We use cookies to enhance the usability of our website. If you continue, we'll assume that you are happy to receive all cookies. More information. Don't show this again.
HNRNPLL
HPA
RESOURCES
  • TISSUE
  • BRAIN
  • SINGLE CELL
  • SUBCELLULAR
  • CANCER
  • BLOOD
  • CELL LINE
  • STRUCTURE & INTERACTION
ABOUT
  • INTRODUCTION
  • HISTORY
  • ORGANIZATION
  • PUBLICATIONS
  • ANTIBODY SUBMISSION
  • ANTIBODY AVAILABILITY
  • ACKNOWLEDGMENTS
  • CONTACT
NEWS
  • NEWS ARTICLES
  • PRESS ROOM
LEARN
  • DICTIONARY
  • PROTEIN CLASSES
  • PROTEIN EVIDENCE
  • METHODS
  • EDUCATIONAL VIDEOS
DATA
  • DOWNLOADABLE DATA
  • PUBLICATION DATA
  • RELEASE HISTORY
HELP
  • ANTIBODY VALIDATION
  • ASSAYS & ANNOTATION
  • DISCLAIMER
  • HELP & FAQ
  • PRIVACY STATEMENT
  • LICENCE & CITATION
Fields »
Search result

Field
Term
Gene name
Class
Subclass
Class
Keyword
Chromosome
External id
Tissue
Cell type
Expression
Antibody panel
Tissue
Main location
Patient ID
Annotation
Tissue
Category
Tau score
Cluster
Reliability
Brain region
Category
Tau score
Brain region
Category
Tau score
Brain region
Category
Tau score
Cluster
Reliability
Tissue
Cell type
Enrichment
Cell type
Category
Tau score
Cell type
Category
Tau score
Cell type
Category
Tau score
Cell lineage
Category
Tau score
Cluster
Cluster
Location
Searches
Location
Cell line
Class
Type
Phase
Reliability
Cancer
Prognosis
Cancer
Category
Cancer
Category
Tau score
Cluster
Variants
Interacting gene (ensg_id)
Type
Number of interactions
Pathway
Category
Score
Score
Score
Validation
Validation
Validation
Validation
Antibodies
Data type
Column


  • SUMMARY

  • TISSUE

  • BRAIN

  • SINGLE CELL

  • SUBCELL

  • CANCER

  • BLOOD

  • CELL LINE

  • STRUCT & INT

  • HNRNPLL
TISSUE PRIMARY DATA HEART MUSCLE Show tissue menu
ADIPOSE TISSUE ADRENAL GLAND AMYGDALA APPENDIX BASAL GANGLIA BONE MARROW BREAST BRONCHUS CEREBELLUM CEREBRAL CORTEX CERVIX CHOROID PLEXUS COLON DUODENUM
ENDOMETRIUM EPIDIDYMIS ESOPHAGUS FALLOPIAN TUBE GALLBLADDER HEART MUSCLE HIPPOCAMPAL FORMATION HYPOTHALAMUS KIDNEY LIVER LUNG LYMPH NODE MIDBRAIN NASOPHARYNX
ORAL MUCOSA OVARY PANCREAS PARATHYROID GLAND PITUITARY GLAND PLACENTA PROSTATE RECTUM RETINA SALIVARY GLAND SEMINAL VESICLE SKELETAL MUSCLE SKIN SMALL INTESTINE
SMOOTH MUSCLE SOFT TISSUE SPINAL CORD SPLEEN STOMACH TESTIS THYMUS THYROID GLAND TONGUE TONSIL URINARY BLADDER VAGINA
ANTIBODIES
AND
VALIDATION
Dictionary
Heart muscle
Tissue proteome
Heart
HEART MUSCLE - Expression summary
Protein expression
Heart musclei

On the top, protein expression in current human tissue, based on all annotated cell types, is reported with the units not detected (n), low (l), medium (m) and high (h). Underneath, protein expression in each annotated cell type are reported using the same units.

Protein expression data is based on knowledge-based annotation. For genes where more than one antibody has been used, a collective score is set.

If knowledge-based annotation could not be performed for a gene, no data is displayed here. View antibody staining data further down this page.

h
m
l
n
Cardiomyocytes: Low
RNA expressioni

A summary of mRNA expression data available for current tissue based on several datasets. The mRNA expression levels in human tissues are based on RNA-seq data generated by the Human Protein Atlas (HPA), Genotype-Tissue Expression (GTEx) portal and CAGE data generated by the FANTOM5 consortium. Consensus normalized expression levels for human tissues was created by combining the data from HPA and GTEx datasets.

The mRNA expression levels in pig are based on RNA-seq data generated by the Human Protein Atlas (HPA), and for mouse, HPA data and in situ hybridization generated by the Allen brain atlas are reported.

Scroll down to view mRNA expression data in more detail.
Consensus:12.4 nTPM
HPA:8.5 nTPM
GTEx:12.4 nTPM
FANTOM5:37.0 Scaled Tags Per Million

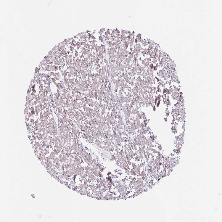
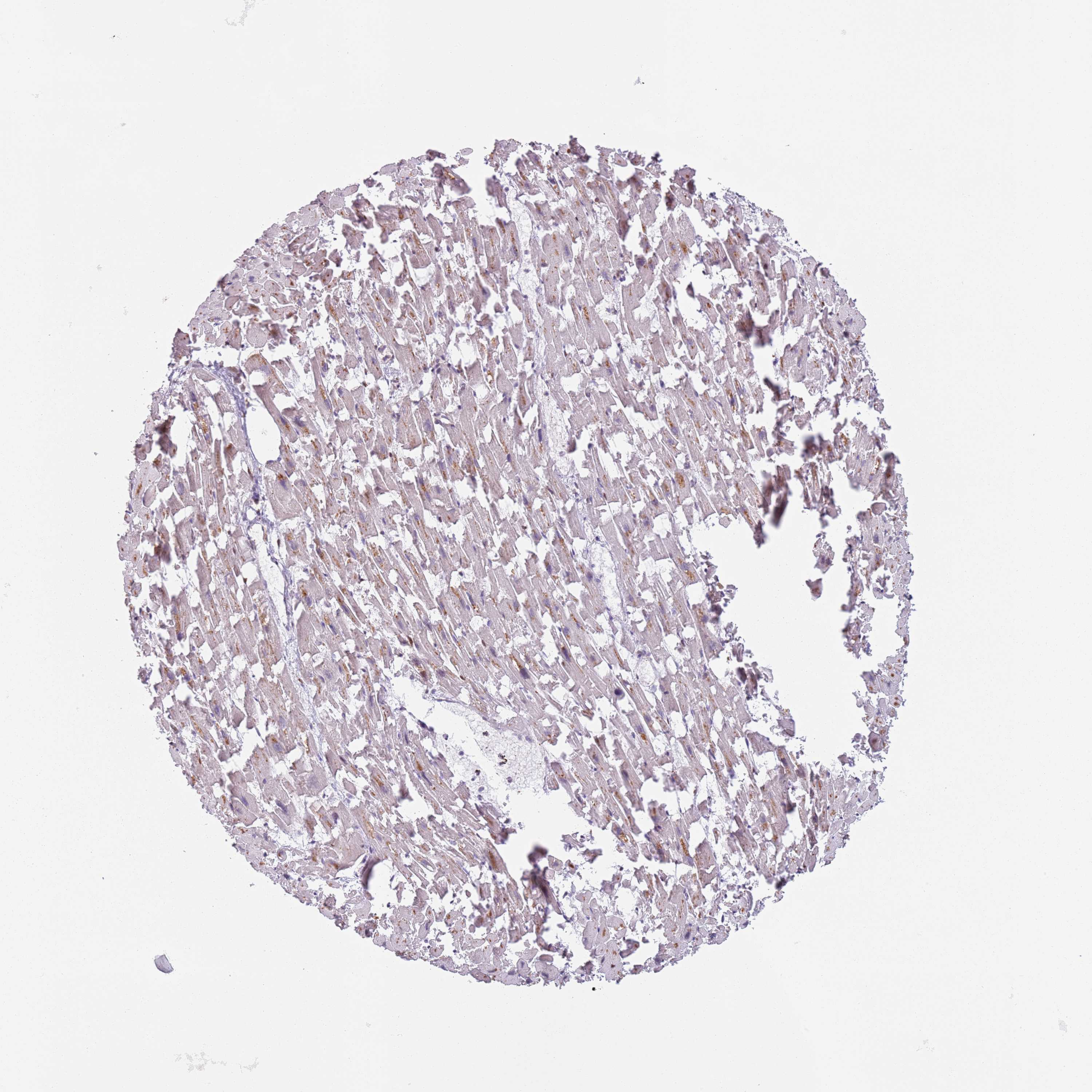
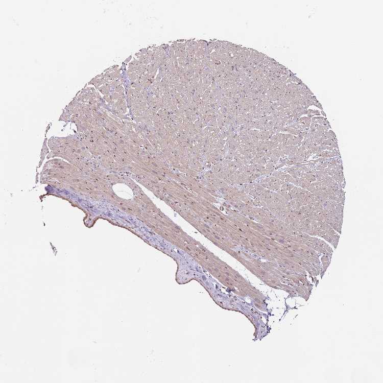
HEART MUSCLE - Antibody stainingi

Antibody staining in the annotated cell types in the current human tissue is reported as not detected, low, medium, or high, based on conventional immunohistochemistry profiling in selected tissues. This score is based on the combination of the staining intensity and fraction of stained cells.

Each image is clickable and will lead to virtual microscopy that enables deeper exploration of all samples and also displays staining intensity scores, fraction scores and subcellular localization as well as patient and tissue information for each sample.

Antibody HPA046084
Cardiomyocytes Low



HEART MUSCLE - HPA RNA-seqi

The RNA-seq details section shows detailed information about the individual samples used for the transcript profiling and results of the RNA-seq analysis.

Information about each individual sample is listed below, including gender, age, a tissue section image and estimated fractions of cell types. nTPM (normalized transcripts per million) values give a quantification of the gene abundance which is comparable between different genes and samples.
Average nTPMi

Max subtype nTPM is the value for the subtype with the largest average nTPM across the subtype samples.

