We use cookies to enhance the usability of our website. If you continue, we'll assume that you are happy to receive all cookies. More information. Don't show this again.
PARP1
HPA
RESOURCES
  • TISSUE
  • BRAIN
  • SINGLE CELL
  • SUBCELLULAR
  • CANCER
  • BLOOD
  • CELL LINE
  • STRUCTURE & INTERACTION
ABOUT
  • INTRODUCTION
  • HISTORY
  • ORGANIZATION
  • PUBLICATIONS
  • ANTIBODY SUBMISSION
  • ANTIBODY AVAILABILITY
  • ACKNOWLEDGMENTS
  • CONTACT
NEWS
  • NEWS ARTICLES
  • PRESS ROOM
LEARN
  • DICTIONARY
  • PROTEIN CLASSES
  • PROTEIN EVIDENCE
  • METHODS
  • EDUCATIONAL VIDEOS
DATA
  • DOWNLOADABLE DATA
  • PUBLICATION DATA
  • RELEASE HISTORY
HELP
  • ANTIBODY VALIDATION
  • ASSAYS & ANNOTATION
  • DISCLAIMER
  • HELP & FAQ
  • PRIVACY STATEMENT
  • LICENCE & CITATION
Fields »
Search result

Field
Term
Gene name
Class
Subclass
Class
Keyword
Chromosome
External id
Tissue
Cell type
Expression
Antibody panel
Tissue
Main location
Patient ID
Annotation
Tissue
Category
Tau score
Cluster
Reliability
Brain region
Category
Tau score
Brain region
Category
Tau score
Brain region
Category
Tau score
Cluster
Reliability
Tissue
Cell type
Enrichment
Cell type
Category
Tau score
Cell type
Category
Tau score
Cell type
Category
Tau score
Cell lineage
Category
Tau score
Cluster
Cluster
Location
Searches
Location
Cell line
Class
Type
Phase
Reliability
Cancer
Prognosis
Cancer
Category
Cancer
Category
Tau score
Cluster
Variants
Interacting gene (ensg_id)
Type
Number of interactions
Pathway
Category
Score
Score
Score
Validation
Validation
Validation
Validation
Antibodies
Data type
Column


  • SUMMARY

  • TISSUE

  • BRAIN

  • SINGLE CELL

  • SUBCELL

  • CANCER

  • BLOOD

  • CELL LINE

  • STRUCT & INT

  • PARP1
TISSUE PRIMARY DATA COLON Show tissue menu
ADIPOSE TISSUE ADRENAL GLAND AMYGDALA APPENDIX BASAL GANGLIA BONE MARROW BREAST BRONCHUS CEREBELLUM CEREBRAL CORTEX CERVIX CHOROID PLEXUS COLON DUODENUM
ENDOMETRIUM EPIDIDYMIS ESOPHAGUS FALLOPIAN TUBE GALLBLADDER HEART MUSCLE HIPPOCAMPAL FORMATION HYPOTHALAMUS KIDNEY LIVER LUNG LYMPH NODE MIDBRAIN NASOPHARYNX
ORAL MUCOSA OVARY PANCREAS PARATHYROID GLAND PITUITARY GLAND PLACENTA PROSTATE RECTUM RETINA SALIVARY GLAND SEMINAL VESICLE SKELETAL MUSCLE SKIN SMALL INTESTINE
SMOOTH MUSCLE SOFT TISSUE SPINAL CORD SPLEEN STOMACH TESTIS THYMUS THYROID GLAND TONGUE TONSIL URINARY BLADDER VAGINA
ANTIBODIES
AND
VALIDATION
Dictionary
Colon
Tissue proteome
Intestine
COLON - Expression summary
Protein expression
Coloni

On the top, protein expression in current human tissue, based on all annotated cell types, is reported with the units not detected (n), low (l), medium (m) and high (h). Underneath, protein expression in each annotated cell type are reported using the same units.

Protein expression data is based on knowledge-based annotation. For genes where more than one antibody has been used, a collective score is set.

If knowledge-based annotation could not be performed for a gene, no data is displayed here. View antibody staining data further down this page.

h
m
l
n
Endothelial cells: Medium
Glandular cells: Medium
Peripheral nerve/ganglion: High
RNA expressioni

A summary of mRNA expression data available for current tissue based on several datasets. The mRNA expression levels in human tissues are based on RNA-seq data generated by the Human Protein Atlas (HPA), Genotype-Tissue Expression (GTEx) portal and CAGE data generated by the FANTOM5 consortium. Consensus normalized expression levels for human tissues was created by combining the data from HPA and GTEx datasets.

The mRNA expression levels in pig are based on RNA-seq data generated by the Human Protein Atlas (HPA), and for mouse, HPA data and in situ hybridization generated by the Allen brain atlas are reported.

Scroll down to view mRNA expression data in more detail.
Consensus:42.1 nTPM
HPA:31.5 nTPM
GTEx:42.1 nTPM
FANTOM5:53.9 Scaled Tags Per Million

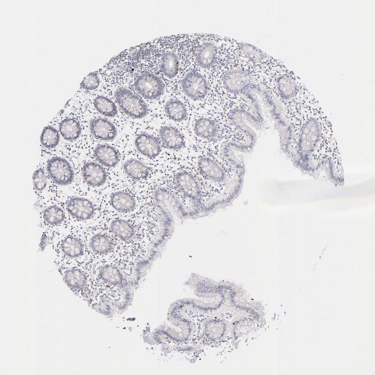
COLON - Antibody stainingi

Antibody staining in the annotated cell types in the current human tissue is reported as not detected, low, medium, or high, based on conventional immunohistochemistry profiling in selected tissues. This score is based on the combination of the staining intensity and fraction of stained cells.

Each image is clickable and will lead to virtual microscopy that enables deeper exploration of all samples and also displays staining intensity scores, fraction scores and subcellular localization as well as patient and tissue information for each sample.

Antibody HPA045168Antibody CAB000147Antibody CAB003839Antibody CAB003840Antibody CAB075726Antibody CAB075727
Endothelial cells MediumNot detectedNot detectedMediumHighMedium
Glandular cells HighNot detectedNot detectedMediumHighMedium
Peripheral nerve/ganglion HighNot detectedNot detectedHighMediumMedium









COLON - HPA RNA-seqi

The RNA-seq details section shows detailed information about the individual samples used for the transcript profiling and results of the RNA-seq analysis.

Information about each individual sample is listed below, including gender, age, a tissue section image and estimated fractions of cell types. nTPM (normalized transcripts per million) values give a quantification of the gene abundance which is comparable between different genes and samples.
Average nTPMi

Max subtype nTPM is the value for the subtype with the largest average nTPM across the subtype samples.

31.5
overview
Male, age 54
Colon sample 67
nTPM: 26.8
Cell types%
Glandular cells:
65

Smooth muscle cells:
10

Other cell types:
25

overview
Female, age 57
Colon sample 68
nTPM: 26.3
Cell types%
Glandular cells:
40

Smooth muscle cells:
5

Other cell types:
55

overview
Male, age 80
Colon sample 69
nTPM: 28.6
Cell types%
Glandular cells:
55

Smooth muscle cells:
5

Other cell types:
40

overview
Male, age 68
Colon sample 70
nTPM: 15.9
Cell types%
Glandular cells:
35

Smooth muscle cells:
10

Other cell types:
55

overview
Female, age 68
Colon sample 76
nTPM: 29.8
Cell types%
Glandular cells:
25

Smooth muscle cells:
5

Other cell types:
70

overview
Female, age 61
Colon sample 299
nTPM: 40.8
Cell types%
Glandular cells:
5

Smooth muscle cells:
65

Other cell types:
30

overview
Male, age 80
Colon sample 300
nTPM: 35.7
Cell types%
Glandular cells:
15

Smooth muscle cells:
20

Other cell types:
65

overview
Female, age 78
Colon sample 368
nTPM: 28.2
Cell types%
Glandular cells:
45

Smooth muscle cells:
5

Other cell types:
50

overview
Male, age 84
Colon sample 381
nTPM: 34.6
Cell types%
Glandular cells:
50

Smooth muscle cells:
15

Other cell types:
35

overview
Male, age 80
Colon sample 384
nTPM: 44.8
Cell types%
Glandular cells:
20

Smooth muscle cells:
35

Other cell types:
45

overview
Female, age 78
Colon sample 389
nTPM: 38.8
Cell types%
Glandular cells:
35

Smooth muscle cells:
10

Other cell types:
55

overview
Female, age 69
Colon sample 391
nTPM: 35.9
Cell types%
Glandular cells:
10

Smooth muscle cells:
45

Other cell types:
45

overview
Female, age 72
Colon sample 403
nTPM: 23.5
Cell types%
Glandular cells:
20

Smooth muscle cells:
15

Other cell types:
65


COLON - GTEx RNA-seqi

RNA-Seq data generated by the Genotype-Tissue Expression (GTEx) project from human tissues is reported as mean nTPM. More information can be found on the GTEx portal.

Distribution across the dataset is visualized with box plots, shown as median and 25th and 75th percentiles. Points are displayed as outliers if they are above or below 1.5 times the interquartile range. nTPM values of the individual samples are presented next to the box plot.
Max subtype nTPMi

Max subtype nTPM is the value for the subtype with the largest average nTPM across the subtype samples.

