We use cookies to enhance the usability of our website. If you continue, we'll assume that you are happy to receive all cookies. More information. Don't show this again.
CACNA1A
HPA
RESOURCES
  • TISSUE
  • BRAIN
  • SINGLE CELL
  • SUBCELLULAR
  • CANCER
  • BLOOD
  • CELL LINE
  • STRUCTURE & INTERACTION
ABOUT
  • INTRODUCTION
  • HISTORY
  • ORGANIZATION
  • PUBLICATIONS
  • ANTIBODY SUBMISSION
  • ANTIBODY AVAILABILITY
  • ACKNOWLEDGMENTS
  • CONTACT
NEWS
  • NEWS ARTICLES
  • PRESS ROOM
LEARN
  • DICTIONARY
  • PROTEIN CLASSES
  • PROTEIN EVIDENCE
  • METHODS
  • EDUCATIONAL VIDEOS
DATA
  • DOWNLOADABLE DATA
  • PUBLICATION DATA
  • RELEASE HISTORY
HELP
  • ANTIBODY VALIDATION
  • ASSAYS & ANNOTATION
  • DISCLAIMER
  • HELP & FAQ
  • PRIVACY STATEMENT
  • LICENCE & CITATION
Fields »
Search result

Field
Term
Gene name
Class
Subclass
Class
Keyword
Chromosome
External id
Tissue
Cell type
Expression
Antibody panel
Tissue
Main location
Patient ID
Annotation
Tissue
Category
Tau score
Cluster
Reliability
Brain region
Category
Tau score
Brain region
Category
Tau score
Brain region
Category
Tau score
Cluster
Reliability
Tissue
Cell type
Enrichment
Cell type
Category
Tau score
Cell type
Category
Tau score
Cell type
Category
Tau score
Cell lineage
Category
Tau score
Cluster
Cluster
Location
Searches
Location
Cell line
Class
Type
Phase
Reliability
Cancer
Prognosis
Cancer
Category
Cancer
Category
Tau score
Cluster
Variants
Interacting gene (ensg_id)
Type
Number of interactions
Pathway
Category
Score
Score
Score
Validation
Validation
Validation
Validation
Antibodies
Data type
Column


  • SUMMARY

  • TISSUE

  • BRAIN

  • SINGLE CELL

  • SUBCELL

  • CANCER

  • BLOOD

  • CELL LINE

  • STRUCT & INT

  • CACNA1A
BRAIN CEREBELLUM Show tissue menu
AMYGDALA BASAL GANGLIA CEREBELLUM CEREBRAL CORTEX CHOROID PLEXUS HIPPOCAMPAL FORMATION HYPOTHALAMUS MEDULLA OBLONGATA
MIDBRAIN OLFACTORY BULB PITUITARY GLAND PONS RETINA SPINAL CORD THALAMUS WHITE MATTER
PRIMARY MOUSE DATA
ANTIBODIES
AND
VALIDATION
Brain proteome
Cerebellum
CEREBELLUM - Expression summary
Protein expression
Cerebellumi

On the top, protein expression in current human tissue, based on all annotated cell types, is reported with the units not detected (n), low (l), medium (m) and high (h). Underneath, protein expression in each annotated cell type are reported using the same units.

Protein expression data is based on knowledge-based annotation. For genes where more than one antibody has been used, a collective score is set.

If knowledge-based annotation could not be performed for a gene, no data is displayed here. View antibody staining data further down this page.

h
m
l
n
Bergmann glia - cytoplasm/membrane: Not detected
Bergmann glia - nucleus: Not detected
GLUC cells - cytoplasm/membrane: Not detected
GLUC cells - nucleus: Not detected
Granular cells - cytoplasm/membrane: Not detected
Granular cells - nucleus: Not detected
Molecular layer - neuropil: Not detected
Molecular layer cells - cytoplasm/membrane: Not detected
Molecular layer cells - nucleus: Not detected
Processes in granular layer: Not detected
Processes in molecular layer: Not detected
Processes in white matter: Not detected
Purkinje cells - cytoplasm/membrane: High
Purkinje cells - dendrites: High
Purkinje cells - nucleus: High
Synaptic glomeruli - capsule: Not detected
Synaptic glomeruli - core: Not detected
White matter cells - cytoplasm/membrane: Not detected
White matter cells - nucleus: Not detected
Mouse brain, Intensity
Cerebellumi

Protein expression in mouse brain using immunofluorescence is reported as mean fluorescence intensity .

30.477
RNA expressioni

A summary of mRNA expression data available for current tissue based on several datasets. The mRNA expression levels in human tissues are based on RNA-seq data generated by the Human Protein Atlas (HPA), Genotype-Tissue Expression (GTEx) portal and CAGE data generated by the FANTOM5 consortium. Consensus normalized expression levels for human tissues was created by combining the data from HPA and GTEx datasets.

The mRNA expression levels in pig are based on RNA-seq data generated by the Human Protein Atlas (HPA), and for mouse, HPA data and in situ hybridization generated by the Allen brain atlas are reported.

Scroll down to view mRNA expression data in more detail.
Consensus:240.4 nTPM
HPA Brain:218.2 nTPM
GTEx:240.4 nTPM
FANTOM5:292.5 Scaled Tags Per Million
Pig:115.3 nTPM
Mouse:48.7 nTPM
Allen mouse:7.3 Expression energy

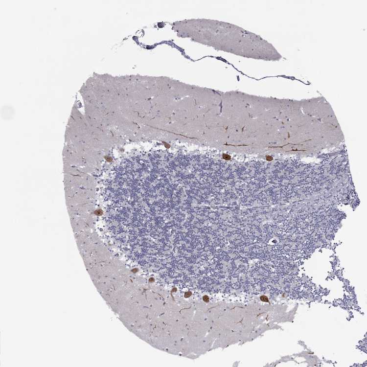
CEREBELLUM - Antibody stainingi

Antibody staining in the annotated cell types in the current human tissue is reported as not detected, low, medium, or high, based on conventional immunohistochemistry profiling in selected tissues. This score is based on the combination of the staining intensity and fraction of stained cells.

Each image is clickable and will lead to virtual microscopy that enables deeper exploration of all samples and also displays staining intensity scores, fraction scores and subcellular localization as well as patient and tissue information for each sample.

Antibody HPA068138Antibody HPA071902
Bergmann glia - cytoplasm/membrane Not detectedNot detected
Bergmann glia - nucleus Not detectedNot detected
GLUC cells - cytoplasm/membrane Not detectedNot detected
GLUC cells - nucleus Not detectedNot detected
Purkinje cells - cytoplasm/membrane HighHigh
Purkinje cells - dendrites HighHigh
Purkinje cells - nucleus HighHigh
Granular cells - cytoplasm/membrane Not detectedNot detected
Granular cells - nucleus Not detectedNot detected
Molecular layer - neuropil Not detectedNot detected
Molecular layer cells - cytoplasm/membrane Not detectedNot detected
Molecular layer cells - nucleus Not detectedNot detected
Processes in granular layer Not detectedNot detected
Processes in molecular layer Not detectedNot detected
Processes in white matter Not detectedNot detected
Synaptic glomeruli - capsule Not detectedNot detected
Synaptic glomeruli - core Not detectedNot detected
White matter cells - cytoplasm/membrane Not detectedNot detected
White matter cells - nucleus Not detectedNot detected



CEREBELLUM - Mouse brain profilei

Protein expression in mouse brain using immunofluorescence is reported as fluorescence intensity .

