We use cookies to enhance the usability of our website. If you continue, we'll assume that you are happy to receive all cookies. More information. Don't show this again.
ETNK2
HPA
RESOURCES
  • TISSUE
  • BRAIN
  • SINGLE CELL
  • SUBCELLULAR
  • CANCER
  • BLOOD
  • CELL LINE
  • STRUCTURE & INTERACTION
ABOUT
  • INTRODUCTION
  • HISTORY
  • ORGANIZATION
  • PUBLICATIONS
  • ANTIBODY SUBMISSION
  • ANTIBODY AVAILABILITY
  • ACKNOWLEDGMENTS
  • CONTACT
NEWS
  • NEWS ARTICLES
  • PRESS ROOM
LEARN
  • DICTIONARY
  • PROTEIN CLASSES
  • PROTEIN EVIDENCE
  • METHODS
  • EDUCATIONAL VIDEOS
DATA
  • DOWNLOADABLE DATA
  • PUBLICATION DATA
  • RELEASE HISTORY
HELP
  • ANTIBODY VALIDATION
  • ASSAYS & ANNOTATION
  • DISCLAIMER
  • HELP & FAQ
  • PRIVACY STATEMENT
  • LICENCE & CITATION
Fields »
Search result

Field
Term
Gene name
Class
Subclass
Class
Keyword
Chromosome
External id
Tissue
Cell type
Expression
Antibody panel
Tissue
Main location
Patient ID
Annotation
Tissue
Category
Tau score
Cluster
Reliability
Brain region
Category
Tau score
Brain region
Category
Tau score
Brain region
Category
Tau score
Cluster
Reliability
Tissue
Cell type
Enrichment
Cell type
Category
Tau score
Cell type
Category
Tau score
Cell type
Category
Tau score
Cell lineage
Category
Tau score
Cluster
Cluster
Location
Searches
Location
Cell line
Class
Type
Phase
Reliability
Cancer
Prognosis
Cancer
Category
Cancer
Category
Tau score
Cluster
Variants
Interacting gene (ensg_id)
Type
Number of interactions
Pathway
Category
Score
Score
Score
Validation
Validation
Validation
Validation
Antibodies
Data type
Column


  • SUMMARY

  • TISSUE

  • BRAIN

  • SINGLE CELL

  • SUBCELL

  • CANCER

  • BLOOD

  • CELL LINE

  • STRUCT & INT

  • ETNK2
TISSUE PRIMARY DATA BREAST Show tissue menu
ADIPOSE TISSUE ADRENAL GLAND AMYGDALA APPENDIX BASAL GANGLIA BONE MARROW BREAST BRONCHUS CEREBELLUM CEREBRAL CORTEX CERVIX CHOROID PLEXUS COLON DUODENUM
ENDOMETRIUM EPIDIDYMIS ESOPHAGUS FALLOPIAN TUBE GALLBLADDER HEART MUSCLE HIPPOCAMPAL FORMATION HYPOTHALAMUS KIDNEY LIVER LUNG LYMPH NODE MIDBRAIN NASOPHARYNX
ORAL MUCOSA OVARY PANCREAS PARATHYROID GLAND PITUITARY GLAND PLACENTA PROSTATE RECTUM RETINA SALIVARY GLAND SEMINAL VESICLE SKELETAL MUSCLE SKIN SMALL INTESTINE
SMOOTH MUSCLE SOFT TISSUE SPINAL CORD SPLEEN STOMACH TESTIS THYMUS THYROID GLAND TONGUE TONSIL URINARY BLADDER VAGINA
ANTIBODIES
AND
VALIDATION
Dictionary
Breast
Tissue proteome
Breast
BREAST - Expression summary
Protein expression
Breasti

On the top, protein expression in current human tissue, based on all annotated cell types, is reported with the units not detected (n), low (l), medium (m) and high (h). Underneath, protein expression in each annotated cell type are reported using the same units.

Protein expression data is based on knowledge-based annotation. For genes where more than one antibody has been used, a collective score is set.

If knowledge-based annotation could not be performed for a gene, no data is displayed here. View antibody staining data further down this page.

h
m
l
n
Adipocytes: Not detected
Glandular cells: Low
Myoepithelial cells: Low
RNA expressioni

A summary of mRNA expression data available for current tissue based on several datasets. The mRNA expression levels in human tissues are based on RNA-seq data generated by the Human Protein Atlas (HPA), Genotype-Tissue Expression (GTEx) portal and CAGE data generated by the FANTOM5 consortium. Consensus normalized expression levels for human tissues was created by combining the data from HPA and GTEx datasets.

The mRNA expression levels in pig are based on RNA-seq data generated by the Human Protein Atlas (HPA), and for mouse, HPA data and in situ hybridization generated by the Allen brain atlas are reported.

Scroll down to view mRNA expression data in more detail.
Consensus:16.8 nTPM
HPA:15.9 nTPM
GTEx:16.8 nTPM
FANTOM5:9.2 Scaled Tags Per Million

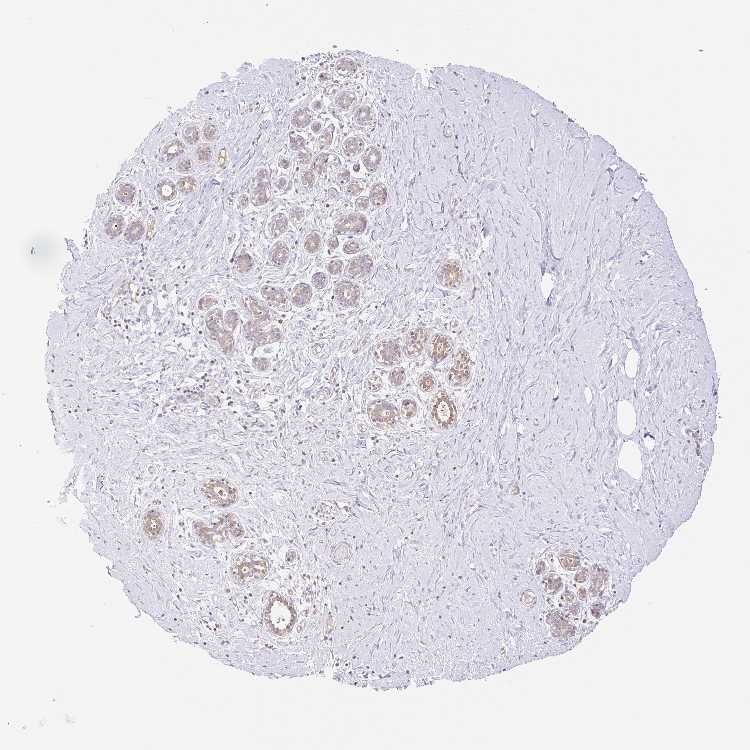
BREAST - Antibody stainingi

Antibody staining in the annotated cell types in the current human tissue is reported as not detected, low, medium, or high, based on conventional immunohistochemistry profiling in selected tissues. This score is based on the combination of the staining intensity and fraction of stained cells.

