We use cookies to enhance the usability of our website. If you continue, we'll assume that you are happy to receive all cookies. More information. Don't show this again.
LBR
HPA
RESOURCES
  • TISSUE
  • BRAIN
  • SINGLE CELL
  • SUBCELLULAR
  • CANCER
  • BLOOD
  • CELL LINE
  • STRUCTURE & INTERACTION
ABOUT
  • INTRODUCTION
  • HISTORY
  • ORGANIZATION
  • PUBLICATIONS
  • ANTIBODY SUBMISSION
  • ANTIBODY AVAILABILITY
  • ACKNOWLEDGMENTS
  • CONTACT
NEWS
  • NEWS ARTICLES
  • PRESS ROOM
LEARN
  • DICTIONARY
  • PROTEIN CLASSES
  • PROTEIN EVIDENCE
  • METHODS
  • EDUCATIONAL VIDEOS
DATA
  • DOWNLOADABLE DATA
  • PUBLICATION DATA
  • RELEASE HISTORY
HELP
  • ANTIBODY VALIDATION
  • ASSAYS & ANNOTATION
  • DISCLAIMER
  • HELP & FAQ
  • PRIVACY STATEMENT
  • LICENCE & CITATION
Fields »
Search result

Field
Term
Gene name
Class
Subclass
Class
Keyword
Chromosome
External id
Tissue
Cell type
Expression
Antibody panel
Tissue
Main location
Patient ID
Annotation
Tissue
Category
Tau score
Cluster
Reliability
Brain region
Category
Tau score
Brain region
Category
Tau score
Brain region
Category
Tau score
Cluster
Reliability
Tissue
Cell type
Enrichment
Cell type
Category
Tau score
Cell type
Category
Tau score
Cell type
Category
Tau score
Cell lineage
Category
Tau score
Cluster
Cluster
Location
Searches
Location
Cell line
Class
Type
Phase
Reliability
Cancer
Prognosis
Cancer
Category
Cancer
Category
Tau score
Cluster
Variants
Interacting gene (ensg_id)
Type
Number of interactions
Pathway
Category
Score
Score
Score
Validation
Validation
Validation
Validation
Antibodies
Data type
Column


  • SUMMARY

  • TISSUE

  • BRAIN

  • SINGLE CELL

  • SUBCELL

  • CANCER

  • BLOOD

  • CELL LINE

  • STRUCT & INT

  • LBR
TISSUE PRIMARY DATA BREAST Show tissue menu
ADIPOSE TISSUE ADRENAL GLAND AMYGDALA APPENDIX BASAL GANGLIA BONE MARROW BREAST BRONCHUS CEREBELLUM CEREBRAL CORTEX CERVIX CHOROID PLEXUS COLON DUODENUM
ENDOMETRIUM EPIDIDYMIS ESOPHAGUS FALLOPIAN TUBE GALLBLADDER HEART MUSCLE HIPPOCAMPAL FORMATION HYPOTHALAMUS KIDNEY LIVER LUNG LYMPH NODE MIDBRAIN NASOPHARYNX
ORAL MUCOSA OVARY PANCREAS PARATHYROID GLAND PITUITARY GLAND PLACENTA PROSTATE RECTUM RETINA SALIVARY GLAND SEMINAL VESICLE SKELETAL MUSCLE SKIN SMALL INTESTINE
SMOOTH MUSCLE SOFT TISSUE SPINAL CORD SPLEEN STOMACH TESTIS THYMUS THYROID GLAND TONGUE TONSIL URINARY BLADDER VAGINA
ANTIBODIES
AND
VALIDATION
Dictionary
Breast
Tissue proteome
Breast
BREAST - Expression summary
Protein expression
Breasti

On the top, protein expression in current human tissue, based on all annotated cell types, is reported with the units not detected (n), low (l), medium (m) and high (h). Underneath, protein expression in each annotated cell type are reported using the same units.

Protein expression data is based on knowledge-based annotation. For genes where more than one antibody has been used, a collective score is set.

If knowledge-based annotation could not be performed for a gene, no data is displayed here. View antibody staining data further down this page.

h
m
l
n
Adipocytes: Not detected
Glandular cells: Low
Myoepithelial cells: Not detected
RNA expressioni

A summary of mRNA expression data available for current tissue based on several datasets. The mRNA expression levels in human tissues are based on RNA-seq data generated by the Human Protein Atlas (HPA), Genotype-Tissue Expression (GTEx) portal and CAGE data generated by the FANTOM5 consortium. Consensus normalized expression levels for human tissues was created by combining the data from HPA and GTEx datasets.

The mRNA expression levels in pig are based on RNA-seq data generated by the Human Protein Atlas (HPA), and for mouse, HPA data and in situ hybridization generated by the Allen brain atlas are reported.

Scroll down to view mRNA expression data in more detail.
Consensus:16.6 nTPM
HPA:11.2 nTPM
GTEx:16.6 nTPM
FANTOM5:56.7 Scaled Tags Per Million

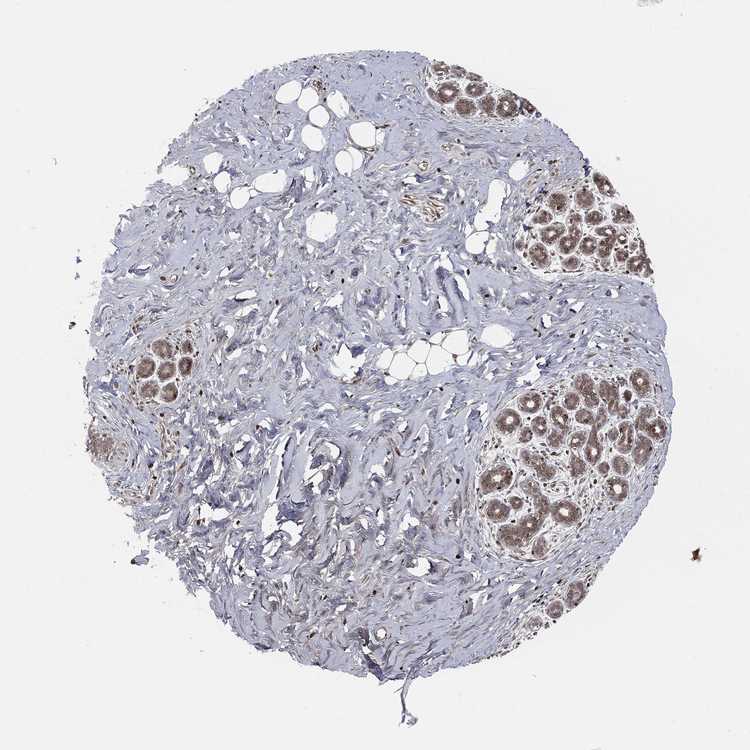
BREAST - Antibody stainingi

Antibody staining in the annotated cell types in the current human tissue is reported as not detected, low, medium, or high, based on conventional immunohistochemistry profiling in selected tissues. This score is based on the combination of the staining intensity and fraction of stained cells.

