We use cookies to enhance the usability of our website. If you continue, we'll assume that you are happy to receive all cookies. More information. Don't show this again.
CRABP2
HPA
RESOURCES
  • TISSUE
  • BRAIN
  • SINGLE CELL
  • SUBCELLULAR
  • CANCER
  • BLOOD
  • CELL LINE
  • STRUCTURE & INTERACTION
ABOUT
  • INTRODUCTION
  • HISTORY
  • ORGANIZATION
  • PUBLICATIONS
  • ANTIBODY SUBMISSION
  • ANTIBODY AVAILABILITY
  • ACKNOWLEDGMENTS
  • CONTACT
NEWS
  • NEWS ARTICLES
  • PRESS ROOM
LEARN
  • DICTIONARY
  • PROTEIN CLASSES
  • PROTEIN EVIDENCE
  • METHODS
  • EDUCATIONAL VIDEOS
DATA
  • DOWNLOADABLE DATA
  • PUBLICATION DATA
  • RELEASE HISTORY
HELP
  • ANTIBODY VALIDATION
  • ASSAYS & ANNOTATION
  • DISCLAIMER
  • HELP & FAQ
  • PRIVACY STATEMENT
  • LICENCE & CITATION
Fields »
Search result

Field
Term
Gene name
Class
Subclass
Class
Keyword
Chromosome
External id
Tissue
Cell type
Expression
Antibody panel
Tissue
Main location
Patient ID
Annotation
Tissue
Category
Tau score
Cluster
Reliability
Brain region
Category
Tau score
Brain region
Category
Tau score
Brain region
Category
Tau score
Cluster
Reliability
Tissue
Cell type
Enrichment
Cell type
Category
Tau score
Cell type
Category
Tau score
Cell type
Category
Tau score
Cell lineage
Category
Tau score
Cluster
Cluster
Location
Searches
Location
Cell line
Class
Type
Phase
Reliability
Cancer
Prognosis
Cancer
Category
Cancer
Category
Tau score
Cluster
Variants
Interacting gene (ensg_id)
Type
Number of interactions
Pathway
Category
Score
Score
Score
Validation
Validation
Validation
Validation
Antibodies
Data type
Column


  • SUMMARY

  • TISSUE

  • BRAIN

  • SINGLE CELL

  • SUBCELL

  • CANCER

  • BLOOD

  • CELL LINE

  • STRUCT & INT

  • CRABP2
TISSUE PRIMARY DATA BREAST Show tissue menu
ADIPOSE TISSUE ADRENAL GLAND AMYGDALA APPENDIX BASAL GANGLIA BONE MARROW BREAST BRONCHUS CEREBELLUM CEREBRAL CORTEX CERVIX CHOROID PLEXUS COLON DUODENUM
ENDOMETRIUM EPIDIDYMIS ESOPHAGUS FALLOPIAN TUBE GALLBLADDER HEART MUSCLE HIPPOCAMPAL FORMATION HYPOTHALAMUS KIDNEY LIVER LUNG LYMPH NODE MIDBRAIN NASOPHARYNX
ORAL MUCOSA OVARY PANCREAS PARATHYROID GLAND PITUITARY GLAND PLACENTA PROSTATE RECTUM RETINA SALIVARY GLAND SEMINAL VESICLE SKELETAL MUSCLE SKIN SMALL INTESTINE
SMOOTH MUSCLE SOFT TISSUE SPINAL CORD SPLEEN STOMACH TESTIS THYMUS THYROID GLAND TONGUE TONSIL URINARY BLADDER VAGINA
ANTIBODIES
AND
VALIDATION
Dictionary
Breast
Tissue proteome
Breast
BREAST - Expression summary
Protein expression
Breasti

On the top, protein expression in current human tissue, based on all annotated cell types, is reported with the units not detected (n), low (l), medium (m) and high (h). Underneath, protein expression in each annotated cell type are reported using the same units.

Protein expression data is based on knowledge-based annotation. For genes where more than one antibody has been used, a collective score is set.

If knowledge-based annotation could not be performed for a gene, no data is displayed here. View antibody staining data further down this page.

h
m
l
n
Adipocytes: Not detected
Glandular cells: Medium
Myoepithelial cells: Not detected
RNA expressioni

A summary of mRNA expression data available for current tissue based on several datasets. The mRNA expression levels in human tissues are based on RNA-seq data generated by the Human Protein Atlas (HPA), Genotype-Tissue Expression (GTEx) portal and CAGE data generated by the FANTOM5 consortium. Consensus normalized expression levels for human tissues was created by combining the data from HPA and GTEx datasets.

The mRNA expression levels in pig are based on RNA-seq data generated by the Human Protein Atlas (HPA), and for mouse, HPA data and in situ hybridization generated by the Allen brain atlas are reported.

Scroll down to view mRNA expression data in more detail.
Consensus:101.1 nTPM
HPA:101.1 nTPM
GTEx:61.9 nTPM
FANTOM5:12.3 Scaled Tags Per Million

