We use cookies to enhance the usability of our website. If you continue, we'll assume that you are happy to receive all cookies. More information. Don't show this again.
FKBP10
HPA
RESOURCES
  • TISSUE
  • BRAIN
  • SINGLE CELL
  • SUBCELLULAR
  • CANCER
  • BLOOD
  • CELL LINE
  • STRUCTURE & INTERACTION
ABOUT
  • INTRODUCTION
  • HISTORY
  • ORGANIZATION
  • PUBLICATIONS
  • ANTIBODY SUBMISSION
  • ANTIBODY AVAILABILITY
  • ACKNOWLEDGMENTS
  • CONTACT
NEWS
  • NEWS ARTICLES
  • PRESS ROOM
LEARN
  • DICTIONARY
  • PROTEIN CLASSES
  • PROTEIN EVIDENCE
  • METHODS
  • EDUCATIONAL VIDEOS
DATA
  • DOWNLOADABLE DATA
  • PUBLICATION DATA
  • RELEASE HISTORY
HELP
  • ANTIBODY VALIDATION
  • ASSAYS & ANNOTATION
  • DISCLAIMER
  • HELP & FAQ
  • PRIVACY STATEMENT
  • LICENCE & CITATION
Fields »
Search result

Field
Term
Gene name
Class
Subclass
Class
Keyword
Chromosome
External id
Tissue
Cell type
Expression
Antibody panel
Tissue
Main location
Patient ID
Annotation
Tissue
Category
Tau score
Cluster
Reliability
Brain region
Category
Tau score
Brain region
Category
Tau score
Brain region
Category
Tau score
Cluster
Reliability
Tissue
Cell type
Enrichment
Cell type
Category
Tau score
Cell type
Category
Tau score
Cell type
Category
Tau score
Cell lineage
Category
Tau score
Cluster
Cluster
Location
Searches
Location
Cell line
Class
Type
Phase
Reliability
Cancer
Prognosis
Cancer
Category
Cancer
Category
Tau score
Cluster
Variants
Interacting gene (ensg_id)
Type
Number of interactions
Pathway
Category
Score
Score
Score
Validation
Validation
Validation
Validation
Antibodies
Data type
Column


  • SUMMARY

  • TISSUE

  • BRAIN

  • SINGLE CELL

  • SUBCELL

  • CANCER

  • BLOOD

  • CELL LINE

  • STRUCT & INT

  • FKBP10
TISSUE PRIMARY DATA HEART MUSCLE Show tissue menu
ADIPOSE TISSUE ADRENAL GLAND AMYGDALA APPENDIX BASAL GANGLIA BONE MARROW BREAST BRONCHUS CEREBELLUM CEREBRAL CORTEX CERVIX CHOROID PLEXUS COLON DUODENUM
ENDOMETRIUM EPIDIDYMIS ESOPHAGUS FALLOPIAN TUBE GALLBLADDER HEART MUSCLE HIPPOCAMPAL FORMATION HYPOTHALAMUS KIDNEY LIVER LUNG LYMPH NODE MIDBRAIN NASOPHARYNX
ORAL MUCOSA OVARY PANCREAS PARATHYROID GLAND PITUITARY GLAND PLACENTA PROSTATE RECTUM RETINA SALIVARY GLAND SEMINAL VESICLE SKELETAL MUSCLE SKIN SMALL INTESTINE
SMOOTH MUSCLE SOFT TISSUE SPINAL CORD SPLEEN STOMACH TESTIS THYMUS THYROID GLAND TONGUE TONSIL URINARY BLADDER VAGINA
ANTIBODIES
AND
VALIDATION
Dictionary
Heart muscle
Tissue proteome
Heart
HEART MUSCLE - Expression summary
Protein expression
Heart musclei

On the top, protein expression in current human tissue, based on all annotated cell types, is reported with the units not detected (n), low (l), medium (m) and high (h). Underneath, protein expression in each annotated cell type are reported using the same units.

Protein expression data is based on knowledge-based annotation. For genes where more than one antibody has been used, a collective score is set.

If knowledge-based annotation could not be performed for a gene, no data is displayed here. View antibody staining data further down this page.

h
m
l
n
Cardiomyocytes: Low
RNA expressioni

A summary of mRNA expression data available for current tissue based on several datasets. The mRNA expression levels in human tissues are based on RNA-seq data generated by the Human Protein Atlas (HPA), Genotype-Tissue Expression (GTEx) portal and CAGE data generated by the FANTOM5 consortium. Consensus normalized expression levels for human tissues was created by combining the data from HPA and GTEx datasets.

The mRNA expression levels in pig are based on RNA-seq data generated by the Human Protein Atlas (HPA), and for mouse, HPA data and in situ hybridization generated by the Allen brain atlas are reported.

Scroll down to view mRNA expression data in more detail.
Consensus:44.1 nTPM
HPA:19.8 nTPM
GTEx:44.1 nTPM
FANTOM5:58.4 Scaled Tags Per Million

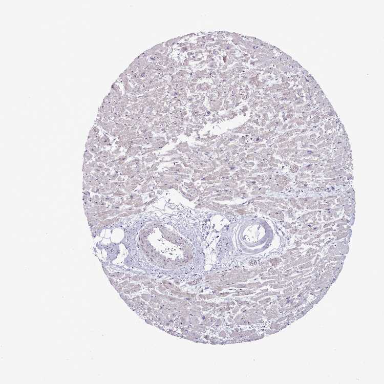
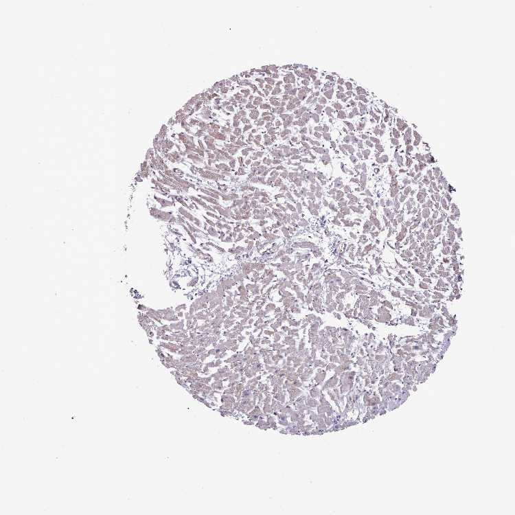
HEART MUSCLE - Antibody stainingi

Antibody staining in the annotated cell types in the current human tissue is reported as not detected, low, medium, or high, based on conventional immunohistochemistry profiling in selected tissues. This score is based on the combination of the staining intensity and fraction of stained cells.

Each image is clickable and will lead to virtual microscopy that enables deeper exploration of all samples and also displays staining intensity scores, fraction scores and subcellular localization as well as patient and tissue information for each sample.

Antibody HPA051171Antibody HPA057021
Cardiomyocytes LowLow




HEART MUSCLE - HPA RNA-seqi

The RNA-seq details section shows detailed information about the individual samples used for the transcript profiling and results of the RNA-seq analysis.

Information about each individual sample is listed below, including gender, age, a tissue section image and estimated fractions of cell types. nTPM (normalized transcripts per million) values give a quantification of the gene abundance which is comparable between different genes and samples.
Average nTPMi

Max subtype nTPM is the value for the subtype with the largest average nTPM across the subtype samples.

19.8
overview
Female, age 48
Heart muscle sample 149
nTPM: 17.7
Cell types%
Myocytes:
15

Fibroblasts:
55

Endothelial cells:
25

Other cell types:
5

overview
Female, age 42
Heart muscle sample 150
nTPM: 21.4
Cell types%
Myocytes:
20

Fibroblasts:
45

Endothelial cells:
30

Other cell types:
5

overview
Male, age 53
Heart muscle sample 151
nTPM: 17.2
Cell types%
Myocytes:
20

Fibroblasts:
45

Endothelial cells:
30

Other cell types:
5

overview
Female, age 69
Heart muscle sample 152
nTPM: 22.8
Cell types%
Myocytes:
20

Fibroblasts:
45

Endothelial cells:
30

Other cell types:
5


HEART MUSCLE - GTEx RNA-seqi

RNA-Seq data generated by the Genotype-Tissue Expression (GTEx) project from human tissues is reported as mean nTPM. More information can be found on the GTEx portal.

Distribution across the dataset is visualized with box plots, shown as median and 25th and 75th percentiles. Points are displayed as outliers if they are above or below 1.5 times the interquartile range. nTPM values of the individual samples are presented next to the box plot.
Max subtype nTPMi

Max subtype nTPM is the value for the subtype with the largest average nTPM across the subtype samples.

