We use cookies to enhance the usability of our website. If you continue, we'll assume that you are happy to receive all cookies. More information. Don't show this again.
S100A8
HPA
RESOURCES
  • TISSUE
  • BRAIN
  • SINGLE CELL
  • SUBCELLULAR
  • CANCER
  • BLOOD
  • CELL LINE
  • STRUCTURE & INTERACTION
ABOUT
  • INTRODUCTION
  • HISTORY
  • ORGANIZATION
  • PUBLICATIONS
  • ANTIBODY SUBMISSION
  • ANTIBODY AVAILABILITY
  • ACKNOWLEDGMENTS
  • CONTACT
NEWS
  • NEWS ARTICLES
  • PRESS ROOM
LEARN
  • DICTIONARY
  • PROTEIN CLASSES
  • PROTEIN EVIDENCE
  • METHODS
  • EDUCATIONAL VIDEOS
DATA
  • DOWNLOADABLE DATA
  • PUBLICATION DATA
  • RELEASE HISTORY
HELP
  • ANTIBODY VALIDATION
  • ASSAYS & ANNOTATION
  • DISCLAIMER
  • HELP & FAQ
  • PRIVACY STATEMENT
  • LICENCE & CITATION
Fields »
Search result

Field
Term
Gene name
Class
Subclass
Class
Keyword
Chromosome
External id
Tissue
Cell type
Expression
Antibody panel
Tissue
Main location
Patient ID
Annotation
Tissue
Category
Tau score
Cluster
Reliability
Brain region
Category
Tau score
Brain region
Category
Tau score
Brain region
Category
Tau score
Cluster
Reliability
Tissue
Cell type
Enrichment
Cell type
Category
Tau score
Cell type
Category
Tau score
Cell type
Category
Tau score
Cell lineage
Category
Tau score
Cluster
Cluster
Location
Searches
Location
Cell line
Class
Type
Phase
Reliability
Cancer
Prognosis
Cancer
Category
Cancer
Category
Tau score
Cluster
Variants
Interacting gene (ensg_id)
Type
Number of interactions
Pathway
Category
Score
Score
Score
Validation
Validation
Validation
Validation
Antibodies
Data type
Column


  • SUMMARY

  • TISSUE

  • BRAIN

  • SINGLE CELL

  • SUBCELL

  • CANCER

  • BLOOD

  • CELL LINE

  • STRUCT & INT

  • S100A8
TISSUE PRIMARY DATA SKIN Show tissue menu
ADIPOSE TISSUE ADRENAL GLAND AMYGDALA APPENDIX BASAL GANGLIA BONE MARROW BREAST BRONCHUS CEREBELLUM CEREBRAL CORTEX CERVIX CHOROID PLEXUS COLON DUODENUM
ENDOMETRIUM EPIDIDYMIS ESOPHAGUS FALLOPIAN TUBE GALLBLADDER HEART MUSCLE HIPPOCAMPAL FORMATION HYPOTHALAMUS KIDNEY LIVER LUNG LYMPH NODE MIDBRAIN NASOPHARYNX
ORAL MUCOSA OVARY PANCREAS PARATHYROID GLAND PITUITARY GLAND PLACENTA PROSTATE RECTUM RETINA SALIVARY GLAND SEMINAL VESICLE SKELETAL MUSCLE SKIN SMALL INTESTINE
SMOOTH MUSCLE SOFT TISSUE SPINAL CORD SPLEEN STOMACH TESTIS THYMUS THYROID GLAND TONGUE TONSIL URINARY BLADDER VAGINA
ANTIBODIES
AND
VALIDATION
Dictionary
Skin
Tissue proteome
Skin
SKIN - Expression summary
Protein expression
Skini

On the top, protein expression in current human tissue, based on all annotated cell types, is reported with the units not detected (n), low (l), medium (m) and high (h). Underneath, protein expression in each annotated cell type are reported using the same units.

Protein expression data is based on knowledge-based annotation. For genes where more than one antibody has been used, a collective score is set.

If knowledge-based annotation could not be performed for a gene, no data is displayed here. View antibody staining data further down this page.

h
m
l
n
Arrector pili muscle cells: Not detected
Cells in basal layer: Low
Cells in corneal layer: Medium
Cells in granular layer: High
Cells in spinous layer: High
Endothelial cells: Not detected
Extracellular matrix: Not detected
Fibrohistiocytic cells: High
Langerhans cells: High
Lymphocytes: Not detected
Melanocytes: Not detected
Vascular mural cells: Not detected
RNA expressioni

A summary of mRNA expression data available for current tissue based on several datasets. The mRNA expression levels in human tissues are based on RNA-seq data generated by the Human Protein Atlas (HPA), Genotype-Tissue Expression (GTEx) portal and CAGE data generated by the FANTOM5 consortium. Consensus normalized expression levels for human tissues was created by combining the data from HPA and GTEx datasets.

The mRNA expression levels in pig are based on RNA-seq data generated by the Human Protein Atlas (HPA), and for mouse, HPA data and in situ hybridization generated by the Allen brain atlas are reported.

Scroll down to view mRNA expression data in more detail.
Consensus:259.2 nTPM
HPA:218.8 nTPM
GTEx:259.2 nTPM

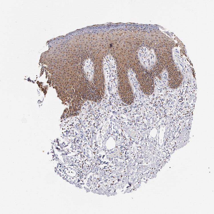
SKIN 1 - Antibody stainingi

Antibody staining in the annotated cell types in the current human tissue is reported as not detected, low, medium, or high, based on conventional immunohistochemistry profiling in selected tissues. This score is based on the combination of the staining intensity and fraction of stained cells.

Each image is clickable and will lead to virtual microscopy that enables deeper exploration of all samples and also displays staining intensity scores, fraction scores and subcellular localization as well as patient and tissue information for each sample.

Antibody HPA024372Antibody CAB002791
Langerhans -Not detected
Arrector pili muscle cells Not detected-
Cells in basal layer Not detected-
Cells in corneal layer Not detected-
Cells in granular layer Not detected-
Cells in spinous layer Not detected-
Endothelial cells Not detected-
Extracellular matrix Not detected-
Fibroblasts -Not detected
Fibrohistiocytic cells Not detected-
Keratinocytes -Not detected
Langerhans cells Not detected-
Lymphocytes Not detected-
Melanocytes Not detectedNot detected
Vascular mural cells Not detected-


SKIN 2 - Antibody stainingi

Antibody staining in the annotated cell types in the current human tissue is reported as not detected, low, medium, or high, based on conventional immunohistochemistry profiling in selected tissues. This score is based on the combination of the staining intensity and fraction of stained cells.

Each image is clickable and will lead to virtual microscopy that enables deeper exploration of all samples and also displays staining intensity scores, fraction scores and subcellular localization as well as patient and tissue information for each sample.

Antibody HPA024372Antibody CAB002791
Cells in basal layer Low-
Cells in corneal layer Medium-
Cells in granular layer High-
Cells in spinous layer High-
Endothelial cells Not detected-
Epidermal cells -High
Extracellular matrix Not detected-
Fibrohistiocytic cells High-
Langerhans cells High-
Lymphocytes Not detected-
Melanocytes Not detected-
Vascular mural cells Not detected-
  
  
  





SKIN - HPA RNA-seqi

The RNA-seq details section shows detailed information about the individual samples used for the transcript profiling and results of the RNA-seq analysis.

Information about each individual sample is listed below, including gender, age, a tissue section image and estimated fractions of cell types. nTPM (normalized transcripts per million) values give a quantification of the gene abundance which is comparable between different genes and samples.
Average nTPMi

Max subtype nTPM is the value for the subtype with the largest average nTPM across the subtype samples.

218.8
overview
Female, age 34
Skin sample 225
nTPM: 399.2
Cell types%
Keratinocytes:
60

Other cell types:
40

overview
Female, age 30
Skin sample 226
nTPM: 55.4
Cell types%
Keratinocytes:
55

Other cell types:
45

N/A
Male, age 57
Skin sample 227
nTPM: 201.9

SKIN - GTEx RNA-seqi

RNA-Seq data generated by the Genotype-Tissue Expression (GTEx) project from human tissues is reported as mean nTPM. More information can be found on the GTEx portal.

Distribution across the dataset is visualized with box plots, shown as median and 25th and 75th percentiles. Points are displayed as outliers if they are above or below 1.5 times the interquartile range. nTPM values of the individual samples are presented next to the box plot.
Max subtype nTPMi

Max subtype nTPM is the value for the subtype with the largest average nTPM across the subtype samples.