8.5
overview
Female, age 48
Heart muscle sample 149
nTPM: 7.2
Cell types%
Myocytes:
15

Fibroblasts:
55

Endothelial cells:
25

Other cell types:
5

overview
Female, age 42
Heart muscle sample 150
nTPM: 8.4
Cell types%
Myocytes:
20

Fibroblasts:
45

Endothelial cells:
30

Other cell types:
5

overview
Male, age 53
Heart muscle sample 151
nTPM: 9.8
Cell types%
Myocytes:
20

Fibroblasts:
45

Endothelial cells:
30

Other cell types:
5

overview
Female, age 69
Heart muscle sample 152
nTPM: 8.7
Cell types%
Myocytes:
20

Fibroblasts:
45

Endothelial cells:
30

Other cell types:
5


HEART MUSCLE - GTEx RNA-seqi

RNA-Seq data generated by the Genotype-Tissue Expression (GTEx) project from human tissues is reported as mean nTPM. More information can be found on the GTEx portal.

Distribution across the dataset is visualized with box plots, shown as median and 25th and 75th percentiles. Points are displayed as outliers if they are above or below 1.5 times the interquartile range. nTPM values of the individual samples are presented next to the box plot.
Max subtype nTPMi

Max subtype nTPM is the value for the subtype with the largest average nTPM across the subtype samples.

