We use cookies to enhance the usability of our website. If you continue, we'll assume that you are happy to receive all cookies. More information. Don't show this again.
PTPRF
HPA
RESOURCES
  • TISSUE
  • BRAIN
  • SINGLE CELL
  • SUBCELLULAR
  • CANCER
  • BLOOD
  • CELL LINE
  • STRUCTURE & INTERACTION
ABOUT
  • INTRODUCTION
  • HISTORY
  • ORGANIZATION
  • PUBLICATIONS
  • ANTIBODY SUBMISSION
  • ANTIBODY AVAILABILITY
  • ACKNOWLEDGMENTS
  • CONTACT
NEWS
  • NEWS ARTICLES
  • PRESS ROOM
LEARN
  • DICTIONARY
  • PROTEIN CLASSES
  • PROTEIN EVIDENCE
  • METHODS
  • EDUCATIONAL VIDEOS
DATA
  • DOWNLOADABLE DATA
  • PUBLICATION DATA
  • RELEASE HISTORY
HELP
  • ANTIBODY VALIDATION
  • ASSAYS & ANNOTATION
  • DISCLAIMER
  • HELP & FAQ
  • PRIVACY STATEMENT
  • LICENCE & CITATION
Fields »
Search result

Field
Term
Gene name
Class
Subclass
Class
Keyword
Chromosome
External id
Tissue
Cell type
Expression
Antibody panel
Tissue
Main location
Patient ID
Annotation
Tissue
Category
Tau score
Cluster
Reliability
Brain region
Category
Tau score
Brain region
Category
Tau score
Brain region
Category
Tau score
Cluster
Reliability
Tissue
Cell type
Enrichment
Cell type
Category
Tau score
Cell type
Category
Tau score
Cell type
Category
Tau score
Cell lineage
Category
Tau score
Cluster
Cluster
Location
Searches
Location
Cell line
Class
Type
Phase
Reliability
Cancer
Prognosis
Cancer
Category
Cancer
Category
Tau score
Cluster
Variants
Interacting gene (ensg_id)
Type
Number of interactions
Pathway
Category
Score
Score
Score
Validation
Validation
Validation
Validation
Antibodies
Data type
Column


  • SUMMARY

  • TISSUE

  • BRAIN

  • SINGLE CELL

  • SUBCELL

  • CANCER

  • BLOOD

  • CELL LINE

  • STRUCT & INT

  • PTPRF
TISSUE PRIMARY DATA SKIN Show tissue menu
ADIPOSE TISSUE ADRENAL GLAND AMYGDALA APPENDIX BASAL GANGLIA BONE MARROW BREAST BRONCHUS CEREBELLUM CEREBRAL CORTEX CERVIX CHOROID PLEXUS COLON DUODENUM
ENDOMETRIUM EPIDIDYMIS ESOPHAGUS FALLOPIAN TUBE GALLBLADDER HEART MUSCLE HIPPOCAMPAL FORMATION HYPOTHALAMUS KIDNEY LIVER LUNG LYMPH NODE MIDBRAIN NASOPHARYNX
ORAL MUCOSA OVARY PANCREAS PARATHYROID GLAND PITUITARY GLAND PLACENTA PROSTATE RECTUM RETINA SALIVARY GLAND SEMINAL VESICLE SKELETAL MUSCLE SKIN SMALL INTESTINE
SMOOTH MUSCLE SOFT TISSUE SPINAL CORD SPLEEN STOMACH TESTIS THYMUS THYROID GLAND TONGUE TONSIL URINARY BLADDER VAGINA
ANTIBODIES
AND
VALIDATION
Dictionary
Skin
Tissue proteome
Skin
SKIN - Expression summary
Protein expression
Skini

On the top, protein expression in current human tissue, based on all annotated cell types, is reported with the units not detected (n), low (l), medium (m) and high (h). Underneath, protein expression in each annotated cell type are reported using the same units.

Protein expression data is based on knowledge-based annotation. For genes where more than one antibody has been used, a collective score is set.

If knowledge-based annotation could not be performed for a gene, no data is displayed here. View antibody staining data further down this page.

h
m
l
n
Epidermal cells: Low
Fibroblasts: Medium
Keratinocytes: Not detected
Langerhans: Not detected
Melanocytes: Not detected
RNA expressioni

A summary of mRNA expression data available for current tissue based on several datasets. The mRNA expression levels in human tissues are based on RNA-seq data generated by the Human Protein Atlas (HPA), Genotype-Tissue Expression (GTEx) portal and CAGE data generated by the FANTOM5 consortium. Consensus normalized expression levels for human tissues was created by combining the data from HPA and GTEx datasets.

The mRNA expression levels in pig are based on RNA-seq data generated by the Human Protein Atlas (HPA), and for mouse, HPA data and in situ hybridization generated by the Allen brain atlas are reported.

Scroll down to view mRNA expression data in more detail.
Consensus:105.0 nTPM
HPA:105.0 nTPM
GTEx:88.0 nTPM

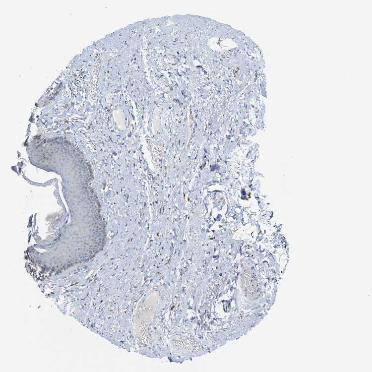
SKIN 1 - Antibody stainingi

Antibody staining in the annotated cell types in the current human tissue is reported as not detected, low, medium, or high, based on conventional immunohistochemistry profiling in selected tissues. This score is based on the combination of the staining intensity and fraction of stained cells.

Each image is clickable and will lead to virtual microscopy that enables deeper exploration of all samples and also displays staining intensity scores, fraction scores and subcellular localization as well as patient and tissue information for each sample.

Antibody HPA012710
Langerhans Not detected
Fibroblasts Medium
Keratinocytes Not detected
Melanocytes Not detected


SKIN 2 - Antibody stainingi

Antibody staining in the annotated cell types in the current human tissue is reported as not detected, low, medium, or high, based on conventional immunohistochemistry profiling in selected tissues. This score is based on the combination of the staining intensity and fraction of stained cells.

Each image is clickable and will lead to virtual microscopy that enables deeper exploration of all samples and also displays staining intensity scores, fraction scores and subcellular localization as well as patient and tissue information for each sample.

Antibody HPA012710
Epidermal cells Low
 
 
 



SKIN - HPA RNA-seqi

The RNA-seq details section shows detailed information about the individual samples used for the transcript profiling and results of the RNA-seq analysis.

Information about each individual sample is listed below, including gender, age, a tissue section image and estimated fractions of cell types. nTPM (normalized transcripts per million) values give a quantification of the gene abundance which is comparable between different genes and samples.
Average nTPMi

Max subtype nTPM is the value for the subtype with the largest average nTPM across the subtype samples.

105.0
overview
Female, age 34
Skin sample 225
nTPM: 90.8
Cell types%
Keratinocytes:
60

Other cell types:
40

overview
Female, age 30
Skin sample 226
nTPM: 126.9
Cell types%
Keratinocytes:
55

Other cell types:
45

N/A
Male, age 57
Skin sample 227
nTPM: 97.1

SKIN - GTEx RNA-seqi

RNA-Seq data generated by the Genotype-Tissue Expression (GTEx) project from human tissues is reported as mean nTPM. More information can be found on the GTEx portal.

Distribution across the dataset is visualized with box plots, shown as median and 25th and 75th percentiles. Points are displayed as outliers if they are above or below 1.5 times the interquartile range. nTPM values of the individual samples are presented next to the box plot.
Max subtype nTPMi

Max subtype nTPM is the value for the subtype with the largest average nTPM across the subtype samples.

