We use cookies to enhance the usability of our website. If you continue, we'll assume that you are happy to receive all cookies. More information. Don't show this again.
ATP1B1
HPA
RESOURCES
  • TISSUE
  • BRAIN
  • SINGLE CELL
  • SUBCELLULAR
  • CANCER
  • BLOOD
  • CELL LINE
  • STRUCTURE & INTERACTION
ABOUT
  • INTRODUCTION
  • HISTORY
  • ORGANIZATION
  • PUBLICATIONS
  • ANTIBODY SUBMISSION
  • ANTIBODY AVAILABILITY
  • ACKNOWLEDGMENTS
  • CONTACT
NEWS
  • NEWS ARTICLES
  • PRESS ROOM
LEARN
  • DICTIONARY
  • PROTEIN CLASSES
  • PROTEIN EVIDENCE
  • METHODS
  • EDUCATIONAL VIDEOS
DATA
  • DOWNLOADABLE DATA
  • PUBLICATION DATA
  • RELEASE HISTORY
HELP
  • ANTIBODY VALIDATION
  • ASSAYS & ANNOTATION
  • DISCLAIMER
  • HELP & FAQ
  • PRIVACY STATEMENT
  • LICENCE & CITATION
Fields »
Search result

Field
Term
Gene name
Class
Subclass
Class
Keyword
Chromosome
External id
Tissue
Cell type
Expression
Antibody panel
Tissue
Main location
Patient ID
Annotation
Tissue
Category
Tau score
Cluster
Reliability
Brain region
Category
Tau score
Brain region
Category
Tau score
Brain region
Category
Tau score
Cluster
Reliability
Tissue
Cell type
Enrichment
Cell type
Category
Tau score
Cell type
Category
Tau score
Cell type
Category
Tau score
Cell lineage
Category
Tau score
Cluster
Cluster
Location
Searches
Location
Cell line
Class
Type
Phase
Reliability
Cancer
Prognosis
Cancer
Category
Cancer
Category
Tau score
Cluster
Variants
Interacting gene (ensg_id)
Type
Number of interactions
Pathway
Category
Score
Score
Score
Validation
Validation
Validation
Validation
Antibodies
Data type
Column


  • SUMMARY

  • TISSUE

  • BRAIN

  • SINGLE CELL

  • SUBCELL

  • CANCER

  • BLOOD

  • CELL LINE

  • STRUCT & INT

  • ATP1B1
TISSUE PRIMARY DATA HEART MUSCLE Show tissue menu
ADIPOSE TISSUE ADRENAL GLAND AMYGDALA APPENDIX BASAL GANGLIA BONE MARROW BREAST BRONCHUS CEREBELLUM CEREBRAL CORTEX CERVIX CHOROID PLEXUS COLON DUODENUM
ENDOMETRIUM EPIDIDYMIS ESOPHAGUS FALLOPIAN TUBE GALLBLADDER HEART MUSCLE HIPPOCAMPAL FORMATION HYPOTHALAMUS KIDNEY LIVER LUNG LYMPH NODE MIDBRAIN NASOPHARYNX
ORAL MUCOSA OVARY PANCREAS PARATHYROID GLAND PITUITARY GLAND PLACENTA PROSTATE RECTUM RETINA SALIVARY GLAND SEMINAL VESICLE SKELETAL MUSCLE SKIN SMALL INTESTINE
SMOOTH MUSCLE SOFT TISSUE SPINAL CORD SPLEEN STOMACH TESTIS THYMUS THYROID GLAND TONGUE TONSIL URINARY BLADDER VAGINA
ANTIBODIES
AND
VALIDATION
Dictionary
Heart muscle
Tissue proteome
Heart
HEART MUSCLE - Expression summary
Protein expression
Heart musclei

On the top, protein expression in current human tissue, based on all annotated cell types, is reported with the units not detected (n), low (l), medium (m) and high (h). Underneath, protein expression in each annotated cell type are reported using the same units.

Protein expression data is based on knowledge-based annotation. For genes where more than one antibody has been used, a collective score is set.

If knowledge-based annotation could not be performed for a gene, no data is displayed here. View antibody staining data further down this page.

h
m
l
n
Cardiomyocytes: Medium
RNA expressioni

A summary of mRNA expression data available for current tissue based on several datasets. The mRNA expression levels in human tissues are based on RNA-seq data generated by the Human Protein Atlas (HPA), Genotype-Tissue Expression (GTEx) portal and CAGE data generated by the FANTOM5 consortium. Consensus normalized expression levels for human tissues was created by combining the data from HPA and GTEx datasets.

The mRNA expression levels in pig are based on RNA-seq data generated by the Human Protein Atlas (HPA), and for mouse, HPA data and in situ hybridization generated by the Allen brain atlas are reported.

Scroll down to view mRNA expression data in more detail.
Consensus:165.8 nTPM
HPA:165.8 nTPM
GTEx:155.2 nTPM
FANTOM5:983.7 Scaled Tags Per Million

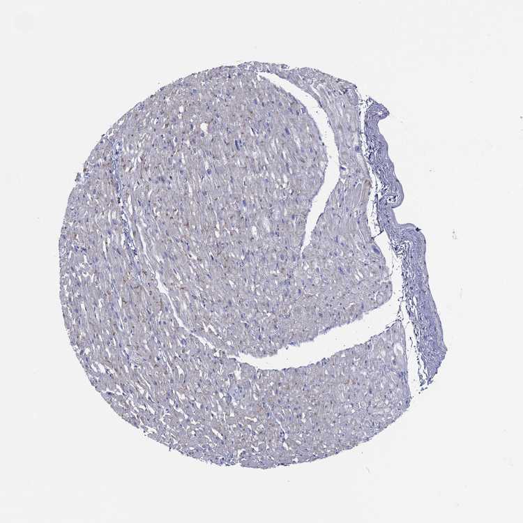
HEART MUSCLE - Antibody stainingi

Antibody staining in the annotated cell types in the current human tissue is reported as not detected, low, medium, or high, based on conventional immunohistochemistry profiling in selected tissues. This score is based on the combination of the staining intensity and fraction of stained cells.

Each image is clickable and will lead to virtual microscopy that enables deeper exploration of all samples and also displays staining intensity scores, fraction scores and subcellular localization as well as patient and tissue information for each sample.

Antibody HPA012911
Cardiomyocytes Medium



HEART MUSCLE - HPA RNA-seqi

The RNA-seq details section shows detailed information about the individual samples used for the transcript profiling and results of the RNA-seq analysis.

Information about each individual sample is listed below, including gender, age, a tissue section image and estimated fractions of cell types. nTPM (normalized transcripts per million) values give a quantification of the gene abundance which is comparable between different genes and samples.
Average nTPMi

Max subtype nTPM is the value for the subtype with the largest average nTPM across the subtype samples.

165.8
overview
Female, age 48
Heart muscle sample 149
nTPM: 170.9
Cell types%
Myocytes:
15

Fibroblasts:
55

Endothelial cells:
25

Other cell types:
5

overview
Female, age 42
Heart muscle sample 150
nTPM: 172.9
Cell types%
Myocytes:
20

Fibroblasts:
45

Endothelial cells:
30

Other cell types:
5

overview
Male, age 53
Heart muscle sample 151
nTPM: 144.1
Cell types%
Myocytes:
20

Fibroblasts:
45

Endothelial cells:
30

Other cell types:
5

overview
Female, age 69
Heart muscle sample 152
nTPM: 175.4
Cell types%
Myocytes:
20

Fibroblasts:
45

Endothelial cells:
30

Other cell types:
5


HEART MUSCLE - GTEx RNA-seqi

RNA-Seq data generated by the Genotype-Tissue Expression (GTEx) project from human tissues is reported as mean nTPM. More information can be found on the GTEx portal.

Distribution across the dataset is visualized with box plots, shown as median and 25th and 75th percentiles. Points are displayed as outliers if they are above or below 1.5 times the interquartile range. nTPM values of the individual samples are presented next to the box plot.
Max subtype nTPMi

Max subtype nTPM is the value for the subtype with the largest average nTPM across the subtype samples.