12.4
GTEx sample id Sample description nTPM
Heart - Atrial Appendage
Average nTPM: 12.4
Samples: 429

Max nTPM: 30.8
Min nTPM: 3.8
Std nTPM: 3.3
Median nTPM: 12.0
GTEX-1E1VI-1426-SM-793CY 50-59 years, male 30.8
GTEX-1JJEA-0926-SM-CYPSO 60-69 years, male 28.6
GTEX-17JCI-0826-SM-7LT8W 60-69 years, female 24.6
GTEX-1IKOH-0926-SM-A9SLU 60-69 years, female 22.6
GTEX-1IKK5-1726-SM-CM2RU 60-69 years, male 21.3
GTEX-1JN6P-0826-SM-ARL97 60-69 years, male 20.8
GTEX-1QEPI-1126-SM-E8VN7 60-69 years, female 20.8
GTEX-13SLX-0926-SM-5S2NM 50-59 years, female 20.4
GTEX-1B8L1-0426-SM-7SB76 60-69 years, male 20.4
GTEX-1LB8K-0926-SM-D4P42 50-59 years, male 20.4
GTEX-1HBPH-0226-SM-9WYSM 40-49 years, female 20.3
GTEX-13NZB-0426-SM-5KM26 30-39 years, male 20.1
GTEX-1IL2U-1226-SM-CL53P 60-69 years, male 20.1
GTEX-13X6J-1226-SM-79OMF 50-59 years, male 20.0
GTEX-17EVP-0526-SM-7EPGY 40-49 years, male 19.9
GTEX-1GZ2Q-0926-SM-7RHHN 40-49 years, male 19.7
GTEX-13OW6-0926-SM-5L3GM 50-59 years, male 19.5
GTEX-15SKB-0926-SM-7KUFC 60-69 years, male 19.5
GTEX-16GPK-1226-SM-7LTAU 60-69 years, male 19.1
GTEX-1GMR3-0426-SM-7PC17 40-49 years, male 19.1
GTEX-VUSG-0726-SM-3GIK1 50-59 years, male 18.7
GTEX-18A7A-1226-SM-7LTAJ 50-59 years, female 18.6
GTEX-1R9K4-1026-SM-EXUT1 60-69 years, male 18.6
GTEX-14DAQ-1026-SM-793B1 60-69 years, female 18.5
GTEX-12584-1026-SM-59HK3 40-49 years, male 18.4
GTEX-14BMV-1026-SM-5SI6B 50-59 years, male 18.4
GTEX-WZTO-1226-SM-3NMAZ 40-49 years, male 18.4
GTEX-17MF6-0926-SM-7LTAL 40-49 years, male 18.3
GTEX-1B8SF-1326-SM-7IGQJ 60-69 years, male 18.3
GTEX-1EU9M-1926-SM-7RHH4 60-69 years, male 18.3
GTEX-131YS-0826-SM-5PNYV 60-69 years, female 18.1
GTEX-1I19N-0626-SM-A9SKY 70-79 years, male 18.1
GTEX-16XZZ-1026-SM-7DHKS 60-69 years, male 17.9
GTEX-1GZ4I-0826-SM-9WG6O 50-59 years, male 17.7
GTEX-X62O-0826-SM-46MW8 50-59 years, male 17.6
GTEX-ZTTD-0626-SM-4YCCY 50-59 years, male 17.6
GTEX-1HSKV-0726-SM-ACKWE 60-69 years, male 17.6
GTEX-1QMI2-1026-SM-DTX7T 60-69 years, male 17.6
GTEX-1HFI6-0826-SM-9YFM2 40-49 years, male 17.4
GTEX-1GN1U-1426-SM-7P8TF 50-59 years, female 17.0
GTEX-1HCVE-0826-SM-CM2SF 50-59 years, male 16.8
GTEX-1IKOE-0626-SM-A9G31 30-39 years, female 16.6
GTEX-1LSNL-0626-SM-DIPFJ 50-59 years, male 16.6
GTEX-13O3P-1426-SM-5L3DT 50-59 years, male 16.3
GTEX-1I1CD-1326-SM-A9SMM 60-69 years, female 16.3
GTEX-13OW7-1626-SM-5IJDH 50-59 years, male 16.2
GTEX-14A5I-1026-SM-5Q5E3 50-59 years, female 16.2
GTEX-12WSD-1226-SM-5HL9Q 60-69 years, female 16.1
GTEX-1GN73-2326-SM-9MQKV 60-69 years, male 16.0
GTEX-11DYG-1026-SM-5A5JQ 60-69 years, male 15.9
GTEX-17HGU-1126-SM-793BP 50-59 years, male 15.8
GTEX-XLM4-2026-SM-4AT4X 60-69 years, male 15.8
GTEX-XBEC-1226-SM-4AT65 50-59 years, male 15.7
GTEX-1I1HK-0626-SM-CNPQM 60-69 years, male 15.7
GTEX-ZAK1-1126-SM-5PNXU 50-59 years, female 15.6
GTEX-1192X-0726-SM-5987R 50-59 years, male 15.5
GTEX-11EQ8-1326-SM-5EGJQ 60-69 years, male 15.5
GTEX-139YR-0526-SM-5L3DG 50-59 years, male 15.5
GTEX-131XE-0526-SM-5K7YT 50-59 years, male 15.4
GTEX-13S86-0326-SM-5SI6K 40-49 years, male 15.4
GTEX-1HBPM-1026-SM-ARL9D 60-69 years, female 15.3
GTEX-1JJ6O-2226-SM-AHZ3I 60-69 years, male 15.3
GTEX-1212Z-0726-SM-5EGI5 60-69 years, male 15.2
GTEX-13FTZ-0326-SM-5J1O1 60-69 years, male 15.2
GTEX-13PDP-1326-SM-5K7U9 60-69 years, male 15.2
GTEX-17KNJ-0626-SM-7LT9L 50-59 years, male 15.2
GTEX-X4XX-1126-SM-3NMBY 60-69 years, male 15.2
GTEX-17F96-0826-SM-7DHLU 70-79 years, male 15.1
GTEX-18465-0726-SM-7LG4L 50-59 years, male 15.1
GTEX-1477Z-1126-SM-5P9GK 60-69 years, male 15.0
GTEX-XV7Q-0726-SM-4BRV6 40-49 years, female 15.0
GTEX-13NYB-0326-SM-5IJDP 40-49 years, male 14.9
GTEX-XOT4-1126-SM-4B66E 60-69 years, female 14.9
GTEX-183WM-0926-SM-718AN 70-79 years, female 14.8
GTEX-ZVZQ-0726-SM-51MR3 60-69 years, female 14.8
GTEX-1AYCT-0526-SM-7RHHS 50-59 years, male 14.8
GTEX-1EMGI-1126-SM-9KNUF 60-69 years, male 14.8
GTEX-1JMQK-0926-SM-ARL96 60-69 years, male 14.8
GTEX-132Q8-1126-SM-5K7XS 60-69 years, male 14.7
GTEX-14E1K-0826-SM-5ZZW9 50-59 years, male 14.7
GTEX-1GL5R-0426-SM-9WPOP 50-59 years, male 14.7
GTEX-1IL2V-1126-SM-CMKGH 70-79 years, male 14.7
GTEX-1LG7Y-1426-SM-D4P31 50-59 years, male 14.7
GTEX-145LS-1326-SM-5Q5EP 60-69 years, female 14.6
GTEX-1A32A-1326-SM-73KWW 50-59 years, female 14.6
GTEX-15RIE-1326-SM-6PAMM 60-69 years, male 14.5
GTEX-117XS-0726-SM-5H131 60-69 years, male 14.4
GTEX-1GN2E-1426-SM-7RHHI 60-69 years, male 14.4
GTEX-12WSK-0526-SM-5CVNA 40-49 years, female 14.3
GTEX-13112-0526-SM-5EQ4S 50-59 years, male 14.3
GTEX-1445S-1226-SM-5O9BF 60-69 years, male 14.3
GTEX-14PII-1026-SM-5ZZVW 60-69 years, male 14.3
GTEX-1BAJH-1026-SM-7EWEG 70-79 years, male 14.3
GTEX-ZAB4-0926-SM-5CVN4 40-49 years, male 14.3
GTEX-1IDJD-0226-SM-CKZOA 30-39 years, male 14.3
GTEX-11O72-1026-SM-5986B 40-49 years, male 14.2
GTEX-12ZZX-0726-SM-5EGKA 40-49 years, female 14.2
GTEX-132NY-1426-SM-5J1MJ 60-69 years, male 14.2
GTEX-18D9U-1426-SM-718BO 40-49 years, male 14.2
GTEX-UPK5-0226-SM-3GAEV 40-49 years, male 14.2
GTEX-YFC4-0426-SM-4TT3J 40-49 years, female 14.2
GTEX-18A67-1026-SM-731CE 50-59 years, male 14.1
GTEX-UTHO-1226-SM-3GAEE 60-69 years, male 14.1
GTEX-X261-0926-SM-3NMCY 50-59 years, male 14.1
GTEX-Y5V5-0726-SM-4VBPY 60-69 years, female 14.1
GTEX-1EH9U-0626-SM-7PC33 60-69 years, male 14.1
GTEX-1GMR8-1026-SM-9MQLA 50-59 years, female 14.1
GTEX-1GN1V-1026-SM-CNPPS 60-69 years, male 14.1
GTEX-ZE7O-0626-SM-57WCD 50-59 years, female 14.0
GTEX-13N1W-0926-SM-5MR36 70-79 years, male 13.9
GTEX-13OW5-0926-SM-5L3GZ 60-69 years, male 13.9
GTEX-WK11-0626-SM-3NMAV 50-59 years, male 13.9
GTEX-ZDTS-1226-SM-4WKGL 60-69 years, male 13.9
GTEX-1GF9U-0526-SM-7P8SK 40-49 years, female 13.9
GTEX-1K2DU-0226-SM-DIPF6 20-29 years, male 13.9
GTEX-XYKS-0226-SM-4BRW3 60-69 years, female 13.8
GTEX-ZYFD-2026-SM-5E459 50-59 years, male 13.8
GTEX-1E2YA-0626-SM-7P8P4 50-59 years, male 13.8
GTEX-1HUB1-0726-SM-CGQF4 60-69 years, male 13.8
GTEX-1IDJF-0826-SM-ARU7N 20-29 years, male 13.8
GTEX-1LH75-0526-SM-DIPG2 50-59 years, female 13.8
GTEX-1313W-1126-SM-5EQ5U 50-59 years, female 13.7
GTEX-13FHP-0826-SM-5K7V5 50-59 years, male 13.7
GTEX-13NZA-0826-SM-5K7WS 60-69 years, male 13.7
GTEX-1F6I4-0826-SM-7RHGK 60-69 years, male 13.7
GTEX-1H1CY-0426-SM-9KNVD 60-69 years, female 13.7
GTEX-1L5NE-0526-SM-DIPG5 50-59 years, male 13.7
GTEX-1P4AB-0926-SM-E76PV 50-59 years, male 13.7
GTEX-14A6H-0326-SM-5NQAN 30-39 years, male 13.6
GTEX-15UF7-1526-SM-6LPI7 40-49 years, male 13.6
GTEX-1CB4H-0626-SM-7IGN3 60-69 years, female 13.6
GTEX-X4EP-0326-SM-3P5Z6 60-69 years, female 13.6
GTEX-ZG7Y-1426-SM-4WWBM 50-59 years, male 13.6
GTEX-1ICG6-0726-SM-B2LY5 70-79 years, female 13.6
GTEX-ZPCL-0526-SM-DO91R 60-69 years, female 13.6
GTEX-1AX9J-0926-SM-73KXA 60-69 years, male 13.5
GTEX-ZAB5-0126-SM-5CVMT 50-59 years, male 13.5
GTEX-13SLW-0826-SM-5QGP7 70-79 years, male 13.4
GTEX-15CHR-0326-SM-7DHN3 50-59 years, male 13.4
GTEX-18D9B-1126-SM-7KFSH 60-69 years, male 13.4
GTEX-VJWN-1026-SM-4M1ZN 50-59 years, female 13.4