Each image is clickable and will lead to virtual microscopy that enables deeper exploration of all samples and also displays staining intensity scores, fraction scores and subcellular localization as well as patient and tissue information for each sample.

Antibody HPA057167
Adipocytes Not detected
Glandular cells Medium
Myoepithelial cells Medium


BREAST - HPA RNA-seqi

The RNA-seq details section shows detailed information about the individual samples used for the transcript profiling and results of the RNA-seq analysis.

Information about each individual sample is listed below, including gender, age, a tissue section image and estimated fractions of cell types. nTPM (normalized transcripts per million) values give a quantification of the gene abundance which is comparable between different genes and samples.
Average nTPMi

Max subtype nTPM is the value for the subtype with the largest average nTPM across the subtype samples.

15.9
overview
Female, age 52
Breast sample 373
nTPM: 10.7
Cell types%
Glandular cells:
15

Adipocytes:
5

Other cell types:
80

overview
Female, age 80
Breast sample 390
nTPM: 9.6
Cell types%
Glandular cells:
5

Adipocytes:
15

Other cell types:
80

overview
Female, age 47
Breast sample 405
nTPM: 39
Cell types%
Glandular cells:
5

Adipocytes:
5

Other cell types:
90

overview
Female, age 38
Breast sample 410
nTPM: 4.2
Cell types%
Glandular cells:
40

Adipocytes:
5

Other cell types:
55


BREAST - GTEx RNA-seqi

RNA-Seq data generated by the Genotype-Tissue Expression (GTEx) project from human tissues is reported as mean nTPM. More information can be found on the GTEx portal.

Distribution across the dataset is visualized with box plots, shown as median and 25th and 75th percentiles. Points are displayed as outliers if they are above or below 1.5 times the interquartile range. nTPM values of the individual samples are presented next to the box plot.
Max subtype nTPMi

Max subtype nTPM is the value for the subtype with the largest average nTPM across the subtype samples.