44.1
GTEx sample id Sample description nTPM
Heart - Atrial Appendage
Average nTPM: 44.1
Samples: 429

Max nTPM: 122.4
Min nTPM: 6.5
Std nTPM: 19.7
Median nTPM: 39.2
GTEX-X62O-0826-SM-46MW8 50-59 years, male 122.4
GTEX-13O3Q-0326-SM-5L3FE 50-59 years, male 108.4
GTEX-139TU-1926-SM-5J2OC 60-69 years, male 107.6
GTEX-15D1Q-0426-SM-6AJ9G 40-49 years, male 106.8
GTEX-14C38-1326-SM-62LDK 50-59 years, male 103.3
GTEX-1C6VQ-0826-SM-7PBZT 50-59 years, male 103.2
GTEX-1192W-0226-SM-5EGGT 60-69 years, male 101.9
GTEX-12BJ1-0326-SM-5FQUB 60-69 years, male 98.6
GTEX-1GTWX-0926-SM-9MQKM 60-69 years, male 95.7
GTEX-1I19N-0626-SM-A9SKY 70-79 years, male 92.8
GTEX-1K2DU-0226-SM-DIPF6 20-29 years, male 92.5
GTEX-1GZ2Q-0926-SM-7RHHN 40-49 years, male 92.3
GTEX-14C5O-1226-SM-664N3 60-69 years, male 91.9
GTEX-1LSNL-0626-SM-DIPFJ 50-59 years, male 88.0
GTEX-17EVP-0526-SM-7EPGY 40-49 years, male 87.2
GTEX-14PII-1026-SM-5ZZVW 60-69 years, male 86.6
GTEX-ZVT4-1326-SM-5NQ8E 50-59 years, female 85.9
GTEX-X8HC-1026-SM-46MWH 50-59 years, female 84.9
GTEX-1HUB1-0726-SM-CGQF4 60-69 years, male 83.7
GTEX-1M5QR-1626-SM-E9U5O 40-49 years, male 83.7
GTEX-1IL2V-1126-SM-CMKGH 70-79 years, male 83.6
GTEX-14C39-0726-SM-5RQIK 40-49 years, male 82.5
GTEX-1A8FM-1026-SM-7PC26 50-59 years, female 82.1
GTEX-14PN4-0826-SM-69LON 50-59 years, male 80.3
GTEX-1LH75-0526-SM-DIPG2 50-59 years, female 79.9
GTEX-14BIL-0926-SM-7DHKN 50-59 years, male 79.1
GTEX-WI4N-0726-SM-3TW93 40-49 years, female 78.7
GTEX-16XZZ-1026-SM-7DHKS 60-69 years, male 78.1
GTEX-14BIN-2126-SM-793AX 50-59 years, female 77.5
GTEX-15UF7-1526-SM-6LPI7 40-49 years, male 77.4
GTEX-11GSP-1226-SM-5985M 60-69 years, female 77.3
GTEX-1J1OQ-2226-SM-A96SS 40-49 years, female 76.8
GTEX-14XAO-0926-SM-69LPZ 60-69 years, female 76.5
GTEX-1HFI6-0826-SM-9YFM2 40-49 years, male 75.8
GTEX-13FTZ-0326-SM-5J1O1 60-69 years, male 75.6
GTEX-1IOXB-0726-SM-A9G32 50-59 years, male 75.2
GTEX-1H3O1-0226-SM-9WYSW 60-69 years, male 74.4
GTEX-13NZA-0826-SM-5K7WS 60-69 years, male 74.2
GTEX-1H3VY-1126-SM-A96TP 50-59 years, male 73.6
GTEX-11O72-1026-SM-5986B 40-49 years, male 73.0
GTEX-14A5I-1026-SM-5Q5E3 50-59 years, female 72.8
GTEX-12ZZY-1226-SM-5GCNK 60-69 years, male 72.3
GTEX-13X6J-1226-SM-79OMF 50-59 years, male 72.0
GTEX-1H3NZ-1026-SM-A9SM5 60-69 years, male 71.6
GTEX-1IKK5-1726-SM-CM2RU 60-69 years, male 71.6
GTEX-1H1ZS-1026-SM-9WG6E 70-79 years, male 71.0
GTEX-132Q8-1126-SM-5K7XS 60-69 years, male 70.0
GTEX-145LS-1326-SM-5Q5EP 60-69 years, female 69.2
GTEX-X261-0926-SM-3NMCY 50-59 years, male 69.1
GTEX-1JMQL-1026-SM-CMKGV 50-59 years, female 69.1
GTEX-1LVAO-0626-SM-EWRNT 60-69 years, male 69.1
GTEX-131XE-0526-SM-5K7YT 50-59 years, male 69.0
GTEX-1B8SF-1326-SM-7IGQJ 60-69 years, male 69.0
GTEX-1JJ6O-2226-SM-AHZ3I 60-69 years, male 68.3
GTEX-1IKOH-0926-SM-A9SLU 60-69 years, female 68.1
GTEX-1117F-0726-SM-5GIEN 60-69 years, female 67.5
GTEX-1C6WA-0826-SM-7PBXS 60-69 years, male 67.5
GTEX-1F75B-1126-SM-7RHGP 50-59 years, male 67.3
GTEX-1JMQK-0926-SM-ARL96 60-69 years, male 66.8
GTEX-12WSN-0226-SM-5DUXH 40-49 years, male 66.4
GTEX-1AX8Z-1126-SM-731CS 60-69 years, male 66.3
GTEX-12584-1026-SM-59HK3 40-49 years, male 66.1
GTEX-1JMLX-1826-SM-CNPOX 50-59 years, male 66.0
GTEX-WY7C-1126-SM-3NB3A 50-59 years, male 65.3
GTEX-1H1CY-0426-SM-9KNVD 60-69 years, female 65.3
GTEX-12WSI-0426-SM-5EQ5J 50-59 years, male 65.2
GTEX-13PDP-1326-SM-5K7U9 60-69 years, male 65.0
GTEX-1E2YA-0626-SM-7P8P4 50-59 years, male 65.0
GTEX-13FHP-0826-SM-5K7V5 50-59 years, male 64.5
GTEX-11ONC-1026-SM-5GU64 60-69 years, male 64.2
GTEX-11WQK-0226-SM-5EQLI 50-59 years, male 63.9
GTEX-14E7W-1126-SM-5ZZVS 70-79 years, male 63.4
GTEX-16GPK-1226-SM-7LTAU 60-69 years, male 63.4
GTEX-WOFL-1226-SM-4OOST 60-69 years, male 62.7
GTEX-1KD5A-0926-SM-D4P3U 50-59 years, male 62.4
GTEX-13O3P-1426-SM-5L3DT 50-59 years, male 62.3
GTEX-1E1VI-1426-SM-793CY 50-59 years, male 62.2
GTEX-1QMI2-1026-SM-DTX7T 60-69 years, male 62.2
GTEX-13PL6-0826-SM-5IJBI 40-49 years, female 61.9
GTEX-1F48J-1126-SM-9WYSY 50-59 years, female 61.8
GTEX-X4XX-1126-SM-3NMBY 60-69 years, male 61.7
GTEX-1QEPI-1126-SM-E8VN7 60-69 years, female 61.6
GTEX-ZAB4-0926-SM-5CVN4 40-49 years, male 61.2
GTEX-11TUW-1126-SM-5EQKJ 60-69 years, male 61.1
GTEX-1A3MX-1226-SM-731B3 60-69 years, male 60.9
GTEX-1GMRU-1326-SM-9WYUI 50-59 years, male 60.7
GTEX-132NY-1426-SM-5J1MJ 60-69 years, male 60.3
GTEX-1GN1V-1026-SM-CNPPS 60-69 years, male 60.2
GTEX-15CHQ-1326-SM-6871Z 60-69 years, male 60.0
GTEX-13FHO-1226-SM-5L3EF 60-69 years, male 59.3
GTEX-1QP6S-1026-SM-DTXFW 40-49 years, male 59.2
GTEX-13CF2-0226-SM-5L3DV 60-69 years, male 58.1
GTEX-1EX96-2626-SM-9MQJV 50-59 years, male 58.0
GTEX-WL46-0726-SM-3LK5Z 50-59 years, male 57.6
GTEX-1212Z-0726-SM-5EGI5 60-69 years, male 57.4
GTEX-13SLX-0926-SM-5S2NM 50-59 years, female 57.4
GTEX-1OFPY-0926-SM-DTX8Q 60-69 years, male 56.3
GTEX-13N11-0726-SM-5L3DP 50-59 years, female 56.2
GTEX-1HC8U-0626-SM-B2LWB 40-49 years, female 56.0
GTEX-ZUA1-0726-SM-4YCD9 40-49 years, male 55.8
GTEX-1HBPM-1026-SM-ARL9D 60-69 years, female 55.8
GTEX-XQ3S-0526-SM-4BOQA 20-29 years, male 55.7
GTEX-ZTPG-1326-SM-51MSQ 20-29 years, female 55.7
GTEX-ZZPU-1126-SM-5N9CW 50-59 years, female 55.7
GTEX-13D11-1526-SM-5J2NA 50-59 years, female 55.6
GTEX-XLM4-2026-SM-4AT4X 60-69 years, male 55.6
GTEX-1HSMO-1126-SM-CGQF2 60-69 years, male 55.6
GTEX-1HCVE-0826-SM-CM2SF 50-59 years, male 55.2
GTEX-1477Z-1126-SM-5P9GK 60-69 years, male 55.1
GTEX-1HCU7-1226-SM-B2LX8 50-59 years, male 54.8
GTEX-XYKS-0226-SM-4BRW3 60-69 years, female 54.7
GTEX-11GS4-0426-SM-5N9CD 60-69 years, male 54.2
GTEX-148VJ-1426-SM-5TDE3 70-79 years, male 54.2
GTEX-1RB15-0426-SM-E9U4Y 60-69 years, male 54.1
GTEX-1CB4H-0626-SM-7IGN3 60-69 years, female 53.7
GTEX-1I1CD-1326-SM-A9SMM 60-69 years, female 53.6
GTEX-1B996-1026-SM-793CF 60-69 years, male 53.5
GTEX-1HT8W-1326-SM-CGQEN 30-39 years, male 53.0
GTEX-14BIM-2726-SM-5Q5EG 60-69 years, female 52.8
GTEX-1JMOU-0326-SM-ARL8X 60-69 years, female 52.8
GTEX-13SLW-0826-SM-5QGP7 70-79 years, male 52.2
GTEX-1EMGI-1126-SM-9KNUF 60-69 years, male 52.0
GTEX-XBEC-1226-SM-4AT65 50-59 years, male 51.7
GTEX-1MJK2-1626-SM-EVYCQ 50-59 years, male 51.6
GTEX-ZVZQ-0726-SM-51MR3 60-69 years, female 51.4
GTEX-1CB4J-0226-SM-7P8T4 60-69 years, male 51.4
GTEX-1RLM8-0226-SM-E6CJY 50-59 years, male 51.4
GTEX-1JN6P-0826-SM-ARL97 60-69 years, male 51.3
GTEX-UTHO-1226-SM-3GAEE 60-69 years, male 51.2
GTEX-YECK-1226-SM-4W21G 60-69 years, male 50.8
GTEX-11TT1-1426-SM-5EGIA 20-29 years, male 50.7
GTEX-13NYB-0326-SM-5IJDP 40-49 years, male 50.4
GTEX-13JUV-0226-SM-5IJCC 40-49 years, female 50.3
GTEX-XXEK-2026-SM-4BRVE 50-59 years, male 50.3
GTEX-13NZ9-0126-SM-5K7XV 50-59 years, male 50.2
GTEX-ZXG5-0626-SM-5NQ85 60-69 years, male 50.2
GTEX-11ZVC-0526-SM-5N9G1 50-59 years, female 50.1
GTEX-146FH-1126-SM-5NQAT 50-59 years, female 50.0
GTEX-18465-0726-SM-7LG4L 50-59 years, male 50.0
GTEX-Z93S-0326-SM-5HL84 50-59 years, male 50.0
GTEX-14PHY-0326-SM-62LE3 60-69 years, female 49.6