155.2
GTEx sample id Sample description nTPM
Heart - Atrial Appendage
Average nTPM: 84.6
Samples: 429

Max nTPM: 256.3
Min nTPM: 16.9
Std nTPM: 36.8
Median nTPM: 78.7
GTEX-1GF9U-0526-SM-7P8SK 40-49 years, female 256.3
GTEX-14XAO-0926-SM-69LPZ 60-69 years, female 233.3
GTEX-YB5K-0226-SM-5IFJE 40-49 years, female 209.5
GTEX-WEY5-0226-SM-3GIKN 40-49 years, female 189.6
GTEX-WFG7-0826-SM-3GIKU 20-29 years, male 187.7
GTEX-1GL5R-0426-SM-9WPOP 50-59 years, male 174.2
GTEX-WFON-0226-SM-3GIKR 40-49 years, male 172.5
GTEX-ZV7C-0526-SM-9WPNK 50-59 years, male 171.9
GTEX-11TT1-1426-SM-5EGIA 20-29 years, male 171.5
GTEX-145MN-0726-SM-5NQBH 30-39 years, male 170.4
GTEX-1399S-0826-SM-5KM23 30-39 years, female 166.0
GTEX-132QS-0526-SM-5IJC7 60-69 years, male 163.1
GTEX-16XZY-0526-SM-7DHKY 70-79 years, male 162.6
GTEX-YEC3-0426-SM-CYPS8 50-59 years, male 159.9
GTEX-14PJ4-0926-SM-5YY98 60-69 years, male 159.8
GTEX-YF7O-0526-SM-5P9IO 50-59 years, male 159.0
GTEX-1JK1U-0626-SM-CKZOJ 60-69 years, male 158.3
GTEX-13YAN-1426-SM-7EPG8 60-69 years, male 156.8
GTEX-1LGOU-0326-SM-D3LAM 20-29 years, female 156.8
GTEX-YEC4-0226-SM-4W1YG 40-49 years, male 154.7
GTEX-14PJO-0826-SM-6ETZK 60-69 years, male 147.5
GTEX-ZYFG-0526-SM-5GZXX 60-69 years, female 146.8
GTEX-1GMR2-1326-SM-9KNUT 50-59 years, male 145.2
GTEX-1MCC2-0226-SM-EVYD5 30-39 years, female 144.4
GTEX-1211K-0226-SM-59HJY 60-69 years, female 143.9
GTEX-132AR-1926-SM-5EGK5 50-59 years, female 143.6
GTEX-1IKOE-0626-SM-A9G31 30-39 years, female 141.3
GTEX-1L5NE-0526-SM-DIPG5 50-59 years, male 140.9
GTEX-1122O-0626-SM-5N9B9 60-69 years, female 140.7
GTEX-ZT9W-0526-SM-57WFG 50-59 years, male 139.0
GTEX-111YS-0326-SM-5GZZ3 60-69 years, male 138.4
GTEX-1ICG6-0726-SM-B2LY5 70-79 years, female 137.1
GTEX-VUSG-0726-SM-3GIK1 50-59 years, male 136.4
GTEX-1339X-0326-SM-5K7Z8 40-49 years, male 135.2
GTEX-WH7G-0326-SM-3NMBH 40-49 years, male 135.1
GTEX-1GN73-2326-SM-9MQKV 60-69 years, male 134.4
GTEX-1HSMQ-0426-SM-ADEIM 50-59 years, male 133.7
GTEX-131XG-0526-SM-5DUWF 50-59 years, female 133.4
GTEX-11ZTT-0526-SM-5EQLA 60-69 years, female 133.0
GTEX-13O1R-0926-SM-5L3DS 60-69 years, male 132.5
GTEX-ZYFD-2026-SM-5E459 50-59 years, male 132.1
GTEX-18D9U-1426-SM-718BO 40-49 years, male 131.8
GTEX-1B8KE-0326-SM-73KTY 50-59 years, male 131.2
GTEX-11DXX-0526-SM-5PNVR 60-69 years, female 130.6
GTEX-XGQ4-0526-SM-4AT6C 50-59 years, male 130.1
GTEX-13FH7-0826-SM-5J2NW 50-59 years, female 130.0
GTEX-1NHNU-0626-SM-E6CP1 50-59 years, male 129.9
GTEX-1F75I-1326-SM-7PBZX 40-49 years, male 129.3
GTEX-13OVI-0326-SM-5K7X1 60-69 years, female 129.1
GTEX-1B97J-0326-SM-7939H 50-59 years, female 127.7
GTEX-1AX9K-0426-SM-73KUG 50-59 years, male 127.6
GTEX-ZPCL-0526-SM-DO91R 60-69 years, female 127.6
GTEX-XYKS-0226-SM-4BRW3 60-69 years, female 127.3
GTEX-ZDTT-0326-SM-4WKF9 60-69 years, male 127.0
GTEX-1R9JW-0426-SM-E76QL 30-39 years, female 126.8
GTEX-14PN3-0726-SM-6EU14 60-69 years, female 125.8
GTEX-1HBPN-0926-SM-CGQEG 50-59 years, male 125.8
GTEX-14PN4-0826-SM-69LON 50-59 years, male 125.7
GTEX-1KXAM-1426-SM-D3LAC 60-69 years, male 125.7
GTEX-14PK6-0726-SM-6LLIX 70-79 years, female 125.6
GTEX-13W3W-0526-SM-5LU3X 60-69 years, female 124.3
GTEX-1CB4J-0226-SM-7P8T4 60-69 years, male 124.1
GTEX-12WSN-0226-SM-5DUXH 40-49 years, male 123.1
GTEX-11UD2-0926-SM-5CVL6 50-59 years, male 122.9
GTEX-117YX-0626-SM-5EGJI 50-59 years, male 122.4
GTEX-XLM4-2026-SM-4AT4X 60-69 years, male 122.2
GTEX-13PL7-0726-SM-5KM1S 60-69 years, female 121.9
GTEX-1J8QM-0326-SM-CL53D 60-69 years, female 121.9
GTEX-15EU6-1326-SM-6PANG 50-59 years, male 121.8
GTEX-1LGRB-1026-SM-CNPQD 50-59 years, female 121.6
GTEX-U8XE-0926-SM-3DB8V 30-39 years, male 120.8
GTEX-1445S-1226-SM-5O9BF 60-69 years, male 119.2
GTEX-13PVR-0926-SM-5S2RB 60-69 years, female 119.1
GTEX-1AX9J-0926-SM-73KXA 60-69 years, male 118.8
GTEX-ZG7Y-1426-SM-4WWBM 50-59 years, male 118.8
GTEX-14E1K-0826-SM-5ZZW9 50-59 years, male 118.7
GTEX-ZVT2-0926-SM-5GICE 50-59 years, female 118.6
GTEX-ZDYS-0326-SM-5HL4W 50-59 years, male 118.5
GTEX-ZTPG-1326-SM-51MSQ 20-29 years, female 117.7
GTEX-ZTTD-0626-SM-4YCCY 50-59 years, male 116.4
GTEX-1MJIX-0426-SM-DTXEN 40-49 years, male 116.4
GTEX-1IDJD-0226-SM-CKZOA 30-39 years, male 116.0
GTEX-X5EB-0626-SM-46MVQ 40-49 years, male 115.9
GTEX-12WSG-1226-SM-5EQ4C 50-59 years, female 115.5
GTEX-WY7C-1126-SM-3NB3A 50-59 years, male 115.5
GTEX-1J8Q2-1026-SM-ARU8I 60-69 years, male 115.3
GTEX-11LCK-0826-SM-5PNYD 30-39 years, male 115.1
GTEX-WFG8-0726-SM-3GILP 20-29 years, male 114.8
GTEX-12WSK-0526-SM-5CVNA 40-49 years, female 114.7
GTEX-17F96-0826-SM-7DHLU 70-79 years, male 114.7
GTEX-1IDJF-0826-SM-ARU7N 20-29 years, male 114.6
GTEX-1B996-1026-SM-793CF 60-69 years, male 114.2
GTEX-XQ8I-0226-SM-4BOPM 50-59 years, male 114.0
GTEX-X3Y1-0226-SM-3P5Z5 40-49 years, male 113.7
GTEX-ZZPU-1126-SM-5N9CW 50-59 years, female 113.1
GTEX-1GMR8-1026-SM-9MQLA 50-59 years, female 112.8
GTEX-1GN1W-0226-SM-7P8QY 50-59 years, female 112.8
GTEX-132NY-1426-SM-5J1MJ 60-69 years, male 112.7
GTEX-13N1W-0926-SM-5MR36 70-79 years, male 112.7
GTEX-1K2DU-0226-SM-DIPF6 20-29 years, male 112.0
GTEX-14E6C-0326-SM-5Q5EE 40-49 years, male 111.6
GTEX-1QCLZ-1126-SM-EWRNB 60-69 years, female 111.6
GTEX-1399U-0726-SM-5KM1D 50-59 years, female 111.4
GTEX-14H4A-0426-SM-5ZZWO 40-49 years, female 110.7
GTEX-15UF7-1526-SM-6LPI7 40-49 years, male 110.7
GTEX-1IDJU-0626-SM-CKZOG 60-69 years, female 110.6
GTEX-XV7Q-0726-SM-4BRV6 40-49 years, female 110.5
GTEX-139YR-0526-SM-5L3DG 50-59 years, male 110.3
GTEX-Y114-0126-SM-4TT8K 50-59 years, female 110.3
GTEX-1QPFJ-0926-SM-EVR3K 30-39 years, female 109.7
GTEX-ZEX8-0326-SM-DO92C 50-59 years, male 109.7
GTEX-13O61-0426-SM-5L3ET 60-69 years, male 109.6
GTEX-14C5O-1226-SM-664N3 60-69 years, male 108.5
GTEX-1C64O-0926-SM-79OLN 60-69 years, male 108.4
GTEX-13FTW-0826-SM-5K7XR 40-49 years, male 107.9
GTEX-XPVG-0726-SM-4B658 50-59 years, male 107.3
GTEX-12BJ1-0326-SM-5FQUB 60-69 years, male 106.9
GTEX-WWYW-1126-SM-3NB2Q 50-59 years, female 106.6
GTEX-XBEC-1226-SM-4AT65 50-59 years, male 106.4
GTEX-14ASI-0826-SM-5Q5EB 60-69 years, male 106.1
GTEX-1JMQL-1026-SM-CMKGV 50-59 years, female 106.1
GTEX-Y3IK-1026-SM-51MR7 50-59 years, female 105.7
GTEX-16MT8-0826-SM-7KULO 60-69 years, female 105.6
GTEX-18D9B-1126-SM-7KFSH 60-69 years, male 105.1
GTEX-ZGAY-0226-SM-4WWAL 40-49 years, female 105.1
GTEX-Y3I4-0526-SM-4TT6X 50-59 years, male 104.9
GTEX-1KANC-0226-SM-E9TIW 50-59 years, female 104.4
GTEX-13S86-0326-SM-5SI6K 40-49 years, male 104.2
GTEX-1LSNM-0426-SM-E9TIZ 50-59 years, male 104.2
GTEX-W5X1-0826-SM-3GILN 40-49 years, female 103.8
GTEX-1OFPY-0926-SM-DTX8Q 60-69 years, male 103.8
GTEX-15ER7-0826-SM-6PALW 20-29 years, female 102.5
GTEX-ZYVF-1826-SM-5E44F 50-59 years, female 102.4
GTEX-V955-0826-SM-CYPR5 60-69 years, male 100.7
GTEX-1AYCT-0526-SM-7RHHS 50-59 years, male 100.4
GTEX-145LS-1326-SM-5Q5EP 60-69 years, female 99.8
GTEX-1HFI7-0526-SM-A9SMA 50-59 years, female 99.4
GTEX-1HSGN-0926-SM-CNNQM 40-49 years, female 99.2
GTEX-144GL-1026-SM-5O99R 50-59 years, male 99.1