, antibody HPA064258
Cerebellum mean intensity 30.477
intensityi

Protein expression in mouse brain using immunofluorescence is reported as mean fluorescence intensity .

FRONT BACK
Vestibulocerebellar nucleus -
Moleuclar layer of the cerebellum 30.477
Purkinje layer of the cerebellum 18.879
Granular layer of the cerebellum 20.702

CEREBELLUM - HPA Brain RNA-seq
Max subtype nTPMi

Max subtype nTPM is the value for the subtype with the largest average nTPM across the subtype samples.

218.2
Sample id Sample description nTPM
Cerebellar cortex
nTPM: 188.8
1774 Male, age 80, left hemisphere 250.7
1769 Male, age 76, right hemisphere 250.6
2055 Female, age 91, right hemisphere 224.4
2101 Male, age 74, right hemisphere 196.3
1768 Female, age 72, unknown 180.9
1788 Male, age 55, unknown 160.7
2006 Male, age 61, right hemisphere 133.0
2003 Female, age 85, right hemisphere 114.1
Cerebellar nuclei
nTPM: 23.0
2318 Male, age 74, left hemisphere 95.5
1966 Female, age 91, left hemisphere 21.7
2005 Male, age 80, left hemisphere 15.5
2177 Female, age 85, both hemispheres 14.1
1879 Male, age 55, unknown 13.3
2882 Male, age 76, left hemisphere 12.8
2783 Female, age 72, unknown 11.5
1871 Male, age 74, unknown 11.1
2175 Male, age 61, right hemisphere 11.0
Flocculonodular lobe
nTPM: 218.2
1771 Male, age 80, left hemisphere 274.0
2176 Female, age 91, right hemisphere 271.4
1767 Male, age 76, left hemisphere 267.7
1792 Male, age 74, unknown 209.0
1835 Female, age 85, right hemisphere 197.6
1765 Male, age 55, unknown 182.8
2004 Male, age 61, right hemisphere 124.6
Vermis
nTPM: 200.0
1778 Female, age 91, left hemisphere 277.3
1770 Male, age 76, left hemisphere 261.1
1988 Female, age 85, left hemisphere 247.1
1751 Male, age 74, right hemisphere 233.2
1825 Male, age 74, unknown 206.0
1928 Female, age 72, unknown 152.1
2460 Male, age 61, both hemispheres 142.2
2834 Male, age 80, left hemisphere 142.1
1766 Male, age 55, unknown 139.0

CEREBELLUM - GTEx RNA-seqi

RNA-Seq data generated by the Genotype-Tissue Expression (GTEx) project from human tissues is reported as mean nTPM. More information can be found on the GTEx portal.

Distribution across the dataset is visualized with box plots, shown as median and 25th and 75th percentiles. Points are displayed as outliers if they are above or below 1.5 times the interquartile range. nTPM values of the individual samples are presented next to the box plot.
Max subtype nTPMi

Max subtype nTPM is the value for the subtype with the largest average nTPM across the subtype samples.