42.1
GTEx sample id Sample description nTPM
Colon - Sigmoid
Average nTPM: 42.1
Samples: 373

Max nTPM: 97.7
Min nTPM: 15.5
Std nTPM: 13.8
Median nTPM: 40.8
GTEX-15RJ7-1726-SM-6PAL3 40-49 years, male 97.7
GTEX-1AX9K-1626-SM-73KUS 50-59 years, male 93.3
GTEX-11I78-1326-SM-5PNY9 50-59 years, female 91.0
GTEX-1PIEJ-1826-SM-EWRMN 20-29 years, female 87.3
GTEX-1LG7Z-1326-SM-DIPF3 30-39 years, male 82.2
GTEX-1K2DA-1626-SM-CGQGB 50-59 years, male 81.0
GTEX-XV7Q-2226-SM-4BRVY 40-49 years, female 79.7
GTEX-13FTW-2126-SM-5K7YG 40-49 years, male 79.4
GTEX-1B8KE-1526-SM-7DUG2 50-59 years, male 79.2
GTEX-ZY6K-1326-SM-5GZWP 50-59 years, male 78.3
GTEX-1CAMR-1026-SM-7P8QI 20-29 years, male 78.2
GTEX-11P7K-1826-SM-5HL5A 30-39 years, male 75.4
GTEX-ZPU1-1726-SM-4WWFV 40-49 years, male 72.7
GTEX-1399R-2126-SM-5K7WZ 30-39 years, male 72.2
GTEX-16MTA-1626-SM-6M47N 50-59 years, male 71.1
GTEX-13CF3-1326-SM-5LZXZ 60-69 years, female 69.1
GTEX-11EM3-1626-SM-5N9CO 20-29 years, female 68.9
GTEX-YFCO-1526-SM-5YYB8 40-49 years, male 68.9
GTEX-11TT1-0926-SM-5GU5M 20-29 years, male 67.8
GTEX-17MFQ-1226-SM-7KFSA 20-29 years, male 67.2
GTEX-1AYCT-1926-SM-793AE 50-59 years, male 66.9
GTEX-ZYFD-2226-SM-5E43P 50-59 years, male 65.9
GTEX-1K9T9-2926-SM-E9TKD 50-59 years, female 65.3
GTEX-WY7C-1926-SM-4ONCI 50-59 years, male 65.1
GTEX-131XG-1526-SM-5GCNQ 50-59 years, female 64.7
GTEX-13G51-2126-SM-5IJD9 60-69 years, male 64.5
GTEX-1GN73-2726-SM-9WYUB 60-69 years, male 64.0
GTEX-1N2EF-1726-SM-EXUSI 60-69 years, male 63.4
GTEX-XXEK-1826-SM-4BRVC 50-59 years, male 62.7
GTEX-14E6E-1726-SM-5S2R6 30-39 years, male 62.6
GTEX-1B97I-1526-SM-73KUK 40-49 years, male 62.4
GTEX-13O61-1526-SM-5KM3P 60-69 years, male 61.9
GTEX-1H3VY-2526-SM-9KNW1 50-59 years, male 61.7
GTEX-12WSJ-1426-SM-5GCON 40-49 years, female 61.5
GTEX-1JN76-1326-SM-ARU94 20-29 years, female 61.0
GTEX-1LBAC-1726-SM-D3L9W 20-29 years, male 60.9
GTEX-1S82P-2026-SM-E9TIQ 60-69 years, female 60.7
GTEX-139UW-2326-SM-5KM1Y 60-69 years, male 58.7
GTEX-1MGNQ-2126-SM-EV7AC 40-49 years, male 58.3
GTEX-17KNJ-1826-SM-7LT9N 50-59 years, male 58.2
GTEX-1KXAM-1926-SM-D3LAG 60-69 years, male 58.2
GTEX-131XE-1026-SM-5EGKE 50-59 years, male 58.1
GTEX-14JG6-1626-SM-5YYBC 30-39 years, female 57.6
GTEX-ZDTS-2726-SM-5L3E2 60-69 years, male 57.5
GTEX-18A67-2226-SM-7LT9Z 50-59 years, male 56.9
GTEX-13QBU-2026-SM-5KLZB 40-49 years, female 56.8
GTEX-1HSGN-2226-SM-A9SL6 40-49 years, female 56.8
GTEX-1KANA-1726-SM-CY8IG 20-29 years, male 56.8
GTEX-XAJ8-0726-SM-47JY5 40-49 years, male 56.7
GTEX-1I1CD-2826-SM-A9SL4 60-69 years, female 56.7
GTEX-15DYW-2426-SM-7KUG8 60-69 years, female 56.6
GTEX-1J8QM-1226-SM-CY8HI 60-69 years, female 56.5
GTEX-1GMR3-2526-SM-7P8QS 40-49 years, male 56.2
GTEX-13CF2-1826-SM-5N9GK 60-69 years, male 56.0
GTEX-11ZTT-1626-SM-5EQKR 60-69 years, female 55.9
GTEX-1AMFI-1826-SM-73KWB 50-59 years, female 55.6
GTEX-15RIF-1426-SM-7KUKQ 20-29 years, male 55.4
GTEX-ZVT2-1726-SM-51MRO 50-59 years, female 55.1
GTEX-1R9K5-2226-SM-DTX9G 50-59 years, male 54.8
GTEX-1OFPY-1226-SM-E76OM 60-69 years, male 54.3
GTEX-YJ8A-1726-SM-5P9IQ 20-29 years, male 54.0
GTEX-1LB8K-2526-SM-DIPEQ 50-59 years, male 53.9
GTEX-111YS-1826-SM-5GIEP 60-69 years, male 53.8
GTEX-ZP4G-1526-SM-57WE5 20-29 years, female 53.5
GTEX-ZLWG-1826-SM-DO11I 50-59 years, female 53.0
GTEX-1HFI7-1626-SM-9WYTR 50-59 years, female 52.9
GTEX-1JKYN-2226-SM-ARZNE 30-39 years, male 52.9
GTEX-14PJ3-1226-SM-5ZZVY 50-59 years, male 52.6
GTEX-1PIGE-1526-SM-DTXFC 20-29 years, male 52.3
GTEX-1RAZR-2026-SM-E9TKE 40-49 years, male 52.3
GTEX-1S831-1726-SM-EWROJ 20-29 years, male 52.3
GTEX-1HSEH-1926-SM-A96SB 60-69 years, male 52.2
GTEX-1LGOU-1726-SM-D3L8P 20-29 years, female 52.1
GTEX-14A5H-1626-SM-5SIAN 60-69 years, male 51.9
GTEX-1I1GR-2226-SM-ARL7F 60-69 years, male 51.9
GTEX-18A6Q-2226-SM-7LG61 60-69 years, male 51.8
GTEX-WYVS-1126-SM-4SOJX 40-49 years, female 51.8
GTEX-1PBJJ-2026-SM-DTX8U 30-39 years, male 51.8
GTEX-1L5NE-1926-SM-D3L9R 50-59 years, male 51.7
GTEX-13PVR-1726-SM-5Q5EC 60-69 years, female 51.6
GTEX-1F5PL-1926-SM-7MXTP 40-49 years, female 51.6
GTEX-183FY-1426-SM-7DHLM 20-29 years, male 51.3
GTEX-1J8Q3-2426-SM-CL53S 60-69 years, male 51.3
GTEX-1ICG6-2226-SM-B2LY7 70-79 years, female 51.0
GTEX-1LSNL-1626-SM-E9TJY 50-59 years, male 50.9
GTEX-11P81-1426-SM-5P9JN 30-39 years, female 50.7
GTEX-12WSL-1826-SM-5LZW9 50-59 years, male 50.7
GTEX-132AR-2826-SM-5IJFV 50-59 years, female 50.7
GTEX-11DXX-1926-SM-5EGJK 60-69 years, female 50.6
GTEX-16BQI-2026-SM-7KULQ 30-39 years, female 50.4
GTEX-1QW4Y-1426-SM-E76P3 30-39 years, male 50.4
GTEX-WHPG-1626-SM-4M1ZL 50-59 years, male 49.8
GTEX-12WSG-2426-SM-5EQLZ 50-59 years, female 49.5
GTEX-1R9JW-2126-SM-E76QT 30-39 years, female 49.5
GTEX-Y114-1626-SM-4TT7I 50-59 years, female 49.4
GTEX-ZYFG-1826-SM-5GZWX 60-69 years, female 49.4
GTEX-1CAMS-2626-SM-7PBY3 40-49 years, female 49.4
GTEX-11GS4-1826-SM-5HL4T 60-69 years, male 49.3
GTEX-139T6-1426-SM-5P9J7 50-59 years, male 49.3
GTEX-1IDJU-1926-SM-CL53W 60-69 years, female 49.3
GTEX-12BJ1-2026-SM-5FQUH 60-69 years, male 49.2
GTEX-17HGU-2626-SM-79OKN 50-59 years, male 49.1
GTEX-1QPFJ-2426-SM-EVR3L 30-39 years, female 48.9
GTEX-131YS-2926-SM-5EGKI 60-69 years, female 48.8
GTEX-1S5ZA-1426-SM-E6CJQ 20-29 years, male 48.8
GTEX-1B996-2726-SM-7DUGG 60-69 years, male 48.5
GTEX-1EU9M-2726-SM-7P8QD 60-69 years, male 48.4
GTEX-14PK6-1826-SM-69LOM 70-79 years, female 48.2
GTEX-1J1OQ-2826-SM-D3L88 40-49 years, female 48.1
GTEX-145LT-0826-SM-5S2QL 40-49 years, male 48.0
GTEX-ZPCL-1626-SM-57WGC 60-69 years, female 48.0
GTEX-1LSNM-1426-SM-E6CIH 50-59 years, male 47.9
GTEX-14E1K-1626-SM-664MO 50-59 years, male 47.5
GTEX-1R7EU-1826-SM-DTX9L 60-69 years, male 47.5
GTEX-1R9PO-2026-SM-E9J4N 60-69 years, female 47.5
GTEX-13111-1926-SM-5GCOL 50-59 years, male 47.0
GTEX-1CB4F-1926-SM-7MKFN 60-69 years, male 47.0
GTEX-ZT9W-1726-SM-51MS3 50-59 years, male 47.0
GTEX-WFG7-1626-SM-4LVMF 20-29 years, male 46.9
GTEX-1339X-1726-SM-5P9J9 40-49 years, male 46.8
GTEX-15G1A-1926-SM-7KUFF 30-39 years, male 46.5
GTEX-ZQG8-2426-SM-57WEE 60-69 years, female 46.4
GTEX-ZA64-1426-SM-5CVMC 20-29 years, male 46.3
