We use cookies to enhance the usability of our website. If you continue, we'll assume that you are happy to receive all cookies. More information. Don't show this again.
GUK1
HPA
RESOURCES
  • TISSUE
  • BRAIN
  • SINGLE CELL
  • SUBCELLULAR
  • CANCER
  • BLOOD
  • CELL LINE
  • STRUCTURE & INTERACTION
ABOUT
  • INTRODUCTION
  • HISTORY
  • ORGANIZATION
  • PUBLICATIONS
  • ANTIBODY SUBMISSION
  • ANTIBODY AVAILABILITY
  • ACKNOWLEDGMENTS
  • CONTACT
NEWS
  • NEWS ARTICLES
  • PRESS ROOM
LEARN
  • DICTIONARY
  • PROTEIN CLASSES
  • PROTEIN EVIDENCE
  • METHODS
  • EDUCATIONAL VIDEOS
DATA
  • DOWNLOADABLE DATA
  • PUBLICATION DATA
  • RELEASE HISTORY
HELP
  • ANTIBODY VALIDATION
  • ASSAYS & ANNOTATION
  • DISCLAIMER
  • HELP & FAQ
  • PRIVACY STATEMENT
  • LICENCE & CITATION
Fields »
Search result

Field
Term
Gene name
Class
Subclass
Class
Keyword
Chromosome
External id
Tissue
Cell type
Expression
Antibody panel
Tissue
Main location
Patient ID
Annotation
Tissue
Category
Tau score
Cluster
Reliability
Brain region
Category
Tau score
Brain region
Category
Tau score
Brain region
Category
Tau score
Cluster
Reliability
Tissue
Cell type
Enrichment
Cell type
Category
Tau score
Cell type
Category
Tau score
Cell type
Category
Tau score
Cell lineage
Category
Tau score
Cluster
Cluster
Location
Searches
Location
Cell line
Class
Type
Phase
Reliability
Cancer
Prognosis
Cancer
Category
Cancer
Category
Tau score
Cluster
Variants
Interacting gene (ensg_id)
Type
Number of interactions
Pathway
Category
Score
Score
Score
Validation
Validation
Validation
Validation
Antibodies
Data type
Column


  • SUMMARY

  • TISSUE

  • BRAIN

  • SINGLE CELL

  • SUBCELL

  • CANCER

  • BLOOD

  • CELL LINE

  • STRUCT & INT

  • GUK1
TISSUE PRIMARY DATA BREAST Show tissue menu
ADIPOSE TISSUE ADRENAL GLAND AMYGDALA APPENDIX BASAL GANGLIA BONE MARROW BREAST BRONCHUS CEREBELLUM CEREBRAL CORTEX CERVIX CHOROID PLEXUS COLON DUODENUM
ENDOMETRIUM EPIDIDYMIS ESOPHAGUS FALLOPIAN TUBE GALLBLADDER HEART MUSCLE HIPPOCAMPAL FORMATION HYPOTHALAMUS KIDNEY LIVER LUNG LYMPH NODE MIDBRAIN NASOPHARYNX
ORAL MUCOSA OVARY PANCREAS PARATHYROID GLAND PITUITARY GLAND PLACENTA PROSTATE RECTUM RETINA SALIVARY GLAND SEMINAL VESICLE SKELETAL MUSCLE SKIN SMALL INTESTINE
SMOOTH MUSCLE SOFT TISSUE SPINAL CORD SPLEEN STOMACH TESTIS THYMUS THYROID GLAND TONGUE TONSIL URINARY BLADDER VAGINA
ANTIBODIES
AND
VALIDATION
Dictionary
Breast
Tissue proteome
Breast
BREAST - Expression summary
Protein expression
Breasti

On the top, protein expression in current human tissue, based on all annotated cell types, is reported with the units not detected (n), low (l), medium (m) and high (h). Underneath, protein expression in each annotated cell type are reported using the same units.

Protein expression data is based on knowledge-based annotation. For genes where more than one antibody has been used, a collective score is set.

If knowledge-based annotation could not be performed for a gene, no data is displayed here. View antibody staining data further down this page.

h
m
l
n
Adipocytes: Not detected
Glandular cells: Medium
Myoepithelial cells: Medium
RNA expressioni

A summary of mRNA expression data available for current tissue based on several datasets. The mRNA expression levels in human tissues are based on RNA-seq data generated by the Human Protein Atlas (HPA), Genotype-Tissue Expression (GTEx) portal and CAGE data generated by the FANTOM5 consortium. Consensus normalized expression levels for human tissues was created by combining the data from HPA and GTEx datasets.

The mRNA expression levels in pig are based on RNA-seq data generated by the Human Protein Atlas (HPA), and for mouse, HPA data and in situ hybridization generated by the Allen brain atlas are reported.

Scroll down to view mRNA expression data in more detail.
Consensus:109.9 nTPM
HPA:40.7 nTPM
GTEx:109.9 nTPM
FANTOM5:219.7 Scaled Tags Per Million

