We use cookies to enhance the usability of our website. If you continue, we'll assume that you are happy to receive all cookies. More information. Don't show this again.
IGLON5
HPA
RESOURCES
  • TISSUE
  • BRAIN
  • SINGLE CELL
  • SUBCELLULAR
  • CANCER
  • BLOOD
  • CELL LINE
  • STRUCTURE & INTERACTION
ABOUT
  • INTRODUCTION
  • HISTORY
  • ORGANIZATION
  • PUBLICATIONS
  • ANTIBODY SUBMISSION
  • ANTIBODY AVAILABILITY
  • ACKNOWLEDGMENTS
  • CONTACT
NEWS
  • NEWS ARTICLES
  • PRESS ROOM
LEARN
  • DICTIONARY
  • PROTEIN CLASSES
  • PROTEIN EVIDENCE
  • METHODS
  • EDUCATIONAL VIDEOS
DATA
  • DOWNLOADABLE DATA
  • PUBLICATION DATA
  • RELEASE HISTORY
HELP
  • ANTIBODY VALIDATION
  • ASSAYS & ANNOTATION
  • DISCLAIMER
  • HELP & FAQ
  • PRIVACY STATEMENT
  • LICENCE & CITATION
Fields »
Search result

Field
Term
Gene name
Class
Subclass
Class
Keyword
Chromosome
External id
Tissue
Cell type
Expression
Antibody panel
Tissue
Main location
Patient ID
Annotation
Tissue
Category
Tau score
Cluster
Reliability
Brain region
Category
Tau score
Brain region
Category
Tau score
Brain region
Category
Tau score
Cluster
Reliability
Tissue
Cell type
Enrichment
Cell type
Category
Tau score
Cell type
Category
Tau score
Cell type
Category
Tau score
Cell lineage
Category
Tau score
Cluster
Cluster
Location
Searches
Location
Cell line
Class
Type
Phase
Reliability
Cancer
Prognosis
Cancer
Category
Cancer
Category
Tau score
Cluster
Variants
Interacting gene (ensg_id)
Type
Number of interactions
Pathway
Category
Score
Score
Score
Validation
Validation
Validation
Validation
Antibodies
Data type
Column


  • SUMMARY

  • TISSUE

  • BRAIN

  • SINGLE CELL

  • SUBCELL

  • CANCER

  • BLOOD

  • CELL LINE

  • STRUCT & INT

  • IGLON5
TISSUE PRIMARY DATA COLON Show tissue menu
ADIPOSE TISSUE ADRENAL GLAND AMYGDALA APPENDIX BASAL GANGLIA BONE MARROW BREAST BRONCHUS CEREBELLUM CEREBRAL CORTEX CERVIX CHOROID PLEXUS COLON DUODENUM
ENDOMETRIUM EPIDIDYMIS ESOPHAGUS FALLOPIAN TUBE GALLBLADDER HEART MUSCLE HIPPOCAMPAL FORMATION HYPOTHALAMUS KIDNEY LIVER LUNG LYMPH NODE MIDBRAIN NASOPHARYNX
ORAL MUCOSA OVARY PANCREAS PARATHYROID GLAND PITUITARY GLAND PLACENTA PROSTATE RECTUM RETINA SALIVARY GLAND SEMINAL VESICLE SKELETAL MUSCLE SKIN SMALL INTESTINE
SMOOTH MUSCLE SOFT TISSUE SPINAL CORD SPLEEN STOMACH TESTIS THYMUS THYROID GLAND TONGUE TONSIL URINARY BLADDER VAGINA
ANTIBODIES
AND
VALIDATION
Dictionary
Colon
Tissue proteome
Intestine
COLON - Expression summary
Protein expression
Coloni

On the top, protein expression in current human tissue, based on all annotated cell types, is reported with the units not detected (n), low (l), medium (m) and high (h). Underneath, protein expression in each annotated cell type are reported using the same units.

Protein expression data is based on knowledge-based annotation. For genes where more than one antibody has been used, a collective score is set.

If knowledge-based annotation could not be performed for a gene, no data is displayed here. View antibody staining data further down this page.

h
m
l
n
Endothelial cells: Not detected
Glandular cells: Not detected
Peripheral nerve/ganglion: Not detected
RNA expressioni

A summary of mRNA expression data available for current tissue based on several datasets. The mRNA expression levels in human tissues are based on RNA-seq data generated by the Human Protein Atlas (HPA), Genotype-Tissue Expression (GTEx) portal and CAGE data generated by the FANTOM5 consortium. Consensus normalized expression levels for human tissues was created by combining the data from HPA and GTEx datasets.

The mRNA expression levels in pig are based on RNA-seq data generated by the Human Protein Atlas (HPA), and for mouse, HPA data and in situ hybridization generated by the Allen brain atlas are reported.

Scroll down to view mRNA expression data in more detail.
Consensus:0.5 nTPM
HPA:0.1 nTPM
GTEx:0.5 nTPM
FANTOM5:0.0 Scaled Tags Per Million

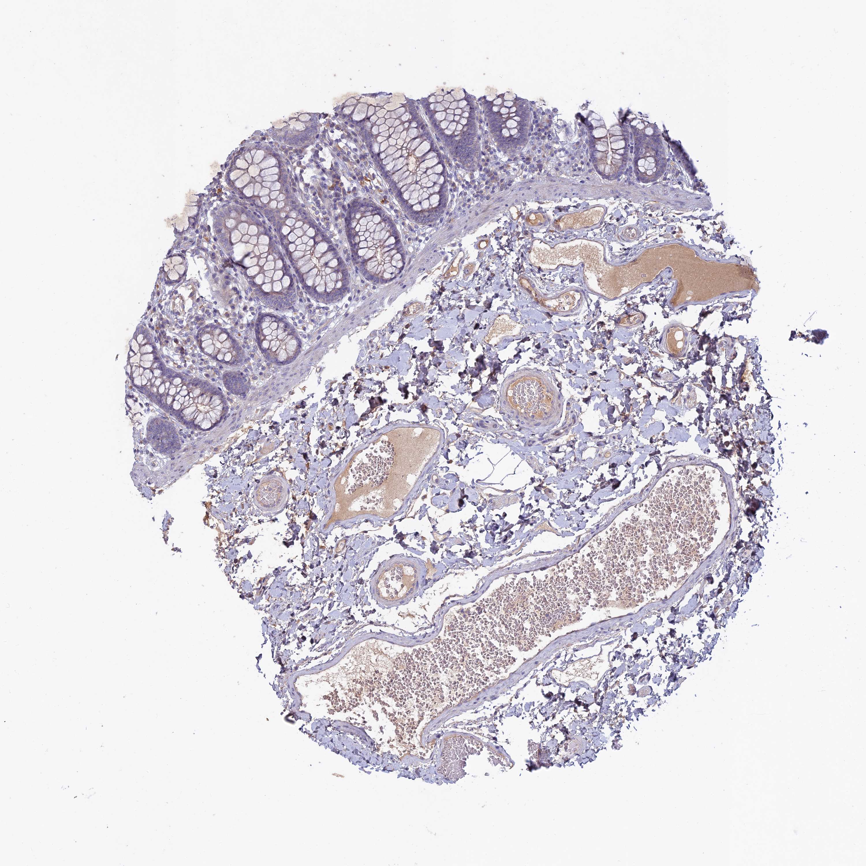
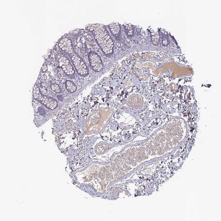
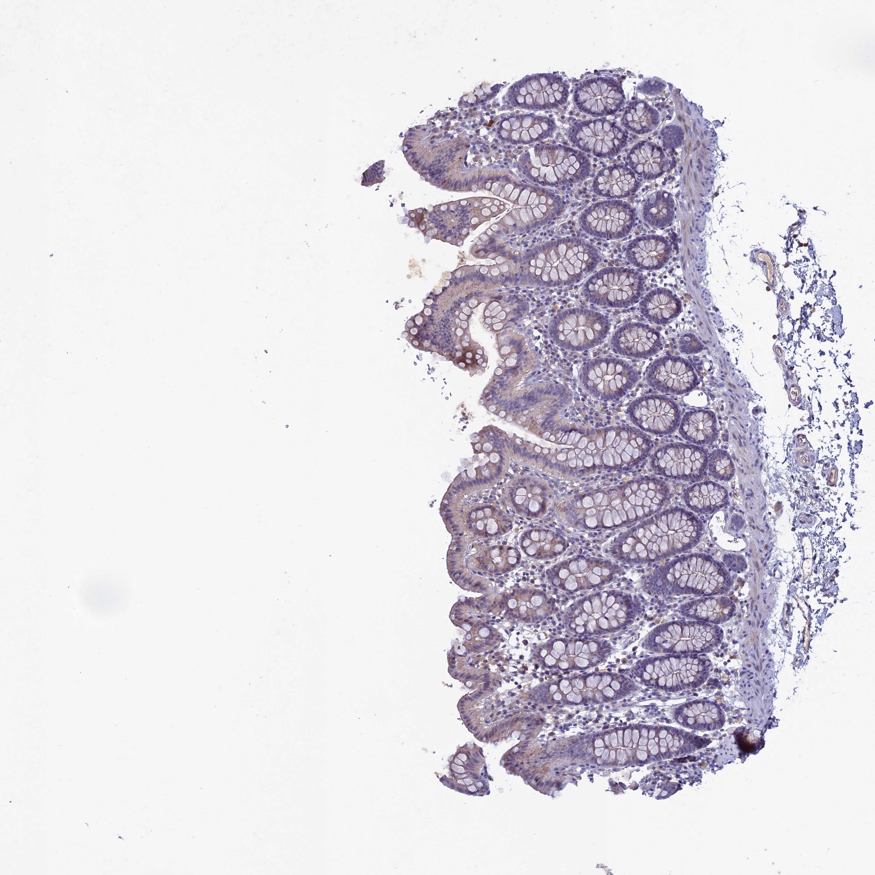
COLON - Antibody stainingi

Antibody staining in the annotated cell types in the current human tissue is reported as not detected, low, medium, or high, based on conventional immunohistochemistry profiling in selected tissues. This score is based on the combination of the staining intensity and fraction of stained cells.

