We use cookies to enhance the usability of our website. If you continue, we'll assume that you are happy to receive all cookies. More information. Don't show this again.
HDGF
HPA
RESOURCES
  • TISSUE
  • BRAIN
  • SINGLE CELL
  • SUBCELLULAR
  • CANCER
  • BLOOD
  • CELL LINE
  • STRUCTURE & INTERACTION
ABOUT
  • INTRODUCTION
  • HISTORY
  • ORGANIZATION
  • PUBLICATIONS
  • ANTIBODY SUBMISSION
  • ANTIBODY AVAILABILITY
  • ACKNOWLEDGMENTS
  • CONTACT
NEWS
  • NEWS ARTICLES
  • PRESS ROOM
LEARN
  • DICTIONARY
  • PROTEIN CLASSES
  • PROTEIN EVIDENCE
  • METHODS
  • EDUCATIONAL VIDEOS
DATA
  • DOWNLOADABLE DATA
  • PUBLICATION DATA
  • RELEASE HISTORY
HELP
  • ANTIBODY VALIDATION
  • ASSAYS & ANNOTATION
  • DISCLAIMER
  • HELP & FAQ
  • PRIVACY STATEMENT
  • LICENCE & CITATION
Fields »
Search result

Field
Term
Gene name
Class
Subclass
Class
Keyword
Chromosome
External id
Tissue
Cell type
Expression
Antibody panel
Tissue
Main location
Patient ID
Annotation
Tissue
Category
Tau score
Cluster
Reliability
Brain region
Category
Tau score
Brain region
Category
Tau score
Brain region
Category
Tau score
Cluster
Reliability
Tissue
Cell type
Enrichment
Cell type
Category
Tau score
Cell type
Category
Tau score
Cell type
Category
Tau score
Cell lineage
Category
Tau score
Cluster
Cluster
Location
Searches
Location
Cell line
Class
Type
Phase
Reliability
Cancer
Prognosis
Cancer
Category
Cancer
Category
Tau score
Cluster
Variants
Interacting gene (ensg_id)
Type
Number of interactions
Pathway
Category
Score
Score
Score
Validation
Validation
Validation
Validation
Antibodies
Data type
Column


  • SUMMARY

  • TISSUE

  • BRAIN

  • SINGLE CELL

  • SUBCELL

  • CANCER

  • BLOOD

  • CELL LINE

  • STRUCT & INT

  • HDGF
TISSUE PRIMARY DATA LUNG Show tissue menu
ADIPOSE TISSUE ADRENAL GLAND AMYGDALA APPENDIX BASAL GANGLIA BONE MARROW BREAST BRONCHUS CEREBELLUM CEREBRAL CORTEX CERVIX CHOROID PLEXUS COLON DUODENUM
ENDOMETRIUM EPIDIDYMIS ESOPHAGUS FALLOPIAN TUBE GALLBLADDER HEART MUSCLE HIPPOCAMPAL FORMATION HYPOTHALAMUS KIDNEY LIVER LUNG LYMPH NODE MIDBRAIN NASOPHARYNX
ORAL MUCOSA OVARY PANCREAS PARATHYROID GLAND PITUITARY GLAND PLACENTA PROSTATE RECTUM RETINA SALIVARY GLAND SEMINAL VESICLE SKELETAL MUSCLE SKIN SMALL INTESTINE
SMOOTH MUSCLE SOFT TISSUE SPINAL CORD SPLEEN STOMACH TESTIS THYMUS THYROID GLAND TONGUE TONSIL URINARY BLADDER VAGINA
ANTIBODIES
AND
VALIDATION
Dictionary
Lung
Tissue proteome
Lung
LUNG - Expression summary
Protein expression
Lungi

On the top, protein expression in current human tissue, based on all annotated cell types, is reported with the units not detected (n), low (l), medium (m) and high (h). Underneath, protein expression in each annotated cell type are reported using the same units.

Protein expression data is based on knowledge-based annotation. For genes where more than one antibody has been used, a collective score is set.

If knowledge-based annotation could not be performed for a gene, no data is displayed here. View antibody staining data further down this page.

h
m
l
n
Alveolar cells type I: High
Alveolar cells type II: High
Endothelial cells: High
Macrophages: Medium
RNA expressioni

A summary of mRNA expression data available for current tissue based on several datasets. The mRNA expression levels in human tissues are based on RNA-seq data generated by the Human Protein Atlas (HPA), Genotype-Tissue Expression (GTEx) portal and CAGE data generated by the FANTOM5 consortium. Consensus normalized expression levels for human tissues was created by combining the data from HPA and GTEx datasets.

The mRNA expression levels in pig are based on RNA-seq data generated by the Human Protein Atlas (HPA), and for mouse, HPA data and in situ hybridization generated by the Allen brain atlas are reported.

Scroll down to view mRNA expression data in more detail.
Consensus:110.0 nTPM
HPA:64.9 nTPM
GTEx:110.0 nTPM
FANTOM5:182.7 Scaled Tags Per Million

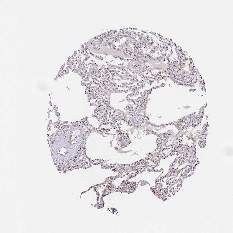
LUNG - Antibody stainingi

Antibody staining in the annotated cell types in the current human tissue is reported as not detected, low, medium, or high, based on conventional immunohistochemistry profiling in selected tissues. This score is based on the combination of the staining intensity and fraction of stained cells.

Each image is clickable and will lead to virtual microscopy that enables deeper exploration of all samples and also displays staining intensity scores, fraction scores and subcellular localization as well as patient and tissue information for each sample.

Antibody HPA048728Antibody HPA053422Antibody CAB026035
Alveolar cells -HighHigh
Alveolar cells type I High--
Alveolar cells type II High--
Endothelial cells High--
Macrophages MediumLowMedium







LUNG - HPA RNA-seqi

The RNA-seq details section shows detailed information about the individual samples used for the transcript profiling and results of the RNA-seq analysis.

Information about each individual sample is listed below, including gender, age, a tissue section image and estimated fractions of cell types. nTPM (normalized transcripts per million) values give a quantification of the gene abundance which is comparable between different genes and samples.
Average nTPMi

Max subtype nTPM is the value for the subtype with the largest average nTPM across the subtype samples.

64.9
overview
Female, age 71
Lung sample 164
nTPM: 67
Cell types%
Alveolar cells:
40

Bronchial epithelium:
5

Endothelial cells:
25

Macrophages:
10

Other cell types:
20

overview
Male, age 57
Lung sample 165
nTPM: 55.9
Cell types%
Alveolar cells:
35

Bronchial epithelium:
5

Endothelial cells:
30

Macrophages:
10

Other cell types:
20

overview
Female, age 71
Lung sample 166
nTPM: 62.9
Cell types%
Alveolar cells:
35

Bronchial epithelium:
10

Endothelial cells:
25

Macrophages:
10

Other cell types:
20

overview
Female, age 74
Lung sample 167
nTPM: 54.2
Cell types%
Alveolar cells:
40

Bronchial epithelium:
0

Endothelial cells:
30

Macrophages:
15

Other cell types:
15

overview
Female, age 73
Lung sample 168
nTPM: 77.2
Cell types%
Alveolar cells:
30

Bronchial epithelium:
5

Endothelial cells:
30

Macrophages:
10

Other cell types:
25

overview
Male, age 74
Lung sample 376
nTPM: 57.9
Cell types%
Alveolar cells:
25

Bronchial epithelium:
0

Endothelial cells:
35

Macrophages:
5

Other cell types:
35

overview
Female, age 70
Lung sample 379
nTPM: 72.7
Cell types%
Alveolar cells:
35

Bronchial epithelium:
5

Endothelial cells:
35

Macrophages:
5

Other cell types:
20

overview
Female, age 75
Lung sample 387
nTPM: 55.5
Cell types%
Alveolar cells:
20

Bronchial epithelium:
10

Endothelial cells:
20

Macrophages:
10

Other cell types:
40

overview
Male, age 63
Lung sample 406
nTPM: 80.7
Cell types%
Alveolar cells:
25

Bronchial epithelium:
5

Endothelial cells:
25

Macrophages:
15

Other cell types:
30


LUNG - GTEx RNA-seqi

RNA-Seq data generated by the Genotype-Tissue Expression (GTEx) project from human tissues is reported as mean nTPM. More information can be found on the GTEx portal.