240.4
GTEx sample id Sample description nTPM
Brain - Cerebellar Hemisphere
Average nTPM: 224.2
Samples: 215

Max nTPM: 497.0
Min nTPM: 25.8
Std nTPM: 75.9
Median nTPM: 203.8
GTEX-132Q8-0011-R11b-SM-5DUW9 60-69 years, male 497.0
GTEX-1J8Q2-0011-R11a-SM-A9SKI 60-69 years, male 473.6
GTEX-ZF28-0011-R11a-SM-4WWEI 60-69 years, male 466.6
GTEX-1LKK1-0011-R11a-SM-EXOIG 50-59 years, female 462.7
GTEX-17EVQ-0011-R11a-SM-7LT9C 70-79 years, male 460.3
GTEX-1I19N-0011-R11b-SM-ARU6Y 70-79 years, male 411.2
GTEX-1IOXB-0011-R11a-SM-A9G1X 50-59 years, male 406.8
GTEX-XMD1-0011-R11A-SM-4AT5J 60-69 years, male 399.9
GTEX-ZE9C-0011-R11a-SM-4WKGG 60-69 years, male 375.0
GTEX-1F75W-0011-R11b-SM-AHZ34 60-69 years, male 370.3
GTEX-1GZHY-0011-R11a-SM-C1YRQ 50-59 years, female 365.2
GTEX-131XW-0011-R11a-SM-5DUV9 50-59 years, female 364.7
GTEX-1H3VE-0011-R11b-SM-C1YRP 40-49 years, male 364.2
GTEX-16XZZ-0011-R11a-SM-7EPI3 60-69 years, male 362.7
GTEX-1H3O1-0011-R11a-SM-A96RV 60-69 years, male 360.4
GTEX-12WSD-0011-R11a-SM-9OSVC 60-69 years, female 348.9
GTEX-13NYS-0011-R11b-SM-5MR4P 60-69 years, male 337.3
GTEX-17JCI-0011-R11a-SM-7189Y 60-69 years, female 331.8
GTEX-16NPV-0011-R11a-SM-7IGMK 50-59 years, female 330.7
GTEX-13CZV-0011-R11b-SM-5N9FN 60-69 years, male 328.1
GTEX-13FLV-0011-R11a-SM-5LZZ7 50-59 years, male 327.2
GTEX-1GMRU-0011-R11b-SM-C1YQ4 50-59 years, male 321.4
GTEX-1HUB1-0011-R11b-SM-CE6SC 60-69 years, male 321.1
GTEX-1CAV2-0011-R11a-SM-ARU8D 40-49 years, female 319.8
GTEX-1H4P4-0011-R11b-SM-CE6S8 50-59 years, male 316.5
GTEX-13X6I-0011-R11a-SM-5P9HN 60-69 years, male 311.8
GTEX-14C39-0011-R11b-SM-5YYAF 40-49 years, male 307.9
GTEX-NPJ8-0011-R11A-SM-2YUMS 40-49 years, male 306.4
GTEX-13PVQ-0011-R11a-SM-5O9DU 50-59 years, male 304.5
GTEX-11EI6-0011-R11a-SM-DO11V 60-69 years, male 304.2
GTEX-145LU-0011-R11b-SM-5P9JX 50-59 years, male 301.7
GTEX-13SLW-0011-R11a-SM-5SI8Q 70-79 years, male 301.0
GTEX-13RTJ-0011-R11a-SM-5O9CK 60-69 years, male 300.0
GTEX-145MI-0011-R11a-SM-5P9JZ 60-69 years, female 296.1
GTEX-139UW-0011-R11a-SM-5IJGN 60-69 years, male 296.0
GTEX-1M4P7-0011-R11b-SM-EXOIK 60-69 years, male 293.0
GTEX-18A6Q-0011-R11a-SM-72D6H 60-69 years, male 292.8
GTEX-13PLJ-0011-R11b-SM-5O9BS 60-69 years, female 291.5
GTEX-1GMR8-0011-R11b-SM-9OSX2 50-59 years, female 288.0
GTEX-13OVJ-0011-R11a-SM-5P9H8 50-59 years, female 281.7
GTEX-12WSF-0011-R11a-SM-5LZVT 70-79 years, male 280.8
GTEX-13QIC-0011-R11b-SM-5O9BU 60-69 years, female 280.7
GTEX-13FHO-0011-R11b-SM-5LZYQ 60-69 years, male 279.1
GTEX-14BIM-0011-R11b-SM-5S2RN 60-69 years, female 276.2
GTEX-11EMC-0011-R11b-SM-DNZZK 60-69 years, female 276.2
GTEX-1B933-0011-R11a-SM-7P8PM 50-59 years, female 275.8
GTEX-ZE7O-0011-R11a-SM-57WBC 50-59 years, female 271.8
GTEX-12WSH-0011-R11a-SM-5LZVM 50-59 years, male 271.7
GTEX-1ICLZ-0011-R11a-SM-CJI3N 60-69 years, male 271.7
GTEX-14E6D-0011-R11b-SM-664NP 50-59 years, male 270.9
GTEX-N7MS-0011-R11A-SM-2HMJS 60-69 years, male 270.8
GTEX-13OW8-0011-R11a-SM-5L3GT 60-69 years, male 267.5
GTEX-X4EP-0011-R11B-SM-4QASK 60-69 years, female 266.5
GTEX-1IKOH-0011-R11a-SM-AHZ38 60-69 years, female 266.5
GTEX-14BIN-0011-R11a-SM-5SI79 50-59 years, female 262.0
GTEX-13NZA-0011-R11b-SM-5KM4W 60-69 years, male 260.7
GTEX-13OVH-0011-R11b-SM-5KM4X 70-79 years, male 260.2
GTEX-NPJ7-0011-R11A-SM-2I3E8 60-69 years, female 258.3
GTEX-1C64N-0011-R11b-SM-7P8Q6 50-59 years, male 258.2
GTEX-11WQC-0011-R11b-SM-57WD6 60-69 years, male 257.6
GTEX-1B8SG-0011-R11a-SM-7P8PF 50-59 years, male 256.6
GTEX-13G51-0011-R11b-SM-5J2NE 60-69 years, male 256.1
GTEX-13JVG-0011-R11a-SM-5KM53 60-69 years, male 256.0
GTEX-13O3O-0011-R11b-SM-5KM4G 60-69 years, female 255.6
GTEX-ZVT3-0011-R11b-SM-57WBI 60-69 years, female 251.1
GTEX-1IGQW-0011-R11a-SM-C1YRV 60-69 years, male 250.9
GTEX-13JUV-0011-R11a-SM-5LZYH 40-49 years, female 250.3
GTEX-NL4W-0011-R11A-SM-2I3DW 50-59 years, male 248.7
GTEX-1GF9W-0011-R11b-SM-9OSXG 60-69 years, male 247.1
GTEX-P44G-0011-R11A-SM-2I3FD 30-39 years, male 244.1
