We use cookies to enhance the usability of our website. If you continue, we'll assume that you are happy to receive all cookies. More information. Don't show this again.
SIK1
HPA
RESOURCES
  • TISSUE
  • BRAIN
  • SINGLE CELL
  • SUBCELLULAR
  • CANCER
  • BLOOD
  • CELL LINE
  • STRUCTURE & INTERACTION
ABOUT
  • INTRODUCTION
  • HISTORY
  • ORGANIZATION
  • PUBLICATIONS
  • ANTIBODY SUBMISSION
  • ANTIBODY AVAILABILITY
  • ACKNOWLEDGMENTS
  • CONTACT
NEWS
  • NEWS ARTICLES
  • PRESS ROOM
LEARN
  • DICTIONARY
  • PROTEIN CLASSES
  • PROTEIN EVIDENCE
  • METHODS
  • EDUCATIONAL VIDEOS
DATA
  • DOWNLOADABLE DATA
  • PUBLICATION DATA
  • RELEASE HISTORY
HELP
  • ANTIBODY VALIDATION
  • ASSAYS & ANNOTATION
  • DISCLAIMER
  • HELP & FAQ
  • PRIVACY STATEMENT
  • LICENCE & CITATION
Fields »
Search result

Field
Term
Gene name
Class
Subclass
Class
Keyword
Chromosome
External id
Tissue
Cell type
Expression
Antibody panel
Tissue
Main location
Patient ID
Annotation
Tissue
Category
Tau score
Cluster
Reliability
Brain region
Category
Tau score
Brain region
Category
Tau score
Brain region
Category
Tau score
Cluster
Reliability
Tissue
Cell type
Enrichment
Cell type
Category
Tau score
Cell type
Category
Tau score
Cell type
Category
Tau score
Cell lineage
Category
Tau score
Cluster
Cluster
Location
Searches
Location
Cell line
Class
Type
Phase
Reliability
Cancer
Prognosis
Cancer
Category
Cancer
Category
Tau score
Cluster
Variants
Interacting gene (ensg_id)
Type
Number of interactions
Pathway
Category
Score
Score
Score
Validation
Validation
Validation
Validation
Antibodies
Data type
Column


  • SUMMARY

  • TISSUE

  • BRAIN

  • SINGLE CELL

  • SUBCELL

  • CANCER

  • BLOOD

  • CELL LINE

  • STRUCT & INT

  • SIK1
TISSUE PRIMARY DATA ADIPOSE TISSUE Show tissue menu
ADIPOSE TISSUE ADRENAL GLAND AMYGDALA APPENDIX BASAL GANGLIA BONE MARROW BREAST BRONCHUS CEREBELLUM CEREBRAL CORTEX CERVIX CHOROID PLEXUS COLON DUODENUM
ENDOMETRIUM EPIDIDYMIS ESOPHAGUS FALLOPIAN TUBE GALLBLADDER HEART MUSCLE HIPPOCAMPAL FORMATION HYPOTHALAMUS KIDNEY LIVER LUNG LYMPH NODE MIDBRAIN NASOPHARYNX
ORAL MUCOSA OVARY PANCREAS PARATHYROID GLAND PITUITARY GLAND PLACENTA PROSTATE RECTUM RETINA SALIVARY GLAND SEMINAL VESICLE SKELETAL MUSCLE SKIN SMALL INTESTINE
SMOOTH MUSCLE SOFT TISSUE SPINAL CORD SPLEEN STOMACH TESTIS THYMUS THYROID GLAND TONGUE TONSIL URINARY BLADDER VAGINA
ANTIBODIES
AND
VALIDATION
Dictionary
Tissue proteome
Adipose tissue
ADIPOSE TISSUE - Expression summary
Protein expression
Adipose tissuei

On the top, protein expression in current human tissue, based on all annotated cell types, is reported with the units not detected (n), low (l), medium (m) and high (h). Underneath, protein expression in each annotated cell type are reported using the same units.

Protein expression data is based on knowledge-based annotation. For genes where more than one antibody has been used, a collective score is set.

If knowledge-based annotation could not be performed for a gene, no data is displayed here. View antibody staining data further down this page.

h
m
l
n
Adipocytes: Medium
RNA expressioni

A summary of mRNA expression data available for current tissue based on several datasets. The mRNA expression levels in human tissues are based on RNA-seq data generated by the Human Protein Atlas (HPA), Genotype-Tissue Expression (GTEx) portal and CAGE data generated by the FANTOM5 consortium. Consensus normalized expression levels for human tissues was created by combining the data from HPA and GTEx datasets.

The mRNA expression levels in pig are based on RNA-seq data generated by the Human Protein Atlas (HPA), and for mouse, HPA data and in situ hybridization generated by the Allen brain atlas are reported.

Scroll down to view mRNA expression data in more detail.
Consensus:30.1 nTPM
HPA:30.1 nTPM
GTEx:23.7 nTPM
FANTOM5:0.0 Scaled Tags Per Million

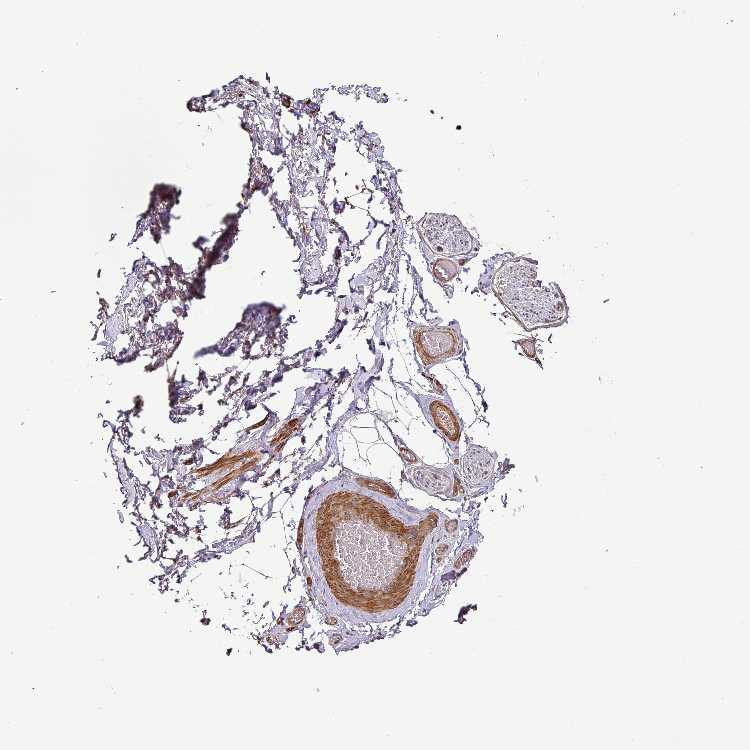
ADIPOSE TISSUE - Antibody stainingi

Antibody staining in the annotated cell types in the current human tissue is reported as not detected, low, medium, or high, based on conventional immunohistochemistry profiling in selected tissues. This score is based on the combination of the staining intensity and fraction of stained cells.

Each image is clickable and will lead to virtual microscopy that enables deeper exploration of all samples and also displays staining intensity scores, fraction scores and subcellular localization as well as patient and tissue information for each sample.

Antibody HPA038211Antibody CAB023801
Adipocytes Not detectedMedium




ADIPOSE TISSUE - HPA RNA-seqi

The RNA-seq details section shows detailed information about the individual samples used for the transcript profiling and results of the RNA-seq analysis.

Information about each individual sample is listed below, including gender, age, a tissue section image and estimated fractions of cell types. nTPM (normalized transcripts per million) values give a quantification of the gene abundance which is comparable between different genes and samples.
Average nTPMi

Max subtype nTPM is the value for the subtype with the largest average nTPM across the subtype samples.

30.1
N/A
Female, age 80
Adipose tissue sample 86
nTPM: 32.4
Cell types%
Adipocytes:
95

Other cell types:
5

N/A
Female, age 45
Adipose tissue sample 115
nTPM: 14.7
N/A
Female, age 57
Adipose tissue sample 137
nTPM: 17.3
Cell types%
Adipocytes:
60

Fibroblasts:
20

Smooth muscle cells:
15

Other cell types:
5

overview
Female, age 74
Adipose tissue sample 329
nTPM: 49.2
Cell types%
Adipocytes:
50

Fibroblasts:
30

Smooth muscle cells:
15

Other cell types:
5

overview
Female, age 59
Adipose tissue sample 331
nTPM: 37.1
Cell types%
Adipocytes:
40

Fibroblasts:
40

Smooth muscle cells:
15

Other cell types:
5


ADIPOSE TISSUE - GTEx RNA-seqi

RNA-Seq data generated by the Genotype-Tissue Expression (GTEx) project from human tissues is reported as mean nTPM. More information can be found on the GTEx portal.

Distribution across the dataset is visualized with box plots, shown as median and 25th and 75th percentiles. Points are displayed as outliers if they are above or below 1.5 times the interquartile range. nTPM values of the individual samples are presented next to the box plot.
Max subtype nTPMi

Max subtype nTPM is the value for the subtype with the largest average nTPM across the subtype samples.