GTEX-ZF29-0426-SM-4WKFN 60-69 years, female 99.0
GTEX-1R7EV-0426-SM-DTX7Z 40-49 years, male 98.9
GTEX-1IKK5-1726-SM-CM2RU 60-69 years, male 98.4
GTEX-15SHV-0526-SM-7KUEN 60-69 years, male 98.3
GTEX-WHWD-0326-SM-3LK6L 50-59 years, male 98.3
GTEX-146FR-0926-SM-5QGPE 60-69 years, female 97.3
GTEX-XXEK-2026-SM-4BRVE 50-59 years, male 97.1
GTEX-17JCI-0826-SM-7LT8W 60-69 years, female 96.9
GTEX-ZLFU-0326-SM-4WWBK 40-49 years, male 96.9
GTEX-1CAMS-1126-SM-7MXUQ 40-49 years, female 96.9
GTEX-11EM3-0426-SM-5N9BZ 20-29 years, female 96.7
GTEX-18A66-1126-SM-731C5 60-69 years, male 96.7
GTEX-ZAB5-0126-SM-5CVMT 50-59 years, male 96.7
GTEX-13NZB-0426-SM-5KM26 30-39 years, male 96.6
GTEX-17F9E-0726-SM-793A1 50-59 years, male 96.1
GTEX-1A3MX-1226-SM-731B3 60-69 years, male 95.9
GTEX-13PVQ-1326-SM-5LU4J 50-59 years, male 95.7
GTEX-13JVG-1126-SM-5KM2M 60-69 years, male 95.4
GTEX-X4EP-0326-SM-3P5Z6 60-69 years, female 94.9
GTEX-146FH-1126-SM-5NQAT 50-59 years, female 94.7
GTEX-XPT6-0226-SM-4B65L 20-29 years, male 94.3
GTEX-1I1GP-0626-SM-ARL7H 50-59 years, male 94.2
GTEX-1HCUA-0626-SM-ACKVT 50-59 years, female 94.0
GTEX-15CHC-0326-SM-5ZZVP 60-69 years, female 93.9
GTEX-1QP29-1426-SM-DTX9Q 50-59 years, male 93.8
GTEX-1LVAN-1526-SM-CNPQN 50-59 years, female 93.6
GTEX-145LV-0226-SM-5S2QG 50-59 years, male 93.0
GTEX-131YS-0826-SM-5PNYV 60-69 years, female 92.9
GTEX-1HBPH-0226-SM-9WYSM 40-49 years, female 92.7
GTEX-12696-1226-SM-5FQSM 60-69 years, male 92.6
GTEX-13O3P-1426-SM-5L3DT 50-59 years, male 92.5
GTEX-13OW7-1626-SM-5IJDH 50-59 years, male 92.1
GTEX-14BMV-1026-SM-5SI6B 50-59 years, male 91.5
GTEX-ZDTS-1226-SM-4WKGL 60-69 years, male 91.5
GTEX-1CB4E-0626-SM-7DHMW 60-69 years, male 91.1
GTEX-13X6K-1726-SM-7IGLG 60-69 years, female 90.9
GTEX-1H11D-1026-SM-9QEIU 40-49 years, male 89.8
GTEX-17KNJ-0626-SM-7LT9L 50-59 years, male 89.5
GTEX-18A67-1026-SM-731CE 50-59 years, male 89.1
GTEX-1GMR3-0426-SM-7PC17 40-49 years, male 89.1
GTEX-1399R-1726-SM-5K7YJ 30-39 years, male 88.7
GTEX-13FHO-1226-SM-5L3EF 60-69 years, male 88.4
GTEX-1IDJH-1126-SM-COH3R 70-79 years, male 88.4
GTEX-ZF2S-0826-SM-4WWBI 50-59 years, female 88.1
GTEX-1J1OQ-2226-SM-A96SS 40-49 years, female 87.8
GTEX-13N11-0726-SM-5L3DP 50-59 years, female 87.3
GTEX-16NPX-0826-SM-6M489 50-59 years, male 87.2
GTEX-ZVT3-0826-SM-5GIC8 60-69 years, female 87.1
GTEX-1IL2U-1226-SM-CL53P 60-69 years, male 86.6
GTEX-131XF-0426-SM-5HL7U 60-69 years, male 86.4
GTEX-WHSE-0826-SM-4SOJU 20-29 years, male 86.3
GTEX-1JMLX-1826-SM-CNPOX 50-59 years, male 86.2
GTEX-14BIM-2726-SM-5Q5EG 60-69 years, female 86.0
GTEX-15RIE-1326-SM-6PAMM 60-69 years, male 85.7
GTEX-15SKB-0926-SM-7KUFC 60-69 years, male 85.7
GTEX-ZPU1-0726-SM-5HL6O 40-49 years, male 85.6
GTEX-1EH9U-0626-SM-7PC33 60-69 years, male 84.8
GTEX-ZZPT-0926-SM-5GICZ 50-59 years, male 84.7
GTEX-148VJ-1426-SM-5TDE3 70-79 years, male 84.3
GTEX-11P81-0526-SM-59873 30-39 years, female 83.5
GTEX-WZTO-1226-SM-3NMAZ 40-49 years, male 83.0
GTEX-1JMQK-0926-SM-ARL96 60-69 years, male 83.0
GTEX-XQ3S-0526-SM-4BOQA 20-29 years, male 82.5
GTEX-13O21-0326-SM-5J1N9 50-59 years, male 82.2
GTEX-13PDP-1326-SM-5K7U9 60-69 years, male 82.0
GTEX-1GF9V-1726-SM-9KNW4 60-69 years, male 82.0
GTEX-11NV4-0826-SM-5BC4S 60-69 years, male 81.7
GTEX-1KANB-1126-SM-DHXJT 50-59 years, male 80.8
GTEX-13VXT-0726-SM-5SIAD 20-29 years, female 80.4
GTEX-14PHY-0326-SM-62LE3 60-69 years, female 80.4
GTEX-15SDE-1826-SM-7KUFN 50-59 years, female 80.4
GTEX-14PJ6-0626-SM-686Z6 60-69 years, female 80.2
GTEX-13NYS-1926-SM-5IJCB 60-69 years, male 80.1
GTEX-WHPG-1026-SM-3NMBA 50-59 years, male 79.1
GTEX-1IY9M-0626-SM-D4P2L 60-69 years, male 78.9
GTEX-ZPIC-0426-SM-DO91V 40-49 years, female 78.7
GTEX-1BAJH-1026-SM-7EWEG 70-79 years, male 78.3
GTEX-17GQL-0626-SM-731CN 60-69 years, male 77.7
GTEX-XOT4-1126-SM-4B66E 60-69 years, female 77.5
GTEX-13OVG-0426-SM-5KM2T 60-69 years, male 76.9
GTEX-14PHX-0626-SM-5YY8Z 50-59 years, male 76.8
GTEX-1313W-1126-SM-5EQ5U 50-59 years, female 76.7
GTEX-1E2YA-0626-SM-7P8P4 50-59 years, male 76.0
GTEX-13CF2-0226-SM-5L3DV 60-69 years, male 75.9
GTEX-1H3NZ-1026-SM-A9SM5 60-69 years, male 75.5
GTEX-1477Z-1126-SM-5P9GK 60-69 years, male 74.7
GTEX-12WSE-0926-SM-5S2VX 20-29 years, male 74.4
GTEX-183WM-0926-SM-718AN 70-79 years, female 74.1
GTEX-1GN1U-1426-SM-7P8TF 50-59 years, female 73.8
GTEX-11GSP-1226-SM-5985M 60-69 years, female 73.5
GTEX-1RLM8-0226-SM-E6CJY 50-59 years, male 73.5
GTEX-14JG1-0826-SM-5ZZWR 40-49 years, male 73.4
GTEX-1J8Q3-1126-SM-ARU8N 60-69 years, male 73.4
GTEX-15CHR-0326-SM-7DHN3 50-59 years, male 73.3
GTEX-16XZZ-1026-SM-7DHKS 60-69 years, male 73.3
GTEX-WL46-0726-SM-3LK5Z 50-59 years, male 72.5
GTEX-1A32A-1326-SM-73KWW 50-59 years, female 72.3
GTEX-1QMI2-1026-SM-DTX7T 60-69 years, male 72.1
GTEX-1I1CD-1326-SM-A9SMM 60-69 years, female 71.8
GTEX-1E1VI-1426-SM-793CY 50-59 years, male 71.7
GTEX-1JJ6O-2226-SM-AHZ3I 60-69 years, male 71.7
GTEX-12WSD-1226-SM-5HL9Q 60-69 years, female 71.5
GTEX-ZAB4-0926-SM-5CVN4 40-49 years, male 71.2
GTEX-1C2JI-0626-SM-7DHM1 50-59 years, male 71.1
GTEX-14C38-1326-SM-62LDK 50-59 years, male 70.8
GTEX-1P4AB-0926-SM-E76PV 50-59 years, male 70.8
GTEX-11ONC-1026-SM-5GU64 60-69 years, male 70.5
GTEX-14PII-1026-SM-5ZZVW 60-69 years, male 70.5
GTEX-11DXZ-0326-SM-5EGH1 50-59 years, male 70.2
GTEX-13RTJ-0526-SM-62LDP 60-69 years, male 70.0
GTEX-1HBPM-1026-SM-ARL9D 60-69 years, female 70.0
GTEX-13SLX-0926-SM-5S2NM 50-59 years, female 69.7
GTEX-12ZZY-1226-SM-5GCNK 60-69 years, male 69.4
GTEX-1399T-0726-SM-5J1MH 60-69 years, male 69.4
GTEX-147JS-1326-SM-5SI6D 60-69 years, male 69.3
GTEX-1GZ4I-0826-SM-9WG6O 50-59 years, male 69.1
GTEX-13OW6-0926-SM-5L3GM 50-59 years, male 68.7
GTEX-14DAQ-1026-SM-793B1 60-69 years, female 68.7
GTEX-ZYFC-1026-SM-5GZX9 50-59 years, male 68.5
GTEX-12WSC-1026-SM-5EQ5Y 50-59 years, male 68.4
GTEX-1GTWX-0926-SM-9MQKM 60-69 years, male 68.0
GTEX-ZYT6-0926-SM-5GIEM 30-39 years, male 67.5
GTEX-15SHU-0926-SM-6PAMK 40-49 years, female 67.2
GTEX-Y5V5-0726-SM-4VBPY 60-69 years, female 67.2
GTEX-16YQH-0726-SM-7IGM1 30-39 years, male 67.1
GTEX-12ZZX-0726-SM-5EGKA 40-49 years, female 66.8
GTEX-1F75A-1026-SM-7PC3W 50-59 years, male 66.5
GTEX-13QBU-0226-SM-5LU48 40-49 years, female 66.2
GTEX-1AX8Z-1126-SM-731CS 60-69 years, male 66.1
GTEX-1LH75-0526-SM-DIPG2 50-59 years, female 65.7
GTEX-X62O-0826-SM-46MW8 50-59 years, male 65.6
GTEX-14PJ2-1126-SM-69LOD 50-59 years, male 65.5
GTEX-132Q8-1126-SM-5K7XS 60-69 years, male 65.3
GTEX-ZAJG-0926-SM-5Q5AB 50-59 years, female 65.1
GTEX-1HCVE-0826-SM-CM2SF 50-59 years, male 65.1
GTEX-13NZ9-0126-SM-5K7XV 50-59 years, male 65.0
GTEX-1LG7Y-1426-SM-D4P31 50-59 years, male 64.7
GTEX-1LVAO-0626-SM-EWRNT 60-69 years, male 64.7
GTEX-1CAMQ-0726-SM-7P8SG 40-49 years, male 64.6
GTEX-1I1HK-0626-SM-CNPQM 60-69 years, male 64.4
GTEX-WQUQ-1326-SM-3MJFF 60-69 years, male 64.3
GTEX-Z93S-0326-SM-5HL84 50-59 years, male 64.1
GTEX-ZAK1-1126-SM-5PNXU 50-59 years, female 63.9
GTEX-11EMC-0826-SM-59862 60-69 years, female 63.5
GTEX-1NSGN-1226-SM-E76OL 50-59 years, male 63.4
GTEX-11DXY-1026-SM-5987V 60-69 years, male 63.3