259.2
GTEx sample id Sample description nTPM
Skin - Not Sun Exposed (Suprapubic)
Average nTPM: 259.2
Samples: 604

Max nTPM: 9450.2
Min nTPM: 1.5
Std nTPM: 853.1
Median nTPM: 39.6
GTEX-1A3MW-0626-SM-731CB 60-69 years, female 9450.2
GTEX-16MT9-0126-SM-7EPI8 60-69 years, female 8148.5
GTEX-ZY6K-1426-SM-5GZX2 50-59 years, male 7508.5
GTEX-14XAO-1226-SM-6EU1C 60-69 years, female 7222.3
GTEX-144FL-0626-SM-5LU43 50-59 years, male 5561.5
GTEX-15SHW-0226-SM-7LTAT 60-69 years, male 5421.3
GTEX-17HG3-2626-SM-7DUF2 30-39 years, female 5036.5
GTEX-1AYD5-2626-SM-7PBXY 50-59 years, male 2944.8
GTEX-1JMQL-2226-SM-CNPP4 50-59 years, female 2933.3
GTEX-WFG8-2126-SM-3GIKQ 20-29 years, male 2909.0
GTEX-1E2YA-2126-SM-7MXUO 50-59 years, male 2862.9
GTEX-11TT1-1826-SM-5EQLV 20-29 years, male 2771.9
GTEX-1CAMS-2226-SM-7PBXQ 40-49 years, female 2592.3
GTEX-ZYVF-0926-SM-5E44J 50-59 years, female 2552.6
GTEX-15G1A-1626-SM-7KUKN 30-39 years, male 2463.0
GTEX-1E1VI-0326-SM-793D1 50-59 years, male 2410.8
GTEX-WI4N-2726-SM-3LK7Y 40-49 years, female 2312.1
GTEX-1F48J-0726-SM-7RHGS 50-59 years, female 2289.0
GTEX-14C38-0726-SM-5SI6M 50-59 years, male 2014.7
GTEX-11WQK-1026-SM-5EQLX 50-59 years, male 1882.7
GTEX-15G19-2426-SM-7KUMR 60-69 years, male 1835.9
GTEX-YECK-0326-SM-4W1YS 60-69 years, male 1662.4
GTEX-1I1GU-0926-SM-ACKVS 40-49 years, male 1538.7
GTEX-1AX8Z-0726-SM-73KTS 60-69 years, male 1514.0
GTEX-1O9I2-0226-SM-EYYXD 50-59 years, male 1483.7
GTEX-Y5LM-0926-SM-6LLJG 40-49 years, female 1445.2
GTEX-17JCI-2926-SM-7DUFF 60-69 years, female 1344.1
GTEX-17HGU-2326-SM-7DUFE 50-59 years, male 1324.0
GTEX-1I1CD-0626-SM-CE6SW 60-69 years, female 1323.0
GTEX-1QAET-0326-SM-EVR3U 50-59 years, male 1244.2
GTEX-14BMV-2826-SM-5TDED 50-59 years, male 1179.2
GTEX-1PPH8-0126-SM-EWRN8 20-29 years, male 1094.7
GTEX-13O3O-2326-SM-5IJD6 60-69 years, female 980.7
GTEX-13QBU-1226-SM-5LU4G 40-49 years, female 971.7
GTEX-1HC8U-1326-SM-9YFMJ 40-49 years, female 958.5
GTEX-W5X1-2526-SM-3GILC 40-49 years, female 932.2
GTEX-1J8JJ-0626-SM-ARZMQ 60-69 years, female 910.4
GTEX-ZYFD-0626-SM-5E44E 50-59 years, male 859.6
GTEX-VJYA-1526-SM-3GIJV 60-69 years, male 764.6
GTEX-ZTTD-2826-SM-4YCFA 50-59 years, male 749.2
GTEX-WK11-2726-SM-3NMAQ 50-59 years, male 719.5
GTEX-ZDXO-3126-SM-5IJDF 60-69 years, male 704.9
GTEX-1JMOU-1026-SM-CYPSS 60-69 years, female 691.2
GTEX-17MF6-2626-SM-79OKQ 40-49 years, male 684.9
GTEX-1I1HK-2326-SM-CKZOH 60-69 years, male 673.3
GTEX-13NYC-0126-SM-5L3F4 60-69 years, male 636.7
GTEX-144GO-2026-SM-5O99P 60-69 years, male 634.7
GTEX-16NPX-0726-SM-7KULC 50-59 years, male 607.5
GTEX-15RIE-1926-SM-7KUKJ 60-69 years, male 605.0
GTEX-1GZHY-0626-SM-9KNVC 50-59 years, female 594.1
GTEX-12WSF-1626-SM-7KUG5 70-79 years, male 573.4
GTEX-13G51-1826-SM-5KLZH 60-69 years, male 572.1
GTEX-U8XE-0226-SM-4E3J3 30-39 years, male 532.7
GTEX-1HCU8-2526-SM-CE6RX 60-69 years, female 532.1
GTEX-12WSD-0626-SM-5GCMW 60-69 years, female 531.9
GTEX-1EKGG-0626-SM-7DUGJ 60-69 years, male 519.7
GTEX-13OVH-0526-SM-5L3E6 70-79 years, male 515.7
GTEX-12126-0826-SM-5FQTZ 20-29 years, male 511.7
GTEX-1IDJF-2026-SM-CL53V 20-29 years, male 490.3
GTEX-1AX9I-2226-SM-73KUO 60-69 years, male 470.7
GTEX-12ZZX-2426-SM-5GCOE 40-49 years, female 470.5
GTEX-1IKOE-1426-SM-CE6T7 30-39 years, female 456.9
GTEX-145LU-1926-SM-79OJN 50-59 years, male 446.7
GTEX-1H1DF-1126-SM-9WG7G 40-49 years, female 443.2
GTEX-14PJ3-1126-SM-5ZZVX 50-59 years, male 412.4
GTEX-14A5H-0826-SM-5QGPJ 60-69 years, male 408.6
GTEX-132AR-0326-SM-5KM2C 50-59 years, female 399.2
GTEX-1IY9M-2826-SM-ARU8H 60-69 years, male 394.5
GTEX-111YS-1526-SM-5GZYW 60-69 years, male 393.5
GTEX-139TU-0726-SM-5L3EK 60-69 years, male 361.3
GTEX-14ABY-2026-SM-62LDL 50-59 years, male 358.0
GTEX-1HSMP-0926-SM-A9SKX 70-79 years, male 354.3
GTEX-1R9K4-2826-SM-DTX8F 60-69 years, male 352.9
GTEX-1399Q-2326-SM-5KM2X 40-49 years, male 351.6
GTEX-17HHY-0426-SM-7DHLC 50-59 years, male 351.3
GTEX-1C6VQ-1226-SM-73KYD 50-59 years, male 338.2
GTEX-131YS-2826-SM-5EQ47 60-69 years, female 329.5
GTEX-XQ3S-1426-SM-4BOPR 20-29 years, male 327.9
GTEX-14PHX-2226-SM-6EU2P 50-59 years, male 322.4
GTEX-1POEN-2326-SM-E9J2L 30-39 years, female 319.5
GTEX-15UF6-1926-SM-7KUDV 70-79 years, female 319.3
GTEX-X4EO-2926-SM-4E3JH 60-69 years, female 311.6
GTEX-18D9B-0926-SM-7LG4U 60-69 years, male 307.8
GTEX-13NZ9-2626-SM-5L3FK 50-59 years, male 296.5
GTEX-11PRG-0726-SM-5EGL1 50-59 years, male 296.2
GTEX-13U4I-2226-SM-5LU5H 40-49 years, female 284.7
GTEX-14B4R-1326-SM-5Q5EZ 30-39 years, male 284.5
GTEX-1HFI6-0126-SM-CNPPI 40-49 years, male 276.9
GTEX-1LSNL-2726-SM-E9TKJ 50-59 years, male 276.6
GTEX-YEC4-1826-SM-4W1YP 40-49 years, male 274.2
GTEX-X585-2426-SM-46MW2 50-59 years, male 271.8
GTEX-13VXU-0626-SM-5L3F9 50-59 years, male 270.7
GTEX-11DZ1-2426-SM-5GZZX 50-59 years, male 260.7
GTEX-16XZZ-0726-SM-7KUF2 60-69 years, male 257.2
GTEX-13112-0126-SM-5P9IU 50-59 years, male 255.6
GTEX-WHSE-0126-SM-3NMBT 20-29 years, male 255.1
GTEX-144GL-0626-SM-5LU4D 50-59 years, male 249.3
GTEX-1H23P-0626-SM-9WG6T 60-69 years, male 246.7
GTEX-11ZUS-2626-SM-5FQUR 30-39 years, male 244.3
GTEX-1H1DG-2426-SM-9QEHJ 70-79 years, male 236.0
GTEX-183FY-1026-SM-7939A 20-29 years, male 234.3
GTEX-13X6K-0626-SM-5LU5D 60-69 years, female 233.8
GTEX-18A66-0626-SM-7LT8Z 60-69 years, male 232.6
GTEX-14JG1-1526-SM-5YY9X 40-49 years, male 224.0
GTEX-ZT9X-1526-SM-5DUXD 40-49 years, male 223.7
GTEX-1F75W-2726-SM-7SB8H 60-69 years, male 223.7
GTEX-1QW4Y-1126-SM-DTXE3 30-39 years, male 223.3
GTEX-14PJ2-0626-SM-6LLII 50-59 years, male 217.6
GTEX-13X6J-0626-SM-5LU5F 50-59 years, male 216.9
GTEX-15RJ7-2126-SM-6PAMD 40-49 years, male 215.8
GTEX-1F88F-0126-SM-9WYSZ 60-69 years, female 211.8
GTEX-1N2EE-0626-SM-E76PW 60-69 years, male 211.2
GTEX-12WSC-2826-SM-5BC5Y 50-59 years, male 207.5
GTEX-1A8G6-2726-SM-731AR 60-69 years, male 207.3
GTEX-1LVA9-2626-SM-EVYD4 50-59 years, male 205.1
GTEX-183WM-0326-SM-72D5V 70-79 years, female 204.2
GTEX-1EN7A-2426-SM-793DB 40-49 years, male 198.5
GTEX-1A8FM-0626-SM-7PC25 50-59 years, female 196.2
GTEX-WFON-1926-SM-3LK7L 40-49 years, male 194.3
GTEX-1R9PN-0426-SM-DTXDT 40-49 years, female 193.2
GTEX-17F98-1326-SM-7DUEP 40-49 years, female 192.5
GTEX-1H4P4-2126-SM-9WYSL 50-59 years, male 188.4
GTEX-1212Z-0126-SM-59HK4 60-69 years, male 187.1
GTEX-1B933-2426-SM-7DHMD 50-59 years, female 184.0
GTEX-1IOXB-2726-SM-CM2RI 50-59 years, male 183.9
GTEX-1KXAM-1626-SM-D3LAD 60-69 years, male 182.5
GTEX-1R46S-2426-SM-E76QA 60-69 years, female 181.6
GTEX-14PJO-2526-SM-6AJBQ 60-69 years, male 180.6
GTEX-18465-2826-SM-7LT9J 50-59 years, male 180.6
GTEX-131XG-0326-SM-5L3DX 50-59 years, female 180.5
GTEX-16Z82-2626-SM-7KULU 60-69 years, male 177.9
GTEX-1A3MX-2626-SM-7PC24 60-69 years, male 176.7
GTEX-Z93S-1626-SM-5CVMB 50-59 years, male 176.1
GTEX-12ZZY-0726-SM-5EQ66 60-69 years, male 175.5
GTEX-1BAJH-2426-SM-7IGP8 70-79 years, male 172.2
GTEX-WH7G-2026-SM-3NMBL 40-49 years, male 171.2
GTEX-13YAN-0226-SM-5TDC6 60-69 years, male 170.7
GTEX-1GF9X-1326-SM-7PC2Y 40-49 years, female 170.0
GTEX-1GMRU-2126-SM-7P8RA 50-59 years, male 169.0
GTEX-1C6WA-2626-SM-7MKGM 60-69 years, male 166.0
GTEX-XPVG-2126-SM-4B667 50-59 years, male 164.2
GTEX-1EU9M-1426-SM-793AI 60-69 years, male 159.4
GTEX-178AV-1726-SM-7KUL8 40-49 years, male 152.0
GTEX-17F97-2626-SM-7IGM5 50-59 years, male 150.2
GTEX-1H3NZ-2726-SM-9WYTQ 60-69 years, male 149.7
GTEX-1I6K7-1926-SM-B2LXR 40-49 years, male 149.0
GTEX-144GM-0526-SM-79OJO 20-29 years, male 148.2
GTEX-1HUB1-1426-SM-CGQF5 60-69 years, male 147.7
GTEX-11LCK-2226-SM-5HL4Q 30-39 years, male 140.7
GTEX-11NUK-2726-SM-5A5MC 50-59 years, male 138.0
GTEX-14BIN-1126-SM-5RQJZ 50-59 years, female 138.0
GTEX-1JJEA-1826-SM-ARU8P 60-69 years, male 137.9
GTEX-12KS4-2126-SM-5FQUT 30-39 years, male 135.3
GTEX-WRHU-2826-SM-3MJG8 50-59 years, female 126.9
GTEX-XK95-0226-SM-4AT58 40-49 years, male 126.6
GTEX-17HII-1426-SM-7EPGG 50-59 years, male 125.1
GTEX-Y5V6-2326-SM-4VDSA 60-69 years, male 124.0
GTEX-1J8Q3-0526-SM-ARL8U 60-69 years, male 121.8
GTEX-1GF9W-1426-SM-7PBYM 60-69 years, male 121.3
GTEX-1LVAO-2726-SM-E9TJ8 60-69 years, male 121.1
GTEX-ZDTS-0826-SM-4WKHL 60-69 years, male 120.6
GTEX-ZVT4-2426-SM-5GIEI 50-59 years, female 119.6
GTEX-1LG7Y-2526-SM-EWRO7 50-59 years, male 119.6
GTEX-ZVE1-0726-SM-51MRN 50-59 years, female 118.8
GTEX-1EMGI-2326-SM-7PBYA 60-69 years, male 118.5
GTEX-1B8L1-2226-SM-7P8PT 60-69 years, male 115.2
GTEX-XBED-1926-SM-47JYP 60-69 years, male 115.0
GTEX-1F6I4-2326-SM-7RHGL 60-69 years, male 114.6
GTEX-1I1GP-1326-SM-A9G28 50-59 years, male 113.7
GTEX-XBEC-0726-SM-4QARZ 50-59 years, male 113.4
GTEX-ZDTT-0426-SM-4WKFL 60-69 years, male 113.2
GTEX-13OVG-1626-SM-5J1NF 60-69 years, male 112.6
GTEX-1IKJJ-2226-SM-CJI4C 60-69 years, male 112.5
GTEX-ZWKS-0626-SM-5GIDV 30-39 years, male 112.3
GTEX-1B932-2326-SM-79OL5 40-49 years, female 111.8
GTEX-14LZ3-0126-SM-69LPM 60-69 years, female 110.5
GTEX-1F6IF-0926-SM-7SB7M 60-69 years, male 110.2
GTEX-1CB4J-1326-SM-7P8RX 60-69 years, male 110.1
GTEX-13OW6-2726-SM-5J2OE 50-59 years, male 109.2
GTEX-1K2DU-1226-SM-CYPT4 20-29 years, male 108.9
GTEX-YJ8O-2526-SM-5HL85 40-49 years, female 108.4
GTEX-1I1GS-2626-SM-B2LY3 60-69 years, male 107.7
GTEX-1LKK1-2626-SM-DKPQE 50-59 years, female 106.7
GTEX-1GPI6-1926-SM-9KNV7 60-69 years, male 106.6
GTEX-ZYT6-2326-SM-5GZY3 30-39 years, male 106.1
GTEX-14ICL-1626-SM-5YYAO 30-39 years, male 105.4
GTEX-1GZ4I-2626-SM-9KNU3 50-59 years, male 104.0
GTEX-1I6K6-1726-SM-CGQFD 30-39 years, male 103.5
GTEX-11TUW-0626-SM-5LU9M 60-69 years, male 103.2
GTEX-1GL5R-1326-SM-7RHHF 50-59 years, male 102.5
GTEX-1J1OQ-0126-SM-D4P2N 40-49 years, female 101.0
GTEX-Y8LW-1526-SM-5IFHL 50-59 years, female 100.6
GTEX-1IDJI-0126-SM-CMKHS 50-59 years, female 99.4
GTEX-1ICLZ-0326-SM-ARL82 60-69 years, male 99.2
GTEX-1JN76-0626-SM-CKZOQ 20-29 years, female 99.2
GTEX-UPK5-0426-SM-3GAEK 40-49 years, male 98.4
