If knowledge-based annotation could not be performed for a gene, no data is displayed here. View antibody staining data further down this page.

h
m
l
n
Glandular cells: Low
RNA expressioni

A summary of mRNA expression data available for current tissue based on several datasets. The mRNA expression levels in human tissues are based on RNA-seq data generated by the Human Protein Atlas (HPA), Genotype-Tissue Expression (GTEx) portal and CAGE data generated by the FANTOM5 consortium. Consensus normalized expression levels for human tissues was created by combining the data from HPA and GTEx datasets.

The mRNA expression levels in pig are based on RNA-seq data generated by the Human Protein Atlas (HPA), and for mouse, HPA data and in situ hybridization generated by the Allen brain atlas are reported.

Scroll down to view mRNA expression data in more detail.
Consensus:54.8 nTPM
HPA:42.0 nTPM
GTEx:54.8 nTPM
FANTOM5:112.7 Scaled Tags Per Million

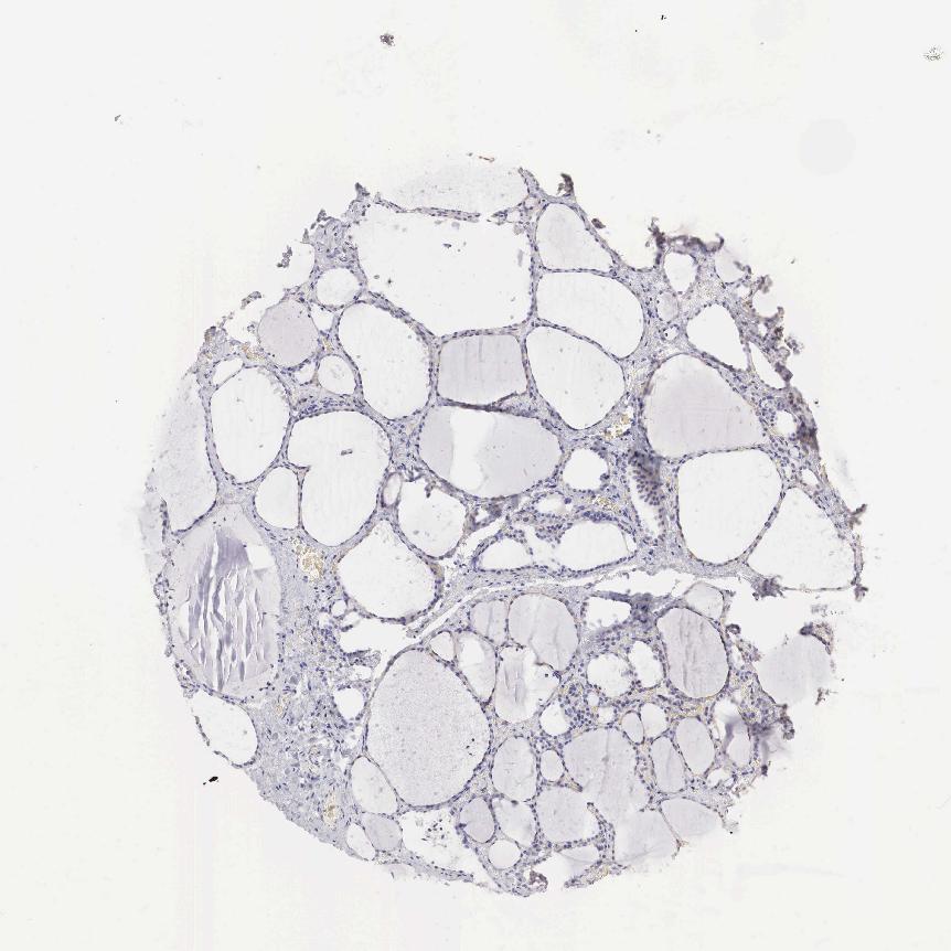
THYROID GLAND - Antibody stainingi

Antibody staining in the annotated cell types in the current human tissue is reported as not detected, low, medium, or high, based on conventional immunohistochemistry profiling in selected tissues. This score is based on the combination of the staining intensity and fraction of stained cells.

Each image is clickable and will lead to virtual microscopy that enables deeper exploration of all samples and also displays staining intensity scores, fraction scores and subcellular localization as well as patient and tissue information for each sample.

Antibody HPA001383Antibody CAB000043Antibody CAB020416Antibody CAB062555
Glandular cells MediumNot detectedLowLow









THYROID GLAND - HPA RNA-seqi

The RNA-seq details section shows detailed information about the individual samples used for the transcript profiling and results of the RNA-seq analysis.

Information about each individual sample is listed below, including gender, age, a tissue section image and estimated fractions of cell types. nTPM (normalized transcripts per million) values give a quantification of the gene abundance which is comparable between different genes and samples.
Average nTPMi

Max subtype nTPM is the value for the subtype with the largest average nTPM across the subtype samples.

42.0
overview
Female, age 20
Thyroid gland sample 249
nTPM: 28.4
Cell types%
Glandular cells:
70

Endothelial cells:
20

Other cell types:
10

overview
Female, age 55
Thyroid gland sample 250
nTPM: 43.5
Cell types%
Glandular cells:
70

Endothelial cells:
20

Other cell types:
10

overview
Female, age 58
Thyroid gland sample 251
nTPM: 45
Cell types%
Glandular cells:
70

Endothelial cells:
15

Other cell types:
15

overview
Female, age 48
Thyroid gland sample 252
nTPM: 42.6
Cell types%
Glandular cells:
70

Endothelial cells:
20

Other cell types:
10

overview
Male, age 21
Thyroid gland sample 363
nTPM: 50.5
Cell types%
Glandular cells:
75

Endothelial cells:
10

Other cell types:
15


THYROID GLAND - GTEx RNA-seqi

RNA-Seq data generated by the Genotype-Tissue Expression (GTEx) project from human tissues is reported as mean nTPM. More information can be found on the GTEx portal.

Distribution across the dataset is visualized with box plots, shown as median and 25th and 75th percentiles. Points are displayed as outliers if they are above or below 1.5 times the interquartile range. nTPM values of the individual samples are presented next to the box plot.
Max subtype nTPMi

Max subtype nTPM is the value for the subtype with the largest average nTPM across the subtype samples.