88.0
GTEx sample id Sample description nTPM
Skin - Not Sun Exposed (Suprapubic)
Average nTPM: 88.0
Samples: 604

Max nTPM: 214.5
Min nTPM: 30.7
Std nTPM: 24.7
Median nTPM: 85.7
GTEX-1OJC3-1226-SM-DTXER 20-29 years, male 214.5
GTEX-Y111-0626-SM-4SOIT 50-59 years, male 177.6
GTEX-1S82U-1026-SM-E6CJK 30-39 years, female 177.4
GTEX-13JVG-0726-SM-5KM16 60-69 years, male 176.3
GTEX-1N2DV-1526-SM-DTXEP 40-49 years, male 168.8
GTEX-131XF-2626-SM-5EQ6K 60-69 years, male 157.8
GTEX-ZTX8-1326-SM-4YCEL 20-29 years, male 155.1
GTEX-11DXZ-2026-SM-5987S 50-59 years, male 153.0
GTEX-WHWD-1826-SM-3LK6I 50-59 years, male 149.4
GTEX-X585-2426-SM-46MW2 50-59 years, male 146.0
GTEX-1PPH8-0126-SM-EWRN8 20-29 years, male 144.7
GTEX-1S83E-1326-SM-E6CJM 40-49 years, male 142.7
GTEX-ZYT6-2326-SM-5GZY3 30-39 years, male 142.4
GTEX-Y114-2126-SM-4TT8B 50-59 years, female 141.9
GTEX-145MH-2826-SM-5RQJF 50-59 years, male 141.2
GTEX-17HHE-1326-SM-7EWDZ 50-59 years, male 140.7
GTEX-UPJH-0226-SM-3GADV 50-59 years, male 137.8
GTEX-1NV5F-0626-SM-DTXEG 60-69 years, female 137.8
GTEX-11P7K-1126-SM-5HL4L 30-39 years, male 137.7
GTEX-Y9LG-1126-SM-4VBQ7 30-39 years, male 137.5
GTEX-1PIIG-2326-SM-DTXFR 30-39 years, male 137.3
GTEX-WHPG-2626-SM-3NMBR 50-59 years, male 136.9
GTEX-1313W-0626-SM-5EQ4H 50-59 years, female 136.4
GTEX-147GR-2426-SM-5ZZWQ 60-69 years, male 135.7
GTEX-131XH-0126-SM-5LZUY 50-59 years, male 134.1
GTEX-12ZZY-0726-SM-5EQ66 60-69 years, male 133.4
GTEX-1F6I4-2326-SM-7RHGL 60-69 years, male 133.4
GTEX-1S82P-2126-SM-E6CI5 60-69 years, female 132.4
GTEX-1HCU7-0726-SM-A9SL1 50-59 years, male 132.3
GTEX-XBEW-1126-SM-4QARW 40-49 years, male 131.7
GTEX-1QP9N-1226-SM-E76QN 30-39 years, male 130.5
GTEX-17F98-1326-SM-7DUEP 40-49 years, female 129.5
GTEX-11ZU8-0126-SM-5EQ58 60-69 years, male 129.2
GTEX-1NSGN-0726-SM-DTXEF 50-59 years, male 128.3
GTEX-1LVAM-0726-SM-E6CIL 50-59 years, female 128.2
GTEX-1MJK3-0726-SM-E6CJC 20-29 years, male 128.0
GTEX-WHSB-1326-SM-3LK6W 50-59 years, male 127.9
GTEX-WFG7-2026-SM-5SI7P 20-29 years, male 127.6
GTEX-14PJ3-1126-SM-5ZZVX 50-59 years, male 126.8
GTEX-ZE7O-2726-SM-51MT5 50-59 years, female 125.7
GTEX-ZDTS-0826-SM-4WKHL 60-69 years, male 125.5
GTEX-WI4N-2726-SM-3LK7Y 40-49 years, female 125.4
GTEX-14C39-1726-SM-5RQIL 40-49 years, male 125.2
GTEX-11PRG-0726-SM-5EGL1 50-59 years, male 124.7
GTEX-13FHO-0426-SM-5L3F5 60-69 years, male 124.2
GTEX-1QCLY-0226-SM-EWRNH 30-39 years, male 124.2
GTEX-1RAZQ-1326-SM-E9TK6 30-39 years, male 124.2
GTEX-11OF3-0126-SM-5PNYF 60-69 years, male 124.1
GTEX-1CB4E-0926-SM-7EPHT 60-69 years, male 124.1
GTEX-11P82-1426-SM-DTXFY 20-29 years, male 124.1
GTEX-1HT8W-0626-SM-A9G2H 30-39 years, male 123.8
GTEX-13NYB-0126-SM-5J1MD 40-49 years, male 123.6
GTEX-1HGF4-0126-SM-CNPPX 60-69 years, male 123.4
GTEX-11O72-0626-SM-5PNYE 40-49 years, male 121.9
GTEX-11DYG-1526-SM-5A5JS 60-69 years, male 121.8
GTEX-13O3Q-0126-SM-5KM34 50-59 years, male 121.8
GTEX-1S3DN-2126-SM-E9TIN 50-59 years, male 121.4
GTEX-14ICL-1626-SM-5YYAO 30-39 years, male 121.2
GTEX-1A8G6-2726-SM-731AR 60-69 years, male 120.9
GTEX-17F9E-2326-SM-79OKD 50-59 years, male 120.3
GTEX-WH7G-2026-SM-3NMBL 40-49 years, male 120.2
GTEX-1GF9V-0826-SM-9KNUV 60-69 years, male 120.1
GTEX-1H1DE-1326-SM-9KNUG 20-29 years, male 120.1
GTEX-Z93S-1626-SM-5CVMB 50-59 years, male 119.9
GTEX-11P81-2226-SM-5PNYI 30-39 years, female 119.6
GTEX-1B933-2426-SM-7DHMD 50-59 years, female 119.4
GTEX-1HR98-2226-SM-ADEI2 60-69 years, male 119.3
GTEX-1JMPY-0226-SM-CKZOK 30-39 years, male 118.6
GTEX-1399Q-2326-SM-5KM2X 40-49 years, male 118.3
GTEX-17KNJ-2126-SM-718AM 50-59 years, male 118.2
GTEX-15ER7-0626-SM-6PANF 20-29 years, female 118.0
GTEX-1GPI7-1826-SM-9KNU1 20-29 years, male 118.0
GTEX-1MCYP-0526-SM-E9U6Q 20-29 years, female 118.0
GTEX-1IY9M-2826-SM-ARU8H 60-69 years, male 117.9
GTEX-YECK-0326-SM-4W1YS 60-69 years, male 117.8
GTEX-11ZUS-2626-SM-5FQUR 30-39 years, male 117.6
GTEX-12126-0826-SM-5FQTZ 20-29 years, male 117.2
GTEX-14PHX-2226-SM-6EU2P 50-59 years, male 117.1
GTEX-1C6WA-2626-SM-7MKGM 60-69 years, male 116.9
GTEX-ZF2S-1626-SM-57WES 50-59 years, female 116.8
GTEX-1RMOY-1326-SM-E9TIH 50-59 years, male 116.4
GTEX-1IKOE-1426-SM-CE6T7 30-39 years, female 116.0
GTEX-1CB4F-1026-SM-7DUH1 60-69 years, male 115.7
GTEX-ZT9X-1526-SM-5DUXD 40-49 years, male 115.6
GTEX-1JJEA-1826-SM-ARU8P 60-69 years, male 115.3
GTEX-1RAZS-2526-SM-E6CHT 50-59 years, male 115.1
GTEX-13X6J-0626-SM-5LU5F 50-59 years, male 115.0
GTEX-1I1GT-1026-SM-ARZLV 60-69 years, female 115.0
GTEX-1QW4Y-1126-SM-DTXE3 30-39 years, male 115.0
GTEX-18A67-1626-SM-7LT9T 50-59 years, male 114.9
GTEX-18A66-0626-SM-7LT8Z 60-69 years, male 114.6
GTEX-ZYFC-0426-SM-5GICQ 50-59 years, male 114.4
GTEX-1HSMP-0926-SM-A9SKX 70-79 years, male 114.3
GTEX-1PPGY-1626-SM-EVYBL 60-69 years, male 114.1
GTEX-1C64N-2626-SM-7PC2N 50-59 years, male 113.8
GTEX-ZE9C-2526-SM-5IJDR 60-69 years, male 113.7
GTEX-15CHR-1126-SM-7EWF4 50-59 years, male 113.4
GTEX-1HBPI-2126-SM-ARL9K 50-59 years, male 113.4
GTEX-15RJ7-2126-SM-6PAMD 40-49 years, male 113.1
GTEX-1C6VR-0126-SM-7RHGB 60-69 years, male 112.7
GTEX-1GN1W-2426-SM-9KNUU 50-59 years, female 112.5
GTEX-11TT1-1826-SM-5EQLV 20-29 years, male 112.1
GTEX-131XG-0326-SM-5L3DX 50-59 years, female 111.7
GTEX-1GMRU-2126-SM-7P8RA 50-59 years, male 111.4
GTEX-145LU-1926-SM-79OJN 50-59 years, male 111.2
GTEX-13VXU-0626-SM-5L3F9 50-59 years, male 111.1
GTEX-Y8E4-2026-SM-5IFJB 40-49 years, male 111.1
GTEX-1HFI6-0126-SM-CNPPI 40-49 years, male 110.9
GTEX-1GN73-0726-SM-7P8TJ 60-69 years, male 110.4
GTEX-YEC3-1326-SM-DO92X 50-59 years, male 110.3
GTEX-1GZ2Q-0126-SM-9WG6M 40-49 years, male 109.8
GTEX-1J8EW-2726-SM-CY8HR 60-69 years, female 109.7
GTEX-1B97I-0626-SM-73KUZ 40-49 years, male 109.5
GTEX-1RB15-1326-SM-E76Q9 60-69 years, male 109.5
GTEX-111CU-1126-SM-5EGIM 50-59 years, male 109.2
GTEX-XQ3S-1426-SM-4BOPR 20-29 years, male 109.1
GTEX-1AX9I-2226-SM-73KUO 60-69 years, male 108.9
GTEX-17HII-1426-SM-7EPGG 50-59 years, male 108.7
GTEX-14ABY-2026-SM-62LDL 50-59 years, male 108.6
GTEX-ZC5H-1526-SM-5HL9Y 40-49 years, female 108.5
GTEX-1F75I-2226-SM-7SB8U 40-49 years, male 108.5
GTEX-13FTX-1526-SM-5K7VJ 20-29 years, female 108.4
GTEX-ZDTT-0426-SM-4WKFL 60-69 years, male 108.4
GTEX-1JK1U-0226-SM-ARZMX 60-69 years, male 107.9
GTEX-12ZZX-2426-SM-5GCOE 40-49 years, female 107.8
GTEX-1LSVX-2526-SM-DIPEU 60-69 years, male 107.7
GTEX-1H2FU-0926-SM-9WPPT 60-69 years, female 107.2
GTEX-15DYW-2726-SM-6EU2I 60-69 years, female 107.0
GTEX-1LB8K-0726-SM-D5OV2 50-59 years, male 106.8
GTEX-139TU-0726-SM-5L3EK 60-69 years, male 106.4
GTEX-1HSMQ-2626-SM-A9SML 50-59 years, male 106.2
GTEX-13OVH-0526-SM-5L3E6 70-79 years, male 105.9
GTEX-Y3I4-1726-SM-4TT89 50-59 years, male 105.8
GTEX-1E2YA-2126-SM-7MXUO 50-59 years, male 105.7
GTEX-1QAET-0326-SM-EVR3U 50-59 years, male 105.7
GTEX-1212Z-0126-SM-59HK4 60-69 years, male 105.6
GTEX-XXEK-1626-SM-4BRUZ 50-59 years, male 105.6
GTEX-1JKYR-0626-SM-ARL8R 20-29 years, male 105.6
GTEX-1QP28-1126-SM-EVYC4 50-59 years, female 105.5
GTEX-12ZZZ-0726-SM-5GCNZ 60-69 years, male 105.3
GTEX-1LVA9-2626-SM-EVYD4 50-59 years, male 105.1
GTEX-15G1A-1626-SM-7KUKN 30-39 years, male 104.1
GTEX-ZF29-0926-SM-4WKFZ 60-69 years, female 104.1
GTEX-11EQ9-1626-SM-5PNY8 30-39 years, male 103.9
GTEX-13O61-1426-SM-5KM3D 60-69 years, male 103.9
GTEX-145MF-0926-SM-5Q5EA 50-59 years, male 103.8
GTEX-1C6VQ-1226-SM-73KYD 50-59 years, male 103.5
GTEX-1EU9M-1426-SM-793AI 60-69 years, male 103.5
GTEX-1PIGE-1826-SM-E8VOU 20-29 years, male 103.5
GTEX-1H1DG-2426-SM-9QEHJ 70-79 years, male 103.2
GTEX-13OVL-0126-SM-5L3GJ 50-59 years, male 103.0
GTEX-YFCO-1226-SM-5LUAT 40-49 years, male 103.0
GTEX-1KANB-2826-SM-CY8I6 50-59 years, male 103.0
GTEX-16AAH-0626-SM-793C9 50-59 years, male 102.1
GTEX-ZWKS-0626-SM-5GIDV 30-39 years, male 102.0
GTEX-1B8SF-0126-SM-7DUG3 60-69 years, male 101.5
GTEX-1R9PM-1926-SM-EVR3O 20-29 years, male 101.4
GTEX-12WSJ-1126-SM-5LZVJ 40-49 years, female 101.3
GTEX-11DXX-2126-SM-5PNYR 60-69 years, female 100.9
GTEX-1GTWX-2026-SM-9YFLM 60-69 years, male 100.9
GTEX-ZVZP-1226-SM-5GID7 50-59 years, male 100.4
GTEX-1E1VI-0326-SM-793D1 50-59 years, male 100.1
GTEX-ZYVF-0926-SM-5E44J 50-59 years, female 99.6
GTEX-ZYY3-2926-SM-5GIEB 60-69 years, female 99.4
GTEX-14PJO-2526-SM-6AJBQ 60-69 years, male 99.3
GTEX-18QFQ-1826-SM-72D52 30-39 years, male 99.3
GTEX-WFON-1926-SM-3LK7L 40-49 years, male 99.3
GTEX-12WSF-1626-SM-7KUG5 70-79 years, male 99.1
GTEX-ZPU1-1126-SM-4YCF3 40-49 years, male 99.0
GTEX-14C5O-0326-SM-5ZZUX 60-69 years, male 98.9
GTEX-1QP2A-1726-SM-E76QC 50-59 years, male 98.8
GTEX-1KANA-1326-SM-DIPFA 20-29 years, male 98.6
GTEX-ZVP2-0326-SM-57WBP 50-59 years, male 98.5
GTEX-1HBPN-0126-SM-CGQEF 50-59 years, male 98.4
GTEX-1GZ4I-2626-SM-9KNU3 50-59 years, male 98.3
GTEX-144GM-0526-SM-79OJO 20-29 years, male 98.0
GTEX-17MFQ-1526-SM-7KFRR 20-29 years, male 98.0
GTEX-1EMGI-2326-SM-7PBYA 60-69 years, male 97.9
GTEX-YEC4-1826-SM-4W1YP 40-49 years, male 97.6
GTEX-1H11D-1826-SM-9QEHM 40-49 years, male 97.5
GTEX-WY7C-2126-SM-3NB2R 50-59 years, male 97.4
GTEX-1IOXB-2726-SM-CM2RI 50-59 years, male 97.3
GTEX-1JMQJ-0826-SM-CNPP7 50-59 years, male 97.2
GTEX-111YS-1526-SM-5GZYW 60-69 years, male 97.1
GTEX-11DXY-0126-SM-5H11Q 60-69 years, male 97.1
GTEX-12WSH-1526-SM-5BC5W 50-59 years, male 96.8
GTEX-1BAJH-2426-SM-7IGP8 70-79 years, male 96.7
GTEX-ZDYS-2426-SM-4WKGI 50-59 years, male 96.7
GTEX-1PDJ9-1226-SM-EXUSX 20-29 years, male 96.6
GTEX-1B8KE-1126-SM-7EPHI 50-59 years, male 96.2
GTEX-1LBAC-0826-SM-CY8IJ 20-29 years, male 96.2
GTEX-1POEN-2326-SM-E9J2L 30-39 years, female 96.2
GTEX-1A3MV-1826-SM-731CD 30-39 years, male 96.1
GTEX-1S5ZU-2526-SM-E6CIF 20-29 years, female 96.0
GTEX-1I1GP-1326-SM-A9G28 50-59 years, male 95.9
GTEX-12696-0126-SM-5EQ4L 60-69 years, male 95.8
GTEX-WHSE-0126-SM-3NMBT 20-29 years, male 95.7
GTEX-1M4P7-0726-SM-E6CJ3 60-69 years, male 95.7
GTEX-13X6K-0626-SM-5LU5D 60-69 years, female 95.6