GTEX-11DXX-2126-SM-5PNYR 60-69 years, female 96.8
GTEX-ZT9W-1126-SM-57WDR 50-59 years, male 96.8
GTEX-15DDE-2926-SM-6LLJ3 50-59 years, female 96.2
GTEX-1F88E-1626-SM-7SB8Z 60-69 years, female 92.5
GTEX-1C64O-1326-SM-7MGWR 60-69 years, male 91.7
GTEX-1M4P7-0726-SM-E6CJ3 60-69 years, male 91.3
GTEX-1I1GV-0626-SM-ARL7M 60-69 years, male 89.4
GTEX-13PVQ-0626-SM-5LU47 50-59 years, male 89.1
GTEX-1A8G7-1326-SM-73KVM 60-69 years, male 88.3
GTEX-1LSVX-2526-SM-DIPEU 60-69 years, male 88.3
GTEX-11DYG-1526-SM-5A5JS 60-69 years, male 88.0
GTEX-1JN1M-2726-SM-CY8I4 60-69 years, female 88.0
GTEX-1PPH7-1126-SM-DTX9A 40-49 years, male 87.6
GTEX-14A6H-2026-SM-5Q5DD 30-39 years, male 87.5
GTEX-11OF3-0126-SM-5PNYF 60-69 years, male 85.5
GTEX-1GZ2Q-0126-SM-9WG6M 40-49 years, male 85.2
GTEX-X3Y1-2026-SM-3P5YM 40-49 years, male 85.0
GTEX-1B8SF-0126-SM-7DUG3 60-69 years, male 84.1
GTEX-1GF9V-0826-SM-9KNUV 60-69 years, male 82.3
GTEX-1KD5A-0126-SM-E9U54 50-59 years, male 81.2
GTEX-1QP66-1226-SM-DTX7U 50-59 years, male 80.6
GTEX-ZPIC-0526-SM-DO91W 40-49 years, female 80.3
GTEX-1IE54-1126-SM-A9G2Z 40-49 years, female 80.0
GTEX-13113-1626-SM-5EQ4I 60-69 years, female 77.6
GTEX-15EU6-2226-SM-6EU2L 50-59 years, male 76.9
GTEX-YF7O-1526-SM-5IFI6 50-59 years, male 76.3
GTEX-1HCU6-2526-SM-ADEHL 60-69 years, female 76.2
GTEX-1RMOY-1326-SM-E9TIH 50-59 years, male 75.5
GTEX-ZDYS-2426-SM-4WKGI 50-59 years, male 75.4
GTEX-14C5O-0326-SM-5ZZUX 60-69 years, male 75.0
GTEX-1PBJJ-1026-SM-E76OS 30-39 years, male 75.0
GTEX-1JMQK-1226-SM-D4P2S 60-69 years, male 73.6
GTEX-XMD2-2126-SM-4YCF8 60-69 years, female 72.1
GTEX-13X6I-1826-SM-5SIAO 60-69 years, male 71.2
GTEX-1EX96-1026-SM-7MKG2 50-59 years, male 69.4
GTEX-1IDJC-1526-SM-B2LW4 50-59 years, male 68.2
GTEX-1B996-0426-SM-7EWF8 60-69 years, male 66.0
GTEX-1EH9U-2826-SM-7DUGT 60-69 years, male 64.1
GTEX-1IL2V-1926-SM-B2LW8 70-79 years, male 62.7
GTEX-1HSMO-0626-SM-ACKXC 60-69 years, male 61.3
GTEX-ZLFU-1826-SM-4WWBV 40-49 years, male 61.2
GTEX-1F6RS-2026-SM-7RHHC 60-69 years, female 60.2
GTEX-18A67-1626-SM-7LT9T 50-59 years, male 60.0
GTEX-12584-0726-SM-5FQTK 40-49 years, male 59.4
GTEX-1C64N-2626-SM-7PC2N 50-59 years, male 59.2
GTEX-X8HC-0626-SM-4E3HQ 50-59 years, female 59.0
GTEX-1L5NE-1126-SM-D3L9P 50-59 years, male 58.0
GTEX-13N11-2326-SM-5IJBF 50-59 years, female 57.9
GTEX-13NYB-0126-SM-5J1MD 40-49 years, male 57.8
GTEX-11DXW-0826-SM-5H118 40-49 years, male 57.7
GTEX-145MO-2826-SM-5LU96 60-69 years, male 57.6
GTEX-ZZ64-1026-SM-5GZXG 20-29 years, male 57.4
GTEX-17KNJ-2126-SM-718AM 50-59 years, male 56.8
GTEX-14JFF-0626-SM-5ZZVT 60-69 years, male 56.5
GTEX-1JN6P-2926-SM-CL54D 60-69 years, male 56.4
GTEX-14PJ4-0226-SM-5YY92 60-69 years, male 56.1
GTEX-131XW-0626-SM-5PNVD 50-59 years, female 54.3
GTEX-12WSK-2126-SM-5CVNC 40-49 years, female 54.2
GTEX-1RLM8-2926-SM-E8VON 50-59 years, male 54.1
GTEX-139UW-0326-SM-5J1ML 60-69 years, male 53.0
GTEX-1N2DV-1526-SM-DTXEP 40-49 years, male 52.6
GTEX-13SLW-0626-SM-5Q5ER 70-79 years, male 52.3
GTEX-1HBPM-0726-SM-9YFL7 60-69 years, female 52.1
GTEX-ZVTK-0226-SM-51MRG 20-29 years, male 51.9
GTEX-1GMR3-0126-SM-A9SLW 40-49 years, male 51.9
GTEX-12BJ1-0926-SM-5EQ62 60-69 years, male 51.6
GTEX-139YR-1026-SM-5LZYN 50-59 years, male 50.5
GTEX-1RAZA-2226-SM-E9U4X 20-29 years, male 50.3
GTEX-1CB4H-1126-SM-7MKGL 60-69 years, female 49.3
GTEX-1314G-1326-SM-5BC6E 30-39 years, male 49.2
GTEX-13OVJ-0826-SM-5J1OK 50-59 years, female 49.0
GTEX-147F3-1726-SM-5SIAW 50-59 years, female 48.1
GTEX-1CAMQ-1326-SM-7P8RV 40-49 years, male 47.8
GTEX-1117F-2926-SM-5GZYI 60-69 years, female 47.4
GTEX-13D11-0926-SM-5J2NC 50-59 years, female 47.4
GTEX-ZAJG-1526-SM-5CVML 50-59 years, female 47.4
GTEX-1HBPN-0126-SM-CGQEF 50-59 years, male 47.4
GTEX-15SKB-2826-SM-6PAMH 60-69 years, male 46.6
GTEX-14PHY-1226-SM-5ZZWK 60-69 years, female 46.5
GTEX-15RIG-0726-SM-7KUM7 40-49 years, male 46.5
GTEX-1GN2E-0226-SM-9WG6K 60-69 years, male 46.5
GTEX-16YQH-2226-SM-7IGM2 30-39 years, male 46.4
GTEX-13FH7-1126-SM-5K7UG 50-59 years, female 46.3
GTEX-14E6E-0526-SM-793DN 30-39 years, male 46.3
GTEX-WFG7-2026-SM-5SI7P 20-29 years, male 46.2
GTEX-ZVE2-2826-SM-5GU51 50-59 years, male 46.2
GTEX-15ER7-0626-SM-6PANF 20-29 years, female 45.9
GTEX-1H1CY-0126-SM-9YFLY 60-69 years, female 45.6
GTEX-1H1ZS-2726-SM-9WG75 70-79 years, male 45.4
GTEX-15RJE-2826-SM-7KUM9 40-49 years, male 45.0
GTEX-11P81-2226-SM-5PNYI 30-39 years, female 44.4
GTEX-13PL6-1126-SM-5L3IE 40-49 years, female 44.0
GTEX-11DXY-0126-SM-5H11Q 60-69 years, male 43.5
GTEX-111FC-2526-SM-5GZXU 60-69 years, male 43.0
GTEX-17EVP-2626-SM-7IGMA 40-49 years, male 42.6
GTEX-ZC5H-1526-SM-5HL9Y 40-49 years, female 42.3
GTEX-12WSM-1926-SM-5BC65 60-69 years, male 42.1
GTEX-11EI6-2826-SM-5H11D 60-69 years, male 42.0
GTEX-1GN1V-2826-SM-9JGIA 60-69 years, male 41.4
GTEX-11EQ9-1626-SM-5PNY8 30-39 years, male 41.2
GTEX-X4EP-0626-SM-3P621 60-69 years, female 40.9
GTEX-1399S-0126-SM-5IJCF 30-39 years, female 40.6
GTEX-ZVZP-1226-SM-5GID7 50-59 years, male 40.6
GTEX-ZXG5-2126-SM-59HKD 60-69 years, male 40.3
GTEX-13FTY-2126-SM-5IFFB 40-49 years, female 39.9
GTEX-1C2JI-1026-SM-73KY1 50-59 years, male 39.7
GTEX-15D1Q-2826-SM-6LLH7 40-49 years, male 39.5
GTEX-1H1DE-1326-SM-9KNUG 20-29 years, male 39.4
GTEX-1PIGE-1826-SM-E8VOU 20-29 years, male 39.0
GTEX-1PPGY-1626-SM-EVYBL 60-69 years, male 39.0
GTEX-1A32A-0626-SM-731AQ 50-59 years, female 38.3
GTEX-ZA64-1026-SM-5HL8R 20-29 years, male 37.5
GTEX-1IDFM-0326-SM-ARL7V 60-69 years, male 37.3
GTEX-1OJC4-2726-SM-E76PJ 50-59 years, female 37.3
GTEX-1I4MK-0126-SM-CY8G6 50-59 years, female 36.9
GTEX-1HT8W-0626-SM-A9G2H 30-39 years, male 36.7
GTEX-16MT8-2926-SM-7DUFO 60-69 years, female 36.1
GTEX-18A6Q-0626-SM-7KFRP 60-69 years, male 36.1
GTEX-WYJK-0526-SM-3NM8Z 50-59 years, male 35.9
GTEX-145MH-2826-SM-5RQJF 50-59 years, male 35.7
GTEX-145LT-0526-SM-5LUB2 40-49 years, male 35.6
GTEX-1LG7Z-1626-SM-CXKYR 30-39 years, male 35.5
GTEX-1QCLY-0226-SM-EWRNH 30-39 years, male 35.5
GTEX-ZZPU-0826-SM-5GZX5 50-59 years, female 35.4
GTEX-12WSH-1526-SM-5BC5W 50-59 years, male 35.1
GTEX-1JJ6O-2726-SM-CNPOG 60-69 years, male 35.0
GTEX-1CAMR-1326-SM-7PC1F 20-29 years, male 34.5
GTEX-1N5O9-0926-SM-E9J3C 60-69 years, male 34.2
GTEX-13O3Q-0126-SM-5KM34 50-59 years, male 33.8
GTEX-133LE-2326-SM-5K7W3 20-29 years, female 33.7
GTEX-1ICG6-1226-SM-A9SLN 70-79 years, female 33.7
GTEX-145MF-0926-SM-5Q5EA 50-59 years, male 33.5
GTEX-13NYS-0626-SM-5L3F1 60-69 years, male 33.4
GTEX-111CU-1126-SM-5EGIM 50-59 years, male 33.3
GTEX-17F96-0126-SM-7EWDU 70-79 years, male 33.0
GTEX-1QPFJ-1926-SM-EVYBD 30-39 years, female 33.0
GTEX-1269C-0126-SM-5EQ5L 60-69 years, female 32.9
GTEX-UPJH-0226-SM-3GADV 50-59 years, male 32.5
GTEX-1GMR2-0826-SM-7PC3V 50-59 years, male 32.2
GTEX-1F75I-2226-SM-7SB8U 40-49 years, male 31.9
GTEX-1S83E-1326-SM-E6CJM 40-49 years, male 31.6
GTEX-1GTWX-2026-SM-9YFLM 60-69 years, male 31.3
GTEX-VUSG-2326-SM-4KL1U 50-59 years, male 31.2
GTEX-11WQC-1826-SM-5GU59 60-69 years, male 31.1
GTEX-1R9PM-1926-SM-EVR3O 20-29 years, male 31.0
GTEX-139TT-2126-SM-5LZWC 60-69 years, male 30.9
GTEX-WHWD-1826-SM-3LK6I 50-59 years, male 30.3
GTEX-11NSD-0626-SM-5A5LU 20-29 years, male 30.2
GTEX-1F5PL-0926-SM-7PC2W 40-49 years, female 30.2
GTEX-1JMQJ-0826-SM-CNPP7 50-59 years, male 29.5
GTEX-ZPCL-1126-SM-4WWFE 60-69 years, female 29.4
GTEX-ZP4G-1426-SM-4WWCL 20-29 years, female 29.1
GTEX-1CB4I-0126-SM-7RHGG 50-59 years, male 29.0
GTEX-147GR-2426-SM-5ZZWQ 60-69 years, male 28.8
GTEX-18QFQ-1826-SM-72D52 30-39 years, male 28.7
GTEX-1QP29-1826-SM-DTX9S 50-59 years, male 28.4
GTEX-1HCVE-2726-SM-CL54F 50-59 years, male 28.0
GTEX-1IDJH-0126-SM-D3L92 70-79 years, male 27.9
GTEX-147F4-0726-SM-5TDDD 50-59 years, male 27.8
GTEX-1IDJD-2326-SM-ACKWX 30-39 years, male 27.7
GTEX-1211K-1526-SM-5FQU4 60-69 years, female 27.6
GTEX-13OW5-2326-SM-5L3HO 60-69 years, male 27.6
GTEX-1AX9J-1326-SM-731BJ 60-69 years, male 27.6
GTEX-V1D1-2026-SM-3GAF4 50-59 years, male 27.6
GTEX-1RB15-1326-SM-E76Q9 60-69 years, male 27.6
GTEX-1KANB-2826-SM-CY8I6 50-59 years, male 27.5
GTEX-1F5PK-2226-SM-7SB6N 50-59 years, male 27.4
GTEX-111VG-1626-SM-5EGIO 60-69 years, male 27.3
GTEX-14AS3-1526-SM-5Q5ED 40-49 years, female 27.3
GTEX-1K9T9-1526-SM-DIPFR 50-59 years, female 27.3
GTEX-1R7EU-1626-SM-DTXG3 60-69 years, male 27.3
GTEX-XV7Q-1826-SM-4BRUV 40-49 years, female 26.7
GTEX-16BQI-1326-SM-6M486 30-39 years, female 26.5
GTEX-18A7B-2726-SM-7LG56 70-79 years, male 26.5
GTEX-1ICLY-0826-SM-CMKG1 50-59 years, male 26.4
GTEX-1LVAN-0626-SM-CNPOQ 50-59 years, female 26.3
GTEX-14PII-0726-SM-6EU2B 60-69 years, male 26.1
GTEX-YEC3-1326-SM-DO92X 50-59 years, male 26.1
GTEX-ZYFG-1526-SM-5GZYM 60-69 years, female 25.9
GTEX-1S5ZU-2526-SM-E6CIF 20-29 years, female 25.9
GTEX-11ZTT-2126-SM-5CVLO 60-69 years, female 25.5
GTEX-14E1K-2026-SM-7DUEI 50-59 years, male 25.5
GTEX-1MJK3-0726-SM-E6CJC 20-29 years, male 25.5
GTEX-1KAFJ-0126-SM-DIPEK 50-59 years, male 25.2
GTEX-13O61-1426-SM-5KM3D 60-69 years, male 25.1
GTEX-1QP9N-1226-SM-E76QN 30-39 years, male 24.6
GTEX-Y3I4-1726-SM-4TT89 50-59 years, male 24.5
GTEX-1JJE9-2626-SM-ARZMT 70-79 years, male 24.3
GTEX-13OW8-1026-SM-5J1NQ 60-69 years, male 24.2
GTEX-Y114-2126-SM-4TT8B 50-59 years, female 24.0
GTEX-1JKYR-0626-SM-ARL8R 20-29 years, male 23.9
GTEX-ZUA1-2626-SM-5NQ92 40-49 years, male 23.6
GTEX-18A7A-0126-SM-731AH 50-59 years, female 23.4
GTEX-1IDJV-0126-SM-COH3Y 60-69 years, male 23.2
GTEX-146FQ-2126-SM-5RQHU 30-39 years, male 23.0
GTEX-147JS-0226-SM-5S2U9 60-69 years, male 22.9
GTEX-1JMQI-1726-SM-ARL93 50-59 years, male 22.9
GTEX-13RTJ-0126-SM-5S2NN 60-69 years, male 22.8
GTEX-ZAB4-2126-SM-5HL8U 40-49 years, male 22.8
GTEX-ZYW4-0626-SM-59HJR 60-69 years, male 22.6
GTEX-1C6VR-0126-SM-7RHGB 60-69 years, male 22.4
GTEX-1J8Q2-2626-SM-ACKWQ 60-69 years, male 22.0
GTEX-1QCLZ-2426-SM-EVYBW 60-69 years, female 21.9
GTEX-12WSA-0426-SM-5EQ5X 60-69 years, male 21.8
GTEX-139D8-1126-SM-5LU8W 30-39 years, female 21.7