Each image is clickable and will lead to virtual microscopy that enables deeper exploration of all samples and also displays staining intensity scores, fraction scores and subcellular localization as well as patient and tissue information for each sample.

Antibody HPA041994
Endothelial cells Not detected
Glandular cells Not detected
Peripheral nerve/ganglion Low


COLON - HPA RNA-seqi

The RNA-seq details section shows detailed information about the individual samples used for the transcript profiling and results of the RNA-seq analysis.

Information about each individual sample is listed below, including gender, age, a tissue section image and estimated fractions of cell types. nTPM (normalized transcripts per million) values give a quantification of the gene abundance which is comparable between different genes and samples.
Average nTPMi

Max subtype nTPM is the value for the subtype with the largest average nTPM across the subtype samples.

0.1
overview
Male, age 54
Colon sample 67
nTPM: 0
Cell types%
Glandular cells:
65

Smooth muscle cells:
10

Other cell types:
25

overview
Female, age 57
Colon sample 68
nTPM: 0
Cell types%
Glandular cells:
40

Smooth muscle cells:
5

Other cell types:
55

overview
Male, age 80
Colon sample 69
nTPM: 0
Cell types%
Glandular cells:
55

Smooth muscle cells:
5

Other cell types:
40

overview
Male, age 68
Colon sample 70
nTPM: 0.2
Cell types%
Glandular cells:
35

Smooth muscle cells:
10

Other cell types:
55

overview
Female, age 68
Colon sample 76
nTPM: 0
Cell types%
Glandular cells:
25

Smooth muscle cells:
5

Other cell types:
70

overview
Female, age 61
Colon sample 299
nTPM: 0.1
Cell types%
Glandular cells:
5

Smooth muscle cells:
65

Other cell types:
30

overview
Male, age 80
Colon sample 300
nTPM: 0
Cell types%
Glandular cells:
15

Smooth muscle cells:
20

Other cell types:
65

overview
Female, age 78
Colon sample 368
nTPM: 0
Cell types%
Glandular cells:
45

Smooth muscle cells:
5

Other cell types:
50

overview
Male, age 84
Colon sample 381
nTPM: 0.1
Cell types%
Glandular cells:
50

Smooth muscle cells:
15

Other cell types:
35

overview
Male, age 80
Colon sample 384
nTPM: 0.1
Cell types%
Glandular cells:
20

Smooth muscle cells:
35

Other cell types:
45

overview
Female, age 78
Colon sample 389
nTPM: 0.1
Cell types%
Glandular cells:
35

Smooth muscle cells:
10

Other cell types:
55

overview
Female, age 69
Colon sample 391
nTPM: 0.1
Cell types%
Glandular cells:
10

Smooth muscle cells:
45

Other cell types:
45

overview
Female, age 72
Colon sample 403
nTPM: 0
Cell types%
Glandular cells:
20

Smooth muscle cells:
15

Other cell types:
65


COLON - GTEx RNA-seqi

RNA-Seq data generated by the Genotype-Tissue Expression (GTEx) project from human tissues is reported as mean nTPM. More information can be found on the GTEx portal.

Distribution across the dataset is visualized with box plots, shown as median and 25th and 75th percentiles. Points are displayed as outliers if they are above or below 1.5 times the interquartile range. nTPM values of the individual samples are presented next to the box plot.
Max subtype nTPMi

Max subtype nTPM is the value for the subtype with the largest average nTPM across the subtype samples.

