We use cookies to enhance the usability of our website. If you continue, we'll assume that you are happy to receive all cookies. More information. Don't show this again.
RCN3
HPA
RESOURCES
  • TISSUE
  • BRAIN
  • SINGLE CELL
  • SUBCELLULAR
  • CANCER
  • BLOOD
  • CELL LINE
  • STRUCTURE & INTERACTION
ABOUT
  • INTRODUCTION
  • HISTORY
  • ORGANIZATION
  • PUBLICATIONS
  • ANTIBODY SUBMISSION
  • ANTIBODY AVAILABILITY
  • ACKNOWLEDGMENTS
  • CONTACT
NEWS
  • NEWS ARTICLES
  • PRESS ROOM
LEARN
  • DICTIONARY
  • PROTEIN CLASSES
  • PROTEIN EVIDENCE
  • METHODS
  • EDUCATIONAL VIDEOS
DATA
  • DOWNLOADABLE DATA
  • PUBLICATION DATA
  • RELEASE HISTORY
HELP
  • ANTIBODY VALIDATION
  • ASSAYS & ANNOTATION
  • DISCLAIMER
  • HELP & FAQ
  • PRIVACY STATEMENT
  • LICENCE & CITATION
Fields »
Search result

Field
Term
Gene name
Class
Subclass
Class
Keyword
Chromosome
External id
Tissue
Cell type
Expression
Antibody panel
Tissue
Main location
Patient ID
Annotation
Tissue
Category
Tau score
Cluster
Reliability
Brain region
Category
Tau score
Brain region
Category
Tau score
Brain region
Category
Tau score
Cluster
Reliability
Tissue
Cell type
Enrichment
Cell type
Category
Tau score
Cell type
Category
Tau score
Cell type
Category
Tau score
Cell lineage
Category
Tau score
Cluster
Cluster
Location
Searches
Location
Cell line
Class
Type
Phase
Reliability
Cancer
Prognosis
Cancer
Category
Cancer
Category
Tau score
Cluster
Variants
Interacting gene (ensg_id)
Type
Number of interactions
Pathway
Category
Score
Score
Score
Validation
Validation
Validation
Validation
Antibodies
Data type
Column


  • SUMMARY

  • TISSUE

  • BRAIN

  • SINGLE CELL

  • SUBCELL

  • CANCER

  • BLOOD

  • CELL LINE

  • STRUCT & INT

  • RCN3
TISSUE PRIMARY DATA SKIN Show tissue menu
ADIPOSE TISSUE ADRENAL GLAND AMYGDALA APPENDIX BASAL GANGLIA BONE MARROW BREAST BRONCHUS CEREBELLUM CEREBRAL CORTEX CERVIX CHOROID PLEXUS COLON DUODENUM
ENDOMETRIUM EPIDIDYMIS ESOPHAGUS FALLOPIAN TUBE GALLBLADDER HEART MUSCLE HIPPOCAMPAL FORMATION HYPOTHALAMUS KIDNEY LIVER LUNG LYMPH NODE MIDBRAIN NASOPHARYNX
ORAL MUCOSA OVARY PANCREAS PARATHYROID GLAND PITUITARY GLAND PLACENTA PROSTATE RECTUM RETINA SALIVARY GLAND SEMINAL VESICLE SKELETAL MUSCLE SKIN SMALL INTESTINE
SMOOTH MUSCLE SOFT TISSUE SPINAL CORD SPLEEN STOMACH TESTIS THYMUS THYROID GLAND TONGUE TONSIL URINARY BLADDER VAGINA
ANTIBODIES
AND
VALIDATION
Dictionary
Skin
Tissue proteome
Skin
SKIN - Expression summary
Protein expression
Skini

On the top, protein expression in current human tissue, based on all annotated cell types, is reported with the units not detected (n), low (l), medium (m) and high (h). Underneath, protein expression in each annotated cell type are reported using the same units.

Protein expression data is based on knowledge-based annotation. For genes where more than one antibody has been used, a collective score is set.

If knowledge-based annotation could not be performed for a gene, no data is displayed here. View antibody staining data further down this page.

h
m
l
n
Epidermal cells: Low
Fibroblasts: Low
Keratinocytes: Not detected
Langerhans: Low
Melanocytes: Not detected
RNA expressioni

A summary of mRNA expression data available for current tissue based on several datasets. The mRNA expression levels in human tissues are based on RNA-seq data generated by the Human Protein Atlas (HPA), Genotype-Tissue Expression (GTEx) portal and CAGE data generated by the FANTOM5 consortium. Consensus normalized expression levels for human tissues was created by combining the data from HPA and GTEx datasets.

The mRNA expression levels in pig are based on RNA-seq data generated by the Human Protein Atlas (HPA), and for mouse, HPA data and in situ hybridization generated by the Allen brain atlas are reported.

Scroll down to view mRNA expression data in more detail.
Consensus:24.5 nTPM
HPA:12.9 nTPM
GTEx:24.5 nTPM

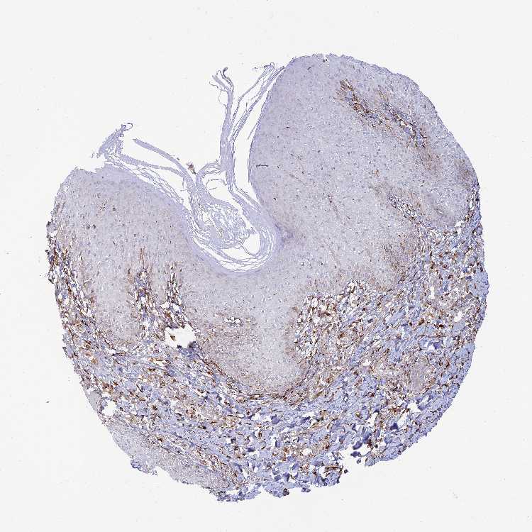
SKIN 1 - Antibody stainingi

Antibody staining in the annotated cell types in the current human tissue is reported as not detected, low, medium, or high, based on conventional immunohistochemistry profiling in selected tissues. This score is based on the combination of the staining intensity and fraction of stained cells.

Each image is clickable and will lead to virtual microscopy that enables deeper exploration of all samples and also displays staining intensity scores, fraction scores and subcellular localization as well as patient and tissue information for each sample.

Antibody HPA043134Antibody HPA050402
Langerhans LowNot detected
Fibroblasts LowHigh
Keratinocytes Not detectedNot detected
Melanocytes Not detectedMedium



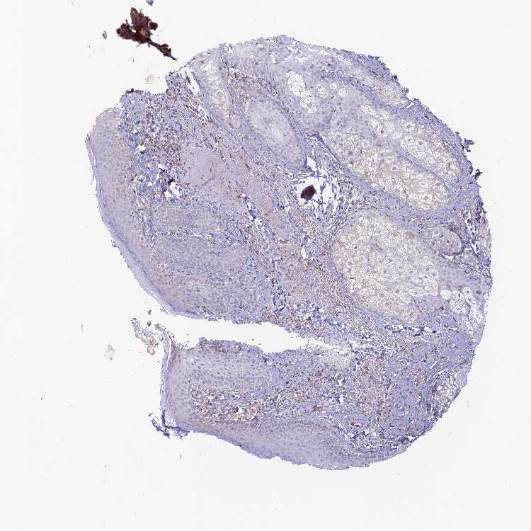
SKIN 2 - Antibody stainingi

Antibody staining in the annotated cell types in the current human tissue is reported as not detected, low, medium, or high, based on conventional immunohistochemistry profiling in selected tissues. This score is based on the combination of the staining intensity and fraction of stained cells.

Each image is clickable and will lead to virtual microscopy that enables deeper exploration of all samples and also displays staining intensity scores, fraction scores and subcellular localization as well as patient and tissue information for each sample.

Antibody HPA043134Antibody HPA050402
Epidermal cells LowLow
  
  
  




SKIN - HPA RNA-seqi

The RNA-seq details section shows detailed information about the individual samples used for the transcript profiling and results of the RNA-seq analysis.

Information about each individual sample is listed below, including gender, age, a tissue section image and estimated fractions of cell types. nTPM (normalized transcripts per million) values give a quantification of the gene abundance which is comparable between different genes and samples.
Average nTPMi

Max subtype nTPM is the value for the subtype with the largest average nTPM across the subtype samples.

12.9
overview
Female, age 34
Skin sample 225
nTPM: 10
Cell types%
Keratinocytes:
60

Other cell types:
40

overview
Female, age 30
Skin sample 226
nTPM: 6.1
Cell types%
Keratinocytes:
55

Other cell types:
45

N/A
Male, age 57
Skin sample 227
nTPM: 22.7

SKIN - GTEx RNA-seqi

RNA-Seq data generated by the Genotype-Tissue Expression (GTEx) project from human tissues is reported as mean nTPM. More information can be found on the GTEx portal.

Distribution across the dataset is visualized with box plots, shown as median and 25th and 75th percentiles. Points are displayed as outliers if they are above or below 1.5 times the interquartile range. nTPM values of the individual samples are presented next to the box plot.
Max subtype nTPMi

Max subtype nTPM is the value for the subtype with the largest average nTPM across the subtype samples.

