We use cookies to enhance the usability of our website. If you continue, we'll assume that you are happy to receive all cookies. More information. Don't show this again.
SLC27A3
HPA
RESOURCES
  • TISSUE
  • BRAIN
  • SINGLE CELL
  • SUBCELLULAR
  • CANCER
  • BLOOD
  • CELL LINE
  • STRUCTURE & INTERACTION
ABOUT
  • INTRODUCTION
  • HISTORY
  • ORGANIZATION
  • PUBLICATIONS
  • ANTIBODY SUBMISSION
  • ANTIBODY AVAILABILITY
  • ACKNOWLEDGMENTS
  • CONTACT
NEWS
  • NEWS ARTICLES
  • PRESS ROOM
LEARN
  • DICTIONARY
  • PROTEIN CLASSES
  • PROTEIN EVIDENCE
  • METHODS
  • EDUCATIONAL VIDEOS
DATA
  • DOWNLOADABLE DATA
  • PUBLICATION DATA
  • RELEASE HISTORY
HELP
  • ANTIBODY VALIDATION
  • ASSAYS & ANNOTATION
  • DISCLAIMER
  • HELP & FAQ
  • PRIVACY STATEMENT
  • LICENCE & CITATION
Fields »
Search result

Field
Term
Gene name
Class
Subclass
Class
Keyword
Chromosome
External id
Tissue
Cell type
Expression
Antibody panel
Tissue
Main location
Patient ID
Annotation
Tissue
Category
Tau score
Cluster
Reliability
Brain region
Category
Tau score
Brain region
Category
Tau score
Brain region
Category
Tau score
Cluster
Reliability
Tissue
Cell type
Enrichment
Cell type
Category
Tau score
Cell type
Category
Tau score
Cell type
Category
Tau score
Cell lineage
Category
Tau score
Cluster
Cluster
Location
Searches
Location
Cell line
Class
Type
Phase
Reliability
Cancer
Prognosis
Cancer
Category
Cancer
Category
Tau score
Cluster
Variants
Interacting gene (ensg_id)
Type
Number of interactions
Pathway
Category
Score
Score
Score
Validation
Validation
Validation
Validation
Antibodies
Data type
Column


  • SUMMARY

  • TISSUE

  • BRAIN

  • SINGLE CELL

  • SUBCELL

  • CANCER

  • BLOOD

  • CELL LINE

  • STRUCT & INT

  • SLC27A3
TISSUE PRIMARY DATA PANCREAS Show tissue menu
ADIPOSE TISSUE ADRENAL GLAND AMYGDALA APPENDIX BASAL GANGLIA BONE MARROW BREAST BRONCHUS CEREBELLUM CEREBRAL CORTEX CERVIX CHOROID PLEXUS COLON DUODENUM
ENDOMETRIUM EPIDIDYMIS ESOPHAGUS FALLOPIAN TUBE GALLBLADDER HEART MUSCLE HIPPOCAMPAL FORMATION HYPOTHALAMUS KIDNEY LIVER LUNG LYMPH NODE MIDBRAIN NASOPHARYNX
ORAL MUCOSA OVARY PANCREAS PARATHYROID GLAND PITUITARY GLAND PLACENTA PROSTATE RECTUM RETINA SALIVARY GLAND SEMINAL VESICLE SKELETAL MUSCLE SKIN SMALL INTESTINE
SMOOTH MUSCLE SOFT TISSUE SPINAL CORD SPLEEN STOMACH TESTIS THYMUS THYROID GLAND TONGUE TONSIL URINARY BLADDER VAGINA
ANTIBODIES
AND
VALIDATION
Dictionary
Pancreas
Tissue proteome
Pancreas
PANCREAS - Expression summary
Protein expression
Pancreasi

On the top, protein expression in current human tissue, based on all annotated cell types, is reported with the units not detected (n), low (l), medium (m) and high (h). Underneath, protein expression in each annotated cell type are reported using the same units.

Protein expression data is based on knowledge-based annotation. For genes where more than one antibody has been used, a collective score is set.

If knowledge-based annotation could not be performed for a gene, no data is displayed here. View antibody staining data further down this page.

h
m
l
n
Exocrine glandular cells: Low
Pancreatic endocrine cells: Not detected
RNA expressioni

A summary of mRNA expression data available for current tissue based on several datasets. The mRNA expression levels in human tissues are based on RNA-seq data generated by the Human Protein Atlas (HPA), Genotype-Tissue Expression (GTEx) portal and CAGE data generated by the FANTOM5 consortium. Consensus normalized expression levels for human tissues was created by combining the data from HPA and GTEx datasets.

The mRNA expression levels in pig are based on RNA-seq data generated by the Human Protein Atlas (HPA), and for mouse, HPA data and in situ hybridization generated by the Allen brain atlas are reported.