0.5
GTEx sample id Sample description nTPM
Colon - Sigmoid
Average nTPM: 0.5
Samples: 373

Max nTPM: 2.1
Min nTPM: 0.0
Std nTPM: 0.3
Median nTPM: 0.5
GTEX-1JMQJ-2626-SM-CY8HQ 50-59 years, male 2.1
GTEX-12ZZW-2426-SM-5DUWE 50-59 years, male 1.8
GTEX-1HBPH-2526-SM-ACKXK 40-49 years, female 1.8
GTEX-WHSE-2726-SM-EZ6ML 20-29 years, male 1.8
GTEX-1LG7Y-2226-SM-E9U5K 50-59 years, male 1.7
GTEX-Y8LW-1126-SM-4VDS4 50-59 years, female 1.6
GTEX-1LVAM-1726-SM-DHXKQ 50-59 years, female 1.6
GTEX-12KS4-2326-SM-5EGJB 30-39 years, male 1.5
GTEX-1RQEC-2626-SM-EVR3Z 60-69 years, male 1.5
GTEX-12696-1926-SM-5EGJT 60-69 years, male 1.4
GTEX-13OW6-2226-SM-5N9FL 50-59 years, male 1.4
GTEX-1PIIG-2126-SM-EXUSD 30-39 years, male 1.4
GTEX-148VJ-2426-SM-5NQ9Y 70-79 years, male 1.3
GTEX-15UF6-2726-SM-7KULY 70-79 years, female 1.3
GTEX-14C39-1626-SM-5S2P4 40-49 years, male 1.2
GTEX-1A32A-2626-SM-73KX9 50-59 years, female 1.2
GTEX-1C6VQ-2626-SM-7IGMQ 50-59 years, male 1.2
GTEX-WXYG-1726-SM-4ONCU 50-59 years, female 1.2
GTEX-ZYFD-2226-SM-5E43P 50-59 years, male 1.2
GTEX-ZZ64-0826-SM-5E449 20-29 years, male 1.2
GTEX-1GMR8-2926-SM-9KNW5 50-59 years, female 1.2
GTEX-1JMPY-1026-SM-ARZN1 30-39 years, male 1.2
GTEX-1PBJI-2526-SM-E6CP4 20-29 years, female 1.2
GTEX-12ZZY-2726-SM-5EQ45 60-69 years, male 1.1
GTEX-WI4N-2226-SM-4OOS9 40-49 years, female 1.1
GTEX-X4EO-2726-SM-4E3HS 60-69 years, female 1.1
GTEX-ZAB4-2426-SM-5HL8A 40-49 years, male 1.1
GTEX-ZT9W-1726-SM-51MS3 50-59 years, male 1.1
GTEX-1HCU6-2926-SM-B2LWV 60-69 years, female 1.1
GTEX-1JN6P-2126-SM-ARL98 60-69 years, male 1.1
GTEX-1PIGE-1526-SM-DTXFC 20-29 years, male 1.1
GTEX-1211K-1826-SM-5EGJ2 60-69 years, female 1.0
GTEX-12WSD-2626-SM-5EGJE 60-69 years, female 1.0
GTEX-12WSG-2426-SM-5EQLZ 50-59 years, female 1.0
GTEX-12WSL-1826-SM-5LZW9 50-59 years, male 1.0
GTEX-13111-1926-SM-5GCOL 50-59 years, male 1.0
GTEX-145MH-2726-SM-5QGQ6 50-59 years, male 1.0
GTEX-14PHX-1126-SM-5YYA5 50-59 years, male 1.0
GTEX-18A67-2226-SM-7LT9Z 50-59 years, male 1.0
GTEX-1B996-2726-SM-7DUGG 60-69 years, male 1.0
GTEX-YECK-2826-SM-5IFHF 60-69 years, male 1.0
GTEX-YJ8A-1726-SM-5P9IQ 20-29 years, male 1.0
GTEX-ZAB5-1426-SM-5HL9D 50-59 years, male 1.0
GTEX-1C64N-2226-SM-7SB7C 50-59 years, male 1.0
GTEX-1I1GP-2826-SM-A9SKZ 50-59 years, male 1.0
GTEX-1IDJH-2826-SM-CJI49 70-79 years, male 1.0
GTEX-11GS4-1826-SM-5HL4T 60-69 years, male 0.9
GTEX-11PRG-2026-SM-5GU5F 50-59 years, male 0.9
GTEX-11TT1-0926-SM-5GU5M 20-29 years, male 0.9
GTEX-13FHO-2726-SM-5K7VG 60-69 years, male 0.9
GTEX-13RTJ-1926-SM-5YYA2 60-69 years, male 0.9
GTEX-147JS-2626-SM-5S2UX 60-69 years, male 0.9
GTEX-15CHQ-2626-SM-686YZ 60-69 years, male 0.9
GTEX-17MFQ-1226-SM-7KFSA 20-29 years, male 0.9
GTEX-1AX9K-1626-SM-73KUS 50-59 years, male 0.9
GTEX-1BAJH-2726-SM-7IGNJ 70-79 years, male 0.9
GTEX-XXEK-1826-SM-4BRVC 50-59 years, male 0.9
GTEX-ZF2S-1826-SM-4WKFF 50-59 years, female 0.9
GTEX-ZVT3-2826-SM-5GU6A 60-69 years, female 0.9
GTEX-1F75W-2126-SM-7RHIA 60-69 years, male 0.9
GTEX-1H1DE-1626-SM-9KNU5 20-29 years, male 0.9
GTEX-1HCUA-1926-SM-B2LWE 50-59 years, female 0.9
GTEX-1HSKV-2326-SM-A9SL9 60-69 years, male 0.9
GTEX-1HSMQ-2526-SM-A9SMK 50-59 years, male 0.9
GTEX-1LSVX-2026-SM-E9TJD 60-69 years, male 0.9
GTEX-1QP9N-0826-SM-DTX9O 30-39 years, male 0.9
GTEX-1RDX4-1926-SM-E6CJJ 50-59 years, female 0.9
GTEX-117XS-2226-SM-5GIE1 60-69 years, male 0.8
GTEX-11EM3-1626-SM-5N9CO 20-29 years, female 0.8
GTEX-11P7K-1826-SM-5HL5A 30-39 years, male 0.8
GTEX-1212Z-1826-SM-5FQSH 60-69 years, male 0.8
GTEX-12WSJ-1426-SM-5GCON 40-49 years, female 0.8
GTEX-1399U-2226-SM-5KLZI 50-59 years, female 0.8
GTEX-13D11-0626-SM-5LZYY 50-59 years, female 0.8
GTEX-13X6J-2826-SM-7EPGA 50-59 years, male 0.8
GTEX-145MO-2626-SM-5QGPD 60-69 years, male 0.8
GTEX-14A5I-2426-SM-5Q5CP 50-59 years, female 0.8
GTEX-14BIN-2426-SM-5TDCF 50-59 years, female 0.8
GTEX-14E6C-2226-SM-5QGQG 40-49 years, male 0.8
GTEX-15DZA-1026-SM-6PAND 30-39 years, female 0.8
GTEX-16XZZ-2726-SM-7EWDO 60-69 years, male 0.8
GTEX-18465-2726-SM-7LT9I 50-59 years, male 0.8
GTEX-1AX9J-2526-SM-73KUY 60-69 years, male 0.8
GTEX-XQ8I-2326-SM-4BOQC 50-59 years, male 0.8
GTEX-YFCO-1526-SM-5YYB8 40-49 years, male 0.8
GTEX-YJ8O-1426-SM-5PNV9 40-49 years, female 0.8
GTEX-ZTTD-2626-SM-57WEX 50-59 years, male 0.8
GTEX-ZY6K-1326-SM-5GZWP 50-59 years, male 0.8
GTEX-1HCVE-2326-SM-9WYUD 50-59 years, male 0.8
GTEX-1K2DA-1626-SM-CGQGB 50-59 years, male 0.8
GTEX-1LKK1-2426-SM-DIPES 50-59 years, female 0.8
GTEX-1PDJ9-2026-SM-E76PT 20-29 years, male 0.8
GTEX-1PPH8-2226-SM-EWRN7 20-29 years, male 0.8
GTEX-1122O-1426-SM-5H11R 60-69 years, female 0.7
GTEX-131XG-1526-SM-5GCNQ 50-59 years, female 0.7
GTEX-13CF3-1326-SM-5LZXZ 60-69 years, female 0.7
GTEX-13OVJ-1826-SM-5KM2D 50-59 years, female 0.7
GTEX-13PVQ-2726-SM-5L3H7 50-59 years, male 0.7
GTEX-144GM-1126-SM-79OJK 20-29 years, male 0.7
GTEX-15F5U-1426-SM-7KUN2 40-49 years, male 0.7
GTEX-1C2JI-1726-SM-73KUW 50-59 years, male 0.7
GTEX-1C475-1526-SM-7DHM3 40-49 years, female 0.7
GTEX-WFG8-1726-SM-4LVM6 20-29 years, male 0.7
GTEX-WFON-1326-SM-4LVMN 40-49 years, male 0.7
GTEX-WHPG-1626-SM-4M1ZL 50-59 years, male 0.7
GTEX-XUZC-1526-SM-4BRV4 30-39 years, female 0.7
GTEX-ZAJG-2626-SM-5S2NU 50-59 years, female 0.7
GTEX-ZLFU-1426-SM-4WWEU 40-49 years, male 0.7
GTEX-ZTSS-1226-SM-51MSZ 40-49 years, male 0.7
GTEX-1CAMS-2626-SM-7PBY3 40-49 years, female 0.7
GTEX-1GL5R-1726-SM-9KNUX 50-59 years, male 0.7
GTEX-1GMR3-2526-SM-7P8QS 40-49 years, male 0.7
GTEX-1GTWX-2626-SM-9WPOT 60-69 years, male 0.7
GTEX-1I6K6-1926-SM-A96SN 30-39 years, male 0.7
GTEX-1J1R8-1426-SM-CL55O 40-49 years, male 0.7
GTEX-1JK1U-1426-SM-CNPOW 60-69 years, male 0.7
GTEX-1JMPZ-2626-SM-ARU8Z 30-39 years, male 0.7
GTEX-1JN76-1326-SM-ARU94 20-29 years, female 0.7
GTEX-1LGOU-1726-SM-D3L8P 20-29 years, female 0.7
GTEX-1PIEJ-1826-SM-EWRMN 20-29 years, female 0.7
GTEX-1QW4Y-1426-SM-E76P3 30-39 years, male 0.7
GTEX-1S5ZA-1426-SM-E6CJQ 20-29 years, male 0.7
GTEX-111YS-1826-SM-5GIEP 60-69 years, male 0.6