Each image is clickable and will lead to virtual microscopy that enables deeper exploration of all samples and also displays staining intensity scores, fraction scores and subcellular localization as well as patient and tissue information for each sample.

Antibody HPA049840Antibody HPA062236
Adipocytes Not detectedNot detected
Glandular cells Not detectedLow
Myoepithelial cells Not detectedNot detected



BREAST - HPA RNA-seqi

The RNA-seq details section shows detailed information about the individual samples used for the transcript profiling and results of the RNA-seq analysis.

Information about each individual sample is listed below, including gender, age, a tissue section image and estimated fractions of cell types. nTPM (normalized transcripts per million) values give a quantification of the gene abundance which is comparable between different genes and samples.
Average nTPMi

Max subtype nTPM is the value for the subtype with the largest average nTPM across the subtype samples.

11.2
overview
Female, age 52
Breast sample 373
nTPM: 13.3
Cell types%
Glandular cells:
15

Adipocytes:
5

Other cell types:
80

overview
Female, age 80
Breast sample 390
nTPM: 13.4
Cell types%
Glandular cells:
5

Adipocytes:
15

Other cell types:
80

overview
Female, age 47
Breast sample 405
nTPM: 5.3
Cell types%
Glandular cells:
5

Adipocytes:
5

Other cell types:
90

overview
Female, age 38
Breast sample 410
nTPM: 12.8
Cell types%
Glandular cells:
40

Adipocytes:
5

Other cell types:
55


BREAST - GTEx RNA-seqi

RNA-Seq data generated by the Genotype-Tissue Expression (GTEx) project from human tissues is reported as mean nTPM. More information can be found on the GTEx portal.

Distribution across the dataset is visualized with box plots, shown as median and 25th and 75th percentiles. Points are displayed as outliers if they are above or below 1.5 times the interquartile range. nTPM values of the individual samples are presented next to the box plot.
Max subtype nTPMi

Max subtype nTPM is the value for the subtype with the largest average nTPM across the subtype samples.

