We use cookies to enhance the usability of our website. If you continue, we'll assume that you are happy to receive all cookies. More information. Don't show this again.
SUSD4
HPA
RESOURCES
  • TISSUE
  • BRAIN
  • SINGLE CELL
  • SUBCELLULAR
  • CANCER
  • BLOOD
  • CELL LINE
  • STRUCTURE & INTERACTION
ABOUT
  • INTRODUCTION
  • HISTORY
  • ORGANIZATION
  • PUBLICATIONS
  • ANTIBODY SUBMISSION
  • ANTIBODY AVAILABILITY
  • ACKNOWLEDGMENTS
  • CONTACT
NEWS
  • NEWS ARTICLES
  • PRESS ROOM
LEARN
  • DICTIONARY
  • PROTEIN CLASSES
  • PROTEIN EVIDENCE
  • METHODS
  • EDUCATIONAL VIDEOS
DATA
  • DOWNLOADABLE DATA
  • PUBLICATION DATA
  • RELEASE HISTORY
HELP
  • ANTIBODY VALIDATION
  • ASSAYS & ANNOTATION
  • DISCLAIMER
  • HELP & FAQ
  • PRIVACY STATEMENT
  • LICENCE & CITATION
Fields »
Search result

Field
Term
Gene name
Class
Subclass
Class
Keyword
Chromosome
External id
Tissue
Cell type
Expression
Antibody panel
Tissue
Main location
Patient ID
Annotation
Tissue
Category
Tau score
Cluster
Reliability
Brain region
Category
Tau score
Brain region
Category
Tau score
Brain region
Category
Tau score
Cluster
Reliability
Tissue
Cell type
Enrichment
Cell type
Category
Tau score
Cell type
Category
Tau score
Cell type
Category
Tau score
Cell lineage
Category
Tau score
Cluster
Cluster
Location
Searches
Location
Cell line
Class
Type
Phase
Reliability
Cancer
Prognosis
Cancer
Category
Cancer
Category
Tau score
Cluster
Variants
Interacting gene (ensg_id)
Type
Number of interactions
Pathway
Category
Score
Score
Score
Validation
Validation
Validation
Validation
Antibodies
Data type
Column


  • SUMMARY

  • TISSUE

  • BRAIN

  • SINGLE CELL

  • SUBCELL

  • CANCER

  • BLOOD

  • CELL LINE

  • STRUCT & INT

  • SUSD4
BRAIN CEREBELLUM Show tissue menu
AMYGDALA BASAL GANGLIA CEREBELLUM CEREBRAL CORTEX CHOROID PLEXUS HIPPOCAMPAL FORMATION HYPOTHALAMUS MEDULLA OBLONGATA
MIDBRAIN OLFACTORY BULB PITUITARY GLAND PONS RETINA SPINAL CORD THALAMUS WHITE MATTER
ANTIBODIES
AND
VALIDATION
Brain proteome
Cerebellum
CEREBELLUM - Expression summary
Protein expression
Cerebellumi

On the top, protein expression in current human tissue, based on all annotated cell types, is reported with the units not detected (n), low (l), medium (m) and high (h). Underneath, protein expression in each annotated cell type are reported using the same units.

Protein expression data is based on knowledge-based annotation. For genes where more than one antibody has been used, a collective score is set.

If knowledge-based annotation could not be performed for a gene, no data is displayed here. View antibody staining data further down this page.

h
m
l
n
Cells in granular layer: Not detected
Cells in molecular layer: Not detected
Purkinje cells: Medium
RNA expressioni

A summary of mRNA expression data available for current tissue based on several datasets. The mRNA expression levels in human tissues are based on RNA-seq data generated by the Human Protein Atlas (HPA), Genotype-Tissue Expression (GTEx) portal and CAGE data generated by the FANTOM5 consortium. Consensus normalized expression levels for human tissues was created by combining the data from HPA and GTEx datasets.

The mRNA expression levels in pig are based on RNA-seq data generated by the Human Protein Atlas (HPA), and for mouse, HPA data and in situ hybridization generated by the Allen brain atlas are reported.

Scroll down to view mRNA expression data in more detail.
Consensus:18.1 nTPM
HPA Brain:30.3 nTPM
GTEx:18.1 nTPM
FANTOM5:19.9 Scaled Tags Per Million
Pig:28.2 nTPM
Mouse:43.7 nTPM
Allen mouse:6.5 Expression energy

CEREBELLUM - Antibody stainingi

Antibody staining in the annotated cell types in the current human tissue is reported as not detected, low, medium, or high, based on conventional immunohistochemistry profiling in selected tissues. This score is based on the combination of the staining intensity and fraction of stained cells.

Each image is clickable and will lead to virtual microscopy that enables deeper exploration of all samples and also displays staining intensity scores, fraction scores and subcellular localization as well as patient and tissue information for each sample.

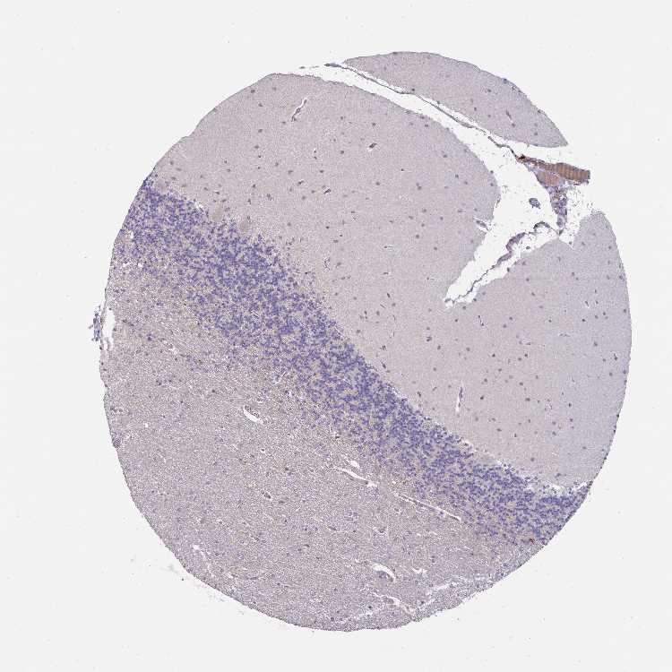
Antibody HPA058296
Purkinje cells Medium
Cells in granular layer Not detected
Cells in molecular layer Not detected



CEREBELLUM - HPA Brain RNA-seq
Max subtype nTPMi

Max subtype nTPM is the value for the subtype with the largest average nTPM across the subtype samples.