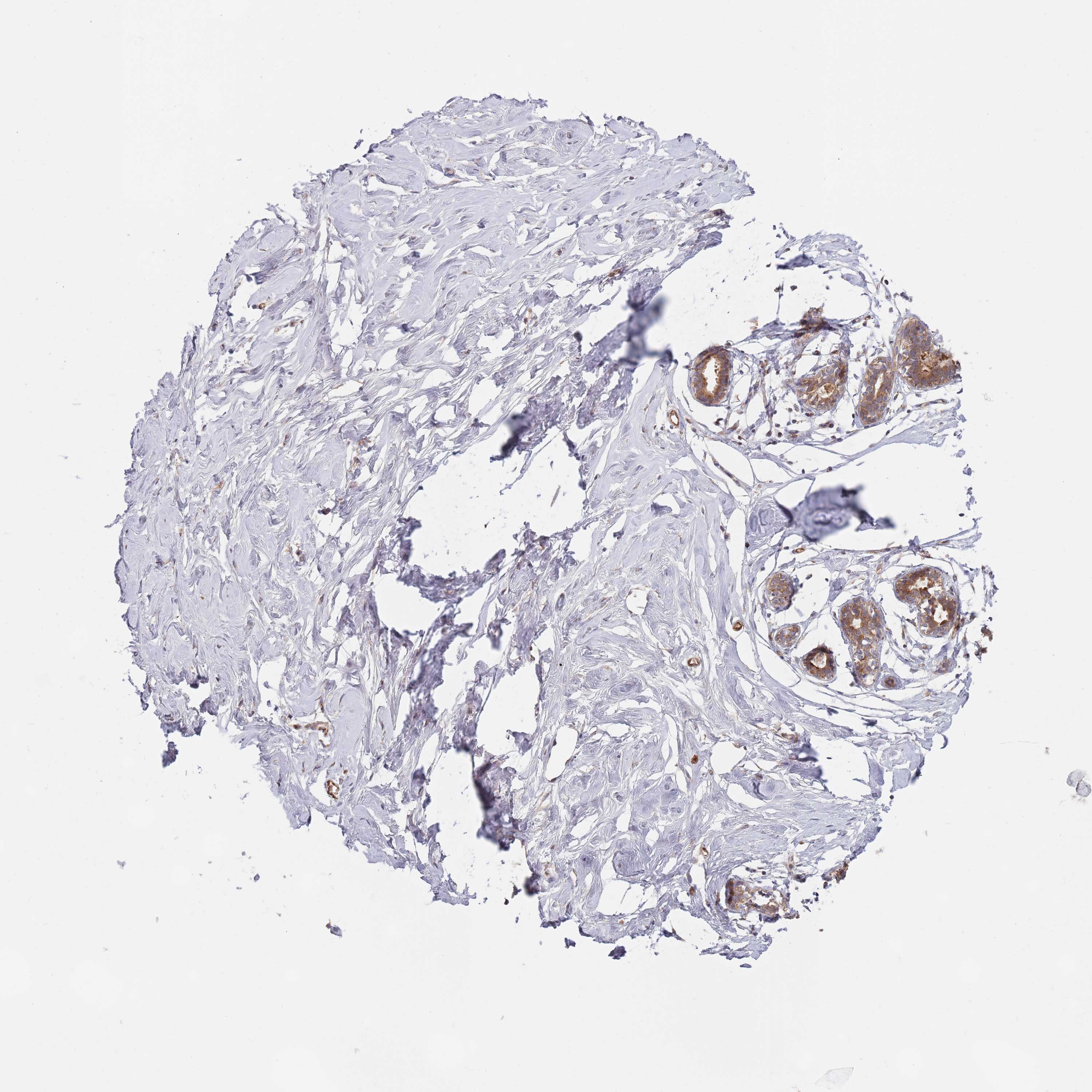
BREAST - Antibody stainingi

Antibody staining in the annotated cell types in the current human tissue is reported as not detected, low, medium, or high, based on conventional immunohistochemistry profiling in selected tissues. This score is based on the combination of the staining intensity and fraction of stained cells.

Each image is clickable and will lead to virtual microscopy that enables deeper exploration of all samples and also displays staining intensity scores, fraction scores and subcellular localization as well as patient and tissue information for each sample.

Antibody HPA048587
Adipocytes Not detected
Glandular cells Medium
Myoepithelial cells Medium


BREAST - HPA RNA-seqi

The RNA-seq details section shows detailed information about the individual samples used for the transcript profiling and results of the RNA-seq analysis.

Information about each individual sample is listed below, including gender, age, a tissue section image and estimated fractions of cell types. nTPM (normalized transcripts per million) values give a quantification of the gene abundance which is comparable between different genes and samples.
Average nTPMi

Max subtype nTPM is the value for the subtype with the largest average nTPM across the subtype samples.

40.7
overview
Female, age 52
Breast sample 373
nTPM: 60.3
Cell types%
Glandular cells:
15

Adipocytes:
5

Other cell types:
80

overview
Female, age 80
Breast sample 390
nTPM: 71.1
Cell types%
Glandular cells:
5

Adipocytes:
15

Other cell types:
80

overview
Female, age 47
Breast sample 405
nTPM: 24.9
Cell types%
Glandular cells:
5

Adipocytes:
5

Other cell types:
90

overview
Female, age 38
Breast sample 410
nTPM: 6.6
Cell types%
Glandular cells:
40

Adipocytes:
5

Other cell types:
55


BREAST - GTEx RNA-seqi

RNA-Seq data generated by the Genotype-Tissue Expression (GTEx) project from human tissues is reported as mean nTPM. More information can be found on the GTEx portal.

Distribution across the dataset is visualized with box plots, shown as median and 25th and 75th percentiles. Points are displayed as outliers if they are above or below 1.5 times the interquartile range. nTPM values of the individual samples are presented next to the box plot.
Max subtype nTPMi

Max subtype nTPM is the value for the subtype with the largest average nTPM across the subtype samples.