54.8
GTEx sample id Sample description nTPM
Thyroid
Average nTPM: 54.8
Samples: 653

Max nTPM: 144.6
Min nTPM: 16.8
Std nTPM: 14.2
Median nTPM: 53.4
GTEX-13N1W-0826-SM-5MR5J 70-79 years, male 144.6
GTEX-11UD2-0626-SM-5GU6L 50-59 years, male 113.4
GTEX-XYKS-0826-SM-4BRVF 60-69 years, female 109.4
GTEX-15UF6-1126-SM-6LPJ3 70-79 years, female 101.7
GTEX-1CB4E-0326-SM-7MXT3 60-69 years, male 100.4
GTEX-11GSO-0626-SM-5A5LW 60-69 years, male 97.7
GTEX-WYBS-1926-SM-3NM8N 60-69 years, female 96.3
GTEX-15EU6-1426-SM-6M48E 50-59 years, male 93.0
GTEX-14PII-0826-SM-6871S 60-69 years, male 91.9
GTEX-113JC-0126-SM-5EGJW 50-59 years, female 90.8
GTEX-13NZA-1026-SM-5MR48 60-69 years, male 90.2
GTEX-U8T8-2326-SM-3DB96 60-69 years, male 89.7
GTEX-13FLW-0326-SM-5J2M4 50-59 years, male 88.1
GTEX-Y5V5-0326-SM-5RQJG 60-69 years, female 87.9
GTEX-14JIY-1226-SM-6871R 60-69 years, male 87.2
GTEX-WHSE-0626-SM-4RGNF 20-29 years, male 86.1
GTEX-1N5O9-1026-SM-DTX8Y 60-69 years, male 85.9
GTEX-U412-0726-SM-EVR2Y 60-69 years, male 84.8
GTEX-144GO-0126-SM-5LUAO 60-69 years, male 84.4
GTEX-OXRP-0326-SM-33HBJ 60-69 years, female 83.4
GTEX-T6MO-0226-SM-32QOL 40-49 years, female 82.5
GTEX-1HSGN-0726-SM-A9G2F 40-49 years, female 81.5
GTEX-1I1GP-0326-SM-CNPQ4 50-59 years, male 81.5
GTEX-13OVJ-0626-SM-5J2O2 50-59 years, female 81.4
GTEX-1PIIG-2026-SM-EVR43 30-39 years, male 81.1
GTEX-1JKYR-0826-SM-ARU8L 20-29 years, male 81.0
GTEX-1JJE9-0226-SM-CY8HU 70-79 years, male 80.9
GTEX-U3ZM-0126-SM-3DB8M 40-49 years, male 80.5
GTEX-1GF9W-0626-SM-7MXVJ 60-69 years, male 80.3
GTEX-13RTJ-0326-SM-5YYAE 60-69 years, male 80.0
GTEX-XMK1-0626-SM-4B65A 40-49 years, male 79.3
GTEX-ZYFD-0826-SM-5NQ9A 50-59 years, male 78.8
GTEX-11ZTT-1026-SM-5EQKF 60-69 years, female 78.7
GTEX-14ASI-0726-SM-5Q5DC 60-69 years, male 78.6
GTEX-1LG7Y-0626-SM-DHXJM 50-59 years, male 78.3
GTEX-X261-0726-SM-EZ6MH 50-59 years, male 78.2
GTEX-1CAMQ-1126-SM-7EWFE 40-49 years, male 77.7
GTEX-1PPGY-1426-SM-EVR3R 60-69 years, male 77.6
GTEX-1GZ4I-0626-SM-9WPPN 50-59 years, male 77.3
GTEX-11DYG-0826-SM-5N9GH 60-69 years, male 76.9
GTEX-1CB4H-0126-SM-7IGN2 60-69 years, female 76.8
GTEX-139T6-0326-SM-5J2LY 50-59 years, male 76.7
GTEX-139UW-0126-SM-5KM1B 60-69 years, male 76.7
GTEX-OXRL-2626-SM-2I3F1 50-59 years, male 76.4
GTEX-ZAJG-0726-SM-5HL9A 50-59 years, female 76.4
GTEX-12BJ1-0426-SM-5FQSO 60-69 years, male 76.3
GTEX-1AMFI-0526-SM-7189M 50-59 years, female 76.0
GTEX-ZPCL-0126-SM-4WWC8 60-69 years, female 76.0
GTEX-16GPK-0926-SM-6LPJ9 60-69 years, male 75.8
GTEX-13O21-2226-SM-5MR3L 50-59 years, male 75.6
GTEX-1IKOH-0626-SM-CJI35 60-69 years, female 75.5
GTEX-146FR-0326-SM-5SI8U 60-69 years, female 75.4
GTEX-131XH-0526-SM-5DUX7 50-59 years, male 75.0
GTEX-14B4R-0126-SM-5TDE4 30-39 years, male 75.0
GTEX-16Z82-0426-SM-7EPGX 60-69 years, male 75.0
GTEX-T5JW-1226-SM-3GACY 20-29 years, female 74.6
GTEX-YEC4-0626-SM-5CVLU 40-49 years, male 74.2
GTEX-1AX9K-0626-SM-73KVD 50-59 years, male 74.0
GTEX-1HBPN-1226-SM-B2LW9 50-59 years, male 74.0
GTEX-13NYC-2426-SM-5MR3K 60-69 years, male 73.9
GTEX-ZZ64-0126-SM-5GZXA 20-29 years, male 73.9
GTEX-1ICLY-0726-SM-A96TB 50-59 years, male 73.9
GTEX-OIZG-0226-SM-2TC5L 50-59 years, male 73.8
GTEX-1O9I2-1226-SM-E6CQC 50-59 years, male 73.8
GTEX-1MCC2-0526-SM-DHXJS 30-39 years, female 73.7
GTEX-1MJK2-0826-SM-DTXE8 50-59 years, male 73.7
GTEX-17HII-1926-SM-79OLB 50-59 years, male 73.6
GTEX-1C6VS-0826-SM-7EWEI 60-69 years, male 73.3
GTEX-13QJ3-0926-SM-73KX5 50-59 years, male 73.1
GTEX-15G19-0626-SM-6M474 60-69 years, male 73.1
GTEX-14BMV-0726-SM-73KVE 50-59 years, male 72.5
GTEX-1JKYN-1126-SM-CGQG5 30-39 years, male 72.4
GTEX-15D1Q-0626-SM-6AJAZ 40-49 years, male 72.3
GTEX-13JVG-0926-SM-5IJE1 60-69 years, male 72.0
GTEX-14E7W-0926-SM-5YYA4 70-79 years, male 71.8
GTEX-11GS4-0826-SM-5986J 60-69 years, male 71.7
GTEX-14PKV-0626-SM-6AJA2 20-29 years, female 71.7
GTEX-1GN1W-0126-SM-7MXV7 50-59 years, female 71.5
GTEX-Y111-1926-SM-4SOIS 50-59 years, male 71.4
GTEX-1JN6P-0626-SM-ARZN6 60-69 years, male 71.4
GTEX-1H3VE-0826-SM-9KNVQ 40-49 years, male 71.2
GTEX-13RTK-0326-SM-5RQHS 20-29 years, male 71.0
GTEX-YB5E-0626-SM-4VDSE 40-49 years, male 70.9
GTEX-1C6VQ-0526-SM-7MGWD 50-59 years, male 70.9
GTEX-131XE-0126-SM-5LZVC 50-59 years, male 70.5
GTEX-13FHP-0926-SM-5L3EC 50-59 years, male 70.5
GTEX-13FXS-0726-SM-5LZXJ 50-59 years, male 70.3
GTEX-16YQH-0326-SM-6LPJV 30-39 years, male 70.3
GTEX-P44G-0626-SM-2I5EO 30-39 years, male 70.3
GTEX-ZYVF-1126-SM-5E458 50-59 years, female 70.2
GTEX-1B97I-0326-SM-7DUGB 40-49 years, male 69.8
GTEX-YFCO-0326-SM-4W1ZP 40-49 years, male 69.6
GTEX-1AX9I-0626-SM-72D54 60-69 years, male 69.5