23.7
GTEx sample id Sample description nTPM
Adipose - Subcutaneous
Average nTPM: 21.4
Samples: 663

Max nTPM: 182.5
Min nTPM: 0.2
Std nTPM: 26.9
Median nTPM: 10.3
GTEX-1HCU8-0726-SM-ADEIR 60-69 years, female 182.5
GTEX-14E6D-0226-SM-62LDW 50-59 years, male 152.3
GTEX-1LH75-2526-SM-E9U5A 50-59 years, female 150.7
GTEX-R3RS-0226-SM-EYYVE 40-49 years, female 149.9
GTEX-17F9Y-0326-SM-7IGLS 70-79 years, female 145.3
GTEX-13VXU-0226-SM-5SI9R 50-59 years, male 142.7
GTEX-145MO-0426-SM-5QGP6 60-69 years, male 137.6
GTEX-VUSH-0226-SM-EXUQV 30-39 years, male 125.5
GTEX-XK95-0426-SM-4AT4R 40-49 years, male 119.0
GTEX-1H1DE-2026-SM-9WG6Q 20-29 years, male 117.4
GTEX-13O3Q-2326-SM-5KM3G 50-59 years, male 114.2
GTEX-133LE-1926-SM-5N9FV 20-29 years, female 109.1
GTEX-1H1E6-2026-SM-9KNVK 30-39 years, male 107.0
GTEX-1ICLY-0226-SM-ARL7R 50-59 years, male 106.7
GTEX-12KS4-0426-SM-5EQMC 30-39 years, male 104.5
GTEX-1IE54-0226-SM-CMKHX 40-49 years, female 102.4
GTEX-139D8-0326-SM-5IJCJ 30-39 years, female 101.5
GTEX-1QP29-0726-SM-DTXFM 50-59 years, male 100.0
GTEX-11O72-0226-SM-59869 40-49 years, male 98.0
GTEX-15CHQ-0226-SM-6EU2S 60-69 years, male 96.8
GTEX-1HR98-0226-SM-CGQEK 60-69 years, male 88.2
GTEX-1HCUA-2226-SM-ADEHF 50-59 years, female 87.7
GTEX-1HBPM-0326-SM-CMKGR 60-69 years, female 85.0
GTEX-1QP67-1726-SM-E8VOP 40-49 years, female 83.7
GTEX-18465-0226-SM-7LG5M 50-59 years, male 81.7
GTEX-1IDJF-0226-SM-CMKGE 20-29 years, male 79.9
GTEX-1H3VE-0226-SM-9WYST 40-49 years, male 78.4
GTEX-ZTX8-1526-SM-5N9GI 20-29 years, male 78.0
GTEX-1JK1U-2126-SM-CNPOU 60-69 years, male 77.5
GTEX-1JMQI-2026-SM-CMKGP 50-59 years, male 77.1
GTEX-1E1VI-0226-SM-793CZ 50-59 years, male 75.2
GTEX-16AAH-2026-SM-7LG5F 50-59 years, male 74.6
GTEX-ZAJG-0226-SM-5HL81 50-59 years, female 74.2
GTEX-15DDE-0226-SM-6LLJ6 50-59 years, female 72.9
GTEX-XMD2-0226-SM-4WWEE 60-69 years, female 70.0
GTEX-1H1CY-2626-SM-9MQKJ 60-69 years, female 69.4
GTEX-ZLFU-2626-SM-DO91L 40-49 years, male 69.4
GTEX-1H4P4-0226-SM-9YFKT 50-59 years, male 68.8
GTEX-13OVJ-0326-SM-5L3GL 50-59 years, female 68.1
GTEX-RTLS-0226-SM-2TF5E 60-69 years, female 67.5
GTEX-1N2DW-0326-SM-E9TK3 50-59 years, male 67.3
GTEX-14PN3-2526-SM-6EU15 60-69 years, female 66.4
GTEX-XUZC-1826-SM-4BRVO 30-39 years, female 66.2
GTEX-14JIY-0526-SM-62LFH 60-69 years, male 66.1
GTEX-ZE9C-2826-SM-5S2MO 60-69 years, male 66.0
GTEX-YF7O-2426-SM-5IFJL 50-59 years, male 65.8
GTEX-1J8QM-2326-SM-CYPSL 60-69 years, female 65.4
GTEX-Y8E4-0726-SM-4WWFN 40-49 years, male 65.3
GTEX-11ZU8-2426-SM-5EQMV 60-69 years, male 65.0
GTEX-ZLV1-1826-SM-5FQU5 60-69 years, female 64.7
GTEX-1F48J-0226-SM-7SB82 50-59 years, female 63.8
GTEX-1JMQK-0126-SM-CM2S3 60-69 years, male 63.3
GTEX-U412-0526-SM-3DB9I 60-69 years, male 63.2
GTEX-1399U-2426-SM-5K7XB 50-59 years, female 63.1
GTEX-13YAN-0426-SM-5O9DR 60-69 years, male 62.4
GTEX-1MCYP-1826-SM-E9J2Q 20-29 years, female 62.4
GTEX-11PRG-0626-SM-5BC56 50-59 years, male 61.5
GTEX-Q2AI-1426-SM-2S1P5 40-49 years, male 61.2
GTEX-R55C-1626-SM-48FEG 40-49 years, male 60.4
GTEX-1M5QR-2126-SM-DKPQM 40-49 years, male 60.4
GTEX-TKQ1-1126-SM-4GIAZ 30-39 years, male 60.3
GTEX-QDVN-2126-SM-33HBS 50-59 years, male 59.9
GTEX-1AX9I-0226-SM-7SB75 60-69 years, male 59.8
GTEX-1EX96-1426-SM-7PBZ5 50-59 years, male 59.7
GTEX-ZAK1-0226-SM-5CVMX 50-59 years, female 59.2
GTEX-YFC4-0226-SM-57WD2 40-49 years, female 58.5
GTEX-139YR-2426-SM-5J1OB 50-59 years, male 57.5
GTEX-1LBAC-0226-SM-DHXJZ 20-29 years, male 57.5
GTEX-1CAMS-0326-SM-7PC35 40-49 years, female 57.1
GTEX-13113-1826-SM-5LZW4 60-69 years, female 56.5
GTEX-14C39-2526-SM-5S2UH 40-49 years, male 56.5
GTEX-17MF6-0226-SM-7LG4G 40-49 years, male 55.9
GTEX-1497J-2326-SM-5NQBK 60-69 years, male 55.7
GTEX-13FHP-0226-SM-5K7WD 50-59 years, male 55.6
GTEX-1HSEH-0226-SM-ACKVV 60-69 years, male 55.2
GTEX-14PJ4-2226-SM-6LLIS 60-69 years, male 55.0
GTEX-O5YV-0226-SM-48TBY 60-69 years, female 54.9
GTEX-13VXT-0226-SM-5LU9Q 20-29 years, female 54.5
GTEX-1GZ4H-1826-SM-9MQLE 50-59 years, female 54.5
GTEX-1A3MW-0226-SM-7939O 60-69 years, female 54.4
GTEX-13OW8-1226-SM-5K7XD 60-69 years, male 54.3
GTEX-1I6K7-0226-SM-CJI46 40-49 years, male 53.3
GTEX-PSDG-0326-SM-48TCP 50-59 years, male 52.9
GTEX-145LT-1826-SM-5QGP4 40-49 years, male 52.4
GTEX-1HUB1-0326-SM-A9SKQ 60-69 years, male 52.4
GTEX-11UD1-0226-SM-5EQKL 40-49 years, female 52.2
GTEX-14PJ6-2226-SM-6LLIV 60-69 years, female 51.9
GTEX-1LVAN-0126-SM-COH4H 50-59 years, female 51.9
GTEX-ZYVF-0226-SM-5GIEG 50-59 years, female 51.8
GTEX-P44G-2326-SM-2XCCZ 30-39 years, male 51.5
GTEX-1H1DF-0226-SM-ARL9A 40-49 years, female 50.3
GTEX-ZZ64-1626-SM-5E43W 20-29 years, male 50.2
GTEX-13PVQ-0226-SM-5SIBG 50-59 years, male 49.7
GTEX-1F88F-2626-SM-9WG5K 60-69 years, female 49.5
GTEX-15UKP-0526-SM-7KFRO 20-29 years, male 48.5
GTEX-1EWIQ-0226-SM-793D3 70-79 years, female 48.0
GTEX-1HSGN-0126-SM-CGQFU 40-49 years, female 48.0
GTEX-13OVK-2126-SM-6PAN1 40-49 years, male 47.7
GTEX-18QFQ-0226-SM-731BQ 30-39 years, male 47.5
GTEX-1GZ4I-0226-SM-7RHHO 50-59 years, male 47.5
GTEX-1S831-0326-SM-EVYD3 20-29 years, male 47.2
GTEX-ZVZP-2326-SM-59HL4 50-59 years, male 47.1
GTEX-13X6J-0226-SM-7EPGC 50-59 years, male 46.5
GTEX-11ONC-2526-SM-5986W 60-69 years, male 44.7
GTEX-OHPM-0226-SM-3LK61 50-59 years, male 44.7
GTEX-11UD2-0126-SM-5EQL2 50-59 years, male 44.5
GTEX-XMK1-2226-SM-4B673 40-49 years, male 43.5
GTEX-1S82P-0226-SM-E6CI6 60-69 years, female 42.5
GTEX-1A8G6-0526-SM-7PC1E 60-69 years, male 42.4
GTEX-UJHI-1626-SM-3DB9A 50-59 years, female 42.3
GTEX-1AYD5-2326-SM-73KXF 50-59 years, male 41.6
GTEX-1F5PK-2526-SM-9MQKN 50-59 years, male 41.6
GTEX-1PIIG-0326-SM-EVYBV 30-39 years, male 41.6
GTEX-YJ89-0226-SM-4TT3Y 60-69 years, male 41.4
GTEX-1CB4G-0326-SM-7SB8R 60-69 years, male 41.2
GTEX-1H1ZS-0526-SM-9WG5L 70-79 years, male 41.2
GTEX-1F75I-0426-SM-7PC3S 40-49 years, male 41.1
GTEX-OXRO-0226-SM-3LK6F 60-69 years, female 40.9
GTEX-P4QS-0226-SM-3NB1U 60-69 years, male 40.6
GTEX-111VG-2326-SM-5N9BK 60-69 years, male 39.9
GTEX-11I78-2626-SM-5Q5AI 50-59 years, female 39.0
GTEX-11TT1-2426-SM-5EQMK 20-29 years, male 38.9
GTEX-12126-0426-SM-5Q5AP 20-29 years, male 38.8
GTEX-QEL4-0326-SM-3GAE5 50-59 years, male 38.6
GTEX-1LVA9-0226-SM-E9U5N 50-59 years, male 38.3
GTEX-16YQH-0226-SM-6PALD 30-39 years, male 38.1
GTEX-1I1GR-0226-SM-CMKHQ 60-69 years, male 38.1
GTEX-P44H-0326-SM-2XCES 40-49 years, male 37.8
GTEX-1HSKV-0326-SM-ADEJC 60-69 years, male 37.6
GTEX-1LSNL-0526-SM-DIPFI 50-59 years, male 37.4
GTEX-1QCLY-0526-SM-EAZ47 30-39 years, male 37.3
GTEX-13PLJ-0126-SM-5L3HU 60-69 years, female 36.9
GTEX-XQ8I-0526-SM-4BOPS 50-59 years, male 36.9
GTEX-17MFQ-1826-SM-7DHLS 20-29 years, male 36.5
GTEX-11ZVC-2626-SM-5FQTA 50-59 years, female 36.4
GTEX-Q734-1826-SM-2I3EL 40-49 years, female 36.3
GTEX-13FTW-2526-SM-5IJC8 40-49 years, male 36.2
GTEX-1HCU6-0226-SM-CGQES 60-69 years, female 35.7
GTEX-1128S-2126-SM-5H12U 60-69 years, female 35.6
GTEX-YECK-0226-SM-4W215 60-69 years, male 35.3
GTEX-ZF3C-0226-SM-4WWB3 50-59 years, female 33.9
GTEX-U3ZM-1026-SM-EZ6LD 40-49 years, male 33.8
GTEX-14BIL-0226-SM-5SI9E 50-59 years, male 33.6
GTEX-1IDJU-2526-SM-CMKGF 60-69 years, female 33.6
GTEX-13N2G-2726-SM-5J1MG 60-69 years, male 33.3
GTEX-113IC-0226-SM-5HL5C 60-69 years, male 32.7
GTEX-1C6VR-2626-SM-7MGX2 60-69 years, male 32.5
GTEX-1IKK5-0526-SM-CMKGG 60-69 years, male 32.5
GTEX-1HSMP-0226-SM-CGQFI 70-79 years, male 32.2
GTEX-NFK9-0326-SM-3MJGV 40-49 years, male 31.5
GTEX-14E6C-0226-SM-5S2N3 40-49 years, male 31.3
GTEX-1EU9M-0326-SM-7RHGF 60-69 years, male 31.3
GTEX-XQ3S-1626-SM-4WAYN 20-29 years, male 31.0
GTEX-ZC5H-0126-SM-4WAYL 40-49 years, female 30.9
GTEX-145MG-0126-SM-5TDDA 50-59 years, male 30.5
GTEX-1I1CD-0226-SM-CM2TL 60-69 years, female 30.3
GTEX-QEG4-0326-SM-DIPE3 30-39 years, male 30.1
GTEX-ZQG8-1526-SM-5HL65 60-69 years, female 30.0
GTEX-13RTJ-2526-SM-5S2Q3 60-69 years, male 29.7
GTEX-1J8JJ-0326-SM-CMKG6 60-69 years, female 29.6
GTEX-ZLWG-2226-SM-DO92V 50-59 years, female 29.5