GTEX-17HGU-2326-SM-7DUFE 50-59 years, male 95.5
GTEX-ZPCL-1126-SM-4WWFE 60-69 years, female 95.5
GTEX-1F75A-0726-SM-7RHHD 50-59 years, male 95.4
GTEX-1JN76-0626-SM-CKZOQ 20-29 years, female 95.4
GTEX-18D9U-0126-SM-731BM 40-49 years, male 95.3
GTEX-WEY5-2326-SM-3GIKK 40-49 years, female 95.3
GTEX-ZYW4-0626-SM-59HJR 60-69 years, male 95.3
GTEX-1122O-1026-SM-9WYSF 60-69 years, female 95.3
GTEX-1AYD5-2626-SM-7PBXY 50-59 years, male 95.3
GTEX-1C2JI-1026-SM-73KY1 50-59 years, male 95.1
GTEX-1H1E6-0426-SM-9WYUS 30-39 years, male 95.1
GTEX-11ZTT-2126-SM-5CVLO 60-69 years, female 95.0
GTEX-139TS-2126-SM-5K7XC 60-69 years, male 95.0
GTEX-1N5O9-0926-SM-E9J3C 60-69 years, male 94.9
GTEX-13D11-0926-SM-5J2NC 50-59 years, female 94.8
GTEX-18A6Q-0626-SM-7KFRP 60-69 years, male 94.7
GTEX-1AX8Z-0726-SM-73KTS 60-69 years, male 94.7
GTEX-1JMLX-0626-SM-ARL8T 50-59 years, male 94.6
GTEX-1399U-1126-SM-5L3DB 50-59 years, female 94.3
GTEX-1H3O1-1326-SM-9MQLD 60-69 years, male 94.3
GTEX-1JMQK-1226-SM-D4P2S 60-69 years, male 93.8
GTEX-13IVO-0726-SM-5LZYV 70-79 years, male 93.7
GTEX-1CAMQ-1326-SM-7P8RV 40-49 years, male 93.7
GTEX-1QPFJ-1926-SM-EVYBD 30-39 years, female 93.7
GTEX-13G51-1826-SM-5KLZH 60-69 years, male 93.5
GTEX-WK11-2726-SM-3NMAQ 50-59 years, male 93.5
GTEX-133LE-2326-SM-5K7W3 20-29 years, female 93.4
GTEX-1HSKV-1226-SM-ADEI4 60-69 years, male 93.3
GTEX-15RIG-0726-SM-7KUM7 40-49 years, male 92.9
GTEX-1LSNL-2726-SM-E9TKJ 50-59 years, male 92.9
GTEX-13VXT-1926-SM-5K7UO 20-29 years, female 92.8
GTEX-1CB4I-0126-SM-7RHGG 50-59 years, male 92.8
GTEX-14XAO-1226-SM-6EU1C 60-69 years, female 92.5
GTEX-XYKS-1426-SM-4BRUO 60-69 years, female 92.5
GTEX-139TT-2126-SM-5LZWC 60-69 years, male 92.2
GTEX-15FZZ-0526-SM-7KUGD 30-39 years, female 92.0
GTEX-Y3IK-1626-SM-4YCF5 50-59 years, female 91.9
GTEX-11NSD-0626-SM-5A5LU 20-29 years, male 91.8
GTEX-13FTY-2126-SM-5IFFB 40-49 years, female 91.8
GTEX-13U4I-2226-SM-5LU5H 40-49 years, female 91.8
GTEX-1B932-2326-SM-79OL5 40-49 years, female 91.8
GTEX-1H4P4-2126-SM-9WYSL 50-59 years, male 91.8
GTEX-14PJ6-2626-SM-6EU2T 60-69 years, female 91.7
GTEX-12WSC-2826-SM-5BC5Y 50-59 years, male 91.3
GTEX-15DDE-2926-SM-6LLJ3 50-59 years, female 91.3
GTEX-1PPH7-1126-SM-DTX9A 40-49 years, male 91.3
GTEX-1LSNM-0826-SM-DIPG8 50-59 years, male 91.2
GTEX-11WQC-1826-SM-5GU59 60-69 years, male 91.1
GTEX-1I6K7-1926-SM-B2LXR 40-49 years, male 91.0
GTEX-14LZ3-0126-SM-69LPM 60-69 years, female 90.7
GTEX-14PJN-1826-SM-6AJ98 30-39 years, male 90.5
GTEX-1ICLZ-0326-SM-ARL82 60-69 years, male 90.4
GTEX-1KXAM-1626-SM-D3LAD 60-69 years, male 90.3
GTEX-147F4-0726-SM-5TDDD 50-59 years, male 90.1
GTEX-1LGRB-0926-SM-COH3K 50-59 years, female 90.1
GTEX-1GF9W-1426-SM-7PBYM 60-69 years, male 89.9
GTEX-17EVP-2626-SM-7IGMA 40-49 years, male 89.7
GTEX-11GS4-0226-SM-5HL77 60-69 years, male 89.5
GTEX-12C56-1526-SM-5FQUQ 20-29 years, male 89.5
GTEX-1399S-0126-SM-5IJCF 30-39 years, female 89.4
GTEX-14JG6-1426-SM-9WG7C 30-39 years, female 89.4
GTEX-1GF9X-1326-SM-7PC2Y 40-49 years, female 89.4
GTEX-1C64O-1326-SM-7MGWR 60-69 years, male 89.3
GTEX-15EU6-2226-SM-6EU2L 50-59 years, male 89.2
GTEX-14PJ4-0226-SM-5YY92 60-69 years, male 89.1
GTEX-16NGA-0726-SM-731AO 40-49 years, female 89.1
GTEX-1GN2E-0226-SM-9WG6K 60-69 years, male 89.0
GTEX-13FTW-0326-SM-5K7UW 40-49 years, male 88.8
GTEX-1IE54-1126-SM-A9G2Z 40-49 years, female 88.7
GTEX-1HKZK-0726-SM-ACKW2 40-49 years, male 88.5
GTEX-11LCK-2226-SM-5HL4Q 30-39 years, male 88.2
GTEX-13W3W-0726-SM-5IJDQ 60-69 years, female 88.1
GTEX-ZAK1-0626-SM-5HL8E 50-59 years, female 88.1
GTEX-1HSGN-0826-SM-ACKW3 40-49 years, female 88.1
GTEX-1CAMR-1326-SM-7PC1F 20-29 years, male 88.0
GTEX-146FQ-2126-SM-5RQHU 30-39 years, male 87.7
GTEX-1GZHY-0626-SM-9KNVC 50-59 years, female 87.6
GTEX-1F88F-0126-SM-9WYSZ 60-69 years, female 87.4
GTEX-1LVAN-0626-SM-CNPOQ 50-59 years, female 87.4
GTEX-1IDJU-1726-SM-CMKHU 60-69 years, female 87.3
GTEX-12WSK-2126-SM-5CVNC 40-49 years, female 87.2
GTEX-ZDXO-3126-SM-5IJDF 60-69 years, male 87.2
GTEX-1I1GV-0626-SM-ARL7M 60-69 years, male 87.2
GTEX-1B8L1-2226-SM-7P8PT 60-69 years, male 87.1
GTEX-YJ8O-2526-SM-5HL85 40-49 years, female 87.0
GTEX-14PJ5-1526-SM-6LLIL 60-69 years, female 86.9
GTEX-ZZ64-1026-SM-5GZXG 20-29 years, male 86.9
GTEX-1HB9E-0126-SM-CM2S5 50-59 years, male 86.7
GTEX-15D1Q-2826-SM-6LLH7 40-49 years, male 86.6
GTEX-13PVR-0426-SM-5RQK2 60-69 years, female 86.5
GTEX-14BIN-1126-SM-5RQJZ 50-59 years, female 86.5
GTEX-17F96-0126-SM-7EWDU 70-79 years, male 86.5
GTEX-1F5PK-2226-SM-7SB6N 50-59 years, male 86.4
GTEX-14LLW-2626-SM-62LDZ 70-79 years, female 86.2
GTEX-111VG-1626-SM-5EGIO 60-69 years, male 86.1
GTEX-139YR-1026-SM-5LZYN 50-59 years, male 86.1
GTEX-13NYS-0626-SM-5L3F1 60-69 years, male 86.0
GTEX-13QJC-0126-SM-5ZZWJ 60-69 years, female 86.0
GTEX-14PHY-1226-SM-5ZZWK 60-69 years, female 86.0
GTEX-1JN6P-2926-SM-CL54D 60-69 years, male 86.0
GTEX-1EX96-1026-SM-7MKG2 50-59 years, male 85.9
GTEX-145MO-2826-SM-5LU96 60-69 years, male 85.8
GTEX-ZA64-1026-SM-5HL8R 20-29 years, male 85.8
GTEX-1PBJJ-1026-SM-E76OS 30-39 years, male 85.7
GTEX-1EN7A-2426-SM-793DB 40-49 years, male 85.5
GTEX-V1D1-2026-SM-3GAF4 50-59 years, male 85.5
GTEX-1N2EE-0626-SM-E76PW 60-69 years, male 85.5
GTEX-1192X-2726-SM-5N9DN 50-59 years, male 85.3
GTEX-1JN1M-2726-SM-CY8I4 60-69 years, female 85.3
GTEX-1LGOU-1326-SM-D3L8M 20-29 years, female 85.3
GTEX-12KS4-2126-SM-5FQUT 30-39 years, male 85.2
GTEX-12BJ1-0926-SM-5EQ62 60-69 years, male 84.9
GTEX-1LG7Y-2526-SM-EWRO7 50-59 years, male 84.9
GTEX-17HHY-0426-SM-7DHLC 50-59 years, male 84.8
GTEX-XBED-1926-SM-47JYP 60-69 years, male 84.7
GTEX-ZTTD-2826-SM-4YCFA 50-59 years, male 84.5
GTEX-14AS3-1526-SM-5Q5ED 40-49 years, female 84.4
GTEX-13OVK-1426-SM-6PAN7 40-49 years, male 84.3
GTEX-145LT-0526-SM-5LUB2 40-49 years, male 84.3
GTEX-15CHQ-0326-SM-69LQD 60-69 years, male 84.2
GTEX-1KD5A-0126-SM-E9U54 50-59 years, male 84.1
GTEX-13X6H-0926-SM-5SIB2 50-59 years, female 83.8
GTEX-1H3VE-0726-SM-9YFL5 40-49 years, male 83.8
GTEX-XAJ8-1426-SM-47JYM 40-49 years, male 83.5
GTEX-XPVG-2126-SM-4B667 50-59 years, male 83.3
GTEX-ZVTK-0226-SM-51MRG 20-29 years, male 83.3
GTEX-1ICLY-0826-SM-CMKG1 50-59 years, male 83.3
GTEX-1RAZR-2126-SM-E9U6T 40-49 years, male 83.0
GTEX-1GN1V-2826-SM-9JGIA 60-69 years, male 82.9
GTEX-13OW7-0426-SM-5K7VK 50-59 years, male 82.8
GTEX-15G19-2426-SM-7KUMR 60-69 years, male 82.7
GTEX-17F97-2626-SM-7IGM5 50-59 years, male 82.7
GTEX-1HCU9-0426-SM-9WYSD 20-29 years, male 82.7
GTEX-13JUV-2026-SM-5K7UA 40-49 years, female 82.6
GTEX-14BMV-2826-SM-5TDED 50-59 years, male 82.6
GTEX-1AMFI-1326-SM-7939R 50-59 years, female 82.4
GTEX-1RAZA-2226-SM-E9U4X 20-29 years, male 82.4
GTEX-183WM-0326-SM-72D5V 70-79 years, female 82.2
GTEX-15RIE-1926-SM-7KUKJ 60-69 years, male 82.1
GTEX-1269C-0126-SM-5EQ5L 60-69 years, female 82.0
GTEX-1B996-0426-SM-7EWF8 60-69 years, male 82.0
GTEX-13NYC-0126-SM-5L3F4 60-69 years, male 81.9
GTEX-14PII-0726-SM-6EU2B 60-69 years, male 81.8
GTEX-18D9A-1426-SM-7LT8M 30-39 years, female 81.8
GTEX-131YS-2826-SM-5EQ47 60-69 years, female 81.7
GTEX-145MN-1526-SM-5SI9T 30-39 years, male 81.6
GTEX-ZPIC-0526-SM-DO91W 40-49 years, female 81.5
GTEX-ZUA1-2626-SM-5NQ92 40-49 years, male 81.4
GTEX-1LKK1-2626-SM-DKPQE 50-59 years, female 81.4
GTEX-18A7A-0126-SM-731AH 50-59 years, female 81.3
GTEX-1K9T9-1526-SM-DIPFR 50-59 years, female 81.2
GTEX-14PKV-1126-SM-6LLJ1 20-29 years, female 81.1
GTEX-12WSM-1926-SM-5BC65 60-69 years, male 81.0
GTEX-14B4R-1326-SM-5Q5EZ 30-39 years, male 80.7
GTEX-XQ8I-0926-SM-4BOOF 50-59 years, male 80.7
GTEX-1GZ4H-0526-SM-9KNU9 50-59 years, female 80.7
GTEX-XBEC-0726-SM-4QARZ 50-59 years, male 80.5
GTEX-17F9Y-0126-SM-79OKX 70-79 years, female 80.3
GTEX-14JG1-1526-SM-5YY9X 40-49 years, male 80.1
GTEX-1H1CY-0126-SM-9YFLY 60-69 years, female 80.1
GTEX-1211K-1526-SM-5FQU4 60-69 years, female 80.0
GTEX-UPK5-0426-SM-3GAEK 40-49 years, male 80.0
GTEX-1IDJH-0126-SM-D3L92 70-79 years, male 80.0
GTEX-XUW1-0926-SM-4BONX 50-59 years, female 79.9
GTEX-183FY-1026-SM-7939A 20-29 years, male 79.8
GTEX-1IKJJ-2226-SM-CJI4C 60-69 years, male 79.7
GTEX-1KWVE-1026-SM-D3L9O 30-39 years, male 79.7
GTEX-WRHU-2826-SM-3MJG8 50-59 years, female 79.6
GTEX-178AV-1726-SM-7KUL8 40-49 years, male 79.4
GTEX-1QMI2-2526-SM-E8VNZ 60-69 years, male 79.4
GTEX-11VI4-1126-SM-5EQMD 40-49 years, female 79.2
GTEX-15CHC-1126-SM-6LLHQ 60-69 years, female 79.2
GTEX-12WSD-0626-SM-5GCMW 60-69 years, female 79.1
GTEX-X5EB-1926-SM-4E3IW 40-49 years, male 79.1
GTEX-1J1R8-2026-SM-CL53Y 40-49 years, male 78.9
GTEX-1B8KZ-0326-SM-73KY4 50-59 years, male 78.7
GTEX-1CAMS-2226-SM-7PBXQ 40-49 years, female 78.7
GTEX-1I1GU-0926-SM-ACKVS 40-49 years, male 78.7
GTEX-ZLV1-1526-SM-DO91J 60-69 years, female 78.7
GTEX-1GMR3-0126-SM-A9SLW 40-49 years, male 78.6
GTEX-1I19N-0126-SM-CYPSF 70-79 years, male 78.6
GTEX-13OW6-2726-SM-5J2OE 50-59 years, male 78.5
GTEX-16NPX-0726-SM-7KULC 50-59 years, male 78.5
GTEX-1EH9U-2826-SM-7DUGT 60-69 years, male 78.5
GTEX-ZAJG-1526-SM-5CVML 50-59 years, female 78.2
GTEX-144GO-2026-SM-5O99P 60-69 years, male 78.1
GTEX-147F3-1726-SM-5SIAW 50-59 years, female 78.0
GTEX-16YQH-2226-SM-7IGM2 30-39 years, male 78.0
GTEX-1I1GS-2626-SM-B2LY3 60-69 years, male 78.0
GTEX-132AR-0326-SM-5KM2C 50-59 years, female 77.9
GTEX-ZAB4-2126-SM-5HL8U 40-49 years, male 77.9
GTEX-13SLX-2226-SM-62LEP 50-59 years, female 77.5
GTEX-1J8Q3-0526-SM-ARL8U 60-69 years, male 77.4
GTEX-16Z82-2626-SM-7KULU 60-69 years, male 77.3
GTEX-1KANC-1226-SM-CYPT7 50-59 years, female 77.3
GTEX-WXYG-2026-SM-4E3IY 50-59 years, female 77.0
GTEX-ZZPU-0826-SM-5GZX5 50-59 years, female 77.0
GTEX-1HC8U-1326-SM-9YFMJ 40-49 years, female 77.0
GTEX-1CB4J-1326-SM-7P8RX 60-69 years, male 76.9
GTEX-1HCUA-0826-SM-ADEHM 50-59 years, female 76.9
GTEX-ZVT2-0126-SM-5GIDQ 50-59 years, female 76.8
GTEX-14PK6-0226-SM-62LF5 70-79 years, female 76.7
GTEX-ZY6K-1426-SM-5GZX2 50-59 years, male 76.4