GTEX-ZXG5-0926-SM-5NQ8H 60-69 years, male 69.2
GTEX-17F97-0626-SM-7IGOH 50-59 years, male 69.1
GTEX-X4XY-0826-SM-4E3JM 60-69 years, male 69.1
GTEX-11EI6-0726-SM-59866 60-69 years, male 69.0
GTEX-1I1GU-0826-SM-ARZM5 40-49 years, male 69.0
GTEX-117YW-0126-SM-5EGGN 50-59 years, male 68.8
GTEX-1HSMO-0726-SM-A96TM 60-69 years, male 68.6
GTEX-1OFPY-1526-SM-DTX8R 60-69 years, male 68.4
GTEX-1GMR8-0826-SM-9KNUR 50-59 years, female 68.3
GTEX-WHSB-1626-SM-3LK6J 50-59 years, male 68.2
GTEX-1QP2A-0626-SM-DTX9C 50-59 years, male 68.2
GTEX-147GR-0726-SM-5S2PL 60-69 years, male 68.0
GTEX-RVPV-1226-SM-2TF73 60-69 years, male 68.0
GTEX-1MGNQ-0726-SM-DPRYH 40-49 years, male 68.0
GTEX-1IE54-0926-SM-A9G2Y 40-49 years, female 67.8
GTEX-1192X-1126-SM-5EGGU 50-59 years, male 67.6
GTEX-11EQ9-0626-SM-5A5K1 30-39 years, male 67.6
GTEX-1HCVE-0726-SM-A96SH 50-59 years, male 67.3
GTEX-YEC3-0826-SM-4WWFP 50-59 years, male 67.2
GTEX-PWCY-2326-SM-2I3EQ 20-29 years, female 67.1
GTEX-1IY9M-1026-SM-A96TG 60-69 years, male 67.1
GTEX-1J1OQ-0526-SM-A9G2P 40-49 years, female 66.8
GTEX-1HFI7-0326-SM-9WPOX 50-59 years, female 66.6
GTEX-1K9T9-0826-SM-EAZ4X 50-59 years, female 66.6
GTEX-OXRN-1526-SM-E6CHM 50-59 years, male 66.6
GTEX-17F96-0526-SM-79OLE 70-79 years, male 66.2
GTEX-1RQED-0926-SM-EWRNZ 60-69 years, male 66.1
GTEX-11TUW-0226-SM-5LU8X 60-69 years, male 66.0
GTEX-14PQA-1226-SM-6M47A 50-59 years, female 65.9
GTEX-1B8SG-1126-SM-7IGMT 50-59 years, male 65.9
GTEX-Z9EW-0226-SM-5CVM7 40-49 years, male 65.9
GTEX-ZTX8-0626-SM-59HKC 20-29 years, male 65.7
GTEX-145LT-0226-SM-5S2QK 40-49 years, male 65.6
GTEX-Y5V6-0526-SM-4VBRV 60-69 years, male 65.4
GTEX-1QAET-0226-SM-EVR3T 50-59 years, male 65.4
GTEX-ZA64-0426-SM-5HL96 20-29 years, male 65.2
GTEX-ZTPG-0826-SM-5DUVC 20-29 years, female 65.2
GTEX-1S83E-0726-SM-EV7B6 40-49 years, male 65.1
GTEX-11VI4-0226-SM-5GU6C 40-49 years, female 65.0
GTEX-145MG-0826-SM-5Q5C2 50-59 years, male 64.9
GTEX-QLQ7-0726-SM-2I5G2 60-69 years, male 64.9
GTEX-XGQ4-0426-SM-4AT4I 50-59 years, male 64.8
GTEX-Y9LG-0426-SM-4VBRT 30-39 years, male 64.7
GTEX-1IDJU-1626-SM-CJI4B 60-69 years, female 64.5
GTEX-RN5K-2826-SM-EZ6L3 50-59 years, female 64.5
GTEX-15RIF-0326-SM-7KUFR 20-29 years, male 64.4
GTEX-1I6K7-1126-SM-A96SW 40-49 years, male 64.4
GTEX-13VXU-0826-SM-5KLZ2 50-59 years, male 64.3
GTEX-R3RS-0726-SM-3GIJR 40-49 years, female 64.2
GTEX-1LVAM-0826-SM-EV79X 50-59 years, female 64.2
GTEX-SNOS-0226-SM-32PLR 40-49 years, male 64.1
GTEX-1GMR3-0726-SM-9WPOF 40-49 years, male 64.1
GTEX-OHPM-2626-SM-33HC5 50-59 years, male 64.0
GTEX-15EO6-0126-SM-6LPKJ 50-59 years, male 63.9
GTEX-RN64-0626-SM-2TC5V 50-59 years, male 63.7
GTEX-1B933-1026-SM-7P8RO 50-59 years, female 63.7
GTEX-1RQEC-1026-SM-EVR5B 60-69 years, male 63.6
GTEX-O5YV-1526-SM-EV799 60-69 years, female 63.5
GTEX-13O61-0226-SM-5KM52 60-69 years, male 63.4
GTEX-1128S-0126-SM-5H12S 60-69 years, female 63.3
GTEX-11O72-2326-SM-5BC7H 40-49 years, male 63.3
GTEX-R55E-0826-SM-2TC5M 20-29 years, male 63.3
GTEX-QDVN-0626-SM-2I3FP 50-59 years, male 63.2
GTEX-111FC-1026-SM-5GZX1 60-69 years, male 63.1
GTEX-XBEW-0126-SM-4AT66 40-49 years, male 63.1
GTEX-P4QT-2626-SM-2I3FM 50-59 years, female 63.0
GTEX-1FIGZ-0226-SM-7P8QR 40-49 years, male 63.0
GTEX-1192W-0126-SM-5EGGS 60-69 years, male 62.9
GTEX-13D11-0226-SM-5LZXL 50-59 years, female 62.7
GTEX-OOBJ-2626-SM-2I3F6 60-69 years, male 62.7
GTEX-XUW1-1026-SM-4BONY 50-59 years, female 62.7
GTEX-1ICG6-0426-SM-ARU7M 70-79 years, female 62.7
GTEX-11NSD-0126-SM-5987F 20-29 years, male 62.5
GTEX-12WSK-0926-SM-5CVNQ 40-49 years, female 62.5
GTEX-14753-0926-SM-5Q5BI 60-69 years, male 62.5
GTEX-17HHY-0826-SM-7EPID 50-59 years, male 62.5
GTEX-RWSA-0826-SM-2XCBF 40-49 years, male 62.5
GTEX-ZVT3-0726-SM-5GICN 60-69 years, female 62.5
GTEX-1K2DA-1526-SM-CGQGQ 50-59 years, male 62.3
GTEX-RWS6-0626-SM-2XCAS 60-69 years, female 62.1
GTEX-Y5LM-0626-SM-4V6G4 40-49 years, female 62.1
GTEX-14PJ3-0126-SM-69LQP 50-59 years, male 62.0
GTEX-1F52S-0526-SM-7P8TP 60-69 years, female 62.0
GTEX-1PDJ9-0826-SM-E76PS 20-29 years, male 62.0
GTEX-11DZ1-2726-SM-5A5KH 50-59 years, male 61.9
GTEX-13113-0126-SM-5LZVX 60-69 years, female 61.9
GTEX-1C2JI-0326-SM-7EWFD 50-59 years, male 61.9
GTEX-1B8KE-0626-SM-7189H 50-59 years, male 61.7
GTEX-PLZ4-1226-SM-2I5FE 50-59 years, female 61.7
GTEX-1H1DF-1026-SM-9QEJ1 40-49 years, female 61.6
GTEX-18D9B-0726-SM-72D6K 60-69 years, male 61.4
GTEX-1M4P7-0626-SM-EVR51 60-69 years, male 61.3
GTEX-ZGAY-1026-SM-4WWBR 40-49 years, female 61.2
GTEX-11TTK-0826-SM-5N9EG 60-69 years, female 61.1
GTEX-1H11D-0626-SM-9WPQ1 40-49 years, male 61.1
GTEX-1122O-0226-SM-5N9DA 60-69 years, female 60.9
GTEX-1I1GS-0726-SM-C1YS7 60-69 years, male 60.9
