We use cookies to enhance the usability of our website. If you continue, we'll assume that you are happy to receive all cookies. More information. Don't show this again.
EVA1B
HPA
RESOURCES
  • TISSUE
  • BRAIN
  • SINGLE CELL
  • SUBCELLULAR
  • CANCER
  • BLOOD
  • CELL LINE
  • STRUCTURE & INTERACTION
ABOUT
  • INTRODUCTION
  • HISTORY
  • ORGANIZATION
  • PUBLICATIONS
  • ANTIBODY SUBMISSION
  • ANTIBODY AVAILABILITY
  • ACKNOWLEDGMENTS
  • CONTACT
NEWS
  • NEWS ARTICLES
  • PRESS ROOM
LEARN
  • DICTIONARY
  • PROTEIN CLASSES
  • PROTEIN EVIDENCE
  • METHODS
  • EDUCATIONAL VIDEOS
DATA
  • DOWNLOADABLE DATA
  • PUBLICATION DATA
  • RELEASE HISTORY
HELP
  • ANTIBODY VALIDATION
  • ASSAYS & ANNOTATION
  • DISCLAIMER
  • HELP & FAQ
  • PRIVACY STATEMENT
  • LICENCE & CITATION
Fields »
Search result

Field
Term
Gene name
Class
Subclass
Class
Keyword
Chromosome
External id
Tissue
Cell type
Expression
Antibody panel
Tissue
Main location
Patient ID
Annotation
Tissue
Category
Tau score
Cluster
Reliability
Brain region
Category
Tau score
Brain region
Category
Tau score
Brain region
Category
Tau score
Cluster
Reliability
Tissue
Cell type
Enrichment
Cell type
Category
Tau score
Cell type
Category
Tau score
Cell type
Category
Tau score
Cell lineage
Category
Tau score
Cluster
Cluster
Location
Searches
Location
Cell line
Class
Type
Phase
Reliability
Cancer
Prognosis
Cancer
Category
Cancer
Category
Tau score
Cluster
Variants
Interacting gene (ensg_id)
Type
Number of interactions
Pathway
Category
Score
Score
Score
Validation
Validation
Validation
Validation
Antibodies
Data type
Column


  • SUMMARY

  • TISSUE

  • BRAIN

  • SINGLE CELL

  • SUBCELL

  • CANCER

  • BLOOD

  • CELL LINE

  • STRUCT & INT

  • EVA1B
TISSUE PRIMARY DATA ESOPHAGUS Show tissue menu
ADIPOSE TISSUE ADRENAL GLAND AMYGDALA APPENDIX BASAL GANGLIA BONE MARROW BREAST BRONCHUS CEREBELLUM CEREBRAL CORTEX CERVIX CHOROID PLEXUS COLON DUODENUM
ENDOMETRIUM EPIDIDYMIS ESOPHAGUS FALLOPIAN TUBE GALLBLADDER HEART MUSCLE HIPPOCAMPAL FORMATION HYPOTHALAMUS KIDNEY LIVER LUNG LYMPH NODE MIDBRAIN NASOPHARYNX
ORAL MUCOSA OVARY PANCREAS PARATHYROID GLAND PITUITARY GLAND PLACENTA PROSTATE RECTUM RETINA SALIVARY GLAND SEMINAL VESICLE SKELETAL MUSCLE SKIN SMALL INTESTINE
SMOOTH MUSCLE SOFT TISSUE SPINAL CORD SPLEEN STOMACH TESTIS THYMUS THYROID GLAND TONGUE TONSIL URINARY BLADDER VAGINA
ANTIBODIES
AND
VALIDATION
Dictionary
Esophagus
Tissue proteome
Esophagus
ESOPHAGUS - Expression summary
Protein expression
Esophagusi

On the top, protein expression in current human tissue, based on all annotated cell types, is reported with the units not detected (n), low (l), medium (m) and high (h). Underneath, protein expression in each annotated cell type are reported using the same units.

Protein expression data is based on knowledge-based annotation. For genes where more than one antibody has been used, a collective score is set.

If knowledge-based annotation could not be performed for a gene, no data is displayed here. View antibody staining data further down this page.

h
m
l
n
Squamous epithelial cells: Not detected
RNA expressioni

A summary of mRNA expression data available for current tissue based on several datasets. The mRNA expression levels in human tissues are based on RNA-seq data generated by the Human Protein Atlas (HPA), Genotype-Tissue Expression (GTEx) portal and CAGE data generated by the FANTOM5 consortium. Consensus normalized expression levels for human tissues was created by combining the data from HPA and GTEx datasets.

The mRNA expression levels in pig are based on RNA-seq data generated by the Human Protein Atlas (HPA), and for mouse, HPA data and in situ hybridization generated by the Allen brain atlas are reported.

Scroll down to view mRNA expression data in more detail.
Consensus:11.9 nTPM
HPA:0.1 nTPM
GTEx:11.9 nTPM
FANTOM5:22.3 Scaled Tags Per Million

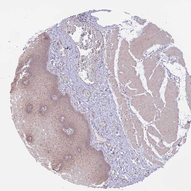
ESOPHAGUS - Antibody stainingi

Antibody staining in the annotated cell types in the current human tissue is reported as not detected, low, medium, or high, based on conventional immunohistochemistry profiling in selected tissues. This score is based on the combination of the staining intensity and fraction of stained cells.

Each image is clickable and will lead to virtual microscopy that enables deeper exploration of all samples and also displays staining intensity scores, fraction scores and subcellular localization as well as patient and tissue information for each sample.

Antibody HPA041928Antibody HPA043537
Squamous epithelial cells Not detectedMedium



ESOPHAGUS - HPA RNA-seqi

The RNA-seq details section shows detailed information about the individual samples used for the transcript profiling and results of the RNA-seq analysis.

Information about each individual sample is listed below, including gender, age, a tissue section image and estimated fractions of cell types. nTPM (normalized transcripts per million) values give a quantification of the gene abundance which is comparable between different genes and samples.
Average nTPMi

Max subtype nTPM is the value for the subtype with the largest average nTPM across the subtype samples.

0.1
overview
Female, age 70
Esophagus sample 130
nTPM: 0.3
Cell types%
Squamous epithelial cells:
35

Smooth muscle cells:
15

Skeletal muscle cells:
5

Other cell types:
45

overview
Male, age 38
Esophagus sample 131
nTPM: 0
Cell types%
Squamous epithelial cells:
60

Smooth muscle cells:
20

Other cell types:
20

overview
Male, age 76
Esophagus sample 132
nTPM: 0.2
Cell types%
Squamous epithelial cells:
45

Smooth muscle cells:
15

Other cell types:
40


ESOPHAGUS - GTEx RNA-seqi

RNA-Seq data generated by the Genotype-Tissue Expression (GTEx) project from human tissues is reported as mean nTPM. More information can be found on the GTEx portal.

