We use cookies to enhance the usability of our website. If you continue, we'll assume that you are happy to receive all cookies. More information. Don't show this again.
ACTA1
HPA
RESOURCES
  • TISSUE
  • BRAIN
  • SINGLE CELL
  • SUBCELLULAR
  • CANCER
  • BLOOD
  • CELL LINE
  • STRUCTURE & INTERACTION
ABOUT
  • INTRODUCTION
  • HISTORY
  • ORGANIZATION
  • PUBLICATIONS
  • ANTIBODY SUBMISSION
  • ANTIBODY AVAILABILITY
  • ACKNOWLEDGMENTS
  • CONTACT
NEWS
  • NEWS ARTICLES
  • PRESS ROOM
LEARN
  • DICTIONARY
  • PROTEIN CLASSES
  • PROTEIN EVIDENCE
  • METHODS
  • EDUCATIONAL VIDEOS
DATA
  • DOWNLOADABLE DATA
  • PUBLICATION DATA
  • RELEASE HISTORY
HELP
  • ANTIBODY VALIDATION
  • ASSAYS & ANNOTATION
  • DISCLAIMER
  • HELP & FAQ
  • PRIVACY STATEMENT
  • LICENCE & CITATION
Fields »
Search result

Field
Term
Gene name
Class
Subclass
Class
Keyword
Chromosome
External id
Tissue
Cell type
Expression
Antibody panel
Tissue
Main location
Patient ID
Annotation
Tissue
Category
Tau score
Cluster
Reliability
Brain region
Category
Tau score
Brain region
Category
Tau score
Brain region
Category
Tau score
Cluster
Reliability
Tissue
Cell type
Enrichment
Cell type
Category
Tau score
Cell type
Category
Tau score
Cell type
Category
Tau score
Cell lineage
Category
Tau score
Cluster
Cluster
Location
Searches
Location
Cell line
Class
Type
Phase
Reliability
Cancer
Prognosis
Cancer
Category
Cancer
Category
Tau score
Cluster
Variants
Interacting gene (ensg_id)
Type
Number of interactions
Pathway
Category
Score
Score
Score
Validation
Validation
Validation
Validation
Antibodies
Data type
Column


  • SUMMARY

  • TISSUE

  • BRAIN

  • SINGLE CELL

  • SUBCELL

  • CANCER

  • BLOOD

  • CELL LINE

  • STRUCT & INT

  • ACTA1
TISSUE PRIMARY DATA SKIN Show tissue menu
ADIPOSE TISSUE ADRENAL GLAND AMYGDALA APPENDIX BASAL GANGLIA BONE MARROW BREAST BRONCHUS CEREBELLUM CEREBRAL CORTEX CERVIX CHOROID PLEXUS COLON DUODENUM
ENDOMETRIUM EPIDIDYMIS ESOPHAGUS FALLOPIAN TUBE GALLBLADDER HEART MUSCLE HIPPOCAMPAL FORMATION HYPOTHALAMUS KIDNEY LIVER LUNG LYMPH NODE MIDBRAIN NASOPHARYNX
ORAL MUCOSA OVARY PANCREAS PARATHYROID GLAND PITUITARY GLAND PLACENTA PROSTATE RECTUM RETINA SALIVARY GLAND SEMINAL VESICLE SKELETAL MUSCLE SKIN SMALL INTESTINE
SMOOTH MUSCLE SOFT TISSUE SPINAL CORD SPLEEN STOMACH TESTIS THYMUS THYROID GLAND TONGUE TONSIL URINARY BLADDER VAGINA
ANTIBODIES
AND
VALIDATION
Dictionary
Skin
Tissue proteome
Skin
SKIN - Expression summary
Protein expression
Skini

On the top, protein expression in current human tissue, based on all annotated cell types, is reported with the units not detected (n), low (l), medium (m) and high (h). Underneath, protein expression in each annotated cell type are reported using the same units.

Protein expression data is based on knowledge-based annotation. For genes where more than one antibody has been used, a collective score is set.

If knowledge-based annotation could not be performed for a gene, no data is displayed here. View antibody staining data further down this page.

h
m
l
n
Cells in basal layer: Not detected
Cells in corneal layer: Not detected
Cells in granular layer: Not detected
Cells in spinous layer: Not detected
Eccrine glands: Not detected
Endothelial cells: Medium
Extracellular matrix: Not detected
Fibrohistiocytic cells: High
Hair follicles: Not detected
Langerhans cells: Medium
Lymphocytes: Medium
Melanocytes: Not detected
Sebaceous glands: Not detected
Vascular mural cells: Not detected
RNA expressioni

A summary of mRNA expression data available for current tissue based on several datasets. The mRNA expression levels in human tissues are based on RNA-seq data generated by the Human Protein Atlas (HPA), Genotype-Tissue Expression (GTEx) portal and CAGE data generated by the FANTOM5 consortium. Consensus normalized expression levels for human tissues was created by combining the data from HPA and GTEx datasets.

The mRNA expression levels in pig are based on RNA-seq data generated by the Human Protein Atlas (HPA), and for mouse, HPA data and in situ hybridization generated by the Allen brain atlas are reported.

Scroll down to view mRNA expression data in more detail.
Consensus:34.8 nTPM
HPA:0.6 nTPM
GTEx:34.8 nTPM

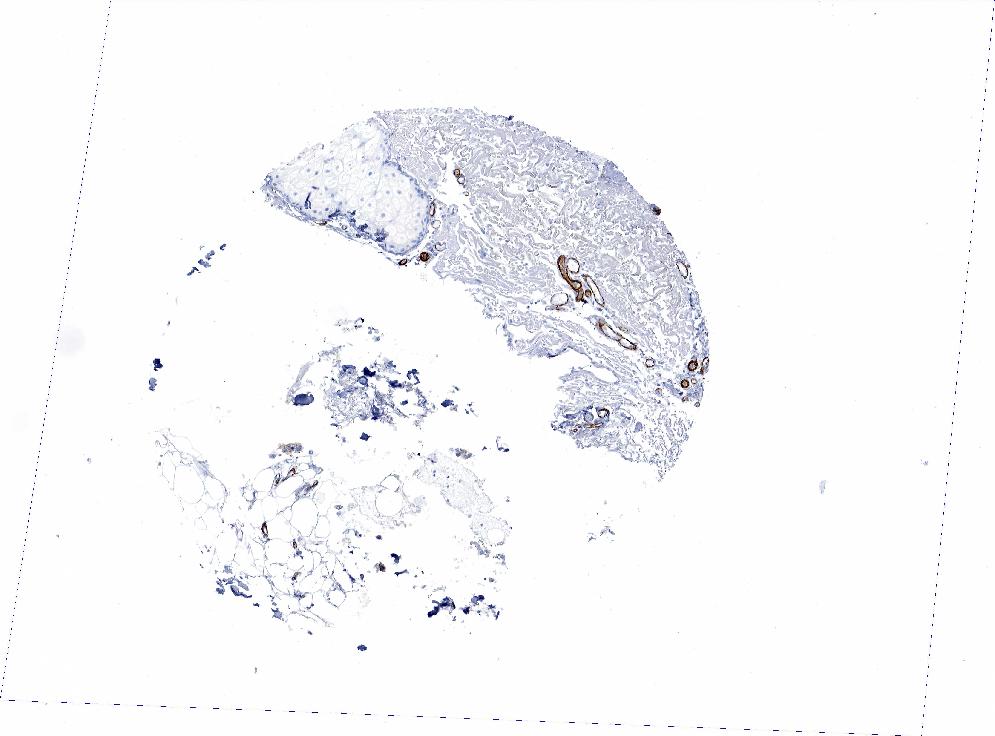
SKIN 1 - Antibody stainingi

Antibody staining in the annotated cell types in the current human tissue is reported as not detected, low, medium, or high, based on conventional immunohistochemistry profiling in selected tissues. This score is based on the combination of the staining intensity and fraction of stained cells.

Each image is clickable and will lead to virtual microscopy that enables deeper exploration of all samples and also displays staining intensity scores, fraction scores and subcellular localization as well as patient and tissue information for each sample.

Antibody HPA041264Antibody HPA041271Antibody CAB000045
Langerhans Medium-Not detected
Cells in basal layer -Not detected-
Cells in corneal layer -Not detected-
Cells in granular layer -Not detected-
Cells in spinous layer -Not detected-
Eccrine glands -Not detected-
Endothelial cells -Not detected-
Extracellular matrix -Not detected-
Fibroblasts Medium-Not detected
Fibrohistiocytic cells -Low-
Hair follicles -Not detected-
Keratinocytes Medium-Not detected
Langerhans cells -Not detected-
Lymphocytes -Not detected-
Melanocytes MediumNot detectedNot detected
Sebaceous glands -Not detected-
Vascular mural cells -Not detected-




SKIN 2 - Antibody stainingi

Antibody staining in the annotated cell types in the current human tissue is reported as not detected, low, medium, or high, based on conventional immunohistochemistry profiling in selected tissues. This score is based on the combination of the staining intensity and fraction of stained cells.

Each image is clickable and will lead to virtual microscopy that enables deeper exploration of all samples and also displays staining intensity scores, fraction scores and subcellular localization as well as patient and tissue information for each sample.

Antibody HPA041264Antibody HPA041271Antibody CAB000045
Cells in basal layer -Not detected-
Cells in corneal layer -Not detected-
Cells in granular layer -Not detected-
Cells in spinous layer -Not detected-
Endothelial cells -Medium-
Epidermal cells Medium-Not detected
Extracellular matrix -Not detected-
Fibrohistiocytic cells -High-
Langerhans cells -Medium-
Lymphocytes -Medium-
Melanocytes -Not detected-
Vascular mural cells -Not detected-
   
   
   
   
   







SKIN - HPA RNA-seqi

The RNA-seq details section shows detailed information about the individual samples used for the transcript profiling and results of the RNA-seq analysis.

Information about each individual sample is listed below, including gender, age, a tissue section image and estimated fractions of cell types. nTPM (normalized transcripts per million) values give a quantification of the gene abundance which is comparable between different genes and samples.
Average nTPMi

Max subtype nTPM is the value for the subtype with the largest average nTPM across the subtype samples.

0.6
overview
Female, age 34
Skin sample 225
nTPM: 0.8
Cell types%
Keratinocytes:
60

Other cell types:
40

overview
Female, age 30
Skin sample 226
nTPM: 0.2
Cell types%
Keratinocytes:
55

Other cell types:
45

N/A
Male, age 57
Skin sample 227
nTPM: 0.7

SKIN - GTEx RNA-seqi

RNA-Seq data generated by the Genotype-Tissue Expression (GTEx) project from human tissues is reported as mean nTPM. More information can be found on the GTEx portal.

Distribution across the dataset is visualized with box plots, shown as median and 25th and 75th percentiles. Points are displayed as outliers if they are above or below 1.5 times the interquartile range. nTPM values of the individual samples are presented next to the box plot.
Max subtype nTPMi

Max subtype nTPM is the value for the subtype with the largest average nTPM across the subtype samples.