GTEX-1HCU7-0726-SM-A9SL1 50-59 years, male 21.7
GTEX-ZYFC-0426-SM-5GICQ 50-59 years, male 21.6
GTEX-148VJ-0626-SM-5LUAW 70-79 years, male 21.4
GTEX-1GN1W-2426-SM-9KNUU 50-59 years, female 21.0
GTEX-17F9Y-0126-SM-79OKX 70-79 years, female 20.9
GTEX-13PVR-0426-SM-5RQK2 60-69 years, female 20.8
GTEX-X5EB-1926-SM-4E3IW 40-49 years, male 20.8
GTEX-1B8KZ-0326-SM-73KY4 50-59 years, male 20.7
GTEX-145MN-1526-SM-5SI9T 30-39 years, male 20.6
GTEX-1313W-0626-SM-5EQ4H 50-59 years, female 20.5
GTEX-1GF9U-2026-SM-7SB92 40-49 years, female 20.5
GTEX-1HR9M-2226-SM-CNPPY 60-69 years, male 20.5
GTEX-1JMPZ-0726-SM-CY8HZ 30-39 years, male 20.5
GTEX-ZTX8-1326-SM-4YCEL 20-29 years, male 20.4
GTEX-1GN73-0726-SM-7P8TJ 60-69 years, male 20.4
GTEX-13FHO-0426-SM-5L3F5 60-69 years, male 20.0
GTEX-11P7K-1126-SM-5HL4L 30-39 years, male 19.9
GTEX-ZLWG-0826-SM-59888 50-59 years, female 19.8
GTEX-18D9A-1426-SM-7LT8M 30-39 years, female 19.7
GTEX-11ZU8-0126-SM-5EQ58 60-69 years, male 19.6
GTEX-WHPG-2626-SM-3NMBR 50-59 years, male 19.5
GTEX-1CAV2-0126-SM-7IGN7 40-49 years, female 19.4
GTEX-1CB4E-0926-SM-7EPHT 60-69 years, male 19.4
GTEX-WY7C-2126-SM-3NB2R 50-59 years, male 19.3
GTEX-ZF29-0926-SM-4WKFZ 60-69 years, female 19.3
GTEX-12696-0126-SM-5EQ4L 60-69 years, male 19.0
GTEX-WYBS-0626-SM-3NMAS 60-69 years, female 18.8
GTEX-1LSNM-0826-SM-DIPG8 50-59 years, male 18.5
GTEX-13JUV-2026-SM-5K7UA 40-49 years, female 18.0
GTEX-13X6H-0926-SM-5SIB2 50-59 years, female 17.9
GTEX-ZAK1-0626-SM-5HL8E 50-59 years, female 17.9
GTEX-18D9U-0126-SM-731BM 40-49 years, male 17.8
GTEX-1I19N-0126-SM-CYPSF 70-79 years, male 17.1
GTEX-12WSL-2026-SM-5GCML 50-59 years, male 17.0
GTEX-1S3DN-2126-SM-E9TIN 50-59 years, male 16.9
GTEX-15EO6-2426-SM-6PALZ 50-59 years, male 16.4
GTEX-1F75B-0726-SM-7PC3R 50-59 years, male 16.4
GTEX-12C56-1526-SM-5FQUQ 20-29 years, male 16.0
GTEX-1H3VE-0726-SM-9YFL5 40-49 years, male 16.0
GTEX-1F52S-2926-SM-7MKGA 60-69 years, female 15.9
GTEX-1GPI7-1826-SM-9KNU1 20-29 years, male 15.9
GTEX-16MTA-0926-SM-6M47Z 50-59 years, male 15.8
GTEX-XXEK-1626-SM-4BRUZ 50-59 years, male 15.8
GTEX-1J8QM-2426-SM-A9SLS 60-69 years, female 15.8
GTEX-13OW7-0426-SM-5K7VK 50-59 years, male 15.7
GTEX-17HHE-1326-SM-7EWDZ 50-59 years, male 15.6
GTEX-1IDJE-1426-SM-ADEIW 50-59 years, female 15.5
GTEX-WEY5-2326-SM-3GIKK 40-49 years, female 15.4
GTEX-1J8EW-2726-SM-CY8HR 60-69 years, female 15.4
GTEX-1477Z-0326-SM-7IGLA 60-69 years, male 15.1
GTEX-1J1R8-2026-SM-CL53Y 40-49 years, male 15.1
GTEX-1CB4F-1026-SM-7DUH1 60-69 years, male 15.0
GTEX-14BMU-1226-SM-5S2OR 20-29 years, female 14.9
GTEX-ZVT2-0126-SM-5GIDQ 50-59 years, female 14.8
GTEX-1GZ4H-0526-SM-9KNU9 50-59 years, female 14.8
GTEX-1HBPI-2126-SM-ARL9K 50-59 years, male 14.7
GTEX-1H3O1-1326-SM-9MQLD 60-69 years, male 14.6
GTEX-1LGRB-0926-SM-COH3K 50-59 years, female 14.6
GTEX-17EVQ-0126-SM-7IGLR 70-79 years, male 14.5
GTEX-ZF2S-1626-SM-57WES 50-59 years, female 14.5
GTEX-1GN1U-0626-SM-9MQL9 50-59 years, female 14.4
GTEX-1AMEY-0826-SM-72D65 30-39 years, female 14.3
GTEX-13FTX-1526-SM-5K7VJ 20-29 years, female 14.1
GTEX-17F9E-2326-SM-79OKD 50-59 years, male 14.1
GTEX-1KANC-1226-SM-CYPT7 50-59 years, female 14.0
GTEX-XUW1-0926-SM-4BONX 50-59 years, female 13.9
GTEX-YB5K-2026-SM-4VDT3 40-49 years, female 13.7
GTEX-11DXZ-2026-SM-5987S 50-59 years, male 13.6
GTEX-1PIIG-2326-SM-DTXFR 30-39 years, male 13.6
GTEX-14E6C-2426-SM-5S2NF 40-49 years, male 13.4
GTEX-1H2FU-0926-SM-9WPPT 60-69 years, female 13.4
GTEX-1F75A-0726-SM-7RHHD 50-59 years, male 13.3
GTEX-11P82-1426-SM-DTXFY 20-29 years, male 13.2
GTEX-1H1E6-0426-SM-9WYUS 30-39 years, male 13.2
GTEX-14JG6-1426-SM-9WG7C 30-39 years, female 12.9
GTEX-1JMPY-0226-SM-CKZOK 30-39 years, male 12.9
GTEX-117YX-1926-SM-5GIEC 50-59 years, male 12.8
GTEX-145ME-1726-SM-5Q5EU 40-49 years, female 12.8
GTEX-11EM3-1226-SM-5N9DD 20-29 years, female 12.7
GTEX-1122O-1026-SM-9WYSF 60-69 years, female 12.6
GTEX-131XH-0126-SM-5LZUY 50-59 years, male 12.5
GTEX-Y111-0626-SM-4SOIT 50-59 years, male 12.5
GTEX-1HCUA-0826-SM-ADEHM 50-59 years, female 12.5
GTEX-1LBAC-0826-SM-CY8IJ 20-29 years, male 12.5
GTEX-1HKZK-0726-SM-ACKW2 40-49 years, male 12.2
GTEX-XYKS-1426-SM-4BRUO 60-69 years, female 12.1
GTEX-ZPU1-1126-SM-4YCF3 40-49 years, male 12.1
GTEX-11EQ8-0926-SM-5H12V 60-69 years, male 12.0
GTEX-11GS4-0226-SM-5HL77 60-69 years, male 11.9
GTEX-145MG-1526-SM-5Q5EM 50-59 years, male 11.9
GTEX-1B97I-0626-SM-73KUZ 40-49 years, male 11.9
GTEX-Y5V5-0126-SM-5S2NW 60-69 years, female 11.9
GTEX-1H11D-1826-SM-9QEHM 40-49 years, male 11.8
GTEX-1HB9E-0126-SM-CM2S5 50-59 years, male 11.8
GTEX-YFCO-1226-SM-5LUAT 40-49 years, male 11.7
GTEX-ZLV1-1526-SM-DO91J 60-69 years, female 11.7
GTEX-13W3W-0726-SM-5IJDQ 60-69 years, female 11.5
GTEX-ZU9S-1826-SM-5NQ9E 30-39 years, male 11.5
GTEX-1LVAM-0726-SM-E6CIL 50-59 years, female 11.5
GTEX-Y9LG-1126-SM-4VBQ7 30-39 years, male 11.4
GTEX-17MFQ-1526-SM-7KFRR 20-29 years, male 11.2
GTEX-15CHR-1126-SM-7EWF4 50-59 years, male 11.1
GTEX-13FLV-0126-SM-5K7WT 50-59 years, male 11.0
GTEX-1K2DA-1026-SM-CGQGF 50-59 years, male 10.9
GTEX-13JVG-0726-SM-5KM16 60-69 years, male 10.8
GTEX-145MI-0626-SM-5SI8S 60-69 years, female 10.8
GTEX-Y3IK-1626-SM-4YCF5 50-59 years, female 10.8
GTEX-11VI4-1126-SM-5EQMD 40-49 years, female 10.7
GTEX-13OVL-0126-SM-5L3GJ 50-59 years, male 10.7
GTEX-14PKV-1126-SM-6LLJ1 20-29 years, female 10.6
GTEX-Y8E4-2026-SM-5IFJB 40-49 years, male 10.6
GTEX-1HGF4-0126-SM-CNPPX 60-69 years, male 10.5
GTEX-ZE7O-2726-SM-51MT5 50-59 years, female 10.4
GTEX-ZVP2-0326-SM-57WBP 50-59 years, male 10.4
GTEX-16AAH-0626-SM-793C9 50-59 years, male 10.3
GTEX-13N1W-2426-SM-5IJD1 70-79 years, male 10.0
GTEX-15CHC-1126-SM-6LLHQ 60-69 years, female 9.9
GTEX-1OJC3-1226-SM-DTXER 20-29 years, male 9.9
GTEX-1S82P-2126-SM-E6CI5 60-69 years, female 9.9
GTEX-13FTW-0326-SM-5K7UW 40-49 years, male 9.8
GTEX-1JK1U-0226-SM-ARZMX 60-69 years, male 9.8
GTEX-12WSJ-1126-SM-5LZVJ 40-49 years, female 9.6
GTEX-11O72-0626-SM-5PNYE 40-49 years, male 9.5
GTEX-16NGA-0726-SM-731AO 40-49 years, female 9.5
GTEX-1JKYN-0826-SM-ARU8S 30-39 years, male 9.5
GTEX-1S831-1826-SM-EWROF 20-29 years, male 9.5
GTEX-XBEW-1126-SM-4QARW 40-49 years, male 9.4
GTEX-XOT4-0626-SM-4B66L 60-69 years, female 9.4
GTEX-WXYG-2026-SM-4E3IY 50-59 years, female 9.3
GTEX-1KANA-1326-SM-DIPFA 20-29 years, male 9.3
GTEX-13OVK-1426-SM-6PAN7 40-49 years, male 9.1
GTEX-14DAR-1226-SM-73KYV 50-59 years, male 9.1
GTEX-1B8KE-1126-SM-7EPHI 50-59 years, male 9.1
GTEX-11UD2-2526-SM-5CVNU 50-59 years, male 8.9
GTEX-1EWIQ-0326-SM-7DHMQ 70-79 years, female 8.9
GTEX-ZF3C-0626-SM-DO92O 50-59 years, female 8.9
GTEX-15CHQ-0326-SM-69LQD 60-69 years, male 8.7
GTEX-13NZ8-1226-SM-5KM4A 60-69 years, female 8.3
GTEX-1AMFI-1326-SM-7939R 50-59 years, female 8.2
GTEX-1NSGN-0726-SM-DTXEF 50-59 years, male 8.2
GTEX-145LS-0626-SM-7EPG7 60-69 years, female 8.1
GTEX-1GMR8-0626-SM-7RHI7 50-59 years, female 8.0
GTEX-16GPK-0626-SM-7KFSF 60-69 years, male 7.9
GTEX-1HSKV-1226-SM-ADEI4 60-69 years, male 7.9
GTEX-ZTSS-1426-SM-5985P 40-49 years, male 7.8
GTEX-14PKU-0126-SM-6LLHV 40-49 years, female 7.7
GTEX-ZYY3-2926-SM-5GIEB 60-69 years, female 7.7
GTEX-1C475-1326-SM-7SB73 40-49 years, female 7.5
GTEX-13SLX-2226-SM-62LEP 50-59 years, female 7.4
GTEX-1HR98-2226-SM-ADEI2 60-69 years, male 7.4
GTEX-1HCU9-0426-SM-9WYSD 20-29 years, male 7.3
GTEX-1IDJU-1726-SM-CMKHU 60-69 years, female 7.3
GTEX-139TS-2126-SM-5K7XC 60-69 years, male 7.2
GTEX-1MCC2-1826-SM-DIPEX 30-39 years, female 7.2
GTEX-14C39-1726-SM-5RQIL 40-49 years, male 7.0
GTEX-1PDJ9-1226-SM-EXUSX 20-29 years, male 6.9
GTEX-1RAZQ-1326-SM-E9TK6 30-39 years, male 6.9
GTEX-14PK6-0226-SM-62LF5 70-79 years, female 6.8
GTEX-1LGOU-1326-SM-D3L8M 20-29 years, female 6.8
GTEX-1192X-2726-SM-5N9DN 50-59 years, male 6.7
GTEX-12ZZZ-0726-SM-5GCNZ 60-69 years, male 6.6
GTEX-14PJ5-1526-SM-6LLIL 60-69 years, female 6.6
GTEX-1A3MV-1826-SM-731CD 30-39 years, male 6.5
GTEX-1497J-0226-SM-5QGPU 60-69 years, male 6.4
GTEX-14753-0726-SM-5QGQO 60-69 years, male 6.2
GTEX-XQ8I-0926-SM-4BOOF 50-59 years, male 6.1
GTEX-1399U-1126-SM-5L3DB 50-59 years, female 5.9
GTEX-13IVO-0726-SM-5LZYV 70-79 years, male 5.8
GTEX-WYVS-1626-SM-3NM9R 40-49 years, female 5.8
GTEX-ZE9C-2526-SM-5IJDR 60-69 years, male 5.7
GTEX-1JMLX-0626-SM-ARL8T 50-59 years, male 5.7
GTEX-15DYW-2726-SM-6EU2I 60-69 years, female 5.6
GTEX-WHSB-1326-SM-3LK6W 50-59 years, male 5.5
GTEX-1NV5F-0626-SM-DTXEG 60-69 years, female 5.5
GTEX-1MCYP-0526-SM-E9U6Q 20-29 years, female 5.4
GTEX-14DAQ-0626-SM-793DS 60-69 years, female 5.3
GTEX-15FZZ-0526-SM-7KUGD 30-39 years, female 5.3
GTEX-139T8-0626-SM-5KLZX 60-69 years, male 5.1
GTEX-1KWVE-1026-SM-D3L9O 30-39 years, male 4.7
GTEX-1RAZR-2126-SM-E9U6T 40-49 years, male 4.7
GTEX-1I1GT-1026-SM-ARZLV 60-69 years, female 4.6
GTEX-1LB8K-0726-SM-D5OV2 50-59 years, male 4.6
GTEX-1HSMQ-2626-SM-A9SML 50-59 years, male 4.2
GTEX-131XF-2626-SM-5EQ6K 60-69 years, male 4.1
GTEX-14PJ6-2626-SM-6EU2T 60-69 years, female 4.1
GTEX-1399R-1326-SM-5PNYS 30-39 years, male 3.8
GTEX-13N2G-0226-SM-5K7VF 60-69 years, male 3.8
GTEX-11GSP-2326-SM-5HL63 60-69 years, female 3.7
GTEX-XAJ8-1426-SM-47JYM 40-49 years, male 3.7
GTEX-1RAZS-2526-SM-E6CHT 50-59 years, male 3.6
GTEX-1HSGN-0826-SM-ACKW3 40-49 years, female 3.4
GTEX-1S82U-1026-SM-E6CJK 30-39 years, female 3.3
GTEX-ZGAY-1826-SM-DO91Q 40-49 years, female 3.3
GTEX-13PDP-0726-SM-5L3HP 60-69 years, male 3.2
GTEX-14PJN-1826-SM-6AJ98 30-39 years, male 3.2
GTEX-1HFI7-2326-SM-CGQFS 50-59 years, female 2.7
GTEX-1QEPI-2626-SM-DTXF4 60-69 years, female 2.5
GTEX-1QMI2-2526-SM-E8VNZ 60-69 years, male 2.2
GTEX-13VXT-1926-SM-5K7UO 20-29 years, female 2.1
GTEX-1QP2A-1726-SM-E76QC 50-59 years, male 2.0
GTEX-13QJC-0126-SM-5ZZWJ 60-69 years, female 1.8
GTEX-1QP28-1126-SM-EVYC4 50-59 years, female 1.8
GTEX-14LLW-2626-SM-62LDZ 70-79 years, female 1.5
Show allShow less
Skin - Sun Exposed (Lower leg)
Average nTPM: 246.0
Samples: 701