Scroll down to view mRNA expression data in more detail.
Consensus:7.8 nTPM
HPA:4.4 nTPM
GTEx:7.8 nTPM
FANTOM5:8.8 Scaled Tags Per Million

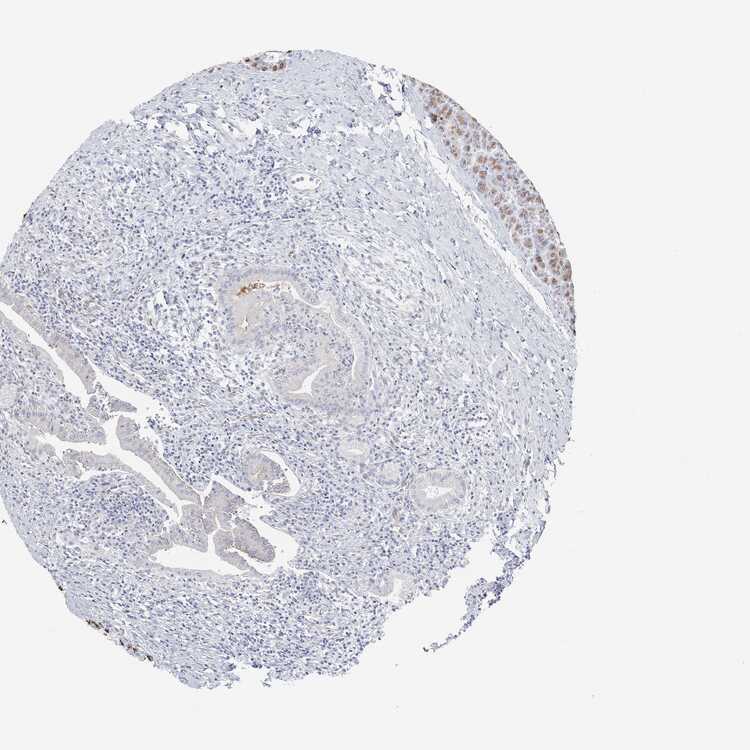
PANCREAS - Antibody stainingi

Antibody staining in the annotated cell types in the current human tissue is reported as not detected, low, medium, or high, based on conventional immunohistochemistry profiling in selected tissues. This score is based on the combination of the staining intensity and fraction of stained cells.

Each image is clickable and will lead to virtual microscopy that enables deeper exploration of all samples and also displays staining intensity scores, fraction scores and subcellular localization as well as patient and tissue information for each sample.

Antibody HPA067508Antibody CAB080514Antibody CAB080517
Exocrine glandular cells LowMediumMedium
Pancreatic endocrine cells Not detected--





PANCREAS - HPA RNA-seqi

The RNA-seq details section shows detailed information about the individual samples used for the transcript profiling and results of the RNA-seq analysis.

Information about each individual sample is listed below, including gender, age, a tissue section image and estimated fractions of cell types. nTPM (normalized transcripts per million) values give a quantification of the gene abundance which is comparable between different genes and samples.
Average nTPMi

Max subtype nTPM is the value for the subtype with the largest average nTPM across the subtype samples.

4.4
overview
Female, age 59
Pancreas sample 194
nTPM: 5.8
Cell types%
Exocrine glandular cells:
75

Pancreatic endocrine cells:
10

Ductal cells:
5

Other cell types:
10

overview
Male, age 60
Pancreas sample 195
nTPM: 3
Cell types%
Exocrine glandular cells:
90

Pancreatic endocrine cells:
5

Ductal cells:
5


PANCREAS - GTEx RNA-seqi

RNA-Seq data generated by the Genotype-Tissue Expression (GTEx) project from human tissues is reported as mean nTPM. More information can be found on the GTEx portal.

Distribution across the dataset is visualized with box plots, shown as median and 25th and 75th percentiles. Points are displayed as outliers if they are above or below 1.5 times the interquartile range. nTPM values of the individual samples are presented next to the box plot.
Max subtype nTPMi

Max subtype nTPM is the value for the subtype with the largest average nTPM across the subtype samples.