Distribution across the dataset is visualized with box plots, shown as median and 25th and 75th percentiles. Points are displayed as outliers if they are above or below 1.5 times the interquartile range. nTPM values of the individual samples are presented next to the box plot.
Max subtype nTPMi

Max subtype nTPM is the value for the subtype with the largest average nTPM across the subtype samples.

110.0
GTEx sample id Sample description nTPM
Lung
Average nTPM: 110.0
Samples: 578

Max nTPM: 372.2
Min nTPM: 46.6
Std nTPM: 47.8
Median nTPM: 94.1
GTEX-11NV4-1126-SM-5HL6J 60-69 years, male 372.2
GTEX-1E2YA-0926-SM-7MXUK 50-59 years, male 359.1
GTEX-1OJC4-0626-SM-DTXEY 50-59 years, female 317.1
GTEX-12584-1426-SM-5EGJ9 40-49 years, male 293.2
GTEX-1EMGI-1426-SM-7IGNQ 60-69 years, male 290.8
GTEX-11WQK-1226-SM-5GU5Z 50-59 years, male 280.3
GTEX-11OF3-1126-SM-5986C 60-69 years, male 277.7
GTEX-U8XE-1426-SM-3DB8Q 30-39 years, male 277.6
GTEX-1J8JJ-1126-SM-CL55P 60-69 years, female 273.2
GTEX-1IKK5-1926-SM-A9G2V 60-69 years, male 270.7
GTEX-13VXU-2726-SM-5LU4N 50-59 years, male 265.1
GTEX-13O3O-0726-SM-5J1N7 60-69 years, female 255.3
GTEX-RNOR-0726-SM-2TF5I 50-59 years, female 247.3
GTEX-13OVH-1026-SM-5J2NP 70-79 years, male 241.7
GTEX-1MA7X-0626-SM-E9TJI 60-69 years, male 240.8
GTEX-1269C-0926-SM-5FQSR 60-69 years, female 240.4
GTEX-RU72-0526-SM-2TF5Z 50-59 years, female 238.6
GTEX-13OW7-0926-SM-5L3EX 50-59 years, male 238.4
GTEX-147F4-0926-SM-5Q5EO 50-59 years, male 231.3
GTEX-1C6VR-0626-SM-79OOY 60-69 years, male 229.3
GTEX-1B8L1-0626-SM-7EPHL 60-69 years, male 226.3
GTEX-1C6WA-0726-SM-7IGQ5 60-69 years, male 224.8
GTEX-14C39-0326-SM-5TDDX 40-49 years, male 221.8
GTEX-1KWVE-0426-SM-DHXJX 30-39 years, male 220.6
GTEX-N7MS-0926-SM-2HMIZ 60-69 years, male 220.5
GTEX-1A8G6-0726-SM-73KV5 60-69 years, male 218.9
GTEX-1B8SF-0826-SM-73KW8 60-69 years, male 218.1
GTEX-18A7A-1026-SM-7LT8B 50-59 years, female 214.3
GTEX-12WSH-0126-SM-5GCO3 50-59 years, male 212.0
GTEX-1F6I4-1026-SM-7P8PS 60-69 years, male 204.6
GTEX-144GO-0226-SM-5LUB1 60-69 years, male 204.0
GTEX-14E7W-1326-SM-5RQIV 70-79 years, male 200.2
GTEX-13OW6-0826-SM-5L3GA 50-59 years, male 199.9
GTEX-13FTY-0126-SM-5J2NZ 40-49 years, female 199.3
GTEX-1F88F-0926-SM-7RHH8 60-69 years, female 197.7
GTEX-ZDTS-1026-SM-4WAXS 60-69 years, male 195.6
GTEX-1PIIG-1826-SM-DTX7N 30-39 years, male 193.6
GTEX-131XH-0426-SM-5DUWU 50-59 years, male 193.1
GTEX-17EVP-0726-SM-7EWDX 40-49 years, male 191.5
GTEX-13S7M-2126-SM-5S2QR 60-69 years, female 190.8
GTEX-OXRN-0526-SM-2I5EN 50-59 years, male 190.0
GTEX-144GM-0126-SM-5Q5AX 20-29 years, male 185.8
GTEX-15EOM-5010-SM-7P8PA 20-29 years, female 185.1
GTEX-1CAMQ-1026-SM-7EPIC 40-49 years, male 184.7
GTEX-QESD-0626-SM-2I5G4 20-29 years, male 183.8
GTEX-17JCI-1526-SM-7IGOQ 60-69 years, female 183.2
GTEX-1A8FM-0826-SM-793D5 50-59 years, female 182.7
GTEX-1PPGY-1826-SM-EXOJ8 60-69 years, male 180.5
GTEX-1IDJH-0726-SM-ARU7U 70-79 years, male 180.3
GTEX-1E1VI-0926-SM-7P8T3 50-59 years, male 178.7
GTEX-1J8EW-1026-SM-A96T7 60-69 years, female 178.5
GTEX-14JIY-1326-SM-6AJB3 60-69 years, male 178.2
GTEX-13NYB-0626-SM-5MR47 40-49 years, male 177.3
GTEX-WWYW-0926-SM-3NB2Z 50-59 years, female 176.7
GTEX-ZVT3-0926-SM-5GICK 60-69 years, female 176.7
GTEX-13N1W-0726-SM-5MR57 70-79 years, male 175.3
GTEX-1PWST-0826-SM-DTXF1 70-79 years, male 174.7
GTEX-139TT-0726-SM-5K7XW 60-69 years, male 174.3
GTEX-145ME-0226-SM-5S2QN 40-49 years, female 172.4
GTEX-132NY-1226-SM-5PNVF 60-69 years, male 172.1
GTEX-1GN73-1026-SM-9KNV9 60-69 years, male 171.5
GTEX-VJWN-1326-SM-EVR2Z 50-59 years, female 171.1
GTEX-1I1GQ-1126-SM-CNNQT 50-59 years, male 170.7
GTEX-1C6VS-1226-SM-79OO2 60-69 years, male 170.5
GTEX-1A32A-0726-SM-731D4 50-59 years, female 170.1
GTEX-14BMV-0826-SM-73KXU 50-59 years, male 166.6
GTEX-QXCU-0626-SM-2TC69 50-59 years, male 165.8
GTEX-1B933-0926-SM-9OSVH 50-59 years, female 165.7
GTEX-1N2DW-1126-SM-EVR59 50-59 years, male 164.8
GTEX-11UD2-0726-SM-5EQ69 50-59 years, male 164.4
GTEX-13G51-0426-SM-5K7Z5 60-69 years, male 163.4
GTEX-16Z82-1026-SM-6M48A 60-69 years, male 163.4
GTEX-11WQC-0626-SM-5EQMF 60-69 years, male 163.2
GTEX-1GZHY-0826-SM-9OSXT 50-59 years, female 160.0
GTEX-R3RS-1026-SM-3GADF 40-49 years, female 159.6