16.8
GTEx sample id Sample description nTPM
Breast - Mammary Tissue
Average nTPM: 16.8
Samples: 459

Max nTPM: 149.2
Min nTPM: 1.0
Std nTPM: 16.7
Median nTPM: 11.2
GTEX-1R7EV-1526-SM-E8VOD 40-49 years, male 149.2
GTEX-1F5PK-2126-SM-7PC28 50-59 years, male 96.6
GTEX-1L5NE-2126-SM-CY8IH 50-59 years, male 94.5
GTEX-1RAZQ-1226-SM-EWRNL 30-39 years, male 92.2
GTEX-1F75I-2026-SM-7SB7N 40-49 years, male 79.3
GTEX-14ABY-2126-SM-5QGQZ 50-59 years, male 77.4
GTEX-ZQUD-1926-SM-51MSA 30-39 years, male 72.2
GTEX-ZU9S-1926-SM-5NQBP 30-39 years, male 66.5
GTEX-ZT9W-2026-SM-51MRA 50-59 years, male 65.6
GTEX-1R7EU-1226-SM-E8VMR 60-69 years, male 65.1
GTEX-14PN4-0626-SM-62LFP 50-59 years, male 64.7
GTEX-1QP9N-1826-SM-E8VMP 30-39 years, male 64.3
GTEX-11P82-1326-SM-5HL62 20-29 years, male 63.5
GTEX-1CAMR-1426-SM-793BO 20-29 years, male 62.4
GTEX-1QCLY-1626-SM-DTXDW 30-39 years, male 60.3
GTEX-T6MN-0726-SM-32PML 50-59 years, male 59.2
GTEX-145LT-0726-SM-5S2VM 40-49 years, male 57.9
GTEX-1B8SG-1226-SM-7IGPF 50-59 years, male 57.8
GTEX-TKQ1-0226-SM-33HB5 30-39 years, male 57.4
GTEX-XGQ4-0926-SM-4AT4U 50-59 years, male 57.3
GTEX-1NHNU-0926-SM-E9J2T 50-59 years, male 56.9
GTEX-1QP29-1726-SM-E8VMQ 50-59 years, male 53.4
GTEX-ZDYS-1126-SM-5K7UB 50-59 years, male 52.2
GTEX-1CB4E-0226-SM-79OLW 60-69 years, male 50.7
GTEX-1JJEA-2726-SM-ARL8V 60-69 years, male 49.4
GTEX-1JMQK-2626-SM-COH2W 60-69 years, male 48.2
GTEX-11ZTT-2326-SM-5EQLG 60-69 years, female 47.8
GTEX-1LSNM-1326-SM-E9TJ1 50-59 years, male 47.7
GTEX-117YX-1426-SM-5H12H 50-59 years, male 47.1
GTEX-1HCU9-0326-SM-9WYSC 20-29 years, male 46.1
GTEX-QEL4-2126-SM-447AE 50-59 years, male 46.0
GTEX-1JMPY-0526-SM-CL54O 30-39 years, male 46.0
GTEX-1IKJJ-2326-SM-COH3U 60-69 years, male 45.7
GTEX-R55D-0826-SM-48FEA 50-59 years, male 45.5
GTEX-14B4R-1226-SM-5TDDT 30-39 years, male 45.3
GTEX-1N2EE-2126-SM-E8VNN 60-69 years, male 45.0
GTEX-1GN2E-2226-SM-9WG6J 60-69 years, male 44.2
GTEX-1PDJ9-1126-SM-EXUSW 20-29 years, male 44.2
GTEX-1HSKV-2026-SM-CMKGX 60-69 years, male 42.4
GTEX-T5JC-2126-SM-32PMO 20-29 years, male 42.3
GTEX-U412-1826-SM-4DXTJ 60-69 years, male 40.8
GTEX-1ICG6-1326-SM-ACKWR 70-79 years, female 39.9
GTEX-1IY9M-2726-SM-CMKG5 60-69 years, male 39.8
GTEX-1N5O9-1126-SM-DTXEQ 60-69 years, male 38.7
GTEX-PSDG-1626-SM-48TCQ 50-59 years, male 36.8
GTEX-1OKEX-0826-SM-E9J2B 60-69 years, male 36.8
GTEX-14PJO-0726-SM-69LO8 60-69 years, male 35.4
GTEX-S4Q7-1126-SM-4AD6R 20-29 years, male 35.4
GTEX-ZTTD-1026-SM-51MRD 50-59 years, male 35.1
GTEX-1KANA-2026-SM-DIPFB 20-29 years, male 35.0
GTEX-11TT1-2126-SM-5GU5Y 20-29 years, male 34.9
GTEX-YB5E-1726-SM-5IFJ3 40-49 years, male 34.8
GTEX-V955-2026-SM-3GAFA 60-69 years, male 33.9
GTEX-Y3I4-1526-SM-4TT7K 50-59 years, male 33.5
GTEX-ZA64-1526-SM-5CVMD 20-29 years, male 33.5
GTEX-14DAR-1326-SM-7DUEG 50-59 years, male 33.4
GTEX-1C6VS-0726-SM-7EPHF 60-69 years, male 32.8
GTEX-1BAJH-0826-SM-7EWEF 70-79 years, male 32.2
GTEX-ZZ64-1226-SM-5E43R 20-29 years, male 31.9
GTEX-ZQG8-0726-SM-5P9H9 60-69 years, female 31.8
GTEX-YB5K-1626-SM-5IFIN 40-49 years, female 31.6
GTEX-1J8Q2-2726-SM-A9G2X 60-69 years, male 31.3
GTEX-14ICK-2426-SM-6EU27 40-49 years, male 31.2
GTEX-QEG5-0726-SM-D4P1T 20-29 years, male 30.8
GTEX-1A3MV-1626-SM-731C1 30-39 years, male 30.7
GTEX-1KXAM-1026-SM-CY8IA 60-69 years, male 30.7
GTEX-1CB4J-1826-SM-7EWF9 60-69 years, male 30.5
GTEX-1GMR2-1926-SM-9MQLZ 50-59 years, male 30.5
GTEX-XBED-1626-SM-47JYN 60-69 years, male 29.8
GTEX-17EUY-1926-SM-7DUF6 20-29 years, male 29.7
GTEX-1B97I-0426-SM-79OL7 40-49 years, male 29.2
GTEX-WFG8-2026-SM-EXOHO 20-29 years, male 28.9
GTEX-ZVTK-0326-SM-51MRR 20-29 years, male 28.5
GTEX-VUSG-2226-SM-4KKZO 50-59 years, male 28.3
GTEX-1HUB1-1626-SM-CM2SL 60-69 years, male 28.1
GTEX-1HSEH-2026-SM-ADEHN 60-69 years, male 27.4
GTEX-1KAFJ-0226-SM-DIPEL 50-59 years, male 27.1
