We use cookies to enhance the usability of our website. If you continue, we'll assume that you are happy to receive all cookies. More information. Don't show this again.
ADAM15
HPA
RESOURCES
  • TISSUE
  • BRAIN
  • SINGLE CELL
  • SUBCELLULAR
  • CANCER
  • BLOOD
  • CELL LINE
  • STRUCTURE & INTERACTION
ABOUT
  • INTRODUCTION
  • HISTORY
  • ORGANIZATION
  • PUBLICATIONS
  • ANTIBODY SUBMISSION
  • ANTIBODY AVAILABILITY
  • ACKNOWLEDGMENTS
  • CONTACT
NEWS
  • NEWS ARTICLES
  • PRESS ROOM
LEARN
  • DICTIONARY
  • PROTEIN CLASSES
  • PROTEIN EVIDENCE
  • METHODS
  • EDUCATIONAL VIDEOS
DATA
  • DOWNLOADABLE DATA
  • PUBLICATION DATA
  • RELEASE HISTORY
HELP
  • ANTIBODY VALIDATION
  • ASSAYS & ANNOTATION
  • DISCLAIMER
  • HELP & FAQ
  • PRIVACY STATEMENT
  • LICENCE & CITATION
Fields »
Search result

Field
Term
Gene name
Class
Subclass
Class
Keyword
Chromosome
External id
Tissue
Cell type
Expression
Antibody panel
Tissue
Main location
Patient ID
Annotation
Tissue
Category
Tau score
Cluster
Reliability
Brain region
Category
Tau score
Brain region
Category
Tau score
Brain region
Category
Tau score
Cluster
Reliability
Tissue
Cell type
Enrichment
Cell type
Category
Tau score
Cell type
Category
Tau score
Cell type
Category
Tau score
Cell lineage
Category
Tau score
Cluster
Cluster
Location
Searches
Location
Cell line
Class
Type
Phase
Reliability
Cancer
Prognosis
Cancer
Category
Cancer
Category
Tau score
Cluster
Variants
Interacting gene (ensg_id)
Type
Number of interactions
Pathway
Category
Score
Score
Score
Validation
Validation
Validation
Validation
Antibodies
Data type
Column


  • SUMMARY

  • TISSUE

  • BRAIN

  • SINGLE CELL

  • SUBCELL

  • CANCER

  • BLOOD

  • CELL LINE

  • STRUCT & INT

  • ADAM15
TISSUE PRIMARY DATA SKIN Show tissue menu
ADIPOSE TISSUE ADRENAL GLAND AMYGDALA APPENDIX BASAL GANGLIA BONE MARROW BREAST BRONCHUS CEREBELLUM CEREBRAL CORTEX CERVIX CHOROID PLEXUS COLON DUODENUM
ENDOMETRIUM EPIDIDYMIS ESOPHAGUS FALLOPIAN TUBE GALLBLADDER HEART MUSCLE HIPPOCAMPAL FORMATION HYPOTHALAMUS KIDNEY LIVER LUNG LYMPH NODE MIDBRAIN NASOPHARYNX
ORAL MUCOSA OVARY PANCREAS PARATHYROID GLAND PITUITARY GLAND PLACENTA PROSTATE RECTUM RETINA SALIVARY GLAND SEMINAL VESICLE SKELETAL MUSCLE SKIN SMALL INTESTINE
SMOOTH MUSCLE SOFT TISSUE SPINAL CORD SPLEEN STOMACH TESTIS THYMUS THYROID GLAND TONGUE TONSIL URINARY BLADDER VAGINA
ANTIBODIES
AND
VALIDATION
Dictionary
Skin
Tissue proteome
Skin
SKIN - Expression summary
Protein expression
Skini

On the top, protein expression in current human tissue, based on all annotated cell types, is reported with the units not detected (n), low (l), medium (m) and high (h). Underneath, protein expression in each annotated cell type are reported using the same units.

Protein expression data is based on knowledge-based annotation. For genes where more than one antibody has been used, a collective score is set.

If knowledge-based annotation could not be performed for a gene, no data is displayed here. View antibody staining data further down this page.

h
m
l
n
Epidermal cells: Not detected
Fibroblasts: Not detected
Keratinocytes: Medium
Langerhans: Medium
Melanocytes: Medium
RNA expressioni

A summary of mRNA expression data available for current tissue based on several datasets. The mRNA expression levels in human tissues are based on RNA-seq data generated by the Human Protein Atlas (HPA), Genotype-Tissue Expression (GTEx) portal and CAGE data generated by the FANTOM5 consortium. Consensus normalized expression levels for human tissues was created by combining the data from HPA and GTEx datasets.

The mRNA expression levels in pig are based on RNA-seq data generated by the Human Protein Atlas (HPA), and for mouse, HPA data and in situ hybridization generated by the Allen brain atlas are reported.

Scroll down to view mRNA expression data in more detail.
Consensus:104.4 nTPM
HPA:60.2 nTPM
GTEx:104.4 nTPM

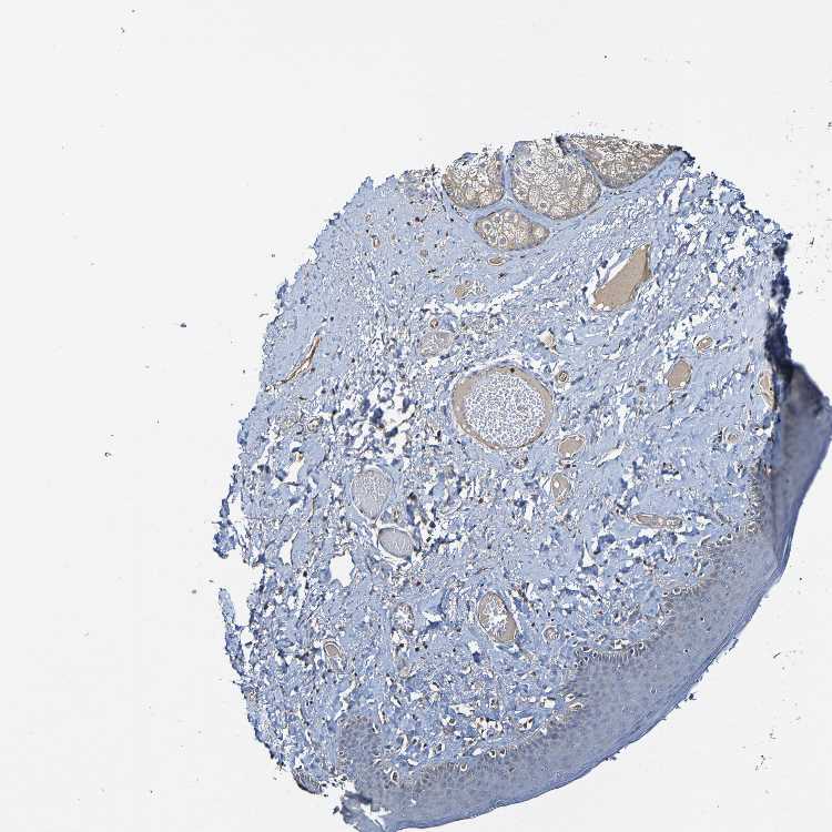
SKIN 1 - Antibody stainingi

Antibody staining in the annotated cell types in the current human tissue is reported as not detected, low, medium, or high, based on conventional immunohistochemistry profiling in selected tissues. This score is based on the combination of the staining intensity and fraction of stained cells.

Each image is clickable and will lead to virtual microscopy that enables deeper exploration of all samples and also displays staining intensity scores, fraction scores and subcellular localization as well as patient and tissue information for each sample.

Antibody HPA011633
Langerhans Medium
Fibroblasts Not detected
Keratinocytes Medium
Melanocytes Medium


SKIN 2 - Antibody stainingi

Antibody staining in the annotated cell types in the current human tissue is reported as not detected, low, medium, or high, based on conventional immunohistochemistry profiling in selected tissues. This score is based on the combination of the staining intensity and fraction of stained cells.

Each image is clickable and will lead to virtual microscopy that enables deeper exploration of all samples and also displays staining intensity scores, fraction scores and subcellular localization as well as patient and tissue information for each sample.

Antibody HPA011633
Epidermal cells Not detected
 
 
 



SKIN - HPA RNA-seqi

The RNA-seq details section shows detailed information about the individual samples used for the transcript profiling and results of the RNA-seq analysis.

Information about each individual sample is listed below, including gender, age, a tissue section image and estimated fractions of cell types. nTPM (normalized transcripts per million) values give a quantification of the gene abundance which is comparable between different genes and samples.
Average nTPMi

Max subtype nTPM is the value for the subtype with the largest average nTPM across the subtype samples.

60.2
overview
Female, age 34
Skin sample 225
nTPM: 65.3
Cell types%
Keratinocytes:
60

Other cell types:
40

overview
Female, age 30
Skin sample 226
nTPM: 44.5
Cell types%
Keratinocytes:
55

Other cell types:
45

N/A
Male, age 57
Skin sample 227
nTPM: 70.7

SKIN - GTEx RNA-seqi

RNA-Seq data generated by the Genotype-Tissue Expression (GTEx) project from human tissues is reported as mean nTPM. More information can be found on the GTEx portal.

Distribution across the dataset is visualized with box plots, shown as median and 25th and 75th percentiles. Points are displayed as outliers if they are above or below 1.5 times the interquartile range. nTPM values of the individual samples are presented next to the box plot.
Max subtype nTPMi

Max subtype nTPM is the value for the subtype with the largest average nTPM across the subtype samples.