GTEX-1128S-0726-SM-5N9D6 60-69 years, female 159.3
GTEX-18465-0626-SM-7LT8X 50-59 years, male 158.9
GTEX-1B996-0726-SM-7IGPI 60-69 years, male 158.4
GTEX-14JG1-0926-SM-5YY8W 40-49 years, male 158.2
GTEX-14PJM-0926-SM-6AJ9Y 50-59 years, female 157.5
GTEX-1CAV2-0626-SM-7P8QE 40-49 years, female 154.1
GTEX-TSE9-0726-SM-3DB8C 60-69 years, female 154.0
GTEX-139UW-0226-SM-5K7WU 60-69 years, male 153.6
GTEX-QDVJ-0926-SM-2I5FU 50-59 years, male 153.6
GTEX-ZYY3-0926-SM-5E454 60-69 years, female 153.0
GTEX-183FY-0726-SM-793C3 20-29 years, male 152.8
GTEX-111VG-0726-SM-5GIDC 60-69 years, male 152.0
GTEX-T6MN-0826-SM-32PM4 50-59 years, male 152.0
GTEX-13CF3-0426-SM-5IJEU 60-69 years, female 151.6
GTEX-OHPM-0526-SM-2YUMJ 50-59 years, male 151.1
GTEX-1JMQL-1126-SM-CKZOP 50-59 years, female 148.6
GTEX-1GZ4I-0726-SM-9QEHL 50-59 years, male 147.7
GTEX-1QEPI-0826-SM-DTX9B 60-69 years, female 147.7
GTEX-13O3Q-0526-SM-5KM18 50-59 years, male 147.6
GTEX-PSDG-1126-SM-2S1ON 50-59 years, male 147.6
GTEX-1JMQJ-2126-SM-CNPPA 50-59 years, male 147.5
GTEX-15UKP-1926-SM-6LPI9 20-29 years, male 146.8
GTEX-Q2AG-1026-SM-33HBW 40-49 years, female 146.7
GTEX-1H1DG-1026-SM-9MQJS 70-79 years, male 146.7
GTEX-1GMRU-1426-SM-9WPPL 50-59 years, male 145.9
GTEX-16XZZ-0926-SM-7DHLI 60-69 years, male 145.4
GTEX-1JKYN-2126-SM-ARU8W 30-39 years, male 144.8
GTEX-13FH7-1726-SM-5IJE7 50-59 years, female 143.8
GTEX-15ER7-0926-SM-7KUMG 20-29 years, female 143.6
GTEX-17MF6-0826-SM-7LT8F 40-49 years, male 143.2
GTEX-11EI6-0826-SM-5985V 60-69 years, male 142.9
GTEX-1HB9E-0726-SM-AHZ4L 50-59 years, male 142.9
GTEX-145MF-0726-SM-5Q5BT 50-59 years, male 142.8
GTEX-13O3P-1026-SM-5N9E7 50-59 years, male 142.5
GTEX-U8T8-2226-SM-3DB95 60-69 years, male 142.5
GTEX-17HG3-0326-SM-7IGP4 30-39 years, female 142.4
GTEX-131XW-1126-SM-5EGK4 50-59 years, female 141.6
GTEX-11EMC-0126-SM-5EGKV 60-69 years, female 140.8
GTEX-XQ3S-0926-SM-4BOPI 20-29 years, male 140.7
GTEX-OXRO-0326-SM-33HBM 60-69 years, female 140.3
GTEX-1NV5F-0926-SM-DTX8N 60-69 years, female 140.0
GTEX-111CU-0326-SM-5GZXO 50-59 years, male 139.5
GTEX-1RQED-1026-SM-EVYCT 60-69 years, male 139.0
GTEX-145LS-1226-SM-5Q5D9 60-69 years, female 138.6
GTEX-S3LF-1126-SM-EVR33 70-79 years, male 138.1
GTEX-1NSGN-1626-SM-EXOJF 50-59 years, male 137.8
GTEX-XOT4-1426-SM-4B65T 60-69 years, female 137.1
GTEX-15FZZ-0326-SM-6M48O 30-39 years, female 136.8
GTEX-UPJH-0826-SM-4WKFD 50-59 years, male 136.7
GTEX-OOBK-0526-SM-2HMJJ 40-49 years, male 136.6
GTEX-16MTA-1226-SM-7KULL 50-59 years, male 136.3
GTEX-13FHP-0726-SM-5K7YI 50-59 years, male 135.8
GTEX-WZTO-0426-SM-3NM99 40-49 years, male 135.5
GTEX-1HSKV-1126-SM-ADEIA 60-69 years, male 134.3
GTEX-1KD4Q-0926-SM-CXZKI 40-49 years, male 134.3
GTEX-13OVJ-0726-SM-5KM1W 50-59 years, female 134.2
GTEX-1EX96-0226-SM-7RHHR 50-59 years, male 134.2
GTEX-SIU8-0926-SM-COH1X 50-59 years, male 134.1
GTEX-1313W-0926-SM-5EQ56 50-59 years, female 133.6
GTEX-ZTPG-0926-SM-5O99H 20-29 years, female 133.3
GTEX-11ZTS-1226-SM-5EQMQ 60-69 years, female 133.0
GTEX-14E6C-1426-SM-5ZZWH 40-49 years, male 133.0
GTEX-P4QS-0526-SM-2I3ET 60-69 years, male 132.0
GTEX-XV7Q-0426-SM-4BRVN 40-49 years, female 131.8
GTEX-1LB8K-0826-SM-D4P41 50-59 years, male 131.8
GTEX-11O72-1326-SM-5BC5A 40-49 years, male 131.2
GTEX-12WSI-0826-SM-5EGKD 50-59 years, male 130.5
GTEX-11TUW-0526-SM-5LU9A 60-69 years, male 130.4
GTEX-1HT8W-1426-SM-CE6S2 30-39 years, male 130.4
GTEX-ZUA1-1026-SM-4YCEA 40-49 years, male 129.3
GTEX-11GSP-0726-SM-5986L 60-69 years, female 129.0
GTEX-SJXC-1026-SM-EYYVA 60-69 years, male 128.7
GTEX-WRHU-0226-SM-3MJFV 50-59 years, female 127.8
GTEX-1FIGZ-0326-SM-7RHGT 40-49 years, male 127.8
GTEX-15D1Q-0526-SM-6AJAY 40-49 years, male 127.6
GTEX-1S5VW-0926-SM-EWRNU 60-69 years, male 127.2
GTEX-XXEK-0626-SM-4BRWE 50-59 years, male 127.1
GTEX-1AX8Z-5010-SM-AHZ33 60-69 years, male 126.1
GTEX-RUSQ-0626-SM-2TF5V 50-59 years, male 125.2
GTEX-1H23P-1026-SM-9QEHQ 60-69 years, male 125.2
GTEX-OXRP-0526-SM-2I3EW 60-69 years, female 124.9
GTEX-1I1GP-0526-SM-ARL7G 50-59 years, male 124.3
GTEX-1JJE9-0926-SM-CNNP9 70-79 years, male 124.2
GTEX-UPK5-1126-SM-3GAEJ 40-49 years, male 122.7
GTEX-12WSG-5004-SM-7EPG9 50-59 years, female 121.9
