We use cookies to enhance the usability of our website. If you continue, we'll assume that you are happy to receive all cookies. More information. Don't show this again.
NFIC
HPA
RESOURCES
  • TISSUE
  • BRAIN
  • SINGLE CELL
  • SUBCELLULAR
  • CANCER
  • BLOOD
  • CELL LINE
  • STRUCTURE & INTERACTION
ABOUT
  • INTRODUCTION
  • HISTORY
  • ORGANIZATION
  • PUBLICATIONS
  • ANTIBODY SUBMISSION
  • ANTIBODY AVAILABILITY
  • ACKNOWLEDGMENTS
  • CONTACT
NEWS
  • NEWS ARTICLES
  • PRESS ROOM
LEARN
  • DICTIONARY
  • PROTEIN CLASSES
  • PROTEIN EVIDENCE
  • METHODS
  • EDUCATIONAL VIDEOS
DATA
  • DOWNLOADABLE DATA
  • PUBLICATION DATA
  • RELEASE HISTORY
HELP
  • ANTIBODY VALIDATION
  • ASSAYS & ANNOTATION
  • DISCLAIMER
  • HELP & FAQ
  • PRIVACY STATEMENT
  • LICENCE & CITATION
Fields »
Search result

Field
Term
Gene name
Class
Subclass
Class
Keyword
Chromosome
External id
Tissue
Cell type
Expression
Antibody panel
Tissue
Main location
Patient ID
Annotation
Tissue
Category
Tau score
Cluster
Reliability
Brain region
Category
Tau score
Brain region
Category
Tau score
Brain region
Category
Tau score
Cluster
Reliability
Tissue
Cell type
Enrichment
Cell type
Category
Tau score
Cell type
Category
Tau score
Cell type
Category
Tau score
Cell lineage
Category
Tau score
Cluster
Cluster
Location
Searches
Location
Cell line
Class
Type
Phase
Reliability
Cancer
Prognosis
Cancer
Category
Cancer
Category
Tau score
Cluster
Variants
Interacting gene (ensg_id)
Type
Number of interactions
Pathway
Category
Score
Score
Score
Validation
Validation
Validation
Validation
Antibodies
Data type
Column


  • SUMMARY

  • TISSUE

  • BRAIN

  • SINGLE CELL

  • SUBCELL

  • CANCER

  • BLOOD

  • CELL LINE

  • STRUCT & INT

  • NFIC
TISSUE PRIMARY DATA KIDNEY Show tissue menu
ADIPOSE TISSUE ADRENAL GLAND AMYGDALA APPENDIX BASAL GANGLIA BONE MARROW BREAST BRONCHUS CEREBELLUM CEREBRAL CORTEX CERVIX CHOROID PLEXUS COLON DUODENUM
ENDOMETRIUM EPIDIDYMIS ESOPHAGUS FALLOPIAN TUBE GALLBLADDER HEART MUSCLE HIPPOCAMPAL FORMATION HYPOTHALAMUS KIDNEY LIVER LUNG LYMPH NODE MIDBRAIN NASOPHARYNX
ORAL MUCOSA OVARY PANCREAS PARATHYROID GLAND PITUITARY GLAND PLACENTA PROSTATE RECTUM RETINA SALIVARY GLAND SEMINAL VESICLE SKELETAL MUSCLE SKIN SMALL INTESTINE
SMOOTH MUSCLE SOFT TISSUE SPINAL CORD SPLEEN STOMACH TESTIS THYMUS THYROID GLAND TONGUE TONSIL URINARY BLADDER VAGINA
ANTIBODIES
AND
VALIDATION
Dictionary
Kidney
Tissue proteome
Kidney
KIDNEY - Expression summary
Protein expression
Kidneyi

On the top, protein expression in current human tissue, based on all annotated cell types, is reported with the units not detected (n), low (l), medium (m) and high (h). Underneath, protein expression in each annotated cell type are reported using the same units.

Protein expression data is based on knowledge-based annotation. For genes where more than one antibody has been used, a collective score is set.