GTEX-Y5V5-2426-SM-5IFJA 60-69 years, female 29.4
GTEX-WVLH-0226-SM-3MJG6 50-59 years, male 29.1
GTEX-X4EO-0426-SM-4QASA 60-69 years, female 29.1
GTEX-139TU-0226-SM-5J1NM 60-69 years, male 28.8
GTEX-1AMFI-2126-SM-731BT 50-59 years, female 28.8
GTEX-QDVJ-1826-SM-2S1P3 50-59 years, male 28.7
GTEX-1H3O1-0526-SM-9MQLS 60-69 years, male 28.5
GTEX-183FY-0326-SM-793BY 20-29 years, male 28.3
GTEX-1I1GT-0526-SM-CGQEQ 60-69 years, female 28.1
GTEX-1EKGG-0126-SM-9YFLS 60-69 years, male 27.8
GTEX-12WSL-2426-SM-5GCN7 50-59 years, male 27.5
GTEX-1I1GV-0426-SM-ARZLX 60-69 years, male 27.4
GTEX-14PJ2-0226-SM-6LLH4 50-59 years, male 27.2
GTEX-1IOXB-0226-SM-CMKHY 50-59 years, male 27.0
GTEX-1PDJ9-0426-SM-E9J3E 20-29 years, male 27.0
GTEX-1C475-1926-SM-7DUFV 40-49 years, female 26.8
GTEX-17F98-1126-SM-79OJS 40-49 years, female 26.6
GTEX-S95S-1326-SM-2XCDK 60-69 years, male 26.6
GTEX-XXEK-2426-SM-4BRUS 50-59 years, male 26.5
GTEX-14DAQ-0226-SM-664MQ 60-69 years, female 26.4
GTEX-1212Z-2426-SM-5EQ5D 60-69 years, male 26.3
GTEX-11DZ1-0226-SM-5A5KF 50-59 years, male 25.3
GTEX-PLZ6-1326-SM-3NB24 30-39 years, male 25.3
GTEX-1CB4H-0326-SM-9WG5G 60-69 years, female 25.2
GTEX-11DXW-0326-SM-5H11W 40-49 years, male 25.1
GTEX-1QW4Y-1626-SM-EAZ41 30-39 years, male 24.8
GTEX-16MTA-2126-SM-6PALC 50-59 years, male 24.7
GTEX-WVJS-0226-SM-4MVOU 50-59 years, male 24.5
GTEX-OOBK-0226-SM-2YUMF 40-49 years, male 24.4
GTEX-1CAMR-1826-SM-7MXUJ 20-29 years, male 24.3
GTEX-11WQC-2426-SM-5EQKQ 60-69 years, male 24.2
GTEX-13FTY-0626-SM-5L3F8 40-49 years, female 24.2
GTEX-R45C-0226-SM-EVYAJ 60-69 years, female 24.2
GTEX-1MA7X-2126-SM-E6CIX 60-69 years, male 23.6
GTEX-1GF9V-0226-SM-9MQKA 60-69 years, male 23.5
GTEX-R55D-0326-SM-48FES 50-59 years, male 23.4
GTEX-15SDE-2426-SM-7KFRC 50-59 years, female 23.2
GTEX-1C6WA-0226-SM-7IGPO 60-69 years, male 23.2
GTEX-1LB8K-0326-SM-E9TJC 50-59 years, male 23.1
GTEX-1PPGY-0326-SM-DTXFD 60-69 years, male 22.9
GTEX-POMQ-2326-SM-DHXIS 20-29 years, female 22.8
GTEX-13NZ8-0926-SM-5MR3U 60-69 years, female 22.6
GTEX-146FR-1826-SM-5QGPF 60-69 years, female 22.6
GTEX-T8EM-1126-SM-3DB7D 40-49 years, male 22.5
GTEX-PLZ4-0226-SM-CYPR1 50-59 years, female 22.4
GTEX-13N11-2626-SM-5K7UQ 50-59 years, female 22.3
GTEX-146FH-0226-SM-5QGPQ 50-59 years, female 22.3
GTEX-11EM3-2326-SM-5H12B 20-29 years, female 21.8
GTEX-Y3I4-2226-SM-4TT7O 50-59 years, male 21.8
GTEX-1QP9N-1526-SM-DTXFK 30-39 years, male 21.8
GTEX-12584-0226-SM-5EQL5 40-49 years, male 21.5
GTEX-1HGF4-2526-SM-ADEIZ 60-69 years, male 21.5
GTEX-Q2AG-0226-SM-2S1P4 40-49 years, female 21.4
GTEX-T5JW-1726-SM-3GADN 20-29 years, female 21.3
GTEX-OOBJ-0226-SM-2YUMM 60-69 years, male 21.2
GTEX-1PIGE-0526-SM-DTXFA 20-29 years, male 21.2
GTEX-1313W-0226-SM-5LZV7 50-59 years, female 21.1
GTEX-15G19-0226-SM-6PAL2 60-69 years, male 21.1
GTEX-S7SE-0226-SM-2XCD4 50-59 years, male 20.8
GTEX-12ZZZ-0526-SM-5DUX6 60-69 years, male 20.6
GTEX-139T6-2126-SM-5KM37 50-59 years, male 20.6
GTEX-1R9K5-0226-SM-EWRNF 50-59 years, male 20.6
GTEX-YEC3-1226-SM-5IFI8 50-59 years, male 20.5
GTEX-W5WG-2526-SM-4SOJ2 50-59 years, female 20.4
GTEX-R55G-2426-SM-2TC5I 40-49 years, female 20.3
GTEX-1JMLX-0126-SM-CMKG9 50-59 years, male 20.3
GTEX-1IDJD-1226-SM-CM2TP 30-39 years, male 20.1
GTEX-SIU8-0226-SM-2XCDS 50-59 years, male 19.9
GTEX-1KXAM-2326-SM-CYPTD 60-69 years, male 19.9
GTEX-1L5NE-2626-SM-E9U6P 50-59 years, male 19.9
GTEX-1JMQL-0326-SM-CNPP6 50-59 years, female 19.8
GTEX-P4PP-0226-SM-D4P1Z 30-39 years, female 19.7
GTEX-145LS-0226-SM-5O9A5 60-69 years, female 19.6
GTEX-1CB4E-1826-SM-7RHG8 60-69 years, male 19.6
GTEX-13NYS-0226-SM-5MR49 60-69 years, male 19.2
GTEX-ZYFD-0226-SM-5NQ86 50-59 years, male 19.1
GTEX-12WSD-0226-SM-59HKO 60-69 years, female 19.0
GTEX-XUW1-0526-SM-4BOP3 50-59 years, female 19.0
GTEX-14BMU-2126-SM-5S2TS 20-29 years, female 18.5
GTEX-XYKS-2726-SM-4E3IC 60-69 years, female 18.5
GTEX-11DXX-2326-SM-9YFKS 60-69 years, female 18.5
GTEX-1HBPI-1426-SM-B2LW7 50-59 years, male 18.5
GTEX-1C64O-0226-SM-73KXB 60-69 years, male 18.4
GTEX-REY6-0326-SM-2TF5A 60-69 years, male 18.4
GTEX-U8XE-0426-SM-3DB91 30-39 years, male 18.4
GTEX-131XW-0526-SM-5PNXZ 50-59 years, female 18.3
GTEX-O5YT-0226-SM-32PK5 20-29 years, male 18.2
GTEX-1IDFM-0226-SM-CMKFX 60-69 years, male 18.2
GTEX-1A8FM-0126-SM-7SB7P 50-59 years, female 18.1
GTEX-17HHE-1926-SM-7EPGW 50-59 years, male 17.8
GTEX-SUCS-1826-SM-32PM1 70-79 years, male 17.8
GTEX-1117F-0226-SM-5GZZ7 60-69 years, female 17.7
GTEX-12696-2526-SM-5EQLN 60-69 years, male 17.5
GTEX-13X6K-0226-SM-5QGPB 60-69 years, female 17.3
GTEX-1F52S-0226-SM-7SB7U 60-69 years, female 16.6
GTEX-13NZ9-0526-SM-5J1OX 50-59 years, male 16.5
GTEX-ZF28-0226-SM-5S2OE 60-69 years, male 16.5
GTEX-11GS4-2626-SM-5A5LD 60-69 years, male 16.3
GTEX-OIZI-0226-SM-2XCEE 40-49 years, male 16.2
GTEX-13NZB-2426-SM-5K7UF 30-39 years, male 16.1
GTEX-ZXG5-0226-SM-59HJI 60-69 years, male 15.8
GTEX-11NUK-0326-SM-5HL5K 50-59 years, male 15.7
GTEX-1I1GQ-0226-SM-COH3I 50-59 years, male 15.7
GTEX-13D11-2326-SM-5IJCY 50-59 years, female 15.5
GTEX-SN8G-0226-SM-4DM6B 50-59 years, female 15.5
GTEX-1F75W-0226-SM-9JGGP 60-69 years, male 15.3
GTEX-1POEN-0226-SM-EYYXE 30-39 years, female 15.3
GTEX-ZVE2-0326-SM-57WFC 50-59 years, male 15.2
GTEX-11GSO-2326-SM-5A5LX 60-69 years, male 15.0
GTEX-1NHNU-1126-SM-E9J2C 50-59 years, male 15.0
GTEX-14BIN-0726-SM-793DQ 50-59 years, female 14.9
GTEX-1JMPY-1426-SM-ARL8Z 30-39 years, male 14.9
GTEX-Y8LW-1926-SM-4WWFZ 50-59 years, female 14.7
GTEX-1CB4F-0526-SM-9KNW2 60-69 years, male 14.7
GTEX-1HFI7-2026-SM-CGQFR 50-59 years, female 14.7
GTEX-13112-2726-SM-5DUW5 50-59 years, male 14.6
GTEX-U4B1-1726-SM-3DB9F 40-49 years, male 14.5
GTEX-ZF29-2226-SM-4WWB9 60-69 years, female 14.5
GTEX-13N1W-0226-SM-5K7W6 70-79 years, male 14.4
GTEX-W5X1-2626-SM-4LMI8 40-49 years, female 14.4
GTEX-131XE-2426-SM-5EQ5V 50-59 years, male 14.3
GTEX-WFON-2226-SM-3TW8W 40-49 years, male 14.3
GTEX-P78B-0226-SM-3NB1Z 40-49 years, female 14.2
GTEX-OHPK-0226-SM-3MJH6 50-59 years, female 14.1
GTEX-1GMR2-2526-SM-9MQKW 50-59 years, male 14.0
GTEX-13OVI-1326-SM-5IJBO 60-69 years, female 13.9
GTEX-1F88E-0526-SM-7SB8J 60-69 years, female 13.9
GTEX-X88G-0226-SM-4GIE4 30-39 years, male 13.6
GTEX-YB5E-2126-SM-5IFI7 40-49 years, male 13.5
GTEX-WH7G-2226-SM-3NMBN 40-49 years, male 13.3
GTEX-1F6I4-0226-SM-9MQMA 60-69 years, male 13.3
GTEX-13O61-2426-SM-5J1NV 60-69 years, male 13.0
GTEX-WEY5-1926-SM-3GIL8 40-49 years, female 12.9
GTEX-1S5ZU-0226-SM-E6CHW 20-29 years, female 12.9
GTEX-WY7C-2426-SM-3NB2V 50-59 years, male 12.8
GTEX-1IL2V-0226-SM-CMKI2 70-79 years, male 12.7
GTEX-111FC-0226-SM-5N9B8 60-69 years, male 12.6
GTEX-1LG7Z-2026-SM-DLHBP 30-39 years, male 12.6
GTEX-15ETS-0426-SM-6PANI 40-49 years, female 12.5
GTEX-1KAFJ-2426-SM-D4P32 50-59 years, male 12.5
GTEX-1PFEY-1626-SM-E9J3M 30-39 years, male 12.4
GTEX-X8HC-0226-SM-4E3K1 50-59 years, female 12.2
GTEX-1JJ6O-0226-SM-E6CI9 60-69 years, male 12.2
GTEX-1IGQW-0226-SM-COH43 60-69 years, male 12.1
GTEX-146FQ-0226-SM-5NQAL 30-39 years, male 12.0
GTEX-1HR9M-0226-SM-COH3E 60-69 years, male 12.0
GTEX-1RQEC-0526-SM-E6CHV 60-69 years, male 11.9
GTEX-1S83E-0226-SM-EVYCW 40-49 years, male 11.9
GTEX-11P82-1726-SM-5Q5AT 20-29 years, male 11.8
GTEX-11ZTS-0226-SM-5EQKD 60-69 years, female 11.7
GTEX-ZVZO-0226-SM-5A5LA 40-49 years, male 11.7
GTEX-15RIE-2326-SM-7KFSC 60-69 years, male 11.4
GTEX-QEG5-0326-SM-2S1PB 20-29 years, male 11.4
GTEX-X638-0226-SM-47JZ9 70-79 years, female 11.3
GTEX-17EVP-0426-SM-79OKG 40-49 years, male 11.2
GTEX-17HG3-2326-SM-79OKH 30-39 years, female 11.2
GTEX-1HCVE-0226-SM-CGQEV 50-59 years, male 11.1
GTEX-ZTSS-2026-SM-5987K 40-49 years, male 11.0
GTEX-1EH9U-0226-SM-7PBY8 60-69 years, male 11.0
GTEX-1QP6S-0126-SM-E9J4K 40-49 years, male 10.9
GTEX-1K9T9-0226-SM-E9U6K 50-59 years, female 10.8
GTEX-Y3IK-2526-SM-4WWDM 50-59 years, female 10.7
GTEX-Q2AH-1726-SM-DIPDV 40-49 years, male 10.7
GTEX-145MN-2626-SM-5NQAH 30-39 years, male 10.5
GTEX-13OW7-0226-SM-5MR3N 50-59 years, male 10.4
GTEX-17F97-0426-SM-7LT9U 50-59 years, male 10.4