GTEX-12BJ1-1026-SM-5EGJA 60-69 years, male 121.8
GTEX-148VJ-0826-SM-5LU8V 70-79 years, male 121.7
GTEX-RWSA-1126-SM-2XCAZ 40-49 years, male 121.6
GTEX-1I1GU-0526-SM-B2LX2 40-49 years, male 121.4
GTEX-1M4P7-0826-SM-E9TJR 60-69 years, male 121.3
GTEX-1LG7Y-0826-SM-E9TJX 50-59 years, male 119.9
GTEX-117YW-0526-SM-5H11C 50-59 years, male 119.2
GTEX-14ABY-1126-SM-5Q5F8 50-59 years, male 119.2
GTEX-YFC4-1126-SM-5RQJN 40-49 years, female 119.0
GTEX-147JS-1226-SM-5RQK4 60-69 years, male 118.7
GTEX-1BAJH-1326-SM-7RHFS 70-79 years, male 118.6
GTEX-132QS-0726-SM-5IJE9 60-69 years, male 118.5
GTEX-13S86-0626-SM-5Q5E7 40-49 years, male 118.4
GTEX-1ICLY-0926-SM-CM2RJ 50-59 years, male 118.3
GTEX-ZDXO-1326-SM-57WBS 60-69 years, male 117.9
GTEX-1RAZQ-1026-SM-EAZ4R 30-39 years, male 117.9
GTEX-S32W-0326-SM-2XCBI 50-59 years, female 117.1
GTEX-X4EP-0526-SM-3P5YW 60-69 years, female 116.8
GTEX-1AYCT-0726-SM-7IGNG 50-59 years, male 115.9
GTEX-1IL2U-0926-SM-CKZOB 60-69 years, male 115.7
GTEX-14XAO-0526-SM-6AJB7 60-69 years, female 115.3
GTEX-15G1A-0426-SM-6M468 30-39 years, male 115.1
GTEX-ZY6K-0326-SM-5SIBB 50-59 years, male 114.7
GTEX-17EVQ-1526-SM-79ONG 70-79 years, male 114.6
GTEX-1MJK2-1126-SM-E9TJ7 50-59 years, male 114.6
GTEX-13PVQ-0926-SM-5IJFD 50-59 years, male 113.9
GTEX-OIZH-0526-SM-2HMKV 50-59 years, male 113.9
GTEX-13NZA-1426-SM-5KM4Y 60-69 years, male 113.5
GTEX-ZVZQ-1526-SM-5N9G6 60-69 years, female 113.4
GTEX-11I78-0126-SM-5HL6F 50-59 years, female 113.3
GTEX-13JVG-1426-SM-5MR4W 60-69 years, male 113.2
GTEX-1IL2V-0726-SM-ARZMB 70-79 years, male 113.0
GTEX-145LU-0526-SM-5O9AT 50-59 years, male 112.2
GTEX-SNOS-0426-SM-32PMH 40-49 years, male 112.0
GTEX-1EWIQ-0926-SM-7RHG7 70-79 years, female 111.8
GTEX-WYVS-0526-SM-3NM9W 40-49 years, female 111.7
GTEX-1JMOU-0526-SM-CNNPE 60-69 years, female 111.3
GTEX-P4PP-0526-SM-2HMKE 30-39 years, female 111.2
GTEX-VUSG-0926-SM-3GIK6 50-59 years, male 111.2
GTEX-X4XX-1026-SM-4QARO 60-69 years, male 111.1
GTEX-PX3G-0526-SM-2I3EM 20-29 years, female 110.6
GTEX-1IDJI-0626-SM-C1YQD 50-59 years, female 110.5
GTEX-13FLV-0426-SM-5KLZA 50-59 years, male 110.4
GTEX-13OW5-0726-SM-5KLZK 60-69 years, male 110.3
GTEX-T5JC-0826-SM-32PMC 20-29 years, male 110.2
GTEX-139YR-0926-SM-5LZYB 50-59 years, male 110.1
GTEX-YECK-0926-SM-4W214 60-69 years, male 110.1
GTEX-O5YV-0526-SM-2I5GE 60-69 years, female 109.7
GTEX-13NZ8-0326-SM-5L3DF 60-69 years, female 109.5
GTEX-1QCLY-1026-SM-EWRNI 30-39 years, male 109.4
GTEX-14DAR-0226-SM-5S2PR 50-59 years, male 108.6
GTEX-1JJEA-1126-SM-CKZOC 60-69 years, male 108.0
GTEX-SN8G-0926-SM-4DM5I 50-59 years, female 107.9
GTEX-XBEC-1026-SM-4QASM 50-59 years, male 107.6
GTEX-1GPI7-1526-SM-9JGG8 20-29 years, male 107.4
GTEX-1KD5A-1126-SM-CXZK6 50-59 years, male 107.2
GTEX-O5YT-0526-SM-32PK8 20-29 years, male 106.8
GTEX-1HCU7-0926-SM-A96TK 50-59 years, male 106.4
GTEX-13N2G-0826-SM-5IJE6 60-69 years, male 106.3
GTEX-11PRG-0926-SM-5EGI8 50-59 years, male 106.2
GTEX-1211K-0826-SM-5FQUP 60-69 years, female 106.2
GTEX-14PJ4-0626-SM-6AJBS 60-69 years, male 106.2
GTEX-15RJ7-0626-SM-6M47V 40-49 years, male 106.2
GTEX-1GN1W-1026-SM-9OSW2 50-59 years, female 106.2
GTEX-1QP29-1226-SM-E6CQ1 50-59 years, male 105.6
GTEX-OIZG-0526-SM-2HMLF 50-59 years, male 105.0
GTEX-U412-0826-SM-3DB9K 60-69 years, male 104.9
GTEX-14E6E-0426-SM-73KUE 30-39 years, male 104.4
GTEX-11TT1-1626-SM-5EQL7 20-29 years, male 104.3
GTEX-1CB4J-1726-SM-79OOL 60-69 years, male 104.3
GTEX-13QBU-0726-SM-5J2OA 40-49 years, female 103.9
GTEX-17HII-0926-SM-79ON7 50-59 years, male 103.6
GTEX-12WSJ-0226-SM-5GCP7 40-49 years, female 103.5
GTEX-1H1CY-0626-SM-9KNVE 60-69 years, female 103.5
GTEX-13YAN-1026-SM-5O9CF 60-69 years, male 103.3
GTEX-ZT9X-0326-SM-51MTE 40-49 years, male 103.3
GTEX-ZTTD-1126-SM-51MRP 50-59 years, male 102.9
GTEX-17HGU-0926-SM-79OKO 50-59 years, male 102.1
GTEX-VJYA-0326-SM-3GAEX 60-69 years, male 102.1
GTEX-1GN2E-1526-SM-7P8TD 60-69 years, male 102.1
GTEX-145MO-1326-SM-5Q5EF 60-69 years, male 102.0
GTEX-14JG6-0326-SM-6AJBT 30-39 years, female 101.9
GTEX-11ZUS-0126-SM-5EQM5 30-39 years, male 101.3
GTEX-RM2N-0426-SM-2TF4T 50-59 years, male 100.9
GTEX-1QP2A-1226-SM-EVR3I 50-59 years, male 100.9
GTEX-11DXZ-0726-SM-5N9C4 50-59 years, male 100.4