If knowledge-based annotation could not be performed for a gene, no data is displayed here. View antibody staining data further down this page.

h
m
l
n
Bowman's capsule: Low
Cells in glomeruli: High
Collecting ducts: High
Distal tubules: High
Proximal tubules (cell body): Low
Proximal tubules (microvilli): Not detected
RNA expressioni

A summary of mRNA expression data available for current tissue based on several datasets. The mRNA expression levels in human tissues are based on RNA-seq data generated by the Human Protein Atlas (HPA), Genotype-Tissue Expression (GTEx) portal and CAGE data generated by the FANTOM5 consortium. Consensus normalized expression levels for human tissues was created by combining the data from HPA and GTEx datasets.

The mRNA expression levels in pig are based on RNA-seq data generated by the Human Protein Atlas (HPA), and for mouse, HPA data and in situ hybridization generated by the Allen brain atlas are reported.

Scroll down to view mRNA expression data in more detail.
Consensus:20.6 nTPM
HPA:13.8 nTPM
GTEx:20.6 nTPM
FANTOM5:127.2 Scaled Tags Per Million

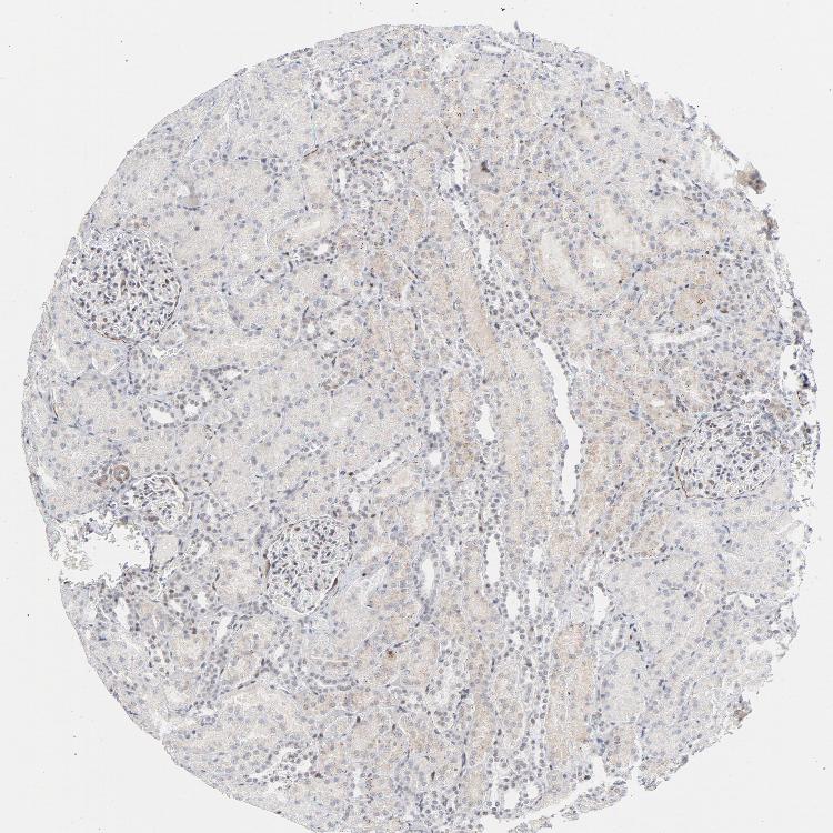
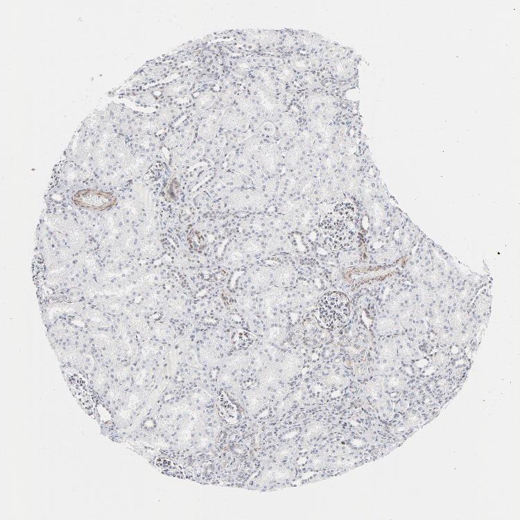
KIDNEY - Antibody stainingi

Antibody staining in the annotated cell types in the current human tissue is reported as not detected, low, medium, or high, based on conventional immunohistochemistry profiling in selected tissues. This score is based on the combination of the staining intensity and fraction of stained cells.