Distribution across the dataset is visualized with box plots, shown as median and 25th and 75th percentiles. Points are displayed as outliers if they are above or below 1.5 times the interquartile range. nTPM values of the individual samples are presented next to the box plot.
Max subtype nTPMi

Max subtype nTPM is the value for the subtype with the largest average nTPM across the subtype samples.

11.9
GTEx sample id Sample description nTPM
Esophagus - Mucosa
Average nTPM: 11.9
Samples: 555

Max nTPM: 53.3
Min nTPM: 3.0
Std nTPM: 5.5
Median nTPM: 10.4
GTEX-1LVA9-2126-SM-DLHBY 50-59 years, male 53.3
GTEX-X585-1226-SM-46MW7 50-59 years, male 38.2
GTEX-16Z82-1926-SM-6M47U 60-69 years, male 36.0
GTEX-15DCD-1626-SM-6AJBH 70-79 years, female 30.3
GTEX-1EH9U-2426-SM-7EWFG 60-69 years, male 29.0
GTEX-ZZPT-1426-SM-5N9C5 50-59 years, male 28.6
GTEX-1F7RK-1526-SM-7P8T6 20-29 years, female 27.9
GTEX-T5JC-1726-SM-4DM6U 20-29 years, male 27.6
GTEX-ZV68-0926-SM-59HK7 50-59 years, female 27.6
GTEX-X4LF-0626-SM-4QASB 50-59 years, male 26.9
GTEX-13O61-0926-SM-5IFFE 60-69 years, male 26.8
GTEX-N7MS-1225-SM-3LK5G 60-69 years, male 26.7
GTEX-1269C-1026-SM-5N9EY 60-69 years, female 26.4
GTEX-X4EP-1626-SM-4QAS6 60-69 years, female 26.4
GTEX-17F97-1326-SM-7MGVO 50-59 years, male 26.1
GTEX-13W46-1926-SM-5J2MF 50-59 years, male 26.0
GTEX-1F52S-1426-SM-7P8PU 60-69 years, female 25.3
GTEX-POYW-1326-SM-48TCG 60-69 years, male 24.8
GTEX-P4PP-0626-SM-3NM9X 30-39 years, female 24.6
GTEX-N7MT-0326-SM-48TDP 60-69 years, female 24.1
GTEX-117YW-1926-SM-5H121 50-59 years, male 23.3
GTEX-1KAFJ-0626-SM-D3L8X 50-59 years, male 23.0
GTEX-13JVG-2026-SM-5KM1N 60-69 years, male 22.9
GTEX-15UF6-2326-SM-6M465 70-79 years, female 22.4
GTEX-13FHP-1526-SM-5IJGE 50-59 years, male 22.3
GTEX-1HBPM-1426-SM-9WPPE 60-69 years, female 22.3
GTEX-11EI6-1526-SM-5P9GL 60-69 years, male 22.1
GTEX-144GO-2726-SM-5O9A2 60-69 years, male 21.9
GTEX-15EOM-5013-SM-7MKF9 20-29 years, female 21.6
GTEX-X62O-2226-SM-46MW3 50-59 years, male 21.6
GTEX-1H1ZS-1526-SM-9OSXR 70-79 years, male 21.5
GTEX-1I1GP-1026-SM-C1YRZ 50-59 years, male 21.2
GTEX-1CAMQ-2726-SM-7MKGD 40-49 years, male 20.9
GTEX-1MCQQ-1026-SM-EV7AX 60-69 years, male 20.9
GTEX-1HCU8-2226-SM-9WPOV 60-69 years, female 20.7
GTEX-R45C-1226-SM-48FEE 60-69 years, female 20.4
GTEX-16A39-1026-SM-6LPJU 30-39 years, female 20.3
GTEX-TSE9-1226-SM-4DXTM 60-69 years, female 20.2
GTEX-Q2AH-0826-SM-48TZN 40-49 years, male 20.1
GTEX-QVUS-0626-SM-447CC 60-69 years, female 20.1
GTEX-RN64-1026-SM-48FDX 50-59 years, male 20.1
GTEX-15EO6-1026-SM-7KUG9 50-59 years, male 19.9
GTEX-XQ3S-1126-SM-4BOPK 20-29 years, male 19.9
GTEX-14A6H-1326-SM-5NQBC 30-39 years, male 19.8
GTEX-1IDFM-1126-SM-A96SY 60-69 years, male 19.8
GTEX-1JMQK-2026-SM-C1YQN 60-69 years, male 19.8
GTEX-1EN7A-1226-SM-7MGX9 40-49 years, male 19.6
GTEX-12ZZX-1326-SM-5DUWI 40-49 years, female 19.5
GTEX-SNOS-0626-SM-4DM5F 40-49 years, male 19.4
GTEX-17HII-1526-SM-9OSVD 50-59 years, male 19.4
GTEX-X4XY-1726-SM-46MVO 60-69 years, male 19.2
GTEX-1399Q-1126-SM-5P9JA 40-49 years, male 19.1
GTEX-13O1R-1326-SM-5IJF5 60-69 years, male 19.1
GTEX-S95S-0426-SM-4B64I 60-69 years, male 19.1
GTEX-ZAK1-1526-SM-5S2OV 50-59 years, female 19.0
GTEX-1H3NZ-1326-SM-9JGHI 60-69 years, male 19.0
GTEX-1GMR8-1826-SM-9WYUE 50-59 years, female 18.8
GTEX-YECK-1626-SM-5IFHQ 60-69 years, male 18.7
GTEX-YJ89-1526-SM-5P9IR 60-69 years, male 18.7
GTEX-1KANB-1826-SM-DHXJU 50-59 years, male 18.7
GTEX-1M5QR-0726-SM-DHXK7 40-49 years, male 18.6
GTEX-1QEPI-1826-SM-EAZ3J 60-69 years, female 18.6
GTEX-REY6-1326-SM-48FDO 60-69 years, male 18.5
GTEX-ZYFC-1626-SM-5N9EU 50-59 years, male 18.5
GTEX-1BAJH-2026-SM-7P8OZ 70-79 years, male 18.5
GTEX-WHWD-0926-SM-4OORY 50-59 years, male 18.4
GTEX-OHPN-1026-SM-E9TI8 60-69 years, female 18.4
GTEX-1JMLX-2326-SM-CXZJP 50-59 years, male 18.3
GTEX-1K2DU-1726-SM-EV79S 20-29 years, male 18.3
GTEX-1MJIX-0826-SM-DTXEO 40-49 years, male 18.3
GTEX-XLM4-2326-SM-4AT5E 60-69 years, male 18.3