GTEX-QEG5-1126-SM-33HC2 20-29 years, male 100.4
GTEX-X261-1026-SM-3NMDL 50-59 years, male 99.8
GTEX-1JMLX-0926-SM-CNNPQ 50-59 years, male 99.8
GTEX-18A66-0926-SM-718BG 60-69 years, male 99.5
GTEX-146FQ-0926-SM-5LUAV 30-39 years, male 99.0
GTEX-18A67-1126-SM-7KFSB 50-59 years, male 99.0
GTEX-11ZVC-0226-SM-731E8 50-59 years, female 98.9
GTEX-14DAQ-0926-SM-793AZ 60-69 years, female 98.9
GTEX-TMMY-0926-SM-4TT1Z 40-49 years, female 98.9
GTEX-PLZ4-0726-SM-2TC6Q 50-59 years, female 98.8
GTEX-POYW-1226-SM-2XCEP 60-69 years, male 98.7
GTEX-15SHW-0926-SM-6LPIO 60-69 years, male 98.6
GTEX-13D11-0326-SM-5LZXX 50-59 years, female 98.4
GTEX-QEL4-0826-SM-3GAF2 50-59 years, male 98.3
GTEX-144GN-0426-SM-5O9AP 50-59 years, male 98.1
GTEX-145LT-0326-SM-5LUAD 40-49 years, male 98.1
GTEX-WYBS-1126-SM-3NMAM 60-69 years, female 98.0
GTEX-1212Z-1026-SM-5EGJ8 60-69 years, male 97.7
GTEX-Y5LM-0726-SM-4VBRP 40-49 years, female 97.6
GTEX-15SB6-0426-SM-6LPJ5 50-59 years, female 97.5
GTEX-1J1OQ-0926-SM-CJI34 40-49 years, female 96.8
GTEX-1LGRB-0226-SM-CNPQK 50-59 years, female 96.7
GTEX-133LE-0526-SM-5N9EJ 20-29 years, female 96.6
GTEX-13QJC-0526-SM-5RQKB 60-69 years, female 96.6
GTEX-13FTX-0326-SM-5J2NG 20-29 years, female 96.0
GTEX-15CHR-0726-SM-7EPHG 50-59 years, male 96.0
GTEX-1B97I-0226-SM-73KVO 40-49 years, male 96.0
GTEX-POMQ-0526-SM-3GADD 20-29 years, female 95.7
GTEX-1GMR3-0226-SM-7RHIB 40-49 years, male 95.6
GTEX-1GMR2-0126-SM-9JGHC 50-59 years, male 95.5
GTEX-Y3I4-0426-SM-4TT29 50-59 years, male 95.4
GTEX-WFON-0426-SM-3GIL4 40-49 years, male 95.3
GTEX-12KS4-0726-SM-5FQSX 30-39 years, male 94.9
GTEX-18D9A-0226-SM-7KFSJ 30-39 years, female 94.9
GTEX-1HSMO-0926-SM-A96S7 60-69 years, male 94.9
GTEX-1K9T9-0926-SM-D3L9C 50-59 years, female 94.8
GTEX-QV44-0926-SM-2S1RH 50-59 years, male 94.6
GTEX-RN64-1226-SM-2TC6E 50-59 years, male 94.5
GTEX-S341-0326-SM-2XCAU 40-49 years, female 94.5
GTEX-R55G-0826-SM-2TC5U 40-49 years, female 94.4
GTEX-1H2FU-1226-SM-9KNVY 60-69 years, female 94.2
GTEX-1339X-0626-SM-5IJER 40-49 years, male 94.1
GTEX-U3ZM-0426-SM-3DB73 40-49 years, male 94.1
GTEX-1GZ2Q-0726-SM-9KNVV 40-49 years, male 94.1
GTEX-147GR-1226-SM-5TDCL 60-69 years, male 93.9
GTEX-178AV-0326-SM-6LPJF 40-49 years, male 93.6
GTEX-RU1J-0126-SM-2TF6Y 20-29 years, female 93.5
GTEX-14PQA-1126-SM-7KUM4 50-59 years, female 93.4
GTEX-T8EM-0326-SM-3DB7F 40-49 years, male 93.3
GTEX-13113-5004-SM-79ONL 60-69 years, female 93.2
GTEX-ZLV1-0426-SM-4WWC2 60-69 years, female 93.2
GTEX-1I6K6-0926-SM-AHZ2N 30-39 years, male 93.1
GTEX-1IKJJ-0926-SM-A9G2L 60-69 years, male 93.0
GTEX-11EQ9-0226-SM-5A5JX 30-39 years, male 92.8
GTEX-ZT9W-0726-SM-9JGG2 50-59 years, male 92.8
GTEX-13PL7-1726-SM-5J2NX 60-69 years, female 92.6
GTEX-13VXT-1426-SM-5LU4B 20-29 years, female 92.5
GTEX-1R9PM-0426-SM-EVR3P 20-29 years, male 92.4
GTEX-1EKGG-1326-SM-7MXUM 60-69 years, male 92.1
GTEX-18QFQ-0926-SM-7LG4V 30-39 years, male 91.9
GTEX-1MCC2-0726-SM-EV7AL 30-39 years, female 91.9
GTEX-12WSL-1026-SM-5CVNJ 50-59 years, male 91.7
GTEX-18A6Q-0826-SM-7KFRD 60-69 years, male 91.7
GTEX-X4XY-1026-SM-46MVX 60-69 years, male 91.7
GTEX-1KXAM-0426-SM-DHXKG 60-69 years, male 91.5
GTEX-1RLM8-0626-SM-E76OW 50-59 years, male 91.3
GTEX-WFG7-0526-SM-3GIKI 20-29 years, male 91.2
GTEX-Y3IK-0626-SM-4WWE4 50-59 years, female 91.0
GTEX-P4QT-0526-SM-2I3EX 50-59 years, female 90.9
GTEX-S33H-0626-SM-2XCBJ 30-39 years, male 90.8
GTEX-WH7G-0726-SM-3NMBM 40-49 years, male 90.7
GTEX-1H3VY-1426-SM-9WPOB 50-59 years, male 90.6
GTEX-13NYS-1626-SM-5J2MU 60-69 years, male 90.5
GTEX-1JMPZ-1126-SM-ARU8X 30-39 years, male 90.4
GTEX-1EN7A-0826-SM-7MKFV 40-49 years, male 90.1
GTEX-ZYVF-1726-SM-5E443 50-59 years, female 90.0
GTEX-XMD2-1026-SM-4WWE8 60-69 years, female 89.9
GTEX-1I1CD-0926-SM-CL55I 60-69 years, female 89.9
GTEX-1JN76-0826-SM-C1YRK 20-29 years, female 89.9
GTEX-13RTJ-1126-SM-5S2UJ 60-69 years, male 89.7
GTEX-Q734-0626-SM-2I3EF 40-49 years, female 89.5
GTEX-12ZZW-0926-SM-5LZUD 50-59 years, male 89.4
GTEX-1I4MK-0326-SM-B2LWP 50-59 years, female 89.4
GTEX-1P4AB-1026-SM-DTXES 50-59 years, male 89.4
GTEX-13SLW-1226-SM-5S2Q7 70-79 years, male 89.3
GTEX-1F75W-0626-SM-7PC13 60-69 years, male 89.1
GTEX-1AX9J-1626-SM-73KUI 60-69 years, male 89.0
GTEX-XQ8I-1126-SM-4BOO2 50-59 years, male 89.0