GTEX-12WSC-0826-SM-5EQ5Q 50-59 years, male 60.8
GTEX-V955-0426-SM-3GAEL 60-69 years, male 60.8
GTEX-1RAZS-1026-SM-E9TID 50-59 years, male 60.8
GTEX-12ZZZ-1226-SM-59HK1 60-69 years, male 60.7
GTEX-12WSN-0726-SM-5GCMS 40-49 years, male 60.6
GTEX-11P7K-0226-SM-5986Z 30-39 years, male 60.5
GTEX-17GQL-0226-SM-7LTAK 60-69 years, male 60.5
GTEX-1HR98-0326-SM-CGQEL 60-69 years, male 60.5
GTEX-ZTSS-0226-SM-59877 40-49 years, male 60.3
GTEX-18A6Q-0726-SM-7LT8Y 60-69 years, male 60.2
GTEX-144GL-1226-SM-5O9A4 50-59 years, male 60.1
GTEX-QEG5-0826-SM-2I5GF 20-29 years, male 60.1
GTEX-WXYG-0226-SM-3NB2Y 50-59 years, female 60.1
GTEX-1R46S-0426-SM-EVR48 60-69 years, female 60.1
GTEX-SUCS-0226-SM-32PLQ 70-79 years, male 60.0
GTEX-WH7G-0526-SM-3NMBI 40-49 years, male 60.0
GTEX-Q2AH-0726-SM-2I3EA 40-49 years, male 59.8
GTEX-1CB4I-0726-SM-7DUGS 50-59 years, male 59.7
GTEX-1CB4J-1426-SM-7MKFR 60-69 years, male 59.7
GTEX-1HUB1-1226-SM-B2LWX 60-69 years, male 59.7
GTEX-16XZZ-0826-SM-7IGM3 60-69 years, male 59.6
GTEX-S32W-0726-SM-2XCBL 50-59 years, female 59.5
GTEX-1IOXB-1026-SM-CJI4D 50-59 years, male 59.4
GTEX-13FTW-0626-SM-5IFEX 40-49 years, male 59.2
GTEX-1EH9U-0926-SM-7EWF1 60-69 years, male 59.2
GTEX-RNOR-0926-SM-2TF56 50-59 years, female 59.1
GTEX-WY7C-0226-SM-3NB37 50-59 years, male 59.0
GTEX-1PPH8-0926-SM-DTX9U 20-29 years, male 59.0
GTEX-18A67-0826-SM-7KFTI 50-59 years, male 58.9
GTEX-1IGQW-0626-SM-C1YR9 60-69 years, male 58.9
GTEX-15CHC-0126-SM-5YYBA 60-69 years, female 58.8
GTEX-RU1J-0226-SM-2TF5Y 20-29 years, female 58.8
GTEX-1A8G6-0626-SM-7IGNB 60-69 years, male 58.7
GTEX-ZVZP-1026-SM-5GICI 50-59 years, male 58.7
GTEX-11TT1-1126-SM-5P9GV 20-29 years, male 58.6
GTEX-14C5O-0826-SM-5TDEG 60-69 years, male 58.6
GTEX-T6MN-0626-SM-32PM9 50-59 years, male 58.5
GTEX-ZYFG-0626-SM-5GZYA 60-69 years, female 58.5
GTEX-1QP6S-2526-SM-DTX9Z 40-49 years, male 58.5
GTEX-13OW5-0626-SM-5J2N2 60-69 years, male 58.4
GTEX-1KD4Q-1026-SM-CXZKJ 40-49 years, male 58.3
GTEX-11LCK-0526-SM-5A5M9 30-39 years, male 58.2
GTEX-183WM-2626-SM-7KFRY 70-79 years, female 58.2
GTEX-1EWIQ-0826-SM-7MXTH 70-79 years, female 58.2
GTEX-1GN1V-0626-SM-7P8QU 60-69 years, male 57.7
GTEX-13N2G-0726-SM-5MR38 60-69 years, male 57.6
GTEX-1IL2V-0626-SM-ARU7S 70-79 years, male 57.6
GTEX-1PIGE-0726-SM-DPRZD 20-29 years, male 57.6
GTEX-1H1E6-0326-SM-9OSWE 30-39 years, male 57.5
GTEX-13O3Q-0626-SM-5IJG1 50-59 years, male 57.4
GTEX-1QEPI-0726-SM-E76QG 60-69 years, female 57.4
GTEX-18A66-0826-SM-72D5Z 60-69 years, male 57.3
GTEX-1HKZK-0826-SM-A9G2C 40-49 years, male 57.3
GTEX-1RAZA-0826-SM-EAZ4I 20-29 years, male 57.3
GTEX-145MH-0426-SM-5LU8T 50-59 years, male 57.2
GTEX-13CF3-0926-SM-5LZZC 60-69 years, female 57.1
GTEX-16AAH-0326-SM-7DHML 50-59 years, male 57.1
GTEX-16BQI-0726-SM-6LPJZ 30-39 years, female 57.1
GTEX-RUSQ-1026-SM-2TF6V 50-59 years, male 57.1
GTEX-VUSG-0426-SM-3GIKD 50-59 years, male 57.1
GTEX-1KXAM-1726-SM-D3LAE 60-69 years, male 57.1
GTEX-1HBPM-0926-SM-ARL9C 60-69 years, female 57.0
GTEX-14PN3-0826-SM-69LOS 60-69 years, female 56.8
GTEX-QXCU-0326-SM-2TC63 50-59 years, male 56.8
GTEX-X5EB-0726-SM-46MVR 40-49 years, male 56.8
GTEX-1E1VI-0726-SM-7P8QJ 50-59 years, male 56.8
GTEX-1HB9E-0826-SM-CNNQJ 50-59 years, male 56.8
GTEX-13PL6-1026-SM-5L3E5 40-49 years, female 56.7
GTEX-OHPK-2626-SM-2HMK9 50-59 years, female 56.7
GTEX-ZYT6-0426-SM-5GID3 30-39 years, male 56.7
GTEX-11I78-0526-SM-5986A 50-59 years, female 56.6
GTEX-RM2N-0526-SM-2TF4N 50-59 years, male 56.6
GTEX-ZLWG-0526-SM-4WWFB 50-59 years, female 56.5
GTEX-1H1DG-0726-SM-A96TN 70-79 years, male 56.5
GTEX-1497J-0126-SM-5Q5BK 60-69 years, male 56.4
GTEX-1EX96-0126-SM-9KNVH 50-59 years, male 56.4
GTEX-14PN4-1526-SM-6871V 50-59 years, male 56.3
GTEX-132NY-1026-SM-5P9IY 60-69 years, male 56.1
GTEX-14C39-0226-SM-5TDDW 40-49 years, male 56.0
GTEX-13FTY-0726-SM-5J2OH 40-49 years, female 55.9
GTEX-148VJ-0726-SM-5LU8J 70-79 years, male 55.9
GTEX-15ER7-0726-SM-7KUMF 20-29 years, female 55.9
GTEX-Q2AG-0826-SM-2HMKF 40-49 years, female 55.9
GTEX-1ICLZ-0526-SM-ARZM8 60-69 years, male 55.9
GTEX-ZVP2-0426-SM-57WC2 50-59 years, male 55.8
GTEX-18QFQ-0726-SM-7LG6D 30-39 years, male 55.7
GTEX-XLM4-0726-SM-4AT64 60-69 years, male 55.7
GTEX-1HBPH-0926-SM-A9SME 40-49 years, female 55.7
GTEX-12696-0326-SM-5EGL4 60-69 years, male 55.5
GTEX-13OVK-0226-SM-6M472 40-49 years, male 55.4
GTEX-POYW-0826-SM-2XCEM 60-69 years, male 55.4
GTEX-WK11-0926-SM-3NMAU 50-59 years, male 55.4
GTEX-1HR9M-0626-SM-A96S6 60-69 years, male 55.4
GTEX-1J1R8-0126-SM-CJI36 40-49 years, male 55.4
GTEX-183FY-0626-SM-79OKR 20-29 years, male 55.3
GTEX-P4QS-2626-SM-2I3EV 60-69 years, male 55.3
GTEX-1BAJH-0926-SM-79OO6 70-79 years, male 55.2