34.8
GTEx sample id Sample description nTPM
Skin - Not Sun Exposed (Suprapubic)
Average nTPM: 12.6
Samples: 604

Max nTPM: 487.5
Min nTPM: 0.0
Std nTPM: 24.8
Median nTPM: 8.3
GTEX-1477Z-0326-SM-7IGLA 60-69 years, male 487.5
GTEX-17HHE-1326-SM-7EWDZ 50-59 years, male 257.2
GTEX-1JMQK-1226-SM-D4P2S 60-69 years, male 109.2
GTEX-1S82U-1026-SM-E6CJK 30-39 years, female 106.8
GTEX-16NPX-0726-SM-7KULC 50-59 years, male 106.3
GTEX-XMD2-2126-SM-4YCF8 60-69 years, female 78.0
GTEX-1I1GT-1026-SM-ARZLV 60-69 years, female 68.0
GTEX-1GN73-0726-SM-7P8TJ 60-69 years, male 67.2
GTEX-ZC5H-1526-SM-5HL9Y 40-49 years, female 58.6
GTEX-13X6K-0626-SM-5LU5D 60-69 years, female 51.9
GTEX-11EI6-2826-SM-5H11D 60-69 years, male 50.9
GTEX-Z93S-1626-SM-5CVMB 50-59 years, male 50.6
GTEX-1EWIQ-0326-SM-7DHMQ 70-79 years, female 48.3
GTEX-1F6IF-0926-SM-7SB7M 60-69 years, male 47.8
GTEX-17F98-1326-SM-7DUEP 40-49 years, female 45.9
GTEX-1AX8Z-0726-SM-73KTS 60-69 years, male 45.1
GTEX-XBEW-1126-SM-4QARW 40-49 years, male 42.6
GTEX-1I1HK-2326-SM-CKZOH 60-69 years, male 42.5
GTEX-1QAET-0326-SM-EVR3U 50-59 years, male 41.4
GTEX-ZXG5-2126-SM-59HKD 60-69 years, male 38.7
GTEX-1F48J-0726-SM-7RHGS 50-59 years, female 38.3
GTEX-13OW8-1026-SM-5J1NQ 60-69 years, male 37.9
GTEX-Y114-2126-SM-4TT8B 50-59 years, female 37.2
GTEX-ZE7O-2726-SM-51MT5 50-59 years, female 37.1
GTEX-ZAB4-2126-SM-5HL8U 40-49 years, male 36.3
GTEX-13OVG-1626-SM-5J1NF 60-69 years, male 35.5
GTEX-1HUB1-1426-SM-CGQF5 60-69 years, male 35.0
GTEX-1HC8U-1326-SM-9YFMJ 40-49 years, female 34.5
GTEX-15SHW-0226-SM-7LTAT 60-69 years, male 34.0
GTEX-1I1GP-1326-SM-A9G28 50-59 years, male 33.8
GTEX-Y5V6-2326-SM-4VDSA 60-69 years, male 33.7
GTEX-WYVS-1626-SM-3NM9R 40-49 years, female 33.2
GTEX-XPVG-2126-SM-4B667 50-59 years, male 32.5
GTEX-15RIG-0726-SM-7KUM7 40-49 years, male 31.9
GTEX-ZVTK-0226-SM-51MRG 20-29 years, male 31.1
GTEX-1GN2E-0226-SM-9WG6K 60-69 years, male 30.9
GTEX-15DYW-2726-SM-6EU2I 60-69 years, female 30.7
GTEX-1F88F-0126-SM-9WYSZ 60-69 years, female 29.6
GTEX-1HB9E-0126-SM-CM2S5 50-59 years, male 29.6
GTEX-1HSMP-0926-SM-A9SKX 70-79 years, male 29.5
GTEX-1HFI6-0126-SM-CNPPI 40-49 years, male 29.0
GTEX-Y3I4-1726-SM-4TT89 50-59 years, male 28.8
GTEX-1MCC2-1826-SM-DIPEX 30-39 years, female 28.7
GTEX-WI4N-2726-SM-3LK7Y 40-49 years, female 28.3
GTEX-17HG3-2626-SM-7DUF2 30-39 years, female 27.5
GTEX-WFG8-2126-SM-3GIKQ 20-29 years, male 27.4
GTEX-1HCU8-2526-SM-CE6RX 60-69 years, female 27.3
GTEX-11VI4-1126-SM-5EQMD 40-49 years, female 27.0
GTEX-12WSH-1526-SM-5BC5W 50-59 years, male 26.9
GTEX-1CB4J-1326-SM-7P8RX 60-69 years, male 26.7
GTEX-15EU6-2226-SM-6EU2L 50-59 years, male 26.1
GTEX-1CAMR-1326-SM-7PC1F 20-29 years, male 25.2
GTEX-16Z82-2626-SM-7KULU 60-69 years, male 25.1
GTEX-139TS-2126-SM-5K7XC 60-69 years, male 25.0
GTEX-13PVQ-0626-SM-5LU47 50-59 years, male 25.0
GTEX-15ER7-0626-SM-6PANF 20-29 years, female 25.0
GTEX-1CAMQ-1326-SM-7P8RV 40-49 years, male 24.8
GTEX-ZYT6-2326-SM-5GZY3 30-39 years, male 24.0
GTEX-1M4P7-0726-SM-E6CJ3 60-69 years, male 23.3
GTEX-1I1GV-0626-SM-ARL7M 60-69 years, male 23.2
GTEX-15G19-2426-SM-7KUMR 60-69 years, male 23.0
GTEX-1B933-2426-SM-7DHMD 50-59 years, female 22.9
GTEX-1JKYN-0826-SM-ARU8S 30-39 years, male 22.9
GTEX-11ZTT-2126-SM-5CVLO 60-69 years, female 22.8
GTEX-1117F-2926-SM-5GZYI 60-69 years, female 22.0
GTEX-1CB4F-1026-SM-7DUH1 60-69 years, male 21.9
GTEX-131XG-0326-SM-5L3DX 50-59 years, female 21.8
GTEX-139TU-0726-SM-5L3EK 60-69 years, male 21.6
GTEX-14DAR-1226-SM-73KYV 50-59 years, male 21.5
GTEX-1GMR2-0826-SM-7PC3V 50-59 years, male 21.1
GTEX-1GTWX-2026-SM-9YFLM 60-69 years, male 21.0
GTEX-13N1W-2426-SM-5IJD1 70-79 years, male 20.9
GTEX-13O3O-2326-SM-5IJD6 60-69 years, female 20.8
GTEX-Y111-0626-SM-4SOIT 50-59 years, male 20.8
GTEX-1LSNL-2726-SM-E9TKJ 50-59 years, male 20.8
GTEX-17HHY-0426-SM-7DHLC 50-59 years, male 20.4
GTEX-11UD2-2526-SM-5CVNU 50-59 years, male 20.3
GTEX-15RJ7-2126-SM-6PAMD 40-49 years, male 19.9
GTEX-YEC3-1326-SM-DO92X 50-59 years, male 19.9
GTEX-WHPG-2626-SM-3NMBR 50-59 years, male 19.5
GTEX-1H4P4-2126-SM-9WYSL 50-59 years, male 19.5
GTEX-16MT8-2926-SM-7DUFO 60-69 years, female 19.2
GTEX-1399S-0126-SM-5IJCF 30-39 years, female 19.1
GTEX-13FHO-0426-SM-5L3F5 60-69 years, male 19.1
GTEX-1POEN-2326-SM-E9J2L 30-39 years, female 19.0
GTEX-13X6H-0926-SM-5SIB2 50-59 years, female 18.8
GTEX-1J1R8-2026-SM-CL53Y 40-49 years, male 18.7
GTEX-ZZ64-1026-SM-5GZXG 20-29 years, male 18.5
GTEX-13JVG-0726-SM-5KM16 60-69 years, male 18.4
GTEX-12WSK-2126-SM-5CVNC 40-49 years, female 18.3
GTEX-18465-2826-SM-7LT9J 50-59 years, male 18.3
GTEX-111YS-1526-SM-5GZYW 60-69 years, male 18.2
GTEX-15RIE-1926-SM-7KUKJ 60-69 years, male 18.2
GTEX-1MJK3-0726-SM-E6CJC 20-29 years, male 18.2
GTEX-UPJH-0226-SM-3GADV 50-59 years, male 18.1
GTEX-ZDXO-3126-SM-5IJDF 60-69 years, male 18.1
GTEX-14PK6-0226-SM-62LF5 70-79 years, female 18.0
GTEX-1HCU9-0426-SM-9WYSD 20-29 years, male 18.0
GTEX-13X6J-0626-SM-5LU5F 50-59 years, male 17.8
GTEX-1H3O1-1326-SM-9MQLD 60-69 years, male 17.7
GTEX-13VXU-0626-SM-5L3F9 50-59 years, male 17.6
GTEX-1CAMS-2226-SM-7PBXQ 40-49 years, female 17.3
GTEX-WEY5-2326-SM-3GIKK 40-49 years, female 17.1
GTEX-14A6H-2026-SM-5Q5DD 30-39 years, male 17.0
GTEX-1LVAN-0626-SM-CNPOQ 50-59 years, female 17.0
GTEX-11P7K-1126-SM-5HL4L 30-39 years, male 16.9
GTEX-WXYG-2026-SM-4E3IY 50-59 years, female 16.9
GTEX-XBEC-0726-SM-4QARZ 50-59 years, male 16.9
GTEX-12WSL-2026-SM-5GCML 50-59 years, male 16.8
GTEX-1L5NE-1126-SM-D3L9P 50-59 years, male 16.8
GTEX-12ZZY-0726-SM-5EQ66 60-69 years, male 16.7
GTEX-132AR-0326-SM-5KM2C 50-59 years, female 16.6
GTEX-13NYS-0626-SM-5L3F1 60-69 years, male 16.3
GTEX-13NZ9-2626-SM-5L3FK 50-59 years, male 16.3
GTEX-ZY6K-1426-SM-5GZX2 50-59 years, male 16.2
GTEX-1R9PN-0426-SM-DTXDT 40-49 years, female 16.2
GTEX-13U4I-2226-SM-5LU5H 40-49 years, female 16.1
GTEX-13PVR-0426-SM-5RQK2 60-69 years, female 16.0
GTEX-1399U-1126-SM-5L3DB 50-59 years, female 15.9
GTEX-13W3W-0726-SM-5IJDQ 60-69 years, female 15.9
GTEX-13NYC-0126-SM-5L3F4 60-69 years, male 15.7
GTEX-13OVH-0526-SM-5L3E6 70-79 years, male 15.7
GTEX-XUW1-0926-SM-4BONX 50-59 years, female 15.7
GTEX-YJ8O-2526-SM-5HL85 40-49 years, female 15.7
GTEX-1KWVE-1026-SM-D3L9O 30-39 years, male 15.7
GTEX-12696-0126-SM-5EQ4L 60-69 years, male 15.5
GTEX-11EQ8-0926-SM-5H12V 60-69 years, male 15.3
GTEX-WYBS-0626-SM-3NMAS 60-69 years, female 15.3
GTEX-1F75W-2726-SM-7SB8H 60-69 years, male 15.3
GTEX-131YS-2826-SM-5EQ47 60-69 years, female 15.1
GTEX-WFG7-2026-SM-5SI7P 20-29 years, male 15.1
GTEX-ZAJG-1526-SM-5CVML 50-59 years, female 15.1
GTEX-1S82P-2126-SM-E6CI5 60-69 years, female 15.1
GTEX-13SLX-2226-SM-62LEP 50-59 years, female 15.0
GTEX-18A7B-2726-SM-7LG56 70-79 years, male 15.0
GTEX-111FC-2526-SM-5GZXU 60-69 years, male 14.9
GTEX-15EO6-2426-SM-6PALZ 50-59 years, male 14.9
GTEX-178AV-1726-SM-7KUL8 40-49 years, male 14.7
GTEX-XQ3S-1426-SM-4BOPR 20-29 years, male 14.7
GTEX-ZDTS-0826-SM-4WKHL 60-69 years, male 14.7
GTEX-1H1CY-0126-SM-9YFLY 60-69 years, female 14.7
GTEX-13QBU-1226-SM-5LU4G 40-49 years, female 14.6
GTEX-145MF-0926-SM-5Q5EA 50-59 years, male 14.6
GTEX-145MG-1526-SM-5Q5EM 50-59 years, male 14.6
GTEX-ZYFG-1526-SM-5GZYM 60-69 years, female 14.6
GTEX-YEC4-1826-SM-4W1YP 40-49 years, male 14.5
GTEX-16GPK-0626-SM-7KFSF 60-69 years, male 14.3
GTEX-1CB4I-0126-SM-7RHGG 50-59 years, male 14.1
GTEX-139UW-0326-SM-5J1ML 60-69 years, male 14.0
GTEX-131XF-2626-SM-5EQ6K 60-69 years, male 13.9
GTEX-1313W-0626-SM-5EQ4H 50-59 years, female 13.8
GTEX-ZP4G-1426-SM-4WWCL 20-29 years, female 13.8
GTEX-1HGF4-0126-SM-CNPPX 60-69 years, male 13.8
GTEX-1JN6P-2926-SM-CL54D 60-69 years, male 13.8
GTEX-15RJE-2826-SM-7KUM9 40-49 years, male 13.7
GTEX-17HGU-2326-SM-7DUFE 50-59 years, male 13.7
GTEX-1PIGE-1826-SM-E8VOU 20-29 years, male 13.7
GTEX-1HCVE-2726-SM-CL54F 50-59 years, male 13.6
GTEX-12WSM-1926-SM-5BC65 60-69 years, male 13.5
GTEX-1PPH8-0126-SM-EWRN8 20-29 years, male 13.5
GTEX-13OW7-0426-SM-5K7VK 50-59 years, male 13.4
GTEX-ZYFD-0626-SM-5E44E 50-59 years, male 13.4
GTEX-1H1ZS-2726-SM-9WG75 70-79 years, male 13.4
GTEX-1F6I4-2326-SM-7RHGL 60-69 years, male 13.3
GTEX-13OVJ-0826-SM-5J1OK 50-59 years, female 13.2
GTEX-1GN1U-0626-SM-9MQL9 50-59 years, female 13.1
GTEX-1S5ZU-2526-SM-E6CIF 20-29 years, female 13.1
GTEX-ZVE1-0726-SM-51MRN 50-59 years, female 13.0
GTEX-ZYVF-0926-SM-5E44J 50-59 years, female 12.9
GTEX-183FY-1026-SM-7939A 20-29 years, male 12.8
GTEX-12WSC-2826-SM-5BC5Y 50-59 years, male 12.7
GTEX-1EN7A-2426-SM-793DB 40-49 years, male 12.7
GTEX-14BMV-2826-SM-5TDED 50-59 years, male 12.6
GTEX-WK11-2726-SM-3NMAQ 50-59 years, male 12.5
GTEX-1GMRU-2126-SM-7P8RA 50-59 years, male 12.5
GTEX-11NUK-2726-SM-5A5MC 50-59 years, male 12.4
GTEX-15G1A-1626-SM-7KUKN 30-39 years, male 12.3
GTEX-XK95-0226-SM-4AT58 40-49 years, male 12.3
GTEX-14PHX-2226-SM-6EU2P 50-59 years, male 12.2
GTEX-ZYW4-0626-SM-59HJR 60-69 years, male 12.2
GTEX-1IDJF-2026-SM-CL53V 20-29 years, male 12.2
GTEX-12WSF-1626-SM-7KUG5 70-79 years, male 12.1
GTEX-11NSD-0626-SM-5A5LU 20-29 years, male 12.0
GTEX-1N2EE-0626-SM-E76PW 60-69 years, male 12.0
GTEX-ZVT4-2426-SM-5GIEI 50-59 years, female 11.9
GTEX-WH7G-2026-SM-3NMBL 40-49 years, male 11.8
GTEX-1GF9W-1426-SM-7PBYM 60-69 years, male 11.8
GTEX-1I1GS-2626-SM-B2LY3 60-69 years, male 11.8
GTEX-11DYG-1526-SM-5A5JS 60-69 years, male 11.7
GTEX-11LCK-2226-SM-5HL4Q 30-39 years, male 11.7
GTEX-1399R-1326-SM-5PNYS 30-39 years, male 11.7
GTEX-18A7A-0126-SM-731AH 50-59 years, female 11.7
GTEX-14B4R-1326-SM-5Q5EZ 30-39 years, male 11.6
GTEX-Y8E4-2026-SM-5IFJB 40-49 years, male 11.6
GTEX-1QP2A-1726-SM-E76QC 50-59 years, male 11.6
GTEX-13G51-1826-SM-5KLZH 60-69 years, male 11.5
GTEX-ZVE2-2826-SM-5GU51 50-59 years, male 11.5