GTEX-11DXY-2026-SM-5N9CZ 60-69 years, male 0.6
GTEX-11EI6-2626-SM-5PNVT 60-69 years, male 0.6
GTEX-11EQ9-1526-SM-5PNY7 30-39 years, male 0.6
GTEX-11ZTT-1626-SM-5EQKR 60-69 years, female 0.6
GTEX-12BJ1-2026-SM-5FQUH 60-69 years, male 0.6
GTEX-132AR-2826-SM-5IJFV 50-59 years, female 0.6
GTEX-139D8-2926-SM-5IJBM 30-39 years, female 0.6
GTEX-139T6-1426-SM-5P9J7 50-59 years, male 0.6
GTEX-13G51-2126-SM-5IJD9 60-69 years, male 0.6
GTEX-13OVK-1026-SM-7KFTC 40-49 years, male 0.6
GTEX-13QBU-2026-SM-5KLZB 40-49 years, female 0.6
GTEX-147GR-2826-SM-5RQK8 60-69 years, male 0.6
GTEX-14A5H-1626-SM-5SIAN 60-69 years, male 0.6
GTEX-14C5O-2626-SM-5RQI5 60-69 years, male 0.6
GTEX-14DAQ-2926-SM-664MV 60-69 years, female 0.6
GTEX-14E6E-1726-SM-5S2R6 30-39 years, male 0.6
GTEX-14PK6-1826-SM-69LOM 70-79 years, female 0.6
GTEX-14PKV-1926-SM-686YU 20-29 years, female 0.6
GTEX-15G19-2726-SM-6LPKG 60-69 years, male 0.6
GTEX-17EUY-1726-SM-79OK4 20-29 years, male 0.6
GTEX-17JCI-2826-SM-7IGNA 60-69 years, female 0.6
GTEX-18A66-2626-SM-72D67 60-69 years, male 0.6
GTEX-1B8L1-1926-SM-7IGND 60-69 years, male 0.6
GTEX-WYVS-1126-SM-4SOJX 40-49 years, female 0.6
GTEX-XBED-1726-SM-47JYO 60-69 years, male 0.6
GTEX-Y114-1626-SM-4TT7I 50-59 years, female 0.6
GTEX-Y3I4-1126-SM-4TT7Y 50-59 years, male 0.6
GTEX-ZG7Y-1826-SM-4WWD3 50-59 years, male 0.6
GTEX-ZP4G-1526-SM-57WE5 20-29 years, female 0.6
GTEX-1F5PL-1926-SM-7MXTP 40-49 years, female 0.6
GTEX-1HSGN-2226-SM-A9SL6 40-49 years, female 0.6
GTEX-1IKOE-2126-SM-A96T5 30-39 years, female 0.6
GTEX-1J8EW-2426-SM-CE6T5 60-69 years, female 0.6
GTEX-1JJEA-2526-SM-CY8HJ 60-69 years, male 0.6
GTEX-1K9T9-2926-SM-E9TKD 50-59 years, female 0.6
GTEX-1KANA-1726-SM-CY8IG 20-29 years, male 0.6
GTEX-1P4AB-2626-SM-DTXEU 50-59 years, male 0.6
GTEX-1QP29-2526-SM-E6CQ3 50-59 years, male 0.6
GTEX-1QPFJ-2426-SM-EVR3L 30-39 years, female 0.6
GTEX-1RAZR-2026-SM-E9TKE 40-49 years, male 0.6
GTEX-1RLM8-1726-SM-E9TKF 50-59 years, male 0.6
GTEX-YEC3-2026-SM-DKPOL 50-59 years, male 0.6
GTEX-ZLWG-1826-SM-DO11I 50-59 years, female 0.6
GTEX-117YX-0526-SM-5EGJH 50-59 years, male 0.5
GTEX-11P81-1426-SM-5P9JN 30-39 years, female 0.5
GTEX-1399R-2126-SM-5K7WZ 30-39 years, male 0.5
GTEX-139UW-2326-SM-5KM1Y 60-69 years, male 0.5
GTEX-13FH7-1626-SM-5J2O9 50-59 years, female 0.5
GTEX-13O1R-2426-SM-5KLZZ 60-69 years, male 0.5
GTEX-13O61-1526-SM-5KM3P 60-69 years, male 0.5
GTEX-13U4I-2626-SM-5SI9C 40-49 years, female 0.5
GTEX-1477Z-2126-SM-5Q5CM 60-69 years, male 0.5
GTEX-15DYW-2426-SM-7KUG8 60-69 years, female 0.5
GTEX-15RIF-1426-SM-7KUKQ 20-29 years, male 0.5
GTEX-15UF7-1326-SM-7KUKV 40-49 years, male 0.5
GTEX-16Z82-2426-SM-7KUMS 60-69 years, male 0.5
GTEX-17F96-2126-SM-7KFSM 70-79 years, male 0.5
GTEX-17F9Y-2626-SM-7IGN9 70-79 years, female 0.5
GTEX-17GQL-1626-SM-7LG69 60-69 years, male 0.5
GTEX-17HG3-1126-SM-7DUFC 30-39 years, female 0.5
GTEX-17KNJ-1826-SM-7LT9N 50-59 years, male 0.5
GTEX-XV7Q-2226-SM-4BRVY 40-49 years, female 0.5
GTEX-ZE7O-2626-SM-51MSS 50-59 years, female 0.5
GTEX-ZVT2-1726-SM-51MRO 50-59 years, female 0.5
GTEX-ZVT4-2626-SM-5N9GJ 50-59 years, female 0.5
GTEX-ZYFG-1826-SM-5GZWX 60-69 years, female 0.5
GTEX-ZYT6-2826-SM-5GICX 30-39 years, male 0.5
GTEX-ZYY3-2226-SM-5E45A 60-69 years, female 0.5
GTEX-1H3NZ-2526-SM-9KNVO 60-69 years, male 0.5
GTEX-1ICG6-2226-SM-B2LY7 70-79 years, female 0.5
GTEX-1IDJI-2226-SM-CKZPM 50-59 years, female 0.5
GTEX-1IDJU-1926-SM-CL53W 60-69 years, female 0.5
GTEX-1JKYN-2226-SM-ARZNE 30-39 years, male 0.5
GTEX-1JMLX-2526-SM-CY8HX 50-59 years, male 0.5
GTEX-1N2DV-1826-SM-E6CJ5 40-49 years, male 0.5
GTEX-1OFPY-1226-SM-E76OM 60-69 years, male 0.5
GTEX-1QCLY-2026-SM-EVR4C 30-39 years, male 0.5
GTEX-1R7EU-1826-SM-DTX9L 60-69 years, male 0.5
GTEX-1R9K5-2226-SM-DTX9G 50-59 years, male 0.5
GTEX-1R9PO-2026-SM-E9J4N 60-69 years, female 0.5
GTEX-111CU-1226-SM-5EGIN 50-59 years, male 0.4
GTEX-11ZU8-1126-SM-5EQ5K 60-69 years, male 0.4
GTEX-13FTW-2126-SM-5K7YG 40-49 years, male 0.4
GTEX-13OW5-2826-SM-5KM1G 60-69 years, male 0.4
GTEX-13SLW-2826-SM-5Q5ES 70-79 years, male 0.4
GTEX-13X6I-2726-SM-5Q5ET 60-69 years, male 0.4
GTEX-13X6K-2726-SM-5O9DG 60-69 years, female 0.4
GTEX-146FH-2426-SM-5Q5EW 50-59 years, female 0.4
GTEX-14BMU-1326-SM-5RQIH 20-29 years, female 0.4
GTEX-14PJ4-1826-SM-5YY97 60-69 years, male 0.4
GTEX-1A3MV-1026-SM-72D5U 30-39 years, male 0.4
GTEX-1AYCT-1926-SM-793AE 50-59 years, male 0.4
GTEX-1B932-2126-SM-7IGMU 40-49 years, female 0.4
GTEX-1C4CL-1626-SM-7DUF3 30-39 years, male 0.4
GTEX-1CB4F-1926-SM-7MKFN 60-69 years, male 0.4
GTEX-1CB4G-2726-SM-79OO4 60-69 years, male 0.4
GTEX-WQUQ-2626-SM-4MVNP 60-69 years, male 0.4
GTEX-XUW1-1826-SM-4BOQD 50-59 years, female 0.4
GTEX-Y5LM-1426-SM-5RQJL 40-49 years, female 0.4
GTEX-YF7O-1626-SM-5IFII 50-59 years, male 0.4
GTEX-ZXES-1726-SM-5E43G 30-39 years, female 0.4
GTEX-1CAMR-1026-SM-7P8QI 20-29 years, male 0.4
GTEX-1EU9M-2726-SM-7P8QD 60-69 years, male 0.4
GTEX-1F5PK-1726-SM-7RHHW 50-59 years, male 0.4
GTEX-1GF9X-1426-SM-7RHGX 40-49 years, female 0.4
GTEX-1GN73-2726-SM-9WYUB 60-69 years, male 0.4
GTEX-1HKZK-2026-SM-9WYUF 40-49 years, male 0.4
GTEX-1HSMO-2526-SM-A9SKP 60-69 years, male 0.4
GTEX-1I1GR-2226-SM-ARL7F 60-69 years, male 0.4
GTEX-1IL2U-2526-SM-C1YQV 60-69 years, male 0.4
GTEX-1J1OQ-2826-SM-D3L88 40-49 years, female 0.4
GTEX-1J8JJ-2426-SM-D4P4A 60-69 years, female 0.4
GTEX-1J8Q3-2426-SM-CL53S 60-69 years, male 0.4
GTEX-1J8QM-1226-SM-CY8HI 60-69 years, female 0.4
GTEX-1JKYR-2026-SM-CNPON 20-29 years, male 0.4
GTEX-1LGRB-2026-SM-COH47 50-59 years, female 0.4
GTEX-1LSNM-1426-SM-E6CIH 50-59 years, male 0.4
GTEX-1PBJJ-2026-SM-DTX8U 30-39 years, male 0.4
GTEX-1QCLZ-2026-SM-EAZ4A 60-69 years, female 0.4
GTEX-1QP2A-2226-SM-DTXF6 50-59 years, male 0.4
GTEX-1S82P-2026-SM-E9TIQ 60-69 years, female 0.4
GTEX-11ZTS-1526-SM-5N9G7 60-69 years, female 0.3
GTEX-12ZZX-2726-SM-5N9FT 40-49 years, female 0.3
GTEX-131XE-1026-SM-5EGKE 50-59 years, male 0.3
GTEX-13PVR-1726-SM-5Q5EC 60-69 years, female 0.3