GTEX-XUZC-0126-SM-4BOO6 30-39 years, female 55.2
GTEX-13QBU-0626-SM-5J2OG 40-49 years, female 55.0
GTEX-14PHW-2926-SM-6AJBA 60-69 years, female 55.0
GTEX-WL46-0126-SM-3TW8I 50-59 years, male 54.9
GTEX-ZY6K-0226-SM-5SIAY 50-59 years, male 54.9
GTEX-117YX-1226-SM-5H11S 50-59 years, male 54.8
GTEX-12WSH-0226-SM-5GCOG 50-59 years, male 54.8
GTEX-13112-0326-SM-5P9IW 50-59 years, male 54.6
GTEX-OXRK-0626-SM-2HMJ5 50-59 years, female 54.6
GTEX-S341-0226-SM-D4P1Y 40-49 years, female 54.6
GTEX-1GF9X-0126-SM-A9G38 40-49 years, female 54.5
GTEX-1I1GT-0826-SM-B2LWO 60-69 years, female 54.5
GTEX-1MUQO-0726-SM-E9TJM 60-69 years, male 54.5
GTEX-NFK9-0726-SM-2HMJW 40-49 years, male 54.3
GTEX-117XS-0526-SM-5987Q 60-69 years, male 54.2
GTEX-1A8G7-1026-SM-73KVA 60-69 years, male 54.2
GTEX-14PJ4-0326-SM-664OT 60-69 years, male 54.0
GTEX-1CAMR-0226-SM-7DUGO 20-29 years, male 54.0
GTEX-WYJK-1626-SM-3NM9J 50-59 years, male 54.0
GTEX-WFG7-0326-SM-DKPO8 20-29 years, male 54.0
GTEX-13OW8-0126-SM-5IJE5 60-69 years, male 53.9
GTEX-1B8KZ-0426-SM-731DP 50-59 years, male 53.9
GTEX-X8HC-0726-SM-46MWG 50-59 years, female 53.9
GTEX-131XG-0226-SM-5IFG1 50-59 years, female 53.8
GTEX-14BMU-0226-SM-5S2QA 20-29 years, female 53.8
GTEX-1HGF4-0726-SM-9WYU9 60-69 years, male 53.8
GTEX-OIZF-2626-SM-7P8QZ 60-69 years, male 53.8
GTEX-1313W-0726-SM-5EGK1 50-59 years, female 53.7
GTEX-1F75B-0826-SM-9QEIT 50-59 years, male 53.7
GTEX-13PVR-0626-SM-5S2RC 60-69 years, female 53.6
GTEX-1I19N-0226-SM-CE6ST 70-79 years, male 53.6
GTEX-1KANC-0826-SM-D3LA8 50-59 years, female 53.6
GTEX-13OVG-0226-SM-5LU93 60-69 years, male 53.5
GTEX-1A3MV-0326-SM-73KW7 30-39 years, male 53.5
GTEX-T2IS-0626-SM-32QP6 20-29 years, female 53.5
GTEX-1GPI7-0726-SM-9WG84 20-29 years, male 53.5
GTEX-1399U-0326-SM-5P9G5 50-59 years, female 53.4
GTEX-13NZ8-0226-SM-5J2OK 60-69 years, female 53.4
GTEX-13O1R-0826-SM-5J2MB 60-69 years, male 53.4
GTEX-ZQUD-0126-SM-7EPIS 30-39 years, male 53.4
GTEX-1RNSC-1126-SM-E9TIP 60-69 years, male 53.3
GTEX-13PVQ-0726-SM-5L3GI 50-59 years, male 53.2
GTEX-1AMEY-0126-SM-73KTX 30-39 years, female 53.2
GTEX-ZC5H-0626-SM-5LU9K 40-49 years, female 53.2
GTEX-ZT9W-0226-SM-7SB6H 50-59 years, male 53.2
GTEX-ZYW4-1126-SM-5SI99 60-69 years, male 53.1
GTEX-1J8JJ-0726-SM-AHZ3E 60-69 years, female 53.0
GTEX-X4LF-0426-SM-3NMB5 50-59 years, male 52.9
GTEX-1GTWX-0726-SM-9WPPA 60-69 years, male 52.9
GTEX-11DXZ-0926-SM-5N9CG 50-59 years, male 52.8
GTEX-15CHR-1726-SM-7DUGW 50-59 years, male 52.8
GTEX-13O3P-0726-SM-5J2OM 50-59 years, male 52.6
GTEX-14E6E-0326-SM-73KY6 30-39 years, male 52.6
GTEX-ZYFC-0926-SM-5GZWW 50-59 years, male 52.6
GTEX-ZF28-0826-SM-4WKGJ 60-69 years, male 52.5
GTEX-ZQG8-0926-SM-57WFF 60-69 years, female 52.5
GTEX-13X6J-0826-SM-5LU32 50-59 years, male 52.4
GTEX-14E6C-2626-SM-5RQJP 40-49 years, male 52.3
GTEX-ZAK1-0726-SM-5HL8Q 50-59 years, female 52.3
GTEX-1B97J-0626-SM-7P8RU 50-59 years, female 52.3
GTEX-1QP9N-0126-SM-DPRZS 30-39 years, male 52.3
GTEX-11EM3-0126-SM-5985K 20-29 years, female 52.2
GTEX-17HGU-0826-SM-7EWE5 50-59 years, male 52.2
GTEX-1NV5F-0726-SM-DTXEH 60-69 years, female 52.2
GTEX-18D9U-1026-SM-72D5R 40-49 years, male 52.1
GTEX-1HCU7-0826-SM-B2LX7 50-59 years, male 52.1
GTEX-15SB6-1526-SM-7KUMQ 50-59 years, female 52.0
GTEX-ZDYS-0626-SM-5J2N5 50-59 years, male 52.0
GTEX-XOT4-1526-SM-EAZ2W 60-69 years, female 52.0
GTEX-131XF-1826-SM-5EGKG 60-69 years, male 51.8
GTEX-132QS-0326-SM-5IJFN 60-69 years, male 51.7
GTEX-15RJE-1326-SM-6LPI6 40-49 years, male 51.7
GTEX-Q2AI-0326-SM-2I3EK 40-49 years, male 51.7
GTEX-15CHQ-0826-SM-69LOT 60-69 years, male 51.6
GTEX-R55C-0626-SM-2TF4Q 40-49 years, male 51.6
GTEX-WVLH-0626-SM-3MJG7 50-59 years, male 51.6
GTEX-1F88F-0726-SM-7P8R7 60-69 years, female 51.6
GTEX-1HSMQ-0526-SM-A96TY 50-59 years, male 51.6
GTEX-SE5C-0726-SM-4BRWY 40-49 years, female 51.5
GTEX-1211K-0726-SM-5FQUW 60-69 years, female 51.4
GTEX-1LVAN-0726-SM-CNNPF 50-59 years, female 51.4
GTEX-15G1A-0326-SM-6M467 30-39 years, male 51.3
GTEX-17HHE-0426-SM-79OK3 50-59 years, male 51.3
GTEX-WFJO-0226-SM-3GIKW 30-39 years, male 51.3
GTEX-1H2FU-0626-SM-9WPPS 60-69 years, female 51.3
GTEX-1I1GV-0726-SM-ARZLY 60-69 years, male 51.3
GTEX-1JMQK-2126-SM-CY8I2 60-69 years, male 51.3
GTEX-1MA7X-0926-SM-DIPEJ 60-69 years, male 51.2
GTEX-1212Z-0426-SM-5FQT6 60-69 years, male 51.1
GTEX-147F4-0826-SM-5QGRB 50-59 years, male 51.1
GTEX-WYVS-0326-SM-3NM9V 40-49 years, female 51.1
GTEX-XV7Q-0326-SM-4BRVM 40-49 years, female 51.1
GTEX-14PKU-0326-SM-6AJA7 40-49 years, female 51.0
GTEX-WHPG-0226-SM-3NMB9 50-59 years, male 51.0
GTEX-111CU-0226-SM-5GZXC 50-59 years, male 50.9
GTEX-13NZ9-1126-SM-5MR37 50-59 years, male 50.9