GTEX-UJMC-0926-SM-4IHLK 50-59 years, male 18.2
GTEX-14ICK-2026-SM-6AJB2 40-49 years, male 18.1
GTEX-11GSP-1826-SM-5N9DQ 60-69 years, female 18.0
GTEX-13SLX-1726-SM-5Q5E5 50-59 years, female 18.0
GTEX-1KD4Q-1126-SM-CXZKK 40-49 years, male 18.0
GTEX-T2YK-1326-SM-4DM6S 50-59 years, male 17.8
GTEX-11ZU8-1526-SM-5EGHX 60-69 years, male 17.6
GTEX-XMD2-1326-SM-4YCET 60-69 years, female 17.6
GTEX-1H3VY-2026-SM-9JGHK 50-59 years, male 17.6
GTEX-1C6VQ-1826-SM-7EWEH 50-59 years, male 17.5
GTEX-11TUW-1326-SM-5EQKV 60-69 years, male 17.4
GTEX-13OVI-2626-SM-5KM4T 60-69 years, female 17.4
GTEX-1I1GV-2226-SM-ARU7E 60-69 years, male 17.4
GTEX-1LSNL-2226-SM-DHXKM 50-59 years, male 17.4
GTEX-OXRP-0926-SM-48TC1 60-69 years, female 17.3
GTEX-1EX96-2226-SM-7MKGT 50-59 years, male 17.2
GTEX-XMK1-1326-SM-4B65Q 40-49 years, male 17.2
GTEX-1A8FM-1526-SM-7MXTA 50-59 years, female 17.2
GTEX-16MT8-1326-SM-6M47R 60-69 years, female 17.1
GTEX-1LG7Y-1726-SM-EV7AR 50-59 years, male 17.1
GTEX-WH7G-0926-SM-4LVMJ 40-49 years, male 17.0
GTEX-1HFI6-1226-SM-A96SK 40-49 years, male 16.9
GTEX-1CB4H-1526-SM-7MXU4 60-69 years, female 16.8
GTEX-183WM-1726-SM-7KFT5 70-79 years, female 16.7
GTEX-1A32A-1826-SM-72D5G 50-59 years, female 16.7
GTEX-14BIN-2726-SM-5RQIE 50-59 years, female 16.6
GTEX-14C5O-1626-SM-73KYH 60-69 years, male 16.3
GTEX-17F9E-1926-SM-7IGQF 50-59 years, male 16.3
GTEX-12WSG-5007-SM-7DUGZ 50-59 years, female 16.2
GTEX-13OVJ-1226-SM-5L3HA 50-59 years, female 16.2
GTEX-18465-1126-SM-7LG6E 50-59 years, male 16.2
GTEX-P4QS-0626-SM-3NMD1 60-69 years, male 16.1
GTEX-13G51-0926-SM-5IFFU 60-69 years, male 16.0
GTEX-1HCVE-1226-SM-9WPPH 50-59 years, male 16.0
GTEX-1RLM8-0726-SM-E6CRH 50-59 years, male 16.0
GTEX-1MA7W-0426-SM-E9TJ5 20-29 years, female 15.7
GTEX-PVOW-1626-SM-48TC9 40-49 years, male 15.6
GTEX-WFON-0826-SM-4LVMI 40-49 years, male 15.6
GTEX-1EKGG-1726-SM-7MXUP 60-69 years, male 15.6
GTEX-1LSVX-1226-SM-DHXJN 60-69 years, male 15.6
GTEX-13QJ3-1726-SM-5RQK9 50-59 years, male 15.5
GTEX-XV7Q-1126-SM-4BRVS 40-49 years, female 15.5
GTEX-ZE9C-1126-SM-4WWBD 60-69 years, male 15.5
GTEX-12WSA-1426-SM-5EGJU 60-69 years, male 15.4
GTEX-13CF3-1626-SM-5IFG9 60-69 years, female 15.4
GTEX-1PPGY-1726-SM-EVR3S 60-69 years, male 15.4
GTEX-WOFM-0626-SM-4OOS3 20-29 years, male 15.3
GTEX-13FLV-1126-SM-5J2NO 50-59 years, male 15.2
GTEX-15RIF-0826-SM-6M47C 20-29 years, male 15.2
GTEX-1B933-2026-SM-7EWFC 50-59 years, female 15.2
GTEX-S4P3-0426-SM-4AD56 50-59 years, female 15.2
GTEX-ZVE2-1326-SM-5NQ94 50-59 years, male 15.2
GTEX-1LB8K-1326-SM-CXZKB 50-59 years, male 15.2
GTEX-SJXC-1426-SM-EYYVB 60-69 years, male 15.2
GTEX-1E1VI-1526-SM-7IGQ2 50-59 years, male 15.1
GTEX-139TU-1226-SM-5J2NL 60-69 years, male 15.0
GTEX-QLQ7-0926-SM-447BC 60-69 years, male 15.0
GTEX-ZYW4-1326-SM-5E45N 60-69 years, male 15.0
GTEX-1QP29-2126-SM-E6CPZ 50-59 years, male 14.9
GTEX-T8EM-0526-SM-4DM64 40-49 years, male 14.7
GTEX-1GN1U-1826-SM-9JGH2 50-59 years, female 14.7
GTEX-13NYB-0926-SM-5IFFA 40-49 years, male 14.6
GTEX-15DCE-1326-SM-6LPJL 20-29 years, male 14.5
GTEX-SE5C-1226-SM-4BRWV 40-49 years, female 14.5
GTEX-UPK5-1226-SM-4IHL8 40-49 years, male 14.5
GTEX-ZYVF-2226-SM-5GIDD 50-59 years, female 14.5
GTEX-1H1DG-1226-SM-9JGH3 70-79 years, male 14.5
GTEX-1H23P-1426-SM-9JGH5 60-69 years, male 14.5
GTEX-13X6I-1026-SM-5LU4C 60-69 years, male 14.4
GTEX-1497J-2726-SM-5SI9W 60-69 years, male 14.4
GTEX-R55G-1026-SM-48FDI 40-49 years, female 14.4
GTEX-1HGF4-0926-SM-9WPP8 60-69 years, male 14.4
GTEX-1JMQJ-1226-SM-D3L97 50-59 years, male 14.4
GTEX-13O3Q-0826-SM-5IFGF 50-59 years, male 14.3
GTEX-13X6K-2126-SM-5O9D4 60-69 years, female 14.3
GTEX-145LS-1826-SM-5LUAZ 60-69 years, female 14.2
GTEX-14BIM-1326-SM-7EWD1 60-69 years, female 14.2
GTEX-145ME-5004-SM-7MGXP 40-49 years, female 14.2
GTEX-1JMPZ-2026-SM-C1YR8 30-39 years, male 14.2
GTEX-1RDX4-2126-SM-EV7B3 50-59 years, female 14.2
GTEX-11DZ1-2026-SM-5A5KG 50-59 years, male 14.1
GTEX-14PHY-0626-SM-664NN 60-69 years, female 14.0
GTEX-RVPV-0526-SM-47JYL 60-69 years, male 14.0