GTEX-12584-0726-SM-5FQTK 40-49 years, male 11.2
GTEX-13OVK-1426-SM-6PAN7 40-49 years, male 11.2
GTEX-1QW4Y-1126-SM-DTXE3 30-39 years, male 11.1
GTEX-1269C-0126-SM-5EQ5L 60-69 years, female 11.0
GTEX-1I4MK-0126-SM-CY8G6 50-59 years, female 11.0
GTEX-1ICG6-1226-SM-A9SLN 70-79 years, female 11.0
GTEX-1OJC3-1226-SM-DTXER 20-29 years, male 11.0
GTEX-13NYB-0126-SM-5J1MD 40-49 years, male 10.9
GTEX-ZZPU-0826-SM-5GZX5 50-59 years, female 10.9
GTEX-1PIIG-2326-SM-DTXFR 30-39 years, male 10.9
GTEX-1QPFJ-1926-SM-EVYBD 30-39 years, female 10.9
GTEX-V1D1-2026-SM-3GAF4 50-59 years, male 10.8
GTEX-12126-0826-SM-5FQTZ 20-29 years, male 10.7
GTEX-12WSJ-1126-SM-5LZVJ 40-49 years, female 10.7
GTEX-14ABY-2026-SM-62LDL 50-59 years, male 10.7
GTEX-1C64N-2626-SM-7PC2N 50-59 years, male 10.7
GTEX-1JMOU-1026-SM-CYPSS 60-69 years, female 10.7
GTEX-1QCLY-0226-SM-EWRNH 30-39 years, male 10.7
GTEX-11ZU8-0126-SM-5EQ58 60-69 years, male 10.6
GTEX-ZVT2-0126-SM-5GIDQ 50-59 years, female 10.6
GTEX-1LVAO-2726-SM-E9TJ8 60-69 years, male 10.6
GTEX-11GSP-2326-SM-5HL63 60-69 years, female 10.5
GTEX-13FTW-0326-SM-5K7UW 40-49 years, male 10.5
GTEX-ZF2S-1626-SM-57WES 50-59 years, female 10.5
GTEX-1LB8K-0726-SM-D5OV2 50-59 years, male 10.5
GTEX-1S831-1826-SM-EWROF 20-29 years, male 10.5
GTEX-11ZUS-2626-SM-5FQUR 30-39 years, male 10.4
GTEX-WYJK-0526-SM-3NM8Z 50-59 years, male 10.4
GTEX-YB5K-2026-SM-4VDT3 40-49 years, female 10.4
GTEX-117YX-1926-SM-5GIEC 50-59 years, male 10.3
GTEX-12KS4-2126-SM-5FQUT 30-39 years, male 10.2
GTEX-15UF6-1926-SM-7KUDV 70-79 years, female 10.2
GTEX-1K2DA-1026-SM-CGQGF 50-59 years, male 10.2
GTEX-17JCI-2926-SM-7DUFF 60-69 years, female 10.1
GTEX-1B8SF-0126-SM-7DUG3 60-69 years, male 10.1
GTEX-ZWKS-0626-SM-5GIDV 30-39 years, male 10.1
GTEX-1HBPI-2126-SM-ARL9K 50-59 years, male 10.1
GTEX-1IY9M-2826-SM-ARU8H 60-69 years, male 10.1
GTEX-145MN-1526-SM-5SI9T 30-39 years, male 10.0
GTEX-Y3IK-1626-SM-4YCF5 50-59 years, female 10.0
GTEX-ZT9W-1126-SM-57WDR 50-59 years, male 10.0
GTEX-1I6K7-1926-SM-B2LXR 40-49 years, male 10.0
GTEX-1IOXB-2726-SM-CM2RI 50-59 years, male 10.0
GTEX-1HR9M-2226-SM-CNPPY 60-69 years, male 9.9
GTEX-1IE54-1126-SM-A9G2Z 40-49 years, female 9.9
GTEX-1JMQL-2226-SM-CNPP4 50-59 years, female 9.9
GTEX-ZLV1-1526-SM-DO91J 60-69 years, female 9.9
GTEX-13113-1626-SM-5EQ4I 60-69 years, female 9.8
GTEX-147F4-0726-SM-5TDDD 50-59 years, male 9.8
GTEX-14LLW-2626-SM-62LDZ 70-79 years, female 9.8
GTEX-16XZZ-0726-SM-7KUF2 60-69 years, male 9.8
GTEX-YECK-0326-SM-4W1YS 60-69 years, male 9.7
GTEX-ZE9C-2526-SM-5IJDR 60-69 years, male 9.7
GTEX-ZYY3-2926-SM-5GIEB 60-69 years, female 9.7
GTEX-1AYD5-2626-SM-7PBXY 50-59 years, male 9.7
GTEX-1LG7Z-1626-SM-CXKYR 30-39 years, male 9.7
GTEX-WHWD-1826-SM-3LK6I 50-59 years, male 9.6
GTEX-1JMLX-0626-SM-ARL8T 50-59 years, male 9.6
GTEX-13FLV-0126-SM-5K7WT 50-59 years, male 9.5
GTEX-13N11-2326-SM-5IJBF 50-59 years, female 9.5
GTEX-18A67-1626-SM-7LT9T 50-59 years, male 9.5
GTEX-1RMOY-1326-SM-E9TIH 50-59 years, male 9.5
GTEX-1497J-0226-SM-5QGPU 60-69 years, male 9.4
GTEX-1QCLZ-2426-SM-EVYBW 60-69 years, female 9.4
GTEX-1CB4H-1126-SM-7MKGL 60-69 years, female 9.3
GTEX-UPK5-0426-SM-3GAEK 40-49 years, male 9.3
GTEX-1F5PK-2226-SM-7SB6N 50-59 years, male 9.3
GTEX-1PPH7-1126-SM-DTX9A 40-49 years, male 9.3
GTEX-1RLM8-2926-SM-E8VON 50-59 years, male 9.3
GTEX-ZPIC-0526-SM-DO91W 40-49 years, female 9.3
GTEX-14BIN-1126-SM-5RQJZ 50-59 years, female 9.2
GTEX-14PJ3-1126-SM-5ZZVX 50-59 years, male 9.2
GTEX-1HSMQ-2626-SM-A9SML 50-59 years, male 9.2
GTEX-1JMQJ-0826-SM-CNPP7 50-59 years, male 9.2
GTEX-1N2DV-1526-SM-DTXEP 40-49 years, male 9.2
GTEX-17KNJ-2126-SM-718AM 50-59 years, male 9.1
GTEX-1R7EU-1626-SM-DTXG3 60-69 years, male 9.1
GTEX-13OW5-2326-SM-5L3HO 60-69 years, male 9.0
GTEX-1H1E6-0426-SM-9WYUS 30-39 years, male 9.0
GTEX-1LVAM-0726-SM-E6CIL 50-59 years, female 9.0
GTEX-12WSA-0426-SM-5EQ5X 60-69 years, male 8.9
GTEX-15SKB-2826-SM-6PAMH 60-69 years, male 8.9
GTEX-VUSG-2326-SM-4KL1U 50-59 years, male 8.9
GTEX-XBED-1926-SM-47JYP 60-69 years, male 8.9
GTEX-111CU-1126-SM-5EGIM 50-59 years, male 8.8
GTEX-12WSD-0626-SM-5GCMW 60-69 years, female 8.8
GTEX-1314G-1326-SM-5BC6E 30-39 years, male 8.8
GTEX-1EKGG-0626-SM-7DUGJ 60-69 years, male 8.8
GTEX-11WQC-1826-SM-5GU59 60-69 years, male 8.7
GTEX-1A3MX-2626-SM-7PC24 60-69 years, male 8.7
GTEX-139T8-0626-SM-5KLZX 60-69 years, male 8.6
GTEX-1A8FM-0626-SM-7PC25 50-59 years, female 8.6
GTEX-1LGRB-0926-SM-COH3K 50-59 years, female 8.6
GTEX-14A5H-0826-SM-5QGPJ 60-69 years, male 8.5
GTEX-Y8LW-1526-SM-5IFHL 50-59 years, female 8.5
GTEX-1PBJJ-1026-SM-E76OS 30-39 years, male 8.5
GTEX-13QJC-0126-SM-5ZZWJ 60-69 years, female 8.4
GTEX-1122O-1026-SM-9WYSF 60-69 years, female 8.4
GTEX-14JFF-0626-SM-5ZZVT 60-69 years, male 8.4
GTEX-1QP9N-1226-SM-E76QN 30-39 years, male 8.4
GTEX-12C56-1526-SM-5FQUQ 20-29 years, male 8.3
GTEX-13JUV-2026-SM-5K7UA 40-49 years, female 8.3
GTEX-145MI-0626-SM-5SI8S 60-69 years, female 8.3
GTEX-14PII-0726-SM-6EU2B 60-69 years, male 8.3
GTEX-ZF29-0926-SM-4WKFZ 60-69 years, female 8.3
GTEX-1I19N-0126-SM-CYPSF 70-79 years, male 8.3
GTEX-12BJ1-0926-SM-5EQ62 60-69 years, male 8.2
GTEX-147GR-2426-SM-5ZZWQ 60-69 years, male 8.2
GTEX-XOT4-0626-SM-4B66L 60-69 years, female 8.2
GTEX-ZDYS-2426-SM-4WKGI 50-59 years, male 8.2
GTEX-1NV5F-0626-SM-DTXEG 60-69 years, female 8.2
GTEX-1R9K4-2826-SM-DTX8F 60-69 years, male 8.2
GTEX-13SLW-0626-SM-5Q5ER 70-79 years, male 8.1
GTEX-ZDTT-0426-SM-4WKFL 60-69 years, male 8.1
GTEX-1HR98-2226-SM-ADEI2 60-69 years, male 8.1
GTEX-1K9T9-1526-SM-DIPFR 50-59 years, female 8.1
GTEX-ZF3C-0626-SM-DO92O 50-59 years, female 8.1
GTEX-1JMPY-0226-SM-CKZOK 30-39 years, male 8.0
GTEX-1S3DN-2126-SM-E9TIN 50-59 years, male 8.0
GTEX-1212Z-0126-SM-59HK4 60-69 years, male 7.9
GTEX-15CHR-1126-SM-7EWF4 50-59 years, male 7.9
GTEX-1211K-1526-SM-5FQU4 60-69 years, female 7.8
GTEX-145ME-1726-SM-5Q5EU 40-49 years, female 7.8
GTEX-147JS-0226-SM-5S2U9 60-69 years, male 7.8
GTEX-16NGA-0726-SM-731AO 40-49 years, female 7.8
GTEX-11DXW-0826-SM-5H118 40-49 years, male 7.7
GTEX-11GS4-0226-SM-5HL77 60-69 years, male 7.7
GTEX-1JMQI-1726-SM-ARL93 50-59 years, male 7.7
GTEX-1A3MV-1826-SM-731CD 30-39 years, male 7.6
GTEX-18D9A-1426-SM-7LT8M 30-39 years, female 7.6
GTEX-1NSGN-0726-SM-DTXEF 50-59 years, male 7.6
GTEX-Y9LG-1126-SM-4VBQ7 30-39 years, male 7.5
GTEX-17MFQ-1526-SM-7KFRR 20-29 years, male 7.4
GTEX-1HBPN-0126-SM-CGQEF 50-59 years, male 7.4
GTEX-1HCU7-0726-SM-A9SL1 50-59 years, male 7.4
GTEX-13OVL-0126-SM-5L3GJ 50-59 years, male 7.3
GTEX-14753-0726-SM-5QGQO 60-69 years, male 7.3
GTEX-1CB4E-0926-SM-7EPHT 60-69 years, male 7.3
GTEX-ZU9S-1826-SM-5NQ9E 30-39 years, male 7.3
GTEX-1GMR8-0626-SM-7RHI7 50-59 years, female 7.3
GTEX-1HCUA-0826-SM-ADEHM 50-59 years, female 7.3
GTEX-1B8KZ-0326-SM-73KY4 50-59 years, male 7.2
GTEX-1C6VQ-1226-SM-73KYD 50-59 years, male 7.2
GTEX-ZYFC-0426-SM-5GICQ 50-59 years, male 7.2
GTEX-1KANB-2826-SM-CY8I6 50-59 years, male 7.2
GTEX-WRHU-2826-SM-3MJG8 50-59 years, female 7.1
GTEX-1JK1U-0226-SM-ARZMX 60-69 years, male 7.1
GTEX-1KXAM-1626-SM-D3LAD 60-69 years, male 7.1
GTEX-1S83E-1326-SM-E6CJM 40-49 years, male 7.1
GTEX-11DXY-0126-SM-5H11Q 60-69 years, male 7.0
GTEX-15CHC-1126-SM-6LLHQ 60-69 years, female 7.0
GTEX-1H3NZ-2726-SM-9WYTQ 60-69 years, male 7.0
GTEX-15D1Q-2826-SM-6LLH7 40-49 years, male 6.9
GTEX-1GPI7-1826-SM-9KNU1 20-29 years, male 6.9
GTEX-144GL-0626-SM-5LU4D 50-59 years, male 6.8
GTEX-147F3-1726-SM-5SIAW 50-59 years, female 6.8
GTEX-16MTA-0926-SM-6M47Z 50-59 years, male 6.8
GTEX-WY7C-2126-SM-3NB2R 50-59 years, male 6.8
GTEX-ZVZP-1226-SM-5GID7 50-59 years, male 6.8
GTEX-1E2YA-2126-SM-7MXUO 50-59 years, male 6.8
GTEX-1RAZR-2126-SM-E9U6T 40-49 years, male 6.8
GTEX-13PDP-0726-SM-5L3HP 60-69 years, male 6.7
GTEX-11P82-1426-SM-DTXFY 20-29 years, male 6.7
GTEX-1QEPI-2626-SM-DTXF4 60-69 years, female 6.7
GTEX-ZUA1-2626-SM-5NQ92 40-49 years, male 6.6
GTEX-13X6I-1826-SM-5SIAO 60-69 years, male 6.5
GTEX-144FL-0626-SM-5LU43 50-59 years, male 6.5
GTEX-14E6C-2426-SM-5S2NF 40-49 years, male 6.5
GTEX-1IDJC-1526-SM-B2LW4 50-59 years, male 6.5
GTEX-1IDJE-1426-SM-ADEIW 50-59 years, female 6.5
GTEX-1N5O9-0926-SM-E9J3C 60-69 years, male 6.5
GTEX-11DZ1-2426-SM-5GZZX 50-59 years, male 6.4
GTEX-131XW-0626-SM-5PNVD 50-59 years, female 6.4
GTEX-145MH-2826-SM-5RQJF 50-59 years, male 6.4
GTEX-1AMFI-1326-SM-7939R 50-59 years, female 6.4
GTEX-1JJ6O-2726-SM-CNPOG 60-69 years, male 6.4
GTEX-11OF3-0126-SM-5PNYF 60-69 years, male 6.3
GTEX-14PJ6-2626-SM-6EU2T 60-69 years, female 6.3
GTEX-1C2JI-1026-SM-73KY1 50-59 years, male 6.3
GTEX-1GMR3-0126-SM-A9SLW 40-49 years, male 6.3
GTEX-131XH-0126-SM-5LZUY 50-59 years, male 6.2
GTEX-13RTJ-0126-SM-5S2NN 60-69 years, male 6.2
GTEX-18A66-0626-SM-7LT8Z 60-69 years, male 6.2
GTEX-1EU9M-1426-SM-793AI 60-69 years, male 6.2
GTEX-XAJ8-1426-SM-47JYM 40-49 years, male 6.2
GTEX-ZLWG-0826-SM-59888 50-59 years, female 6.2
GTEX-11DXZ-2026-SM-5987S 50-59 years, male 6.1
GTEX-13YAN-0226-SM-5TDC6 60-69 years, male 6.1
GTEX-1EH9U-2826-SM-7DUGT 60-69 years, male 6.1
GTEX-Y5V5-0126-SM-5S2NW 60-69 years, female 6.1
GTEX-1IDJD-2326-SM-ACKWX 30-39 years, male 6.1
GTEX-1J8EW-2726-SM-CY8HR 60-69 years, female 6.1
GTEX-17F9Y-0126-SM-79OKX 70-79 years, female 6.0
GTEX-ZTSS-1426-SM-5985P 40-49 years, male 6.0
GTEX-1H1DG-2426-SM-9QEHJ 70-79 years, male 6.0
GTEX-1LG7Y-2526-SM-EWRO7 50-59 years, male 6.0
GTEX-13112-0126-SM-5P9IU 50-59 years, male 5.9
GTEX-13OW6-2726-SM-5J2OE 50-59 years, male 5.9
GTEX-14AS3-1526-SM-5Q5ED 40-49 years, female 5.9
GTEX-14XAO-1226-SM-6EU1C 60-69 years, female 5.9
GTEX-ZT9X-1526-SM-5DUXD 40-49 years, male 5.9
GTEX-1RAZS-2526-SM-E6CHT 50-59 years, male 5.9
GTEX-13PL6-1126-SM-5L3IE 40-49 years, female 5.8
GTEX-X5EB-1926-SM-4E3IW 40-49 years, male 5.8