GTEX-ZLV1-1326-SM-DO11Q 60-69 years, female 46.3
GTEX-1HBPI-2226-SM-9WYTY 50-59 years, male 46.2
GTEX-YF7O-1626-SM-5IFII 50-59 years, male 46.1
GTEX-14AS3-1026-SM-5TDD7 40-49 years, female 46.0
GTEX-ZPIC-2626-SM-57WE2 40-49 years, female 46.0
GTEX-13O1R-2426-SM-5KLZZ 60-69 years, male 45.9
GTEX-1JK1U-1426-SM-CNPOW 60-69 years, male 45.9
GTEX-14BMU-1326-SM-5RQIH 20-29 years, female 45.8
GTEX-17HHE-1626-SM-7DHLN 50-59 years, male 45.7
GTEX-14C5O-2626-SM-5RQI5 60-69 years, male 45.5
GTEX-1LVAN-2626-SM-CNPQF 50-59 years, female 45.5
GTEX-1C4CL-1626-SM-7DUF3 30-39 years, male 45.4
GTEX-11EQ9-1526-SM-5PNY7 30-39 years, male 45.3
GTEX-13D11-0626-SM-5LZYY 50-59 years, female 45.2
GTEX-14PJ4-1826-SM-5YY97 60-69 years, male 45.2
GTEX-1GL5R-1726-SM-9KNUX 50-59 years, male 45.1
GTEX-1QP2A-2226-SM-DTXF6 50-59 years, male 45.0
GTEX-1QP9N-0826-SM-DTX9O 30-39 years, male 44.8
GTEX-1A3MX-2326-SM-718B4 60-69 years, male 44.6
GTEX-1F75W-2126-SM-7RHIA 60-69 years, male 44.3
GTEX-1I1GP-2826-SM-A9SKZ 50-59 years, male 44.3
GTEX-1I1GT-2026-SM-CKZPK 60-69 years, female 44.1
GTEX-1LG7Y-2226-SM-E9U5K 50-59 years, male 44.0
GTEX-1399U-2226-SM-5KLZI 50-59 years, female 43.9
GTEX-WHWD-1526-SM-4OORV 50-59 years, male 43.9
GTEX-ZAB5-1426-SM-5HL9D 50-59 years, male 43.9
GTEX-ZV6S-1126-SM-57WE9 40-49 years, female 43.8
GTEX-1QP28-2226-SM-DTX8C 50-59 years, female 43.8
GTEX-17GQL-1626-SM-7LG69 60-69 years, male 43.7
GTEX-XUZC-1526-SM-4BRV4 30-39 years, female 43.7
GTEX-1HSMQ-2526-SM-A9SMK 50-59 years, male 43.7
GTEX-1C2JI-1726-SM-73KUW 50-59 years, male 43.6
GTEX-XUW1-1826-SM-4BOQD 50-59 years, female 43.5
GTEX-1RAZQ-2026-SM-E76P7 30-39 years, male 43.5
GTEX-18D9A-1326-SM-7LT8P 30-39 years, female 43.4
GTEX-17JCI-2826-SM-7IGNA 60-69 years, female 43.2
GTEX-1JKYR-2026-SM-CNPON 20-29 years, male 43.1
GTEX-1QP67-1426-SM-E8VOO 40-49 years, female 43.1
GTEX-18A66-2626-SM-72D67 60-69 years, male 42.9
GTEX-11DXZ-1626-SM-5GIDI 50-59 years, male 42.8
GTEX-1CB4G-2726-SM-79OO4 60-69 years, male 42.6
GTEX-1122O-1426-SM-5H11R 60-69 years, female 42.2
GTEX-1E2YA-2526-SM-7IGOU 50-59 years, male 42.2
GTEX-117YX-0526-SM-5EGJH 50-59 years, male 42.1
GTEX-144GM-1126-SM-79OJK 20-29 years, male 42.1
GTEX-YECK-2826-SM-5IFHF 60-69 years, male 42.0
GTEX-13VXT-2026-SM-5L3EW 20-29 years, female 41.9
GTEX-1GMR2-1826-SM-9KNUP 50-59 years, male 41.9
GTEX-1H1E6-1826-SM-A9G21 30-39 years, male 41.9
GTEX-132NY-2726-SM-5PNY2 60-69 years, male 41.8
GTEX-13OVK-1026-SM-7KFTC 40-49 years, male 41.8
GTEX-ZVT3-2826-SM-5GU6A 60-69 years, female 41.8
GTEX-11ZU8-1126-SM-5EQ5K 60-69 years, male 41.7
GTEX-1C475-1526-SM-7DHM3 40-49 years, female 41.6
GTEX-ZYT6-2826-SM-5GICX 30-39 years, male 41.6
GTEX-1I6K6-1926-SM-A96SN 30-39 years, male 41.5
GTEX-15ETS-2326-SM-7KUGC 40-49 years, female 41.4
GTEX-13OVI-2126-SM-5KM3U 60-69 years, female 41.1
GTEX-17EUY-1726-SM-79OK4 20-29 years, male 41.1
GTEX-1B932-2126-SM-7IGMU 40-49 years, female 41.1
GTEX-1GF9X-1426-SM-7RHGX 40-49 years, female 41.1
GTEX-1N2DV-1826-SM-E6CJ5 40-49 years, male 41.1
GTEX-Y5LM-1426-SM-5RQJL 40-49 years, female 40.9
GTEX-13FH7-1626-SM-5J2O9 50-59 years, female 40.8
GTEX-17F96-2126-SM-7KFSM 70-79 years, male 40.4
GTEX-WQUQ-2626-SM-4MVNP 60-69 years, male 40.4
GTEX-ZTTD-2626-SM-57WEX 50-59 years, male 40.3
GTEX-1RDX4-1926-SM-E6CJJ 50-59 years, female 40.1
GTEX-13RTJ-1926-SM-5YYA2 60-69 years, male 40.0
GTEX-1HBPN-2026-SM-B2LWA 50-59 years, male 40.0
GTEX-1HCUA-1926-SM-B2LWE 50-59 years, female 40.0
GTEX-1JJEA-2526-SM-CY8HJ 60-69 years, male 40.0
GTEX-145MO-2626-SM-5QGPD 60-69 years, male 39.7
GTEX-ZTSS-1226-SM-51MSZ 40-49 years, male 39.7
GTEX-15UF7-1326-SM-7KUKV 40-49 years, male 39.5
GTEX-ZF2S-1826-SM-4WKFF 50-59 years, female 39.3
GTEX-14PKV-1926-SM-686YU 20-29 years, female 39.1
GTEX-YJ8O-1426-SM-5PNV9 40-49 years, female 39.1
GTEX-111CU-1226-SM-5EGIN 50-59 years, male 38.9
GTEX-1GPI7-1926-SM-9KNUH 20-29 years, male 38.9
GTEX-13X6J-2826-SM-7EPGA 50-59 years, male 38.5
GTEX-145ME-1126-SM-5SIAT 40-49 years, female 38.2
GTEX-15DZA-1026-SM-6PAND 30-39 years, female 38.2
GTEX-1212Z-1826-SM-5FQSH 60-69 years, male 38.1
GTEX-11VI4-1426-SM-5GU6O 40-49 years, female 38.0
GTEX-ZC5H-2426-SM-4WAZ6 40-49 years, female 37.9
GTEX-1F5PK-1726-SM-7RHHW 50-59 years, male 37.8
GTEX-14PHX-1126-SM-5YYA5 50-59 years, male 37.7
GTEX-14PN3-1926-SM-6EU1Y 60-69 years, female 37.6
GTEX-117XS-2226-SM-5GIE1 60-69 years, male 37.4
GTEX-12WSD-2626-SM-5EGJE 60-69 years, female 37.3
GTEX-1IDJH-2826-SM-CJI49 70-79 years, male 37.2
GTEX-1GMR8-2926-SM-9KNW5 50-59 years, female 37.0
GTEX-1GZ4H-1326-SM-7P8TE 50-59 years, female 37.0
GTEX-1HKZK-2026-SM-9WYUF 40-49 years, male 37.0
GTEX-12KS4-2326-SM-5EGJB 30-39 years, male 36.8
GTEX-146FH-2426-SM-5Q5EW 50-59 years, female 36.8
GTEX-WFG8-1726-SM-4LVM6 20-29 years, male 36.8
GTEX-11PRG-2026-SM-5GU5F 50-59 years, male 36.7
GTEX-15RIE-2026-SM-7KFRW 60-69 years, male 36.7
GTEX-13OW8-2726-SM-5L3FZ 60-69 years, male 36.6
GTEX-15ER7-2826-SM-6PAN2 20-29 years, female 36.6
GTEX-1LGRB-2026-SM-COH47 50-59 years, female 36.5
GTEX-1GMRU-2626-SM-9WPPM 50-59 years, male 36.3
GTEX-1LVAM-1726-SM-DHXKQ 50-59 years, female 36.3
GTEX-1GTWX-2626-SM-9WPOT 60-69 years, male 36.2
GTEX-1IKOE-2126-SM-A96T5 30-39 years, female 36.2
GTEX-12696-1926-SM-5EGJT 60-69 years, male 36.1
GTEX-1RMOY-1726-SM-EVYC9 50-59 years, male 36.1
GTEX-11TUW-2326-SM-5EQMO 60-69 years, male 36.0
GTEX-147JS-2626-SM-5S2UX 60-69 years, male 35.8
GTEX-ZG7Y-1826-SM-4WWD3 50-59 years, male 35.8
GTEX-ZZ64-0826-SM-5E449 20-29 years, male 35.8
GTEX-13PVQ-2726-SM-5L3H7 50-59 years, male 35.7
GTEX-Y3I4-1126-SM-4TT7Y 50-59 years, male 35.7
GTEX-1JMPY-1026-SM-ARZN1 30-39 years, male 35.5
GTEX-1PDJ9-2026-SM-E76PT 20-29 years, male 35.5
GTEX-1RQEC-2626-SM-EVR3Z 60-69 years, male 35.5
GTEX-1B8L1-1926-SM-7IGND 60-69 years, male 35.2
GTEX-1LSVX-2026-SM-E9TJD 60-69 years, male 35.1
GTEX-YEC3-2026-SM-DKPOL 50-59 years, male 35.0
GTEX-ZLFU-1426-SM-4WWEU 40-49 years, male 34.8
GTEX-1H1DE-1626-SM-9KNU5 20-29 years, male 34.7
GTEX-16NGA-0926-SM-718AG 40-49 years, female 34.6
GTEX-12ZZY-2726-SM-5EQ45 60-69 years, male 34.5