GTEX-1C6VS-0426-SM-79OJV 60-69 years, male 10.4
GTEX-SJXC-0226-SM-2XCDU 60-69 years, male 10.4
GTEX-1H2FU-0226-SM-9YFKO 60-69 years, female 10.4
GTEX-1OFPY-2326-SM-E8VNU 60-69 years, male 10.4
GTEX-183WM-0226-SM-7LT8T 70-79 years, female 10.3
GTEX-145ME-1926-SM-5MR6T 40-49 years, female 10.3
GTEX-T6MN-0226-SM-32PMD 50-59 years, male 10.2
GTEX-Z93S-0226-SM-5HL7R 50-59 years, male 10.1
GTEX-1QPFJ-0126-SM-E9J4B 30-39 years, female 10.1
GTEX-11EMC-2826-SM-5PNY6 60-69 years, female 10.0
GTEX-131XF-2226-SM-5EQKG 60-69 years, male 10.0
GTEX-ZT9X-1926-SM-57WE7 40-49 years, male 10.0
GTEX-1LSNM-2026-SM-E6CIJ 50-59 years, male 10.0
GTEX-16GPK-0226-SM-7DUFI 60-69 years, male 9.9
GTEX-1GMR3-2026-SM-9MQLG 40-49 years, male 9.9
GTEX-1B996-0126-SM-7PBYF 60-69 years, male 9.8
GTEX-1GMRU-0226-SM-9YFLW 50-59 years, male 9.8
GTEX-1MJK2-0526-SM-DTXE6 50-59 years, male 9.6
GTEX-N7MS-0326-SM-4E3K2 60-69 years, male 9.5
GTEX-R53T-1626-SM-3GAEW 50-59 years, female 9.4
GTEX-11TTK-0226-SM-5N9EC 60-69 years, female 9.3
GTEX-1KANA-0826-SM-D3L9J 20-29 years, male 9.3
GTEX-1PBJI-0426-SM-E8VNM 20-29 years, female 9.3
GTEX-WFG7-2526-SM-EWRM5 20-29 years, male 9.3
GTEX-WFG8-2326-SM-DIPDX 20-29 years, male 9.3
GTEX-11ZTT-2526-SM-5EQM9 60-69 years, female 9.1
GTEX-144GO-1626-SM-7EPG5 60-69 years, male 9.1
GTEX-ZE7O-0226-SM-5S2N1 50-59 years, female 9.1
GTEX-1JJEA-0226-SM-COH2X 60-69 years, male 9.1
GTEX-12ZZY-0326-SM-5LZVQ 60-69 years, male 8.9
GTEX-1GN2E-0326-SM-COH3C 60-69 years, male 8.9
GTEX-1QEPI-0226-SM-EWRMR 60-69 years, female 8.9
GTEX-OIZG-0826-SM-E9TI4 50-59 years, male 8.9
GTEX-147F3-0626-SM-5NQ9I 50-59 years, female 8.8
GTEX-16NGA-1826-SM-7LG5L 40-49 years, female 8.8
GTEX-TML8-2026-SM-32QOP 40-49 years, female 8.8
GTEX-YJ8O-2426-SM-5HL7S 40-49 years, female 8.8
GTEX-14JG1-0526-SM-6LLHW 40-49 years, male 8.7
GTEX-1I4MK-2026-SM-B2LVR 50-59 years, female 8.7
GTEX-1K2DA-2126-SM-CGQGL 50-59 years, male 8.7
GTEX-1J8EW-0226-SM-CYPSW 60-69 years, female 8.4
GTEX-1LGOU-2226-SM-E9U56 20-29 years, female 8.4
GTEX-12WSA-0326-SM-5BC6I 60-69 years, male 8.3
GTEX-SSA3-0226-SM-32QPN 60-69 years, male 8.2
GTEX-13G51-2626-SM-5LZYW 60-69 years, male 8.1
GTEX-1GN73-0326-SM-9KNTW 60-69 years, male 8.1
GTEX-1N2EF-0626-SM-E9J32 60-69 years, male 8.1
GTEX-16NPX-0326-SM-7EWDI 50-59 years, male 8.0
GTEX-POYW-0726-SM-2XCEO 60-69 years, male 7.9
GTEX-1F6RS-0226-SM-9MQKO 60-69 years, female 7.9
GTEX-1AX9K-2426-SM-73KZ4 50-59 years, male 7.8
GTEX-YFCO-2026-SM-4W21Q 40-49 years, male 7.8
GTEX-UTHO-0426-SM-CE6QU 60-69 years, male 7.8
GTEX-1QP28-0226-SM-E9J2N 50-59 years, female 7.7
GTEX-1RAZA-0226-SM-E9U4W 20-29 years, male 7.7
GTEX-TSE9-0226-SM-3DB84 60-69 years, female 7.6
GTEX-111CU-1826-SM-5GZYN 50-59 years, male 7.4
GTEX-ZYFC-0326-SM-5NQ7H 50-59 years, male 7.4
GTEX-VJWN-0226-SM-EZ6LF 50-59 years, female 7.4
GTEX-ZPIC-1826-SM-57WFE 40-49 years, female 7.3
GTEX-1HB9E-0426-SM-CNPPV 50-59 years, male 7.3
GTEX-Y8E5-0226-SM-57WCM 60-69 years, male 7.2
GTEX-1H23P-0226-SM-9YFLO 60-69 years, male 7.2
GTEX-14DAR-1926-SM-5S2NQ 50-59 years, male 7.1
GTEX-13CF3-2326-SM-5IFGL 60-69 years, female 7.0
GTEX-1MCC2-2326-SM-E9U5G 30-39 years, female 7.0
GTEX-11OF3-2426-SM-5Q5AS 60-69 years, male 6.9
GTEX-T5JC-0526-SM-32PM7 20-29 years, male 6.9
GTEX-1C6VQ-0226-SM-7P8S5 50-59 years, male 6.9
GTEX-1OJC4-1726-SM-EXUSV 50-59 years, female 6.9
GTEX-139TT-0226-SM-5K7YH 60-69 years, male 6.8
GTEX-16BQI-0526-SM-6PAM8 30-39 years, female 6.8
GTEX-RWSA-0226-SM-2XCBA 40-49 years, male 6.8
GTEX-X15G-2326-SM-4PQZS 50-59 years, female 6.8
GTEX-1I1GP-2326-SM-CGQFL 50-59 years, male 6.8
GTEX-14PII-0326-SM-6LLIQ 60-69 years, male 6.7
GTEX-17HII-0326-SM-7LG4X 50-59 years, male 6.7
GTEX-1AYCT-2226-SM-7SB98 50-59 years, male 6.7
GTEX-1J1OQ-0326-SM-CYPTJ 40-49 years, female 6.7
GTEX-14ICL-2026-SM-62LDN 30-39 years, male 6.6
GTEX-NPJ8-0226-SM-48TBN 40-49 years, male 6.6
GTEX-1CAMQ-0126-SM-7SB7S 40-49 years, male 6.6
GTEX-1GZ2Q-0326-SM-9WG6N 40-49 years, male 6.6
GTEX-14PHX-2426-SM-62LEN 50-59 years, male 6.2
GTEX-1122O-2026-SM-9YFMG 60-69 years, female 6.2
GTEX-13O1R-0226-SM-5K7U5 60-69 years, male 6.1
GTEX-1GN1W-0626-SM-9MQK3 50-59 years, female 6.1
GTEX-1211K-2226-SM-5FQU6 60-69 years, female 6.0
GTEX-144GL-0226-SM-5QGOX 50-59 years, male 6.0
GTEX-147GR-0426-SM-5S2OL 60-69 years, male 6.0
GTEX-18A66-0326-SM-718BE 60-69 years, male 6.0
GTEX-148VI-1726-SM-5S2W9 60-69 years, female 5.9
GTEX-T2IS-0226-SM-32QPH 20-29 years, female 5.9
GTEX-169BO-1426-SM-9MQJT 50-59 years, male 5.9
GTEX-1HFI6-0326-SM-ADEI5 40-49 years, male 5.9
GTEX-1GMR8-0226-SM-9YFL3 50-59 years, female 5.8
GTEX-PX3G-0226-SM-DKPOF 20-29 years, female 5.8
GTEX-WI4N-1126-SM-3LK7Q 40-49 years, female 5.7
GTEX-ZZPU-2726-SM-5NQ8O 50-59 years, female 5.7
GTEX-1E2YA-0226-SM-9MQLY 50-59 years, male 5.7
GTEX-1GN1V-0226-SM-9WYTN 60-69 years, male 5.7
GTEX-11LCK-1126-SM-5A5KC 30-39 years, male 5.6
GTEX-VJYA-1326-SM-3GIJC 60-69 years, male 5.6
GTEX-14A5H-0526-SM-5TDCN 60-69 years, male 5.5
GTEX-Z9EW-1826-SM-5CVMA 40-49 years, male 5.5
GTEX-1B8L1-2626-SM-7SB77 60-69 years, male 5.5
GTEX-ZV68-0226-SM-59HJF 50-59 years, female 5.4
GTEX-PWCY-1926-SM-3NB25 20-29 years, female 5.3
GTEX-X261-0226-SM-3NMD2 50-59 years, male 5.3
GTEX-1A32A-0226-SM-718B2 50-59 years, female 5.2
GTEX-1399T-2726-SM-5K7XK 60-69 years, male 5.1
GTEX-T6MO-1726-SM-33HB8 40-49 years, female 5.0
GTEX-U3ZN-2626-SM-3DB7T 30-39 years, female 5.0
GTEX-XBED-2326-SM-47JYR 60-69 years, male 5.0
GTEX-ZPCL-2126-SM-57WFZ 60-69 years, female 5.0
GTEX-1F75A-0226-SM-7PC2K 50-59 years, male 5.0
GTEX-13JVG-0226-SM-5J1MW 60-69 years, male 4.9
GTEX-18A6Q-0226-SM-718AS 60-69 years, male 4.9
GTEX-11EQ8-0226-SM-5EQ5G 60-69 years, male 4.8
GTEX-11H98-0226-SM-5NQ89 50-59 years, male 4.8
GTEX-14C5O-0226-SM-5SI6O 60-69 years, male 4.7
GTEX-QLQ7-1526-SM-2S1QA 60-69 years, male 4.7
GTEX-12WSC-0226-SM-5EQ52 50-59 years, male 4.6
GTEX-132QS-2526-SM-62LFJ 60-69 years, male 4.6
GTEX-1R7EU-0326-SM-EWRNJ 60-69 years, male 4.6
GTEX-14ICK-0326-SM-6LLIZ 40-49 years, male 4.5
GTEX-1A8G7-0226-SM-731AS 60-69 years, male 4.5
GTEX-OXRP-0226-SM-3NB14 60-69 years, female 4.5
GTEX-P4QT-0226-SM-3LK68 50-59 years, female 4.5
GTEX-S4P3-1526-SM-E9J3W 50-59 years, female 4.4
GTEX-139T4-0126-SM-5HL5G 50-59 years, female 4.3
GTEX-1B8KE-2526-SM-73KYQ 50-59 years, male 4.3
GTEX-YB5K-2226-SM-4WWG1 40-49 years, female 4.3
GTEX-13IVO-0226-SM-5LZXU 70-79 years, male 4.2
GTEX-13QBU-2526-SM-5LU4X 40-49 years, female 4.2
GTEX-15ER7-0426-SM-6PAM3 20-29 years, female 4.2
GTEX-OHPN-0226-SM-48TBV 60-69 years, female 4.2
GTEX-WHPG-2126-SM-4M1ZM 50-59 years, male 4.2
GTEX-1H3VY-0226-SM-9YFMF 50-59 years, male 4.2
GTEX-1MUQO-0526-SM-E9J31 60-69 years, male 4.2
GTEX-ZGAY-0626-SM-DO92E 40-49 years, female 4.2
GTEX-145MI-0426-SM-5O99V 60-69 years, female 4.1
GTEX-1B97I-1726-SM-7939V 40-49 years, male 4.1
GTEX-PLZ5-1826-SM-3NB22 50-59 years, male 4.1
GTEX-WYJK-0226-SM-EYYV8 50-59 years, male 4.1
GTEX-OIZH-0226-SM-2YUMH 50-59 years, male 4.0
GTEX-1HCU7-0326-SM-CMKGI 50-59 years, male 4.0
GTEX-1IKJJ-0226-SM-COH3T 60-69 years, male 4.0
GTEX-1QP2A-0226-SM-EVYBC 50-59 years, male 4.0
GTEX-13SLW-0226-SM-5S2NA 70-79 years, male 3.9
GTEX-13NYB-2626-SM-9YFMI 40-49 years, male 3.9
GTEX-1HSMQ-1426-SM-ADEHT 50-59 years, male 3.9
GTEX-144FL-0226-SM-5Q5D4 50-59 years, male 3.8
GTEX-S32W-2226-SM-2XCAY 50-59 years, female 3.8
GTEX-X4XY-0326-SM-46MVZ 60-69 years, male 3.8
GTEX-1GTWX-0226-SM-9YFLL 60-69 years, male 3.8
GTEX-1JJE9-1226-SM-CNPOI 70-79 years, male 3.8
GTEX-OIZF-0226-SM-E9TI3 60-69 years, male 3.8
GTEX-13SLX-0426-SM-5QGRC 50-59 years, female 3.7
GTEX-1HSMO-0226-SM-CGQEZ 60-69 years, male 3.7
GTEX-1LGRB-2426-SM-CNPP3 50-59 years, female 3.7
GTEX-1R9PM-2126-SM-E8VOB 20-29 years, male 3.7
GTEX-13O3P-0226-SM-5KM3Z 50-59 years, male 3.6
GTEX-14E6E-1926-SM-664N4 30-39 years, male 3.6
GTEX-1I1GU-2326-SM-CGQFB 40-49 years, male 3.6
GTEX-1I1HK-0226-SM-COH4A 60-69 years, male 3.6
GTEX-1JKYN-1226-SM-CGQG8 30-39 years, male 3.6
GTEX-13PDP-0226-SM-5K7W9 60-69 years, male 3.5