104.4
GTEx sample id Sample description nTPM
Skin - Not Sun Exposed (Suprapubic)
Average nTPM: 102.9
Samples: 604

Max nTPM: 300.3
Min nTPM: 31.6
Std nTPM: 39.4
Median nTPM: 95.4
GTEX-WFG7-2026-SM-5SI7P 20-29 years, male 300.3
GTEX-1OJC3-1226-SM-DTXER 20-29 years, male 286.0
GTEX-1PPH8-0126-SM-EWRN8 20-29 years, male 282.1
GTEX-Y114-2126-SM-4TT8B 50-59 years, female 280.1
GTEX-ZTX8-1326-SM-4YCEL 20-29 years, male 273.0
GTEX-1N2DV-1526-SM-DTXEP 40-49 years, male 255.1
GTEX-XBEW-1126-SM-4QARW 40-49 years, male 244.7
GTEX-ZVP2-0326-SM-57WBP 50-59 years, male 226.1
GTEX-12WSJ-1126-SM-5LZVJ 40-49 years, female 217.0
GTEX-14PJ3-1126-SM-5ZZVX 50-59 years, male 215.5
GTEX-14ICL-1626-SM-5YYAO 30-39 years, male 209.6
GTEX-1JMPY-0226-SM-CKZOK 30-39 years, male 208.6
GTEX-11P7K-1126-SM-5HL4L 30-39 years, male 207.1
GTEX-1MJK3-0726-SM-E6CJC 20-29 years, male 206.4
GTEX-1IKOE-1426-SM-CE6T7 30-39 years, female 202.4
GTEX-1QP9N-1226-SM-E76QN 30-39 years, male 198.1
GTEX-1QP2A-1726-SM-E76QC 50-59 years, male 196.6
GTEX-ZPCL-1126-SM-4WWFE 60-69 years, female 196.2
GTEX-131XG-0326-SM-5L3DX 50-59 years, female 185.0
GTEX-15RIG-0726-SM-7KUM7 40-49 years, male 182.8
GTEX-Y3I4-1726-SM-4TT89 50-59 years, male 182.7
GTEX-1HBPN-0126-SM-CGQEF 50-59 years, male 182.4
GTEX-1HCUA-0826-SM-ADEHM 50-59 years, female 182.4
GTEX-X585-2426-SM-46MW2 50-59 years, male 180.0
GTEX-1QCLY-0226-SM-EWRNH 30-39 years, male 178.0
GTEX-YFCO-1226-SM-5LUAT 40-49 years, male 177.6
GTEX-17F9E-2326-SM-79OKD 50-59 years, male 177.3
GTEX-1PIGE-1826-SM-E8VOU 20-29 years, male 176.6
GTEX-WHSB-1326-SM-3LK6W 50-59 years, male 174.1
GTEX-1I1GU-0926-SM-ACKVS 40-49 years, male 173.4
GTEX-1LVAN-0626-SM-CNPOQ 50-59 years, female 173.1
GTEX-1CAMR-1326-SM-7PC1F 20-29 years, male 172.0
GTEX-1GPI7-1826-SM-9KNU1 20-29 years, male 171.4
GTEX-Y9LG-1126-SM-4VBQ7 30-39 years, male 169.5
GTEX-ZT9X-1526-SM-5DUXD 40-49 years, male 169.4
GTEX-1S82U-1026-SM-E6CJK 30-39 years, female 168.5
GTEX-14PHY-1226-SM-5ZZWK 60-69 years, female 166.2
GTEX-1RAZQ-1326-SM-E9TK6 30-39 years, male 165.8
GTEX-ZLFU-1826-SM-4WWBV 40-49 years, male 165.7
GTEX-YEC4-1826-SM-4W1YP 40-49 years, male 165.5
GTEX-1HSMP-0926-SM-A9SKX 70-79 years, male 164.5
GTEX-16MTA-0926-SM-6M47Z 50-59 years, male 163.8
GTEX-13O61-1426-SM-5KM3D 60-69 years, male 163.4
GTEX-1MCYP-0526-SM-E9U6Q 20-29 years, female 162.3
GTEX-131XF-2626-SM-5EQ6K 60-69 years, male 161.4
GTEX-13FTX-1526-SM-5K7VJ 20-29 years, female 161.1
GTEX-12WSH-1526-SM-5BC5W 50-59 years, male 160.5
GTEX-Y111-0626-SM-4SOIT 50-59 years, male 160.4
GTEX-1399S-0126-SM-5IJCF 30-39 years, female 159.3
GTEX-WI4N-2726-SM-3LK7Y 40-49 years, female 158.8
GTEX-14PKV-1126-SM-6LLJ1 20-29 years, female 158.3
GTEX-15G1A-1626-SM-7KUKN 30-39 years, male 157.6
GTEX-1B97I-0626-SM-73KUZ 40-49 years, male 157.6
GTEX-1HSMQ-2626-SM-A9SML 50-59 years, male 156.9
GTEX-1CAMS-2226-SM-7PBXQ 40-49 years, female 156.4
GTEX-1RMOY-1326-SM-E9TIH 50-59 years, male 155.3
GTEX-145MN-1526-SM-5SI9T 30-39 years, male 154.4
GTEX-17F98-1326-SM-7DUEP 40-49 years, female 154.0
GTEX-1S82P-2126-SM-E6CI5 60-69 years, female 154.0
GTEX-16AAH-0626-SM-793C9 50-59 years, male 153.5
GTEX-YEC3-1326-SM-DO92X 50-59 years, male 153.5
GTEX-1B8KE-1126-SM-7EPHI 50-59 years, male 152.9
GTEX-ZF29-0926-SM-4WKFZ 60-69 years, female 152.2
GTEX-1R9PN-0426-SM-DTXDT 40-49 years, female 152.1
GTEX-11DXX-2126-SM-5PNYR 60-69 years, female 151.5
GTEX-147F4-0726-SM-5TDDD 50-59 years, male 151.4
GTEX-ZVZP-1226-SM-5GID7 50-59 years, male 150.4
GTEX-11TT1-1826-SM-5EQLV 20-29 years, male 149.8
GTEX-1JK1U-0226-SM-ARZMX 60-69 years, male 148.3
GTEX-1S3DN-2126-SM-E9TIN 50-59 years, male 147.9
GTEX-1LKK1-2626-SM-DKPQE 50-59 years, female 147.7
GTEX-18D9U-0126-SM-731BM 40-49 years, male 147.3
GTEX-WHWD-1826-SM-3LK6I 50-59 years, male 146.2
GTEX-111CU-1126-SM-5EGIM 50-59 years, male 146.1
GTEX-1CB4E-0926-SM-7EPHT 60-69 years, male 145.7
GTEX-1JN76-0626-SM-CKZOQ 20-29 years, female 145.4
GTEX-14XAO-1226-SM-6EU1C 60-69 years, female 145.3
GTEX-1A3MV-1826-SM-731CD 30-39 years, male 143.6
GTEX-1QP28-1126-SM-EVYC4 50-59 years, female 143.6
GTEX-1JKYN-0826-SM-ARU8S 30-39 years, male 142.2
GTEX-11DXZ-2026-SM-5987S 50-59 years, male 142.0
GTEX-ZDYS-2426-SM-4WKGI 50-59 years, male 141.9
GTEX-18QFQ-1826-SM-72D52 30-39 years, male 141.7
GTEX-1B996-0426-SM-7EWF8 60-69 years, male 141.5
GTEX-1F75I-2226-SM-7SB8U 40-49 years, male 141.1
GTEX-1LSNM-0826-SM-DIPG8 50-59 years, male 141.0
GTEX-111YS-1526-SM-5GZYW 60-69 years, male 140.7
GTEX-Y8LW-1526-SM-5IFHL 50-59 years, female 140.2
GTEX-1JMLX-0626-SM-ARL8T 50-59 years, male 140.2
GTEX-11ZTT-2126-SM-5CVLO 60-69 years, female 139.9
GTEX-1LGRB-0926-SM-COH3K 50-59 years, female 139.9
GTEX-14E6E-0526-SM-793DN 30-39 years, male 139.3
GTEX-11P82-1426-SM-DTXFY 20-29 years, male 139.2
GTEX-14PHX-2226-SM-6EU2P 50-59 years, male 139.1
GTEX-1E2YA-2126-SM-7MXUO 50-59 years, male 139.0
GTEX-14E1K-2026-SM-7DUEI 50-59 years, male 138.1
GTEX-1497J-0226-SM-5QGPU 60-69 years, male 137.9
GTEX-17HII-1426-SM-7EPGG 50-59 years, male 137.6
GTEX-1GZ4H-0526-SM-9KNU9 50-59 years, female 137.4
GTEX-ZY6K-1426-SM-5GZX2 50-59 years, male 137.2
GTEX-1C6WA-2626-SM-7MKGM 60-69 years, male 136.7
GTEX-WH7G-2026-SM-3NMBL 40-49 years, male 136.7
GTEX-1HGF4-0126-SM-CNPPX 60-69 years, male 136.5
GTEX-14B4R-1326-SM-5Q5EZ 30-39 years, male 135.1
GTEX-XYKS-1426-SM-4BRUO 60-69 years, female 134.9
GTEX-1KANA-1326-SM-DIPFA 20-29 years, male 134.8
GTEX-16NGA-0726-SM-731AO 40-49 years, female 134.7
GTEX-1122O-1026-SM-9WYSF 60-69 years, female 134.3
GTEX-13VXT-1926-SM-5K7UO 20-29 years, female 134.1
GTEX-X5EB-1926-SM-4E3IW 40-49 years, male 134.1
GTEX-ZYW4-0626-SM-59HJR 60-69 years, male 133.9
GTEX-1IY9M-2826-SM-ARU8H 60-69 years, male 133.7
GTEX-1H1E6-0426-SM-9WYUS 30-39 years, male 133.6
GTEX-1CB4J-1326-SM-7P8RX 60-69 years, male 133.5
GTEX-XAJ8-1426-SM-47JYM 40-49 years, male 133.4
GTEX-Y5V6-2326-SM-4VDSA 60-69 years, male 133.4
GTEX-1NV5F-0626-SM-DTXEG 60-69 years, female 132.6
GTEX-WXYG-2026-SM-4E3IY 50-59 years, female 132.2
GTEX-1QW4Y-1126-SM-DTXE3 30-39 years, male 132.2
GTEX-XPVG-2126-SM-4B667 50-59 years, male 132.1
GTEX-1QPFJ-1926-SM-EVYBD 30-39 years, female 131.9
GTEX-1HFI7-2326-SM-CGQFS 50-59 years, female 131.7
GTEX-1J1R8-2026-SM-CL53Y 40-49 years, male 131.6
GTEX-XBED-1926-SM-47JYP 60-69 years, male 131.0
GTEX-13FTW-0326-SM-5K7UW 40-49 years, male 130.9
GTEX-131XH-0126-SM-5LZUY 50-59 years, male 130.8
GTEX-1NSGN-0726-SM-DTXEF 50-59 years, male 130.7
GTEX-Z93S-1626-SM-5CVMB 50-59 years, male 130.6
GTEX-ZA64-1026-SM-5HL8R 20-29 years, male 130.6
GTEX-1S5ZU-2526-SM-E6CIF 20-29 years, female 129.3
GTEX-13FH7-1126-SM-5K7UG 50-59 years, female 129.2
GTEX-1MCC2-1826-SM-DIPEX 30-39 years, female 129.1
GTEX-1F5PK-2226-SM-7SB6N 50-59 years, male 127.8
GTEX-1GTWX-2026-SM-9YFLM 60-69 years, male 127.6
GTEX-1QAET-0326-SM-EVR3U 50-59 years, male 127.6
GTEX-ZDTT-0426-SM-4WKFL 60-69 years, male 127.3
GTEX-14DAR-1226-SM-73KYV 50-59 years, male 127.2
GTEX-1C2JI-1026-SM-73KY1 50-59 years, male 127.0
GTEX-15RIE-1926-SM-7KUKJ 60-69 years, male 126.7
GTEX-14PJN-1826-SM-6AJ98 30-39 years, male 126.5
GTEX-1H11D-1826-SM-9QEHM 40-49 years, male 126.2
GTEX-13W3W-0726-SM-5IJDQ 60-69 years, female 125.8
GTEX-1PIIG-2326-SM-DTXFR 30-39 years, male 125.6
GTEX-Y8E4-2026-SM-5IFJB 40-49 years, male 125.4
GTEX-ZE7O-2726-SM-51MT5 50-59 years, female 125.3
GTEX-14C5O-0326-SM-5ZZUX 60-69 years, male 124.8
GTEX-14PJ4-0226-SM-5YY92 60-69 years, male 124.7
GTEX-1399U-1126-SM-5L3DB 50-59 years, female 124.4
GTEX-13IVO-0726-SM-5LZYV 70-79 years, male 123.7
GTEX-1JMQK-1226-SM-D4P2S 60-69 years, male 123.7
GTEX-13N11-2326-SM-5IJBF 50-59 years, female 123.6
GTEX-17HHE-1326-SM-7EWDZ 50-59 years, male 123.6
GTEX-1F6I4-2326-SM-7RHGL 60-69 years, male 123.4
GTEX-1S831-1826-SM-EWROF 20-29 years, male 123.3
GTEX-15RJ7-2126-SM-6PAMD 40-49 years, male 123.2
GTEX-XQ8I-0926-SM-4BOOF 50-59 years, male 123.2
GTEX-1PDJ9-1226-SM-EXUSX 20-29 years, male 123.2
GTEX-1LVAM-0726-SM-E6CIL 50-59 years, female 122.6
GTEX-XXEK-1626-SM-4BRUZ 50-59 years, male 122.5
GTEX-1LBAC-0826-SM-CY8IJ 20-29 years, male 122.3
GTEX-1C64O-1326-SM-7MGWR 60-69 years, male 121.9
GTEX-12WSK-2126-SM-5CVNC 40-49 years, female 121.2
GTEX-1GN1U-0626-SM-9MQL9 50-59 years, female 121.2
GTEX-14PJO-2526-SM-6AJBQ 60-69 years, male 120.7
GTEX-11EQ9-1626-SM-5PNY8 30-39 years, male 119.6
GTEX-18D9A-1426-SM-7LT8M 30-39 years, female 119.4
GTEX-1KXAM-1626-SM-D3LAD 60-69 years, male 119.3
GTEX-11ZU8-0126-SM-5EQ58 60-69 years, male 119.2
GTEX-ZF3C-0626-SM-DO92O 50-59 years, female 119.2
GTEX-13D11-0926-SM-5J2NC 50-59 years, female 119.0
GTEX-11O72-0626-SM-5PNYE 40-49 years, male 118.9
GTEX-15EU6-2226-SM-6EU2L 50-59 years, male 118.9
GTEX-1H2FU-0926-SM-9WPPT 60-69 years, female 118.3
GTEX-1GMR2-0826-SM-7PC3V 50-59 years, male 117.7
GTEX-Y3IK-1626-SM-4YCF5 50-59 years, female 117.5
GTEX-1CB4I-0126-SM-7RHGG 50-59 years, male 117.4
GTEX-11P81-2226-SM-5PNYI 30-39 years, female 117.1
GTEX-1HCU6-2526-SM-ADEHL 60-69 years, female 117.0
GTEX-1IE54-1126-SM-A9G2Z 40-49 years, female 116.8
GTEX-ZLV1-1526-SM-DO91J 60-69 years, female 116.4
GTEX-1IDJC-1526-SM-B2LW4 50-59 years, male 116.2
GTEX-ZPU1-1126-SM-4YCF3 40-49 years, male 116.1
GTEX-1192X-2726-SM-5N9DN 50-59 years, male 115.9
GTEX-1LB8K-0726-SM-D5OV2 50-59 years, male 115.9
GTEX-ZYVF-0926-SM-5E44J 50-59 years, female 115.8
GTEX-1GN1W-2426-SM-9KNUU 50-59 years, female 115.8
GTEX-1PPH7-1126-SM-DTX9A 40-49 years, male 115.7
GTEX-133LE-2326-SM-5K7W3 20-29 years, female 115.6
GTEX-18A67-1626-SM-7LT9T 50-59 years, male 115.5
GTEX-ZPIC-0526-SM-DO91W 40-49 years, female 115.5
GTEX-14PJ5-1526-SM-6LLIL 60-69 years, female 115.4
GTEX-11OF3-0126-SM-5PNYF 60-69 years, male 115.2
GTEX-1211K-1526-SM-5FQU4 60-69 years, female 115.2
GTEX-1QP29-1826-SM-DTX9S 50-59 years, male 115.0
GTEX-ZP4G-1426-SM-4WWCL 20-29 years, female 114.4
GTEX-1J8QM-2426-SM-A9SLS 60-69 years, female 114.4
GTEX-13NYC-0126-SM-5L3F4 60-69 years, male 114.1