Each image is clickable and will lead to virtual microscopy that enables deeper exploration of all samples and also displays staining intensity scores, fraction scores and subcellular localization as well as patient and tissue information for each sample.

Antibody HPA052625Antibody CAB004300Antibody CAB004674
Bowman's capsule Low--
Cells in glomeruli HighNot detectedNot detected
Cells in tubules -Not detectedLow
Collecting ducts High--
Distal tubules High--
Proximal tubules (cell body) Low--
Proximal tubules (microvilli) Not detected--







KIDNEY - HPA RNA-seqi

The RNA-seq details section shows detailed information about the individual samples used for the transcript profiling and results of the RNA-seq analysis.

Information about each individual sample is listed below, including gender, age, a tissue section image and estimated fractions of cell types. nTPM (normalized transcripts per million) values give a quantification of the gene abundance which is comparable between different genes and samples.
Average nTPMi

Max subtype nTPM is the value for the subtype with the largest average nTPM across the subtype samples.

13.8
overview
Female, age 58
Kidney sample 55
nTPM: 22.9
Cell types%
Cells in tubules:
60

Cells in glomeruli:
20

Fibroblasts:
5

Other cell types:
15

overview
Female, age 67
Kidney sample 56
nTPM: 19.2
Cell types%
Cells in tubules:
70

Cells in glomeruli:
15

Fibroblasts:
10

Other cell types:
5

overview
Female, age 55
Kidney sample 57
nTPM: 23
Cell types%
Cells in tubules:
80

Cells in glomeruli:
10

Fibroblasts:
5

Other cell types:
5

overview
Male, age 46
Kidney sample 58
nTPM: 25.1
Cell types%
Cells in tubules:
60

Cells in glomeruli:
25

Fibroblasts:
5

Other cell types:
10

overview
Female, age 57
Kidney sample 358
nTPM: 4.5
Cell types%
Cells in tubules:
60

Cells in glomeruli:
10

Fibroblasts:
10

Other cell types:
20

overview
Male, age 78
Kidney sample 377
nTPM: 6.5
Cell types%
Cells in tubules:
65

Cells in glomeruli:
10

Fibroblasts:
5

Other cell types:
20

overview
Male, age 73
Kidney sample 380
nTPM: 9.1
Cell types%
Cells in tubules:
60

Cells in glomeruli:
10

Fibroblasts:
10

Other cell types:
20

overview
Female, age 59
Kidney sample 394
nTPM: 10.3
Cell types%
Cells in tubules:
65

Cells in glomeruli:
10

Fibroblasts:
10

Other cell types:
15

overview
Female, age 48
Kidney sample 414
nTPM: 3.7
Cell types%
Cells in tubules:
60

Cells in glomeruli:
5

Fibroblasts:
10

Other cell types:
25


KIDNEY - GTEx RNA-seqi

RNA-Seq data generated by the Genotype-Tissue Expression (GTEx) project from human tissues is reported as mean nTPM. More information can be found on the GTEx portal.

Distribution across the dataset is visualized with box plots, shown as median and 25th and 75th percentiles. Points are displayed as outliers if they are above or below 1.5 times the interquartile range. nTPM values of the individual samples are presented next to the box plot.
Max subtype nTPMi

Max subtype nTPM is the value for the subtype with the largest average nTPM across the subtype samples.