GTEX-15RIE-0426-SM-7KUMH 60-69 years, male 50.9
GTEX-16NPX-1426-SM-6LPK3 50-59 years, male 50.9
GTEX-18465-1426-SM-7KFTF 50-59 years, male 50.9
GTEX-13OW7-0826-SM-5L3EL 50-59 years, male 50.8
GTEX-1JMQJ-2026-SM-CNPP9 50-59 years, male 50.8
GTEX-145MI-1126-SM-5O9AK 60-69 years, female 50.7
GTEX-1PBJI-0726-SM-EXUSQ 20-29 years, female 50.6
GTEX-11P82-0226-SM-5HL4O 20-29 years, male 50.5
GTEX-11ZVC-0126-SM-5986G 50-59 years, female 50.5
GTEX-X4XX-0926-SM-46MV7 60-69 years, male 50.5
GTEX-Y3I4-0226-SM-4TT27 50-59 years, male 50.5
GTEX-13G51-1226-SM-5K7Z3 60-69 years, male 50.4
GTEX-U4B1-0626-SM-3DB8L 40-49 years, male 50.4
GTEX-QEL4-0726-SM-3GIJ5 50-59 years, male 50.3
GTEX-1R9PM-0226-SM-DPRY7 20-29 years, male 50.3
GTEX-1C64N-1026-SM-79ONM 50-59 years, male 50.2
GTEX-Y3IK-0526-SM-4WWE3 50-59 years, female 50.2
GTEX-QDT8-1226-SM-EVR35 30-39 years, female 50.2
GTEX-1QMI2-0826-SM-EXUT4 60-69 years, male 50.1
GTEX-139TS-0126-SM-5K7XJ 60-69 years, male 50.0
GTEX-13W46-0926-SM-5LU3T 50-59 years, male 50.0
GTEX-YF7O-0726-SM-4W213 50-59 years, male 50.0
GTEX-1RMOY-0126-SM-EWRNN 50-59 years, male 50.0
GTEX-ZF3C-0826-SM-DO11E 50-59 years, female 50.0
GTEX-11EMC-0226-SM-5EGLP 60-69 years, female 49.9
GTEX-1HFI6-1326-SM-A9SL8 40-49 years, male 49.9
GTEX-12584-0826-SM-5FQSK 40-49 years, male 49.8
GTEX-12WSJ-0326-SM-5GCMT 40-49 years, female 49.8
GTEX-1A8FM-0726-SM-7DUGK 50-59 years, female 49.8
GTEX-14PJ6-0326-SM-6871H 60-69 years, female 49.7
GTEX-UJMC-0326-SM-3GAE2 50-59 years, male 49.7
GTEX-1EU9M-0626-SM-7MXUT 60-69 years, male 49.7
GTEX-15ETS-0526-SM-6PAN3 40-49 years, female 49.6
GTEX-ZDTS-0926-SM-5YY9D 60-69 years, male 49.6
GTEX-1GMRU-1126-SM-9KNV1 50-59 years, male 49.6
GTEX-11NUK-1026-SM-5HL5J 50-59 years, male 49.5
GTEX-12WSL-0626-SM-5GCOY 50-59 years, male 49.5
GTEX-12ZZX-1226-SM-5EGHS 40-49 years, female 49.5
GTEX-ZPIC-0226-SM-DO91T 40-49 years, female 49.5
GTEX-13FH7-0126-SM-5KLZ1 50-59 years, female 49.4
GTEX-13YAN-0926-SM-5O9C3 60-69 years, male 49.4
GTEX-17F9E-0626-SM-79ON5 50-59 years, male 49.4
GTEX-1HSEH-0826-SM-B2LXE 60-69 years, male 49.4
GTEX-1LB8K-0626-SM-D4P3Z 50-59 years, male 49.4
GTEX-ZLFU-0626-SM-4WWBO 40-49 years, male 49.3
GTEX-YJ89-0726-SM-5P9F7 60-69 years, male 49.2
GTEX-1QP66-0326-SM-DTX7V 50-59 years, male 49.1
GTEX-ZV6S-0226-SM-59HJT 40-49 years, female 49.0
GTEX-132AR-1126-SM-5P9GA 50-59 years, female 48.9
GTEX-11DXX-0226-SM-5P9HL 60-69 years, female 48.8
GTEX-16NGA-0326-SM-718AJ 40-49 years, female 48.8
GTEX-R53T-0526-SM-3GADL 50-59 years, female 48.8
GTEX-1F6IF-1126-SM-9KNV2 60-69 years, male 48.8
GTEX-13FHO-0926-SM-5N9EW 60-69 years, male 48.7
GTEX-1IDJH-0826-SM-CE6SY 70-79 years, male 48.7
GTEX-1O97I-1026-SM-E76PI 60-69 years, male 48.7
GTEX-139YR-1226-SM-5IFEU 50-59 years, male 48.6
GTEX-PWN1-2626-SM-2I3FH 40-49 years, female 48.6
GTEX-1LH75-0626-SM-DIPG3 50-59 years, female 48.6
GTEX-13IVO-0926-SM-5KLZP 70-79 years, male 48.5
GTEX-14XAO-0426-SM-6AJB6 60-69 years, female 48.5
GTEX-QV44-0826-SM-2S1RG 50-59 years, male 48.4
GTEX-13NYB-0726-SM-5MR4J 40-49 years, male 48.3
GTEX-SN8G-1526-SM-4DM79 50-59 years, female 48.3
GTEX-1F75I-0926-SM-7MXUU 40-49 years, male 48.3
GTEX-1HCUA-0126-SM-B2LWC 50-59 years, female 48.3
GTEX-1RAZQ-0926-SM-EAZ4Q 30-39 years, male 48.3
GTEX-144GM-0226-SM-5Q5CB 20-29 years, male 48.2
GTEX-14A5H-0726-SM-5Q5DW 60-69 years, male 48.1
GTEX-1IDJC-1026-SM-A96T2 50-59 years, male 48.1
GTEX-1PFEY-0226-SM-EVR3M 30-39 years, male 48.1
GTEX-1K2DU-0126-SM-E9TIU 20-29 years, male 47.9
GTEX-YB5K-0526-SM-5LUAS 40-49 years, female 47.8
GTEX-1JMPY-0126-SM-CJI39 30-39 years, male 47.8
GTEX-133LE-0326-SM-5P9G4 20-29 years, female 47.6
GTEX-14C38-0826-SM-5S2U8 50-59 years, male 47.6
GTEX-1OJC4-0526-SM-E6CQV 50-59 years, female 47.6
GTEX-1LSVX-0726-SM-E9TJG 60-69 years, male 47.5
GTEX-12WSD-0926-SM-5GCNL 60-69 years, female 47.4
GTEX-14ICL-0426-SM-5RQJ3 30-39 years, male 47.2
GTEX-1JJEA-0626-SM-D3L96 60-69 years, male 47.2
GTEX-131YS-0726-SM-5P9G9 60-69 years, female 47.1
GTEX-1RAZR-1126-SM-E6CRC 40-49 years, male 47.1
GTEX-1R9K5-0726-SM-EAZ4E 50-59 years, male 47.0
GTEX-12ZZY-0826-SM-5EQMT 60-69 years, male 46.8
GTEX-13VXT-0626-SM-5SIA1 20-29 years, female 46.7
GTEX-N7MS-2326-SM-2HMLD 60-69 years, male 46.7
GTEX-1269C-0226-SM-5EGKS 60-69 years, female 46.6
GTEX-13OVI-0826-SM-5KLZ8 60-69 years, female 46.6
GTEX-1NUQO-0926-SM-DTXEX 20-29 years, female 46.5
GTEX-13N11-1026-SM-5K7XQ 50-59 years, female 46.4
GTEX-W5WG-1426-SM-4KKZP 50-59 years, female 46.4
GTEX-1GN73-0826-SM-9OSW4 60-69 years, male 46.4
GTEX-1H1ZS-0726-SM-A9G3K 70-79 years, male 46.4
GTEX-1JMQL-0926-SM-CJI3F 50-59 years, female 46.4
GTEX-17HG3-0226-SM-7EWEA 30-39 years, female 46.3