GTEX-14H4A-1026-SM-62LDY 40-49 years, female 3.5
GTEX-SNOS-1426-SM-32PLY 40-49 years, male 3.5
GTEX-QLQW-1226-SM-2S1Q9 30-39 years, male 3.4
GTEX-ZTPG-0226-SM-5O99I 20-29 years, female 3.4
GTEX-14LLW-0226-SM-62LEL 70-79 years, female 3.3
GTEX-16MT8-0526-SM-6PAM6 60-69 years, female 3.3
GTEX-1GF9X-1926-SM-ADEIC 40-49 years, female 3.3
GTEX-1HBPH-0526-SM-9YFMN 40-49 years, female 3.3
GTEX-11ZUS-0726-SM-59886 30-39 years, male 3.2
GTEX-OXRK-0326-SM-3NB3R 50-59 years, female 3.2
GTEX-P4PQ-0226-SM-2S1NK 60-69 years, male 3.2
GTEX-XLM4-0226-SM-4AT4N 60-69 years, male 3.2
GTEX-SNMC-1326-SM-2XCFK 20-29 years, male 3.1
GTEX-1BAJH-0426-SM-73KWY 70-79 years, male 3.0
GTEX-11P81-2426-SM-5GU65 30-39 years, female 2.9
GTEX-13U4I-0226-SM-5SIB1 40-49 years, female 2.9
GTEX-XPVG-2726-SM-4B66W 50-59 years, male 2.9
GTEX-12C56-1626-SM-5FQUO 20-29 years, male 2.8
GTEX-17EUY-0526-SM-7EWDE 20-29 years, male 2.8
GTEX-18A7A-0326-SM-731AT 50-59 years, female 2.8
GTEX-1CB4I-0426-SM-7IGPR 50-59 years, male 2.8
GTEX-S33H-1126-SM-2XCB6 30-39 years, male 2.8
GTEX-1CB4J-1126-SM-7PBY1 60-69 years, male 2.8
GTEX-RNOR-0226-SM-EZ6MF 50-59 years, female 2.8
GTEX-RUSQ-1626-SM-EZ6L4 50-59 years, male 2.8
GTEX-QV44-1825-SM-447CF 50-59 years, male 2.7
GTEX-XAJ8-0926-SM-47JXZ 40-49 years, male 2.7
GTEX-ZVT4-0226-SM-51MSD 50-59 years, female 2.7
GTEX-1RAZQ-0626-SM-E8VOR 30-39 years, male 2.7
GTEX-12WSM-0226-SM-5LZV6 60-69 years, male 2.6
GTEX-13S7M-0226-SM-5S2UG 60-69 years, female 2.6
GTEX-147JS-0426-SM-5TDD2 60-69 years, male 2.6
GTEX-14JG6-2326-SM-6LLH3 30-39 years, female 2.6
GTEX-1ICLZ-0226-SM-CKZPP 60-69 years, male 2.6
GTEX-12ZZX-0226-SM-5DUXU 40-49 years, female 2.5
GTEX-132AR-0226-SM-5IJBE 50-59 years, female 2.5
GTEX-13NZA-0126-SM-5K7UH 60-69 years, male 2.5
GTEX-17HHY-0226-SM-793BQ 50-59 years, male 2.5
GTEX-Y9LG-2026-SM-62LFS 30-39 years, male 2.5
GTEX-1MA7W-1926-SM-E6CIO 20-29 years, female 2.5
GTEX-XOT4-0226-SM-4B66Z 60-69 years, female 2.5
GTEX-111YS-2426-SM-5GZZQ 60-69 years, male 2.4
GTEX-139T8-0226-SM-5L3EA 60-69 years, male 2.4
GTEX-16XZY-2526-SM-7DHL2 70-79 years, male 2.4
GTEX-OXRN-0226-SM-2I5EJ 50-59 years, male 2.4
GTEX-1I1GS-0226-SM-B2LVX 60-69 years, male 2.4
GTEX-15DCD-0226-SM-6LPKC 70-79 years, female 2.3
GTEX-QCQG-1826-SM-2S1P2 50-59 years, female 2.3
GTEX-16XZZ-0226-SM-7MGVJ 60-69 years, male 2.3
GTEX-1J8Q3-1526-SM-CMKGB 60-69 years, male 2.3
GTEX-13OVL-0326-SM-5IJCS 50-59 years, male 2.2
GTEX-RU72-1026-SM-46MUG 50-59 years, female 2.2
GTEX-ZYY3-0226-SM-5E45M 60-69 years, female 2.2
GTEX-1FIGZ-1626-SM-7SB8L 40-49 years, male 2.2
GTEX-1JN1M-0126-SM-D4P23 60-69 years, female 2.2
GTEX-RVPV-1526-SM-EXOHF 60-69 years, male 2.2
GTEX-117YX-2226-SM-5EGJJ 50-59 years, male 2.1
GTEX-13FH7-2226-SM-5IJD4 50-59 years, female 2.1
GTEX-14BMV-0226-SM-5S2N2 50-59 years, male 2.1
GTEX-14E1K-2126-SM-793DU 50-59 years, male 2.1
GTEX-18A67-0226-SM-7LG67 50-59 years, male 2.1
GTEX-1C2JI-2226-SM-7IGPJ 50-59 years, male 2.1
GTEX-XV7Q-2626-SM-4BRVA 40-49 years, female 2.1
GTEX-1GN1U-0226-SM-9YFLQ 50-59 years, female 2.1
GTEX-1JN6P-0226-SM-COH34 60-69 years, male 2.1
GTEX-1LG7Y-0426-SM-DKPQB 50-59 years, male 2.1
GTEX-1R46S-0526-SM-EVYBZ 60-69 years, female 2.1
GTEX-PWN1-0226-SM-DKPO9 40-49 years, female 2.1
GTEX-1314G-1626-SM-5EQ67 30-39 years, male 2.0
GTEX-1B8SF-0526-SM-7939F 60-69 years, male 2.0
GTEX-X5EB-2426-SM-4E3HX 40-49 years, male 2.0
GTEX-ZP4G-2326-SM-57WEM 20-29 years, female 2.0
GTEX-ZPU1-2426-SM-4WWFM 40-49 years, male 2.0
GTEX-1HT8W-0226-SM-CMKGT 30-39 years, male 2.0
GTEX-1IY9M-0226-SM-CMKHP 60-69 years, male 2.0
GTEX-131YS-0226-SM-5IJEH 60-69 years, female 1.9
GTEX-144GM-1926-SM-5LUAN 20-29 years, male 1.9
GTEX-Y114-2326-SM-4TT7X 50-59 years, female 1.9
GTEX-1KD5A-0326-SM-D5OVD 50-59 years, male 1.9
GTEX-1LVAO-0226-SM-E9U6O 60-69 years, male 1.9
GTEX-1269C-2726-SM-5EGJ4 60-69 years, female 1.8
GTEX-13111-1726-SM-5EGJZ 50-59 years, male 1.8
GTEX-1399R-2626-SM-5KLZ7 30-39 years, male 1.8
GTEX-13CF2-2626-SM-5LZZA 60-69 years, male 1.8
GTEX-13W3W-2526-SM-5SI9P 60-69 years, female 1.8
GTEX-18D9U-0726-SM-7LG5J 40-49 years, male 1.8
GTEX-1A3MV-2126-SM-718BV 30-39 years, male 1.8
GTEX-1AMEY-1426-SM-7939I 30-39 years, female 1.8
GTEX-1AX9J-0326-SM-73KXY 60-69 years, male 1.8
GTEX-TMZS-0226-SM-3DB9N 60-69 years, male 1.8
GTEX-XBEW-0726-SM-4QARX 40-49 years, male 1.8
GTEX-XGQ4-2226-SM-4AT4Y 50-59 years, male 1.8
GTEX-Z93T-0226-SM-5HL5Z 50-59 years, male 1.8
GTEX-ZYW4-0226-SM-5E44M 60-69 years, male 1.8
GTEX-1J1R8-2226-SM-ARZMP 40-49 years, male 1.8
GTEX-1LSVX-0126-SM-EVYCY 60-69 years, male 1.8
GTEX-13JUV-2826-SM-5LZWU 40-49 years, female 1.7
GTEX-13PVR-2426-SM-5RQHN 60-69 years, female 1.7
GTEX-1PPH8-0626-SM-EWRN9 20-29 years, male 1.7
GTEX-1PWST-0326-SM-EAZ42 70-79 years, male 1.7
GTEX-11EQ9-2526-SM-5HL66 30-39 years, male 1.6
GTEX-14753-0326-SM-5QGQB 60-69 years, male 1.6
GTEX-14PJ3-1926-SM-62LEY 50-59 years, male 1.6
GTEX-1B8KZ-1926-SM-7DUG8 50-59 years, male 1.6
GTEX-VUSG-2426-SM-4KKZG 50-59 years, male 1.6
GTEX-XBEC-0326-SM-4AT4M 50-59 years, male 1.6
GTEX-ZDTT-2626-SM-5S2OP 60-69 years, male 1.6
GTEX-ZVTK-0526-SM-5GZWT 20-29 years, male 1.6
GTEX-11EI6-0226-SM-5EQ64 60-69 years, male 1.5
GTEX-13O21-1526-SM-5K7W4 50-59 years, male 1.5
GTEX-14ABY-0326-SM-5TDDK 50-59 years, male 1.5
GTEX-14AS3-2026-SM-5TDD9 40-49 years, female 1.5
GTEX-18D9A-2026-SM-718BL 30-39 years, female 1.5
GTEX-1B8SG-0226-SM-7939Q 50-59 years, male 1.5
GTEX-ZDTS-0226-SM-5HL7Q 60-69 years, male 1.5
GTEX-ZVT2-2226-SM-5NQ6P 50-59 years, female 1.5
GTEX-1EMGI-0226-SM-9MQL1 60-69 years, male 1.5
GTEX-1RDX4-0226-SM-DTXG1 50-59 years, female 1.5
GTEX-11XUK-2126-SM-5EQLR 40-49 years, female 1.4
GTEX-14PJM-0326-SM-62LF2 50-59 years, female 1.4
GTEX-RM2N-1726-SM-2TF55 50-59 years, male 1.4
GTEX-ZDXO-2426-SM-5S2NJ 60-69 years, male 1.4
GTEX-ZXES-2026-SM-5NQ6R 30-39 years, female 1.4
GTEX-1GPI7-0226-SM-9MQKB 20-29 years, male 1.4
GTEX-13QJ3-0426-SM-5RQHP 50-59 years, male 1.3
GTEX-145MF-0526-SM-5LUA6 50-59 years, male 1.3
GTEX-14PK6-2026-SM-6LLHP 70-79 years, female 1.3
GTEX-1B933-0526-SM-7EPHM 50-59 years, female 1.3
GTEX-Y111-0226-SM-4SOIW 50-59 years, male 1.3
GTEX-1I19N-0426-SM-ACKVY 70-79 years, male 1.3
GTEX-1ICG6-2626-SM-CGQG1 70-79 years, female 1.3
GTEX-1JKYR-0226-SM-CNPOK 20-29 years, male 1.3
GTEX-13FHO-0326-SM-5IJBH 60-69 years, male 1.2
GTEX-1A3MX-0226-SM-731C4 60-69 years, male 1.2
GTEX-WL46-0326-SM-3LK6Y 50-59 years, male 1.2
GTEX-YJ8A-0526-SM-5IFHT 20-29 years, male 1.2
GTEX-ZVP2-1826-SM-5GU62 50-59 years, male 1.2
GTEX-ZEX8-2326-SM-5S2MN 50-59 years, male 1.1
GTEX-1I6K6-0226-SM-ADEID 30-39 years, male 1.1
GTEX-ZDYS-2126-SM-5S2P2 50-59 years, male 1.1
GTEX-13OW6-0526-SM-5L3HY 50-59 years, male 1.0
GTEX-17HGU-0326-SM-7DUER 50-59 years, male 1.0
GTEX-QV31-1326-SM-2S1QE 30-39 years, male 1.0
GTEX-X4LF-1726-SM-3NMBZ 50-59 years, male 1.0
GTEX-ZUA1-0226-SM-5NQ9Q 40-49 years, male 1.0
GTEX-1IL2U-0326-SM-CE6T9 60-69 years, male 1.0
GTEX-1QAET-1126-SM-E8VML 50-59 years, male 1.0
GTEX-11TUW-2626-SM-5EQKZ 60-69 years, male 0.9
GTEX-QESD-1526-SM-2S1QT 20-29 years, male 0.9
GTEX-YEC4-2426-SM-57WFO 40-49 years, male 0.9
GTEX-1RAZR-0226-SM-EVYC6 40-49 years, male 0.9
GTEX-QMRM-1726-SM-2S1QG 50-59 years, male 0.8
GTEX-Y5V6-2526-SM-5IFJV 60-69 years, male 0.8
GTEX-1B932-0226-SM-7PBYH 40-49 years, female 0.8
GTEX-1KWVE-1326-SM-E6CJ1 30-39 years, male 0.8
GTEX-17F96-1726-SM-7IGMB 70-79 years, male 0.7
GTEX-WFJO-1926-SM-3GILA 30-39 years, male 0.7
GTEX-11P7K-2026-SM-5GU74 30-39 years, male 0.6
GTEX-1C4CL-0426-SM-7939N 30-39 years, male 0.6
GTEX-OXRL-0226-SM-3NB18 50-59 years, male 0.6
GTEX-17KNJ-2226-SM-DKPOU 50-59 years, male 0.6
GTEX-1MGNQ-0226-SM-EVYCK 40-49 years, male 0.6
GTEX-ZYT6-0326-SM-7LG5R 30-39 years, male 0.5
GTEX-1JN76-0226-SM-CMKGO 20-29 years, female 0.4
GTEX-1QP66-1326-SM-DTXDQ 50-59 years, male 0.4
GTEX-QDT8-0226-SM-32PL4 30-39 years, female 0.3
GTEX-XUYS-0226-SM-47JX1 50-59 years, male 0.2
GTEX-1R7EV-1926-SM-EVYBF 40-49 years, male 0.2
Show allShow less
Adipose - Visceral (Omentum)
Average nTPM: 23.7
Samples: 541