GTEX-13VXT-2026-SM-5L3EW 20-29 years, female 0.3
GTEX-145LT-0826-SM-5S2QL 40-49 years, male 0.3
GTEX-14JG6-1626-SM-5YYBC 30-39 years, female 0.3
GTEX-15EO6-2326-SM-6LPKK 50-59 years, male 0.3
GTEX-15ETS-2326-SM-7KUGC 40-49 years, female 0.3
GTEX-15RIE-2026-SM-7KFRW 60-69 years, male 0.3
GTEX-16MTA-1626-SM-6M47N 50-59 years, male 0.3
GTEX-16NGA-0926-SM-718AG 40-49 years, female 0.3
GTEX-17HGU-2626-SM-79OKN 50-59 years, male 0.3
GTEX-17HHE-1626-SM-7DHLN 50-59 years, male 0.3
GTEX-18A6Q-2226-SM-7LG61 60-69 years, male 0.3
GTEX-18D9A-1326-SM-7LT8P 30-39 years, female 0.3
GTEX-18QFQ-1726-SM-731C9 30-39 years, male 0.3
GTEX-1B8KE-1526-SM-7DUG2 50-59 years, male 0.3
GTEX-1EMGI-2626-SM-7IGNR 60-69 years, male 0.3
GTEX-WHWD-1526-SM-4OORV 50-59 years, male 0.3
GTEX-WRHK-1126-SM-4MVOJ 20-29 years, female 0.3
GTEX-Y9LG-1326-SM-4VBQB 30-39 years, male 0.3
GTEX-ZA64-1426-SM-5CVMC 20-29 years, male 0.3
GTEX-ZC5H-2426-SM-4WAZ6 40-49 years, female 0.3
GTEX-ZF29-1826-SM-4WKG8 60-69 years, female 0.3
GTEX-ZPCL-1626-SM-57WGC 60-69 years, female 0.3
GTEX-ZPU1-1726-SM-4WWFV 40-49 years, male 0.3
GTEX-ZV6S-1126-SM-57WE9 40-49 years, female 0.3
GTEX-1EH9U-1926-SM-7P8QM 60-69 years, male 0.3
GTEX-1GMR2-1826-SM-9KNUP 50-59 years, male 0.3
GTEX-1GPI7-1926-SM-9KNUH 20-29 years, male 0.3
GTEX-1GZ4H-1326-SM-7P8TE 50-59 years, female 0.3
GTEX-1H3VE-2326-SM-9KNVU 40-49 years, male 0.3
GTEX-1H3VY-2526-SM-9KNW1 50-59 years, male 0.3
GTEX-1HBPI-2226-SM-9WYTY 50-59 years, male 0.3
GTEX-1HBPM-2626-SM-9WYU5 60-69 years, female 0.3
GTEX-1HCU7-2726-SM-A9G3D 50-59 years, male 0.3
GTEX-1HSEH-1926-SM-A96SB 60-69 years, male 0.3
GTEX-1JMQK-2326-SM-ARZN4 60-69 years, male 0.3
GTEX-1LBAC-1726-SM-D3L9W 20-29 years, male 0.3
GTEX-1LG7Z-1326-SM-DIPF3 30-39 years, male 0.3
GTEX-1LVAN-2626-SM-CNPQF 50-59 years, female 0.3
GTEX-1N2EF-1726-SM-EXUSI 60-69 years, male 0.3
GTEX-1PFEY-1726-SM-DPRZ4 30-39 years, male 0.3
GTEX-11DXX-1926-SM-5EGJK 60-69 years, female 0.2
GTEX-11EMC-1426-SM-5N9E4 60-69 years, female 0.2
GTEX-11I78-1326-SM-5PNY9 50-59 years, female 0.2
GTEX-11ONC-1926-SM-5GU75 60-69 years, male 0.2
GTEX-11TUW-2326-SM-5EQMO 60-69 years, male 0.2
GTEX-11VI4-1426-SM-5GU6O 40-49 years, female 0.2
GTEX-13113-1426-SM-5EGHU 60-69 years, female 0.2
GTEX-131YS-2926-SM-5EGKI 60-69 years, female 0.2
GTEX-132NY-2726-SM-5PNY2 60-69 years, male 0.2
GTEX-1339X-1726-SM-5P9J9 40-49 years, male 0.2
GTEX-13OW8-2726-SM-5L3FZ 60-69 years, male 0.2
GTEX-13PL7-2426-SM-5J2N3 60-69 years, female 0.2
GTEX-145LS-2926-SM-5O99G 60-69 years, female 0.2
GTEX-145ME-1126-SM-5SIAT 40-49 years, female 0.2
GTEX-14E1K-1626-SM-664MO 50-59 years, male 0.2
GTEX-14PJ3-1226-SM-5ZZVY 50-59 years, male 0.2
GTEX-14PN3-1926-SM-6EU1Y 60-69 years, female 0.2
GTEX-15ER7-2826-SM-6PAN2 20-29 years, female 0.2
GTEX-15RJ7-1726-SM-6PAL3 40-49 years, male 0.2
GTEX-1AMFI-1826-SM-73KWB 50-59 years, female 0.2
GTEX-1B97I-1526-SM-73KUK 40-49 years, male 0.2
GTEX-V955-1726-SM-4JBHF 60-69 years, male 0.2
GTEX-X15G-1526-SM-4PQZM 50-59 years, female 0.2
GTEX-XAJ8-0726-SM-47JY5 40-49 years, male 0.2
GTEX-Z93S-2626-SM-57WBX 50-59 years, male 0.2
GTEX-ZE9C-2126-SM-4WKGY 60-69 years, male 0.2
GTEX-ZF28-2526-SM-57WFH 60-69 years, male 0.2
GTEX-ZPIC-2626-SM-57WE2 40-49 years, female 0.2
GTEX-ZQG8-2426-SM-57WEE 60-69 years, female 0.2
GTEX-ZVZQ-2626-SM-59HLB 60-69 years, female 0.2
GTEX-15G1A-1926-SM-7KUFF 30-39 years, male 0.2
GTEX-1C64O-2426-SM-7P8R3 60-69 years, male 0.2
GTEX-1GMRU-2626-SM-9WPPM 50-59 years, male 0.2
GTEX-1H23P-2626-SM-9KNVN 60-69 years, male 0.2
GTEX-1HBPN-2026-SM-B2LWA 50-59 years, male 0.2
GTEX-1LB8K-2526-SM-DIPEQ 50-59 years, male 0.2
GTEX-1LSNL-1626-SM-E9TJY 50-59 years, male 0.2
GTEX-1MGNQ-2126-SM-EV7AC 40-49 years, male 0.2
GTEX-1QP28-2226-SM-DTX8C 50-59 years, female 0.2
GTEX-1QP67-1426-SM-E8VOO 40-49 years, female 0.2
GTEX-1RMOY-1726-SM-EVYC9 50-59 years, male 0.2
GTEX-1S831-1726-SM-EWROJ 20-29 years, male 0.2
GTEX-ZLV1-1326-SM-DO11Q 60-69 years, female 0.2
GTEX-11DXZ-1626-SM-5GIDI 50-59 years, male 0.1
GTEX-11EQ8-2626-SM-5N9BO 60-69 years, male 0.1
GTEX-139TS-2226-SM-5J2N1 60-69 years, male 0.1
GTEX-13N2G-2226-SM-5IJCU 60-69 years, male 0.1
GTEX-13OVI-2126-SM-5KM3U 60-69 years, female 0.1
GTEX-14AS3-1026-SM-5TDD7 40-49 years, female 0.1
GTEX-15RJE-2226-SM-6M46A 40-49 years, male 0.1
GTEX-16BQI-2026-SM-7KULQ 30-39 years, female 0.1
GTEX-183FY-1426-SM-7DHLM 20-29 years, male 0.1
GTEX-1A3MX-2326-SM-718B4 60-69 years, male 0.1
GTEX-1AMEY-1826-SM-72D5L 30-39 years, female 0.1
GTEX-WY7C-1926-SM-4ONCI 50-59 years, male 0.1
GTEX-ZDTS-2726-SM-5L3E2 60-69 years, male 0.1
GTEX-1HB9E-2526-SM-D4P35 50-59 years, male 0.1
GTEX-1I1CD-2826-SM-A9SL4 60-69 years, female 0.1
GTEX-1I1GT-2026-SM-CKZPK 60-69 years, female 0.1
GTEX-1JJE9-2526-SM-ARU8K 70-79 years, male 0.1
GTEX-1L5NE-1926-SM-D3L9R 50-59 years, male 0.1
GTEX-1LVAO-2826-SM-E9TJH 60-69 years, male 0.1
GTEX-1OJC3-1826-SM-DTX93 20-29 years, male 0.1
GTEX-1RAZQ-2026-SM-E76P7 30-39 years, male 0.1
GTEX-12WSM-1426-SM-5GCPA 60-69 years, male 0.0
GTEX-13CF2-1826-SM-5N9GK 60-69 years, male 0.0
GTEX-13W3W-2226-SM-5LU4M 60-69 years, female 0.0
GTEX-15FZZ-1826-SM-6LLJP 30-39 years, female 0.0
GTEX-183WM-2526-SM-731BP 70-79 years, female 0.0
GTEX-1E2YA-2526-SM-7IGOU 50-59 years, male 0.0
GTEX-VJYA-2126-SM-4KL1O 60-69 years, male 0.0
GTEX-W5WG-2026-SM-4LMIB 50-59 years, female 0.0
GTEX-WFG7-1626-SM-4LVMF 20-29 years, male 0.0
GTEX-WH7G-1426-SM-4LVMU 40-49 years, male 0.0
GTEX-WOFM-1926-SM-4OOSP 20-29 years, male 0.0
GTEX-WYJK-2326-SM-4ONDN 50-59 years, male 0.0
GTEX-X5EB-1126-SM-46MVV 40-49 years, male 0.0
GTEX-Y5V6-1626-SM-4VDT2 60-69 years, male 0.0
GTEX-ZQUD-1026-SM-4YCEZ 30-39 years, male 0.0
GTEX-1H1E6-1826-SM-A9G21 30-39 years, male 0.0
GTEX-1H1ZS-2626-SM-9QEIX 70-79 years, male 0.0
GTEX-1HFI7-1626-SM-9WYTR 50-59 years, female 0.0
GTEX-1KXAM-1926-SM-D3LAG 60-69 years, male 0.0
GTEX-1R9JW-2126-SM-E76QT 30-39 years, female 0.0
GTEX-Y8E4-2326-SM-EAZAZ 40-49 years, male 0.0
Show allShow less
Colon - Transverse
Average nTPM: 0.3
Samples: 406