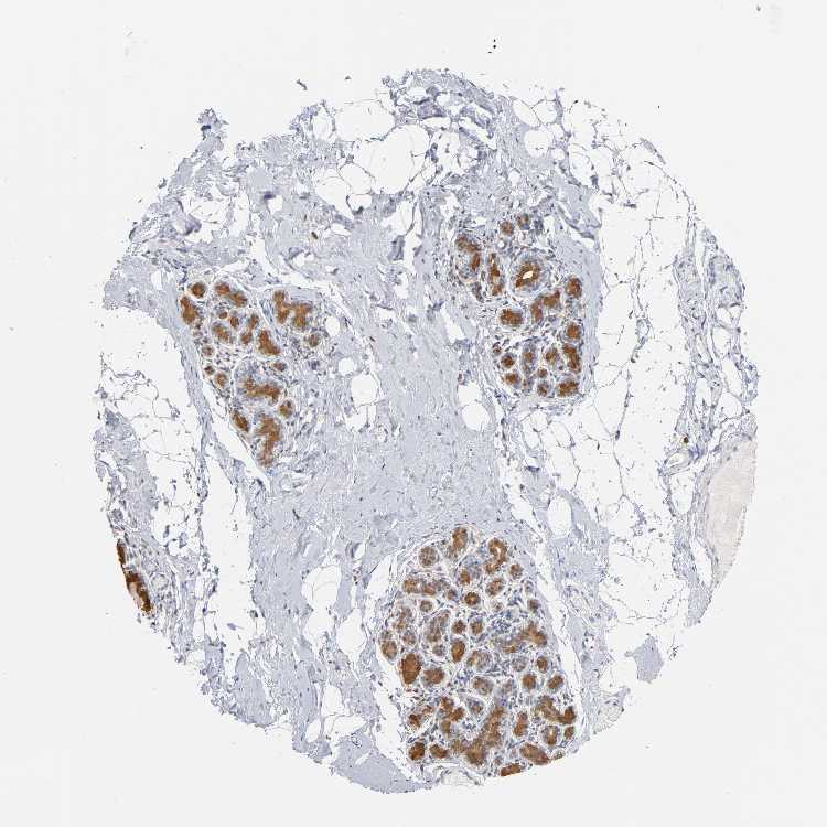
BREAST - Antibody stainingi

Antibody staining in the annotated cell types in the current human tissue is reported as not detected, low, medium, or high, based on conventional immunohistochemistry profiling in selected tissues. This score is based on the combination of the staining intensity and fraction of stained cells.

Each image is clickable and will lead to virtual microscopy that enables deeper exploration of all samples and also displays staining intensity scores, fraction scores and subcellular localization as well as patient and tissue information for each sample.

Antibody HPA004135Antibody CAB080413
Adipocytes Not detectedMedium
Glandular cells MediumHigh
Myoepithelial cells Not detectedHigh





BREAST - HPA RNA-seqi

The RNA-seq details section shows detailed information about the individual samples used for the transcript profiling and results of the RNA-seq analysis.

Information about each individual sample is listed below, including gender, age, a tissue section image and estimated fractions of cell types. nTPM (normalized transcripts per million) values give a quantification of the gene abundance which is comparable between different genes and samples.
Average nTPMi

Max subtype nTPM is the value for the subtype with the largest average nTPM across the subtype samples.

101.1
overview
Female, age 52
Breast sample 373
nTPM: 92.7
Cell types%
Glandular cells:
15

Adipocytes:
5

Other cell types:
80

overview
Female, age 80
Breast sample 390
nTPM: 111.8
Cell types%
Glandular cells:
5

Adipocytes:
15

Other cell types:
80

overview
Female, age 47
Breast sample 405
nTPM: 116.2
Cell types%
Glandular cells:
5

Adipocytes:
5

Other cell types:
90

overview
Female, age 38
Breast sample 410
nTPM: 83.7
Cell types%
Glandular cells:
40

Adipocytes:
5

Other cell types:
55


BREAST - GTEx RNA-seqi

RNA-Seq data generated by the Genotype-Tissue Expression (GTEx) project from human tissues is reported as mean nTPM. More information can be found on the GTEx portal.

Distribution across the dataset is visualized with box plots, shown as median and 25th and 75th percentiles. Points are displayed as outliers if they are above or below 1.5 times the interquartile range. nTPM values of the individual samples are presented next to the box plot.
Max subtype nTPMi

Max subtype nTPM is the value for the subtype with the largest average nTPM across the subtype samples.