GTEX-1AX9J-2126-SM-731DD 60-69 years, male 46.3
GTEX-OXRO-1226-SM-48TDL 60-69 years, female 46.2
GTEX-ZVZQ-0626-SM-59HJU 60-69 years, female 46.2
GTEX-ZF29-0726-SM-DO92H 60-69 years, female 46.1
GTEX-1399T-0126-SM-5KM15 60-69 years, male 46.0
GTEX-ZUA1-0926-SM-4YCDX 40-49 years, male 46.0
GTEX-1P4AB-1126-SM-DTX94 50-59 years, male 46.0
GTEX-PX3G-2626-SM-2I3EG 20-29 years, female 45.9
GTEX-1477Z-0226-SM-5TDCI 60-69 years, male 45.8
GTEX-S7SF-0226-SM-5SI7H 20-29 years, female 45.8
GTEX-X15G-0526-SM-3NMB7 50-59 years, female 45.8
GTEX-1IKJJ-1026-SM-A96SQ 60-69 years, male 45.8
GTEX-1PWST-0726-SM-EWRMO 70-79 years, male 45.8
GTEX-1QCLY-0826-SM-DTX8A 30-39 years, male 45.8
GTEX-1QPFJ-0626-SM-DTX7Y 30-39 years, female 45.8
GTEX-14ABY-0926-SM-5Q5DY 50-59 years, male 45.7
GTEX-1F48J-0926-SM-7P8PZ 50-59 years, female 45.7
GTEX-1H1CY-0726-SM-9OSXX 60-69 years, female 45.7
GTEX-11EQ8-0826-SM-5N9FG 60-69 years, male 45.6
GTEX-1EMGI-0826-SM-7EPHY 60-69 years, male 45.6
GTEX-TSE9-0626-SM-3DB8B 60-69 years, female 45.6
GTEX-13X6H-0526-SM-5LU4Q 50-59 years, female 45.5
GTEX-15DDE-0626-SM-69LOK 50-59 years, female 45.5
GTEX-15SHV-0426-SM-6M476 60-69 years, male 45.5
GTEX-XBED-0126-SM-47JY7 60-69 years, male 45.3
GTEX-13FLV-0226-SM-5J2OF 50-59 years, male 45.2
GTEX-T8EM-0226-SM-3DB7C 40-49 years, male 45.2
GTEX-1I1GR-1126-SM-A9G2I 60-69 years, male 45.1
GTEX-OIZI-0726-SM-2XCEI 40-49 years, male 44.9
GTEX-RU72-0126-SM-2TF6Z 50-59 years, female 44.8
GTEX-WFG8-0426-SM-3GILD 20-29 years, male 44.7
GTEX-ZZPU-1326-SM-5GZWS 50-59 years, female 44.6
GTEX-1GF9V-0926-SM-9KNW7 60-69 years, male 44.6
GTEX-13QJC-0826-SM-5RQKC 60-69 years, female 44.4
GTEX-1GF9U-0226-SM-7P8TY 40-49 years, female 44.4
GTEX-1LBAC-0726-SM-D3L9U 20-29 years, male 44.4
GTEX-13111-0226-SM-5EQ55 50-59 years, male 44.2
GTEX-Q734-0526-SM-2I3EH 40-49 years, female 44.2
GTEX-ZV7C-0126-SM-57WDE 50-59 years, male 44.2
GTEX-1F75A-0326-SM-7MXTR 50-59 years, male 44.1
GTEX-18D9A-0126-SM-7KFSI 30-39 years, female 44.0
GTEX-17JCI-0626-SM-7IGM7 60-69 years, female 43.9
GTEX-Y8E4-0126-SM-4VBQ2 40-49 years, male 43.9
GTEX-1F5PL-0826-SM-7MXU7 40-49 years, female 43.8
GTEX-1H1DE-0226-SM-ARZN8 20-29 years, male 43.6
GTEX-15RJ7-0326-SM-6M47H 40-49 years, male 43.5
GTEX-1CB4G-1526-SM-7P8QG 60-69 years, male 43.5
GTEX-S7SE-0726-SM-2XCD7 50-59 years, male 43.3
GTEX-ZAB5-0726-SM-5P9JG 50-59 years, male 43.3
GTEX-1GZ2Q-0826-SM-7P8TK 40-49 years, male 43.3
GTEX-1GZHY-1426-SM-9WG5H 50-59 years, female 43.3
GTEX-1KAFJ-0426-SM-DHXJH 50-59 years, male 43.2
GTEX-P78B-0526-SM-2I5F7 40-49 years, female 43.1
GTEX-ZPU1-0426-SM-4WWCA 40-49 years, male 43.1
GTEX-1GN2E-0826-SM-9WYT8 60-69 years, male 43.1
GTEX-1R9JW-0226-SM-EVR4K 30-39 years, female 42.8
GTEX-1399R-0126-SM-5IFEV 30-39 years, male 42.7
GTEX-WOFL-0726-SM-3MJG4 60-69 years, male 42.7
GTEX-1QP67-0326-SM-EVR45 40-49 years, female 42.7
GTEX-14A6H-2426-SM-5Q5BO 30-39 years, male 42.6
GTEX-14BIN-0126-SM-5TDCG 50-59 years, female 42.6
GTEX-SIU8-0626-SM-2XCDN 50-59 years, male 42.6
GTEX-RTLS-0626-SM-5SI7Z 60-69 years, female 42.5
GTEX-1IKOE-0926-SM-ARU7X 30-39 years, female 42.4
GTEX-QDVJ-0226-SM-2I5FV 50-59 years, male 42.3
GTEX-Y114-0626-SM-4TT98 50-59 years, female 42.3
GTEX-P4PQ-2626-SM-33HC9 60-69 years, male 42.2
GTEX-WWYW-0826-SM-3NB2X 50-59 years, female 42.2
GTEX-TKQ1-0126-SM-33HB3 30-39 years, male 42.1
GTEX-1PBJJ-1926-SM-DTX8T 30-39 years, male 41.9
GTEX-14DAQ-0826-SM-73KWT 60-69 years, female 41.8
GTEX-15SHU-0726-SM-7KUFI 40-49 years, female 41.8
GTEX-1J8Q3-0226-SM-C1YR4 60-69 years, male 41.8
GTEX-14PJO-0626-SM-6LLHH 60-69 years, male 41.7
GTEX-1HSKV-1026-SM-B2LWK 60-69 years, male 41.7
GTEX-Z93S-0526-SM-EVYB4 50-59 years, male 41.7
GTEX-169BO-0326-SM-7EPIM 50-59 years, male 41.6
GTEX-17KNJ-1026-SM-79ONK 50-59 years, male 41.6
GTEX-11OF3-0626-SM-5BC4Y 60-69 years, male 41.3
GTEX-13O3O-0926-SM-5KM1F 60-69 years, female 41.3
GTEX-1CB4F-0826-SM-793CV 60-69 years, male 41.3
GTEX-11P81-0126-SM-5HL5Y 30-39 years, female 41.2
GTEX-1HC8U-1226-SM-9WYUW 40-49 years, female 40.9
GTEX-17EVP-0126-SM-7EPHW 40-49 years, male 40.5
GTEX-145ME-0126-SM-5S2QM 40-49 years, female 40.4
GTEX-1R9K4-0726-SM-EWRN2 60-69 years, male 40.3
GTEX-1B8SF-0626-SM-73KVV 60-69 years, male 40.1
GTEX-W5X1-0426-SM-3GILB 40-49 years, female 40.1
GTEX-12WSE-1226-SM-73KUF 20-29 years, male 39.9
GTEX-1CAMS-0826-SM-7P8P1 40-49 years, female 39.8
GTEX-VJYA-0426-SM-3GIJK 60-69 years, male 39.7
GTEX-V1D1-0926-SM-4JBHQ 50-59 years, male 39.6
GTEX-14JG6-1326-SM-9OSXU 30-39 years, female 39.6
GTEX-13PDP-1026-SM-5L3FA 60-69 years, male 39.5
GTEX-17F9Y-0526-SM-7EWDC 70-79 years, female 39.5
GTEX-111YS-0726-SM-5GZY8 60-69 years, male 39.3