GTEX-1H3NZ-1026-SM-A9SM5 60-69 years, male 13.4
GTEX-13FH7-0826-SM-5J2NW 50-59 years, female 13.3
GTEX-13FTW-0826-SM-5K7XR 40-49 years, male 13.3
GTEX-16YQH-0726-SM-7IGM1 30-39 years, male 13.3
GTEX-14PJM-0826-SM-6LLIW 50-59 years, female 13.2
GTEX-ZF2S-0826-SM-4WWBI 50-59 years, female 13.2
GTEX-ZYFC-1026-SM-5GZX9 50-59 years, male 13.2
GTEX-1IDJH-1126-SM-COH3R 70-79 years, male 13.2
GTEX-1LVAO-0626-SM-EWRNT 60-69 years, male 13.2
GTEX-132AR-1926-SM-5EGK5 50-59 years, female 13.1
GTEX-147JS-1326-SM-5SI6D 60-69 years, male 13.1
GTEX-14ASI-0826-SM-5Q5EB 60-69 years, male 13.1
GTEX-WFON-0226-SM-3GIKR 40-49 years, male 13.1
GTEX-WHSE-0826-SM-4SOJU 20-29 years, male 13.1
GTEX-WWYW-1126-SM-3NB2Q 50-59 years, female 13.0
GTEX-XPVG-0726-SM-4B658 50-59 years, male 13.0
GTEX-ZAJG-0926-SM-5Q5AB 50-59 years, female 13.0
GTEX-WL46-0726-SM-3LK5Z 50-59 years, male 12.9
GTEX-XQ3S-0526-SM-4BOQA 20-29 years, male 12.9
GTEX-1I1GV-1426-SM-B2LXN 60-69 years, male 12.9
GTEX-1J1OQ-2226-SM-A96SS 40-49 years, female 12.9
GTEX-1JMQL-1026-SM-CMKGV 50-59 years, female 12.9
GTEX-1192W-0226-SM-5EGGT 60-69 years, male 12.8
GTEX-12WSI-0426-SM-5EQ5J 50-59 years, male 12.8
GTEX-16MT8-0826-SM-7KULO 60-69 years, female 12.8
GTEX-1HCUA-0626-SM-ACKVT 50-59 years, female 12.8
GTEX-1IKJJ-0626-SM-CY8GF 60-69 years, male 12.8
GTEX-11NV4-0826-SM-5BC4S 60-69 years, male 12.7
GTEX-11P81-0526-SM-59873 30-39 years, female 12.7
GTEX-1399T-0726-SM-5J1MH 60-69 years, male 12.7
GTEX-ZZPT-0926-SM-5GICZ 50-59 years, male 12.7
GTEX-1HT8W-1326-SM-CGQEN 30-39 years, male 12.7
GTEX-1J8EW-0626-SM-CM2TY 60-69 years, female 12.7
GTEX-13NZ9-0126-SM-5K7XV 50-59 years, male 12.6
GTEX-14XAO-0926-SM-69LPZ 60-69 years, female 12.6
GTEX-15D1Q-0426-SM-6AJ9G 40-49 years, male 12.6
GTEX-ZYFG-0526-SM-5GZXX 60-69 years, female 12.6
GTEX-13U4I-0626-SM-5LU5L 40-49 years, female 12.5
GTEX-XQ8I-0226-SM-4BOPM 50-59 years, male 12.5
GTEX-YJ8O-0826-SM-5CVM3 40-49 years, female 12.5
GTEX-1F88F-0326-SM-9KNV3 60-69 years, female 12.5
GTEX-1KXAM-1426-SM-D3LAC 60-69 years, male 12.5
GTEX-1LGOU-0326-SM-D3LAM 20-29 years, female 12.5
GTEX-1LSNM-0426-SM-E9TIZ 50-59 years, male 12.5
GTEX-15RJE-0726-SM-7KUEG 40-49 years, male 12.4
GTEX-X8HC-1026-SM-46MWH 50-59 years, female 12.4
GTEX-1C6VQ-0826-SM-7PBZT 50-59 years, male 12.4
GTEX-1HSMO-1126-SM-CGQF2 60-69 years, male 12.4
GTEX-1117F-0726-SM-5GIEN 60-69 years, female 12.3
GTEX-12WSG-1226-SM-5EQ4C 50-59 years, female 12.3
GTEX-13X6K-1726-SM-7IGLG 60-69 years, female 12.3
GTEX-14JG1-0826-SM-5ZZWR 40-49 years, male 12.3
GTEX-17F9Y-1226-SM-7EPGE 70-79 years, female 12.3
GTEX-WFG8-0726-SM-3GILP 20-29 years, male 12.3
GTEX-WRHU-1026-SM-4E3ID 50-59 years, female 12.3
GTEX-WY7C-1126-SM-3NB3A 50-59 years, male 12.3
GTEX-13NYS-1926-SM-5IJCB 60-69 years, male 12.2
GTEX-146FR-0926-SM-5QGPE 60-69 years, female 12.2
GTEX-15SHU-0926-SM-6PAMK 40-49 years, female 12.2
GTEX-18A66-1126-SM-731C5 60-69 years, male 12.2
GTEX-1H1ZS-1026-SM-9WG6E 70-79 years, male 12.2
GTEX-1PPGY-0926-SM-DTXFF 60-69 years, male 12.2
GTEX-11GSP-1226-SM-5985M 60-69 years, female 12.1
GTEX-148VJ-1426-SM-5TDE3 70-79 years, male 12.1
GTEX-WEY5-0226-SM-3GIKN 40-49 years, female 12.1
GTEX-WHWD-0326-SM-3LK6L 50-59 years, male 12.1
GTEX-YEC4-0226-SM-4W1YG 40-49 years, male 12.1
GTEX-1HSMQ-0426-SM-ADEIM 50-59 years, male 12.1
GTEX-1JK1U-0626-SM-CKZOJ 60-69 years, male 12.1
GTEX-1NHNU-0626-SM-E6CP1 50-59 years, male 12.1
GTEX-11TT1-1426-SM-5EGIA 20-29 years, male 12.0
GTEX-12WSA-1126-SM-5EGKU 60-69 years, male 12.0
GTEX-WFG7-0826-SM-3GIKU 20-29 years, male 12.0
GTEX-X5EB-0626-SM-46MVQ 40-49 years, male 12.0
GTEX-1GMR2-1326-SM-9KNUT 50-59 years, male 12.0
GTEX-1GTWX-0926-SM-9MQKM 60-69 years, male 12.0
GTEX-1MCC2-0226-SM-EVYD5 30-39 years, female 12.0
GTEX-11NUK-0926-SM-5HL57 50-59 years, male 11.9
GTEX-131XF-0426-SM-5HL7U 60-69 years, male 11.9
GTEX-15SHV-0526-SM-7KUEN 60-69 years, male 11.9
GTEX-1A8G6-1826-SM-73KY8 60-69 years, male 11.9
GTEX-1CAMQ-0726-SM-7P8SG 40-49 years, male 11.9
GTEX-1J8Q3-1126-SM-ARU8N 60-69 years, male 11.9
GTEX-ZEX8-0326-SM-DO92C 50-59 years, male 11.9
GTEX-11WQK-0226-SM-5EQLI 50-59 years, male 11.8
GTEX-13O61-0426-SM-5L3ET 60-69 years, male 11.8
GTEX-1A3MX-1226-SM-731B3 60-69 years, male 11.8
GTEX-1AX9K-0426-SM-73KUG 50-59 years, male 11.8
GTEX-1B8KE-0326-SM-73KTY 50-59 years, male 11.8
GTEX-ZUA1-0726-SM-4YCD9 40-49 years, male 11.8
GTEX-1EX96-2626-SM-9MQJV 50-59 years, male 11.8
GTEX-12WSN-0226-SM-5DUXH 40-49 years, male 11.7
GTEX-XGQ4-0526-SM-4AT6C 50-59 years, male 11.7
GTEX-ZT9W-0526-SM-57WFG 50-59 years, male 11.7
GTEX-1H2FU-0826-SM-9WYSU 60-69 years, female 11.7
GTEX-1NSGN-1226-SM-E76OL 50-59 years, male 11.7
GTEX-1QCLZ-1126-SM-EWRNB 60-69 years, female 11.7
GTEX-ZPIC-0426-SM-DO91V 40-49 years, female 11.7
GTEX-12WSC-1026-SM-5EQ5Y 50-59 years, male 11.6
GTEX-1399U-0726-SM-5KM1D 50-59 years, female 11.6
GTEX-17F9E-0726-SM-793A1 50-59 years, male 11.6
GTEX-1B97J-0326-SM-7939H 50-59 years, female 11.6
GTEX-Y3I4-0526-SM-4TT6X 50-59 years, male 11.6
GTEX-1GN1W-0226-SM-7P8QY 50-59 years, female 11.6
GTEX-1J8QM-0326-SM-CL53D 60-69 years, female 11.6
GTEX-1HBPN-0926-SM-CGQEG 50-59 years, male 11.5
GTEX-1QPFJ-0926-SM-EVR3K 30-39 years, female 11.5
GTEX-12ZZY-1226-SM-5GCNK 60-69 years, male 11.4
GTEX-14PHY-0326-SM-62LE3 60-69 years, female 11.4
GTEX-15ER7-0826-SM-6PALW 20-29 years, female 11.4
GTEX-1C64O-0926-SM-79OLN 60-69 years, male 11.4
GTEX-ZDYS-0326-SM-5HL4W 50-59 years, male 11.4
GTEX-1C64N-0826-SM-7RHGQ 50-59 years, male 11.4
GTEX-1HSGN-0926-SM-CNNQM 40-49 years, female 11.4
GTEX-1LGRB-1026-SM-CNPQD 50-59 years, female 11.4
GTEX-1OFPY-0926-SM-DTX8Q 60-69 years, male 11.4
GTEX-13CF2-0226-SM-5L3DV 60-69 years, male 11.3
GTEX-14PN3-0726-SM-6EU14 60-69 years, female 11.3
GTEX-WYBS-1226-SM-3NM9N 60-69 years, female 11.3
GTEX-XXEK-2026-SM-4BRVE 50-59 years, male 11.3
GTEX-ZZPU-1126-SM-5N9CW 50-59 years, female 11.3
GTEX-1C6WA-0826-SM-7PBXS 60-69 years, male 11.3
GTEX-1IDJU-0626-SM-CKZOG 60-69 years, female 11.3
GTEX-YEC3-0426-SM-CYPS8 50-59 years, male 11.3
GTEX-ZV7C-0526-SM-9WPNK 50-59 years, male 11.3
GTEX-11ZVC-0526-SM-5N9G1 50-59 years, female 11.2
GTEX-13PVQ-1326-SM-5LU4J 50-59 years, male 11.2
GTEX-14BIN-2126-SM-793AX 50-59 years, female 11.2
GTEX-1CB4E-0626-SM-7DHMW 60-69 years, male 11.2
GTEX-1H11D-1026-SM-9QEIU 40-49 years, male 11.2
GTEX-111VG-0326-SM-5GZX7 60-69 years, male 11.1
GTEX-1J8Q2-1026-SM-ARU8I 60-69 years, male 11.1
GTEX-11DXY-1026-SM-5987V 60-69 years, male 11.0
GTEX-15CHC-0326-SM-5ZZVP 60-69 years, female 11.0
GTEX-15SDE-1826-SM-7KUFN 50-59 years, female 11.0
GTEX-16NPX-0826-SM-6M489 50-59 years, male 11.0
GTEX-YF7O-0526-SM-5P9IO 50-59 years, male 11.0
GTEX-ZF3C-1126-SM-57WEG 50-59 years, female 11.0
GTEX-1F48J-1126-SM-9WYSY 50-59 years, female 11.0
GTEX-1GMRU-1326-SM-9WYUI 50-59 years, male 11.0
GTEX-1I1GQ-1226-SM-CL55J 50-59 years, male 11.0
GTEX-1KANC-0226-SM-E9TIW 50-59 years, female 11.0
GTEX-V955-0826-SM-CYPR5 60-69 years, male 11.0
GTEX-1122O-0626-SM-5N9B9 60-69 years, female 10.9