GTEX-18464-0011-R11a-SM-72D76 50-59 years, male 243.5
GTEX-X261-0011-R11A-SM-4E3JY 50-59 years, male 243.3
GTEX-14C5O-0011-R11b-SM-6872H 60-69 years, male 243.2
GTEX-RVPV-0011-R11A-SM-2TF6F 60-69 years, male 242.2
GTEX-13O3Q-0011-R11b-SM-5KM2W 50-59 years, male 240.9
GTEX-13S7M-0011-R11b-SM-5P9HU 60-69 years, female 240.8
GTEX-13OVL-0011-R11b-SM-5L3G7 50-59 years, male 240.0
GTEX-17EVP-0011-R11a-SM-7EWDL 40-49 years, male 239.3
GTEX-183WM-0011-R11a-SM-718A5 70-79 years, female 239.2
GTEX-145MH-0011-R11a-SM-5P9HQ 50-59 years, male 236.4
GTEX-131YS-0011-R11b-SM-5EGLM 60-69 years, female 234.8
GTEX-1GZ4I-0011-R11b-SM-9OSWR 50-59 years, male 234.4
GTEX-139TT-0011-R11b-SM-5LZV1 60-69 years, male 233.8
GTEX-ZAB4-0011-R11a-SM-4SOKI 40-49 years, male 233.5
GTEX-OHPN-0011-R11A-SM-2I5FM 60-69 years, female 230.7
GTEX-13FHP-0011-R11b-SM-5LZXP 50-59 years, male 225.2
GTEX-1BAJH-0011-R11b-SM-7IGLM 70-79 years, male 223.7
GTEX-1B8SF-0011-R11a-SM-79OOP 60-69 years, male 223.1
GTEX-1F6I4-0011-R11b-SM-9OSWS 60-69 years, male 221.2
GTEX-13OW6-0011-R11a-SM-5L3H2 50-59 years, male 220.8
GTEX-1I1GV-0011-R11a-SM-CJI3Z 60-69 years, male 220.7
GTEX-12WSE-0011-R11b-SM-5P9JW 20-29 years, male 219.8
GTEX-1I1GS-0011-R11a-SM-C1YRU 60-69 years, male 218.5
GTEX-T5JC-0011-R11A-SM-32PMB 20-29 years, male 214.1
GTEX-1F48J-0011-R11b-SM-9OSWV 50-59 years, female 213.3
GTEX-144GL-0011-R11b-SM-5P9F6 50-59 years, male 212.1
GTEX-1399T-0011-R11a-SM-5J2O1 60-69 years, male 211.6
GTEX-1313W-0011-R11a-SM-5DUXN 50-59 years, female 210.9
GTEX-13CF2-0011-R11b-SM-5LZXO 60-69 years, male 210.8
GTEX-1HB9E-0011-R11b-SM-ARU79 50-59 years, male 209.9
GTEX-1CB4G-0011-R11a-SM-9OSWG 60-69 years, male 209.6
GTEX-11OF3-0011-R11a-SM-57WCR 60-69 years, male 209.5
GTEX-13OW7-0011-R11a-SM-5O9DY 50-59 years, male 208.6
GTEX-14ABY-0011-R11a-SM-5SI7C 50-59 years, male 207.7
GTEX-1F52S-0011-R11a-SM-CJI23 60-69 years, female 206.3
GTEX-13NYB-0011-R11a-SM-5KM3Q 40-49 years, male 205.7
GTEX-1I1HK-0011-R11a-SM-B2LVN 60-69 years, male 204.3
GTEX-11DZ1-0011-R11b-SM-DO11W 50-59 years, male 203.8
GTEX-1GTWX-0011-R11b-SM-C1YQJ 60-69 years, male 203.1
GTEX-1IY9M-0011-R11b-SM-A96TI 60-69 years, male 202.9
GTEX-1J1OQ-0011-R11a-SM-A96S3 40-49 years, female 202.9
GTEX-1EKGG-0011-R11a-SM-9QEHZ 60-69 years, male 202.8
GTEX-1JMOU-0011-R11b-SM-EXUTA 60-69 years, female 202.8
GTEX-X585-0011-R11B-SM-46MUZ 50-59 years, male 200.6
GTEX-11H98-0011-R11b-SM-5NQ6U 50-59 years, male 199.1
GTEX-WL46-0011-R11A-SM-3MJFT 50-59 years, male 198.6
GTEX-1LVAO-0011-R11b-SM-EXOI8 60-69 years, male 198.2
GTEX-13FTY-0011-R11a-SM-5IJEA 40-49 years, female 198.0
GTEX-14DAQ-0011-R11a-SM-664NO 60-69 years, female 198.0
GTEX-WHSE-0011-R11A-SM-3P5YY 20-29 years, male 197.0
GTEX-1HBPI-0011-R11b-SM-CE6SH 50-59 years, male 196.8
GTEX-1H1CY-0011-R11a-SM-C1YQR 60-69 years, female 196.5
GTEX-1H3NZ-0011-R11b-SM-CE6SF 60-69 years, male 196.5
GTEX-NL3H-0011-R11A-SM-2I3E6 60-69 years, male 195.2
GTEX-11TTK-0011-R11b-SM-DO112 60-69 years, female 195.0
GTEX-1H1DG-0011-R11a-SM-C1YQK 70-79 years, male 194.5
GTEX-1KD4Q-0011-R11b-SM-EXOIE 40-49 years, male 194.4
GTEX-1HGF4-0011-R11a-SM-C1YRR 60-69 years, male 193.9
GTEX-1F7RK-0011-R11b-SM-9QEI2 20-29 years, female 193.4
GTEX-1A3MX-0011-R11b-SM-7DUGP 60-69 years, male 192.9
GTEX-13X6J-0011-R11a-SM-5P9HE 50-59 years, male 192.7
GTEX-14ASI-0011-R11b-SM-6AJBJ 60-69 years, male 192.5
GTEX-1J8EW-0011-R11a-SM-AHZ37 60-69 years, female 192.0
GTEX-ZDXO-0011-R11a-SM-4WWD9 60-69 years, male 191.9
GTEX-1HCU6-0011-R11b-SM-AHZ2F 60-69 years, female 191.8
GTEX-1E1VI-0011-R11a-SM-9OSWI 50-59 years, male 191.0
GTEX-YJ89-0011-R11a-SM-4SOKA 60-69 years, male 190.6
GTEX-1H1ZS-0011-R11a-SM-C1YQM 70-79 years, male 190.2
GTEX-13X6K-0011-R11a-SM-5P9F5 60-69 years, female 190.1
GTEX-13SLX-0011-R11b-SM-5O9C8 50-59 years, female 189.1
GTEX-UTHO-0011-R11A-SM-3GIJE 60-69 years, male 189.0
GTEX-15CHQ-0011-R11b-SM-686ZZ 60-69 years, male 188.1
GTEX-11ZTS-0011-R11a-SM-DO113 60-69 years, female 185.9