Max nTPM: 285.0
Min nTPM: 0.3
Std nTPM: 31.4
Median nTPM: 10.2
GTEX-ZTX8-0726-SM-59HL9 20-29 years, male 285.0
GTEX-1IKOE-1726-SM-CNNQ6 30-39 years, female 209.3
GTEX-1OJC3-1326-SM-E9J3D 20-29 years, male 203.4
GTEX-1HKZK-1726-SM-ADEJ9 40-49 years, male 173.1
GTEX-13OVG-1326-SM-5K7Y3 60-69 years, male 153.0
GTEX-1F48J-1826-SM-7SB8T 50-59 years, female 123.8
GTEX-1HSMP-1126-SM-B2LXJ 70-79 years, male 109.8
GTEX-18QFQ-1326-SM-731CF 30-39 years, male 109.3
GTEX-13113-1126-SM-5LZU9 60-69 years, female 106.4
GTEX-1117F-1326-SM-5EGHH 60-69 years, female 104.8
GTEX-1LH75-1026-SM-EWROK 50-59 years, female 103.9
GTEX-1B97J-1126-SM-7SB79 50-59 years, female 103.6
GTEX-1HCUA-0926-SM-ADEIX 50-59 years, female 101.2
GTEX-1192X-1526-SM-5H11I 50-59 years, male 97.2
GTEX-16AAH-1526-SM-7LT9W 50-59 years, male 96.8
GTEX-1GZ4H-0926-SM-9WG6Y 50-59 years, female 94.3
GTEX-1LG7Z-0226-SM-E6CIG 30-39 years, male 93.6
GTEX-WHPG-0626-SM-3NMBD 50-59 years, male 92.8
GTEX-12KS4-1526-SM-5EQ6E 30-39 years, male 92.1
GTEX-1GZ4I-2326-SM-9YFMO 50-59 years, male 91.5
GTEX-15CHC-0826-SM-686YW 60-69 years, female 90.8
GTEX-1PIGE-1226-SM-EVR3Q 20-29 years, male 90.8
GTEX-ZZ64-0626-SM-5GZWR 20-29 years, male 90.2
GTEX-13VXT-0926-SM-5LU5K 20-29 years, female 90.0
GTEX-14PHW-1626-SM-6EU2H 60-69 years, female 89.0
GTEX-14BIL-2426-SM-5QGQR 50-59 years, male 86.6
GTEX-17MFQ-1126-SM-7LT9O 20-29 years, male 86.4
GTEX-13O3Q-1126-SM-5K7YK 50-59 years, male 85.5
GTEX-17F9Y-0726-SM-7LT9G 70-79 years, female 85.1
GTEX-13VXU-1026-SM-5KLZE 50-59 years, male 83.4
GTEX-13N2G-1926-SM-5J1O3 60-69 years, male 83.1
GTEX-14B4R-0526-SM-5QGQT 30-39 years, male 82.8
GTEX-17MF6-1326-SM-79ONE 40-49 years, male 81.7
GTEX-1JMPY-0326-SM-CM2S2 30-39 years, male 81.5
GTEX-ZYVF-1026-SM-5E44V 50-59 years, female 81.4
GTEX-1E1VI-1826-SM-9WG5J 50-59 years, male 79.9
GTEX-1QP9N-0426-SM-DTXFT 30-39 years, male 79.2
GTEX-15UKP-1426-SM-7KUDX 20-29 years, male 78.7
GTEX-1ICLY-1426-SM-CJI48 50-59 years, male 78.2
GTEX-12WSL-1126-SM-5CVNK 50-59 years, male 76.6
GTEX-1KD4Q-1426-SM-D4P3K 40-49 years, male 75.2
GTEX-ZV6S-1626-SM-5NQ81 40-49 years, female 74.1
GTEX-14PHY-1026-SM-62LEV 60-69 years, female 73.3
GTEX-18D9B-1726-SM-7LTAP 60-69 years, male 73.1
GTEX-17GQL-0826-SM-731AM 60-69 years, male 72.1
GTEX-1HUB1-1526-SM-CGQF6 60-69 years, male 71.5
GTEX-1HCU8-1126-SM-CM2SA 60-69 years, female 71.4
GTEX-WY7C-0926-SM-3NB34 50-59 years, male 71.0
GTEX-ZGAY-1326-SM-5S2NS 40-49 years, female 70.9
GTEX-1AX9I-1726-SM-731BX 60-69 years, male 70.0
GTEX-1H4P4-0326-SM-9WYTD 50-59 years, male 67.7
GTEX-15CHQ-1126-SM-686YY 60-69 years, male 66.5
GTEX-14BIM-1626-SM-7EWD2 60-69 years, female 64.2
GTEX-1C475-0326-SM-7SB8O 40-49 years, female 63.7
GTEX-11P82-0326-SM-5HL51 20-29 years, male 63.6
GTEX-X3Y1-0926-SM-3P5YT 40-49 years, male 63.4
GTEX-1IE54-1426-SM-CL53C 40-49 years, female 63.4
GTEX-1N2DW-0726-SM-DTX97 50-59 years, male 62.9
GTEX-11PRG-1526-SM-5HL6Z 50-59 years, male 62.1
GTEX-14JIY-1426-SM-6EU29 60-69 years, male 62.0
GTEX-WEY5-1326-SM-3GILS 40-49 years, female 60.3
GTEX-1LVAN-0926-SM-CNNQ2 50-59 years, female 59.5
GTEX-1S831-1926-SM-EV79P 20-29 years, male 59.3
GTEX-13RTK-0726-SM-5Q5EN 20-29 years, male 59.1
GTEX-1IDJF-1726-SM-A9SLL 20-29 years, male 59.0
GTEX-1HSGN-1926-SM-CMKGS 40-49 years, female 58.4
GTEX-1H1CY-0826-SM-9WYTU 60-69 years, female 57.9
GTEX-12WSI-1526-SM-5GCNM 50-59 years, male 57.7
GTEX-1R9K4-1426-SM-DPRY4 60-69 years, male 56.3
GTEX-1QP67-1126-SM-EAZ4C 40-49 years, female 55.8
GTEX-VJYA-1626-SM-EXOHL 60-69 years, male 55.2
GTEX-14C39-0826-SM-5TDDU 40-49 years, male 54.4
GTEX-1H1E6-1126-SM-9JGGV 30-39 years, male 54.3
GTEX-1399U-2026-SM-9WPNN 50-59 years, female 54.2
GTEX-13D11-0526-SM-5LZYM 50-59 years, female 53.5
GTEX-1F75I-1026-SM-7SB8B 40-49 years, male 53.3
GTEX-1S82P-0926-SM-EWRNP 60-69 years, female 52.7
GTEX-139YR-0326-SM-5J1MC 50-59 years, male 52.4
GTEX-1IKK5-0826-SM-ACKWN 60-69 years, male 52.2
GTEX-13OVJ-0926-SM-5K7U1 50-59 years, female 51.0
GTEX-1LSNL-1426-SM-E6CJ9 50-59 years, male 50.9
GTEX-1AYCT-1126-SM-79OO8 50-59 years, male 50.6
GTEX-13FTW-0426-SM-5K7X2 40-49 years, male 49.8
GTEX-1F6I4-2126-SM-7PC2J 60-69 years, male 49.3
GTEX-1AMFI-1026-SM-73KYM 50-59 years, female 49.2
GTEX-14PJ5-0426-SM-5ZZW2 60-69 years, female 48.9
GTEX-1IDJU-0926-SM-ARL88 60-69 years, female 48.8
GTEX-14PN3-0326-SM-6EU1X 60-69 years, female 47.7
GTEX-ZE9C-1326-SM-5S2OW 60-69 years, male 47.4
GTEX-ZG7Y-1626-SM-5S2NO 50-59 years, male 47.0
GTEX-ZQG8-1026-SM-51MR9 60-69 years, female 46.6
GTEX-1CAMS-0926-SM-7SB7F 40-49 years, female 46.3
GTEX-1H3VE-1926-SM-9YFL4 40-49 years, male 45.7
GTEX-WFON-1226-SM-3TW8F 40-49 years, male 45.5
GTEX-1128S-0926-SM-5GZZU 60-69 years, female 45.3
GTEX-11DYG-2026-SM-5EGGX 60-69 years, male 45.0
GTEX-XQ8I-1426-SM-4BOPW 50-59 years, male 44.8
GTEX-14E6D-1326-SM-62LES 50-59 years, male 44.7
GTEX-146FR-0226-SM-5Q5F6 60-69 years, female 44.6
GTEX-YEC3-0926-SM-5Q5AC 50-59 years, male 44.5
GTEX-ZF29-0826-SM-5S2O2 60-69 years, female 44.1
GTEX-YECK-1426-SM-5IFHE 60-69 years, male 44.0
GTEX-183FY-1226-SM-7DHLK 20-29 years, male 43.6
GTEX-Y5V5-0226-SM-5S2N8 60-69 years, female 43.6
GTEX-ZC5H-1626-SM-5HL7L 40-49 years, female 43.6
GTEX-ZXG5-1626-SM-59HJK 60-69 years, male 43.6
GTEX-WVLH-1626-SM-EXURN 50-59 years, male 43.2
GTEX-15EOM-2326-SM-7KUMV 20-29 years, female 43.0
GTEX-1JMQI-1026-SM-COH2U 50-59 years, male 42.8
GTEX-1HSEH-1326-SM-ADEI1 60-69 years, male 42.2
GTEX-13OVK-0326-SM-7KUEJ 40-49 years, male 41.6
GTEX-1QCLY-1226-SM-EVYC3 30-39 years, male 41.0
GTEX-X585-2526-SM-4QAS1 50-59 years, male 40.7
GTEX-17F98-0326-SM-7DHLH 40-49 years, female 40.3
GTEX-1KAFJ-0826-SM-CYPTF 50-59 years, male 40.3
GTEX-1QMI2-1626-SM-EYYXK 60-69 years, male 39.8
GTEX-16NPV-0626-SM-7IGOR 50-59 years, female 39.7
GTEX-1AYD5-0126-SM-7DUG5 50-59 years, male 39.7
GTEX-ZVZP-1126-SM-5GICU 50-59 years, male 39.1
GTEX-1CB4E-0826-SM-793CS 60-69 years, male 39.0
GTEX-11GSO-0226-SM-5A5LV 60-69 years, male 38.8
GTEX-131XG-0126-SM-5K7UJ 50-59 years, female 38.5
GTEX-1H1DF-1426-SM-9YFMC 40-49 years, female 38.5
GTEX-WYBS-1026-SM-4ONCY 60-69 years, female 38.2
GTEX-ZAJG-1626-SM-5HL7I 50-59 years, female 37.2
GTEX-1EU9M-1126-SM-793DE 60-69 years, male 36.9
GTEX-16NGA-0526-SM-731AJ 40-49 years, female 36.8
GTEX-17EVQ-0626-SM-7KFTB 70-79 years, male 36.3
GTEX-ZF3C-1026-SM-5S2OC 50-59 years, female 36.3
GTEX-18465-1826-SM-731BB 50-59 years, male 36.2
GTEX-13PVQ-2226-SM-5L3G9 50-59 years, male 36.0
GTEX-14E6C-1226-SM-5ZZUN 40-49 years, male 35.4
GTEX-11TT1-1926-SM-5PNYN 20-29 years, male 35.3
GTEX-1MJK3-0626-SM-E6CJB 20-29 years, male 35.0
GTEX-13OW8-0326-SM-5L3FB 60-69 years, male 34.9
GTEX-1I6K7-1826-SM-CGQFO 40-49 years, male 34.7
GTEX-1QP29-1626-SM-EXUSZ 50-59 years, male 34.7
GTEX-ZAB4-1426-SM-5CVN6 40-49 years, male 33.8
GTEX-1KANC-0526-SM-D4P3T 50-59 years, female 33.3
GTEX-13YAN-1126-SM-5TDC7 60-69 years, male 32.8
GTEX-1MCC2-0626-SM-DKPQI 30-39 years, female 32.8
GTEX-1EWIQ-2526-SM-7EPIJ 70-79 years, female 32.7
GTEX-1HSKV-1926-SM-CNPPN 60-69 years, male 32.5
GTEX-139D8-1626-SM-5IJFZ 30-39 years, female 32.3
GTEX-1IDJI-0926-SM-ACKWZ 50-59 years, female 32.0
GTEX-17JCI-1626-SM-7EPGZ 60-69 years, female 31.6
GTEX-1F6IF-2026-SM-7P8SE 60-69 years, male 31.3
GTEX-Y3I4-0726-SM-E9J3Y 50-59 years, male 31.1
GTEX-1EKGG-1426-SM-7PBY2 60-69 years, male 30.8
GTEX-178AV-0626-SM-6PAM1 40-49 years, male 30.7
GTEX-ZV7C-0826-SM-59HK8 50-59 years, male 30.6
GTEX-1IDJC-0226-SM-CMKG2 50-59 years, male 30.5
GTEX-12696-1826-SM-5EGJS 60-69 years, male 29.9
GTEX-14PN4-1426-SM-6LLJ4 50-59 years, male 29.8
GTEX-1LBAC-1026-SM-CXKYA 20-29 years, male 29.8
GTEX-1CB4G-2126-SM-7IGQ8 60-69 years, male 29.7
GTEX-11I78-0226-SM-5HL6R 50-59 years, female 29.5
GTEX-16MTA-1326-SM-6PALX 50-59 years, male 29.5
GTEX-1C6VR-1126-SM-7EPHD 60-69 years, male 29.5
GTEX-WYVS-0626-SM-4SOJY 40-49 years, female 28.2
GTEX-U8XE-1926-SM-3DB98 30-39 years, male 27.9
GTEX-1KXAM-0526-SM-DKPQN 60-69 years, male 27.8
GTEX-ZLWG-0726-SM-5S2N4 50-59 years, female 27.4
GTEX-1F52S-1326-SM-7SB6Q 60-69 years, female 27.0
GTEX-ZYFG-1426-SM-5GICS 60-69 years, female 26.5
GTEX-ZT9W-1026-SM-57WG5 50-59 years, male 25.9
GTEX-14PJ2-1426-SM-62LFF 50-59 years, male 25.7
GTEX-XQ3S-2426-SM-4WAYB 20-29 years, male 25.6
GTEX-1MA7X-1026-SM-DKPQ8 60-69 years, male 25.4
GTEX-1JMQK-1326-SM-CNPOR 60-69 years, male 25.2
GTEX-1A8G6-2026-SM-73KYC 60-69 years, male 24.8
GTEX-133LE-0926-SM-5P9J1 20-29 years, female 24.1
GTEX-131XH-0826-SM-5GCN8 50-59 years, male 24.0
GTEX-11DXZ-1426-SM-5H12A 50-59 years, male 23.8
GTEX-WH7G-1126-SM-3NMBK 40-49 years, male 23.8
GTEX-ZLV1-0926-SM-5S2MR 60-69 years, female 23.8
GTEX-14PJ4-0126-SM-62LEZ 60-69 years, male 23.2
GTEX-Y8LW-0926-SM-4VBQ8 50-59 years, female 23.1
GTEX-145LT-1526-SM-5O98P 40-49 years, male 23.0
GTEX-XGQ4-1026-SM-4AT4L 50-59 years, male 22.7
GTEX-XYKS-1826-SM-4E3JV 60-69 years, female 22.4
GTEX-1HCU9-0626-SM-ACKW6 20-29 years, male 22.2
GTEX-13X6J-1926-SM-5TDCU 50-59 years, male 22.0
