We use cookies to enhance the usability of our website. If you continue, we'll assume that you are happy to receive all cookies. More information. Don't show this again.
MPC2
HPA
RESOURCES
  • TISSUE
  • BRAIN
  • SINGLE CELL
  • SUBCELLULAR
  • CANCER
  • BLOOD
  • CELL LINE
  • STRUCTURE & INTERACTION
ABOUT
  • INTRODUCTION
  • HISTORY
  • ORGANIZATION
  • PUBLICATIONS
  • ANTIBODY SUBMISSION
  • ANTIBODY AVAILABILITY
  • ACKNOWLEDGMENTS
  • CONTACT
NEWS
  • NEWS ARTICLES
  • PRESS ROOM
LEARN
  • DICTIONARY
  • PROTEIN CLASSES
  • PROTEIN EVIDENCE
  • METHODS
  • EDUCATIONAL VIDEOS
DATA
  • DOWNLOADABLE DATA
  • PUBLICATION DATA
  • RELEASE HISTORY
HELP
  • ANTIBODY VALIDATION
  • ASSAYS & ANNOTATION
  • DISCLAIMER
  • HELP & FAQ
  • PRIVACY STATEMENT
  • LICENCE & CITATION
Fields »
Search result

Field
Term
Gene name
Class
Subclass
Class
Keyword
Chromosome
External id
Tissue
Cell type
Expression
Antibody panel
Tissue
Main location
Patient ID
Annotation
Tissue
Category
Tau score
Cluster
Reliability
Brain region
Category
Tau score
Brain region
Category
Tau score
Brain region
Category
Tau score
Cluster
Reliability
Tissue
Cell type
Enrichment
Cell type
Category
Tau score
Cell type
Category
Tau score
Cell type
Category
Tau score
Cell lineage
Category
Tau score
Cluster
Cluster
Location
Searches
Location
Cell line
Class
Type
Phase
Reliability
Cancer
Prognosis
Cancer
Category
Cancer
Category
Tau score
Cluster
Variants
Interacting gene (ensg_id)
Type
Number of interactions
Pathway
Category
Score
Score
Score
Validation
Validation
Validation
Validation
Antibodies
Data type
Column


  • SUMMARY

  • TISSUE

  • BRAIN

  • SINGLE CELL

  • SUBCELL

  • CANCER

  • BLOOD

  • CELL LINE

  • STRUCT & INT

  • MPC2
TISSUE PRIMARY DATA CEREBELLUM Show tissue menu
ADIPOSE TISSUE ADRENAL GLAND AMYGDALA APPENDIX BASAL GANGLIA BONE MARROW BREAST BRONCHUS CEREBELLUM CEREBRAL CORTEX CERVIX CHOROID PLEXUS COLON DUODENUM
ENDOMETRIUM EPIDIDYMIS ESOPHAGUS FALLOPIAN TUBE GALLBLADDER HEART MUSCLE HIPPOCAMPAL FORMATION HYPOTHALAMUS KIDNEY LIVER LUNG LYMPH NODE MIDBRAIN NASOPHARYNX
ORAL MUCOSA OVARY PANCREAS PARATHYROID GLAND PITUITARY GLAND PLACENTA PROSTATE RECTUM RETINA SALIVARY GLAND SEMINAL VESICLE SKELETAL MUSCLE SKIN SMALL INTESTINE
SMOOTH MUSCLE SOFT TISSUE SPINAL CORD SPLEEN STOMACH TESTIS THYMUS THYROID GLAND TONGUE TONSIL URINARY BLADDER VAGINA
ANTIBODIES
AND
VALIDATION
Dictionary
Cerebellum
Tissue proteome
Cerebellum
CEREBELLUM - Expression summary
Protein expression
Cerebellumi

On the top, protein expression in current human tissue, based on all annotated cell types, is reported with the units not detected (n), low (l), medium (m) and high (h). Underneath, protein expression in each annotated cell type are reported using the same units.

Protein expression data is based on knowledge-based annotation. For genes where more than one antibody has been used, a collective score is set.

If knowledge-based annotation could not be performed for a gene, no data is displayed here. View antibody staining data further down this page.

h
m
l
n
Cells in granular layer: Not detected
Cells in molecular layer: Low
Purkinje cells: Medium
RNA expressioni

A summary of mRNA expression data available for current tissue based on several datasets. The mRNA expression levels in human tissues are based on RNA-seq data generated by the Human Protein Atlas (HPA), Genotype-Tissue Expression (GTEx) portal and CAGE data generated by the FANTOM5 consortium. Consensus normalized expression levels for human tissues was created by combining the data from HPA and GTEx datasets.

The mRNA expression levels in pig are based on RNA-seq data generated by the Human Protein Atlas (HPA), and for mouse, HPA data and in situ hybridization generated by the Allen brain atlas are reported.

Scroll down to view mRNA expression data in more detail.
Consensus:54.7 nTPM
HPA Brain:39.3 nTPM
GTEx:54.7 nTPM
FANTOM5:62.7 Scaled Tags Per Million
Pig:45.3 nTPM
Mouse:114.4 nTPM
Allen mouse:3.5 Expression energy

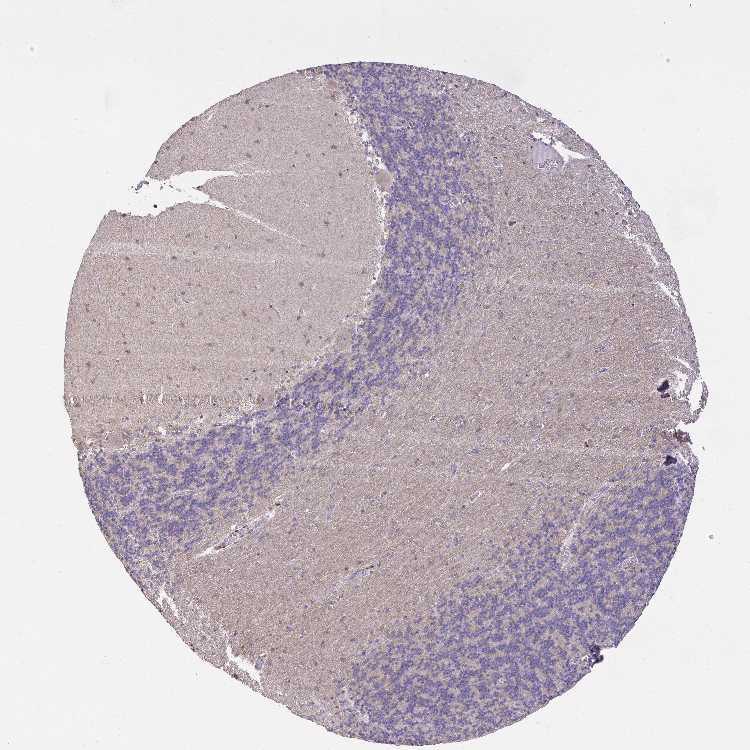
CEREBELLUM - Antibody stainingi

Antibody staining in the annotated cell types in the current human tissue is reported as not detected, low, medium, or high, based on conventional immunohistochemistry profiling in selected tissues. This score is based on the combination of the staining intensity and fraction of stained cells.