GTEX-17HII-0011-R11b-SM-7KFSX 50-59 years, male 185.5
GTEX-13VXU-0011-R11b-SM-5O9DJ 50-59 years, male 185.1
GTEX-1B8L1-0011-R11b-SM-793DJ 60-69 years, male 183.3
GTEX-131XH-0011-R11a-SM-5EGLN 50-59 years, male 182.2
GTEX-18465-0011-R11a-SM-72D78 50-59 years, male 181.8
GTEX-1IDJH-0011-R11b-SM-C1YRT 70-79 years, male 181.1
GTEX-13N2G-0011-R11a-SM-5MR3F 60-69 years, male 179.9
GTEX-15G19-0011-R11b-SM-6LPIH 60-69 years, male 179.7
GTEX-13OW5-0011-R11b-SM-5L3GG 60-69 years, male 179.1
GTEX-1HSKV-0011-R11b-SM-AHZ2E 60-69 years, male 178.4
GTEX-1HFI6-0011-R11b-SM-A96RU 40-49 years, male 177.8
GTEX-11GSP-0011-R11b-SM-5NQ7V 60-69 years, female 177.4
GTEX-WWYW-0011-R11A-SM-3NB38 50-59 years, female 177.0
GTEX-1I1GR-0011-R11a-SM-CM2T5 60-69 years, male 176.5
GTEX-TSE9-0011-R11A-SM-3DB7N 60-69 years, female 175.2
GTEX-QMR6-0011-R11A-SM-32PKK 50-59 years, male 174.9
GTEX-16GPK-0011-R11b-SM-7MKFF 60-69 years, male 174.0
GTEX-13FXS-0011-R11a-SM-5L3DM 50-59 years, male 173.5
GTEX-1IL2V-0011-R11a-SM-ARU6T 70-79 years, male 172.1
GTEX-1AX9I-0011-R11b-SM-7DHN4 60-69 years, male 172.0
GTEX-X4XX-0011-R11A-SM-46MWQ 60-69 years, male 172.0
GTEX-YFC4-0011-R11a-SM-4SOK6 40-49 years, female 171.8
GTEX-1R9K4-0011-R11a-SM-EZ6N9 60-69 years, male 171.5
GTEX-S7SE-0011-R11A-SM-2XCDD 50-59 years, male 171.4
GTEX-WVLH-0011-R11A-SM-3MJFO 50-59 years, male 171.3
GTEX-15DYW-0011-R11a-SM-6LPIT 60-69 years, female 170.4
GTEX-R55E-0011-R11A-SM-2TC6I 20-29 years, male 169.1
GTEX-1F75A-0011-R11a-SM-AHZ35 50-59 years, male 167.1
GTEX-12WSI-0011-R11b-SM-5P9EZ 50-59 years, male 166.7
GTEX-12ZZZ-0011-R11a-SM-5EGLC 60-69 years, male 166.1
GTEX-Z93S-0011-R11a-SM-4RGNN 50-59 years, male 165.4
GTEX-12WSM-0011-R11a-SM-5DUX8 60-69 years, male 164.3
GTEX-WZTO-0011-R11A-SM-4E3K9 40-49 years, male 163.6
GTEX-ZVZQ-0011-R11a-SM-51MS6 60-69 years, female 163.1
GTEX-1I1GQ-0011-R11b-SM-CKZPA 50-59 years, male 162.6
GTEX-Y8DK-0011-R11A-SM-4SOK2 60-69 years, male 162.4
GTEX-1JMQJ-0011-R11a-SM-EXOJY 50-59 years, male 162.3
GTEX-12ZZX-0011-R11a-SM-5DUVJ 40-49 years, female 159.7
GTEX-1IL2U-0011-R11a-SM-CE6SO 60-69 years, male 159.2
GTEX-1N2DW-0011-R11b-SM-EXOIL 50-59 years, male 158.8
GTEX-1GN73-0011-R11b-SM-9OSX4 60-69 years, male 158.3
GTEX-1JJ6O-0011-R11b-SM-EXUS2 60-69 years, male 158.3
GTEX-14PN4-0011-R11a-SM-686ZW 50-59 years, male 156.4
GTEX-RU72-0011-R11A-SM-CM2U1 50-59 years, female 156.2
GTEX-11DYG-0011-R11a-SM-DNZZP 60-69 years, male 153.6
GTEX-ZUA1-0011-R11b-SM-51MTI 40-49 years, male 152.1
GTEX-Q2AG-0011-R11A-SM-2HMKZ 40-49 years, female 151.9
GTEX-15ER7-0011-R11a-SM-6LPIL 20-29 years, female 151.5
GTEX-11PRG-0011-R11b-SM-DNZZY 50-59 years, male 150.4
GTEX-16YQH-0011-R11b-SM-7LT98 30-39 years, male 145.9
GTEX-1LG7Y-0011-R11a-SM-EXOIH 50-59 years, male 145.2
GTEX-1EMGI-0011-R11b-SM-9OSWX 60-69 years, male 144.6
GTEX-15EO6-0011-R11b-SM-6M47M 50-59 years, male 144.5
GTEX-17HG3-0011-R11b-SM-7KFT4 30-39 years, female 144.5
GTEX-11DXY-0011-R11a-SM-DNZZN 60-69 years, male 143.6
GTEX-QDT8-0011-R11A-SM-32PKD 30-39 years, female 142.4
GTEX-17F97-0011-R11b-SM-7KFRQ 50-59 years, male 139.9
GTEX-1IKK5-0011-R11a-SM-C1YRX 60-69 years, male 138.1
GTEX-14E7W-0011-R11a-SM-5ZZVA 70-79 years, male 133.3
GTEX-1LSVX-0011-R11b-SM-EXOIA 60-69 years, male 130.6
GTEX-P44H-0011-R11A-SM-2XCER 40-49 years, male 129.2
GTEX-1N2EE-0011-R11b-SM-EXOIJ 60-69 years, male 126.8
GTEX-T6MN-0011-R11A-SM-32QOX 50-59 years, male 126.4
GTEX-15DCD-0011-R11a-SM-D4P1R 70-79 years, female 126.3
GTEX-T2IS-0011-R11A-SM-32QPC 20-29 years, female 124.8
GTEX-1JJEA-0011-R11a-SM-EXUTE 60-69 years, male 116.2
GTEX-1R9PO-0011-R11b-SM-EZ6NB 60-69 years, female 113.1
GTEX-12126-0011-R11a-SM-5BC6X 20-29 years, male 104.5
GTEX-11ZUS-0011-R11b-SM-5BC7B 30-39 years, male 102.3
GTEX-12WSC-0011-R11a-SM-5GU5J 50-59 years, male 99.2
GTEX-16Z82-0011-R11a-SM-79OKJ 60-69 years, male 64.0
GTEX-N7MT-0011-R11A-SM-2I3DZ 60-69 years, female 25.8
Show allShow less
Brain - Cerebellum
Average nTPM: 240.4
Samples: 241