GTEX-13PL7-2426-SM-5J2N3 60-69 years, female 34.4
GTEX-14DAQ-2926-SM-664MV 60-69 years, female 34.4
GTEX-1QCLZ-2026-SM-EAZ4A 60-69 years, female 34.4
GTEX-13OW5-2826-SM-5KM1G 60-69 years, male 34.2
GTEX-15F5U-1426-SM-7KUN2 40-49 years, male 34.2
GTEX-1BAJH-2726-SM-7IGNJ 70-79 years, male 34.2
GTEX-X15G-1526-SM-4PQZM 50-59 years, female 34.1
GTEX-ZE9C-2126-SM-4WKGY 60-69 years, male 34.0
GTEX-1HSKV-2326-SM-A9SL9 60-69 years, male 33.8
GTEX-12ZZX-2726-SM-5N9FT 40-49 years, female 33.7
GTEX-WI4N-2226-SM-4OOS9 40-49 years, female 33.5
GTEX-1H3NZ-2526-SM-9KNVO 60-69 years, male 33.5
GTEX-11EI6-2626-SM-5PNVT 60-69 years, male 33.4
GTEX-139TS-2226-SM-5J2N1 60-69 years, male 33.4
GTEX-1JMQK-2326-SM-ARZN4 60-69 years, male 33.4
GTEX-1J8EW-2426-SM-CE6T5 60-69 years, female 33.3
GTEX-1EH9U-1926-SM-7P8QM 60-69 years, male 33.1
GTEX-11EMC-1426-SM-5N9E4 60-69 years, female 32.9
GTEX-12WSM-1426-SM-5GCPA 60-69 years, male 32.9
GTEX-1211K-1826-SM-5EGJ2 60-69 years, female 32.8
GTEX-XQ8I-2326-SM-4BOQC 50-59 years, male 32.8
GTEX-ZF29-1826-SM-4WKG8 60-69 years, female 32.7
GTEX-13X6K-2726-SM-5O9DG 60-69 years, female 32.5
GTEX-VJYA-2126-SM-4KL1O 60-69 years, male 32.5
GTEX-1A3MV-1026-SM-72D5U 30-39 years, male 32.1
GTEX-15G19-2726-SM-6LPKG 60-69 years, male 32.0
GTEX-XBED-1726-SM-47JYO 60-69 years, male 32.0
GTEX-1LVAO-2826-SM-E9TJH 60-69 years, male 32.0
GTEX-ZXES-1726-SM-5E43G 30-39 years, female 31.9
GTEX-11ZTS-1526-SM-5N9G7 60-69 years, female 31.8
GTEX-1HCU7-2726-SM-A9G3D 50-59 years, male 31.7
GTEX-13U4I-2626-SM-5SI9C 40-49 years, female 31.4
GTEX-1JN6P-2126-SM-ARL98 60-69 years, male 31.4
GTEX-WHSE-2726-SM-EZ6ML 20-29 years, male 31.4
GTEX-1A32A-2626-SM-73KX9 50-59 years, female 31.3
GTEX-X4EO-2726-SM-4E3HS 60-69 years, female 31.3
GTEX-15FZZ-1826-SM-6LLJP 30-39 years, female 31.2
GTEX-Z93S-2626-SM-57WBX 50-59 years, male 31.2
GTEX-13W3W-2226-SM-5LU4M 60-69 years, female 31.0
GTEX-1PPH8-2226-SM-EWRN7 20-29 years, male 30.9
GTEX-1QCLY-2026-SM-EVR4C 30-39 years, male 30.7
GTEX-1J1R8-1426-SM-CL55O 40-49 years, male 30.6
GTEX-1C64O-2426-SM-7P8R3 60-69 years, male 30.5
GTEX-Y8E4-2326-SM-EAZAZ 40-49 years, male 30.4
GTEX-13OW6-2226-SM-5N9FL 50-59 years, male 30.3
GTEX-14BIN-2426-SM-5TDCF 50-59 years, female 30.3
GTEX-V955-1726-SM-4JBHF 60-69 years, male 30.2
GTEX-Y9LG-1326-SM-4VBQB 30-39 years, male 30.2
GTEX-1J8JJ-2426-SM-D4P4A 60-69 years, female 30.2
GTEX-18QFQ-1726-SM-731C9 30-39 years, male 30.1
GTEX-ZVT4-2626-SM-5N9GJ 50-59 years, female 29.8
GTEX-15CHQ-2626-SM-686YZ 60-69 years, male 29.7
GTEX-1C64N-2226-SM-7SB7C 50-59 years, male 29.7
GTEX-X5EB-1126-SM-46MVV 40-49 years, male 29.6
GTEX-1EMGI-2626-SM-7IGNR 60-69 years, male 29.3
GTEX-1IDJI-2226-SM-CKZPM 50-59 years, female 29.3
GTEX-1PFEY-1726-SM-DPRZ4 30-39 years, male 29.2
GTEX-1C6VQ-2626-SM-7IGMQ 50-59 years, male 29.0
GTEX-ZF28-2526-SM-57WFH 60-69 years, male 29.0
GTEX-1OJC3-1826-SM-DTX93 20-29 years, male 28.9
GTEX-139D8-2926-SM-5IJBM 30-39 years, female 28.7
GTEX-WFON-1326-SM-4LVMN 40-49 years, male 28.7
GTEX-13N2G-2226-SM-5IJCU 60-69 years, male 28.6
GTEX-1AMEY-1826-SM-72D5L 30-39 years, female 28.4
GTEX-1HBPH-2526-SM-ACKXK 40-49 years, female 28.4
GTEX-1JMLX-2526-SM-CY8HX 50-59 years, male 28.4
GTEX-1RLM8-1726-SM-E9TKF 50-59 years, male 28.4
GTEX-145MH-2726-SM-5QGQ6 50-59 years, male 28.3
GTEX-1H1ZS-2626-SM-9QEIX 70-79 years, male 28.2
GTEX-13OVJ-1826-SM-5KM2D 50-59 years, female 28.1
GTEX-11ONC-1926-SM-5GU75 60-69 years, male 28.0
GTEX-14C39-1626-SM-5S2P4 40-49 years, male 28.0
GTEX-18465-2726-SM-7LT9I 50-59 years, male 27.6
GTEX-1JMQJ-2626-SM-CY8HQ 50-59 years, male 27.6
GTEX-147GR-2826-SM-5RQK8 60-69 years, male 27.5
GTEX-1HCVE-2326-SM-9WYUD 50-59 years, male 27.5
GTEX-1HSMO-2526-SM-A9SKP 60-69 years, male 27.5
GTEX-15EO6-2326-SM-6LPKK 50-59 years, male 27.4
GTEX-ZYY3-2226-SM-5E45A 60-69 years, female 27.2
GTEX-1QP29-2526-SM-E6CQ3 50-59 years, male 27.1
GTEX-1PIIG-2126-SM-EXUSD 30-39 years, male 26.9
GTEX-13113-1426-SM-5EGHU 60-69 years, female 26.8
GTEX-ZE7O-2626-SM-51MSS 50-59 years, female 26.7
GTEX-12ZZW-2426-SM-5DUWE 50-59 years, male 26.4
GTEX-W5WG-2026-SM-4LMIB 50-59 years, female 26.4
GTEX-1JJE9-2526-SM-ARU8K 70-79 years, male 26.4
GTEX-145LS-2926-SM-5O99G 60-69 years, female 26.3
GTEX-13FHO-2726-SM-5K7VG 60-69 years, male 26.2
GTEX-1LKK1-2426-SM-DIPES 50-59 years, female 26.2
GTEX-WRHK-1126-SM-4MVOJ 20-29 years, female 26.1
GTEX-13SLW-2826-SM-5Q5ES 70-79 years, male 25.7
GTEX-1AX9J-2526-SM-73KUY 60-69 years, male 25.7
GTEX-1H23P-2626-SM-9KNVN 60-69 years, male 25.6
GTEX-183WM-2526-SM-731BP 70-79 years, female 25.5
GTEX-1JMPZ-2626-SM-ARU8Z 30-39 years, male 25.5
GTEX-15RJE-2226-SM-6M46A 40-49 years, male 25.4
GTEX-11DXY-2026-SM-5N9CZ 60-69 years, male 25.3
GTEX-11EQ8-2626-SM-5N9BO 60-69 years, male 25.3
GTEX-ZQUD-1026-SM-4YCEZ 30-39 years, male 25.3
GTEX-1HCU6-2926-SM-B2LWV 60-69 years, female 25.3
GTEX-17F9Y-2626-SM-7IGN9 70-79 years, female 25.2
GTEX-1HB9E-2526-SM-D4P35 50-59 years, male 25.0
GTEX-WH7G-1426-SM-4LVMU 40-49 years, male 24.7
GTEX-17HG3-1126-SM-7DUFC 30-39 years, female 24.6
GTEX-14E6C-2226-SM-5QGQG 40-49 years, male 24.2
GTEX-16XZZ-2726-SM-7EWDO 60-69 years, male 24.1
GTEX-16Z82-2426-SM-7KUMS 60-69 years, male 23.9
GTEX-ZAB4-2426-SM-5HL8A 40-49 years, male 23.7
GTEX-1PBJI-2526-SM-E6CP4 20-29 years, female 23.7
GTEX-ZAJG-2626-SM-5S2NU 50-59 years, female 23.5
GTEX-148VJ-2426-SM-5NQ9Y 70-79 years, male 23.0
GTEX-15UF6-2726-SM-7KULY 70-79 years, female 23.0
GTEX-Y5V6-1626-SM-4VDT2 60-69 years, male 22.8
GTEX-WXYG-1726-SM-4ONCU 50-59 years, female 22.7
GTEX-1IL2U-2526-SM-C1YQV 60-69 years, male 22.1
GTEX-1H3VE-2326-SM-9KNVU 40-49 years, male 21.9
GTEX-1P4AB-2626-SM-DTXEU 50-59 years, male 21.7
GTEX-1477Z-2126-SM-5Q5CM 60-69 years, male 21.1
GTEX-1HBPM-2626-SM-9WYU5 60-69 years, female 20.7
GTEX-WOFM-1926-SM-4OOSP 20-29 years, male 20.4
GTEX-14A5I-2426-SM-5Q5CP 50-59 years, female 20.3
GTEX-WYJK-2326-SM-4ONDN 50-59 years, male 20.0
GTEX-13X6I-2726-SM-5Q5ET 60-69 years, male 18.5
GTEX-ZVZQ-2626-SM-59HLB 60-69 years, female 18.1
GTEX-Y8LW-1126-SM-4VDS4 50-59 years, female 15.5
Show allShow less
Colon - Transverse
Average nTPM: 31.1
Samples: 406