16.6
GTEx sample id Sample description nTPM
Breast - Mammary Tissue
Average nTPM: 16.6
Samples: 459

Max nTPM: 44.3
Min nTPM: 4.3
Std nTPM: 6.3
Median nTPM: 15.4
GTEX-11DZ1-0326-SM-5N9BN 50-59 years, male 44.3
GTEX-UTHO-1026-SM-3GAF7 60-69 years, male 40.7
GTEX-11DXY-2326-SM-5GICW 60-69 years, male 40.5
GTEX-15RJE-2626-SM-7KFT1 40-49 years, male 36.9
GTEX-1RLM8-2226-SM-EVYD1 50-59 years, male 36.8
GTEX-14753-2426-SM-5LU8U 60-69 years, male 36.6
GTEX-ZWKS-2826-SM-5NQ74 30-39 years, male 35.6
GTEX-11O72-2126-SM-5N9FO 40-49 years, male 33.5
GTEX-1ICLY-1726-SM-B2LVT 50-59 years, male 33.0
GTEX-14E6C-1326-SM-62LEQ 40-49 years, male 32.9
GTEX-13VXU-2826-SM-664MA 50-59 years, male 32.0
GTEX-1F75B-0626-SM-7SB8A 50-59 years, male 32.0
GTEX-13PVQ-1026-SM-5KM3M 50-59 years, male 31.2
GTEX-1LSNL-2826-SM-E9U5L 50-59 years, male 31.1
GTEX-13OW8-0226-SM-5K7UP 60-69 years, male 31.0
GTEX-REY6-2426-SM-48FF5 60-69 years, male 30.1
GTEX-1IDFM-0426-SM-B2LVV 60-69 years, male 30.1
GTEX-11TUW-1826-SM-5BC5D 60-69 years, male 29.2
GTEX-ZTPG-2826-SM-57WGA 20-29 years, female 29.2
GTEX-1JN6P-2426-SM-ARL99 60-69 years, male 28.9
GTEX-1I1GP-0426-SM-COH3N 50-59 years, male 28.5
GTEX-1314G-1226-SM-5BC6D 30-39 years, male 28.4
GTEX-145MO-0826-SM-5NQBL 60-69 years, male 27.7
GTEX-1HBPM-0126-SM-ARL9E 60-69 years, female 27.7
GTEX-13N1W-0626-SM-5MR4U 70-79 years, male 27.5
GTEX-12WSK-2226-SM-5GCO5 40-49 years, female 27.4
GTEX-YECK-0726-SM-EZ6LV 60-69 years, male 26.9
GTEX-17MF6-0326-SM-7EPH5 40-49 years, male 26.7
GTEX-1NV8Z-2826-SM-E8VME 60-69 years, male 26.5
GTEX-11NV4-2026-SM-5N9DG 60-69 years, male 26.4
GTEX-18465-2026-SM-718AP 50-59 years, male 26.4
GTEX-1C6WA-2426-SM-7SB86 60-69 years, male 26.3
GTEX-1PPH7-0826-SM-E8VNX 40-49 years, male 26.3
GTEX-183WM-0726-SM-7LTAA 70-79 years, female 26.1
GTEX-WOFL-0826-SM-3MJG1 60-69 years, male 26.1
GTEX-1KD4Q-2326-SM-D4P3M 40-49 years, male 26.0
GTEX-13O61-1826-SM-5KM4I 60-69 years, male 25.9
GTEX-1LC47-1226-SM-D4P44 60-69 years, male 25.9
GTEX-16YQH-2826-SM-6PAMY 30-39 years, male 25.7
GTEX-ZUA1-1526-SM-59HLS 40-49 years, male 25.7
GTEX-1JMOU-2026-SM-CMKGU 60-69 years, female 25.4
GTEX-145ME-1526-SM-5Q5F2 40-49 years, female 25.3
GTEX-17F97-2526-SM-7EWDV 50-59 years, male 25.0
GTEX-1PPGY-1526-SM-EVYBK 60-69 years, male 24.9
GTEX-1C6VQ-0426-SM-79OOX 50-59 years, male 24.8
GTEX-ZT9W-2026-SM-51MRA 50-59 years, male 24.7
GTEX-1117F-2826-SM-5GZXL 60-69 years, female 24.6
GTEX-17F96-2426-SM-7IGLN 70-79 years, male 24.6
GTEX-13FTX-1126-SM-5N9EN 20-29 years, female 24.5
GTEX-144GL-2026-SM-5LU3O 50-59 years, male 24.5
GTEX-ZYT6-0126-SM-5E45J 30-39 years, male 24.5
GTEX-1JMLX-2026-SM-CMKGN 50-59 years, male 24.5
GTEX-1AX9J-1126-SM-731B7 60-69 years, male 24.4
GTEX-TKQ2-1826-SM-33HB2 50-59 years, male 24.4
GTEX-12KS4-0126-SM-5Q5A5 30-39 years, male 24.1
GTEX-1H3VY-0926-SM-ACKXE 50-59 years, male 24.0
GTEX-1H1ZS-0126-SM-9YFKQ 70-79 years, male 23.9
GTEX-12WSM-1726-SM-5BC6J 60-69 years, male 23.8
GTEX-1GF9V-2526-SM-7SB8K 60-69 years, male 23.8
GTEX-15SHW-1326-SM-6PAL8 60-69 years, male 23.7
GTEX-1A3MX-2726-SM-718B6 60-69 years, male 23.7
GTEX-1B8KE-1226-SM-73KWK 50-59 years, male 23.7
GTEX-1JN1M-3026-SM-CMKGK 60-69 years, female 23.7
GTEX-S4Q7-1126-SM-4AD6R 20-29 years, male 23.4
GTEX-11WQK-2426-SM-5GU5C 50-59 years, male 23.3
GTEX-14E7W-0826-SM-62LEJ 70-79 years, male 23.3
GTEX-1HCU8-0126-SM-ADEHH 60-69 years, female 23.3
GTEX-14E6E-1326-SM-5S2NR 30-39 years, male 23.1
GTEX-1H23P-0726-SM-9WG7K 60-69 years, male 23.1
GTEX-1N2EF-2226-SM-E9J33 60-69 years, male 23.1
GTEX-1HR9M-2426-SM-ACKXI 60-69 years, male 22.8
GTEX-1EKGG-2626-SM-7IGPY 60-69 years, male 22.7
GTEX-ZLWG-1926-SM-DO92J 50-59 years, female 22.5
GTEX-1HCU7-1026-SM-ADEIP 50-59 years, male 22.3
GTEX-13S86-1226-SM-5S2OA 40-49 years, male 22.1
GTEX-1AX9I-0726-SM-73KWV 60-69 years, male 22.1
GTEX-YJ8O-2226-SM-5IFHW 40-49 years, female 22.1