Max nTPM: 441.2
Min nTPM: 122.4
Std nTPM: 53.6
Median nTPM: 232.1
GTEX-1RNSC-3126-SM-EVR4V 60-69 years, male 441.2
GTEX-XMD1-2826-SM-4AT5F 60-69 years, male 430.8
GTEX-13PVQ-2926-SM-5L3HJ 50-59 years, male 427.0
GTEX-1E2YA-2926-SM-7MGWX 50-59 years, male 381.3
GTEX-1B8SG-1926-SM-73KUB 50-59 years, male 381.2
GTEX-13RTJ-3126-SM-5S2Q4 60-69 years, male 379.5
GTEX-16Z82-2926-SM-6LPJJ 60-69 years, male 376.7
GTEX-ZVT3-2926-SM-5GU6M 60-69 years, female 353.5
GTEX-17EVQ-2726-SM-7EWDT 70-79 years, male 346.8
GTEX-12WSM-2126-SM-5GCOC 60-69 years, male 346.3
GTEX-11EI6-2926-SM-5985U 60-69 years, male 344.9
GTEX-1KANB-3226-SM-D4P3G 50-59 years, male 341.9
GTEX-13OW7-2926-SM-5MR3Z 50-59 years, male 333.6
GTEX-1QEPI-3026-SM-EXOIW 60-69 years, female 332.1
GTEX-ZF28-2926-SM-4WKG1 60-69 years, male 330.5
GTEX-11ZVC-3026-SM-59HJM 50-59 years, female 328.8
GTEX-1HSMO-2926-SM-C1YR5 60-69 years, male 328.6
GTEX-1E1VI-2926-SM-7IGLT 50-59 years, male 326.3
GTEX-1H3O1-1826-SM-A96TO 60-69 years, male 324.6
GTEX-14E6D-2926-SM-664OP 50-59 years, male 322.9
GTEX-17JCI-3026-SM-7EWDR 60-69 years, female 320.8
GTEX-13O3Q-3026-SM-5IJGD 50-59 years, male 320.3
GTEX-1A8G7-3026-SM-73KTT 60-69 years, male 318.1
GTEX-14JFF-2826-SM-6871Q 60-69 years, male 317.6
GTEX-11O72-2826-SM-5HL6W 40-49 years, male 315.6
GTEX-ZAK1-2926-SM-5HL9S 50-59 years, female 315.4
GTEX-1GTWX-2926-SM-7MXV4 60-69 years, male 312.6
GTEX-1192X-3226-SM-5987D 50-59 years, male 312.1
GTEX-X261-3126-SM-4PQZC 50-59 years, male 311.0
GTEX-13G51-3126-SM-5IJG7 60-69 years, male 304.1
GTEX-145LU-2626-SM-5LU9Z 50-59 years, male 303.4
GTEX-14C5O-2926-SM-5RQI1 60-69 years, male 297.7
GTEX-1GZHY-3026-SM-7MXVA 50-59 years, female 297.3
GTEX-1C6VR-3026-SM-7IGLW 60-69 years, male 296.8
GTEX-1EH9U-3126-SM-7MXU5 60-69 years, male 294.3
GTEX-132Q8-2926-SM-5IFFP 60-69 years, male 292.4
GTEX-13NYB-3226-SM-5J2ND 40-49 years, male 292.0
GTEX-YFC4-3026-SM-5IFJK 40-49 years, female 291.2
GTEX-11TTK-2826-SM-5GU5K 60-69 years, female 289.3
GTEX-16XZZ-2926-SM-6LPK4 60-69 years, male 288.1
GTEX-1CB4H-3026-SM-79OLX 60-69 years, female 288.0
GTEX-1JMQJ-3126-SM-EV79G 50-59 years, male 288.0
GTEX-1H1DG-2826-SM-9JGHB 70-79 years, male 287.8
GTEX-13OVH-2926-SM-5IJFH 70-79 years, male 287.3
GTEX-1KD4Q-3026-SM-EV7A7 40-49 years, male 287.3
GTEX-T5JC-2326-SM-32PMR 20-29 years, male 286.8
GTEX-13S7M-3026-SM-5S2QQ 60-69 years, female 286.1
GTEX-12ZZZ-3126-SM-5LZU6 60-69 years, male 282.1
GTEX-1128S-2826-SM-5N9DI 60-69 years, female 281.9
GTEX-11EMC-3326-SM-5P9JH 60-69 years, female 281.8
GTEX-16YQH-2926-SM-6LPJE 30-39 years, male 279.3
GTEX-1C64N-3126-SM-79OO3 50-59 years, male 274.3
GTEX-11ZTS-3226-SM-5EGID 60-69 years, female 273.2
GTEX-13FHO-2926-SM-5L3ES 60-69 years, male 271.5
GTEX-1IKOH-2826-SM-CNNRC 60-69 years, female 271.1
GTEX-13FHP-2926-SM-5IJG9 50-59 years, male 270.9
GTEX-13O3O-3026-SM-5KM42 60-69 years, female 270.0
GTEX-NPJ8-2626-SM-2D7W2 40-49 years, male 268.8
GTEX-13OW8-2926-SM-5L3FV 60-69 years, male 268.7
GTEX-WL46-2826-SM-3LK81 50-59 years, male 268.3
GTEX-1399T-3126-SM-5IJFS 60-69 years, male 265.9
GTEX-14BIM-3126-SM-5Q5C7 60-69 years, female 264.6
GTEX-1JJ6O-3026-SM-C1YQH 60-69 years, male 264.0
GTEX-1JJE9-3026-SM-CNNPA 70-79 years, male 262.2
GTEX-17F97-2926-SM-7DUEQ 50-59 years, male 262.1
GTEX-X4EP-3026-SM-3P5YP 60-69 years, female 262.1
GTEX-N7MS-2526-SM-2D7W3 60-69 years, male 261.8
GTEX-1JMLX-3026-SM-EV79Q 50-59 years, male 261.5
GTEX-1I1CD-2926-SM-A96SJ 60-69 years, female 259.2
GTEX-13CF2-3026-SM-5IFFX 60-69 years, male 258.7
GTEX-14A5I-2826-SM-5SIBF 50-59 years, female 258.7
GTEX-1A3MX-2926-SM-718B7 60-69 years, male 258.5
GTEX-Y111-2826-SM-4TT3O 50-59 years, male 257.6
GTEX-1EWIQ-3026-SM-7IGOJ 70-79 years, female 256.6
GTEX-1EKGG-3126-SM-9WPO5 60-69 years, male 255.8
GTEX-13JVG-3226-SM-5IJGJ 60-69 years, male 253.6
GTEX-ZDXO-2926-SM-4WKFM 60-69 years, male 252.7
GTEX-14BIN-3326-SM-5Q5E6 50-59 years, female 252.5
GTEX-YJ89-2926-SM-5P9IT 60-69 years, male 250.8
GTEX-XLM4-2926-SM-4AT59 60-69 years, male 250.4
GTEX-1B8L1-3226-SM-7P8OX 60-69 years, male 250.4
GTEX-139TS-3126-SM-5LZWX 60-69 years, male 249.6
GTEX-147GR-3126-SM-5S2PM 60-69 years, male 249.2
GTEX-13OW6-2926-SM-5KM29 50-59 years, male 248.1
GTEX-1HB9E-3126-SM-AHZ4M 50-59 years, male 247.6
GTEX-1HBPH-3026-SM-9WPNY 40-49 years, female 246.6
GTEX-13X6I-2926-SM-5Q5C3 60-69 years, male 246.0
GTEX-1H3VE-2826-SM-9WPOL 40-49 years, male 245.9
GTEX-145MG-3126-SM-5Q5D3 50-59 years, male 245.6
GTEX-1269C-3126-SM-5EGI6 60-69 years, female 245.4
GTEX-13N2G-3126-SM-5IJGL 60-69 years, male 245.0
GTEX-1HSKV-2926-SM-B2LWJ 60-69 years, male 244.7
GTEX-1F52S-3026-SM-7P8PV 60-69 years, female 244.0
GTEX-1JMQK-2926-SM-D4P2T 60-69 years, male 243.9
GTEX-13OVJ-2726-SM-5IJG6 50-59 years, female 243.3
GTEX-1R46S-3126-SM-DPRZ9 60-69 years, female 243.2
GTEX-14PN4-3026-SM-664O4 50-59 years, male 242.9
GTEX-13OVL-3026-SM-5IJF1 50-59 years, male 242.2
GTEX-131YS-3026-SM-5EGHY 60-69 years, female 242.1
GTEX-11ZUS-2826-SM-5EQKW 30-39 years, male 240.8
GTEX-1GF9V-3026-SM-7P8R8 60-69 years, male 240.6
GTEX-1H1CY-3026-SM-9OSW7 60-69 years, female 240.6
GTEX-PWO3-1026-SM-2I5F2 60-69 years, female 240.1
GTEX-17HG3-2826-SM-7EPGO 30-39 years, female 239.9
GTEX-145LS-3026-SM-5O99S 60-69 years, female 239.8
GTEX-131XH-2926-SM-5LZU4 50-59 years, male 238.1
GTEX-14E7W-2926-SM-5S2R8 70-79 years, male 237.3
GTEX-11DZ1-2926-SM-5A5KI 50-59 years, male 236.4
GTEX-13112-2926-SM-5DUWT 50-59 years, male 236.3
GTEX-1RDX4-3226-SM-DPS14 50-59 years, female 235.8
GTEX-ZYFD-2926-SM-5GID9 50-59 years, male 235.7
GTEX-ZYY3-3026-SM-5GIEJ 60-69 years, female 235.6
GTEX-ZUA1-2926-SM-59HL3 40-49 years, male 235.1
GTEX-11ONC-3026-SM-5985W 60-69 years, male 234.9
GTEX-1F75A-2926-SM-7MXVN 50-59 years, male 234.9
GTEX-14ABY-3026-SM-664NE 50-59 years, male 234.3
GTEX-11DXW-1026-SM-5H11K 40-49 years, male 233.9
GTEX-1GZ2Q-3026-SM-9JGG3 40-49 years, male 233.6
GTEX-1HBPI-2726-SM-9WPPF 50-59 years, male 233.5
GTEX-147F4-3026-SM-5Q5BJ 50-59 years, male 233.0