Each image is clickable and will lead to virtual microscopy that enables deeper exploration of all samples and also displays staining intensity scores, fraction scores and subcellular localization as well as patient and tissue information for each sample.

Antibody HPA056091
Purkinje cells Medium
Cells in granular layer Not detected
Cells in molecular layer Low



CEREBELLUM - HPA Brain RNA-seq
Max subtype nTPMi

Max subtype nTPM is the value for the subtype with the largest average nTPM across the subtype samples.

39.3
Sample id Sample description nTPM
Cerebellar cortex
nTPM: 39.3
2101 Male, age 74, right hemisphere 54.0
1768 Female, age 72, unknown 50.1
2055 Female, age 91, right hemisphere 39.8
1774 Male, age 80, left hemisphere 38.8
2006 Male, age 61, right hemisphere 38.0
1788 Male, age 55, unknown 35.0
2003 Female, age 85, right hemisphere 29.9
1769 Male, age 76, right hemisphere 28.9
Cerebellar nuclei
nTPM: 38.9
2783 Female, age 72, unknown 54.5
2177 Female, age 85, both hemispheres 45.5
1879 Male, age 55, unknown 39.9
1966 Female, age 91, left hemisphere 38.7
2318 Male, age 74, left hemisphere 38.1
2882 Male, age 76, left hemisphere 35.4
1871 Male, age 74, unknown 34.5
2005 Male, age 80, left hemisphere 33.3
2175 Male, age 61, right hemisphere 30.1
Flocculonodular lobe
nTPM: 35.7
1835 Female, age 85, right hemisphere 39.4
2004 Male, age 61, right hemisphere 38.1
2176 Female, age 91, right hemisphere 37.4
1771 Male, age 80, left hemisphere 37.1
1792 Male, age 74, unknown 35.9
1765 Male, age 55, unknown 32.0
1767 Male, age 76, left hemisphere 29.7
Vermis
nTPM: 37.3
1751 Male, age 74, right hemisphere 50.2
1928 Female, age 72, unknown 47.2
1778 Female, age 91, left hemisphere 39.3
2834 Male, age 80, left hemisphere 38.6
1825 Male, age 74, unknown 34.2
1766 Male, age 55, unknown 34.0
1988 Female, age 85, left hemisphere 32.9
1770 Male, age 76, left hemisphere 30.3
2460 Male, age 61, both hemispheres 28.8

CEREBELLUM - GTEx RNA-seqi

RNA-Seq data generated by the Genotype-Tissue Expression (GTEx) project from human tissues is reported as mean nTPM. More information can be found on the GTEx portal.

Distribution across the dataset is visualized with box plots, shown as median and 25th and 75th percentiles. Points are displayed as outliers if they are above or below 1.5 times the interquartile range. nTPM values of the individual samples are presented next to the box plot.
Max subtype nTPMi

Max subtype nTPM is the value for the subtype with the largest average nTPM across the subtype samples.