30.3
Sample id Sample description nTPM
Cerebellar cortex
nTPM: 30.3
2101 Male, age 74, right hemisphere 42.5
2055 Female, age 91, right hemisphere 34.5
1774 Male, age 80, left hemisphere 34.3
2006 Male, age 61, right hemisphere 33.0
1769 Male, age 76, right hemisphere 30.7
1768 Female, age 72, unknown 29.5
1788 Male, age 55, unknown 21.0
2003 Female, age 85, right hemisphere 17.2
Cerebellar nuclei
nTPM: 17.1
2318 Male, age 74, left hemisphere 23.0
2177 Female, age 85, both hemispheres 21.6
2882 Male, age 76, left hemisphere 20.3
2783 Female, age 72, unknown 17.7
1879 Male, age 55, unknown 16.5
1966 Female, age 91, left hemisphere 16.2
2175 Male, age 61, right hemisphere 14.6
2005 Male, age 80, left hemisphere 12.9
1871 Male, age 74, unknown 10.9
Flocculonodular lobe
nTPM: 28.3
2176 Female, age 91, right hemisphere 34.0
1835 Female, age 85, right hemisphere 30.5
1771 Male, age 80, left hemisphere 29.0
1767 Male, age 76, left hemisphere 28.9
2004 Male, age 61, right hemisphere 27.7
1792 Male, age 74, unknown 27.1
1765 Male, age 55, unknown 21.1
Vermis
nTPM: 27.8
1751 Male, age 74, right hemisphere 37.4
1778 Female, age 91, left hemisphere 35.8
1770 Male, age 76, left hemisphere 29.1
1928 Female, age 72, unknown 28.8
2834 Male, age 80, left hemisphere 27.3
1825 Male, age 74, unknown 25.4
1988 Female, age 85, left hemisphere 24.8
2460 Male, age 61, both hemispheres 22.8
1766 Male, age 55, unknown 19.3

CEREBELLUM - GTEx RNA-seqi

RNA-Seq data generated by the Genotype-Tissue Expression (GTEx) project from human tissues is reported as mean nTPM. More information can be found on the GTEx portal.

Distribution across the dataset is visualized with box plots, shown as median and 25th and 75th percentiles. Points are displayed as outliers if they are above or below 1.5 times the interquartile range. nTPM values of the individual samples are presented next to the box plot.
Max subtype nTPMi

Max subtype nTPM is the value for the subtype with the largest average nTPM across the subtype samples.