Max nTPM: 28692.6
Min nTPM: 1.1
Std nTPM: 1573.7
Median nTPM: 20.4
GTEX-POMQ-2226-SM-2I5FK 20-29 years, female 28692.6
GTEX-183WM-0126-SM-7LTAB 70-79 years, female 23941.0
GTEX-1R9K4-0126-SM-DTX9X 60-69 years, male 13147.4
GTEX-1ICLZ-0126-SM-CKZPO 60-69 years, male 5059.5
GTEX-144FL-0126-SM-5TDC8 50-59 years, male 4896.5
GTEX-14BIM-0226-SM-7IGLD 60-69 years, female 4306.4
GTEX-W5X1-3026-SM-EAZAX 40-49 years, female 4107.3
GTEX-1A3MW-0126-SM-73KXX 60-69 years, female 3928.1
GTEX-1HB9E-0226-SM-E9U4R 50-59 years, male 3233.2
GTEX-1C6VQ-0126-SM-7P8RI 50-59 years, male 3119.5
GTEX-O5YT-0126-SM-48TBW 20-29 years, male 3042.1
GTEX-1AX8Z-0126-SM-7DHM6 60-69 years, male 2672.7
GTEX-11TT1-2526-SM-5EGIB 20-29 years, male 2598.9
GTEX-14E6E-1826-SM-5S2R7 30-39 years, male 2501.3
GTEX-1JMQK-0226-SM-CL543 60-69 years, male 2433.7
GTEX-ZVZO-0126-SM-5A5L9 40-49 years, male 2406.6
GTEX-1PWST-0226-SM-E76QJ 70-79 years, male 2191.0
GTEX-Y5V6-2426-SM-4VDSB 60-69 years, male 2147.4
GTEX-1497J-2426-SM-7IGNX 60-69 years, male 2135.6
GTEX-1192W-2626-SM-5Q5AF 60-69 years, male 2123.9
GTEX-WFG8-2226-SM-3GIL9 20-29 years, male 1591.8
GTEX-RUSQ-1526-SM-2TF62 50-59 years, male 1447.4
GTEX-117YW-2626-SM-5GZZH 50-59 years, male 1375.0
GTEX-11O72-0126-SM-59887 40-49 years, male 1304.7
GTEX-12WSL-2526-SM-5GCNJ 50-59 years, male 1256.3
GTEX-11WQK-0526-SM-5EQLD 50-59 years, male 1240.1
GTEX-X4XY-0226-SM-4E3IZ 60-69 years, male 1168.7
GTEX-15UKP-0426-SM-7KUFQ 20-29 years, male 1133.1
GTEX-1CAMS-0426-SM-7P8T2 40-49 years, female 1131.0
GTEX-1HUB1-0426-SM-E9U4U 60-69 years, male 1036.5
GTEX-Q734-1926-SM-2I5EV 40-49 years, female 934.3
GTEX-13CF3-2426-SM-5IFGX 60-69 years, female 901.1
GTEX-1128S-2326-SM-5GZZY 60-69 years, female 880.1
GTEX-ZF3C-0126-SM-DO92D 50-59 years, female 862.7
GTEX-14XAO-2326-SM-6EU1B 60-69 years, female 792.7
GTEX-1PPH8-0226-SM-E8VND 20-29 years, male 700.1
GTEX-U8XE-0326-SM-3DB8P 30-39 years, male 685.8
GTEX-1N2DW-0226-SM-E9TK2 50-59 years, male 671.8
GTEX-QDVN-2026-SM-3GAEP 50-59 years, male 659.7
GTEX-1RLM8-2326-SM-EWRN4 50-59 years, male 630.7
GTEX-1LC47-0326-SM-E9TJP 60-69 years, male 609.9
GTEX-1A3MX-0126-SM-731BR 60-69 years, male 593.6
GTEX-1I1GU-2226-SM-CGQFA 40-49 years, male 575.9
GTEX-11ZU8-2526-SM-5EQKI 60-69 years, male 537.8
GTEX-13NYC-0326-SM-E9J4S 60-69 years, male 514.4
GTEX-15G19-0126-SM-6PANQ 60-69 years, male 508.6
GTEX-13OVJ-0126-SM-5KM36 50-59 years, female 456.9
GTEX-1JJEA-0326-SM-CNPOT 60-69 years, male 454.9
GTEX-Q2AI-1326-SM-2S1PL 40-49 years, male 454.2
GTEX-146FH-0126-SM-5QGPP 50-59 years, female 438.1
GTEX-ZU9S-0226-SM-5E441 30-39 years, male 436.8
GTEX-WI4N-1026-SM-3LK7N 40-49 years, female 432.1
GTEX-17MF6-0126-SM-7LG4F 40-49 years, male 402.5
GTEX-17KNJ-2326-SM-7DHLQ 50-59 years, male 387.0
GTEX-1AYD5-2426-SM-73KXR 50-59 years, male 380.3
GTEX-1HR98-0126-SM-B2LWI 60-69 years, male 370.2
GTEX-145LU-0126-SM-5TDCB 50-59 years, male 363.2
GTEX-YJ8A-0426-SM-5IFID 20-29 years, male 345.8
GTEX-11NUK-0126-SM-5A5L3 50-59 years, male 326.3
GTEX-1F6IF-0726-SM-7P8TW 60-69 years, male 326.2
GTEX-X88G-0126-SM-47JZ3 30-39 years, male 317.4
GTEX-1399T-2826-SM-5KLYZ 60-69 years, male 304.8
GTEX-WOFL-0126-SM-3MJG2 60-69 years, male 284.3
GTEX-144GN-2326-SM-5LU4F 50-59 years, male 280.9
GTEX-1CB4H-0226-SM-7PBXM 60-69 years, female 277.7
GTEX-ZDYS-2026-SM-5HL5L 50-59 years, male 268.4
GTEX-QDVJ-1726-SM-2I5FX 50-59 years, male 264.0
GTEX-15UF6-0826-SM-6PALJ 70-79 years, female 263.3
GTEX-1HBPN-0226-SM-9YFM1 50-59 years, male 260.9
GTEX-1R46S-0626-SM-E9J41 60-69 years, female 256.7
GTEX-14PN4-0126-SM-6EU2V 50-59 years, male 256.0
GTEX-13FHO-0226-SM-5IFGY 60-69 years, male 254.3
GTEX-1H1DE-2126-SM-9WG6R 20-29 years, male 250.0
GTEX-1HCUA-2426-SM-ADEIS 50-59 years, female 249.1
GTEX-16XZY-2126-SM-79OK1 70-79 years, male 233.8
GTEX-S7PM-0126-SM-4AD6S 60-69 years, male 225.1
GTEX-VJYA-1126-SM-3GIJU 60-69 years, male 219.5
GTEX-14A5H-0426-SM-5QGQF 60-69 years, male 202.1
GTEX-S32W-2126-SM-2XCB1 50-59 years, female 181.8
GTEX-1JN1M-0326-SM-CYPT3 60-69 years, female 181.1
GTEX-15DCD-0126-SM-7KUEK 70-79 years, female 181.0
GTEX-11DXW-0226-SM-5H122 40-49 years, male 176.3
GTEX-1M5QR-1226-SM-EWROB 40-49 years, male 176.2
GTEX-15D1Q-0126-SM-7KUG6 40-49 years, male 174.6
GTEX-18QFQ-0126-SM-731BE 30-39 years, male 173.8
GTEX-15EOM-0126-SM-7KUGG 20-29 years, female 169.2
GTEX-1M4P7-0226-SM-DIPEV 60-69 years, male 164.1
GTEX-ZWKS-0126-SM-5SIAA 30-39 years, male 159.0
GTEX-RVPV-0126-SM-EAZAW 60-69 years, male 155.3
GTEX-R3RS-0126-SM-3GIJL 40-49 years, female 153.5
GTEX-ZYFD-0126-SM-5GIDL 50-59 years, male 151.3
GTEX-1HCU8-0626-SM-A9SM9 60-69 years, female 150.6
GTEX-145LS-0126-SM-5QGP1 60-69 years, female 148.6
GTEX-13OVH-0126-SM-5MR4B 70-79 years, male 144.5
GTEX-Z93S-0126-SM-5HL7M 50-59 years, male 141.8
GTEX-14JG1-0426-SM-6ETZZ 40-49 years, male 139.5
GTEX-1L5NE-2526-SM-E6CIE 50-59 years, male 139.2
GTEX-Y3I4-2126-SM-4TT7C 50-59 years, male 138.8
GTEX-18A67-0126-SM-7LG5P 50-59 years, male 138.4
GTEX-146FQ-0126-SM-5NQA9 30-39 years, male 136.2
GTEX-NPJ8-0126-SM-2YUNR 40-49 years, male 135.4
GTEX-XUYS-0126-SM-47JWZ 50-59 years, male 131.8
GTEX-183FY-0126-SM-7LT9P 20-29 years, male 130.2
GTEX-13FTW-2626-SM-5K7WL 40-49 years, male 129.4
GTEX-ZVE2-0226-SM-59HJB 50-59 years, male 129.0
GTEX-1EX96-1626-SM-7PBXR 50-59 years, male 123.5
GTEX-17EUY-0426-SM-793BD 20-29 years, male 120.8
GTEX-11DZ1-0126-SM-5985Q 50-59 years, male 120.2
GTEX-ZY6K-1826-SM-5GZXK 50-59 years, male 119.5
GTEX-13OVG-1926-SM-5L3DK 60-69 years, male 118.4
GTEX-147F3-0526-SM-5SI98 50-59 years, female 117.8
GTEX-13SLX-0526-SM-5S2ON 50-59 years, female 115.5
GTEX-11WQC-2526-SM-5CVLE 60-69 years, male 114.4
GTEX-131XF-5016-SM-7MGWE 60-69 years, male 113.4
GTEX-1J8Q2-0526-SM-CM2RW 60-69 years, male 113.1
GTEX-SSA3-0126-SM-32QPU 60-69 years, male 107.3
GTEX-1I1GR-0126-SM-CL55F 60-69 years, male 106.7
GTEX-13FH7-2026-SM-E9J4I 50-59 years, female 106.3
GTEX-17HGU-0226-SM-7DHKV 50-59 years, male 102.3
GTEX-T8EM-1026-SM-3DB7M 40-49 years, male 101.4
GTEX-1CB4F-0426-SM-9KNV4 60-69 years, male 100.9
GTEX-1IDJF-0126-SM-CM2RS 20-29 years, male 100.3
GTEX-13N11-2526-SM-5K7UE 50-59 years, female 99.2
GTEX-18A7A-0226-SM-718BH 50-59 years, female 98.3
GTEX-13O3Q-2426-SM-5IJBR 50-59 years, male 96.0
GTEX-1QAET-0926-SM-E76QM 50-59 years, male 91.4
GTEX-ZE9C-2726-SM-57WB5 60-69 years, male 91.0
GTEX-145MF-0626-SM-5LUAI 50-59 years, male 90.3
GTEX-OOBK-0126-SM-2YUND 40-49 years, male 89.4
GTEX-XMD2-0126-SM-4YCDU 60-69 years, female 87.5
GTEX-ZYT6-0226-SM-5NQ6T 30-39 years, male 87.3
GTEX-ZV68-0126-SM-59HKS 50-59 years, female 86.0
GTEX-1GN2E-0426-SM-9MQKX 60-69 years, male 85.6
GTEX-1CB4J-0626-SM-7DHMP 60-69 years, male 85.4
GTEX-1PDJ9-0326-SM-DTX95 20-29 years, male 84.8
GTEX-P44H-0226-SM-2XCEU 40-49 years, male 84.3
GTEX-1JMQL-0226-SM-CNPP5 50-59 years, female 84.0
GTEX-R45C-0126-SM-EAZ2R 60-69 years, female 83.8
GTEX-1GF9X-2026-SM-7PC3A 40-49 years, female 83.6
GTEX-1AX9I-0126-SM-7SB74 60-69 years, male 82.5
GTEX-ZQG8-1626-SM-DHXIT 60-69 years, female 81.8
GTEX-YEC4-2126-SM-5IFJH 40-49 years, male 81.4
GTEX-145MI-0526-SM-5O9A8 60-69 years, female 79.7
GTEX-ZV6S-2326-SM-4YCEY 40-49 years, female 79.6
GTEX-13OW7-0126-SM-5MR3B 50-59 years, male 77.6
GTEX-1I1GV-0526-SM-A9G29 60-69 years, male 77.5
GTEX-ZTPG-0326-SM-5O9AX 20-29 years, female 77.0
GTEX-1E1VI-0126-SM-7DHMZ 50-59 years, male 75.9
GTEX-WVJS-0126-SM-4MVOT 50-59 years, male 75.2
GTEX-11P82-1626-SM-59879 20-29 years, male 74.3
GTEX-1F48J-0126-SM-7P8TT 50-59 years, female 74.2
GTEX-1H3VE-0326-SM-9YFLH 40-49 years, male 73.1
GTEX-13RTJ-2426-SM-5S2Q2 60-69 years, male 72.9
GTEX-1CB4E-2226-SM-793DC 60-69 years, male 72.3
GTEX-18465-0126-SM-731BN 50-59 years, male 72.1
GTEX-14BMV-0126-SM-5S2PO 50-59 years, male 71.1
GTEX-13N1W-0126-SM-5K7VT 70-79 years, male 70.1
GTEX-1122O-2126-SM-5EGIR 60-69 years, female 69.9
GTEX-12584-0126-SM-5EGKQ 40-49 years, male 69.7
GTEX-1399R-2726-SM-5IJBA 30-39 years, male 68.8
GTEX-SIU8-0126-SM-2XCDT 50-59 years, male 68.4
GTEX-1H3VY-0126-SM-ACKXD 50-59 years, male 67.7
GTEX-OHPL-0126-SM-2HMJ7 60-69 years, female 67.1
GTEX-17HHY-0126-SM-7LG5D 50-59 years, male 67.0
GTEX-QLQ7-1626-SM-2S1R8 60-69 years, male 66.4
GTEX-148VJ-0126-SM-5TDDN 70-79 years, male 65.7
GTEX-XBED-2226-SM-47JYQ 60-69 years, male 65.7
GTEX-1GZ2Q-0226-SM-7P8TL 40-49 years, male 65.1
GTEX-14PHW-0126-SM-6LLJI 60-69 years, female 64.6
GTEX-OIZG-0726-SM-33HBL 50-59 years, male 64.5
GTEX-18A7B-0126-SM-7LG64 70-79 years, male 62.7
GTEX-Y3IK-2426-SM-4WWDU 50-59 years, female 61.5
GTEX-ZF2S-2326-SM-4WWCE 50-59 years, female 61.2