GTEX-13QJ3-0826-SM-7DHKK 50-59 years, male 22.0
GTEX-PSDG-1626-SM-48TCQ 50-59 years, male 22.0
GTEX-ZYFC-0826-SM-5E44K 50-59 years, male 22.0
GTEX-169BO-1126-SM-7MGWN 50-59 years, male 22.0
GTEX-18A66-1726-SM-7LG5N 60-69 years, male 22.0
GTEX-U8XE-0826-SM-4E3J1 30-39 years, male 21.9
GTEX-X62O-0526-SM-EWRMA 50-59 years, male 21.9
GTEX-XQ3S-1326-SM-4BOPQ 20-29 years, male 21.8
GTEX-YEC3-1026-SM-5IFI5 50-59 years, male 21.8
GTEX-1MA7X-1626-SM-E9U5B 60-69 years, male 21.7
GTEX-117XS-1926-SM-5GICO 60-69 years, male 21.6
GTEX-15EOM-5019-SM-793DK 20-29 years, female 21.6
GTEX-1H4P4-2226-SM-9MQKQ 50-59 years, male 21.6
GTEX-11P82-1326-SM-5HL62 20-29 years, male 21.4
GTEX-XV7Q-2326-SM-4BRVZ 40-49 years, female 21.4
GTEX-13113-5013-SM-7SB7G 60-69 years, female 21.4
GTEX-1QMI2-0726-SM-E9J4F 60-69 years, male 21.4
GTEX-13CF3-2126-SM-5IFJP 60-69 years, female 21.3
GTEX-18A7B-2626-SM-7LG55 70-79 years, male 21.2
GTEX-XQ8I-2426-SM-4WAXY 50-59 years, male 21.2
GTEX-1C475-1226-SM-7SB72 40-49 years, female 21.2
GTEX-1R9PM-1826-SM-EVYBH 20-29 years, male 21.2
GTEX-WHSB-1926-SM-EXOHH 50-59 years, male 21.1
GTEX-1E2YA-2726-SM-7IGPW 50-59 years, male 21.0
GTEX-R53T-1526-SM-48FEK 50-59 years, female 21.0
GTEX-ZVT4-1026-SM-57WC4 50-59 years, female 21.0
GTEX-1EU9M-2826-SM-7EWFH 60-69 years, male 20.9
GTEX-1LGRB-1826-SM-CNPQL 50-59 years, female 20.9
GTEX-144GM-0926-SM-5O994 20-29 years, male 20.8
GTEX-RUSQ-2026-SM-4GIAK 50-59 years, male 20.8
GTEX-R55D-0826-SM-48FEA 50-59 years, male 20.7
GTEX-V955-2026-SM-3GAFA 60-69 years, male 20.7
GTEX-ZAB4-2526-SM-5HL8M 40-49 years, male 20.6
GTEX-1HSEH-2026-SM-ADEHN 60-69 years, male 20.6
GTEX-145MF-2226-SM-7EPIR 50-59 years, male 20.5
GTEX-15UF7-0726-SM-6M46D 40-49 years, male 20.5
GTEX-ZZ64-1226-SM-5E43R 20-29 years, male 20.5
GTEX-1M4P7-2626-SM-E9U5F 60-69 years, male 20.5
GTEX-1OKEX-0826-SM-E9J2B 60-69 years, male 20.4
GTEX-W5X1-2326-SM-3GIL6 40-49 years, female 20.3
GTEX-S7SE-0826-SM-4AT4D 50-59 years, male 20.2
GTEX-Y8E4-1626-SM-5S2MW 40-49 years, male 20.2
GTEX-YB5E-1726-SM-5IFJ3 40-49 years, male 20.2
GTEX-1I1GU-1026-SM-ADEHJ 40-49 years, male 20.2
GTEX-1LBAC-0926-SM-CXKY9 20-29 years, male 20.2
GTEX-S33H-0326-SM-4AD6N 30-39 years, male 20.1
GTEX-1KD5A-1926-SM-DKPQA 50-59 years, male 20.0
GTEX-1QP28-1226-SM-E9J2M 50-59 years, female 20.0
GTEX-TKQ1-0226-SM-33HB5 30-39 years, male 19.9
GTEX-1LSVX-2426-SM-E6CJX 60-69 years, male 19.9
GTEX-11ZUS-0826-SM-5FQUY 30-39 years, male 19.8
GTEX-1IGQW-0926-SM-ADEH6 60-69 years, male 19.8
GTEX-YFCO-1826-SM-4W1YH 40-49 years, male 19.7
GTEX-1EWIQ-1726-SM-7SB7T 70-79 years, female 19.7
GTEX-1JMPZ-1626-SM-COH31 30-39 years, male 19.7
GTEX-14B4R-1226-SM-5TDDT 30-39 years, male 19.6
GTEX-1B8KZ-1526-SM-7DUG7 50-59 years, male 19.5
GTEX-1HT8W-2226-SM-CGQEC 30-39 years, male 19.5
GTEX-11ONC-2126-SM-5HL6E 60-69 years, male 19.4
GTEX-17F9E-2526-SM-7MGW2 50-59 years, male 19.4
GTEX-1HR98-0426-SM-COH36 60-69 years, male 19.3
GTEX-11GSO-1926-SM-5A5K3 60-69 years, male 19.2
GTEX-S32W-2026-SM-4AD6E 50-59 years, female 19.2
GTEX-13W46-0826-SM-5LU3H 50-59 years, male 19.1
GTEX-T2YK-2226-SM-32QPT 50-59 years, male 19.1
GTEX-ZQG8-0726-SM-5P9H9 60-69 years, female 19.1
GTEX-1HSMO-0826-SM-ADEIV 60-69 years, male 19.1
GTEX-QMRM-1626-SM-D4P1U 50-59 years, male 19.1
GTEX-14DAR-1326-SM-7DUEG 50-59 years, male 19.0
GTEX-1GMR2-1926-SM-9MQLZ 50-59 years, male 19.0
GTEX-146FH-0826-SM-5SI8T 50-59 years, female 18.9
GTEX-1ICG6-1326-SM-ACKWR 70-79 years, female 18.9
GTEX-Y9LG-1426-SM-5IFJZ 30-39 years, male 18.7
GTEX-ZTTD-1026-SM-51MRD 50-59 years, male 18.7
GTEX-1H11D-1526-SM-9MQJY 40-49 years, male 18.7
GTEX-1IDJF-2326-SM-ARL86 20-29 years, male 18.7
GTEX-1H1DG-0526-SM-9YFLN 70-79 years, male 18.6
GTEX-1K2DA-1726-SM-CGQGS 50-59 years, male 18.6
GTEX-18A6Q-0926-SM-7LG4N 60-69 years, male 18.5
GTEX-ZVZQ-0826-SM-51MRF 60-69 years, female 18.5