GTEX-SUCS-0726-SM-4DM7J 70-79 years, male 14.0
GTEX-WK11-1026-SM-4OOS8 50-59 years, male 14.0
GTEX-1GMR3-1526-SM-9JGGL 40-49 years, male 14.0
GTEX-PSDG-1326-SM-48TD2 50-59 years, male 13.9
GTEX-ZYT6-1126-SM-5GZYR 30-39 years, male 13.9
GTEX-1I1CD-1726-SM-A9G3P 60-69 years, female 13.9
GTEX-12ZZW-1726-SM-5DUVD 50-59 years, male 13.8
GTEX-T5JW-1326-SM-4DM5G 20-29 years, female 13.8
GTEX-145LT-1126-SM-5LUA1 40-49 years, male 13.7
GTEX-PWN1-0626-SM-48TDT 40-49 years, female 13.7
GTEX-T2IS-0826-SM-4DM6L 20-29 years, female 13.7
GTEX-ZYFG-1126-SM-5GICY 60-69 years, female 13.7
GTEX-147F3-0826-SM-5NQA7 50-59 years, female 13.6
GTEX-17JCI-1226-SM-793D9 60-69 years, female 13.6
GTEX-Q2AG-1326-SM-43V8K 40-49 years, female 13.6
GTEX-R55D-1126-SM-48FEB 50-59 years, male 13.6
GTEX-U8XE-1726-SM-4E3IF 30-39 years, male 13.6
GTEX-1N2EE-2426-SM-EXOIO 60-69 years, male 13.6
GTEX-T6MO-0526-SM-4DM6R 40-49 years, female 13.5
GTEX-14PJ6-1026-SM-686ZB 60-69 years, female 13.4
GTEX-RWS6-0826-SM-47JXF 60-69 years, female 13.4
GTEX-1GMR2-1526-SM-7MXV6 50-59 years, male 13.4
GTEX-13YAN-1926-SM-7EPH9 60-69 years, male 13.3
GTEX-148VI-1026-SM-5TDDJ 60-69 years, female 13.3
GTEX-13NZB-1226-SM-5J2MW 30-39 years, male 13.2
GTEX-1J1OQ-2526-SM-AHZ3Q 40-49 years, female 13.2
GTEX-1MA7X-0726-SM-EV7AB 60-69 years, male 13.2
GTEX-XK95-1026-SM-4GIDV 40-49 years, male 13.1
GTEX-S341-0526-SM-4AD5U 40-49 years, female 13.0
GTEX-1R9K4-1926-SM-DPRZW 60-69 years, male 13.0
GTEX-11DYG-1326-SM-5N9DO 60-69 years, male 12.9
GTEX-PLZ4-1626-SM-3P618 50-59 years, female 12.9
GTEX-ZT9W-1326-SM-51MTB 50-59 years, male 12.8
GTEX-139YR-1726-SM-5IFFK 50-59 years, male 12.7
GTEX-PLZ6-0526-SM-3P61C 30-39 years, male 12.6
GTEX-TML8-1526-SM-4DXUX 40-49 years, female 12.6
GTEX-ZPU1-1426-SM-4WWFU 40-49 years, male 12.6
GTEX-11DXZ-1226-SM-5H11L 50-59 years, male 12.5
GTEX-12WSD-1826-SM-5GCOA 60-69 years, female 12.5
GTEX-1EU9M-2326-SM-7MKGS 60-69 years, male 12.5
GTEX-1HCU7-2126-SM-A96SG 50-59 years, male 12.5
GTEX-14DAQ-1426-SM-5RQJD 60-69 years, female 12.4
GTEX-17F96-2526-SM-7DHL3 70-79 years, male 12.4
GTEX-1IDJH-2026-SM-CNNQX 70-79 years, male 12.4
GTEX-1LNCM-0626-SM-EV7AI 50-59 years, female 12.4
GTEX-16MTA-0826-SM-6LLIC 50-59 years, male 12.3
GTEX-R3RS-1326-SM-48FE7 40-49 years, female 12.3
GTEX-YB5E-0926-SM-4WWDQ 40-49 years, male 12.3
GTEX-1I1GR-1326-SM-ARU7B 60-69 years, male 12.3
GTEX-148VJ-1026-SM-5LU98 70-79 years, male 12.2
GTEX-15DYW-1826-SM-6LPIY 60-69 years, female 12.2
GTEX-1GN73-1926-SM-9JGGS 60-69 years, male 12.2
GTEX-17KNJ-1326-SM-7KFTG 50-59 years, male 12.1
GTEX-OIZG-1026-SM-3LK5X 50-59 years, male 12.1
GTEX-RTLS-1126-SM-46MUQ 60-69 years, female 12.1
GTEX-XBED-1026-SM-48TCB 60-69 years, male 12.1
GTEX-1LBAC-1226-SM-DHXK1 20-29 years, male 12.1
GTEX-1S82Y-1226-SM-EV7BD 40-49 years, male 12.1
GTEX-NFK9-1126-SM-3LK78 40-49 years, male 12.0
GTEX-O5YV-1026-SM-3LK72 60-69 years, female 12.0
GTEX-1QW4Y-0526-SM-EAZ3V 30-39 years, male 12.0
GTEX-15RJE-0926-SM-6LLHZ 40-49 years, male 11.9
GTEX-OXRN-1726-SM-3NM9B 50-59 years, male 11.9
GTEX-ZYY3-1526-SM-5SIA9 60-69 years, female 11.9
GTEX-11ONC-1526-SM-5GU6S 60-69 years, male 11.8
GTEX-11ZTS-2626-SM-5EGIC 60-69 years, female 11.8
GTEX-12ZZY-1426-SM-5N9EI 60-69 years, male 11.8
GTEX-132QS-1426-SM-5P9GE 60-69 years, male 11.7
GTEX-144FL-2726-SM-5O98Z 50-59 years, male 11.7
GTEX-14ICL-0526-SM-5RQJ6 30-39 years, male 11.7
GTEX-18A6Q-1226-SM-7KFS9 60-69 years, male 11.7
GTEX-1ICG6-1926-SM-ARU7L 70-79 years, female 11.7
GTEX-1AYD5-0926-SM-793AF 50-59 years, male 11.6
GTEX-1H11D-2126-SM-9OSXM 40-49 years, male 11.6
GTEX-111CU-0726-SM-5GZYD 50-59 years, male 11.4
GTEX-11NUK-1326-SM-5P9GN 50-59 years, male 11.4
GTEX-1399U-1026-SM-5J1OC 50-59 years, female 11.4
GTEX-17EVQ-1926-SM-7IGOF 70-79 years, male 11.4
GTEX-RM2N-0726-SM-48FD5 50-59 years, male 11.4
GTEX-1HSKV-2426-SM-A8N8K 60-69 years, male 11.4
GTEX-YEC4-1026-SM-9WG7N 40-49 years, male 11.4
GTEX-132Q8-1826-SM-5EGIY 60-69 years, male 11.3
GTEX-1F88F-1126-SM-7MKHL 60-69 years, female 11.3