GTEX-139TU-0626-SM-5KM3X 60-69 years, male 26.9
GTEX-17EVP-0226-SM-79OND 40-49 years, male 26.9
GTEX-Z9EW-1526-SM-EZ6LU 40-49 years, male 26.8
GTEX-1CB4G-2326-SM-79OOI 60-69 years, male 26.1
GTEX-1JKYN-0726-SM-ARZMY 30-39 years, male 26.0
GTEX-S4UY-0726-SM-4AD6X 40-49 years, female 25.6
GTEX-1I1HK-2426-SM-ADEHX 60-69 years, male 25.6
GTEX-18QFQ-0826-SM-718AX 30-39 years, male 25.5
GTEX-11GS4-2126-SM-5A5KR 60-69 years, male 25.3
GTEX-YFCO-1826-SM-4W1YH 40-49 years, male 24.8
GTEX-WYJK-1326-SM-3NB2T 50-59 years, male 24.6
GTEX-145MO-0826-SM-5NQBL 60-69 years, male 24.4
GTEX-1HKZK-1826-SM-ADEJ2 40-49 years, male 24.0
GTEX-ZDTT-2126-SM-DKPOM 60-69 years, male 24.0
GTEX-ZTX8-1226-SM-4YCE9 20-29 years, male 23.9
GTEX-145MN-1926-SM-5SIAI 30-39 years, male 23.4
GTEX-17HHE-1426-SM-7EPH4 50-59 years, male 23.3
GTEX-1I6K7-1026-SM-A9SLK 40-49 years, male 23.3
GTEX-12BJ1-1826-SM-5HL9N 60-69 years, male 23.0
GTEX-ZV7C-1826-SM-5NQ83 50-59 years, male 22.5
GTEX-1PPH7-0826-SM-E8VNX 40-49 years, male 22.4
GTEX-1399U-1826-SM-5PNZ1 50-59 years, female 22.3
GTEX-1A8G7-2426-SM-731AK 60-69 years, male 22.1
GTEX-14E6E-1326-SM-5S2NR 30-39 years, male 22.0
GTEX-14LLW-0626-SM-62LFC 70-79 years, female 21.9
GTEX-12WSN-1326-SM-5GCNT 40-49 years, male 21.7
GTEX-139T6-1626-SM-5PNYZ 50-59 years, male 21.6
GTEX-14PKU-0426-SM-6EU1P 40-49 years, female 21.4
GTEX-ZLWG-1926-SM-DO92J 50-59 years, female 21.3
GTEX-1RAZS-1226-SM-E8VMT 50-59 years, male 21.2
GTEX-ZLFU-2126-SM-DO931 40-49 years, male 21.2
GTEX-1RQEC-2026-SM-DTXDM 60-69 years, male 21.1
GTEX-17HHY-0926-SM-793C1 50-59 years, male 20.6
GTEX-13D11-1026-SM-5IJFB 50-59 years, female 20.1
GTEX-1H1E6-0926-SM-9YFLT 30-39 years, male 20.1
GTEX-13NZB-2126-SM-5MR4Y 30-39 years, male 20.0
GTEX-1MJK2-2226-SM-EVYCR 50-59 years, male 20.0
GTEX-1B8KE-1226-SM-73KWK 50-59 years, male 19.9
GTEX-11EMC-2026-SM-5A5JV 60-69 years, female 19.8
GTEX-11LCK-2426-SM-5HL5F 30-39 years, male 19.7
GTEX-13FTW-1426-SM-5LZWZ 40-49 years, male 19.6
GTEX-WY7C-2726-SM-3NB3P 50-59 years, male 19.6
GTEX-SE5C-2126-SM-4BRUJ 40-49 years, female 19.2
GTEX-17F98-0526-SM-79OK5 40-49 years, female 19.1
GTEX-XQ8I-2426-SM-4WAXY 50-59 years, male 18.8
GTEX-11I78-2226-SM-5PNYA 50-59 years, female 18.5
GTEX-13CF2-2026-SM-5K7VI 60-69 years, male 18.3
GTEX-Y8LW-1626-SM-5IFHX 50-59 years, female 18.3
GTEX-1GMR3-2626-SM-7RHHG 40-49 years, male 18.3
GTEX-11P7K-0726-SM-5EGKX 30-39 years, male 18.2
GTEX-147F4-2826-SM-5NQBN 50-59 years, male 18.2
GTEX-1JJE9-2326-SM-ARL8Q 70-79 years, male 18.1
GTEX-1GPI6-0626-SM-7RHHJ 60-69 years, male 17.8
GTEX-Y9LG-1426-SM-5IFJZ 30-39 years, male 17.4
GTEX-1F75A-1826-SM-7SB8G 50-59 years, male 17.4
GTEX-17GQL-0326-SM-7LG5U 60-69 years, male 17.2
GTEX-1AX8Z-0926-SM-731AW 60-69 years, male 17.2
GTEX-ZVT2-1826-SM-5NQ8W 50-59 years, female 17.2
GTEX-18D9A-1526-SM-7LG4J 30-39 years, female 17.0
GTEX-1S82Z-0726-SM-E6CHX 30-39 years, female 17.0
GTEX-13CF3-2126-SM-5IFJP 60-69 years, female 16.9
GTEX-1S82U-1126-SM-E9U6I 30-39 years, female 16.9
GTEX-1HCVE-2626-SM-ADEJ8 50-59 years, male 16.8
GTEX-1B8KZ-1526-SM-7DUG7 50-59 years, male 16.6
GTEX-1IE54-0626-SM-ARL8D 40-49 years, female 16.5
GTEX-1GPI7-0926-SM-7PC3J 20-29 years, male 16.4
GTEX-1IDJU-1826-SM-CMKHV 60-69 years, female 16.4
GTEX-1B97J-0426-SM-79OLQ 50-59 years, female 16.3
GTEX-YEC3-1026-SM-5IFI5 50-59 years, male 16.3
GTEX-1J8Q3-1326-SM-CMKI1 60-69 years, male 16.1
GTEX-13FTX-1126-SM-5N9EN 20-29 years, female 16.0
GTEX-1MJK3-1126-SM-E9J3F 20-29 years, male 16.0
GTEX-WHSB-1926-SM-EXOHH 50-59 years, male 16.0
GTEX-17KNJ-2026-SM-7LG53 50-59 years, male 15.9
GTEX-1JKYR-0926-SM-CMKGJ 20-29 years, male 15.9
GTEX-16NGA-0826-SM-718AF 40-49 years, female 15.5
GTEX-1GZ4I-2826-SM-9MQK5 50-59 years, male 15.5
GTEX-1GZ2Q-2626-SM-7MXV9 40-49 years, male 15.3
GTEX-1GMR8-0726-SM-9KNVI 50-59 years, female 15.2