GTEX-1HFI7-2326-SM-CGQFS 50-59 years, female 76.4
GTEX-11NUK-2726-SM-5A5MC 50-59 years, male 76.2
GTEX-11TUW-0626-SM-5LU9M 60-69 years, male 76.2
GTEX-1F6IF-0926-SM-7SB7M 60-69 years, male 76.2
GTEX-ZYFG-1526-SM-5GZYM 60-69 years, female 76.1
GTEX-1O9I2-0226-SM-EYYXD 50-59 years, male 76.0
GTEX-1F52S-2926-SM-7MKGA 60-69 years, female 75.9
GTEX-1117F-2926-SM-5GZYI 60-69 years, female 75.7
GTEX-1GPI6-1926-SM-9KNV7 60-69 years, male 75.6
GTEX-11EQ8-0926-SM-5H12V 60-69 years, male 75.4
GTEX-13N11-2326-SM-5IJBF 50-59 years, female 75.4
GTEX-1GN1U-0626-SM-9MQL9 50-59 years, female 75.4
GTEX-1IDFM-0326-SM-ARL7V 60-69 years, male 75.3
GTEX-14A6H-2026-SM-5Q5DD 30-39 years, male 75.0
GTEX-ZT9W-1126-SM-57WDR 50-59 years, male 75.0
GTEX-1I1HK-2326-SM-CKZOH 60-69 years, male 74.9
GTEX-1S831-1826-SM-EWROF 20-29 years, male 74.7
GTEX-13NZ9-2626-SM-5L3FK 50-59 years, male 74.5
GTEX-1JJE9-2626-SM-ARZMT 70-79 years, male 74.4
GTEX-VJYA-1526-SM-3GIJV 60-69 years, male 74.0
GTEX-11DXW-0826-SM-5H118 40-49 years, male 73.9
GTEX-139D8-1126-SM-5LU8W 30-39 years, female 73.8
GTEX-1497J-0226-SM-5QGPU 60-69 years, male 73.8
GTEX-1J8QM-2426-SM-A9SLS 60-69 years, female 73.6
GTEX-1K2DU-1226-SM-CYPT4 20-29 years, male 73.6
GTEX-ZYFD-0626-SM-5E44E 50-59 years, male 73.5
GTEX-14JFF-0626-SM-5ZZVT 60-69 years, male 73.5
GTEX-1F6RS-2026-SM-7RHHC 60-69 years, female 73.5
GTEX-13PDP-0726-SM-5L3HP 60-69 years, male 73.4
GTEX-Y5V5-0126-SM-5S2NW 60-69 years, female 73.3
GTEX-1F5PL-0926-SM-7PC2W 40-49 years, female 73.3
GTEX-1H23P-0626-SM-9WG6T 60-69 years, male 73.2
GTEX-13OVG-1626-SM-5J1NF 60-69 years, male 73.1
GTEX-YF7O-1526-SM-5IFI6 50-59 years, male 73.0
GTEX-1QP66-1226-SM-DTX7U 50-59 years, male 73.0
GTEX-XK95-0226-SM-4AT58 40-49 years, male 72.9
GTEX-1K2DA-1026-SM-CGQGF 50-59 years, male 72.8
GTEX-1R7EU-1626-SM-DTXG3 60-69 years, male 72.7
GTEX-1EWIQ-0326-SM-7DHMQ 70-79 years, female 72.5
GTEX-1314G-1326-SM-5BC6E 30-39 years, male 72.4
GTEX-117YX-1926-SM-5GIEC 50-59 years, male 72.3
GTEX-W5X1-2526-SM-3GILC 40-49 years, female 72.0
GTEX-1IDJC-1526-SM-B2LW4 50-59 years, male 72.0
GTEX-1GMR2-0826-SM-7PC3V 50-59 years, male 71.7
GTEX-1R46S-2426-SM-E76QA 60-69 years, female 71.7
GTEX-15SHW-0226-SM-7LTAT 60-69 years, male 71.6
GTEX-13112-0126-SM-5P9IU 50-59 years, male 71.4
GTEX-1RLM8-2926-SM-E8VON 50-59 years, male 71.4
GTEX-16MT9-0126-SM-7EPI8 60-69 years, female 71.0
GTEX-1ICG6-1226-SM-A9SLN 70-79 years, female 71.0
GTEX-1JMQI-1726-SM-ARL93 50-59 years, male 71.0
GTEX-111FC-2526-SM-5GZXU 60-69 years, male 70.8
GTEX-13FLV-0126-SM-5K7WT 50-59 years, male 70.8
GTEX-1IDJV-0126-SM-COH3Y 60-69 years, male 70.8
GTEX-13113-1626-SM-5EQ4I 60-69 years, female 70.7
GTEX-11EM3-1226-SM-5N9DD 20-29 years, female 70.5
GTEX-147JS-0226-SM-5S2U9 60-69 years, male 70.4
GTEX-13X6I-1826-SM-5SIAO 60-69 years, male 70.2
GTEX-WYJK-0526-SM-3NM8Z 50-59 years, male 70.2
GTEX-15EO6-2426-SM-6PALZ 50-59 years, male 70.1
GTEX-13PVQ-0626-SM-5LU47 50-59 years, male 70.0
GTEX-1IDJF-2026-SM-CL53V 20-29 years, male 69.9
GTEX-1R9PN-0426-SM-DTXDT 40-49 years, female 69.9
GTEX-144FL-0626-SM-5LU43 50-59 years, male 69.8
GTEX-17HG3-2626-SM-7DUF2 30-39 years, female 69.6
GTEX-ZTSS-1426-SM-5985P 40-49 years, male 69.5
GTEX-Y5V6-2326-SM-4VDSA 60-69 years, male 69.4
GTEX-ZVT4-2426-SM-5GIEI 50-59 years, female 69.4
GTEX-WYVS-1626-SM-3NM9R 40-49 years, female 69.1
GTEX-1EKGG-0626-SM-7DUGJ 60-69 years, male 68.9
GTEX-Y8LW-1526-SM-5IFHL 50-59 years, female 68.9
GTEX-11EI6-2826-SM-5H11D 60-69 years, male 68.8
GTEX-X4EO-2926-SM-4E3JH 60-69 years, female 68.8
GTEX-ZP4G-1426-SM-4WWCL 20-29 years, female 68.4
GTEX-1HR9M-2226-SM-CNPPY 60-69 years, male 68.3
GTEX-ZVE1-0726-SM-51MRN 50-59 years, female 68.1
GTEX-1KAFJ-0126-SM-DIPEK 50-59 years, male 67.7
GTEX-1QCLZ-2426-SM-EVYBW 60-69 years, female 67.7
GTEX-11WQK-1026-SM-5EQLX 50-59 years, male 67.5
GTEX-1J8Q2-2626-SM-ACKWQ 60-69 years, male 67.4
GTEX-14753-0726-SM-5QGQO 60-69 years, male 67.1
GTEX-1AX9J-1326-SM-731BJ 60-69 years, male 67.0
GTEX-14E6E-0526-SM-793DN 30-39 years, male 66.9
GTEX-1AMEY-0826-SM-72D65 30-39 years, female 66.8
GTEX-14PKU-0126-SM-6LLHV 40-49 years, female 66.7
GTEX-11GSP-2326-SM-5HL63 60-69 years, female 66.6
GTEX-13PL6-1126-SM-5L3IE 40-49 years, female 66.3
GTEX-14BMU-1226-SM-5S2OR 20-29 years, female 66.2
GTEX-1OJC4-2726-SM-E76PJ 50-59 years, female 66.2
GTEX-12WSA-0426-SM-5EQ5X 60-69 years, male 66.0
GTEX-1A3MX-2626-SM-7PC24 60-69 years, male 66.0
GTEX-1GF9U-2026-SM-7SB92 40-49 years, female 66.0
GTEX-14E1K-2026-SM-7DUEI 50-59 years, male 65.9
GTEX-16MTA-0926-SM-6M47Z 50-59 years, male 65.9
GTEX-1IL2V-1926-SM-B2LW8 70-79 years, male 65.7
GTEX-1HCVE-2726-SM-CL54F 50-59 years, male 65.6
GTEX-14C38-0726-SM-5SI6M 50-59 years, male 65.5
GTEX-14DAQ-0626-SM-793DS 60-69 years, female 65.5
GTEX-XV7Q-1826-SM-4BRUV 40-49 years, female 65.4
GTEX-1A8G7-1326-SM-73KVM 60-69 years, male 65.3
GTEX-139T8-0626-SM-5KLZX 60-69 years, male 65.2
GTEX-1LG7Z-1626-SM-CXKYR 30-39 years, male 64.8
GTEX-131XW-0626-SM-5PNVD 50-59 years, female 64.4
GTEX-18465-2826-SM-7LT9J 50-59 years, male 64.2
GTEX-1MCC2-1826-SM-DIPEX 30-39 years, female 64.2
GTEX-ZGAY-1826-SM-DO91Q 40-49 years, female 64.2
GTEX-145ME-1726-SM-5Q5EU 40-49 years, female 64.1
GTEX-1GMR8-0626-SM-7RHI7 50-59 years, female 63.8
GTEX-11UD2-2526-SM-5CVNU 50-59 years, male 63.7
GTEX-16MT8-2926-SM-7DUFO 60-69 years, female 63.6
GTEX-YB5K-2026-SM-4VDT3 40-49 years, female 63.6
GTEX-1I6K6-1726-SM-CGQFD 30-39 years, male 63.5
GTEX-VUSG-2326-SM-4KL1U 50-59 years, male 63.4
GTEX-1C475-1326-SM-7SB73 40-49 years, female 63.4
GTEX-WFG8-2126-SM-3GIKQ 20-29 years, male 63.3
GTEX-13RTJ-0126-SM-5S2NN 60-69 years, male 62.8
GTEX-1IDJD-2326-SM-ACKWX 30-39 years, male 62.8
GTEX-16XZZ-0726-SM-7KUF2 60-69 years, male 62.7
GTEX-ZLWG-0826-SM-59888 50-59 years, female 62.6
GTEX-ZXG5-2126-SM-59HKD 60-69 years, male 62.5
GTEX-1IDJE-1426-SM-ADEIW 50-59 years, female 62.3
GTEX-1L5NE-1126-SM-D3L9P 50-59 years, male 62.3
GTEX-ZF3C-0626-SM-DO92O 50-59 years, female 62.3
GTEX-13N1W-2426-SM-5IJD1 70-79 years, male 62.2
GTEX-1IDJI-0126-SM-CMKHS 50-59 years, female 61.7
GTEX-1HSMO-0626-SM-ACKXC 60-69 years, male 61.6
GTEX-1I4MK-0126-SM-CY8G6 50-59 years, female 61.6
GTEX-1GL5R-1326-SM-7RHHF 50-59 years, male 61.4
GTEX-1H1ZS-2726-SM-9WG75 70-79 years, male 61.3
GTEX-139UW-0326-SM-5J1ML 60-69 years, male 60.9
GTEX-16GPK-0626-SM-7KFSF 60-69 years, male 60.8
GTEX-18A7B-2726-SM-7LG56 70-79 years, male 60.8
GTEX-U8XE-0226-SM-4E3J3 30-39 years, male 60.8
GTEX-14E6C-2426-SM-5S2NF 40-49 years, male 60.7
GTEX-1R9K4-2826-SM-DTX8F 60-69 years, male 60.7
GTEX-XOT4-0626-SM-4B66L 60-69 years, female 60.6
GTEX-13N2G-0226-SM-5K7VF 60-69 years, male 60.5
GTEX-13OVJ-0826-SM-5J1OK 50-59 years, female 60.4
GTEX-13OW5-2326-SM-5L3HO 60-69 years, male 60.2
GTEX-14A5H-0826-SM-5QGPJ 60-69 years, male 60.1
GTEX-X3Y1-2026-SM-3P5YM 40-49 years, male 60.0
GTEX-17JCI-2926-SM-7DUFF 60-69 years, female 59.5
GTEX-13NZ8-1226-SM-5KM4A 60-69 years, female 59.3
GTEX-ZU9S-1826-SM-5NQ9E 30-39 years, male 59.1
GTEX-1JMQL-2226-SM-CNPP4 50-59 years, female 59.0
GTEX-1HCU8-2526-SM-CE6RX 60-69 years, female 58.9
GTEX-145MG-1526-SM-5Q5EM 50-59 years, male 58.8
GTEX-14PJ2-0626-SM-6LLII 50-59 years, male 58.7
GTEX-1HCU6-2526-SM-ADEHL 60-69 years, female 58.4
GTEX-1JKYN-0826-SM-ARU8S 30-39 years, male 58.2
GTEX-1QEPI-2626-SM-DTXF4 60-69 years, female 58.1
GTEX-1JMPZ-0726-SM-CY8HZ 30-39 years, male 58.0
GTEX-1H1DF-1126-SM-9WG7G 40-49 years, female 57.3
GTEX-16BQI-1326-SM-6M486 30-39 years, female 57.0
GTEX-18D9B-0926-SM-7LG4U 60-69 years, male 57.0
GTEX-14DAR-1226-SM-73KYV 50-59 years, male 56.8
GTEX-X4EP-0626-SM-3P621 60-69 years, female 56.3
GTEX-X8HC-0626-SM-4E3HQ 50-59 years, female 56.3
GTEX-13QBU-1226-SM-5LU4G 40-49 years, female 56.1
GTEX-XMD2-2126-SM-4YCF8 60-69 years, female 55.5
GTEX-13FH7-1126-SM-5K7UG 50-59 years, female 55.3
GTEX-17MF6-2626-SM-79OKQ 40-49 years, male 55.2
GTEX-15UF6-1926-SM-7KUDV 70-79 years, female 54.5
GTEX-15SKB-2826-SM-6PAMH 60-69 years, male 54.4
GTEX-1F75B-0726-SM-7PC3R 50-59 years, male 53.6
GTEX-1JJ6O-2726-SM-CNPOG 60-69 years, male 53.2
GTEX-1H3NZ-2726-SM-9WYTQ 60-69 years, male 53.1
GTEX-1A32A-0626-SM-731AQ 50-59 years, female 53.0
GTEX-144GL-0626-SM-5LU4D 50-59 years, male 52.8
GTEX-15RJE-2826-SM-7KUM9 40-49 years, male 51.6
GTEX-1J1OQ-0126-SM-D4P2N 40-49 years, female 51.5
GTEX-17EVQ-0126-SM-7IGLR 70-79 years, male 51.3
GTEX-148VJ-0626-SM-5LUAW 70-79 years, male 51.1
GTEX-1A8FM-0626-SM-7PC25 50-59 years, female 50.8
GTEX-13OW8-1026-SM-5J1NQ 60-69 years, male 50.5
GTEX-Y5LM-0926-SM-6LLJG 40-49 years, female 50.5
GTEX-145LS-0626-SM-7EPG7 60-69 years, female 50.3
GTEX-1J8JJ-0626-SM-ARZMQ 60-69 years, female 49.7
GTEX-145MI-0626-SM-5SI8S 60-69 years, female 49.6
GTEX-12WSL-2026-SM-5GCML 50-59 years, male 48.7
GTEX-ZVE2-2826-SM-5GU51 50-59 years, male 48.2
GTEX-1CB4H-1126-SM-7MKGL 60-69 years, female 48.1
GTEX-1JMOU-1026-SM-CYPSS 60-69 years, female 47.8
GTEX-13O3O-2326-SM-5IJD6 60-69 years, female 47.3
GTEX-1477Z-0326-SM-7IGLA 60-69 years, male 46.7
GTEX-1F75W-2726-SM-7SB8H 60-69 years, male 46.7
GTEX-1LVAO-2726-SM-E9TJ8 60-69 years, male 46.6
GTEX-11DZ1-2426-SM-5GZZX 50-59 years, male 45.8
GTEX-13SLW-0626-SM-5Q5ER 70-79 years, male 45.7
GTEX-1F48J-0726-SM-7RHGS 50-59 years, female 43.4
GTEX-1399R-1326-SM-5PNYS 30-39 years, male 42.8
GTEX-ZLFU-1826-SM-4WWBV 40-49 years, male 42.0
GTEX-1A3MW-0626-SM-731CB 60-69 years, female 41.8
GTEX-1HBPM-0726-SM-9YFL7 60-69 years, female 41.7
GTEX-WYBS-0626-SM-3NMAS 60-69 years, female 40.9
GTEX-12584-0726-SM-5FQTK 40-49 years, male 40.2
GTEX-1CAV2-0126-SM-7IGN7 40-49 years, female 39.7
GTEX-1HUB1-1426-SM-CGQF5 60-69 years, male 39.6
GTEX-1F88E-1626-SM-7SB8Z 60-69 years, female 36.8
GTEX-1QP29-1826-SM-DTX9S 50-59 years, male 36.6
GTEX-13YAN-0226-SM-5TDC6 60-69 years, male 33.2
GTEX-1I1CD-0626-SM-CE6SW 60-69 years, female 30.7
Show allShow less
Skin - Sun Exposed (Lower leg)
Average nTPM: 77.2
Samples: 701