109.9
GTEx sample id Sample description nTPM
Breast - Mammary Tissue
Average nTPM: 109.9
Samples: 459

Max nTPM: 441.1
Min nTPM: 33.7
Std nTPM: 46.5
Median nTPM: 101.1
GTEX-14PN4-0626-SM-62LFP 50-59 years, male 441.1
GTEX-13S86-1226-SM-5S2OA 40-49 years, male 304.4
GTEX-1B8SG-1226-SM-7IGPF 50-59 years, male 288.4
GTEX-1ICLZ-0426-SM-B2LW2 60-69 years, male 281.1
GTEX-11TT1-2126-SM-5GU5Y 20-29 years, male 280.0
GTEX-U8XE-0826-SM-4E3J1 30-39 years, male 280.0
GTEX-14ABY-2126-SM-5QGQZ 50-59 years, male 275.8
GTEX-11ZTT-2326-SM-5EQLG 60-69 years, female 261.5
GTEX-1R7EV-1526-SM-E8VOD 40-49 years, male 259.8
GTEX-1AMEY-1026-SM-718AA 30-39 years, female 244.3
GTEX-15G19-2126-SM-6M48J 60-69 years, male 233.5
GTEX-14AS3-1626-SM-5S2OY 40-49 years, female 228.4
GTEX-ZLFU-2126-SM-DO931 40-49 years, male 222.4
GTEX-145LT-0726-SM-5S2VM 40-49 years, male 221.0
GTEX-13SLW-2526-SM-62LDQ 70-79 years, male 217.3
GTEX-1N2EF-2226-SM-E9J33 60-69 years, male 199.6
GTEX-1NHNU-0926-SM-E9J2T 50-59 years, male 197.5
GTEX-X4XY-0926-SM-4E3JD 60-69 years, male 196.9
GTEX-1ICLY-1726-SM-B2LVT 50-59 years, male 196.2
GTEX-1JJE9-2326-SM-ARL8Q 70-79 years, male 196.2
GTEX-14PJO-0726-SM-69LO8 60-69 years, male 193.4
GTEX-1CAMR-1426-SM-793BO 20-29 years, male 192.0
GTEX-1PPGY-1526-SM-EVYBK 60-69 years, male 189.6
GTEX-1H1DG-0526-SM-9YFLN 70-79 years, male 186.0
GTEX-1JJEA-2726-SM-ARL8V 60-69 years, male 185.7
GTEX-1F75I-2026-SM-7SB7N 40-49 years, male 185.1
GTEX-YB5E-1726-SM-5IFJ3 40-49 years, male 182.6
GTEX-14753-2426-SM-5LU8U 60-69 years, male 181.8
GTEX-1F5PK-2126-SM-7PC28 50-59 years, male 181.1
GTEX-1MJK3-1126-SM-E9J3F 20-29 years, male 180.7
GTEX-ZVT2-1826-SM-5NQ8W 50-59 years, female 179.3
GTEX-145MF-2226-SM-7EPIR 50-59 years, male 178.6
GTEX-13VXU-2826-SM-664MA 50-59 years, male 178.0
GTEX-1IDJF-2326-SM-ARL86 20-29 years, male 178.0
GTEX-1PPH7-0826-SM-E8VNX 40-49 years, male 176.9
GTEX-1H1ZS-0126-SM-9YFKQ 70-79 years, male 176.5
GTEX-ZWKS-2826-SM-5NQ74 30-39 years, male 170.8
GTEX-R55D-0826-SM-48FEA 50-59 years, male 169.6
GTEX-11WQK-2426-SM-5GU5C 50-59 years, male 168.9
GTEX-1I19N-2826-SM-CL55D 70-79 years, male 168.5
GTEX-1QP9N-1826-SM-E8VMP 30-39 years, male 167.8
GTEX-11DZ1-0326-SM-5N9BN 50-59 years, male 167.5
GTEX-1IOXB-1926-SM-ARL8E 50-59 years, male 165.7
GTEX-Y8E4-1626-SM-5S2MW 40-49 years, male 165.5
GTEX-14ICK-2426-SM-6EU27 40-49 years, male 165.0
GTEX-1N2EE-2126-SM-E8VNN 60-69 years, male 164.7
GTEX-1R9JW-0326-SM-EAZ45 30-39 years, female 164.6
GTEX-14PKU-0426-SM-6EU1P 40-49 years, female 163.8
GTEX-XYKS-1326-SM-4BRUN 60-69 years, female 163.4
GTEX-ZTTD-1026-SM-51MRD 50-59 years, male 162.7
GTEX-17F97-2526-SM-7EWDV 50-59 years, male 162.5
GTEX-1QP29-1726-SM-E8VMQ 50-59 years, male 159.6
GTEX-14B4R-1226-SM-5TDDT 30-39 years, male 159.2
GTEX-17GQL-0326-SM-7LG5U 60-69 years, male 158.5
GTEX-XQ8I-2426-SM-4WAXY 50-59 years, male 157.8
GTEX-14E6C-1326-SM-62LEQ 40-49 years, male 157.6
GTEX-1GF9U-1726-SM-7MGY5 40-49 years, female 157.2
GTEX-1IDFM-0426-SM-B2LVV 60-69 years, male 156.7
GTEX-S32W-2026-SM-4AD6E 50-59 years, female 155.7
GTEX-12WSN-1326-SM-5GCNT 40-49 years, male 154.7
GTEX-145MN-1926-SM-5SIAI 30-39 years, male 154.2
GTEX-ZQUD-1926-SM-51MSA 30-39 years, male 154.0
GTEX-1MA7X-1626-SM-E9U5B 60-69 years, male 151.0
GTEX-TKQ1-0226-SM-33HB5 30-39 years, male 150.3
GTEX-ZDYS-1126-SM-5K7UB 50-59 years, male 150.2
GTEX-11O72-2126-SM-5N9FO 40-49 years, male 149.5
GTEX-13PVQ-1026-SM-5KM3M 50-59 years, male 148.9
GTEX-12WSK-2226-SM-5GCO5 40-49 years, female 148.4
GTEX-16YQH-2826-SM-6PAMY 30-39 years, male 148.3
GTEX-PSDG-1626-SM-48TCQ 50-59 years, male 148.3
GTEX-11P82-1326-SM-5HL62 20-29 years, male 148.2
GTEX-ZAB4-2526-SM-5HL8M 40-49 years, male 148.0
GTEX-1313W-0826-SM-5EQ4T 50-59 years, female 147.5
GTEX-1HC8U-0826-SM-ADEIL 40-49 years, female 146.0
GTEX-1CB4J-1826-SM-7EWF9 60-69 years, male 145.3
GTEX-13N1W-0626-SM-5MR4U 70-79 years, male 143.8