61.9
GTEx sample id Sample description nTPM
Breast - Mammary Tissue
Average nTPM: 61.9
Samples: 459

Max nTPM: 535.8
Min nTPM: 0.5
Std nTPM: 67.7
Median nTPM: 42.3
GTEX-14ABY-2126-SM-5QGQZ 50-59 years, male 535.8
GTEX-1GZ2Q-2626-SM-7MXV9 40-49 years, male 525.8
GTEX-17HG3-0126-SM-7IGNH 30-39 years, female 356.1
GTEX-131XW-0726-SM-5EGK3 50-59 years, female 317.5
GTEX-WYBS-0926-SM-3NM94 60-69 years, female 305.3
GTEX-T5JW-2026-SM-4DM63 20-29 years, female 287.8
GTEX-13SLX-2326-SM-5ZZWE 50-59 years, female 286.7
GTEX-1POEN-0926-SM-DTX88 30-39 years, female 286.2
GTEX-1QEPI-0926-SM-DTXF3 60-69 years, female 279.2
GTEX-XOT4-0726-SM-4GIAW 60-69 years, female 267.7
GTEX-1IGQW-0926-SM-ADEH6 60-69 years, male 246.8
GTEX-YFC4-1426-SM-5IFJG 40-49 years, female 246.5
GTEX-XYKS-1326-SM-4BRUN 60-69 years, female 243.2
GTEX-131YS-0626-SM-5EGKL 60-69 years, female 240.1
GTEX-11PRG-0826-SM-5EQ6A 50-59 years, male 239.4
GTEX-17JCI-0726-SM-7EPH1 60-69 years, female 235.3
GTEX-15FZZ-0726-SM-7KUFZ 30-39 years, female 227.9
GTEX-1R9PN-0326-SM-DTX85 40-49 years, female 217.0
GTEX-18A7A-0726-SM-7LTAI 50-59 years, female 208.5
GTEX-1MJK2-2226-SM-EVYCR 50-59 years, male 199.1
GTEX-1H1CY-2226-SM-9WG7E 60-69 years, female 198.7
GTEX-1IKOH-2326-SM-CM2TW 60-69 years, female 195.9
GTEX-11WQC-1726-SM-5GU4W 60-69 years, male 193.3
GTEX-11DXW-0626-SM-5N9ER 40-49 years, male 187.5
GTEX-1GN2E-2226-SM-9WG6J 60-69 years, male 182.8
GTEX-13O3O-0826-SM-5K7WE 60-69 years, female 181.5
GTEX-ZF3C-2326-SM-5S2NC 50-59 years, female 180.3
GTEX-13PL6-2926-SM-5L3I2 40-49 years, female 178.9
GTEX-R3RS-0626-SM-48FE1 40-49 years, female 178.9
GTEX-11GSP-0926-SM-9WYSG 60-69 years, female 174.8
GTEX-1J8EW-2626-SM-CL53E 60-69 years, female 163.7
GTEX-13QJ3-0826-SM-7DHKK 50-59 years, male 159.4
GTEX-1CB4G-2326-SM-79OOI 60-69 years, male 158.7
GTEX-X15G-1626-SM-3NMB3 50-59 years, female 157.5
GTEX-ZU9S-1926-SM-5NQBP 30-39 years, male 155.5
GTEX-1JJEA-2726-SM-ARL8V 60-69 years, male 153.4
GTEX-1GZHY-0726-SM-9WG6B 50-59 years, female 152.3
GTEX-1RQEC-2026-SM-DTXDM 60-69 years, male 149.1
GTEX-139T8-0826-SM-5L3DE 60-69 years, male 147.2
GTEX-WRHU-0326-SM-3MJFY 50-59 years, female 146.7
GTEX-1N2EE-2126-SM-E8VNN 60-69 years, male 144.7
GTEX-T2IS-1526-SM-32QPR 20-29 years, female 143.5
GTEX-T6MN-0726-SM-32PML 50-59 years, male 142.5
GTEX-ZVZQ-0826-SM-51MRF 60-69 years, female 141.7
GTEX-1BAJH-0826-SM-7EWEF 70-79 years, male 140.0
GTEX-1S82U-1126-SM-E9U6I 30-39 years, female 138.6
GTEX-1M5QR-2526-SM-E9U5P 40-49 years, male 135.2
GTEX-1F6I4-2526-SM-7SB8F 60-69 years, male 135.1
GTEX-QDT8-0626-SM-48TYW 30-39 years, female 134.3
GTEX-Y3IK-2326-SM-4WWDT 50-59 years, female 132.8
GTEX-ZGAY-1726-SM-DO91P 40-49 years, female 132.6
GTEX-ZF2S-2026-SM-5E461 50-59 years, female 128.4
GTEX-1B932-0826-SM-73KXG 40-49 years, female 126.8
GTEX-1IDJE-0826-SM-CKZNZ 50-59 years, female 125.9
GTEX-15ER7-1626-SM-6PAMZ 20-29 years, female 125.8
GTEX-11GS4-2126-SM-5A5KR 60-69 years, male 125.4
GTEX-T5JC-2126-SM-32PMO 20-29 years, male 124.2
GTEX-SE5C-2126-SM-4BRUJ 40-49 years, female 124.0
GTEX-ZLV1-1426-SM-DO92Z 60-69 years, female 122.4
GTEX-Q2AG-0326-SM-48U1O 40-49 years, female 118.3
GTEX-14AS3-1626-SM-5S2OY 40-49 years, female 116.5
GTEX-13CF2-2026-SM-5K7VI 60-69 years, male 116.4
GTEX-12ZZX-1126-SM-5EGKB 40-49 years, female 115.9
GTEX-1GMRU-0826-SM-9WYT7 50-59 years, male 114.6
GTEX-13QIC-2326-SM-5LU5N 60-69 years, female 112.6
GTEX-1RAZS-1226-SM-E8VMT 50-59 years, male 112.5
GTEX-13N11-1726-SM-5J1OJ 50-59 years, female 111.3
GTEX-ZC5H-2626-SM-5J2MG 40-49 years, female 110.6
GTEX-1IY9M-2726-SM-CMKG5 60-69 years, male 110.4
GTEX-14PN4-0626-SM-62LFP 50-59 years, male 109.1
GTEX-13FTY-2226-SM-5J1ND 40-49 years, female 107.9
GTEX-1B933-2526-SM-7IGO5 50-59 years, female 107.4
GTEX-1JJE9-2326-SM-ARL8Q 70-79 years, male 106.9
GTEX-ZAK1-1326-SM-EVYAS 50-59 years, female 106.7