Max nTPM: 176.2
Min nTPM: 17.3
Std nTPM: 23.3
Median nTPM: 76.2
GTEX-PX3G-0126-SM-2I3EN 20-29 years, female 176.2
GTEX-13111-1626-SM-5EGJY 50-59 years, male 172.3
GTEX-1PIIG-0226-SM-EWRN6 30-39 years, male 170.5
GTEX-1JMLX-0226-SM-CM2RO 50-59 years, male 155.9
GTEX-Y3IK-2426-SM-4WWDU 50-59 years, female 153.1
GTEX-1EMGI-0126-SM-9KNUE 60-69 years, male 151.0
GTEX-T6MN-0126-SM-32PLP 50-59 years, male 143.5
GTEX-11DXZ-2326-SM-5EGGV 50-59 years, male 139.2
GTEX-ZF3C-0126-SM-DO92D 50-59 years, female 138.6
GTEX-1OJC3-0126-SM-E76QX 20-29 years, male 138.3
GTEX-1QP9N-1426-SM-DTXFL 30-39 years, male 135.5
GTEX-QESD-1426-SM-2S1R9 20-29 years, male 134.8
GTEX-TKQ1-1026-SM-4GICL 30-39 years, male 132.2
GTEX-1CB4F-0426-SM-9KNV4 60-69 years, male 131.3
GTEX-13CF2-2526-SM-5LZYX 60-69 years, male 130.9
GTEX-1L5NE-2526-SM-E6CIE 50-59 years, male 130.9
GTEX-ZGAY-0526-SM-4WWBB 40-49 years, female 126.9
GTEX-Y8DK-0126-SM-4TT3L 60-69 years, male 126.7
GTEX-Y111-0126-SM-4SOIV 50-59 years, male 126.5
GTEX-X88G-0126-SM-47JZ3 30-39 years, male 125.7
GTEX-13NYB-2526-SM-5K7Z6 40-49 years, male 125.0
GTEX-ZVTK-0426-SM-51MRS 20-29 years, male 124.3
GTEX-1CAV2-2226-SM-7P8P2 40-49 years, female 123.7
GTEX-TML8-1926-SM-32QOS 40-49 years, female 122.8
GTEX-ZTX8-1426-SM-5DUVO 20-29 years, male 122.7
GTEX-1KANC-1526-SM-D3LAB 50-59 years, female 121.9
GTEX-ZV68-0126-SM-59HKS 50-59 years, female 121.8
GTEX-ZYT6-0226-SM-5NQ6T 30-39 years, male 121.8
GTEX-15F5U-1526-SM-6PANO 40-49 years, male 121.3
GTEX-QEG4-0226-SM-2S1PY 30-39 years, male 120.8
GTEX-145MF-0626-SM-5LUAI 50-59 years, male 120.0
GTEX-XUZC-1726-SM-4BRWS 30-39 years, female 118.2
GTEX-117XS-2726-SM-5N9BL 60-69 years, male 117.6
GTEX-131XE-2326-SM-5PNZ2 50-59 years, male 117.3
GTEX-18A6Q-0126-SM-731BZ 60-69 years, male 117.2
GTEX-1IDJH-0326-SM-A9SLQ 70-79 years, male 117.2
GTEX-13X6J-0126-SM-5QGOU 50-59 years, male 116.8
GTEX-XYKS-2126-SM-4E3IB 60-69 years, female 115.5
GTEX-1PPH8-0226-SM-E8VND 20-29 years, male 115.1
GTEX-1JJ6O-0126-SM-E6CI8 60-69 years, male 115.0
GTEX-PSDG-0226-SM-DKPOZ 50-59 years, male 114.9
GTEX-13FHP-0126-SM-5IJBG 50-59 years, male 114.0
GTEX-1399R-2726-SM-5IJBA 30-39 years, male 113.8
GTEX-S33H-1026-SM-EZ6L6 30-39 years, male 113.8
GTEX-T5JC-0426-SM-32PLO 20-29 years, male 113.7
GTEX-11DYG-0126-SM-59883 60-69 years, male 113.6
GTEX-14PN4-0126-SM-6EU2V 50-59 years, male 113.6
GTEX-14JG1-0426-SM-6ETZZ 40-49 years, male 112.7
GTEX-12126-0326-SM-5PNW3 20-29 years, male 112.5
GTEX-1QAET-0926-SM-E76QM 50-59 years, male 112.0
GTEX-YB5E-2026-SM-5IFIS 40-49 years, male 111.9
GTEX-1HGF4-2426-SM-ACKXM 60-69 years, male 111.9
GTEX-1LSNM-1926-SM-E6CII 50-59 years, male 111.7
GTEX-OIZH-0126-SM-2HMIS 50-59 years, male 111.6
GTEX-1IKK5-0626-SM-ARL8A 60-69 years, male 111.3
GTEX-ZDTS-0126-SM-4WAY5 60-69 years, male 111.1
GTEX-1JMQL-0226-SM-CNPP5 50-59 years, female 110.9
GTEX-ZYFG-2326-SM-5E44B 60-69 years, female 110.5
GTEX-WFON-2126-SM-3LK7O 40-49 years, male 110.3
GTEX-XPVG-2626-SM-4B669 50-59 years, male 110.3
GTEX-13FTW-2626-SM-5K7WL 40-49 years, male 110.1
GTEX-SIU8-0126-SM-2XCDT 50-59 years, male 110.1
GTEX-1KWVE-1426-SM-E9TJO 30-39 years, male 110.1
GTEX-T2YK-0526-SM-32QPJ 50-59 years, male 109.8
GTEX-17HG3-2226-SM-7938L 30-39 years, female 109.7
GTEX-1MJK2-0426-SM-DTXE5 50-59 years, male 108.9
GTEX-16GPK-0126-SM-7DHLE 60-69 years, male 108.7
GTEX-1IL2U-0226-SM-CE6T8 60-69 years, male 108.7
GTEX-ZVZO-0126-SM-5A5L9 40-49 years, male 108.4
GTEX-1EWIQ-0126-SM-7RHH2 70-79 years, female 108.2
GTEX-1C4CL-0526-SM-73KVK 30-39 years, male 107.9
GTEX-11P81-2326-SM-59875 30-39 years, female 106.9
GTEX-1CB4G-0226-SM-7PC3O 60-69 years, male 106.8
GTEX-P4QT-0126-SM-2I3FL 50-59 years, female 106.6
GTEX-1K2DA-1826-SM-CGQGT 50-59 years, male 106.4
GTEX-1R9PM-2026-SM-E76OY 20-29 years, male 106.4
GTEX-XQ3S-1526-SM-4BOOC 20-29 years, male 105.8
GTEX-1212Z-2526-SM-5EGKP 60-69 years, male 105.5
GTEX-SUCS-1926-SM-32PM3 70-79 years, male 105.4
GTEX-OOBJ-0126-SM-E6CJW 60-69 years, male 105.4
GTEX-18D9A-1926-SM-7LG6P 30-39 years, female 105.1
GTEX-1QP66-1726-SM-E8VO1 50-59 years, male 105.0
GTEX-T5JW-1626-SM-3GADZ 20-29 years, female 104.3
GTEX-Z93T-0126-SM-5HL5N 50-59 years, male 103.8
GTEX-12696-2426-SM-5EQ6H 60-69 years, male 103.7
GTEX-1B8KE-2126-SM-73KYX 50-59 years, male 103.5
GTEX-Z93S-0126-SM-5HL7M 50-59 years, male 103.3
GTEX-1PFEY-1526-SM-E76PP 30-39 years, male 103.3
GTEX-1NV5F-0226-SM-E8VNY 60-69 years, female 103.0
GTEX-131YS-0126-SM-5KM1M 60-69 years, female 102.6
GTEX-144FL-0126-SM-5TDC8 50-59 years, male 102.6
GTEX-12WSK-2326-SM-5GCOH 40-49 years, female 102.5
GTEX-PLZ6-1426-SM-DKPOT 30-39 years, male 102.5
GTEX-1HT8W-0126-SM-CNPPP 30-39 years, male 102.2
GTEX-1B97I-1626-SM-73KYO 40-49 years, male 102.1
GTEX-12WSE-0526-SM-793B2 20-29 years, male 101.7
GTEX-11UD2-0226-SM-5EQKY 50-59 years, male 101.6
GTEX-15EU6-0426-SM-6PAN5 50-59 years, male 101.6
GTEX-13O3P-0126-SM-5KM4S 50-59 years, male 101.0
GTEX-S7SE-0126-SM-2XCD5 50-59 years, male 101.0
GTEX-RVPV-0126-SM-EAZAW 60-69 years, male 101.0
GTEX-18A66-0226-SM-718BD 60-69 years, male 100.9
GTEX-ZYFC-0226-SM-5NQ75 50-59 years, male 100.9
GTEX-1H3VE-0326-SM-9YFLH 40-49 years, male 100.6
GTEX-1CB4E-2226-SM-793DC 60-69 years, male 100.5
GTEX-1JJEA-0326-SM-CNPOT 60-69 years, male 100.2
GTEX-1KD4Q-0226-SM-E9TJ9 40-49 years, male 100.2
GTEX-U3ZH-2026-SM-3DB78 30-39 years, male 100.0
GTEX-14PJM-0226-SM-62LF1 50-59 years, female 99.6
GTEX-13FXS-0226-SM-5IJCK 50-59 years, male 99.5
GTEX-QV44-1926-SM-2S1RF 50-59 years, male 99.4
GTEX-1JN6P-0126-SM-D3L98 60-69 years, male 99.4
GTEX-17JCI-0126-SM-7LG5G 60-69 years, female 99.3
GTEX-O5YW-0126-SM-3LK6D 50-59 years, male 99.2
GTEX-1JMQI-2226-SM-CM2SD 50-59 years, male 98.8
GTEX-1RDX4-0126-SM-E9J4P 50-59 years, female 98.7
GTEX-1BAJH-0526-SM-793CQ 70-79 years, male 98.3
GTEX-17GQL-2026-SM-718BA 60-69 years, male 98.2
GTEX-TMZS-0126-SM-3DB9Q 60-69 years, male 98.1
GTEX-YJ8A-0426-SM-5IFID 20-29 years, male 98.1
GTEX-YJ89-0126-SM-4TT3X 60-69 years, male 97.8
GTEX-NFK9-0226-SM-2HMKQ 40-49 years, male 97.6
GTEX-12ZZY-0226-SM-5LZVE 60-69 years, male 97.5
GTEX-S7PM-0126-SM-4AD6S 60-69 years, male 97.4
GTEX-1LGOU-2026-SM-DIPFF 20-29 years, female 97.2
GTEX-XBEW-0626-SM-4QASP 40-49 years, male 97.1
GTEX-1GZ2Q-0226-SM-7P8TL 40-49 years, male 97.0
GTEX-1MA7W-2026-SM-E9TJ6 20-29 years, female 96.8
GTEX-18D9U-0226-SM-718BP 40-49 years, male 96.7
GTEX-ZDYS-2026-SM-5HL5L 50-59 years, male 96.7
GTEX-1S3DN-2226-SM-EVYCD 50-59 years, male 96.6
GTEX-1R7EU-0226-SM-EVR4G 60-69 years, male 96.2
GTEX-15ER7-0326-SM-7KUEV 20-29 years, female 96.0
GTEX-1IOXB-0126-SM-ARL8G 50-59 years, male 95.8
GTEX-1HCU9-1526-SM-A9SL7 20-29 years, male 95.5
GTEX-131XH-2226-SM-5DUXJ 50-59 years, male 95.2
GTEX-1CAMR-1926-SM-7EPI2 20-29 years, male 95.2
GTEX-13OVH-0126-SM-5MR4B 70-79 years, male 95.1
GTEX-1S83E-0126-SM-EWRO4 40-49 years, male 95.1
GTEX-1KANA-0726-SM-D3L9I 20-29 years, male 95.0
GTEX-14E6D-0126-SM-62LDV 50-59 years, male 94.8
GTEX-XUYS-0126-SM-47JWZ 50-59 years, male 94.8
GTEX-1LG7Z-1726-SM-D3LA4 30-39 years, male 94.5
GTEX-11EQ9-2426-SM-5HL5T 30-39 years, male 94.3
GTEX-144GL-0126-SM-5TDE2 50-59 years, male 94.1
GTEX-11TT1-2526-SM-5EGIB 20-29 years, male 93.8
GTEX-11ZTS-0126-SM-5EQ6M 60-69 years, female 93.8
GTEX-ZTSS-1926-SM-57WEW 40-49 years, male 93.7
GTEX-12ZZX-0126-SM-5EGK9 40-49 years, female 93.6
GTEX-1I1GQ-0126-SM-COH3H 50-59 years, male 93.6
GTEX-1GF9W-0326-SM-9KNUN 60-69 years, male 93.5
GTEX-1313W-0126-SM-5LZUN 50-59 years, female 93.4
GTEX-1KXAM-2226-SM-CYPTC 60-69 years, male 93.4
GTEX-OXRN-0126-SM-48TDM 50-59 years, male 93.0
GTEX-1GF9V-0326-SM-7RHI5 60-69 years, male 93.0
GTEX-1I1GV-0526-SM-A9G29 60-69 years, male 92.9
GTEX-WI4N-1026-SM-3LK7N 40-49 years, female 92.6
GTEX-18A7A-0226-SM-718BH 50-59 years, female 92.5
GTEX-16YQH-0126-SM-7DUFJ 30-39 years, male 92.4
GTEX-1QCLY-0326-SM-E8VOG 30-39 years, male 92.4
GTEX-1GZHY-0326-SM-9QEHI 50-59 years, female 92.3
GTEX-1B8SF-1426-SM-7DUGL 60-69 years, male 92.0
GTEX-ZZ64-1726-SM-5GZYB 20-29 years, male 91.8
GTEX-1HCU6-0126-SM-CL54K 60-69 years, female 91.8
GTEX-1HSKV-0226-SM-A9SKJ 60-69 years, male 91.8
GTEX-O5YT-0126-SM-48TBW 20-29 years, male 91.5
GTEX-1C475-1826-SM-73KWA 40-49 years, female 91.4
GTEX-13PVR-2326-SM-5QGR1 60-69 years, female 91.3
GTEX-1JKYR-0126-SM-CNPOJ 20-29 years, male 91.2
GTEX-ZPIC-1726-SM-DHXIU 40-49 years, female 91.2
GTEX-1B8SG-0126-SM-73KZ3 50-59 years, male 91.1
GTEX-RWSA-0126-SM-2XCBB 40-49 years, male 90.7
GTEX-ZE9C-2726-SM-57WB5 60-69 years, male 90.7
GTEX-1RQEC-0426-SM-E6CHU 60-69 years, male 90.7
GTEX-14PHX-2326-SM-62LEM 50-59 years, male 90.6