GTEX-1R9JW-0326-SM-EAZ45 30-39 years, female 15.2
GTEX-1H1DG-0526-SM-9YFLN 70-79 years, male 15.1
GTEX-1I19N-2826-SM-CL55D 70-79 years, male 15.1
GTEX-1AMEY-1026-SM-718AA 30-39 years, female 14.8
GTEX-1EU9M-2826-SM-7EWFH 60-69 years, male 14.8
GTEX-ZF29-1926-SM-5S2P1 60-69 years, female 14.8
GTEX-1F5PL-1026-SM-7RHI1 40-49 years, female 14.6
GTEX-1AX9J-1126-SM-731B7 60-69 years, male 14.5
GTEX-T5JW-2026-SM-4DM63 20-29 years, female 14.5
GTEX-Y111-2026-SM-4SOJA 50-59 years, male 14.3
GTEX-1MCYP-0126-SM-E6CIS 20-29 years, female 14.3
GTEX-11WQC-1726-SM-5GU4W 60-69 years, male 14.2
GTEX-ZY6K-1626-SM-5GZWV 50-59 years, male 14.2
GTEX-1211K-1926-SM-5EQLB 60-69 years, female 14.1
GTEX-1JK1U-1826-SM-ARL8W 60-69 years, male 14.1
GTEX-1C64O-0726-SM-7DUFU 60-69 years, male 13.8
GTEX-RWS6-1926-SM-47JXY 60-69 years, female 13.7
GTEX-1I4MK-1626-SM-CM2TJ 50-59 years, female 13.7
GTEX-1K2DA-1726-SM-CGQGS 50-59 years, male 13.7
GTEX-13FHO-0826-SM-5L3E8 60-69 years, male 13.5
GTEX-REY6-2426-SM-48FF5 60-69 years, male 13.5
GTEX-S32W-2026-SM-4AD6E 50-59 years, female 13.5
GTEX-T6MO-0326-SM-32QOK 40-49 years, female 13.5
GTEX-ZEX8-2226-SM-57WC6 50-59 years, male 13.4
GTEX-U3ZH-1426-SM-4DXSR 30-39 years, male 13.3
GTEX-131YS-0626-SM-5EGKL 60-69 years, female 13.2
GTEX-14PHY-1926-SM-5YY95 60-69 years, female 13.2
GTEX-1MA7W-1026-SM-DKPQK 20-29 years, female 13.2
GTEX-12WSK-2226-SM-5GCO5 40-49 years, female 13.1
GTEX-13N11-1726-SM-5J1OJ 50-59 years, female 13.1
GTEX-TMMY-0726-SM-33HBE 40-49 years, female 13.1
GTEX-13O61-1826-SM-5KM4I 60-69 years, male 12.9
GTEX-Y114-2026-SM-4TT7L 50-59 years, female 12.9
GTEX-13OW5-2226-SM-5L3HC 60-69 years, male 12.8
GTEX-17F96-2426-SM-7IGLN 70-79 years, male 12.8
GTEX-X4EP-2926-SM-3P5YQ 60-69 years, female 12.8
GTEX-1GN1W-1926-SM-7P8TH 50-59 years, female 12.7
GTEX-11PRG-0826-SM-5EQ6A 50-59 years, male 12.6
GTEX-13SLW-2526-SM-62LDQ 70-79 years, male 12.5
GTEX-1GMRU-0826-SM-9WYT7 50-59 years, male 12.5
GTEX-1M5QR-2526-SM-E9U5P 40-49 years, male 12.5
GTEX-14AS3-1626-SM-5S2OY 40-49 years, female 12.4
GTEX-11EQ9-1826-SM-5Q5AJ 30-39 years, male 12.3
GTEX-XUW1-2326-SM-4BOO5 50-59 years, female 12.3
GTEX-14BMU-1626-SM-5TDE7 20-29 years, female 12.2
GTEX-XMD1-0826-SM-4AT52 60-69 years, male 12.2
GTEX-ZXES-0826-SM-5E43C 30-39 years, female 12.2
GTEX-1QPFJ-2026-SM-EVYBE 30-39 years, female 12.2
GTEX-111YS-1926-SM-5GICC 60-69 years, male 12.1
GTEX-X15G-1626-SM-3NMB3 50-59 years, female 12.1
GTEX-Y5V6-2126-SM-4WWFX 60-69 years, male 12.1
GTEX-1F6I4-2526-SM-7SB8F 60-69 years, male 12.1
GTEX-ZGAY-1726-SM-DO91P 40-49 years, female 12.1
GTEX-13W3W-1226-SM-5LU4H 60-69 years, female 12.0
GTEX-14H4A-2526-SM-5YYAY 40-49 years, female 11.9
GTEX-1R9PN-0326-SM-DTX85 40-49 years, female 11.9
GTEX-13PVR-2226-SM-7DHKP 60-69 years, female 11.8
GTEX-ZAB4-2526-SM-5HL8M 40-49 years, male 11.8
GTEX-1QP28-1226-SM-E9J2M 50-59 years, female 11.8
GTEX-ZF3C-2326-SM-5S2NC 50-59 years, female 11.8
GTEX-XYKS-1326-SM-4BRUN 60-69 years, female 11.7
GTEX-1QCLZ-2326-SM-DTXDO 60-69 years, female 11.7
GTEX-14PJ4-2126-SM-6ETZJ 60-69 years, male 11.5
GTEX-16BQI-1026-SM-7KUEA 30-39 years, female 11.5
GTEX-1A3MX-2726-SM-718B6 60-69 years, male 11.5
GTEX-UPK5-2326-SM-3P5Z8 40-49 years, male 11.5
GTEX-13113-5013-SM-7SB7G 60-69 years, female 11.5
GTEX-13NZ9-1026-SM-5MR5K 50-59 years, male 11.4
GTEX-WFON-1826-SM-3GILG 40-49 years, male 11.4
GTEX-17EVQ-0426-SM-7LG57 70-79 years, male 11.3
GTEX-1CAMS-1426-SM-7IGPM 40-49 years, female 11.3
GTEX-WYBS-0926-SM-3NM94 60-69 years, female 11.2
GTEX-Y8E4-1626-SM-5S2MW 40-49 years, male 11.2
GTEX-ZV6S-1826-SM-5NQ8D 40-49 years, female 11.2
GTEX-1GZ4H-0326-SM-7P8QX 50-59 years, female 11.2
GTEX-1HFI7-0126-SM-CGQFQ 50-59 years, female 11.2
GTEX-ZAJG-0626-SM-5HL8X 50-59 years, female 11.1
GTEX-13NZ8-0126-SM-5IJCT 60-69 years, female 11.0
GTEX-14A5I-0726-SM-5TDEB 50-59 years, female 11.0