GTEX-13QJC-0126-SM-5ZZWJ 60-69 years, female 113.7
GTEX-14PJ6-2626-SM-6EU2T 60-69 years, female 113.7
GTEX-1JMQJ-0826-SM-CNPP7 50-59 years, male 113.4
GTEX-1H1ZS-2726-SM-9WG75 70-79 years, male 112.9
GTEX-11DYG-1526-SM-5A5JS 60-69 years, male 112.6
GTEX-145ME-1726-SM-5Q5EU 40-49 years, female 112.5
GTEX-1I1GT-1026-SM-ARZLV 60-69 years, female 112.3
GTEX-1C475-1326-SM-7SB73 40-49 years, female 111.6
GTEX-139TU-0726-SM-5L3EK 60-69 years, male 111.4
GTEX-1KANC-1226-SM-CYPT7 50-59 years, female 111.4
GTEX-1HKZK-0726-SM-ACKW2 40-49 years, male 111.2
GTEX-1CB4F-1026-SM-7DUH1 60-69 years, male 110.6
GTEX-ZTSS-1426-SM-5985P 40-49 years, male 110.6
GTEX-1K2DU-1226-SM-CYPT4 20-29 years, male 110.4
GTEX-WEY5-2326-SM-3GIKK 40-49 years, female 110.3
GTEX-12696-0126-SM-5EQ4L 60-69 years, male 110.2
GTEX-13RTJ-0126-SM-5S2NN 60-69 years, male 110.0
GTEX-1CAMQ-1326-SM-7P8RV 40-49 years, male 109.1
GTEX-14BMU-1226-SM-5S2OR 20-29 years, female 108.5
GTEX-1R9PM-1926-SM-EVR3O 20-29 years, male 108.2
GTEX-13NYS-0626-SM-5L3F1 60-69 years, male 108.1
GTEX-1H1DG-2426-SM-9QEHJ 70-79 years, male 108.1
GTEX-1I4MK-0126-SM-CY8G6 50-59 years, female 108.0
GTEX-1EMGI-2326-SM-7PBYA 60-69 years, male 107.9
GTEX-1KAFJ-0126-SM-DIPEK 50-59 years, male 107.9
GTEX-15CHR-1126-SM-7EWF4 50-59 years, male 107.7
GTEX-11TUW-0626-SM-5LU9M 60-69 years, male 107.6
GTEX-1A3MW-0626-SM-731CB 60-69 years, female 107.4
GTEX-1I6K7-1926-SM-B2LXR 40-49 years, male 106.5
GTEX-X3Y1-2026-SM-3P5YM 40-49 years, male 106.3
GTEX-ZU9S-1826-SM-5NQ9E 30-39 years, male 106.3
GTEX-14ABY-2026-SM-62LDL 50-59 years, male 106.0
GTEX-18D9B-0926-SM-7LG4U 60-69 years, male 106.0
GTEX-15G19-2426-SM-7KUMR 60-69 years, male 105.8
GTEX-WY7C-2126-SM-3NB2R 50-59 years, male 105.7
GTEX-12ZZX-2426-SM-5GCOE 40-49 years, female 105.2
GTEX-15RJE-2826-SM-7KUM9 40-49 years, male 105.2
GTEX-1R7EU-1626-SM-DTXG3 60-69 years, male 105.2
GTEX-111VG-1626-SM-5EGIO 60-69 years, male 105.1
GTEX-1B8SF-0126-SM-7DUG3 60-69 years, male 105.0
GTEX-1HSGN-0826-SM-ACKW3 40-49 years, female 104.9
GTEX-13PVQ-0626-SM-5LU47 50-59 years, male 104.6
GTEX-UPJH-0226-SM-3GADV 50-59 years, male 104.6
GTEX-1AX9I-2226-SM-73KUO 60-69 years, male 104.3
GTEX-17KNJ-2126-SM-718AM 50-59 years, male 104.0
GTEX-14PK6-0226-SM-62LF5 70-79 years, female 103.7
GTEX-132AR-0326-SM-5KM2C 50-59 years, female 103.5
GTEX-1GF9V-0826-SM-9KNUV 60-69 years, male 103.2
GTEX-145LT-0526-SM-5LUB2 40-49 years, male 103.1
GTEX-17HGU-2326-SM-7DUFE 50-59 years, male 103.1
GTEX-ZDTS-0826-SM-4WKHL 60-69 years, male 103.1
GTEX-ZZPU-0826-SM-5GZX5 50-59 years, female 103.0
GTEX-YECK-0326-SM-4W1YS 60-69 years, male 102.9
GTEX-WHSE-0126-SM-3NMBT 20-29 years, male 102.7
GTEX-14PII-0726-SM-6EU2B 60-69 years, male 102.5
GTEX-1RLM8-2926-SM-E8VON 50-59 years, male 102.5
GTEX-13OVJ-0826-SM-5J1OK 50-59 years, female 102.4
GTEX-12C56-1526-SM-5FQUQ 20-29 years, male 102.3
GTEX-1H1DF-1126-SM-9WG7G 40-49 years, female 102.1
GTEX-ZF2S-1626-SM-57WES 50-59 years, female 102.0
GTEX-14AS3-1526-SM-5Q5ED 40-49 years, female 101.9
GTEX-12ZZZ-0726-SM-5GCNZ 60-69 years, male 101.8
GTEX-17F97-2626-SM-7IGM5 50-59 years, male 101.7
GTEX-1JKYR-0626-SM-ARL8R 20-29 years, male 101.7
GTEX-1S83E-1326-SM-E6CJM 40-49 years, male 101.3
GTEX-13PVR-0426-SM-5RQK2 60-69 years, female 101.1
GTEX-ZYFG-1526-SM-5GZYM 60-69 years, female 100.9
GTEX-17F96-0126-SM-7EWDU 70-79 years, male 100.8
GTEX-YB5K-2026-SM-4VDT3 40-49 years, female 100.6
GTEX-1GL5R-1326-SM-7RHHF 50-59 years, male 100.4
GTEX-1RAZS-2526-SM-E6CHT 50-59 years, male 100.4
GTEX-1H1DE-1326-SM-9KNUG 20-29 years, male 100.3
GTEX-ZVT4-2426-SM-5GIEI 50-59 years, female 100.1
GTEX-1HB9E-0126-SM-CM2S5 50-59 years, male 100.0
GTEX-W5X1-2526-SM-3GILC 40-49 years, female 99.4
GTEX-1GN73-0726-SM-7P8TJ 60-69 years, male 99.2
GTEX-13FTY-2126-SM-5IFFB 40-49 years, female 99.1
GTEX-144GM-0526-SM-79OJO 20-29 years, male 98.8
GTEX-1JN1M-2726-SM-CY8I4 60-69 years, female 98.6
GTEX-ZLWG-0826-SM-59888 50-59 years, female 98.4
GTEX-ZYT6-2326-SM-5GZY3 30-39 years, male 97.7
GTEX-14C38-0726-SM-5SI6M 50-59 years, male 97.6
GTEX-12BJ1-0926-SM-5EQ62 60-69 years, male 97.5
GTEX-1J8EW-2726-SM-CY8HR 60-69 years, female 97.4
GTEX-1PPGY-1626-SM-EVYBL 60-69 years, male 97.4
GTEX-16MT8-2926-SM-7DUFO 60-69 years, female 97.3
GTEX-1EH9U-2826-SM-7DUGT 60-69 years, male 97.3
GTEX-147GR-2426-SM-5ZZWQ 60-69 years, male 97.2
GTEX-ZTTD-2826-SM-4YCFA 50-59 years, male 96.9
GTEX-145MH-2826-SM-5RQJF 50-59 years, male 96.8
GTEX-1N2EE-0626-SM-E76PW 60-69 years, male 96.7
GTEX-144GO-2026-SM-5O99P 60-69 years, male 96.6
GTEX-13OW5-2326-SM-5L3HO 60-69 years, male 96.5
GTEX-1K2DA-1026-SM-CGQGF 50-59 years, male 96.3
GTEX-11WQK-1026-SM-5EQLX 50-59 years, male 96.2
GTEX-145LU-1926-SM-79OJN 50-59 years, male 96.2
GTEX-1GF9X-1326-SM-7PC2Y 40-49 years, female 96.2
GTEX-1LGOU-1326-SM-D3L8M 20-29 years, female 96.2
GTEX-148VJ-0626-SM-5LUAW 70-79 years, male 96.1
GTEX-1HBPI-2126-SM-ARL9K 50-59 years, male 96.1
GTEX-18A66-0626-SM-7LT8Z 60-69 years, male 96.0
GTEX-16BQI-1326-SM-6M486 30-39 years, female 95.9
GTEX-17MFQ-1526-SM-7KFRR 20-29 years, male 95.7
GTEX-1JJEA-1826-SM-ARU8P 60-69 years, male 95.5
GTEX-11LCK-2226-SM-5HL4Q 30-39 years, male 95.4
GTEX-11NSD-0626-SM-5A5LU 20-29 years, male 95.4
GTEX-17MF6-2626-SM-79OKQ 40-49 years, male 95.3
GTEX-16YQH-2226-SM-7IGM2 30-39 years, male 94.8
GTEX-1J8Q3-0526-SM-ARL8U 60-69 years, male 94.5
GTEX-11UD2-2526-SM-5CVNU 50-59 years, male 94.4
GTEX-ZGAY-1826-SM-DO91Q 40-49 years, female 94.3
GTEX-139YR-1026-SM-5LZYN 50-59 years, male 94.1
GTEX-12WSM-1926-SM-5BC65 60-69 years, male 93.7
GTEX-13113-1626-SM-5EQ4I 60-69 years, female 93.5
GTEX-1J8Q2-2626-SM-ACKWQ 60-69 years, male 93.3
GTEX-139TS-2126-SM-5K7XC 60-69 years, male 93.2
GTEX-13OVG-1626-SM-5J1NF 60-69 years, male 93.2
GTEX-U8XE-0226-SM-4E3J3 30-39 years, male 93.2
GTEX-11VI4-1126-SM-5EQMD 40-49 years, female 93.1
GTEX-12126-0826-SM-5FQTZ 20-29 years, male 93.1
GTEX-WHPG-2626-SM-3NMBR 50-59 years, male 93.0
GTEX-ZT9W-1126-SM-57WDR 50-59 years, male 92.9
GTEX-139TT-2126-SM-5LZWC 60-69 years, male 92.8
GTEX-1GZHY-0626-SM-9KNVC 50-59 years, female 92.8
GTEX-13U4I-2226-SM-5LU5H 40-49 years, female 92.6
GTEX-11EM3-1226-SM-5N9DD 20-29 years, female 92.5
GTEX-1IDJU-1726-SM-CMKHU 60-69 years, female 92.5
GTEX-1N5O9-0926-SM-E9J3C 60-69 years, male 92.5
GTEX-117YX-1926-SM-5GIEC 50-59 years, male 92.4
GTEX-183FY-1026-SM-7939A 20-29 years, male 92.4
GTEX-1JMQL-2226-SM-CNPP4 50-59 years, female 92.1
GTEX-13JVG-0726-SM-5KM16 60-69 years, male 92.0
GTEX-1BAJH-2426-SM-7IGP8 70-79 years, male 91.5
GTEX-ZZ64-1026-SM-5GZXG 20-29 years, male 91.1
GTEX-14JG6-1426-SM-9WG7C 30-39 years, female 91.0
GTEX-1I6K6-1726-SM-CGQFD 30-39 years, male 91.0
GTEX-XQ3S-1426-SM-4BOPR 20-29 years, male 90.6
GTEX-1F5PL-0926-SM-7PC2W 40-49 years, female 90.6
GTEX-139T8-0626-SM-5KLZX 60-69 years, male 90.5
GTEX-12ZZY-0726-SM-5EQ66 60-69 years, male 90.2
GTEX-1A3MX-2626-SM-7PC24 60-69 years, male 90.1
GTEX-1HCU7-0726-SM-A9SL1 50-59 years, male 89.9
GTEX-Y5LM-0926-SM-6LLJG 40-49 years, female 89.8
GTEX-13X6K-0626-SM-5LU5D 60-69 years, female 89.7
GTEX-XBEC-0726-SM-4QARZ 50-59 years, male 89.7
GTEX-ZVE1-0726-SM-51MRN 50-59 years, female 89.6
GTEX-1H23P-0626-SM-9WG6T 60-69 years, male 89.5
GTEX-1IKJJ-2226-SM-CJI4C 60-69 years, male 89.4
GTEX-1JJ6O-2726-SM-CNPOG 60-69 years, male 89.4
GTEX-1A8G7-1326-SM-73KVM 60-69 years, male 89.1
GTEX-WFON-1926-SM-3LK7L 40-49 years, male 88.5
GTEX-13G51-1826-SM-5KLZH 60-69 years, male 88.4
GTEX-131YS-2826-SM-5EQ47 60-69 years, female 88.1
GTEX-15D1Q-2826-SM-6LLH7 40-49 years, male 88.1
GTEX-XUW1-0926-SM-4BONX 50-59 years, female 88.1
GTEX-1F75A-0726-SM-7RHHD 50-59 years, male 88.0
GTEX-ZAK1-0626-SM-5HL8E 50-59 years, female 87.9
GTEX-1AMFI-1326-SM-7939R 50-59 years, female 87.8
GTEX-1HT8W-0626-SM-A9G2H 30-39 years, male 87.4
GTEX-1JMOU-1026-SM-CYPSS 60-69 years, female 87.4
GTEX-1HCVE-2726-SM-CL54F 50-59 years, male 87.3
GTEX-ZYFC-0426-SM-5GICQ 50-59 years, male 87.2
GTEX-1AYD5-2626-SM-7PBXY 50-59 years, male 87.1
GTEX-1313W-0626-SM-5EQ4H 50-59 years, female 86.7
GTEX-ZE9C-2526-SM-5IJDR 60-69 years, male 86.5
GTEX-14PKU-0126-SM-6LLHV 40-49 years, female 86.4
GTEX-1477Z-0326-SM-7IGLA 60-69 years, male 86.1
GTEX-1F75B-0726-SM-7PC3R 50-59 years, male 86.0
GTEX-1PBJJ-1026-SM-E76OS 30-39 years, male 86.0
GTEX-13OVK-1426-SM-6PAN7 40-49 years, male 85.9
GTEX-1HCU9-0426-SM-9WYSD 20-29 years, male 85.9
GTEX-13X6H-0926-SM-5SIB2 50-59 years, female 85.7
GTEX-1H3O1-1326-SM-9MQLD 60-69 years, male 85.7
GTEX-WFG8-2126-SM-3GIKQ 20-29 years, male 85.5
GTEX-13OW6-2726-SM-5J2OE 50-59 years, male 85.4
GTEX-13NYB-0126-SM-5J1MD 40-49 years, male 85.3
GTEX-13O3O-2326-SM-5IJD6 60-69 years, female 85.3
GTEX-14A5H-0826-SM-5QGPJ 60-69 years, male 85.3
GTEX-147F3-1726-SM-5SIAW 50-59 years, female 84.8
GTEX-144FL-0626-SM-5LU43 50-59 years, male 84.0
GTEX-1POEN-2326-SM-E9J2L 30-39 years, female 84.0
GTEX-13FHO-0426-SM-5L3F5 60-69 years, male 83.9
GTEX-1RB15-1326-SM-E76Q9 60-69 years, male 83.9
GTEX-1CB4H-1126-SM-7MKGL 60-69 years, female 83.4
GTEX-15DYW-2726-SM-6EU2I 60-69 years, female 83.1
GTEX-1R46S-2426-SM-E76QA 60-69 years, female 82.7
GTEX-13QBU-1226-SM-5LU4G 40-49 years, female 82.6
GTEX-1I1GV-0626-SM-ARL7M 60-69 years, male 82.6
GTEX-1AMEY-0826-SM-72D65 30-39 years, female 82.3
GTEX-WYJK-0526-SM-3NM8Z 50-59 years, male 82.3
GTEX-1F88F-0126-SM-9WYSZ 60-69 years, female 82.3
GTEX-11PRG-0726-SM-5EGL1 50-59 years, male 82.2
GTEX-1E1VI-0326-SM-793D1 50-59 years, male 82.2
GTEX-1IDJH-0126-SM-D3L92 70-79 years, male 82.2
GTEX-1C6VR-0126-SM-7RHGB 60-69 years, male 82.1
GTEX-1GN2E-0226-SM-9WG6K 60-69 years, male 82.1
GTEX-1J1OQ-0126-SM-D4P2N 40-49 years, female 81.9
GTEX-1JN6P-2926-SM-CL54D 60-69 years, male 81.8
GTEX-12WSA-0426-SM-5EQ5X 60-69 years, male 81.7
GTEX-1AX8Z-0726-SM-73KTS 60-69 years, male 81.7
GTEX-ZDXO-3126-SM-5IJDF 60-69 years, male 81.7
GTEX-14LLW-2626-SM-62LDZ 70-79 years, female 81.4
GTEX-X4EO-2926-SM-4E3JH 60-69 years, female 81.4
GTEX-1QMI2-2526-SM-E8VNZ 60-69 years, male 81.2