GTEX-1L5NE-2126-SM-CY8IH 50-59 years, male 18.5
GTEX-18D9A-1526-SM-7LG4J 30-39 years, female 18.4
GTEX-WY7C-2726-SM-3NB3P 50-59 years, male 18.4
GTEX-1JKYN-0726-SM-ARZMY 30-39 years, male 18.4
GTEX-11DXZ-1926-SM-5GZZL 50-59 years, male 18.3
GTEX-12BJ1-1826-SM-5HL9N 60-69 years, male 18.3
GTEX-ZLFU-2126-SM-DO931 40-49 years, male 18.3
GTEX-1192X-2326-SM-5987X 50-59 years, male 18.2
GTEX-11NSD-0926-SM-5N9DR 20-29 years, male 18.2
GTEX-1ICLZ-0426-SM-B2LW2 60-69 years, male 18.2
GTEX-Z9EW-1526-SM-EZ6LU 40-49 years, male 18.2
GTEX-11EQ9-1826-SM-5Q5AJ 30-39 years, male 18.1
GTEX-1AMEY-1026-SM-718AA 30-39 years, female 18.1
GTEX-1GPI7-0926-SM-7PC3J 20-29 years, male 18.1
GTEX-1I1GV-2426-SM-CGQFM 60-69 years, male 18.1
GTEX-QVJO-1826-SM-447C9 60-69 years, female 18.0
GTEX-17HGU-1326-SM-79OKB 50-59 years, male 17.9
GTEX-132NY-0826-SM-5K7Y7 60-69 years, male 17.8
GTEX-WFON-1826-SM-3GILG 40-49 years, male 17.8
GTEX-1KANC-1426-SM-CYPT9 50-59 years, female 17.8
GTEX-183FY-1126-SM-7DHLJ 20-29 years, male 17.7
GTEX-1CAMR-1426-SM-793BO 20-29 years, male 17.7
GTEX-1F5PK-2126-SM-7PC28 50-59 years, male 17.7
GTEX-1C6VS-0726-SM-7EPHF 60-69 years, male 17.6
GTEX-T6MO-0326-SM-32QOK 40-49 years, female 17.6
GTEX-1NHNU-0926-SM-E9J2T 50-59 years, male 17.6
GTEX-14PJO-0726-SM-69LO8 60-69 years, male 17.5
GTEX-X4XY-0926-SM-4E3JD 60-69 years, male 17.5
GTEX-ZA64-1526-SM-5CVMD 20-29 years, male 17.5
GTEX-1HFI7-0126-SM-CGQFQ 50-59 years, female 17.4
GTEX-1LG7Z-0726-SM-CXKYD 30-39 years, male 17.4
GTEX-ZDXO-0126-SM-5S2ND 60-69 years, male 17.3
GTEX-TMMY-0726-SM-33HBE 40-49 years, female 17.2
GTEX-X261-0626-SM-3NMD9 50-59 years, male 17.2
GTEX-117YX-1426-SM-5H12H 50-59 years, male 17.1
GTEX-132AR-0826-SM-5EGK6 50-59 years, female 17.1
GTEX-1EN7A-1426-SM-7PBY4 40-49 years, male 17.1
GTEX-1HCU9-0326-SM-9WYSC 20-29 years, male 17.1
GTEX-1IOXB-1926-SM-ARL8E 50-59 years, male 17.1
GTEX-1S82Z-0726-SM-E6CHX 30-39 years, female 17.1
GTEX-TML8-1226-SM-32QON 40-49 years, female 17.0
GTEX-ZF3C-2326-SM-5S2NC 50-59 years, female 17.0
GTEX-UPK5-2326-SM-3P5Z8 40-49 years, male 16.9
GTEX-XGQ4-0926-SM-4AT4U 50-59 years, male 16.9
GTEX-YB5K-1626-SM-5IFIN 40-49 years, female 16.9
GTEX-14PKU-0426-SM-6EU1P 40-49 years, female 16.8
GTEX-1R46S-2526-SM-E8VN2 60-69 years, female 16.8
GTEX-WRHU-0326-SM-3MJFY 50-59 years, female 16.6
GTEX-1F5PL-1026-SM-7RHI1 40-49 years, female 16.6
GTEX-14PJ4-2126-SM-6ETZJ 60-69 years, male 16.5
GTEX-1IDJH-2226-SM-E6CJV 70-79 years, male 16.5
GTEX-ZV6S-1826-SM-5NQ8D 40-49 years, female 16.4
GTEX-1GF9U-1726-SM-7MGY5 40-49 years, female 16.4
GTEX-13O3Q-2226-SM-5KM4O 50-59 years, male 16.2
GTEX-ZTX8-1226-SM-4YCE9 20-29 years, male 16.2
GTEX-14BMV-0626-SM-793AU 50-59 years, male 16.1
GTEX-VJWN-0726-SM-3GIJ8 50-59 years, female 16.0
GTEX-1MJK3-1126-SM-E9J3F 20-29 years, male 16.0
GTEX-1QW4Y-1026-SM-DTXE2 30-39 years, male 16.0
GTEX-11OF3-1926-SM-59889 60-69 years, male 15.9
GTEX-1H1CY-2226-SM-9WG7E 60-69 years, female 15.7
GTEX-1K9T9-1426-SM-DIPFQ 50-59 years, female 15.7
GTEX-1R9JW-0326-SM-EAZ45 30-39 years, female 15.7
GTEX-17JCI-0726-SM-7EPH1 60-69 years, female 15.6
GTEX-1GZ4I-2826-SM-9MQK5 50-59 years, male 15.6
GTEX-1QPFJ-2026-SM-EVYBE 30-39 years, female 15.6
GTEX-13NZ8-0126-SM-5IJCT 60-69 years, female 15.5
GTEX-14ICK-2426-SM-6EU27 40-49 years, male 15.5
GTEX-1B933-2526-SM-7IGO5 50-59 years, female 15.5
GTEX-SE5C-2126-SM-4BRUJ 40-49 years, female 15.5
GTEX-XMD2-0926-SM-4WWEF 60-69 years, female 15.5
GTEX-111YS-1926-SM-5GICC 60-69 years, male 15.4
GTEX-145MN-1926-SM-5SIAI 30-39 years, male 15.4
GTEX-Y3I4-1526-SM-4TT7K 50-59 years, male 15.4
GTEX-ZYW4-0826-SM-5GIDG 60-69 years, male 15.4
GTEX-1B8L1-2426-SM-9WYTE 60-69 years, male 15.4
GTEX-1J8Q2-2726-SM-A9G2X 60-69 years, male 15.4
GTEX-12WSN-1326-SM-5GCNT 40-49 years, male 15.3
GTEX-1IDJU-1826-SM-CMKHV 60-69 years, female 15.3
GTEX-1JK1U-1826-SM-ARL8W 60-69 years, male 15.3