GTEX-XYKS-1426-SM-4BRUO 60-69 years, female 5.8
GTEX-1F5PL-0926-SM-7PC2W 40-49 years, female 5.8
GTEX-13NZ8-1226-SM-5KM4A 60-69 years, female 5.7
GTEX-144GO-2026-SM-5O99P 60-69 years, male 5.7
GTEX-14C5O-0326-SM-5ZZUX 60-69 years, male 5.7
GTEX-14PHY-1226-SM-5ZZWK 60-69 years, female 5.7
GTEX-1E1VI-0326-SM-793D1 50-59 years, male 5.7
GTEX-X4EO-2926-SM-4E3JH 60-69 years, female 5.7
GTEX-1HSMO-0626-SM-ACKXC 60-69 years, male 5.7
GTEX-1IDJU-1726-SM-CMKHU 60-69 years, female 5.7
GTEX-1IDJV-0126-SM-COH3Y 60-69 years, male 5.7
GTEX-1RAZQ-1326-SM-E9TK6 30-39 years, male 5.7
GTEX-139TT-2126-SM-5LZWC 60-69 years, male 5.6
GTEX-17F97-2626-SM-7IGM5 50-59 years, male 5.6
GTEX-18D9B-0926-SM-7LG4U 60-69 years, male 5.6
GTEX-1F75B-0726-SM-7PC3R 50-59 years, male 5.6
GTEX-1O9I2-0226-SM-EYYXD 50-59 years, male 5.6
GTEX-1PPGY-1626-SM-EVYBL 60-69 years, male 5.6
GTEX-14C39-1726-SM-5RQIL 40-49 years, male 5.5
GTEX-14PJO-2526-SM-6AJBQ 60-69 years, male 5.5
GTEX-15FZZ-0526-SM-7KUGD 30-39 years, female 5.5
GTEX-ZAK1-0626-SM-5HL8E 50-59 years, female 5.5
GTEX-1IL2V-1926-SM-B2LW8 70-79 years, male 5.5
GTEX-1LSNM-0826-SM-DIPG8 50-59 years, male 5.5
GTEX-146FQ-2126-SM-5RQHU 30-39 years, male 5.4
GTEX-WFON-1926-SM-3LK7L 40-49 years, male 5.4
GTEX-XV7Q-1826-SM-4BRUV 40-49 years, female 5.4
GTEX-ZPU1-1126-SM-4YCF3 40-49 years, male 5.4
GTEX-1OJC4-2726-SM-E76PJ 50-59 years, female 5.4
GTEX-1QP66-1226-SM-DTX7U 50-59 years, male 5.4
GTEX-15CHQ-0326-SM-69LQD 60-69 years, male 5.3
GTEX-1B8KE-1126-SM-7EPHI 50-59 years, male 5.3
GTEX-U8XE-0226-SM-4E3J3 30-39 years, male 5.3
GTEX-YF7O-1526-SM-5IFI6 50-59 years, male 5.3
GTEX-14PJ5-1526-SM-6LLIL 60-69 years, female 5.2
GTEX-16AAH-0626-SM-793C9 50-59 years, male 5.2
GTEX-1B932-2326-SM-79OL5 40-49 years, female 5.2
GTEX-X8HC-0626-SM-4E3HQ 50-59 years, female 5.2
GTEX-1I1CD-0626-SM-CE6SW 60-69 years, female 5.2
GTEX-1JN76-0626-SM-CKZOQ 20-29 years, female 5.1
GTEX-1LGOU-1326-SM-D3L8M 20-29 years, female 5.1
GTEX-1LSVX-2526-SM-DIPEU 60-69 years, male 5.1
GTEX-11WQK-1026-SM-5EQLX 50-59 years, male 5.0
GTEX-144GM-0526-SM-79OJO 20-29 years, male 5.0
GTEX-17F9E-2326-SM-79OKD 50-59 years, male 5.0
GTEX-1B97I-0626-SM-73KUZ 40-49 years, male 5.0
GTEX-11P81-2226-SM-5PNYI 30-39 years, female 4.8
GTEX-13D11-0926-SM-5J2NC 50-59 years, female 4.8
GTEX-WHSE-0126-SM-3NMBT 20-29 years, male 4.8
GTEX-1QP28-1126-SM-EVYC4 50-59 years, female 4.8
GTEX-17F96-0126-SM-7EWDU 70-79 years, male 4.7
GTEX-YFCO-1226-SM-5LUAT 40-49 years, male 4.7
GTEX-1F6RS-2026-SM-7RHHC 60-69 years, female 4.7
GTEX-12ZZX-2426-SM-5GCOE 40-49 years, female 4.6
GTEX-13FTX-1526-SM-5K7VJ 20-29 years, female 4.6
GTEX-17EVQ-0126-SM-7IGLR 70-79 years, male 4.6
GTEX-1H2FU-0926-SM-9WPPT 60-69 years, female 4.6
GTEX-1KAFJ-0126-SM-DIPEK 50-59 years, male 4.6
GTEX-11PRG-0726-SM-5EGL1 50-59 years, male 4.5
GTEX-11TT1-1826-SM-5EQLV 20-29 years, male 4.5
GTEX-133LE-2326-SM-5K7W3 20-29 years, female 4.5
GTEX-1EMGI-2326-SM-7PBYA 60-69 years, male 4.5
GTEX-1JKYR-0626-SM-ARL8R 20-29 years, male 4.5
GTEX-13IVO-0726-SM-5LZYV 70-79 years, male 4.3
GTEX-13VXT-1926-SM-5K7UO 20-29 years, female 4.3
GTEX-1F75A-0726-SM-7RHHD 50-59 years, male 4.3
GTEX-1ICLZ-0326-SM-ARL82 60-69 years, male 4.3
GTEX-1LKK1-2626-SM-DKPQE 50-59 years, female 4.3
GTEX-11TUW-0626-SM-5LU9M 60-69 years, male 4.2
GTEX-ZPCL-1126-SM-4WWFE 60-69 years, female 4.2
GTEX-1HFI7-2326-SM-CGQFS 50-59 years, female 4.2
GTEX-1IDJH-0126-SM-D3L92 70-79 years, male 4.2
GTEX-1LBAC-0826-SM-CY8IJ 20-29 years, male 4.2
GTEX-1QMI2-2526-SM-E8VNZ 60-69 years, male 4.2
GTEX-111VG-1626-SM-5EGIO 60-69 years, male 4.1
GTEX-139YR-1026-SM-5LZYN 50-59 years, male 4.1
GTEX-14PJN-1826-SM-6AJ98 30-39 years, male 4.1
GTEX-18D9U-0126-SM-731BM 40-49 years, male 4.1
GTEX-W5X1-2526-SM-3GILC 40-49 years, female 4.1
GTEX-X3Y1-2026-SM-3P5YM 40-49 years, male 4.1
GTEX-1K2DU-1226-SM-CYPT4 20-29 years, male 4.1
GTEX-145MO-2826-SM-5LU96 60-69 years, male 4.0
GTEX-16YQH-2226-SM-7IGM2 30-39 years, male 4.0
GTEX-17MF6-2626-SM-79OKQ 40-49 years, male 4.0
GTEX-1MCYP-0526-SM-E9U6Q 20-29 years, female 4.0
GTEX-11EQ9-1626-SM-5PNY8 30-39 years, male 3.9
GTEX-X4EP-0626-SM-3P621 60-69 years, female 3.8
GTEX-1C64O-1326-SM-7MGWR 60-69 years, male 3.8
GTEX-13FH7-1126-SM-5K7UG 50-59 years, female 3.7
GTEX-1A8G7-1326-SM-73KVM 60-69 years, male 3.7
GTEX-1J8QM-2426-SM-A9SLS 60-69 years, female 3.7
GTEX-1LVA9-2626-SM-EVYD4 50-59 years, male 3.7
GTEX-1HKZK-0726-SM-ACKW2 40-49 years, male 3.6
GTEX-1J8JJ-0626-SM-ARZMQ 60-69 years, female 3.6
GTEX-1PDJ9-1226-SM-EXUSX 20-29 years, male 3.6
GTEX-14DAQ-0626-SM-793DS 60-69 years, female 3.5
GTEX-14E6E-0526-SM-793DN 30-39 years, male 3.5
GTEX-14PKU-0126-SM-6LLHV 40-49 years, female 3.5
GTEX-1C6VR-0126-SM-7RHGB 60-69 years, male 3.5
GTEX-1H11D-1826-SM-9QEHM 40-49 years, male 3.5
GTEX-1KANC-1226-SM-CYPT7 50-59 years, female 3.5
GTEX-1R46S-2426-SM-E76QA 60-69 years, female 3.5
GTEX-145LS-0626-SM-7EPG7 60-69 years, female 3.4
GTEX-14ICL-1626-SM-5YYAO 30-39 years, male 3.4
GTEX-1GF9X-1326-SM-7PC2Y 40-49 years, female 3.4
GTEX-145LU-1926-SM-79OJN 50-59 years, male 3.3
GTEX-17EVP-2626-SM-7IGMA 40-49 years, male 3.3
GTEX-WHSB-1326-SM-3LK6W 50-59 years, male 3.3
GTEX-1J8Q3-0526-SM-ARL8U 60-69 years, male 3.3
GTEX-1KD5A-0126-SM-E9U54 50-59 years, male 3.3
GTEX-1RB15-1326-SM-E76Q9 60-69 years, male 3.3
GTEX-14PKV-1126-SM-6LLJ1 20-29 years, female 3.2
GTEX-1GZ4H-0526-SM-9KNU9 50-59 years, female 3.2
GTEX-1JMPZ-0726-SM-CY8HZ 30-39 years, male 3.2
GTEX-11EM3-1226-SM-5N9DD 20-29 years, female 3.1
GTEX-13N2G-0226-SM-5K7VF 60-69 years, male 3.1
GTEX-1C6WA-2626-SM-7MKGM 60-69 years, male 3.1
GTEX-XQ8I-0926-SM-4BOOF 50-59 years, male 3.1
GTEX-ZTTD-2826-SM-4YCFA 50-59 years, male 3.1
GTEX-1GZ4I-2626-SM-9KNU3 50-59 years, male 3.1
GTEX-11O72-0626-SM-5PNYE 40-49 years, male 3.0
GTEX-1A32A-0626-SM-731AQ 50-59 years, female 3.0
GTEX-ZTX8-1326-SM-4YCEL 20-29 years, male 3.0
GTEX-ZVP2-0326-SM-57WBP 50-59 years, male 2.9
GTEX-14LZ3-0126-SM-69LPM 60-69 years, female 2.8
GTEX-1GL5R-1326-SM-7RHHF 50-59 years, male 2.8
GTEX-1I6K6-1726-SM-CGQFD 30-39 years, male 2.8
GTEX-1KANA-1326-SM-DIPFA 20-29 years, male 2.8
GTEX-13O3Q-0126-SM-5KM34 50-59 years, male 2.7
GTEX-1AX9I-2226-SM-73KUO 60-69 years, male 2.7
GTEX-1F75I-2226-SM-7SB8U 40-49 years, male 2.7
GTEX-1GZ2Q-0126-SM-9WG6M 40-49 years, male 2.7
GTEX-1HSGN-0826-SM-ACKW3 40-49 years, female 2.7
GTEX-14JG1-1526-SM-5YY9X 40-49 years, male 2.6
GTEX-1B996-0426-SM-7EWF8 60-69 years, male 2.6
GTEX-1B8L1-2226-SM-7P8PT 60-69 years, male 2.6
GTEX-1GN1W-2426-SM-9KNUU 50-59 years, female 2.6
GTEX-1HSKV-1226-SM-ADEI4 60-69 years, male 2.6
GTEX-1I1GU-0926-SM-ACKVS 40-49 years, male 2.6
GTEX-18QFQ-1826-SM-72D52 30-39 years, male 2.5
GTEX-ZA64-1026-SM-5HL8R 20-29 years, male 2.5
GTEX-1H23P-0626-SM-9WG6T 60-69 years, male 2.5
GTEX-13FTY-2126-SM-5IFFB 40-49 years, female 2.4
GTEX-1H3VE-0726-SM-9YFL5 40-49 years, male 2.4
GTEX-1HT8W-0626-SM-A9G2H 30-39 years, male 2.4
GTEX-1JJE9-2626-SM-ARZMT 70-79 years, male 2.4
GTEX-1QP29-1826-SM-DTX9S 50-59 years, male 2.4
GTEX-12ZZZ-0726-SM-5GCNZ 60-69 years, male 2.3
GTEX-VJYA-1526-SM-3GIJV 60-69 years, male 2.3
GTEX-1GF9V-0826-SM-9KNUV 60-69 years, male 2.3
GTEX-15DDE-2926-SM-6LLJ3 50-59 years, female 2.2
GTEX-1AX9J-1326-SM-731BJ 60-69 years, male 2.2
GTEX-1IDFM-0326-SM-ARL7V 60-69 years, male 2.2
GTEX-1J8Q2-2626-SM-ACKWQ 60-69 years, male 2.2
GTEX-14C38-0726-SM-5SI6M 50-59 years, male 2.1
GTEX-16MT9-0126-SM-7EPI8 60-69 years, female 2.1
GTEX-1A3MW-0626-SM-731CB 60-69 years, female 2.1
GTEX-1GZHY-0626-SM-9KNVC 50-59 years, female 2.1
GTEX-1HCU6-2526-SM-ADEHL 60-69 years, female 2.1
GTEX-1IKJJ-2226-SM-CJI4C 60-69 years, male 2.1
GTEX-1399Q-2326-SM-5KM2X 40-49 years, male 2.0
GTEX-17HII-1426-SM-7EPGG 50-59 years, male 2.0
GTEX-1H1DE-1326-SM-9KNUG 20-29 years, male 2.0
GTEX-14BMU-1226-SM-5S2OR 20-29 years, female 1.9
GTEX-14PJ2-0626-SM-6LLII 50-59 years, male 1.9
GTEX-Y5LM-0926-SM-6LLJG 40-49 years, female 1.9
GTEX-14E1K-2026-SM-7DUEI 50-59 years, male 1.8
GTEX-1AMEY-0826-SM-72D65 30-39 years, female 1.8
GTEX-X585-2426-SM-46MW2 50-59 years, male 1.8
GTEX-1JN1M-2726-SM-CY8I4 60-69 years, female 1.8
GTEX-183WM-0326-SM-72D5V 70-79 years, female 1.7
GTEX-1BAJH-2426-SM-7IGP8 70-79 years, male 1.7
GTEX-1CAV2-0126-SM-7IGN7 40-49 years, female 1.7
GTEX-ZLFU-1826-SM-4WWBV 40-49 years, male 1.7
GTEX-16BQI-1326-SM-6M486 30-39 years, female 1.6
GTEX-18A6Q-0626-SM-7KFRP 60-69 years, male 1.6
GTEX-1A8G6-2726-SM-731AR 60-69 years, male 1.6
GTEX-1GPI6-1926-SM-9KNV7 60-69 years, male 1.6
GTEX-1J1OQ-0126-SM-D4P2N 40-49 years, female 1.6
GTEX-1R9PM-1926-SM-EVR3O 20-29 years, male 1.6
GTEX-1IKOE-1426-SM-CE6T7 30-39 years, female 1.5
GTEX-1RAZA-2226-SM-E9U4X 20-29 years, male 1.5
GTEX-139D8-1126-SM-5LU8W 30-39 years, female 1.4
GTEX-13O61-1426-SM-5KM3D 60-69 years, male 1.4
GTEX-1GN1V-2826-SM-9JGIA 60-69 years, male 1.4
GTEX-14JG6-1426-SM-9WG7C 30-39 years, female 1.3
GTEX-1192X-2726-SM-5N9DN 50-59 years, male 1.2
GTEX-11DXX-2126-SM-5PNYR 60-69 years, female 1.2
GTEX-145LT-0526-SM-5LUB2 40-49 years, male 1.2
GTEX-148VJ-0626-SM-5LUAW 70-79 years, male 1.2
GTEX-ZGAY-1826-SM-DO91Q 40-49 years, female 1.1
GTEX-1HBPM-0726-SM-9YFL7 60-69 years, female 0.9
GTEX-1JJEA-1826-SM-ARU8P 60-69 years, male 0.9
GTEX-1F52S-2926-SM-7MKGA 60-69 years, female 0.8
GTEX-1H1DF-1126-SM-9WG7G 40-49 years, female 0.8
GTEX-XXEK-1626-SM-4BRUZ 50-59 years, male 0.7
GTEX-1GF9U-2026-SM-7SB92 40-49 years, female 0.7
GTEX-1C475-1326-SM-7SB73 40-49 years, female 0.6
GTEX-14PJ4-0226-SM-5YY92 60-69 years, male 0.5
GTEX-1F88E-1626-SM-7SB8Z 60-69 years, female 0.5
GTEX-1IDJI-0126-SM-CMKHS 50-59 years, female 0.5
GTEX-1ICLY-0826-SM-CMKG1 50-59 years, male 0.2
GTEX-1EX96-1026-SM-7MKG2 50-59 years, male 0.0
Show allShow less
Skin - Sun Exposed (Lower leg)
Average nTPM: 34.8
Samples: 701