GTEX-XBEW-1326-SM-4AT63 40-49 years, male 11.3
GTEX-ZAB4-1126-SM-5HL86 40-49 years, male 11.3
GTEX-11TT1-0526-SM-5P9JO 20-29 years, male 11.2
GTEX-139UW-1126-SM-5IJEJ 60-69 years, male 11.2
GTEX-WQUQ-1626-SM-4OOSH 60-69 years, male 11.2
GTEX-ZT9X-0526-SM-5GCOP 40-49 years, male 11.2
GTEX-11VI4-0526-SM-5EQ48 40-49 years, female 11.1
GTEX-133LE-0626-SM-5IFFJ 20-29 years, female 11.1
GTEX-QLQW-0526-SM-4R1KS 30-39 years, male 11.1
GTEX-SNMC-0526-SM-4DM69 20-29 years, male 11.1
GTEX-XQ8I-1526-SM-4BOOH 50-59 years, male 11.1
GTEX-ZF3C-1626-SM-4WWB4 50-59 years, female 11.1
GTEX-1GF9U-0826-SM-7MXTZ 40-49 years, female 11.1
GTEX-VUSG-1226-SM-4KKZF 50-59 years, male 11.0
GTEX-WHPG-1126-SM-4M1XT 50-59 years, male 11.0
GTEX-12WSN-5013-SM-7P8P9 40-49 years, male 11.0
GTEX-WVLH-1426-SM-4MVNX 50-59 years, male 10.9
GTEX-1B8KZ-0726-SM-7938W 50-59 years, male 10.8
GTEX-Y114-0926-SM-4TT7J 50-59 years, female 10.8
GTEX-1QP67-0726-SM-DPRY1 40-49 years, female 10.8
GTEX-14PJ5-0526-SM-664OE 60-69 years, female 10.7
GTEX-P4QT-0626-SM-3NMCP 50-59 years, female 10.7
GTEX-Y3I4-1226-SM-4TT8N 50-59 years, male 10.7
GTEX-YF7O-0926-SM-5IFIF 50-59 years, male 10.7
GTEX-1AX8Z-5016-SM-AHZ2B 60-69 years, male 10.7
GTEX-1CB4J-2426-SM-7MXVC 60-69 years, male 10.7
GTEX-1JK1U-1726-SM-CNNPM 60-69 years, male 10.7
GTEX-1LG7Z-0926-SM-CXKYK 30-39 years, male 10.7
GTEX-12BJ1-1626-SM-5HL8Y 60-69 years, male 10.6
GTEX-PWCY-0726-SM-48TCS 20-29 years, female 10.6
GTEX-QEG5-1426-SM-447AS 20-29 years, male 10.6
GTEX-ZC5H-1326-SM-5HL7E 40-49 years, female 10.5
GTEX-1QP2A-1926-SM-EXOJ9 50-59 years, male 10.5
GTEX-15RIE-0826-SM-6M47X 60-69 years, male 10.4
GTEX-16NPX-1626-SM-6LLI5 50-59 years, male 10.4
GTEX-1F75I-1726-SM-7MKGW 40-49 years, male 10.4
GTEX-R53T-1126-SM-48FD4 50-59 years, female 10.4
GTEX-V1D1-1026-SM-4JBHE 50-59 years, male 10.4
GTEX-WYJK-1926-SM-4ONDP 50-59 years, male 10.4
GTEX-ZQUD-0426-SM-57WFR 30-39 years, male 10.4
GTEX-1HBPH-1126-SM-A96TU 40-49 years, female 10.4
GTEX-1HBPI-0626-SM-9WPP4 50-59 years, male 10.4
GTEX-ZLFU-1126-SM-DO11K 40-49 years, male 10.4
GTEX-1212Z-2126-SM-5FQTM 60-69 years, male 10.3
GTEX-1399S-1326-SM-5P9GH 30-39 years, female 10.3
GTEX-18A66-1426-SM-7KFRT 60-69 years, male 10.3
GTEX-1CB4F-1526-SM-7MKFM 60-69 years, male 10.3
GTEX-OXRL-0626-SM-3NM9C 50-59 years, male 10.3
GTEX-ZAJG-1326-SM-5S2NV 50-59 years, female 10.3
GTEX-1HC8U-1526-SM-9WPO4 40-49 years, female 10.3
GTEX-1J8EW-1326-SM-AHZ3S 60-69 years, female 10.3
GTEX-1QPFJ-1226-SM-EAZ3M 30-39 years, female 10.3
GTEX-PLZ5-0926-SM-3TW8L 50-59 years, male 10.2
GTEX-1JMPY-0826-SM-AHZ4A 30-39 years, male 10.2
GTEX-1R9PM-0926-SM-DPRYA 20-29 years, male 10.2
GTEX-11XUK-0826-SM-5GU6P 40-49 years, female 10.1
GTEX-Q2AI-0626-SM-48TZU 40-49 years, male 10.1
GTEX-WYVS-0726-SM-4ONDO 40-49 years, female 10.1
GTEX-ZTPG-1626-SM-5DUX2 20-29 years, female 10.1
GTEX-ZTX8-0226-SM-5E44D 20-29 years, male 10.1
GTEX-1I1GS-2126-SM-ARU7G 60-69 years, male 10.1
GTEX-1QP9N-0926-SM-E9U5S 30-39 years, male 10.1
GTEX-XXEK-0326-SM-4BRVV 50-59 years, male 10.0
GTEX-Y5V5-1626-SM-4VDSG 60-69 years, female 10.0
GTEX-1I6K7-1426-SM-B2LXP 40-49 years, male 10.0
GTEX-1KXAM-0826-SM-CXZK9 60-69 years, male 10.0
GTEX-QEL4-1426-SM-447AC 50-59 years, male 9.9
GTEX-TMMY-1126-SM-4DXSX 40-49 years, female 9.9
GTEX-WFG8-1226-SM-4V6EI 20-29 years, male 9.9
GTEX-X3Y1-1326-SM-4PQZB 40-49 years, male 9.9
GTEX-1RAZS-2626-SM-EV79C 50-59 years, male 9.9
GTEX-13U4I-1126-SM-5LU3S 40-49 years, female 9.8
GTEX-Y111-1626-SM-57WCY 50-59 years, male 9.8
GTEX-1GTWX-1326-SM-9JGHU 60-69 years, male 9.8
GTEX-1QCLY-1526-SM-DPRXX 30-39 years, male 9.8
GTEX-ZLWG-1326-SM-DNZYZ 50-59 years, female 9.8
GTEX-11DXY-1426-SM-5N9CN 60-69 years, male 9.7
GTEX-13OW8-2326-SM-5L3I9 60-69 years, male 9.7
GTEX-13PVR-1826-SM-5Q5CC 60-69 years, female 9.7
GTEX-145LU-0926-SM-79OJL 50-59 years, male 9.7
GTEX-16XZY-0926-SM-7938M 70-79 years, male 9.7
GTEX-RU1J-0326-SM-46MUM 20-29 years, female 9.7
GTEX-RU72-0726-SM-46MUW 50-59 years, female 9.7