18.1
GTEx sample id Sample description nTPM
Brain - Cerebellar Hemisphere
Average nTPM: 16.2
Samples: 215

Max nTPM: 25.9
Min nTPM: 7.4
Std nTPM: 3.3
Median nTPM: 15.7
GTEX-1H3VE-0011-R11b-SM-C1YRP 40-49 years, male 25.9
GTEX-NL4W-0011-R11A-SM-2I3DW 50-59 years, male 25.7
GTEX-ZE7O-0011-R11a-SM-57WBC 50-59 years, female 25.6
GTEX-12WSH-0011-R11a-SM-5LZVM 50-59 years, male 25.5
GTEX-1I19N-0011-R11b-SM-ARU6Y 70-79 years, male 25.1
GTEX-NL3H-0011-R11A-SM-2I3E6 60-69 years, male 24.2
GTEX-WWYW-0011-R11A-SM-3NB38 50-59 years, female 24.2
GTEX-18465-0011-R11a-SM-72D78 50-59 years, male 24.1
GTEX-13NYS-0011-R11b-SM-5MR4P 60-69 years, male 23.3
GTEX-1R9K4-0011-R11a-SM-EZ6N9 60-69 years, male 22.5
GTEX-1GMR8-0011-R11b-SM-9OSX2 50-59 years, female 22.2
GTEX-13X6K-0011-R11a-SM-5P9F5 60-69 years, female 22.0
GTEX-14BIM-0011-R11b-SM-5S2RN 60-69 years, female 21.9
GTEX-13X6I-0011-R11a-SM-5P9HN 60-69 years, male 21.7
GTEX-131XH-0011-R11a-SM-5EGLN 50-59 years, male 21.6
GTEX-XMD1-0011-R11A-SM-4AT5J 60-69 years, male 21.6
GTEX-N7MT-0011-R11A-SM-2I3DZ 60-69 years, female 21.4
GTEX-16YQH-0011-R11b-SM-7LT98 30-39 years, male 21.3
GTEX-16GPK-0011-R11b-SM-7MKFF 60-69 years, male 21.0
GTEX-1HB9E-0011-R11b-SM-ARU79 50-59 years, male 20.5
GTEX-ZF28-0011-R11a-SM-4WWEI 60-69 years, male 20.4
GTEX-1J1OQ-0011-R11a-SM-A96S3 40-49 years, female 20.4
GTEX-1H1CY-0011-R11a-SM-C1YQR 60-69 years, female 20.3
GTEX-12WSF-0011-R11a-SM-5LZVT 70-79 years, male 20.1
GTEX-132Q8-0011-R11b-SM-5DUW9 60-69 years, male 20.1
GTEX-1F52S-0011-R11a-SM-CJI23 60-69 years, female 20.1
GTEX-17EVP-0011-R11a-SM-7EWDL 40-49 years, male 20.0
GTEX-11DZ1-0011-R11b-SM-DO11W 50-59 years, male 19.7
GTEX-1H3NZ-0011-R11b-SM-CE6SF 60-69 years, male 19.7
GTEX-13OVH-0011-R11b-SM-5KM4X 70-79 years, male 19.5
GTEX-13FLV-0011-R11a-SM-5LZZ7 50-59 years, male 19.4
GTEX-X4EP-0011-R11B-SM-4QASK 60-69 years, female 19.3
GTEX-X4XX-0011-R11A-SM-46MWQ 60-69 years, male 19.3
GTEX-1HFI6-0011-R11b-SM-A96RU 40-49 years, male 19.3
GTEX-13CZV-0011-R11b-SM-5N9FN 60-69 years, male 19.2
GTEX-13RTJ-0011-R11a-SM-5O9CK 60-69 years, male 19.2
GTEX-13QIC-0011-R11b-SM-5O9BU 60-69 years, female 19.1
GTEX-ZAB4-0011-R11a-SM-4SOKI 40-49 years, male 19.1
GTEX-13FHO-0011-R11b-SM-5LZYQ 60-69 years, male 18.9
GTEX-13G51-0011-R11b-SM-5J2NE 60-69 years, male 18.9
GTEX-UTHO-0011-R11A-SM-3GIJE 60-69 years, male 18.9
GTEX-11TTK-0011-R11b-SM-DO112 60-69 years, female 18.9
GTEX-1GMRU-0011-R11b-SM-C1YQ4 50-59 years, male 18.9
GTEX-1HGF4-0011-R11a-SM-C1YRR 60-69 years, male 18.9
GTEX-14C5O-0011-R11b-SM-6872H 60-69 years, male 18.8
GTEX-12WSD-0011-R11a-SM-9OSVC 60-69 years, female 18.7
GTEX-13JUV-0011-R11a-SM-5LZYH 40-49 years, female 18.5
GTEX-13NYB-0011-R11a-SM-5KM3Q 40-49 years, male 18.4
GTEX-14ASI-0011-R11b-SM-6AJBJ 60-69 years, male 18.4
GTEX-NPJ8-0011-R11A-SM-2YUMS 40-49 years, male 18.4
GTEX-1IKOH-0011-R11a-SM-AHZ38 60-69 years, female 18.3
GTEX-1LVAO-0011-R11b-SM-EXOI8 60-69 years, male 18.2
GTEX-139TT-0011-R11b-SM-5LZV1 60-69 years, male 18.1
GTEX-1N2EE-0011-R11b-SM-EXOIJ 60-69 years, male 18.1
GTEX-14E6D-0011-R11b-SM-664NP 50-59 years, male 18.0
GTEX-1CB4G-0011-R11a-SM-9OSWG 60-69 years, male 18.0
GTEX-X585-0011-R11B-SM-46MUZ 50-59 years, male 17.8
GTEX-ZVT3-0011-R11b-SM-57WBI 60-69 years, female 17.8
GTEX-1B933-0011-R11a-SM-7P8PM 50-59 years, female 17.8
GTEX-11GSP-0011-R11b-SM-5NQ7V 60-69 years, female 17.7
GTEX-13FXS-0011-R11a-SM-5L3DM 50-59 years, male 17.7
GTEX-13SLW-0011-R11a-SM-5SI8Q 70-79 years, male 17.6
GTEX-1A3MX-0011-R11b-SM-7DUGP 60-69 years, male 17.6
GTEX-1M4P7-0011-R11b-SM-EXOIK 60-69 years, male 17.6
GTEX-WZTO-0011-R11A-SM-4E3K9 40-49 years, male 17.5
GTEX-ZE9C-0011-R11a-SM-4WKGG 60-69 years, male 17.5
GTEX-11EI6-0011-R11a-SM-DO11V 60-69 years, male 17.5
GTEX-13NZA-0011-R11b-SM-5KM4W 60-69 years, male 17.4
GTEX-Z93S-0011-R11a-SM-4RGNN 50-59 years, male 17.4
GTEX-1EMGI-0011-R11b-SM-9OSWX 60-69 years, male 17.4