24.5
GTEx sample id Sample description nTPM
Skin - Not Sun Exposed (Suprapubic)
Average nTPM: 21.3
Samples: 604

Max nTPM: 92.8
Min nTPM: 4.3
Std nTPM: 11.7
Median nTPM: 18.1
GTEX-1399R-1326-SM-5PNYS 30-39 years, male 92.8
GTEX-1QP29-1826-SM-DTX9S 50-59 years, male 85.1
GTEX-U8XE-0226-SM-4E3J3 30-39 years, male 69.4
GTEX-18D9B-0926-SM-7LG4U 60-69 years, male 66.1
GTEX-WI4N-2726-SM-3LK7Y 40-49 years, female 64.6
GTEX-15SHW-0226-SM-7LTAT 60-69 years, male 63.2
GTEX-16YQH-2226-SM-7IGM2 30-39 years, male 62.6
GTEX-14A5H-0826-SM-5QGPJ 60-69 years, male 58.1
GTEX-1JMOU-1026-SM-CYPSS 60-69 years, female 57.9
GTEX-Y3IK-1626-SM-4YCF5 50-59 years, female 57.4
GTEX-WHSE-0126-SM-3NMBT 20-29 years, male 56.6
GTEX-1EWIQ-0326-SM-7DHMQ 70-79 years, female 55.8
GTEX-11ZTT-2126-SM-5CVLO 60-69 years, female 55.3
GTEX-ZAK1-0626-SM-5HL8E 50-59 years, female 54.2
GTEX-WYVS-1626-SM-3NM9R 40-49 years, female 53.6
GTEX-13OVJ-0826-SM-5J1OK 50-59 years, female 53.1
GTEX-1R9PN-0426-SM-DTXDT 40-49 years, female 53.1
GTEX-14PK6-0226-SM-62LF5 70-79 years, female 52.4
GTEX-1HCU8-2526-SM-CE6RX 60-69 years, female 52.0
GTEX-132AR-0326-SM-5KM2C 50-59 years, female 51.9
GTEX-1I1CD-0626-SM-CE6SW 60-69 years, female 51.7
GTEX-ZDXO-3126-SM-5IJDF 60-69 years, male 50.5
GTEX-145MG-1526-SM-5Q5EM 50-59 years, male 48.6
GTEX-X3Y1-2026-SM-3P5YM 40-49 years, male 48.2
GTEX-WYBS-0626-SM-3NMAS 60-69 years, female 48.1
GTEX-1A32A-0626-SM-731AQ 50-59 years, female 47.8
GTEX-17HG3-2626-SM-7DUF2 30-39 years, female 47.2
GTEX-ZU9S-1826-SM-5NQ9E 30-39 years, male 46.9
GTEX-XK95-0226-SM-4AT58 40-49 years, male 45.8
GTEX-XOT4-0626-SM-4B66L 60-69 years, female 45.4
GTEX-X8HC-0626-SM-4E3HQ 50-59 years, female 45.2
GTEX-ZDTS-0826-SM-4WKHL 60-69 years, male 44.1
GTEX-1JKYN-0826-SM-ARU8S 30-39 years, male 43.5
GTEX-1H1ZS-2726-SM-9WG75 70-79 years, male 43.3
GTEX-1IDJI-0126-SM-CMKHS 50-59 years, female 43.1
GTEX-1AYD5-2626-SM-7PBXY 50-59 years, male 42.6
GTEX-1IDJE-1426-SM-ADEIW 50-59 years, female 42.4
GTEX-12584-0726-SM-5FQTK 40-49 years, male 42.3
GTEX-ZVE1-0726-SM-51MRN 50-59 years, female 41.9
GTEX-X4EP-0626-SM-3P621 60-69 years, female 41.3
GTEX-11DXW-0826-SM-5H118 40-49 years, male 40.8
GTEX-1CAMR-1326-SM-7PC1F 20-29 years, male 40.6
GTEX-1JMQL-2226-SM-CNPP4 50-59 years, female 40.6
GTEX-1117F-2926-SM-5GZYI 60-69 years, female 40.4
GTEX-11DYG-1526-SM-5A5JS 60-69 years, male 40.4
GTEX-ZVTK-0226-SM-51MRG 20-29 years, male 39.5
GTEX-1F6I4-2326-SM-7RHGL 60-69 years, male 39.1
GTEX-17JCI-2926-SM-7DUFF 60-69 years, female 38.6
GTEX-12WSH-1526-SM-5BC5W 50-59 years, male 38.5
GTEX-14E6C-2426-SM-5S2NF 40-49 years, male 38.3
GTEX-XBEC-0726-SM-4QARZ 50-59 years, male 38.3
GTEX-1J8JJ-0626-SM-ARZMQ 60-69 years, female 38.3
GTEX-1RLM8-2926-SM-E8VON 50-59 years, male 38.1
GTEX-1HCU6-2526-SM-ADEHL 60-69 years, female 38.0
GTEX-W5X1-2526-SM-3GILC 40-49 years, female 37.4
GTEX-ZYFG-1526-SM-5GZYM 60-69 years, female 37.0
GTEX-1F75A-0726-SM-7RHHD 50-59 years, male 36.6
GTEX-16MT9-0126-SM-7EPI8 60-69 years, female 36.3
GTEX-WY7C-2126-SM-3NB2R 50-59 years, male 36.3
GTEX-1HFI6-0126-SM-CNPPI 40-49 years, male 36.1
GTEX-15RJ7-2126-SM-6PAMD 40-49 years, male 35.9
GTEX-YJ8O-2526-SM-5HL85 40-49 years, female 35.9
GTEX-X4EO-2926-SM-4E3JH 60-69 years, female 35.6
GTEX-XV7Q-1826-SM-4BRUV 40-49 years, female 35.5
GTEX-16GPK-0626-SM-7KFSF 60-69 years, male 35.4
GTEX-111FC-2526-SM-5GZXU 60-69 years, male 35.3
GTEX-15CHQ-0326-SM-69LQD 60-69 years, male 35.0
GTEX-1GZHY-0626-SM-9KNVC 50-59 years, female 34.6
GTEX-139T8-0626-SM-5KLZX 60-69 years, male 34.5
GTEX-XYKS-1426-SM-4BRUO 60-69 years, female 34.5
GTEX-1AX8Z-0726-SM-73KTS 60-69 years, male 34.4
GTEX-16MTA-0926-SM-6M47Z 50-59 years, male 34.3
GTEX-1H1DF-1126-SM-9WG7G 40-49 years, female 34.2
GTEX-ZLWG-0826-SM-59888 50-59 years, female 34.1
GTEX-ZYW4-0626-SM-59HJR 60-69 years, male 34.0
GTEX-1HC8U-1326-SM-9YFMJ 40-49 years, female 33.9
GTEX-XPVG-2126-SM-4B667 50-59 years, male 33.6
GTEX-WXYG-2026-SM-4E3IY 50-59 years, female 33.5
GTEX-13113-1626-SM-5EQ4I 60-69 years, female 33.4
GTEX-144FL-0626-SM-5LU43 50-59 years, male 33.4
GTEX-12WSL-2026-SM-5GCML 50-59 years, male 33.3
GTEX-ZAB4-2126-SM-5HL8U 40-49 years, male 32.7
GTEX-ZF2S-1626-SM-57WES 50-59 years, female 32.7
GTEX-1A3MW-0626-SM-731CB 60-69 years, female 32.5
GTEX-1B996-0426-SM-7EWF8 60-69 years, male 32.3
GTEX-1IDJD-2326-SM-ACKWX 30-39 years, male 32.3
GTEX-11EM3-1226-SM-5N9DD 20-29 years, female 32.1
GTEX-1497J-0226-SM-5QGPU 60-69 years, male 32.0
GTEX-131XH-0126-SM-5LZUY 50-59 years, male 31.9
GTEX-11TT1-1826-SM-5EQLV 20-29 years, male 31.7
GTEX-14DAR-1226-SM-73KYV 50-59 years, male 31.6
GTEX-11O72-0626-SM-5PNYE 40-49 years, male 31.3
GTEX-13OVG-1626-SM-5J1NF 60-69 years, male 31.3
GTEX-1F48J-0726-SM-7RHGS 50-59 years, female 31.2
GTEX-ZF3C-0626-SM-DO92O 50-59 years, female 31.1
GTEX-ZYFD-0626-SM-5E44E 50-59 years, male 31.0
GTEX-13FH7-1126-SM-5K7UG 50-59 years, female 30.9
GTEX-WFG8-2126-SM-3GIKQ 20-29 years, male 30.9
GTEX-XQ3S-1426-SM-4BOPR 20-29 years, male 30.7
GTEX-VJYA-1526-SM-3GIJV 60-69 years, male 30.5
GTEX-Y5V6-2326-SM-4VDSA 60-69 years, male 30.5
GTEX-YB5K-2026-SM-4VDT3 40-49 years, female 30.5
GTEX-1LVAO-2726-SM-E9TJ8 60-69 years, male 30.5
GTEX-14JFF-0626-SM-5ZZVT 60-69 years, male 30.4
GTEX-11DZ1-2426-SM-5GZZX 50-59 years, male 30.3
GTEX-1HUB1-1426-SM-CGQF5 60-69 years, male 30.2
GTEX-13OVK-1426-SM-6PAN7 40-49 years, male 29.8
GTEX-1EX96-1026-SM-7MKG2 50-59 years, male 29.8
GTEX-Y8LW-1526-SM-5IFHL 50-59 years, female 29.8
GTEX-ZYFC-0426-SM-5GICQ 50-59 years, male 29.7
GTEX-X585-2426-SM-46MW2 50-59 years, male 29.6
GTEX-X5EB-1926-SM-4E3IW 40-49 years, male 29.4
GTEX-1H23P-0626-SM-9WG6T 60-69 years, male 29.4
GTEX-1R9K4-2826-SM-DTX8F 60-69 years, male 29.4
GTEX-1LG7Z-1626-SM-CXKYR 30-39 years, male 29.2
GTEX-145LS-0626-SM-7EPG7 60-69 years, female 29.1
GTEX-1EMGI-2326-SM-7PBYA 60-69 years, male 29.0
GTEX-12WSJ-1126-SM-5LZVJ 40-49 years, female 28.8
GTEX-17F97-2626-SM-7IGM5 50-59 years, male 28.8
GTEX-13OW8-1026-SM-5J1NQ 60-69 years, male 28.7
GTEX-139YR-1026-SM-5LZYN 50-59 years, male 28.6
GTEX-WRHU-2826-SM-3MJG8 50-59 years, female 28.6
GTEX-1F75W-2726-SM-7SB8H 60-69 years, male 28.5
GTEX-1BAJH-2426-SM-7IGP8 70-79 years, male 28.4
GTEX-ZLFU-1826-SM-4WWBV 40-49 years, male 28.2
GTEX-131XW-0626-SM-5PNVD 50-59 years, female 27.9
GTEX-13PVQ-0626-SM-5LU47 50-59 years, male 27.9
GTEX-1F6IF-0926-SM-7SB7M 60-69 years, male 27.8
GTEX-14ABY-2026-SM-62LDL 50-59 years, male 27.7
GTEX-1GL5R-1326-SM-7RHHF 50-59 years, male 27.7
GTEX-1JMQI-1726-SM-ARL93 50-59 years, male 27.6
GTEX-1LBAC-0826-SM-CY8IJ 20-29 years, male 27.2
GTEX-ZDYS-2426-SM-4WKGI 50-59 years, male 27.1
GTEX-1POEN-2326-SM-E9J2L 30-39 years, female 27.1
GTEX-145ME-1726-SM-5Q5EU 40-49 years, female 27.0
GTEX-17EVQ-0126-SM-7IGLR 70-79 years, male 27.0
GTEX-1A8FM-0626-SM-7PC25 50-59 years, female 27.0
GTEX-1JMLX-0626-SM-ARL8T 50-59 years, male 26.8
GTEX-1CAV2-0126-SM-7IGN7 40-49 years, female 26.7
GTEX-11NUK-2726-SM-5A5MC 50-59 years, male 26.6
GTEX-12WSD-0626-SM-5GCMW 60-69 years, female 26.6
GTEX-13112-0126-SM-5P9IU 50-59 years, male 26.6
GTEX-XUW1-0926-SM-4BONX 50-59 years, female 26.6
GTEX-147JS-0226-SM-5S2U9 60-69 years, male 26.4
GTEX-131YS-2826-SM-5EQ47 60-69 years, female 26.3
GTEX-YEC4-1826-SM-4W1YP 40-49 years, male 26.3
GTEX-ZE7O-2726-SM-51MT5 50-59 years, female 26.3
GTEX-1GZ2Q-0126-SM-9WG6M 40-49 years, male 26.3
GTEX-146FQ-2126-SM-5RQHU 30-39 years, male 26.2
GTEX-ZC5H-1526-SM-5HL9Y 40-49 years, female 26.2
GTEX-1ICLZ-0326-SM-ARL82 60-69 years, male 26.1
GTEX-1AX9J-1326-SM-731BJ 60-69 years, male 26.0
GTEX-1B8KZ-0326-SM-73KY4 50-59 years, male 26.0
GTEX-ZVP2-0326-SM-57WBP 50-59 years, male 26.0
GTEX-11GS4-0226-SM-5HL77 60-69 years, male 25.9
GTEX-1H1CY-0126-SM-9YFLY 60-69 years, female 25.9
GTEX-17MF6-2626-SM-79OKQ 40-49 years, male 25.8
GTEX-1GMRU-2126-SM-7P8RA 50-59 years, male 25.6
GTEX-11OF3-0126-SM-5PNYF 60-69 years, male 25.5
GTEX-1314G-1326-SM-5BC6E 30-39 years, male 25.5
GTEX-17EVP-2626-SM-7IGMA 40-49 years, male 25.3
GTEX-13X6J-0626-SM-5LU5F 50-59 years, male 25.2
GTEX-147F4-0726-SM-5TDDD 50-59 years, male 25.2
GTEX-WH7G-2026-SM-3NMBL 40-49 years, male 25.2
GTEX-1192X-2726-SM-5N9DN 50-59 years, male 25.0
GTEX-1H3NZ-2726-SM-9WYTQ 60-69 years, male 25.0
GTEX-1QEPI-2626-SM-DTXF4 60-69 years, female 25.0
GTEX-12WSF-1626-SM-7KUG5 70-79 years, male 24.7
GTEX-ZA64-1026-SM-5HL8R 20-29 years, male 24.6
GTEX-1ICG6-1226-SM-A9SLN 70-79 years, female 24.4
GTEX-16Z82-2626-SM-7KULU 60-69 years, male 24.3
GTEX-18A7A-0126-SM-731AH 50-59 years, female 24.3
GTEX-ZUA1-2626-SM-5NQ92 40-49 years, male 24.3
GTEX-1JN1M-2726-SM-CY8I4 60-69 years, female 24.1
GTEX-1QCLZ-2426-SM-EVYBW 60-69 years, female 24.1
GTEX-1S82P-2126-SM-E6CI5 60-69 years, female 24.1
GTEX-11EI6-2826-SM-5H11D 60-69 years, male 23.9
GTEX-1IY9M-2826-SM-ARU8H 60-69 years, male 23.9
GTEX-1EKGG-0626-SM-7DUGJ 60-69 years, male 23.8
GTEX-WHPG-2626-SM-3NMBR 50-59 years, male 23.8
GTEX-14PJO-2526-SM-6AJBQ 60-69 years, male 23.7
GTEX-16NPX-0726-SM-7KULC 50-59 years, male 23.7
GTEX-117YX-1926-SM-5GIEC 50-59 years, male 23.5
GTEX-13N1W-2426-SM-5IJD1 70-79 years, male 23.5
GTEX-1J8Q3-0526-SM-ARL8U 60-69 years, male 23.5
GTEX-ZT9W-1126-SM-57WDR 50-59 years, male 23.4
GTEX-1GMR2-0826-SM-7PC3V 50-59 years, male 23.3
GTEX-13N2G-0226-SM-5K7VF 60-69 years, male 23.2
GTEX-145LU-1926-SM-79OJN 50-59 years, male 23.2
GTEX-1I4MK-0126-SM-CY8G6 50-59 years, female 23.2
GTEX-1IDJH-0126-SM-D3L92 70-79 years, male 23.2
GTEX-13FHO-0426-SM-5L3F5 60-69 years, male 22.9
GTEX-1K2DA-1026-SM-CGQGF 50-59 years, male 22.9
GTEX-15DYW-2726-SM-6EU2I 60-69 years, female 22.8
GTEX-1HSKV-1226-SM-ADEI4 60-69 years, male 22.8
GTEX-12126-0826-SM-5FQTZ 20-29 years, male 22.6
GTEX-13U4I-2226-SM-5LU5H 40-49 years, female 22.6
GTEX-1HCUA-0826-SM-ADEHM 50-59 years, female 22.5
GTEX-WK11-2726-SM-3NMAQ 50-59 years, male 22.3