GTEX-WFG8-0926-SM-3GIKJ 20-29 years, male 88.9
GTEX-12WSD-0826-SM-5GCNE 60-69 years, female 88.8
GTEX-YFCO-0426-SM-4W1Z7 40-49 years, male 88.7
GTEX-1GZ4H-0426-SM-7MXV5 50-59 years, female 88.7
GTEX-145MH-0626-SM-5NQAK 50-59 years, male 88.6
GTEX-1CB4I-2126-SM-793AG 50-59 years, male 88.3
GTEX-1399S-1726-SM-5L3DI 30-39 years, female 87.9
GTEX-YEC4-0526-SM-4W21U 40-49 years, male 87.9
GTEX-1MGNQ-0826-SM-EVR41 40-49 years, male 87.8
GTEX-146FH-1226-SM-5NQB6 50-59 years, female 87.6
GTEX-ZYW4-1526-SM-5SIBA 60-69 years, male 87.6
GTEX-ZPU1-0926-SM-57WDO 40-49 years, male 87.5
GTEX-14E6D-1026-SM-5S2RS 50-59 years, male 87.4
GTEX-1J1R8-0226-SM-AHZ3C 40-49 years, male 87.3
GTEX-1LVAO-1226-SM-DIPGB 60-69 years, male 87.3
GTEX-11NUK-0826-SM-5HL4U 50-59 years, male 87.1
GTEX-NFK9-1026-SM-2HMK1 40-49 years, male 86.8
GTEX-O5YW-0526-SM-2YUMX 50-59 years, male 86.6
GTEX-14PJ5-0226-SM-5YY99 60-69 years, female 86.4
GTEX-13O61-0726-SM-5J2MD 60-69 years, male 86.2
GTEX-OHPL-0526-SM-3NM8U 60-69 years, female 86.1
GTEX-117YX-1326-SM-5H125 50-59 years, male 85.7
GTEX-18D9U-0526-SM-72D7C 40-49 years, male 85.7
GTEX-ZC5H-0926-SM-5CVMZ 40-49 years, female 85.6
GTEX-15RIE-0326-SM-6PAMC 60-69 years, male 85.4
GTEX-1JK1U-1126-SM-CY8HK 60-69 years, male 85.3
GTEX-1RDX4-1626-SM-EVR53 50-59 years, female 85.1
GTEX-QEG4-0526-SM-48TZD 30-39 years, male 85.0
GTEX-1H1E6-0726-SM-9WPQ4 30-39 years, male 85.0
GTEX-12696-1026-SM-5FQUV 60-69 years, male 84.9
GTEX-YF7O-0626-SM-4W21R 50-59 years, male 84.9
GTEX-XYKS-0526-SM-4BRW2 60-69 years, female 84.8
GTEX-131XE-0726-SM-5HL9K 50-59 years, male 84.7
GTEX-14PJO-0926-SM-686YT 60-69 years, male 84.7
GTEX-1CB4F-0926-SM-7DHMJ 60-69 years, male 84.7
GTEX-1GL5R-0526-SM-9WPOQ 50-59 years, male 84.6
GTEX-14PK6-0326-SM-6AJ9S 70-79 years, female 84.4
GTEX-R55D-0926-SM-3GAEU 50-59 years, male 84.4
GTEX-RWS6-0226-SM-2XCA9 60-69 years, female 84.4
GTEX-16GPK-1826-SM-7MGW5 60-69 years, male 84.4
GTEX-14E1K-0226-SM-62LDT 50-59 years, male 84.3
GTEX-14LLW-0726-SM-5ZZVV 70-79 years, female 84.3
GTEX-T2IS-0526-SM-32QP9 20-29 years, female 84.3
GTEX-1JN6P-0726-SM-ARZN7 60-69 years, male 84.3
GTEX-11P81-0226-SM-5HL5M 30-39 years, female 83.9
GTEX-RTLS-0926-SM-2TF5X 60-69 years, female 83.8
GTEX-1QMI2-0926-SM-DTX7S 60-69 years, male 83.7
GTEX-XBEW-0226-SM-4AT6A 40-49 years, male 83.5
GTEX-1L5NE-0726-SM-CXZKQ 50-59 years, male 83.5
GTEX-1LSVX-0626-SM-E9U59 60-69 years, male 83.5
GTEX-1497J-0326-SM-5Q5CN 60-69 years, male 83.4
GTEX-14A6H-0526-SM-5NQAZ 30-39 years, male 83.4
GTEX-14C5O-1126-SM-5TDEH 60-69 years, male 83.4
GTEX-15EU6-1226-SM-6AJBE 50-59 years, male 83.3
GTEX-WYJK-0826-SM-3NM8Y 50-59 years, male 83.3
GTEX-1H3O1-0326-SM-9WPO8 60-69 years, male 83.2
GTEX-1C64O-1226-SM-79OOC 60-69 years, male 83.0
GTEX-1H11D-0726-SM-9OSWA 40-49 years, male 82.9
GTEX-1LC47-1126-SM-D4P43 60-69 years, male 82.8
GTEX-148VI-0226-SM-5RQKA 60-69 years, female 82.7
GTEX-OXRK-0926-SM-2HMKP 50-59 years, female 82.5
GTEX-Q2AH-0426-SM-2I3EP 40-49 years, male 82.5
GTEX-Y9LG-0526-SM-4VBRY 30-39 years, male 82.5
GTEX-1LVAN-1126-SM-CNNRE 50-59 years, female 82.2
GTEX-1RNSC-1226-SM-E9U52 60-69 years, male 82.2
GTEX-1H1ZS-0826-SM-A9SMD 70-79 years, male 82.1
GTEX-1IOXB-1126-SM-CNNQ5 50-59 years, male 82.1
GTEX-T6MO-0426-SM-32QOI 40-49 years, female 82.0
GTEX-ZAB4-0626-SM-5CVN3 40-49 years, male 82.0
GTEX-13FHO-1026-SM-5KM1Q 60-69 years, male 81.8
GTEX-13JUV-0526-SM-5K7XE 40-49 years, female 81.7
GTEX-WFJO-0326-SM-3GIL3 30-39 years, male 81.7
GTEX-13OVG-0326-SM-5KM57 60-69 years, male 81.6
GTEX-NPJ8-0326-SM-2D7VV 40-49 years, male 81.6
GTEX-U3ZN-0626-SM-3DB7U 30-39 years, female 81.6
GTEX-ZG7Y-1026-SM-4WWDG 50-59 years, male 81.5
GTEX-WHPG-1426-SM-3NMBB 50-59 years, male 81.3
GTEX-Y5V5-0826-SM-4VBQD 60-69 years, female 81.3
GTEX-ZLWG-0626-SM-4WWFR 50-59 years, female 81.2
GTEX-12WSA-1026-SM-5EGHN 60-69 years, male 80.7
GTEX-11NSD-0326-SM-5A5LS 20-29 years, male 80.6
GTEX-12WSN-5004-SM-793CE 40-49 years, male 80.6
GTEX-1I1GS-1426-SM-COH3W 60-69 years, male 80.6
GTEX-11ZTT-0626-SM-5EQLM 60-69 years, female 80.4
GTEX-14BMU-0526-SM-73KW4 20-29 years, female 80.4
GTEX-1AX9I-0826-SM-73KUT 60-69 years, male 80.0
GTEX-1K2DU-0526-SM-D4P2Y 20-29 years, male 80.0
GTEX-1RAZS-2226-SM-E8VMU 50-59 years, male 79.9