Max nTPM: 10800.1
Min nTPM: 0.2
Std nTPM: 409.0
Median nTPM: 11.4
GTEX-SE5C-1626-SM-2XCE3 40-49 years, female 10800.1
GTEX-13NYB-2526-SM-5K7Z6 40-49 years, male 895.5
GTEX-1AYCT-2426-SM-7IGQ3 50-59 years, male 457.8
GTEX-11EQ9-2426-SM-5HL5T 30-39 years, male 221.1
GTEX-15D1Q-0126-SM-7KUG6 40-49 years, male 162.2
GTEX-Y8DK-0126-SM-4TT3L 60-69 years, male 158.4
GTEX-1PBJI-0526-SM-E8VNK 20-29 years, female 133.2
GTEX-1EKGG-0226-SM-9WYTH 60-69 years, male 127.9
GTEX-1C6VS-0526-SM-7DUEN 60-69 years, male 126.1
GTEX-1CB4H-0226-SM-7PBXM 60-69 years, female 102.0
GTEX-SIU8-0126-SM-2XCDT 50-59 years, male 93.7
GTEX-Q2AI-1326-SM-2S1PL 40-49 years, male 93.5
GTEX-ZUA1-0126-SM-5GU76 40-49 years, male 92.2
GTEX-X62O-0126-SM-4E3JN 50-59 years, male 89.0
GTEX-1F6IF-0726-SM-7P8TW 60-69 years, male 84.0
GTEX-1R7EV-2426-SM-EVYBG 40-49 years, male 83.2
GTEX-13X6J-0126-SM-5QGOU 50-59 years, male 70.6
GTEX-16GPK-0126-SM-7DHLE 60-69 years, male 70.1
GTEX-1F6I4-0126-SM-9MQL2 60-69 years, male 69.5
GTEX-1KD5A-0226-SM-D5OV3 50-59 years, male 69.5
GTEX-13OW8-1326-SM-5J1OW 60-69 years, male 68.5
GTEX-1I1GP-2226-SM-CGQFK 50-59 years, male 68.1
GTEX-1M4P7-0226-SM-DIPEV 60-69 years, male 67.1
GTEX-WZTO-0126-SM-3NM95 40-49 years, male 61.8
GTEX-13W46-0226-SM-5SIAG 50-59 years, male 60.6
GTEX-ZDYS-2026-SM-5HL5L 50-59 years, male 58.7
GTEX-SNMC-1226-SM-2XCFP 20-29 years, male 58.1
GTEX-14BIM-0226-SM-7IGLD 60-69 years, female 56.2
GTEX-1GMRU-0126-SM-9YFLV 50-59 years, male 55.7
GTEX-ZEX8-2426-SM-4WKG4 50-59 years, male 54.8
GTEX-1GZHY-0326-SM-9QEHI 50-59 years, female 54.7
GTEX-14E6C-0126-SM-5RQIP 40-49 years, male 54.5
GTEX-139T4-0226-SM-5HL5S 50-59 years, female 52.7
GTEX-11P7K-2126-SM-5GU7G 30-39 years, male 52.6
GTEX-1I1HK-0126-SM-COH49 60-69 years, male 52.1
GTEX-147F4-0226-SM-5QGPW 50-59 years, male 51.8
GTEX-1AYD5-2426-SM-73KXR 50-59 years, male 51.1
GTEX-ZE9C-2726-SM-57WB5 60-69 years, male 51.0
GTEX-Y5V6-2426-SM-4VDSB 60-69 years, male 50.9
GTEX-TSE9-0126-SM-3DB83 60-69 years, female 50.3
GTEX-15DYW-0126-SM-7KULE 60-69 years, female 49.6
GTEX-13OVH-0126-SM-5MR4B 70-79 years, male 49.3
GTEX-11ZUS-0626-SM-59885 30-39 years, male 48.9
GTEX-P4PQ-0126-SM-2S1NM 60-69 years, male 48.7
GTEX-1H1ZS-0426-SM-9WG6G 70-79 years, male 47.8
GTEX-13FXS-0226-SM-5IJCK 50-59 years, male 47.1
GTEX-TMZS-0126-SM-3DB9Q 60-69 years, male 45.7
GTEX-12126-0326-SM-5PNW3 20-29 years, male 45.1
GTEX-Q734-1926-SM-2I5EV 40-49 years, female 44.9
GTEX-11GSP-2526-SM-5N9BP 60-69 years, female 44.6
GTEX-ZY6K-1826-SM-5GZXK 50-59 years, male 44.5
GTEX-Z93S-0126-SM-5HL7M 50-59 years, male 44.0
GTEX-ZF28-0126-SM-4WKGK 60-69 years, male 43.7
GTEX-1H3O1-0426-SM-9YFKY 60-69 years, male 43.4
GTEX-1QCLY-0326-SM-E8VOG 30-39 years, male 43.0
GTEX-NPJ8-0126-SM-2YUNR 40-49 years, male 42.7
GTEX-T5JW-1626-SM-3GADZ 20-29 years, female 42.3
GTEX-ZDXO-3026-SM-5J1N5 60-69 years, male 41.7
GTEX-145LT-1726-SM-5QGP3 40-49 years, male 41.5
GTEX-R55G-2526-SM-2TC6D 40-49 years, female 41.5
GTEX-U3ZM-1526-SM-3DB9D 40-49 years, male 41.4
GTEX-131YS-0126-SM-5KM1M 60-69 years, female 41.1
GTEX-16MT8-0426-SM-7KUEY 60-69 years, female 40.6
GTEX-17KNJ-2326-SM-7DHLQ 50-59 years, male 40.5
GTEX-11VI4-1726-SM-5CVLH 40-49 years, female 40.3
GTEX-ZVTK-0426-SM-51MRS 20-29 years, male 39.7
GTEX-QCQG-1726-SM-3GIJ9 50-59 years, female 39.4
GTEX-SJXC-0126-SM-2XCFF 60-69 years, male 39.3
GTEX-TMMY-0226-SM-33HBA 40-49 years, female 39.3
GTEX-1C6VQ-0126-SM-7P8RI 50-59 years, male 38.6
GTEX-11GSO-2426-SM-5A5LY 60-69 years, male 37.7
GTEX-YFC4-0126-SM-5CVLY 40-49 years, female 37.7
GTEX-1B933-0126-SM-7PC29 50-59 years, female 37.6
GTEX-1RQEC-0426-SM-E6CHU 60-69 years, male 37.6
GTEX-ZVT3-0126-SM-5GU6I 60-69 years, female 37.2
GTEX-P4PP-0126-SM-3LK69 30-39 years, female 36.8
GTEX-131XG-2626-SM-5KM17 50-59 years, female 36.7
GTEX-18A6Q-0126-SM-731BZ 60-69 years, male 36.7
GTEX-QV44-1926-SM-2S1RF 50-59 years, male 36.1
GTEX-ZAB4-0226-SM-5N9F5 40-49 years, male 36.1
GTEX-U8XE-0326-SM-3DB8P 30-39 years, male 35.9
GTEX-11WQC-2526-SM-5CVLE 60-69 years, male 35.6
GTEX-14BMV-0126-SM-5S2PO 50-59 years, male 35.5
GTEX-1I1GV-0526-SM-A9G29 60-69 years, male 35.5
GTEX-ZDTS-0126-SM-4WAY5 60-69 years, male 35.4
GTEX-1AX9K-2326-SM-73KWU 50-59 years, male 35.0
GTEX-1JMQK-0226-SM-CL543 60-69 years, male 34.9
GTEX-RWSA-0126-SM-2XCBB 40-49 years, male 34.8
GTEX-1GN73-0226-SM-9WG67 60-69 years, male 33.7
GTEX-U412-0426-SM-3DB9O 60-69 years, male 33.5
GTEX-145MF-0626-SM-5LUAI 50-59 years, male 33.3
GTEX-12ZZY-0226-SM-5LZVE 60-69 years, male 32.9
GTEX-13OVL-0226-SM-5L3E9 50-59 years, male 32.9
GTEX-13NZA-0226-SM-5K7Z7 60-69 years, male 32.4
GTEX-W5WG-1826-SM-4KL2Y 50-59 years, female 32.3
GTEX-WVJS-0126-SM-4MVOT 50-59 years, male 32.3
GTEX-S33H-1026-SM-EZ6L6 30-39 years, male 31.9
GTEX-RUSQ-1526-SM-2TF62 50-59 years, male 31.8
GTEX-QEG4-0226-SM-2S1PY 30-39 years, male 31.7
GTEX-S95S-1226-SM-4GICG 60-69 years, male 31.6
GTEX-14JG1-0426-SM-6ETZZ 40-49 years, male 31.4
GTEX-RN64-0126-SM-2TC68 50-59 years, male 31.2
GTEX-1IKJJ-0126-SM-CNPQB 60-69 years, male 31.0
GTEX-1QP9N-1426-SM-DTXFL 30-39 years, male 30.9
GTEX-1RLM8-2326-SM-EWRN4 50-59 years, male 30.6
GTEX-13FTY-0526-SM-5L3EV 40-49 years, female 30.5
GTEX-14ABY-0226-SM-5TDCQ 50-59 years, male 30.5
GTEX-1I1GS-0126-SM-B2LVW 60-69 years, male 30.0
GTEX-1B8L1-2526-SM-9WYTF 60-69 years, male 29.7
GTEX-15DCD-0126-SM-7KUEK 70-79 years, female 29.3
GTEX-1CAMQ-0226-SM-7IGPK 40-49 years, male 29.2
GTEX-13O3Q-2426-SM-5IJBR 50-59 years, male 29.1
GTEX-1GMR8-0126-SM-9WYTM 50-59 years, female 29.1
GTEX-1H1CY-2826-SM-9MQM3 60-69 years, female 29.0
GTEX-18A7B-0126-SM-7LG64 70-79 years, male 28.8
GTEX-RTLS-0126-SM-447CA 60-69 years, female 28.7
GTEX-ZYW4-0126-SM-5E44A 60-69 years, male 28.7
GTEX-1HUB1-0426-SM-E9U4U 60-69 years, male 28.5
GTEX-1HBPH-0426-SM-B2LW5 40-49 years, female 28.4
GTEX-TML8-1926-SM-32QOS 40-49 years, female 28.3
GTEX-11OC5-0126-SM-5HL6A 60-69 years, male 28.1
GTEX-Z9EW-1626-SM-5CVMN 40-49 years, male 28.1
GTEX-R3RS-0126-SM-3GIJL 40-49 years, female 27.9
GTEX-R55E-0126-SM-2TC5Y 20-29 years, male 27.9
GTEX-1BAJH-0526-SM-793CQ 70-79 years, male 27.8
GTEX-1GN1W-0526-SM-9MQJQ 50-59 years, female 27.6
GTEX-ZVT4-0126-SM-DTXFN 50-59 years, female 27.2
GTEX-17HGU-0226-SM-7DHKV 50-59 years, male 27.0
GTEX-U3ZN-2326-SM-3DB7W 30-39 years, female 27.0
GTEX-1CB4F-0426-SM-9KNV4 60-69 years, male 26.8
GTEX-139TU-0126-SM-5K7WH 60-69 years, male 26.4
GTEX-1HFI6-0226-SM-ADEHZ 40-49 years, male 26.4
GTEX-1QP66-1726-SM-E8VO1 50-59 years, male 26.4
GTEX-14A6H-0126-SM-5QGPK 30-39 years, male 26.3
GTEX-17F97-0326-SM-7LG5B 50-59 years, male 26.3
GTEX-13VXU-0126-SM-5SI9F 50-59 years, male 25.9
GTEX-1HSMO-0126-SM-CL547 60-69 years, male 25.9
GTEX-SN8G-0126-SM-32PLI 50-59 years, female 25.8
GTEX-1399R-2726-SM-5IJBA 30-39 years, male 25.7
GTEX-QVJO-1626-SM-2S1QW 60-69 years, female 25.6
GTEX-1MJK2-0426-SM-DTXE5 50-59 years, male 25.5
GTEX-PLZ5-2026-SM-2S1O4 50-59 years, male 25.4
GTEX-139TT-0126-SM-5K7Y5 60-69 years, male 25.3
GTEX-13IVO-0126-SM-5J1NG 70-79 years, male 25.1
GTEX-13O1R-0126-SM-5L3EH 60-69 years, male 25.1
GTEX-1AX8Z-0126-SM-7DHM6 60-69 years, male 25.1
GTEX-UJHI-1526-SM-3DB99 50-59 years, female 25.0
GTEX-ZAK1-0126-SM-5IJD3 50-59 years, female 24.9
GTEX-1H1DE-2126-SM-9WG6R 20-29 years, male 24.7
GTEX-14PJM-0226-SM-62LF1 50-59 years, female 24.6
GTEX-1HCUA-2426-SM-ADEIS 50-59 years, female 24.6
GTEX-VUSG-2526-SM-4KL1V 50-59 years, male 24.5
GTEX-13QJ3-0326-SM-5S2RA 50-59 years, male 24.4
GTEX-1B8KZ-2026-SM-7DHMB 50-59 years, male 24.4
GTEX-TKQ1-1026-SM-4GICL 30-39 years, male 24.3
GTEX-1CB4G-0226-SM-7PC3O 60-69 years, male 24.2
GTEX-17HHY-0126-SM-7LG5D 50-59 years, male 24.1
GTEX-Y114-2426-SM-4TT8A 50-59 years, female 24.1
GTEX-1S5ZA-0126-SM-EVYCV 20-29 years, male 24.1
GTEX-139TS-2826-SM-5J1OO 60-69 years, male 23.9
GTEX-1PIGE-0126-SM-EVYBJ 20-29 years, male 23.9
GTEX-X5EB-2226-SM-46MW4 40-49 years, male 23.8
GTEX-Y3I4-2126-SM-4TT7C 50-59 years, male 23.7
GTEX-1IY9M-0126-SM-D3L8S 60-69 years, male 23.6
GTEX-U3ZH-2026-SM-3DB78 30-39 years, male 23.4
GTEX-132NY-0326-SM-5IJBL 60-69 years, male 23.3
GTEX-1CB4J-0626-SM-7DHMP 60-69 years, male 23.3
GTEX-RU72-0926-SM-2TF6B 50-59 years, female 23.3
GTEX-13FHP-0126-SM-5IJBG 50-59 years, male 23.1
GTEX-1GN1V-0126-SM-9WPOS 60-69 years, male 23.1
GTEX-YJ8A-0426-SM-5IFID 20-29 years, male 23.0
GTEX-12WSL-2526-SM-5GCNJ 50-59 years, male 22.8
GTEX-1MCQQ-0826-SM-DLHC2 60-69 years, male 22.6
GTEX-14BMU-2226-SM-5TDE9 20-29 years, female 22.4
GTEX-1I19N-0326-SM-ACKVX 70-79 years, male 22.4