GTEX-13S7M-0011-R11b-SM-5P9HU 60-69 years, female 17.3
GTEX-13X6J-0011-R11a-SM-5P9HE 50-59 years, male 17.3
GTEX-OHPN-0011-R11A-SM-2I5FM 60-69 years, female 17.3
GTEX-1JJEA-0011-R11a-SM-EXUTE 60-69 years, male 17.3
GTEX-15CHQ-0011-R11b-SM-686ZZ 60-69 years, male 17.2
GTEX-17HII-0011-R11b-SM-7KFSX 50-59 years, male 17.2
GTEX-1F7RK-0011-R11b-SM-9QEI2 20-29 years, female 17.2
GTEX-1GN73-0011-R11b-SM-9OSX4 60-69 years, male 17.2
GTEX-1J8Q2-0011-R11a-SM-A9SKI 60-69 years, male 17.2
GTEX-T5JC-0011-R11A-SM-32PMB 20-29 years, male 17.1
GTEX-1F6I4-0011-R11b-SM-9OSWS 60-69 years, male 17.1
GTEX-1HUB1-0011-R11b-SM-CE6SC 60-69 years, male 17.1
GTEX-13OW5-0011-R11b-SM-5L3GG 60-69 years, male 17.0
GTEX-15EO6-0011-R11b-SM-6M47M 50-59 years, male 16.9
GTEX-17EVQ-0011-R11a-SM-7LT9C 70-79 years, male 16.9
GTEX-1HSKV-0011-R11b-SM-AHZ2E 60-69 years, male 16.9
GTEX-15G19-0011-R11b-SM-6LPIH 60-69 years, male 16.8
GTEX-11WQC-0011-R11b-SM-57WD6 60-69 years, male 16.7
GTEX-13JVG-0011-R11a-SM-5KM53 60-69 years, male 16.7
GTEX-13VXU-0011-R11b-SM-5O9DJ 50-59 years, male 16.7
GTEX-1AX9I-0011-R11b-SM-7DHN4 60-69 years, male 16.7
GTEX-11EMC-0011-R11b-SM-DNZZK 60-69 years, female 16.7
GTEX-13FHP-0011-R11b-SM-5LZXP 50-59 years, male 16.6
GTEX-1GZ4I-0011-R11b-SM-9OSWR 50-59 years, male 16.6
GTEX-1H4P4-0011-R11b-SM-CE6S8 50-59 years, male 16.6
GTEX-1LSVX-0011-R11b-SM-EXOIA 60-69 years, male 16.6
GTEX-17F97-0011-R11b-SM-7KFRQ 50-59 years, male 16.5
GTEX-1313W-0011-R11a-SM-5DUXN 50-59 years, female 16.3
GTEX-13OVJ-0011-R11a-SM-5P9H8 50-59 years, female 16.2
GTEX-YFC4-0011-R11a-SM-4SOK6 40-49 years, female 16.2
GTEX-P44H-0011-R11A-SM-2XCER 40-49 years, male 16.1
GTEX-1ICLZ-0011-R11a-SM-CJI3N 60-69 years, male 16.1
GTEX-145MH-0011-R11a-SM-5P9HQ 50-59 years, male 16.0
GTEX-14E7W-0011-R11a-SM-5ZZVA 70-79 years, male 16.0
GTEX-1IGQW-0011-R11a-SM-C1YRV 60-69 years, male 16.0
GTEX-NPJ7-0011-R11A-SM-2I3E8 60-69 years, female 15.9
GTEX-1I1GV-0011-R11a-SM-CJI3Z 60-69 years, male 15.8
GTEX-1399T-0011-R11a-SM-5J2O1 60-69 years, male 15.7
GTEX-17JCI-0011-R11a-SM-7189Y 60-69 years, female 15.7
GTEX-1F75W-0011-R11b-SM-AHZ34 60-69 years, male 15.7
GTEX-1IKK5-0011-R11a-SM-C1YRX 60-69 years, male 15.7
GTEX-1JJ6O-0011-R11b-SM-EXUS2 60-69 years, male 15.7
GTEX-12WSI-0011-R11b-SM-5P9EZ 50-59 years, male 15.6
GTEX-183WM-0011-R11a-SM-718A5 70-79 years, female 15.6
GTEX-ZUA1-0011-R11b-SM-51MTI 40-49 years, male 15.6
GTEX-1I1GS-0011-R11a-SM-C1YRU 60-69 years, male 15.6
GTEX-1LKK1-0011-R11a-SM-EXOIG 50-59 years, female 15.6
GTEX-18464-0011-R11a-SM-72D76 50-59 years, male 15.5
GTEX-N7MS-0011-R11A-SM-2HMJS 60-69 years, male 15.5
GTEX-QMR6-0011-R11A-SM-32PKK 50-59 years, male 15.5
GTEX-13PLJ-0011-R11b-SM-5O9BS 60-69 years, female 15.4
GTEX-13N2G-0011-R11a-SM-5MR3F 60-69 years, male 15.3
GTEX-13OW7-0011-R11a-SM-5O9DY 50-59 years, male 15.3
GTEX-14BIN-0011-R11a-SM-5SI79 50-59 years, female 15.3
GTEX-TSE9-0011-R11A-SM-3DB7N 60-69 years, female 15.3
GTEX-1H3O1-0011-R11a-SM-A96RV 60-69 years, male 15.3
GTEX-1HBPI-0011-R11b-SM-CE6SH 50-59 years, male 15.3
GTEX-1IL2V-0011-R11a-SM-ARU6T 70-79 years, male 15.3
GTEX-12126-0011-R11a-SM-5BC6X 20-29 years, male 15.2
GTEX-1IDJH-0011-R11b-SM-C1YRT 70-79 years, male 15.2
GTEX-1R9PO-0011-R11b-SM-EZ6NB 60-69 years, female 15.2
GTEX-12ZZX-0011-R11a-SM-5DUVJ 40-49 years, female 15.1
GTEX-13O3O-0011-R11b-SM-5KM4G 60-69 years, female 15.1
GTEX-14DAQ-0011-R11a-SM-664NO 60-69 years, female 15.1
GTEX-15ER7-0011-R11a-SM-6LPIL 20-29 years, female 15.1
GTEX-11DYG-0011-R11a-SM-DNZZP 60-69 years, male 15.1
GTEX-1BAJH-0011-R11b-SM-7IGLM 70-79 years, male 15.0
GTEX-X261-0011-R11A-SM-4E3JY 50-59 years, male 15.0
GTEX-12ZZZ-0011-R11a-SM-5EGLC 60-69 years, male 14.9
GTEX-S7SE-0011-R11A-SM-2XCDD 50-59 years, male 14.9
GTEX-13OW6-0011-R11a-SM-5L3H2 50-59 years, male 14.8
GTEX-145MI-0011-R11a-SM-5P9JZ 60-69 years, female 14.8
GTEX-11PRG-0011-R11b-SM-DNZZY 50-59 years, male 14.8