GTEX-1HCVE-2926-SM-9WPPJ 50-59 years, male 232.1
GTEX-UTHO-2926-SM-3P5Z9 60-69 years, male 232.0
GTEX-14JIY-2326-SM-6AJAJ 60-69 years, male 231.6
GTEX-15EO6-2926-SM-6M48D 50-59 years, male 231.4
GTEX-11NUK-3026-SM-5986K 50-59 years, male 231.3
GTEX-14C39-3026-SM-5S2QE 40-49 years, male 231.1
GTEX-1JMOU-2826-SM-EV79R 60-69 years, female 229.9
GTEX-12WSC-2926-SM-5BC5Z 50-59 years, male 229.6
GTEX-11DXY-3126-SM-5N9BT 60-69 years, male 229.5
GTEX-13OW5-3126-SM-5MR3Y 60-69 years, male 229.4
GTEX-13QIC-3026-SM-5LU58 60-69 years, female 229.3
GTEX-12ZZY-2926-SM-5DUXO 60-69 years, male 228.8
GTEX-12WSE-2926-SM-5RQJ9 20-29 years, male 228.5
GTEX-14PJO-2926-SM-686ZI 60-69 years, male 228.4
GTEX-1313W-3026-SM-5LZUZ 50-59 years, female 228.2
GTEX-ZAB4-2926-SM-57WCV 40-49 years, male 227.7
GTEX-T6MN-2526-SM-32PMN 50-59 years, male 227.2
GTEX-1H4P4-2726-SM-9JGGB 50-59 years, male 226.3
GTEX-144GL-2926-SM-5O99F 50-59 years, male 226.2
GTEX-1EX96-3126-SM-9JGGC 50-59 years, male 226.2
GTEX-17HII-2926-SM-79OMK 50-59 years, male 225.8
GTEX-1A8G6-3126-SM-731D8 60-69 years, male 225.8
GTEX-1IDJH-3126-SM-C1YQS 70-79 years, male 225.8
GTEX-N7MT-1226-SM-DKPOK 60-69 years, female 225.3
GTEX-12WSD-3026-SM-5LZU7 60-69 years, female 224.7
GTEX-13X6K-2826-SM-5O9DS 60-69 years, female 222.8
GTEX-1JMPZ-2826-SM-C1YRA 30-39 years, male 222.7
GTEX-17EVP-2926-SM-793BU 40-49 years, male 221.6
GTEX-1I1GV-3026-SM-CNNR9 60-69 years, male 220.8
GTEX-11OC5-0626-SM-5HL6M 60-69 years, male 220.6
GTEX-1B933-3026-SM-731DB 50-59 years, female 220.5
GTEX-1GZ4I-2926-SM-9JGGO 50-59 years, male 220.5
GTEX-1H3NZ-2926-SM-9WPQ8 60-69 years, male 220.5
GTEX-17HHY-2926-SM-79OJW 50-59 years, male 220.2
GTEX-1F75W-3126-SM-7P8SJ 60-69 years, male 219.1
GTEX-1JJEA-2926-SM-C1YSK 60-69 years, male 218.8
GTEX-18A6Q-2826-SM-7LTAO 60-69 years, male 218.7
GTEX-13FXS-3026-SM-5LZYO 50-59 years, male 218.4
GTEX-1KWVE-2226-SM-CXZKN 30-39 years, male 218.2
GTEX-1PWST-3026-SM-EAZ3H 70-79 years, male 217.1
GTEX-1JN1M-3126-SM-AHZ4E 60-69 years, female 216.4
GTEX-1GN73-3026-SM-7MXV8 60-69 years, male 216.2
GTEX-11DYG-2926-SM-5H132 60-69 years, male 215.9
GTEX-1NV8Z-3026-SM-DTX8Z 60-69 years, male 215.4
GTEX-QDT8-3026-SM-32PKB 30-39 years, female 215.0
GTEX-Q2AG-2826-SM-2HMJQ 40-49 years, female 214.6
GTEX-1GF9W-2726-SM-9JGGW 60-69 years, male 211.7
GTEX-14PJM-3026-SM-6LLHM 50-59 years, female 211.3
GTEX-14BMV-2926-SM-5TDEE 50-59 years, male 210.3
GTEX-15ER7-3026-SM-6M47W 20-29 years, female 210.3
GTEX-1F6IF-3026-SM-7P8QN 60-69 years, male 210.2
GTEX-1EU9M-2926-SM-793DF 60-69 years, male 210.0
GTEX-1I1HK-2726-SM-AHZ2M 60-69 years, male 209.2
GTEX-1J1OQ-3126-SM-D4P2O 40-49 years, female 209.2
GTEX-1LG7Y-3126-SM-EV7AS 50-59 years, male 209.2
GTEX-WVLH-2926-SM-3MJG5 50-59 years, male 208.7
GTEX-183WM-2726-SM-7KFRF 70-79 years, female 207.9
GTEX-11GSO-3026-SM-5Q5AL 60-69 years, male 207.4
GTEX-1PIIG-2826-SM-DTX7O 30-39 years, male 206.1
GTEX-1IY9M-3126-SM-AHZ3A 60-69 years, male 204.7
GTEX-145MF-2826-SM-7EPGU 50-59 years, male 204.6
GTEX-13VXU-3026-SM-5LU3K 50-59 years, male 204.3
GTEX-111FC-3326-SM-5GZYV 60-69 years, male 203.9
GTEX-139TT-2626-SM-5LZUB 60-69 years, male 203.5
GTEX-117XS-3126-SM-5GIDP 60-69 years, male 203.4
GTEX-13SLX-3226-SM-5YYA6 50-59 years, female 203.1
GTEX-QVUS-2926-SM-3GIJB 60-69 years, female 201.9
GTEX-1B8SF-3026-SM-731DX 60-69 years, male 201.1
GTEX-ZAJG-3026-SM-5HL92 50-59 years, female 201.0
GTEX-X4XX-2926-SM-3NMB1 60-69 years, male 199.2
GTEX-1CB4G-2926-SM-7MKFQ 60-69 years, male 198.3
GTEX-TSE9-2926-SM-3DB77 60-69 years, female 197.7
GTEX-1POEN-2726-SM-E9U6B 30-39 years, female 197.7
GTEX-14ASI-2926-SM-5Q5DG 60-69 years, male 197.6
GTEX-WHSE-2926-SM-3NMBG 20-29 years, male 197.3
GTEX-14JG1-2926-SM-686ZK 40-49 years, male 197.2
GTEX-Y8DK-0726-SM-4TT3S 60-69 years, male 197.1
GTEX-ZZPT-2926-SM-5EQ5S 50-59 years, male 196.4
GTEX-11GSP-3126-SM-5A5LL 60-69 years, female 196.1
GTEX-15G19-2826-SM-6M48K 60-69 years, male 195.3
GTEX-1BAJH-3126-SM-7MGXY 70-79 years, male 192.8
GTEX-1R9PO-2826-SM-E6CPV 60-69 years, female 192.4
GTEX-1H1ZS-2926-SM-9WPP2 70-79 years, male 191.9
GTEX-1F48J-2726-SM-7P8PW 50-59 years, female 190.7
GTEX-WWYW-3026-SM-3NB36 50-59 years, female 190.0
GTEX-12WSH-3126-SM-5LZW8 50-59 years, male 189.9
GTEX-S7SE-2526-SM-2XCDL 50-59 years, male 189.4
GTEX-Z93S-2826-SM-57WBL 50-59 years, male 185.8
GTEX-13JUV-3026-SM-5K7WX 40-49 years, female 185.6
GTEX-11NV4-2226-SM-5BC4T 60-69 years, male 185.1
GTEX-14DAQ-3026-SM-5S2QZ 60-69 years, female 184.8
GTEX-145MH-2926-SM-5Q5D2 50-59 years, male 184.2
GTEX-18465-2926-SM-7KFSE 50-59 years, male 182.9
GTEX-1LSVX-2826-SM-EVR58 60-69 years, male 182.4
GTEX-1QP6S-3026-SM-EAZ4N 40-49 years, male 182.1
GTEX-QVJO-1325-SM-2S1QX 60-69 years, female 180.5
GTEX-1MJK2-3026-SM-EV7A5 50-59 years, male 179.7
GTEX-1RQEC-3026-SM-DPRXM 60-69 years, male 179.3
GTEX-1IL2V-3026-SM-CYPSA 70-79 years, male 178.2
GTEX-11PRG-2826-SM-5BC54 50-59 years, male 178.0
GTEX-P44G-2526-SM-2I5EK 30-39 years, male 176.4
GTEX-12ZZX-2826-SM-5BC6K 40-49 years, female 172.7
GTEX-T2IS-2926-SM-32QPO 20-29 years, female 170.8
GTEX-R55E-2526-SM-2TC6H 20-29 years, male 170.1
GTEX-OHPN-2626-SM-2I5H1 60-69 years, female 169.7
GTEX-1P4AB-3026-SM-EXOJS 50-59 years, male 168.3
GTEX-1C6WA-3326-SM-7MKGN 60-69 years, male 166.7
GTEX-15DYW-3026-SM-7KFRM 60-69 years, female 166.6
GTEX-15SHU-3026-SM-6LPIB 40-49 years, female 164.7
GTEX-1EMGI-3126-SM-7MXUR 60-69 years, male 164.7
GTEX-1F6I4-3026-SM-7P8SI 60-69 years, male 164.4
GTEX-NPJ7-2826-SM-2I3FU 60-69 years, female 159.4
GTEX-PVOW-2626-SM-32PL8 40-49 years, male 158.2
GTEX-QMR6-1326-SM-32PLB 50-59 years, male 157.1
GTEX-12126-0926-SM-5FQTW 20-29 years, male 154.9
GTEX-1B996-2926-SM-7MXUH 60-69 years, male 154.5
GTEX-P44H-2426-SM-2XCEJ 40-49 years, male 151.8
GTEX-RNOR-2226-SM-2TF5O 50-59 years, female 150.6
GTEX-13X6J-2926-SM-7EPGP 50-59 years, male 147.2
GTEX-WZTO-2826-SM-3NM8P 40-49 years, male 133.1
GTEX-RU72-2926-SM-2TF66 50-59 years, female 122.4
Show allShow less