GTEX-11ZU8-2526-SM-5EQKI 60-69 years, male 22.3
GTEX-169BO-1326-SM-9MQK2 50-59 years, male 21.9
GTEX-1QAET-0926-SM-E76QM 50-59 years, male 21.9
GTEX-SUCS-1926-SM-32PM3 70-79 years, male 21.8
GTEX-14JG6-2226-SM-6EU2G 30-39 years, female 21.4
GTEX-QESD-1426-SM-2S1R9 20-29 years, male 21.4
GTEX-1LG7Y-0526-SM-DKPQC 50-59 years, male 21.3
GTEX-1JJE9-0326-SM-CL53Z 70-79 years, male 21.2
GTEX-1PIIG-0226-SM-EWRN6 30-39 years, male 21.2
GTEX-1269C-2526-SM-5EGJ3 60-69 years, female 21.0
GTEX-1JMPY-1326-SM-ARL8Y 30-39 years, male 21.0
GTEX-1399U-2326-SM-5K7WY 50-59 years, female 20.9
GTEX-1K9T9-0126-SM-EVYCF 50-59 years, female 20.9
GTEX-S7PM-0126-SM-4AD6S 60-69 years, male 20.8
GTEX-1HGF4-2426-SM-ACKXM 60-69 years, male 20.8
GTEX-1QMI2-0226-SM-EVYBX 60-69 years, male 20.7
GTEX-ZYFG-2326-SM-5E44B 60-69 years, female 20.6
GTEX-1KD4Q-0226-SM-E9TJ9 40-49 years, male 20.5
GTEX-139UW-2826-SM-5L3E7 60-69 years, male 20.3
GTEX-1HCU6-0126-SM-CL54K 60-69 years, female 20.3
GTEX-1HCU8-0626-SM-A9SM9 60-69 years, female 20.1
GTEX-117YW-2626-SM-5GZZH 50-59 years, male 20.0
GTEX-15SHW-0326-SM-6PAML 60-69 years, male 20.0
GTEX-1JMQJ-0526-SM-CYPSU 50-59 years, male 20.0
GTEX-14JIY-0126-SM-6LLH6 60-69 years, male 19.9
GTEX-T2YK-0526-SM-32QPJ 50-59 years, male 19.8
GTEX-11NUK-0126-SM-5A5L3 50-59 years, male 19.6
GTEX-T5JC-0426-SM-32PLO 20-29 years, male 19.5
GTEX-1JMOU-1526-SM-CL54I 60-69 years, female 19.2
GTEX-1HT8W-0126-SM-CNPPP 30-39 years, male 18.7
GTEX-1I1GR-0126-SM-CL55F 60-69 years, male 18.7
GTEX-139D8-0226-SM-5KLZO 30-39 years, female 18.6
GTEX-Y111-0126-SM-4SOIV 50-59 years, male 18.6
GTEX-1HSMP-0126-SM-E6CJS 70-79 years, male 18.6
GTEX-12WSD-0126-SM-59HKN 60-69 years, female 18.5
GTEX-1HR98-0126-SM-B2LWI 60-69 years, male 18.5
GTEX-12KS4-0326-SM-5EQ41 30-39 years, male 18.4
GTEX-S7SE-0126-SM-2XCD5 50-59 years, male 18.3
GTEX-1PWST-0226-SM-E76QJ 70-79 years, male 18.3
GTEX-WYJK-0126-SM-3NMAB 50-59 years, male 18.2
GTEX-15EU6-0426-SM-6PAN5 50-59 years, male 18.1
GTEX-15G19-0126-SM-6PANQ 60-69 years, male 18.1
GTEX-1HBPI-1526-SM-C1YQ1 50-59 years, male 18.0
GTEX-14PN4-0126-SM-6EU2V 50-59 years, male 17.9
GTEX-OXRO-0126-SM-2YUN4 60-69 years, female 17.8
GTEX-1RAZA-0126-SM-E6CI3 20-29 years, male 17.8
GTEX-1399T-2826-SM-5KLYZ 60-69 years, male 17.7
GTEX-1E1VI-0126-SM-7DHMZ 50-59 years, male 17.6
GTEX-ZE7O-0126-SM-57WC1 50-59 years, female 17.6
GTEX-1J8JJ-0226-SM-CL53I 60-69 years, female 17.6
GTEX-14DAR-2026-SM-5S2O3 50-59 years, male 17.5
GTEX-QLQ7-1626-SM-2S1R8 60-69 years, male 17.5
GTEX-1H3VE-0326-SM-9YFLH 40-49 years, male 17.4
GTEX-1313W-0126-SM-5LZUN 50-59 years, female 17.3
GTEX-1O97I-0326-SM-EYYX7 60-69 years, male 17.2
GTEX-13NZB-2526-SM-5J1OM 30-39 years, male 17.1
GTEX-T6MN-0126-SM-32PLP 50-59 years, male 17.0
GTEX-1192W-2626-SM-5Q5AF 60-69 years, male 16.8
GTEX-11ZTS-0126-SM-5EQ6M 60-69 years, female 16.8
GTEX-12WSE-0526-SM-793B2 20-29 years, male 16.8
GTEX-WYVS-2126-SM-3NMA3 40-49 years, female 16.7
GTEX-XPVG-2626-SM-4B669 50-59 years, male 16.6
GTEX-13O3O-0126-SM-E9J49 60-69 years, female 16.6
GTEX-11DZ1-0126-SM-5985Q 50-59 years, male 16.5
GTEX-YB5K-2126-SM-4WWDJ 40-49 years, female 16.5
GTEX-1EWIQ-0126-SM-7RHH2 70-79 years, female 16.5
GTEX-X4EO-0326-SM-3P5YO 60-69 years, female 16.4
GTEX-15UKP-0426-SM-7KUFQ 20-29 years, male 16.3
GTEX-X638-0126-SM-47JZ8 70-79 years, female 16.3
GTEX-ZXES-1826-SM-5E43S 30-39 years, female 16.3
GTEX-ZYFC-0226-SM-5NQ75 50-59 years, male 16.2
GTEX-11GS4-2726-SM-5A5LE 60-69 years, male 16.1
GTEX-12ZZZ-0626-SM-5DUXI 60-69 years, male 16.1
GTEX-139T8-0126-SM-5K7XZ 60-69 years, male 16.1
GTEX-1A3MX-0126-SM-731BR 60-69 years, male 16.0
GTEX-13N11-2526-SM-5K7UE 50-59 years, female 15.9
GTEX-UPJH-0326-SM-3GADU 50-59 years, male 15.9
GTEX-1H1DG-0126-SM-9WYU2 70-79 years, male 15.9
GTEX-1GTWX-0126-SM-9YFLK 60-69 years, male 15.8
GTEX-OOBJ-0126-SM-E6CJW 60-69 years, male 15.8
GTEX-18A7A-0226-SM-718BH 50-59 years, female 15.7
GTEX-1H11D-0226-SM-9WG6Z 40-49 years, male 15.7
GTEX-1IGQW-0126-SM-COH42 60-69 years, male 15.7
GTEX-12ZZX-0126-SM-5EGK9 40-49 years, female 15.6
GTEX-13SLW-0126-SM-5SI6C 70-79 years, male 15.6
GTEX-14PK6-1926-SM-6ETZU 70-79 years, female 15.6
GTEX-17EVP-0326-SM-7DHLG 40-49 years, male 15.6
GTEX-ZYY3-0126-SM-5GZY5 60-69 years, female 15.6
GTEX-146FR-1326-SM-E9J48 60-69 years, female 15.6
GTEX-1JJEA-0326-SM-CNPOT 60-69 years, male 15.5
GTEX-13OW7-0126-SM-5MR3B 50-59 years, male 15.4
GTEX-1QEPI-0126-SM-EWRMQ 60-69 years, female 15.4
GTEX-11H98-0126-SM-5EGHG 50-59 years, male 15.3
GTEX-U8T8-0126-SM-3DB94 60-69 years, male 15.3
GTEX-131XW-0426-SM-5LZWP 50-59 years, female 15.2
GTEX-13OVI-1426-SM-5L3EY 60-69 years, female 15.2
GTEX-15CHC-2126-SM-6EU21 60-69 years, female 15.2
GTEX-13U4I-0126-SM-5LU38 40-49 years, female 15.1
GTEX-17MF6-0126-SM-7LG4F 40-49 years, male 15.1
GTEX-V1D1-2226-SM-3NMAX 50-59 years, male 15.1
GTEX-1HSKV-0226-SM-A9SKJ 60-69 years, male 15.1
GTEX-ZVZO-0126-SM-5A5L9 40-49 years, male 15.0
GTEX-1JKYR-0126-SM-CNPOJ 20-29 years, male 15.0
GTEX-1AX9I-0126-SM-7SB74 60-69 years, male 14.9
GTEX-14PJ6-2126-SM-6EU1V 60-69 years, female 14.8
GTEX-OHPM-0126-SM-2YUN9 50-59 years, male 14.8
GTEX-13N1W-0126-SM-5K7VT 70-79 years, male 14.7
GTEX-OHPL-0126-SM-2HMJ7 60-69 years, female 14.7
GTEX-1F75A-0126-SM-7RHGM 50-59 years, male 14.7
GTEX-13FHO-0226-SM-5IFGY 60-69 years, male 14.5
GTEX-17HII-0226-SM-7LG4E 50-59 years, male 14.5
GTEX-RWS6-2026-SM-2XCB5 60-69 years, female 14.5
GTEX-13O21-1426-SM-5K7XI 50-59 years, male 14.3
GTEX-1A32A-0126-SM-718B1 50-59 years, female 14.3
GTEX-NFK9-0226-SM-2HMKQ 40-49 years, male 14.3
GTEX-15ETS-0126-SM-7KUMW 40-49 years, female 14.1
GTEX-13OVG-1926-SM-5L3DK 60-69 years, male 14.0
GTEX-1JMQL-0226-SM-CNPP5 50-59 years, female 14.0
GTEX-13PDP-0126-SM-5L3HD 60-69 years, male 13.9
GTEX-SSA3-0126-SM-32QPU 60-69 years, male 13.9
GTEX-1GN2E-0426-SM-9MQKX 60-69 years, male 13.8
GTEX-1QW4Y-1526-SM-EAZ3Z 30-39 years, male 13.8
GTEX-1C2JI-1826-SM-73KXC 50-59 years, male 13.7
GTEX-11WQK-0526-SM-5EQLD 50-59 years, male 13.6
GTEX-111VG-2426-SM-5GZXD 60-69 years, male 13.5
GTEX-1HB9E-0226-SM-E9U4R 50-59 years, male 13.5
GTEX-13OW5-0126-SM-DTXFS 60-69 years, male 13.4
GTEX-133LE-1826-SM-5J1MV 20-29 years, female 13.3
GTEX-14E7W-0126-SM-6LLJ9 70-79 years, male 13.3
GTEX-WH7G-2326-SM-3NMBC 40-49 years, male 13.3
GTEX-ZXG5-0126-SM-5GIEU 60-69 years, male 13.3
GTEX-1H3NZ-0126-SM-ACKX7 60-69 years, male 13.3
GTEX-1HCU9-1526-SM-A9SL7 20-29 years, male 13.3
GTEX-11ZVC-2526-SM-5FQTE 50-59 years, female 13.2
GTEX-ZZPT-0226-SM-5E43X 50-59 years, male 13.2
GTEX-1F6RS-0126-SM-9MQKZ 60-69 years, female 13.2
GTEX-1LGRB-2526-SM-CNPPQ 50-59 years, female 13.2
GTEX-1OJC4-0126-SM-E9J2E 50-59 years, female 13.2
GTEX-1F52S-0126-SM-9MQJU 60-69 years, female 13.1
GTEX-11O72-0126-SM-59887 40-49 years, male 13.0
GTEX-146FH-0126-SM-5QGPP 50-59 years, female 13.0
GTEX-15ER7-0326-SM-7KUEV 20-29 years, female 13.0
GTEX-QLQW-1126-SM-2S1Q8 30-39 years, male 13.0
GTEX-ZZ64-1726-SM-5GZYB 20-29 years, male 13.0
GTEX-1LH75-2426-SM-E9TJE 50-59 years, female 13.0
GTEX-131XE-2326-SM-5PNZ2 50-59 years, male 12.9
GTEX-15EOM-0126-SM-7KUGG 20-29 years, female 12.8
GTEX-16NGA-1726-SM-731B4 40-49 years, female 12.8
GTEX-X585-0226-SM-4QAS2 50-59 years, male 12.8
GTEX-YJ89-0126-SM-4TT3X 60-69 years, male 12.8
GTEX-14LLW-0126-SM-6LLIO 70-79 years, female 12.6
GTEX-15SHU-0126-SM-7KUEH 40-49 years, female 12.6
GTEX-XQ3S-1526-SM-4BOOC 20-29 years, male 12.6
GTEX-1J1OQ-0226-SM-CYPSH 40-49 years, female 12.5
GTEX-1N2DW-0226-SM-E9TK2 50-59 years, male 12.5
GTEX-12C56-1726-SM-5EQ61 20-29 years, male 12.4
GTEX-13CF2-2526-SM-5LZYX 60-69 years, male 12.4
GTEX-183FY-0126-SM-7LT9P 20-29 years, male 12.4
GTEX-11DYG-0126-SM-59883 60-69 years, male 12.3
GTEX-16XZZ-0126-SM-793DV 60-69 years, male 12.2
GTEX-WFON-2126-SM-3LK7O 40-49 years, male 12.2
GTEX-1128S-2326-SM-5GZZY 60-69 years, female 12.1
GTEX-RNOR-0126-SM-E9J4R 50-59 years, female 12.1
GTEX-148VJ-0126-SM-5TDDN 70-79 years, male 12.0
GTEX-ZQUD-1426-SM-57WER 30-39 years, male 12.0
GTEX-13FTX-1826-SM-5J1NX 20-29 years, female 11.9
GTEX-1PFEY-1526-SM-E76PP 30-39 years, male 11.9
GTEX-1314G-1526-SM-5EGK2 30-39 years, male 11.8
GTEX-XYKS-2126-SM-4E3IB 60-69 years, female 11.8
GTEX-1N2DV-0226-SM-E6CJ6 40-49 years, male 11.8
GTEX-11ZTT-2426-SM-5EQLS 60-69 years, female 11.6
GTEX-13FTW-2626-SM-5K7WL 40-49 years, male 11.6
GTEX-1POEN-0126-SM-EYYXJ 30-39 years, female 11.6
GTEX-13OVK-2026-SM-7KUEO 40-49 years, male 11.5
GTEX-17EVQ-0226-SM-7LG4P 70-79 years, male 11.5
GTEX-12584-0126-SM-5EGKQ 40-49 years, male 11.4