GTEX-147F4-2826-SM-5NQBN 50-59 years, male 15.2
GTEX-1MA7W-1026-SM-DKPQK 20-29 years, female 15.2
GTEX-11ZTT-2326-SM-5EQLG 60-69 years, female 15.0
GTEX-15ETS-0626-SM-7KUMX 40-49 years, female 15.0
GTEX-UJHI-1426-SM-3DB9C 50-59 years, female 14.9
GTEX-XUW1-2326-SM-4BOO5 50-59 years, female 14.9
GTEX-11LCK-2426-SM-5HL5F 30-39 years, male 14.8
GTEX-XMD1-0826-SM-4AT52 60-69 years, male 14.8
GTEX-1I4MK-1626-SM-CM2TJ 50-59 years, female 14.8
GTEX-XYKS-1326-SM-4BRUN 60-69 years, female 14.7
GTEX-ZDYS-1126-SM-5K7UB 50-59 years, male 14.7
GTEX-1I6K6-0826-SM-ARL7Z 30-39 years, male 14.7
GTEX-1211K-1926-SM-5EQLB 60-69 years, female 14.6
GTEX-Y8LW-1626-SM-5IFHX 50-59 years, female 14.6
GTEX-1J8EW-2626-SM-CL53E 60-69 years, female 14.6
GTEX-11DXW-0626-SM-5N9ER 40-49 years, male 14.5
GTEX-WI4N-1426-SM-3LK7H 40-49 years, female 14.5
GTEX-XMK1-1126-SM-4IHJ8 40-49 years, male 14.5
GTEX-1GMR3-2626-SM-7RHHG 40-49 years, male 14.5
GTEX-13OW5-2226-SM-5L3HC 60-69 years, male 14.4
GTEX-17GQL-0326-SM-7LG5U 60-69 years, male 14.4
GTEX-1JKYR-0926-SM-CMKGJ 20-29 years, male 14.4
GTEX-ZDTT-2126-SM-DKPOM 60-69 years, male 14.4
GTEX-13FTW-1426-SM-5LZWZ 40-49 years, male 14.3
GTEX-17MFQ-0926-SM-7LG4S 20-29 years, male 14.3
GTEX-1A3MV-1626-SM-731C1 30-39 years, male 14.3
GTEX-11GSP-0926-SM-9WYSG 60-69 years, female 14.3
GTEX-1QP9N-1826-SM-E8VMP 30-39 years, male 14.3
GTEX-1C64O-0726-SM-7DUFU 60-69 years, male 14.2
GTEX-1LNCM-0226-SM-DIPF4 50-59 years, female 14.2
GTEX-1313W-0826-SM-5EQ4T 50-59 years, female 14.1
GTEX-13SLW-2526-SM-62LDQ 70-79 years, male 14.1
GTEX-ZF29-1926-SM-5S2P1 60-69 years, female 14.1
GTEX-ZQUD-1926-SM-51MSA 30-39 years, male 14.1
GTEX-S4UY-0726-SM-4AD6X 40-49 years, female 14.0
GTEX-Y111-2026-SM-4SOJA 50-59 years, male 14.0
GTEX-Y114-2026-SM-4TT7L 50-59 years, female 14.0
GTEX-13QIC-2326-SM-5LU5N 60-69 years, female 13.9
GTEX-16BQI-1026-SM-7KUEA 30-39 years, female 13.9
GTEX-Y5LM-1726-SM-4VDSX 40-49 years, female 13.9
GTEX-1GZHY-0726-SM-9WG6B 50-59 years, female 13.9
GTEX-11I78-2226-SM-5PNYA 50-59 years, female 13.8
GTEX-17EUY-1926-SM-7DUF6 20-29 years, male 13.8
GTEX-17EVQ-0426-SM-7LG57 70-79 years, male 13.8
GTEX-QEL4-2126-SM-447AE 50-59 years, male 13.8
GTEX-1122O-1226-SM-5H113 60-69 years, female 13.7
GTEX-132Q8-1426-SM-5EGK7 60-69 years, male 13.7
GTEX-139T6-1626-SM-5PNYZ 50-59 years, male 13.7
GTEX-U412-1826-SM-4DXTJ 60-69 years, male 13.7
GTEX-1GF9X-1026-SM-ACKX2 40-49 years, female 13.7
GTEX-1GZ4H-0326-SM-7P8QX 50-59 years, female 13.7
GTEX-1B97J-0426-SM-79OLQ 50-59 years, female 13.6
GTEX-WXYG-2226-SM-4E3IM 50-59 years, female 13.6
GTEX-1GPI6-0626-SM-7RHHJ 60-69 years, male 13.6
GTEX-1I19N-2826-SM-CL55D 70-79 years, male 13.6
GTEX-1P4AB-1826-SM-E76PU 50-59 years, male 13.5
GTEX-13N11-1726-SM-5J1OJ 50-59 years, female 13.4
GTEX-17EVP-0226-SM-79OND 40-49 years, male 13.4
GTEX-ZVE2-1226-SM-5NQ8R 50-59 years, male 13.4
GTEX-1J8Q3-1326-SM-CMKI1 60-69 years, male 13.4
GTEX-X4EP-2926-SM-3P5YQ 60-69 years, female 13.3
GTEX-1JMQK-2626-SM-COH2W 60-69 years, male 13.3
GTEX-1S82U-1126-SM-E9U6I 30-39 years, female 13.3
GTEX-11WQC-1726-SM-5GU4W 60-69 years, male 13.2
GTEX-15UF6-0126-SM-6PAMB 70-79 years, female 13.1
GTEX-1F75A-1826-SM-7SB8G 50-59 years, male 13.1
GTEX-WFG8-2026-SM-EXOHO 20-29 years, male 13.1
GTEX-1KAFJ-0226-SM-DIPEL 50-59 years, male 13.0
GTEX-13O3O-0826-SM-5K7WE 60-69 years, female 12.9
GTEX-13PVR-2226-SM-7DHKP 60-69 years, female 12.9
GTEX-17F98-0526-SM-79OK5 40-49 years, female 12.9
GTEX-1AX8Z-0926-SM-731AW 60-69 years, male 12.9
GTEX-1B932-0826-SM-73KXG 40-49 years, female 12.9
GTEX-1CB4E-0226-SM-79OLW 60-69 years, male 12.9
GTEX-Y5V5-2126-SM-4WWFO 60-69 years, female 12.9
GTEX-Y5V6-2126-SM-4WWFX 60-69 years, male 12.9
GTEX-ZAK1-1326-SM-EVYAS 50-59 years, female 12.9
GTEX-WYJK-1326-SM-3NB2T 50-59 years, male 12.8
GTEX-ZEX8-2226-SM-57WC6 50-59 years, male 12.8