GTEX-1F75A-0011-R11a-SM-AHZ35 50-59 years, male 14.8
GTEX-13CF2-0011-R11b-SM-5LZXO 60-69 years, male 14.7
GTEX-T2IS-0011-R11A-SM-32QPC 20-29 years, female 14.6
GTEX-WL46-0011-R11A-SM-3MJFT 50-59 years, male 14.6
GTEX-YJ89-0011-R11a-SM-4SOKA 60-69 years, male 14.6
GTEX-1H1ZS-0011-R11a-SM-C1YQM 70-79 years, male 14.6
GTEX-12WSM-0011-R11a-SM-5DUX8 60-69 years, male 14.5
GTEX-13SLX-0011-R11b-SM-5O9C8 50-59 years, female 14.5
GTEX-14ABY-0011-R11a-SM-5SI7C 50-59 years, male 14.5
GTEX-T6MN-0011-R11A-SM-32QOX 50-59 years, male 14.5
GTEX-1C64N-0011-R11b-SM-7P8Q6 50-59 years, male 14.5
GTEX-1I1GQ-0011-R11b-SM-CKZPA 50-59 years, male 14.5
GTEX-131XW-0011-R11a-SM-5DUV9 50-59 years, female 14.4
GTEX-P44G-0011-R11A-SM-2I3FD 30-39 years, male 14.3
GTEX-1IL2U-0011-R11a-SM-CE6SO 60-69 years, male 14.3
GTEX-1JMQJ-0011-R11a-SM-EXOJY 50-59 years, male 14.3
GTEX-1LG7Y-0011-R11a-SM-EXOIH 50-59 years, male 14.3
GTEX-RU72-0011-R11A-SM-CM2U1 50-59 years, female 14.3
GTEX-11H98-0011-R11b-SM-5NQ6U 50-59 years, male 14.2
GTEX-11OF3-0011-R11a-SM-57WCR 60-69 years, male 14.2
GTEX-ZVZQ-0011-R11a-SM-51MS6 60-69 years, female 14.2
GTEX-1E1VI-0011-R11a-SM-9OSWI 50-59 years, male 14.2
GTEX-1I1GR-0011-R11a-SM-CM2T5 60-69 years, male 14.2
GTEX-1KD4Q-0011-R11b-SM-EXOIE 40-49 years, male 14.1
GTEX-11ZUS-0011-R11b-SM-5BC7B 30-39 years, male 13.9
GTEX-1B8L1-0011-R11b-SM-793DJ 60-69 years, male 13.9
GTEX-1B8SF-0011-R11a-SM-79OOP 60-69 years, male 13.8
GTEX-1J8EW-0011-R11a-SM-AHZ37 60-69 years, female 13.8
GTEX-144GL-0011-R11b-SM-5P9F6 50-59 years, male 13.7
GTEX-11ZTS-0011-R11a-SM-DO113 60-69 years, female 13.7
GTEX-18A6Q-0011-R11a-SM-72D6H 60-69 years, male 13.6
GTEX-1N2DW-0011-R11b-SM-EXOIL 50-59 years, male 13.6
GTEX-1IOXB-0011-R11a-SM-A9G1X 50-59 years, male 13.4
GTEX-15DYW-0011-R11a-SM-6LPIT 60-69 years, female 13.3
GTEX-RVPV-0011-R11A-SM-2TF6F 60-69 years, male 13.3
GTEX-15DCD-0011-R11a-SM-D4P1R 70-79 years, female 13.3
GTEX-1IY9M-0011-R11b-SM-A96TI 60-69 years, male 13.3
GTEX-QDT8-0011-R11A-SM-32PKD 30-39 years, female 13.2
GTEX-1GZHY-0011-R11a-SM-C1YRQ 50-59 years, female 13.1
GTEX-Q2AG-0011-R11A-SM-2HMKZ 40-49 years, female 13.0
GTEX-WVLH-0011-R11A-SM-3MJFO 50-59 years, male 13.0
GTEX-1F48J-0011-R11b-SM-9OSWV 50-59 years, female 13.0
GTEX-13FTY-0011-R11a-SM-5IJEA 40-49 years, female 12.9
GTEX-1EKGG-0011-R11a-SM-9QEHZ 60-69 years, male 12.9
GTEX-131YS-0011-R11b-SM-5EGLM 60-69 years, female 12.8
GTEX-16Z82-0011-R11a-SM-79OKJ 60-69 years, male 12.5
GTEX-13OVL-0011-R11b-SM-5L3G7 50-59 years, male 12.4
GTEX-13O3Q-0011-R11b-SM-5KM2W 50-59 years, male 12.3
GTEX-Y8DK-0011-R11A-SM-4SOK2 60-69 years, male 12.3
GTEX-1I1HK-0011-R11a-SM-B2LVN 60-69 years, male 12.3
GTEX-16NPV-0011-R11a-SM-7IGMK 50-59 years, female 12.2
GTEX-13OW8-0011-R11a-SM-5L3GT 60-69 years, male 12.1
GTEX-13PVQ-0011-R11a-SM-5O9DU 50-59 years, male 11.9
GTEX-1GF9W-0011-R11b-SM-9OSXG 60-69 years, male 11.9
GTEX-1GTWX-0011-R11b-SM-C1YQJ 60-69 years, male 11.9
GTEX-16XZZ-0011-R11a-SM-7EPI3 60-69 years, male 11.8
GTEX-11DXY-0011-R11a-SM-DNZZN 60-69 years, male 11.7
GTEX-1JMOU-0011-R11b-SM-EXUTA 60-69 years, female 11.5
GTEX-1HCU6-0011-R11b-SM-AHZ2F 60-69 years, female 11.4
GTEX-ZDXO-0011-R11a-SM-4WWD9 60-69 years, male 11.3
GTEX-1CAV2-0011-R11a-SM-ARU8D 40-49 years, female 11.1
GTEX-R55E-0011-R11A-SM-2TC6I 20-29 years, male 10.7
GTEX-1B8SG-0011-R11a-SM-7P8PF 50-59 years, male 10.7
GTEX-1H1DG-0011-R11a-SM-C1YQK 70-79 years, male 10.7
GTEX-12WSE-0011-R11b-SM-5P9JW 20-29 years, male 10.1
GTEX-14PN4-0011-R11a-SM-686ZW 50-59 years, male 10.0
GTEX-12WSC-0011-R11a-SM-5GU5J 50-59 years, male 9.7
GTEX-145LU-0011-R11b-SM-5P9JX 50-59 years, male 9.7
GTEX-139UW-0011-R11a-SM-5IJGN 60-69 years, male 9.3
GTEX-17HG3-0011-R11b-SM-7KFT4 30-39 years, female 8.9
GTEX-WHSE-0011-R11A-SM-3P5YY 20-29 years, male 8.4
GTEX-14C39-0011-R11b-SM-5YYAF 40-49 years, male 7.4
Show allShow less
Brain - Cerebellum
Average nTPM: 18.1
Samples: 241