Max nTPM: 71.9
Min nTPM: 7.0
Std nTPM: 8.1
Median nTPM: 29.8
GTEX-1S82U-0726-SM-E9TKI 30-39 years, female 71.9
GTEX-WY7C-1626-SM-4ONC8 50-59 years, male 62.7
GTEX-15CHC-1626-SM-5ZZWS 60-69 years, female 61.3
GTEX-1QW4Y-1326-SM-EWRMZ 30-39 years, male 55.9
GTEX-ZYFG-1926-SM-5GID5 60-69 years, female 53.4
GTEX-1MUQO-2626-SM-EWRO3 60-69 years, male 53.3
GTEX-13FH7-1526-SM-5J2N6 50-59 years, female 53.2
GTEX-QLQ7-1126-SM-CYPRB 60-69 years, male 52.1
GTEX-111YS-1626-SM-5GZZ9 60-69 years, male 51.0
GTEX-14PJ3-0926-SM-69LQG 50-59 years, male 50.5
GTEX-1RAZQ-2126-SM-DTX9V 30-39 years, male 50.3
GTEX-XXEK-1926-SM-4BRVD 50-59 years, male 50.2
GTEX-ZYFC-2626-SM-5NQ6S 50-59 years, male 49.7
GTEX-1LBAC-1626-SM-CXZKV 20-29 years, male 48.5
GTEX-14H4A-1926-SM-5ZZWN 40-49 years, female 47.8
GTEX-1MCC2-1626-SM-DIPEW 30-39 years, female 47.7
GTEX-XV7Q-2126-SM-4BRVX 40-49 years, female 47.6
GTEX-13CF3-1426-SM-5K7YY 60-69 years, female 46.9
GTEX-1C64O-2326-SM-73KU8 60-69 years, male 46.7
GTEX-ZV6S-1226-SM-59HLH 40-49 years, female 46.7
GTEX-XAJ8-0426-SM-47JYJ 40-49 years, male 46.3
GTEX-1NHNU-2326-SM-E6CQE 50-59 years, male 46.2
GTEX-17EUY-1826-SM-7DUEZ 20-29 years, male 46.0
GTEX-1CB4I-2226-SM-7P8SL 50-59 years, male 45.2
GTEX-ZYVF-2826-SM-5GIDK 50-59 years, female 45.1
GTEX-13VXT-2426-SM-5LU46 20-29 years, female 44.7
GTEX-18QFQ-1526-SM-72D57 30-39 years, male 44.6
GTEX-17JCI-2626-SM-7EWE6 60-69 years, female 44.5
GTEX-SNMC-1126-SM-4DM5M 20-29 years, male 44.5
GTEX-1N2EF-1926-SM-DTX8M 60-69 years, male 43.8
GTEX-11GSP-1626-SM-5986N 60-69 years, female 43.6
GTEX-1A3MV-1126-SM-718BS 30-39 years, male 43.6
GTEX-Y114-1526-SM-4TT79 50-59 years, female 43.3
GTEX-14AS3-1126-SM-5Q5CR 40-49 years, female 43.0
GTEX-1339X-1626-SM-5IJDN 40-49 years, male 42.8
GTEX-1AX8Z-2726-SM-73KUC 60-69 years, male 42.8
GTEX-WEY5-1426-SM-4LMJ3 40-49 years, female 42.8
GTEX-11TTK-2426-SM-5PNYO 60-69 years, female 41.6
GTEX-RWS6-1826-SM-47JXX 60-69 years, female 41.6
GTEX-1R9K5-2126-SM-E8VN1 50-59 years, male 41.6
GTEX-1GN73-2626-SM-9KNUQ 60-69 years, male 41.4
GTEX-13O61-1626-SM-5KM3T 60-69 years, male 41.3
GTEX-12WSJ-1526-SM-5GCNI 40-49 years, female 41.1
GTEX-1OKEX-1226-SM-DTXEC 60-69 years, male 41.1
GTEX-13U4I-2426-SM-5LU34 40-49 years, female 41.0
GTEX-17F9E-1826-SM-7IGMC 50-59 years, male 41.0
GTEX-PX3G-1426-SM-48U1J 20-29 years, female 41.0
GTEX-11P81-1126-SM-5GU5G 30-39 years, female 40.9
GTEX-OXRL-1426-SM-3NM9E 50-59 years, male 40.8
GTEX-R53T-1326-SM-48FCQ 50-59 years, female 40.8
GTEX-OXRN-2026-SM-E6CHK 50-59 years, male 40.5
GTEX-15DCE-2026-SM-7KUFE 20-29 years, male 40.4
GTEX-1HSMP-2326-SM-D3L8R 70-79 years, male 40.4
GTEX-U3ZH-1326-SM-4DXSF 30-39 years, male 40.1
GTEX-13S86-1626-SM-5Q5C5 40-49 years, male 39.9
GTEX-11ZVC-2126-SM-5EGJ1 50-59 years, female 39.8
GTEX-15DYW-2326-SM-6PAMU 60-69 years, female 39.6
GTEX-OOBJ-1426-SM-E6CHH 60-69 years, male 39.5
GTEX-1CB4F-2026-SM-79OLU 60-69 years, male 39.3
GTEX-17F96-2026-SM-79ON4 70-79 years, male 39.0
GTEX-1PPGY-2826-SM-DTX9H 60-69 years, male 39.0
GTEX-15G1A-1826-SM-7KUKO 30-39 years, male 38.8
GTEX-WHSB-0926-SM-4M1XJ 50-59 years, male 38.7
GTEX-RU1J-1326-SM-46MUL 20-29 years, female 38.6
GTEX-1KANB-1526-SM-CXZK4 50-59 years, male 38.6
GTEX-1MJK3-0926-SM-EV7AY 20-29 years, male 38.4
GTEX-1C2JI-1626-SM-7EPHC 50-59 years, male 38.3
GTEX-S341-1426-SM-4AD6U 40-49 years, female 38.2
GTEX-14C5O-2526-SM-73KU2 60-69 years, male 38.1
GTEX-15RIE-1826-SM-6M48P 60-69 years, male 38.0
GTEX-YEC4-1926-SM-5IFHJ 40-49 years, male 38.0
GTEX-14PJM-2626-SM-686ZD 50-59 years, female 37.9
GTEX-T6MO-0826-SM-4DM51 40-49 years, female 37.9
GTEX-1IDJF-1826-SM-CKZOE 20-29 years, male 37.9
GTEX-145LS-2726-SM-5Q5D8 60-69 years, female 37.8
GTEX-117YX-0826-SM-5H11J 50-59 years, male 37.6
GTEX-1GZ4H-1226-SM-9KNUA 50-59 years, female 37.6
GTEX-1HFI7-1726-SM-A9G22 50-59 years, female 37.6
GTEX-1IDJD-2226-SM-A96TD 30-39 years, male 37.6
GTEX-1F75I-2426-SM-9WPOY 40-49 years, male 37.5
GTEX-11EQ9-1426-SM-5987G 30-39 years, male 37.4
GTEX-18A7A-2226-SM-7LT8K 50-59 years, female 37.3
GTEX-ZF29-1726-SM-4WKFV 60-69 years, female 37.3
GTEX-P78B-1726-SM-3P5ZV 40-49 years, female 37.2
GTEX-Y8LW-1226-SM-4WWDP 50-59 years, female 37.0
GTEX-14E1K-1826-SM-793DT 50-59 years, male 36.9
GTEX-1PIEJ-2026-SM-E6CPA 20-29 years, female 36.9
GTEX-1PIGE-1426-SM-E9U61 20-29 years, male 36.9
GTEX-11ONC-2026-SM-5HL61 60-69 years, male 36.8
GTEX-17F98-1026-SM-7IGO8 40-49 years, female 36.8
GTEX-17GQL-1526-SM-7LTAC 60-69 years, male 36.8
GTEX-1BAJH-2326-SM-7IGMO 70-79 years, male 36.8
GTEX-1GMR3-2826-SM-9WPOG 40-49 years, male 36.8
GTEX-1IDJC-1326-SM-CL53H 50-59 years, male 36.8
GTEX-ZY6K-1226-SM-5GZYL 50-59 years, male 36.5
GTEX-1IKOE-2026-SM-AHZ31 30-39 years, female 36.5
GTEX-14DAQ-2726-SM-5S2QY 60-69 years, female 36.1
GTEX-QDVN-1326-SM-48TZ3 50-59 years, male 36.1
GTEX-OXRK-1726-SM-3NB16 50-59 years, female 36.0
GTEX-15SB6-1226-SM-7KUMP 50-59 years, female 35.6
GTEX-1GF9X-1526-SM-7P8QP 40-49 years, female 35.5
GTEX-11NSD-1626-SM-5986U 20-29 years, male 35.4
GTEX-144GN-1126-SM-5LU33 50-59 years, male 35.4
GTEX-12WSL-1626-SM-5GCMU 50-59 years, male 35.2
GTEX-WHWD-1226-SM-4OOS1 50-59 years, male 35.2