GTEX-ZVTK-0326-SM-51MRR 20-29 years, male 106.5
GTEX-132NY-0826-SM-5K7Y7 60-69 years, male 106.3
GTEX-ZY6K-1626-SM-5GZWV 50-59 years, male 106.0
GTEX-11OF3-1926-SM-59889 60-69 years, male 105.8
GTEX-1GZ4I-2826-SM-9MQK5 50-59 years, male 104.3
GTEX-1J8QM-2026-SM-ARZMW 60-69 years, female 104.1
GTEX-ZXES-0826-SM-5E43C 30-39 years, female 104.0
GTEX-ZZPU-0626-SM-5E43T 50-59 years, female 103.3
GTEX-1F75A-1826-SM-7SB8G 50-59 years, male 102.7
GTEX-1I1HK-2426-SM-ADEHX 60-69 years, male 102.7
GTEX-1IE54-0626-SM-ARL8D 40-49 years, female 102.2
GTEX-XUZC-1626-SM-4BRVP 30-39 years, female 100.6
GTEX-133LE-1726-SM-5K7VQ 20-29 years, female 100.5
GTEX-1GN1U-0526-SM-9KNTT 50-59 years, female 100.5
GTEX-VUSG-2226-SM-4KKZO 50-59 years, male 100.2
GTEX-WYVS-1726-SM-3NMAY 40-49 years, female 100.2
GTEX-1HSKV-2026-SM-CMKGX 60-69 years, male 100.1
GTEX-1LVAM-0926-SM-E9TJ2 50-59 years, female 99.8
GTEX-147F4-2826-SM-5NQBN 50-59 years, male 99.6
GTEX-1QMI2-0726-SM-E9J4F 60-69 years, male 99.4
GTEX-14LLW-0626-SM-62LFC 70-79 years, female 98.3
GTEX-11DXY-2326-SM-5GICW 60-69 years, male 96.9
GTEX-1B8SG-1226-SM-7IGPF 50-59 years, male 95.3
GTEX-1KANA-2026-SM-DIPFB 20-29 years, male 94.7
GTEX-1C6VS-0726-SM-7EPHF 60-69 years, male 94.6
GTEX-1RAZQ-1226-SM-EWRNL 30-39 years, male 94.4
GTEX-S7SE-0826-SM-4AT4D 50-59 years, male 93.1
GTEX-ZVT2-1826-SM-5NQ8W 50-59 years, female 92.7
GTEX-1QCLY-1626-SM-DTXDW 30-39 years, male 92.6
GTEX-S4P3-1326-SM-4AD6V 50-59 years, female 91.6
GTEX-1IKJJ-2326-SM-COH3U 60-69 years, male 91.1
GTEX-13FHO-0826-SM-5L3E8 60-69 years, male 91.0
GTEX-ZVT4-1026-SM-57WC4 50-59 years, female 89.8
GTEX-1B97J-0426-SM-79OLQ 50-59 years, female 88.4
GTEX-1GMR3-2626-SM-7RHHG 40-49 years, male 88.3
GTEX-1N5O9-1126-SM-DTXEQ 60-69 years, male 88.3
GTEX-14PHY-1926-SM-5YY95 60-69 years, female 88.0
GTEX-1NV8Z-2826-SM-E8VME 60-69 years, male 87.8
GTEX-RU1J-0626-SM-4WAWY 20-29 years, female 87.6
GTEX-1C6WA-2426-SM-7SB86 60-69 years, male 87.4
GTEX-1GN1W-1926-SM-7P8TH 50-59 years, female 85.0
GTEX-1269C-2426-SM-5FQSN 60-69 years, female 84.3
GTEX-VJWN-0726-SM-3GIJ8 50-59 years, female 84.3
GTEX-1313W-0826-SM-5EQ4T 50-59 years, female 82.7
GTEX-145LT-0726-SM-5S2VM 40-49 years, male 82.7
GTEX-1B8KZ-1526-SM-7DUG7 50-59 years, male 82.7
GTEX-1F75I-2026-SM-7SB7N 40-49 years, male 81.7
GTEX-1H4P4-2226-SM-9MQKQ 50-59 years, male 81.1
GTEX-11P81-1926-SM-5BC53 30-39 years, female 80.3
GTEX-18A6Q-0926-SM-7LG4N 60-69 years, male 80.3
GTEX-S341-1526-SM-4AD6K 40-49 years, female 80.1
GTEX-13SLW-2526-SM-62LDQ 70-79 years, male 79.9
GTEX-1MCC2-2126-SM-EWRON 30-39 years, female 79.8
GTEX-11EMC-2026-SM-5A5JV 60-69 years, female 79.7
GTEX-11P7K-0726-SM-5EGKX 30-39 years, male 79.4
GTEX-U3ZN-1926-SM-4DXSG 30-39 years, female 79.2
GTEX-11EI6-0626-SM-5985T 60-69 years, male 78.9
GTEX-1IDJH-2226-SM-E6CJV 70-79 years, male 78.9
GTEX-ZYFC-0826-SM-5E44K 50-59 years, male 78.5
GTEX-ZEX8-2226-SM-57WC6 50-59 years, male 77.3
GTEX-1HUB1-1626-SM-CM2SL 60-69 years, male 77.1
GTEX-13O3P-0826-SM-5L3DH 50-59 years, male 76.9
GTEX-X4EP-2926-SM-3P5YQ 60-69 years, female 76.5
GTEX-RU72-0626-SM-46MUI 50-59 years, female 75.4
GTEX-1I19N-2826-SM-CL55D 70-79 years, male 75.3
GTEX-13PVQ-1026-SM-5KM3M 50-59 years, male 75.2
GTEX-111YS-1926-SM-5GICC 60-69 years, male 75.1
GTEX-11NV4-2026-SM-5N9DG 60-69 years, male 74.5
GTEX-UJHI-1426-SM-3DB9C 50-59 years, female 74.4
GTEX-Y5V5-2126-SM-4WWFO 60-69 years, female 74.0
GTEX-1IOXB-1926-SM-ARL8E 50-59 years, male 73.5
GTEX-XMD2-0926-SM-4WWEF 60-69 years, female 73.2
GTEX-1122O-1226-SM-5H113 60-69 years, female 73.0
GTEX-U3ZH-1426-SM-4DXSR 30-39 years, male 73.0
GTEX-1HR9M-2426-SM-ACKXI 60-69 years, male 72.2
GTEX-1EWIQ-1726-SM-7SB7T 70-79 years, female 71.8
GTEX-17HHY-0926-SM-793C1 50-59 years, male 71.7
GTEX-1CB4E-0226-SM-79OLW 60-69 years, male 71.5
GTEX-1HSGN-1526-SM-A9SMO 40-49 years, female 71.4
GTEX-17EVP-0226-SM-79OND 40-49 years, male 70.4