20.6
GTEx sample id Sample description nTPM
Kidney - Cortex
Average nTPM: 20.6
Samples: 85

Max nTPM: 34.9
Min nTPM: 13.5
Std nTPM: 4.2
Median nTPM: 19.8
GTEX-12696-0926-SM-5FQTV 60-69 years, male 34.9
GTEX-11TTK-1926-SM-5PNW8 60-69 years, female 30.0
GTEX-1399S-0526-SM-5IJG8 30-39 years, female 29.2
GTEX-13OVI-1126-SM-5KLZF 60-69 years, female 29.1
GTEX-1A3MW-2226-SM-73KUX 60-69 years, female 28.5
GTEX-Y5V6-2026-SM-5IFHO 60-69 years, male 28.5
GTEX-1I1GP-1926-SM-CNNQU 50-59 years, male 27.4
GTEX-ZVZP-0926-SM-5GIDB 50-59 years, male 26.7
GTEX-ZYFG-1626-SM-5GZYY 60-69 years, female 26.4
GTEX-QLQW-1626-SM-CMKFE 30-39 years, male 26.2
GTEX-16MT8-1926-SM-7EPGL 60-69 years, female 25.8
GTEX-1N2EF-1426-SM-EXUSH 60-69 years, male 25.7
GTEX-1H3VY-1926-SM-9JGHJ 50-59 years, male 25.6
GTEX-13RTJ-2226-SM-5S2Q1 60-69 years, male 25.4
GTEX-1MUQO-2526-SM-E9TJN 60-69 years, male 24.7
GTEX-13112-2126-SM-5GCO4 50-59 years, male 24.2
GTEX-ZYT6-2226-SM-5GIC9 30-39 years, male 24.0
GTEX-1PWST-2226-SM-EVR3G 70-79 years, male 24.0
GTEX-1GF9W-1326-SM-7P8PX 60-69 years, male 23.4
GTEX-12WSG-0826-SM-5EQ5A 50-59 years, female 23.3
GTEX-14C39-2126-SM-664OH 40-49 years, male 23.3
GTEX-1F48J-2226-SM-7MXTN 50-59 years, female 23.1
GTEX-145MN-0326-SM-5QGQI 30-39 years, male 22.8
GTEX-P4QS-1126-SM-3NMD5 60-69 years, male 22.6
GTEX-1497J-0826-SM-5NQAJ 60-69 years, male 22.5
GTEX-RN64-1626-SM-48FD7 50-59 years, male 22.3
GTEX-T5JC-1526-SM-4DM68 20-29 years, male 22.3
GTEX-1AX8Z-2326-SM-731CR 60-69 years, male 22.2
GTEX-1EKGG-2226-SM-7IGOA 60-69 years, male 22.1
GTEX-1CB4J-1926-SM-7MGX8 60-69 years, male 22.1
GTEX-XPVG-0526-SM-4B65N 50-59 years, male 21.9
GTEX-147F4-2626-SM-5Q5CS 50-59 years, male 21.6
GTEX-1JMLX-1526-SM-AHZ3N 50-59 years, male 21.6
GTEX-17F96-1926-SM-7MGWY 70-79 years, male 21.5
GTEX-1JJ6O-2526-SM-AHZ3J 60-69 years, male 21.4
GTEX-11GS4-2326-SM-5A5KS 60-69 years, male 21.2
GTEX-1GMR3-2426-SM-7MXV2 40-49 years, male 21.1
GTEX-1OJC4-2326-SM-DTXA5 50-59 years, female 21.1
GTEX-1BAJH-1826-SM-731DA 70-79 years, male 20.8
GTEX-1KWVE-0826-SM-CXZKO 30-39 years, male 20.3
GTEX-T6MN-1826-SM-EXOHN 50-59 years, male 20.1
GTEX-1JMQK-1926-SM-CJI3B 60-69 years, male 19.9
GTEX-1GTWX-1826-SM-9QEHG 60-69 years, male 19.8
GTEX-1GF9V-1926-SM-9JGHE 60-69 years, male 19.6
GTEX-1IKK5-0926-SM-A9G2U 60-69 years, male 19.4
GTEX-1JMQJ-1726-SM-E9U4V 50-59 years, male 19.4
GTEX-1N2DW-1826-SM-EAZ54 50-59 years, male 19.3
GTEX-13OW6-1826-SM-5N9F9 50-59 years, male 19.2
GTEX-REY6-1826-SM-EAZAT 60-69 years, male 19.2
GTEX-13O1R-2526-SM-5N9FW 60-69 years, male 19.1
GTEX-QDVN-1626-SM-48TZC 50-59 years, male 19.1
GTEX-ZLFU-0926-SM-5P9F8 40-49 years, male 19.1
GTEX-1HCU7-1826-SM-A9G2A 50-59 years, male 19.0
GTEX-1NV8Z-2226-SM-EXOJ2 60-69 years, male 18.8
GTEX-14E6D-2526-SM-5YYA9 50-59 years, male 18.7
GTEX-1R9PO-1626-SM-E6CPT 60-69 years, female 18.6
GTEX-NPJ8-2226-SM-3TW8D 40-49 years, male 18.5
GTEX-1GN1U-2126-SM-AHZ4J 50-59 years, female 18.4
GTEX-13OVL-1826-SM-5KLZR 50-59 years, male 18.3
GTEX-14C5O-2026-SM-5YYB1 60-69 years, male 18.3
GTEX-15DYW-2026-SM-6AJBD 60-69 years, female 18.3
GTEX-1A8FM-2026-SM-7P8RN 50-59 years, female 18.2
GTEX-1QP6S-1526-SM-EXUSG 40-49 years, male 18.2
GTEX-ZE9C-1426-SM-4WKGM 60-69 years, male 18.0
GTEX-ZC5H-1726-SM-5HL7X 40-49 years, female 17.6
GTEX-1C6VQ-2326-SM-7IGN1 50-59 years, male 17.3
GTEX-ZDXO-0226-SM-4WKH7 60-69 years, male 17.3
GTEX-1HB9E-1826-SM-D4P33 50-59 years, male 17.1
GTEX-17F97-1926-SM-7IGM4 50-59 years, male 17.0
GTEX-O5YV-1226-SM-EV795 60-69 years, female 16.8
GTEX-1HBPI-2026-SM-CE6RZ 50-59 years, male 16.5
GTEX-11OF3-1326-SM-5N9FJ 60-69 years, male 16.4
GTEX-Y5V5-1226-SM-EYYVP 60-69 years, female 16.4
GTEX-S33H-1426-SM-EZ6L7 30-39 years, male 15.9
GTEX-1JMPZ-1226-SM-ARU8Y 30-39 years, male 15.6
GTEX-QDT8-1726-SM-EYYV6 30-39 years, female 15.6
GTEX-15CHQ-2126-SM-6871M 60-69 years, male 15.5
GTEX-1E2YA-1626-SM-7MGXS 50-59 years, male 15.5
GTEX-13NYB-1726-SM-5N9G2 40-49 years, male 14.7
GTEX-1K9T9-1826-SM-CXZK2 50-59 years, female 14.4
GTEX-1LG7Y-2726-SM-D5OVW 50-59 years, male 14.4
GTEX-1J1OQ-1426-SM-AHZ3P 40-49 years, female 14.3
GTEX-17HHY-2326-SM-7KFSR 50-59 years, male 13.9
GTEX-1H3NZ-2126-SM-9WPQ6 60-69 years, male 13.8
GTEX-1IL2V-1826-SM-ARU7R 70-79 years, male 13.5
Show allShow less
Kidney - Medulla
Average nTPM: 19.5
Samples: 4