GTEX-1GL5R-2426-SM-7MXV1 50-59 years, male 35.2
GTEX-1K9T9-2826-SM-D4P3F 50-59 years, female 35.2
GTEX-11TT1-1026-SM-5PNW7 20-29 years, male 35.0
GTEX-1B8KZ-1326-SM-7DUG6 50-59 years, male 35.0
GTEX-13OVK-0826-SM-7KULZ 40-49 years, male 34.9
GTEX-O5YT-1426-SM-3MJHC 20-29 years, male 34.9
GTEX-145ME-0826-SM-5O9AF 40-49 years, female 34.6
GTEX-XMK1-1726-SM-4B64Z 40-49 years, male 34.6
GTEX-11TUW-2026-SM-5EQL8 60-69 years, male 34.5
GTEX-13X6H-1926-SM-7EWD3 50-59 years, female 34.5
GTEX-1QCLZ-1926-SM-E6CR3 60-69 years, female 34.5
GTEX-146FQ-1926-SM-5NQBY 30-39 years, male 34.4
GTEX-131XE-0826-SM-5HL9W 50-59 years, male 34.3
GTEX-1CAMS-2526-SM-7EPH7 40-49 years, female 34.3
GTEX-Y8E4-2426-SM-4WWDN 40-49 years, male 34.3
GTEX-1LVAN-2526-SM-CNPPC 50-59 years, female 34.3
GTEX-OIZF-1426-SM-2HML2 60-69 years, male 34.3
GTEX-14PJ5-0926-SM-6LLIK 60-69 years, female 34.2
GTEX-18A66-2426-SM-7KFSQ 60-69 years, male 34.1
GTEX-18A7B-2026-SM-72D71 70-79 years, male 34.1
GTEX-18D9B-2526-SM-718BN 60-69 years, male 34.1
GTEX-13OW6-2126-SM-5N9GL 50-59 years, male 34.0
GTEX-1B996-2626-SM-73KZ1 60-69 years, male 34.0
GTEX-S4P3-1226-SM-4AD4Y 50-59 years, female 34.0
GTEX-132AR-2726-SM-5PNVN 50-59 years, female 33.9
GTEX-QMRM-1226-SM-447C6 50-59 years, male 33.9
GTEX-TKQ1-0626-SM-4DXTS 30-39 years, male 33.5
GTEX-178AV-1326-SM-6LPJX 40-49 years, male 33.4
GTEX-1C4CL-2126-SM-7IGQC 30-39 years, male 33.4
GTEX-YF7O-1726-SM-5IFJ9 50-59 years, male 33.4
GTEX-1RDX4-1826-SM-EVR54 50-59 years, female 33.4
GTEX-O5YW-1426-SM-3MJHF 50-59 years, male 33.3
GTEX-1H1DE-1526-SM-ARL9B 20-29 years, male 33.3
GTEX-1LH75-2126-SM-EVR5F 50-59 years, female 33.3
GTEX-139TS-1926-SM-5IJFO 60-69 years, male 33.1
GTEX-15UF6-2626-SM-6M466 70-79 years, female 33.1
GTEX-13QJ3-2626-SM-9OSXQ 50-59 years, male 33.1
GTEX-1PFEY-1426-SM-E9U6U 30-39 years, male 33.1
GTEX-15CHR-1426-SM-7DUGV 50-59 years, male 32.9
GTEX-ZP4G-1726-SM-4WWCM 20-29 years, female 32.8
GTEX-1H3VY-2426-SM-9WPPD 50-59 years, male 32.7
GTEX-1JJ6O-2426-SM-ARU8J 60-69 years, male 32.7
GTEX-WFG7-1526-SM-4LVMG 20-29 years, male 32.6
GTEX-1JJE9-2426-SM-D3L8T 70-79 years, male 32.5
GTEX-17HGU-2426-SM-7EWDP 50-59 years, male 32.4
GTEX-S3XE-1126-SM-4AD4N 50-59 years, male 32.4
GTEX-ZPU1-1926-SM-57WDT 40-49 years, male 32.4
GTEX-14JG6-1726-SM-69LPL 30-39 years, female 32.3
GTEX-17MF6-2426-SM-7LTAM 40-49 years, male 32.3
GTEX-144GM-1226-SM-5LU52 20-29 years, male 32.2
GTEX-17EVQ-1826-SM-7IGPH 70-79 years, male 32.1
GTEX-Q2AH-1226-SM-48TZL 40-49 years, male 32.1
GTEX-XYKS-2226-SM-4E3IU 60-69 years, female 32.1
GTEX-16NGA-1026-SM-7KFS3 40-49 years, female 32.0
GTEX-1HSGN-2626-SM-CE6S1 40-49 years, female 32.0
GTEX-1R9PM-1526-SM-DPRY8 20-29 years, male 32.0
GTEX-17HHE-1826-SM-79OKE 50-59 years, male 31.8
GTEX-1QPFJ-2326-SM-E6CR7 30-39 years, female 31.8
GTEX-13O3P-2326-SM-5KM55 50-59 years, male 31.7
GTEX-Y3IK-1826-SM-4WWDS 50-59 years, female 31.7
GTEX-1I1GR-2526-SM-CNNQF 60-69 years, male 31.7
GTEX-1IGQW-2326-SM-CE6RV 60-69 years, male 31.7
GTEX-ZEX8-1926-SM-4WKFR 50-59 years, male 31.5
GTEX-144GL-2526-SM-5TDDL 50-59 years, male 31.4
GTEX-U412-1726-SM-EZ6KX 60-69 years, male 31.3
GTEX-17KNJ-1726-SM-7LG6A 50-59 years, male 31.2
GTEX-15DZA-0926-SM-69LQ3 30-39 years, female 31.1
GTEX-15ER7-2926-SM-7KUFK 20-29 years, female 31.1
GTEX-1JN1M-2626-SM-CY8I3 60-69 years, female 31.1
GTEX-145MO-2426-SM-5NQ9W 60-69 years, male 31.0
GTEX-148VJ-2626-SM-5QGPI 70-79 years, male 31.0
GTEX-ZVP2-1526-SM-5NQ82 50-59 years, male 31.0
GTEX-1B932-2826-SM-73KUD 40-49 years, female 30.8
GTEX-XUW1-1926-SM-4BOP1 50-59 years, female 30.8
GTEX-1HCU7-2626-SM-C1YQO 50-59 years, male 30.8
GTEX-145LT-0926-SM-5LU9C 40-49 years, male 30.7
GTEX-1H11D-2626-SM-9JGH4 40-49 years, male 30.7
GTEX-1PPH8-2026-SM-DTX7P 20-29 years, male 30.7
GTEX-1399R-2226-SM-5P9JB 30-39 years, male 30.6
GTEX-18D9U-1926-SM-7KFTM 40-49 years, male 30.6
GTEX-OHPM-1426-SM-3TW8Y 50-59 years, male 30.6
GTEX-1LGRB-1426-SM-CNNPT 50-59 years, female 30.6
GTEX-13OW5-2626-SM-5MR3M 60-69 years, male 30.5
GTEX-147GR-2726-SM-664OO 60-69 years, male 30.5
GTEX-1GPI7-1726-SM-7P8R1 20-29 years, male 30.4
GTEX-1R7EU-1926-SM-E9U62 60-69 years, male 30.4
GTEX-Q734-1126-SM-48TZY 40-49 years, female 30.3
GTEX-QV31-0826-SM-CKZNC 30-39 years, male 30.3
GTEX-1JKYR-1926-SM-C1YR7 20-29 years, male 30.2
GTEX-1RMOY-1626-SM-EVYC8 50-59 years, male 30.2
GTEX-1N5O9-2726-SM-E76QH 60-69 years, male 30.1
GTEX-14ICK-1026-SM-6AJA4 40-49 years, male 30.0
GTEX-1HSMQ-2726-SM-C1YRE 50-59 years, male 30.0
GTEX-1R9JW-2026-SM-EAZ4O 30-39 years, female 30.0
GTEX-14PKV-2126-SM-664O3 20-29 years, female 29.9
GTEX-TKQ2-1326-SM-4DXT9 50-59 years, male 29.9
GTEX-1ICLZ-2426-SM-CKZOD 60-69 years, male 29.9
GTEX-WVJS-2426-SM-EZ6LI 50-59 years, male 29.9
GTEX-ZF2S-1926-SM-4WWAN 50-59 years, female 29.8
GTEX-14BMU-1526-SM-5TDE6 20-29 years, female 29.7
GTEX-18D9A-1126-SM-7KFRJ 30-39 years, female 29.7
GTEX-ZZ64-0726-SM-5GZX4 20-29 years, male 29.6
GTEX-1GF9U-1526-SM-7MXUW 40-49 years, female 29.6
GTEX-1MA7W-0626-SM-EV79Z 20-29 years, female 29.5
GTEX-OHPN-2026-SM-E9TIA 60-69 years, female 29.5
GTEX-WQUQ-2526-SM-4MVNO 60-69 years, male 29.4