GTEX-QVJO-1826-SM-447C9 60-69 years, female 70.4
GTEX-1HCVE-2626-SM-ADEJ8 50-59 years, male 70.3
GTEX-15ETS-0626-SM-7KUMX 40-49 years, female 69.2
GTEX-1GPI6-0626-SM-7RHHJ 60-69 years, male 68.8
GTEX-17KNJ-2026-SM-7LG53 50-59 years, male 68.5
GTEX-Y111-2026-SM-4SOJA 50-59 years, male 68.4
GTEX-1IKOE-1326-SM-CE6T6 30-39 years, female 66.4
GTEX-1GF9X-1026-SM-ACKX2 40-49 years, female 66.3
GTEX-1I1GT-1126-SM-ARL7J 60-69 years, female 66.1
GTEX-1HCUA-0726-SM-ACKVU 50-59 years, female 65.9
GTEX-1HT8W-2226-SM-CGQEC 30-39 years, male 65.1
GTEX-ZDXO-0126-SM-5S2ND 60-69 years, male 65.0
GTEX-1K2DA-1726-SM-CGQGS 50-59 years, male 63.9
GTEX-ZAJG-0626-SM-5HL8X 50-59 years, female 63.5
GTEX-WXYG-2226-SM-4E3IM 50-59 years, female 63.2
GTEX-14H4A-2526-SM-5YYAY 40-49 years, female 62.9
GTEX-15SHW-1326-SM-6PAL8 60-69 years, male 62.3
GTEX-1MCYP-0126-SM-E6CIS 20-29 years, female 62.3
GTEX-ZF29-1926-SM-5S2P1 60-69 years, female 61.3
GTEX-1LNCM-0226-SM-DIPF4 50-59 years, female 61.1
GTEX-13NZB-2126-SM-5MR4Y 30-39 years, male 60.8
GTEX-1GF9V-2526-SM-7SB8K 60-69 years, male 60.2
GTEX-1GMR8-0726-SM-9KNVI 50-59 years, female 60.1
GTEX-15UF6-0126-SM-6PAMB 70-79 years, female 59.2
GTEX-1MA7W-1026-SM-DKPQK 20-29 years, female 59.2
GTEX-13113-5013-SM-7SB7G 60-69 years, female 58.1
GTEX-1AX8Z-0926-SM-731AW 60-69 years, male 57.5
GTEX-11ONC-2126-SM-5HL6E 60-69 years, male 57.2
GTEX-17F98-0526-SM-79OK5 40-49 years, female 56.1
GTEX-16NGA-0826-SM-718AF 40-49 years, female 55.3
GTEX-15EOM-5019-SM-793DK 20-29 years, female 54.8
GTEX-1A8G7-2426-SM-731AK 60-69 years, male 54.6
GTEX-17HHE-1426-SM-7EPH4 50-59 years, male 53.8
GTEX-13O3Q-2226-SM-5KM4O 50-59 years, male 53.2
GTEX-1N2EF-2226-SM-E9J33 60-69 years, male 52.8
GTEX-11EM3-1326-SM-5N9C6 20-29 years, female 52.7
GTEX-14BMU-1626-SM-5TDE7 20-29 years, female 52.2
GTEX-13NZ9-1026-SM-5MR5K 50-59 years, male 52.0
GTEX-139TU-0626-SM-5KM3X 60-69 years, male 51.6
GTEX-ZVE2-1226-SM-5NQ8R 50-59 years, male 51.6
GTEX-YJ8O-2226-SM-5IFHW 40-49 years, female 51.3
GTEX-145MF-2226-SM-7EPIR 50-59 years, male 51.2
GTEX-1K9T9-1426-SM-DIPFQ 50-59 years, female 50.2
GTEX-1I1GV-2426-SM-CGQFM 60-69 years, male 50.1
GTEX-14E7W-0826-SM-62LEJ 70-79 years, male 49.6
GTEX-U412-1826-SM-4DXTJ 60-69 years, male 49.3
GTEX-YB5K-1626-SM-5IFIN 40-49 years, female 49.2
GTEX-1QP29-1726-SM-E8VMQ 50-59 years, male 49.2
GTEX-14A5I-0726-SM-5TDEB 50-59 years, female 49.0
GTEX-1C64O-0726-SM-7DUFU 60-69 years, male 48.9
GTEX-14ICK-2426-SM-6EU27 40-49 years, male 48.4
GTEX-18QFQ-0826-SM-718AX 30-39 years, male 48.1
GTEX-XUW1-2326-SM-4BOO5 50-59 years, female 48.1
GTEX-1I1GP-0426-SM-COH3N 50-59 years, male 47.7
GTEX-RWS6-1926-SM-47JXY 60-69 years, female 47.2
GTEX-TML8-1226-SM-32QON 40-49 years, female 46.8
GTEX-1PPGY-1526-SM-EVYBK 60-69 years, male 46.5
GTEX-1R7EU-1226-SM-E8VMR 60-69 years, male 46.5
GTEX-13OW5-2226-SM-5L3HC 60-69 years, male 46.2
GTEX-1LVAN-1326-SM-CNPQE 50-59 years, female 46.1
GTEX-1P4AB-1826-SM-E76PU 50-59 years, male 46.0
GTEX-XQ3S-1326-SM-4BOPQ 20-29 years, male 45.9
GTEX-1HC8U-0826-SM-ADEIL 40-49 years, female 45.7
GTEX-11TT1-2126-SM-5GU5Y 20-29 years, male 45.6
GTEX-1B8L1-2426-SM-9WYTE 60-69 years, male 45.3
GTEX-13NZ8-0126-SM-5IJCT 60-69 years, female 44.8
GTEX-1H1DG-0526-SM-9YFLN 70-79 years, male 44.7
GTEX-S33H-0326-SM-4AD6N 30-39 years, male 44.6
GTEX-11EQ9-1826-SM-5Q5AJ 30-39 years, male 44.4
GTEX-1MA7X-1626-SM-E9U5B 60-69 years, male 44.3
GTEX-1I6K7-1026-SM-A9SLK 40-49 years, male 43.9
GTEX-UPK5-2326-SM-3P5Z8 40-49 years, male 43.7
GTEX-W5X1-2326-SM-3GIL6 40-49 years, female 42.8
GTEX-13W3W-1226-SM-5LU4H 60-69 years, female 42.7
GTEX-TMMY-0726-SM-33HBE 40-49 years, female 42.4
GTEX-1QCLZ-2326-SM-DTXDO 60-69 years, female 42.3
GTEX-1KAFJ-0226-SM-DIPEL 50-59 years, male 41.2
GTEX-1CAMS-1426-SM-7IGPM 40-49 years, female 40.8
GTEX-16YQH-2826-SM-6PAMY 30-39 years, male 40.7