Max nTPM: 1.8
Min nTPM: 0.0
Std nTPM: 0.2
Median nTPM: 0.2
GTEX-1LG7Y-2126-SM-DIPER 50-59 years, male 1.8
GTEX-1POEN-2026-SM-E6CRL 30-39 years, female 1.6
GTEX-18A7B-2026-SM-72D71 70-79 years, male 1.5
GTEX-13OVJ-1726-SM-5IJDZ 50-59 years, female 1.4
GTEX-145LS-2726-SM-5Q5D8 60-69 years, female 1.3
GTEX-14BMV-2426-SM-5S2PP 50-59 years, male 1.3
GTEX-1JN1M-2626-SM-CY8I3 60-69 years, female 1.2
GTEX-1QMI2-2626-SM-E6CR4 60-69 years, male 1.2
GTEX-12ZZZ-2426-SM-5GCNN 60-69 years, male 1.1
GTEX-TKQ1-0626-SM-4DXTS 30-39 years, male 1.1
GTEX-Y114-1526-SM-4TT79 50-59 years, female 1.1
GTEX-1N2EF-1926-SM-DTX8M 60-69 years, male 1.1
GTEX-11GSP-1626-SM-5986N 60-69 years, female 1.0
GTEX-1EH9U-2026-SM-7PBYS 60-69 years, male 1.0
GTEX-1HCU6-2726-SM-A9SKV 60-69 years, female 1.0
GTEX-1IDJF-1826-SM-CKZOE 20-29 years, male 1.0
GTEX-1LH75-2126-SM-EVR5F 50-59 years, female 1.0
GTEX-11O72-2226-SM-5PNW2 40-49 years, male 0.9
GTEX-13O3P-2326-SM-5KM55 50-59 years, male 0.9
GTEX-13OVG-1426-SM-5K7VP 60-69 years, male 0.9
GTEX-1KANB-1526-SM-CXZK4 50-59 years, male 0.9
GTEX-1MCC2-1626-SM-DIPEW 30-39 years, female 0.9
GTEX-13CF3-1426-SM-5K7YY 60-69 years, female 0.8
GTEX-13FHP-2426-SM-5KLZ5 50-59 years, male 0.8
GTEX-14DAQ-2726-SM-5S2QY 60-69 years, female 0.8
GTEX-S341-1426-SM-4AD6U 40-49 years, female 0.8
GTEX-T6MO-0826-SM-4DM51 40-49 years, female 0.8
GTEX-WEY5-1426-SM-4LMJ3 40-49 years, female 0.8
GTEX-X5EB-0926-SM-46MVT 40-49 years, male 0.8
GTEX-ZZ64-0726-SM-5GZX4 20-29 years, male 0.8
GTEX-1E2YA-2626-SM-7MGWW 50-59 years, male 0.8
GTEX-1GL5R-2426-SM-7MXV1 50-59 years, male 0.8
GTEX-1HCVE-2526-SM-A9G2G 50-59 years, male 0.8
GTEX-1IGQW-2326-SM-CE6RV 60-69 years, male 0.8
GTEX-1JMLX-2726-SM-CM2SB 50-59 years, male 0.8
GTEX-X4EO-2526-SM-EWRM8 60-69 years, female 0.8
GTEX-117YX-0826-SM-5H11J 50-59 years, male 0.7
GTEX-13FH7-1526-SM-5J2N6 50-59 years, female 0.7
GTEX-145MO-2426-SM-5NQ9W 60-69 years, male 0.7
GTEX-14C5O-2526-SM-73KU2 60-69 years, male 0.7
GTEX-14PJM-2626-SM-686ZD 50-59 years, female 0.7
GTEX-16Z82-2226-SM-6LPJ7 60-69 years, male 0.7
GTEX-1BAJH-2326-SM-7IGMO 70-79 years, male 0.7
GTEX-SNMC-1126-SM-4DM5M 20-29 years, male 0.7
GTEX-WQUQ-2526-SM-4MVNO 60-69 years, male 0.7
GTEX-ZYVF-2826-SM-5GIDK 50-59 years, female 0.7
GTEX-1EMGI-2726-SM-7P8S4 60-69 years, male 0.7
GTEX-1H1DG-2226-SM-9WPPC 70-79 years, male 0.7
GTEX-1HKZK-2126-SM-A9SL3 40-49 years, male 0.7
GTEX-1HSMP-2326-SM-D3L8R 70-79 years, male 0.7
GTEX-1JJE9-2426-SM-D3L8T 70-79 years, male 0.7
GTEX-1LSVX-1726-SM-DHXJP 60-69 years, male 0.7
GTEX-1NV5F-2226-SM-DTX8O 60-69 years, female 0.7
GTEX-QLQ7-1126-SM-CYPRB 60-69 years, male 0.7
GTEX-11P81-1126-SM-5GU5G 30-39 years, female 0.6
GTEX-11ZVC-2126-SM-5EGJ1 50-59 years, female 0.6
GTEX-13VXT-2426-SM-5LU46 20-29 years, female 0.6
GTEX-148VJ-2626-SM-5QGPI 70-79 years, male 0.6
GTEX-14BIN-3026-SM-5ZZUS 50-59 years, female 0.6
GTEX-14H4A-1926-SM-5ZZWN 40-49 years, female 0.6
GTEX-15UF6-2626-SM-6M466 70-79 years, female 0.6
GTEX-16NPV-2626-SM-6M484 50-59 years, female 0.6
GTEX-17EVQ-1826-SM-7IGPH 70-79 years, male 0.6
GTEX-1AX9I-2626-SM-73KU5 60-69 years, male 0.6
GTEX-1C2JI-1626-SM-7EPHC 50-59 years, male 0.6
GTEX-V955-1626-SM-4JBHJ 60-69 years, male 0.6
GTEX-X15G-1326-SM-4PQZJ 50-59 years, female 0.6
GTEX-XGQ4-1226-SM-4AT67 50-59 years, male 0.6
GTEX-XXEK-1926-SM-4BRVD 50-59 years, male 0.6
GTEX-YEC4-1926-SM-5IFHJ 40-49 years, male 0.6
GTEX-ZXES-1626-SM-5NQ7L 30-39 years, female 0.6
GTEX-1CB4I-2226-SM-7P8SL 50-59 years, male 0.6
GTEX-1F75B-2726-SM-7P8QO 50-59 years, male 0.6
GTEX-1GZ4H-1226-SM-9KNUA 50-59 years, female 0.6
GTEX-1GZ4I-2426-SM-9WPPP 50-59 years, male 0.6
GTEX-1IDJD-2226-SM-A96TD 30-39 years, male 0.6
GTEX-1N5O9-2726-SM-E76QH 60-69 years, male 0.6
GTEX-1PPGY-2826-SM-DTX9H 60-69 years, male 0.6
GTEX-PSDG-1826-SM-EAZ2S 50-59 years, male 0.6
GTEX-U412-1726-SM-EZ6KX 60-69 years, male 0.6
GTEX-111VG-2226-SM-5N9DU 60-69 years, male 0.5
GTEX-13OVI-2026-SM-5J1MU 60-69 years, female 0.5
GTEX-13OW5-2626-SM-5MR3M 60-69 years, male 0.5
GTEX-147JS-2526-SM-5S2Q8 60-69 years, male 0.5
GTEX-14AS3-1126-SM-5Q5CR 40-49 years, female 0.5
GTEX-14PJ3-0926-SM-69LQG 50-59 years, male 0.5
GTEX-14PJ5-0926-SM-6LLIK 60-69 years, female 0.5
GTEX-16XZZ-2626-SM-6M47S 60-69 years, male 0.5
GTEX-17JCI-2626-SM-7EWE6 60-69 years, female 0.5
GTEX-18A7A-2226-SM-7LT8K 50-59 years, female 0.5
GTEX-18D9B-2526-SM-718BN 60-69 years, male 0.5
GTEX-1A3MV-1126-SM-718BS 30-39 years, male 0.5
GTEX-1C64O-2326-SM-73KU8 60-69 years, male 0.5
GTEX-1C6VQ-2726-SM-73KUL 50-59 years, male 0.5
GTEX-1CB4F-2026-SM-79OLU 60-69 years, male 0.5
GTEX-OXRL-1426-SM-3NM9E 50-59 years, male 0.5
GTEX-S3XE-1126-SM-4AD4N 50-59 years, male 0.5
GTEX-U3ZH-1326-SM-4DXSF 30-39 years, male 0.5
GTEX-WY7C-1626-SM-4ONC8 50-59 years, male 0.5
GTEX-X3Y1-1726-SM-4PQZL 40-49 years, male 0.5
GTEX-XUW1-1926-SM-4BOP1 50-59 years, female 0.5
GTEX-ZAB4-2226-SM-5HL97 40-49 years, male 0.5
GTEX-ZF29-1726-SM-4WKFV 60-69 years, female 0.5
GTEX-ZV6S-1226-SM-59HLH 40-49 years, female 0.5
GTEX-ZYFG-1926-SM-5GID5 60-69 years, female 0.5
GTEX-17HII-2726-SM-7MGVM 50-59 years, male 0.5
GTEX-1HCU7-2626-SM-C1YQO 50-59 years, male 0.5
GTEX-1HSGN-2626-SM-CE6S1 40-49 years, female 0.5
GTEX-1IKK5-2726-SM-CNPQ6 60-69 years, male 0.5
GTEX-1J1OQ-2726-SM-AHZ3R 40-49 years, female 0.5
GTEX-1OKEX-1226-SM-DTXEC 60-69 years, male 0.5
GTEX-1PWST-2426-SM-EWRMP 70-79 years, male 0.5
GTEX-1QW4Y-1326-SM-EWRMZ 30-39 years, male 0.5
GTEX-1R9PM-1526-SM-DPRY8 20-29 years, male 0.5
GTEX-1RAZQ-2126-SM-DTX9V 30-39 years, male 0.5
GTEX-1RDX4-1826-SM-EVR54 50-59 years, female 0.5
GTEX-1S82U-0726-SM-E9TKI 30-39 years, female 0.5
GTEX-111YS-1626-SM-5GZZ9 60-69 years, male 0.4
GTEX-11NSD-1626-SM-5986U 20-29 years, male 0.4
GTEX-11ONC-2026-SM-5HL61 60-69 years, male 0.4
GTEX-11TUW-2026-SM-5EQL8 60-69 years, male 0.4
GTEX-12KS4-2426-SM-5LU8P 30-39 years, male 0.4
GTEX-12WSL-1626-SM-5GCMU 50-59 years, male 0.4
GTEX-13OVK-0826-SM-7KULZ 40-49 years, male 0.4
GTEX-13W3W-2126-SM-5K7UX 60-69 years, female 0.4
GTEX-144GM-1226-SM-5LU52 20-29 years, male 0.4
GTEX-145ME-0826-SM-5O9AF 40-49 years, female 0.4
GTEX-15CHQ-2526-SM-6EU24 60-69 years, male 0.4
GTEX-15DCE-2026-SM-7KUFE 20-29 years, male 0.4
GTEX-15DZA-0926-SM-69LQ3 30-39 years, female 0.4
GTEX-15ER7-2926-SM-7KUFK 20-29 years, female 0.4
GTEX-1AMEY-1926-SM-73KVT 30-39 years, female 0.4
GTEX-1AYCT-1826-SM-731EG 50-59 years, male 0.4
GTEX-O5YT-1426-SM-3MJHC 20-29 years, male 0.4
GTEX-PWCY-1026-SM-48TD4 20-29 years, female 0.4
GTEX-QDVJ-1326-SM-48U1X 50-59 years, male 0.4
GTEX-RWS6-1826-SM-47JXX 60-69 years, female 0.4
GTEX-WYJK-2226-SM-4ONDJ 50-59 years, male 0.4
GTEX-Y3I4-1426-SM-4TT9C 50-59 years, male 0.4
GTEX-Y8E4-2426-SM-4WWDN 40-49 years, male 0.4