GTEX-1GMRU-0826-SM-9WYT7 50-59 years, male 12.8
GTEX-1QEPI-0926-SM-DTXF3 60-69 years, female 12.7
GTEX-11GS4-2126-SM-5A5KR 60-69 years, male 12.6
GTEX-14BMU-1626-SM-5TDE7 20-29 years, female 12.6
GTEX-ZY6K-1626-SM-5GZWV 50-59 years, male 12.6
GTEX-U3ZH-1426-SM-4DXSR 30-39 years, male 12.5
GTEX-ZPIC-1126-SM-5BC7F 40-49 years, female 12.5
GTEX-139TU-0626-SM-5KM3X 60-69 years, male 12.4
GTEX-1A8G7-2426-SM-731AK 60-69 years, male 12.4
GTEX-1I1GT-1126-SM-ARL7J 60-69 years, female 12.4
GTEX-11P81-1926-SM-5BC53 30-39 years, female 12.3
GTEX-1CAMS-1426-SM-7IGPM 40-49 years, female 12.3
GTEX-1I1HK-2426-SM-ADEHX 60-69 years, male 12.3
GTEX-1KXAM-1026-SM-CY8IA 60-69 years, male 12.3
GTEX-11EI6-0626-SM-5985T 60-69 years, male 12.2
GTEX-14A5I-0726-SM-5TDEB 50-59 years, female 12.2
GTEX-15G19-2126-SM-6M48J 60-69 years, male 12.2
GTEX-RWS6-1926-SM-47JXY 60-69 years, female 12.2
GTEX-1R9PN-0326-SM-DTX85 40-49 years, female 12.2
GTEX-RU72-0626-SM-46MUI 50-59 years, female 12.1
GTEX-ZV7C-1826-SM-5NQ83 50-59 years, male 12.1
GTEX-ZVT2-1826-SM-5NQ8W 50-59 years, female 12.1
GTEX-1JMPY-0526-SM-CL54O 30-39 years, male 12.1
GTEX-12ZZX-1126-SM-5EGKB 40-49 years, female 12.0
GTEX-1IKOE-1326-SM-CE6T6 30-39 years, female 12.0
GTEX-1MCYP-0126-SM-E6CIS 20-29 years, female 12.0
GTEX-11P7K-0726-SM-5EGKX 30-39 years, male 11.8
GTEX-13O3P-0826-SM-5L3DH 50-59 years, male 11.8
GTEX-1CB4G-2326-SM-79OOI 60-69 years, male 11.8
GTEX-ZU9S-1926-SM-5NQBP 30-39 years, male 11.8
GTEX-Q2AG-0326-SM-48U1O 40-49 years, female 11.7
GTEX-RU1J-0626-SM-4WAWY 20-29 years, female 11.6
GTEX-U3ZN-1926-SM-4DXSG 30-39 years, female 11.5
GTEX-1H1E6-0926-SM-9YFLT 30-39 years, male 11.5
GTEX-1J8QM-2026-SM-ARZMW 60-69 years, female 11.5
GTEX-1MJK2-2226-SM-EVYCR 50-59 years, male 11.5
GTEX-11EM3-1326-SM-5N9C6 20-29 years, female 11.4
GTEX-14AS3-1626-SM-5S2OY 40-49 years, female 11.4
GTEX-ZVTK-0326-SM-51MRR 20-29 years, male 11.4
GTEX-13W3W-1226-SM-5LU4H 60-69 years, female 11.3
GTEX-15ER7-1626-SM-6PAMZ 20-29 years, female 11.3
GTEX-18QFQ-0826-SM-718AX 30-39 years, male 11.3
GTEX-1HC8U-0826-SM-ADEIL 40-49 years, female 11.3
GTEX-1HUB1-1626-SM-CM2SL 60-69 years, male 11.3
GTEX-13CF2-2026-SM-5K7VI 60-69 years, male 11.2
GTEX-1R7EV-1526-SM-E8VOD 40-49 years, male 11.2
GTEX-13D11-1026-SM-5IJFB 50-59 years, female 11.1
GTEX-Y3IK-2326-SM-4WWDT 50-59 years, female 11.1
GTEX-1QP29-1726-SM-E8VMQ 50-59 years, male 11.1
GTEX-13FHO-0826-SM-5L3E8 60-69 years, male 11.0
GTEX-133LE-1726-SM-5K7VQ 20-29 years, female 10.9
GTEX-QDT8-0626-SM-48TYW 30-39 years, female 10.9
GTEX-T5JW-2026-SM-4DM63 20-29 years, female 10.9
GTEX-1N2EE-2126-SM-E8VNN 60-69 years, male 10.9
GTEX-ZGAY-1726-SM-DO91P 40-49 years, female 10.9
GTEX-S4P3-1326-SM-4AD6V 50-59 years, female 10.8
GTEX-1IKJJ-2326-SM-COH3U 60-69 years, male 10.8
GTEX-1MCC2-2126-SM-EWRON 30-39 years, female 10.7
GTEX-1QCLZ-2326-SM-DTXDO 60-69 years, female 10.7
GTEX-1269C-2426-SM-5FQSN 60-69 years, female 10.6
GTEX-1HCUA-0726-SM-ACKVU 50-59 years, female 10.6
GTEX-ZLV1-1426-SM-DO92Z 60-69 years, female 10.6
GTEX-1399U-1826-SM-5PNZ1 50-59 years, female 10.4
GTEX-14PN4-0626-SM-62LFP 50-59 years, male 10.4
GTEX-S341-1526-SM-4AD6K 40-49 years, female 10.4
GTEX-VUSG-2226-SM-4KKZO 50-59 years, male 10.4
GTEX-1HCVE-2626-SM-ADEJ8 50-59 years, male 10.4
GTEX-145LT-0726-SM-5S2VM 40-49 years, male 10.3
GTEX-XBED-1626-SM-47JYN 60-69 years, male 10.3
GTEX-1HBPN-2326-SM-9WPPU 50-59 years, male 10.3
GTEX-T2IS-1526-SM-32QPR 20-29 years, female 10.2
GTEX-17HHY-0926-SM-793C1 50-59 years, male 10.1
GTEX-ZZPU-0626-SM-5E43T 50-59 years, female 10.1
GTEX-1GN1U-0526-SM-9KNTT 50-59 years, female 10.1
GTEX-1GN1W-1926-SM-7P8TH 50-59 years, female 10.1
GTEX-11TT1-2126-SM-5GU5Y 20-29 years, male 10.0
GTEX-WYVS-1726-SM-3NMAY 40-49 years, female 9.9
GTEX-1LVAN-1326-SM-CNPQE 50-59 years, female 9.9
GTEX-1F6I4-2526-SM-7SB8F 60-69 years, male 9.8
GTEX-1PDJ9-1126-SM-EXUSW 20-29 years, male 9.8