7.8
GTEx sample id Sample description nTPM
Pancreas
Average nTPM: 7.8
Samples: 328

Max nTPM: 19.8
Min nTPM: 1.5
Std nTPM: 3.5
Median nTPM: 7.4
GTEX-1PBJI-2126-SM-DPRYG 20-29 years, female 19.8
GTEX-1J8EW-1926-SM-CGQGR 60-69 years, female 19.6
GTEX-14PJ2-1526-SM-686Z4 50-59 years, male 18.4
GTEX-1QW4Y-0926-SM-DPRY2 30-39 years, male 17.6
GTEX-12WSD-1626-SM-5GCNR 60-69 years, female 17.2
GTEX-11LCK-0226-SM-5A5M6 30-39 years, male 17.1
GTEX-12WSG-1026-SM-5EGII 50-59 years, female 16.7
GTEX-ZAK1-2326-SM-5CVMY 50-59 years, female 16.2
GTEX-14PJ6-0926-SM-686ZA 60-69 years, female 16.0
GTEX-X15G-0726-SM-4PQZ5 50-59 years, female 16.0
GTEX-13FTX-1226-SM-5IFGN 20-29 years, female 15.8
GTEX-P4PP-1026-SM-3NM9O 30-39 years, female 15.7
GTEX-1GN1U-1126-SM-9WPPZ 50-59 years, female 15.6
GTEX-15UKP-1326-SM-6LPI8 20-29 years, male 15.2
GTEX-146FQ-1526-SM-5Q5CX 30-39 years, male 15.0
GTEX-X3Y1-0726-SM-3P5YU 40-49 years, male 14.9
GTEX-1L5NE-0826-SM-DHXKU 50-59 years, male 14.9
GTEX-PW2O-0826-SM-48TC5 20-29 years, male 14.7
GTEX-1GF9X-1126-SM-7MKHC 40-49 years, female 14.7
GTEX-N7MT-1626-SM-3LK71 60-69 years, female 14.3
GTEX-1K2DU-1026-SM-DHXKC 20-29 years, male 14.1
GTEX-1LSNM-0726-SM-DHXL1 50-59 years, male 14.0
GTEX-1A8FM-1826-SM-7MGXO 50-59 years, female 13.7
GTEX-SUCS-1426-SM-4DM5W 70-79 years, male 13.3
GTEX-YEC4-1326-SM-5IFHG 40-49 years, male 13.3
GTEX-16Z82-1726-SM-7MGX3 60-69 years, male 13.3
GTEX-1O97I-1726-SM-EXOIP 60-69 years, male 13.3
GTEX-ZPU1-0226-SM-4WWC9 40-49 years, male 13.2
GTEX-1GN1W-1126-SM-9OSW3 50-59 years, female 13.1
GTEX-1399R-0426-SM-5IJE3 30-39 years, male 13.0
GTEX-1KANA-1526-SM-CXZKG 20-29 years, male 13.0
GTEX-Y8E4-1326-SM-5IFIY 40-49 years, male 12.9
GTEX-1QEPI-1626-SM-EAZ3I 60-69 years, female 12.9
GTEX-WYVS-0926-SM-4SOJV 40-49 years, female 12.8
GTEX-1399S-0326-SM-5IFFS 30-39 years, female 12.7
GTEX-1AX9K-2026-SM-731D1 50-59 years, male 12.7
GTEX-15SB6-0226-SM-6LLIA 50-59 years, female 12.6
GTEX-1JKYN-0426-SM-CGQG2 30-39 years, male 12.6
GTEX-T5JW-0226-SM-4DM7I 20-29 years, female 12.5
GTEX-ZEX8-1026-SM-4WKHE 50-59 years, male 12.5
GTEX-S4P3-0626-SM-4AD59 50-59 years, female 12.3
GTEX-OIZF-1026-SM-2HML5 60-69 years, male 12.1
GTEX-WQUQ-2126-SM-4OOSO 60-69 years, male 12.0
GTEX-ZF3C-2026-SM-4WWB5 50-59 years, female 12.0
GTEX-ZP4G-0426-SM-4YCER 20-29 years, female 11.7
GTEX-V955-0326-SM-4JBGV 60-69 years, male 11.6
GTEX-1AMFI-0726-SM-731D9 50-59 years, female 11.5
GTEX-YB5K-1826-SM-5IFJC 40-49 years, female 11.5
GTEX-18A66-2126-SM-7189D 60-69 years, male 11.4
GTEX-146FR-0126-SM-5Q5F3 60-69 years, female 11.3
GTEX-RM2N-0326-SM-48FD8 50-59 years, male 11.3
GTEX-13FTW-0526-SM-5IFIP 40-49 years, male 11.2
GTEX-1CB4F-1226-SM-7DHKU 60-69 years, male 11.1
GTEX-1H11D-0926-SM-9OSXO 40-49 years, male 11.1