GTEX-PLZ6-0426-SM-5IJDW 30-39 years, male 79.7
GTEX-1HBPH-1326-SM-9WYSN 40-49 years, female 79.7
GTEX-1I6K7-1226-SM-B2LVS 40-49 years, male 79.7
GTEX-1KAFJ-0326-SM-DHXJG 50-59 years, male 79.7
GTEX-131XF-1026-SM-5BC6A 60-69 years, male 79.3
GTEX-1HBPM-0826-SM-9WYSP 60-69 years, female 79.3
GTEX-1RAZR-0726-SM-EV7BA 40-49 years, male 79.3
GTEX-11LCK-0426-SM-5A5M8 30-39 years, male 78.6
GTEX-139T6-0426-SM-5IJEM 50-59 years, male 78.6
GTEX-1GN1U-1026-SM-9WYUP 50-59 years, female 78.2
GTEX-13X6K-1626-SM-7EWCX 60-69 years, female 78.1
GTEX-PLZ5-0726-SM-2I5F9 50-59 years, male 78.1
GTEX-16AAH-0426-SM-7DUFM 50-59 years, male 77.9
GTEX-1B8KZ-0526-SM-73KW2 50-59 years, male 77.6
GTEX-1OJC3-0726-SM-DTX92 20-29 years, male 77.3
GTEX-1PPH7-0226-SM-E76Q1 40-49 years, male 77.3
GTEX-Y8E4-0526-SM-4V6GC 40-49 years, male 77.1
GTEX-P78B-0926-SM-2I5FA 40-49 years, female 76.9
GTEX-ZZPT-1326-SM-5E43H 50-59 years, male 76.9
GTEX-15CHC-0226-SM-5YYBB 60-69 years, female 76.7
GTEX-1AX9K-0826-SM-731F9 50-59 years, male 76.7
GTEX-1477Z-0626-SM-5NQB7 60-69 years, male 76.6
GTEX-1F75B-1026-SM-9JGFS 50-59 years, male 76.6
GTEX-13W3W-0326-SM-731DS 60-69 years, female 76.3
GTEX-14PHY-0526-SM-664NM 60-69 years, female 76.3
GTEX-UJHI-0726-SM-3DB92 50-59 years, female 76.3
GTEX-17KNJ-0926-SM-7IGP2 50-59 years, male 76.2
GTEX-1399U-0826-SM-5KM1P 50-59 years, female 76.1
GTEX-17F9Y-1026-SM-7IGO4 70-79 years, female 76.0
GTEX-QCQG-0326-SM-2I3ES 50-59 years, female 76.0
GTEX-ZA64-0326-SM-5HL8T 20-29 years, male 76.0
GTEX-11DXX-0626-SM-5Q5AG 60-69 years, female 75.9
GTEX-QDVN-0726-SM-4B64L 50-59 years, male 75.9
GTEX-ZF3C-0926-SM-DO92P 50-59 years, female 75.9
GTEX-18D9B-1026-SM-CNPO5 60-69 years, male 75.8
GTEX-1122O-0126-SM-5GICA 60-69 years, female 75.6
GTEX-V1D1-0826-SM-3P5ZA 50-59 years, male 75.4
GTEX-OOBJ-0526-SM-48TDK 60-69 years, male 75.3
GTEX-1HCUA-0226-SM-A8N88 50-59 years, female 75.3
GTEX-PW2O-0526-SM-2I3DX 20-29 years, male 75.2
GTEX-ZF28-0726-SM-4WKFU 60-69 years, male 75.2
GTEX-WK11-0526-SM-3NB3O 50-59 years, male 75.1
GTEX-ZZPU-0526-SM-5E44U 50-59 years, female 74.9
GTEX-1IY9M-1126-SM-A9SLV 60-69 years, male 74.8
GTEX-15SHV-0326-SM-6M475 60-69 years, male 74.6
GTEX-ZF29-1026-SM-4WKGC 60-69 years, female 74.6
GTEX-1ICLZ-0926-SM-CKZPQ 60-69 years, male 74.6
GTEX-1IDJU-0226-SM-CKZOF 60-69 years, female 74.5
GTEX-147F3-0726-SM-5NQ9U 50-59 years, female 74.4
GTEX-YEC3-0226-SM-DO11B 50-59 years, male 74.4
GTEX-1GF9X-0326-SM-7P8R9 40-49 years, female 74.3
GTEX-ZPIC-0626-SM-57WDY 40-49 years, female 74.2
GTEX-OIZF-0526-SM-7MXVM 60-69 years, male 74.2
GTEX-SUCS-0626-SM-32PM5 70-79 years, male 74.1
GTEX-ZEX8-0526-SM-DO115 50-59 years, male 74.0
GTEX-14AS3-0926-SM-5TDD6 40-49 years, female 73.8
GTEX-X585-1026-SM-46MW6 50-59 years, male 73.8
GTEX-13OW8-1726-SM-5L3GO 60-69 years, male 73.7
GTEX-1B932-0726-SM-731EY 40-49 years, female 73.7
GTEX-ZE7O-0826-SM-57WCP 50-59 years, female 73.7
GTEX-1S82P-0826-SM-EVR4P 60-69 years, female 73.7
GTEX-R55C-0526-SM-3GIKA 40-49 years, male 73.5
GTEX-1HSMP-1326-SM-A96TR 70-79 years, male 73.4
GTEX-SE5C-0526-SM-2XCE1 40-49 years, female 73.3
GTEX-ZDTT-0926-SM-5J2MS 60-69 years, male 73.2
GTEX-ZXG5-0826-SM-5GID6 60-69 years, male 73.2
GTEX-P4PQ-0526-SM-2HMKR 60-69 years, male 73.1
GTEX-YB5E-0726-SM-4VDSH 40-49 years, male 73.1
GTEX-1QAET-0426-SM-EXUSM 50-59 years, male 72.8
GTEX-ZPCL-0926-SM-DNZZ8 60-69 years, female 72.7
GTEX-X3Y1-0626-SM-3P5YS 40-49 years, male 72.3
GTEX-ZYT6-0526-SM-5GIEA 30-39 years, male 72.3
GTEX-1HFI6-0926-SM-9WPPV 40-49 years, male 72.3
GTEX-X5EB-0426-SM-46MVY 40-49 years, male 72.1
GTEX-1KANB-1026-SM-D3L9F 50-59 years, male 72.1
GTEX-1HCVE-0626-SM-A9SL2 50-59 years, male 71.9
GTEX-111FC-1126-SM-5GZWU 60-69 years, male 71.5
GTEX-X4EO-0926-SM-3P5Z2 60-69 years, female 71.0
GTEX-PVOW-1026-SM-2XCF9 40-49 years, male 70.7
GTEX-14LZ3-0726-SM-5YYAB 60-69 years, female 70.6
GTEX-YJ8O-1826-SM-5HL82 40-49 years, female 70.6
GTEX-ZQG8-0326-SM-51MSE 60-69 years, female 70.5
GTEX-REY6-0426-SM-2TF5G 60-69 years, male 70.3
GTEX-1I1GR-0726-SM-B2LWL 60-69 years, male 70.3
GTEX-13QJ3-1026-SM-5QGQU 50-59 years, male 70.1
GTEX-17GQL-0726-SM-731BL 60-69 years, male 70.1
GTEX-1GF9V-1026-SM-9KNW3 60-69 years, male 70.1