GTEX-13SLX-2226-SM-62LEP 50-59 years, female 81.0
GTEX-17EVP-2626-SM-7IGMA 40-49 years, male 81.0
GTEX-1LSVX-2526-SM-DIPEU 60-69 years, male 80.9
GTEX-1C64N-2626-SM-7PC2N 50-59 years, male 80.8
GTEX-1JJE9-2626-SM-ARZMT 70-79 years, male 80.8
GTEX-12WSD-0626-SM-5GCMW 60-69 years, female 80.7
GTEX-15ER7-0626-SM-6PANF 20-29 years, female 80.7
GTEX-1QCLZ-2426-SM-EVYBW 60-69 years, female 80.7
GTEX-14C39-1726-SM-5RQIL 40-49 years, male 80.3
GTEX-1GPI6-1926-SM-9KNV7 60-69 years, male 80.3
GTEX-145MG-1526-SM-5Q5EM 50-59 years, male 80.1
GTEX-1KANB-2826-SM-CY8I6 50-59 years, male 80.1
GTEX-ZVT2-0126-SM-5GIDQ 50-59 years, female 79.9
GTEX-1I1GS-2626-SM-B2LY3 60-69 years, male 79.9
GTEX-1RAZR-2126-SM-E9U6T 40-49 years, male 79.9
GTEX-1O9I2-0226-SM-EYYXD 50-59 years, male 79.8
GTEX-1EKGG-0626-SM-7DUGJ 60-69 years, male 79.4
GTEX-11WQC-1826-SM-5GU59 60-69 years, male 79.2
GTEX-17F9Y-0126-SM-79OKX 70-79 years, female 79.0
GTEX-18A7B-2726-SM-7LG56 70-79 years, male 79.0
GTEX-1LG7Z-1626-SM-CXKYR 30-39 years, male 79.0
GTEX-12WSF-1626-SM-7KUG5 70-79 years, male 78.8
GTEX-1OJC4-2726-SM-E76PJ 50-59 years, female 78.6
GTEX-139UW-0326-SM-5J1ML 60-69 years, male 78.5
GTEX-15DDE-2926-SM-6LLJ3 50-59 years, female 78.4
GTEX-12WSL-2026-SM-5GCML 50-59 years, male 78.2
GTEX-1IDJF-2026-SM-CL53V 20-29 years, male 78.1
GTEX-1ICLZ-0326-SM-ARL82 60-69 years, male 77.8
GTEX-1212Z-0126-SM-59HK4 60-69 years, male 77.7
GTEX-13O3Q-0126-SM-5KM34 50-59 years, male 77.7
GTEX-15CHQ-0326-SM-69LQD 60-69 years, male 77.7
GTEX-XOT4-0626-SM-4B66L 60-69 years, female 77.4
GTEX-ZC5H-1526-SM-5HL9Y 40-49 years, female 77.4
GTEX-14753-0726-SM-5QGQO 60-69 years, male 77.2
GTEX-1B8KZ-0326-SM-73KY4 50-59 years, male 77.2
GTEX-1F52S-2926-SM-7MKGA 60-69 years, female 77.2
GTEX-1EU9M-1426-SM-793AI 60-69 years, male 77.1
GTEX-11DZ1-2426-SM-5GZZX 50-59 years, male 76.8
GTEX-ZWKS-0626-SM-5GIDV 30-39 years, male 76.8
GTEX-1I1GP-1326-SM-A9G28 50-59 years, male 76.8
GTEX-16NPX-0726-SM-7KULC 50-59 years, male 76.7
GTEX-1HFI6-0126-SM-CNPPI 40-49 years, male 76.7
GTEX-1ICG6-1226-SM-A9SLN 70-79 years, female 76.1
GTEX-15FZZ-0526-SM-7KUGD 30-39 years, female 76.0
GTEX-1B933-2426-SM-7DHMD 50-59 years, female 75.7
GTEX-13PL6-1126-SM-5L3IE 40-49 years, female 75.6
GTEX-XV7Q-1826-SM-4BRUV 40-49 years, female 75.5
GTEX-13112-0126-SM-5P9IU 50-59 years, male 75.4
GTEX-1A8G6-2726-SM-731AR 60-69 years, male 75.4
GTEX-YF7O-1526-SM-5IFI6 50-59 years, male 75.3
GTEX-1B932-2326-SM-79OL5 40-49 years, female 75.1
GTEX-1RAZA-2226-SM-E9U4X 20-29 years, male 75.1
GTEX-11DXY-0126-SM-5H11Q 60-69 years, male 74.8
GTEX-11NUK-2726-SM-5A5MC 50-59 years, male 74.8
GTEX-1IDFM-0326-SM-ARL7V 60-69 years, male 74.8
GTEX-178AV-1726-SM-7KUL8 40-49 years, male 74.6
GTEX-145MI-0626-SM-5SI8S 60-69 years, female 74.4
GTEX-13OVH-0526-SM-5L3E6 70-79 years, male 74.1
GTEX-1HC8U-1326-SM-9YFMJ 40-49 years, female 74.0
GTEX-13NZ8-1226-SM-5KM4A 60-69 years, female 73.8
GTEX-13X6J-0626-SM-5LU5F 50-59 years, male 73.8
GTEX-1A32A-0626-SM-731AQ 50-59 years, female 73.8
GTEX-1R9K4-2826-SM-DTX8F 60-69 years, male 73.6
GTEX-14E6C-2426-SM-5S2NF 40-49 years, male 73.5
GTEX-131XW-0626-SM-5PNVD 50-59 years, female 73.4
GTEX-1399Q-2326-SM-5KM2X 40-49 years, male 73.4
GTEX-17HHY-0426-SM-7DHLC 50-59 years, male 73.4
GTEX-1H4P4-2126-SM-9WYSL 50-59 years, male 73.3
GTEX-1IDJI-0126-SM-CMKHS 50-59 years, female 73.3
GTEX-1CAV2-0126-SM-7IGN7 40-49 years, female 73.2
GTEX-1K9T9-1526-SM-DIPFR 50-59 years, female 73.2
GTEX-146FQ-2126-SM-5RQHU 30-39 years, male 73.0
GTEX-15CHC-1126-SM-6LLHQ 60-69 years, female 73.0
GTEX-YJ8O-2526-SM-5HL85 40-49 years, female 72.9
GTEX-1HSKV-1226-SM-ADEI4 60-69 years, male 72.7
GTEX-1I1HK-2326-SM-CKZOH 60-69 years, male 72.3
GTEX-1GMR8-0626-SM-7RHI7 50-59 years, female 71.9
GTEX-1HBPM-0726-SM-9YFL7 60-69 years, female 71.9
GTEX-18A7A-0126-SM-731AH 50-59 years, female 71.7
GTEX-1H1CY-0126-SM-9YFLY 60-69 years, female 71.7
GTEX-1GMRU-2126-SM-7P8RA 50-59 years, male 71.1
GTEX-13X6I-1826-SM-5SIAO 60-69 years, male 71.0
GTEX-13OW8-1026-SM-5J1NQ 60-69 years, male 70.9
GTEX-14LZ3-0126-SM-69LPM 60-69 years, female 70.9
GTEX-1LG7Y-2526-SM-EWRO7 50-59 years, male 70.8
GTEX-145MF-0926-SM-5Q5EA 50-59 years, male 70.7
GTEX-13N2G-0226-SM-5K7VF 60-69 years, male 70.4
GTEX-1GZ2Q-0126-SM-9WG6M 40-49 years, male 70.4
GTEX-12584-0726-SM-5FQTK 40-49 years, male 69.8
GTEX-1IL2V-1926-SM-B2LW8 70-79 years, male 69.8
GTEX-1JMQI-1726-SM-ARL93 50-59 years, male 69.8
GTEX-14BIN-1126-SM-5RQJZ 50-59 years, female 69.6
GTEX-1EN7A-2426-SM-793DB 40-49 years, male 69.5
GTEX-1EWIQ-0326-SM-7DHMQ 70-79 years, female 69.4
GTEX-1KWVE-1026-SM-D3L9O 30-39 years, male 69.2
GTEX-1C6VQ-1226-SM-73KYD 50-59 years, male 68.9
GTEX-1KD5A-0126-SM-E9U54 50-59 years, male 68.9
GTEX-13N1W-2426-SM-5IJD1 70-79 years, male 68.8
GTEX-1LVAO-2726-SM-E9TJ8 60-69 years, male 68.8
GTEX-1399R-1326-SM-5PNYS 30-39 years, male 68.4
GTEX-13OW7-0426-SM-5K7VK 50-59 years, male 68.2
GTEX-1269C-0126-SM-5EQ5L 60-69 years, female 68.1
GTEX-1HCU8-2526-SM-CE6RX 60-69 years, female 68.0
GTEX-1M4P7-0726-SM-E6CJ3 60-69 years, male 68.0
GTEX-16XZZ-0726-SM-7KUF2 60-69 years, male 67.8
GTEX-1GF9W-1426-SM-7PBYM 60-69 years, male 67.8
GTEX-1HR9M-2226-SM-CNPPY 60-69 years, male 67.7
GTEX-1GMR3-0126-SM-A9SLW 40-49 years, male 67.6
GTEX-1GN1V-2826-SM-9JGIA 60-69 years, male 67.4
GTEX-ZAB4-2126-SM-5HL8U 40-49 years, male 67.1
GTEX-139D8-1126-SM-5LU8W 30-39 years, female 66.9
GTEX-V1D1-2026-SM-3GAF4 50-59 years, male 66.9
GTEX-1I1CD-0626-SM-CE6SW 60-69 years, female 66.9
GTEX-1IDJD-2326-SM-ACKWX 30-39 years, male 66.9
GTEX-1JMPZ-0726-SM-CY8HZ 30-39 years, male 66.9
GTEX-1B8L1-2226-SM-7P8PT 60-69 years, male 66.7
GTEX-15SHW-0226-SM-7LTAT 60-69 years, male 66.3
GTEX-183WM-0326-SM-72D5V 70-79 years, female 66.2
GTEX-1GZ4I-2626-SM-9KNU3 50-59 years, male 65.8
GTEX-16MT9-0126-SM-7EPI8 60-69 years, female 65.2
GTEX-ZYFD-0626-SM-5E44E 50-59 years, male 64.9
GTEX-VUSG-2326-SM-4KL1U 50-59 years, male 64.8
GTEX-WYVS-1626-SM-3NM9R 40-49 years, female 64.4
GTEX-1IDJE-1426-SM-ADEIW 50-59 years, female 64.3
GTEX-13VXU-0626-SM-5L3F9 50-59 years, male 64.2
GTEX-16Z82-2626-SM-7KULU 60-69 years, male 64.2
GTEX-11GS4-0226-SM-5HL77 60-69 years, male 64.1
GTEX-ZAJG-1526-SM-5CVML 50-59 years, female 64.1
GTEX-1HUB1-1426-SM-CGQF5 60-69 years, male 64.1
GTEX-1117F-2926-SM-5GZYI 60-69 years, female 63.8
GTEX-18A6Q-0626-SM-7KFRP 60-69 years, male 63.6
GTEX-13FLV-0126-SM-5K7WT 50-59 years, male 63.4
GTEX-11GSP-2326-SM-5HL63 60-69 years, female 63.2
GTEX-13JUV-2026-SM-5K7UA 40-49 years, female 63.2
GTEX-1HR98-2226-SM-ADEI2 60-69 years, male 63.2
GTEX-1EX96-1026-SM-7MKG2 50-59 years, male 62.8
GTEX-1I19N-0126-SM-CYPSF 70-79 years, male 62.8
GTEX-15SKB-2826-SM-6PAMH 60-69 years, male 62.5
GTEX-WRHU-2826-SM-3MJG8 50-59 years, female 62.4
GTEX-1IOXB-2726-SM-CM2RI 50-59 years, male 62.1
GTEX-1QP66-1226-SM-DTX7U 50-59 years, male 62.0
GTEX-Y5V5-0126-SM-5S2NW 60-69 years, female 61.9
GTEX-111FC-2526-SM-5GZXU 60-69 years, male 61.7
GTEX-1F75W-2726-SM-7SB8H 60-69 years, male 61.7
GTEX-11ZUS-2626-SM-5FQUR 30-39 years, male 61.6
GTEX-X4EP-0626-SM-3P621 60-69 years, female 61.6
GTEX-1F48J-0726-SM-7RHGS 50-59 years, female 61.1
GTEX-13PDP-0726-SM-5L3HP 60-69 years, male 60.8
GTEX-ZXG5-2126-SM-59HKD 60-69 years, male 60.3
GTEX-12WSC-2826-SM-5BC5Y 50-59 years, male 60.2
GTEX-14JG1-1526-SM-5YY9X 40-49 years, male 60.1
GTEX-14JFF-0626-SM-5ZZVT 60-69 years, male 59.5
GTEX-1ICLY-0826-SM-CMKG1 50-59 years, male 59.4
GTEX-11DXW-0826-SM-5H118 40-49 years, male 59.3
GTEX-1AX9J-1326-SM-731BJ 60-69 years, male 59.3
GTEX-1J8JJ-0626-SM-ARZMQ 60-69 years, female 58.7
GTEX-1QEPI-2626-SM-DTXF4 60-69 years, female 58.3
GTEX-ZVTK-0226-SM-51MRG 20-29 years, male 58.2
GTEX-13SLW-0626-SM-5Q5ER 70-79 years, male 57.8
GTEX-UPK5-0426-SM-3GAEK 40-49 years, male 57.8
GTEX-15EO6-2426-SM-6PALZ 50-59 years, male 57.7
GTEX-VJYA-1526-SM-3GIJV 60-69 years, male 57.2
GTEX-13OVL-0126-SM-5L3GJ 50-59 years, male 56.7
GTEX-XK95-0226-SM-4AT58 40-49 years, male 56.2
GTEX-ZVE2-2826-SM-5GU51 50-59 years, male 56.2
GTEX-11EQ8-0926-SM-5H12V 60-69 years, male 56.1
GTEX-1IDJV-0126-SM-COH3Y 60-69 years, male 56.1
GTEX-1F6IF-0926-SM-7SB7M 60-69 years, male 55.9
GTEX-WK11-2726-SM-3NMAQ 50-59 years, male 55.8
GTEX-15UF6-1926-SM-7KUDV 70-79 years, female 55.7
GTEX-ZYY3-2926-SM-5GIEB 60-69 years, female 55.6
GTEX-14BMV-2826-SM-5TDED 50-59 years, male 55.3
GTEX-WYBS-0626-SM-3NMAS 60-69 years, female 55.3
GTEX-1L5NE-1126-SM-D3L9P 50-59 years, male 55.3
GTEX-14A6H-2026-SM-5Q5DD 30-39 years, male 55.2
GTEX-1LSNL-2726-SM-E9TKJ 50-59 years, male 55.2
GTEX-X8HC-0626-SM-4E3HQ 50-59 years, female 55.0
GTEX-ZUA1-2626-SM-5NQ92 40-49 years, male 54.4
GTEX-1LVA9-2626-SM-EVYD4 50-59 years, male 54.4
GTEX-17JCI-2926-SM-7DUFF 60-69 years, female 54.1
GTEX-17HG3-2626-SM-7DUF2 30-39 years, female 54.0
GTEX-18465-2826-SM-7LT9J 50-59 years, male 53.8
GTEX-145LS-0626-SM-7EPG7 60-69 years, female 53.6
GTEX-1F6RS-2026-SM-7RHHC 60-69 years, female 53.5
GTEX-145MO-2826-SM-5LU96 60-69 years, male 52.9
GTEX-147JS-0226-SM-5S2U9 60-69 years, male 51.6
GTEX-13YAN-0226-SM-5TDC6 60-69 years, male 50.1
GTEX-1HSMO-0626-SM-ACKXC 60-69 years, male 49.5
GTEX-14DAQ-0626-SM-793DS 60-69 years, female 49.4
GTEX-14PJ2-0626-SM-6LLII 50-59 years, male 48.9
GTEX-1H3VE-0726-SM-9YFL5 40-49 years, male 48.9
GTEX-11EI6-2826-SM-5H11D 60-69 years, male 48.5
GTEX-1314G-1326-SM-5BC6E 30-39 years, male 47.0
GTEX-1A8FM-0626-SM-7PC25 50-59 years, female 46.8
GTEX-13NZ9-2626-SM-5L3FK 50-59 years, male 46.7
GTEX-1H3NZ-2726-SM-9WYTQ 60-69 years, male 45.6
GTEX-12KS4-2126-SM-5FQUT 30-39 years, male 45.2
GTEX-XMD2-2126-SM-4YCF8 60-69 years, female 44.9
GTEX-144GL-0626-SM-5LU4D 50-59 years, male 42.8
GTEX-16GPK-0626-SM-7KFSF 60-69 years, male 40.3
GTEX-17EVQ-0126-SM-7IGLR 70-79 years, male 40.1
GTEX-1F88E-1626-SM-7SB8Z 60-69 years, female 36.4
GTEX-1GF9U-2026-SM-7SB92 40-49 years, female 31.6
Show allShow less
Skin - Sun Exposed (Lower leg)
Average nTPM: 104.4
Samples: 701