GTEX-14DAQ-0126-SM-5S2MQ 60-69 years, female 11.4
GTEX-1OFPY-2426-SM-DTXEJ 60-69 years, male 11.4
GTEX-144GN-2326-SM-5LU4F 50-59 years, male 11.3
GTEX-15UF6-0826-SM-6PALJ 70-79 years, female 11.3
GTEX-P44H-0226-SM-2XCEU 40-49 years, male 11.3
GTEX-WY7C-2326-SM-3NB2U 50-59 years, male 11.3
GTEX-XMD2-0126-SM-4YCDU 60-69 years, female 11.3
GTEX-11DXW-0226-SM-5H122 40-49 years, male 11.2
GTEX-13N2G-2626-SM-5J1OT 60-69 years, male 11.2
GTEX-1HCU7-0226-SM-CL545 50-59 years, male 11.2
GTEX-11EMC-2926-SM-5EQ4F 60-69 years, female 11.1
GTEX-11LCK-1026-SM-5A5KB 30-39 years, male 11.1
GTEX-ZV68-0126-SM-59HKS 50-59 years, female 11.1
GTEX-14PJ3-1826-SM-62LEX 50-59 years, male 11.0
GTEX-XBEW-0626-SM-4QASP 40-49 years, male 11.0
GTEX-PW2O-1526-SM-7RHHB 20-29 years, male 11.0
GTEX-13OVJ-0126-SM-5KM36 50-59 years, female 10.9
GTEX-145LU-0126-SM-5TDCB 50-59 years, male 10.9
GTEX-14PHX-2326-SM-62LEM 50-59 years, male 10.9
GTEX-11EI6-0126-SM-5985R 60-69 years, male 10.8
GTEX-1IDJH-0326-SM-A9SLQ 70-79 years, male 10.8
GTEX-1J8EW-0126-SM-CJI4F 60-69 years, female 10.8
GTEX-1IOXB-0126-SM-ARL8G 50-59 years, male 10.7
GTEX-1JN76-0126-SM-CNPPE 20-29 years, female 10.7
GTEX-1NHNU-1026-SM-E9J2A 50-59 years, male 10.7
GTEX-17EUY-0426-SM-793BD 20-29 years, male 10.6
GTEX-QDVJ-1726-SM-2I5FX 50-59 years, male 10.6
GTEX-Z93T-0126-SM-5HL5N 50-59 years, male 10.6
GTEX-1J8QM-2126-SM-CYPSJ 60-69 years, female 10.6
GTEX-14LZ3-0226-SM-62LET 60-69 years, female 10.5
GTEX-1A3MV-1926-SM-718BT 30-39 years, male 10.5
GTEX-11DXX-2426-SM-5GZZW 60-69 years, female 10.4
GTEX-14PN3-2426-SM-6LLHS 60-69 years, female 10.4
GTEX-1F7RK-0126-SM-7PC2S 20-29 years, female 10.4
GTEX-1212Z-2526-SM-5EGKP 60-69 years, male 10.3
GTEX-14C5O-0126-SM-5SI6N 60-69 years, male 10.3
GTEX-OOBK-0126-SM-2YUND 40-49 years, male 10.3
GTEX-ZVT2-2526-SM-51MT1 50-59 years, female 10.3
GTEX-1F88F-2726-SM-7PBZZ 60-69 years, female 10.3
GTEX-1IDFM-0126-SM-COH2V 60-69 years, male 10.3
GTEX-1LSNM-1926-SM-E6CII 50-59 years, male 10.3
GTEX-1KANA-0726-SM-D3L9I 20-29 years, male 10.2
GTEX-X88G-0126-SM-47JZ3 30-39 years, male 10.0
GTEX-1GMR3-1926-SM-9KNUZ 40-49 years, male 10.0
GTEX-11OF3-2626-SM-5GU7F 60-69 years, male 9.9
GTEX-1E2YA-0126-SM-9KNUC 50-59 years, male 9.9
GTEX-1LB8K-0226-SM-EWRNW 50-59 years, male 9.9
GTEX-113JC-2326-SM-5EQ4E 50-59 years, female 9.8
GTEX-12WSC-0126-SM-5EQ4P 50-59 years, male 9.8
GTEX-14XAO-2326-SM-6EU1B 60-69 years, female 9.8
GTEX-1JMPZ-0226-SM-CNPP1 30-39 years, male 9.8
GTEX-12696-2426-SM-5EQ6H 60-69 years, male 9.7
GTEX-16NPX-0226-SM-79OMT 50-59 years, male 9.7
GTEX-ZTSS-1926-SM-57WEW 40-49 years, male 9.7
GTEX-OIZG-0726-SM-33HBL 50-59 years, male 9.6
GTEX-ZU9S-0226-SM-5E441 30-39 years, male 9.6
GTEX-1KWVE-1426-SM-E9TJO 30-39 years, male 9.6
GTEX-OXRL-0126-SM-2YUMP 50-59 years, male 9.5
GTEX-POMQ-2226-SM-2I5FK 20-29 years, female 9.5
GTEX-13FH7-2026-SM-E9J4I 50-59 years, female 9.5
GTEX-1C6WA-0126-SM-7PC2B 60-69 years, male 9.5
GTEX-1F48J-0126-SM-7P8TT 50-59 years, female 9.5
GTEX-17JCI-0126-SM-7LG5G 60-69 years, female 9.4
GTEX-ZYT6-0226-SM-5NQ6T 30-39 years, male 9.4
GTEX-1MA7X-2226-SM-E6CIY 60-69 years, male 9.4
GTEX-14BIN-0626-SM-793DP 50-59 years, female 9.3
GTEX-X4XY-0226-SM-4E3IZ 60-69 years, male 9.2
GTEX-1HKZK-0326-SM-9WYUH 40-49 years, male 9.2
GTEX-1EU9M-0226-SM-7P8SP 60-69 years, male 9.1
GTEX-11TTK-0126-SM-5987B 60-69 years, female 9.0
GTEX-15F5U-1526-SM-6PANO 40-49 years, male 9.0
GTEX-15SB6-1726-SM-6PAME 50-59 years, female 9.0
GTEX-OIZH-0126-SM-2HMIS 50-59 years, male 9.0
GTEX-1H1E6-1726-SM-ACKVK 30-39 years, male 9.0
GTEX-12WSA-0226-SM-5BC5V 60-69 years, male 8.9
GTEX-1EX96-1626-SM-7PBXR 50-59 years, male 8.9
GTEX-1GZ2Q-0226-SM-7P8TL 40-49 years, male 8.9
GTEX-13S7M-0126-SM-5SI6A 60-69 years, female 8.8
GTEX-145ME-1826-SM-5SI9G 40-49 years, female 8.8
GTEX-17HG3-2226-SM-7938L 30-39 years, female 8.8
GTEX-PVOW-0126-SM-2XCFA 40-49 years, male 8.8
GTEX-13112-2826-SM-5DUWH 50-59 years, male 8.7
GTEX-YB5E-2026-SM-5IFIS 40-49 years, male 8.7
GTEX-1GPI7-0126-SM-9MQL8 20-29 years, male 8.7
GTEX-1IKK5-0626-SM-ARL8A 60-69 years, male 8.7
GTEX-1R7EU-0226-SM-EVR4G 60-69 years, male 8.7
GTEX-11P81-2326-SM-59875 30-39 years, female 8.6
GTEX-113IC-0126-SM-5HL6T 60-69 years, male 8.5
GTEX-X8HC-0126-SM-4E3JW 50-59 years, female 8.5
GTEX-14ICK-0226-SM-6EU25 40-49 years, male 8.4
GTEX-117YX-2326-SM-5H12W 50-59 years, male 8.2
GTEX-1I1CD-0126-SM-CM2TK 60-69 years, female 8.2
GTEX-1211K-2026-SM-5EQ4Z 60-69 years, female 8.1
GTEX-13VXT-0126-SM-5LU4I 20-29 years, female 8.1
GTEX-147GR-0526-SM-5S2MY 60-69 years, male 8.1
GTEX-18A67-0126-SM-7LG5P 50-59 years, male 8.1
GTEX-XUYS-0126-SM-47JWZ 50-59 years, male 8.1
GTEX-111FC-0126-SM-5N9DL 60-69 years, male 8.0
GTEX-15SDE-2226-SM-7IGLO 50-59 years, female 7.9
GTEX-1CAV2-2226-SM-7P8P2 40-49 years, female 7.9
GTEX-18QFQ-0126-SM-731BE 30-39 years, male 7.8
GTEX-S32W-2126-SM-2XCB1 50-59 years, female 7.8
GTEX-Y8LW-1826-SM-5S2MV 50-59 years, female 7.8
GTEX-1S82Y-2026-SM-EVYCM 40-49 years, male 7.8
GTEX-13RTJ-2426-SM-5S2Q2 60-69 years, male 7.7
GTEX-14E6D-0126-SM-62LDV 50-59 years, male 7.7
GTEX-1B8SF-1426-SM-7DUGL 60-69 years, male 7.7
GTEX-1B97I-1626-SM-73KYO 40-49 years, male 7.7
GTEX-1F5PK-2426-SM-7RHHY 50-59 years, male 7.7
GTEX-1GF9V-0326-SM-7RHI5 60-69 years, male 7.7
GTEX-148VI-1626-SM-5SI6E 60-69 years, female 7.6
GTEX-1EN7A-0126-SM-7SB81 40-49 years, male 7.6
GTEX-1H23P-0126-SM-ADEJ3 60-69 years, male 7.6
GTEX-1H3VY-0126-SM-ACKXD 50-59 years, male 7.6
GTEX-1HSEH-0126-SM-ACKXN 60-69 years, male 7.6
GTEX-1L5NE-2526-SM-E6CIE 50-59 years, male 7.6
GTEX-1R9PM-2026-SM-E76OY 20-29 years, male 7.6
GTEX-13PVR-2326-SM-5QGR1 60-69 years, female 7.5
GTEX-OXRK-0226-SM-3NB2G 50-59 years, female 7.5
GTEX-1H2FU-0126-SM-9WYSI 60-69 years, female 7.5
GTEX-1KANB-0526-SM-E6CJH 50-59 years, male 7.5
GTEX-1KANC-1526-SM-D3LAB 50-59 years, female 7.5
GTEX-1N2EF-0226-SM-EYYXB 60-69 years, male 7.5
GTEX-11P82-1626-SM-59879 20-29 years, male 7.4
GTEX-Q2AG-0126-SM-33HBV 40-49 years, female 7.4
GTEX-11TT1-2526-SM-5EGIB 20-29 years, male 7.3
GTEX-18D9B-0526-SM-7LTAS 60-69 years, male 7.3
GTEX-1C6VR-2426-SM-79OLD 60-69 years, male 7.3
GTEX-1HBPN-0226-SM-9YFM1 50-59 years, male 7.3
GTEX-1RDX4-0126-SM-E9J4P 50-59 years, female 7.3
GTEX-VJYA-1126-SM-3GIJU 60-69 years, male 7.2
GTEX-1J8Q2-0526-SM-CM2RW 60-69 years, male 7.2
GTEX-1192X-0226-SM-5H12D 50-59 years, male 7.1
GTEX-145MO-0326-SM-5Q5B3 60-69 years, male 7.1
GTEX-1497J-2426-SM-7IGNX 60-69 years, male 7.1
GTEX-1R9PO-2126-SM-E9J4O 60-69 years, female 7.1
GTEX-ZVE2-0226-SM-59HJB 50-59 years, male 7.0
GTEX-ZWKS-0126-SM-5SIAA 30-39 years, male 7.0
GTEX-T6MO-1626-SM-32QOM 40-49 years, female 6.9
GTEX-RM2N-1426-SM-2TF4H 50-59 years, male 6.8
GTEX-11TUW-2726-SM-E9J4M 60-69 years, male 6.8
GTEX-1HCVE-0126-SM-CGQEU 50-59 years, male 6.8
GTEX-13OW6-0426-SM-5L3HM 50-59 years, male 6.7
GTEX-17HHE-2026-SM-79OKF 50-59 years, male 6.7
GTEX-Y3IK-2426-SM-4WWDU 50-59 years, female 6.7
GTEX-13G51-2526-SM-5LZYK 60-69 years, male 6.6
GTEX-13W3W-2426-SM-5LU5B 60-69 years, female 6.6
GTEX-1CB4I-0226-SM-79OLH 50-59 years, male 6.6
GTEX-WI4N-1026-SM-3LK7N 40-49 years, female 6.6
GTEX-1I1GQ-0126-SM-COH3H 50-59 years, male 6.6
GTEX-1JMLX-0226-SM-CM2RO 50-59 years, male 6.6
GTEX-ZF3C-0126-SM-DO92D 50-59 years, female 6.6
GTEX-1IDJF-0126-SM-CM2RS 20-29 years, male 6.5
GTEX-1LC47-0326-SM-E9TJP 60-69 years, male 6.5
GTEX-PWCY-1826-SM-DHXIZ 20-29 years, female 6.5
GTEX-13D11-2426-SM-5KM1V 50-59 years, female 6.4
GTEX-13O3P-0126-SM-5KM4S 50-59 years, male 6.4
GTEX-16AAH-1726-SM-7939C 50-59 years, male 6.4
GTEX-17F98-0626-SM-79OMX 40-49 years, female 6.4
GTEX-1HFI7-1826-SM-ACKXH 50-59 years, female 6.4
GTEX-11DXY-2626-SM-5GIE7 60-69 years, male 6.3
GTEX-14753-0426-SM-5NQAM 60-69 years, male 6.3
GTEX-14BIL-0126-SM-5SI92 50-59 years, male 6.3
GTEX-14PII-0226-SM-6EU1T 60-69 years, male 6.3
GTEX-ZTX8-1426-SM-5DUVO 20-29 years, male 6.3
GTEX-1OJC3-0126-SM-E76QX 20-29 years, male 6.3
GTEX-R45C-0126-SM-EAZ2R 60-69 years, female 6.3
GTEX-12WSN-5019-SM-79OM6 40-49 years, male 6.2
GTEX-OXRP-0126-SM-3NB32 60-69 years, female 6.2
GTEX-XAJ8-0826-SM-47JY6 40-49 years, male 6.2
GTEX-ZC5H-0226-SM-4WAY9 40-49 years, female 6.2
GTEX-1JN6P-0126-SM-D3L98 60-69 years, male 6.2
GTEX-13RTL-0126-SM-7LG5S 40-49 years, male 6.1
GTEX-145LS-0126-SM-5QGP1 60-69 years, female 6.1
GTEX-WXYG-2326-SM-4E3I6 50-59 years, female 6.1
GTEX-1ICLZ-0126-SM-CKZPO 60-69 years, male 6.1
GTEX-1QP29-0626-SM-EWRMX 50-59 years, male 6.1
GTEX-11NSD-2226-SM-5986V 20-29 years, male 6.0