54.7
GTEx sample id Sample description nTPM
Brain - Cerebellar Hemisphere
Average nTPM: 54.7
Samples: 215

Max nTPM: 111.5
Min nTPM: 27.3
Std nTPM: 11.5
Median nTPM: 52.9
GTEX-16Z82-0011-R11a-SM-79OKJ 60-69 years, male 111.5
GTEX-12WSC-0011-R11a-SM-5GU5J 50-59 years, male 103.7
GTEX-1B8SG-0011-R11a-SM-7P8PF 50-59 years, male 92.7
GTEX-1F75W-0011-R11b-SM-AHZ34 60-69 years, male 86.1
GTEX-11ZUS-0011-R11b-SM-5BC7B 30-39 years, male 81.7
GTEX-17EVP-0011-R11a-SM-7EWDL 40-49 years, male 78.9
GTEX-WL46-0011-R11A-SM-3MJFT 50-59 years, male 77.8
GTEX-N7MT-0011-R11A-SM-2I3DZ 60-69 years, female 76.5
GTEX-16YQH-0011-R11b-SM-7LT98 30-39 years, male 76.3
GTEX-13X6J-0011-R11a-SM-5P9HE 50-59 years, male 75.9
GTEX-1JJ6O-0011-R11b-SM-EXUS2 60-69 years, male 75.9
GTEX-WWYW-0011-R11A-SM-3NB38 50-59 years, female 74.9
GTEX-1F7RK-0011-R11b-SM-9QEI2 20-29 years, female 74.4
GTEX-17HII-0011-R11b-SM-7KFSX 50-59 years, male 74.2
GTEX-1F75A-0011-R11a-SM-AHZ35 50-59 years, male 73.2
GTEX-T2IS-0011-R11A-SM-32QPC 20-29 years, female 71.7
GTEX-1JJEA-0011-R11a-SM-EXUTE 60-69 years, male 71.4
GTEX-1R9K4-0011-R11a-SM-EZ6N9 60-69 years, male 70.3
GTEX-1F6I4-0011-R11b-SM-9OSWS 60-69 years, male 70.1
GTEX-12WSI-0011-R11b-SM-5P9EZ 50-59 years, male 70.0
GTEX-1B933-0011-R11a-SM-7P8PM 50-59 years, female 69.6
GTEX-1313W-0011-R11a-SM-5DUXN 50-59 years, female 69.2
GTEX-17HG3-0011-R11b-SM-7KFT4 30-39 years, female 69.2
GTEX-14E7W-0011-R11a-SM-5ZZVA 70-79 years, male 68.8
GTEX-13FLV-0011-R11a-SM-5LZZ7 50-59 years, male 68.4
GTEX-1HBPI-0011-R11b-SM-CE6SH 50-59 years, male 67.4
GTEX-12ZZZ-0011-R11a-SM-5EGLC 60-69 years, male 66.0
GTEX-1CB4G-0011-R11a-SM-9OSWG 60-69 years, male 65.7
GTEX-1EKGG-0011-R11a-SM-9QEHZ 60-69 years, male 65.2
GTEX-1IKOH-0011-R11a-SM-AHZ38 60-69 years, female 65.2
GTEX-Z93S-0011-R11a-SM-4RGNN 50-59 years, male 65.1
GTEX-N7MS-0011-R11A-SM-2HMJS 60-69 years, male 64.7
GTEX-1N2EE-0011-R11b-SM-EXOIJ 60-69 years, male 64.5
GTEX-1I1GQ-0011-R11b-SM-CKZPA 50-59 years, male 64.0
GTEX-1JMQJ-0011-R11a-SM-EXOJY 50-59 years, male 63.5
GTEX-1KD4Q-0011-R11b-SM-EXOIE 40-49 years, male 63.5
GTEX-17F97-0011-R11b-SM-7KFRQ 50-59 years, male 63.4
GTEX-1C64N-0011-R11b-SM-7P8Q6 50-59 years, male 63.4
GTEX-14ASI-0011-R11b-SM-6AJBJ 60-69 years, male 63.2
GTEX-11ZTS-0011-R11a-SM-DO113 60-69 years, female 63.2
GTEX-18A6Q-0011-R11a-SM-72D6H 60-69 years, male 62.9
GTEX-13OW7-0011-R11a-SM-5O9DY 50-59 years, male 62.8
GTEX-ZUA1-0011-R11b-SM-51MTI 40-49 years, male 62.8
GTEX-16GPK-0011-R11b-SM-7MKFF 60-69 years, male 62.5
GTEX-1GMRU-0011-R11b-SM-C1YQ4 50-59 years, male 62.5
GTEX-13G51-0011-R11b-SM-5J2NE 60-69 years, male 62.1
GTEX-15CHQ-0011-R11b-SM-686ZZ 60-69 years, male 62.0
GTEX-1HSKV-0011-R11b-SM-AHZ2E 60-69 years, male 61.8
GTEX-T6MN-0011-R11A-SM-32QOX 50-59 years, male 61.7
GTEX-12126-0011-R11a-SM-5BC6X 20-29 years, male 61.5
GTEX-1M4P7-0011-R11b-SM-EXOIK 60-69 years, male 61.5
GTEX-NL4W-0011-R11A-SM-2I3DW 50-59 years, male 61.2
GTEX-1GZ4I-0011-R11b-SM-9OSWR 50-59 years, male 61.2
GTEX-144GL-0011-R11b-SM-5P9F6 50-59 years, male 60.7
GTEX-1GF9W-0011-R11b-SM-9OSXG 60-69 years, male 60.6
GTEX-1GMR8-0011-R11b-SM-9OSX2 50-59 years, female 60.3
GTEX-13JUV-0011-R11a-SM-5LZYH 40-49 years, female 59.9
GTEX-1LVAO-0011-R11b-SM-EXOI8 60-69 years, male 59.8
GTEX-WVLH-0011-R11A-SM-3MJFO 50-59 years, male 59.7
GTEX-T5JC-0011-R11A-SM-32PMB 20-29 years, male 59.6
GTEX-1R9PO-0011-R11b-SM-EZ6NB 60-69 years, female 59.3
GTEX-14E6D-0011-R11b-SM-664NP 50-59 years, male 58.7
GTEX-YJ89-0011-R11a-SM-4SOKA 60-69 years, male 58.7
GTEX-1I1GR-0011-R11a-SM-CM2T5 60-69 years, male 58.6
GTEX-1LG7Y-0011-R11a-SM-EXOIH 50-59 years, male 58.6
GTEX-14ABY-0011-R11a-SM-5SI7C 50-59 years, male 58.5
GTEX-11EI6-0011-R11a-SM-DO11V 60-69 years, male 58.5
GTEX-P44H-0011-R11A-SM-2XCER 40-49 years, male 58.2
GTEX-Y8DK-0011-R11A-SM-4SOK2 60-69 years, male 58.2
GTEX-1IDJH-0011-R11b-SM-C1YRT 70-79 years, male 58.2