GTEX-WFG8-0726-SM-3GILP 20-29 years, male 49.6
GTEX-18A67-1026-SM-731CE 50-59 years, male 49.5
GTEX-1R9K4-1026-SM-EXUT1 60-69 years, male 49.4
GTEX-14PJ6-0626-SM-686Z6 60-69 years, female 49.1
GTEX-18A66-1126-SM-731C5 60-69 years, male 48.9
GTEX-1C64N-0826-SM-7RHGQ 50-59 years, male 48.9
GTEX-1EU9M-1926-SM-7RHH4 60-69 years, male 48.9
GTEX-15SKB-0926-SM-7KUFC 60-69 years, male 48.8
GTEX-WWYW-1126-SM-3NB2Q 50-59 years, female 48.7
GTEX-VJWN-1026-SM-4M1ZN 50-59 years, female 48.6
GTEX-14PJO-0826-SM-6ETZK 60-69 years, male 48.5
GTEX-13O3O-1426-SM-5KM2S 60-69 years, female 48.3
GTEX-1AX9I-1026-SM-73KYF 60-69 years, male 48.3
GTEX-1GMR8-1026-SM-9MQLA 50-59 years, female 47.9
GTEX-13OW5-0926-SM-5L3GZ 60-69 years, male 47.8
GTEX-1F6I4-0826-SM-7RHGK 60-69 years, male 47.6
GTEX-13FXS-1026-SM-62LFQ 50-59 years, male 47.5
GTEX-1CAMQ-0726-SM-7P8SG 40-49 years, male 47.3
GTEX-1GN1W-0226-SM-7P8QY 50-59 years, female 47.0
GTEX-ZYVF-1826-SM-5E44F 50-59 years, female 46.2
GTEX-12WSD-1226-SM-5HL9Q 60-69 years, female 46.1
GTEX-1B8SG-0726-SM-79ONS 50-59 years, male 46.1
GTEX-WHSE-0826-SM-4SOJU 20-29 years, male 46.0
GTEX-15SHV-0526-SM-7KUEN 60-69 years, male 45.9
GTEX-XV7Q-0726-SM-4BRV6 40-49 years, female 45.8
GTEX-1IL2U-1226-SM-CL53P 60-69 years, male 45.8
GTEX-132QS-0526-SM-5IJC7 60-69 years, male 45.7
GTEX-18A6Q-1526-SM-731CO 60-69 years, male 45.7
GTEX-147F4-1126-SM-5TDDE 50-59 years, male 45.6
GTEX-ZAJG-0926-SM-5Q5AB 50-59 years, female 45.6
GTEX-ZYFC-1026-SM-5GZX9 50-59 years, male 45.5
GTEX-1I1GR-1026-SM-A9SLC 60-69 years, male 45.3
GTEX-1HR98-1026-SM-CKZOM 60-69 years, male 44.8
GTEX-13OVG-0426-SM-5KM2T 60-69 years, male 44.5
GTEX-ZPIC-0426-SM-DO91V 40-49 years, female 44.5
GTEX-13NYS-1926-SM-5IJCB 60-69 years, male 44.4
GTEX-16MT8-0826-SM-7KULO 60-69 years, female 44.4
GTEX-13OW6-0926-SM-5L3GM 50-59 years, male 44.2
GTEX-15RJE-0726-SM-7KUEG 40-49 years, male 44.2
GTEX-1JJEA-0926-SM-CYPSO 60-69 years, male 43.8
GTEX-14A6H-0326-SM-5NQAN 30-39 years, male 43.7
GTEX-12696-1226-SM-5FQSM 60-69 years, male 43.5
GTEX-13O21-0326-SM-5J1N9 50-59 years, male 43.5
GTEX-17F9Y-1226-SM-7EPGE 70-79 years, female 43.3
GTEX-15ER7-0826-SM-6PALW 20-29 years, female 43.2
GTEX-13JVG-1126-SM-5KM2M 60-69 years, male 43.0
GTEX-1H1DG-0826-SM-9QEIW 70-79 years, male 42.8
GTEX-13FH7-0826-SM-5J2NW 50-59 years, female 42.5
GTEX-WYBS-1226-SM-3NM9N 60-69 years, female 42.2
GTEX-1PPGY-0926-SM-DTXFF 60-69 years, male 42.2
GTEX-1H2FU-0826-SM-9WYSU 60-69 years, female 42.1
GTEX-13RTJ-0526-SM-62LDP 60-69 years, male 41.9
GTEX-ZDXO-0426-SM-4WKF6 60-69 years, male 41.8
GTEX-13W3W-0526-SM-5LU3X 60-69 years, female 41.6
GTEX-WQUQ-1326-SM-3MJFF 60-69 years, male 41.5
GTEX-ZG7Y-1426-SM-4WWBM 50-59 years, male 41.5
GTEX-1IKJJ-0626-SM-CY8GF 60-69 years, male 41.5
GTEX-11EMC-0826-SM-59862 60-69 years, female 41.4
GTEX-1POEN-0726-SM-DTXDU 30-39 years, female 41.4
GTEX-12ZZX-0726-SM-5EGKA 40-49 years, female 41.3
GTEX-1313W-1126-SM-5EQ5U 50-59 years, female 41.1
GTEX-17GQL-0626-SM-731CN 60-69 years, male 41.1
GTEX-1GN2E-1426-SM-7RHHI 60-69 years, male 41.0
GTEX-YB5K-0226-SM-5IFJE 40-49 years, female 40.6
GTEX-13S86-0326-SM-5SI6K 40-49 years, male 40.3
GTEX-14E6C-0326-SM-5Q5EE 40-49 years, male 40.3
GTEX-15CHC-0326-SM-5ZZVP 60-69 years, female 40.3
GTEX-1P4AB-0926-SM-E76PV 50-59 years, male 39.7
GTEX-111VG-0326-SM-5GZX7 60-69 years, male 39.6
GTEX-X4EP-0326-SM-3P5Z6 60-69 years, female 39.5
GTEX-1LB8K-0926-SM-D4P42 50-59 years, male 39.4
GTEX-ZTTD-0626-SM-4YCCY 50-59 years, male 39.3
GTEX-15CHR-0326-SM-7DHN3 50-59 years, male 39.2
GTEX-1IDJD-0226-SM-CKZOA 30-39 years, male 39.2
GTEX-117YW-0426-SM-5GZZZ 50-59 years, male 39.0
GTEX-14DAQ-1026-SM-793B1 60-69 years, female 38.9
GTEX-18A7A-1226-SM-7LTAJ 50-59 years, female 38.8
GTEX-WHPG-1026-SM-3NMBA 50-59 years, male 38.7
GTEX-13O1R-0926-SM-5L3DS 60-69 years, male 38.6
GTEX-1GN1U-1426-SM-7P8TF 50-59 years, female 38.6
GTEX-17MF6-0926-SM-7LTAL 40-49 years, male 38.4
GTEX-ZPU1-0726-SM-5HL6O 40-49 years, male 38.4
GTEX-1F75A-1026-SM-7PC3W 50-59 years, male 38.4
GTEX-1HSMQ-0426-SM-ADEIM 50-59 years, male 38.4
GTEX-1192X-0726-SM-5987R 50-59 years, male 38.3
GTEX-1F88F-0326-SM-9KNV3 60-69 years, female 38.3
GTEX-13OW7-1626-SM-5IJDH 50-59 years, male 38.2
GTEX-UPK5-0226-SM-3GAEV 40-49 years, male 38.2
GTEX-1LGOU-0326-SM-D3LAM 20-29 years, female 38.2
GTEX-1QPFJ-0926-SM-EVR3K 30-39 years, female 38.1
GTEX-13FTW-0826-SM-5K7XR 40-49 years, male 38.0
GTEX-1I1HK-0626-SM-CNPQM 60-69 years, male 37.9
GTEX-1399T-0726-SM-5J1MH 60-69 years, male 37.8
GTEX-ZE7O-0626-SM-57WCD 50-59 years, female 37.8
GTEX-ZYT6-0926-SM-5GIEM 30-39 years, male 37.7
GTEX-1NSGN-1226-SM-E76OL 50-59 years, male 37.7
GTEX-1EWIQ-1126-SM-7EPIK 70-79 years, female 37.6
GTEX-11LCK-0826-SM-5PNYD 30-39 years, male 37.5
GTEX-18D9B-1126-SM-7KFSH 60-69 years, male 37.5
GTEX-132AR-1926-SM-5EGK5 50-59 years, female 37.3
GTEX-WK11-0626-SM-3NMAV 50-59 years, male 37.3
GTEX-YJ8O-0826-SM-5CVM3 40-49 years, female 37.2
GTEX-WRHU-1026-SM-4E3ID 50-59 years, female 37.1
GTEX-1L5NE-0526-SM-DIPG5 50-59 years, male 37.1
GTEX-17HGU-1126-SM-793BP 50-59 years, male 36.9
GTEX-145LV-0226-SM-5S2QG 50-59 years, male 36.8
GTEX-1J8Q3-1126-SM-ARU8N 60-69 years, male 36.8
GTEX-11DXY-1026-SM-5987V 60-69 years, male 36.6
GTEX-11NUK-0926-SM-5HL57 50-59 years, male 36.4
GTEX-13X6K-1726-SM-7IGLG 60-69 years, female 36.4
GTEX-1ICG6-0726-SM-B2LY5 70-79 years, female 36.4
GTEX-V1D1-0626-SM-4JBHN 50-59 years, male 36.3
GTEX-XPVG-0726-SM-4B658 50-59 years, male 36.3
GTEX-1CB4G-0726-SM-79OOJ 60-69 years, male 35.8
GTEX-YFC4-0426-SM-4TT3J 40-49 years, female 35.8
GTEX-1HSKV-0726-SM-ACKWE 60-69 years, male 35.6
GTEX-1I1GV-1426-SM-B2LXN 60-69 years, male 35.6
GTEX-1CB4I-1526-SM-7DHMY 50-59 years, male 35.4
GTEX-11ZUS-0326-SM-5EQ4W 30-39 years, male 35.2
GTEX-1445S-1226-SM-5O9BF 60-69 years, male 35.2
GTEX-16NPX-0826-SM-6M489 50-59 years, male 35.2
GTEX-1BAJH-1026-SM-7EWEG 70-79 years, male 35.1
GTEX-1IDJF-0826-SM-ARU7N 20-29 years, male 35.1
GTEX-1LG7Y-1426-SM-D4P31 50-59 years, male 35.1
GTEX-16YQH-0726-SM-7IGM1 30-39 years, male 34.8
GTEX-1B8L1-0426-SM-7SB76 60-69 years, male 34.8
GTEX-1AX9J-0926-SM-73KXA 60-69 years, male 34.7
GTEX-V955-0826-SM-CYPR5 60-69 years, male 34.6
GTEX-1B933-0826-SM-79OMW 50-59 years, female 34.5
GTEX-X5EB-0626-SM-46MVQ 40-49 years, male 34.5
GTEX-ZDTT-0326-SM-4WKF9 60-69 years, male 34.5
GTEX-14PJ2-1126-SM-69LOD 50-59 years, male 34.4
GTEX-12WSC-1026-SM-5EQ5Y 50-59 years, male 34.2
GTEX-117XS-0726-SM-5H131 60-69 years, male 34.1
GTEX-147JS-1326-SM-5SI6D 60-69 years, male 33.9
GTEX-1339X-0326-SM-5K7Z8 40-49 years, male 33.8
GTEX-1GZ4I-0826-SM-9WG6O 50-59 years, male 33.8
GTEX-1AX9K-0426-SM-73KUG 50-59 years, male 33.7
GTEX-11DYG-1026-SM-5A5JQ 60-69 years, male 33.6
GTEX-14JG1-0826-SM-5ZZWR 40-49 years, male 33.6
GTEX-1J8Q2-1026-SM-ARU8I 60-69 years, male 33.6
GTEX-13PVR-0926-SM-5S2RB 60-69 years, female 33.5
GTEX-1A8G6-1826-SM-73KY8 60-69 years, male 33.5
GTEX-14PK6-0726-SM-6LLIX 70-79 years, female 33.4
GTEX-ZDTS-1226-SM-4WKGL 60-69 years, male 33.3