GTEX-YFC4-0426-SM-4TT3J 40-49 years, female 63.0
GTEX-147F4-1126-SM-5TDDE 50-59 years, male 62.8
GTEX-15DCE-0826-SM-7KULW 20-29 years, male 62.8
GTEX-ZF3C-1126-SM-57WEG 50-59 years, female 62.8
GTEX-1PPGY-0926-SM-DTXFF 60-69 years, male 62.8
GTEX-1192W-0226-SM-5EGGT 60-69 years, male 62.6
GTEX-13X6J-1226-SM-79OMF 50-59 years, male 62.5
GTEX-1I19N-0626-SM-A9SKY 70-79 years, male 62.5
GTEX-1GZ2Q-0926-SM-7RHHN 40-49 years, male 62.4
GTEX-139TU-1926-SM-5J2OC 60-69 years, male 62.2
GTEX-14A6H-0326-SM-5NQAN 30-39 years, male 62.2
GTEX-Y8E4-0426-SM-4V6GB 40-49 years, male 61.9
GTEX-11TUW-1126-SM-5EQKJ 60-69 years, male 61.4
GTEX-111FC-0626-SM-5N9CU 60-69 years, male 61.2
GTEX-11WQK-0226-SM-5EQLI 50-59 years, male 61.2
GTEX-X8HC-1026-SM-46MWH 50-59 years, female 61.2
GTEX-117XS-0726-SM-5H131 60-69 years, male 61.1
GTEX-18A7A-1226-SM-7LTAJ 50-59 years, female 61.1
GTEX-1192X-0726-SM-5987R 50-59 years, male 60.8
GTEX-1212Z-0726-SM-5EGI5 60-69 years, male 60.8
GTEX-1CB4I-1526-SM-7DHMY 50-59 years, male 60.8
GTEX-UPK5-0226-SM-3GAEV 40-49 years, male 60.5
GTEX-1I1GQ-1226-SM-CL55J 50-59 years, male 60.5
GTEX-1GN2E-1426-SM-7RHHI 60-69 years, male 60.4
GTEX-13D11-1526-SM-5J2NA 50-59 years, female 60.2
GTEX-1CB4H-0626-SM-7IGN3 60-69 years, female 60.1
GTEX-11O72-1026-SM-5986B 40-49 years, male 60.0
GTEX-1AX9I-1026-SM-73KYF 60-69 years, male 59.9
GTEX-17MF6-0926-SM-7LTAL 40-49 years, male 59.8
GTEX-1A8G6-1826-SM-73KY8 60-69 years, male 59.4
GTEX-1LB8K-0926-SM-D4P42 50-59 years, male 58.3
GTEX-131XE-0526-SM-5K7YT 50-59 years, male 58.2
GTEX-17HGU-1126-SM-793BP 50-59 years, male 58.1
GTEX-ZE7O-0626-SM-57WCD 50-59 years, female 56.7
GTEX-1A8FM-1026-SM-7PC26 50-59 years, female 56.6
GTEX-11ZUS-0326-SM-5EQ4W 30-39 years, male 56.5
GTEX-15CHQ-1326-SM-6871Z 60-69 years, male 56.5
GTEX-YJ8O-0826-SM-5CVM3 40-49 years, female 56.5
GTEX-14A5I-1026-SM-5Q5E3 50-59 years, female 56.4
GTEX-1I1GR-1026-SM-A9SLC 60-69 years, male 56.0
GTEX-1JJEA-0926-SM-CYPSO 60-69 years, male 56.0
GTEX-WYJK-1126-SM-3NM9Z 50-59 years, male 55.9
GTEX-17F9Y-1226-SM-7EPGE 70-79 years, female 55.8
GTEX-1H3VY-1126-SM-A96TP 50-59 years, male 55.4
GTEX-1C6VQ-0826-SM-7PBZT 50-59 years, male 55.3
GTEX-1HCU7-1226-SM-B2LX8 50-59 years, male 55.1
GTEX-1B8SG-0726-SM-79ONS 50-59 years, male 55.0
GTEX-1KD5A-0926-SM-D4P3U 50-59 years, male 54.6
GTEX-13U4I-0626-SM-5LU5L 40-49 years, female 54.3
GTEX-14BIL-0926-SM-7DHKN 50-59 years, male 54.0
GTEX-1J8EW-0626-SM-CM2TY 60-69 years, female 53.7
GTEX-1HFI6-0826-SM-9YFM2 40-49 years, male 53.5
GTEX-1F88F-0326-SM-9KNV3 60-69 years, female 53.4
GTEX-111VG-0326-SM-5GZX7 60-69 years, male 53.2
GTEX-1HT8W-1326-SM-CGQEN 30-39 years, male 53.2
GTEX-1CB4G-0726-SM-79OOJ 60-69 years, male 52.8
GTEX-V1D1-0626-SM-4JBHN 50-59 years, male 52.7
GTEX-1QEPI-1126-SM-E8VN7 60-69 years, female 52.2
GTEX-UTHO-1226-SM-3GAEE 60-69 years, male 51.9
GTEX-1HSMO-1126-SM-CGQF2 60-69 years, male 51.5
GTEX-13SLW-0826-SM-5QGP7 70-79 years, male 50.9
GTEX-12WSA-1126-SM-5EGKU 60-69 years, male 50.8
GTEX-VJWN-1026-SM-4M1ZN 50-59 years, female 50.6
GTEX-1HC8U-0626-SM-B2LWB 40-49 years, female 50.6
GTEX-1F48J-1126-SM-9WYSY 50-59 years, female 50.5
GTEX-1F75B-1126-SM-7RHGP 50-59 years, male 50.1
GTEX-11DYG-1026-SM-5A5JQ 60-69 years, male 50.0
GTEX-ZDXO-0426-SM-4WKF6 60-69 years, male 49.9
GTEX-1B932-1326-SM-79OM4 40-49 years, female 49.8
GTEX-1EX96-2626-SM-9MQJV 50-59 years, male 49.7
GTEX-13112-0526-SM-5EQ4S 50-59 years, male 49.5
GTEX-WK11-0626-SM-3NMAV 50-59 years, male 49.5
GTEX-X4XX-1126-SM-3NMBY 60-69 years, male 49.5
GTEX-1HSKV-0726-SM-ACKWE 60-69 years, male 49.1
GTEX-14C39-0726-SM-5RQIK 40-49 years, male 48.8
GTEX-18465-0726-SM-7LG4L 50-59 years, male 48.8
GTEX-18A6Q-1526-SM-731CO 60-69 years, male 48.8
GTEX-1H2FU-0826-SM-9WYSU 60-69 years, female 48.6
GTEX-13NZA-0826-SM-5K7WS 60-69 years, male 48.4
GTEX-1R9K4-1026-SM-EXUT1 60-69 years, male 48.4
GTEX-1C64N-0826-SM-7RHGQ 50-59 years, male 48.3
GTEX-1IKJJ-0626-SM-CY8GF 60-69 years, male 48.3
GTEX-14PJM-0826-SM-6LLIW 50-59 years, female 48.1
GTEX-13FHP-0826-SM-5K7V5 50-59 years, male 47.9
GTEX-1B933-0826-SM-79OMW 50-59 years, female 47.9
GTEX-1RB15-0426-SM-E9U4Y 60-69 years, male 47.4
GTEX-1B8L1-0426-SM-7SB76 60-69 years, male 46.8
GTEX-13OW5-0926-SM-5L3GZ 60-69 years, male 46.7
GTEX-11EQ8-1326-SM-5EGJQ 60-69 years, male 46.4
GTEX-1B8SF-1326-SM-7IGQJ 60-69 years, male 46.3
GTEX-1POEN-0726-SM-DTXDU 30-39 years, female 46.0
GTEX-13O3O-1426-SM-5KM2S 60-69 years, female 45.6
GTEX-1H1ZS-1026-SM-9WG6E 70-79 years, male 45.6
GTEX-1H1DG-0826-SM-9QEIW 70-79 years, male 45.5
GTEX-13NYB-0326-SM-5IJDP 40-49 years, male 45.3
GTEX-WI4N-0726-SM-3TW93 40-49 years, female 44.9
GTEX-ZUA1-0726-SM-4YCD9 40-49 years, male 44.7
GTEX-117YW-0426-SM-5GZZZ 50-59 years, male 44.3
GTEX-1HR98-1026-SM-CKZOM 60-69 years, male 43.3
GTEX-17EVP-0526-SM-7EPGY 40-49 years, male 43.2
GTEX-11GS4-0426-SM-5N9CD 60-69 years, male 43.0
GTEX-WYBS-1226-SM-3NM9N 60-69 years, female 42.4
GTEX-1EWIQ-1126-SM-7EPIK 70-79 years, female 42.3
GTEX-15RJE-0726-SM-7KUEG 40-49 years, male 42.0
GTEX-1H3O1-0226-SM-9WYSW 60-69 years, male 40.7
GTEX-1EU9M-1926-SM-7RHH4 60-69 years, male 40.1
GTEX-11NUK-0926-SM-5HL57 50-59 years, male 39.8
GTEX-13JUV-0226-SM-5IJCC 40-49 years, female 39.6
GTEX-1117F-0726-SM-5GIEN 60-69 years, female 39.5
GTEX-1EMGI-1126-SM-9KNUF 60-69 years, male 39.3
GTEX-1I1GV-1426-SM-B2LXN 60-69 years, male 38.7
GTEX-13FXS-1026-SM-62LFQ 50-59 years, male 37.4
GTEX-WOFL-1226-SM-4OOST 60-69 years, male 37.3
GTEX-1C6WA-0826-SM-7PBXS 60-69 years, male 37.1
GTEX-15D1Q-0426-SM-6AJ9G 40-49 years, male 35.6
GTEX-12WSI-0426-SM-5EQ5J 50-59 years, male 35.1
GTEX-1H1CY-0426-SM-9KNVD 60-69 years, female 35.0
GTEX-YECK-1226-SM-4W21G 60-69 years, male 34.9
GTEX-X261-0926-SM-3NMCY 50-59 years, male 34.5
GTEX-WRHU-1026-SM-4E3ID 50-59 years, female 34.4
GTEX-1GMRU-1326-SM-9WYUI 50-59 years, male 33.6
GTEX-1F6I4-0826-SM-7RHGK 60-69 years, male 33.2
GTEX-13PL6-0826-SM-5IJBI 40-49 years, female 33.1
GTEX-1HUB1-0726-SM-CGQF4 60-69 years, male 32.9
GTEX-1MJK2-1626-SM-EVYCQ 50-59 years, male 32.8
GTEX-14E7W-1126-SM-5ZZVS 70-79 years, male 32.7
GTEX-1M5QR-1626-SM-E9U5O 40-49 years, male 32.7
GTEX-ZVT4-1326-SM-5NQ8E 50-59 years, female 32.4
GTEX-13O3Q-0326-SM-5L3FE 50-59 years, male 31.9
GTEX-1IKOH-0926-SM-A9SLU 60-69 years, female 31.9
GTEX-ZVZQ-0726-SM-51MR3 60-69 years, female 31.8
GTEX-1QP6S-1026-SM-DTXFW 40-49 years, male 31.4
GTEX-14BIN-2126-SM-793AX 50-59 years, female 30.9
GTEX-1JN6P-0826-SM-ARL97 60-69 years, male 29.5
GTEX-13FTZ-0326-SM-5J1O1 60-69 years, male 29.2
GTEX-12584-1026-SM-59HK3 40-49 years, male 29.0
GTEX-16GPK-1226-SM-7LTAU 60-69 years, male 29.0
GTEX-ZXG5-0626-SM-5NQ85 60-69 years, male 25.6
GTEX-1JMOU-0326-SM-ARL8X 60-69 years, female 24.6
GTEX-1GN1V-1026-SM-CNPPS 60-69 years, male 20.3
GTEX-1IOXB-0726-SM-A9G32 50-59 years, male 19.8
GTEX-11ZVC-0526-SM-5N9G1 50-59 years, female 19.4
GTEX-1IL2V-1126-SM-CMKGH 70-79 years, male 18.4
GTEX-1LSNL-0626-SM-DIPFJ 50-59 years, male 16.9
Show allShow less
Heart - Left Ventricle
Average nTPM: 155.2
Samples: 432