GTEX-1B8KE-1226-SM-73KWK 50-59 years, male 143.3
GTEX-1JN1M-3026-SM-CMKGK 60-69 years, female 143.3
GTEX-11I78-2226-SM-5PNYA 50-59 years, female 143.2
GTEX-13O61-1826-SM-5KM4I 60-69 years, male 142.9
GTEX-1RQEC-2026-SM-DTXDM 60-69 years, male 142.9
GTEX-1I1GP-0426-SM-COH3N 50-59 years, male 142.8
GTEX-S4Q7-1126-SM-4AD6R 20-29 years, male 142.3
GTEX-132AR-0826-SM-5EGK6 50-59 years, female 141.3
GTEX-ZT9W-2026-SM-51MRA 50-59 years, male 141.2
GTEX-XMD2-0926-SM-4WWEF 60-69 years, female 141.0
GTEX-17F98-0526-SM-79OK5 40-49 years, female 140.2
GTEX-Y5V6-2126-SM-4WWFX 60-69 years, male 139.7
GTEX-XV7Q-2326-SM-4BRVZ 40-49 years, female 138.3
GTEX-Z9EW-1526-SM-EZ6LU 40-49 years, male 137.9
GTEX-1I6K6-0826-SM-ARL7Z 30-39 years, male 137.8
GTEX-17F9E-2526-SM-7MGW2 50-59 years, male 137.5
GTEX-ZVT4-1026-SM-57WC4 50-59 years, female 137.1
GTEX-1JN6P-2426-SM-ARL99 60-69 years, male 136.4
GTEX-RUSQ-2026-SM-4GIAK 50-59 years, male 136.1
GTEX-12WSM-1726-SM-5BC6J 60-69 years, male 136.0
GTEX-15UF7-0726-SM-6M46D 40-49 years, male 136.0
GTEX-XQ3S-1326-SM-4BOPQ 20-29 years, male 135.2
GTEX-17F96-2426-SM-7IGLN 70-79 years, male 134.5
GTEX-ZYW4-0826-SM-5GIDG 60-69 years, male 134.5
GTEX-YFCO-1826-SM-4W1YH 40-49 years, male 134.2
GTEX-1NV8Z-2826-SM-E8VME 60-69 years, male 133.6
GTEX-1S82U-1126-SM-E9U6I 30-39 years, female 133.6
GTEX-1LBAC-0926-SM-CXKY9 20-29 years, male 133.1
GTEX-1C6WA-2426-SM-7SB86 60-69 years, male 132.9
GTEX-1I1GV-2426-SM-CGQFM 60-69 years, male 132.7
GTEX-1NUQO-2226-SM-E9U68 20-29 years, female 132.5
GTEX-ZDTT-2126-SM-DKPOM 60-69 years, male 132.5
GTEX-1LG7Z-0726-SM-CXKYD 30-39 years, male 132.4
GTEX-1PDJ9-1126-SM-EXUSW 20-29 years, male 132.0
GTEX-1QMI2-0726-SM-E9J4F 60-69 years, male 131.0
GTEX-14E6E-1326-SM-5S2NR 30-39 years, male 130.9
GTEX-WY7C-2726-SM-3NB3P 50-59 years, male 130.8
GTEX-139TU-0626-SM-5KM3X 60-69 years, male 130.3
GTEX-1KANC-1426-SM-CYPT9 50-59 years, female 130.3
GTEX-15RJE-2626-SM-7KFT1 40-49 years, male 130.1
GTEX-1E2YA-2726-SM-7IGPW 50-59 years, male 130.0
GTEX-YECK-0726-SM-EZ6LV 60-69 years, male 129.9
GTEX-1KAFJ-0226-SM-DIPEL 50-59 years, male 129.8
GTEX-13O3Q-2226-SM-5KM4O 50-59 years, male 129.6
GTEX-1GN2E-2226-SM-9WG6J 60-69 years, male 129.6
GTEX-YEC3-1026-SM-5IFI5 50-59 years, male 129.3
GTEX-13FTW-1426-SM-5LZWZ 40-49 years, male 129.0
GTEX-ZV6S-1826-SM-5NQ8D 40-49 years, female 128.8
GTEX-ZLWG-1926-SM-DO92J 50-59 years, female 128.5
GTEX-1A3MX-2726-SM-718B6 60-69 years, male 128.4
GTEX-14PJ4-2126-SM-6ETZJ 60-69 years, male 128.2
GTEX-1L5NE-2126-SM-CY8IH 50-59 years, male 127.9
GTEX-13FTX-1126-SM-5N9EN 20-29 years, female 127.8
GTEX-1HT8W-2226-SM-CGQEC 30-39 years, male 127.8
GTEX-QVJO-1826-SM-447C9 60-69 years, female 127.6
GTEX-13W46-0826-SM-5LU3H 50-59 years, male 126.7
GTEX-1GPI7-0926-SM-7PC3J 20-29 years, male 126.6
GTEX-13O3O-0826-SM-5K7WE 60-69 years, female 126.4
GTEX-1OKEX-0826-SM-E9J2B 60-69 years, male 126.2
GTEX-183FY-1126-SM-7DHLJ 20-29 years, male 125.7
GTEX-11DXY-2326-SM-5GICW 60-69 years, male 125.6
GTEX-11EQ9-1826-SM-5Q5AJ 30-39 years, male 125.5
GTEX-1399U-1826-SM-5PNZ1 50-59 years, female 124.9
GTEX-S33H-0326-SM-4AD6N 30-39 years, male 124.8
GTEX-1AX9J-1126-SM-731B7 60-69 years, male 124.5
GTEX-1H4P4-2226-SM-9MQKQ 50-59 years, male 124.4
GTEX-132NY-0826-SM-5K7Y7 60-69 years, male 123.6
GTEX-ZDXO-0126-SM-5S2ND 60-69 years, male 123.4
GTEX-1BAJH-0826-SM-7EWEF 70-79 years, male 123.0
GTEX-11WQC-1726-SM-5GU4W 60-69 years, male 122.9
GTEX-17HGU-1326-SM-79OKB 50-59 years, male 122.4
GTEX-1M4P7-2626-SM-E9U5F 60-69 years, male 122.1
GTEX-1A8G7-2426-SM-731AK 60-69 years, male 121.3
GTEX-139T6-1626-SM-5PNYZ 50-59 years, male 120.8
GTEX-14BMV-0626-SM-793AU 50-59 years, male 120.8
GTEX-1EKGG-2626-SM-7IGPY 60-69 years, male 120.8
GTEX-18A7B-2626-SM-7LG55 70-79 years, male 120.7
GTEX-1R9PN-0326-SM-DTX85 40-49 years, female 120.7
GTEX-16BQI-1026-SM-7KUEA 30-39 years, female 119.3
GTEX-1QPFJ-2026-SM-EVYBE 30-39 years, female 119.2