GTEX-13PVR-2226-SM-7DHKP 60-69 years, female 40.5
GTEX-1EKGG-2626-SM-7IGPY 60-69 years, male 40.5
GTEX-1JN6P-2426-SM-ARL99 60-69 years, male 40.2
GTEX-13N1W-0626-SM-5MR4U 70-79 years, male 39.1
GTEX-14PJO-0726-SM-69LO8 60-69 years, male 39.0
GTEX-14PKU-0426-SM-6EU1P 40-49 years, female 38.7
GTEX-1HCU8-0126-SM-ADEHH 60-69 years, female 38.7
GTEX-1I4MK-1626-SM-CM2TJ 50-59 years, female 38.1
GTEX-1R46S-2526-SM-E8VN2 60-69 years, female 38.1
GTEX-XMD1-0826-SM-4AT52 60-69 years, male 37.4
GTEX-1HR98-0426-SM-COH36 60-69 years, male 37.1
GTEX-1M4P7-2626-SM-E9U5F 60-69 years, male 37.0
GTEX-1LSNM-1326-SM-E9TJ1 50-59 years, male 36.9
GTEX-132AR-0826-SM-5EGK6 50-59 years, female 36.7
GTEX-ZPIC-1126-SM-5BC7F 40-49 years, female 36.6
GTEX-1LG7Z-0726-SM-CXKYD 30-39 years, male 36.4
GTEX-1192X-2326-SM-5987X 50-59 years, male 36.2
GTEX-1B97I-0426-SM-79OL7 40-49 years, male 36.0
GTEX-1399U-1826-SM-5PNZ1 50-59 years, female 35.9
GTEX-1AX9I-0726-SM-73KWV 60-69 years, male 35.8
GTEX-WOFL-0826-SM-3MJG1 60-69 years, male 35.7
GTEX-117XS-1926-SM-5GICO 60-69 years, male 35.6
GTEX-1R9JW-0326-SM-EAZ45 30-39 years, female 35.6
GTEX-1314G-1226-SM-5BC6D 30-39 years, male 35.0
GTEX-1LSNL-2826-SM-E9U5L 50-59 years, male 34.9
GTEX-1C6VQ-0426-SM-79OOX 50-59 years, male 34.8
GTEX-Y5LM-1726-SM-4VDSX 40-49 years, female 34.8
GTEX-13VXU-2826-SM-664MA 50-59 years, male 34.7
GTEX-1CB4J-1826-SM-7EWF9 60-69 years, male 34.5
GTEX-ZYT6-0126-SM-5E45J 30-39 years, male 34.3
GTEX-11ZUS-0826-SM-5FQUY 30-39 years, male 34.1
GTEX-13D11-1026-SM-5IJFB 50-59 years, female 33.5
GTEX-1A3MV-1626-SM-731C1 30-39 years, male 33.5
GTEX-1QPFJ-2026-SM-EVYBE 30-39 years, female 33.3
GTEX-183FY-1126-SM-7DHLJ 20-29 years, male 33.0
GTEX-11I78-2226-SM-5PNYA 50-59 years, female 32.2
GTEX-1J8Q2-2726-SM-A9G2X 60-69 years, male 31.8
GTEX-ZTTD-1026-SM-51MRD 50-59 years, male 31.7
GTEX-S4UY-0726-SM-4AD6X 40-49 years, female 31.1
GTEX-1GMR2-1926-SM-9MQLZ 50-59 years, male 31.1
GTEX-11GSO-1926-SM-5A5K3 60-69 years, male 30.8
GTEX-1EU9M-2826-SM-7EWFH 60-69 years, male 30.8
GTEX-1C475-1226-SM-7SB72 40-49 years, female 30.8
GTEX-1EN7A-1426-SM-7PBY4 40-49 years, male 30.8
GTEX-T6MO-0326-SM-32QOK 40-49 years, female 30.6
GTEX-WI4N-1426-SM-3LK7H 40-49 years, female 30.6
GTEX-1JMPY-0526-SM-CL54O 30-39 years, male 30.5
GTEX-13OW8-0226-SM-5K7UP 60-69 years, male 30.3
GTEX-14BMV-0626-SM-793AU 50-59 years, male 30.2
GTEX-YECK-0726-SM-EZ6LV 60-69 years, male 30.2
GTEX-1LSVX-2426-SM-E6CJX 60-69 years, male 30.0
GTEX-18465-2026-SM-718AP 50-59 years, male 29.9
GTEX-XBED-1626-SM-47JYN 60-69 years, male 29.5
GTEX-1KD4Q-2326-SM-D4P3M 40-49 years, male 29.4
GTEX-145MO-0826-SM-5NQBL 60-69 years, male 29.3
GTEX-1E2YA-2726-SM-7IGPW 50-59 years, male 29.2
GTEX-1ICG6-1326-SM-ACKWR 70-79 years, female 29.0
GTEX-ZUA1-1526-SM-59HLS 40-49 years, male 28.6
GTEX-1JK1U-1826-SM-ARL8W 60-69 years, male 28.5
GTEX-1F5PL-1026-SM-7RHI1 40-49 years, female 28.3
GTEX-1GZ4H-0326-SM-7P8QX 50-59 years, female 28.3
GTEX-R53T-1526-SM-48FEK 50-59 years, female 27.7
GTEX-1GPI7-0926-SM-7PC3J 20-29 years, male 27.7
GTEX-1PDJ9-1126-SM-EXUSW 20-29 years, male 27.7
GTEX-1H1E6-0926-SM-9YFLT 30-39 years, male 27.4
GTEX-1KANC-1426-SM-CYPT9 50-59 years, female 26.9
GTEX-X261-0626-SM-3NMD9 50-59 years, male 26.8
GTEX-1H11D-1526-SM-9MQJY 40-49 years, male 26.4
GTEX-1HSMO-0826-SM-ADEIV 60-69 years, male 26.2
GTEX-1RLM8-2226-SM-EVYD1 50-59 years, male 25.4
GTEX-1QP28-1226-SM-E9J2M 50-59 years, female 25.1
GTEX-1JMQK-2626-SM-COH2W 60-69 years, male 24.6
GTEX-X62O-0526-SM-EWRMA 50-59 years, male 24.6
GTEX-1LBAC-0926-SM-CXKY9 20-29 years, male 24.4
GTEX-13S86-1226-SM-5S2OA 40-49 years, male 23.5
GTEX-1211K-1926-SM-5EQLB 60-69 years, female 23.4
GTEX-T2YK-2226-SM-32QPT 50-59 years, male 23.3
GTEX-WFG8-2026-SM-EXOHO 20-29 years, male 23.0
GTEX-1HCU9-0326-SM-9WYSC 20-29 years, male 22.7
GTEX-1NUQO-2226-SM-E9U68 20-29 years, female 22.6