GTEX-11LCK-0826-SM-5PNYD 30-39 years, male 10.9
GTEX-14PK6-0726-SM-6LLIX 70-79 years, female 10.9
GTEX-XPT6-0226-SM-4B65L 20-29 years, male 10.9
GTEX-Z93S-0326-SM-5HL84 50-59 years, male 10.9
GTEX-1CAMS-1126-SM-7MXUQ 40-49 years, female 10.9
GTEX-1JMOU-0326-SM-ARL8X 60-69 years, female 10.9
GTEX-1R7EV-0426-SM-DTX7Z 40-49 years, male 10.9
GTEX-1211K-0226-SM-59HJY 60-69 years, female 10.8
GTEX-13JUV-0226-SM-5IJCC 40-49 years, female 10.8
GTEX-1AX9I-1026-SM-73KYF 60-69 years, male 10.8
GTEX-1CB4G-0726-SM-79OOJ 60-69 years, male 10.8
GTEX-WQUQ-1326-SM-3MJFF 60-69 years, male 10.8
GTEX-Y114-0126-SM-4TT8K 50-59 years, female 10.8
GTEX-ZVT2-0926-SM-5GICE 50-59 years, female 10.8
GTEX-1F75A-1026-SM-7PC3W 50-59 years, male 10.8
GTEX-1F75B-1126-SM-7RHGP 50-59 years, male 10.8
GTEX-1IY9M-0626-SM-D4P2L 60-69 years, male 10.8
GTEX-11ZTT-0526-SM-5EQLA 60-69 years, female 10.7
GTEX-139TU-1926-SM-5J2OC 60-69 years, male 10.7
GTEX-13FHO-1226-SM-5L3EF 60-69 years, male 10.7
GTEX-13YAN-1426-SM-7EPG8 60-69 years, male 10.7
GTEX-145MN-0726-SM-5NQBH 30-39 years, male 10.7
GTEX-1R9JW-0426-SM-E76QL 30-39 years, female 10.7
GTEX-13OVI-0326-SM-5K7X1 60-69 years, female 10.6
GTEX-13PL6-0826-SM-5IJBI 40-49 years, female 10.6
GTEX-ZTPG-1326-SM-51MSQ 20-29 years, female 10.6
GTEX-13PL7-0726-SM-5KM1S 60-69 years, female 10.5
GTEX-WHPG-1026-SM-3NMBA 50-59 years, male 10.5
GTEX-X3Y1-0226-SM-3P5Z5 40-49 years, male 10.5
GTEX-Y8E4-0426-SM-4V6GB 40-49 years, male 10.5
GTEX-1CB4J-0226-SM-7P8T4 60-69 years, male 10.5
GTEX-1HFI7-0526-SM-A9SMA 50-59 years, female 10.5
GTEX-1KD5A-0926-SM-D4P3U 50-59 years, male 10.5
GTEX-1LVAN-1526-SM-CNPQN 50-59 years, female 10.5
GTEX-12WSE-0926-SM-5S2VX 20-29 years, male 10.4
GTEX-1HR98-1026-SM-CKZOM 60-69 years, male 10.4
GTEX-1JMLX-1826-SM-CNPOX 50-59 years, male 10.4
GTEX-WOFL-1226-SM-4OOST 60-69 years, male 10.3
GTEX-ZF29-0426-SM-4WKFN 60-69 years, female 10.3
GTEX-ZVT3-0826-SM-5GIC8 60-69 years, female 10.3
GTEX-117YX-0626-SM-5EGJI 50-59 years, male 10.2
GTEX-1339X-0326-SM-5K7Z8 40-49 years, male 10.2
GTEX-14C5O-1226-SM-664N3 60-69 years, male 10.2
GTEX-YB5K-0226-SM-5IFJE 40-49 years, female 10.2
GTEX-1A8FM-1026-SM-7PC26 50-59 years, female 10.2
GTEX-1QP6S-1026-SM-DTXFW 40-49 years, male 10.2
GTEX-14PJ6-0626-SM-686Z6 60-69 years, female 10.1
GTEX-ZDXO-0426-SM-4WKF6 60-69 years, male 10.1
GTEX-1M5QR-1626-SM-E9U5O 40-49 years, male 10.1
GTEX-111YS-0326-SM-5GZZ3 60-69 years, male 10.0
GTEX-131XG-0526-SM-5DUWF 50-59 years, female 9.9
GTEX-1399R-1726-SM-5K7YJ 30-39 years, male 9.9
GTEX-13D11-1526-SM-5J2NA 50-59 years, female 9.9
GTEX-14BIL-0926-SM-7DHKN 50-59 years, male 9.9
GTEX-WI4N-0726-SM-3TW93 40-49 years, female 9.9
GTEX-ZLFU-0326-SM-4WWBK 40-49 years, male 9.9
GTEX-ZYT6-0926-SM-5GIEM 30-39 years, male 9.9
GTEX-11DXZ-0326-SM-5EGH1 50-59 years, male 9.8
GTEX-13O21-0326-SM-5J1N9 50-59 years, male 9.8
GTEX-15CHQ-1326-SM-6871Z 60-69 years, male 9.8
GTEX-1CB4I-1526-SM-7DHMY 50-59 years, male 9.8
GTEX-1H3VY-1126-SM-A96TP 50-59 years, male 9.8
GTEX-11GS4-0426-SM-5N9CD 60-69 years, male 9.7
GTEX-13QBU-0226-SM-5LU48 40-49 years, female 9.7
GTEX-1HCU7-1226-SM-B2LX8 50-59 years, male 9.7
GTEX-1MJK2-1626-SM-EVYCQ 50-59 years, male 9.7
GTEX-111FC-0626-SM-5N9CU 60-69 years, male 9.6
GTEX-147F4-1126-SM-5TDDE 50-59 years, male 9.6
GTEX-V1D1-0626-SM-4JBHN 50-59 years, male 9.6
GTEX-WH7G-0326-SM-3NMBH 40-49 years, male 9.6
GTEX-ZVT4-1326-SM-5NQ8E 50-59 years, female 9.6
GTEX-1H3O1-0226-SM-9WYSW 60-69 years, male 9.5
GTEX-13PVR-0926-SM-5S2RB 60-69 years, female 9.4
GTEX-146FH-1126-SM-5NQAT 50-59 years, female 9.4
GTEX-14H4A-0426-SM-5ZZWO 40-49 years, female 9.4
GTEX-14PHX-0626-SM-5YY8Z 50-59 years, male 9.4
GTEX-12BJ1-0326-SM-5FQUB 60-69 years, male 9.3
GTEX-13O3Q-0326-SM-5L3FE 50-59 years, male 9.3
GTEX-13W3W-0526-SM-5LU3X 60-69 years, female 9.3
GTEX-1B8SG-0726-SM-79ONS 50-59 years, male 9.3
GTEX-1B933-0826-SM-79OMW 50-59 years, female 9.3
GTEX-1C2JI-0626-SM-7DHM1 50-59 years, male 9.3
GTEX-U8XE-0926-SM-3DB8V 30-39 years, male 9.3
GTEX-11EMC-0826-SM-59862 60-69 years, female 9.2
GTEX-1EWIQ-1126-SM-7EPIK 70-79 years, female 9.2
GTEX-ZPU1-0726-SM-5HL6O 40-49 years, male 9.2
GTEX-1399S-0826-SM-5KM23 30-39 years, female 9.1
GTEX-14BIM-2726-SM-5Q5EG 60-69 years, female 9.1
GTEX-15EU6-1326-SM-6PANG 50-59 years, male 9.1
GTEX-13OVG-0426-SM-5KM2T 60-69 years, male 9.0
GTEX-14PJ2-1126-SM-69LOD 50-59 years, male 9.0
GTEX-Y3IK-1026-SM-51MR7 50-59 years, female 9.0
GTEX-ZGAY-0226-SM-4WWAL 40-49 years, female 9.0
GTEX-1RB15-0426-SM-E9U4Y 60-69 years, male 9.0
GTEX-13JVG-1126-SM-5KM2M 60-69 years, male 8.9
GTEX-1AX8Z-1126-SM-731CS 60-69 years, male 8.9
GTEX-ZDTT-0326-SM-4WKF9 60-69 years, male 8.9
GTEX-1MJIX-0426-SM-DTXEN 40-49 years, male 8.9
GTEX-1RLM8-0226-SM-E6CJY 50-59 years, male 8.9
GTEX-132QS-0526-SM-5IJC7 60-69 years, male 8.8
GTEX-13FXS-1026-SM-62LFQ 50-59 years, male 8.8
GTEX-117YW-0426-SM-5GZZZ 50-59 years, male 8.7
GTEX-12696-1226-SM-5FQSM 60-69 years, male 8.7
GTEX-13O3O-1426-SM-5KM2S 60-69 years, female 8.7
GTEX-14PN4-0826-SM-69LON 50-59 years, male 8.7
GTEX-1IOXB-0726-SM-A9G32 50-59 years, male 8.7
GTEX-11EM3-0426-SM-5N9BZ 20-29 years, female 8.6
GTEX-ZXG5-0626-SM-5NQ85 60-69 years, male 8.6
GTEX-11UD2-0926-SM-5CVL6 50-59 years, male 8.5
GTEX-14PJ4-0926-SM-5YY98 60-69 years, male 8.5
GTEX-1B932-1326-SM-79OM4 40-49 years, female 8.5
GTEX-1B996-1026-SM-793CF 60-69 years, male 8.5
GTEX-14C38-1326-SM-62LDK 50-59 years, male 8.4
GTEX-15DCE-0826-SM-7KULW 20-29 years, male 8.4
GTEX-14C39-0726-SM-5RQIK 40-49 years, male 8.3
GTEX-13RTJ-0526-SM-62LDP 60-69 years, male 8.2
GTEX-17GQL-0626-SM-731CN 60-69 years, male 8.2
GTEX-13N11-0726-SM-5L3DP 50-59 years, female 8.1
GTEX-W5X1-0826-SM-3GILN 40-49 years, female 8.1
GTEX-WYJK-1126-SM-3NM9Z 50-59 years, male 8.0
GTEX-1F75I-1326-SM-7PBZX 40-49 years, male 8.0
GTEX-ZYVF-1826-SM-5E44F 50-59 years, female 7.9
GTEX-11ZUS-0326-SM-5EQ4W 30-39 years, male 7.8
GTEX-144GL-1026-SM-5O99R 50-59 years, male 7.8
GTEX-14PJO-0826-SM-6ETZK 60-69 years, male 7.8
GTEX-11ONC-1026-SM-5GU64 60-69 years, male 7.7
GTEX-14E7W-1126-SM-5ZZVS 70-79 years, male 7.7
GTEX-YECK-1226-SM-4W21G 60-69 years, male 7.4
GTEX-11DXX-0526-SM-5PNVR 60-69 years, female 7.2
GTEX-1GF9V-1726-SM-9KNW4 60-69 years, male 7.2
GTEX-16XZY-0526-SM-7DHKY 70-79 years, male 7.1
GTEX-145LV-0226-SM-5S2QG 50-59 years, male 7.0
GTEX-1H1DG-0826-SM-9QEIW 70-79 years, male 7.0
GTEX-1QP29-1426-SM-DTX9Q 50-59 years, male 7.0
GTEX-14E6C-0326-SM-5Q5EE 40-49 years, male 6.8
GTEX-18A6Q-1526-SM-731CO 60-69 years, male 6.8
GTEX-13VXT-0726-SM-5SIAD 20-29 years, female 6.7
GTEX-1I1GP-0626-SM-ARL7H 50-59 years, male 6.3
GTEX-13O1R-0926-SM-5L3DS 60-69 years, male 6.1
GTEX-1I1GR-1026-SM-A9SLC 60-69 years, male 6.0
GTEX-1KANB-1126-SM-DHXJT 50-59 years, male 6.0
GTEX-1POEN-0726-SM-DTXDU 30-39 years, female 5.7
GTEX-1HC8U-0626-SM-B2LWB 40-49 years, female 4.8
GTEX-11TUW-1126-SM-5EQKJ 60-69 years, male 3.8
Show allShow less
Heart - Left Ventricle
Average nTPM: 9.3
Samples: 432