GTEX-ZG7Y-1126-SM-4WWEZ 50-59 years, male 9.7
GTEX-18D9U-2126-SM-7LG4Y 40-49 years, male 9.6
GTEX-R55E-1326-SM-48FCR 20-29 years, male 9.6
GTEX-WRHK-0526-SM-4MVOF 20-29 years, female 9.6
GTEX-XYKS-1526-SM-4BRUP 60-69 years, female 9.6
GTEX-1I1GQ-1726-SM-B2LWZ 50-59 years, male 9.6
GTEX-13X6H-1326-SM-5LU42 50-59 years, female 9.5
GTEX-15ETS-1926-SM-7KUN5 40-49 years, female 9.5
GTEX-UJHI-0826-SM-4IHLM 50-59 years, female 9.5
GTEX-Y8E4-1726-SM-5LU9G 40-49 years, male 9.5
GTEX-1NUQO-1126-SM-DTX98 20-29 years, female 9.5
GTEX-1PPH8-1626-SM-E6CQP 20-29 years, male 9.5
GTEX-1211K-0926-SM-5FQTL 60-69 years, female 9.4
GTEX-1LGRB-1626-SM-CNNR7 50-59 years, female 9.4
GTEX-12WSK-1126-SM-5LZV8 40-49 years, female 9.3
GTEX-131YS-1426-SM-5IJF7 60-69 years, female 9.3
GTEX-1CB4G-1326-SM-7MKFP 60-69 years, male 9.3
GTEX-P4PQ-0626-SM-3NMCU 60-69 years, male 9.3
GTEX-Y5LM-1026-SM-4VDSQ 40-49 years, female 9.3
GTEX-ZGAY-1126-SM-4WWBS 40-49 years, female 9.3
GTEX-1N2DW-1426-SM-EV7AZ 50-59 years, male 9.3
GTEX-14AS3-0626-SM-5QGQD 40-49 years, female 9.2
GTEX-18D9A-0526-SM-7KFSW 30-39 years, female 9.2
GTEX-ZXES-1126-SM-5GZXN 30-39 years, female 9.2
GTEX-14E1K-1226-SM-5S2PD 50-59 years, male 9.1
GTEX-15UF7-0926-SM-6M46F 40-49 years, male 9.1
GTEX-1C64O-1826-SM-7DHM4 60-69 years, male 9.1
GTEX-1EWIQ-1526-SM-79OO7 70-79 years, female 9.1
GTEX-RUSQ-0826-SM-47JWW 50-59 years, male 9.1
GTEX-S33H-0826-SM-4AD5Y 30-39 years, male 9.1
GTEX-S3XE-0926-SM-4AD4S 50-59 years, male 9.1
GTEX-S4Q7-0626-SM-4AD5M 20-29 years, male 9.1
GTEX-U3ZM-0526-SM-4DXTB 40-49 years, male 9.1
GTEX-1HKZK-1426-SM-A96U1 40-49 years, male 9.1
GTEX-1K9T9-2026-SM-CXZK3 50-59 years, female 9.1
GTEX-12696-1326-SM-5FQTJ 60-69 years, male 9.0
GTEX-13FH7-0526-SM-5IJF8 50-59 years, female 9.0
GTEX-146FH-1726-SM-5QGQ2 50-59 years, female 9.0
GTEX-ZAB5-0926-SM-5CVMV 50-59 years, male 9.0
GTEX-1KANA-0626-SM-D4P3I 20-29 years, male 9.0
GTEX-12KS4-0926-SM-5BC5S 30-39 years, male 8.9
GTEX-146FQ-1026-SM-5LU8I 30-39 years, male 8.9
GTEX-131XF-0826-SM-5GICG 60-69 years, male 8.8
GTEX-Y3IK-1126-SM-51MSV 50-59 years, female 8.8
GTEX-1IY9M-1626-SM-AHZ39 60-69 years, male 8.8
GTEX-UPJH-1026-SM-EAZB2 50-59 years, male 8.8
GTEX-RNOR-1226-SM-48FDQ 50-59 years, female 8.7
GTEX-S7SF-0926-SM-4AD4M 20-29 years, female 8.7
GTEX-Z9EW-0526-SM-5HL8S 40-49 years, male 8.7
GTEX-1J8QM-1926-SM-AHZ3Z 60-69 years, female 8.7
GTEX-1MCC2-1926-SM-DHXJR 30-39 years, female 8.7
GTEX-ZF29-1326-SM-DNZYV 60-69 years, female 8.7
GTEX-139T6-0626-SM-5IFF9 50-59 years, male 8.6
GTEX-145LV-1326-SM-5S2QI 50-59 years, male 8.6
GTEX-14PJM-1526-SM-664NY 50-59 years, female 8.6
GTEX-17F98-1726-SM-7938O 40-49 years, female 8.6
GTEX-P78B-1026-SM-3NMC4 40-49 years, female 8.6
GTEX-U4B1-0826-SM-4DXTW 40-49 years, male 8.6
GTEX-ZUA1-1226-SM-5NQ6O 40-49 years, male 8.6
GTEX-1HB9E-1526-SM-D3LA6 50-59 years, male 8.6
GTEX-1PFEY-0826-SM-E9U6A 30-39 years, male 8.6
GTEX-1R9K5-1526-SM-DPRZA 50-59 years, male 8.6
GTEX-14B4R-0326-SM-5TDDP 30-39 years, male 8.5
GTEX-14BMU-0926-SM-5S2QB 20-29 years, female 8.5
GTEX-QESD-0826-SM-47J4G 20-29 years, male 8.5
GTEX-TKQ1-0326-SM-4DXSM 30-39 years, male 8.5
GTEX-ZF2S-1226-SM-4WWAX 50-59 years, female 8.5
GTEX-ZVP2-1326-SM-57WCE 50-59 years, male 8.5
GTEX-1B996-1826-SM-7MGY6 60-69 years, male 8.5
GTEX-13111-0826-SM-5LZV3 50-59 years, male 8.4
GTEX-145MN-1026-SM-5NQ9G 30-39 years, male 8.4
GTEX-1AX9K-1126-SM-731DQ 50-59 years, male 8.4
GTEX-1HSGN-1626-SM-A96U2 40-49 years, female 8.4
GTEX-1MCYP-1026-SM-DPRYB 20-29 years, female 8.4
GTEX-1N2DV-2026-SM-EV7BL 40-49 years, male 8.4
GTEX-1S83E-0826-SM-EV7B7 40-49 years, male 8.4
GTEX-13D11-1926-SM-5IFGB 50-59 years, female 8.3
GTEX-NPJ8-1926-SM-3MJGB 40-49 years, male 8.3
GTEX-U3ZH-1026-SM-4DXUZ 30-39 years, male 8.3
GTEX-WFG7-1126-SM-4LMK3 20-29 years, male 8.3
GTEX-ZPCL-1426-SM-57WEC 60-69 years, female 8.3
GTEX-1I4MK-0426-SM-B2LWQ 50-59 years, female 8.3
GTEX-13QBU-1026-SM-5LU3R 40-49 years, female 8.2
GTEX-U3ZN-1726-SM-4DXUQ 30-39 years, female 8.2