GTEX-X3Y1-1726-SM-4PQZL 40-49 years, male 29.4
GTEX-1HKZK-2126-SM-A9SL3 40-49 years, male 29.4
GTEX-1I6K6-1826-SM-B2LX5 30-39 years, male 29.4
GTEX-PLZ6-0926-SM-3P5ZQ 30-39 years, male 29.3
GTEX-WH7G-1326-SM-4LVMS 40-49 years, male 29.3
GTEX-WYVS-1826-SM-4OND6 40-49 years, female 29.3
GTEX-X15G-1326-SM-4PQZJ 50-59 years, female 29.3
GTEX-1NV5F-2226-SM-DTX8O 60-69 years, female 29.3
GTEX-1AYD5-1726-SM-7RHFW 50-59 years, male 29.2
GTEX-1I1GT-1926-SM-ARU7D 60-69 years, female 29.2
GTEX-OXRO-0726-SM-E9U4C 60-69 years, female 29.2
GTEX-U4B1-1126-SM-4DXV3 40-49 years, male 29.1
GTEX-1GMR2-1726-SM-9JGI2 50-59 years, male 29.1
GTEX-QEL4-1926-SM-D3L8D 50-59 years, male 29.1
GTEX-14ICL-1226-SM-5S2RD 30-39 years, male 29.0
GTEX-13PL7-2526-SM-5IFGR 60-69 years, female 28.9
GTEX-PLZ5-1126-SM-3P613 50-59 years, male 28.8
GTEX-16Z82-2226-SM-6LPJ7 60-69 years, male 28.7
GTEX-V955-1626-SM-4JBHJ 60-69 years, male 28.7
GTEX-YEC3-2426-SM-DO11A 50-59 years, male 28.7
GTEX-1C475-1626-SM-731FP 40-49 years, female 28.6
GTEX-Y3I4-1426-SM-4TT9C 50-59 years, male 28.5
GTEX-1NSGN-2326-SM-E9U5X 50-59 years, male 28.5
GTEX-13FTW-1826-SM-5IJEN 40-49 years, male 28.4
GTEX-1AYCT-1826-SM-731EG 50-59 years, male 28.3
GTEX-P4QT-1426-SM-3NMCX 50-59 years, female 28.3
GTEX-W5WG-2426-SM-4LMI6 50-59 years, female 28.2
GTEX-XGQ4-1226-SM-4AT67 50-59 years, male 28.2
GTEX-1QCLY-1726-SM-DPRXY 30-39 years, male 28.2
GTEX-U3ZN-2126-SM-4DXU1 30-39 years, female 28.0
GTEX-1HCVE-2526-SM-A9G2G 50-59 years, male 28.0
GTEX-ZPCL-1826-SM-57WF1 60-69 years, female 27.9
GTEX-1HCU6-2726-SM-A9SKV 60-69 years, female 27.9
GTEX-1J1OQ-2726-SM-AHZ3R 40-49 years, female 27.9
GTEX-QDVJ-1326-SM-48U1X 50-59 years, male 27.8
GTEX-QLQW-0426-SM-447A7 30-39 years, male 27.6
GTEX-X5EB-0926-SM-46MVT 40-49 years, male 27.6
GTEX-ZGAY-2126-SM-4YCFB 40-49 years, female 27.6
GTEX-OIZH-1426-SM-3NB1O 50-59 years, male 27.5
GTEX-14PK6-1726-SM-6871J 70-79 years, female 27.4
GTEX-15SHU-2526-SM-6M47D 40-49 years, female 27.4
GTEX-1MGNQ-2026-SM-EAZ51 40-49 years, male 27.4
GTEX-1PWST-2426-SM-EWRMP 70-79 years, male 27.4
GTEX-R45C-2126-SM-EZ6KZ 60-69 years, female 27.4
GTEX-T5JW-1126-SM-4DM5V 20-29 years, female 27.3
GTEX-1QMI2-2626-SM-E6CR4 60-69 years, male 27.3
GTEX-145MN-1726-SM-5SIA6 30-39 years, male 27.2
GTEX-VJYA-2026-SM-4KL1K 60-69 years, male 27.1
GTEX-1I4MK-1126-SM-B2LWS 50-59 years, female 27.1
GTEX-WYJK-2226-SM-4ONDJ 50-59 years, male 27.0
GTEX-1J1R8-1126-SM-CNPQ3 40-49 years, male 27.0
GTEX-1C6VQ-2726-SM-73KUL 50-59 years, male 26.9
GTEX-1RAZR-1926-SM-E6CRF 40-49 years, male 26.9
GTEX-11EM3-1526-SM-5A5KN 20-29 years, female 26.8
GTEX-14PJ4-1926-SM-6LLHG 60-69 years, male 26.8
GTEX-ZDYS-2326-SM-4WKG6 50-59 years, male 26.8
GTEX-1IKK5-2726-SM-CNPQ6 60-69 years, male 26.8
GTEX-SE5C-1526-SM-4BRWU 40-49 years, female 26.7
GTEX-1JN76-1226-SM-C1YRM 20-29 years, female 26.7
GTEX-1S83E-1626-SM-EV7B9 40-49 years, male 26.7
GTEX-1128S-1626-SM-5H12O 60-69 years, female 26.6
GTEX-1GZ4I-2426-SM-9WPPP 50-59 years, male 26.6
GTEX-TML8-1326-SM-4DXTO 40-49 years, female 26.5
GTEX-UJHI-1126-SM-4IHLN 50-59 years, female 26.5
GTEX-PSDG-1826-SM-EAZ2S 50-59 years, male 26.5
GTEX-12C56-0626-SM-5EGGC 20-29 years, male 26.4
GTEX-S4Q7-0826-SM-4AD5E 20-29 years, male 26.4
GTEX-1H1DG-2226-SM-9WPPC 70-79 years, male 26.3
GTEX-ZG7Y-2126-SM-DO117 50-59 years, male 26.3
GTEX-16AAH-1326-SM-7KFRG 50-59 years, male 26.2
GTEX-ZPIC-2226-SM-57WDX 40-49 years, female 26.2
GTEX-1F5PK-1926-SM-7MXT7 50-59 years, male 26.2
GTEX-1HCU9-1326-SM-B2LXT 20-29 years, male 26.2
GTEX-X4EO-2526-SM-EWRM8 60-69 years, female 26.2
GTEX-1CAMR-0926-SM-7MXTD 20-29 years, male 26.1
GTEX-XBED-1526-SM-4AT5W 60-69 years, male 26.0
GTEX-11P82-1026-SM-5BC5J 20-29 years, male 25.9
GTEX-P4PP-1426-SM-3NM9L 30-39 years, female 25.9
GTEX-139YR-2126-SM-5KM11 50-59 years, male 25.8
GTEX-1EH9U-2026-SM-7PBYS 60-69 years, male 25.8
GTEX-1QP67-1326-SM-EAZ4D 40-49 years, female 25.7
GTEX-11I78-1226-SM-5A5K6 50-59 years, female 25.6
GTEX-WFON-1426-SM-4LVMT 40-49 years, male 25.6
GTEX-133LE-1526-SM-5IFEN 20-29 years, female 25.5
GTEX-S7SF-1926-SM-4AT5B 20-29 years, female 25.5
GTEX-1EMGI-2726-SM-7P8S4 60-69 years, male 25.5
GTEX-11VI4-1526-SM-5EQKC 40-49 years, female 25.4
GTEX-131XG-1826-SM-5LZV4 50-59 years, female 25.4
GTEX-1JK1U-1526-SM-AHZ46 60-69 years, male 25.4
GTEX-1KANA-1926-SM-DHXKF 20-29 years, male 25.4
GTEX-1KXAM-2126-SM-CY8I9 60-69 years, male 25.4
GTEX-1POEN-2026-SM-E6CRL 30-39 years, female 25.4
GTEX-1B8KE-1926-SM-731EE 50-59 years, male 25.3
GTEX-1E2YA-2626-SM-7MGWW 50-59 years, male 25.3
GTEX-13O21-2426-SM-5MR4A 50-59 years, male 25.2
GTEX-147JS-2526-SM-5S2Q8 60-69 years, male 25.2
GTEX-14PHX-1526-SM-68717 50-59 years, male 25.2
GTEX-NFK9-2026-SM-3LK5K 40-49 years, male 25.2
GTEX-11P7K-1526-SM-5EGI7 30-39 years, male 25.1
GTEX-13PVR-1626-SM-73KVF 60-69 years, female 25.1
GTEX-1AMFI-1726-SM-7189L 50-59 years, female 25.1
GTEX-1N2DV-1426-SM-DPRYQ 40-49 years, male 25.1
GTEX-1F5PL-2126-SM-7PC2O 40-49 years, female 25.0
GTEX-13111-0726-SM-5DUVE 50-59 years, male 24.9
GTEX-Z93S-2426-SM-5HL8N 50-59 years, male 24.9
GTEX-1AMEY-1926-SM-73KVT 30-39 years, female 24.8