GTEX-11XUK-2026-SM-5EQLF 40-49 years, female 6.0
GTEX-146FQ-0126-SM-5NQA9 30-39 years, male 6.0
GTEX-VJWN-0126-SM-3GIK7 50-59 years, female 6.0
GTEX-1PPH8-0226-SM-E8VND 20-29 years, male 6.0
GTEX-PLZ4-0126-SM-5SI8O 50-59 years, female 5.9
GTEX-1GZ4H-1726-SM-7PBZJ 50-59 years, female 5.9
GTEX-1LVAN-0226-SM-COH3S 50-59 years, female 5.9
GTEX-1S82Z-0826-SM-E6CHY 30-39 years, female 5.9
GTEX-PSDG-0226-SM-DKPOZ 50-59 years, male 5.9
GTEX-1AMEY-1326-SM-73KYK 30-39 years, female 5.8
GTEX-PWO3-1526-SM-48TCM 60-69 years, female 5.8
GTEX-1B996-0226-SM-7RHGO 60-69 years, male 5.8
GTEX-12WSK-2326-SM-5GCOH 40-49 years, female 5.7
GTEX-14A5H-0426-SM-5QGQF 60-69 years, male 5.7
GTEX-ZDTT-2726-SM-4WKF8 60-69 years, male 5.7
GTEX-ZYFD-0126-SM-5GIDL 50-59 years, male 5.7
GTEX-1CAMS-0426-SM-7P8T2 40-49 years, female 5.7
GTEX-1GF9X-2026-SM-7PC3A 40-49 years, female 5.7
GTEX-PLZ6-1426-SM-DKPOT 30-39 years, male 5.7
GTEX-13RTK-1426-SM-5QGQJ 20-29 years, male 5.6
GTEX-144FL-0126-SM-5TDC8 50-59 years, male 5.6
GTEX-14A5I-0126-SM-5TDEA 50-59 years, female 5.6
GTEX-Y5LM-1926-SM-5RQJH 40-49 years, female 5.6
GTEX-12WSG-2826-SM-E9J4H 50-59 years, female 5.6
GTEX-1GF9W-0326-SM-9KNUN 60-69 years, male 5.6
GTEX-1GPI6-0126-SM-9WG69 60-69 years, male 5.6
GTEX-1IKOH-0226-SM-COH4E 60-69 years, female 5.6
GTEX-1IL2V-0126-SM-CM2TX 70-79 years, male 5.6
GTEX-1JMQI-2226-SM-CM2SD 50-59 years, male 5.6
GTEX-1KXAM-2226-SM-CYPTC 60-69 years, male 5.6
GTEX-147F3-0526-SM-5SI98 50-59 years, female 5.4
GTEX-1B8SG-0126-SM-73KZ3 50-59 years, male 5.4
GTEX-18A66-0226-SM-718BD 60-69 years, male 5.3
GTEX-1LBAC-0126-SM-DIPEZ 20-29 years, male 5.3
GTEX-1MCYP-1926-SM-E9J2R 20-29 years, female 5.3
GTEX-1CB4E-2226-SM-793DC 60-69 years, male 5.2
GTEX-XBED-2226-SM-47JYQ 60-69 years, male 5.2
GTEX-1A8FM-0226-SM-7SB7Q 50-59 years, female 5.2
GTEX-1AX9J-0226-SM-73KXM 60-69 years, male 5.1
GTEX-1CAMR-1926-SM-7EPI2 20-29 years, male 5.1
GTEX-1S83E-0126-SM-EWRO4 40-49 years, male 5.1
GTEX-145MN-2226-SM-5SIAU 30-39 years, male 5.0
GTEX-P4QT-0126-SM-2I3FL 50-59 years, female 5.0
GTEX-WFG8-2226-SM-3GIL9 20-29 years, male 5.0
GTEX-X4XX-0126-SM-3NMC2 60-69 years, male 5.0
GTEX-1GF9U-2126-SM-7SB7L 40-49 years, female 5.0
GTEX-1QP2A-0126-SM-E9J43 50-59 years, male 5.0
GTEX-11EM3-2426-SM-59861 20-29 years, female 4.9
GTEX-1A3MW-0126-SM-73KXX 60-69 years, female 4.9
GTEX-1C475-1826-SM-73KWA 40-49 years, female 4.9
GTEX-T8EM-1026-SM-3DB7M 40-49 years, male 4.9
GTEX-1GN1U-0126-SM-7PBZK 50-59 years, female 4.9
GTEX-1I4MK-2226-SM-ACKWD 50-59 years, female 4.9
GTEX-1K2DU-2326-SM-E9TIV 20-29 years, male 4.9
GTEX-1M5QR-1226-SM-EWROB 40-49 years, male 4.9
GTEX-1S3DN-2226-SM-EVYCD 50-59 years, male 4.9
GTEX-1B8KE-2126-SM-73KYX 50-59 years, male 4.8
GTEX-XUW1-0426-SM-4BOOT 50-59 years, female 4.8
GTEX-1LNCM-1126-SM-E9U5E 50-59 years, female 4.8
GTEX-O5YW-0126-SM-3LK6D 50-59 years, male 4.7
GTEX-13NYC-0326-SM-E9J4S 60-69 years, male 4.7
GTEX-1KAFJ-2026-SM-CY8ID 50-59 years, male 4.7
GTEX-144GL-0126-SM-5TDE2 50-59 years, male 4.6
GTEX-1LG7Z-1726-SM-D3LA4 30-39 years, male 4.6
GTEX-1QPFJ-0226-SM-E76PB 30-39 years, female 4.6
GTEX-12WSJ-1826-SM-5GCNY 40-49 years, female 4.5
GTEX-131XH-2226-SM-5DUXJ 50-59 years, male 4.5
GTEX-13CF3-2426-SM-5IFGX 60-69 years, female 4.5
GTEX-1JJ6O-0126-SM-E6CI8 60-69 years, male 4.5
GTEX-1MA7W-2026-SM-E9TJ6 20-29 years, female 4.5
GTEX-WQUQ-0426-SM-3MJFU 60-69 years, male 4.4
GTEX-YEC4-2126-SM-5IFJH 40-49 years, male 4.4
GTEX-ZVZP-2426-SM-59HKJ 50-59 years, male 4.4
GTEX-1LGOU-2026-SM-DIPFF 20-29 years, female 4.4
GTEX-11DXZ-2326-SM-5EGGV 50-59 years, male 4.3
GTEX-11UD2-0226-SM-5EQKY 50-59 years, male 4.3
GTEX-13111-1626-SM-5EGJY 50-59 years, male 4.3
GTEX-16BQI-0226-SM-7KUEX 30-39 years, female 4.3
GTEX-1MGNQ-0126-SM-EVYCJ 40-49 years, male 4.3
GTEX-1NV5F-0226-SM-E8VNY 60-69 years, female 4.3
GTEX-13YAN-0326-SM-5O9DF 60-69 years, male 4.1
GTEX-15DDE-0126-SM-6LPKH 50-59 years, female 4.0
GTEX-16YQH-0126-SM-7DUFJ 30-39 years, male 4.0
GTEX-17MFQ-1726-SM-793C7 20-29 years, male 4.0
GTEX-18D9A-1926-SM-7LG6P 30-39 years, female 4.0
GTEX-Y8E4-0626-SM-4WWDL 40-49 years, male 4.0
GTEX-1C64O-0126-SM-7SB8P 60-69 years, male 4.0
GTEX-1JK1U-2026-SM-CM2RZ 60-69 years, male 4.0
GTEX-1122O-2126-SM-5EGIR 60-69 years, female 3.9
GTEX-15RIG-0226-SM-7KFTL 40-49 years, male 3.9
GTEX-16XZY-2126-SM-79OK1 70-79 years, male 3.9
GTEX-QDVN-2026-SM-3GAEP 50-59 years, male 3.9
GTEX-ZAB5-1826-SM-5HL7C 50-59 years, male 3.9
GTEX-1HSMQ-1226-SM-CGQFX 50-59 years, male 3.9
GTEX-13SLX-0526-SM-5S2ON 50-59 years, female 3.8
GTEX-13X6I-0626-SM-5QGP9 60-69 years, male 3.8
GTEX-131XF-5016-SM-7MGWE 60-69 years, male 3.8
GTEX-1F75B-0126-SM-9KNVL 50-59 years, male 3.8
GTEX-T2IS-0126-SM-4DM6O 20-29 years, female 3.7
GTEX-Y5V5-2326-SM-4V6GA 60-69 years, female 3.7
GTEX-1PPH7-2326-SM-EVYB8 40-49 years, male 3.7
GTEX-1RB15-2126-SM-E9TIM 60-69 years, male 3.7
GTEX-14PHW-0126-SM-6LLJI 60-69 years, female 3.6
GTEX-1I6K6-0126-SM-A9SLE 30-39 years, male 3.6
GTEX-1RAZQ-0726-SM-EAZ43 30-39 years, male 3.6
GTEX-17GQL-2026-SM-718BA 60-69 years, male 3.5
GTEX-183WM-0126-SM-7LTAB 70-79 years, female 3.5
GTEX-18465-0126-SM-731BN 50-59 years, male 3.5
GTEX-1J1R8-1726-SM-ARL8M 40-49 years, male 3.5
GTEX-1R9K4-0126-SM-DTX9X 60-69 years, male 3.5
GTEX-13NYS-0126-SM-5MR3W 60-69 years, male 3.4
GTEX-1AMFI-2026-SM-731BH 50-59 years, female 3.4
GTEX-XQ8I-0426-SM-4BOPO 50-59 years, male 3.4
GTEX-1ICG6-2526-SM-CGQFZ 70-79 years, female 3.4
GTEX-13JUV-2726-SM-5LZZ8 40-49 years, female 3.3
GTEX-1C4CL-0526-SM-73KVK 30-39 years, male 3.3
GTEX-WOFL-0126-SM-3MJG2 60-69 years, male 3.3
GTEX-WRHK-1426-SM-3MJF9 20-29 years, female 3.3
GTEX-ZGAY-0526-SM-4WWBB 40-49 years, female 3.3
GTEX-1R46S-0626-SM-E9J41 60-69 years, female 3.3
GTEX-X261-0126-SM-3NMD6 50-59 years, male 3.1
GTEX-1H4P4-0726-SM-9YFLR 50-59 years, male 3.1
GTEX-RVPV-0126-SM-EAZAW 60-69 years, male 3.1
GTEX-145LV-2126-SM-5LU8N 50-59 years, male 3.0
GTEX-18D9U-0226-SM-718BP 40-49 years, male 3.0
GTEX-X4EP-0126-SM-3P5YV 60-69 years, female 3.0
GTEX-1F5PL-0326-SM-7P8PQ 40-49 years, female 3.0
GTEX-1IL2U-0226-SM-CE6T8 60-69 years, male 2.9
GTEX-1JN1M-0326-SM-CYPT3 60-69 years, female 2.8
GTEX-ZF29-2326-SM-DO92K 60-69 years, female 2.7
GTEX-ZPIC-1726-SM-DHXIU 40-49 years, female 2.7
GTEX-11UD1-0126-SM-5PNYG 40-49 years, female 2.6
GTEX-13NZ8-0826-SM-5MR3I 60-69 years, female 2.6
GTEX-ZF2S-2326-SM-4WWCE 50-59 years, female 2.6
GTEX-1HBPM-0226-SM-ARL9F 60-69 years, female 2.6
GTEX-1IDJU-2626-SM-CM2RT 60-69 years, female 2.6
GTEX-17F96-1626-SM-7DUFL 70-79 years, male 2.5
GTEX-1C64N-0126-SM-793D7 50-59 years, male 2.5
GTEX-1EMGI-0126-SM-9KNUE 60-69 years, male 2.4
GTEX-ZTPG-0326-SM-5O9AX 20-29 years, female 2.3
GTEX-1PDJ9-0326-SM-DTX95 20-29 years, male 2.3
GTEX-ZQG8-1626-SM-DHXIT 60-69 years, female 2.2
GTEX-OIZF-0126-SM-7SB8I 60-69 years, male 2.1
GTEX-OXRN-0126-SM-48TDM 50-59 years, male 2.0
GTEX-QDT8-0126-SM-48TZ1 30-39 years, female 2.0
GTEX-1HSGN-0226-SM-CGQFV 40-49 years, female 2.0
GTEX-1K2DA-1826-SM-CGQGT 50-59 years, male 2.0
GTEX-ZV6S-2326-SM-4YCEY 40-49 years, female 1.8
GTEX-1GL5R-1826-SM-9KNUY 50-59 years, male 1.8
GTEX-1MUQO-0126-SM-EAZ58 60-69 years, male 1.7
GTEX-1QP67-1626-SM-EAZ3X 40-49 years, female 1.7
GTEX-XXEK-2226-SM-4BRUM 50-59 years, male 1.5
GTEX-1I1GT-0626-SM-CGQER 60-69 years, female 1.5
GTEX-1IE54-0126-SM-CMKHW 40-49 years, female 1.5
GTEX-1F75I-0326-SM-9YFLU 40-49 years, male 1.4
GTEX-14E6E-1826-SM-5S2R7 30-39 years, male 1.2
GTEX-O5YT-0126-SM-48TBW 20-29 years, male 1.2
GTEX-XUZC-1726-SM-4BRWS 30-39 years, female 1.2
GTEX-XV7Q-2526-SM-4BRV9 40-49 years, female 1.2
GTEX-ZAJG-0126-SM-5HL94 50-59 years, female 1.2
GTEX-1I1GU-2226-SM-CGQFA 40-49 years, male 1.1
GTEX-13113-5016-SM-7EPIP 60-69 years, female 1.0
GTEX-13X6H-2126-SM-7EWD5 50-59 years, female 1.0
GTEX-1ICLY-0126-SM-D4P36 50-59 years, male 1.0
GTEX-PX3G-0126-SM-2I3EN 20-29 years, female 0.9
GTEX-Q2AH-1626-SM-3GAF8 40-49 years, male 0.8
GTEX-1JKYN-1326-SM-CGQG9 30-39 years, male 0.8
GTEX-117XS-2726-SM-5N9BL 60-69 years, male 0.7
GTEX-U4B1-1826-SM-4DXSU 40-49 years, male 0.7
GTEX-1J8Q3-1626-SM-CMKGC 60-69 years, male 0.5
GTEX-145MI-0526-SM-5O9A8 60-69 years, female 0.3
GTEX-W5X1-3026-SM-EAZAX 40-49 years, female 0.2
Show allShow less

Contact

  • NEWS ARTICLES
  • PRESS ROOM

The Project

  • INTRODUCTION
  • ORGANIZATION
  • PUBLICATIONS

The Human Protein Atlas

  • DOWNLOADABLE DATA
  • LICENCE & CITATION
  • HELP & FAQ
The Human Protein Atlas project is funded
by the Knut & Alice Wallenberg Foundation.


contact@proteinatlas.org