GTEX-1117F-2826-SM-5GZXL 60-69 years, female 22.4
GTEX-15G19-2126-SM-6M48J 60-69 years, male 22.3
GTEX-132Q8-1426-SM-5EGK7 60-69 years, male 22.0
GTEX-17F96-2426-SM-7IGLN 70-79 years, male 22.0
GTEX-1JMPZ-1626-SM-COH31 30-39 years, male 21.8
GTEX-16BQI-1026-SM-7KUEA 30-39 years, female 21.3
GTEX-ZV7C-1826-SM-5NQ83 50-59 years, male 21.3
GTEX-144GL-2026-SM-5LU3O 50-59 years, male 21.2
GTEX-1HKZK-1826-SM-ADEJ2 40-49 years, male 20.7
GTEX-11TUW-1826-SM-5BC5D 60-69 years, male 20.6
GTEX-17EUY-1926-SM-7DUF6 20-29 years, male 20.5
GTEX-11DXZ-1926-SM-5GZZL 50-59 years, male 20.4
GTEX-ZYW4-0826-SM-5GIDG 60-69 years, male 20.4
GTEX-18A7B-2626-SM-7LG55 70-79 years, male 20.3
GTEX-12KS4-0126-SM-5Q5A5 30-39 years, male 20.0
GTEX-17F97-2526-SM-7EWDV 50-59 years, male 19.8
GTEX-17MFQ-0926-SM-7LG4S 20-29 years, male 19.8
GTEX-Y114-2026-SM-4TT7L 50-59 years, female 19.2
GTEX-11WQK-2426-SM-5GU5C 50-59 years, male 19.1
GTEX-12WSN-1326-SM-5GCNT 40-49 years, male 19.1
GTEX-TKQ2-1826-SM-33HB2 50-59 years, male 19.0
GTEX-QEL4-2126-SM-447AE 50-59 years, male 17.3
GTEX-1HBPM-0126-SM-ARL9E 60-69 years, female 17.1
GTEX-11O72-2126-SM-5N9FO 40-49 years, male 17.0
GTEX-Y8LW-1626-SM-5IFHX 50-59 years, female 16.8
GTEX-ZLWG-1926-SM-DO92J 50-59 years, female 16.8
GTEX-WYJK-1326-SM-3NB2T 50-59 years, male 16.4
GTEX-1JMLX-2026-SM-CMKGN 50-59 years, male 16.4
GTEX-17GQL-0326-SM-7LG5U 60-69 years, male 16.3
GTEX-17EVQ-0426-SM-7LG57 70-79 years, male 16.1
GTEX-1R9PM-1826-SM-EVYBH 20-29 years, male 16.1
GTEX-13W46-0826-SM-5LU3H 50-59 years, male 16.0
GTEX-S4Q7-1126-SM-4AD6R 20-29 years, male 15.4
GTEX-1LGRB-1826-SM-CNPQL 50-59 years, female 15.3
GTEX-1B8KE-1226-SM-73KWK 50-59 years, male 15.0
GTEX-1ICLY-1726-SM-B2LVT 50-59 years, male 14.9
GTEX-12WSK-2226-SM-5GCO5 40-49 years, female 14.2
GTEX-ZTX8-1226-SM-4YCE9 20-29 years, male 14.1
GTEX-U8XE-0826-SM-4E3J1 30-39 years, male 12.9
GTEX-1F75B-0626-SM-7SB8A 50-59 years, male 12.2
GTEX-ZAB4-2526-SM-5HL8M 40-49 years, male 12.1
GTEX-1HFI7-0126-SM-CGQFQ 50-59 years, female 12.1
GTEX-146FH-0826-SM-5SI8T 50-59 years, female 11.5
GTEX-WY7C-2726-SM-3NB3P 50-59 years, male 11.3
GTEX-QEG5-0726-SM-D4P1T 20-29 years, male 11.3
GTEX-11LCK-2426-SM-5HL5F 30-39 years, male 10.8
GTEX-ZWKS-2826-SM-5NQ74 30-39 years, male 10.7
GTEX-1IDJU-1826-SM-CMKHV 60-69 years, female 10.6
GTEX-14E6C-1326-SM-62LEQ 40-49 years, male 10.5
GTEX-17HGU-1326-SM-79OKB 50-59 years, male 10.5
GTEX-1HBPN-2326-SM-9WPPU 50-59 years, male 10.4
GTEX-REY6-2426-SM-48FF5 60-69 years, male 10.3
GTEX-1S82Z-0726-SM-E6CHX 30-39 years, female 9.9
GTEX-ZQG8-0726-SM-5P9H9 60-69 years, female 9.5
GTEX-1KD5A-1926-SM-DKPQA 50-59 years, male 9.5
GTEX-1MJK3-1126-SM-E9J3F 20-29 years, male 9.4
GTEX-1ICLZ-0426-SM-B2LW2 60-69 years, male 9.2
GTEX-QMRM-1626-SM-D4P1U 50-59 years, male 9.2
GTEX-XV7Q-2326-SM-4BRVZ 40-49 years, female 9.1
GTEX-1JMOU-2026-SM-CMKGU 60-69 years, female 8.9
GTEX-Y3I4-1526-SM-4TT7K 50-59 years, male 8.6
GTEX-1JN1M-3026-SM-CMKGK 60-69 years, female 8.5
GTEX-144GM-0926-SM-5O994 20-29 years, male 8.3
GTEX-1GF9U-1726-SM-7MGY5 40-49 years, female 8.3
GTEX-1JKYN-0726-SM-ARZMY 30-39 years, male 8.3
GTEX-1H3VY-0926-SM-ACKXE 50-59 years, male 8.2
GTEX-14753-2426-SM-5LU8U 60-69 years, male 8.1
GTEX-XQ8I-2426-SM-4WAXY 50-59 years, male 8.1
GTEX-11NSD-0926-SM-5N9DR 20-29 years, male 8.0
GTEX-Z9EW-1526-SM-EZ6LU 40-49 years, male 8.0
GTEX-15RJE-2626-SM-7KFT1 40-49 years, male 7.7
GTEX-1J8Q3-1326-SM-CMKI1 60-69 years, male 7.5
GTEX-ZV6S-1826-SM-5NQ8D 40-49 years, female 7.3
GTEX-14PJ4-2126-SM-6ETZJ 60-69 years, male 7.2
GTEX-17MF6-0326-SM-7EPH5 40-49 years, male 7.2
GTEX-X4XY-0926-SM-4E3JD 60-69 years, male 7.2
GTEX-WHSB-1926-SM-EXOHH 50-59 years, male 7.2
GTEX-Y8E4-1626-SM-5S2MW 40-49 years, male 7.1
GTEX-ZDYS-1126-SM-5K7UB 50-59 years, male 7.1
GTEX-1IDFM-0426-SM-B2LVV 60-69 years, male 7.1
GTEX-12WSM-1726-SM-5BC6J 60-69 years, male 7.0