GTEX-1C64N-0126-SM-793D7 50-59 years, male 90.5
GTEX-Y5V5-2326-SM-4V6GA 60-69 years, female 90.5
GTEX-1AX9I-0126-SM-7SB74 60-69 years, male 90.5
GTEX-1PIGE-0126-SM-EVYBJ 20-29 years, male 90.5
GTEX-1M5QR-1226-SM-EWROB 40-49 years, male 90.3
GTEX-132NY-0326-SM-5IJBL 60-69 years, male 89.9
GTEX-UPJH-0326-SM-3GADU 50-59 years, male 89.9
GTEX-YB5K-2126-SM-4WWDJ 40-49 years, female 89.8
GTEX-ZF2S-2326-SM-4WWCE 50-59 years, female 89.8
GTEX-RNOR-0126-SM-E9J4R 50-59 years, female 89.8
GTEX-13JUV-2726-SM-5LZZ8 40-49 years, female 89.7
GTEX-13X6H-2126-SM-7EWD5 50-59 years, female 89.6
GTEX-1O97I-0326-SM-EYYX7 60-69 years, male 89.3
GTEX-T6MO-1626-SM-32QOM 40-49 years, female 89.0
GTEX-13OVK-2026-SM-7KUEO 40-49 years, male 88.9
GTEX-17F96-1626-SM-7DUFL 70-79 years, male 88.8
GTEX-OHPL-0126-SM-2HMJ7 60-69 years, female 88.7
GTEX-1H1DG-0126-SM-9WYU2 70-79 years, male 88.7
GTEX-11NUK-0126-SM-5A5L3 50-59 years, male 88.6
GTEX-RU72-0926-SM-2TF6B 50-59 years, female 88.6
GTEX-1GMRU-0126-SM-9YFLV 50-59 years, male 88.5
GTEX-1211K-2026-SM-5EQ4Z 60-69 years, female 88.4
GTEX-X4EP-0126-SM-3P5YV 60-69 years, female 88.4
GTEX-Y114-2426-SM-4TT8A 50-59 years, female 88.4
GTEX-1HFI6-0226-SM-ADEHZ 40-49 years, male 88.4
GTEX-13YAN-0326-SM-5O9DF 60-69 years, male 88.1
GTEX-12WSA-0226-SM-5BC5V 60-69 years, male 88.0
GTEX-T8EM-1026-SM-3DB7M 40-49 years, male 87.9
GTEX-1H4P4-0726-SM-9YFLR 50-59 years, male 87.7
GTEX-17F98-0626-SM-79OMX 40-49 years, female 87.6
GTEX-W5X1-3026-SM-EAZAX 40-49 years, female 87.5
GTEX-11ZU8-2526-SM-5EQKI 60-69 years, male 87.4
GTEX-1JMQJ-0526-SM-CYPSU 50-59 years, male 87.4
GTEX-11P7K-2126-SM-5GU7G 30-39 years, male 87.3
GTEX-145LU-0126-SM-5TDCB 50-59 years, male 87.3
GTEX-13113-5016-SM-7EPIP 60-69 years, female 87.2
GTEX-111FC-0126-SM-5N9DL 60-69 years, male 87.1
GTEX-OIZG-0726-SM-33HBL 50-59 years, male 87.1
GTEX-1GL5R-1826-SM-9KNUY 50-59 years, male 87.1
GTEX-13OW6-0426-SM-5L3HM 50-59 years, male 87.0
GTEX-1KANB-0526-SM-E6CJH 50-59 years, male 86.8
GTEX-131XF-5016-SM-7MGWE 60-69 years, male 86.6
GTEX-ZY6K-1826-SM-5GZXK 50-59 years, male 86.4
GTEX-1S82Z-0826-SM-E6CHY 30-39 years, female 86.4
GTEX-13U4I-0126-SM-5LU38 40-49 years, female 86.3
GTEX-16AAH-1726-SM-7939C 50-59 years, male 86.3
GTEX-WZTO-0126-SM-3NM95 40-49 years, male 86.3
GTEX-17HII-0226-SM-7LG4E 50-59 years, male 86.2
GTEX-1B8L1-2526-SM-9WYTF 60-69 years, male 86.2
GTEX-1I6K6-0126-SM-A9SLE 30-39 years, male 86.2
GTEX-SJXC-0126-SM-2XCFF 60-69 years, male 86.1
GTEX-Y8E4-0626-SM-4WWDL 40-49 years, male 86.1
GTEX-1F5PL-0326-SM-7P8PQ 40-49 years, female 86.1
GTEX-1J1OQ-0226-SM-CYPSH 40-49 years, female 86.1
GTEX-1LBAC-0126-SM-DIPEZ 20-29 years, male 86.0
GTEX-PWCY-1826-SM-DHXIZ 20-29 years, female 86.0
GTEX-1CAMQ-0226-SM-7IGPK 40-49 years, male 85.9
GTEX-1IKJJ-0126-SM-CNPQB 60-69 years, male 85.9
GTEX-1POEN-0126-SM-EYYXJ 30-39 years, female 85.9
GTEX-15SHU-0126-SM-7KUEH 40-49 years, female 85.7
GTEX-12WSG-2826-SM-E9J4H 50-59 years, female 85.5
GTEX-W5WG-1826-SM-4KL2Y 50-59 years, female 85.1
GTEX-13O3Q-2426-SM-5IJBR 50-59 years, male 85.0
GTEX-P4PP-0126-SM-3LK69 30-39 years, female 84.9
GTEX-11OC5-0126-SM-5HL6A 60-69 years, male 84.6
GTEX-1399T-2826-SM-5KLYZ 60-69 years, male 84.5
GTEX-ZVZP-2426-SM-59HKJ 50-59 years, male 84.5
GTEX-1JMPY-1326-SM-ARL8Y 30-39 years, male 84.5
GTEX-13112-2826-SM-5DUWH 50-59 years, male 84.3
GTEX-1E1VI-0126-SM-7DHMZ 50-59 years, male 84.3
GTEX-13NZB-2526-SM-5J1OM 30-39 years, male 84.2
GTEX-14E6E-1826-SM-5S2R7 30-39 years, male 84.2
GTEX-12WSC-0126-SM-5EQ4P 50-59 years, male 84.0
GTEX-1HB9E-0226-SM-E9U4R 50-59 years, male 84.0
GTEX-SN8G-0126-SM-32PLI 50-59 years, female 83.9
GTEX-12ZZZ-0626-SM-5DUXI 60-69 years, male 83.8
GTEX-1GN2E-0426-SM-9MQKX 60-69 years, male 83.8
GTEX-1HCU8-0626-SM-A9SM9 60-69 years, female 83.8
GTEX-17MFQ-1726-SM-793C7 20-29 years, male 83.5
GTEX-1AX8Z-0126-SM-7DHM6 60-69 years, male 83.5
GTEX-14A5H-0426-SM-5QGQF 60-69 years, male 83.4
GTEX-14PII-0226-SM-6EU1T 60-69 years, male 83.3
GTEX-1A3MV-1926-SM-718BT 30-39 years, male 83.1
GTEX-Q2AH-1626-SM-3GAF8 40-49 years, male 83.1
GTEX-12WSD-0126-SM-59HKN 60-69 years, female 83.0
GTEX-Q2AI-1326-SM-2S1PL 40-49 years, male 82.9
GTEX-1ICLZ-0126-SM-CKZPO 60-69 years, male 82.9
GTEX-ZE7O-0126-SM-57WC1 50-59 years, female 82.8
GTEX-117YX-2326-SM-5H12W 50-59 years, male 82.6
GTEX-139TS-2826-SM-5J1OO 60-69 years, male 82.6
GTEX-17HHE-2026-SM-79OKF 50-59 years, male 82.6
GTEX-145MN-2226-SM-5SIAU 30-39 years, male 82.5
GTEX-UJHI-1526-SM-3DB99 50-59 years, female 82.5
GTEX-ZVT2-2526-SM-51MT1 50-59 years, female 82.4
GTEX-13NYS-0126-SM-5MR3W 60-69 years, male 82.3
GTEX-1GN1U-0126-SM-7PBZK 50-59 years, female 82.3
GTEX-15ETS-0126-SM-7KUMW 40-49 years, female 82.2
GTEX-1OFPY-2426-SM-DTXEJ 60-69 years, male 82.2
GTEX-13OVL-0226-SM-5L3E9 50-59 years, male 82.1
GTEX-1I1GR-0126-SM-CL55F 60-69 years, male 82.1
GTEX-1LGRB-2526-SM-CNPPQ 50-59 years, female 82.1
GTEX-1I4MK-2226-SM-ACKWD 50-59 years, female 82.0
GTEX-14PJ3-1826-SM-62LEX 50-59 years, male 81.8
GTEX-17EUY-0426-SM-793BD 20-29 years, male 81.8
GTEX-139TU-0126-SM-5K7WH 60-69 years, male 81.7
GTEX-1HBPI-1526-SM-C1YQ1 50-59 years, male 81.6
GTEX-1F6RS-0126-SM-9MQKZ 60-69 years, female 81.4
GTEX-1RAZA-0126-SM-E6CI3 20-29 years, male 81.4
GTEX-13O21-1426-SM-5K7XI 50-59 years, male 81.3
GTEX-POMQ-2226-SM-2I5FK 20-29 years, female 81.3
GTEX-1F7RK-0126-SM-7PC2S 20-29 years, female 81.2
GTEX-YFC4-0126-SM-5CVLY 40-49 years, female 81.1
GTEX-13SLW-0126-SM-5SI6C 70-79 years, male 80.9
GTEX-17EVP-0326-SM-7DHLG 40-49 years, male 80.9
GTEX-13G51-2526-SM-5LZYK 60-69 years, male 80.7
GTEX-1CB4I-0226-SM-79OLH 50-59 years, male 80.7
GTEX-1GPI6-0126-SM-9WG69 60-69 years, male 80.5
GTEX-1S5ZA-0126-SM-EVYCV 20-29 years, male 80.5
GTEX-113JC-2326-SM-5EQ4E 50-59 years, female 80.3
GTEX-13S7M-0126-SM-5SI6A 60-69 years, female 80.3
GTEX-X4XX-0126-SM-3NMC2 60-69 years, male 80.2
GTEX-1H1CY-2826-SM-9MQM3 60-69 years, female 80.2
GTEX-T2IS-0126-SM-4DM6O 20-29 years, female 80.1
GTEX-1ICLY-0126-SM-D4P36 50-59 years, male 80.1
GTEX-147GR-0526-SM-5S2MY 60-69 years, male 80.0
GTEX-VJYA-1126-SM-3GIJU 60-69 years, male 80.0
GTEX-13RTK-1426-SM-5QGQJ 20-29 years, male 79.9
GTEX-U8T8-0126-SM-3DB94 60-69 years, male 79.9
GTEX-1HFI7-1826-SM-ACKXH 50-59 years, female 79.9
GTEX-13FTY-0526-SM-5L3EV 40-49 years, female 79.8
GTEX-1C6VR-2426-SM-79OLD 60-69 years, male 79.6
GTEX-WXYG-2326-SM-4E3I6 50-59 years, female 79.6
GTEX-1JMQK-0226-SM-CL543 60-69 years, male 79.5
GTEX-OHPM-0126-SM-2YUN9 50-59 years, male 79.4
GTEX-1HSMP-0126-SM-E6CJS 70-79 years, male 79.3
GTEX-1399U-2326-SM-5K7WY 50-59 years, female 79.2
GTEX-WQUQ-0426-SM-3MJFU 60-69 years, male 79.2
GTEX-ZWKS-0126-SM-5SIAA 30-39 years, male 79.1
GTEX-1JN76-0126-SM-CNPPE 20-29 years, female 79.1
GTEX-S95S-1226-SM-4GICG 60-69 years, male 79.0
GTEX-1B996-0226-SM-7RHGO 60-69 years, male 78.9
GTEX-145ME-1826-SM-5SI9G 40-49 years, female 78.8
GTEX-XQ8I-0426-SM-4BOPO 50-59 years, male 78.8
GTEX-1GMR3-1926-SM-9KNUZ 40-49 years, male 78.8
GTEX-1122O-2126-SM-5EGIR 60-69 years, female 78.7
GTEX-X8HC-0126-SM-4E3JW 50-59 years, female 78.6
GTEX-1GPI7-0126-SM-9MQL8 20-29 years, male 78.5
GTEX-11DXY-2626-SM-5GIE7 60-69 years, male 78.4
GTEX-12584-0126-SM-5EGKQ 40-49 years, male 78.3
GTEX-1B8KZ-2026-SM-7DHMB 50-59 years, male 78.3
GTEX-WYJK-0126-SM-3NMAB 50-59 years, male 78.3
GTEX-1EKGG-0226-SM-9WYTH 60-69 years, male 78.3
GTEX-183FY-0126-SM-7LT9P 20-29 years, male 78.1
GTEX-1HSGN-0226-SM-CGQFV 40-49 years, female 78.1
GTEX-WVJS-0126-SM-4MVOT 50-59 years, male 77.9
GTEX-11P82-1626-SM-59879 20-29 years, male 77.7
GTEX-ZU9S-0226-SM-5E441 30-39 years, male 77.7
GTEX-1H3VY-0126-SM-ACKXD 50-59 years, male 77.6
GTEX-1JMPZ-0226-SM-CNPP1 30-39 years, male 77.6
GTEX-1K2DU-2326-SM-E9TIV 20-29 years, male 77.6
GTEX-1LVAN-0226-SM-COH3S 50-59 years, female 77.6
GTEX-17HHY-0126-SM-7LG5D 50-59 years, male 77.4
GTEX-ZXG5-0126-SM-5GIEU 60-69 years, male 77.3
GTEX-ZAK1-0126-SM-5IJD3 50-59 years, female 77.2
GTEX-11EM3-2426-SM-59861 20-29 years, female 77.1
GTEX-XBED-2226-SM-47JYQ 60-69 years, male 77.0
GTEX-11LCK-1026-SM-5A5KB 30-39 years, male 76.9
GTEX-1I19N-0326-SM-ACKVX 70-79 years, male 76.9
GTEX-QLQ7-1626-SM-2S1R8 60-69 years, male 76.8
GTEX-13W46-0226-SM-5SIAG 50-59 years, male 76.7
GTEX-WYVS-2126-SM-3NMA3 40-49 years, female 76.7
GTEX-ZAJG-0126-SM-5HL94 50-59 years, female 76.7
GTEX-1HSMO-0126-SM-CL547 60-69 years, male 76.5
GTEX-11TUW-2726-SM-E9J4M 60-69 years, male 76.4
GTEX-1128S-2326-SM-5GZZY 60-69 years, female 76.2
GTEX-145MI-0526-SM-5O9A8 60-69 years, female 76.2
GTEX-P44H-0226-SM-2XCEU 40-49 years, male 76.2
GTEX-1H11D-0226-SM-9WG6Z 40-49 years, male 76.2