Max nTPM: 277.2
Min nTPM: 30.0
Std nTPM: 34.1
Median nTPM: 99.7
GTEX-XUZC-1726-SM-4BRWS 30-39 years, female 277.2
GTEX-Y3IK-2426-SM-4WWDU 50-59 years, female 270.8
GTEX-1JMLX-0226-SM-CM2RO 50-59 years, male 251.1
GTEX-Y114-2426-SM-4TT8A 50-59 years, female 223.4
GTEX-O5YT-0126-SM-48TBW 20-29 years, male 219.2
GTEX-1B8KE-2126-SM-73KYX 50-59 years, male 210.5
GTEX-TKQ1-1026-SM-4GICL 30-39 years, male 204.2
GTEX-13FTW-2626-SM-5K7WL 40-49 years, male 200.2
GTEX-1QP9N-1426-SM-DTXFL 30-39 years, male 200.1
GTEX-P4QT-0126-SM-2I3FL 50-59 years, female 199.4
GTEX-W5X1-3026-SM-EAZAX 40-49 years, female 195.1
GTEX-12WSJ-1826-SM-5GCNY 40-49 years, female 195.0
GTEX-ZGAY-0526-SM-4WWBB 40-49 years, female 194.9
GTEX-NFK9-0226-SM-2HMKQ 40-49 years, male 193.8
GTEX-ZF3C-0126-SM-DO92D 50-59 years, female 193.0
GTEX-1JMPY-1326-SM-ARL8Y 30-39 years, male 192.4
GTEX-WYJK-0126-SM-3NMAB 50-59 years, male 190.6
GTEX-ZTX8-1426-SM-5DUVO 20-29 years, male 189.0
GTEX-1399U-2326-SM-5K7WY 50-59 years, female 188.4
GTEX-11TT1-2526-SM-5EGIB 20-29 years, male 186.6
GTEX-WI4N-1026-SM-3LK7N 40-49 years, female 182.6
GTEX-1JMQL-0226-SM-CNPP5 50-59 years, female 180.1
GTEX-13NZ8-0826-SM-5MR3I 60-69 years, female 176.3
GTEX-145MN-2226-SM-5SIAU 30-39 years, male 175.7
GTEX-OHPL-0126-SM-2HMJ7 60-69 years, female 175.1
GTEX-13111-1626-SM-5EGJY 50-59 years, male 174.9
GTEX-U8T8-0126-SM-3DB94 60-69 years, male 174.8
GTEX-1PPH8-0226-SM-E8VND 20-29 years, male 174.7
GTEX-1PFEY-1526-SM-E76PP 30-39 years, male 173.3
GTEX-18D9A-1926-SM-7LG6P 30-39 years, female 171.8
GTEX-T5JW-1626-SM-3GADZ 20-29 years, female 171.3
GTEX-1OFPY-2426-SM-DTXEJ 60-69 years, male 168.9
GTEX-1S5ZA-0126-SM-EVYCV 20-29 years, male 168.8
GTEX-ZVZO-0126-SM-5A5L9 40-49 years, male 168.7
GTEX-ZVTK-0426-SM-51MRS 20-29 years, male 168.4
GTEX-1NV5F-0226-SM-E8VNY 60-69 years, female 167.5
GTEX-1KANC-1526-SM-D3LAB 50-59 years, female 167.4
GTEX-17F98-0626-SM-79OMX 40-49 years, female 166.9
GTEX-1OJC3-0126-SM-E76QX 20-29 years, male 163.3
GTEX-U412-0426-SM-3DB9O 60-69 years, male 162.9
GTEX-O5YW-0126-SM-3LK6D 50-59 years, male 162.8
GTEX-OIZH-0126-SM-2HMIS 50-59 years, male 162.8
GTEX-P4PP-0126-SM-3LK69 30-39 years, female 160.4
GTEX-1A3MX-0126-SM-731BR 60-69 years, male 160.0
GTEX-1CAV2-2226-SM-7P8P2 40-49 years, female 158.1
GTEX-1KANA-0726-SM-D3L9I 20-29 years, male 158.0
GTEX-1MA7W-2026-SM-E9TJ6 20-29 years, female 157.9
GTEX-13PVR-2326-SM-5QGR1 60-69 years, female 157.4
GTEX-X88G-0126-SM-47JZ3 30-39 years, male 156.3
GTEX-YB5K-2126-SM-4WWDJ 40-49 years, female 156.3
GTEX-1211K-2026-SM-5EQ4Z 60-69 years, female 155.7
GTEX-RM2N-1426-SM-2TF4H 50-59 years, male 155.6
GTEX-1IKK5-0626-SM-ARL8A 60-69 years, male 155.5
GTEX-11UD1-0126-SM-5PNYG 40-49 years, female 154.6
GTEX-14ICK-0226-SM-6EU25 40-49 years, male 153.9
GTEX-14PN4-0126-SM-6EU2V 50-59 years, male 153.8
GTEX-139UW-2826-SM-5L3E7 60-69 years, male 153.5
GTEX-131XG-2626-SM-5KM17 50-59 years, female 153.4
GTEX-12WSK-2326-SM-5GCOH 40-49 years, female 153.2
GTEX-1122O-2126-SM-5EGIR 60-69 years, female 152.5
GTEX-1H1DG-0126-SM-9WYU2 70-79 years, male 152.4
GTEX-XYKS-2126-SM-4E3IB 60-69 years, female 151.8
GTEX-PLZ6-1426-SM-DKPOT 30-39 years, male 150.5
GTEX-S95S-1226-SM-4GICG 60-69 years, male 150.2
GTEX-XBED-2226-SM-47JYQ 60-69 years, male 149.0
GTEX-T6MN-0126-SM-32PLP 50-59 years, male 148.4
GTEX-1F5PL-0326-SM-7P8PQ 40-49 years, female 148.4
GTEX-13X6H-2126-SM-7EWD5 50-59 years, female 147.9
GTEX-PSDG-0226-SM-DKPOZ 50-59 years, male 147.7
GTEX-UJHI-1526-SM-3DB99 50-59 years, female 147.6
GTEX-14XAO-2326-SM-6EU1B 60-69 years, female 146.4
GTEX-X8HC-0126-SM-4E3JW 50-59 years, female 145.1
GTEX-14753-0426-SM-5NQAM 60-69 years, male 145.0
GTEX-YB5E-2026-SM-5IFIS 40-49 years, male 144.0
GTEX-ZAJG-0126-SM-5HL94 50-59 years, female 143.9
GTEX-1GN1U-0126-SM-7PBZK 50-59 years, female 143.7
GTEX-12696-2426-SM-5EQ6H 60-69 years, male 143.5
GTEX-1QAET-0926-SM-E76QM 50-59 years, male 143.4
GTEX-15ER7-0326-SM-7KUEV 20-29 years, female 143.3
GTEX-X5EB-2226-SM-46MW4 40-49 years, male 142.8
GTEX-ZYFG-2326-SM-5E44B 60-69 years, female 142.7
GTEX-1C475-1826-SM-73KWA 40-49 years, female 142.6
GTEX-W5WG-1826-SM-4KL2Y 50-59 years, female 142.2
GTEX-11P7K-2126-SM-5GU7G 30-39 years, male 142.1
GTEX-1497J-2426-SM-7IGNX 60-69 years, male 142.1
GTEX-WQUQ-0426-SM-3MJFU 60-69 years, male 142.1
GTEX-1K2DU-2326-SM-E9TIV 20-29 years, male 141.7
GTEX-17GQL-2026-SM-718BA 60-69 years, male 141.3
GTEX-YEC4-2126-SM-5IFJH 40-49 years, male 140.4
GTEX-13CF2-2526-SM-5LZYX 60-69 years, male 139.6
GTEX-1R9PM-2026-SM-E76OY 20-29 years, male 139.2
GTEX-1I4MK-2226-SM-ACKWD 50-59 years, female 139.1
GTEX-XAJ8-0826-SM-47JY6 40-49 years, male 138.9
GTEX-OOBJ-0126-SM-E6CJW 60-69 years, male 138.3
GTEX-11DYG-0126-SM-59883 60-69 years, male 138.1
GTEX-1K2DA-1826-SM-CGQGT 50-59 years, male 137.8
GTEX-Y3I4-2126-SM-4TT7C 50-59 years, male 137.7
GTEX-OXRN-0126-SM-48TDM 50-59 years, male 137.6
GTEX-Q2AI-1326-SM-2S1PL 40-49 years, male 137.5
GTEX-S7PM-0126-SM-4AD6S 60-69 years, male 137.2
GTEX-1QCLY-0326-SM-E8VOG 30-39 years, male 137.2
GTEX-XBEW-0626-SM-4QASP 40-49 years, male 136.8
GTEX-1PIIG-0226-SM-EWRN6 30-39 years, male 136.8
GTEX-1GF9X-2026-SM-7PC3A 40-49 years, female 135.9
GTEX-ZDYS-2026-SM-5HL5L 50-59 years, male 135.5
GTEX-1JJ6O-0126-SM-E6CI8 60-69 years, male 135.4
GTEX-WFON-2126-SM-3LK7O 40-49 years, male 134.8
GTEX-11DXZ-2326-SM-5EGGV 50-59 years, male 134.7
GTEX-15ETS-0126-SM-7KUMW 40-49 years, female 134.6
GTEX-1LVAN-0226-SM-COH3S 50-59 years, female 134.5
GTEX-13CF3-2426-SM-5IFGX 60-69 years, female 134.4
GTEX-1B97I-1626-SM-73KYO 40-49 years, male 134.2
GTEX-145MI-0526-SM-5O9A8 60-69 years, female 134.1
GTEX-PWCY-1826-SM-DHXIZ 20-29 years, female 134.0
GTEX-ZTSS-1926-SM-57WEW 40-49 years, male 133.8
GTEX-14PJ3-1826-SM-62LEX 50-59 years, male 133.6
GTEX-1CAMS-0426-SM-7P8T2 40-49 years, female 133.4
GTEX-PX3G-0126-SM-2I3EN 20-29 years, female 133.2
GTEX-18D9U-0226-SM-718BP 40-49 years, male 133.1
GTEX-1EMGI-0126-SM-9KNUE 60-69 years, male 133.1
GTEX-ZPIC-1726-SM-DHXIU 40-49 years, female 133.0
GTEX-13N11-2526-SM-5K7UE 50-59 years, female 132.7
GTEX-WXYG-2326-SM-4E3I6 50-59 years, female 132.7
GTEX-13113-5016-SM-7EPIP 60-69 years, female 132.6
GTEX-1LSNM-1926-SM-E6CII 50-59 years, male 132.6
GTEX-QESD-1426-SM-2S1R9 20-29 years, male 132.4
GTEX-14BMU-2226-SM-5TDE9 20-29 years, female 132.3
GTEX-1J1R8-1726-SM-ARL8M 40-49 years, male 132.2
GTEX-1HGF4-2426-SM-ACKXM 60-69 years, male 132.1
GTEX-SUCS-1926-SM-32PM3 70-79 years, male 131.9
GTEX-1B996-0226-SM-7RHGO 60-69 years, male 131.7
GTEX-14E6E-1826-SM-5S2R7 30-39 years, male 130.8
GTEX-15SB6-1726-SM-6PAME 50-59 years, female 130.6
GTEX-1S3DN-2226-SM-EVYCD 50-59 years, male 130.5
GTEX-1PIGE-0126-SM-EVYBJ 20-29 years, male 130.3
GTEX-11EQ9-2426-SM-5HL5T 30-39 years, male 130.1
GTEX-1GTWX-0126-SM-9YFLK 60-69 years, male 130.1
GTEX-145ME-1826-SM-5SI9G 40-49 years, female 130.0
GTEX-1CB4E-2226-SM-793DC 60-69 years, male 129.6
GTEX-POMQ-2226-SM-2I5FK 20-29 years, female 129.5
GTEX-1LG7Z-1726-SM-D3LA4 30-39 years, male 128.8
GTEX-OHPM-0126-SM-2YUN9 50-59 years, male 128.7
GTEX-1HCUA-2426-SM-ADEIS 50-59 years, female 128.7
GTEX-14C5O-0126-SM-5SI6N 60-69 years, male 128.5
GTEX-T5JC-0426-SM-32PLO 20-29 years, male 128.3
GTEX-1HCVE-0126-SM-CGQEU 50-59 years, male 128.2
GTEX-Y5V6-2426-SM-4VDSB 60-69 years, male 128.1
GTEX-ZYFD-0126-SM-5GIDL 50-59 years, male 128.1
GTEX-ZF29-2326-SM-DO92K 60-69 years, female 128.1
GTEX-1JN76-0126-SM-CNPPE 20-29 years, female 128.0
GTEX-13RTK-1426-SM-5QGQJ 20-29 years, male 127.9
GTEX-1HBPN-0226-SM-9YFM1 50-59 years, male 127.6
GTEX-RTLS-0126-SM-447CA 60-69 years, female 127.5
GTEX-11TUW-2726-SM-E9J4M 60-69 years, male 126.9
GTEX-1GF9W-0326-SM-9KNUN 60-69 years, male 126.7
GTEX-12WSA-0226-SM-5BC5V 60-69 years, male 126.5
GTEX-13O3P-0126-SM-5KM4S 50-59 years, male 126.4
GTEX-1HBPM-0226-SM-ARL9F 60-69 years, female 126.1
GTEX-13FH7-2026-SM-E9J4I 50-59 years, female 125.9
GTEX-ZWKS-0126-SM-5SIAA 30-39 years, male 125.7
GTEX-1LGOU-2026-SM-DIPFF 20-29 years, female 125.7
GTEX-WH7G-2326-SM-3NMBC 40-49 years, male 125.4
GTEX-1J8QM-2126-SM-CYPSJ 60-69 years, female 125.3
GTEX-ZDTS-0126-SM-4WAY5 60-69 years, male 125.0
GTEX-1R7EU-0226-SM-EVR4G 60-69 years, male 125.0
GTEX-Z93S-0126-SM-5HL7M 50-59 years, male 124.9
GTEX-T2YK-0526-SM-32QPJ 50-59 years, male 124.4
GTEX-WFG8-2226-SM-3GIL9 20-29 years, male 124.4
GTEX-1C4CL-0526-SM-73KVK 30-39 years, male 124.2
GTEX-ZU9S-0226-SM-5E441 30-39 years, male 124.1
GTEX-14PII-0226-SM-6EU1T 60-69 years, male 124.0
GTEX-16MT8-0426-SM-7KUEY 60-69 years, female 124.0
GTEX-1399R-2726-SM-5IJBA 30-39 years, male 123.9
GTEX-SN8G-0126-SM-32PLI 50-59 years, female 123.8