GTEX-ZVE2-2826-SM-5GU51 50-59 years, male 22.3
GTEX-1LVAN-0626-SM-CNPOQ 50-59 years, female 22.3
GTEX-13IVO-0726-SM-5LZYV 70-79 years, male 22.2
GTEX-XXEK-1626-SM-4BRUZ 50-59 years, male 22.2
GTEX-Z93S-1626-SM-5CVMB 50-59 years, male 22.2
GTEX-1O9I2-0226-SM-EYYXD 50-59 years, male 22.2
GTEX-13JVG-0726-SM-5KM16 60-69 years, male 22.1
GTEX-13NYB-0126-SM-5J1MD 40-49 years, male 22.1
GTEX-145MN-1526-SM-5SI9T 30-39 years, male 22.1
GTEX-15FZZ-0526-SM-7KUGD 30-39 years, female 22.1
GTEX-Y5LM-0926-SM-6LLJG 40-49 years, female 22.1
GTEX-14PJ3-1126-SM-5ZZVX 50-59 years, male 22.0
GTEX-WEY5-2326-SM-3GIKK 40-49 years, female 22.0
GTEX-1I1GP-1326-SM-A9G28 50-59 years, male 22.0
GTEX-18A66-0626-SM-7LT8Z 60-69 years, male 21.9
GTEX-1LSVX-2526-SM-DIPEU 60-69 years, male 21.4
GTEX-11WQK-1026-SM-5EQLX 50-59 years, male 21.2
GTEX-1H3O1-1326-SM-9MQLD 60-69 years, male 21.2
GTEX-1J8EW-2726-SM-CY8HR 60-69 years, female 21.2
GTEX-11NSD-0626-SM-5A5LU 20-29 years, male 21.1
GTEX-15D1Q-2826-SM-6LLH7 40-49 years, male 21.1
GTEX-1F75B-0726-SM-7PC3R 50-59 years, male 21.1
GTEX-14LZ3-0126-SM-69LPM 60-69 years, female 21.0
GTEX-XBED-1926-SM-47JYP 60-69 years, male 21.0
GTEX-1KANA-1326-SM-DIPFA 20-29 years, male 20.9
GTEX-1211K-1526-SM-5FQU4 60-69 years, female 20.8
GTEX-13PL6-1126-SM-5L3IE 40-49 years, female 20.8
GTEX-1E1VI-0326-SM-793D1 50-59 years, male 20.8
GTEX-18465-2826-SM-7LT9J 50-59 years, male 20.7
GTEX-1A3MX-2626-SM-7PC24 60-69 years, male 20.7
GTEX-1I19N-0126-SM-CYPSF 70-79 years, male 20.7
GTEX-17F96-0126-SM-7EWDU 70-79 years, male 20.6
GTEX-1RAZR-2126-SM-E9U6T 40-49 years, male 20.6
GTEX-13OW7-0426-SM-5K7VK 50-59 years, male 20.5
GTEX-14JG1-1526-SM-5YY9X 40-49 years, male 20.5
GTEX-1E2YA-2126-SM-7MXUO 50-59 years, male 20.5
GTEX-1IDJF-2026-SM-CL53V 20-29 years, male 20.5
GTEX-1K2DU-1226-SM-CYPT4 20-29 years, male 20.5
GTEX-1LSNL-2726-SM-E9TKJ 50-59 years, male 20.5
GTEX-11WQC-1826-SM-5GU59 60-69 years, male 20.4
GTEX-17HHY-0426-SM-7DHLC 50-59 years, male 20.4
GTEX-1C6WA-2626-SM-7MKGM 60-69 years, male 20.4
GTEX-1IDJC-1526-SM-B2LW4 50-59 years, male 20.4
GTEX-1R7EU-1626-SM-DTXG3 60-69 years, male 20.4
GTEX-145LT-0526-SM-5LUB2 40-49 years, male 20.3
GTEX-UPK5-0426-SM-3GAEK 40-49 years, male 20.3
GTEX-ZPU1-1126-SM-4YCF3 40-49 years, male 20.3
GTEX-1313W-0626-SM-5EQ4H 50-59 years, female 20.2
GTEX-16BQI-1326-SM-6M486 30-39 years, female 20.2
GTEX-ZZPU-0826-SM-5GZX5 50-59 years, female 20.1
GTEX-1JMQK-1226-SM-D4P2S 60-69 years, male 20.1
GTEX-14BMU-1226-SM-5S2OR 20-29 years, female 20.0
GTEX-1AX9I-2226-SM-73KUO 60-69 years, male 20.0
GTEX-1F88F-0126-SM-9WYSZ 60-69 years, female 20.0
GTEX-1QAET-0326-SM-EVR3U 50-59 years, male 20.0
GTEX-12BJ1-0926-SM-5EQ62 60-69 years, male 19.9
GTEX-13OVL-0126-SM-5L3GJ 50-59 years, male 19.9
GTEX-V1D1-2026-SM-3GAF4 50-59 years, male 19.9
GTEX-1C475-1326-SM-7SB73 40-49 years, female 19.9
GTEX-1S3DN-2126-SM-E9TIN 50-59 years, male 19.9
GTEX-14PKU-0126-SM-6LLHV 40-49 years, female 19.8
GTEX-1KWVE-1026-SM-D3L9O 30-39 years, male 19.8
GTEX-11GSP-2326-SM-5HL63 60-69 years, female 19.7
GTEX-13QBU-1226-SM-5LU4G 40-49 years, female 19.7
GTEX-14PKV-1126-SM-6LLJ1 20-29 years, female 19.7
GTEX-WFG7-2026-SM-5SI7P 20-29 years, male 19.7
GTEX-XBEW-1126-SM-4QARW 40-49 years, male 19.7
GTEX-WYJK-0526-SM-3NM8Z 50-59 years, male 19.6
GTEX-1CB4F-1026-SM-7DUH1 60-69 years, male 19.5
GTEX-ZP4G-1426-SM-4WWCL 20-29 years, female 19.5
GTEX-13OW6-2726-SM-5J2OE 50-59 years, male 19.4
GTEX-XQ8I-0926-SM-4BOOF 50-59 years, male 19.4
GTEX-1JJEA-1826-SM-ARU8P 60-69 years, male 19.3
GTEX-12WSC-2826-SM-5BC5Y 50-59 years, male 19.2
GTEX-1477Z-0326-SM-7IGLA 60-69 years, male 19.2
GTEX-1LVA9-2626-SM-EVYD4 50-59 years, male 19.2
GTEX-1N2EE-0626-SM-E76PW 60-69 years, male 19.2
GTEX-1QP66-1226-SM-DTX7U 50-59 years, male 19.2
GTEX-11P81-2226-SM-5PNYI 30-39 years, female 19.1
GTEX-13VXU-0626-SM-5L3F9 50-59 years, male 19.1
GTEX-18A7B-2726-SM-7LG56 70-79 years, male 19.1
GTEX-Y3I4-1726-SM-4TT89 50-59 years, male 19.1
GTEX-ZGAY-1826-SM-DO91Q 40-49 years, female 19.1
GTEX-183FY-1026-SM-7939A 20-29 years, male 19.0
GTEX-18D9U-0126-SM-731BM 40-49 years, male 19.0
GTEX-12ZZZ-0726-SM-5GCNZ 60-69 years, male 18.9
GTEX-13X6I-1826-SM-5SIAO 60-69 years, male 18.9
GTEX-14BIN-1126-SM-5RQJZ 50-59 years, female 18.9
GTEX-16MT8-2926-SM-7DUFO 60-69 years, female 18.9
GTEX-16XZZ-0726-SM-7KUF2 60-69 years, male 18.9
GTEX-13NYS-0626-SM-5L3F1 60-69 years, male 18.8
GTEX-13RTJ-0126-SM-5S2NN 60-69 years, male 18.8
GTEX-1EN7A-2426-SM-793DB 40-49 years, male 18.8
GTEX-1HBPI-2126-SM-ARL9K 50-59 years, male 18.8
GTEX-178AV-1726-SM-7KUL8 40-49 years, male 18.7
GTEX-Y111-0626-SM-4SOIT 50-59 years, male 18.7
GTEX-14E6E-0526-SM-793DN 30-39 years, male 18.6
GTEX-ZPCL-1126-SM-4WWFE 60-69 years, female 18.6
GTEX-1S831-1826-SM-EWROF 20-29 years, male 18.6
GTEX-1H4P4-2126-SM-9WYSL 50-59 years, male 18.2
GTEX-13O61-1426-SM-5KM3D 60-69 years, male 18.1
GTEX-13YAN-0226-SM-5TDC6 60-69 years, male 18.1
GTEX-Y114-2126-SM-4TT8B 50-59 years, female 18.1
GTEX-1IDFM-0326-SM-ARL7V 60-69 years, male 18.1
GTEX-ZLV1-1526-SM-DO91J 60-69 years, female 18.1
GTEX-139TS-2126-SM-5K7XC 60-69 years, male 18.0
GTEX-13NYC-0126-SM-5L3F4 60-69 years, male 18.0
GTEX-YECK-0326-SM-4W1YS 60-69 years, male 18.0
GTEX-1H2FU-0926-SM-9WPPT 60-69 years, female 18.0
GTEX-14PJ6-2626-SM-6EU2T 60-69 years, female 17.8
GTEX-11DXY-0126-SM-5H11Q 60-69 years, male 17.7
GTEX-1B933-2426-SM-7DHMD 50-59 years, female 17.7
GTEX-1PIGE-1826-SM-E8VOU 20-29 years, male 17.7
GTEX-1S82U-1026-SM-E6CJK 30-39 years, female 17.7
GTEX-13O3O-2326-SM-5IJD6 60-69 years, female 17.6
GTEX-14PHY-1226-SM-5ZZWK 60-69 years, female 17.6
GTEX-1I1HK-2326-SM-CKZOH 60-69 years, male 17.6
GTEX-139D8-1126-SM-5LU8W 30-39 years, female 17.5
GTEX-ZPIC-0526-SM-DO91W 40-49 years, female 17.5
GTEX-11VI4-1126-SM-5EQMD 40-49 years, female 17.4
GTEX-12WSK-2126-SM-5CVNC 40-49 years, female 17.4
GTEX-13JUV-2026-SM-5K7UA 40-49 years, female 17.4
GTEX-14C38-0726-SM-5SI6M 50-59 years, male 17.4
GTEX-14C39-1726-SM-5RQIL 40-49 years, male 17.4
GTEX-ZAJG-1526-SM-5CVML 50-59 years, female 17.4
GTEX-1LSNM-0826-SM-DIPG8 50-59 years, male 17.4
GTEX-13NZ9-2626-SM-5L3FK 50-59 years, male 17.3
GTEX-ZTSS-1426-SM-5985P 40-49 years, male 17.3
GTEX-14JG6-1426-SM-9WG7C 30-39 years, female 17.3
GTEX-1IOXB-2726-SM-CM2RI 50-59 years, male 17.3
GTEX-1KAFJ-0126-SM-DIPEK 50-59 years, male 17.3
GTEX-1KANC-1226-SM-CYPT7 50-59 years, female 17.3
GTEX-11TUW-0626-SM-5LU9M 60-69 years, male 17.2
GTEX-139TT-2126-SM-5LZWC 60-69 years, male 17.2
GTEX-17F9E-2326-SM-79OKD 50-59 years, male 17.2
GTEX-18A6Q-0626-SM-7KFRP 60-69 years, male 17.2
GTEX-1IL2V-1926-SM-B2LW8 70-79 years, male 17.1
GTEX-1K9T9-1526-SM-DIPFR 50-59 years, female 17.1
GTEX-14DAQ-0626-SM-793DS 60-69 years, female 17.0
GTEX-YF7O-1526-SM-5IFI6 50-59 years, male 17.0
GTEX-1HSMO-0626-SM-ACKXC 60-69 years, male 17.0
GTEX-17HII-1426-SM-7EPGG 50-59 years, male 16.9
GTEX-Y5V5-0126-SM-5S2NW 60-69 years, female 16.9
GTEX-ZVT2-0126-SM-5GIDQ 50-59 years, female 16.9
GTEX-1GF9V-0826-SM-9KNUV 60-69 years, male 16.8
GTEX-1L5NE-1126-SM-D3L9P 50-59 years, male 16.8
GTEX-11DXZ-2026-SM-5987S 50-59 years, male 16.7
GTEX-13N11-2326-SM-5IJBF 50-59 years, female 16.7
GTEX-1HBPM-0726-SM-9YFL7 60-69 years, female 16.6
GTEX-13SLX-2226-SM-62LEP 50-59 years, female 16.5
GTEX-13W3W-0726-SM-5IJDQ 60-69 years, female 16.5
GTEX-15G19-2426-SM-7KUMR 60-69 years, male 16.5
GTEX-1A8G7-1326-SM-73KVM 60-69 years, male 16.5
GTEX-1CB4E-0926-SM-7EPHT 60-69 years, male 16.5
GTEX-1EU9M-1426-SM-793AI 60-69 years, male 16.5
GTEX-1JMPZ-0726-SM-CY8HZ 30-39 years, male 16.5
GTEX-15CHC-1126-SM-6LLHQ 60-69 years, female 16.4
GTEX-1JMQJ-0826-SM-CNPP7 50-59 years, male 16.4
GTEX-139TU-0726-SM-5L3EK 60-69 years, male 16.3
GTEX-13O3Q-0126-SM-5KM34 50-59 years, male 16.3
GTEX-1LB8K-0726-SM-D5OV2 50-59 years, male 16.3
GTEX-1RMOY-1326-SM-E9TIH 50-59 years, male 16.3
GTEX-139UW-0326-SM-5J1ML 60-69 years, male 16.2
GTEX-1CB4H-1126-SM-7MKGL 60-69 years, female 16.0
GTEX-1HFI7-2326-SM-CGQFS 50-59 years, female 16.0
GTEX-1S5ZU-2526-SM-E6CIF 20-29 years, female 16.0
GTEX-13VXT-1926-SM-5K7UO 20-29 years, female 15.9
GTEX-17HGU-2326-SM-7DUFE 50-59 years, male 15.9
GTEX-WFON-1926-SM-3LK7L 40-49 years, male 15.9
GTEX-Y8E4-2026-SM-5IFJB 40-49 years, male 15.9
GTEX-1CB4I-0126-SM-7RHGG 50-59 years, male 15.9
GTEX-1IKJJ-2226-SM-CJI4C 60-69 years, male 15.9
GTEX-16AAH-0626-SM-793C9 50-59 years, male 15.8
GTEX-1I1GV-0626-SM-ARL7M 60-69 years, male 15.8
GTEX-15RIE-1926-SM-7KUKJ 60-69 years, male 15.6
GTEX-1399S-0126-SM-5IJCF 30-39 years, female 15.5
GTEX-15UF6-1926-SM-7KUDV 70-79 years, female 15.5
GTEX-1AMEY-0826-SM-72D65 30-39 years, female 15.5
GTEX-ZVT4-2426-SM-5GIEI 50-59 years, female 15.5
GTEX-ZZ64-1026-SM-5GZXG 20-29 years, male 15.5
GTEX-1GTWX-2026-SM-9YFLM 60-69 years, male 15.5
GTEX-1HR98-2226-SM-ADEI2 60-69 years, male 15.5
GTEX-1PPGY-1626-SM-EVYBL 60-69 years, male 15.5
GTEX-111CU-1126-SM-5EGIM 50-59 years, male 15.4
GTEX-14PJ2-0626-SM-6LLII 50-59 years, male 15.4
GTEX-1B8SF-0126-SM-7DUG3 60-69 years, male 15.4
GTEX-1IKOE-1426-SM-CE6T7 30-39 years, female 15.4
GTEX-11EQ8-0926-SM-5H12V 60-69 years, male 15.3
GTEX-1RAZQ-1326-SM-E9TK6 30-39 years, male 15.3
GTEX-1MCC2-1826-SM-DIPEX 30-39 years, female 15.2
GTEX-16NGA-0726-SM-731AO 40-49 years, female 15.1
GTEX-1I1GU-0926-SM-ACKVS 40-49 years, male 15.1
GTEX-1KD5A-0126-SM-E9U54 50-59 years, male 15.1
GTEX-1MJK3-0726-SM-E6CJC 20-29 years, male 15.1
GTEX-1A8G6-2726-SM-731AR 60-69 years, male 15.0
GTEX-1PIIG-2326-SM-DTXFR 30-39 years, male 15.0
GTEX-1B97I-0626-SM-73KUZ 40-49 years, male 14.9
GTEX-1GN1U-0626-SM-9MQL9 50-59 years, female 14.9
GTEX-1N5O9-0926-SM-E9J3C 60-69 years, male 14.9
GTEX-1RB15-1326-SM-E76Q9 60-69 years, male 14.9
GTEX-13NZ8-1226-SM-5KM4A 60-69 years, female 14.8
GTEX-147F3-1726-SM-5SIAW 50-59 years, female 14.8
GTEX-1GN2E-0226-SM-9WG6K 60-69 years, male 14.8