GTEX-1399T-0011-R11a-SM-5J2O1 60-69 years, male 57.9
GTEX-139TT-0011-R11b-SM-5LZV1 60-69 years, male 57.9
GTEX-1LSVX-0011-R11b-SM-EXOIA 60-69 years, male 57.8
GTEX-1HUB1-0011-R11b-SM-CE6SC 60-69 years, male 57.7
GTEX-18465-0011-R11a-SM-72D78 50-59 years, male 57.5
GTEX-X261-0011-R11A-SM-4E3JY 50-59 years, male 57.5
GTEX-ZE9C-0011-R11a-SM-4WKGG 60-69 years, male 57.3
GTEX-12WSD-0011-R11a-SM-9OSVC 60-69 years, female 57.3
GTEX-WZTO-0011-R11A-SM-4E3K9 40-49 years, male 57.1
GTEX-14PN4-0011-R11a-SM-686ZW 50-59 years, male 56.9
GTEX-ZDXO-0011-R11a-SM-4WWD9 60-69 years, male 56.8
GTEX-1LKK1-0011-R11a-SM-EXOIG 50-59 years, female 56.6
GTEX-145MH-0011-R11a-SM-5P9HQ 50-59 years, male 56.5
GTEX-1E1VI-0011-R11a-SM-9OSWI 50-59 years, male 56.3
GTEX-1H1CY-0011-R11a-SM-C1YQR 60-69 years, female 56.3
GTEX-132Q8-0011-R11b-SM-5DUW9 60-69 years, male 56.0
GTEX-1H4P4-0011-R11b-SM-CE6S8 50-59 years, male 55.9
GTEX-RU72-0011-R11A-SM-CM2U1 50-59 years, female 55.9
GTEX-1CAV2-0011-R11a-SM-ARU8D 40-49 years, female 55.8
GTEX-11EMC-0011-R11b-SM-DNZZK 60-69 years, female 55.7
GTEX-131XH-0011-R11a-SM-5EGLN 50-59 years, male 55.2
GTEX-S7SE-0011-R11A-SM-2XCDD 50-59 years, male 55.1
GTEX-QMR6-0011-R11A-SM-32PKK 50-59 years, male 55.0
GTEX-12WSF-0011-R11a-SM-5LZVT 70-79 years, male 54.6
GTEX-1JMOU-0011-R11b-SM-EXUTA 60-69 years, female 54.5
GTEX-1GN73-0011-R11b-SM-9OSX4 60-69 years, male 54.3
GTEX-1IY9M-0011-R11b-SM-A96TI 60-69 years, male 54.3
GTEX-1H3NZ-0011-R11b-SM-CE6SF 60-69 years, male 54.1
GTEX-1B8L1-0011-R11b-SM-793DJ 60-69 years, male 54.0
GTEX-13QIC-0011-R11b-SM-5O9BU 60-69 years, female 53.9
GTEX-1HGF4-0011-R11a-SM-C1YRR 60-69 years, male 53.9
GTEX-13CZV-0011-R11b-SM-5N9FN 60-69 years, male 53.7
GTEX-13FTY-0011-R11a-SM-5IJEA 40-49 years, female 53.5
GTEX-1N2DW-0011-R11b-SM-EXOIL 50-59 years, male 53.5
GTEX-11PRG-0011-R11b-SM-DNZZY 50-59 years, male 53.4
GTEX-YFC4-0011-R11a-SM-4SOK6 40-49 years, female 53.3
GTEX-1EMGI-0011-R11b-SM-9OSWX 60-69 years, male 53.3
GTEX-12WSH-0011-R11a-SM-5LZVM 50-59 years, male 52.9
GTEX-17JCI-0011-R11a-SM-7189Y 60-69 years, female 52.7
GTEX-1I1GV-0011-R11a-SM-CJI3Z 60-69 years, male 52.6
GTEX-ZVZQ-0011-R11a-SM-51MS6 60-69 years, female 52.4
GTEX-1IGQW-0011-R11a-SM-C1YRV 60-69 years, male 52.3
GTEX-1H3O1-0011-R11a-SM-A96RV 60-69 years, male 52.1
GTEX-13O3O-0011-R11b-SM-5KM4G 60-69 years, female 52.0
GTEX-1IOXB-0011-R11a-SM-A9G1X 50-59 years, male 51.8
GTEX-14BIN-0011-R11a-SM-5SI79 50-59 years, female 51.7
GTEX-17EVQ-0011-R11a-SM-7LT9C 70-79 years, male 51.6
GTEX-11WQC-0011-R11b-SM-57WD6 60-69 years, male 51.5
GTEX-12ZZX-0011-R11a-SM-5DUVJ 40-49 years, female 51.4
GTEX-11DXY-0011-R11a-SM-DNZZN 60-69 years, male 51.4
GTEX-1GZHY-0011-R11a-SM-C1YRQ 50-59 years, female 51.4
GTEX-183WM-0011-R11a-SM-718A5 70-79 years, female 51.3
GTEX-131XW-0011-R11a-SM-5DUV9 50-59 years, female 51.1
GTEX-11DZ1-0011-R11b-SM-DO11W 50-59 years, male 51.1
GTEX-13FXS-0011-R11a-SM-5L3DM 50-59 years, male 51.0
GTEX-13X6I-0011-R11a-SM-5P9HN 60-69 years, male 50.8
GTEX-11TTK-0011-R11b-SM-DO112 60-69 years, female 50.8
GTEX-13NZA-0011-R11b-SM-5KM4W 60-69 years, male 50.4
GTEX-1BAJH-0011-R11b-SM-7IGLM 70-79 years, male 50.4
GTEX-13VXU-0011-R11b-SM-5O9DJ 50-59 years, male 50.3
GTEX-11DYG-0011-R11a-SM-DNZZP 60-69 years, male 50.3
GTEX-13N2G-0011-R11a-SM-5MR3F 60-69 years, male 50.2
GTEX-1HFI6-0011-R11b-SM-A96RU 40-49 years, male 50.2
GTEX-13OW6-0011-R11a-SM-5L3H2 50-59 years, male 50.1
GTEX-ZAB4-0011-R11a-SM-4SOKI 40-49 years, male 49.9
GTEX-1IL2U-0011-R11a-SM-CE6SO 60-69 years, male 49.9
GTEX-1J8EW-0011-R11a-SM-AHZ37 60-69 years, female 49.8
GTEX-12WSM-0011-R11a-SM-5DUX8 60-69 years, male 49.7
GTEX-13CF2-0011-R11b-SM-5LZXO 60-69 years, male 49.5
GTEX-15ER7-0011-R11a-SM-6LPIL 20-29 years, female 49.5
GTEX-TSE9-0011-R11A-SM-3DB7N 60-69 years, female 49.4
GTEX-ZE7O-0011-R11a-SM-57WBC 50-59 years, female 49.3
GTEX-11OF3-0011-R11a-SM-57WCR 60-69 years, male 48.9