GTEX-1AX9J-0226-SM-73KXM 60-69 years, male 123.6
GTEX-14PHX-2326-SM-62LEM 50-59 years, male 123.3
GTEX-XXEK-2226-SM-4BRUM 50-59 years, male 123.3
GTEX-S32W-2126-SM-2XCB1 50-59 years, female 123.2
GTEX-XPVG-2626-SM-4B669 50-59 years, male 123.0
GTEX-1GPI7-0126-SM-9MQL8 20-29 years, male 122.6
GTEX-13OW6-0426-SM-5L3HM 50-59 years, male 122.4
GTEX-1HSGN-0226-SM-CGQFV 40-49 years, female 122.3
GTEX-1N2DV-0226-SM-E6CJ6 40-49 years, male 122.2
GTEX-18QFQ-0126-SM-731BE 30-39 years, male 121.8
GTEX-13YAN-0326-SM-5O9DF 60-69 years, male 121.6
GTEX-131XF-5016-SM-7MGWE 60-69 years, male 121.6
GTEX-1J1OQ-0226-SM-CYPSH 40-49 years, female 121.5
GTEX-RVPV-0126-SM-EAZAW 60-69 years, male 121.5
GTEX-T8EM-1026-SM-3DB7M 40-49 years, male 121.4
GTEX-1HCU6-0126-SM-CL54K 60-69 years, female 121.3
GTEX-1QP2A-0126-SM-E9J43 50-59 years, male 121.2
GTEX-ZE7O-0126-SM-57WC1 50-59 years, female 121.0
GTEX-139D8-0226-SM-5KLZO 30-39 years, female 120.9
GTEX-1IDJH-0326-SM-A9SLQ 70-79 years, male 120.9
GTEX-1JKYR-0126-SM-CNPOJ 20-29 years, male 120.9
GTEX-16BQI-0226-SM-7KUEX 30-39 years, female 120.8
GTEX-1B8SG-0126-SM-73KZ3 50-59 years, male 120.6
GTEX-NPJ8-0126-SM-2YUNR 40-49 years, male 120.4
GTEX-Y8DK-0126-SM-4TT3L 60-69 years, male 120.0
GTEX-16NGA-1726-SM-731B4 40-49 years, female 119.9
GTEX-131XE-2326-SM-5PNZ2 50-59 years, male 119.8
GTEX-RNOR-0126-SM-E9J4R 50-59 years, female 119.7
GTEX-ZVZP-2426-SM-59HKJ 50-59 years, male 119.6
GTEX-1JMQK-0226-SM-CL543 60-69 years, male 119.5
GTEX-1LGRB-2526-SM-CNPPQ 50-59 years, female 119.4
GTEX-12126-0326-SM-5PNW3 20-29 years, male 119.2
GTEX-1MCQQ-0826-SM-DLHC2 60-69 years, male 118.9
GTEX-1PWST-0226-SM-E76QJ 70-79 years, male 118.9
GTEX-13NZB-2526-SM-5J1OM 30-39 years, male 118.7
GTEX-12WSD-0126-SM-59HKN 60-69 years, female 118.6
GTEX-1CAMR-1926-SM-7EPI2 20-29 years, male 118.1
GTEX-139TU-0126-SM-5K7WH 60-69 years, male 118.0
GTEX-14DAR-2026-SM-5S2O3 50-59 years, male 117.8
GTEX-15SHU-0126-SM-7KUEH 40-49 years, female 117.8
GTEX-1MCYP-1926-SM-E9J2R 20-29 years, female 117.7
GTEX-ZXES-1826-SM-5E43S 30-39 years, female 117.6
GTEX-1KXAM-2226-SM-CYPTC 60-69 years, male 117.6
GTEX-1JMPZ-0226-SM-CNPP1 30-39 years, male 117.5
GTEX-1GZ4H-1726-SM-7PBZJ 50-59 years, female 117.3
GTEX-14A5I-0126-SM-5TDEA 50-59 years, female 117.2
GTEX-1HSMQ-1226-SM-CGQFX 50-59 years, male 117.0
GTEX-Y111-0126-SM-4SOIV 50-59 years, male 116.6
GTEX-11ZTS-0126-SM-5EQ6M 60-69 years, female 116.4
GTEX-T6MO-1626-SM-32QOM 40-49 years, female 116.4
GTEX-TML8-1926-SM-32QOS 40-49 years, female 116.4
GTEX-11UD2-0226-SM-5EQKY 50-59 years, male 116.3
GTEX-ZAB4-0226-SM-5N9F5 40-49 years, male 116.3
GTEX-1KWVE-1426-SM-E9TJO 30-39 years, male 116.3
GTEX-RWS6-2026-SM-2XCB5 60-69 years, female 116.0
GTEX-1GMR3-1926-SM-9KNUZ 40-49 years, male 116.0
GTEX-1QMI2-0226-SM-EVYBX 60-69 years, male 116.0
GTEX-15DDE-0126-SM-6LPKH 50-59 years, female 115.9
GTEX-1GN73-0226-SM-9WG67 60-69 years, male 115.9
GTEX-S7SE-0126-SM-2XCD5 50-59 years, male 115.7
GTEX-1I1GU-2226-SM-CGQFA 40-49 years, male 115.6
GTEX-132NY-0326-SM-5IJBL 60-69 years, male 115.5
GTEX-1HSMP-0126-SM-E6CJS 70-79 years, male 115.4
GTEX-1PDJ9-0326-SM-DTX95 20-29 years, male 115.3
GTEX-11XUK-2026-SM-5EQLF 40-49 years, female 114.9
GTEX-TMZS-0126-SM-3DB9Q 60-69 years, male 114.5
GTEX-1EWIQ-0126-SM-7RHH2 70-79 years, female 114.4
GTEX-ZYT6-0226-SM-5NQ6T 30-39 years, male 114.1
GTEX-131YS-0126-SM-5KM1M 60-69 years, female 113.5
GTEX-133LE-1826-SM-5J1MV 20-29 years, female 113.5
GTEX-1B8L1-2526-SM-9WYTF 60-69 years, male 113.4
GTEX-13D11-2426-SM-5KM1V 50-59 years, female 113.3
GTEX-1JMQJ-0526-SM-CYPSU 50-59 years, male 113.3
GTEX-111FC-0126-SM-5N9DL 60-69 years, male 113.2
GTEX-11EM3-2426-SM-59861 20-29 years, female 113.1
GTEX-XQ8I-0426-SM-4BOPO 50-59 years, male 113.1
GTEX-RU72-0926-SM-2TF6B 50-59 years, female 113.0
GTEX-ZZ64-1726-SM-5GZYB 20-29 years, male 112.9
GTEX-1H1DE-2126-SM-9WG6R 20-29 years, male 112.9
GTEX-X585-0226-SM-4QAS2 50-59 years, male 112.7
GTEX-17HII-0226-SM-7LG4E 50-59 years, male 112.6
GTEX-U3ZM-1526-SM-3DB9D 40-49 years, male 112.6
GTEX-16YQH-0126-SM-7DUFJ 30-39 years, male 112.5
GTEX-1IL2U-0226-SM-CE6T8 60-69 years, male 112.4
GTEX-1MGNQ-0126-SM-EVYCJ 40-49 years, male 112.3
GTEX-1J8Q2-0526-SM-CM2RW 60-69 years, male 111.8
GTEX-1S83E-0126-SM-EWRO4 40-49 years, male 111.8
GTEX-13FXS-0226-SM-5IJCK 50-59 years, male 111.7
GTEX-ZYFC-0226-SM-5NQ75 50-59 years, male 111.5
GTEX-1GF9V-0326-SM-7RHI5 60-69 years, male 110.9
GTEX-14PJM-0226-SM-62LF1 50-59 years, female 110.6
GTEX-11LCK-1026-SM-5A5KB 30-39 years, male 110.5
GTEX-UPJH-0326-SM-3GADU 50-59 years, male 110.5
GTEX-1H3VE-0326-SM-9YFLH 40-49 years, male 110.4
GTEX-1H4P4-0726-SM-9YFLR 50-59 years, male 110.3
GTEX-169BO-1326-SM-9MQK2 50-59 years, male 110.0
GTEX-13OVI-1426-SM-5L3EY 60-69 years, female 109.9
GTEX-17EUY-0426-SM-793BD 20-29 years, male 109.8
GTEX-1HCU8-0626-SM-A9SM9 60-69 years, female 109.6
GTEX-117XS-2726-SM-5N9BL 60-69 years, male 109.2
GTEX-1CB4J-0626-SM-7DHMP 60-69 years, male 109.2
GTEX-Z93T-0126-SM-5HL5N 50-59 years, male 109.2
GTEX-1CB4I-0226-SM-79OLH 50-59 years, male 109.1
GTEX-1QP66-1726-SM-E8VO1 50-59 years, male 109.1
GTEX-1M5QR-1226-SM-EWROB 40-49 years, male 109.0
GTEX-15F5U-1526-SM-6PANO 40-49 years, male 108.8
GTEX-1A3MV-1926-SM-718BT 30-39 years, male 108.5
GTEX-XQ3S-1526-SM-4BOOC 20-29 years, male 108.5
GTEX-Y5LM-1926-SM-5RQJH 40-49 years, female 108.5
GTEX-1I1GV-0526-SM-A9G29 60-69 years, male 108.3
GTEX-1H1ZS-0426-SM-9WG6G 70-79 years, male 108.2
GTEX-16AAH-1726-SM-7939C 50-59 years, male 108.1
GTEX-1J8EW-0126-SM-CJI4F 60-69 years, female 108.1
GTEX-145MO-0326-SM-5Q5B3 60-69 years, male 107.7
GTEX-1GL5R-1826-SM-9KNUY 50-59 years, male 107.1
GTEX-S33H-1026-SM-EZ6L6 30-39 years, male 107.0
GTEX-1192X-0226-SM-5H12D 50-59 years, male 106.7
GTEX-1KD4Q-0226-SM-E9TJ9 40-49 years, male 106.7
GTEX-13FHP-0126-SM-5IJBG 50-59 years, male 106.6
GTEX-QV44-1926-SM-2S1RF 50-59 years, male 106.6
GTEX-OXRL-0126-SM-2YUMP 50-59 years, male 106.4
GTEX-15UKP-0426-SM-7KUFQ 20-29 years, male 106.3
GTEX-1CB4H-0226-SM-7PBXM 60-69 years, female 106.3
GTEX-1CAMQ-0226-SM-7IGPK 40-49 years, male 106.2
GTEX-1NHNU-1026-SM-E9J2A 50-59 years, male 105.9
GTEX-ZVT2-2526-SM-51MT1 50-59 years, female 105.8
GTEX-1L5NE-2526-SM-E6CIE 50-59 years, male 105.8
GTEX-145LV-2126-SM-5LU8N 50-59 years, male 105.5
GTEX-1HSEH-0126-SM-ACKXN 60-69 years, male 105.5
GTEX-18A6Q-0126-SM-731BZ 60-69 years, male 105.4
GTEX-1JMQI-2226-SM-CM2SD 50-59 years, male 105.4
GTEX-WRHK-1426-SM-3MJF9 20-29 years, female 105.2
GTEX-XUYS-0126-SM-47JWZ 50-59 years, male 104.9
GTEX-14A5H-0426-SM-5QGQF 60-69 years, male 104.7
GTEX-14PN3-2426-SM-6LLHS 60-69 years, female 104.6
GTEX-1KAFJ-2026-SM-CY8ID 50-59 years, male 104.6
GTEX-TSE9-0126-SM-3DB83 60-69 years, female 104.4
GTEX-1QPFJ-0226-SM-E76PB 30-39 years, female 104.4
GTEX-12WSG-2826-SM-E9J4H 50-59 years, female 104.3
GTEX-1I6K6-0126-SM-A9SLE 30-39 years, male 104.2
GTEX-1RB15-2126-SM-E9TIM 60-69 years, male 104.2
GTEX-131XH-2226-SM-5DUXJ 50-59 years, male 104.1
GTEX-139TS-2826-SM-5J1OO 60-69 years, male 103.9
GTEX-13O21-1426-SM-5K7XI 50-59 years, male 103.9
GTEX-18A7A-0226-SM-718BH 50-59 years, female 103.8
GTEX-WY7C-2326-SM-3NB2U 50-59 years, male 103.6
GTEX-14JG1-0426-SM-6ETZZ 40-49 years, male 103.5
GTEX-SIU8-0126-SM-2XCDT 50-59 years, male 103.5
GTEX-ZV68-0126-SM-59HKS 50-59 years, female 103.4
GTEX-R55G-2526-SM-2TC6D 40-49 years, female 103.3
GTEX-1H1CY-2826-SM-9MQM3 60-69 years, female 103.3
GTEX-1LB8K-0226-SM-EWRNW 50-59 years, male 103.1
GTEX-13JUV-2726-SM-5LZZ8 40-49 years, female 102.9
GTEX-13OW5-0126-SM-DTXFS 60-69 years, male 102.9
GTEX-13O3O-0126-SM-E9J49 60-69 years, female 102.7
GTEX-1MUQO-0126-SM-EAZ58 60-69 years, male 102.7
GTEX-17EVP-0326-SM-7DHLG 40-49 years, male 102.6
GTEX-144GN-2326-SM-5LU4F 50-59 years, male 102.5
GTEX-1AMFI-2026-SM-731BH 50-59 years, female 102.5
GTEX-13X6J-0126-SM-5QGOU 50-59 years, male 102.4
GTEX-Z9EW-1626-SM-5CVMN 40-49 years, male 102.3
GTEX-1128S-2326-SM-5GZZY 60-69 years, female 102.2
GTEX-16GPK-0126-SM-7DHLE 60-69 years, male 102.0
GTEX-1GMRU-0126-SM-9YFLV 50-59 years, male 101.8
GTEX-12C56-1726-SM-5EQ61 20-29 years, male 101.7
GTEX-14PJ6-2126-SM-6EU1V 60-69 years, female 101.7
GTEX-18A67-0126-SM-7LG5P 50-59 years, male 101.6
GTEX-14E6D-0126-SM-62LDV 50-59 years, male 101.2
GTEX-T2IS-0126-SM-4DM6O 20-29 years, female 100.9
GTEX-13S7M-0126-SM-5SI6A 60-69 years, female 100.8
GTEX-1LH75-2426-SM-E9TJE 50-59 years, female 100.6
GTEX-1HFI6-0226-SM-ADEHZ 40-49 years, male 100.3
GTEX-YJ8A-0426-SM-5IFID 20-29 years, male 100.2
GTEX-145MF-0626-SM-5LUAI 50-59 years, male 100.1
GTEX-17JCI-0126-SM-7LG5G 60-69 years, female 99.9
GTEX-1AX9I-0126-SM-7SB74 60-69 years, male 99.9