GTEX-1HBPN-0126-SM-CGQEF 50-59 years, male 14.8
GTEX-1JN6P-2926-SM-CL54D 60-69 years, male 14.8
GTEX-1LG7Y-2526-SM-EWRO7 50-59 years, male 14.8
GTEX-1212Z-0126-SM-59HK4 60-69 years, male 14.7
GTEX-13PVR-0426-SM-5RQK2 60-69 years, female 14.6
GTEX-145MH-2826-SM-5RQJF 50-59 years, male 14.6
GTEX-15CHR-1126-SM-7EWF4 50-59 years, male 14.6
GTEX-1IDJU-1726-SM-CMKHU 60-69 years, female 14.6
GTEX-14LLW-2626-SM-62LDZ 70-79 years, female 14.5
GTEX-ZYVF-0926-SM-5E44J 50-59 years, female 14.5
GTEX-1H3VE-0726-SM-9YFL5 40-49 years, male 14.5
GTEX-1JJE9-2626-SM-ARZMT 70-79 years, male 14.5
GTEX-131XG-0326-SM-5L3DX 50-59 years, female 14.4
GTEX-144GL-0626-SM-5LU4D 50-59 years, male 14.4
GTEX-ZF29-0926-SM-4WKFZ 60-69 years, female 14.4
GTEX-1I1GS-2626-SM-B2LY3 60-69 years, male 14.4
GTEX-145MI-0626-SM-5SI8S 60-69 years, female 14.3
GTEX-15EU6-2226-SM-6EU2L 50-59 years, male 14.3
GTEX-18D9A-1426-SM-7LT8M 30-39 years, female 14.3
GTEX-11P7K-1126-SM-5HL4L 30-39 years, male 14.2
GTEX-14E1K-2026-SM-7DUEI 50-59 years, male 14.2
GTEX-15EO6-2426-SM-6PALZ 50-59 years, male 14.2
GTEX-1F88E-1626-SM-7SB8Z 60-69 years, female 14.2
GTEX-1HB9E-0126-SM-CM2S5 50-59 years, male 14.2
GTEX-13FTW-0326-SM-5K7UW 40-49 years, male 14.1
GTEX-13FTX-1526-SM-5K7VJ 20-29 years, female 14.1
GTEX-15DDE-2926-SM-6LLJ3 50-59 years, female 14.1
GTEX-17HHE-1326-SM-7EWDZ 50-59 years, male 14.1
GTEX-YFCO-1226-SM-5LUAT 40-49 years, male 14.1
GTEX-1M4P7-0726-SM-E6CJ3 60-69 years, male 14.1
GTEX-14XAO-1226-SM-6EU1C 60-69 years, female 14.0
GTEX-1I6K7-1926-SM-B2LXR 40-49 years, male 14.0
GTEX-1QW4Y-1126-SM-DTXE3 30-39 years, male 14.0
GTEX-1GF9U-2026-SM-7SB92 40-49 years, female 13.9
GTEX-1HSMP-0926-SM-A9SKX 70-79 years, male 13.9
GTEX-11LCK-2226-SM-5HL4Q 30-39 years, male 13.8
GTEX-12ZZY-0726-SM-5EQ66 60-69 years, male 13.8
GTEX-14753-0726-SM-5QGQO 60-69 years, male 13.8
GTEX-17F9Y-0126-SM-79OKX 70-79 years, female 13.8
GTEX-ZTX8-1326-SM-4YCEL 20-29 years, male 13.8
GTEX-13D11-0926-SM-5J2NC 50-59 years, female 13.7
GTEX-15G1A-1626-SM-7KUKN 30-39 years, male 13.7
GTEX-17KNJ-2126-SM-718AM 50-59 years, male 13.7
GTEX-11EQ9-1626-SM-5PNY8 30-39 years, male 13.6
GTEX-11PRG-0726-SM-5EGL1 50-59 years, male 13.6
GTEX-Y9LG-1126-SM-4VBQ7 30-39 years, male 13.6
GTEX-1JJ6O-2726-SM-CNPOG 60-69 years, male 13.6
GTEX-1RAZS-2526-SM-E6CHT 50-59 years, male 13.6
GTEX-14BMV-2826-SM-5TDED 50-59 years, male 13.5
GTEX-1C6VQ-1226-SM-73KYD 50-59 years, male 13.5
GTEX-11UD2-2526-SM-5CVNU 50-59 years, male 13.4
GTEX-144GO-2026-SM-5O99P 60-69 years, male 13.4
GTEX-1HCU9-0426-SM-9WYSD 20-29 years, male 13.4
GTEX-1HKZK-0726-SM-ACKW2 40-49 years, male 13.4
GTEX-13X6K-0626-SM-5LU5D 60-69 years, female 13.3
GTEX-ZXG5-2126-SM-59HKD 60-69 years, male 13.3
GTEX-1H1DG-2426-SM-9QEHJ 70-79 years, male 13.3
GTEX-VUSG-2326-SM-4KL1U 50-59 years, male 13.2
GTEX-ZVZP-1226-SM-5GID7 50-59 years, male 13.2
GTEX-1GMR3-0126-SM-A9SLW 40-49 years, male 13.2
GTEX-1PPH8-0126-SM-EWRN8 20-29 years, male 13.2
GTEX-1ICLY-0826-SM-CMKG1 50-59 years, male 13.1
GTEX-15SKB-2826-SM-6PAMH 60-69 years, male 13.0
GTEX-ZYT6-2326-SM-5GZY3 30-39 years, male 13.0
GTEX-11ZU8-0126-SM-5EQ58 60-69 years, male 12.9
GTEX-1B8KE-1126-SM-7EPHI 50-59 years, male 12.9
GTEX-1J8QM-2426-SM-A9SLS 60-69 years, female 12.9
GTEX-15RIG-0726-SM-7KUM7 40-49 years, male 12.8
GTEX-17F98-1326-SM-7DUEP 40-49 years, female 12.8
GTEX-111YS-1526-SM-5GZYW 60-69 years, male 12.7
GTEX-133LE-2326-SM-5K7W3 20-29 years, female 12.7
GTEX-145MO-2826-SM-5LU96 60-69 years, male 12.7
GTEX-15ER7-0626-SM-6PANF 20-29 years, female 12.7
GTEX-XAJ8-1426-SM-47JYM 40-49 years, male 12.7
GTEX-1GN73-0726-SM-7P8TJ 60-69 years, male 12.7
GTEX-144GM-0526-SM-79OJO 20-29 years, male 12.6
GTEX-14AS3-1526-SM-5Q5ED 40-49 years, female 12.6
GTEX-XMD2-2126-SM-4YCF8 60-69 years, female 12.6
GTEX-1C64N-2626-SM-7PC2N 50-59 years, male 12.6
GTEX-1F52S-2926-SM-7MKGA 60-69 years, female 12.5
GTEX-UPJH-0226-SM-3GADV 50-59 years, male 12.5
GTEX-WHWD-1826-SM-3LK6I 50-59 years, male 12.5
GTEX-13FTY-2126-SM-5IFFB 40-49 years, female 12.4
GTEX-13QJC-0126-SM-5ZZWJ 60-69 years, female 12.4
GTEX-1PPH7-1126-SM-DTX9A 40-49 years, male 12.4
GTEX-14PJ4-0226-SM-5YY92 60-69 years, male 12.3
GTEX-ZTTD-2826-SM-4YCFA 50-59 years, male 12.3
GTEX-1GPI7-1826-SM-9KNU1 20-29 years, male 12.3
GTEX-13G51-1826-SM-5KLZH 60-69 years, male 12.2
GTEX-1GMR8-0626-SM-7RHI7 50-59 years, female 12.2
GTEX-1J1R8-2026-SM-CL53Y 40-49 years, male 12.2
GTEX-12C56-1526-SM-5FQUQ 20-29 years, male 12.1
GTEX-12WSA-0426-SM-5EQ5X 60-69 years, male 12.1
GTEX-13FLV-0126-SM-5K7WT 50-59 years, male 12.1
GTEX-1B932-2326-SM-79OL5 40-49 years, female 12.0
GTEX-ZT9X-1526-SM-5DUXD 40-49 years, male 12.0
GTEX-1GF9W-1426-SM-7PBYM 60-69 years, male 12.0
GTEX-1I6K6-1726-SM-CGQFD 30-39 years, male 12.0
GTEX-ZY6K-1426-SM-5GZX2 50-59 years, male 11.9
GTEX-1LGOU-1326-SM-D3L8M 20-29 years, female 11.9
GTEX-1PDJ9-1226-SM-EXUSX 20-29 years, male 11.9
GTEX-145MF-0926-SM-5Q5EA 50-59 years, male 11.8
GTEX-1IE54-1126-SM-A9G2Z 40-49 years, female 11.8
GTEX-1QP9N-1226-SM-E76QN 30-39 years, male 11.8
GTEX-ZDTT-0426-SM-4WKFL 60-69 years, male 11.7
GTEX-ZYY3-2926-SM-5GIEB 60-69 years, female 11.7
GTEX-1H1DE-1326-SM-9KNUG 20-29 years, male 11.7
GTEX-12ZZX-2426-SM-5GCOE 40-49 years, female 11.6
GTEX-13X6H-0926-SM-5SIB2 50-59 years, female 11.6
GTEX-17MFQ-1526-SM-7KFRR 20-29 years, male 11.6
GTEX-12KS4-2126-SM-5FQUT 30-39 years, male 11.5
GTEX-1CB4J-1326-SM-7P8RX 60-69 years, male 11.5
GTEX-1HT8W-0626-SM-A9G2H 30-39 years, male 11.5
GTEX-11P82-1426-SM-DTXFY 20-29 years, male 11.4
GTEX-1269C-0126-SM-5EQ5L 60-69 years, female 11.2
GTEX-13OW5-2326-SM-5L3HO 60-69 years, male 11.2
GTEX-1F5PL-0926-SM-7PC2W 40-49 years, female 11.2
GTEX-1GPI6-1926-SM-9KNV7 60-69 years, male 11.2
GTEX-1J1OQ-0126-SM-D4P2N 40-49 years, female 11.2
GTEX-1PBJJ-1026-SM-E76OS 30-39 years, male 11.2
GTEX-13OVH-0526-SM-5L3E6 70-79 years, male 11.1
GTEX-1F5PK-2226-SM-7SB6N 50-59 years, male 11.1
GTEX-1J8Q2-2626-SM-ACKWQ 60-69 years, male 11.1
GTEX-ZE9C-2526-SM-5IJDR 60-69 years, male 11.0
GTEX-1C64O-1326-SM-7MGWR 60-69 years, male 11.0
GTEX-1GZ4I-2626-SM-9KNU3 50-59 years, male 10.9
GTEX-1JKYR-0626-SM-ARL8R 20-29 years, male 10.9
GTEX-1QP28-1126-SM-EVYC4 50-59 years, female 10.9
GTEX-1QPFJ-1926-SM-EVYBD 30-39 years, female 10.9
GTEX-14PHX-2226-SM-6EU2P 50-59 years, male 10.8
GTEX-1OJC3-1226-SM-DTXER 20-29 years, male 10.8
GTEX-1R46S-2426-SM-E76QA 60-69 years, female 10.8
GTEX-1C2JI-1026-SM-73KY1 50-59 years, male 10.7
GTEX-1HGF4-0126-SM-CNPPX 60-69 years, male 10.7
GTEX-12696-0126-SM-5EQ4L 60-69 years, male 10.6
GTEX-148VJ-0626-SM-5LUAW 70-79 years, male 10.6
GTEX-1NSGN-0726-SM-DTXEF 50-59 years, male 10.6
GTEX-1QMI2-2526-SM-E8VNZ 60-69 years, male 10.6
GTEX-13PDP-0726-SM-5L3HP 60-69 years, male 10.5
GTEX-15RJE-2826-SM-7KUM9 40-49 years, male 10.5
GTEX-1LGRB-0926-SM-COH3K 50-59 years, female 10.5
GTEX-14PII-0726-SM-6EU2B 60-69 years, male 10.4
GTEX-1F75I-2226-SM-7SB8U 40-49 years, male 10.4
GTEX-14PJ5-1526-SM-6LLIL 60-69 years, female 10.3
GTEX-1KANB-2826-SM-CY8I6 50-59 years, male 10.3
GTEX-11DXX-2126-SM-5PNYR 60-69 years, female 10.2
GTEX-1122O-1026-SM-9WYSF 60-69 years, female 10.2
GTEX-1H11D-1826-SM-9QEHM 40-49 years, male 10.2
GTEX-1GZ4H-0526-SM-9KNU9 50-59 years, female 10.0
GTEX-11ZUS-2626-SM-5FQUR 30-39 years, male 9.9
GTEX-1CAMS-2226-SM-7PBXQ 40-49 years, female 9.9
GTEX-1HSGN-0826-SM-ACKW3 40-49 years, female 9.9
GTEX-1HSMQ-2626-SM-A9SML 50-59 years, male 9.9
GTEX-1R9PM-1926-SM-EVR3O 20-29 years, male 9.9
GTEX-1A3MV-1826-SM-731CD 30-39 years, male 9.7
GTEX-1EH9U-2826-SM-7DUGT 60-69 years, male 9.7
GTEX-1B8L1-2226-SM-7P8PT 60-69 years, male 9.7
GTEX-1C6VR-0126-SM-7RHGB 60-69 years, male 9.7
GTEX-1I1GT-1026-SM-ARZLV 60-69 years, female 9.7
GTEX-1QP2A-1726-SM-E76QC 50-59 years, male 9.7
GTEX-ZWKS-0626-SM-5GIDV 30-39 years, male 9.6
GTEX-1H1E6-0426-SM-9WYUS 30-39 years, male 9.6
GTEX-1LKK1-2626-SM-DKPQE 50-59 years, female 9.6
GTEX-1IDJV-0126-SM-COH3Y 60-69 years, male 9.5
GTEX-1JMPY-0226-SM-CKZOK 30-39 years, male 9.5
GTEX-1OJC4-2726-SM-E76PJ 50-59 years, female 9.4
GTEX-YEC3-1326-SM-DO92X 50-59 years, male 9.4
GTEX-14A6H-2026-SM-5Q5DD 30-39 years, male 9.2
GTEX-1GF9X-1326-SM-7PC2Y 40-49 years, female 9.2
GTEX-1NV5F-0626-SM-DTXEG 60-69 years, female 9.1
GTEX-1399Q-2326-SM-5KM2X 40-49 years, male 8.8
GTEX-14C5O-0326-SM-5ZZUX 60-69 years, male 8.7
GTEX-1399U-1126-SM-5L3DB 50-59 years, female 8.6
GTEX-1JK1U-0226-SM-ARZMX 60-69 years, male 8.6
GTEX-111VG-1626-SM-5EGIO 60-69 years, male 8.5
GTEX-1JN76-0626-SM-CKZOQ 20-29 years, female 8.3
GTEX-1N2DV-1526-SM-DTXEP 40-49 years, male 8.3
GTEX-1RAZA-2226-SM-E9U4X 20-29 years, male 8.3
GTEX-1HCVE-2726-SM-CL54F 50-59 years, male 8.1
GTEX-12WSM-1926-SM-5BC65 60-69 years, male 7.9
GTEX-147GR-2426-SM-5ZZWQ 60-69 years, male 7.9
GTEX-14B4R-1326-SM-5Q5EZ 30-39 years, male 7.9
GTEX-1MCYP-0526-SM-E9U6Q 20-29 years, female 7.9
GTEX-183WM-0326-SM-72D5V 70-79 years, female 7.8
GTEX-1KXAM-1626-SM-D3LAD 60-69 years, male 7.7
GTEX-131XF-2626-SM-5EQ6K 60-69 years, male 7.6
GTEX-1CAMQ-1326-SM-7P8RV 40-49 years, male 7.5
GTEX-1GN1W-2426-SM-9KNUU 50-59 years, female 7.4
GTEX-14PJN-1826-SM-6AJ98 30-39 years, male 7.2
GTEX-1AMFI-1326-SM-7939R 50-59 years, female 7.2
GTEX-13SLW-0626-SM-5Q5ER 70-79 years, male 7.1
GTEX-14ICL-1626-SM-5YYAO 30-39 years, male 6.9
GTEX-1LVAM-0726-SM-E6CIL 50-59 years, female 6.7
GTEX-1S83E-1326-SM-E6CJM 40-49 years, male 6.5
GTEX-18QFQ-1826-SM-72D52 30-39 years, male 6.4
GTEX-1F6RS-2026-SM-7RHHC 60-69 years, female 6.4
GTEX-1HR9M-2226-SM-CNPPY 60-69 years, male 6.3
GTEX-1GN1V-2826-SM-9JGIA 60-69 years, male 6.2
GTEX-1QCLY-0226-SM-EWRNH 30-39 years, male 5.7
GTEX-WHSB-1326-SM-3LK6W 50-59 years, male 5.6
GTEX-1HCU7-0726-SM-A9SL1 50-59 years, male 5.4
GTEX-18A67-1626-SM-7LT9T 50-59 years, male 4.3
Show allShow less
Skin - Sun Exposed (Lower leg)
Average nTPM: 24.5
Samples: 701