GTEX-XOT4-0726-SM-4GIAW 60-69 years, female 11.0
GTEX-1LG7Z-0726-SM-CXKYD 30-39 years, male 11.0
GTEX-12WSM-1726-SM-5BC6J 60-69 years, male 10.9
GTEX-X261-0626-SM-3NMD9 50-59 years, male 10.9
GTEX-1I1GU-1026-SM-ADEHJ 40-49 years, male 10.7
GTEX-1J8QM-2026-SM-ARZMW 60-69 years, female 10.7
GTEX-15G19-2126-SM-6M48J 60-69 years, male 10.6
GTEX-1E2YA-2726-SM-7IGPW 50-59 years, male 10.5
GTEX-T2YK-2226-SM-32QPT 50-59 years, male 10.5
GTEX-1H23P-0726-SM-9WG7K 60-69 years, male 10.5
GTEX-1KANC-1426-SM-CYPT9 50-59 years, female 10.5
GTEX-1IDJE-0826-SM-CKZNZ 50-59 years, female 10.4
GTEX-13W46-0826-SM-5LU3H 50-59 years, male 10.3
GTEX-15EOM-5019-SM-793DK 20-29 years, female 10.3
GTEX-WRHU-0326-SM-3MJFY 50-59 years, female 10.3
GTEX-169BO-1126-SM-7MGWN 50-59 years, male 10.3
GTEX-1IDJF-2326-SM-ARL86 20-29 years, male 10.3
GTEX-ZLV1-1426-SM-DO92Z 60-69 years, female 10.3
GTEX-15ETS-0626-SM-7KUMX 40-49 years, female 10.2
GTEX-1HCUA-0726-SM-ACKVU 50-59 years, female 10.1
GTEX-1LGRB-1826-SM-CNPQL 50-59 years, female 10.1
GTEX-ZYW4-0826-SM-5GIDG 60-69 years, male 10.0
GTEX-1B8L1-2426-SM-9WYTE 60-69 years, male 9.9
GTEX-1EN7A-1426-SM-7PBY4 40-49 years, male 9.9
GTEX-1I6K6-0826-SM-ARL7Z 30-39 years, male 9.9
GTEX-1MCC2-2126-SM-EWRON 30-39 years, female 9.9
GTEX-1122O-1226-SM-5H113 60-69 years, female 9.8
GTEX-17MFQ-0926-SM-7LG4S 20-29 years, male 9.8
GTEX-17F9E-2526-SM-7MGW2 50-59 years, male 9.8
GTEX-145ME-1526-SM-5Q5F2 40-49 years, female 9.7
GTEX-S341-1526-SM-4AD6K 40-49 years, female 9.7
GTEX-W5X1-2326-SM-3GIL6 40-49 years, female 9.6
GTEX-11DXZ-1926-SM-5GZZL 50-59 years, male 9.4
GTEX-Y5LM-1726-SM-4VDSX 40-49 years, female 9.4
GTEX-13PL6-2926-SM-5L3I2 40-49 years, female 9.3
GTEX-1IKOH-2326-SM-CM2TW 60-69 years, female 9.3
GTEX-11EM3-1326-SM-5N9C6 20-29 years, female 9.2
GTEX-WXYG-2226-SM-4E3IM 50-59 years, female 9.2
GTEX-1C475-1226-SM-7SB72 40-49 years, female 9.2
GTEX-1GF9X-1026-SM-ACKX2 40-49 years, female 9.2
GTEX-1KD4Q-2326-SM-D4P3M 40-49 years, male 9.2
GTEX-11DXW-0626-SM-5N9ER 40-49 years, male 9.0
GTEX-1POEN-0926-SM-DTX88 30-39 years, female 9.0
GTEX-1314G-1226-SM-5BC6D 30-39 years, male 8.9
GTEX-13SLX-2326-SM-5ZZWE 50-59 years, female 8.9
GTEX-Y3IK-2326-SM-4WWDT 50-59 years, female 8.9
GTEX-11WQK-2426-SM-5GU5C 50-59 years, male 8.8
GTEX-15UF6-0126-SM-6PAMB 70-79 years, female 8.8
GTEX-Q2AG-0326-SM-48U1O 40-49 years, female 8.8
GTEX-ZPIC-1126-SM-5BC7F 40-49 years, female 8.8
GTEX-15FZZ-0726-SM-7KUFZ 30-39 years, female 8.7
GTEX-YFC4-1426-SM-5IFJG 40-49 years, female 8.7
GTEX-1HC8U-0826-SM-ADEIL 40-49 years, female 8.7
GTEX-1HT8W-2226-SM-CGQEC 30-39 years, male 8.7
GTEX-13O3P-0826-SM-5L3DH 50-59 years, male 8.6
GTEX-1IKOE-1326-SM-CE6T6 30-39 years, female 8.6
GTEX-1192X-2326-SM-5987X 50-59 years, male 8.5
GTEX-13QIC-2326-SM-5LU5N 60-69 years, female 8.5
GTEX-18A7B-2626-SM-7LG55 70-79 years, male 8.5
GTEX-1HCU7-1026-SM-ADEIP 50-59 years, male 8.3
GTEX-1QW4Y-1026-SM-DTXE2 30-39 years, male 8.3
GTEX-12ZZX-1126-SM-5EGKB 40-49 years, female 8.2
GTEX-133LE-1726-SM-5K7VQ 20-29 years, female 8.2
GTEX-X4XY-0926-SM-4E3JD 60-69 years, male 8.2
GTEX-13O3Q-2226-SM-5KM4O 50-59 years, male 8.1
GTEX-17HGU-1326-SM-79OKB 50-59 years, male 8.1
GTEX-T2IS-1526-SM-32QPR 20-29 years, female 8.1
GTEX-ZVT4-1026-SM-57WC4 50-59 years, female 8.1
GTEX-1I1GT-1126-SM-ARL7J 60-69 years, female 8.0
GTEX-1LNCM-0226-SM-DIPF4 50-59 years, female 8.0
GTEX-1R9PM-1826-SM-EVYBH 20-29 years, male 8.0
GTEX-RU72-0626-SM-46MUI 50-59 years, female 7.9
GTEX-U3ZN-1926-SM-4DXSG 30-39 years, female 7.9
GTEX-ZC5H-2626-SM-5J2MG 40-49 years, female 7.9
GTEX-1HBPN-2326-SM-9WPPU 50-59 years, male 7.9
GTEX-13OW8-0226-SM-5K7UP 60-69 years, male 7.8
GTEX-17HG3-0126-SM-7IGNH 30-39 years, female 7.8
GTEX-1LVAM-0926-SM-E9TJ2 50-59 years, female 7.8
GTEX-11GSP-0926-SM-9WYSG 60-69 years, female 7.7
GTEX-1HSGN-1526-SM-A9SMO 40-49 years, female 7.7