GTEX-1OFPY-0626-SM-EXOJ4 60-69 years, male 11.1
GTEX-12WSL-0426-SM-5GCNX 50-59 years, male 11.0
GTEX-V1D1-0726-SM-4JBH7 50-59 years, male 10.9
GTEX-145ME-0326-SM-5S2QO 40-49 years, female 10.8
GTEX-15SDE-0826-SM-6M463 50-59 years, female 10.8
GTEX-1AX9J-1726-SM-731FF 60-69 years, male 10.8
GTEX-WFON-0626-SM-4LVLX 40-49 years, male 10.8
GTEX-XBEW-1626-SM-4SOJP 40-49 years, male 10.8
GTEX-178AV-0226-SM-793B7 40-49 years, male 10.7
GTEX-13O61-2126-SM-5IJEO 60-69 years, male 10.6
GTEX-15RIF-0626-SM-6LLI3 20-29 years, male 10.6
GTEX-1A3MW-1926-SM-7IGM8 60-69 years, female 10.6
GTEX-ZDTT-1126-SM-4WKFW 60-69 years, male 10.6
GTEX-1K9T9-1726-SM-CXZK1 50-59 years, female 10.6
GTEX-OOBJ-1026-SM-3NB2L 60-69 years, male 10.5
GTEX-WFJO-0626-SM-4LVMC 30-39 years, male 10.5
GTEX-1R7EU-0726-SM-DPRZM 60-69 years, male 10.5
GTEX-1B933-1726-SM-731FC 50-59 years, female 10.4
GTEX-NPJ8-2126-SM-3MJGK 40-49 years, male 10.4
GTEX-1R46S-1426-SM-EXOJD 60-69 years, female 10.4
GTEX-15SHV-1526-SM-6LLIB 60-69 years, male 10.3
GTEX-RWS6-1126-SM-47JXC 60-69 years, female 10.3
GTEX-ZYFG-0826-SM-5BC5T 60-69 years, female 10.3
GTEX-144GN-0826-SM-5LU5G 50-59 years, male 10.2
GTEX-YF7O-1326-SM-4W1ZR 50-59 years, male 10.2
GTEX-13SLX-1326-SM-5S2QS 50-59 years, female 10.1
GTEX-1CAMQ-1626-SM-7MGXG 40-49 years, male 10.1
GTEX-1CAMR-1126-SM-7MGXF 20-29 years, male 10.1
GTEX-ZPCL-0726-SM-DO91S 60-69 years, female 10.1
GTEX-15ER7-1326-SM-6LPK9 20-29 years, female 10.0
GTEX-PX3G-1026-SM-48TZW 20-29 years, female 10.0
GTEX-1HSGN-1426-SM-A8NAA 40-49 years, female 10.0
GTEX-11P7K-0526-SM-5BC5I 30-39 years, male 9.9
GTEX-17HHE-0526-SM-7DUGR 50-59 years, male 9.8
GTEX-S33H-1226-SM-4AD69 30-39 years, male 9.8
GTEX-14PJO-1826-SM-69LPR 60-69 years, male 9.7
GTEX-18A6Q-1726-SM-7LT9A 60-69 years, male 9.7
GTEX-WXYG-0826-SM-4ONC7 50-59 years, female 9.7
GTEX-QMRM-0326-SM-CKZNB 50-59 years, male 9.7
GTEX-11XUK-0626-SM-5N9ES 40-49 years, female 9.6
GTEX-1AYCT-1226-SM-7EPGH 50-59 years, male 9.6
GTEX-1B996-1326-SM-731EO 60-69 years, male 9.6
GTEX-Y8LW-1026-SM-5IFJY 50-59 years, female 9.6
GTEX-1211K-1126-SM-5EGGB 60-69 years, female 9.5
GTEX-14PK6-1026-SM-664NZ 70-79 years, female 9.4
GTEX-1M5QR-0926-SM-DHXK8 40-49 years, male 9.4
GTEX-14PJN-1526-SM-6AJBP 30-39 years, male 9.3
GTEX-O5YT-1026-SM-3MJGF 20-29 years, male 9.3
GTEX-NFK9-1626-SM-3LK5J 40-49 years, male 9.2
GTEX-WHSB-0726-SM-4M1XQ 50-59 years, male 9.2
GTEX-1K2DA-0326-SM-CGQGX 50-59 years, male 9.2
GTEX-1497J-0426-SM-5Q5CO 60-69 years, male 9.1
GTEX-T8EM-0826-SM-4DM76 40-49 years, male 9.0
GTEX-Y9LG-0726-SM-4VDS3 30-39 years, male 9.0
GTEX-WHPG-0326-SM-4M1XV 50-59 years, male 8.9
GTEX-1PPH8-2326-SM-EAZ48 20-29 years, male 8.9
GTEX-17KNJ-1926-SM-7KFRV 50-59 years, male 8.8
GTEX-QV44-0426-SM-4R1KF 50-59 years, male 8.8