GTEX-OXRO-0126-SM-2YUN4 60-69 years, female 59.7
GTEX-13G51-2526-SM-5LZYK 60-69 years, male 59.5
GTEX-14PK6-1926-SM-6ETZU 70-79 years, female 58.9
GTEX-111FC-0126-SM-5N9DL 60-69 years, male 58.8
GTEX-X4EP-0126-SM-3P5YV 60-69 years, female 58.1
GTEX-1IKJJ-0126-SM-CNPQB 60-69 years, male 57.6
GTEX-1HCVE-0126-SM-CGQEU 50-59 years, male 57.1
GTEX-12ZZY-0226-SM-5LZVE 60-69 years, male 56.7
GTEX-13NYS-0126-SM-5MR3W 60-69 years, male 56.7
GTEX-1O97I-0326-SM-EYYX7 60-69 years, male 56.4
GTEX-1H23P-0126-SM-ADEJ3 60-69 years, male 56.0
GTEX-15EU6-0426-SM-6PAN5 50-59 years, male 54.4
GTEX-PWO3-1526-SM-48TCM 60-69 years, female 54.4
GTEX-1C6VS-0526-SM-7DUEN 60-69 years, male 54.2
GTEX-13OVI-1426-SM-5L3EY 60-69 years, female 53.7
GTEX-17HHE-2026-SM-79OKF 50-59 years, male 53.4
GTEX-145MN-2226-SM-5SIAU 30-39 years, male 52.5
GTEX-1F5PK-2426-SM-7RHHY 50-59 years, male 52.5
GTEX-139TU-0126-SM-5K7WH 60-69 years, male 51.8
GTEX-14A6H-0126-SM-5QGPK 30-39 years, male 51.8
GTEX-1H1DG-0126-SM-9WYU2 70-79 years, male 51.6
GTEX-1B8SF-1426-SM-7DUGL 60-69 years, male 51.5
GTEX-139UW-2826-SM-5L3E7 60-69 years, male 50.9
GTEX-RN64-0126-SM-2TC68 50-59 years, male 50.8
GTEX-1JMPY-1326-SM-ARL8Y 30-39 years, male 50.2
GTEX-1KAFJ-2026-SM-CY8ID 50-59 years, male 49.8
GTEX-SE5C-1626-SM-2XCE3 40-49 years, female 49.0
GTEX-1GF9W-0326-SM-9KNUN 60-69 years, male 48.7
GTEX-16AAH-1726-SM-7939C 50-59 years, male 48.5
GTEX-16MT8-0426-SM-7KUEY 60-69 years, female 47.9
GTEX-11LCK-1026-SM-5A5KB 30-39 years, male 46.9
GTEX-14ABY-0226-SM-5TDCQ 50-59 years, male 46.7
GTEX-Y5LM-1926-SM-5RQJH 40-49 years, female 45.9
GTEX-1F75A-0126-SM-7RHGM 50-59 years, male 45.2
GTEX-13OVL-0226-SM-5L3E9 50-59 years, male 44.7
GTEX-1R7EU-0226-SM-EVR4G 60-69 years, male 44.5
GTEX-147GR-0526-SM-5S2MY 60-69 years, male 44.4
GTEX-1GPI6-0126-SM-9WG69 60-69 years, male 44.2
GTEX-1HSMO-0126-SM-CL547 60-69 years, male 43.8
GTEX-1RB15-2126-SM-E9TIM 60-69 years, male 42.4
GTEX-13X6I-0626-SM-5QGP9 60-69 years, male 42.3
GTEX-139T4-0226-SM-5HL5S 50-59 years, female 42.1
GTEX-14PHX-2326-SM-62LEM 50-59 years, male 41.9
GTEX-OIZH-0126-SM-2HMIS 50-59 years, male 41.6
GTEX-X585-0226-SM-4QAS2 50-59 years, male 41.4
GTEX-11OC5-0126-SM-5HL6A 60-69 years, male 40.6
GTEX-ZUA1-0126-SM-5GU76 40-49 years, male 39.9
GTEX-SN8G-0126-SM-32PLI 50-59 years, female 39.7
GTEX-1EU9M-0226-SM-7P8SP 60-69 years, male 39.7
GTEX-Q2AH-1626-SM-3GAF8 40-49 years, male 39.5
GTEX-RU72-0926-SM-2TF6B 50-59 years, female 39.4
GTEX-1QCLY-0326-SM-E8VOG 30-39 years, male 39.4
GTEX-145LT-1726-SM-5QGP3 40-49 years, male 39.3
GTEX-17F98-0626-SM-79OMX 40-49 years, female 39.1
GTEX-1EKGG-0226-SM-9WYTH 60-69 years, male 38.5
GTEX-144GL-0126-SM-5TDE2 50-59 years, male 38.2
GTEX-1PFEY-1526-SM-E76PP 30-39 years, male 37.9
GTEX-1F88F-2726-SM-7PBZZ 60-69 years, female 37.8
GTEX-SJXC-0126-SM-2XCFF 60-69 years, male 37.7
GTEX-VUSG-2526-SM-4KL1V 50-59 years, male 37.6
GTEX-1F5PL-0326-SM-7P8PQ 40-49 years, female 37.6
GTEX-T2YK-0526-SM-32QPJ 50-59 years, male 37.5
GTEX-11TUW-2726-SM-E9J4M 60-69 years, male 37.1
GTEX-QLQW-1126-SM-2S1Q8 30-39 years, male 36.9
GTEX-14ICK-0226-SM-6EU25 40-49 years, male 36.6
GTEX-1J1OQ-0226-SM-CYPSH 40-49 years, female 36.2
GTEX-ZE7O-0126-SM-57WC1 50-59 years, female 36.1
GTEX-TMMY-0226-SM-33HBA 40-49 years, female 36.0
GTEX-Z93T-0126-SM-5HL5N 50-59 years, male 35.9
GTEX-18A66-0226-SM-718BD 60-69 years, male 35.6
GTEX-1IDJU-2626-SM-CM2RT 60-69 years, female 35.6
GTEX-11GS4-2726-SM-5A5LE 60-69 years, male 35.5
GTEX-13113-5016-SM-7EPIP 60-69 years, female 35.3
GTEX-Y8E4-0626-SM-4WWDL 40-49 years, male 35.3
GTEX-1C4CL-0526-SM-73KVK 30-39 years, male 34.9
GTEX-1314G-1526-SM-5EGK2 30-39 years, male 34.5
GTEX-18D9B-0526-SM-7LTAS 60-69 years, male 34.2
GTEX-X5EB-2226-SM-46MW4 40-49 years, male 33.9
GTEX-OXRN-0126-SM-48TDM 50-59 years, male 33.8
GTEX-1IDFM-0126-SM-COH2V 60-69 years, male 33.4
GTEX-X8HC-0126-SM-4E3JW 50-59 years, female 32.7
GTEX-YJ89-0126-SM-4TT3X 60-69 years, male 32.7
GTEX-1IKK5-0626-SM-ARL8A 60-69 years, male 32.7
GTEX-ZDXO-3026-SM-5J1N5 60-69 years, male 32.5
GTEX-13112-2826-SM-5DUWH 50-59 years, male 32.3
GTEX-ZYFC-0226-SM-5NQ75 50-59 years, male 32.3
GTEX-1RAZQ-0726-SM-EAZ43 30-39 years, male 32.2
GTEX-11EMC-2926-SM-5EQ4F 60-69 years, female 31.8
GTEX-1JMPZ-0226-SM-CNPP1 30-39 years, male 31.6
GTEX-14753-0426-SM-5NQAM 60-69 years, male 31.5
GTEX-S33H-1026-SM-EZ6L6 30-39 years, male 30.9
GTEX-1GN1V-0126-SM-9WPOS 60-69 years, male 30.8
GTEX-1KXAM-2226-SM-CYPTC 60-69 years, male 30.8
GTEX-12126-0326-SM-5PNW3 20-29 years, male 30.7
GTEX-1JMOU-1526-SM-CL54I 60-69 years, female 30.7
GTEX-113IC-0126-SM-5HL6T 60-69 years, male 30.4
GTEX-1GMR3-1926-SM-9KNUZ 40-49 years, male 30.3
GTEX-S7SE-0126-SM-2XCD5 50-59 years, male 30.2
GTEX-13N2G-2626-SM-5J1OT 60-69 years, male 29.5
GTEX-1EN7A-0126-SM-7SB81 40-49 years, male 29.2
GTEX-17EVQ-0226-SM-7LG4P 70-79 years, male 29.1
GTEX-13VXU-0126-SM-5SI9F 50-59 years, male 28.9
GTEX-UJHI-1526-SM-3DB99 50-59 years, female 28.7
GTEX-1A8FM-0226-SM-7SB7Q 50-59 years, female 28.6
GTEX-ZDTS-0126-SM-4WAY5 60-69 years, male 28.5
GTEX-11XUK-2026-SM-5EQLF 40-49 years, female 28.3
GTEX-U4B1-1826-SM-4DXSU 40-49 years, male 28.1
GTEX-WH7G-2326-SM-3NMBC 40-49 years, male 28.1
GTEX-1I1CD-0126-SM-CM2TK 60-69 years, female 28.1
GTEX-1C6VR-2426-SM-79OLD 60-69 years, male 27.9
GTEX-1QP67-1626-SM-EAZ3X 40-49 years, female 27.8
GTEX-17HG3-2226-SM-7938L 30-39 years, female 27.7
GTEX-QESD-1426-SM-2S1R9 20-29 years, male 27.4
GTEX-U3ZM-1526-SM-3DB9D 40-49 years, male 27.4
GTEX-1HSKV-0226-SM-A9SKJ 60-69 years, male 27.2
GTEX-X4EO-0326-SM-3P5YO 60-69 years, female 27.0
GTEX-13IVO-0126-SM-5J1NG 70-79 years, male 26.8
GTEX-OXRP-0126-SM-3NB32 60-69 years, female 26.8
GTEX-TMZS-0126-SM-3DB9Q 60-69 years, male 26.8
GTEX-1MCYP-1926-SM-E9J2R 20-29 years, female 26.8
GTEX-X4XX-0126-SM-3NMC2 60-69 years, male 26.3
GTEX-ZXG5-0126-SM-5GIEU 60-69 years, male 26.3
GTEX-12WSN-5019-SM-79OM6 40-49 years, male 26.0
GTEX-131XW-0426-SM-5LZWP 50-59 years, female 25.9
GTEX-14JG6-2226-SM-6EU2G 30-39 years, female 25.8
GTEX-1HBPM-0226-SM-ARL9F 60-69 years, female 25.8
GTEX-13NZB-2526-SM-5J1OM 30-39 years, male 25.7
GTEX-XAJ8-0826-SM-47JY6 40-49 years, male 25.7
GTEX-13D11-2426-SM-5KM1V 50-59 years, female 25.6
GTEX-17JCI-0126-SM-7LG5G 60-69 years, female 25.6
GTEX-12WSE-0526-SM-793B2 20-29 years, male 25.5
GTEX-1HBPI-1526-SM-C1YQ1 50-59 years, male 25.5
GTEX-XQ8I-0426-SM-4BOPO 50-59 years, male 25.0
GTEX-1I1GP-2226-SM-CGQFK 50-59 years, male 25.0
GTEX-1QW4Y-1526-SM-EAZ3Z 30-39 years, male 25.0
GTEX-11DXX-2426-SM-5GZZW 60-69 years, female 24.9
GTEX-11EI6-0126-SM-5985R 60-69 years, male 24.9
GTEX-ZAJG-0126-SM-5HL94 50-59 years, female 24.7
GTEX-14C5O-0126-SM-5SI6N 60-69 years, male 24.6
GTEX-1MCQQ-0826-SM-DLHC2 60-69 years, male 24.6
GTEX-13FHP-0126-SM-5IJBG 50-59 years, male 24.5
GTEX-1211K-2026-SM-5EQ4Z 60-69 years, female 24.4
GTEX-14BIN-0626-SM-793DP 50-59 years, female 24.1
GTEX-PVOW-0126-SM-2XCFA 40-49 years, male 24.0
GTEX-1S3DN-2226-SM-EVYCD 50-59 years, male 23.6
GTEX-1AX9J-0226-SM-73KXM 60-69 years, male 23.5
GTEX-1GL5R-1826-SM-9KNUY 50-59 years, male 23.5
GTEX-R55G-2526-SM-2TC6D 40-49 years, female 23.4
GTEX-1B933-0126-SM-7PC29 50-59 years, female 23.4
GTEX-13O3O-0126-SM-E9J49 60-69 years, female 23.0
GTEX-11UD1-0126-SM-5PNYG 40-49 years, female 22.8
GTEX-SNMC-1226-SM-2XCFP 20-29 years, male 22.8
GTEX-T5JC-0426-SM-32PLO 20-29 years, male 22.7
GTEX-W5WG-1826-SM-4KL2Y 50-59 years, female 22.6
GTEX-PLZ6-1426-SM-DKPOT 30-39 years, male 22.6
GTEX-ZVTK-0426-SM-51MRS 20-29 years, male 22.4
GTEX-1QEPI-0126-SM-EWRMQ 60-69 years, female 22.4
GTEX-111VG-2426-SM-5GZXD 60-69 years, male 22.3
GTEX-WY7C-2326-SM-3NB2U 50-59 years, male 22.2
GTEX-V1D1-2226-SM-3NMAX 50-59 years, male 22.1
GTEX-XQ3S-1526-SM-4BOOC 20-29 years, male 22.1
GTEX-NFK9-0226-SM-2HMKQ 40-49 years, male 22.0
GTEX-ZTX8-1426-SM-5DUVO 20-29 years, male 21.9
GTEX-15CHC-2126-SM-6EU21 60-69 years, female 21.7
GTEX-1C6WA-0126-SM-7PC2B 60-69 years, male 21.4
GTEX-1N2EF-0226-SM-EYYXB 60-69 years, male 21.4
GTEX-13U4I-0126-SM-5LU38 40-49 years, female 21.3
GTEX-ZVZP-2426-SM-59HKJ 50-59 years, male 21.3
GTEX-12WSA-0226-SM-5BC5V 60-69 years, male 21.1
GTEX-ZVT4-0126-SM-DTXFN 50-59 years, female 20.9
GTEX-16GPK-0126-SM-7DHLE 60-69 years, male 20.8
GTEX-1HGF4-2426-SM-ACKXM 60-69 years, male 20.8
GTEX-YFC4-0126-SM-5CVLY 40-49 years, female 20.7
GTEX-1I6K6-0126-SM-A9SLE 30-39 years, male 20.7
GTEX-1S82Z-0826-SM-E6CHY 30-39 years, female 20.7
GTEX-Y5V5-2326-SM-4V6GA 60-69 years, female 20.5
GTEX-1JN6P-0126-SM-D3L98 60-69 years, male 20.5
GTEX-XV7Q-2526-SM-4BRV9 40-49 years, female 20.4