GTEX-1JN6P-0126-SM-D3L98 60-69 years, male 99.7
GTEX-14JG6-2226-SM-6EU2G 30-39 years, female 99.6
GTEX-QEG4-0226-SM-2S1PY 30-39 years, male 99.6
GTEX-1IDJF-0126-SM-CM2RS 20-29 years, male 99.4
GTEX-13G51-2526-SM-5LZYK 60-69 years, male 99.2
GTEX-13RTJ-2426-SM-5S2Q2 60-69 years, male 99.1
GTEX-13NYS-0126-SM-5MR3W 60-69 years, male 99.0
GTEX-146FH-0126-SM-5QGPP 50-59 years, female 98.8
GTEX-1HSKV-0226-SM-A9SKJ 60-69 years, male 98.7
GTEX-13QJ3-0326-SM-5S2RA 50-59 years, male 98.6
GTEX-1MJK2-0426-SM-DTXE5 50-59 years, male 98.3
GTEX-17F96-1626-SM-7DUFL 70-79 years, male 98.2
GTEX-15EU6-0426-SM-6PAN5 50-59 years, male 98.0
GTEX-X4EP-0126-SM-3P5YV 60-69 years, female 97.9
GTEX-OIZG-0726-SM-33HBL 50-59 years, male 97.8
GTEX-13FTX-1826-SM-5J1NX 20-29 years, female 97.7
GTEX-1269C-2526-SM-5EGJ3 60-69 years, female 97.6
GTEX-RWSA-0126-SM-2XCBB 40-49 years, male 97.6
GTEX-ZAK1-0126-SM-5IJD3 50-59 years, female 97.6
GTEX-1AX8Z-0126-SM-7DHM6 60-69 years, male 97.5
GTEX-17HGU-0226-SM-7DHKV 50-59 years, male 97.3
GTEX-WVJS-0126-SM-4MVOT 50-59 years, male 97.1
GTEX-113JC-2326-SM-5EQ4E 50-59 years, female 97.0
GTEX-13FTY-0526-SM-5L3EV 40-49 years, female 97.0
GTEX-OXRO-0126-SM-2YUN4 60-69 years, female 97.0
GTEX-Q2AH-1626-SM-3GAF8 40-49 years, male 97.0
GTEX-P4PQ-0126-SM-2S1NM 60-69 years, male 96.9
GTEX-14LLW-0126-SM-6LLIO 70-79 years, female 96.8
GTEX-QCQG-1726-SM-3GIJ9 50-59 years, female 96.8
GTEX-117YX-2326-SM-5H12W 50-59 years, male 96.6
GTEX-12ZZX-0126-SM-5EGK9 40-49 years, female 96.3
GTEX-13OW8-1326-SM-5J1OW 60-69 years, male 96.3
GTEX-18A7B-0126-SM-7LG64 70-79 years, male 96.3
GTEX-1HCU9-1526-SM-A9SL7 20-29 years, male 96.3
GTEX-1IOXB-0126-SM-ARL8G 50-59 years, male 96.3
GTEX-1BAJH-0526-SM-793CQ 70-79 years, male 96.2
GTEX-1R46S-0626-SM-E9J41 60-69 years, female 96.1
GTEX-145LT-1726-SM-5QGP3 40-49 years, male 95.7
GTEX-15UF6-0826-SM-6PALJ 70-79 years, female 95.7
GTEX-1I1GS-0126-SM-B2LVW 60-69 years, male 95.7
GTEX-1JJEA-0326-SM-CNPOT 60-69 years, male 95.7
GTEX-13OVH-0126-SM-5MR4B 70-79 years, male 95.6
GTEX-ZV6S-2326-SM-4YCEY 40-49 years, female 95.6
GTEX-YFC4-0126-SM-5CVLY 40-49 years, female 95.5
GTEX-1C6VQ-0126-SM-7P8RI 50-59 years, male 95.5
GTEX-Y5V5-2326-SM-4V6GA 60-69 years, female 95.3
GTEX-1S82Z-0826-SM-E6CHY 30-39 years, female 95.1
GTEX-12WSE-0526-SM-793B2 20-29 years, male 95.0
GTEX-RUSQ-1526-SM-2TF62 50-59 years, male 94.9
GTEX-13IVO-0126-SM-5J1NG 70-79 years, male 94.8
GTEX-13NYB-2526-SM-5K7Z6 40-49 years, male 94.8
GTEX-13VXT-0126-SM-5LU4I 20-29 years, female 94.7
GTEX-17MF6-0126-SM-7LG4F 40-49 years, male 94.7
GTEX-XUW1-0426-SM-4BOOT 50-59 years, female 94.7
GTEX-12ZZY-0226-SM-5LZVE 60-69 years, male 94.5
GTEX-17EVQ-0226-SM-7LG4P 70-79 years, male 94.4
GTEX-183FY-0126-SM-7LT9P 20-29 years, male 94.4
GTEX-1CB4F-0426-SM-9KNV4 60-69 years, male 94.4
GTEX-1212Z-2526-SM-5EGKP 60-69 years, male 94.1
GTEX-1H11D-0226-SM-9WG6Z 40-49 years, male 94.1
GTEX-1JN1M-0326-SM-CYPT3 60-69 years, female 94.1
GTEX-1LBAC-0126-SM-DIPEZ 20-29 years, male 94.0
GTEX-12ZZZ-0626-SM-5DUXI 60-69 years, male 93.9
GTEX-13O1R-0126-SM-5L3EH 60-69 years, male 93.9
GTEX-1H2FU-0126-SM-9WYSI 60-69 years, female 93.9
GTEX-1O97I-0326-SM-EYYX7 60-69 years, male 93.9
GTEX-1HBPI-1526-SM-C1YQ1 50-59 years, male 93.8
GTEX-X4XX-0126-SM-3NMC2 60-69 years, male 93.6
GTEX-1F52S-0126-SM-9MQJU 60-69 years, female 93.6
GTEX-13112-2826-SM-5DUWH 50-59 years, male 93.3
GTEX-1313W-0126-SM-5LZUN 50-59 years, female 93.3
GTEX-11P82-1626-SM-59879 20-29 years, male 93.2
GTEX-1GZHY-0326-SM-9QEHI 50-59 years, female 92.9
GTEX-1I1GP-2226-SM-CGQFK 50-59 years, male 92.8
GTEX-1LNCM-1126-SM-E9U5E 50-59 years, female 92.7
GTEX-16XZZ-0126-SM-793DV 60-69 years, male 92.4
GTEX-15RIG-0226-SM-7KFTL 40-49 years, male 92.2
GTEX-17HHY-0126-SM-7LG5D 50-59 years, male 92.1
GTEX-13SLW-0126-SM-5SI6C 70-79 years, male 91.7
GTEX-1F75B-0126-SM-9KNVL 50-59 years, male 91.7
GTEX-1IDJU-2626-SM-CM2RT 60-69 years, female 91.3
GTEX-1AX9K-2326-SM-73KWU 50-59 years, male 91.0
GTEX-1QP29-0626-SM-EWRMX 50-59 years, male 90.9
GTEX-11GSO-2426-SM-5A5LY 60-69 years, male 90.8
GTEX-1S82Y-2026-SM-EVYCM 40-49 years, male 90.5
GTEX-1F6I4-0126-SM-9MQL2 60-69 years, male 90.4
GTEX-11NSD-2226-SM-5986V 20-29 years, male 90.3
GTEX-13FHO-0226-SM-5IFGY 60-69 years, male 90.1
GTEX-1C2JI-1826-SM-73KXC 50-59 years, male 89.7
GTEX-Y8E4-0626-SM-4WWDL 40-49 years, male 89.6
GTEX-1H3VY-0126-SM-ACKXD 50-59 years, male 89.5
GTEX-11ZTT-2426-SM-5EQLS 60-69 years, female 89.0
GTEX-R55E-0126-SM-2TC5Y 20-29 years, male 88.9
GTEX-1E2YA-0126-SM-9KNUC 50-59 years, male 88.9
GTEX-R45C-0126-SM-EAZ2R 60-69 years, female 88.9
GTEX-1JKYN-1326-SM-CGQG9 30-39 years, male 88.7
GTEX-11OF3-2626-SM-5GU7F 60-69 years, male 88.6
GTEX-QLQW-1126-SM-2S1Q8 30-39 years, male 88.6
GTEX-1H3O1-0426-SM-9YFKY 60-69 years, male 88.6
GTEX-117YW-2626-SM-5GZZH 50-59 years, male 88.5
GTEX-17KNJ-2326-SM-7DHLQ 50-59 years, male 88.4
GTEX-146FQ-0126-SM-5NQA9 30-39 years, male 88.1
GTEX-ZDXO-3026-SM-5J1N5 60-69 years, male 88.0
GTEX-1N2EF-0226-SM-EYYXB 60-69 years, male 87.3
GTEX-11EMC-2926-SM-5EQ4F 60-69 years, female 87.1
GTEX-17MFQ-1726-SM-793C7 20-29 years, male 87.0
GTEX-X4XY-0226-SM-4E3IZ 60-69 years, male 86.9
GTEX-11H98-0126-SM-5EGHG 50-59 years, male 86.7
GTEX-U8XE-0326-SM-3DB8P 30-39 years, male 86.5
GTEX-1IY9M-0126-SM-D3L8S 60-69 years, male 86.5
GTEX-1RAZA-0126-SM-E6CI3 20-29 years, male 86.4
GTEX-1LC47-0326-SM-E9TJP 60-69 years, male 86.3
GTEX-1HR98-0126-SM-B2LWI 60-69 years, male 86.2
GTEX-13X6I-0626-SM-5QGP9 60-69 years, male 86.1
GTEX-139TT-0126-SM-5K7Y5 60-69 years, male 86.0
GTEX-145LS-0126-SM-5QGP1 60-69 years, female 86.0
GTEX-17HHE-2026-SM-79OKF 50-59 years, male 86.0
GTEX-1AMEY-1326-SM-73KYK 30-39 years, female 86.0
GTEX-1H23P-0126-SM-ADEJ3 60-69 years, male 86.0
GTEX-11DXW-0226-SM-5H122 40-49 years, male 85.8
GTEX-1CB4G-0226-SM-7PC3O 60-69 years, male 85.8
GTEX-11P81-2326-SM-59875 30-39 years, female 85.7
GTEX-1C64N-0126-SM-793D7 50-59 years, male 85.7
GTEX-YJ89-0126-SM-4TT3X 60-69 years, male 85.7
GTEX-1F75I-0326-SM-9YFLU 40-49 years, male 85.6
GTEX-11O72-0126-SM-59887 40-49 years, male 85.5
GTEX-14BMV-0126-SM-5S2PO 50-59 years, male 85.5
GTEX-QVJO-1626-SM-2S1QW 60-69 years, female 85.4
GTEX-1ICG6-2526-SM-CGQFZ 70-79 years, female 85.4
GTEX-14PK6-1926-SM-6ETZU 70-79 years, female 85.3
GTEX-17HG3-2226-SM-7938L 30-39 years, female 85.2
GTEX-PLZ5-2026-SM-2S1O4 50-59 years, male 85.2
GTEX-147F4-0226-SM-5QGPW 50-59 years, male 84.9
GTEX-1ICLZ-0126-SM-CKZPO 60-69 years, male 84.9
GTEX-1HKZK-0326-SM-9WYUH 40-49 years, male 84.8
GTEX-1B8SF-1426-SM-7DUGL 60-69 years, male 84.5
GTEX-1HFI7-1826-SM-ACKXH 50-59 years, female 84.5
GTEX-U3ZH-2026-SM-3DB78 30-39 years, male 84.4
GTEX-12584-0126-SM-5EGKQ 40-49 years, male 84.2
GTEX-1PPH7-2326-SM-EVYB8 40-49 years, male 84.0
GTEX-ZQUD-1426-SM-57WER 30-39 years, male 83.9
GTEX-1JK1U-2026-SM-CM2RZ 60-69 years, male 83.9
GTEX-1RDX4-0126-SM-E9J4P 50-59 years, female 83.9
GTEX-13OVL-0226-SM-5L3E9 50-59 years, male 83.8
GTEX-144FL-0126-SM-5TDC8 50-59 years, male 83.8
GTEX-1I1GT-0626-SM-CGQER 60-69 years, female 83.8
GTEX-11DZ1-0126-SM-5985Q 50-59 years, male 83.7
GTEX-12KS4-0326-SM-5EQ41 30-39 years, male 83.7
GTEX-18D9B-0526-SM-7LTAS 60-69 years, male 83.5
GTEX-1A32A-0126-SM-718B1 50-59 years, female 83.5
GTEX-ZVT4-0126-SM-DTXFN 50-59 years, female 83.5
GTEX-TMMY-0226-SM-33HBA 40-49 years, female 83.4
GTEX-1GN2E-0426-SM-9MQKX 60-69 years, male 83.4
GTEX-17F97-0326-SM-7LG5B 50-59 years, male 83.2
GTEX-12WSL-2526-SM-5GCNJ 50-59 years, male 83.1
GTEX-P44H-0226-SM-2XCEU 40-49 years, male 83.0
GTEX-1ICLY-0126-SM-D4P36 50-59 years, male 83.0
GTEX-1R7EV-2426-SM-EVYBG 40-49 years, male 83.0
GTEX-ZXG5-0126-SM-5GIEU 60-69 years, male 82.8
GTEX-1EN7A-0126-SM-7SB81 40-49 years, male 82.8
GTEX-1F5PK-2426-SM-7RHHY 50-59 years, male 82.1
GTEX-ZDTT-2726-SM-4WKF8 60-69 years, male 82.0
GTEX-144GL-0126-SM-5TDE2 50-59 years, male 81.9
GTEX-13U4I-0126-SM-5LU38 40-49 years, female 81.8
GTEX-1F6RS-0126-SM-9MQKZ 60-69 years, female 81.8
GTEX-1EX96-1626-SM-7PBXR 50-59 years, male 81.6
GTEX-1I1GQ-0126-SM-COH3H 50-59 years, male 81.6
GTEX-11GSP-2526-SM-5N9BP 60-69 years, female 81.3
GTEX-1J8Q3-1626-SM-CMKGC 60-69 years, male 81.3
GTEX-13N2G-2626-SM-5J1OT 60-69 years, male 80.8
GTEX-QLQ7-1626-SM-2S1R8 60-69 years, male 80.8
GTEX-ZE9C-2726-SM-57WB5 60-69 years, male 80.8
GTEX-14BIM-0226-SM-7IGLD 60-69 years, female 80.6
GTEX-1EKGG-0226-SM-9WYTH 60-69 years, male 80.5
GTEX-11GS4-2726-SM-5A5LE 60-69 years, male 80.4
GTEX-1GZ2Q-0226-SM-7P8TL 40-49 years, male 80.2
GTEX-139T8-0126-SM-5K7XZ 60-69 years, male 80.1
GTEX-1HT8W-0126-SM-CNPPP 30-39 years, male 80.1
GTEX-PW2O-1526-SM-7RHHB 20-29 years, male 80.0