GTEX-131XG-1426-SM-5GCMO 50-59 years, female 8.7
GTEX-18A7A-1726-SM-7LT93 50-59 years, female 8.7
GTEX-13PL7-2226-SM-5L3IC 60-69 years, female 8.6
GTEX-14PHX-2026-SM-6872C 50-59 years, male 8.6
GTEX-YFCO-1026-SM-5LU9S 40-49 years, male 8.6
GTEX-1JK1U-1026-SM-AHZ44 60-69 years, male 8.6
GTEX-OXRK-1526-SM-E6CHJ 50-59 years, female 8.5
GTEX-Q734-0426-SM-48TZX 40-49 years, female 8.4
GTEX-SE5C-0326-SM-4BRWX 40-49 years, female 8.4
GTEX-SNOS-0926-SM-4DM7A 40-49 years, male 8.4
GTEX-1IDJU-0326-SM-CGQEE 60-69 years, female 8.4
GTEX-1MUQO-1426-SM-DPRYJ 60-69 years, male 8.4
GTEX-15EU6-1126-SM-68721 50-59 years, male 8.3
GTEX-ZYW4-2126-SM-59HJ9 60-69 years, male 8.3
GTEX-1QPFJ-2226-SM-EXOJW 30-39 years, female 8.3
GTEX-1122O-0726-SM-5GIEV 60-69 years, female 8.1
GTEX-11NSD-0526-SM-5A5LT 20-29 years, male 8.1
GTEX-12WSN-0826-SM-5GCOF 40-49 years, male 8.1
GTEX-13YAN-2126-SM-5Q5C4 60-69 years, male 8.1
GTEX-148VI-0826-SM-5TDDI 60-69 years, female 8.1
GTEX-18D9U-1626-SM-7KFTW 40-49 years, male 8.1
GTEX-1C64O-1426-SM-7EWER 60-69 years, male 8.1
GTEX-WFG8-0326-SM-4LVN4 20-29 years, male 8.1
GTEX-Y114-0826-SM-4TT77 50-59 years, female 8.1
GTEX-YEC3-0626-SM-CMKFG 50-59 years, male 8.1
GTEX-18A67-1726-SM-7KFT9 50-59 years, male 8.0
GTEX-XXEK-1726-SM-4BRVB 50-59 years, male 8.0
GTEX-1NUQO-0826-SM-DPS16 20-29 years, female 8.0
GTEX-17HGU-2026-SM-79OKS 50-59 years, male 7.9
GTEX-XUW1-1726-SM-4BOOZ 50-59 years, female 7.9
GTEX-WHWD-0726-SM-4OORX 50-59 years, male 7.8
GTEX-XQ8I-1926-SM-4BOOK 50-59 years, male 7.8
GTEX-1IDJC-0526-SM-AHZ2Q 50-59 years, male 7.8
GTEX-131XE-1926-SM-5IFER 50-59 years, male 7.7
GTEX-14JG6-0426-SM-68715 30-39 years, female 7.7
GTEX-16MT8-1726-SM-7EWE7 60-69 years, female 7.7
GTEX-1KXAM-0226-SM-EV7AP 60-69 years, male 7.7
GTEX-1N2DV-1726-SM-DPRYR 40-49 years, male 7.7
GTEX-11EQ9-1026-SM-5H134 30-39 years, male 7.6
GTEX-11VI4-0426-SM-5EGHZ 40-49 years, female 7.6
GTEX-1C6VQ-1726-SM-7IGLQ 50-59 years, male 7.6
GTEX-Q2AI-0426-SM-48U13 40-49 years, male 7.6
GTEX-ZLWG-0326-SM-4WWC7 50-59 years, female 7.6
GTEX-15CHR-2026-SM-7MXU2 50-59 years, male 7.6
GTEX-1H23P-2026-SM-9OSXY 60-69 years, male 7.6
GTEX-14PHY-1126-SM-664OR 60-69 years, female 7.5
GTEX-1CAMS-1926-SM-7DUEU 40-49 years, female 7.5
GTEX-1IL2U-2326-SM-CNNQV 60-69 years, male 7.5
GTEX-15UF7-0826-SM-6M46E 40-49 years, male 7.4
GTEX-1B8KZ-0926-SM-731D7 50-59 years, male 7.4
GTEX-QCQG-0426-SM-48U29 50-59 years, female 7.4
GTEX-S3XE-0526-SM-4AD4G 50-59 years, male 7.4
GTEX-W5WG-0826-SM-4RGNE 50-59 years, female 7.4
GTEX-1OKEX-1726-SM-E9U4F 60-69 years, male 7.4
GTEX-11ONC-0526-SM-5BC57 60-69 years, male 7.3
GTEX-TKQ2-0426-SM-4DXUO 50-59 years, male 7.3
GTEX-ZYT6-1326-SM-5E453 30-39 years, male 7.3
GTEX-14PJ4-0726-SM-6872E 60-69 years, male 7.2