GTEX-117YX-1426-SM-5H12H 50-59 years, male 119.1
GTEX-1RLM8-2226-SM-EVYD1 50-59 years, male 118.9
GTEX-144GM-0926-SM-5O994 20-29 years, male 118.8
GTEX-S7SE-0826-SM-4AT4D 50-59 years, male 118.2
GTEX-ZZ64-1226-SM-5E43R 20-29 years, male 117.9
GTEX-ZQG8-0726-SM-5P9H9 60-69 years, female 117.8
GTEX-1R9PM-1826-SM-EVYBH 20-29 years, male 117.7
GTEX-17EVP-0226-SM-79OND 40-49 years, male 117.3
GTEX-13NZ8-0126-SM-5IJCT 60-69 years, female 117.1
GTEX-13QJ3-0826-SM-7DHKK 50-59 years, male 117.0
GTEX-Y114-2026-SM-4TT7L 50-59 years, female 117.0
GTEX-1QEPI-0926-SM-DTXF3 60-69 years, female 116.3
GTEX-13FHO-0826-SM-5L3E8 60-69 years, male 116.2
GTEX-1HUB1-1626-SM-CM2SL 60-69 years, male 116.2
GTEX-11OF3-1926-SM-59889 60-69 years, male 116.1
GTEX-YB5K-1626-SM-5IFIN 40-49 years, female 116.0
GTEX-14PHY-1926-SM-5YY95 60-69 years, female 115.8
GTEX-1H23P-0726-SM-9WG7K 60-69 years, male 115.7
GTEX-117XS-1926-SM-5GICO 60-69 years, male 115.5
GTEX-1H11D-1526-SM-9MQJY 40-49 years, male 115.3
GTEX-XGQ4-0926-SM-4AT4U 50-59 years, male 115.2
GTEX-ZPIC-1126-SM-5BC7F 40-49 years, female 114.8
GTEX-1117F-2826-SM-5GZXL 60-69 years, female 114.4
GTEX-13113-5013-SM-7SB7G 60-69 years, female 113.8
GTEX-169BO-1126-SM-7MGWN 50-59 years, male 113.8
GTEX-18D9A-1526-SM-7LG4J 30-39 years, female 113.6
GTEX-1IDJE-0826-SM-CKZNZ 50-59 years, female 113.6
GTEX-VUSG-2226-SM-4KKZO 50-59 years, male 113.2
GTEX-1HR98-0426-SM-COH36 60-69 years, male 112.9
GTEX-14DAR-1326-SM-7DUEG 50-59 years, male 112.5
GTEX-1I1GU-1026-SM-ADEHJ 40-49 years, male 112.2
GTEX-U412-1826-SM-4DXTJ 60-69 years, male 112.1
GTEX-11LCK-2426-SM-5HL5F 30-39 years, male 112.0
GTEX-1HCU9-0326-SM-9WYSC 20-29 years, male 111.8
GTEX-1MJK2-2226-SM-EVYCR 50-59 years, male 111.1
GTEX-11NV4-2026-SM-5N9DG 60-69 years, male 110.8
GTEX-Y3I4-1526-SM-4TT7K 50-59 years, male 110.6
GTEX-11ZUS-0826-SM-5FQUY 30-39 years, male 110.3
GTEX-1HSEH-2026-SM-ADEHN 60-69 years, male 110.1
GTEX-XMK1-1126-SM-4IHJ8 40-49 years, male 109.8
GTEX-1KD4Q-2326-SM-D4P3M 40-49 years, male 109.8
GTEX-1R7EU-1226-SM-E8VMR 60-69 years, male 109.8
GTEX-YJ8O-2226-SM-5IFHW 40-49 years, female 109.5
GTEX-ZYFC-0826-SM-5E44K 50-59 years, male 109.4
GTEX-17EUY-1926-SM-7DUF6 20-29 years, male 109.3
GTEX-17EVQ-0426-SM-7LG57 70-79 years, male 108.9
GTEX-144GL-2026-SM-5LU3O 50-59 years, male 108.7
GTEX-T2IS-1526-SM-32QPR 20-29 years, female 108.4
GTEX-WHSB-1926-SM-EXOHH 50-59 years, male 108.2
GTEX-13OW8-0226-SM-5K7UP 60-69 years, male 107.1
GTEX-14E7W-0826-SM-62LEJ 70-79 years, male 107.0
GTEX-1IGQW-0926-SM-ADEH6 60-69 years, male 106.9
GTEX-1R46S-2526-SM-E8VN2 60-69 years, female 106.4
GTEX-1211K-1926-SM-5EQLB 60-69 years, female 105.9
GTEX-WI4N-1426-SM-3LK7H 40-49 years, female 105.5
GTEX-13D11-1026-SM-5IJFB 50-59 years, female 105.4
GTEX-1MCC2-2126-SM-EWRON 30-39 years, female 104.8
GTEX-ZY6K-1626-SM-5GZWV 50-59 years, male 104.4
GTEX-13NZB-2126-SM-5MR4Y 30-39 years, male 104.0
GTEX-SE5C-2126-SM-4BRUJ 40-49 years, female 104.0
GTEX-145MO-0826-SM-5NQBL 60-69 years, male 103.9
GTEX-T5JW-2026-SM-4DM63 20-29 years, female 103.9
GTEX-1JMQK-2626-SM-COH2W 60-69 years, male 103.8
GTEX-1QCLZ-2326-SM-DTXDO 60-69 years, female 103.5
GTEX-1HCU8-0126-SM-ADEHH 60-69 years, female 103.3
GTEX-1C6VQ-0426-SM-79OOX 50-59 years, male 102.9
GTEX-15EOM-5019-SM-793DK 20-29 years, female 102.0
GTEX-X62O-0526-SM-EWRMA 50-59 years, male 102.0
GTEX-1IE54-0626-SM-ARL8D 40-49 years, female 101.9
GTEX-Y111-2026-SM-4SOJA 50-59 years, male 101.6
GTEX-1EWIQ-1726-SM-7SB7T 70-79 years, female 101.5
GTEX-ZTX8-1226-SM-4YCE9 20-29 years, male 101.3
GTEX-1IKOE-1326-SM-CE6T6 30-39 years, female 101.1
GTEX-1LNCM-0226-SM-DIPF4 50-59 years, female 101.1
GTEX-ZUA1-1526-SM-59HLS 40-49 years, male 101.0
GTEX-1JKYR-0926-SM-CMKGJ 20-29 years, male 101.0
GTEX-1JKYN-0726-SM-ARZMY 30-39 years, male 100.8
GTEX-1HFI7-0126-SM-CGQFQ 50-59 years, female 100.7
GTEX-11PRG-0826-SM-5EQ6A 50-59 years, male 100.4