Max nTPM: 420.3
Min nTPM: 5.9
Std nTPM: 85.3
Median nTPM: 151.0
GTEX-13CF3-0726-SM-5J2MY 60-69 years, female 420.3
GTEX-11TT1-1326-SM-5PNYM 20-29 years, male 390.3
GTEX-SUCS-0326-SM-32PLL 70-79 years, male 386.3
GTEX-YF7O-0426-SM-5P9FS 50-59 years, male 383.5
GTEX-WFG7-0726-SM-3GIKO 20-29 years, male 378.9
GTEX-1211K-0626-SM-5FQUZ 60-69 years, female 360.2
GTEX-11I78-0826-SM-5A5K4 50-59 years, female 345.9
GTEX-132QS-0426-SM-5KLZ6 60-69 years, male 332.7
GTEX-1LGRB-1126-SM-CNPP2 50-59 years, female 329.6
GTEX-S32W-0626-SM-2XCBG 50-59 years, female 328.1
GTEX-1GL5R-0326-SM-9WYTJ 50-59 years, male 324.6
GTEX-15RJ7-0226-SM-7KUMN 40-49 years, male 324.4
GTEX-14PN3-0526-SM-69LQF 60-69 years, female 313.5
GTEX-YB5K-0126-SM-5IFJ2 40-49 years, female 312.2
GTEX-SE5C-0626-SM-2XCDV 40-49 years, female 308.6
GTEX-1LSNM-0526-SM-DIPG6 50-59 years, male 302.3
GTEX-OHPL-0326-SM-33HC8 60-69 years, female 297.4
GTEX-WFON-0326-SM-3GIKX 40-49 years, male 297.4
GTEX-14XAO-1126-SM-6EU11 60-69 years, female 294.2
GTEX-1HSMQ-0226-SM-C1YQL 50-59 years, male 293.8
GTEX-ZV7C-0326-SM-57WB1 50-59 years, male 293.6
GTEX-QEG5-0926-SM-2TC64 20-29 years, male 291.9
GTEX-1QP2A-1126-SM-EVR3H 50-59 years, male 290.3
GTEX-P4PP-0326-SM-33HC4 30-39 years, female 288.3
GTEX-PWCY-0526-SM-5P9HG 20-29 years, female 286.7
GTEX-1LGOU-0726-SM-E9TIY 20-29 years, female 286.1
GTEX-OHPK-0326-SM-2HMJO 50-59 years, female 285.2
GTEX-14H4A-0626-SM-5ZZUT 40-49 years, female 283.0
GTEX-13O61-0526-SM-5J2M1 60-69 years, male 281.7
GTEX-12BJ1-0226-SM-5LUA2 60-69 years, male 276.8
GTEX-YEC4-0326-SM-4W216 40-49 years, male 276.8
GTEX-ZPIC-0826-SM-4WWFJ 40-49 years, female 276.8
GTEX-1JK1U-0526-SM-CYPSQ 60-69 years, male 276.3
GTEX-SNMC-0126-SM-2XCFO 20-29 years, male 276.0
GTEX-13PVR-1026-SM-5QGQW 60-69 years, female 274.6
GTEX-XGQ4-0326-SM-4GIEE 50-59 years, male 271.6
GTEX-11EM3-0626-SM-5H12Z 20-29 years, female 271.3
GTEX-12WSN-5001-SM-7DHMK 40-49 years, male 269.7
GTEX-1GN1W-0326-SM-9JGHF 50-59 years, female 268.1
GTEX-1J8QM-0426-SM-AHZ3X 60-69 years, female 267.2
GTEX-OIZH-0326-SM-2HMKC 50-59 years, male 266.6
GTEX-ZVZP-0226-SM-5NQ73 50-59 years, male 264.6
GTEX-WY7C-0526-SM-3NB3D 50-59 years, male 264.2
GTEX-XXEK-0926-SM-4BRWH 50-59 years, male 264.0
GTEX-P4PQ-0326-SM-2HMJ8 60-69 years, male 263.6
GTEX-R55C-0326-SM-3GAF1 40-49 years, male 263.0
GTEX-1MUQO-1226-SM-E9TJK 60-69 years, male 263.0
GTEX-1OKEX-0726-SM-DPRYE 60-69 years, male 262.3
GTEX-1KANC-0426-SM-CXZK5 50-59 years, female 261.2
GTEX-Q2AH-0526-SM-2I3ED 40-49 years, male 260.4
GTEX-13FH7-0926-SM-5J2MR 50-59 years, female 260.1
GTEX-1B97J-0726-SM-7RHG3 50-59 years, female 259.8
GTEX-1F75I-1126-SM-9WYUO 40-49 years, male 259.5
GTEX-YEC3-0726-SM-CMKFH 50-59 years, male 259.0
GTEX-18D9U-1126-SM-72D5Y 40-49 years, male 258.7
GTEX-145MN-0626-SM-5QGRH 30-39 years, male 257.4
GTEX-18A67-1226-SM-7KFRS 50-59 years, male 255.5
GTEX-OXRK-0826-SM-2HMK7 50-59 years, female 254.4
GTEX-Y3I4-0626-SM-4TT7A 50-59 years, male 254.1
GTEX-11LCK-0926-SM-5A5KA 30-39 years, male 252.5
GTEX-15EOM-5007-SM-793DG 20-29 years, female 252.2
GTEX-ZGAY-0326-SM-57WF5 40-49 years, female 250.4
GTEX-13FTW-1026-SM-5L3E3 40-49 years, male 250.0
GTEX-1HFI7-0826-SM-A9G23 50-59 years, female 249.9
GTEX-15CHC-0426-SM-6LLHI 60-69 years, female 248.7
GTEX-ZTPG-1226-SM-4YCDO 20-29 years, female 246.3
GTEX-1MCC2-0326-SM-EV7AK 30-39 years, female 244.8
GTEX-117YX-1126-SM-5H128 50-59 years, male 244.1
GTEX-RWS6-0326-SM-2XCAP 60-69 years, female 242.8
GTEX-Y114-0226-SM-4TT8W 50-59 years, female 242.5
GTEX-14PK6-0826-SM-5ZZVO 70-79 years, female 242.0
GTEX-1GMR2-1426-SM-7RHHK 50-59 years, male 241.9
GTEX-1CB4E-0526-SM-7MXTK 60-69 years, male 239.9
GTEX-1CB4J-0326-SM-7PBZO 60-69 years, male 238.9
GTEX-ZDTT-0726-SM-4WKFK 60-69 years, male 238.7
GTEX-17KNJ-0826-SM-793A4 50-59 years, male 238.5
GTEX-ZPCL-0426-SM-DNZZ4 60-69 years, female 237.8
GTEX-14C38-1426-SM-5RQHZ 50-59 years, male 237.4
GTEX-1IKOE-1026-SM-ARZMF 30-39 years, female 237.0
GTEX-1122O-0826-SM-5GICV 60-69 years, female 236.8
GTEX-PLZ5-0626-SM-2I5F8 50-59 years, male 236.7
GTEX-WEY5-0426-SM-3GIKT 40-49 years, female 236.0
GTEX-14E6C-0426-SM-5YYA8 40-49 years, male 235.2
GTEX-Y5V6-0826-SM-4VBRU 60-69 years, male 235.0
GTEX-O5YT-0326-SM-32PKA 20-29 years, male 233.6
GTEX-ZF29-0226-SM-4WKHO 60-69 years, female 233.6
GTEX-1I6K7-0626-SM-ARL7Q 40-49 years, male 233.6
GTEX-RUSQ-0526-SM-2TF72 50-59 years, male 232.9
GTEX-U4B1-0326-SM-3DB8K 40-49 years, male 232.5
GTEX-11DXX-0326-SM-5PNWC 60-69 years, female 232.2
GTEX-131XG-0626-SM-5GCMP 50-59 years, female 230.9
GTEX-13QBU-0426-SM-5J2O4 40-49 years, female 230.9
GTEX-1IDJU-0726-SM-CNPQ9 60-69 years, female 230.0
GTEX-U3ZH-0326-SM-3DB7A 30-39 years, male 228.9
GTEX-QDVN-0326-SM-2I3FS 50-59 years, male 228.0
GTEX-1399R-1926-SM-5K7X8 30-39 years, male 227.7
GTEX-1QCLZ-0926-SM-E6CQZ 60-69 years, female 227.7
GTEX-14PJ4-1126-SM-5YY91 60-69 years, male 227.4
GTEX-14PJ6-0726-SM-69LOL 60-69 years, female 226.2
GTEX-1RMOY-0626-SM-E9TIE 50-59 years, male 225.6
GTEX-1B996-1126-SM-73KWN 60-69 years, male 225.0
GTEX-1GF9U-0426-SM-7RHHA 40-49 years, female 224.0
GTEX-1KXAM-1326-SM-E9TJW 60-69 years, male 223.8
GTEX-ZYFG-0426-SM-5E43M 60-69 years, female 223.4
GTEX-1CB4I-1626-SM-7RHGV 50-59 years, male 222.8
GTEX-1R9JW-0526-SM-EWRNK 30-39 years, female 221.5
GTEX-15RIE-1726-SM-7KUMU 60-69 years, male 220.9
GTEX-12WSK-0626-SM-5LZUJ 40-49 years, female 220.5
GTEX-18D9B-1226-SM-72D6V 60-69 years, male 219.5
GTEX-1AX9J-1026-SM-72D6E 60-69 years, male 219.2
GTEX-111YS-0426-SM-5987O 60-69 years, male 219.1