GTEX-VJYA-0826-SM-4KL1M 60-69 years, male 7.1
GTEX-WYJK-2426-SM-4ONDQ 50-59 years, male 7.1
GTEX-Y3IK-0426-SM-4WWE2 50-59 years, female 7.1
GTEX-14C39-1026-SM-73KWG 40-49 years, male 7.0
GTEX-1GZ4H-0626-SM-9OSXJ 50-59 years, female 7.0
GTEX-11TT1-0326-SM-5LUAY 20-29 years, male 6.9
GTEX-1AYD5-0326-SM-7EWEO 50-59 years, male 6.9
GTEX-QV31-0226-SM-447BO 30-39 years, male 6.9
GTEX-13D11-2226-SM-5IFEO 50-59 years, female 6.8
GTEX-17MF6-1426-SM-7IGOX 40-49 years, male 6.8
GTEX-1AX8Z-1726-SM-731DE 60-69 years, male 6.8
GTEX-TMMY-1326-SM-4DXU9 40-49 years, female 6.8
GTEX-WH7G-0826-SM-4LVMR 40-49 years, male 6.8
GTEX-ZF29-1126-SM-4WKGO 60-69 years, female 6.8
GTEX-1R9K5-1226-SM-E6CPQ 50-59 years, male 6.8
GTEX-1S83E-1426-SM-EV7B8 40-49 years, male 6.8
GTEX-12BJ1-1126-SM-5EGGG 60-69 years, male 6.7
GTEX-TML8-0526-SM-32QOQ 40-49 years, female 6.7
GTEX-ZG7Y-0326-SM-4WWEY 50-59 years, male 6.7
GTEX-ZVP2-0726-SM-59HKY 50-59 years, male 6.7
GTEX-17F98-0426-SM-79ONZ 40-49 years, female 6.6
GTEX-Q2AH-0926-SM-48TZK 40-49 years, male 6.6
GTEX-1PWST-1526-SM-EXOIT 70-79 years, male 6.6
GTEX-15UF6-1826-SM-6LLI9 70-79 years, female 6.5
GTEX-144FL-1526-SM-5Q5CA 50-59 years, male 6.4
GTEX-XMK1-0326-SM-4B652 40-49 years, male 6.4
GTEX-OHPM-1026-SM-3LK74 50-59 years, male 6.3
GTEX-R53T-0426-SM-48FEM 50-59 years, female 6.3
GTEX-UJMC-1126-SM-3GADP 50-59 years, male 6.3
GTEX-13W3W-1026-SM-5IFG4 60-69 years, female 6.2
GTEX-ZAB4-1726-SM-5HL8C 40-49 years, male 6.2
GTEX-1LVAN-1226-SM-CNNQY 50-59 years, female 6.2
GTEX-145MO-2126-SM-5Q5CZ 60-69 years, male 6.1
GTEX-15FZZ-0626-SM-7KFTO 30-39 years, female 6.1
GTEX-1B97J-1526-SM-79ONI 50-59 years, female 6.1
GTEX-1S82P-1026-SM-EAZ4W 60-69 years, female 6.1
GTEX-11DXX-0926-SM-5H112 60-69 years, female 6.0
GTEX-13U4I-1526-SM-5IFFF 40-49 years, female 6.0
GTEX-UJHI-0626-SM-3DB8T 50-59 years, female 6.0
GTEX-ZVT2-2026-SM-5NQ8Q 50-59 years, female 6.0
GTEX-1QP2A-1326-SM-EAZ3K 50-59 years, male 6.0
GTEX-1399U-0926-SM-5IFHA 50-59 years, female 5.9
GTEX-14AS3-0326-SM-5Q5DB 40-49 years, female 5.9
GTEX-P4QS-1026-SM-3NMCW 60-69 years, male 5.9
GTEX-PLZ6-0726-SM-3P619 30-39 years, male 5.9
GTEX-ZAB5-0826-SM-5P9FU 50-59 years, male 5.9
GTEX-ZV7C-0726-SM-59HKH 50-59 years, male 5.9
GTEX-1128S-0826-SM-5GZZI 60-69 years, female 5.8
GTEX-Y3I4-0826-SM-4TT2A 50-59 years, male 5.8
GTEX-ZLFU-0726-SM-57WF6 40-49 years, male 5.8
GTEX-1JKYR-1026-SM-CGQGI 20-29 years, male 5.8
GTEX-QLQ7-0626-SM-CE6QX 60-69 years, male 5.8
GTEX-131XF-1426-SM-5BC68 60-69 years, male 5.7
GTEX-QDVN-0926-SM-2I5GL 50-59 years, male 5.7
GTEX-1J8Q3-0626-SM-AHZ3V 60-69 years, male 5.7
GTEX-XYKS-1226-SM-4BRVI 60-69 years, female 5.6
GTEX-1H1E6-0826-SM-9WG83 30-39 years, male 5.6
GTEX-1HSMO-2026-SM-CNNQO 60-69 years, male 5.6
GTEX-14DAR-0526-SM-664MX 50-59 years, male 5.5