Max nTPM: 28.6
Min nTPM: 3.1
Std nTPM: 2.8
Median nTPM: 9.2
GTEX-1PPH7-2026-SM-E9J3N 40-49 years, male 28.6
GTEX-1L5NE-0426-SM-E9TIX 50-59 years, male 17.2
GTEX-1JJE9-1426-SM-ARL8P 70-79 years, male 16.5
GTEX-131XG-0626-SM-5GCMP 50-59 years, female 15.5
GTEX-X15G-0426-SM-4PQZ6 50-59 years, female 15.5
GTEX-1B8KE-0126-SM-793AM 50-59 years, male 15.4
GTEX-ZAB5-0226-SM-5CVMH 50-59 years, male 15.4
GTEX-131XF-5001-SM-7DHLY 60-69 years, male 14.8
GTEX-WY7C-0526-SM-3NB3D 50-59 years, male 14.8
GTEX-1GMRU-1526-SM-9WYT5 50-59 years, male 14.7
GTEX-1QPFJ-1026-SM-E6CR6 30-39 years, female 14.6
GTEX-15RIE-1726-SM-7KUMU 60-69 years, male 14.4
GTEX-1HSMO-1226-SM-CL548 60-69 years, male 14.4
GTEX-13S86-0226-SM-5S2PJ 40-49 years, male 14.3
GTEX-13U4I-0826-SM-5SIBD 40-49 years, female 14.3
GTEX-13X6H-0426-SM-5LU4E 50-59 years, female 14.3
GTEX-POMQ-0326-SM-2I5FO 20-29 years, female 14.3
GTEX-QV44-0526-SM-2S1RE 50-59 years, male 14.2
GTEX-RN64-0826-SM-2TC62 50-59 years, male 14.2
GTEX-Y3I4-0626-SM-4TT7A 50-59 years, male 14.2
GTEX-ZF2S-1026-SM-9QEGK 50-59 years, female 14.1
GTEX-OXRK-0826-SM-2HMK7 50-59 years, female 14.0
GTEX-RUSQ-0526-SM-2TF72 50-59 years, male 13.9
GTEX-1IDJU-0726-SM-CNPQ9 60-69 years, female 13.9
GTEX-1JN6P-1126-SM-CKZON 60-69 years, male 13.9
GTEX-1MCC2-0326-SM-EV7AK 30-39 years, female 13.9
GTEX-1KANC-0426-SM-CXZK5 50-59 years, female 13.8
GTEX-17HII-1326-SM-7IGOB 50-59 years, male 13.7
GTEX-SE5C-0626-SM-2XCDV 40-49 years, female 13.7
GTEX-1IKK5-1526-SM-CKZPW 60-69 years, male 13.7
GTEX-O5YT-0326-SM-32PKA 20-29 years, male 13.6
GTEX-QEG5-0926-SM-2TC64 20-29 years, male 13.6
GTEX-1J8Q3-1226-SM-CKZPT 60-69 years, male 13.6
GTEX-17KNJ-0826-SM-793A4 50-59 years, male 13.5
GTEX-P4QS-0326-SM-2I3EU 60-69 years, male 13.5
GTEX-XV7Q-0826-SM-4BRV7 40-49 years, female 13.5
GTEX-1I6K7-0626-SM-ARL7Q 40-49 years, male 13.5
GTEX-1R9K4-1326-SM-DTX8G 60-69 years, male 13.5
GTEX-R55G-0526-SM-2TC5O 40-49 years, female 13.4
GTEX-SUCS-0326-SM-32PLL 70-79 years, male 13.4
GTEX-111YS-0426-SM-5987O 60-69 years, male 13.3
GTEX-14E1K-1026-SM-73KUR 50-59 years, male 13.0
GTEX-15CHC-0426-SM-6LLHI 60-69 years, female 13.0
GTEX-18A66-1226-SM-7LT8G 60-69 years, male 13.0
GTEX-1CB4I-1626-SM-7RHGV 50-59 years, male 13.0
GTEX-1GN1W-0326-SM-9JGHF 50-59 years, female 13.0
GTEX-OOBJ-0326-SM-33HBO 60-69 years, male 12.9
GTEX-XBED-0526-SM-47JY3 60-69 years, male 12.9
GTEX-1LVAN-1726-SM-CNNR1 50-59 years, female 12.9
GTEX-14XAO-1126-SM-6EU11 60-69 years, female 12.8
GTEX-1GN73-2426-SM-7RHFQ 60-69 years, male 12.8
GTEX-1LGOU-0726-SM-E9TIY 20-29 years, female 12.8
GTEX-117YX-1126-SM-5H128 50-59 years, male 12.7
GTEX-13OW8-2126-SM-5J1OS 60-69 years, male 12.6
GTEX-1RB15-0326-SM-E6CQB 60-69 years, male 12.6
GTEX-13FH7-0926-SM-5J2MR 50-59 years, female 12.5
GTEX-1AX8Z-5007-SM-AHZ36 60-69 years, male 12.5
GTEX-OIZH-0326-SM-2HMKC 50-59 years, male 12.4
GTEX-ZLFU-0226-SM-4WWFH 40-49 years, male 12.4
GTEX-1339X-0426-SM-5KLZY 40-49 years, male 12.3
GTEX-1EMGI-1226-SM-793DD 60-69 years, male 12.3
GTEX-WFG8-0626-SM-3GILJ 20-29 years, male 12.3
GTEX-14BIL-1126-SM-79OMC 50-59 years, male 12.2
GTEX-14PJ6-0726-SM-69LOL 60-69 years, female 12.2
GTEX-1GZ4I-1026-SM-9KNV5 50-59 years, male 12.2
GTEX-1LC47-1026-SM-D3LAH 60-69 years, male 12.2
GTEX-1IDJF-0726-SM-CJI1U 20-29 years, male 12.1
GTEX-Q2AH-0526-SM-2I3ED 40-49 years, male 12.0
GTEX-Y114-0226-SM-4TT8W 50-59 years, female 12.0
GTEX-1JK1U-0526-SM-CYPSQ 60-69 years, male 12.0
GTEX-1QCLZ-0926-SM-E6CQZ 60-69 years, female 12.0
GTEX-XPVG-0826-SM-4B654 50-59 years, male 11.9
GTEX-1H11D-1226-SM-9WPQ2 40-49 years, male 11.9
GTEX-1HBPH-0126-SM-CNNQ7 40-49 years, female 11.9
GTEX-1EU9M-1826-SM-7DUGU 60-69 years, male 11.8
GTEX-ZZPU-0926-SM-5GZYT 50-59 years, female 11.8
GTEX-15CHR-0226-SM-7PC2Z 50-59 years, male 11.8
GTEX-1GMR3-0326-SM-7P8QT 40-49 years, male 11.8
GTEX-1IDJI-1026-SM-A96TE 50-59 years, female 11.8
GTEX-1399R-1926-SM-5K7X8 30-39 years, male 11.7
GTEX-1399U-0526-SM-5K7YM 50-59 years, female 11.7
GTEX-14PN3-0526-SM-69LQF 60-69 years, female 11.7
GTEX-15CHQ-1526-SM-69LPW 60-69 years, male 11.7
GTEX-ZPIC-0826-SM-4WWFJ 40-49 years, female 11.7
GTEX-1CB4E-0526-SM-7MXTK 60-69 years, male 11.7
GTEX-1GL5R-0326-SM-9WYTJ 50-59 years, male 11.7
GTEX-1IKOE-1026-SM-ARZMF 30-39 years, female 11.7
GTEX-11O72-1126-SM-5N9E2 40-49 years, male 11.6
GTEX-139YR-0826-SM-5LZXY 50-59 years, male 11.6
GTEX-P4PQ-0326-SM-2HMJ8 60-69 years, male 11.6
GTEX-XXEK-0926-SM-4BRWH 50-59 years, male 11.6
GTEX-ZDYS-0226-SM-5HL4K 50-59 years, male 11.6
GTEX-1LGRB-1126-SM-CNPP2 50-59 years, female 11.6
GTEX-R55C-0326-SM-3GAF1 40-49 years, male 11.5
GTEX-132AR-2026-SM-5IJG4 50-59 years, female 11.4
GTEX-R53T-0926-SM-3GADH 50-59 years, female 11.4
GTEX-RU72-0326-SM-2TF5T 50-59 years, female 11.4
GTEX-1KD5A-1026-SM-CY8I8 50-59 years, male 11.4
GTEX-1RMOY-0626-SM-E9TIE 50-59 years, male 11.4
GTEX-YEC3-0726-SM-CMKFH 50-59 years, male 11.4
GTEX-13FTW-1026-SM-5L3E3 40-49 years, male 11.3
GTEX-WFG7-0726-SM-3GIKO 20-29 years, male 11.3
GTEX-WHWD-0426-SM-3LK83 50-59 years, male 11.3
GTEX-1LSNM-0526-SM-DIPG6 50-59 years, male 11.3
GTEX-PLZ5-0626-SM-2I5F8 50-59 years, male 11.2
GTEX-WHPG-0826-SM-3NMBF 50-59 years, male 11.2
GTEX-13O61-0526-SM-5J2M1 60-69 years, male 11.1
GTEX-145MN-0626-SM-5QGRH 30-39 years, male 11.1
GTEX-WFON-0326-SM-3GIKX 40-49 years, male 11.1
GTEX-12WSK-0626-SM-5LZUJ 40-49 years, female 11.0
GTEX-13CF3-0726-SM-5J2MY 60-69 years, female 11.0
GTEX-YF7O-0426-SM-5P9FS 50-59 years, male 11.0
GTEX-ZGAY-0326-SM-57WF5 40-49 years, female 11.0
GTEX-1J8EW-0926-SM-A9G33 60-69 years, female 11.0
GTEX-ZPCL-0426-SM-DNZZ4 60-69 years, female 11.0
GTEX-17F9E-0926-SM-7IGMG 50-59 years, male 10.9
GTEX-S32W-0626-SM-2XCBG 50-59 years, female 10.9
GTEX-1F5PK-0326-SM-9KNUD 50-59 years, male 10.9
GTEX-146FH-1026-SM-5RQIF 50-59 years, female 10.8
GTEX-OHPL-0326-SM-33HC8 60-69 years, female 10.8
GTEX-WHSE-0926-SM-3NMBS 20-29 years, male 10.8
GTEX-1GTWX-1026-SM-7P8QW 60-69 years, male 10.8
GTEX-1O97I-0826-SM-E8VNE 60-69 years, male 10.8
GTEX-1R9K5-1326-SM-E6CPR 50-59 years, male 10.8
GTEX-18A67-1226-SM-7KFRS 50-59 years, male 10.7
GTEX-18D9U-1126-SM-72D5Y 40-49 years, male 10.7
GTEX-QDVJ-0426-SM-2I5FW 50-59 years, male 10.7
GTEX-RNOR-0826-SM-2TF5C 50-59 years, female 10.7
GTEX-XGQ4-0326-SM-4GIEE 50-59 years, male 10.7
GTEX-1J8QM-0426-SM-AHZ3X 60-69 years, female 10.7
GTEX-1KXAM-1326-SM-E9TJW 60-69 years, male 10.7
GTEX-146FR-0626-SM-5RQJ1 60-69 years, female 10.6
GTEX-14JIY-1126-SM-6EU28 60-69 years, male 10.6
GTEX-PX3G-0326-SM-2I3EO 20-29 years, female 10.6
GTEX-YB5K-0126-SM-5IFJ2 40-49 years, female 10.6
GTEX-YEC4-0326-SM-4W216 40-49 years, male 10.6
GTEX-1GF9U-0426-SM-7RHHA 40-49 years, female 10.6
GTEX-1OFPY-1026-SM-EXUSO 60-69 years, male 10.6
GTEX-11LCK-0926-SM-5A5KA 30-39 years, male 10.5
GTEX-PWCY-0526-SM-5P9HG 20-29 years, female 10.5
GTEX-Y3IK-0826-SM-51MT8 50-59 years, female 10.5
GTEX-14E6D-0926-SM-5S2QV 50-59 years, male 10.4
GTEX-14PJM-1126-SM-6LLHK 50-59 years, female 10.4
GTEX-1B932-1026-SM-793CL 40-49 years, female 10.4
GTEX-T6MN-0926-SM-32PLX 50-59 years, male 10.4
GTEX-U3ZN-1426-SM-3DB87 30-39 years, female 10.4
GTEX-X3Y1-0426-SM-3P5Z4 40-49 years, male 10.4
GTEX-1B97J-0726-SM-7RHG3 50-59 years, female 10.4