GTEX-QVJO-1826-SM-447C9 60-69 years, female 7.6
GTEX-1JMPZ-1626-SM-COH31 30-39 years, male 7.6
GTEX-11GSO-1926-SM-5A5K3 60-69 years, male 7.5
GTEX-11NSD-0926-SM-5N9DR 20-29 years, male 7.5
GTEX-R3RS-0626-SM-48FE1 40-49 years, female 7.5
GTEX-WI4N-1426-SM-3LK7H 40-49 years, female 7.5
GTEX-R53T-1526-SM-48FEK 50-59 years, female 7.4
GTEX-WYVS-1726-SM-3NMAY 40-49 years, female 7.4
GTEX-1F75B-0626-SM-7SB8A 50-59 years, male 7.4
GTEX-1GN1U-0526-SM-9KNTT 50-59 years, female 7.4
GTEX-11EI6-0626-SM-5985T 60-69 years, male 7.3
GTEX-S4P3-1326-SM-4AD6V 50-59 years, female 7.3
GTEX-XMD2-0926-SM-4WWEF 60-69 years, female 7.3
GTEX-ZF2S-2026-SM-5E461 50-59 years, female 7.3
GTEX-1IDJH-2226-SM-E6CJV 70-79 years, male 7.3
GTEX-1JMLX-2026-SM-CMKGN 50-59 years, male 7.3
GTEX-1117F-2826-SM-5GZXL 60-69 years, female 7.2
GTEX-1269C-2426-SM-5FQSN 60-69 years, female 7.2
GTEX-132NY-0826-SM-5K7Y7 60-69 years, male 7.2
GTEX-17MF6-0326-SM-7EPH5 40-49 years, male 7.2
GTEX-UJHI-1426-SM-3DB9C 50-59 years, female 7.2
GTEX-1H4P4-2226-SM-9MQKQ 50-59 years, male 7.2
GTEX-1P4AB-1826-SM-E76PU 50-59 years, male 7.2
GTEX-ZAK1-1326-SM-EVYAS 50-59 years, female 7.2
GTEX-131XW-0726-SM-5EGK3 50-59 years, female 7.1
GTEX-1B932-0826-SM-73KXG 40-49 years, female 7.1
GTEX-132Q8-1426-SM-5EGK7 60-69 years, male 7.0
GTEX-14753-2426-SM-5LU8U 60-69 years, male 6.9
GTEX-1LVAN-1326-SM-CNPQE 50-59 years, female 6.9
GTEX-1RLM8-2226-SM-EVYD1 50-59 years, male 6.9
GTEX-15RJE-2626-SM-7KFT1 40-49 years, male 6.8
GTEX-WOFL-0826-SM-3MJG1 60-69 years, male 6.8
GTEX-1LSVX-2426-SM-E6CJX 60-69 years, male 6.8
GTEX-QMRM-1626-SM-D4P1U 50-59 years, male 6.8
GTEX-13FTY-2226-SM-5J1ND 40-49 years, female 6.7
GTEX-UTHO-1026-SM-3GAF7 60-69 years, male 6.7
GTEX-VJWN-0726-SM-3GIJ8 50-59 years, female 6.7
GTEX-XV7Q-2326-SM-4BRVZ 40-49 years, female 6.7
GTEX-Y5V5-2126-SM-4WWFO 60-69 years, female 6.7
GTEX-ZZPU-0626-SM-5E43T 50-59 years, female 6.7
GTEX-1HR98-0426-SM-COH36 60-69 years, male 6.7
GTEX-11DXY-2326-SM-5GICW 60-69 years, male 6.6
GTEX-139T8-0826-SM-5L3DE 60-69 years, male 6.6
GTEX-TML8-1226-SM-32QON 40-49 years, female 6.6
GTEX-18A7A-0726-SM-7LTAI 50-59 years, female 6.5
GTEX-1KD5A-1926-SM-DKPQA 50-59 years, male 6.5
GTEX-145MF-2226-SM-7EPIR 50-59 years, male 6.4
GTEX-1K9T9-1426-SM-DIPFQ 50-59 years, female 6.4
GTEX-X62O-0526-SM-EWRMA 50-59 years, male 6.4
GTEX-15ER7-1626-SM-6PAMZ 20-29 years, female 6.3
GTEX-XQ3S-1326-SM-4BOPQ 20-29 years, male 6.3
GTEX-ZYFC-0826-SM-5E44K 50-59 years, male 6.3
GTEX-1J8EW-2626-SM-CL53E 60-69 years, female 6.3
GTEX-1M4P7-2626-SM-E9U5F 60-69 years, male 6.3
GTEX-1R46S-2526-SM-E8VN2 60-69 years, female 6.2
GTEX-13N1W-0626-SM-5MR4U 70-79 years, male 6.1
GTEX-1IDFM-0426-SM-B2LVV 60-69 years, male 6.1
GTEX-1JMOU-2026-SM-CMKGU 60-69 years, female 6.1
GTEX-1LBAC-0926-SM-CXKY9 20-29 years, male 6.1
GTEX-QDT8-0626-SM-48TYW 30-39 years, female 6.0
GTEX-ZVE2-1226-SM-5NQ8R 50-59 years, male 6.0
GTEX-1H1CY-2226-SM-9WG7E 60-69 years, female 6.0
GTEX-1H1ZS-0126-SM-9YFKQ 70-79 years, male 6.0
GTEX-14E6C-1326-SM-62LEQ 40-49 years, male 5.9
GTEX-15SHW-1326-SM-6PAL8 60-69 years, male 5.9
GTEX-183FY-1126-SM-7DHLJ 20-29 years, male 5.9
GTEX-1QMI2-0726-SM-E9J4F 60-69 years, male 5.9
GTEX-RU1J-0626-SM-4WAWY 20-29 years, female 5.8
GTEX-S33H-0326-SM-4AD6N 30-39 years, male 5.8
GTEX-1ICLZ-0426-SM-B2LW2 60-69 years, male 5.8
GTEX-1PPGY-1526-SM-EVYBK 60-69 years, male 5.8
GTEX-ZVZQ-0826-SM-51MRF 60-69 years, female 5.7
GTEX-1HBPM-0126-SM-ARL9E 60-69 years, female 5.7
GTEX-1HR9M-2426-SM-ACKXI 60-69 years, male 5.7
GTEX-13O3O-0826-SM-5K7WE 60-69 years, female 5.5
GTEX-1B933-2526-SM-7IGO5 50-59 years, female 5.5
GTEX-18A66-1726-SM-7LG5N 60-69 years, male 5.5
GTEX-117XS-1926-SM-5GICO 60-69 years, male 5.4
GTEX-146FH-0826-SM-5SI8T 50-59 years, female 5.4
GTEX-1NV8Z-2826-SM-E8VME 60-69 years, male 5.4