GTEX-11ZTT-0526-SM-5EQLA 60-69 years, female 33.2
GTEX-ZEX8-0326-SM-DO92C 50-59 years, male 33.0
GTEX-183WM-0926-SM-718AN 70-79 years, female 32.8
GTEX-U8XE-0926-SM-3DB8V 30-39 years, male 32.8
GTEX-ZF2S-0826-SM-4WWBI 50-59 years, female 32.8
GTEX-11EQ8-1326-SM-5EGJQ 60-69 years, male 32.4
GTEX-1CAMS-1126-SM-7MXUQ 40-49 years, female 32.4
GTEX-ZAK1-1126-SM-5PNXU 50-59 years, female 32.3
GTEX-Y5V5-0726-SM-4VBPY 60-69 years, female 32.1
GTEX-1HCUA-0626-SM-ACKVT 50-59 years, female 32.0
GTEX-ZVT3-0826-SM-5GIC8 60-69 years, female 31.9
GTEX-1R7EV-0426-SM-DTX7Z 40-49 years, male 31.5
GTEX-1211K-0226-SM-59HJY 60-69 years, female 31.3
GTEX-1122O-0626-SM-5N9B9 60-69 years, female 31.2
GTEX-131YS-0826-SM-5PNYV 60-69 years, female 31.1
GTEX-13U4I-0626-SM-5LU5L 40-49 years, female 31.1
GTEX-1A32A-1326-SM-73KWW 50-59 years, female 31.1
GTEX-X3Y1-0226-SM-3P5Z5 40-49 years, male 31.1
GTEX-11NV4-0826-SM-5BC4S 60-69 years, male 31.0
GTEX-1GN73-2326-SM-9MQKV 60-69 years, male 31.0
GTEX-13N1W-0926-SM-5MR36 70-79 years, male 30.8
GTEX-13VXT-0726-SM-5SIAD 20-29 years, female 30.8
GTEX-14PHX-0626-SM-5YY8Z 50-59 years, male 30.7
GTEX-VUSG-0726-SM-3GIK1 50-59 years, male 30.7
GTEX-13112-0526-SM-5EQ4S 50-59 years, male 30.4
GTEX-XPT6-0226-SM-4B65L 20-29 years, male 30.3
GTEX-15SDE-1826-SM-7KUFN 50-59 years, female 30.2
GTEX-1IY9M-0626-SM-D4P2L 60-69 years, male 30.2
GTEX-17KNJ-0626-SM-7LT9L 50-59 years, male 29.9
GTEX-W5X1-0826-SM-3GILN 40-49 years, female 29.8
GTEX-131XG-0526-SM-5DUWF 50-59 years, female 29.6
GTEX-Y3I4-0526-SM-4TT6X 50-59 years, male 29.6
GTEX-12WSE-0926-SM-5S2VX 20-29 years, male 29.3
GTEX-13QBU-0226-SM-5LU48 40-49 years, female 28.8
GTEX-1LVAN-1526-SM-CNPQN 50-59 years, female 28.7
GTEX-YEC3-0426-SM-CYPS8 50-59 years, male 28.7
GTEX-Y8E4-0426-SM-4V6GB 40-49 years, male 28.6
GTEX-1GF9V-1726-SM-9KNW4 60-69 years, male 28.6
GTEX-17JCI-0826-SM-7LT8W 60-69 years, female 28.5
GTEX-WHWD-0326-SM-3LK6L 50-59 years, male 28.5
GTEX-ZF3C-1126-SM-57WEG 50-59 years, female 28.3
GTEX-1GF9U-0526-SM-7P8SK 40-49 years, female 28.2
GTEX-XOT4-1126-SM-4B66E 60-69 years, female 28.1
GTEX-14PJ4-0926-SM-5YY98 60-69 years, male 28.0
GTEX-12WSK-0526-SM-5CVNA 40-49 years, female 27.9
GTEX-15SHU-0926-SM-6PAMK 40-49 years, female 27.9
GTEX-12WSG-1226-SM-5EQ4C 50-59 years, female 27.8
GTEX-WZTO-1226-SM-3NMAZ 40-49 years, male 27.7
GTEX-11DXX-0526-SM-5PNVR 60-69 years, female 27.6
GTEX-1IKOE-0626-SM-A9G31 30-39 years, female 27.6
GTEX-111FC-0626-SM-5N9CU 60-69 years, male 27.5
GTEX-ZDYS-0326-SM-5HL4W 50-59 years, male 27.5
GTEX-14H4A-0426-SM-5ZZWO 40-49 years, female 27.3
GTEX-14PJM-0826-SM-6LLIW 50-59 years, female 27.3
GTEX-16XZY-0526-SM-7DHKY 70-79 years, male 27.3
GTEX-1J8EW-0626-SM-CM2TY 60-69 years, female 27.1
GTEX-1B932-1326-SM-79OM4 40-49 years, female 26.9
GTEX-Y114-0126-SM-4TT8K 50-59 years, female 26.8
GTEX-17F9E-0726-SM-793A1 50-59 years, male 26.7
GTEX-1H11D-1026-SM-9QEIU 40-49 years, male 26.7
GTEX-1GMR2-1326-SM-9KNUT 50-59 years, male 26.6
GTEX-YF7O-0526-SM-5P9IO 50-59 years, male 26.5
GTEX-ZYFD-2026-SM-5E459 50-59 years, male 26.5
GTEX-ZPCL-0526-SM-DO91R 60-69 years, female 26.5
GTEX-13O61-0426-SM-5L3ET 60-69 years, male 26.4
GTEX-1GMR3-0426-SM-7PC17 40-49 years, male 26.4
GTEX-13PVQ-1326-SM-5LU4J 50-59 years, male 26.2
GTEX-1HBPH-0226-SM-9WYSM 40-49 years, female 26.2
GTEX-1NHNU-0626-SM-E6CP1 50-59 years, male 25.8
GTEX-11DXZ-0326-SM-5EGH1 50-59 years, male 25.7
GTEX-14PN3-0726-SM-6EU14 60-69 years, female 25.7
GTEX-1F75I-1326-SM-7PBZX 40-49 years, male 25.7
GTEX-12WSA-1126-SM-5EGKU 60-69 years, male 25.5
GTEX-ZGAY-0226-SM-4WWAL 40-49 years, female 25.5
GTEX-1I1GQ-1226-SM-CL55J 50-59 years, male 25.4
GTEX-18D9U-1426-SM-718BO 40-49 years, male 25.3
GTEX-11EM3-0426-SM-5N9BZ 20-29 years, female 25.2
GTEX-1JK1U-0626-SM-CKZOJ 60-69 years, male 25.2
GTEX-1CB4E-0626-SM-7DHMW 60-69 years, male 25.1
GTEX-ZV7C-0526-SM-9WPNK 50-59 years, male 25.0
GTEX-1IDJU-0626-SM-CKZOG 60-69 years, female 24.8
GTEX-1LSNM-0426-SM-E9TIZ 50-59 years, male 24.8
GTEX-11UD2-0926-SM-5CVL6 50-59 years, male 24.7
GTEX-ZF29-0426-SM-4WKFN 60-69 years, female 24.6
GTEX-1399S-0826-SM-5KM23 30-39 years, female 24.5
GTEX-XQ8I-0226-SM-4BOPM 50-59 years, male 24.4
GTEX-ZVT2-0926-SM-5GICE 50-59 years, female 24.4
GTEX-1399R-1726-SM-5K7YJ 30-39 years, male 24.3
GTEX-14E1K-0826-SM-5ZZW9 50-59 years, male 24.2
GTEX-15EU6-1326-SM-6PANG 50-59 years, male 24.2
GTEX-1C64O-0926-SM-79OLN 60-69 years, male 24.2
GTEX-1EH9U-0626-SM-7PC33 60-69 years, male 24.1
GTEX-WH7G-0326-SM-3NMBH 40-49 years, male 23.9
GTEX-1MCC2-0226-SM-EVYD5 30-39 years, female 23.6
GTEX-1B97J-0326-SM-7939H 50-59 years, female 23.0
GTEX-15DCE-0826-SM-7KULW 20-29 years, male 22.8
GTEX-17F96-0826-SM-7DHLU 70-79 years, male 22.8
GTEX-13OVI-0326-SM-5K7X1 60-69 years, female 22.5
GTEX-ZZPT-0926-SM-5GICZ 50-59 years, male 22.5
GTEX-15RIE-1326-SM-6PAMM 60-69 years, male 22.4
GTEX-Y3IK-1026-SM-51MR7 50-59 years, female 22.4
GTEX-1KANC-0226-SM-E9TIW 50-59 years, female 22.3
GTEX-11P81-0526-SM-59873 30-39 years, female 22.1
GTEX-WFON-0226-SM-3GIKR 40-49 years, male 22.1
GTEX-14BMV-1026-SM-5SI6B 50-59 years, male 21.9
GTEX-13PL7-0726-SM-5KM1S 60-69 years, female 21.8
GTEX-14ASI-0826-SM-5Q5EB 60-69 years, male 21.6
GTEX-1I1GP-0626-SM-ARL7H 50-59 years, male 21.6
GTEX-1HBPN-0926-SM-CGQEG 50-59 years, male 21.4
GTEX-144GL-1026-SM-5O99R 50-59 years, male 21.2
GTEX-1QCLZ-1126-SM-EWRNB 60-69 years, female 21.2
GTEX-117YX-0626-SM-5EGJI 50-59 years, male 20.6
GTEX-1B8KE-0326-SM-73KTY 50-59 years, male 20.6
GTEX-ZAB5-0126-SM-5CVMT 50-59 years, male 20.6
GTEX-ZLFU-0326-SM-4WWBK 40-49 years, male 20.5
GTEX-1LGRB-1026-SM-CNPQD 50-59 years, female 20.5
GTEX-1IDJH-1126-SM-COH3R 70-79 years, male 20.4
GTEX-111YS-0326-SM-5GZZ3 60-69 years, male 20.3
GTEX-146FR-0926-SM-5QGPE 60-69 years, female 20.3
GTEX-1HFI7-0526-SM-A9SMA 50-59 years, female 20.3
GTEX-1399U-0726-SM-5KM1D 50-59 years, female 20.2
GTEX-1AYCT-0526-SM-7RHHS 50-59 years, male 19.9
GTEX-1HSGN-0926-SM-CNNQM 40-49 years, female 19.5
GTEX-1J8QM-0326-SM-CL53D 60-69 years, female 19.2
GTEX-1QP29-1426-SM-DTX9Q 50-59 years, male 18.9
GTEX-ZYFG-0526-SM-5GZXX 60-69 years, female 18.8
GTEX-13YAN-1426-SM-7EPG8 60-69 years, male 18.3
GTEX-WFG7-0826-SM-3GIKU 20-29 years, male 18.3
GTEX-1R9JW-0426-SM-E76QL 30-39 years, female 18.3
GTEX-YEC4-0226-SM-4W1YG 40-49 years, male 18.1
GTEX-1KANB-1126-SM-DHXJT 50-59 years, male 18.0
GTEX-131XF-0426-SM-5HL7U 60-69 years, male 17.6
GTEX-ZT9W-0526-SM-57WFG 50-59 years, male 17.6
GTEX-WYJK-1126-SM-3NM9Z 50-59 years, male 17.5
GTEX-1GL5R-0426-SM-9WPOP 50-59 years, male 17.4
GTEX-1KXAM-1426-SM-D3LAC 60-69 years, male 17.3
GTEX-1C2JI-0626-SM-7DHM1 50-59 years, male 17.2
GTEX-145MN-0726-SM-5NQBH 30-39 years, male 17.0
GTEX-XGQ4-0526-SM-4AT6C 50-59 years, male 16.6
GTEX-WEY5-0226-SM-3GIKN 40-49 years, female 16.4
GTEX-139YR-0526-SM-5L3DG 50-59 years, male 15.4
GTEX-13NZB-0426-SM-5KM26 30-39 years, male 15.1
GTEX-1MJIX-0426-SM-DTXEN 40-49 years, male 6.5
Show allShow less
Heart - Left Ventricle
Average nTPM: 22.9
Samples: 432