GTEX-14PKV-0926-SM-6AJB4 20-29 years, female 5.5
GTEX-1PFEY-1126-SM-DPRZ3 30-39 years, male 5.5
GTEX-1R7EV-1126-SM-DPRXU 40-49 years, male 5.5
GTEX-139YR-1526-SM-5IFJ1 50-59 years, male 5.4
GTEX-13VXT-1226-SM-5LU3M 20-29 years, female 5.4
GTEX-1QAET-1326-SM-E9U64 50-59 years, male 5.4
GTEX-1RAZA-1626-SM-EV79I 20-29 years, male 5.4
GTEX-13FLV-0626-SM-5IFEY 50-59 years, male 5.3
GTEX-15RJ7-0826-SM-6LLI8 40-49 years, male 5.3
GTEX-1C2JI-0926-SM-731F1 50-59 years, male 5.3
GTEX-1CB4G-1826-SM-7MKGO 60-69 years, male 5.3
GTEX-1F5PL-0726-SM-7MKH8 40-49 years, female 5.3
GTEX-PSDG-1526-SM-48TCY 50-59 years, male 5.3
GTEX-QLQW-0326-SM-447A8 30-39 years, male 5.3
GTEX-S95S-0726-SM-4B64H 60-69 years, male 5.3
GTEX-ZTPG-1026-SM-5DUWP 20-29 years, female 5.3
GTEX-ZYY3-0826-SM-5E44R 60-69 years, female 5.3
GTEX-17F9E-1426-SM-793BG 50-59 years, male 5.2
GTEX-XV7Q-0926-SM-4BRVQ 40-49 years, female 5.2
GTEX-1GL5R-0926-SM-9JGFO 50-59 years, male 5.2
GTEX-XPVG-0326-SM-4B653 50-59 years, male 5.1
GTEX-1GMR3-1226-SM-7MGY1 40-49 years, male 5.1
GTEX-1B932-1626-SM-731EA 40-49 years, female 5.0
GTEX-ZC5H-0826-SM-5N9FH 40-49 years, female 5.0
GTEX-ZVZP-0626-SM-59HL5 50-59 years, male 5.0
GTEX-1I1GQ-2226-SM-B2LX1 50-59 years, male 5.0
GTEX-13X6H-0626-SM-5LU53 50-59 years, female 4.9
GTEX-145MN-1426-SM-5SI9H 30-39 years, male 4.9
GTEX-QDVJ-1226-SM-48U1V 50-59 years, male 4.9
GTEX-1QP28-1026-SM-EAZ4K 50-59 years, female 4.9
GTEX-12WSK-0226-SM-5BC62 40-49 years, female 4.8
GTEX-14PN4-1626-SM-6AJB5 50-59 years, male 4.8
GTEX-U8XE-2026-SM-3DB8S 30-39 years, male 4.8
GTEX-111YS-1226-SM-5EGGJ 60-69 years, male 4.7
GTEX-11I78-0626-SM-5A5LZ 50-59 years, female 4.7
GTEX-1I4MK-1026-SM-AHZ2H 50-59 years, female 4.7
GTEX-OHPL-1026-SM-3MJGI 60-69 years, female 4.6
GTEX-S32W-0826-SM-4AD5Z 50-59 years, female 4.6
GTEX-ZPIC-0926-SM-4WWFK 40-49 years, female 4.6
GTEX-1N2EF-2126-SM-DPRYL 60-69 years, male 4.6
GTEX-13PVR-0726-SM-5S2PX 60-69 years, female 4.5
GTEX-P4PQ-1026-SM-3NMCN 60-69 years, male 4.5
GTEX-1I1GU-0326-SM-AHZ2K 40-49 years, male 4.5
GTEX-QEL4-1326-SM-447AD 50-59 years, male 4.4
GTEX-X5EB-0526-SM-46MVP 40-49 years, male 4.4
GTEX-13FH7-1426-SM-5IFIC 50-59 years, female 4.3
GTEX-14ICL-1126-SM-5S2RE 30-39 years, male 4.3
GTEX-1RAZQ-1426-SM-EV7B2 30-39 years, male 4.3
GTEX-13N11-0226-SM-5KM3C 50-59 years, female 4.2
GTEX-13OVI-0526-SM-5IFFQ 60-69 years, female 4.2
GTEX-15DYW-1626-SM-6LLI1 60-69 years, female 4.2
GTEX-1B8KE-0726-SM-72D7G 50-59 years, male 4.2
GTEX-1JMPZ-1026-SM-CXZJS 30-39 years, male 4.2
GTEX-1C4CL-0926-SM-79OL2 30-39 years, male 3.9
GTEX-R55D-1426-SM-48FEN 50-59 years, male 3.9
GTEX-1QP29-1926-SM-DPRZO 50-59 years, male 3.9
GTEX-132AR-1826-SM-5EGHR 50-59 years, female 3.8
GTEX-14PKU-0626-SM-6EU1Q 40-49 years, female 3.8