GTEX-13NZ8-0826-SM-5MR3I 60-69 years, female 76.1
GTEX-WRHK-1426-SM-3MJF9 20-29 years, female 76.0
GTEX-1HCU7-0226-SM-CL545 50-59 years, male 76.0
GTEX-1N2DV-0226-SM-E6CJ6 40-49 years, male 75.9
GTEX-139TT-0126-SM-5K7Y5 60-69 years, male 75.8
GTEX-WY7C-2326-SM-3NB2U 50-59 years, male 75.7
GTEX-11UD1-0126-SM-5PNYG 40-49 years, female 75.5
GTEX-11DXW-0226-SM-5H122 40-49 years, male 75.3
GTEX-1R46S-0626-SM-E9J41 60-69 years, female 75.3
GTEX-1GMR8-0126-SM-9WYTM 50-59 years, female 75.1
GTEX-1IDJF-0126-SM-CM2RS 20-29 years, male 75.1
GTEX-1J8EW-0126-SM-CJI4F 60-69 years, female 75.1
GTEX-1HR98-0126-SM-B2LWI 60-69 years, male 75.0
GTEX-1MGNQ-0126-SM-EVYCJ 40-49 years, male 75.0
GTEX-U3ZN-2326-SM-3DB7W 30-39 years, female 74.9
GTEX-ZC5H-0226-SM-4WAY9 40-49 years, female 74.9
GTEX-17KNJ-2326-SM-7DHLQ 50-59 years, male 74.7
GTEX-1N2DW-0226-SM-E9TK2 50-59 years, male 74.5
GTEX-RM2N-1426-SM-2TF4H 50-59 years, male 74.4
GTEX-1EU9M-0226-SM-7P8SP 60-69 years, male 74.4
GTEX-PVOW-0126-SM-2XCFA 40-49 years, male 74.2
GTEX-1PDJ9-0326-SM-DTX95 20-29 years, male 74.2
GTEX-139D8-0226-SM-5KLZO 30-39 years, female 74.1
GTEX-14DAR-2026-SM-5S2O3 50-59 years, male 74.1
GTEX-11GS4-2726-SM-5A5LE 60-69 years, male 74.0
GTEX-1LB8K-0226-SM-EWRNW 50-59 years, male 74.0
GTEX-14C5O-0126-SM-5SI6N 60-69 years, male 73.9
GTEX-1GN73-0226-SM-9WG67 60-69 years, male 73.9
GTEX-133LE-1826-SM-5J1MV 20-29 years, female 73.8
GTEX-13D11-2426-SM-5KM1V 50-59 years, female 73.8
GTEX-1MA7X-2226-SM-E6CIY 60-69 years, male 73.8
GTEX-13VXU-0126-SM-5SI9F 50-59 years, male 73.7
GTEX-ZQUD-1426-SM-57WER 30-39 years, male 73.7
GTEX-RN64-0126-SM-2TC68 50-59 years, male 73.5
GTEX-1HBPM-0226-SM-ARL9F 60-69 years, female 73.3
GTEX-WH7G-2326-SM-3NMBC 40-49 years, male 73.0
GTEX-QLQW-1126-SM-2S1Q8 30-39 years, male 72.9
GTEX-1MCQQ-0826-SM-DLHC2 60-69 years, male 72.9
GTEX-14PJ6-2126-SM-6EU1V 60-69 years, female 72.7
GTEX-16MT8-0426-SM-7KUEY 60-69 years, female 72.7
GTEX-13OW8-1326-SM-5J1OW 60-69 years, male 72.6
GTEX-1S82Y-2026-SM-EVYCM 40-49 years, male 72.4
GTEX-1F6I4-0126-SM-9MQL2 60-69 years, male 72.1
GTEX-1JN1M-0326-SM-CYPT3 60-69 years, female 72.1
GTEX-1AX9J-0226-SM-73KXM 60-69 years, male 72.0
GTEX-1IGQW-0126-SM-COH42 60-69 years, male 72.0
GTEX-11H98-0126-SM-5EGHG 50-59 years, male 71.6
GTEX-ZTPG-0326-SM-5O9AX 20-29 years, female 71.6
GTEX-QCQG-1726-SM-3GIJ9 50-59 years, female 71.5
GTEX-1269C-2526-SM-5EGJ3 60-69 years, female 71.4
GTEX-11OF3-2626-SM-5GU7F 60-69 years, male 71.1
GTEX-1AMFI-2026-SM-731BH 50-59 years, female 70.9
GTEX-QVJO-1626-SM-2S1QW 60-69 years, female 70.7
GTEX-XAJ8-0826-SM-47JY6 40-49 years, male 70.7
GTEX-XXEK-2226-SM-4BRUM 50-59 years, male 70.7
GTEX-1AMEY-1326-SM-73KYK 30-39 years, female 70.5
GTEX-X5EB-2226-SM-46MW4 40-49 years, male 70.5
GTEX-145LV-2126-SM-5LU8N 50-59 years, male 70.3
GTEX-15UF6-0826-SM-6PALJ 70-79 years, female 70.3
GTEX-RTLS-0126-SM-447CA 60-69 years, female 70.2
GTEX-14DAQ-0126-SM-5S2MQ 60-69 years, female 70.1
GTEX-1F88F-2726-SM-7PBZZ 60-69 years, female 70.1
GTEX-14BMV-0126-SM-5S2PO 50-59 years, male 70.0
GTEX-15CHC-2126-SM-6EU21 60-69 years, female 70.0
GTEX-ZDTT-2726-SM-4WKF8 60-69 years, male 70.0
GTEX-14A5I-0126-SM-5TDEA 50-59 years, female 69.9
GTEX-14JG6-2226-SM-6EU2G 30-39 years, female 69.9
GTEX-1C2JI-1826-SM-73KXC 50-59 years, male 69.7
GTEX-13OVI-1426-SM-5L3EY 60-69 years, female 69.5
GTEX-1F75A-0126-SM-7RHGM 50-59 years, male 69.4
GTEX-PW2O-1526-SM-7RHHB 20-29 years, male 69.3
GTEX-ZF29-2326-SM-DO92K 60-69 years, female 69.3
GTEX-18465-0126-SM-731BN 50-59 years, male 69.1
GTEX-13FTX-1826-SM-5J1NX 20-29 years, female 69.0
GTEX-1A3MX-0126-SM-731BR 60-69 years, male 69.0
GTEX-X4EO-0326-SM-3P5YO 60-69 years, female 69.0
GTEX-11ZVC-2526-SM-5FQTE 50-59 years, female 68.9
GTEX-18QFQ-0126-SM-731BE 30-39 years, male 68.9
GTEX-1H1E6-1726-SM-ACKVK 30-39 years, male 68.9
GTEX-1IL2V-0126-SM-CM2TX 70-79 years, male 68.9
GTEX-117YW-2626-SM-5GZZH 50-59 years, male 68.8
GTEX-11EI6-0126-SM-5985R 60-69 years, male 68.8
GTEX-1MCYP-1926-SM-E9J2R 20-29 years, female 68.8
GTEX-15D1Q-0126-SM-7KUG6 40-49 years, male 68.7
GTEX-1QMI2-0226-SM-EVYBX 60-69 years, male 68.7
GTEX-U3ZM-1526-SM-3DB9D 40-49 years, male 68.5
GTEX-ZAB4-0226-SM-5N9F5 40-49 years, male 68.1
GTEX-11GSO-2426-SM-5A5LY 60-69 years, male 67.9
GTEX-11XUK-2026-SM-5EQLF 40-49 years, female 67.9
GTEX-1H23P-0126-SM-ADEJ3 60-69 years, male 67.9
GTEX-14BMU-2226-SM-5TDE9 20-29 years, female 67.7
GTEX-13FHO-0226-SM-5IFGY 60-69 years, male 67.6
GTEX-R55G-2526-SM-2TC6D 40-49 years, female 67.6
GTEX-WFG8-2226-SM-3GIL9 20-29 years, male 67.6
GTEX-1B933-0126-SM-7PC29 50-59 years, female 67.6
GTEX-1CAMS-0426-SM-7P8T2 40-49 years, female 67.5
GTEX-16NGA-1726-SM-731B4 40-49 years, female 67.4
GTEX-16NPX-0226-SM-79OMT 50-59 years, male 67.4
GTEX-1J1R8-1726-SM-ARL8M 40-49 years, male 67.4
GTEX-12C56-1726-SM-5EQ61 20-29 years, male 67.2
GTEX-145LT-1726-SM-5QGP3 40-49 years, male 67.1
GTEX-1HCUA-2426-SM-ADEIS 50-59 years, female 67.0
GTEX-1HSMQ-1226-SM-CGQFX 50-59 years, male 67.0
GTEX-YEC4-2126-SM-5IFJH 40-49 years, male 66.9
GTEX-13N2G-2626-SM-5J1OT 60-69 years, male 66.8
GTEX-15RIG-0226-SM-7KFTL 40-49 years, male 66.7
GTEX-1I1GP-2226-SM-CGQFK 50-59 years, male 66.6
GTEX-131XG-2626-SM-5KM17 50-59 years, female 66.2
GTEX-14ICK-0226-SM-6EU25 40-49 years, male 66.1
GTEX-1RB15-2126-SM-E9TIM 60-69 years, male 66.1
GTEX-16XZZ-0126-SM-793DV 60-69 years, male 66.0
GTEX-PWO3-1526-SM-48TCM 60-69 years, female 65.9
GTEX-11ZUS-0626-SM-59885 30-39 years, male 65.6
GTEX-145MO-0326-SM-5Q5B3 60-69 years, male 65.6
GTEX-17HGU-0226-SM-7DHKV 50-59 years, male 65.6
GTEX-SNMC-1226-SM-2XCFP 20-29 years, male 65.6
GTEX-13QJ3-0326-SM-5S2RA 50-59 years, male 65.5
GTEX-XUW1-0426-SM-4BOOT 50-59 years, female 65.5
GTEX-111VG-2426-SM-5GZXD 60-69 years, male 65.4
GTEX-ZXES-1826-SM-5E43S 30-39 years, female 65.1
GTEX-13FH7-2026-SM-E9J4I 50-59 years, female 65.1
GTEX-SSA3-0126-SM-32QPU 60-69 years, male 64.9
GTEX-X261-0126-SM-3NMD6 50-59 years, male 64.7
GTEX-1E2YA-0126-SM-9KNUC 50-59 years, male 64.7
GTEX-1J8Q3-1626-SM-CMKGC 60-69 years, male 64.7
GTEX-14BIN-0626-SM-793DP 50-59 years, female 64.6
GTEX-1GTWX-0126-SM-9YFLK 60-69 years, male 64.5
GTEX-1H1ZS-0426-SM-9WG6G 70-79 years, male 64.5
GTEX-139UW-2826-SM-5L3E7 60-69 years, male 64.4
GTEX-1EX96-1626-SM-7PBXR 50-59 years, male 64.3
GTEX-1314G-1526-SM-5EGK2 30-39 years, male 64.2
GTEX-14ABY-0226-SM-5TDCQ 50-59 years, male 63.7
GTEX-14LZ3-0226-SM-62LET 60-69 years, female 63.7
GTEX-1IDJU-2626-SM-CM2RT 60-69 years, female 63.7
GTEX-11WQK-0526-SM-5EQLD 50-59 years, male 63.6
GTEX-146FQ-0126-SM-5NQA9 30-39 years, male 63.5
GTEX-QDVJ-1726-SM-2I5FX 50-59 years, male 63.5
GTEX-ZAB5-1826-SM-5HL7C 50-59 years, male 63.4
GTEX-OXRK-0226-SM-3NB2G 50-59 years, female 63.1
GTEX-1HSEH-0126-SM-ACKXN 60-69 years, male 63.1
GTEX-11DZ1-0126-SM-5985Q 50-59 years, male 63.0
GTEX-169BO-1326-SM-9MQK2 50-59 years, male 63.0
GTEX-1GZ4H-1726-SM-7PBZJ 50-59 years, female 63.0
GTEX-13W3W-2426-SM-5LU5B 60-69 years, female 62.9
GTEX-1HKZK-0326-SM-9WYUH 40-49 years, male 62.8
GTEX-1NHNU-1026-SM-E9J2A 50-59 years, male 62.8
GTEX-1PPH7-2326-SM-EVYB8 40-49 years, male 62.8
GTEX-144GN-2326-SM-5LU4F 50-59 years, male 62.7
GTEX-VUSG-2526-SM-4KL1V 50-59 years, male 62.7
GTEX-1192X-0226-SM-5H12D 50-59 years, male 62.6
GTEX-11NSD-2226-SM-5986V 20-29 years, male 62.6
GTEX-13SLX-0526-SM-5S2ON 50-59 years, female 62.6
GTEX-11O72-0126-SM-59887 40-49 years, male 62.4
GTEX-12WSJ-1826-SM-5GCNY 40-49 years, female 62.4
GTEX-S32W-2126-SM-2XCB1 50-59 years, female 62.3
GTEX-U8XE-0326-SM-3DB8P 30-39 years, male 62.2
GTEX-1JKYN-1326-SM-CGQG9 30-39 years, male 62.1
GTEX-12KS4-0326-SM-5EQ41 30-39 years, male 62.0
GTEX-15G19-0126-SM-6PANQ 60-69 years, male 62.0
GTEX-1J8QM-2126-SM-CYPSJ 60-69 years, female 61.9
GTEX-1F6IF-0726-SM-7P8TW 60-69 years, male 61.6
GTEX-1KD5A-0226-SM-D5OV3 50-59 years, male 61.5
GTEX-PLZ5-2026-SM-2S1O4 50-59 years, male 61.3
GTEX-14E7W-0126-SM-6LLJ9 70-79 years, male 61.2
GTEX-Y3I4-2126-SM-4TT7C 50-59 years, male 61.2
GTEX-1LC47-0326-SM-E9TJP 60-69 years, male 61.1
GTEX-14A6H-0126-SM-5QGPK 30-39 years, male 60.9
GTEX-1N2EF-0226-SM-EYYXB 60-69 years, male 60.9
GTEX-R55E-0126-SM-2TC5Y 20-29 years, male 60.8
GTEX-1H2FU-0126-SM-9WYSI 60-69 years, female 60.6
GTEX-1I1GS-0126-SM-B2LVW 60-69 years, male 60.6
GTEX-V1D1-2226-SM-3NMAX 50-59 years, male 60.4
GTEX-14XAO-2326-SM-6EU1B 60-69 years, female 60.1
GTEX-13O1R-0126-SM-5L3EH 60-69 years, male 60.0
GTEX-1H3O1-0426-SM-9YFKY 60-69 years, male 60.0
GTEX-18A7B-0126-SM-7LG64 70-79 years, male 59.9
GTEX-ZYY3-0126-SM-5GZY5 60-69 years, female 59.9
GTEX-1F75I-0326-SM-9YFLU 40-49 years, male 59.9