Max nTPM: 159.3
Min nTPM: 3.7
Std nTPM: 16.5
Median nTPM: 20.5
GTEX-Q734-1926-SM-2I5EV 40-49 years, female 159.3
GTEX-ZDXO-3026-SM-5J1N5 60-69 years, male 157.9
GTEX-14E6C-0126-SM-5RQIP 40-49 years, male 91.9
GTEX-13OW7-0126-SM-5MR3B 50-59 years, male 89.7
GTEX-XV7Q-2526-SM-4BRV9 40-49 years, female 82.6
GTEX-ZF28-0126-SM-4WKGK 60-69 years, male 79.9
GTEX-113IC-0126-SM-5HL6T 60-69 years, male 79.8
GTEX-ZYW4-0126-SM-5E44A 60-69 years, male 78.8
GTEX-1HBPH-0426-SM-B2LW5 40-49 years, female 77.6
GTEX-WY7C-2326-SM-3NB2U 50-59 years, male 76.9
GTEX-RUSQ-1526-SM-2TF62 50-59 years, male 72.4
GTEX-1M4P7-0226-SM-DIPEV 60-69 years, male 72.1
GTEX-14JIY-0126-SM-6LLH6 60-69 years, male 70.7
GTEX-X8HC-0126-SM-4E3JW 50-59 years, female 69.7
GTEX-11TTK-0126-SM-5987B 60-69 years, female 69.6
GTEX-15SHW-0326-SM-6PAML 60-69 years, male 69.1
GTEX-QDT8-0126-SM-48TZ1 30-39 years, female 68.7
GTEX-1MA7X-2226-SM-E6CIY 60-69 years, male 68.4
GTEX-1J8EW-0126-SM-CJI4F 60-69 years, female 66.8
GTEX-15EOM-0126-SM-7KUGG 20-29 years, female 66.7
GTEX-1PWST-0226-SM-E76QJ 70-79 years, male 65.7
GTEX-13CF2-2526-SM-5LZYX 60-69 years, male 62.8
GTEX-12WSL-2526-SM-5GCNJ 50-59 years, male 61.9
GTEX-PLZ4-0126-SM-5SI8O 50-59 years, female 60.9
GTEX-11DXW-0226-SM-5H122 40-49 years, male 60.7
GTEX-X638-0126-SM-47JZ8 70-79 years, female 59.9
GTEX-17HHY-0126-SM-7LG5D 50-59 years, male 59.8
GTEX-1I1CD-0126-SM-CM2TK 60-69 years, female 59.2
GTEX-13OVJ-0126-SM-5KM36 50-59 years, female 58.4
GTEX-1ICG6-2526-SM-CGQFZ 70-79 years, female 57.8
GTEX-1R9K4-0126-SM-DTX9X 60-69 years, male 57.5
GTEX-1C6VS-0526-SM-7DUEN 60-69 years, male 57.3
GTEX-1RLM8-2326-SM-EWRN4 50-59 years, male 56.5
GTEX-X4EO-0326-SM-3P5YO 60-69 years, female 56.4
GTEX-S7PM-0126-SM-4AD6S 60-69 years, male 56.1
GTEX-117YW-2626-SM-5GZZH 50-59 years, male 55.7
GTEX-144GN-2326-SM-5LU4F 50-59 years, male 55.7
GTEX-WI4N-1026-SM-3LK7N 40-49 years, female 55.3
GTEX-ZYFC-0226-SM-5NQ75 50-59 years, male 55.0
GTEX-12584-0126-SM-5EGKQ 40-49 years, male 54.5
GTEX-ZUA1-0126-SM-5GU76 40-49 years, male 54.4
GTEX-14PK6-1926-SM-6ETZU 70-79 years, female 53.9
GTEX-X4XY-0226-SM-4E3IZ 60-69 years, male 52.9
GTEX-13VXU-0126-SM-5SI9F 50-59 years, male 52.8
GTEX-ZVT3-0126-SM-5GU6I 60-69 years, female 50.8
GTEX-P4PQ-0126-SM-2S1NM 60-69 years, male 50.5
GTEX-139T4-0226-SM-5HL5S 50-59 years, female 49.7
GTEX-RN64-0126-SM-2TC68 50-59 years, male 49.5
GTEX-1AYD5-2426-SM-73KXR 50-59 years, male 49.3
GTEX-XXEK-2226-SM-4BRUM 50-59 years, male 49.3
GTEX-13NZA-0226-SM-5K7Z7 60-69 years, male 49.2
GTEX-146FH-0126-SM-5QGPP 50-59 years, female 49.1
GTEX-ZAB4-0226-SM-5N9F5 40-49 years, male 49.0
GTEX-OXRL-0126-SM-2YUMP 50-59 years, male 48.6
GTEX-QLQW-1126-SM-2S1Q8 30-39 years, male 48.6
GTEX-R45C-0126-SM-EAZ2R 60-69 years, female 48.6
GTEX-12WSN-5019-SM-79OM6 40-49 years, male 48.5
GTEX-RTLS-0126-SM-447CA 60-69 years, female 48.5
GTEX-1HR98-0126-SM-B2LWI 60-69 years, male 47.9
GTEX-1HFI6-0226-SM-ADEHZ 40-49 years, male 47.7
GTEX-SIU8-0126-SM-2XCDT 50-59 years, male 47.6
GTEX-11NUK-0126-SM-5A5L3 50-59 years, male 47.5
GTEX-YJ8A-0426-SM-5IFID 20-29 years, male 47.5
GTEX-1IY9M-0126-SM-D3L8S 60-69 years, male 47.5
GTEX-NPJ8-0126-SM-2YUNR 40-49 years, male 46.8
GTEX-ZC5H-0226-SM-4WAY9 40-49 years, female 46.7
GTEX-1C6WA-0126-SM-7PC2B 60-69 years, male 46.6
GTEX-X4EP-0126-SM-3P5YV 60-69 years, female 46.0
GTEX-13N1W-0126-SM-5K7VT 70-79 years, male 45.5
GTEX-X88G-0126-SM-47JZ3 30-39 years, male 45.2
GTEX-TMZS-0126-SM-3DB9Q 60-69 years, male 44.9
GTEX-11EMC-2926-SM-5EQ4F 60-69 years, female 44.8
GTEX-1A3MW-0126-SM-73KXX 60-69 years, female 44.8
GTEX-12WSD-0126-SM-59HKN 60-69 years, female 44.6
GTEX-1A32A-0126-SM-718B1 50-59 years, female 44.3
GTEX-16YQH-0126-SM-7DUFJ 30-39 years, male 44.1
GTEX-YFC4-0126-SM-5CVLY 40-49 years, female 43.9
GTEX-1F6I4-0126-SM-9MQL2 60-69 years, male 43.9
GTEX-146FQ-0126-SM-5NQA9 30-39 years, male 43.8
GTEX-1C6VQ-0126-SM-7P8RI 50-59 years, male 43.7
GTEX-R55E-0126-SM-2TC5Y 20-29 years, male 43.5
GTEX-ZTPG-0326-SM-5O9AX 20-29 years, female 43.4
GTEX-1F6IF-0726-SM-7P8TW 60-69 years, male 43.1
GTEX-OXRP-0126-SM-3NB32 60-69 years, female 43.0
GTEX-U8T8-0126-SM-3DB94 60-69 years, male 42.8
GTEX-13OVG-1926-SM-5L3DK 60-69 years, male 42.7
GTEX-Y111-0126-SM-4SOIV 50-59 years, male 41.8
GTEX-QVJO-1626-SM-2S1QW 60-69 years, female 41.4
GTEX-1192X-0226-SM-5H12D 50-59 years, male 41.2
GTEX-1EX96-1626-SM-7PBXR 50-59 years, male 40.8
GTEX-12KS4-0326-SM-5EQ41 30-39 years, male 40.6
GTEX-13O1R-0126-SM-5L3EH 60-69 years, male 40.5
GTEX-17F97-0326-SM-7LG5B 50-59 years, male 40.5
GTEX-U412-0426-SM-3DB9O 60-69 years, male 40.5
GTEX-1OJC4-0126-SM-E9J2E 50-59 years, female 40.5
GTEX-132NY-0326-SM-5IJBL 60-69 years, male 40.3
GTEX-1F48J-0126-SM-7P8TT 50-59 years, female 40.3
GTEX-13RTL-0126-SM-7LG5S 40-49 years, male 40.0
GTEX-RVPV-0126-SM-EAZAW 60-69 years, male 39.9
GTEX-WOFL-0126-SM-3MJG2 60-69 years, male 39.6
GTEX-ZAJG-0126-SM-5HL94 50-59 years, female 39.6
GTEX-11ZTT-2426-SM-5EQLS 60-69 years, female 39.4
GTEX-1192W-2626-SM-5Q5AF 60-69 years, male 39.1
GTEX-1N2DW-0226-SM-E9TK2 50-59 years, male 39.0
GTEX-14PJM-0226-SM-62LF1 50-59 years, female 38.9
GTEX-1QEPI-0126-SM-EWRMQ 60-69 years, female 38.8
GTEX-131XW-0426-SM-5LZWP 50-59 years, female 38.4
GTEX-W5X1-3026-SM-EAZAX 40-49 years, female 38.3
GTEX-11GS4-2726-SM-5A5LE 60-69 years, male 38.2
GTEX-X62O-0126-SM-4E3JN 50-59 years, male 38.2
GTEX-11GSP-2526-SM-5N9BP 60-69 years, female 37.8
GTEX-1I1HK-0126-SM-COH49 60-69 years, male 37.7
GTEX-1F75A-0126-SM-7RHGM 50-59 years, male 37.6
GTEX-1F88F-2726-SM-7PBZZ 60-69 years, female 37.5
GTEX-ZVT4-0126-SM-DTXFN 50-59 years, female 37.4
GTEX-Y3I4-2126-SM-4TT7C 50-59 years, male 37.2
GTEX-Y8LW-1826-SM-5S2MV 50-59 years, female 37.0
GTEX-1HCU6-0126-SM-CL54K 60-69 years, female 36.8
GTEX-1HBPM-0226-SM-ARL9F 60-69 years, female 36.7
GTEX-ZYFD-0126-SM-5GIDL 50-59 years, male 36.1
GTEX-1313W-0126-SM-5LZUN 50-59 years, female 35.9
GTEX-13O3O-0126-SM-E9J49 60-69 years, female 35.9
GTEX-OXRO-0126-SM-2YUN4 60-69 years, female 35.8
GTEX-S95S-1226-SM-4GICG 60-69 years, male 35.8
GTEX-1LC47-0326-SM-E9TJP 60-69 years, male 35.8
GTEX-1H2FU-0126-SM-9WYSI 60-69 years, female 35.7
GTEX-15DYW-0126-SM-7KULE 60-69 years, female 35.0
GTEX-11ZTS-0126-SM-5EQ6M 60-69 years, female 34.8
GTEX-1PBJI-0526-SM-E8VNK 20-29 years, female 34.8
GTEX-183WM-0126-SM-7LTAB 70-79 years, female 34.3
GTEX-1LNCM-1126-SM-E9U5E 50-59 years, female 34.2
GTEX-1B933-0126-SM-7PC29 50-59 years, female 34.1
GTEX-1QP67-1626-SM-EAZ3X 40-49 years, female 34.1
GTEX-XUYS-0126-SM-47JWZ 50-59 years, male 33.8
GTEX-XQ3S-1526-SM-4BOOC 20-29 years, male 33.7
GTEX-ZVZO-0126-SM-5A5L9 40-49 years, male 33.4
GTEX-1I1GV-0526-SM-A9G29 60-69 years, male 33.4
GTEX-11ZVC-2526-SM-5FQTE 50-59 years, female 33.3
GTEX-18A6Q-0126-SM-731BZ 60-69 years, male 33.3
GTEX-U4B1-1826-SM-4DXSU 40-49 years, male 33.2
GTEX-S33H-1026-SM-EZ6L6 30-39 years, male 33.1
GTEX-1JN1M-0326-SM-CYPT3 60-69 years, female 32.9
GTEX-WVJS-0126-SM-4MVOT 50-59 years, male 32.8
GTEX-YEC4-2126-SM-5IFJH 40-49 years, male 32.8
GTEX-1H3NZ-0126-SM-ACKX7 60-69 years, male 32.8
GTEX-1J8JJ-0226-SM-CL53I 60-69 years, female 32.5
GTEX-13VXT-0126-SM-5LU4I 20-29 years, female 32.4
GTEX-RU72-0926-SM-2TF6B 50-59 years, female 32.4
GTEX-ZEX8-2426-SM-4WKG4 50-59 years, male 32.4
GTEX-Q2AG-0126-SM-33HBV 40-49 years, female 32.3
GTEX-13G51-2526-SM-5LZYK 60-69 years, male 32.2
GTEX-QEG4-0226-SM-2S1PY 30-39 years, male 32.1
GTEX-13OVL-0226-SM-5L3E9 50-59 years, male 32.0
GTEX-O5YW-0126-SM-3LK6D 50-59 years, male 32.0
GTEX-13FHO-0226-SM-5IFGY 60-69 years, male 31.8
GTEX-OXRK-0226-SM-3NB2G 50-59 years, female 31.8
GTEX-X5EB-2226-SM-46MW4 40-49 years, male 31.8
GTEX-144FL-0126-SM-5TDC8 50-59 years, male 31.7
GTEX-14PHW-0126-SM-6LLJI 60-69 years, female 31.7
GTEX-14XAO-2326-SM-6EU1B 60-69 years, female 31.6
GTEX-SSA3-0126-SM-32QPU 60-69 years, male 31.6
GTEX-WYVS-2126-SM-3NMA3 40-49 years, female 31.5
GTEX-17MF6-0126-SM-7LG4F 40-49 years, male 31.4
GTEX-11O72-0126-SM-59887 40-49 years, male 31.3
GTEX-U3ZN-2326-SM-3DB7W 30-39 years, female 31.1
GTEX-XMD2-0126-SM-4YCDU 60-69 years, female 31.1
GTEX-SN8G-0126-SM-32PLI 50-59 years, female 31.0
GTEX-16XZY-2126-SM-79OK1 70-79 years, male 30.9
GTEX-139TT-0126-SM-5K7Y5 60-69 years, male 30.6
GTEX-1I1GS-0126-SM-B2LVW 60-69 years, male 30.6
GTEX-1B8KZ-2026-SM-7DHMB 50-59 years, male 30.4
GTEX-U8XE-0326-SM-3DB8P 30-39 years, male 30.3
GTEX-1I1GR-0126-SM-CL55F 60-69 years, male 30.3
GTEX-113JC-2326-SM-5EQ4E 50-59 years, female 30.2
GTEX-XYKS-2126-SM-4E3IB 60-69 years, female 30.2