GTEX-13VXU-0126-SM-5SI9F 50-59 years, male 79.9
GTEX-ZYW4-0126-SM-5E44A 60-69 years, male 79.9
GTEX-1LG7Y-0526-SM-DKPQC 50-59 years, male 79.9
GTEX-1IKOH-0226-SM-COH4E 60-69 years, female 79.8
GTEX-1GPI6-0126-SM-9WG69 60-69 years, male 79.7
GTEX-13O3Q-2426-SM-5IJBR 50-59 years, male 79.6
GTEX-1B933-0126-SM-7PC29 50-59 years, female 79.6
GTEX-ZY6K-1826-SM-5GZXK 50-59 years, male 79.5
GTEX-1HB9E-0226-SM-E9U4R 50-59 years, male 79.3
GTEX-12WSC-0126-SM-5EQ4P 50-59 years, male 79.2
GTEX-1KANB-0526-SM-E6CJH 50-59 years, male 79.0
GTEX-1H1E6-1726-SM-ACKVK 30-39 years, male 78.7
GTEX-16XZY-2126-SM-79OK1 70-79 years, male 78.6
GTEX-QDVN-2026-SM-3GAEP 50-59 years, male 78.6
GTEX-ZTPG-0326-SM-5O9AX 20-29 years, female 78.2
GTEX-1F75A-0126-SM-7RHGM 50-59 years, male 78.2
GTEX-13SLX-0526-SM-5S2ON 50-59 years, female 78.1
GTEX-VJYA-1126-SM-3GIJU 60-69 years, male 78.1
GTEX-1A8FM-0226-SM-7SB7Q 50-59 years, female 78.0
GTEX-13OVJ-0126-SM-5KM36 50-59 years, female 77.8
GTEX-1IKJJ-0126-SM-CNPQB 60-69 years, male 77.4
GTEX-1N2DW-0226-SM-E9TK2 50-59 years, male 77.3
GTEX-11NUK-0126-SM-5A5L3 50-59 years, male 77.0
GTEX-QDVJ-1726-SM-2I5FX 50-59 years, male 77.0
GTEX-ZQG8-1626-SM-DHXIT 60-69 years, female 76.9
GTEX-1IL2V-0126-SM-CM2TX 70-79 years, male 76.7
GTEX-ZYY3-0126-SM-5GZY5 60-69 years, female 76.6
GTEX-1GN1W-0526-SM-9MQJQ 50-59 years, female 76.4
GTEX-1RQEC-0426-SM-E6CHU 60-69 years, male 76.3
GTEX-13W3W-2426-SM-5LU5B 60-69 years, female 76.2
GTEX-15CHC-2126-SM-6EU21 60-69 years, female 76.0
GTEX-18A66-0226-SM-718BD 60-69 years, male 76.0
GTEX-14ABY-0226-SM-5TDCQ 50-59 years, male 75.9
GTEX-14BIN-0626-SM-793DP 50-59 years, female 75.7
GTEX-WZTO-0126-SM-3NM95 40-49 years, male 75.7
GTEX-ZF2S-2326-SM-4WWCE 50-59 years, female 75.7
GTEX-Q2AG-0126-SM-33HBV 40-49 years, female 75.6
GTEX-VUSG-2526-SM-4KL1V 50-59 years, male 75.6
GTEX-1C64O-0126-SM-7SB8P 60-69 years, male 75.6
GTEX-11DXX-2426-SM-5GZZW 60-69 years, female 75.5
GTEX-13W46-0226-SM-5SIAG 50-59 years, male 75.5
GTEX-148VI-1626-SM-5SI6E 60-69 years, female 75.5
GTEX-ZEX8-2426-SM-4WKG4 50-59 years, male 75.3
GTEX-1I19N-0326-SM-ACKVX 70-79 years, male 75.2
GTEX-1B8KZ-2026-SM-7DHMB 50-59 years, male 75.0
GTEX-1RLM8-2326-SM-EWRN4 50-59 years, male 74.8
GTEX-X261-0126-SM-3NMD6 50-59 years, male 74.5
GTEX-X4EO-0326-SM-3P5YO 60-69 years, female 74.5
GTEX-SNMC-1226-SM-2XCFP 20-29 years, male 74.3
GTEX-1E1VI-0126-SM-7DHMZ 50-59 years, male 74.2
GTEX-11ZVC-2526-SM-5FQTE 50-59 years, female 73.9
GTEX-OXRP-0126-SM-3NB32 60-69 years, female 73.7
GTEX-15DYW-0126-SM-7KULE 60-69 years, female 73.6
GTEX-WOFL-0126-SM-3MJG2 60-69 years, male 73.3
GTEX-1F6IF-0726-SM-7P8TW 60-69 years, male 73.2
GTEX-1I1GR-0126-SM-CL55F 60-69 years, male 73.0
GTEX-OXRK-0226-SM-3NB2G 50-59 years, female 72.9
GTEX-1GMR8-0126-SM-9WYTM 50-59 years, female 72.8
GTEX-1QP67-1626-SM-EAZ3X 40-49 years, female 72.8
GTEX-13NYC-0326-SM-E9J4S 60-69 years, male 72.7
GTEX-13PDP-0126-SM-5L3HD 60-69 years, male 72.6
GTEX-1314G-1526-SM-5EGK2 30-39 years, male 72.5
GTEX-1IDFM-0126-SM-COH2V 60-69 years, male 72.4
GTEX-U3ZN-2326-SM-3DB7W 30-39 years, female 72.0
GTEX-WYVS-2126-SM-3NMA3 40-49 years, female 71.8
GTEX-1F7RK-0126-SM-7PC2S 20-29 years, female 71.7
GTEX-11ZU8-2526-SM-5EQKI 60-69 years, male 71.5
GTEX-14LZ3-0226-SM-62LET 60-69 years, female 71.2
GTEX-OOBK-0126-SM-2YUND 40-49 years, male 70.9
GTEX-11VI4-1726-SM-5CVLH 40-49 years, female 70.8
GTEX-Y8LW-1826-SM-5S2MV 50-59 years, female 70.8
GTEX-PLZ4-0126-SM-5SI8O 50-59 years, female 70.7
GTEX-1HUB1-0426-SM-E9U4U 60-69 years, male 70.7
GTEX-1AYD5-2426-SM-73KXR 50-59 years, male 70.6
GTEX-1C6VR-2426-SM-79OLD 60-69 years, male 70.5
GTEX-145LU-0126-SM-5TDCB 50-59 years, male 70.4
GTEX-147GR-0526-SM-5S2MY 60-69 years, male 70.3
GTEX-111VG-2426-SM-5GZXD 60-69 years, male 70.1
GTEX-11WQK-0526-SM-5EQLD 50-59 years, male 69.6
GTEX-13N1W-0126-SM-5K7VT 70-79 years, male 69.5
GTEX-1A3MW-0126-SM-73KXX 60-69 years, female 69.4
GTEX-Q734-1926-SM-2I5EV 40-49 years, female 69.3
GTEX-SJXC-0126-SM-2XCFF 60-69 years, male 69.1
GTEX-12WSN-5019-SM-79OM6 40-49 years, male 69.0
GTEX-13OVK-2026-SM-7KUEO 40-49 years, male 68.9
GTEX-14E7W-0126-SM-6LLJ9 70-79 years, male 68.6
GTEX-18465-0126-SM-731BN 50-59 years, male 68.4
GTEX-1KD5A-0226-SM-D5OV3 50-59 years, male 67.9
GTEX-1MA7X-2226-SM-E6CIY 60-69 years, male 67.9
GTEX-1399T-2826-SM-5KLYZ 60-69 years, male 67.8
GTEX-1PBJI-0526-SM-E8VNK 20-29 years, female 67.1
GTEX-1C6WA-0126-SM-7PC2B 60-69 years, male 66.6
GTEX-1J8JJ-0226-SM-CL53I 60-69 years, female 66.4
GTEX-1POEN-0126-SM-EYYXJ 30-39 years, female 66.1
GTEX-147F3-0526-SM-5SI98 50-59 years, female 66.0
GTEX-1JJE9-0326-SM-CL53Z 70-79 years, male 65.8
GTEX-1HSMO-0126-SM-CL547 60-69 years, male 65.6
GTEX-1R9K4-0126-SM-DTX9X 60-69 years, male 65.4
GTEX-11EI6-0126-SM-5985R 60-69 years, male 65.3
GTEX-13OVG-1926-SM-5L3DK 60-69 years, male 65.3
GTEX-15DCD-0126-SM-7KUEK 70-79 years, female 65.2
GTEX-13OW7-0126-SM-5MR3B 50-59 years, male 64.9
GTEX-11OC5-0126-SM-5HL6A 60-69 years, male 64.5
GTEX-15SDE-2226-SM-7IGLO 50-59 years, female 64.5
GTEX-14A6H-0126-SM-5QGPK 30-39 years, male 64.3
GTEX-1HCU7-0226-SM-CL545 50-59 years, male 64.1
GTEX-PVOW-0126-SM-2XCFA 40-49 years, male 64.0
GTEX-1JMOU-1526-SM-CL54I 60-69 years, female 63.9
GTEX-16NPX-0226-SM-79OMT 50-59 years, male 63.7
GTEX-1QEPI-0126-SM-EWRMQ 60-69 years, female 63.3
GTEX-11TTK-0126-SM-5987B 60-69 years, female 63.2
GTEX-14BIL-0126-SM-5SI92 50-59 years, male 63.2
GTEX-1H3NZ-0126-SM-ACKX7 60-69 years, male 63.2
GTEX-15D1Q-0126-SM-7KUG6 40-49 years, male 63.0
GTEX-RN64-0126-SM-2TC68 50-59 years, male 62.9
GTEX-ZVE2-0226-SM-59HJB 50-59 years, male 62.6
GTEX-R3RS-0126-SM-3GIJL 40-49 years, female 62.3
GTEX-1IE54-0126-SM-CMKHW 40-49 years, female 62.1
GTEX-14E6C-0126-SM-5RQIP 40-49 years, male 61.7
GTEX-XV7Q-2526-SM-4BRV9 40-49 years, female 61.7
GTEX-ZC5H-0226-SM-4WAY9 40-49 years, female 61.5
GTEX-X638-0126-SM-47JZ8 70-79 years, female 61.4
GTEX-ZVT3-0126-SM-5GU6I 60-69 years, female 61.4
GTEX-ZF28-0126-SM-4WKGK 60-69 years, male 61.3
GTEX-11WQC-2526-SM-5CVLE 60-69 years, male 61.2
GTEX-131XW-0426-SM-5LZWP 50-59 years, female 61.2
GTEX-1K9T9-0126-SM-EVYCF 50-59 years, female 60.9
GTEX-14DAQ-0126-SM-5S2MQ 60-69 years, female 60.8
GTEX-11DXY-2626-SM-5GIE7 60-69 years, male 60.7
GTEX-15G19-0126-SM-6PANQ 60-69 years, male 60.5
GTEX-15SHW-0326-SM-6PAML 60-69 years, male 60.5
GTEX-13RTL-0126-SM-7LG5S 40-49 years, male 60.0
GTEX-PWO3-1526-SM-48TCM 60-69 years, female 59.7
GTEX-QDT8-0126-SM-48TZ1 30-39 years, female 59.7
GTEX-1GN1V-0126-SM-9WPOS 60-69 years, male 59.2
GTEX-1AYCT-2426-SM-7IGQ3 50-59 years, male 58.4
GTEX-148VJ-0126-SM-5TDDN 70-79 years, male 58.1
GTEX-1OJC4-0126-SM-E9J2E 50-59 years, female 58.0
GTEX-ZAB5-1826-SM-5HL7C 50-59 years, male 57.9
GTEX-1R9PO-2126-SM-E9J4O 60-69 years, female 57.8
GTEX-1EU9M-0226-SM-7P8SP 60-69 years, male 57.7
GTEX-OIZF-0126-SM-7SB8I 60-69 years, male 57.6
GTEX-1GF9U-2126-SM-7SB7L 40-49 years, female 56.9
GTEX-U4B1-1826-SM-4DXSU 40-49 years, male 56.8
GTEX-ZUA1-0126-SM-5GU76 40-49 years, male 56.5
GTEX-146FR-1326-SM-E9J48 60-69 years, female 56.5
GTEX-1C6VS-0526-SM-7DUEN 60-69 years, male 55.1
GTEX-1I1CD-0126-SM-CM2TK 60-69 years, female 54.8
GTEX-1RAZQ-0726-SM-EAZ43 30-39 years, male 54.8
GTEX-1192W-2626-SM-5Q5AF 60-69 years, male 54.7
GTEX-SSA3-0126-SM-32QPU 60-69 years, male 53.7
GTEX-XMD2-0126-SM-4YCDU 60-69 years, female 53.6
GTEX-1IGQW-0126-SM-COH42 60-69 years, male 52.9
GTEX-1F88F-2726-SM-7PBZZ 60-69 years, female 52.8
GTEX-1F48J-0126-SM-7P8TT 50-59 years, female 51.8
GTEX-14PHW-0126-SM-6LLJI 60-69 years, female 51.4
GTEX-13NZA-0226-SM-5K7Z7 60-69 years, male 51.3
GTEX-113IC-0126-SM-5HL6T 60-69 years, male 50.6
GTEX-X62O-0126-SM-4E3JN 50-59 years, male 50.1
GTEX-139T4-0226-SM-5HL5S 50-59 years, female 48.9
GTEX-1I1HK-0126-SM-COH49 60-69 years, male 48.4
GTEX-1HBPH-0426-SM-B2LW5 40-49 years, female 48.1
GTEX-1M4P7-0226-SM-DIPEV 60-69 years, male 47.3
GTEX-ZZPT-0226-SM-5E43X 50-59 years, male 46.6
GTEX-11ZUS-0626-SM-59885 30-39 years, male 46.1
GTEX-VJWN-0126-SM-3GIK7 50-59 years, female 45.6
GTEX-1QW4Y-1526-SM-EAZ3Z 30-39 years, male 43.3
GTEX-14JIY-0126-SM-6LLH6 60-69 years, male 42.6
GTEX-V1D1-2226-SM-3NMAX 50-59 years, male 41.6
GTEX-SE5C-1626-SM-2XCE3 40-49 years, female 37.1
GTEX-183WM-0126-SM-7LTAB 70-79 years, female 35.1
GTEX-15EOM-0126-SM-7KUGG 20-29 years, female 30.0
Show allShow less

Contact

  • NEWS ARTICLES
  • PRESS ROOM

The Project

  • INTRODUCTION
  • ORGANIZATION
  • PUBLICATIONS

The Human Protein Atlas

  • DOWNLOADABLE DATA
  • LICENCE & CITATION
  • HELP & FAQ
The Human Protein Atlas project is funded
by the Knut & Alice Wallenberg Foundation.


contact@proteinatlas.org