GTEX-1H1CY-0326-SM-9QEIZ 60-69 years, female 10.4
GTEX-1HSGN-1126-SM-CJI4G 40-49 years, female 10.4
GTEX-1MUQO-1226-SM-E9TJK 60-69 years, male 10.4
GTEX-OIZF-0326-SM-3MJGY 60-69 years, male 10.4
GTEX-QEG4-0426-SM-33HC3 30-39 years, male 10.3
GTEX-1EX96-2526-SM-7RHGW 50-59 years, male 10.3
GTEX-1GMR2-1426-SM-7RHHK 50-59 years, male 10.3
GTEX-YJ8O-0926-SM-EAZ2Z 40-49 years, female 10.3
GTEX-11TT1-1326-SM-5PNYM 20-29 years, male 10.2
GTEX-13D11-1726-SM-5IFGQ 50-59 years, female 10.2
GTEX-QMRM-0526-SM-2I5GA 50-59 years, male 10.2
GTEX-1AYCT-0426-SM-73KVZ 50-59 years, male 10.1
GTEX-1HCUA-0526-SM-A9SMH 50-59 years, female 10.1
GTEX-1HFI7-0826-SM-A9G23 50-59 years, female 10.1
GTEX-1R9PO-0326-SM-DTXA1 60-69 years, female 10.1
GTEX-17GQL-0526-SM-72D5N 60-69 years, male 10.0
GTEX-V955-0726-SM-3GAFG 60-69 years, male 10.0
GTEX-ZV7C-0326-SM-57WB1 50-59 years, male 10.0
GTEX-ZEX8-0426-SM-DO92Y 50-59 years, male 10.0
GTEX-12ZZW-1026-SM-5GCMM 50-59 years, male 9.9
GTEX-131XH-0226-SM-5LZVB 50-59 years, male 9.9
GTEX-15DDE-1126-SM-6LLHN 50-59 years, female 9.9
GTEX-ZDTT-0726-SM-4WKFK 60-69 years, male 9.9
GTEX-1R9JW-0526-SM-EWRNK 30-39 years, female 9.9
GTEX-13PVR-1026-SM-5QGQW 60-69 years, female 9.8
GTEX-WEY5-0426-SM-3GIKT 40-49 years, female 9.8
GTEX-1GN1V-0826-SM-9KNU6 60-69 years, male 9.8
GTEX-1I1HK-0726-SM-B2LY4 60-69 years, male 9.8
GTEX-12584-0926-SM-5FQTN 40-49 years, male 9.7
GTEX-PSDG-0926-SM-2I5FP 50-59 years, male 9.7
GTEX-XPT6-0126-SM-4B65S 20-29 years, male 9.7
GTEX-XQ3S-0626-SM-4BOOB 20-29 years, male 9.7
GTEX-1EN7A-0726-SM-7PBXT 40-49 years, male 9.7
GTEX-1269C-0826-SM-5N9EM 60-69 years, female 9.6
GTEX-13JVG-1326-SM-5N9F8 60-69 years, male 9.6
GTEX-13X6I-1426-SM-5SI9Z 60-69 years, male 9.6
GTEX-15EOM-5007-SM-793DG 20-29 years, female 9.6
GTEX-1AX9K-0526-SM-73KV1 50-59 years, male 9.6
GTEX-U4B1-0326-SM-3DB8K 40-49 years, male 9.6
GTEX-XQ8I-0126-SM-4BOPL 50-59 years, male 9.6
GTEX-ZYFG-0426-SM-5E43M 60-69 years, female 9.6
GTEX-1122O-0826-SM-5GICV 60-69 years, female 9.5
GTEX-12696-1126-SM-5FQTI 60-69 years, male 9.5
GTEX-14PJ2-1026-SM-6EU1M 50-59 years, male 9.5
GTEX-14PK6-0826-SM-5ZZVO 70-79 years, female 9.5
GTEX-P4PP-0326-SM-33HC4 30-39 years, female 9.5
GTEX-UJHI-0426-SM-3DB8Y 50-59 years, female 9.5
GTEX-WH7G-0426-SM-3NMBJ 40-49 years, male 9.5
GTEX-12WSC-1126-SM-5EQ4G 50-59 years, male 9.4
GTEX-132QS-0426-SM-5KLZ6 60-69 years, male 9.4
GTEX-13OVL-0526-SM-5KLZQ 50-59 years, male 9.4
GTEX-147JS-1526-SM-5ZZWF 60-69 years, male 9.4
GTEX-1C2JI-0526-SM-7EWEQ 50-59 years, male 9.4
GTEX-QDVN-0326-SM-2I3FS 50-59 years, male 9.4
GTEX-1HCVE-1126-SM-9WPPG 50-59 years, male 9.4
GTEX-UPK5-0326-SM-CYPR4 40-49 years, male 9.4
GTEX-12WSN-5001-SM-7DHMK 40-49 years, male 9.3
GTEX-1399S-1026-SM-5KLZ9 30-39 years, female 9.3
GTEX-13N1W-1026-SM-5IJC5 70-79 years, male 9.3
GTEX-14H4A-0626-SM-5ZZUT 40-49 years, female 9.3
GTEX-1OKEX-0726-SM-DPRYE 60-69 years, male 9.3
GTEX-11I78-0826-SM-5A5K4 50-59 years, female 9.2
GTEX-O5YW-0326-SM-2I5EI 50-59 years, male 9.2
GTEX-OHPK-0326-SM-2HMJO 50-59 years, female 9.2
GTEX-P44G-0826-SM-2I5ES 30-39 years, male 9.2
GTEX-Y5V6-0826-SM-4VBRU 60-69 years, male 9.2
GTEX-ZTPG-1226-SM-4YCDO 20-29 years, female 9.2
GTEX-1IDJE-0326-SM-CM2TD 50-59 years, female 9.2
GTEX-1RAZS-0826-SM-E76QP 50-59 years, male 9.2
GTEX-18D9B-1226-SM-72D6V 60-69 years, male 9.1
GTEX-UJMC-0526-SM-3GAE3 50-59 years, male 9.1
GTEX-WWYW-1326-SM-3NB2S 50-59 years, female 9.1
GTEX-1F6IF-2526-SM-7P8TV 60-69 years, male 9.1
GTEX-1NV8Z-1526-SM-DTX8X 60-69 years, male 9.1
GTEX-13W3W-0426-SM-5SI9D 60-69 years, female 9.0
GTEX-OHPM-0326-SM-33HCA 50-59 years, male 9.0
GTEX-ZF29-0226-SM-4WKHO 60-69 years, female 9.0
GTEX-1JMQK-0626-SM-D4P2R 60-69 years, male 9.0
GTEX-1211K-0626-SM-5FQUZ 60-69 years, female 8.9
GTEX-13112-0426-SM-5PNVC 50-59 years, male 8.9
GTEX-13QBU-0426-SM-5J2O4 40-49 years, female 8.9
GTEX-OXRL-0326-SM-2I3F2 50-59 years, male 8.9
GTEX-QLQ7-0526-SM-2I5G3 60-69 years, male 8.9
GTEX-ZG7Y-0926-SM-5EQ6O 50-59 years, male 8.9
GTEX-1GF9V-1626-SM-7PBXL 60-69 years, male 8.9
GTEX-12BJ1-0226-SM-5LUA2 60-69 years, male 8.8
GTEX-13FLV-0926-SM-5L3DZ 50-59 years, male 8.8
GTEX-15RJ7-0226-SM-7KUMN 40-49 years, male 8.8
GTEX-1AX9J-1026-SM-72D6E 60-69 years, male 8.8
GTEX-RTLS-0826-SM-2TF5Q 60-69 years, female 8.8
GTEX-1JMPZ-1426-SM-CJI3C 30-39 years, male 8.8
GTEX-13N11-0426-SM-5KM3O 50-59 years, female 8.7
GTEX-13O3P-1626-SM-5K7X3 50-59 years, male 8.7
GTEX-13OVG-0526-SM-5K7YD 60-69 years, male 8.7
GTEX-14PJ4-1126-SM-5YY91 60-69 years, male 8.7
GTEX-WL46-0926-SM-3LK7T 50-59 years, male 8.7
GTEX-1S3DN-0726-SM-E9TIO 50-59 years, male 8.7
GTEX-17HGU-1026-SM-79OKL 50-59 years, male 8.6
GTEX-1EH9U-0826-SM-7IGPT 60-69 years, male 8.6
GTEX-O5YV-0326-SM-2I5H2 60-69 years, female 8.6
GTEX-111FC-0826-SM-5GZWO 60-69 years, male 8.5
GTEX-117YW-0326-SM-5N9CY 50-59 years, male 8.5
GTEX-11DXZ-0626-SM-5GU77 50-59 years, male 8.5
GTEX-13O21-2326-SM-5MR3X 50-59 years, male 8.5
GTEX-1B8L1-0526-SM-79ONX 60-69 years, male 8.5
GTEX-1EKGG-1126-SM-7MGXB 60-69 years, male 8.5
GTEX-OIZI-0926-SM-E6CHF 40-49 years, male 8.5
GTEX-11GS4-0526-SM-5A5KQ 60-69 years, male 8.4
GTEX-132NY-1726-SM-5EGKK 60-69 years, male 8.4
GTEX-U8XE-1126-SM-3DB8W 30-39 years, male 8.4
GTEX-11EM3-0626-SM-5H12Z 20-29 years, female 8.3
GTEX-1C6VQ-1126-SM-7EWET 50-59 years, male 8.3
GTEX-R45C-0926-SM-3GAD4 60-69 years, female 8.3
GTEX-WRHU-1226-SM-4E3IJ 50-59 years, female 8.3
GTEX-ZVZP-0226-SM-5NQ73 50-59 years, male 8.3
GTEX-1HSMQ-0226-SM-C1YQL 50-59 years, male 8.3
GTEX-13NYB-0226-SM-5N9G4 40-49 years, male 8.2
GTEX-15SHW-1226-SM-6M46C 60-69 years, male 8.2
GTEX-QESD-0526-SM-2I5G5 20-29 years, male 8.2
GTEX-WYJK-1026-SM-3NM8W 50-59 years, male 8.2
GTEX-ZF3C-1226-SM-4WWCB 50-59 years, female 8.2
GTEX-1ICG6-0626-SM-ACKWS 70-79 years, female 8.2
GTEX-11ZUS-0226-SM-5FQT8 30-39 years, male 8.1
GTEX-1399T-0426-SM-5PNVJ 60-69 years, male 8.1
GTEX-13SLX-1026-SM-5ZZUQ 50-59 years, female 8.1
GTEX-16BQI-0926-SM-6M485 30-39 years, female 8.1
GTEX-18465-0926-SM-731AY 50-59 years, male 8.1
GTEX-1A3MW-1326-SM-7189P 60-69 years, female 8.1
GTEX-1CAMS-1326-SM-79OJR 40-49 years, female 8.1
GTEX-1CB4G-0826-SM-7DUGF 60-69 years, male 8.1
GTEX-1F75I-1126-SM-9WYUO 40-49 years, male 8.1
GTEX-1LG7Y-1226-SM-CXZKD 50-59 years, male 8.1
GTEX-1PWST-1026-SM-DTXF2 70-79 years, male 8.1
GTEX-1QP2A-1126-SM-EVR3H 50-59 years, male 8.1
GTEX-11ONC-0126-SM-5PNW6 60-69 years, male 8.0
GTEX-13O1R-1226-SM-5J1NU 60-69 years, male 8.0
GTEX-14PHY-0226-SM-5ZZWM 60-69 years, female 8.0
GTEX-17JCI-1126-SM-7IGMM 60-69 years, female 8.0
GTEX-ZUA1-0826-SM-4YCDL 40-49 years, male 8.0
GTEX-1IKJJ-0826-SM-A96SP 60-69 years, male 8.0
GTEX-WQUQ-1426-SM-3MJFD 60-69 years, male 7.9
GTEX-ZQUD-1526-SM-7IGO2 30-39 years, male 7.9
GTEX-1JJEA-0826-SM-CL53T 60-69 years, male 7.9
GTEX-1212Z-0626-SM-5FQTB 60-69 years, male 7.8
GTEX-13CF2-0426-SM-5KM1H 60-69 years, male 7.8
GTEX-148VJ-1526-SM-5Q5DU 70-79 years, male 7.8
GTEX-14C38-1426-SM-5RQHZ 50-59 years, male 7.8
GTEX-V1D1-0526-SM-4JBGW 50-59 years, male 7.8
GTEX-Y5V5-0626-SM-4VBPX 60-69 years, female 7.8
GTEX-1CB4J-0326-SM-7PBZO 60-69 years, male 7.8
GTEX-11ZVC-0426-SM-5CVLD 50-59 years, female 7.7
GTEX-12ZZZ-1726-SM-59HK5 60-69 years, male 7.7
GTEX-13OW6-1126-SM-5L3HL 50-59 years, male 7.7