GTEX-1EKGG-0226-SM-9WYTH 60-69 years, male 30.2
GTEX-139TS-2826-SM-5J1OO 60-69 years, male 29.9
GTEX-13U4I-0126-SM-5LU38 40-49 years, female 29.9
GTEX-1KD5A-0226-SM-D5OV3 50-59 years, male 29.9
GTEX-11WQC-2526-SM-5CVLE 60-69 years, male 29.8
GTEX-14LLW-0126-SM-6LLIO 70-79 years, female 29.8
GTEX-1CAV2-2226-SM-7P8P2 40-49 years, female 29.8
GTEX-1F7RK-0126-SM-7PC2S 20-29 years, female 29.8
GTEX-13S7M-0126-SM-5SI6A 60-69 years, female 29.7
GTEX-1LG7Y-0526-SM-DKPQC 50-59 years, male 29.5
GTEX-13112-2826-SM-5DUWH 50-59 years, male 29.4
GTEX-1GN1V-0126-SM-9WPOS 60-69 years, male 29.4
GTEX-1POEN-0126-SM-EYYXJ 30-39 years, female 29.4
GTEX-17EVQ-0226-SM-7LG4P 70-79 years, male 29.2
GTEX-ZE7O-0126-SM-57WC1 50-59 years, female 29.2
GTEX-15SDE-2226-SM-7IGLO 50-59 years, female 29.1
GTEX-WH7G-2326-SM-3NMBC 40-49 years, male 29.1
GTEX-ZVTK-0426-SM-51MRS 20-29 years, male 29.1
GTEX-1ICLZ-0126-SM-CKZPO 60-69 years, male 28.9
GTEX-VUSG-2526-SM-4KL1V 50-59 years, male 28.8
GTEX-WZTO-0126-SM-3NM95 40-49 years, male 28.8
GTEX-11TT1-2526-SM-5EGIB 20-29 years, male 28.4
GTEX-11WQK-0526-SM-5EQLD 50-59 years, male 28.4
GTEX-1KD4Q-0226-SM-E9TJ9 40-49 years, male 28.4
GTEX-14PN4-0126-SM-6EU2V 50-59 years, male 28.2
GTEX-15UKP-0426-SM-7KUFQ 20-29 years, male 27.9
GTEX-R55G-2526-SM-2TC6D 40-49 years, female 27.9
GTEX-1I1GU-2226-SM-CGQFA 40-49 years, male 27.8
GTEX-X4XX-0126-SM-3NMC2 60-69 years, male 27.7
GTEX-ZDYS-2026-SM-5HL5L 50-59 years, male 27.7
GTEX-RWSA-0126-SM-2XCBB 40-49 years, male 27.6
GTEX-111VG-2426-SM-5GZXD 60-69 years, male 27.5
GTEX-15DCD-0126-SM-7KUEK 70-79 years, female 27.4
GTEX-117YX-2326-SM-5H12W 50-59 years, male 27.3
GTEX-14E7W-0126-SM-6LLJ9 70-79 years, male 27.3
GTEX-11DZ1-0126-SM-5985Q 50-59 years, male 27.2
GTEX-14ABY-0226-SM-5TDCQ 50-59 years, male 27.2
GTEX-QDVJ-1726-SM-2I5FX 50-59 years, male 27.1
GTEX-139T8-0126-SM-5K7XZ 60-69 years, male 27.0
GTEX-13QJ3-0326-SM-5S2RA 50-59 years, male 27.0
GTEX-15SB6-1726-SM-6PAME 50-59 years, female 26.9
GTEX-1R9PO-2126-SM-E9J4O 60-69 years, female 26.9
GTEX-ZF3C-0126-SM-DO92D 50-59 years, female 26.9
GTEX-OOBK-0126-SM-2YUND 40-49 years, male 26.8
GTEX-11UD1-0126-SM-5PNYG 40-49 years, female 26.7
GTEX-R3RS-0126-SM-3GIJL 40-49 years, female 26.7
GTEX-Y3IK-2426-SM-4WWDU 50-59 years, female 26.6
GTEX-1HSMO-0126-SM-CL547 60-69 years, male 26.6
GTEX-XUW1-0426-SM-4BOOT 50-59 years, female 26.5
GTEX-1GN73-0226-SM-9WG67 60-69 years, male 26.5
GTEX-13CF3-2426-SM-5IFGX 60-69 years, female 26.4
GTEX-14A6H-0126-SM-5QGPK 30-39 years, male 26.4
GTEX-13FTY-0526-SM-5L3EV 40-49 years, female 26.3
GTEX-17HII-0226-SM-7LG4E 50-59 years, male 26.3
GTEX-1R46S-0626-SM-E9J41 60-69 years, female 26.3
GTEX-12WSK-2326-SM-5GCOH 40-49 years, female 26.2
GTEX-ZDTS-0126-SM-4WAY5 60-69 years, male 26.2
GTEX-1H3VE-0326-SM-9YFLH 40-49 years, male 26.2
GTEX-11OC5-0126-SM-5HL6A 60-69 years, male 26.1
GTEX-Y114-2426-SM-4TT8A 50-59 years, female 26.1
GTEX-ZAK1-0126-SM-5IJD3 50-59 years, female 26.1
GTEX-1HB9E-0226-SM-E9U4R 50-59 years, male 26.1
GTEX-1IKOH-0226-SM-COH4E 60-69 years, female 26.1
GTEX-14BIL-0126-SM-5SI92 50-59 years, male 26.0
GTEX-14E6D-0126-SM-62LDV 50-59 years, male 26.0
GTEX-Y8DK-0126-SM-4TT3L 60-69 years, male 26.0
GTEX-P4PP-0126-SM-3LK69 30-39 years, female 25.9
GTEX-ZYY3-0126-SM-5GZY5 60-69 years, female 25.8
GTEX-1CB4G-0226-SM-7PC3O 60-69 years, male 25.8
GTEX-11GSO-2426-SM-5A5LY 60-69 years, male 25.6
GTEX-13FXS-0226-SM-5IJCK 50-59 years, male 25.6
GTEX-13NYS-0126-SM-5MR3W 60-69 years, male 25.6
GTEX-1IKK5-0626-SM-ARL8A 60-69 years, male 25.6
GTEX-1497J-2426-SM-7IGNX 60-69 years, male 25.5
GTEX-1H23P-0126-SM-ADEJ3 60-69 years, male 25.5
GTEX-1HUB1-0426-SM-E9U4U 60-69 years, male 25.5
GTEX-1HCU8-0626-SM-A9SM9 60-69 years, female 25.4
GTEX-1JMOU-1526-SM-CL54I 60-69 years, female 25.4
GTEX-RWS6-2026-SM-2XCB5 60-69 years, female 25.3
GTEX-1B8L1-2526-SM-9WYTF 60-69 years, male 25.3
GTEX-1IE54-0126-SM-CMKHW 40-49 years, female 25.3
GTEX-1RQEC-0426-SM-E6CHU 60-69 years, male 25.3
GTEX-14753-0426-SM-5NQAM 60-69 years, male 25.2
GTEX-1399U-2326-SM-5K7WY 50-59 years, female 25.1
GTEX-11ZUS-0626-SM-59885 30-39 years, male 25.0
GTEX-16NPX-0226-SM-79OMT 50-59 years, male 25.0
GTEX-13O3P-0126-SM-5KM4S 50-59 years, male 24.9
GTEX-1GMRU-0126-SM-9YFLV 50-59 years, male 24.9
GTEX-131XG-2626-SM-5KM17 50-59 years, female 24.8
GTEX-18A7A-0226-SM-718BH 50-59 years, female 24.8
GTEX-1CB4J-0626-SM-7DHMP 60-69 years, male 24.8
GTEX-1IDFM-0126-SM-COH2V 60-69 years, male 24.8
GTEX-1J1OQ-0226-SM-CYPSH 40-49 years, female 24.8
GTEX-145LV-2126-SM-5LU8N 50-59 years, male 24.7
GTEX-147GR-0526-SM-5S2MY 60-69 years, male 24.7
GTEX-11H98-0126-SM-5EGHG 50-59 years, male 24.6
GTEX-T2IS-0126-SM-4DM6O 20-29 years, female 24.5
GTEX-ZU9S-0226-SM-5E441 30-39 years, male 24.5
GTEX-1314G-1526-SM-5EGK2 30-39 years, male 24.4
GTEX-16MT8-0426-SM-7KUEY 60-69 years, female 24.4
GTEX-16GPK-0126-SM-7DHLE 60-69 years, male 24.3
GTEX-1A3MX-0126-SM-731BR 60-69 years, male 24.3
GTEX-1H11D-0226-SM-9WG6Z 40-49 years, male 24.3
GTEX-ZF29-2326-SM-DO92K 60-69 years, female 24.3
GTEX-1H1ZS-0426-SM-9WG6G 70-79 years, male 24.2
GTEX-1269C-2526-SM-5EGJ3 60-69 years, female 24.1
GTEX-15DDE-0126-SM-6LPKH 50-59 years, female 24.1
GTEX-O5YT-0126-SM-48TBW 20-29 years, male 24.1
GTEX-XBED-2226-SM-47JYQ 60-69 years, male 24.1
GTEX-1EMGI-0126-SM-9KNUE 60-69 years, male 24.1
GTEX-11DXX-2426-SM-5GZZW 60-69 years, female 23.8
GTEX-PLZ5-2026-SM-2S1O4 50-59 years, male 23.8
GTEX-ZVE2-0226-SM-59HJB 50-59 years, male 23.7
GTEX-13N11-2526-SM-5K7UE 50-59 years, female 23.6
GTEX-1AYCT-2426-SM-7IGQ3 50-59 years, male 23.6
GTEX-1KANB-0526-SM-E6CJH 50-59 years, male 23.5
GTEX-13RTJ-2426-SM-5S2Q2 60-69 years, male 23.4
GTEX-15D1Q-0126-SM-7KUG6 40-49 years, male 23.4
GTEX-ZY6K-1826-SM-5GZXK 50-59 years, male 23.2
GTEX-11TUW-2726-SM-E9J4M 60-69 years, male 23.2
GTEX-147F4-0226-SM-5QGPW 50-59 years, male 23.1
GTEX-QDVN-2026-SM-3GAEP 50-59 years, male 23.1
GTEX-ZZPT-0226-SM-5E43X 50-59 years, male 23.1
GTEX-169BO-1326-SM-9MQK2 50-59 years, male 23.1
GTEX-1RDX4-0126-SM-E9J4P 50-59 years, female 23.1
GTEX-11OF3-2626-SM-5GU7F 60-69 years, male 22.8
GTEX-11P7K-2126-SM-5GU7G 30-39 years, male 22.7
GTEX-1GMR8-0126-SM-9WYTM 50-59 years, female 22.7
GTEX-12ZZX-0126-SM-5EGK9 40-49 years, female 22.6
GTEX-ZAB5-1826-SM-5HL7C 50-59 years, male 22.6
GTEX-1HSMP-0126-SM-E6CJS 70-79 years, male 22.6
GTEX-1JJE9-0326-SM-CL53Z 70-79 years, male 22.6
GTEX-15UF6-0826-SM-6PALJ 70-79 years, female 22.5
GTEX-Z93T-0126-SM-5HL5N 50-59 years, male 22.5
GTEX-ZYFG-2326-SM-5E44B 60-69 years, female 22.5
GTEX-13X6J-0126-SM-5QGOU 50-59 years, male 22.4
GTEX-1K9T9-0126-SM-EVYCF 50-59 years, female 22.4
GTEX-12C56-1726-SM-5EQ61 20-29 years, male 22.3
GTEX-148VJ-0126-SM-5TDDN 70-79 years, male 22.3
GTEX-117XS-2726-SM-5N9BL 60-69 years, male 22.2
GTEX-18D9B-0526-SM-7LTAS 60-69 years, male 22.2
GTEX-1A8FM-0226-SM-7SB7Q 50-59 years, female 22.2
GTEX-139D8-0226-SM-5KLZO 30-39 years, female 22.1
GTEX-OXRN-0126-SM-48TDM 50-59 years, male 22.1
GTEX-QESD-1426-SM-2S1R9 20-29 years, male 22.1
GTEX-Z93S-0126-SM-5HL7M 50-59 years, male 22.1
GTEX-13OVI-1426-SM-5L3EY 60-69 years, female 21.9
GTEX-1GZ2Q-0226-SM-7P8TL 40-49 years, male 21.9
GTEX-1JMPY-1326-SM-ARL8Y 30-39 years, male 21.9
GTEX-13X6I-0626-SM-5QGP9 60-69 years, male 21.7
GTEX-1RAZQ-0726-SM-EAZ43 30-39 years, male 21.7
GTEX-1MA7W-2026-SM-E9TJ6 20-29 years, female 21.6
GTEX-TSE9-0126-SM-3DB83 60-69 years, female 21.5
GTEX-X585-0226-SM-4QAS2 50-59 years, male 21.5
GTEX-1HCVE-0126-SM-CGQEU 50-59 years, male 21.5
GTEX-17HG3-2226-SM-7938L 30-39 years, female 21.4
GTEX-11P82-1626-SM-59879 20-29 years, male 21.3
GTEX-1JMQJ-0526-SM-CYPSU 50-59 years, male 21.3
GTEX-RNOR-0126-SM-E9J4R 50-59 years, female 21.3
GTEX-148VI-1626-SM-5SI6E 60-69 years, female 21.2
GTEX-14PJ3-1826-SM-62LEX 50-59 years, male 21.2
GTEX-U3ZM-1526-SM-3DB9D 40-49 years, male 21.2
GTEX-1GF9U-2126-SM-7SB7L 40-49 years, female 21.2
GTEX-11EI6-0126-SM-5985R 60-69 years, male 21.1
GTEX-QV44-1926-SM-2S1RF 50-59 years, male 21.0
GTEX-1HKZK-0326-SM-9WYUH 40-49 years, male 21.0
GTEX-12WSJ-1826-SM-5GCNY 40-49 years, female 20.9
GTEX-OHPL-0126-SM-2HMJ7 60-69 years, female 20.9
GTEX-1AX9I-0126-SM-7SB74 60-69 years, male 20.9
GTEX-13IVO-0126-SM-5J1NG 70-79 years, male 20.8
GTEX-T6MN-0126-SM-32PLP 50-59 years, male 20.8
GTEX-1GN2E-0426-SM-9MQKX 60-69 years, male 20.8
GTEX-17EVP-0326-SM-7DHLG 40-49 years, male 20.7
GTEX-1JKYN-1326-SM-CGQG9 30-39 years, male 20.7
GTEX-14LZ3-0226-SM-62LET 60-69 years, female 20.6
GTEX-VJYA-1126-SM-3GIJU 60-69 years, male 20.5
GTEX-1H1DG-0126-SM-9WYU2 70-79 years, male 20.4