GTEX-1K9T9-0126-SM-EVYCF 50-59 years, female 59.8
GTEX-13N11-2526-SM-5K7UE 50-59 years, female 59.7
GTEX-OIZF-0126-SM-7SB8I 60-69 years, male 59.7
GTEX-1HCVE-0126-SM-CGQEU 50-59 years, male 59.6
GTEX-1H1DE-2126-SM-9WG6R 20-29 years, male 59.5
GTEX-1R9K4-0126-SM-DTX9X 60-69 years, male 59.4
GTEX-X585-0226-SM-4QAS2 50-59 years, male 59.3
GTEX-Y5V6-2426-SM-4VDSB 60-69 years, male 59.3
GTEX-148VI-1626-SM-5SI6E 60-69 years, female 59.2
GTEX-1497J-2426-SM-7IGNX 60-69 years, male 59.2
GTEX-15SB6-1726-SM-6PAME 50-59 years, female 59.2
GTEX-OOBK-0126-SM-2YUND 40-49 years, male 58.9
GTEX-1A8FM-0226-SM-7SB7Q 50-59 years, female 58.9
GTEX-1EN7A-0126-SM-7SB81 40-49 years, male 58.9
GTEX-1F52S-0126-SM-9MQJU 60-69 years, female 58.9
GTEX-18A67-0126-SM-7LG5P 50-59 years, male 58.8
GTEX-Q2AG-0126-SM-33HBV 40-49 years, female 58.8
GTEX-1HBPN-0226-SM-9YFM1 50-59 years, male 58.8
GTEX-R3RS-0126-SM-3GIJL 40-49 years, female 58.7
GTEX-Y5LM-1926-SM-5RQJH 40-49 years, female 58.6
GTEX-15DYW-0126-SM-7KULE 60-69 years, female 58.5
GTEX-1AYD5-2426-SM-73KXR 50-59 years, male 58.3
GTEX-1J8Q2-0526-SM-CM2RW 60-69 years, male 58.3
GTEX-1LH75-2426-SM-E9TJE 50-59 years, female 58.1
GTEX-1A3MW-0126-SM-73KXX 60-69 years, female 57.9
GTEX-P4PQ-0126-SM-2S1NM 60-69 years, male 57.9
GTEX-1QP2A-0126-SM-E9J43 50-59 years, male 57.9
GTEX-139T8-0126-SM-5K7XZ 60-69 years, male 57.8
GTEX-13X6I-0626-SM-5QGP9 60-69 years, male 57.7
GTEX-1IKOH-0226-SM-COH4E 60-69 years, female 57.6
GTEX-1R9PO-2126-SM-E9J4O 60-69 years, female 57.6
GTEX-1PBJI-0526-SM-E8VNK 20-29 years, female 57.4
GTEX-146FH-0126-SM-5QGPP 50-59 years, female 57.3
GTEX-14PN3-2426-SM-6LLHS 60-69 years, female 57.2
GTEX-17EVQ-0226-SM-7LG4P 70-79 years, male 57.2
GTEX-1C6WA-0126-SM-7PC2B 60-69 years, male 57.1
GTEX-X4XY-0226-SM-4E3IZ 60-69 years, male 57.0
GTEX-X638-0126-SM-47JZ8 70-79 years, female 57.0
GTEX-1MUQO-0126-SM-EAZ58 60-69 years, male 56.9
GTEX-1IY9M-0126-SM-D3L8S 60-69 years, male 56.8
GTEX-ZEX8-2426-SM-4WKG4 50-59 years, male 56.6
GTEX-1JK1U-2026-SM-CM2RZ 60-69 years, male 56.5
GTEX-11DXX-2426-SM-5GZZW 60-69 years, female 56.1
GTEX-15DCD-0126-SM-7KUEK 70-79 years, female 56.1
GTEX-1J8JJ-0226-SM-CL53I 60-69 years, female 56.1
GTEX-13VXT-0126-SM-5LU4I 20-29 years, female 55.9
GTEX-14E6C-0126-SM-5RQIP 40-49 years, male 55.9
GTEX-1QPFJ-0226-SM-E76PB 30-39 years, female 55.7
GTEX-U412-0426-SM-3DB9O 60-69 years, male 55.5
GTEX-1ICG6-2526-SM-CGQFZ 70-79 years, female 55.4
GTEX-NPJ8-0126-SM-2YUNR 40-49 years, male 55.1
GTEX-1LG7Y-0526-SM-DKPQC 50-59 years, male 55.1
GTEX-13CF3-2426-SM-5IFGX 60-69 years, female 55.0
GTEX-1GN1W-0526-SM-9MQJQ 50-59 years, female 54.9
GTEX-14BIM-0226-SM-7IGLD 60-69 years, female 54.8
GTEX-Q734-1926-SM-2I5EV 40-49 years, female 54.8
GTEX-15DDE-0126-SM-6LPKH 50-59 years, female 54.4
GTEX-1KAFJ-2026-SM-CY8ID 50-59 years, male 54.4
GTEX-145LS-0126-SM-5QGP1 60-69 years, female 54.3
GTEX-1GN1V-0126-SM-9WPOS 60-69 years, male 54.3
GTEX-1C6VQ-0126-SM-7P8RI 50-59 years, male 54.2
GTEX-1GF9X-2026-SM-7PC3A 40-49 years, female 54.2
GTEX-147F4-0226-SM-5QGPW 50-59 years, male 54.1
GTEX-1F5PK-2426-SM-7RHHY 50-59 years, male 54.0
GTEX-Z9EW-1626-SM-5CVMN 40-49 years, male 53.9
GTEX-ZVT4-0126-SM-DTXFN 50-59 years, female 53.8
GTEX-14753-0426-SM-5NQAM 60-69 years, male 53.7
GTEX-XMD2-0126-SM-4YCDU 60-69 years, female 53.7
GTEX-1PWST-0226-SM-E76QJ 70-79 years, male 53.7
GTEX-14LLW-0126-SM-6LLIO 70-79 years, female 53.5
GTEX-13NYC-0326-SM-E9J4S 60-69 years, male 53.5
GTEX-1JJE9-0326-SM-CL53Z 70-79 years, male 53.5
GTEX-1IE54-0126-SM-CMKHW 40-49 years, female 53.4
GTEX-RWS6-2026-SM-2XCB5 60-69 years, female 53.0
GTEX-1QEPI-0126-SM-EWRMQ 60-69 years, female 53.0
GTEX-13OW7-0126-SM-5MR3B 50-59 years, male 52.9
GTEX-1I1GT-0626-SM-CGQER 60-69 years, female 52.8
GTEX-1AX9K-2326-SM-73KWU 50-59 years, male 52.7
GTEX-OXRL-0126-SM-2YUMP 50-59 years, male 52.7
GTEX-13RTJ-2426-SM-5S2Q2 60-69 years, male 52.3
GTEX-ZYFD-0126-SM-5GIDL 50-59 years, male 52.3
GTEX-TSE9-0126-SM-3DB83 60-69 years, female 52.1
GTEX-1H3NZ-0126-SM-ACKX7 60-69 years, male 51.2
GTEX-15SDE-2226-SM-7IGLO 50-59 years, female 51.0
GTEX-17MF6-0126-SM-7LG4F 40-49 years, male 51.0
GTEX-13NZA-0226-SM-5K7Z7 60-69 years, male 50.8
GTEX-QDVN-2026-SM-3GAEP 50-59 years, male 50.8
GTEX-13O3O-0126-SM-E9J49 60-69 years, female 50.8
GTEX-ZQG8-1626-SM-DHXIT 60-69 years, female 50.7
GTEX-13OVJ-0126-SM-5KM36 50-59 years, female 50.6
GTEX-11ZTT-2426-SM-5EQLS 60-69 years, female 50.5
GTEX-13OW5-0126-SM-DTXFS 60-69 years, male 50.4
GTEX-147F3-0526-SM-5SI98 50-59 years, female 50.3
GTEX-13RTL-0126-SM-7LG5S 40-49 years, male 50.1
GTEX-11GSP-2526-SM-5N9BP 60-69 years, female 50.0
GTEX-1QW4Y-1526-SM-EAZ3Z 30-39 years, male 50.0
GTEX-1AYCT-2426-SM-7IGQ3 50-59 years, male 49.9
GTEX-VJWN-0126-SM-3GIK7 50-59 years, female 49.9
GTEX-1F75B-0126-SM-9KNVL 50-59 years, male 49.9
GTEX-1QP29-0626-SM-EWRMX 50-59 years, male 49.9
GTEX-1C64O-0126-SM-7SB8P 60-69 years, male 49.5
GTEX-ZVT3-0126-SM-5GU6I 60-69 years, female 49.3
GTEX-11TTK-0126-SM-5987B 60-69 years, female 49.2
GTEX-16XZY-2126-SM-79OK1 70-79 years, male 49.2
GTEX-13PDP-0126-SM-5L3HD 60-69 years, male 48.8
GTEX-15UKP-0426-SM-7KUFQ 20-29 years, male 48.6
GTEX-16BQI-0226-SM-7KUEX 30-39 years, female 48.5
GTEX-17F97-0326-SM-7LG5B 50-59 years, male 48.5
GTEX-131XW-0426-SM-5LZWP 50-59 years, female 48.4
GTEX-1I1CD-0126-SM-CM2TK 60-69 years, female 48.2
GTEX-ZYW4-0126-SM-5E44A 60-69 years, male 47.4
GTEX-1RAZQ-0726-SM-EAZ43 30-39 years, male 47.4
GTEX-1CB4J-0626-SM-7DHMP 60-69 years, male 47.0
GTEX-1GF9U-2126-SM-7SB7L 40-49 years, female 46.5
GTEX-OXRP-0126-SM-3NB32 60-69 years, female 46.1
GTEX-PLZ4-0126-SM-5SI8O 50-59 years, female 45.7
GTEX-QDT8-0126-SM-48TZ1 30-39 years, female 45.6
GTEX-15EOM-0126-SM-7KUGG 20-29 years, female 45.5
GTEX-139T4-0226-SM-5HL5S 50-59 years, female 45.2
GTEX-ZDXO-3026-SM-5J1N5 60-69 years, male 45.2
GTEX-13N1W-0126-SM-5K7VT 70-79 years, male 45.1
GTEX-RUSQ-1526-SM-2TF62 50-59 years, male 45.0
GTEX-ZV6S-2326-SM-4YCEY 40-49 years, female 45.0
GTEX-14BIL-0126-SM-5SI92 50-59 years, male 44.5
GTEX-1A32A-0126-SM-718B1 50-59 years, female 44.1
GTEX-11VI4-1726-SM-5CVLH 40-49 years, female 43.9
GTEX-XV7Q-2526-SM-4BRV9 40-49 years, female 43.6
GTEX-1LNCM-1126-SM-E9U5E 50-59 years, female 43.6
GTEX-15SHW-0326-SM-6PAML 60-69 years, male 43.4
GTEX-11WQC-2526-SM-5CVLE 60-69 years, male 43.2
GTEX-18D9B-0526-SM-7LTAS 60-69 years, male 42.7
GTEX-14PK6-1926-SM-6ETZU 70-79 years, female 42.5
GTEX-1RLM8-2326-SM-EWRN4 50-59 years, male 42.3
GTEX-ZVE2-0226-SM-59HJB 50-59 years, male 42.2
GTEX-TMMY-0226-SM-33HBA 40-49 years, female 42.1
GTEX-12WSN-5019-SM-79OM6 40-49 years, male 42.0
GTEX-1HUB1-0426-SM-E9U4U 60-69 years, male 41.9
GTEX-1I1HK-0126-SM-COH49 60-69 years, male 41.7
GTEX-12WSL-2526-SM-5GCNJ 50-59 years, male 41.6
GTEX-13IVO-0126-SM-5J1NG 70-79 years, male 41.5
GTEX-11EMC-2926-SM-5EQ4F 60-69 years, female 41.4
GTEX-1I1GU-2226-SM-CGQFA 40-49 years, male 41.4
GTEX-1192W-2626-SM-5Q5AF 60-69 years, male 41.3
GTEX-1QP67-1626-SM-EAZ3X 40-49 years, female 41.1
GTEX-183WM-0126-SM-7LTAB 70-79 years, female 40.5
GTEX-1R7EV-2426-SM-EVYBG 40-49 years, male 40.5
GTEX-1F48J-0126-SM-7P8TT 50-59 years, female 40.2
GTEX-1M4P7-0226-SM-DIPEV 60-69 years, male 40.2
GTEX-14JIY-0126-SM-6LLH6 60-69 years, male 39.9
GTEX-U4B1-1826-SM-4DXSU 40-49 years, male 39.5
GTEX-ZUA1-0126-SM-5GU76 40-49 years, male 39.3
GTEX-14PHW-0126-SM-6LLJI 60-69 years, female 38.5
GTEX-R45C-0126-SM-EAZ2R 60-69 years, female 38.0
GTEX-1CB4H-0226-SM-7PBXM 60-69 years, female 37.3
GTEX-Y8LW-1826-SM-5S2MV 50-59 years, female 37.0
GTEX-1JMOU-1526-SM-CL54I 60-69 years, female 36.2
GTEX-13OVG-1926-SM-5L3DK 60-69 years, male 35.6
GTEX-X62O-0126-SM-4E3JN 50-59 years, male 34.9
GTEX-OXRO-0126-SM-2YUN4 60-69 years, female 34.8
GTEX-WOFL-0126-SM-3MJG2 60-69 years, male 34.8
GTEX-1IDFM-0126-SM-COH2V 60-69 years, male 33.2
GTEX-ZF28-0126-SM-4WKGK 60-69 years, male 29.6
GTEX-113IC-0126-SM-5HL6T 60-69 years, male 29.4
GTEX-1HBPH-0426-SM-B2LW5 40-49 years, female 28.9
GTEX-1OJC4-0126-SM-E9J2E 50-59 years, female 28.9
GTEX-1C6VS-0526-SM-7DUEN 60-69 years, male 28.0
GTEX-146FR-1326-SM-E9J48 60-69 years, female 26.4
GTEX-ZZPT-0226-SM-5E43X 50-59 years, male 25.5
GTEX-148VJ-0126-SM-5TDDN 70-79 years, male 24.4
GTEX-SE5C-1626-SM-2XCE3 40-49 years, female 17.3
Show allShow less

Contact

  • NEWS ARTICLES
  • PRESS ROOM

The Project

  • INTRODUCTION
  • ORGANIZATION
  • PUBLICATIONS

The Human Protein Atlas

  • DOWNLOADABLE DATA
  • LICENCE & CITATION
  • HELP & FAQ
The Human Protein Atlas project is funded
by the Knut & Alice Wallenberg Foundation.


contact@proteinatlas.org