GTEX-WXYG-1226-SM-4ONCJ 50-59 years, female 8.2
GTEX-X15G-0826-SM-4PQZD 50-59 years, female 8.2
GTEX-1J1R8-0326-SM-AHZ3D 40-49 years, male 8.2
GTEX-1JKYR-2126-SM-CNNPC 20-29 years, male 8.2
GTEX-131XE-1426-SM-5HL7V 50-59 years, male 8.1
GTEX-13FTW-1626-SM-5KM4N 40-49 years, male 8.1
GTEX-144GM-1426-SM-5LU31 20-29 years, male 8.1
GTEX-15ER7-2126-SM-7939E 20-29 years, female 8.1
GTEX-WFJO-0826-SM-4LVM5 30-39 years, male 8.1
GTEX-ZY6K-0626-SM-59HJL 50-59 years, male 8.1
GTEX-11EQ9-0726-SM-5A5K2 30-39 years, male 8.0
GTEX-R55C-0826-SM-48FCL 40-49 years, male 8.0
GTEX-ZLV1-0526-SM-4WWD4 60-69 years, female 8.0
GTEX-1I1GU-1426-SM-B2LX3 40-49 years, male 8.0
GTEX-1IDJD-1626-SM-C1YRC 30-39 years, male 8.0
GTEX-1LVAN-2326-SM-CNNPY 50-59 years, female 8.0
GTEX-1OKEX-1326-SM-E9J2U 60-69 years, male 8.0
GTEX-11P82-0526-SM-5986P 20-29 years, male 7.9
GTEX-15RJ7-0926-SM-6LPJO 40-49 years, male 7.9
GTEX-1EMGI-1926-SM-7938Y 60-69 years, male 7.9
GTEX-15F5U-5010-SM-AHZ2D 40-49 years, male 7.9
GTEX-1IKK5-1326-SM-AHZ2X 60-69 years, male 7.9
GTEX-YFC4-1226-SM-5LU9R 40-49 years, female 7.8
GTEX-ZDTT-1326-SM-4WKFH 60-69 years, male 7.8
GTEX-ZZ64-0226-SM-5E44X 20-29 years, male 7.8
GTEX-1HCUA-1426-SM-9WPP7 50-59 years, female 7.8
GTEX-YEC3-2526-SM-CXZIH 50-59 years, male 7.8
GTEX-13FTX-0526-SM-5IFGS 20-29 years, female 7.7
GTEX-13PVQ-1726-SM-5IFF3 50-59 years, male 7.7
GTEX-13S86-0826-SM-5SI6J 40-49 years, male 7.7
GTEX-145MF-1426-SM-5O9B6 50-59 years, male 7.7
GTEX-146FR-0426-SM-5SI97 60-69 years, female 7.7
GTEX-14JIY-0926-SM-6871D 60-69 years, male 7.7
GTEX-14PJN-0526-SM-68724 30-39 years, male 7.7
GTEX-1QP28-1826-SM-EAZ4L 50-59 years, female 7.7
GTEX-QV44-1126-SM-CL55C 50-59 years, male 7.7
GTEX-13RTK-0526-SM-5S2QF 20-29 years, male 7.6
GTEX-18A67-2426-SM-7LT95 50-59 years, male 7.6
GTEX-X4EO-1226-SM-4QARR 60-69 years, female 7.6
GTEX-13FHO-1726-SM-DPRZX 60-69 years, male 7.6
GTEX-1LVAM-1126-SM-DHXKP 50-59 years, female 7.6
GTEX-1R9JW-1526-SM-DPRZK 30-39 years, female 7.6
GTEX-OIZH-0626-SM-3NB1L 50-59 years, male 7.5
GTEX-QCQG-0626-SM-48U21 50-59 years, female 7.5
GTEX-132AR-2226-SM-5J2NT 50-59 years, female 7.4
GTEX-1F5PK-1526-SM-7MKGV 50-59 years, male 7.4
GTEX-Y9LG-0626-SM-4WWDH 30-39 years, male 7.4
GTEX-1122O-1726-SM-5GICM 60-69 years, female 7.3
GTEX-11I78-1526-SM-5A5K7 50-59 years, female 7.3
GTEX-13OVG-0626-SM-5IFEP 60-69 years, male 7.3
GTEX-15SHU-1426-SM-6LPIN 40-49 years, female 7.3
GTEX-16BQI-1526-SM-6LLIE 30-39 years, female 7.3
GTEX-17EUY-1426-SM-7938X 20-29 years, male 7.3
GTEX-18D9B-2026-SM-7LT96 60-69 years, male 7.3
GTEX-1A3MV-1326-SM-7LG6C 30-39 years, male 7.3
GTEX-OIZI-1426-SM-3NB1T 40-49 years, male 7.3
GTEX-1B97J-1026-SM-7MXTE 50-59 years, female 7.3
GTEX-1NSGN-2026-SM-DPRYM 50-59 years, male 7.3
GTEX-11DXX-1126-SM-5GZZK 60-69 years, female 7.2
GTEX-11LCK-1726-SM-5S2OQ 30-39 years, male 7.2
GTEX-13O21-0626-SM-5IJDI 50-59 years, male 7.2
GTEX-183FY-1526-SM-7IGOW 20-29 years, male 7.2
GTEX-QDVN-1026-SM-48TZA 50-59 years, male 7.2
GTEX-V955-1126-SM-4JBH3 60-69 years, male 7.2
GTEX-1IKOE-1526-SM-C1YSD 30-39 years, female 7.2
GTEX-13OVK-1126-SM-6PAMR 40-49 years, male 7.1
GTEX-17HGU-1426-SM-7938G 50-59 years, male 7.1
GTEX-1B8KE-1826-SM-731FD 50-59 years, male 7.1
GTEX-QDVJ-0726-SM-48U1W 50-59 years, male 7.1
GTEX-WEY5-0926-SM-4LMI4 40-49 years, female 7.1
GTEX-WHSE-1526-SM-4M1XH 20-29 years, male 7.1
GTEX-1JKYN-1526-SM-CGQGA 30-39 years, male 7.1
GTEX-14PK6-1326-SM-686ZE 70-79 years, female 7.0
GTEX-11EM3-0826-SM-5N9CC 20-29 years, female 6.9
GTEX-12WSL-1526-SM-5GCP8 50-59 years, male 6.9
GTEX-14H4A-1626-SM-5SI69 40-49 years, female 6.9
GTEX-169BO-0526-SM-793AK 50-59 years, male 6.9
GTEX-16NGA-1426-SM-718AC 40-49 years, female 6.9
GTEX-1AX9I-1426-SM-7DHM8 60-69 years, male 6.9
GTEX-1RAZQ-1726-SM-EAZ4T 30-39 years, male 6.9
GTEX-11P7K-1326-SM-5BC5G 30-39 years, male 6.8
GTEX-15EU6-1626-SM-6LPKF 50-59 years, male 6.8
GTEX-178AV-0526-SM-6LPJH 40-49 years, male 6.8
GTEX-1GL5R-1526-SM-7MKHO 50-59 years, male 6.8
GTEX-14C38-2126-SM-5RQJO 50-59 years, male 6.7