GTEX-16XZY-0426-SM-793BI 70-79 years, male 218.3
GTEX-13VXT-1126-SM-5LU3A 20-29 years, female 217.5
GTEX-16BQI-0926-SM-6M485 30-39 years, female 216.0
GTEX-1399S-1026-SM-5KLZ9 30-39 years, female 215.4
GTEX-14PHY-0226-SM-5ZZWM 60-69 years, female 215.4
GTEX-13W3W-0426-SM-5SI9D 60-69 years, female 214.9
GTEX-ZLFU-0226-SM-4WWFH 40-49 years, male 214.5
GTEX-15CHR-0226-SM-7PC2Z 50-59 years, male 214.3
GTEX-139YR-0826-SM-5LZXY 50-59 years, male 213.9
GTEX-WHPG-0826-SM-3NMBF 50-59 years, male 213.7
GTEX-1339X-0426-SM-5KLZY 40-49 years, male 212.1
GTEX-1L5NE-0426-SM-E9TIX 50-59 years, male 211.7
GTEX-146FR-0626-SM-5RQJ1 60-69 years, female 210.5
GTEX-1AX9K-0526-SM-73KV1 50-59 years, male 210.4
GTEX-13PVQ-1226-SM-5IJDC 50-59 years, male 208.9
GTEX-UJHI-0426-SM-3DB8Y 50-59 years, female 206.6
GTEX-146FH-1026-SM-5RQIF 50-59 years, female 206.2
GTEX-1B8KE-0126-SM-793AM 50-59 years, male 206.1
GTEX-QMRM-0526-SM-2I5GA 50-59 years, male 205.8
GTEX-ZG7Y-0926-SM-5EQ6O 50-59 years, male 205.4
GTEX-1J8Q3-1226-SM-CKZPT 60-69 years, male 205.1
GTEX-1N2EF-2826-SM-E6CQF 60-69 years, male 204.5
GTEX-O5YV-0326-SM-2I5H2 60-69 years, female 204.1
GTEX-1QP29-1526-SM-EXUSY 50-59 years, male 202.7
GTEX-V955-0726-SM-3GAFG 60-69 years, male 202.5
GTEX-QESD-0526-SM-2I5G5 20-29 years, male 200.6
GTEX-1S3DN-0726-SM-E9TIO 50-59 years, male 200.6
GTEX-WH7G-0426-SM-3NMBJ 40-49 years, male 200.0
GTEX-UJMC-0526-SM-3GAE3 50-59 years, male 199.2
GTEX-13O21-2326-SM-5MR3X 50-59 years, male 199.0
GTEX-XBED-0526-SM-47JY3 60-69 years, male 198.8
GTEX-ZZPU-0926-SM-5GZYT 50-59 years, female 198.8
GTEX-OXRL-0326-SM-2I3F2 50-59 years, male 198.5
GTEX-U3ZN-1426-SM-3DB87 30-39 years, female 198.2
GTEX-ZDYS-0226-SM-5HL4K 50-59 years, male 197.6
GTEX-132AR-2026-SM-5IJG4 50-59 years, female 197.3
GTEX-1H11D-1226-SM-9WPQ2 40-49 years, male 197.3
GTEX-QLQ7-0526-SM-2I5G3 60-69 years, male 197.0
GTEX-1A3MX-1326-SM-72D58 60-69 years, male 196.7
GTEX-XPT6-0126-SM-4B65S 20-29 years, male 196.2
GTEX-1R7EV-0326-SM-E76PA 40-49 years, male 195.9
GTEX-P4QS-0326-SM-2I3EU 60-69 years, male 195.5
GTEX-ZVT2-1026-SM-5GU55 50-59 years, female 194.9
GTEX-13D11-1726-SM-5IFGQ 50-59 years, female 194.8
GTEX-12696-1126-SM-5FQTI 60-69 years, male 194.7
GTEX-1AX8Z-5007-SM-AHZ36 60-69 years, male 194.2
GTEX-1POEN-0626-SM-EVR4B 30-39 years, female 194.1
GTEX-1F5PK-0326-SM-9KNUD 50-59 years, male 192.6
GTEX-WQUQ-1426-SM-3MJFD 60-69 years, male 192.5
GTEX-1C2JI-0526-SM-7EWEQ 50-59 years, male 192.0
GTEX-OHPM-0326-SM-33HCA 50-59 years, male 191.8
GTEX-17GQL-0526-SM-72D5N 60-69 years, male 190.9
GTEX-XQ8I-0126-SM-4BOPL 50-59 years, male 190.2
GTEX-1LVAN-1726-SM-CNNR1 50-59 years, female 188.8
GTEX-1QPFJ-1026-SM-E6CR6 30-39 years, female 187.6
GTEX-R55G-0526-SM-2TC5O 40-49 years, female 187.3
GTEX-RWSA-0626-SM-2XCBD 40-49 years, male 186.3
GTEX-1HCUA-0526-SM-A9SMH 50-59 years, female 186.3
GTEX-1399U-0526-SM-5K7YM 50-59 years, female 186.1
GTEX-1JMQK-0626-SM-D4P2R 60-69 years, male 186.1
GTEX-XQ3S-0626-SM-4BOOB 20-29 years, male 185.7
GTEX-ZPU1-0626-SM-4YCDM 40-49 years, male 185.3
GTEX-Y3IK-0826-SM-51MT8 50-59 years, female 185.1
GTEX-1HBPM-1226-SM-A9SM8 60-69 years, female 184.0
GTEX-ZF2S-1026-SM-9QEGK 50-59 years, female 183.7
GTEX-131XF-5001-SM-7DHLY 60-69 years, male 183.1
GTEX-O5YW-0326-SM-2I5EI 50-59 years, male 182.5
GTEX-1IDJF-0726-SM-CJI1U 20-29 years, male 180.7
GTEX-13O3O-1526-SM-5KM1C 60-69 years, female 180.6
GTEX-1OFPY-1026-SM-EXUSO 60-69 years, male 179.5
GTEX-WHSE-0926-SM-3NMBS 20-29 years, male 178.2
GTEX-1ICG6-0626-SM-ACKWS 70-79 years, female 177.4
GTEX-1LH75-0426-SM-E9TJF 50-59 years, female 177.3
GTEX-QDVJ-0426-SM-2I5FW 50-59 years, male 177.1
GTEX-ZAB5-0226-SM-5CVMH 50-59 years, male 176.3
GTEX-WFG8-0626-SM-3GILJ 20-29 years, male 173.0
GTEX-R53T-0926-SM-3GADH 50-59 years, female 172.5
GTEX-PX3G-0326-SM-2I3EO 20-29 years, female 171.8
GTEX-U8XE-1126-SM-3DB8W 30-39 years, male 170.9
GTEX-1CAMS-1326-SM-79OJR 40-49 years, female 170.8
GTEX-OOBJ-0326-SM-33HBO 60-69 years, male 170.2
GTEX-1C64O-0826-SM-79OKZ 60-69 years, male 169.8
GTEX-QEG4-0426-SM-33HC3 30-39 years, male 168.0
GTEX-1HSGN-1126-SM-CJI4G 40-49 years, female 167.7
GTEX-1AYCT-0426-SM-73KVZ 50-59 years, male 167.2
GTEX-1H23P-1226-SM-9QEJ2 60-69 years, male 166.2
GTEX-14PHX-2126-SM-6EU2U 50-59 years, male 165.5
GTEX-POMQ-0326-SM-2I5FO 20-29 years, female 164.5
GTEX-OIZI-0926-SM-E6CHF 40-49 years, male 164.5
GTEX-17F9E-0926-SM-7IGMG 50-59 years, male 163.6
GTEX-1R9PO-0326-SM-DTXA1 60-69 years, female 163.2
GTEX-X3Y1-0426-SM-3P5Z4 40-49 years, male 163.0
GTEX-13S86-0226-SM-5S2PJ 40-49 years, male 161.7
GTEX-17HGU-1026-SM-79OKL 50-59 years, male 157.8
GTEX-OIZF-0326-SM-3MJGY 60-69 years, male 157.5
GTEX-13OVG-0526-SM-5K7YD 60-69 years, male 157.2
GTEX-1M5QR-1026-SM-DHXK9 40-49 years, male 157.1
GTEX-1GMR3-0326-SM-7P8QT 40-49 years, male 156.4
GTEX-ZDTS-1326-SM-6LLHE 60-69 years, male 155.7
GTEX-131XE-0626-SM-5HL98 50-59 years, male 155.2
GTEX-1O9I2-1126-SM-DTXEA 50-59 years, male 155.0
GTEX-13X6H-0426-SM-5LU4E 50-59 years, female 154.9
GTEX-WHWD-0426-SM-3LK83 50-59 years, male 153.7
GTEX-1A3MW-1326-SM-7189P 60-69 years, female 152.1
GTEX-18A66-1226-SM-7LT8G 60-69 years, male 151.0
GTEX-ZQUD-1526-SM-7IGO2 30-39 years, male 151.0
GTEX-1HBPH-0126-SM-CNNQ7 40-49 years, female 150.2
GTEX-1EU9M-1826-SM-7DUGU 60-69 years, male 149.2
GTEX-RU72-0326-SM-2TF5T 50-59 years, female 147.7
GTEX-13O1R-1226-SM-5J1NU 60-69 years, male 147.4
GTEX-X8HC-1626-SM-46MWE 50-59 years, female 147.0
GTEX-WYJK-1026-SM-3NM8W 50-59 years, male 146.8
GTEX-132NY-1726-SM-5EGKK 60-69 years, male 145.9