GTEX-11XUK-2026-SM-5EQLF 40-49 years, female 20.3
GTEX-145MN-2226-SM-5SIAU 30-39 years, male 20.3
GTEX-14BIN-0626-SM-793DP 50-59 years, female 20.2
GTEX-18465-0126-SM-731BN 50-59 years, male 20.1
GTEX-PWO3-1526-SM-48TCM 60-69 years, female 20.1
GTEX-ZPIC-1726-SM-DHXIU 40-49 years, female 20.1
GTEX-1IL2U-0226-SM-CE6T8 60-69 years, male 20.0
GTEX-18A7B-0126-SM-7LG64 70-79 years, male 19.9
GTEX-1IOXB-0126-SM-ARL8G 50-59 years, male 19.9
GTEX-1JMQK-0226-SM-CL543 60-69 years, male 19.9
GTEX-13X6H-2126-SM-7EWD5 50-59 years, female 19.7
GTEX-13FH7-2026-SM-E9J4I 50-59 years, female 19.7
GTEX-1EU9M-0226-SM-7P8SP 60-69 years, male 19.7
GTEX-1RAZA-0126-SM-E6CI3 20-29 years, male 19.7
GTEX-1S82Y-2026-SM-EVYCM 40-49 years, male 19.7
GTEX-1F52S-0126-SM-9MQJU 60-69 years, female 19.6
GTEX-PW2O-1526-SM-7RHHB 20-29 years, male 19.6
GTEX-14DAQ-0126-SM-5S2MQ 60-69 years, female 19.4
GTEX-1PPH7-2326-SM-EVYB8 40-49 years, male 19.4
GTEX-1AX8Z-0126-SM-7DHM6 60-69 years, male 19.3
GTEX-SUCS-1926-SM-32PM3 70-79 years, male 19.3
GTEX-13PDP-0126-SM-5L3HD 60-69 years, male 19.2
GTEX-147F3-0526-SM-5SI98 50-59 years, female 19.2
GTEX-Y5V6-2426-SM-4VDSB 60-69 years, male 19.2
GTEX-12ZZZ-0626-SM-5DUXI 60-69 years, male 19.1
GTEX-Q2AI-1326-SM-2S1PL 40-49 years, male 19.1
GTEX-PVOW-0126-SM-2XCFA 40-49 years, male 19.0
GTEX-ZVT2-2526-SM-51MT1 50-59 years, female 19.0
GTEX-1GTWX-0126-SM-9YFLK 60-69 years, male 19.0
GTEX-1QW4Y-1526-SM-EAZ3Z 30-39 years, male 19.0
GTEX-1R7EV-2426-SM-EVYBG 40-49 years, male 19.0
GTEX-145MI-0526-SM-5O9A8 60-69 years, female 18.8
GTEX-1QP66-1726-SM-E8VO1 50-59 years, male 18.8
GTEX-11VI4-1726-SM-5CVLH 40-49 years, female 18.7
GTEX-13O3Q-2426-SM-5IJBR 50-59 years, male 18.7
GTEX-14A5H-0426-SM-5QGQF 60-69 years, male 18.7
GTEX-1AX9J-0226-SM-73KXM 60-69 years, male 18.7
GTEX-UPJH-0326-SM-3GADU 50-59 years, male 18.7
GTEX-14BIM-0226-SM-7IGLD 60-69 years, female 18.6
GTEX-1LH75-2426-SM-E9TJE 50-59 years, female 18.6
GTEX-12126-0326-SM-5PNW3 20-29 years, male 18.5
GTEX-13NZ8-0826-SM-5MR3I 60-69 years, female 18.5
GTEX-1GZHY-0326-SM-9QEHI 50-59 years, female 18.5
GTEX-111FC-0126-SM-5N9DL 60-69 years, male 18.4
GTEX-13O21-1426-SM-5K7XI 50-59 years, male 18.4
GTEX-15G19-0126-SM-6PANQ 60-69 years, male 18.4
GTEX-Y5LM-1926-SM-5RQJH 40-49 years, female 18.4
GTEX-1GN1U-0126-SM-7PBZK 50-59 years, female 18.4
GTEX-1RB15-2126-SM-E9TIM 60-69 years, male 18.4
GTEX-13OW8-1326-SM-5J1OW 60-69 years, male 18.3
GTEX-18A67-0126-SM-7LG5P 50-59 years, male 18.3
GTEX-U3ZH-2026-SM-3DB78 30-39 years, male 18.3
GTEX-146FR-1326-SM-E9J48 60-69 years, female 18.3
GTEX-ZQG8-1626-SM-DHXIT 60-69 years, female 18.3
GTEX-Q2AH-1626-SM-3GAF8 40-49 years, male 18.2
GTEX-12WSG-2826-SM-E9J4H 50-59 years, female 18.1
GTEX-1N2DV-0226-SM-E6CJ6 40-49 years, male 18.1
GTEX-S7SE-0126-SM-2XCD5 50-59 years, male 18.0
GTEX-13OW6-0426-SM-5L3HM 50-59 years, male 17.9
GTEX-145MO-0326-SM-5Q5B3 60-69 years, male 17.9
GTEX-ZXG5-0126-SM-5GIEU 60-69 years, male 17.7
GTEX-11DXY-2626-SM-5GIE7 60-69 years, male 17.6
GTEX-11DYG-0126-SM-59883 60-69 years, male 17.6
GTEX-131XH-2226-SM-5DUXJ 50-59 years, male 17.6
GTEX-QCQG-1726-SM-3GIJ9 50-59 years, female 17.6
GTEX-ZE9C-2726-SM-57WB5 60-69 years, male 17.5
GTEX-ZDTT-2726-SM-4WKF8 60-69 years, male 17.4
GTEX-1EWIQ-0126-SM-7RHH2 70-79 years, female 17.4
GTEX-1GF9X-2026-SM-7PC3A 40-49 years, female 17.4
GTEX-133LE-1826-SM-5J1MV 20-29 years, female 17.3
GTEX-NFK9-0226-SM-2HMKQ 40-49 years, male 17.3
GTEX-TML8-1926-SM-32QOS 40-49 years, female 17.3
GTEX-1CB4H-0226-SM-7PBXM 60-69 years, female 17.3
GTEX-11DXZ-2326-SM-5EGGV 50-59 years, male 17.2
GTEX-13SLX-0526-SM-5S2ON 50-59 years, female 17.2
GTEX-T5JC-0426-SM-32PLO 20-29 years, male 17.2
GTEX-1MGNQ-0126-SM-EVYCJ 40-49 years, male 17.2
GTEX-13YAN-0326-SM-5O9DF 60-69 years, male 17.1
GTEX-XQ8I-0426-SM-4BOPO 50-59 years, male 17.1
GTEX-14JG1-0426-SM-6ETZZ 40-49 years, male 17.0
GTEX-1IGQW-0126-SM-COH42 60-69 years, male 17.0
GTEX-13W46-0226-SM-5SIAG 50-59 years, male 16.9
GTEX-183FY-0126-SM-7LT9P 20-29 years, male 16.8
GTEX-1B8SG-0126-SM-73KZ3 50-59 years, male 16.8
GTEX-1MCQQ-0826-SM-DLHC2 60-69 years, male 16.8
GTEX-15CHC-2126-SM-6EU21 60-69 years, female 16.7
GTEX-WXYG-2326-SM-4E3I6 50-59 years, female 16.7
GTEX-YB5K-2126-SM-4WWDJ 40-49 years, female 16.6
GTEX-1JN76-0126-SM-CNPPE 20-29 years, female 16.6
GTEX-12ZZY-0226-SM-5LZVE 60-69 years, male 16.5
GTEX-1HCUA-2426-SM-ADEIS 50-59 years, female 16.5
GTEX-1I1GP-2226-SM-CGQFK 50-59 years, male 16.5
GTEX-1S82Z-0826-SM-E6CHY 30-39 years, female 16.4
GTEX-145LT-1726-SM-5QGP3 40-49 years, male 16.3
GTEX-W5WG-1826-SM-4KL2Y 50-59 years, female 16.3
GTEX-12WSC-0126-SM-5EQ4P 50-59 years, male 16.2
GTEX-13SLW-0126-SM-5SI6C 70-79 years, male 16.2
GTEX-V1D1-2226-SM-3NMAX 50-59 years, male 16.2
GTEX-YB5E-2026-SM-5IFIS 40-49 years, male 16.2
GTEX-1GF9V-0326-SM-7RHI5 60-69 years, male 16.2
GTEX-OOBJ-0126-SM-E6CJW 60-69 years, male 16.2
GTEX-1128S-2326-SM-5GZZY 60-69 years, female 16.1
GTEX-1AX9K-2326-SM-73KWU 50-59 years, male 16.1
GTEX-POMQ-2226-SM-2I5FK 20-29 years, female 16.1
GTEX-1HBPI-1526-SM-C1YQ1 50-59 years, male 16.1
GTEX-1NV5F-0226-SM-E8VNY 60-69 years, female 16.1
GTEX-OIZF-0126-SM-7SB8I 60-69 years, male 16.1
GTEX-131YS-0126-SM-5KM1M 60-69 years, female 16.0
GTEX-1H3VY-0126-SM-ACKXD 50-59 years, male 16.0
GTEX-13PVR-2326-SM-5QGR1 60-69 years, female 15.9
GTEX-SJXC-0126-SM-2XCFF 60-69 years, male 15.9
GTEX-1H3O1-0426-SM-9YFKY 60-69 years, male 15.8
GTEX-1ICLY-0126-SM-D4P36 50-59 years, male 15.8
GTEX-1C6VR-2426-SM-79OLD 60-69 years, male 15.7
GTEX-1H1DE-2126-SM-9WG6R 20-29 years, male 15.7
GTEX-1HGF4-2426-SM-ACKXM 60-69 years, male 15.7
GTEX-1IDJF-0126-SM-CM2RS 20-29 years, male 15.5
GTEX-11UD2-0226-SM-5EQKY 50-59 years, male 15.4
GTEX-1J8Q2-0526-SM-CM2RW 60-69 years, male 15.4
GTEX-1LB8K-0226-SM-EWRNW 50-59 years, male 15.4
GTEX-1QAET-0926-SM-E76QM 50-59 years, male 15.4
GTEX-1QP29-0626-SM-EWRMX 50-59 years, male 15.4
GTEX-11LCK-1026-SM-5A5KB 30-39 years, male 15.3
GTEX-13N2G-2626-SM-5J1OT 60-69 years, male 15.3
GTEX-17HGU-0226-SM-7DHKV 50-59 years, male 15.3
GTEX-WYJK-0126-SM-3NMAB 50-59 years, male 15.3
GTEX-Z9EW-1626-SM-5CVMN 40-49 years, male 15.3
GTEX-139TU-0126-SM-5K7WH 60-69 years, male 15.2
GTEX-1C64O-0126-SM-7SB8P 60-69 years, male 15.2
GTEX-1GPI6-0126-SM-9WG69 60-69 years, male 15.2
GTEX-139UW-2826-SM-5L3E7 60-69 years, male 15.1
GTEX-1E1VI-0126-SM-7DHMZ 50-59 years, male 15.1
GTEX-RM2N-1426-SM-2TF4H 50-59 years, male 15.1
GTEX-ZXES-1826-SM-5E43S 30-39 years, female 15.0
GTEX-1HSEH-0126-SM-ACKXN 60-69 years, male 15.0
GTEX-1HSKV-0226-SM-A9SKJ 60-69 years, male 15.0
GTEX-PWCY-1826-SM-DHXIZ 20-29 years, female 15.0
GTEX-14JG6-2226-SM-6EU2G 30-39 years, female 14.9
GTEX-14PHX-2326-SM-62LEM 50-59 years, male 14.9
GTEX-Y5V5-2326-SM-4V6GA 60-69 years, female 14.9
GTEX-1JMQI-2226-SM-CM2SD 50-59 years, male 14.9
GTEX-15SHU-0126-SM-7KUEH 40-49 years, female 14.8
GTEX-11NSD-2226-SM-5986V 20-29 years, male 14.6
GTEX-16BQI-0226-SM-7KUEX 30-39 years, female 14.6
GTEX-T2YK-0526-SM-32QPJ 50-59 years, male 14.6
GTEX-1J1R8-1726-SM-ARL8M 40-49 years, male 14.4
GTEX-13W3W-2426-SM-5LU5B 60-69 years, female 14.3
GTEX-QLQ7-1626-SM-2S1R8 60-69 years, male 14.3
GTEX-XAJ8-0826-SM-47JY6 40-49 years, male 14.3
GTEX-XUZC-1726-SM-4BRWS 30-39 years, female 14.3
GTEX-15ER7-0326-SM-7KUEV 20-29 years, female 14.2
GTEX-17F98-0626-SM-79OMX 40-49 years, female 14.2
GTEX-1CB4E-2226-SM-793DC 60-69 years, male 14.2
GTEX-13NYC-0326-SM-E9J4S 60-69 years, male 14.2
GTEX-131XE-2326-SM-5PNZ2 50-59 years, male 14.1
GTEX-1B8SF-1426-SM-7DUGL 60-69 years, male 14.1
GTEX-OHPM-0126-SM-2YUN9 50-59 years, male 14.1
GTEX-ZVZP-2426-SM-59HKJ 50-59 years, male 14.1
GTEX-1J8Q3-1626-SM-CMKGC 60-69 years, male 14.1
GTEX-1LBAC-0126-SM-DIPEZ 20-29 years, male 14.1
GTEX-1QPFJ-0226-SM-E76PB 30-39 years, female 14.1
GTEX-PSDG-0226-SM-DKPOZ 50-59 years, male 14.1
GTEX-1211K-2026-SM-5EQ4Z 60-69 years, female 14.0
GTEX-12696-2426-SM-5EQ6H 60-69 years, male 14.0
GTEX-OIZG-0726-SM-33HBL 50-59 years, male 14.0
GTEX-1N2EF-0226-SM-EYYXB 60-69 years, male 13.8
GTEX-18D9U-0226-SM-718BP 40-49 years, male 13.7
GTEX-1HBPN-0226-SM-9YFM1 50-59 years, male 13.6
GTEX-1HSMQ-1226-SM-CGQFX 50-59 years, male 13.6
GTEX-1I6K6-0126-SM-A9SLE 30-39 years, male 13.6
GTEX-18A66-0226-SM-718BD 60-69 years, male 13.4
GTEX-1JKYR-0126-SM-CNPOJ 20-29 years, male 13.4
GTEX-1PFEY-1526-SM-E76PP 30-39 years, male 13.4
GTEX-OIZH-0126-SM-2HMIS 50-59 years, male 13.3
GTEX-WQUQ-0426-SM-3MJFU 60-69 years, male 13.3
GTEX-1JK1U-2026-SM-CM2RZ 60-69 years, male 13.3
GTEX-1AMEY-1326-SM-73KYK 30-39 years, female 13.2