Max nTPM: 28.3
Min nTPM: 10.7
Std nTPM: 3.1
Median nTPM: 17.9
GTEX-131XH-2926-SM-5LZU4 50-59 years, male 28.3
GTEX-12WSH-3126-SM-5LZW8 50-59 years, male 27.4
GTEX-ZAJG-3026-SM-5HL92 50-59 years, female 26.4
GTEX-XMD1-2826-SM-4AT5F 60-69 years, male 26.0
GTEX-18465-2926-SM-7KFSE 50-59 years, male 25.8
GTEX-QVUS-2926-SM-3GIJB 60-69 years, female 25.8
GTEX-13OW5-3126-SM-5MR3Y 60-69 years, male 25.2
GTEX-1HB9E-3126-SM-AHZ4M 50-59 years, male 25.0
GTEX-13FHO-2926-SM-5L3ES 60-69 years, male 24.9
GTEX-13X6K-2826-SM-5O9DS 60-69 years, female 24.4
GTEX-1EX96-3126-SM-9JGGC 50-59 years, male 24.2
GTEX-13OVH-2926-SM-5IJFH 70-79 years, male 23.9
GTEX-WWYW-3026-SM-3NB36 50-59 years, female 23.6
GTEX-11OC5-0626-SM-5HL6M 60-69 years, male 23.4
GTEX-15G19-2826-SM-6M48K 60-69 years, male 23.4
GTEX-1JMPZ-2826-SM-C1YRA 30-39 years, male 23.4
GTEX-14BIM-3126-SM-5Q5C7 60-69 years, female 23.0
GTEX-1J1OQ-3126-SM-D4P2O 40-49 years, female 23.0
GTEX-11GSO-3026-SM-5Q5AL 60-69 years, male 22.8
GTEX-11O72-2826-SM-5HL6W 40-49 years, male 22.7
GTEX-14A5I-2826-SM-5SIBF 50-59 years, female 22.7
GTEX-RNOR-2226-SM-2TF5O 50-59 years, female 22.7
GTEX-11ZVC-3026-SM-59HJM 50-59 years, female 22.3
GTEX-11TTK-2826-SM-5GU5K 60-69 years, female 22.2
GTEX-13JUV-3026-SM-5K7WX 40-49 years, female 22.1
GTEX-ZAB4-2926-SM-57WCV 40-49 years, male 22.1
GTEX-13RTJ-3126-SM-5S2Q4 60-69 years, male 22.0
GTEX-XLM4-2926-SM-4AT59 60-69 years, male 22.0
GTEX-13VXU-3026-SM-5LU3K 50-59 years, male 21.9
GTEX-145LS-3026-SM-5O99S 60-69 years, female 21.8
GTEX-1JJE9-3026-SM-CNNPA 70-79 years, male 21.8
GTEX-11ONC-3026-SM-5985W 60-69 years, male 21.7
GTEX-ZYFD-2926-SM-5GID9 50-59 years, male 21.7
GTEX-ZYY3-3026-SM-5GIEJ 60-69 years, female 21.7
GTEX-1F52S-3026-SM-7P8PV 60-69 years, female 21.6
GTEX-1HSMO-2926-SM-C1YR5 60-69 years, male 21.6
GTEX-14JFF-2826-SM-6871Q 60-69 years, male 21.5
GTEX-11ZUS-2826-SM-5EQKW 30-39 years, male 21.4
GTEX-144GL-2926-SM-5O99F 50-59 years, male 21.3
GTEX-1CB4G-2926-SM-7MKFQ 60-69 years, male 21.3
GTEX-YJ89-2926-SM-5P9IT 60-69 years, male 21.2
GTEX-ZVT3-2926-SM-5GU6M 60-69 years, female 21.2
GTEX-15ER7-3026-SM-6M47W 20-29 years, female 21.1
GTEX-17F97-2926-SM-7DUEQ 50-59 years, male 21.1
GTEX-1MJK2-3026-SM-EV7A5 50-59 years, male 21.1
GTEX-UTHO-2926-SM-3P5Z9 60-69 years, male 20.7
GTEX-12WSM-2126-SM-5GCOC 60-69 years, male 20.5
GTEX-ZAK1-2926-SM-5HL9S 50-59 years, female 20.5
GTEX-1LSVX-2826-SM-EVR58 60-69 years, male 20.5
GTEX-1313W-3026-SM-5LZUZ 50-59 years, female 20.4
GTEX-14C5O-2926-SM-5RQI1 60-69 years, male 20.4
GTEX-147GR-3126-SM-5S2PM 60-69 years, male 20.3
GTEX-1HBPH-3026-SM-9WPNY 40-49 years, female 20.3
GTEX-12ZZZ-3126-SM-5LZU6 60-69 years, male 20.2
GTEX-X4XX-2926-SM-3NMB1 60-69 years, male 20.2
GTEX-117XS-3126-SM-5GIDP 60-69 years, male 20.1
GTEX-1128S-2826-SM-5N9DI 60-69 years, female 20.0
GTEX-13QIC-3026-SM-5LU58 60-69 years, female 20.0
GTEX-X4EP-3026-SM-3P5YP 60-69 years, female 20.0
GTEX-15EO6-2926-SM-6M48D 50-59 years, male 19.9
GTEX-1PIIG-2826-SM-DTX7O 30-39 years, male 19.9
GTEX-PWO3-1026-SM-2I5F2 60-69 years, female 19.8
GTEX-1IKOH-2826-SM-CNNRC 60-69 years, female 19.8
GTEX-12126-0926-SM-5FQTW 20-29 years, male 19.7
GTEX-1EMGI-3126-SM-7MXUR 60-69 years, male 19.7
GTEX-1RNSC-3126-SM-EVR4V 60-69 years, male 19.7
GTEX-13X6I-2926-SM-5Q5C3 60-69 years, male 19.6
GTEX-12ZZY-2926-SM-5DUXO 60-69 years, male 19.5
GTEX-183WM-2726-SM-7KFRF 70-79 years, female 19.5
GTEX-1HCVE-2926-SM-9WPPJ 50-59 years, male 19.5
GTEX-13NYB-3226-SM-5J2ND 40-49 years, male 19.4
GTEX-17HII-2926-SM-79OMK 50-59 years, male 19.4
GTEX-WVLH-2926-SM-3MJG5 50-59 years, male 19.4
GTEX-Y111-2826-SM-4TT3O 50-59 years, male 19.4
GTEX-1H3NZ-2926-SM-9WPQ8 60-69 years, male 19.4
GTEX-1H3VE-2826-SM-9WPOL 40-49 years, male 19.2
GTEX-139TT-2626-SM-5LZUB 60-69 years, male 19.1
GTEX-13G51-3126-SM-5IJG7 60-69 years, male 19.1
GTEX-14ASI-2926-SM-5Q5DG 60-69 years, male 19.1
GTEX-1R46S-3126-SM-DPRZ9 60-69 years, female 19.1
GTEX-11EMC-3326-SM-5P9JH 60-69 years, female 18.9
GTEX-14E6D-2926-SM-664OP 50-59 years, male 18.9
GTEX-1A3MX-2926-SM-718B7 60-69 years, male 18.9
GTEX-PVOW-2626-SM-32PL8 40-49 years, male 18.9
GTEX-X261-3126-SM-4PQZC 50-59 years, male 18.9
GTEX-11ZTS-3226-SM-5EGID 60-69 years, female 18.8
GTEX-QMR6-1326-SM-32PLB 50-59 years, male 18.8
GTEX-1QP6S-3026-SM-EAZ4N 40-49 years, male 18.8
GTEX-15SHU-3026-SM-6LPIB 40-49 years, female 18.7
GTEX-1JMLX-3026-SM-EV79Q 50-59 years, male 18.7
GTEX-1JMQK-2926-SM-D4P2T 60-69 years, male 18.7
GTEX-13FHP-2926-SM-5IJG9 50-59 years, male 18.6
GTEX-14DAQ-3026-SM-5S2QZ 60-69 years, female 18.6
GTEX-16YQH-2926-SM-6LPJE 30-39 years, male 18.6
GTEX-NPJ7-2826-SM-2I3FU 60-69 years, female 18.6
GTEX-QVJO-1325-SM-2S1QX 60-69 years, female 18.6
GTEX-131YS-3026-SM-5EGHY 60-69 years, female 18.5
GTEX-1I1CD-2926-SM-A96SJ 60-69 years, female 18.5
GTEX-1I1GV-3026-SM-CNNR9 60-69 years, male 18.5
GTEX-1KANB-3226-SM-D4P3G 50-59 years, male 18.5
GTEX-12ZZX-2826-SM-5BC6K 40-49 years, female 18.4
GTEX-14C39-3026-SM-5S2QE 40-49 years, male 18.4
GTEX-14PJM-3026-SM-6LLHM 50-59 years, female 18.4
GTEX-17EVP-2926-SM-793BU 40-49 years, male 18.4
GTEX-13FXS-3026-SM-5LZYO 50-59 years, male 18.3
GTEX-145MG-3126-SM-5Q5D3 50-59 years, male 18.3
GTEX-14JIY-2326-SM-6AJAJ 60-69 years, male 18.3
GTEX-1C6VR-3026-SM-7IGLW 60-69 years, male 18.3
GTEX-Z93S-2826-SM-57WBL 50-59 years, male 18.3
GTEX-1KWVE-2226-SM-CXZKN 30-39 years, male 18.3
GTEX-14ABY-3026-SM-664NE 50-59 years, male 18.2
GTEX-YFC4-3026-SM-5IFJK 40-49 years, female 18.2
GTEX-1KD4Q-3026-SM-EV7A7 40-49 years, male 18.2
GTEX-1R9PO-2826-SM-E6CPV 60-69 years, female 18.2
GTEX-1EU9M-2926-SM-793DF 60-69 years, male 18.1
GTEX-NPJ8-2626-SM-2D7W2 40-49 years, male 18.1
GTEX-1GZ4I-2926-SM-9JGGO 50-59 years, male 18.1
GTEX-17HG3-2826-SM-7EPGO 30-39 years, female 18.0
GTEX-S7SE-2526-SM-2XCDL 50-59 years, male 18.0
GTEX-15DYW-3026-SM-7KFRM 60-69 years, female 17.9