GTEX-18465-2026-SM-718AP 50-59 years, male 100.1
GTEX-1IDJU-1826-SM-CMKHV 60-69 years, female 100.1
GTEX-ZGAY-1726-SM-DO91P 40-49 years, female 100.1
GTEX-11ONC-2126-SM-5HL6E 60-69 years, male 100.0
GTEX-11NSD-0926-SM-5N9DR 20-29 years, male 99.9
GTEX-145ME-1526-SM-5Q5F2 40-49 years, female 99.9
GTEX-13SLX-2326-SM-5ZZWE 50-59 years, female 99.7
GTEX-14LLW-0626-SM-62LFC 70-79 years, female 99.7
GTEX-WFON-1826-SM-3GILG 40-49 years, male 99.3
GTEX-12BJ1-1826-SM-5HL9N 60-69 years, male 99.0
GTEX-1RAZQ-1226-SM-EWRNL 30-39 years, male 99.0
GTEX-1AX9I-0726-SM-73KWV 60-69 years, male 98.8
GTEX-14H4A-2526-SM-5YYAY 40-49 years, female 98.4
GTEX-183WM-0726-SM-7LTAA 70-79 years, female 98.3
GTEX-XOT4-0726-SM-4GIAW 60-69 years, female 98.2
GTEX-1GZ4I-2826-SM-9MQK5 50-59 years, male 98.2
GTEX-1JMOU-2026-SM-CMKGU 60-69 years, female 98.1
GTEX-ZAJG-0626-SM-5HL8X 50-59 years, female 98.0
GTEX-1JMLX-2026-SM-CMKGN 50-59 years, male 97.7
GTEX-ZA64-1526-SM-5CVMD 20-29 years, male 97.5
GTEX-13CF3-2126-SM-5IFJP 60-69 years, female 97.4
GTEX-XMD1-0826-SM-4AT52 60-69 years, male 97.2
GTEX-17MFQ-0926-SM-7LG4S 20-29 years, male 97.1
GTEX-1LC47-1226-SM-D4P44 60-69 years, male 96.9
GTEX-ZV7C-1826-SM-5NQ83 50-59 years, male 96.7
GTEX-1EN7A-1426-SM-7PBY4 40-49 years, male 96.5
GTEX-1A3MV-1626-SM-731C1 30-39 years, male 96.4
GTEX-1AX8Z-0926-SM-731AW 60-69 years, male 96.4
GTEX-1CB4G-2326-SM-79OOI 60-69 years, male 96.3
GTEX-1RAZS-1226-SM-E8VMT 50-59 years, male 96.2
GTEX-12KS4-0126-SM-5Q5A5 30-39 years, male 96.1
GTEX-13NZ9-1026-SM-5MR5K 50-59 years, male 96.0
GTEX-1122O-1226-SM-5H113 60-69 years, female 95.7
GTEX-ZF3C-2326-SM-5S2NC 50-59 years, female 95.2
GTEX-S4UY-0726-SM-4AD6X 40-49 years, female 95.1
GTEX-1QW4Y-1026-SM-DTXE2 30-39 years, male 95.0
GTEX-R3RS-0626-SM-48FE1 40-49 years, female 94.8
GTEX-Y9LG-1426-SM-5IFJZ 30-39 years, male 94.8
GTEX-1QP28-1226-SM-E9J2M 50-59 years, female 94.8
GTEX-11P7K-0726-SM-5EGKX 30-39 years, male 94.5
GTEX-1H3VY-0926-SM-ACKXE 50-59 years, male 94.5
GTEX-17JCI-0726-SM-7EPH1 60-69 years, female 93.7
GTEX-ZEX8-2226-SM-57WC6 50-59 years, male 93.7
GTEX-1HSMO-0826-SM-ADEIV 60-69 years, male 93.7
GTEX-1J8Q3-1326-SM-CMKI1 60-69 years, male 93.6
GTEX-1CAMS-1426-SM-7IGPM 40-49 years, female 93.2
GTEX-XBED-1626-SM-47JYN 60-69 years, male 93.0
GTEX-S341-1526-SM-4AD6K 40-49 years, female 92.6
GTEX-1KXAM-1026-SM-CY8IA 60-69 years, male 91.4
GTEX-1314G-1226-SM-5BC6D 30-39 years, male 91.2
GTEX-1GPI6-0626-SM-7RHHJ 60-69 years, male 91.1
GTEX-QMRM-1626-SM-D4P1U 50-59 years, male 91.1
GTEX-1HCU7-1026-SM-ADEIP 50-59 years, male 90.7
GTEX-XUZC-1626-SM-4BRVP 30-39 years, female 90.6
GTEX-ZLV1-1426-SM-DO92Z 60-69 years, female 90.5
GTEX-18A6Q-0926-SM-7LG4N 60-69 years, male 90.4
GTEX-11TUW-1826-SM-5BC5D 60-69 years, male 90.2
GTEX-1KANA-2026-SM-DIPFB 20-29 years, male 90.2
GTEX-13W3W-1226-SM-5LU4H 60-69 years, female 90.1
GTEX-WXYG-2226-SM-4E3IM 50-59 years, female 89.9
GTEX-1C475-1226-SM-7SB72 40-49 years, female 89.9
GTEX-1N5O9-1126-SM-DTXEQ 60-69 years, male 89.7
GTEX-133LE-1726-SM-5K7VQ 20-29 years, female 89.5
GTEX-ZVZQ-0826-SM-51MRF 60-69 years, female 89.4
GTEX-1B97I-0426-SM-79OL7 40-49 years, male 89.2
GTEX-QEL4-2126-SM-447AE 50-59 years, male 89.2
GTEX-11GSO-1926-SM-5A5K3 60-69 years, male 89.0
GTEX-11GSP-0926-SM-9WYSG 60-69 years, female 88.8
GTEX-X261-0626-SM-3NMD9 50-59 years, male 88.7
GTEX-1HCVE-2626-SM-ADEJ8 50-59 years, male 88.7
GTEX-1LSNL-2826-SM-E9U5L 50-59 years, male 88.6
GTEX-1C6VS-0726-SM-7EPHF 60-69 years, male 87.9
GTEX-WOFL-0826-SM-3MJG1 60-69 years, male 87.6
GTEX-1GMRU-0826-SM-9WYT7 50-59 years, male 87.0
GTEX-1JMPZ-1626-SM-COH31 30-39 years, male 86.5
GTEX-ZYT6-0126-SM-5E45J 30-39 years, male 86.1
GTEX-11DXW-0626-SM-5N9ER 40-49 years, male 85.9
GTEX-RWS6-1926-SM-47JXY 60-69 years, female 85.4
GTEX-17HHY-0926-SM-793C1 50-59 years, male 85.2
GTEX-Y8LW-1626-SM-5IFHX 50-59 years, female 84.8
GTEX-146FH-0826-SM-5SI8T 50-59 years, female 84.6