GTEX-1F75B-0126-SM-9KNVL 50-59 years, male 13.1
GTEX-1GF9W-0326-SM-9KNUN 60-69 years, male 13.1
GTEX-1IL2V-0126-SM-CM2TX 70-79 years, male 13.1
GTEX-1JMPZ-0226-SM-CNPP1 30-39 years, male 13.1
GTEX-1KAFJ-2026-SM-CY8ID 50-59 years, male 13.1
GTEX-TKQ1-1026-SM-4GICL 30-39 years, male 13.0
GTEX-ZTSS-1926-SM-57WEW 40-49 years, male 13.0
GTEX-17EUY-0426-SM-793BD 20-29 years, male 12.9
GTEX-1O97I-0326-SM-EYYX7 60-69 years, male 12.9
GTEX-13NZB-2526-SM-5J1OM 30-39 years, male 12.8
GTEX-1I1GQ-0126-SM-COH3H 50-59 years, male 12.8
GTEX-1JMQL-0226-SM-CNPP5 50-59 years, female 12.8
GTEX-14BMV-0126-SM-5S2PO 50-59 years, male 12.7
GTEX-ZQUD-1426-SM-57WER 30-39 years, male 12.7
GTEX-1HFI7-1826-SM-ACKXH 50-59 years, female 12.7
GTEX-1HT8W-0126-SM-CNPPP 30-39 years, male 12.7
GTEX-145LU-0126-SM-5TDCB 50-59 years, male 12.6
GTEX-14PII-0226-SM-6EU1T 60-69 years, male 12.6
GTEX-1BAJH-0526-SM-793CQ 70-79 years, male 12.6
GTEX-1JN6P-0126-SM-D3L98 60-69 years, male 12.6
GTEX-1M5QR-1226-SM-EWROB 40-49 years, male 12.6
GTEX-1QP9N-1426-SM-DTXFL 30-39 years, male 12.6
GTEX-145MF-0626-SM-5LUAI 50-59 years, male 12.5
GTEX-VJWN-0126-SM-3GIK7 50-59 years, female 12.5
GTEX-11ZU8-2526-SM-5EQKI 60-69 years, male 12.4
GTEX-1K2DU-2326-SM-E9TIV 20-29 years, male 12.4
GTEX-16XZZ-0126-SM-793DV 60-69 years, male 12.3
GTEX-1H4P4-0726-SM-9YFLR 50-59 years, male 12.3
GTEX-1IDJH-0326-SM-A9SLQ 70-79 years, male 12.3
GTEX-1IDJU-2626-SM-CM2RT 60-69 years, female 12.3
GTEX-1JMLX-0226-SM-CM2RO 50-59 years, male 12.3
GTEX-17MFQ-1726-SM-793C7 20-29 years, male 12.2
GTEX-14ICK-0226-SM-6EU25 40-49 years, male 12.1
GTEX-1C2JI-1826-SM-73KXC 50-59 years, male 12.1
GTEX-T8EM-1026-SM-3DB7M 40-49 years, male 12.1
GTEX-Y8E4-0626-SM-4WWDL 40-49 years, male 12.1
GTEX-1B996-0226-SM-7RHGO 60-69 years, male 12.1
GTEX-1I19N-0326-SM-ACKVX 70-79 years, male 12.1
GTEX-1B8KE-2126-SM-73KYX 50-59 years, male 12.0
GTEX-1I1GT-0626-SM-CGQER 60-69 years, female 12.0
GTEX-1399R-2726-SM-5IJBA 30-39 years, male 11.9
GTEX-13FTW-2626-SM-5K7WL 40-49 years, male 11.9
GTEX-14C5O-0126-SM-5SI6N 60-69 years, male 11.9
GTEX-UJHI-1526-SM-3DB99 50-59 years, female 11.9
GTEX-1GN1W-0526-SM-9MQJQ 50-59 years, female 11.9
GTEX-1AMFI-2026-SM-731BH 50-59 years, female 11.8
GTEX-T6MO-1626-SM-32QOM 40-49 years, female 11.8
GTEX-1EN7A-0126-SM-7SB81 40-49 years, male 11.8
GTEX-13113-5016-SM-7EPIP 60-69 years, female 11.7
GTEX-1KWVE-1426-SM-E9TJO 30-39 years, male 11.7
GTEX-13OW5-0126-SM-DTXFS 60-69 years, male 11.6
GTEX-1F5PK-2426-SM-7RHHY 50-59 years, male 11.6
GTEX-ZGAY-0526-SM-4WWBB 40-49 years, female 11.5
GTEX-13FTX-1826-SM-5J1NX 20-29 years, female 11.4
GTEX-13RTK-1426-SM-5QGQJ 20-29 years, male 11.3
GTEX-1NHNU-1026-SM-E9J2A 50-59 years, male 11.3
GTEX-145LS-0126-SM-5QGP1 60-69 years, female 11.2
GTEX-14BMU-2226-SM-5TDE9 20-29 years, female 11.2
GTEX-16NGA-1726-SM-731B4 40-49 years, female 11.2
GTEX-18QFQ-0126-SM-731BE 30-39 years, male 11.2
GTEX-S32W-2126-SM-2XCB1 50-59 years, female 11.2
GTEX-17HHE-2026-SM-79OKF 50-59 years, male 11.1
GTEX-1CAMR-1926-SM-7EPI2 20-29 years, male 11.1
GTEX-ZF2S-2326-SM-4WWCE 50-59 years, female 11.1
GTEX-14A5I-0126-SM-5TDEA 50-59 years, female 11.0
GTEX-X261-0126-SM-3NMD6 50-59 years, male 11.0
GTEX-1H1CY-2826-SM-9MQM3 60-69 years, female 11.0
GTEX-1PIGE-0126-SM-EVYBJ 20-29 years, male 11.0
GTEX-1399T-2826-SM-5KLYZ 60-69 years, male 10.9
GTEX-13D11-2426-SM-5KM1V 50-59 years, female 10.9
GTEX-1F6RS-0126-SM-9MQKZ 60-69 years, female 10.8
GTEX-1MUQO-0126-SM-EAZ58 60-69 years, male 10.8
GTEX-11EM3-2426-SM-59861 20-29 years, female 10.7
GTEX-1C4CL-0526-SM-73KVK 30-39 years, male 10.7
GTEX-XPVG-2626-SM-4B669 50-59 years, male 10.7
GTEX-1H1E6-1726-SM-ACKVK 30-39 years, male 10.7
GTEX-1KXAM-2226-SM-CYPTC 60-69 years, male 10.7
GTEX-SE5C-1626-SM-2XCE3 40-49 years, female 10.7
GTEX-11P81-2326-SM-59875 30-39 years, female 10.6
GTEX-ZV68-0126-SM-59HKS 50-59 years, female 10.6
GTEX-1QMI2-0226-SM-EVYBX 60-69 years, male 10.6
GTEX-1S5ZA-0126-SM-EVYCV 20-29 years, male 10.4
GTEX-14DAR-2026-SM-5S2O3 50-59 years, male 10.3
GTEX-17JCI-0126-SM-7LG5G 60-69 years, female 10.3
GTEX-YJ89-0126-SM-4TT3X 60-69 years, male 10.3
GTEX-1PPH8-0226-SM-E8VND 20-29 years, male 10.3
GTEX-TMMY-0226-SM-33HBA 40-49 years, female 10.2
GTEX-1LVAN-0226-SM-COH3S 50-59 years, female 10.2
GTEX-1MJK2-0426-SM-DTXE5 50-59 years, male 10.2
GTEX-144GL-0126-SM-5TDE2 50-59 years, male 10.1
GTEX-14PN3-2426-SM-6LLHS 60-69 years, female 10.1
GTEX-1GZ4H-1726-SM-7PBZJ 50-59 years, female 10.1
GTEX-1S3DN-2226-SM-EVYCD 50-59 years, male 10.1
GTEX-1122O-2126-SM-5EGIR 60-69 years, female 10.0
GTEX-1CB4F-0426-SM-9KNV4 60-69 years, male 10.0
GTEX-1QP2A-0126-SM-E9J43 50-59 years, male 10.0
GTEX-WFG8-2226-SM-3GIL9 20-29 years, male 9.9
GTEX-1MCYP-1926-SM-E9J2R 20-29 years, female 9.9
GTEX-17GQL-2026-SM-718BA 60-69 years, male 9.8
GTEX-ZZ64-1726-SM-5GZYB 20-29 years, male 9.8
GTEX-11EQ9-2426-SM-5HL5T 30-39 years, male 9.6
GTEX-13FHP-0126-SM-5IJBG 50-59 years, male 9.6
GTEX-13OVK-2026-SM-7KUEO 40-49 years, male 9.6
GTEX-14PJ6-2126-SM-6EU1V 60-69 years, female 9.6
GTEX-P4QT-0126-SM-2I3FL 50-59 years, female 9.6
GTEX-1K2DA-1826-SM-CGQGT 50-59 years, male 9.4
GTEX-1PDJ9-0326-SM-DTX95 20-29 years, male 9.4
GTEX-1QCLY-0326-SM-E8VOG 30-39 years, male 9.4
GTEX-17F96-1626-SM-7DUFL 70-79 years, male 9.3
GTEX-WRHK-1426-SM-3MJF9 20-29 years, female 9.3
GTEX-ZYT6-0226-SM-5NQ6T 30-39 years, male 9.3
GTEX-1IKJJ-0126-SM-CNPQB 60-69 years, male 9.3
GTEX-1212Z-2526-SM-5EGKP 60-69 years, male 9.2
GTEX-1GMR3-1926-SM-9KNUZ 40-49 years, male 9.2
GTEX-1OJC3-0126-SM-E76QX 20-29 years, male 9.2
GTEX-13OVH-0126-SM-5MR4B 70-79 years, male 9.1
GTEX-1CB4I-0226-SM-79OLH 50-59 years, male 9.1
GTEX-PX3G-0126-SM-2I3EN 20-29 years, female 8.9
GTEX-1HSGN-0226-SM-CGQFV 40-49 years, female 8.8
GTEX-XBEW-0626-SM-4QASP 40-49 years, male 8.6
GTEX-1HCU9-1526-SM-A9SL7 20-29 years, male 8.6
GTEX-1CAMS-0426-SM-7P8T2 40-49 years, female 8.5
GTEX-1F75I-0326-SM-9YFLU 40-49 years, male 8.5
GTEX-PLZ6-1426-SM-DKPOT 30-39 years, male 8.5
GTEX-17KNJ-2326-SM-7DHLQ 50-59 years, male 8.4
GTEX-131XF-5016-SM-7MGWE 60-69 years, male 8.4
GTEX-1I4MK-2226-SM-ACKWD 50-59 years, female 8.3
GTEX-T5JW-1626-SM-3GADZ 20-29 years, female 8.1
GTEX-ZWKS-0126-SM-5SIAA 30-39 years, male 8.1
GTEX-12WSE-0526-SM-793B2 20-29 years, male 7.9
GTEX-15F5U-1526-SM-6PANO 40-49 years, male 7.9
GTEX-1GPI7-0126-SM-9MQL8 20-29 years, male 7.9
GTEX-14E6E-1826-SM-5S2R7 30-39 years, male 7.8
GTEX-1R7EU-0226-SM-EVR4G 60-69 years, male 7.8
GTEX-1E2YA-0126-SM-9KNUC 50-59 years, male 7.7
GTEX-1LGOU-2026-SM-DIPFF 20-29 years, female 7.7
GTEX-1OFPY-2426-SM-DTXEJ 60-69 years, male 7.7
GTEX-145ME-1826-SM-5SI9G 40-49 years, female 7.6
GTEX-P44H-0226-SM-2XCEU 40-49 years, male 7.6
GTEX-ZV6S-2326-SM-4YCEY 40-49 years, female 7.6
GTEX-1JJEA-0326-SM-CNPOT 60-69 years, male 7.5
GTEX-1LG7Z-1726-SM-D3LA4 30-39 years, male 7.5
GTEX-1PIIG-0226-SM-EWRN6 30-39 years, male 7.4
GTEX-12WSA-0226-SM-5BC5V 60-69 years, male 7.3
GTEX-16AAH-1726-SM-7939C 50-59 years, male 7.2
GTEX-1KANA-0726-SM-D3L9I 20-29 years, male 7.2
GTEX-1A3MV-1926-SM-718BT 30-39 years, male 7.1
GTEX-1C64N-0126-SM-793D7 50-59 years, male 7.1
GTEX-1F5PL-0326-SM-7P8PQ 40-49 years, female 7.1
GTEX-1LSNM-1926-SM-E6CII 50-59 years, male 7.1
GTEX-13JUV-2726-SM-5LZZ8 40-49 years, female 7.0
GTEX-1GL5R-1826-SM-9KNUY 50-59 years, male 7.0
GTEX-1J8QM-2126-SM-CYPSJ 60-69 years, female 7.0
GTEX-1LGRB-2526-SM-CNPPQ 50-59 years, female 7.0
GTEX-13NYB-2526-SM-5K7Z6 40-49 years, male 6.7
GTEX-13111-1626-SM-5EGJY 50-59 years, male 6.5
GTEX-15RIG-0226-SM-7KFTL 40-49 years, male 6.4
GTEX-1CAMQ-0226-SM-7IGPK 40-49 years, male 6.3
GTEX-SNMC-1226-SM-2XCFP 20-29 years, male 6.2
GTEX-1HCU7-0226-SM-CL545 50-59 years, male 6.1
GTEX-1JJ6O-0126-SM-E6CI8 60-69 years, male 6.0
GTEX-15ETS-0126-SM-7KUMW 40-49 years, female 5.9
GTEX-1KANC-1526-SM-D3LAB 50-59 years, female 5.6
GTEX-1S83E-0126-SM-EWRO4 40-49 years, male 5.6
GTEX-1R9PM-2026-SM-E76OY 20-29 years, male 4.8
GTEX-ZTX8-1426-SM-5DUVO 20-29 years, male 4.7
GTEX-1L5NE-2526-SM-E6CIE 50-59 years, male 4.7
GTEX-WFON-2126-SM-3LK7O 40-49 years, male 4.6
GTEX-15EU6-0426-SM-6PAN5 50-59 years, male 4.3
GTEX-18D9A-1926-SM-7LG6P 30-39 years, female 4.2
GTEX-1C475-1826-SM-73KWA 40-49 years, female 3.8
GTEX-1B97I-1626-SM-73KYO 40-49 years, male 3.7
Show allShow less

Contact

  • NEWS ARTICLES
  • PRESS ROOM

The Project

  • INTRODUCTION
  • ORGANIZATION
  • PUBLICATIONS

The Human Protein Atlas

  • DOWNLOADABLE DATA
  • LICENCE & CITATION
  • HELP & FAQ
The Human Protein Atlas project is funded
by the Knut & Alice Wallenberg Foundation.


contact@proteinatlas.org