GTEX-1H23P-0726-SM-9WG7K 60-69 years, male 6.2
GTEX-13FTW-1426-SM-5LZWZ 40-49 years, male 6.1
GTEX-Y9LG-1426-SM-5IFJZ 30-39 years, male 6.1
GTEX-1KXAM-1026-SM-CY8IA 60-69 years, male 6.0
GTEX-11DZ1-0326-SM-5N9BN 50-59 years, male 5.9
GTEX-15UF7-0726-SM-6M46D 40-49 years, male 5.9
GTEX-169BO-1126-SM-7MGWN 50-59 years, male 5.9
GTEX-YFCO-1826-SM-4W1YH 40-49 years, male 5.6
GTEX-RUSQ-2026-SM-4GIAK 50-59 years, male 5.5
GTEX-117YX-1426-SM-5H12H 50-59 years, male 5.4
GTEX-WFON-1826-SM-3GILG 40-49 years, male 5.4
GTEX-XMK1-1126-SM-4IHJ8 40-49 years, male 5.3
GTEX-YB5E-1726-SM-5IFJ3 40-49 years, male 5.2
GTEX-1IDJF-2326-SM-ARL86 20-29 years, male 5.2
GTEX-1CAMR-1426-SM-793BO 20-29 years, male 5.1
GTEX-1I6K6-0826-SM-ARL7Z 30-39 years, male 5.0
GTEX-1AX9J-1126-SM-731B7 60-69 years, male 4.9
GTEX-145ME-1526-SM-5Q5F2 40-49 years, female 4.7
GTEX-1H1ZS-0126-SM-9YFKQ 70-79 years, male 4.7
GTEX-1A3MX-2726-SM-718B6 60-69 years, male 4.6
GTEX-ZDTT-2126-SM-DKPOM 60-69 years, male 4.6
GTEX-13O61-1826-SM-5KM4I 60-69 years, male 4.5
GTEX-145MN-1926-SM-5SIAI 30-39 years, male 4.4
GTEX-1JKYR-0926-SM-CMKGJ 20-29 years, male 4.4
GTEX-18A66-1726-SM-7LG5N 60-69 years, male 4.3
GTEX-1QW4Y-1026-SM-DTXE2 30-39 years, male 4.2
GTEX-12BJ1-1826-SM-5HL9N 60-69 years, male 4.1
GTEX-1AMEY-1026-SM-718AA 30-39 years, female 4.1
GTEX-1NHNU-0926-SM-E9J2T 50-59 years, male 4.0
GTEX-1I1GU-1026-SM-ADEHJ 40-49 years, male 3.9
GTEX-UTHO-1026-SM-3GAF7 60-69 years, male 3.8
GTEX-1HCU7-1026-SM-ADEIP 50-59 years, male 3.8
GTEX-S32W-2026-SM-4AD6E 50-59 years, female 3.7
GTEX-ZA64-1526-SM-5CVMD 20-29 years, male 3.6
GTEX-139T6-1626-SM-5PNYZ 50-59 years, male 3.5
GTEX-TKQ1-0226-SM-33HB5 30-39 years, male 3.5
GTEX-ZQUD-1926-SM-51MSA 30-39 years, male 3.5
GTEX-XGQ4-0926-SM-4AT4U 50-59 years, male 3.4
GTEX-ZT9W-2026-SM-51MRA 50-59 years, male 3.2
GTEX-183WM-0726-SM-7LTAA 70-79 years, female 3.1
GTEX-1F5PK-2126-SM-7PC28 50-59 years, male 3.1
GTEX-11P82-1326-SM-5HL62 20-29 years, male 3.0
GTEX-14DAR-1326-SM-7DUEG 50-59 years, male 3.0
GTEX-14E6E-1326-SM-5S2NR 30-39 years, male 3.0
GTEX-18D9A-1526-SM-7LG4J 30-39 years, female 3.0
GTEX-1HSEH-2026-SM-ADEHN 60-69 years, male 3.0
GTEX-13CF3-2126-SM-5IFJP 60-69 years, female 2.9
GTEX-13FTX-1126-SM-5N9EN 20-29 years, female 2.9
GTEX-R55D-0826-SM-48FEA 50-59 years, male 2.9
GTEX-1LC47-1226-SM-D4P44 60-69 years, male 2.9
GTEX-1OKEX-0826-SM-E9J2B 60-69 years, male 2.9
GTEX-1R7EV-1526-SM-E8VOD 40-49 years, male 2.9
GTEX-11ZTT-2326-SM-5EQLG 60-69 years, female 2.8
GTEX-14B4R-1226-SM-5TDDT 30-39 years, male 2.8
GTEX-YEC3-1026-SM-5IFI5 50-59 years, male 2.8
GTEX-PSDG-1626-SM-48TCQ 50-59 years, male 2.7
GTEX-17F9E-2526-SM-7MGW2 50-59 years, male 2.7
GTEX-Y5V6-2126-SM-4WWFX 60-69 years, male 2.2
GTEX-ZZ64-1226-SM-5E43R 20-29 years, male 2.2
GTEX-ZTPG-2826-SM-57WGA 20-29 years, female 2.0
GTEX-1L5NE-2126-SM-CY8IH 50-59 years, male 1.8
GTEX-1PPH7-0826-SM-E8VNX 40-49 years, male 1.7
GTEX-1QP9N-1826-SM-E8VMP 30-39 years, male 1.6
GTEX-ZLFU-2126-SM-DO931 40-49 years, male 1.4
GTEX-V955-2026-SM-3GAFA 60-69 years, male 0.5
Show allShow less

BREAST - FANTOM5 CAGEi

RNA expression in human tissues obtained through Cap Analysis of Gene Expression (CAGE) generated by the FANTOM5 project are reported as Scaled Tags Per Million.

Max subtype Scaled Tags Per Millioni

Max subtype Scaled Tags Per Million is the value for the subtype with the largest average Scaled Tags Per Million across the subtype samples.

12.3
FANTOM5 sample id Sample description Scaled Tags Per Million
Breast
Scaled Tags Per Million: 12.3
FF:10080-102A8 77 years, female 12.3

Contact

  • NEWS ARTICLES
  • PRESS ROOM

The Project

  • INTRODUCTION
  • ORGANIZATION
  • PUBLICATIONS

The Human Protein Atlas

  • DOWNLOADABLE DATA
  • LICENCE & CITATION
  • HELP & FAQ
The Human Protein Atlas project is funded
by the Knut & Alice Wallenberg Foundation.


contact@proteinatlas.org