GTEX-1F48J-2726-SM-7P8PW 50-59 years, female 17.9
GTEX-QDT8-3026-SM-32PKB 30-39 years, female 17.8
GTEX-1H1CY-3026-SM-9OSW7 60-69 years, female 17.8
GTEX-13S7M-3026-SM-5S2QQ 60-69 years, female 17.7
GTEX-145MF-2826-SM-7EPGU 50-59 years, male 17.7
GTEX-11DZ1-2926-SM-5A5KI 50-59 years, male 17.6
GTEX-T6MN-2526-SM-32PMN 50-59 years, male 17.6
GTEX-WL46-2826-SM-3LK81 50-59 years, male 17.6
GTEX-1GF9V-3026-SM-7P8R8 60-69 years, male 17.6
GTEX-1JJEA-2926-SM-C1YSK 60-69 years, male 17.6
GTEX-1B933-3026-SM-731DB 50-59 years, female 17.5
GTEX-R55E-2526-SM-2TC6H 20-29 years, male 17.5
GTEX-TSE9-2926-SM-3DB77 60-69 years, female 17.5
GTEX-1IL2V-3026-SM-CYPSA 70-79 years, male 17.5
GTEX-14JG1-2926-SM-686ZK 40-49 years, male 17.4
GTEX-1I1HK-2726-SM-AHZ2M 60-69 years, male 17.4
GTEX-1JMQJ-3126-SM-EV79G 50-59 years, male 17.4
GTEX-12WSD-3026-SM-5LZU7 60-69 years, female 17.3
GTEX-1B8L1-3226-SM-7P8OX 60-69 years, male 17.3
GTEX-1H1ZS-2926-SM-9WPP2 70-79 years, male 17.3
GTEX-11GSP-3126-SM-5A5LL 60-69 years, female 17.2
GTEX-13N2G-3126-SM-5IJGL 60-69 years, male 17.2
GTEX-1EWIQ-3026-SM-7IGOJ 70-79 years, female 17.2
GTEX-ZUA1-2926-SM-59HL3 40-49 years, male 17.1
GTEX-1NV8Z-3026-SM-DTX8Z 60-69 years, male 17.1
GTEX-11DXW-1026-SM-5H11K 40-49 years, male 17.0
GTEX-14E7W-2926-SM-5S2R8 70-79 years, male 17.0
GTEX-17HHY-2926-SM-79OJW 50-59 years, male 17.0
GTEX-13O3O-3026-SM-5KM42 60-69 years, female 16.9
GTEX-Y8DK-0726-SM-4TT3S 60-69 years, male 16.9
GTEX-1F75A-2926-SM-7MXVN 50-59 years, male 16.9
GTEX-1IDJH-3126-SM-C1YQS 70-79 years, male 16.9
GTEX-T5JC-2326-SM-32PMR 20-29 years, male 16.8
GTEX-1RQEC-3026-SM-DPRXM 60-69 years, male 16.8
GTEX-145MH-2926-SM-5Q5D2 50-59 years, male 16.7
GTEX-1F6IF-3026-SM-7P8QN 60-69 years, male 16.7
GTEX-111FC-3326-SM-5GZYV 60-69 years, male 16.6
GTEX-1399T-3126-SM-5IJFS 60-69 years, male 16.6
GTEX-1EKGG-3126-SM-9WPO5 60-69 years, male 16.6
GTEX-1F75W-3126-SM-7P8SJ 60-69 years, male 16.5
GTEX-1HSKV-2926-SM-B2LWJ 60-69 years, male 16.5
GTEX-1F6I4-3026-SM-7P8SI 60-69 years, male 16.4
GTEX-1JN1M-3126-SM-AHZ4E 60-69 years, female 16.4
GTEX-1192X-3226-SM-5987D 50-59 years, male 16.3
GTEX-11DXY-3126-SM-5N9BT 60-69 years, male 16.3
GTEX-11DYG-2926-SM-5H132 60-69 years, male 16.3
GTEX-17EVQ-2726-SM-7EWDT 70-79 years, male 16.3
GTEX-13JVG-3226-SM-5IJGJ 60-69 years, male 16.2
GTEX-14BMV-2926-SM-5TDEE 50-59 years, male 16.2
GTEX-WZTO-2826-SM-3NM8P 40-49 years, male 16.2
GTEX-1GZ2Q-3026-SM-9JGG3 40-49 years, male 16.2
GTEX-1H1DG-2826-SM-9JGHB 70-79 years, male 16.2
GTEX-P44H-2426-SM-2XCEJ 40-49 years, male 16.1
GTEX-WHSE-2926-SM-3NMBG 20-29 years, male 16.0
GTEX-1POEN-2726-SM-E9U6B 30-39 years, female 15.9
GTEX-11EI6-2926-SM-5985U 60-69 years, male 15.8
GTEX-ZF28-2926-SM-4WKG1 60-69 years, male 15.8
GTEX-1GZHY-3026-SM-7MXVA 50-59 years, female 15.8
GTEX-1GTWX-2926-SM-7MXV4 60-69 years, male 15.7
GTEX-1H3O1-1826-SM-A96TO 60-69 years, male 15.7
GTEX-1JMOU-2826-SM-EV79R 60-69 years, female 15.7
GTEX-1QEPI-3026-SM-EXOIW 60-69 years, female 15.7
GTEX-13112-2926-SM-5DUWT 50-59 years, male 15.6
GTEX-13O3Q-3026-SM-5IJGD 50-59 years, male 15.6
GTEX-1A8G6-3126-SM-731D8 60-69 years, male 15.6
GTEX-1C64N-3126-SM-79OO3 50-59 years, male 15.6
GTEX-T2IS-2926-SM-32QPO 20-29 years, female 15.6
GTEX-13OW8-2926-SM-5L3FV 60-69 years, male 15.5
GTEX-1B8SF-3026-SM-731DX 60-69 years, male 15.5
GTEX-Q2AG-2826-SM-2HMJQ 40-49 years, female 15.5
GTEX-1HBPI-2726-SM-9WPPF 50-59 years, male 15.5
GTEX-13OVL-3026-SM-5IJF1 50-59 years, male 15.4
GTEX-1A8G7-3026-SM-73KTT 60-69 years, male 15.4
GTEX-OHPN-2626-SM-2I5H1 60-69 years, female 15.4
GTEX-11NV4-2226-SM-5BC4T 60-69 years, male 15.3
GTEX-12WSE-2926-SM-5RQJ9 20-29 years, male 15.3
GTEX-13X6J-2926-SM-7EPGP 50-59 years, male 15.3
GTEX-17JCI-3026-SM-7EWDR 60-69 years, female 15.3
GTEX-ZZPT-2926-SM-5EQ5S 50-59 years, male 15.3
GTEX-1LG7Y-3126-SM-EV7AS 50-59 years, male 15.3
GTEX-14BIN-3326-SM-5Q5E6 50-59 years, female 15.1
GTEX-1GF9W-2726-SM-9JGGW 60-69 years, male 15.1
GTEX-132Q8-2926-SM-5IFFP 60-69 years, male 15.0
GTEX-13OW7-2926-SM-5MR3Z 50-59 years, male 15.0
GTEX-1C6WA-3326-SM-7MKGN 60-69 years, male 15.0
GTEX-ZDXO-2926-SM-4WKFM 60-69 years, male 15.0
GTEX-13CF2-3026-SM-5IFFX 60-69 years, male 14.9
GTEX-1GN73-3026-SM-7MXV8 60-69 years, male 14.9
GTEX-N7MT-1226-SM-DKPOK 60-69 years, female 14.9
GTEX-139TS-3126-SM-5LZWX 60-69 years, male 14.8
GTEX-145LU-2626-SM-5LU9Z 50-59 years, male 14.8
GTEX-N7MS-2526-SM-2D7W3 60-69 years, male 14.8
GTEX-P44G-2526-SM-2I5EK 30-39 years, male 14.6
GTEX-1RDX4-3226-SM-DPS14 50-59 years, female 14.6
GTEX-11PRG-2826-SM-5BC54 50-59 years, male 14.4
GTEX-147F4-3026-SM-5Q5BJ 50-59 years, male 14.4
GTEX-1H4P4-2726-SM-9JGGB 50-59 years, male 14.4
GTEX-RU72-2926-SM-2TF66 50-59 years, female 14.3
GTEX-13SLX-3226-SM-5YYA6 50-59 years, female 14.2
GTEX-1E1VI-2926-SM-7IGLT 50-59 years, male 14.2
GTEX-1BAJH-3126-SM-7MGXY 70-79 years, male 14.1
GTEX-1PWST-3026-SM-EAZ3H 70-79 years, male 14.1
GTEX-13OW6-2926-SM-5KM29 50-59 years, male 13.8
GTEX-1CB4H-3026-SM-79OLX 60-69 years, female 13.7
GTEX-1E2YA-2926-SM-7MGWX 50-59 years, male 13.7
GTEX-13OVJ-2726-SM-5IJG6 50-59 years, female 13.3
GTEX-1P4AB-3026-SM-EXOJS 50-59 years, male 13.3
GTEX-1JJ6O-3026-SM-C1YQH 60-69 years, male 13.2
GTEX-12WSC-2926-SM-5BC5Z 50-59 years, male 13.0
GTEX-14PN4-3026-SM-664O4 50-59 years, male 13.0
GTEX-16Z82-2926-SM-6LPJJ 60-69 years, male 13.0
GTEX-11NUK-3026-SM-5986K 50-59 years, male 12.8
GTEX-1IY9M-3126-SM-AHZ3A 60-69 years, male 12.8
GTEX-1269C-3126-SM-5EGI6 60-69 years, female 12.7
GTEX-14PJO-2926-SM-686ZI 60-69 years, male 12.7
GTEX-1B8SG-1926-SM-73KUB 50-59 years, male 12.4
GTEX-18A6Q-2826-SM-7LTAO 60-69 years, male 12.2
GTEX-1EH9U-3126-SM-7MXU5 60-69 years, male 11.9
GTEX-1B996-2926-SM-7MXUH 60-69 years, male 11.8
GTEX-13PVQ-2926-SM-5L3HJ 50-59 years, male 11.4
GTEX-16XZZ-2926-SM-6LPK4 60-69 years, male 10.7
Show allShow less