GTEX-XUW1-2326-SM-4BOO5 50-59 years, female 84.6
GTEX-ZVTK-0326-SM-51MRR 20-29 years, male 84.5
GTEX-1P4AB-1826-SM-E76PU 50-59 years, male 84.5
GTEX-1F75B-0626-SM-7SB8A 50-59 years, male 84.1
GTEX-15UF6-0126-SM-6PAMB 70-79 years, female 83.9
GTEX-13CF2-2026-SM-5K7VI 60-69 years, male 83.8
GTEX-13N11-1726-SM-5J1OJ 50-59 years, female 82.9
GTEX-15SHW-1326-SM-6PAL8 60-69 years, male 82.9
GTEX-1192X-2326-SM-5987X 50-59 years, male 82.8
GTEX-1IDJH-2226-SM-E6CJV 70-79 years, male 82.3
GTEX-17MF6-0326-SM-7EPH5 40-49 years, male 82.0
GTEX-REY6-2426-SM-48FF5 60-69 years, male 81.9
GTEX-17KNJ-2026-SM-7LG53 50-59 years, male 81.7
GTEX-1CB4E-0226-SM-79OLW 60-69 years, male 81.3
GTEX-1KD5A-1926-SM-DKPQA 50-59 years, male 80.7
GTEX-11DXZ-1926-SM-5GZZL 50-59 years, male 80.0
GTEX-TML8-1226-SM-32QON 40-49 years, female 80.0
GTEX-131XW-0726-SM-5EGK3 50-59 years, female 79.4
GTEX-1EU9M-2826-SM-7EWFH 60-69 years, male 79.2
GTEX-18QFQ-0826-SM-718AX 30-39 years, male 78.6
GTEX-UTHO-1026-SM-3GAF7 60-69 years, male 78.6
GTEX-1B933-2526-SM-7IGO5 50-59 years, female 78.3
GTEX-1I4MK-1626-SM-CM2TJ 50-59 years, female 78.3
GTEX-U3ZN-1926-SM-4DXSG 30-39 years, female 77.4
GTEX-1HCUA-0726-SM-ACKVU 50-59 years, female 77.4
GTEX-WYJK-1326-SM-3NB2T 50-59 years, male 77.1
GTEX-1LSNM-1326-SM-E9TJ1 50-59 years, male 76.8
GTEX-1QCLY-1626-SM-DTXDW 30-39 years, male 76.6
GTEX-14BMU-1626-SM-5TDE7 20-29 years, female 76.4
GTEX-1GZ4H-0326-SM-7P8QX 50-59 years, female 76.1
GTEX-WFG8-2026-SM-EXOHO 20-29 years, male 76.1
GTEX-1ICG6-1326-SM-ACKWR 70-79 years, female 76.0
GTEX-1J8QM-2026-SM-ARZMW 60-69 years, female 76.0
GTEX-TKQ2-1826-SM-33HB2 50-59 years, male 75.6
GTEX-1I1GT-1126-SM-ARL7J 60-69 years, female 75.6
GTEX-17HG3-0126-SM-7IGNH 30-39 years, female 75.2
GTEX-T5JC-2126-SM-32PMO 20-29 years, male 75.2
GTEX-UPK5-2326-SM-3P5Z8 40-49 years, male 75.1
GTEX-18A66-1726-SM-7LG5N 60-69 years, male 75.0
GTEX-1F75A-1826-SM-7SB8G 50-59 years, male 74.9
GTEX-13PVR-2226-SM-7DHKP 60-69 years, female 74.8
GTEX-18A7A-0726-SM-7LTAI 50-59 years, female 74.8
GTEX-1GF9X-1026-SM-ACKX2 40-49 years, female 74.8
GTEX-1J8Q2-2726-SM-A9G2X 60-69 years, male 74.6
GTEX-1B8L1-2426-SM-9WYTE 60-69 years, male 74.5
GTEX-WYBS-0926-SM-3NM94 60-69 years, female 74.4
GTEX-1IKJJ-2326-SM-COH3U 60-69 years, male 74.4
GTEX-131YS-0626-SM-5EGKL 60-69 years, female 73.9
GTEX-16NGA-0826-SM-718AF 40-49 years, female 73.7
GTEX-X15G-1626-SM-3NMB3 50-59 years, female 73.7
GTEX-1GF9V-2526-SM-7SB8K 60-69 years, male 73.7
GTEX-R53T-1526-SM-48FEK 50-59 years, female 73.1
GTEX-1B8KZ-1526-SM-7DUG7 50-59 years, male 72.7
GTEX-Y5LM-1726-SM-4VDSX 40-49 years, female 72.7
GTEX-T2YK-2226-SM-32QPT 50-59 years, male 72.3
GTEX-1K9T9-1426-SM-DIPFQ 50-59 years, female 72.3
GTEX-1F6I4-2526-SM-7SB8F 60-69 years, male 72.2
GTEX-1M5QR-2526-SM-E9U5P 40-49 years, male 71.9
GTEX-17HHE-1426-SM-7EPH4 50-59 years, male 71.6
GTEX-1JMPY-0526-SM-CL54O 30-39 years, male 71.4
GTEX-ZU9S-1926-SM-5NQBP 30-39 years, male 71.3
GTEX-1GZHY-0726-SM-9WG6B 50-59 years, female 71.1
GTEX-1GMR2-1926-SM-9MQLZ 50-59 years, male 70.8
GTEX-1POEN-0926-SM-DTX88 30-39 years, female 70.8
GTEX-S4P3-1326-SM-4AD6V 50-59 years, female 70.1
GTEX-13OW5-2226-SM-5L3HC 60-69 years, male 69.9
GTEX-1C64O-0726-SM-7DUFU 60-69 years, male 69.6
GTEX-VJWN-0726-SM-3GIJ8 50-59 years, female 69.2
GTEX-T6MN-0726-SM-32PML 50-59 years, male 68.2
GTEX-RU1J-0626-SM-4WAWY 20-29 years, female 67.9
GTEX-1B97J-0426-SM-79OLQ 50-59 years, female 67.8
GTEX-T6MO-0326-SM-32QOK 40-49 years, female 67.7
GTEX-Y3IK-2326-SM-4WWDT 50-59 years, female 67.3
GTEX-UJHI-1426-SM-3DB9C 50-59 years, female 67.1
GTEX-1GZ2Q-2626-SM-7MXV9 40-49 years, male 67.1
GTEX-13QIC-2326-SM-5LU5N 60-69 years, female 67.0
GTEX-1H1E6-0926-SM-9YFLT 30-39 years, male 67.0
GTEX-ZAK1-1326-SM-EVYAS 50-59 years, female 66.8
GTEX-1IY9M-2726-SM-CMKG5 60-69 years, male 66.5
GTEX-ZF29-1926-SM-5S2P1 60-69 years, female 66.4