GTEX-QEG5-0726-SM-D4P1T 20-29 years, male 9.8
GTEX-13PL6-2926-SM-5L3I2 40-49 years, female 9.7
GTEX-15FZZ-0726-SM-7KUFZ 30-39 years, female 9.7
GTEX-ZF2S-2026-SM-5E461 50-59 years, female 9.7
GTEX-ZXES-0826-SM-5E43C 30-39 years, female 9.7
GTEX-18A7A-0726-SM-7LTAI 50-59 years, female 9.6
GTEX-X15G-1626-SM-3NMB3 50-59 years, female 9.6
GTEX-1B8SG-1226-SM-7IGPF 50-59 years, male 9.5
GTEX-1GZ2Q-2626-SM-7MXV9 40-49 years, male 9.5
GTEX-1N5O9-1126-SM-DTXEQ 60-69 years, male 9.5
GTEX-14PHY-1926-SM-5YY95 60-69 years, female 9.4
GTEX-1HSGN-1526-SM-A9SMO 40-49 years, female 9.3
GTEX-1HKZK-1826-SM-ADEJ2 40-49 years, male 9.2
GTEX-1IKOH-2326-SM-CM2TW 60-69 years, female 9.2
GTEX-1M5QR-2526-SM-E9U5P 40-49 years, male 9.2
GTEX-17HG3-0126-SM-7IGNH 30-39 years, female 9.1
GTEX-XUZC-1626-SM-4BRVP 30-39 years, female 9.1
GTEX-1GMR8-0726-SM-9KNVI 50-59 years, female 9.1
GTEX-1I6K7-1026-SM-A9SLK 40-49 years, male 9.1
GTEX-139T8-0826-SM-5L3DE 60-69 years, male 9.0
GTEX-13SLX-2326-SM-5ZZWE 50-59 years, female 8.9
GTEX-1BAJH-0826-SM-7EWEF 70-79 years, male 8.9
GTEX-1CB4J-1826-SM-7EWF9 60-69 years, male 8.9
GTEX-XOT4-0726-SM-4GIAW 60-69 years, female 8.9
GTEX-1IY9M-2726-SM-CMKG5 60-69 years, male 8.9
GTEX-13NZB-2126-SM-5MR4Y 30-39 years, male 8.8
GTEX-16NGA-0826-SM-718AF 40-49 years, female 8.8
GTEX-1GN2E-2226-SM-9WG6J 60-69 years, male 8.8
GTEX-1HSKV-2026-SM-CMKGX 60-69 years, male 8.8
GTEX-13NZ9-1026-SM-5MR5K 50-59 years, male 8.7
GTEX-R3RS-0626-SM-48FE1 40-49 years, female 8.7
GTEX-1IE54-0626-SM-ARL8D 40-49 years, female 8.7
GTEX-1RAZS-1226-SM-E8VMT 50-59 years, male 8.7
GTEX-14H4A-2526-SM-5YYAY 40-49 years, female 8.6
GTEX-17HHE-1426-SM-7EPH4 50-59 years, male 8.6
GTEX-17KNJ-2026-SM-7LG53 50-59 years, male 8.6
GTEX-T5JC-2126-SM-32PMO 20-29 years, male 8.6
GTEX-WYBS-0926-SM-3NM94 60-69 years, female 8.6
GTEX-ZAJG-0626-SM-5HL8X 50-59 years, female 8.6
GTEX-11EMC-2026-SM-5A5JV 60-69 years, female 8.5
GTEX-14LLW-0626-SM-62LFC 70-79 years, female 8.5
GTEX-ZC5H-2626-SM-5J2MG 40-49 years, female 8.5
GTEX-1R7EU-1226-SM-E8VMR 60-69 years, male 8.5
GTEX-131XW-0726-SM-5EGK3 50-59 years, female 8.4
GTEX-1B97I-0426-SM-79OL7 40-49 years, male 8.3
GTEX-T6MN-0726-SM-32PML 50-59 years, male 8.3
GTEX-1KANA-2026-SM-DIPFB 20-29 years, male 8.1
GTEX-1LVAM-0926-SM-E9TJ2 50-59 years, female 8.1
GTEX-131YS-0626-SM-5EGKL 60-69 years, female 8.0
GTEX-1JJE9-2326-SM-ARL8Q 70-79 years, male 7.9
GTEX-1NUQO-2226-SM-E9U68 20-29 years, female 7.9
GTEX-1F75I-2026-SM-7SB7N 40-49 years, male 7.8
GTEX-11PRG-0826-SM-5EQ6A 50-59 years, male 7.5
GTEX-1RAZQ-1226-SM-EWRNL 30-39 years, male 7.5
GTEX-1IDJE-0826-SM-CKZNZ 50-59 years, female 7.2
GTEX-1LSNM-1326-SM-E9TJ1 50-59 years, male 7.1
GTEX-1POEN-0926-SM-DTX88 30-39 years, female 6.4
GTEX-13FTY-2226-SM-5J1ND 40-49 years, female 6.3
GTEX-1QCLY-1626-SM-DTXDW 30-39 years, male 6.3
GTEX-1JJEA-2726-SM-ARL8V 60-69 years, male 6.0
GTEX-14ABY-2126-SM-5QGQZ 50-59 years, male 5.8
GTEX-YFC4-1426-SM-5IFJG 40-49 years, female 5.8
GTEX-1RQEC-2026-SM-DTXDM 60-69 years, male 4.3
Show allShow less

BREAST - FANTOM5 CAGEi

RNA expression in human tissues obtained through Cap Analysis of Gene Expression (CAGE) generated by the FANTOM5 project are reported as Scaled Tags Per Million.

Max subtype Scaled Tags Per Millioni

Max subtype Scaled Tags Per Million is the value for the subtype with the largest average Scaled Tags Per Million across the subtype samples.

56.7
FANTOM5 sample id Sample description Scaled Tags Per Million
Breast
Scaled Tags Per Million: 56.7
FF:10080-102A8 77 years, female 56.7

Contact

  • NEWS ARTICLES
  • PRESS ROOM

The Project

  • INTRODUCTION
  • ORGANIZATION
  • PUBLICATIONS

The Human Protein Atlas

  • DOWNLOADABLE DATA
  • LICENCE & CITATION
  • HELP & FAQ
The Human Protein Atlas project is funded
by the Knut & Alice Wallenberg Foundation.


contact@proteinatlas.org