GTEX-15DYW-0011-R11a-SM-6LPIT 60-69 years, female 48.9
GTEX-13O3Q-0011-R11b-SM-5KM2W 50-59 years, male 48.8
GTEX-14BIM-0011-R11b-SM-5S2RN 60-69 years, female 48.8
GTEX-15DCD-0011-R11a-SM-D4P1R 70-79 years, female 48.8
GTEX-OHPN-0011-R11A-SM-2I5FM 60-69 years, female 48.7
GTEX-11GSP-0011-R11b-SM-5NQ7V 60-69 years, female 48.4
GTEX-1I1GS-0011-R11a-SM-C1YRU 60-69 years, male 48.2
GTEX-1IKK5-0011-R11a-SM-C1YRX 60-69 years, male 48.0
GTEX-13OVH-0011-R11b-SM-5KM4X 70-79 years, male 47.8
GTEX-1HCU6-0011-R11b-SM-AHZ2F 60-69 years, female 47.8
GTEX-13JVG-0011-R11a-SM-5KM53 60-69 years, male 47.7
GTEX-ZVT3-0011-R11b-SM-57WBI 60-69 years, female 47.7
GTEX-R55E-0011-R11A-SM-2TC6I 20-29 years, male 47.6
GTEX-1IL2V-0011-R11a-SM-ARU6T 70-79 years, male 47.6
GTEX-139UW-0011-R11a-SM-5IJGN 60-69 years, male 47.4
GTEX-WHSE-0011-R11A-SM-3P5YY 20-29 years, male 47.2
GTEX-1J1OQ-0011-R11a-SM-A96S3 40-49 years, female 47.2
GTEX-1AX9I-0011-R11b-SM-7DHN4 60-69 years, male 47.1
GTEX-16XZZ-0011-R11a-SM-7EPI3 60-69 years, male 47.0
GTEX-16NPV-0011-R11a-SM-7IGMK 50-59 years, female 47.0
GTEX-13X6K-0011-R11a-SM-5P9F5 60-69 years, female 46.9
GTEX-12WSE-0011-R11b-SM-5P9JW 20-29 years, male 46.8
GTEX-13NYB-0011-R11a-SM-5KM3Q 40-49 years, male 46.3
GTEX-1F52S-0011-R11a-SM-CJI23 60-69 years, female 46.3
GTEX-ZF28-0011-R11a-SM-4WWEI 60-69 years, male 46.2
GTEX-1I1HK-0011-R11a-SM-B2LVN 60-69 years, male 46.2
GTEX-13FHP-0011-R11b-SM-5LZXP 50-59 years, male 46.0
GTEX-13SLX-0011-R11b-SM-5O9C8 50-59 years, female 46.0
GTEX-15EO6-0011-R11b-SM-6M47M 50-59 years, male 46.0
GTEX-14DAQ-0011-R11a-SM-664NO 60-69 years, female 45.8
GTEX-1I19N-0011-R11b-SM-ARU6Y 70-79 years, male 45.7
GTEX-1J8Q2-0011-R11a-SM-A9SKI 60-69 years, male 45.6
GTEX-13FHO-0011-R11b-SM-5LZYQ 60-69 years, male 45.0
GTEX-1ICLZ-0011-R11a-SM-CJI3N 60-69 years, male 44.9
GTEX-131YS-0011-R11b-SM-5EGLM 60-69 years, female 44.8
GTEX-13PLJ-0011-R11b-SM-5O9BS 60-69 years, female 44.8
GTEX-1H1DG-0011-R11a-SM-C1YQK 70-79 years, male 44.7
GTEX-1F48J-0011-R11b-SM-9OSWV 50-59 years, female 44.5
GTEX-13SLW-0011-R11a-SM-5SI8Q 70-79 years, male 44.2
GTEX-15G19-0011-R11b-SM-6LPIH 60-69 years, male 44.0
GTEX-UTHO-0011-R11A-SM-3GIJE 60-69 years, male 44.0
GTEX-1H3VE-0011-R11b-SM-C1YRP 40-49 years, male 44.0
GTEX-1HB9E-0011-R11b-SM-ARU79 50-59 years, male 44.0
GTEX-RVPV-0011-R11A-SM-2TF6F 60-69 years, male 43.9
GTEX-13OVL-0011-R11b-SM-5L3G7 50-59 years, male 43.8
GTEX-13S7M-0011-R11b-SM-5P9HU 60-69 years, female 43.8
GTEX-X585-0011-R11B-SM-46MUZ 50-59 years, male 43.8
GTEX-13PVQ-0011-R11a-SM-5O9DU 50-59 years, male 43.6
GTEX-1B8SF-0011-R11a-SM-79OOP 60-69 years, male 43.1
GTEX-13RTJ-0011-R11a-SM-5O9CK 60-69 years, male 43.0
GTEX-Q2AG-0011-R11A-SM-2HMKZ 40-49 years, female 42.7
GTEX-X4EP-0011-R11B-SM-4QASK 60-69 years, female 42.7
GTEX-13OW8-0011-R11a-SM-5L3GT 60-69 years, male 42.2
GTEX-QDT8-0011-R11A-SM-32PKD 30-39 years, female 41.4
GTEX-11H98-0011-R11b-SM-5NQ6U 50-59 years, male 41.2
GTEX-145LU-0011-R11b-SM-5P9JX 50-59 years, male 41.1
GTEX-14C5O-0011-R11b-SM-6872H 60-69 years, male 41.1
GTEX-P44G-0011-R11A-SM-2I3FD 30-39 years, male 41.1
GTEX-18464-0011-R11a-SM-72D76 50-59 years, male 41.0
GTEX-1A3MX-0011-R11b-SM-7DUGP 60-69 years, male 40.7
GTEX-X4XX-0011-R11A-SM-46MWQ 60-69 years, male 39.7
GTEX-1GTWX-0011-R11b-SM-C1YQJ 60-69 years, male 39.4
GTEX-145MI-0011-R11a-SM-5P9JZ 60-69 years, female 39.3
GTEX-14C39-0011-R11b-SM-5YYAF 40-49 years, male 38.4
GTEX-13OW5-0011-R11b-SM-5L3GG 60-69 years, male 38.0
GTEX-13OVJ-0011-R11a-SM-5P9H8 50-59 years, female 37.6
GTEX-1H1ZS-0011-R11a-SM-C1YQM 70-79 years, male 37.4
GTEX-NPJ7-0011-R11A-SM-2I3E8 60-69 years, female 37.0
GTEX-NPJ8-0011-R11A-SM-2YUMS 40-49 years, male 32.5
GTEX-13NYS-0011-R11b-SM-5MR4P 60-69 years, male 32.2
GTEX-NL3H-0011-R11A-SM-2I3E6 60-69 years, male 30.3
GTEX-XMD1-0011-R11A-SM-4AT5J 60-69 years, male 27.3
Show allShow less
Brain - Cerebellum
Average nTPM: 47.5
Samples: 241