GTEX-1KD5A-1026-SM-CY8I8 50-59 years, male 145.9
GTEX-XPVG-0826-SM-4B654 50-59 years, male 145.6
GTEX-145MO-1126-SM-5NQBX 60-69 years, male 145.4
GTEX-ZEX8-0426-SM-DO92Y 50-59 years, male 144.8
GTEX-145LV-0326-SM-5Q5BW 50-59 years, male 144.7
GTEX-X15G-0426-SM-4PQZ6 50-59 years, female 143.5
GTEX-NPJ8-0426-SM-2HMK6 40-49 years, male 143.2
GTEX-13SLX-1026-SM-5ZZUQ 50-59 years, female 142.7
GTEX-R45C-0926-SM-3GAD4 60-69 years, female 141.7
GTEX-R55E-1026-SM-2TC5S 20-29 years, male 140.8
GTEX-13U4I-0826-SM-5SIBD 40-49 years, female 140.3
GTEX-PSDG-0926-SM-2I5FP 50-59 years, male 140.0
GTEX-P78B-0426-SM-2I5F5 40-49 years, female 139.4
GTEX-13X6I-1426-SM-5SI9Z 60-69 years, male 138.9
GTEX-1J8EW-0926-SM-A9G33 60-69 years, female 137.9
GTEX-WZTO-1326-SM-3NM8X 40-49 years, male 137.8
GTEX-131XH-0226-SM-5LZVB 50-59 years, male 137.7
GTEX-13N11-0426-SM-5KM3O 50-59 years, female 136.7
GTEX-1RQEC-0926-SM-EWROG 60-69 years, male 136.4
GTEX-14E1K-1026-SM-73KUR 50-59 years, male 135.9
GTEX-XV7Q-0826-SM-4BRV7 40-49 years, female 135.7
GTEX-1RB15-0326-SM-E6CQB 60-69 years, male 135.6
GTEX-QV44-0526-SM-2S1RE 50-59 years, male 135.3
GTEX-QEL4-0926-SM-3GAD1 50-59 years, male 133.9
GTEX-1GN73-2426-SM-7RHFQ 60-69 years, male 131.0
GTEX-1LC47-1026-SM-D3LAH 60-69 years, male 130.8
GTEX-11ZUS-0226-SM-5FQT8 30-39 years, male 130.7
GTEX-ZDXO-0726-SM-57WBT 60-69 years, male 129.0
GTEX-1PWST-1026-SM-DTXF2 70-79 years, male 129.0
GTEX-11TUW-1026-SM-5GU7D 60-69 years, male 127.1
GTEX-V1D1-0526-SM-4JBGW 50-59 years, male 126.3
GTEX-1HCU7-1326-SM-CNPPW 50-59 years, male 126.0
GTEX-1IDJI-1026-SM-A96TE 50-59 years, female 124.0
GTEX-14A6H-0226-SM-5Q5DX 30-39 years, male 123.3
GTEX-1IKK5-1526-SM-CKZPW 60-69 years, male 121.5
GTEX-11DXZ-0626-SM-5GU77 50-59 years, male 121.0
GTEX-15ER7-1726-SM-6PAMX 20-29 years, female 120.5
GTEX-ZYFC-1126-SM-5E44W 50-59 years, male 119.9
GTEX-1EMGI-1226-SM-793DD 60-69 years, male 117.4
GTEX-1JJ6O-2126-SM-CNNP6 60-69 years, male 117.2
GTEX-Y5V5-0626-SM-4VBPX 60-69 years, female 116.8
GTEX-13N1W-1026-SM-5IJC5 70-79 years, male 116.6
GTEX-13RTJ-0726-SM-5QGQN 60-69 years, male 115.7
GTEX-1J8Q2-1226-SM-A9G2W 60-69 years, male 115.1
GTEX-16YQH-0926-SM-793BC 30-39 years, male 115.0
GTEX-1F6I4-0726-SM-7PC2P 60-69 years, male 115.0
GTEX-1IDJE-0326-SM-CM2TD 50-59 years, female 114.8
GTEX-13YAN-1326-SM-5Q5F1 60-69 years, male 114.6
GTEX-1313W-1426-SM-5KLZU 50-59 years, female 112.2
GTEX-1GF9V-1626-SM-7PBXL 60-69 years, male 112.2
GTEX-14C5O-1326-SM-5S2UW 60-69 years, male 112.1
GTEX-1CB4G-0826-SM-7DUGF 60-69 years, male 111.6
GTEX-RTLS-0826-SM-2TF5Q 60-69 years, female 111.6
GTEX-13O3P-1626-SM-5K7X3 50-59 years, male 111.5
GTEX-11EMC-0726-SM-5EGJO 60-69 years, female 110.9
GTEX-1HCU6-1026-SM-A9G25 60-69 years, female 110.7
GTEX-UPK5-0326-SM-CYPR4 40-49 years, male 109.7
GTEX-REY6-1026-SM-2TF4Y 60-69 years, male 108.6
GTEX-12WSG-0526-SM-5FQTH 50-59 years, female 108.3
GTEX-1B932-1026-SM-793CL 40-49 years, female 108.1
GTEX-14JG1-1026-SM-6ETZY 40-49 years, male 107.6
GTEX-1HC8U-0726-SM-ACKXL 40-49 years, female 107.1
GTEX-12WSD-1126-SM-5EGJD 60-69 years, female 106.7
GTEX-NFK9-0926-SM-2HMJU 40-49 years, male 106.5
GTEX-RNOR-0826-SM-2TF5C 50-59 years, female 106.5
GTEX-13CF2-0426-SM-5KM1H 60-69 years, male 106.1
GTEX-13NZB-0226-SM-5KM1T 30-39 years, male 105.1
GTEX-13X6K-1826-SM-5O9CR 60-69 years, female 104.8
GTEX-1PPGY-1126-SM-E76OU 60-69 years, male 104.3
GTEX-SIU8-0826-SM-2XCDQ 50-59 years, male 103.6
GTEX-148VI-0326-SM-5RQK7 60-69 years, female 103.3
GTEX-14DAQ-1126-SM-664MT 60-69 years, female 102.4
GTEX-111FC-0826-SM-5GZWO 60-69 years, male 101.9
GTEX-11ZVC-0426-SM-5CVLD 50-59 years, female 101.5
GTEX-1AX9I-1126-SM-7EPHH 60-69 years, male 98.3
GTEX-13FLV-0926-SM-5L3DZ 50-59 years, male 98.2
GTEX-1K9T9-1126-SM-D3L9E 50-59 years, female 97.5
GTEX-15DDE-1126-SM-6LLHN 50-59 years, female 95.9
GTEX-15SHU-1126-SM-7KUMB 40-49 years, female 94.6
GTEX-13OVL-0526-SM-5KLZQ 50-59 years, male 94.5
GTEX-YFC4-0526-SM-5ZZVI 40-49 years, female 93.5
GTEX-12WSC-1126-SM-5EQ4G 50-59 years, male 93.4
GTEX-WL46-0926-SM-3LK7T 50-59 years, male 92.9
GTEX-1F48J-1026-SM-7P8SO 50-59 years, female 92.3
GTEX-ZYW4-0926-SM-59HJS 60-69 years, male 92.1
GTEX-1JJEA-0826-SM-CL53T 60-69 years, male 91.8
GTEX-ZAJG-0826-SM-5PNVA 50-59 years, female 91.6
GTEX-16NPX-0926-SM-7KUEZ 50-59 years, male 91.5
GTEX-T6MN-0926-SM-32PLX 50-59 years, male 91.4
GTEX-1JMLX-1626-SM-ARZMV 50-59 years, male 91.3
GTEX-1MJIX-0326-SM-EVR42 40-49 years, male 90.3
GTEX-1212Z-0626-SM-5FQTB 60-69 years, male 89.7
GTEX-12ZZZ-1726-SM-59HK5 60-69 years, male 89.2
GTEX-1JN1M-1026-SM-CNPOS 60-69 years, female 87.8
GTEX-OIZG-1126-SM-2HMIU 50-59 years, male 87.7
GTEX-1R9K4-1326-SM-DTX8G 60-69 years, male 87.7
GTEX-1BAJH-1626-SM-73KUV 70-79 years, male 87.5
GTEX-PVOW-0426-SM-5MR5R 40-49 years, male 87.5
GTEX-Y8E4-0326-SM-4VBRR 40-49 years, male 87.4
GTEX-1E1VI-1326-SM-7IGQD 50-59 years, male 87.1
GTEX-12ZZY-1126-SM-5DUWQ 60-69 years, male 86.2
GTEX-18A6Q-1626-SM-7KFTA 60-69 years, male 86.0
GTEX-1R9K5-1326-SM-E6CPR 50-59 years, male 86.0
GTEX-WI4N-0626-SM-3TW8Z 40-49 years, female 85.7
GTEX-1314G-0126-SM-5LZUL 30-39 years, male 85.1
GTEX-1GMRU-1526-SM-9WYT5 50-59 years, male 84.5
GTEX-1ICLY-1326-SM-CJI47 50-59 years, male 84.4
GTEX-1497J-1226-SM-5Q5BL 60-69 years, male 83.7
GTEX-S33H-0526-SM-COH1W 30-39 years, male 83.6
GTEX-P44H-0726-SM-48TBT 40-49 years, male 83.5
GTEX-11GS4-0526-SM-5A5KQ 60-69 years, male 83.1
GTEX-1H1ZS-1126-SM-9MQLJ 70-79 years, male 83.1
GTEX-15DYW-1126-SM-6LPK5 60-69 years, female 82.5
GTEX-ZAB4-1026-SM-5HL7T 40-49 years, male 81.7