CEREBELLUM - FANTOM5 CAGEi

RNA expression in human tissues obtained through Cap Analysis of Gene Expression (CAGE) generated by the FANTOM5 project are reported as Scaled Tags Per Million.

Max subtype Scaled Tags Per Millioni

Max subtype Scaled Tags Per Million is the value for the subtype with the largest average Scaled Tags Per Million across the subtype samples.

19.9
FANTOM5 sample id Sample description Scaled Tags Per Million
Cerebellum
Scaled Tags Per Million: 19.9
FF:10166-103B4 76 years, female 27.1
FF:10083-102B2 22-68 years, mixed 12.8

CEREBELLUM - Pig RNA-seqi

RNA-seq data obtained from pig brain is reported as nTPM .

Normal distribution across the dataset is visualized with box plots, shown as median and 25th and 75th percentiles. Points are displayed as outliers if they are above or below 1.5 times the interquartile range. nTPM values of the individual samples are presented next to the box plot.
Max subtype nTPMi

Max subtype nTPM is the value for the subtype with the largest average nTPM across the subtype samples.

28.2
Pig sample Sample description nTPM
Cerebellum
nTPM: 28.2
Samples: 4

Max nTPM: 34.3
Min nTPM: 24.8
Sample A Female 34.3
Sample B Female 28.3
Sample C Male 25.4
Sample D Male 24.8

CEREBELLUM - Mouse RNA-seqi

RNA-seq data obtained from mouse brain is reported as nTPM .

Normal distribution across the dataset is visualized with box plots, shown as median and 25th and 75th percentiles. Points are displayed as outliers if they are above or below 1.5 times the interquartile range. nTPM values of the individual samples are presented next to the box plot.
Max subtype nTPMi

Max subtype nTPM is the value for the subtype with the largest average nTPM across the subtype samples.

43.7
Mouse sample Sample description nTPM
Cerebellum
nTPM: 43.7
Samples: 4

Max nTPM: 45.6
Min nTPM: 41.0
Sample A Male 45.1
Sample B Male 43.0
Sample C Female 41.0
Sample D Female 45.6

CEREBELLUM - Allen Mouse ISHi

In situ hybridization (ISH) data generated by the Allen brain atlas from mouse brain is reported as expression energy. For more details about a particular experiment, click on the corresponding Allen experiment ID.

Max subtype Expression energyi

Max subtype Expression energy is the value for the subtype with the largest average Expression energy across the subtype samples.

6.5
Allen experiment id Experiment description Expression energy
Cerebellum
Expression energy: 6.5
75774678 Antisense, RP_060530_01_D03, Mouse strain C57BL/6J (56 days, male) 7.2
671241 Antisense, RP_040914_02_A08, Mouse strain C57BL/6J (56 days, male) 5.9

Contact

  • NEWS ARTICLES
  • PRESS ROOM

The Project

  • INTRODUCTION
  • ORGANIZATION
  • PUBLICATIONS

The Human Protein Atlas

  • DOWNLOADABLE DATA
  • LICENCE & CITATION
  • HELP & FAQ
The Human Protein Atlas project is funded
by the Knut & Alice Wallenberg Foundation.


contact@proteinatlas.org