GTEX-18D9A-1926-SM-7LG6P 30-39 years, female 20.3
GTEX-ZYW4-0126-SM-5E44A 60-69 years, male 20.3
GTEX-1CB4G-0226-SM-7PC3O 60-69 years, male 20.1
GTEX-1R9PM-2026-SM-E76OY 20-29 years, male 20.1
GTEX-132NY-0326-SM-5IJBL 60-69 years, male 20.0
GTEX-145MO-0326-SM-5Q5B3 60-69 years, male 20.0
GTEX-11ZVC-2526-SM-5FQTE 50-59 years, female 19.7
GTEX-U412-0426-SM-3DB9O 60-69 years, male 19.6
GTEX-1B8L1-2526-SM-9WYTF 60-69 years, male 19.6
GTEX-1R9PO-2126-SM-E9J4O 60-69 years, female 19.4
GTEX-1GF9V-0326-SM-7RHI5 60-69 years, male 19.3
GTEX-1B8KZ-2026-SM-7DHMB 50-59 years, male 19.1
GTEX-11TTK-0126-SM-5987B 60-69 years, female 18.9
GTEX-13O1R-0126-SM-5L3EH 60-69 years, male 18.9
GTEX-ZPIC-1726-SM-DHXIU 40-49 years, female 18.9
GTEX-15SHU-0126-SM-7KUEH 40-49 years, female 18.7
GTEX-1JMQI-2226-SM-CM2SD 50-59 years, male 18.7
GTEX-1LG7Z-1726-SM-D3LA4 30-39 years, male 18.6
GTEX-Y8DK-0126-SM-4TT3L 60-69 years, male 18.5
GTEX-ZYY3-0126-SM-5GZY5 60-69 years, female 18.5
GTEX-RWSA-0126-SM-2XCBB 40-49 years, male 18.4
GTEX-1C64N-0126-SM-793D7 50-59 years, male 18.3
GTEX-OIZF-0126-SM-7SB8I 60-69 years, male 18.3
GTEX-SUCS-1926-SM-32PM3 70-79 years, male 18.2
GTEX-1KANA-0726-SM-D3L9I 20-29 years, male 17.8
GTEX-1OJC3-0126-SM-E76QX 20-29 years, male 17.7
GTEX-11GSP-2526-SM-5N9BP 60-69 years, female 17.6
GTEX-11P81-2326-SM-59875 30-39 years, female 17.6
GTEX-XXEK-2226-SM-4BRUM 50-59 years, male 17.6
GTEX-1IOXB-0126-SM-ARL8G 50-59 years, male 17.6
GTEX-16BQI-0226-SM-7KUEX 30-39 years, female 17.5
GTEX-1LH75-2426-SM-E9TJE 50-59 years, female 17.5
GTEX-Y8LW-1826-SM-5S2MV 50-59 years, female 17.4
GTEX-12WSJ-1826-SM-5GCNY 40-49 years, female 17.1
GTEX-ZDTT-2726-SM-4WKF8 60-69 years, male 17.0
GTEX-1PIIG-0226-SM-EWRN6 30-39 years, male 17.0
GTEX-1JKYR-0126-SM-CNPOJ 20-29 years, male 16.8
GTEX-PLZ4-0126-SM-5SI8O 50-59 years, female 16.7
GTEX-S95S-1226-SM-4GICG 60-69 years, male 16.7
GTEX-1QP9N-1426-SM-DTXFL 30-39 years, male 16.7
GTEX-11DYG-0126-SM-59883 60-69 years, male 16.6
GTEX-11H98-0126-SM-5EGHG 50-59 years, male 16.5
GTEX-14E6D-0126-SM-62LDV 50-59 years, male 16.5
GTEX-ZC5H-0226-SM-4WAY9 40-49 years, female 16.5
GTEX-1QPFJ-0226-SM-E76PB 30-39 years, female 16.4
GTEX-PSDG-0226-SM-DKPOZ 50-59 years, male 16.4
GTEX-117XS-2726-SM-5N9BL 60-69 years, male 16.3
GTEX-12ZZZ-0626-SM-5DUXI 60-69 years, male 16.3
GTEX-13X6J-0126-SM-5QGOU 50-59 years, male 16.3
GTEX-1J8Q3-1626-SM-CMKGC 60-69 years, male 16.3
GTEX-1NV5F-0226-SM-E8VNY 60-69 years, female 16.3
GTEX-139D8-0226-SM-5KLZO 30-39 years, female 16.2
GTEX-1K2DA-1826-SM-CGQGT 50-59 years, male 16.2
GTEX-133LE-1826-SM-5J1MV 20-29 years, female 16.1
GTEX-14PJ3-1826-SM-62LEX 50-59 years, male 16.0
GTEX-1JKYN-1326-SM-CGQG9 30-39 years, male 15.9
GTEX-YB5K-2126-SM-4WWDJ 40-49 years, female 15.8
GTEX-1RDX4-0126-SM-E9J4P 50-59 years, female 15.8
GTEX-TSE9-0126-SM-3DB83 60-69 years, female 15.7
GTEX-1C64O-0126-SM-7SB8P 60-69 years, male 15.6
GTEX-1ICG6-2526-SM-CGQFZ 70-79 years, female 15.6
GTEX-1POEN-0126-SM-EYYXJ 30-39 years, female 15.6
GTEX-12696-2426-SM-5EQ6H 60-69 years, male 15.5
GTEX-1H1E6-1726-SM-ACKVK 30-39 years, male 15.5
GTEX-1IDJH-0326-SM-A9SLQ 70-79 years, male 15.5
GTEX-13X6H-2126-SM-7EWD5 50-59 years, female 15.4
GTEX-Q2AG-0126-SM-33HBV 40-49 years, female 15.4
GTEX-ZAB5-1826-SM-5HL7C 50-59 years, male 15.4
GTEX-1IGQW-0126-SM-COH42 60-69 years, male 15.4
GTEX-1JJE9-0326-SM-CL53Z 70-79 years, male 15.1
GTEX-1MUQO-0126-SM-EAZ58 60-69 years, male 15.1
GTEX-17F97-0326-SM-7LG5B 50-59 years, male 15.0
GTEX-148VI-1626-SM-5SI6E 60-69 years, female 14.9
GTEX-XBEW-0626-SM-4QASP 40-49 years, male 14.9
GTEX-11DXY-2626-SM-5GIE7 60-69 years, male 14.8
GTEX-1HCU6-0126-SM-CL54K 60-69 years, female 14.8
GTEX-16YQH-0126-SM-7DUFJ 30-39 years, male 14.7
GTEX-ZYFG-2326-SM-5E44B 60-69 years, female 14.7
GTEX-ZZPT-0226-SM-5E43X 50-59 years, male 14.7
GTEX-1PBJI-0526-SM-E8VNK 20-29 years, female 14.7
GTEX-PWCY-1826-SM-DHXIZ 20-29 years, female 14.7
GTEX-12ZZX-0126-SM-5EGK9 40-49 years, female 14.6
GTEX-1C2JI-1826-SM-73KXC 50-59 years, male 14.6
GTEX-1EMGI-0126-SM-9KNUE 60-69 years, male 14.6
GTEX-1OFPY-2426-SM-DTXEJ 60-69 years, male 14.5
GTEX-113JC-2326-SM-5EQ4E 50-59 years, female 14.4
GTEX-X638-0126-SM-47JZ8 70-79 years, female 14.4
GTEX-YB5E-2026-SM-5IFIS 40-49 years, male 14.3
GTEX-1JMQJ-0526-SM-CYPSU 50-59 years, male 14.3
GTEX-T5JW-1626-SM-3GADZ 20-29 years, female 14.2
GTEX-P4PQ-0126-SM-2S1NM 60-69 years, male 14.1
GTEX-1IL2V-0126-SM-CM2TX 70-79 years, male 14.1
GTEX-WYVS-2126-SM-3NMA3 40-49 years, female 14.0
GTEX-1J8QM-2126-SM-CYPSJ 60-69 years, female 14.0
GTEX-145ME-1826-SM-5SI9G 40-49 years, female 13.9
GTEX-16NPX-0226-SM-79OMT 50-59 years, male 13.9
GTEX-VJWN-0126-SM-3GIK7 50-59 years, female 13.9
GTEX-12WSG-2826-SM-E9J4H 50-59 years, female 13.9
GTEX-169BO-1326-SM-9MQK2 50-59 years, male 13.9
GTEX-1IKOH-0226-SM-COH4E 60-69 years, female 13.9
GTEX-WZTO-0126-SM-3NM95 40-49 years, male 13.8
GTEX-145LV-2126-SM-5LU8N 50-59 years, male 13.7
GTEX-1J8JJ-0226-SM-CL53I 60-69 years, female 13.7
GTEX-QDT8-0126-SM-48TZ1 30-39 years, female 13.6
GTEX-WQUQ-0426-SM-3MJFU 60-69 years, male 13.6
GTEX-1AX9K-2326-SM-73KWU 50-59 years, male 13.5
GTEX-P4QT-0126-SM-2I3FL 50-59 years, female 13.5
GTEX-131XG-2626-SM-5KM17 50-59 years, female 13.4
GTEX-OXRL-0126-SM-2YUMP 50-59 years, male 13.1
GTEX-1JN76-0126-SM-CNPPE 20-29 years, female 13.1
GTEX-1K2DU-2326-SM-E9TIV 20-29 years, male 13.1
GTEX-131XH-2226-SM-5DUXJ 50-59 years, male 13.0
GTEX-11DXZ-2326-SM-5EGGV 50-59 years, male 12.8
GTEX-XUZC-1726-SM-4BRWS 30-39 years, female 12.8
GTEX-1HT8W-0126-SM-CNPPP 30-39 years, male 12.8
GTEX-11EM3-2426-SM-59861 20-29 years, female 12.7
GTEX-11GSO-2426-SM-5A5LY 60-69 years, male 12.6
GTEX-17MFQ-1726-SM-793C7 20-29 years, male 12.6
GTEX-13OW6-0426-SM-5L3HM 50-59 years, male 12.5
GTEX-15SHW-0326-SM-6PAML 60-69 years, male 12.5
GTEX-17GQL-2026-SM-718BA 60-69 years, male 12.5
GTEX-1CAV2-2226-SM-7P8P2 40-49 years, female 12.5
GTEX-13NZA-0226-SM-5K7Z7 60-69 years, male 12.4
GTEX-14A5I-0126-SM-5TDEA 50-59 years, female 12.3
GTEX-QVJO-1626-SM-2S1QW 60-69 years, female 12.3
GTEX-146FR-1326-SM-E9J48 60-69 years, female 12.3
GTEX-1ICLY-0126-SM-D4P36 50-59 years, male 12.2
GTEX-1JK1U-2026-SM-CM2RZ 60-69 years, male 12.2
GTEX-13W3W-2426-SM-5LU5B 60-69 years, female 12.1
GTEX-15SDE-2226-SM-7IGLO 50-59 years, female 12.1
GTEX-ZQUD-1426-SM-57WER 30-39 years, male 12.1
GTEX-PLZ5-2026-SM-2S1O4 50-59 years, male 12.0
GTEX-14E7W-0126-SM-6LLJ9 70-79 years, male 11.9
GTEX-UPJH-0326-SM-3GADU 50-59 years, male 11.9
GTEX-1HFI6-0226-SM-ADEHZ 40-49 years, male 11.9
GTEX-13O3P-0126-SM-5KM4S 50-59 years, male 11.8
GTEX-13VXT-0126-SM-5LU4I 20-29 years, female 11.8
GTEX-1HSEH-0126-SM-ACKXN 60-69 years, male 11.8
GTEX-1I1GS-0126-SM-B2LVW 60-69 years, male 11.7
GTEX-X62O-0126-SM-4E3JN 50-59 years, male 11.6
GTEX-1MA7X-2226-SM-E6CIY 60-69 years, male 11.6
GTEX-1IY9M-0126-SM-D3L8S 60-69 years, male 11.5
GTEX-13OW8-1326-SM-5J1OW 60-69 years, male 11.4
GTEX-13S7M-0126-SM-5SI6A 60-69 years, female 11.4
GTEX-14PII-0226-SM-6EU1T 60-69 years, male 11.4
GTEX-ZVT2-2526-SM-51MT1 50-59 years, female 11.4
GTEX-1I1GQ-0126-SM-COH3H 50-59 years, male 11.4
GTEX-12C56-1726-SM-5EQ61 20-29 years, male 11.3
GTEX-13OW5-0126-SM-DTXFS 60-69 years, male 11.3
GTEX-1GF9U-2126-SM-7SB7L 40-49 years, female 11.3
GTEX-17EVP-0326-SM-7DHLG 40-49 years, male 11.2
GTEX-1F7RK-0126-SM-7PC2S 20-29 years, female 11.2
GTEX-PW2O-1526-SM-7RHHB 20-29 years, male 11.2
GTEX-14E6C-0126-SM-5RQIP 40-49 years, male 11.0
GTEX-1C475-1826-SM-73KWA 40-49 years, female 11.0
GTEX-WRHK-1426-SM-3MJF9 20-29 years, female 11.0
GTEX-Y114-2426-SM-4TT8A 50-59 years, female 11.0
GTEX-1E2YA-0126-SM-9KNUC 50-59 years, male 11.0
GTEX-1N2DV-0226-SM-E6CJ6 40-49 years, male 11.0
GTEX-15DDE-0126-SM-6LPKH 50-59 years, female 10.9
GTEX-1CAMR-1926-SM-7EPI2 20-29 years, male 10.9
GTEX-1EWIQ-0126-SM-7RHH2 70-79 years, female 10.9
GTEX-1LGRB-2526-SM-CNPPQ 50-59 years, female 10.8
GTEX-13SLW-0126-SM-5SI6C 70-79 years, male 10.7
GTEX-1AMEY-1326-SM-73KYK 30-39 years, female 10.7
GTEX-ZVT3-0126-SM-5GU6I 60-69 years, female 10.7
GTEX-1B996-0226-SM-7RHGO 60-69 years, male 10.7
GTEX-13O21-1426-SM-5K7XI 50-59 years, male 10.6
GTEX-18D9U-0226-SM-718BP 40-49 years, male 10.6
GTEX-1F75B-0126-SM-9KNVL 50-59 years, male 10.6
GTEX-ZF28-0126-SM-4WKGK 60-69 years, male 10.5
GTEX-1I19N-0326-SM-ACKVX 70-79 years, male 10.5
GTEX-1B8SG-0126-SM-73KZ3 50-59 years, male 10.4
GTEX-13RTL-0126-SM-7LG5S 40-49 years, male 10.3
GTEX-147F4-0226-SM-5QGPW 50-59 years, male 10.3
GTEX-OHPM-0126-SM-2YUN9 50-59 years, male 10.3
GTEX-OXRK-0226-SM-3NB2G 50-59 years, female 10.3