GTEX-11EM3-1126-SM-5A5KM 20-29 years, female 21.9
GTEX-14DAQ-2526-SM-5RQIO 60-69 years, female 21.2
GTEX-1HCU6-1626-SM-CMKGW 60-69 years, female 21.1
GTEX-XUZC-1126-SM-4BOPZ 30-39 years, female 21.0
GTEX-13PL7-1226-SM-5SIAR 60-69 years, female 20.8
GTEX-11DXY-0326-SM-5H12F 60-69 years, male 20.7
GTEX-XMK1-0926-SM-4B66X 40-49 years, male 20.6
GTEX-13NYS-0726-SM-5J1OR 60-69 years, male 20.1
GTEX-16GPK-1326-SM-7KUE4 60-69 years, male 20.0
GTEX-1N2EE-1526-SM-DTXE9 60-69 years, male 19.9
GTEX-1GF9V-1126-SM-9MQM7 60-69 years, male 19.5
GTEX-1GN1W-1226-SM-9MQLW 50-59 years, female 19.5
GTEX-131XE-2026-SM-5LZW1 50-59 years, male 19.4
GTEX-XXEK-1426-SM-4BRW1 50-59 years, male 19.3
GTEX-1HBPN-1526-SM-9WYSB 50-59 years, male 19.2
GTEX-13W46-1226-SM-5SIAS 50-59 years, male 18.7
GTEX-1POEN-1626-SM-EVYC2 30-39 years, female 18.5
GTEX-WWTW-1326-SM-4MVNT 50-59 years, male 18.3
GTEX-11GSP-1026-SM-9WYSH 60-69 years, female 18.2
GTEX-1GL5R-0726-SM-9MQL5 50-59 years, male 18.1
GTEX-13X6K-0726-SM-5LU2Z 60-69 years, female 17.9
GTEX-1HFI6-1726-SM-CGQFH 40-49 years, male 17.9
GTEX-1RLM8-1026-SM-EWROE 50-59 years, male 17.8
GTEX-1RNTQ-0826-SM-E9TK8 20-29 years, female 17.7
GTEX-WOFM-0726-SM-3MJF8 20-29 years, male 17.6
GTEX-139T6-0526-SM-5IJC9 50-59 years, male 17.4
GTEX-13NZB-0826-SM-5K7X5 30-39 years, male 17.3
GTEX-113JC-0726-SM-5GZZR 50-59 years, female 17.1
GTEX-1IDJD-0926-SM-ACKWW 30-39 years, male 16.8
GTEX-1AX8Z-1626-SM-73KWD 60-69 years, male 16.7
GTEX-1RAZA-0926-SM-E6CQ8 20-29 years, male 16.7
GTEX-1I1CD-1026-SM-COH3G 60-69 years, female 16.4
GTEX-1211K-1226-SM-5EQ4N 60-69 years, female 16.1
GTEX-17HHE-1526-SM-793AS 50-59 years, male 16.1
GTEX-1212Z-0526-SM-5FQSQ 60-69 years, male 15.9
GTEX-1QEPI-2226-SM-E8VN6 60-69 years, female 15.5
GTEX-1445S-2426-SM-79ON2 60-69 years, male 15.2
GTEX-ZA64-0926-SM-5HL7H 20-29 years, male 15.2
GTEX-1QP28-0926-SM-EVR4D 50-59 years, female 15.1
GTEX-1H1ZS-1326-SM-9WG74 70-79 years, male 15.0
GTEX-12WSA-1626-SM-5EGJV 60-69 years, male 14.9
GTEX-11LCK-0326-SM-5A5M7 30-39 years, male 14.4
GTEX-139TU-1426-SM-5LZY9 60-69 years, male 14.3
GTEX-1K9T9-1626-SM-DIPFS 50-59 years, female 14.3
GTEX-1KANB-2426-SM-EV7BE 50-59 years, male 14.3
GTEX-1HFI7-0726-SM-ACKVN 50-59 years, female 14.2
GTEX-1JMLX-1026-SM-D3L8U 50-59 years, male 14.2
GTEX-14BIN-1226-SM-5S2OM 50-59 years, female 14.1
GTEX-1CAV2-0226-SM-7IGPQ 40-49 years, female 14.1
GTEX-13N11-1826-SM-5IJDS 50-59 years, female 14.0
GTEX-1LGOU-0826-SM-DHXKL 20-29 years, female 14.0
GTEX-11NV4-1426-SM-5BC4W 60-69 years, male 13.9
GTEX-17EVP-1426-SM-79OMN 40-49 years, male 13.9
GTEX-1AX9K-0926-SM-7939G 50-59 years, male 13.9
GTEX-1N2DV-0626-SM-E9U5H 40-49 years, male 13.9
GTEX-YJ89-1926-SM-5IFJ6 60-69 years, male 13.8
GTEX-1J8EW-1526-SM-CMKFZ 60-69 years, female 13.8
GTEX-12584-2126-SM-5FQUM 40-49 years, male 13.7
GTEX-1HBPI-1826-SM-ADEHE 50-59 years, male 13.7
GTEX-1HC8U-0926-SM-A9G3L 40-49 years, female 13.6
GTEX-WK11-2426-SM-3NMAA 50-59 years, male 13.5
GTEX-XBED-1326-SM-4AT4F 60-69 years, male 13.5
GTEX-1HR9M-1426-SM-A9SMB 60-69 years, male 13.3
GTEX-13FTX-0626-SM-5J2NS 20-29 years, female 13.1
GTEX-146FH-2026-SM-5SI9I 50-59 years, female 13.0
GTEX-1A8FM-2126-SM-7PC27 50-59 years, female 12.9
GTEX-1J8Q2-2226-SM-CM2TZ 60-69 years, male 12.9
GTEX-Z9EW-0826-SM-5HL9T 40-49 years, male 12.7
GTEX-ZVE2-1826-SM-51MRZ 50-59 years, male 12.6
GTEX-1GMR2-0226-SM-9JGHO 50-59 years, male 12.6
GTEX-15DYW-1526-SM-7KUEP 60-69 years, female 12.3
GTEX-1GMR3-0826-SM-9WYT4 40-49 years, male 12.1
GTEX-1H2FU-1426-SM-9WPO6 60-69 years, female 12.1
GTEX-1C6VS-1826-SM-73KXN 60-69 years, male 11.9
GTEX-1I1GP-1426-SM-ACKVZ 50-59 years, male 11.8
GTEX-15SHU-2326-SM-7KUMC 40-49 years, female 11.6
GTEX-1I1GR-1726-SM-COH39 60-69 years, male 11.4
GTEX-11NUK-2026-SM-5PNVZ 50-59 years, male 11.3
GTEX-1B996-1226-SM-73KWZ 60-69 years, male 11.2
GTEX-1NV5F-2526-SM-EXUSK 60-69 years, female 11.1
GTEX-1RQEC-2526-SM-EVYD2 60-69 years, male 11.0
GTEX-1EN7A-1626-SM-79OLV 40-49 years, male 10.9
GTEX-1GTWX-1526-SM-9MQLF 60-69 years, male 10.7
GTEX-1LSNM-0626-SM-DIPG7 50-59 years, male 10.7
GTEX-WXYG-0926-SM-3NB2O 50-59 years, female 10.5
GTEX-12ZZW-2326-SM-5DUW2 50-59 years, male 10.4
GTEX-1313W-1626-SM-5J1OE 50-59 years, female 10.4
GTEX-UTHO-1826-SM-3GAFE 60-69 years, male 10.2
GTEX-1OFPY-0826-SM-DTX8P 60-69 years, male 10.1
GTEX-1CAMR-0326-SM-793AH 20-29 years, male 10.0
GTEX-Y8E4-1226-SM-5IFIM 40-49 years, male 10.0
GTEX-1JJ6O-2826-SM-CNNP7 60-69 years, male 10.0
GTEX-14PJN-0626-SM-6EU13 30-39 years, male 9.9
GTEX-1HBPH-2226-SM-9WYSO 40-49 years, female 9.9
GTEX-1HGF4-0226-SM-CNNQL 60-69 years, male 9.9
GTEX-1LVAM-1026-SM-DIPFK 50-59 years, female 9.9
GTEX-1QP6S-1626-SM-EVYC5 40-49 years, male 9.9
GTEX-145LV-1026-SM-5O9AE 50-59 years, male 9.7
GTEX-1GMRU-0726-SM-7PBZH 50-59 years, male 9.7
GTEX-1I4MK-0726-SM-ACKWC 50-59 years, female 9.7
GTEX-1RMOY-0826-SM-E9TIF 50-59 years, male 9.7
GTEX-111CU-1026-SM-5EGIL 50-59 years, male 9.6
GTEX-1LKK1-1526-SM-EVYCO 50-59 years, female 9.6
GTEX-1MCQQ-1426-SM-E6CJA 60-69 years, male 9.6
GTEX-18A6Q-1026-SM-7LT9S 60-69 years, male 9.5
GTEX-145ME-0726-SM-5O9A3 40-49 years, female 9.4
GTEX-1EH9U-1326-SM-79OM3 60-69 years, male 9.2
GTEX-W5X1-1426-SM-3GIKH 40-49 years, female 9.1
GTEX-1C2JI-0826-SM-7EPHB 50-59 years, male 9.0
GTEX-1F5PL-1326-SM-7SB83 40-49 years, female 9.0
GTEX-1QW4Y-0826-SM-DTXE1 30-39 years, male 9.0
GTEX-WRHK-0826-SM-3MJFG 20-29 years, female 8.9
GTEX-1K2DU-0726-SM-DIPF7 20-29 years, male 8.9
GTEX-1PBJI-1326-SM-E9J2V 20-29 years, female 8.9
GTEX-14JG6-0526-SM-6LLIH 30-39 years, female 8.8
GTEX-12WSF-1526-SM-6PAN6 70-79 years, male 8.7
GTEX-VJWN-2326-SM-EVYAP 50-59 years, female 8.7
GTEX-13NZ9-2026-SM-5KM1U 50-59 years, male 8.6
GTEX-14C38-1026-SM-73KY7 50-59 years, male 8.6
GTEX-15SKB-1626-SM-6PAL6 60-69 years, male 8.6
GTEX-16BQI-1126-SM-7KULF 30-39 years, female 8.6
GTEX-1H1DE-0826-SM-ARU8V 20-29 years, male 8.6
GTEX-1GN73-0626-SM-7PC3I 60-69 years, male 8.5
GTEX-13O61-1926-SM-5KM1R 60-69 years, male 8.4
GTEX-13OW7-1126-SM-5K7V6 50-59 years, male 8.4
GTEX-14BMU-0626-SM-73KZ6 20-29 years, female 8.3
GTEX-11GS4-1026-SM-5N9DE 60-69 years, male 8.1
GTEX-13X6I-1526-SM-5SIAC 60-69 years, male 8.0
GTEX-13N1W-1226-SM-5K7UM 70-79 years, male 7.9
GTEX-ZE7O-1526-SM-5J1NH 50-59 years, female 7.9
GTEX-17F97-1226-SM-79OJT 50-59 years, male 7.7
GTEX-ZTSS-1026-SM-5985N 40-49 years, male 7.7
GTEX-1HB9E-0526-SM-ARZNM 50-59 years, male 7.7
GTEX-14PHX-1626-SM-69LQB 50-59 years, male 7.6
GTEX-15G19-1126-SM-7KUEL 60-69 years, male 7.6
GTEX-16NPX-1026-SM-6PAM7 50-59 years, male 7.6
GTEX-1JMQJ-1926-SM-D4P3A 50-59 years, male 7.5
GTEX-131XF-0726-SM-5GIE5 60-69 years, male 7.4
GTEX-1AX9J-2226-SM-731CW 60-69 years, male 7.4
GTEX-1B97I-0526-SM-73KXE 40-49 years, male 7.4
GTEX-XBEC-1826-SM-4QASN 50-59 years, male 7.4
GTEX-1I1GT-1326-SM-ACKWB 60-69 years, female 7.2
GTEX-1IY9M-1226-SM-ACKX1 60-69 years, male 7.2
GTEX-12WSK-1026-SM-5CVNR 40-49 years, female 7.1
GTEX-1CAMQ-1226-SM-7SB7E 40-49 years, male 7.1
GTEX-11ZTS-1326-SM-5EQMA 60-69 years, female 6.9
GTEX-11DXX-2026-SM-5EGJL 60-69 years, female 6.7
GTEX-WYJK-1426-SM-3NM8V 50-59 years, male 6.7
GTEX-X8HC-2326-SM-4QAS4 50-59 years, female 6.7
GTEX-1JJE9-1526-SM-CM2RR 70-79 years, male 6.7
GTEX-1JKYR-1226-SM-CM2S7 20-29 years, male 6.7
GTEX-1CB4F-1126-SM-79OLG 60-69 years, male 6.6
GTEX-18A7B-1226-SM-718AU 70-79 years, male 6.5
GTEX-1399T-1326-SM-5PNVH 60-69 years, male 6.3
GTEX-18D9A-0726-SM-7LTA7 30-39 years, female 6.3
GTEX-1C6VQ-1526-SM-73KU9 50-59 years, male 6.3
GTEX-13111-0626-SM-5LZVR 50-59 years, male 6.2
GTEX-YFCO-1126-SM-5S2N9 40-49 years, male 6.2
GTEX-15EU6-1726-SM-6M48H 50-59 years, male 6.0
GTEX-Y9LG-1226-SM-4VBQA 30-39 years, male 6.0
GTEX-ZZPU-0326-SM-5N9BJ 50-59 years, female 6.0
GTEX-1KANA-1426-SM-CY8IF 20-29 years, male 5.9
GTEX-11OF3-0826-SM-5BC51 60-69 years, male 5.8
GTEX-13W3W-1126-SM-5L3DO 60-69 years, female 5.8
GTEX-14DAR-0426-SM-664MW 50-59 years, male 5.8
GTEX-1A8G7-1226-SM-73KYP 60-69 years, male 5.8
GTEX-13OVH-1126-SM-5K7YP 70-79 years, male 5.6
GTEX-145MI-0826-SM-5SI95 60-69 years, female 5.6
GTEX-1A3MV-0626-SM-731CH 30-39 years, male 5.6
GTEX-14BMV-1626-SM-73KVQ 50-59 years, male 5.5
GTEX-ZQUD-0526-SM-57WG4 30-39 years, male 5.5
GTEX-1IDJH-1626-SM-A9SLP 70-79 years, male 5.5
GTEX-ZPCL-1026-SM-5GCOX 60-69 years, female 5.4
GTEX-ZYFC-1826-SM-5GZZA 50-59 years, male 5.4
GTEX-13JUV-0626-SM-5J1MQ 40-49 years, female 5.3
GTEX-ZF28-1426-SM-5S2OG 60-69 years, male 5.3
GTEX-144GN-0726-SM-5O98O 50-59 years, male 5.2
GTEX-1339X-0726-SM-5L3FF 40-49 years, male 5.1
GTEX-13CF3-1126-SM-5LZXB 60-69 years, female 5.1
GTEX-17F9E-1326-SM-7DHL4 50-59 years, male 5.1
GTEX-1O9I2-1326-SM-E6CQD 50-59 years, male 5.1
GTEX-12C56-0826-SM-5EGJ5 20-29 years, male 5.0
GTEX-169BO-0426-SM-7EPI1 50-59 years, male 5.0
GTEX-Y114-1326-SM-4TT9A 50-59 years, female 5.0
GTEX-11P7K-0826-SM-5BC5F 30-39 years, male 4.9
GTEX-14ICL-0926-SM-5S2TU 30-39 years, male 4.8
GTEX-15DZA-0626-SM-6PANC 30-39 years, female 4.8