GTEX-QESD-0226-SM-447BH 20-29 years, male 3.8
GTEX-1IDJD-0126-SM-C1YQZ 30-39 years, male 3.8
GTEX-1NSGN-1726-SM-EXOJG 50-59 years, male 3.8
GTEX-14PJM-2126-SM-6AJAS 50-59 years, female 3.7
GTEX-VUSG-0326-SM-3GIJ7 50-59 years, male 3.7
GTEX-WY7C-1026-SM-4OND3 50-59 years, male 3.7
GTEX-XGQ4-0226-SM-4GIDS 50-59 years, male 3.7
GTEX-ZT9W-0926-SM-57WFS 50-59 years, male 3.7
GTEX-1MGNQ-1226-SM-EV7BM 40-49 years, male 3.7
GTEX-X4LF-0326-SM-4QAS9 50-59 years, male 3.6
GTEX-OIZI-1526-SM-E6CHI 40-49 years, male 3.6
GTEX-13CF3-1026-SM-5LZWY 60-69 years, female 3.5
GTEX-14E6E-1426-SM-5RQI2 30-39 years, male 3.5
GTEX-1HKZK-1126-SM-9WG82 40-49 years, male 3.5
GTEX-WFG7-0426-SM-4LMK5 20-29 years, male 3.4
GTEX-WI4N-1826-SM-4OOSF 40-49 years, female 3.4
GTEX-1H1DG-1426-SM-9OSXP 70-79 years, male 3.4
GTEX-1LG7Z-0326-SM-DHXK3 30-39 years, male 3.4
GTEX-1LGRB-0426-SM-CNNRD 50-59 years, female 3.4
GTEX-XBED-0226-SM-47JY8 60-69 years, male 3.2
GTEX-ZZPU-0726-SM-5N9C8 50-59 years, female 3.2
GTEX-1I1GT-0926-SM-AHZ2G 60-69 years, female 3.2
GTEX-117YX-0226-SM-5EGH6 50-59 years, male 3.1
GTEX-ZDYS-2526-SM-4WKGU 50-59 years, male 3.1
GTEX-R55G-0326-SM-48FDM 40-49 years, female 3.0
GTEX-14BMU-0726-SM-73KXS 20-29 years, female 2.7
GTEX-1CB4I-1326-SM-79OLY 50-59 years, male 2.7
GTEX-YB5E-0526-SM-4VDSD 40-49 years, male 2.7
GTEX-1S831-0626-SM-EV79N 20-29 years, male 2.7
GTEX-111CU-0526-SM-5EGHK 50-59 years, male 2.6
GTEX-144GM-0726-SM-79OJQ 20-29 years, male 2.6
GTEX-14PJ3-0426-SM-6LLHF 50-59 years, male 2.6
GTEX-Y5LM-0526-SM-4V6G3 40-49 years, female 2.6
GTEX-11GSP-0426-SM-5A5KX 60-69 years, female 2.5
GTEX-WRHK-0226-SM-4MVOH 20-29 years, female 2.3
GTEX-U4B1-0726-SM-4DXUA 40-49 years, male 2.2
GTEX-1339X-1026-SM-5IFH5 40-49 years, male 1.8
GTEX-13O1R-1826-SM-5KM3B 60-69 years, male 1.8
GTEX-14PN3-0126-SM-6AJAU 60-69 years, female 1.8
GTEX-132QS-0926-SM-5P9GB 60-69 years, male 1.7
GTEX-OOBK-1026-SM-48TC2 40-49 years, male 1.5
Show allShow less

PANCREAS - FANTOM5 CAGEi

RNA expression in human tissues obtained through Cap Analysis of Gene Expression (CAGE) generated by the FANTOM5 project are reported as Scaled Tags Per Million.

Max subtype Scaled Tags Per Millioni

Max subtype Scaled Tags Per Million is the value for the subtype with the largest average Scaled Tags Per Million across the subtype samples.

8.8
FANTOM5 sample id Sample description Scaled Tags Per Million
Pancreas
Scaled Tags Per Million: 8.8
FF:10049-101G4 52 years, male 8.8

Contact

  • NEWS ARTICLES
  • PRESS ROOM

The Project

  • INTRODUCTION
  • ORGANIZATION
  • PUBLICATIONS

The Human Protein Atlas

  • DOWNLOADABLE DATA
  • LICENCE & CITATION
  • HELP & FAQ
The Human Protein Atlas project is funded
by the Knut & Alice Wallenberg Foundation.


contact@proteinatlas.org