Max nTPM: 27.5
Min nTPM: 13.4
Std nTPM: 5.1
Median nTPM: 18.5
GTEX-T5JC-1626-SM-EZ6KW 20-29 years, male 27.5
GTEX-R55E-2026-SM-EZ6L1 20-29 years, male 20.0
GTEX-RU72-1926-SM-EAZ3F 50-59 years, female 17.1
GTEX-TKQ2-0626-SM-EZ6LB 50-59 years, male 13.4

KIDNEY - FANTOM5 CAGEi

RNA expression in human tissues obtained through Cap Analysis of Gene Expression (CAGE) generated by the FANTOM5 project are reported as Scaled Tags Per Million.

Max subtype Scaled Tags Per Millioni

Max subtype Scaled Tags Per Million is the value for the subtype with the largest average Scaled Tags Per Million across the subtype samples.

127.2
FANTOM5 sample id Sample description Scaled Tags Per Million
Kidney
Scaled Tags Per Million: 127.2
FF:10017-101C8 60,62,63 years, female 127.2

Contact

  • NEWS ARTICLES
  • PRESS ROOM

The Project

  • INTRODUCTION
  • ORGANIZATION
  • PUBLICATIONS

The Human Protein Atlas

  • DOWNLOADABLE DATA
  • LICENCE & CITATION
  • HELP & FAQ
The Human Protein Atlas project is funded
by the Knut & Alice Wallenberg Foundation.


contact@proteinatlas.org