GTEX-14PK6-0926-SM-62LF4 70-79 years, female 4.7
GTEX-1EMGI-0726-SM-7PBZ4 60-69 years, male 4.7
GTEX-ZPIC-0726-SM-57WFM 40-49 years, female 4.5
GTEX-1H11D-1126-SM-9YFM5 40-49 years, male 4.5
GTEX-117YX-0726-SM-5GIET 50-59 years, male 4.4
GTEX-1AMEY-0526-SM-72D62 30-39 years, female 4.4
GTEX-1S5ZA-1026-SM-EWRO2 20-29 years, male 4.3
GTEX-1QPFJ-2126-SM-EXOJV 30-39 years, female 4.2
GTEX-WI4N-1526-SM-EZ6LG 40-49 years, female 4.2
GTEX-132QS-0826-SM-5K7WV 60-69 years, male 4.1
GTEX-1LG7Y-1126-SM-CYPTE 50-59 years, male 4.1
GTEX-1RB15-1126-SM-E8VMX 60-69 years, male 4.1
GTEX-1C64N-1326-SM-7SB7D 50-59 years, male 4.0
GTEX-1I1GS-0926-SM-A9SL5 60-69 years, male 4.0
GTEX-12ZZX-1726-SM-5BC63 40-49 years, female 3.9
GTEX-13OVL-0826-SM-5L3GV 50-59 years, male 3.9
GTEX-11XUK-1726-SM-5GU61 40-49 years, female 3.8
GTEX-1B8L1-0126-SM-9KNVS 60-69 years, male 3.8
GTEX-1HSMQ-1026-SM-ADEHU 50-59 years, male 3.8
GTEX-1MUQO-0826-SM-EVYCZ 60-69 years, male 3.8
GTEX-13112-1126-SM-5GCMY 50-59 years, male 3.7
GTEX-14C5O-0926-SM-793DM 60-69 years, male 3.7
GTEX-111YS-1326-SM-5EGGK 60-69 years, male 3.6
GTEX-13IVO-2426-SM-5K7V9 70-79 years, male 3.6
GTEX-1GF9U-1226-SM-ARL9I 40-49 years, female 3.6
GTEX-1J1R8-0526-SM-ACKWO 40-49 years, male 3.6
GTEX-1B8SF-1726-SM-73KZ5 60-69 years, male 3.5
GTEX-XOT4-0826-SM-4B66Y 60-69 years, female 3.5
GTEX-1HCU7-2026-SM-A9G2B 50-59 years, male 3.5
GTEX-117YW-0826-SM-5H11O 50-59 years, male 3.3
GTEX-Y5V6-0626-SM-4WWFY 60-69 years, male 3.3
GTEX-ZDXO-2326-SM-5LU9W 60-69 years, male 3.3
GTEX-17F96-0726-SM-793CB 70-79 years, male 3.2
GTEX-17HGU-1726-SM-79OKM 50-59 years, male 3.2
GTEX-17HII-0826-SM-7DUFH 50-59 years, male 3.2
GTEX-1GPI7-0826-SM-9JGG7 20-29 years, male 3.2
GTEX-145LU-1226-SM-5LU9B 50-59 years, male 3.1
GTEX-1B8KZ-1026-SM-73KYN 50-59 years, male 3.1
GTEX-XAJ8-0226-SM-4GIB2 40-49 years, male 3.1
GTEX-YEC4-0926-SM-5PNXY 40-49 years, male 3.1
GTEX-1CB4I-0826-SM-7MGX1 50-59 years, male 3.1
GTEX-11VI4-1226-SM-5EQMP 40-49 years, female 3.0
GTEX-15D1Q-1326-SM-69LOA 40-49 years, male 3.0
GTEX-WFJO-1026-SM-3GIKL 30-39 years, male 3.0
GTEX-ZP4G-1326-SM-5EGIW 20-29 years, female 3.0
GTEX-13FXS-1326-SM-62LFR 50-59 years, male 2.9
GTEX-13PVR-0526-SM-5S2OB 60-69 years, female 2.9
GTEX-1A32A-0926-SM-718AB 50-59 years, female 2.9
GTEX-Y5LM-0826-SM-4VDSW 40-49 years, female 2.9
GTEX-ZDYS-2226-SM-5S2MI 50-59 years, male 2.9
GTEX-1ICLZ-1626-SM-CE6SS 60-69 years, male 2.9
GTEX-1P4AB-1226-SM-DTXET 50-59 years, male 2.9
GTEX-13QBU-1326-SM-5LU4K 40-49 years, female 2.8
GTEX-11ZUS-1826-SM-5FQTR 30-39 years, male 2.7
GTEX-13G51-0526-SM-5IJCQ 60-69 years, male 2.7
GTEX-14ABY-1926-SM-62LDJ 50-59 years, male 2.7
GTEX-ZDTT-0526-SM-5HL4M 60-69 years, male 2.7
GTEX-1I1GU-0626-SM-CMKHR 40-49 years, male 2.7
GTEX-1J1OQ-1526-SM-CJI4E 40-49 years, female 2.7
GTEX-1PFEY-0726-SM-E76PO 30-39 years, male 2.7
GTEX-1R9PO-0926-SM-E9U4Q 60-69 years, female 2.7
GTEX-XPVG-1626-SM-EYYVK 50-59 years, male 2.7
GTEX-11EQ9-1126-SM-5987I 30-39 years, male 2.6
GTEX-15RIE-0126-SM-7KUF8 60-69 years, male 2.5
GTEX-ZDTS-1826-SM-5S2N6 60-69 years, male 2.5
GTEX-1LSVX-1326-SM-DIPET 60-69 years, male 2.5
GTEX-12WSM-0626-SM-5GCOK 60-69 years, male 2.4
GTEX-147JS-1026-SM-5S2MP 60-69 years, male 2.4
GTEX-1B933-1326-SM-7939U 50-59 years, female 2.4
GTEX-1I6K6-1526-SM-CGQFC 30-39 years, male 2.4
GTEX-1KD5A-1326-SM-CYPTB 50-59 years, male 2.4
GTEX-1S3DN-1626-SM-EVYCC 50-59 years, male 2.4
GTEX-18A7A-0926-SM-7LT8H 50-59 years, female 2.3
GTEX-1B8KE-0826-SM-72D6S 50-59 years, male 2.3
GTEX-XLM4-1026-SM-4AT51 60-69 years, male 2.3
GTEX-1JN6P-1626-SM-CYPSV 60-69 years, male 2.3
GTEX-12WSG-0426-SM-5FQSE 50-59 years, female 2.2
GTEX-13OW6-2426-SM-5K7WO 50-59 years, male 2.2
GTEX-ZEX8-1226-SM-5S2OK 50-59 years, male 2.2
GTEX-1I1GQ-1026-SM-CNNQS 50-59 years, male 2.2
GTEX-1N2EF-0926-SM-E8VNW 60-69 years, male 2.2
GTEX-YJ8A-1926-SM-EZ6LQ 20-29 years, male 2.2
GTEX-18D9U-0426-SM-731AN 40-49 years, male 2.1
GTEX-1F75B-1226-SM-7MXTW 50-59 years, male 2.1
GTEX-1GF9X-0926-SM-7PC2X 40-49 years, female 2.1
GTEX-12WSC-1726-SM-5GCN3 50-59 years, male 2.0
GTEX-131YS-1726-SM-5HL7G 60-69 years, female 2.0
GTEX-13O21-3126-SM-5J1OI 50-59 years, male 2.0
GTEX-14E6E-0226-SM-7DUEF 30-39 years, male 2.0
GTEX-13U4I-1726-SM-5J1MF 40-49 years, female 1.9
GTEX-14PJ3-0726-SM-69LQE 50-59 years, male 1.9
GTEX-XBEW-1726-SM-4RGMA 40-49 years, male 1.9
GTEX-ZTPG-2326-SM-57WFL 20-29 years, female 1.9
GTEX-1122O-0926-SM-9YFLC 60-69 years, female 1.9
GTEX-1HT8W-0726-SM-A9SLB 30-39 years, male 1.9
GTEX-14753-2526-SM-5LU97 60-69 years, male 1.8
GTEX-14E1K-0426-SM-5S2PF 50-59 years, male 1.8
GTEX-ZYW4-2226-SM-5GZYG 60-69 years, male 1.8
GTEX-1GN1U-0726-SM-9MQKL 50-59 years, female 1.8
GTEX-1H23P-1726-SM-A9SMN 60-69 years, male 1.8
GTEX-1HSMO-1426-SM-CNNQN 60-69 years, male 1.8
GTEX-11WQK-1526-SM-5EGKN 50-59 years, male 1.7
GTEX-14PJM-1226-SM-686Z7 50-59 years, female 1.7
GTEX-ZT9X-0926-SM-5O9C4 40-49 years, male 1.7
GTEX-1GZ2Q-1226-SM-9MQM8 40-49 years, male 1.7
GTEX-1RAZQ-1526-SM-E6CJI 30-39 years, male 1.7
GTEX-18A67-1326-SM-7LT8V 50-59 years, male 1.6
GTEX-144GM-0626-SM-79OKY 20-29 years, male 1.5
GTEX-14ICK-1726-SM-6AJA5 40-49 years, male 1.5
GTEX-17HHY-1026-SM-7LG5E 50-59 years, male 1.5
GTEX-1A3MX-0826-SM-72D64 60-69 years, male 1.5
GTEX-ZVT2-0226-SM-5GIE3 50-59 years, female 1.5
GTEX-1GF9W-1026-SM-7SB8X 60-69 years, male 1.5
GTEX-1LGRB-0526-SM-COH3A 50-59 years, female 1.5
GTEX-1MA7W-0526-SM-E6CIN 20-29 years, female 1.5
GTEX-1R7EV-1026-SM-DTX81 40-49 years, male 1.5
GTEX-132NY-1126-SM-5PNVE 60-69 years, male 1.4
GTEX-132Q8-1726-SM-5EGK8 60-69 years, male 1.4
GTEX-13FH7-1926-SM-5J2OL 50-59 years, female 1.4
GTEX-13S7M-0826-SM-5QGQX 60-69 years, female 1.4
GTEX-16XZZ-1626-SM-7KUEC 60-69 years, male 1.4
GTEX-1L5NE-1726-SM-DHXKX 50-59 years, male 1.4
GTEX-1LVAO-2126-SM-DIPGA 60-69 years, male 1.4
GTEX-ZVP2-0226-SM-57WBD 50-59 years, male 1.3
GTEX-1PPH8-1026-SM-DPRXN 20-29 years, male 1.3
GTEX-13PL6-0926-SM-5KLYY 40-49 years, female 1.2
GTEX-14E7W-2326-SM-69LQC 70-79 years, male 1.2
GTEX-WL46-2026-SM-3LK7U 50-59 years, male 1.2
GTEX-ZXES-0926-SM-5E43O 30-39 years, female 1.2
GTEX-1K2DA-1126-SM-CGQGG 50-59 years, male 1.2
GTEX-1KWVE-0226-SM-E9TKK 30-39 years, male 1.2
GTEX-1RAZR-1026-SM-E8VOJ 40-49 years, male 1.2
GTEX-12BJ1-0826-SM-5EQ5P 60-69 years, male 1.1
GTEX-13FHO-2026-SM-5J1OA 60-69 years, male 1.1
GTEX-13O3P-0926-SM-5IFFI 50-59 years, male 1.1
GTEX-13PDP-1226-SM-5K7TW 60-69 years, male 1.1
GTEX-ZUA1-2126-SM-57YRB 40-49 years, male 1.1
GTEX-1S5VW-2426-SM-EAZ52 60-69 years, male 1.1
GTEX-11P81-0726-SM-5PNYH 30-39 years, female 1.0
GTEX-14PKU-0226-SM-6EU16 40-49 years, female 1.0
GTEX-18A66-1926-SM-7LTAG 60-69 years, male 1.0
GTEX-1B8SG-1426-SM-7EWEM 50-59 years, male 1.0
GTEX-UPK5-1826-SM-3GAEB 40-49 years, male 1.0
GTEX-ZPU1-1226-SM-5HL71 40-49 years, male 1.0
GTEX-1ICG6-1726-SM-ARU7K 70-79 years, female 1.0
GTEX-1JKYN-0526-SM-CGQG3 30-39 years, male 1.0
GTEX-1BAJH-2126-SM-7EWFB 70-79 years, male 0.9
GTEX-13X6H-1726-SM-5Q5EH 50-59 years, female 0.8
GTEX-145MF-1026-SM-5Q5EQ 50-59 years, male 0.8
GTEX-ZAB5-1126-SM-5Q5AD 50-59 years, male 0.8
GTEX-1QAET-1226-SM-DTX9I 50-59 years, male 0.8
GTEX-14AS3-0426-SM-5QGQK 40-49 years, female 0.7
GTEX-15ER7-1026-SM-7KUMD 20-29 years, female 0.7
GTEX-Y111-0926-SM-4SOIU 50-59 years, male 0.7
GTEX-ZYT6-2126-SM-5GZZ4 30-39 years, male 0.7
GTEX-1IL2U-2726-SM-C1YSG 60-69 years, male 0.7
GTEX-132AR-0526-SM-5J2MJ 50-59 years, female 0.6
GTEX-1399S-1426-SM-5PNYQ 30-39 years, female 0.6
GTEX-14PJO-1626-SM-69LPQ 60-69 years, male 0.6
GTEX-13S86-0926-SM-5SI6I 40-49 years, male 0.5
GTEX-17KNJ-0426-SM-718AK 50-59 years, male 0.5
GTEX-WHWD-0826-SM-3LK6R 50-59 years, male 0.5
GTEX-XV7Q-1726-SM-4BRUU 40-49 years, female 0.5
GTEX-ZF2S-1526-SM-5S2OO 50-59 years, female 0.5
GTEX-1I19N-1026-SM-A96TT 70-79 years, male 0.5
GTEX-1OKEX-0926-SM-E8VNJ 60-69 years, male 0.5
GTEX-1B932-1726-SM-793A5 40-49 years, female 0.4
GTEX-1H1DG-2026-SM-9QEIV 70-79 years, male 0.4
GTEX-1JN76-1026-SM-ARZNI 20-29 years, female 0.4
GTEX-1QP66-0626-SM-E76PD 50-59 years, male 0.4
GTEX-VUSG-1426-SM-3GIJN 50-59 years, male 0.3
Show allShow less

ADIPOSE TISSUE - FANTOM5 CAGEi

RNA expression in human tissues obtained through Cap Analysis of Gene Expression (CAGE) generated by the FANTOM5 project are reported as Scaled Tags Per Million.

Max subtype Scaled Tags Per Millioni

Max subtype Scaled Tags Per Million is the value for the subtype with the largest average Scaled Tags Per Million across the subtype samples.

0
FANTOM5 sample id Sample description Scaled Tags Per Million
Adipose tissue
Scaled Tags Per Million: 0.0
FF:10010-101C1 65,65,76 years, mixed 0.0

Contact

  • NEWS ARTICLES
  • PRESS ROOM

The Project

  • INTRODUCTION
  • ORGANIZATION
  • PUBLICATIONS

The Human Protein Atlas

  • DOWNLOADABLE DATA
  • LICENCE & CITATION
  • HELP & FAQ
The Human Protein Atlas project is funded
by the Knut & Alice Wallenberg Foundation.


contact@proteinatlas.org