GTEX-13U4I-0526-SM-5LU59 40-49 years, female 39.2
GTEX-146FQ-0726-SM-5LUA7 30-39 years, male 39.2
GTEX-1B932-0926-SM-73KUP 40-49 years, female 39.2
GTEX-ZDXO-1726-SM-5HL6L 60-69 years, male 39.2
GTEX-16XZY-0726-SM-79OMU 70-79 years, male 39.1
GTEX-R55G-0726-SM-2TC6J 40-49 years, female 39.1
GTEX-1I1GQ-0826-SM-CNNQR 50-59 years, male 39.1
GTEX-1JMLX-0826-SM-CNNPP 50-59 years, male 39.0
GTEX-1GL5R-0626-SM-7PBZY 50-59 years, male 38.9
GTEX-15DZA-0226-SM-7KFS6 30-39 years, female 38.6
GTEX-1HBPI-0826-SM-9WYTX 50-59 years, male 38.5
GTEX-1S5ZU-0726-SM-EWROH 20-29 years, female 38.4
GTEX-1QP28-0626-SM-E76P5 50-59 years, female 38.0
GTEX-U3ZN-0326-SM-3DB86 30-39 years, female 37.9
GTEX-1LGRB-1226-SM-CNNPS 50-59 years, female 37.9
GTEX-XXEK-1326-SM-4BRV1 50-59 years, male 37.8
GTEX-QV31-0726-SM-3GAEG 30-39 years, male 37.7
GTEX-1HCU9-0226-SM-9WPNT 20-29 years, male 37.7
GTEX-14AS3-0226-SM-5Q5B6 40-49 years, female 37.6
GTEX-1C4CL-0726-SM-7IGP9 30-39 years, male 37.6
GTEX-1EKGG-0726-SM-7IGPX 60-69 years, male 37.6
GTEX-REY6-0526-SM-2TF5M 60-69 years, male 37.5
GTEX-1QCLZ-0626-SM-E6CR2 60-69 years, female 37.5
GTEX-1B8L1-1626-SM-7IGMH 60-69 years, male 37.4
GTEX-18A7A-0826-SM-7KFTJ 50-59 years, female 37.3
GTEX-1C475-0226-SM-7MGXM 40-49 years, female 37.3
GTEX-ZT9X-0226-SM-51MT2 40-49 years, male 37.2
GTEX-WEY5-0526-SM-3GIKZ 40-49 years, female 36.8
GTEX-ZE7O-1126-SM-57WC8 50-59 years, female 36.7
GTEX-14PK6-0426-SM-6EU1J 70-79 years, female 36.6
GTEX-1JK1U-0326-SM-CXZJH 60-69 years, male 36.6
GTEX-145LU-0426-SM-5O9AH 50-59 years, male 36.5
GTEX-1AYCT-0226-SM-73KVB 50-59 years, male 36.3
GTEX-1LGOU-0126-SM-EV79W 20-29 years, female 36.1
GTEX-SJXC-0726-SM-2XCFJ 60-69 years, male 36.0
GTEX-1EN7A-1026-SM-7IGPZ 40-49 years, male 35.7
GTEX-1IL2U-0826-SM-CL53Q 60-69 years, male 35.5
GTEX-148VI-0526-SM-5TDDG 60-69 years, female 35.3
GTEX-13S86-1126-SM-5RQJX 40-49 years, male 35.2
GTEX-15FZZ-0226-SM-6LLI4 30-39 years, female 35.2
GTEX-1RDX4-0926-SM-E9U6D 50-59 years, female 35.1
GTEX-13OW6-0726-SM-5L3FX 50-59 years, male 35.0
GTEX-17EVQ-0526-SM-7KFSK 70-79 years, male 34.8
GTEX-1J8QM-0726-SM-CE6RF 60-69 years, female 34.8
GTEX-U3ZH-0226-SM-3DB7B 30-39 years, male 34.6
GTEX-1C6VR-0426-SM-7IGN6 60-69 years, male 34.4
GTEX-WRHU-0926-SM-4E3IG 50-59 years, female 34.3
GTEX-14PJM-1326-SM-664NX 50-59 years, female 34.1
GTEX-16MTA-0726-SM-7KUL4 50-59 years, male 34.1
GTEX-17MF6-0626-SM-7LT8D 40-49 years, male 34.1
GTEX-1JMPZ-0626-SM-CY8HY 30-39 years, male 34.0
GTEX-1HT8W-1526-SM-CE6S3 30-39 years, male 33.9
GTEX-1J8EW-1126-SM-A96T8 60-69 years, female 33.6
GTEX-1KD5A-0426-SM-D4P3X 50-59 years, male 33.5
GTEX-1AX8Z-0826-SM-7DUFZ 60-69 years, male 32.9
GTEX-11ZTS-1126-SM-5LU9X 60-69 years, female 32.0
GTEX-11DXY-0426-SM-5H12R 60-69 years, male 31.9
GTEX-1OJC3-0626-SM-E8VMO 20-29 years, male 31.7
GTEX-ZLV1-0126-SM-4WWBZ 60-69 years, female 31.5
GTEX-1GN1U-0826-SM-9WPPX 50-59 years, female 31.4
GTEX-111VG-0526-SM-5N9BW 60-69 years, male 30.8
GTEX-1MJK3-0326-SM-DTX96 20-29 years, male 30.7
GTEX-11GSP-0126-SM-5A5KU 60-69 years, female 30.1
GTEX-11NV4-0626-SM-5N9BR 60-69 years, male 30.1
GTEX-1JJ6O-0626-SM-AHZ3H 60-69 years, male 29.2
GTEX-12WSG-0226-SM-5EGIF 50-59 years, female 29.0
GTEX-178AV-0726-SM-6LPJI 40-49 years, male 27.7
GTEX-YFC4-2626-SM-5P9FQ 40-49 years, female 27.7
GTEX-16MT8-0626-SM-6M47Q 60-69 years, female 24.5
GTEX-11XUK-0226-SM-5EQLW 40-49 years, female 23.5
GTEX-1GZ4H-0226-SM-9JGGJ 50-59 years, female 22.1
GTEX-1LG7Z-0526-SM-D4P3Q 30-39 years, male 21.7
GTEX-14ICK-1626-SM-6ETZX 40-49 years, male 21.5
GTEX-ZYY3-1926-SM-5GZXS 60-69 years, female 20.8
GTEX-1I6K6-0726-SM-B2LX4 30-39 years, male 20.2
GTEX-TMMY-0826-SM-33HB9 40-49 years, female 18.0
GTEX-OHPL-2626-SM-2HMJA 60-69 years, female 17.1
GTEX-1QW4Y-0226-SM-EAZ3U 30-39 years, male 16.8
Show allShow less

THYROID GLAND - FANTOM5 CAGEi

RNA expression in human tissues obtained through Cap Analysis of Gene Expression (CAGE) generated by the FANTOM5 project are reported as Scaled Tags Per Million.

Max subtype Scaled Tags Per Millioni

Max subtype Scaled Tags Per Million is the value for the subtype with the largest average Scaled Tags Per Million across the subtype samples.

112.7
FANTOM5 sample id Sample description Scaled Tags Per Million
Thyroid
Scaled Tags Per Million: 112.7
FF:10028-101E1 67,68,78 years, mixed 112.7

Contact

  • NEWS ARTICLES
  • PRESS ROOM

The Project

  • INTRODUCTION
  • ORGANIZATION
  • PUBLICATIONS

The Human Protein Atlas

  • DOWNLOADABLE DATA
  • LICENCE & CITATION
  • HELP & FAQ
The Human Protein Atlas project is funded
by the Knut & Alice Wallenberg Foundation.


contact@proteinatlas.org