Max nTPM: 143.8
Min nTPM: 4.2
Std nTPM: 18.0
Median nTPM: 17.1
GTEX-17HII-1326-SM-7IGOB 50-59 years, male 143.8
GTEX-14PJM-1126-SM-6LLHK 50-59 years, female 118.7
GTEX-P4QS-0326-SM-2I3EU 60-69 years, male 95.4
GTEX-1LG7Y-1226-SM-CXZKD 50-59 years, male 87.3
GTEX-13JVG-1326-SM-5N9F8 60-69 years, male 79.7
GTEX-1HSMO-1226-SM-CL548 60-69 years, male 79.2
GTEX-1JMOU-0226-SM-CNNPD 60-69 years, female 78.6
GTEX-11ONC-0126-SM-5PNW6 60-69 years, male 77.5
GTEX-13O1R-1226-SM-5J1NU 60-69 years, male 76.7
GTEX-OXRO-2026-SM-2YUMZ 60-69 years, female 76.0
GTEX-14C39-0926-SM-5TDDV 40-49 years, male 74.2
GTEX-1C6VQ-1126-SM-7EWET 50-59 years, male 74.2
GTEX-18A66-1226-SM-7LT8G 60-69 years, male 72.8
GTEX-ZUA1-0826-SM-4YCDL 40-49 years, male 72.4
GTEX-ZF3C-1226-SM-4WWCB 50-59 years, female 72.2
GTEX-1H1CY-0326-SM-9QEIZ 60-69 years, female 69.6
GTEX-OIZI-0926-SM-E6CHF 40-49 years, male 69.1
GTEX-1NV8Z-1526-SM-DTX8X 60-69 years, male 64.3
GTEX-1GMRU-1526-SM-9WYT5 50-59 years, male 64.2
GTEX-1399T-0426-SM-5PNVJ 60-69 years, male 62.7
GTEX-14E6D-0926-SM-5S2QV 50-59 years, male 62.2
GTEX-1IKJJ-0826-SM-A96SP 60-69 years, male 60.3
GTEX-1RAZS-0826-SM-E76QP 50-59 years, male 59.3
GTEX-1EKGG-1126-SM-7MGXB 60-69 years, male 59.1
GTEX-1K9T9-1126-SM-D3L9E 50-59 years, female 57.8
GTEX-13NYB-0226-SM-5N9G4 40-49 years, male 57.0
GTEX-R55G-0526-SM-2TC5O 40-49 years, female 55.9
GTEX-13OW5-1126-SM-5J1NR 60-69 years, male 55.1
GTEX-14XAO-1126-SM-6EU11 60-69 years, female 54.4
GTEX-1GTWX-1026-SM-7P8QW 60-69 years, male 50.9
GTEX-X261-1426-SM-4PQZ1 50-59 years, male 50.7
GTEX-1PPH7-2026-SM-E9J3N 40-49 years, male 50.6
GTEX-12ZZW-1026-SM-5GCMM 50-59 years, male 49.5
GTEX-SIU8-0826-SM-2XCDQ 50-59 years, male 48.9
GTEX-R45C-0926-SM-3GAD4 60-69 years, female 48.7
GTEX-147JS-1526-SM-5ZZWF 60-69 years, male 48.6
GTEX-1LVA9-0926-SM-EVR5G 50-59 years, male 48.2
GTEX-1J8QM-0426-SM-AHZ3X 60-69 years, female 47.2
GTEX-1EX96-2526-SM-7RHGW 50-59 years, male 46.7
GTEX-14C38-1426-SM-5RQHZ 50-59 years, male 45.7
GTEX-145MN-0626-SM-5QGRH 30-39 years, male 45.3
GTEX-1B8SG-0826-SM-7EWF7 50-59 years, male 45.0
GTEX-13X6K-1826-SM-5O9CR 60-69 years, female 44.2
GTEX-13W3W-0426-SM-5SI9D 60-69 years, female 43.8
GTEX-1GN2E-1326-SM-9KNVG 60-69 years, male 43.2
GTEX-1IDJF-0726-SM-CJI1U 20-29 years, male 43.2
GTEX-1HT8W-1726-SM-CNNQB 30-39 years, male 42.9
GTEX-1JJE9-1426-SM-ARL8P 70-79 years, male 42.3
GTEX-14E7W-1226-SM-5RQIU 70-79 years, male 41.8
GTEX-14BIL-1126-SM-79OMC 50-59 years, male 41.5
GTEX-17GQL-0526-SM-72D5N 60-69 years, male 41.4
GTEX-1EWIQ-1426-SM-7IGOS 70-79 years, female 41.3
GTEX-XV7Q-0826-SM-4BRV7 40-49 years, female 41.3
GTEX-14C5O-1326-SM-5S2UW 60-69 years, male 40.9
GTEX-1GN1W-0326-SM-9JGHF 50-59 years, female 40.9
GTEX-12WSK-0626-SM-5LZUJ 40-49 years, female 40.5
GTEX-QVJO-1926-SM-2S1QZ 60-69 years, female 40.3
GTEX-ZYT6-1726-SM-5E44P 30-39 years, male 39.7
GTEX-1IDJH-1026-SM-E9TKH 70-79 years, male 39.2
GTEX-1HCVE-1126-SM-9WPPG 50-59 years, male 39.1
GTEX-1H3NZ-1126-SM-9WYT9 60-69 years, male 39.0
GTEX-WK11-0826-SM-EZ6LH 50-59 years, male 38.9
GTEX-1KD4Q-0726-SM-DIPGE 40-49 years, male 38.6
GTEX-N7MS-0826-SM-2HML4 60-69 years, male 38.4
GTEX-17HHY-1426-SM-7EWDQ 50-59 years, male 37.9
GTEX-1H23P-1226-SM-9QEJ2 60-69 years, male 37.6
GTEX-WWYW-1326-SM-3NB2S 50-59 years, female 37.5
GTEX-15CHQ-1526-SM-69LPW 60-69 years, male 37.4
GTEX-RTLS-0826-SM-2TF5Q 60-69 years, female 37.4
GTEX-18465-0926-SM-731AY 50-59 years, male 37.3
GTEX-13OW6-1126-SM-5L3HL 50-59 years, male 36.7
GTEX-1H11D-1226-SM-9WPQ2 40-49 years, male 36.4
GTEX-O5YV-0326-SM-2I5H2 60-69 years, female 36.0
GTEX-ZF2S-1026-SM-9QEGK 50-59 years, female 35.9
GTEX-11O72-1126-SM-5N9E2 40-49 years, male 35.7
GTEX-13FHP-1026-SM-5K7Y2 50-59 years, male 35.6
GTEX-1PWST-1026-SM-DTXF2 70-79 years, male 35.4
GTEX-N7MT-1326-SM-2I3FV 60-69 years, female 35.2
GTEX-17F9Y-1326-SM-7MGW9 70-79 years, female 35.1
GTEX-1I1GV-1326-SM-A96SE 60-69 years, male 35.1
GTEX-13O3P-1626-SM-5K7X3 50-59 years, male 34.8
GTEX-NPJ8-0426-SM-2HMK6 40-49 years, male 34.5
GTEX-1A3MW-1326-SM-7189P 60-69 years, female 34.3
GTEX-1M5QR-1026-SM-DHXK9 40-49 years, male 34.0
GTEX-1A3MX-1326-SM-72D58 60-69 years, male 33.9
GTEX-1ICLY-1326-SM-CJI47 50-59 years, male 33.8
GTEX-11GS4-0526-SM-5A5KQ 60-69 years, male 33.7
GTEX-1497J-1226-SM-5Q5BL 60-69 years, male 33.7
GTEX-18A6Q-1626-SM-7KFTA 60-69 years, male 32.8
GTEX-1JN1M-1026-SM-CNPOS 60-69 years, female 32.6
GTEX-1JN6P-1126-SM-CKZON 60-69 years, male 32.5
GTEX-1212Z-0626-SM-5FQTB 60-69 years, male 32.4
GTEX-13N1W-1026-SM-5IJC5 70-79 years, male 32.4
GTEX-14E6C-0426-SM-5YYA8 40-49 years, male 32.1
GTEX-WI4N-0626-SM-3TW8Z 40-49 years, female 31.9
GTEX-11TUW-1026-SM-5GU7D 60-69 years, male 31.5
GTEX-1I1GP-0826-SM-A96SD 50-59 years, male 31.1
GTEX-15DYW-1126-SM-6LPK5 60-69 years, female 30.9
GTEX-15DDE-1126-SM-6LLHN 50-59 years, female 30.8
GTEX-17JCI-1126-SM-7IGMM 60-69 years, female 30.6
GTEX-1O97I-0826-SM-E8VNE 60-69 years, male 30.5
GTEX-11EM3-0626-SM-5H12Z 20-29 years, female 30.4
GTEX-14JIY-1126-SM-6EU28 60-69 years, male 30.4
GTEX-13FTZ-0226-SM-5K7X6 60-69 years, male 30.2
GTEX-1J8Q2-1226-SM-A9G2W 60-69 years, male 30.2
GTEX-1LC47-1026-SM-D3LAH 60-69 years, male 30.2
GTEX-1LB8K-1026-SM-DHXJJ 50-59 years, male 29.5
GTEX-1IDJU-0726-SM-CNPQ9 60-69 years, female 29.3
GTEX-1JMPZ-1426-SM-CJI3C 30-39 years, male 29.3
GTEX-16MT8-0926-SM-6M487 60-69 years, female 29.2
GTEX-X8HC-1626-SM-46MWE 50-59 years, female 29.2