GTEX-14A6H-0226-SM-5Q5DX 30-39 years, male 7.7
GTEX-15ER7-1726-SM-6PAMX 20-29 years, female 7.7
GTEX-NFK9-0926-SM-2HMJU 40-49 years, male 7.7
GTEX-R55E-1026-SM-2TC5S 20-29 years, male 7.7
GTEX-1ICLZ-1026-SM-A9SLF 60-69 years, male 7.7
GTEX-12WSG-0526-SM-5FQTH 50-59 years, female 7.6
GTEX-13OW5-1126-SM-5J1NR 60-69 years, male 7.6
GTEX-N7MS-0826-SM-2HML4 60-69 years, male 7.6
GTEX-WI4N-0626-SM-3TW8Z 40-49 years, female 7.6
GTEX-ZAJG-0826-SM-5PNVA 50-59 years, female 7.6
GTEX-ZPU1-0626-SM-4YCDM 40-49 years, male 7.6
GTEX-1GN2E-1326-SM-9KNVG 60-69 years, male 7.6
GTEX-S33H-0526-SM-COH1W 30-39 years, male 7.6
GTEX-1314G-0126-SM-5LZUL 30-39 years, male 7.5
GTEX-14DAQ-1126-SM-664MT 60-69 years, female 7.5
GTEX-1HC8U-0726-SM-ACKXL 40-49 years, female 7.5
GTEX-1LH75-0426-SM-E9TJF 50-59 years, female 7.5
GTEX-131XE-0626-SM-5HL98 50-59 years, male 7.4
GTEX-14C5O-1326-SM-5S2UW 60-69 years, male 7.4
GTEX-14PHX-2126-SM-6EU2U 50-59 years, male 7.4
GTEX-16YQH-0926-SM-793BC 30-39 years, male 7.4
GTEX-1B996-1126-SM-73KWN 60-69 years, male 7.4
GTEX-1C64O-0826-SM-79OKZ 60-69 years, male 7.4
GTEX-XBEC-1326-SM-4AT69 50-59 years, male 7.4
GTEX-1IDJH-1026-SM-E9TKH 70-79 years, male 7.4
GTEX-1JMLX-1626-SM-ARZMV 50-59 years, male 7.4
GTEX-1LVA9-0926-SM-EVR5G 50-59 years, male 7.4
GTEX-1O9I2-1126-SM-DTXEA 50-59 years, male 7.4
GTEX-WK11-0826-SM-EZ6LH 50-59 years, male 7.4
GTEX-11DXX-0326-SM-5PNWC 60-69 years, female 7.3
GTEX-1EWIQ-1426-SM-7IGOS 70-79 years, female 7.3
GTEX-ZDTS-1326-SM-6LLHE 60-69 years, male 7.3
GTEX-1K9T9-1126-SM-D3L9E 50-59 years, female 7.3
GTEX-1MJIX-0326-SM-EVR42 40-49 years, male 7.3
GTEX-1R7EV-0326-SM-E76PA 40-49 years, male 7.3
GTEX-14E7W-1226-SM-5RQIU 70-79 years, male 7.2
GTEX-14JG1-1026-SM-6ETZY 40-49 years, male 7.2
GTEX-1H3NZ-1126-SM-9WYT9 60-69 years, male 7.2
GTEX-P78B-0426-SM-2I5F5 40-49 years, female 7.1
GTEX-1KD4Q-0726-SM-DIPGE 40-49 years, male 7.1
GTEX-12WSD-1126-SM-5EGJD 60-69 years, female 7.0
GTEX-13NZB-0226-SM-5KM1T 30-39 years, male 7.0
GTEX-N7MT-1326-SM-2I3FV 60-69 years, female 7.0
GTEX-RWS6-0326-SM-2XCAP 60-69 years, female 7.0
GTEX-U3ZH-0326-SM-3DB7A 30-39 years, male 7.0
GTEX-1I1GV-1326-SM-A96SE 60-69 years, male 7.0
GTEX-11GSP-1326-SM-5A5KY 60-69 years, female 6.9
GTEX-12ZZY-1126-SM-5DUWQ 60-69 years, male 6.9
GTEX-145MO-1126-SM-5NQBX 60-69 years, male 6.9
GTEX-QEL4-0926-SM-3GAD1 50-59 years, male 6.9
GTEX-WZTO-1326-SM-3NM8X 40-49 years, male 6.9
GTEX-ZDXO-0726-SM-57WBT 60-69 years, male 6.9
GTEX-13VXT-1126-SM-5LU3A 20-29 years, female 6.8
GTEX-13X6K-1826-SM-5O9CR 60-69 years, female 6.8
GTEX-1BAJH-1626-SM-73KUV 70-79 years, male 6.8
GTEX-RWSA-0626-SM-2XCBD 40-49 years, male 6.8
GTEX-17F9Y-1326-SM-7MGW9 70-79 years, female 6.8
GTEX-1PPGY-1126-SM-E76OU 60-69 years, male 6.8
GTEX-11EMC-0726-SM-5EGJO 60-69 years, female 6.7
GTEX-145LV-0326-SM-5Q5BW 50-59 years, male 6.7
GTEX-1B8SG-0826-SM-7EWF7 50-59 years, male 6.7
GTEX-1A8G6-1626-SM-7MGWO 60-69 years, male 6.7
GTEX-1497J-1226-SM-5Q5BL 60-69 years, male 6.6
GTEX-18A6Q-1626-SM-7KFTA 60-69 years, male 6.6
GTEX-T2IS-0426-SM-32QPE 20-29 years, female 6.6
GTEX-14A5I-1226-SM-5NQBW 50-59 years, female 6.5
GTEX-16NPX-0926-SM-7KUEZ 50-59 years, male 6.5
GTEX-17MF6-0726-SM-7LT8E 40-49 years, male 6.5
GTEX-X8HC-1626-SM-46MWE 50-59 years, female 6.5
GTEX-ZAB4-1026-SM-5HL7T 40-49 years, male 6.5
GTEX-1POEN-0626-SM-EVR4B 30-39 years, female 6.5
GTEX-13RTJ-0726-SM-5QGQN 60-69 years, male 6.4
GTEX-16XZY-0426-SM-793BI 70-79 years, male 6.4
GTEX-NPJ8-0426-SM-2HMK6 40-49 years, male 6.4
GTEX-SIU8-0826-SM-2XCDQ 50-59 years, male 6.4
GTEX-Y8E4-0326-SM-4VBRR 40-49 years, male 6.4
GTEX-ZYW4-0926-SM-59HJS 60-69 years, male 6.4
GTEX-14E6C-0426-SM-5YYA8 40-49 years, male 6.3
GTEX-17HHY-1426-SM-7EWDQ 50-59 years, male 6.3
GTEX-1I1GP-0826-SM-A96SD 50-59 years, male 6.3
GTEX-11DXY-0826-SM-5EGGR 60-69 years, male 6.2
GTEX-ZVT2-1026-SM-5GU55 50-59 years, female 6.2
GTEX-14C39-0926-SM-5TDDV 40-49 years, male 6.1
GTEX-1HCU7-1326-SM-CNPPW 50-59 years, male 6.1
GTEX-1313W-1426-SM-5KLZU 50-59 years, female 6.0
GTEX-14BIN-2226-SM-5YYA1 50-59 years, female 6.0
GTEX-1JMOU-0226-SM-CNNPD 60-69 years, female 6.0
GTEX-OXRO-2026-SM-2YUMZ 60-69 years, female 5.8
GTEX-1E1VI-1326-SM-7IGQD 50-59 years, male 5.7
GTEX-1F6I4-0726-SM-7PC2P 60-69 years, male 5.7
GTEX-13YAN-1326-SM-5Q5F1 60-69 years, male 5.6
GTEX-1AX9I-1126-SM-7EPHH 60-69 years, male 5.6
GTEX-P44H-0726-SM-48TBT 40-49 years, male 5.6
GTEX-1QP29-1526-SM-EXUSY 50-59 years, male 5.6
GTEX-SNMC-0126-SM-2XCFO 20-29 years, male 5.5
GTEX-1M5QR-1026-SM-DHXK9 40-49 years, male 5.5
GTEX-15SHU-1126-SM-7KUMB 40-49 years, female 5.4
GTEX-ZYFC-1126-SM-5E44W 50-59 years, male 5.4
GTEX-1A3MX-1326-SM-72D58 60-69 years, male 5.3
GTEX-YFC4-0526-SM-5ZZVI 40-49 years, female 5.3
GTEX-X261-1426-SM-4PQZ1 50-59 years, male 5.2
GTEX-1HBPM-1226-SM-A9SM8 60-69 years, female 5.2
GTEX-1ICLY-1326-SM-CJI47 50-59 years, male 5.2
GTEX-13FHP-1026-SM-5K7Y2 50-59 years, male 5.1
GTEX-147F4-1226-SM-5NQAY 50-59 years, male 5.1
GTEX-15DYW-1126-SM-6LPK5 60-69 years, female 5.1
GTEX-1I1GQ-1426-SM-B2LWY 50-59 years, male 5.1
GTEX-1JN1M-1026-SM-CNPOS 60-69 years, female 5.1
GTEX-1RQEC-0926-SM-EWROG 60-69 years, male 5.1
GTEX-13FTZ-0226-SM-5K7X6 60-69 years, male 4.9
GTEX-16MT8-0926-SM-6M487 60-69 years, female 4.9
GTEX-1LB8K-1026-SM-DHXJJ 50-59 years, male 4.9
GTEX-REY6-1026-SM-2TF4Y 60-69 years, male 4.8
GTEX-1H23P-1226-SM-9QEJ2 60-69 years, male 4.8
GTEX-PVOW-0426-SM-5MR5R 40-49 years, male 4.7
GTEX-1JJ6O-2126-SM-CNNP6 60-69 years, male 4.7
GTEX-OIZG-1126-SM-2HMIU 50-59 years, male 4.6
GTEX-1F48J-1026-SM-7P8SO 50-59 years, female 4.6
GTEX-1H1ZS-1126-SM-9MQLJ 70-79 years, male 4.5
GTEX-13O3O-1526-SM-5KM1C 60-69 years, female 4.3
GTEX-1IL2U-1326-SM-A9G2O 60-69 years, male 4.1
GTEX-1N2EF-2826-SM-E6CQF 60-69 years, male 4.1
GTEX-148VI-0326-SM-5RQK7 60-69 years, female 4.0
GTEX-1HT8W-1726-SM-CNNQB 30-39 years, male 4.0
GTEX-ZYT6-1726-SM-5E44P 30-39 years, male 3.9
GTEX-13PVQ-1226-SM-5IJDC 50-59 years, male 3.8
GTEX-15RJE-0626-SM-7KUKR 40-49 years, male 3.8
GTEX-QVJO-1926-SM-2S1QZ 60-69 years, female 3.8
GTEX-1J8Q2-1226-SM-A9G2W 60-69 years, male 3.8
GTEX-11TUW-1026-SM-5GU7D 60-69 years, male 3.5
GTEX-1HCU6-1026-SM-A9G25 60-69 years, female 3.1
Show allShow less

HEART MUSCLE - FANTOM5 CAGEi

RNA expression in human tissues obtained through Cap Analysis of Gene Expression (CAGE) generated by the FANTOM5 project are reported as Scaled Tags Per Million.

Max subtype Scaled Tags Per Millioni

Max subtype Scaled Tags Per Million is the value for the subtype with the largest average Scaled Tags Per Million across the subtype samples.

37.0
FANTOM5 sample id Sample description Scaled Tags Per Million
Heart
Scaled Tags Per Million: 34.8
FF:10016-101C7 70,73,74 years, mixed 34.8
Left atrium
Scaled Tags Per Million: 29.2
FF:10079-102A7 40 years, male 29.2
Left ventricle
Scaled Tags Per Million: 37.0
FF:10078-102A6 73 years, female 37.0

Contact

  • NEWS ARTICLES
  • PRESS ROOM

The Project

  • INTRODUCTION
  • ORGANIZATION
  • PUBLICATIONS

The Human Protein Atlas

  • DOWNLOADABLE DATA
  • LICENCE & CITATION
  • HELP & FAQ
The Human Protein Atlas project is funded
by the Knut & Alice Wallenberg Foundation.


contact@proteinatlas.org