GTEX-Z93S-2426-SM-5HL8N 50-59 years, male 0.4
GTEX-ZGAY-2126-SM-4YCFB 40-49 years, female 0.4
GTEX-1AYD5-1726-SM-7RHFW 50-59 years, male 0.4
GTEX-1GMR3-2826-SM-9WPOG 40-49 years, male 0.4
GTEX-1IOXB-2626-SM-CJI2N 50-59 years, male 0.4
GTEX-1LBAC-1626-SM-CXZKV 20-29 years, male 0.4
GTEX-1LVAN-2526-SM-CNPPC 50-59 years, female 0.4
GTEX-1MUQO-2626-SM-EWRO3 60-69 years, male 0.4
GTEX-1NHNU-2326-SM-E6CQE 50-59 years, male 0.4
GTEX-SJXC-2226-SM-EVYAK 60-69 years, male 0.4
GTEX-117YW-1826-SM-5PNY5 50-59 years, male 0.3
GTEX-11EQ9-1426-SM-5987G 30-39 years, male 0.3
GTEX-12WSJ-1526-SM-5GCNI 40-49 years, female 0.3
GTEX-13111-0726-SM-5DUVE 50-59 years, male 0.3
GTEX-1339X-1626-SM-5IJDN 40-49 years, male 0.3
GTEX-13PVR-1626-SM-73KVF 60-69 years, female 0.3
GTEX-146FQ-1926-SM-5NQBY 30-39 years, male 0.3
GTEX-14E1K-1826-SM-793DT 50-59 years, male 0.3
GTEX-14ICK-1026-SM-6AJA4 40-49 years, male 0.3
GTEX-14ICL-1226-SM-5S2RD 30-39 years, male 0.3
GTEX-15G1A-1826-SM-7KUKO 30-39 years, male 0.3
GTEX-15SB6-1226-SM-7KUMP 50-59 years, female 0.3
GTEX-15SHU-2526-SM-6M47D 40-49 years, female 0.3
GTEX-16NGA-1026-SM-7KFS3 40-49 years, female 0.3
GTEX-17F9E-1826-SM-7IGMC 50-59 years, male 0.3
GTEX-17GQL-1526-SM-7LTAC 60-69 years, male 0.3
GTEX-17MF6-2426-SM-7LTAM 40-49 years, male 0.3
GTEX-18QFQ-1526-SM-72D57 30-39 years, male 0.3
GTEX-NFK9-2026-SM-3LK5K 40-49 years, male 0.3
GTEX-OHPM-1426-SM-3TW8Y 50-59 years, male 0.3
GTEX-P78B-1726-SM-3P5ZV 40-49 years, female 0.3
GTEX-PX3G-1426-SM-48U1J 20-29 years, female 0.3
GTEX-QCQG-1626-SM-48U26 50-59 years, female 0.3
GTEX-RU1J-1326-SM-46MUL 20-29 years, female 0.3
GTEX-SE5C-1526-SM-4BRWU 40-49 years, female 0.3
GTEX-VJYA-2026-SM-4KL1K 60-69 years, male 0.3
GTEX-XAJ8-0426-SM-47JYJ 40-49 years, male 0.3
GTEX-XBEW-1926-SM-4SOJO 40-49 years, male 0.3
GTEX-XQ8I-2126-SM-4BOOM 50-59 years, male 0.3
GTEX-ZP4G-1726-SM-4WWCM 20-29 years, female 0.3
GTEX-ZTSS-1126-SM-5985O 40-49 years, male 0.3
GTEX-ZYFC-2626-SM-5NQ6S 50-59 years, male 0.3
GTEX-1GN73-2626-SM-9KNUQ 60-69 years, male 0.3
GTEX-1GPI7-1726-SM-7P8R1 20-29 years, male 0.3
GTEX-1H1DE-1526-SM-ARL9B 20-29 years, male 0.3
GTEX-1HFI7-1726-SM-A9G22 50-59 years, female 0.3
GTEX-1IDJC-1326-SM-CL53H 50-59 years, male 0.3
GTEX-1JK1U-1526-SM-AHZ46 60-69 years, male 0.3
GTEX-1JMPZ-2426-SM-C1YQP 30-39 years, male 0.3
GTEX-1KANA-1926-SM-DHXKF 20-29 years, male 0.3
GTEX-1KXAM-2126-SM-CY8I9 60-69 years, male 0.3
GTEX-1LGOU-1626-SM-D3LAK 20-29 years, female 0.3
GTEX-1PPH8-2026-SM-DTX7P 20-29 years, male 0.3
GTEX-1QPFJ-2326-SM-E6CR7 30-39 years, female 0.3
GTEX-1RMOY-1626-SM-EVYC8 50-59 years, male 0.3
GTEX-1S5VW-2926-SM-E9U6H 60-69 years, male 0.3
GTEX-OHPN-2026-SM-E9TIA 60-69 years, female 0.3
GTEX-R45C-2126-SM-EZ6KZ 60-69 years, female 0.3
GTEX-11EM3-1526-SM-5A5KN 20-29 years, female 0.2
GTEX-11I78-1226-SM-5A5K6 50-59 years, female 0.2
GTEX-11VI4-1526-SM-5EQKC 40-49 years, female 0.2
GTEX-1211K-1726-SM-5FQUJ 60-69 years, female 0.2
GTEX-12C56-0626-SM-5EGGC 20-29 years, male 0.2
GTEX-131XE-0826-SM-5HL9W 50-59 years, male 0.2
GTEX-1399U-1926-SM-5IFH7 50-59 years, female 0.2
GTEX-139YR-2126-SM-5KM11 50-59 years, male 0.2
GTEX-13O3O-2526-SM-5L3DR 60-69 years, female 0.2
GTEX-13O61-1626-SM-5KM3T 60-69 years, male 0.2
GTEX-13QBU-1826-SM-5IJG3 40-49 years, female 0.2
GTEX-13X6H-1926-SM-7EWD3 50-59 years, female 0.2
GTEX-145LT-0926-SM-5LU9C 40-49 years, male 0.2
GTEX-147F3-1926-SM-5SIB9 50-59 years, female 0.2
GTEX-147GR-2726-SM-664OO 60-69 years, male 0.2
GTEX-14C39-1926-SM-5ZZW5 40-49 years, male 0.2
GTEX-14JG6-1726-SM-69LPL 30-39 years, female 0.2
GTEX-15CHC-1626-SM-5ZZWS 60-69 years, female 0.2
GTEX-16MT8-2726-SM-7IGLJ 60-69 years, female 0.2
GTEX-178AV-1326-SM-6LPJX 40-49 years, male 0.2
GTEX-17F98-1026-SM-7IGO8 40-49 years, female 0.2
GTEX-17HGU-2426-SM-7EWDP 50-59 years, male 0.2
GTEX-17HHE-1826-SM-79OKE 50-59 years, male 0.2
GTEX-17KNJ-1726-SM-7LG6A 50-59 years, male 0.2
GTEX-18A66-2426-SM-7KFSQ 60-69 years, male 0.2
GTEX-1AX8Z-2726-SM-73KUC 60-69 years, male 0.2
GTEX-1B996-2626-SM-73KZ1 60-69 years, male 0.2
GTEX-O5YW-1426-SM-3MJHF 50-59 years, male 0.2
GTEX-P4QT-1426-SM-3NMCX 50-59 years, female 0.2
GTEX-PLZ6-0926-SM-3P5ZQ 30-39 years, male 0.2
GTEX-Q2AI-0926-SM-48U1F 40-49 years, male 0.2
GTEX-Q734-1126-SM-48TZY 40-49 years, female 0.2
GTEX-QDVN-1326-SM-48TZ3 50-59 years, male 0.2
GTEX-QLQW-0426-SM-447A7 30-39 years, male 0.2
GTEX-S4Q7-0826-SM-4AD5E 20-29 years, male 0.2
GTEX-S7SF-1926-SM-4AT5B 20-29 years, female 0.2
GTEX-SNOS-1226-SM-4DM5H 40-49 years, male 0.2
GTEX-TKQ2-1326-SM-4DXT9 50-59 years, male 0.2
GTEX-U3ZM-1126-SM-4DXUB 40-49 years, male 0.2
GTEX-WYVS-1826-SM-4OND6 40-49 years, female 0.2
GTEX-XYKS-2226-SM-4E3IU 60-69 years, female 0.2
GTEX-Y8LW-1226-SM-4WWDP 50-59 years, female 0.2
GTEX-YF7O-1726-SM-5IFJ9 50-59 years, male 0.2
GTEX-ZDYS-2326-SM-4WKG6 50-59 years, male 0.2
GTEX-ZT9W-1826-SM-51MQX 50-59 years, male 0.2
GTEX-ZY6K-1226-SM-5GZYL 50-59 years, male 0.2
GTEX-1GF9U-1526-SM-7MXUW 40-49 years, female 0.2
GTEX-1GF9X-1526-SM-7P8QP 40-49 years, female 0.2
GTEX-1H3VY-2426-SM-9WPPD 50-59 years, male 0.2
GTEX-1HCU9-1326-SM-B2LXT 20-29 years, male 0.2
GTEX-1HSEH-1726-SM-B2LXH 60-69 years, male 0.2
GTEX-1I1GT-1926-SM-ARU7D 60-69 years, female 0.2
GTEX-1I4MK-1126-SM-B2LWS 50-59 years, female 0.2
GTEX-1I6K6-1826-SM-B2LX5 30-39 years, male 0.2
GTEX-1IDJU-2026-SM-A9SLM 60-69 years, female 0.2
GTEX-1JJ6O-2426-SM-ARU8J 60-69 years, male 0.2
GTEX-1JKYR-1926-SM-C1YR7 20-29 years, male 0.2
GTEX-1LGRB-1426-SM-CNNPT 50-59 years, female 0.2
GTEX-1MA7W-0626-SM-EV79Z 20-29 years, female 0.2
GTEX-1MGNQ-2026-SM-EAZ51 40-49 years, male 0.2
GTEX-1MJK3-0926-SM-EV7AY 20-29 years, male 0.2
GTEX-1PIEJ-2026-SM-E6CPA 20-29 years, female 0.2
GTEX-1QP9N-1026-SM-E6CPX 30-39 years, male 0.2
GTEX-1R7EU-1926-SM-E9U62 60-69 years, male 0.2
GTEX-1R9JW-2026-SM-EAZ4O 30-39 years, female 0.2
GTEX-OXRN-2026-SM-E6CHK 50-59 years, male 0.2
GTEX-QEL4-1926-SM-D3L8D 50-59 years, male 0.2
GTEX-QV31-0826-SM-CKZNC 30-39 years, male 0.2
GTEX-ZG7Y-2126-SM-DO117 50-59 years, male 0.2
GTEX-111CU-1426-SM-5GZYP 50-59 years, male 0.1
GTEX-1122O-1526-SM-5N9CL 60-69 years, female 0.1
GTEX-1128S-1626-SM-5H12O 60-69 years, female 0.1
GTEX-11DXX-1826-SM-5H126 60-69 years, female 0.1
GTEX-11DXZ-1726-SM-5H12M 50-59 years, male 0.1
GTEX-11TT1-1026-SM-5PNW7 20-29 years, male 0.1
GTEX-11TTK-2426-SM-5PNYO 60-69 years, female 0.1
GTEX-12BJ1-2126-SM-5BC5O 60-69 years, male 0.1
GTEX-131XG-1826-SM-5LZV4 50-59 years, female 0.1
GTEX-132AR-2726-SM-5PNVN 50-59 years, female 0.1
GTEX-1399R-2226-SM-5P9JB 30-39 years, male 0.1
GTEX-139T6-1326-SM-5IFFO 50-59 years, male 0.1
GTEX-13D11-0826-SM-5KLZJ 50-59 years, female 0.1
GTEX-13FTW-1826-SM-5IJEN 40-49 years, male 0.1
GTEX-13OW6-2126-SM-5N9GL 50-59 years, male 0.1