GTEX-1EN7A-0726-SM-7PBXT 40-49 years, male 29.2
GTEX-1CB4J-0326-SM-7PBZO 60-69 years, male 29.0
GTEX-1A8G6-1626-SM-7MGWO 60-69 years, male 28.8
GTEX-1JMLX-1626-SM-ARZMV 50-59 years, male 28.6
GTEX-148VJ-1526-SM-5Q5DU 70-79 years, male 28.5
GTEX-14A5I-1226-SM-5NQBW 50-59 years, female 28.5
GTEX-PWCY-0526-SM-5P9HG 20-29 years, female 28.2
GTEX-1E1VI-1326-SM-7IGQD 50-59 years, male 28.1
GTEX-U4B1-0326-SM-3DB8K 40-49 years, male 28.1
GTEX-WH7G-0426-SM-3NMBJ 40-49 years, male 28.1
GTEX-1ICLZ-1026-SM-A9SLF 60-69 years, male 28.0
GTEX-YF7O-0426-SM-5P9FS 50-59 years, male 27.9
GTEX-1JJ6O-2126-SM-CNNP6 60-69 years, male 27.9
GTEX-14BIN-2226-SM-5YYA1 50-59 years, female 27.7
GTEX-QEG5-0926-SM-2TC64 20-29 years, male 27.7
GTEX-WY7C-0526-SM-3NB3D 50-59 years, male 27.3
GTEX-14PJ2-1026-SM-6EU1M 50-59 years, male 26.9
GTEX-13SLX-1026-SM-5ZZUQ 50-59 years, female 26.5
GTEX-11TT1-1326-SM-5PNYM 20-29 years, male 26.3
GTEX-YB5K-0126-SM-5IFJ2 40-49 years, female 26.2
GTEX-ZPIC-0826-SM-4WWFJ 40-49 years, female 26.1
GTEX-T2IS-0426-SM-32QPE 20-29 years, female 25.9
GTEX-WRHU-1226-SM-4E3IJ 50-59 years, female 25.8
GTEX-1EH9U-0826-SM-7IGPT 60-69 years, male 25.6
GTEX-11GSP-1326-SM-5A5KY 60-69 years, female 25.4
GTEX-13112-0426-SM-5PNVC 50-59 years, male 25.3
GTEX-1B996-1126-SM-73KWN 60-69 years, male 24.7
GTEX-RN64-0826-SM-2TC62 50-59 years, male 24.7
GTEX-15RJE-0626-SM-7KUKR 40-49 years, male 24.6
GTEX-16NPX-0926-SM-7KUEZ 50-59 years, male 24.5
GTEX-18D9B-1226-SM-72D6V 60-69 years, male 24.5
GTEX-15SHU-1126-SM-7KUMB 40-49 years, female 24.3
GTEX-13OW8-2126-SM-5J1OS 60-69 years, male 24.1
GTEX-1F6IF-2526-SM-7P8TV 60-69 years, male 23.7
GTEX-YJ8O-0926-SM-EAZ2Z 40-49 years, female 23.6
GTEX-13PVQ-1226-SM-5IJDC 50-59 years, male 23.5
GTEX-1I1HK-0726-SM-B2LY4 60-69 years, male 23.5
GTEX-SUCS-0326-SM-32PLL 70-79 years, male 23.4
GTEX-1R9K4-1326-SM-DTX8G 60-69 years, male 23.4
GTEX-117YW-0326-SM-5N9CY 50-59 years, male 23.3
GTEX-11I78-0826-SM-5A5K4 50-59 years, female 23.3
GTEX-WL46-0926-SM-3LK7T 50-59 years, male 23.2
GTEX-1BAJH-1626-SM-73KUV 70-79 years, male 23.1
GTEX-13X6I-1426-SM-5SI9Z 60-69 years, male 22.9
GTEX-1I6K7-0626-SM-ARL7Q 40-49 years, male 22.8
GTEX-145MO-1126-SM-5NQBX 60-69 years, male 22.7
GTEX-PVOW-0426-SM-5MR5R 40-49 years, male 22.6
GTEX-1J8Q3-1226-SM-CKZPT 60-69 years, male 22.4
GTEX-T6MN-0926-SM-32PLX 50-59 years, male 22.3
GTEX-ZVT2-1026-SM-5GU55 50-59 years, female 22.2
GTEX-147F4-1226-SM-5NQAY 50-59 years, male 22.1
GTEX-1B8L1-0526-SM-79ONX 60-69 years, male 22.0
GTEX-QDVJ-0426-SM-2I5FW 50-59 years, male 21.8
GTEX-131XH-0226-SM-5LZVB 50-59 years, male 21.7
GTEX-ZAB4-1026-SM-5HL7T 40-49 years, male 21.6
GTEX-ZAJG-0826-SM-5PNVA 50-59 years, female 21.6
GTEX-1GN1V-0826-SM-9KNU6 60-69 years, male 21.5
GTEX-15EOM-5007-SM-793DG 20-29 years, female 21.4
GTEX-1PPGY-1126-SM-E76OU 60-69 years, male 21.3
GTEX-S33H-0526-SM-COH1W 30-39 years, male 21.3
GTEX-13CF2-0426-SM-5KM1H 60-69 years, male 21.1
GTEX-1LH75-0426-SM-E9TJF 50-59 years, female 21.1
GTEX-1211K-0626-SM-5FQUZ 60-69 years, female 21.0
GTEX-1GF9V-1626-SM-7PBXL 60-69 years, male 20.9
GTEX-15RIE-1726-SM-7KUMU 60-69 years, male 20.7
GTEX-P44G-0826-SM-2I5ES 30-39 years, male 20.5
GTEX-12ZZY-1126-SM-5DUWQ 60-69 years, male 20.3
GTEX-OIZG-1126-SM-2HMIU 50-59 years, male 20.2
GTEX-1HCU6-1026-SM-A9G25 60-69 years, female 20.2
GTEX-1O9I2-1126-SM-DTXEA 50-59 years, male 20.2
GTEX-1IL2U-1326-SM-A9G2O 60-69 years, male 20.1
GTEX-146FH-1026-SM-5RQIF 50-59 years, female 20.0
GTEX-REY6-1026-SM-2TF4Y 60-69 years, male 20.0
GTEX-1JMQK-0626-SM-D4P2R 60-69 years, male 20.0
GTEX-QDVN-0326-SM-2I3FS 50-59 years, male 19.9
GTEX-131XE-0626-SM-5HL98 50-59 years, male 19.7
GTEX-P78B-0426-SM-2I5F5 40-49 years, female 19.7
GTEX-12WSN-5001-SM-7DHMK 40-49 years, male 19.5
GTEX-WHSE-0926-SM-3NMBS 20-29 years, male 19.4
GTEX-1HSMQ-0226-SM-C1YQL 50-59 years, male 19.4
GTEX-11EMC-0726-SM-5EGJO 60-69 years, female 19.2
GTEX-ZDYS-0226-SM-5HL4K 50-59 years, male 19.2
GTEX-17MF6-0726-SM-7LT8E 40-49 years, male 19.1
GTEX-1269C-0826-SM-5N9EM 60-69 years, female 19.0
GTEX-11DXY-0826-SM-5EGGR 60-69 years, male 18.9
GTEX-RU72-0326-SM-2TF5T 50-59 years, female 18.9
GTEX-1HC8U-0726-SM-ACKXL 40-49 years, female 18.8
GTEX-ZDTS-1326-SM-6LLHE 60-69 years, male 18.7
GTEX-ZYW4-0926-SM-59HJS 60-69 years, male 18.4
GTEX-17HGU-1026-SM-79OKL 50-59 years, male 18.1
GTEX-XBEC-1326-SM-4AT69 50-59 years, male 18.1
GTEX-132QS-0426-SM-5KLZ6 60-69 years, male 18.0
GTEX-13CF3-0726-SM-5J2MY 60-69 years, female 18.0
GTEX-1GF9U-0426-SM-7RHHA 40-49 years, female 18.0
GTEX-1LSNM-0526-SM-DIPG6 50-59 years, male 18.0
GTEX-1I1GQ-1426-SM-B2LWY 50-59 years, male 17.8
GTEX-1LGOU-0726-SM-E9TIY 20-29 years, female 17.8
GTEX-1313W-1426-SM-5KLZU 50-59 years, female 17.7
GTEX-14JG1-1026-SM-6ETZY 40-49 years, male 17.6
GTEX-16YQH-0926-SM-793BC 30-39 years, male 17.6
GTEX-U8XE-1126-SM-3DB8W 30-39 years, male 17.5
GTEX-WQUQ-1426-SM-3MJFD 60-69 years, male 17.5
GTEX-1HCU7-1326-SM-CNPPW 50-59 years, male 17.3
GTEX-1QP2A-1126-SM-EVR3H 50-59 years, male 17.3
GTEX-1F6I4-0726-SM-7PC2P 60-69 years, male 17.1
GTEX-1R9PO-0326-SM-DTXA1 60-69 years, female 17.1
GTEX-13FLV-0926-SM-5L3DZ 50-59 years, male 16.8
GTEX-1C64O-0826-SM-79OKZ 60-69 years, male 16.8
GTEX-ZDXO-0726-SM-57WBT 60-69 years, male 16.8
GTEX-13FH7-0926-SM-5J2MR 50-59 years, female 16.7
GTEX-1314G-0126-SM-5LZUL 30-39 years, male 16.5
GTEX-14H4A-0626-SM-5ZZUT 40-49 years, female 16.4
GTEX-15ER7-1726-SM-6PAMX 20-29 years, female 16.3
GTEX-13VXT-1126-SM-5LU3A 20-29 years, female 16.2