Max nTPM: 71.2
Min nTPM: 33.0
Std nTPM: 6.0
Median nTPM: 46.6
GTEX-1C6WA-3326-SM-7MKGN 60-69 years, male 71.2
GTEX-14A5I-2826-SM-5SIBF 50-59 years, female 64.8
GTEX-1F75W-3126-SM-7P8SJ 60-69 years, male 63.2
GTEX-1QEPI-3026-SM-EXOIW 60-69 years, female 62.3
GTEX-16Z82-2926-SM-6LPJJ 60-69 years, male 60.9
GTEX-1RQEC-3026-SM-DPRXM 60-69 years, male 59.5
GTEX-WVLH-2926-SM-3MJG5 50-59 years, male 59.4
GTEX-18465-2926-SM-7KFSE 50-59 years, male 58.6
GTEX-145MG-3126-SM-5Q5D3 50-59 years, male 58.0
GTEX-12WSE-2926-SM-5RQJ9 20-29 years, male 57.9
GTEX-1PIIG-2826-SM-DTX7O 30-39 years, male 57.9
GTEX-145MH-2926-SM-5Q5D2 50-59 years, male 57.8
GTEX-R55E-2526-SM-2TC6H 20-29 years, male 57.6
GTEX-1F6I4-3026-SM-7P8SI 60-69 years, male 57.6
GTEX-WL46-2826-SM-3LK81 50-59 years, male 57.0
GTEX-15DYW-3026-SM-7KFRM 60-69 years, female 56.8
GTEX-T2IS-2926-SM-32QPO 20-29 years, female 56.6
GTEX-1QP6S-3026-SM-EAZ4N 40-49 years, male 56.5
GTEX-145LU-2626-SM-5LU9Z 50-59 years, male 56.4
GTEX-1POEN-2726-SM-E9U6B 30-39 years, female 56.4
GTEX-1F75A-2926-SM-7MXVN 50-59 years, male 56.2
GTEX-WZTO-2826-SM-3NM8P 40-49 years, male 56.1
GTEX-T5JC-2326-SM-32PMR 20-29 years, male 55.8
GTEX-1JJEA-2926-SM-C1YSK 60-69 years, male 55.1
GTEX-1399T-3126-SM-5IJFS 60-69 years, male 54.8
GTEX-1EWIQ-3026-SM-7IGOJ 70-79 years, female 54.5
GTEX-PVOW-2626-SM-32PL8 40-49 years, male 54.5
GTEX-WWYW-3026-SM-3NB36 50-59 years, female 54.5
GTEX-N7MT-1226-SM-DKPOK 60-69 years, female 54.5
GTEX-1313W-3026-SM-5LZUZ 50-59 years, female 54.4
GTEX-Y111-2826-SM-4TT3O 50-59 years, male 54.4
GTEX-Z93S-2826-SM-57WBL 50-59 years, male 54.4
GTEX-WHSE-2926-SM-3NMBG 20-29 years, male 54.3
GTEX-1HB9E-3126-SM-AHZ4M 50-59 years, male 54.2
GTEX-RNOR-2226-SM-2TF5O 50-59 years, female 54.1
GTEX-13VXU-3026-SM-5LU3K 50-59 years, male 54.0
GTEX-1EMGI-3126-SM-7MXUR 60-69 years, male 54.0
GTEX-1GF9W-2726-SM-9JGGW 60-69 years, male 54.0
GTEX-13X6J-2926-SM-7EPGP 50-59 years, male 53.8
GTEX-14DAQ-3026-SM-5S2QZ 60-69 years, female 53.8
GTEX-1RNSC-3126-SM-EVR4V 60-69 years, male 53.4
GTEX-1E1VI-2926-SM-7IGLT 50-59 years, male 53.2
GTEX-1JJE9-3026-SM-CNNPA 70-79 years, male 53.2
GTEX-1RDX4-3226-SM-DPS14 50-59 years, female 53.2
GTEX-183WM-2726-SM-7KFRF 70-79 years, female 53.1
GTEX-1MJK2-3026-SM-EV7A5 50-59 years, male 53.1
GTEX-18A6Q-2826-SM-7LTAO 60-69 years, male 53.0
GTEX-1B8SG-1926-SM-73KUB 50-59 years, male 52.7
GTEX-1BAJH-3126-SM-7MGXY 70-79 years, male 52.7
GTEX-1EX96-3126-SM-9JGGC 50-59 years, male 52.7
GTEX-T6MN-2526-SM-32PMN 50-59 years, male 52.5
GTEX-RU72-2926-SM-2TF66 50-59 years, female 52.4
GTEX-1LSVX-2826-SM-EVR58 60-69 years, male 52.4
GTEX-14E7W-2926-SM-5S2R8 70-79 years, male 52.1
GTEX-1IKOH-2826-SM-CNNRC 60-69 years, female 52.1
GTEX-14JIY-2326-SM-6AJAJ 60-69 years, male 51.9
GTEX-1JMQJ-3126-SM-EV79G 50-59 years, male 51.9
GTEX-11EMC-3326-SM-5P9JH 60-69 years, female 51.8
GTEX-13X6I-2926-SM-5Q5C3 60-69 years, male 51.5
GTEX-P44G-2526-SM-2I5EK 30-39 years, male 51.5
GTEX-14ASI-2926-SM-5Q5DG 60-69 years, male 51.2
GTEX-XLM4-2926-SM-4AT59 60-69 years, male 51.2
GTEX-1EH9U-3126-SM-7MXU5 60-69 years, male 51.1
GTEX-13QIC-3026-SM-5LU58 60-69 years, female 50.9
GTEX-1H3NZ-2926-SM-9WPQ8 60-69 years, male 50.9
GTEX-13CF2-3026-SM-5IFFX 60-69 years, male 50.8
GTEX-17HG3-2826-SM-7EPGO 30-39 years, female 50.7
GTEX-1GZHY-3026-SM-7MXVA 50-59 years, female 50.7
GTEX-1GZ4I-2926-SM-9JGGO 50-59 years, male 50.6
GTEX-1H1CY-3026-SM-9OSW7 60-69 years, female 50.6
GTEX-14PJO-2926-SM-686ZI 60-69 years, male 50.4
GTEX-ZAK1-2926-SM-5HL9S 50-59 years, female 50.3
GTEX-1B933-3026-SM-731DB 50-59 years, female 50.2
GTEX-S7SE-2526-SM-2XCDL 50-59 years, male 50.2
GTEX-1KWVE-2226-SM-CXZKN 30-39 years, male 50.2
GTEX-1LG7Y-3126-SM-EV7AS 50-59 years, male 50.2
GTEX-12ZZZ-3126-SM-5LZU6 60-69 years, male 50.1
GTEX-12WSC-2926-SM-5BC5Z 50-59 years, male 49.9
GTEX-14E6D-2926-SM-664OP 50-59 years, male 49.8
GTEX-1C6VR-3026-SM-7IGLW 60-69 years, male 49.8
GTEX-1NV8Z-3026-SM-DTX8Z 60-69 years, male 49.8
GTEX-1KD4Q-3026-SM-EV7A7 40-49 years, male 49.7
GTEX-11ZVC-3026-SM-59HJM 50-59 years, female 49.6
GTEX-QVUS-2926-SM-3GIJB 60-69 years, female 49.6
GTEX-1J1OQ-3126-SM-D4P2O 40-49 years, female 49.6
GTEX-11TTK-2826-SM-5GU5K 60-69 years, female 49.4
GTEX-1F6IF-3026-SM-7P8QN 60-69 years, male 49.3
GTEX-17JCI-3026-SM-7EWDR 60-69 years, female 49.2
GTEX-Y8DK-0726-SM-4TT3S 60-69 years, male 49.2
GTEX-13112-2926-SM-5DUWT 50-59 years, male 49.1
GTEX-13O3O-3026-SM-5KM42 60-69 years, female 49.0
GTEX-14BIM-3126-SM-5Q5C7 60-69 years, female 49.0
GTEX-11NUK-3026-SM-5986K 50-59 years, male 48.6
GTEX-147GR-3126-SM-5S2PM 60-69 years, male 48.5
GTEX-1IY9M-3126-SM-AHZ3A 60-69 years, male 48.5
GTEX-1F48J-2726-SM-7P8PW 50-59 years, female 48.4
GTEX-11OC5-0626-SM-5HL6M 60-69 years, male 48.3
GTEX-131XH-2926-SM-5LZU4 50-59 years, male 48.1
GTEX-16XZZ-2926-SM-6LPK4 60-69 years, male 48.1
GTEX-NPJ7-2826-SM-2I3FU 60-69 years, female 48.1
GTEX-ZF28-2926-SM-4WKG1 60-69 years, male 48.1
GTEX-ZZPT-2926-SM-5EQ5S 50-59 years, male 48.1
GTEX-1JJ6O-3026-SM-C1YQH 60-69 years, male 48.1
GTEX-QVJO-1325-SM-2S1QX 60-69 years, female 48.0
GTEX-PWO3-1026-SM-2I5F2 60-69 years, female 47.9
GTEX-131YS-3026-SM-5EGHY 60-69 years, female 47.7
GTEX-1IDJH-3126-SM-C1YQS 70-79 years, male 47.7
GTEX-1KANB-3226-SM-D4P3G 50-59 years, male 47.7
GTEX-1B8L1-3226-SM-7P8OX 60-69 years, male 47.6
GTEX-13SLX-3226-SM-5YYA6 50-59 years, female 47.5
GTEX-1B8SF-3026-SM-731DX 60-69 years, male 47.5
GTEX-1PWST-3026-SM-EAZ3H 70-79 years, male 47.4
GTEX-X261-3126-SM-4PQZC 50-59 years, male 47.3
GTEX-12ZZX-2826-SM-5BC6K 40-49 years, female 47.1
GTEX-13OW5-3126-SM-5MR3Y 60-69 years, male 47.0
GTEX-11DXW-1026-SM-5H11K 40-49 years, male 46.7
GTEX-13OVH-2926-SM-5IJFH 70-79 years, male 46.7
GTEX-13OW8-2926-SM-5L3FV 60-69 years, male 46.7
GTEX-1I1GV-3026-SM-CNNR9 60-69 years, male 46.7
GTEX-13NYB-3226-SM-5J2ND 40-49 years, male 46.6