GTEX-1F6RS-0826-SM-7P8T9 60-69 years, female 69.9
GTEX-Y5V6-0226-SM-4V6G7 60-69 years, male 69.8
GTEX-16MT8-1026-SM-6LPK1 60-69 years, female 69.7
GTEX-WHSB-0326-SM-5FQSD 50-59 years, male 69.7
GTEX-RVPV-1726-SM-2NKAQ 60-69 years, male 69.7
GTEX-111YS-0626-SM-5GZXV 60-69 years, male 69.3
GTEX-15RJE-1026-SM-6M46X 40-49 years, male 69.2
GTEX-11DZ1-0426-SM-5H11A 50-59 years, male 69.0
GTEX-17F96-0626-SM-793CC 70-79 years, male 69.0
GTEX-1C4CL-0826-SM-7EWEZ 30-39 years, male 68.8
GTEX-1J8QM-0526-SM-AHZ3Y 60-69 years, female 68.8
GTEX-1F48J-0826-SM-9WPOD 50-59 years, female 68.7
GTEX-UJMC-0726-SM-3GADX 50-59 years, male 68.6
GTEX-XPVG-1026-SM-4B64Y 50-59 years, male 68.3
GTEX-1HSMQ-0726-SM-B2LXY 50-59 years, male 68.2
GTEX-OXRL-0526-SM-2I3EZ 50-59 years, male 68.1
GTEX-11P7K-0326-SM-59871 30-39 years, male 67.8
GTEX-1JMQI-1126-SM-ARZN2 50-59 years, male 67.8
GTEX-XGQ4-0826-SM-4AT4T 50-59 years, male 67.7
GTEX-1F5PK-0526-SM-7MXUA 50-59 years, male 67.5
GTEX-WY7C-0426-SM-3NB3C 50-59 years, male 67.4
GTEX-TML8-0326-SM-4GICN 40-49 years, female 67.3
GTEX-ZYFG-0226-SM-5GIDT 60-69 years, female 67.0
GTEX-QVUS-2026-SM-EYYW9 60-69 years, female 66.6
GTEX-WVJS-0826-SM-4MVNR 50-59 years, male 66.4
GTEX-14BIL-1226-SM-79OME 50-59 years, male 66.1
GTEX-P44H-1126-SM-48TBU 40-49 years, male 66.1
GTEX-17F98-0226-SM-793BV 40-49 years, female 65.7
GTEX-Y111-1026-SM-4TT22 50-59 years, male 65.6
GTEX-1GMR8-1426-SM-7RHHL 50-59 years, female 65.6
GTEX-S7SE-0926-SM-2XCD6 50-59 years, male 65.5
GTEX-13111-0426-SM-5DUXR 50-59 years, male 65.2
GTEX-QDT8-0926-SM-32PL2 30-39 years, female 64.7
GTEX-X4LF-0526-SM-3NMB6 50-59 years, male 64.6
GTEX-1A3MV-0526-SM-72D5A 30-39 years, male 64.4
GTEX-145MN-0926-SM-5NQBT 30-39 years, male 64.3
GTEX-XBED-0826-SM-47JYC 60-69 years, male 64.3
GTEX-1GTWX-0626-SM-9WYU1 60-69 years, male 64.2
GTEX-W5X1-0526-SM-3GILH 40-49 years, female 64.1
GTEX-1I19N-0526-SM-A9G27 70-79 years, male 64.0
GTEX-13U4I-1426-SM-5J2M3 40-49 years, female 63.9
GTEX-1I1GV-0926-SM-B2LXM 60-69 years, male 63.0
GTEX-13NZ9-0926-SM-5KM12 50-59 years, male 62.7
GTEX-WOFM-0126-SM-3MJFE 20-29 years, male 62.6
GTEX-1F7RK-0826-SM-7SB8V 20-29 years, female 62.4
GTEX-ZAB5-0626-SM-5PNVB 50-59 years, male 62.1
GTEX-Y8LW-0326-SM-4VBQ9 50-59 years, female 62.0
GTEX-ZDYS-0426-SM-5IJEQ 50-59 years, male 61.3
GTEX-ZF2S-0626-SM-4WKH2 50-59 years, female 60.6
GTEX-1MJIX-0626-SM-DTX8V 40-49 years, male 60.4
GTEX-X15G-0626-SM-EVR32 50-59 years, female 60.3
GTEX-OIZI-1026-SM-3NB1K 40-49 years, male 59.5
GTEX-QMRM-0826-SM-3NB33 50-59 years, male 59.5
GTEX-12WSK-0826-SM-5CVNP 40-49 years, female 58.9
GTEX-15SKB-0826-SM-7KUFB 60-69 years, male 57.9
GTEX-17HHE-0626-SM-7DHL6 50-59 years, male 57.9
GTEX-16NGA-0226-SM-718AI 40-49 years, female 57.1
GTEX-1AYD5-1226-SM-7EWEP 50-59 years, male 56.6
GTEX-13O21-3026-SM-5J2NI 50-59 years, male 56.3
GTEX-U3ZH-0526-SM-3DB75 30-39 years, male 56.3
GTEX-N7MT-0126-SM-2D7VT 60-69 years, female 55.8
GTEX-12ZZY-0926-SM-5EQ6I 60-69 years, male 55.4
GTEX-12WSE-0826-SM-5S2VL 20-29 years, male 54.8
GTEX-13FTZ-0526-SM-5IJCW 60-69 years, male 54.8
GTEX-13OVL-0626-SM-5KM13 50-59 years, male 54.5
GTEX-131YS-0926-SM-5IJB9 60-69 years, female 53.0
GTEX-169BO-0226-SM-79OL1 50-59 years, male 52.8
GTEX-13N11-0326-SM-5LUA3 50-59 years, female 47.5
GTEX-QMR6-1926-SM-32PL9 50-59 years, male 46.6
Show allShow less

LUNG - FANTOM5 CAGEi

RNA expression in human tissues obtained through Cap Analysis of Gene Expression (CAGE) generated by the FANTOM5 project are reported as Scaled Tags Per Million.

Max subtype Scaled Tags Per Millioni

Max subtype Scaled Tags Per Million is the value for the subtype with the largest average Scaled Tags Per Million across the subtype samples.

182.7
FANTOM5 sample id Sample description Scaled Tags Per Million
Lung
Scaled Tags Per Million: 182.7
FF:10019-101D1 46,65,94 years, mixed 182.7
Lung - right lower lobe
Scaled Tags Per Million: 98.1
FF:10075-102A3 29 years, male 98.1

Contact

  • NEWS ARTICLES
  • PRESS ROOM

The Project

  • INTRODUCTION
  • ORGANIZATION
  • PUBLICATIONS

The Human Protein Atlas

  • DOWNLOADABLE DATA
  • LICENCE & CITATION
  • HELP & FAQ
The Human Protein Atlas project is funded
by the Knut & Alice Wallenberg Foundation.


contact@proteinatlas.org