CEREBELLUM - FANTOM5 CAGEi

RNA expression in human tissues obtained through Cap Analysis of Gene Expression (CAGE) generated by the FANTOM5 project are reported as Scaled Tags Per Million.

Max subtype Scaled Tags Per Millioni

Max subtype Scaled Tags Per Million is the value for the subtype with the largest average Scaled Tags Per Million across the subtype samples.

292.5
FANTOM5 sample id Sample description Scaled Tags Per Million
Cerebellum
Scaled Tags Per Million: 292.5
FF:10166-103B4 76 years, female 330.9
FF:10083-102B2 22-68 years, mixed 254.0

CEREBELLUM - Pig RNA-seqi

RNA-seq data obtained from pig brain is reported as nTPM .

Normal distribution across the dataset is visualized with box plots, shown as median and 25th and 75th percentiles. Points are displayed as outliers if they are above or below 1.5 times the interquartile range. nTPM values of the individual samples are presented next to the box plot.
Max subtype nTPMi

Max subtype nTPM is the value for the subtype with the largest average nTPM across the subtype samples.

115.3
Pig sample Sample description nTPM
Cerebellum
nTPM: 115.3
Samples: 4

Max nTPM: 118.6
Min nTPM: 112.1
Sample A Female 115.2
Sample B Female 112.1
Sample C Male 118.6
Sample D Male 115.4

CEREBELLUM - Mouse RNA-seqi

RNA-seq data obtained from mouse brain is reported as nTPM .

Normal distribution across the dataset is visualized with box plots, shown as median and 25th and 75th percentiles. Points are displayed as outliers if they are above or below 1.5 times the interquartile range. nTPM values of the individual samples are presented next to the box plot.
Max subtype nTPMi

Max subtype nTPM is the value for the subtype with the largest average nTPM across the subtype samples.

48.7
Mouse sample Sample description nTPM
Cerebellum
nTPM: 48.8
Samples: 4

Max nTPM: 49.1
Min nTPM: 48.1
Sample A Male 48.7
Sample B Male 49.1
Sample C Female 48.1
Sample D Female 49.1

CEREBELLUM - Allen Mouse ISHi

In situ hybridization (ISH) data generated by the Allen brain atlas from mouse brain is reported as expression energy. For more details about a particular experiment, click on the corresponding Allen experiment ID.

Max subtype Expression energyi

Max subtype Expression energy is the value for the subtype with the largest average Expression energy across the subtype samples.

7.3
Allen experiment id Experiment description Expression energy
Cerebellum
Expression energy: 7.3
79761029 Antisense, RP_071204_04_A01, Mouse strain C57BL/6J (56 days, male) 7.3

Contact

  • NEWS ARTICLES
  • PRESS ROOM

The Project

  • INTRODUCTION
  • ORGANIZATION
  • PUBLICATIONS

The Human Protein Atlas

  • DOWNLOADABLE DATA
  • LICENCE & CITATION
  • HELP & FAQ
The Human Protein Atlas project is funded
by the Knut & Alice Wallenberg Foundation.


contact@proteinatlas.org