GTEX-11P81-1926-SM-5BC53 30-39 years, female 5.3
GTEX-17JCI-0726-SM-7EPH1 60-69 years, female 5.3
GTEX-1C6WA-2426-SM-7SB86 60-69 years, male 5.3
GTEX-1LC47-1226-SM-D4P44 60-69 years, male 5.3
GTEX-14E7W-0826-SM-62LEJ 70-79 years, male 5.1
GTEX-1QEPI-0926-SM-DTXF3 60-69 years, female 5.1
GTEX-1313W-0826-SM-5EQ4T 50-59 years, female 5.0
GTEX-15UF7-0726-SM-6M46D 40-49 years, male 5.0
GTEX-183WM-0726-SM-7LTAA 70-79 years, female 5.0
GTEX-13S86-1226-SM-5S2OA 40-49 years, male 4.9
GTEX-144GL-2026-SM-5LU3O 50-59 years, male 4.9
GTEX-1HSMO-0826-SM-ADEIV 60-69 years, male 4.9
GTEX-17F97-2526-SM-7EWDV 50-59 years, male 4.7
GTEX-ZWKS-2826-SM-5NQ74 30-39 years, male 4.7
GTEX-12KS4-0126-SM-5Q5A5 30-39 years, male 4.6
GTEX-13VXU-2826-SM-664MA 50-59 years, male 4.6
GTEX-RUSQ-2026-SM-4GIAK 50-59 years, male 4.6
GTEX-1GZHY-0726-SM-9WG6B 50-59 years, female 4.6
GTEX-1ICLY-1726-SM-B2LVT 50-59 years, male 4.5
GTEX-1N2EF-2226-SM-E9J33 60-69 years, male 4.5
GTEX-1GF9U-1726-SM-7MGY5 40-49 years, female 4.4
GTEX-11NV4-2026-SM-5N9DG 60-69 years, male 4.2
GTEX-11OF3-1926-SM-59889 60-69 years, male 4.2
GTEX-11ZUS-0826-SM-5FQUY 30-39 years, male 4.2
GTEX-YJ8O-2226-SM-5IFHW 40-49 years, female 4.2
GTEX-1H3VY-0926-SM-ACKXE 50-59 years, male 4.2
GTEX-1AX9I-0726-SM-73KWV 60-69 years, male 4.1
GTEX-1JN6P-2426-SM-ARL99 60-69 years, male 4.1
GTEX-11DZ1-0326-SM-5N9BN 50-59 years, male 3.9
GTEX-144GM-0926-SM-5O994 20-29 years, male 3.9
GTEX-18465-2026-SM-718AP 50-59 years, male 3.9
GTEX-XUZC-1626-SM-4BRVP 30-39 years, female 3.9
GTEX-1EWIQ-1726-SM-7SB7T 70-79 years, female 3.9
GTEX-1H11D-1526-SM-9MQJY 40-49 years, male 3.9
GTEX-13QJ3-0826-SM-7DHKK 50-59 years, male 3.8
GTEX-14BMV-0626-SM-793AU 50-59 years, male 3.8
GTEX-18A6Q-0926-SM-7LG4N 60-69 years, male 3.8
GTEX-1HCU8-0126-SM-ADEHH 60-69 years, female 3.8
GTEX-1MA7X-1626-SM-E9U5B 60-69 years, male 3.8
GTEX-11ONC-2126-SM-5HL6E 60-69 years, male 3.7
GTEX-TKQ2-1826-SM-33HB2 50-59 years, male 3.7
GTEX-XMK1-1126-SM-4IHJ8 40-49 years, male 3.7
GTEX-ZYT6-0126-SM-5E45J 30-39 years, male 3.6
GTEX-1IGQW-0926-SM-ADEH6 60-69 years, male 3.6
GTEX-1EKGG-2626-SM-7IGPY 60-69 years, male 3.4
GTEX-1GF9V-2526-SM-7SB8K 60-69 years, male 3.4
GTEX-1JN1M-3026-SM-CMKGK 60-69 years, female 3.4
GTEX-ZUA1-1526-SM-59HLS 40-49 years, male 3.3
GTEX-11O72-2126-SM-5N9FO 40-49 years, male 3.2
GTEX-132AR-0826-SM-5EGK6 50-59 years, female 3.1
GTEX-1IOXB-1926-SM-ARL8E 50-59 years, male 3.0
GTEX-1LSNL-2826-SM-E9U5L 50-59 years, male 3.0
GTEX-13PVQ-1026-SM-5KM3M 50-59 years, male 2.9
GTEX-1I1GV-2426-SM-CGQFM 60-69 years, male 2.9
GTEX-16YQH-2826-SM-6PAMY 30-39 years, male 2.8
GTEX-YECK-0726-SM-EZ6LV 60-69 years, male 2.7
GTEX-S7SE-0826-SM-4AT4D 50-59 years, male 2.6
GTEX-ZDXO-0126-SM-5S2ND 60-69 years, male 2.6
GTEX-1C6VQ-0426-SM-79OOX 50-59 years, male 2.5
GTEX-1I1GP-0426-SM-COH3N 50-59 years, male 2.3
GTEX-11TUW-1826-SM-5BC5D 60-69 years, male 2.1
GTEX-ZTPG-2826-SM-57WGA 20-29 years, female 2.1
GTEX-1NUQO-2226-SM-E9U68 20-29 years, female 1.8
GTEX-U8XE-0826-SM-4E3J1 30-39 years, male 1.0
Show allShow less

BREAST - FANTOM5 CAGEi

RNA expression in human tissues obtained through Cap Analysis of Gene Expression (CAGE) generated by the FANTOM5 project are reported as Scaled Tags Per Million.

Max subtype Scaled Tags Per Millioni

Max subtype Scaled Tags Per Million is the value for the subtype with the largest average Scaled Tags Per Million across the subtype samples.

9.2
FANTOM5 sample id Sample description Scaled Tags Per Million
Breast
Scaled Tags Per Million: 9.2
FF:10080-102A8 77 years, female 9.2

Contact

  • NEWS ARTICLES
  • PRESS ROOM

The Project

  • INTRODUCTION
  • ORGANIZATION
  • PUBLICATIONS

The Human Protein Atlas

  • DOWNLOADABLE DATA
  • LICENCE & CITATION
  • HELP & FAQ
The Human Protein Atlas project is funded
by the Knut & Alice Wallenberg Foundation.


contact@proteinatlas.org