GTEX-ZZ64-1726-SM-5GZYB 20-29 years, male 10.3
GTEX-1KD4Q-0226-SM-E9TJ9 40-49 years, male 10.3
GTEX-ZF29-2326-SM-DO92K 60-69 years, female 10.3
GTEX-13NYB-2526-SM-5K7Z6 40-49 years, male 10.2
GTEX-O5YW-0126-SM-3LK6D 50-59 years, male 10.2
GTEX-1H1CY-2826-SM-9MQM3 60-69 years, female 10.2
GTEX-1HKZK-0326-SM-9WYUH 40-49 years, male 10.2
GTEX-1A3MV-1926-SM-718BT 30-39 years, male 10.1
GTEX-1AYCT-2426-SM-7IGQ3 50-59 years, male 10.1
GTEX-T2IS-0126-SM-4DM6O 20-29 years, female 10.1
GTEX-X261-0126-SM-3NMD6 50-59 years, male 10.1
GTEX-1GN73-0226-SM-9WG67 60-69 years, male 10.1
GTEX-ZAK1-0126-SM-5IJD3 50-59 years, female 10.0
GTEX-1NHNU-1026-SM-E9J2A 50-59 years, male 10.0
GTEX-1399U-2326-SM-5K7WY 50-59 years, female 9.9
GTEX-16XZZ-0126-SM-793DV 60-69 years, male 9.8
GTEX-1HSMP-0126-SM-E6CJS 70-79 years, male 9.8
GTEX-17HII-0226-SM-7LG4E 50-59 years, male 9.7
GTEX-XYKS-2126-SM-4E3IB 60-69 years, female 9.7
GTEX-1F6RS-0126-SM-9MQKZ 60-69 years, female 9.7
GTEX-ZAB4-0226-SM-5N9F5 40-49 years, male 9.6
GTEX-15RIG-0226-SM-7KFTL 40-49 years, male 9.5
GTEX-1GN1U-0126-SM-7PBZK 50-59 years, female 9.5
GTEX-1I4MK-2226-SM-ACKWD 50-59 years, female 9.5
GTEX-1F75I-0326-SM-9YFLU 40-49 years, male 9.4
GTEX-1QMI2-0226-SM-EVYBX 60-69 years, male 9.4
GTEX-11NSD-2226-SM-5986V 20-29 years, male 9.3
GTEX-XPVG-2626-SM-4B669 50-59 years, male 9.3
GTEX-1S82Y-2026-SM-EVYCM 40-49 years, male 9.3
GTEX-ZGAY-0526-SM-4WWBB 40-49 years, female 9.2
GTEX-12WSC-0126-SM-5EQ4P 50-59 years, male 9.1
GTEX-14BIL-0126-SM-5SI92 50-59 years, male 9.1
GTEX-14JIY-0126-SM-6LLH6 60-69 years, male 9.1
GTEX-1A32A-0126-SM-718B1 50-59 years, female 9.1
GTEX-QV44-1926-SM-2S1RF 50-59 years, male 9.1
GTEX-ZXES-1826-SM-5E43S 30-39 years, female 9.1
GTEX-1R7EV-2426-SM-EVYBG 40-49 years, male 9.1
GTEX-1CAMQ-0226-SM-7IGPK 40-49 years, male 9.0
GTEX-13CF2-2526-SM-5LZYX 60-69 years, male 8.9
GTEX-1K9T9-0126-SM-EVYCF 50-59 years, female 8.9
GTEX-13RTK-1426-SM-5QGQJ 20-29 years, male 8.8
GTEX-15DYW-0126-SM-7KULE 60-69 years, female 8.8
GTEX-1F52S-0126-SM-9MQJU 60-69 years, female 8.8
GTEX-1HSMQ-1226-SM-CGQFX 50-59 years, male 8.8
GTEX-1KWVE-1426-SM-E9TJO 30-39 years, male 8.8
GTEX-WXYG-2326-SM-4E3I6 50-59 years, female 8.7
GTEX-1J8EW-0126-SM-CJI4F 60-69 years, female 8.7
GTEX-1LG7Y-0526-SM-DKPQC 50-59 years, male 8.7
GTEX-139T8-0126-SM-5K7XZ 60-69 years, male 8.6
GTEX-15F5U-1526-SM-6PANO 40-49 years, male 8.6
GTEX-R55E-0126-SM-2TC5Y 20-29 years, male 8.6
GTEX-RM2N-1426-SM-2TF4H 50-59 years, male 8.6
GTEX-13W46-0226-SM-5SIAG 50-59 years, male 8.5
GTEX-13PDP-0126-SM-5L3HD 60-69 years, male 8.4
GTEX-15ER7-0326-SM-7KUEV 20-29 years, female 8.4
GTEX-13FTY-0526-SM-5L3EV 40-49 years, female 8.3
GTEX-11ZTT-2426-SM-5EQLS 60-69 years, female 8.2
GTEX-ZEX8-2426-SM-4WKG4 50-59 years, male 8.2
GTEX-PX3G-0126-SM-2I3EN 20-29 years, female 8.1
GTEX-1F6I4-0126-SM-9MQL2 60-69 years, male 8.1
GTEX-1LB8K-0226-SM-EWRNW 50-59 years, male 8.1
GTEX-11UD2-0226-SM-5EQKY 50-59 years, male 8.0
GTEX-12WSK-2326-SM-5GCOH 40-49 years, female 8.0
GTEX-14PN3-2426-SM-6LLHS 60-69 years, female 8.0
GTEX-TML8-1926-SM-32QOS 40-49 years, female 8.0
GTEX-1KD5A-0226-SM-D5OV3 50-59 years, male 8.0
GTEX-RTLS-0126-SM-447CA 60-69 years, female 7.9
GTEX-TKQ1-1026-SM-4GICL 30-39 years, male 7.9
GTEX-1HBPH-0426-SM-B2LW5 40-49 years, female 7.9
GTEX-1KANC-1526-SM-D3LAB 50-59 years, female 7.9
GTEX-1LNCM-1126-SM-E9U5E 50-59 years, female 7.9
GTEX-1GTWX-0126-SM-9YFLK 60-69 years, male 7.8
GTEX-1I1HK-0126-SM-COH49 60-69 years, male 7.8
GTEX-1313W-0126-SM-5LZUN 50-59 years, female 7.6
GTEX-117YX-2326-SM-5H12W 50-59 years, male 7.5
GTEX-131YS-0126-SM-5KM1M 60-69 years, female 7.5
GTEX-QCQG-1726-SM-3GIJ9 50-59 years, female 7.5
GTEX-1MGNQ-0126-SM-EVYCJ 40-49 years, male 7.5
GTEX-13YAN-0326-SM-5O9DF 60-69 years, male 7.4
GTEX-1LGOU-2026-SM-DIPFF 20-29 years, female 7.4
GTEX-11VI4-1726-SM-5CVLH 40-49 years, female 7.3
GTEX-12KS4-0326-SM-5EQ41 30-39 years, male 7.3
GTEX-P4PP-0126-SM-3LK69 30-39 years, female 7.3
GTEX-Y111-0126-SM-4SOIV 50-59 years, male 7.3
GTEX-14PJM-0226-SM-62LF1 50-59 years, female 7.2
GTEX-11P7K-2126-SM-5GU7G 30-39 years, male 7.1
GTEX-Z9EW-1626-SM-5CVMN 40-49 years, male 7.1
GTEX-1LVAN-0226-SM-COH3S 50-59 years, female 7.1
GTEX-U8T8-0126-SM-3DB94 60-69 years, male 7.0
GTEX-1RQEC-0426-SM-E6CHU 60-69 years, male 7.0
GTEX-13QJ3-0326-SM-5S2RA 50-59 years, male 6.9
GTEX-1GN1W-0526-SM-9MQJQ 50-59 years, female 6.9
GTEX-1MJK2-0426-SM-DTXE5 50-59 years, male 6.9
GTEX-1PIGE-0126-SM-EVYBJ 20-29 years, male 6.9
GTEX-139TT-0126-SM-5K7Y5 60-69 years, male 6.8
GTEX-U3ZH-2026-SM-3DB78 30-39 years, male 6.8
GTEX-13OVK-2026-SM-7KUEO 40-49 years, male 6.7
GTEX-1QP2A-0126-SM-E9J43 50-59 years, male 6.5
GTEX-11ZTS-0126-SM-5EQ6M 60-69 years, female 6.4
GTEX-RWS6-2026-SM-2XCB5 60-69 years, female 6.4
GTEX-XUW1-0426-SM-4BOOT 50-59 years, female 6.4
GTEX-ZTSS-1926-SM-57WEW 40-49 years, male 6.4
GTEX-1HCU9-1526-SM-A9SL7 20-29 years, male 6.4
GTEX-1HFI7-1826-SM-ACKXH 50-59 years, female 6.4
GTEX-13NZ8-0826-SM-5MR3I 60-69 years, female 6.3
GTEX-13FTX-1826-SM-5J1NX 20-29 years, female 6.2
GTEX-1GZHY-0326-SM-9QEHI 50-59 years, female 6.2
GTEX-OOBJ-0126-SM-E6CJW 60-69 years, male 6.2
GTEX-1H3NZ-0126-SM-ACKX7 60-69 years, male 6.1
GTEX-WYJK-0126-SM-3NMAB 50-59 years, male 6.0
GTEX-13111-1626-SM-5EGJY 50-59 years, male 5.9
GTEX-14PJ6-2126-SM-6EU1V 60-69 years, female 5.9
GTEX-1CB4I-0226-SM-79OLH 50-59 years, male 5.9
GTEX-1H3O1-0426-SM-9YFKY 60-69 years, male 5.9
GTEX-11ZUS-0626-SM-59885 30-39 years, male 5.8
GTEX-139TS-2826-SM-5J1OO 60-69 years, male 5.8
GTEX-14LLW-0126-SM-6LLIO 70-79 years, female 5.8
GTEX-1GPI7-0126-SM-9MQL8 20-29 years, male 5.8
GTEX-1192X-0226-SM-5H12D 50-59 years, male 5.7
GTEX-1H11D-0226-SM-9WG6Z 40-49 years, male 5.7
GTEX-1J1R8-1726-SM-ARL8M 40-49 years, male 5.7
GTEX-1JMLX-0226-SM-CM2RO 50-59 years, male 5.7
GTEX-1212Z-2526-SM-5EGKP 60-69 years, male 5.6
GTEX-15SB6-1726-SM-6PAME 50-59 years, female 5.6
GTEX-WFON-2126-SM-3LK7O 40-49 years, male 5.6
GTEX-1HCU7-0226-SM-CL545 50-59 years, male 5.5
GTEX-1IL2U-0226-SM-CE6T8 60-69 years, male 5.5
GTEX-T6MN-0126-SM-32PLP 50-59 years, male 5.4
GTEX-1GZ4H-1726-SM-7PBZJ 50-59 years, female 5.4
GTEX-14BMU-2226-SM-5TDE9 20-29 years, female 5.3
GTEX-1H4P4-0726-SM-9YFLR 50-59 years, male 5.3
GTEX-13PVR-2326-SM-5QGR1 60-69 years, female 5.2
GTEX-1GMRU-0126-SM-9YFLV 50-59 years, male 5.2
GTEX-1PPH7-2326-SM-EVYB8 40-49 years, male 5.2
GTEX-14DAR-2026-SM-5S2O3 50-59 years, male 5.1
GTEX-QEG4-0226-SM-2S1PY 30-39 years, male 5.1
GTEX-12WSD-0126-SM-59HKN 60-69 years, female 4.9
GTEX-131XE-2326-SM-5PNZ2 50-59 years, male 4.9
GTEX-T6MO-1626-SM-32QOM 40-49 years, female 4.9
GTEX-18A6Q-0126-SM-731BZ 60-69 years, male 4.8
GTEX-1QP66-1726-SM-E8VO1 50-59 years, male 4.7
GTEX-14LZ3-0226-SM-62LET 60-69 years, female 4.6
GTEX-15ETS-0126-SM-7KUMW 40-49 years, female 4.6
GTEX-1LBAC-0126-SM-DIPEZ 20-29 years, male 4.0
GTEX-1GMR8-0126-SM-9WYTM 50-59 years, female 3.9
GTEX-1MA7W-2026-SM-E9TJ6 20-29 years, female 3.9
GTEX-1QP29-0626-SM-EWRMX 50-59 years, male 3.8
GTEX-14DAQ-0126-SM-5S2MQ 60-69 years, female 3.6
GTEX-1HSGN-0226-SM-CGQFV 40-49 years, female 3.6
GTEX-1B8KE-2126-SM-73KYX 50-59 years, male 3.5
GTEX-1H2FU-0126-SM-9WYSI 60-69 years, female 3.5
GTEX-RNOR-0126-SM-E9J4R 50-59 years, female 3.5
GTEX-11EQ9-2426-SM-5HL5T 30-39 years, male 3.4
GTEX-1269C-2526-SM-5EGJ3 60-69 years, female 3.4
GTEX-1S5ZA-0126-SM-EVYCV 20-29 years, male 3.4
GTEX-1AMFI-2026-SM-731BH 50-59 years, female 3.3
GTEX-U3ZN-2326-SM-3DB7W 30-39 years, female 3.3
GTEX-1BAJH-0526-SM-793CQ 70-79 years, male 3.2
GTEX-1H1ZS-0426-SM-9WG6G 70-79 years, male 3.2
GTEX-1KANB-0526-SM-E6CJH 50-59 years, male 3.2
GTEX-1LSNM-1926-SM-E6CII 50-59 years, male 3.2
GTEX-17F96-1626-SM-7DUFL 70-79 years, male 2.9
GTEX-13FXS-0226-SM-5IJCK 50-59 years, male 2.7
GTEX-1OJC4-0126-SM-E9J2E 50-59 years, female 2.7
GTEX-16NGA-1726-SM-731B4 40-49 years, female 2.6
GTEX-1I1GT-0626-SM-CGQER 60-69 years, female 2.6
GTEX-1B97I-1626-SM-73KYO 40-49 years, male 2.5
GTEX-13JUV-2726-SM-5LZZ8 40-49 years, female 2.4
GTEX-1S83E-0126-SM-EWRO4 40-49 years, male 2.3
GTEX-11OF3-2626-SM-5GU7F 60-69 years, male 2.1
GTEX-1IE54-0126-SM-CMKHW 40-49 years, female 1.9
GTEX-1JJ6O-0126-SM-E6CI8 60-69 years, male 1.5
GTEX-1RAZA-0126-SM-E6CI3 20-29 years, male 1.1
Show allShow less

Contact

  • NEWS ARTICLES
  • PRESS ROOM

The Project

  • INTRODUCTION
  • ORGANIZATION
  • PUBLICATIONS

The Human Protein Atlas

  • DOWNLOADABLE DATA
  • LICENCE & CITATION
  • HELP & FAQ
The Human Protein Atlas project is funded
by the Knut & Alice Wallenberg Foundation.


contact@proteinatlas.org