GTEX-11ZVC-0426-SM-5CVLD 50-59 years, female 15.9
GTEX-131XG-0626-SM-5GCMP 50-59 years, female 15.9
GTEX-1RB15-0326-SM-E6CQB 60-69 years, male 15.9
GTEX-145LV-0326-SM-5Q5BW 50-59 years, male 15.8
GTEX-ZGAY-0326-SM-57WF5 40-49 years, female 15.8
GTEX-ZYFC-1126-SM-5E44W 50-59 years, male 15.7
GTEX-1HBPM-1226-SM-A9SM8 60-69 years, female 15.7
GTEX-12584-0926-SM-5FQTN 40-49 years, male 15.5
GTEX-12ZZZ-1726-SM-59HK5 60-69 years, male 15.5
GTEX-PLZ5-0626-SM-2I5F8 50-59 years, male 15.5
GTEX-111FC-0826-SM-5GZWO 60-69 years, male 15.4
GTEX-13OVG-0526-SM-5K7YD 60-69 years, male 15.3
GTEX-1N2EF-2826-SM-E6CQF 60-69 years, male 15.3
GTEX-13QBU-0426-SM-5J2O4 40-49 years, female 15.1
GTEX-1JJEA-0826-SM-CL53T 60-69 years, male 14.9
GTEX-1AX9I-1126-SM-7EPHH 60-69 years, male 14.7
GTEX-WFG7-0726-SM-3GIKO 20-29 years, male 14.7
GTEX-14DAQ-1126-SM-664MT 60-69 years, female 14.6
GTEX-QEL4-0926-SM-3GAD1 50-59 years, male 14.6
GTEX-1ICG6-0626-SM-ACKWS 70-79 years, female 14.6
GTEX-1R9K5-1326-SM-E6CPR 50-59 years, male 14.6
GTEX-1CB4E-0526-SM-7MXTK 60-69 years, male 14.5
GTEX-1LGRB-1126-SM-CNPP2 50-59 years, female 14.5
GTEX-1122O-0826-SM-5GICV 60-69 years, female 14.4
GTEX-12WSC-1126-SM-5EQ4G 50-59 years, male 14.4
GTEX-1F48J-1026-SM-7P8SO 50-59 years, female 14.4
GTEX-12WSD-1126-SM-5EGJD 60-69 years, female 14.3
GTEX-13RTJ-0726-SM-5QGQN 60-69 years, male 14.3
GTEX-1CB4G-0826-SM-7DUGF 60-69 years, male 14.3
GTEX-13YAN-1326-SM-5Q5F1 60-69 years, male 14.2
GTEX-148VI-0326-SM-5RQK7 60-69 years, female 14.2
GTEX-OHPL-0326-SM-33HC8 60-69 years, female 14.2
GTEX-132AR-2026-SM-5IJG4 50-59 years, female 14.1
GTEX-1339X-0426-SM-5KLZY 40-49 years, male 14.1
GTEX-1POEN-0626-SM-EVR4B 30-39 years, female 14.1
GTEX-UPK5-0326-SM-CYPR4 40-49 years, male 14.1
GTEX-15RJ7-0226-SM-7KUMN 40-49 years, male 13.9
GTEX-1EU9M-1826-SM-7DUGU 60-69 years, male 13.7
GTEX-Y5V5-0626-SM-4VBPX 60-69 years, female 13.7
GTEX-WFG8-0626-SM-3GILJ 20-29 years, male 13.6
GTEX-WHPG-0826-SM-3NMBF 50-59 years, male 13.6
GTEX-Y3I4-0626-SM-4TT7A 50-59 years, male 13.6
GTEX-11DXX-0326-SM-5PNWC 60-69 years, female 13.5
GTEX-15SHW-1226-SM-6M46C 60-69 years, male 13.5
GTEX-RNOR-0826-SM-2TF5C 50-59 years, female 13.5
GTEX-1H1ZS-1126-SM-9MQLJ 70-79 years, male 13.5
GTEX-1KXAM-1326-SM-E9TJW 60-69 years, male 13.5
GTEX-ZZPU-0926-SM-5GZYT 50-59 years, female 13.4
GTEX-XQ3S-0626-SM-4BOOB 20-29 years, male 13.3
GTEX-1LVAN-1726-SM-CNNR1 50-59 years, female 13.3
GTEX-1EMGI-1226-SM-793DD 60-69 years, male 13.2
GTEX-OIZH-0326-SM-2HMKC 50-59 years, male 13.2
GTEX-1KD5A-1026-SM-CY8I8 50-59 years, male 12.9
GTEX-132NY-1726-SM-5EGKK 60-69 years, male 12.8
GTEX-ZTPG-1226-SM-4YCDO 20-29 years, female 12.8
GTEX-O5YT-0326-SM-32PKA 20-29 years, male 12.7
GTEX-1HBPH-0126-SM-CNNQ7 40-49 years, female 12.6
GTEX-14A6H-0226-SM-5Q5DX 30-39 years, male 12.5
GTEX-R55E-1026-SM-2TC5S 20-29 years, male 12.5
GTEX-V1D1-0526-SM-4JBGW 50-59 years, male 12.5
GTEX-1B97J-0726-SM-7RHG3 50-59 years, female 12.5
GTEX-P44H-0726-SM-48TBT 40-49 years, male 12.2
GTEX-1J8EW-0926-SM-A9G33 60-69 years, female 12.2
GTEX-UJMC-0526-SM-3GAE3 50-59 years, male 12.1
GTEX-ZV7C-0326-SM-57WB1 50-59 years, male 12.1
GTEX-1CB4I-1626-SM-7RHGV 50-59 years, male 12.1
GTEX-1GN73-2426-SM-7RHFQ 60-69 years, male 12.1
GTEX-YEC4-0326-SM-4W216 40-49 years, male 12.0
GTEX-ZPCL-0426-SM-DNZZ4 60-69 years, female 12.0
GTEX-1R7EV-0326-SM-E76PA 40-49 years, male 11.9
GTEX-13OVL-0526-SM-5KLZQ 50-59 years, male 11.8
GTEX-PX3G-0326-SM-2I3EO 20-29 years, female 11.8
GTEX-1IKK5-1526-SM-CKZPW 60-69 years, male 11.8
GTEX-1QPFJ-1026-SM-E6CR6 30-39 years, female 11.8
GTEX-1HCUA-0526-SM-A9SMH 50-59 years, female 11.6
GTEX-1IDJE-0326-SM-CM2TD 50-59 years, female 11.6
GTEX-RUSQ-0526-SM-2TF72 50-59 years, male 11.5
GTEX-U3ZN-1426-SM-3DB87 30-39 years, female 11.5
GTEX-1F75I-1126-SM-9WYUO 40-49 years, male 11.5
GTEX-XBED-0526-SM-47JY3 60-69 years, male 11.4
GTEX-WZTO-1326-SM-3NM8X 40-49 years, male 11.3
GTEX-1IDJI-1026-SM-A96TE 50-59 years, female 11.1
GTEX-OHPK-0326-SM-2HMJO 50-59 years, female 11.0
GTEX-12WSG-0526-SM-5FQTH 50-59 years, female 10.9
GTEX-1399R-1926-SM-5K7X8 30-39 years, male 10.9
GTEX-XPT6-0126-SM-4B65S 20-29 years, male 10.9
GTEX-YFC4-0526-SM-5ZZVI 40-49 years, female 10.9
GTEX-1HSGN-1126-SM-CJI4G 40-49 years, female 10.9
GTEX-14PJ4-1126-SM-5YY91 60-69 years, male 10.8
GTEX-13N11-0426-SM-5KM3O 50-59 years, female 10.7
GTEX-NFK9-0926-SM-2HMJU 40-49 years, male 10.7
GTEX-V955-0726-SM-3GAFG 60-69 years, male 10.7
GTEX-X3Y1-0426-SM-3P5Z4 40-49 years, male 10.7
GTEX-14PK6-0826-SM-5ZZVO 70-79 years, female 10.6
GTEX-1B932-1026-SM-793CL 40-49 years, female 10.6
GTEX-1GZ4I-1026-SM-9KNV5 50-59 years, male 10.5
GTEX-11ZUS-0226-SM-5FQT8 30-39 years, male 10.4
GTEX-13O3O-1526-SM-5KM1C 60-69 years, female 10.4
GTEX-1AX9K-0526-SM-73KV1 50-59 years, male 10.4
GTEX-Y8E4-0326-SM-4VBRR 40-49 years, male 10.4
GTEX-1S3DN-0726-SM-E9TIO 50-59 years, male 10.4
GTEX-16BQI-0926-SM-6M485 30-39 years, female 10.3
GTEX-XPVG-0826-SM-4B654 50-59 years, male 10.3
GTEX-1HFI7-0826-SM-A9G23 50-59 years, female 10.3
GTEX-14PHY-0226-SM-5ZZWM 60-69 years, female 10.2
GTEX-1CAMS-1326-SM-79OJR 40-49 years, female 10.2
GTEX-O5YW-0326-SM-2I5EI 50-59 years, male 10.2
GTEX-QEG4-0426-SM-33HC3 30-39 years, male 10.2
GTEX-1AX9J-1026-SM-72D6E 60-69 years, male 10.1
GTEX-QESD-0526-SM-2I5G5 20-29 years, male 10.1
GTEX-1IKOE-1026-SM-ARZMF 30-39 years, female 10.1
GTEX-OXRL-0326-SM-2I3F2 50-59 years, male 9.9