GTEX-13S86-1626-SM-5Q5C5 40-49 years, male 0.1
GTEX-13U4I-2426-SM-5LU34 40-49 years, female 0.1
GTEX-144GL-2526-SM-5TDDL 50-59 years, male 0.1
GTEX-144GN-1126-SM-5LU33 50-59 years, male 0.1
GTEX-145MN-1726-SM-5SIA6 30-39 years, male 0.1
GTEX-14BMU-1526-SM-5TDE6 20-29 years, female 0.1
GTEX-14JIY-3326-SM-6871E 60-69 years, male 0.1
GTEX-14PHX-1526-SM-68717 50-59 years, male 0.1
GTEX-14PK6-1726-SM-6871J 70-79 years, female 0.1
GTEX-14PKV-2126-SM-664O3 20-29 years, female 0.1
GTEX-14XAO-2026-SM-69LOI 60-69 years, female 0.1
GTEX-15DYW-2326-SM-6PAMU 60-69 years, female 0.1
GTEX-15RIE-1826-SM-6M48P 60-69 years, male 0.1
GTEX-15RIF-1326-SM-6LPKO 20-29 years, male 0.1
GTEX-17EUY-1826-SM-7DUEZ 20-29 years, male 0.1
GTEX-17F96-2026-SM-79ON4 70-79 years, male 0.1
GTEX-18D9A-1126-SM-7KFRJ 30-39 years, female 0.1
GTEX-1B8KE-1926-SM-731EE 50-59 years, male 0.1
GTEX-1B932-2826-SM-73KUD 40-49 years, female 0.1
GTEX-1C475-1626-SM-731FP 40-49 years, female 0.1
GTEX-1CAMS-2526-SM-7EPH7 40-49 years, female 0.1
GTEX-OIZH-1426-SM-3NB1O 50-59 years, male 0.1
GTEX-OXRK-1726-SM-3NB16 50-59 years, female 0.1
GTEX-P4PP-1426-SM-3NM9L 30-39 years, female 0.1
GTEX-PWN1-1426-SM-48TDF 40-49 years, female 0.1
GTEX-QMRM-1226-SM-447C6 50-59 years, male 0.1
GTEX-R55C-1126-SM-48FCJ 40-49 years, male 0.1
GTEX-R55G-1226-SM-48FDC 40-49 years, female 0.1
GTEX-RM2N-0926-SM-48FD1 50-59 years, male 0.1
GTEX-S4P3-1226-SM-4AD4Y 50-59 years, female 0.1
GTEX-S4UY-0826-SM-4AD4Z 40-49 years, female 0.1
GTEX-T5JW-1126-SM-4DM5V 20-29 years, female 0.1
GTEX-U3ZN-2126-SM-4DXU1 30-39 years, female 0.1
GTEX-UJHI-1126-SM-4IHLN 50-59 years, female 0.1
GTEX-WHSB-0926-SM-4M1XJ 50-59 years, male 0.1
GTEX-XBED-1526-SM-4AT5W 60-69 years, male 0.1
GTEX-XMK1-1726-SM-4B64Z 40-49 years, male 0.1
GTEX-XPVG-1826-SM-4B64X 50-59 years, male 0.1
GTEX-XUZC-1326-SM-4BRV2 30-39 years, female 0.1
GTEX-XV7Q-2126-SM-4BRVX 40-49 years, female 0.1
GTEX-Y3IK-1826-SM-4WWDS 50-59 years, female 0.1
GTEX-Y9LG-1526-SM-4WWDR 30-39 years, male 0.1
GTEX-YB5E-1626-SM-5IFIQ 40-49 years, male 0.1
GTEX-ZEX8-1926-SM-4WKFR 50-59 years, male 0.1
GTEX-ZLV1-1226-SM-4WWBX 60-69 years, female 0.1
GTEX-ZPCL-1826-SM-57WF1 60-69 years, female 0.1
GTEX-ZPU1-1926-SM-57WDT 40-49 years, male 0.1
GTEX-ZVP2-1526-SM-5NQ82 50-59 years, male 0.1
GTEX-ZVT2-1926-SM-5GU5T 50-59 years, female 0.1
GTEX-13QJ3-2626-SM-9OSXQ 50-59 years, male 0.1
GTEX-1F75I-2426-SM-9WPOY 40-49 years, male 0.1
GTEX-1HSMQ-2726-SM-C1YRE 50-59 years, male 0.1
GTEX-1I1GR-2526-SM-CNNQF 60-69 years, male 0.1
GTEX-1ICLZ-2426-SM-CKZOD 60-69 years, male 0.1
GTEX-1J1R8-1126-SM-CNPQ3 40-49 years, male 0.1
GTEX-1JMPY-0426-SM-C1YQ3 30-39 years, male 0.1
GTEX-1K9T9-2826-SM-D4P3F 50-59 years, female 0.1
GTEX-1KANC-0926-SM-D3LA9 50-59 years, female 0.1
GTEX-1L5NE-2026-SM-CXZKR 50-59 years, male 0.1
GTEX-1LG7Z-1426-SM-CXKYV 30-39 years, male 0.1
GTEX-1LVAM-1626-SM-EV79Y 50-59 years, female 0.1
GTEX-1NSGN-2326-SM-E9U5X 50-59 years, male 0.1
GTEX-1PIGE-1426-SM-E9U61 20-29 years, male 0.1
GTEX-1R9K5-2126-SM-E8VN1 50-59 years, male 0.1
GTEX-1S3DN-1826-SM-EV79K 50-59 years, male 0.1
GTEX-1S83E-1626-SM-EV7B9 40-49 years, male 0.1
GTEX-OIZF-1426-SM-2HML2 60-69 years, male 0.1
GTEX-OOBJ-1426-SM-E6CHH 60-69 years, male 0.1
GTEX-OXRO-0726-SM-E9U4C 60-69 years, female 0.1
GTEX-YEC3-2426-SM-DO11A 50-59 years, male 0.1
GTEX-ZDTT-1926-SM-5HL5W 60-69 years, male 0.1
GTEX-ZLWG-1726-SM-DNZZ2 50-59 years, female 0.1
GTEX-11LCK-2026-SM-5A5MA 30-39 years, male 0.0
GTEX-11P7K-1526-SM-5EGI7 30-39 years, male 0.0
GTEX-11P82-1026-SM-5BC5J 20-29 years, male 0.0
GTEX-133LE-1526-SM-5IFEN 20-29 years, female 0.0
GTEX-1399S-1926-SM-5J2M5 30-39 years, female 0.0
GTEX-139TS-1926-SM-5IJFO 60-69 years, male 0.0
GTEX-13O21-2426-SM-5MR4A 50-59 years, male 0.0
GTEX-13PL7-2526-SM-5IFGR 60-69 years, female 0.0
GTEX-14DAR-1526-SM-5RQIX 50-59 years, male 0.0
GTEX-14E6E-1526-SM-5RQIG 30-39 years, male 0.0
GTEX-14PJ4-1926-SM-6LLHG 60-69 years, male 0.0
GTEX-15CHR-1426-SM-7DUGV 50-59 years, male 0.0
GTEX-16AAH-1326-SM-7KFRG 50-59 years, male 0.0
GTEX-18D9U-1926-SM-7KFTM 40-49 years, male 0.0
GTEX-1AMFI-1726-SM-7189L 50-59 years, female 0.0
GTEX-1B8KZ-1326-SM-7DUG6 50-59 years, male 0.0
GTEX-1C4CL-2126-SM-7IGQC 30-39 years, male 0.0
GTEX-PLZ5-1126-SM-3P613 50-59 years, male 0.0
GTEX-Q2AH-1226-SM-48TZL 40-49 years, male 0.0
GTEX-R53T-1326-SM-48FCQ 50-59 years, female 0.0
GTEX-R55D-1826-SM-48FEF 50-59 years, male 0.0
GTEX-TML8-1326-SM-4DXTO 40-49 years, female 0.0
GTEX-U4B1-1126-SM-4DXV3 40-49 years, male 0.0
GTEX-UJMC-1326-SM-4IHLS 50-59 years, male 0.0
GTEX-W5WG-2426-SM-4LMI6 50-59 years, female 0.0
GTEX-WFG7-1526-SM-4LVMG 20-29 years, male 0.0
GTEX-WFON-1426-SM-4LVMT 40-49 years, male 0.0
GTEX-WH7G-1326-SM-4LVMS 40-49 years, male 0.0
GTEX-WHWD-1226-SM-4OOS1 50-59 years, male 0.0
GTEX-WOFM-2026-SM-4OOSQ 20-29 years, male 0.0
GTEX-Y5LM-1526-SM-4VDTA 40-49 years, female 0.0
GTEX-ZF2S-1926-SM-4WWAN 50-59 years, female 0.0
GTEX-ZPIC-2226-SM-57WDX 40-49 years, female 0.0
GTEX-ZV7C-1526-SM-5NQ72 50-59 years, male 0.0
GTEX-1CAMR-0926-SM-7MXTD 20-29 years, male 0.0
GTEX-1F5PK-1926-SM-7MXT7 50-59 years, male 0.0
GTEX-1F5PL-2126-SM-7PC2O 40-49 years, female 0.0
GTEX-1GMR2-1726-SM-9JGI2 50-59 years, male 0.0
GTEX-1H11D-2626-SM-9JGH4 40-49 years, male 0.0
GTEX-1H1E6-1926-SM-9OSWD 30-39 years, male 0.0
GTEX-1IKOE-2026-SM-AHZ31 30-39 years, female 0.0
GTEX-1JKYN-2326-SM-CGQG7 30-39 years, male 0.0
GTEX-1JN76-1226-SM-C1YRM 20-29 years, female 0.0
GTEX-1K2DA-2026-SM-CGQGK 50-59 years, male 0.0
GTEX-1N2DV-1426-SM-DPRYQ 40-49 years, male 0.0
GTEX-1PFEY-1426-SM-E9U6U 30-39 years, male 0.0
GTEX-1QCLY-1726-SM-DPRXY 30-39 years, male 0.0
GTEX-1QCLZ-1926-SM-E6CR3 60-69 years, female 0.0
GTEX-1QP67-1326-SM-EAZ4D 40-49 years, female 0.0
GTEX-1RAZA-1726-SM-DPS13 20-29 years, male 0.0
GTEX-1RAZR-1926-SM-E6CRF 40-49 years, male 0.0
GTEX-WVJS-2426-SM-EZ6LI 50-59 years, male 0.0
Show allShow less

COLON - FANTOM5 CAGEi

RNA expression in human tissues obtained through Cap Analysis of Gene Expression (CAGE) generated by the FANTOM5 project are reported as Scaled Tags Per Million.

Max subtype Scaled Tags Per Millioni

Max subtype Scaled Tags Per Million is the value for the subtype with the largest average Scaled Tags Per Million across the subtype samples.

0
FANTOM5 sample id Sample description Scaled Tags Per Million
Colon
Scaled Tags Per Million: 0.0
FF:10014-101C5 62,83,84 years, mixed 0.0

Contact

  • NEWS ARTICLES
  • PRESS ROOM

The Project

  • INTRODUCTION
  • ORGANIZATION
  • PUBLICATIONS

The Human Protein Atlas

  • DOWNLOADABLE DATA
  • LICENCE & CITATION
  • HELP & FAQ
The Human Protein Atlas project is funded
by the Knut & Alice Wallenberg Foundation.


contact@proteinatlas.org