GTEX-QCQG-1626-SM-48U26 50-59 years, female 24.8
GTEX-ZAB4-2226-SM-5HL97 40-49 years, male 24.8
GTEX-PWCY-1026-SM-48TD4 20-29 years, female 24.7
GTEX-1S3DN-1826-SM-EV79K 50-59 years, male 24.7
GTEX-1LGOU-1626-SM-D3LAK 20-29 years, female 24.6
GTEX-ZDTT-1926-SM-5HL5W 60-69 years, male 24.6
GTEX-12KS4-2426-SM-5LU8P 30-39 years, male 24.5
GTEX-Q2AI-0926-SM-48U1F 40-49 years, male 24.4
GTEX-XBEW-1926-SM-4SOJO 40-49 years, male 24.4
GTEX-1JMLX-2726-SM-CM2SB 50-59 years, male 24.4
GTEX-PWN1-1426-SM-48TDF 40-49 years, female 24.3
GTEX-R55C-1126-SM-48FCJ 40-49 years, male 24.3
GTEX-S4UY-0826-SM-4AD4Z 40-49 years, female 24.3
GTEX-ZTSS-1126-SM-5985O 40-49 years, male 24.3
GTEX-1JMPZ-2426-SM-C1YQP 30-39 years, male 24.3
GTEX-1QP9N-1026-SM-E6CPX 30-39 years, male 24.3
GTEX-111CU-1426-SM-5GZYP 50-59 years, male 24.2
GTEX-111VG-2226-SM-5N9DU 60-69 years, male 24.2
GTEX-R55D-1826-SM-48FEF 50-59 years, male 24.1
GTEX-1LG7Y-2126-SM-DIPER 50-59 years, male 24.0
GTEX-ZLWG-1726-SM-DNZZ2 50-59 years, female 24.0
GTEX-1LSVX-1726-SM-DHXJP 60-69 years, male 23.9
GTEX-SNOS-1226-SM-4DM5H 40-49 years, male 23.8
GTEX-XUZC-1326-SM-4BRV2 30-39 years, female 23.8
GTEX-1JMPY-0426-SM-C1YQ3 30-39 years, male 23.8
GTEX-139T6-1326-SM-5IFFO 50-59 years, male 23.7
GTEX-16MT8-2726-SM-7IGLJ 60-69 years, female 23.7
GTEX-147F3-1926-SM-5SIB9 50-59 years, female 23.6
GTEX-14XAO-2026-SM-69LOI 60-69 years, female 23.6
GTEX-13OVJ-1726-SM-5IJDZ 50-59 years, female 23.5
GTEX-UJMC-1326-SM-4IHLS 50-59 years, male 23.5
GTEX-1F75B-2726-SM-7P8QO 50-59 years, male 23.5
GTEX-1AX9I-2626-SM-73KU5 60-69 years, male 23.4
GTEX-ZV7C-1526-SM-5NQ72 50-59 years, male 23.4
GTEX-1LVAM-1626-SM-EV79Y 50-59 years, female 23.4
GTEX-11O72-2226-SM-5PNW2 40-49 years, male 23.3
GTEX-U3ZM-1126-SM-4DXUB 40-49 years, male 23.3
GTEX-14BMV-2426-SM-5S2PP 50-59 years, male 23.2
GTEX-13FHP-2426-SM-5KLZ5 50-59 years, male 23.1
GTEX-1S5VW-2926-SM-E9U6H 60-69 years, male 23.1
GTEX-12ZZZ-2426-SM-5GCNN 60-69 years, male 23.0
GTEX-13D11-0826-SM-5KLZJ 50-59 years, female 23.0
GTEX-1IOXB-2626-SM-CJI2N 50-59 years, male 23.0
GTEX-YB5E-1626-SM-5IFIQ 40-49 years, male 22.9
GTEX-ZXES-1626-SM-5NQ7L 30-39 years, female 22.9
GTEX-117YW-1826-SM-5PNY5 50-59 years, male 22.8
GTEX-11DXZ-1726-SM-5H12M 50-59 years, male 22.8
GTEX-1KANC-0926-SM-D3LA9 50-59 years, female 22.8
GTEX-RM2N-0926-SM-48FD1 50-59 years, male 22.7
GTEX-Y9LG-1526-SM-4WWDR 30-39 years, male 22.7
GTEX-1399U-1926-SM-5IFH7 50-59 years, female 22.5
GTEX-SJXC-2226-SM-EVYAK 60-69 years, male 22.4
GTEX-11LCK-2026-SM-5A5MA 30-39 years, male 22.3
GTEX-16NPV-2626-SM-6M484 50-59 years, female 22.2
GTEX-16XZZ-2626-SM-6M47S 60-69 years, male 22.1
GTEX-Y5LM-1526-SM-4VDTA 40-49 years, female 22.1
GTEX-XPVG-1826-SM-4B64X 50-59 years, male 22.0
GTEX-1K2DA-2026-SM-CGQGK 50-59 years, male 21.9
GTEX-R55G-1226-SM-48FDC 40-49 years, female 21.7
GTEX-14DAR-1526-SM-5RQIX 50-59 years, male 21.6
GTEX-1HSEH-1726-SM-B2LXH 60-69 years, male 21.6
GTEX-11DXX-1826-SM-5H126 60-69 years, female 21.5
GTEX-1211K-1726-SM-5FQUJ 60-69 years, female 21.4
GTEX-WOFM-2026-SM-4OOSQ 20-29 years, male 20.9
GTEX-1RAZA-1726-SM-DPS13 20-29 years, male 20.9
GTEX-14C39-1926-SM-5ZZW5 40-49 years, male 20.8
GTEX-13W3W-2126-SM-5K7UX 60-69 years, female 20.7
GTEX-1JKYN-2326-SM-CGQG7 30-39 years, male 20.7
GTEX-1IDJU-2026-SM-A9SLM 60-69 years, female 20.5
GTEX-ZLV1-1226-SM-4WWBX 60-69 years, female 20.4
GTEX-XQ8I-2126-SM-4BOOM 50-59 years, male 20.2
GTEX-1LG7Z-1426-SM-CXKYV 30-39 years, male 20.2
GTEX-1H1E6-1926-SM-9OSWD 30-39 years, male 19.8
GTEX-1L5NE-2026-SM-CXZKR 50-59 years, male 19.8
GTEX-13O3O-2526-SM-5L3DR 60-69 years, female 19.7
GTEX-14BIN-3026-SM-5ZZUS 50-59 years, female 19.7
GTEX-13QBU-1826-SM-5IJG3 40-49 years, female 19.5
GTEX-13OVG-1426-SM-5K7VP 60-69 years, male 19.4
GTEX-17HII-2726-SM-7MGVM 50-59 years, male 19.3
GTEX-12BJ1-2126-SM-5BC5O 60-69 years, male 19.1
GTEX-13OVI-2026-SM-5J1MU 60-69 years, female 18.9
GTEX-15CHQ-2526-SM-6EU24 60-69 years, male 18.9
GTEX-ZVT2-1926-SM-5GU5T 50-59 years, female 18.8
GTEX-1399S-1926-SM-5J2M5 30-39 years, female 17.9
GTEX-15RIF-1326-SM-6LPKO 20-29 years, male 17.0
GTEX-ZT9W-1826-SM-51MQX 50-59 years, male 16.7
GTEX-1122O-1526-SM-5N9CL 60-69 years, female 16.6
GTEX-14JIY-3326-SM-6871E 60-69 years, male 16.0
GTEX-14E6E-1526-SM-5RQIG 30-39 years, male 7.0
Show allShow less

COLON - FANTOM5 CAGEi

RNA expression in human tissues obtained through Cap Analysis of Gene Expression (CAGE) generated by the FANTOM5 project are reported as Scaled Tags Per Million.

Max subtype Scaled Tags Per Millioni

Max subtype Scaled Tags Per Million is the value for the subtype with the largest average Scaled Tags Per Million across the subtype samples.

53.9
FANTOM5 sample id Sample description Scaled Tags Per Million
Colon
Scaled Tags Per Million: 53.9
FF:10014-101C5 62,83,84 years, mixed 53.9

Contact

  • NEWS ARTICLES
  • PRESS ROOM

The Project

  • INTRODUCTION
  • ORGANIZATION
  • PUBLICATIONS

The Human Protein Atlas

  • DOWNLOADABLE DATA
  • LICENCE & CITATION
  • HELP & FAQ
The Human Protein Atlas project is funded
by the Knut & Alice Wallenberg Foundation.


contact@proteinatlas.org