GTEX-WEY5-0426-SM-3GIKT 40-49 years, female 9.9
GTEX-1QCLZ-0926-SM-E6CQZ 60-69 years, female 9.9
GTEX-1RQEC-0926-SM-EWROG 60-69 years, male 9.9
GTEX-ZEX8-0426-SM-DO92Y 50-59 years, male 9.9
GTEX-RWSA-0626-SM-2XCBD 40-49 years, male 9.8
GTEX-X15G-0426-SM-4PQZ6 50-59 years, female 9.8
GTEX-15CHR-0226-SM-7PC2Z 50-59 years, male 9.8
GTEX-1MCC2-0326-SM-EV7AK 30-39 years, female 9.8
GTEX-13NZB-0226-SM-5KM1T 30-39 years, male 9.6
GTEX-13U4I-0826-SM-5SIBD 40-49 years, female 9.5
GTEX-14PHX-2126-SM-6EU2U 50-59 years, male 9.5
GTEX-U3ZH-0326-SM-3DB7A 30-39 years, male 9.5
GTEX-ZLFU-0226-SM-4WWFH 40-49 years, male 9.5
GTEX-PSDG-0926-SM-2I5FP 50-59 years, male 9.4
GTEX-1OFPY-1026-SM-EXUSO 60-69 years, male 9.4
GTEX-ZQUD-1526-SM-7IGO2 30-39 years, male 9.3
GTEX-ZVZP-0226-SM-5NQ73 50-59 years, male 9.3
GTEX-1L5NE-0426-SM-E9TIX 50-59 years, male 9.3
GTEX-1399U-0526-SM-5K7YM 50-59 years, female 9.1
GTEX-XXEK-0926-SM-4BRWH 50-59 years, male 9.1
GTEX-1F5PK-0326-SM-9KNUD 50-59 years, male 9.1
GTEX-1GL5R-0326-SM-9WYTJ 50-59 years, male 9.1
GTEX-YEC3-0726-SM-CMKFH 50-59 years, male 9.1
GTEX-139YR-0826-SM-5LZXY 50-59 years, male 9.0
GTEX-13FTW-1026-SM-5L3E3 40-49 years, male 9.0
GTEX-P4PQ-0326-SM-2HMJ8 60-69 years, male 9.0
GTEX-13O61-0526-SM-5J2M1 60-69 years, male 8.9
GTEX-13PVR-1026-SM-5QGQW 60-69 years, female 8.9
GTEX-11LCK-0926-SM-5A5KA 30-39 years, male 8.7
GTEX-XGQ4-0326-SM-4GIEE 50-59 years, male 8.7
GTEX-11DXZ-0626-SM-5GU77 50-59 years, male 8.6
GTEX-16XZY-0426-SM-793BI 70-79 years, male 8.6
GTEX-Y5V6-0826-SM-4VBRU 60-69 years, male 8.6
GTEX-ZPU1-0626-SM-4YCDM 40-49 years, male 8.6
GTEX-1AX8Z-5007-SM-AHZ36 60-69 years, male 8.5
GTEX-117YX-1126-SM-5H128 50-59 years, male 8.4
GTEX-1399S-1026-SM-5KLZ9 30-39 years, female 8.4
GTEX-1MUQO-1226-SM-E9TJK 60-69 years, male 8.4
GTEX-OXRK-0826-SM-2HMK7 50-59 years, female 8.3
GTEX-QLQ7-0526-SM-2I5G3 60-69 years, male 8.3
GTEX-14E1K-1026-SM-73KUR 50-59 years, male 8.2
GTEX-14PJ6-0726-SM-69LOL 60-69 years, female 8.0
GTEX-SNMC-0126-SM-2XCFO 20-29 years, male 8.0
GTEX-WFON-0326-SM-3GIKX 40-49 years, male 8.0
GTEX-1AYCT-0426-SM-73KVZ 50-59 years, male 7.8
GTEX-15CHC-0426-SM-6LLHI 60-69 years, female 7.6
GTEX-POMQ-0326-SM-2I5FO 20-29 years, female 7.6
GTEX-17KNJ-0826-SM-793A4 50-59 years, male 7.5
GTEX-SE5C-0626-SM-2XCDV 40-49 years, female 7.5
GTEX-R55C-0326-SM-3GAF1 40-49 years, male 7.4
GTEX-Y3IK-0826-SM-51MT8 50-59 years, female 7.4
GTEX-1JK1U-0526-SM-CYPSQ 60-69 years, male 7.4
GTEX-111YS-0426-SM-5987O 60-69 years, male 7.3
GTEX-ZF29-0226-SM-4WKHO 60-69 years, female 7.3
GTEX-1OKEX-0726-SM-DPRYE 60-69 years, male 7.3
GTEX-S32W-0626-SM-2XCBG 50-59 years, female 7.2
GTEX-1B8KE-0126-SM-793AM 50-59 years, male 7.1
GTEX-Y114-0226-SM-4TT8W 50-59 years, female 7.1
GTEX-ZDTT-0726-SM-4WKFK 60-69 years, male 7.1
GTEX-1RMOY-0626-SM-E9TIE 50-59 years, male 7.1
GTEX-1C2JI-0526-SM-7EWEQ 50-59 years, male 7.0
GTEX-OHPM-0326-SM-33HCA 50-59 years, male 7.0
GTEX-1R9JW-0526-SM-EWRNK 30-39 years, female 7.0
GTEX-QMRM-0526-SM-2I5GA 50-59 years, male 6.9
GTEX-WHWD-0426-SM-3LK83 50-59 years, male 6.9
GTEX-WYJK-1026-SM-3NM8W 50-59 years, male 6.9
GTEX-131XF-5001-SM-7DHLY 60-69 years, male 6.8
GTEX-18A67-1226-SM-7KFRS 50-59 years, male 6.8
GTEX-ZG7Y-0926-SM-5EQ6O 50-59 years, male 6.8
GTEX-12696-1126-SM-5FQTI 60-69 years, male 6.7
GTEX-ZYFG-0426-SM-5E43M 60-69 years, female 6.7
GTEX-13D11-1726-SM-5IFGQ 50-59 years, female 6.5
GTEX-146FR-0626-SM-5RQJ1 60-69 years, female 6.5
GTEX-14PN3-0526-SM-69LQF 60-69 years, female 6.5
GTEX-Q2AH-0526-SM-2I3ED 40-49 years, male 6.5
GTEX-1GMR2-1426-SM-7RHHK 50-59 years, male 6.5
GTEX-1MJIX-0326-SM-EVR42 40-49 years, male 6.5
GTEX-R53T-0926-SM-3GADH 50-59 years, female 6.4
GTEX-UJHI-0426-SM-3DB8Y 50-59 years, female 6.4
GTEX-RWS6-0326-SM-2XCAP 60-69 years, female 6.3
GTEX-1QP29-1526-SM-EXUSY 50-59 years, male 6.2
GTEX-17F9E-0926-SM-7IGMG 50-59 years, male 6.1
GTEX-P4PP-0326-SM-33HC4 30-39 years, female 6.1
GTEX-13O21-2326-SM-5MR3X 50-59 years, male 6.0
GTEX-1KANC-0426-SM-CXZK5 50-59 years, female 6.0
GTEX-ZAB5-0226-SM-5CVMH 50-59 years, male 5.9
GTEX-XQ8I-0126-SM-4BOPL 50-59 years, male 5.7
GTEX-13X6H-0426-SM-5LU4E 50-59 years, female 5.6
GTEX-18D9U-1126-SM-72D5Y 40-49 years, male 5.5
GTEX-OOBJ-0326-SM-33HBO 60-69 years, male 5.5
GTEX-12BJ1-0226-SM-5LUA2 60-69 years, male 5.4
GTEX-1GMR3-0326-SM-7P8QT 40-49 years, male 5.1
GTEX-13S86-0226-SM-5S2PJ 40-49 years, male 5.0
GTEX-OIZF-0326-SM-3MJGY 60-69 years, male 5.0
GTEX-QV44-0526-SM-2S1RE 50-59 years, male 4.2
Show allShow less

HEART MUSCLE - FANTOM5 CAGEi

RNA expression in human tissues obtained through Cap Analysis of Gene Expression (CAGE) generated by the FANTOM5 project are reported as Scaled Tags Per Million.

Max subtype Scaled Tags Per Millioni

Max subtype Scaled Tags Per Million is the value for the subtype with the largest average Scaled Tags Per Million across the subtype samples.

58.4
FANTOM5 sample id Sample description Scaled Tags Per Million
Heart
Scaled Tags Per Million: 48.7
FF:10016-101C7 70,73,74 years, mixed 48.7
Left atrium
Scaled Tags Per Million: 58.4
FF:10079-102A7 40 years, male 58.4
Left ventricle
Scaled Tags Per Million: 30.6
FF:10078-102A6 73 years, female 30.6

Contact

  • NEWS ARTICLES
  • PRESS ROOM

The Project

  • INTRODUCTION
  • ORGANIZATION
  • PUBLICATIONS

The Human Protein Atlas

  • DOWNLOADABLE DATA
  • LICENCE & CITATION
  • HELP & FAQ
The Human Protein Atlas project is funded
by the Knut & Alice Wallenberg Foundation.


contact@proteinatlas.org