GTEX-14ABY-3026-SM-664NE 50-59 years, male 46.6
GTEX-14JG1-2926-SM-686ZK 40-49 years, male 46.6
GTEX-1CB4G-2926-SM-7MKFQ 60-69 years, male 46.6
GTEX-1R46S-3126-SM-DPRZ9 60-69 years, female 46.6
GTEX-1R9PO-2826-SM-E6CPV 60-69 years, female 46.6
GTEX-111FC-3326-SM-5GZYV 60-69 years, male 46.5
GTEX-UTHO-2926-SM-3P5Z9 60-69 years, male 46.5
GTEX-1H3VE-2826-SM-9WPOL 40-49 years, male 46.5
GTEX-147F4-3026-SM-5Q5BJ 50-59 years, male 46.4
GTEX-1269C-3126-SM-5EGI6 60-69 years, female 46.2
GTEX-139TT-2626-SM-5LZUB 60-69 years, male 46.1
GTEX-16YQH-2926-SM-6LPJE 30-39 years, male 46.1
GTEX-1H4P4-2726-SM-9JGGB 50-59 years, male 46.1
GTEX-OHPN-2626-SM-2I5H1 60-69 years, female 45.9
GTEX-15ER7-3026-SM-6M47W 20-29 years, female 45.8
GTEX-N7MS-2526-SM-2D7W3 60-69 years, male 45.8
GTEX-P44H-2426-SM-2XCEJ 40-49 years, male 45.8
GTEX-1128S-2826-SM-5N9DI 60-69 years, female 45.7
GTEX-15SHU-3026-SM-6LPIB 40-49 years, female 45.7
GTEX-1E2YA-2926-SM-7MGWX 50-59 years, male 45.7
GTEX-1GF9V-3026-SM-7P8R8 60-69 years, male 45.7
GTEX-14PJM-3026-SM-6LLHM 50-59 years, female 45.6
GTEX-13OW7-2926-SM-5MR3Z 50-59 years, male 45.5
GTEX-ZYFD-2926-SM-5GID9 50-59 years, male 45.5
GTEX-ZYY3-3026-SM-5GIEJ 60-69 years, female 45.4
GTEX-11ZTS-3226-SM-5EGID 60-69 years, female 45.3
GTEX-QMR6-1326-SM-32PLB 50-59 years, male 45.3
GTEX-ZAB4-2926-SM-57WCV 40-49 years, male 45.3
GTEX-ZDXO-2926-SM-4WKFM 60-69 years, male 45.3
GTEX-1HBPH-3026-SM-9WPNY 40-49 years, female 45.3
GTEX-11ONC-3026-SM-5985W 60-69 years, male 45.2
GTEX-13FHP-2926-SM-5IJG9 50-59 years, male 45.2
GTEX-1GN73-3026-SM-7MXV8 60-69 years, male 45.2
GTEX-117XS-3126-SM-5GIDP 60-69 years, male 45.1
GTEX-11NV4-2226-SM-5BC4T 60-69 years, male 45.1
GTEX-11GSO-3026-SM-5Q5AL 60-69 years, male 45.0
GTEX-11GSP-3126-SM-5A5LL 60-69 years, female 45.0
GTEX-11ZUS-2826-SM-5EQKW 30-39 years, male 45.0
GTEX-13N2G-3126-SM-5IJGL 60-69 years, male 45.0
GTEX-1EU9M-2926-SM-793DF 60-69 years, male 44.9
GTEX-12126-0926-SM-5FQTW 20-29 years, male 44.8
GTEX-145LS-3026-SM-5O99S 60-69 years, female 44.8
GTEX-14JFF-2826-SM-6871Q 60-69 years, male 44.8
GTEX-1IL2V-3026-SM-CYPSA 70-79 years, male 44.8
GTEX-145MF-2826-SM-7EPGU 50-59 years, male 44.6
GTEX-ZVT3-2926-SM-5GU6M 60-69 years, female 44.6
GTEX-1HSMO-2926-SM-C1YR5 60-69 years, male 44.6
GTEX-11EI6-2926-SM-5985U 60-69 years, male 44.5
GTEX-1A8G7-3026-SM-73KTT 60-69 years, male 44.4
GTEX-14C39-3026-SM-5S2QE 40-49 years, male 44.3
GTEX-1F52S-3026-SM-7P8PV 60-69 years, female 44.3
GTEX-14BIN-3326-SM-5Q5E6 50-59 years, female 44.2
GTEX-12WSD-3026-SM-5LZU7 60-69 years, female 44.1
GTEX-139TS-3126-SM-5LZWX 60-69 years, male 44.1
GTEX-15EO6-2926-SM-6M48D 50-59 years, male 44.1
GTEX-1CB4H-3026-SM-79OLX 60-69 years, female 44.1
GTEX-1I1HK-2726-SM-AHZ2M 60-69 years, male 44.1
GTEX-13OVL-3026-SM-5IJF1 50-59 years, male 44.0
GTEX-1A8G6-3126-SM-731D8 60-69 years, male 43.9
GTEX-11PRG-2826-SM-5BC54 50-59 years, male 43.8
GTEX-144GL-2926-SM-5O99F 50-59 years, male 43.8
GTEX-17HII-2926-SM-79OMK 50-59 years, male 43.8
GTEX-1JMOU-2826-SM-EV79R 60-69 years, female 43.7
GTEX-12WSH-3126-SM-5LZW8 50-59 years, male 43.6
GTEX-13S7M-3026-SM-5S2QQ 60-69 years, female 43.6
GTEX-1EKGG-3126-SM-9WPO5 60-69 years, male 43.4
GTEX-17EVP-2926-SM-793BU 40-49 years, male 43.3
GTEX-TSE9-2926-SM-3DB77 60-69 years, female 43.3
GTEX-13JUV-3026-SM-5K7WX 40-49 years, female 43.2
GTEX-ZUA1-2926-SM-59HL3 40-49 years, male 43.2
GTEX-1B996-2926-SM-7MXUH 60-69 years, male 43.2
GTEX-13FHO-2926-SM-5L3ES 60-69 years, male 42.9
GTEX-1P4AB-3026-SM-EXOJS 50-59 years, male 42.9
GTEX-1JN1M-3126-SM-AHZ4E 60-69 years, female 42.8
GTEX-11O72-2826-SM-5HL6W 40-49 years, male 42.7
GTEX-12ZZY-2926-SM-5DUXO 60-69 years, male 42.7
GTEX-11DXY-3126-SM-5N9BT 60-69 years, male 42.6
GTEX-1HBPI-2726-SM-9WPPF 50-59 years, male 42.3
GTEX-1JMPZ-2826-SM-C1YRA 30-39 years, male 42.3
GTEX-13OW6-2926-SM-5KM29 50-59 years, male 42.2
GTEX-Q2AG-2826-SM-2HMJQ 40-49 years, female 41.7
GTEX-YJ89-2926-SM-5P9IT 60-69 years, male 41.7
GTEX-1192X-3226-SM-5987D 50-59 years, male 41.4
GTEX-17F97-2926-SM-7DUEQ 50-59 years, male 41.3
GTEX-14BMV-2926-SM-5TDEE 50-59 years, male 41.1
GTEX-14C5O-2926-SM-5RQI1 60-69 years, male 41.1
GTEX-15G19-2826-SM-6M48K 60-69 years, male 41.0
GTEX-17EVQ-2726-SM-7EWDT 70-79 years, male 40.8
GTEX-1H3O1-1826-SM-A96TO 60-69 years, male 40.7
GTEX-17HHY-2926-SM-79OJW 50-59 years, male 40.6
GTEX-1GZ2Q-3026-SM-9JGG3 40-49 years, male 40.6
GTEX-1C64N-3126-SM-79OO3 50-59 years, male 40.4
GTEX-1HSKV-2926-SM-B2LWJ 60-69 years, male 40.3
GTEX-1JMQK-2926-SM-D4P2T 60-69 years, male 40.2
GTEX-13X6K-2826-SM-5O9DS 60-69 years, female 40.1
GTEX-1JMLX-3026-SM-EV79Q 50-59 years, male 40.0
GTEX-11DYG-2926-SM-5H132 60-69 years, male 39.8
GTEX-11DZ1-2926-SM-5A5KI 50-59 years, male 39.7
GTEX-13JVG-3226-SM-5IJGJ 60-69 years, male 39.6
GTEX-1I1CD-2926-SM-A96SJ 60-69 years, female 39.6
GTEX-X4XX-2926-SM-3NMB1 60-69 years, male 39.5
GTEX-13O3Q-3026-SM-5IJGD 50-59 years, male 39.3
GTEX-13PVQ-2926-SM-5L3HJ 50-59 years, male 39.2
GTEX-X4EP-3026-SM-3P5YP 60-69 years, female 39.1
GTEX-12WSM-2126-SM-5GCOC 60-69 years, male 38.8
GTEX-13FXS-3026-SM-5LZYO 50-59 years, male 38.6
GTEX-13G51-3126-SM-5IJG7 60-69 years, male 38.4
GTEX-1GTWX-2926-SM-7MXV4 60-69 years, male 38.4
GTEX-1HCVE-2926-SM-9WPPJ 50-59 years, male 38.2
GTEX-132Q8-2926-SM-5IFFP 60-69 years, male 37.4
GTEX-1H1ZS-2926-SM-9WPP2 70-79 years, male 37.4
GTEX-13RTJ-3126-SM-5S2Q4 60-69 years, male 37.1
GTEX-XMD1-2826-SM-4AT5F 60-69 years, male 36.8
GTEX-14PN4-3026-SM-664O4 50-59 years, male 36.6
GTEX-1H1DG-2826-SM-9JGHB 70-79 years, male 36.6
GTEX-13OVJ-2726-SM-5IJG6 50-59 years, female 35.9
GTEX-QDT8-3026-SM-32PKB 30-39 years, female 35.8
GTEX-ZAJG-3026-SM-5HL92 50-59 years, female 35.8
GTEX-1A3MX-2926-SM-718B7 60-69 years, male 34.7
GTEX-YFC4-3026-SM-5IFJK 40-49 years, female 34.7
GTEX-NPJ8-2626-SM-2D7W2 40-49 years, male 33.0
Show allShow less