GTEX-13FTZ-0226-SM-5K7X6 60-69 years, male 81.1
GTEX-OXRO-2026-SM-2YUMZ 60-69 years, female 79.6
GTEX-17MF6-0726-SM-7LT8E 40-49 years, male 77.9
GTEX-147F4-1226-SM-5NQAY 50-59 years, male 75.7
GTEX-1B8SG-0826-SM-7EWF7 50-59 years, male 75.6
GTEX-13112-0426-SM-5PNVC 50-59 years, male 75.5
GTEX-11O72-1126-SM-5N9E2 40-49 years, male 74.0
GTEX-WWYW-1326-SM-3NB2S 50-59 years, female 72.5
GTEX-1I1HK-0726-SM-B2LY4 60-69 years, male 71.8
GTEX-1I1GQ-1426-SM-B2LWY 50-59 years, male 71.4
GTEX-1F6IF-2526-SM-7P8TV 60-69 years, male 71.0
GTEX-1LG7Y-1226-SM-CXZKD 50-59 years, male 70.3
GTEX-12584-0926-SM-5FQTN 40-49 years, male 70.0
GTEX-13OW6-1126-SM-5L3HL 50-59 years, male 68.7
GTEX-1GZ4I-1026-SM-9KNV5 50-59 years, male 68.4
GTEX-N7MS-0826-SM-2HML4 60-69 years, male 67.7
GTEX-1IL2U-1326-SM-A9G2O 60-69 years, male 65.8
GTEX-XBEC-1326-SM-4AT69 50-59 years, male 64.9
GTEX-T2IS-0426-SM-32QPE 20-29 years, female 64.4
GTEX-17F9Y-1326-SM-7MGW9 70-79 years, female 64.1
GTEX-18465-0926-SM-731AY 50-59 years, male 63.8
GTEX-QVJO-1926-SM-2S1QZ 60-69 years, female 62.1
GTEX-1JMPZ-1426-SM-CJI3C 30-39 years, male 60.7
GTEX-11DXY-0826-SM-5EGGR 60-69 years, male 57.5
GTEX-147JS-1526-SM-5ZZWF 60-69 years, male 57.5
GTEX-11GSP-1326-SM-5A5KY 60-69 years, female 57.2
GTEX-148VJ-1526-SM-5Q5DU 70-79 years, male 57.2
GTEX-YJ8O-0926-SM-EAZ2Z 40-49 years, female 57.1
GTEX-WRHU-1226-SM-4E3IJ 50-59 years, female 56.9
GTEX-1269C-0826-SM-5N9EM 60-69 years, female 56.0
GTEX-15SHW-1226-SM-6M46C 60-69 years, male 55.9
GTEX-13OW8-2126-SM-5J1OS 60-69 years, male 55.6
GTEX-16MT8-0926-SM-6M487 60-69 years, female 54.9
GTEX-ZF3C-1226-SM-4WWCB 50-59 years, female 54.7
GTEX-1GN1V-0826-SM-9KNU6 60-69 years, male 54.5
GTEX-1EH9U-0826-SM-7IGPT 60-69 years, male 54.3
GTEX-13OW5-1126-SM-5J1NR 60-69 years, male 53.8
GTEX-15RJE-0626-SM-7KUKR 40-49 years, male 52.7
GTEX-1ICLZ-1026-SM-A9SLF 60-69 years, male 52.3
GTEX-1JMOU-0226-SM-CNNPD 60-69 years, female 52.2
GTEX-117YW-0326-SM-5N9CY 50-59 years, male 50.7
GTEX-14PJM-1126-SM-6LLHK 50-59 years, female 49.9
GTEX-14PJ2-1026-SM-6EU1M 50-59 years, male 48.1
GTEX-14C39-0926-SM-5TDDV 40-49 years, male 47.9
GTEX-1O97I-0826-SM-E8VNE 60-69 years, male 47.6
GTEX-RN64-0826-SM-2TC62 50-59 years, male 47.0
GTEX-17HHY-1426-SM-7EWDQ 50-59 years, male 46.3
GTEX-1EN7A-0726-SM-7PBXT 40-49 years, male 44.8
GTEX-P44G-0826-SM-2I5ES 30-39 years, male 44.6
GTEX-1I1GV-1326-SM-A96SE 60-69 years, male 44.0
GTEX-1LB8K-1026-SM-DHXJJ 50-59 years, male 39.2
GTEX-14A5I-1226-SM-5NQBW 50-59 years, female 38.8
GTEX-11ONC-0126-SM-5PNW6 60-69 years, male 38.6
GTEX-1I1GP-0826-SM-A96SD 50-59 years, male 38.5
GTEX-1B8L1-0526-SM-79ONX 60-69 years, male 37.8
GTEX-1HT8W-1726-SM-CNNQB 30-39 years, male 37.1
GTEX-1JN6P-1126-SM-CKZON 60-69 years, male 37.1
GTEX-1LVA9-0926-SM-EVR5G 50-59 years, male 37.0
GTEX-17JCI-1126-SM-7IGMM 60-69 years, female 36.5
GTEX-1HSMO-1226-SM-CL548 60-69 years, male 35.2
GTEX-14E7W-1226-SM-5RQIU 70-79 years, male 34.6
GTEX-WK11-0826-SM-EZ6LH 50-59 years, male 33.6
GTEX-1EWIQ-1426-SM-7IGOS 70-79 years, female 32.9
GTEX-14BIN-2226-SM-5YYA1 50-59 years, female 32.2
GTEX-1KD4Q-0726-SM-DIPGE 40-49 years, male 30.5
GTEX-14E6D-0926-SM-5S2QV 50-59 years, male 29.3
GTEX-ZYT6-1726-SM-5E44P 30-39 years, male 27.5
GTEX-1H3NZ-1126-SM-9WYT9 60-69 years, male 27.2
GTEX-1A8G6-1626-SM-7MGWO 60-69 years, male 26.8
GTEX-13FHP-1026-SM-5K7Y2 50-59 years, male 26.6
GTEX-13JVG-1326-SM-5N9F8 60-69 years, male 26.0
GTEX-1IDJH-1026-SM-E9TKH 70-79 years, male 25.2
GTEX-14JIY-1126-SM-6EU28 60-69 years, male 24.7
GTEX-1GTWX-1026-SM-7P8QW 60-69 years, male 24.5
GTEX-1EKGG-1126-SM-7MGXB 60-69 years, male 24.0
GTEX-17HII-1326-SM-7IGOB 50-59 years, male 21.7
GTEX-1GN2E-1326-SM-9KNVG 60-69 years, male 21.5
GTEX-ZUA1-0826-SM-4YCDL 40-49 years, male 21.1
GTEX-1H1CY-0326-SM-9QEIZ 60-69 years, female 21.0
GTEX-1NV8Z-1526-SM-DTX8X 60-69 years, male 20.5
GTEX-1RAZS-0826-SM-E76QP 50-59 years, male 20.1
GTEX-N7MT-1326-SM-2I3FV 60-69 years, female 19.6
GTEX-1HCVE-1126-SM-9WPPG 50-59 years, male 19.0
GTEX-1IKJJ-0826-SM-A96SP 60-69 years, male 18.7
GTEX-15CHQ-1526-SM-69LPW 60-69 years, male 17.5
GTEX-1399T-0426-SM-5PNVJ 60-69 years, male 17.1
GTEX-1EX96-2526-SM-7RHGW 50-59 years, male 16.3
GTEX-X261-1426-SM-4PQZ1 50-59 years, male 16.0
GTEX-14BIL-1126-SM-79OMC 50-59 years, male 15.7
GTEX-1C6VQ-1126-SM-7EWET 50-59 years, male 15.1
GTEX-1JJE9-1426-SM-ARL8P 70-79 years, male 15.1
GTEX-13NYB-0226-SM-5N9G4 40-49 years, male 10.9
GTEX-1PPH7-2026-SM-E9J3N 40-49 years, male 6.0
GTEX-12ZZW-1026-SM-5GCMM 50-59 years, male 5.9
Show allShow less

HEART MUSCLE - FANTOM5 CAGEi

RNA expression in human tissues obtained through Cap Analysis of Gene Expression (CAGE) generated by the FANTOM5 project are reported as Scaled Tags Per Million.

Max subtype Scaled Tags Per Millioni

Max subtype Scaled Tags Per Million is the value for the subtype with the largest average Scaled Tags Per Million across the subtype samples.

983.7
FANTOM5 sample id Sample description Scaled Tags Per Million
Heart
Scaled Tags Per Million: 967.1
FF:10016-101C7 70,73,74 years, mixed 967.1
Left atrium
Scaled Tags Per Million: 325.4
FF:10079-102A7 40 years, male 325.4
Left ventricle
Scaled Tags Per Million: 983.7
FF:10078-102A6 73 years, female 983.7

Contact

  • NEWS ARTICLES
  • PRESS ROOM

The Project

  • INTRODUCTION
  • ORGANIZATION
  • PUBLICATIONS

The Human Protein Atlas

  • DOWNLOADABLE DATA
  • LICENCE & CITATION
  • HELP & FAQ
The Human Protein Atlas project is funded
by the Knut & Alice Wallenberg Foundation.


contact@proteinatlas.org