GTEX-16AAH-0726-SM-793A9 50-59 years, male 6.7
GTEX-ZTSS-0626-SM-59867 40-49 years, male 6.7
GTEX-1HSMQ-2026-SM-B2LY1 50-59 years, male 6.7
GTEX-1C2JI-1126-SM-731FH 50-59 years, male 6.6
GTEX-XUZC-0426-SM-4BOPE 30-39 years, female 6.6
GTEX-Y5V6-1026-SM-4VBS2 60-69 years, male 6.6
GTEX-1F5PL-1726-SM-9QEGL 40-49 years, female 6.6
GTEX-1HCU6-1326-SM-A96TZ 60-69 years, female 6.6
GTEX-1RAZR-1226-SM-E6CRD 40-49 years, male 6.6
GTEX-QEG4-0726-SM-CNNRF 30-39 years, male 6.6
GTEX-1CB4I-1026-SM-7MKFZ 50-59 years, male 6.5
GTEX-OOBK-0625-SM-3LK5P 40-49 years, male 6.5
GTEX-W5WG-1626-SM-4LMKG 50-59 years, female 6.5
GTEX-Y8LW-0726-SM-5IFI1 50-59 years, female 6.5
GTEX-ZVT2-1326-SM-5E45H 50-59 years, female 6.5
GTEX-1OJC3-0826-SM-DPRYU 20-29 years, male 6.5
GTEX-11P81-0826-SM-5P9GR 30-39 years, female 6.4
GTEX-XGQ4-1526-SM-4AT6H 50-59 years, male 6.4
GTEX-14PJ3-0626-SM-6UGC5 50-59 years, male 6.4
GTEX-18QFQ-1026-SM-7LG6B 30-39 years, male 6.4
GTEX-1GN1W-2226-SM-9JGI5 50-59 years, female 6.4
GTEX-1H1DE-1026-SM-9JGH6 20-29 years, male 6.4
GTEX-1IDJF-1226-SM-C1YPX 20-29 years, male 6.4
GTEX-1LGOU-0526-SM-D3LAO 20-29 years, female 6.4
GTEX-144GN-0626-SM-5O9B2 50-59 years, male 6.3
GTEX-14E6E-0726-SM-5S2R3 30-39 years, male 6.3
GTEX-14JG6-0926-SM-6871Y 30-39 years, female 6.3
GTEX-17HHE-0926-SM-7938K 50-59 years, male 6.3
GTEX-S32W-0926-SM-4AD5X 50-59 years, female 6.3
GTEX-1QCLZ-1626-SM-E9U5R 60-69 years, female 6.3
GTEX-11NSD-1126-SM-5N9BQ 20-29 years, male 6.2
GTEX-1GPI7-1026-SM-7MGY2 20-29 years, male 6.2
GTEX-131XG-1026-SM-5GCMX 50-59 years, female 6.1
GTEX-1399R-0826-SM-5IJEL 30-39 years, male 6.1
GTEX-1AMEY-0226-SM-7189Q 30-39 years, female 6.1
GTEX-1B97I-0926-SM-731DZ 40-49 years, male 6.1
GTEX-13PL7-0226-SM-731DT 60-69 years, female 5.9
GTEX-14DAR-0826-SM-73KYJ 50-59 years, male 5.9
GTEX-OXRK-1326-SM-3NB1A 50-59 years, female 5.9
GTEX-12C56-1226-SM-5FQSU 20-29 years, male 5.8
GTEX-13W3W-1626-SM-5LU35 60-69 years, female 5.7
GTEX-1MGNQ-1626-SM-EAZ4Z 40-49 years, male 5.7
GTEX-111YS-0926-SM-5EGGI 60-69 years, male 5.6
GTEX-14PJ4-1526-SM-664OA 60-69 years, male 5.6
GTEX-YB5K-0826-SM-5YYB7 40-49 years, female 5.5
GTEX-1R7EU-0826-SM-DPRZL 60-69 years, male 5.5
GTEX-18A7A-2326-SM-7KFRH 50-59 years, female 5.4
GTEX-1C475-0926-SM-7MKFI 40-49 years, female 5.4
GTEX-1K2DA-0626-SM-CGQGO 50-59 years, male 5.4
GTEX-1RAZA-1326-SM-DPS12 20-29 years, male 5.3
GTEX-ZDYS-0826-SM-4WWCR 50-59 years, male 5.2
GTEX-ZEX8-1426-SM-4WKHQ 50-59 years, male 5.1
GTEX-15SB6-0726-SM-6M48F 50-59 years, female 5.0
GTEX-17MFQ-0526-SM-7KFTX 20-29 years, male 5.0
GTEX-1AX9J-1826-SM-731FM 60-69 years, male 5.0
GTEX-1CB4E-1026-SM-793AB 60-69 years, male 5.0
GTEX-VJYA-0726-SM-4KL1T 60-69 years, male 5.0
GTEX-1AMFI-0226-SM-731D5 50-59 years, female 4.4
GTEX-ZA64-0626-SM-5HL9O 20-29 years, male 4.3
GTEX-OIZF-0626-SM-7MKHG 60-69 years, male 4.1
GTEX-145MO-1426-SM-DTX9W 60-69 years, male 4.0
GTEX-1L5NE-1426-SM-DHXKV 50-59 years, male 4.0
GTEX-14PKV-1726-SM-6871U 20-29 years, female 3.8
GTEX-1PIGE-0926-SM-E9U5Z 20-29 years, male 3.5
GTEX-11EMC-2226-SM-5A5JW 60-69 years, female 3.3
GTEX-WHSB-0426-SM-4M1XI 50-59 years, male 3.0
Show allShow less

ESOPHAGUS - FANTOM5 CAGEi

RNA expression in human tissues obtained through Cap Analysis of Gene Expression (CAGE) generated by the FANTOM5 project are reported as Scaled Tags Per Million.

Max subtype Scaled Tags Per Millioni

Max subtype Scaled Tags Per Million is the value for the subtype with the largest average Scaled Tags Per Million across the subtype samples.

22.3
FANTOM5 sample id Sample description Scaled Tags Per Million
Esophagus
Scaled Tags Per Million: 22.3
FF:10015-101C6 68,74,75 years, mixed 22.3

Contact

  • NEWS ARTICLES
  • PRESS ROOM

The Project

  • INTRODUCTION
  • ORGANIZATION
  • PUBLICATIONS

The Human Protein Atlas

  • DOWNLOADABLE DATA
  • LICENCE & CITATION
  • HELP & FAQ
The Human Protein Atlas project is funded
by the Knut & Alice Wallenberg Foundation.


contact@proteinatlas.org