CEREBELLUM - FANTOM5 CAGEi

RNA expression in human tissues obtained through Cap Analysis of Gene Expression (CAGE) generated by the FANTOM5 project are reported as Scaled Tags Per Million.

Max subtype Scaled Tags Per Millioni

Max subtype Scaled Tags Per Million is the value for the subtype with the largest average Scaled Tags Per Million across the subtype samples.

62.7
FANTOM5 sample id Sample description Scaled Tags Per Million
Cerebellum
Scaled Tags Per Million: 62.7
FF:10083-102B2 22-68 years, mixed 76.8
FF:10166-103B4 76 years, female 48.6

CEREBELLUM - Pig RNA-seqi

RNA-seq data obtained from pig brain is reported as nTPM .

Normal distribution across the dataset is visualized with box plots, shown as median and 25th and 75th percentiles. Points are displayed as outliers if they are above or below 1.5 times the interquartile range. nTPM values of the individual samples are presented next to the box plot.
Max subtype nTPMi

Max subtype nTPM is the value for the subtype with the largest average nTPM across the subtype samples.

45.3
Pig sample Sample description nTPM
Cerebellum
nTPM: 45.3
Samples: 4

Max nTPM: 53.2
Min nTPM: 37.4
Sample A Female 37.4
Sample B Female 44.6
Sample C Male 53.2
Sample D Male 45.9

CEREBELLUM - Mouse RNA-seqi

RNA-seq data obtained from mouse brain is reported as nTPM .

Normal distribution across the dataset is visualized with box plots, shown as median and 25th and 75th percentiles. Points are displayed as outliers if they are above or below 1.5 times the interquartile range. nTPM values of the individual samples are presented next to the box plot.
Max subtype nTPMi

Max subtype nTPM is the value for the subtype with the largest average nTPM across the subtype samples.

114.4
Mouse sample Sample description nTPM
Cerebellum
nTPM: 114.4
Samples: 4

Max nTPM: 130.8
Min nTPM: 100.8
Sample A Male 117.4
Sample B Male 130.8
Sample C Female 100.8
Sample D Female 108.5

CEREBELLUM - Allen Mouse ISHi

In situ hybridization (ISH) data generated by the Allen brain atlas from mouse brain is reported as expression energy. For more details about a particular experiment, click on the corresponding Allen experiment ID.

Max subtype Expression energyi

Max subtype Expression energy is the value for the subtype with the largest average Expression energy across the subtype samples.

3.5
Allen experiment id Experiment description Expression energy
Cerebellum
Expression energy: 3.5
79393535 Antisense, RP_071018_02_B02, Mouse strain C57BL/6J (56 days, male) 3.5

Contact

  • NEWS ARTICLES
  • PRESS ROOM

The Project

  • INTRODUCTION
  • ORGANIZATION
  • PUBLICATIONS

The Human Protein Atlas

  • DOWNLOADABLE DATA
  • LICENCE & CITATION
  • HELP & FAQ
The Human Protein Atlas project is funded
by the Knut & Alice Wallenberg Foundation.


contact@proteinatlas.org