GTEX-U3ZH-1426-SM-4DXSR 30-39 years, male 66.3
GTEX-1H1CY-2226-SM-9WG7E 60-69 years, female 66.3
GTEX-1JK1U-1826-SM-ARL8W 60-69 years, male 66.2
GTEX-11EI6-0626-SM-5985T 60-69 years, male 65.9
GTEX-1LVAM-0926-SM-E9TJ2 50-59 years, female 65.1
GTEX-11GS4-2126-SM-5A5KR 60-69 years, male 64.7
GTEX-13O3P-0826-SM-5L3DH 50-59 years, male 64.6
GTEX-1HBPN-2326-SM-9WPPU 50-59 years, male 64.5
GTEX-Q2AG-0326-SM-48U1O 40-49 years, female 64.4
GTEX-ZVE2-1226-SM-5NQ8R 50-59 years, male 64.4
GTEX-ZC5H-2626-SM-5J2MG 40-49 years, female 64.3
GTEX-WRHU-0326-SM-3MJFY 50-59 years, female 64.2
GTEX-X4EP-2926-SM-3P5YQ 60-69 years, female 63.8
GTEX-1B932-0826-SM-73KXG 40-49 years, female 62.7
GTEX-Y5V5-2126-SM-4WWFO 60-69 years, female 62.5
GTEX-1MA7W-1026-SM-DKPQK 20-29 years, female 62.4
GTEX-1HR9M-2426-SM-ACKXI 60-69 years, male 62.1
GTEX-1F5PL-1026-SM-7RHI1 40-49 years, female 62.0
GTEX-1GMR3-2626-SM-7RHHG 40-49 years, male 61.9
GTEX-1I6K7-1026-SM-A9SLK 40-49 years, male 61.2
GTEX-1S82Z-0726-SM-E6CHX 30-39 years, female 61.1
GTEX-1J8EW-2626-SM-CL53E 60-69 years, female 61.0
GTEX-1I1HK-2426-SM-ADEHX 60-69 years, male 60.9
GTEX-132Q8-1426-SM-5EGK7 60-69 years, male 60.1
GTEX-15FZZ-0726-SM-7KUFZ 30-39 years, female 60.1
GTEX-ZZPU-0626-SM-5E43T 50-59 years, female 58.8
GTEX-1LGRB-1826-SM-CNPQL 50-59 years, female 58.2
GTEX-147F4-2826-SM-5NQBN 50-59 years, male 57.7
GTEX-TMMY-0726-SM-33HBE 40-49 years, female 57.6
GTEX-11EM3-1326-SM-5N9C6 20-29 years, female 57.0
GTEX-13PL6-2926-SM-5L3I2 40-49 years, female 57.0
GTEX-1HSKV-2026-SM-CMKGX 60-69 years, male 57.0
GTEX-14A5I-0726-SM-5TDEB 50-59 years, female 56.7
GTEX-1HKZK-1826-SM-ADEJ2 40-49 years, male 56.7
GTEX-ZTPG-2826-SM-57WGA 20-29 years, female 56.7
GTEX-W5X1-2326-SM-3GIL6 40-49 years, female 56.4
GTEX-13FTY-2226-SM-5J1ND 40-49 years, female 55.5
GTEX-15ER7-1626-SM-6PAMZ 20-29 years, female 54.5
GTEX-15ETS-0626-SM-7KUMX 40-49 years, female 54.1
GTEX-QDT8-0626-SM-48TYW 30-39 years, female 54.0
GTEX-1HBPM-0126-SM-ARL9E 60-69 years, female 53.9
GTEX-V955-2026-SM-3GAFA 60-69 years, male 53.7
GTEX-QEG5-0726-SM-D4P1T 20-29 years, male 53.6
GTEX-11P81-1926-SM-5BC53 30-39 years, female 53.4
GTEX-11EMC-2026-SM-5A5JV 60-69 years, female 52.9
GTEX-12ZZX-1126-SM-5EGKB 40-49 years, female 52.0
GTEX-ZXES-0826-SM-5E43C 30-39 years, female 51.2
GTEX-1GMR8-0726-SM-9KNVI 50-59 years, female 51.2
GTEX-1K2DA-1726-SM-CGQGS 50-59 years, male 50.9
GTEX-1IKOH-2326-SM-CM2TW 60-69 years, female 48.9
GTEX-139T8-0826-SM-5L3DE 60-69 years, male 46.7
GTEX-111YS-1926-SM-5GICC 60-69 years, male 46.2
GTEX-WYVS-1726-SM-3NMAY 40-49 years, female 44.4
GTEX-1LVAN-1326-SM-CNPQE 50-59 years, female 44.2
GTEX-1HSGN-1526-SM-A9SMO 40-49 years, female 43.3
GTEX-RU72-0626-SM-46MUI 50-59 years, female 43.1
GTEX-1GN1W-1926-SM-7P8TH 50-59 years, female 43.1
GTEX-1LSVX-2426-SM-E6CJX 60-69 years, male 42.0
GTEX-YFC4-1426-SM-5IFJG 40-49 years, female 41.1
GTEX-1MCYP-0126-SM-E6CIS 20-29 years, female 39.4
GTEX-ZF2S-2026-SM-5E461 50-59 years, female 37.3
GTEX-1269C-2426-SM-5FQSN 60-69 years, female 33.7
GTEX-1GN1U-0526-SM-9KNTT 50-59 years, female 33.7
Show allShow less

BREAST - FANTOM5 CAGEi

RNA expression in human tissues obtained through Cap Analysis of Gene Expression (CAGE) generated by the FANTOM5 project are reported as Scaled Tags Per Million.

Max subtype Scaled Tags Per Millioni

Max subtype Scaled Tags Per Million is the value for the subtype with the largest average Scaled Tags Per Million across the subtype samples.

219.7
FANTOM5 sample id Sample description Scaled Tags Per Million
Breast
Scaled Tags Per Million: 219.7
FF:10080-102A8 77 years, female 219.7

Contact

  • NEWS ARTICLES
  • PRESS ROOM

The Project

  • INTRODUCTION
  • ORGANIZATION
  • PUBLICATIONS

The Human Protein Atlas

  • DOWNLOADABLE DATA
  • LICENCE & CITATION
  • HELP & FAQ
The Human Protein Atlas project is funded
by the Knut & Alice Wallenberg Foundation.


contact@proteinatlas.org